We use cookies to enhance the usability of our website. If you continue, we'll assume that you are happy to receive all cookies. More information. Don't show this again.
ZBTB47
HPA
RESOURCES
  • TISSUE
  • BRAIN
  • SINGLE CELL
  • SUBCELLULAR
  • CANCER
  • BLOOD
  • CELL LINE
  • STRUCTURE & INTERACTION
ABOUT
  • INTRODUCTION
  • HISTORY
  • ORGANIZATION
  • PUBLICATIONS
  • ANTIBODY SUBMISSION
  • ANTIBODY AVAILABILITY
  • ACKNOWLEDGMENTS
  • CONTACT
NEWS
  • NEWS ARTICLES
  • PRESS ROOM
LEARN
  • DICTIONARY
  • PROTEIN CLASSES
  • PROTEIN EVIDENCE
  • METHODS
  • EDUCATIONAL VIDEOS
DATA
  • DOWNLOADABLE DATA
  • PUBLICATION DATA
  • RELEASE HISTORY
HELP
  • ANTIBODY VALIDATION
  • ASSAYS & ANNOTATION
  • DISCLAIMER
  • HELP & FAQ
  • PRIVACY STATEMENT
  • LICENCE & CITATION
Fields »
Search result

Field
Term
Gene name
Class
Subclass
Class
Keyword
Chromosome
External id
Tissue
Cell type
Expression
Antibody panel
Tissue
Main location
Patient ID
Annotation
Tissue
Category
Tau score
Cluster
Reliability
Brain region
Category
Tau score
Brain region
Category
Tau score
Brain region
Category
Tau score
Cluster
Reliability
Tissue
Cell type
Enrichment
Cell type
Category
Tau score
Cell type
Category
Tau score
Cell type
Category
Tau score
Cell lineage
Category
Tau score
Cluster
Cluster
Location
Searches
Location
Cell line
Class
Type
Phase
Reliability
Cancer
Prognosis
Cancer
Category
Cancer
Category
Tau score
Cluster
Variants
Interacting gene (ensg_id)
Type
Number of interactions
Pathway
Category
Score
Score
Score
Validation
Validation
Validation
Validation
Antibodies
Data type
Column


  • SUMMARY

  • TISSUE

  • BRAIN

  • SINGLE CELL

  • SUBCELL

  • CANCER

  • BLOOD

  • CELL LINE

  • STRUCT & INT

  • ZBTB47
TISSUE PRIMARY DATA CAUDATE Show tissue menu
ADIPOSE TISSUE ADRENAL GLAND AMYGDALA APPENDIX BASAL GANGLIA BONE MARROW BREAST BRONCHUS CEREBELLUM CEREBRAL CORTEX CERVIX CHOROID PLEXUS COLON DUODENUM
ENDOMETRIUM EPIDIDYMIS ESOPHAGUS FALLOPIAN TUBE GALLBLADDER HEART MUSCLE HIPPOCAMPAL FORMATION HYPOTHALAMUS KIDNEY LIVER LUNG LYMPH NODE MIDBRAIN NASOPHARYNX
ORAL MUCOSA OVARY PANCREAS PARATHYROID GLAND PITUITARY GLAND PLACENTA PROSTATE RECTUM RETINA SALIVARY GLAND SEMINAL VESICLE SKELETAL MUSCLE SKIN SMALL INTESTINE
SMOOTH MUSCLE SOFT TISSUE SPINAL CORD SPLEEN STOMACH TESTIS THYMUS THYROID GLAND TONGUE TONSIL URINARY BLADDER VAGINA
ANTIBODIES
AND
VALIDATION
Dictionary
Caudate
Tissue proteome
CAUDATE - Expression summary
Protein expression
Caudatei

On the top, protein expression in current human tissue, based on all annotated cell types, is reported with the units not detected (n), low (l), medium (m) and high (h). Underneath, protein expression in each annotated cell type are reported using the same units.

Protein expression data is based on knowledge-based annotation. For genes where more than one antibody has been used, a collective score is set.

If knowledge-based annotation could not be performed for a gene, no data is displayed here. View antibody staining data further down this page.

h
m
l
n
Glial cells: High
Neuronal cells: High
RNA expressioni

A summary of mRNA expression data available for current tissue based on several datasets. The mRNA expression levels in human tissues are based on RNA-seq data generated by the Human Protein Atlas (HPA), Genotype-Tissue Expression (GTEx) portal and CAGE data generated by the FANTOM5 consortium. Consensus normalized expression levels for human tissues was created by combining the data from HPA and GTEx datasets.

The mRNA expression levels in pig are based on RNA-seq data generated by the Human Protein Atlas (HPA), and for mouse, HPA data and in situ hybridization generated by the Allen brain atlas are reported.

Scroll down to view mRNA expression data in more detail.
GTEx:45.0 nTPM
FANTOM5:62.7 Scaled Tags Per Million
Pig:42.5 nTPM

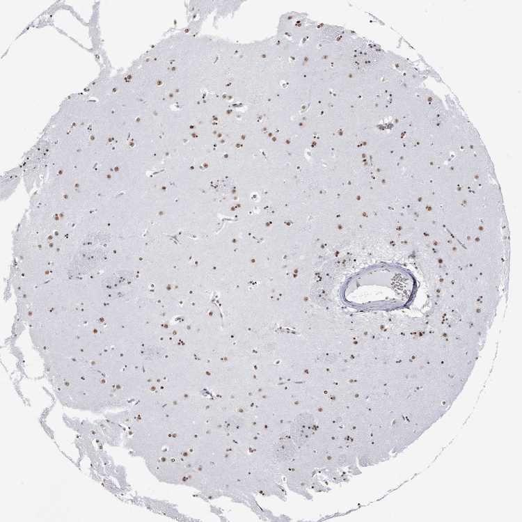
CAUDATE - Antibody stainingi

Antibody staining in the annotated cell types in the current human tissue is reported as not detected, low, medium, or high, based on conventional immunohistochemistry profiling in selected tissues. This score is based on the combination of the staining intensity and fraction of stained cells.

Each image is clickable and will lead to virtual microscopy that enables deeper exploration of all samples and also displays staining intensity scores, fraction scores and subcellular localization as well as patient and tissue information for each sample.

Antibody HPA074057
Glial cells High
Neuronal cells High



CAUDATE - GTEx RNA-seqi

RNA-Seq data generated by the Genotype-Tissue Expression (GTEx) project from human tissues is reported as mean nTPM. More information can be found on the GTEx portal.

Distribution across the dataset is visualized with box plots, shown as median and 25th and 75th percentiles. Points are displayed as outliers if they are above or below 1.5 times the interquartile range. nTPM values of the individual samples are presented next to the box plot.
Max subtype nTPMi

Max subtype nTPM is the value for the subtype with the largest average nTPM across the subtype samples.

45.0
GTEx sample id Sample description nTPM
Brain - Caudate (basal ganglia)
Average nTPM: 45.0
Samples: 246

Max nTPM: 115.2
Min nTPM: 14.2
Std nTPM: 17.4
Median nTPM: 40.9
GTEX-1E1VI-0011-R5b-SM-9WG5V 50-59 years, male 115.2
GTEX-YJ89-0011-R5a-SM-4V6GM 60-69 years, male 104.4
GTEX-11UD1-0011-R5b-SM-5P9FP 40-49 years, female 102.8
GTEX-1GPI6-0011-R5a-SM-CJI2W 60-69 years, male 101.9
GTEX-145MG-0011-R5b-SM-5S2VU 50-59 years, male 100.8
GTEX-13FHP-0011-R5b-SM-5LZY2 50-59 years, male 97.4
GTEX-16Z82-0011-R5a-SM-7EPGB 60-69 years, male 97.3
GTEX-1C6VR-0011-R5a-SM-9QEH1 60-69 years, male 93.4
GTEX-13CF2-0011-R5a-SM-5LZWS 60-69 years, male 88.2
GTEX-1J8JJ-0011-R5a-SM-D4P2G 60-69 years, female 87.6
GTEX-1CAV2-0011-R5b-SM-9QEH4 40-49 years, female 86.4
GTEX-13NZA-0011-R5b-SM-5KM4K 60-69 years, male 84.7
GTEX-1IL2U-0011-R5a-SM-CE6SN 60-69 years, male 80.8
GTEX-1RNSC-0011-R5a-SM-EZ6N5 60-69 years, male 79.8
GTEX-1J8EW-0011-R5b-SM-ARU8B 60-69 years, female 78.5
GTEX-14753-0011-R5a-SM-5S2VW 60-69 years, male 76.2
GTEX-1EN7A-0011-R5a-SM-9QEH6 40-49 years, male 72.6
GTEX-144GL-0011-R5b-SM-5PNUJ 50-59 years, male 72.4
GTEX-17EVQ-0011-R5a-SM-7LT92 70-79 years, male 72.1
GTEX-17MF6-0011-R5a-SM-731BA 40-49 years, male 71.0
GTEX-11DXW-0011-R5b-SM-DO11D 40-49 years, male 70.5
GTEX-1HBPH-0011-R5b-SM-A9G1R 40-49 years, female 70.5
GTEX-183WM-0011-R5a-SM-718A4 70-79 years, female 70.2
GTEX-Z93S-0011-R5b-SM-4RGNI 50-59 years, male 70.1
GTEX-1HR9M-0011-R5a-SM-ARU72 60-69 years, male 69.7
GTEX-X4XX-0011-R5A-SM-46MWN 60-69 years, male 68.7
GTEX-14ASI-0011-R5b-SM-6EU2M 60-69 years, male 66.5
GTEX-13PL6-0011-R5b-SM-5O9BI 40-49 years, female 66.2
GTEX-12WSH-0011-R5b-SM-5P9F3 50-59 years, male 66.1
GTEX-17HHY-0011-R5b-SM-79OMZ 50-59 years, male 66.1
GTEX-1HCU6-0011-R5a-SM-ARU76 60-69 years, female 65.3
GTEX-1IGQW-0011-R5b-SM-CJI44 60-69 years, male 63.0
GTEX-18465-0011-R5a-SM-72D5J 50-59 years, male 62.3
GTEX-1GF9V-0011-R5a-SM-9QEI8 60-69 years, male 61.2
GTEX-1HUB1-0011-R5a-SM-CKZOY 60-69 years, male 60.9
GTEX-13NYB-0011-R5a-SM-5MR45 40-49 years, male 60.8
GTEX-1GMRU-0011-R5a-SM-CKZNS 50-59 years, male 60.3
GTEX-S7PM-0011-R5A-SM-3NM8G 60-69 years, male 60.2
GTEX-ZXG5-0011-R5b-SM-57WBN 60-69 years, male 59.3
GTEX-1GN2E-0011-R5b-SM-CJI2M 60-69 years, male 59.0
GTEX-14DAQ-0011-R5b-SM-5YYAK 60-69 years, female 58.5
GTEX-ZDXO-0011-R5a-SM-4WKG5 60-69 years, male 58.1
GTEX-1GZ4I-0011-R5a-SM-9OSWQ 50-59 years, male 57.3
GTEX-1HSKV-0011-R5b-SM-ARZLN 60-69 years, male 56.9
GTEX-1HT8W-0011-R5b-SM-CJI3P 30-39 years, male 56.8
GTEX-1EH9U-0011-R5a-SM-CJI2K 60-69 years, male 55.7
GTEX-ZF28-0011-R5a-SM-4WWCZ 60-69 years, male 55.0
GTEX-R55E-0011-R5A-SM-2TC5N 20-29 years, male 54.8
GTEX-11DZ1-0011-R5a-SM-DO11J 50-59 years, male 54.6
GTEX-139TU-0011-R5b-SM-5L3E1 60-69 years, male 54.0
GTEX-13112-0011-R5b-SM-5DUV8 50-59 years, male 53.9
GTEX-1H1CY-0011-R5a-SM-CM2SN 60-69 years, female 53.8
GTEX-N7MS-0011-R5a-SM-2HMK8 60-69 years, male 53.7
GTEX-1I1GV-0011-R5b-SM-CKZPD 60-69 years, male 53.6
GTEX-1F6I4-0011-R5b-SM-9QEHA 60-69 years, male 53.5
GTEX-1EKGG-0011-R5a-SM-9OSVQ 60-69 years, male 53.2
GTEX-14E6D-0011-R5b-SM-69LQR 50-59 years, male 52.3
GTEX-OXRO-0011-R5A-SM-2I5EG 60-69 years, female 52.3
GTEX-145MH-0011-R5a-SM-5P9JT 50-59 years, male 52.1
GTEX-1F75A-0011-R5a-SM-ARZMJ 50-59 years, male 52.0
GTEX-Q2AG-0011-R5A-SM-2HMJH 40-49 years, female 51.8
GTEX-1I1GR-0011-R5a-SM-CMKHD 60-69 years, male 51.7
GTEX-12WSD-0011-R5b-SM-5CVNG 60-69 years, female 51.0
GTEX-1477Z-0011-R5b-SM-5PNUO 60-69 years, male 51.0
GTEX-YFC4-0011-R5a-SM-4RGLR 40-49 years, female 51.0
GTEX-1I1HK-0011-R5b-SM-ARU6S 60-69 years, male 50.5
GTEX-NL3H-0011-R5a-SM-2I3GB 60-69 years, male 50.3
GTEX-1F52S-0011-R5a-SM-CJI22 60-69 years, female 50.3
GTEX-ZVZQ-0011-R5b-SM-57WDC 60-69 years, female 50.2
GTEX-14LZ3-0011-R5b-SM-5ZZV8 60-69 years, female 49.9
GTEX-16NPV-0011-R5a-SM-7EPGK 50-59 years, female 49.8
GTEX-P44G-0011-R5A-SM-2I3FA 30-39 years, male 49.7
GTEX-ZVT3-0011-R5a-SM-51MSI 60-69 years, female 49.7
GTEX-12WSA-0011-R5b-SM-5GU5I 60-69 years, male 49.6
GTEX-13OVH-0011-R5b-SM-5KM4L 70-79 years, male 49.2
GTEX-T5JC-0011-R5A-SM-32PLK 20-29 years, male 49.2
GTEX-13O3Q-0011-R5b-SM-5P9H4 50-59 years, male 49.0
GTEX-11NUK-0011-R5a-SM-DO93N 50-59 years, male 48.7
GTEX-13OW7-0011-R5b-SM-5O9DM 50-59 years, male 48.6
GTEX-13S7M-0011-R5b-SM-5P9HS 60-69 years, female 48.6
GTEX-RU72-0011-R5A-SM-2TF6U 50-59 years, female 48.3
GTEX-11ONC-0011-R5b-SM-DO93I 60-69 years, male 48.2
GTEX-13O3O-0011-R5b-SM-5KM44 60-69 years, female 48.1
GTEX-14BIN-0011-R5b-SM-5SI78 50-59 years, female 47.8
GTEX-13FXS-0011-R5b-SM-5LZYE 50-59 years, male 47.5
GTEX-13SLX-0011-R5a-SM-5O9BV 50-59 years, female 47.5
GTEX-1445S-0011-R5a-SM-5PNUS 60-69 years, male 47.5
GTEX-13FLW-0011-R5a-SM-5LZX6 50-59 years, male 47.4
GTEX-1HFI6-0011-R5a-SM-A9G1J 40-49 years, male 47.4
GTEX-1HR98-0011-R5a-SM-A9G1V 60-69 years, male 47.3
GTEX-12ZZZ-0011-R5a-SM-5EQ4M 60-69 years, male 47.1
GTEX-13JVG-0011-R5a-SM-5MR4O 60-69 years, male 47.0
GTEX-12ZZY-0011-R5a-SM-5EGL9 60-69 years, male 46.8
GTEX-NL4W-0011-R5a-SM-2I3GD 50-59 years, male 46.6
GTEX-WL46-0011-R5A-SM-3LK6V 50-59 years, male 46.5
GTEX-13OW5-0011-R5b-SM-5L3FR 60-69 years, male 46.4
GTEX-X261-0011-R5A-SM-3NMB4 50-59 years, male 46.3
GTEX-11NV4-0011-R5a-SM-5NQ88 60-69 years, male 46.1
GTEX-12ZZX-0011-R5a-SM-5HL89 40-49 years, female 46.1
GTEX-11WQC-0011-R5a-SM-5BC74 60-69 years, male 45.8
GTEX-ZV68-0011-R5a-SM-4YCDW 50-59 years, female 45.8
GTEX-1IKOH-0011-R5a-SM-ARU8C 60-69 years, female 45.7
GTEX-13PVQ-0011-R5b-SM-5O9DI 50-59 years, male 45.5
GTEX-17HG3-0011-R5a-SM-7DUEW 30-39 years, female 45.1
GTEX-14C39-0011-R5b-SM-5ZZV1 40-49 years, male 44.9
GTEX-1I1GQ-0011-R5a-SM-CMKHJ 50-59 years, male 44.8
GTEX-144GO-0011-R5a-SM-5PNUR 60-69 years, male 44.3
GTEX-1B8SF-0011-R5a-SM-79OOO 60-69 years, male 43.8
GTEX-13OVL-0011-R5b-SM-5L3FU 50-59 years, male 43.6
GTEX-13SLW-0011-R5b-SM-5SI6Z 70-79 years, male 43.5
GTEX-17HII-0011-R5a-SM-7LG51 50-59 years, male 43.3
GTEX-NPJ7-0011-R5a-SM-33HBK 60-69 years, female 43.2
GTEX-11O72-0011-R5a-SM-DO922 40-49 years, male 43.0
GTEX-1LG7Y-0011-R5a-SM-EZ6MU 50-59 years, male 43.0
GTEX-1E2YA-0011-R5a-SM-9QEGT 50-59 years, male 42.9
GTEX-1C6WA-0011-R5a-SM-9WG5X 60-69 years, male 42.8
GTEX-RVPV-0011-R5A-SM-2TF69 60-69 years, male 42.4
GTEX-1F48J-0011-R5b-SM-9OSVZ 50-59 years, female 42.0
GTEX-13PLJ-0011-R5a-SM-5O9BG 60-69 years, female 41.7
GTEX-1IL2V-0011-R5a-SM-ARL78 70-79 years, male 41.7
GTEX-1F75W-0011-R5b-SM-9QEGV 60-69 years, male 41.5
GTEX-ZE7O-0011-R5a-SM-57WBO 50-59 years, female 41.0
GTEX-12ZZW-0011-R5a-SM-5DUVN 50-59 years, male 40.9
GTEX-1HBPI-0011-R5a-SM-CKZOW 50-59 years, male 40.9
GTEX-14BMV-0011-R5b-SM-62LFT 50-59 years, male 40.8
GTEX-1313W-0011-R5b-SM-5L3EP 50-59 years, female 40.7
GTEX-1A8G6-0011-R5b-SM-7IGQG 60-69 years, male 40.7
GTEX-13CIG-0011-R5b-SM-5L3F2 50-59 years, male 40.6
GTEX-1C6VS-0011-R5a-SM-7MXU9 60-69 years, male 40.5
GTEX-1IKJJ-0011-R5b-SM-CE6SL 60-69 years, male 40.5
GTEX-1IKK5-0011-R5b-SM-CL55B 60-69 years, male 40.5
GTEX-13VXU-0011-R5a-SM-5O9D7 50-59 years, male 40.0
GTEX-17F97-0011-R5a-SM-7LG4Z 50-59 years, male 40.0
GTEX-13X6I-0011-R5a-SM-5PNWW 60-69 years, male 39.9
GTEX-15DYW-0011-R5a-SM-6M46W 60-69 years, female 39.8
GTEX-15ER7-0011-R5b-SM-6M46T 20-29 years, female 39.7
GTEX-T6MN-0011-R5A-SM-32QPD 50-59 years, male 39.6
GTEX-1J8Q2-0011-R5b-SM-A9SKH 60-69 years, male 39.6
GTEX-145LS-0011-R5a-SM-5SI65 60-69 years, female 39.4
GTEX-11OF3-0011-R5a-SM-57WB4 60-69 years, male 38.8
GTEX-1GZ2Q-0011-R5a-SM-A96RQ 40-49 years, male 38.7
GTEX-1H3O1-0011-R5b-SM-ADEH8 60-69 years, male 38.6
GTEX-11PRG-0011-R5b-SM-DNZZS 50-59 years, male 38.2
GTEX-139TS-0011-R5b-SM-5J2MZ 60-69 years, male 38.0
GTEX-Y8DK-0011-R5B-SM-4RTW6 60-69 years, male 37.8
GTEX-1GTWX-0011-R5b-SM-CKZO6 60-69 years, male 37.8
GTEX-1H23P-0011-R5a-SM-CKZOI 60-69 years, male 37.7
GTEX-ZE9C-0011-R5a-SM-5EGLO 60-69 years, male 37.6
GTEX-1192X-0011-R5a-SM-DNZZA 50-59 years, male 37.4
GTEX-12WSM-0011-R5a-SM-5EQ4Y 60-69 years, male 37.2
GTEX-14JG1-0011-R5a-SM-62LED 40-49 years, male 37.2
GTEX-1IDJH-0011-R5a-SM-CE6SR 70-79 years, male 37.2
GTEX-11GSP-0011-R5a-SM-57WBE 60-69 years, female 36.9
GTEX-13FLV-0011-R5a-SM-5LZWT 50-59 years, male 36.9
GTEX-13X6J-0011-R5b-SM-5PNWT 50-59 years, male 36.8
GTEX-13OW6-0011-R5a-SM-5O9BK 50-59 years, male 36.7
GTEX-13JUV-0011-R5a-SM-5LZY5 40-49 years, female 36.6
GTEX-13OVJ-0011-R5a-SM-5P9H7 50-59 years, female 36.4
GTEX-11DYG-0011-R5a-SM-DO928 60-69 years, male 36.3
GTEX-14ABY-0011-R5b-SM-5SI7B 50-59 years, male 36.1
GTEX-17EVP-0011-R5b-SM-7DHKW 40-49 years, male 36.1
GTEX-1GMR8-0011-R5b-SM-9QEIH 50-59 years, female 36.0
GTEX-1JMQJ-0011-R5a-SM-EYYXO 50-59 years, male 36.0
GTEX-14BIM-0011-R5b-SM-5S2RM 60-69 years, female 35.7
GTEX-1AX9I-0011-R5b-SM-793DI 60-69 years, male 35.4
GTEX-X585-0011-R5A-SM-46MVI 50-59 years, male 35.4
GTEX-WZTO-0011-R5B-SM-3NMC5 40-49 years, male 35.3
GTEX-18464-0011-R5b-SM-718A6 50-59 years, male 35.2
GTEX-QVJO-0011-R5A-SM-2S1QM 60-69 years, female 35.0
GTEX-13CZV-0011-R5a-SM-5K7XA 60-69 years, male 34.9
GTEX-1CB4G-0011-R5a-SM-CKZNM 60-69 years, male 34.9
GTEX-1A3MX-0011-R5a-SM-79OM5 60-69 years, male 34.8
GTEX-ZUA1-0011-R5b-SM-51MTG 40-49 years, male 34.8
GTEX-1GN73-0011-R5a-SM-9QEIM 60-69 years, male 34.8
GTEX-WWYW-0011-R5A-SM-3NB3E 50-59 years, female 34.5
GTEX-OXRN-0011-R5A-SM-2I5EF 50-59 years, male 34.3
GTEX-13RTJ-0011-R5a-SM-5P9HR 60-69 years, male 34.0
GTEX-13OW8-0011-R5b-SM-5L3FQ 60-69 years, male 33.9
GTEX-QDT8-0011-R5A-SM-32PKN 30-39 years, female 33.8
GTEX-UTHO-0011-R5A-SM-3GIJD 60-69 years, male 33.8
GTEX-1H1DG-0011-R5b-SM-CJI33 70-79 years, male 33.8
GTEX-1HCVE-0011-R5b-SM-CKZP7 50-59 years, male 33.8
GTEX-1N2DW-0011-R5a-SM-EYYX3 50-59 years, male 33.8
GTEX-1R9PO-0011-R5a-SM-EZ6NA 60-69 years, female 33.8
GTEX-12WSC-0011-R5b-SM-5CVNS 50-59 years, male 33.7
GTEX-11H98-0011-R5b-SM-57WCF 50-59 years, male 33.6
GTEX-1EMGI-0011-R5a-SM-CJI2E 60-69 years, male 33.2
GTEX-139TT-0011-R5b-SM-5K7W8 60-69 years, male 32.9
GTEX-NPJ8-0011-R5a-SM-2HMJY 40-49 years, male 32.9
GTEX-WVLH-0011-R5A-SM-3MJFW 50-59 years, male 32.6
GTEX-ZAB4-0011-R5a-SM-4SOKC 40-49 years, male 32.6
GTEX-1F7RK-0011-R5b-SM-9WG5S 20-29 years, female 32.6
GTEX-11DXY-0011-R5b-SM-DNZZL 60-69 years, male 32.5
GTEX-1HGF4-0011-R5b-SM-CM2ST 60-69 years, male 32.2
GTEX-14PN4-0011-R5a-SM-686ZV 50-59 years, male 31.9
GTEX-131YS-0011-R5b-SM-5K7YB 60-69 years, female 31.7
GTEX-S7SE-0011-R5A-SM-2XCDA 50-59 years, male 31.4
GTEX-13G51-0011-R5a-SM-5L3EB 60-69 years, male 31.3
GTEX-N7MT-0011-R5a-SM-2I3G6 60-69 years, female 31.2
GTEX-1HB9E-0011-R5b-SM-ARU78 50-59 years, male 31.0
GTEX-1I19N-0011-R5b-SM-ARU6X 70-79 years, male 30.9
GTEX-1F75B-0011-R5a-SM-9QEHC 50-59 years, male 30.7
GTEX-1GF9W-0011-R5a-SM-CKZO4 60-69 years, male 30.7
GTEX-1B933-0011-R5b-SM-7P8SA 50-59 years, female 30.6
GTEX-PVOW-0011-R5A-SM-32PL7 40-49 years, male 30.5
GTEX-11TTK-0011-R5a-SM-DNZZV 60-69 years, female 30.5
GTEX-1IY9M-0011-R5a-SM-A9SLX 60-69 years, male 30.4
GTEX-14PJO-0011-R5a-SM-6AJBZ 60-69 years, male 30.3
GTEX-15CHQ-0011-R5b-SM-6AJAN 60-69 years, male 30.1
GTEX-13NYS-0011-R5a-SM-5MR4D 60-69 years, male 30.0
GTEX-139T8-0011-R5b-SM-5J1MO 60-69 years, male 29.7
GTEX-15DCD-0011-R5a-SM-CXZKZ 70-79 years, female 29.5
GTEX-1399T-0011-R5b-SM-5IJDK 60-69 years, male 29.4
GTEX-RNOR-0011-R5A-SM-2TF4J 50-59 years, female 29.3
GTEX-15SHU-0011-R5a-SM-7938Q 40-49 years, female 28.9
GTEX-1GN1U-0011-R5a-SM-9QEIS 50-59 years, female 28.7
GTEX-1B996-0011-R5a-SM-7P8PN 60-69 years, male 28.6
GTEX-15G19-0011-R5b-SM-6M46P 60-69 years, male 28.5
GTEX-13N1W-0011-R5b-SM-5MR5Q 70-79 years, male 27.9
GTEX-QMR6-0011-R5A-SM-32PKT 50-59 years, male 27.4
GTEX-13FHO-0011-R5b-SM-5LZZ3 60-69 years, male 27.1
GTEX-16YQH-0011-R5b-SM-7938U 30-39 years, male 26.9
GTEX-1H2FU-0011-R5b-SM-CL552 60-69 years, female 26.9
GTEX-14PQA-0011-R5b-SM-6AJC2 50-59 years, female 26.6
GTEX-PWO3-0011-R5A-SM-2I5EZ 60-69 years, female 26.6
GTEX-1EX96-0011-R5a-SM-ARU83 50-59 years, male 26.5
GTEX-1R9K4-0011-R5b-SM-EZ6N8 60-69 years, male 26.5
GTEX-12WSF-0011-R5a-SM-5HL8K 70-79 years, male 26.1
GTEX-1F6IF-0011-R5b-SM-CM2RH 60-69 years, male 26.1
GTEX-1JMPZ-0011-R5b-SM-EYYWY 30-39 years, male 25.9
GTEX-1B8L1-0011-R5a-SM-7DHN5 60-69 years, male 25.8
GTEX-1H3NZ-0011-R5a-SM-CM2SP 60-69 years, male 25.8
GTEX-15EO6-0011-R5b-SM-7KUDZ 50-59 years, male 25.4
GTEX-13X6K-0011-R5b-SM-5PNUE 60-69 years, female 24.9
GTEX-14JIY-0011-R5b-SM-62LE7 60-69 years, male 24.8
GTEX-XMD1-0011-R5A-SM-4AT47 60-69 years, male 24.0
GTEX-132Q8-0011-R5a-SM-5IJDM 60-69 years, male 23.8
GTEX-1H3VE-0011-R5a-SM-CKZOU 40-49 years, male 23.2
GTEX-1J1OQ-0011-R5a-SM-D3L8K 40-49 years, female 23.0
GTEX-1I1GS-0011-R5a-SM-CKZPC 60-69 years, male 21.9
GTEX-14LLW-0011-R5b-SM-5ZZU6 70-79 years, female 21.8
GTEX-TSE9-0011-R5A-SM-3DB7J 60-69 years, female 21.5
GTEX-1CB4H-0011-R5b-SM-9QEGN 60-69 years, female 19.1
GTEX-1H1ZS-0011-R5b-SM-CL53L 70-79 years, male 16.6
GTEX-P44H-0011-R5A-SM-2XCEX 40-49 years, male 15.1
GTEX-T2IS-0011-R5A-SM-32QP4 20-29 years, female 14.2
Show allShow less

CAUDATE - FANTOM5 CAGEi

RNA expression in human tissues obtained through Cap Analysis of Gene Expression (CAGE) generated by the FANTOM5 project are reported as Scaled Tags Per Million.

Max subtype Scaled Tags Per Millioni

Max subtype Scaled Tags Per Million is the value for the subtype with the largest average Scaled Tags Per Million across the subtype samples.

62.7
FANTOM5 sample id Sample description Scaled Tags Per Million
Caudate nucleus
Scaled Tags Per Million: 62.7
FF:10164-103B2 76 years, female 62.7

CAUDATE - Pig RNA-seqi

RNA-seq data obtained from pig brain is reported as nTPM .

Normal distribution across the dataset is visualized with box plots, shown as median and 25th and 75th percentiles. Points are displayed as outliers if they are above or below 1.5 times the interquartile range. nTPM values of the individual samples are presented next to the box plot.
Max subtype nTPMi

Max subtype nTPM is the value for the subtype with the largest average nTPM across the subtype samples.

42.5
Pig sample Sample description nTPM
Caudate
nTPM: 42.5
Samples: 4

Max nTPM: 51.2
Min nTPM: 33.3
Sample A Female 33.3
Sample B Female 41.9
Sample C Male 51.2
Sample D Male 43.5

Contact

  • NEWS ARTICLES
  • PRESS ROOM

The Project

  • INTRODUCTION
  • ORGANIZATION
  • PUBLICATIONS

The Human Protein Atlas

  • DOWNLOADABLE DATA
  • LICENCE & CITATION
  • HELP & FAQ
The Human Protein Atlas project is funded
by the Knut & Alice Wallenberg Foundation.


contact@proteinatlas.org