We use cookies to enhance the usability of our website. If you continue, we'll assume that you are happy to receive all cookies. More information. Don't show this again.
FA2H
HPA
RESOURCES
  • TISSUE
  • BRAIN
  • SINGLE CELL
  • SUBCELLULAR
  • CANCER
  • BLOOD
  • CELL LINE
  • STRUCTURE & INTERACTION
ABOUT
  • INTRODUCTION
  • HISTORY
  • ORGANIZATION
  • PUBLICATIONS
  • ANTIBODY SUBMISSION
  • ANTIBODY AVAILABILITY
  • ACKNOWLEDGMENTS
  • CONTACT
NEWS
  • NEWS ARTICLES
  • PRESS ROOM
LEARN
  • DICTIONARY
  • PROTEIN CLASSES
  • PROTEIN EVIDENCE
  • METHODS
  • EDUCATIONAL VIDEOS
DATA
  • DOWNLOADABLE DATA
  • PUBLICATION DATA
  • RELEASE HISTORY
HELP
  • ANTIBODY VALIDATION
  • ASSAYS & ANNOTATION
  • DISCLAIMER
  • HELP & FAQ
  • PRIVACY STATEMENT
  • LICENCE & CITATION
Fields »
Search result

Field
Term
Gene name
Class
Subclass
Class
Keyword
Chromosome
External id
Tissue
Cell type
Expression
Antibody panel
Tissue
Main location
Patient ID
Annotation
Tissue
Category
Tau score
Cluster
Reliability
Brain region
Category
Tau score
Brain region
Category
Tau score
Brain region
Category
Tau score
Cluster
Reliability
Tissue
Cell type
Enrichment
Cell type
Category
Tau score
Cell type
Category
Tau score
Cell type
Category
Tau score
Cell lineage
Category
Tau score
Cluster
Cluster
Location
Searches
Location
Cell line
Class
Type
Phase
Reliability
Cancer
Prognosis
Cancer
Category
Cancer
Category
Tau score
Cluster
Variants
Interacting gene (ensg_id)
Type
Number of interactions
Pathway
Category
Score
Score
Score
Validation
Validation
Validation
Validation
Antibodies
Data type
Column


  • SUMMARY

  • TISSUE

  • BRAIN

  • SINGLE CELL

  • SUBCELL

  • CANCER

  • BLOOD

  • CELL LINE

  • STRUCT & INT

  • FA2H
TISSUE PRIMARY DATA SKIN 2 Show tissue menu
ADIPOSE TISSUE ADRENAL GLAND AMYGDALA APPENDIX BASAL GANGLIA BONE MARROW BREAST BRONCHUS CEREBELLUM CEREBRAL CORTEX CERVIX CHOROID PLEXUS COLON DUODENUM
ENDOMETRIUM EPIDIDYMIS ESOPHAGUS FALLOPIAN TUBE GALLBLADDER HEART MUSCLE HIPPOCAMPAL FORMATION HYPOTHALAMUS KIDNEY LIVER LUNG LYMPH NODE MIDBRAIN NASOPHARYNX
ORAL MUCOSA OVARY PANCREAS PARATHYROID GLAND PITUITARY GLAND PLACENTA PROSTATE RECTUM RETINA SALIVARY GLAND SEMINAL VESICLE SKELETAL MUSCLE SKIN SMALL INTESTINE
SMOOTH MUSCLE SOFT TISSUE SPINAL CORD SPLEEN STOMACH TESTIS THYMUS THYROID GLAND TONGUE TONSIL URINARY BLADDER VAGINA
ANTIBODIES
AND
VALIDATION
Dictionary
Tissue proteome
SKIN - Expression summary
Protein expression
Skini

On the top, protein expression in current human tissue, based on all annotated cell types, is reported with the units not detected (n), low (l), medium (m) and high (h). Underneath, protein expression in each annotated cell type are reported using the same units.

Protein expression data is based on knowledge-based annotation. For genes where more than one antibody has been used, a collective score is set.

If knowledge-based annotation could not be performed for a gene, no data is displayed here. View antibody staining data further down this page.

h
m
l
n
Epidermal cells: Medium
Fibroblasts: Not detected
Keratinocytes: Medium
Langerhans: Not detected
Melanocytes: Not detected
RNA expressioni

A summary of mRNA expression data available for current tissue based on several datasets. The mRNA expression levels in human tissues are based on RNA-seq data generated by the Human Protein Atlas (HPA), Genotype-Tissue Expression (GTEx) portal and CAGE data generated by the FANTOM5 consortium. Consensus normalized expression levels for human tissues was created by combining the data from HPA and GTEx datasets.

The mRNA expression levels in pig are based on RNA-seq data generated by the Human Protein Atlas (HPA), and for mouse, HPA data and in situ hybridization generated by the Allen brain atlas are reported.

Scroll down to view mRNA expression data in more detail.
Consensus:8.2 nTPM
HPA:2.8 nTPM
GTEx:8.2 nTPM

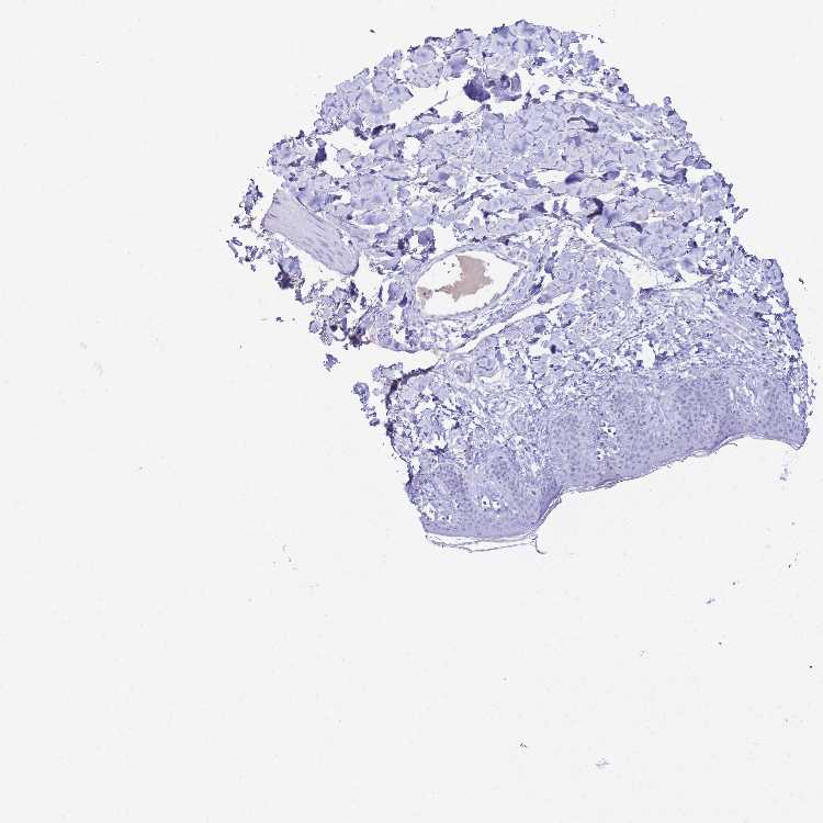
SKIN 1 - Antibody stainingi

Antibody staining in the annotated cell types in the current human tissue is reported as not detected, low, medium, or high, based on conventional immunohistochemistry profiling in selected tissues. This score is based on the combination of the staining intensity and fraction of stained cells.

Each image is clickable and will lead to virtual microscopy that enables deeper exploration of all samples and also displays staining intensity scores, fraction scores and subcellular localization as well as patient and tissue information for each sample.

Antibody HPA056614
Langerhans Not detected
Fibroblasts Not detected
Keratinocytes Medium
Melanocytes Not detected

SKIN 2 - Antibody stainingi

Antibody staining in the annotated cell types in the current human tissue is reported as not detected, low, medium, or high, based on conventional immunohistochemistry profiling in selected tissues. This score is based on the combination of the staining intensity and fraction of stained cells.

Each image is clickable and will lead to virtual microscopy that enables deeper exploration of all samples and also displays staining intensity scores, fraction scores and subcellular localization as well as patient and tissue information for each sample.

Antibody HPA056614
Epidermal cells Medium
 
 
 



SKIN - HPA RNA-seqi

The RNA-seq details section shows detailed information about the individual samples used for the transcript profiling and results of the RNA-seq analysis.

Information about each individual sample is listed below, including gender, age, a tissue section image and estimated fractions of cell types. nTPM (normalized transcripts per million) values give a quantification of the gene abundance which is comparable between different genes and samples.
Average nTPMi

Max subtype nTPM is the value for the subtype with the largest average nTPM across the subtype samples.

2.8
overview
Female, age 34
Skin sample 225
nTPM: 4.1
Cell types%
Keratinocytes:
60

Other cell types:
40

overview
Female, age 30
Skin sample 226
nTPM: 1.9
Cell types%
Keratinocytes:
55

Other cell types:
45

N/A
Male, age 57
Skin sample 227
nTPM: 2.2

SKIN - GTEx RNA-seqi

RNA-Seq data generated by the Genotype-Tissue Expression (GTEx) project from human tissues is reported as mean nTPM. More information can be found on the GTEx portal.

Distribution across the dataset is visualized with box plots, shown as median and 25th and 75th percentiles. Points are displayed as outliers if they are above or below 1.5 times the interquartile range. nTPM values of the individual samples are presented next to the box plot.
Max subtype nTPMi

Max subtype nTPM is the value for the subtype with the largest average nTPM across the subtype samples.

8.2
GTEx sample id Sample description nTPM
Skin - Not Sun Exposed (Suprapubic)
Average nTPM: 8.2
Samples: 604

Max nTPM: 84.7
Min nTPM: 0.5
Std nTPM: 9.2
Median nTPM: 5.6
GTEX-1HSMP-0926-SM-A9SKX 70-79 years, male 84.7
GTEX-1I6K7-1926-SM-B2LXR 40-49 years, male 62.2
GTEX-1QCLY-0226-SM-EWRNH 30-39 years, male 61.8
GTEX-145MN-1526-SM-5SI9T 30-39 years, male 60.6
GTEX-1GN1W-2426-SM-9KNUU 50-59 years, female 60.0
GTEX-1GMR3-0126-SM-A9SLW 40-49 years, male 59.8
GTEX-14PJ3-1126-SM-5ZZVX 50-59 years, male 57.4
GTEX-1PIGE-1826-SM-E8VOU 20-29 years, male 54.9
GTEX-15RIE-1926-SM-7KUKJ 60-69 years, male 52.3
GTEX-11P7K-1126-SM-5HL4L 30-39 years, male 51.6
GTEX-1N2DV-1526-SM-DTXEP 40-49 years, male 45.5
GTEX-178AV-1726-SM-7KUL8 40-49 years, male 44.7
GTEX-1F5PK-2226-SM-7SB6N 50-59 years, male 39.7
GTEX-YEC3-1326-SM-DO92X 50-59 years, male 39.0
GTEX-ZZ64-1026-SM-5GZXG 20-29 years, male 35.3
GTEX-13OVG-1626-SM-5J1NF 60-69 years, male 34.4
GTEX-YEC4-1826-SM-4W1YP 40-49 years, male 33.6
GTEX-17KNJ-2126-SM-718AM 50-59 years, male 31.6
GTEX-13U4I-2226-SM-5LU5H 40-49 years, female 30.4
GTEX-XPVG-2126-SM-4B667 50-59 years, male 28.3
GTEX-111YS-1526-SM-5GZYW 60-69 years, male 28.2
GTEX-145LT-0526-SM-5LUB2 40-49 years, male 27.8
GTEX-1AX8Z-0726-SM-73KTS 60-69 years, male 26.0
GTEX-1IDJE-1426-SM-ADEIW 50-59 years, female 24.5
GTEX-1JN76-0626-SM-CKZOQ 20-29 years, female 24.1
GTEX-1IDJF-2026-SM-CL53V 20-29 years, male 23.6
GTEX-1RAZA-2226-SM-E9U4X 20-29 years, male 23.1
GTEX-14JFF-0626-SM-5ZZVT 60-69 years, male 22.8
GTEX-1E1VI-0326-SM-793D1 50-59 years, male 22.7
GTEX-18A66-0626-SM-7LT8Z 60-69 years, male 21.7
GTEX-WK11-2726-SM-3NMAQ 50-59 years, male 21.7
GTEX-Y8E4-2026-SM-5IFJB 40-49 years, male 20.9
GTEX-ZPU1-1126-SM-4YCF3 40-49 years, male 20.8
GTEX-11DXX-2126-SM-5PNYR 60-69 years, female 20.4
GTEX-12696-0126-SM-5EQ4L 60-69 years, male 20.2
GTEX-12KS4-2126-SM-5FQUT 30-39 years, male 20.2
GTEX-1AX9I-2226-SM-73KUO 60-69 years, male 20.0
GTEX-1B8KZ-0326-SM-73KY4 50-59 years, male 19.8
GTEX-12BJ1-0926-SM-5EQ62 60-69 years, male 19.6
GTEX-ZVT4-2426-SM-5GIEI 50-59 years, female 18.4
GTEX-15CHR-1126-SM-7EWF4 50-59 years, male 18.1
GTEX-14E6C-2426-SM-5S2NF 40-49 years, male 17.9
GTEX-1GF9V-0826-SM-9KNUV 60-69 years, male 17.9
GTEX-16NGA-0726-SM-731AO 40-49 years, female 17.7
GTEX-14B4R-1326-SM-5Q5EZ 30-39 years, male 17.4
GTEX-12WSF-1626-SM-7KUG5 70-79 years, male 17.2
GTEX-ZT9W-1126-SM-57WDR 50-59 years, male 17.2
GTEX-13PVR-0426-SM-5RQK2 60-69 years, female 17.1
GTEX-17F96-0126-SM-7EWDU 70-79 years, male 17.1
GTEX-Y5LM-0926-SM-6LLJG 40-49 years, female 16.9
GTEX-16XZZ-0726-SM-7KUF2 60-69 years, male 16.8
GTEX-ZDTT-0426-SM-4WKFL 60-69 years, male 16.7
GTEX-1C64O-1326-SM-7MGWR 60-69 years, male 16.4
GTEX-1H1DE-1326-SM-9KNUG 20-29 years, male 16.3
GTEX-15UF6-1926-SM-7KUDV 70-79 years, female 15.9
GTEX-14DAQ-0626-SM-793DS 60-69 years, female 15.8
GTEX-12WSD-0626-SM-5GCMW 60-69 years, female 15.7
GTEX-1I19N-0126-SM-CYPSF 70-79 years, male 15.3
GTEX-ZPIC-0526-SM-DO91W 40-49 years, female 15.2
GTEX-16MT8-2926-SM-7DUFO 60-69 years, female 15.1
GTEX-WHWD-1826-SM-3LK6I 50-59 years, male 15.1
GTEX-ZDTS-0826-SM-4WKHL 60-69 years, male 15.0
GTEX-UPJH-0226-SM-3GADV 50-59 years, male 14.9
GTEX-11EQ9-1626-SM-5PNY8 30-39 years, male 14.8
GTEX-145MO-2826-SM-5LU96 60-69 years, male 14.6
GTEX-1EH9U-2826-SM-7DUGT 60-69 years, male 14.6
GTEX-18A6Q-0626-SM-7KFRP 60-69 years, male 14.5
GTEX-131XH-0126-SM-5LZUY 50-59 years, male 14.3
GTEX-13X6K-0626-SM-5LU5D 60-69 years, female 14.3
GTEX-1KANC-1226-SM-CYPT7 50-59 years, female 14.2
GTEX-14PJN-1826-SM-6AJ98 30-39 years, male 14.1
GTEX-1I6K6-1726-SM-CGQFD 30-39 years, male 14.1
GTEX-Y5V6-2326-SM-4VDSA 60-69 years, male 14.0
GTEX-VJYA-1526-SM-3GIJV 60-69 years, male 13.9
GTEX-1CB4E-0926-SM-7EPHT 60-69 years, male 13.8
GTEX-1JN6P-2926-SM-CL54D 60-69 years, male 13.8
GTEX-1CB4F-1026-SM-7DUH1 60-69 years, male 13.7
GTEX-14A5H-0826-SM-5QGPJ 60-69 years, male 13.6
GTEX-UPK5-0426-SM-3GAEK 40-49 years, male 13.5
GTEX-1S3DN-2126-SM-E9TIN 50-59 years, male 13.5
GTEX-ZAJG-1526-SM-5CVML 50-59 years, female 13.3
GTEX-1IY9M-2826-SM-ARU8H 60-69 years, male 13.3
GTEX-13PVQ-0626-SM-5LU47 50-59 years, male 13.0
GTEX-15RIG-0726-SM-7KUM7 40-49 years, male 13.0
GTEX-1IDJH-0126-SM-D3L92 70-79 years, male 13.0
GTEX-11TT1-1826-SM-5EQLV 20-29 years, male 12.7
GTEX-1QAET-0326-SM-EVR3U 50-59 years, male 12.6
GTEX-1QP66-1226-SM-DTX7U 50-59 years, male 12.6
GTEX-WEY5-2326-SM-3GIKK 40-49 years, female 12.5
GTEX-ZUA1-2626-SM-5NQ92 40-49 years, male 12.5
GTEX-16NPX-0726-SM-7KULC 50-59 years, male 12.4
GTEX-18A7B-2726-SM-7LG56 70-79 years, male 12.4
GTEX-1K2DA-1026-SM-CGQGF 50-59 years, male 12.4
GTEX-1MCYP-0526-SM-E9U6Q 20-29 years, female 12.3
GTEX-1A32A-0626-SM-731AQ 50-59 years, female 12.1
GTEX-XMD2-2126-SM-4YCF8 60-69 years, female 12.1
GTEX-1H1DG-2426-SM-9QEHJ 70-79 years, male 11.9
GTEX-1HCU9-0426-SM-9WYSD 20-29 years, male 11.9
GTEX-1QW4Y-1126-SM-DTXE3 30-39 years, male 11.9
GTEX-18A7A-0126-SM-731AH 50-59 years, female 11.6
GTEX-1CB4I-0126-SM-7RHGG 50-59 years, male 11.6
GTEX-14ABY-2026-SM-62LDL 50-59 years, male 11.5
GTEX-XK95-0226-SM-4AT58 40-49 years, male 11.4
GTEX-1N5O9-0926-SM-E9J3C 60-69 years, male 11.4
GTEX-1LGOU-1326-SM-D3L8M 20-29 years, female 11.3
GTEX-1211K-1526-SM-5FQU4 60-69 years, female 11.2
GTEX-1212Z-0126-SM-59HK4 60-69 years, male 11.2
GTEX-13JUV-2026-SM-5K7UA 40-49 years, female 11.2
GTEX-1F6IF-0926-SM-7SB7M 60-69 years, male 11.2
GTEX-1GN1U-0626-SM-9MQL9 50-59 years, female 11.2
GTEX-14AS3-1526-SM-5Q5ED 40-49 years, female 11.1
GTEX-1A3MV-1826-SM-731CD 30-39 years, male 11.0
GTEX-1HBPI-2126-SM-ARL9K 50-59 years, male 11.0
GTEX-ZDXO-3126-SM-5IJDF 60-69 years, male 10.9
GTEX-139TS-2126-SM-5K7XC 60-69 years, male 10.8
GTEX-144GO-2026-SM-5O99P 60-69 years, male 10.8
GTEX-14ICL-1626-SM-5YYAO 30-39 years, male 10.8
GTEX-WRHU-2826-SM-3MJG8 50-59 years, female 10.8
GTEX-X3Y1-2026-SM-3P5YM 40-49 years, male 10.8
GTEX-1HUB1-1426-SM-CGQF5 60-69 years, male 10.7
GTEX-1KD5A-0126-SM-E9U54 50-59 years, male 10.5
GTEX-13FLV-0126-SM-5K7WT 50-59 years, male 10.4
GTEX-17F98-1326-SM-7DUEP 40-49 years, female 10.4
GTEX-1I1GS-2626-SM-B2LY3 60-69 years, male 10.4
GTEX-13NZ8-1226-SM-5KM4A 60-69 years, female 10.3
GTEX-147F3-1726-SM-5SIAW 50-59 years, female 10.3
GTEX-1C6WA-2626-SM-7MKGM 60-69 years, male 10.3
GTEX-12ZZY-0726-SM-5EQ66 60-69 years, male 10.2
GTEX-15SHW-0226-SM-7LTAT 60-69 years, male 10.2
GTEX-1H1E6-0426-SM-9WYUS 30-39 years, male 10.2
GTEX-1I1GP-1326-SM-A9G28 50-59 years, male 10.2
GTEX-13O3O-2326-SM-5IJD6 60-69 years, female 10.1
GTEX-145LS-0626-SM-7EPG7 60-69 years, female 10.1
GTEX-1B996-0426-SM-7EWF8 60-69 years, male 10.1
GTEX-1F75W-2726-SM-7SB8H 60-69 years, male 10.0
GTEX-1RMOY-1326-SM-E9TIH 50-59 years, male 10.0
GTEX-13OVL-0126-SM-5L3GJ 50-59 years, male 9.9
GTEX-13RTJ-0126-SM-5S2NN 60-69 years, male 9.9
GTEX-14PJ2-0626-SM-6LLII 50-59 years, male 9.9
GTEX-183FY-1026-SM-7939A 20-29 years, male 9.9
GTEX-1M4P7-0726-SM-E6CJ3 60-69 years, male 9.9
GTEX-11DXZ-2026-SM-5987S 50-59 years, male 9.8
GTEX-VUSG-2326-SM-4KL1U 50-59 years, male 9.7
GTEX-XOT4-0626-SM-4B66L 60-69 years, female 9.7
GTEX-11EM3-1226-SM-5N9DD 20-29 years, female 9.6
GTEX-131XW-0626-SM-5PNVD 50-59 years, female 9.6
GTEX-WYBS-0626-SM-3NMAS 60-69 years, female 9.6
GTEX-1F75I-2226-SM-7SB8U 40-49 years, male 9.6
GTEX-1LG7Z-1626-SM-CXKYR 30-39 years, male 9.6
GTEX-111FC-2526-SM-5GZXU 60-69 years, male 9.5
GTEX-11P82-1426-SM-DTXFY 20-29 years, male 9.5
GTEX-13N2G-0226-SM-5K7VF 60-69 years, male 9.4
GTEX-17JCI-2926-SM-7DUFF 60-69 years, female 9.4
GTEX-X8HC-0626-SM-4E3HQ 50-59 years, female 9.4
GTEX-ZA64-1026-SM-5HL8R 20-29 years, male 9.4
GTEX-131YS-2826-SM-5EQ47 60-69 years, female 9.3
GTEX-1JMLX-0626-SM-ARL8T 50-59 years, male 9.3
GTEX-14PKV-1126-SM-6LLJ1 20-29 years, female 9.2
GTEX-1GPI7-1826-SM-9KNU1 20-29 years, male 9.2
GTEX-148VJ-0626-SM-5LUAW 70-79 years, male 9.1
GTEX-14PJO-2526-SM-6AJBQ 60-69 years, male 9.1
GTEX-1B8KE-1126-SM-7EPHI 50-59 years, male 9.1
GTEX-1B8L1-2226-SM-7P8PT 60-69 years, male 9.1
GTEX-1IOXB-2726-SM-CM2RI 50-59 years, male 9.1
GTEX-1KANA-1326-SM-DIPFA 20-29 years, male 9.1
GTEX-1314G-1326-SM-5BC6E 30-39 years, male 9.0
GTEX-13OVH-0526-SM-5L3E6 70-79 years, male 8.9
GTEX-1497J-0226-SM-5QGPU 60-69 years, male 8.9
GTEX-14PHX-2226-SM-6EU2P 50-59 years, male 8.9
GTEX-1H3NZ-2726-SM-9WYTQ 60-69 years, male 8.9
GTEX-13112-0126-SM-5P9IU 50-59 years, male 8.8
GTEX-139UW-0326-SM-5J1ML 60-69 years, male 8.8
GTEX-17F9E-2326-SM-79OKD 50-59 years, male 8.8
GTEX-Z93S-1626-SM-5CVMB 50-59 years, male 8.8
GTEX-ZWKS-0626-SM-5GIDV 30-39 years, male 8.8
GTEX-1R9K4-2826-SM-DTX8F 60-69 years, male 8.8
GTEX-WYJK-0526-SM-3NM8Z 50-59 years, male 8.7
GTEX-ZVE2-2826-SM-5GU51 50-59 years, male 8.7
GTEX-1H1CY-0126-SM-9YFLY 60-69 years, female 8.7
GTEX-139TT-2126-SM-5LZWC 60-69 years, male 8.6
GTEX-ZVTK-0226-SM-51MRG 20-29 years, male 8.6
GTEX-1AYD5-2626-SM-7PBXY 50-59 years, male 8.5
GTEX-15D1Q-2826-SM-6LLH7 40-49 years, male 8.4
GTEX-1CAMQ-1326-SM-7P8RV 40-49 years, male 8.4
GTEX-1LSNM-0826-SM-DIPG8 50-59 years, male 8.4
GTEX-YJ8O-2526-SM-5HL85 40-49 years, female 8.3
GTEX-1HR98-2226-SM-ADEI2 60-69 years, male 8.3
GTEX-1192X-2726-SM-5N9DN 50-59 years, male 8.2
GTEX-132AR-0326-SM-5KM2C 50-59 years, female 8.2
GTEX-14PJ4-0226-SM-5YY92 60-69 years, male 8.2
GTEX-15RJ7-2126-SM-6PAMD 40-49 years, male 8.2
GTEX-117YX-1926-SM-5GIEC 50-59 years, male 8.1
GTEX-131XG-0326-SM-5L3DX 50-59 years, female 8.1
GTEX-13FTY-2126-SM-5IFFB 40-49 years, female 8.1
GTEX-144GM-0526-SM-79OJO 20-29 years, male 8.1
GTEX-WY7C-2126-SM-3NB2R 50-59 years, male 8.1
GTEX-1GZHY-0626-SM-9KNVC 50-59 years, female 8.1
GTEX-1LSVX-2526-SM-DIPEU 60-69 years, male 8.1
GTEX-1QEPI-2626-SM-DTXF4 60-69 years, female 8.1
GTEX-11VI4-1126-SM-5EQMD 40-49 years, female 8.0
GTEX-1O9I2-0226-SM-EYYXD 50-59 years, male 8.0
GTEX-13N1W-2426-SM-5IJD1 70-79 years, male 7.9
GTEX-XXEK-1626-SM-4BRUZ 50-59 years, male 7.9
GTEX-ZAK1-0626-SM-5HL8E 50-59 years, female 7.9
GTEX-1CAMR-1326-SM-7PC1F 20-29 years, male 7.9
GTEX-1E2YA-2126-SM-7MXUO 50-59 years, male 7.9
GTEX-1LVAM-0726-SM-E6CIL 50-59 years, female 7.9
GTEX-11NSD-0626-SM-5A5LU 20-29 years, male 7.8
GTEX-11TUW-0626-SM-5LU9M 60-69 years, male 7.8
GTEX-WFG8-2126-SM-3GIKQ 20-29 years, male 7.8
GTEX-1JMPY-0226-SM-CKZOK 30-39 years, male 7.8
GTEX-1KWVE-1026-SM-D3L9O 30-39 years, male 7.8
GTEX-1QPFJ-1926-SM-EVYBD 30-39 years, female 7.8
GTEX-12WSL-2026-SM-5GCML 50-59 years, male 7.7
GTEX-13NZ9-2626-SM-5L3FK 50-59 years, male 7.7
GTEX-WI4N-2726-SM-3LK7Y 40-49 years, female 7.7
GTEX-1RAZS-2526-SM-E6CHT 50-59 years, male 7.7
GTEX-1B97I-0626-SM-73KUZ 40-49 years, male 7.6
GTEX-ZYFG-1526-SM-5GZYM 60-69 years, female 7.6
GTEX-1F5PL-0926-SM-7PC2W 40-49 years, female 7.6
GTEX-WHSE-0126-SM-3NMBT 20-29 years, male 7.5
GTEX-1CAMS-2226-SM-7PBXQ 40-49 years, female 7.5
GTEX-1GTWX-2026-SM-9YFLM 60-69 years, male 7.5
GTEX-1IDFM-0326-SM-ARL7V 60-69 years, male 7.5
GTEX-14753-0726-SM-5QGQO 60-69 years, male 7.4
GTEX-ZU9S-1826-SM-5NQ9E 30-39 years, male 7.4
GTEX-11WQC-1826-SM-5GU59 60-69 years, male 7.3
GTEX-WFON-1926-SM-3LK7L 40-49 years, male 7.3
GTEX-1JKYR-0626-SM-ARL8R 20-29 years, male 7.3
GTEX-1QP9N-1226-SM-E76QN 30-39 years, male 7.3
GTEX-12584-0726-SM-5FQTK 40-49 years, male 7.2
GTEX-13N11-2326-SM-5IJBF 50-59 years, female 7.2
GTEX-V1D1-2026-SM-3GAF4 50-59 years, male 7.2
GTEX-1NSGN-0726-SM-DTXEF 50-59 years, male 7.2
GTEX-1QCLZ-2426-SM-EVYBW 60-69 years, female 7.2
GTEX-13SLX-2226-SM-62LEP 50-59 years, female 7.1
GTEX-1GZ2Q-0126-SM-9WG6M 40-49 years, male 7.1
GTEX-1GZ4I-2626-SM-9KNU3 50-59 years, male 7.1
GTEX-18D9A-1426-SM-7LT8M 30-39 years, female 7.0
GTEX-1LG7Y-2526-SM-EWRO7 50-59 years, male 7.0
GTEX-11DXW-0826-SM-5H118 40-49 years, male 6.9
GTEX-1399Q-2326-SM-5KM2X 40-49 years, male 6.9
GTEX-139TU-0726-SM-5L3EK 60-69 years, male 6.9
GTEX-WH7G-2026-SM-3NMBL 40-49 years, male 6.9
GTEX-XQ3S-1426-SM-4BOPR 20-29 years, male 6.9
GTEX-1H1ZS-2726-SM-9WG75 70-79 years, male 6.9
GTEX-13O61-1426-SM-5KM3D 60-69 years, male 6.8
GTEX-147JS-0226-SM-5S2U9 60-69 years, male 6.8
GTEX-1H23P-0626-SM-9WG6T 60-69 years, male 6.8
GTEX-11EI6-2826-SM-5H11D 60-69 years, male 6.7
GTEX-13FH7-1126-SM-5K7UG 50-59 years, female 6.7
GTEX-147GR-2426-SM-5ZZWQ 60-69 years, male 6.7
GTEX-1A8G6-2726-SM-731AR 60-69 years, male 6.7
GTEX-1IDJC-1526-SM-B2LW4 50-59 years, male 6.7
GTEX-11NUK-2726-SM-5A5MC 50-59 years, male 6.6
GTEX-12126-0826-SM-5FQTZ 20-29 years, male 6.6
GTEX-147F4-0726-SM-5TDDD 50-59 years, male 6.6
GTEX-17EVQ-0126-SM-7IGLR 70-79 years, male 6.6
GTEX-ZYW4-0626-SM-59HJR 60-69 years, male 6.6
GTEX-1JMQK-1226-SM-D4P2S 60-69 years, male 6.6
GTEX-1KANB-2826-SM-CY8I6 50-59 years, male 6.6
GTEX-1N2EE-0626-SM-E76PW 60-69 years, male 6.6
GTEX-18QFQ-1826-SM-72D52 30-39 years, male 6.5
GTEX-1B933-2426-SM-7DHMD 50-59 years, female 6.5
GTEX-1CAV2-0126-SM-7IGN7 40-49 years, female 6.5
GTEX-X5EB-1926-SM-4E3IW 40-49 years, male 6.5
GTEX-1KAFJ-0126-SM-DIPEK 50-59 years, male 6.5
GTEX-1PPH7-1126-SM-DTX9A 40-49 years, male 6.5
GTEX-1F52S-2926-SM-7MKGA 60-69 years, female 6.4
GTEX-WFG7-2026-SM-5SI7P 20-29 years, male 6.4
GTEX-Y114-2126-SM-4TT8B 50-59 years, female 6.4
GTEX-1C6VR-0126-SM-7RHGB 60-69 years, male 6.4
GTEX-1ICLZ-0326-SM-ARL82 60-69 years, male 6.4
GTEX-1L5NE-1126-SM-D3L9P 50-59 years, male 6.4
GTEX-1LKK1-2626-SM-DKPQE 50-59 years, female 6.4
GTEX-145MG-1526-SM-5Q5EM 50-59 years, male 6.3
GTEX-17MFQ-1526-SM-7KFRR 20-29 years, male 6.3
GTEX-YF7O-1526-SM-5IFI6 50-59 years, male 6.3
GTEX-ZTTD-2826-SM-4YCFA 50-59 years, male 6.3
GTEX-1J8JJ-0626-SM-ARZMQ 60-69 years, female 6.3
GTEX-ZXG5-2126-SM-59HKD 60-69 years, male 6.2
GTEX-1I1GV-0626-SM-ARL7M 60-69 years, male 6.2
GTEX-13D11-0926-SM-5J2NC 50-59 years, female 6.1
GTEX-13VXU-0626-SM-5L3F9 50-59 years, male 6.1
GTEX-ZY6K-1426-SM-5GZX2 50-59 years, male 6.1
GTEX-1LVAN-0626-SM-CNPOQ 50-59 years, female 6.1
GTEX-1PPGY-1626-SM-EVYBL 60-69 years, male 6.1
GTEX-1PPH8-0126-SM-EWRN8 20-29 years, male 6.1
GTEX-12WSA-0426-SM-5EQ5X 60-69 years, male 6.0
GTEX-12WSC-2826-SM-5BC5Y 50-59 years, male 6.0
GTEX-13W3W-0726-SM-5IJDQ 60-69 years, female 6.0
GTEX-1HCU7-0726-SM-A9SL1 50-59 years, male 6.0
GTEX-11ZUS-2626-SM-5FQUR 30-39 years, male 5.9
GTEX-16Z82-2626-SM-7KULU 60-69 years, male 5.9
GTEX-1OJC3-1226-SM-DTXER 20-29 years, male 5.9
GTEX-1RAZR-2126-SM-E9U6T 40-49 years, male 5.9
GTEX-ZGAY-1826-SM-DO91Q 40-49 years, female 5.9
GTEX-16AAH-0626-SM-793C9 50-59 years, male 5.8
GTEX-1NV5F-0626-SM-DTXEG 60-69 years, female 5.8
GTEX-14BMV-2826-SM-5TDED 50-59 years, male 5.7
GTEX-XBEC-0726-SM-4QARZ 50-59 years, male 5.7
GTEX-11DYG-1526-SM-5A5JS 60-69 years, male 5.6
GTEX-14E1K-2026-SM-7DUEI 50-59 years, male 5.6
GTEX-ZVP2-0326-SM-57WBP 50-59 years, male 5.6
GTEX-1JMQI-1726-SM-ARL93 50-59 years, male 5.6
GTEX-1PDJ9-1226-SM-EXUSX 20-29 years, male 5.6
GTEX-13X6I-1826-SM-5SIAO 60-69 years, male 5.5
GTEX-1A3MX-2626-SM-7PC24 60-69 years, male 5.5
GTEX-1HCU6-2526-SM-ADEHL 60-69 years, female 5.5
GTEX-1J1R8-2026-SM-CL53Y 40-49 years, male 5.5
GTEX-11GSP-2326-SM-5HL63 60-69 years, female 5.4
GTEX-16GPK-0626-SM-7KFSF 60-69 years, male 5.4
GTEX-ZF2S-1626-SM-57WES 50-59 years, female 5.4
GTEX-ZTSS-1426-SM-5985P 40-49 years, male 5.4
GTEX-1GF9W-1426-SM-7PBYM 60-69 years, male 5.4
GTEX-1IDJU-1726-SM-CMKHU 60-69 years, female 5.4
GTEX-1477Z-0326-SM-7IGLA 60-69 years, male 5.3
GTEX-15RJE-2826-SM-7KUM9 40-49 years, male 5.3
GTEX-1A8G7-1326-SM-73KVM 60-69 years, male 5.3
GTEX-YFCO-1226-SM-5LUAT 40-49 years, male 5.3
GTEX-1C64N-2626-SM-7PC2N 50-59 years, male 5.3
GTEX-1RB15-1326-SM-E76Q9 60-69 years, male 5.3
GTEX-13NYS-0626-SM-5L3F1 60-69 years, male 5.2
GTEX-15CHQ-0326-SM-69LQD 60-69 years, male 5.2
GTEX-1C475-1326-SM-7SB73 40-49 years, female 5.2
GTEX-1HFI7-2326-SM-CGQFS 50-59 years, female 5.2
GTEX-1J8Q2-2626-SM-ACKWQ 60-69 years, male 5.2
GTEX-1JJ6O-2726-SM-CNPOG 60-69 years, male 5.2
GTEX-1QMI2-2526-SM-E8VNZ 60-69 years, male 5.2
GTEX-1S831-1826-SM-EWROF 20-29 years, male 5.2
GTEX-ZF3C-0626-SM-DO92O 50-59 years, female 5.2
GTEX-1399U-1126-SM-5L3DB 50-59 years, female 5.1
GTEX-18D9U-0126-SM-731BM 40-49 years, male 5.1
GTEX-1B8SF-0126-SM-7DUG3 60-69 years, male 5.1
GTEX-11DXY-0126-SM-5H11Q 60-69 years, male 5.0
GTEX-12WSM-1926-SM-5BC65 60-69 years, male 5.0
GTEX-13OW6-2726-SM-5J2OE 50-59 years, male 5.0
GTEX-14BIN-1126-SM-5RQJZ 50-59 years, female 5.0
GTEX-14PHY-1226-SM-5ZZWK 60-69 years, female 5.0
GTEX-17HGU-2326-SM-7DUFE 50-59 years, male 5.0
GTEX-Y3IK-1626-SM-4YCF5 50-59 years, female 5.0
GTEX-ZLWG-0826-SM-59888 50-59 years, female 5.0
GTEX-ZYFC-0426-SM-5GICQ 50-59 years, male 5.0
GTEX-ZYT6-2326-SM-5GZY3 30-39 years, male 5.0
GTEX-1S82P-2126-SM-E6CI5 60-69 years, female 5.0
GTEX-131XF-2626-SM-5EQ6K 60-69 years, male 4.9
GTEX-15DDE-2926-SM-6LLJ3 50-59 years, female 4.9
GTEX-1F75B-0726-SM-7PC3R 50-59 years, male 4.9
GTEX-1GMR2-0826-SM-7PC3V 50-59 years, male 4.9
GTEX-1IL2V-1926-SM-B2LW8 70-79 years, male 4.9
GTEX-1JMPZ-0726-SM-CY8HZ 30-39 years, male 4.9
GTEX-1K9T9-1526-SM-DIPFR 50-59 years, female 4.9
GTEX-1S5ZU-2526-SM-E6CIF 20-29 years, female 4.9
GTEX-11DZ1-2426-SM-5GZZX 50-59 years, male 4.8
GTEX-12C56-1526-SM-5FQUQ 20-29 years, male 4.8
GTEX-12WSJ-1126-SM-5LZVJ 40-49 years, female 4.8
GTEX-13OW5-2326-SM-5L3HO 60-69 years, male 4.8
GTEX-14C5O-0326-SM-5ZZUX 60-69 years, male 4.8
GTEX-14PJ6-2626-SM-6EU2T 60-69 years, female 4.8
GTEX-15G19-2426-SM-7KUMR 60-69 years, male 4.8
GTEX-17HHE-1326-SM-7EWDZ 50-59 years, male 4.8
GTEX-18465-2826-SM-7LT9J 50-59 years, male 4.8
GTEX-YB5K-2026-SM-4VDT3 40-49 years, female 4.8
GTEX-YECK-0326-SM-4W1YS 60-69 years, male 4.8
GTEX-ZVE1-0726-SM-51MRN 50-59 years, female 4.8
GTEX-1GL5R-1326-SM-7RHHF 50-59 years, male 4.8
GTEX-139T8-0626-SM-5KLZX 60-69 years, male 4.7
GTEX-13OVJ-0826-SM-5J1OK 50-59 years, female 4.7
GTEX-14E6E-0526-SM-793DN 30-39 years, male 4.7
GTEX-17HHY-0426-SM-7DHLC 50-59 years, male 4.7
GTEX-18A67-1626-SM-7LT9T 50-59 years, male 4.7
GTEX-1EN7A-2426-SM-793DB 40-49 years, male 4.7
GTEX-X4EP-0626-SM-3P621 60-69 years, female 4.7
GTEX-1F88F-0126-SM-9WYSZ 60-69 years, female 4.7
GTEX-11UD2-2526-SM-5CVNU 50-59 years, male 4.6
GTEX-U8XE-0226-SM-4E3J3 30-39 years, male 4.6
GTEX-ZC5H-1526-SM-5HL9Y 40-49 years, female 4.6
GTEX-ZYFD-0626-SM-5E44E 50-59 years, male 4.6
GTEX-ZYY3-2926-SM-5GIEB 60-69 years, female 4.6
GTEX-15DYW-2726-SM-6EU2I 60-69 years, female 4.5
GTEX-ZDYS-2426-SM-4WKGI 50-59 years, male 4.5
GTEX-1IDJD-2326-SM-ACKWX 30-39 years, male 4.5
GTEX-1IKOE-1426-SM-CE6T7 30-39 years, female 4.5
GTEX-1KXAM-1626-SM-D3LAD 60-69 years, male 4.5
GTEX-14JG1-1526-SM-5YY9X 40-49 years, male 4.4
GTEX-1C2JI-1026-SM-73KY1 50-59 years, male 4.4
GTEX-ZT9X-1526-SM-5DUXD 40-49 years, male 4.4
GTEX-1HFI6-0126-SM-CNPPI 40-49 years, male 4.4
GTEX-1JKYN-0826-SM-ARU8S 30-39 years, male 4.4
GTEX-1PIIG-2326-SM-DTXFR 30-39 years, male 4.4
GTEX-1RAZQ-1326-SM-E9TK6 30-39 years, male 4.4
GTEX-11OF3-0126-SM-5PNYF 60-69 years, male 4.3
GTEX-11ZU8-0126-SM-5EQ58 60-69 years, male 4.3
GTEX-12WSH-1526-SM-5BC5W 50-59 years, male 4.3
GTEX-1399S-0126-SM-5IJCF 30-39 years, female 4.3
GTEX-15EO6-2426-SM-6PALZ 50-59 years, male 4.3
GTEX-1GMR8-0626-SM-7RHI7 50-59 years, female 4.3
GTEX-1GN2E-0226-SM-9WG6K 60-69 years, male 4.3
GTEX-1HCVE-2726-SM-CL54F 50-59 years, male 4.3
GTEX-1HSKV-1226-SM-ADEI4 60-69 years, male 4.3
GTEX-1RLM8-2926-SM-E8VON 50-59 years, male 4.3
GTEX-11EQ8-0926-SM-5H12V 60-69 years, male 4.2
GTEX-1399R-1326-SM-5PNYS 30-39 years, male 4.2
GTEX-1B932-2326-SM-79OL5 40-49 years, female 4.2
GTEX-1I4MK-0126-SM-CY8G6 50-59 years, female 4.2
GTEX-1LVAO-2726-SM-E9TJ8 60-69 years, male 4.2
GTEX-1PBJJ-1026-SM-E76OS 30-39 years, male 4.2
GTEX-146FQ-2126-SM-5RQHU 30-39 years, male 4.1
GTEX-15CHC-1126-SM-6LLHQ 60-69 years, female 4.1
GTEX-XBEW-1126-SM-4QARW 40-49 years, male 4.1
GTEX-14JG6-1426-SM-9WG7C 30-39 years, female 4.1
GTEX-1F88E-1626-SM-7SB8Z 60-69 years, female 4.1
GTEX-1H2FU-0926-SM-9WPPT 60-69 years, female 4.1
GTEX-1K2DU-1226-SM-CYPT4 20-29 years, male 4.1
GTEX-12ZZX-2426-SM-5GCOE 40-49 years, female 4.0
GTEX-13G51-1826-SM-5KLZH 60-69 years, male 4.0
GTEX-WHPG-2626-SM-3NMBR 50-59 years, male 4.0
GTEX-XBED-1926-SM-47JYP 60-69 years, male 4.0
GTEX-1HB9E-0126-SM-CM2S5 50-59 years, male 4.0
GTEX-1HGF4-0126-SM-CNPPX 60-69 years, male 4.0
GTEX-1HR9M-2226-SM-CNPPY 60-69 years, male 4.0
GTEX-1QP28-1126-SM-EVYC4 50-59 years, female 4.0
GTEX-14BMU-1226-SM-5S2OR 20-29 years, female 3.9
GTEX-15EU6-2226-SM-6EU2L 50-59 years, male 3.9
GTEX-1C6VQ-1226-SM-73KYD 50-59 years, male 3.9
GTEX-ZAB4-2126-SM-5HL8U 40-49 years, male 3.9
GTEX-1F75A-0726-SM-7RHHD 50-59 years, male 3.9
GTEX-14PII-0726-SM-6EU2B 60-69 years, male 3.8
GTEX-17EVP-2626-SM-7IGMA 40-49 years, male 3.8
GTEX-17MF6-2626-SM-79OKQ 40-49 years, male 3.8
GTEX-XYKS-1426-SM-4BRUO 60-69 years, female 3.8
GTEX-ZE9C-2526-SM-5IJDR 60-69 years, male 3.8
GTEX-13NYB-0126-SM-5J1MD 40-49 years, male 3.7
GTEX-14LLW-2626-SM-62LDZ 70-79 years, female 3.7
GTEX-17F97-2626-SM-7IGM5 50-59 years, male 3.7
GTEX-1EU9M-1426-SM-793AI 60-69 years, male 3.7
GTEX-Y8LW-1526-SM-5IFHL 50-59 years, female 3.7
GTEX-1GZ4H-0526-SM-9KNU9 50-59 years, female 3.7
GTEX-1H4P4-2126-SM-9WYSL 50-59 years, male 3.7
GTEX-11LCK-2226-SM-5HL4Q 30-39 years, male 3.6
GTEX-11WQK-1026-SM-5EQLX 50-59 years, male 3.6
GTEX-139YR-1026-SM-5LZYN 50-59 years, male 3.6
GTEX-14PK6-0226-SM-62LF5 70-79 years, female 3.6
GTEX-183WM-0326-SM-72D5V 70-79 years, female 3.6
GTEX-W5X1-2526-SM-3GILC 40-49 years, female 3.6
GTEX-WHSB-1326-SM-3LK6W 50-59 years, male 3.6
GTEX-1F6I4-2326-SM-7RHGL 60-69 years, male 3.6
GTEX-1IE54-1126-SM-A9G2Z 40-49 years, female 3.6
GTEX-X4EO-2926-SM-4E3JH 60-69 years, female 3.5
GTEX-1GF9U-2026-SM-7SB92 40-49 years, female 3.5
GTEX-1LBAC-0826-SM-CY8IJ 20-29 years, male 3.5
GTEX-139D8-1126-SM-5LU8W 30-39 years, female 3.4
GTEX-13X6H-0926-SM-5SIB2 50-59 years, female 3.4
GTEX-16YQH-2226-SM-7IGM2 30-39 years, male 3.4
GTEX-17F9Y-0126-SM-79OKX 70-79 years, female 3.4
GTEX-WXYG-2026-SM-4E3IY 50-59 years, female 3.4
GTEX-X585-2426-SM-46MW2 50-59 years, male 3.4
GTEX-Y111-0626-SM-4SOIT 50-59 years, male 3.4
GTEX-1GMRU-2126-SM-7P8RA 50-59 years, male 3.4
GTEX-1HT8W-0626-SM-A9G2H 30-39 years, male 3.4
GTEX-1JMQJ-0826-SM-CNPP7 50-59 years, male 3.4
GTEX-1S83E-1326-SM-E6CJM 40-49 years, male 3.4
GTEX-1A8FM-0626-SM-7PC25 50-59 years, female 3.3
GTEX-1HBPN-0126-SM-CGQEF 50-59 years, male 3.3
GTEX-1I1GU-0926-SM-ACKVS 40-49 years, male 3.3
GTEX-1J8QM-2426-SM-A9SLS 60-69 years, female 3.3
GTEX-1LSNL-2726-SM-E9TKJ 50-59 years, male 3.3
GTEX-111CU-1126-SM-5EGIM 50-59 years, male 3.2
GTEX-13FTW-0326-SM-5K7UW 40-49 years, male 3.2
GTEX-13X6J-0626-SM-5LU5F 50-59 years, male 3.2
GTEX-17HG3-2626-SM-7DUF2 30-39 years, female 3.2
GTEX-Y5V5-0126-SM-5S2NW 60-69 years, female 3.2
GTEX-17HII-1426-SM-7EPGG 50-59 years, male 3.1
GTEX-XQ8I-0926-SM-4BOOF 50-59 years, male 3.1
GTEX-ZP4G-1426-SM-4WWCL 20-29 years, female 3.1
GTEX-1GPI6-1926-SM-9KNV7 60-69 years, male 3.1
GTEX-1HSMO-0626-SM-ACKXC 60-69 years, male 3.1
GTEX-1LGRB-0926-SM-COH3K 50-59 years, female 3.1
GTEX-1R9PM-1926-SM-EVR3O 20-29 years, male 3.1
GTEX-12WSK-2126-SM-5CVNC 40-49 years, female 3.0
GTEX-13OW7-0426-SM-5K7VK 50-59 years, male 3.0
GTEX-13YAN-0226-SM-5TDC6 60-69 years, male 3.0
GTEX-1A3MW-0626-SM-731CB 60-69 years, female 3.0
GTEX-ZVZP-1226-SM-5GID7 50-59 years, male 3.0
GTEX-1MJK3-0726-SM-E6CJC 20-29 years, male 3.0
GTEX-144FL-0626-SM-5LU43 50-59 years, male 2.9
GTEX-145ME-1726-SM-5Q5EU 40-49 years, female 2.9
GTEX-145MF-0926-SM-5Q5EA 50-59 years, male 2.9
GTEX-15ER7-0626-SM-6PANF 20-29 years, female 2.9
GTEX-ZVT2-0126-SM-5GIDQ 50-59 years, female 2.9
GTEX-1ICG6-1226-SM-A9SLN 70-79 years, female 2.9
GTEX-1IKJJ-2226-SM-CJI4C 60-69 years, male 2.9
GTEX-1JK1U-0226-SM-ARZMX 60-69 years, male 2.9
GTEX-133LE-2326-SM-5K7W3 20-29 years, female 2.8
GTEX-13FHO-0426-SM-5L3F5 60-69 years, male 2.8
GTEX-145MI-0626-SM-5SI8S 60-69 years, female 2.8
GTEX-18D9B-0926-SM-7LG4U 60-69 years, male 2.8
GTEX-1BAJH-2426-SM-7IGP8 70-79 years, male 2.8
GTEX-1GN73-0726-SM-7P8TJ 60-69 years, male 2.8
GTEX-1R46S-2426-SM-E76QA 60-69 years, female 2.8
GTEX-13JVG-0726-SM-5KM16 60-69 years, male 2.7
GTEX-1AMEY-0826-SM-72D65 30-39 years, female 2.7
GTEX-ZPCL-1126-SM-4WWFE 60-69 years, female 2.7
GTEX-ZTX8-1326-SM-4YCEL 20-29 years, male 2.7
GTEX-1HSGN-0826-SM-ACKW3 40-49 years, female 2.7
GTEX-1JJE9-2626-SM-ARZMT 70-79 years, male 2.7
GTEX-1LVA9-2626-SM-EVYD4 50-59 years, male 2.7
GTEX-1R7EU-1626-SM-DTXG3 60-69 years, male 2.7
GTEX-12ZZZ-0726-SM-5GCNZ 60-69 years, male 2.6
GTEX-13IVO-0726-SM-5LZYV 70-79 years, male 2.6
GTEX-13OVK-1426-SM-6PAN7 40-49 years, male 2.6
GTEX-14DAR-1226-SM-73KYV 50-59 years, male 2.6
GTEX-1EWIQ-0326-SM-7DHMQ 70-79 years, female 2.6
GTEX-WYVS-1626-SM-3NM9R 40-49 years, female 2.6
GTEX-1H1DF-1126-SM-9WG7G 40-49 years, female 2.6
GTEX-1HC8U-1326-SM-9YFMJ 40-49 years, female 2.6
GTEX-1HSMQ-2626-SM-A9SML 50-59 years, male 2.6
GTEX-11P81-2226-SM-5PNYI 30-39 years, female 2.5
GTEX-1269C-0126-SM-5EQ5L 60-69 years, female 2.5
GTEX-14PJ5-1526-SM-6LLIL 60-69 years, female 2.5
GTEX-1F48J-0726-SM-7RHGS 50-59 years, female 2.5
GTEX-1JN1M-2726-SM-CY8I4 60-69 years, female 2.5
GTEX-144GL-0626-SM-5LU4D 50-59 years, male 2.4
GTEX-ZF29-0926-SM-4WKFZ 60-69 years, female 2.4
GTEX-1I1HK-2326-SM-CKZOH 60-69 years, male 2.4
GTEX-1ICLY-0826-SM-CMKG1 50-59 years, male 2.4
GTEX-1POEN-2326-SM-E9J2L 30-39 years, female 2.4
GTEX-13OW8-1026-SM-5J1NQ 60-69 years, male 2.3
GTEX-13PL6-1126-SM-5L3IE 40-49 years, female 2.3
GTEX-145LU-1926-SM-79OJN 50-59 years, male 2.3
GTEX-14LZ3-0126-SM-69LPM 60-69 years, female 2.3
GTEX-16BQI-1326-SM-6M486 30-39 years, female 2.3
GTEX-ZE7O-2726-SM-51MT5 50-59 years, female 2.3
GTEX-1F6RS-2026-SM-7RHHC 60-69 years, female 2.3
GTEX-1OJC4-2726-SM-E76PJ 50-59 years, female 2.3
GTEX-1QP2A-1726-SM-E76QC 50-59 years, male 2.3
GTEX-11O72-0626-SM-5PNYE 40-49 years, male 2.2
GTEX-13FTX-1526-SM-5K7VJ 20-29 years, female 2.2
GTEX-13QJC-0126-SM-5ZZWJ 60-69 years, female 2.2
GTEX-15G1A-1626-SM-7KUKN 30-39 years, male 2.2
GTEX-ZYVF-0926-SM-5E44J 50-59 years, female 2.2
GTEX-1I1CD-0626-SM-CE6SW 60-69 years, female 2.2
GTEX-1HKZK-0726-SM-ACKW2 40-49 years, male 2.1
GTEX-11ZTT-2126-SM-5CVLO 60-69 years, female 2.0
GTEX-145MH-2826-SM-5RQJF 50-59 years, male 2.0
GTEX-1EKGG-0626-SM-7DUGJ 60-69 years, male 2.0
GTEX-ZZPU-0826-SM-5GZX5 50-59 years, female 2.0
GTEX-1MCC2-1826-SM-DIPEX 30-39 years, female 2.0
GTEX-1117F-2926-SM-5GZYI 60-69 years, female 1.9
GTEX-13PDP-0726-SM-5L3HP 60-69 years, male 1.9
GTEX-13QBU-1226-SM-5LU4G 40-49 years, female 1.9
GTEX-1GF9X-1326-SM-7PC2Y 40-49 years, female 1.9
GTEX-1HBPM-0726-SM-9YFL7 60-69 years, female 1.9
GTEX-1AMFI-1326-SM-7939R 50-59 years, female 1.8
GTEX-1EX96-1026-SM-7MKG2 50-59 years, male 1.8
GTEX-1IDJI-0126-SM-CMKHS 50-59 years, female 1.7
GTEX-1IDJV-0126-SM-COH3Y 60-69 years, male 1.7
GTEX-1J8EW-2726-SM-CY8HR 60-69 years, female 1.7
GTEX-1LB8K-0726-SM-D5OV2 50-59 years, male 1.7
GTEX-13113-1626-SM-5EQ4I 60-69 years, female 1.6
GTEX-14PKU-0126-SM-6LLHV 40-49 years, female 1.6
GTEX-15FZZ-0526-SM-7KUGD 30-39 years, female 1.6
GTEX-XUW1-0926-SM-4BONX 50-59 years, female 1.6
GTEX-Y9LG-1126-SM-4VBQ7 30-39 years, male 1.6
GTEX-11GS4-0226-SM-5HL77 60-69 years, male 1.5
GTEX-13VXT-1926-SM-5K7UO 20-29 years, female 1.5
GTEX-14XAO-1226-SM-6EU1C 60-69 years, female 1.5
GTEX-ZLFU-1826-SM-4WWBV 40-49 years, male 1.5
GTEX-1JMOU-1026-SM-CYPSS 60-69 years, female 1.5
GTEX-13O3Q-0126-SM-5KM34 50-59 years, male 1.4
GTEX-1JJEA-1826-SM-ARU8P 60-69 years, male 1.4
GTEX-1R9PN-0426-SM-DTXDT 40-49 years, female 1.4
GTEX-1S82U-1026-SM-E6CJK 30-39 years, female 1.4
GTEX-16MTA-0926-SM-6M47Z 50-59 years, male 1.3
GTEX-1CB4H-1126-SM-7MKGL 60-69 years, female 1.3
GTEX-14A6H-2026-SM-5Q5DD 30-39 years, male 1.2
GTEX-14C39-1726-SM-5RQIL 40-49 years, male 1.2
GTEX-XAJ8-1426-SM-47JYM 40-49 years, male 1.2
GTEX-Y3I4-1726-SM-4TT89 50-59 years, male 1.2
GTEX-1122O-1026-SM-9WYSF 60-69 years, female 1.2
GTEX-1I1GT-1026-SM-ARZLV 60-69 years, female 1.2
GTEX-13NYC-0126-SM-5L3F4 60-69 years, male 1.1
GTEX-XV7Q-1826-SM-4BRUV 40-49 years, female 1.1
GTEX-1HCUA-0826-SM-ADEHM 50-59 years, female 1.1
GTEX-111VG-1626-SM-5EGIO 60-69 years, male 1.0
GTEX-15SKB-2826-SM-6PAMH 60-69 years, male 1.0
GTEX-1H11D-1826-SM-9QEHM 40-49 years, male 1.0
GTEX-1HCU8-2526-SM-CE6RX 60-69 years, female 1.0
GTEX-1J8Q3-0526-SM-ARL8U 60-69 years, male 1.0
GTEX-1H3VE-0726-SM-9YFL5 40-49 years, male 0.9
GTEX-1J1OQ-0126-SM-D4P2N 40-49 years, female 0.9
GTEX-1JMQL-2226-SM-CNPP4 50-59 years, female 0.9
GTEX-1313W-0626-SM-5EQ4H 50-59 years, female 0.8
GTEX-14C38-0726-SM-5SI6M 50-59 years, male 0.8
GTEX-11PRG-0726-SM-5EGL1 50-59 years, male 0.7
GTEX-1CB4J-1326-SM-7P8RX 60-69 years, male 0.7
GTEX-ZLV1-1526-SM-DO91J 60-69 years, female 0.7
GTEX-13SLW-0626-SM-5Q5ER 70-79 years, male 0.6
GTEX-1H3O1-1326-SM-9MQLD 60-69 years, male 0.6
GTEX-1QP29-1826-SM-DTX9S 50-59 years, male 0.6
GTEX-16MT9-0126-SM-7EPI8 60-69 years, female 0.5
GTEX-1AX9J-1326-SM-731BJ 60-69 years, male 0.5
GTEX-1EMGI-2326-SM-7PBYA 60-69 years, male 0.5
GTEX-1GN1V-2826-SM-9JGIA 60-69 years, male 0.5
Show allShow less
Skin - Sun Exposed (Lower leg)
Average nTPM: 6.4
Samples: 701

Max nTPM: 39.4
Min nTPM: 0.6
Std nTPM: 4.0
Median nTPM: 5.5
GTEX-S33H-1026-SM-EZ6L6 30-39 years, male 39.4
GTEX-S7PM-0126-SM-4AD6S 60-69 years, male 27.6
GTEX-14PJ3-1826-SM-62LEX 50-59 years, male 27.1
GTEX-QLQW-1126-SM-2S1Q8 30-39 years, male 25.5
GTEX-1IKK5-0626-SM-ARL8A 60-69 years, male 23.0
GTEX-1C2JI-1826-SM-73KXC 50-59 years, male 20.8
GTEX-1KANC-1526-SM-D3LAB 50-59 years, female 20.8
GTEX-1R9PO-2126-SM-E9J4O 60-69 years, female 20.7
GTEX-11NUK-0126-SM-5A5L3 50-59 years, male 20.4
GTEX-15UF6-0826-SM-6PALJ 70-79 years, female 19.8
GTEX-12696-2426-SM-5EQ6H 60-69 years, male 18.9
GTEX-14E6C-0126-SM-5RQIP 40-49 years, male 18.7
GTEX-SJXC-0126-SM-2XCFF 60-69 years, male 17.7
GTEX-YJ8A-0426-SM-5IFID 20-29 years, male 17.5
GTEX-11ZUS-0626-SM-59885 30-39 years, male 17.4
GTEX-11EM3-2426-SM-59861 20-29 years, female 17.3
GTEX-145LT-1726-SM-5QGP3 40-49 years, male 17.3
GTEX-PWCY-1826-SM-DHXIZ 20-29 years, female 17.3
GTEX-14ICK-0226-SM-6EU25 40-49 years, male 16.6
GTEX-1AX9J-0226-SM-73KXM 60-69 years, male 16.5
GTEX-1F5PK-2426-SM-7RHHY 50-59 years, male 16.4
GTEX-11TT1-2526-SM-5EGIB 20-29 years, male 16.2
GTEX-131XF-5016-SM-7MGWE 60-69 years, male 16.1
GTEX-1JKYR-0126-SM-CNPOJ 20-29 years, male 16.1
GTEX-1NHNU-1026-SM-E9J2A 50-59 years, male 15.7
GTEX-WZTO-0126-SM-3NM95 40-49 years, male 15.3
GTEX-1NV5F-0226-SM-E8VNY 60-69 years, female 15.3
GTEX-WY7C-2326-SM-3NB2U 50-59 years, male 15.1
GTEX-1PBJI-0526-SM-E8VNK 20-29 years, female 14.9
GTEX-1B8KZ-2026-SM-7DHMB 50-59 years, male 14.4
GTEX-OXRO-0126-SM-2YUN4 60-69 years, female 14.3
GTEX-T8EM-1026-SM-3DB7M 40-49 years, male 14.3
GTEX-17GQL-2026-SM-718BA 60-69 years, male 14.2
GTEX-1AX9I-0126-SM-7SB74 60-69 years, male 14.1
GTEX-X62O-0126-SM-4E3JN 50-59 years, male 14.0
GTEX-1KANA-0726-SM-D3L9I 20-29 years, male 14.0
GTEX-QEG4-0226-SM-2S1PY 30-39 years, male 13.7
GTEX-RWSA-0126-SM-2XCBB 40-49 years, male 13.6
GTEX-X8HC-0126-SM-4E3JW 50-59 years, female 13.6
GTEX-1PDJ9-0326-SM-DTX95 20-29 years, male 12.9
GTEX-1A3MX-0126-SM-731BR 60-69 years, male 12.8
GTEX-17EVP-0326-SM-7DHLG 40-49 years, male 12.7
GTEX-RU72-0926-SM-2TF6B 50-59 years, female 12.7
GTEX-OHPM-0126-SM-2YUN9 50-59 years, male 12.6
GTEX-1GPI6-0126-SM-9WG69 60-69 years, male 12.5
GTEX-ZU9S-0226-SM-5E441 30-39 years, male 12.4
GTEX-12WSD-0126-SM-59HKN 60-69 years, female 12.3
GTEX-ZE7O-0126-SM-57WC1 50-59 years, female 12.3
GTEX-1N2DV-0226-SM-E6CJ6 40-49 years, male 12.3
GTEX-1A3MV-1926-SM-718BT 30-39 years, male 12.2
GTEX-1QP66-1726-SM-E8VO1 50-59 years, male 12.1
GTEX-XQ8I-0426-SM-4BOPO 50-59 years, male 11.8
GTEX-1I1GP-2226-SM-CGQFK 50-59 years, male 11.8
GTEX-1J1R8-1726-SM-ARL8M 40-49 years, male 11.8
GTEX-1LSNM-1926-SM-E6CII 50-59 years, male 11.8
GTEX-12WSK-2326-SM-5GCOH 40-49 years, female 11.7
GTEX-R55E-0126-SM-2TC5Y 20-29 years, male 11.7
GTEX-1MA7W-2026-SM-E9TJ6 20-29 years, female 11.7
GTEX-1211K-2026-SM-5EQ4Z 60-69 years, female 11.6
GTEX-XQ3S-1526-SM-4BOOC 20-29 years, male 11.6
GTEX-RVPV-0126-SM-EAZAW 60-69 years, male 11.6
GTEX-1C64O-0126-SM-7SB8P 60-69 years, male 11.5
GTEX-1I19N-0326-SM-ACKVX 70-79 years, male 11.5
GTEX-1JN1M-0326-SM-CYPT3 60-69 years, female 11.5
GTEX-1QW4Y-1526-SM-EAZ3Z 30-39 years, male 11.5
GTEX-1RAZA-0126-SM-E6CI3 20-29 years, male 11.5
GTEX-12126-0326-SM-5PNW3 20-29 years, male 11.4
GTEX-1HGF4-2426-SM-ACKXM 60-69 years, male 11.4
GTEX-15D1Q-0126-SM-7KUG6 40-49 years, male 11.3
GTEX-1ICLY-0126-SM-D4P36 50-59 years, male 11.3
GTEX-1KD4Q-0226-SM-E9TJ9 40-49 years, male 11.2
GTEX-TKQ1-1026-SM-4GICL 30-39 years, male 11.1
GTEX-1HSMP-0126-SM-E6CJS 70-79 years, male 11.1
GTEX-1QP9N-1426-SM-DTXFL 30-39 years, male 11.1
GTEX-12ZZY-0226-SM-5LZVE 60-69 years, male 11.0
GTEX-U8T8-0126-SM-3DB94 60-69 years, male 10.9
GTEX-X4XX-0126-SM-3NMC2 60-69 years, male 10.9
GTEX-OIZF-0126-SM-7SB8I 60-69 years, male 10.9
GTEX-113JC-2326-SM-5EQ4E 50-59 years, female 10.8
GTEX-13RTJ-2426-SM-5S2Q2 60-69 years, male 10.8
GTEX-17HHE-2026-SM-79OKF 50-59 years, male 10.8
GTEX-RM2N-1426-SM-2TF4H 50-59 years, male 10.7
GTEX-1I1GV-0526-SM-A9G29 60-69 years, male 10.7
GTEX-S95S-1226-SM-4GICG 60-69 years, male 10.6
GTEX-1HSMO-0126-SM-CL547 60-69 years, male 10.6
GTEX-1B933-0126-SM-7PC29 50-59 years, female 10.5
GTEX-1F75I-0326-SM-9YFLU 40-49 years, male 10.5
GTEX-1GL5R-1826-SM-9KNUY 50-59 years, male 10.5
GTEX-11WQC-2526-SM-5CVLE 60-69 years, male 10.4
GTEX-13OVL-0226-SM-5L3E9 50-59 years, male 10.4
GTEX-18465-0126-SM-731BN 50-59 years, male 10.4
GTEX-Y8E4-0626-SM-4WWDL 40-49 years, male 10.4
GTEX-ZDTS-0126-SM-4WAY5 60-69 years, male 10.3
GTEX-13O3O-0126-SM-E9J49 60-69 years, female 10.3
GTEX-1H1CY-2826-SM-9MQM3 60-69 years, female 10.3
GTEX-145LU-0126-SM-5TDCB 50-59 years, male 10.2
GTEX-O5YW-0126-SM-3LK6D 50-59 years, male 10.2
GTEX-1C6WA-0126-SM-7PC2B 60-69 years, male 10.2
GTEX-14A5H-0426-SM-5QGQF 60-69 years, male 10.1
GTEX-17HG3-2226-SM-7938L 30-39 years, female 10.1
GTEX-1N2EF-0226-SM-EYYXB 60-69 years, male 10.1
GTEX-17MFQ-1726-SM-793C7 20-29 years, male 10.0
GTEX-1F6RS-0126-SM-9MQKZ 60-69 years, female 10.0
GTEX-11GS4-2726-SM-5A5LE 60-69 years, male 9.9
GTEX-1GN2E-0426-SM-9MQKX 60-69 years, male 9.8
GTEX-PLZ6-1426-SM-DKPOT 30-39 years, male 9.7
GTEX-1QCLY-0326-SM-E8VOG 30-39 years, male 9.6
GTEX-1QP29-0626-SM-EWRMX 50-59 years, male 9.6
GTEX-1R7EU-0226-SM-EVR4G 60-69 years, male 9.6
GTEX-117YX-2326-SM-5H12W 50-59 years, male 9.5
GTEX-16AAH-1726-SM-7939C 50-59 years, male 9.5
GTEX-S7SE-0126-SM-2XCD5 50-59 years, male 9.5
GTEX-WVJS-0126-SM-4MVOT 50-59 years, male 9.5
GTEX-13FH7-2026-SM-E9J4I 50-59 years, female 9.5
GTEX-1128S-2326-SM-5GZZY 60-69 years, female 9.4
GTEX-1H1E6-1726-SM-ACKVK 30-39 years, male 9.4
GTEX-1IOXB-0126-SM-ARL8G 50-59 years, male 9.4
GTEX-OOBJ-0126-SM-E6CJW 60-69 years, male 9.4
GTEX-1E1VI-0126-SM-7DHMZ 50-59 years, male 9.3
GTEX-OXRP-0126-SM-3NB32 60-69 years, female 9.3
GTEX-UPJH-0326-SM-3GADU 50-59 years, male 9.3
GTEX-1JN6P-0126-SM-D3L98 60-69 years, male 9.3
GTEX-1MUQO-0126-SM-EAZ58 60-69 years, male 9.3
GTEX-13O3Q-2426-SM-5IJBR 50-59 years, male 9.2
GTEX-15UKP-0426-SM-7KUFQ 20-29 years, male 9.2
GTEX-16XZZ-0126-SM-793DV 60-69 years, male 9.2
GTEX-YEC4-2126-SM-5IFJH 40-49 years, male 9.2
GTEX-1H1DE-2126-SM-9WG6R 20-29 years, male 9.2
GTEX-11OC5-0126-SM-5HL6A 60-69 years, male 9.1
GTEX-11UD1-0126-SM-5PNYG 40-49 years, female 9.1
GTEX-T5JW-1626-SM-3GADZ 20-29 years, female 9.1
GTEX-1HBPH-0426-SM-B2LW5 40-49 years, female 9.1
GTEX-1K2DA-1826-SM-CGQGT 50-59 years, male 9.1
GTEX-1497J-2426-SM-7IGNX 60-69 years, male 9.0
GTEX-14BMU-2226-SM-5TDE9 20-29 years, female 9.0
GTEX-14DAQ-0126-SM-5S2MQ 60-69 years, female 9.0
GTEX-15CHC-2126-SM-6EU21 60-69 years, female 9.0
GTEX-13113-5016-SM-7EPIP 60-69 years, female 8.9
GTEX-Y5V6-2426-SM-4VDSB 60-69 years, male 8.9
GTEX-1F75B-0126-SM-9KNVL 50-59 years, male 8.9
GTEX-1GPI7-0126-SM-9MQL8 20-29 years, male 8.9
GTEX-1I6K6-0126-SM-A9SLE 30-39 years, male 8.9
GTEX-1PPH8-0226-SM-E8VND 20-29 years, male 8.9
GTEX-132NY-0326-SM-5IJBL 60-69 years, male 8.8
GTEX-13O1R-0126-SM-5L3EH 60-69 years, male 8.8
GTEX-146FH-0126-SM-5QGPP 50-59 years, female 8.8
GTEX-RN64-0126-SM-2TC68 50-59 years, male 8.8
GTEX-1HBPI-1526-SM-C1YQ1 50-59 years, male 8.8
GTEX-1IGQW-0126-SM-COH42 60-69 years, male 8.8
GTEX-139T4-0226-SM-5HL5S 50-59 years, female 8.7
GTEX-13YAN-0326-SM-5O9DF 60-69 years, male 8.7
GTEX-1AX8Z-0126-SM-7DHM6 60-69 years, male 8.7
GTEX-1CAMR-1926-SM-7EPI2 20-29 years, male 8.7
GTEX-OXRK-0226-SM-3NB2G 50-59 years, female 8.7
GTEX-SIU8-0126-SM-2XCDT 50-59 years, male 8.7
GTEX-1J8QM-2126-SM-CYPSJ 60-69 years, female 8.7
GTEX-1QP2A-0126-SM-E9J43 50-59 years, male 8.7
GTEX-11P7K-2126-SM-5GU7G 30-39 years, male 8.6
GTEX-12WSA-0226-SM-5BC5V 60-69 years, male 8.6
GTEX-17EUY-0426-SM-793BD 20-29 years, male 8.6
GTEX-QLQ7-1626-SM-2S1R8 60-69 years, male 8.6
GTEX-QV44-1926-SM-2S1RF 50-59 years, male 8.6
GTEX-1IL2V-0126-SM-CM2TX 70-79 years, male 8.6
GTEX-13O21-1426-SM-5K7XI 50-59 years, male 8.5
GTEX-13W46-0226-SM-5SIAG 50-59 years, male 8.4
GTEX-15SHW-0326-SM-6PAML 60-69 years, male 8.4
GTEX-T5JC-0426-SM-32PLO 20-29 years, male 8.4
GTEX-139TT-0126-SM-5K7Y5 60-69 years, male 8.3
GTEX-15EOM-0126-SM-7KUGG 20-29 years, female 8.3
GTEX-T2YK-0526-SM-32QPJ 50-59 years, male 8.3
GTEX-14JIY-0126-SM-6LLH6 60-69 years, male 8.2
GTEX-OIZG-0726-SM-33HBL 50-59 years, male 8.2
GTEX-1F75A-0126-SM-7RHGM 50-59 years, male 8.2
GTEX-W5WG-1826-SM-4KL2Y 50-59 years, female 8.1
GTEX-WOFL-0126-SM-3MJG2 60-69 years, male 8.1
GTEX-Y3IK-2426-SM-4WWDU 50-59 years, female 8.1
GTEX-1F5PL-0326-SM-7P8PQ 40-49 years, female 8.1
GTEX-1JKYN-1326-SM-CGQG9 30-39 years, male 8.1
GTEX-13NZ8-0826-SM-5MR3I 60-69 years, female 8.0
GTEX-U3ZH-2026-SM-3DB78 30-39 years, male 8.0
GTEX-1I1GU-2226-SM-CGQFA 40-49 years, male 8.0
GTEX-1K2DU-2326-SM-E9TIV 20-29 years, male 8.0
GTEX-11ZTS-0126-SM-5EQ6M 60-69 years, female 7.9
GTEX-15EU6-0426-SM-6PAN5 50-59 years, male 7.9
GTEX-1PPH7-2326-SM-EVYB8 40-49 years, male 7.9
GTEX-12WSJ-1826-SM-5GCNY 40-49 years, female 7.8
GTEX-131XH-2226-SM-5DUXJ 50-59 years, male 7.8
GTEX-13FHO-0226-SM-5IFGY 60-69 years, male 7.8
GTEX-13FTX-1826-SM-5J1NX 20-29 years, female 7.8
GTEX-145LV-2126-SM-5LU8N 50-59 years, male 7.8
GTEX-14753-0426-SM-5NQAM 60-69 years, male 7.8
GTEX-SUCS-1926-SM-32PM3 70-79 years, male 7.8
GTEX-X4XY-0226-SM-4E3IZ 60-69 years, male 7.8
GTEX-ZE9C-2726-SM-57WB5 60-69 years, male 7.8
GTEX-OXRL-0126-SM-2YUMP 50-59 years, male 7.7
GTEX-R55G-2526-SM-2TC6D 40-49 years, female 7.7
GTEX-WI4N-1026-SM-3LK7N 40-49 years, female 7.7
GTEX-X261-0126-SM-3NMD6 50-59 years, male 7.7
GTEX-11TUW-2726-SM-E9J4M 60-69 years, male 7.7
GTEX-1CAMS-0426-SM-7P8T2 40-49 years, female 7.7
GTEX-1I1GS-0126-SM-B2LVW 60-69 years, male 7.7
GTEX-13RTK-1426-SM-5QGQJ 20-29 years, male 7.6
GTEX-183FY-0126-SM-7LT9P 20-29 years, male 7.6
GTEX-Q2AG-0126-SM-33HBV 40-49 years, female 7.6
GTEX-U8XE-0326-SM-3DB8P 30-39 years, male 7.6
GTEX-WYJK-0126-SM-3NMAB 50-59 years, male 7.6
GTEX-ZYY3-0126-SM-5GZY5 60-69 years, female 7.6
GTEX-ZZ64-1726-SM-5GZYB 20-29 years, male 7.6
GTEX-1EU9M-0226-SM-7P8SP 60-69 years, male 7.6
GTEX-1GN1V-0126-SM-9WPOS 60-69 years, male 7.6
GTEX-ZVT4-0126-SM-DTXFN 50-59 years, female 7.6
GTEX-11O72-0126-SM-59887 40-49 years, male 7.5
GTEX-14DAR-2026-SM-5S2O3 50-59 years, male 7.5
GTEX-18A7A-0226-SM-718BH 50-59 years, female 7.5
GTEX-ZGAY-0526-SM-4WWBB 40-49 years, female 7.5
GTEX-1RDX4-0126-SM-E9J4P 50-59 years, female 7.5
GTEX-12ZZX-0126-SM-5EGK9 40-49 years, female 7.4
GTEX-1CB4I-0226-SM-79OLH 50-59 years, male 7.4
GTEX-1CAV2-2226-SM-7P8P2 40-49 years, female 7.4
GTEX-1F7RK-0126-SM-7PC2S 20-29 years, female 7.4
GTEX-1H23P-0126-SM-ADEJ3 60-69 years, male 7.4
GTEX-1HSMQ-1226-SM-CGQFX 50-59 years, male 7.4
GTEX-1JJ6O-0126-SM-E6CI8 60-69 years, male 7.4
GTEX-1MCQQ-0826-SM-DLHC2 60-69 years, male 7.4
GTEX-1399U-2326-SM-5K7WY 50-59 years, female 7.3
GTEX-SNMC-1226-SM-2XCFP 20-29 years, male 7.3
GTEX-V1D1-2226-SM-3NMAX 50-59 years, male 7.3
GTEX-1LNCM-1126-SM-E9U5E 50-59 years, female 7.3
GTEX-13FHP-0126-SM-5IJBG 50-59 years, male 7.2
GTEX-15DCD-0126-SM-7KUEK 70-79 years, female 7.2
GTEX-17F98-0626-SM-79OMX 40-49 years, female 7.2
GTEX-1GF9W-0326-SM-9KNUN 60-69 years, male 7.2
GTEX-1GZ2Q-0226-SM-7P8TL 40-49 years, male 7.2
GTEX-117YW-2626-SM-5GZZH 50-59 years, male 7.1
GTEX-13G51-2526-SM-5LZYK 60-69 years, male 7.1
GTEX-P4PQ-0126-SM-2S1NM 60-69 years, male 7.1
GTEX-1H3O1-0426-SM-9YFKY 60-69 years, male 7.1
GTEX-1H3VY-0126-SM-ACKXD 50-59 years, male 7.1
GTEX-1JMQI-2226-SM-CM2SD 50-59 years, male 7.1
GTEX-PW2O-1526-SM-7RHHB 20-29 years, male 7.1
GTEX-13VXU-0126-SM-5SI9F 50-59 years, male 7.0
GTEX-148VJ-0126-SM-5TDDN 70-79 years, male 7.0
GTEX-14PHX-2326-SM-62LEM 50-59 years, male 7.0
GTEX-U3ZM-1526-SM-3DB9D 40-49 years, male 7.0
GTEX-X5EB-2226-SM-46MW4 40-49 years, male 7.0
GTEX-XPVG-2626-SM-4B669 50-59 years, male 7.0
GTEX-11NSD-2226-SM-5986V 20-29 years, male 6.9
GTEX-13OVJ-0126-SM-5KM36 50-59 years, female 6.9
GTEX-147F4-0226-SM-5QGPW 50-59 years, male 6.9
GTEX-16MT8-0426-SM-7KUEY 60-69 years, female 6.9
GTEX-16NPX-0226-SM-79OMT 50-59 years, male 6.9
GTEX-18D9U-0226-SM-718BP 40-49 years, male 6.9
GTEX-U4B1-1826-SM-4DXSU 40-49 years, male 6.9
GTEX-1MCYP-1926-SM-E9J2R 20-29 years, female 6.9
GTEX-11LCK-1026-SM-5A5KB 30-39 years, male 6.8
GTEX-13S7M-0126-SM-5SI6A 60-69 years, female 6.8
GTEX-ZYFD-0126-SM-5GIDL 50-59 years, male 6.8
GTEX-1J8JJ-0226-SM-CL53I 60-69 years, female 6.8
GTEX-139T8-0126-SM-5K7XZ 60-69 years, male 6.7
GTEX-13N2G-2626-SM-5J1OT 60-69 years, male 6.7
GTEX-13VXT-0126-SM-5LU4I 20-29 years, female 6.7
GTEX-1AMFI-2026-SM-731BH 50-59 years, female 6.7
GTEX-WRHK-1426-SM-3MJF9 20-29 years, female 6.7
GTEX-1GF9U-2126-SM-7SB7L 40-49 years, female 6.7
GTEX-1RB15-2126-SM-E9TIM 60-69 years, male 6.7
GTEX-13NZB-2526-SM-5J1OM 30-39 years, male 6.6
GTEX-14E7W-0126-SM-6LLJ9 70-79 years, male 6.6
GTEX-1EKGG-0226-SM-9WYTH 60-69 years, male 6.6
GTEX-1HCU6-0126-SM-CL54K 60-69 years, female 6.6
GTEX-1JMPY-1326-SM-ARL8Y 30-39 years, male 6.6
GTEX-1JMQJ-0526-SM-CYPSU 50-59 years, male 6.6
GTEX-14BIL-0126-SM-5SI92 50-59 years, male 6.5
GTEX-14PN3-2426-SM-6LLHS 60-69 years, female 6.5
GTEX-16NGA-1726-SM-731B4 40-49 years, female 6.5
GTEX-17F96-1626-SM-7DUFL 70-79 years, male 6.5
GTEX-18A7B-0126-SM-7LG64 70-79 years, male 6.5
GTEX-RTLS-0126-SM-447CA 60-69 years, female 6.5
GTEX-1EX96-1626-SM-7PBXR 50-59 years, male 6.5
GTEX-1GN1W-0526-SM-9MQJQ 50-59 years, female 6.5
GTEX-1IDJF-0126-SM-CM2RS 20-29 years, male 6.5
GTEX-11GSO-2426-SM-5A5LY 60-69 years, male 6.4
GTEX-131XW-0426-SM-5LZWP 50-59 years, female 6.4
GTEX-1A32A-0126-SM-718B1 50-59 years, female 6.4
GTEX-1B996-0226-SM-7RHGO 60-69 years, male 6.4
GTEX-1F6I4-0126-SM-9MQL2 60-69 years, male 6.4
GTEX-1IDJU-2626-SM-CM2RT 60-69 years, female 6.4
GTEX-13N1W-0126-SM-5K7VT 70-79 years, male 6.3
GTEX-144FL-0126-SM-5TDC8 50-59 years, male 6.3
GTEX-18A6Q-0126-SM-731BZ 60-69 years, male 6.3
GTEX-1AMEY-1326-SM-73KYK 30-39 years, female 6.3
GTEX-VJWN-0126-SM-3GIK7 50-59 years, female 6.3
GTEX-1IDFM-0126-SM-COH2V 60-69 years, male 6.3
GTEX-1399T-2826-SM-5KLYZ 60-69 years, male 6.2
GTEX-13PVR-2326-SM-5QGR1 60-69 years, female 6.2
GTEX-13U4I-0126-SM-5LU38 40-49 years, female 6.2
GTEX-1AYCT-2426-SM-7IGQ3 50-59 years, male 6.2
GTEX-1CB4J-0626-SM-7DHMP 60-69 years, male 6.2
GTEX-Y111-0126-SM-4SOIV 50-59 years, male 6.2
GTEX-ZTPG-0326-SM-5O9AX 20-29 years, female 6.2
GTEX-1GMR3-1926-SM-9KNUZ 40-49 years, male 6.2
GTEX-11XUK-2026-SM-5EQLF 40-49 years, female 6.1
GTEX-13O3P-0126-SM-5KM4S 50-59 years, male 6.1
GTEX-13W3W-2426-SM-5LU5B 60-69 years, female 6.1
GTEX-18QFQ-0126-SM-731BE 30-39 years, male 6.1
GTEX-VJYA-1126-SM-3GIJU 60-69 years, male 6.1
GTEX-1F88F-2726-SM-7PBZZ 60-69 years, female 6.1
GTEX-1KAFJ-2026-SM-CY8ID 50-59 years, male 6.1
GTEX-1LG7Y-0526-SM-DKPQC 50-59 years, male 6.1
GTEX-11DZ1-0126-SM-5985Q 50-59 years, male 6.0
GTEX-13112-2826-SM-5DUWH 50-59 years, male 6.0
GTEX-NPJ8-0126-SM-2YUNR 40-49 years, male 6.0
GTEX-WQUQ-0426-SM-3MJFU 60-69 years, male 6.0
GTEX-XAJ8-0826-SM-47JY6 40-49 years, male 6.0
GTEX-XUW1-0426-SM-4BOOT 50-59 years, female 6.0
GTEX-1IKOH-0226-SM-COH4E 60-69 years, female 6.0
GTEX-1RLM8-2326-SM-EWRN4 50-59 years, male 6.0
GTEX-ZF3C-0126-SM-DO92D 50-59 years, female 6.0
GTEX-139D8-0226-SM-5KLZO 30-39 years, female 5.9
GTEX-13NYS-0126-SM-5MR3W 60-69 years, male 5.9
GTEX-14LLW-0126-SM-6LLIO 70-79 years, female 5.9
GTEX-15DDE-0126-SM-6LPKH 50-59 years, female 5.9
GTEX-17KNJ-2326-SM-7DHLQ 50-59 years, male 5.9
GTEX-1BAJH-0526-SM-793CQ 70-79 years, male 5.9
GTEX-OIZH-0126-SM-2HMIS 50-59 years, male 5.9
GTEX-1IY9M-0126-SM-D3L8S 60-69 years, male 5.9
GTEX-1R46S-0626-SM-E9J41 60-69 years, female 5.9
GTEX-145MO-0326-SM-5Q5B3 60-69 years, male 5.8
GTEX-148VI-1626-SM-5SI6E 60-69 years, female 5.8
GTEX-1RAZQ-0726-SM-EAZ43 30-39 years, male 5.8
GTEX-11DXX-2426-SM-5GZZW 60-69 years, female 5.7
GTEX-139TU-0126-SM-5K7WH 60-69 years, male 5.7
GTEX-14A5I-0126-SM-5TDEA 50-59 years, female 5.7
GTEX-T2IS-0126-SM-4DM6O 20-29 years, female 5.7
GTEX-ZVT3-0126-SM-5GU6I 60-69 years, female 5.7
GTEX-ZYFG-2326-SM-5E44B 60-69 years, female 5.7
GTEX-1F6IF-0726-SM-7P8TW 60-69 years, male 5.7
GTEX-1IL2U-0226-SM-CE6T8 60-69 years, male 5.7
GTEX-1MA7X-2226-SM-E6CIY 60-69 years, male 5.7
GTEX-111VG-2426-SM-5GZXD 60-69 years, male 5.6
GTEX-1314G-1526-SM-5EGK2 30-39 years, male 5.6
GTEX-13OW6-0426-SM-5L3HM 50-59 years, male 5.6
GTEX-1C6VR-2426-SM-79OLD 60-69 years, male 5.6
GTEX-U412-0426-SM-3DB9O 60-69 years, male 5.6
GTEX-1KANB-0526-SM-E6CJH 50-59 years, male 5.6
GTEX-1R7EV-2426-SM-EVYBG 40-49 years, male 5.6
GTEX-1RQEC-0426-SM-E6CHU 60-69 years, male 5.6
GTEX-13X6J-0126-SM-5QGOU 50-59 years, male 5.5
GTEX-1B8SF-1426-SM-7DUGL 60-69 years, male 5.5
GTEX-P4PP-0126-SM-3LK69 30-39 years, female 5.5
GTEX-YB5E-2026-SM-5IFIS 40-49 years, male 5.5
GTEX-ZDYS-2026-SM-5HL5L 50-59 years, male 5.5
GTEX-1B8L1-2526-SM-9WYTF 60-69 years, male 5.5
GTEX-1CB4F-0426-SM-9KNV4 60-69 years, male 5.5
GTEX-1IE54-0126-SM-CMKHW 40-49 years, female 5.5
GTEX-13FTW-2626-SM-5K7WL 40-49 years, male 5.4
GTEX-14A6H-0126-SM-5QGPK 30-39 years, male 5.4
GTEX-17MF6-0126-SM-7LG4F 40-49 years, male 5.4
GTEX-NFK9-0226-SM-2HMKQ 40-49 years, male 5.4
GTEX-OHPL-0126-SM-2HMJ7 60-69 years, female 5.4
GTEX-SN8G-0126-SM-32PLI 50-59 years, female 5.4
GTEX-T6MO-1626-SM-32QOM 40-49 years, female 5.4
GTEX-1GN1U-0126-SM-7PBZK 50-59 years, female 5.4
GTEX-1H2FU-0126-SM-9WYSI 60-69 years, female 5.4
GTEX-1HUB1-0426-SM-E9U4U 60-69 years, male 5.4
GTEX-1LGOU-2026-SM-DIPFF 20-29 years, female 5.4
GTEX-1POEN-0126-SM-EYYXJ 30-39 years, female 5.4
GTEX-13FXS-0226-SM-5IJCK 50-59 years, male 5.3
GTEX-13PDP-0126-SM-5L3HD 60-69 years, male 5.3
GTEX-14BIM-0226-SM-7IGLD 60-69 years, female 5.3
GTEX-18A66-0226-SM-718BD 60-69 years, male 5.3
GTEX-PLZ5-2026-SM-2S1O4 50-59 years, male 5.3
GTEX-ZYW4-0126-SM-5E44A 60-69 years, male 5.3
GTEX-1GZ4H-1726-SM-7PBZJ 50-59 years, female 5.3
GTEX-1HBPM-0226-SM-ARL9F 60-69 years, female 5.3
GTEX-1HCU8-0626-SM-A9SM9 60-69 years, female 5.3
GTEX-1LGRB-2526-SM-CNPPQ 50-59 years, female 5.3
GTEX-1S82Z-0826-SM-E6CHY 30-39 years, female 5.3
GTEX-11ZVC-2526-SM-5FQTE 50-59 years, female 5.2
GTEX-12KS4-0326-SM-5EQ41 30-39 years, male 5.2
GTEX-12WSN-5019-SM-79OM6 40-49 years, male 5.2
GTEX-1C4CL-0526-SM-73KVK 30-39 years, male 5.2
GTEX-QVJO-1626-SM-2S1QW 60-69 years, female 5.2
GTEX-XBED-2226-SM-47JYQ 60-69 years, male 5.2
GTEX-YB5K-2126-SM-4WWDJ 40-49 years, female 5.2
GTEX-169BO-1326-SM-9MQK2 50-59 years, male 5.2
GTEX-1F52S-0126-SM-9MQJU 60-69 years, female 5.2
GTEX-1H1ZS-0426-SM-9WG6G 70-79 years, male 5.2
GTEX-1IDJH-0326-SM-A9SLQ 70-79 years, male 5.2
GTEX-1J8Q3-1626-SM-CMKGC 60-69 years, male 5.2
GTEX-11UD2-0226-SM-5EQKY 50-59 years, male 5.1
GTEX-12ZZZ-0626-SM-5DUXI 60-69 years, male 5.1
GTEX-13IVO-0126-SM-5J1NG 70-79 years, male 5.1
GTEX-13OVI-1426-SM-5L3EY 60-69 years, female 5.1
GTEX-13QJ3-0326-SM-5S2RA 50-59 years, male 5.1
GTEX-15F5U-1526-SM-6PANO 40-49 years, male 5.1
GTEX-15SHU-0126-SM-7KUEH 40-49 years, female 5.1
GTEX-17HII-0226-SM-7LG4E 50-59 years, male 5.1
GTEX-QESD-1426-SM-2S1R9 20-29 years, male 5.1
GTEX-U3ZN-2326-SM-3DB7W 30-39 years, female 5.1
GTEX-1C6VQ-0126-SM-7P8RI 50-59 years, male 5.1
GTEX-1ICLZ-0126-SM-CKZPO 60-69 years, male 5.1
GTEX-1QPFJ-0226-SM-E76PB 30-39 years, female 5.1
GTEX-11DXY-2626-SM-5GIE7 60-69 years, male 5.0
GTEX-13JUV-2726-SM-5LZZ8 40-49 years, female 5.0
GTEX-17EVQ-0226-SM-7LG4P 70-79 years, male 5.0
GTEX-17HHY-0126-SM-7LG5D 50-59 years, male 5.0
GTEX-1B8KE-2126-SM-73KYX 50-59 years, male 5.0
GTEX-P44H-0226-SM-2XCEU 40-49 years, male 5.0
GTEX-1J8Q2-0526-SM-CM2RW 60-69 years, male 5.0
GTEX-1MGNQ-0126-SM-EVYCJ 40-49 years, male 5.0
GTEX-14C5O-0126-SM-5SI6N 60-69 years, male 4.9
GTEX-UJHI-1526-SM-3DB99 50-59 years, female 4.9
GTEX-XBEW-0626-SM-4QASP 40-49 years, male 4.9
GTEX-ZAB5-1826-SM-5HL7C 50-59 years, male 4.9
GTEX-1GMRU-0126-SM-9YFLV 50-59 years, male 4.9
GTEX-1HBPN-0226-SM-9YFM1 50-59 years, male 4.9
GTEX-11OF3-2626-SM-5GU7F 60-69 years, male 4.8
GTEX-13D11-2426-SM-5KM1V 50-59 years, female 4.8
GTEX-1HFI7-1826-SM-ACKXH 50-59 years, female 4.8
GTEX-1JMLX-0226-SM-CM2RO 50-59 years, male 4.8
GTEX-1PFEY-1526-SM-E76PP 30-39 years, male 4.8
GTEX-1QMI2-0226-SM-EVYBX 60-69 years, male 4.8
GTEX-QDVJ-1726-SM-2I5FX 50-59 years, male 4.7
GTEX-TML8-1926-SM-32QOS 40-49 years, female 4.7
GTEX-VUSG-2526-SM-4KL1V 50-59 years, male 4.7
GTEX-WXYG-2326-SM-4E3I6 50-59 years, female 4.7
GTEX-X4EO-0326-SM-3P5YO 60-69 years, female 4.7
GTEX-ZQUD-1426-SM-57WER 30-39 years, male 4.7
GTEX-1I1GR-0126-SM-CL55F 60-69 years, male 4.7
GTEX-1KD5A-0226-SM-D5OV3 50-59 years, male 4.7
GTEX-1LVAN-0226-SM-COH3S 50-59 years, female 4.7
GTEX-11P82-1626-SM-59879 20-29 years, male 4.6
GTEX-11ZU8-2526-SM-5EQKI 60-69 years, male 4.6
GTEX-14PJM-0226-SM-62LF1 50-59 years, female 4.6
GTEX-PWO3-1526-SM-48TCM 60-69 years, female 4.6
GTEX-TMZS-0126-SM-3DB9Q 60-69 years, male 4.6
GTEX-WYVS-2126-SM-3NMA3 40-49 years, female 4.6
GTEX-XMD2-0126-SM-4YCDU 60-69 years, female 4.6
GTEX-XV7Q-2526-SM-4BRV9 40-49 years, female 4.6
GTEX-XYKS-2126-SM-4E3IB 60-69 years, female 4.6
GTEX-Y5LM-1926-SM-5RQJH 40-49 years, female 4.6
GTEX-Y8DK-0126-SM-4TT3L 60-69 years, male 4.6
GTEX-Z93T-0126-SM-5HL5N 50-59 years, male 4.6
GTEX-1GF9V-0326-SM-7RHI5 60-69 years, male 4.6
GTEX-1HFI6-0226-SM-ADEHZ 40-49 years, male 4.6
GTEX-1HSKV-0226-SM-A9SKJ 60-69 years, male 4.6
GTEX-11TTK-0126-SM-5987B 60-69 years, female 4.5
GTEX-13OW7-0126-SM-5MR3B 50-59 years, male 4.5
GTEX-145LS-0126-SM-5QGP1 60-69 years, female 4.5
GTEX-ZV6S-2326-SM-4YCEY 40-49 years, female 4.5
GTEX-1PIGE-0126-SM-EVYBJ 20-29 years, male 4.5
GTEX-1S3DN-2226-SM-EVYCD 50-59 years, male 4.5
GTEX-1S83E-0126-SM-EWRO4 40-49 years, male 4.5
GTEX-14E6D-0126-SM-62LDV 50-59 years, male 4.4
GTEX-PVOW-0126-SM-2XCFA 40-49 years, male 4.4
GTEX-X4EP-0126-SM-3P5YV 60-69 years, female 4.4
GTEX-Y114-2426-SM-4TT8A 50-59 years, female 4.4
GTEX-ZVZP-2426-SM-59HKJ 50-59 years, male 4.4
GTEX-1E2YA-0126-SM-9KNUC 50-59 years, male 4.4
GTEX-1GF9X-2026-SM-7PC3A 40-49 years, female 4.4
GTEX-1HSEH-0126-SM-ACKXN 60-69 years, male 4.4
GTEX-1I4MK-2226-SM-ACKWD 50-59 years, female 4.4
GTEX-11ZTT-2426-SM-5EQLS 60-69 years, female 4.3
GTEX-13X6I-0626-SM-5QGP9 60-69 years, male 4.3
GTEX-145ME-1826-SM-5SI9G 40-49 years, female 4.3
GTEX-145MI-0526-SM-5O9A8 60-69 years, female 4.3
GTEX-14BMV-0126-SM-5S2PO 50-59 years, male 4.3
GTEX-18D9A-1926-SM-7LG6P 30-39 years, female 4.3
GTEX-OXRN-0126-SM-48TDM 50-59 years, male 4.3
GTEX-1GTWX-0126-SM-9YFLK 60-69 years, male 4.3
GTEX-PSDG-0226-SM-DKPOZ 50-59 years, male 4.3
GTEX-11WQK-0526-SM-5EQLD 50-59 years, male 4.2
GTEX-1B8SG-0126-SM-73KZ3 50-59 years, male 4.2
GTEX-YFC4-0126-SM-5CVLY 40-49 years, female 4.2
GTEX-ZVT2-2526-SM-51MT1 50-59 years, female 4.2
GTEX-1HCVE-0126-SM-CGQEU 50-59 years, male 4.2
GTEX-1HKZK-0326-SM-9WYUH 40-49 years, male 4.2
GTEX-1ICG6-2526-SM-CGQFZ 70-79 years, female 4.2
GTEX-1IKJJ-0126-SM-CNPQB 60-69 years, male 4.2
GTEX-12C56-1726-SM-5EQ61 20-29 years, male 4.1
GTEX-139UW-2826-SM-5L3E7 60-69 years, male 4.1
GTEX-15ETS-0126-SM-7KUMW 40-49 years, female 4.1
GTEX-WFON-2126-SM-3LK7O 40-49 years, male 4.1
GTEX-ZC5H-0226-SM-4WAY9 40-49 years, female 4.1
GTEX-ZYFC-0226-SM-5NQ75 50-59 years, male 4.1
GTEX-ZPIC-1726-SM-DHXIU 40-49 years, female 4.1
GTEX-12WSE-0526-SM-793B2 20-29 years, male 4.0
GTEX-1399R-2726-SM-5IJBA 30-39 years, male 4.0
GTEX-13NZA-0226-SM-5K7Z7 60-69 years, male 4.0
GTEX-13SLW-0126-SM-5SI6C 70-79 years, male 4.0
GTEX-1AX9K-2326-SM-73KWU 50-59 years, male 4.0
GTEX-O5YT-0126-SM-48TBW 20-29 years, male 4.0
GTEX-Q2AI-1326-SM-2S1PL 40-49 years, male 4.0
GTEX-QDT8-0126-SM-48TZ1 30-39 years, female 4.0
GTEX-1EWIQ-0126-SM-7RHH2 70-79 years, female 4.0
GTEX-1HCU9-1526-SM-A9SL7 20-29 years, male 4.0
GTEX-1KWVE-1426-SM-E9TJO 30-39 years, male 4.0
GTEX-11EQ9-2426-SM-5HL5T 30-39 years, male 3.9
GTEX-13111-1626-SM-5EGJY 50-59 years, male 3.9
GTEX-1313W-0126-SM-5LZUN 50-59 years, female 3.9
GTEX-13FTY-0526-SM-5L3EV 40-49 years, female 3.9
GTEX-13NYB-2526-SM-5K7Z6 40-49 years, male 3.9
GTEX-147GR-0526-SM-5S2MY 60-69 years, male 3.9
GTEX-1A3MW-0126-SM-73KXX 60-69 years, female 3.9
GTEX-XUZC-1726-SM-4BRWS 30-39 years, female 3.9
GTEX-Z93S-0126-SM-5HL7M 50-59 years, male 3.9
GTEX-ZWKS-0126-SM-5SIAA 30-39 years, male 3.9
GTEX-1JJEA-0326-SM-CNPOT 60-69 years, male 3.9
GTEX-1OJC3-0126-SM-E76QX 20-29 years, male 3.9
GTEX-11P81-2326-SM-59875 30-39 years, female 3.8
GTEX-11VI4-1726-SM-5CVLH 40-49 years, female 3.8
GTEX-131XG-2626-SM-5KM17 50-59 years, female 3.8
GTEX-131YS-0126-SM-5KM1M 60-69 years, female 3.8
GTEX-14ABY-0226-SM-5TDCQ 50-59 years, male 3.8
GTEX-15RIG-0226-SM-7KFTL 40-49 years, male 3.8
GTEX-15SB6-1726-SM-6PAME 50-59 years, female 3.8
GTEX-P4QT-0126-SM-2I3FL 50-59 years, female 3.8
GTEX-ZAB4-0226-SM-5N9F5 40-49 years, male 3.8
GTEX-12WSG-2826-SM-E9J4H 50-59 years, female 3.8
GTEX-13OW5-0126-SM-DTXFS 60-69 years, male 3.8
GTEX-1QAET-0926-SM-E76QM 50-59 years, male 3.8
GTEX-144GL-0126-SM-5TDE2 50-59 years, male 3.7
GTEX-15ER7-0326-SM-7KUEV 20-29 years, female 3.7
GTEX-Q734-1926-SM-2I5EV 40-49 years, female 3.7
GTEX-R3RS-0126-SM-3GIJL 40-49 years, female 3.7
GTEX-1HCUA-2426-SM-ADEIS 50-59 years, female 3.7
GTEX-1OFPY-2426-SM-DTXEJ 60-69 years, male 3.7
GTEX-W5X1-3026-SM-EAZAX 40-49 years, female 3.7
GTEX-13OVH-0126-SM-5MR4B 70-79 years, male 3.6
GTEX-13X6H-2126-SM-7EWD5 50-59 years, female 3.6
GTEX-144GN-2326-SM-5LU4F 50-59 years, male 3.6
GTEX-14PII-0226-SM-6EU1T 60-69 years, male 3.6
GTEX-QDVN-2026-SM-3GAEP 50-59 years, male 3.6
GTEX-X638-0126-SM-47JZ8 70-79 years, female 3.6
GTEX-X88G-0126-SM-47JZ3 30-39 years, male 3.6
GTEX-146FR-1326-SM-E9J48 60-69 years, female 3.6
GTEX-1EN7A-0126-SM-7SB81 40-49 years, male 3.6
GTEX-RNOR-0126-SM-E9J4R 50-59 years, female 3.6
GTEX-13N11-2526-SM-5K7UE 50-59 years, female 3.5
GTEX-14XAO-2326-SM-6EU1B 60-69 years, female 3.5
GTEX-17HGU-0226-SM-7DHKV 50-59 years, male 3.5
GTEX-1CAMQ-0226-SM-7IGPK 40-49 years, male 3.5
GTEX-1CB4G-0226-SM-7PC3O 60-69 years, male 3.5
GTEX-1PIIG-0226-SM-EWRN6 30-39 years, male 3.5
GTEX-111FC-0126-SM-5N9DL 60-69 years, male 3.4
GTEX-11H98-0126-SM-5EGHG 50-59 years, male 3.4
GTEX-139TS-2826-SM-5J1OO 60-69 years, male 3.4
GTEX-17F97-0326-SM-7LG5B 50-59 years, male 3.4
GTEX-TMMY-0226-SM-33HBA 40-49 years, female 3.4
GTEX-ZAK1-0126-SM-5IJD3 50-59 years, female 3.4
GTEX-1H3VE-0326-SM-9YFLH 40-49 years, male 3.4
GTEX-1I1CD-0126-SM-CM2TK 60-69 years, female 3.4
GTEX-1JK1U-2026-SM-CM2RZ 60-69 years, male 3.4
GTEX-1LB8K-0226-SM-EWRNW 50-59 years, male 3.4
GTEX-1O97I-0326-SM-EYYX7 60-69 years, male 3.4
GTEX-12WSC-0126-SM-5EQ4P 50-59 years, male 3.3
GTEX-13SLX-0526-SM-5S2ON 50-59 years, female 3.3
GTEX-14E6E-1826-SM-5S2R7 30-39 years, male 3.3
GTEX-14PN4-0126-SM-6EU2V 50-59 years, male 3.3
GTEX-T6MN-0126-SM-32PLP 50-59 years, male 3.3
GTEX-1GN73-0226-SM-9WG67 60-69 years, male 3.3
GTEX-1JMOU-1526-SM-CL54I 60-69 years, female 3.3
GTEX-1QP67-1626-SM-EAZ3X 40-49 years, female 3.3
GTEX-1S82Y-2026-SM-EVYCM 40-49 years, male 3.3
GTEX-R45C-0126-SM-EAZ2R 60-69 years, female 3.3
GTEX-14PK6-1926-SM-6ETZU 70-79 years, female 3.2
GTEX-XUYS-0126-SM-47JWZ 50-59 years, male 3.2
GTEX-1H3NZ-0126-SM-ACKX7 60-69 years, male 3.2
GTEX-1HR98-0126-SM-B2LWI 60-69 years, male 3.2
GTEX-1HSGN-0226-SM-CGQFV 40-49 years, female 3.2
GTEX-1JMQK-0226-SM-CL543 60-69 years, male 3.2
GTEX-1LC47-0326-SM-E9TJP 60-69 years, male 3.2
GTEX-ZF29-2326-SM-DO92K 60-69 years, female 3.2
GTEX-ZQG8-1626-SM-DHXIT 60-69 years, female 3.2
GTEX-13CF3-2426-SM-5IFGX 60-69 years, female 3.1
GTEX-13OVK-2026-SM-7KUEO 40-49 years, male 3.1
GTEX-146FQ-0126-SM-5NQA9 30-39 years, male 3.1
GTEX-16YQH-0126-SM-7DUFJ 30-39 years, male 3.1
GTEX-1HT8W-0126-SM-CNPPP 30-39 years, male 3.1
GTEX-14JG1-0426-SM-6ETZZ 40-49 years, male 3.0
GTEX-1C6VS-0526-SM-7DUEN 60-69 years, male 3.0
GTEX-QCQG-1726-SM-3GIJ9 50-59 years, female 3.0
GTEX-S32W-2126-SM-2XCB1 50-59 years, female 3.0
GTEX-SSA3-0126-SM-32QPU 60-69 years, male 3.0
GTEX-Y5V5-2326-SM-4V6GA 60-69 years, female 3.0
GTEX-ZVE2-0226-SM-59HJB 50-59 years, male 3.0
GTEX-ZYT6-0226-SM-5NQ6T 30-39 years, male 3.0
GTEX-1GZHY-0326-SM-9QEHI 50-59 years, female 3.0
GTEX-1I1GQ-0126-SM-COH3H 50-59 years, male 3.0
GTEX-1JJE9-0326-SM-CL53Z 70-79 years, male 3.0
GTEX-1JMQL-0226-SM-CNPP5 50-59 years, female 3.0
GTEX-1LH75-2426-SM-E9TJE 50-59 years, female 3.0
GTEX-11EMC-2926-SM-5EQ4F 60-69 years, female 2.9
GTEX-14LZ3-0226-SM-62LET 60-69 years, female 2.9
GTEX-WH7G-2326-SM-3NMBC 40-49 years, male 2.9
GTEX-ZDXO-3026-SM-5J1N5 60-69 years, male 2.9
GTEX-ZTSS-1926-SM-57WEW 40-49 years, male 2.9
GTEX-1J8EW-0126-SM-CJI4F 60-69 years, female 2.9
GTEX-11DXW-0226-SM-5H122 40-49 years, male 2.8
GTEX-11DXZ-2326-SM-5EGGV 50-59 years, male 2.8
GTEX-11GSP-2526-SM-5N9BP 60-69 years, female 2.8
GTEX-16GPK-0126-SM-7DHLE 60-69 years, male 2.8
GTEX-16XZY-2126-SM-79OK1 70-79 years, male 2.8
GTEX-POMQ-2226-SM-2I5FK 20-29 years, female 2.8
GTEX-X585-0226-SM-4QAS2 50-59 years, male 2.8
GTEX-1EMGI-0126-SM-9KNUE 60-69 years, male 2.8
GTEX-1JMPZ-0226-SM-CNPP1 30-39 years, male 2.8
GTEX-1QEPI-0126-SM-EWRMQ 60-69 years, female 2.8
GTEX-1S5ZA-0126-SM-EVYCV 20-29 years, male 2.8
GTEX-12584-0126-SM-5EGKQ 40-49 years, male 2.7
GTEX-13CF2-2526-SM-5LZYX 60-69 years, male 2.7
GTEX-14JG6-2226-SM-6EU2G 30-39 years, female 2.7
GTEX-14PHW-0126-SM-6LLJI 60-69 years, female 2.7
GTEX-16BQI-0226-SM-7KUEX 30-39 years, female 2.7
GTEX-XXEK-2226-SM-4BRUM 50-59 years, male 2.7
GTEX-ZAJG-0126-SM-5HL94 50-59 years, female 2.7
GTEX-ZVTK-0426-SM-51MRS 20-29 years, male 2.7
GTEX-1A8FM-0226-SM-7SB7Q 50-59 years, female 2.7
GTEX-1JN76-0126-SM-CNPPE 20-29 years, female 2.7
GTEX-1KXAM-2226-SM-CYPTC 60-69 years, male 2.7
GTEX-113IC-0126-SM-5HL6T 60-69 years, male 2.6
GTEX-1192X-0226-SM-5H12D 50-59 years, male 2.6
GTEX-14PJ6-2126-SM-6EU1V 60-69 years, female 2.6
GTEX-15SDE-2226-SM-7IGLO 50-59 years, female 2.6
GTEX-1C64N-0126-SM-793D7 50-59 years, male 2.6
GTEX-ZDTT-2726-SM-4WKF8 60-69 years, male 2.6
GTEX-ZUA1-0126-SM-5GU76 40-49 years, male 2.6
GTEX-ZXG5-0126-SM-5GIEU 60-69 years, male 2.6
GTEX-ZZPT-0226-SM-5E43X 50-59 years, male 2.6
GTEX-1GMR8-0126-SM-9WYTM 50-59 years, female 2.6
GTEX-1K9T9-0126-SM-EVYCF 50-59 years, female 2.6
GTEX-1M5QR-1226-SM-EWROB 40-49 years, male 2.6
GTEX-145MF-0626-SM-5LUAI 50-59 years, male 2.5
GTEX-1CB4E-2226-SM-793DC 60-69 years, male 2.5
GTEX-PLZ4-0126-SM-5SI8O 50-59 years, female 2.5
GTEX-PX3G-0126-SM-2I3EN 20-29 years, female 2.5
GTEX-TSE9-0126-SM-3DB83 60-69 years, female 2.5
GTEX-YJ89-0126-SM-4TT3X 60-69 years, male 2.5
GTEX-ZV68-0126-SM-59HKS 50-59 years, female 2.5
GTEX-1CB4H-0226-SM-7PBXM 60-69 years, female 2.5
GTEX-1I1GT-0626-SM-CGQER 60-69 years, female 2.5
GTEX-1212Z-2526-SM-5EGKP 60-69 years, male 2.4
GTEX-1AYD5-2426-SM-73KXR 50-59 years, male 2.4
GTEX-OOBK-0126-SM-2YUND 40-49 years, male 2.4
GTEX-1I1HK-0126-SM-COH49 60-69 years, male 2.4
GTEX-1PWST-0226-SM-E76QJ 70-79 years, male 2.4
GTEX-1192W-2626-SM-5Q5AF 60-69 years, male 2.3
GTEX-13OVG-1926-SM-5L3DK 60-69 years, male 2.3
GTEX-147F3-0526-SM-5SI98 50-59 years, female 2.3
GTEX-17JCI-0126-SM-7LG5G 60-69 years, female 2.3
GTEX-Q2AH-1626-SM-3GAF8 40-49 years, male 2.3
GTEX-1N2DW-0226-SM-E9TK2 50-59 years, male 2.3
GTEX-11DYG-0126-SM-59883 60-69 years, male 2.2
GTEX-11EI6-0126-SM-5985R 60-69 years, male 2.2
GTEX-13RTL-0126-SM-7LG5S 40-49 years, male 2.2
GTEX-1R9PM-2026-SM-E76OY 20-29 years, male 2.2
GTEX-1269C-2526-SM-5EGJ3 60-69 years, female 2.1
GTEX-ZEX8-2426-SM-4WKG4 50-59 years, male 2.1
GTEX-1LG7Z-1726-SM-D3LA4 30-39 years, male 2.1
GTEX-1122O-2126-SM-5EGIR 60-69 years, female 2.0
GTEX-117XS-2726-SM-5N9BL 60-69 years, male 2.0
GTEX-145MN-2226-SM-5SIAU 30-39 years, male 2.0
GTEX-1B97I-1626-SM-73KYO 40-49 years, male 2.0
GTEX-Y3I4-2126-SM-4TT7C 50-59 years, male 2.0
GTEX-1H11D-0226-SM-9WG6Z 40-49 years, male 2.0
GTEX-1C475-1826-SM-73KWA 40-49 years, female 1.9
GTEX-WFG8-2226-SM-3GIL9 20-29 years, male 1.9
GTEX-Z9EW-1626-SM-5CVMN 40-49 years, male 1.9
GTEX-1F48J-0126-SM-7P8TT 50-59 years, female 1.9
GTEX-1H1DG-0126-SM-9WYU2 70-79 years, male 1.9
GTEX-131XE-2326-SM-5PNZ2 50-59 years, male 1.8
GTEX-133LE-1826-SM-5J1MV 20-29 years, female 1.8
GTEX-15DYW-0126-SM-7KULE 60-69 years, female 1.8
GTEX-RUSQ-1526-SM-2TF62 50-59 years, male 1.8
GTEX-12WSL-2526-SM-5GCNJ 50-59 years, male 1.7
GTEX-14BIN-0626-SM-793DP 50-59 years, female 1.7
GTEX-ZF2S-2326-SM-4WWCE 50-59 years, female 1.7
GTEX-1HCU7-0226-SM-CL545 50-59 years, male 1.7
GTEX-1MJK2-0426-SM-DTXE5 50-59 years, male 1.6
GTEX-183WM-0126-SM-7LTAB 70-79 years, female 1.5
GTEX-18D9B-0526-SM-7LTAS 60-69 years, male 1.5
GTEX-RWS6-2026-SM-2XCB5 60-69 years, female 1.5
GTEX-ZF28-0126-SM-4WKGK 60-69 years, male 1.5
GTEX-13NYC-0326-SM-E9J4S 60-69 years, male 1.5
GTEX-1J1OQ-0226-SM-CYPSH 40-49 years, female 1.5
GTEX-13OW8-1326-SM-5J1OW 60-69 years, male 1.4
GTEX-ZTX8-1426-SM-5DUVO 20-29 years, male 1.4
GTEX-ZVZO-0126-SM-5A5L9 40-49 years, male 1.4
GTEX-18A67-0126-SM-7LG5P 50-59 years, male 1.3
GTEX-ZXES-1826-SM-5E43S 30-39 years, female 1.3
GTEX-ZY6K-1826-SM-5GZXK 50-59 years, male 1.3
GTEX-1L5NE-2526-SM-E6CIE 50-59 years, male 1.3
GTEX-15G19-0126-SM-6PANQ 60-69 years, male 1.2
GTEX-1OJC4-0126-SM-E9J2E 50-59 years, female 1.2
GTEX-1LBAC-0126-SM-DIPEZ 20-29 years, male 1.0
GTEX-1H4P4-0726-SM-9YFLR 50-59 years, male 0.9
GTEX-SE5C-1626-SM-2XCE3 40-49 years, female 0.9
GTEX-Y8LW-1826-SM-5S2MV 50-59 years, female 0.8
GTEX-1M4P7-0226-SM-DIPEV 60-69 years, male 0.8
GTEX-1HB9E-0226-SM-E9U4R 50-59 years, male 0.7
GTEX-1R9K4-0126-SM-DTX9X 60-69 years, male 0.6
Show allShow less

Contact

  • NEWS ARTICLES
  • PRESS ROOM

The Project

  • INTRODUCTION
  • ORGANIZATION
  • PUBLICATIONS

The Human Protein Atlas

  • DOWNLOADABLE DATA
  • LICENCE & CITATION
  • HELP & FAQ
The Human Protein Atlas project is funded
by the Knut & Alice Wallenberg Foundation.


contact@proteinatlas.org