We use cookies to enhance the usability of our website. If you continue, we'll assume that you are happy to receive all cookies. More information. Don't show this again.
OCEL1
HPA
RESOURCES
  • TISSUE
  • BRAIN
  • SINGLE CELL
  • SUBCELLULAR
  • CANCER
  • BLOOD
  • CELL LINE
  • STRUCTURE & INTERACTION
ABOUT
  • INTRODUCTION
  • HISTORY
  • ORGANIZATION
  • PUBLICATIONS
  • ANTIBODY SUBMISSION
  • ANTIBODY AVAILABILITY
  • ACKNOWLEDGMENTS
  • CONTACT
NEWS
  • NEWS ARTICLES
  • PRESS ROOM
LEARN
  • DICTIONARY
  • PROTEIN CLASSES
  • PROTEIN EVIDENCE
  • METHODS
  • EDUCATIONAL VIDEOS
DATA
  • DOWNLOADABLE DATA
  • PUBLICATION DATA
  • RELEASE HISTORY
HELP
  • ANTIBODY VALIDATION
  • ASSAYS & ANNOTATION
  • DISCLAIMER
  • HELP & FAQ
  • PRIVACY STATEMENT
  • LICENCE & CITATION
Fields »
Search result

Field
Term
Gene name
Class
Subclass
Class
Keyword
Chromosome
External id
Tissue
Cell type
Expression
Antibody panel
Tissue
Main location
Patient ID
Annotation
Tissue
Category
Tau score
Cluster
Reliability
Brain region
Category
Tau score
Brain region
Category
Tau score
Brain region
Category
Tau score
Cluster
Reliability
Tissue
Cell type
Enrichment
Cell type
Category
Tau score
Cell type
Category
Tau score
Cell type
Category
Tau score
Cell lineage
Category
Tau score
Cluster
Cluster
Location
Searches
Location
Cell line
Class
Type
Phase
Reliability
Cancer
Prognosis
Cancer
Category
Cancer
Category
Tau score
Cluster
Variants
Interacting gene (ensg_id)
Type
Number of interactions
Pathway
Category
Score
Score
Score
Validation
Validation
Validation
Validation
Antibodies
Data type
Column


  • SUMMARY

  • TISSUE

  • BRAIN

  • SINGLE CELL

  • SUBCELL

  • CANCER

  • BLOOD

  • CELL LINE

  • STRUCT & INT

  • OCEL1
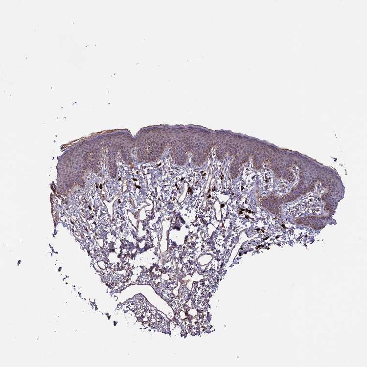
TISSUE PRIMARY DATA SKIN 1 Show tissue menu
ADIPOSE TISSUE ADRENAL GLAND AMYGDALA APPENDIX BASAL GANGLIA BONE MARROW BREAST BRONCHUS CEREBELLUM CEREBRAL CORTEX CERVIX CHOROID PLEXUS COLON DUODENUM
ENDOMETRIUM EPIDIDYMIS ESOPHAGUS FALLOPIAN TUBE GALLBLADDER HEART MUSCLE HIPPOCAMPAL FORMATION HYPOTHALAMUS KIDNEY LIVER LUNG LYMPH NODE MIDBRAIN NASOPHARYNX
ORAL MUCOSA OVARY PANCREAS PARATHYROID GLAND PITUITARY GLAND PLACENTA PROSTATE RECTUM RETINA SALIVARY GLAND SEMINAL VESICLE SKELETAL MUSCLE SKIN SMALL INTESTINE
SMOOTH MUSCLE SOFT TISSUE SPINAL CORD SPLEEN STOMACH TESTIS THYMUS THYROID GLAND TONGUE TONSIL URINARY BLADDER VAGINA
ANTIBODIES
AND
VALIDATION
Dictionary
Skin
Tissue proteome
SKIN - Expression summary
Protein expression
Skini

On the top, protein expression in current human tissue, based on all annotated cell types, is reported with the units not detected (n), low (l), medium (m) and high (h). Underneath, protein expression in each annotated cell type are reported using the same units.

Protein expression data is based on knowledge-based annotation. For genes where more than one antibody has been used, a collective score is set.

If knowledge-based annotation could not be performed for a gene, no data is displayed here. View antibody staining data further down this page.

h
m
l
n
Epidermal cells: Medium
Fibroblasts: Low
Keratinocytes: Medium
Langerhans: Medium
Melanocytes: Medium
RNA expressioni

A summary of mRNA expression data available for current tissue based on several datasets. The mRNA expression levels in human tissues are based on RNA-seq data generated by the Human Protein Atlas (HPA), Genotype-Tissue Expression (GTEx) portal and CAGE data generated by the FANTOM5 consortium. Consensus normalized expression levels for human tissues was created by combining the data from HPA and GTEx datasets.

The mRNA expression levels in pig are based on RNA-seq data generated by the Human Protein Atlas (HPA), and for mouse, HPA data and in situ hybridization generated by the Allen brain atlas are reported.

Scroll down to view mRNA expression data in more detail.
Consensus:8.6 nTPM
HPA:4.6 nTPM
GTEx:8.6 nTPM

SKIN 1 - Antibody stainingi

Antibody staining in the annotated cell types in the current human tissue is reported as not detected, low, medium, or high, based on conventional immunohistochemistry profiling in selected tissues. This score is based on the combination of the staining intensity and fraction of stained cells.

Each image is clickable and will lead to virtual microscopy that enables deeper exploration of all samples and also displays staining intensity scores, fraction scores and subcellular localization as well as patient and tissue information for each sample.

Antibody HPA042070
Langerhans Medium
Fibroblasts Low
Keratinocytes Medium
Melanocytes Medium


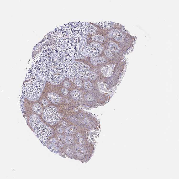
SKIN 2 - Antibody stainingi

Antibody staining in the annotated cell types in the current human tissue is reported as not detected, low, medium, or high, based on conventional immunohistochemistry profiling in selected tissues. This score is based on the combination of the staining intensity and fraction of stained cells.

Each image is clickable and will lead to virtual microscopy that enables deeper exploration of all samples and also displays staining intensity scores, fraction scores and subcellular localization as well as patient and tissue information for each sample.

Antibody HPA042070
Epidermal cells Medium
 
 
 



SKIN - HPA RNA-seqi

The RNA-seq details section shows detailed information about the individual samples used for the transcript profiling and results of the RNA-seq analysis.

Information about each individual sample is listed below, including gender, age, a tissue section image and estimated fractions of cell types. nTPM (normalized transcripts per million) values give a quantification of the gene abundance which is comparable between different genes and samples.
Average nTPMi

Max subtype nTPM is the value for the subtype with the largest average nTPM across the subtype samples.

4.6
overview
Female, age 34
Skin sample 225
nTPM: 6.5
Cell types%
Keratinocytes:
60

Other cell types:
40

overview
Female, age 30
Skin sample 226
nTPM: 2.7
Cell types%
Keratinocytes:
55

Other cell types:
45

N/A
Male, age 57
Skin sample 227
nTPM: 4.6

SKIN - GTEx RNA-seqi

RNA-Seq data generated by the Genotype-Tissue Expression (GTEx) project from human tissues is reported as mean nTPM. More information can be found on the GTEx portal.

Distribution across the dataset is visualized with box plots, shown as median and 25th and 75th percentiles. Points are displayed as outliers if they are above or below 1.5 times the interquartile range. nTPM values of the individual samples are presented next to the box plot.
Max subtype nTPMi

Max subtype nTPM is the value for the subtype with the largest average nTPM across the subtype samples.

8.6
GTEx sample id Sample description nTPM
Skin - Not Sun Exposed (Suprapubic)
Average nTPM: 8.6
Samples: 604

Max nTPM: 20.8
Min nTPM: 2.6
Std nTPM: 2.9
Median nTPM: 8.1
GTEX-X585-2426-SM-46MW2 50-59 years, male 20.8
GTEX-1OJC3-1226-SM-DTXER 20-29 years, male 20.5
GTEX-17F97-2626-SM-7IGM5 50-59 years, male 20.3
GTEX-UPK5-0426-SM-3GAEK 40-49 years, male 17.9
GTEX-1399R-1326-SM-5PNYS 30-39 years, male 17.4
GTEX-13JVG-0726-SM-5KM16 60-69 years, male 17.4
GTEX-13NYB-0126-SM-5J1MD 40-49 years, male 17.4
GTEX-YB5K-2026-SM-4VDT3 40-49 years, female 16.9
GTEX-16YQH-2226-SM-7IGM2 30-39 years, male 16.8
GTEX-1JMLX-0626-SM-ARL8T 50-59 years, male 16.5
GTEX-1K2DA-1026-SM-CGQGF 50-59 years, male 16.4
GTEX-1CAMR-1326-SM-7PC1F 20-29 years, male 16.2
GTEX-12126-0826-SM-5FQTZ 20-29 years, male 16.1
GTEX-14PJO-2526-SM-6AJBQ 60-69 years, male 16.1
GTEX-147F4-0726-SM-5TDDD 50-59 years, male 15.9
GTEX-11NSD-0626-SM-5A5LU 20-29 years, male 15.2
GTEX-144FL-0626-SM-5LU43 50-59 years, male 15.1
GTEX-XOT4-0626-SM-4B66L 60-69 years, female 15.0
GTEX-Y114-2126-SM-4TT8B 50-59 years, female 14.6
GTEX-12ZZX-2426-SM-5GCOE 40-49 years, female 14.5
GTEX-1PIGE-1826-SM-E8VOU 20-29 years, male 14.5
GTEX-11DYG-1526-SM-5A5JS 60-69 years, male 14.4
GTEX-1E2YA-2126-SM-7MXUO 50-59 years, male 14.2
GTEX-131XH-0126-SM-5LZUY 50-59 years, male 14.1
GTEX-117YX-1926-SM-5GIEC 50-59 years, male 14.0
GTEX-Y5V6-2326-SM-4VDSA 60-69 years, male 14.0
GTEX-ZAK1-0626-SM-5HL8E 50-59 years, female 13.8
GTEX-1IKOE-1426-SM-CE6T7 30-39 years, female 13.8
GTEX-1F6I4-2326-SM-7RHGL 60-69 years, male 13.6
GTEX-139TS-2126-SM-5K7XC 60-69 years, male 13.5
GTEX-18A6Q-0626-SM-7KFRP 60-69 years, male 13.5
GTEX-1H3O1-1326-SM-9MQLD 60-69 years, male 13.5
GTEX-1I19N-0126-SM-CYPSF 70-79 years, male 13.5
GTEX-1MCC2-1826-SM-DIPEX 30-39 years, female 13.4
GTEX-145MG-1526-SM-5Q5EM 50-59 years, male 13.2
GTEX-ZYFG-1526-SM-5GZYM 60-69 years, female 13.2
GTEX-1IDJE-1426-SM-ADEIW 50-59 years, female 13.2
GTEX-1117F-2926-SM-5GZYI 60-69 years, female 13.1
GTEX-WFG7-2026-SM-5SI7P 20-29 years, male 13.1
GTEX-XYKS-1426-SM-4BRUO 60-69 years, female 13.1
GTEX-1S82P-2126-SM-E6CI5 60-69 years, female 13.1
GTEX-11WQC-1826-SM-5GU59 60-69 years, male 13.0
GTEX-139YR-1026-SM-5LZYN 50-59 years, male 13.0
GTEX-15RIE-1926-SM-7KUKJ 60-69 years, male 13.0
GTEX-ZP4G-1426-SM-4WWCL 20-29 years, female 13.0
GTEX-1N2DV-1526-SM-DTXEP 40-49 years, male 13.0
GTEX-1F52S-2926-SM-7MKGA 60-69 years, female 12.8
GTEX-1GZ2Q-0126-SM-9WG6M 40-49 years, male 12.8
GTEX-1HSMP-0926-SM-A9SKX 70-79 years, male 12.8
GTEX-1399Q-2326-SM-5KM2X 40-49 years, male 12.7
GTEX-XBEW-1126-SM-4QARW 40-49 years, male 12.7
GTEX-1C64O-1326-SM-7MGWR 60-69 years, male 12.7
GTEX-1LKK1-2626-SM-DKPQE 50-59 years, female 12.7
GTEX-11OF3-0126-SM-5PNYF 60-69 years, male 12.6
GTEX-139D8-1126-SM-5LU8W 30-39 years, female 12.6
GTEX-15RIG-0726-SM-7KUM7 40-49 years, male 12.6
GTEX-14E6E-0526-SM-793DN 30-39 years, male 12.5
GTEX-16AAH-0626-SM-793C9 50-59 years, male 12.5
GTEX-132AR-0326-SM-5KM2C 50-59 years, female 12.4
GTEX-16MTA-0926-SM-6M47Z 50-59 years, male 12.3
GTEX-11DXY-0126-SM-5H11Q 60-69 years, male 12.2
GTEX-12WSJ-1126-SM-5LZVJ 40-49 years, female 12.2
GTEX-1LBAC-0826-SM-CY8IJ 20-29 years, male 12.2
GTEX-13NZ9-2626-SM-5L3FK 50-59 years, male 12.1
GTEX-146FQ-2126-SM-5RQHU 30-39 years, male 12.1
GTEX-14PJ2-0626-SM-6LLII 50-59 years, male 12.1
GTEX-14PK6-0226-SM-62LF5 70-79 years, female 12.1
GTEX-1C64N-2626-SM-7PC2N 50-59 years, male 12.1
GTEX-1JMQJ-0826-SM-CNPP7 50-59 years, male 12.1
GTEX-1JMQL-2226-SM-CNPP4 50-59 years, female 12.1
GTEX-11P81-2226-SM-5PNYI 30-39 years, female 12.0
GTEX-YFCO-1226-SM-5LUAT 40-49 years, male 12.0
GTEX-ZE7O-2726-SM-51MT5 50-59 years, female 12.0
GTEX-ZXG5-2126-SM-59HKD 60-69 years, male 12.0
GTEX-WHWD-1826-SM-3LK6I 50-59 years, male 11.9
GTEX-Y3IK-1626-SM-4YCF5 50-59 years, female 11.9
GTEX-1PDJ9-1226-SM-EXUSX 20-29 years, male 11.9
GTEX-15SHW-0226-SM-7LTAT 60-69 years, male 11.8
GTEX-1F75I-2226-SM-7SB8U 40-49 years, male 11.8
GTEX-1KD5A-0126-SM-E9U54 50-59 years, male 11.8
GTEX-1POEN-2326-SM-E9J2L 30-39 years, female 11.8
GTEX-1R9K4-2826-SM-DTX8F 60-69 years, male 11.8
GTEX-11ZUS-2626-SM-5FQUR 30-39 years, male 11.7
GTEX-17F9E-2326-SM-79OKD 50-59 years, male 11.7
GTEX-ZPU1-1126-SM-4YCF3 40-49 years, male 11.7
GTEX-1J8EW-2726-SM-CY8HR 60-69 years, female 11.7
GTEX-1192X-2726-SM-5N9DN 50-59 years, male 11.6
GTEX-XBEC-0726-SM-4QARZ 50-59 years, male 11.6
GTEX-13FTX-1526-SM-5K7VJ 20-29 years, female 11.5
GTEX-13OVL-0126-SM-5L3GJ 50-59 years, male 11.5
GTEX-18A66-0626-SM-7LT8Z 60-69 years, male 11.5
GTEX-1GMR2-0826-SM-7PC3V 50-59 years, male 11.5
GTEX-1IDJD-2326-SM-ACKWX 30-39 years, male 11.5
GTEX-1JJEA-1826-SM-ARU8P 60-69 years, male 11.5
GTEX-1RMOY-1326-SM-E9TIH 50-59 years, male 11.5
GTEX-WXYG-2026-SM-4E3IY 50-59 years, female 11.4
GTEX-1HT8W-0626-SM-A9G2H 30-39 years, male 11.4
GTEX-111FC-2526-SM-5GZXU 60-69 years, male 11.3
GTEX-11P7K-1126-SM-5HL4L 30-39 years, male 11.3
GTEX-145LS-0626-SM-7EPG7 60-69 years, female 11.3
GTEX-14JG1-1526-SM-5YY9X 40-49 years, male 11.3
GTEX-17F96-0126-SM-7EWDU 70-79 years, male 11.3
GTEX-1A3MW-0626-SM-731CB 60-69 years, female 11.3
GTEX-1F75W-2726-SM-7SB8H 60-69 years, male 11.3
GTEX-1I6K6-1726-SM-CGQFD 30-39 years, male 11.3
GTEX-12WSF-1626-SM-7KUG5 70-79 years, male 11.2
GTEX-145LU-1926-SM-79OJN 50-59 years, male 11.2
GTEX-14DAQ-0626-SM-793DS 60-69 years, female 11.2
GTEX-17JCI-2926-SM-7DUFF 60-69 years, female 11.2
GTEX-1HFI6-0126-SM-CNPPI 40-49 years, male 11.2
GTEX-1LSVX-2526-SM-DIPEU 60-69 years, male 11.2
GTEX-1LVAM-0726-SM-E6CIL 50-59 years, female 11.2
GTEX-11TT1-1826-SM-5EQLV 20-29 years, male 11.1
GTEX-15RJ7-2126-SM-6PAMD 40-49 years, male 11.1
GTEX-1QMI2-2526-SM-E8VNZ 60-69 years, male 11.1
GTEX-14PJ3-1126-SM-5ZZVX 50-59 years, male 11.0
GTEX-15G19-2426-SM-7KUMR 60-69 years, male 11.0
GTEX-1MCYP-0526-SM-E9U6Q 20-29 years, female 11.0
GTEX-1399S-0126-SM-5IJCF 30-39 years, female 10.9
GTEX-13NYS-0626-SM-5L3F1 60-69 years, male 10.9
GTEX-Y111-0626-SM-4SOIT 50-59 years, male 10.9
GTEX-ZDXO-3126-SM-5IJDF 60-69 years, male 10.9
GTEX-ZVP2-0326-SM-57WBP 50-59 years, male 10.9
GTEX-ZYVF-0926-SM-5E44J 50-59 years, female 10.9
GTEX-1GF9X-1326-SM-7PC2Y 40-49 years, female 10.9
GTEX-1S82U-1026-SM-E6CJK 30-39 years, female 10.9
GTEX-11DZ1-2426-SM-5GZZX 50-59 years, male 10.8
GTEX-145MH-2826-SM-5RQJF 50-59 years, male 10.8
GTEX-14E1K-2026-SM-7DUEI 50-59 years, male 10.8
GTEX-ZAB4-2126-SM-5HL8U 40-49 years, male 10.8
GTEX-ZVE1-0726-SM-51MRN 50-59 years, female 10.8
GTEX-1KANB-2826-SM-CY8I6 50-59 years, male 10.8
GTEX-11PRG-0726-SM-5EGL1 50-59 years, male 10.7
GTEX-14PHX-2226-SM-6EU2P 50-59 years, male 10.7
GTEX-18QFQ-1826-SM-72D52 30-39 years, male 10.7
GTEX-1EWIQ-0326-SM-7DHMQ 70-79 years, female 10.7
GTEX-WEY5-2326-SM-3GIKK 40-49 years, female 10.7
GTEX-12WSH-1526-SM-5BC5W 50-59 years, male 10.6
GTEX-YECK-0326-SM-4W1YS 60-69 years, male 10.6
GTEX-ZTSS-1426-SM-5985P 40-49 years, male 10.6
GTEX-1H23P-0626-SM-9WG6T 60-69 years, male 10.6
GTEX-1LVAO-2726-SM-E9TJ8 60-69 years, male 10.6
GTEX-1QP9N-1226-SM-E76QN 30-39 years, male 10.6
GTEX-11GS4-0226-SM-5HL77 60-69 years, male 10.5
GTEX-12BJ1-0926-SM-5EQ62 60-69 years, male 10.5
GTEX-XBED-1926-SM-47JYP 60-69 years, male 10.5
GTEX-1H1DG-2426-SM-9QEHJ 70-79 years, male 10.5
GTEX-1HGF4-0126-SM-CNPPX 60-69 years, male 10.5
GTEX-14JFF-0626-SM-5ZZVT 60-69 years, male 10.4
GTEX-1NSGN-0726-SM-DTXEF 50-59 years, male 10.4
GTEX-1QEPI-2626-SM-DTXF4 60-69 years, female 10.4
GTEX-13G51-1826-SM-5KLZH 60-69 years, male 10.3
GTEX-145ME-1726-SM-5Q5EU 40-49 years, female 10.3
GTEX-17HG3-2626-SM-7DUF2 30-39 years, female 10.3
GTEX-YJ8O-2526-SM-5HL85 40-49 years, female 10.3
GTEX-139TT-2126-SM-5LZWC 60-69 years, male 10.2
GTEX-13N2G-0226-SM-5K7VF 60-69 years, male 10.2
GTEX-14PHY-1226-SM-5ZZWK 60-69 years, female 10.2
GTEX-WI4N-2726-SM-3LK7Y 40-49 years, female 10.2
GTEX-XQ3S-1426-SM-4BOPR 20-29 years, male 10.2
GTEX-Y3I4-1726-SM-4TT89 50-59 years, male 10.2
GTEX-ZDTT-0426-SM-4WKFL 60-69 years, male 10.2
GTEX-ZYT6-2326-SM-5GZY3 30-39 years, male 10.2
GTEX-13FHO-0426-SM-5L3F5 60-69 years, male 10.1
GTEX-14PII-0726-SM-6EU2B 60-69 years, male 10.1
GTEX-17HGU-2326-SM-7DUFE 50-59 years, male 10.1
GTEX-XXEK-1626-SM-4BRUZ 50-59 years, male 10.1
GTEX-1AYD5-2626-SM-7PBXY 50-59 years, male 10.1
GTEX-1GZ4I-2626-SM-9KNU3 50-59 years, male 10.1
GTEX-1O9I2-0226-SM-EYYXD 50-59 years, male 10.1
GTEX-13FTY-2126-SM-5IFFB 40-49 years, female 10.0
GTEX-X4EP-0626-SM-3P621 60-69 years, female 10.0
GTEX-XUW1-0926-SM-4BONX 50-59 years, female 10.0
GTEX-1HCUA-0826-SM-ADEHM 50-59 years, female 10.0
GTEX-13NZ8-1226-SM-5KM4A 60-69 years, female 9.9
GTEX-147GR-2426-SM-5ZZWQ 60-69 years, male 9.9
GTEX-14ABY-2026-SM-62LDL 50-59 years, male 9.9
GTEX-ZF3C-0626-SM-DO92O 50-59 years, female 9.9
GTEX-1EN7A-2426-SM-793DB 40-49 years, male 9.8
GTEX-14LLW-2626-SM-62LDZ 70-79 years, female 9.7
GTEX-17EVP-2626-SM-7IGMA 40-49 years, male 9.7
GTEX-1BAJH-2426-SM-7IGP8 70-79 years, male 9.7
GTEX-WY7C-2126-SM-3NB2R 50-59 years, male 9.7
GTEX-YEC4-1826-SM-4W1YP 40-49 years, male 9.7
GTEX-1H1CY-0126-SM-9YFLY 60-69 years, female 9.7
GTEX-1KANA-1326-SM-DIPFA 20-29 years, male 9.7
GTEX-1QCLZ-2426-SM-EVYBW 60-69 years, female 9.7
GTEX-1RAZQ-1326-SM-E9TK6 30-39 years, male 9.7
GTEX-15UF6-1926-SM-7KUDV 70-79 years, female 9.6
GTEX-1H1DE-1326-SM-9KNUG 20-29 years, male 9.6
GTEX-1JN76-0626-SM-CKZOQ 20-29 years, female 9.6
GTEX-12WSL-2026-SM-5GCML 50-59 years, male 9.5
GTEX-13YAN-0226-SM-5TDC6 60-69 years, male 9.5
GTEX-144GO-2026-SM-5O99P 60-69 years, male 9.5
GTEX-VUSG-2326-SM-4KL1U 50-59 years, male 9.5
GTEX-ZPCL-1126-SM-4WWFE 60-69 years, female 9.5
GTEX-ZZ64-1026-SM-5GZXG 20-29 years, male 9.5
GTEX-139TU-0726-SM-5L3EK 60-69 years, male 9.4
GTEX-13X6I-1826-SM-5SIAO 60-69 years, male 9.4
GTEX-16MT9-0126-SM-7EPI8 60-69 years, female 9.4
GTEX-1CAV2-0126-SM-7IGN7 40-49 years, female 9.4
GTEX-1GN73-0726-SM-7P8TJ 60-69 years, male 9.4
GTEX-1HSMQ-2626-SM-A9SML 50-59 years, male 9.4
GTEX-1I4MK-0126-SM-CY8G6 50-59 years, female 9.4
GTEX-1PPH8-0126-SM-EWRN8 20-29 years, male 9.4
GTEX-1QP66-1226-SM-DTX7U 50-59 years, male 9.4
GTEX-1S83E-1326-SM-E6CJM 40-49 years, male 9.4
GTEX-12584-0726-SM-5FQTK 40-49 years, male 9.3
GTEX-1313W-0626-SM-5EQ4H 50-59 years, female 9.3
GTEX-131XG-0326-SM-5L3DX 50-59 years, female 9.3
GTEX-14ICL-1626-SM-5YYAO 30-39 years, male 9.3
GTEX-18465-2826-SM-7LT9J 50-59 years, male 9.3
GTEX-1I1HK-2326-SM-CKZOH 60-69 years, male 9.3
GTEX-1LVAN-0626-SM-CNPOQ 50-59 years, female 9.3
GTEX-1PPGY-1626-SM-EVYBL 60-69 years, male 9.3
GTEX-1314G-1326-SM-5BC6E 30-39 years, male 9.2
GTEX-14C39-1726-SM-5RQIL 40-49 years, male 9.2
GTEX-XQ8I-0926-SM-4BOOF 50-59 years, male 9.2
GTEX-18D9A-1426-SM-7LT8M 30-39 years, female 9.2
GTEX-1OJC4-2726-SM-E76PJ 50-59 years, female 9.2
GTEX-13JUV-2026-SM-5K7UA 40-49 years, female 9.1
GTEX-144GL-0626-SM-5LU4D 50-59 years, male 9.1
GTEX-145MN-1526-SM-5SI9T 30-39 years, male 9.1
GTEX-15G1A-1626-SM-7KUKN 30-39 years, male 9.1
GTEX-15RJE-2826-SM-7KUM9 40-49 years, male 9.1
GTEX-15SKB-2826-SM-6PAMH 60-69 years, male 9.1
GTEX-17F9Y-0126-SM-79OKX 70-79 years, female 9.1
GTEX-XMD2-2126-SM-4YCF8 60-69 years, female 9.1
GTEX-1J8JJ-0626-SM-ARZMQ 60-69 years, female 9.1
GTEX-1KANC-1226-SM-CYPT7 50-59 years, female 9.1
GTEX-12KS4-2126-SM-5FQUT 30-39 years, male 9.0
GTEX-13OW5-2326-SM-5L3HO 60-69 years, male 9.0
GTEX-15D1Q-2826-SM-6LLH7 40-49 years, male 9.0
GTEX-16GPK-0626-SM-7KFSF 60-69 years, male 9.0
GTEX-16Z82-2626-SM-7KULU 60-69 years, male 9.0
GTEX-ZT9X-1526-SM-5DUXD 40-49 years, male 9.0
GTEX-ZVTK-0226-SM-51MRG 20-29 years, male 9.0
GTEX-ZYW4-0626-SM-59HJR 60-69 years, male 9.0
GTEX-1HSGN-0826-SM-ACKW3 40-49 years, female 9.0
GTEX-13SLX-2226-SM-62LEP 50-59 years, female 8.9
GTEX-15CHR-1126-SM-7EWF4 50-59 years, male 8.9
GTEX-15DDE-2926-SM-6LLJ3 50-59 years, female 8.9
GTEX-1AX8Z-0726-SM-73KTS 60-69 years, male 8.9
GTEX-1EX96-1026-SM-7MKG2 50-59 years, male 8.9
GTEX-ZDTS-0826-SM-4WKHL 60-69 years, male 8.9
GTEX-1CAMS-2226-SM-7PBXQ 40-49 years, female 8.9
GTEX-1MJK3-0726-SM-E6CJC 20-29 years, male 8.9
GTEX-13OW6-2726-SM-5J2OE 50-59 years, male 8.8
GTEX-13SLW-0626-SM-5Q5ER 70-79 years, male 8.8
GTEX-18D9B-0926-SM-7LG4U 60-69 years, male 8.8
GTEX-Z93S-1626-SM-5CVMB 50-59 years, male 8.8
GTEX-1A8FM-0626-SM-7PC25 50-59 years, female 8.8
GTEX-1IY9M-2826-SM-ARU8H 60-69 years, male 8.8
GTEX-1JMOU-1026-SM-CYPSS 60-69 years, female 8.8
GTEX-ZLV1-1526-SM-DO91J 60-69 years, female 8.8
GTEX-13IVO-0726-SM-5LZYV 70-79 years, male 8.7
GTEX-13RTJ-0126-SM-5S2NN 60-69 years, male 8.7
GTEX-ZWKS-0626-SM-5GIDV 30-39 years, male 8.7
GTEX-1HR98-2226-SM-ADEI2 60-69 years, male 8.7
GTEX-1I6K7-1926-SM-B2LXR 40-49 years, male 8.7
GTEX-1IL2V-1926-SM-B2LW8 70-79 years, male 8.7
GTEX-111CU-1126-SM-5EGIM 50-59 years, male 8.6
GTEX-WHPG-2626-SM-3NMBR 50-59 years, male 8.6
GTEX-XPVG-2126-SM-4B667 50-59 years, male 8.6
GTEX-1HCU8-2526-SM-CE6RX 60-69 years, female 8.6
GTEX-1QCLY-0226-SM-EWRNH 30-39 years, male 8.6
GTEX-YEC3-1326-SM-DO92X 50-59 years, male 8.6
GTEX-XV7Q-1826-SM-4BRUV 40-49 years, female 8.5
GTEX-ZUA1-2626-SM-5NQ92 40-49 years, male 8.5
GTEX-1F75A-0726-SM-7RHHD 50-59 years, male 8.5
GTEX-1GN1W-2426-SM-9KNUU 50-59 years, female 8.5
GTEX-1LG7Z-1626-SM-CXKYR 30-39 years, male 8.5
GTEX-1QP29-1826-SM-DTX9S 50-59 years, male 8.5
GTEX-111YS-1526-SM-5GZYW 60-69 years, male 8.4
GTEX-13QBU-1226-SM-5LU4G 40-49 years, female 8.4
GTEX-183FY-1026-SM-7939A 20-29 years, male 8.4
GTEX-1A8G6-2726-SM-731AR 60-69 years, male 8.4
GTEX-1B8KE-1126-SM-7EPHI 50-59 years, male 8.4
GTEX-1HFI7-2326-SM-CGQFS 50-59 years, female 8.4
GTEX-1JMQI-1726-SM-ARL93 50-59 years, male 8.4
GTEX-1LGOU-1326-SM-D3L8M 20-29 years, female 8.4
GTEX-17KNJ-2126-SM-718AM 50-59 years, male 8.3
GTEX-18A67-1626-SM-7LT9T 50-59 years, male 8.3
GTEX-Y9LG-1126-SM-4VBQ7 30-39 years, male 8.3
GTEX-1C475-1326-SM-7SB73 40-49 years, female 8.3
GTEX-1PIIG-2326-SM-DTXFR 30-39 years, male 8.3
GTEX-1PPH7-1126-SM-DTX9A 40-49 years, male 8.3
GTEX-11NUK-2726-SM-5A5MC 50-59 years, male 8.2
GTEX-13W3W-0726-SM-5IJDQ 60-69 years, female 8.2
GTEX-14PJN-1826-SM-6AJ98 30-39 years, male 8.2
GTEX-1A32A-0626-SM-731AQ 50-59 years, female 8.2
GTEX-WHSE-0126-SM-3NMBT 20-29 years, male 8.2
GTEX-1ICG6-1226-SM-A9SLN 70-79 years, female 8.2
GTEX-1K9T9-1526-SM-DIPFR 50-59 years, female 8.2
GTEX-1KAFJ-0126-SM-DIPEK 50-59 years, male 8.2
GTEX-14LZ3-0126-SM-69LPM 60-69 years, female 8.1
GTEX-1B97I-0626-SM-73KUZ 40-49 years, male 8.1
GTEX-1C6VQ-1226-SM-73KYD 50-59 years, male 8.1
GTEX-WFG8-2126-SM-3GIKQ 20-29 years, male 8.1
GTEX-Y8E4-2026-SM-5IFJB 40-49 years, male 8.1
GTEX-1F5PK-2226-SM-7SB6N 50-59 years, male 8.1
GTEX-1JMPY-0226-SM-CKZOK 30-39 years, male 8.1
GTEX-1K2DU-1226-SM-CYPT4 20-29 years, male 8.1
GTEX-1KXAM-1626-SM-D3LAD 60-69 years, male 8.1
GTEX-1LSNM-0826-SM-DIPG8 50-59 years, male 8.1
GTEX-11EM3-1226-SM-5N9DD 20-29 years, female 8.0
GTEX-15DYW-2726-SM-6EU2I 60-69 years, female 8.0
GTEX-18D9U-0126-SM-731BM 40-49 years, male 8.0
GTEX-ZLWG-0826-SM-59888 50-59 years, female 8.0
GTEX-1H3NZ-2726-SM-9WYTQ 60-69 years, male 8.0
GTEX-11UD2-2526-SM-5CVNU 50-59 years, male 7.9
GTEX-147F3-1726-SM-5SIAW 50-59 years, female 7.9
GTEX-14BMU-1226-SM-5S2OR 20-29 years, female 7.9
GTEX-15CHC-1126-SM-6LLHQ 60-69 years, female 7.9
GTEX-16NGA-0726-SM-731AO 40-49 years, female 7.9
GTEX-17EVQ-0126-SM-7IGLR 70-79 years, male 7.9
GTEX-1CAMQ-1326-SM-7P8RV 40-49 years, male 7.9
GTEX-1CB4I-0126-SM-7RHGG 50-59 years, male 7.9
GTEX-1GPI7-1826-SM-9KNU1 20-29 years, male 7.9
GTEX-11DXZ-2026-SM-5987S 50-59 years, male 7.8
GTEX-12WSC-2826-SM-5BC5Y 50-59 years, male 7.8
GTEX-139UW-0326-SM-5J1ML 60-69 years, male 7.8
GTEX-145LT-0526-SM-5LUB2 40-49 years, male 7.8
GTEX-14BIN-1126-SM-5RQJZ 50-59 years, female 7.8
GTEX-ZU9S-1826-SM-5NQ9E 30-39 years, male 7.8
GTEX-1EMGI-2326-SM-7PBYA 60-69 years, male 7.8
GTEX-1GZ4H-0526-SM-9KNU9 50-59 years, female 7.8
GTEX-1S5ZU-2526-SM-E6CIF 20-29 years, female 7.8
GTEX-11O72-0626-SM-5PNYE 40-49 years, male 7.7
GTEX-131XF-2626-SM-5EQ6K 60-69 years, male 7.7
GTEX-17HHY-0426-SM-7DHLC 50-59 years, male 7.7
GTEX-17MFQ-1526-SM-7KFRR 20-29 years, male 7.7
GTEX-18A7A-0126-SM-731AH 50-59 years, female 7.7
GTEX-WYVS-1626-SM-3NM9R 40-49 years, female 7.7
GTEX-ZVZP-1226-SM-5GID7 50-59 years, male 7.7
GTEX-1LG7Y-2526-SM-EWRO7 50-59 years, male 7.7
GTEX-13FTW-0326-SM-5K7UW 40-49 years, male 7.6
GTEX-13OVJ-0826-SM-5J1OK 50-59 years, female 7.6
GTEX-14PKV-1126-SM-6LLJ1 20-29 years, female 7.6
GTEX-ZC5H-1526-SM-5HL9Y 40-49 years, female 7.6
GTEX-ZE9C-2526-SM-5IJDR 60-69 years, male 7.6
GTEX-1F88F-0126-SM-9WYSZ 60-69 years, female 7.6
GTEX-1GL5R-1326-SM-7RHHF 50-59 years, male 7.6
GTEX-1GMR8-0626-SM-7RHI7 50-59 years, female 7.6
GTEX-1IDJC-1526-SM-B2LW4 50-59 years, male 7.6
GTEX-1IDJF-2026-SM-CL53V 20-29 years, male 7.6
GTEX-1J1R8-2026-SM-CL53Y 40-49 years, male 7.6
GTEX-1S831-1826-SM-EWROF 20-29 years, male 7.6
GTEX-11EQ9-1626-SM-5PNY8 30-39 years, male 7.5
GTEX-1212Z-0126-SM-59HK4 60-69 years, male 7.5
GTEX-12WSA-0426-SM-5EQ5X 60-69 years, male 7.5
GTEX-13FH7-1126-SM-5K7UG 50-59 years, female 7.5
GTEX-13FLV-0126-SM-5K7WT 50-59 years, male 7.5
GTEX-ZLFU-1826-SM-4WWBV 40-49 years, male 7.5
GTEX-ZY6K-1426-SM-5GZX2 50-59 years, male 7.5
GTEX-11P82-1426-SM-DTXFY 20-29 years, male 7.5
GTEX-1GF9U-2026-SM-7SB92 40-49 years, female 7.5
GTEX-1JN1M-2726-SM-CY8I4 60-69 years, female 7.5
GTEX-1JN6P-2926-SM-CL54D 60-69 years, male 7.5
GTEX-1R9PM-1926-SM-EVR3O 20-29 years, male 7.5
GTEX-111VG-1626-SM-5EGIO 60-69 years, male 7.4
GTEX-13N1W-2426-SM-5IJD1 70-79 years, male 7.4
GTEX-14753-0726-SM-5QGQO 60-69 years, male 7.4
GTEX-16NPX-0726-SM-7KULC 50-59 years, male 7.4
GTEX-ZA64-1026-SM-5HL8R 20-29 years, male 7.4
GTEX-ZYFC-0426-SM-5GICQ 50-59 years, male 7.4
GTEX-1L5NE-1126-SM-D3L9P 50-59 years, male 7.4
GTEX-13O61-1426-SM-5KM3D 60-69 years, male 7.3
GTEX-13OVK-1426-SM-6PAN7 40-49 years, male 7.3
GTEX-13QJC-0126-SM-5ZZWJ 60-69 years, female 7.3
GTEX-145MF-0926-SM-5Q5EA 50-59 years, male 7.3
GTEX-16XZZ-0726-SM-7KUF2 60-69 years, male 7.3
GTEX-178AV-1726-SM-7KUL8 40-49 years, male 7.3
GTEX-18A7B-2726-SM-7LG56 70-79 years, male 7.3
GTEX-1B933-2426-SM-7DHMD 50-59 years, female 7.3
GTEX-1C2JI-1026-SM-73KY1 50-59 years, male 7.3
GTEX-UPJH-0226-SM-3GADV 50-59 years, male 7.3
GTEX-X3Y1-2026-SM-3P5YM 40-49 years, male 7.3
GTEX-ZTTD-2826-SM-4YCFA 50-59 years, male 7.3
GTEX-ZTX8-1326-SM-4YCEL 20-29 years, male 7.3
GTEX-1F88E-1626-SM-7SB8Z 60-69 years, female 7.3
GTEX-1HCU6-2526-SM-ADEHL 60-69 years, female 7.3
GTEX-1477Z-0326-SM-7IGLA 60-69 years, male 7.2
GTEX-16MT8-2926-SM-7DUFO 60-69 years, female 7.2
GTEX-1B8SF-0126-SM-7DUG3 60-69 years, male 7.2
GTEX-VJYA-1526-SM-3GIJV 60-69 years, male 7.2
GTEX-ZVT4-2426-SM-5GIEI 50-59 years, female 7.2
GTEX-ZZPU-0826-SM-5GZX5 50-59 years, female 7.2
GTEX-1GF9V-0826-SM-9KNUV 60-69 years, male 7.2
GTEX-1HC8U-1326-SM-9YFMJ 40-49 years, female 7.2
GTEX-1HCU9-0426-SM-9WYSD 20-29 years, male 7.2
GTEX-1LVA9-2626-SM-EVYD4 50-59 years, male 7.2
GTEX-1QP28-1126-SM-EVYC4 50-59 years, female 7.2
GTEX-1QW4Y-1126-SM-DTXE3 30-39 years, male 7.2
GTEX-12WSD-0626-SM-5GCMW 60-69 years, female 7.1
GTEX-13N11-2326-SM-5IJBF 50-59 years, female 7.1
GTEX-13OVH-0526-SM-5L3E6 70-79 years, male 7.1
GTEX-16BQI-1326-SM-6M486 30-39 years, female 7.1
GTEX-WRHU-2826-SM-3MJG8 50-59 years, female 7.1
GTEX-1GF9W-1426-SM-7PBYM 60-69 years, male 7.1
GTEX-1GMRU-2126-SM-7P8RA 50-59 years, male 7.1
GTEX-1HBPN-0126-SM-CGQEF 50-59 years, male 7.1
GTEX-1RB15-1326-SM-E76Q9 60-69 years, male 7.1
GTEX-11ZTT-2126-SM-5CVLO 60-69 years, female 7.0
GTEX-13OW7-0426-SM-5K7VK 50-59 years, male 7.0
GTEX-13VXT-1926-SM-5K7UO 20-29 years, female 7.0
GTEX-145MO-2826-SM-5LU96 60-69 years, male 7.0
GTEX-14PJ4-0226-SM-5YY92 60-69 years, male 7.0
GTEX-1CB4E-0926-SM-7EPHT 60-69 years, male 7.0
GTEX-1EU9M-1426-SM-793AI 60-69 years, male 7.0
GTEX-U8XE-0226-SM-4E3J3 30-39 years, male 7.0
GTEX-ZF2S-1626-SM-57WES 50-59 years, female 7.0
GTEX-1H2FU-0926-SM-9WPPT 60-69 years, female 7.0
GTEX-1I1GT-1026-SM-ARZLV 60-69 years, female 7.0
GTEX-1JMPZ-0726-SM-CY8HZ 30-39 years, male 7.0
GTEX-1KWVE-1026-SM-D3L9O 30-39 years, male 7.0
GTEX-1NV5F-0626-SM-DTXEG 60-69 years, female 7.0
GTEX-1RAZR-2126-SM-E9U6T 40-49 years, male 7.0
GTEX-ZPIC-0526-SM-DO91W 40-49 years, female 7.0
GTEX-11DXW-0826-SM-5H118 40-49 years, male 6.9
GTEX-14AS3-1526-SM-5Q5ED 40-49 years, female 6.9
GTEX-15EO6-2426-SM-6PALZ 50-59 years, male 6.9
GTEX-1EKGG-0626-SM-7DUGJ 60-69 years, male 6.9
GTEX-WK11-2726-SM-3NMAQ 50-59 years, male 6.9
GTEX-WYBS-0626-SM-3NMAS 60-69 years, female 6.9
GTEX-ZAJG-1526-SM-5CVML 50-59 years, female 6.9
GTEX-1HCU7-0726-SM-A9SL1 50-59 years, male 6.9
GTEX-1LSNL-2726-SM-E9TKJ 50-59 years, male 6.9
GTEX-13112-0126-SM-5P9IU 50-59 years, male 6.8
GTEX-13PDP-0726-SM-5L3HP 60-69 years, male 6.8
GTEX-183WM-0326-SM-72D5V 70-79 years, female 6.8
GTEX-ZF29-0926-SM-4WKFZ 60-69 years, female 6.8
GTEX-11VI4-1126-SM-5EQMD 40-49 years, female 6.7
GTEX-12C56-1526-SM-5FQUQ 20-29 years, male 6.7
GTEX-131YS-2826-SM-5EQ47 60-69 years, female 6.7
GTEX-ZVE2-2826-SM-5GU51 50-59 years, male 6.7
GTEX-14JG6-1426-SM-9WG7C 30-39 years, female 6.7
GTEX-1C6VR-0126-SM-7RHGB 60-69 years, male 6.7
GTEX-1F5PL-0926-SM-7PC2W 40-49 years, female 6.7
GTEX-1I1GV-0626-SM-ARL7M 60-69 years, male 6.7
GTEX-1QPFJ-1926-SM-EVYBD 30-39 years, female 6.7
GTEX-1RAZS-2526-SM-E6CHT 50-59 years, male 6.7
GTEX-1RLM8-2926-SM-E8VON 50-59 years, male 6.7
GTEX-11WQK-1026-SM-5EQLX 50-59 years, male 6.6
GTEX-131XW-0626-SM-5PNVD 50-59 years, female 6.6
GTEX-13VXU-0626-SM-5L3F9 50-59 years, male 6.6
GTEX-14C38-0726-SM-5SI6M 50-59 years, male 6.6
GTEX-17HHE-1326-SM-7EWDZ 50-59 years, male 6.6
GTEX-1C6WA-2626-SM-7MKGM 60-69 years, male 6.6
GTEX-X8HC-0626-SM-4E3HQ 50-59 years, female 6.6
GTEX-YF7O-1526-SM-5IFI6 50-59 years, male 6.6
GTEX-1GTWX-2026-SM-9YFLM 60-69 years, male 6.6
GTEX-1H1ZS-2726-SM-9WG75 70-79 years, male 6.6
GTEX-1AMFI-1326-SM-7939R 50-59 years, female 6.5
GTEX-1H1E6-0426-SM-9WYUS 30-39 years, male 6.5
GTEX-1H3VE-0726-SM-9YFL5 40-49 years, male 6.5
GTEX-1J1OQ-0126-SM-D4P2N 40-49 years, female 6.5
GTEX-1B932-2326-SM-79OL5 40-49 years, female 6.4
GTEX-1CB4H-1126-SM-7MKGL 60-69 years, female 6.4
GTEX-1E1VI-0326-SM-793D1 50-59 years, male 6.4
GTEX-WFON-1926-SM-3LK7L 40-49 years, male 6.4
GTEX-WHSB-1326-SM-3LK6W 50-59 years, male 6.4
GTEX-XK95-0226-SM-4AT58 40-49 years, male 6.4
GTEX-ZDYS-2426-SM-4WKGI 50-59 years, male 6.4
GTEX-1F48J-0726-SM-7RHGS 50-59 years, female 6.4
GTEX-1HB9E-0126-SM-CM2S5 50-59 years, male 6.4
GTEX-1HR9M-2226-SM-CNPPY 60-69 years, male 6.4
GTEX-1I1GS-2626-SM-B2LY3 60-69 years, male 6.4
GTEX-1IDJH-0126-SM-D3L92 70-79 years, male 6.4
GTEX-1IOXB-2726-SM-CM2RI 50-59 years, male 6.4
GTEX-1J8Q2-2626-SM-ACKWQ 60-69 years, male 6.4
GTEX-1JJ6O-2726-SM-CNPOG 60-69 years, male 6.4
GTEX-1F6IF-0926-SM-7SB7M 60-69 years, male 6.3
GTEX-1I1CD-0626-SM-CE6SW 60-69 years, female 6.3
GTEX-1IE54-1126-SM-A9G2Z 40-49 years, female 6.3
GTEX-1J8Q3-0526-SM-ARL8U 60-69 years, male 6.3
GTEX-1R46S-2426-SM-E76QA 60-69 years, female 6.3
GTEX-133LE-2326-SM-5K7W3 20-29 years, female 6.2
GTEX-13D11-0926-SM-5J2NC 50-59 years, female 6.2
GTEX-13PL6-1126-SM-5L3IE 40-49 years, female 6.2
GTEX-15ER7-0626-SM-6PANF 20-29 years, female 6.2
GTEX-Y5V5-0126-SM-5S2NW 60-69 years, female 6.2
GTEX-1LB8K-0726-SM-D5OV2 50-59 years, male 6.2
GTEX-148VJ-0626-SM-5LUAW 70-79 years, male 6.1
GTEX-1B8KZ-0326-SM-73KY4 50-59 years, male 6.1
GTEX-1M4P7-0726-SM-E6CJ3 60-69 years, male 6.1
GTEX-1R9PN-0426-SM-DTXDT 40-49 years, female 6.1
GTEX-11ZU8-0126-SM-5EQ58 60-69 years, male 6.0
GTEX-14A5H-0826-SM-5QGPJ 60-69 years, male 6.0
GTEX-14PJ5-1526-SM-6LLIL 60-69 years, female 6.0
GTEX-1H4P4-2126-SM-9WYSL 50-59 years, male 6.0
GTEX-1HSMO-0626-SM-ACKXC 60-69 years, male 6.0
GTEX-11GSP-2326-SM-5HL63 60-69 years, female 5.9
GTEX-12ZZY-0726-SM-5EQ66 60-69 years, male 5.9
GTEX-1AMEY-0826-SM-72D65 30-39 years, female 5.9
GTEX-V1D1-2026-SM-3GAF4 50-59 years, male 5.9
GTEX-Y8LW-1526-SM-5IFHL 50-59 years, female 5.9
GTEX-1I1GP-1326-SM-A9G28 50-59 years, male 5.9
GTEX-1IDJV-0126-SM-COH3Y 60-69 years, male 5.9
GTEX-1S3DN-2126-SM-E9TIN 50-59 years, male 5.9
GTEX-11EQ8-0926-SM-5H12V 60-69 years, male 5.8
GTEX-1269C-0126-SM-5EQ5L 60-69 years, female 5.8
GTEX-13PVQ-0626-SM-5LU47 50-59 years, male 5.8
GTEX-14E6C-2426-SM-5S2NF 40-49 years, male 5.8
GTEX-15EU6-2226-SM-6EU2L 50-59 years, male 5.8
GTEX-1A3MV-1826-SM-731CD 30-39 years, male 5.8
GTEX-1AX9I-2226-SM-73KUO 60-69 years, male 5.8
GTEX-X5EB-1926-SM-4E3IW 40-49 years, male 5.8
GTEX-1B8L1-2226-SM-7P8PT 60-69 years, male 5.8
GTEX-1JJE9-2626-SM-ARZMT 70-79 years, male 5.8
GTEX-1JMQK-1226-SM-D4P2S 60-69 years, male 5.8
GTEX-139T8-0626-SM-5KLZX 60-69 years, male 5.7
GTEX-147JS-0226-SM-5S2U9 60-69 years, male 5.7
GTEX-ZVT2-0126-SM-5GIDQ 50-59 years, female 5.7
GTEX-1GMR3-0126-SM-A9SLW 40-49 years, male 5.7
GTEX-1HCVE-2726-SM-CL54F 50-59 years, male 5.7
GTEX-11DXX-2126-SM-5PNYR 60-69 years, female 5.6
GTEX-11EI6-2826-SM-5H11D 60-69 years, male 5.6
GTEX-13NYC-0126-SM-5L3F4 60-69 years, male 5.6
GTEX-13O3O-2326-SM-5IJD6 60-69 years, female 5.6
GTEX-13PVR-0426-SM-5RQK2 60-69 years, female 5.6
GTEX-14PJ6-2626-SM-6EU2T 60-69 years, female 5.6
GTEX-1JKYN-0826-SM-ARU8S 30-39 years, male 5.6
GTEX-1JKYR-0626-SM-ARL8R 20-29 years, male 5.6
GTEX-13OW8-1026-SM-5J1NQ 60-69 years, male 5.5
GTEX-14A6H-2026-SM-5Q5DD 30-39 years, male 5.5
GTEX-14XAO-1226-SM-6EU1C 60-69 years, female 5.5
GTEX-1F75B-0726-SM-7PC3R 50-59 years, male 5.5
GTEX-1GN1V-2826-SM-9JGIA 60-69 years, male 5.5
GTEX-1N2EE-0626-SM-E76PW 60-69 years, male 5.5
GTEX-12WSK-2126-SM-5CVNC 40-49 years, female 5.4
GTEX-13O3Q-0126-SM-5KM34 50-59 years, male 5.4
GTEX-WH7G-2026-SM-3NMBL 40-49 years, male 5.4
GTEX-1H1DF-1126-SM-9WG7G 40-49 years, female 5.4
GTEX-1I1GU-0926-SM-ACKVS 40-49 years, male 5.4
GTEX-1ICLY-0826-SM-CMKG1 50-59 years, male 5.4
GTEX-1ICLZ-0326-SM-ARL82 60-69 years, male 5.4
GTEX-1211K-1526-SM-5FQU4 60-69 years, female 5.3
GTEX-13113-1626-SM-5EQ4I 60-69 years, female 5.3
GTEX-17F98-1326-SM-7DUEP 40-49 years, female 5.3
GTEX-1PBJJ-1026-SM-E76OS 30-39 years, male 5.3
GTEX-13X6H-0926-SM-5SIB2 50-59 years, female 5.2
GTEX-14BMV-2826-SM-5TDED 50-59 years, male 5.2
GTEX-1GZHY-0626-SM-9KNVC 50-59 years, female 5.2
GTEX-1LGRB-0926-SM-COH3K 50-59 years, female 5.2
GTEX-1QP2A-1726-SM-E76QC 50-59 years, male 5.2
GTEX-ZGAY-1826-SM-DO91Q 40-49 years, female 5.2
GTEX-1A8G7-1326-SM-73KVM 60-69 years, male 5.1
GTEX-1CB4F-1026-SM-7DUH1 60-69 years, male 5.1
GTEX-1EH9U-2826-SM-7DUGT 60-69 years, male 5.1
GTEX-ZYY3-2926-SM-5GIEB 60-69 years, female 5.1
GTEX-1A3MX-2626-SM-7PC24 60-69 years, male 5.1
GTEX-1JK1U-0226-SM-ARZMX 60-69 years, male 5.1
GTEX-1J8QM-2426-SM-A9SLS 60-69 years, female 5.0
GTEX-1RAZA-2226-SM-E9U4X 20-29 years, male 5.0
GTEX-11LCK-2226-SM-5HL4Q 30-39 years, male 4.9
GTEX-14PKU-0126-SM-6LLHV 40-49 years, female 4.9
GTEX-15CHQ-0326-SM-69LQD 60-69 years, male 4.9
GTEX-X4EO-2926-SM-4E3JH 60-69 years, female 4.9
GTEX-1IDJI-0126-SM-CMKHS 50-59 years, female 4.9
GTEX-1N5O9-0926-SM-E9J3C 60-69 years, male 4.9
GTEX-12696-0126-SM-5EQ4L 60-69 years, male 4.8
GTEX-12WSM-1926-SM-5BC65 60-69 years, male 4.8
GTEX-1IKJJ-2226-SM-CJI4C 60-69 years, male 4.8
GTEX-1497J-0226-SM-5QGPU 60-69 years, male 4.7
GTEX-14B4R-1326-SM-5Q5EZ 30-39 years, male 4.7
GTEX-XAJ8-1426-SM-47JYM 40-49 years, male 4.7
GTEX-ZT9W-1126-SM-57WDR 50-59 years, male 4.7
GTEX-1HBPM-0726-SM-9YFL7 60-69 years, female 4.7
GTEX-1HSKV-1226-SM-ADEI4 60-69 years, male 4.7
GTEX-1HUB1-1426-SM-CGQF5 60-69 years, male 4.7
GTEX-1IDFM-0326-SM-ARL7V 60-69 years, male 4.7
GTEX-1R7EU-1626-SM-DTXG3 60-69 years, male 4.7
GTEX-144GM-0526-SM-79OJO 20-29 years, male 4.6
GTEX-ZYFD-0626-SM-5E44E 50-59 years, male 4.6
GTEX-1IDJU-1726-SM-CMKHU 60-69 years, female 4.6
GTEX-15FZZ-0526-SM-7KUGD 30-39 years, female 4.5
GTEX-1122O-1026-SM-9WYSF 60-69 years, female 4.5
GTEX-1QAET-0326-SM-EVR3U 50-59 years, male 4.5
GTEX-12ZZZ-0726-SM-5GCNZ 60-69 years, male 4.4
GTEX-13U4I-2226-SM-5LU5H 40-49 years, female 4.2
GTEX-13X6K-0626-SM-5LU5D 60-69 years, female 4.2
GTEX-WYJK-0526-SM-3NM8Z 50-59 years, male 4.2
GTEX-1GN2E-0226-SM-9WG6K 60-69 years, male 4.2
GTEX-1H11D-1826-SM-9QEHM 40-49 years, male 4.2
GTEX-1HKZK-0726-SM-ACKW2 40-49 years, male 4.2
GTEX-14C5O-0326-SM-5ZZUX 60-69 years, male 4.1
GTEX-17MF6-2626-SM-79OKQ 40-49 years, male 4.1
GTEX-W5X1-2526-SM-3GILC 40-49 years, female 4.1
GTEX-1GN1U-0626-SM-9MQL9 50-59 years, female 4.1
GTEX-13X6J-0626-SM-5LU5F 50-59 years, male 4.0
GTEX-1B996-0426-SM-7EWF8 60-69 years, male 3.9
GTEX-14DAR-1226-SM-73KYV 50-59 years, male 3.7
GTEX-1GPI6-1926-SM-9KNV7 60-69 years, male 3.7
GTEX-145MI-0626-SM-5SI8S 60-69 years, female 3.6
GTEX-17HII-1426-SM-7EPGG 50-59 years, male 3.5
GTEX-11TUW-0626-SM-5LU9M 60-69 years, male 3.3
GTEX-Y5LM-0926-SM-6LLJG 40-49 years, female 3.3
GTEX-1CB4J-1326-SM-7P8RX 60-69 years, male 3.3
GTEX-1F6RS-2026-SM-7RHHC 60-69 years, female 3.2
GTEX-1399U-1126-SM-5L3DB 50-59 years, female 3.0
GTEX-13OVG-1626-SM-5J1NF 60-69 years, male 3.0
GTEX-1HBPI-2126-SM-ARL9K 50-59 years, male 3.0
GTEX-1AX9J-1326-SM-731BJ 60-69 years, male 2.6
Show allShow less
Skin - Sun Exposed (Lower leg)
Average nTPM: 7.6
Samples: 701

Max nTPM: 19.1
Min nTPM: 1.4
Std nTPM: 2.7
Median nTPM: 7.3
GTEX-SE5C-1626-SM-2XCE3 40-49 years, female 19.1
GTEX-O5YT-0126-SM-48TBW 20-29 years, male 18.6
GTEX-15SB6-1726-SM-6PAME 50-59 years, female 17.5
GTEX-1RAZQ-0726-SM-EAZ43 30-39 years, male 16.3
GTEX-S33H-1026-SM-EZ6L6 30-39 years, male 16.2
GTEX-X88G-0126-SM-47JZ3 30-39 years, male 16.0
GTEX-WVJS-0126-SM-4MVOT 50-59 years, male 15.9
GTEX-OIZH-0126-SM-2HMIS 50-59 years, male 15.6
GTEX-VJYA-1126-SM-3GIJU 60-69 years, male 15.5
GTEX-RVPV-0126-SM-EAZAW 60-69 years, male 14.9
GTEX-1K2DA-1826-SM-CGQGT 50-59 years, male 14.8
GTEX-12126-0326-SM-5PNW3 20-29 years, male 14.7
GTEX-1399U-2326-SM-5K7WY 50-59 years, female 14.3
GTEX-WZTO-0126-SM-3NM95 40-49 years, male 14.2
GTEX-1497J-2426-SM-7IGNX 60-69 years, male 14.1
GTEX-13G51-2526-SM-5LZYK 60-69 years, male 14.0
GTEX-P4PP-0126-SM-3LK69 30-39 years, female 13.8
GTEX-11P7K-2126-SM-5GU7G 30-39 years, male 13.7
GTEX-YB5E-2026-SM-5IFIS 40-49 years, male 13.4
GTEX-PWO3-1526-SM-48TCM 60-69 years, female 13.3
GTEX-1HFI6-0226-SM-ADEHZ 40-49 years, male 13.3
GTEX-ZY6K-1826-SM-5GZXK 50-59 years, male 13.2
GTEX-13NZ8-0826-SM-5MR3I 60-69 years, female 13.0
GTEX-ZZPT-0226-SM-5E43X 50-59 years, male 13.0
GTEX-1ICG6-2526-SM-CGQFZ 70-79 years, female 13.0
GTEX-146FQ-0126-SM-5NQA9 30-39 years, male 12.9
GTEX-1PDJ9-0326-SM-DTX95 20-29 years, male 12.9
GTEX-13OVK-2026-SM-7KUEO 40-49 years, male 12.7
GTEX-QEG4-0226-SM-2S1PY 30-39 years, male 12.7
GTEX-ZXES-1826-SM-5E43S 30-39 years, female 12.7
GTEX-1J8EW-0126-SM-CJI4F 60-69 years, female 12.7
GTEX-147F4-0226-SM-5QGPW 50-59 years, male 12.6
GTEX-1C4CL-0526-SM-73KVK 30-39 years, male 12.6
GTEX-ZDXO-3026-SM-5J1N5 60-69 years, male 12.6
GTEX-1IDFM-0126-SM-COH2V 60-69 years, male 12.5
GTEX-1KANB-0526-SM-E6CJH 50-59 years, male 12.4
GTEX-1QP67-1626-SM-EAZ3X 40-49 years, female 12.3
GTEX-1PFEY-1526-SM-E76PP 30-39 years, male 12.2
GTEX-12ZZX-0126-SM-5EGK9 40-49 years, female 12.1
GTEX-13O3P-0126-SM-5KM4S 50-59 years, male 12.1
GTEX-ZVT2-2526-SM-51MT1 50-59 years, female 12.1
GTEX-13W3W-2426-SM-5LU5B 60-69 years, female 12.0
GTEX-X4XX-0126-SM-3NMC2 60-69 years, male 12.0
GTEX-XAJ8-0826-SM-47JY6 40-49 years, male 12.0
GTEX-ZE9C-2726-SM-57WB5 60-69 years, male 11.9
GTEX-1LNCM-1126-SM-E9U5E 50-59 years, female 11.9
GTEX-13FTW-2626-SM-5K7WL 40-49 years, male 11.8
GTEX-OXRK-0226-SM-3NB2G 50-59 years, female 11.8
GTEX-XQ8I-0426-SM-4BOPO 50-59 years, male 11.8
GTEX-1HSEH-0126-SM-ACKXN 60-69 years, male 11.8
GTEX-1NV5F-0226-SM-E8VNY 60-69 years, female 11.8
GTEX-1399R-2726-SM-5IJBA 30-39 years, male 11.7
GTEX-13O3Q-2426-SM-5IJBR 50-59 years, male 11.7
GTEX-17HHY-0126-SM-7LG5D 50-59 years, male 11.7
GTEX-13OW5-0126-SM-DTXFS 60-69 years, male 11.7
GTEX-1CAMS-0426-SM-7P8T2 40-49 years, female 11.7
GTEX-1I1GV-0526-SM-A9G29 60-69 years, male 11.7
GTEX-1N2DV-0226-SM-E6CJ6 40-49 years, male 11.7
GTEX-13FXS-0226-SM-5IJCK 50-59 years, male 11.6
GTEX-XYKS-2126-SM-4E3IB 60-69 years, female 11.6
GTEX-1M5QR-1226-SM-EWROB 40-49 years, male 11.6
GTEX-11OF3-2626-SM-5GU7F 60-69 years, male 11.5
GTEX-11ZUS-0626-SM-59885 30-39 years, male 11.5
GTEX-OXRL-0126-SM-2YUMP 50-59 years, male 11.5
GTEX-WQUQ-0426-SM-3MJFU 60-69 years, male 11.5
GTEX-1GF9X-2026-SM-7PC3A 40-49 years, female 11.5
GTEX-1192X-0226-SM-5H12D 50-59 years, male 11.4
GTEX-144GN-2326-SM-5LU4F 50-59 years, male 11.4
GTEX-139T8-0126-SM-5K7XZ 60-69 years, male 11.3
GTEX-1HBPH-0426-SM-B2LW5 40-49 years, female 11.3
GTEX-1MCYP-1926-SM-E9J2R 20-29 years, female 11.3
GTEX-13FHP-0126-SM-5IJBG 50-59 years, male 11.2
GTEX-144FL-0126-SM-5TDC8 50-59 years, male 11.2
GTEX-14JG6-2226-SM-6EU2G 30-39 years, female 11.1
GTEX-1JMPZ-0226-SM-CNPP1 30-39 years, male 11.1
GTEX-111FC-0126-SM-5N9DL 60-69 years, male 11.0
GTEX-PLZ4-0126-SM-5SI8O 50-59 years, female 11.0
GTEX-PLZ5-2026-SM-2S1O4 50-59 years, male 11.0
GTEX-SUCS-1926-SM-32PM3 70-79 years, male 11.0
GTEX-XV7Q-2526-SM-4BRV9 40-49 years, female 11.0
GTEX-1GZ4H-1726-SM-7PBZJ 50-59 years, female 11.0
GTEX-13SLW-0126-SM-5SI6C 70-79 years, male 10.9
GTEX-15SDE-2226-SM-7IGLO 50-59 years, female 10.8
GTEX-1HKZK-0326-SM-9WYUH 40-49 years, male 10.8
GTEX-QVJO-1626-SM-2S1QW 60-69 years, female 10.6
GTEX-11UD2-0226-SM-5EQKY 50-59 years, male 10.5
GTEX-13OVL-0226-SM-5L3E9 50-59 years, male 10.5
GTEX-14ICK-0226-SM-6EU25 40-49 years, male 10.5
GTEX-TML8-1926-SM-32QOS 40-49 years, female 10.5
GTEX-X62O-0126-SM-4E3JN 50-59 years, male 10.5
GTEX-Y8E4-0626-SM-4WWDL 40-49 years, male 10.5
GTEX-ZVTK-0426-SM-51MRS 20-29 years, male 10.5
GTEX-1GN73-0226-SM-9WG67 60-69 years, male 10.5
GTEX-14PK6-1926-SM-6ETZU 70-79 years, female 10.4
GTEX-XUW1-0426-SM-4BOOT 50-59 years, female 10.4
GTEX-1CAV2-2226-SM-7P8P2 40-49 years, female 10.4
GTEX-1GPI7-0126-SM-9MQL8 20-29 years, male 10.4
GTEX-1MGNQ-0126-SM-EVYCJ 40-49 years, male 10.4
GTEX-X4EP-0126-SM-3P5YV 60-69 years, female 10.3
GTEX-11UD1-0126-SM-5PNYG 40-49 years, female 10.2
GTEX-POMQ-2226-SM-2I5FK 20-29 years, female 10.2
GTEX-SSA3-0126-SM-32QPU 60-69 years, male 10.2
GTEX-Y3I4-2126-SM-4TT7C 50-59 years, male 10.2
GTEX-ZC5H-0226-SM-4WAY9 40-49 years, female 10.2
GTEX-ZZ64-1726-SM-5GZYB 20-29 years, male 10.2
GTEX-1ICLZ-0126-SM-CKZPO 60-69 years, male 10.2
GTEX-1RQEC-0426-SM-E6CHU 60-69 years, male 10.2
GTEX-11OC5-0126-SM-5HL6A 60-69 years, male 10.1
GTEX-P4PQ-0126-SM-2S1NM 60-69 years, male 10.1
GTEX-WY7C-2326-SM-3NB2U 50-59 years, male 10.1
GTEX-XUZC-1726-SM-4BRWS 30-39 years, female 10.1
GTEX-1F5PL-0326-SM-7P8PQ 40-49 years, female 10.1
GTEX-1MUQO-0126-SM-EAZ58 60-69 years, male 10.1
GTEX-1S83E-0126-SM-EWRO4 40-49 years, male 10.1
GTEX-17EUY-0426-SM-793BD 20-29 years, male 10.0
GTEX-YB5K-2126-SM-4WWDJ 40-49 years, female 10.0
GTEX-1F75I-0326-SM-9YFLU 40-49 years, male 10.0
GTEX-1GZ2Q-0226-SM-7P8TL 40-49 years, male 10.0
GTEX-1L5NE-2526-SM-E6CIE 50-59 years, male 10.0
GTEX-1CAMQ-0226-SM-7IGPK 40-49 years, male 9.9
GTEX-ZEX8-2426-SM-4WKG4 50-59 years, male 9.9
GTEX-1LC47-0326-SM-E9TJP 60-69 years, male 9.9
GTEX-1QP9N-1426-SM-DTXFL 30-39 years, male 9.9
GTEX-1S82Z-0826-SM-E6CHY 30-39 years, female 9.9
GTEX-12WSJ-1826-SM-5GCNY 40-49 years, female 9.8
GTEX-14PHX-2326-SM-62LEM 50-59 years, male 9.8
GTEX-18A7A-0226-SM-718BH 50-59 years, female 9.8
GTEX-OHPM-0126-SM-2YUN9 50-59 years, male 9.8
GTEX-VUSG-2526-SM-4KL1V 50-59 years, male 9.8
GTEX-XBEW-0626-SM-4QASP 40-49 years, male 9.8
GTEX-1H2FU-0126-SM-9WYSI 60-69 years, female 9.8
GTEX-1HR98-0126-SM-B2LWI 60-69 years, male 9.8
GTEX-OOBJ-0126-SM-E6CJW 60-69 years, male 9.8
GTEX-W5X1-3026-SM-EAZAX 40-49 years, female 9.8
GTEX-145MN-2226-SM-5SIAU 30-39 years, male 9.7
GTEX-17F98-0626-SM-79OMX 40-49 years, female 9.7
GTEX-18QFQ-0126-SM-731BE 30-39 years, male 9.7
GTEX-1AX9K-2326-SM-73KWU 50-59 years, male 9.7
GTEX-W5WG-1826-SM-4KL2Y 50-59 years, female 9.7
GTEX-WFON-2126-SM-3LK7O 40-49 years, male 9.7
GTEX-1JMQL-0226-SM-CNPP5 50-59 years, female 9.7
GTEX-1QP29-0626-SM-EWRMX 50-59 years, male 9.7
GTEX-132NY-0326-SM-5IJBL 60-69 years, male 9.6
GTEX-13O21-1426-SM-5K7XI 50-59 years, male 9.6
GTEX-13RTK-1426-SM-5QGQJ 20-29 years, male 9.6
GTEX-XXEK-2226-SM-4BRUM 50-59 years, male 9.6
GTEX-Y111-0126-SM-4SOIV 50-59 years, male 9.6
GTEX-Y5LM-1926-SM-5RQJH 40-49 years, female 9.6
GTEX-1B933-0126-SM-7PC29 50-59 years, female 9.6
GTEX-1PBJI-0526-SM-E8VNK 20-29 years, female 9.6
GTEX-1QW4Y-1526-SM-EAZ3Z 30-39 years, male 9.6
GTEX-139T4-0226-SM-5HL5S 50-59 years, female 9.5
GTEX-17F97-0326-SM-7LG5B 50-59 years, male 9.5
GTEX-TMZS-0126-SM-3DB9Q 60-69 years, male 9.5
GTEX-1KD4Q-0226-SM-E9TJ9 40-49 years, male 9.5
GTEX-PSDG-0226-SM-DKPOZ 50-59 years, male 9.5
GTEX-11P82-1626-SM-59879 20-29 years, male 9.4
GTEX-13FTX-1826-SM-5J1NX 20-29 years, female 9.4
GTEX-14JG1-0426-SM-6ETZZ 40-49 years, male 9.4
GTEX-RTLS-0126-SM-447CA 60-69 years, female 9.4
GTEX-Y5V6-2426-SM-4VDSB 60-69 years, male 9.4
GTEX-1F75A-0126-SM-7RHGM 50-59 years, male 9.4
GTEX-1122O-2126-SM-5EGIR 60-69 years, female 9.3
GTEX-11XUK-2026-SM-5EQLF 40-49 years, female 9.3
GTEX-139TS-2826-SM-5J1OO 60-69 years, male 9.3
GTEX-13NZB-2526-SM-5J1OM 30-39 years, male 9.3
GTEX-13OW6-0426-SM-5L3HM 50-59 years, male 9.3
GTEX-NPJ8-0126-SM-2YUNR 40-49 years, male 9.3
GTEX-U3ZN-2326-SM-3DB7W 30-39 years, female 9.3
GTEX-V1D1-2226-SM-3NMAX 50-59 years, male 9.3
GTEX-ZVT3-0126-SM-5GU6I 60-69 years, female 9.3
GTEX-1QPFJ-0226-SM-E76PB 30-39 years, female 9.3
GTEX-14753-0426-SM-5NQAM 60-69 years, male 9.2
GTEX-16GPK-0126-SM-7DHLE 60-69 years, male 9.2
GTEX-Q734-1926-SM-2I5EV 40-49 years, female 9.2
GTEX-1HSGN-0226-SM-CGQFV 40-49 years, female 9.2
GTEX-11DXY-2626-SM-5GIE7 60-69 years, male 9.1
GTEX-1211K-2026-SM-5EQ4Z 60-69 years, female 9.1
GTEX-13CF2-2526-SM-5LZYX 60-69 years, male 9.1
GTEX-13D11-2426-SM-5KM1V 50-59 years, female 9.1
GTEX-1AYCT-2426-SM-7IGQ3 50-59 years, male 9.1
GTEX-R3RS-0126-SM-3GIJL 40-49 years, female 9.1
GTEX-WXYG-2326-SM-4E3I6 50-59 years, female 9.1
GTEX-1H11D-0226-SM-9WG6Z 40-49 years, male 9.1
GTEX-1H1E6-1726-SM-ACKVK 30-39 years, male 9.1
GTEX-1IE54-0126-SM-CMKHW 40-49 years, female 9.1
GTEX-1PWST-0226-SM-E76QJ 70-79 years, male 9.1
GTEX-OXRN-0126-SM-48TDM 50-59 years, male 9.0
GTEX-Q2AI-1326-SM-2S1PL 40-49 years, male 9.0
GTEX-WOFL-0126-SM-3MJG2 60-69 years, male 9.0
GTEX-ZAK1-0126-SM-5IJD3 50-59 years, female 9.0
GTEX-1JMPY-1326-SM-ARL8Y 30-39 years, male 9.0
GTEX-1R7EU-0226-SM-EVR4G 60-69 years, male 9.0
GTEX-117YX-2326-SM-5H12W 50-59 years, male 8.9
GTEX-11GS4-2726-SM-5A5LE 60-69 years, male 8.9
GTEX-1C64N-0126-SM-793D7 50-59 years, male 8.9
GTEX-PX3G-0126-SM-2I3EN 20-29 years, female 8.9
GTEX-RM2N-1426-SM-2TF4H 50-59 years, male 8.9
GTEX-Y3IK-2426-SM-4WWDU 50-59 years, female 8.9
GTEX-Y8DK-0126-SM-4TT3L 60-69 years, male 8.9
GTEX-1JMQI-2226-SM-CM2SD 50-59 years, male 8.9
GTEX-1RAZA-0126-SM-E6CI3 20-29 years, male 8.9
GTEX-1313W-0126-SM-5LZUN 50-59 years, female 8.8
GTEX-13X6I-0626-SM-5QGP9 60-69 years, male 8.8
GTEX-U412-0426-SM-3DB9O 60-69 years, male 8.8
GTEX-X8HC-0126-SM-4E3JW 50-59 years, female 8.8
GTEX-1B8L1-2526-SM-9WYTF 60-69 years, male 8.8
GTEX-1F52S-0126-SM-9MQJU 60-69 years, female 8.8
GTEX-1F6RS-0126-SM-9MQKZ 60-69 years, female 8.8
GTEX-1GF9U-2126-SM-7SB7L 40-49 years, female 8.8
GTEX-1HSMP-0126-SM-E6CJS 70-79 years, male 8.8
GTEX-1JK1U-2026-SM-CM2RZ 60-69 years, male 8.8
GTEX-12KS4-0326-SM-5EQ41 30-39 years, male 8.7
GTEX-145MF-0626-SM-5LUAI 50-59 years, male 8.7
GTEX-183FY-0126-SM-7LT9P 20-29 years, male 8.7
GTEX-ZVZO-0126-SM-5A5L9 40-49 years, male 8.7
GTEX-1GN1W-0526-SM-9MQJQ 50-59 years, female 8.7
GTEX-1I19N-0326-SM-ACKVX 70-79 years, male 8.7
GTEX-1LSNM-1926-SM-E6CII 50-59 years, male 8.7
GTEX-1PIIG-0226-SM-EWRN6 30-39 years, male 8.7
GTEX-1RB15-2126-SM-E9TIM 60-69 years, male 8.7
GTEX-17JCI-0126-SM-7LG5G 60-69 years, female 8.6
GTEX-1C2JI-1826-SM-73KXC 50-59 years, male 8.6
GTEX-UJHI-1526-SM-3DB99 50-59 years, female 8.6
GTEX-Y114-2426-SM-4TT8A 50-59 years, female 8.6
GTEX-ZE7O-0126-SM-57WC1 50-59 years, female 8.6
GTEX-1LVAN-0226-SM-COH3S 50-59 years, female 8.6
GTEX-11NSD-2226-SM-5986V 20-29 years, male 8.5
GTEX-12WSE-0526-SM-793B2 20-29 years, male 8.5
GTEX-13PVR-2326-SM-5QGR1 60-69 years, female 8.5
GTEX-QDVJ-1726-SM-2I5FX 50-59 years, male 8.5
GTEX-T5JC-0426-SM-32PLO 20-29 years, male 8.5
GTEX-T6MN-0126-SM-32PLP 50-59 years, male 8.5
GTEX-1C64O-0126-SM-7SB8P 60-69 years, male 8.5
GTEX-1F6I4-0126-SM-9MQL2 60-69 years, male 8.5
GTEX-1IDJF-0126-SM-CM2RS 20-29 years, male 8.5
GTEX-1J1OQ-0226-SM-CYPSH 40-49 years, female 8.5
GTEX-113IC-0126-SM-5HL6T 60-69 years, male 8.4
GTEX-13VXU-0126-SM-5SI9F 50-59 years, male 8.4
GTEX-14BMU-2226-SM-5TDE9 20-29 years, female 8.4
GTEX-14JIY-0126-SM-6LLH6 60-69 years, male 8.4
GTEX-O5YW-0126-SM-3LK6D 50-59 years, male 8.4
GTEX-OOBK-0126-SM-2YUND 40-49 years, male 8.4
GTEX-TKQ1-1026-SM-4GICL 30-39 years, male 8.4
GTEX-YEC4-2126-SM-5IFJH 40-49 years, male 8.4
GTEX-ZDTT-2726-SM-4WKF8 60-69 years, male 8.4
GTEX-ZVZP-2426-SM-59HKJ 50-59 years, male 8.4
GTEX-1EKGG-0226-SM-9WYTH 60-69 years, male 8.4
GTEX-1EMGI-0126-SM-9KNUE 60-69 years, male 8.4
GTEX-11EMC-2926-SM-5EQ4F 60-69 years, female 8.3
GTEX-11EQ9-2426-SM-5HL5T 30-39 years, male 8.3
GTEX-11WQK-0526-SM-5EQLD 50-59 years, male 8.3
GTEX-14PN3-2426-SM-6LLHS 60-69 years, female 8.3
GTEX-1A32A-0126-SM-718B1 50-59 years, female 8.3
GTEX-1B97I-1626-SM-73KYO 40-49 years, male 8.3
GTEX-OIZG-0726-SM-33HBL 50-59 years, male 8.3
GTEX-RN64-0126-SM-2TC68 50-59 years, male 8.3
GTEX-SIU8-0126-SM-2XCDT 50-59 years, male 8.3
GTEX-SNMC-1226-SM-2XCFP 20-29 years, male 8.3
GTEX-1GMR8-0126-SM-9WYTM 50-59 years, female 8.3
GTEX-1HB9E-0226-SM-E9U4R 50-59 years, male 8.3
GTEX-1IL2U-0226-SM-CE6T8 60-69 years, male 8.3
GTEX-1LBAC-0126-SM-DIPEZ 20-29 years, male 8.3
GTEX-1S5ZA-0126-SM-EVYCV 20-29 years, male 8.3
GTEX-14PJ3-1826-SM-62LEX 50-59 years, male 8.2
GTEX-15D1Q-0126-SM-7KUG6 40-49 years, male 8.2
GTEX-ZVE2-0226-SM-59HJB 50-59 years, male 8.2
GTEX-1H23P-0126-SM-ADEJ3 60-69 years, male 8.2
GTEX-1JJEA-0326-SM-CNPOT 60-69 years, male 8.2
GTEX-1LB8K-0226-SM-EWRNW 50-59 years, male 8.2
GTEX-13111-1626-SM-5EGJY 50-59 years, male 8.1
GTEX-14BIM-0226-SM-7IGLD 60-69 years, female 8.1
GTEX-17HGU-0226-SM-7DHKV 50-59 years, male 8.1
GTEX-RUSQ-1526-SM-2TF62 50-59 years, male 8.1
GTEX-T2YK-0526-SM-32QPJ 50-59 years, male 8.1
GTEX-1I1CD-0126-SM-CM2TK 60-69 years, female 8.1
GTEX-1J8QM-2126-SM-CYPSJ 60-69 years, female 8.1
GTEX-1JKYR-0126-SM-CNPOJ 20-29 years, male 8.1
GTEX-11DYG-0126-SM-59883 60-69 years, male 8.0
GTEX-11TTK-0126-SM-5987B 60-69 years, female 8.0
GTEX-12WSN-5019-SM-79OM6 40-49 years, male 8.0
GTEX-147GR-0526-SM-5S2MY 60-69 years, male 8.0
GTEX-WRHK-1426-SM-3MJF9 20-29 years, female 8.0
GTEX-1F5PK-2426-SM-7RHHY 50-59 years, male 8.0
GTEX-1H3NZ-0126-SM-ACKX7 60-69 years, male 8.0
GTEX-1ICLY-0126-SM-D4P36 50-59 years, male 8.0
GTEX-1JMLX-0226-SM-CM2RO 50-59 years, male 8.0
GTEX-R45C-0126-SM-EAZ2R 60-69 years, female 8.0
GTEX-13NYB-2526-SM-5K7Z6 40-49 years, male 7.9
GTEX-14ABY-0226-SM-5TDCQ 50-59 years, male 7.9
GTEX-183WM-0126-SM-7LTAB 70-79 years, female 7.9
GTEX-18D9A-1926-SM-7LG6P 30-39 years, female 7.9
GTEX-1B8KZ-2026-SM-7DHMB 50-59 years, male 7.9
GTEX-QLQW-1126-SM-2S1Q8 30-39 years, male 7.9
GTEX-T2IS-0126-SM-4DM6O 20-29 years, female 7.9
GTEX-XBED-2226-SM-47JYQ 60-69 years, male 7.9
GTEX-XQ3S-1526-SM-4BOOC 20-29 years, male 7.9
GTEX-Y5V5-2326-SM-4V6GA 60-69 years, female 7.9
GTEX-YFC4-0126-SM-5CVLY 40-49 years, female 7.9
GTEX-1I6K6-0126-SM-A9SLE 30-39 years, male 7.9
GTEX-1MJK2-0426-SM-DTXE5 50-59 years, male 7.9
GTEX-1OFPY-2426-SM-DTXEJ 60-69 years, male 7.9
GTEX-1PIGE-0126-SM-EVYBJ 20-29 years, male 7.9
GTEX-1QAET-0926-SM-E76QM 50-59 years, male 7.9
GTEX-PWCY-1826-SM-DHXIZ 20-29 years, female 7.9
GTEX-11NUK-0126-SM-5A5L3 50-59 years, male 7.8
GTEX-13N1W-0126-SM-5K7VT 70-79 years, male 7.8
GTEX-14A6H-0126-SM-5QGPK 30-39 years, male 7.8
GTEX-14PJM-0226-SM-62LF1 50-59 years, female 7.8
GTEX-16NGA-1726-SM-731B4 40-49 years, female 7.8
GTEX-QDT8-0126-SM-48TZ1 30-39 years, female 7.8
GTEX-1MA7X-2226-SM-E6CIY 60-69 years, male 7.8
GTEX-11WQC-2526-SM-5CVLE 60-69 years, male 7.7
GTEX-145LV-2126-SM-5LU8N 50-59 years, male 7.7
GTEX-15CHC-2126-SM-6EU21 60-69 years, female 7.7
GTEX-15DCD-0126-SM-7KUEK 70-79 years, female 7.7
GTEX-18A6Q-0126-SM-731BZ 60-69 years, male 7.7
GTEX-Q2AG-0126-SM-33HBV 40-49 years, female 7.7
GTEX-ZTPG-0326-SM-5O9AX 20-29 years, female 7.7
GTEX-1F7RK-0126-SM-7PC2S 20-29 years, female 7.7
GTEX-1IGQW-0126-SM-COH42 60-69 years, male 7.7
GTEX-1MCQQ-0826-SM-DLHC2 60-69 years, male 7.7
GTEX-1OJC4-0126-SM-E9J2E 50-59 years, female 7.7
GTEX-1PPH7-2326-SM-EVYB8 40-49 years, male 7.7
GTEX-1R9K4-0126-SM-DTX9X 60-69 years, male 7.7
GTEX-13FHO-0226-SM-5IFGY 60-69 years, male 7.6
GTEX-18A67-0126-SM-7LG5P 50-59 years, male 7.6
GTEX-Z9EW-1626-SM-5CVMN 40-49 years, male 7.6
GTEX-ZDYS-2026-SM-5HL5L 50-59 years, male 7.6
GTEX-1C6WA-0126-SM-7PC2B 60-69 years, male 7.6
GTEX-15G19-0126-SM-6PANQ 60-69 years, male 7.5
GTEX-U4B1-1826-SM-4DXSU 40-49 years, male 7.5
GTEX-XMD2-0126-SM-4YCDU 60-69 years, female 7.5
GTEX-ZF28-0126-SM-4WKGK 60-69 years, male 7.5
GTEX-1GN2E-0426-SM-9MQKX 60-69 years, male 7.5
GTEX-1IDJH-0326-SM-A9SLQ 70-79 years, male 7.5
GTEX-1IY9M-0126-SM-D3L8S 60-69 years, male 7.5
GTEX-1KAFJ-2026-SM-CY8ID 50-59 years, male 7.5
GTEX-1KANA-0726-SM-D3L9I 20-29 years, male 7.5
GTEX-11ZTS-0126-SM-5EQ6M 60-69 years, female 7.4
GTEX-13OW7-0126-SM-5MR3B 50-59 years, male 7.4
GTEX-14PJ6-2126-SM-6EU1V 60-69 years, female 7.4
GTEX-15SHU-0126-SM-7KUEH 40-49 years, female 7.4
GTEX-1AX8Z-0126-SM-7DHM6 60-69 years, male 7.4
GTEX-QV44-1926-SM-2S1RF 50-59 years, male 7.4
GTEX-Z93S-0126-SM-5HL7M 50-59 years, male 7.4
GTEX-1GF9W-0326-SM-9KNUN 60-69 years, male 7.4
GTEX-1IOXB-0126-SM-ARL8G 50-59 years, male 7.4
GTEX-1JKYN-1326-SM-CGQG9 30-39 years, male 7.4
GTEX-1N2DW-0226-SM-E9TK2 50-59 years, male 7.4
GTEX-11GSP-2526-SM-5N9BP 60-69 years, female 7.3
GTEX-13X6J-0126-SM-5QGOU 50-59 years, male 7.3
GTEX-145LU-0126-SM-5TDCB 50-59 years, male 7.3
GTEX-1BAJH-0526-SM-793CQ 70-79 years, male 7.3
GTEX-PVOW-0126-SM-2XCFA 40-49 years, male 7.3
GTEX-ZDTS-0126-SM-4WAY5 60-69 years, male 7.3
GTEX-ZV6S-2326-SM-4YCEY 40-49 years, female 7.3
GTEX-ZWKS-0126-SM-5SIAA 30-39 years, male 7.3
GTEX-1HCU8-0626-SM-A9SM9 60-69 years, female 7.3
GTEX-1I1GS-0126-SM-B2LVW 60-69 years, male 7.3
GTEX-1J8JJ-0226-SM-CL53I 60-69 years, female 7.3
GTEX-1JN6P-0126-SM-D3L98 60-69 years, male 7.3
GTEX-1KWVE-1426-SM-E9TJO 30-39 years, male 7.3
GTEX-PW2O-1526-SM-7RHHB 20-29 years, male 7.3
GTEX-131XH-2226-SM-5DUXJ 50-59 years, male 7.2
GTEX-13IVO-0126-SM-5J1NG 70-79 years, male 7.2
GTEX-13QJ3-0326-SM-5S2RA 50-59 years, male 7.2
GTEX-13VXT-0126-SM-5LU4I 20-29 years, female 7.2
GTEX-145LS-0126-SM-5QGP1 60-69 years, female 7.2
GTEX-14PN4-0126-SM-6EU2V 50-59 years, male 7.2
GTEX-16NPX-0226-SM-79OMT 50-59 years, male 7.2
GTEX-1CB4I-0226-SM-79OLH 50-59 years, male 7.2
GTEX-ZF2S-2326-SM-4WWCE 50-59 years, female 7.2
GTEX-RNOR-0126-SM-E9J4R 50-59 years, female 7.2
GTEX-ZQG8-1626-SM-DHXIT 60-69 years, female 7.2
GTEX-117XS-2726-SM-5N9BL 60-69 years, male 7.1
GTEX-145LT-1726-SM-5QGP3 40-49 years, male 7.1
GTEX-14A5H-0426-SM-5QGQF 60-69 years, male 7.1
GTEX-1B8SF-1426-SM-7DUGL 60-69 years, male 7.1
GTEX-RWS6-2026-SM-2XCB5 60-69 years, female 7.1
GTEX-TMMY-0226-SM-33HBA 40-49 years, female 7.1
GTEX-X585-0226-SM-4QAS2 50-59 years, male 7.1
GTEX-YJ8A-0426-SM-5IFID 20-29 years, male 7.1
GTEX-Z93T-0126-SM-5HL5N 50-59 years, male 7.1
GTEX-ZAB5-1826-SM-5HL7C 50-59 years, male 7.1
GTEX-1HSKV-0226-SM-A9SKJ 60-69 years, male 7.1
GTEX-1HT8W-0126-SM-CNPPP 30-39 years, male 7.1
GTEX-1I1GP-2226-SM-CGQFK 50-59 years, male 7.1
GTEX-1I1HK-0126-SM-COH49 60-69 years, male 7.1
GTEX-1J8Q3-1626-SM-CMKGC 60-69 years, male 7.1
GTEX-1KANC-1526-SM-D3LAB 50-59 years, female 7.1
GTEX-1QCLY-0326-SM-E8VOG 30-39 years, male 7.1
GTEX-1R9PM-2026-SM-E76OY 20-29 years, male 7.1
GTEX-111VG-2426-SM-5GZXD 60-69 years, male 7.0
GTEX-13RTJ-2426-SM-5S2Q2 60-69 years, male 7.0
GTEX-15UKP-0426-SM-7KUFQ 20-29 years, male 7.0
GTEX-OHPL-0126-SM-2HMJ7 60-69 years, female 7.0
GTEX-146FR-1326-SM-E9J48 60-69 years, female 7.0
GTEX-169BO-1326-SM-9MQK2 50-59 years, male 7.0
GTEX-1EU9M-0226-SM-7P8SP 60-69 years, male 7.0
GTEX-1GZHY-0326-SM-9QEHI 50-59 years, female 7.0
GTEX-1IDJU-2626-SM-CM2RT 60-69 years, female 7.0
GTEX-13OVJ-0126-SM-5KM36 50-59 years, female 6.9
GTEX-13X6H-2126-SM-7EWD5 50-59 years, female 6.9
GTEX-18D9B-0526-SM-7LTAS 60-69 years, male 6.9
GTEX-WYJK-0126-SM-3NMAB 50-59 years, male 6.9
GTEX-1HBPM-0226-SM-ARL9F 60-69 years, female 6.9
GTEX-1LGRB-2526-SM-CNPPQ 50-59 years, female 6.9
GTEX-1OJC3-0126-SM-E76QX 20-29 years, male 6.9
GTEX-1S82Y-2026-SM-EVYCM 40-49 years, male 6.9
GTEX-133LE-1826-SM-5J1MV 20-29 years, female 6.8
GTEX-14BIN-0626-SM-793DP 50-59 years, female 6.8
GTEX-14LLW-0126-SM-6LLIO 70-79 years, female 6.8
GTEX-1AMEY-1326-SM-73KYK 30-39 years, female 6.8
GTEX-1CB4E-2226-SM-793DC 60-69 years, male 6.8
GTEX-SJXC-0126-SM-2XCFF 60-69 years, male 6.8
GTEX-U3ZM-1526-SM-3DB9D 40-49 years, male 6.8
GTEX-WFG8-2226-SM-3GIL9 20-29 years, male 6.8
GTEX-1EWIQ-0126-SM-7RHH2 70-79 years, female 6.8
GTEX-1GN1V-0126-SM-9WPOS 60-69 years, male 6.8
GTEX-1K2DU-2326-SM-E9TIV 20-29 years, male 6.8
GTEX-1S3DN-2226-SM-EVYCD 50-59 years, male 6.8
GTEX-11DXX-2426-SM-5GZZW 60-69 years, female 6.7
GTEX-1314G-1526-SM-5EGK2 30-39 years, male 6.7
GTEX-14LZ3-0226-SM-62LET 60-69 years, female 6.7
GTEX-16XZY-2126-SM-79OK1 70-79 years, male 6.7
GTEX-1C6VR-2426-SM-79OLD 60-69 years, male 6.7
GTEX-R55E-0126-SM-2TC5Y 20-29 years, male 6.7
GTEX-ZGAY-0526-SM-4WWBB 40-49 years, female 6.7
GTEX-ZTSS-1926-SM-57WEW 40-49 years, male 6.7
GTEX-13FH7-2026-SM-E9J4I 50-59 years, female 6.7
GTEX-1GL5R-1826-SM-9KNUY 50-59 years, male 6.7
GTEX-1HCU9-1526-SM-A9SL7 20-29 years, male 6.7
GTEX-1J1R8-1726-SM-ARL8M 40-49 years, male 6.7
GTEX-1NHNU-1026-SM-E9J2A 50-59 years, male 6.7
GTEX-11P81-2326-SM-59875 30-39 years, female 6.6
GTEX-13N2G-2626-SM-5J1OT 60-69 years, male 6.6
GTEX-13NYS-0126-SM-5MR3W 60-69 years, male 6.6
GTEX-16AAH-1726-SM-7939C 50-59 years, male 6.6
GTEX-1AMFI-2026-SM-731BH 50-59 years, female 6.6
GTEX-1AYD5-2426-SM-73KXR 50-59 years, male 6.6
GTEX-ZV68-0126-SM-59HKS 50-59 years, female 6.6
GTEX-1H3VE-0326-SM-9YFLH 40-49 years, male 6.6
GTEX-1O97I-0326-SM-EYYX7 60-69 years, male 6.6
GTEX-1PPH8-0226-SM-E8VND 20-29 years, male 6.6
GTEX-11VI4-1726-SM-5CVLH 40-49 years, female 6.5
GTEX-11ZTT-2426-SM-5EQLS 60-69 years, female 6.5
GTEX-13N11-2526-SM-5K7UE 50-59 years, female 6.5
GTEX-13PDP-0126-SM-5L3HD 60-69 years, male 6.5
GTEX-13W46-0226-SM-5SIAG 50-59 years, male 6.5
GTEX-14PII-0226-SM-6EU1T 60-69 years, male 6.5
GTEX-P44H-0226-SM-2XCEU 40-49 years, male 6.5
GTEX-R55G-2526-SM-2TC6D 40-49 years, female 6.5
GTEX-U3ZH-2026-SM-3DB78 30-39 years, male 6.5
GTEX-1CB4H-0226-SM-7PBXM 60-69 years, female 6.5
GTEX-1F75B-0126-SM-9KNVL 50-59 years, male 6.5
GTEX-1MA7W-2026-SM-E9TJ6 20-29 years, female 6.5
GTEX-12WSK-2326-SM-5GCOH 40-49 years, female 6.4
GTEX-18A66-0226-SM-718BD 60-69 years, male 6.4
GTEX-T6MO-1626-SM-32QOM 40-49 years, female 6.4
GTEX-X261-0126-SM-3NMD6 50-59 years, male 6.4
GTEX-ZXG5-0126-SM-5GIEU 60-69 years, male 6.4
GTEX-ZYFD-0126-SM-5GIDL 50-59 years, male 6.4
GTEX-1H1DG-0126-SM-9WYU2 70-79 years, male 6.4
GTEX-1R7EV-2426-SM-EVYBG 40-49 years, male 6.4
GTEX-12ZZY-0226-SM-5LZVE 60-69 years, male 6.3
GTEX-13SLX-0526-SM-5S2ON 50-59 years, female 6.3
GTEX-17HG3-2226-SM-7938L 30-39 years, female 6.3
GTEX-X638-0126-SM-47JZ8 70-79 years, female 6.3
GTEX-1AX9I-0126-SM-7SB74 60-69 years, male 6.3
GTEX-1EX96-1626-SM-7PBXR 50-59 years, male 6.3
GTEX-1QP66-1726-SM-E8VO1 50-59 years, male 6.3
GTEX-131XG-2626-SM-5KM17 50-59 years, female 6.2
GTEX-1GMRU-0126-SM-9YFLV 50-59 years, male 6.2
GTEX-1HSMQ-1226-SM-CGQFX 50-59 years, male 6.2
GTEX-11DXW-0226-SM-5H122 40-49 years, male 6.1
GTEX-139D8-0226-SM-5KLZO 30-39 years, female 6.1
GTEX-145MO-0326-SM-5Q5B3 60-69 years, male 6.1
GTEX-14E6D-0126-SM-62LDV 50-59 years, male 6.1
GTEX-15RIG-0226-SM-7KFTL 40-49 years, male 6.1
GTEX-1CAMR-1926-SM-7EPI2 20-29 years, male 6.1
GTEX-T8EM-1026-SM-3DB7M 40-49 years, male 6.1
GTEX-WI4N-1026-SM-3LK7N 40-49 years, female 6.1
GTEX-YJ89-0126-SM-4TT3X 60-69 years, male 6.1
GTEX-12WSG-2826-SM-E9J4H 50-59 years, female 6.1
GTEX-1CB4G-0226-SM-7PC3O 60-69 years, male 6.1
GTEX-1F48J-0126-SM-7P8TT 50-59 years, female 6.1
GTEX-1F88F-2726-SM-7PBZZ 60-69 years, female 6.1
GTEX-1GF9V-0326-SM-7RHI5 60-69 years, male 6.1
GTEX-1H1CY-2826-SM-9MQM3 60-69 years, female 6.1
GTEX-1HGF4-2426-SM-ACKXM 60-69 years, male 6.1
GTEX-ZVT4-0126-SM-DTXFN 50-59 years, female 6.1
GTEX-12ZZZ-0626-SM-5DUXI 60-69 years, male 6.0
GTEX-139TT-0126-SM-5K7Y5 60-69 years, male 6.0
GTEX-17KNJ-2326-SM-7DHLQ 50-59 years, male 6.0
GTEX-T5JW-1626-SM-3GADZ 20-29 years, female 6.0
GTEX-1GPI6-0126-SM-9WG69 60-69 years, male 6.0
GTEX-1HCUA-2426-SM-ADEIS 50-59 years, female 6.0
GTEX-15EU6-0426-SM-6PAN5 50-59 years, male 5.9
GTEX-16YQH-0126-SM-7DUFJ 30-39 years, male 5.9
GTEX-X4XY-0226-SM-4E3IZ 60-69 years, male 5.9
GTEX-XPVG-2626-SM-4B669 50-59 years, male 5.9
GTEX-ZUA1-0126-SM-5GU76 40-49 years, male 5.9
GTEX-1QMI2-0226-SM-EVYBX 60-69 years, male 5.9
GTEX-131YS-0126-SM-5KM1M 60-69 years, female 5.8
GTEX-147F3-0526-SM-5SI98 50-59 years, female 5.8
GTEX-18465-0126-SM-731BN 50-59 years, male 5.8
GTEX-ZYFG-2326-SM-5E44B 60-69 years, female 5.8
GTEX-13O3O-0126-SM-E9J49 60-69 years, female 5.8
GTEX-1CB4F-0426-SM-9KNV4 60-69 years, male 5.8
GTEX-1H1ZS-0426-SM-9WG6G 70-79 years, male 5.8
GTEX-1HCU6-0126-SM-CL54K 60-69 years, female 5.8
GTEX-1IKK5-0626-SM-ARL8A 60-69 years, male 5.8
GTEX-1M4P7-0226-SM-DIPEV 60-69 years, male 5.8
GTEX-113JC-2326-SM-5EQ4E 50-59 years, female 5.7
GTEX-11EI6-0126-SM-5985R 60-69 years, male 5.7
GTEX-139UW-2826-SM-5L3E7 60-69 years, male 5.7
GTEX-13FTY-0526-SM-5L3EV 40-49 years, female 5.7
GTEX-15ER7-0326-SM-7KUEV 20-29 years, female 5.7
GTEX-1F6IF-0726-SM-7P8TW 60-69 years, male 5.7
GTEX-117YW-2626-SM-5GZZH 50-59 years, male 5.6
GTEX-15ETS-0126-SM-7KUMW 40-49 years, female 5.6
GTEX-18D9U-0226-SM-718BP 40-49 years, male 5.6
GTEX-1A3MX-0126-SM-731BR 60-69 years, male 5.6
GTEX-1E1VI-0126-SM-7DHMZ 50-59 years, male 5.6
GTEX-S7PM-0126-SM-4AD6S 60-69 years, male 5.6
GTEX-S7SE-0126-SM-2XCD5 50-59 years, male 5.6
GTEX-XUYS-0126-SM-47JWZ 50-59 years, male 5.6
GTEX-1B996-0226-SM-7RHGO 60-69 years, male 5.6
GTEX-1H3O1-0426-SM-9YFKY 60-69 years, male 5.6
GTEX-ZF3C-0126-SM-DO92D 50-59 years, female 5.6
GTEX-11H98-0126-SM-5EGHG 50-59 years, male 5.5
GTEX-12C56-1726-SM-5EQ61 20-29 years, male 5.5
GTEX-17F96-1626-SM-7DUFL 70-79 years, male 5.5
GTEX-1C6VS-0526-SM-7DUEN 60-69 years, male 5.5
GTEX-ZQUD-1426-SM-57WER 30-39 years, male 5.5
GTEX-1K9T9-0126-SM-EVYCF 50-59 years, female 5.5
GTEX-1LG7Z-1726-SM-D3LA4 30-39 years, male 5.5
GTEX-11DXZ-2326-SM-5EGGV 50-59 years, male 5.4
GTEX-12WSC-0126-SM-5EQ4P 50-59 years, male 5.4
GTEX-12WSD-0126-SM-59HKN 60-69 years, female 5.4
GTEX-131XW-0426-SM-5LZWP 50-59 years, female 5.4
GTEX-13S7M-0126-SM-5SI6A 60-69 years, female 5.4
GTEX-14E6E-1826-SM-5S2R7 30-39 years, male 5.4
GTEX-17GQL-2026-SM-718BA 60-69 years, male 5.4
GTEX-Q2AH-1626-SM-3GAF8 40-49 years, male 5.4
GTEX-S95S-1226-SM-4GICG 60-69 years, male 5.4
GTEX-1IKOH-0226-SM-COH4E 60-69 years, female 5.4
GTEX-1LGOU-2026-SM-DIPFF 20-29 years, female 5.4
GTEX-1269C-2526-SM-5EGJ3 60-69 years, female 5.3
GTEX-13U4I-0126-SM-5LU38 40-49 years, female 5.3
GTEX-14BMV-0126-SM-5S2PO 50-59 years, male 5.3
GTEX-UPJH-0326-SM-3GADU 50-59 years, male 5.3
GTEX-1HBPI-1526-SM-C1YQ1 50-59 years, male 5.3
GTEX-1KD5A-0226-SM-D5OV3 50-59 years, male 5.3
GTEX-11ZVC-2526-SM-5FQTE 50-59 years, female 5.2
GTEX-QDVN-2026-SM-3GAEP 50-59 years, male 5.2
GTEX-Y8LW-1826-SM-5S2MV 50-59 years, female 5.2
GTEX-1JJE9-0326-SM-CL53Z 70-79 years, male 5.2
GTEX-1QEPI-0126-SM-EWRMQ 60-69 years, female 5.2
GTEX-1RDX4-0126-SM-E9J4P 50-59 years, female 5.2
GTEX-11O72-0126-SM-59887 40-49 years, male 5.1
GTEX-14E6C-0126-SM-5RQIP 40-49 years, male 5.1
GTEX-15EOM-0126-SM-7KUGG 20-29 years, female 5.1
GTEX-17HHE-2026-SM-79OKF 50-59 years, male 5.1
GTEX-1A3MV-1926-SM-718BT 30-39 years, male 5.1
GTEX-131XF-5016-SM-7MGWE 60-69 years, male 5.1
GTEX-1LG7Y-0526-SM-DKPQC 50-59 years, male 5.1
GTEX-1R9PO-2126-SM-E9J4O 60-69 years, female 5.1
GTEX-13NZA-0226-SM-5K7Z7 60-69 years, male 5.0
GTEX-13YAN-0326-SM-5O9DF 60-69 years, male 5.0
GTEX-148VJ-0126-SM-5TDDN 70-79 years, male 5.0
GTEX-14PHW-0126-SM-6LLJI 60-69 years, female 5.0
GTEX-15F5U-1526-SM-6PANO 40-49 years, male 5.0
GTEX-1A3MW-0126-SM-73KXX 60-69 years, female 5.0
GTEX-X5EB-2226-SM-46MW4 40-49 years, male 5.0
GTEX-1H3VY-0126-SM-ACKXD 50-59 years, male 5.0
GTEX-1HFI7-1826-SM-ACKXH 50-59 years, female 5.0
GTEX-1I1GQ-0126-SM-COH3H 50-59 years, male 5.0
GTEX-1I1GR-0126-SM-CL55F 60-69 years, male 5.0
GTEX-1KXAM-2226-SM-CYPTC 60-69 years, male 5.0
GTEX-1QP2A-0126-SM-E9J43 50-59 years, male 5.0
GTEX-1RLM8-2326-SM-EWRN4 50-59 years, male 5.0
GTEX-13RTL-0126-SM-7LG5S 40-49 years, male 4.9
GTEX-145ME-1826-SM-5SI9G 40-49 years, female 4.9
GTEX-14BIL-0126-SM-5SI92 50-59 years, male 4.9
GTEX-14DAQ-0126-SM-5S2MQ 60-69 years, female 4.9
GTEX-15DDE-0126-SM-6LPKH 50-59 years, female 4.9
GTEX-15UF6-0826-SM-6PALJ 70-79 years, female 4.9
GTEX-1CB4J-0626-SM-7DHMP 60-69 years, male 4.9
GTEX-U8T8-0126-SM-3DB94 60-69 years, male 4.9
GTEX-WH7G-2326-SM-3NMBC 40-49 years, male 4.9
GTEX-ZAJG-0126-SM-5HL94 50-59 years, female 4.9
GTEX-1GTWX-0126-SM-9YFLK 60-69 years, male 4.9
GTEX-1I1GT-0626-SM-CGQER 60-69 years, female 4.9
GTEX-1JJ6O-0126-SM-E6CI8 60-69 years, male 4.9
GTEX-1POEN-0126-SM-EYYXJ 30-39 years, female 4.9
GTEX-ZPIC-1726-SM-DHXIU 40-49 years, female 4.9
GTEX-1128S-2326-SM-5GZZY 60-69 years, female 4.8
GTEX-1192W-2626-SM-5Q5AF 60-69 years, male 4.8
GTEX-11EM3-2426-SM-59861 20-29 years, female 4.8
GTEX-12584-0126-SM-5EGKQ 40-49 years, male 4.8
GTEX-1AX9J-0226-SM-73KXM 60-69 years, male 4.8
GTEX-1GMR3-1926-SM-9KNUZ 40-49 years, male 4.8
GTEX-1HCVE-0126-SM-CGQEU 50-59 years, male 4.8
GTEX-ZF29-2326-SM-DO92K 60-69 years, female 4.8
GTEX-15DYW-0126-SM-7KULE 60-69 years, female 4.7
GTEX-QLQ7-1626-SM-2S1R8 60-69 years, male 4.7
GTEX-X4EO-0326-SM-3P5YO 60-69 years, female 4.7
GTEX-1E2YA-0126-SM-9KNUC 50-59 years, male 4.7
GTEX-1R46S-0626-SM-E9J41 60-69 years, female 4.7
GTEX-OIZF-0126-SM-7SB8I 60-69 years, male 4.7
GTEX-13CF3-2426-SM-5IFGX 60-69 years, female 4.6
GTEX-OXRP-0126-SM-3NB32 60-69 years, female 4.6
GTEX-ZYT6-0226-SM-5NQ6T 30-39 years, male 4.6
GTEX-1HBPN-0226-SM-9YFM1 50-59 years, male 4.6
GTEX-1JMQJ-0526-SM-CYPSU 50-59 years, male 4.6
GTEX-PLZ6-1426-SM-DKPOT 30-39 years, male 4.6
GTEX-13113-5016-SM-7EPIP 60-69 years, female 4.5
GTEX-14XAO-2326-SM-6EU1B 60-69 years, female 4.5
GTEX-16BQI-0226-SM-7KUEX 30-39 years, female 4.5
GTEX-1I1GU-2226-SM-CGQFA 40-49 years, male 4.5
GTEX-1J8Q2-0526-SM-CM2RW 60-69 years, male 4.5
GTEX-11TT1-2526-SM-5EGIB 20-29 years, male 4.4
GTEX-12WSL-2526-SM-5GCNJ 50-59 years, male 4.4
GTEX-17MFQ-1726-SM-793C7 20-29 years, male 4.4
GTEX-U8XE-0326-SM-3DB8P 30-39 years, male 4.4
GTEX-1HSMO-0126-SM-CL547 60-69 years, male 4.4
GTEX-11DZ1-0126-SM-5985Q 50-59 years, male 4.3
GTEX-1212Z-2526-SM-5EGKP 60-69 years, male 4.3
GTEX-12WSA-0226-SM-5BC5V 60-69 years, male 4.3
GTEX-14C5O-0126-SM-5SI6N 60-69 years, male 4.3
GTEX-16MT8-0426-SM-7KUEY 60-69 years, female 4.2
GTEX-17EVQ-0226-SM-7LG4P 70-79 years, male 4.2
GTEX-1HCU7-0226-SM-CL545 50-59 years, male 4.2
GTEX-1JMQK-0226-SM-CL543 60-69 years, male 4.2
GTEX-18A7B-0126-SM-7LG64 70-79 years, male 4.1
GTEX-QESD-1426-SM-2S1R9 20-29 years, male 4.1
GTEX-RU72-0926-SM-2TF6B 50-59 years, female 4.1
GTEX-ZYY3-0126-SM-5GZY5 60-69 years, female 4.1
GTEX-1IL2V-0126-SM-CM2TX 70-79 years, male 4.1
GTEX-13JUV-2726-SM-5LZZ8 40-49 years, female 4.0
GTEX-13OVG-1926-SM-5L3DK 60-69 years, male 4.0
GTEX-14E7W-0126-SM-6LLJ9 70-79 years, male 4.0
GTEX-17EVP-0326-SM-7DHLG 40-49 years, male 4.0
GTEX-ZU9S-0226-SM-5E441 30-39 years, male 4.0
GTEX-ZAB4-0226-SM-5N9F5 40-49 years, male 3.9
GTEX-ZTX8-1426-SM-5DUVO 20-29 years, male 3.9
GTEX-13NYC-0326-SM-E9J4S 60-69 years, male 3.9
GTEX-11ZU8-2526-SM-5EQKI 60-69 years, male 3.8
GTEX-145MI-0526-SM-5O9A8 60-69 years, female 3.8
GTEX-WYVS-2126-SM-3NMA3 40-49 years, female 3.8
GTEX-ZYFC-0226-SM-5NQ75 50-59 years, male 3.8
GTEX-1A8FM-0226-SM-7SB7Q 50-59 years, female 3.8
GTEX-1LH75-2426-SM-E9TJE 50-59 years, female 3.8
GTEX-11GSO-2426-SM-5A5LY 60-69 years, male 3.7
GTEX-139TU-0126-SM-5K7WH 60-69 years, male 3.7
GTEX-13OVI-1426-SM-5L3EY 60-69 years, female 3.7
GTEX-13OW8-1326-SM-5J1OW 60-69 years, male 3.7
GTEX-1H4P4-0726-SM-9YFLR 50-59 years, male 3.7
GTEX-1JN76-0126-SM-CNPPE 20-29 years, female 3.7
GTEX-15SHW-0326-SM-6PAML 60-69 years, male 3.6
GTEX-11TUW-2726-SM-E9J4M 60-69 years, male 3.6
GTEX-1C6VQ-0126-SM-7P8RI 50-59 years, male 3.6
GTEX-131XE-2326-SM-5PNZ2 50-59 years, male 3.5
GTEX-13O1R-0126-SM-5L3EH 60-69 years, male 3.5
GTEX-17MF6-0126-SM-7LG4F 40-49 years, male 3.5
GTEX-TSE9-0126-SM-3DB83 60-69 years, female 3.5
GTEX-1EN7A-0126-SM-7SB81 40-49 years, male 3.5
GTEX-1GN1U-0126-SM-7PBZK 50-59 years, female 3.5
GTEX-1I4MK-2226-SM-ACKWD 50-59 years, female 3.4
GTEX-1HUB1-0426-SM-E9U4U 60-69 years, male 3.3
GTEX-144GL-0126-SM-5TDE2 50-59 years, male 3.2
GTEX-148VI-1626-SM-5SI6E 60-69 years, female 3.2
GTEX-16XZZ-0126-SM-793DV 60-69 years, male 3.2
GTEX-14DAR-2026-SM-5S2O3 50-59 years, male 3.1
GTEX-1C475-1826-SM-73KWA 40-49 years, female 3.1
GTEX-NFK9-0226-SM-2HMKQ 40-49 years, male 3.1
GTEX-11LCK-1026-SM-5A5KB 30-39 years, male 3.0
GTEX-13112-2826-SM-5DUWH 50-59 years, male 3.0
GTEX-1399T-2826-SM-5KLYZ 60-69 years, male 3.0
GTEX-VJWN-0126-SM-3GIK7 50-59 years, female 3.0
GTEX-13OVH-0126-SM-5MR4B 70-79 years, male 2.9
GTEX-P4QT-0126-SM-2I3FL 50-59 years, female 2.9
GTEX-RWSA-0126-SM-2XCBB 40-49 years, male 2.9
GTEX-1IKJJ-0126-SM-CNPQB 60-69 years, male 2.9
GTEX-1B8KE-2126-SM-73KYX 50-59 years, male 2.7
GTEX-ZYW4-0126-SM-5E44A 60-69 years, male 2.7
GTEX-OXRO-0126-SM-2YUN4 60-69 years, female 2.6
GTEX-QCQG-1726-SM-3GIJ9 50-59 years, female 2.5
GTEX-1JMOU-1526-SM-CL54I 60-69 years, female 2.4
GTEX-S32W-2126-SM-2XCB1 50-59 years, female 2.3
GTEX-17HII-0226-SM-7LG4E 50-59 years, male 2.2
GTEX-SN8G-0126-SM-32PLI 50-59 years, female 2.2
GTEX-146FH-0126-SM-5QGPP 50-59 years, female 2.1
GTEX-1H1DE-2126-SM-9WG6R 20-29 years, male 2.1
GTEX-12696-2426-SM-5EQ6H 60-69 years, male 2.0
GTEX-1B8SG-0126-SM-73KZ3 50-59 years, male 1.6
GTEX-1N2EF-0226-SM-EYYXB 60-69 years, male 1.6
GTEX-1JN1M-0326-SM-CYPT3 60-69 years, female 1.5
GTEX-14A5I-0126-SM-5TDEA 50-59 years, female 1.4
Show allShow less

Contact

  • NEWS ARTICLES
  • PRESS ROOM

The Project

  • INTRODUCTION
  • ORGANIZATION
  • PUBLICATIONS

The Human Protein Atlas

  • DOWNLOADABLE DATA
  • LICENCE & CITATION
  • HELP & FAQ
The Human Protein Atlas project is funded
by the Knut & Alice Wallenberg Foundation.


contact@proteinatlas.org