We use cookies to enhance the usability of our website. If you continue, we'll assume that you are happy to receive all cookies. More information. Don't show this again.
KRT17
HPA
RESOURCES
  • TISSUE
  • BRAIN
  • SINGLE CELL
  • SUBCELLULAR
  • CANCER
  • BLOOD
  • CELL LINE
  • STRUCTURE & INTERACTION
ABOUT
  • INTRODUCTION
  • HISTORY
  • ORGANIZATION
  • PUBLICATIONS
  • ANTIBODY SUBMISSION
  • ANTIBODY AVAILABILITY
  • ACKNOWLEDGMENTS
  • CONTACT
NEWS
  • NEWS ARTICLES
  • PRESS ROOM
LEARN
  • DICTIONARY
  • PROTEIN CLASSES
  • PROTEIN EVIDENCE
  • METHODS
  • EDUCATIONAL VIDEOS
DATA
  • DOWNLOADABLE DATA
  • PUBLICATION DATA
  • RELEASE HISTORY
HELP
  • ANTIBODY VALIDATION
  • ASSAYS & ANNOTATION
  • DISCLAIMER
  • HELP & FAQ
  • PRIVACY STATEMENT
  • LICENCE & CITATION
Fields »
Search result

Field
Term
Gene name
Class
Subclass
Class
Keyword
Chromosome
External id
Tissue
Cell type
Expression
Antibody panel
Tissue
Main location
Patient ID
Annotation
Tissue
Category
Tau score
Cluster
Reliability
Brain region
Category
Tau score
Brain region
Category
Tau score
Brain region
Category
Tau score
Cluster
Reliability
Tissue
Cell type
Enrichment
Cell type
Category
Tau score
Cell type
Category
Tau score
Cell type
Category
Tau score
Cell lineage
Category
Tau score
Cluster
Cluster
Location
Searches
Location
Cell line
Class
Type
Phase
Reliability
Cancer
Prognosis
Cancer
Category
Cancer
Category
Tau score
Cluster
Variants
Interacting gene (ensg_id)
Type
Number of interactions
Pathway
Category
Score
Score
Score
Validation
Validation
Validation
Validation
Antibodies
Data type
Column


  • SUMMARY

  • TISSUE

  • BRAIN

  • SINGLE CELL

  • SUBCELL

  • CANCER

  • BLOOD

  • CELL LINE

  • STRUCT & INT

  • KRT17
TISSUE PRIMARY DATA SKIN 1 Show tissue menu
ADIPOSE TISSUE ADRENAL GLAND AMYGDALA APPENDIX BASAL GANGLIA BONE MARROW BREAST BRONCHUS CEREBELLUM CEREBRAL CORTEX CERVIX CHOROID PLEXUS COLON DUODENUM
ENDOMETRIUM EPIDIDYMIS ESOPHAGUS FALLOPIAN TUBE GALLBLADDER HEART MUSCLE HIPPOCAMPAL FORMATION HYPOTHALAMUS KIDNEY LIVER LUNG LYMPH NODE MIDBRAIN NASOPHARYNX
ORAL MUCOSA OVARY PANCREAS PARATHYROID GLAND PITUITARY GLAND PLACENTA PROSTATE RECTUM RETINA SALIVARY GLAND SEMINAL VESICLE SKELETAL MUSCLE SKIN SMALL INTESTINE
SMOOTH MUSCLE SOFT TISSUE SPINAL CORD SPLEEN STOMACH TESTIS THYMUS THYROID GLAND TONGUE TONSIL URINARY BLADDER VAGINA
ANTIBODIES
AND
VALIDATION
Dictionary
Skin
Tissue proteome
SKIN - Expression summary
Protein expression
Skini

On the top, protein expression in current human tissue, based on all annotated cell types, is reported with the units not detected (n), low (l), medium (m) and high (h). Underneath, protein expression in each annotated cell type are reported using the same units.

Protein expression data is based on knowledge-based annotation. For genes where more than one antibody has been used, a collective score is set.

If knowledge-based annotation could not be performed for a gene, no data is displayed here. View antibody staining data further down this page.

h
m
l
n
Cells in basal layer: Not detected
Cells in corneal layer: Low
Cells in granular layer: Low
Cells in spinous layer: Not detected
Endothelial cells: Not detected
Extracellular matrix: Not detected
Fibrohistiocytic cells: Not detected
Hair follicles: Low
Langerhans cells: Not detected
Lymphocytes: Not detected
Melanocytes: Not detected
Sebaceous glands: High
Vascular mural cells: Not detected
RNA expressioni

A summary of mRNA expression data available for current tissue based on several datasets. The mRNA expression levels in human tissues are based on RNA-seq data generated by the Human Protein Atlas (HPA), Genotype-Tissue Expression (GTEx) portal and CAGE data generated by the FANTOM5 consortium. Consensus normalized expression levels for human tissues was created by combining the data from HPA and GTEx datasets.

The mRNA expression levels in pig are based on RNA-seq data generated by the Human Protein Atlas (HPA), and for mouse, HPA data and in situ hybridization generated by the Allen brain atlas are reported.

Scroll down to view mRNA expression data in more detail.
Consensus:920.0 nTPM
HPA:57.3 nTPM
GTEx:920.0 nTPM

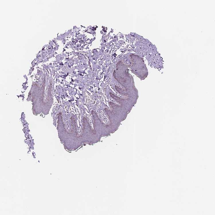
SKIN 1 - Antibody stainingi

Antibody staining in the annotated cell types in the current human tissue is reported as not detected, low, medium, or high, based on conventional immunohistochemistry profiling in selected tissues. This score is based on the combination of the staining intensity and fraction of stained cells.

Each image is clickable and will lead to virtual microscopy that enables deeper exploration of all samples and also displays staining intensity scores, fraction scores and subcellular localization as well as patient and tissue information for each sample.

Antibody HPA000452Antibody HPA000453Antibody HPA045062Antibody CAB000029
Langerhans MediumHigh-Not detected
Cells in basal layer --Not detected-
Cells in corneal layer --Not detected-
Cells in granular layer --Not detected-
Cells in spinous layer --Not detected-
Endothelial cells --Not detected-
Extracellular matrix --Not detected-
Fibroblasts Not detectedNot detected-Not detected
Fibrohistiocytic cells --Not detected-
Hair follicles --Low-
Keratinocytes MediumHigh-Not detected
Langerhans cells --Not detected-
Lymphocytes --Not detected-
Melanocytes Not detectedLowNot detectedNot detected
Sebaceous glands --High-
Vascular mural cells --Not detected-







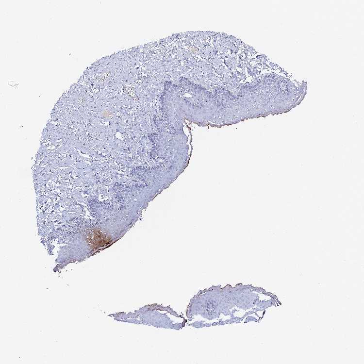
SKIN 2 - Antibody stainingi

Antibody staining in the annotated cell types in the current human tissue is reported as not detected, low, medium, or high, based on conventional immunohistochemistry profiling in selected tissues. This score is based on the combination of the staining intensity and fraction of stained cells.

Each image is clickable and will lead to virtual microscopy that enables deeper exploration of all samples and also displays staining intensity scores, fraction scores and subcellular localization as well as patient and tissue information for each sample.

Antibody HPA000452Antibody HPA000453Antibody HPA045062Antibody CAB000029
Cells in basal layer --Not detected-
Cells in corneal layer --Low-
Cells in granular layer --Low-
Cells in spinous layer --Not detected-
Endothelial cells --Not detected-
Epidermal cells HighHigh-Not detected
Extracellular matrix --Not detected-
Fibrohistiocytic cells --Not detected-
Langerhans cells --Not detected-
Lymphocytes --Not detected-
Melanocytes --Not detected-
Vascular mural cells --Not detected-
    
    
    
    







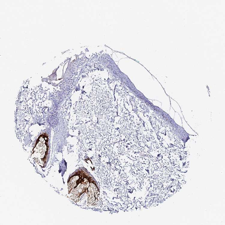
SKIN - HPA RNA-seqi

The RNA-seq details section shows detailed information about the individual samples used for the transcript profiling and results of the RNA-seq analysis.

Information about each individual sample is listed below, including gender, age, a tissue section image and estimated fractions of cell types. nTPM (normalized transcripts per million) values give a quantification of the gene abundance which is comparable between different genes and samples.
Average nTPMi

Max subtype nTPM is the value for the subtype with the largest average nTPM across the subtype samples.

57.3
overview
Female, age 34
Skin sample 225
nTPM: 91.5
Cell types%
Keratinocytes:
60

Other cell types:
40

overview
Female, age 30
Skin sample 226
nTPM: 30.1
Cell types%
Keratinocytes:
55

Other cell types:
45

N/A
Male, age 57
Skin sample 227
nTPM: 50.4

SKIN - GTEx RNA-seqi

RNA-Seq data generated by the Genotype-Tissue Expression (GTEx) project from human tissues is reported as mean nTPM. More information can be found on the GTEx portal.

Distribution across the dataset is visualized with box plots, shown as median and 25th and 75th percentiles. Points are displayed as outliers if they are above or below 1.5 times the interquartile range. nTPM values of the individual samples are presented next to the box plot.
Max subtype nTPMi

Max subtype nTPM is the value for the subtype with the largest average nTPM across the subtype samples.

920.0
GTEx sample id Sample description nTPM
Skin - Not Sun Exposed (Suprapubic)
Average nTPM: 920.0
Samples: 604

Max nTPM: 5426.4
Min nTPM: 31.4
Std nTPM: 870.5
Median nTPM: 623.3
GTEX-WHSE-0126-SM-3NMBT 20-29 years, male 5426.4
GTEX-1H1CY-0126-SM-9YFLY 60-69 years, female 5033.5
GTEX-18A7B-2726-SM-7LG56 70-79 years, male 4964.6
GTEX-ZUA1-2626-SM-5NQ92 40-49 years, male 4963.6
GTEX-1E1VI-0326-SM-793D1 50-59 years, male 4811.8
GTEX-11WQK-1026-SM-5EQLX 50-59 years, male 4781.8
GTEX-1E2YA-2126-SM-7MXUO 50-59 years, male 4781.7
GTEX-11TT1-1826-SM-5EQLV 20-29 years, male 4754.2
GTEX-1R9PN-0426-SM-DTXDT 40-49 years, female 4456.4
GTEX-1PPH8-0126-SM-EWRN8 20-29 years, male 4313.6
GTEX-1PIIG-2326-SM-DTXFR 30-39 years, male 4007.4
GTEX-12WSF-1626-SM-7KUG5 70-79 years, male 3656.2
GTEX-WH7G-2026-SM-3NMBL 40-49 years, male 3279.7
GTEX-1HFI6-0126-SM-CNPPI 40-49 years, male 3226.6
GTEX-145MO-2826-SM-5LU96 60-69 years, male 3222.6
GTEX-11DYG-1526-SM-5A5JS 60-69 years, male 3148.8
GTEX-16GPK-0626-SM-7KFSF 60-69 years, male 3145.9
GTEX-1A8G6-2726-SM-731AR 60-69 years, male 3127.1
GTEX-ZYFD-0626-SM-5E44E 50-59 years, male 3043.0
GTEX-1I1GP-1326-SM-A9G28 50-59 years, male 3001.1
GTEX-144GL-0626-SM-5LU4D 50-59 years, male 2870.8
GTEX-1B933-2426-SM-7DHMD 50-59 years, female 2777.0
GTEX-139TT-2126-SM-5LZWC 60-69 years, male 2659.0
GTEX-1F6RS-2026-SM-7RHHC 60-69 years, female 2650.3
GTEX-145MF-0926-SM-5Q5EA 50-59 years, male 2644.4
GTEX-1N2EE-0626-SM-E76PW 60-69 years, male 2635.7
GTEX-15RIE-1926-SM-7KUKJ 60-69 years, male 2630.2
GTEX-14PJO-2526-SM-6AJBQ 60-69 years, male 2629.1
GTEX-1PIGE-1826-SM-E8VOU 20-29 years, male 2620.5
GTEX-WFON-1926-SM-3LK7L 40-49 years, male 2585.1
GTEX-1ICLZ-0326-SM-ARL82 60-69 years, male 2549.2
GTEX-14PKV-1126-SM-6LLJ1 20-29 years, female 2519.2
GTEX-14BMV-2826-SM-5TDED 50-59 years, male 2496.2
GTEX-11O72-0626-SM-5PNYE 40-49 years, male 2478.8
GTEX-1RB15-1326-SM-E76Q9 60-69 years, male 2455.6
GTEX-13NYB-0126-SM-5J1MD 40-49 years, male 2425.1
GTEX-14A5H-0826-SM-5QGPJ 60-69 years, male 2394.7
GTEX-15SHW-0226-SM-7LTAT 60-69 years, male 2365.5
GTEX-XK95-0226-SM-4AT58 40-49 years, male 2357.9
GTEX-YF7O-1526-SM-5IFI6 50-59 years, male 2357.1
GTEX-WI4N-2726-SM-3LK7Y 40-49 years, female 2342.7
GTEX-13NZ9-2626-SM-5L3FK 50-59 years, male 2321.4
GTEX-13O3O-2326-SM-5IJD6 60-69 years, female 2292.2
GTEX-18A66-0626-SM-7LT8Z 60-69 years, male 2288.0
GTEX-ZU9S-1826-SM-5NQ9E 30-39 years, male 2280.5
GTEX-1HSMP-0926-SM-A9SKX 70-79 years, male 2237.5
GTEX-16NPX-0726-SM-7KULC 50-59 years, male 2232.1
GTEX-13N1W-2426-SM-5IJD1 70-79 years, male 2217.8
GTEX-1I6K7-1926-SM-B2LXR 40-49 years, male 2162.5
GTEX-ZVTK-0226-SM-51MRG 20-29 years, male 2153.3
GTEX-ZT9W-1126-SM-57WDR 50-59 years, male 2148.5
GTEX-1AX9I-2226-SM-73KUO 60-69 years, male 2132.4
GTEX-14LZ3-0126-SM-69LPM 60-69 years, female 2128.3
GTEX-14BIN-1126-SM-5RQJZ 50-59 years, female 2116.0
GTEX-17HHY-0426-SM-7DHLC 50-59 years, male 2092.5
GTEX-1N5O9-0926-SM-E9J3C 60-69 years, male 2083.1
GTEX-XQ3S-1426-SM-4BOPR 20-29 years, male 2068.7
GTEX-14JG1-1526-SM-5YY9X 40-49 years, male 2068.3
GTEX-1C64O-1326-SM-7MGWR 60-69 years, male 2056.2
GTEX-1GMR3-0126-SM-A9SLW 40-49 years, male 2054.3
GTEX-13OVL-0126-SM-5L3GJ 50-59 years, male 2049.5
GTEX-111FC-2526-SM-5GZXU 60-69 years, male 2039.9
GTEX-1F6I4-2326-SM-7RHGL 60-69 years, male 2039.4
GTEX-1JMQL-2226-SM-CNPP4 50-59 years, female 2032.2
GTEX-1AX9J-1326-SM-731BJ 60-69 years, male 2014.2
GTEX-ZAJG-1526-SM-5CVML 50-59 years, female 2010.4
GTEX-1A8FM-0626-SM-7PC25 50-59 years, female 1971.9
GTEX-ZDTS-0826-SM-4WKHL 60-69 years, male 1947.5
GTEX-14E6C-2426-SM-5S2NF 40-49 years, male 1939.4
GTEX-YEC4-1826-SM-4W1YP 40-49 years, male 1886.8
GTEX-1QP9N-1226-SM-E76QN 30-39 years, male 1878.8
GTEX-14JG6-1426-SM-9WG7C 30-39 years, female 1864.9
GTEX-12KS4-2126-SM-5FQUT 30-39 years, male 1862.8
GTEX-1192X-2726-SM-5N9DN 50-59 years, male 1859.2
GTEX-1NSGN-0726-SM-DTXEF 50-59 years, male 1837.3
GTEX-13NYC-0126-SM-5L3F4 60-69 years, male 1836.8
GTEX-1IY9M-2826-SM-ARU8H 60-69 years, male 1828.2
GTEX-139TU-0726-SM-5L3EK 60-69 years, male 1824.8
GTEX-13JUV-2026-SM-5K7UA 40-49 years, female 1807.6
GTEX-11DZ1-2426-SM-5GZZX 50-59 years, male 1794.0
GTEX-14PJ3-1126-SM-5ZZVX 50-59 years, male 1772.4
GTEX-ZWKS-0626-SM-5GIDV 30-39 years, male 1768.9
GTEX-1M4P7-0726-SM-E6CJ3 60-69 years, male 1767.2
GTEX-13OVJ-0826-SM-5J1OK 50-59 years, female 1751.1
GTEX-11EI6-2826-SM-5H11D 60-69 years, male 1750.3
GTEX-183FY-1026-SM-7939A 20-29 years, male 1745.5
GTEX-1AX8Z-0726-SM-73KTS 60-69 years, male 1737.8
GTEX-18A6Q-0626-SM-7KFRP 60-69 years, male 1731.3
GTEX-1QCLY-0226-SM-EWRNH 30-39 years, male 1723.6
GTEX-17F9E-2326-SM-79OKD 50-59 years, male 1723.2
GTEX-1J8JJ-0626-SM-ARZMQ 60-69 years, female 1713.7
GTEX-1HCU6-2526-SM-ADEHL 60-69 years, female 1712.3
GTEX-ZYT6-2326-SM-5GZY3 30-39 years, male 1709.9
GTEX-YEC3-1326-SM-DO92X 50-59 years, male 1697.3
GTEX-12WSD-0626-SM-5GCMW 60-69 years, female 1695.4
GTEX-WRHU-2826-SM-3MJG8 50-59 years, female 1665.5
GTEX-1K2DU-1226-SM-CYPT4 20-29 years, male 1663.7
GTEX-WK11-2726-SM-3NMAQ 50-59 years, male 1652.0
GTEX-UPJH-0226-SM-3GADV 50-59 years, male 1642.1
GTEX-1I1GU-0926-SM-ACKVS 40-49 years, male 1641.7
GTEX-ZVT4-2426-SM-5GIEI 50-59 years, female 1633.9
GTEX-131YS-2826-SM-5EQ47 60-69 years, female 1626.5
GTEX-ZDXO-3126-SM-5IJDF 60-69 years, male 1609.5
GTEX-ZYW4-0626-SM-59HJR 60-69 years, male 1596.8
GTEX-14JFF-0626-SM-5ZZVT 60-69 years, male 1588.2
GTEX-13X6K-0626-SM-5LU5D 60-69 years, female 1586.9
GTEX-1GN1W-2426-SM-9KNUU 50-59 years, female 1574.8
GTEX-1O9I2-0226-SM-EYYXD 50-59 years, male 1563.1
GTEX-13OVG-1626-SM-5J1NF 60-69 years, male 1545.4
GTEX-1GZ2Q-0126-SM-9WG6M 40-49 years, male 1511.1
GTEX-1F75W-2726-SM-7SB8H 60-69 years, male 1508.0
GTEX-1S83E-1326-SM-E6CJM 40-49 years, male 1507.1
GTEX-18D9A-1426-SM-7LT8M 30-39 years, female 1503.8
GTEX-1F6IF-0926-SM-7SB7M 60-69 years, male 1503.0
GTEX-17EVQ-0126-SM-7IGLR 70-79 years, male 1470.3
GTEX-13PVQ-0626-SM-5LU47 50-59 years, male 1469.6
GTEX-YJ8O-2526-SM-5HL85 40-49 years, female 1463.7
GTEX-Y5LM-0926-SM-6LLJG 40-49 years, female 1451.5
GTEX-1QP66-1226-SM-DTX7U 50-59 years, male 1416.3
GTEX-1F5PK-2226-SM-7SB6N 50-59 years, male 1407.8
GTEX-ZY6K-1426-SM-5GZX2 50-59 years, male 1396.7
GTEX-1I1GS-2626-SM-B2LY3 60-69 years, male 1394.9
GTEX-11DXW-0826-SM-5H118 40-49 years, male 1383.1
GTEX-1EH9U-2826-SM-7DUGT 60-69 years, male 1377.6
GTEX-XUW1-0926-SM-4BONX 50-59 years, female 1376.1
GTEX-WYJK-0526-SM-3NM8Z 50-59 years, male 1364.5
GTEX-1IDJH-0126-SM-D3L92 70-79 years, male 1358.0
GTEX-1GF9V-0826-SM-9KNUV 60-69 years, male 1355.5
GTEX-1R9PM-1926-SM-EVR3O 20-29 years, male 1345.0
GTEX-14ABY-2026-SM-62LDL 50-59 years, male 1342.0
GTEX-U8XE-0226-SM-4E3J3 30-39 years, male 1338.6
GTEX-14ICL-1626-SM-5YYAO 30-39 years, male 1333.9
GTEX-1IDFM-0326-SM-ARL7V 60-69 years, male 1332.3
GTEX-145LS-0626-SM-7EPG7 60-69 years, female 1327.8
GTEX-1HGF4-0126-SM-CNPPX 60-69 years, male 1319.9
GTEX-Z93S-1626-SM-5CVMB 50-59 years, male 1315.9
GTEX-ZZ64-1026-SM-5GZXG 20-29 years, male 1311.6
GTEX-13VXU-0626-SM-5L3F9 50-59 years, male 1309.0
GTEX-1QAET-0326-SM-EVR3U 50-59 years, male 1302.7
GTEX-1R9K4-2826-SM-DTX8F 60-69 years, male 1300.8
GTEX-12WSC-2826-SM-5BC5Y 50-59 years, male 1289.9
GTEX-144GO-2026-SM-5O99P 60-69 years, male 1287.0
GTEX-X4EO-2926-SM-4E3JH 60-69 years, female 1285.3
GTEX-ZTTD-2826-SM-4YCFA 50-59 years, male 1280.8
GTEX-15CHQ-0326-SM-69LQD 60-69 years, male 1275.9
GTEX-13RTJ-0126-SM-5S2NN 60-69 years, male 1273.3
GTEX-17MFQ-1526-SM-7KFRR 20-29 years, male 1271.5
GTEX-17F96-0126-SM-7EWDU 70-79 years, male 1270.2
GTEX-1I1GV-0626-SM-ARL7M 60-69 years, male 1269.2
GTEX-1RAZA-2226-SM-E9U4X 20-29 years, male 1266.5
GTEX-17F98-1326-SM-7DUEP 40-49 years, female 1264.0
GTEX-1IOXB-2726-SM-CM2RI 50-59 years, male 1251.2
GTEX-1IDJC-1526-SM-B2LW4 50-59 years, male 1250.5
GTEX-145MG-1526-SM-5Q5EM 50-59 years, male 1243.9
GTEX-1N2DV-1526-SM-DTXEP 40-49 years, male 1213.8
GTEX-11DXX-2126-SM-5PNYR 60-69 years, female 1210.7
GTEX-12WSM-1926-SM-5BC65 60-69 years, male 1210.5
GTEX-145LT-0526-SM-5LUB2 40-49 years, male 1209.1
GTEX-178AV-1726-SM-7KUL8 40-49 years, male 1208.2
GTEX-13PVR-0426-SM-5RQK2 60-69 years, female 1205.0
GTEX-1GF9U-2026-SM-7SB92 40-49 years, female 1201.6
GTEX-15D1Q-2826-SM-6LLH7 40-49 years, male 1194.6
GTEX-1LVA9-2626-SM-EVYD4 50-59 years, male 1192.6
GTEX-145LU-1926-SM-79OJN 50-59 years, male 1188.4
GTEX-16MT8-2926-SM-7DUFO 60-69 years, female 1184.8
GTEX-1F88E-1626-SM-7SB8Z 60-69 years, female 1181.6
GTEX-13NYS-0626-SM-5L3F1 60-69 years, male 1167.5
GTEX-1IDJF-2026-SM-CL53V 20-29 years, male 1164.3
GTEX-WHWD-1826-SM-3LK6I 50-59 years, male 1162.4
GTEX-13OW6-2726-SM-5J2OE 50-59 years, male 1149.2
GTEX-13U4I-2226-SM-5LU5H 40-49 years, female 1147.7
GTEX-11TUW-0626-SM-5LU9M 60-69 years, male 1143.3
GTEX-1JN1M-2726-SM-CY8I4 60-69 years, female 1139.9
GTEX-17F9Y-0126-SM-79OKX 70-79 years, female 1136.4
GTEX-13YAN-0226-SM-5TDC6 60-69 years, male 1130.6
GTEX-XMD2-2126-SM-4YCF8 60-69 years, female 1120.6
GTEX-WYBS-0626-SM-3NMAS 60-69 years, female 1117.5
GTEX-17HGU-2326-SM-7DUFE 50-59 years, male 1113.8
GTEX-1KD5A-0126-SM-E9U54 50-59 years, male 1111.0
GTEX-15DDE-2926-SM-6LLJ3 50-59 years, female 1098.5
GTEX-14PHX-2226-SM-6EU2P 50-59 years, male 1098.2
GTEX-13X6J-0626-SM-5LU5F 50-59 years, male 1093.7
GTEX-12696-0126-SM-5EQ4L 60-69 years, male 1082.4
GTEX-1JN6P-2926-SM-CL54D 60-69 years, male 1076.8
GTEX-1JMLX-0626-SM-ARL8T 50-59 years, male 1071.5
GTEX-1IL2V-1926-SM-B2LW8 70-79 years, male 1063.5
GTEX-11UD2-2526-SM-5CVNU 50-59 years, male 1050.8
GTEX-1HBPI-2126-SM-ARL9K 50-59 years, male 1050.6
GTEX-UPK5-0426-SM-3GAEK 40-49 years, male 1049.1
GTEX-13G51-1826-SM-5KLZH 60-69 years, male 1042.7
GTEX-1JMOU-1026-SM-CYPSS 60-69 years, female 1037.7
GTEX-1H23P-0626-SM-9WG6T 60-69 years, male 1036.9
GTEX-ZVE1-0726-SM-51MRN 50-59 years, female 1033.5
GTEX-1I6K6-1726-SM-CGQFD 30-39 years, male 1012.3
GTEX-1S831-1826-SM-EWROF 20-29 years, male 1011.8
GTEX-12584-0726-SM-5FQTK 40-49 years, male 1007.9
GTEX-146FQ-2126-SM-5RQHU 30-39 years, male 989.6
GTEX-1LSVX-2526-SM-DIPEU 60-69 years, male 984.1
GTEX-11EQ9-1626-SM-5PNY8 30-39 years, male 972.8
GTEX-1212Z-0126-SM-59HK4 60-69 years, male 971.1
GTEX-1CB4I-0126-SM-7RHGG 50-59 years, male 969.3
GTEX-18465-2826-SM-7LT9J 50-59 years, male 968.1
GTEX-13OVK-1426-SM-6PAN7 40-49 years, male 965.3
GTEX-16XZZ-0726-SM-7KUF2 60-69 years, male 959.7
GTEX-1A8G7-1326-SM-73KVM 60-69 years, male 959.7
GTEX-1B8KZ-0326-SM-73KY4 50-59 years, male 955.5
GTEX-1CAMQ-1326-SM-7P8RV 40-49 years, male 941.1
GTEX-ZVE2-2826-SM-5GU51 50-59 years, male 934.5
GTEX-1LVAO-2726-SM-E9TJ8 60-69 years, male 934.0
GTEX-17KNJ-2126-SM-718AM 50-59 years, male 927.4
GTEX-1BAJH-2426-SM-7IGP8 70-79 years, male 921.3
GTEX-111YS-1526-SM-5GZYW 60-69 years, male 920.7
GTEX-131XW-0626-SM-5PNVD 50-59 years, female 914.2
GTEX-13OVH-0526-SM-5L3E6 70-79 years, male 906.0
GTEX-1JKYN-0826-SM-ARU8S 30-39 years, male 905.2
GTEX-13112-0126-SM-5P9IU 50-59 years, male 904.6
GTEX-1EN7A-2426-SM-793DB 40-49 years, male 891.5
GTEX-WXYG-2026-SM-4E3IY 50-59 years, female 891.1
GTEX-12BJ1-0926-SM-5EQ62 60-69 years, male 891.0
GTEX-11ZUS-2626-SM-5FQUR 30-39 years, male 889.0
GTEX-13OW8-1026-SM-5J1NQ 60-69 years, male 887.2
GTEX-12ZZX-2426-SM-5GCOE 40-49 years, female 879.5
GTEX-1GZ4I-2626-SM-9KNU3 50-59 years, male 879.0
GTEX-1B996-0426-SM-7EWF8 60-69 years, male 874.5
GTEX-V1D1-2026-SM-3GAF4 50-59 years, male 873.3
GTEX-1211K-1526-SM-5FQU4 60-69 years, female 861.9
GTEX-11EQ8-0926-SM-5H12V 60-69 years, male 855.4
GTEX-1CB4J-1326-SM-7P8RX 60-69 years, male 855.2
GTEX-1A32A-0626-SM-731AQ 50-59 years, female 853.2
GTEX-15RIG-0726-SM-7KUM7 40-49 years, male 853.1
GTEX-1JMPZ-0726-SM-CY8HZ 30-39 years, male 852.5
GTEX-ZPIC-0526-SM-DO91W 40-49 years, female 851.2
GTEX-1HT8W-0626-SM-A9G2H 30-39 years, male 850.5
GTEX-1ICLY-0826-SM-CMKG1 50-59 years, male 849.4
GTEX-17JCI-2926-SM-7DUFF 60-69 years, female 841.6
GTEX-1CAMR-1326-SM-7PC1F 20-29 years, male 840.1
GTEX-14E6E-0526-SM-793DN 30-39 years, male 836.3
GTEX-131XG-0326-SM-5L3DX 50-59 years, female 828.9
GTEX-11DXY-0126-SM-5H11Q 60-69 years, male 828.4
GTEX-1KANA-1326-SM-DIPFA 20-29 years, male 827.5
GTEX-1S5ZU-2526-SM-E6CIF 20-29 years, female 821.9
GTEX-1QPFJ-1926-SM-EVYBD 30-39 years, female 821.3
GTEX-1L5NE-1126-SM-D3L9P 50-59 years, male 817.8
GTEX-1JN76-0626-SM-CKZOQ 20-29 years, female 817.3
GTEX-14B4R-1326-SM-5Q5EZ 30-39 years, male 816.0
GTEX-139UW-0326-SM-5J1ML 60-69 years, male 815.0
GTEX-XQ8I-0926-SM-4BOOF 50-59 years, male 809.6
GTEX-1S3DN-2126-SM-E9TIN 50-59 years, male 808.4
GTEX-1399S-0126-SM-5IJCF 30-39 years, female 804.2
GTEX-XPVG-2126-SM-4B667 50-59 years, male 802.0
GTEX-1IKOE-1426-SM-CE6T7 30-39 years, female 802.0
GTEX-1PBJJ-1026-SM-E76OS 30-39 years, male 795.9
GTEX-14753-0726-SM-5QGQO 60-69 years, male 794.3
GTEX-1LKK1-2626-SM-DKPQE 50-59 years, female 792.9
GTEX-1JMQJ-0826-SM-CNPP7 50-59 years, male 791.2
GTEX-15CHR-1126-SM-7EWF4 50-59 years, male 788.1
GTEX-15UF6-1926-SM-7KUDV 70-79 years, female 781.1
GTEX-1H1E6-0426-SM-9WYUS 30-39 years, male 778.6
GTEX-132AR-0326-SM-5KM2C 50-59 years, female 775.8
GTEX-15RJ7-2126-SM-6PAMD 40-49 years, male 772.4
GTEX-Y9LG-1126-SM-4VBQ7 30-39 years, male 770.5
GTEX-X8HC-0626-SM-4E3HQ 50-59 years, female 769.2
GTEX-1H4P4-2126-SM-9WYSL 50-59 years, male 765.8
GTEX-ZVZP-1226-SM-5GID7 50-59 years, male 764.1
GTEX-ZE7O-2726-SM-51MT5 50-59 years, female 761.0
GTEX-139T8-0626-SM-5KLZX 60-69 years, male 760.2
GTEX-YECK-0326-SM-4W1YS 60-69 years, male 757.6
GTEX-X3Y1-2026-SM-3P5YM 40-49 years, male 757.0
GTEX-16NGA-0726-SM-731AO 40-49 years, female 755.8
GTEX-ZXG5-2126-SM-59HKD 60-69 years, male 751.2
GTEX-1314G-1326-SM-5BC6E 30-39 years, male 749.8
GTEX-1C6WA-2626-SM-7MKGM 60-69 years, male 747.6
GTEX-1H2FU-0926-SM-9WPPT 60-69 years, female 746.5
GTEX-1GPI7-1826-SM-9KNU1 20-29 years, male 740.9
GTEX-1MJK3-0726-SM-E6CJC 20-29 years, male 738.8
GTEX-Y5V6-2326-SM-4VDSA 60-69 years, male 728.7
GTEX-1C2JI-1026-SM-73KY1 50-59 years, male 713.3
GTEX-1B8L1-2226-SM-7P8PT 60-69 years, male 712.9
GTEX-144GM-0526-SM-79OJO 20-29 years, male 706.3
GTEX-ZDTT-0426-SM-4WKFL 60-69 years, male 703.3
GTEX-1LSNM-0826-SM-DIPG8 50-59 years, male 701.4
GTEX-1POEN-2326-SM-E9J2L 30-39 years, female 698.1
GTEX-1GZ4H-0526-SM-9KNU9 50-59 years, female 694.5
GTEX-WY7C-2126-SM-3NB2R 50-59 years, male 694.4
GTEX-13IVO-0726-SM-5LZYV 70-79 years, male 694.2
GTEX-11NUK-2726-SM-5A5MC 50-59 years, male 679.1
GTEX-147F3-1726-SM-5SIAW 50-59 years, female 673.8
GTEX-XOT4-0626-SM-4B66L 60-69 years, female 669.6
GTEX-1HBPM-0726-SM-9YFL7 60-69 years, female 669.1
GTEX-1R46S-2426-SM-E76QA 60-69 years, female 661.4
GTEX-1JKYR-0626-SM-ARL8R 20-29 years, male 657.5
GTEX-133LE-2326-SM-5K7W3 20-29 years, female 655.8
GTEX-XBED-1926-SM-47JYP 60-69 years, male 653.3
GTEX-1MCYP-0526-SM-E9U6Q 20-29 years, female 650.9
GTEX-1QW4Y-1126-SM-DTXE3 30-39 years, male 643.3
GTEX-1A3MV-1826-SM-731CD 30-39 years, male 638.5
GTEX-1JMQK-1226-SM-D4P2S 60-69 years, male 631.7
GTEX-1HKZK-0726-SM-ACKW2 40-49 years, male 629.0
GTEX-139TS-2126-SM-5K7XC 60-69 years, male 628.2
GTEX-1399R-1326-SM-5PNYS 30-39 years, male 628.0
GTEX-1LG7Y-2526-SM-EWRO7 50-59 years, male 625.1
GTEX-17F97-2626-SM-7IGM5 50-59 years, male 624.8
GTEX-1F5PL-0926-SM-7PC2W 40-49 years, female 621.8
GTEX-1269C-0126-SM-5EQ5L 60-69 years, female 621.4
GTEX-1H3O1-1326-SM-9MQLD 60-69 years, male 618.5
GTEX-13FTX-1526-SM-5K7VJ 20-29 years, female 617.0
GTEX-12ZZY-0726-SM-5EQ66 60-69 years, male 615.8
GTEX-15G1A-1626-SM-7KUKN 30-39 years, male 611.6
GTEX-1HCVE-2726-SM-CL54F 50-59 years, male 608.0
GTEX-1A3MW-0626-SM-731CB 60-69 years, female 607.6
GTEX-13O61-1426-SM-5KM3D 60-69 years, male 607.2
GTEX-X585-2426-SM-46MW2 50-59 years, male 607.1
GTEX-1LG7Z-1626-SM-CXKYR 30-39 years, male 606.4
GTEX-14PII-0726-SM-6EU2B 60-69 years, male 604.7
GTEX-1GN1U-0626-SM-9MQL9 50-59 years, female 603.7
GTEX-111VG-1626-SM-5EGIO 60-69 years, male 601.9
GTEX-1HR98-2226-SM-ADEI2 60-69 years, male 597.9
GTEX-13N11-2326-SM-5IJBF 50-59 years, female 597.1
GTEX-1H1DG-2426-SM-9QEHJ 70-79 years, male 593.9
GTEX-13FLV-0126-SM-5K7WT 50-59 years, male 592.5
GTEX-1C6VQ-1226-SM-73KYD 50-59 years, male 591.8
GTEX-18A7A-0126-SM-731AH 50-59 years, female 588.9
GTEX-1LSNL-2726-SM-E9TKJ 50-59 years, male 587.0
GTEX-1H1ZS-2726-SM-9WG75 70-79 years, male 586.1
GTEX-1HUB1-1426-SM-CGQF5 60-69 years, male 586.0
GTEX-1GZHY-0626-SM-9KNVC 50-59 years, female 584.0
GTEX-WFG8-2126-SM-3GIKQ 20-29 years, male 583.7
GTEX-14C38-0726-SM-5SI6M 50-59 years, male 580.4
GTEX-VUSG-2326-SM-4KL1U 50-59 years, male 578.1
GTEX-1AYD5-2626-SM-7PBXY 50-59 years, male 572.1
GTEX-117YX-1926-SM-5GIEC 50-59 years, male 570.7
GTEX-XBEC-0726-SM-4QARZ 50-59 years, male 570.3
GTEX-145MN-1526-SM-5SI9T 30-39 years, male 563.2
GTEX-Y114-2126-SM-4TT8B 50-59 years, female 556.5
GTEX-1IE54-1126-SM-A9G2Z 40-49 years, female 555.1
GTEX-1313W-0626-SM-5EQ4H 50-59 years, female 550.7
GTEX-1F88F-0126-SM-9WYSZ 60-69 years, female 547.7
GTEX-ZPU1-1126-SM-4YCF3 40-49 years, male 546.8
GTEX-13PDP-0726-SM-5L3HP 60-69 years, male 545.7
GTEX-1PPH7-1126-SM-DTX9A 40-49 years, male 535.8
GTEX-1JMPY-0226-SM-CKZOK 30-39 years, male 533.7
GTEX-1PDJ9-1226-SM-EXUSX 20-29 years, male 530.8
GTEX-13QBU-1226-SM-5LU4G 40-49 years, female 529.7
GTEX-1I1HK-2326-SM-CKZOH 60-69 years, male 524.3
GTEX-1R7EU-1626-SM-DTXG3 60-69 years, male 524.1
GTEX-12WSK-2126-SM-5CVNC 40-49 years, female 523.5
GTEX-1117F-2926-SM-5GZYI 60-69 years, female 521.7
GTEX-12126-0826-SM-5FQTZ 20-29 years, male 521.5
GTEX-14DAQ-0626-SM-793DS 60-69 years, female 521.1
GTEX-ZLFU-1826-SM-4WWBV 40-49 years, male 519.5
GTEX-1HSMO-0626-SM-ACKXC 60-69 years, male 519.4
GTEX-16YQH-2226-SM-7IGM2 30-39 years, male 514.0
GTEX-1HCU9-0426-SM-9WYSD 20-29 years, male 508.5
GTEX-1IDJE-1426-SM-ADEIW 50-59 years, female 508.4
GTEX-1QCLZ-2426-SM-EVYBW 60-69 years, female 505.4
GTEX-ZAK1-0626-SM-5HL8E 50-59 years, female 505.2
GTEX-11VI4-1126-SM-5EQMD 40-49 years, female 504.6
GTEX-139D8-1126-SM-5LU8W 30-39 years, female 502.5
GTEX-1CB4H-1126-SM-7MKGL 60-69 years, female 501.9
GTEX-1H3NZ-2726-SM-9WYTQ 60-69 years, male 499.1
GTEX-1RMOY-1326-SM-E9TIH 50-59 years, male 498.9
GTEX-1IKJJ-2226-SM-CJI4C 60-69 years, male 496.6
GTEX-1I19N-0126-SM-CYPSF 70-79 years, male 494.1
GTEX-144FL-0626-SM-5LU43 50-59 years, male 493.3
GTEX-WEY5-2326-SM-3GIKK 40-49 years, female 492.8
GTEX-11WQC-1826-SM-5GU59 60-69 years, male 486.5
GTEX-1CAMS-2226-SM-7PBXQ 40-49 years, female 484.1
GTEX-13W3W-0726-SM-5IJDQ 60-69 years, female 483.4
GTEX-15SKB-2826-SM-6PAMH 60-69 years, male 479.4
GTEX-1F75B-0726-SM-7PC3R 50-59 years, male 479.1
GTEX-18QFQ-1826-SM-72D52 30-39 years, male 478.6
GTEX-12WSL-2026-SM-5GCML 50-59 years, male 476.6
GTEX-13D11-0926-SM-5J2NC 50-59 years, female 474.5
GTEX-ZAB4-2126-SM-5HL8U 40-49 years, male 471.8
GTEX-14DAR-1226-SM-73KYV 50-59 years, male 466.5
GTEX-1CB4F-1026-SM-7DUH1 60-69 years, male 458.7
GTEX-13FTY-2126-SM-5IFFB 40-49 years, female 455.3
GTEX-ZA64-1026-SM-5HL8R 20-29 years, male 454.7
GTEX-16MTA-0926-SM-6M47Z 50-59 years, male 449.9
GTEX-1OJC4-2726-SM-E76PJ 50-59 years, female 449.1
GTEX-1LVAN-0626-SM-CNPOQ 50-59 years, female 448.7
GTEX-17HG3-2626-SM-7DUF2 30-39 years, female 448.6
GTEX-15G19-2426-SM-7KUMR 60-69 years, male 447.8
GTEX-1EX96-1026-SM-7MKG2 50-59 years, male 443.7
GTEX-X4EP-0626-SM-3P621 60-69 years, female 441.0
GTEX-1F75I-2226-SM-7SB8U 40-49 years, male 439.9
GTEX-ZLV1-1526-SM-DO91J 60-69 years, female 435.2
GTEX-1B8KE-1126-SM-7EPHI 50-59 years, male 435.0
GTEX-1J1R8-2026-SM-CL53Y 40-49 years, male 427.2
GTEX-13X6I-1826-SM-5SIAO 60-69 years, male 426.4
GTEX-1GN73-0726-SM-7P8TJ 60-69 years, male 424.9
GTEX-Y8E4-2026-SM-5IFJB 40-49 years, male 423.4
GTEX-16Z82-2626-SM-7KULU 60-69 years, male 423.1
GTEX-11LCK-2226-SM-5HL4Q 30-39 years, male 422.9
GTEX-1ICG6-1226-SM-A9SLN 70-79 years, female 422.2
GTEX-11OF3-0126-SM-5PNYF 60-69 years, male 422.1
GTEX-14C5O-0326-SM-5ZZUX 60-69 years, male 422.0
GTEX-1F52S-2926-SM-7MKGA 60-69 years, female 420.5
GTEX-ZT9X-1526-SM-5DUXD 40-49 years, male 416.9
GTEX-1S82P-2126-SM-E6CI5 60-69 years, female 415.6
GTEX-1C64N-2626-SM-7PC2N 50-59 years, male 403.1
GTEX-1KXAM-1626-SM-D3LAD 60-69 years, male 400.9
GTEX-1GF9W-1426-SM-7PBYM 60-69 years, male 398.4
GTEX-11P7K-1126-SM-5HL4L 30-39 years, male 394.0
GTEX-131XF-2626-SM-5EQ6K 60-69 years, male 393.8
GTEX-13X6H-0926-SM-5SIB2 50-59 years, female 393.3
GTEX-WFG7-2026-SM-5SI7P 20-29 years, male 391.2
GTEX-YFCO-1226-SM-5LUAT 40-49 years, male 390.7
GTEX-1HB9E-0126-SM-CM2S5 50-59 years, male 390.4
GTEX-1RLM8-2926-SM-E8VON 50-59 years, male 389.0
GTEX-15RJE-2826-SM-7KUM9 40-49 years, male 388.8
GTEX-1QP28-1126-SM-EVYC4 50-59 years, female 388.3
GTEX-14XAO-1226-SM-6EU1C 60-69 years, female 386.7
GTEX-13NZ8-1226-SM-5KM4A 60-69 years, female 385.3
GTEX-16AAH-0626-SM-793C9 50-59 years, male 383.6
GTEX-1GL5R-1326-SM-7RHHF 50-59 years, male 380.5
GTEX-11EM3-1226-SM-5N9DD 20-29 years, female 378.3
GTEX-131XH-0126-SM-5LZUY 50-59 years, male 376.3
GTEX-ZDYS-2426-SM-4WKGI 50-59 years, male 373.5
GTEX-1GN2E-0226-SM-9WG6K 60-69 years, male 371.9
GTEX-14E1K-2026-SM-7DUEI 50-59 years, male 369.6
GTEX-1KANC-1226-SM-CYPT7 50-59 years, female 367.7
GTEX-17MF6-2626-SM-79OKQ 40-49 years, male 367.5
GTEX-1AMEY-0826-SM-72D65 30-39 years, female 366.4
GTEX-1I1GT-1026-SM-ARZLV 60-69 years, female 365.5
GTEX-1J8EW-2726-SM-CY8HR 60-69 years, female 364.7
GTEX-14PJN-1826-SM-6AJ98 30-39 years, male 358.8
GTEX-1PPGY-1626-SM-EVYBL 60-69 years, male 356.1
GTEX-1F48J-0726-SM-7RHGS 50-59 years, female 355.9
GTEX-1CB4E-0926-SM-7EPHT 60-69 years, male 354.8
GTEX-X5EB-1926-SM-4E3IW 40-49 years, male 354.8
GTEX-1J1OQ-0126-SM-D4P2N 40-49 years, female 353.5
GTEX-1I4MK-0126-SM-CY8G6 50-59 years, female 353.4
GTEX-1LVAM-0726-SM-E6CIL 50-59 years, female 351.9
GTEX-1QEPI-2626-SM-DTXF4 60-69 years, female 350.9
GTEX-13OW5-2326-SM-5L3HO 60-69 years, male 350.2
GTEX-XXEK-1626-SM-4BRUZ 50-59 years, male 349.5
GTEX-14AS3-1526-SM-5Q5ED 40-49 years, female 349.0
GTEX-14PJ2-0626-SM-6LLII 50-59 years, male 347.2
GTEX-1S82U-1026-SM-E6CJK 30-39 years, female 344.8
GTEX-12WSA-0426-SM-5EQ5X 60-69 years, male 344.0
GTEX-148VJ-0626-SM-5LUAW 70-79 years, male 342.2
GTEX-13PL6-1126-SM-5L3IE 40-49 years, female 340.7
GTEX-1A3MX-2626-SM-7PC24 60-69 years, male 338.3
GTEX-ZF3C-0626-SM-DO92O 50-59 years, female 337.7
GTEX-15EO6-2426-SM-6PALZ 50-59 years, male 337.1
GTEX-11DXZ-2026-SM-5987S 50-59 years, male 333.3
GTEX-1K2DA-1026-SM-CGQGF 50-59 years, male 333.1
GTEX-1H1DF-1126-SM-9WG7G 40-49 years, female 331.0
GTEX-183WM-0326-SM-72D5V 70-79 years, female 329.5
GTEX-W5X1-2526-SM-3GILC 40-49 years, female 328.2
GTEX-13SLX-2226-SM-62LEP 50-59 years, female 327.5
GTEX-11GSP-2326-SM-5HL63 60-69 years, female 325.1
GTEX-Y5V5-0126-SM-5S2NW 60-69 years, female 324.5
GTEX-1HBPN-0126-SM-CGQEF 50-59 years, male 320.4
GTEX-XAJ8-1426-SM-47JYM 40-49 years, male 319.8
GTEX-1H11D-1826-SM-9QEHM 40-49 years, male 318.7
GTEX-1HR9M-2226-SM-CNPPY 60-69 years, male 318.6
GTEX-1HCU7-0726-SM-A9SL1 50-59 years, male 317.9
GTEX-1RAZQ-1326-SM-E9TK6 30-39 years, male 317.7
GTEX-ZYY3-2926-SM-5GIEB 60-69 years, female 317.4
GTEX-1K9T9-1526-SM-DIPFR 50-59 years, female 314.5
GTEX-1KAFJ-0126-SM-DIPEK 50-59 years, male 313.7
GTEX-147F4-0726-SM-5TDDD 50-59 years, male 309.2
GTEX-WHPG-2626-SM-3NMBR 50-59 years, male 309.0
GTEX-ZP4G-1426-SM-4WWCL 20-29 years, female 306.5
GTEX-1HSKV-1226-SM-ADEI4 60-69 years, male 304.7
GTEX-1EMGI-2326-SM-7PBYA 60-69 years, male 302.9
GTEX-147GR-2426-SM-5ZZWQ 60-69 years, male 302.7
GTEX-1B8SF-0126-SM-7DUG3 60-69 years, male 301.4
GTEX-1IDJD-2326-SM-ACKWX 30-39 years, male 297.7
GTEX-1J8Q2-2626-SM-ACKWQ 60-69 years, male 292.4
GTEX-14BMU-1226-SM-5S2OR 20-29 years, female 292.0
GTEX-1LGOU-1326-SM-D3L8M 20-29 years, female 290.8
GTEX-12C56-1526-SM-5FQUQ 20-29 years, male 287.7
GTEX-1H1DE-1326-SM-9KNUG 20-29 years, male 285.5
GTEX-1EWIQ-0326-SM-7DHMQ 70-79 years, female 282.8
GTEX-147JS-0226-SM-5S2U9 60-69 years, male 282.1
GTEX-14LLW-2626-SM-62LDZ 70-79 years, female 277.1
GTEX-XYKS-1426-SM-4BRUO 60-69 years, female 274.8
GTEX-1GMR2-0826-SM-7PC3V 50-59 years, male 274.6
GTEX-ZF2S-1626-SM-57WES 50-59 years, female 273.1
GTEX-VJYA-1526-SM-3GIJV 60-69 years, male 272.6
GTEX-17HHE-1326-SM-7EWDZ 50-59 years, male 271.7
GTEX-11P82-1426-SM-DTXFY 20-29 years, male 270.6
GTEX-ZVP2-0326-SM-57WBP 50-59 years, male 269.8
GTEX-111CU-1126-SM-5EGIM 50-59 years, male 266.8
GTEX-1GMRU-2126-SM-7P8RA 50-59 years, male 265.7
GTEX-ZYVF-0926-SM-5E44J 50-59 years, female 265.1
GTEX-13SLW-0626-SM-5Q5ER 70-79 years, male 265.0
GTEX-XBEW-1126-SM-4QARW 40-49 years, male 264.7
GTEX-1GTWX-2026-SM-9YFLM 60-69 years, male 262.8
GTEX-WHSB-1326-SM-3LK6W 50-59 years, male 261.7
GTEX-13FTW-0326-SM-5K7UW 40-49 years, male 260.6
GTEX-XV7Q-1826-SM-4BRUV 40-49 years, female 260.2
GTEX-1JJ6O-2726-SM-CNPOG 60-69 years, male 260.1
GTEX-1QMI2-2526-SM-E8VNZ 60-69 years, male 257.3
GTEX-Y8LW-1526-SM-5IFHL 50-59 years, female 256.6
GTEX-YB5K-2026-SM-4VDT3 40-49 years, female 255.3
GTEX-1JJE9-2626-SM-ARZMT 70-79 years, male 255.1
GTEX-ZC5H-1526-SM-5HL9Y 40-49 years, female 253.2
GTEX-1EU9M-1426-SM-793AI 60-69 years, male 252.5
GTEX-15EU6-2226-SM-6EU2L 50-59 years, male 252.4
GTEX-14PHY-1226-SM-5ZZWK 60-69 years, female 251.9
GTEX-ZPCL-1126-SM-4WWFE 60-69 years, female 248.2
GTEX-145MI-0626-SM-5SI8S 60-69 years, female 247.8
GTEX-18A67-1626-SM-7LT9T 50-59 years, male 245.9
GTEX-1CAV2-0126-SM-7IGN7 40-49 years, female 245.4
GTEX-1477Z-0326-SM-7IGLA 60-69 years, male 239.5
GTEX-13QJC-0126-SM-5ZZWJ 60-69 years, female 238.6
GTEX-14PJ6-2626-SM-6EU2T 60-69 years, female 237.4
GTEX-1B97I-0626-SM-73KUZ 40-49 years, male 235.0
GTEX-1I1CD-0626-SM-CE6SW 60-69 years, female 229.0
GTEX-1399Q-2326-SM-5KM2X 40-49 years, male 216.9
GTEX-15ER7-0626-SM-6PANF 20-29 years, female 215.2
GTEX-12WSJ-1126-SM-5LZVJ 40-49 years, female 214.8
GTEX-18D9B-0926-SM-7LG4U 60-69 years, male 213.4
GTEX-12WSH-1526-SM-5BC5W 50-59 years, male 212.0
GTEX-1JMQI-1726-SM-ARL93 50-59 years, male 209.9
GTEX-11PRG-0726-SM-5EGL1 50-59 years, male 209.1
GTEX-1IDJV-0126-SM-COH3Y 60-69 years, male 208.7
GTEX-13FHO-0426-SM-5L3F5 60-69 years, male 207.6
GTEX-15DYW-2726-SM-6EU2I 60-69 years, female 205.6
GTEX-1EKGG-0626-SM-7DUGJ 60-69 years, male 201.0
GTEX-1F75A-0726-SM-7RHHD 50-59 years, male 199.7
GTEX-139YR-1026-SM-5LZYN 50-59 years, male 199.6
GTEX-14A6H-2026-SM-5Q5DD 30-39 years, male 199.4
GTEX-13JVG-0726-SM-5KM16 60-69 years, male 199.2
GTEX-14PK6-0226-SM-62LF5 70-79 years, female 198.3
GTEX-ZTSS-1426-SM-5985P 40-49 years, male 198.2
GTEX-1RAZS-2526-SM-E6CHT 50-59 years, male 197.9
GTEX-1IDJI-0126-SM-CMKHS 50-59 years, female 196.2
GTEX-1C6VR-0126-SM-7RHGB 60-69 years, male 193.8
GTEX-18D9U-0126-SM-731BM 40-49 years, male 193.7
GTEX-Y111-0626-SM-4SOIT 50-59 years, male 189.0
GTEX-16MT9-0126-SM-7EPI8 60-69 years, female 188.3
GTEX-17EVP-2626-SM-7IGMA 40-49 years, male 188.1
GTEX-11P81-2226-SM-5PNYI 30-39 years, female 187.4
GTEX-1LBAC-0826-SM-CY8IJ 20-29 years, male 187.4
GTEX-11ZTT-2126-SM-5CVLO 60-69 years, female 184.4
GTEX-ZGAY-1826-SM-DO91Q 40-49 years, female 183.8
GTEX-17HII-1426-SM-7EPGG 50-59 years, male 182.5
GTEX-145MH-2826-SM-5RQJF 50-59 years, male 181.5
GTEX-1JJEA-1826-SM-ARU8P 60-69 years, male 181.1
GTEX-ZE9C-2526-SM-5IJDR 60-69 years, male 178.1
GTEX-14PJ5-1526-SM-6LLIL 60-69 years, female 177.8
GTEX-14PJ4-0226-SM-5YY92 60-69 years, male 175.5
GTEX-1QP29-1826-SM-DTX9S 50-59 years, male 174.1
GTEX-1HCU8-2526-SM-CE6RX 60-69 years, female 173.4
GTEX-WYVS-1626-SM-3NM9R 40-49 years, female 173.1
GTEX-1399U-1126-SM-5L3DB 50-59 years, female 172.3
GTEX-ZYFG-1526-SM-5GZYM 60-69 years, female 171.1
GTEX-1JK1U-0226-SM-ARZMX 60-69 years, male 169.5
GTEX-1OJC3-1226-SM-DTXER 20-29 years, male 166.8
GTEX-13FH7-1126-SM-5K7UG 50-59 years, female 166.4
GTEX-1J8Q3-0526-SM-ARL8U 60-69 years, male 165.6
GTEX-1GMR8-0626-SM-7RHI7 50-59 years, female 163.8
GTEX-1QP2A-1726-SM-E76QC 50-59 years, male 162.7
GTEX-14PKU-0126-SM-6LLHV 40-49 years, female 161.8
GTEX-1497J-0226-SM-5QGPU 60-69 years, male 156.2
GTEX-13N2G-0226-SM-5K7VF 60-69 years, male 155.7
GTEX-1J8QM-2426-SM-A9SLS 60-69 years, female 151.7
GTEX-ZTX8-1326-SM-4YCEL 20-29 years, male 151.1
GTEX-1LGRB-0926-SM-COH3K 50-59 years, female 150.2
GTEX-1HSGN-0826-SM-ACKW3 40-49 years, female 149.7
GTEX-1RAZR-2126-SM-E9U6T 40-49 years, male 149.7
GTEX-15CHC-1126-SM-6LLHQ 60-69 years, female 149.3
GTEX-1NV5F-0626-SM-DTXEG 60-69 years, female 146.2
GTEX-11GS4-0226-SM-5HL77 60-69 years, male 145.1
GTEX-15FZZ-0526-SM-7KUGD 30-39 years, female 144.8
GTEX-1KWVE-1026-SM-D3L9O 30-39 years, male 144.0
GTEX-ZZPU-0826-SM-5GZX5 50-59 years, female 143.5
GTEX-1HSMQ-2626-SM-A9SML 50-59 years, male 136.5
GTEX-ZLWG-0826-SM-59888 50-59 years, female 124.8
GTEX-1HC8U-1326-SM-9YFMJ 40-49 years, female 122.3
GTEX-ZF29-0926-SM-4WKFZ 60-69 years, female 118.7
GTEX-11NSD-0626-SM-5A5LU 20-29 years, male 118.2
GTEX-145ME-1726-SM-5Q5EU 40-49 years, female 115.2
GTEX-16BQI-1326-SM-6M486 30-39 years, female 114.4
GTEX-1IDJU-1726-SM-CMKHU 60-69 years, female 113.4
GTEX-14C39-1726-SM-5RQIL 40-49 years, male 110.0
GTEX-13OW7-0426-SM-5K7VK 50-59 years, male 106.9
GTEX-ZVT2-0126-SM-5GIDQ 50-59 years, female 106.1
GTEX-1B932-2326-SM-79OL5 40-49 years, female 104.7
GTEX-1C475-1326-SM-7SB73 40-49 years, female 104.4
GTEX-1KANB-2826-SM-CY8I6 50-59 years, male 103.8
GTEX-12ZZZ-0726-SM-5GCNZ 60-69 years, male 94.3
GTEX-1MCC2-1826-SM-DIPEX 30-39 years, female 93.6
GTEX-1AMFI-1326-SM-7939R 50-59 years, female 91.5
GTEX-1HFI7-2326-SM-CGQFS 50-59 years, female 88.8
GTEX-13VXT-1926-SM-5K7UO 20-29 years, female 86.4
GTEX-Y3I4-1726-SM-4TT89 50-59 years, male 81.2
GTEX-1GN1V-2826-SM-9JGIA 60-69 years, male 78.5
GTEX-11ZU8-0126-SM-5EQ58 60-69 years, male 73.5
GTEX-1HCUA-0826-SM-ADEHM 50-59 years, female 71.7
GTEX-13O3Q-0126-SM-5KM34 50-59 years, male 67.1
GTEX-1H3VE-0726-SM-9YFL5 40-49 years, male 64.1
GTEX-1GF9X-1326-SM-7PC2Y 40-49 years, female 63.4
GTEX-1GPI6-1926-SM-9KNV7 60-69 years, male 53.2
GTEX-13113-1626-SM-5EQ4I 60-69 years, female 51.7
GTEX-ZYFC-0426-SM-5GICQ 50-59 years, male 45.9
GTEX-1122O-1026-SM-9WYSF 60-69 years, female 45.0
GTEX-Y3IK-1626-SM-4YCF5 50-59 years, female 37.9
GTEX-1LB8K-0726-SM-D5OV2 50-59 years, male 31.4
Show allShow less
Skin - Sun Exposed (Lower leg)
Average nTPM: 611.0
Samples: 701

Max nTPM: 13468.2
Min nTPM: 19.7
Std nTPM: 825.4
Median nTPM: 400.7
GTEX-X4XY-0226-SM-4E3IZ 60-69 years, male 13468.2
GTEX-11TT1-2526-SM-5EGIB 20-29 years, male 6523.7
GTEX-1R9K4-0126-SM-DTX9X 60-69 years, male 6177.4
GTEX-ZU9S-0226-SM-5E441 30-39 years, male 5303.0
GTEX-183WM-0126-SM-7LTAB 70-79 years, female 4833.5
GTEX-POMQ-2226-SM-2I5FK 20-29 years, female 4656.7
GTEX-14E6C-0126-SM-5RQIP 40-49 years, male 3823.8
GTEX-1K2DU-2326-SM-E9TIV 20-29 years, male 3771.3
GTEX-TKQ1-1026-SM-4GICL 30-39 years, male 3666.8
GTEX-14XAO-2326-SM-6EU1B 60-69 years, female 3147.9
GTEX-ZV6S-2326-SM-4YCEY 40-49 years, female 3053.3
GTEX-1399T-2826-SM-5KLYZ 60-69 years, male 2868.5
GTEX-11WQK-0526-SM-5EQLD 50-59 years, male 2823.0
GTEX-ZTPG-0326-SM-5O9AX 20-29 years, female 2725.6
GTEX-15UKP-0426-SM-7KUFQ 20-29 years, male 2577.0
GTEX-117YW-2626-SM-5GZZH 50-59 years, male 2456.2
GTEX-ZVT4-0126-SM-DTXFN 50-59 years, female 2444.4
GTEX-15UF6-0826-SM-6PALJ 70-79 years, female 2424.3
GTEX-ZYFD-0126-SM-5GIDL 50-59 years, male 2244.3
GTEX-YJ8A-0426-SM-5IFID 20-29 years, male 2196.6
GTEX-1N2EF-0226-SM-EYYXB 60-69 years, male 2154.8
GTEX-1F6IF-0726-SM-7P8TW 60-69 years, male 2150.3
GTEX-1CB4J-0626-SM-7DHMP 60-69 years, male 2112.4
GTEX-RN64-0126-SM-2TC68 50-59 years, male 2091.5
GTEX-OIZG-0726-SM-33HBL 50-59 years, male 2077.0
GTEX-RVPV-0126-SM-EAZAW 60-69 years, male 1971.9
GTEX-12584-0126-SM-5EGKQ 40-49 years, male 1925.4
GTEX-1497J-2426-SM-7IGNX 60-69 years, male 1859.4
GTEX-13N2G-2626-SM-5J1OT 60-69 years, male 1840.9
GTEX-1A3MX-0126-SM-731BR 60-69 years, male 1813.0
GTEX-Y8DK-0126-SM-4TT3L 60-69 years, male 1791.2
GTEX-Y3IK-2426-SM-4WWDU 50-59 years, female 1782.7
GTEX-11NUK-0126-SM-5A5L3 50-59 years, male 1773.8
GTEX-145MF-0626-SM-5LUAI 50-59 years, male 1741.3
GTEX-11O72-0126-SM-59887 40-49 years, male 1719.5
GTEX-ZE7O-0126-SM-57WC1 50-59 years, female 1697.2
GTEX-145LT-1726-SM-5QGP3 40-49 years, male 1687.9
GTEX-1JN1M-0326-SM-CYPT3 60-69 years, female 1668.0
GTEX-17MF6-0126-SM-7LG4F 40-49 years, male 1592.9
GTEX-1GZ2Q-0226-SM-7P8TL 40-49 years, male 1581.1
GTEX-13RTJ-2426-SM-5S2Q2 60-69 years, male 1570.7
GTEX-OOBK-0126-SM-2YUND 40-49 years, male 1552.4
GTEX-1HCU6-0126-SM-CL54K 60-69 years, female 1549.0
GTEX-11TUW-2726-SM-E9J4M 60-69 years, male 1520.9
GTEX-WI4N-1026-SM-3LK7N 40-49 years, female 1519.4
GTEX-SIU8-0126-SM-2XCDT 50-59 years, male 1504.2
GTEX-1I1GR-0126-SM-CL55F 60-69 years, male 1491.0
GTEX-QV44-1926-SM-2S1RF 50-59 years, male 1462.9
GTEX-131XF-5016-SM-7MGWE 60-69 years, male 1461.0
GTEX-13OVL-0226-SM-5L3E9 50-59 years, male 1458.2
GTEX-1CAMR-1926-SM-7EPI2 20-29 years, male 1445.0
GTEX-11H98-0126-SM-5EGHG 50-59 years, male 1433.5
GTEX-1I1GU-2226-SM-CGQFA 40-49 years, male 1428.8
GTEX-WH7G-2326-SM-3NMBC 40-49 years, male 1392.2
GTEX-1HSMO-0126-SM-CL547 60-69 years, male 1372.6
GTEX-1LH75-2426-SM-E9TJE 50-59 years, female 1365.1
GTEX-W5X1-3026-SM-EAZAX 40-49 years, female 1360.8
GTEX-15EOM-0126-SM-7KUGG 20-29 years, female 1342.3
GTEX-1EKGG-0226-SM-9WYTH 60-69 years, male 1336.7
GTEX-11DZ1-0126-SM-5985Q 50-59 years, male 1320.1
GTEX-1PPH7-2326-SM-EVYB8 40-49 years, male 1312.3
GTEX-S7PM-0126-SM-4AD6S 60-69 years, male 1311.9
GTEX-1KD5A-0226-SM-D5OV3 50-59 years, male 1308.5
GTEX-1I6K6-0126-SM-A9SLE 30-39 years, male 1255.7
GTEX-1HCVE-0126-SM-CGQEU 50-59 years, male 1229.2
GTEX-1HR98-0126-SM-B2LWI 60-69 years, male 1214.9
GTEX-13N1W-0126-SM-5K7VT 70-79 years, male 1212.9
GTEX-1IGQW-0126-SM-COH42 60-69 years, male 1206.9
GTEX-1LG7Y-0526-SM-DKPQC 50-59 years, male 1205.4
GTEX-1PBJI-0526-SM-E8VNK 20-29 years, female 1202.5
GTEX-14ICK-0226-SM-6EU25 40-49 years, male 1201.6
GTEX-U8XE-0326-SM-3DB8P 30-39 years, male 1201.1
GTEX-1B8SG-0126-SM-73KZ3 50-59 years, male 1199.2
GTEX-145MI-0526-SM-5O9A8 60-69 years, female 1183.1
GTEX-1F6RS-0126-SM-9MQKZ 60-69 years, female 1181.5
GTEX-15CHC-2126-SM-6EU21 60-69 years, female 1180.4
GTEX-RUSQ-1526-SM-2TF62 50-59 years, male 1177.5
GTEX-1EMGI-0126-SM-9KNUE 60-69 years, male 1176.5
GTEX-14PN4-0126-SM-6EU2V 50-59 years, male 1157.0
GTEX-1H1DE-2126-SM-9WG6R 20-29 years, male 1122.2
GTEX-QLQW-1126-SM-2S1Q8 30-39 years, male 1116.0
GTEX-14E6E-1826-SM-5S2R7 30-39 years, male 1111.4
GTEX-1ICLZ-0126-SM-CKZPO 60-69 years, male 1104.5
GTEX-ZDTS-0126-SM-4WAY5 60-69 years, male 1099.9
GTEX-12ZZX-0126-SM-5EGK9 40-49 years, female 1092.1
GTEX-1KXAM-2226-SM-CYPTC 60-69 years, male 1084.6
GTEX-12ZZY-0226-SM-5LZVE 60-69 years, male 1082.1
GTEX-1A32A-0126-SM-718B1 50-59 years, female 1080.6
GTEX-12WSA-0226-SM-5BC5V 60-69 years, male 1073.2
GTEX-145LU-0126-SM-5TDCB 50-59 years, male 1064.9
GTEX-Q2AG-0126-SM-33HBV 40-49 years, female 1060.4
GTEX-X62O-0126-SM-4E3JN 50-59 years, male 1051.1
GTEX-18A7A-0226-SM-718BH 50-59 years, female 1050.9
GTEX-PWCY-1826-SM-DHXIZ 20-29 years, female 1046.3
GTEX-1K2DA-1826-SM-CGQGT 50-59 years, male 1038.8
GTEX-QESD-1426-SM-2S1R9 20-29 years, male 1037.8
GTEX-1R7EU-0226-SM-EVR4G 60-69 years, male 1029.8
GTEX-1JMQL-0226-SM-CNPP5 50-59 years, female 1026.3
GTEX-Y5V6-2426-SM-4VDSB 60-69 years, male 1003.2
GTEX-T2YK-0526-SM-32QPJ 50-59 years, male 998.1
GTEX-1KANA-0726-SM-D3L9I 20-29 years, male 997.7
GTEX-14A5H-0426-SM-5QGQF 60-69 years, male 989.5
GTEX-1192W-2626-SM-5Q5AF 60-69 years, male 988.0
GTEX-T8EM-1026-SM-3DB7M 40-49 years, male 970.1
GTEX-17F98-0626-SM-79OMX 40-49 years, female 962.9
GTEX-132NY-0326-SM-5IJBL 60-69 years, male 959.0
GTEX-111VG-2426-SM-5GZXD 60-69 years, male 953.3
GTEX-11UD1-0126-SM-5PNYG 40-49 years, female 929.5
GTEX-13O21-1426-SM-5K7XI 50-59 years, male 928.0
GTEX-XQ8I-0426-SM-4BOPO 50-59 years, male 912.8
GTEX-ZPIC-1726-SM-DHXIU 40-49 years, female 899.5
GTEX-1QMI2-0226-SM-EVYBX 60-69 years, male 899.1
GTEX-14PJ3-1826-SM-62LEX 50-59 years, male 895.5
GTEX-11ZU8-2526-SM-5EQKI 60-69 years, male 895.1
GTEX-147F4-0226-SM-5QGPW 50-59 years, male 892.7
GTEX-14753-0426-SM-5NQAM 60-69 years, male 889.3
GTEX-NPJ8-0126-SM-2YUNR 40-49 years, male 888.5
GTEX-1C6VQ-0126-SM-7P8RI 50-59 years, male 882.1
GTEX-17EUY-0426-SM-793BD 20-29 years, male 878.3
GTEX-12696-2426-SM-5EQ6H 60-69 years, male 871.7
GTEX-1HBPN-0226-SM-9YFM1 50-59 years, male 865.7
GTEX-14BMV-0126-SM-5S2PO 50-59 years, male 864.9
GTEX-139T8-0126-SM-5K7XZ 60-69 years, male 863.2
GTEX-U8T8-0126-SM-3DB94 60-69 years, male 859.4
GTEX-13OVJ-0126-SM-5KM36 50-59 years, female 858.3
GTEX-1GZHY-0326-SM-9QEHI 50-59 years, female 856.1
GTEX-13NYS-0126-SM-5MR3W 60-69 years, male 850.6
GTEX-1RDX4-0126-SM-E9J4P 50-59 years, female 833.0
GTEX-14LLW-0126-SM-6LLIO 70-79 years, female 824.5
GTEX-1QPFJ-0226-SM-E76PB 30-39 years, female 821.7
GTEX-1JN76-0126-SM-CNPPE 20-29 years, female 815.0
GTEX-1JKYR-0126-SM-CNPOJ 20-29 years, male 813.3
GTEX-15D1Q-0126-SM-7KUG6 40-49 years, male 805.2
GTEX-1H3O1-0426-SM-9YFKY 60-69 years, male 805.0
GTEX-1JMQK-0226-SM-CL543 60-69 years, male 799.9
GTEX-11EMC-2926-SM-5EQ4F 60-69 years, female 796.5
GTEX-P4PP-0126-SM-3LK69 30-39 years, female 796.1
GTEX-1JMPY-1326-SM-ARL8Y 30-39 years, male 795.9
GTEX-1GN2E-0426-SM-9MQKX 60-69 years, male 781.5
GTEX-1E2YA-0126-SM-9KNUC 50-59 years, male 777.4
GTEX-1B996-0226-SM-7RHGO 60-69 years, male 776.6
GTEX-P4QT-0126-SM-2I3FL 50-59 years, female 776.3
GTEX-14A6H-0126-SM-5QGPK 30-39 years, male 773.1
GTEX-11EM3-2426-SM-59861 20-29 years, female 768.9
GTEX-SJXC-0126-SM-2XCFF 60-69 years, male 768.5
GTEX-1CAV2-2226-SM-7P8P2 40-49 years, female 759.3
GTEX-OXRP-0126-SM-3NB32 60-69 years, female 756.8
GTEX-1LBAC-0126-SM-DIPEZ 20-29 years, male 755.7
GTEX-1A3MW-0126-SM-73KXX 60-69 years, female 752.5
GTEX-R55E-0126-SM-2TC5Y 20-29 years, male 748.2
GTEX-1EX96-1626-SM-7PBXR 50-59 years, male 747.3
GTEX-XV7Q-2526-SM-4BRV9 40-49 years, female 747.0
GTEX-13OVH-0126-SM-5MR4B 70-79 years, male 742.0
GTEX-1HSKV-0226-SM-A9SKJ 60-69 years, male 737.8
GTEX-13O1R-0126-SM-5L3EH 60-69 years, male 735.6
GTEX-1IKK5-0626-SM-ARL8A 60-69 years, male 734.8
GTEX-ZVE2-0226-SM-59HJB 50-59 years, male 734.0
GTEX-1BAJH-0526-SM-793CQ 70-79 years, male 731.9
GTEX-WZTO-0126-SM-3NM95 40-49 years, male 730.7
GTEX-ZQUD-1426-SM-57WER 30-39 years, male 728.2
GTEX-1A3MV-1926-SM-718BT 30-39 years, male 727.8
GTEX-11DXZ-2326-SM-5EGGV 50-59 years, male 727.0
GTEX-18465-0126-SM-731BN 50-59 years, male 726.6
GTEX-14BIN-0626-SM-793DP 50-59 years, female 724.8
GTEX-1KD4Q-0226-SM-E9TJ9 40-49 years, male 720.3
GTEX-14C5O-0126-SM-5SI6N 60-69 years, male 719.7
GTEX-1B933-0126-SM-7PC29 50-59 years, female 711.1
GTEX-12126-0326-SM-5PNW3 20-29 years, male 710.3
GTEX-15ETS-0126-SM-7KUMW 40-49 years, female 709.4
GTEX-1GF9U-2126-SM-7SB7L 40-49 years, female 707.5
GTEX-1GN1W-0526-SM-9MQJQ 50-59 years, female 706.3
GTEX-1GN73-0226-SM-9WG67 60-69 years, male 700.5
GTEX-1C6WA-0126-SM-7PC2B 60-69 years, male 698.8
GTEX-15SDE-2226-SM-7IGLO 50-59 years, female 695.4
GTEX-X88G-0126-SM-47JZ3 30-39 years, male 695.1
GTEX-183FY-0126-SM-7LT9P 20-29 years, male 693.6
GTEX-13IVO-0126-SM-5J1NG 70-79 years, male 688.1
GTEX-13CF2-2526-SM-5LZYX 60-69 years, male 681.6
GTEX-13NYC-0326-SM-E9J4S 60-69 years, male 672.6
GTEX-1HKZK-0326-SM-9WYUH 40-49 years, male 671.8
GTEX-17MFQ-1726-SM-793C7 20-29 years, male 668.7
GTEX-1NV5F-0226-SM-E8VNY 60-69 years, female 666.7
GTEX-ZTX8-1426-SM-5DUVO 20-29 years, male 656.5
GTEX-1AX9J-0226-SM-73KXM 60-69 years, male 655.7
GTEX-X4XX-0126-SM-3NMC2 60-69 years, male 653.6
GTEX-1C2JI-1826-SM-73KXC 50-59 years, male 651.3
GTEX-14JG1-0426-SM-6ETZZ 40-49 years, male 649.7
GTEX-WRHK-1426-SM-3MJF9 20-29 years, female 649.0
GTEX-QDVJ-1726-SM-2I5FX 50-59 years, male 647.3
GTEX-OXRO-0126-SM-2YUN4 60-69 years, female 644.2
GTEX-14E6D-0126-SM-62LDV 50-59 years, male 643.4
GTEX-T5JC-0426-SM-32PLO 20-29 years, male 643.2
GTEX-16AAH-1726-SM-7939C 50-59 years, male 641.3
GTEX-OHPM-0126-SM-2YUN9 50-59 years, male 634.2
GTEX-1M4P7-0226-SM-DIPEV 60-69 years, male 633.0
GTEX-1I1GT-0626-SM-CGQER 60-69 years, female 631.1
GTEX-U412-0426-SM-3DB9O 60-69 years, male 625.6
GTEX-13NZ8-0826-SM-5MR3I 60-69 years, female 625.5
GTEX-147F3-0526-SM-5SI98 50-59 years, female 623.3
GTEX-11UD2-0226-SM-5EQKY 50-59 years, male 619.2
GTEX-1R9PO-2126-SM-E9J4O 60-69 years, female 617.7
GTEX-13CF3-2426-SM-5IFGX 60-69 years, female 613.6
GTEX-1GF9V-0326-SM-7RHI5 60-69 years, male 610.2
GTEX-1O97I-0326-SM-EYYX7 60-69 years, male 608.1
GTEX-1F7RK-0126-SM-7PC2S 20-29 years, female 607.0
GTEX-14LZ3-0226-SM-62LET 60-69 years, female 605.9
GTEX-1KWVE-1426-SM-E9TJO 30-39 years, male 605.1
GTEX-WYJK-0126-SM-3NMAB 50-59 years, male 604.4
GTEX-1JMPZ-0226-SM-CNPP1 30-39 years, male 601.8
GTEX-1B8KZ-2026-SM-7DHMB 50-59 years, male 601.7
GTEX-X8HC-0126-SM-4E3JW 50-59 years, female 601.0
GTEX-1EU9M-0226-SM-7P8SP 60-69 years, male 597.7
GTEX-13OVK-2026-SM-7KUEO 40-49 years, male 594.7
GTEX-ZVZP-2426-SM-59HKJ 50-59 years, male 594.3
GTEX-YEC4-2126-SM-5IFJH 40-49 years, male 591.3
GTEX-X4EO-0326-SM-3P5YO 60-69 years, female 591.0
GTEX-1I1GP-2226-SM-CGQFK 50-59 years, male 589.7
GTEX-1GF9X-2026-SM-7PC3A 40-49 years, female 588.0
GTEX-146FH-0126-SM-5QGPP 50-59 years, female 587.6
GTEX-QEG4-0226-SM-2S1PY 30-39 years, male 585.1
GTEX-144FL-0126-SM-5TDC8 50-59 years, male 584.4
GTEX-S33H-1026-SM-EZ6L6 30-39 years, male 583.9
GTEX-1R46S-0626-SM-E9J41 60-69 years, female 583.4
GTEX-RWSA-0126-SM-2XCBB 40-49 years, male 580.0
GTEX-Y5LM-1926-SM-5RQJH 40-49 years, female 579.9
GTEX-OIZH-0126-SM-2HMIS 50-59 years, male 579.7
GTEX-11GSP-2526-SM-5N9BP 60-69 years, female 573.7
GTEX-XUZC-1726-SM-4BRWS 30-39 years, female 570.9
GTEX-1F75A-0126-SM-7RHGM 50-59 years, male 569.4
GTEX-1HSMP-0126-SM-E6CJS 70-79 years, male 568.4
GTEX-1J1R8-1726-SM-ARL8M 40-49 years, male 566.6
GTEX-1HGF4-2426-SM-ACKXM 60-69 years, male 558.2
GTEX-1IL2V-0126-SM-CM2TX 70-79 years, male 554.3
GTEX-1E1VI-0126-SM-7DHMZ 50-59 years, male 553.7
GTEX-WVJS-0126-SM-4MVOT 50-59 years, male 553.6
GTEX-1HBPM-0226-SM-ARL9F 60-69 years, female 553.2
GTEX-13QJ3-0326-SM-5S2RA 50-59 years, male 552.3
GTEX-1F5PL-0326-SM-7P8PQ 40-49 years, female 550.3
GTEX-1313W-0126-SM-5LZUN 50-59 years, female 545.2
GTEX-1QP29-0626-SM-EWRMX 50-59 years, male 543.8
GTEX-SNMC-1226-SM-2XCFP 20-29 years, male 538.2
GTEX-1N2DV-0226-SM-E6CJ6 40-49 years, male 538.0
GTEX-1GPI6-0126-SM-9WG69 60-69 years, male 537.4
GTEX-13OW7-0126-SM-5MR3B 50-59 years, male 537.3
GTEX-ZZPT-0226-SM-5E43X 50-59 years, male 534.9
GTEX-1128S-2326-SM-5GZZY 60-69 years, female 533.6
GTEX-1ICLY-0126-SM-D4P36 50-59 years, male 532.4
GTEX-OHPL-0126-SM-2HMJ7 60-69 years, female 531.9
GTEX-ZWKS-0126-SM-5SIAA 30-39 years, male 527.5
GTEX-ZQG8-1626-SM-DHXIT 60-69 years, female 527.5
GTEX-139UW-2826-SM-5L3E7 60-69 years, male 525.1
GTEX-12ZZZ-0626-SM-5DUXI 60-69 years, male 524.3
GTEX-131XW-0426-SM-5LZWP 50-59 years, female 522.1
GTEX-1I19N-0326-SM-ACKVX 70-79 years, male 521.6
GTEX-17KNJ-2326-SM-7DHLQ 50-59 years, male 519.4
GTEX-11ZTS-0126-SM-5EQ6M 60-69 years, female 518.1
GTEX-S32W-2126-SM-2XCB1 50-59 years, female 516.9
GTEX-1C64O-0126-SM-7SB8P 60-69 years, male 515.7
GTEX-U3ZH-2026-SM-3DB78 30-39 years, male 515.3
GTEX-1QP2A-0126-SM-E9J43 50-59 years, male 513.6
GTEX-145LS-0126-SM-5QGP1 60-69 years, female 511.8
GTEX-1C6VS-0526-SM-7DUEN 60-69 years, male 511.6
GTEX-1PPH8-0226-SM-E8VND 20-29 years, male 510.9
GTEX-1EN7A-0126-SM-7SB81 40-49 years, male 509.2
GTEX-1QAET-0926-SM-E76QM 50-59 years, male 506.8
GTEX-XPVG-2626-SM-4B669 50-59 years, male 505.8
GTEX-18A66-0226-SM-718BD 60-69 years, male 504.6
GTEX-139T4-0226-SM-5HL5S 50-59 years, female 504.4
GTEX-X4EP-0126-SM-3P5YV 60-69 years, female 501.2
GTEX-1QCLY-0326-SM-E8VOG 30-39 years, male 500.5
GTEX-13O3O-0126-SM-E9J49 60-69 years, female 500.3
GTEX-ZF3C-0126-SM-DO92D 50-59 years, female 496.5
GTEX-WOFL-0126-SM-3MJG2 60-69 years, male 487.1
GTEX-ZE9C-2726-SM-57WB5 60-69 years, male 486.6
GTEX-R3RS-0126-SM-3GIJL 40-49 years, female 485.8
GTEX-1B8L1-2526-SM-9WYTF 60-69 years, male 485.3
GTEX-145MO-0326-SM-5Q5B3 60-69 years, male 484.5
GTEX-15SHW-0326-SM-6PAML 60-69 years, male 484.1
GTEX-1H11D-0226-SM-9WG6Z 40-49 years, male 482.7
GTEX-1NHNU-1026-SM-E9J2A 50-59 years, male 482.1
GTEX-13YAN-0326-SM-5O9DF 60-69 years, male 480.6
GTEX-V1D1-2226-SM-3NMAX 50-59 years, male 479.4
GTEX-11NSD-2226-SM-5986V 20-29 years, male 478.7
GTEX-PWO3-1526-SM-48TCM 60-69 years, female 477.4
GTEX-1JMQI-2226-SM-CM2SD 50-59 years, male 474.5
GTEX-1HBPI-1526-SM-C1YQ1 50-59 years, male 473.8
GTEX-1HT8W-0126-SM-CNPPP 30-39 years, male 472.5
GTEX-13FTW-2626-SM-5K7WL 40-49 years, male 471.6
GTEX-16XZZ-0126-SM-793DV 60-69 years, male 469.4
GTEX-S95S-1226-SM-4GICG 60-69 years, male 469.2
GTEX-1J8QM-2126-SM-CYPSJ 60-69 years, female 468.8
GTEX-ZUA1-0126-SM-5GU76 40-49 years, male 467.0
GTEX-1H4P4-0726-SM-9YFLR 50-59 years, male 466.2
GTEX-VJWN-0126-SM-3GIK7 50-59 years, female 465.2
GTEX-14DAQ-0126-SM-5S2MQ 60-69 years, female 462.9
GTEX-ZV68-0126-SM-59HKS 50-59 years, female 462.2
GTEX-ZVT3-0126-SM-5GU6I 60-69 years, female 462.0
GTEX-1PWST-0226-SM-E76QJ 70-79 years, male 461.3
GTEX-14DAR-2026-SM-5S2O3 50-59 years, male 459.7
GTEX-1LSNM-1926-SM-E6CII 50-59 years, male 459.1
GTEX-1A8FM-0226-SM-7SB7Q 50-59 years, female 456.3
GTEX-14A5I-0126-SM-5TDEA 50-59 years, female 455.9
GTEX-11XUK-2026-SM-5EQLF 40-49 years, female 452.7
GTEX-1IDJF-0126-SM-CM2RS 20-29 years, male 452.4
GTEX-14PK6-1926-SM-6ETZU 70-79 years, female 451.4
GTEX-1C64N-0126-SM-793D7 50-59 years, male 449.3
GTEX-148VJ-0126-SM-5TDDN 70-79 years, male 448.5
GTEX-1J1OQ-0226-SM-CYPSH 40-49 years, female 448.4
GTEX-UPJH-0326-SM-3GADU 50-59 years, male 447.6
GTEX-1AX9I-0126-SM-7SB74 60-69 years, male 446.9
GTEX-O5YW-0126-SM-3LK6D 50-59 years, male 445.8
GTEX-X5EB-2226-SM-46MW4 40-49 years, male 440.8
GTEX-YB5E-2026-SM-5IFIS 40-49 years, male 439.5
GTEX-RTLS-0126-SM-447CA 60-69 years, female 437.6
GTEX-1IOXB-0126-SM-ARL8G 50-59 years, male 437.6
GTEX-1POEN-0126-SM-EYYXJ 30-39 years, female 437.4
GTEX-12WSD-0126-SM-59HKN 60-69 years, female 436.9
GTEX-13G51-2526-SM-5LZYK 60-69 years, male 433.8
GTEX-1ICG6-2526-SM-CGQFZ 70-79 years, female 433.3
GTEX-131XG-2626-SM-5KM17 50-59 years, female 433.0
GTEX-1MCQQ-0826-SM-DLHC2 60-69 years, male 432.5
GTEX-1AX8Z-0126-SM-7DHM6 60-69 years, male 429.3
GTEX-13O3Q-2426-SM-5IJBR 50-59 years, male 427.8
GTEX-17JCI-0126-SM-7LG5G 60-69 years, female 427.3
GTEX-1F88F-2726-SM-7PBZZ 60-69 years, female 427.3
GTEX-ZAB5-1826-SM-5HL7C 50-59 years, male 427.0
GTEX-117YX-2326-SM-5H12W 50-59 years, male 426.5
GTEX-1H2FU-0126-SM-9WYSI 60-69 years, female 425.0
GTEX-P44H-0226-SM-2XCEU 40-49 years, male 424.0
GTEX-1IDFM-0126-SM-COH2V 60-69 years, male 423.8
GTEX-1MCYP-1926-SM-E9J2R 20-29 years, female 422.6
GTEX-1R7EV-2426-SM-EVYBG 40-49 years, male 421.7
GTEX-16MT8-0426-SM-7KUEY 60-69 years, female 421.4
GTEX-XYKS-2126-SM-4E3IB 60-69 years, female 420.4
GTEX-YB5K-2126-SM-4WWDJ 40-49 years, female 419.7
GTEX-1LGRB-2526-SM-CNPPQ 50-59 years, female 418.2
GTEX-U3ZM-1526-SM-3DB9D 40-49 years, male 416.9
GTEX-13VXU-0126-SM-5SI9F 50-59 years, male 415.1
GTEX-1F75B-0126-SM-9KNVL 50-59 years, male 413.9
GTEX-1C6VR-2426-SM-79OLD 60-69 years, male 412.1
GTEX-18D9A-1926-SM-7LG6P 30-39 years, female 412.0
GTEX-1AX9K-2326-SM-73KWU 50-59 years, male 411.7
GTEX-13W46-0226-SM-5SIAG 50-59 years, male 410.1
GTEX-14JG6-2226-SM-6EU2G 30-39 years, female 407.4
GTEX-1314G-1526-SM-5EGK2 30-39 years, male 405.6
GTEX-17GQL-2026-SM-718BA 60-69 years, male 405.1
GTEX-14BMU-2226-SM-5TDE9 20-29 years, female 404.6
GTEX-1RAZA-0126-SM-E6CI3 20-29 years, male 403.1
GTEX-OIZF-0126-SM-7SB8I 60-69 years, male 403.1
GTEX-1GPI7-0126-SM-9MQL8 20-29 years, male 402.1
GTEX-1IKOH-0226-SM-COH4E 60-69 years, female 400.7
GTEX-111FC-0126-SM-5N9DL 60-69 years, male 398.9
GTEX-PW2O-1526-SM-7RHHB 20-29 years, male 398.8
GTEX-18A7B-0126-SM-7LG64 70-79 years, male 397.4
GTEX-1H1CY-2826-SM-9MQM3 60-69 years, female 396.9
GTEX-15DCD-0126-SM-7KUEK 70-79 years, female 396.8
GTEX-11WQC-2526-SM-5CVLE 60-69 years, male 396.0
GTEX-1AMEY-1326-SM-73KYK 30-39 years, female 394.9
GTEX-1B8KE-2126-SM-73KYX 50-59 years, male 394.6
GTEX-13U4I-0126-SM-5LU38 40-49 years, female 394.4
GTEX-1RLM8-2326-SM-EWRN4 50-59 years, male 391.1
GTEX-11EQ9-2426-SM-5HL5T 30-39 years, male 388.6
GTEX-13X6H-2126-SM-7EWD5 50-59 years, female 387.9
GTEX-UJHI-1526-SM-3DB99 50-59 years, female 385.6
GTEX-11P81-2326-SM-59875 30-39 years, female 384.7
GTEX-169BO-1326-SM-9MQK2 50-59 years, male 383.5
GTEX-18QFQ-0126-SM-731BE 30-39 years, male 383.0
GTEX-1H23P-0126-SM-ADEJ3 60-69 years, male 381.7
GTEX-11DXW-0226-SM-5H122 40-49 years, male 380.2
GTEX-ZDXO-3026-SM-5J1N5 60-69 years, male 380.2
GTEX-1LC47-0326-SM-E9TJP 60-69 years, male 377.7
GTEX-1JJEA-0326-SM-CNPOT 60-69 years, male 377.2
GTEX-13X6J-0126-SM-5QGOU 50-59 years, male 376.9
GTEX-15SB6-1726-SM-6PAME 50-59 years, female 376.1
GTEX-O5YT-0126-SM-48TBW 20-29 years, male 374.6
GTEX-RM2N-1426-SM-2TF4H 50-59 years, male 373.8
GTEX-1I1CD-0126-SM-CM2TK 60-69 years, female 373.6
GTEX-1LGOU-2026-SM-DIPFF 20-29 years, female 372.8
GTEX-1MUQO-0126-SM-EAZ58 60-69 years, male 370.7
GTEX-13PVR-2326-SM-5QGR1 60-69 years, female 368.6
GTEX-13SLX-0526-SM-5S2ON 50-59 years, female 367.1
GTEX-146FQ-0126-SM-5NQA9 30-39 years, male 366.9
GTEX-14PII-0226-SM-6EU1T 60-69 years, male 365.7
GTEX-ZYW4-0126-SM-5E44A 60-69 years, male 365.3
GTEX-14PN3-2426-SM-6LLHS 60-69 years, female 362.6
GTEX-1H1DG-0126-SM-9WYU2 70-79 years, male 362.1
GTEX-13VXT-0126-SM-5LU4I 20-29 years, female 361.4
GTEX-1S82Z-0826-SM-E6CHY 30-39 years, female 361.4
GTEX-12WSN-5019-SM-79OM6 40-49 years, male 360.8
GTEX-1H3VY-0126-SM-ACKXD 50-59 years, male 359.8
GTEX-12WSK-2326-SM-5GCOH 40-49 years, female 359.2
GTEX-1GMR3-1926-SM-9KNUZ 40-49 years, male 359.2
GTEX-14BIL-0126-SM-5SI92 50-59 years, male 358.6
GTEX-15F5U-1526-SM-6PANO 40-49 years, male 358.4
GTEX-139TU-0126-SM-5K7WH 60-69 years, male 356.8
GTEX-1JJE9-0326-SM-CL53Z 70-79 years, male 354.8
GTEX-13FHP-0126-SM-5IJBG 50-59 years, male 354.3
GTEX-1CB4F-0426-SM-9KNV4 60-69 years, male 353.9
GTEX-1GL5R-1826-SM-9KNUY 50-59 years, male 353.7
GTEX-1IDJH-0326-SM-A9SLQ 70-79 years, male 353.6
GTEX-16GPK-0126-SM-7DHLE 60-69 years, male 353.3
GTEX-16YQH-0126-SM-7DUFJ 30-39 years, male 351.7
GTEX-139TS-2826-SM-5J1OO 60-69 years, male 350.0
GTEX-1JMQJ-0526-SM-CYPSU 50-59 years, male 348.3
GTEX-S7SE-0126-SM-2XCD5 50-59 years, male 347.5
GTEX-113JC-2326-SM-5EQ4E 50-59 years, female 346.4
GTEX-1QP66-1726-SM-E8VO1 50-59 years, male 345.9
GTEX-1S3DN-2226-SM-EVYCD 50-59 years, male 345.9
GTEX-1H3NZ-0126-SM-ACKX7 60-69 years, male 342.6
GTEX-1J8Q2-0526-SM-CM2RW 60-69 years, male 341.2
GTEX-1QP9N-1426-SM-DTXFL 30-39 years, male 341.2
GTEX-1HSEH-0126-SM-ACKXN 60-69 years, male 340.4
GTEX-WFG8-2226-SM-3GIL9 20-29 years, male 340.0
GTEX-147GR-0526-SM-5S2MY 60-69 years, male 339.9
GTEX-131YS-0126-SM-5KM1M 60-69 years, female 339.1
GTEX-13SLW-0126-SM-5SI6C 70-79 years, male 337.0
GTEX-1S83E-0126-SM-EWRO4 40-49 years, male 336.2
GTEX-1HCUA-2426-SM-ADEIS 50-59 years, female 335.6
GTEX-13O3P-0126-SM-5KM4S 50-59 years, male 334.1
GTEX-1J8JJ-0226-SM-CL53I 60-69 years, female 333.6
GTEX-11TTK-0126-SM-5987B 60-69 years, female 333.5
GTEX-139D8-0226-SM-5KLZO 30-39 years, female 332.8
GTEX-Y8LW-1826-SM-5S2MV 50-59 years, female 329.6
GTEX-QLQ7-1626-SM-2S1R8 60-69 years, male 329.4
GTEX-TSE9-0126-SM-3DB83 60-69 years, female 328.6
GTEX-11GSO-2426-SM-5A5LY 60-69 years, male 328.4
GTEX-145ME-1826-SM-5SI9G 40-49 years, female 328.3
GTEX-1IKJJ-0126-SM-CNPQB 60-69 years, male 327.7
GTEX-13X6I-0626-SM-5QGP9 60-69 years, male 326.5
GTEX-TMMY-0226-SM-33HBA 40-49 years, female 325.8
GTEX-1F5PK-2426-SM-7RHHY 50-59 years, male 325.4
GTEX-131XH-2226-SM-5DUXJ 50-59 years, male 325.0
GTEX-17HHE-2026-SM-79OKF 50-59 years, male 324.3
GTEX-13W3W-2426-SM-5LU5B 60-69 years, female 322.7
GTEX-17HG3-2226-SM-7938L 30-39 years, female 322.7
GTEX-WY7C-2326-SM-3NB2U 50-59 years, male 322.4
GTEX-1PFEY-1526-SM-E76PP 30-39 years, male 322.1
GTEX-1AMFI-2026-SM-731BH 50-59 years, female 321.8
GTEX-PSDG-0226-SM-DKPOZ 50-59 years, male 321.8
GTEX-OOBJ-0126-SM-E6CJW 60-69 years, male 321.5
GTEX-ZGAY-0526-SM-4WWBB 40-49 years, female 320.0
GTEX-ZAB4-0226-SM-5N9F5 40-49 years, male 317.3
GTEX-1OFPY-2426-SM-DTXEJ 60-69 years, male 316.9
GTEX-17F96-1626-SM-7DUFL 70-79 years, male 314.7
GTEX-12WSE-0526-SM-793B2 20-29 years, male 314.4
GTEX-1JMOU-1526-SM-CL54I 60-69 years, female 314.3
GTEX-13FTX-1826-SM-5J1NX 20-29 years, female 312.9
GTEX-Z93S-0126-SM-5HL7M 50-59 years, male 311.6
GTEX-SN8G-0126-SM-32PLI 50-59 years, female 311.1
GTEX-1CB4H-0226-SM-7PBXM 60-69 years, female 311.1
GTEX-13FH7-2026-SM-E9J4I 50-59 years, female 310.8
GTEX-WYVS-2126-SM-3NMA3 40-49 years, female 310.0
GTEX-139TT-0126-SM-5K7Y5 60-69 years, male 309.7
GTEX-ZYY3-0126-SM-5GZY5 60-69 years, female 309.2
GTEX-1122O-2126-SM-5EGIR 60-69 years, female 308.8
GTEX-14PJM-0226-SM-62LF1 50-59 years, female 308.6
GTEX-1S82Y-2026-SM-EVYCM 40-49 years, male 308.1
GTEX-17EVP-0326-SM-7DHLG 40-49 years, male 307.2
GTEX-14JIY-0126-SM-6LLH6 60-69 years, male 306.8
GTEX-U4B1-1826-SM-4DXSU 40-49 years, male 305.7
GTEX-1I1GS-0126-SM-B2LVW 60-69 years, male 305.5
GTEX-1GMRU-0126-SM-9YFLV 50-59 years, male 305.0
GTEX-OXRL-0126-SM-2YUMP 50-59 years, male 304.6
GTEX-13S7M-0126-SM-5SI6A 60-69 years, female 304.2
GTEX-P4PQ-0126-SM-2S1NM 60-69 years, male 304.0
GTEX-13OW6-0426-SM-5L3HM 50-59 years, male 303.8
GTEX-Y111-0126-SM-4SOIV 50-59 years, male 303.6
GTEX-1HSMQ-1226-SM-CGQFX 50-59 years, male 302.5
GTEX-PLZ4-0126-SM-5SI8O 50-59 years, female 302.0
GTEX-18A6Q-0126-SM-731BZ 60-69 years, male 301.2
GTEX-13112-2826-SM-5DUWH 50-59 years, male 300.3
GTEX-QCQG-1726-SM-3GIJ9 50-59 years, female 299.7
GTEX-ZVT2-2526-SM-51MT1 50-59 years, female 298.0
GTEX-14BIM-0226-SM-7IGLD 60-69 years, female 297.9
GTEX-1B8SF-1426-SM-7DUGL 60-69 years, male 296.5
GTEX-1F75I-0326-SM-9YFLU 40-49 years, male 293.0
GTEX-1M5QR-1226-SM-EWROB 40-49 years, male 292.5
GTEX-1H1E6-1726-SM-ACKVK 30-39 years, male 292.3
GTEX-15DDE-0126-SM-6LPKH 50-59 years, female 291.2
GTEX-U3ZN-2326-SM-3DB7W 30-39 years, female 291.2
GTEX-14E7W-0126-SM-6LLJ9 70-79 years, male 290.9
GTEX-ZXES-1826-SM-5E43S 30-39 years, female 288.5
GTEX-11DXY-2626-SM-5GIE7 60-69 years, male 287.6
GTEX-1PIGE-0126-SM-EVYBJ 20-29 years, male 287.4
GTEX-13FHO-0226-SM-5IFGY 60-69 years, male 284.9
GTEX-12C56-1726-SM-5EQ61 20-29 years, male 283.4
GTEX-11P82-1626-SM-59879 20-29 years, male 283.2
GTEX-QDVN-2026-SM-3GAEP 50-59 years, male 281.8
GTEX-13NZB-2526-SM-5J1OM 30-39 years, male 281.5
GTEX-13N11-2526-SM-5K7UE 50-59 years, female 279.2
GTEX-RNOR-0126-SM-E9J4R 50-59 years, female 278.9
GTEX-13RTK-1426-SM-5QGQJ 20-29 years, male 278.8
GTEX-1MA7X-2226-SM-E6CIY 60-69 years, male 277.8
GTEX-XUW1-0426-SM-4BOOT 50-59 years, female 277.6
GTEX-ZDTT-2726-SM-4WKF8 60-69 years, male 277.1
GTEX-16XZY-2126-SM-79OK1 70-79 years, male 276.0
GTEX-T6MO-1626-SM-32QOM 40-49 years, female 273.1
GTEX-11EI6-0126-SM-5985R 60-69 years, male 273.0
GTEX-11ZUS-0626-SM-59885 30-39 years, male 272.9
GTEX-1JK1U-2026-SM-CM2RZ 60-69 years, male 272.8
GTEX-1I1GV-0526-SM-A9G29 60-69 years, male 272.6
GTEX-1J8EW-0126-SM-CJI4F 60-69 years, female 272.6
GTEX-11ZTT-2426-SM-5EQLS 60-69 years, female 272.2
GTEX-15SHU-0126-SM-7KUEH 40-49 years, female 270.9
GTEX-1399R-2726-SM-5IJBA 30-39 years, male 270.1
GTEX-XAJ8-0826-SM-47JY6 40-49 years, male 270.1
GTEX-PLZ6-1426-SM-DKPOT 30-39 years, male 269.2
GTEX-OXRK-0226-SM-3NB2G 50-59 years, female 267.7
GTEX-TML8-1926-SM-32QOS 40-49 years, female 267.6
GTEX-ZAJG-0126-SM-5HL94 50-59 years, female 267.6
GTEX-1GTWX-0126-SM-9YFLK 60-69 years, male 267.5
GTEX-T5JW-1626-SM-3GADZ 20-29 years, female 266.2
GTEX-1JN6P-0126-SM-D3L98 60-69 years, male 265.7
GTEX-Y114-2426-SM-4TT8A 50-59 years, female 265.5
GTEX-YFC4-0126-SM-5CVLY 40-49 years, female 265.3
GTEX-13OW8-1326-SM-5J1OW 60-69 years, male 264.8
GTEX-1L5NE-2526-SM-E6CIE 50-59 years, male 264.7
GTEX-1QEPI-0126-SM-EWRMQ 60-69 years, female 263.3
GTEX-ZAK1-0126-SM-5IJD3 50-59 years, female 262.2
GTEX-1JJ6O-0126-SM-E6CI8 60-69 years, male 261.7
GTEX-1LG7Z-1726-SM-D3LA4 30-39 years, male 261.1
GTEX-1RQEC-0426-SM-E6CHU 60-69 years, male 258.9
GTEX-1I1HK-0126-SM-COH49 60-69 years, male 257.3
GTEX-1HFI7-1826-SM-ACKXH 50-59 years, female 257.2
GTEX-145LV-2126-SM-5LU8N 50-59 years, male 256.5
GTEX-11GS4-2726-SM-5A5LE 60-69 years, male 253.5
GTEX-XQ3S-1526-SM-4BOOC 20-29 years, male 252.5
GTEX-1PDJ9-0326-SM-DTX95 20-29 years, male 251.9
GTEX-1KANC-1526-SM-D3LAB 50-59 years, female 250.9
GTEX-R55G-2526-SM-2TC6D 40-49 years, female 249.7
GTEX-12WSL-2526-SM-5GCNJ 50-59 years, male 249.4
GTEX-X261-0126-SM-3NMD6 50-59 years, male 248.9
GTEX-11DXX-2426-SM-5GZZW 60-69 years, female 248.8
GTEX-13113-5016-SM-7EPIP 60-69 years, female 246.9
GTEX-1N2DW-0226-SM-E9TK2 50-59 years, male 246.8
GTEX-17EVQ-0226-SM-7LG4P 70-79 years, male 246.0
GTEX-16NPX-0226-SM-79OMT 50-59 years, male 243.7
GTEX-1RB15-2126-SM-E9TIM 60-69 years, male 243.5
GTEX-1HCU8-0626-SM-A9SM9 60-69 years, female 242.0
GTEX-1I4MK-2226-SM-ACKWD 50-59 years, female 241.8
GTEX-11ZVC-2526-SM-5FQTE 50-59 years, female 240.1
GTEX-WFON-2126-SM-3LK7O 40-49 years, male 239.2
GTEX-13PDP-0126-SM-5L3HD 60-69 years, male 238.4
GTEX-12KS4-0326-SM-5EQ41 30-39 years, male 237.3
GTEX-Q2AI-1326-SM-2S1PL 40-49 years, male 236.8
GTEX-VUSG-2526-SM-4KL1V 50-59 years, male 234.2
GTEX-1211K-2026-SM-5EQ4Z 60-69 years, female 233.6
GTEX-13RTL-0126-SM-7LG5S 40-49 years, male 233.4
GTEX-OXRN-0126-SM-48TDM 50-59 years, male 232.9
GTEX-144GL-0126-SM-5TDE2 50-59 years, male 232.4
GTEX-1HCU7-0226-SM-CL545 50-59 years, male 230.2
GTEX-17HII-0226-SM-7LG4E 50-59 years, male 228.4
GTEX-11DYG-0126-SM-59883 60-69 years, male 227.3
GTEX-13FTY-0526-SM-5L3EV 40-49 years, female 224.9
GTEX-148VI-1626-SM-5SI6E 60-69 years, female 223.4
GTEX-Q734-1926-SM-2I5EV 40-49 years, female 223.3
GTEX-XXEK-2226-SM-4BRUM 50-59 years, male 219.1
GTEX-144GN-2326-SM-5LU4F 50-59 years, male 217.8
GTEX-RU72-0926-SM-2TF6B 50-59 years, female 216.1
GTEX-ZZ64-1726-SM-5GZYB 20-29 years, male 212.9
GTEX-1399U-2326-SM-5K7WY 50-59 years, female 209.2
GTEX-1CB4I-0226-SM-79OLH 50-59 years, male 208.7
GTEX-17F97-0326-SM-7LG5B 50-59 years, male 207.5
GTEX-NFK9-0226-SM-2HMKQ 40-49 years, male 207.4
GTEX-1QW4Y-1526-SM-EAZ3Z 30-39 years, male 207.4
GTEX-1GN1U-0126-SM-7PBZK 50-59 years, female 205.1
GTEX-146FR-1326-SM-E9J48 60-69 years, female 203.5
GTEX-11LCK-1026-SM-5A5KB 30-39 years, male 202.7
GTEX-ZDYS-2026-SM-5HL5L 50-59 years, male 202.1
GTEX-13OW5-0126-SM-DTXFS 60-69 years, male 201.9
GTEX-1F6I4-0126-SM-9MQL2 60-69 years, male 201.5
GTEX-16NGA-1726-SM-731B4 40-49 years, female 200.7
GTEX-1JKYN-1326-SM-CGQG9 30-39 years, male 200.1
GTEX-QVJO-1626-SM-2S1QW 60-69 years, female 199.2
GTEX-SUCS-1926-SM-32PM3 70-79 years, male 199.0
GTEX-ZVTK-0426-SM-51MRS 20-29 years, male 198.9
GTEX-1C4CL-0526-SM-73KVK 30-39 years, male 196.3
GTEX-ZYFC-0226-SM-5NQ75 50-59 years, male 196.1
GTEX-13FXS-0226-SM-5IJCK 50-59 years, male 193.6
GTEX-1F52S-0126-SM-9MQJU 60-69 years, female 193.3
GTEX-VJYA-1126-SM-3GIJU 60-69 years, male 191.8
GTEX-15ER7-0326-SM-7KUEV 20-29 years, female 190.9
GTEX-1AYCT-2426-SM-7IGQ3 50-59 years, male 189.8
GTEX-1H3VE-0326-SM-9YFLH 40-49 years, male 189.4
GTEX-17HHY-0126-SM-7LG5D 50-59 years, male 189.2
GTEX-1GF9W-0326-SM-9KNUN 60-69 years, male 188.9
GTEX-XMD2-0126-SM-4YCDU 60-69 years, female 187.9
GTEX-14PHX-2326-SM-62LEM 50-59 years, male 186.6
GTEX-11OC5-0126-SM-5HL6A 60-69 years, male 186.3
GTEX-1GN1V-0126-SM-9WPOS 60-69 years, male 186.3
GTEX-1HSGN-0226-SM-CGQFV 40-49 years, female 184.4
GTEX-SE5C-1626-SM-2XCE3 40-49 years, female 184.0
GTEX-1GZ4H-1726-SM-7PBZJ 50-59 years, female 183.2
GTEX-15G19-0126-SM-6PANQ 60-69 years, male 181.4
GTEX-WQUQ-0426-SM-3MJFU 60-69 years, male 181.1
GTEX-YJ89-0126-SM-4TT3X 60-69 years, male 179.6
GTEX-1S5ZA-0126-SM-EVYCV 20-29 years, male 176.4
GTEX-1MGNQ-0126-SM-EVYCJ 40-49 years, male 175.3
GTEX-TMZS-0126-SM-3DB9Q 60-69 years, male 174.2
GTEX-1PIIG-0226-SM-EWRN6 30-39 years, male 173.1
GTEX-1J8Q3-1626-SM-CMKGC 60-69 years, male 172.4
GTEX-1IDJU-2626-SM-CM2RT 60-69 years, female 171.9
GTEX-1C475-1826-SM-73KWA 40-49 years, female 169.2
GTEX-ZTSS-1926-SM-57WEW 40-49 years, male 169.2
GTEX-14PJ6-2126-SM-6EU1V 60-69 years, female 168.9
GTEX-XBEW-0626-SM-4QASP 40-49 years, male 168.1
GTEX-X585-0226-SM-4QAS2 50-59 years, male 167.5
GTEX-13NYB-2526-SM-5K7Z6 40-49 years, male 166.4
GTEX-W5WG-1826-SM-4KL2Y 50-59 years, female 165.4
GTEX-Y8E4-0626-SM-4WWDL 40-49 years, male 165.1
GTEX-1LNCM-1126-SM-E9U5E 50-59 years, female 164.1
GTEX-RWS6-2026-SM-2XCB5 60-69 years, female 163.9
GTEX-1192X-0226-SM-5H12D 50-59 years, male 162.5
GTEX-1IY9M-0126-SM-D3L8S 60-69 years, male 161.9
GTEX-1LB8K-0226-SM-EWRNW 50-59 years, male 159.4
GTEX-1R9PM-2026-SM-E76OY 20-29 years, male 158.8
GTEX-T2IS-0126-SM-4DM6O 20-29 years, female 158.4
GTEX-11P7K-2126-SM-5GU7G 30-39 years, male 155.4
GTEX-15EU6-0426-SM-6PAN5 50-59 years, male 152.1
GTEX-XUYS-0126-SM-47JWZ 50-59 years, male 151.8
GTEX-1KAFJ-2026-SM-CY8ID 50-59 years, male 150.6
GTEX-15DYW-0126-SM-7KULE 60-69 years, female 150.5
GTEX-1IL2U-0226-SM-CE6T8 60-69 years, male 150.4
GTEX-PLZ5-2026-SM-2S1O4 50-59 years, male 149.7
GTEX-1EWIQ-0126-SM-7RHH2 70-79 years, female 148.8
GTEX-13D11-2426-SM-5KM1V 50-59 years, female 147.1
GTEX-18D9B-0526-SM-7LTAS 60-69 years, male 146.8
GTEX-T6MN-0126-SM-32PLP 50-59 years, male 146.6
GTEX-WXYG-2326-SM-4E3I6 50-59 years, female 145.7
GTEX-12WSG-2826-SM-E9J4H 50-59 years, female 145.7
GTEX-1HB9E-0226-SM-E9U4R 50-59 years, male 143.8
GTEX-1IE54-0126-SM-CMKHW 40-49 years, female 141.9
GTEX-18D9U-0226-SM-718BP 40-49 years, male 141.6
GTEX-1CAMQ-0226-SM-7IGPK 40-49 years, male 140.8
GTEX-133LE-1826-SM-5J1MV 20-29 years, female 140.6
GTEX-1CB4G-0226-SM-7PC3O 60-69 years, male 140.6
GTEX-11VI4-1726-SM-5CVLH 40-49 years, female 140.1
GTEX-1GMR8-0126-SM-9WYTM 50-59 years, female 139.8
GTEX-14ABY-0226-SM-5TDCQ 50-59 years, male 138.8
GTEX-XBED-2226-SM-47JYQ 60-69 years, male 135.6
GTEX-18A67-0126-SM-7LG5P 50-59 years, male 134.9
GTEX-13NZA-0226-SM-5K7Z7 60-69 years, male 130.6
GTEX-1F48J-0126-SM-7P8TT 50-59 years, female 130.6
GTEX-1I1GQ-0126-SM-COH3H 50-59 years, male 130.0
GTEX-QDT8-0126-SM-48TZ1 30-39 years, female 128.2
GTEX-1K9T9-0126-SM-EVYCF 50-59 years, female 127.7
GTEX-R45C-0126-SM-EAZ2R 60-69 years, female 126.7
GTEX-PVOW-0126-SM-2XCFA 40-49 years, male 123.6
GTEX-1269C-2526-SM-5EGJ3 60-69 years, female 123.2
GTEX-13111-1626-SM-5EGJY 50-59 years, male 121.3
GTEX-ZF2S-2326-SM-4WWCE 50-59 years, female 120.6
GTEX-12WSJ-1826-SM-5GCNY 40-49 years, female 120.0
GTEX-1HFI6-0226-SM-ADEHZ 40-49 years, male 118.0
GTEX-Y3I4-2126-SM-4TT7C 50-59 years, male 117.2
GTEX-11OF3-2626-SM-5GU7F 60-69 years, male 116.4
GTEX-1KANB-0526-SM-E6CJH 50-59 years, male 115.2
GTEX-17HGU-0226-SM-7DHKV 50-59 years, male 115.1
GTEX-16BQI-0226-SM-7KUEX 30-39 years, female 113.6
GTEX-ZF29-2326-SM-DO92K 60-69 years, female 113.0
GTEX-Z93T-0126-SM-5HL5N 50-59 years, male 112.5
GTEX-ZXG5-0126-SM-5GIEU 60-69 years, male 111.2
GTEX-PX3G-0126-SM-2I3EN 20-29 years, female 107.4
GTEX-1212Z-2526-SM-5EGKP 60-69 years, male 105.0
GTEX-1RAZQ-0726-SM-EAZ43 30-39 years, male 102.3
GTEX-1AYD5-2426-SM-73KXR 50-59 years, male 101.1
GTEX-1HUB1-0426-SM-E9U4U 60-69 years, male 97.8
GTEX-1HCU9-1526-SM-A9SL7 20-29 years, male 97.3
GTEX-ZC5H-0226-SM-4WAY9 40-49 years, female 96.6
GTEX-15RIG-0226-SM-7KFTL 40-49 years, male 96.3
GTEX-13OVI-1426-SM-5L3EY 60-69 years, female 96.0
GTEX-Q2AH-1626-SM-3GAF8 40-49 years, male 94.1
GTEX-13JUV-2726-SM-5LZZ8 40-49 years, female 93.2
GTEX-1HBPH-0426-SM-B2LW5 40-49 years, female 89.4
GTEX-145MN-2226-SM-5SIAU 30-39 years, male 89.3
GTEX-1QP67-1626-SM-EAZ3X 40-49 years, female 89.0
GTEX-ZF28-0126-SM-4WKGK 60-69 years, male 87.0
GTEX-131XE-2326-SM-5PNZ2 50-59 years, male 86.2
GTEX-1MJK2-0426-SM-DTXE5 50-59 years, male 84.0
GTEX-14PHW-0126-SM-6LLJI 60-69 years, female 81.9
GTEX-1CB4E-2226-SM-793DC 60-69 years, male 81.7
GTEX-ZYT6-0226-SM-5NQ6T 30-39 years, male 81.1
GTEX-1LVAN-0226-SM-COH3S 50-59 years, female 79.6
GTEX-1MA7W-2026-SM-E9TJ6 20-29 years, female 76.1
GTEX-1OJC4-0126-SM-E9J2E 50-59 years, female 68.3
GTEX-1CAMS-0426-SM-7P8T2 40-49 years, female 66.9
GTEX-Y5V5-2326-SM-4V6GA 60-69 years, female 66.8
GTEX-12WSC-0126-SM-5EQ4P 50-59 years, male 66.7
GTEX-1H1ZS-0426-SM-9WG6G 70-79 years, male 66.3
GTEX-ZVZO-0126-SM-5A5L9 40-49 years, male 65.4
GTEX-ZEX8-2426-SM-4WKG4 50-59 years, male 62.2
GTEX-1JMLX-0226-SM-CM2RO 50-59 years, male 59.9
GTEX-SSA3-0126-SM-32QPU 60-69 years, male 53.7
GTEX-X638-0126-SM-47JZ8 70-79 years, female 48.0
GTEX-1B97I-1626-SM-73KYO 40-49 years, male 46.0
GTEX-1OJC3-0126-SM-E76QX 20-29 years, male 43.5
GTEX-Z9EW-1626-SM-5CVMN 40-49 years, male 38.2
GTEX-117XS-2726-SM-5N9BL 60-69 years, male 37.5
GTEX-13OVG-1926-SM-5L3DK 60-69 years, male 32.4
GTEX-ZYFG-2326-SM-5E44B 60-69 years, female 31.0
GTEX-113IC-0126-SM-5HL6T 60-69 years, male 24.7
GTEX-ZY6K-1826-SM-5GZXK 50-59 years, male 19.7
Show allShow less

Contact

  • NEWS ARTICLES
  • PRESS ROOM

The Project

  • INTRODUCTION
  • ORGANIZATION
  • PUBLICATIONS

The Human Protein Atlas

  • DOWNLOADABLE DATA
  • LICENCE & CITATION
  • HELP & FAQ
The Human Protein Atlas project is funded
by the Knut & Alice Wallenberg Foundation.


contact@proteinatlas.org