We use cookies to enhance the usability of our website. If you continue, we'll assume that you are happy to receive all cookies. More information. Don't show this again.
IVD
HPA
RESOURCES
  • TISSUE
  • BRAIN
  • SINGLE CELL
  • SUBCELLULAR
  • CANCER
  • BLOOD
  • CELL LINE
  • STRUCTURE & INTERACTION
ABOUT
  • INTRODUCTION
  • HISTORY
  • ORGANIZATION
  • PUBLICATIONS
  • ANTIBODY SUBMISSION
  • ANTIBODY AVAILABILITY
  • ACKNOWLEDGMENTS
  • CONTACT
NEWS
  • NEWS ARTICLES
  • PRESS ROOM
LEARN
  • DICTIONARY
  • PROTEIN CLASSES
  • PROTEIN EVIDENCE
  • METHODS
  • EDUCATIONAL VIDEOS
DATA
  • DOWNLOADABLE DATA
  • PUBLICATION DATA
  • RELEASE HISTORY
HELP
  • ANTIBODY VALIDATION
  • ASSAYS & ANNOTATION
  • DISCLAIMER
  • HELP & FAQ
  • PRIVACY STATEMENT
  • LICENCE & CITATION
Fields »
Search result

Field
Term
Gene name
Class
Subclass
Class
Keyword
Chromosome
External id
Tissue
Cell type
Expression
Antibody panel
Tissue
Main location
Patient ID
Annotation
Tissue
Category
Tau score
Cluster
Reliability
Brain region
Category
Tau score
Brain region
Category
Tau score
Brain region
Category
Tau score
Cluster
Reliability
Tissue
Cell type
Enrichment
Cell type
Category
Tau score
Cell type
Category
Tau score
Cell type
Category
Tau score
Cell lineage
Category
Tau score
Cluster
Cluster
Location
Searches
Location
Cell line
Class
Type
Phase
Reliability
Cancer
Prognosis
Cancer
Category
Cancer
Category
Tau score
Cluster
Variants
Interacting gene (ensg_id)
Type
Number of interactions
Pathway
Category
Score
Score
Score
Validation
Validation
Validation
Validation
Antibodies
Data type
Column


  • SUMMARY

  • TISSUE

  • BRAIN

  • SINGLE CELL

  • SUBCELL

  • CANCER

  • BLOOD

  • CELL LINE

  • STRUCT & INT

  • IVD
TISSUE PRIMARY DATA SKIN 1 Show tissue menu
ADIPOSE TISSUE ADRENAL GLAND AMYGDALA APPENDIX BASAL GANGLIA BONE MARROW BREAST BRONCHUS CEREBELLUM CEREBRAL CORTEX CERVIX CHOROID PLEXUS COLON DUODENUM
ENDOMETRIUM EPIDIDYMIS ESOPHAGUS FALLOPIAN TUBE GALLBLADDER HEART MUSCLE HIPPOCAMPAL FORMATION HYPOTHALAMUS KIDNEY LIVER LUNG LYMPH NODE MIDBRAIN NASOPHARYNX
ORAL MUCOSA OVARY PANCREAS PARATHYROID GLAND PITUITARY GLAND PLACENTA PROSTATE RECTUM RETINA SALIVARY GLAND SEMINAL VESICLE SKELETAL MUSCLE SKIN SMALL INTESTINE
SMOOTH MUSCLE SOFT TISSUE SPINAL CORD SPLEEN STOMACH TESTIS THYMUS THYROID GLAND TONGUE TONSIL URINARY BLADDER VAGINA
ANTIBODIES
AND
VALIDATION
Dictionary
Skin
Tissue proteome
SKIN - Expression summary
Protein expression
Skini

On the top, protein expression in current human tissue, based on all annotated cell types, is reported with the units not detected (n), low (l), medium (m) and high (h). Underneath, protein expression in each annotated cell type are reported using the same units.

Protein expression data is based on knowledge-based annotation. For genes where more than one antibody has been used, a collective score is set.

If knowledge-based annotation could not be performed for a gene, no data is displayed here. View antibody staining data further down this page.

h
m
l
n
Epidermal cells: Medium
Fibroblasts: Medium
Keratinocytes: Low
Langerhans: Medium
Melanocytes: Low
RNA expressioni

A summary of mRNA expression data available for current tissue based on several datasets. The mRNA expression levels in human tissues are based on RNA-seq data generated by the Human Protein Atlas (HPA), Genotype-Tissue Expression (GTEx) portal and CAGE data generated by the FANTOM5 consortium. Consensus normalized expression levels for human tissues was created by combining the data from HPA and GTEx datasets.

The mRNA expression levels in pig are based on RNA-seq data generated by the Human Protein Atlas (HPA), and for mouse, HPA data and in situ hybridization generated by the Allen brain atlas are reported.

Scroll down to view mRNA expression data in more detail.
Consensus:8.3 nTPM
HPA:5.2 nTPM
GTEx:8.3 nTPM

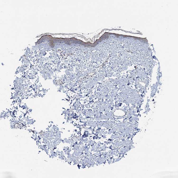
SKIN 1 - Antibody stainingi

Antibody staining in the annotated cell types in the current human tissue is reported as not detected, low, medium, or high, based on conventional immunohistochemistry profiling in selected tissues. This score is based on the combination of the staining intensity and fraction of stained cells.

Each image is clickable and will lead to virtual microscopy that enables deeper exploration of all samples and also displays staining intensity scores, fraction scores and subcellular localization as well as patient and tissue information for each sample.

Antibody HPA041391Antibody HPA044250
Langerhans MediumNot detected
Fibroblasts MediumNot detected
Keratinocytes LowNot detected
Melanocytes Not detectedNot detected



SKIN 2 - Antibody stainingi

Antibody staining in the annotated cell types in the current human tissue is reported as not detected, low, medium, or high, based on conventional immunohistochemistry profiling in selected tissues. This score is based on the combination of the staining intensity and fraction of stained cells.

Each image is clickable and will lead to virtual microscopy that enables deeper exploration of all samples and also displays staining intensity scores, fraction scores and subcellular localization as well as patient and tissue information for each sample.

Antibody HPA041391Antibody HPA044250
Epidermal cells MediumLow
  
  
  




SKIN - HPA RNA-seqi

The RNA-seq details section shows detailed information about the individual samples used for the transcript profiling and results of the RNA-seq analysis.

Information about each individual sample is listed below, including gender, age, a tissue section image and estimated fractions of cell types. nTPM (normalized transcripts per million) values give a quantification of the gene abundance which is comparable between different genes and samples.
Average nTPMi

Max subtype nTPM is the value for the subtype with the largest average nTPM across the subtype samples.

5.2
overview
Female, age 34
Skin sample 225
nTPM: 5.9
Cell types%
Keratinocytes:
60

Other cell types:
40

overview
Female, age 30
Skin sample 226
nTPM: 3.3
Cell types%
Keratinocytes:
55

Other cell types:
45

N/A
Male, age 57
Skin sample 227
nTPM: 6.3

SKIN - GTEx RNA-seqi

RNA-Seq data generated by the Genotype-Tissue Expression (GTEx) project from human tissues is reported as mean nTPM. More information can be found on the GTEx portal.

Distribution across the dataset is visualized with box plots, shown as median and 25th and 75th percentiles. Points are displayed as outliers if they are above or below 1.5 times the interquartile range. nTPM values of the individual samples are presented next to the box plot.
Max subtype nTPMi

Max subtype nTPM is the value for the subtype with the largest average nTPM across the subtype samples.

8.3
GTEx sample id Sample description nTPM
Skin - Not Sun Exposed (Suprapubic)
Average nTPM: 8.3
Samples: 604

Max nTPM: 31.2
Min nTPM: 1.8
Std nTPM: 3.9
Median nTPM: 7.5
GTEX-16NGA-0726-SM-731AO 40-49 years, female 31.2
GTEX-1HSMP-0926-SM-A9SKX 70-79 years, male 26.0
GTEX-ZUA1-2626-SM-5NQ92 40-49 years, male 24.6
GTEX-11TT1-1826-SM-5EQLV 20-29 years, male 23.6
GTEX-YEC3-1326-SM-DO92X 50-59 years, male 22.0
GTEX-1KANC-1226-SM-CYPT7 50-59 years, female 20.7
GTEX-111FC-2526-SM-5GZXU 60-69 years, male 20.3
GTEX-VJYA-1526-SM-3GIJV 60-69 years, male 20.0
GTEX-1GMR3-0126-SM-A9SLW 40-49 years, male 19.7
GTEX-WYJK-0526-SM-3NM8Z 50-59 years, male 19.2
GTEX-ZT9W-1126-SM-57WDR 50-59 years, male 19.0
GTEX-16GPK-0626-SM-7KFSF 60-69 years, male 18.4
GTEX-117YX-1926-SM-5GIEC 50-59 years, male 17.8
GTEX-145LT-0526-SM-5LUB2 40-49 years, male 17.8
GTEX-1CB4I-0126-SM-7RHGG 50-59 years, male 17.8
GTEX-13OVG-1626-SM-5J1NF 60-69 years, male 17.7
GTEX-1I19N-0126-SM-CYPSF 70-79 years, male 17.2
GTEX-1QP66-1226-SM-DTX7U 50-59 years, male 17.1
GTEX-1F6IF-0926-SM-7SB7M 60-69 years, male 17.0
GTEX-1L5NE-1126-SM-D3L9P 50-59 years, male 17.0
GTEX-XPVG-2126-SM-4B667 50-59 years, male 16.9
GTEX-YB5K-2026-SM-4VDT3 40-49 years, female 16.9
GTEX-17F96-0126-SM-7EWDU 70-79 years, male 16.8
GTEX-ZPU1-1126-SM-4YCF3 40-49 years, male 16.8
GTEX-145MN-1526-SM-5SI9T 30-39 years, male 16.6
GTEX-ZDTS-0826-SM-4WKHL 60-69 years, male 16.4
GTEX-1LSNM-0826-SM-DIPG8 50-59 years, male 16.4
GTEX-111YS-1526-SM-5GZYW 60-69 years, male 16.3
GTEX-146FQ-2126-SM-5RQHU 30-39 years, male 16.3
GTEX-1PIGE-1826-SM-E8VOU 20-29 years, male 16.3
GTEX-1F75W-2726-SM-7SB8H 60-69 years, male 16.2
GTEX-1IDJF-2026-SM-CL53V 20-29 years, male 15.9
GTEX-X3Y1-2026-SM-3P5YM 40-49 years, male 15.7
GTEX-15RIE-1926-SM-7KUKJ 60-69 years, male 15.6
GTEX-1AX9J-1326-SM-731BJ 60-69 years, male 15.5
GTEX-1RAZA-2226-SM-E9U4X 20-29 years, male 15.4
GTEX-178AV-1726-SM-7KUL8 40-49 years, male 15.3
GTEX-1I6K7-1926-SM-B2LXR 40-49 years, male 15.3
GTEX-1GF9U-2026-SM-7SB92 40-49 years, female 15.1
GTEX-1399R-1326-SM-5PNYS 30-39 years, male 14.9
GTEX-12WSF-1626-SM-7KUG5 70-79 years, male 14.8
GTEX-1H1E6-0426-SM-9WYUS 30-39 years, male 14.7
GTEX-1LG7Z-1626-SM-CXKYR 30-39 years, male 14.7
GTEX-13FH7-1126-SM-5K7UG 50-59 years, female 14.6
GTEX-16XZZ-0726-SM-7KUF2 60-69 years, male 14.6
GTEX-1AX8Z-0726-SM-73KTS 60-69 years, male 14.6
GTEX-1IDJE-1426-SM-ADEIW 50-59 years, female 14.4
GTEX-1H1CY-0126-SM-9YFLY 60-69 years, female 14.3
GTEX-17EVQ-0126-SM-7IGLR 70-79 years, male 14.2
GTEX-1I6K6-1726-SM-CGQFD 30-39 years, male 14.2
GTEX-1QCLY-0226-SM-EWRNH 30-39 years, male 14.2
GTEX-13U4I-2226-SM-5LU5H 40-49 years, female 14.0
GTEX-12BJ1-0926-SM-5EQ62 60-69 years, male 13.9
GTEX-17KNJ-2126-SM-718AM 50-59 years, male 13.9
GTEX-1JN6P-2926-SM-CL54D 60-69 years, male 13.9
GTEX-1J8JJ-0626-SM-ARZMQ 60-69 years, female 13.8
GTEX-18A66-0626-SM-7LT8Z 60-69 years, male 13.7
GTEX-1QW4Y-1126-SM-DTXE3 30-39 years, male 13.6
GTEX-Y8LW-1526-SM-5IFHL 50-59 years, female 13.5
GTEX-ZDXO-3126-SM-5IJDF 60-69 years, male 13.5
GTEX-ZVTK-0226-SM-51MRG 20-29 years, male 13.5
GTEX-1CAMR-1326-SM-7PC1F 20-29 years, male 13.5
GTEX-1N2DV-1526-SM-DTXEP 40-49 years, male 13.5
GTEX-13JUV-2026-SM-5K7UA 40-49 years, female 13.4
GTEX-WFON-1926-SM-3LK7L 40-49 years, male 13.4
GTEX-13X6K-0626-SM-5LU5D 60-69 years, female 13.1
GTEX-1CAV2-0126-SM-7IGN7 40-49 years, female 13.1
GTEX-ZLWG-0826-SM-59888 50-59 years, female 12.8
GTEX-12KS4-2126-SM-5FQUT 30-39 years, male 12.7
GTEX-WK11-2726-SM-3NMAQ 50-59 years, male 12.7
GTEX-1ICG6-1226-SM-A9SLN 70-79 years, female 12.7
GTEX-1IY9M-2826-SM-ARU8H 60-69 years, male 12.7
GTEX-1QCLZ-2426-SM-EVYBW 60-69 years, female 12.7
GTEX-11DXW-0826-SM-5H118 40-49 years, male 12.6
GTEX-17JCI-2926-SM-7DUFF 60-69 years, female 12.6
GTEX-18A6Q-0626-SM-7KFRP 60-69 years, male 12.6
GTEX-YF7O-1526-SM-5IFI6 50-59 years, male 12.6
GTEX-1GMR2-0826-SM-7PC3V 50-59 years, male 12.6
GTEX-1I4MK-0126-SM-CY8G6 50-59 years, female 12.6
GTEX-1LGOU-1326-SM-D3L8M 20-29 years, female 12.6
GTEX-16MT8-2926-SM-7DUFO 60-69 years, female 12.5
GTEX-X4EO-2926-SM-4E3JH 60-69 years, female 12.5
GTEX-1IDJC-1526-SM-B2LW4 50-59 years, male 12.5
GTEX-145MG-1526-SM-5Q5EM 50-59 years, male 12.4
GTEX-15D1Q-2826-SM-6LLH7 40-49 years, male 12.4
GTEX-1E1VI-0326-SM-793D1 50-59 years, male 12.4
GTEX-ZU9S-1826-SM-5NQ9E 30-39 years, male 12.4
GTEX-1A3MX-2626-SM-7PC24 60-69 years, male 12.4
GTEX-1K2DA-1026-SM-CGQGF 50-59 years, male 12.4
GTEX-14PJO-2526-SM-6AJBQ 60-69 years, male 12.3
GTEX-15SHW-0226-SM-7LTAT 60-69 years, male 12.3
GTEX-183FY-1026-SM-7939A 20-29 years, male 12.3
GTEX-XK95-0226-SM-4AT58 40-49 years, male 12.3
GTEX-1B8KZ-0326-SM-73KY4 50-59 years, male 12.2
GTEX-13N11-2326-SM-5IJBF 50-59 years, female 12.1
GTEX-15CHR-1126-SM-7EWF4 50-59 years, male 12.1
GTEX-1RB15-1326-SM-E76Q9 60-69 years, male 12.0
GTEX-11DYG-1526-SM-5A5JS 60-69 years, male 11.9
GTEX-13NZ9-2626-SM-5L3FK 50-59 years, male 11.9
GTEX-WEY5-2326-SM-3GIKK 40-49 years, female 11.9
GTEX-12584-0726-SM-5FQTK 40-49 years, male 11.8
GTEX-UPJH-0226-SM-3GADV 50-59 years, male 11.8
GTEX-1JMQK-1226-SM-D4P2S 60-69 years, male 11.8
GTEX-11EI6-2826-SM-5H11D 60-69 years, male 11.7
GTEX-11O72-0626-SM-5PNYE 40-49 years, male 11.7
GTEX-11P7K-1126-SM-5HL4L 30-39 years, male 11.7
GTEX-1HCU8-2526-SM-CE6RX 60-69 years, female 11.7
GTEX-12696-0126-SM-5EQ4L 60-69 years, male 11.6
GTEX-12WSL-2026-SM-5GCML 50-59 years, male 11.6
GTEX-1AX9I-2226-SM-73KUO 60-69 years, male 11.6
GTEX-1F5PK-2226-SM-7SB6N 50-59 years, male 11.6
GTEX-ZTSS-1426-SM-5985P 40-49 years, male 11.5
GTEX-11ZUS-2626-SM-5FQUR 30-39 years, male 11.4
GTEX-YEC4-1826-SM-4W1YP 40-49 years, male 11.4
GTEX-145MO-2826-SM-5LU96 60-69 years, male 11.3
GTEX-132AR-0326-SM-5KM2C 50-59 years, female 11.2
GTEX-14PJ3-1126-SM-5ZZVX 50-59 years, male 11.2
GTEX-1QP9N-1226-SM-E76QN 30-39 years, male 11.2
GTEX-1IDJD-2326-SM-ACKWX 30-39 years, male 11.1
GTEX-12WSD-0626-SM-5GCMW 60-69 years, female 11.0
GTEX-XBEC-0726-SM-4QARZ 50-59 years, male 11.0
GTEX-1JKYN-0826-SM-ARU8S 30-39 years, male 11.0
GTEX-1I1GP-1326-SM-A9G28 50-59 years, male 10.9
GTEX-13N2G-0226-SM-5K7VF 60-69 years, male 10.8
GTEX-WXYG-2026-SM-4E3IY 50-59 years, female 10.8
GTEX-18D9A-1426-SM-7LT8M 30-39 years, female 10.8
GTEX-1GZ2Q-0126-SM-9WG6M 40-49 years, male 10.8
GTEX-1HFI6-0126-SM-CNPPI 40-49 years, male 10.8
GTEX-14DAR-1226-SM-73KYV 50-59 years, male 10.7
GTEX-1JMPZ-0726-SM-CY8HZ 30-39 years, male 10.7
GTEX-1KANA-1326-SM-DIPFA 20-29 years, male 10.7
GTEX-ZPIC-0526-SM-DO91W 40-49 years, female 10.7
GTEX-14E1K-2026-SM-7DUEI 50-59 years, male 10.6
GTEX-18A7A-0126-SM-731AH 50-59 years, female 10.6
GTEX-YJ8O-2526-SM-5HL85 40-49 years, female 10.6
GTEX-ZZ64-1026-SM-5GZXG 20-29 years, male 10.6
GTEX-1H3NZ-2726-SM-9WYTQ 60-69 years, male 10.6
GTEX-1HCU9-0426-SM-9WYSD 20-29 years, male 10.6
GTEX-15RJ7-2126-SM-6PAMD 40-49 years, male 10.5
GTEX-14JFF-0626-SM-5ZZVT 60-69 years, male 10.5
GTEX-12WSA-0426-SM-5EQ5X 60-69 years, male 10.4
GTEX-13113-1626-SM-5EQ4I 60-69 years, female 10.4
GTEX-1EWIQ-0326-SM-7DHMQ 70-79 years, female 10.4
GTEX-X585-2426-SM-46MW2 50-59 years, male 10.4
GTEX-ZTTD-2826-SM-4YCFA 50-59 years, male 10.4
GTEX-11P82-1426-SM-DTXFY 20-29 years, male 10.4
GTEX-139TT-2126-SM-5LZWC 60-69 years, male 10.3
GTEX-14BMU-1226-SM-5S2OR 20-29 years, female 10.3
GTEX-1C475-1326-SM-7SB73 40-49 years, female 10.3
GTEX-1IL2V-1926-SM-B2LW8 70-79 years, male 10.3
GTEX-1S3DN-2126-SM-E9TIN 50-59 years, male 10.3
GTEX-1477Z-0326-SM-7IGLA 60-69 years, male 10.2
GTEX-14DAQ-0626-SM-793DS 60-69 years, female 10.2
GTEX-WYVS-1626-SM-3NM9R 40-49 years, female 10.2
GTEX-Y8E4-2026-SM-5IFJB 40-49 years, male 10.2
GTEX-1K9T9-1526-SM-DIPFR 50-59 years, female 10.2
GTEX-11VI4-1126-SM-5EQMD 40-49 years, female 10.1
GTEX-13PVR-0426-SM-5RQK2 60-69 years, female 10.1
GTEX-14PJ2-0626-SM-6LLII 50-59 years, male 10.1
GTEX-139TS-2126-SM-5K7XC 60-69 years, male 10.0
GTEX-13PVQ-0626-SM-5LU47 50-59 years, male 10.0
GTEX-16Z82-2626-SM-7KULU 60-69 years, male 10.0
GTEX-18D9B-0926-SM-7LG4U 60-69 years, male 10.0
GTEX-UPK5-0426-SM-3GAEK 40-49 years, male 10.0
GTEX-1H1DG-2426-SM-9QEHJ 70-79 years, male 10.0
GTEX-1KD5A-0126-SM-E9U54 50-59 years, male 10.0
GTEX-1314G-1326-SM-5BC6E 30-39 years, male 9.9
GTEX-1B996-0426-SM-7EWF8 60-69 years, male 9.9
GTEX-XOT4-0626-SM-4B66L 60-69 years, female 9.9
GTEX-ZYFG-1526-SM-5GZYM 60-69 years, female 9.9
GTEX-1H1ZS-2726-SM-9WG75 70-79 years, male 9.9
GTEX-1IDJU-1726-SM-CMKHU 60-69 years, female 9.9
GTEX-WRHU-2826-SM-3MJG8 50-59 years, female 9.8
GTEX-1E2YA-2126-SM-7MXUO 50-59 years, male 9.8
GTEX-1JN76-0626-SM-CKZOQ 20-29 years, female 9.8
GTEX-11DXX-2126-SM-5PNYR 60-69 years, female 9.7
GTEX-13W3W-0726-SM-5IJDQ 60-69 years, female 9.7
GTEX-145ME-1726-SM-5Q5EU 40-49 years, female 9.7
GTEX-14A5H-0826-SM-5QGPJ 60-69 years, male 9.7
GTEX-14PKV-1126-SM-6LLJ1 20-29 years, female 9.7
GTEX-18A7B-2726-SM-7LG56 70-79 years, male 9.6
GTEX-1A8FM-0626-SM-7PC25 50-59 years, female 9.6
GTEX-1O9I2-0226-SM-EYYXD 50-59 years, male 9.6
GTEX-11NSD-0626-SM-5A5LU 20-29 years, male 9.5
GTEX-12WSC-2826-SM-5BC5Y 50-59 years, male 9.5
GTEX-ZYFD-0626-SM-5E44E 50-59 years, male 9.5
GTEX-11DZ1-2426-SM-5GZZX 50-59 years, male 9.4
GTEX-15CHQ-0326-SM-69LQD 60-69 years, male 9.4
GTEX-XXEK-1626-SM-4BRUZ 50-59 years, male 9.4
GTEX-Y3IK-1626-SM-4YCF5 50-59 years, female 9.4
GTEX-1211K-1526-SM-5FQU4 60-69 years, female 9.3
GTEX-XQ3S-1426-SM-4BOPR 20-29 years, male 9.3
GTEX-1I1GS-2626-SM-B2LY3 60-69 years, male 9.3
GTEX-1JMOU-1026-SM-CYPSS 60-69 years, female 9.3
GTEX-1LVAO-2726-SM-E9TJ8 60-69 years, male 9.3
GTEX-1QP29-1826-SM-DTX9S 50-59 years, male 9.3
GTEX-1R9K4-2826-SM-DTX8F 60-69 years, male 9.3
GTEX-145LS-0626-SM-7EPG7 60-69 years, female 9.2
GTEX-WFG8-2126-SM-3GIKQ 20-29 years, male 9.2
GTEX-XMD2-2126-SM-4YCF8 60-69 years, female 9.2
GTEX-1LG7Y-2526-SM-EWRO7 50-59 years, male 9.2
GTEX-WH7G-2026-SM-3NMBL 40-49 years, male 9.1
GTEX-1H23P-0626-SM-9WG6T 60-69 years, male 9.1
GTEX-11DXZ-2026-SM-5987S 50-59 years, male 9.0
GTEX-13OVL-0126-SM-5L3GJ 50-59 years, male 9.0
GTEX-14ABY-2026-SM-62LDL 50-59 years, male 9.0
GTEX-14PHX-2226-SM-6EU2P 50-59 years, male 9.0
GTEX-WYBS-0626-SM-3NMAS 60-69 years, female 9.0
GTEX-ZLFU-1826-SM-4WWBV 40-49 years, male 9.0
GTEX-1F6I4-2326-SM-7RHGL 60-69 years, male 9.0
GTEX-14LZ3-0126-SM-69LPM 60-69 years, female 8.9
GTEX-W5X1-2526-SM-3GILC 40-49 years, female 8.9
GTEX-Y5V6-2326-SM-4VDSA 60-69 years, male 8.9
GTEX-ZYW4-0626-SM-59HJR 60-69 years, male 8.9
GTEX-147F3-1726-SM-5SIAW 50-59 years, female 8.8
GTEX-14B4R-1326-SM-5Q5EZ 30-39 years, male 8.8
GTEX-14BMV-2826-SM-5TDED 50-59 years, male 8.8
GTEX-14E6E-0526-SM-793DN 30-39 years, male 8.8
GTEX-WHWD-1826-SM-3LK6I 50-59 years, male 8.8
GTEX-ZAB4-2126-SM-5HL8U 40-49 years, male 8.8
GTEX-1GF9V-0826-SM-9KNUV 60-69 years, male 8.8
GTEX-ZGAY-1826-SM-DO91Q 40-49 years, female 8.8
GTEX-13SLX-2226-SM-62LEP 50-59 years, female 8.7
GTEX-18465-2826-SM-7LT9J 50-59 years, male 8.7
GTEX-1A8G6-2726-SM-731AR 60-69 years, male 8.7
GTEX-Y5LM-0926-SM-6LLJG 40-49 years, female 8.7
GTEX-1RMOY-1326-SM-E9TIH 50-59 years, male 8.7
GTEX-ZVE2-2826-SM-5GU51 50-59 years, male 8.6
GTEX-ZVT4-2426-SM-5GIEI 50-59 years, female 8.6
GTEX-1JMQI-1726-SM-ARL93 50-59 years, male 8.6
GTEX-131YS-2826-SM-5EQ47 60-69 years, female 8.5
GTEX-17HG3-2626-SM-7DUF2 30-39 years, female 8.5
GTEX-17HGU-2326-SM-7DUFE 50-59 years, male 8.5
GTEX-17MF6-2626-SM-79OKQ 40-49 years, male 8.5
GTEX-XYKS-1426-SM-4BRUO 60-69 years, female 8.5
GTEX-1F75A-0726-SM-7RHHD 50-59 years, male 8.5
GTEX-1GF9W-1426-SM-7PBYM 60-69 years, male 8.5
GTEX-14E6C-2426-SM-5S2NF 40-49 years, male 8.4
GTEX-16NPX-0726-SM-7KULC 50-59 years, male 8.4
GTEX-XUW1-0926-SM-4BONX 50-59 years, female 8.4
GTEX-ZAJG-1526-SM-5CVML 50-59 years, female 8.4
GTEX-1F75B-0726-SM-7PC3R 50-59 years, male 8.4
GTEX-1IKOE-1426-SM-CE6T7 30-39 years, female 8.4
GTEX-1LVAN-0626-SM-CNPOQ 50-59 years, female 8.4
GTEX-1192X-2726-SM-5N9DN 50-59 years, male 8.3
GTEX-12126-0826-SM-5FQTZ 20-29 years, male 8.3
GTEX-16MTA-0926-SM-6M47Z 50-59 years, male 8.3
GTEX-V1D1-2026-SM-3GAF4 50-59 years, male 8.3
GTEX-1HC8U-1326-SM-9YFMJ 40-49 years, female 8.3
GTEX-1HR98-2226-SM-ADEI2 60-69 years, male 8.3
GTEX-1RLM8-2926-SM-E8VON 50-59 years, male 8.3
GTEX-ZWKS-0626-SM-5GIDV 30-39 years, male 8.2
GTEX-1RAZR-2126-SM-E9U6T 40-49 years, male 8.2
GTEX-11DXY-0126-SM-5H11Q 60-69 years, male 8.1
GTEX-13OVK-1426-SM-6PAN7 40-49 years, male 8.1
GTEX-XV7Q-1826-SM-4BRUV 40-49 years, female 8.1
GTEX-Y114-2126-SM-4TT8B 50-59 years, female 8.1
GTEX-1MCC2-1826-SM-DIPEX 30-39 years, female 8.1
GTEX-131XH-0126-SM-5LZUY 50-59 years, male 8.0
GTEX-139YR-1026-SM-5LZYN 50-59 years, male 8.0
GTEX-13O3O-2326-SM-5IJD6 60-69 years, female 8.0
GTEX-13X6I-1826-SM-5SIAO 60-69 years, male 8.0
GTEX-147JS-0226-SM-5S2U9 60-69 years, male 8.0
GTEX-1497J-0226-SM-5QGPU 60-69 years, male 8.0
GTEX-14PJN-1826-SM-6AJ98 30-39 years, male 8.0
GTEX-1A8G7-1326-SM-73KVM 60-69 years, male 8.0
GTEX-ZDTT-0426-SM-4WKFL 60-69 years, male 8.0
GTEX-ZVP2-0326-SM-57WBP 50-59 years, male 8.0
GTEX-1IDFM-0326-SM-ARL7V 60-69 years, male 8.0
GTEX-139TU-0726-SM-5L3EK 60-69 years, male 7.9
GTEX-13FLV-0126-SM-5K7WT 50-59 years, male 7.9
GTEX-13OW6-2726-SM-5J2OE 50-59 years, male 7.9
GTEX-147F4-0726-SM-5TDDD 50-59 years, male 7.9
GTEX-14PK6-0226-SM-62LF5 70-79 years, female 7.9
GTEX-1A3MV-1826-SM-731CD 30-39 years, male 7.9
GTEX-ZAK1-0626-SM-5HL8E 50-59 years, female 7.9
GTEX-ZDYS-2426-SM-4WKGI 50-59 years, male 7.9
GTEX-1IDJH-0126-SM-D3L92 70-79 years, male 7.9
GTEX-1JKYR-0626-SM-ARL8R 20-29 years, male 7.9
GTEX-1N5O9-0926-SM-E9J3C 60-69 years, male 7.9
GTEX-ZF3C-0626-SM-DO92O 50-59 years, female 7.9
GTEX-1117F-2926-SM-5GZYI 60-69 years, female 7.8
GTEX-11EQ9-1626-SM-5PNY8 30-39 years, male 7.8
GTEX-16YQH-2226-SM-7IGM2 30-39 years, male 7.8
GTEX-1CB4E-0926-SM-7EPHT 60-69 years, male 7.8
GTEX-X8HC-0626-SM-4E3HQ 50-59 years, female 7.8
GTEX-1GMR8-0626-SM-7RHI7 50-59 years, female 7.8
GTEX-1JN1M-2726-SM-CY8I4 60-69 years, female 7.8
GTEX-11OF3-0126-SM-5PNYF 60-69 years, male 7.7
GTEX-1A32A-0626-SM-731AQ 50-59 years, female 7.7
GTEX-Z93S-1626-SM-5CVMB 50-59 years, male 7.7
GTEX-14JG6-1426-SM-9WG7C 30-39 years, female 7.7
GTEX-1F48J-0726-SM-7RHGS 50-59 years, female 7.7
GTEX-1M4P7-0726-SM-E6CJ3 60-69 years, male 7.7
GTEX-13FTX-1526-SM-5K7VJ 20-29 years, female 7.6
GTEX-18QFQ-1826-SM-72D52 30-39 years, male 7.6
GTEX-1JMLX-0626-SM-ARL8T 50-59 years, male 7.6
GTEX-13OW8-1026-SM-5J1NQ 60-69 years, male 7.5
GTEX-13VXU-0626-SM-5L3F9 50-59 years, male 7.5
GTEX-144FL-0626-SM-5LU43 50-59 years, male 7.5
GTEX-14PHY-1226-SM-5ZZWK 60-69 years, female 7.5
GTEX-1J1R8-2026-SM-CL53Y 40-49 years, male 7.5
GTEX-1QAET-0326-SM-EVR3U 50-59 years, male 7.5
GTEX-1R9PM-1926-SM-EVR3O 20-29 years, male 7.5
GTEX-1S5ZU-2526-SM-E6CIF 20-29 years, female 7.5
GTEX-144GO-2026-SM-5O99P 60-69 years, male 7.4
GTEX-17HHY-0426-SM-7DHLC 50-59 years, male 7.4
GTEX-1GN1W-2426-SM-9KNUU 50-59 years, female 7.4
GTEX-1I1CD-0626-SM-CE6SW 60-69 years, female 7.4
GTEX-145MF-0926-SM-5Q5EA 50-59 years, male 7.3
GTEX-14JG1-1526-SM-5YY9X 40-49 years, male 7.3
GTEX-15DDE-2926-SM-6LLJ3 50-59 years, female 7.3
GTEX-17MFQ-1526-SM-7KFRR 20-29 years, male 7.3
GTEX-18D9U-0126-SM-731BM 40-49 years, male 7.3
GTEX-X4EP-0626-SM-3P621 60-69 years, female 7.3
GTEX-YFCO-1226-SM-5LUAT 40-49 years, male 7.3
GTEX-1GTWX-2026-SM-9YFLM 60-69 years, male 7.3
GTEX-1IDJI-0126-SM-CMKHS 50-59 years, female 7.3
GTEX-1LSVX-2526-SM-DIPEU 60-69 years, male 7.3
GTEX-1POEN-2326-SM-E9J2L 30-39 years, female 7.3
GTEX-17F9E-2326-SM-79OKD 50-59 years, male 7.2
GTEX-183WM-0326-SM-72D5V 70-79 years, female 7.2
GTEX-1CB4F-1026-SM-7DUH1 60-69 years, male 7.2
GTEX-1CB4H-1126-SM-7MKGL 60-69 years, female 7.2
GTEX-WY7C-2126-SM-3NB2R 50-59 years, male 7.2
GTEX-1HUB1-1426-SM-CGQF5 60-69 years, male 7.2
GTEX-1RAZS-2526-SM-E6CHT 50-59 years, male 7.2
GTEX-1212Z-0126-SM-59HK4 60-69 years, male 7.1
GTEX-12C56-1526-SM-5FQUQ 20-29 years, male 7.1
GTEX-13FTW-0326-SM-5K7UW 40-49 years, male 7.1
GTEX-1B933-2426-SM-7DHMD 50-59 years, female 7.1
GTEX-VUSG-2326-SM-4KL1U 50-59 years, male 7.1
GTEX-1F5PL-0926-SM-7PC2W 40-49 years, female 7.1
GTEX-1F88E-1626-SM-7SB8Z 60-69 years, female 7.1
GTEX-12WSH-1526-SM-5BC5W 50-59 years, male 7.0
GTEX-13NYB-0126-SM-5J1MD 40-49 years, male 7.0
GTEX-144GM-0526-SM-79OJO 20-29 years, male 7.0
GTEX-14PJ5-1526-SM-6LLIL 60-69 years, female 7.0
GTEX-1HSGN-0826-SM-ACKW3 40-49 years, female 7.0
GTEX-1JMQL-2226-SM-CNPP4 50-59 years, female 7.0
GTEX-14AS3-1526-SM-5Q5ED 40-49 years, female 6.9
GTEX-15UF6-1926-SM-7KUDV 70-79 years, female 6.9
GTEX-1AYD5-2626-SM-7PBXY 50-59 years, male 6.9
GTEX-1HSMO-0626-SM-ACKXC 60-69 years, male 6.9
GTEX-1KWVE-1026-SM-D3L9O 30-39 years, male 6.9
GTEX-1S82P-2126-SM-E6CI5 60-69 years, female 6.9
GTEX-131XG-0326-SM-5L3DX 50-59 years, female 6.8
GTEX-139D8-1126-SM-5LU8W 30-39 years, female 6.8
GTEX-15CHC-1126-SM-6LLHQ 60-69 years, female 6.8
GTEX-17EVP-2626-SM-7IGMA 40-49 years, male 6.8
GTEX-1EN7A-2426-SM-793DB 40-49 years, male 6.8
GTEX-X5EB-1926-SM-4E3IW 40-49 years, male 6.8
GTEX-Y5V5-0126-SM-5S2NW 60-69 years, female 6.8
GTEX-1C64O-1326-SM-7MGWR 60-69 years, male 6.8
GTEX-1HCU6-2526-SM-ADEHL 60-69 years, female 6.8
GTEX-1HCUA-0826-SM-ADEHM 50-59 years, female 6.8
GTEX-1JJ6O-2726-SM-CNPOG 60-69 years, male 6.8
GTEX-13QBU-1226-SM-5LU4G 40-49 years, female 6.7
GTEX-13RTJ-0126-SM-5S2NN 60-69 years, male 6.7
GTEX-17F98-1326-SM-7DUEP 40-49 years, female 6.7
GTEX-ZYT6-2326-SM-5GZY3 30-39 years, male 6.7
GTEX-1GL5R-1326-SM-7RHHF 50-59 years, male 6.7
GTEX-1GMRU-2126-SM-7P8RA 50-59 years, male 6.7
GTEX-1HGF4-0126-SM-CNPPX 60-69 years, male 6.7
GTEX-1IOXB-2726-SM-CM2RI 50-59 years, male 6.7
GTEX-1J8QM-2426-SM-A9SLS 60-69 years, female 6.7
GTEX-1PDJ9-1226-SM-EXUSX 20-29 years, male 6.7
GTEX-1R9PN-0426-SM-DTXDT 40-49 years, female 6.7
GTEX-11EM3-1226-SM-5N9DD 20-29 years, female 6.6
GTEX-WHPG-2626-SM-3NMBR 50-59 years, male 6.6
GTEX-WHSE-0126-SM-3NMBT 20-29 years, male 6.6
GTEX-XQ8I-0926-SM-4BOOF 50-59 years, male 6.6
GTEX-1KANB-2826-SM-CY8I6 50-59 years, male 6.6
GTEX-11ZTT-2126-SM-5CVLO 60-69 years, female 6.5
GTEX-12WSJ-1126-SM-5LZVJ 40-49 years, female 6.5
GTEX-13X6J-0626-SM-5LU5F 50-59 years, male 6.5
GTEX-14LLW-2626-SM-62LDZ 70-79 years, female 6.5
GTEX-1A3MW-0626-SM-731CB 60-69 years, female 6.5
GTEX-WI4N-2726-SM-3LK7Y 40-49 years, female 6.5
GTEX-XBEW-1126-SM-4QARW 40-49 years, male 6.5
GTEX-ZA64-1026-SM-5HL8R 20-29 years, male 6.5
GTEX-ZF2S-1626-SM-57WES 50-59 years, female 6.5
GTEX-1J8Q3-0526-SM-ARL8U 60-69 years, male 6.5
GTEX-131XW-0626-SM-5PNVD 50-59 years, female 6.4
GTEX-15EO6-2426-SM-6PALZ 50-59 years, male 6.4
GTEX-16AAH-0626-SM-793C9 50-59 years, male 6.4
GTEX-16MT9-0126-SM-7EPI8 60-69 years, female 6.4
GTEX-1B8KE-1126-SM-7EPHI 50-59 years, male 6.4
GTEX-1BAJH-2426-SM-7IGP8 70-79 years, male 6.4
GTEX-ZC5H-1526-SM-5HL9Y 40-49 years, female 6.4
GTEX-1CAMQ-1326-SM-7P8RV 40-49 years, male 6.4
GTEX-1S82U-1026-SM-E6CJK 30-39 years, female 6.4
GTEX-11NUK-2726-SM-5A5MC 50-59 years, male 6.3
GTEX-11UD2-2526-SM-5CVNU 50-59 years, male 6.3
GTEX-14BIN-1126-SM-5RQJZ 50-59 years, female 6.3
GTEX-15DYW-2726-SM-6EU2I 60-69 years, female 6.3
GTEX-1EU9M-1426-SM-793AI 60-69 years, male 6.3
GTEX-15EU6-2226-SM-6EU2L 50-59 years, male 6.2
GTEX-15FZZ-0526-SM-7KUGD 30-39 years, female 6.2
GTEX-15RIG-0726-SM-7KUM7 40-49 years, male 6.2
GTEX-ZXG5-2126-SM-59HKD 60-69 years, male 6.2
GTEX-1H1DE-1326-SM-9KNUG 20-29 years, male 6.2
GTEX-13PL6-1126-SM-5L3IE 40-49 years, female 6.1
GTEX-13VXT-1926-SM-5K7UO 20-29 years, female 6.1
GTEX-13X6H-0926-SM-5SIB2 50-59 years, female 6.1
GTEX-15G19-2426-SM-7KUMR 60-69 years, male 6.1
GTEX-17F9Y-0126-SM-79OKX 70-79 years, female 6.1
GTEX-1AMEY-0826-SM-72D65 30-39 years, female 6.1
GTEX-ZVE1-0726-SM-51MRN 50-59 years, female 6.1
GTEX-1H4P4-2126-SM-9WYSL 50-59 years, male 6.1
GTEX-11LCK-2226-SM-5HL4Q 30-39 years, male 6.0
GTEX-17F97-2626-SM-7IGM5 50-59 years, male 6.0
GTEX-XBED-1926-SM-47JYP 60-69 years, male 6.0
GTEX-1JJE9-2626-SM-ARZMT 70-79 years, male 6.0
GTEX-1N2EE-0626-SM-E76PW 60-69 years, male 6.0
GTEX-1S831-1826-SM-EWROF 20-29 years, male 6.0
GTEX-13N1W-2426-SM-5IJD1 70-79 years, male 5.9
GTEX-14C5O-0326-SM-5ZZUX 60-69 years, male 5.9
GTEX-Y9LG-1126-SM-4VBQ7 30-39 years, male 5.9
GTEX-ZP4G-1426-SM-4WWCL 20-29 years, female 5.9
GTEX-1OJC3-1226-SM-DTXER 20-29 years, male 5.9
GTEX-1PPGY-1626-SM-EVYBL 60-69 years, male 5.9
GTEX-11GSP-2326-SM-5HL63 60-69 years, female 5.8
GTEX-13FHO-0426-SM-5L3F5 60-69 years, male 5.8
GTEX-14753-0726-SM-5QGQO 60-69 years, male 5.8
GTEX-1EKGG-0626-SM-7DUGJ 60-69 years, male 5.8
GTEX-1F52S-2926-SM-7MKGA 60-69 years, female 5.8
GTEX-1MJK3-0726-SM-E6CJC 20-29 years, male 5.8
GTEX-1QP28-1126-SM-EVYC4 50-59 years, female 5.8
GTEX-111CU-1126-SM-5EGIM 50-59 years, male 5.7
GTEX-1269C-0126-SM-5EQ5L 60-69 years, female 5.7
GTEX-139T8-0626-SM-5KLZX 60-69 years, male 5.7
GTEX-13G51-1826-SM-5KLZH 60-69 years, male 5.7
GTEX-13OVH-0526-SM-5L3E6 70-79 years, male 5.7
GTEX-17HHE-1326-SM-7EWDZ 50-59 years, male 5.7
GTEX-1EH9U-2826-SM-7DUGT 60-69 years, male 5.7
GTEX-ZYFC-0426-SM-5GICQ 50-59 years, male 5.7
GTEX-1CAMS-2226-SM-7PBXQ 40-49 years, female 5.7
GTEX-1PIIG-2326-SM-DTXFR 30-39 years, male 5.7
GTEX-145LU-1926-SM-79OJN 50-59 years, male 5.6
GTEX-ZYY3-2926-SM-5GIEB 60-69 years, female 5.6
GTEX-1F75I-2226-SM-7SB8U 40-49 years, male 5.6
GTEX-1HCU7-0726-SM-A9SL1 50-59 years, male 5.6
GTEX-1LBAC-0826-SM-CY8IJ 20-29 years, male 5.6
GTEX-12WSM-1926-SM-5BC65 60-69 years, male 5.5
GTEX-13112-0126-SM-5P9IU 50-59 years, male 5.5
GTEX-133LE-2326-SM-5K7W3 20-29 years, female 5.5
GTEX-Y3I4-1726-SM-4TT89 50-59 years, male 5.5
GTEX-1C64N-2626-SM-7PC2N 50-59 years, male 5.5
GTEX-1GN1U-0626-SM-9MQL9 50-59 years, female 5.5
GTEX-1GPI7-1826-SM-9KNU1 20-29 years, male 5.5
GTEX-1GZ4I-2626-SM-9KNU3 50-59 years, male 5.5
GTEX-1LSNL-2726-SM-E9TKJ 50-59 years, male 5.5
GTEX-11WQC-1826-SM-5GU59 60-69 years, male 5.4
GTEX-139UW-0326-SM-5J1ML 60-69 years, male 5.4
GTEX-13FTY-2126-SM-5IFFB 40-49 years, female 5.4
GTEX-14A6H-2026-SM-5Q5DD 30-39 years, male 5.4
GTEX-15G1A-1626-SM-7KUKN 30-39 years, male 5.4
GTEX-1B8SF-0126-SM-7DUG3 60-69 years, male 5.4
GTEX-1B97I-0626-SM-73KUZ 40-49 years, male 5.4
GTEX-1EX96-1026-SM-7MKG2 50-59 years, male 5.4
GTEX-1H1DF-1126-SM-9WG7G 40-49 years, female 5.4
GTEX-1HB9E-0126-SM-CM2S5 50-59 years, male 5.4
GTEX-11TUW-0626-SM-5LU9M 60-69 years, male 5.3
GTEX-13OW5-2326-SM-5L3HO 60-69 years, male 5.3
GTEX-15ER7-0626-SM-6PANF 20-29 years, female 5.3
GTEX-ZE9C-2526-SM-5IJDR 60-69 years, male 5.3
GTEX-1GZ4H-0526-SM-9KNU9 50-59 years, female 5.3
GTEX-1PBJJ-1026-SM-E76OS 30-39 years, male 5.3
GTEX-1PPH7-1126-SM-DTX9A 40-49 years, male 5.3
GTEX-1QMI2-2526-SM-E8VNZ 60-69 years, male 5.3
GTEX-12ZZX-2426-SM-5GCOE 40-49 years, female 5.2
GTEX-13O3Q-0126-SM-5KM34 50-59 years, male 5.2
GTEX-13OVJ-0826-SM-5J1OK 50-59 years, female 5.2
GTEX-147GR-2426-SM-5ZZWQ 60-69 years, male 5.2
GTEX-1EMGI-2326-SM-7PBYA 60-69 years, male 5.2
GTEX-12ZZY-0726-SM-5EQ66 60-69 years, male 5.1
GTEX-13NYC-0126-SM-5L3F4 60-69 years, male 5.1
GTEX-16BQI-1326-SM-6M486 30-39 years, female 5.1
GTEX-U8XE-0226-SM-4E3J3 30-39 years, male 5.1
GTEX-ZT9X-1526-SM-5DUXD 40-49 years, male 5.1
GTEX-ZZPU-0826-SM-5GZX5 50-59 years, female 5.1
GTEX-1HCVE-2726-SM-CL54F 50-59 years, male 5.1
GTEX-1I1HK-2326-SM-CKZOH 60-69 years, male 5.1
GTEX-11EQ8-0926-SM-5H12V 60-69 years, male 5.0
GTEX-12ZZZ-0726-SM-5GCNZ 60-69 years, male 5.0
GTEX-1399U-1126-SM-5L3DB 50-59 years, female 5.0
GTEX-13D11-0926-SM-5J2NC 50-59 years, female 5.0
GTEX-13NYS-0626-SM-5L3F1 60-69 years, male 5.0
GTEX-13OW7-0426-SM-5K7VK 50-59 years, male 5.0
GTEX-14ICL-1626-SM-5YYAO 30-39 years, male 5.0
GTEX-14PII-0726-SM-6EU2B 60-69 years, male 5.0
GTEX-15SKB-2826-SM-6PAMH 60-69 years, male 5.0
GTEX-ZE7O-2726-SM-51MT5 50-59 years, female 5.0
GTEX-1HKZK-0726-SM-ACKW2 40-49 years, male 5.0
GTEX-1ICLY-0826-SM-CMKG1 50-59 years, male 5.0
GTEX-1JMQJ-0826-SM-CNPP7 50-59 years, male 5.0
GTEX-1K2DU-1226-SM-CYPT4 20-29 years, male 5.0
GTEX-1LVA9-2626-SM-EVYD4 50-59 years, male 5.0
GTEX-11P81-2226-SM-5PNYI 30-39 years, female 4.9
GTEX-11WQK-1026-SM-5EQLX 50-59 years, male 4.9
GTEX-131XF-2626-SM-5EQ6K 60-69 years, male 4.9
GTEX-13YAN-0226-SM-5TDC6 60-69 years, male 4.9
GTEX-XAJ8-1426-SM-47JYM 40-49 years, male 4.9
GTEX-1B8L1-2226-SM-7P8PT 60-69 years, male 4.9
GTEX-1KAFJ-0126-SM-DIPEK 50-59 years, male 4.9
GTEX-1NSGN-0726-SM-DTXEF 50-59 years, male 4.9
GTEX-1QEPI-2626-SM-DTXF4 60-69 years, female 4.9
GTEX-11GS4-0226-SM-5HL77 60-69 years, male 4.8
GTEX-1F88F-0126-SM-9WYSZ 60-69 years, female 4.8
GTEX-1H3O1-1326-SM-9MQLD 60-69 years, male 4.8
GTEX-1KXAM-1626-SM-D3LAD 60-69 years, male 4.8
GTEX-1LKK1-2626-SM-DKPQE 50-59 years, female 4.8
GTEX-13O61-1426-SM-5KM3D 60-69 years, male 4.7
GTEX-14PJ6-2626-SM-6EU2T 60-69 years, female 4.7
GTEX-14PKU-0126-SM-6LLHV 40-49 years, female 4.7
GTEX-1AMFI-1326-SM-7939R 50-59 years, female 4.7
GTEX-1GN73-0726-SM-7P8TJ 60-69 years, male 4.7
GTEX-1H2FU-0926-SM-9WPPT 60-69 years, female 4.7
GTEX-1HBPI-2126-SM-ARL9K 50-59 years, male 4.7
GTEX-1HFI7-2326-SM-CGQFS 50-59 years, female 4.7
GTEX-1HSMQ-2626-SM-A9SML 50-59 years, male 4.7
GTEX-1IE54-1126-SM-A9G2Z 40-49 years, female 4.7
GTEX-1QPFJ-1926-SM-EVYBD 30-39 years, female 4.7
GTEX-13IVO-0726-SM-5LZYV 70-79 years, male 4.6
GTEX-1GF9X-1326-SM-7PC2Y 40-49 years, female 4.6
GTEX-1HBPN-0126-SM-CGQEF 50-59 years, male 4.6
GTEX-1J8EW-2726-SM-CY8HR 60-69 years, female 4.6
GTEX-1J8Q2-2626-SM-ACKWQ 60-69 years, male 4.6
GTEX-1JK1U-0226-SM-ARZMX 60-69 years, male 4.6
GTEX-1R46S-2426-SM-E76QA 60-69 years, female 4.6
GTEX-1J1OQ-0126-SM-D4P2N 40-49 years, female 4.5
GTEX-1C6WA-2626-SM-7MKGM 60-69 years, male 4.4
GTEX-ZYVF-0926-SM-5E44J 50-59 years, female 4.4
GTEX-1LGRB-0926-SM-COH3K 50-59 years, female 4.4
GTEX-1LVAM-0726-SM-E6CIL 50-59 years, female 4.4
GTEX-YECK-0326-SM-4W1YS 60-69 years, male 4.3
GTEX-ZF29-0926-SM-4WKFZ 60-69 years, female 4.3
GTEX-ZTX8-1326-SM-4YCEL 20-29 years, male 4.3
GTEX-1H3VE-0726-SM-9YFL5 40-49 years, male 4.3
GTEX-1ICLZ-0326-SM-ARL82 60-69 years, male 4.3
GTEX-1PPH8-0126-SM-EWRN8 20-29 years, male 4.3
GTEX-ZLV1-1526-SM-DO91J 60-69 years, female 4.3
GTEX-13JVG-0726-SM-5KM16 60-69 years, male 4.2
GTEX-ZY6K-1426-SM-5GZX2 50-59 years, male 4.2
GTEX-1GZHY-0626-SM-9KNVC 50-59 years, female 4.2
GTEX-1HBPM-0726-SM-9YFL7 60-69 years, female 4.2
GTEX-1HSKV-1226-SM-ADEI4 60-69 years, male 4.2
GTEX-1R7EU-1626-SM-DTXG3 60-69 years, male 4.2
GTEX-1RAZQ-1326-SM-E9TK6 30-39 years, male 4.2
GTEX-14XAO-1226-SM-6EU1C 60-69 years, female 4.1
GTEX-1C6VQ-1226-SM-73KYD 50-59 years, male 4.1
GTEX-Y111-0626-SM-4SOIT 50-59 years, male 4.1
GTEX-1399Q-2326-SM-5KM2X 40-49 years, male 4.0
GTEX-145MH-2826-SM-5RQJF 50-59 years, male 4.0
GTEX-148VJ-0626-SM-5LUAW 70-79 years, male 4.0
GTEX-15RJE-2826-SM-7KUM9 40-49 years, male 4.0
GTEX-1C2JI-1026-SM-73KY1 50-59 years, male 4.0
GTEX-145MI-0626-SM-5SI8S 60-69 years, female 3.9
GTEX-WFG7-2026-SM-5SI7P 20-29 years, male 3.9
GTEX-1JMPY-0226-SM-CKZOK 30-39 years, male 3.9
GTEX-14C38-0726-SM-5SI6M 50-59 years, male 3.8
GTEX-14C39-1726-SM-5RQIL 40-49 years, male 3.8
GTEX-1GPI6-1926-SM-9KNV7 60-69 years, male 3.8
GTEX-1I1GV-0626-SM-ARL7M 60-69 years, male 3.8
GTEX-1JJEA-1826-SM-ARU8P 60-69 years, male 3.8
GTEX-1MCYP-0526-SM-E9U6Q 20-29 years, female 3.8
GTEX-1OJC4-2726-SM-E76PJ 50-59 years, female 3.8
GTEX-11PRG-0726-SM-5EGL1 50-59 years, male 3.7
GTEX-12WSK-2126-SM-5CVNC 40-49 years, female 3.7
GTEX-13SLW-0626-SM-5Q5ER 70-79 years, male 3.7
GTEX-1B932-2326-SM-79OL5 40-49 years, female 3.7
GTEX-1399S-0126-SM-5IJCF 30-39 years, female 3.6
GTEX-13NZ8-1226-SM-5KM4A 60-69 years, female 3.6
GTEX-13QJC-0126-SM-5ZZWJ 60-69 years, female 3.6
GTEX-ZVT2-0126-SM-5GIDQ 50-59 years, female 3.6
GTEX-1C6VR-0126-SM-7RHGB 60-69 years, male 3.6
GTEX-1HT8W-0626-SM-A9G2H 30-39 years, male 3.6
GTEX-1IDJV-0126-SM-COH3Y 60-69 years, male 3.6
GTEX-ZPCL-1126-SM-4WWFE 60-69 years, female 3.5
GTEX-1LB8K-0726-SM-D5OV2 50-59 years, male 3.5
GTEX-1F6RS-2026-SM-7RHHC 60-69 years, female 3.4
GTEX-1HR9M-2226-SM-CNPPY 60-69 years, male 3.4
GTEX-1I1GU-0926-SM-ACKVS 40-49 years, male 3.4
GTEX-1313W-0626-SM-5EQ4H 50-59 years, female 3.3
GTEX-144GL-0626-SM-5LU4D 50-59 years, male 3.2
GTEX-18A67-1626-SM-7LT9T 50-59 years, male 3.2
GTEX-111VG-1626-SM-5EGIO 60-69 years, male 3.0
GTEX-17HII-1426-SM-7EPGG 50-59 years, male 3.0
GTEX-1GN2E-0226-SM-9WG6K 60-69 years, male 3.0
GTEX-1H11D-1826-SM-9QEHM 40-49 years, male 3.0
GTEX-1S83E-1326-SM-E6CJM 40-49 years, male 3.0
GTEX-1QP2A-1726-SM-E76QC 50-59 years, male 2.9
GTEX-11ZU8-0126-SM-5EQ58 60-69 years, male 2.8
GTEX-ZVZP-1226-SM-5GID7 50-59 years, male 2.8
GTEX-13PDP-0726-SM-5L3HP 60-69 years, male 2.7
GTEX-1122O-1026-SM-9WYSF 60-69 years, female 2.7
GTEX-1I1GT-1026-SM-ARZLV 60-69 years, female 2.6
GTEX-14PJ4-0226-SM-5YY92 60-69 years, male 2.5
GTEX-1IKJJ-2226-SM-CJI4C 60-69 years, male 2.5
GTEX-1CB4J-1326-SM-7P8RX 60-69 years, male 2.4
GTEX-WHSB-1326-SM-3LK6W 50-59 years, male 2.2
GTEX-1GN1V-2826-SM-9JGIA 60-69 years, male 2.1
GTEX-1NV5F-0626-SM-DTXEG 60-69 years, female 1.8
Show allShow less
Skin - Sun Exposed (Lower leg)
Average nTPM: 7.9
Samples: 701

Max nTPM: 21.4
Min nTPM: 1.6
Std nTPM: 2.8
Median nTPM: 7.5
GTEX-OXRL-0126-SM-2YUMP 50-59 years, male 21.4
GTEX-U4B1-1826-SM-4DXSU 40-49 years, male 18.9
GTEX-1HSMP-0126-SM-E6CJS 70-79 years, male 17.5
GTEX-1QP67-1626-SM-EAZ3X 40-49 years, female 16.4
GTEX-1RAZQ-0726-SM-EAZ43 30-39 years, male 16.4
GTEX-1N2DV-0226-SM-E6CJ6 40-49 years, male 15.9
GTEX-11ZUS-0626-SM-59885 30-39 years, male 15.8
GTEX-11ZTT-2426-SM-5EQLS 60-69 years, female 15.3
GTEX-146FR-1326-SM-E9J48 60-69 years, female 15.3
GTEX-113IC-0126-SM-5HL6T 60-69 years, male 15.2
GTEX-11P7K-2126-SM-5GU7G 30-39 years, male 15.2
GTEX-1NHNU-1026-SM-E9J2A 50-59 years, male 15.2
GTEX-1QW4Y-1526-SM-EAZ3Z 30-39 years, male 15.2
GTEX-139T4-0226-SM-5HL5S 50-59 years, female 15.1
GTEX-14JIY-0126-SM-6LLH6 60-69 years, male 15.0
GTEX-QDT8-0126-SM-48TZ1 30-39 years, female 15.0
GTEX-14PJ3-1826-SM-62LEX 50-59 years, male 14.8
GTEX-1497J-2426-SM-7IGNX 60-69 years, male 14.6
GTEX-1R9PO-2126-SM-E9J4O 60-69 years, female 14.6
GTEX-ZZPT-0226-SM-5E43X 50-59 years, male 14.5
GTEX-13W3W-2426-SM-5LU5B 60-69 years, female 14.4
GTEX-1B8KZ-2026-SM-7DHMB 50-59 years, male 14.4
GTEX-1F75I-0326-SM-9YFLU 40-49 years, male 14.4
GTEX-1I19N-0326-SM-ACKVX 70-79 years, male 14.3
GTEX-1AMEY-1326-SM-73KYK 30-39 years, female 14.2
GTEX-1IKK5-0626-SM-ARL8A 60-69 years, male 14.2
GTEX-ZDXO-3026-SM-5J1N5 60-69 years, male 13.8
GTEX-ZQUD-1426-SM-57WER 30-39 years, male 13.8
GTEX-117YX-2326-SM-5H12W 50-59 years, male 13.7
GTEX-1CAMR-1926-SM-7EPI2 20-29 years, male 13.7
GTEX-NPJ8-0126-SM-2YUNR 40-49 years, male 13.3
GTEX-P4PQ-0126-SM-2S1NM 60-69 years, male 13.2
GTEX-U3ZM-1526-SM-3DB9D 40-49 years, male 13.2
GTEX-Y3I4-2126-SM-4TT7C 50-59 years, male 13.2
GTEX-145LU-0126-SM-5TDCB 50-59 years, male 13.1
GTEX-1H1E6-1726-SM-ACKVK 30-39 years, male 13.1
GTEX-WZTO-0126-SM-3NM95 40-49 years, male 13.0
GTEX-XQ8I-0426-SM-4BOPO 50-59 years, male 13.0
GTEX-XUW1-0426-SM-4BOOT 50-59 years, female 13.0
GTEX-Y8LW-1826-SM-5S2MV 50-59 years, female 13.0
GTEX-131XF-5016-SM-7MGWE 60-69 years, male 12.9
GTEX-1ICG6-2526-SM-CGQFZ 70-79 years, female 12.9
GTEX-144GN-2326-SM-5LU4F 50-59 years, male 12.7
GTEX-PLZ5-2026-SM-2S1O4 50-59 years, male 12.6
GTEX-QLQW-1126-SM-2S1Q8 30-39 years, male 12.6
GTEX-1EKGG-0226-SM-9WYTH 60-69 years, male 12.6
GTEX-14DAR-2026-SM-5S2O3 50-59 years, male 12.5
GTEX-Q734-1926-SM-2I5EV 40-49 years, female 12.5
GTEX-R55G-2526-SM-2TC6D 40-49 years, female 12.5
GTEX-11P82-1626-SM-59879 20-29 years, male 12.4
GTEX-14A6H-0126-SM-5QGPK 30-39 years, male 12.3
GTEX-ZF28-0126-SM-4WKGK 60-69 years, male 12.3
GTEX-11EMC-2926-SM-5EQ4F 60-69 years, female 12.2
GTEX-XAJ8-0826-SM-47JY6 40-49 years, male 12.2
GTEX-1HSEH-0126-SM-ACKXN 60-69 years, male 12.2
GTEX-1LNCM-1126-SM-E9U5E 50-59 years, female 12.2
GTEX-1QP2A-0126-SM-E9J43 50-59 years, male 12.2
GTEX-TMZS-0126-SM-3DB9Q 60-69 years, male 12.1
GTEX-15SB6-1726-SM-6PAME 50-59 years, female 12.0
GTEX-1C2JI-1826-SM-73KXC 50-59 years, male 12.0
GTEX-1OJC4-0126-SM-E9J2E 50-59 years, female 12.0
GTEX-SE5C-1626-SM-2XCE3 40-49 years, female 12.0
GTEX-11NUK-0126-SM-5A5L3 50-59 years, male 11.9
GTEX-145MN-2226-SM-5SIAU 30-39 years, male 11.9
GTEX-146FQ-0126-SM-5NQA9 30-39 years, male 11.9
GTEX-RN64-0126-SM-2TC68 50-59 years, male 11.9
GTEX-RTLS-0126-SM-447CA 60-69 years, female 11.9
GTEX-X638-0126-SM-47JZ8 70-79 years, female 11.9
GTEX-1PPH7-2326-SM-EVYB8 40-49 years, male 11.9
GTEX-1RLM8-2326-SM-EWRN4 50-59 years, male 11.9
GTEX-WVJS-0126-SM-4MVOT 50-59 years, male 11.8
GTEX-1AX9J-0226-SM-73KXM 60-69 years, male 11.6
GTEX-1AYCT-2426-SM-7IGQ3 50-59 years, male 11.6
GTEX-ZEX8-2426-SM-4WKG4 50-59 years, male 11.6
GTEX-1GN1W-0526-SM-9MQJQ 50-59 years, female 11.6
GTEX-11OC5-0126-SM-5HL6A 60-69 years, male 11.5
GTEX-1AYD5-2426-SM-73KXR 50-59 years, male 11.5
GTEX-YEC4-2126-SM-5IFJH 40-49 years, male 11.5
GTEX-13FH7-2026-SM-E9J4I 50-59 years, female 11.5
GTEX-13FHO-0226-SM-5IFGY 60-69 years, male 11.4
GTEX-1AX8Z-0126-SM-7DHM6 60-69 years, male 11.3
GTEX-WY7C-2326-SM-3NB2U 50-59 years, male 11.3
GTEX-XV7Q-2526-SM-4BRV9 40-49 years, female 11.3
GTEX-1GPI6-0126-SM-9WG69 60-69 years, male 11.3
GTEX-V1D1-2226-SM-3NMAX 50-59 years, male 11.2
GTEX-13NZA-0226-SM-5K7Z7 60-69 years, male 11.1
GTEX-1GZ2Q-0226-SM-7P8TL 40-49 years, male 11.1
GTEX-RM2N-1426-SM-2TF4H 50-59 years, male 11.0
GTEX-WXYG-2326-SM-4E3I6 50-59 years, female 11.0
GTEX-1HBPH-0426-SM-B2LW5 40-49 years, female 11.0
GTEX-13OVG-1926-SM-5L3DK 60-69 years, male 10.9
GTEX-14PK6-1926-SM-6ETZU 70-79 years, female 10.9
GTEX-16NGA-1726-SM-731B4 40-49 years, female 10.9
GTEX-SUCS-1926-SM-32PM3 70-79 years, male 10.9
GTEX-1GN73-0226-SM-9WG67 60-69 years, male 10.9
GTEX-1HKZK-0326-SM-9WYUH 40-49 years, male 10.9
GTEX-1IDJF-0126-SM-CM2RS 20-29 years, male 10.9
GTEX-1LG7Y-0526-SM-DKPQC 50-59 years, male 10.9
GTEX-1LSNM-1926-SM-E6CII 50-59 years, male 10.9
GTEX-13O21-1426-SM-5K7XI 50-59 years, male 10.8
GTEX-13OW7-0126-SM-5MR3B 50-59 years, male 10.8
GTEX-15SHW-0326-SM-6PAML 60-69 years, male 10.8
GTEX-16XZY-2126-SM-79OK1 70-79 years, male 10.8
GTEX-O5YW-0126-SM-3LK6D 50-59 years, male 10.8
GTEX-QEG4-0226-SM-2S1PY 30-39 years, male 10.8
GTEX-ZVT3-0126-SM-5GU6I 60-69 years, female 10.8
GTEX-1RQEC-0426-SM-E6CHU 60-69 years, male 10.8
GTEX-17F98-0626-SM-79OMX 40-49 years, female 10.7
GTEX-1F6I4-0126-SM-9MQL2 60-69 years, male 10.7
GTEX-1MUQO-0126-SM-EAZ58 60-69 years, male 10.7
GTEX-1QP9N-1426-SM-DTXFL 30-39 years, male 10.7
GTEX-11O72-0126-SM-59887 40-49 years, male 10.6
GTEX-12C56-1726-SM-5EQ61 20-29 years, male 10.6
GTEX-13O3Q-2426-SM-5IJBR 50-59 years, male 10.6
GTEX-13VXT-0126-SM-5LU4I 20-29 years, female 10.6
GTEX-QLQ7-1626-SM-2S1R8 60-69 years, male 10.6
GTEX-R55E-0126-SM-2TC5Y 20-29 years, male 10.6
GTEX-1JKYN-1326-SM-CGQG9 30-39 years, male 10.6
GTEX-18A66-0226-SM-718BD 60-69 years, male 10.5
GTEX-18A7A-0226-SM-718BH 50-59 years, female 10.5
GTEX-QDVN-2026-SM-3GAEP 50-59 years, male 10.5
GTEX-14BIM-0226-SM-7IGLD 60-69 years, female 10.4
GTEX-PLZ4-0126-SM-5SI8O 50-59 years, female 10.4
GTEX-Q2AG-0126-SM-33HBV 40-49 years, female 10.4
GTEX-U3ZH-2026-SM-3DB78 30-39 years, male 10.4
GTEX-U3ZN-2326-SM-3DB7W 30-39 years, female 10.4
GTEX-X62O-0126-SM-4E3JN 50-59 years, male 10.4
GTEX-ZUA1-0126-SM-5GU76 40-49 years, male 10.4
GTEX-1H1ZS-0426-SM-9WG6G 70-79 years, male 10.4
GTEX-1HSMQ-1226-SM-CGQFX 50-59 years, male 10.4
GTEX-11DXX-2426-SM-5GZZW 60-69 years, female 10.3
GTEX-18D9B-0526-SM-7LTAS 60-69 years, male 10.3
GTEX-1B8L1-2526-SM-9WYTF 60-69 years, male 10.2
GTEX-1H2FU-0126-SM-9WYSI 60-69 years, female 10.2
GTEX-12WSN-5019-SM-79OM6 40-49 years, male 10.1
GTEX-1A3MX-0126-SM-731BR 60-69 years, male 10.1
GTEX-NFK9-0226-SM-2HMKQ 40-49 years, male 10.1
GTEX-S95S-1226-SM-4GICG 60-69 years, male 10.1
GTEX-1ICLY-0126-SM-D4P36 50-59 years, male 10.1
GTEX-1MGNQ-0126-SM-EVYCJ 40-49 years, male 10.1
GTEX-14ABY-0226-SM-5TDCQ 50-59 years, male 10.0
GTEX-Q2AI-1326-SM-2S1PL 40-49 years, male 10.0
GTEX-QDVJ-1726-SM-2I5FX 50-59 years, male 10.0
GTEX-1HR98-0126-SM-B2LWI 60-69 years, male 10.0
GTEX-1JKYR-0126-SM-CNPOJ 20-29 years, male 10.0
GTEX-1AMFI-2026-SM-731BH 50-59 years, female 9.9
GTEX-WYJK-0126-SM-3NMAB 50-59 years, male 9.9
GTEX-1399U-2326-SM-5K7WY 50-59 years, female 9.8
GTEX-15D1Q-0126-SM-7KUG6 40-49 years, male 9.8
GTEX-17EUY-0426-SM-793BD 20-29 years, male 9.8
GTEX-17EVQ-0226-SM-7LG4P 70-79 years, male 9.8
GTEX-1F6IF-0726-SM-7P8TW 60-69 years, male 9.8
GTEX-1IY9M-0126-SM-D3L8S 60-69 years, male 9.8
GTEX-PWCY-1826-SM-DHXIZ 20-29 years, female 9.8
GTEX-1314G-1526-SM-5EGK2 30-39 years, male 9.7
GTEX-13OVL-0226-SM-5L3E9 50-59 years, male 9.7
GTEX-WH7G-2326-SM-3NMBC 40-49 years, male 9.7
GTEX-YB5K-2126-SM-4WWDJ 40-49 years, female 9.7
GTEX-1I1GP-2226-SM-CGQFK 50-59 years, male 9.7
GTEX-1PBJI-0526-SM-E8VNK 20-29 years, female 9.7
GTEX-1QP29-0626-SM-EWRMX 50-59 years, male 9.7
GTEX-ZF29-2326-SM-DO92K 60-69 years, female 9.7
GTEX-12126-0326-SM-5PNW3 20-29 years, male 9.6
GTEX-131XG-2626-SM-5KM17 50-59 years, female 9.6
GTEX-15CHC-2126-SM-6EU21 60-69 years, female 9.6
GTEX-15DCD-0126-SM-7KUEK 70-79 years, female 9.6
GTEX-15SDE-2226-SM-7IGLO 50-59 years, female 9.6
GTEX-1A3MV-1926-SM-718BT 30-39 years, male 9.6
GTEX-QCQG-1726-SM-3GIJ9 50-59 years, female 9.6
GTEX-RUSQ-1526-SM-2TF62 50-59 years, male 9.6
GTEX-T6MO-1626-SM-32QOM 40-49 years, female 9.6
GTEX-ZTPG-0326-SM-5O9AX 20-29 years, female 9.6
GTEX-1H3VY-0126-SM-ACKXD 50-59 years, male 9.6
GTEX-1J1R8-1726-SM-ARL8M 40-49 years, male 9.6
GTEX-1J8Q3-1626-SM-CMKGC 60-69 years, male 9.6
GTEX-1KD4Q-0226-SM-E9TJ9 40-49 years, male 9.6
GTEX-PW2O-1526-SM-7RHHB 20-29 years, male 9.6
GTEX-13N11-2526-SM-5K7UE 50-59 years, female 9.5
GTEX-147F4-0226-SM-5QGPW 50-59 years, male 9.5
GTEX-OHPM-0126-SM-2YUN9 50-59 years, male 9.5
GTEX-PWO3-1526-SM-48TCM 60-69 years, female 9.5
GTEX-ZE9C-2726-SM-57WB5 60-69 years, male 9.5
GTEX-1I1GS-0126-SM-B2LVW 60-69 years, male 9.5
GTEX-1MA7X-2226-SM-E6CIY 60-69 years, male 9.5
GTEX-1QCLY-0326-SM-E8VOG 30-39 years, male 9.5
GTEX-S33H-1026-SM-EZ6L6 30-39 years, male 9.5
GTEX-13N1W-0126-SM-5K7VT 70-79 years, male 9.4
GTEX-1H23P-0126-SM-ADEJ3 60-69 years, male 9.4
GTEX-RVPV-0126-SM-EAZAW 60-69 years, male 9.4
GTEX-132NY-0326-SM-5IJBL 60-69 years, male 9.3
GTEX-X585-0226-SM-4QAS2 50-59 years, male 9.3
GTEX-1F48J-0126-SM-7P8TT 50-59 years, female 9.3
GTEX-1GTWX-0126-SM-9YFLK 60-69 years, male 9.3
GTEX-1I1CD-0126-SM-CM2TK 60-69 years, female 9.3
GTEX-1I1HK-0126-SM-COH49 60-69 years, male 9.3
GTEX-1K2DA-1826-SM-CGQGT 50-59 years, male 9.3
GTEX-OOBJ-0126-SM-E6CJW 60-69 years, male 9.3
GTEX-12696-2426-SM-5EQ6H 60-69 years, male 9.2
GTEX-13FTX-1826-SM-5J1NX 20-29 years, female 9.2
GTEX-147GR-0526-SM-5S2MY 60-69 years, male 9.2
GTEX-S7SE-0126-SM-2XCD5 50-59 years, male 9.2
GTEX-1C6WA-0126-SM-7PC2B 60-69 years, male 9.2
GTEX-117YW-2626-SM-5GZZH 50-59 years, male 9.1
GTEX-11TTK-0126-SM-5987B 60-69 years, female 9.1
GTEX-11VI4-1726-SM-5CVLH 40-49 years, female 9.1
GTEX-13RTK-1426-SM-5QGQJ 20-29 years, male 9.1
GTEX-15DDE-0126-SM-6LPKH 50-59 years, female 9.1
GTEX-1C6VS-0526-SM-7DUEN 60-69 years, male 9.1
GTEX-ZYW4-0126-SM-5E44A 60-69 years, male 9.1
GTEX-1I1GU-2226-SM-CGQFA 40-49 years, male 9.1
GTEX-1MCYP-1926-SM-E9J2R 20-29 years, female 9.1
GTEX-PLZ6-1426-SM-DKPOT 30-39 years, male 9.1
GTEX-144FL-0126-SM-5TDC8 50-59 years, male 9.0
GTEX-14E7W-0126-SM-6LLJ9 70-79 years, male 9.0
GTEX-16MT8-0426-SM-7KUEY 60-69 years, female 9.0
GTEX-183FY-0126-SM-7LT9P 20-29 years, male 9.0
GTEX-OXRO-0126-SM-2YUN4 60-69 years, female 9.0
GTEX-1J8EW-0126-SM-CJI4F 60-69 years, female 9.0
GTEX-11DXW-0226-SM-5H122 40-49 years, male 8.9
GTEX-13W46-0226-SM-5SIAG 50-59 years, male 8.9
GTEX-18D9U-0226-SM-718BP 40-49 years, male 8.9
GTEX-1AX9K-2326-SM-73KWU 50-59 years, male 8.9
GTEX-RU72-0926-SM-2TF6B 50-59 years, female 8.9
GTEX-1IGQW-0126-SM-COH42 60-69 years, male 8.9
GTEX-W5X1-3026-SM-EAZAX 40-49 years, female 8.9
GTEX-11GSP-2526-SM-5N9BP 60-69 years, female 8.8
GTEX-14LLW-0126-SM-6LLIO 70-79 years, female 8.8
GTEX-OIZG-0726-SM-33HBL 50-59 years, male 8.8
GTEX-XXEK-2226-SM-4BRUM 50-59 years, male 8.8
GTEX-1IDFM-0126-SM-COH2V 60-69 years, male 8.8
GTEX-1M4P7-0226-SM-DIPEV 60-69 years, male 8.8
GTEX-OIZF-0126-SM-7SB8I 60-69 years, male 8.8
GTEX-RNOR-0126-SM-E9J4R 50-59 years, female 8.8
GTEX-145LT-1726-SM-5QGP3 40-49 years, male 8.7
GTEX-1A32A-0126-SM-718B1 50-59 years, female 8.7
GTEX-SIU8-0126-SM-2XCDT 50-59 years, male 8.7
GTEX-VUSG-2526-SM-4KL1V 50-59 years, male 8.7
GTEX-XBED-2226-SM-47JYQ 60-69 years, male 8.7
GTEX-1GF9U-2126-SM-7SB7L 40-49 years, female 8.7
GTEX-11GS4-2726-SM-5A5LE 60-69 years, male 8.6
GTEX-13FTW-2626-SM-5K7WL 40-49 years, male 8.6
GTEX-13U4I-0126-SM-5LU38 40-49 years, female 8.6
GTEX-13VXU-0126-SM-5SI9F 50-59 years, male 8.6
GTEX-QV44-1926-SM-2S1RF 50-59 years, male 8.6
GTEX-W5WG-1826-SM-4KL2Y 50-59 years, female 8.6
GTEX-Y111-0126-SM-4SOIV 50-59 years, male 8.6
GTEX-1C64O-0126-SM-7SB8P 60-69 years, male 8.6
GTEX-1F75A-0126-SM-7RHGM 50-59 years, male 8.6
GTEX-1HUB1-0426-SM-E9U4U 60-69 years, male 8.6
GTEX-1JMPY-1326-SM-ARL8Y 30-39 years, male 8.6
GTEX-1PIGE-0126-SM-EVYBJ 20-29 years, male 8.6
GTEX-17HHY-0126-SM-7LG5D 50-59 years, male 8.5
GTEX-QVJO-1626-SM-2S1QW 60-69 years, female 8.5
GTEX-TKQ1-1026-SM-4GICL 30-39 years, male 8.5
GTEX-ZDYS-2026-SM-5HL5L 50-59 years, male 8.5
GTEX-1B933-0126-SM-7PC29 50-59 years, female 8.5
GTEX-1F75B-0126-SM-9KNVL 50-59 years, male 8.5
GTEX-1HFI6-0226-SM-ADEHZ 40-49 years, male 8.5
GTEX-1OFPY-2426-SM-DTXEJ 60-69 years, male 8.5
GTEX-1POEN-0126-SM-EYYXJ 30-39 years, female 8.5
GTEX-R45C-0126-SM-EAZ2R 60-69 years, female 8.5
GTEX-11OF3-2626-SM-5GU7F 60-69 years, male 8.4
GTEX-12KS4-0326-SM-5EQ41 30-39 years, male 8.4
GTEX-13OVK-2026-SM-7KUEO 40-49 years, male 8.4
GTEX-1CB4I-0226-SM-79OLH 50-59 years, male 8.4
GTEX-T8EM-1026-SM-3DB7M 40-49 years, male 8.4
GTEX-WYVS-2126-SM-3NMA3 40-49 years, female 8.4
GTEX-13G51-2526-SM-5LZYK 60-69 years, male 8.3
GTEX-14DAQ-0126-SM-5S2MQ 60-69 years, female 8.3
GTEX-P4PP-0126-SM-3LK69 30-39 years, female 8.3
GTEX-SSA3-0126-SM-32QPU 60-69 years, male 8.3
GTEX-WOFL-0126-SM-3MJG2 60-69 years, male 8.3
GTEX-ZDTS-0126-SM-4WAY5 60-69 years, male 8.3
GTEX-1F7RK-0126-SM-7PC2S 20-29 years, female 8.3
GTEX-11DXY-2626-SM-5GIE7 60-69 years, male 8.2
GTEX-11NSD-2226-SM-5986V 20-29 years, male 8.2
GTEX-13OVI-1426-SM-5L3EY 60-69 years, female 8.2
GTEX-17MF6-0126-SM-7LG4F 40-49 years, male 8.2
GTEX-RWS6-2026-SM-2XCB5 60-69 years, female 8.2
GTEX-S7PM-0126-SM-4AD6S 60-69 years, male 8.2
GTEX-XUYS-0126-SM-47JWZ 50-59 years, male 8.2
GTEX-Y8E4-0626-SM-4WWDL 40-49 years, male 8.2
GTEX-1CAMS-0426-SM-7P8T2 40-49 years, female 8.2
GTEX-1CAV2-2226-SM-7P8P2 40-49 years, female 8.2
GTEX-1H3O1-0426-SM-9YFKY 60-69 years, male 8.2
GTEX-1HCVE-0126-SM-CGQEU 50-59 years, male 8.2
GTEX-1NV5F-0226-SM-E8VNY 60-69 years, female 8.2
GTEX-1RAZA-0126-SM-E6CI3 20-29 years, male 8.2
GTEX-113JC-2326-SM-5EQ4E 50-59 years, female 8.1
GTEX-1192X-0226-SM-5H12D 50-59 years, male 8.1
GTEX-OOBK-0126-SM-2YUND 40-49 years, male 8.1
GTEX-T5JC-0426-SM-32PLO 20-29 years, male 8.1
GTEX-WRHK-1426-SM-3MJF9 20-29 years, female 8.1
GTEX-YB5E-2026-SM-5IFIS 40-49 years, male 8.1
GTEX-ZAK1-0126-SM-5IJD3 50-59 years, female 8.1
GTEX-1CB4F-0426-SM-9KNV4 60-69 years, male 8.1
GTEX-1EU9M-0226-SM-7P8SP 60-69 years, male 8.1
GTEX-14753-0426-SM-5NQAM 60-69 years, male 8.0
GTEX-14ICK-0226-SM-6EU25 40-49 years, male 8.0
GTEX-17HHE-2026-SM-79OKF 50-59 years, male 8.0
GTEX-17MFQ-1726-SM-793C7 20-29 years, male 8.0
GTEX-18A6Q-0126-SM-731BZ 60-69 years, male 8.0
GTEX-X4EO-0326-SM-3P5YO 60-69 years, female 8.0
GTEX-YFC4-0126-SM-5CVLY 40-49 years, female 8.0
GTEX-169BO-1326-SM-9MQK2 50-59 years, male 8.0
GTEX-1AX9I-0126-SM-7SB74 60-69 years, male 8.0
GTEX-1I6K6-0126-SM-A9SLE 30-39 years, male 8.0
GTEX-1KANB-0526-SM-E6CJH 50-59 years, male 8.0
GTEX-1KD5A-0226-SM-D5OV3 50-59 years, male 8.0
GTEX-1S3DN-2226-SM-EVYCD 50-59 years, male 8.0
GTEX-1192W-2626-SM-5Q5AF 60-69 years, male 7.9
GTEX-12WSD-0126-SM-59HKN 60-69 years, female 7.9
GTEX-14BIL-0126-SM-5SI92 50-59 years, male 7.9
GTEX-ZAB5-1826-SM-5HL7C 50-59 years, male 7.9
GTEX-ZC5H-0226-SM-4WAY9 40-49 years, female 7.9
GTEX-ZVZP-2426-SM-59HKJ 50-59 years, male 7.9
GTEX-ZYY3-0126-SM-5GZY5 60-69 years, female 7.9
GTEX-1GF9X-2026-SM-7PC3A 40-49 years, female 7.9
GTEX-1PFEY-1526-SM-E76PP 30-39 years, male 7.9
GTEX-139TT-0126-SM-5K7Y5 60-69 years, male 7.8
GTEX-13RTL-0126-SM-7LG5S 40-49 years, male 7.8
GTEX-14PHW-0126-SM-6LLJI 60-69 years, female 7.8
GTEX-18465-0126-SM-731BN 50-59 years, male 7.8
GTEX-1CB4J-0626-SM-7DHMP 60-69 years, male 7.8
GTEX-OXRP-0126-SM-3NB32 60-69 years, female 7.8
GTEX-X8HC-0126-SM-4E3JW 50-59 years, female 7.8
GTEX-1EX96-1626-SM-7PBXR 50-59 years, male 7.8
GTEX-1JMOU-1526-SM-CL54I 60-69 years, female 7.8
GTEX-1QEPI-0126-SM-EWRMQ 60-69 years, female 7.8
GTEX-1QP66-1726-SM-E8VO1 50-59 years, male 7.8
GTEX-ZQG8-1626-SM-DHXIT 60-69 years, female 7.8
GTEX-16XZZ-0126-SM-793DV 60-69 years, male 7.7
GTEX-11TUW-2726-SM-E9J4M 60-69 years, male 7.7
GTEX-1HCUA-2426-SM-ADEIS 50-59 years, female 7.7
GTEX-1LC47-0326-SM-E9TJP 60-69 years, male 7.7
GTEX-1R7EV-2426-SM-EVYBG 40-49 years, male 7.7
GTEX-1S5ZA-0126-SM-EVYCV 20-29 years, male 7.7
GTEX-111VG-2426-SM-5GZXD 60-69 years, male 7.6
GTEX-16NPX-0226-SM-79OMT 50-59 years, male 7.6
GTEX-17F97-0326-SM-7LG5B 50-59 years, male 7.6
GTEX-17HGU-0226-SM-7DHKV 50-59 years, male 7.6
GTEX-18QFQ-0126-SM-731BE 30-39 years, male 7.6
GTEX-OXRK-0226-SM-3NB2G 50-59 years, female 7.6
GTEX-X4XX-0126-SM-3NMC2 60-69 years, male 7.6
GTEX-ZE7O-0126-SM-57WC1 50-59 years, female 7.6
GTEX-ZVT2-2526-SM-51MT1 50-59 years, female 7.6
GTEX-13O3O-0126-SM-E9J49 60-69 years, female 7.6
GTEX-1JJE9-0326-SM-CL53Z 70-79 years, male 7.6
GTEX-11ZVC-2526-SM-5FQTE 50-59 years, female 7.5
GTEX-13CF2-2526-SM-5LZYX 60-69 years, male 7.5
GTEX-XQ3S-1526-SM-4BOOC 20-29 years, male 7.5
GTEX-1GN1V-0126-SM-9WPOS 60-69 years, male 7.5
GTEX-1HGF4-2426-SM-ACKXM 60-69 years, male 7.5
GTEX-1IOXB-0126-SM-ARL8G 50-59 years, male 7.5
GTEX-1K9T9-0126-SM-EVYCF 50-59 years, female 7.5
GTEX-14BMU-2226-SM-5TDE9 20-29 years, female 7.4
GTEX-14PJM-0226-SM-62LF1 50-59 years, female 7.4
GTEX-15DYW-0126-SM-7KULE 60-69 years, female 7.4
GTEX-17GQL-2026-SM-718BA 60-69 years, male 7.4
GTEX-SJXC-0126-SM-2XCFF 60-69 years, male 7.4
GTEX-WQUQ-0426-SM-3MJFU 60-69 years, male 7.4
GTEX-1B996-0226-SM-7RHGO 60-69 years, male 7.4
GTEX-1EMGI-0126-SM-9KNUE 60-69 years, male 7.4
GTEX-1F5PK-2426-SM-7RHHY 50-59 years, male 7.4
GTEX-11TT1-2526-SM-5EGIB 20-29 years, male 7.3
GTEX-11UD1-0126-SM-5PNYG 40-49 years, female 7.3
GTEX-12WSJ-1826-SM-5GCNY 40-49 years, female 7.3
GTEX-12ZZX-0126-SM-5EGK9 40-49 years, female 7.3
GTEX-13YAN-0326-SM-5O9DF 60-69 years, male 7.3
GTEX-147F3-0526-SM-5SI98 50-59 years, female 7.3
GTEX-U8T8-0126-SM-3DB94 60-69 years, male 7.3
GTEX-Y5LM-1926-SM-5RQJH 40-49 years, female 7.3
GTEX-13113-5016-SM-7EPIP 60-69 years, female 7.2
GTEX-13QJ3-0326-SM-5S2RA 50-59 years, male 7.2
GTEX-13X6I-0626-SM-5QGP9 60-69 years, male 7.2
GTEX-1C4CL-0526-SM-73KVK 30-39 years, male 7.2
GTEX-UPJH-0326-SM-3GADU 50-59 years, male 7.2
GTEX-VJYA-1126-SM-3GIJU 60-69 years, male 7.2
GTEX-ZVE2-0226-SM-59HJB 50-59 years, male 7.2
GTEX-ZYFC-0226-SM-5NQ75 50-59 years, male 7.2
GTEX-11GSO-2426-SM-5A5LY 60-69 years, male 7.1
GTEX-13O3P-0126-SM-5KM4S 50-59 years, male 7.1
GTEX-14PN3-2426-SM-6LLHS 60-69 years, female 7.1
GTEX-15UKP-0426-SM-7KUFQ 20-29 years, male 7.1
GTEX-ZAB4-0226-SM-5N9F5 40-49 years, male 7.1
GTEX-1J8Q2-0526-SM-CM2RW 60-69 years, male 7.1
GTEX-1K2DU-2326-SM-E9TIV 20-29 years, male 7.1
GTEX-12WSA-0226-SM-5BC5V 60-69 years, male 7.0
GTEX-131XH-2226-SM-5DUXJ 50-59 years, male 7.0
GTEX-139TU-0126-SM-5K7WH 60-69 years, male 7.0
GTEX-139UW-2826-SM-5L3E7 60-69 years, male 7.0
GTEX-13O1R-0126-SM-5L3EH 60-69 years, male 7.0
GTEX-YJ8A-0426-SM-5IFID 20-29 years, male 7.0
GTEX-1F88F-2726-SM-7PBZZ 60-69 years, female 7.0
GTEX-1GZ4H-1726-SM-7PBZJ 50-59 years, female 7.0
GTEX-11XUK-2026-SM-5EQLF 40-49 years, female 6.9
GTEX-11ZTS-0126-SM-5EQ6M 60-69 years, female 6.9
GTEX-1313W-0126-SM-5LZUN 50-59 years, female 6.9
GTEX-1399T-2826-SM-5KLYZ 60-69 years, male 6.9
GTEX-145LV-2126-SM-5LU8N 50-59 years, male 6.9
GTEX-OHPL-0126-SM-2HMJ7 60-69 years, female 6.9
GTEX-TMMY-0226-SM-33HBA 40-49 years, female 6.9
GTEX-VJWN-0126-SM-3GIK7 50-59 years, female 6.9
GTEX-X5EB-2226-SM-46MW4 40-49 years, male 6.9
GTEX-1H1CY-2826-SM-9MQM3 60-69 years, female 6.9
GTEX-1J8JJ-0226-SM-CL53I 60-69 years, female 6.9
GTEX-1J8QM-2126-SM-CYPSJ 60-69 years, female 6.9
GTEX-11DZ1-0126-SM-5985Q 50-59 years, male 6.8
GTEX-11WQC-2526-SM-5CVLE 60-69 years, male 6.8
GTEX-13NZB-2526-SM-5J1OM 30-39 years, male 6.8
GTEX-13X6H-2126-SM-7EWD5 50-59 years, female 6.8
GTEX-17F96-1626-SM-7DUFL 70-79 years, male 6.8
GTEX-1C6VR-2426-SM-79OLD 60-69 years, male 6.8
GTEX-X4EP-0126-SM-3P5YV 60-69 years, female 6.8
GTEX-X88G-0126-SM-47JZ3 30-39 years, male 6.8
GTEX-XYKS-2126-SM-4E3IB 60-69 years, female 6.8
GTEX-ZDTT-2726-SM-4WKF8 60-69 years, male 6.8
GTEX-ZU9S-0226-SM-5E441 30-39 years, male 6.8
GTEX-1GPI7-0126-SM-9MQL8 20-29 years, male 6.8
GTEX-1I4MK-2226-SM-ACKWD 50-59 years, female 6.8
GTEX-1IL2V-0126-SM-CM2TX 70-79 years, male 6.8
GTEX-1R7EU-0226-SM-EVR4G 60-69 years, male 6.8
GTEX-11EM3-2426-SM-59861 20-29 years, female 6.7
GTEX-12WSE-0526-SM-793B2 20-29 years, male 6.7
GTEX-12WSK-2326-SM-5GCOH 40-49 years, female 6.7
GTEX-139T8-0126-SM-5K7XZ 60-69 years, male 6.7
GTEX-139TS-2826-SM-5J1OO 60-69 years, male 6.7
GTEX-13SLX-0526-SM-5S2ON 50-59 years, female 6.7
GTEX-148VI-1626-SM-5SI6E 60-69 years, female 6.7
GTEX-14JG6-2226-SM-6EU2G 30-39 years, female 6.7
GTEX-Q2AH-1626-SM-3GAF8 40-49 years, male 6.7
GTEX-SNMC-1226-SM-2XCFP 20-29 years, male 6.7
GTEX-1IKOH-0226-SM-COH4E 60-69 years, female 6.7
GTEX-1PPH8-0226-SM-E8VND 20-29 years, male 6.7
GTEX-PSDG-0226-SM-DKPOZ 50-59 years, male 6.7
GTEX-13CF3-2426-SM-5IFGX 60-69 years, female 6.6
GTEX-13NYS-0126-SM-5MR3W 60-69 years, male 6.6
GTEX-13RTJ-2426-SM-5S2Q2 60-69 years, male 6.6
GTEX-O5YT-0126-SM-48TBW 20-29 years, male 6.6
GTEX-Y5V6-2426-SM-4VDSB 60-69 years, male 6.6
GTEX-ZYFD-0126-SM-5GIDL 50-59 years, male 6.6
GTEX-1IDJU-2626-SM-CM2RT 60-69 years, female 6.6
GTEX-1R46S-0626-SM-E9J41 60-69 years, female 6.6
GTEX-11H98-0126-SM-5EGHG 50-59 years, male 6.5
GTEX-11ZU8-2526-SM-5EQKI 60-69 years, male 6.5
GTEX-12584-0126-SM-5EGKQ 40-49 years, male 6.5
GTEX-139D8-0226-SM-5KLZO 30-39 years, female 6.5
GTEX-16AAH-1726-SM-7939C 50-59 years, male 6.5
GTEX-R3RS-0126-SM-3GIJL 40-49 years, female 6.5
GTEX-1C6VQ-0126-SM-7P8RI 50-59 years, male 6.5
GTEX-1GL5R-1826-SM-9KNUY 50-59 years, male 6.5
GTEX-1H3NZ-0126-SM-ACKX7 60-69 years, male 6.5
GTEX-1R9K4-0126-SM-DTX9X 60-69 years, male 6.5
GTEX-1128S-2326-SM-5GZZY 60-69 years, female 6.4
GTEX-131XW-0426-SM-5LZWP 50-59 years, female 6.4
GTEX-13PVR-2326-SM-5QGR1 60-69 years, female 6.4
GTEX-148VJ-0126-SM-5TDDN 70-79 years, male 6.4
GTEX-14C5O-0126-SM-5SI6N 60-69 years, male 6.4
GTEX-16YQH-0126-SM-7DUFJ 30-39 years, male 6.4
GTEX-SN8G-0126-SM-32PLI 50-59 years, female 6.4
GTEX-X261-0126-SM-3NMD6 50-59 years, male 6.4
GTEX-1JMQK-0226-SM-CL543 60-69 years, male 6.4
GTEX-1MCQQ-0826-SM-DLHC2 60-69 years, male 6.4
GTEX-1PWST-0226-SM-E76QJ 70-79 years, male 6.4
GTEX-11EI6-0126-SM-5985R 60-69 years, male 6.3
GTEX-11LCK-1026-SM-5A5KB 30-39 years, male 6.3
GTEX-13FTY-0526-SM-5L3EV 40-49 years, female 6.3
GTEX-146FH-0126-SM-5QGPP 50-59 years, female 6.3
GTEX-14E6D-0126-SM-62LDV 50-59 years, male 6.3
GTEX-14PHX-2326-SM-62LEM 50-59 years, male 6.3
GTEX-18A67-0126-SM-7LG5P 50-59 years, male 6.3
GTEX-WI4N-1026-SM-3LK7N 40-49 years, female 6.3
GTEX-1HBPM-0226-SM-ARL9F 60-69 years, female 6.3
GTEX-1HBPN-0226-SM-9YFM1 50-59 years, male 6.3
GTEX-1HCU8-0626-SM-A9SM9 60-69 years, female 6.3
GTEX-1211K-2026-SM-5EQ4Z 60-69 years, female 6.2
GTEX-145MO-0326-SM-5Q5B3 60-69 years, male 6.2
GTEX-15G19-0126-SM-6PANQ 60-69 years, male 6.2
GTEX-15SHU-0126-SM-7KUEH 40-49 years, female 6.2
GTEX-Y3IK-2426-SM-4WWDU 50-59 years, female 6.2
GTEX-1GF9W-0326-SM-9KNUN 60-69 years, male 6.2
GTEX-1HSMO-0126-SM-CL547 60-69 years, male 6.2
GTEX-1JN6P-0126-SM-D3L98 60-69 years, male 6.2
GTEX-1KAFJ-2026-SM-CY8ID 50-59 years, male 6.2
GTEX-1QPFJ-0226-SM-E76PB 30-39 years, female 6.2
GTEX-1S82Z-0826-SM-E6CHY 30-39 years, female 6.2
GTEX-13112-2826-SM-5DUWH 50-59 years, male 6.1
GTEX-13SLW-0126-SM-5SI6C 70-79 years, male 6.1
GTEX-T2YK-0526-SM-32QPJ 50-59 years, male 6.1
GTEX-X4XY-0226-SM-4E3IZ 60-69 years, male 6.1
GTEX-XBEW-0626-SM-4QASP 40-49 years, male 6.1
GTEX-1A8FM-0226-SM-7SB7Q 50-59 years, female 6.1
GTEX-1F6RS-0126-SM-9MQKZ 60-69 years, female 6.1
GTEX-1GMR8-0126-SM-9WYTM 50-59 years, female 6.1
GTEX-1H3VE-0326-SM-9YFLH 40-49 years, male 6.1
GTEX-1ICLZ-0126-SM-CKZPO 60-69 years, male 6.1
GTEX-1J1OQ-0226-SM-CYPSH 40-49 years, female 6.1
GTEX-1LB8K-0226-SM-EWRNW 50-59 years, male 6.1
GTEX-1RB15-2126-SM-E9TIM 60-69 years, male 6.1
GTEX-15F5U-1526-SM-6PANO 40-49 years, male 6.0
GTEX-1A3MW-0126-SM-73KXX 60-69 years, female 6.0
GTEX-1E1VI-0126-SM-7DHMZ 50-59 years, male 6.0
GTEX-T2IS-0126-SM-4DM6O 20-29 years, female 6.0
GTEX-TML8-1926-SM-32QOS 40-49 years, female 6.0
GTEX-Z93T-0126-SM-5HL5N 50-59 years, male 6.0
GTEX-12WSG-2826-SM-E9J4H 50-59 years, female 6.0
GTEX-1CB4G-0226-SM-7PC3O 60-69 years, male 6.0
GTEX-1H1DE-2126-SM-9WG6R 20-29 years, male 6.0
GTEX-1HCU6-0126-SM-CL54K 60-69 years, female 6.0
GTEX-1IE54-0126-SM-CMKHW 40-49 years, female 6.0
GTEX-12ZZZ-0626-SM-5DUXI 60-69 years, male 5.9
GTEX-14A5H-0426-SM-5QGQF 60-69 years, male 5.9
GTEX-15EOM-0126-SM-7KUGG 20-29 years, female 5.9
GTEX-16GPK-0126-SM-7DHLE 60-69 years, male 5.9
GTEX-17HG3-2226-SM-7938L 30-39 years, female 5.9
GTEX-17KNJ-2326-SM-7DHLQ 50-59 years, male 5.9
GTEX-183WM-0126-SM-7LTAB 70-79 years, female 5.9
GTEX-Y8DK-0126-SM-4TT3L 60-69 years, male 5.9
GTEX-ZVTK-0426-SM-51MRS 20-29 years, male 5.9
GTEX-1EWIQ-0126-SM-7RHH2 70-79 years, female 5.9
GTEX-1H1DG-0126-SM-9WYU2 70-79 years, male 5.9
GTEX-1JK1U-2026-SM-CM2RZ 60-69 years, male 5.9
GTEX-1269C-2526-SM-5EGJ3 60-69 years, female 5.8
GTEX-12ZZY-0226-SM-5LZVE 60-69 years, male 5.8
GTEX-145ME-1826-SM-5SI9G 40-49 years, female 5.8
GTEX-16BQI-0226-SM-7KUEX 30-39 years, female 5.8
GTEX-1B8SG-0126-SM-73KZ3 50-59 years, male 5.8
GTEX-RWSA-0126-SM-2XCBB 40-49 years, male 5.8
GTEX-XMD2-0126-SM-4YCDU 60-69 years, female 5.8
GTEX-Z9EW-1626-SM-5CVMN 40-49 years, male 5.8
GTEX-ZGAY-0526-SM-4WWBB 40-49 years, female 5.8
GTEX-ZZ64-1726-SM-5GZYB 20-29 years, male 5.8
GTEX-1RDX4-0126-SM-E9J4P 50-59 years, female 5.8
GTEX-1S82Y-2026-SM-EVYCM 40-49 years, male 5.8
GTEX-12WSC-0126-SM-5EQ4P 50-59 years, male 5.7
GTEX-131YS-0126-SM-5KM1M 60-69 years, female 5.7
GTEX-13IVO-0126-SM-5J1NG 70-79 years, male 5.7
GTEX-14PN4-0126-SM-6EU2V 50-59 years, male 5.7
GTEX-15ETS-0126-SM-7KUMW 40-49 years, female 5.7
GTEX-1CB4E-2226-SM-793DC 60-69 years, male 5.7
GTEX-OIZH-0126-SM-2HMIS 50-59 years, male 5.7
GTEX-ZXES-1826-SM-5E43S 30-39 years, female 5.7
GTEX-1HBPI-1526-SM-C1YQ1 50-59 years, male 5.7
GTEX-1I1GR-0126-SM-CL55F 60-69 years, male 5.7
GTEX-13OVJ-0126-SM-5KM36 50-59 years, female 5.6
GTEX-13X6J-0126-SM-5QGOU 50-59 years, male 5.6
GTEX-18A7B-0126-SM-7LG64 70-79 years, male 5.6
GTEX-1BAJH-0526-SM-793CQ 70-79 years, male 5.6
GTEX-U412-0426-SM-3DB9O 60-69 years, male 5.6
GTEX-U8XE-0326-SM-3DB8P 30-39 years, male 5.6
GTEX-1H11D-0226-SM-9WG6Z 40-49 years, male 5.6
GTEX-1JMPZ-0226-SM-CNPP1 30-39 years, male 5.6
GTEX-1JMQI-2226-SM-CM2SD 50-59 years, male 5.6
GTEX-1PDJ9-0326-SM-DTX95 20-29 years, male 5.6
GTEX-11WQK-0526-SM-5EQLD 50-59 years, male 5.5
GTEX-13OW6-0426-SM-5L3HM 50-59 years, male 5.5
GTEX-14PII-0226-SM-6EU1T 60-69 years, male 5.5
GTEX-1B8KE-2126-SM-73KYX 50-59 years, male 5.5
GTEX-1CAMQ-0226-SM-7IGPK 40-49 years, male 5.5
GTEX-Y114-2426-SM-4TT8A 50-59 years, female 5.5
GTEX-Z93S-0126-SM-5HL7M 50-59 years, male 5.5
GTEX-1KANA-0726-SM-D3L9I 20-29 years, male 5.5
GTEX-ZVT4-0126-SM-DTXFN 50-59 years, female 5.5
GTEX-T6MN-0126-SM-32PLP 50-59 years, male 5.4
GTEX-1CB4H-0226-SM-7PBXM 60-69 years, female 5.4
GTEX-1EN7A-0126-SM-7SB81 40-49 years, male 5.4
GTEX-1GN1U-0126-SM-7PBZK 50-59 years, female 5.4
GTEX-1HSGN-0226-SM-CGQFV 40-49 years, female 5.4
GTEX-1JMQJ-0526-SM-CYPSU 50-59 years, male 5.4
GTEX-1N2EF-0226-SM-EYYXB 60-69 years, male 5.4
GTEX-111FC-0126-SM-5N9DL 60-69 years, male 5.3
GTEX-1399R-2726-SM-5IJBA 30-39 years, male 5.3
GTEX-13N2G-2626-SM-5J1OT 60-69 years, male 5.3
GTEX-13S7M-0126-SM-5SI6A 60-69 years, female 5.3
GTEX-14BMV-0126-SM-5S2PO 50-59 years, male 5.3
GTEX-OXRN-0126-SM-48TDM 50-59 years, male 5.3
GTEX-ZAJG-0126-SM-5HL94 50-59 years, female 5.3
GTEX-1F52S-0126-SM-9MQJU 60-69 years, female 5.3
GTEX-1F5PL-0326-SM-7P8PQ 40-49 years, female 5.3
GTEX-1HT8W-0126-SM-CNPPP 30-39 years, male 5.3
GTEX-1OJC3-0126-SM-E76QX 20-29 years, male 5.3
GTEX-13D11-2426-SM-5KM1V 50-59 years, female 5.2
GTEX-13JUV-2726-SM-5LZZ8 40-49 years, female 5.2
GTEX-14JG1-0426-SM-6ETZZ 40-49 years, male 5.2
GTEX-1KWVE-1426-SM-E9TJO 30-39 years, male 5.2
GTEX-11P81-2326-SM-59875 30-39 years, female 5.1
GTEX-13FXS-0226-SM-5IJCK 50-59 years, male 5.1
GTEX-13NYB-2526-SM-5K7Z6 40-49 years, male 5.1
GTEX-13NZ8-0826-SM-5MR3I 60-69 years, female 5.1
GTEX-14XAO-2326-SM-6EU1B 60-69 years, female 5.1
GTEX-P44H-0226-SM-2XCEU 40-49 years, male 5.1
GTEX-ZXG5-0126-SM-5GIEU 60-69 years, male 5.1
GTEX-ZY6K-1826-SM-5GZXK 50-59 years, male 5.1
GTEX-ZYFG-2326-SM-5E44B 60-69 years, female 5.1
GTEX-1GN2E-0426-SM-9MQKX 60-69 years, male 5.1
GTEX-1GZHY-0326-SM-9QEHI 50-59 years, female 5.1
GTEX-1N2DW-0226-SM-E9TK2 50-59 years, male 5.1
GTEX-ZPIC-1726-SM-DHXIU 40-49 years, female 5.1
GTEX-14BIN-0626-SM-793DP 50-59 years, female 5.0
GTEX-XPVG-2626-SM-4B669 50-59 years, male 5.0
GTEX-ZV6S-2326-SM-4YCEY 40-49 years, female 5.0
GTEX-1HSKV-0226-SM-A9SKJ 60-69 years, male 5.0
GTEX-1KANC-1526-SM-D3LAB 50-59 years, female 5.0
GTEX-1KXAM-2226-SM-CYPTC 60-69 years, male 5.0
GTEX-15RIG-0226-SM-7KFTL 40-49 years, male 4.9
GTEX-15UF6-0826-SM-6PALJ 70-79 years, female 4.9
GTEX-1B8SF-1426-SM-7DUGL 60-69 years, male 4.9
GTEX-Y5V5-2326-SM-4V6GA 60-69 years, female 4.9
GTEX-ZTSS-1926-SM-57WEW 40-49 years, male 4.9
GTEX-1GMRU-0126-SM-9YFLV 50-59 years, male 4.9
GTEX-1HB9E-0226-SM-E9U4R 50-59 years, male 4.9
GTEX-145MF-0626-SM-5LUAI 50-59 years, male 4.8
GTEX-14PJ6-2126-SM-6EU1V 60-69 years, female 4.8
GTEX-P4QT-0126-SM-2I3FL 50-59 years, female 4.8
GTEX-UJHI-1526-SM-3DB99 50-59 years, female 4.8
GTEX-13OW5-0126-SM-DTXFS 60-69 years, male 4.8
GTEX-1JJ6O-0126-SM-E6CI8 60-69 years, male 4.8
GTEX-12WSL-2526-SM-5GCNJ 50-59 years, male 4.7
GTEX-13OW8-1326-SM-5J1OW 60-69 years, male 4.7
GTEX-14A5I-0126-SM-5TDEA 50-59 years, female 4.7
GTEX-14LZ3-0226-SM-62LET 60-69 years, female 4.7
GTEX-T5JW-1626-SM-3GADZ 20-29 years, female 4.7
GTEX-1I1GQ-0126-SM-COH3H 50-59 years, male 4.7
GTEX-1I1GT-0626-SM-CGQER 60-69 years, female 4.7
GTEX-QESD-1426-SM-2S1R9 20-29 years, male 4.6
GTEX-ZVZO-0126-SM-5A5L9 40-49 years, male 4.6
GTEX-1IDJH-0326-SM-A9SLQ 70-79 years, male 4.6
GTEX-11EQ9-2426-SM-5HL5T 30-39 years, male 4.5
GTEX-15EU6-0426-SM-6PAN5 50-59 years, male 4.5
GTEX-1GMR3-1926-SM-9KNUZ 40-49 years, male 4.5
GTEX-1HCU9-1526-SM-A9SL7 20-29 years, male 4.5
GTEX-1JN76-0126-SM-CNPPE 20-29 years, female 4.5
GTEX-1LH75-2426-SM-E9TJE 50-59 years, female 4.5
GTEX-1S83E-0126-SM-EWRO4 40-49 years, male 4.5
GTEX-11UD2-0226-SM-5EQKY 50-59 years, male 4.4
GTEX-13OVH-0126-SM-5MR4B 70-79 years, male 4.4
GTEX-17EVP-0326-SM-7DHLG 40-49 years, male 4.4
GTEX-18D9A-1926-SM-7LG6P 30-39 years, female 4.4
GTEX-PX3G-0126-SM-2I3EN 20-29 years, female 4.4
GTEX-1HFI7-1826-SM-ACKXH 50-59 years, female 4.4
GTEX-1I1GV-0526-SM-A9G29 60-69 years, male 4.4
GTEX-11DXZ-2326-SM-5EGGV 50-59 years, male 4.3
GTEX-11DYG-0126-SM-59883 60-69 years, male 4.3
GTEX-145MI-0526-SM-5O9A8 60-69 years, female 4.3
GTEX-15ER7-0326-SM-7KUEV 20-29 years, female 4.3
GTEX-1C64N-0126-SM-793D7 50-59 years, male 4.3
GTEX-XUZC-1726-SM-4BRWS 30-39 years, female 4.3
GTEX-1GF9V-0326-SM-7RHI5 60-69 years, male 4.3
GTEX-1LVAN-0226-SM-COH3S 50-59 years, female 4.3
GTEX-117XS-2726-SM-5N9BL 60-69 years, male 4.2
GTEX-133LE-1826-SM-5J1MV 20-29 years, female 4.2
GTEX-13PDP-0126-SM-5L3HD 60-69 years, male 4.2
GTEX-14E6C-0126-SM-5RQIP 40-49 years, male 4.2
GTEX-PVOW-0126-SM-2XCFA 40-49 years, male 4.2
GTEX-WFON-2126-SM-3LK7O 40-49 years, male 4.1
GTEX-1JJEA-0326-SM-CNPOT 60-69 years, male 4.1
GTEX-1LGOU-2026-SM-DIPFF 20-29 years, female 4.1
GTEX-1MA7W-2026-SM-E9TJ6 20-29 years, female 4.1
GTEX-ZYT6-0226-SM-5NQ6T 30-39 years, male 4.0
GTEX-1LGRB-2526-SM-CNPPQ 50-59 years, female 4.0
GTEX-1QAET-0926-SM-E76QM 50-59 years, male 4.0
GTEX-14E6E-1826-SM-5S2R7 30-39 years, male 3.9
GTEX-1IL2U-0226-SM-CE6T8 60-69 years, male 3.9
GTEX-1JN1M-0326-SM-CYPT3 60-69 years, female 3.9
GTEX-1212Z-2526-SM-5EGKP 60-69 years, male 3.8
GTEX-145LS-0126-SM-5QGP1 60-69 years, female 3.8
GTEX-17HII-0226-SM-7LG4E 50-59 years, male 3.8
GTEX-ZF2S-2326-SM-4WWCE 50-59 years, female 3.8
GTEX-1JMLX-0226-SM-CM2RO 50-59 years, male 3.8
GTEX-1LBAC-0126-SM-DIPEZ 20-29 years, male 3.8
GTEX-13NYC-0326-SM-E9J4S 60-69 years, male 3.7
GTEX-1QMI2-0226-SM-EVYBX 60-69 years, male 3.7
GTEX-1M5QR-1226-SM-EWROB 40-49 years, male 3.6
GTEX-POMQ-2226-SM-2I5FK 20-29 years, female 3.5
GTEX-1H4P4-0726-SM-9YFLR 50-59 years, male 3.5
GTEX-1IKJJ-0126-SM-CNPQB 60-69 years, male 3.5
GTEX-1122O-2126-SM-5EGIR 60-69 years, female 3.4
GTEX-TSE9-0126-SM-3DB83 60-69 years, female 3.4
GTEX-ZWKS-0126-SM-5SIAA 30-39 years, male 3.4
GTEX-1O97I-0326-SM-EYYX7 60-69 years, male 3.4
GTEX-13FHP-0126-SM-5IJBG 50-59 years, male 3.3
GTEX-144GL-0126-SM-5TDE2 50-59 years, male 3.3
GTEX-1E2YA-0126-SM-9KNUC 50-59 years, male 3.3
GTEX-YJ89-0126-SM-4TT3X 60-69 years, male 3.2
GTEX-ZV68-0126-SM-59HKS 50-59 years, female 3.2
GTEX-1LG7Z-1726-SM-D3LA4 30-39 years, male 3.2
GTEX-1HCU7-0226-SM-CL545 50-59 years, male 3.1
GTEX-1MJK2-0426-SM-DTXE5 50-59 years, male 3.1
GTEX-13111-1626-SM-5EGJY 50-59 years, male 3.0
GTEX-1R9PM-2026-SM-E76OY 20-29 years, male 3.0
GTEX-ZF3C-0126-SM-DO92D 50-59 years, female 3.0
GTEX-131XE-2326-SM-5PNZ2 50-59 years, male 2.9
GTEX-17JCI-0126-SM-7LG5G 60-69 years, female 2.9
GTEX-1B97I-1626-SM-73KYO 40-49 years, male 2.8
GTEX-WFG8-2226-SM-3GIL9 20-29 years, male 2.7
GTEX-ZTX8-1426-SM-5DUVO 20-29 years, male 2.7
GTEX-S32W-2126-SM-2XCB1 50-59 years, female 2.5
GTEX-1C475-1826-SM-73KWA 40-49 years, female 2.4
GTEX-1L5NE-2526-SM-E6CIE 50-59 years, male 2.2
GTEX-1PIIG-0226-SM-EWRN6 30-39 years, male 2.0
GTEX-1JMQL-0226-SM-CNPP5 50-59 years, female 1.6
Show allShow less

Contact

  • NEWS ARTICLES
  • PRESS ROOM

The Project

  • INTRODUCTION
  • ORGANIZATION
  • PUBLICATIONS

The Human Protein Atlas

  • DOWNLOADABLE DATA
  • LICENCE & CITATION
  • HELP & FAQ
The Human Protein Atlas project is funded
by the Knut & Alice Wallenberg Foundation.


contact@proteinatlas.org