We use cookies to enhance the usability of our website. If you continue, we'll assume that you are happy to receive all cookies. More information. Don't show this again.
DMGDH
HPA
RESOURCES
  • TISSUE
  • BRAIN
  • SINGLE CELL
  • SUBCELLULAR
  • CANCER
  • BLOOD
  • CELL LINE
  • STRUCTURE & INTERACTION
ABOUT
  • INTRODUCTION
  • HISTORY
  • ORGANIZATION
  • PUBLICATIONS
  • ANTIBODY SUBMISSION
  • ANTIBODY AVAILABILITY
  • ACKNOWLEDGMENTS
  • CONTACT
NEWS
  • NEWS ARTICLES
  • PRESS ROOM
LEARN
  • DICTIONARY
  • PROTEIN CLASSES
  • PROTEIN EVIDENCE
  • METHODS
  • EDUCATIONAL VIDEOS
DATA
  • DOWNLOADABLE DATA
  • PUBLICATION DATA
  • RELEASE HISTORY
HELP
  • ANTIBODY VALIDATION
  • ASSAYS & ANNOTATION
  • DISCLAIMER
  • HELP & FAQ
  • PRIVACY STATEMENT
  • LICENCE & CITATION
Fields »
Search result

Field
Term
Gene name
Class
Subclass
Class
Keyword
Chromosome
External id
Tissue
Cell type
Expression
Antibody panel
Tissue
Main location
Patient ID
Annotation
Tissue
Category
Tau score
Cluster
Reliability
Brain region
Category
Tau score
Brain region
Category
Tau score
Brain region
Category
Tau score
Cluster
Reliability
Tissue
Cell type
Enrichment
Cell type
Category
Tau score
Cell type
Category
Tau score
Cell type
Category
Tau score
Cell lineage
Category
Tau score
Cluster
Cluster
Location
Searches
Location
Cell line
Class
Type
Phase
Reliability
Cancer
Prognosis
Cancer
Category
Cancer
Category
Tau score
Cluster
Variants
Interacting gene (ensg_id)
Type
Number of interactions
Pathway
Category
Score
Score
Score
Validation
Validation
Validation
Validation
Antibodies
Data type
Column


  • SUMMARY

  • TISSUE

  • BRAIN

  • SINGLE CELL

  • SUBCELL

  • CANCER

  • BLOOD

  • CELL LINE

  • STRUCT & INT

  • DMGDH
TISSUE PRIMARY DATA CAUDATE Show tissue menu
ADIPOSE TISSUE ADRENAL GLAND AMYGDALA APPENDIX BASAL GANGLIA BONE MARROW BREAST BRONCHUS CEREBELLUM CEREBRAL CORTEX CERVIX CHOROID PLEXUS COLON DUODENUM
ENDOMETRIUM EPIDIDYMIS ESOPHAGUS FALLOPIAN TUBE GALLBLADDER HEART MUSCLE HIPPOCAMPAL FORMATION HYPOTHALAMUS KIDNEY LIVER LUNG LYMPH NODE MIDBRAIN NASOPHARYNX
ORAL MUCOSA OVARY PANCREAS PARATHYROID GLAND PITUITARY GLAND PLACENTA PROSTATE RECTUM RETINA SALIVARY GLAND SEMINAL VESICLE SKELETAL MUSCLE SKIN SMALL INTESTINE
SMOOTH MUSCLE SOFT TISSUE SPINAL CORD SPLEEN STOMACH TESTIS THYMUS THYROID GLAND TONGUE TONSIL URINARY BLADDER VAGINA
ANTIBODIES
AND
VALIDATION
Dictionary
Caudate
Tissue proteome
CAUDATE - Expression summary
Protein expression
Caudatei

On the top, protein expression in current human tissue, based on all annotated cell types, is reported with the units not detected (n), low (l), medium (m) and high (h). Underneath, protein expression in each annotated cell type are reported using the same units.

Protein expression data is based on knowledge-based annotation. For genes where more than one antibody has been used, a collective score is set.

If knowledge-based annotation could not be performed for a gene, no data is displayed here. View antibody staining data further down this page.

h
m
l
n
Glial cells: Not detected
Neuronal cells: Not detected
RNA expressioni

A summary of mRNA expression data available for current tissue based on several datasets. The mRNA expression levels in human tissues are based on RNA-seq data generated by the Human Protein Atlas (HPA), Genotype-Tissue Expression (GTEx) portal and CAGE data generated by the FANTOM5 consortium. Consensus normalized expression levels for human tissues was created by combining the data from HPA and GTEx datasets.

The mRNA expression levels in pig are based on RNA-seq data generated by the Human Protein Atlas (HPA), and for mouse, HPA data and in situ hybridization generated by the Allen brain atlas are reported.

Scroll down to view mRNA expression data in more detail.
GTEx:2.3 nTPM
FANTOM5:2.6 Scaled Tags Per Million
Pig:1.5 nTPM

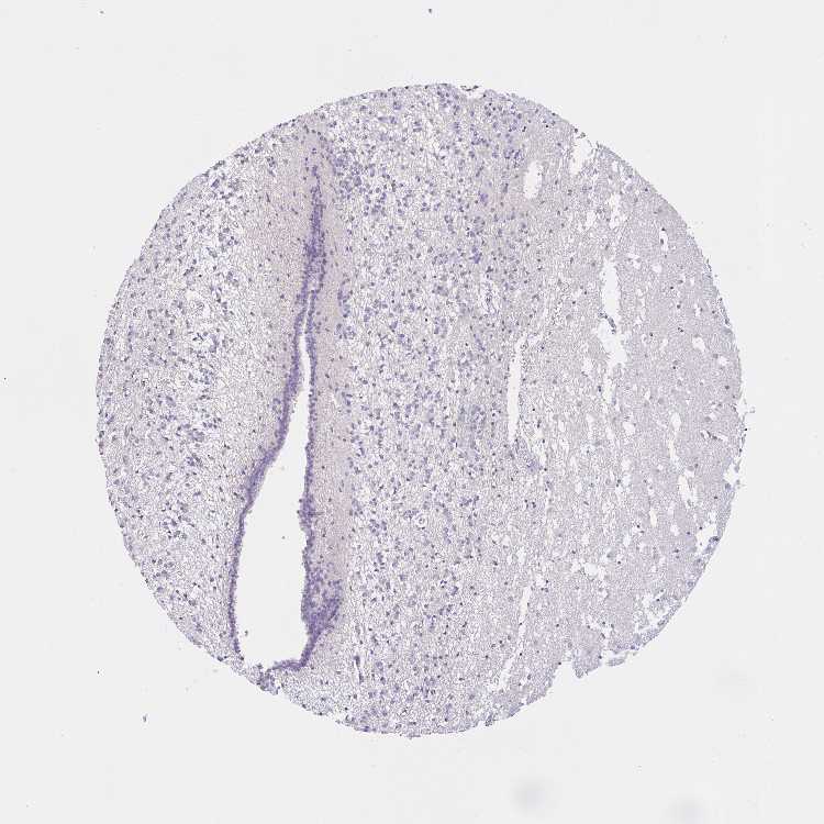
CAUDATE - Antibody stainingi

Antibody staining in the annotated cell types in the current human tissue is reported as not detected, low, medium, or high, based on conventional immunohistochemistry profiling in selected tissues. This score is based on the combination of the staining intensity and fraction of stained cells.

Each image is clickable and will lead to virtual microscopy that enables deeper exploration of all samples and also displays staining intensity scores, fraction scores and subcellular localization as well as patient and tissue information for each sample.

Antibody HPA036441Antibody HPA036442
Glial cells Not detectedNot detected
Neuronal cells Not detectedNot detected




CAUDATE - GTEx RNA-seqi

RNA-Seq data generated by the Genotype-Tissue Expression (GTEx) project from human tissues is reported as mean nTPM. More information can be found on the GTEx portal.

Distribution across the dataset is visualized with box plots, shown as median and 25th and 75th percentiles. Points are displayed as outliers if they are above or below 1.5 times the interquartile range. nTPM values of the individual samples are presented next to the box plot.
Max subtype nTPMi

Max subtype nTPM is the value for the subtype with the largest average nTPM across the subtype samples.

2.3
GTEx sample id Sample description nTPM
Brain - Caudate (basal ganglia)
Average nTPM: 2.3
Samples: 246

Max nTPM: 6.9
Min nTPM: 0.4
Std nTPM: 0.8
Median nTPM: 2.3
GTEX-1H1ZS-0011-R5b-SM-CL53L 70-79 years, male 6.9
GTEX-P44H-0011-R5A-SM-2XCEX 40-49 years, male 6.5
GTEX-17HG3-0011-R5a-SM-7DUEW 30-39 years, female 4.6
GTEX-NPJ7-0011-R5a-SM-33HBK 60-69 years, female 4.6
GTEX-T6MN-0011-R5A-SM-32QPD 50-59 years, male 4.5
GTEX-11H98-0011-R5b-SM-57WCF 50-59 years, male 4.4
GTEX-ZAB4-0011-R5a-SM-4SOKC 40-49 years, male 4.4
GTEX-13CF2-0011-R5a-SM-5LZWS 60-69 years, male 4.2
GTEX-QDT8-0011-R5A-SM-32PKN 30-39 years, female 4.1
GTEX-1HR98-0011-R5a-SM-A9G1V 60-69 years, male 4.1
GTEX-1N2DW-0011-R5a-SM-EYYX3 50-59 years, male 4.1
GTEX-13PVQ-0011-R5b-SM-5O9DI 50-59 years, male 4.0
GTEX-14753-0011-R5a-SM-5S2VW 60-69 years, male 4.0
GTEX-13OW6-0011-R5a-SM-5O9BK 50-59 years, male 3.9
GTEX-YJ89-0011-R5a-SM-4V6GM 60-69 years, male 3.8
GTEX-1EH9U-0011-R5a-SM-CJI2K 60-69 years, male 3.8
GTEX-1I1GS-0011-R5a-SM-CKZPC 60-69 years, male 3.8
GTEX-1J8EW-0011-R5b-SM-ARU8B 60-69 years, female 3.8
GTEX-139T8-0011-R5b-SM-5J1MO 60-69 years, male 3.7
GTEX-13CZV-0011-R5a-SM-5K7XA 60-69 years, male 3.7
GTEX-1445S-0011-R5a-SM-5PNUS 60-69 years, male 3.7
GTEX-145MG-0011-R5b-SM-5S2VU 50-59 years, male 3.5
GTEX-14PJO-0011-R5a-SM-6AJBZ 60-69 years, male 3.5
GTEX-1H2FU-0011-R5b-SM-CL552 60-69 years, female 3.5
GTEX-RU72-0011-R5A-SM-2TF6U 50-59 years, female 3.4
GTEX-ZV68-0011-R5a-SM-4YCDW 50-59 years, female 3.4
GTEX-1C6VS-0011-R5a-SM-7MXU9 60-69 years, male 3.4
GTEX-1H1CY-0011-R5a-SM-CM2SN 60-69 years, female 3.4
GTEX-13JUV-0011-R5a-SM-5LZY5 40-49 years, female 3.3
GTEX-13JVG-0011-R5a-SM-5MR4O 60-69 years, male 3.3
GTEX-T5JC-0011-R5A-SM-32PLK 20-29 years, male 3.3
GTEX-WVLH-0011-R5A-SM-3MJFW 50-59 years, male 3.3
GTEX-1J8Q2-0011-R5b-SM-A9SKH 60-69 years, male 3.3
GTEX-12ZZW-0011-R5a-SM-5DUVN 50-59 years, male 3.2
GTEX-144GL-0011-R5b-SM-5PNUJ 50-59 years, male 3.2
GTEX-17MF6-0011-R5a-SM-731BA 40-49 years, male 3.2
GTEX-13FLV-0011-R5a-SM-5LZWT 50-59 years, male 3.1
GTEX-ZVZQ-0011-R5b-SM-57WDC 60-69 years, female 3.1
GTEX-1I1GV-0011-R5b-SM-CKZPD 60-69 years, male 3.1
GTEX-12ZZX-0011-R5a-SM-5HL89 40-49 years, female 3.0
GTEX-13CIG-0011-R5b-SM-5L3F2 50-59 years, male 3.0
GTEX-13FHO-0011-R5b-SM-5LZZ3 60-69 years, male 3.0
GTEX-16NPV-0011-R5a-SM-7EPGK 50-59 years, female 3.0
GTEX-13NZA-0011-R5b-SM-5KM4K 60-69 years, male 2.9
GTEX-1A8G6-0011-R5b-SM-7IGQG 60-69 years, male 2.9
GTEX-S7PM-0011-R5A-SM-3NM8G 60-69 years, male 2.9
GTEX-1192X-0011-R5a-SM-DNZZA 50-59 years, male 2.9
GTEX-15DCD-0011-R5a-SM-CXZKZ 70-79 years, female 2.9
GTEX-1GPI6-0011-R5a-SM-CJI2W 60-69 years, male 2.9
GTEX-1GZ2Q-0011-R5a-SM-A96RQ 40-49 years, male 2.9
GTEX-1H23P-0011-R5a-SM-CKZOI 60-69 years, male 2.9
GTEX-1IGQW-0011-R5b-SM-CJI44 60-69 years, male 2.9
GTEX-1J8JJ-0011-R5a-SM-D4P2G 60-69 years, female 2.9
GTEX-1JMPZ-0011-R5b-SM-EYYWY 30-39 years, male 2.9
GTEX-12WSA-0011-R5b-SM-5GU5I 60-69 years, male 2.8
GTEX-13OW7-0011-R5b-SM-5O9DM 50-59 years, male 2.8
GTEX-14JG1-0011-R5a-SM-62LED 40-49 years, male 2.8
GTEX-17EVP-0011-R5b-SM-7DHKW 40-49 years, male 2.8
GTEX-18465-0011-R5a-SM-72D5J 50-59 years, male 2.8
GTEX-OXRN-0011-R5A-SM-2I5EF 50-59 years, male 2.8
GTEX-QMR6-0011-R5A-SM-32PKT 50-59 years, male 2.8
GTEX-11PRG-0011-R5b-SM-DNZZS 50-59 years, male 2.8
GTEX-1C6VR-0011-R5a-SM-9QEH1 60-69 years, male 2.8
GTEX-1GF9V-0011-R5a-SM-9QEI8 60-69 years, male 2.8
GTEX-11OF3-0011-R5a-SM-57WB4 60-69 years, male 2.7
GTEX-13G51-0011-R5a-SM-5L3EB 60-69 years, male 2.7
GTEX-ZE9C-0011-R5a-SM-5EGLO 60-69 years, male 2.7
GTEX-11DXW-0011-R5b-SM-DO11D 40-49 years, male 2.7
GTEX-1J1OQ-0011-R5a-SM-D3L8K 40-49 years, female 2.7
GTEX-1LG7Y-0011-R5a-SM-EZ6MU 50-59 years, male 2.7
GTEX-11UD1-0011-R5b-SM-5P9FP 40-49 years, female 2.6
GTEX-131YS-0011-R5b-SM-5K7YB 60-69 years, female 2.6
GTEX-1A3MX-0011-R5a-SM-79OM5 60-69 years, male 2.6
GTEX-1B8SF-0011-R5a-SM-79OOO 60-69 years, male 2.6
GTEX-OXRO-0011-R5A-SM-2I5EG 60-69 years, female 2.6
GTEX-UTHO-0011-R5A-SM-3GIJD 60-69 years, male 2.6
GTEX-1GF9W-0011-R5a-SM-CKZO4 60-69 years, male 2.6
GTEX-1HSKV-0011-R5b-SM-ARZLN 60-69 years, male 2.6
GTEX-1IY9M-0011-R5a-SM-A9SLX 60-69 years, male 2.6
GTEX-12WSC-0011-R5b-SM-5CVNS 50-59 years, male 2.5
GTEX-132Q8-0011-R5a-SM-5IJDM 60-69 years, male 2.5
GTEX-139TU-0011-R5b-SM-5L3E1 60-69 years, male 2.5
GTEX-13N1W-0011-R5b-SM-5MR5Q 70-79 years, male 2.5
GTEX-13OW8-0011-R5b-SM-5L3FQ 60-69 years, male 2.5
GTEX-TSE9-0011-R5A-SM-3DB7J 60-69 years, female 2.5
GTEX-X261-0011-R5A-SM-3NMB4 50-59 years, male 2.5
GTEX-YFC4-0011-R5a-SM-4RGLR 40-49 years, female 2.5
GTEX-11O72-0011-R5a-SM-DO922 40-49 years, male 2.5
GTEX-1F52S-0011-R5a-SM-CJI22 60-69 years, female 2.5
GTEX-1F6I4-0011-R5b-SM-9QEHA 60-69 years, male 2.5
GTEX-1F6IF-0011-R5b-SM-CM2RH 60-69 years, male 2.5
GTEX-1H3VE-0011-R5a-SM-CKZOU 40-49 years, male 2.5
GTEX-1IL2U-0011-R5a-SM-CE6SN 60-69 years, male 2.5
GTEX-11GSP-0011-R5a-SM-57WBE 60-69 years, female 2.4
GTEX-11WQC-0011-R5a-SM-5BC74 60-69 years, male 2.4
GTEX-13112-0011-R5b-SM-5DUV8 50-59 years, male 2.4
GTEX-139TT-0011-R5b-SM-5K7W8 60-69 years, male 2.4
GTEX-13FHP-0011-R5b-SM-5LZY2 50-59 years, male 2.4
GTEX-13OVJ-0011-R5a-SM-5P9H7 50-59 years, female 2.4
GTEX-144GO-0011-R5a-SM-5PNUR 60-69 years, male 2.4
GTEX-14C39-0011-R5b-SM-5ZZV1 40-49 years, male 2.4
GTEX-14LLW-0011-R5b-SM-5ZZU6 70-79 years, female 2.4
GTEX-14LZ3-0011-R5b-SM-5ZZV8 60-69 years, female 2.4
GTEX-S7SE-0011-R5A-SM-2XCDA 50-59 years, male 2.4
GTEX-1F48J-0011-R5b-SM-9OSVZ 50-59 years, female 2.4
GTEX-1F75W-0011-R5b-SM-9QEGV 60-69 years, male 2.4
GTEX-1GTWX-0011-R5b-SM-CKZO6 60-69 years, male 2.4
GTEX-1HUB1-0011-R5a-SM-CKZOY 60-69 years, male 2.4
GTEX-1I1HK-0011-R5b-SM-ARU6S 60-69 years, male 2.4
GTEX-1IKOH-0011-R5a-SM-ARU8C 60-69 years, female 2.4
GTEX-13RTJ-0011-R5a-SM-5P9HR 60-69 years, male 2.3
GTEX-13SLW-0011-R5b-SM-5SI6Z 70-79 years, male 2.3
GTEX-13X6K-0011-R5b-SM-5PNUE 60-69 years, female 2.3
GTEX-1477Z-0011-R5b-SM-5PNUO 60-69 years, male 2.3
GTEX-14E6D-0011-R5b-SM-69LQR 50-59 years, male 2.3
GTEX-15ER7-0011-R5b-SM-6M46T 20-29 years, female 2.3
GTEX-18464-0011-R5b-SM-718A6 50-59 years, male 2.3
GTEX-NL4W-0011-R5a-SM-2I3GD 50-59 years, male 2.3
GTEX-PWO3-0011-R5A-SM-2I5EZ 60-69 years, female 2.3
GTEX-QVJO-0011-R5A-SM-2S1QM 60-69 years, female 2.3
GTEX-RVPV-0011-R5A-SM-2TF69 60-69 years, male 2.3
GTEX-T2IS-0011-R5A-SM-32QP4 20-29 years, female 2.3
GTEX-ZE7O-0011-R5a-SM-57WBO 50-59 years, female 2.3
GTEX-ZXG5-0011-R5b-SM-57WBN 60-69 years, male 2.3
GTEX-1E2YA-0011-R5a-SM-9QEGT 50-59 years, male 2.3
GTEX-1EKGG-0011-R5a-SM-9OSVQ 60-69 years, male 2.3
GTEX-12WSH-0011-R5b-SM-5P9F3 50-59 years, male 2.2
GTEX-12WSM-0011-R5a-SM-5EQ4Y 60-69 years, male 2.2
GTEX-13FLW-0011-R5a-SM-5LZX6 50-59 years, male 2.2
GTEX-13OVL-0011-R5b-SM-5L3FU 50-59 years, male 2.2
GTEX-13VXU-0011-R5a-SM-5O9D7 50-59 years, male 2.2
GTEX-14ABY-0011-R5b-SM-5SI7B 50-59 years, male 2.2
GTEX-14BIM-0011-R5b-SM-5S2RM 60-69 years, female 2.2
GTEX-WZTO-0011-R5B-SM-3NMC5 40-49 years, male 2.2
GTEX-XMD1-0011-R5A-SM-4AT47 60-69 years, male 2.2
GTEX-Y8DK-0011-R5B-SM-4RTW6 60-69 years, male 2.2
GTEX-ZDXO-0011-R5a-SM-4WKG5 60-69 years, male 2.2
GTEX-11DXY-0011-R5b-SM-DNZZL 60-69 years, male 2.2
GTEX-11ONC-0011-R5b-SM-DO93I 60-69 years, male 2.2
GTEX-11TTK-0011-R5a-SM-DNZZV 60-69 years, female 2.2
GTEX-1CB4H-0011-R5b-SM-9QEGN 60-69 years, female 2.2
GTEX-1GZ4I-0011-R5a-SM-9OSWQ 50-59 years, male 2.2
GTEX-1IL2V-0011-R5a-SM-ARL78 70-79 years, male 2.2
GTEX-1JMQJ-0011-R5a-SM-EYYXO 50-59 years, male 2.2
GTEX-13OVH-0011-R5b-SM-5KM4L 70-79 years, male 2.1
GTEX-13X6I-0011-R5a-SM-5PNWW 60-69 years, male 2.1
GTEX-14BIN-0011-R5b-SM-5SI78 50-59 years, female 2.1
GTEX-14BMV-0011-R5b-SM-62LFT 50-59 years, male 2.1
GTEX-17HHY-0011-R5b-SM-79OMZ 50-59 years, male 2.1
GTEX-1AX9I-0011-R5b-SM-793DI 60-69 years, male 2.1
GTEX-ZVT3-0011-R5a-SM-51MSI 60-69 years, female 2.1
GTEX-1CB4G-0011-R5a-SM-CKZNM 60-69 years, male 2.1
GTEX-1EMGI-0011-R5a-SM-CJI2E 60-69 years, male 2.1
GTEX-1GMRU-0011-R5a-SM-CKZNS 50-59 years, male 2.1
GTEX-1GN2E-0011-R5b-SM-CJI2M 60-69 years, male 2.1
GTEX-1HBPI-0011-R5a-SM-CKZOW 50-59 years, male 2.1
GTEX-13OW5-0011-R5b-SM-5L3FR 60-69 years, male 2.0
GTEX-15CHQ-0011-R5b-SM-6AJAN 60-69 years, male 2.0
GTEX-15SHU-0011-R5a-SM-7938Q 40-49 years, female 2.0
GTEX-ZUA1-0011-R5b-SM-51MTG 40-49 years, male 2.0
GTEX-1HFI6-0011-R5a-SM-A9G1J 40-49 years, male 2.0
GTEX-13NYB-0011-R5a-SM-5MR45 40-49 years, male 1.9
GTEX-13O3Q-0011-R5b-SM-5P9H4 50-59 years, male 1.9
GTEX-15EO6-0011-R5b-SM-7KUDZ 50-59 years, male 1.9
GTEX-Q2AG-0011-R5A-SM-2HMJH 40-49 years, female 1.9
GTEX-11NUK-0011-R5a-SM-DO93N 50-59 years, male 1.9
GTEX-1B933-0011-R5b-SM-7P8SA 50-59 years, female 1.9
GTEX-1CAV2-0011-R5b-SM-9QEH4 40-49 years, female 1.9
GTEX-139TS-0011-R5b-SM-5J2MZ 60-69 years, male 1.8
GTEX-13NYS-0011-R5a-SM-5MR4D 60-69 years, male 1.8
GTEX-13SLX-0011-R5a-SM-5O9BV 50-59 years, female 1.8
GTEX-14JIY-0011-R5b-SM-62LE7 60-69 years, male 1.8
GTEX-183WM-0011-R5a-SM-718A4 70-79 years, female 1.8
GTEX-11DYG-0011-R5a-SM-DO928 60-69 years, male 1.8
GTEX-1EN7A-0011-R5a-SM-9QEH6 40-49 years, male 1.8
GTEX-1GMR8-0011-R5b-SM-9QEIH 50-59 years, female 1.8
GTEX-1H1DG-0011-R5b-SM-CJI33 70-79 years, male 1.8
GTEX-1HGF4-0011-R5b-SM-CM2ST 60-69 years, male 1.8
GTEX-1HR9M-0011-R5a-SM-ARU72 60-69 years, male 1.8
GTEX-1IDJH-0011-R5a-SM-CE6SR 70-79 years, male 1.8
GTEX-1IKK5-0011-R5b-SM-CL55B 60-69 years, male 1.8
GTEX-1R9K4-0011-R5b-SM-EZ6N8 60-69 years, male 1.8
GTEX-12ZZY-0011-R5a-SM-5EGL9 60-69 years, male 1.7
GTEX-12ZZZ-0011-R5a-SM-5EQ4M 60-69 years, male 1.7
GTEX-13PLJ-0011-R5a-SM-5O9BG 60-69 years, female 1.7
GTEX-14PN4-0011-R5a-SM-686ZV 50-59 years, male 1.7
GTEX-NL3H-0011-R5a-SM-2I3GB 60-69 years, male 1.7
GTEX-NPJ8-0011-R5a-SM-2HMJY 40-49 years, male 1.7
GTEX-P44G-0011-R5A-SM-2I3FA 30-39 years, male 1.7
GTEX-R55E-0011-R5A-SM-2TC5N 20-29 years, male 1.7
GTEX-1H3O1-0011-R5b-SM-ADEH8 60-69 years, male 1.7
GTEX-1RNSC-0011-R5a-SM-EZ6N5 60-69 years, male 1.7
GTEX-12WSD-0011-R5b-SM-5CVNG 60-69 years, female 1.6
GTEX-1313W-0011-R5b-SM-5L3EP 50-59 years, female 1.6
GTEX-1399T-0011-R5b-SM-5IJDK 60-69 years, male 1.6
GTEX-13S7M-0011-R5b-SM-5P9HS 60-69 years, female 1.6
GTEX-13X6J-0011-R5b-SM-5PNWT 50-59 years, male 1.6
GTEX-145LS-0011-R5a-SM-5SI65 60-69 years, female 1.6
GTEX-14DAQ-0011-R5b-SM-5YYAK 60-69 years, female 1.6
GTEX-15DYW-0011-R5a-SM-6M46W 60-69 years, female 1.6
GTEX-16Z82-0011-R5a-SM-7EPGB 60-69 years, male 1.6
GTEX-1E1VI-0011-R5b-SM-9WG5V 50-59 years, male 1.6
GTEX-1F7RK-0011-R5b-SM-9WG5S 20-29 years, female 1.6
GTEX-1GN1U-0011-R5a-SM-9QEIS 50-59 years, female 1.6
GTEX-1H3NZ-0011-R5a-SM-CM2SP 60-69 years, male 1.6
GTEX-1HT8W-0011-R5b-SM-CJI3P 30-39 years, male 1.6
GTEX-1I1GQ-0011-R5a-SM-CMKHJ 50-59 years, male 1.6
GTEX-14PQA-0011-R5b-SM-6AJC2 50-59 years, female 1.5
GTEX-1B8L1-0011-R5a-SM-7DHN5 60-69 years, male 1.5
GTEX-N7MT-0011-R5a-SM-2I3G6 60-69 years, female 1.5
GTEX-PVOW-0011-R5A-SM-32PL7 40-49 years, male 1.5
GTEX-WWYW-0011-R5A-SM-3NB3E 50-59 years, female 1.5
GTEX-ZF28-0011-R5a-SM-4WWCZ 60-69 years, male 1.5
GTEX-12WSF-0011-R5a-SM-5HL8K 70-79 years, male 1.4
GTEX-13FXS-0011-R5b-SM-5LZYE 50-59 years, male 1.4
GTEX-13O3O-0011-R5b-SM-5KM44 60-69 years, female 1.4
GTEX-14ASI-0011-R5b-SM-6EU2M 60-69 years, male 1.4
GTEX-N7MS-0011-R5a-SM-2HMK8 60-69 years, male 1.4
GTEX-1F75B-0011-R5a-SM-9QEHC 50-59 years, male 1.4
GTEX-1I19N-0011-R5b-SM-ARU6X 70-79 years, male 1.4
GTEX-1I1GR-0011-R5a-SM-CMKHD 60-69 years, male 1.4
GTEX-145MH-0011-R5a-SM-5P9JT 50-59 years, male 1.3
GTEX-15G19-0011-R5b-SM-6M46P 60-69 years, male 1.3
GTEX-17EVQ-0011-R5a-SM-7LT92 70-79 years, male 1.3
GTEX-17HII-0011-R5a-SM-7LG51 50-59 years, male 1.3
GTEX-1F75A-0011-R5a-SM-ARZMJ 50-59 years, male 1.3
GTEX-16YQH-0011-R5b-SM-7938U 30-39 years, male 1.2
GTEX-1HB9E-0011-R5b-SM-ARU78 50-59 years, male 1.2
GTEX-1HCU6-0011-R5a-SM-ARU76 60-69 years, female 1.2
GTEX-1HCVE-0011-R5b-SM-CKZP7 50-59 years, male 1.2
GTEX-11NV4-0011-R5a-SM-5NQ88 60-69 years, male 1.1
GTEX-WL46-0011-R5A-SM-3LK6V 50-59 years, male 1.1
GTEX-1R9PO-0011-R5a-SM-EZ6NA 60-69 years, female 1.1
GTEX-13PL6-0011-R5b-SM-5O9BI 40-49 years, female 1.0
GTEX-1B996-0011-R5a-SM-7P8PN 60-69 years, male 1.0
GTEX-1GN73-0011-R5a-SM-9QEIM 60-69 years, male 1.0
GTEX-1IKJJ-0011-R5b-SM-CE6SL 60-69 years, male 1.0
GTEX-17F97-0011-R5a-SM-7LG4Z 50-59 years, male 0.9
GTEX-1EX96-0011-R5a-SM-ARU83 50-59 years, male 0.9
GTEX-1HBPH-0011-R5b-SM-A9G1R 40-49 years, female 0.9
GTEX-X4XX-0011-R5A-SM-46MWN 60-69 years, male 0.8
GTEX-Z93S-0011-R5b-SM-4RGNI 50-59 years, male 0.8
GTEX-11DZ1-0011-R5a-SM-DO11J 50-59 years, male 0.8
GTEX-RNOR-0011-R5A-SM-2TF4J 50-59 years, female 0.6
GTEX-X585-0011-R5A-SM-46MVI 50-59 years, male 0.4
GTEX-1C6WA-0011-R5a-SM-9WG5X 60-69 years, male 0.4
Show allShow less

CAUDATE - FANTOM5 CAGEi

RNA expression in human tissues obtained through Cap Analysis of Gene Expression (CAGE) generated by the FANTOM5 project are reported as Scaled Tags Per Million.

Max subtype Scaled Tags Per Millioni

Max subtype Scaled Tags Per Million is the value for the subtype with the largest average Scaled Tags Per Million across the subtype samples.

2.6
FANTOM5 sample id Sample description Scaled Tags Per Million
Caudate nucleus
Scaled Tags Per Million: 2.6
FF:10164-103B2 76 years, female 2.6

CAUDATE - Pig RNA-seqi

RNA-seq data obtained from pig brain is reported as nTPM .

Normal distribution across the dataset is visualized with box plots, shown as median and 25th and 75th percentiles. Points are displayed as outliers if they are above or below 1.5 times the interquartile range. nTPM values of the individual samples are presented next to the box plot.
Max subtype nTPMi

Max subtype nTPM is the value for the subtype with the largest average nTPM across the subtype samples.

1.5
Pig sample Sample description nTPM
Caudate
nTPM: 1.5
Samples: 4

Max nTPM: 1.5
Min nTPM: 1.3
Sample A Female 1.5
Sample B Female 1.5
Sample C Male 1.3
Sample D Male 1.5

Contact

  • NEWS ARTICLES
  • PRESS ROOM

The Project

  • INTRODUCTION
  • ORGANIZATION
  • PUBLICATIONS

The Human Protein Atlas

  • DOWNLOADABLE DATA
  • LICENCE & CITATION
  • HELP & FAQ
The Human Protein Atlas project is funded
by the Knut & Alice Wallenberg Foundation.


contact@proteinatlas.org