We use cookies to enhance the usability of our website. If you continue, we'll assume that you are happy to receive all cookies. More information. Don't show this again.
XRN1
HPA
RESOURCES
  • TISSUE
  • BRAIN
  • SINGLE CELL
  • SUBCELLULAR
  • CANCER
  • BLOOD
  • CELL LINE
  • STRUCTURE & INTERACTION
ABOUT
  • INTRODUCTION
  • HISTORY
  • ORGANIZATION
  • PUBLICATIONS
  • ANTIBODY SUBMISSION
  • ANTIBODY AVAILABILITY
  • ACKNOWLEDGMENTS
  • CONTACT
NEWS
  • NEWS ARTICLES
  • PRESS ROOM
LEARN
  • DICTIONARY
  • PROTEIN CLASSES
  • PROTEIN EVIDENCE
  • METHODS
  • EDUCATIONAL VIDEOS
DATA
  • DOWNLOADABLE DATA
  • PUBLICATION DATA
  • RELEASE HISTORY
HELP
  • ANTIBODY VALIDATION
  • ASSAYS & ANNOTATION
  • DISCLAIMER
  • HELP & FAQ
  • PRIVACY STATEMENT
  • LICENCE & CITATION
Fields »
Search result

Field
Term
Gene name
Class
Subclass
Class
Keyword
Chromosome
External id
Tissue
Cell type
Expression
Antibody panel
Tissue
Main location
Patient ID
Annotation
Tissue
Category
Tau score
Cluster
Reliability
Brain region
Category
Tau score
Brain region
Category
Tau score
Brain region
Category
Tau score
Cluster
Reliability
Tissue
Cell type
Enrichment
Cell type
Category
Tau score
Cell type
Category
Tau score
Cell type
Category
Tau score
Cell lineage
Category
Tau score
Cluster
Cluster
Location
Searches
Location
Cell line
Class
Type
Phase
Reliability
Cancer
Prognosis
Cancer
Category
Cancer
Category
Tau score
Cluster
Variants
Interacting gene (ensg_id)
Type
Number of interactions
Pathway
Category
Score
Score
Score
Validation
Validation
Validation
Validation
Antibodies
Data type
Column


  • SUMMARY

  • TISSUE

  • BRAIN

  • SINGLE CELL

  • SUBCELL

  • CANCER

  • BLOOD

  • CELL LINE

  • STRUCT & INT

  • XRN1
TISSUE PRIMARY DATA SKIN 2 Show tissue menu
ADIPOSE TISSUE ADRENAL GLAND AMYGDALA APPENDIX BASAL GANGLIA BONE MARROW BREAST BRONCHUS CEREBELLUM CEREBRAL CORTEX CERVIX CHOROID PLEXUS COLON DUODENUM
ENDOMETRIUM EPIDIDYMIS ESOPHAGUS FALLOPIAN TUBE GALLBLADDER HEART MUSCLE HIPPOCAMPAL FORMATION HYPOTHALAMUS KIDNEY LIVER LUNG LYMPH NODE MIDBRAIN NASOPHARYNX
ORAL MUCOSA OVARY PANCREAS PARATHYROID GLAND PITUITARY GLAND PLACENTA PROSTATE RECTUM RETINA SALIVARY GLAND SEMINAL VESICLE SKELETAL MUSCLE SKIN SMALL INTESTINE
SMOOTH MUSCLE SOFT TISSUE SPINAL CORD SPLEEN STOMACH TESTIS THYMUS THYROID GLAND TONGUE TONSIL URINARY BLADDER VAGINA
ANTIBODIES
AND
VALIDATION
Dictionary
Tissue proteome
SKIN - Expression summary
Protein expression
Skini

On the top, protein expression in current human tissue, based on all annotated cell types, is reported with the units not detected (n), low (l), medium (m) and high (h). Underneath, protein expression in each annotated cell type are reported using the same units.

Protein expression data is based on knowledge-based annotation. For genes where more than one antibody has been used, a collective score is set.

If knowledge-based annotation could not be performed for a gene, no data is displayed here. View antibody staining data further down this page.

h
m
l
n
Epidermal cells: High
Fibroblasts: Medium
Keratinocytes: Medium
Langerhans: Medium
Melanocytes: Medium
RNA expressioni

A summary of mRNA expression data available for current tissue based on several datasets. The mRNA expression levels in human tissues are based on RNA-seq data generated by the Human Protein Atlas (HPA), Genotype-Tissue Expression (GTEx) portal and CAGE data generated by the FANTOM5 consortium. Consensus normalized expression levels for human tissues was created by combining the data from HPA and GTEx datasets.

The mRNA expression levels in pig are based on RNA-seq data generated by the Human Protein Atlas (HPA), and for mouse, HPA data and in situ hybridization generated by the Allen brain atlas are reported.

Scroll down to view mRNA expression data in more detail.
Consensus:9.1 nTPM
HPA:8.8 nTPM
GTEx:9.1 nTPM

SKIN 1 - Antibody stainingi

Antibody staining in the annotated cell types in the current human tissue is reported as not detected, low, medium, or high, based on conventional immunohistochemistry profiling in selected tissues. This score is based on the combination of the staining intensity and fraction of stained cells.

Each image is clickable and will lead to virtual microscopy that enables deeper exploration of all samples and also displays staining intensity scores, fraction scores and subcellular localization as well as patient and tissue information for each sample.

Antibody HPA035005Antibody HPA035006
Langerhans MediumNot detected
Fibroblasts MediumNot detected
Keratinocytes MediumHigh
Melanocytes MediumNot detected



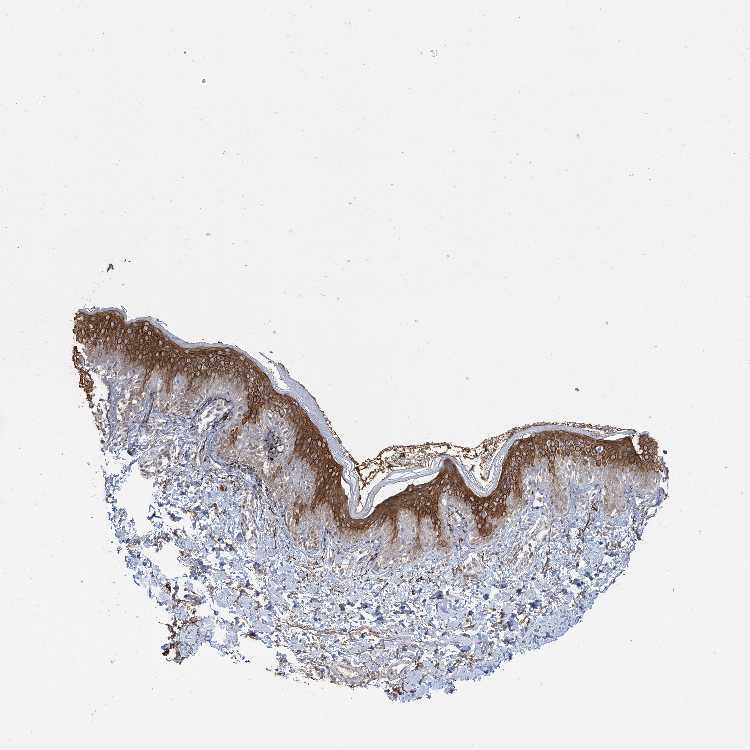
SKIN 2 - Antibody stainingi

Antibody staining in the annotated cell types in the current human tissue is reported as not detected, low, medium, or high, based on conventional immunohistochemistry profiling in selected tissues. This score is based on the combination of the staining intensity and fraction of stained cells.

Each image is clickable and will lead to virtual microscopy that enables deeper exploration of all samples and also displays staining intensity scores, fraction scores and subcellular localization as well as patient and tissue information for each sample.

Antibody HPA035005Antibody HPA035006
Epidermal cells HighHigh
  
  
  




SKIN - HPA RNA-seqi

The RNA-seq details section shows detailed information about the individual samples used for the transcript profiling and results of the RNA-seq analysis.

Information about each individual sample is listed below, including gender, age, a tissue section image and estimated fractions of cell types. nTPM (normalized transcripts per million) values give a quantification of the gene abundance which is comparable between different genes and samples.
Average nTPMi

Max subtype nTPM is the value for the subtype with the largest average nTPM across the subtype samples.

8.8
overview
Female, age 34
Skin sample 225
nTPM: 8.6
Cell types%
Keratinocytes:
60

Other cell types:
40

overview
Female, age 30
Skin sample 226
nTPM: 11.4
Cell types%
Keratinocytes:
55

Other cell types:
45

N/A
Male, age 57
Skin sample 227
nTPM: 6.5

SKIN - GTEx RNA-seqi

RNA-Seq data generated by the Genotype-Tissue Expression (GTEx) project from human tissues is reported as mean nTPM. More information can be found on the GTEx portal.

Distribution across the dataset is visualized with box plots, shown as median and 25th and 75th percentiles. Points are displayed as outliers if they are above or below 1.5 times the interquartile range. nTPM values of the individual samples are presented next to the box plot.
Max subtype nTPMi

Max subtype nTPM is the value for the subtype with the largest average nTPM across the subtype samples.

9.1
GTEx sample id Sample description nTPM
Skin - Not Sun Exposed (Suprapubic)
Average nTPM: 8.6
Samples: 604

Max nTPM: 15.8
Min nTPM: 2.7
Std nTPM: 2.1
Median nTPM: 8.4
GTEX-1J1OQ-0126-SM-D4P2N 40-49 years, female 15.8
GTEX-11TUW-0626-SM-5LU9M 60-69 years, male 15.7
GTEX-1GN1U-0626-SM-9MQL9 50-59 years, female 15.0
GTEX-145MI-0626-SM-5SI8S 60-69 years, female 14.6
GTEX-1H3VE-0726-SM-9YFL5 40-49 years, male 14.6
GTEX-1S5ZU-2526-SM-E6CIF 20-29 years, female 14.6
GTEX-148VJ-0626-SM-5LUAW 70-79 years, male 14.5
GTEX-14PJ4-0226-SM-5YY92 60-69 years, male 14.4
GTEX-1AMFI-1326-SM-7939R 50-59 years, female 14.1
GTEX-1JN6P-2926-SM-CL54D 60-69 years, male 13.9
GTEX-1H23P-0626-SM-9WG6T 60-69 years, male 13.8
GTEX-1J8Q2-2626-SM-ACKWQ 60-69 years, male 13.8
GTEX-ZVT2-0126-SM-5GIDQ 50-59 years, female 13.7
GTEX-1GPI6-1926-SM-9KNV7 60-69 years, male 13.6
GTEX-1IE54-1126-SM-A9G2Z 40-49 years, female 13.5
GTEX-14PKU-0126-SM-6LLHV 40-49 years, female 13.4
GTEX-1H4P4-2126-SM-9WYSL 50-59 years, male 13.2
GTEX-1HFI7-2326-SM-CGQFS 50-59 years, female 13.2
GTEX-1AMEY-0826-SM-72D65 30-39 years, female 13.1
GTEX-12696-0126-SM-5EQ4L 60-69 years, male 13.0
GTEX-1399U-1126-SM-5L3DB 50-59 years, female 13.0
GTEX-17F9Y-0126-SM-79OKX 70-79 years, female 13.0
GTEX-1I1GT-1026-SM-ARZLV 60-69 years, female 12.9
GTEX-13N1W-2426-SM-5IJD1 70-79 years, male 12.8
GTEX-WYBS-0626-SM-3NMAS 60-69 years, female 12.8
GTEX-ZYY3-2926-SM-5GIEB 60-69 years, female 12.8
GTEX-147JS-0226-SM-5S2U9 60-69 years, male 12.7
GTEX-1CB4J-1326-SM-7P8RX 60-69 years, male 12.7
GTEX-1GF9W-1426-SM-7PBYM 60-69 years, male 12.7
GTEX-15EO6-2426-SM-6PALZ 50-59 years, male 12.5
GTEX-1B97I-0626-SM-73KUZ 40-49 years, male 12.5
GTEX-ZAB4-2126-SM-5HL8U 40-49 years, male 12.5
GTEX-1GN1V-2826-SM-9JGIA 60-69 years, male 12.5
GTEX-1I4MK-0126-SM-CY8G6 50-59 years, female 12.5
GTEX-1EH9U-2826-SM-7DUGT 60-69 years, male 12.4
GTEX-ZVT4-2426-SM-5GIEI 50-59 years, female 12.4
GTEX-1F75B-0726-SM-7PC3R 50-59 years, male 12.4
GTEX-131XF-2626-SM-5EQ6K 60-69 years, male 12.3
GTEX-14C5O-0326-SM-5ZZUX 60-69 years, male 12.3
GTEX-1I1GS-2626-SM-B2LY3 60-69 years, male 12.3
GTEX-1JJE9-2626-SM-ARZMT 70-79 years, male 12.3
GTEX-12ZZZ-0726-SM-5GCNZ 60-69 years, male 12.2
GTEX-ZVE2-2826-SM-5GU51 50-59 years, male 12.2
GTEX-11GSP-2326-SM-5HL63 60-69 years, female 12.1
GTEX-13OVJ-0826-SM-5J1OK 50-59 years, female 12.1
GTEX-17HII-1426-SM-7EPGG 50-59 years, male 12.1
GTEX-1122O-1026-SM-9WYSF 60-69 years, female 12.1
GTEX-1GMR8-0626-SM-7RHI7 50-59 years, female 12.1
GTEX-14PJN-1826-SM-6AJ98 30-39 years, male 12.0
GTEX-1HBPM-0726-SM-9YFL7 60-69 years, female 12.0
GTEX-1GZ4H-0526-SM-9KNU9 50-59 years, female 11.9
GTEX-16MT8-2926-SM-7DUFO 60-69 years, female 11.8
GTEX-Y9LG-1126-SM-4VBQ7 30-39 years, male 11.8
GTEX-1F6RS-2026-SM-7RHHC 60-69 years, female 11.8
GTEX-13JVG-0726-SM-5KM16 60-69 years, male 11.7
GTEX-1HCU7-0726-SM-A9SL1 50-59 years, male 11.7
GTEX-1HCVE-2726-SM-CL54F 50-59 years, male 11.7
GTEX-1I1GU-0926-SM-ACKVS 40-49 years, male 11.7
GTEX-1IDFM-0326-SM-ARL7V 60-69 years, male 11.7
GTEX-1IDJU-1726-SM-CMKHU 60-69 years, female 11.7
GTEX-1F88E-1626-SM-7SB8Z 60-69 years, female 11.6
GTEX-1HSKV-1226-SM-ADEI4 60-69 years, male 11.6
GTEX-1J1R8-2026-SM-CL53Y 40-49 years, male 11.6
GTEX-1QP28-1126-SM-EVYC4 50-59 years, female 11.6
GTEX-139UW-0326-SM-5J1ML 60-69 years, male 11.5
GTEX-14E6C-2426-SM-5S2NF 40-49 years, male 11.5
GTEX-1HCU8-2526-SM-CE6RX 60-69 years, female 11.5
GTEX-1HSGN-0826-SM-ACKW3 40-49 years, female 11.5
GTEX-12WSM-1926-SM-5BC65 60-69 years, male 11.4
GTEX-14LLW-2626-SM-62LDZ 70-79 years, female 11.4
GTEX-1I1GV-0626-SM-ARL7M 60-69 years, male 11.4
GTEX-13113-1626-SM-5EQ4I 60-69 years, female 11.3
GTEX-1A32A-0626-SM-731AQ 50-59 years, female 11.3
GTEX-ZTSS-1426-SM-5985P 40-49 years, male 11.3
GTEX-13D11-0926-SM-5J2NC 50-59 years, female 11.2
GTEX-1HUB1-1426-SM-CGQF5 60-69 years, male 11.2
GTEX-1LGRB-0926-SM-COH3K 50-59 years, female 11.2
GTEX-1GPI7-1826-SM-9KNU1 20-29 years, male 11.1
GTEX-1JMQL-2226-SM-CNPP4 50-59 years, female 11.1
GTEX-ZGAY-1826-SM-DO91Q 40-49 years, female 11.1
GTEX-11LCK-2226-SM-5HL4Q 30-39 years, male 11.0
GTEX-13NZ8-1226-SM-5KM4A 60-69 years, female 11.0
GTEX-13YAN-0226-SM-5TDC6 60-69 years, male 11.0
GTEX-1CB4F-1026-SM-7DUH1 60-69 years, male 11.0
GTEX-1KXAM-1626-SM-D3LAD 60-69 years, male 11.0
GTEX-1MCYP-0526-SM-E9U6Q 20-29 years, female 11.0
GTEX-13PDP-0726-SM-5L3HP 60-69 years, male 10.9
GTEX-13PVQ-0626-SM-5LU47 50-59 years, male 10.9
GTEX-14PJ5-1526-SM-6LLIL 60-69 years, female 10.9
GTEX-15UF6-1926-SM-7KUDV 70-79 years, female 10.9
GTEX-ZT9W-1126-SM-57WDR 50-59 years, male 10.9
GTEX-1R46S-2426-SM-E76QA 60-69 years, female 10.9
GTEX-1269C-0126-SM-5EQ5L 60-69 years, female 10.8
GTEX-17HHE-1326-SM-7EWDZ 50-59 years, male 10.8
GTEX-X8HC-0626-SM-4E3HQ 50-59 years, female 10.8
GTEX-ZF29-0926-SM-4WKFZ 60-69 years, female 10.8
GTEX-1C475-1326-SM-7SB73 40-49 years, female 10.8
GTEX-1GF9V-0826-SM-9KNUV 60-69 years, male 10.8
GTEX-1GTWX-2026-SM-9YFLM 60-69 years, male 10.8
GTEX-1HKZK-0726-SM-ACKW2 40-49 years, male 10.8
GTEX-1314G-1326-SM-5BC6E 30-39 years, male 10.7
GTEX-17MF6-2626-SM-79OKQ 40-49 years, male 10.7
GTEX-1A3MV-1826-SM-731CD 30-39 years, male 10.7
GTEX-1GN1W-2426-SM-9KNUU 50-59 years, female 10.7
GTEX-1PDJ9-1226-SM-EXUSX 20-29 years, male 10.7
GTEX-13QBU-1226-SM-5LU4G 40-49 years, female 10.6
GTEX-15SKB-2826-SM-6PAMH 60-69 years, male 10.6
GTEX-1C2JI-1026-SM-73KY1 50-59 years, male 10.6
GTEX-1CAV2-0126-SM-7IGN7 40-49 years, female 10.6
GTEX-1GL5R-1326-SM-7RHHF 50-59 years, male 10.6
GTEX-1HR9M-2226-SM-CNPPY 60-69 years, male 10.6
GTEX-1J8Q3-0526-SM-ARL8U 60-69 years, male 10.6
GTEX-1JJ6O-2726-SM-CNPOG 60-69 years, male 10.6
GTEX-1K9T9-1526-SM-DIPFR 50-59 years, female 10.6
GTEX-13OVG-1626-SM-5J1NF 60-69 years, male 10.5
GTEX-13OW7-0426-SM-5K7VK 50-59 years, male 10.5
GTEX-13PL6-1126-SM-5L3IE 40-49 years, female 10.5
GTEX-13QJC-0126-SM-5ZZWJ 60-69 years, female 10.5
GTEX-13SLW-0626-SM-5Q5ER 70-79 years, male 10.5
GTEX-14B4R-1326-SM-5Q5EZ 30-39 years, male 10.5
GTEX-14C39-1726-SM-5RQIL 40-49 years, male 10.5
GTEX-Y8LW-1526-SM-5IFHL 50-59 years, female 10.5
GTEX-1JMPY-0226-SM-CKZOK 30-39 years, male 10.5
GTEX-XUW1-0926-SM-4BONX 50-59 years, female 10.4
GTEX-1IKJJ-2226-SM-CJI4C 60-69 years, male 10.4
GTEX-1JK1U-0226-SM-ARZMX 60-69 years, male 10.4
GTEX-1JMQI-1726-SM-ARL93 50-59 years, male 10.4
GTEX-15D1Q-2826-SM-6LLH7 40-49 years, male 10.3
GTEX-15FZZ-0526-SM-7KUGD 30-39 years, female 10.3
GTEX-1B8KZ-0326-SM-73KY4 50-59 years, male 10.3
GTEX-14JFF-0626-SM-5ZZVT 60-69 years, male 10.3
GTEX-13VXU-0626-SM-5L3F9 50-59 years, male 10.2
GTEX-1477Z-0326-SM-7IGLA 60-69 years, male 10.2
GTEX-XAJ8-1426-SM-47JYM 40-49 years, male 10.2
GTEX-1192X-2726-SM-5N9DN 50-59 years, male 10.1
GTEX-12ZZY-0726-SM-5EQ66 60-69 years, male 10.1
GTEX-139T8-0626-SM-5KLZX 60-69 years, male 10.1
GTEX-1A8G7-1326-SM-73KVM 60-69 years, male 10.1
GTEX-ZU9S-1826-SM-5NQ9E 30-39 years, male 10.1
GTEX-1GN73-0726-SM-7P8TJ 60-69 years, male 10.1
GTEX-1I1GP-1326-SM-A9G28 50-59 years, male 10.1
GTEX-18D9U-0126-SM-731BM 40-49 years, male 10.0
GTEX-1GN2E-0226-SM-9WG6K 60-69 years, male 10.0
GTEX-1GZHY-0626-SM-9KNVC 50-59 years, female 10.0
GTEX-1H3O1-1326-SM-9MQLD 60-69 years, male 10.0
GTEX-1QPFJ-1926-SM-EVYBD 30-39 years, female 10.0
GTEX-13O3O-2326-SM-5IJD6 60-69 years, female 9.9
GTEX-13O3Q-0126-SM-5KM34 50-59 years, male 9.9
GTEX-15CHQ-0326-SM-69LQD 60-69 years, male 9.9
GTEX-18465-2826-SM-7LT9J 50-59 years, male 9.9
GTEX-1CAMQ-1326-SM-7P8RV 40-49 years, male 9.9
GTEX-1HCU9-0426-SM-9WYSD 20-29 years, male 9.9
GTEX-1I1CD-0626-SM-CE6SW 60-69 years, female 9.9
GTEX-13RTJ-0126-SM-5S2NN 60-69 years, male 9.8
GTEX-14DAQ-0626-SM-793DS 60-69 years, female 9.8
GTEX-14PII-0726-SM-6EU2B 60-69 years, male 9.8
GTEX-1IDJV-0126-SM-COH3Y 60-69 years, male 9.8
GTEX-1KWVE-1026-SM-D3L9O 30-39 years, male 9.8
GTEX-111CU-1126-SM-5EGIM 50-59 years, male 9.7
GTEX-11ZU8-0126-SM-5EQ58 60-69 years, male 9.7
GTEX-131XW-0626-SM-5PNVD 50-59 years, female 9.7
GTEX-15CHR-1126-SM-7EWF4 50-59 years, male 9.7
GTEX-1B8KE-1126-SM-7EPHI 50-59 years, male 9.7
GTEX-1C6VQ-1226-SM-73KYD 50-59 years, male 9.7
GTEX-1CB4H-1126-SM-7MKGL 60-69 years, female 9.7
GTEX-1A3MX-2626-SM-7PC24 60-69 years, male 9.7
GTEX-1GF9U-2026-SM-7SB92 40-49 years, female 9.7
GTEX-1H3NZ-2726-SM-9WYTQ 60-69 years, male 9.7
GTEX-1HGF4-0126-SM-CNPPX 60-69 years, male 9.7
GTEX-1ICLY-0826-SM-CMKG1 50-59 years, male 9.7
GTEX-1IDJI-0126-SM-CMKHS 50-59 years, female 9.7
GTEX-1LG7Z-1626-SM-CXKYR 30-39 years, male 9.7
GTEX-11UD2-2526-SM-5CVNU 50-59 years, male 9.6
GTEX-1211K-1526-SM-5FQU4 60-69 years, female 9.6
GTEX-13FHO-0426-SM-5L3F5 60-69 years, male 9.6
GTEX-145LS-0626-SM-7EPG7 60-69 years, female 9.6
GTEX-1B996-0426-SM-7EWF8 60-69 years, male 9.6
GTEX-ZLWG-0826-SM-59888 50-59 years, female 9.6
GTEX-1B8L1-2226-SM-7P8PT 60-69 years, male 9.6
GTEX-1HSMO-0626-SM-ACKXC 60-69 years, male 9.6
GTEX-12WSC-2826-SM-5BC5Y 50-59 years, male 9.5
GTEX-13FLV-0126-SM-5K7WT 50-59 years, male 9.5
GTEX-14PJ6-2626-SM-6EU2T 60-69 years, female 9.5
GTEX-UPJH-0226-SM-3GADV 50-59 years, male 9.5
GTEX-1EMGI-2326-SM-7PBYA 60-69 years, male 9.5
GTEX-1GZ4I-2626-SM-9KNU3 50-59 years, male 9.5
GTEX-1HB9E-0126-SM-CM2S5 50-59 years, male 9.5
GTEX-1JKYR-0626-SM-ARL8R 20-29 years, male 9.5
GTEX-13NYS-0626-SM-5L3F1 60-69 years, male 9.4
GTEX-13OVK-1426-SM-6PAN7 40-49 years, male 9.4
GTEX-13VXT-1926-SM-5K7UO 20-29 years, female 9.4
GTEX-147F3-1726-SM-5SIAW 50-59 years, female 9.4
GTEX-16XZZ-0726-SM-7KUF2 60-69 years, male 9.4
GTEX-1AX9I-2226-SM-73KUO 60-69 years, male 9.4
GTEX-ZC5H-1526-SM-5HL9Y 40-49 years, female 9.4
GTEX-1JMOU-1026-SM-CYPSS 60-69 years, female 9.4
GTEX-1LB8K-0726-SM-D5OV2 50-59 years, male 9.4
GTEX-1LG7Y-2526-SM-EWRO7 50-59 years, male 9.4
GTEX-11EQ9-1626-SM-5PNY8 30-39 years, male 9.3
GTEX-1313W-0626-SM-5EQ4H 50-59 years, female 9.3
GTEX-144GM-0526-SM-79OJO 20-29 years, male 9.3
GTEX-145LU-1926-SM-79OJN 50-59 years, male 9.3
GTEX-1497J-0226-SM-5QGPU 60-69 years, male 9.3
GTEX-183WM-0326-SM-72D5V 70-79 years, female 9.3
GTEX-ZDTT-0426-SM-4WKFL 60-69 years, male 9.3
GTEX-14JG6-1426-SM-9WG7C 30-39 years, female 9.3
GTEX-1F48J-0726-SM-7RHGS 50-59 years, female 9.3
GTEX-1JMQJ-0826-SM-CNPP7 50-59 years, male 9.3
GTEX-12C56-1526-SM-5FQUQ 20-29 years, male 9.2
GTEX-14PKV-1126-SM-6LLJ1 20-29 years, female 9.2
GTEX-15EU6-2226-SM-6EU2L 50-59 years, male 9.2
GTEX-15RJE-2826-SM-7KUM9 40-49 years, male 9.2
GTEX-ZYFC-0426-SM-5GICQ 50-59 years, male 9.2
GTEX-1CAMS-2226-SM-7PBXQ 40-49 years, female 9.2
GTEX-1PIIG-2326-SM-DTXFR 30-39 years, male 9.2
GTEX-13PVR-0426-SM-5RQK2 60-69 years, female 9.1
GTEX-145MH-2826-SM-5RQJF 50-59 years, male 9.1
GTEX-14BIN-1126-SM-5RQJZ 50-59 years, female 9.1
GTEX-16BQI-1326-SM-6M486 30-39 years, female 9.1
GTEX-1H1DE-1326-SM-9KNUG 20-29 years, male 9.1
GTEX-1PBJJ-1026-SM-E76OS 30-39 years, male 9.1
GTEX-13OW8-1026-SM-5J1NQ 60-69 years, male 9.0
GTEX-13X6K-0626-SM-5LU5D 60-69 years, female 9.0
GTEX-14753-0726-SM-5QGQO 60-69 years, male 9.0
GTEX-147F4-0726-SM-5TDDD 50-59 years, male 9.0
GTEX-14BMU-1226-SM-5S2OR 20-29 years, female 9.0
GTEX-XPVG-2126-SM-4B667 50-59 years, male 9.0
GTEX-1F75I-2226-SM-7SB8U 40-49 years, male 9.0
GTEX-1JMPZ-0726-SM-CY8HZ 30-39 years, male 9.0
GTEX-ZLV1-1526-SM-DO91J 60-69 years, female 9.0
GTEX-11EM3-1226-SM-5N9DD 20-29 years, female 8.9
GTEX-11GS4-0226-SM-5HL77 60-69 years, male 8.9
GTEX-11O72-0626-SM-5PNYE 40-49 years, male 8.9
GTEX-139D8-1126-SM-5LU8W 30-39 years, female 8.9
GTEX-13NYC-0126-SM-5L3F4 60-69 years, male 8.9
GTEX-13OVH-0526-SM-5L3E6 70-79 years, male 8.9
GTEX-13U4I-2226-SM-5LU5H 40-49 years, female 8.9
GTEX-13X6I-1826-SM-5SIAO 60-69 years, male 8.9
GTEX-17F98-1326-SM-7DUEP 40-49 years, female 8.9
GTEX-183FY-1026-SM-7939A 20-29 years, male 8.9
GTEX-1B933-2426-SM-7DHMD 50-59 years, female 8.9
GTEX-1CB4E-0926-SM-7EPHT 60-69 years, male 8.9
GTEX-V1D1-2026-SM-3GAF4 50-59 years, male 8.9
GTEX-WEY5-2326-SM-3GIKK 40-49 years, female 8.9
GTEX-1A8FM-0626-SM-7PC25 50-59 years, female 8.9
GTEX-1H2FU-0926-SM-9WPPT 60-69 years, female 8.9
GTEX-1HCU6-2526-SM-ADEHL 60-69 years, female 8.9
GTEX-1PPH7-1126-SM-DTX9A 40-49 years, male 8.9
GTEX-14A6H-2026-SM-5Q5DD 30-39 years, male 8.8
GTEX-1EKGG-0626-SM-7DUGJ 60-69 years, male 8.8
GTEX-WRHU-2826-SM-3MJG8 50-59 years, female 8.8
GTEX-Y3I4-1726-SM-4TT89 50-59 years, male 8.8
GTEX-ZE7O-2726-SM-51MT5 50-59 years, female 8.8
GTEX-1IY9M-2826-SM-ARU8H 60-69 years, male 8.8
GTEX-1JN1M-2726-SM-CY8I4 60-69 years, female 8.8
GTEX-1N5O9-0926-SM-E9J3C 60-69 years, male 8.8
GTEX-1QCLY-0226-SM-EWRNH 30-39 years, male 8.8
GTEX-13FH7-1126-SM-5K7UG 50-59 years, female 8.7
GTEX-13X6J-0626-SM-5LU5F 50-59 years, male 8.7
GTEX-145MO-2826-SM-5LU96 60-69 years, male 8.7
GTEX-1EU9M-1426-SM-793AI 60-69 years, male 8.7
GTEX-X4EO-2926-SM-4E3JH 60-69 years, female 8.7
GTEX-1F75W-2726-SM-7SB8H 60-69 years, male 8.7
GTEX-1J8QM-2426-SM-A9SLS 60-69 years, female 8.7
GTEX-1JKYN-0826-SM-ARU8S 30-39 years, male 8.7
GTEX-1LSNM-0826-SM-DIPG8 50-59 years, male 8.7
GTEX-1O9I2-0226-SM-EYYXD 50-59 years, male 8.7
GTEX-13X6H-0926-SM-5SIB2 50-59 years, female 8.6
GTEX-15CHC-1126-SM-6LLHQ 60-69 years, female 8.6
GTEX-17EVP-2626-SM-7IGMA 40-49 years, male 8.6
GTEX-18A67-1626-SM-7LT9T 50-59 years, male 8.6
GTEX-18A7A-0126-SM-731AH 50-59 years, female 8.6
GTEX-1EX96-1026-SM-7MKG2 50-59 years, male 8.6
GTEX-WYJK-0526-SM-3NM8Z 50-59 years, male 8.6
GTEX-18D9A-1426-SM-7LT8M 30-39 years, female 8.6
GTEX-1CB4I-0126-SM-7RHGG 50-59 years, male 8.6
GTEX-1GMR3-0126-SM-A9SLW 40-49 years, male 8.6
GTEX-1IDJH-0126-SM-D3L92 70-79 years, male 8.6
GTEX-1K2DU-1226-SM-CYPT4 20-29 years, male 8.6
GTEX-1MCC2-1826-SM-DIPEX 30-39 years, female 8.6
GTEX-1NV5F-0626-SM-DTXEG 60-69 years, female 8.6
GTEX-1QP2A-1726-SM-E76QC 50-59 years, male 8.6
GTEX-13FTW-0326-SM-5K7UW 40-49 years, male 8.5
GTEX-13OW6-2726-SM-5J2OE 50-59 years, male 8.5
GTEX-145ME-1726-SM-5Q5EU 40-49 years, female 8.5
GTEX-1AX9J-1326-SM-731BJ 60-69 years, male 8.5
GTEX-Y5V5-0126-SM-5S2NW 60-69 years, female 8.5
GTEX-1LVAN-0626-SM-CNPOQ 50-59 years, female 8.5
GTEX-11P81-2226-SM-5PNYI 30-39 years, female 8.4
GTEX-14PHX-2226-SM-6EU2P 50-59 years, male 8.4
GTEX-15DDE-2926-SM-6LLJ3 50-59 years, female 8.4
GTEX-18A7B-2726-SM-7LG56 70-79 years, male 8.4
GTEX-1A8G6-2726-SM-731AR 60-69 years, male 8.4
GTEX-1B8SF-0126-SM-7DUG3 60-69 years, male 8.4
GTEX-Y5LM-0926-SM-6LLJG 40-49 years, female 8.4
GTEX-ZA64-1026-SM-5HL8R 20-29 years, male 8.4
GTEX-1F5PL-0926-SM-7PC2W 40-49 years, female 8.4
GTEX-1F88F-0126-SM-9WYSZ 60-69 years, female 8.4
GTEX-1GMR2-0826-SM-7PC3V 50-59 years, male 8.4
GTEX-1HBPN-0126-SM-CGQEF 50-59 years, male 8.4
GTEX-1HSMQ-2626-SM-A9SML 50-59 years, male 8.4
GTEX-1LGOU-1326-SM-D3L8M 20-29 years, female 8.4
GTEX-1LSVX-2526-SM-DIPEU 60-69 years, male 8.4
GTEX-1LVA9-2626-SM-EVYD4 50-59 years, male 8.4
GTEX-1QMI2-2526-SM-E8VNZ 60-69 years, male 8.4
GTEX-12WSF-1626-SM-7KUG5 70-79 years, male 8.3
GTEX-13SLX-2226-SM-62LEP 50-59 years, female 8.3
GTEX-VJYA-1526-SM-3GIJV 60-69 years, male 8.3
GTEX-ZVZP-1226-SM-5GID7 50-59 years, male 8.3
GTEX-1C6VR-0126-SM-7RHGB 60-69 years, male 8.3
GTEX-1J8EW-2726-SM-CY8HR 60-69 years, female 8.3
GTEX-1KAFJ-0126-SM-DIPEK 50-59 years, male 8.3
GTEX-1POEN-2326-SM-E9J2L 30-39 years, female 8.3
GTEX-1S831-1826-SM-EWROF 20-29 years, male 8.3
GTEX-11PRG-0726-SM-5EGL1 50-59 years, male 8.2
GTEX-12KS4-2126-SM-5FQUT 30-39 years, male 8.2
GTEX-12WSA-0426-SM-5EQ5X 60-69 years, male 8.2
GTEX-139TU-0726-SM-5L3EK 60-69 years, male 8.2
GTEX-144GL-0626-SM-5LU4D 50-59 years, male 8.2
GTEX-WYVS-1626-SM-3NM9R 40-49 years, female 8.2
GTEX-1LVAO-2726-SM-E9TJ8 60-69 years, male 8.2
GTEX-111YS-1526-SM-5GZYW 60-69 years, male 8.1
GTEX-1212Z-0126-SM-59HK4 60-69 years, male 8.1
GTEX-15DYW-2726-SM-6EU2I 60-69 years, female 8.1
GTEX-1C6WA-2626-SM-7MKGM 60-69 years, male 8.1
GTEX-ZDYS-2426-SM-4WKGI 50-59 years, male 8.1
GTEX-1LKK1-2626-SM-DKPQE 50-59 years, female 8.1
GTEX-1R9K4-2826-SM-DTX8F 60-69 years, male 8.1
GTEX-1S3DN-2126-SM-E9TIN 50-59 years, male 8.1
GTEX-133LE-2326-SM-5K7W3 20-29 years, female 8.0
GTEX-139TT-2126-SM-5LZWC 60-69 years, male 8.0
GTEX-145MF-0926-SM-5Q5EA 50-59 years, male 8.0
GTEX-14BMV-2826-SM-5TDED 50-59 years, male 8.0
GTEX-14ICL-1626-SM-5YYAO 30-39 years, male 8.0
GTEX-14PJ2-0626-SM-6LLII 50-59 years, male 8.0
GTEX-17JCI-2926-SM-7DUFF 60-69 years, female 8.0
GTEX-18QFQ-1826-SM-72D52 30-39 years, male 8.0
GTEX-WHSB-1326-SM-3LK6W 50-59 years, male 8.0
GTEX-ZP4G-1426-SM-4WWCL 20-29 years, female 8.0
GTEX-ZWKS-0626-SM-5GIDV 30-39 years, male 8.0
GTEX-11P82-1426-SM-DTXFY 20-29 years, male 8.0
GTEX-1GF9X-1326-SM-7PC2Y 40-49 years, female 8.0
GTEX-1GMRU-2126-SM-7P8RA 50-59 years, male 8.0
GTEX-1H1ZS-2726-SM-9WG75 70-79 years, male 8.0
GTEX-1HCUA-0826-SM-ADEHM 50-59 years, female 8.0
GTEX-1IOXB-2726-SM-CM2RI 50-59 years, male 8.0
GTEX-11VI4-1126-SM-5EQMD 40-49 years, female 7.9
GTEX-13W3W-0726-SM-5IJDQ 60-69 years, female 7.9
GTEX-15ER7-0626-SM-6PANF 20-29 years, female 7.9
GTEX-1E1VI-0326-SM-793D1 50-59 years, male 7.9
GTEX-1F52S-2926-SM-7MKGA 60-69 years, female 7.9
GTEX-Y111-0626-SM-4SOIT 50-59 years, male 7.9
GTEX-1KANA-1326-SM-DIPFA 20-29 years, male 7.9
GTEX-12584-0726-SM-5FQTK 40-49 years, male 7.8
GTEX-12WSK-2126-SM-5CVNC 40-49 years, female 7.8
GTEX-144GO-2026-SM-5O99P 60-69 years, male 7.8
GTEX-1B932-2326-SM-79OL5 40-49 years, female 7.8
GTEX-1EWIQ-0326-SM-7DHMQ 70-79 years, female 7.8
GTEX-WHSE-0126-SM-3NMBT 20-29 years, male 7.8
GTEX-YECK-0326-SM-4W1YS 60-69 years, male 7.8
GTEX-YJ8O-2526-SM-5HL85 40-49 years, female 7.8
GTEX-1F5PK-2226-SM-7SB6N 50-59 years, male 7.8
GTEX-1GZ2Q-0126-SM-9WG6M 40-49 years, male 7.8
GTEX-1HR98-2226-SM-ADEI2 60-69 years, male 7.8
GTEX-1I1HK-2326-SM-CKZOH 60-69 years, male 7.8
GTEX-1J8JJ-0626-SM-ARZMQ 60-69 years, female 7.8
GTEX-1KANC-1226-SM-CYPT7 50-59 years, female 7.8
GTEX-1PPGY-1626-SM-EVYBL 60-69 years, male 7.8
GTEX-1RMOY-1326-SM-E9TIH 50-59 years, male 7.8
GTEX-11NUK-2726-SM-5A5MC 50-59 years, male 7.7
GTEX-12WSL-2026-SM-5GCML 50-59 years, male 7.7
GTEX-13FTX-1526-SM-5K7VJ 20-29 years, female 7.7
GTEX-13JUV-2026-SM-5K7UA 40-49 years, female 7.7
GTEX-13O61-1426-SM-5KM3D 60-69 years, male 7.7
GTEX-14DAR-1226-SM-73KYV 50-59 years, male 7.7
GTEX-16MTA-0926-SM-6M47Z 50-59 years, male 7.7
GTEX-WHPG-2626-SM-3NMBR 50-59 years, male 7.7
GTEX-XMD2-2126-SM-4YCF8 60-69 years, female 7.7
GTEX-ZE9C-2526-SM-5IJDR 60-69 years, male 7.7
GTEX-ZYVF-0926-SM-5E44J 50-59 years, female 7.7
GTEX-1H1E6-0426-SM-9WYUS 30-39 years, male 7.7
GTEX-1HC8U-1326-SM-9YFMJ 40-49 years, female 7.7
GTEX-1HT8W-0626-SM-A9G2H 30-39 years, male 7.7
GTEX-1IDJD-2326-SM-ACKWX 30-39 years, male 7.7
GTEX-1IDJF-2026-SM-CL53V 20-29 years, male 7.7
GTEX-1LBAC-0826-SM-CY8IJ 20-29 years, male 7.7
GTEX-1R7EU-1626-SM-DTXG3 60-69 years, male 7.7
GTEX-1RLM8-2926-SM-E8VON 50-59 years, male 7.7
GTEX-111VG-1626-SM-5EGIO 60-69 years, male 7.6
GTEX-12BJ1-0926-SM-5EQ62 60-69 years, male 7.6
GTEX-16NGA-0726-SM-731AO 40-49 years, female 7.6
GTEX-16Z82-2626-SM-7KULU 60-69 years, male 7.6
GTEX-XQ8I-0926-SM-4BOOF 50-59 years, male 7.6
GTEX-XV7Q-1826-SM-4BRUV 40-49 years, female 7.6
GTEX-ZTTD-2826-SM-4YCFA 50-59 years, male 7.6
GTEX-ZYFD-0626-SM-5E44E 50-59 years, male 7.6
GTEX-ZYW4-0626-SM-59HJR 60-69 years, male 7.6
GTEX-ZZ64-1026-SM-5GZXG 20-29 years, male 7.6
GTEX-ZZPU-0826-SM-5GZX5 50-59 years, female 7.6
GTEX-1KANB-2826-SM-CY8I6 50-59 years, male 7.6
GTEX-1LSNL-2726-SM-E9TKJ 50-59 years, male 7.6
GTEX-1M4P7-0726-SM-E6CJ3 60-69 years, male 7.6
GTEX-1QCLZ-2426-SM-EVYBW 60-69 years, female 7.6
GTEX-1117F-2926-SM-5GZYI 60-69 years, female 7.5
GTEX-131XG-0326-SM-5L3DX 50-59 years, female 7.5
GTEX-14C38-0726-SM-5SI6M 50-59 years, male 7.5
GTEX-14JG1-1526-SM-5YY9X 40-49 years, male 7.5
GTEX-17HHY-0426-SM-7DHLC 50-59 years, male 7.5
GTEX-YEC4-1826-SM-4W1YP 40-49 years, male 7.5
GTEX-ZDTS-0826-SM-4WKHL 60-69 years, male 7.5
GTEX-1C64N-2626-SM-7PC2N 50-59 years, male 7.5
GTEX-1CAMR-1326-SM-7PC1F 20-29 years, male 7.5
GTEX-1IL2V-1926-SM-B2LW8 70-79 years, male 7.5
GTEX-1N2EE-0626-SM-E76PW 60-69 years, male 7.5
GTEX-1R9PM-1926-SM-EVR3O 20-29 years, male 7.5
GTEX-11DXY-0126-SM-5H11Q 60-69 years, male 7.4
GTEX-11DXZ-2026-SM-5987S 50-59 years, male 7.4
GTEX-11EI6-2826-SM-5H11D 60-69 years, male 7.4
GTEX-13IVO-0726-SM-5LZYV 70-79 years, male 7.4
GTEX-13OW5-2326-SM-5L3HO 60-69 years, male 7.4
GTEX-16NPX-0726-SM-7KULC 50-59 years, male 7.4
GTEX-178AV-1726-SM-7KUL8 40-49 years, male 7.4
GTEX-17EVQ-0126-SM-7IGLR 70-79 years, male 7.4
GTEX-1EN7A-2426-SM-793DB 40-49 years, male 7.4
GTEX-Z93S-1626-SM-5CVMB 50-59 years, male 7.4
GTEX-ZUA1-2626-SM-5NQ92 40-49 years, male 7.4
GTEX-1JJEA-1826-SM-ARU8P 60-69 years, male 7.4
GTEX-1OJC4-2726-SM-E76PJ 50-59 years, female 7.4
GTEX-1QW4Y-1126-SM-DTXE3 30-39 years, male 7.4
GTEX-1RAZQ-1326-SM-E9TK6 30-39 years, male 7.4
GTEX-13N11-2326-SM-5IJBF 50-59 years, female 7.3
GTEX-13OVL-0126-SM-5L3GJ 50-59 years, male 7.3
GTEX-WFON-1926-SM-3LK7L 40-49 years, male 7.3
GTEX-XBED-1926-SM-47JYP 60-69 years, male 7.3
GTEX-Y8E4-2026-SM-5IFJB 40-49 years, male 7.3
GTEX-YFCO-1226-SM-5LUAT 40-49 years, male 7.3
GTEX-ZAJG-1526-SM-5CVML 50-59 years, female 7.3
GTEX-ZF2S-1626-SM-57WES 50-59 years, female 7.3
GTEX-ZXG5-2126-SM-59HKD 60-69 years, male 7.3
GTEX-1IDJE-1426-SM-ADEIW 50-59 years, female 7.3
GTEX-1L5NE-1126-SM-D3L9P 50-59 years, male 7.3
GTEX-ZPIC-0526-SM-DO91W 40-49 years, female 7.3
GTEX-12WSD-0626-SM-5GCMW 60-69 years, female 7.2
GTEX-131YS-2826-SM-5EQ47 60-69 years, female 7.2
GTEX-13NYB-0126-SM-5J1MD 40-49 years, male 7.2
GTEX-145LT-0526-SM-5LUB2 40-49 years, male 7.2
GTEX-17F9E-2326-SM-79OKD 50-59 years, male 7.2
GTEX-1BAJH-2426-SM-7IGP8 70-79 years, male 7.2
GTEX-VUSG-2326-SM-4KL1U 50-59 years, male 7.2
GTEX-WY7C-2126-SM-3NB2R 50-59 years, male 7.2
GTEX-X4EP-0626-SM-3P621 60-69 years, female 7.2
GTEX-ZDXO-3126-SM-5IJDF 60-69 years, male 7.2
GTEX-1H1DF-1126-SM-9WG7G 40-49 years, female 7.2
GTEX-1399S-0126-SM-5IJCF 30-39 years, female 7.1
GTEX-145MN-1526-SM-5SI9T 30-39 years, male 7.1
GTEX-14AS3-1526-SM-5Q5ED 40-49 years, female 7.1
GTEX-117YX-1926-SM-5GIEC 50-59 years, male 7.0
GTEX-11EQ8-0926-SM-5H12V 60-69 years, male 7.0
GTEX-12WSH-1526-SM-5BC5W 50-59 years, male 7.0
GTEX-17MFQ-1526-SM-7KFRR 20-29 years, male 7.0
GTEX-1A3MW-0626-SM-731CB 60-69 years, female 7.0
GTEX-WI4N-2726-SM-3LK7Y 40-49 years, female 7.0
GTEX-XBEW-1126-SM-4QARW 40-49 years, male 7.0
GTEX-ZLFU-1826-SM-4WWBV 40-49 years, male 7.0
GTEX-1C64O-1326-SM-7MGWR 60-69 years, male 7.0
GTEX-1K2DA-1026-SM-CGQGF 50-59 years, male 7.0
GTEX-1QAET-0326-SM-EVR3U 50-59 years, male 7.0
GTEX-1RAZA-2226-SM-E9U4X 20-29 years, male 7.0
GTEX-1RAZR-2126-SM-E9U6T 40-49 years, male 7.0
GTEX-13FTY-2126-SM-5IFFB 40-49 years, female 6.9
GTEX-144FL-0626-SM-5LU43 50-59 years, male 6.9
GTEX-X5EB-1926-SM-4E3IW 40-49 years, male 6.9
GTEX-ZT9X-1526-SM-5DUXD 40-49 years, male 6.9
GTEX-ZYT6-2326-SM-5GZY3 30-39 years, male 6.9
GTEX-1I6K6-1726-SM-CGQFD 30-39 years, male 6.9
GTEX-1JMLX-0626-SM-ARL8T 50-59 years, male 6.9
GTEX-1QEPI-2626-SM-DTXF4 60-69 years, female 6.9
GTEX-YEC3-1326-SM-DO92X 50-59 years, male 6.9
GTEX-11WQK-1026-SM-5EQLX 50-59 years, male 6.8
GTEX-11ZTT-2126-SM-5CVLO 60-69 years, female 6.8
GTEX-14E6E-0526-SM-793DN 30-39 years, male 6.8
GTEX-15RIG-0726-SM-7KUM7 40-49 years, male 6.8
GTEX-ZVE1-0726-SM-51MRN 50-59 years, female 6.8
GTEX-ZY6K-1426-SM-5GZX2 50-59 years, male 6.8
GTEX-ZYFG-1526-SM-5GZYM 60-69 years, female 6.8
GTEX-1F75A-0726-SM-7RHHD 50-59 years, male 6.8
GTEX-13N2G-0226-SM-5K7VF 60-69 years, male 6.7
GTEX-16GPK-0626-SM-7KFSF 60-69 years, male 6.7
GTEX-17F96-0126-SM-7EWDU 70-79 years, male 6.7
GTEX-1F6IF-0926-SM-7SB7M 60-69 years, male 6.7
GTEX-1IDJC-1526-SM-B2LW4 50-59 years, male 6.7
GTEX-1S83E-1326-SM-E6CJM 40-49 years, male 6.7
GTEX-13G51-1826-SM-5KLZH 60-69 years, male 6.6
GTEX-14PJO-2526-SM-6AJBQ 60-69 years, male 6.6
GTEX-14PK6-0226-SM-62LF5 70-79 years, female 6.6
GTEX-17HGU-2326-SM-7DUFE 50-59 years, male 6.6
GTEX-12ZZX-2426-SM-5GCOE 40-49 years, female 6.5
GTEX-13112-0126-SM-5P9IU 50-59 years, male 6.5
GTEX-139TS-2126-SM-5K7XC 60-69 years, male 6.5
GTEX-13NZ9-2626-SM-5L3FK 50-59 years, male 6.5
GTEX-17HG3-2626-SM-7DUF2 30-39 years, female 6.5
GTEX-18A6Q-0626-SM-7KFRP 60-69 years, male 6.5
GTEX-WFG8-2126-SM-3GIKQ 20-29 years, male 6.5
GTEX-WK11-2726-SM-3NMAQ 50-59 years, male 6.5
GTEX-XBEC-0726-SM-4QARZ 50-59 years, male 6.5
GTEX-XK95-0226-SM-4AT58 40-49 years, male 6.5
GTEX-XOT4-0626-SM-4B66L 60-69 years, female 6.5
GTEX-XQ3S-1426-SM-4BOPR 20-29 years, male 6.5
GTEX-1PPH8-0126-SM-EWRN8 20-29 years, male 6.5
GTEX-1S82P-2126-SM-E6CI5 60-69 years, female 6.5
GTEX-11DXW-0826-SM-5H118 40-49 years, male 6.4
GTEX-11ZUS-2626-SM-5FQUR 30-39 years, male 6.4
GTEX-14ABY-2026-SM-62LDL 50-59 years, male 6.4
GTEX-14PJ3-1126-SM-5ZZVX 50-59 years, male 6.4
GTEX-YF7O-1526-SM-5IFI6 50-59 years, male 6.4
GTEX-1AYD5-2626-SM-7PBXY 50-59 years, male 6.4
GTEX-1HBPI-2126-SM-ARL9K 50-59 years, male 6.4
GTEX-1I6K7-1926-SM-B2LXR 40-49 years, male 6.4
GTEX-1KD5A-0126-SM-E9U54 50-59 years, male 6.4
GTEX-1QP66-1226-SM-DTX7U 50-59 years, male 6.4
GTEX-111FC-2526-SM-5GZXU 60-69 years, male 6.3
GTEX-11WQC-1826-SM-5GU59 60-69 years, male 6.3
GTEX-16AAH-0626-SM-793C9 50-59 years, male 6.3
GTEX-ZAK1-0626-SM-5HL8E 50-59 years, female 6.3
GTEX-ZPCL-1126-SM-4WWFE 60-69 years, female 6.3
GTEX-1H11D-1826-SM-9QEHM 40-49 years, male 6.3
GTEX-1H1DG-2426-SM-9QEHJ 70-79 years, male 6.3
GTEX-1I19N-0126-SM-CYPSF 70-79 years, male 6.3
GTEX-1ICG6-1226-SM-A9SLN 70-79 years, female 6.3
GTEX-1RB15-1326-SM-E76Q9 60-69 years, male 6.3
GTEX-U8XE-0226-SM-4E3J3 30-39 years, male 6.2
GTEX-W5X1-2526-SM-3GILC 40-49 years, female 6.2
GTEX-WFG7-2026-SM-5SI7P 20-29 years, male 6.2
GTEX-ZTX8-1326-SM-4YCEL 20-29 years, male 6.2
GTEX-ZVP2-0326-SM-57WBP 50-59 years, male 6.2
GTEX-11DXX-2126-SM-5PNYR 60-69 years, female 6.1
GTEX-11NSD-0626-SM-5A5LU 20-29 years, male 6.1
GTEX-12WSJ-1126-SM-5LZVJ 40-49 years, female 6.1
GTEX-147GR-2426-SM-5ZZWQ 60-69 years, male 6.1
GTEX-14LZ3-0126-SM-69LPM 60-69 years, female 6.1
GTEX-15G1A-1626-SM-7KUKN 30-39 years, male 6.1
GTEX-16MT9-0126-SM-7EPI8 60-69 years, female 6.1
GTEX-1AX8Z-0726-SM-73KTS 60-69 years, male 6.1
GTEX-ZPU1-1126-SM-4YCF3 40-49 years, male 6.1
GTEX-1JMQK-1226-SM-D4P2S 60-69 years, male 6.1
GTEX-1S82U-1026-SM-E6CJK 30-39 years, female 6.1
GTEX-1399Q-2326-SM-5KM2X 40-49 years, male 6.0
GTEX-17KNJ-2126-SM-718AM 50-59 years, male 6.0
GTEX-1RAZS-2526-SM-E6CHT 50-59 years, male 6.0
GTEX-ZF3C-0626-SM-DO92O 50-59 years, female 6.0
GTEX-11P7K-1126-SM-5HL4L 30-39 years, male 5.9
GTEX-1ICLZ-0326-SM-ARL82 60-69 years, male 5.9
GTEX-1LVAM-0726-SM-E6CIL 50-59 years, female 5.9
GTEX-1MJK3-0726-SM-E6CJC 20-29 years, male 5.9
GTEX-146FQ-2126-SM-5RQHU 30-39 years, male 5.8
GTEX-14A5H-0826-SM-5QGPJ 60-69 years, male 5.8
GTEX-1JN76-0626-SM-CKZOQ 20-29 years, female 5.8
GTEX-1N2DV-1526-SM-DTXEP 40-49 years, male 5.8
GTEX-18A66-0626-SM-7LT8Z 60-69 years, male 5.7
GTEX-ZVTK-0226-SM-51MRG 20-29 years, male 5.7
GTEX-1F6I4-2326-SM-7RHGL 60-69 years, male 5.7
GTEX-11TT1-1826-SM-5EQLV 20-29 years, male 5.6
GTEX-15G19-2426-SM-7KUMR 60-69 years, male 5.6
GTEX-WHWD-1826-SM-3LK6I 50-59 years, male 5.6
GTEX-1QP29-1826-SM-DTX9S 50-59 years, male 5.6
GTEX-12126-0826-SM-5FQTZ 20-29 years, male 5.5
GTEX-14XAO-1226-SM-6EU1C 60-69 years, female 5.5
GTEX-X3Y1-2026-SM-3P5YM 40-49 years, male 5.5
GTEX-1IKOE-1426-SM-CE6T7 30-39 years, female 5.5
GTEX-1H1CY-0126-SM-9YFLY 60-69 years, female 5.4
GTEX-14E1K-2026-SM-7DUEI 50-59 years, male 5.3
GTEX-17F97-2626-SM-7IGM5 50-59 years, male 5.3
GTEX-Y114-2126-SM-4TT8B 50-59 years, female 5.3
GTEX-YB5K-2026-SM-4VDT3 40-49 years, female 5.3
GTEX-15RJ7-2126-SM-6PAMD 40-49 years, male 5.2
GTEX-XXEK-1626-SM-4BRUZ 50-59 years, male 5.2
GTEX-1HFI6-0126-SM-CNPPI 40-49 years, male 5.2
GTEX-1HSMP-0926-SM-A9SKX 70-79 years, male 5.2
GTEX-1NSGN-0726-SM-DTXEF 50-59 years, male 5.2
GTEX-1QP9N-1226-SM-E76QN 30-39 years, male 5.2
GTEX-139YR-1026-SM-5LZYN 50-59 years, male 5.1
GTEX-1OJC3-1226-SM-DTXER 20-29 years, male 5.1
GTEX-11DZ1-2426-SM-5GZZX 50-59 years, male 4.9
GTEX-131XH-0126-SM-5LZUY 50-59 years, male 4.9
GTEX-11OF3-0126-SM-5PNYF 60-69 years, male 4.8
GTEX-WXYG-2026-SM-4E3IY 50-59 years, female 4.8
GTEX-Y3IK-1626-SM-4YCF5 50-59 years, female 4.8
GTEX-Y5V6-2326-SM-4VDSA 60-69 years, male 4.8
GTEX-132AR-0326-SM-5KM2C 50-59 years, female 4.7
GTEX-14PHY-1226-SM-5ZZWK 60-69 years, female 4.7
GTEX-15SHW-0226-SM-7LTAT 60-69 years, male 4.7
GTEX-16YQH-2226-SM-7IGM2 30-39 years, male 4.6
GTEX-18D9B-0926-SM-7LG4U 60-69 years, male 4.6
GTEX-145MG-1526-SM-5Q5EM 50-59 years, male 4.5
GTEX-UPK5-0426-SM-3GAEK 40-49 years, male 4.5
GTEX-1399R-1326-SM-5PNYS 30-39 years, male 4.2
GTEX-1R9PN-0426-SM-DTXDT 40-49 years, female 4.1
GTEX-11DYG-1526-SM-5A5JS 60-69 years, male 4.0
GTEX-X585-2426-SM-46MW2 50-59 years, male 3.9
GTEX-1E2YA-2126-SM-7MXUO 50-59 years, male 3.9
GTEX-15RIE-1926-SM-7KUKJ 60-69 years, male 3.5
GTEX-XYKS-1426-SM-4BRUO 60-69 years, female 3.5
GTEX-WH7G-2026-SM-3NMBL 40-49 years, male 3.4
GTEX-1PIGE-1826-SM-E8VOU 20-29 years, male 2.7
Show allShow less
Skin - Sun Exposed (Lower leg)
Average nTPM: 9.1
Samples: 701

Max nTPM: 17.7
Min nTPM: 3.0
Std nTPM: 2.3
Median nTPM: 8.9
GTEX-15F5U-1526-SM-6PANO 40-49 years, male 17.7
GTEX-1HFI7-1826-SM-ACKXH 50-59 years, female 17.5
GTEX-1LH75-2426-SM-E9TJE 50-59 years, female 17.1
GTEX-1JMOU-1526-SM-CL54I 60-69 years, female 16.9
GTEX-16XZZ-0126-SM-793DV 60-69 years, male 16.7
GTEX-1HSMO-0126-SM-CL547 60-69 years, male 16.7
GTEX-17HHE-2026-SM-79OKF 50-59 years, male 16.0
GTEX-1C475-1826-SM-73KWA 40-49 years, female 15.8
GTEX-1B8KE-2126-SM-73KYX 50-59 years, male 15.4
GTEX-14A5I-0126-SM-5TDEA 50-59 years, female 15.3
GTEX-WFG8-2226-SM-3GIL9 20-29 years, male 15.1
GTEX-ZXG5-0126-SM-5GIEU 60-69 years, male 15.1
GTEX-S32W-2126-SM-2XCB1 50-59 years, female 14.9
GTEX-14E7W-0126-SM-6LLJ9 70-79 years, male 14.8
GTEX-1E2YA-0126-SM-9KNUC 50-59 years, male 14.5
GTEX-13OW8-1326-SM-5J1OW 60-69 years, male 14.4
GTEX-1I1GT-0626-SM-CGQER 60-69 years, female 14.3
GTEX-1192W-2626-SM-5Q5AF 60-69 years, male 14.2
GTEX-1B97I-1626-SM-73KYO 40-49 years, male 14.0
GTEX-17GQL-2026-SM-718BA 60-69 years, male 13.8
GTEX-1CAMQ-0226-SM-7IGPK 40-49 years, male 13.8
GTEX-145MI-0526-SM-5O9A8 60-69 years, female 13.7
GTEX-14C5O-0126-SM-5SI6N 60-69 years, male 13.7
GTEX-P44H-0226-SM-2XCEU 40-49 years, male 13.6
GTEX-11LCK-1026-SM-5A5KB 30-39 years, male 13.5
GTEX-13W46-0226-SM-5SIAG 50-59 years, male 13.5
GTEX-1A3MW-0126-SM-73KXX 60-69 years, female 13.5
GTEX-SNMC-1226-SM-2XCFP 20-29 years, male 13.5
GTEX-1IKJJ-0126-SM-CNPQB 60-69 years, male 13.5
GTEX-13QJ3-0326-SM-5S2RA 50-59 years, male 13.4
GTEX-1F75B-0126-SM-9KNVL 50-59 years, male 13.4
GTEX-15ETS-0126-SM-7KUMW 40-49 years, female 13.3
GTEX-17HII-0226-SM-7LG4E 50-59 years, male 13.3
GTEX-TSE9-0126-SM-3DB83 60-69 years, female 13.3
GTEX-1J8Q2-0526-SM-CM2RW 60-69 years, male 13.3
GTEX-12WSG-2826-SM-E9J4H 50-59 years, female 13.2
GTEX-14BIL-0126-SM-5SI92 50-59 years, male 13.1
GTEX-WRHK-1426-SM-3MJF9 20-29 years, female 13.1
GTEX-13111-1626-SM-5EGJY 50-59 years, male 13.0
GTEX-13FTY-0526-SM-5L3EV 40-49 years, female 12.8
GTEX-148VJ-0126-SM-5TDDN 70-79 years, male 12.8
GTEX-1E1VI-0126-SM-7DHMZ 50-59 years, male 12.8
GTEX-1IDJU-2626-SM-CM2RT 60-69 years, female 12.8
GTEX-12696-2426-SM-5EQ6H 60-69 years, male 12.7
GTEX-1A3MV-1926-SM-718BT 30-39 years, male 12.7
GTEX-UPJH-0326-SM-3GADU 50-59 years, male 12.7
GTEX-11GSO-2426-SM-5A5LY 60-69 years, male 12.6
GTEX-1AMFI-2026-SM-731BH 50-59 years, female 12.6
GTEX-T8EM-1026-SM-3DB7M 40-49 years, male 12.6
GTEX-1JN1M-0326-SM-CYPT3 60-69 years, female 12.6
GTEX-ZF28-0126-SM-4WKGK 60-69 years, male 12.5
GTEX-1HCVE-0126-SM-CGQEU 50-59 years, male 12.5
GTEX-1N2EF-0226-SM-EYYXB 60-69 years, male 12.5
GTEX-1R46S-0626-SM-E9J41 60-69 years, female 12.5
GTEX-12WSK-2326-SM-5GCOH 40-49 years, female 12.4
GTEX-14PN3-2426-SM-6LLHS 60-69 years, female 12.4
GTEX-U3ZN-2326-SM-3DB7W 30-39 years, female 12.4
GTEX-1AX9I-0126-SM-7SB74 60-69 years, male 12.4
GTEX-1H3VY-0126-SM-ACKXD 50-59 years, male 12.4
GTEX-1I1GR-0126-SM-CL55F 60-69 years, male 12.4
GTEX-1JJ6O-0126-SM-E6CI8 60-69 years, male 12.4
GTEX-13OVJ-0126-SM-5KM36 50-59 years, female 12.3
GTEX-PVOW-0126-SM-2XCFA 40-49 years, male 12.3
GTEX-11TUW-2726-SM-E9J4M 60-69 years, male 12.3
GTEX-1J1OQ-0226-SM-CYPSH 40-49 years, female 12.3
GTEX-1JJE9-0326-SM-CL53Z 70-79 years, male 12.3
GTEX-1OJC4-0126-SM-E9J2E 50-59 years, female 12.3
GTEX-11H98-0126-SM-5EGHG 50-59 years, male 12.2
GTEX-1AX9J-0226-SM-73KXM 60-69 years, male 12.2
GTEX-1C2JI-1826-SM-73KXC 50-59 years, male 12.2
GTEX-WYVS-2126-SM-3NMA3 40-49 years, female 12.2
GTEX-13O3O-0126-SM-E9J49 60-69 years, female 12.2
GTEX-1EN7A-0126-SM-7SB81 40-49 years, male 12.2
GTEX-144GL-0126-SM-5TDE2 50-59 years, male 12.1
GTEX-148VI-1626-SM-5SI6E 60-69 years, female 12.1
GTEX-14LLW-0126-SM-6LLIO 70-79 years, female 12.1
GTEX-13S7M-0126-SM-5SI6A 60-69 years, female 12.0
GTEX-145ME-1826-SM-5SI9G 40-49 years, female 12.0
GTEX-14PJ6-2126-SM-6EU1V 60-69 years, female 12.0
GTEX-ZYY3-0126-SM-5GZY5 60-69 years, female 12.0
GTEX-1HCU9-1526-SM-A9SL7 20-29 years, male 12.0
GTEX-SE5C-1626-SM-2XCE3 40-49 years, female 12.0
GTEX-15RIG-0226-SM-7KFTL 40-49 years, male 11.9
GTEX-ZEX8-2426-SM-4WKG4 50-59 years, male 11.9
GTEX-17F96-1626-SM-7DUFL 70-79 years, male 11.8
GTEX-ZTSS-1926-SM-57WEW 40-49 years, male 11.8
GTEX-13FH7-2026-SM-E9J4I 50-59 years, female 11.8
GTEX-1CB4H-0226-SM-7PBXM 60-69 years, female 11.8
GTEX-1H1DE-2126-SM-9WG6R 20-29 years, male 11.8
GTEX-1HCU7-0226-SM-CL545 50-59 years, male 11.8
GTEX-1I4MK-2226-SM-ACKWD 50-59 years, female 11.8
GTEX-1LG7Z-1726-SM-D3LA4 30-39 years, male 11.8
GTEX-1R9PO-2126-SM-E9J4O 60-69 years, female 11.8
GTEX-11EQ9-2426-SM-5HL5T 30-39 years, male 11.7
GTEX-11VI4-1726-SM-5CVLH 40-49 years, female 11.7
GTEX-131XG-2626-SM-5KM17 50-59 years, female 11.7
GTEX-17MFQ-1726-SM-793C7 20-29 years, male 11.7
GTEX-1GPI7-0126-SM-9MQL8 20-29 years, male 11.7
GTEX-1I1GU-2226-SM-CGQFA 40-49 years, male 11.7
GTEX-1JN76-0126-SM-CNPPE 20-29 years, female 11.7
GTEX-OIZF-0126-SM-7SB8I 60-69 years, male 11.7
GTEX-13OVG-1926-SM-5L3DK 60-69 years, male 11.6
GTEX-ZYW4-0126-SM-5E44A 60-69 years, male 11.6
GTEX-1J8QM-2126-SM-CYPSJ 60-69 years, female 11.6
GTEX-1QPFJ-0226-SM-E76PB 30-39 years, female 11.6
GTEX-RNOR-0126-SM-E9J4R 50-59 years, female 11.6
GTEX-12C56-1726-SM-5EQ61 20-29 years, male 11.5
GTEX-17EUY-0426-SM-793BD 20-29 years, male 11.5
GTEX-18A7B-0126-SM-7LG64 70-79 years, male 11.5
GTEX-1GL5R-1826-SM-9KNUY 50-59 years, male 11.5
GTEX-1KANA-0726-SM-D3L9I 20-29 years, male 11.5
GTEX-1S3DN-2226-SM-EVYCD 50-59 years, male 11.5
GTEX-13CF3-2426-SM-5IFGX 60-69 years, female 11.4
GTEX-13FTX-1826-SM-5J1NX 20-29 years, female 11.4
GTEX-18A66-0226-SM-718BD 60-69 years, male 11.4
GTEX-1AMEY-1326-SM-73KYK 30-39 years, female 11.4
GTEX-1C64O-0126-SM-7SB8P 60-69 years, male 11.4
GTEX-1GPI6-0126-SM-9WG69 60-69 years, male 11.4
GTEX-13IVO-0126-SM-5J1NG 70-79 years, male 11.3
GTEX-13OVH-0126-SM-5MR4B 70-79 years, male 11.3
GTEX-14DAR-2026-SM-5S2O3 50-59 years, male 11.3
GTEX-15CHC-2126-SM-6EU21 60-69 years, female 11.3
GTEX-ZAB4-0226-SM-5N9F5 40-49 years, male 11.3
GTEX-ZGAY-0526-SM-4WWBB 40-49 years, female 11.3
GTEX-1HSMQ-1226-SM-CGQFX 50-59 years, male 11.3
GTEX-11EM3-2426-SM-59861 20-29 years, female 11.2
GTEX-ZWKS-0126-SM-5SIAA 30-39 years, male 11.2
GTEX-1GMR3-1926-SM-9KNUZ 40-49 years, male 11.2
GTEX-1H23P-0126-SM-ADEJ3 60-69 years, male 11.2
GTEX-1LGRB-2526-SM-CNPPQ 50-59 years, female 11.2
GTEX-145LV-2126-SM-5LU8N 50-59 years, male 11.1
GTEX-15EU6-0426-SM-6PAN5 50-59 years, male 11.1
GTEX-OXRO-0126-SM-2YUN4 60-69 years, female 11.1
GTEX-ZAJG-0126-SM-5HL94 50-59 years, female 11.1
GTEX-ZTX8-1426-SM-5DUVO 20-29 years, male 11.1
GTEX-1A8FM-0226-SM-7SB7Q 50-59 years, female 11.1
GTEX-1HBPN-0226-SM-9YFM1 50-59 years, male 11.1
GTEX-1LVAN-0226-SM-COH3S 50-59 years, female 11.1
GTEX-1GF9U-2126-SM-7SB7L 40-49 years, female 11.0
GTEX-1H1DG-0126-SM-9WYU2 70-79 years, male 11.0
GTEX-1HCU8-0626-SM-A9SM9 60-69 years, female 11.0
GTEX-1I1GQ-0126-SM-COH3H 50-59 years, male 11.0
GTEX-117XS-2726-SM-5N9BL 60-69 years, male 10.9
GTEX-12WSA-0226-SM-5BC5V 60-69 years, male 10.9
GTEX-13O1R-0126-SM-5L3EH 60-69 years, male 10.9
GTEX-13RTJ-2426-SM-5S2Q2 60-69 years, male 10.9
GTEX-13YAN-0326-SM-5O9DF 60-69 years, male 10.9
GTEX-1B8SG-0126-SM-73KZ3 50-59 years, male 10.9
GTEX-QLQ7-1626-SM-2S1R8 60-69 years, male 10.9
GTEX-146FR-1326-SM-E9J48 60-69 years, female 10.9
GTEX-1I1GS-0126-SM-B2LVW 60-69 years, male 10.9
GTEX-1IKOH-0226-SM-COH4E 60-69 years, female 10.9
GTEX-1J1R8-1726-SM-ARL8M 40-49 years, male 10.9
GTEX-1MGNQ-0126-SM-EVYCJ 40-49 years, male 10.9
GTEX-1QP66-1726-SM-E8VO1 50-59 years, male 10.9
GTEX-1RAZQ-0726-SM-EAZ43 30-39 years, male 10.9
GTEX-147F3-0526-SM-5SI98 50-59 years, female 10.8
GTEX-14JIY-0126-SM-6LLH6 60-69 years, male 10.8
GTEX-17EVP-0326-SM-7DHLG 40-49 years, male 10.8
GTEX-T6MO-1626-SM-32QOM 40-49 years, female 10.8
GTEX-YB5E-2026-SM-5IFIS 40-49 years, male 10.8
GTEX-ZF2S-2326-SM-4WWCE 50-59 years, female 10.8
GTEX-1F5PK-2426-SM-7RHHY 50-59 years, male 10.8
GTEX-1GMRU-0126-SM-9YFLV 50-59 years, male 10.8
GTEX-1HSEH-0126-SM-ACKXN 60-69 years, male 10.8
GTEX-1QCLY-0326-SM-E8VOG 30-39 years, male 10.8
GTEX-13X6I-0626-SM-5QGP9 60-69 years, male 10.7
GTEX-ZVE2-0226-SM-59HJB 50-59 years, male 10.7
GTEX-13NYC-0326-SM-E9J4S 60-69 years, male 10.7
GTEX-1J8Q3-1626-SM-CMKGC 60-69 years, male 10.7
GTEX-1JK1U-2026-SM-CM2RZ 60-69 years, male 10.7
GTEX-1LG7Y-0526-SM-DKPQC 50-59 years, male 10.7
GTEX-12WSC-0126-SM-5EQ4P 50-59 years, male 10.6
GTEX-13JUV-2726-SM-5LZZ8 40-49 years, female 10.6
GTEX-16MT8-0426-SM-7KUEY 60-69 years, female 10.6
GTEX-1CB4E-2226-SM-793DC 60-69 years, male 10.6
GTEX-1GN1W-0526-SM-9MQJQ 50-59 years, female 10.6
GTEX-1R7EV-2426-SM-EVYBG 40-49 years, male 10.6
GTEX-1128S-2326-SM-5GZZY 60-69 years, female 10.5
GTEX-13PDP-0126-SM-5L3HD 60-69 years, male 10.5
GTEX-XPVG-2626-SM-4B669 50-59 years, male 10.5
GTEX-1CB4F-0426-SM-9KNV4 60-69 years, male 10.5
GTEX-1HSGN-0226-SM-CGQFV 40-49 years, female 10.5
GTEX-1MCYP-1926-SM-E9J2R 20-29 years, female 10.5
GTEX-1RDX4-0126-SM-E9J4P 50-59 years, female 10.5
GTEX-139TT-0126-SM-5K7Y5 60-69 years, male 10.4
GTEX-16AAH-1726-SM-7939C 50-59 years, male 10.4
GTEX-ZYFC-0226-SM-5NQ75 50-59 years, male 10.4
GTEX-1H2FU-0126-SM-9WYSI 60-69 years, female 10.4
GTEX-131XE-2326-SM-5PNZ2 50-59 years, male 10.3
GTEX-13NYB-2526-SM-5K7Z6 40-49 years, male 10.3
GTEX-13OVI-1426-SM-5L3EY 60-69 years, female 10.3
GTEX-145LS-0126-SM-5QGP1 60-69 years, female 10.3
GTEX-147GR-0526-SM-5S2MY 60-69 years, male 10.3
GTEX-14JG6-2226-SM-6EU2G 30-39 years, female 10.3
GTEX-15SDE-2226-SM-7IGLO 50-59 years, female 10.3
GTEX-RWSA-0126-SM-2XCBB 40-49 years, male 10.3
GTEX-1H1ZS-0426-SM-9WG6G 70-79 years, male 10.3
GTEX-1HGF4-2426-SM-ACKXM 60-69 years, male 10.3
GTEX-1JKYR-0126-SM-CNPOJ 20-29 years, male 10.3
GTEX-1QP29-0626-SM-EWRMX 50-59 years, male 10.3
GTEX-ZF29-2326-SM-DO92K 60-69 years, female 10.3
GTEX-14BMV-0126-SM-5S2PO 50-59 years, male 10.2
GTEX-16NGA-1726-SM-731B4 40-49 years, female 10.2
GTEX-T5JW-1626-SM-3GADZ 20-29 years, female 10.2
GTEX-VJWN-0126-SM-3GIK7 50-59 years, female 10.2
GTEX-Y8LW-1826-SM-5S2MV 50-59 years, female 10.2
GTEX-ZV6S-2326-SM-4YCEY 40-49 years, female 10.2
GTEX-1HUB1-0426-SM-E9U4U 60-69 years, male 10.2
GTEX-1I1GP-2226-SM-CGQFK 50-59 years, male 10.2
GTEX-1KXAM-2226-SM-CYPTC 60-69 years, male 10.2
GTEX-PW2O-1526-SM-7RHHB 20-29 years, male 10.2
GTEX-13N1W-0126-SM-5K7VT 70-79 years, male 10.1
GTEX-13NZA-0226-SM-5K7Z7 60-69 years, male 10.1
GTEX-13SLW-0126-SM-5SI6C 70-79 years, male 10.1
GTEX-16YQH-0126-SM-7DUFJ 30-39 years, male 10.1
GTEX-1CB4I-0226-SM-79OLH 50-59 years, male 10.1
GTEX-ZZ64-1726-SM-5GZYB 20-29 years, male 10.1
GTEX-1H4P4-0726-SM-9YFLR 50-59 years, male 10.1
GTEX-1HSKV-0226-SM-A9SKJ 60-69 years, male 10.1
GTEX-1I1CD-0126-SM-CM2TK 60-69 years, female 10.1
GTEX-1ICLY-0126-SM-D4P36 50-59 years, male 10.1
GTEX-1JN6P-0126-SM-D3L98 60-69 years, male 10.1
GTEX-1K2DU-2326-SM-E9TIV 20-29 years, male 10.1
GTEX-11DZ1-0126-SM-5985Q 50-59 years, male 10.0
GTEX-11ZU8-2526-SM-5EQKI 60-69 years, male 10.0
GTEX-13112-2826-SM-5DUWH 50-59 years, male 10.0
GTEX-14A6H-0126-SM-5QGPK 30-39 years, male 10.0
GTEX-P4QT-0126-SM-2I3FL 50-59 years, female 10.0
GTEX-SN8G-0126-SM-32PLI 50-59 years, female 10.0
GTEX-ZYFG-2326-SM-5E44B 60-69 years, female 10.0
GTEX-1H11D-0226-SM-9WG6Z 40-49 years, male 10.0
GTEX-1QP2A-0126-SM-E9J43 50-59 years, male 10.0
GTEX-18D9A-1926-SM-7LG6P 30-39 years, female 9.9
GTEX-1C6VS-0526-SM-7DUEN 60-69 years, male 9.9
GTEX-Q2AG-0126-SM-33HBV 40-49 years, female 9.9
GTEX-1GMR8-0126-SM-9WYTM 50-59 years, female 9.9
GTEX-PSDG-0226-SM-DKPOZ 50-59 years, male 9.9
GTEX-R45C-0126-SM-EAZ2R 60-69 years, female 9.9
GTEX-113JC-2326-SM-5EQ4E 50-59 years, female 9.8
GTEX-12WSJ-1826-SM-5GCNY 40-49 years, female 9.8
GTEX-14PHX-2326-SM-62LEM 50-59 years, male 9.8
GTEX-1B8KZ-2026-SM-7DHMB 50-59 years, male 9.8
GTEX-XBED-2226-SM-47JYQ 60-69 years, male 9.8
GTEX-ZAB5-1826-SM-5HL7C 50-59 years, male 9.8
GTEX-1GN1U-0126-SM-7PBZK 50-59 years, female 9.8
GTEX-1KWVE-1426-SM-E9TJO 30-39 years, male 9.8
GTEX-1PFEY-1526-SM-E76PP 30-39 years, male 9.8
GTEX-PLZ6-1426-SM-DKPOT 30-39 years, male 9.8
GTEX-1314G-1526-SM-5EGK2 30-39 years, male 9.7
GTEX-133LE-1826-SM-5J1MV 20-29 years, female 9.7
GTEX-139D8-0226-SM-5KLZO 30-39 years, female 9.7
GTEX-139TU-0126-SM-5K7WH 60-69 years, male 9.7
GTEX-13U4I-0126-SM-5LU38 40-49 years, female 9.7
GTEX-15ER7-0326-SM-7KUEV 20-29 years, female 9.7
GTEX-17HGU-0226-SM-7DHKV 50-59 years, male 9.7
GTEX-PLZ5-2026-SM-2S1O4 50-59 years, male 9.7
GTEX-U3ZH-2026-SM-3DB78 30-39 years, male 9.7
GTEX-1POEN-0126-SM-EYYXJ 30-39 years, female 9.7
GTEX-1S83E-0126-SM-EWRO4 40-49 years, male 9.7
GTEX-12KS4-0326-SM-5EQ41 30-39 years, male 9.6
GTEX-12ZZZ-0626-SM-5DUXI 60-69 years, male 9.6
GTEX-13W3W-2426-SM-5LU5B 60-69 years, female 9.6
GTEX-15UF6-0826-SM-6PALJ 70-79 years, female 9.6
GTEX-17KNJ-2326-SM-7DHLQ 50-59 years, male 9.6
GTEX-ZXES-1826-SM-5E43S 30-39 years, female 9.6
GTEX-1JMLX-0226-SM-CM2RO 50-59 years, male 9.6
GTEX-1KAFJ-2026-SM-CY8ID 50-59 years, male 9.6
GTEX-1KANC-1526-SM-D3LAB 50-59 years, female 9.6
GTEX-1MA7W-2026-SM-E9TJ6 20-29 years, female 9.6
GTEX-131XW-0426-SM-5LZWP 50-59 years, female 9.5
GTEX-1399T-2826-SM-5KLYZ 60-69 years, male 9.5
GTEX-U4B1-1826-SM-4DXSU 40-49 years, male 9.5
GTEX-WOFL-0126-SM-3MJG2 60-69 years, male 9.5
GTEX-ZVZP-2426-SM-59HKJ 50-59 years, male 9.5
GTEX-169BO-1326-SM-9MQK2 50-59 years, male 9.5
GTEX-1GTWX-0126-SM-9YFLK 60-69 years, male 9.5
GTEX-1I19N-0326-SM-ACKVX 70-79 years, male 9.5
GTEX-1JMQL-0226-SM-CNPP5 50-59 years, female 9.5
GTEX-1S82Y-2026-SM-EVYCM 40-49 years, male 9.5
GTEX-11EI6-0126-SM-5985R 60-69 years, male 9.4
GTEX-1399R-2726-SM-5IJBA 30-39 years, male 9.4
GTEX-13X6H-2126-SM-7EWD5 50-59 years, female 9.4
GTEX-15SHW-0326-SM-6PAML 60-69 years, male 9.4
GTEX-RM2N-1426-SM-2TF4H 50-59 years, male 9.4
GTEX-TMMY-0226-SM-33HBA 40-49 years, female 9.4
GTEX-YJ89-0126-SM-4TT3X 60-69 years, male 9.4
GTEX-ZQUD-1426-SM-57WER 30-39 years, male 9.4
GTEX-1F48J-0126-SM-7P8TT 50-59 years, female 9.4
GTEX-1GF9W-0326-SM-9KNUN 60-69 years, male 9.4
GTEX-1I1HK-0126-SM-COH49 60-69 years, male 9.4
GTEX-1MUQO-0126-SM-EAZ58 60-69 years, male 9.4
GTEX-113IC-0126-SM-5HL6T 60-69 years, male 9.3
GTEX-11TTK-0126-SM-5987B 60-69 years, female 9.3
GTEX-13NZB-2526-SM-5J1OM 30-39 years, male 9.3
GTEX-14DAQ-0126-SM-5S2MQ 60-69 years, female 9.3
GTEX-15DYW-0126-SM-7KULE 60-69 years, female 9.3
GTEX-16BQI-0226-SM-7KUEX 30-39 years, female 9.3
GTEX-VUSG-2526-SM-4KL1V 50-59 years, male 9.3
GTEX-Y5V5-2326-SM-4V6GA 60-69 years, female 9.3
GTEX-1JMQJ-0526-SM-CYPSU 50-59 years, male 9.3
GTEX-1PIGE-0126-SM-EVYBJ 20-29 years, male 9.3
GTEX-1QW4Y-1526-SM-EAZ3Z 30-39 years, male 9.3
GTEX-1RB15-2126-SM-E9TIM 60-69 years, male 9.3
GTEX-1S82Z-0826-SM-E6CHY 30-39 years, female 9.3
GTEX-ZVT4-0126-SM-DTXFN 50-59 years, female 9.3
GTEX-11P7K-2126-SM-5GU7G 30-39 years, male 9.2
GTEX-11P81-2326-SM-59875 30-39 years, female 9.2
GTEX-11XUK-2026-SM-5EQLF 40-49 years, female 9.2
GTEX-139UW-2826-SM-5L3E7 60-69 years, male 9.2
GTEX-OXRP-0126-SM-3NB32 60-69 years, female 9.2
GTEX-U3ZM-1526-SM-3DB9D 40-49 years, male 9.2
GTEX-WFON-2126-SM-3LK7O 40-49 years, male 9.2
GTEX-WH7G-2326-SM-3NMBC 40-49 years, male 9.2
GTEX-XUZC-1726-SM-4BRWS 30-39 years, female 9.2
GTEX-ZUA1-0126-SM-5GU76 40-49 years, male 9.2
GTEX-1CB4G-0226-SM-7PC3O 60-69 years, male 9.2
GTEX-1F75I-0326-SM-9YFLU 40-49 years, male 9.2
GTEX-1IDJH-0326-SM-A9SLQ 70-79 years, male 9.2
GTEX-ZPIC-1726-SM-DHXIU 40-49 years, female 9.2
GTEX-11ZTT-2426-SM-5EQLS 60-69 years, female 9.1
GTEX-16XZY-2126-SM-79OK1 70-79 years, male 9.1
GTEX-17HG3-2226-SM-7938L 30-39 years, female 9.1
GTEX-183WM-0126-SM-7LTAB 70-79 years, female 9.1
GTEX-1F6IF-0726-SM-7P8TW 60-69 years, male 9.1
GTEX-1PIIG-0226-SM-EWRN6 30-39 years, male 9.1
GTEX-12WSL-2526-SM-5GCNJ 50-59 years, male 9.0
GTEX-14PHW-0126-SM-6LLJI 60-69 years, female 9.0
GTEX-18465-0126-SM-731BN 50-59 years, male 9.0
GTEX-OHPM-0126-SM-2YUN9 50-59 years, male 9.0
GTEX-YB5K-2126-SM-4WWDJ 40-49 years, female 9.0
GTEX-ZV68-0126-SM-59HKS 50-59 years, female 9.0
GTEX-1HT8W-0126-SM-CNPPP 30-39 years, male 9.0
GTEX-1IGQW-0126-SM-COH42 60-69 years, male 9.0
GTEX-1JKYN-1326-SM-CGQG9 30-39 years, male 9.0
GTEX-1O97I-0326-SM-EYYX7 60-69 years, male 9.0
GTEX-1S5ZA-0126-SM-EVYCV 20-29 years, male 9.0
GTEX-117YX-2326-SM-5H12W 50-59 years, male 8.9
GTEX-11ZVC-2526-SM-5FQTE 50-59 years, female 8.9
GTEX-131YS-0126-SM-5KM1M 60-69 years, female 8.9
GTEX-13RTK-1426-SM-5QGQJ 20-29 years, male 8.9
GTEX-147F4-0226-SM-5QGPW 50-59 years, male 8.9
GTEX-14E6C-0126-SM-5RQIP 40-49 years, male 8.9
GTEX-14PII-0226-SM-6EU1T 60-69 years, male 8.9
GTEX-15EOM-0126-SM-7KUGG 20-29 years, female 8.9
GTEX-16NPX-0226-SM-79OMT 50-59 years, male 8.9
GTEX-V1D1-2226-SM-3NMAX 50-59 years, male 8.9
GTEX-1EX96-1626-SM-7PBXR 50-59 years, male 8.9
GTEX-1F52S-0126-SM-9MQJU 60-69 years, female 8.9
GTEX-1F5PL-0326-SM-7P8PQ 40-49 years, female 8.9
GTEX-1GF9V-0326-SM-7RHI5 60-69 years, male 8.9
GTEX-1PPH8-0226-SM-E8VND 20-29 years, male 8.9
GTEX-11DXX-2426-SM-5GZZW 60-69 years, female 8.8
GTEX-12WSE-0526-SM-793B2 20-29 years, male 8.8
GTEX-13N2G-2626-SM-5J1OT 60-69 years, male 8.8
GTEX-13O21-1426-SM-5K7XI 50-59 years, male 8.8
GTEX-15SHU-0126-SM-7KUEH 40-49 years, female 8.8
GTEX-1CB4J-0626-SM-7DHMP 60-69 years, male 8.8
GTEX-OXRN-0126-SM-48TDM 50-59 years, male 8.8
GTEX-RU72-0926-SM-2TF6B 50-59 years, female 8.8
GTEX-TKQ1-1026-SM-4GICL 30-39 years, male 8.8
GTEX-X62O-0126-SM-4E3JN 50-59 years, male 8.8
GTEX-XUYS-0126-SM-47JWZ 50-59 years, male 8.8
GTEX-Z93S-0126-SM-5HL7M 50-59 years, male 8.8
GTEX-1B996-0226-SM-7RHGO 60-69 years, male 8.8
GTEX-1HCU6-0126-SM-CL54K 60-69 years, female 8.8
GTEX-1NHNU-1026-SM-E9J2A 50-59 years, male 8.8
GTEX-1PPH7-2326-SM-EVYB8 40-49 years, male 8.8
GTEX-1212Z-2526-SM-5EGKP 60-69 years, male 8.7
GTEX-13RTL-0126-SM-7LG5S 40-49 years, male 8.7
GTEX-14PJ3-1826-SM-62LEX 50-59 years, male 8.7
GTEX-O5YW-0126-SM-3LK6D 50-59 years, male 8.7
GTEX-SSA3-0126-SM-32QPU 60-69 years, male 8.7
GTEX-ZDTT-2726-SM-4WKF8 60-69 years, male 8.7
GTEX-ZYT6-0226-SM-5NQ6T 30-39 years, male 8.7
GTEX-1GZHY-0326-SM-9QEHI 50-59 years, female 8.7
GTEX-1H1E6-1726-SM-ACKVK 30-39 years, male 8.7
GTEX-1HBPI-1526-SM-C1YQ1 50-59 years, male 8.7
GTEX-1IY9M-0126-SM-D3L8S 60-69 years, male 8.7
GTEX-1K9T9-0126-SM-EVYCF 50-59 years, female 8.7
GTEX-1LSNM-1926-SM-E6CII 50-59 years, male 8.7
GTEX-1PBJI-0526-SM-E8VNK 20-29 years, female 8.7
GTEX-1R9PM-2026-SM-E76OY 20-29 years, male 8.7
GTEX-13FTW-2626-SM-5K7WL 40-49 years, male 8.6
GTEX-14BIN-0626-SM-793DP 50-59 years, female 8.6
GTEX-14E6D-0126-SM-62LDV 50-59 years, male 8.6
GTEX-14JG1-0426-SM-6ETZZ 40-49 years, male 8.6
GTEX-18A67-0126-SM-7LG5P 50-59 years, male 8.6
GTEX-1AYCT-2426-SM-7IGQ3 50-59 years, male 8.6
GTEX-1C6VR-2426-SM-79OLD 60-69 years, male 8.6
GTEX-QDVJ-1726-SM-2I5FX 50-59 years, male 8.6
GTEX-R3RS-0126-SM-3GIJL 40-49 years, female 8.6
GTEX-R55E-0126-SM-2TC5Y 20-29 years, male 8.6
GTEX-1JMQK-0226-SM-CL543 60-69 years, male 8.6
GTEX-13NZ8-0826-SM-5MR3I 60-69 years, female 8.5
GTEX-13O3Q-2426-SM-5IJBR 50-59 years, male 8.5
GTEX-146FH-0126-SM-5QGPP 50-59 years, female 8.5
GTEX-15DDE-0126-SM-6LPKH 50-59 years, female 8.5
GTEX-1C4CL-0526-SM-73KVK 30-39 years, male 8.5
GTEX-RWS6-2026-SM-2XCB5 60-69 years, female 8.5
GTEX-X4EO-0326-SM-3P5YO 60-69 years, female 8.5
GTEX-ZDTS-0126-SM-4WAY5 60-69 years, male 8.5
GTEX-1GN1V-0126-SM-9WPOS 60-69 years, male 8.5
GTEX-1GZ4H-1726-SM-7PBZJ 50-59 years, female 8.5
GTEX-1H3O1-0426-SM-9YFKY 60-69 years, male 8.5
GTEX-1IL2U-0226-SM-CE6T8 60-69 years, male 8.5
GTEX-ZF3C-0126-SM-DO92D 50-59 years, female 8.5
GTEX-11DXY-2626-SM-5GIE7 60-69 years, male 8.4
GTEX-13X6J-0126-SM-5QGOU 50-59 years, male 8.4
GTEX-145LU-0126-SM-5TDCB 50-59 years, male 8.4
GTEX-15G19-0126-SM-6PANQ 60-69 years, male 8.4
GTEX-17F98-0626-SM-79OMX 40-49 years, female 8.4
GTEX-18D9U-0226-SM-718BP 40-49 years, male 8.4
GTEX-R55G-2526-SM-2TC6D 40-49 years, female 8.4
GTEX-1H3VE-0326-SM-9YFLH 40-49 years, male 8.4
GTEX-1HBPH-0426-SM-B2LW5 40-49 years, female 8.4
GTEX-1HKZK-0326-SM-9WYUH 40-49 years, male 8.4
GTEX-1LGOU-2026-SM-DIPFF 20-29 years, female 8.4
GTEX-11EMC-2926-SM-5EQ4F 60-69 years, female 8.3
GTEX-11GSP-2526-SM-5N9BP 60-69 years, female 8.3
GTEX-11OC5-0126-SM-5HL6A 60-69 years, male 8.3
GTEX-11TT1-2526-SM-5EGIB 20-29 years, male 8.3
GTEX-11ZTS-0126-SM-5EQ6M 60-69 years, female 8.3
GTEX-13O3P-0126-SM-5KM4S 50-59 years, male 8.3
GTEX-13SLX-0526-SM-5S2ON 50-59 years, female 8.3
GTEX-14PN4-0126-SM-6EU2V 50-59 years, male 8.3
GTEX-183FY-0126-SM-7LT9P 20-29 years, male 8.3
GTEX-1CAMR-1926-SM-7EPI2 20-29 years, male 8.3
GTEX-NFK9-0226-SM-2HMKQ 40-49 years, male 8.3
GTEX-PWO3-1526-SM-48TCM 60-69 years, female 8.3
GTEX-YJ8A-0426-SM-5IFID 20-29 years, male 8.3
GTEX-1F88F-2726-SM-7PBZZ 60-69 years, female 8.3
GTEX-1R7EU-0226-SM-EVR4G 60-69 years, male 8.3
GTEX-1RAZA-0126-SM-E6CI3 20-29 years, male 8.3
GTEX-ZQG8-1626-SM-DHXIT 60-69 years, female 8.3
GTEX-13D11-2426-SM-5KM1V 50-59 years, female 8.2
GTEX-145MF-0626-SM-5LUAI 50-59 years, male 8.2
GTEX-14LZ3-0226-SM-62LET 60-69 years, female 8.2
GTEX-14PJM-0226-SM-62LF1 50-59 years, female 8.2
GTEX-1AX9K-2326-SM-73KWU 50-59 years, male 8.2
GTEX-OXRL-0126-SM-2YUMP 50-59 years, male 8.2
GTEX-T5JC-0426-SM-32PLO 20-29 years, male 8.2
GTEX-1IDFM-0126-SM-COH2V 60-69 years, male 8.2
GTEX-111VG-2426-SM-5GZXD 60-69 years, male 8.1
GTEX-139T4-0226-SM-5HL5S 50-59 years, female 8.1
GTEX-15D1Q-0126-SM-7KUG6 40-49 years, male 8.1
GTEX-16GPK-0126-SM-7DHLE 60-69 years, male 8.1
GTEX-X261-0126-SM-3NMD6 50-59 years, male 8.1
GTEX-ZAK1-0126-SM-5IJD3 50-59 years, female 8.1
GTEX-ZVT3-0126-SM-5GU6I 60-69 years, female 8.1
GTEX-1H3NZ-0126-SM-ACKX7 60-69 years, male 8.1
GTEX-1HCUA-2426-SM-ADEIS 50-59 years, female 8.1
GTEX-1I1GV-0526-SM-A9G29 60-69 years, male 8.1
GTEX-1LB8K-0226-SM-EWRNW 50-59 years, male 8.1
GTEX-13FXS-0226-SM-5IJCK 50-59 years, male 8.0
GTEX-13OW6-0426-SM-5L3HM 50-59 years, male 8.0
GTEX-13VXU-0126-SM-5SI9F 50-59 years, male 8.0
GTEX-17MF6-0126-SM-7LG4F 40-49 years, male 8.0
GTEX-1C64N-0126-SM-793D7 50-59 years, male 8.0
GTEX-QDT8-0126-SM-48TZ1 30-39 years, female 8.0
GTEX-Y8E4-0626-SM-4WWDL 40-49 years, male 8.0
GTEX-Z9EW-1626-SM-5CVMN 40-49 years, male 8.0
GTEX-1GN73-0226-SM-9WG67 60-69 years, male 8.0
GTEX-1L5NE-2526-SM-E6CIE 50-59 years, male 8.0
GTEX-1QAET-0926-SM-E76QM 50-59 years, male 8.0
GTEX-11UD2-0226-SM-5EQKY 50-59 years, male 7.9
GTEX-13113-5016-SM-7EPIP 60-69 years, female 7.9
GTEX-14ICK-0226-SM-6EU25 40-49 years, male 7.9
GTEX-15DCD-0126-SM-7KUEK 70-79 years, female 7.9
GTEX-17EVQ-0226-SM-7LG4P 70-79 years, male 7.9
GTEX-QVJO-1626-SM-2S1QW 60-69 years, female 7.9
GTEX-RTLS-0126-SM-447CA 60-69 years, female 7.9
GTEX-U8T8-0126-SM-3DB94 60-69 years, male 7.9
GTEX-Y5LM-1926-SM-5RQJH 40-49 years, female 7.9
GTEX-ZZPT-0226-SM-5E43X 50-59 years, male 7.9
GTEX-1EWIQ-0126-SM-7RHH2 70-79 years, female 7.9
GTEX-1HBPM-0226-SM-ARL9F 60-69 years, female 7.9
GTEX-1192X-0226-SM-5H12D 50-59 years, male 7.8
GTEX-11WQC-2526-SM-5CVLE 60-69 years, male 7.8
GTEX-13NYS-0126-SM-5MR3W 60-69 years, male 7.8
GTEX-13VXT-0126-SM-5LU4I 20-29 years, female 7.8
GTEX-14A5H-0426-SM-5QGQF 60-69 years, male 7.8
GTEX-QCQG-1726-SM-3GIJ9 50-59 years, female 7.8
GTEX-WQUQ-0426-SM-3MJFU 60-69 years, male 7.8
GTEX-13OW5-0126-SM-DTXFS 60-69 years, male 7.8
GTEX-1I6K6-0126-SM-A9SLE 30-39 years, male 7.8
GTEX-1IE54-0126-SM-CMKHW 40-49 years, female 7.8
GTEX-1IL2V-0126-SM-CM2TX 70-79 years, male 7.8
GTEX-1M4P7-0226-SM-DIPEV 60-69 years, male 7.8
GTEX-1N2DV-0226-SM-E6CJ6 40-49 years, male 7.8
GTEX-1OJC3-0126-SM-E76QX 20-29 years, male 7.8
GTEX-1PDJ9-0326-SM-DTX95 20-29 years, male 7.8
GTEX-1QP67-1626-SM-EAZ3X 40-49 years, female 7.8
GTEX-12WSD-0126-SM-59HKN 60-69 years, female 7.7
GTEX-12WSN-5019-SM-79OM6 40-49 years, male 7.7
GTEX-12ZZY-0226-SM-5LZVE 60-69 years, male 7.7
GTEX-1313W-0126-SM-5LZUN 50-59 years, female 7.7
GTEX-13FHO-0226-SM-5IFGY 60-69 years, male 7.7
GTEX-13OW7-0126-SM-5MR3B 50-59 years, male 7.7
GTEX-1AX8Z-0126-SM-7DHM6 60-69 years, male 7.7
GTEX-1AYD5-2426-SM-73KXR 50-59 years, male 7.7
GTEX-Q2AH-1626-SM-3GAF8 40-49 years, male 7.7
GTEX-Y3I4-2126-SM-4TT7C 50-59 years, male 7.7
GTEX-1CAV2-2226-SM-7P8P2 40-49 years, female 7.7
GTEX-1JMPY-1326-SM-ARL8Y 30-39 years, male 7.7
GTEX-1M5QR-1226-SM-EWROB 40-49 years, male 7.7
GTEX-1QMI2-0226-SM-EVYBX 60-69 years, male 7.7
GTEX-14E6E-1826-SM-5S2R7 30-39 years, male 7.6
GTEX-17F97-0326-SM-7LG5B 50-59 years, male 7.6
GTEX-WYJK-0126-SM-3NMAB 50-59 years, male 7.6
GTEX-XUW1-0426-SM-4BOOT 50-59 years, female 7.6
GTEX-ZVT2-2526-SM-51MT1 50-59 years, female 7.6
GTEX-1IDJF-0126-SM-CM2RS 20-29 years, male 7.6
GTEX-1J8JJ-0226-SM-CL53I 60-69 years, female 7.6
GTEX-1LNCM-1126-SM-E9U5E 50-59 years, female 7.6
GTEX-1RLM8-2326-SM-EWRN4 50-59 years, male 7.6
GTEX-139T8-0126-SM-5K7XZ 60-69 years, male 7.5
GTEX-14BMU-2226-SM-5TDE9 20-29 years, female 7.5
GTEX-15UKP-0426-SM-7KUFQ 20-29 years, male 7.5
GTEX-18QFQ-0126-SM-731BE 30-39 years, male 7.5
GTEX-1B8SF-1426-SM-7DUGL 60-69 years, male 7.5
GTEX-1BAJH-0526-SM-793CQ 70-79 years, male 7.5
GTEX-PLZ4-0126-SM-5SI8O 50-59 years, female 7.5
GTEX-PX3G-0126-SM-2I3EN 20-29 years, female 7.5
GTEX-VJYA-1126-SM-3GIJU 60-69 years, male 7.5
GTEX-X5EB-2226-SM-46MW4 40-49 years, male 7.5
GTEX-ZTPG-0326-SM-5O9AX 20-29 years, female 7.5
GTEX-1EU9M-0226-SM-7P8SP 60-69 years, male 7.5
GTEX-1K2DA-1826-SM-CGQGT 50-59 years, male 7.5
GTEX-14XAO-2326-SM-6EU1B 60-69 years, female 7.4
GTEX-XV7Q-2526-SM-4BRV9 40-49 years, female 7.4
GTEX-11NSD-2226-SM-5986V 20-29 years, male 7.3
GTEX-11P82-1626-SM-59879 20-29 years, male 7.3
GTEX-12584-0126-SM-5EGKQ 40-49 years, male 7.3
GTEX-131XH-2226-SM-5DUXJ 50-59 years, male 7.3
GTEX-XQ3S-1526-SM-4BOOC 20-29 years, male 7.3
GTEX-Z93T-0126-SM-5HL5N 50-59 years, male 7.3
GTEX-ZY6K-1826-SM-5GZXK 50-59 years, male 7.3
GTEX-1ICLZ-0126-SM-CKZPO 60-69 years, male 7.3
GTEX-1OFPY-2426-SM-DTXEJ 60-69 years, male 7.3
GTEX-1PWST-0226-SM-E76QJ 70-79 years, male 7.3
GTEX-11OF3-2626-SM-5GU7F 60-69 years, male 7.2
GTEX-1211K-2026-SM-5EQ4Z 60-69 years, female 7.2
GTEX-139TS-2826-SM-5J1OO 60-69 years, male 7.2
GTEX-1A32A-0126-SM-718B1 50-59 years, female 7.2
GTEX-QLQW-1126-SM-2S1Q8 30-39 years, male 7.2
GTEX-X638-0126-SM-47JZ8 70-79 years, female 7.2
GTEX-1IKK5-0626-SM-ARL8A 60-69 years, male 7.2
GTEX-1JJEA-0326-SM-CNPOT 60-69 years, male 7.2
GTEX-1LBAC-0126-SM-DIPEZ 20-29 years, male 7.2
GTEX-11ZUS-0626-SM-59885 30-39 years, male 7.1
GTEX-145MO-0326-SM-5Q5B3 60-69 years, male 7.1
GTEX-146FQ-0126-SM-5NQA9 30-39 years, male 7.1
GTEX-SUCS-1926-SM-32PM3 70-79 years, male 7.1
GTEX-X4EP-0126-SM-3P5YV 60-69 years, female 7.1
GTEX-YEC4-2126-SM-5IFJH 40-49 years, male 7.1
GTEX-YFC4-0126-SM-5CVLY 40-49 years, female 7.1
GTEX-1B933-0126-SM-7PC29 50-59 years, female 7.1
GTEX-1F6I4-0126-SM-9MQL2 60-69 years, male 7.1
GTEX-1F75A-0126-SM-7RHGM 50-59 years, male 7.1
GTEX-1IOXB-0126-SM-ARL8G 50-59 years, male 7.1
GTEX-111FC-0126-SM-5N9DL 60-69 years, male 7.0
GTEX-11NUK-0126-SM-5A5L3 50-59 years, male 7.0
GTEX-145MN-2226-SM-5SIAU 30-39 years, male 7.0
GTEX-S95S-1226-SM-4GICG 60-69 years, male 7.0
GTEX-T2IS-0126-SM-4DM6O 20-29 years, female 7.0
GTEX-T2YK-0526-SM-32QPJ 50-59 years, male 7.0
GTEX-W5WG-1826-SM-4KL2Y 50-59 years, female 7.0
GTEX-WY7C-2326-SM-3NB2U 50-59 years, male 7.0
GTEX-XXEK-2226-SM-4BRUM 50-59 years, male 7.0
GTEX-1F7RK-0126-SM-7PC2S 20-29 years, female 7.0
GTEX-1122O-2126-SM-5EGIR 60-69 years, female 6.9
GTEX-1269C-2526-SM-5EGJ3 60-69 years, female 6.9
GTEX-13N11-2526-SM-5K7UE 50-59 years, female 6.9
GTEX-QEG4-0226-SM-2S1PY 30-39 years, male 6.9
GTEX-X585-0226-SM-4QAS2 50-59 years, male 6.9
GTEX-ZDYS-2026-SM-5HL5L 50-59 years, male 6.9
GTEX-ZVTK-0426-SM-51MRS 20-29 years, male 6.9
GTEX-1C6WA-0126-SM-7PC2B 60-69 years, male 6.9
GTEX-1MCQQ-0826-SM-DLHC2 60-69 years, male 6.9
GTEX-1QEPI-0126-SM-EWRMQ 60-69 years, female 6.9
GTEX-SJXC-0126-SM-2XCFF 60-69 years, male 6.8
GTEX-X8HC-0126-SM-4E3JW 50-59 years, female 6.8
GTEX-ZDXO-3026-SM-5J1N5 60-69 years, male 6.8
GTEX-ZYFD-0126-SM-5GIDL 50-59 years, male 6.8
GTEX-1EMGI-0126-SM-9KNUE 60-69 years, male 6.8
GTEX-1H1CY-2826-SM-9MQM3 60-69 years, female 6.8
GTEX-1HSMP-0126-SM-E6CJS 70-79 years, male 6.8
GTEX-1JMPZ-0226-SM-CNPP1 30-39 years, male 6.8
GTEX-1KD5A-0226-SM-D5OV3 50-59 years, male 6.8
GTEX-11DXW-0226-SM-5H122 40-49 years, male 6.7
GTEX-11GS4-2726-SM-5A5LE 60-69 years, male 6.7
GTEX-13OVL-0226-SM-5L3E9 50-59 years, male 6.7
GTEX-RN64-0126-SM-2TC68 50-59 years, male 6.7
GTEX-XBEW-0626-SM-4QASP 40-49 years, male 6.7
GTEX-ZU9S-0226-SM-5E441 30-39 years, male 6.7
GTEX-1F6RS-0126-SM-9MQKZ 60-69 years, female 6.7
GTEX-1GN2E-0426-SM-9MQKX 60-69 years, male 6.7
GTEX-1HB9E-0226-SM-E9U4R 50-59 years, male 6.7
GTEX-1JMQI-2226-SM-CM2SD 50-59 years, male 6.7
GTEX-1N2DW-0226-SM-E9TK2 50-59 years, male 6.7
GTEX-11WQK-0526-SM-5EQLD 50-59 years, male 6.6
GTEX-13OVK-2026-SM-7KUEO 40-49 years, male 6.6
GTEX-144FL-0126-SM-5TDC8 50-59 years, male 6.6
GTEX-18A6Q-0126-SM-731BZ 60-69 years, male 6.6
GTEX-18D9B-0526-SM-7LTAS 60-69 years, male 6.6
GTEX-ZC5H-0226-SM-4WAY9 40-49 years, female 6.6
GTEX-1CAMS-0426-SM-7P8T2 40-49 years, female 6.6
GTEX-1NV5F-0226-SM-E8VNY 60-69 years, female 6.6
GTEX-17HHY-0126-SM-7LG5D 50-59 years, male 6.5
GTEX-X4XY-0226-SM-4E3IZ 60-69 years, male 6.5
GTEX-Y111-0126-SM-4SOIV 50-59 years, male 6.5
GTEX-11DXZ-2326-SM-5EGGV 50-59 years, male 6.4
GTEX-11O72-0126-SM-59887 40-49 years, male 6.4
GTEX-QDVN-2026-SM-3GAEP 50-59 years, male 6.4
GTEX-QESD-1426-SM-2S1R9 20-29 years, male 6.4
GTEX-Y114-2426-SM-4TT8A 50-59 years, female 6.4
GTEX-ZE7O-0126-SM-57WC1 50-59 years, female 6.4
GTEX-1GF9X-2026-SM-7PC3A 40-49 years, female 6.4
GTEX-1KD4Q-0226-SM-E9TJ9 40-49 years, male 6.4
GTEX-11DYG-0126-SM-59883 60-69 years, male 6.3
GTEX-WI4N-1026-SM-3LK7N 40-49 years, female 6.3
GTEX-1EKGG-0226-SM-9WYTH 60-69 years, male 6.3
GTEX-117YW-2626-SM-5GZZH 50-59 years, male 6.2
GTEX-144GN-2326-SM-5LU4F 50-59 years, male 6.2
GTEX-OOBK-0126-SM-2YUND 40-49 years, male 6.2
GTEX-OXRK-0226-SM-3NB2G 50-59 years, female 6.2
GTEX-WXYG-2326-SM-4E3I6 50-59 years, female 6.2
GTEX-1LC47-0326-SM-E9TJP 60-69 years, male 6.2
GTEX-13FHP-0126-SM-5IJBG 50-59 years, male 6.1
GTEX-14753-0426-SM-5NQAM 60-69 years, male 6.1
GTEX-14BIM-0226-SM-7IGLD 60-69 years, female 6.1
GTEX-T6MN-0126-SM-32PLP 50-59 years, male 6.1
GTEX-XAJ8-0826-SM-47JY6 40-49 years, male 6.1
GTEX-XMD2-0126-SM-4YCDU 60-69 years, female 6.1
GTEX-1GZ2Q-0226-SM-7P8TL 40-49 years, male 6.1
GTEX-1MJK2-0426-SM-DTXE5 50-59 years, male 6.1
GTEX-1A3MX-0126-SM-731BR 60-69 years, male 6.0
GTEX-QV44-1926-SM-2S1RF 50-59 years, male 6.0
GTEX-S7PM-0126-SM-4AD6S 60-69 years, male 6.0
GTEX-S7SE-0126-SM-2XCD5 50-59 years, male 6.0
GTEX-SIU8-0126-SM-2XCDT 50-59 years, male 6.0
GTEX-TML8-1926-SM-32QOS 40-49 years, female 6.0
GTEX-UJHI-1526-SM-3DB99 50-59 years, female 6.0
GTEX-Y5V6-2426-SM-4VDSB 60-69 years, male 6.0
GTEX-1C6VQ-0126-SM-7P8RI 50-59 years, male 6.0
GTEX-1HR98-0126-SM-B2LWI 60-69 years, male 6.0
GTEX-1MA7X-2226-SM-E6CIY 60-69 years, male 6.0
GTEX-14PK6-1926-SM-6ETZU 70-79 years, female 5.9
GTEX-17JCI-0126-SM-7LG5G 60-69 years, female 5.9
GTEX-18A7A-0226-SM-718BH 50-59 years, female 5.9
GTEX-OHPL-0126-SM-2HMJ7 60-69 years, female 5.9
GTEX-WZTO-0126-SM-3NM95 40-49 years, male 5.9
GTEX-ZE9C-2726-SM-57WB5 60-69 years, male 5.9
GTEX-1R9K4-0126-SM-DTX9X 60-69 years, male 5.9
GTEX-S33H-1026-SM-EZ6L6 30-39 years, male 5.9
GTEX-12126-0326-SM-5PNW3 20-29 years, male 5.8
GTEX-14ABY-0226-SM-5TDCQ 50-59 years, male 5.8
GTEX-1QP9N-1426-SM-DTXFL 30-39 years, male 5.8
GTEX-OOBJ-0126-SM-E6CJW 60-69 years, male 5.8
GTEX-13PVR-2326-SM-5QGR1 60-69 years, female 5.7
GTEX-1RQEC-0426-SM-E6CHU 60-69 years, male 5.7
GTEX-U412-0426-SM-3DB9O 60-69 years, male 5.6
GTEX-X4XX-0126-SM-3NMC2 60-69 years, male 5.6
GTEX-ZVZO-0126-SM-5A5L9 40-49 years, male 5.6
GTEX-12ZZX-0126-SM-5EGK9 40-49 years, female 5.5
GTEX-U8XE-0326-SM-3DB8P 30-39 years, male 5.5
GTEX-1ICG6-2526-SM-CGQFZ 70-79 years, female 5.5
GTEX-1KANB-0526-SM-E6CJH 50-59 years, male 5.5
GTEX-132NY-0326-SM-5IJBL 60-69 years, male 5.4
GTEX-13CF2-2526-SM-5LZYX 60-69 years, male 5.4
GTEX-145LT-1726-SM-5QGP3 40-49 years, male 5.4
GTEX-OIZH-0126-SM-2HMIS 50-59 years, male 5.4
GTEX-Q2AI-1326-SM-2S1PL 40-49 years, male 5.4
GTEX-PWCY-1826-SM-DHXIZ 20-29 years, female 5.3
GTEX-OIZG-0726-SM-33HBL 50-59 years, male 5.2
GTEX-O5YT-0126-SM-48TBW 20-29 years, male 5.1
GTEX-P4PQ-0126-SM-2S1NM 60-69 years, male 5.1
GTEX-XQ8I-0426-SM-4BOPO 50-59 years, male 5.1
GTEX-13G51-2526-SM-5LZYK 60-69 years, male 5.0
GTEX-Y8DK-0126-SM-4TT3L 60-69 years, male 5.0
GTEX-1HFI6-0226-SM-ADEHZ 40-49 years, male 5.0
GTEX-11UD1-0126-SM-5PNYG 40-49 years, female 4.9
GTEX-P4PP-0126-SM-3LK69 30-39 years, female 4.9
GTEX-1J8EW-0126-SM-CJI4F 60-69 years, female 4.9
GTEX-WVJS-0126-SM-4MVOT 50-59 years, male 4.7
GTEX-RUSQ-1526-SM-2TF62 50-59 years, male 4.6
GTEX-NPJ8-0126-SM-2YUNR 40-49 years, male 4.5
GTEX-Q734-1926-SM-2I5EV 40-49 years, female 4.3
GTEX-TMZS-0126-SM-3DB9Q 60-69 years, male 4.3
GTEX-131XF-5016-SM-7MGWE 60-69 years, male 4.3
GTEX-1B8L1-2526-SM-9WYTF 60-69 years, male 4.3
GTEX-1497J-2426-SM-7IGNX 60-69 years, male 4.0
GTEX-15SB6-1726-SM-6PAME 50-59 years, female 3.8
GTEX-X88G-0126-SM-47JZ3 30-39 years, male 3.8
GTEX-XYKS-2126-SM-4E3IB 60-69 years, female 3.8
GTEX-RVPV-0126-SM-EAZAW 60-69 years, male 3.8
GTEX-1399U-2326-SM-5K7WY 50-59 years, female 3.5
GTEX-POMQ-2226-SM-2I5FK 20-29 years, female 3.3
GTEX-Y3IK-2426-SM-4WWDU 50-59 years, female 3.2
GTEX-W5X1-3026-SM-EAZAX 40-49 years, female 3.0
Show allShow less

Contact

  • NEWS ARTICLES
  • PRESS ROOM

The Project

  • INTRODUCTION
  • ORGANIZATION
  • PUBLICATIONS

The Human Protein Atlas

  • DOWNLOADABLE DATA
  • LICENCE & CITATION
  • HELP & FAQ
The Human Protein Atlas project is funded
by the Knut & Alice Wallenberg Foundation.


contact@proteinatlas.org