We use cookies to enhance the usability of our website. If you continue, we'll assume that you are happy to receive all cookies. More information. Don't show this again.
GSDMB
HPA
RESOURCES
  • TISSUE
  • BRAIN
  • SINGLE CELL
  • SUBCELLULAR
  • CANCER
  • BLOOD
  • CELL LINE
  • STRUCTURE & INTERACTION
ABOUT
  • INTRODUCTION
  • HISTORY
  • ORGANIZATION
  • PUBLICATIONS
  • ANTIBODY SUBMISSION
  • ANTIBODY AVAILABILITY
  • ACKNOWLEDGMENTS
  • CONTACT
NEWS
  • NEWS ARTICLES
  • PRESS ROOM
LEARN
  • DICTIONARY
  • PROTEIN CLASSES
  • PROTEIN EVIDENCE
  • METHODS
  • EDUCATIONAL VIDEOS
DATA
  • DOWNLOADABLE DATA
  • PUBLICATION DATA
  • RELEASE HISTORY
HELP
  • ANTIBODY VALIDATION
  • ASSAYS & ANNOTATION
  • DISCLAIMER
  • HELP & FAQ
  • PRIVACY STATEMENT
  • LICENCE & CITATION
Fields »
Search result

Field
Term
Gene name
Class
Subclass
Class
Keyword
Chromosome
External id
Tissue
Cell type
Expression
Antibody panel
Tissue
Main location
Patient ID
Annotation
Tissue
Category
Tau score
Cluster
Reliability
Brain region
Category
Tau score
Brain region
Category
Tau score
Brain region
Category
Tau score
Cluster
Reliability
Tissue
Cell type
Enrichment
Cell type
Category
Tau score
Cell type
Category
Tau score
Cell type
Category
Tau score
Cell lineage
Category
Tau score
Cluster
Cluster
Location
Searches
Location
Cell line
Class
Type
Phase
Reliability
Cancer
Prognosis
Cancer
Category
Cancer
Category
Tau score
Cluster
Variants
Interacting gene (ensg_id)
Type
Number of interactions
Pathway
Category
Score
Score
Score
Validation
Validation
Validation
Validation
Antibodies
Data type
Column


  • SUMMARY

  • TISSUE

  • BRAIN

  • SINGLE CELL

  • SUBCELL

  • CANCER

  • BLOOD

  • CELL LINE

  • STRUCT & INT

  • GSDMB
TISSUE PRIMARY DATA STOMACH 1 Show tissue menu
ADIPOSE TISSUE ADRENAL GLAND AMYGDALA APPENDIX BASAL GANGLIA BONE MARROW BREAST BRONCHUS CEREBELLUM CEREBRAL CORTEX CERVIX CHOROID PLEXUS COLON DUODENUM
ENDOMETRIUM EPIDIDYMIS ESOPHAGUS FALLOPIAN TUBE GALLBLADDER HEART MUSCLE HIPPOCAMPAL FORMATION HYPOTHALAMUS KIDNEY LIVER LUNG LYMPH NODE MIDBRAIN NASOPHARYNX
ORAL MUCOSA OVARY PANCREAS PARATHYROID GLAND PITUITARY GLAND PLACENTA PROSTATE RECTUM RETINA SALIVARY GLAND SEMINAL VESICLE SKELETAL MUSCLE SKIN SMALL INTESTINE
SMOOTH MUSCLE SOFT TISSUE SPINAL CORD SPLEEN STOMACH TESTIS THYMUS THYROID GLAND TONGUE TONSIL URINARY BLADDER VAGINA
ANTIBODIES
AND
VALIDATION
Dictionary
Tissue proteome
STOMACH - Expression summary
Protein expression
Stomachi

On the top, protein expression in current human tissue, based on all annotated cell types, is reported with the units not detected (n), low (l), medium (m) and high (h). Underneath, protein expression in each annotated cell type are reported using the same units.

Protein expression data is based on knowledge-based annotation. For genes where more than one antibody has been used, a collective score is set.

If knowledge-based annotation could not be performed for a gene, no data is displayed here. View antibody staining data further down this page.

h
m
l
n
Glandular cells: Medium
RNA expressioni

A summary of mRNA expression data available for current tissue based on several datasets. The mRNA expression levels in human tissues are based on RNA-seq data generated by the Human Protein Atlas (HPA), Genotype-Tissue Expression (GTEx) portal and CAGE data generated by the FANTOM5 consortium. Consensus normalized expression levels for human tissues was created by combining the data from HPA and GTEx datasets.

The mRNA expression levels in pig are based on RNA-seq data generated by the Human Protein Atlas (HPA), and for mouse, HPA data and in situ hybridization generated by the Allen brain atlas are reported.

Scroll down to view mRNA expression data in more detail.
Consensus:46.1 nTPM
HPA:46.1 nTPM
GTEx:18.0 nTPM

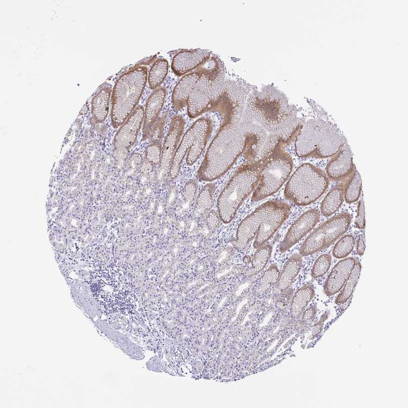
STOMACH 1 - Antibody stainingi

Antibody staining in the annotated cell types in the current human tissue is reported as not detected, low, medium, or high, based on conventional immunohistochemistry profiling in selected tissues. This score is based on the combination of the staining intensity and fraction of stained cells.

Each image is clickable and will lead to virtual microscopy that enables deeper exploration of all samples and also displays staining intensity scores, fraction scores and subcellular localization as well as patient and tissue information for each sample.

Antibody HPA023925Antibody HPA052407Antibody CAB013681
Glandular cells MediumMediumMedium




STOMACH 2 - Antibody stainingi

Antibody staining in the annotated cell types in the current human tissue is reported as not detected, low, medium, or high, based on conventional immunohistochemistry profiling in selected tissues. This score is based on the combination of the staining intensity and fraction of stained cells.

Each image is clickable and will lead to virtual microscopy that enables deeper exploration of all samples and also displays staining intensity scores, fraction scores and subcellular localization as well as patient and tissue information for each sample.

Antibody HPA023925Antibody HPA052407Antibody CAB013681
Glandular cells MediumMediumMedium





STOMACH - HPA RNA-seqi

The RNA-seq details section shows detailed information about the individual samples used for the transcript profiling and results of the RNA-seq analysis.

Information about each individual sample is listed below, including gender, age, a tissue section image and estimated fractions of cell types. nTPM (normalized transcripts per million) values give a quantification of the gene abundance which is comparable between different genes and samples.
Average nTPMi

Max subtype nTPM is the value for the subtype with the largest average nTPM across the subtype samples.

46.1
overview
Female, age 33
Stomach sample 61
nTPM: 15.8
Cell types%
Glandular cells:
60

Smooth muscle cells:
5

Other cell types:
35

N/A
Male, age 82
Stomach sample 240
nTPM: 49.5
Cell types%
Glandular cells:
65

Smooth muscle cells:
5

Other cell types:
30

overview
Male, age 71
Stomach sample 241
nTPM: 92.4
Cell types%
Glandular cells:
50

Smooth muscle cells:
5

Other cell types:
45

overview
Female, age 66
Stomach sample 369
nTPM: 26.8
Cell types%
Glandular cells:
50

Smooth muscle cells:
10

Other cell types:
40


STOMACH - GTEx RNA-seqi

RNA-Seq data generated by the Genotype-Tissue Expression (GTEx) project from human tissues is reported as mean nTPM. More information can be found on the GTEx portal.

Distribution across the dataset is visualized with box plots, shown as median and 25th and 75th percentiles. Points are displayed as outliers if they are above or below 1.5 times the interquartile range. nTPM values of the individual samples are presented next to the box plot.
Max subtype nTPMi

Max subtype nTPM is the value for the subtype with the largest average nTPM across the subtype samples.

18.0
GTEx sample id Sample description nTPM
Stomach
Average nTPM: 18.0
Samples: 359

Max nTPM: 184.5
Min nTPM: 1.0
Std nTPM: 18.4
Median nTPM: 12.0
GTEX-WHPG-0426-SM-4M1XW 50-59 years, male 184.5
GTEX-Y3IK-1426-SM-4YCES 50-59 years, female 97.9
GTEX-ZVP2-1626-SM-5GU5D 50-59 years, male 80.5
GTEX-QDVN-1226-SM-48TZ5 50-59 years, male 72.9
GTEX-POMQ-0826-SM-3P61H 20-29 years, female 72.3
GTEX-1F5PL-1426-SM-7MKFH 40-49 years, female 68.4
GTEX-15G19-1526-SM-6LPKP 60-69 years, male 68.3
GTEX-WFG8-1326-SM-4LVN3 20-29 years, male 68.1
GTEX-Q2AH-1126-SM-48TZM 40-49 years, male 67.3
GTEX-ZYY3-1726-SM-5EGH3 60-69 years, female 65.1
GTEX-13PVQ-2126-SM-5L3FW 50-59 years, male 63.7
GTEX-1LGRB-1726-SM-CNNRA 50-59 years, female 62.1
GTEX-13FTW-1726-SM-5KM2B 40-49 years, male 58.6
GTEX-11DXX-1326-SM-5GIDZ 60-69 years, female 57.6
GTEX-13CF3-1926-SM-5K7WF 60-69 years, female 57.6
GTEX-QCQG-0526-SM-48U2A 50-59 years, female 55.5
GTEX-1MJIX-1126-SM-EV7AO 40-49 years, male 52.5
GTEX-145ME-1026-SM-5O9B4 40-49 years, female 52.3
GTEX-T8EM-1226-SM-4DM5J 40-49 years, male 51.6
GTEX-14PHX-1026-SM-664OL 50-59 years, male 50.0
GTEX-11NUK-2426-SM-5BC4U 50-59 years, male 49.8
GTEX-12BJ1-1726-SM-5HL9B 60-69 years, male 49.6
GTEX-WY7C-1726-SM-4ONCC 50-59 years, male 49.5
GTEX-117YX-1026-SM-5H11V 50-59 years, male 47.8
GTEX-16AAH-1226-SM-79OO9 50-59 years, male 47.4
GTEX-QDVJ-1426-SM-48U1Y 50-59 years, male 47.1
GTEX-1I6K7-1726-SM-B2LXQ 40-49 years, male 46.7
GTEX-OHPK-1526-SM-3MJGM 50-59 years, female 46.4
GTEX-14PJ5-0826-SM-6AJAR 60-69 years, female 43.5
GTEX-1MGNQ-1826-SM-DPRYI 40-49 years, male 42.3
GTEX-145MN-1326-SM-5NQ9S 30-39 years, male 42.0
GTEX-1LBAC-1426-SM-CXZKT 20-29 years, male 41.5
GTEX-QLQ7-0826-SM-447B3 60-69 years, male 41.3
GTEX-Y8LW-0826-SM-4WWDO 50-59 years, female 41.2
GTEX-14BMU-1126-SM-5RQJ8 20-29 years, female 40.9
GTEX-13S7M-1826-SM-5RQK6 60-69 years, female 40.6
GTEX-1B8KZ-1226-SM-793CP 50-59 years, male 40.4
GTEX-VJYA-1026-SM-4KL21 60-69 years, male 40.2
GTEX-ZY6K-0726-SM-5A5L8 50-59 years, male 38.5
GTEX-14PKV-1826-SM-69LO9 20-29 years, female 38.3
GTEX-OOBJ-1526-SM-3NB1Q 60-69 years, male 37.3
GTEX-ZYFG-1326-SM-5GICJ 60-69 years, female 36.8
GTEX-ZLWG-1526-SM-DO12F 50-59 years, female 36.8
GTEX-XV7Q-1326-SM-4BRWM 40-49 years, female 36.3
GTEX-P4PP-1526-SM-3P61M 30-39 years, female 36.0
GTEX-1CAMR-0726-SM-7EPIE 20-29 years, male 35.8
GTEX-P78B-1826-SM-3P5YX 40-49 years, female 34.9
GTEX-SNMC-0626-SM-4DM6H 20-29 years, male 34.6
GTEX-13D11-2126-SM-5IFH2 50-59 years, female 34.3
GTEX-131XG-1226-SM-5EGH9 50-59 years, female 34.0
GTEX-S95S-0826-SM-4B64N 60-69 years, male 34.0
GTEX-17GQL-1226-SM-7KFTS 60-69 years, male 33.4
GTEX-144GN-1226-SM-5O991 50-59 years, male 33.3
GTEX-1LG7Z-1226-SM-DHXK4 30-39 years, male 32.7
GTEX-ZLV1-0826-SM-DO11P 60-69 years, female 32.5
GTEX-YEC4-1426-SM-5IFHS 40-49 years, male 32.4
GTEX-S341-0626-SM-4AD5T 40-49 years, female 32.0
GTEX-WHSB-1226-SM-4M1XR 50-59 years, male 31.8
GTEX-1F75I-1826-SM-7MKGX 40-49 years, male 31.6
GTEX-13RTK-0226-SM-5RQHR 20-29 years, male 31.4
GTEX-U3ZN-2026-SM-4DXUC 30-39 years, female 30.9
GTEX-111CU-0926-SM-5EGIK 50-59 years, male 30.6
GTEX-1GL5R-1926-SM-9WG7U 50-59 years, male 30.6
GTEX-13FTX-0726-SM-5N9BI 20-29 years, female 30.5
GTEX-13U4I-2526-SM-5SI8Z 40-49 years, female 30.3
GTEX-PWN1-1526-SM-48TDA 40-49 years, female 29.9
GTEX-1HCU8-1326-SM-C1YQQ 60-69 years, female 29.9
GTEX-15UF7-1226-SM-6M46G 40-49 years, male 29.7
GTEX-13OW6-2526-SM-5IJEC 50-59 years, male 29.4
GTEX-WXYG-1626-SM-4ONCR 50-59 years, female 29.3
GTEX-1MUQO-1926-SM-EAZ59 60-69 years, male 29.2
GTEX-YB5E-1126-SM-664NU 40-49 years, male 29.0
GTEX-WYJK-2526-SM-4ONDF 50-59 years, male 28.8
GTEX-ZVT3-2126-SM-59HL2 60-69 years, female 28.8
GTEX-V1D1-1726-SM-4JBHB 50-59 years, male 28.4
GTEX-13113-0726-SM-5LZUF 60-69 years, female 28.3
GTEX-RWS6-0926-SM-47JXE 60-69 years, female 28.3
GTEX-1399S-1626-SM-5P9GI 30-39 years, female 27.7
GTEX-ZVZP-1726-SM-5GZWY 50-59 years, male 27.6
GTEX-1HBPN-1626-SM-9WPNP 50-59 years, male 27.6
GTEX-1A3MV-1226-SM-718BW 30-39 years, male 27.4
GTEX-11NSD-1426-SM-5HL67 20-29 years, male 27.0
GTEX-Y9LG-1026-SM-5IFJN 30-39 years, male 27.0
GTEX-15CHR-1326-SM-79OLT 50-59 years, male 26.7
GTEX-1AYCT-1326-SM-7MKHB 50-59 years, male 26.5
GTEX-15DCE-1626-SM-6LPJM 20-29 years, male 26.2
GTEX-132QS-1826-SM-5IFFN 60-69 years, male 26.1
GTEX-1KXAM-0926-SM-CXZKA 60-69 years, male 25.7
GTEX-18A67-2626-SM-718AD 50-59 years, male 25.4
GTEX-14PJ6-0826-SM-686Z9 60-69 years, female 25.2
GTEX-12WSD-2326-SM-59HKQ 60-69 years, female 24.7
GTEX-WFG7-1326-SM-4LMK1 20-29 years, male 24.7
GTEX-1QP2A-2126-SM-DPRZ7 50-59 years, male 24.6
GTEX-S3XE-1026-SM-4AD4O 50-59 years, male 24.5
GTEX-1RMOY-1126-SM-EV79E 50-59 years, male 24.5
GTEX-1QCLY-1126-SM-EAZ4J 30-39 years, male 24.1
GTEX-15DZA-1126-SM-6LPK8 30-39 years, female 23.6
GTEX-1JKYN-1726-SM-AHZ48 30-39 years, male 23.2
GTEX-17F9E-2226-SM-7IGNC 50-59 years, male 22.8
GTEX-ZXES-1426-SM-5NQ8S 30-39 years, female 22.8
GTEX-T6MO-0726-SM-4DM58 40-49 years, female 22.6
GTEX-Q734-1026-SM-48U16 40-49 years, female 22.5
GTEX-132AR-2426-SM-5IFFD 50-59 years, female 22.3
GTEX-T5JW-0926-SM-4DM5K 20-29 years, female 21.9
GTEX-WFON-1126-SM-4LVMA 40-49 years, male 21.7
GTEX-13OVK-0926-SM-7KUFX 40-49 years, male 21.5
GTEX-11GSP-2126-SM-5HL5E 60-69 years, female 21.2
GTEX-1GZ4H-1026-SM-9OSXL 50-59 years, female 21.1
GTEX-13O21-0926-SM-5IFGT 50-59 years, male 20.9
GTEX-1KANA-1126-SM-D3L9M 20-29 years, male 20.9
GTEX-ZF2S-1426-SM-57WET 50-59 years, female 20.8
GTEX-1JMPZ-1826-SM-CXZJT 30-39 years, male 20.8
GTEX-1R7EU-1126-SM-EAZ4M 60-69 years, male 20.7
GTEX-ZVT2-1626-SM-51MRC 50-59 years, female 20.5
GTEX-1B97J-1826-SM-7IGPP 50-59 years, female 20.2
GTEX-1H3VY-2326-SM-9WG81 50-59 years, male 20.2
GTEX-QV31-0626-SM-447C5 30-39 years, male 20.0
GTEX-1JK1U-1326-SM-AHZ45 60-69 years, male 19.9
GTEX-1QPFJ-1526-SM-DPRXT 30-39 years, female 19.8
GTEX-YFCO-0826-SM-5LUAG 40-49 years, male 19.5
GTEX-XQ8I-2026-SM-4BOOL 50-59 years, male 19.4
GTEX-12696-1726-SM-5EQLH 60-69 years, male 19.3
GTEX-1IDJD-2426-SM-C1YS6 30-39 years, male 19.3
GTEX-18D9A-0626-SM-7KFTY 30-39 years, female 19.1
GTEX-UJMC-1226-SM-4IHLI 50-59 years, male 18.9
GTEX-ZV7C-1626-SM-5NQ7E 50-59 years, male 18.9
GTEX-ZLFU-1326-SM-DO11R 40-49 years, male 18.5
GTEX-1LGOU-1526-SM-D3LAJ 20-29 years, female 18.4
GTEX-1R9K5-1026-SM-EAZ4F 50-59 years, male 18.4
GTEX-ZGAY-1626-SM-DNZZ3 40-49 years, female 18.1
GTEX-U4B1-1026-SM-4DXT1 40-49 years, male 17.8
GTEX-ZF29-1526-SM-4WKF7 60-69 years, female 17.8
GTEX-ZP4G-1226-SM-4WWCJ 20-29 years, female 17.8
GTEX-TMMY-1626-SM-4DXTY 40-49 years, female 17.7
GTEX-1JN1M-2926-SM-CNNPJ 60-69 years, female 17.5
GTEX-S4UY-1626-SM-4AD55 40-49 years, female 17.4
GTEX-XBED-1226-SM-4AT5V 60-69 years, male 17.3
GTEX-14PJ3-1426-SM-664O8 50-59 years, male 17.2
GTEX-111YS-1126-SM-5GZYQ 60-69 years, male 16.9
GTEX-133LE-1326-SM-5IFGO 20-29 years, female 16.6
GTEX-Q2AI-0826-SM-48TZO 40-49 years, male 16.6
GTEX-17HGU-2126-SM-7IGOV 50-59 years, male 16.4
GTEX-1HFI7-1526-SM-9WG7W 50-59 years, female 16.1
GTEX-14E6E-0926-SM-664N8 30-39 years, male 15.8
GTEX-PW2O-1226-SM-48TCH 20-29 years, male 15.7
GTEX-ZDYS-1926-SM-5HL59 50-59 years, male 15.7
GTEX-12WSK-1426-SM-5CVNN 40-49 years, female 15.5
GTEX-S4Q7-0726-SM-4AD5F 20-29 years, male 15.4
GTEX-S7SF-0626-SM-4AD4V 20-29 years, female 15.4
GTEX-X15G-1126-SM-4PQZG 50-59 years, female 15.4
GTEX-14JG6-1226-SM-664O6 30-39 years, female 15.3
GTEX-ZA64-0826-SM-5HL9U 20-29 years, male 15.1
GTEX-1GMRU-2526-SM-9WG7T 50-59 years, male 15.0
GTEX-1LVAN-2426-SM-CNNPZ 50-59 years, female 15.0
GTEX-1399R-1126-SM-5IFIO 30-39 years, male 14.9
GTEX-1AMEY-1226-SM-731DU 30-39 years, female 14.9
GTEX-QXCU-1926-SM-48FE4 50-59 years, male 14.8
GTEX-17F98-1526-SM-7EWD8 40-49 years, female 14.7
GTEX-11EM3-1026-SM-5A5KL 20-29 years, female 14.6
GTEX-131XF-1226-SM-5HL8V 60-69 years, male 14.5
GTEX-XMK1-1526-SM-EYYVO 40-49 years, male 14.5
GTEX-RM2N-0826-SM-48FD3 50-59 years, male 14.4
GTEX-13PVR-2126-SM-73KVR 60-69 years, female 14.3
GTEX-1RB15-1026-SM-E9U6V 60-69 years, male 14.3
GTEX-17HHE-1026-SM-79ON6 50-59 years, male 14.2
GTEX-18A7A-2726-SM-7LG6U 50-59 years, female 14.1
GTEX-PWCY-0926-SM-48TD7 20-29 years, female 14.1
GTEX-XUZC-0726-SM-4BOPH 30-39 years, female 13.9
GTEX-QV44-1226-SM-CJI1S 50-59 years, male 13.6
GTEX-14BMV-2226-SM-5RQHX 50-59 years, male 13.5
GTEX-RTLS-2626-SM-46MUJ 60-69 years, female 13.2
GTEX-ZZ64-0426-SM-5E43F 20-29 years, male 13.0
GTEX-WHWD-1426-SM-4OORU 50-59 years, male 12.8
GTEX-ZQUD-0826-SM-57WDQ 30-39 years, male 12.6
GTEX-1ICG6-1826-SM-AHZ2O 70-79 years, female 12.6
GTEX-R53T-1226-SM-48FCT 50-59 years, female 12.4
GTEX-1RAZR-1526-SM-EAZ4U 40-49 years, male 12.4
GTEX-18A66-2226-SM-7189E 60-69 years, male 12.2
GTEX-1A8G6-1426-SM-731EZ 60-69 years, male 12.2
GTEX-11I78-1726-SM-5A5M3 50-59 years, female 12.0
GTEX-1B8KE-1326-SM-73KVI 50-59 years, male 12.0
GTEX-SUCS-0926-SM-4DM4Z 70-79 years, male 12.0
GTEX-QMRM-1126-SM-447BN 50-59 years, male 11.8
GTEX-SNOS-0826-SM-4DM5N 40-49 years, male 11.8
GTEX-Y3I4-1626-SM-4TT7W 50-59 years, male 11.8
GTEX-1F5PK-1826-SM-7RHHX 50-59 years, male 11.8
GTEX-1HKZK-1526-SM-B2LWG 40-49 years, male 11.6
GTEX-17MF6-2126-SM-7KFS7 40-49 years, male 11.5
GTEX-1IDJU-1526-SM-CNNR3 60-69 years, female 11.4
GTEX-1JMLX-2426-SM-CXZJQ 50-59 years, male 11.4
GTEX-1A3MX-1926-SM-72D7F 60-69 years, male 11.3
GTEX-ZPU1-1626-SM-4WWB2 40-49 years, male 11.3
GTEX-1122O-1926-SM-5EGIQ 60-69 years, female 11.2
GTEX-145MO-2226-SM-5Q5BN 60-69 years, male 11.1
GTEX-OXRL-1526-SM-E6CHQ 50-59 years, male 11.1
GTEX-1GF9U-1126-SM-AHZ4H 40-49 years, female 10.8
GTEX-1QCLZ-1826-SM-DPRXP 60-69 years, female 10.7
GTEX-WRHK-0626-SM-4MVOE 20-29 years, female 10.5
GTEX-ZAB4-1526-SM-5CVN7 40-49 years, male 10.2
GTEX-1GN1W-2126-SM-9JGI7 50-59 years, female 9.9
GTEX-14ICL-0826-SM-5YY9W 30-39 years, male 9.8
GTEX-1J8JJ-1726-SM-C1YQG 60-69 years, female 9.8
GTEX-O5YV-1926-SM-EV797 60-69 years, female 9.8
GTEX-XBEW-1826-SM-4RTWX 40-49 years, male 9.7
GTEX-12WSG-2026-SM-5FQUU 50-59 years, female 9.6
GTEX-1CB4H-2426-SM-7PBYR 60-69 years, female 9.5
GTEX-15RIE-1026-SM-6LPJQ 60-69 years, male 9.4
GTEX-PX3G-1526-SM-48U11 20-29 years, female 9.4
GTEX-1E1VI-2826-SM-7MGWU 50-59 years, male 9.4
GTEX-1HSEH-1526-SM-B2LXG 60-69 years, male 9.4
GTEX-PLZ5-1226-SM-EXOHA 50-59 years, male 9.4
GTEX-1LSNM-1026-SM-DHXL2 50-59 years, male 9.3
GTEX-OHPM-1526-SM-EV796 50-59 years, male 9.3
GTEX-1J8QM-1126-SM-C1YQB 60-69 years, female 9.2
GTEX-11EI6-2426-SM-5PNVS 60-69 years, male 9.1
GTEX-139D8-2326-SM-5IFGE 30-39 years, female 9.1
GTEX-1H23P-2726-SM-9JGHN 60-69 years, male 9.0
GTEX-139YR-1926-SM-5LZXM 50-59 years, male 8.9
GTEX-14BIL-1926-SM-73KYI 50-59 years, male 8.8
GTEX-OXRK-1626-SM-3NB17 50-59 years, female 8.8
GTEX-QLQW-0726-SM-447AA 30-39 years, male 8.8
GTEX-14PJ4-1626-SM-664OB 60-69 years, male 8.7
GTEX-1AMFI-1226-SM-731CZ 50-59 years, female 8.7
GTEX-WEY5-1226-SM-4LMIQ 40-49 years, female 8.7
GTEX-1H1E6-1626-SM-9OSWC 30-39 years, male 8.7
GTEX-14DAQ-2826-SM-664MU 60-69 years, female 8.6
GTEX-1C475-1026-SM-7MKFJ 40-49 years, female 8.5
GTEX-Y5LM-1326-SM-5RQIS 40-49 years, female 8.4
GTEX-1J8EW-2226-SM-AHZ3T 60-69 years, female 8.4
GTEX-1QW4Y-0726-SM-DTX8E 30-39 years, male 8.3
GTEX-13FH7-1026-SM-5IJGF 50-59 years, female 8.2
GTEX-13X6J-2126-SM-5TDCV 50-59 years, male 8.2
GTEX-O5YW-1526-SM-3MJGL 50-59 years, male 8.2
GTEX-V955-1326-SM-4JBHR 60-69 years, male 8.2
GTEX-1JMQJ-1326-SM-D4P3B 50-59 years, male 8.0
GTEX-1J8Q3-1926-SM-C1YSJ 60-69 years, male 7.9
GTEX-1MCYP-1126-SM-E9J2P 20-29 years, female 7.8
GTEX-17HII-2426-SM-7KFTT 50-59 years, male 7.6
GTEX-18QFQ-1226-SM-718AE 30-39 years, male 7.4
GTEX-ZEX8-1626-SM-4WKG7 50-59 years, male 7.4
GTEX-ZZPU-1426-SM-5GZZ6 50-59 years, female 7.4
GTEX-131XE-2226-SM-5PNYX 50-59 years, male 7.3
GTEX-13QBU-1126-SM-5LU44 40-49 years, female 7.3
GTEX-14B4R-0726-SM-5TDDR 30-39 years, male 7.3
GTEX-1B97I-1226-SM-7MGWQ 40-49 years, male 7.3
GTEX-Y8E4-1526-SM-4WWDI 40-49 years, male 7.2
GTEX-1HT8W-2326-SM-A9SLA 30-39 years, male 7.2
GTEX-1EH9U-2226-SM-7PBXX 60-69 years, male 7.1
GTEX-1H11D-2226-SM-9OSXN 40-49 years, male 7.1
GTEX-1RQEC-2126-SM-DPS15 60-69 years, male 7.1
GTEX-OIZF-1526-SM-2I5GR 60-69 years, male 7.1
GTEX-11WQK-2626-SM-5EQ4K 50-59 years, male 7.0
GTEX-1QP29-2326-SM-EXOJO 50-59 years, male 7.0
GTEX-13QJ3-2726-SM-5SI6L 50-59 years, male 6.9
GTEX-14DAR-0926-SM-73KUQ 50-59 years, male 6.9
GTEX-Y5V6-1326-SM-4VDTF 60-69 years, male 6.9
GTEX-1HBPI-0726-SM-9WG7Z 50-59 years, male 6.9
GTEX-1H1DG-2126-SM-9WPPB 70-79 years, male 6.8
GTEX-1QMI2-2126-SM-DPRXQ 60-69 years, male 6.8
GTEX-1I4MK-0926-SM-A9SLD 50-59 years, female 6.7
GTEX-16NGA-1526-SM-72D56 40-49 years, female 6.6
GTEX-XXEK-0826-SM-4BRWG 50-59 years, male 6.6
GTEX-13OVI-2426-SM-5KM4J 60-69 years, female 6.4
GTEX-13N1W-2026-SM-5K7YU 70-79 years, male 6.3
GTEX-17JCI-2226-SM-7LTA1 60-69 years, female 6.3
GTEX-1HR9M-2326-SM-CNPPZ 60-69 years, male 6.1
GTEX-S4Z8-1226-SM-4AD6W 60-69 years, male 5.9
GTEX-1PPH8-1326-SM-DTXFO 20-29 years, male 5.6
GTEX-QDT8-2026-SM-EZ6LS 30-39 years, female 5.6
GTEX-11TT1-0726-SM-5GU5A 20-29 years, male 5.5
GTEX-144GM-1726-SM-5O9AS 20-29 years, male 5.5
GTEX-W5WG-1726-SM-4LMI5 50-59 years, female 5.5
GTEX-18D9B-2226-SM-718BM 60-69 years, male 5.4
GTEX-1I1GT-1726-SM-C1YS3 60-69 years, female 5.4
GTEX-117YW-2226-SM-5N9DB 50-59 years, male 5.3
GTEX-11EQ9-1226-SM-5987E 30-39 years, male 5.3
GTEX-UPK5-2126-SM-4JBJK 40-49 years, male 5.2
GTEX-WYVS-1326-SM-4ONCQ 40-49 years, female 5.2
GTEX-1I1HK-2026-SM-CNNRB 60-69 years, male 5.2
GTEX-1IL2V-2026-SM-ARZMA 70-79 years, male 5.1
GTEX-13O3Q-2126-SM-5KM4C 50-59 years, male 5.0
GTEX-WZTO-2126-SM-4PQYW 40-49 years, male 5.0
GTEX-1JMPY-0926-SM-ARL92 30-39 years, male 5.0
GTEX-1KD5A-1426-SM-D4P3V 50-59 years, male 5.0
GTEX-145LT-1426-SM-5O9B3 40-49 years, male 4.9
GTEX-NFK9-1526-SM-3LK7B 40-49 years, male 4.9
GTEX-T5JC-1926-SM-4DM6Q 20-29 years, male 4.8
GTEX-ZE7O-3026-SM-51MS4 50-59 years, female 4.8
GTEX-R55D-1526-SM-48FEJ 50-59 years, male 4.7
GTEX-1HSMQ-2426-SM-CE6RY 50-59 years, male 4.7
GTEX-13111-1226-SM-5GCNC 50-59 years, male 4.4
GTEX-15G1A-1226-SM-7KUF3 30-39 years, male 4.3
GTEX-Y114-1226-SM-4TT88 50-59 years, female 4.3
GTEX-ZT9W-1526-SM-4YCDE 50-59 years, male 4.2
GTEX-RUSQ-1126-SM-EAZAU 50-59 years, male 4.2
GTEX-YJ8A-1526-SM-5P9FT 20-29 years, male 4.0
GTEX-TKQ2-0926-SM-4DXU5 50-59 years, male 3.8
GTEX-1H1DE-1226-SM-9JGHH 20-29 years, male 3.8
GTEX-14PN3-1326-SM-6AJ9U 60-69 years, female 3.7
GTEX-17KNJ-1526-SM-7LTA9 50-59 years, male 3.5
GTEX-OIZH-1526-SM-3NB1J 50-59 years, male 3.5
GTEX-14PKU-1126-SM-69LOU 40-49 years, female 3.4
GTEX-15SHW-2126-SM-6M46Y 60-69 years, male 3.3
GTEX-1PIGE-1126-SM-EWRMV 20-29 years, male 3.3
GTEX-1H3NZ-2226-SM-9WYUT 60-69 years, male 3.2
GTEX-1L5NE-1526-SM-DIPFW 50-59 years, male 3.2
GTEX-PLZ6-0826-SM-3P61K 30-39 years, male 3.1
GTEX-1LVAM-1426-SM-E9TJ4 50-59 years, female 3.1
GTEX-1S82Z-1726-SM-E6CHZ 30-39 years, female 3.1
GTEX-1399U-1626-SM-5P9J3 50-59 years, female 3.0
GTEX-1S3DN-1526-SM-EVYCB 50-59 years, male 3.0
GTEX-11P82-0726-SM-5PNYL 20-29 years, male 2.9
GTEX-1HCUA-1626-SM-A9SMG 50-59 years, female 2.9
GTEX-1K2DA-0826-SM-CGQGD 50-59 years, male 2.9
GTEX-1QP28-2126-SM-DTX8B 50-59 years, female 2.9
GTEX-UJHI-1026-SM-4IHJP 50-59 years, female 2.8
GTEX-1QP67-1026-SM-EVR47 40-49 years, female 2.7
GTEX-P4QT-1526-SM-3NMCT 50-59 years, female 2.6
GTEX-ZYVF-2726-SM-5GID4 50-59 years, female 2.6
GTEX-1JN76-0926-SM-ARZNH 20-29 years, female 2.6
GTEX-1211K-1426-SM-5FQTF 60-69 years, female 2.5
GTEX-146FR-2026-SM-5NQAI 60-69 years, female 2.5
GTEX-1AX9J-2626-SM-731EK 60-69 years, male 2.5
GTEX-12C56-0526-SM-5FQST 20-29 years, male 2.4
GTEX-1339X-1426-SM-5K7YO 40-49 years, male 2.4
GTEX-1B8L1-1526-SM-79OLK 60-69 years, male 2.4
GTEX-1E2YA-2426-SM-7EPIG 50-59 years, male 2.4
GTEX-1N2DV-0926-SM-E9TJT 40-49 years, male 2.4
GTEX-S4P3-0726-SM-4AD57 50-59 years, female 2.3
GTEX-XAJ8-0326-SM-47JYI 40-49 years, male 2.3
GTEX-1GPI7-1326-SM-9KNVA 20-29 years, male 2.3
GTEX-11VI4-0326-SM-5EQ6L 40-49 years, female 2.2
GTEX-17EUY-1526-SM-793CA 20-29 years, male 2.2
GTEX-1C64O-2226-SM-73KTV 60-69 years, male 2.2
GTEX-1S831-1126-SM-EWROI 20-29 years, male 2.2
GTEX-XPVG-1526-SM-4B66C 50-59 years, male 2.1
GTEX-1IDJF-1426-SM-ACKWK 20-29 years, male 2.1
GTEX-13O61-1126-SM-5L3FI 60-69 years, male 2.0
GTEX-14E1K-1526-SM-664MN 50-59 years, male 2.0
GTEX-146FH-2126-SM-5SI9U 50-59 years, female 1.9
GTEX-TKQ1-0526-SM-4DXTG 30-39 years, male 1.9
GTEX-ZTX8-0426-SM-59HLG 20-29 years, male 1.9
GTEX-1NSGN-1926-SM-E9J36 50-59 years, male 1.9
GTEX-YEC3-1426-SM-D4P1S 50-59 years, male 1.9
GTEX-P4PQ-1526-SM-3NMCK 60-69 years, male 1.8
GTEX-RU1J-0526-SM-46MUT 20-29 years, female 1.8
GTEX-1CB4E-1326-SM-7DUGD 60-69 years, male 1.7
GTEX-15RIF-1126-SM-7KUG2 20-29 years, male 1.6
GTEX-ZPIC-2026-SM-57WG3 40-49 years, female 1.6
GTEX-12WSJ-0926-SM-5P9JD 40-49 years, female 1.5
GTEX-WFJO-1126-SM-4LVLZ 30-39 years, male 1.5
GTEX-14PHY-0926-SM-5ZZWL 60-69 years, female 1.4
GTEX-11P7K-1726-SM-5GU6F 30-39 years, male 1.2
GTEX-13X6H-1626-SM-5Q5CT 50-59 years, female 1.1
GTEX-R55G-1126-SM-48FDG 40-49 years, female 1.1
GTEX-WH7G-1526-SM-4LVMX 40-49 years, male 1.1
GTEX-ZV6S-0926-SM-57WGB 40-49 years, female 1.1
GTEX-15EU6-2526-SM-7KUGB 50-59 years, male 1.0
GTEX-R55C-1026-SM-48FCM 40-49 years, male 1.0
Show allShow less

Contact

  • NEWS ARTICLES
  • PRESS ROOM

The Project

  • INTRODUCTION
  • ORGANIZATION
  • PUBLICATIONS

The Human Protein Atlas

  • DOWNLOADABLE DATA
  • LICENCE & CITATION
  • HELP & FAQ
The Human Protein Atlas project is funded
by the Knut & Alice Wallenberg Foundation.


contact@proteinatlas.org