We use cookies to enhance the usability of our website. If you continue, we'll assume that you are happy to receive all cookies. More information. Don't show this again.
KNOP1
HPA
RESOURCES
  • TISSUE
  • BRAIN
  • SINGLE CELL
  • SUBCELLULAR
  • CANCER
  • BLOOD
  • CELL LINE
  • STRUCTURE & INTERACTION
ABOUT
  • INTRODUCTION
  • HISTORY
  • ORGANIZATION
  • PUBLICATIONS
  • ANTIBODY SUBMISSION
  • ANTIBODY AVAILABILITY
  • ACKNOWLEDGMENTS
  • CONTACT
NEWS
  • NEWS ARTICLES
  • PRESS ROOM
LEARN
  • DICTIONARY
  • PROTEIN CLASSES
  • PROTEIN EVIDENCE
  • METHODS
  • EDUCATIONAL VIDEOS
DATA
  • DOWNLOADABLE DATA
  • PUBLICATION DATA
  • RELEASE HISTORY
HELP
  • ANTIBODY VALIDATION
  • ASSAYS & ANNOTATION
  • DISCLAIMER
  • HELP & FAQ
  • PRIVACY STATEMENT
  • LICENCE & CITATION
Fields »
Search result

Field
Term
Gene name
Class
Subclass
Class
Keyword
Chromosome
External id
Tissue
Cell type
Expression
Antibody panel
Tissue
Main location
Patient ID
Annotation
Tissue
Category
Tau score
Cluster
Reliability
Brain region
Category
Tau score
Brain region
Category
Tau score
Brain region
Category
Tau score
Cluster
Reliability
Tissue
Cell type
Enrichment
Cell type
Category
Tau score
Cell type
Category
Tau score
Cell type
Category
Tau score
Cell lineage
Category
Tau score
Cluster
Cluster
Location
Searches
Location
Cell line
Class
Type
Phase
Reliability
Cancer
Prognosis
Cancer
Category
Cancer
Category
Tau score
Cluster
Variants
Interacting gene (ensg_id)
Type
Number of interactions
Pathway
Category
Score
Score
Score
Validation
Validation
Validation
Validation
Antibodies
Data type
Column


  • SUMMARY

  • TISSUE

  • BRAIN

  • SINGLE CELL

  • SUBCELL

  • CANCER

  • BLOOD

  • CELL LINE

  • STRUCT & INT

  • KNOP1
TISSUE PRIMARY DATA STOMACH 1 Show tissue menu
ADIPOSE TISSUE ADRENAL GLAND AMYGDALA APPENDIX BASAL GANGLIA BONE MARROW BREAST BRONCHUS CEREBELLUM CEREBRAL CORTEX CERVIX CHOROID PLEXUS COLON DUODENUM
ENDOMETRIUM EPIDIDYMIS ESOPHAGUS FALLOPIAN TUBE GALLBLADDER HEART MUSCLE HIPPOCAMPAL FORMATION HYPOTHALAMUS KIDNEY LIVER LUNG LYMPH NODE MIDBRAIN NASOPHARYNX
ORAL MUCOSA OVARY PANCREAS PARATHYROID GLAND PITUITARY GLAND PLACENTA PROSTATE RECTUM RETINA SALIVARY GLAND SEMINAL VESICLE SKELETAL MUSCLE SKIN SMALL INTESTINE
SMOOTH MUSCLE SOFT TISSUE SPINAL CORD SPLEEN STOMACH TESTIS THYMUS THYROID GLAND TONGUE TONSIL URINARY BLADDER VAGINA
ANTIBODIES
AND
VALIDATION
Dictionary
Tissue proteome
STOMACH - Expression summary
Protein expression
Stomachi

On the top, protein expression in current human tissue, based on all annotated cell types, is reported with the units not detected (n), low (l), medium (m) and high (h). Underneath, protein expression in each annotated cell type are reported using the same units.

Protein expression data is based on knowledge-based annotation. For genes where more than one antibody has been used, a collective score is set.

If knowledge-based annotation could not be performed for a gene, no data is displayed here. View antibody staining data further down this page.

h
m
l
n
Glandular cells: Medium
RNA expressioni

A summary of mRNA expression data available for current tissue based on several datasets. The mRNA expression levels in human tissues are based on RNA-seq data generated by the Human Protein Atlas (HPA), Genotype-Tissue Expression (GTEx) portal and CAGE data generated by the FANTOM5 consortium. Consensus normalized expression levels for human tissues was created by combining the data from HPA and GTEx datasets.

The mRNA expression levels in pig are based on RNA-seq data generated by the Human Protein Atlas (HPA), and for mouse, HPA data and in situ hybridization generated by the Allen brain atlas are reported.

Scroll down to view mRNA expression data in more detail.
Consensus:7.9 nTPM
HPA:7.9 nTPM
GTEx:6.5 nTPM

STOMACH 1 - Antibody stainingi

Antibody staining in the annotated cell types in the current human tissue is reported as not detected, low, medium, or high, based on conventional immunohistochemistry profiling in selected tissues. This score is based on the combination of the staining intensity and fraction of stained cells.

Each image is clickable and will lead to virtual microscopy that enables deeper exploration of all samples and also displays staining intensity scores, fraction scores and subcellular localization as well as patient and tissue information for each sample.

Antibody HPA041079
Glandular cells Medium


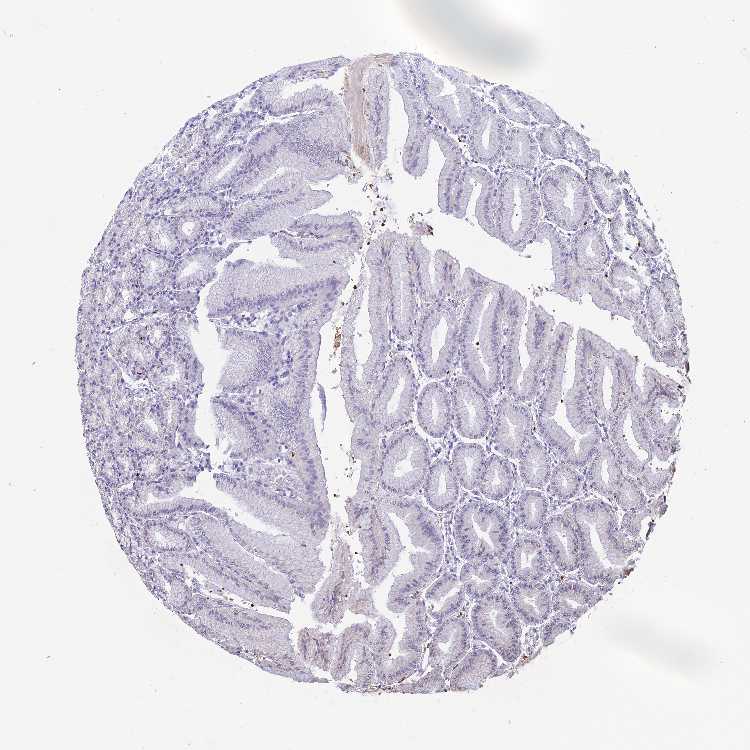
STOMACH 2 - Antibody stainingi

Antibody staining in the annotated cell types in the current human tissue is reported as not detected, low, medium, or high, based on conventional immunohistochemistry profiling in selected tissues. This score is based on the combination of the staining intensity and fraction of stained cells.

Each image is clickable and will lead to virtual microscopy that enables deeper exploration of all samples and also displays staining intensity scores, fraction scores and subcellular localization as well as patient and tissue information for each sample.

Antibody HPA041079
Glandular cells Not detected


STOMACH - HPA RNA-seqi

The RNA-seq details section shows detailed information about the individual samples used for the transcript profiling and results of the RNA-seq analysis.

Information about each individual sample is listed below, including gender, age, a tissue section image and estimated fractions of cell types. nTPM (normalized transcripts per million) values give a quantification of the gene abundance which is comparable between different genes and samples.
Average nTPMi

Max subtype nTPM is the value for the subtype with the largest average nTPM across the subtype samples.

7.9
overview
Female, age 33
Stomach sample 61
nTPM: 8.3
Cell types%
Glandular cells:
60

Smooth muscle cells:
5

Other cell types:
35

N/A
Male, age 82
Stomach sample 240
nTPM: 7.3
Cell types%
Glandular cells:
65

Smooth muscle cells:
5

Other cell types:
30

overview
Male, age 71
Stomach sample 241
nTPM: 10.9
Cell types%
Glandular cells:
50

Smooth muscle cells:
5

Other cell types:
45

overview
Female, age 66
Stomach sample 369
nTPM: 5.2
Cell types%
Glandular cells:
50

Smooth muscle cells:
10

Other cell types:
40


STOMACH - GTEx RNA-seqi

RNA-Seq data generated by the Genotype-Tissue Expression (GTEx) project from human tissues is reported as mean nTPM. More information can be found on the GTEx portal.

Distribution across the dataset is visualized with box plots, shown as median and 25th and 75th percentiles. Points are displayed as outliers if they are above or below 1.5 times the interquartile range. nTPM values of the individual samples are presented next to the box plot.
Max subtype nTPMi

Max subtype nTPM is the value for the subtype with the largest average nTPM across the subtype samples.

6.5
GTEx sample id Sample description nTPM
Stomach
Average nTPM: 6.5
Samples: 359

Max nTPM: 14.9
Min nTPM: 1.1
Std nTPM: 2.5
Median nTPM: 6.3
GTEX-117YX-1026-SM-5H11V 50-59 years, male 14.9
GTEX-Y8LW-0826-SM-4WWDO 50-59 years, female 14.6
GTEX-18A67-2626-SM-718AD 50-59 years, male 14.4
GTEX-1QP67-1026-SM-EVR47 40-49 years, female 13.6
GTEX-1KANA-1126-SM-D3L9M 20-29 years, male 13.2
GTEX-18A66-2226-SM-7189E 60-69 years, male 12.1
GTEX-ZY6K-0726-SM-5A5L8 50-59 years, male 12.1
GTEX-1F5PL-1426-SM-7MKFH 40-49 years, female 11.9
GTEX-1HCU8-1326-SM-C1YQQ 60-69 years, female 11.7
GTEX-1RMOY-1126-SM-EV79E 50-59 years, male 11.6
GTEX-13D11-2126-SM-5IFH2 50-59 years, female 11.5
GTEX-139D8-2326-SM-5IFGE 30-39 years, female 11.4
GTEX-QCQG-0526-SM-48U2A 50-59 years, female 11.4
GTEX-1RAZR-1526-SM-EAZ4U 40-49 years, male 11.4
GTEX-1AMFI-1226-SM-731CZ 50-59 years, female 11.3
GTEX-1CAMR-0726-SM-7EPIE 20-29 years, male 11.3
GTEX-1F75I-1826-SM-7MKGX 40-49 years, male 11.3
GTEX-XQ8I-2026-SM-4BOOL 50-59 years, male 11.3
GTEX-17HGU-2126-SM-7IGOV 50-59 years, male 11.2
GTEX-QDVJ-1426-SM-48U1Y 50-59 years, male 11.2
GTEX-WFG7-1326-SM-4LMK1 20-29 years, male 11.2
GTEX-XXEK-0826-SM-4BRWG 50-59 years, male 11.2
GTEX-145ME-1026-SM-5O9B4 40-49 years, female 11.1
GTEX-T5JC-1926-SM-4DM6Q 20-29 years, male 10.8
GTEX-1GZ4H-1026-SM-9OSXL 50-59 years, female 10.8
GTEX-1H3VY-2326-SM-9WG81 50-59 years, male 10.8
GTEX-13U4I-2526-SM-5SI8Z 40-49 years, female 10.7
GTEX-QLQ7-0826-SM-447B3 60-69 years, male 10.7
GTEX-ZXES-1426-SM-5NQ8S 30-39 years, female 10.6
GTEX-1IDJD-2426-SM-C1YS6 30-39 years, male 10.6
GTEX-133LE-1326-SM-5IFGO 20-29 years, female 10.4
GTEX-132AR-2426-SM-5IFFD 50-59 years, female 10.3
GTEX-U4B1-1026-SM-4DXT1 40-49 years, male 10.3
GTEX-1CB4H-2426-SM-7PBYR 60-69 years, female 10.3
GTEX-1JKYN-1726-SM-AHZ48 30-39 years, male 10.3
GTEX-15DZA-1126-SM-6LPK8 30-39 years, female 10.2
GTEX-17F98-1526-SM-7EWD8 40-49 years, female 10.2
GTEX-17HII-2426-SM-7KFTT 50-59 years, male 10.2
GTEX-YFCO-0826-SM-5LUAG 40-49 years, male 10.2
GTEX-T8EM-1226-SM-4DM5J 40-49 years, male 10.0
GTEX-VJYA-1026-SM-4KL21 60-69 years, male 10.0
GTEX-Y5V6-1326-SM-4VDTF 60-69 years, male 10.0
GTEX-11NSD-1426-SM-5HL67 20-29 years, male 9.9
GTEX-13CF3-1926-SM-5K7WF 60-69 years, female 9.9
GTEX-WHPG-0426-SM-4M1XW 50-59 years, male 9.9
GTEX-13QJ3-2726-SM-5SI6L 50-59 years, male 9.8
GTEX-1LGRB-1726-SM-CNNRA 50-59 years, female 9.8
GTEX-WFG8-1326-SM-4LVN3 20-29 years, male 9.7
GTEX-1399S-1626-SM-5P9GI 30-39 years, female 9.6
GTEX-ZAB4-1526-SM-5CVN7 40-49 years, male 9.5
GTEX-ZDYS-1926-SM-5HL59 50-59 years, male 9.5
GTEX-1MUQO-1926-SM-EAZ59 60-69 years, male 9.5
GTEX-13113-0726-SM-5LZUF 60-69 years, female 9.4
GTEX-131XF-1226-SM-5HL8V 60-69 years, male 9.4
GTEX-144GN-1226-SM-5O991 50-59 years, male 9.4
GTEX-PW2O-1226-SM-48TCH 20-29 years, male 9.4
GTEX-Y3IK-1426-SM-4YCES 50-59 years, female 9.4
GTEX-11TT1-0726-SM-5GU5A 20-29 years, male 9.3
GTEX-12WSG-2026-SM-5FQUU 50-59 years, female 9.3
GTEX-15RIE-1026-SM-6LPJQ 60-69 years, male 9.3
GTEX-13FTW-1726-SM-5KM2B 40-49 years, male 9.2
GTEX-ZLWG-1526-SM-DO12F 50-59 years, female 9.1
GTEX-17GQL-1226-SM-7KFTS 60-69 years, male 9.0
GTEX-15RIF-1126-SM-7KUG2 20-29 years, male 8.9
GTEX-QDVN-1226-SM-48TZ5 50-59 years, male 8.9
GTEX-S4UY-1626-SM-4AD55 40-49 years, female 8.9
GTEX-1I6K7-1726-SM-B2LXQ 40-49 years, male 8.9
GTEX-1IDJU-1526-SM-CNNR3 60-69 years, female 8.8
GTEX-X15G-1126-SM-4PQZG 50-59 years, female 8.7
GTEX-ZZPU-1426-SM-5GZZ6 50-59 years, female 8.6
GTEX-1QCLY-1126-SM-EAZ4J 30-39 years, male 8.5
GTEX-15G1A-1226-SM-7KUF3 30-39 years, male 8.4
GTEX-Q2AH-1126-SM-48TZM 40-49 years, male 8.4
GTEX-PX3G-1526-SM-48U11 20-29 years, female 8.3
GTEX-1H23P-2726-SM-9JGHN 60-69 years, male 8.3
GTEX-1R7EU-1126-SM-EAZ4M 60-69 years, male 8.3
GTEX-1B8KZ-1226-SM-793CP 50-59 years, male 8.2
GTEX-OOBJ-1526-SM-3NB1Q 60-69 years, male 8.2
GTEX-RWS6-0926-SM-47JXE 60-69 years, female 8.2
GTEX-ZP4G-1226-SM-4WWCJ 20-29 years, female 8.2
GTEX-ZV7C-1626-SM-5NQ7E 50-59 years, male 8.2
GTEX-ZYFG-1326-SM-5GICJ 60-69 years, female 8.2
GTEX-1MJIX-1126-SM-EV7AO 40-49 years, male 8.2
GTEX-1399R-1126-SM-5IFIO 30-39 years, male 8.1
GTEX-14PJ6-0826-SM-686Z9 60-69 years, female 8.1
GTEX-17HHE-1026-SM-79ON6 50-59 years, male 8.1
GTEX-P4PP-1526-SM-3P61M 30-39 years, female 8.1
GTEX-S95S-0826-SM-4B64N 60-69 years, male 8.1
GTEX-1E1VI-2826-SM-7MGWU 50-59 years, male 8.1
GTEX-1JK1U-1326-SM-AHZ45 60-69 years, male 8.1
GTEX-1MGNQ-1826-SM-DPRYI 40-49 years, male 8.1
GTEX-ZLFU-1326-SM-DO11R 40-49 years, male 8.1
GTEX-14ICL-0826-SM-5YY9W 30-39 years, male 8.0
GTEX-14BMU-1126-SM-5RQJ8 20-29 years, female 7.9
GTEX-14PJ5-0826-SM-6AJAR 60-69 years, female 7.9
GTEX-WY7C-1726-SM-4ONCC 50-59 years, male 7.9
GTEX-15SHW-2126-SM-6M46Y 60-69 years, male 7.8
GTEX-16AAH-1226-SM-79OO9 50-59 years, male 7.8
GTEX-13FH7-1026-SM-5IJGF 50-59 years, female 7.7
GTEX-SNMC-0626-SM-4DM6H 20-29 years, male 7.7
GTEX-WHSB-1226-SM-4M1XR 50-59 years, male 7.7
GTEX-1K2DA-0826-SM-CGQGD 50-59 years, male 7.7
GTEX-XMK1-1526-SM-EYYVO 40-49 years, male 7.7
GTEX-13O21-0926-SM-5IFGT 50-59 years, male 7.6
GTEX-145MN-1326-SM-5NQ9S 30-39 years, male 7.6
GTEX-14PHX-1026-SM-664OL 50-59 years, male 7.6
GTEX-17F9E-2226-SM-7IGNC 50-59 years, male 7.6
GTEX-1A3MV-1226-SM-718BW 30-39 years, male 7.6
GTEX-POMQ-0826-SM-3P61H 20-29 years, female 7.6
GTEX-1GN1W-2126-SM-9JGI7 50-59 years, female 7.6
GTEX-1H3NZ-2226-SM-9WYUT 60-69 years, male 7.6
GTEX-1HBPN-1626-SM-9WPNP 50-59 years, male 7.6
GTEX-1HFI7-1526-SM-9WG7W 50-59 years, female 7.6
GTEX-1HT8W-2326-SM-A9SLA 30-39 years, male 7.6
GTEX-PLZ5-1226-SM-EXOHA 50-59 years, male 7.6
GTEX-11DXX-1326-SM-5GIDZ 60-69 years, female 7.5
GTEX-15G19-1526-SM-6LPKP 60-69 years, male 7.5
GTEX-1A8G6-1426-SM-731EZ 60-69 years, male 7.5
GTEX-11I78-1726-SM-5A5M3 50-59 years, female 7.4
GTEX-13O61-1126-SM-5L3FI 60-69 years, male 7.4
GTEX-PWN1-1526-SM-48TDA 40-49 years, female 7.4
GTEX-Q2AI-0826-SM-48TZO 40-49 years, male 7.4
GTEX-ZF2S-1426-SM-57WET 50-59 years, female 7.4
GTEX-OXRL-1526-SM-E6CHQ 50-59 years, male 7.4
GTEX-18QFQ-1226-SM-718AE 30-39 years, male 7.3
GTEX-Q734-1026-SM-48U16 40-49 years, female 7.3
GTEX-1B97I-1226-SM-7MGWQ 40-49 years, male 7.3
GTEX-1LBAC-1426-SM-CXZKT 20-29 years, male 7.3
GTEX-1R9K5-1026-SM-EAZ4F 50-59 years, male 7.3
GTEX-14PJ3-1426-SM-664O8 50-59 years, male 7.2
GTEX-15UF7-1226-SM-6M46G 40-49 years, male 7.2
GTEX-18D9A-0626-SM-7KFTY 30-39 years, female 7.2
GTEX-1B97J-1826-SM-7IGPP 50-59 years, female 7.2
GTEX-QLQW-0726-SM-447AA 30-39 years, male 7.2
GTEX-XUZC-0726-SM-4BOPH 30-39 years, female 7.2
GTEX-12BJ1-1726-SM-5HL9B 60-69 years, male 7.1
GTEX-13FTX-0726-SM-5N9BI 20-29 years, female 7.1
GTEX-146FH-2126-SM-5SI9U 50-59 years, female 7.1
GTEX-QV31-0626-SM-447C5 30-39 years, male 7.1
GTEX-WXYG-1626-SM-4ONCR 50-59 years, female 7.1
GTEX-XBED-1226-SM-4AT5V 60-69 years, male 7.1
GTEX-14PKV-1826-SM-69LO9 20-29 years, female 7.0
GTEX-OXRK-1626-SM-3NB17 50-59 years, female 7.0
GTEX-WYJK-2526-SM-4ONDF 50-59 years, male 7.0
GTEX-1GL5R-1926-SM-9WG7U 50-59 years, male 7.0
GTEX-1KXAM-0926-SM-CXZKA 60-69 years, male 7.0
GTEX-ZLV1-0826-SM-DO11P 60-69 years, female 7.0
GTEX-15CHR-1326-SM-79OLT 50-59 years, male 6.9
GTEX-V955-1326-SM-4JBHR 60-69 years, male 6.9
GTEX-YB5E-1126-SM-664NU 40-49 years, male 6.9
GTEX-14BMV-2226-SM-5RQHX 50-59 years, male 6.8
GTEX-TMMY-1626-SM-4DXTY 40-49 years, female 6.8
GTEX-UPK5-2126-SM-4JBJK 40-49 years, male 6.8
GTEX-OHPM-1526-SM-EV796 50-59 years, male 6.8
GTEX-1E2YA-2426-SM-7EPIG 50-59 years, male 6.7
GTEX-Y9LG-1026-SM-5IFJN 30-39 years, male 6.7
GTEX-ZVP2-1626-SM-5GU5D 50-59 years, male 6.7
GTEX-ZVT3-2126-SM-59HL2 60-69 years, female 6.7
GTEX-16NGA-1526-SM-72D56 40-49 years, female 6.6
GTEX-WFON-1126-SM-4LVMA 40-49 years, male 6.6
GTEX-ZPU1-1626-SM-4WWB2 40-49 years, male 6.6
GTEX-1H1DG-2126-SM-9WPPB 70-79 years, male 6.6
GTEX-131XG-1226-SM-5EGH9 50-59 years, female 6.5
GTEX-13OVK-0926-SM-7KUFX 40-49 years, male 6.5
GTEX-15DCE-1626-SM-6LPJM 20-29 years, male 6.5
GTEX-1C64O-2226-SM-73KTV 60-69 years, male 6.5
GTEX-P78B-1826-SM-3P5YX 40-49 years, female 6.5
GTEX-S7SF-0626-SM-4AD4V 20-29 years, female 6.5
GTEX-WHWD-1426-SM-4OORU 50-59 years, male 6.5
GTEX-YEC4-1426-SM-5IFHS 40-49 years, male 6.5
GTEX-1J8EW-2226-SM-AHZ3T 60-69 years, female 6.5
GTEX-1JMQJ-1326-SM-D4P3B 50-59 years, male 6.5
GTEX-132QS-1826-SM-5IFFN 60-69 years, male 6.4
GTEX-XV7Q-1326-SM-4BRWM 40-49 years, female 6.4
GTEX-1HKZK-1526-SM-B2LWG 40-49 years, male 6.4
GTEX-1LGOU-1526-SM-D3LAJ 20-29 years, female 6.4
GTEX-1MCYP-1126-SM-E9J2P 20-29 years, female 6.4
GTEX-ZGAY-1626-SM-DNZZ3 40-49 years, female 6.4
GTEX-O5YW-1526-SM-3MJGL 50-59 years, male 6.3
GTEX-P4PQ-1526-SM-3NMCK 60-69 years, male 6.3
GTEX-S341-0626-SM-4AD5T 40-49 years, female 6.3
GTEX-SUCS-0926-SM-4DM4Z 70-79 years, male 6.3
GTEX-ZYVF-2726-SM-5GID4 50-59 years, female 6.3
GTEX-131XE-2226-SM-5PNYX 50-59 years, male 6.2
GTEX-14JG6-1226-SM-664O6 30-39 years, female 6.2
GTEX-1AMEY-1226-SM-731DU 30-39 years, female 6.2
GTEX-OHPK-1526-SM-3MJGM 50-59 years, female 6.2
GTEX-ZPIC-2026-SM-57WG3 40-49 years, female 6.2
GTEX-1ICG6-1826-SM-AHZ2O 70-79 years, female 6.2
GTEX-T6MO-0726-SM-4DM58 40-49 years, female 6.1
GTEX-1LVAN-2426-SM-CNNPZ 50-59 years, female 6.1
GTEX-1QMI2-2126-SM-DPRXQ 60-69 years, male 6.1
GTEX-144GM-1726-SM-5O9AS 20-29 years, male 6.0
GTEX-14BIL-1926-SM-73KYI 50-59 years, male 6.0
GTEX-14E6E-0926-SM-664N8 30-39 years, male 6.0
GTEX-S4Q7-0726-SM-4AD5F 20-29 years, male 6.0
GTEX-ZVZP-1726-SM-5GZWY 50-59 years, male 6.0
GTEX-1LVAM-1426-SM-E9TJ4 50-59 years, female 6.0
GTEX-OIZF-1526-SM-2I5GR 60-69 years, male 6.0
GTEX-1211K-1426-SM-5FQTF 60-69 years, female 5.9
GTEX-14B4R-0726-SM-5TDDR 30-39 years, male 5.9
GTEX-14DAR-0926-SM-73KUQ 50-59 years, male 5.9
GTEX-18D9B-2226-SM-718BM 60-69 years, male 5.9
GTEX-Y5LM-1326-SM-5RQIS 40-49 years, female 5.9
GTEX-13RTK-0226-SM-5RQHR 20-29 years, male 5.8
GTEX-V1D1-1726-SM-4JBHB 50-59 years, male 5.8
GTEX-WH7G-1526-SM-4LVMX 40-49 years, male 5.8
GTEX-XBEW-1826-SM-4RTWX 40-49 years, male 5.8
GTEX-ZE7O-3026-SM-51MS4 50-59 years, female 5.8
GTEX-ZVT2-1626-SM-51MRC 50-59 years, female 5.8
GTEX-1PPH8-1326-SM-DTXFO 20-29 years, male 5.8
GTEX-1QP28-2126-SM-DTX8B 50-59 years, female 5.8
GTEX-1S3DN-1526-SM-EVYCB 50-59 years, male 5.8
GTEX-O5YV-1926-SM-EV797 60-69 years, female 5.8
GTEX-111CU-0926-SM-5EGIK 50-59 years, male 5.7
GTEX-U3ZN-2026-SM-4DXUC 30-39 years, female 5.7
GTEX-1I1HK-2026-SM-CNNRB 60-69 years, male 5.7
GTEX-1J8JJ-1726-SM-C1YQG 60-69 years, female 5.7
GTEX-1NSGN-1926-SM-E9J36 50-59 years, male 5.7
GTEX-1122O-1926-SM-5EGIQ 60-69 years, female 5.6
GTEX-1339X-1426-SM-5K7YO 40-49 years, male 5.6
GTEX-139YR-1926-SM-5LZXM 50-59 years, male 5.6
GTEX-13OW6-2526-SM-5IJEC 50-59 years, male 5.6
GTEX-R53T-1226-SM-48FCT 50-59 years, female 5.6
GTEX-ZQUD-0826-SM-57WDQ 30-39 years, male 5.6
GTEX-1QP2A-2126-SM-DPRZ7 50-59 years, male 5.6
GTEX-11VI4-0326-SM-5EQ6L 40-49 years, female 5.5
GTEX-17KNJ-1526-SM-7LTA9 50-59 years, male 5.5
GTEX-1A3MX-1926-SM-72D7F 60-69 years, male 5.5
GTEX-UJMC-1226-SM-4IHLI 50-59 years, male 5.5
GTEX-ZEX8-1626-SM-4WKG7 50-59 years, male 5.5
GTEX-1EH9U-2226-SM-7PBXX 60-69 years, male 5.5
GTEX-1H11D-2226-SM-9OSXN 40-49 years, male 5.5
GTEX-12696-1726-SM-5EQLH 60-69 years, male 5.4
GTEX-14PJ4-1626-SM-664OB 60-69 years, male 5.4
GTEX-Y3I4-1626-SM-4TT7W 50-59 years, male 5.4
GTEX-ZF29-1526-SM-4WKF7 60-69 years, female 5.4
GTEX-ZZ64-0426-SM-5E43F 20-29 years, male 5.4
GTEX-1I1GT-1726-SM-C1YS3 60-69 years, female 5.4
GTEX-1J8QM-1126-SM-C1YQB 60-69 years, female 5.4
GTEX-1QCLZ-1826-SM-DPRXP 60-69 years, female 5.4
GTEX-1RB15-1026-SM-E9U6V 60-69 years, male 5.4
GTEX-QV44-1226-SM-CJI1S 50-59 years, male 5.4
GTEX-12WSJ-0926-SM-5P9JD 40-49 years, female 5.3
GTEX-1399U-1626-SM-5P9J3 50-59 years, female 5.3
GTEX-WRHK-0626-SM-4MVOE 20-29 years, female 5.3
GTEX-YJ8A-1526-SM-5P9FT 20-29 years, male 5.3
GTEX-111YS-1126-SM-5GZYQ 60-69 years, male 5.2
GTEX-SNOS-0826-SM-4DM5N 40-49 years, male 5.2
GTEX-WZTO-2126-SM-4PQYW 40-49 years, male 5.2
GTEX-1F5PK-1826-SM-7RHHX 50-59 years, male 5.2
GTEX-1J8Q3-1926-SM-C1YSJ 60-69 years, male 5.2
GTEX-1LG7Z-1226-SM-DHXK4 30-39 years, male 5.2
GTEX-17MF6-2126-SM-7KFS7 40-49 years, male 5.1
GTEX-145MO-2226-SM-5Q5BN 60-69 years, male 5.0
GTEX-NFK9-1526-SM-3LK7B 40-49 years, male 5.0
GTEX-QMRM-1126-SM-447BN 50-59 years, male 5.0
GTEX-ZT9W-1526-SM-4YCDE 50-59 years, male 5.0
GTEX-1H1E6-1626-SM-9OSWC 30-39 years, male 5.0
GTEX-1HR9M-2326-SM-CNPPZ 60-69 years, male 5.0
GTEX-1IL2V-2026-SM-ARZMA 70-79 years, male 5.0
GTEX-1B8KE-1326-SM-73KVI 50-59 years, male 4.9
GTEX-1GF9U-1126-SM-AHZ4H 40-49 years, female 4.9
GTEX-RM2N-0826-SM-48FD3 50-59 years, male 4.8
GTEX-S3XE-1026-SM-4AD4O 50-59 years, male 4.8
GTEX-RUSQ-1126-SM-EAZAU 50-59 years, male 4.8
GTEX-13S7M-1826-SM-5RQK6 60-69 years, female 4.7
GTEX-Y8E4-1526-SM-4WWDI 40-49 years, male 4.7
GTEX-1JN1M-2926-SM-CNNPJ 60-69 years, female 4.7
GTEX-1QPFJ-1526-SM-DPRXT 30-39 years, female 4.7
GTEX-11EM3-1026-SM-5A5KL 20-29 years, female 4.6
GTEX-13X6J-2126-SM-5TDCV 50-59 years, male 4.6
GTEX-XAJ8-0326-SM-47JYI 40-49 years, male 4.6
GTEX-QDT8-2026-SM-EZ6LS 30-39 years, female 4.6
GTEX-146FR-2026-SM-5NQAI 60-69 years, female 4.5
GTEX-1H1DE-1226-SM-9JGHH 20-29 years, male 4.5
GTEX-1I4MK-0926-SM-A9SLD 50-59 years, female 4.5
GTEX-14E1K-1526-SM-664MN 50-59 years, male 4.4
GTEX-14PHY-0926-SM-5ZZWL 60-69 years, female 4.4
GTEX-1CB4E-1326-SM-7DUGD 60-69 years, male 4.4
GTEX-T5JW-0926-SM-4DM5K 20-29 years, female 4.4
GTEX-1KD5A-1426-SM-D4P3V 50-59 years, male 4.4
GTEX-18A7A-2726-SM-7LG6U 50-59 years, female 4.3
GTEX-RTLS-2626-SM-46MUJ 60-69 years, female 4.3
GTEX-WYVS-1326-SM-4ONCQ 40-49 years, female 4.3
GTEX-1IDJF-1426-SM-ACKWK 20-29 years, male 4.3
GTEX-1LSNM-1026-SM-DHXL2 50-59 years, male 4.3
GTEX-14DAQ-2826-SM-664MU 60-69 years, female 4.2
GTEX-ZA64-0826-SM-5HL9U 20-29 years, male 4.2
GTEX-13X6H-1626-SM-5Q5CT 50-59 years, female 4.1
GTEX-17EUY-1526-SM-793CA 20-29 years, male 4.1
GTEX-PWCY-0926-SM-48TD7 20-29 years, female 4.1
GTEX-R55G-1126-SM-48FDG 40-49 years, female 4.1
GTEX-WFJO-1126-SM-4LVLZ 30-39 years, male 4.1
GTEX-13PVQ-2126-SM-5L3FW 50-59 years, male 4.0
GTEX-1HSEH-1526-SM-B2LXG 60-69 years, male 4.0
GTEX-1QP29-2326-SM-EXOJO 50-59 years, male 4.0
GTEX-13OVI-2426-SM-5KM4J 60-69 years, female 3.9
GTEX-S4Z8-1226-SM-4AD6W 60-69 years, male 3.9
GTEX-1JMPZ-1826-SM-CXZJT 30-39 years, male 3.9
GTEX-11EI6-2426-SM-5PNVS 60-69 years, male 3.8
GTEX-RU1J-0526-SM-46MUT 20-29 years, female 3.8
GTEX-12WSD-2326-SM-59HKQ 60-69 years, female 3.7
GTEX-1AYCT-1326-SM-7MKHB 50-59 years, male 3.7
GTEX-PLZ6-0826-SM-3P61K 30-39 years, male 3.7
GTEX-TKQ2-0926-SM-4DXU5 50-59 years, male 3.7
GTEX-ZV6S-0926-SM-57WGB 40-49 years, female 3.7
GTEX-1L5NE-1526-SM-DIPFW 50-59 years, male 3.7
GTEX-1PIGE-1126-SM-EWRMV 20-29 years, male 3.7
GTEX-12C56-0526-SM-5FQST 20-29 years, male 3.6
GTEX-14PN3-1326-SM-6AJ9U 60-69 years, female 3.6
GTEX-12WSK-1426-SM-5CVNN 40-49 years, female 3.5
GTEX-17JCI-2226-SM-7LTA1 60-69 years, female 3.5
GTEX-1N2DV-0926-SM-E9TJT 40-49 years, male 3.5
GTEX-13PVR-2126-SM-73KVR 60-69 years, female 3.4
GTEX-13QBU-1126-SM-5LU44 40-49 years, female 3.4
GTEX-1B8L1-1526-SM-79OLK 60-69 years, male 3.4
GTEX-S4P3-0726-SM-4AD57 50-59 years, female 3.4
GTEX-XPVG-1526-SM-4B66C 50-59 years, male 3.4
GTEX-ZTX8-0426-SM-59HLG 20-29 years, male 3.4
GTEX-1HCUA-1626-SM-A9SMG 50-59 years, female 3.4
GTEX-1S831-1126-SM-EWROI 20-29 years, male 3.4
GTEX-OIZH-1526-SM-3NB1J 50-59 years, male 3.3
GTEX-P4QT-1526-SM-3NMCT 50-59 years, female 3.3
GTEX-UJHI-1026-SM-4IHJP 50-59 years, female 3.3
GTEX-Y114-1226-SM-4TT88 50-59 years, female 3.3
GTEX-1HBPI-0726-SM-9WG7Z 50-59 years, male 3.3
GTEX-1HSMQ-2426-SM-CE6RY 50-59 years, male 3.3
GTEX-1GMRU-2526-SM-9WG7T 50-59 years, male 3.2
GTEX-145LT-1426-SM-5O9B3 40-49 years, male 3.1
GTEX-15EU6-2526-SM-7KUGB 50-59 years, male 3.1
GTEX-W5WG-1726-SM-4LMI5 50-59 years, female 3.1
GTEX-WEY5-1226-SM-4LMIQ 40-49 years, female 3.1
GTEX-YEC3-1426-SM-D4P1S 50-59 years, male 3.1
GTEX-117YW-2226-SM-5N9DB 50-59 years, male 3.0
GTEX-11NUK-2426-SM-5BC4U 50-59 years, male 3.0
GTEX-11WQK-2626-SM-5EQ4K 50-59 years, male 3.0
GTEX-ZYY3-1726-SM-5EGH3 60-69 years, female 3.0
GTEX-1JN76-0926-SM-ARZNH 20-29 years, female 3.0
GTEX-1RQEC-2126-SM-DPS15 60-69 years, male 3.0
GTEX-11P7K-1726-SM-5GU6F 30-39 years, male 2.9
GTEX-13O3Q-2126-SM-5KM4C 50-59 years, male 2.9
GTEX-R55D-1526-SM-48FEJ 50-59 years, male 2.9
GTEX-11GSP-2126-SM-5HL5E 60-69 years, female 2.8
GTEX-QXCU-1926-SM-48FE4 50-59 years, male 2.8
GTEX-1AX9J-2626-SM-731EK 60-69 years, male 2.7
GTEX-1QW4Y-0726-SM-DTX8E 30-39 years, male 2.7
GTEX-1C475-1026-SM-7MKFJ 40-49 years, female 2.6
GTEX-1GPI7-1326-SM-9KNVA 20-29 years, male 2.5
GTEX-13111-1226-SM-5GCNC 50-59 years, male 2.4
GTEX-1S82Z-1726-SM-E6CHZ 30-39 years, female 2.4
GTEX-1JMLX-2426-SM-CXZJQ 50-59 years, male 2.3
GTEX-14PKU-1126-SM-69LOU 40-49 years, female 2.0
GTEX-TKQ1-0526-SM-4DXTG 30-39 years, male 2.0
GTEX-11P82-0726-SM-5PNYL 20-29 years, male 1.9
GTEX-13N1W-2026-SM-5K7YU 70-79 years, male 1.9
GTEX-R55C-1026-SM-48FCM 40-49 years, male 1.9
GTEX-11EQ9-1226-SM-5987E 30-39 years, male 1.8
GTEX-1JMPY-0926-SM-ARL92 30-39 years, male 1.1
Show allShow less

Contact

  • NEWS ARTICLES
  • PRESS ROOM

The Project

  • INTRODUCTION
  • ORGANIZATION
  • PUBLICATIONS

The Human Protein Atlas

  • DOWNLOADABLE DATA
  • LICENCE & CITATION
  • HELP & FAQ
The Human Protein Atlas project is funded
by the Knut & Alice Wallenberg Foundation.


contact@proteinatlas.org