We use cookies to enhance the usability of our website. If you continue, we'll assume that you are happy to receive all cookies. More information. Don't show this again.
TP63
HPA
RESOURCES
  • TISSUE
  • BRAIN
  • SINGLE CELL
  • SUBCELLULAR
  • CANCER
  • BLOOD
  • CELL LINE
  • STRUCTURE & INTERACTION
ABOUT
  • INTRODUCTION
  • HISTORY
  • ORGANIZATION
  • PUBLICATIONS
  • ANTIBODY SUBMISSION
  • ANTIBODY AVAILABILITY
  • ACKNOWLEDGMENTS
  • CONTACT
NEWS
  • NEWS ARTICLES
  • PRESS ROOM
LEARN
  • DICTIONARY
  • PROTEIN CLASSES
  • PROTEIN EVIDENCE
  • METHODS
  • EDUCATIONAL VIDEOS
DATA
  • DOWNLOADABLE DATA
  • PUBLICATION DATA
  • RELEASE HISTORY
HELP
  • ANTIBODY VALIDATION
  • ASSAYS & ANNOTATION
  • DISCLAIMER
  • HELP & FAQ
  • PRIVACY STATEMENT
  • LICENCE & CITATION
Fields »
Search result

Field
Term
Gene name
Class
Subclass
Class
Keyword
Chromosome
External id
Tissue
Cell type
Expression
Antibody panel
Tissue
Main location
Patient ID
Annotation
Tissue
Category
Tau score
Cluster
Reliability
Brain region
Category
Tau score
Brain region
Category
Tau score
Brain region
Category
Tau score
Cluster
Reliability
Tissue
Cell type
Enrichment
Cell type
Category
Tau score
Cell type
Category
Tau score
Cell type
Category
Tau score
Cell lineage
Category
Tau score
Cluster
Cluster
Location
Searches
Location
Cell line
Class
Type
Phase
Reliability
Cancer
Prognosis
Cancer
Category
Cancer
Category
Tau score
Cluster
Variants
Interacting gene (ensg_id)
Type
Number of interactions
Pathway
Category
Score
Score
Score
Validation
Validation
Validation
Validation
Antibodies
Data type
Column


  • SUMMARY

  • TISSUE

  • BRAIN

  • SINGLE CELL

  • SUBCELL

  • CANCER

  • BLOOD

  • CELL LINE

  • STRUCT & INT

  • TP63
TISSUE PRIMARY DATA SKIN 1 Show tissue menu
ADIPOSE TISSUE ADRENAL GLAND AMYGDALA APPENDIX BASAL GANGLIA BONE MARROW BREAST BRONCHUS CEREBELLUM CEREBRAL CORTEX CERVIX CHOROID PLEXUS COLON DUODENUM
ENDOMETRIUM EPIDIDYMIS ESOPHAGUS FALLOPIAN TUBE GALLBLADDER HEART MUSCLE HIPPOCAMPAL FORMATION HYPOTHALAMUS KIDNEY LIVER LUNG LYMPH NODE MIDBRAIN NASOPHARYNX
ORAL MUCOSA OVARY PANCREAS PARATHYROID GLAND PITUITARY GLAND PLACENTA PROSTATE RECTUM RETINA SALIVARY GLAND SEMINAL VESICLE SKELETAL MUSCLE SKIN SMALL INTESTINE
SMOOTH MUSCLE SOFT TISSUE SPINAL CORD SPLEEN STOMACH TESTIS THYMUS THYROID GLAND TONGUE TONSIL URINARY BLADDER VAGINA
ANTIBODIES
AND
VALIDATION
Dictionary
Skin
Tissue proteome
SKIN - Expression summary
Protein expression
Skini

On the top, protein expression in current human tissue, based on all annotated cell types, is reported with the units not detected (n), low (l), medium (m) and high (h). Underneath, protein expression in each annotated cell type are reported using the same units.

Protein expression data is based on knowledge-based annotation. For genes where more than one antibody has been used, a collective score is set.

If knowledge-based annotation could not be performed for a gene, no data is displayed here. View antibody staining data further down this page.

h
m
l
n
Cells in basal layer: High
Cells in corneal layer: Not detected
Cells in granular layer: Medium
Cells in spinous layer: High
Eccrine glands: High
Endothelial cells: Not detected
Extracellular matrix: Not detected
Fibrohistiocytic cells: Not detected
Hair follicles: High
Langerhans cells: Not detected
Lymphocytes: Not detected
Melanocytes: Not detected
Sebaceous glands: High
Vascular mural cells: Not detected
RNA expressioni

A summary of mRNA expression data available for current tissue based on several datasets. The mRNA expression levels in human tissues are based on RNA-seq data generated by the Human Protein Atlas (HPA), Genotype-Tissue Expression (GTEx) portal and CAGE data generated by the FANTOM5 consortium. Consensus normalized expression levels for human tissues was created by combining the data from HPA and GTEx datasets.

The mRNA expression levels in pig are based on RNA-seq data generated by the Human Protein Atlas (HPA), and for mouse, HPA data and in situ hybridization generated by the Allen brain atlas are reported.

Scroll down to view mRNA expression data in more detail.
Consensus:133.7 nTPM
HPA:133.7 nTPM
GTEx:110.3 nTPM

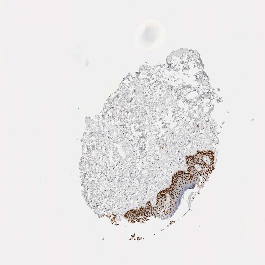
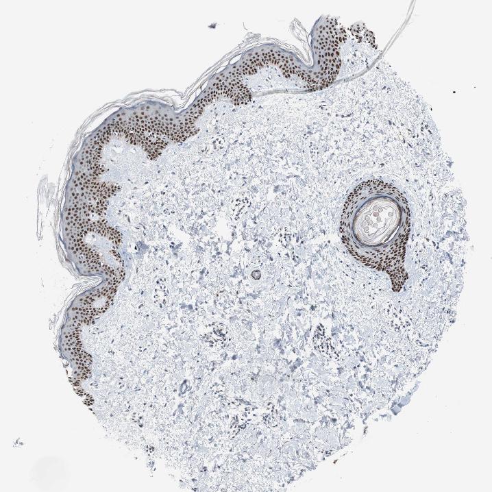
SKIN 1 - Antibody stainingi

Antibody staining in the annotated cell types in the current human tissue is reported as not detected, low, medium, or high, based on conventional immunohistochemistry profiling in selected tissues. This score is based on the combination of the staining intensity and fraction of stained cells.

Each image is clickable and will lead to virtual microscopy that enables deeper exploration of all samples and also displays staining intensity scores, fraction scores and subcellular localization as well as patient and tissue information for each sample.

Antibody HPA006288Antibody HPA007010Antibody CAB000083
Langerhans HighHigh-
Cells in basal layer --High
Cells in corneal layer --Not detected
Cells in granular layer --Low
Cells in spinous layer --High
Eccrine glands --High
Endothelial cells --Not detected
Extracellular matrix --Not detected
Fibroblasts Not detectedNot detected-
Fibrohistiocytic cells --Not detected
Hair follicles --High
Keratinocytes HighHigh-
Langerhans cells --Not detected
Lymphocytes --Not detected
Melanocytes LowHighNot detected
Sebaceous glands --High
Vascular mural cells --Not detected




SKIN 2 - Antibody stainingi

Antibody staining in the annotated cell types in the current human tissue is reported as not detected, low, medium, or high, based on conventional immunohistochemistry profiling in selected tissues. This score is based on the combination of the staining intensity and fraction of stained cells.

Each image is clickable and will lead to virtual microscopy that enables deeper exploration of all samples and also displays staining intensity scores, fraction scores and subcellular localization as well as patient and tissue information for each sample.

Antibody HPA006288Antibody HPA007010Antibody CAB000083
Cells in basal layer --High
Cells in corneal layer --Not detected
Cells in granular layer --Medium
Cells in spinous layer --High
Endothelial cells --Not detected
Epidermal cells HighMedium-
Extracellular matrix --Not detected
Fibrohistiocytic cells --Not detected
Langerhans cells --Not detected
Lymphocytes --Not detected
Melanocytes --Not detected
Vascular mural cells --Not detected
   
   
   
   
   







SKIN - HPA RNA-seqi

The RNA-seq details section shows detailed information about the individual samples used for the transcript profiling and results of the RNA-seq analysis.

Information about each individual sample is listed below, including gender, age, a tissue section image and estimated fractions of cell types. nTPM (normalized transcripts per million) values give a quantification of the gene abundance which is comparable between different genes and samples.
Average nTPMi

Max subtype nTPM is the value for the subtype with the largest average nTPM across the subtype samples.

133.7
overview
Female, age 34
Skin sample 225
nTPM: 147.3
Cell types%
Keratinocytes:
60

Other cell types:
40

overview
Female, age 30
Skin sample 226
nTPM: 180.3
Cell types%
Keratinocytes:
55

Other cell types:
45

N/A
Male, age 57
Skin sample 227
nTPM: 73.4

SKIN - GTEx RNA-seqi

RNA-Seq data generated by the Genotype-Tissue Expression (GTEx) project from human tissues is reported as mean nTPM. More information can be found on the GTEx portal.

Distribution across the dataset is visualized with box plots, shown as median and 25th and 75th percentiles. Points are displayed as outliers if they are above or below 1.5 times the interquartile range. nTPM values of the individual samples are presented next to the box plot.
Max subtype nTPMi

Max subtype nTPM is the value for the subtype with the largest average nTPM across the subtype samples.

110.3
GTEx sample id Sample description nTPM
Skin - Not Sun Exposed (Suprapubic)
Average nTPM: 110.3
Samples: 604

Max nTPM: 260.8
Min nTPM: 20.7
Std nTPM: 40.7
Median nTPM: 107.4
GTEX-13SLW-0626-SM-5Q5ER 70-79 years, male 260.8
GTEX-1F6RS-2026-SM-7RHHC 60-69 years, female 258.0
GTEX-15SKB-2826-SM-6PAMH 60-69 years, male 251.3
GTEX-1HR9M-2226-SM-CNPPY 60-69 years, male 246.4
GTEX-13NZ8-1226-SM-5KM4A 60-69 years, female 241.8
GTEX-145MI-0626-SM-5SI8S 60-69 years, female 240.3
GTEX-13PL6-1126-SM-5L3IE 40-49 years, female 228.8
GTEX-17F9Y-0126-SM-79OKX 70-79 years, female 225.5
GTEX-1J1OQ-0126-SM-D4P2N 40-49 years, female 223.1
GTEX-139UW-0326-SM-5J1ML 60-69 years, male 220.5
GTEX-1IE54-1126-SM-A9G2Z 40-49 years, female 218.4
GTEX-15DDE-2926-SM-6LLJ3 50-59 years, female 213.4
GTEX-1H3VE-0726-SM-9YFL5 40-49 years, male 212.8
GTEX-1A8G7-1326-SM-73KVM 60-69 years, male 210.2
GTEX-1F88F-0126-SM-9WYSZ 60-69 years, female 208.3
GTEX-1NV5F-0626-SM-DTXEG 60-69 years, female 207.7
GTEX-13PDP-0726-SM-5L3HP 60-69 years, male 204.3
GTEX-1GPI6-1926-SM-9KNV7 60-69 years, male 202.0
GTEX-13YAN-0226-SM-5TDC6 60-69 years, male 201.3
GTEX-1GMR8-0626-SM-7RHI7 50-59 years, female 197.3
GTEX-144GL-0626-SM-5LU4D 50-59 years, male 196.9
GTEX-1GN1V-2826-SM-9JGIA 60-69 years, male 191.8
GTEX-14C39-1726-SM-5RQIL 40-49 years, male 190.3
GTEX-148VJ-0626-SM-5LUAW 70-79 years, male 189.1
GTEX-1A8G6-2726-SM-731AR 60-69 years, male 188.0
GTEX-1GF9X-1326-SM-7PC2Y 40-49 years, female 185.4
GTEX-1HCU7-0726-SM-A9SL1 50-59 years, male 184.7
GTEX-ZYY3-2926-SM-5GIEB 60-69 years, female 182.7
GTEX-1I1CD-0626-SM-CE6SW 60-69 years, female 182.1
GTEX-ZVT4-2426-SM-5GIEI 50-59 years, female 181.5
GTEX-1EU9M-1426-SM-793AI 60-69 years, male 174.6
GTEX-1S5ZU-2526-SM-E6CIF 20-29 years, female 174.1
GTEX-1IKJJ-2226-SM-CJI4C 60-69 years, male 172.5
GTEX-15UF6-1926-SM-7KUDV 70-79 years, female 172.2
GTEX-11PRG-0726-SM-5EGL1 50-59 years, male 172.1
GTEX-1F88E-1626-SM-7SB8Z 60-69 years, female 171.4
GTEX-1GN73-0726-SM-7P8TJ 60-69 years, male 171.2
GTEX-1IDFM-0326-SM-ARL7V 60-69 years, male 170.3
GTEX-13OW5-2326-SM-5L3HO 60-69 years, male 170.0
GTEX-1IDJV-0126-SM-COH3Y 60-69 years, male 169.1
GTEX-139D8-1126-SM-5LU8W 30-39 years, female 168.3
GTEX-1HGF4-0126-SM-CNPPX 60-69 years, male 168.0
GTEX-1R46S-2426-SM-E76QA 60-69 years, female 168.0
GTEX-13IVO-0726-SM-5LZYV 70-79 years, male 167.2
GTEX-1C6VQ-1226-SM-73KYD 50-59 years, male 165.8
GTEX-1HSMO-0626-SM-ACKXC 60-69 years, male 165.7
GTEX-1EX96-1026-SM-7MKG2 50-59 years, male 164.4
GTEX-13OVH-0526-SM-5L3E6 70-79 years, male 164.3
GTEX-1JMQI-1726-SM-ARL93 50-59 years, male 164.0
GTEX-1I1HK-2326-SM-CKZOH 60-69 years, male 163.9
GTEX-1LSNL-2726-SM-E9TKJ 50-59 years, male 163.4
GTEX-1GN1U-0626-SM-9MQL9 50-59 years, female 163.1
GTEX-1399Q-2326-SM-5KM2X 40-49 years, male 162.5
GTEX-1B8L1-2226-SM-7P8PT 60-69 years, male 162.5
GTEX-1GZ4I-2626-SM-9KNU3 50-59 years, male 162.5
GTEX-1F75B-0726-SM-7PC3R 50-59 years, male 161.4
GTEX-14PII-0726-SM-6EU2B 60-69 years, male 160.7
GTEX-13OW6-2726-SM-5J2OE 50-59 years, male 160.6
GTEX-1C6VR-0126-SM-7RHGB 60-69 years, male 160.2
GTEX-1H3O1-1326-SM-9MQLD 60-69 years, male 160.0
GTEX-1J8Q2-2626-SM-ACKWQ 60-69 years, male 159.3
GTEX-1LSVX-2526-SM-DIPEU 60-69 years, male 159.2
GTEX-1269C-0126-SM-5EQ5L 60-69 years, female 159.0
GTEX-ZE7O-2726-SM-51MT5 50-59 years, female 158.4
GTEX-13O3O-2326-SM-5IJD6 60-69 years, female 157.1
GTEX-1CB4J-1326-SM-7P8RX 60-69 years, male 156.6
GTEX-14LLW-2626-SM-62LDZ 70-79 years, female 155.7
GTEX-1HCU6-2526-SM-ADEHL 60-69 years, female 155.7
GTEX-1N2DV-1526-SM-DTXEP 40-49 years, male 155.6
GTEX-1PBJJ-1026-SM-E76OS 30-39 years, male 155.6
GTEX-1A8FM-0626-SM-7PC25 50-59 years, female 155.5
GTEX-145MH-2826-SM-5RQJF 50-59 years, male 155.4
GTEX-1EMGI-2326-SM-7PBYA 60-69 years, male 155.1
GTEX-15EO6-2426-SM-6PALZ 50-59 years, male 154.5
GTEX-WYBS-0626-SM-3NMAS 60-69 years, female 154.4
GTEX-1PPH7-1126-SM-DTX9A 40-49 years, male 154.3
GTEX-14JFF-0626-SM-5ZZVT 60-69 years, male 154.2
GTEX-1JJEA-1826-SM-ARU8P 60-69 years, male 154.2
GTEX-11EQ8-0926-SM-5H12V 60-69 years, male 154.1
GTEX-14C38-0726-SM-5SI6M 50-59 years, male 154.0
GTEX-13QJC-0126-SM-5ZZWJ 60-69 years, female 153.6
GTEX-147JS-0226-SM-5S2U9 60-69 years, male 153.6
GTEX-15ER7-0626-SM-6PANF 20-29 years, female 153.2
GTEX-1GF9V-0826-SM-9KNUV 60-69 years, male 153.0
GTEX-1J8EW-2726-SM-CY8HR 60-69 years, female 153.0
GTEX-13FHO-0426-SM-5L3F5 60-69 years, male 152.8
GTEX-144GO-2026-SM-5O99P 60-69 years, male 152.8
GTEX-1122O-1026-SM-9WYSF 60-69 years, female 152.4
GTEX-1LG7Y-2526-SM-EWRO7 50-59 years, male 152.0
GTEX-1B933-2426-SM-7DHMD 50-59 years, female 151.9
GTEX-14C5O-0326-SM-5ZZUX 60-69 years, male 151.5
GTEX-1H1DE-1326-SM-9KNUG 20-29 years, male 151.2
GTEX-1GN1W-2426-SM-9KNUU 50-59 years, female 150.7
GTEX-X4EO-2926-SM-4E3JH 60-69 years, female 150.5
GTEX-13VXT-1926-SM-5K7UO 20-29 years, female 150.1
GTEX-1B8SF-0126-SM-7DUG3 60-69 years, male 149.7
GTEX-13X6K-0626-SM-5LU5D 60-69 years, female 149.4
GTEX-14BIN-1126-SM-5RQJZ 50-59 years, female 149.3
GTEX-13N1W-2426-SM-5IJD1 70-79 years, male 148.9
GTEX-14A6H-2026-SM-5Q5DD 30-39 years, male 147.4
GTEX-1H1DF-1126-SM-9WG7G 40-49 years, female 147.4
GTEX-13JVG-0726-SM-5KM16 60-69 years, male 147.0
GTEX-1HSKV-1226-SM-ADEI4 60-69 years, male 146.8
GTEX-145MF-0926-SM-5Q5EA 50-59 years, male 146.7
GTEX-1J8QM-2426-SM-A9SLS 60-69 years, female 146.0
GTEX-1HSMQ-2626-SM-A9SML 50-59 years, male 145.8
GTEX-131XF-2626-SM-5EQ6K 60-69 years, male 145.2
GTEX-ZE9C-2526-SM-5IJDR 60-69 years, male 144.9
GTEX-14BMV-2826-SM-5TDED 50-59 years, male 144.5
GTEX-13OW7-0426-SM-5K7VK 50-59 years, male 144.4
GTEX-ZC5H-1526-SM-5HL9Y 40-49 years, female 144.2
GTEX-13O3Q-0126-SM-5KM34 50-59 years, male 143.9
GTEX-1HBPM-0726-SM-9YFL7 60-69 years, female 143.1
GTEX-183WM-0326-SM-72D5V 70-79 years, female 143.0
GTEX-1JK1U-0226-SM-ARZMX 60-69 years, male 142.9
GTEX-13FLV-0126-SM-5K7WT 50-59 years, male 142.7
GTEX-1ICLY-0826-SM-CMKG1 50-59 years, male 142.5
GTEX-13X6J-0626-SM-5LU5F 50-59 years, male 142.0
GTEX-11WQK-1026-SM-5EQLX 50-59 years, male 141.8
GTEX-11WQC-1826-SM-5GU59 60-69 years, male 141.6
GTEX-1A3MW-0626-SM-731CB 60-69 years, female 141.6
GTEX-144FL-0626-SM-5LU43 50-59 years, male 141.4
GTEX-1S83E-1326-SM-E6CJM 40-49 years, male 141.3
GTEX-11TUW-0626-SM-5LU9M 60-69 years, male 141.0
GTEX-12WSM-1926-SM-5BC65 60-69 years, male 141.0
GTEX-12WSD-0626-SM-5GCMW 60-69 years, female 140.6
GTEX-1B8KZ-0326-SM-73KY4 50-59 years, male 140.5
GTEX-1LGRB-0926-SM-COH3K 50-59 years, female 140.5
GTEX-1C64N-2626-SM-7PC2N 50-59 years, male 140.2
GTEX-131XW-0626-SM-5PNVD 50-59 years, female 140.1
GTEX-1F75A-0726-SM-7RHHD 50-59 years, male 139.6
GTEX-1F48J-0726-SM-7RHGS 50-59 years, female 139.2
GTEX-1QP28-1126-SM-EVYC4 50-59 years, female 139.0
GTEX-1AMFI-1326-SM-7939R 50-59 years, female 138.9
GTEX-17HG3-2626-SM-7DUF2 30-39 years, female 138.7
GTEX-1HCVE-2726-SM-CL54F 50-59 years, male 138.6
GTEX-ZF29-0926-SM-4WKFZ 60-69 years, female 138.5
GTEX-1313W-0626-SM-5EQ4H 50-59 years, female 138.0
GTEX-13FTY-2126-SM-5IFFB 40-49 years, female 137.9
GTEX-ZXG5-2126-SM-59HKD 60-69 years, male 137.0
GTEX-VUSG-2326-SM-4KL1U 50-59 years, male 136.8
GTEX-XAJ8-1426-SM-47JYM 40-49 years, male 136.8
GTEX-12KS4-2126-SM-5FQUT 30-39 years, male 136.5
GTEX-13NYB-0126-SM-5J1MD 40-49 years, male 136.5
GTEX-1GMR3-0126-SM-A9SLW 40-49 years, male 136.5
GTEX-13G51-1826-SM-5KLZH 60-69 years, male 136.4
GTEX-1I1GT-1026-SM-ARZLV 60-69 years, female 136.4
GTEX-Y111-0626-SM-4SOIT 50-59 years, male 136.3
GTEX-1EH9U-2826-SM-7DUGT 60-69 years, male 136.1
GTEX-11ZU8-0126-SM-5EQ58 60-69 years, male 135.9
GTEX-1OJC4-2726-SM-E76PJ 50-59 years, female 135.5
GTEX-12ZZX-2426-SM-5GCOE 40-49 years, female 135.3
GTEX-17HHY-0426-SM-7DHLC 50-59 years, male 134.9
GTEX-WRHU-2826-SM-3MJG8 50-59 years, female 134.9
GTEX-1B932-2326-SM-79OL5 40-49 years, female 134.4
GTEX-17EVP-2626-SM-7IGMA 40-49 years, male 134.1
GTEX-11GS4-0226-SM-5HL77 60-69 years, male 133.8
GTEX-1K2DU-1226-SM-CYPT4 20-29 years, male 133.5
GTEX-15RJE-2826-SM-7KUM9 40-49 years, male 133.4
GTEX-13X6I-1826-SM-5SIAO 60-69 years, male 133.2
GTEX-14PKU-0126-SM-6LLHV 40-49 years, female 133.2
GTEX-1H1DG-2426-SM-9QEHJ 70-79 years, male 133.2
GTEX-1EKGG-0626-SM-7DUGJ 60-69 years, male 133.0
GTEX-1JN1M-2726-SM-CY8I4 60-69 years, female 133.0
GTEX-14PHX-2226-SM-6EU2P 50-59 years, male 132.9
GTEX-1GMRU-2126-SM-7P8RA 50-59 years, male 132.8
GTEX-ZT9X-1526-SM-5DUXD 40-49 years, male 132.5
GTEX-1IOXB-2726-SM-CM2RI 50-59 years, male 132.5
GTEX-1PDJ9-1226-SM-EXUSX 20-29 years, male 132.4
GTEX-145LU-1926-SM-79OJN 50-59 years, male 132.0
GTEX-1QAET-0326-SM-EVR3U 50-59 years, male 131.8
GTEX-1J8Q3-0526-SM-ARL8U 60-69 years, male 131.6
GTEX-16MT9-0126-SM-7EPI8 60-69 years, female 131.2
GTEX-YECK-0326-SM-4W1YS 60-69 years, male 131.2
GTEX-13NYS-0626-SM-5L3F1 60-69 years, male 131.0
GTEX-1BAJH-2426-SM-7IGP8 70-79 years, male 130.9
GTEX-14PJN-1826-SM-6AJ98 30-39 years, male 130.5
GTEX-11LCK-2226-SM-5HL4Q 30-39 years, male 130.4
GTEX-1KAFJ-0126-SM-DIPEK 50-59 years, male 130.2
GTEX-1JKYR-0626-SM-ARL8R 20-29 years, male 129.9
GTEX-13VXU-0626-SM-5L3F9 50-59 years, male 129.6
GTEX-1I1GU-0926-SM-ACKVS 40-49 years, male 129.3
GTEX-ZYT6-2326-SM-5GZY3 30-39 years, male 129.2
GTEX-ZYVF-0926-SM-5E44J 50-59 years, female 129.1
GTEX-1LVAM-0726-SM-E6CIL 50-59 years, female 128.9
GTEX-1LVA9-2626-SM-EVYD4 50-59 years, male 128.6
GTEX-145LS-0626-SM-7EPG7 60-69 years, female 128.4
GTEX-15G19-2426-SM-7KUMR 60-69 years, male 128.1
GTEX-1HR98-2226-SM-ADEI2 60-69 years, male 128.0
GTEX-ZDYS-2426-SM-4WKGI 50-59 years, male 127.9
GTEX-16BQI-1326-SM-6M486 30-39 years, female 127.6
GTEX-1GZHY-0626-SM-9KNVC 50-59 years, female 127.5
GTEX-1AYD5-2626-SM-7PBXY 50-59 years, male 127.4
GTEX-1H4P4-2126-SM-9WYSL 50-59 years, male 127.2
GTEX-1JMQL-2226-SM-CNPP4 50-59 years, female 127.2
GTEX-ZTX8-1326-SM-4YCEL 20-29 years, male 126.9
GTEX-1IL2V-1926-SM-B2LW8 70-79 years, male 126.9
GTEX-144GM-0526-SM-79OJO 20-29 years, male 126.8
GTEX-12WSC-2826-SM-5BC5Y 50-59 years, male 126.6
GTEX-1HT8W-0626-SM-A9G2H 30-39 years, male 126.6
GTEX-12ZZZ-0726-SM-5GCNZ 60-69 years, male 126.5
GTEX-1QP2A-1726-SM-E76QC 50-59 years, male 126.5
GTEX-1POEN-2326-SM-E9J2L 30-39 years, female 126.2
GTEX-1F5PK-2226-SM-7SB6N 50-59 years, male 126.1
GTEX-11P81-2226-SM-5PNYI 30-39 years, female 125.8
GTEX-14PJ5-1526-SM-6LLIL 60-69 years, female 125.5
GTEX-1EN7A-2426-SM-793DB 40-49 years, male 125.4
GTEX-1LKK1-2626-SM-DKPQE 50-59 years, female 125.4
GTEX-15RJ7-2126-SM-6PAMD 40-49 years, male 125.3
GTEX-1I1GV-0626-SM-ARL7M 60-69 years, male 125.2
GTEX-1F5PL-0926-SM-7PC2W 40-49 years, female 124.8
GTEX-11ZUS-2626-SM-5FQUR 30-39 years, male 124.4
GTEX-UPJH-0226-SM-3GADV 50-59 years, male 124.3
GTEX-ZVE2-2826-SM-5GU51 50-59 years, male 124.2
GTEX-1JMQJ-0826-SM-CNPP7 50-59 years, male 124.0
GTEX-1399U-1126-SM-5L3DB 50-59 years, female 123.9
GTEX-14LZ3-0126-SM-69LPM 60-69 years, female 123.8
GTEX-13D11-0926-SM-5J2NC 50-59 years, female 123.6
GTEX-11DXY-0126-SM-5H11Q 60-69 years, male 123.5
GTEX-1KXAM-1626-SM-D3LAD 60-69 years, male 123.2
GTEX-1QPFJ-1926-SM-EVYBD 30-39 years, female 123.1
GTEX-1K9T9-1526-SM-DIPFR 50-59 years, female 122.8
GTEX-1I1GS-2626-SM-B2LY3 60-69 years, male 122.6
GTEX-11UD2-2526-SM-5CVNU 50-59 years, male 122.5
GTEX-1GF9W-1426-SM-7PBYM 60-69 years, male 122.3
GTEX-VJYA-1526-SM-3GIJV 60-69 years, male 121.8
GTEX-1C2JI-1026-SM-73KY1 50-59 years, male 121.4
GTEX-1PPGY-1626-SM-EVYBL 60-69 years, male 121.3
GTEX-1QMI2-2526-SM-E8VNZ 60-69 years, male 121.3
GTEX-1B97I-0626-SM-73KUZ 40-49 years, male 121.1
GTEX-14XAO-1226-SM-6EU1C 60-69 years, female 120.8
GTEX-13PVQ-0626-SM-5LU47 50-59 years, male 120.7
GTEX-X8HC-0626-SM-4E3HQ 50-59 years, female 120.6
GTEX-1F75I-2226-SM-7SB8U 40-49 years, male 120.6
GTEX-1PIIG-2326-SM-DTXFR 30-39 years, male 120.6
GTEX-147GR-2426-SM-5ZZWQ 60-69 years, male 120.3
GTEX-ZTTD-2826-SM-4YCFA 50-59 years, male 120.3
GTEX-XXEK-1626-SM-4BRUZ 50-59 years, male 120.2
GTEX-12ZZY-0726-SM-5EQ66 60-69 years, male 119.9
GTEX-17MFQ-1526-SM-7KFRR 20-29 years, male 119.7
GTEX-1AX9I-2226-SM-73KUO 60-69 years, male 119.7
GTEX-139TT-2126-SM-5LZWC 60-69 years, male 119.6
GTEX-1OJC3-1226-SM-DTXER 20-29 years, male 119.5
GTEX-13OW8-1026-SM-5J1NQ 60-69 years, male 119.3
GTEX-WHWD-1826-SM-3LK6I 50-59 years, male 119.2
GTEX-1N2EE-0626-SM-E76PW 60-69 years, male 119.2
GTEX-V1D1-2026-SM-3GAF4 50-59 years, male 118.9
GTEX-WY7C-2126-SM-3NB2R 50-59 years, male 118.4
GTEX-1JMPZ-0726-SM-CY8HZ 30-39 years, male 118.3
GTEX-14JG1-1526-SM-5YY9X 40-49 years, male 118.2
GTEX-17MF6-2626-SM-79OKQ 40-49 years, male 118.1
GTEX-14PJ4-0226-SM-5YY92 60-69 years, male 118.0
GTEX-ZVE1-0726-SM-51MRN 50-59 years, female 117.6
GTEX-1GZ2Q-0126-SM-9WG6M 40-49 years, male 117.6
GTEX-18A67-1626-SM-7LT9T 50-59 years, male 117.5
GTEX-ZAB4-2126-SM-5HL8U 40-49 years, male 116.8
GTEX-13SLX-2226-SM-62LEP 50-59 years, female 116.7
GTEX-1GZ4H-0526-SM-9KNU9 50-59 years, female 116.4
GTEX-1LB8K-0726-SM-D5OV2 50-59 years, male 116.3
GTEX-14B4R-1326-SM-5Q5EZ 30-39 years, male 116.0
GTEX-133LE-2326-SM-5K7W3 20-29 years, female 115.9
GTEX-1314G-1326-SM-5BC6E 30-39 years, male 115.8
GTEX-17HGU-2326-SM-7DUFE 50-59 years, male 115.5
GTEX-1H11D-1826-SM-9QEHM 40-49 years, male 115.5
GTEX-1I1GP-1326-SM-A9G28 50-59 years, male 115.5
GTEX-1R9K4-2826-SM-DTX8F 60-69 years, male 115.3
GTEX-15DYW-2726-SM-6EU2I 60-69 years, female 114.8
GTEX-1HFI6-0126-SM-CNPPI 40-49 years, male 114.8
GTEX-11NUK-2726-SM-5A5MC 50-59 years, male 114.7
GTEX-13112-0126-SM-5P9IU 50-59 years, male 114.7
GTEX-18D9U-0126-SM-731BM 40-49 years, male 114.6
GTEX-W5X1-2526-SM-3GILC 40-49 years, female 114.5
GTEX-1HB9E-0126-SM-CM2S5 50-59 years, male 114.4
GTEX-13FTX-1526-SM-5K7VJ 20-29 years, female 114.3
GTEX-111VG-1626-SM-5EGIO 60-69 years, male 114.1
GTEX-1CB4H-1126-SM-7MKGL 60-69 years, female 113.9
GTEX-1HSGN-0826-SM-ACKW3 40-49 years, female 113.8
GTEX-1MCC2-1826-SM-DIPEX 30-39 years, female 113.7
GTEX-139T8-0626-SM-5KLZX 60-69 years, male 113.3
GTEX-XBED-1926-SM-47JYP 60-69 years, male 113.1
GTEX-18465-2826-SM-7LT9J 50-59 years, male 112.5
GTEX-18A6Q-0626-SM-7KFRP 60-69 years, male 112.5
GTEX-1J8JJ-0626-SM-ARZMQ 60-69 years, female 112.4
GTEX-1AMEY-0826-SM-72D65 30-39 years, female 111.7
GTEX-13NYC-0126-SM-5L3F4 60-69 years, male 111.6
GTEX-Y114-2126-SM-4TT8B 50-59 years, female 111.4
GTEX-12WSH-1526-SM-5BC5W 50-59 years, male 111.1
GTEX-XQ3S-1426-SM-4BOPR 20-29 years, male 110.5
GTEX-1JMPY-0226-SM-CKZOK 30-39 years, male 110.5
GTEX-1JJ6O-2726-SM-CNPOG 60-69 years, male 110.4
GTEX-139TS-2126-SM-5K7XC 60-69 years, male 110.1
GTEX-ZYFC-0426-SM-5GICQ 50-59 years, male 110.0
GTEX-ZVZP-1226-SM-5GID7 50-59 years, male 108.9
GTEX-17F98-1326-SM-7DUEP 40-49 years, female 108.4
GTEX-1R7EU-1626-SM-DTXG3 60-69 years, male 108.4
GTEX-11DXX-2126-SM-5PNYR 60-69 years, female 108.3
GTEX-14ICL-1626-SM-5YYAO 30-39 years, male 108.3
GTEX-15EU6-2226-SM-6EU2L 50-59 years, male 108.3
GTEX-14PJ3-1126-SM-5ZZVX 50-59 years, male 108.2
GTEX-18QFQ-1826-SM-72D52 30-39 years, male 108.1
GTEX-16XZZ-0726-SM-7KUF2 60-69 years, male 108.0
GTEX-1GN2E-0226-SM-9WG6K 60-69 years, male 107.6
GTEX-1F52S-2926-SM-7MKGA 60-69 years, female 107.1
GTEX-WHSB-1326-SM-3LK6W 50-59 years, male 107.1
GTEX-WHPG-2626-SM-3NMBR 50-59 years, male 107.0
GTEX-15G1A-1626-SM-7KUKN 30-39 years, male 106.9
GTEX-WHSE-0126-SM-3NMBT 20-29 years, male 106.7
GTEX-1E2YA-2126-SM-7MXUO 50-59 years, male 106.5
GTEX-XMD2-2126-SM-4YCF8 60-69 years, female 106.2
GTEX-ZF3C-0626-SM-DO92O 50-59 years, female 106.1
GTEX-YJ8O-2526-SM-5HL85 40-49 years, female 105.3
GTEX-14753-0726-SM-5QGQO 60-69 years, male 105.1
GTEX-13RTJ-0126-SM-5S2NN 60-69 years, male 104.8
GTEX-12126-0826-SM-5FQTZ 20-29 years, male 104.7
GTEX-11DYG-1526-SM-5A5JS 60-69 years, male 104.2
GTEX-ZY6K-1426-SM-5GZX2 50-59 years, male 104.1
GTEX-13OVL-0126-SM-5L3GJ 50-59 years, male 103.8
GTEX-1H2FU-0926-SM-9WPPT 60-69 years, female 103.8
GTEX-18A7A-0126-SM-731AH 50-59 years, female 103.7
GTEX-1HBPN-0126-SM-CGQEF 50-59 years, male 103.7
GTEX-1IDJH-0126-SM-D3L92 70-79 years, male 103.5
GTEX-1QCLY-0226-SM-EWRNH 30-39 years, male 103.5
GTEX-12WSK-2126-SM-5CVNC 40-49 years, female 103.0
GTEX-1MCYP-0526-SM-E9U6Q 20-29 years, female 102.8
GTEX-11DXZ-2026-SM-5987S 50-59 years, male 102.6
GTEX-17HHE-1326-SM-7EWDZ 50-59 years, male 102.4
GTEX-11OF3-0126-SM-5PNYF 60-69 years, male 102.3
GTEX-147F4-0726-SM-5TDDD 50-59 years, male 102.1
GTEX-Y3I4-1726-SM-4TT89 50-59 years, male 101.9
GTEX-11P82-1426-SM-DTXFY 20-29 years, male 101.9
GTEX-1KANB-2826-SM-CY8I6 50-59 years, male 101.9
GTEX-16NPX-0726-SM-7KULC 50-59 years, male 101.8
GTEX-1CAMQ-1326-SM-7P8RV 40-49 years, male 101.8
GTEX-1GL5R-1326-SM-7RHHF 50-59 years, male 101.8
GTEX-1HBPI-2126-SM-ARL9K 50-59 years, male 101.8
GTEX-1A32A-0626-SM-731AQ 50-59 years, female 101.5
GTEX-14DAQ-0626-SM-793DS 60-69 years, female 101.3
GTEX-1A3MX-2626-SM-7PC24 60-69 years, male 101.3
GTEX-15CHC-1126-SM-6LLHQ 60-69 years, female 101.0
GTEX-1CB4E-0926-SM-7EPHT 60-69 years, male 100.9
GTEX-1R9PM-1926-SM-EVR3O 20-29 years, male 100.8
GTEX-14PJ6-2626-SM-6EU2T 60-69 years, female 100.1
GTEX-12696-0126-SM-5EQ4L 60-69 years, male 99.9
GTEX-1JJE9-2626-SM-ARZMT 70-79 years, male 99.9
GTEX-1GTWX-2026-SM-9YFLM 60-69 years, male 99.3
GTEX-178AV-1726-SM-7KUL8 40-49 years, male 99.1
GTEX-15SHW-0226-SM-7LTAT 60-69 years, male 99.0
GTEX-ZDTT-0426-SM-4WKFL 60-69 years, male 98.6
GTEX-14PJ2-0626-SM-6LLII 50-59 years, male 98.5
GTEX-XV7Q-1826-SM-4BRUV 40-49 years, female 98.4
GTEX-1HSMP-0926-SM-A9SKX 70-79 years, male 98.4
GTEX-Y9LG-1126-SM-4VBQ7 30-39 years, male 98.3
GTEX-13PVR-0426-SM-5RQK2 60-69 years, female 98.0
GTEX-14A5H-0826-SM-5QGPJ 60-69 years, male 98.0
GTEX-1B8KE-1126-SM-7EPHI 50-59 years, male 97.8
GTEX-XQ8I-0926-SM-4BOOF 50-59 years, male 97.8
GTEX-13FTW-0326-SM-5K7UW 40-49 years, male 97.6
GTEX-16Z82-2626-SM-7KULU 60-69 years, male 97.6
GTEX-146FQ-2126-SM-5RQHU 30-39 years, male 97.1
GTEX-111YS-1526-SM-5GZYW 60-69 years, male 97.0
GTEX-ZWKS-0626-SM-5GIDV 30-39 years, male 96.9
GTEX-ZVT2-0126-SM-5GIDQ 50-59 years, female 96.5
GTEX-11VI4-1126-SM-5EQMD 40-49 years, female 96.2
GTEX-ZF2S-1626-SM-57WES 50-59 years, female 96.1
GTEX-11GSP-2326-SM-5HL63 60-69 years, female 96.0
GTEX-1R9PN-0426-SM-DTXDT 40-49 years, female 96.0
GTEX-WFG7-2026-SM-5SI7P 20-29 years, male 95.9
GTEX-1KD5A-0126-SM-E9U54 50-59 years, male 95.9
GTEX-139TU-0726-SM-5L3EK 60-69 years, male 95.8
GTEX-1HC8U-1326-SM-9YFMJ 40-49 years, female 95.6
GTEX-1JN76-0626-SM-CKZOQ 20-29 years, female 95.5
GTEX-1A3MV-1826-SM-731CD 30-39 years, male 95.4
GTEX-13JUV-2026-SM-5K7UA 40-49 years, female 95.3
GTEX-1EWIQ-0326-SM-7DHMQ 70-79 years, female 94.5
GTEX-131XG-0326-SM-5L3DX 50-59 years, female 94.4
GTEX-U8XE-0226-SM-4E3J3 30-39 years, male 94.4
GTEX-1IDJI-0126-SM-CMKHS 50-59 years, female 94.3
GTEX-17F97-2626-SM-7IGM5 50-59 years, male 94.2
GTEX-16YQH-2226-SM-7IGM2 30-39 years, male 93.8
GTEX-11EI6-2826-SM-5H11D 60-69 years, male 93.7
GTEX-131XH-0126-SM-5LZUY 50-59 years, male 93.7
GTEX-13X6H-0926-SM-5SIB2 50-59 years, female 93.5
GTEX-WK11-2726-SM-3NMAQ 50-59 years, male 93.4
GTEX-183FY-1026-SM-7939A 20-29 years, male 93.1
GTEX-ZDTS-0826-SM-4WKHL 60-69 years, male 93.0
GTEX-145MO-2826-SM-5LU96 60-69 years, male 92.9
GTEX-WXYG-2026-SM-4E3IY 50-59 years, female 92.7
GTEX-1HCU8-2526-SM-CE6RX 60-69 years, female 92.7
GTEX-147F3-1726-SM-5SIAW 50-59 years, female 92.5
GTEX-X585-2426-SM-46MW2 50-59 years, male 92.5
GTEX-1IKOE-1426-SM-CE6T7 30-39 years, female 92.5
GTEX-1192X-2726-SM-5N9DN 50-59 years, male 92.4
GTEX-12C56-1526-SM-5FQUQ 20-29 years, male 91.7
GTEX-1QW4Y-1126-SM-DTXE3 30-39 years, male 91.7
GTEX-17KNJ-2126-SM-718AM 50-59 years, male 91.6
GTEX-1477Z-0326-SM-7IGLA 60-69 years, male 91.5
GTEX-1RAZS-2526-SM-E6CHT 50-59 years, male 91.4
GTEX-13O61-1426-SM-5KM3D 60-69 years, male 91.3
GTEX-X4EP-0626-SM-3P621 60-69 years, female 91.2
GTEX-1KWVE-1026-SM-D3L9O 30-39 years, male 91.2
GTEX-13QBU-1226-SM-5LU4G 40-49 years, female 91.0
GTEX-11DXW-0826-SM-5H118 40-49 years, male 90.3
GTEX-11ZTT-2126-SM-5CVLO 60-69 years, female 90.3
GTEX-16NGA-0726-SM-731AO 40-49 years, female 90.2
GTEX-1F6IF-0926-SM-7SB7M 60-69 years, male 90.1
GTEX-14AS3-1526-SM-5Q5ED 40-49 years, female 89.9
GTEX-1IDJU-1726-SM-CMKHU 60-69 years, female 89.8
GTEX-1JMLX-0626-SM-ARL8T 50-59 years, male 89.5
GTEX-18A66-0626-SM-7LT8Z 60-69 years, male 89.4
GTEX-1S82U-1026-SM-E6CJK 30-39 years, female 89.4
GTEX-14PHY-1226-SM-5ZZWK 60-69 years, female 88.8
GTEX-1M4P7-0726-SM-E6CJ3 60-69 years, male 88.3
GTEX-XBEC-0726-SM-4QARZ 50-59 years, male 88.2
GTEX-1497J-0226-SM-5QGPU 60-69 years, male 88.1
GTEX-11O72-0626-SM-5PNYE 40-49 years, male 87.9
GTEX-11P7K-1126-SM-5HL4L 30-39 years, male 87.9
GTEX-1399S-0126-SM-5IJCF 30-39 years, female 87.9
GTEX-139YR-1026-SM-5LZYN 50-59 years, male 87.7
GTEX-Y8E4-2026-SM-5IFJB 40-49 years, male 87.7
GTEX-12WSA-0426-SM-5EQ5X 60-69 years, male 87.6
GTEX-1RAZQ-1326-SM-E9TK6 30-39 years, male 87.6
GTEX-1NSGN-0726-SM-DTXEF 50-59 years, male 87.4
GTEX-ZGAY-1826-SM-DO91Q 40-49 years, female 87.3
GTEX-1CAMS-2226-SM-7PBXQ 40-49 years, female 87.1
GTEX-1JMQK-1226-SM-D4P2S 60-69 years, male 87.0
GTEX-1QEPI-2626-SM-DTXF4 60-69 years, female 87.0
GTEX-WFON-1926-SM-3LK7L 40-49 years, male 86.7
GTEX-14ABY-2026-SM-62LDL 50-59 years, male 86.5
GTEX-XUW1-0926-SM-4BONX 50-59 years, female 86.5
GTEX-1IY9M-2826-SM-ARU8H 60-69 years, male 86.2
GTEX-1LVAO-2726-SM-E9TJ8 60-69 years, male 86.2
GTEX-1RAZR-2126-SM-E9U6T 40-49 years, male 86.2
GTEX-13W3W-0726-SM-5IJDQ 60-69 years, female 85.8
GTEX-16MT8-2926-SM-7DUFO 60-69 years, female 85.7
GTEX-WEY5-2326-SM-3GIKK 40-49 years, female 85.7
GTEX-YFCO-1226-SM-5LUAT 40-49 years, male 85.5
GTEX-1S3DN-2126-SM-E9TIN 50-59 years, male 84.8
GTEX-1CB4F-1026-SM-7DUH1 60-69 years, male 84.6
GTEX-ZLV1-1526-SM-DO91J 60-69 years, female 84.6
GTEX-14JG6-1426-SM-9WG7C 30-39 years, female 84.5
GTEX-1212Z-0126-SM-59HK4 60-69 years, male 83.9
GTEX-X5EB-1926-SM-4E3IW 40-49 years, male 83.5
GTEX-1RLM8-2926-SM-E8VON 50-59 years, male 83.5
GTEX-1KANA-1326-SM-DIPFA 20-29 years, male 83.4
GTEX-14PJO-2526-SM-6AJBQ 60-69 years, male 83.1
GTEX-Y5V5-0126-SM-5S2NW 60-69 years, female 82.9
GTEX-1JN6P-2926-SM-CL54D 60-69 years, male 82.8
GTEX-1N5O9-0926-SM-E9J3C 60-69 years, male 82.8
GTEX-17HII-1426-SM-7EPGG 50-59 years, male 82.5
GTEX-16AAH-0626-SM-793C9 50-59 years, male 82.3
GTEX-1E1VI-0326-SM-793D1 50-59 years, male 82.3
GTEX-14E1K-2026-SM-7DUEI 50-59 years, male 82.1
GTEX-15CHR-1126-SM-7EWF4 50-59 years, male 81.6
GTEX-1MJK3-0726-SM-E6CJC 20-29 years, male 81.6
GTEX-1J1R8-2026-SM-CL53Y 40-49 years, male 81.5
GTEX-XBEW-1126-SM-4QARW 40-49 years, male 81.1
GTEX-ZAK1-0626-SM-5HL8E 50-59 years, female 80.9
GTEX-1S82P-2126-SM-E6CI5 60-69 years, female 80.8
GTEX-1O9I2-0226-SM-EYYXD 50-59 years, male 80.5
GTEX-145ME-1726-SM-5Q5EU 40-49 years, female 80.3
GTEX-1117F-2926-SM-5GZYI 60-69 years, female 80.2
GTEX-111CU-1126-SM-5EGIM 50-59 years, male 79.9
GTEX-11EQ9-1626-SM-5PNY8 30-39 years, male 79.9
GTEX-1RB15-1326-SM-E76Q9 60-69 years, male 79.9
GTEX-1HKZK-0726-SM-ACKW2 40-49 years, male 79.3
GTEX-12584-0726-SM-5FQTK 40-49 years, male 79.2
GTEX-ZDXO-3126-SM-5IJDF 60-69 years, male 79.2
GTEX-13113-1626-SM-5EQ4I 60-69 years, female 79.0
GTEX-1IDJF-2026-SM-CL53V 20-29 years, male 78.8
GTEX-ZZ64-1026-SM-5GZXG 20-29 years, male 78.6
GTEX-ZZPU-0826-SM-5GZX5 50-59 years, female 78.4
GTEX-YEC3-1326-SM-DO92X 50-59 years, male 77.8
GTEX-1ICG6-1226-SM-A9SLN 70-79 years, female 77.7
GTEX-15D1Q-2826-SM-6LLH7 40-49 years, male 77.5
GTEX-WYVS-1626-SM-3NM9R 40-49 years, female 77.1
GTEX-1HCU9-0426-SM-9WYSD 20-29 years, male 76.9
GTEX-Z93S-1626-SM-5CVMB 50-59 years, male 76.4
GTEX-1H23P-0626-SM-9WG6T 60-69 years, male 76.3
GTEX-ZAJG-1526-SM-5CVML 50-59 years, female 76.2
GTEX-ZA64-1026-SM-5HL8R 20-29 years, male 76.0
GTEX-13OVK-1426-SM-6PAN7 40-49 years, male 75.6
GTEX-13U4I-2226-SM-5LU5H 40-49 years, female 75.4
GTEX-15RIG-0726-SM-7KUM7 40-49 years, male 75.2
GTEX-131YS-2826-SM-5EQ47 60-69 years, female 75.0
GTEX-1C475-1326-SM-7SB73 40-49 years, female 74.9
GTEX-1211K-1526-SM-5FQU4 60-69 years, female 74.7
GTEX-XOT4-0626-SM-4B66L 60-69 years, female 74.7
GTEX-1H3NZ-2726-SM-9WYTQ 60-69 years, male 74.6
GTEX-1H1E6-0426-SM-9WYUS 30-39 years, male 74.5
GTEX-14E6E-0526-SM-793DN 30-39 years, male 74.1
GTEX-1AX8Z-0726-SM-73KTS 60-69 years, male 73.5
GTEX-12WSF-1626-SM-7KUG5 70-79 years, male 73.4
GTEX-XK95-0226-SM-4AT58 40-49 years, male 72.8
GTEX-13N11-2326-SM-5IJBF 50-59 years, female 72.6
GTEX-1I6K7-1926-SM-B2LXR 40-49 years, male 71.8
GTEX-1ICLZ-0326-SM-ARL82 60-69 years, male 71.8
GTEX-1CAV2-0126-SM-7IGN7 40-49 years, female 71.4
GTEX-1GPI7-1826-SM-9KNU1 20-29 years, male 71.4
GTEX-WH7G-2026-SM-3NMBL 40-49 years, male 71.2
GTEX-1H1CY-0126-SM-9YFLY 60-69 years, female 71.2
GTEX-1CAMR-1326-SM-7PC1F 20-29 years, male 70.8
GTEX-1HFI7-2326-SM-CGQFS 50-59 years, female 70.8
GTEX-1F6I4-2326-SM-7RHGL 60-69 years, male 70.7
GTEX-18A7B-2726-SM-7LG56 70-79 years, male 70.4
GTEX-YEC4-1826-SM-4W1YP 40-49 years, male 69.6
GTEX-17F9E-2326-SM-79OKD 50-59 years, male 69.3
GTEX-13OVJ-0826-SM-5J1OK 50-59 years, female 69.2
GTEX-ZPCL-1126-SM-4WWFE 60-69 years, female 69.2
GTEX-ZLWG-0826-SM-59888 50-59 years, female 68.5
GTEX-13NZ9-2626-SM-5L3FK 50-59 years, male 67.9
GTEX-18D9A-1426-SM-7LT8M 30-39 years, female 67.5
GTEX-1HUB1-1426-SM-CGQF5 60-69 years, male 67.5
GTEX-1RMOY-1326-SM-E9TIH 50-59 years, male 67.5
GTEX-ZYFD-0626-SM-5E44E 50-59 years, male 67.2
GTEX-13N2G-0226-SM-5K7VF 60-69 years, male 66.8
GTEX-ZPU1-1126-SM-4YCF3 40-49 years, male 66.8
GTEX-UPK5-0426-SM-3GAEK 40-49 years, male 66.4
GTEX-XYKS-1426-SM-4BRUO 60-69 years, female 66.3
GTEX-1QCLZ-2426-SM-EVYBW 60-69 years, female 66.3
GTEX-ZU9S-1826-SM-5NQ9E 30-39 years, male 65.7
GTEX-ZUA1-2626-SM-5NQ92 40-49 years, male 65.6
GTEX-1QP9N-1226-SM-E76QN 30-39 years, male 65.6
GTEX-15FZZ-0526-SM-7KUGD 30-39 years, female 65.4
GTEX-1C6WA-2626-SM-7MKGM 60-69 years, male 65.4
GTEX-ZVTK-0226-SM-51MRG 20-29 years, male 65.3
GTEX-18D9B-0926-SM-7LG4U 60-69 years, male 65.1
GTEX-15RIE-1926-SM-7KUKJ 60-69 years, male 64.8
GTEX-WI4N-2726-SM-3LK7Y 40-49 years, female 64.7
GTEX-1PPH8-0126-SM-EWRN8 20-29 years, male 64.7
GTEX-1IDJD-2326-SM-ACKWX 30-39 years, male 64.5
GTEX-17F96-0126-SM-7EWDU 70-79 years, male 64.2
GTEX-1LGOU-1326-SM-D3L8M 20-29 years, female 64.2
GTEX-12WSJ-1126-SM-5LZVJ 40-49 years, female 63.5
GTEX-ZYW4-0626-SM-59HJR 60-69 years, male 63.2
GTEX-ZP4G-1426-SM-4WWCL 20-29 years, female 63.0
GTEX-WYJK-0526-SM-3NM8Z 50-59 years, male 62.5
GTEX-132AR-0326-SM-5KM2C 50-59 years, female 62.1
GTEX-1GMR2-0826-SM-7PC3V 50-59 years, male 61.5
GTEX-1CB4I-0126-SM-7RHGG 50-59 years, male 61.3
GTEX-13OVG-1626-SM-5J1NF 60-69 years, male 61.2
GTEX-1KANC-1226-SM-CYPT7 50-59 years, female 60.7
GTEX-16GPK-0626-SM-7KFSF 60-69 years, male 60.5
GTEX-1I19N-0126-SM-CYPSF 70-79 years, male 60.3
GTEX-1RAZA-2226-SM-E9U4X 20-29 years, male 60.0
GTEX-Y8LW-1526-SM-5IFHL 50-59 years, female 59.8
GTEX-1I6K6-1726-SM-CGQFD 30-39 years, male 59.3
GTEX-XPVG-2126-SM-4B667 50-59 years, male 59.0
GTEX-11NSD-0626-SM-5A5LU 20-29 years, male 58.5
GTEX-145MN-1526-SM-5SI9T 30-39 years, male 58.5
GTEX-ZT9W-1126-SM-57WDR 50-59 years, male 58.3
GTEX-ZPIC-0526-SM-DO91W 40-49 years, female 58.3
GTEX-145LT-0526-SM-5LUB2 40-49 years, male 58.1
GTEX-12WSL-2026-SM-5GCML 50-59 years, male 58.0
GTEX-1IDJC-1526-SM-B2LW4 50-59 years, male 57.8
GTEX-1S831-1826-SM-EWROF 20-29 years, male 57.7
GTEX-16MTA-0926-SM-6M47Z 50-59 years, male 57.1
GTEX-1C64O-1326-SM-7MGWR 60-69 years, male 56.6
GTEX-1JMOU-1026-SM-CYPSS 60-69 years, female 56.0
GTEX-1HCUA-0826-SM-ADEHM 50-59 years, female 54.4
GTEX-1F75W-2726-SM-7SB8H 60-69 years, male 53.7
GTEX-14E6C-2426-SM-5S2NF 40-49 years, male 53.3
GTEX-1K2DA-1026-SM-CGQGF 50-59 years, male 53.3
GTEX-11TT1-1826-SM-5EQLV 20-29 years, male 52.9
GTEX-ZVP2-0326-SM-57WBP 50-59 years, male 52.7
GTEX-14BMU-1226-SM-5S2OR 20-29 years, female 52.3
GTEX-14PKV-1126-SM-6LLJ1 20-29 years, female 51.5
GTEX-1LBAC-0826-SM-CY8IJ 20-29 years, male 51.5
GTEX-Y3IK-1626-SM-4YCF5 50-59 years, female 51.3
GTEX-15CHQ-0326-SM-69LQD 60-69 years, male 51.1
GTEX-Y5LM-0926-SM-6LLJG 40-49 years, female 51.0
GTEX-12BJ1-0926-SM-5EQ62 60-69 years, male 50.6
GTEX-117YX-1926-SM-5GIEC 50-59 years, male 50.2
GTEX-17JCI-2926-SM-7DUFF 60-69 years, female 49.7
GTEX-1LVAN-0626-SM-CNPOQ 50-59 years, female 49.7
GTEX-1GF9U-2026-SM-7SB92 40-49 years, female 47.5
GTEX-1LG7Z-1626-SM-CXKYR 30-39 years, male 47.3
GTEX-14PK6-0226-SM-62LF5 70-79 years, female 47.2
GTEX-1LSNM-0826-SM-DIPG8 50-59 years, male 46.8
GTEX-11EM3-1226-SM-5N9DD 20-29 years, female 46.4
GTEX-1H1ZS-2726-SM-9WG75 70-79 years, male 46.3
GTEX-YF7O-1526-SM-5IFI6 50-59 years, male 45.2
GTEX-1IDJE-1426-SM-ADEIW 50-59 years, female 45.2
GTEX-111FC-2526-SM-5GZXU 60-69 years, male 44.9
GTEX-1QP66-1226-SM-DTX7U 50-59 years, male 44.9
GTEX-1PIGE-1826-SM-E8VOU 20-29 years, male 44.3
GTEX-1B996-0426-SM-7EWF8 60-69 years, male 43.4
GTEX-ZTSS-1426-SM-5985P 40-49 years, male 42.4
GTEX-13FH7-1126-SM-5K7UG 50-59 years, female 40.8
GTEX-ZYFG-1526-SM-5GZYM 60-69 years, female 40.6
GTEX-145MG-1526-SM-5Q5EM 50-59 years, male 40.3
GTEX-1I4MK-0126-SM-CY8G6 50-59 years, female 39.8
GTEX-1AX9J-1326-SM-731BJ 60-69 years, male 39.4
GTEX-17EVQ-0126-SM-7IGLR 70-79 years, male 39.3
GTEX-1QP29-1826-SM-DTX9S 50-59 years, male 38.3
GTEX-1JKYN-0826-SM-ARU8S 30-39 years, male 38.1
GTEX-X3Y1-2026-SM-3P5YM 40-49 years, male 37.9
GTEX-WFG8-2126-SM-3GIKQ 20-29 years, male 37.4
GTEX-Y5V6-2326-SM-4VDSA 60-69 years, male 36.7
GTEX-YB5K-2026-SM-4VDT3 40-49 years, female 34.8
GTEX-14DAR-1226-SM-73KYV 50-59 years, male 32.9
GTEX-ZLFU-1826-SM-4WWBV 40-49 years, male 32.8
GTEX-11DZ1-2426-SM-5GZZX 50-59 years, male 29.1
GTEX-1399R-1326-SM-5PNYS 30-39 years, male 26.0
GTEX-1L5NE-1126-SM-D3L9P 50-59 years, male 20.7
Show allShow less
Skin - Sun Exposed (Lower leg)
Average nTPM: 88.8
Samples: 701

Max nTPM: 233.1
Min nTPM: 4.0
Std nTPM: 33.1
Median nTPM: 87.1
GTEX-1GMR3-1926-SM-9KNUZ 40-49 years, male 233.1
GTEX-13NYC-0326-SM-E9J4S 60-69 years, male 232.6
GTEX-1B97I-1626-SM-73KYO 40-49 years, male 194.9
GTEX-ZTX8-1426-SM-5DUVO 20-29 years, male 193.8
GTEX-1HCU7-0226-SM-CL545 50-59 years, male 188.3
GTEX-S32W-2126-SM-2XCB1 50-59 years, female 186.6
GTEX-1GMR8-0126-SM-9WYTM 50-59 years, female 185.0
GTEX-1IKJJ-0126-SM-CNPQB 60-69 years, male 183.2
GTEX-13111-1626-SM-5EGJY 50-59 years, male 183.1
GTEX-ZWKS-0126-SM-5SIAA 30-39 years, male 177.4
GTEX-ZF2S-2326-SM-4WWCE 50-59 years, female 176.0
GTEX-145MF-0626-SM-5LUAI 50-59 years, male 173.9
GTEX-1JMQL-0226-SM-CNPP5 50-59 years, female 170.3
GTEX-13YAN-0326-SM-5O9DF 60-69 years, male 168.3
GTEX-14A5I-0126-SM-5TDEA 50-59 years, female 165.2
GTEX-1C475-1826-SM-73KWA 40-49 years, female 163.7
GTEX-WFG8-2226-SM-3GIL9 20-29 years, male 161.1
GTEX-1F75B-0126-SM-9KNVL 50-59 years, male 161.0
GTEX-1PDJ9-0326-SM-DTX95 20-29 years, male 160.5
GTEX-WFON-2126-SM-3LK7O 40-49 years, male 159.5
GTEX-YJ89-0126-SM-4TT3X 60-69 years, male 159.2
GTEX-ZV68-0126-SM-59HKS 50-59 years, female 159.0
GTEX-17GQL-2026-SM-718BA 60-69 years, male 157.8
GTEX-1LG7Z-1726-SM-D3LA4 30-39 years, male 155.3
GTEX-1KANC-1526-SM-D3LAB 50-59 years, female 151.9
GTEX-OXRN-0126-SM-48TDM 50-59 years, male 151.5
GTEX-1S83E-0126-SM-EWRO4 40-49 years, male 151.2
GTEX-1LGRB-2526-SM-CNPPQ 50-59 years, female 151.1
GTEX-11WQK-0526-SM-5EQLD 50-59 years, male 150.4
GTEX-145MI-0526-SM-5O9A8 60-69 years, female 149.7
GTEX-1JJEA-0326-SM-CNPOT 60-69 years, male 149.1
GTEX-14BIN-0626-SM-793DP 50-59 years, female 148.0
GTEX-1N2DW-0226-SM-E9TK2 50-59 years, male 148.0
GTEX-13OW5-0126-SM-DTXFS 60-69 years, male 146.7
GTEX-P44H-0226-SM-2XCEU 40-49 years, male 146.3
GTEX-15F5U-1526-SM-6PANO 40-49 years, male 144.7
GTEX-1CB4E-2226-SM-793DC 60-69 years, male 144.5
GTEX-145LS-0126-SM-5QGP1 60-69 years, female 144.0
GTEX-ZXG5-0126-SM-5GIEU 60-69 years, male 143.9
GTEX-12584-0126-SM-5EGKQ 40-49 years, male 143.5
GTEX-1F5PK-2426-SM-7RHHY 50-59 years, male 143.4
GTEX-X261-0126-SM-3NMD6 50-59 years, male 143.3
GTEX-17EVP-0326-SM-7DHLG 40-49 years, male 142.6
GTEX-13OVH-0126-SM-5MR4B 70-79 years, male 141.6
GTEX-139UW-2826-SM-5L3E7 60-69 years, male 141.1
GTEX-13112-2826-SM-5DUWH 50-59 years, male 141.0
GTEX-PVOW-0126-SM-2XCFA 40-49 years, male 141.0
GTEX-13SLW-0126-SM-5SI6C 70-79 years, male 140.1
GTEX-1L5NE-2526-SM-E6CIE 50-59 years, male 139.7
GTEX-14PJ6-2126-SM-6EU1V 60-69 years, female 138.8
GTEX-1F6RS-0126-SM-9MQKZ 60-69 years, female 138.4
GTEX-1OJC3-0126-SM-E76QX 20-29 years, male 137.3
GTEX-11TUW-2726-SM-E9J4M 60-69 years, male 136.9
GTEX-11DXZ-2326-SM-5EGGV 50-59 years, male 136.8
GTEX-SNMC-1226-SM-2XCFP 20-29 years, male 136.6
GTEX-ZYFD-0126-SM-5GIDL 50-59 years, male 136.5
GTEX-1GN1U-0126-SM-7PBZK 50-59 years, female 135.5
GTEX-1QAET-0926-SM-E76QM 50-59 years, male 135.2
GTEX-1LBAC-0126-SM-DIPEZ 20-29 years, male 134.8
GTEX-131XW-0426-SM-5LZWP 50-59 years, female 133.7
GTEX-1EX96-1626-SM-7PBXR 50-59 years, male 133.5
GTEX-1EMGI-0126-SM-9KNUE 60-69 years, male 133.2
GTEX-1HSGN-0226-SM-CGQFV 40-49 years, female 133.2
GTEX-13S7M-0126-SM-5SI6A 60-69 years, female 133.1
GTEX-1IDJH-0326-SM-A9SLQ 70-79 years, male 132.7
GTEX-139TS-2826-SM-5J1OO 60-69 years, male 132.3
GTEX-1H3VE-0326-SM-9YFLH 40-49 years, male 132.2
GTEX-1399R-2726-SM-5IJBA 30-39 years, male 132.1
GTEX-131XH-2226-SM-5DUXJ 50-59 years, male 132.0
GTEX-16AAH-1726-SM-7939C 50-59 years, male 131.2
GTEX-1GL5R-1826-SM-9KNUY 50-59 years, male 130.0
GTEX-13PDP-0126-SM-5L3HD 60-69 years, male 129.8
GTEX-14PN4-0126-SM-6EU2V 50-59 years, male 129.7
GTEX-1E2YA-0126-SM-9KNUC 50-59 years, male 129.7
GTEX-13O3P-0126-SM-5KM4S 50-59 years, male 128.9
GTEX-12WSE-0526-SM-793B2 20-29 years, male 128.7
GTEX-1C64N-0126-SM-793D7 50-59 years, male 128.6
GTEX-183WM-0126-SM-7LTAB 70-79 years, female 127.9
GTEX-1HFI7-1826-SM-ACKXH 50-59 years, female 127.7
GTEX-1I4MK-2226-SM-ACKWD 50-59 years, female 127.7
GTEX-1JMPZ-0226-SM-CNPP1 30-39 years, male 127.3
GTEX-1JN6P-0126-SM-D3L98 60-69 years, male 127.3
GTEX-1KAFJ-2026-SM-CY8ID 50-59 years, male 126.7
GTEX-15EU6-0426-SM-6PAN5 50-59 years, male 126.5
GTEX-13CF2-2526-SM-5LZYX 60-69 years, male 126.0
GTEX-1PIIG-0226-SM-EWRN6 30-39 years, male 125.9
GTEX-13SLX-0526-SM-5S2ON 50-59 years, female 125.5
GTEX-1B8KZ-2026-SM-7DHMB 50-59 years, male 125.4
GTEX-ZYT6-0226-SM-5NQ6T 30-39 years, male 125.2
GTEX-1H4P4-0726-SM-9YFLR 50-59 years, male 125.2
GTEX-1QMI2-0226-SM-EVYBX 60-69 years, male 125.2
GTEX-ZV6S-2326-SM-4YCEY 40-49 years, female 124.9
GTEX-T5JW-1626-SM-3GADZ 20-29 years, female 124.7
GTEX-1CB4H-0226-SM-7PBXM 60-69 years, female 124.4
GTEX-1RDX4-0126-SM-E9J4P 50-59 years, female 123.8
GTEX-14E6E-1826-SM-5S2R7 30-39 years, male 123.6
GTEX-12KS4-0326-SM-5EQ41 30-39 years, male 123.5
GTEX-1CB4F-0426-SM-9KNV4 60-69 years, male 123.5
GTEX-1GF9V-0326-SM-7RHI5 60-69 years, male 122.7
GTEX-15ER7-0326-SM-7KUEV 20-29 years, female 122.6
GTEX-ZVE2-0226-SM-59HJB 50-59 years, male 122.4
GTEX-1HCU9-1526-SM-A9SL7 20-29 years, male 122.2
GTEX-131YS-0126-SM-5KM1M 60-69 years, female 122.1
GTEX-1B8SF-1426-SM-7DUGL 60-69 years, male 122.1
GTEX-12WSC-0126-SM-5EQ4P 50-59 years, male 121.4
GTEX-17HG3-2226-SM-7938L 30-39 years, female 121.2
GTEX-PWO3-1526-SM-48TCM 60-69 years, female 120.9
GTEX-T2YK-0526-SM-32QPJ 50-59 years, male 120.9
GTEX-1K9T9-0126-SM-EVYCF 50-59 years, female 120.7
GTEX-1R9PM-2026-SM-E76OY 20-29 years, male 120.7
GTEX-13FXS-0226-SM-5IJCK 50-59 years, male 120.6
GTEX-T8EM-1026-SM-3DB7M 40-49 years, male 120.6
GTEX-1HT8W-0126-SM-CNPPP 30-39 years, male 120.5
GTEX-1JJ6O-0126-SM-E6CI8 60-69 years, male 120.4
GTEX-13FHP-0126-SM-5IJBG 50-59 years, male 120.0
GTEX-1LVAN-0226-SM-COH3S 50-59 years, female 119.9
GTEX-Y114-2426-SM-4TT8A 50-59 years, female 119.8
GTEX-11UD2-0226-SM-5EQKY 50-59 years, male 119.7
GTEX-SJXC-0126-SM-2XCFF 60-69 years, male 119.7
GTEX-1M5QR-1226-SM-EWROB 40-49 years, male 119.5
GTEX-13CF3-2426-SM-5IFGX 60-69 years, female 119.4
GTEX-18D9A-1926-SM-7LG6P 30-39 years, female 119.4
GTEX-1C6VR-2426-SM-79OLD 60-69 years, male 119.3
GTEX-1IGQW-0126-SM-COH42 60-69 years, male 119.3
GTEX-14LZ3-0226-SM-62LET 60-69 years, female 118.1
GTEX-1JMQI-2226-SM-CM2SD 50-59 years, male 117.9
GTEX-15G19-0126-SM-6PANQ 60-69 years, male 117.8
GTEX-12696-2426-SM-5EQ6H 60-69 years, male 117.5
GTEX-1A3MV-1926-SM-718BT 30-39 years, male 117.1
GTEX-1BAJH-0526-SM-793CQ 70-79 years, male 116.6
GTEX-1CB4G-0226-SM-7PC3O 60-69 years, male 116.1
GTEX-OXRP-0126-SM-3NB32 60-69 years, female 116.0
GTEX-1KANA-0726-SM-D3L9I 20-29 years, male 116.0
GTEX-1HSMQ-1226-SM-CGQFX 50-59 years, male 115.9
GTEX-ZGAY-0526-SM-4WWBB 40-49 years, female 115.8
GTEX-14BMV-0126-SM-5S2PO 50-59 years, male 115.5
GTEX-17F96-1626-SM-7DUFL 70-79 years, male 115.3
GTEX-1GZ2Q-0226-SM-7P8TL 40-49 years, male 115.1
GTEX-1I1GR-0126-SM-CL55F 60-69 years, male 114.8
GTEX-1HCU6-0126-SM-CL54K 60-69 years, female 114.6
GTEX-1HCU8-0626-SM-A9SM9 60-69 years, female 114.6
GTEX-11O72-0126-SM-59887 40-49 years, male 114.5
GTEX-1314G-1526-SM-5EGK2 30-39 years, male 114.3
GTEX-ZY6K-1826-SM-5GZXK 50-59 years, male 114.3
GTEX-1KXAM-2226-SM-CYPTC 60-69 years, male 114.2
GTEX-1MA7W-2026-SM-E9TJ6 20-29 years, female 113.9
GTEX-PX3G-0126-SM-2I3EN 20-29 years, female 113.0
GTEX-ZC5H-0226-SM-4WAY9 40-49 years, female 113.0
GTEX-ZTSS-1926-SM-57WEW 40-49 years, male 113.0
GTEX-1QPFJ-0226-SM-E76PB 30-39 years, female 113.0
GTEX-15RIG-0226-SM-7KFTL 40-49 years, male 112.7
GTEX-1399T-2826-SM-5KLYZ 60-69 years, male 112.5
GTEX-1E1VI-0126-SM-7DHMZ 50-59 years, male 112.5
GTEX-ZVZP-2426-SM-59HKJ 50-59 years, male 112.4
GTEX-1HB9E-0226-SM-E9U4R 50-59 years, male 111.9
GTEX-14PHX-2326-SM-62LEM 50-59 years, male 111.6
GTEX-QESD-1426-SM-2S1R9 20-29 years, male 111.6
GTEX-1HBPI-1526-SM-C1YQ1 50-59 years, male 111.2
GTEX-14PII-0226-SM-6EU1T 60-69 years, male 111.0
GTEX-15DDE-0126-SM-6LPKH 50-59 years, female 110.9
GTEX-1CAMQ-0226-SM-7IGPK 40-49 years, male 110.8
GTEX-OIZH-0126-SM-2HMIS 50-59 years, male 110.8
GTEX-ZZ64-1726-SM-5GZYB 20-29 years, male 110.7
GTEX-1R7EU-0226-SM-EVR4G 60-69 years, male 110.4
GTEX-11DYG-0126-SM-59883 60-69 years, male 110.3
GTEX-18A66-0226-SM-718BD 60-69 years, male 110.3
GTEX-1F5PL-0326-SM-7P8PQ 40-49 years, female 110.1
GTEX-13NYB-2526-SM-5K7Z6 40-49 years, male 110.0
GTEX-13X6I-0626-SM-5QGP9 60-69 years, male 110.0
GTEX-1H1DG-0126-SM-9WYU2 70-79 years, male 109.8
GTEX-11P81-2326-SM-59875 30-39 years, female 109.1
GTEX-ZF29-2326-SM-DO92K 60-69 years, female 109.1
GTEX-1R9K4-0126-SM-DTX9X 60-69 years, male 108.9
GTEX-11EQ9-2426-SM-5HL5T 30-39 years, male 108.8
GTEX-P4QT-0126-SM-2I3FL 50-59 years, female 108.7
GTEX-1GN2E-0426-SM-9MQKX 60-69 years, male 108.7
GTEX-VJWN-0126-SM-3GIK7 50-59 years, female 108.4
GTEX-13JUV-2726-SM-5LZZ8 40-49 years, female 108.3
GTEX-1LH75-2426-SM-E9TJE 50-59 years, female 108.3
GTEX-1F88F-2726-SM-7PBZZ 60-69 years, female 108.2
GTEX-1MJK2-0426-SM-DTXE5 50-59 years, male 108.2
GTEX-1RB15-2126-SM-E9TIM 60-69 years, male 107.9
GTEX-13OVK-2026-SM-7KUEO 40-49 years, male 107.7
GTEX-148VJ-0126-SM-5TDDN 70-79 years, male 107.7
GTEX-13N2G-2626-SM-5J1OT 60-69 years, male 107.6
GTEX-XPVG-2626-SM-4B669 50-59 years, male 107.4
GTEX-Y111-0126-SM-4SOIV 50-59 years, male 107.1
GTEX-16GPK-0126-SM-7DHLE 60-69 years, male 106.8
GTEX-1B8SG-0126-SM-73KZ3 50-59 years, male 106.7
GTEX-14A5H-0426-SM-5QGQF 60-69 years, male 106.6
GTEX-117XS-2726-SM-5N9BL 60-69 years, male 106.5
GTEX-1J1OQ-0226-SM-CYPSH 40-49 years, female 106.5
GTEX-1122O-2126-SM-5EGIR 60-69 years, female 106.4
GTEX-11OF3-2626-SM-5GU7F 60-69 years, male 106.4
GTEX-14C5O-0126-SM-5SI6N 60-69 years, male 106.2
GTEX-Y5V5-2326-SM-4V6GA 60-69 years, female 105.9
GTEX-13D11-2426-SM-5KM1V 50-59 years, female 105.8
GTEX-1HFI6-0226-SM-ADEHZ 40-49 years, male 105.7
GTEX-1O97I-0326-SM-EYYX7 60-69 years, male 105.7
GTEX-1IL2U-0226-SM-CE6T8 60-69 years, male 105.5
GTEX-1GMRU-0126-SM-9YFLV 50-59 years, male 105.3
GTEX-1212Z-2526-SM-5EGKP 60-69 years, male 105.2
GTEX-1B8KE-2126-SM-73KYX 50-59 years, male 105.2
GTEX-14PJM-0226-SM-62LF1 50-59 years, female 104.9
GTEX-1PPH8-0226-SM-E8VND 20-29 years, male 104.8
GTEX-13FTX-1826-SM-5J1NX 20-29 years, female 104.7
GTEX-1S3DN-2226-SM-EVYCD 50-59 years, male 104.6
GTEX-145LU-0126-SM-5TDCB 50-59 years, male 104.4
GTEX-1HSKV-0226-SM-A9SKJ 60-69 years, male 104.2
GTEX-1H2FU-0126-SM-9WYSI 60-69 years, female 104.1
GTEX-144FL-0126-SM-5TDC8 50-59 years, male 103.8
GTEX-YB5E-2026-SM-5IFIS 40-49 years, male 103.7
GTEX-ZVTK-0426-SM-51MRS 20-29 years, male 103.5
GTEX-OIZF-0126-SM-7SB8I 60-69 years, male 103.2
GTEX-1CB4I-0226-SM-79OLH 50-59 years, male 102.9
GTEX-VJYA-1126-SM-3GIJU 60-69 years, male 102.6
GTEX-13NYS-0126-SM-5MR3W 60-69 years, male 102.3
GTEX-17KNJ-2326-SM-7DHLQ 50-59 years, male 102.3
GTEX-ZVT4-0126-SM-DTXFN 50-59 years, female 102.1
GTEX-XUYS-0126-SM-47JWZ 50-59 years, male 102.0
GTEX-XYKS-2126-SM-4E3IB 60-69 years, female 101.9
GTEX-V1D1-2226-SM-3NMAX 50-59 years, male 101.6
GTEX-ZAK1-0126-SM-5IJD3 50-59 years, female 101.4
GTEX-1I1GT-0626-SM-CGQER 60-69 years, female 101.1
GTEX-TKQ1-1026-SM-4GICL 30-39 years, male 101.0
GTEX-1JMQJ-0526-SM-CYPSU 50-59 years, male 101.0
GTEX-1JMQK-0226-SM-CL543 60-69 years, male 100.9
GTEX-13OW6-0426-SM-5L3HM 50-59 years, male 100.8
GTEX-15ETS-0126-SM-7KUMW 40-49 years, female 100.8
GTEX-1KD4Q-0226-SM-E9TJ9 40-49 years, male 100.8
GTEX-1N2EF-0226-SM-EYYXB 60-69 years, male 100.5
GTEX-11XUK-2026-SM-5EQLF 40-49 years, female 100.4
GTEX-1GZ4H-1726-SM-7PBZJ 50-59 years, female 100.3
GTEX-11EI6-0126-SM-5985R 60-69 years, male 99.9
GTEX-1LSNM-1926-SM-E6CII 50-59 years, male 99.9
GTEX-131XE-2326-SM-5PNZ2 50-59 years, male 99.5
GTEX-1AX9J-0226-SM-73KXM 60-69 years, male 99.5
GTEX-Z9EW-1626-SM-5CVMN 40-49 years, male 99.5
GTEX-12WSK-2326-SM-5GCOH 40-49 years, female 99.3
GTEX-W5WG-1826-SM-4KL2Y 50-59 years, female 99.3
GTEX-11LCK-1026-SM-5A5KB 30-39 years, male 99.2
GTEX-1GZHY-0326-SM-9QEHI 50-59 years, female 99.2
GTEX-R3RS-0126-SM-3GIJL 40-49 years, female 99.1
GTEX-1H3VY-0126-SM-ACKXD 50-59 years, male 99.1
GTEX-145ME-1826-SM-5SI9G 40-49 years, female 98.8
GTEX-16XZZ-0126-SM-793DV 60-69 years, male 98.7
GTEX-OIZG-0726-SM-33HBL 50-59 years, male 98.6
GTEX-OOBK-0126-SM-2YUND 40-49 years, male 98.6
GTEX-1PFEY-1526-SM-E76PP 30-39 years, male 98.6
GTEX-139TU-0126-SM-5K7WH 60-69 years, male 98.5
GTEX-144GL-0126-SM-5TDE2 50-59 years, male 98.1
GTEX-18A6Q-0126-SM-731BZ 60-69 years, male 98.1
GTEX-13IVO-0126-SM-5J1NG 70-79 years, male 98.0
GTEX-1I1CD-0126-SM-CM2TK 60-69 years, female 98.0
GTEX-PSDG-0226-SM-DKPOZ 50-59 years, male 97.9
GTEX-1CAV2-2226-SM-7P8P2 40-49 years, female 97.8
GTEX-1M4P7-0226-SM-DIPEV 60-69 years, male 97.8
GTEX-12ZZZ-0626-SM-5DUXI 60-69 years, male 97.7
GTEX-1JK1U-2026-SM-CM2RZ 60-69 years, male 97.7
GTEX-1HGF4-2426-SM-ACKXM 60-69 years, male 97.3
GTEX-14JG1-0426-SM-6ETZZ 40-49 years, male 97.2
GTEX-ZU9S-0226-SM-5E441 30-39 years, male 97.1
GTEX-17EUY-0426-SM-793BD 20-29 years, male 96.9
GTEX-WYVS-2126-SM-3NMA3 40-49 years, female 96.9
GTEX-RWSA-0126-SM-2XCBB 40-49 years, male 96.8
GTEX-1J8JJ-0226-SM-CL53I 60-69 years, female 96.7
GTEX-PLZ6-1426-SM-DKPOT 30-39 years, male 96.6
GTEX-POMQ-2226-SM-2I5FK 20-29 years, female 96.5
GTEX-1S82Z-0826-SM-E6CHY 30-39 years, female 96.1
GTEX-12ZZY-0226-SM-5LZVE 60-69 years, male 96.0
GTEX-14DAQ-0126-SM-5S2MQ 60-69 years, female 95.9
GTEX-145LV-2126-SM-5LU8N 50-59 years, male 95.7
GTEX-1I6K6-0126-SM-A9SLE 30-39 years, male 95.7
GTEX-1IDJF-0126-SM-CM2RS 20-29 years, male 95.7
GTEX-ZQG8-1626-SM-DHXIT 60-69 years, female 95.7
GTEX-1EU9M-0226-SM-7P8SP 60-69 years, male 95.6
GTEX-T6MN-0126-SM-32PLP 50-59 years, male 95.0
GTEX-1K2DA-1826-SM-CGQGT 50-59 years, male 94.9
GTEX-1KWVE-1426-SM-E9TJO 30-39 years, male 94.8
GTEX-12ZZX-0126-SM-5EGK9 40-49 years, female 94.6
GTEX-16NPX-0226-SM-79OMT 50-59 years, male 94.6
GTEX-XBEW-0626-SM-4QASP 40-49 years, male 94.6
GTEX-13RTK-1426-SM-5QGQJ 20-29 years, male 94.5
GTEX-1C6VS-0526-SM-7DUEN 60-69 years, male 94.5
GTEX-12WSA-0226-SM-5BC5V 60-69 years, male 94.4
GTEX-1S5ZA-0126-SM-EVYCV 20-29 years, male 94.2
GTEX-VUSG-2526-SM-4KL1V 50-59 years, male 94.1
GTEX-1EWIQ-0126-SM-7RHH2 70-79 years, female 94.1
GTEX-1PIGE-0126-SM-EVYBJ 20-29 years, male 94.0
GTEX-WXYG-2326-SM-4E3I6 50-59 years, female 93.9
GTEX-WYJK-0126-SM-3NMAB 50-59 years, male 93.9
GTEX-1H11D-0226-SM-9WG6Z 40-49 years, male 93.5
GTEX-1HR98-0126-SM-B2LWI 60-69 years, male 93.3
GTEX-1AX9I-0126-SM-7SB74 60-69 years, male 93.2
GTEX-1J8QM-2126-SM-CYPSJ 60-69 years, female 93.0
GTEX-11DXW-0226-SM-5H122 40-49 years, male 92.4
GTEX-1POEN-0126-SM-EYYXJ 30-39 years, female 92.4
GTEX-11H98-0126-SM-5EGHG 50-59 years, male 92.3
GTEX-147GR-0526-SM-5S2MY 60-69 years, male 92.3
GTEX-14XAO-2326-SM-6EU1B 60-69 years, female 92.3
GTEX-1AMFI-2026-SM-731BH 50-59 years, female 92.3
GTEX-WVJS-0126-SM-4MVOT 50-59 years, male 92.3
GTEX-139TT-0126-SM-5K7Y5 60-69 years, male 92.1
GTEX-18465-0126-SM-731BN 50-59 years, male 91.8
GTEX-ZVZO-0126-SM-5A5L9 40-49 years, male 91.8
GTEX-1IDJU-2626-SM-CM2RT 60-69 years, female 91.8
GTEX-T6MO-1626-SM-32QOM 40-49 years, female 91.5
GTEX-1LB8K-0226-SM-EWRNW 50-59 years, male 91.5
GTEX-1IOXB-0126-SM-ARL8G 50-59 years, male 91.3
GTEX-UPJH-0326-SM-3GADU 50-59 years, male 91.2
GTEX-1R46S-0626-SM-E9J41 60-69 years, female 91.2
GTEX-1MUQO-0126-SM-EAZ58 60-69 years, male 90.8
GTEX-1ICLZ-0126-SM-CKZPO 60-69 years, male 90.7
GTEX-ZF3C-0126-SM-DO92D 50-59 years, female 90.6
GTEX-13X6J-0126-SM-5QGOU 50-59 years, male 90.4
GTEX-11ZU8-2526-SM-5EQKI 60-69 years, male 90.3
GTEX-18D9U-0226-SM-718BP 40-49 years, male 90.3
GTEX-1A3MX-0126-SM-731BR 60-69 years, male 90.3
GTEX-1H1CY-2826-SM-9MQM3 60-69 years, female 90.2
GTEX-1192W-2626-SM-5Q5AF 60-69 years, male 89.9
GTEX-17JCI-0126-SM-7LG5G 60-69 years, female 89.9
GTEX-SIU8-0126-SM-2XCDT 50-59 years, male 89.9
GTEX-X4EO-0326-SM-3P5YO 60-69 years, female 89.7
GTEX-1J8Q2-0526-SM-CM2RW 60-69 years, male 89.7
GTEX-T2IS-0126-SM-4DM6O 20-29 years, female 89.6
GTEX-T5JC-0426-SM-32PLO 20-29 years, male 89.4
GTEX-U8T8-0126-SM-3DB94 60-69 years, male 89.4
GTEX-1I19N-0326-SM-ACKVX 70-79 years, male 89.4
GTEX-1S82Y-2026-SM-EVYCM 40-49 years, male 89.2
GTEX-111FC-0126-SM-5N9DL 60-69 years, male 89.1
GTEX-145MO-0326-SM-5Q5B3 60-69 years, male 88.9
GTEX-1I1GQ-0126-SM-COH3H 50-59 years, male 88.9
GTEX-12WSL-2526-SM-5GCNJ 50-59 years, male 88.8
GTEX-17MFQ-1726-SM-793C7 20-29 years, male 88.7
GTEX-1AX9K-2326-SM-73KWU 50-59 years, male 88.7
GTEX-TML8-1926-SM-32QOS 40-49 years, female 88.7
GTEX-ZDYS-2026-SM-5HL5L 50-59 years, male 88.7
GTEX-1269C-2526-SM-5EGJ3 60-69 years, female 88.5
GTEX-133LE-1826-SM-5J1MV 20-29 years, female 88.5
GTEX-1QCLY-0326-SM-E8VOG 30-39 years, male 88.5
GTEX-113JC-2326-SM-5EQ4E 50-59 years, female 88.4
GTEX-1JKYR-0126-SM-CNPOJ 20-29 years, male 88.3
GTEX-UJHI-1526-SM-3DB99 50-59 years, female 88.1
GTEX-Y8DK-0126-SM-4TT3L 60-69 years, male 88.1
GTEX-1GF9U-2126-SM-7SB7L 40-49 years, female 88.1
GTEX-11DXY-2626-SM-5GIE7 60-69 years, male 87.9
GTEX-13G51-2526-SM-5LZYK 60-69 years, male 87.9
GTEX-14PN3-2426-SM-6LLHS 60-69 years, female 87.8
GTEX-TSE9-0126-SM-3DB83 60-69 years, female 87.6
GTEX-11ZVC-2526-SM-5FQTE 50-59 years, female 87.1
GTEX-YFC4-0126-SM-5CVLY 40-49 years, female 87.1
GTEX-1OFPY-2426-SM-DTXEJ 60-69 years, male 87.0
GTEX-ZDTS-0126-SM-4WAY5 60-69 years, male 86.7
GTEX-1HCUA-2426-SM-ADEIS 50-59 years, female 86.7
GTEX-1313W-0126-SM-5LZUN 50-59 years, female 86.2
GTEX-XQ3S-1526-SM-4BOOC 20-29 years, male 86.1
GTEX-1F6IF-0726-SM-7P8TW 60-69 years, male 86.1
GTEX-14E6D-0126-SM-62LDV 50-59 years, male 86.0
GTEX-1GN73-0226-SM-9WG67 60-69 years, male 85.5
GTEX-1LGOU-2026-SM-DIPFF 20-29 years, female 85.5
GTEX-1B8L1-2526-SM-9WYTF 60-69 years, male 85.4
GTEX-1C4CL-0526-SM-73KVK 30-39 years, male 85.1
GTEX-1GPI7-0126-SM-9MQL8 20-29 years, male 85.1
GTEX-13PVR-2326-SM-5QGR1 60-69 years, female 84.8
GTEX-11WQC-2526-SM-5CVLE 60-69 years, male 84.3
GTEX-1K2DU-2326-SM-E9TIV 20-29 years, male 84.3
GTEX-1NV5F-0226-SM-E8VNY 60-69 years, female 84.3
GTEX-Y8E4-0626-SM-4WWDL 40-49 years, male 84.1
GTEX-13X6H-2126-SM-7EWD5 50-59 years, female 83.7
GTEX-WY7C-2326-SM-3NB2U 50-59 years, male 83.7
GTEX-1J8Q3-1626-SM-CMKGC 60-69 years, male 83.7
GTEX-13OW8-1326-SM-5J1OW 60-69 years, male 83.4
GTEX-1F7RK-0126-SM-7PC2S 20-29 years, female 83.4
GTEX-13U4I-0126-SM-5LU38 40-49 years, female 83.3
GTEX-1JMLX-0226-SM-CM2RO 50-59 years, male 83.3
GTEX-1QP9N-1426-SM-DTXFL 30-39 years, male 83.3
GTEX-17F98-0626-SM-79OMX 40-49 years, female 83.1
GTEX-YJ8A-0426-SM-5IFID 20-29 years, male 83.1
GTEX-1PWST-0226-SM-E76QJ 70-79 years, male 83.1
GTEX-13113-5016-SM-7EPIP 60-69 years, female 83.0
GTEX-XUZC-1726-SM-4BRWS 30-39 years, female 83.0
GTEX-1H1E6-1726-SM-ACKVK 30-39 years, male 82.9
GTEX-XBED-2226-SM-47JYQ 60-69 years, male 82.8
GTEX-13QJ3-0326-SM-5S2RA 50-59 years, male 82.7
GTEX-YB5K-2126-SM-4WWDJ 40-49 years, female 82.6
GTEX-X585-0226-SM-4QAS2 50-59 years, male 82.1
GTEX-1H3O1-0426-SM-9YFKY 60-69 years, male 82.1
GTEX-15SHU-0126-SM-7KUEH 40-49 years, female 81.8
GTEX-13FTW-2626-SM-5K7WL 40-49 years, male 81.7
GTEX-RNOR-0126-SM-E9J4R 50-59 years, female 81.7
GTEX-15CHC-2126-SM-6EU21 60-69 years, female 81.6
GTEX-U412-0426-SM-3DB9O 60-69 years, male 81.5
GTEX-1JN76-0126-SM-CNPPE 20-29 years, female 81.5
GTEX-1B996-0226-SM-7RHGO 60-69 years, male 81.3
GTEX-183FY-0126-SM-7LT9P 20-29 years, male 80.8
GTEX-ZE9C-2726-SM-57WB5 60-69 years, male 80.8
GTEX-U8XE-0326-SM-3DB8P 30-39 years, male 80.7
GTEX-11OC5-0126-SM-5HL6A 60-69 years, male 80.6
GTEX-1IE54-0126-SM-CMKHW 40-49 years, female 80.6
GTEX-1JJE9-0326-SM-CL53Z 70-79 years, male 80.5
GTEX-13W46-0226-SM-5SIAG 50-59 years, male 80.4
GTEX-RWS6-2026-SM-2XCB5 60-69 years, female 80.3
GTEX-1R7EV-2426-SM-EVYBG 40-49 years, male 80.1
GTEX-XMD2-0126-SM-4YCDU 60-69 years, female 80.0
GTEX-13N1W-0126-SM-5K7VT 70-79 years, male 79.9
GTEX-1HBPN-0226-SM-9YFM1 50-59 years, male 79.8
GTEX-14BMU-2226-SM-5TDE9 20-29 years, female 79.7
GTEX-1C2JI-1826-SM-73KXC 50-59 years, male 79.7
GTEX-QVJO-1626-SM-2S1QW 60-69 years, female 79.7
GTEX-17HHE-2026-SM-79OKF 50-59 years, male 79.6
GTEX-1GF9W-0326-SM-9KNUN 60-69 years, male 79.6
GTEX-17HGU-0226-SM-7DHKV 50-59 years, male 79.4
GTEX-1F52S-0126-SM-9MQJU 60-69 years, female 79.3
GTEX-1IDFM-0126-SM-COH2V 60-69 years, male 79.2
GTEX-S33H-1026-SM-EZ6L6 30-39 years, male 79.2
GTEX-1F48J-0126-SM-7P8TT 50-59 years, female 79.1
GTEX-RVPV-0126-SM-EAZAW 60-69 years, male 79.0
GTEX-1CAMR-1926-SM-7EPI2 20-29 years, male 78.9
GTEX-1CB4J-0626-SM-7DHMP 60-69 years, male 78.9
GTEX-OXRO-0126-SM-2YUN4 60-69 years, female 78.9
GTEX-17HHY-0126-SM-7LG5D 50-59 years, male 78.8
GTEX-S7SE-0126-SM-2XCD5 50-59 years, male 78.8
GTEX-1AX8Z-0126-SM-7DHM6 60-69 years, male 78.3
GTEX-13OVL-0226-SM-5L3E9 50-59 years, male 78.1
GTEX-1LG7Y-0526-SM-DKPQC 50-59 years, male 78.0
GTEX-Z93S-0126-SM-5HL7M 50-59 years, male 77.8
GTEX-14JG6-2226-SM-6EU2G 30-39 years, female 77.7
GTEX-16XZY-2126-SM-79OK1 70-79 years, male 77.7
GTEX-U3ZH-2026-SM-3DB78 30-39 years, male 77.6
GTEX-1128S-2326-SM-5GZZY 60-69 years, female 77.3
GTEX-11DXX-2426-SM-5GZZW 60-69 years, female 76.7
GTEX-147F3-0526-SM-5SI98 50-59 years, female 76.7
GTEX-O5YT-0126-SM-48TBW 20-29 years, male 76.7
GTEX-QCQG-1726-SM-3GIJ9 50-59 years, female 76.7
GTEX-1H1DE-2126-SM-9WG6R 20-29 years, male 76.3
GTEX-1JMPY-1326-SM-ARL8Y 30-39 years, male 76.3
GTEX-11DZ1-0126-SM-5985Q 50-59 years, male 76.0
GTEX-XXEK-2226-SM-4BRUM 50-59 years, male 75.8
GTEX-1A8FM-0226-SM-7SB7Q 50-59 years, female 75.7
GTEX-W5X1-3026-SM-EAZAX 40-49 years, female 75.4
GTEX-ZAB5-1826-SM-5HL7C 50-59 years, male 75.3
GTEX-1EN7A-0126-SM-7SB81 40-49 years, male 75.3
GTEX-ZYFG-2326-SM-5E44B 60-69 years, female 75.1
GTEX-11EM3-2426-SM-59861 20-29 years, female 75.0
GTEX-13FHO-0226-SM-5IFGY 60-69 years, male 74.9
GTEX-1ICLY-0126-SM-D4P36 50-59 years, male 74.9
GTEX-1C6VQ-0126-SM-7P8RI 50-59 years, male 74.8
GTEX-13NZ8-0826-SM-5MR3I 60-69 years, female 74.7
GTEX-13VXU-0126-SM-5SI9F 50-59 years, male 74.7
GTEX-XAJ8-0826-SM-47JY6 40-49 years, male 74.7
GTEX-1I1GV-0526-SM-A9G29 60-69 years, male 74.7
GTEX-11ZTS-0126-SM-5EQ6M 60-69 years, female 74.6
GTEX-14LLW-0126-SM-6LLIO 70-79 years, female 74.5
GTEX-1H3NZ-0126-SM-ACKX7 60-69 years, male 74.4
GTEX-1IKOH-0226-SM-COH4E 60-69 years, female 74.4
GTEX-148VI-1626-SM-5SI6E 60-69 years, female 74.2
GTEX-16NGA-1726-SM-731B4 40-49 years, female 74.1
GTEX-13FTY-0526-SM-5L3EV 40-49 years, female 74.0
GTEX-11GSO-2426-SM-5A5LY 60-69 years, male 73.9
GTEX-QLQ7-1626-SM-2S1R8 60-69 years, male 73.9
GTEX-15DCD-0126-SM-7KUEK 70-79 years, female 73.8
GTEX-17MF6-0126-SM-7LG4F 40-49 years, male 73.8
GTEX-ZYFC-0226-SM-5NQ75 50-59 years, male 73.6
GTEX-11P82-1626-SM-59879 20-29 years, male 73.5
GTEX-13NZB-2526-SM-5J1OM 30-39 years, male 73.5
GTEX-14DAR-2026-SM-5S2O3 50-59 years, male 73.3
GTEX-18A7A-0226-SM-718BH 50-59 years, female 73.1
GTEX-11NUK-0126-SM-5A5L3 50-59 years, male 72.8
GTEX-QV44-1926-SM-2S1RF 50-59 years, male 72.7
GTEX-ZDTT-2726-SM-4WKF8 60-69 years, male 72.7
GTEX-15D1Q-0126-SM-7KUG6 40-49 years, male 72.6
GTEX-1QP2A-0126-SM-E9J43 50-59 years, male 72.5
GTEX-13O3Q-2426-SM-5IJBR 50-59 years, male 72.3
GTEX-NFK9-0226-SM-2HMKQ 40-49 years, male 72.3
GTEX-WRHK-1426-SM-3MJF9 20-29 years, female 72.3
GTEX-1JKYN-1326-SM-CGQG9 30-39 years, male 72.2
GTEX-13NZA-0226-SM-5K7Z7 60-69 years, male 72.1
GTEX-ZEX8-2426-SM-4WKG4 50-59 years, male 72.0
GTEX-132NY-0326-SM-5IJBL 60-69 years, male 71.9
GTEX-16BQI-0226-SM-7KUEX 30-39 years, female 71.9
GTEX-1192X-0226-SM-5H12D 50-59 years, male 71.3
GTEX-15SHW-0326-SM-6PAML 60-69 years, male 71.2
GTEX-11TT1-2526-SM-5EGIB 20-29 years, male 71.1
GTEX-QDVJ-1726-SM-2I5FX 50-59 years, male 71.1
GTEX-X4XX-0126-SM-3NMC2 60-69 years, male 70.7
GTEX-1PPH7-2326-SM-EVYB8 40-49 years, male 70.7
GTEX-15UKP-0426-SM-7KUFQ 20-29 years, male 70.6
GTEX-1J1R8-1726-SM-ARL8M 40-49 years, male 70.6
GTEX-XUW1-0426-SM-4BOOT 50-59 years, female 70.5
GTEX-ZVT2-2526-SM-51MT1 50-59 years, female 70.5
GTEX-1QP66-1726-SM-E8VO1 50-59 years, male 70.5
GTEX-Y3IK-2426-SM-4WWDU 50-59 years, female 70.2
GTEX-1211K-2026-SM-5EQ4Z 60-69 years, female 70.0
GTEX-13O21-1426-SM-5K7XI 50-59 years, male 70.0
GTEX-TMMY-0226-SM-33HBA 40-49 years, female 69.7
GTEX-1KD5A-0226-SM-D5OV3 50-59 years, male 69.5
GTEX-14E7W-0126-SM-6LLJ9 70-79 years, male 69.4
GTEX-17EVQ-0226-SM-7LG4P 70-79 years, male 69.4
GTEX-14ABY-0226-SM-5TDCQ 50-59 years, male 69.3
GTEX-1MGNQ-0126-SM-EVYCJ 40-49 years, male 69.3
GTEX-11VI4-1726-SM-5CVLH 40-49 years, female 68.9
GTEX-1B933-0126-SM-7PC29 50-59 years, female 68.8
GTEX-1J8EW-0126-SM-CJI4F 60-69 years, female 68.8
GTEX-1GN1V-0126-SM-9WPOS 60-69 years, male 68.7
GTEX-13W3W-2426-SM-5LU5B 60-69 years, female 68.6
GTEX-1F6I4-0126-SM-9MQL2 60-69 years, male 68.3
GTEX-1KANB-0526-SM-E6CJH 50-59 years, male 68.3
GTEX-117YX-2326-SM-5H12W 50-59 years, male 68.0
GTEX-OHPL-0126-SM-2HMJ7 60-69 years, female 67.9
GTEX-ZYY3-0126-SM-5GZY5 60-69 years, female 67.7
GTEX-RN64-0126-SM-2TC68 50-59 years, male 67.6
GTEX-SSA3-0126-SM-32QPU 60-69 years, male 67.6
GTEX-1HCVE-0126-SM-CGQEU 50-59 years, male 67.6
GTEX-14E6C-0126-SM-5RQIP 40-49 years, male 67.5
GTEX-15DYW-0126-SM-7KULE 60-69 years, female 67.5
GTEX-RM2N-1426-SM-2TF4H 50-59 years, male 67.4
GTEX-S7PM-0126-SM-4AD6S 60-69 years, male 67.3
GTEX-X4EP-0126-SM-3P5YV 60-69 years, female 67.2
GTEX-14PJ3-1826-SM-62LEX 50-59 years, male 67.0
GTEX-146FQ-0126-SM-5NQA9 30-39 years, male 66.9
GTEX-13OW7-0126-SM-5MR3B 50-59 years, male 66.8
GTEX-1GPI6-0126-SM-9WG69 60-69 years, male 66.8
GTEX-11ZTT-2426-SM-5EQLS 60-69 years, female 66.5
GTEX-12WSJ-1826-SM-5GCNY 40-49 years, female 66.4
GTEX-1EKGG-0226-SM-9WYTH 60-69 years, male 66.4
GTEX-18QFQ-0126-SM-731BE 30-39 years, male 66.3
GTEX-XQ8I-0426-SM-4BOPO 50-59 years, male 66.3
GTEX-14753-0426-SM-5NQAM 60-69 years, male 65.2
GTEX-139D8-0226-SM-5KLZO 30-39 years, female 65.0
GTEX-13VXT-0126-SM-5LU4I 20-29 years, female 64.9
GTEX-1MA7X-2226-SM-E6CIY 60-69 years, male 64.9
GTEX-PW2O-1526-SM-7RHHB 20-29 years, male 64.7
GTEX-11NSD-2226-SM-5986V 20-29 years, male 64.6
GTEX-1IKK5-0626-SM-ARL8A 60-69 years, male 64.4
GTEX-13OVI-1426-SM-5L3EY 60-69 years, female 64.3
GTEX-PLZ5-2026-SM-2S1O4 50-59 years, male 64.1
GTEX-SUCS-1926-SM-32PM3 70-79 years, male 64.1
GTEX-1NHNU-1026-SM-E9J2A 50-59 years, male 64.1
GTEX-1GF9X-2026-SM-7PC3A 40-49 years, female 64.0
GTEX-P4PP-0126-SM-3LK69 30-39 years, female 63.9
GTEX-18A7B-0126-SM-7LG64 70-79 years, male 63.7
GTEX-1399U-2326-SM-5K7WY 50-59 years, female 63.5
GTEX-145MN-2226-SM-5SIAU 30-39 years, male 63.4
GTEX-WQUQ-0426-SM-3MJFU 60-69 years, male 63.4
GTEX-13O3O-0126-SM-E9J49 60-69 years, female 63.3
GTEX-111VG-2426-SM-5GZXD 60-69 years, male 63.1
GTEX-Q2AG-0126-SM-33HBV 40-49 years, female 63.1
GTEX-ZXES-1826-SM-5E43S 30-39 years, female 62.9
GTEX-131XF-5016-SM-7MGWE 60-69 years, male 62.7
GTEX-X8HC-0126-SM-4E3JW 50-59 years, female 62.5
GTEX-1GN1W-0526-SM-9MQJQ 50-59 years, female 62.5
GTEX-QDVN-2026-SM-3GAEP 50-59 years, male 62.4
GTEX-1QEPI-0126-SM-EWRMQ 60-69 years, female 62.3
GTEX-1AYD5-2426-SM-73KXR 50-59 years, male 62.2
GTEX-13N11-2526-SM-5K7UE 50-59 years, female 62.1
GTEX-QEG4-0226-SM-2S1PY 30-39 years, male 62.1
GTEX-1CAMS-0426-SM-7P8T2 40-49 years, female 62.1
GTEX-1A3MW-0126-SM-73KXX 60-69 years, female 61.9
GTEX-11GS4-2726-SM-5A5LE 60-69 years, male 61.6
GTEX-13FH7-2026-SM-E9J4I 50-59 years, female 61.4
GTEX-XV7Q-2526-SM-4BRV9 40-49 years, female 61.3
GTEX-1HBPM-0226-SM-ARL9F 60-69 years, female 61.1
GTEX-1RQEC-0426-SM-E6CHU 60-69 years, male 61.1
GTEX-139T8-0126-SM-5K7XZ 60-69 years, male 61.0
GTEX-OXRK-0226-SM-3NB2G 50-59 years, female 61.0
GTEX-RTLS-0126-SM-447CA 60-69 years, female 61.0
GTEX-16YQH-0126-SM-7DUFJ 30-39 years, male 60.9
GTEX-ZPIC-1726-SM-DHXIU 40-49 years, female 60.8
GTEX-146FH-0126-SM-5QGPP 50-59 years, female 60.5
GTEX-ZE7O-0126-SM-57WC1 50-59 years, female 60.5
GTEX-YEC4-2126-SM-5IFJH 40-49 years, male 60.4
GTEX-1I1GS-0126-SM-B2LVW 60-69 years, male 60.2
GTEX-15SDE-2226-SM-7IGLO 50-59 years, female 59.9
GTEX-12WSG-2826-SM-E9J4H 50-59 years, female 59.9
GTEX-X88G-0126-SM-47JZ3 30-39 years, male 59.5
GTEX-147F4-0226-SM-5QGPW 50-59 years, male 59.4
GTEX-145LT-1726-SM-5QGP3 40-49 years, male 59.3
GTEX-OOBJ-0126-SM-E6CJW 60-69 years, male 59.3
GTEX-12C56-1726-SM-5EQ61 20-29 years, male 59.2
GTEX-17HII-0226-SM-7LG4E 50-59 years, male 59.1
GTEX-Y8LW-1826-SM-5S2MV 50-59 years, female 58.6
GTEX-Y3I4-2126-SM-4TT7C 50-59 years, male 58.4
GTEX-18A67-0126-SM-7LG5P 50-59 years, male 58.2
GTEX-1I1GU-2226-SM-CGQFA 40-49 years, male 58.2
GTEX-1LNCM-1126-SM-E9U5E 50-59 years, female 58.2
GTEX-PWCY-1826-SM-DHXIZ 20-29 years, female 58.1
GTEX-12126-0326-SM-5PNW3 20-29 years, male 57.8
GTEX-ZQUD-1426-SM-57WER 30-39 years, male 57.5
GTEX-1HUB1-0426-SM-E9U4U 60-69 years, male 57.4
GTEX-14BIL-0126-SM-5SI92 50-59 years, male 57.2
GTEX-NPJ8-0126-SM-2YUNR 40-49 years, male 57.0
GTEX-ZVT3-0126-SM-5GU6I 60-69 years, female 57.0
GTEX-1ICG6-2526-SM-CGQFZ 70-79 years, female 57.0
GTEX-1QP29-0626-SM-EWRMX 50-59 years, male 56.8
GTEX-Q2AI-1326-SM-2S1PL 40-49 years, male 56.7
GTEX-WZTO-0126-SM-3NM95 40-49 years, male 56.7
GTEX-U3ZN-2326-SM-3DB7W 30-39 years, female 56.5
GTEX-1JN1M-0326-SM-CYPT3 60-69 years, female 56.2
GTEX-1H23P-0126-SM-ADEJ3 60-69 years, male 56.0
GTEX-1IL2V-0126-SM-CM2TX 70-79 years, male 56.0
GTEX-14ICK-0226-SM-6EU25 40-49 years, male 55.4
GTEX-15UF6-0826-SM-6PALJ 70-79 years, female 55.2
GTEX-11P7K-2126-SM-5GU7G 30-39 years, male 54.9
GTEX-13O1R-0126-SM-5L3EH 60-69 years, male 54.8
GTEX-RU72-0926-SM-2TF6B 50-59 years, female 54.6
GTEX-1JMOU-1526-SM-CL54I 60-69 years, female 53.7
GTEX-1RAZA-0126-SM-E6CI3 20-29 years, male 53.6
GTEX-SN8G-0126-SM-32PLI 50-59 years, female 53.4
GTEX-1LC47-0326-SM-E9TJP 60-69 years, male 53.2
GTEX-18D9B-0526-SM-7LTAS 60-69 years, male 53.0
GTEX-QLQW-1126-SM-2S1Q8 30-39 years, male 53.0
GTEX-1C64O-0126-SM-7SB8P 60-69 years, male 52.9
GTEX-1AMEY-1326-SM-73KYK 30-39 years, female 52.8
GTEX-14A6H-0126-SM-5QGPK 30-39 years, male 52.7
GTEX-Y5LM-1926-SM-5RQJH 40-49 years, female 52.5
GTEX-ZYW4-0126-SM-5E44A 60-69 years, male 52.4
GTEX-1GTWX-0126-SM-9YFLK 60-69 years, male 52.2
GTEX-117YW-2626-SM-5GZZH 50-59 years, male 52.0
GTEX-16MT8-0426-SM-7KUEY 60-69 years, female 51.9
GTEX-14BIM-0226-SM-7IGLD 60-69 years, female 51.8
GTEX-Z93T-0126-SM-5HL5N 50-59 years, male 51.5
GTEX-15SB6-1726-SM-6PAME 50-59 years, female 51.4
GTEX-1C6WA-0126-SM-7PC2B 60-69 years, male 51.4
GTEX-1IY9M-0126-SM-D3L8S 60-69 years, male 51.4
GTEX-169BO-1326-SM-9MQK2 50-59 years, male 51.3
GTEX-1HKZK-0326-SM-9WYUH 40-49 years, male 51.1
GTEX-Q2AH-1626-SM-3GAF8 40-49 years, male 51.0
GTEX-WH7G-2326-SM-3NMBC 40-49 years, male 50.7
GTEX-1MCQQ-0826-SM-DLHC2 60-69 years, male 50.7
GTEX-1N2DV-0226-SM-E6CJ6 40-49 years, male 50.4
GTEX-1F75A-0126-SM-7RHGM 50-59 years, male 50.0
GTEX-14PHW-0126-SM-6LLJI 60-69 years, female 49.9
GTEX-1I1GP-2226-SM-CGQFK 50-59 years, male 49.9
GTEX-X5EB-2226-SM-46MW4 40-49 years, male 49.8
GTEX-Y5V6-2426-SM-4VDSB 60-69 years, male 49.8
GTEX-PLZ4-0126-SM-5SI8O 50-59 years, female 49.3
GTEX-13RTL-0126-SM-7LG5S 40-49 years, male 49.1
GTEX-QDT8-0126-SM-48TZ1 30-39 years, female 49.1
GTEX-1497J-2426-SM-7IGNX 60-69 years, male 48.9
GTEX-X638-0126-SM-47JZ8 70-79 years, female 48.9
GTEX-13RTJ-2426-SM-5S2Q2 60-69 years, male 48.7
GTEX-1F75I-0326-SM-9YFLU 40-49 years, male 48.3
GTEX-1HSEH-0126-SM-ACKXN 60-69 years, male 48.3
GTEX-ZUA1-0126-SM-5GU76 40-49 years, male 48.1
GTEX-ZAJG-0126-SM-5HL94 50-59 years, female 47.9
GTEX-13OVJ-0126-SM-5KM36 50-59 years, female 47.7
GTEX-12WSN-5019-SM-79OM6 40-49 years, male 47.4
GTEX-R55G-2526-SM-2TC6D 40-49 years, female 47.2
GTEX-1A32A-0126-SM-718B1 50-59 years, female 46.9
GTEX-11UD1-0126-SM-5PNYG 40-49 years, female 45.8
GTEX-11GSP-2526-SM-5N9BP 60-69 years, female 45.4
GTEX-S95S-1226-SM-4GICG 60-69 years, male 45.4
GTEX-ZTPG-0326-SM-5O9AX 20-29 years, female 45.0
GTEX-1HSMO-0126-SM-CL547 60-69 years, male 44.4
GTEX-1MCYP-1926-SM-E9J2R 20-29 years, female 43.8
GTEX-O5YW-0126-SM-3LK6D 50-59 years, male 43.5
GTEX-R55E-0126-SM-2TC5Y 20-29 years, male 42.7
GTEX-1AYCT-2426-SM-7IGQ3 50-59 years, male 42.4
GTEX-13OVG-1926-SM-5L3DK 60-69 years, male 41.7
GTEX-17F97-0326-SM-7LG5B 50-59 years, male 41.6
GTEX-WOFL-0126-SM-3MJG2 60-69 years, male 41.6
GTEX-OHPM-0126-SM-2YUN9 50-59 years, male 41.2
GTEX-ZAB4-0226-SM-5N9F5 40-49 years, male 40.9
GTEX-X4XY-0226-SM-4E3IZ 60-69 years, male 40.4
GTEX-ZZPT-0226-SM-5E43X 50-59 years, male 40.3
GTEX-1HSMP-0126-SM-E6CJS 70-79 years, male 40.2
GTEX-1PBJI-0526-SM-E8VNK 20-29 years, female 40.2
GTEX-1RLM8-2326-SM-EWRN4 50-59 years, male 40.0
GTEX-131XG-2626-SM-5KM17 50-59 years, female 39.6
GTEX-144GN-2326-SM-5LU4F 50-59 years, male 39.2
GTEX-11TTK-0126-SM-5987B 60-69 years, female 39.1
GTEX-15EOM-0126-SM-7KUGG 20-29 years, female 38.1
GTEX-ZF28-0126-SM-4WKGK 60-69 years, male 38.0
GTEX-TMZS-0126-SM-3DB9Q 60-69 years, male 37.9
GTEX-X62O-0126-SM-4E3JN 50-59 years, male 37.3
GTEX-U3ZM-1526-SM-3DB9D 40-49 years, male 36.1
GTEX-1I1HK-0126-SM-COH49 60-69 years, male 36.1
GTEX-1H1ZS-0426-SM-9WG6G 70-79 years, male 35.4
GTEX-R45C-0126-SM-EAZ2R 60-69 years, female 33.8
GTEX-P4PQ-0126-SM-2S1NM 60-69 years, male 33.0
GTEX-12WSD-0126-SM-59HKN 60-69 years, female 32.4
GTEX-ZDXO-3026-SM-5J1N5 60-69 years, male 32.2
GTEX-14PK6-1926-SM-6ETZU 70-79 years, female 31.6
GTEX-139T4-0226-SM-5HL5S 50-59 years, female 29.7
GTEX-WI4N-1026-SM-3LK7N 40-49 years, female 29.3
GTEX-Q734-1926-SM-2I5EV 40-49 years, female 28.2
GTEX-11EMC-2926-SM-5EQ4F 60-69 years, female 28.1
GTEX-1OJC4-0126-SM-E9J2E 50-59 years, female 26.3
GTEX-RUSQ-1526-SM-2TF62 50-59 years, male 25.6
GTEX-SE5C-1626-SM-2XCE3 40-49 years, female 24.7
GTEX-1R9PO-2126-SM-E9J4O 60-69 years, female 23.1
GTEX-OXRL-0126-SM-2YUMP 50-59 years, male 21.5
GTEX-11ZUS-0626-SM-59885 30-39 years, male 18.5
GTEX-113IC-0126-SM-5HL6T 60-69 years, male 16.6
GTEX-1QW4Y-1526-SM-EAZ3Z 30-39 years, male 16.5
GTEX-U4B1-1826-SM-4DXSU 40-49 years, male 13.0
GTEX-1HBPH-0426-SM-B2LW5 40-49 years, female 9.7
GTEX-1QP67-1626-SM-EAZ3X 40-49 years, female 9.6
GTEX-146FR-1326-SM-E9J48 60-69 years, female 6.1
GTEX-14JIY-0126-SM-6LLH6 60-69 years, male 4.8
GTEX-1RAZQ-0726-SM-EAZ43 30-39 years, male 4.0
Show allShow less

Contact

  • NEWS ARTICLES
  • PRESS ROOM

The Project

  • INTRODUCTION
  • ORGANIZATION
  • PUBLICATIONS

The Human Protein Atlas

  • DOWNLOADABLE DATA
  • LICENCE & CITATION
  • HELP & FAQ
The Human Protein Atlas project is funded
by the Knut & Alice Wallenberg Foundation.


contact@proteinatlas.org