We use cookies to enhance the usability of our website. If you continue, we'll assume that you are happy to receive all cookies. More information. Don't show this again.
PERP
HPA
RESOURCES
  • TISSUE
  • BRAIN
  • SINGLE CELL
  • SUBCELLULAR
  • CANCER
  • BLOOD
  • CELL LINE
  • STRUCTURE & INTERACTION
ABOUT
  • INTRODUCTION
  • HISTORY
  • ORGANIZATION
  • PUBLICATIONS
  • ANTIBODY SUBMISSION
  • ANTIBODY AVAILABILITY
  • ACKNOWLEDGMENTS
  • CONTACT
NEWS
  • NEWS ARTICLES
  • PRESS ROOM
LEARN
  • DICTIONARY
  • PROTEIN CLASSES
  • PROTEIN EVIDENCE
  • METHODS
  • EDUCATIONAL VIDEOS
DATA
  • DOWNLOADABLE DATA
  • PUBLICATION DATA
  • RELEASE HISTORY
HELP
  • ANTIBODY VALIDATION
  • ASSAYS & ANNOTATION
  • DISCLAIMER
  • HELP & FAQ
  • PRIVACY STATEMENT
  • LICENCE & CITATION
Fields »
Search result

Field
Term
Gene name
Class
Subclass
Class
Keyword
Chromosome
External id
Tissue
Cell type
Expression
Antibody panel
Tissue
Main location
Patient ID
Annotation
Tissue
Category
Tau score
Cluster
Reliability
Brain region
Category
Tau score
Brain region
Category
Tau score
Brain region
Category
Tau score
Cluster
Reliability
Tissue
Cell type
Enrichment
Cell type
Category
Tau score
Cell type
Category
Tau score
Cell type
Category
Tau score
Cell lineage
Category
Tau score
Cluster
Cluster
Location
Searches
Location
Cell line
Class
Type
Phase
Reliability
Cancer
Prognosis
Cancer
Category
Cancer
Category
Tau score
Cluster
Variants
Interacting gene (ensg_id)
Type
Number of interactions
Pathway
Category
Score
Score
Score
Validation
Validation
Validation
Validation
Antibodies
Data type
Column


  • SUMMARY

  • TISSUE

  • BRAIN

  • SINGLE CELL

  • SUBCELL

  • CANCER

  • BLOOD

  • CELL LINE

  • STRUCT & INT

  • PERP
CANCER UROTHELIAL CANCER Show tissue menu
BREAST CANCER CARCINOID CERVICAL CANCER COLORECTAL CANCER ENDOMETRIAL CANCER GLIOMA HEAD AND NECK CANCER LIVER CANCER LUNG CANCER LYMPHOMA
MELANOMA OVARIAN CANCER PANCREATIC CANCER PROSTATE CANCER RENAL CANCER SKIN CANCER STOMACH CANCER TESTIS CANCER THYROID CANCER UROTHELIAL CANCER
BLCA TCGA PROTEIN EXPRESSION
ANTIBODIES
AND
VALIDATION
Dictionary
Urothelial cancer
Human cancer
Bladder urothelial carcinoma
BLADDER UROTHELIAL CARCINOMA (TCGA) - Interactive survival scatter ploti

The Survival Scatter plot shows the clinical status (i.e. dead or alive) for all individuals in the patient cohort, based on the same data that underlies the corresponding Kaplan-Meier plots. Patients that are alive at last time for follow-up are shown in blue and patients who have died during the study are shown in red.

The x-axis shows the expression levels (FPKM) of the investigated gene in the tumor tissue at the time of diagnosis. The y-axis shows the follow-up time after diagnosis (years). Both axes are complimented with kernel density curves demonstrating the data density over the axes. The top density plot shows the expression levels (FPKM) distribution among dead (red) and alive patients (blue). The right density plot shows the data density of the survived years of dead patients with high and low expression levels respectively, stratified using the cutoff indicated by the vertical dashed line through the Survival Scatter plot. This cutoff is automatically defined based on the FPKM cutoff that minimizes the p-score. The cutoff can be changed by dragging the vertical line or by entering a cutoff value in the square labeled "Current cut-off".

Under the Survival Scatter plot the p-score landscape (black curve; left axis) is shown together with dead median separation (red curve; right axis). Dead median separation is the difference in median mRNA expression between patients who have died with high and low expression, respectively. It is calculated as follows: median FPKM expression of dead patients with high expression - median FPKM expression of dead patients with low expression. This is intended to aid the user in visually exploring custom cutoffs and the associated p-scores and dead median separation.

Individual patient data is displayed and can be filtered by clicking on one or more of the category buttons on the top of the page. Categories describing expression level and patient information include: high, low, alive, dead, female, male and tumor stages. The scale of the x-axis can be toggled between linear and log-scale by clicking on the "x log" button. Mouse-over function shows TCGA ID, patient information and mRNA expression (FPKM) for each patient.

& Survival analysisi

Kaplan-Meier plots summarize results from analysis of correlation between mRNA expression level and patient survival. Patients were divided based on level of expression into one of the two groups "low" (under cut off) or "high" (over cut off). X-axis shows time for survival (years) and y-axis shows the probability of survival, where 1.0 corresponds to 100 percent.

PERP is not prognostic in Bladder Urothelial Carcinoma (TCGA)


Stage:
Survival analysis
Current cut offi

Current cut-off shows the cut-off (FPKM) currently selected. It may be changed manually. When the current cut-off is changed, the vertical dashed line indicating cut-off, the interactive survival scatter plot and the Kaplan-Meier curve will be automatically adjusted to show results accordingly.

:
Best expression cut offi

Based on the FPKM value of each gene, patients were classified into two groups and association between prognosis (survival) and gene expression (FPKM) was examined. The best expression cut-off refers the FPKM value that yields maximal difference with regard to survival between the two groups at the lowest log-rank P-value. Best expression cut-off was selected based on survival analysis .

When clicking on this number, the vertical dashed line indicating cut-off, the interactive survival plot, and the Kaplan-Meier curve will be adjusted to show results based on the best expression cut-off.

: 203.12
Median expressioni

Median expression refers to the median FPKM value calculated based on the gene expression (FPKM) data from all patients in this dataset. When clicking on this number, the vertical dashed line indicating cut-off, the interactive survival plot, and the Kaplan-Meier curve will be adjusted to show results based on the median expression.

: N/A
Median follow up timei

Median follow up time refers to the median time (years) after diagnosis with this type of cancer, based on clinical data from all patients in this dataset.

: N/A
P scorei

Log-rank P value for Kaplan-Meier plot showing results from analysis of correlation between mRNA expression level and patient survival.

N/A
5-year survival highi

5-year survival for patients with higher expression than the expression cutoff.

For melanoma and glioma, 3-year survival is shown.

N/A
5-year survival lowi

5-year survival for patients with lower expression than the expression cutoff.

For melanoma and glioma, 3-year survival is shown.

N/A
TCGA RNA samplesi

RNA-seq data is reported as average FPKM (number Fragments Per Kilobase of exon per Million reads), generated by the The Cancer Genome Atlas (TCGA) .

Normal distribution across the dataset is visualized with box plots, shown as median and 25th and 75th percentiles. Points are displayed as outliers if they are above or below 1.5 times the interquartile range. FPKM values of the individual samples are presented next to the box plot.

Average pTPM 508.0
Number of samples 169
Samples
Sample Description pTPM
TCGA-DK-A3IM-01A 76 years, male, white, stage:Stage III, dead, 248 days 8594.5
TCGA-ZF-A9RE-01A 78 years, female, white, stage:Stage II, dead, 106 days 5808.3
TCGA-XF-A9T2-01A 54 years, male, white, stage:Stage III, dead, 575 days 3842.3
TCGA-XF-A9T8-01A 64 years, male, white, stage:Stage III, dead, 418 days 3839.1
TCGA-GV-A40E-01A 75 years, male, white, stage:Stage II, dead, 261 days 3472.2
TCGA-FD-A3SO-01A 68 years, male, white, stage:Stage IV, dead, 168 days 2761.2
TCGA-2F-A9KR-01A 59 years, female, stage:Stage III, dead, 3183 days 2129.2
TCGA-ZF-AA4R-01A 67 years, male, white, stage:Stage IV, dead, 1036 days 1996.0
TCGA-E7-A541-01A 66 years, male, white, stage:Stage II, dead, 778 days 1671.0
TCGA-FD-A3N5-01A 69 years, male, black or african american, stage:Stage II, dead, 685 days 1615.8
TCGA-BT-A20X-01A 56 years, male, white, stage:Stage IV, dead, 251 days 1434.3
TCGA-4Z-AA80-01A 73 years, male, white, stage:Stage II, dead, 19 days 1335.8
TCGA-BT-A20T-01A 63 years, male, white, stage:Stage IV, dead, 453 days 1331.9
TCGA-G2-A3IE-01A 51 years, male, white, stage:Stage II, dead, 612 days 1152.3
TCGA-FD-A3B5-01A 86 years, male, black or african american, stage:Stage IV, dead, 272 days 1079.3
TCGA-XF-A9ST-01A 68 years, male, white, stage:Stage III, dead, 128 days 1076.2
TCGA-E5-A4TZ-01A 64 years, male, white, stage:Stage IV, dead, 467 days 1054.6
TCGA-G2-A3IB-01A 66 years, male, black or african american, stage:Stage II, dead, 220 days 967.4
TCGA-C4-A0F7-01A 77 years, male, stage:Stage IV, dead, 62 days 962.2
TCGA-FD-A43Y-01A 65 years, male, white, stage:Stage III, dead, 474 days 961.3
TCGA-DK-A3IN-01A 72 years, male, white, stage:Stage III, dead, 250 days 849.0
TCGA-FD-A3SS-01A 66 years, male, white, stage:Stage IV, dead, 391 days 832.1
TCGA-BT-A0YX-01A 70 years, female, white, stage:Stage III, dead, 400 days 792.0
TCGA-CU-A0YN-01A 60 years, male, white, stage:Stage III, dead, 393 days 789.7
TCGA-XF-A9SZ-01A 79 years, male, white, stage:Stage IV, dead, 859 days 746.7
TCGA-BL-A13J-01A 65 years, male, white, stage:Stage IV, dead, 81 days 735.9
TCGA-FJ-A3ZE-01A 65 years, male, white, stage:Stage IV, dead, 324 days 732.4
TCGA-BT-A20U-01A 70 years, female, white, stage:Stage III, dead, 455 days 722.5
TCGA-K4-A4AC-01A 83 years, male, white, stage:Stage II, dead, 278 days 700.5
TCGA-CU-A72E-01A 76 years, male, white, stage:Stage IV, dead, 413 days 675.1
TCGA-E7-A3X6-01A 70 years, male, white, stage:Stage II, dead, 904 days 674.0
TCGA-XF-AAN0-01A 68 years, male, white, stage:Stage IV, dead, 1718 days 673.6
TCGA-ZF-AA5N-01A 62 years, female, white, stage:Stage IV, dead, 168 days 619.4
TCGA-FD-A3B4-01A 55 years, female, black or african american, stage:Stage III, dead, 510 days 598.5
TCGA-BT-A20N-01A 72 years, male, stage:Stage III, dead, 795 days 593.7
TCGA-HQ-A5NE-01A 57 years, male, stage:Stage III, dead, 370 days 571.0
TCGA-FD-A62P-01A 76 years, male, white, stage:Stage II, dead, 191 days 557.9
TCGA-XF-AAN2-01A 73 years, male, white, stage:Stage II, dead, 1869 days 550.9
TCGA-FD-A3B3-01A 74 years, female, white, stage:Stage III, dead, 974 days 538.9
TCGA-ZF-A9RD-01A 75 years, female, white, stage:Stage IV, dead, 408 days 515.1
TCGA-DK-A3X2-01A 85 years, male, white, stage:Stage IV, dead, 547 days 508.1
TCGA-ZF-A9RN-01A 67 years, female, white, stage:Stage III, dead, 615 days 493.5
TCGA-GU-A42Q-01A 67 years, male, white, stage:Stage III, dead, 344 days 484.2
TCGA-ZF-AA56-01A 79 years, female, white, stage:Stage III, dead, 259 days 463.6
TCGA-BT-A20V-01A 59 years, female, black or african american, stage:Stage IV, dead, 154 days 461.3
TCGA-XF-AAMW-01A 79 years, female, white, stage:Stage IV, dead, 253 days 446.1
TCGA-XF-A9SW-01A 85 years, male, white, stage:Stage IV, dead, 362 days 431.9
TCGA-DK-A1A5-01A 79 years, male, white, stage:Stage II, dead, 65 days 416.1
TCGA-DK-A1AB-01A 74 years, female, white, stage:Stage IV, dead, 508 days 412.7
TCGA-4Z-AA82-01A 59 years, male, black or african american, stage:Stage IV, dead, 1556 days 404.5
TCGA-GC-A3I6-01A 45 years, male, white, stage:Stage III, dead, 630 days 403.5
TCGA-4Z-AA81-01A 80 years, male, white, stage:Stage II, dead, 1270 days 402.3
TCGA-ZF-AA4U-01A 70 years, male, white, stage:Stage III, dead, 262 days 402.2
TCGA-XF-A9SX-01A 63 years, female, white, stage:Stage IV, dead, 719 days 382.7
TCGA-GC-A3BM-01A 70 years, male, white, stage:Stage II, dead, 651 days 376.0
TCGA-HQ-A5ND-01A 78 years, male, stage:Stage IV, dead, 274 days 375.9
TCGA-E7-A97P-01A 73 years, male, asian, stage:Stage II, dead, 437 days 345.2
TCGA-BT-A3PH-01A 76 years, male, white, stage:Stage IV, dead, 142 days 343.3
TCGA-XF-A9SV-01A 82 years, male, white, stage:Stage IV, dead, 388 days 328.7
TCGA-4Z-AA7S-01A 66 years, male, black or african american, stage:Stage III, dead, 1064 days 328.7
TCGA-BT-A3PK-01A 80 years, male, white, stage:Stage II, dead, 303 days 313.4
TCGA-GU-A42R-01A 68 years, male, white, stage:Stage IV, dead, 577 days 312.3
TCGA-FD-A5C0-01A 61 years, male, white, stage:Stage IV, dead, 550 days 311.6
TCGA-XF-AAMT-01A 75 years, female, white, stage:Stage IV, dead, 90 days 309.8
TCGA-BT-A2LD-01A 78 years, female, white, stage:Stage IV, dead, 623 days 306.7
TCGA-4Z-AA86-01A 66 years, male, black or african american, stage:Stage IV, dead, 311 days 305.9
TCGA-GU-AATQ-01A 68 years, male, white, stage:Stage III, dead, 213 days 298.8
TCGA-FD-A6TF-01A 80 years, female, white, stage:Stage IV, dead, 69 days 294.0
TCGA-BT-A0S7-01A 75 years, male, white, stage:Stage III, dead, 200 days 291.9
TCGA-ZF-A9R9-01A 58 years, male, white, stage:Stage IV, dead, 864 days 289.6
TCGA-FJ-A3Z9-01A 72 years, male, white, stage:'--, dead, 385 days 281.2
TCGA-G2-A2ES-01A 85 years, male, white, stage:Stage II, dead, 1004 days 272.9
TCGA-FD-A6TD-01A 77 years, male, white, stage:Stage III, dead, 386 days 271.0
TCGA-FD-A62S-01A 60 years, female, black or african american, stage:Stage III, dead, 406 days 270.5
TCGA-DK-AA6L-01A 48 years, male, white, stage:Stage IV, dead, 1163 days 270.2
TCGA-XF-AAMJ-01A 70 years, male, asian, stage:Stage III, dead, 1670 days 264.2
TCGA-DK-AA6Q-01A 61 years, female, white, stage:Stage IV, dead, 413 days 260.1
TCGA-DK-A2I2-01A 63 years, female, white, stage:Stage IV, dead, 237 days 254.6
TCGA-UY-A78N-01A 80 years, male, white, stage:Stage IV, dead, 2641 days 251.5
TCGA-K4-A5RI-01A 67 years, female, white, stage:Stage III, dead, 356 days 245.4
TCGA-XF-A9SJ-01A 83 years, male, white, stage:Stage IV, dead, 98 days 244.8
TCGA-YC-A9TC-01A 71 years, male, white, stage:Stage IV, dead, 20 days 241.4
TCGA-CF-A9FL-01A 85 years, male, asian, stage:Stage III, dead, 565 days 239.8
TCGA-ZF-AA4N-01A 74 years, male, white, stage:Stage II, dead, 88 days 238.3
TCGA-DK-A3IU-01A 58 years, male, white, stage:Stage II, dead, 706 days 236.3
TCGA-CU-A5W6-01A 70 years, male, white, stage:Stage III, dead, 56 days 233.3
TCGA-C4-A0EZ-01A 69 years, female, stage:Stage IV, dead, 273 days 224.7
TCGA-XF-AAMX-01A 87 years, female, black or african american, stage:Stage III, dead, 206 days 222.9
TCGA-CU-A0YO-01A 84 years, male, white, stage:Stage IV, dead, 149 days 216.9
TCGA-BT-A2LB-01A 73 years, female, white, stage:Stage III, dead, 492 days 215.4
TCGA-5N-A9KI-01A 76 years, female, white, stage:Stage III, dead, 76 days 214.2
TCGA-5N-A9KM-01A 73 years, female, white, stage:Stage III, dead, 530 days 213.6
TCGA-GU-AATO-01A 75 years, male, white, stage:Stage IV, dead, 324 days 212.9
TCGA-2F-A9KP-01A 66 years, male, white, stage:Stage IV, dead, 364 days 207.0
TCGA-XF-AAME-01A 64 years, female, white, stage:Stage II, dead, 2828 days 199.2
TCGA-DK-A2HX-01A 80 years, female, white, stage:Stage IV, dead, 1420 days 195.2
TCGA-FD-A3SM-01A 70 years, male, white, stage:Stage IV, dead, 547 days 194.0
TCGA-4Z-AA7Q-01A 79 years, male, white, stage:Stage III, dead, 510 days 193.3
TCGA-FD-A3B7-01A 66 years, male, black or african american, stage:Stage III, dead, 122 days 189.1
TCGA-FD-A6TI-01A 73 years, male, white, stage:Stage IV, dead, 294 days 188.1
TCGA-XF-A9SU-01A 74 years, female, white, stage:Stage IV, dead, 182 days 184.6
TCGA-BT-A20Q-01A 73 years, male, white, stage:Stage IV, dead, 593 days 183.4
TCGA-CF-A47T-01A 58 years, female, asian, stage:Stage II, dead, 385 days 181.2
TCGA-XF-A9SH-01A 65 years, female, asian, stage:Stage II, dead, 1971 days 181.2
TCGA-FD-A3B6-01A 75 years, male, white, stage:Stage II, dead, 1005 days 176.3
TCGA-FD-A5BV-01A 47 years, female, white, stage:Stage III, dead, 163 days 173.1
TCGA-2F-A9KO-01A 63 years, male, white, stage:Stage IV, dead, 734 days 170.9
TCGA-UY-A78M-01A 81 years, female, asian, stage:Stage IV, dead, 690 days 162.9
TCGA-GV-A3JV-01A 66 years, male, white, stage:Stage IV, dead, 434 days 157.3
TCGA-XF-AAML-01A 75 years, male, white, stage:Stage II, dead, 232 days 155.0
TCGA-XF-AAMH-01A 80 years, male, white, stage:Stage IV, dead, 344 days 153.7
TCGA-XF-A8HI-01A 57 years, female, white, stage:Stage IV, dead, 544 days 153.4
TCGA-ZF-A9R3-01A 53 years, female, white, stage:Stage II, dead, 949 days 150.8
TCGA-XF-A9SK-01A 65 years, male, white, stage:Stage IV, dead, 486 days 150.2
TCGA-DK-A3IK-01A 87 years, male, white, stage:Stage IV, dead, 146 days 149.1
TCGA-FD-A6TG-01A 73 years, male, white, stage:Stage IV, dead, 93 days 144.5
TCGA-FD-A62O-01A 74 years, male, white, stage:Stage IV, dead, 216 days 143.6
TCGA-G2-A2EC-01A 58 years, female, black or african american, stage:Stage II, dead, 696 days 140.6
TCGA-DK-AA6W-01A 78 years, male, white, stage:Stage II, dead, 415 days 139.6
TCGA-SY-A9G0-01A 82 years, male, white, stage:Stage IV, dead, 1008 days 139.5
TCGA-GU-A767-01A 81 years, male, white, stage:Stage IV, dead, 144 days 138.5
TCGA-FD-A3SR-01A 68 years, male, white, stage:Stage IV, dead, 602 days 137.8
TCGA-GU-A42P-01A 72 years, male, white, stage:Stage IV, dead, 332 days 136.6
TCGA-ZF-A9R0-01A 82 years, male, white, stage:Stage III, dead, 680 days 134.3
TCGA-FD-A5BZ-01A 77 years, female, white, stage:Stage IV, dead, 835 days 133.4
TCGA-ZF-AA4T-01A 65 years, male, white, stage:Stage IV, dead, 599 days 131.7
TCGA-FD-A6TH-01A 63 years, male, white, stage:Stage IV, dead, 131 days 126.3
TCGA-DK-A3IQ-01A 74 years, male, white, stage:Stage III, dead, 539 days 123.9
TCGA-BT-A20W-01A 71 years, male, white, stage:Stage II, dead, 254 days 122.7
TCGA-ZF-AA52-01A 70 years, male, white, stage:Stage III, dead, 1077 days 120.6
TCGA-XF-AAMZ-01A 81 years, female, white, stage:Stage IV, dead, 1348 days 119.7
TCGA-XF-A8HG-01A 69 years, male, white, stage:Stage III, dead, 467 days 117.6
TCGA-XF-AAN1-01A 75 years, female, stage:Stage III, dead, 941 days 115.8
TCGA-E7-A4XJ-01A 66 years, male, asian, stage:Stage II, dead, 68 days 114.0
TCGA-XF-A8HH-01A 61 years, female, white, stage:Stage IV, dead, 57 days 111.8
TCGA-GU-A762-01A 87 years, male, white, stage:Stage IV, dead, 232 days 109.7
TCGA-DK-A3IL-01A 79 years, female, white, stage:Stage IV, dead, 413 days 109.2
TCGA-BT-A20P-01A 81 years, female, white, stage:Stage III, dead, 544 days 103.3
TCGA-GV-A3QF-01A 79 years, male, white, stage:Stage IV, dead, 617 days 101.8
TCGA-G2-A2EL-01A 77 years, male, white, stage:Stage II, dead, 819 days 97.9
TCGA-FD-A3SQ-01A 62 years, male, white, stage:Stage IV, dead, 1423 days 96.2
TCGA-XF-A9SL-01A 69 years, male, white, stage:Stage IV, dead, 2020 days 95.4
TCGA-BL-A3JM-01A 62 years, male, white, stage:Stage III, dead, 205 days 94.3
TCGA-XF-A9SP-01A 59 years, male, white, stage:Stage III, dead, 454 days 92.7
TCGA-XF-A8HF-01A 80 years, male, white, stage:Stage III, dead, 2954 days 91.8
TCGA-4Z-AA7N-01A 65 years, male, white, stage:Stage III, dead, 1367 days 90.8
TCGA-UY-A78K-01A 60 years, male, white, stage:Stage IV, dead, 536 days 83.8
TCGA-BT-A20J-01A 75 years, male, white, stage:Stage II, dead, 579 days 81.5
TCGA-CU-A0YR-01A 83 years, male, white, stage:Stage IV, dead, 460 days 73.4
TCGA-FD-A3SL-01A 60 years, male, white, stage:Stage IV, dead, 712 days 67.6
TCGA-FD-A3SJ-01A 59 years, male, white, stage:Stage IV, dead, 739 days 62.9
TCGA-4Z-AA7R-01A 73 years, male, black or african american, stage:Stage IV, dead, 522 days 62.8
TCGA-GV-A3QH-01A 67 years, male, white, stage:Stage II, dead, 258 days 60.7
TCGA-G2-A2EO-01A 69 years, male, white, stage:Stage III, dead, 1804 days 60.1
TCGA-DK-A1A3-01A 60 years, male, white, stage:Stage IV, dead, 665 days 55.5
TCGA-DK-AA75-01A 82 years, male, white, stage:Stage III, dead, 340 days 53.9
TCGA-2F-A9KW-01A 67 years, female, white, stage:Stage III, dead, 254 days 50.0
TCGA-XF-AAN4-01A 77 years, female, white, stage:Stage III, dead, 823 days 47.4
TCGA-BL-A13I-01A 57 years, female, white, stage:Stage III, dead, 223 days 35.5
TCGA-XF-A8HC-01A 79 years, male, asian, stage:Stage IV, dead, 200 days 33.3
TCGA-BT-A20O-01A 75 years, male, white, stage:Stage III, dead, 370 days 24.3
TCGA-FJ-A871-01A 49 years, male, white, stage:Stage III, dead, 272 days 22.3
TCGA-ZF-AA54-01A 71 years, male, white, stage:Stage III, dead, 590 days 19.5
TCGA-FD-A5BT-01A 84 years, male, white, stage:Stage III, dead, 328 days 17.4
TCGA-FD-A5BX-01A 82 years, male, white, stage:Stage IV, dead, 173 days 12.4
TCGA-XF-AAN8-01A 74 years, female, white, stage:Stage III, dead, 118 days 9.5
TCGA-XF-AAN7-01A 60 years, male, white, stage:Stage IV, dead, 565 days 7.7
TCGA-G2-AA3C-01A 66 years, male, white, stage:Stage IV, dead, 211 days 0.0
TCGA-S5-A6DX-01A 83 years, male, white, stage:Stage IV, dead, 56 days 0.0
Show allShow less
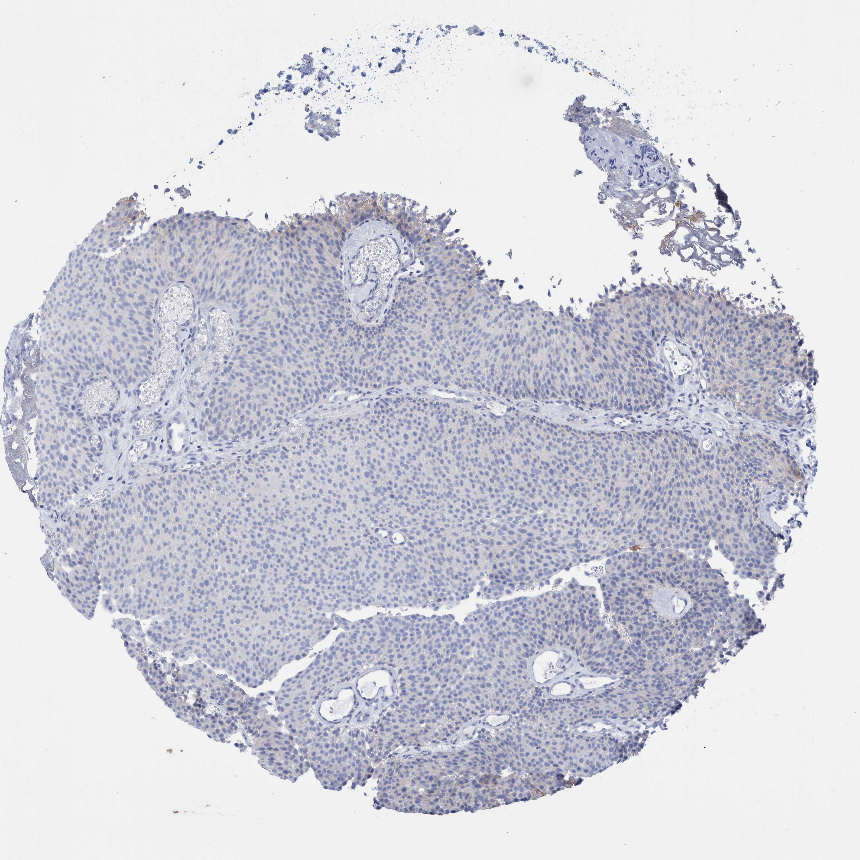
UROTHELIAL CANCER - Protein expressioni

A mouse-over function shows sample information and annotation data. Click on an image to view it in a full screen mode. Samples can be filtered based on level of antibody staining by selecting one or several of the following categories: high, medium, low and not detected. The assay and annotation is described here.

Note that samples used for immunohistochemistry by the Human Protein Atlas do not correspond to samples in the TCGA dataset.

 

Antibody stainingi

Antibody staining in the annotated cell types in the current human tissue is reported as not detected, low, medium, or high, based on conventional immunohistochemistry profiling in selected tissues. This score is based on the combination of the staining intensity and fraction of stained cells.

Each image is clickable and will lead to virtual microscopy that enables deeper exploration of all samples and also displays staining intensity scores, fraction scores and subcellular localization as well as patient and tissue information for each sample.


Antibody HPA022269
 Staining
  High
  Medium
  Low
  Not detected
 Intensity
  Strong
  Moderate
  Weak
  Negative
 Quantity
  >75%
  75%-25%
  <25%
  None
 Location
  Nuclear
  Cytoplasmic/membranous
  Cytoplasmic/membranous,nuclear
  None
Urothelial carcinoma, Low grade
Urothelial carcinoma, High grade

Contact

  • NEWS ARTICLES
  • PRESS ROOM

The Project

  • INTRODUCTION
  • ORGANIZATION
  • PUBLICATIONS

The Human Protein Atlas

  • DOWNLOADABLE DATA
  • LICENCE & CITATION
  • HELP & FAQ
The Human Protein Atlas project is funded
by the Knut & Alice Wallenberg Foundation.


contact@proteinatlas.org