We use cookies to enhance the usability of our website. If you continue, we'll assume that you are happy to receive all cookies. More information. Don't show this again.
HBP1
HPA
RESOURCES
  • TISSUE
  • BRAIN
  • SINGLE CELL
  • SUBCELLULAR
  • CANCER
  • BLOOD
  • CELL LINE
  • STRUCTURE & INTERACTION
ABOUT
  • INTRODUCTION
  • HISTORY
  • ORGANIZATION
  • PUBLICATIONS
  • ANTIBODY SUBMISSION
  • ANTIBODY AVAILABILITY
  • ACKNOWLEDGMENTS
  • CONTACT
NEWS
  • NEWS ARTICLES
  • PRESS ROOM
LEARN
  • DICTIONARY
  • PROTEIN CLASSES
  • PROTEIN EVIDENCE
  • METHODS
  • EDUCATIONAL VIDEOS
DATA
  • DOWNLOADABLE DATA
  • PUBLICATION DATA
  • RELEASE HISTORY
HELP
  • ANTIBODY VALIDATION
  • ASSAYS & ANNOTATION
  • DISCLAIMER
  • HELP & FAQ
  • PRIVACY STATEMENT
  • LICENCE & CITATION
Fields »
Search result

Field
Term
Gene name
Class
Subclass
Class
Keyword
Chromosome
External id
Tissue
Cell type
Expression
Antibody panel
Tissue
Main location
Patient ID
Annotation
Tissue
Category
Tau score
Cluster
Reliability
Brain region
Category
Tau score
Brain region
Category
Tau score
Brain region
Category
Tau score
Cluster
Reliability
Tissue
Cell type
Enrichment
Cell type
Category
Tau score
Cell type
Category
Tau score
Cell type
Category
Tau score
Cell lineage
Category
Tau score
Cluster
Cluster
Location
Searches
Location
Cell line
Class
Type
Phase
Reliability
Cancer
Prognosis
Cancer
Category
Cancer
Category
Tau score
Cluster
Variants
Interacting gene (ensg_id)
Type
Number of interactions
Pathway
Category
Score
Score
Score
Validation
Validation
Validation
Validation
Antibodies
Data type
Column


  • SUMMARY

  • TISSUE

  • BRAIN

  • SINGLE CELL

  • SUBCELL

  • CANCER

  • BLOOD

  • CELL LINE

  • STRUCT & INT

  • HBP1
TISSUE PRIMARY DATA SKIN 1 Show tissue menu
ADIPOSE TISSUE ADRENAL GLAND AMYGDALA APPENDIX BASAL GANGLIA BONE MARROW BREAST BRONCHUS CEREBELLUM CEREBRAL CORTEX CERVIX CHOROID PLEXUS COLON DUODENUM
ENDOMETRIUM EPIDIDYMIS ESOPHAGUS FALLOPIAN TUBE GALLBLADDER HEART MUSCLE HIPPOCAMPAL FORMATION HYPOTHALAMUS KIDNEY LIVER LUNG LYMPH NODE MIDBRAIN NASOPHARYNX
ORAL MUCOSA OVARY PANCREAS PARATHYROID GLAND PITUITARY GLAND PLACENTA PROSTATE RECTUM RETINA SALIVARY GLAND SEMINAL VESICLE SKELETAL MUSCLE SKIN SMALL INTESTINE
SMOOTH MUSCLE SOFT TISSUE SPINAL CORD SPLEEN STOMACH TESTIS THYMUS THYROID GLAND TONGUE TONSIL URINARY BLADDER VAGINA
ANTIBODIES
AND
VALIDATION
Dictionary
Skin
Tissue proteome
SKIN - Expression summary
Protein expression
Skini

On the top, protein expression in current human tissue, based on all annotated cell types, is reported with the units not detected (n), low (l), medium (m) and high (h). Underneath, protein expression in each annotated cell type are reported using the same units.

Protein expression data is based on knowledge-based annotation. For genes where more than one antibody has been used, a collective score is set.

If knowledge-based annotation could not be performed for a gene, no data is displayed here. View antibody staining data further down this page.

h
m
l
n
Epidermal cells: High
Fibroblasts: Medium
Keratinocytes: High
Langerhans: Medium
Melanocytes: High
RNA expressioni

A summary of mRNA expression data available for current tissue based on several datasets. The mRNA expression levels in human tissues are based on RNA-seq data generated by the Human Protein Atlas (HPA), Genotype-Tissue Expression (GTEx) portal and CAGE data generated by the FANTOM5 consortium. Consensus normalized expression levels for human tissues was created by combining the data from HPA and GTEx datasets.

The mRNA expression levels in pig are based on RNA-seq data generated by the Human Protein Atlas (HPA), and for mouse, HPA data and in situ hybridization generated by the Allen brain atlas are reported.

Scroll down to view mRNA expression data in more detail.
Consensus:68.6 nTPM
HPA:20.9 nTPM
GTEx:68.6 nTPM

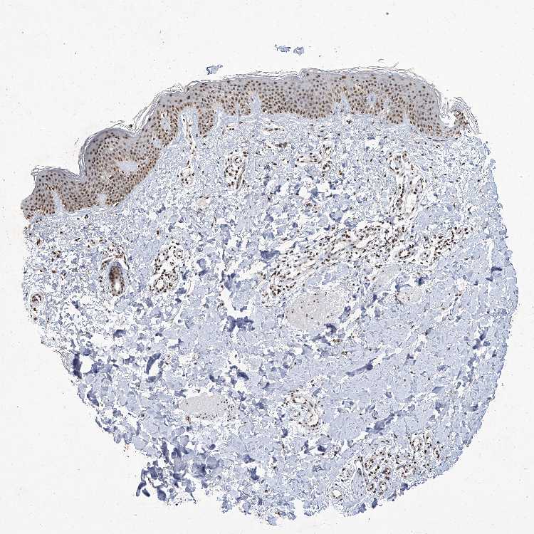
SKIN 1 - Antibody stainingi

Antibody staining in the annotated cell types in the current human tissue is reported as not detected, low, medium, or high, based on conventional immunohistochemistry profiling in selected tissues. This score is based on the combination of the staining intensity and fraction of stained cells.

Each image is clickable and will lead to virtual microscopy that enables deeper exploration of all samples and also displays staining intensity scores, fraction scores and subcellular localization as well as patient and tissue information for each sample.

Antibody CAB032824
Langerhans Medium
Fibroblasts Medium
Keratinocytes High
Melanocytes High


SKIN 2 - Antibody stainingi

Antibody staining in the annotated cell types in the current human tissue is reported as not detected, low, medium, or high, based on conventional immunohistochemistry profiling in selected tissues. This score is based on the combination of the staining intensity and fraction of stained cells.

Each image is clickable and will lead to virtual microscopy that enables deeper exploration of all samples and also displays staining intensity scores, fraction scores and subcellular localization as well as patient and tissue information for each sample.

Antibody CAB032824
Epidermal cells High
 
 
 


SKIN - HPA RNA-seqi

The RNA-seq details section shows detailed information about the individual samples used for the transcript profiling and results of the RNA-seq analysis.

Information about each individual sample is listed below, including gender, age, a tissue section image and estimated fractions of cell types. nTPM (normalized transcripts per million) values give a quantification of the gene abundance which is comparable between different genes and samples.
Average nTPMi

Max subtype nTPM is the value for the subtype with the largest average nTPM across the subtype samples.

20.9
overview
Female, age 34
Skin sample 225
nTPM: 22
Cell types%
Keratinocytes:
60

Other cell types:
40

overview
Female, age 30
Skin sample 226
nTPM: 26.5
Cell types%
Keratinocytes:
55

Other cell types:
45

N/A
Male, age 57
Skin sample 227
nTPM: 14.3

SKIN - GTEx RNA-seqi

RNA-Seq data generated by the Genotype-Tissue Expression (GTEx) project from human tissues is reported as mean nTPM. More information can be found on the GTEx portal.

Distribution across the dataset is visualized with box plots, shown as median and 25th and 75th percentiles. Points are displayed as outliers if they are above or below 1.5 times the interquartile range. nTPM values of the individual samples are presented next to the box plot.
Max subtype nTPMi

Max subtype nTPM is the value for the subtype with the largest average nTPM across the subtype samples.

68.6
GTEx sample id Sample description nTPM
Skin - Not Sun Exposed (Suprapubic)
Average nTPM: 63.0
Samples: 604

Max nTPM: 152.2
Min nTPM: 16.8
Std nTPM: 18.4
Median nTPM: 60.0
GTEX-1F6RS-2026-SM-7RHHC 60-69 years, female 152.2
GTEX-15UF6-1926-SM-7KUDV 70-79 years, female 138.5
GTEX-1J8Q2-2626-SM-ACKWQ 60-69 years, male 124.3
GTEX-13PDP-0726-SM-5L3HP 60-69 years, male 121.0
GTEX-1NV5F-0626-SM-DTXEG 60-69 years, female 120.4
GTEX-148VJ-0626-SM-5LUAW 70-79 years, male 119.6
GTEX-1R46S-2426-SM-E76QA 60-69 years, female 110.9
GTEX-WYBS-0626-SM-3NMAS 60-69 years, female 110.6
GTEX-ZYY3-2926-SM-5GIEB 60-69 years, female 109.6
GTEX-13YAN-0226-SM-5TDC6 60-69 years, male 107.7
GTEX-139UW-0326-SM-5J1ML 60-69 years, male 106.8
GTEX-1IE54-1126-SM-A9G2Z 40-49 years, female 106.5
GTEX-13QJC-0126-SM-5ZZWJ 60-69 years, female 105.7
GTEX-1S5ZU-2526-SM-E6CIF 20-29 years, female 103.9
GTEX-1IDFM-0326-SM-ARL7V 60-69 years, male 103.4
GTEX-ZVT4-2426-SM-5GIEI 50-59 years, female 103.0
GTEX-13NZ8-1226-SM-5KM4A 60-69 years, female 102.7
GTEX-14C39-1726-SM-5RQIL 40-49 years, male 102.7
GTEX-15SKB-2826-SM-6PAMH 60-69 years, male 102.5
GTEX-1CB4H-1126-SM-7MKGL 60-69 years, female 102.2
GTEX-13IVO-0726-SM-5LZYV 70-79 years, male 101.7
GTEX-1JMPY-0226-SM-CKZOK 30-39 years, male 101.7
GTEX-1PDJ9-1226-SM-EXUSX 20-29 years, male 101.7
GTEX-14PJ5-1526-SM-6LLIL 60-69 years, female 101.6
GTEX-XQ8I-0926-SM-4BOOF 50-59 years, male 101.5
GTEX-1AMFI-1326-SM-7939R 50-59 years, female 100.3
GTEX-1122O-1026-SM-9WYSF 60-69 years, female 99.8
GTEX-1399U-1126-SM-5L3DB 50-59 years, female 98.8
GTEX-1GMR8-0626-SM-7RHI7 50-59 years, female 98.7
GTEX-12ZZZ-0726-SM-5GCNZ 60-69 years, male 98.6
GTEX-131XF-2626-SM-5EQ6K 60-69 years, male 98.6
GTEX-145MI-0626-SM-5SI8S 60-69 years, female 98.3
GTEX-13PL6-1126-SM-5L3IE 40-49 years, female 98.1
GTEX-1GZ4H-0526-SM-9KNU9 50-59 years, female 98.0
GTEX-13OW5-2326-SM-5L3HO 60-69 years, male 97.6
GTEX-1I1GS-2626-SM-B2LY3 60-69 years, male 96.9
GTEX-14PJN-1826-SM-6AJ98 30-39 years, male 96.2
GTEX-1JJ6O-2726-SM-CNPOG 60-69 years, male 95.5
GTEX-12WSL-2026-SM-5GCML 50-59 years, male 94.8
GTEX-12WSM-1926-SM-5BC65 60-69 years, male 94.7
GTEX-1F75B-0726-SM-7PC3R 50-59 years, male 94.0
GTEX-1GF9W-1426-SM-7PBYM 60-69 years, male 93.4
GTEX-16AAH-0626-SM-793C9 50-59 years, male 93.0
GTEX-1HCU7-0726-SM-A9SL1 50-59 years, male 92.6
GTEX-WY7C-2126-SM-3NB2R 50-59 years, male 92.3
GTEX-1HSMQ-2626-SM-A9SML 50-59 years, male 92.3
GTEX-1497J-0226-SM-5QGPU 60-69 years, male 92.0
GTEX-13113-1626-SM-5EQ4I 60-69 years, female 91.8
GTEX-1I1GU-0926-SM-ACKVS 40-49 years, male 91.6
GTEX-14PJ4-0226-SM-5YY92 60-69 years, male 91.4
GTEX-11EQ8-0926-SM-5H12V 60-69 years, male 90.9
GTEX-147F3-1726-SM-5SIAW 50-59 years, female 90.9
GTEX-1GN1U-0626-SM-9MQL9 50-59 years, female 90.7
GTEX-1PBJJ-1026-SM-E76OS 30-39 years, male 90.3
GTEX-1F52S-2926-SM-7MKGA 60-69 years, female 90.0
GTEX-17F9Y-0126-SM-79OKX 70-79 years, female 89.8
GTEX-1CB4J-1326-SM-7P8RX 60-69 years, male 89.5
GTEX-1HSGN-0826-SM-ACKW3 40-49 years, female 89.4
GTEX-1IDJU-1726-SM-CMKHU 60-69 years, female 89.2
GTEX-1H3VE-0726-SM-9YFL5 40-49 years, male 89.0
GTEX-1IKJJ-2226-SM-CJI4C 60-69 years, male 88.9
GTEX-145ME-1726-SM-5Q5EU 40-49 years, female 88.8
GTEX-1F5PL-0926-SM-7PC2W 40-49 years, female 88.8
GTEX-13X6H-0926-SM-5SIB2 50-59 years, female 88.7
GTEX-13D11-0926-SM-5J2NC 50-59 years, female 88.4
GTEX-ZVZP-1226-SM-5GID7 50-59 years, male 88.4
GTEX-1LGRB-0926-SM-COH3K 50-59 years, female 88.1
GTEX-1HCVE-2726-SM-CL54F 50-59 years, male 88.0
GTEX-1HBPM-0726-SM-9YFL7 60-69 years, female 87.9
GTEX-111YS-1526-SM-5GZYW 60-69 years, male 87.7
GTEX-1QPFJ-1926-SM-EVYBD 30-39 years, female 87.5
GTEX-14C5O-0326-SM-5ZZUX 60-69 years, male 86.7
GTEX-1J1OQ-0126-SM-D4P2N 40-49 years, female 86.7
GTEX-ZVT2-0126-SM-5GIDQ 50-59 years, female 86.6
GTEX-1QP28-1126-SM-EVYC4 50-59 years, female 86.5
GTEX-13OVJ-0826-SM-5J1OK 50-59 years, female 86.3
GTEX-1I1GT-1026-SM-ARZLV 60-69 years, female 86.3
GTEX-1HGF4-0126-SM-CNPPX 60-69 years, male 85.7
GTEX-1EMGI-2326-SM-7PBYA 60-69 years, male 85.5
GTEX-13N1W-2426-SM-5IJD1 70-79 years, male 85.2
GTEX-ZGAY-1826-SM-DO91Q 40-49 years, female 85.1
GTEX-13SLW-0626-SM-5Q5ER 70-79 years, male 84.8
GTEX-1S83E-1326-SM-E6CJM 40-49 years, male 84.7
GTEX-ZTTD-2826-SM-4YCFA 50-59 years, male 84.4
GTEX-13O61-1426-SM-5KM3D 60-69 years, male 84.3
GTEX-15EO6-2426-SM-6PALZ 50-59 years, male 84.1
GTEX-1HFI7-2326-SM-CGQFS 50-59 years, female 84.1
GTEX-ZVE2-2826-SM-5GU51 50-59 years, male 84.0
GTEX-ZTX8-1326-SM-4YCEL 20-29 years, male 83.9
GTEX-1EH9U-2826-SM-7DUGT 60-69 years, male 83.5
GTEX-1HSMO-0626-SM-ACKXC 60-69 years, male 83.2
GTEX-1QP2A-1726-SM-E76QC 50-59 years, male 82.6
GTEX-1F88E-1626-SM-7SB8Z 60-69 years, female 82.4
GTEX-X8HC-0626-SM-4E3HQ 50-59 years, female 81.9
GTEX-1269C-0126-SM-5EQ5L 60-69 years, female 81.8
GTEX-1PPH7-1126-SM-DTX9A 40-49 years, male 81.8
GTEX-18D9A-1426-SM-7LT8M 30-39 years, female 81.7
GTEX-1M4P7-0726-SM-E6CJ3 60-69 years, male 81.4
GTEX-139D8-1126-SM-5LU8W 30-39 years, female 81.2
GTEX-14ICL-1626-SM-5YYAO 30-39 years, male 81.1
GTEX-1GL5R-1326-SM-7RHHF 50-59 years, male 81.1
GTEX-ZAJG-1526-SM-5CVML 50-59 years, female 80.6
GTEX-1HR9M-2226-SM-CNPPY 60-69 years, male 80.6
GTEX-XBED-1926-SM-47JYP 60-69 years, male 80.2
GTEX-WHSB-1326-SM-3LK6W 50-59 years, male 79.5
GTEX-1C64N-2626-SM-7PC2N 50-59 years, male 79.4
GTEX-1HB9E-0126-SM-CM2S5 50-59 years, male 79.2
GTEX-1F48J-0726-SM-7RHGS 50-59 years, female 79.0
GTEX-1LKK1-2626-SM-DKPQE 50-59 years, female 79.0
GTEX-1A8G7-1326-SM-73KVM 60-69 years, male 78.8
GTEX-13PVR-0426-SM-5RQK2 60-69 years, female 78.6
GTEX-14JG6-1426-SM-9WG7C 30-39 years, female 78.6
GTEX-16XZZ-0726-SM-7KUF2 60-69 years, male 78.3
GTEX-1CAMS-2226-SM-7PBXQ 40-49 years, female 78.3
GTEX-14753-0726-SM-5QGQO 60-69 years, male 78.0
GTEX-11ZU8-0126-SM-5EQ58 60-69 years, male 77.9
GTEX-14PII-0726-SM-6EU2B 60-69 years, male 77.9
GTEX-15ER7-0626-SM-6PANF 20-29 years, female 77.8
GTEX-13VXT-1926-SM-5K7UO 20-29 years, female 77.7
GTEX-11DXY-0126-SM-5H11Q 60-69 years, male 77.4
GTEX-1J1R8-2026-SM-CL53Y 40-49 years, male 77.3
GTEX-11P82-1426-SM-DTXFY 20-29 years, male 77.0
GTEX-1J8Q3-0526-SM-ARL8U 60-69 years, male 76.8
GTEX-1R9K4-2826-SM-DTX8F 60-69 years, male 76.8
GTEX-1S3DN-2126-SM-E9TIN 50-59 years, male 76.8
GTEX-ZF3C-0626-SM-DO92O 50-59 years, female 76.5
GTEX-1AMEY-0826-SM-72D65 30-39 years, female 76.0
GTEX-ZAB4-2126-SM-5HL8U 40-49 years, male 75.7
GTEX-1GN73-0726-SM-7P8TJ 60-69 years, male 75.6
GTEX-1KAFJ-0126-SM-DIPEK 50-59 years, male 75.6
GTEX-ZZ64-1026-SM-5GZXG 20-29 years, male 75.4
GTEX-1HSKV-1226-SM-ADEI4 60-69 years, male 75.4
GTEX-1477Z-0326-SM-7IGLA 60-69 years, male 75.0
GTEX-13FTW-0326-SM-5K7UW 40-49 years, male 74.5
GTEX-1RLM8-2926-SM-E8VON 50-59 years, male 74.2
GTEX-Y9LG-1126-SM-4VBQ7 30-39 years, male 74.1
GTEX-139T8-0626-SM-5KLZX 60-69 years, male 74.0
GTEX-15DYW-2726-SM-6EU2I 60-69 years, female 74.0
GTEX-1A32A-0626-SM-731AQ 50-59 years, female 73.9
GTEX-1C6VQ-1226-SM-73KYD 50-59 years, male 73.9
GTEX-1JN6P-2926-SM-CL54D 60-69 years, male 73.9
GTEX-18D9U-0126-SM-731BM 40-49 years, male 73.7
GTEX-1N2DV-1526-SM-DTXEP 40-49 years, male 73.7
GTEX-11TUW-0626-SM-5LU9M 60-69 years, male 73.6
GTEX-1GN1W-2426-SM-9KNUU 50-59 years, female 73.6
GTEX-1KXAM-1626-SM-D3LAD 60-69 years, male 73.6
GTEX-17HII-1426-SM-7EPGG 50-59 years, male 73.4
GTEX-X4EO-2926-SM-4E3JH 60-69 years, female 73.4
GTEX-1F5PK-2226-SM-7SB6N 50-59 years, male 73.4
GTEX-1HKZK-0726-SM-ACKW2 40-49 years, male 73.4
GTEX-1I1GV-0626-SM-ARL7M 60-69 years, male 73.4
GTEX-ZA64-1026-SM-5HL8R 20-29 years, male 73.2
GTEX-1B97I-0626-SM-73KUZ 40-49 years, male 73.1
GTEX-12C56-1526-SM-5FQUQ 20-29 years, male 73.0
GTEX-1K2DU-1226-SM-CYPT4 20-29 years, male 73.0
GTEX-1GN1V-2826-SM-9JGIA 60-69 years, male 72.9
GTEX-1HCUA-0826-SM-ADEHM 50-59 years, female 72.8
GTEX-1R7EU-1626-SM-DTXG3 60-69 years, male 72.8
GTEX-1192X-2726-SM-5N9DN 50-59 years, male 72.6
GTEX-16BQI-1326-SM-6M486 30-39 years, female 72.5
GTEX-1GF9V-0826-SM-9KNUV 60-69 years, male 72.4
GTEX-145LS-0626-SM-7EPG7 60-69 years, female 72.3
GTEX-13FHO-0426-SM-5L3F5 60-69 years, male 72.2
GTEX-1GMRU-2126-SM-7P8RA 50-59 years, male 72.1
GTEX-ZF29-0926-SM-4WKFZ 60-69 years, female 72.0
GTEX-1HBPN-0126-SM-CGQEF 50-59 years, male 71.7
GTEX-1N2EE-0626-SM-E76PW 60-69 years, male 71.5
GTEX-XUW1-0926-SM-4BONX 50-59 years, female 71.4
GTEX-14PKU-0126-SM-6LLHV 40-49 years, female 71.3
GTEX-1H1DF-1126-SM-9WG7G 40-49 years, female 71.3
GTEX-14LLW-2626-SM-62LDZ 70-79 years, female 71.1
GTEX-1I1CD-0626-SM-CE6SW 60-69 years, female 70.7
GTEX-147JS-0226-SM-5S2U9 60-69 years, male 70.6
GTEX-XMD2-2126-SM-4YCF8 60-69 years, female 70.6
GTEX-1314G-1326-SM-5BC6E 30-39 years, male 70.3
GTEX-1OJC3-1226-SM-DTXER 20-29 years, male 70.2
GTEX-13FTX-1526-SM-5K7VJ 20-29 years, female 70.1
GTEX-1A3MV-1826-SM-731CD 30-39 years, male 70.0
GTEX-1GF9X-1326-SM-7PC2Y 40-49 years, female 69.7
GTEX-1211K-1526-SM-5FQU4 60-69 years, female 69.6
GTEX-14B4R-1326-SM-5Q5EZ 30-39 years, male 69.6
GTEX-ZC5H-1526-SM-5HL9Y 40-49 years, female 69.6
GTEX-144GM-0526-SM-79OJO 20-29 years, male 69.4
GTEX-1GPI6-1926-SM-9KNV7 60-69 years, male 69.3
GTEX-1JJE9-2626-SM-ARZMT 70-79 years, male 69.3
GTEX-14DAR-1226-SM-73KYV 50-59 years, male 69.0
GTEX-15EU6-2226-SM-6EU2L 50-59 years, male 68.3
GTEX-1LGOU-1326-SM-D3L8M 20-29 years, female 68.3
GTEX-11P81-2226-SM-5PNYI 30-39 years, female 68.2
GTEX-15DDE-2926-SM-6LLJ3 50-59 years, female 68.1
GTEX-1B996-0426-SM-7EWF8 60-69 years, male 68.1
GTEX-ZLWG-0826-SM-59888 50-59 years, female 68.1
GTEX-ZXG5-2126-SM-59HKD 60-69 years, male 68.1
GTEX-1ICLY-0826-SM-CMKG1 50-59 years, male 68.1
GTEX-UPJH-0226-SM-3GADV 50-59 years, male 67.8
GTEX-1B8L1-2226-SM-7P8PT 60-69 years, male 67.8
GTEX-133LE-2326-SM-5K7W3 20-29 years, female 67.5
GTEX-WXYG-2026-SM-4E3IY 50-59 years, female 67.5
GTEX-1CAMQ-1326-SM-7P8RV 40-49 years, male 67.5
GTEX-1JK1U-0226-SM-ARZMX 60-69 years, male 67.5
GTEX-15RJE-2826-SM-7KUM9 40-49 years, male 67.3
GTEX-1NSGN-0726-SM-DTXEF 50-59 years, male 67.2
GTEX-111CU-1126-SM-5EGIM 50-59 years, male 67.1
GTEX-Y8LW-1526-SM-5IFHL 50-59 years, female 67.0
GTEX-1GTWX-2026-SM-9YFLM 60-69 years, male 67.0
GTEX-ZE7O-2726-SM-51MT5 50-59 years, female 66.9
GTEX-ZT9W-1126-SM-57WDR 50-59 years, male 66.8
GTEX-12KS4-2126-SM-5FQUT 30-39 years, male 66.7
GTEX-13X6I-1826-SM-5SIAO 60-69 years, male 66.6
GTEX-17EVP-2626-SM-7IGMA 40-49 years, male 66.6
GTEX-117YX-1926-SM-5GIEC 50-59 years, male 66.4
GTEX-13NYS-0626-SM-5L3F1 60-69 years, male 66.4
GTEX-1HUB1-1426-SM-CGQF5 60-69 years, male 66.2
GTEX-1JMQJ-0826-SM-CNPP7 50-59 years, male 66.2
GTEX-ZLV1-1526-SM-DO91J 60-69 years, female 66.2
GTEX-15FZZ-0526-SM-7KUGD 30-39 years, female 66.1
GTEX-14JFF-0626-SM-5ZZVT 60-69 years, male 65.9
GTEX-1IDJF-2026-SM-CL53V 20-29 years, male 65.9
GTEX-1MCYP-0526-SM-E9U6Q 20-29 years, female 65.6
GTEX-131XW-0626-SM-5PNVD 50-59 years, female 65.5
GTEX-13PVQ-0626-SM-5LU47 50-59 years, male 65.4
GTEX-13X6K-0626-SM-5LU5D 60-69 years, female 65.4
GTEX-1B933-2426-SM-7DHMD 50-59 years, female 65.4
GTEX-1JMOU-1026-SM-CYPSS 60-69 years, female 65.4
GTEX-1C2JI-1026-SM-73KY1 50-59 years, male 65.3
GTEX-1EKGG-0626-SM-7DUGJ 60-69 years, male 65.2
GTEX-1JMPZ-0726-SM-CY8HZ 30-39 years, male 65.2
GTEX-14PHX-2226-SM-6EU2P 50-59 years, male 65.1
GTEX-1GN2E-0226-SM-9WG6K 60-69 years, male 65.0
GTEX-14E1K-2026-SM-7DUEI 50-59 years, male 64.9
GTEX-1RAZS-2526-SM-E6CHT 50-59 years, male 64.9
GTEX-ZDYS-2426-SM-4WKGI 50-59 years, male 64.8
GTEX-13QBU-1226-SM-5LU4G 40-49 years, female 64.7
GTEX-Y3I4-1726-SM-4TT89 50-59 years, male 64.7
GTEX-1C6WA-2626-SM-7MKGM 60-69 years, male 64.4
GTEX-1117F-2926-SM-5GZYI 60-69 years, female 64.2
GTEX-12ZZY-0726-SM-5EQ66 60-69 years, male 64.2
GTEX-13RTJ-0126-SM-5S2NN 60-69 years, male 64.2
GTEX-16MT8-2926-SM-7DUFO 60-69 years, female 64.2
GTEX-YECK-0326-SM-4W1YS 60-69 years, male 64.2
GTEX-1QP9N-1226-SM-E76QN 30-39 years, male 64.0
GTEX-14C38-0726-SM-5SI6M 50-59 years, male 63.9
GTEX-ZDTT-0426-SM-4WKFL 60-69 years, male 63.9
GTEX-ZE9C-2526-SM-5IJDR 60-69 years, male 63.9
GTEX-1J8QM-2426-SM-A9SLS 60-69 years, female 63.9
GTEX-17F98-1326-SM-7DUEP 40-49 years, female 63.8
GTEX-XAJ8-1426-SM-47JYM 40-49 years, male 63.8
GTEX-1AX9I-2226-SM-73KUO 60-69 years, male 63.7
GTEX-1HCU6-2526-SM-ADEHL 60-69 years, female 63.7
GTEX-11P7K-1126-SM-5HL4L 30-39 years, male 63.6
GTEX-1MJK3-0726-SM-E6CJC 20-29 years, male 63.5
GTEX-11LCK-2226-SM-5HL4Q 30-39 years, male 63.4
GTEX-17HHE-1326-SM-7EWDZ 50-59 years, male 63.4
GTEX-Y5V5-0126-SM-5S2NW 60-69 years, female 63.4
GTEX-1C475-1326-SM-7SB73 40-49 years, female 63.4
GTEX-1F75I-2226-SM-7SB8U 40-49 years, male 63.2
GTEX-1IKOE-1426-SM-CE6T7 30-39 years, female 63.2
GTEX-1A8FM-0626-SM-7PC25 50-59 years, female 63.1
GTEX-1H2FU-0926-SM-9WPPT 60-69 years, female 63.1
GTEX-14DAQ-0626-SM-793DS 60-69 years, female 63.0
GTEX-1LB8K-0726-SM-D5OV2 50-59 years, male 63.0
GTEX-WEY5-2326-SM-3GIKK 40-49 years, female 62.9
GTEX-14A6H-2026-SM-5Q5DD 30-39 years, male 62.7
GTEX-1LVAM-0726-SM-E6CIL 50-59 years, female 62.7
GTEX-14BIN-1126-SM-5RQJZ 50-59 years, female 62.3
GTEX-1RMOY-1326-SM-E9TIH 50-59 years, male 62.0
GTEX-XK95-0226-SM-4AT58 40-49 years, male 61.9
GTEX-1RB15-1326-SM-E76Q9 60-69 years, male 61.9
GTEX-Y114-2126-SM-4TT8B 50-59 years, female 61.8
GTEX-ZYFG-1526-SM-5GZYM 60-69 years, female 61.8
GTEX-1MCC2-1826-SM-DIPEX 30-39 years, female 61.8
GTEX-13OVH-0526-SM-5L3E6 70-79 years, male 61.6
GTEX-1JKYR-0626-SM-ARL8R 20-29 years, male 61.6
GTEX-1EX96-1026-SM-7MKG2 50-59 years, male 61.5
GTEX-12WSK-2126-SM-5CVNC 40-49 years, female 61.4
GTEX-18QFQ-1826-SM-72D52 30-39 years, male 61.4
GTEX-WFG7-2026-SM-5SI7P 20-29 years, male 61.4
GTEX-1IDJH-0126-SM-D3L92 70-79 years, male 61.4
GTEX-1IDJV-0126-SM-COH3Y 60-69 years, male 61.4
GTEX-XBEW-1126-SM-4QARW 40-49 years, male 61.1
GTEX-1LG7Y-2526-SM-EWRO7 50-59 years, male 61.1
GTEX-X5EB-1926-SM-4E3IW 40-49 years, male 60.9
GTEX-1GMR3-0126-SM-A9SLW 40-49 years, male 60.9
GTEX-12696-0126-SM-5EQ4L 60-69 years, male 60.8
GTEX-14PJ3-1126-SM-5ZZVX 50-59 years, male 60.8
GTEX-U8XE-0226-SM-4E3J3 30-39 years, male 60.8
GTEX-1N5O9-0926-SM-E9J3C 60-69 years, male 60.8
GTEX-13OVG-1626-SM-5J1NF 60-69 years, male 60.7
GTEX-ZZPU-0826-SM-5GZX5 50-59 years, female 60.7
GTEX-14PJ6-2626-SM-6EU2T 60-69 years, female 60.6
GTEX-1GMR2-0826-SM-7PC3V 50-59 years, male 60.5
GTEX-1GPI7-1826-SM-9KNU1 20-29 years, male 60.5
GTEX-1GZHY-0626-SM-9KNVC 50-59 years, female 60.5
GTEX-1HC8U-1326-SM-9YFMJ 40-49 years, female 60.5
GTEX-12584-0726-SM-5FQTK 40-49 years, male 60.4
GTEX-145MO-2826-SM-5LU96 60-69 years, male 60.4
GTEX-11EQ9-1626-SM-5PNY8 30-39 years, male 60.3
GTEX-1CAV2-0126-SM-7IGN7 40-49 years, female 60.3
GTEX-11ZTT-2126-SM-5CVLO 60-69 years, female 60.2
GTEX-1JMQL-2226-SM-CNPP4 50-59 years, female 60.2
GTEX-17MF6-2626-SM-79OKQ 40-49 years, male 60.1
GTEX-1B8KE-1126-SM-7EPHI 50-59 years, male 60.1
GTEX-1EU9M-1426-SM-793AI 60-69 years, male 59.9
GTEX-YJ8O-2526-SM-5HL85 40-49 years, female 59.9
GTEX-1PPGY-1626-SM-EVYBL 60-69 years, male 59.9
GTEX-13JUV-2026-SM-5K7UA 40-49 years, female 59.7
GTEX-1QAET-0326-SM-EVR3U 50-59 years, male 59.6
GTEX-12BJ1-0926-SM-5EQ62 60-69 years, male 59.5
GTEX-1QP29-1826-SM-DTX9S 50-59 years, male 59.5
GTEX-145LU-1926-SM-79OJN 50-59 years, male 59.4
GTEX-14BMU-1226-SM-5S2OR 20-29 years, female 59.4
GTEX-1LSVX-2526-SM-DIPEU 60-69 years, male 59.3
GTEX-1QCLY-0226-SM-EWRNH 30-39 years, male 59.3
GTEX-14PJ2-0626-SM-6LLII 50-59 years, male 59.2
GTEX-1I1GP-1326-SM-A9G28 50-59 years, male 59.2
GTEX-1IDJI-0126-SM-CMKHS 50-59 years, female 59.2
GTEX-1313W-0626-SM-5EQ4H 50-59 years, female 59.1
GTEX-145MH-2826-SM-5RQJF 50-59 years, male 59.1
GTEX-16NPX-0726-SM-7KULC 50-59 years, male 59.1
GTEX-1KANA-1326-SM-DIPFA 20-29 years, male 59.0
GTEX-1HBPI-2126-SM-ARL9K 50-59 years, male 58.8
GTEX-1JMQI-1726-SM-ARL93 50-59 years, male 58.8
GTEX-ZLFU-1826-SM-4WWBV 40-49 years, male 58.7
GTEX-1HT8W-0626-SM-A9G2H 30-39 years, male 58.5
GTEX-13FLV-0126-SM-5K7WT 50-59 years, male 58.4
GTEX-178AV-1726-SM-7KUL8 40-49 years, male 58.4
GTEX-1RAZR-2126-SM-E9U6T 40-49 years, male 58.3
GTEX-144FL-0626-SM-5LU43 50-59 years, male 58.2
GTEX-1JJEA-1826-SM-ARU8P 60-69 years, male 58.2
GTEX-1S831-1826-SM-EWROF 20-29 years, male 58.2
GTEX-17F97-2626-SM-7IGM5 50-59 years, male 58.1
GTEX-1HCU9-0426-SM-9WYSD 20-29 years, male 58.0
GTEX-1QCLZ-2426-SM-EVYBW 60-69 years, female 58.0
GTEX-12ZZX-2426-SM-5GCOE 40-49 years, female 57.9
GTEX-1RAZQ-1326-SM-E9TK6 30-39 years, male 57.9
GTEX-16NGA-0726-SM-731AO 40-49 years, female 57.8
GTEX-YF7O-1526-SM-5IFI6 50-59 years, male 57.8
GTEX-WHWD-1826-SM-3LK6I 50-59 years, male 57.6
GTEX-1F75A-0726-SM-7RHHD 50-59 years, male 57.5
GTEX-1LVAO-2726-SM-E9TJ8 60-69 years, male 57.5
GTEX-1H4P4-2126-SM-9WYSL 50-59 years, male 57.4
GTEX-1S82P-2126-SM-E6CI5 60-69 years, female 57.4
GTEX-18A7B-2726-SM-7LG56 70-79 years, male 57.2
GTEX-1EN7A-2426-SM-793DB 40-49 years, male 57.2
GTEX-1PIIG-2326-SM-DTXFR 30-39 years, male 57.0
GTEX-Z93S-1626-SM-5CVMB 50-59 years, male 56.8
GTEX-1IOXB-2726-SM-CM2RI 50-59 years, male 56.8
GTEX-ZYFC-0426-SM-5GICQ 50-59 years, male 56.7
GTEX-YFCO-1226-SM-5LUAT 40-49 years, male 56.6
GTEX-ZPCL-1126-SM-4WWFE 60-69 years, female 56.5
GTEX-1H3O1-1326-SM-9MQLD 60-69 years, male 56.5
GTEX-1B8SF-0126-SM-7DUG3 60-69 years, male 56.4
GTEX-1KWVE-1026-SM-D3L9O 30-39 years, male 56.3
GTEX-13W3W-0726-SM-5IJDQ 60-69 years, female 56.2
GTEX-ZP4G-1426-SM-4WWCL 20-29 years, female 56.1
GTEX-ZYFD-0626-SM-5E44E 50-59 years, male 55.9
GTEX-11GSP-2326-SM-5HL63 60-69 years, female 55.8
GTEX-Y8E4-2026-SM-5IFJB 40-49 years, male 55.8
GTEX-1I6K6-1726-SM-CGQFD 30-39 years, male 55.8
GTEX-13FH7-1126-SM-5K7UG 50-59 years, female 55.7
GTEX-14E6C-2426-SM-5S2NF 40-49 years, male 55.7
GTEX-YEC4-1826-SM-4W1YP 40-49 years, male 55.7
GTEX-1J8EW-2726-SM-CY8HR 60-69 years, female 55.7
GTEX-1LVAN-0626-SM-CNPOQ 50-59 years, female 55.7
GTEX-1ICLZ-0326-SM-ARL82 60-69 years, male 55.6
GTEX-15CHC-1126-SM-6LLHQ 60-69 years, female 55.5
GTEX-WHPG-2626-SM-3NMBR 50-59 years, male 55.5
GTEX-1IDJD-2326-SM-ACKWX 30-39 years, male 55.4
GTEX-12WSD-0626-SM-5GCMW 60-69 years, female 55.3
GTEX-144GL-0626-SM-5LU4D 50-59 years, male 55.3
GTEX-1LSNM-0826-SM-DIPG8 50-59 years, male 55.3
GTEX-15D1Q-2826-SM-6LLH7 40-49 years, male 55.2
GTEX-WYVS-1626-SM-3NM9R 40-49 years, female 55.2
GTEX-1QW4Y-1126-SM-DTXE3 30-39 years, male 55.2
GTEX-18A66-0626-SM-7LT8Z 60-69 years, male 54.9
GTEX-ZYW4-0626-SM-59HJR 60-69 years, male 54.6
GTEX-1GZ4I-2626-SM-9KNU3 50-59 years, male 54.6
GTEX-1KANC-1226-SM-CYPT7 50-59 years, female 54.6
GTEX-1CB4E-0926-SM-7EPHT 60-69 years, male 54.5
GTEX-11O72-0626-SM-5PNYE 40-49 years, male 54.4
GTEX-15SHW-0226-SM-7LTAT 60-69 years, male 54.4
GTEX-Y111-0626-SM-4SOIT 50-59 years, male 54.4
GTEX-13JVG-0726-SM-5KM16 60-69 years, male 54.3
GTEX-13X6J-0626-SM-5LU5F 50-59 years, male 54.2
GTEX-1IY9M-2826-SM-ARU8H 60-69 years, male 54.2
GTEX-1QEPI-2626-SM-DTXF4 60-69 years, female 54.2
GTEX-13NYC-0126-SM-5L3F4 60-69 years, male 54.0
GTEX-1PIGE-1826-SM-E8VOU 20-29 years, male 54.0
GTEX-11GS4-0226-SM-5HL77 60-69 years, male 53.9
GTEX-1AX9J-1326-SM-731BJ 60-69 years, male 53.9
GTEX-V1D1-2026-SM-3GAF4 50-59 years, male 53.9
GTEX-14E6E-0526-SM-793DN 30-39 years, male 53.8
GTEX-WHSE-0126-SM-3NMBT 20-29 years, male 53.8
GTEX-1H23P-0626-SM-9WG6T 60-69 years, male 53.8
GTEX-1KANB-2826-SM-CY8I6 50-59 years, male 53.6
GTEX-18465-2826-SM-7LT9J 50-59 years, male 53.5
GTEX-XOT4-0626-SM-4B66L 60-69 years, female 53.5
GTEX-1CAMR-1326-SM-7PC1F 20-29 years, male 53.5
GTEX-13OVL-0126-SM-5L3GJ 50-59 years, male 53.4
GTEX-ZF2S-1626-SM-57WES 50-59 years, female 53.4
GTEX-YEC3-1326-SM-DO92X 50-59 years, male 53.3
GTEX-11EI6-2826-SM-5H11D 60-69 years, male 53.2
GTEX-1A8G6-2726-SM-731AR 60-69 years, male 53.2
GTEX-14PJO-2526-SM-6AJBQ 60-69 years, male 53.0
GTEX-X4EP-0626-SM-3P621 60-69 years, female 53.0
GTEX-11UD2-2526-SM-5CVNU 50-59 years, male 52.9
GTEX-139TU-0726-SM-5L3EK 60-69 years, male 52.9
GTEX-1I4MK-0126-SM-CY8G6 50-59 years, female 52.9
GTEX-1399S-0126-SM-5IJCF 30-39 years, female 52.8
GTEX-13N2G-0226-SM-5K7VF 60-69 years, male 52.8
GTEX-1H1E6-0426-SM-9WYUS 30-39 years, male 52.8
GTEX-13SLX-2226-SM-62LEP 50-59 years, female 52.7
GTEX-1LG7Z-1626-SM-CXKYR 30-39 years, male 52.6
GTEX-147F4-0726-SM-5TDDD 50-59 years, male 52.5
GTEX-1R9PM-1926-SM-EVR3O 20-29 years, male 52.4
GTEX-111VG-1626-SM-5EGIO 60-69 years, male 52.3
GTEX-WK11-2726-SM-3NMAQ 50-59 years, male 52.3
GTEX-1C64O-1326-SM-7MGWR 60-69 years, male 52.3
GTEX-15RIG-0726-SM-7KUM7 40-49 years, male 52.2
GTEX-1B8KZ-0326-SM-73KY4 50-59 years, male 52.2
GTEX-ZVE1-0726-SM-51MRN 50-59 years, female 52.2
GTEX-1JMLX-0626-SM-ARL8T 50-59 years, male 52.2
GTEX-183FY-1026-SM-7939A 20-29 years, male 52.1
GTEX-139TT-2126-SM-5LZWC 60-69 years, male 52.0
GTEX-13OVK-1426-SM-6PAN7 40-49 years, male 52.0
GTEX-WYJK-0526-SM-3NM8Z 50-59 years, male 52.0
GTEX-1H3NZ-2726-SM-9WYTQ 60-69 years, male 52.0
GTEX-1K9T9-1526-SM-DIPFR 50-59 years, female 52.0
GTEX-11EM3-1226-SM-5N9DD 20-29 years, female 51.9
GTEX-1GF9U-2026-SM-7SB92 40-49 years, female 51.9
GTEX-13OW6-2726-SM-5J2OE 50-59 years, male 51.8
GTEX-18A67-1626-SM-7LT9T 50-59 years, male 51.8
GTEX-13O3O-2326-SM-5IJD6 60-69 years, female 51.7
GTEX-XPVG-2126-SM-4B667 50-59 years, male 51.7
GTEX-1I19N-0126-SM-CYPSF 70-79 years, male 51.7
GTEX-14AS3-1526-SM-5Q5ED 40-49 years, female 51.5
GTEX-1JN1M-2726-SM-CY8I4 60-69 years, female 51.5
GTEX-13112-0126-SM-5P9IU 50-59 years, male 51.4
GTEX-14LZ3-0126-SM-69LPM 60-69 years, female 51.4
GTEX-18A7A-0126-SM-731AH 50-59 years, female 51.4
GTEX-145LT-0526-SM-5LUB2 40-49 years, male 51.3
GTEX-15RIE-1926-SM-7KUKJ 60-69 years, male 51.3
GTEX-14JG1-1526-SM-5YY9X 40-49 years, male 51.2
GTEX-15CHR-1126-SM-7EWF4 50-59 years, male 51.2
GTEX-1KD5A-0126-SM-E9U54 50-59 years, male 51.2
GTEX-1L5NE-1126-SM-D3L9P 50-59 years, male 51.2
GTEX-1QMI2-2526-SM-E8VNZ 60-69 years, male 51.2
GTEX-12WSF-1626-SM-7KUG5 70-79 years, male 51.0
GTEX-UPK5-0426-SM-3GAEK 40-49 years, male 50.9
GTEX-131XG-0326-SM-5L3DX 50-59 years, female 50.8
GTEX-X3Y1-2026-SM-3P5YM 40-49 years, male 50.8
GTEX-1AYD5-2626-SM-7PBXY 50-59 years, male 50.8
GTEX-1F88F-0126-SM-9WYSZ 60-69 years, female 50.6
GTEX-1H1ZS-2726-SM-9WG75 70-79 years, male 50.6
GTEX-11WQC-1826-SM-5GU59 60-69 years, male 50.5
GTEX-183WM-0326-SM-72D5V 70-79 years, female 50.5
GTEX-11VI4-1126-SM-5EQMD 40-49 years, female 50.4
GTEX-17MFQ-1526-SM-7KFRR 20-29 years, male 50.4
GTEX-145MN-1526-SM-5SI9T 30-39 years, male 50.3
GTEX-1LSNL-2726-SM-E9TKJ 50-59 years, male 50.3
GTEX-1O9I2-0226-SM-EYYXD 50-59 years, male 50.3
GTEX-W5X1-2526-SM-3GILC 40-49 years, female 50.2
GTEX-12WSH-1526-SM-5BC5W 50-59 years, male 49.9
GTEX-13FTY-2126-SM-5IFFB 40-49 years, female 49.8
GTEX-16MTA-0926-SM-6M47Z 50-59 years, male 49.8
GTEX-VUSG-2326-SM-4KL1U 50-59 years, male 49.7
GTEX-18D9B-0926-SM-7LG4U 60-69 years, male 49.6
GTEX-ZT9X-1526-SM-5DUXD 40-49 years, male 49.6
GTEX-12WSA-0426-SM-5EQ5X 60-69 years, male 49.3
GTEX-16YQH-2226-SM-7IGM2 30-39 years, male 49.3
GTEX-17F9E-2326-SM-79OKD 50-59 years, male 49.3
GTEX-11NUK-2726-SM-5A5MC 50-59 years, male 49.2
GTEX-139TS-2126-SM-5K7XC 60-69 years, male 49.2
GTEX-1S82U-1026-SM-E6CJK 30-39 years, female 49.2
GTEX-15G1A-1626-SM-7KUKN 30-39 years, male 49.1
GTEX-1I6K7-1926-SM-B2LXR 40-49 years, male 49.0
GTEX-1POEN-2326-SM-E9J2L 30-39 years, female 49.0
GTEX-17HGU-2326-SM-7DUFE 50-59 years, male 48.9
GTEX-1RAZA-2226-SM-E9U4X 20-29 years, male 48.9
GTEX-1PPH8-0126-SM-EWRN8 20-29 years, male 48.8
GTEX-1JN76-0626-SM-CKZOQ 20-29 years, female 48.7
GTEX-14BMV-2826-SM-5TDED 50-59 years, male 48.6
GTEX-ZYVF-0926-SM-5E44J 50-59 years, female 48.6
GTEX-13NYB-0126-SM-5J1MD 40-49 years, male 48.5
GTEX-11DXZ-2026-SM-5987S 50-59 years, male 48.3
GTEX-XBEC-0726-SM-4QARZ 50-59 years, male 48.3
GTEX-14PKV-1126-SM-6LLJ1 20-29 years, female 48.2
GTEX-XV7Q-1826-SM-4BRUV 40-49 years, female 48.2
GTEX-ZWKS-0626-SM-5GIDV 30-39 years, male 48.1
GTEX-1QP66-1226-SM-DTX7U 50-59 years, male 48.0
GTEX-17F96-0126-SM-7EWDU 70-79 years, male 47.9
GTEX-Y3IK-1626-SM-4YCF5 50-59 years, female 47.8
GTEX-12WSC-2826-SM-5BC5Y 50-59 years, male 47.7
GTEX-X585-2426-SM-46MW2 50-59 years, male 47.7
GTEX-YB5K-2026-SM-4VDT3 40-49 years, female 47.5
GTEX-1HR98-2226-SM-ADEI2 60-69 years, male 47.4
GTEX-145MF-0926-SM-5Q5EA 50-59 years, male 47.3
GTEX-1E1VI-0326-SM-793D1 50-59 years, male 47.3
GTEX-13O3Q-0126-SM-5KM34 50-59 years, male 47.1
GTEX-13OW7-0426-SM-5K7VK 50-59 years, male 47.0
GTEX-VJYA-1526-SM-3GIJV 60-69 years, male 46.9
GTEX-1EWIQ-0326-SM-7DHMQ 70-79 years, female 46.6
GTEX-13OW8-1026-SM-5J1NQ 60-69 years, male 46.5
GTEX-ZY6K-1426-SM-5GZX2 50-59 years, male 46.5
GTEX-13U4I-2226-SM-5LU5H 40-49 years, female 46.4
GTEX-1JKYN-0826-SM-ARU8S 30-39 years, male 46.3
GTEX-1A3MW-0626-SM-731CB 60-69 years, female 46.2
GTEX-131XH-0126-SM-5LZUY 50-59 years, male 45.9
GTEX-13N11-2326-SM-5IJBF 50-59 years, female 45.9
GTEX-ZU9S-1826-SM-5NQ9E 30-39 years, male 45.7
GTEX-1C6VR-0126-SM-7RHGB 60-69 years, male 45.7
GTEX-1IDJE-1426-SM-ADEIW 50-59 years, female 45.5
GTEX-1JMQK-1226-SM-D4P2S 60-69 years, male 45.3
GTEX-XXEK-1626-SM-4BRUZ 50-59 years, male 45.2
GTEX-1E2YA-2126-SM-7MXUO 50-59 years, male 45.2
GTEX-1212Z-0126-SM-59HK4 60-69 years, male 45.1
GTEX-1H1DE-1326-SM-9KNUG 20-29 years, male 45.0
GTEX-147GR-2426-SM-5ZZWQ 60-69 years, male 44.9
GTEX-15RJ7-2126-SM-6PAMD 40-49 years, male 44.7
GTEX-16Z82-2626-SM-7KULU 60-69 years, male 44.6
GTEX-1LBAC-0826-SM-CY8IJ 20-29 years, male 44.5
GTEX-Y5LM-0926-SM-6LLJG 40-49 years, female 44.4
GTEX-1K2DA-1026-SM-CGQGF 50-59 years, male 44.4
GTEX-13NZ9-2626-SM-5L3FK 50-59 years, male 44.3
GTEX-WRHU-2826-SM-3MJG8 50-59 years, female 44.2
GTEX-WI4N-2726-SM-3LK7Y 40-49 years, female 44.1
GTEX-WFG8-2126-SM-3GIKQ 20-29 years, male 43.9
GTEX-ZTSS-1426-SM-5985P 40-49 years, male 43.9
GTEX-139YR-1026-SM-5LZYN 50-59 years, male 43.8
GTEX-13VXU-0626-SM-5L3F9 50-59 years, male 43.8
GTEX-18A6Q-0626-SM-7KFRP 60-69 years, male 43.8
GTEX-11DXW-0826-SM-5H118 40-49 years, male 43.5
GTEX-144GO-2026-SM-5O99P 60-69 years, male 43.5
GTEX-17HHY-0426-SM-7DHLC 50-59 years, male 43.5
GTEX-WFON-1926-SM-3LK7L 40-49 years, male 43.5
GTEX-1IL2V-1926-SM-B2LW8 70-79 years, male 43.5
GTEX-15CHQ-0326-SM-69LQD 60-69 years, male 43.4
GTEX-ZYT6-2326-SM-5GZY3 30-39 years, male 43.4
GTEX-1F6IF-0926-SM-7SB7M 60-69 years, male 43.3
GTEX-146FQ-2126-SM-5RQHU 30-39 years, male 42.9
GTEX-1HFI6-0126-SM-CNPPI 40-49 years, male 42.7
GTEX-17KNJ-2126-SM-718AM 50-59 years, male 42.6
GTEX-11NSD-0626-SM-5A5LU 20-29 years, male 42.5
GTEX-145MG-1526-SM-5Q5EM 50-59 years, male 42.5
GTEX-15G19-2426-SM-7KUMR 60-69 years, male 42.5
GTEX-ZPU1-1126-SM-4YCF3 40-49 years, male 42.5
GTEX-1F75W-2726-SM-7SB8H 60-69 years, male 42.4
GTEX-1I1HK-2326-SM-CKZOH 60-69 years, male 42.4
GTEX-1CB4F-1026-SM-7DUH1 60-69 years, male 42.3
GTEX-1399Q-2326-SM-5KM2X 40-49 years, male 42.2
GTEX-1OJC4-2726-SM-E76PJ 50-59 years, female 42.1
GTEX-1GZ2Q-0126-SM-9WG6M 40-49 years, male 42.0
GTEX-17EVQ-0126-SM-7IGLR 70-79 years, male 41.9
GTEX-17HG3-2626-SM-7DUF2 30-39 years, female 41.8
GTEX-1BAJH-2426-SM-7IGP8 70-79 years, male 41.7
GTEX-1J8JJ-0626-SM-ARZMQ 60-69 years, female 41.6
GTEX-11DYG-1526-SM-5A5JS 60-69 years, male 41.4
GTEX-1IDJC-1526-SM-B2LW4 50-59 years, male 41.3
GTEX-ZAK1-0626-SM-5HL8E 50-59 years, female 41.0
GTEX-1LVA9-2626-SM-EVYD4 50-59 years, male 41.0
GTEX-1H1CY-0126-SM-9YFLY 60-69 years, female 40.9
GTEX-WH7G-2026-SM-3NMBL 40-49 years, male 40.4
GTEX-11PRG-0726-SM-5EGL1 50-59 years, male 40.1
GTEX-ZPIC-0526-SM-DO91W 40-49 years, female 40.0
GTEX-1HCU8-2526-SM-CE6RX 60-69 years, female 39.8
GTEX-11DZ1-2426-SM-5GZZX 50-59 years, male 39.6
GTEX-ZDTS-0826-SM-4WKHL 60-69 years, male 39.5
GTEX-12WSJ-1126-SM-5LZVJ 40-49 years, female 39.4
GTEX-ZUA1-2626-SM-5NQ92 40-49 years, male 39.4
GTEX-11DXX-2126-SM-5PNYR 60-69 years, female 39.3
GTEX-14PK6-0226-SM-62LF5 70-79 years, female 39.2
GTEX-13G51-1826-SM-5KLZH 60-69 years, male 39.1
GTEX-14ABY-2026-SM-62LDL 50-59 years, male 38.9
GTEX-1H1DG-2426-SM-9QEHJ 70-79 years, male 38.9
GTEX-1HSMP-0926-SM-A9SKX 70-79 years, male 38.9
GTEX-1CB4I-0126-SM-7RHGG 50-59 years, male 38.5
GTEX-1B932-2326-SM-79OL5 40-49 years, female 38.4
GTEX-11OF3-0126-SM-5PNYF 60-69 years, male 37.9
GTEX-14PHY-1226-SM-5ZZWK 60-69 years, female 37.9
GTEX-Y5V6-2326-SM-4VDSA 60-69 years, male 37.7
GTEX-14A5H-0826-SM-5QGPJ 60-69 years, male 37.6
GTEX-11ZUS-2626-SM-5FQUR 30-39 years, male 37.3
GTEX-1399R-1326-SM-5PNYS 30-39 years, male 37.0
GTEX-131YS-2826-SM-5EQ47 60-69 years, female 36.7
GTEX-1F6I4-2326-SM-7RHGL 60-69 years, male 36.6
GTEX-16MT9-0126-SM-7EPI8 60-69 years, female 36.5
GTEX-1AX8Z-0726-SM-73KTS 60-69 years, male 35.3
GTEX-1ICG6-1226-SM-A9SLN 70-79 years, female 35.0
GTEX-ZVP2-0326-SM-57WBP 50-59 years, male 34.9
GTEX-16GPK-0626-SM-7KFSF 60-69 years, male 34.1
GTEX-17JCI-2926-SM-7DUFF 60-69 years, female 32.6
GTEX-12126-0826-SM-5FQTZ 20-29 years, male 32.5
GTEX-1H11D-1826-SM-9QEHM 40-49 years, male 31.0
GTEX-111FC-2526-SM-5GZXU 60-69 years, male 30.5
GTEX-1A3MX-2626-SM-7PC24 60-69 years, male 30.2
GTEX-11TT1-1826-SM-5EQLV 20-29 years, male 29.5
GTEX-ZDXO-3126-SM-5IJDF 60-69 years, male 29.4
GTEX-132AR-0326-SM-5KM2C 50-59 years, female 29.1
GTEX-XQ3S-1426-SM-4BOPR 20-29 years, male 29.1
GTEX-ZVTK-0226-SM-51MRG 20-29 years, male 28.6
GTEX-14XAO-1226-SM-6EU1C 60-69 years, female 26.3
GTEX-XYKS-1426-SM-4BRUO 60-69 years, female 25.0
GTEX-11WQK-1026-SM-5EQLX 50-59 years, male 23.9
GTEX-1R9PN-0426-SM-DTXDT 40-49 years, female 16.8
Show allShow less
Skin - Sun Exposed (Lower leg)
Average nTPM: 68.6
Samples: 701

Max nTPM: 166.5
Min nTPM: 28.5
Std nTPM: 19.6
Median nTPM: 64.9
GTEX-14A5I-0126-SM-5TDEA 50-59 years, female 166.5
GTEX-18D9A-1926-SM-7LG6P 30-39 years, female 140.1
GTEX-ZTX8-1426-SM-5DUVO 20-29 years, male 139.4
GTEX-S32W-2126-SM-2XCB1 50-59 years, female 138.8
GTEX-16XZZ-0126-SM-793DV 60-69 years, male 134.5
GTEX-1122O-2126-SM-5EGIR 60-69 years, female 130.9
GTEX-1B97I-1626-SM-73KYO 40-49 years, male 130.2
GTEX-1LVAN-0226-SM-COH3S 50-59 years, female 125.6
GTEX-1PDJ9-0326-SM-DTX95 20-29 years, male 120.3
GTEX-1I4MK-2226-SM-ACKWD 50-59 years, female 120.2
GTEX-ZF29-2326-SM-DO92K 60-69 years, female 119.4
GTEX-15UF6-0826-SM-6PALJ 70-79 years, female 119.3
GTEX-1J8QM-2126-SM-CYPSJ 60-69 years, female 119.0
GTEX-1QPFJ-0226-SM-E76PB 30-39 years, female 117.4
GTEX-1HSGN-0226-SM-CGQFV 40-49 years, female 117.1
GTEX-1GMR3-1926-SM-9KNUZ 40-49 years, male 116.6
GTEX-1S3DN-2226-SM-EVYCD 50-59 years, male 115.3
GTEX-17GQL-2026-SM-718BA 60-69 years, male 113.8
GTEX-T8EM-1026-SM-3DB7M 40-49 years, male 113.5
GTEX-1E2YA-0126-SM-9KNUC 50-59 years, male 113.3
GTEX-1MA7W-2026-SM-E9TJ6 20-29 years, female 111.5
GTEX-145LS-0126-SM-5QGP1 60-69 years, female 111.4
GTEX-14E6C-0126-SM-5RQIP 40-49 years, male 110.4
GTEX-1A3MV-1926-SM-718BT 30-39 years, male 110.3
GTEX-1C475-1826-SM-73KWA 40-49 years, female 110.3
GTEX-148VJ-0126-SM-5TDDN 70-79 years, male 110.1
GTEX-1LGRB-2526-SM-CNPPQ 50-59 years, female 109.4
GTEX-1GN1U-0126-SM-7PBZK 50-59 years, female 109.0
GTEX-13YAN-0326-SM-5O9DF 60-69 years, male 108.7
GTEX-1GL5R-1826-SM-9KNUY 50-59 years, male 108.5
GTEX-PSDG-0226-SM-DKPOZ 50-59 years, male 107.8
GTEX-13FTX-1826-SM-5J1NX 20-29 years, female 107.3
GTEX-1F6RS-0126-SM-9MQKZ 60-69 years, female 105.9
GTEX-1S82Z-0826-SM-E6CHY 30-39 years, female 105.6
GTEX-1L5NE-2526-SM-E6CIE 50-59 years, male 105.3
GTEX-15EU6-0426-SM-6PAN5 50-59 years, male 105.2
GTEX-1JJ6O-0126-SM-E6CI8 60-69 years, male 103.4
GTEX-1OJC3-0126-SM-E76QX 20-29 years, male 103.3
GTEX-TML8-1926-SM-32QOS 40-49 years, female 103.1
GTEX-1KANC-1526-SM-D3LAB 50-59 years, female 102.9
GTEX-1J8Q3-1626-SM-CMKGC 60-69 years, male 102.7
GTEX-T6MO-1626-SM-32QOM 40-49 years, female 102.4
GTEX-PLZ6-1426-SM-DKPOT 30-39 years, male 102.3
GTEX-15ETS-0126-SM-7KUMW 40-49 years, female 101.7
GTEX-16AAH-1726-SM-7939C 50-59 years, male 101.3
GTEX-ZVZP-2426-SM-59HKJ 50-59 years, male 100.8
GTEX-1LGOU-2026-SM-DIPFF 20-29 years, female 100.8
GTEX-ZWKS-0126-SM-5SIAA 30-39 years, male 100.1
GTEX-145ME-1826-SM-5SI9G 40-49 years, female 99.9
GTEX-1I1GT-0626-SM-CGQER 60-69 years, female 99.7
GTEX-1JN6P-0126-SM-D3L98 60-69 years, male 99.7
GTEX-SNMC-1226-SM-2XCFP 20-29 years, male 99.6
GTEX-13113-5016-SM-7EPIP 60-69 years, female 99.5
GTEX-1R7EU-0226-SM-EVR4G 60-69 years, male 99.5
GTEX-ZXES-1826-SM-5E43S 30-39 years, female 98.9
GTEX-1MUQO-0126-SM-EAZ58 60-69 years, male 98.5
GTEX-13JUV-2726-SM-5LZZ8 40-49 years, female 98.4
GTEX-14PN3-2426-SM-6LLHS 60-69 years, female 98.1
GTEX-13RTK-1426-SM-5QGQJ 20-29 years, male 98.0
GTEX-1F5PK-2426-SM-7RHHY 50-59 years, male 98.0
GTEX-ZV6S-2326-SM-4YCEY 40-49 years, female 97.9
GTEX-1JMOU-1526-SM-CL54I 60-69 years, female 97.0
GTEX-13PVR-2326-SM-5QGR1 60-69 years, female 96.9
GTEX-1R46S-0626-SM-E9J41 60-69 years, female 96.7
GTEX-17HII-0226-SM-7LG4E 50-59 years, male 96.3
GTEX-1CB4H-0226-SM-7PBXM 60-69 years, female 96.1
GTEX-1IDJU-2626-SM-CM2RT 60-69 years, female 96.1
GTEX-1F5PL-0326-SM-7P8PQ 40-49 years, female 95.8
GTEX-1S83E-0126-SM-EWRO4 40-49 years, male 95.8
GTEX-UJHI-1526-SM-3DB99 50-59 years, female 95.7
GTEX-1HSMQ-1226-SM-CGQFX 50-59 years, male 95.6
GTEX-15ER7-0326-SM-7KUEV 20-29 years, female 94.8
GTEX-ZGAY-0526-SM-4WWBB 40-49 years, female 94.8
GTEX-TMMY-0226-SM-33HBA 40-49 years, female 94.7
GTEX-13111-1626-SM-5EGJY 50-59 years, male 94.6
GTEX-1GMR8-0126-SM-9WYTM 50-59 years, female 94.3
GTEX-1HFI7-1826-SM-ACKXH 50-59 years, female 94.3
GTEX-XUW1-0426-SM-4BOOT 50-59 years, female 94.2
GTEX-1R7EV-2426-SM-EVYBG 40-49 years, male 93.9
GTEX-WFG8-2226-SM-3GIL9 20-29 years, male 93.7
GTEX-139D8-0226-SM-5KLZO 30-39 years, female 93.6
GTEX-13PDP-0126-SM-5L3HD 60-69 years, male 93.6
GTEX-X261-0126-SM-3NMD6 50-59 years, male 93.4
GTEX-XPVG-2626-SM-4B669 50-59 years, male 93.4
GTEX-1H2FU-0126-SM-9WYSI 60-69 years, female 93.4
GTEX-14PHX-2326-SM-62LEM 50-59 years, male 92.9
GTEX-14DAR-2026-SM-5S2O3 50-59 years, male 92.8
GTEX-XBEW-0626-SM-4QASP 40-49 years, male 92.8
GTEX-11EM3-2426-SM-59861 20-29 years, female 92.7
GTEX-1PFEY-1526-SM-E76PP 30-39 years, male 92.7
GTEX-TSE9-0126-SM-3DB83 60-69 years, female 91.9
GTEX-1AX9J-0226-SM-73KXM 60-69 years, male 91.7
GTEX-1JN1M-0326-SM-CYPT3 60-69 years, female 91.6
GTEX-145MI-0526-SM-5O9A8 60-69 years, female 91.4
GTEX-1HCU7-0226-SM-CL545 50-59 years, male 91.3
GTEX-1H3VE-0326-SM-9YFLH 40-49 years, male 91.2
GTEX-145MO-0326-SM-5Q5B3 60-69 years, male 91.1
GTEX-1RB15-2126-SM-E9TIM 60-69 years, male 90.8
GTEX-13X6H-2126-SM-7EWD5 50-59 years, female 90.7
GTEX-1IKJJ-0126-SM-CNPQB 60-69 years, male 90.3
GTEX-1J1OQ-0226-SM-CYPSH 40-49 years, female 90.1
GTEX-11TUW-2726-SM-E9J4M 60-69 years, male 89.9
GTEX-ZF2S-2326-SM-4WWCE 50-59 years, female 89.8
GTEX-15F5U-1526-SM-6PANO 40-49 years, male 89.6
GTEX-13D11-2426-SM-5KM1V 50-59 years, female 89.4
GTEX-1N2EF-0226-SM-EYYXB 60-69 years, male 89.3
GTEX-14BMU-2226-SM-5TDE9 20-29 years, female 89.2
GTEX-1HGF4-2426-SM-ACKXM 60-69 years, male 89.0
GTEX-1CAMQ-0226-SM-7IGPK 40-49 years, male 88.6
GTEX-133LE-1826-SM-5J1MV 20-29 years, female 88.1
GTEX-1LG7Z-1726-SM-D3LA4 30-39 years, male 88.0
GTEX-11LCK-1026-SM-5A5KB 30-39 years, male 87.6
GTEX-11H98-0126-SM-5EGHG 50-59 years, male 87.3
GTEX-P44H-0226-SM-2XCEU 40-49 years, male 87.2
GTEX-ZDTT-2726-SM-4WKF8 60-69 years, male 87.1
GTEX-14PN4-0126-SM-6EU2V 50-59 years, male 87.0
GTEX-WXYG-2326-SM-4E3I6 50-59 years, female 87.0
GTEX-1K2DA-1826-SM-CGQGT 50-59 years, male 87.0
GTEX-1PIGE-0126-SM-EVYBJ 20-29 years, male 86.7
GTEX-ZXG5-0126-SM-5GIEU 60-69 years, male 86.6
GTEX-14C5O-0126-SM-5SI6N 60-69 years, male 86.1
GTEX-WRHK-1426-SM-3MJF9 20-29 years, female 86.0
GTEX-YB5E-2026-SM-5IFIS 40-49 years, male 85.9
GTEX-131XE-2326-SM-5PNZ2 50-59 years, male 85.8
GTEX-11P82-1626-SM-59879 20-29 years, male 85.7
GTEX-17EUY-0426-SM-793BD 20-29 years, male 85.6
GTEX-1KXAM-2226-SM-CYPTC 60-69 years, male 85.6
GTEX-1C2JI-1826-SM-73KXC 50-59 years, male 85.0
GTEX-14LLW-0126-SM-6LLIO 70-79 years, female 84.9
GTEX-P4QT-0126-SM-2I3FL 50-59 years, female 84.9
GTEX-14JG6-2226-SM-6EU2G 30-39 years, female 84.7
GTEX-1M5QR-1226-SM-EWROB 40-49 years, male 84.6
GTEX-T5JW-1626-SM-3GADZ 20-29 years, female 84.5
GTEX-1AMFI-2026-SM-731BH 50-59 years, female 84.3
GTEX-1GZ4H-1726-SM-7PBZJ 50-59 years, female 84.2
GTEX-ZTSS-1926-SM-57WEW 40-49 years, male 84.1
GTEX-13FH7-2026-SM-E9J4I 50-59 years, female 83.9
GTEX-13CF3-2426-SM-5IFGX 60-69 years, female 83.6
GTEX-SN8G-0126-SM-32PLI 50-59 years, female 83.4
GTEX-13OW5-0126-SM-DTXFS 60-69 years, male 83.4
GTEX-1OFPY-2426-SM-DTXEJ 60-69 years, male 83.4
GTEX-OIZH-0126-SM-2HMIS 50-59 years, male 83.3
GTEX-ZVT2-2526-SM-51MT1 50-59 years, female 83.3
GTEX-145LV-2126-SM-5LU8N 50-59 years, male 83.0
GTEX-QCQG-1726-SM-3GIJ9 50-59 years, female 82.9
GTEX-1QP9N-1426-SM-DTXFL 30-39 years, male 82.7
GTEX-1F75B-0126-SM-9KNVL 50-59 years, male 82.5
GTEX-1JJEA-0326-SM-CNPOT 60-69 years, male 82.5
GTEX-UPJH-0326-SM-3GADU 50-59 years, male 82.4
GTEX-1HCUA-2426-SM-ADEIS 50-59 years, female 82.4
GTEX-11EQ9-2426-SM-5HL5T 30-39 years, male 82.3
GTEX-14BIL-0126-SM-5SI92 50-59 years, male 82.3
GTEX-1QCLY-0326-SM-E8VOG 30-39 years, male 82.0
GTEX-17EVP-0326-SM-7DHLG 40-49 years, male 81.9
GTEX-183WM-0126-SM-7LTAB 70-79 years, female 81.9
GTEX-12WSA-0226-SM-5BC5V 60-69 years, male 81.3
GTEX-1CAV2-2226-SM-7P8P2 40-49 years, female 81.3
GTEX-13FTW-2626-SM-5K7WL 40-49 years, male 81.1
GTEX-1E1VI-0126-SM-7DHMZ 50-59 years, male 81.1
GTEX-131XF-5016-SM-7MGWE 60-69 years, male 81.1
GTEX-1H1E6-1726-SM-ACKVK 30-39 years, male 80.8
GTEX-1H4P4-0726-SM-9YFLR 50-59 years, male 80.8
GTEX-1HCU8-0626-SM-A9SM9 60-69 years, female 80.8
GTEX-12WSN-5019-SM-79OM6 40-49 years, male 80.7
GTEX-WFON-2126-SM-3LK7O 40-49 years, male 80.7
GTEX-1R9PM-2026-SM-E76OY 20-29 years, male 80.6
GTEX-1IDJF-0126-SM-CM2RS 20-29 years, male 80.5
GTEX-1QP66-1726-SM-E8VO1 50-59 years, male 80.5
GTEX-RWSA-0126-SM-2XCBB 40-49 years, male 80.4
GTEX-1LH75-2426-SM-E9TJE 50-59 years, female 80.4
GTEX-15SHU-0126-SM-7KUEH 40-49 years, female 80.3
GTEX-117YX-2326-SM-5H12W 50-59 years, male 80.2
GTEX-13W46-0226-SM-5SIAG 50-59 years, male 80.2
GTEX-18A66-0226-SM-718BD 60-69 years, male 80.2
GTEX-1J8Q2-0526-SM-CM2RW 60-69 years, male 80.2
GTEX-13OVJ-0126-SM-5KM36 50-59 years, female 80.1
GTEX-ZZ64-1726-SM-5GZYB 20-29 years, male 80.1
GTEX-1HT8W-0126-SM-CNPPP 30-39 years, male 80.1
GTEX-1ICLZ-0126-SM-CKZPO 60-69 years, male 80.0
GTEX-11VI4-1726-SM-5CVLH 40-49 years, female 79.9
GTEX-1211K-2026-SM-5EQ4Z 60-69 years, female 79.9
GTEX-1JMPZ-0226-SM-CNPP1 30-39 years, male 79.9
GTEX-Y114-2426-SM-4TT8A 50-59 years, female 79.8
GTEX-1JK1U-2026-SM-CM2RZ 60-69 years, male 79.7
GTEX-1B8KE-2126-SM-73KYX 50-59 years, male 79.6
GTEX-ZYFD-0126-SM-5GIDL 50-59 years, male 79.4
GTEX-15RIG-0226-SM-7KFTL 40-49 years, male 79.3
GTEX-13NYC-0326-SM-E9J4S 60-69 years, male 79.2
GTEX-1CAMS-0426-SM-7P8T2 40-49 years, female 79.0
GTEX-1HCU6-0126-SM-CL54K 60-69 years, female 78.8
GTEX-14PII-0226-SM-6EU1T 60-69 years, male 78.7
GTEX-ZF3C-0126-SM-DO92D 50-59 years, female 78.5
GTEX-1B996-0226-SM-7RHGO 60-69 years, male 78.4
GTEX-1MGNQ-0126-SM-EVYCJ 40-49 years, male 78.4
GTEX-ZVT4-0126-SM-DTXFN 50-59 years, female 78.4
GTEX-11XUK-2026-SM-5EQLF 40-49 years, female 77.7
GTEX-14PJ6-2126-SM-6EU1V 60-69 years, female 77.7
GTEX-1ICLY-0126-SM-D4P36 50-59 years, male 77.6
GTEX-13NZ8-0826-SM-5MR3I 60-69 years, female 77.5
GTEX-1KANA-0726-SM-D3L9I 20-29 years, male 77.5
GTEX-1J1R8-1726-SM-ARL8M 40-49 years, male 77.4
GTEX-131YS-0126-SM-5KM1M 60-69 years, female 77.3
GTEX-16NGA-1726-SM-731B4 40-49 years, female 77.3
GTEX-12ZZZ-0626-SM-5DUXI 60-69 years, male 77.2
GTEX-12WSJ-1826-SM-5GCNY 40-49 years, female 77.1
GTEX-RWS6-2026-SM-2XCB5 60-69 years, female 77.1
GTEX-1LBAC-0126-SM-DIPEZ 20-29 years, male 77.1
GTEX-XBED-2226-SM-47JYQ 60-69 years, male 76.9
GTEX-1QP29-0626-SM-EWRMX 50-59 years, male 76.9
GTEX-ZDYS-2026-SM-5HL5L 50-59 years, male 76.7
GTEX-1PPH8-0226-SM-E8VND 20-29 years, male 76.7
GTEX-17JCI-0126-SM-7LG5G 60-69 years, female 76.5
GTEX-12KS4-0326-SM-5EQ41 30-39 years, male 76.4
GTEX-1KAFJ-2026-SM-CY8ID 50-59 years, male 76.1
GTEX-PWCY-1826-SM-DHXIZ 20-29 years, female 76.1
GTEX-WYJK-0126-SM-3NMAB 50-59 years, male 76.0
GTEX-1399U-2326-SM-5K7WY 50-59 years, female 75.9
GTEX-1I1GU-2226-SM-CGQFA 40-49 years, male 75.9
GTEX-12696-2426-SM-5EQ6H 60-69 years, male 75.6
GTEX-1HCU9-1526-SM-A9SL7 20-29 years, male 75.6
GTEX-1GN1W-0526-SM-9MQJQ 50-59 years, female 75.3
GTEX-PLZ5-2026-SM-2S1O4 50-59 years, male 75.2
GTEX-1AX9K-2326-SM-73KWU 50-59 years, male 75.0
GTEX-QDVN-2026-SM-3GAEP 50-59 years, male 75.0
GTEX-1GMRU-0126-SM-9YFLV 50-59 years, male 75.0
GTEX-ZV68-0126-SM-59HKS 50-59 years, female 74.9
GTEX-12WSK-2326-SM-5GCOH 40-49 years, female 74.8
GTEX-18D9U-0226-SM-718BP 40-49 years, male 74.7
GTEX-1HSMO-0126-SM-CL547 60-69 years, male 74.7
GTEX-VJWN-0126-SM-3GIK7 50-59 years, female 74.5
GTEX-14E6E-1826-SM-5S2R7 30-39 years, male 74.3
GTEX-1JKYR-0126-SM-CNPOJ 20-29 years, male 74.3
GTEX-1F52S-0126-SM-9MQJU 60-69 years, female 74.1
GTEX-15DDE-0126-SM-6LPKH 50-59 years, female 73.9
GTEX-13N2G-2626-SM-5J1OT 60-69 years, male 73.8
GTEX-17F96-1626-SM-7DUFL 70-79 years, male 73.8
GTEX-ZYT6-0226-SM-5NQ6T 30-39 years, male 73.8
GTEX-1JKYN-1326-SM-CGQG9 30-39 years, male 73.8
GTEX-OXRN-0126-SM-48TDM 50-59 years, male 73.6
GTEX-OXRP-0126-SM-3NB32 60-69 years, female 73.4
GTEX-ZYFG-2326-SM-5E44B 60-69 years, female 73.4
GTEX-1QAET-0926-SM-E76QM 50-59 years, male 73.1
GTEX-17HHE-2026-SM-79OKF 50-59 years, male 73.0
GTEX-1269C-2526-SM-5EGJ3 60-69 years, female 72.9
GTEX-NFK9-0226-SM-2HMKQ 40-49 years, male 72.9
GTEX-1MCYP-1926-SM-E9J2R 20-29 years, female 72.8
GTEX-1AMEY-1326-SM-73KYK 30-39 years, female 72.7
GTEX-146FR-1326-SM-E9J48 60-69 years, female 72.5
GTEX-1N2DV-0226-SM-E6CJ6 40-49 years, male 72.5
GTEX-1I1GR-0126-SM-CL55F 60-69 years, male 72.3
GTEX-1A3MW-0126-SM-73KXX 60-69 years, female 72.2
GTEX-S95S-1226-SM-4GICG 60-69 years, male 72.1
GTEX-11EI6-0126-SM-5985R 60-69 years, male 72.0
GTEX-13O21-1426-SM-5K7XI 50-59 years, male 72.0
GTEX-1JJE9-0326-SM-CL53Z 70-79 years, male 72.0
GTEX-13QJ3-0326-SM-5S2RA 50-59 years, male 71.9
GTEX-1B8SG-0126-SM-73KZ3 50-59 years, male 71.9
GTEX-Q2AG-0126-SM-33HBV 40-49 years, female 71.9
GTEX-1C6VS-0526-SM-7DUEN 60-69 years, male 71.8
GTEX-1F75I-0326-SM-9YFLU 40-49 years, male 71.8
GTEX-1GF9W-0326-SM-9KNUN 60-69 years, male 71.6
GTEX-131XH-2226-SM-5DUXJ 50-59 years, male 71.5
GTEX-147F3-0526-SM-5SI98 50-59 years, female 71.5
GTEX-ZF28-0126-SM-4WKGK 60-69 years, male 71.5
GTEX-1GPI7-0126-SM-9MQL8 20-29 years, male 71.5
GTEX-1GZHY-0326-SM-9QEHI 50-59 years, female 71.5
GTEX-X4EO-0326-SM-3P5YO 60-69 years, female 71.4
GTEX-1B8L1-2526-SM-9WYTF 60-69 years, male 71.4
GTEX-11DXX-2426-SM-5GZZW 60-69 years, female 71.0
GTEX-11ZTT-2426-SM-5EQLS 60-69 years, female 71.0
GTEX-Y8E4-0626-SM-4WWDL 40-49 years, male 71.0
GTEX-12WSG-2826-SM-E9J4H 50-59 years, female 71.0
GTEX-1IL2U-0226-SM-CE6T8 60-69 years, male 71.0
GTEX-1CB4E-2226-SM-793DC 60-69 years, male 70.8
GTEX-14ICK-0226-SM-6EU25 40-49 years, male 70.6
GTEX-1HSEH-0126-SM-ACKXN 60-69 years, male 70.6
GTEX-1HCVE-0126-SM-CGQEU 50-59 years, male 70.5
GTEX-148VI-1626-SM-5SI6E 60-69 years, female 70.4
GTEX-1S82Y-2026-SM-EVYCM 40-49 years, male 70.4
GTEX-Y5V5-2326-SM-4V6GA 60-69 years, female 70.2
GTEX-17HGU-0226-SM-7DHKV 50-59 years, male 70.1
GTEX-X8HC-0126-SM-4E3JW 50-59 years, female 70.0
GTEX-1C64O-0126-SM-7SB8P 60-69 years, male 70.0
GTEX-1LSNM-1926-SM-E6CII 50-59 years, male 69.9
GTEX-117XS-2726-SM-5N9BL 60-69 years, male 69.8
GTEX-17MFQ-1726-SM-793C7 20-29 years, male 69.8
GTEX-SUCS-1926-SM-32PM3 70-79 years, male 69.7
GTEX-YEC4-2126-SM-5IFJH 40-49 years, male 69.7
GTEX-13NZB-2526-SM-5J1OM 30-39 years, male 69.6
GTEX-Y5LM-1926-SM-5RQJH 40-49 years, female 69.6
GTEX-1CAMR-1926-SM-7EPI2 20-29 years, male 69.5
GTEX-11DZ1-0126-SM-5985Q 50-59 years, male 69.3
GTEX-13OVI-1426-SM-5L3EY 60-69 years, female 69.3
GTEX-12C56-1726-SM-5EQ61 20-29 years, male 68.9
GTEX-13IVO-0126-SM-5J1NG 70-79 years, male 68.9
GTEX-13VXT-0126-SM-5LU4I 20-29 years, female 68.9
GTEX-1JMQI-2226-SM-CM2SD 50-59 years, male 68.9
GTEX-1128S-2326-SM-5GZZY 60-69 years, female 68.8
GTEX-145MN-2226-SM-5SIAU 30-39 years, male 68.8
GTEX-14753-0426-SM-5NQAM 60-69 years, male 68.8
GTEX-ZY6K-1826-SM-5GZXK 50-59 years, male 68.8
GTEX-17HHY-0126-SM-7LG5D 50-59 years, male 68.6
GTEX-11P81-2326-SM-59875 30-39 years, female 68.5
GTEX-1F48J-0126-SM-7P8TT 50-59 years, female 68.4
GTEX-1PIIG-0226-SM-EWRN6 30-39 years, male 68.4
GTEX-1HSKV-0226-SM-A9SKJ 60-69 years, male 68.3
GTEX-1JN76-0126-SM-CNPPE 20-29 years, female 68.3
GTEX-1CB4G-0226-SM-7PC3O 60-69 years, male 68.2
GTEX-11UD2-0226-SM-5EQKY 50-59 years, male 68.1
GTEX-139TS-2826-SM-5J1OO 60-69 years, male 68.1
GTEX-18A7B-0126-SM-7LG64 70-79 years, male 68.1
GTEX-ZYY3-0126-SM-5GZY5 60-69 years, female 68.1
GTEX-TKQ1-1026-SM-4GICL 30-39 years, male 68.0
GTEX-145LT-1726-SM-5QGP3 40-49 years, male 67.9
GTEX-13SLW-0126-SM-5SI6C 70-79 years, male 67.8
GTEX-131XW-0426-SM-5LZWP 50-59 years, female 67.6
GTEX-XUYS-0126-SM-47JWZ 50-59 years, male 67.6
GTEX-16MT8-0426-SM-7KUEY 60-69 years, female 67.5
GTEX-1399T-2826-SM-5KLYZ 60-69 years, male 67.4
GTEX-1NHNU-1026-SM-E9J2A 50-59 years, male 67.4
GTEX-15SHW-0326-SM-6PAML 60-69 years, male 67.3
GTEX-1GF9V-0326-SM-7RHI5 60-69 years, male 67.3
GTEX-ZQG8-1626-SM-DHXIT 60-69 years, female 67.3
GTEX-Y8LW-1826-SM-5S2MV 50-59 years, female 67.2
GTEX-17EVQ-0226-SM-7LG4P 70-79 years, male 67.0
GTEX-13O3P-0126-SM-5KM4S 50-59 years, male 66.9
GTEX-Z9EW-1626-SM-5CVMN 40-49 years, male 66.9
GTEX-1PWST-0226-SM-E76QJ 70-79 years, male 66.8
GTEX-1314G-1526-SM-5EGK2 30-39 years, male 66.7
GTEX-U8T8-0126-SM-3DB94 60-69 years, male 66.7
GTEX-13FHP-0126-SM-5IJBG 50-59 years, male 66.6
GTEX-1IDFM-0126-SM-COH2V 60-69 years, male 66.6
GTEX-W5WG-1826-SM-4KL2Y 50-59 years, female 66.5
GTEX-1PPH7-2326-SM-EVYB8 40-49 years, male 66.4
GTEX-1RAZA-0126-SM-E6CI3 20-29 years, male 66.3
GTEX-1A8FM-0226-SM-7SB7Q 50-59 years, female 66.0
GTEX-1LB8K-0226-SM-EWRNW 50-59 years, male 66.0
GTEX-RTLS-0126-SM-447CA 60-69 years, female 65.8
GTEX-ZYW4-0126-SM-5E44A 60-69 years, male 65.7
GTEX-T2YK-0526-SM-32QPJ 50-59 years, male 65.6
GTEX-13CF2-2526-SM-5LZYX 60-69 years, male 65.5
GTEX-1POEN-0126-SM-EYYXJ 30-39 years, female 65.5
GTEX-17HG3-2226-SM-7938L 30-39 years, female 65.4
GTEX-U3ZN-2326-SM-3DB7W 30-39 years, female 65.4
GTEX-1K2DU-2326-SM-E9TIV 20-29 years, male 65.4
GTEX-U4B1-1826-SM-4DXSU 40-49 years, male 65.3
GTEX-1IE54-0126-SM-CMKHW 40-49 years, female 65.3
GTEX-1EMGI-0126-SM-9KNUE 60-69 years, male 65.2
GTEX-16BQI-0226-SM-7KUEX 30-39 years, female 65.0
GTEX-1QP67-1626-SM-EAZ3X 40-49 years, female 65.0
GTEX-PLZ4-0126-SM-5SI8O 50-59 years, female 64.9
GTEX-XQ8I-0426-SM-4BOPO 50-59 years, male 64.9
GTEX-11ZU8-2526-SM-5EQKI 60-69 years, male 64.8
GTEX-1NV5F-0226-SM-E8VNY 60-69 years, female 64.8
GTEX-QDVJ-1726-SM-2I5FX 50-59 years, male 64.6
GTEX-U412-0426-SM-3DB9O 60-69 years, male 64.6
GTEX-ZVE2-0226-SM-59HJB 50-59 years, male 64.6
GTEX-13OVG-1926-SM-5L3DK 60-69 years, male 64.5
GTEX-144FL-0126-SM-5TDC8 50-59 years, male 64.5
GTEX-R45C-0126-SM-EAZ2R 60-69 years, female 64.5
GTEX-11DYG-0126-SM-59883 60-69 years, male 64.4
GTEX-WY7C-2326-SM-3NB2U 50-59 years, male 64.4
GTEX-OHPM-0126-SM-2YUN9 50-59 years, male 64.3
GTEX-QLQ7-1626-SM-2S1R8 60-69 years, male 64.3
GTEX-1HBPM-0226-SM-ARL9F 60-69 years, female 64.2
GTEX-1LC47-0326-SM-E9TJP 60-69 years, male 64.2
GTEX-111VG-2426-SM-5GZXD 60-69 years, male 64.0
GTEX-146FH-0126-SM-5QGPP 50-59 years, female 64.0
GTEX-RM2N-1426-SM-2TF4H 50-59 years, male 64.0
GTEX-1HBPI-1526-SM-C1YQ1 50-59 years, male 64.0
GTEX-1S5ZA-0126-SM-EVYCV 20-29 years, male 64.0
GTEX-13W3W-2426-SM-5LU5B 60-69 years, female 63.9
GTEX-OXRO-0126-SM-2YUN4 60-69 years, female 63.9
GTEX-ZQUD-1426-SM-57WER 30-39 years, male 63.9
GTEX-Z93S-0126-SM-5HL7M 50-59 years, male 63.8
GTEX-ZAB5-1826-SM-5HL7C 50-59 years, male 63.8
GTEX-1EWIQ-0126-SM-7RHH2 70-79 years, female 63.7
GTEX-1IGQW-0126-SM-COH42 60-69 years, male 63.7
GTEX-Q2AH-1626-SM-3GAF8 40-49 years, male 63.6
GTEX-1I1GP-2226-SM-CGQFK 50-59 years, male 63.6
GTEX-1QP2A-0126-SM-E9J43 50-59 years, male 63.6
GTEX-11TTK-0126-SM-5987B 60-69 years, female 63.5
GTEX-15EOM-0126-SM-7KUGG 20-29 years, female 63.5
GTEX-T2IS-0126-SM-4DM6O 20-29 years, female 63.5
GTEX-OXRK-0226-SM-3NB2G 50-59 years, female 63.4
GTEX-1RAZQ-0726-SM-EAZ43 30-39 years, male 63.3
GTEX-YB5K-2126-SM-4WWDJ 40-49 years, female 63.2
GTEX-1H3VY-0126-SM-ACKXD 50-59 years, male 63.2
GTEX-O5YW-0126-SM-3LK6D 50-59 years, male 63.1
GTEX-OIZG-0726-SM-33HBL 50-59 years, male 63.0
GTEX-1JMQK-0226-SM-CL543 60-69 years, male 63.0
GTEX-13X6I-0626-SM-5QGP9 60-69 years, male 62.9
GTEX-14BMV-0126-SM-5S2PO 50-59 years, male 62.9
GTEX-14PJM-0226-SM-62LF1 50-59 years, female 62.9
GTEX-WH7G-2326-SM-3NMBC 40-49 years, male 62.9
GTEX-1I1GQ-0126-SM-COH3H 50-59 years, male 62.9
GTEX-12WSE-0526-SM-793B2 20-29 years, male 62.8
GTEX-1H11D-0226-SM-9WG6Z 40-49 years, male 62.8
GTEX-17F98-0626-SM-79OMX 40-49 years, female 62.7
GTEX-18QFQ-0126-SM-731BE 30-39 years, male 62.7
GTEX-1GF9U-2126-SM-7SB7L 40-49 years, female 62.7
GTEX-1IDJH-0326-SM-A9SLQ 70-79 years, male 62.7
GTEX-139TU-0126-SM-5K7WH 60-69 years, male 62.6
GTEX-14PHW-0126-SM-6LLJI 60-69 years, female 62.6
GTEX-13112-2826-SM-5DUWH 50-59 years, male 62.5
GTEX-U3ZM-1526-SM-3DB9D 40-49 years, male 62.5
GTEX-XAJ8-0826-SM-47JY6 40-49 years, male 62.4
GTEX-1I1CD-0126-SM-CM2TK 60-69 years, female 62.4
GTEX-1313W-0126-SM-5LZUN 50-59 years, female 62.3
GTEX-13OVK-2026-SM-7KUEO 40-49 years, male 62.1
GTEX-P4PQ-0126-SM-2S1NM 60-69 years, male 62.0
GTEX-X585-0226-SM-4QAS2 50-59 years, male 62.0
GTEX-ZAB4-0226-SM-5N9F5 40-49 years, male 62.0
GTEX-1GN1V-0126-SM-9WPOS 60-69 years, male 61.9
GTEX-1H3NZ-0126-SM-ACKX7 60-69 years, male 61.9
GTEX-13S7M-0126-SM-5SI6A 60-69 years, female 61.8
GTEX-14BIN-0626-SM-793DP 50-59 years, female 61.8
GTEX-U3ZH-2026-SM-3DB78 30-39 years, male 61.7
GTEX-183FY-0126-SM-7LT9P 20-29 years, male 61.6
GTEX-1CB4J-0626-SM-7DHMP 60-69 years, male 61.6
GTEX-139UW-2826-SM-5L3E7 60-69 years, male 61.5
GTEX-T5JC-0426-SM-32PLO 20-29 years, male 61.5
GTEX-VUSG-2526-SM-4KL1V 50-59 years, male 61.4
GTEX-1O97I-0326-SM-EYYX7 60-69 years, male 61.2
GTEX-13NYS-0126-SM-5MR3W 60-69 years, male 61.1
GTEX-1H1DE-2126-SM-9WG6R 20-29 years, male 61.1
GTEX-139TT-0126-SM-5K7Y5 60-69 years, male 61.0
GTEX-111FC-0126-SM-5N9DL 60-69 years, male 60.9
GTEX-14LZ3-0226-SM-62LET 60-69 years, female 60.9
GTEX-15G19-0126-SM-6PANQ 60-69 years, male 60.9
GTEX-13OW8-1326-SM-5J1OW 60-69 years, male 60.8
GTEX-ZEX8-2426-SM-4WKG4 50-59 years, male 60.5
GTEX-1I19N-0326-SM-ACKVX 70-79 years, male 60.5
GTEX-1H1CY-2826-SM-9MQM3 60-69 years, female 60.4
GTEX-1CB4I-0226-SM-79OLH 50-59 years, male 60.0
GTEX-O5YT-0126-SM-48TBW 20-29 years, male 60.0
GTEX-12ZZY-0226-SM-5LZVE 60-69 years, male 59.9
GTEX-1399R-2726-SM-5IJBA 30-39 years, male 59.9
GTEX-13X6J-0126-SM-5QGOU 50-59 years, male 59.9
GTEX-13SLX-0526-SM-5S2ON 50-59 years, female 59.8
GTEX-SSA3-0126-SM-32QPU 60-69 years, male 59.6
GTEX-1EN7A-0126-SM-7SB81 40-49 years, male 59.6
GTEX-12WSC-0126-SM-5EQ4P 50-59 years, male 59.5
GTEX-WQUQ-0426-SM-3MJFU 60-69 years, male 59.5
GTEX-1IKOH-0226-SM-COH4E 60-69 years, female 59.4
GTEX-1HUB1-0426-SM-E9U4U 60-69 years, male 59.3
GTEX-1GPI6-0126-SM-9WG69 60-69 years, male 59.2
GTEX-1QMI2-0226-SM-EVYBX 60-69 years, male 59.2
GTEX-ZC5H-0226-SM-4WAY9 40-49 years, female 58.9
GTEX-1C6VQ-0126-SM-7P8RI 50-59 years, male 58.9
GTEX-113JC-2326-SM-5EQ4E 50-59 years, female 58.8
GTEX-13O3O-0126-SM-E9J49 60-69 years, female 58.7
GTEX-1EU9M-0226-SM-7P8SP 60-69 years, male 58.7
GTEX-13O1R-0126-SM-5L3EH 60-69 years, male 58.6
GTEX-YJ89-0126-SM-4TT3X 60-69 years, male 58.6
GTEX-1MA7X-2226-SM-E6CIY 60-69 years, male 58.6
GTEX-X5EB-2226-SM-46MW4 40-49 years, male 58.5
GTEX-1JMLX-0226-SM-CM2RO 50-59 years, male 58.5
GTEX-11GS4-2726-SM-5A5LE 60-69 years, male 58.4
GTEX-13U4I-0126-SM-5LU38 40-49 years, female 58.4
GTEX-14E7W-0126-SM-6LLJ9 70-79 years, male 58.4
GTEX-144GL-0126-SM-5TDE2 50-59 years, male 58.3
GTEX-1HBPN-0226-SM-9YFM1 50-59 years, male 58.3
GTEX-ZPIC-1726-SM-DHXIU 40-49 years, female 58.3
GTEX-P4PP-0126-SM-3LK69 30-39 years, female 58.1
GTEX-14DAQ-0126-SM-5S2MQ 60-69 years, female 58.0
GTEX-X4XY-0226-SM-4E3IZ 60-69 years, male 57.9
GTEX-ZZPT-0226-SM-5E43X 50-59 years, male 57.9
GTEX-146FQ-0126-SM-5NQA9 30-39 years, male 57.8
GTEX-WYVS-2126-SM-3NMA3 40-49 years, female 57.8
GTEX-1AX9I-0126-SM-7SB74 60-69 years, male 57.8
GTEX-17F97-0326-SM-7LG5B 50-59 years, male 57.7
GTEX-1GN73-0226-SM-9WG67 60-69 years, male 57.6
GTEX-12ZZX-0126-SM-5EGK9 40-49 years, female 57.5
GTEX-X4EP-0126-SM-3P5YV 60-69 years, female 57.5
GTEX-1H1DG-0126-SM-9WYU2 70-79 years, male 57.5
GTEX-1HKZK-0326-SM-9WYUH 40-49 years, male 57.5
GTEX-1B8SF-1426-SM-7DUGL 60-69 years, male 57.3
GTEX-1IL2V-0126-SM-CM2TX 70-79 years, male 57.3
GTEX-13FXS-0226-SM-5IJCK 50-59 years, male 57.2
GTEX-SJXC-0126-SM-2XCFF 60-69 years, male 57.1
GTEX-13N1W-0126-SM-5K7VT 70-79 years, male 57.0
GTEX-1I1GV-0526-SM-A9G29 60-69 years, male 57.0
GTEX-SE5C-1626-SM-2XCE3 40-49 years, female 56.9
GTEX-11GSO-2426-SM-5A5LY 60-69 years, male 56.8
GTEX-13FHO-0226-SM-5IFGY 60-69 years, male 56.8
GTEX-15DYW-0126-SM-7KULE 60-69 years, female 56.8
GTEX-OIZF-0126-SM-7SB8I 60-69 years, male 56.8
GTEX-S7PM-0126-SM-4AD6S 60-69 years, male 56.7
GTEX-1GTWX-0126-SM-9YFLK 60-69 years, male 56.7
GTEX-OXRL-0126-SM-2YUMP 50-59 years, male 56.6
GTEX-PVOW-0126-SM-2XCFA 40-49 years, male 56.6
GTEX-11DXZ-2326-SM-5EGGV 50-59 years, male 56.5
GTEX-1GF9X-2026-SM-7PC3A 40-49 years, female 56.5
GTEX-18465-0126-SM-731BN 50-59 years, male 56.1
GTEX-13NZA-0226-SM-5K7Z7 60-69 years, male 55.9
GTEX-1AYD5-2426-SM-73KXR 50-59 years, male 55.9
GTEX-1KWVE-1426-SM-E9TJO 30-39 years, male 55.9
GTEX-1GN2E-0426-SM-9MQKX 60-69 years, male 55.7
GTEX-1JMQJ-0526-SM-CYPSU 50-59 years, male 55.7
GTEX-13NYB-2526-SM-5K7Z6 40-49 years, male 55.6
GTEX-Y3I4-2126-SM-4TT7C 50-59 years, male 55.6
GTEX-1JMPY-1326-SM-ARL8Y 30-39 years, male 55.6
GTEX-13RTJ-2426-SM-5S2Q2 60-69 years, male 55.4
GTEX-16GPK-0126-SM-7DHLE 60-69 years, male 55.4
GTEX-16XZY-2126-SM-79OK1 70-79 years, male 55.3
GTEX-ZE9C-2726-SM-57WB5 60-69 years, male 55.3
GTEX-PW2O-1526-SM-7RHHB 20-29 years, male 55.3
GTEX-14E6D-0126-SM-62LDV 50-59 years, male 55.1
GTEX-PWO3-1526-SM-48TCM 60-69 years, female 55.1
GTEX-1M4P7-0226-SM-DIPEV 60-69 years, male 55.1
GTEX-12WSL-2526-SM-5GCNJ 50-59 years, male 55.0
GTEX-13OW6-0426-SM-5L3HM 50-59 years, male 55.0
GTEX-14PJ3-1826-SM-62LEX 50-59 years, male 55.0
GTEX-1H3O1-0426-SM-9YFKY 60-69 years, male 55.0
GTEX-11P7K-2126-SM-5GU7G 30-39 years, male 54.9
GTEX-1J8JJ-0226-SM-CL53I 60-69 years, female 54.9
GTEX-QDT8-0126-SM-48TZ1 30-39 years, female 54.8
GTEX-ZAK1-0126-SM-5IJD3 50-59 years, female 54.8
GTEX-ZVTK-0426-SM-51MRS 20-29 years, male 54.8
GTEX-1KD4Q-0226-SM-E9TJ9 40-49 years, male 54.8
GTEX-X62O-0126-SM-4E3JN 50-59 years, male 54.7
GTEX-WVJS-0126-SM-4MVOT 50-59 years, male 54.6
GTEX-1R9PO-2126-SM-E9J4O 60-69 years, female 54.6
GTEX-1RDX4-0126-SM-E9J4P 50-59 years, female 54.6
GTEX-13RTL-0126-SM-7LG5S 40-49 years, male 54.5
GTEX-139T8-0126-SM-5K7XZ 60-69 years, male 54.4
GTEX-13OVH-0126-SM-5MR4B 70-79 years, male 54.4
GTEX-1LG7Y-0526-SM-DKPQC 50-59 years, male 54.4
GTEX-1I6K6-0126-SM-A9SLE 30-39 years, male 54.3
GTEX-11ZVC-2526-SM-5FQTE 50-59 years, female 54.2
GTEX-15SB6-1726-SM-6PAME 50-59 years, female 54.2
GTEX-R55G-2526-SM-2TC6D 40-49 years, female 54.2
GTEX-15CHC-2126-SM-6EU21 60-69 years, female 54.1
GTEX-V1D1-2226-SM-3NMAX 50-59 years, male 54.1
GTEX-ZAJG-0126-SM-5HL94 50-59 years, female 54.1
GTEX-1HB9E-0226-SM-E9U4R 50-59 years, male 54.1
GTEX-PX3G-0126-SM-2I3EN 20-29 years, female 54.0
GTEX-ZDTS-0126-SM-4WAY5 60-69 years, male 53.9
GTEX-1C4CL-0526-SM-73KVK 30-39 years, male 53.8
GTEX-17KNJ-2326-SM-7DHLQ 50-59 years, male 53.6
GTEX-XMD2-0126-SM-4YCDU 60-69 years, female 53.6
GTEX-1497J-2426-SM-7IGNX 60-69 years, male 53.5
GTEX-17MF6-0126-SM-7LG4F 40-49 years, male 53.5
GTEX-VJYA-1126-SM-3GIJU 60-69 years, male 53.4
GTEX-1GZ2Q-0226-SM-7P8TL 40-49 years, male 53.4
GTEX-1JMQL-0226-SM-CNPP5 50-59 years, female 53.1
GTEX-1192X-0226-SM-5H12D 50-59 years, male 53.0
GTEX-1HFI6-0226-SM-ADEHZ 40-49 years, male 52.9
GTEX-1I1GS-0126-SM-B2LVW 60-69 years, male 52.9
GTEX-131XG-2626-SM-5KM17 50-59 years, female 52.8
GTEX-14BIM-0226-SM-7IGLD 60-69 years, female 52.8
GTEX-QV44-1926-SM-2S1RF 50-59 years, male 52.8
GTEX-147GR-0526-SM-5S2MY 60-69 years, male 52.5
GTEX-15UKP-0426-SM-7KUFQ 20-29 years, male 52.4
GTEX-1H23P-0126-SM-ADEJ3 60-69 years, male 52.3
GTEX-1LNCM-1126-SM-E9U5E 50-59 years, female 52.3
GTEX-13FTY-0526-SM-5L3EV 40-49 years, female 52.2
GTEX-1BAJH-0526-SM-793CQ 70-79 years, male 52.2
GTEX-Z93T-0126-SM-5HL5N 50-59 years, male 52.2
GTEX-RNOR-0126-SM-E9J4R 50-59 years, female 52.2
GTEX-11NSD-2226-SM-5986V 20-29 years, male 52.1
GTEX-WOFL-0126-SM-3MJG2 60-69 years, male 52.1
GTEX-1F75A-0126-SM-7RHGM 50-59 years, male 52.1
GTEX-1212Z-2526-SM-5EGKP 60-69 years, male 52.0
GTEX-NPJ8-0126-SM-2YUNR 40-49 years, male 52.0
GTEX-ZTPG-0326-SM-5O9AX 20-29 years, female 51.9
GTEX-1A32A-0126-SM-718B1 50-59 years, female 51.8
GTEX-11TT1-2526-SM-5EGIB 20-29 years, male 51.7
GTEX-14JG1-0426-SM-6ETZZ 40-49 years, male 51.7
GTEX-Q2AI-1326-SM-2S1PL 40-49 years, male 51.7
GTEX-1H1ZS-0426-SM-9WG6G 70-79 years, male 51.7
GTEX-16YQH-0126-SM-7DUFJ 30-39 years, male 51.4
GTEX-16NPX-0226-SM-79OMT 50-59 years, male 51.2
GTEX-1K9T9-0126-SM-EVYCF 50-59 years, female 51.1
GTEX-1MCQQ-0826-SM-DLHC2 60-69 years, male 51.1
GTEX-1C64N-0126-SM-793D7 50-59 years, male 51.0
GTEX-1OJC4-0126-SM-E9J2E 50-59 years, female 51.0
GTEX-13VXU-0126-SM-5SI9F 50-59 years, male 50.8
GTEX-145LU-0126-SM-5TDCB 50-59 years, male 50.8
GTEX-1HSMP-0126-SM-E6CJS 70-79 years, male 50.8
GTEX-S33H-1026-SM-EZ6L6 30-39 years, male 50.7
GTEX-1C6VR-2426-SM-79OLD 60-69 years, male 50.6
GTEX-1MJK2-0426-SM-DTXE5 50-59 years, male 50.6
GTEX-11ZTS-0126-SM-5EQ6M 60-69 years, female 50.5
GTEX-1EKGG-0226-SM-9WYTH 60-69 years, male 50.5
GTEX-1B8KZ-2026-SM-7DHMB 50-59 years, male 50.3
GTEX-1CB4F-0426-SM-9KNV4 60-69 years, male 50.2
GTEX-18D9B-0526-SM-7LTAS 60-69 years, male 50.1
GTEX-11EMC-2926-SM-5EQ4F 60-69 years, female 50.0
GTEX-14A6H-0126-SM-5QGPK 30-39 years, male 50.0
GTEX-QVJO-1626-SM-2S1QW 60-69 years, female 49.9
GTEX-S7SE-0126-SM-2XCD5 50-59 years, male 49.8
GTEX-Y5V6-2426-SM-4VDSB 60-69 years, male 49.8
GTEX-ZVZO-0126-SM-5A5L9 40-49 years, male 49.7
GTEX-18A6Q-0126-SM-731BZ 60-69 years, male 49.6
GTEX-R3RS-0126-SM-3GIJL 40-49 years, female 49.5
GTEX-1QW4Y-1526-SM-EAZ3Z 30-39 years, male 49.5
GTEX-1F7RK-0126-SM-7PC2S 20-29 years, female 49.4
GTEX-15DCD-0126-SM-7KUEK 70-79 years, female 49.3
GTEX-18A7A-0226-SM-718BH 50-59 years, female 49.3
GTEX-QEG4-0226-SM-2S1PY 30-39 years, male 49.3
GTEX-1AX8Z-0126-SM-7DHM6 60-69 years, male 49.1
GTEX-XQ3S-1526-SM-4BOOC 20-29 years, male 48.9
GTEX-13N11-2526-SM-5K7UE 50-59 years, female 48.8
GTEX-RVPV-0126-SM-EAZAW 60-69 years, male 48.8
GTEX-11WQK-0526-SM-5EQLD 50-59 years, male 48.7
GTEX-11OC5-0126-SM-5HL6A 60-69 years, male 48.6
GTEX-YFC4-0126-SM-5CVLY 40-49 years, female 48.6
GTEX-ZU9S-0226-SM-5E441 30-39 years, male 48.6
GTEX-13OW7-0126-SM-5MR3B 50-59 years, male 48.5
GTEX-1F6IF-0726-SM-7P8TW 60-69 years, male 48.5
GTEX-145MF-0626-SM-5LUAI 50-59 years, male 48.4
GTEX-ZE7O-0126-SM-57WC1 50-59 years, female 48.4
GTEX-1EX96-1626-SM-7PBXR 50-59 years, male 48.4
GTEX-OOBJ-0126-SM-E6CJW 60-69 years, male 48.4
GTEX-11OF3-2626-SM-5GU7F 60-69 years, male 48.3
GTEX-13OVL-0226-SM-5L3E9 50-59 years, male 48.0
GTEX-1C6WA-0126-SM-7PC2B 60-69 years, male 48.0
GTEX-X638-0126-SM-47JZ8 70-79 years, female 47.9
GTEX-1RQEC-0426-SM-E6CHU 60-69 years, male 47.8
GTEX-Y111-0126-SM-4SOIV 50-59 years, male 47.7
GTEX-1IY9M-0126-SM-D3L8S 60-69 years, male 47.6
GTEX-Y3IK-2426-SM-4WWDU 50-59 years, female 47.5
GTEX-ZYFC-0226-SM-5NQ75 50-59 years, male 47.5
GTEX-X4XX-0126-SM-3NMC2 60-69 years, male 47.4
GTEX-1F88F-2726-SM-7PBZZ 60-69 years, female 47.4
GTEX-15D1Q-0126-SM-7KUG6 40-49 years, male 47.3
GTEX-QLQW-1126-SM-2S1Q8 30-39 years, male 47.3
GTEX-X88G-0126-SM-47JZ3 30-39 years, male 46.9
GTEX-YJ8A-0426-SM-5IFID 20-29 years, male 46.9
GTEX-1IOXB-0126-SM-ARL8G 50-59 years, male 46.9
GTEX-113IC-0126-SM-5HL6T 60-69 years, male 46.8
GTEX-T6MN-0126-SM-32PLP 50-59 years, male 46.8
GTEX-RU72-0926-SM-2TF6B 50-59 years, female 46.2
GTEX-1B933-0126-SM-7PC29 50-59 years, female 46.2
GTEX-Y8DK-0126-SM-4TT3L 60-69 years, male 45.8
GTEX-1ICG6-2526-SM-CGQFZ 70-79 years, female 45.8
GTEX-1KD5A-0226-SM-D5OV3 50-59 years, male 45.8
GTEX-1KANB-0526-SM-E6CJH 50-59 years, male 45.7
GTEX-12WSD-0126-SM-59HKN 60-69 years, female 45.2
GTEX-15SDE-2226-SM-7IGLO 50-59 years, female 45.2
GTEX-18A67-0126-SM-7LG5P 50-59 years, male 45.2
GTEX-1PBJI-0526-SM-E8VNK 20-29 years, female 45.2
GTEX-117YW-2626-SM-5GZZH 50-59 years, male 45.1
GTEX-ZUA1-0126-SM-5GU76 40-49 years, male 45.1
GTEX-1I1HK-0126-SM-COH49 60-69 years, male 45.1
GTEX-WI4N-1026-SM-3LK7N 40-49 years, female 44.9
GTEX-11WQC-2526-SM-5CVLE 60-69 years, male 44.7
GTEX-OOBK-0126-SM-2YUND 40-49 years, male 44.7
GTEX-1N2DW-0226-SM-E9TK2 50-59 years, male 44.5
GTEX-1R9K4-0126-SM-DTX9X 60-69 years, male 44.1
GTEX-1IKK5-0626-SM-ARL8A 60-69 years, male 43.8
GTEX-XV7Q-2526-SM-4BRV9 40-49 years, female 43.7
GTEX-11DXW-0226-SM-5H122 40-49 years, male 43.5
GTEX-11DXY-2626-SM-5GIE7 60-69 years, male 43.4
GTEX-11GSP-2526-SM-5N9BP 60-69 years, female 43.4
GTEX-13O3Q-2426-SM-5IJBR 50-59 years, male 43.1
GTEX-13G51-2526-SM-5LZYK 60-69 years, male 42.9
GTEX-11UD1-0126-SM-5PNYG 40-49 years, female 42.5
GTEX-ZVT3-0126-SM-5GU6I 60-69 years, female 42.3
GTEX-1RLM8-2326-SM-EWRN4 50-59 years, male 42.3
GTEX-XXEK-2226-SM-4BRUM 50-59 years, male 42.2
GTEX-132NY-0326-SM-5IJBL 60-69 years, male 42.0
GTEX-11ZUS-0626-SM-59885 30-39 years, male 41.8
GTEX-U8XE-0326-SM-3DB8P 30-39 years, male 41.8
GTEX-R55E-0126-SM-2TC5Y 20-29 years, male 41.6
GTEX-14A5H-0426-SM-5QGQF 60-69 years, male 41.5
GTEX-11NUK-0126-SM-5A5L3 50-59 years, male 41.4
GTEX-RN64-0126-SM-2TC68 50-59 years, male 41.2
GTEX-12584-0126-SM-5EGKQ 40-49 years, male 41.1
GTEX-1A3MX-0126-SM-731BR 60-69 years, male 41.1
GTEX-WZTO-0126-SM-3NM95 40-49 years, male 41.1
GTEX-XUZC-1726-SM-4BRWS 30-39 years, female 40.9
GTEX-11O72-0126-SM-59887 40-49 years, male 40.8
GTEX-1J8EW-0126-SM-CJI4F 60-69 years, female 40.6
GTEX-139T4-0226-SM-5HL5S 50-59 years, female 40.5
GTEX-14JIY-0126-SM-6LLH6 60-69 years, male 40.4
GTEX-14PK6-1926-SM-6ETZU 70-79 years, female 40.1
GTEX-1AYCT-2426-SM-7IGQ3 50-59 years, male 40.1
GTEX-1HBPH-0426-SM-B2LW5 40-49 years, female 40.1
GTEX-RUSQ-1526-SM-2TF62 50-59 years, male 39.8
GTEX-1QEPI-0126-SM-EWRMQ 60-69 years, female 39.8
GTEX-QESD-1426-SM-2S1R9 20-29 years, male 39.6
GTEX-169BO-1326-SM-9MQK2 50-59 years, male 39.5
GTEX-144GN-2326-SM-5LU4F 50-59 years, male 39.2
GTEX-147F4-0226-SM-5QGPW 50-59 years, male 38.7
GTEX-14XAO-2326-SM-6EU1B 60-69 years, female 38.7
GTEX-1192W-2626-SM-5Q5AF 60-69 years, male 38.6
GTEX-14ABY-0226-SM-5TDCQ 50-59 years, male 38.5
GTEX-W5X1-3026-SM-EAZAX 40-49 years, female 37.6
GTEX-1HR98-0126-SM-B2LWI 60-69 years, male 37.4
GTEX-SIU8-0126-SM-2XCDT 50-59 years, male 37.2
GTEX-TMZS-0126-SM-3DB9Q 60-69 years, male 37.1
GTEX-OHPL-0126-SM-2HMJ7 60-69 years, female 36.6
GTEX-1F6I4-0126-SM-9MQL2 60-69 years, male 36.5
GTEX-Q734-1926-SM-2I5EV 40-49 years, female 35.5
GTEX-POMQ-2226-SM-2I5FK 20-29 years, female 34.3
GTEX-XYKS-2126-SM-4E3IB 60-69 years, female 32.8
GTEX-ZDXO-3026-SM-5J1N5 60-69 years, male 29.5
GTEX-12126-0326-SM-5PNW3 20-29 years, male 28.5
Show allShow less

Contact

  • NEWS ARTICLES
  • PRESS ROOM

The Project

  • INTRODUCTION
  • ORGANIZATION
  • PUBLICATIONS

The Human Protein Atlas

  • DOWNLOADABLE DATA
  • LICENCE & CITATION
  • HELP & FAQ
The Human Protein Atlas project is funded
by the Knut & Alice Wallenberg Foundation.


contact@proteinatlas.org