We use cookies to enhance the usability of our website. If you continue, we'll assume that you are happy to receive all cookies. More information. Don't show this again.
CA12
HPA
RESOURCES
  • TISSUE
  • BRAIN
  • SINGLE CELL
  • SUBCELLULAR
  • CANCER
  • BLOOD
  • CELL LINE
  • STRUCTURE & INTERACTION
ABOUT
  • INTRODUCTION
  • HISTORY
  • ORGANIZATION
  • PUBLICATIONS
  • ANTIBODY SUBMISSION
  • ANTIBODY AVAILABILITY
  • ACKNOWLEDGMENTS
  • CONTACT
NEWS
  • NEWS ARTICLES
  • PRESS ROOM
LEARN
  • DICTIONARY
  • PROTEIN CLASSES
  • PROTEIN EVIDENCE
  • METHODS
  • EDUCATIONAL VIDEOS
DATA
  • DOWNLOADABLE DATA
  • PUBLICATION DATA
  • RELEASE HISTORY
HELP
  • ANTIBODY VALIDATION
  • ASSAYS & ANNOTATION
  • DISCLAIMER
  • HELP & FAQ
  • PRIVACY STATEMENT
  • LICENCE & CITATION
Fields »
Search result

Field
Term
Gene name
Class
Subclass
Class
Keyword
Chromosome
External id
Tissue
Cell type
Expression
Antibody panel
Tissue
Main location
Patient ID
Annotation
Tissue
Category
Tau score
Cluster
Reliability
Brain region
Category
Tau score
Brain region
Category
Tau score
Brain region
Category
Tau score
Cluster
Reliability
Tissue
Cell type
Enrichment
Cell type
Category
Tau score
Cell type
Category
Tau score
Cell type
Category
Tau score
Cell lineage
Category
Tau score
Cluster
Cluster
Location
Searches
Location
Cell line
Class
Type
Phase
Reliability
Cancer
Prognosis
Cancer
Category
Cancer
Category
Tau score
Cluster
Variants
Interacting gene (ensg_id)
Type
Number of interactions
Pathway
Category
Score
Score
Score
Validation
Validation
Validation
Validation
Antibodies
Data type
Column


  • SUMMARY

  • TISSUE

  • BRAIN

  • SINGLE CELL

  • SUBCELL

  • CANCER

  • BLOOD

  • CELL LINE

  • STRUCT & INT

  • CA12
TISSUE PRIMARY DATA SKIN 2 Show tissue menu
ADIPOSE TISSUE ADRENAL GLAND AMYGDALA APPENDIX BASAL GANGLIA BONE MARROW BREAST BRONCHUS CEREBELLUM CEREBRAL CORTEX CERVIX CHOROID PLEXUS COLON DUODENUM
ENDOMETRIUM EPIDIDYMIS ESOPHAGUS FALLOPIAN TUBE GALLBLADDER HEART MUSCLE HIPPOCAMPAL FORMATION HYPOTHALAMUS KIDNEY LIVER LUNG LYMPH NODE MIDBRAIN NASOPHARYNX
ORAL MUCOSA OVARY PANCREAS PARATHYROID GLAND PITUITARY GLAND PLACENTA PROSTATE RECTUM RETINA SALIVARY GLAND SEMINAL VESICLE SKELETAL MUSCLE SKIN SMALL INTESTINE
SMOOTH MUSCLE SOFT TISSUE SPINAL CORD SPLEEN STOMACH TESTIS THYMUS THYROID GLAND TONGUE TONSIL URINARY BLADDER VAGINA
ANTIBODIES
AND
VALIDATION
Dictionary
Tissue proteome
SKIN - Expression summary
Protein expression
Skini

On the top, protein expression in current human tissue, based on all annotated cell types, is reported with the units not detected (n), low (l), medium (m) and high (h). Underneath, protein expression in each annotated cell type are reported using the same units.

Protein expression data is based on knowledge-based annotation. For genes where more than one antibody has been used, a collective score is set.

If knowledge-based annotation could not be performed for a gene, no data is displayed here. View antibody staining data further down this page.

h
m
l
n
Arrector pili muscle cells: Not detected
Cells in basal layer: High
Cells in corneal layer: Not detected
Cells in granular layer: Not detected
Cells in spinous layer: Medium
Eccrine glands: Medium
Endothelial cells: Not detected
Extracellular matrix: Not detected
Fibrohistiocytic cells: Low
Hair follicles: Medium
Langerhans cells: Not detected
Lymphocytes: Not detected
Melanocytes: Not detected
Sebaceous glands: Low
Vascular mural cells: Not detected
RNA expressioni

A summary of mRNA expression data available for current tissue based on several datasets. The mRNA expression levels in human tissues are based on RNA-seq data generated by the Human Protein Atlas (HPA), Genotype-Tissue Expression (GTEx) portal and CAGE data generated by the FANTOM5 consortium. Consensus normalized expression levels for human tissues was created by combining the data from HPA and GTEx datasets.

The mRNA expression levels in pig are based on RNA-seq data generated by the Human Protein Atlas (HPA), and for mouse, HPA data and in situ hybridization generated by the Allen brain atlas are reported.

Scroll down to view mRNA expression data in more detail.
Consensus:138.4 nTPM
HPA:138.4 nTPM
GTEx:113.6 nTPM

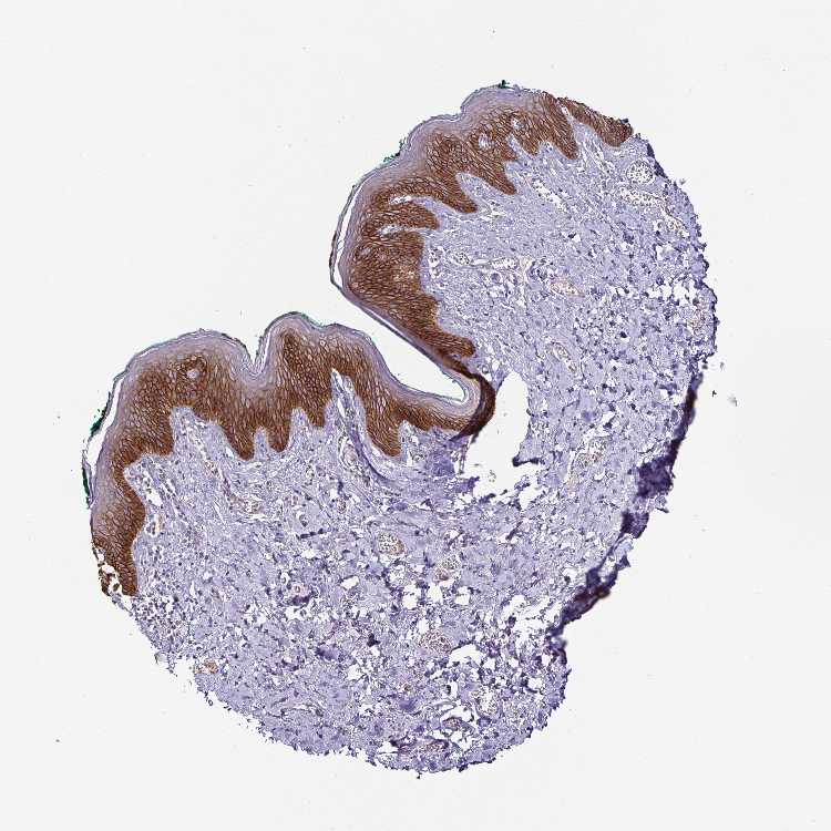
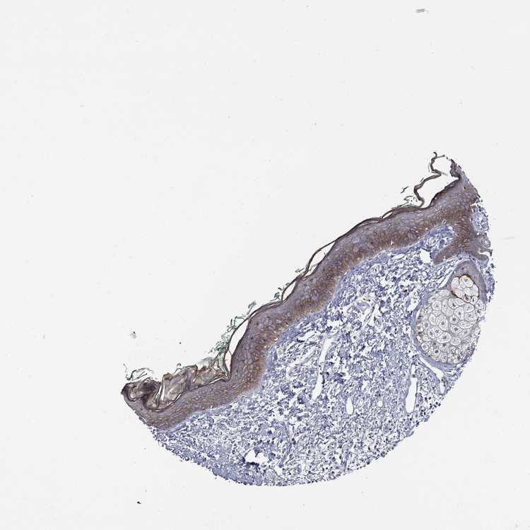
SKIN 1 - Antibody stainingi

Antibody staining in the annotated cell types in the current human tissue is reported as not detected, low, medium, or high, based on conventional immunohistochemistry profiling in selected tissues. This score is based on the combination of the staining intensity and fraction of stained cells.

Each image is clickable and will lead to virtual microscopy that enables deeper exploration of all samples and also displays staining intensity scores, fraction scores and subcellular localization as well as patient and tissue information for each sample.

Antibody HPA008773Antibody HPA073203Antibody CAB025181Antibody CAB062549Antibody CAB068179
Langerhans Not detectedNot detected-Not detectedNot detected
Cells in basal layer --Medium--
Cells in corneal layer --Not detected--
Cells in granular layer --Not detected--
Cells in spinous layer --Medium--
Endothelial cells --Not detected--
Extracellular matrix --Not detected--
Fibroblasts Not detectedNot detected-Not detectedNot detected
Fibrohistiocytic cells --Not detected--
Keratinocytes MediumMedium-MediumNot detected
Langerhans cells --Not detected--
Lymphocytes --Not detected--
Melanocytes LowNot detectedNot detectedNot detectedNot detected
Vascular mural cells --Not detected--
     
     









SKIN 2 - Antibody stainingi

Antibody staining in the annotated cell types in the current human tissue is reported as not detected, low, medium, or high, based on conventional immunohistochemistry profiling in selected tissues. This score is based on the combination of the staining intensity and fraction of stained cells.

Each image is clickable and will lead to virtual microscopy that enables deeper exploration of all samples and also displays staining intensity scores, fraction scores and subcellular localization as well as patient and tissue information for each sample.

Antibody HPA008773Antibody HPA073203Antibody CAB025181Antibody CAB062549Antibody CAB068179
Arrector pili muscle cells --Not detected--
Cells in basal layer --High--
Cells in corneal layer --Not detected--
Cells in granular layer --Not detected--
Cells in spinous layer --Medium--
Eccrine glands --Medium--
Endothelial cells --Not detected--
Epidermal cells HighHigh-MediumLow
Extracellular matrix --Not detected--
Fibrohistiocytic cells --Low--
Hair follicles --Medium--
Langerhans cells --Not detected--
Lymphocytes --Not detected--
Melanocytes --Not detected--
Sebaceous glands --Low--
Vascular mural cells --Not detected--









SKIN - HPA RNA-seqi

The RNA-seq details section shows detailed information about the individual samples used for the transcript profiling and results of the RNA-seq analysis.

Information about each individual sample is listed below, including gender, age, a tissue section image and estimated fractions of cell types. nTPM (normalized transcripts per million) values give a quantification of the gene abundance which is comparable between different genes and samples.
Average nTPMi

Max subtype nTPM is the value for the subtype with the largest average nTPM across the subtype samples.

138.4
overview
Female, age 34
Skin sample 225
nTPM: 144.3
Cell types%
Keratinocytes:
60

Other cell types:
40

overview
Female, age 30
Skin sample 226
nTPM: 165.3
Cell types%
Keratinocytes:
55

Other cell types:
45

N/A
Male, age 57
Skin sample 227
nTPM: 105.7

SKIN - GTEx RNA-seqi

RNA-Seq data generated by the Genotype-Tissue Expression (GTEx) project from human tissues is reported as mean nTPM. More information can be found on the GTEx portal.

Distribution across the dataset is visualized with box plots, shown as median and 25th and 75th percentiles. Points are displayed as outliers if they are above or below 1.5 times the interquartile range. nTPM values of the individual samples are presented next to the box plot.
Max subtype nTPMi

Max subtype nTPM is the value for the subtype with the largest average nTPM across the subtype samples.

113.6
GTEx sample id Sample description nTPM
Skin - Not Sun Exposed (Suprapubic)
Average nTPM: 113.6
Samples: 604

Max nTPM: 297.2
Min nTPM: 6.5
Std nTPM: 42.1
Median nTPM: 110.6
GTEX-1NV5F-0626-SM-DTXEG 60-69 years, female 297.2
GTEX-1F6RS-2026-SM-7RHHC 60-69 years, female 271.6
GTEX-1JMQL-2226-SM-CNPP4 50-59 years, female 265.1
GTEX-11LCK-2226-SM-5HL4Q 30-39 years, male 236.5
GTEX-1R46S-2426-SM-E76QA 60-69 years, female 232.4
GTEX-1HCU7-0726-SM-A9SL1 50-59 years, male 230.2
GTEX-148VJ-0626-SM-5LUAW 70-79 years, male 229.0
GTEX-1HR9M-2226-SM-CNPPY 60-69 years, male 227.0
GTEX-15UF6-1926-SM-7KUDV 70-79 years, female 226.3
GTEX-14C38-0726-SM-5SI6M 50-59 years, male 225.0
GTEX-ZYVF-0926-SM-5E44J 50-59 years, female 223.1
GTEX-1A3MX-2626-SM-7PC24 60-69 years, male 219.6
GTEX-1I1GU-0926-SM-ACKVS 40-49 years, male 218.3
GTEX-13SLW-0626-SM-5Q5ER 70-79 years, male 214.8
GTEX-15ER7-0626-SM-6PANF 20-29 years, female 212.6
GTEX-1PBJJ-1026-SM-E76OS 30-39 years, male 212.6
GTEX-1IE54-1126-SM-A9G2Z 40-49 years, female 206.2
GTEX-13QJC-0126-SM-5ZZWJ 60-69 years, female 200.7
GTEX-1C6VQ-1226-SM-73KYD 50-59 years, male 199.3
GTEX-1H2FU-0926-SM-9WPPT 60-69 years, female 198.5
GTEX-13NYC-0126-SM-5L3F4 60-69 years, male 197.1
GTEX-1GPI6-1926-SM-9KNV7 60-69 years, male 197.1
GTEX-ZYY3-2926-SM-5GIEB 60-69 years, female 196.8
GTEX-13PL6-1126-SM-5L3IE 40-49 years, female 194.0
GTEX-V1D1-2026-SM-3GAF4 50-59 years, male 193.9
GTEX-11PRG-0726-SM-5EGL1 50-59 years, male 193.2
GTEX-1GN1V-2826-SM-9JGIA 60-69 years, male 191.9
GTEX-1J1OQ-0126-SM-D4P2N 40-49 years, female 191.9
GTEX-1EMGI-2326-SM-7PBYA 60-69 years, male 189.9
GTEX-144FL-0626-SM-5LU43 50-59 years, male 189.8
GTEX-14C39-1726-SM-5RQIL 40-49 years, male 189.7
GTEX-1GN73-0726-SM-7P8TJ 60-69 years, male 189.3
GTEX-13NZ8-1226-SM-5KM4A 60-69 years, female 188.6
GTEX-1A3MW-0626-SM-731CB 60-69 years, female 187.3
GTEX-139UW-0326-SM-5J1ML 60-69 years, male 186.8
GTEX-13O3O-2326-SM-5IJD6 60-69 years, female 186.6
GTEX-1GF9X-1326-SM-7PC2Y 40-49 years, female 186.0
GTEX-11ZU8-0126-SM-5EQ58 60-69 years, male 183.5
GTEX-1C2JI-1026-SM-73KY1 50-59 years, male 182.9
GTEX-1QPFJ-1926-SM-EVYBD 30-39 years, female 180.1
GTEX-1F88F-0126-SM-9WYSZ 60-69 years, female 179.8
GTEX-ZY6K-1426-SM-5GZX2 50-59 years, male 178.8
GTEX-1LKK1-2626-SM-DKPQE 50-59 years, female 178.5
GTEX-1LSVX-2526-SM-DIPEU 60-69 years, male 178.5
GTEX-1JMQI-1726-SM-ARL93 50-59 years, male 178.4
GTEX-1A8G7-1326-SM-73KVM 60-69 years, male 177.5
GTEX-1IDFM-0326-SM-ARL7V 60-69 years, male 177.0
GTEX-1HBPN-0126-SM-CGQEF 50-59 years, male 176.0
GTEX-1HBPM-0726-SM-9YFL7 60-69 years, female 175.9
GTEX-13OVH-0526-SM-5L3E6 70-79 years, male 175.8
GTEX-15G1A-1626-SM-7KUKN 30-39 years, male 175.8
GTEX-1H23P-0626-SM-9WG6T 60-69 years, male 175.6
GTEX-11EQ8-0926-SM-5H12V 60-69 years, male 174.8
GTEX-1B97I-0626-SM-73KUZ 40-49 years, male 173.6
GTEX-1HGF4-0126-SM-CNPPX 60-69 years, male 172.9
GTEX-13IVO-0726-SM-5LZYV 70-79 years, male 172.4
GTEX-16XZZ-0726-SM-7KUF2 60-69 years, male 172.3
GTEX-1PPH7-1126-SM-DTX9A 40-49 years, male 171.1
GTEX-1K9T9-1526-SM-DIPFR 50-59 years, female 168.6
GTEX-144GO-2026-SM-5O99P 60-69 years, male 167.8
GTEX-1GZ4I-2626-SM-9KNU3 50-59 years, male 167.8
GTEX-13113-1626-SM-5EQ4I 60-69 years, female 167.3
GTEX-13O3Q-0126-SM-5KM34 50-59 years, male 167.2
GTEX-1H3VE-0726-SM-9YFL5 40-49 years, male 167.1
GTEX-1ICLY-0826-SM-CMKG1 50-59 years, male 166.4
GTEX-1CB4J-1326-SM-7P8RX 60-69 years, male 166.0
GTEX-1HCVE-2726-SM-CL54F 50-59 years, male 165.5
GTEX-1KAFJ-0126-SM-DIPEK 50-59 years, male 165.2
GTEX-1C64N-2626-SM-7PC2N 50-59 years, male 164.9
GTEX-1PDJ9-1226-SM-EXUSX 20-29 years, male 164.7
GTEX-13OVK-1426-SM-6PAN7 40-49 years, male 164.2
GTEX-1H1DE-1326-SM-9KNUG 20-29 years, male 164.2
GTEX-13YAN-0226-SM-5TDC6 60-69 years, male 163.9
GTEX-1S82U-1026-SM-E6CJK 30-39 years, female 163.8
GTEX-1QW4Y-1126-SM-DTXE3 30-39 years, male 163.7
GTEX-1EX96-1026-SM-7MKG2 50-59 years, male 162.9
GTEX-1RAZQ-1326-SM-E9TK6 30-39 years, male 162.4
GTEX-1J8Q2-2626-SM-ACKWQ 60-69 years, male 162.2
GTEX-145MI-0626-SM-5SI8S 60-69 years, female 161.7
GTEX-1J8EW-2726-SM-CY8HR 60-69 years, female 161.3
GTEX-1ICLZ-0326-SM-ARL82 60-69 years, male 159.8
GTEX-133LE-2326-SM-5K7W3 20-29 years, female 159.7
GTEX-1HT8W-0626-SM-A9G2H 30-39 years, male 159.2
GTEX-XBED-1926-SM-47JYP 60-69 years, male 159.0
GTEX-144GL-0626-SM-5LU4D 50-59 years, male 158.8
GTEX-WI4N-2726-SM-3LK7Y 40-49 years, female 158.8
GTEX-13OW6-2726-SM-5J2OE 50-59 years, male 158.0
GTEX-U8XE-0226-SM-4E3J3 30-39 years, male 157.8
GTEX-1QP2A-1726-SM-E76QC 50-59 years, male 157.2
GTEX-13O61-1426-SM-5KM3D 60-69 years, male 156.5
GTEX-1JJEA-1826-SM-ARU8P 60-69 years, male 156.1
GTEX-1IL2V-1926-SM-B2LW8 70-79 years, male 156.0
GTEX-1JN1M-2726-SM-CY8I4 60-69 years, female 155.6
GTEX-1GN1U-0626-SM-9MQL9 50-59 years, female 155.5
GTEX-145MH-2826-SM-5RQJF 50-59 years, male 155.4
GTEX-11WQC-1826-SM-5GU59 60-69 years, male 154.9
GTEX-1HCU6-2526-SM-ADEHL 60-69 years, female 154.0
GTEX-WHSB-1326-SM-3LK6W 50-59 years, male 153.5
GTEX-13VXT-1926-SM-5K7UO 20-29 years, female 153.2
GTEX-X8HC-0626-SM-4E3HQ 50-59 years, female 153.0
GTEX-ZE9C-2526-SM-5IJDR 60-69 years, male 153.0
GTEX-15SKB-2826-SM-6PAMH 60-69 years, male 152.6
GTEX-1R9K4-2826-SM-DTX8F 60-69 years, male 152.3
GTEX-11GS4-0226-SM-5HL77 60-69 years, male 152.1
GTEX-1KXAM-1626-SM-D3LAD 60-69 years, male 151.8
GTEX-1NSGN-0726-SM-DTXEF 50-59 years, male 151.6
GTEX-13PDP-0726-SM-5L3HP 60-69 years, male 151.4
GTEX-1H4P4-2126-SM-9WYSL 50-59 years, male 149.6
GTEX-VUSG-2326-SM-4KL1U 50-59 years, male 149.4
GTEX-12WSH-1526-SM-5BC5W 50-59 years, male 148.9
GTEX-17F9Y-0126-SM-79OKX 70-79 years, female 147.7
GTEX-11P81-2226-SM-5PNYI 30-39 years, female 147.4
GTEX-12ZZX-2426-SM-5GCOE 40-49 years, female 147.4
GTEX-1HSMQ-2626-SM-A9SML 50-59 years, male 147.4
GTEX-17HGU-2326-SM-7DUFE 50-59 years, male 147.2
GTEX-14B4R-1326-SM-5Q5EZ 30-39 years, male 145.6
GTEX-15DDE-2926-SM-6LLJ3 50-59 years, female 145.6
GTEX-1IKJJ-2226-SM-CJI4C 60-69 years, male 145.1
GTEX-13JVG-0726-SM-5KM16 60-69 years, male 144.7
GTEX-14A6H-2026-SM-5Q5DD 30-39 years, male 144.5
GTEX-1313W-0626-SM-5EQ4H 50-59 years, female 144.1
GTEX-1QP28-1126-SM-EVYC4 50-59 years, female 144.1
GTEX-ZTX8-1326-SM-4YCEL 20-29 years, male 143.9
GTEX-1C6VR-0126-SM-7RHGB 60-69 years, male 143.9
GTEX-1HCU8-2526-SM-CE6RX 60-69 years, female 143.5
GTEX-1H1DF-1126-SM-9WG7G 40-49 years, female 143.3
GTEX-1I1CD-0626-SM-CE6SW 60-69 years, female 142.9
GTEX-1LG7Y-2526-SM-EWRO7 50-59 years, male 142.6
GTEX-1EU9M-1426-SM-793AI 60-69 years, male 142.3
GTEX-14LLW-2626-SM-62LDZ 70-79 years, female 142.2
GTEX-1R9PN-0426-SM-DTXDT 40-49 years, female 142.0
GTEX-1GL5R-1326-SM-7RHHF 50-59 years, male 141.1
GTEX-1A8G6-2726-SM-731AR 60-69 years, male 140.8
GTEX-1269C-0126-SM-5EQ5L 60-69 years, female 140.7
GTEX-13OW5-2326-SM-5L3HO 60-69 years, male 140.2
GTEX-14753-0726-SM-5QGQO 60-69 years, male 140.2
GTEX-ZZPU-0826-SM-5GZX5 50-59 years, female 139.9
GTEX-1F5PK-2226-SM-7SB6N 50-59 years, male 139.7
GTEX-13FLV-0126-SM-5K7WT 50-59 years, male 139.1
GTEX-1AMFI-1326-SM-7939R 50-59 years, female 139.0
GTEX-1IDJV-0126-SM-COH3Y 60-69 years, male 139.0
GTEX-1QCLY-0226-SM-EWRNH 30-39 years, male 138.9
GTEX-17HII-1426-SM-7EPGG 50-59 years, male 138.5
GTEX-1IKOE-1426-SM-CE6T7 30-39 years, female 138.4
GTEX-WHSE-0126-SM-3NMBT 20-29 years, male 137.9
GTEX-ZLV1-1526-SM-DO91J 60-69 years, female 137.7
GTEX-1LVAM-0726-SM-E6CIL 50-59 years, female 137.6
GTEX-1N2DV-1526-SM-DTXEP 40-49 years, male 137.4
GTEX-1GZ2Q-0126-SM-9WG6M 40-49 years, male 137.3
GTEX-1AMEY-0826-SM-72D65 30-39 years, female 137.2
GTEX-1H3O1-1326-SM-9MQLD 60-69 years, male 137.1
GTEX-15CHC-1126-SM-6LLHQ 60-69 years, female 137.0
GTEX-1F75B-0726-SM-7PC3R 50-59 years, male 136.9
GTEX-12WSM-1926-SM-5BC65 60-69 years, male 136.8
GTEX-1B932-2326-SM-79OL5 40-49 years, female 136.6
GTEX-WHPG-2626-SM-3NMBR 50-59 years, male 136.4
GTEX-1LSNL-2726-SM-E9TKJ 50-59 years, male 136.1
GTEX-147JS-0226-SM-5S2U9 60-69 years, male 135.7
GTEX-14PKU-0126-SM-6LLHV 40-49 years, female 135.7
GTEX-1HSKV-1226-SM-ADEI4 60-69 years, male 135.5
GTEX-1RLM8-2926-SM-E8VON 50-59 years, male 134.6
GTEX-147GR-2426-SM-5ZZWQ 60-69 years, male 134.3
GTEX-1399S-0126-SM-5IJCF 30-39 years, female 133.8
GTEX-14ICL-1626-SM-5YYAO 30-39 years, male 133.3
GTEX-1H11D-1826-SM-9QEHM 40-49 years, male 133.2
GTEX-13N1W-2426-SM-5IJD1 70-79 years, male 132.9
GTEX-1S83E-1326-SM-E6CJM 40-49 years, male 132.6
GTEX-1CAMQ-1326-SM-7P8RV 40-49 years, male 132.5
GTEX-1GMRU-2126-SM-7P8RA 50-59 years, male 132.5
GTEX-1PPH8-0126-SM-EWRN8 20-29 years, male 132.5
GTEX-1F75A-0726-SM-7RHHD 50-59 years, male 132.3
GTEX-13FHO-0426-SM-5L3F5 60-69 years, male 132.2
GTEX-ZVT4-2426-SM-5GIEI 50-59 years, female 132.2
GTEX-11ZTT-2126-SM-5CVLO 60-69 years, female 132.1
GTEX-14PJ4-0226-SM-5YY92 60-69 years, male 131.9
GTEX-WHWD-1826-SM-3LK6I 50-59 years, male 131.8
GTEX-ZYFC-0426-SM-5GICQ 50-59 years, male 131.7
GTEX-X5EB-1926-SM-4E3IW 40-49 years, male 131.6
GTEX-1HSMO-0626-SM-ACKXC 60-69 years, male 130.6
GTEX-1MJK3-0726-SM-E6CJC 20-29 years, male 130.1
GTEX-12WSJ-1126-SM-5LZVJ 40-49 years, female 129.6
GTEX-11P82-1426-SM-DTXFY 20-29 years, male 129.6
GTEX-1F75I-2226-SM-7SB8U 40-49 years, male 129.6
GTEX-1J8QM-2426-SM-A9SLS 60-69 years, female 129.5
GTEX-12ZZZ-0726-SM-5GCNZ 60-69 years, male 129.4
GTEX-1GPI7-1826-SM-9KNU1 20-29 years, male 129.1
GTEX-1JJ6O-2726-SM-CNPOG 60-69 years, male 129.1
GTEX-14XAO-1226-SM-6EU1C 60-69 years, female 128.9
GTEX-1I1HK-2326-SM-CKZOH 60-69 years, male 128.5
GTEX-1OJC4-2726-SM-E76PJ 50-59 years, female 128.4
GTEX-YECK-0326-SM-4W1YS 60-69 years, male 127.8
GTEX-1PIIG-2326-SM-DTXFR 30-39 years, male 127.7
GTEX-1HB9E-0126-SM-CM2S5 50-59 years, male 127.6
GTEX-XXEK-1626-SM-4BRUZ 50-59 years, male 127.4
GTEX-13OW7-0426-SM-5K7VK 50-59 years, male 126.8
GTEX-1LVA9-2626-SM-EVYD4 50-59 years, male 126.7
GTEX-WY7C-2126-SM-3NB2R 50-59 years, male 126.4
GTEX-17F97-2626-SM-7IGM5 50-59 years, male 126.3
GTEX-1AYD5-2626-SM-7PBXY 50-59 years, male 126.3
GTEX-WYBS-0626-SM-3NMAS 60-69 years, female 125.9
GTEX-1QMI2-2526-SM-E8VNZ 60-69 years, male 125.7
GTEX-1HR98-2226-SM-ADEI2 60-69 years, male 125.5
GTEX-1GMR8-0626-SM-7RHI7 50-59 years, female 125.2
GTEX-1QAET-0326-SM-EVR3U 50-59 years, male 125.1
GTEX-1I1GS-2626-SM-B2LY3 60-69 years, male 125.0
GTEX-14PII-0726-SM-6EU2B 60-69 years, male 124.7
GTEX-ZE7O-2726-SM-51MT5 50-59 years, female 124.6
GTEX-11ZUS-2626-SM-5FQUR 30-39 years, male 124.5
GTEX-17EVP-2626-SM-7IGMA 40-49 years, male 124.4
GTEX-1GN2E-0226-SM-9WG6K 60-69 years, male 124.4
GTEX-1B8KZ-0326-SM-73KY4 50-59 years, male 124.3
GTEX-WFG7-2026-SM-5SI7P 20-29 years, male 124.2
GTEX-1GN1W-2426-SM-9KNUU 50-59 years, female 124.1
GTEX-144GM-0526-SM-79OJO 20-29 years, male 123.9
GTEX-13X6I-1826-SM-5SIAO 60-69 years, male 123.2
GTEX-111CU-1126-SM-5EGIM 50-59 years, male 122.9
GTEX-15EO6-2426-SM-6PALZ 50-59 years, male 122.9
GTEX-1GF9V-0826-SM-9KNUV 60-69 years, male 122.9
GTEX-11NUK-2726-SM-5A5MC 50-59 years, male 122.8
GTEX-1EH9U-2826-SM-7DUGT 60-69 years, male 122.8
GTEX-1JMQK-1226-SM-D4P2S 60-69 years, male 122.8
GTEX-13G51-1826-SM-5KLZH 60-69 years, male 122.6
GTEX-145LU-1926-SM-79OJN 50-59 years, male 122.4
GTEX-ZXG5-2126-SM-59HKD 60-69 years, male 122.4
GTEX-11WQK-1026-SM-5EQLX 50-59 years, male 122.3
GTEX-12ZZY-0726-SM-5EQ66 60-69 years, male 122.0
GTEX-1CB4E-0926-SM-7EPHT 60-69 years, male 121.9
GTEX-1PPGY-1626-SM-EVYBL 60-69 years, male 121.9
GTEX-1MCC2-1826-SM-DIPEX 30-39 years, female 121.8
GTEX-1R7EU-1626-SM-DTXG3 60-69 years, male 121.6
GTEX-1POEN-2326-SM-E9J2L 30-39 years, female 121.5
GTEX-15RJE-2826-SM-7KUM9 40-49 years, male 121.4
GTEX-1EKGG-0626-SM-7DUGJ 60-69 years, male 121.4
GTEX-1J8Q3-0526-SM-ARL8U 60-69 years, male 121.3
GTEX-14BIN-1126-SM-5RQJZ 50-59 years, female 121.1
GTEX-18QFQ-1826-SM-72D52 30-39 years, male 121.1
GTEX-14PJ5-1526-SM-6LLIL 60-69 years, female 120.9
GTEX-15G19-2426-SM-7KUMR 60-69 years, male 120.8
GTEX-1B8L1-2226-SM-7P8PT 60-69 years, male 120.6
GTEX-Y111-0626-SM-4SOIT 50-59 years, male 120.5
GTEX-13X6K-0626-SM-5LU5D 60-69 years, female 120.3
GTEX-1I1GT-1026-SM-ARZLV 60-69 years, female 120.2
GTEX-1122O-1026-SM-9WYSF 60-69 years, female 119.4
GTEX-13FTX-1526-SM-5K7VJ 20-29 years, female 119.2
GTEX-14LZ3-0126-SM-69LPM 60-69 years, female 119.0
GTEX-UPJH-0226-SM-3GADV 50-59 years, male 119.0
GTEX-131XF-2626-SM-5EQ6K 60-69 years, male 118.9
GTEX-XYKS-1426-SM-4BRUO 60-69 years, female 118.8
GTEX-WYVS-1626-SM-3NM9R 40-49 years, female 118.6
GTEX-1S82P-2126-SM-E6CI5 60-69 years, female 118.6
GTEX-ZDTT-0426-SM-4WKFL 60-69 years, male 118.4
GTEX-1F88E-1626-SM-7SB8Z 60-69 years, female 118.3
GTEX-Y3I4-1726-SM-4TT89 50-59 years, male 118.2
GTEX-XUW1-0926-SM-4BONX 50-59 years, female 118.1
GTEX-17MF6-2626-SM-79OKQ 40-49 years, male 117.9
GTEX-1JN6P-2926-SM-CL54D 60-69 years, male 117.9
GTEX-11DXY-0126-SM-5H11Q 60-69 years, male 117.8
GTEX-ZC5H-1526-SM-5HL9Y 40-49 years, female 117.7
GTEX-17HG3-2626-SM-7DUF2 30-39 years, female 117.5
GTEX-14PHX-2226-SM-6EU2P 50-59 years, male 117.4
GTEX-1BAJH-2426-SM-7IGP8 70-79 years, male 117.4
GTEX-ZVE1-0726-SM-51MRN 50-59 years, female 117.1
GTEX-1I1GV-0626-SM-ARL7M 60-69 years, male 117.1
GTEX-1CAMS-2226-SM-7PBXQ 40-49 years, female 117.0
GTEX-XQ8I-0926-SM-4BOOF 50-59 years, male 116.8
GTEX-14JFF-0626-SM-5ZZVT 60-69 years, male 116.8
GTEX-1GTWX-2026-SM-9YFLM 60-69 years, male 116.8
GTEX-15D1Q-2826-SM-6LLH7 40-49 years, male 116.7
GTEX-1JK1U-0226-SM-ARZMX 60-69 years, male 116.3
GTEX-13D11-0926-SM-5J2NC 50-59 years, female 116.2
GTEX-1JJE9-2626-SM-ARZMT 70-79 years, male 116.2
GTEX-13W3W-0726-SM-5IJDQ 60-69 years, female 115.8
GTEX-X585-2426-SM-46MW2 50-59 years, male 115.6
GTEX-1JMQJ-0826-SM-CNPP7 50-59 years, male 115.6
GTEX-11DXZ-2026-SM-5987S 50-59 years, male 115.4
GTEX-12126-0826-SM-5FQTZ 20-29 years, male 115.2
GTEX-13OVL-0126-SM-5L3GJ 50-59 years, male 115.2
GTEX-18A67-1626-SM-7LT9T 50-59 years, male 115.1
GTEX-ZVZP-1226-SM-5GID7 50-59 years, male 114.4
GTEX-Y9LG-1126-SM-4VBQ7 30-39 years, male 114.2
GTEX-1JN76-0626-SM-CKZOQ 20-29 years, female 114.2
GTEX-1GZHY-0626-SM-9KNVC 50-59 years, female 114.1
GTEX-1B8KE-1126-SM-7EPHI 50-59 years, male 114.0
GTEX-ZF29-0926-SM-4WKFZ 60-69 years, female 114.0
GTEX-1RAZR-2126-SM-E9U6T 40-49 years, male 113.9
GTEX-145LS-0626-SM-7EPG7 60-69 years, female 113.8
GTEX-15EU6-2226-SM-6EU2L 50-59 years, male 113.8
GTEX-1IOXB-2726-SM-CM2RI 50-59 years, male 113.8
GTEX-1MCYP-0526-SM-E9U6Q 20-29 years, female 113.5
GTEX-17HHY-0426-SM-7DHLC 50-59 years, male 113.4
GTEX-18465-2826-SM-7LT9J 50-59 years, male 113.1
GTEX-1JKYR-0626-SM-ARL8R 20-29 years, male 112.9
GTEX-1H1DG-2426-SM-9QEHJ 70-79 years, male 112.6
GTEX-1S5ZU-2526-SM-E6CIF 20-29 years, female 112.5
GTEX-11TUW-0626-SM-5LU9M 60-69 years, male 112.4
GTEX-1F48J-0726-SM-7RHGS 50-59 years, female 112.4
GTEX-11EM3-1226-SM-5N9DD 20-29 years, female 112.3
GTEX-16MT9-0126-SM-7EPI8 60-69 years, female 112.0
GTEX-1HBPI-2126-SM-ARL9K 50-59 years, male 111.3
GTEX-1CB4F-1026-SM-7DUH1 60-69 years, male 111.1
GTEX-1OJC3-1226-SM-DTXER 20-29 years, male 110.8
GTEX-139TU-0726-SM-5L3EK 60-69 years, male 110.7
GTEX-1B933-2426-SM-7DHMD 50-59 years, female 110.4
GTEX-ZDYS-2426-SM-4WKGI 50-59 years, male 110.4
GTEX-139D8-1126-SM-5LU8W 30-39 years, female 110.1
GTEX-1B8SF-0126-SM-7DUG3 60-69 years, male 109.9
GTEX-1K2DU-1226-SM-CYPT4 20-29 years, male 109.9
GTEX-11OF3-0126-SM-5PNYF 60-69 years, male 109.8
GTEX-13PVQ-0626-SM-5LU47 50-59 years, male 109.8
GTEX-1HKZK-0726-SM-ACKW2 40-49 years, male 109.5
GTEX-1HFI7-2326-SM-CGQFS 50-59 years, female 109.2
GTEX-ZPIC-0526-SM-DO91W 40-49 years, female 109.2
GTEX-111VG-1626-SM-5EGIO 60-69 years, male 109.1
GTEX-1EN7A-2426-SM-793DB 40-49 years, male 109.1
GTEX-XBEW-1126-SM-4QARW 40-49 years, male 109.0
GTEX-18A6Q-0626-SM-7KFRP 60-69 years, male 108.9
GTEX-14PJN-1826-SM-6AJ98 30-39 years, male 108.2
GTEX-ZYT6-2326-SM-5GZY3 30-39 years, male 108.1
GTEX-14PHY-1226-SM-5ZZWK 60-69 years, female 108.0
GTEX-183WM-0326-SM-72D5V 70-79 years, female 107.9
GTEX-17MFQ-1526-SM-7KFRR 20-29 years, male 107.8
GTEX-1F52S-2926-SM-7MKGA 60-69 years, female 107.7
GTEX-WEY5-2326-SM-3GIKK 40-49 years, female 107.6
GTEX-1IDJH-0126-SM-D3L92 70-79 years, male 106.7
GTEX-1CB4H-1126-SM-7MKGL 60-69 years, female 106.3
GTEX-131XG-0326-SM-5L3DX 50-59 years, female 106.1
GTEX-W5X1-2526-SM-3GILC 40-49 years, female 105.9
GTEX-1IDJU-1726-SM-CMKHU 60-69 years, female 105.5
GTEX-14BMU-1226-SM-5S2OR 20-29 years, female 105.4
GTEX-ZF2S-1626-SM-57WES 50-59 years, female 105.4
GTEX-1RMOY-1326-SM-E9TIH 50-59 years, male 105.2
GTEX-1AX9I-2226-SM-73KUO 60-69 years, male 104.9
GTEX-16YQH-2226-SM-7IGM2 30-39 years, male 104.8
GTEX-13OW8-1026-SM-5J1NQ 60-69 years, male 104.1
GTEX-14PJ3-1126-SM-5ZZVX 50-59 years, male 104.0
GTEX-11DXX-2126-SM-5PNYR 60-69 years, female 103.8
GTEX-1RAZS-2526-SM-E6CHT 50-59 years, male 103.6
GTEX-147F4-0726-SM-5TDDD 50-59 years, male 103.5
GTEX-14BMV-2826-SM-5TDED 50-59 years, male 103.5
GTEX-1IDJI-0126-SM-CMKHS 50-59 years, female 103.4
GTEX-1GZ4H-0526-SM-9KNU9 50-59 years, female 103.2
GTEX-13FTY-2126-SM-5IFFB 40-49 years, female 103.0
GTEX-13SLX-2226-SM-62LEP 50-59 years, female 103.0
GTEX-11O72-0626-SM-5PNYE 40-49 years, male 102.7
GTEX-12KS4-2126-SM-5FQUT 30-39 years, male 102.4
GTEX-ZT9X-1526-SM-5DUXD 40-49 years, male 102.2
GTEX-12WSK-2126-SM-5CVNC 40-49 years, female 102.1
GTEX-13OVJ-0826-SM-5J1OK 50-59 years, female 101.8
GTEX-1399Q-2326-SM-5KM2X 40-49 years, male 101.7
GTEX-1A8FM-0626-SM-7PC25 50-59 years, female 101.5
GTEX-13NYS-0626-SM-5L3F1 60-69 years, male 101.4
GTEX-13X6J-0626-SM-5LU5F 50-59 years, male 101.2
GTEX-1KANB-2826-SM-CY8I6 50-59 years, male 101.2
GTEX-13112-0126-SM-5P9IU 50-59 years, male 101.1
GTEX-17HHE-1326-SM-7EWDZ 50-59 years, male 100.8
GTEX-13RTJ-0126-SM-5S2NN 60-69 years, male 100.6
GTEX-11DYG-1526-SM-5A5JS 60-69 years, male 100.1
GTEX-13VXU-0626-SM-5L3F9 50-59 years, male 99.9
GTEX-XMD2-2126-SM-4YCF8 60-69 years, female 99.6
GTEX-1LGRB-0926-SM-COH3K 50-59 years, female 99.2
GTEX-ZDTS-0826-SM-4WKHL 60-69 years, male 99.1
GTEX-1KWVE-1026-SM-D3L9O 30-39 years, male 99.0
GTEX-18D9U-0126-SM-731BM 40-49 years, male 98.8
GTEX-11P7K-1126-SM-5HL4L 30-39 years, male 98.5
GTEX-1LB8K-0726-SM-D5OV2 50-59 years, male 98.4
GTEX-1GF9W-1426-SM-7PBYM 60-69 years, male 98.0
GTEX-ZVT2-0126-SM-5GIDQ 50-59 years, female 97.8
GTEX-1I1GP-1326-SM-A9G28 50-59 years, male 97.8
GTEX-12WSF-1626-SM-7KUG5 70-79 years, male 97.6
GTEX-15RJ7-2126-SM-6PAMD 40-49 years, male 97.3
GTEX-X4EO-2926-SM-4E3JH 60-69 years, female 97.3
GTEX-1CAMR-1326-SM-7PC1F 20-29 years, male 96.9
GTEX-14PJ6-2626-SM-6EU2T 60-69 years, female 96.8
GTEX-1HSMP-0926-SM-A9SKX 70-79 years, male 96.8
GTEX-13FTW-0326-SM-5K7UW 40-49 years, male 96.7
GTEX-1N2EE-0626-SM-E76PW 60-69 years, male 96.7
GTEX-139TT-2126-SM-5LZWC 60-69 years, male 96.6
GTEX-13X6H-0926-SM-5SIB2 50-59 years, female 96.4
GTEX-1LVAN-0626-SM-CNPOQ 50-59 years, female 96.4
GTEX-WRHU-2826-SM-3MJG8 50-59 years, female 96.1
GTEX-11NSD-0626-SM-5A5LU 20-29 years, male 95.8
GTEX-YFCO-1226-SM-5LUAT 40-49 years, male 95.6
GTEX-14PJO-2526-SM-6AJBQ 60-69 years, male 95.4
GTEX-11GSP-2326-SM-5HL63 60-69 years, female 95.3
GTEX-13NYB-0126-SM-5J1MD 40-49 years, male 95.3
GTEX-1HSGN-0826-SM-ACKW3 40-49 years, female 95.3
GTEX-12WSC-2826-SM-5BC5Y 50-59 years, male 95.2
GTEX-1J8JJ-0626-SM-ARZMQ 60-69 years, female 95.2
GTEX-1QEPI-2626-SM-DTXF4 60-69 years, female 95.1
GTEX-12696-0126-SM-5EQ4L 60-69 years, male 94.7
GTEX-1C6WA-2626-SM-7MKGM 60-69 years, male 94.7
GTEX-ZWKS-0626-SM-5GIDV 30-39 years, male 94.7
GTEX-1K2DA-1026-SM-CGQGF 50-59 years, male 94.7
GTEX-15SHW-0226-SM-7LTAT 60-69 years, male 94.5
GTEX-11UD2-2526-SM-5CVNU 50-59 years, male 94.4
GTEX-14PJ2-0626-SM-6LLII 50-59 years, male 94.1
GTEX-17F9E-2326-SM-79OKD 50-59 years, male 93.9
GTEX-1JMPY-0226-SM-CKZOK 30-39 years, male 93.9
GTEX-ZAB4-2126-SM-5HL8U 40-49 years, male 93.8
GTEX-16Z82-2626-SM-7KULU 60-69 years, male 93.6
GTEX-1CAV2-0126-SM-7IGN7 40-49 years, female 93.6
GTEX-16BQI-1326-SM-6M486 30-39 years, female 93.5
GTEX-1JMLX-0626-SM-ARL8T 50-59 years, male 93.5
GTEX-131XW-0626-SM-5PNVD 50-59 years, female 93.4
GTEX-15FZZ-0526-SM-7KUGD 30-39 years, female 93.3
GTEX-1QP9N-1226-SM-E76QN 30-39 years, male 93.3
GTEX-15CHQ-0326-SM-69LQD 60-69 years, male 93.1
GTEX-17KNJ-2126-SM-718AM 50-59 years, male 93.1
GTEX-1A32A-0626-SM-731AQ 50-59 years, female 93.1
GTEX-1HCU9-0426-SM-9WYSD 20-29 years, male 93.1
GTEX-Z93S-1626-SM-5CVMB 50-59 years, male 92.9
GTEX-1314G-1326-SM-5BC6E 30-39 years, male 92.8
GTEX-1HFI6-0126-SM-CNPPI 40-49 years, male 92.7
GTEX-146FQ-2126-SM-5RQHU 30-39 years, male 92.6
GTEX-1H1E6-0426-SM-9WYUS 30-39 years, male 92.4
GTEX-145MF-0926-SM-5Q5EA 50-59 years, male 92.1
GTEX-1HC8U-1326-SM-9YFMJ 40-49 years, female 92.0
GTEX-1M4P7-0726-SM-E6CJ3 60-69 years, male 92.0
GTEX-1GMR3-0126-SM-A9SLW 40-49 years, male 91.9
GTEX-16NGA-0726-SM-731AO 40-49 years, female 91.4
GTEX-1S3DN-2126-SM-E9TIN 50-59 years, male 91.4
GTEX-ZGAY-1826-SM-DO91Q 40-49 years, female 91.4
GTEX-ZTSS-1426-SM-5985P 40-49 years, male 91.2
GTEX-ZVE2-2826-SM-5GU51 50-59 years, male 91.2
GTEX-1ICG6-1226-SM-A9SLN 70-79 years, female 91.1
GTEX-1JMPZ-0726-SM-CY8HZ 30-39 years, male 91.1
GTEX-139TS-2126-SM-5K7XC 60-69 years, male 90.8
GTEX-1EWIQ-0326-SM-7DHMQ 70-79 years, female 90.8
GTEX-1KANA-1326-SM-DIPFA 20-29 years, male 90.5
GTEX-1F5PL-0926-SM-7PC2W 40-49 years, female 90.4
GTEX-12WSD-0626-SM-5GCMW 60-69 years, female 89.9
GTEX-XPVG-2126-SM-4B667 50-59 years, male 89.9
GTEX-1R9PM-1926-SM-EVR3O 20-29 years, male 89.8
GTEX-XBEC-0726-SM-4QARZ 50-59 years, male 89.7
GTEX-15CHR-1126-SM-7EWF4 50-59 years, male 89.2
GTEX-1LGOU-1326-SM-D3L8M 20-29 years, female 89.2
GTEX-14E1K-2026-SM-7DUEI 50-59 years, male 89.0
GTEX-XAJ8-1426-SM-47JYM 40-49 years, male 88.8
GTEX-147F3-1726-SM-5SIAW 50-59 years, female 88.4
GTEX-ZAJG-1526-SM-5CVML 50-59 years, female 88.3
GTEX-1LVAO-2726-SM-E9TJ8 60-69 years, male 88.2
GTEX-1GMR2-0826-SM-7PC3V 50-59 years, male 87.8
GTEX-11VI4-1126-SM-5EQMD 40-49 years, female 87.7
GTEX-1477Z-0326-SM-7IGLA 60-69 years, male 87.4
GTEX-17F98-1326-SM-7DUEP 40-49 years, female 87.4
GTEX-1A3MV-1826-SM-731CD 30-39 years, male 87.4
GTEX-13PVR-0426-SM-5RQK2 60-69 years, female 87.3
GTEX-13U4I-2226-SM-5LU5H 40-49 years, female 86.8
GTEX-1192X-2726-SM-5N9DN 50-59 years, male 86.3
GTEX-13QBU-1226-SM-5LU4G 40-49 years, female 86.2
GTEX-Y114-2126-SM-4TT8B 50-59 years, female 86.2
GTEX-1399U-1126-SM-5L3DB 50-59 years, female 85.8
GTEX-1KANC-1226-SM-CYPT7 50-59 years, female 85.6
GTEX-XV7Q-1826-SM-4BRUV 40-49 years, female 85.3
GTEX-1LBAC-0826-SM-CY8IJ 20-29 years, male 85.1
GTEX-ZPU1-1126-SM-4YCF3 40-49 years, male 84.8
GTEX-ZAK1-0626-SM-5HL8E 50-59 years, female 84.5
GTEX-14C5O-0326-SM-5ZZUX 60-69 years, male 84.4
GTEX-145ME-1726-SM-5Q5EU 40-49 years, female 84.1
GTEX-X4EP-0626-SM-3P621 60-69 years, female 83.8
GTEX-XQ3S-1426-SM-4BOPR 20-29 years, male 83.5
GTEX-1117F-2926-SM-5GZYI 60-69 years, female 83.4
GTEX-1CB4I-0126-SM-7RHGG 50-59 years, male 83.4
GTEX-1O9I2-0226-SM-EYYXD 50-59 years, male 83.4
GTEX-18A66-0626-SM-7LT8Z 60-69 years, male 82.9
GTEX-18A7A-0126-SM-731AH 50-59 years, female 82.5
GTEX-11EQ9-1626-SM-5PNY8 30-39 years, male 82.4
GTEX-14DAQ-0626-SM-793DS 60-69 years, female 82.4
GTEX-1212Z-0126-SM-59HK4 60-69 years, male 81.8
GTEX-15RIG-0726-SM-7KUM7 40-49 years, male 81.8
GTEX-111YS-1526-SM-5GZYW 60-69 years, male 81.7
GTEX-Y3IK-1626-SM-4YCF5 50-59 years, female 81.7
GTEX-12WSA-0426-SM-5EQ5X 60-69 years, male 81.2
GTEX-1J1R8-2026-SM-CL53Y 40-49 years, male 80.8
GTEX-14A5H-0826-SM-5QGPJ 60-69 years, male 80.7
GTEX-139T8-0626-SM-5KLZX 60-69 years, male 80.6
GTEX-Y5LM-0926-SM-6LLJG 40-49 years, female 80.5
GTEX-18D9B-0926-SM-7LG4U 60-69 years, male 80.2
GTEX-139YR-1026-SM-5LZYN 50-59 years, male 80.1
GTEX-16MT8-2926-SM-7DUFO 60-69 years, female 79.8
GTEX-1E2YA-2126-SM-7MXUO 50-59 years, male 79.4
GTEX-183FY-1026-SM-7939A 20-29 years, male 79.0
GTEX-1C64O-1326-SM-7MGWR 60-69 years, male 79.0
GTEX-131XH-0126-SM-5LZUY 50-59 years, male 78.9
GTEX-ZA64-1026-SM-5HL8R 20-29 years, male 78.8
GTEX-131YS-2826-SM-5EQ47 60-69 years, female 78.6
GTEX-11DZ1-2426-SM-5GZZX 50-59 years, male 78.5
GTEX-13N2G-0226-SM-5K7VF 60-69 years, male 78.5
GTEX-14AS3-1526-SM-5Q5ED 40-49 years, female 78.2
GTEX-16AAH-0626-SM-793C9 50-59 years, male 78.2
GTEX-15DYW-2726-SM-6EU2I 60-69 years, female 78.0
GTEX-145MO-2826-SM-5LU96 60-69 years, male 77.8
GTEX-132AR-0326-SM-5KM2C 50-59 years, female 77.5
GTEX-14JG1-1526-SM-5YY9X 40-49 years, male 77.5
GTEX-12C56-1526-SM-5FQUQ 20-29 years, male 77.0
GTEX-12584-0726-SM-5FQTK 40-49 years, male 76.9
GTEX-XOT4-0626-SM-4B66L 60-69 years, female 76.0
GTEX-Y5V5-0126-SM-5S2NW 60-69 years, female 75.7
GTEX-13FH7-1126-SM-5K7UG 50-59 years, female 75.3
GTEX-Y8E4-2026-SM-5IFJB 40-49 years, male 75.3
GTEX-1I19N-0126-SM-CYPSF 70-79 years, male 75.1
GTEX-16NPX-0726-SM-7KULC 50-59 years, male 75.0
GTEX-ZYFD-0626-SM-5E44E 50-59 years, male 74.7
GTEX-1KD5A-0126-SM-E9U54 50-59 years, male 74.7
GTEX-1IY9M-2826-SM-ARU8H 60-69 years, male 74.6
GTEX-YEC3-1326-SM-DO92X 50-59 years, male 74.6
GTEX-14ABY-2026-SM-62LDL 50-59 years, male 74.2
GTEX-ZVP2-0326-SM-57WBP 50-59 years, male 74.2
GTEX-WH7G-2026-SM-3NMBL 40-49 years, male 74.0
GTEX-Y8LW-1526-SM-5IFHL 50-59 years, female 74.0
GTEX-ZPCL-1126-SM-4WWFE 60-69 years, female 74.0
GTEX-14E6E-0526-SM-793DN 30-39 years, male 73.4
GTEX-ZTTD-2826-SM-4YCFA 50-59 years, male 73.4
GTEX-1IDJF-2026-SM-CL53V 20-29 years, male 72.9
GTEX-1S831-1826-SM-EWROF 20-29 years, male 72.8
GTEX-1QP29-1826-SM-DTX9S 50-59 years, male 72.1
GTEX-WK11-2726-SM-3NMAQ 50-59 years, male 71.6
GTEX-1C475-1326-SM-7SB73 40-49 years, female 71.4
GTEX-ZYW4-0626-SM-59HJR 60-69 years, male 70.7
GTEX-1211K-1526-SM-5FQU4 60-69 years, female 70.6
GTEX-WXYG-2026-SM-4E3IY 50-59 years, female 70.6
GTEX-14E6C-2426-SM-5S2NF 40-49 years, male 70.4
GTEX-ZP4G-1426-SM-4WWCL 20-29 years, female 69.9
GTEX-ZDXO-3126-SM-5IJDF 60-69 years, male 69.7
GTEX-1H3NZ-2726-SM-9WYTQ 60-69 years, male 69.3
GTEX-178AV-1726-SM-7KUL8 40-49 years, male 69.2
GTEX-1JMOU-1026-SM-CYPSS 60-69 years, female 69.2
GTEX-VJYA-1526-SM-3GIJV 60-69 years, male 69.1
GTEX-ZF3C-0626-SM-DO92O 50-59 years, female 69.0
GTEX-YJ8O-2526-SM-5HL85 40-49 years, female 68.9
GTEX-14JG6-1426-SM-9WG7C 30-39 years, female 68.4
GTEX-11DXW-0826-SM-5H118 40-49 years, male 67.8
GTEX-16MTA-0926-SM-6M47Z 50-59 years, male 67.5
GTEX-13N11-2326-SM-5IJBF 50-59 years, female 66.9
GTEX-11TT1-1826-SM-5EQLV 20-29 years, male 66.7
GTEX-1IDJC-1526-SM-B2LW4 50-59 years, male 66.2
GTEX-1F6I4-2326-SM-7RHGL 60-69 years, male 66.1
GTEX-1LSNM-0826-SM-DIPG8 50-59 years, male 66.0
GTEX-1I4MK-0126-SM-CY8G6 50-59 years, female 65.0
GTEX-11EI6-2826-SM-5H11D 60-69 years, male 64.8
GTEX-12WSL-2026-SM-5GCML 50-59 years, male 64.7
GTEX-13JUV-2026-SM-5K7UA 40-49 years, female 64.4
GTEX-145LT-0526-SM-5LUB2 40-49 years, male 63.9
GTEX-UPK5-0426-SM-3GAEK 40-49 years, male 63.9
GTEX-XK95-0226-SM-4AT58 40-49 years, male 63.7
GTEX-117YX-1926-SM-5GIEC 50-59 years, male 63.3
GTEX-1497J-0226-SM-5QGPU 60-69 years, male 63.3
GTEX-17F96-0126-SM-7EWDU 70-79 years, male 63.1
GTEX-1QP66-1226-SM-DTX7U 50-59 years, male 63.0
GTEX-17JCI-2926-SM-7DUFF 60-69 years, female 62.9
GTEX-1QCLZ-2426-SM-EVYBW 60-69 years, female 62.9
GTEX-ZLFU-1826-SM-4WWBV 40-49 years, male 62.8
GTEX-1RAZA-2226-SM-E9U4X 20-29 years, male 62.4
GTEX-1RB15-1326-SM-E76Q9 60-69 years, male 62.4
GTEX-12BJ1-0926-SM-5EQ62 60-69 years, male 62.1
GTEX-ZLWG-0826-SM-59888 50-59 years, female 62.1
GTEX-145MN-1526-SM-5SI9T 30-39 years, male 61.8
GTEX-1LG7Z-1626-SM-CXKYR 30-39 years, male 61.5
GTEX-1B996-0426-SM-7EWF8 60-69 years, male 61.1
GTEX-1I6K7-1926-SM-B2LXR 40-49 years, male 61.0
GTEX-14PK6-0226-SM-62LF5 70-79 years, female 60.9
GTEX-18A7B-2726-SM-7LG56 70-79 years, male 60.3
GTEX-1HUB1-1426-SM-CGQF5 60-69 years, male 59.6
GTEX-1AX8Z-0726-SM-73KTS 60-69 years, male 59.1
GTEX-1E1VI-0326-SM-793D1 50-59 years, male 59.1
GTEX-1IDJD-2326-SM-ACKWX 30-39 years, male 59.0
GTEX-1N5O9-0926-SM-E9J3C 60-69 years, male 58.9
GTEX-18D9A-1426-SM-7LT8M 30-39 years, female 57.5
GTEX-1HCUA-0826-SM-ADEHM 50-59 years, female 56.6
GTEX-1H1CY-0126-SM-9YFLY 60-69 years, female 56.5
GTEX-ZU9S-1826-SM-5NQ9E 30-39 years, male 55.1
GTEX-1JKYN-0826-SM-ARU8S 30-39 years, male 55.1
GTEX-1IDJE-1426-SM-ADEIW 50-59 years, female 53.9
GTEX-1F6IF-0926-SM-7SB7M 60-69 years, male 53.3
GTEX-YEC4-1826-SM-4W1YP 40-49 years, male 52.9
GTEX-WFON-1926-SM-3LK7L 40-49 years, male 52.3
GTEX-1I6K6-1726-SM-CGQFD 30-39 years, male 51.1
GTEX-ZZ64-1026-SM-5GZXG 20-29 years, male 50.3
GTEX-1H1ZS-2726-SM-9WG75 70-79 years, male 50.3
GTEX-14PKV-1126-SM-6LLJ1 20-29 years, female 49.6
GTEX-Y5V6-2326-SM-4VDSA 60-69 years, male 48.2
GTEX-WYJK-0526-SM-3NM8Z 50-59 years, male 48.1
GTEX-WFG8-2126-SM-3GIKQ 20-29 years, male 46.5
GTEX-15RIE-1926-SM-7KUKJ 60-69 years, male 45.2
GTEX-ZYFG-1526-SM-5GZYM 60-69 years, female 44.6
GTEX-13NZ9-2626-SM-5L3FK 50-59 years, male 43.5
GTEX-13OVG-1626-SM-5J1NF 60-69 years, male 43.4
GTEX-14DAR-1226-SM-73KYV 50-59 years, male 43.2
GTEX-YB5K-2026-SM-4VDT3 40-49 years, female 41.7
GTEX-ZT9W-1126-SM-57WDR 50-59 years, male 40.6
GTEX-X3Y1-2026-SM-3P5YM 40-49 years, male 39.5
GTEX-1F75W-2726-SM-7SB8H 60-69 years, male 37.9
GTEX-145MG-1526-SM-5Q5EM 50-59 years, male 36.2
GTEX-1PIGE-1826-SM-E8VOU 20-29 years, male 33.8
GTEX-1399R-1326-SM-5PNYS 30-39 years, male 27.0
GTEX-17EVQ-0126-SM-7IGLR 70-79 years, male 26.6
GTEX-YF7O-1526-SM-5IFI6 50-59 years, male 24.8
GTEX-111FC-2526-SM-5GZXU 60-69 years, male 22.4
GTEX-1L5NE-1126-SM-D3L9P 50-59 years, male 20.7
GTEX-ZVTK-0226-SM-51MRG 20-29 years, male 20.3
GTEX-16GPK-0626-SM-7KFSF 60-69 years, male 17.0
GTEX-ZUA1-2626-SM-5NQ92 40-49 years, male 16.8
GTEX-1GF9U-2026-SM-7SB92 40-49 years, female 11.8
GTEX-1AX9J-1326-SM-731BJ 60-69 years, male 6.5
Show allShow less
Skin - Sun Exposed (Lower leg)
Average nTPM: 87.8
Samples: 701

Max nTPM: 372.2
Min nTPM: 10.3
Std nTPM: 30.9
Median nTPM: 84.0
GTEX-1JMQL-0226-SM-CNPP5 50-59 years, female 372.2
GTEX-13113-5016-SM-7EPIP 60-69 years, female 219.5
GTEX-1A3MW-0126-SM-73KXX 60-69 years, female 216.2
GTEX-1HCU7-0226-SM-CL545 50-59 years, male 195.1
GTEX-13OVH-0126-SM-5MR4B 70-79 years, male 185.7
GTEX-PVOW-0126-SM-2XCFA 40-49 years, male 182.8
GTEX-S32W-2126-SM-2XCB1 50-59 years, female 182.3
GTEX-1LC47-0326-SM-E9TJP 60-69 years, male 180.9
GTEX-11TT1-2526-SM-5EGIB 20-29 years, male 176.1
GTEX-1L5NE-2526-SM-E6CIE 50-59 years, male 170.2
GTEX-183WM-0126-SM-7LTAB 70-79 years, female 167.0
GTEX-1C64N-0126-SM-793D7 50-59 years, male 165.1
GTEX-WFG8-2226-SM-3GIL9 20-29 years, male 164.6
GTEX-13NYC-0326-SM-E9J4S 60-69 years, male 164.2
GTEX-144FL-0126-SM-5TDC8 50-59 years, male 163.0
GTEX-1B97I-1626-SM-73KYO 40-49 years, male 161.3
GTEX-1QAET-0926-SM-E76QM 50-59 years, male 160.0
GTEX-1HCU8-0626-SM-A9SM9 60-69 years, female 159.6
GTEX-139UW-2826-SM-5L3E7 60-69 years, male 159.5
GTEX-ZTX8-1426-SM-5DUVO 20-29 years, male 156.7
GTEX-17GQL-2026-SM-718BA 60-69 years, male 154.8
GTEX-1QPFJ-0226-SM-E76PB 30-39 years, female 153.1
GTEX-13111-1626-SM-5EGJY 50-59 years, male 153.0
GTEX-11TUW-2726-SM-E9J4M 60-69 years, male 150.1
GTEX-ZYFD-0126-SM-5GIDL 50-59 years, male 149.3
GTEX-15UKP-0426-SM-7KUFQ 20-29 years, male 148.9
GTEX-1PDJ9-0326-SM-DTX95 20-29 years, male 148.7
GTEX-1R46S-0626-SM-E9J41 60-69 years, female 147.6
GTEX-XYKS-2126-SM-4E3IB 60-69 years, female 145.9
GTEX-1A3MX-0126-SM-731BR 60-69 years, male 145.6
GTEX-YJ89-0126-SM-4TT3X 60-69 years, male 145.3
GTEX-15F5U-1526-SM-6PANO 40-49 years, male 144.8
GTEX-OXRN-0126-SM-48TDM 50-59 years, male 144.7
GTEX-11DXZ-2326-SM-5EGGV 50-59 years, male 142.9
GTEX-11WQK-0526-SM-5EQLD 50-59 years, male 142.8
GTEX-ZV68-0126-SM-59HKS 50-59 years, female 141.7
GTEX-1F6RS-0126-SM-9MQKZ 60-69 years, female 141.7
GTEX-1ICLZ-0126-SM-CKZPO 60-69 years, male 141.7
GTEX-X261-0126-SM-3NMD6 50-59 years, male 140.0
GTEX-1PWST-0226-SM-E76QJ 70-79 years, male 139.9
GTEX-P44H-0226-SM-2XCEU 40-49 years, male 139.3
GTEX-1GMR3-1926-SM-9KNUZ 40-49 years, male 139.2
GTEX-T2YK-0526-SM-32QPJ 50-59 years, male 137.5
GTEX-1PIIG-0226-SM-EWRN6 30-39 years, male 137.4
GTEX-ZF2S-2326-SM-4WWCE 50-59 years, female 137.3
GTEX-14LZ3-0226-SM-62LET 60-69 years, female 136.8
GTEX-1N2DW-0226-SM-E9TK2 50-59 years, male 135.6
GTEX-1JJ6O-0126-SM-E6CI8 60-69 years, male 134.0
GTEX-1JN6P-0126-SM-D3L98 60-69 years, male 133.1
GTEX-TKQ1-1026-SM-4GICL 30-39 years, male 132.6
GTEX-14E6E-1826-SM-5S2R7 30-39 years, male 132.2
GTEX-1R9PM-2026-SM-E76OY 20-29 years, male 130.9
GTEX-15EU6-0426-SM-6PAN5 50-59 years, male 130.4
GTEX-1IDJH-0326-SM-A9SLQ 70-79 years, male 129.9
GTEX-14BIN-0626-SM-793DP 50-59 years, female 129.7
GTEX-15D1Q-0126-SM-7KUG6 40-49 years, male 129.6
GTEX-1C475-1826-SM-73KWA 40-49 years, female 129.4
GTEX-1F75B-0126-SM-9KNVL 50-59 years, male 129.4
GTEX-1JMQI-2226-SM-CM2SD 50-59 years, male 129.0
GTEX-1GZ2Q-0226-SM-7P8TL 40-49 years, male 128.9
GTEX-VUSG-2526-SM-4KL1V 50-59 years, male 128.4
GTEX-1RDX4-0126-SM-E9J4P 50-59 years, female 128.2
GTEX-1QMI2-0226-SM-EVYBX 60-69 years, male 128.1
GTEX-11LCK-1026-SM-5A5KB 30-39 years, male 127.8
GTEX-1M5QR-1226-SM-EWROB 40-49 years, male 127.8
GTEX-1IKJJ-0126-SM-CNPQB 60-69 years, male 127.5
GTEX-1NV5F-0226-SM-E8VNY 60-69 years, female 127.5
GTEX-1HCU9-1526-SM-A9SL7 20-29 years, male 127.3
GTEX-14XAO-2326-SM-6EU1B 60-69 years, female 126.8
GTEX-WRHK-1426-SM-3MJF9 20-29 years, female 126.1
GTEX-T5JC-0426-SM-32PLO 20-29 years, male 124.7
GTEX-16XZZ-0126-SM-793DV 60-69 years, male 124.5
GTEX-1JJEA-0326-SM-CNPOT 60-69 years, male 124.1
GTEX-13SLW-0126-SM-5SI6C 70-79 years, male 123.7
GTEX-13YAN-0326-SM-5O9DF 60-69 years, male 122.9
GTEX-YB5E-2026-SM-5IFIS 40-49 years, male 122.8
GTEX-148VJ-0126-SM-5TDDN 70-79 years, male 122.6
GTEX-13OW5-0126-SM-DTXFS 60-69 years, male 122.3
GTEX-1JN76-0126-SM-CNPPE 20-29 years, female 121.3
GTEX-1CAMQ-0226-SM-7IGPK 40-49 years, male 121.1
GTEX-1CB4E-2226-SM-793DC 60-69 years, male 121.0
GTEX-WFON-2126-SM-3LK7O 40-49 years, male 120.4
GTEX-1GN2E-0426-SM-9MQKX 60-69 years, male 120.4
GTEX-WI4N-1026-SM-3LK7N 40-49 years, female 120.2
GTEX-1C6VR-2426-SM-79OLD 60-69 years, male 119.7
GTEX-1LVAN-0226-SM-COH3S 50-59 years, female 119.3
GTEX-13NZB-2526-SM-5J1OM 30-39 years, male 119.1
GTEX-15G19-0126-SM-6PANQ 60-69 years, male 119.0
GTEX-ZWKS-0126-SM-5SIAA 30-39 years, male 118.3
GTEX-1EX96-1626-SM-7PBXR 50-59 years, male 118.1
GTEX-12WSE-0526-SM-793B2 20-29 years, male 117.9
GTEX-1128S-2326-SM-5GZZY 60-69 years, female 117.8
GTEX-1HFI6-0226-SM-ADEHZ 40-49 years, male 117.7
GTEX-1IGQW-0126-SM-COH42 60-69 years, male 117.4
GTEX-17EVP-0326-SM-7DHLG 40-49 years, male 117.0
GTEX-1H4P4-0726-SM-9YFLR 50-59 years, male 116.6
GTEX-1GN1U-0126-SM-7PBZK 50-59 years, female 116.5
GTEX-15ER7-0326-SM-7KUEV 20-29 years, female 115.9
GTEX-1LG7Z-1726-SM-D3LA4 30-39 years, male 115.9
GTEX-145LS-0126-SM-5QGP1 60-69 years, female 115.6
GTEX-T6MN-0126-SM-32PLP 50-59 years, male 115.4
GTEX-16GPK-0126-SM-7DHLE 60-69 years, male 115.3
GTEX-145MF-0626-SM-5LUAI 50-59 years, male 115.2
GTEX-1GL5R-1826-SM-9KNUY 50-59 years, male 115.2
GTEX-1R9K4-0126-SM-DTX9X 60-69 years, male 115.0
GTEX-PWO3-1526-SM-48TCM 60-69 years, female 114.9
GTEX-1JN1M-0326-SM-CYPT3 60-69 years, female 114.9
GTEX-117XS-2726-SM-5N9BL 60-69 years, male 114.8
GTEX-12584-0126-SM-5EGKQ 40-49 years, male 114.8
GTEX-1MA7W-2026-SM-E9TJ6 20-29 years, female 113.2
GTEX-12KS4-0326-SM-5EQ41 30-39 years, male 113.1
GTEX-XBED-2226-SM-47JYQ 60-69 years, male 113.1
GTEX-17KNJ-2326-SM-7DHLQ 50-59 years, male 112.8
GTEX-1CB4F-0426-SM-9KNV4 60-69 years, male 112.7
GTEX-1GMR8-0126-SM-9WYTM 50-59 years, female 112.4
GTEX-14PN4-0126-SM-6EU2V 50-59 years, male 112.2
GTEX-1I1GV-0526-SM-A9G29 60-69 years, male 112.1
GTEX-1HFI7-1826-SM-ACKXH 50-59 years, female 111.8
GTEX-1GPI6-0126-SM-9WG69 60-69 years, male 111.7
GTEX-1B8KZ-2026-SM-7DHMB 50-59 years, male 111.6
GTEX-1211K-2026-SM-5EQ4Z 60-69 years, female 111.5
GTEX-X4XY-0226-SM-4E3IZ 60-69 years, male 111.3
GTEX-VJWN-0126-SM-3GIK7 50-59 years, female 111.1
GTEX-PSDG-0226-SM-DKPOZ 50-59 years, male 110.8
GTEX-Q2AI-1326-SM-2S1PL 40-49 years, male 110.6
GTEX-T5JW-1626-SM-3GADZ 20-29 years, female 110.6
GTEX-1E2YA-0126-SM-9KNUC 50-59 years, male 110.5
GTEX-T8EM-1026-SM-3DB7M 40-49 years, male 110.2
GTEX-ZV6S-2326-SM-4YCEY 40-49 years, female 109.9
GTEX-1PPH8-0226-SM-E8VND 20-29 years, male 109.9
GTEX-14E6C-0126-SM-5RQIP 40-49 years, male 109.5
GTEX-1KANC-1526-SM-D3LAB 50-59 years, female 109.5
GTEX-1HBPI-1526-SM-C1YQ1 50-59 years, male 109.4
GTEX-1KXAM-2226-SM-CYPTC 60-69 years, male 109.1
GTEX-145MI-0526-SM-5O9A8 60-69 years, female 108.8
GTEX-1RB15-2126-SM-E9TIM 60-69 years, male 108.8
GTEX-1HBPM-0226-SM-ARL9F 60-69 years, female 108.7
GTEX-1BAJH-0526-SM-793CQ 70-79 years, male 108.1
GTEX-11UD2-0226-SM-5EQKY 50-59 years, male 107.9
GTEX-13CF2-2526-SM-5LZYX 60-69 years, male 107.9
GTEX-1JMPZ-0226-SM-CNPP1 30-39 years, male 107.6
GTEX-1H1DE-2126-SM-9WG6R 20-29 years, male 107.5
GTEX-ZY6K-1826-SM-5GZXK 50-59 years, male 107.4
GTEX-1JMQJ-0526-SM-CYPSU 50-59 years, male 107.4
GTEX-15UF6-0826-SM-6PALJ 70-79 years, female 106.7
GTEX-13OW6-0426-SM-5L3HM 50-59 years, male 106.3
GTEX-14PHX-2326-SM-62LEM 50-59 years, male 106.3
GTEX-17HG3-2226-SM-7938L 30-39 years, female 106.1
GTEX-1KAFJ-2026-SM-CY8ID 50-59 years, male 105.9
GTEX-133LE-1826-SM-5J1MV 20-29 years, female 105.6
GTEX-QESD-1426-SM-2S1R9 20-29 years, male 105.4
GTEX-14A5H-0426-SM-5QGQF 60-69 years, male 105.3
GTEX-OOBK-0126-SM-2YUND 40-49 years, male 105.2
GTEX-1QP9N-1426-SM-DTXFL 30-39 years, male 105.1
GTEX-1E1VI-0126-SM-7DHMZ 50-59 years, male 105.0
GTEX-1HT8W-0126-SM-CNPPP 30-39 years, male 105.0
GTEX-1JMQK-0226-SM-CL543 60-69 years, male 105.0
GTEX-ZTSS-1926-SM-57WEW 40-49 years, male 104.9
GTEX-1MJK2-0426-SM-DTXE5 50-59 years, male 104.9
GTEX-14PII-0226-SM-6EU1T 60-69 years, male 104.7
GTEX-1EMGI-0126-SM-9KNUE 60-69 years, male 104.7
GTEX-15RIG-0226-SM-7KFTL 40-49 years, male 104.4
GTEX-ZC5H-0226-SM-4WAY9 40-49 years, female 104.4
GTEX-1HGF4-2426-SM-ACKXM 60-69 years, male 104.4
GTEX-13O3P-0126-SM-5KM4S 50-59 years, male 104.2
GTEX-1F5PK-2426-SM-7RHHY 50-59 years, male 104.2
GTEX-1PFEY-1526-SM-E76PP 30-39 years, male 103.8
GTEX-ZYT6-0226-SM-5NQ6T 30-39 years, male 103.7
GTEX-1J1OQ-0226-SM-CYPSH 40-49 years, female 103.6
GTEX-R3RS-0126-SM-3GIJL 40-49 years, female 103.3
GTEX-18D9A-1926-SM-7LG6P 30-39 years, female 103.2
GTEX-144GL-0126-SM-5TDE2 50-59 years, male 103.1
GTEX-17HGU-0226-SM-7DHKV 50-59 years, male 103.0
GTEX-12WSC-0126-SM-5EQ4P 50-59 years, male 102.7
GTEX-SJXC-0126-SM-2XCFF 60-69 years, male 102.1
GTEX-ZXG5-0126-SM-5GIEU 60-69 years, male 102.0
GTEX-1R7EU-0226-SM-EVR4G 60-69 years, male 102.0
GTEX-12WSL-2526-SM-5GCNJ 50-59 years, male 101.9
GTEX-1I6K6-0126-SM-A9SLE 30-39 years, male 101.9
GTEX-1LSNM-1926-SM-E6CII 50-59 years, male 101.8
GTEX-1O97I-0326-SM-EYYX7 60-69 years, male 101.8
GTEX-18A66-0226-SM-718BD 60-69 years, male 101.7
GTEX-PX3G-0126-SM-2I3EN 20-29 years, female 101.7
GTEX-1I1GU-2226-SM-CGQFA 40-49 years, male 101.7
GTEX-11EM3-2426-SM-59861 20-29 years, female 101.4
GTEX-1I4MK-2226-SM-ACKWD 50-59 years, female 101.4
GTEX-1HSMO-0126-SM-CL547 60-69 years, male 101.1
GTEX-14A5I-0126-SM-5TDEA 50-59 years, female 100.8
GTEX-1ICLY-0126-SM-D4P36 50-59 years, male 100.8
GTEX-V1D1-2226-SM-3NMAX 50-59 years, male 100.7
GTEX-1OFPY-2426-SM-DTXEJ 60-69 years, male 100.7
GTEX-1B996-0226-SM-7RHGO 60-69 years, male 100.5
GTEX-1KWVE-1426-SM-E9TJO 30-39 years, male 100.5
GTEX-X8HC-0126-SM-4E3JW 50-59 years, female 100.3
GTEX-147GR-0526-SM-5S2MY 60-69 years, male 100.2
GTEX-17F96-1626-SM-7DUFL 70-79 years, male 100.1
GTEX-1H11D-0226-SM-9WG6Z 40-49 years, male 100.1
GTEX-ZVT4-0126-SM-DTXFN 50-59 years, female 99.8
GTEX-131YS-0126-SM-5KM1M 60-69 years, female 99.4
GTEX-11ZU8-2526-SM-5EQKI 60-69 years, male 99.2
GTEX-16NPX-0226-SM-79OMT 50-59 years, male 99.2
GTEX-1S83E-0126-SM-EWRO4 40-49 years, male 99.2
GTEX-11DYG-0126-SM-59883 60-69 years, male 99.1
GTEX-OIZH-0126-SM-2HMIS 50-59 years, male 99.1
GTEX-1LGOU-2026-SM-DIPFF 20-29 years, female 99.1
GTEX-11OF3-2626-SM-5GU7F 60-69 years, male 99.0
GTEX-1H1DG-0126-SM-9WYU2 70-79 years, male 99.0
GTEX-11H98-0126-SM-5EGHG 50-59 years, male 98.9
GTEX-OHPL-0126-SM-2HMJ7 60-69 years, female 98.9
GTEX-ZVZO-0126-SM-5A5L9 40-49 years, male 98.9
GTEX-1K2DA-1826-SM-CGQGT 50-59 years, male 98.8
GTEX-U412-0426-SM-3DB9O 60-69 years, male 98.7
GTEX-ZZ64-1726-SM-5GZYB 20-29 years, male 98.5
GTEX-13112-2826-SM-5DUWH 50-59 years, male 98.4
GTEX-1S3DN-2226-SM-EVYCD 50-59 years, male 98.4
GTEX-139TS-2826-SM-5J1OO 60-69 years, male 98.3
GTEX-ZVZP-2426-SM-59HKJ 50-59 years, male 98.2
GTEX-1C6VQ-0126-SM-7P8RI 50-59 years, male 98.2
GTEX-1HSKV-0226-SM-A9SKJ 60-69 years, male 98.2
GTEX-1IOXB-0126-SM-ARL8G 50-59 years, male 98.2
GTEX-1F88F-2726-SM-7PBZZ 60-69 years, female 97.5
GTEX-13O3O-0126-SM-E9J49 60-69 years, female 97.4
GTEX-1399R-2726-SM-5IJBA 30-39 years, male 97.3
GTEX-1C2JI-1826-SM-73KXC 50-59 years, male 97.1
GTEX-RUSQ-1526-SM-2TF62 50-59 years, male 96.8
GTEX-17JCI-0126-SM-7LG5G 60-69 years, female 96.7
GTEX-13FH7-2026-SM-E9J4I 50-59 years, female 96.6
GTEX-17MFQ-1726-SM-793C7 20-29 years, male 96.3
GTEX-1KANA-0726-SM-D3L9I 20-29 years, male 96.2
GTEX-1K9T9-0126-SM-EVYCF 50-59 years, female 95.9
GTEX-1B8SF-1426-SM-7DUGL 60-69 years, male 95.8
GTEX-14BMV-0126-SM-5S2PO 50-59 years, male 95.7
GTEX-ZAK1-0126-SM-5IJD3 50-59 years, female 95.6
GTEX-1CB4G-0226-SM-7PC3O 60-69 years, male 95.5
GTEX-1GN1V-0126-SM-9WPOS 60-69 years, male 95.3
GTEX-ZDTT-2726-SM-4WKF8 60-69 years, male 95.2
GTEX-1CAV2-2226-SM-7P8P2 40-49 years, female 95.2
GTEX-13NYB-2526-SM-5K7Z6 40-49 years, male 95.1
GTEX-SNMC-1226-SM-2XCFP 20-29 years, male 95.0
GTEX-11DZ1-0126-SM-5985Q 50-59 years, male 94.7
GTEX-1HCUA-2426-SM-ADEIS 50-59 years, female 94.5
GTEX-OXRO-0126-SM-2YUN4 60-69 years, female 94.4
GTEX-SUCS-1926-SM-32PM3 70-79 years, male 94.4
GTEX-XUZC-1726-SM-4BRWS 30-39 years, female 94.4
GTEX-1M4P7-0226-SM-DIPEV 60-69 years, male 94.0
GTEX-1CB4I-0226-SM-79OLH 50-59 years, male 93.9
GTEX-1I19N-0326-SM-ACKVX 70-79 years, male 93.9
GTEX-1OJC3-0126-SM-E76QX 20-29 years, male 93.9
GTEX-1HCU6-0126-SM-CL54K 60-69 years, female 93.8
GTEX-ZTPG-0326-SM-5O9AX 20-29 years, female 93.6
GTEX-11ZTS-0126-SM-5EQ6M 60-69 years, female 93.3
GTEX-1J8Q2-0526-SM-CM2RW 60-69 years, male 93.3
GTEX-SIU8-0126-SM-2XCDT 50-59 years, male 93.2
GTEX-131XW-0426-SM-5LZWP 50-59 years, female 93.0
GTEX-1H3VE-0326-SM-9YFLH 40-49 years, male 92.7
GTEX-ZXES-1826-SM-5E43S 30-39 years, female 92.6
GTEX-13D11-2426-SM-5KM1V 50-59 years, female 92.5
GTEX-1B8L1-2526-SM-9WYTF 60-69 years, male 92.5
GTEX-ZF3C-0126-SM-DO92D 50-59 years, female 92.5
GTEX-13PDP-0126-SM-5L3HD 60-69 years, male 92.2
GTEX-Y8DK-0126-SM-4TT3L 60-69 years, male 92.2
GTEX-1KD4Q-0226-SM-E9TJ9 40-49 years, male 92.2
GTEX-11EQ9-2426-SM-5HL5T 30-39 years, male 92.1
GTEX-13N2G-2626-SM-5J1OT 60-69 years, male 91.8
GTEX-Y5V5-2326-SM-4V6GA 60-69 years, female 91.8
GTEX-OIZF-0126-SM-7SB8I 60-69 years, male 91.7
GTEX-13FTY-0526-SM-5L3EV 40-49 years, female 91.6
GTEX-X88G-0126-SM-47JZ3 30-39 years, male 91.6
GTEX-1A3MV-1926-SM-718BT 30-39 years, male 91.3
GTEX-14PJM-0226-SM-62LF1 50-59 years, female 91.2
GTEX-15SHU-0126-SM-7KUEH 40-49 years, female 91.2
GTEX-1H23P-0126-SM-ADEJ3 60-69 years, male 91.1
GTEX-1GF9W-0326-SM-9KNUN 60-69 years, male 90.8
GTEX-XPVG-2626-SM-4B669 50-59 years, male 90.7
GTEX-1LGRB-2526-SM-CNPPQ 50-59 years, female 90.7
GTEX-WYJK-0126-SM-3NMAB 50-59 years, male 90.6
GTEX-111FC-0126-SM-5N9DL 60-69 years, male 90.5
GTEX-11P81-2326-SM-59875 30-39 years, female 90.5
GTEX-1HB9E-0226-SM-E9U4R 50-59 years, male 90.5
GTEX-13X6H-2126-SM-7EWD5 50-59 years, female 90.2
GTEX-13O3Q-2426-SM-5IJBR 50-59 years, male 90.1
GTEX-XUYS-0126-SM-47JWZ 50-59 years, male 90.0
GTEX-ZGAY-0526-SM-4WWBB 40-49 years, female 89.9
GTEX-1EU9M-0226-SM-7P8SP 60-69 years, male 89.9
GTEX-1S82Z-0826-SM-E6CHY 30-39 years, female 89.9
GTEX-1GF9V-0326-SM-7RHI5 60-69 years, male 89.8
GTEX-12ZZZ-0626-SM-5DUXI 60-69 years, male 89.5
GTEX-13FTW-2626-SM-5K7WL 40-49 years, male 89.3
GTEX-13S7M-0126-SM-5SI6A 60-69 years, female 89.3
GTEX-18A6Q-0126-SM-731BZ 60-69 years, male 89.1
GTEX-1RLM8-2326-SM-EWRN4 50-59 years, male 89.1
GTEX-13FHP-0126-SM-5IJBG 50-59 years, male 88.6
GTEX-18465-0126-SM-731BN 50-59 years, male 88.6
GTEX-1RQEC-0426-SM-E6CHU 60-69 years, male 88.6
GTEX-11NSD-2226-SM-5986V 20-29 years, male 88.4
GTEX-XMD2-0126-SM-4YCDU 60-69 years, female 88.4
GTEX-1F7RK-0126-SM-7PC2S 20-29 years, female 88.4
GTEX-13OVK-2026-SM-7KUEO 40-49 years, male 88.3
GTEX-145LV-2126-SM-5LU8N 50-59 years, male 88.2
GTEX-132NY-0326-SM-5IJBL 60-69 years, male 88.1
GTEX-14E6D-0126-SM-62LDV 50-59 years, male 88.1
GTEX-1GMRU-0126-SM-9YFLV 50-59 years, male 88.1
GTEX-Z9EW-1626-SM-5CVMN 40-49 years, male 88.0
GTEX-RNOR-0126-SM-E9J4R 50-59 years, female 88.0
GTEX-ZDTS-0126-SM-4WAY5 60-69 years, male 87.9
GTEX-1NHNU-1026-SM-E9J2A 50-59 years, male 87.9
GTEX-16YQH-0126-SM-7DUFJ 30-39 years, male 87.8
GTEX-WYVS-2126-SM-3NMA3 40-49 years, female 87.6
GTEX-1I1GQ-0126-SM-COH3H 50-59 years, male 87.6
GTEX-1QCLY-0326-SM-E8VOG 30-39 years, male 87.5
GTEX-1KANB-0526-SM-E6CJH 50-59 years, male 87.2
GTEX-ZPIC-1726-SM-DHXIU 40-49 years, female 87.1
GTEX-XXEK-2226-SM-4BRUM 50-59 years, male 86.9
GTEX-WQUQ-0426-SM-3MJFU 60-69 years, male 86.6
GTEX-1S5ZA-0126-SM-EVYCV 20-29 years, male 86.6
GTEX-1192W-2626-SM-5Q5AF 60-69 years, male 86.5
GTEX-1F6IF-0726-SM-7P8TW 60-69 years, male 86.5
GTEX-W5WG-1826-SM-4KL2Y 50-59 years, female 86.4
GTEX-13RTK-1426-SM-5QGQJ 20-29 years, male 86.2
GTEX-ZF29-2326-SM-DO92K 60-69 years, female 86.1
GTEX-13FXS-0226-SM-5IJCK 50-59 years, male 86.0
GTEX-OHPM-0126-SM-2YUN9 50-59 years, male 86.0
GTEX-13NZ8-0826-SM-5MR3I 60-69 years, female 85.9
GTEX-U8XE-0326-SM-3DB8P 30-39 years, male 85.9
GTEX-YFC4-0126-SM-5CVLY 40-49 years, female 85.9
GTEX-13U4I-0126-SM-5LU38 40-49 years, female 85.8
GTEX-12ZZX-0126-SM-5EGK9 40-49 years, female 85.7
GTEX-1C4CL-0526-SM-73KVK 30-39 years, male 85.6
GTEX-12WSJ-1826-SM-5GCNY 40-49 years, female 85.4
GTEX-1AMFI-2026-SM-731BH 50-59 years, female 85.4
GTEX-TMZS-0126-SM-3DB9Q 60-69 years, male 85.4
GTEX-NPJ8-0126-SM-2YUNR 40-49 years, male 85.3
GTEX-1GZHY-0326-SM-9QEHI 50-59 years, female 85.3
GTEX-1IKK5-0626-SM-ARL8A 60-69 years, male 85.2
GTEX-1313W-0126-SM-5LZUN 50-59 years, female 85.1
GTEX-145LU-0126-SM-5TDCB 50-59 years, male 85.0
GTEX-ZE9C-2726-SM-57WB5 60-69 years, male 85.0
GTEX-1POEN-0126-SM-EYYXJ 30-39 years, female 85.0
GTEX-1PIGE-0126-SM-EVYBJ 20-29 years, male 84.7
GTEX-14JG6-2226-SM-6EU2G 30-39 years, female 84.4
GTEX-1IDJF-0126-SM-CM2RS 20-29 years, male 84.4
GTEX-13OVJ-0126-SM-5KM36 50-59 years, female 84.3
GTEX-15DCD-0126-SM-7KUEK 70-79 years, female 84.3
GTEX-1AX9J-0226-SM-73KXM 60-69 years, male 84.3
GTEX-18A7A-0226-SM-718BH 50-59 years, female 84.2
GTEX-18D9U-0226-SM-718BP 40-49 years, male 84.2
GTEX-WOFL-0126-SM-3MJG2 60-69 years, male 84.2
GTEX-1IDJU-2626-SM-CM2RT 60-69 years, female 84.2
GTEX-1EWIQ-0126-SM-7RHH2 70-79 years, female 84.1
GTEX-1H1E6-1726-SM-ACKVK 30-39 years, male 84.1
GTEX-13IVO-0126-SM-5J1NG 70-79 years, male 84.0
GTEX-YJ8A-0426-SM-5IFID 20-29 years, male 84.0
GTEX-13PVR-2326-SM-5QGR1 60-69 years, female 83.9
GTEX-146FH-0126-SM-5QGPP 50-59 years, female 83.9
GTEX-XBEW-0626-SM-4QASP 40-49 years, male 83.8
GTEX-O5YT-0126-SM-48TBW 20-29 years, male 83.7
GTEX-1212Z-2526-SM-5EGKP 60-69 years, male 83.6
GTEX-UJHI-1526-SM-3DB99 50-59 years, female 83.6
GTEX-12WSN-5019-SM-79OM6 40-49 years, male 83.5
GTEX-13CF3-2426-SM-5IFGX 60-69 years, female 83.5
GTEX-Y3IK-2426-SM-4WWDU 50-59 years, female 83.4
GTEX-ZVE2-0226-SM-59HJB 50-59 years, male 83.3
GTEX-1GN73-0226-SM-9WG67 60-69 years, male 83.3
GTEX-QLQ7-1626-SM-2S1R8 60-69 years, male 83.2
GTEX-Y5LM-1926-SM-5RQJH 40-49 years, female 83.1
GTEX-1J8QM-2126-SM-CYPSJ 60-69 years, female 83.1
GTEX-T6MO-1626-SM-32QOM 40-49 years, female 82.8
GTEX-1314G-1526-SM-5EGK2 30-39 years, male 82.7
GTEX-1H2FU-0126-SM-9WYSI 60-69 years, female 82.5
GTEX-1MUQO-0126-SM-EAZ58 60-69 years, male 82.5
GTEX-1I1GR-0126-SM-CL55F 60-69 years, male 82.4
GTEX-R45C-0126-SM-EAZ2R 60-69 years, female 82.4
GTEX-XQ3S-1526-SM-4BOOC 20-29 years, male 82.3
GTEX-11OC5-0126-SM-5HL6A 60-69 years, male 82.2
GTEX-1B8KE-2126-SM-73KYX 50-59 years, male 82.2
GTEX-14JG1-0426-SM-6ETZZ 40-49 years, male 81.8
GTEX-139TU-0126-SM-5K7WH 60-69 years, male 81.7
GTEX-1I1GS-0126-SM-B2LVW 60-69 years, male 81.7
GTEX-1LB8K-0226-SM-EWRNW 50-59 years, male 81.7
GTEX-1K2DU-2326-SM-E9TIV 20-29 years, male 81.6
GTEX-11WQC-2526-SM-5CVLE 60-69 years, male 81.5
GTEX-1AX9I-0126-SM-7SB74 60-69 years, male 81.5
GTEX-1I1CD-0126-SM-CM2TK 60-69 years, female 81.5
GTEX-1QP66-1726-SM-E8VO1 50-59 years, male 81.5
GTEX-ZU9S-0226-SM-5E441 30-39 years, male 81.4
GTEX-17EUY-0426-SM-793BD 20-29 years, male 81.3
GTEX-1CAMS-0426-SM-7P8T2 40-49 years, female 81.3
GTEX-1RAZA-0126-SM-E6CI3 20-29 years, male 81.3
GTEX-1J8EW-0126-SM-CJI4F 60-69 years, female 81.2
GTEX-12696-2426-SM-5EQ6H 60-69 years, male 81.0
GTEX-1QP2A-0126-SM-E9J43 50-59 years, male 81.0
GTEX-1399T-2826-SM-5KLYZ 60-69 years, male 80.9
GTEX-Y111-0126-SM-4SOIV 50-59 years, male 80.9
GTEX-1HSMP-0126-SM-E6CJS 70-79 years, male 80.9
GTEX-1IL2V-0126-SM-CM2TX 70-79 years, male 80.8
GTEX-12WSK-2326-SM-5GCOH 40-49 years, female 80.7
GTEX-146FQ-0126-SM-5NQA9 30-39 years, male 80.7
GTEX-PLZ6-1426-SM-DKPOT 30-39 years, male 80.5
GTEX-1CB4H-0226-SM-7PBXM 60-69 years, female 80.4
GTEX-1H3O1-0426-SM-9YFKY 60-69 years, male 80.4
GTEX-1JJE9-0326-SM-CL53Z 70-79 years, male 80.4
GTEX-1LBAC-0126-SM-DIPEZ 20-29 years, male 80.4
GTEX-13SLX-0526-SM-5S2ON 50-59 years, female 80.1
GTEX-15ETS-0126-SM-7KUMW 40-49 years, female 80.1
GTEX-1H3VY-0126-SM-ACKXD 50-59 years, male 80.1
GTEX-1IDFM-0126-SM-COH2V 60-69 years, male 80.1
GTEX-1JKYR-0126-SM-CNPOJ 20-29 years, male 80.1
GTEX-14DAQ-0126-SM-5S2MQ 60-69 years, female 80.0
GTEX-Q2AH-1626-SM-3GAF8 40-49 years, male 79.9
GTEX-13JUV-2726-SM-5LZZ8 40-49 years, female 79.7
GTEX-1J8JJ-0226-SM-CL53I 60-69 years, female 79.7
GTEX-13NYS-0126-SM-5MR3W 60-69 years, male 79.4
GTEX-OXRP-0126-SM-3NB32 60-69 years, female 79.4
GTEX-T2IS-0126-SM-4DM6O 20-29 years, female 79.3
GTEX-12WSA-0226-SM-5BC5V 60-69 years, male 79.1
GTEX-13OW8-1326-SM-5J1OW 60-69 years, male 79.1
GTEX-RU72-0926-SM-2TF6B 50-59 years, female 79.1
GTEX-RWSA-0126-SM-2XCBB 40-49 years, male 79.0
GTEX-16AAH-1726-SM-7939C 50-59 years, male 78.9
GTEX-ZDYS-2026-SM-5HL5L 50-59 years, male 78.9
GTEX-1LH75-2426-SM-E9TJE 50-59 years, female 78.8
GTEX-13X6I-0626-SM-5QGP9 60-69 years, male 78.7
GTEX-1HSMQ-1226-SM-CGQFX 50-59 years, male 78.7
GTEX-11DXY-2626-SM-5GIE7 60-69 years, male 78.6
GTEX-1LG7Y-0526-SM-DKPQC 50-59 years, male 78.6
GTEX-1F52S-0126-SM-9MQJU 60-69 years, female 78.5
GTEX-SSA3-0126-SM-32QPU 60-69 years, male 78.4
GTEX-VJYA-1126-SM-3GIJU 60-69 years, male 78.4
GTEX-ZEX8-2426-SM-4WKG4 50-59 years, male 78.3
GTEX-11O72-0126-SM-59887 40-49 years, male 78.2
GTEX-145MO-0326-SM-5Q5B3 60-69 years, male 78.2
GTEX-11XUK-2026-SM-5EQLF 40-49 years, female 77.7
GTEX-1MA7X-2226-SM-E6CIY 60-69 years, male 77.6
GTEX-S7PM-0126-SM-4AD6S 60-69 years, male 77.4
GTEX-WY7C-2326-SM-3NB2U 50-59 years, male 77.4
GTEX-Z93S-0126-SM-5HL7M 50-59 years, male 77.3
GTEX-11GS4-2726-SM-5A5LE 60-69 years, male 77.2
GTEX-1AX9K-2326-SM-73KWU 50-59 years, male 77.2
GTEX-1J8Q3-1626-SM-CMKGC 60-69 years, male 77.2
GTEX-1AX8Z-0126-SM-7DHM6 60-69 years, male 77.1
GTEX-R55G-2526-SM-2TC6D 40-49 years, female 77.1
GTEX-18A7B-0126-SM-7LG64 70-79 years, male 76.9
GTEX-TML8-1926-SM-32QOS 40-49 years, female 76.9
GTEX-QVJO-1626-SM-2S1QW 60-69 years, female 76.8
GTEX-1F5PL-0326-SM-7P8PQ 40-49 years, female 76.8
GTEX-1R7EV-2426-SM-EVYBG 40-49 years, male 76.7
GTEX-1399U-2326-SM-5K7WY 50-59 years, female 76.6
GTEX-ZYFC-0226-SM-5NQ75 50-59 years, male 76.6
GTEX-11DXW-0226-SM-5H122 40-49 years, male 76.5
GTEX-11ZVC-2526-SM-5FQTE 50-59 years, female 76.3
GTEX-QEG4-0226-SM-2S1PY 30-39 years, male 76.1
GTEX-OOBJ-0126-SM-E6CJW 60-69 years, male 75.8
GTEX-1GF9X-2026-SM-7PC3A 40-49 years, female 75.7
GTEX-113JC-2326-SM-5EQ4E 50-59 years, female 75.6
GTEX-1B8SG-0126-SM-73KZ3 50-59 years, male 75.5
GTEX-U8T8-0126-SM-3DB94 60-69 years, male 75.5
GTEX-17F98-0626-SM-79OMX 40-49 years, female 75.4
GTEX-17HHY-0126-SM-7LG5D 50-59 years, male 75.4
GTEX-1IKOH-0226-SM-COH4E 60-69 years, female 75.3
GTEX-ZQG8-1626-SM-DHXIT 60-69 years, female 75.0
GTEX-1122O-2126-SM-5EGIR 60-69 years, female 74.9
GTEX-12ZZY-0226-SM-5LZVE 60-69 years, male 74.8
GTEX-1MCQQ-0826-SM-DLHC2 60-69 years, male 74.8
GTEX-1IE54-0126-SM-CMKHW 40-49 years, female 74.7
GTEX-S33H-1026-SM-EZ6L6 30-39 years, male 74.7
GTEX-1HR98-0126-SM-B2LWI 60-69 years, male 74.5
GTEX-1IL2U-0226-SM-CE6T8 60-69 years, male 74.4
GTEX-1JK1U-2026-SM-CM2RZ 60-69 years, male 74.4
GTEX-1H1CY-2826-SM-9MQM3 60-69 years, female 74.3
GTEX-183FY-0126-SM-7LT9P 20-29 years, male 74.1
GTEX-SN8G-0126-SM-32PLI 50-59 years, female 74.1
GTEX-Z93T-0126-SM-5HL5N 50-59 years, male 74.0
GTEX-ZVTK-0426-SM-51MRS 20-29 years, male 73.9
GTEX-12WSG-2826-SM-E9J4H 50-59 years, female 73.9
GTEX-13W3W-2426-SM-5LU5B 60-69 years, female 73.8
GTEX-RWS6-2026-SM-2XCB5 60-69 years, female 73.8
GTEX-13X6J-0126-SM-5QGOU 50-59 years, male 73.7
GTEX-15DDE-0126-SM-6LPKH 50-59 years, female 73.6
GTEX-18A67-0126-SM-7LG5P 50-59 years, male 73.5
GTEX-14PN3-2426-SM-6LLHS 60-69 years, female 73.4
GTEX-11EI6-0126-SM-5985R 60-69 years, male 73.3
GTEX-14PJ6-2126-SM-6EU1V 60-69 years, female 73.3
GTEX-18D9B-0526-SM-7LTAS 60-69 years, male 73.2
GTEX-RM2N-1426-SM-2TF4H 50-59 years, male 73.2
GTEX-13O1R-0126-SM-5L3EH 60-69 years, male 73.0
GTEX-OXRK-0226-SM-3NB2G 50-59 years, female 73.0
GTEX-1GZ4H-1726-SM-7PBZJ 50-59 years, female 72.9
GTEX-1I1GP-2226-SM-CGQFK 50-59 years, male 72.9
GTEX-1JMPY-1326-SM-ARL8Y 30-39 years, male 72.8
GTEX-11DXX-2426-SM-5GZZW 60-69 years, female 72.7
GTEX-13N1W-0126-SM-5K7VT 70-79 years, male 72.7
GTEX-13G51-2526-SM-5LZYK 60-69 years, male 72.4
GTEX-ZVT2-2526-SM-51MT1 50-59 years, female 72.3
GTEX-139TT-0126-SM-5K7Y5 60-69 years, male 72.1
GTEX-XQ8I-0426-SM-4BOPO 50-59 years, male 72.1
GTEX-14E7W-0126-SM-6LLJ9 70-79 years, male 72.0
GTEX-1HBPN-0226-SM-9YFM1 50-59 years, male 72.0
GTEX-117YX-2326-SM-5H12W 50-59 years, male 71.9
GTEX-15EOM-0126-SM-7KUGG 20-29 years, female 71.9
GTEX-1I1GT-0626-SM-CGQER 60-69 years, female 71.9
GTEX-13VXU-0126-SM-5SI9F 50-59 years, male 71.7
GTEX-14ABY-0226-SM-5TDCQ 50-59 years, male 71.7
GTEX-16MT8-0426-SM-7KUEY 60-69 years, female 71.7
GTEX-1AMEY-1326-SM-73KYK 30-39 years, female 71.6
GTEX-13NZA-0226-SM-5K7Z7 60-69 years, male 71.1
GTEX-15CHC-2126-SM-6EU21 60-69 years, female 71.1
GTEX-TSE9-0126-SM-3DB83 60-69 years, female 71.1
GTEX-W5X1-3026-SM-EAZAX 40-49 years, female 71.1
GTEX-Y8E4-0626-SM-4WWDL 40-49 years, male 71.0
GTEX-YB5K-2126-SM-4WWDJ 40-49 years, female 71.0
GTEX-S7SE-0126-SM-2XCD5 50-59 years, male 70.8
GTEX-Y114-2426-SM-4TT8A 50-59 years, female 70.8
GTEX-1497J-2426-SM-7IGNX 60-69 years, male 70.6
GTEX-ZAB5-1826-SM-5HL7C 50-59 years, male 70.4
GTEX-145ME-1826-SM-5SI9G 40-49 years, female 69.9
GTEX-NFK9-0226-SM-2HMKQ 40-49 years, male 69.9
GTEX-1CAMR-1926-SM-7EPI2 20-29 years, male 69.8
GTEX-WVJS-0126-SM-4MVOT 50-59 years, male 69.8
GTEX-169BO-1326-SM-9MQK2 50-59 years, male 69.7
GTEX-1JKYN-1326-SM-CGQG9 30-39 years, male 69.7
GTEX-U3ZH-2026-SM-3DB78 30-39 years, male 69.6
GTEX-145MN-2226-SM-5SIAU 30-39 years, male 69.4
GTEX-11ZTT-2426-SM-5EQLS 60-69 years, female 69.1
GTEX-QDVJ-1726-SM-2I5FX 50-59 years, male 69.0
GTEX-148VI-1626-SM-5SI6E 60-69 years, female 68.9
GTEX-14DAR-2026-SM-5S2O3 50-59 years, male 68.4
GTEX-1GPI7-0126-SM-9MQL8 20-29 years, male 68.2
GTEX-14ICK-0226-SM-6EU25 40-49 years, male 67.8
GTEX-Y3I4-2126-SM-4TT7C 50-59 years, male 67.3
GTEX-UPJH-0326-SM-3GADU 50-59 years, male 67.1
GTEX-11P82-1626-SM-59879 20-29 years, male 67.0
GTEX-16BQI-0226-SM-7KUEX 30-39 years, female 66.9
GTEX-1192X-0226-SM-5H12D 50-59 years, male 66.8
GTEX-17HHE-2026-SM-79OKF 50-59 years, male 66.8
GTEX-111VG-2426-SM-5GZXD 60-69 years, male 66.4
GTEX-16NGA-1726-SM-731B4 40-49 years, female 66.4
GTEX-X4EO-0326-SM-3P5YO 60-69 years, female 66.4
GTEX-1F6I4-0126-SM-9MQL2 60-69 years, male 66.4
GTEX-1JMLX-0226-SM-CM2RO 50-59 years, male 66.4
GTEX-18QFQ-0126-SM-731BE 30-39 years, male 66.3
GTEX-P4QT-0126-SM-2I3FL 50-59 years, female 66.2
GTEX-11P7K-2126-SM-5GU7G 30-39 years, male 65.9
GTEX-1HSGN-0226-SM-CGQFV 40-49 years, female 65.8
GTEX-17EVQ-0226-SM-7LG4P 70-79 years, male 65.6
GTEX-ZYY3-0126-SM-5GZY5 60-69 years, female 65.6
GTEX-QDVN-2026-SM-3GAEP 50-59 years, male 65.5
GTEX-1F75I-0326-SM-9YFLU 40-49 years, male 65.5
GTEX-1AYD5-2426-SM-73KXR 50-59 years, male 65.4
GTEX-XV7Q-2526-SM-4BRV9 40-49 years, female 65.4
GTEX-U3ZN-2326-SM-3DB7W 30-39 years, female 65.2
GTEX-RVPV-0126-SM-EAZAW 60-69 years, male 65.2
GTEX-1KD5A-0226-SM-D5OV3 50-59 years, male 65.1
GTEX-QLQW-1126-SM-2S1Q8 30-39 years, male 65.0
GTEX-X4EP-0126-SM-3P5YV 60-69 years, female 64.8
GTEX-17F97-0326-SM-7LG5B 50-59 years, male 64.7
GTEX-13OVL-0226-SM-5L3E9 50-59 years, male 64.6
GTEX-X4XX-0126-SM-3NMC2 60-69 years, male 64.5
GTEX-1F75A-0126-SM-7RHGM 50-59 years, male 64.3
GTEX-1HUB1-0426-SM-E9U4U 60-69 years, male 64.3
GTEX-13VXT-0126-SM-5LU4I 20-29 years, female 64.2
GTEX-13W46-0226-SM-5SIAG 50-59 years, male 64.2
GTEX-131XF-5016-SM-7MGWE 60-69 years, male 64.2
GTEX-ZE7O-0126-SM-57WC1 50-59 years, female 64.1
GTEX-1H1ZS-0426-SM-9WG6G 70-79 years, male 63.8
GTEX-1R9PO-2126-SM-E9J4O 60-69 years, female 63.6
GTEX-1S82Y-2026-SM-EVYCM 40-49 years, male 63.6
GTEX-POMQ-2226-SM-2I5FK 20-29 years, female 63.5
GTEX-1C6VS-0526-SM-7DUEN 60-69 years, male 63.3
GTEX-1J1R8-1726-SM-ARL8M 40-49 years, male 63.2
GTEX-1N2EF-0226-SM-EYYXB 60-69 years, male 62.9
GTEX-1A8FM-0226-SM-7SB7Q 50-59 years, female 62.7
GTEX-1EN7A-0126-SM-7SB81 40-49 years, male 62.7
GTEX-17MF6-0126-SM-7LG4F 40-49 years, male 62.6
GTEX-1269C-2526-SM-5EGJ3 60-69 years, female 62.5
GTEX-14PHW-0126-SM-6LLJI 60-69 years, female 62.3
GTEX-QV44-1926-SM-2S1RF 50-59 years, male 62.2
GTEX-13FHO-0226-SM-5IFGY 60-69 years, male 62.0
GTEX-X5EB-2226-SM-46MW4 40-49 years, male 62.0
GTEX-1GF9U-2126-SM-7SB7L 40-49 years, female 61.8
GTEX-131XE-2326-SM-5PNZ2 50-59 years, male 61.4
GTEX-WXYG-2326-SM-4E3I6 50-59 years, female 61.4
GTEX-ZYFG-2326-SM-5E44B 60-69 years, female 61.3
GTEX-14753-0426-SM-5NQAM 60-69 years, male 61.2
GTEX-11GSO-2426-SM-5A5LY 60-69 years, male 60.9
GTEX-1H3NZ-0126-SM-ACKX7 60-69 years, male 60.6
GTEX-1B933-0126-SM-7PC29 50-59 years, female 60.5
GTEX-Q734-1926-SM-2I5EV 40-49 years, female 60.2
GTEX-11UD1-0126-SM-5PNYG 40-49 years, female 60.0
GTEX-14BMU-2226-SM-5TDE9 20-29 years, female 60.0
GTEX-RTLS-0126-SM-447CA 60-69 years, female 60.0
GTEX-S95S-1226-SM-4GICG 60-69 years, male 59.8
GTEX-1CB4J-0626-SM-7DHMP 60-69 years, male 59.7
GTEX-WZTO-0126-SM-3NM95 40-49 years, male 59.7
GTEX-PW2O-1526-SM-7RHHB 20-29 years, male 59.6
GTEX-13RTJ-2426-SM-5S2Q2 60-69 years, male 59.5
GTEX-139D8-0226-SM-5KLZO 30-39 years, female 59.3
GTEX-147F3-0526-SM-5SI98 50-59 years, female 59.3
GTEX-14PJ3-1826-SM-62LEX 50-59 years, male 59.1
GTEX-X638-0126-SM-47JZ8 70-79 years, female 59.1
GTEX-16XZY-2126-SM-79OK1 70-79 years, male 59.0
GTEX-131XH-2226-SM-5DUXJ 50-59 years, male 58.6
GTEX-1MCYP-1926-SM-E9J2R 20-29 years, female 58.6
GTEX-P4PP-0126-SM-3LK69 30-39 years, female 58.4
GTEX-1MGNQ-0126-SM-EVYCJ 40-49 years, male 58.3
GTEX-13RTL-0126-SM-7LG5S 40-49 years, male 58.1
GTEX-144GN-2326-SM-5LU4F 50-59 years, male 57.9
GTEX-1QEPI-0126-SM-EWRMQ 60-69 years, female 57.9
GTEX-13FTX-1826-SM-5J1NX 20-29 years, female 57.5
GTEX-14A6H-0126-SM-5QGPK 30-39 years, male 57.5
GTEX-XAJ8-0826-SM-47JY6 40-49 years, male 57.2
GTEX-Y8LW-1826-SM-5S2MV 50-59 years, female 57.2
GTEX-1GTWX-0126-SM-9YFLK 60-69 years, male 57.1
GTEX-1AYCT-2426-SM-7IGQ3 50-59 years, male 56.7
GTEX-1PPH7-2326-SM-EVYB8 40-49 years, male 56.6
GTEX-TMMY-0226-SM-33HBA 40-49 years, female 56.4
GTEX-XUW1-0426-SM-4BOOT 50-59 years, female 56.2
GTEX-15SHW-0326-SM-6PAML 60-69 years, male 56.1
GTEX-1EKGG-0226-SM-9WYTH 60-69 years, male 55.9
GTEX-X585-0226-SM-4QAS2 50-59 years, male 55.7
GTEX-ZVT3-0126-SM-5GU6I 60-69 years, female 55.6
GTEX-RN64-0126-SM-2TC68 50-59 years, male 55.5
GTEX-Q2AG-0126-SM-33HBV 40-49 years, female 55.3
GTEX-13O21-1426-SM-5K7XI 50-59 years, male 55.2
GTEX-ZAJG-0126-SM-5HL94 50-59 years, female 55.2
GTEX-1HCVE-0126-SM-CGQEU 50-59 years, male 55.2
GTEX-13N11-2526-SM-5K7UE 50-59 years, female 55.1
GTEX-14BIL-0126-SM-5SI92 50-59 years, male 55.1
GTEX-1QP29-0626-SM-EWRMX 50-59 years, male 55.1
GTEX-13OW7-0126-SM-5MR3B 50-59 years, male 55.0
GTEX-14LLW-0126-SM-6LLIO 70-79 years, female 55.0
GTEX-147F4-0226-SM-5QGPW 50-59 years, male 54.6
GTEX-12126-0326-SM-5PNW3 20-29 years, male 54.3
GTEX-11NUK-0126-SM-5A5L3 50-59 years, male 53.5
GTEX-14BIM-0226-SM-7IGLD 60-69 years, female 53.4
GTEX-11VI4-1726-SM-5CVLH 40-49 years, female 53.1
GTEX-15DYW-0126-SM-7KULE 60-69 years, female 53.0
GTEX-13OVI-1426-SM-5L3EY 60-69 years, female 52.9
GTEX-WH7G-2326-SM-3NMBC 40-49 years, male 52.8
GTEX-12C56-1726-SM-5EQ61 20-29 years, male 52.6
GTEX-1ICG6-2526-SM-CGQFZ 70-79 years, female 52.3
GTEX-1C6WA-0126-SM-7PC2B 60-69 years, male 52.2
GTEX-1A32A-0126-SM-718B1 50-59 years, female 52.1
GTEX-O5YW-0126-SM-3LK6D 50-59 years, male 52.1
GTEX-U3ZM-1526-SM-3DB9D 40-49 years, male 52.1
GTEX-1F48J-0126-SM-7P8TT 50-59 years, female 51.4
GTEX-1HKZK-0326-SM-9WYUH 40-49 years, male 51.1
GTEX-139T8-0126-SM-5K7XZ 60-69 years, male 50.9
GTEX-QDT8-0126-SM-48TZ1 30-39 years, female 50.8
GTEX-145LT-1726-SM-5QGP3 40-49 years, male 50.7
GTEX-1GN1W-0526-SM-9MQJQ 50-59 years, female 50.6
GTEX-OIZG-0726-SM-33HBL 50-59 years, male 50.3
GTEX-131XG-2626-SM-5KM17 50-59 years, female 50.0
GTEX-1IY9M-0126-SM-D3L8S 60-69 years, male 50.0
GTEX-YEC4-2126-SM-5IFJH 40-49 years, male 49.8
GTEX-1C64O-0126-SM-7SB8P 60-69 years, male 49.8
GTEX-11ZUS-0626-SM-59885 30-39 years, male 49.7
GTEX-17HII-0226-SM-7LG4E 50-59 years, male 49.6
GTEX-13QJ3-0326-SM-5S2RA 50-59 years, male 49.5
GTEX-PLZ5-2026-SM-2S1O4 50-59 years, male 49.5
GTEX-ZYW4-0126-SM-5E44A 60-69 years, male 49.3
GTEX-1LNCM-1126-SM-E9U5E 50-59 years, female 48.3
GTEX-14C5O-0126-SM-5SI6N 60-69 years, male 48.0
GTEX-12WSD-0126-SM-59HKN 60-69 years, female 47.6
GTEX-11EMC-2926-SM-5EQ4F 60-69 years, female 47.3
GTEX-PWCY-1826-SM-DHXIZ 20-29 years, female 47.2
GTEX-1QW4Y-1526-SM-EAZ3Z 30-39 years, male 46.5
GTEX-139T4-0226-SM-5HL5S 50-59 years, female 46.2
GTEX-Y5V6-2426-SM-4VDSB 60-69 years, male 46.2
GTEX-P4PQ-0126-SM-2S1NM 60-69 years, male 46.1
GTEX-117YW-2626-SM-5GZZH 50-59 years, male 46.0
GTEX-15SDE-2226-SM-7IGLO 50-59 years, female 46.0
GTEX-ZDXO-3026-SM-5J1N5 60-69 years, male 45.1
GTEX-1JMOU-1526-SM-CL54I 60-69 years, female 45.1
GTEX-X62O-0126-SM-4E3JN 50-59 years, male 44.7
GTEX-1HSEH-0126-SM-ACKXN 60-69 years, male 44.7
GTEX-R55E-0126-SM-2TC5Y 20-29 years, male 44.5
GTEX-QCQG-1726-SM-3GIJ9 50-59 years, female 43.8
GTEX-1PBJI-0526-SM-E8VNK 20-29 years, female 43.8
GTEX-ZAB4-0226-SM-5N9F5 40-49 years, male 43.4
GTEX-13OVG-1926-SM-5L3DK 60-69 years, male 43.2
GTEX-15SB6-1726-SM-6PAME 50-59 years, female 43.1
GTEX-ZF28-0126-SM-4WKGK 60-69 years, male 42.7
GTEX-OXRL-0126-SM-2YUMP 50-59 years, male 42.4
GTEX-1HBPH-0426-SM-B2LW5 40-49 years, female 40.9
GTEX-11GSP-2526-SM-5N9BP 60-69 years, female 40.7
GTEX-ZUA1-0126-SM-5GU76 40-49 years, male 39.9
GTEX-U4B1-1826-SM-4DXSU 40-49 years, male 39.2
GTEX-PLZ4-0126-SM-5SI8O 50-59 years, female 39.1
GTEX-1N2DV-0226-SM-E6CJ6 40-49 years, male 37.9
GTEX-11TTK-0126-SM-5987B 60-69 years, female 36.3
GTEX-ZQUD-1426-SM-57WER 30-39 years, male 36.3
GTEX-1I1HK-0126-SM-COH49 60-69 years, male 35.8
GTEX-113IC-0126-SM-5HL6T 60-69 years, male 33.9
GTEX-14PK6-1926-SM-6ETZU 70-79 years, female 32.1
GTEX-14JIY-0126-SM-6LLH6 60-69 years, male 31.8
GTEX-1OJC4-0126-SM-E9J2E 50-59 years, female 28.7
GTEX-1QP67-1626-SM-EAZ3X 40-49 years, female 26.6
GTEX-ZZPT-0226-SM-5E43X 50-59 years, male 25.1
GTEX-1RAZQ-0726-SM-EAZ43 30-39 years, male 14.2
GTEX-146FR-1326-SM-E9J48 60-69 years, female 11.9
GTEX-SE5C-1626-SM-2XCE3 40-49 years, female 10.3
Show allShow less

Contact

  • NEWS ARTICLES
  • PRESS ROOM

The Project

  • INTRODUCTION
  • ORGANIZATION
  • PUBLICATIONS

The Human Protein Atlas

  • DOWNLOADABLE DATA
  • LICENCE & CITATION
  • HELP & FAQ
The Human Protein Atlas project is funded
by the Knut & Alice Wallenberg Foundation.


contact@proteinatlas.org