We use cookies to enhance the usability of our website. If you continue, we'll assume that you are happy to receive all cookies. More information. Don't show this again.
TUFT1
HPA
RESOURCES
  • TISSUE
  • BRAIN
  • SINGLE CELL
  • SUBCELLULAR
  • CANCER
  • BLOOD
  • CELL LINE
  • STRUCTURE & INTERACTION
ABOUT
  • INTRODUCTION
  • HISTORY
  • ORGANIZATION
  • PUBLICATIONS
  • ANTIBODY SUBMISSION
  • ANTIBODY AVAILABILITY
  • ACKNOWLEDGMENTS
  • CONTACT
NEWS
  • NEWS ARTICLES
  • PRESS ROOM
LEARN
  • DICTIONARY
  • PROTEIN CLASSES
  • PROTEIN EVIDENCE
  • METHODS
  • EDUCATIONAL VIDEOS
DATA
  • DOWNLOADABLE DATA
  • PUBLICATION DATA
  • RELEASE HISTORY
HELP
  • ANTIBODY VALIDATION
  • ASSAYS & ANNOTATION
  • DISCLAIMER
  • HELP & FAQ
  • PRIVACY STATEMENT
  • LICENCE & CITATION
Fields »
Search result

Field
Term
Gene name
Class
Subclass
Class
Keyword
Chromosome
External id
Tissue
Cell type
Expression
Antibody panel
Tissue
Main location
Patient ID
Annotation
Tissue
Category
Tau score
Cluster
Reliability
Brain region
Category
Tau score
Brain region
Category
Tau score
Brain region
Category
Tau score
Cluster
Reliability
Tissue
Cell type
Enrichment
Cell type
Category
Tau score
Cell type
Category
Tau score
Cell type
Category
Tau score
Cell lineage
Category
Tau score
Cluster
Cluster
Location
Searches
Location
Cell line
Class
Type
Phase
Reliability
Cancer
Prognosis
Cancer
Category
Cancer
Category
Tau score
Cluster
Variants
Interacting gene (ensg_id)
Type
Number of interactions
Pathway
Category
Score
Score
Score
Validation
Validation
Validation
Validation
Antibodies
Data type
Column


  • SUMMARY

  • TISSUE

  • BRAIN

  • SINGLE CELL

  • SUBCELL

  • CANCER

  • BLOOD

  • CELL LINE

  • STRUCT & INT

  • TUFT1
TISSUE PRIMARY DATA SKIN 2 Show tissue menu
ADIPOSE TISSUE ADRENAL GLAND AMYGDALA APPENDIX BASAL GANGLIA BONE MARROW BREAST CEREBELLUM CEREBRAL CORTEX CERVIX CHOROID PLEXUS COLON DUODENUM ENDOMETRIUM
EPIDIDYMIS ESOPHAGUS FALLOPIAN TUBE GALLBLADDER HEART MUSCLE HIPPOCAMPAL FORMATION HYPOTHALAMUS KIDNEY LIVER LUNG LYMPH NODE MIDBRAIN NASOPHARYNX ORAL MUCOSA
OVARY PANCREAS PARATHYROID GLAND PITUITARY GLAND PLACENTA PROSTATE RECTUM RETINA SALIVARY GLAND SEMINAL VESICLE SKELETAL MUSCLE SKIN SMALL INTESTINE SMOOTH MUSCLE
SOFT TISSUE SPINAL CORD SPLEEN STOMACH TESTIS THYMUS THYROID GLAND TONGUE TONSIL URINARY BLADDER VAGINA
ANTIBODIES
AND
VALIDATION
Dictionary
Tissue proteome
SKIN - Expression summary
Protein expression
Skini

On the top, protein expression in current human tissue, based on all annotated cell types, is reported with the units not detected (n), low (l), medium (m) and high (h). Underneath, protein expression in each annotated cell type are reported using the same units.

Protein expression data is based on knowledge-based annotation. For genes where more than one antibody has been used, a collective score is set.

If knowledge-based annotation could not be performed for a gene, no data is displayed here. View antibody staining data further down this page.

h
m
l
n
Epidermal cells: High
Fibroblasts: Medium
Keratinocytes: Medium
Langerhans: Not detected
Melanocytes: Low
RNA expressioni

A summary of mRNA expression data available for current tissue based on several datasets. The mRNA expression levels in human tissues are based on RNA-seq data generated by the Human Protein Atlas (HPA), Genotype-Tissue Expression (GTEx) portal and CAGE data generated by the FANTOM5 consortium. Consensus normalized expression levels for human tissues was created by combining the data from HPA and GTEx datasets.

The mRNA expression levels in pig are based on RNA-seq data generated by the Human Protein Atlas (HPA), and for mouse, HPA data and in situ hybridization generated by the Allen brain atlas are reported.

Scroll down to view mRNA expression data in more detail.
Consensus:104.3 nTPM
HPA:76.0 nTPM
GTEx:104.3 nTPM

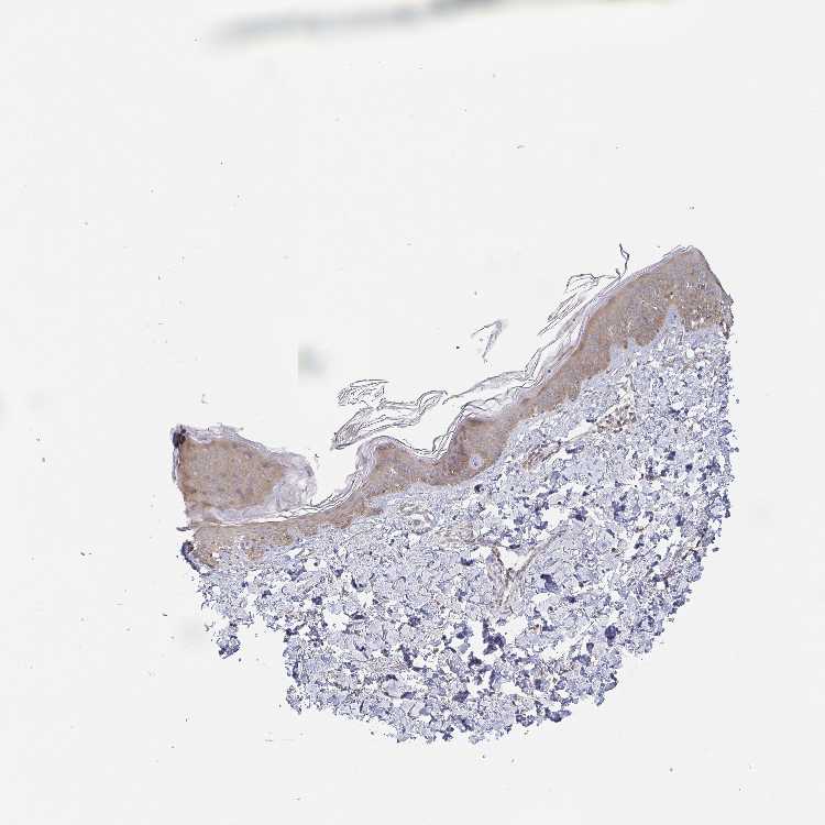
SKIN 1 - Antibody stainingi

Antibody staining in the annotated cell types in the current human tissue is reported as not detected, low, medium, or high, based on conventional immunohistochemistry profiling in selected tissues. This score is based on the combination of the staining intensity and fraction of stained cells.

Each image is clickable and will lead to virtual microscopy that enables deeper exploration of all samples and also displays staining intensity scores, fraction scores and subcellular localization as well as patient and tissue information for each sample.

Antibody HPA028112Antibody HPA054301
Langerhans Not detectedNot detected
Fibroblasts MediumNot detected
Keratinocytes MediumMedium
Melanocytes LowNot detected



SKIN 2 - Antibody stainingi

Antibody staining in the annotated cell types in the current human tissue is reported as not detected, low, medium, or high, based on conventional immunohistochemistry profiling in selected tissues. This score is based on the combination of the staining intensity and fraction of stained cells.

Each image is clickable and will lead to virtual microscopy that enables deeper exploration of all samples and also displays staining intensity scores, fraction scores and subcellular localization as well as patient and tissue information for each sample.

Antibody HPA028112Antibody HPA054301
Epidermal cells HighMedium
  
  
  



SKIN - HPA RNA-seqi

The RNA-seq details section shows detailed information about the individual samples used for the transcript profiling and results of the RNA-seq analysis.

Information about each individual sample is listed below, including gender, age, a tissue section image and estimated fractions of cell types. nTPM (normalized transcripts per million) values give a quantification of the gene abundance which is comparable between different genes and samples.
Average nTPMi

Max subtype nTPM is the value for the subtype with the largest average nTPM across the subtype samples.

76.0
overview
Female, age 34
Skin sample 225
nTPM: 68.2
Cell types%
Keratinocytes:
60

Other cell types:
40

overview
Female, age 30
Skin sample 226
nTPM: 92.5
Cell types%
Keratinocytes:
55

Other cell types:
45

N/A
Male, age 57
Skin sample 227
nTPM: 67.3

SKIN - GTEx RNA-seqi

RNA-Seq data generated by the Genotype-Tissue Expression (GTEx) project from human tissues is reported as mean nTPM. More information can be found on the GTEx portal.

Distribution across the dataset is visualized with box plots, shown as median and 25th and 75th percentiles. Points are displayed as outliers if they are above or below 1.5 times the interquartile range. nTPM values of the individual samples are presented next to the box plot.
Max subtype nTPMi

Max subtype nTPM is the value for the subtype with the largest average nTPM across the subtype samples.

104.3
GTEx sample id Sample description nTPM
Skin - Not Sun Exposed (Suprapubic)
Average nTPM: 91.3
Samples: 604

Max nTPM: 256.6
Min nTPM: 16.3
Std nTPM: 36.1
Median nTPM: 88.6
GTEX-13PDP-0726-SM-5L3HP 60-69 years, male 256.6
GTEX-13IVO-0726-SM-5LZYV 70-79 years, male 227.3
GTEX-17F9Y-0126-SM-79OKX 70-79 years, female 219.2
GTEX-1PBJJ-1026-SM-E76OS 30-39 years, male 215.2
GTEX-15EO6-2426-SM-6PALZ 50-59 years, male 205.4
GTEX-11ZU8-0126-SM-5EQ58 60-69 years, male 196.4
GTEX-11EQ8-0926-SM-5H12V 60-69 years, male 183.3
GTEX-ZYY3-2926-SM-5GIEB 60-69 years, female 180.9
GTEX-145LS-0626-SM-7EPG7 60-69 years, female 180.8
GTEX-11GSP-2326-SM-5HL63 60-69 years, female 180.6
GTEX-17F97-2626-SM-7IGM5 50-59 years, male 180.6
GTEX-Y111-0626-SM-4SOIT 50-59 years, male 180.6
GTEX-13PL6-1126-SM-5L3IE 40-49 years, female 178.9
GTEX-1JMQJ-0826-SM-CNPP7 50-59 years, male 177.8
GTEX-11WQC-1826-SM-5GU59 60-69 years, male 177.0
GTEX-15SKB-2826-SM-6PAMH 60-69 years, male 176.2
GTEX-1J1OQ-0126-SM-D4P2N 40-49 years, female 175.4
GTEX-1313W-0626-SM-5EQ4H 50-59 years, female 175.0
GTEX-111VG-1626-SM-5EGIO 60-69 years, male 172.9
GTEX-13SLW-0626-SM-5Q5ER 70-79 years, male 172.9
GTEX-1NV5F-0626-SM-DTXEG 60-69 years, female 169.9
GTEX-1HCU7-0726-SM-A9SL1 50-59 years, male 169.4
GTEX-1HGF4-0126-SM-CNPPX 60-69 years, male 166.0
GTEX-1F6RS-2026-SM-7RHHC 60-69 years, female 165.9
GTEX-ZXG5-2126-SM-59HKD 60-69 years, male 165.8
GTEX-ZC5H-1526-SM-5HL9Y 40-49 years, female 165.5
GTEX-12ZZZ-0726-SM-5GCNZ 60-69 years, male 160.8
GTEX-1PIIG-2326-SM-DTXFR 30-39 years, male 160.1
GTEX-1OJC4-2726-SM-E76PJ 50-59 years, female 155.9
GTEX-1HBPM-0726-SM-9YFL7 60-69 years, female 154.5
GTEX-1HSKV-1226-SM-ADEI4 60-69 years, male 154.0
GTEX-13QJC-0126-SM-5ZZWJ 60-69 years, female 152.2
GTEX-1CAMQ-1326-SM-7P8RV 40-49 years, male 151.8
GTEX-1GF9V-0826-SM-9KNUV 60-69 years, male 151.3
GTEX-139D8-1126-SM-5LU8W 30-39 years, female 150.6
GTEX-147F4-0726-SM-5TDDD 50-59 years, male 150.0
GTEX-1H2FU-0926-SM-9WPPT 60-69 years, female 149.8
GTEX-14PII-0726-SM-6EU2B 60-69 years, male 149.1
GTEX-ZE9C-2526-SM-5IJDR 60-69 years, male 148.6
GTEX-11GS4-0226-SM-5HL77 60-69 years, male 147.8
GTEX-1QP2A-1726-SM-E76QC 50-59 years, male 147.7
GTEX-1GN73-0726-SM-7P8TJ 60-69 years, male 146.9
GTEX-1GN1U-0626-SM-9MQL9 50-59 years, female 146.8
GTEX-X4EP-0626-SM-3P621 60-69 years, female 146.6
GTEX-1I1GV-0626-SM-ARL7M 60-69 years, male 146.2
GTEX-1PPGY-1626-SM-EVYBL 60-69 years, male 144.6
GTEX-1KAFJ-0126-SM-DIPEK 50-59 years, male 144.5
GTEX-ZAB4-2126-SM-5HL8U 40-49 years, male 144.2
GTEX-1GPI6-1926-SM-9KNV7 60-69 years, male 141.9
GTEX-1269C-0126-SM-5EQ5L 60-69 years, female 141.8
GTEX-1C6VR-0126-SM-7RHGB 60-69 years, male 141.5
GTEX-WHSB-1326-SM-3LK6W 50-59 years, male 141.4
GTEX-13FHO-0426-SM-5L3F5 60-69 years, male 141.3
GTEX-15UF6-1926-SM-7KUDV 70-79 years, female 141.2
GTEX-1GMRU-2126-SM-7P8RA 50-59 years, male 140.9
GTEX-1R46S-2426-SM-E76QA 60-69 years, female 140.8
GTEX-1I1GS-2626-SM-B2LY3 60-69 years, male 140.5
GTEX-WFG7-2026-SM-5SI7P 20-29 years, male 139.9
GTEX-1POEN-2326-SM-E9J2L 30-39 years, female 139.3
GTEX-1QP28-1126-SM-EVYC4 50-59 years, female 138.7
GTEX-1IE54-1126-SM-A9G2Z 40-49 years, female 138.5
GTEX-11PRG-0726-SM-5EGL1 50-59 years, male 138.1
GTEX-1J8EW-2726-SM-CY8HR 60-69 years, female 138.1
GTEX-1JJEA-1826-SM-ARU8P 60-69 years, male 137.6
GTEX-13YAN-0226-SM-5TDC6 60-69 years, male 137.5
GTEX-14C39-1726-SM-5RQIL 40-49 years, male 137.0
GTEX-15ER7-0626-SM-6PANF 20-29 years, female 136.9
GTEX-1HT8W-0626-SM-A9G2H 30-39 years, male 136.8
GTEX-1I1GT-1026-SM-ARZLV 60-69 years, female 136.5
GTEX-1HSMQ-2626-SM-A9SML 50-59 years, male 135.7
GTEX-1R9K4-2826-SM-DTX8F 60-69 years, male 135.5
GTEX-1HB9E-0126-SM-CM2S5 50-59 years, male 135.0
GTEX-13OW5-2326-SM-5L3HO 60-69 years, male 134.3
GTEX-147GR-2426-SM-5ZZWQ 60-69 years, male 133.4
GTEX-1JMLX-0626-SM-ARL8T 50-59 years, male 133.4
GTEX-13OVK-1426-SM-6PAN7 40-49 years, male 133.2
GTEX-1IKJJ-2226-SM-CJI4C 60-69 years, male 133.1
GTEX-1F52S-2926-SM-7MKGA 60-69 years, female 132.6
GTEX-13JVG-0726-SM-5KM16 60-69 years, male 132.4
GTEX-15DYW-2726-SM-6EU2I 60-69 years, female 131.9
GTEX-1192X-2726-SM-5N9DN 50-59 years, male 131.2
GTEX-1M4P7-0726-SM-E6CJ3 60-69 years, male 131.1
GTEX-1PPH8-0126-SM-EWRN8 20-29 years, male 131.1
GTEX-1GN2E-0226-SM-9WG6K 60-69 years, male 130.6
GTEX-X585-2426-SM-46MW2 50-59 years, male 130.2
GTEX-148VJ-0626-SM-5LUAW 70-79 years, male 129.8
GTEX-17HII-1426-SM-7EPGG 50-59 years, male 129.8
GTEX-1GN1V-2826-SM-9JGIA 60-69 years, male 129.5
GTEX-1H3O1-1326-SM-9MQLD 60-69 years, male 129.0
GTEX-1EMGI-2326-SM-7PBYA 60-69 years, male 128.7
GTEX-1GZ4H-0526-SM-9KNU9 50-59 years, female 128.5
GTEX-1OJC3-1226-SM-DTXER 20-29 years, male 128.5
GTEX-1N2EE-0626-SM-E76PW 60-69 years, male 128.0
GTEX-139UW-0326-SM-5J1ML 60-69 years, male 127.9
GTEX-17HHE-1326-SM-7EWDZ 50-59 years, male 127.8
GTEX-145MH-2826-SM-5RQJF 50-59 years, male 127.5
GTEX-139T8-0626-SM-5KLZX 60-69 years, male 127.3
GTEX-13FTY-2126-SM-5IFFB 40-49 years, female 127.0
GTEX-XBEW-1126-SM-4QARW 40-49 years, male 126.8
GTEX-12ZZY-0726-SM-5EQ66 60-69 years, male 126.2
GTEX-144GL-0626-SM-5LU4D 50-59 years, male 125.9
GTEX-11DXY-0126-SM-5H11Q 60-69 years, male 125.7
GTEX-UPJH-0226-SM-3GADV 50-59 years, male 125.7
GTEX-12WSM-1926-SM-5BC65 60-69 years, male 125.5
GTEX-XOT4-0626-SM-4B66L 60-69 years, female 124.9
GTEX-1R9PM-1926-SM-EVR3O 20-29 years, male 124.5
GTEX-1EKGG-0626-SM-7DUGJ 60-69 years, male 123.4
GTEX-1117F-2926-SM-5GZYI 60-69 years, female 123.3
GTEX-14BIN-1126-SM-5RQJZ 50-59 years, female 123.3
GTEX-1JMPY-0226-SM-CKZOK 30-39 years, male 123.2
GTEX-1RAZS-2526-SM-E6CHT 50-59 years, male 122.6
GTEX-17EVP-2626-SM-7IGMA 40-49 years, male 122.4
GTEX-1RAZQ-1326-SM-E9TK6 30-39 years, male 122.3
GTEX-1K2DU-1226-SM-CYPT4 20-29 years, male 120.1
GTEX-15FZZ-0526-SM-7KUGD 30-39 years, female 120.0
GTEX-14PJN-1826-SM-6AJ98 30-39 years, male 119.8
GTEX-1H4P4-2126-SM-9WYSL 50-59 years, male 119.8
GTEX-131XF-2626-SM-5EQ6K 60-69 years, male 119.3
GTEX-ZLV1-1526-SM-DO91J 60-69 years, female 119.3
GTEX-14ICL-1626-SM-5YYAO 30-39 years, male 119.0
GTEX-1HCVE-2726-SM-CL54F 50-59 years, male 119.0
GTEX-1C64N-2626-SM-7PC2N 50-59 years, male 118.9
GTEX-1B8SF-0126-SM-7DUG3 60-69 years, male 118.5
GTEX-WHPG-2626-SM-3NMBR 50-59 years, male 118.5
GTEX-ZTX8-1326-SM-4YCEL 20-29 years, male 118.2
GTEX-Y114-2126-SM-4TT8B 50-59 years, female 118.0
GTEX-1NSGN-0726-SM-DTXEF 50-59 years, male 117.9
GTEX-1RMOY-1326-SM-E9TIH 50-59 years, male 117.3
GTEX-1J8Q2-2626-SM-ACKWQ 60-69 years, male 117.2
GTEX-12ZZX-2426-SM-5GCOE 40-49 years, female 116.8
GTEX-1HR9M-2226-SM-CNPPY 60-69 years, male 116.5
GTEX-ZVE2-2826-SM-5GU51 50-59 years, male 116.3
GTEX-1212Z-0126-SM-59HK4 60-69 years, male 115.7
GTEX-ZVT4-2426-SM-5GIEI 50-59 years, female 115.6
GTEX-1A8G6-2726-SM-731AR 60-69 years, male 115.0
GTEX-1LB8K-0726-SM-D5OV2 50-59 years, male 114.9
GTEX-13OW7-0426-SM-5K7VK 50-59 years, male 114.5
GTEX-1S83E-1326-SM-E6CJM 40-49 years, male 114.4
GTEX-14LLW-2626-SM-62LDZ 70-79 years, female 114.3
GTEX-ZE7O-2726-SM-51MT5 50-59 years, female 114.0
GTEX-14753-0726-SM-5QGQO 60-69 years, male 113.4
GTEX-Z93S-1626-SM-5CVMB 50-59 years, male 113.0
GTEX-11LCK-2226-SM-5HL4Q 30-39 years, male 112.8
GTEX-13FLV-0126-SM-5K7WT 50-59 years, male 112.8
GTEX-111CU-1126-SM-5EGIM 50-59 years, male 112.7
GTEX-11TUW-0626-SM-5LU9M 60-69 years, male 112.7
GTEX-1IDJV-0126-SM-COH3Y 60-69 years, male 112.7
GTEX-13NYB-0126-SM-5J1MD 40-49 years, male 112.1
GTEX-1JN6P-2926-SM-CL54D 60-69 years, male 112.1
GTEX-18QFQ-1826-SM-72D52 30-39 years, male 111.6
GTEX-1S82P-2126-SM-E6CI5 60-69 years, female 111.2
GTEX-X8HC-0626-SM-4E3HQ 50-59 years, female 111.1
GTEX-13NZ8-1226-SM-5KM4A 60-69 years, female 110.8
GTEX-1I1GP-1326-SM-A9G28 50-59 years, male 110.8
GTEX-145MI-0626-SM-5SI8S 60-69 years, female 110.4
GTEX-1KANB-2826-SM-CY8I6 50-59 years, male 110.0
GTEX-1F88E-1626-SM-7SB8Z 60-69 years, female 109.9
GTEX-1477Z-0326-SM-7IGLA 60-69 years, male 109.6
GTEX-1GF9W-1426-SM-7PBYM 60-69 years, male 109.6
GTEX-1MJK3-0726-SM-E6CJC 20-29 years, male 109.5
GTEX-1F88F-0126-SM-9WYSZ 60-69 years, female 109.4
GTEX-16MT8-2926-SM-7DUFO 60-69 years, female 109.2
GTEX-1JMPZ-0726-SM-CY8HZ 30-39 years, male 109.2
GTEX-12WSH-1526-SM-5BC5W 50-59 years, male 109.1
GTEX-14C5O-0326-SM-5ZZUX 60-69 years, male 109.1
GTEX-11O72-0626-SM-5PNYE 40-49 years, male 108.9
GTEX-XBEC-0726-SM-4QARZ 50-59 years, male 108.7
GTEX-1CB4F-1026-SM-7DUH1 60-69 years, male 108.4
GTEX-1QPFJ-1926-SM-EVYBD 30-39 years, female 108.3
GTEX-1JMQI-1726-SM-ARL93 50-59 years, male 108.0
GTEX-15DDE-2926-SM-6LLJ3 50-59 years, female 107.9
GTEX-13NYS-0626-SM-5L3F1 60-69 years, male 107.8
GTEX-1CB4H-1126-SM-7MKGL 60-69 years, female 107.4
GTEX-145LU-1926-SM-79OJN 50-59 years, male 107.2
GTEX-13SLX-2226-SM-62LEP 50-59 years, female 107.1
GTEX-14LZ3-0126-SM-69LPM 60-69 years, female 106.8
GTEX-1CB4J-1326-SM-7P8RX 60-69 years, male 106.8
GTEX-ZT9X-1526-SM-5DUXD 40-49 years, male 106.7
GTEX-XUW1-0926-SM-4BONX 50-59 years, female 106.4
GTEX-1HFI7-2326-SM-CGQFS 50-59 years, female 106.3
GTEX-X4EO-2926-SM-4E3JH 60-69 years, female 106.1
GTEX-1ICLZ-0326-SM-ARL82 60-69 years, male 106.1
GTEX-1BAJH-2426-SM-7IGP8 70-79 years, male 106.0
GTEX-11NUK-2726-SM-5A5MC 50-59 years, male 105.9
GTEX-1C6VQ-1226-SM-73KYD 50-59 years, male 105.7
GTEX-1C6WA-2626-SM-7MKGM 60-69 years, male 105.6
GTEX-1HBPN-0126-SM-CGQEF 50-59 years, male 105.6
GTEX-15RIG-0726-SM-7KUM7 40-49 years, male 105.2
GTEX-YFCO-1226-SM-5LUAT 40-49 years, male 105.1
GTEX-13OW6-2726-SM-5J2OE 50-59 years, male 104.9
GTEX-1EX96-1026-SM-7MKG2 50-59 years, male 104.8
GTEX-1HR98-2226-SM-ADEI2 60-69 years, male 104.5
GTEX-1PDJ9-1226-SM-EXUSX 20-29 years, male 104.2
GTEX-12KS4-2126-SM-5FQUT 30-39 years, male 104.0
GTEX-Y9LG-1126-SM-4VBQ7 30-39 years, male 104.0
GTEX-ZF2S-1626-SM-57WES 50-59 years, female 103.7
GTEX-ZVZP-1226-SM-5GID7 50-59 years, male 103.5
GTEX-1399S-0126-SM-5IJCF 30-39 years, female 103.4
GTEX-YECK-0326-SM-4W1YS 60-69 years, male 103.4
GTEX-ZYFC-0426-SM-5GICQ 50-59 years, male 103.3
GTEX-14A6H-2026-SM-5Q5DD 30-39 years, male 102.6
GTEX-13112-0126-SM-5P9IU 50-59 years, male 102.5
GTEX-11DXZ-2026-SM-5987S 50-59 years, male 102.4
GTEX-11P81-2226-SM-5PNYI 30-39 years, female 102.4
GTEX-131XW-0626-SM-5PNVD 50-59 years, female 102.4
GTEX-1F5PK-2226-SM-7SB6N 50-59 years, male 102.2
GTEX-1HSGN-0826-SM-ACKW3 40-49 years, female 102.1
GTEX-16YQH-2226-SM-7IGM2 30-39 years, male 101.9
GTEX-XQ8I-0926-SM-4BOOF 50-59 years, male 101.6
GTEX-1EU9M-1426-SM-793AI 60-69 years, male 101.5
GTEX-11P82-1426-SM-DTXFY 20-29 years, male 101.5
GTEX-1QEPI-2626-SM-DTXF4 60-69 years, female 101.4
GTEX-1LKK1-2626-SM-DKPQE 50-59 years, female 101.2
GTEX-1IKOE-1426-SM-CE6T7 30-39 years, female 100.7
GTEX-WYVS-1626-SM-3NM9R 40-49 years, female 100.6
GTEX-16XZZ-0726-SM-7KUF2 60-69 years, male 100.4
GTEX-1JJ6O-2726-SM-CNPOG 60-69 years, male 100.4
GTEX-1GMR8-0626-SM-7RHI7 50-59 years, female 100.2
GTEX-13O61-1426-SM-5KM3D 60-69 years, male 100.1
GTEX-1H11D-1826-SM-9QEHM 40-49 years, male 100.1
GTEX-1AMEY-0826-SM-72D65 30-39 years, female 99.9
GTEX-1IOXB-2726-SM-CM2RI 50-59 years, male 99.9
GTEX-1AYD5-2626-SM-7PBXY 50-59 years, male 99.7
GTEX-1B97I-0626-SM-73KUZ 40-49 years, male 99.5
GTEX-1S3DN-2126-SM-E9TIN 50-59 years, male 99.5
GTEX-1HBPI-2126-SM-ARL9K 50-59 years, male 99.3
GTEX-1F75A-0726-SM-7RHHD 50-59 years, male 99.0
GTEX-139YR-1026-SM-5LZYN 50-59 years, male 98.9
GTEX-1122O-1026-SM-9WYSF 60-69 years, female 98.7
GTEX-13N1W-2426-SM-5IJD1 70-79 years, male 98.5
GTEX-XMD2-2126-SM-4YCF8 60-69 years, female 98.5
GTEX-1JMQK-1226-SM-D4P2S 60-69 years, male 98.3
GTEX-1EN7A-2426-SM-793DB 40-49 years, male 98.2
GTEX-1LGRB-0926-SM-COH3K 50-59 years, female 98.2
GTEX-18A7A-0126-SM-731AH 50-59 years, female 97.7
GTEX-18465-2826-SM-7LT9J 50-59 years, male 97.0
GTEX-1IDJU-1726-SM-CMKHU 60-69 years, female 97.0
GTEX-144FL-0626-SM-5LU43 50-59 years, male 96.9
GTEX-17HHY-0426-SM-7DHLC 50-59 years, male 96.9
GTEX-15SHW-0226-SM-7LTAT 60-69 years, male 96.7
GTEX-1399U-1126-SM-5L3DB 50-59 years, female 96.6
GTEX-ZYT6-2326-SM-5GZY3 30-39 years, male 96.6
GTEX-14JFF-0626-SM-5ZZVT 60-69 years, male 96.5
GTEX-1R9PN-0426-SM-DTXDT 40-49 years, female 96.5
GTEX-ZDTS-0826-SM-4WKHL 60-69 years, male 96.4
GTEX-13G51-1826-SM-5KLZH 60-69 years, male 96.2
GTEX-ZAK1-0626-SM-5HL8E 50-59 years, female 96.2
GTEX-1JK1U-0226-SM-ARZMX 60-69 years, male 96.0
GTEX-13W3W-0726-SM-5IJDQ 60-69 years, female 95.9
GTEX-15D1Q-2826-SM-6LLH7 40-49 years, male 95.9
GTEX-15RJE-2826-SM-7KUM9 40-49 years, male 95.9
GTEX-1GF9X-1326-SM-7PC2Y 40-49 years, female 95.9
GTEX-12WSJ-1126-SM-5LZVJ 40-49 years, female 95.8
GTEX-16BQI-1326-SM-6M486 30-39 years, female 95.7
GTEX-17F96-0126-SM-7EWDU 70-79 years, male 95.5
GTEX-1QP9N-1226-SM-E76QN 30-39 years, male 95.5
GTEX-Y8E4-2026-SM-5IFJB 40-49 years, male 95.4
GTEX-13O3Q-0126-SM-5KM34 50-59 years, male 95.3
GTEX-131XG-0326-SM-5L3DX 50-59 years, female 94.6
GTEX-1EWIQ-0326-SM-7DHMQ 70-79 years, female 94.6
GTEX-11UD2-2526-SM-5CVNU 50-59 years, male 94.5
GTEX-14DAQ-0626-SM-793DS 60-69 years, female 94.3
GTEX-139TU-0726-SM-5L3EK 60-69 years, male 93.9
GTEX-1H23P-0626-SM-9WG6T 60-69 years, male 93.6
GTEX-14PJO-2526-SM-6AJBQ 60-69 years, male 93.5
GTEX-11ZUS-2626-SM-5FQUR 30-39 years, male 93.4
GTEX-14PJ5-1526-SM-6LLIL 60-69 years, female 92.8
GTEX-18D9A-1426-SM-7LT8M 30-39 years, female 92.8
GTEX-ZPCL-1126-SM-4WWFE 60-69 years, female 92.7
GTEX-1N5O9-0926-SM-E9J3C 60-69 years, male 92.6
GTEX-1A8G7-1326-SM-73KVM 60-69 years, male 92.4
GTEX-1B8KE-1126-SM-7EPHI 50-59 years, male 92.4
GTEX-1C2JI-1026-SM-73KY1 50-59 years, male 92.2
GTEX-WHWD-1826-SM-3LK6I 50-59 years, male 91.8
GTEX-V1D1-2026-SM-3GAF4 50-59 years, male 91.6
GTEX-12WSD-0626-SM-5GCMW 60-69 years, female 91.4
GTEX-14AS3-1526-SM-5Q5ED 40-49 years, female 91.3
GTEX-11OF3-0126-SM-5PNYF 60-69 years, male 91.2
GTEX-13O3O-2326-SM-5IJD6 60-69 years, female 91.1
GTEX-1LBAC-0826-SM-CY8IJ 20-29 years, male 91.1
GTEX-1S5ZU-2526-SM-E6CIF 20-29 years, female 91.1
GTEX-15CHQ-0326-SM-69LQD 60-69 years, male 90.9
GTEX-X5EB-1926-SM-4E3IW 40-49 years, male 90.4
GTEX-13FTX-1526-SM-5K7VJ 20-29 years, female 90.3
GTEX-14PJ4-0226-SM-5YY92 60-69 years, male 90.2
GTEX-15CHR-1126-SM-7EWF4 50-59 years, male 90.1
GTEX-1K9T9-1526-SM-DIPFR 50-59 years, female 90.1
GTEX-1CAMS-2226-SM-7PBXQ 40-49 years, female 90.0
GTEX-17F98-1326-SM-7DUEP 40-49 years, female 89.9
GTEX-18A67-1626-SM-7LT9T 50-59 years, male 89.8
GTEX-1314G-1326-SM-5BC6E 30-39 years, male 89.5
GTEX-14PJ3-1126-SM-5ZZVX 50-59 years, male 89.5
GTEX-1IL2V-1926-SM-B2LW8 70-79 years, male 89.4
GTEX-1PPH7-1126-SM-DTX9A 40-49 years, male 89.4
GTEX-1399Q-2326-SM-5KM2X 40-49 years, male 89.2
GTEX-139TT-2126-SM-5LZWC 60-69 years, male 89.1
GTEX-14PHX-2226-SM-6EU2P 50-59 years, male 89.0
GTEX-11ZTT-2126-SM-5CVLO 60-69 years, female 88.9
GTEX-1EH9U-2826-SM-7DUGT 60-69 years, male 88.8
GTEX-ZP4G-1426-SM-4WWCL 20-29 years, female 88.8
GTEX-1IY9M-2826-SM-ARU8H 60-69 years, male 88.7
GTEX-1HSMO-0626-SM-ACKXC 60-69 years, male 88.6
GTEX-1IDFM-0326-SM-ARL7V 60-69 years, male 88.6
GTEX-1AX9I-2226-SM-73KUO 60-69 years, male 88.5
GTEX-1LVAM-0726-SM-E6CIL 50-59 years, female 88.1
GTEX-14B4R-1326-SM-5Q5EZ 30-39 years, male 87.6
GTEX-1AMFI-1326-SM-7939R 50-59 years, female 87.2
GTEX-1B8L1-2226-SM-7P8PT 60-69 years, male 87.1
GTEX-145MF-0926-SM-5Q5EA 50-59 years, male 86.9
GTEX-16NPX-0726-SM-7KULC 50-59 years, male 86.9
GTEX-1CB4E-0926-SM-7EPHT 60-69 years, male 86.8
GTEX-17KNJ-2126-SM-718AM 50-59 years, male 86.6
GTEX-ZDTT-0426-SM-4WKFL 60-69 years, male 86.5
GTEX-Y5V5-0126-SM-5S2NW 60-69 years, female 86.3
GTEX-12584-0726-SM-5FQTK 40-49 years, male 86.2
GTEX-147F3-1726-SM-5SIAW 50-59 years, female 86.2
GTEX-1B933-2426-SM-7DHMD 50-59 years, female 86.0
GTEX-ZF29-0926-SM-4WKFZ 60-69 years, female 85.9
GTEX-11DZ1-2426-SM-5GZZX 50-59 years, male 85.6
GTEX-1LSNL-2726-SM-E9TKJ 50-59 years, male 85.6
GTEX-17F9E-2326-SM-79OKD 50-59 years, male 85.5
GTEX-1497J-0226-SM-5QGPU 60-69 years, male 85.4
GTEX-1MCC2-1826-SM-DIPEX 30-39 years, female 85.4
GTEX-1QAET-0326-SM-EVR3U 50-59 years, male 85.4
GTEX-13OVJ-0826-SM-5J1OK 50-59 years, female 85.2
GTEX-18A6Q-0626-SM-7KFRP 60-69 years, male 85.1
GTEX-1RLM8-2926-SM-E8VON 50-59 years, male 85.0
GTEX-Y3IK-1626-SM-4YCF5 50-59 years, female 84.4
GTEX-WYBS-0626-SM-3NMAS 60-69 years, female 84.3
GTEX-1ICLY-0826-SM-CMKG1 50-59 years, male 84.0
GTEX-XAJ8-1426-SM-47JYM 40-49 years, male 83.8
GTEX-1I1HK-2326-SM-CKZOH 60-69 years, male 83.8
GTEX-17HGU-2326-SM-7DUFE 50-59 years, male 83.5
GTEX-15CHC-1126-SM-6LLHQ 60-69 years, female 83.4
GTEX-1N2DV-1526-SM-DTXEP 40-49 years, male 83.4
GTEX-14ABY-2026-SM-62LDL 50-59 years, male 83.3
GTEX-14E1K-2026-SM-7DUEI 50-59 years, male 83.2
GTEX-WXYG-2026-SM-4E3IY 50-59 years, female 83.1
GTEX-13X6I-1826-SM-5SIAO 60-69 years, male 82.9
GTEX-1GPI7-1826-SM-9KNU1 20-29 years, male 82.5
GTEX-12WSF-1626-SM-7KUG5 70-79 years, male 82.4
GTEX-145MG-1526-SM-5Q5EM 50-59 years, male 82.3
GTEX-WRHU-2826-SM-3MJG8 50-59 years, female 82.3
GTEX-1GTWX-2026-SM-9YFLM 60-69 years, male 82.3
GTEX-XPVG-2126-SM-4B667 50-59 years, male 82.2
GTEX-1JJE9-2626-SM-ARZMT 70-79 years, male 82.2
GTEX-ZZPU-0826-SM-5GZX5 50-59 years, female 82.1
GTEX-1ICG6-1226-SM-A9SLN 70-79 years, female 81.9
GTEX-139TS-2126-SM-5K7XC 60-69 years, male 81.7
GTEX-13D11-0926-SM-5J2NC 50-59 years, female 81.7
GTEX-12696-0126-SM-5EQ4L 60-69 years, male 81.6
GTEX-ZY6K-1426-SM-5GZX2 50-59 years, male 81.3
GTEX-1KD5A-0126-SM-E9U54 50-59 years, male 81.2
GTEX-1MCYP-0526-SM-E9U6Q 20-29 years, female 81.2
GTEX-1F48J-0726-SM-7RHGS 50-59 years, female 81.0
GTEX-1LSVX-2526-SM-DIPEU 60-69 years, male 80.9
GTEX-1QMI2-2526-SM-E8VNZ 60-69 years, male 80.8
GTEX-12126-0826-SM-5FQTZ 20-29 years, male 80.6
GTEX-XV7Q-1826-SM-4BRUV 40-49 years, female 80.6
GTEX-1GZ4I-2626-SM-9KNU3 50-59 years, male 80.6
GTEX-16Z82-2626-SM-7KULU 60-69 years, male 80.4
GTEX-1I1GU-0926-SM-ACKVS 40-49 years, male 80.3
GTEX-144GM-0526-SM-79OJO 20-29 years, male 80.1
GTEX-15RJ7-2126-SM-6PAMD 40-49 years, male 79.8
GTEX-1A3MV-1826-SM-731CD 30-39 years, male 79.7
GTEX-Y3I4-1726-SM-4TT89 50-59 years, male 79.7
GTEX-1F6I4-2326-SM-7RHGL 60-69 years, male 79.4
GTEX-14PJ6-2626-SM-6EU2T 60-69 years, female 78.8
GTEX-1F75B-0726-SM-7PC3R 50-59 years, male 78.8
GTEX-Y8LW-1526-SM-5IFHL 50-59 years, female 78.2
GTEX-ZVT2-0126-SM-5GIDQ 50-59 years, female 78.2
GTEX-13X6K-0626-SM-5LU5D 60-69 years, female 78.1
GTEX-ZWKS-0626-SM-5GIDV 30-39 years, male 78.1
GTEX-1HKZK-0726-SM-ACKW2 40-49 years, male 78.1
GTEX-11DYG-1526-SM-5A5JS 60-69 years, male 77.6
GTEX-13OVH-0526-SM-5L3E6 70-79 years, male 77.6
GTEX-1QCLY-0226-SM-EWRNH 30-39 years, male 77.6
GTEX-13PVQ-0626-SM-5LU47 50-59 years, male 77.5
GTEX-YJ8O-2526-SM-5HL85 40-49 years, female 77.5
GTEX-133LE-2326-SM-5K7W3 20-29 years, female 77.0
GTEX-ZF3C-0626-SM-DO92O 50-59 years, female 76.7
GTEX-1KWVE-1026-SM-D3L9O 30-39 years, male 76.6
GTEX-1LVAO-2726-SM-E9TJ8 60-69 years, male 76.6
GTEX-ZTSS-1426-SM-5985P 40-49 years, male 76.4
GTEX-1H1DE-1326-SM-9KNUG 20-29 years, male 75.8
GTEX-147JS-0226-SM-5S2U9 60-69 years, male 75.7
GTEX-1J1R8-2026-SM-CL53Y 40-49 years, male 75.4
GTEX-13X6H-0926-SM-5SIB2 50-59 years, female 75.1
GTEX-1JN1M-2726-SM-CY8I4 60-69 years, female 74.9
GTEX-13OVL-0126-SM-5L3GJ 50-59 years, male 74.7
GTEX-1F5PL-0926-SM-7PC2W 40-49 years, female 74.6
GTEX-XK95-0226-SM-4AT58 40-49 years, male 74.3
GTEX-1IDJH-0126-SM-D3L92 70-79 years, male 74.2
GTEX-14JG1-1526-SM-5YY9X 40-49 years, male 74.0
GTEX-VUSG-2326-SM-4KL1U 50-59 years, male 73.9
GTEX-XBED-1926-SM-47JYP 60-69 years, male 73.7
GTEX-13FTW-0326-SM-5K7UW 40-49 years, male 73.6
GTEX-ZYVF-0926-SM-5E44J 50-59 years, female 73.5
GTEX-1LVA9-2626-SM-EVYD4 50-59 years, male 73.5
GTEX-131XH-0126-SM-5LZUY 50-59 years, male 73.4
GTEX-WI4N-2726-SM-3LK7Y 40-49 years, female 73.3
GTEX-13OW8-1026-SM-5J1NQ 60-69 years, male 72.9
GTEX-1S82U-1026-SM-E6CJK 30-39 years, female 72.9
GTEX-1LSNM-0826-SM-DIPG8 50-59 years, male 72.8
GTEX-1LG7Y-2526-SM-EWRO7 50-59 years, male 72.6
GTEX-1IDJI-0126-SM-CMKHS 50-59 years, female 72.5
GTEX-1R7EU-1626-SM-DTXG3 60-69 years, male 72.4
GTEX-16MTA-0926-SM-6M47Z 50-59 years, male 72.3
GTEX-XQ3S-1426-SM-4BOPR 20-29 years, male 72.2
GTEX-14PHY-1226-SM-5ZZWK 60-69 years, female 72.0
GTEX-18D9U-0126-SM-731BM 40-49 years, male 72.0
GTEX-14JG6-1426-SM-9WG7C 30-39 years, female 71.6
GTEX-11EI6-2826-SM-5H11D 60-69 years, male 71.3
GTEX-WH7G-2026-SM-3NMBL 40-49 years, male 70.7
GTEX-14PKV-1126-SM-6LLJ1 20-29 years, female 70.2
GTEX-1HCU6-2526-SM-ADEHL 60-69 years, female 70.2
GTEX-ZTTD-2826-SM-4YCFA 50-59 years, male 70.1
GTEX-1HFI6-0126-SM-CNPPI 40-49 years, male 70.1
GTEX-1H3VE-0726-SM-9YFL5 40-49 years, male 69.8
GTEX-13N2G-0226-SM-5K7VF 60-69 years, male 69.4
GTEX-14PKU-0126-SM-6LLHV 40-49 years, female 69.3
GTEX-ZAJG-1526-SM-5CVML 50-59 years, female 69.3
GTEX-16NGA-0726-SM-731AO 40-49 years, female 69.1
GTEX-1RAZR-2126-SM-E9U6T 40-49 years, male 69.1
GTEX-WY7C-2126-SM-3NB2R 50-59 years, male 68.7
GTEX-ZDYS-2426-SM-4WKGI 50-59 years, male 68.4
GTEX-1HCUA-0826-SM-ADEHM 50-59 years, female 68.3
GTEX-11P7K-1126-SM-5HL4L 30-39 years, male 67.8
GTEX-11DXX-2126-SM-5PNYR 60-69 years, female 67.5
GTEX-13VXT-1926-SM-5K7UO 20-29 years, female 67.4
GTEX-W5X1-2526-SM-3GILC 40-49 years, female 67.4
GTEX-17MF6-2626-SM-79OKQ 40-49 years, male 67.3
GTEX-XXEK-1626-SM-4BRUZ 50-59 years, male 67.0
GTEX-1GMR3-0126-SM-A9SLW 40-49 years, male 66.9
GTEX-1GZHY-0626-SM-9KNVC 50-59 years, female 66.9
GTEX-11NSD-0626-SM-5A5LU 20-29 years, male 66.8
GTEX-11VI4-1126-SM-5EQMD 40-49 years, female 66.7
GTEX-1S831-1826-SM-EWROF 20-29 years, male 66.5
GTEX-ZVE1-0726-SM-51MRN 50-59 years, female 66.0
GTEX-1E2YA-2126-SM-7MXUO 50-59 years, male 65.9
GTEX-1QP29-1826-SM-DTX9S 50-59 years, male 65.7
GTEX-WEY5-2326-SM-3GIKK 40-49 years, female 65.6
GTEX-WHSE-0126-SM-3NMBT 20-29 years, male 65.5
GTEX-1RB15-1326-SM-E76Q9 60-69 years, male 65.2
GTEX-17MFQ-1526-SM-7KFRR 20-29 years, male 65.1
GTEX-1F75I-2226-SM-7SB8U 40-49 years, male 65.1
GTEX-12WSA-0426-SM-5EQ5X 60-69 years, male 65.0
GTEX-1B932-2326-SM-79OL5 40-49 years, female 64.7
GTEX-ZPIC-0526-SM-DO91W 40-49 years, female 64.5
GTEX-13N11-2326-SM-5IJBF 50-59 years, female 64.1
GTEX-ZPU1-1126-SM-4YCF3 40-49 years, male 64.1
GTEX-1KXAM-1626-SM-D3LAD 60-69 years, male 64.0
GTEX-14PK6-0226-SM-62LF5 70-79 years, female 63.8
GTEX-12WSC-2826-SM-5BC5Y 50-59 years, male 63.7
GTEX-13VXU-0626-SM-5L3F9 50-59 years, male 63.7
GTEX-14BMV-2826-SM-5TDED 50-59 years, male 63.7
GTEX-1H1ZS-2726-SM-9WG75 70-79 years, male 63.5
GTEX-16AAH-0626-SM-793C9 50-59 years, male 63.3
GTEX-13JUV-2026-SM-5K7UA 40-49 years, female 63.0
GTEX-13PVR-0426-SM-5RQK2 60-69 years, female 62.9
GTEX-1C64O-1326-SM-7MGWR 60-69 years, male 62.9
GTEX-145ME-1726-SM-5Q5EU 40-49 years, female 62.7
GTEX-146FQ-2126-SM-5RQHU 30-39 years, male 62.7
GTEX-11DXW-0826-SM-5H118 40-49 years, male 62.6
GTEX-1GL5R-1326-SM-7RHHF 50-59 years, male 62.6
GTEX-1GN1W-2426-SM-9KNUU 50-59 years, female 62.6
GTEX-145MO-2826-SM-5LU96 60-69 years, male 62.3
GTEX-12C56-1526-SM-5FQUQ 20-29 years, male 62.2
GTEX-ZA64-1026-SM-5HL8R 20-29 years, male 62.2
GTEX-145MN-1526-SM-5SI9T 30-39 years, male 62.0
GTEX-1QW4Y-1126-SM-DTXE3 30-39 years, male 62.0
GTEX-1A8FM-0626-SM-7PC25 50-59 years, female 61.9
GTEX-1PIGE-1826-SM-E8VOU 20-29 years, male 61.8
GTEX-14DAR-1226-SM-73KYV 50-59 years, male 61.4
GTEX-ZZ64-1026-SM-5GZXG 20-29 years, male 61.4
GTEX-1K2DA-1026-SM-CGQGF 50-59 years, male 61.3
GTEX-13X6J-0626-SM-5LU5F 50-59 years, male 61.1
GTEX-183FY-1026-SM-7939A 20-29 years, male 61.1
GTEX-1LVAN-0626-SM-CNPOQ 50-59 years, female 61.1
GTEX-13RTJ-0126-SM-5S2NN 60-69 years, male 61.0
GTEX-1A3MX-2626-SM-7PC24 60-69 years, male 60.7
GTEX-13NYC-0126-SM-5L3F4 60-69 years, male 60.3
GTEX-14PJ2-0626-SM-6LLII 50-59 years, male 60.2
GTEX-ZVP2-0326-SM-57WBP 50-59 years, male 60.0
GTEX-1O9I2-0226-SM-EYYXD 50-59 years, male 59.8
GTEX-XYKS-1426-SM-4BRUO 60-69 years, female 59.5
GTEX-1B8KZ-0326-SM-73KY4 50-59 years, male 59.3
GTEX-15G19-2426-SM-7KUMR 60-69 years, male 58.9
GTEX-18A66-0626-SM-7LT8Z 60-69 years, male 58.6
GTEX-1B996-0426-SM-7EWF8 60-69 years, male 58.5
GTEX-1H1CY-0126-SM-9YFLY 60-69 years, female 58.4
GTEX-18A7B-2726-SM-7LG56 70-79 years, male 58.2
GTEX-1JKYR-0626-SM-ARL8R 20-29 years, male 58.2
GTEX-1JN76-0626-SM-CKZOQ 20-29 years, female 57.9
GTEX-111YS-1526-SM-5GZYW 60-69 years, male 57.8
GTEX-ZGAY-1826-SM-DO91Q 40-49 years, female 57.8
GTEX-178AV-1726-SM-7KUL8 40-49 years, male 57.7
GTEX-ZDXO-3126-SM-5IJDF 60-69 years, male 57.7
GTEX-1HCU9-0426-SM-9WYSD 20-29 years, male 56.8
GTEX-1I1CD-0626-SM-CE6SW 60-69 years, female 56.7
GTEX-11EQ9-1626-SM-5PNY8 30-39 years, male 56.6
GTEX-1AX8Z-0726-SM-73KTS 60-69 years, male 56.3
GTEX-1J8JJ-0626-SM-ARZMQ 60-69 years, female 56.3
GTEX-1IDJD-2326-SM-ACKWX 30-39 years, male 56.1
GTEX-YEC3-1326-SM-DO92X 50-59 years, male 56.1
GTEX-12WSK-2126-SM-5CVNC 40-49 years, female 55.9
GTEX-WYJK-0526-SM-3NM8Z 50-59 years, male 55.9
GTEX-1J8QM-2426-SM-A9SLS 60-69 years, female 55.9
GTEX-1HC8U-1326-SM-9YFMJ 40-49 years, female 55.7
GTEX-1AX9J-1326-SM-731BJ 60-69 years, male 55.6
GTEX-WFON-1926-SM-3LK7L 40-49 years, male 55.6
GTEX-16MT9-0126-SM-7EPI8 60-69 years, female 55.5
GTEX-ZLFU-1826-SM-4WWBV 40-49 years, male 55.5
GTEX-13113-1626-SM-5EQ4I 60-69 years, female 55.4
GTEX-1CAMR-1326-SM-7PC1F 20-29 years, male 55.4
GTEX-1H1E6-0426-SM-9WYUS 30-39 years, male 55.2
GTEX-13NZ9-2626-SM-5L3FK 50-59 years, male 54.7
GTEX-WK11-2726-SM-3NMAQ 50-59 years, male 54.7
GTEX-1C475-1326-SM-7SB73 40-49 years, female 54.7
GTEX-1QCLZ-2426-SM-EVYBW 60-69 years, female 54.7
GTEX-144GO-2026-SM-5O99P 60-69 years, male 53.8
GTEX-YEC4-1826-SM-4W1YP 40-49 years, male 53.6
GTEX-1HUB1-1426-SM-CGQF5 60-69 years, male 53.3
GTEX-1211K-1526-SM-5FQU4 60-69 years, female 53.0
GTEX-1IDJF-2026-SM-CL53V 20-29 years, male 52.6
GTEX-183WM-0326-SM-72D5V 70-79 years, female 52.5
GTEX-1A32A-0626-SM-731AQ 50-59 years, female 52.4
GTEX-1HSMP-0926-SM-A9SKX 70-79 years, male 52.1
GTEX-1KANA-1326-SM-DIPFA 20-29 years, male 52.0
GTEX-1JMOU-1026-SM-CYPSS 60-69 years, female 51.8
GTEX-1CB4I-0126-SM-7RHGG 50-59 years, male 51.7
GTEX-11EM3-1226-SM-5N9DD 20-29 years, female 51.5
GTEX-1A3MW-0626-SM-731CB 60-69 years, female 51.4
GTEX-131YS-2826-SM-5EQ47 60-69 years, female 51.1
GTEX-15EU6-2226-SM-6EU2L 50-59 years, male 51.0
GTEX-1JMQL-2226-SM-CNPP4 50-59 years, female 50.9
GTEX-ZLWG-0826-SM-59888 50-59 years, female 50.4
GTEX-ZYFG-1526-SM-5GZYM 60-69 years, female 50.0
GTEX-13U4I-2226-SM-5LU5H 40-49 years, female 49.8
GTEX-1J8Q3-0526-SM-ARL8U 60-69 years, male 49.6
GTEX-14E6C-2426-SM-5S2NF 40-49 years, male 49.3
GTEX-ZUA1-2626-SM-5NQ92 40-49 years, male 49.3
GTEX-1GMR2-0826-SM-7PC3V 50-59 years, male 48.9
GTEX-12BJ1-0926-SM-5EQ62 60-69 years, male 48.4
GTEX-1JKYN-0826-SM-ARU8S 30-39 years, male 48.3
GTEX-17HG3-2626-SM-7DUF2 30-39 years, female 48.2
GTEX-U8XE-0226-SM-4E3J3 30-39 years, male 48.1
GTEX-1H3NZ-2726-SM-9WYTQ 60-69 years, male 48.0
GTEX-15RIE-1926-SM-7KUKJ 60-69 years, male 47.8
GTEX-14A5H-0826-SM-5QGPJ 60-69 years, male 47.5
GTEX-17EVQ-0126-SM-7IGLR 70-79 years, male 47.4
GTEX-1HCU8-2526-SM-CE6RX 60-69 years, female 46.9
GTEX-1GZ2Q-0126-SM-9WG6M 40-49 years, male 46.3
GTEX-1KANC-1226-SM-CYPT7 50-59 years, female 46.2
GTEX-1I4MK-0126-SM-CY8G6 50-59 years, female 45.8
GTEX-13QBU-1226-SM-5LU4G 40-49 years, female 45.5
GTEX-132AR-0326-SM-5KM2C 50-59 years, female 45.3
GTEX-X3Y1-2026-SM-3P5YM 40-49 years, male 45.2
GTEX-VJYA-1526-SM-3GIJV 60-69 years, male 44.5
GTEX-ZU9S-1826-SM-5NQ9E 30-39 years, male 44.4
GTEX-1I6K6-1726-SM-CGQFD 30-39 years, male 44.3
GTEX-1IDJC-1526-SM-B2LW4 50-59 years, male 44.3
GTEX-13OVG-1626-SM-5J1NF 60-69 years, male 44.0
GTEX-111FC-2526-SM-5GZXU 60-69 years, male 43.5
GTEX-14C38-0726-SM-5SI6M 50-59 years, male 42.7
GTEX-1CAV2-0126-SM-7IGN7 40-49 years, female 42.6
GTEX-1H1DG-2426-SM-9QEHJ 70-79 years, male 42.6
GTEX-ZYW4-0626-SM-59HJR 60-69 years, male 42.4
GTEX-ZT9W-1126-SM-57WDR 50-59 years, male 42.1
GTEX-1I6K7-1926-SM-B2LXR 40-49 years, male 41.2
GTEX-17JCI-2926-SM-7DUFF 60-69 years, female 41.1
GTEX-14BMU-1226-SM-5S2OR 20-29 years, female 40.7
GTEX-14E6E-0526-SM-793DN 30-39 years, male 40.5
GTEX-15G1A-1626-SM-7KUKN 30-39 years, male 40.3
GTEX-1LG7Z-1626-SM-CXKYR 30-39 years, male 39.9
GTEX-1F75W-2726-SM-7SB8H 60-69 years, male 39.8
GTEX-1LGOU-1326-SM-D3L8M 20-29 years, female 39.6
GTEX-UPK5-0426-SM-3GAEK 40-49 years, male 39.5
GTEX-18D9B-0926-SM-7LG4U 60-69 years, male 38.0
GTEX-12WSL-2026-SM-5GCML 50-59 years, male 37.9
GTEX-ZYFD-0626-SM-5E44E 50-59 years, male 36.9
GTEX-1H1DF-1126-SM-9WG7G 40-49 years, female 36.8
GTEX-1I19N-0126-SM-CYPSF 70-79 years, male 36.6
GTEX-1QP66-1226-SM-DTX7U 50-59 years, male 36.6
GTEX-13FH7-1126-SM-5K7UG 50-59 years, female 36.1
GTEX-1IDJE-1426-SM-ADEIW 50-59 years, female 35.3
GTEX-145LT-0526-SM-5LUB2 40-49 years, male 35.0
GTEX-14XAO-1226-SM-6EU1C 60-69 years, female 34.1
GTEX-117YX-1926-SM-5GIEC 50-59 years, male 33.9
GTEX-1E1VI-0326-SM-793D1 50-59 years, male 33.9
GTEX-16GPK-0626-SM-7KFSF 60-69 years, male 33.3
GTEX-ZVTK-0226-SM-51MRG 20-29 years, male 33.1
GTEX-11WQK-1026-SM-5EQLX 50-59 years, male 32.6
GTEX-11TT1-1826-SM-5EQLV 20-29 years, male 31.8
GTEX-1F6IF-0926-SM-7SB7M 60-69 years, male 31.0
GTEX-YF7O-1526-SM-5IFI6 50-59 years, male 28.7
GTEX-1RAZA-2226-SM-E9U4X 20-29 years, male 28.1
GTEX-Y5LM-0926-SM-6LLJG 40-49 years, female 27.4
GTEX-1GF9U-2026-SM-7SB92 40-49 years, female 26.4
GTEX-1399R-1326-SM-5PNYS 30-39 years, male 21.7
GTEX-YB5K-2026-SM-4VDT3 40-49 years, female 21.7
GTEX-Y5V6-2326-SM-4VDSA 60-69 years, male 21.0
GTEX-WFG8-2126-SM-3GIKQ 20-29 years, male 16.4
GTEX-1L5NE-1126-SM-D3L9P 50-59 years, male 16.3
Show allShow less
Skin - Sun Exposed (Lower leg)
Average nTPM: 104.3
Samples: 701

Max nTPM: 273.3
Min nTPM: 4.8
Std nTPM: 40.9
Median nTPM: 100.0
GTEX-13CF2-2526-SM-5LZYX 60-69 years, male 273.3
GTEX-15ETS-0126-SM-7KUMW 40-49 years, female 238.5
GTEX-SNMC-1226-SM-2XCFP 20-29 years, male 237.7
GTEX-11DXZ-2326-SM-5EGGV 50-59 years, male 233.5
GTEX-Y3IK-2426-SM-4WWDU 50-59 years, female 228.3
GTEX-13111-1626-SM-5EGJY 50-59 years, male 223.2
GTEX-ZTX8-1426-SM-5DUVO 20-29 years, male 222.3
GTEX-P4QT-0126-SM-2I3FL 50-59 years, female 219.3
GTEX-PSDG-0226-SM-DKPOZ 50-59 years, male 216.3
GTEX-ZV68-0126-SM-59HKS 50-59 years, female 215.2
GTEX-T6MN-0126-SM-32PLP 50-59 years, male 215.1
GTEX-1S83E-0126-SM-EWRO4 40-49 years, male 213.6
GTEX-T5JW-1626-SM-3GADZ 20-29 years, female 212.1
GTEX-145LS-0126-SM-5QGP1 60-69 years, female 210.3
GTEX-1LBAC-0126-SM-DIPEZ 20-29 years, male 209.9
GTEX-ZXES-1826-SM-5E43S 30-39 years, female 207.3
GTEX-1JN6P-0126-SM-D3L98 60-69 years, male 205.0
GTEX-1F6RS-0126-SM-9MQKZ 60-69 years, female 202.6
GTEX-ZWKS-0126-SM-5SIAA 30-39 years, male 197.0
GTEX-1H4P4-0726-SM-9YFLR 50-59 years, male 195.0
GTEX-1KANC-1526-SM-D3LAB 50-59 years, female 192.6
GTEX-1PDJ9-0326-SM-DTX95 20-29 years, male 190.3
GTEX-18D9A-1926-SM-7LG6P 30-39 years, female 188.4
GTEX-ZGAY-0526-SM-4WWBB 40-49 years, female 188.3
GTEX-PX3G-0126-SM-2I3EN 20-29 years, female 188.1
GTEX-1PIIG-0226-SM-EWRN6 30-39 years, male 186.8
GTEX-1QPFJ-0226-SM-E76PB 30-39 years, female 186.5
GTEX-13FHP-0126-SM-5IJBG 50-59 years, male 185.4
GTEX-148VJ-0126-SM-5TDDN 70-79 years, male 185.4
GTEX-1QAET-0926-SM-E76QM 50-59 years, male 184.9
GTEX-1E2YA-0126-SM-9KNUC 50-59 years, male 182.8
GTEX-13FXS-0226-SM-5IJCK 50-59 years, male 181.8
GTEX-15RIG-0226-SM-7KFTL 40-49 years, male 181.0
GTEX-13SLW-0126-SM-5SI6C 70-79 years, male 180.1
GTEX-1CB4I-0226-SM-79OLH 50-59 years, male 179.0
GTEX-1I1GT-0626-SM-CGQER 60-69 years, female 178.5
GTEX-1GN1U-0126-SM-7PBZK 50-59 years, female 178.4
GTEX-ZF2S-2326-SM-4WWCE 50-59 years, female 177.7
GTEX-1JMQI-2226-SM-CM2SD 50-59 years, male 177.3
GTEX-Y8E4-0626-SM-4WWDL 40-49 years, male 175.2
GTEX-1399R-2726-SM-5IJBA 30-39 years, male 175.1
GTEX-1GMR3-1926-SM-9KNUZ 40-49 years, male 175.1
GTEX-TML8-1926-SM-32QOS 40-49 years, female 174.5
GTEX-1JMLX-0226-SM-CM2RO 50-59 years, male 174.0
GTEX-1K2DA-1826-SM-CGQGT 50-59 years, male 174.0
GTEX-YJ89-0126-SM-4TT3X 60-69 years, male 172.9
GTEX-14PII-0226-SM-6EU1T 60-69 years, male 172.5
GTEX-1S3DN-2226-SM-EVYCD 50-59 years, male 172.5
GTEX-14LZ3-0226-SM-62LET 60-69 years, female 170.9
GTEX-1HCU7-0226-SM-CL545 50-59 years, male 170.4
GTEX-ZV6S-2326-SM-4YCEY 40-49 years, female 169.7
GTEX-1LG7Z-1726-SM-D3LA4 30-39 years, male 169.6
GTEX-1B8SF-1426-SM-7DUGL 60-69 years, male 169.3
GTEX-13PDP-0126-SM-5L3HD 60-69 years, male 168.6
GTEX-131YS-0126-SM-5KM1M 60-69 years, female 167.7
GTEX-1HT8W-0126-SM-CNPPP 30-39 years, male 167.7
GTEX-TKQ1-1026-SM-4GICL 30-39 years, male 167.3
GTEX-13JUV-2726-SM-5LZZ8 40-49 years, female 166.8
GTEX-15F5U-1526-SM-6PANO 40-49 years, male 165.7
GTEX-145MN-2226-SM-5SIAU 30-39 years, male 165.6
GTEX-17EVP-0326-SM-7DHLG 40-49 years, male 165.2
GTEX-1IL2U-0226-SM-CE6T8 60-69 years, male 164.8
GTEX-1J1OQ-0226-SM-CYPSH 40-49 years, female 163.2
GTEX-1JJ6O-0126-SM-E6CI8 60-69 years, male 162.6
GTEX-1JMPZ-0226-SM-CNPP1 30-39 years, male 162.5
GTEX-YB5E-2026-SM-5IFIS 40-49 years, male 162.0
GTEX-T8EM-1026-SM-3DB7M 40-49 years, male 161.9
GTEX-1CAV2-2226-SM-7P8P2 40-49 years, female 161.6
GTEX-1CAMQ-0226-SM-7IGPK 40-49 years, male 161.3
GTEX-T2YK-0526-SM-32QPJ 50-59 years, male 160.8
GTEX-1OJC3-0126-SM-E76QX 20-29 years, male 160.6
GTEX-XUZC-1726-SM-4BRWS 30-39 years, female 160.1
GTEX-XBEW-0626-SM-4QASP 40-49 years, male 159.4
GTEX-13FTW-2626-SM-5K7WL 40-49 years, male 158.1
GTEX-1B97I-1626-SM-73KYO 40-49 years, male 157.6
GTEX-139UW-2826-SM-5L3E7 60-69 years, male 157.0
GTEX-17JCI-0126-SM-7LG5G 60-69 years, female 156.8
GTEX-1M5QR-1226-SM-EWROB 40-49 years, male 156.0
GTEX-1HSKV-0226-SM-A9SKJ 60-69 years, male 155.9
GTEX-UJHI-1526-SM-3DB99 50-59 years, female 155.5
GTEX-1I1GV-0526-SM-A9G29 60-69 years, male 155.0
GTEX-X261-0126-SM-3NMD6 50-59 years, male 154.4
GTEX-1PFEY-1526-SM-E76PP 30-39 years, male 154.0
GTEX-11DYG-0126-SM-59883 60-69 years, male 153.7
GTEX-1HSGN-0226-SM-CGQFV 40-49 years, female 153.3
GTEX-15ER7-0326-SM-7KUEV 20-29 years, female 152.8
GTEX-1JN1M-0326-SM-CYPT3 60-69 years, female 152.4
GTEX-1L5NE-2526-SM-E6CIE 50-59 years, male 151.6
GTEX-1PIGE-0126-SM-EVYBJ 20-29 years, male 151.4
GTEX-14JG1-0426-SM-6ETZZ 40-49 years, male 150.9
GTEX-1C475-1826-SM-73KWA 40-49 years, female 150.3
GTEX-Y111-0126-SM-4SOIV 50-59 years, male 150.0
GTEX-SN8G-0126-SM-32PLI 50-59 years, female 149.7
GTEX-17F96-1626-SM-7DUFL 70-79 years, male 149.4
GTEX-T2IS-0126-SM-4DM6O 20-29 years, female 148.8
GTEX-131XE-2326-SM-5PNZ2 50-59 years, male 148.5
GTEX-1R9PM-2026-SM-E76OY 20-29 years, male 148.5
GTEX-1313W-0126-SM-5LZUN 50-59 years, female 148.4
GTEX-18A6Q-0126-SM-731BZ 60-69 years, male 148.1
GTEX-14BIN-0626-SM-793DP 50-59 years, female 147.1
GTEX-139TS-2826-SM-5J1OO 60-69 years, male 146.6
GTEX-13OVH-0126-SM-5MR4B 70-79 years, male 146.6
GTEX-1HCU9-1526-SM-A9SL7 20-29 years, male 146.0
GTEX-U412-0426-SM-3DB9O 60-69 years, male 145.8
GTEX-1LVAN-0226-SM-COH3S 50-59 years, female 143.9
GTEX-X4EO-0326-SM-3P5YO 60-69 years, female 143.6
GTEX-14PHX-2326-SM-62LEM 50-59 years, male 143.5
GTEX-1C6VR-2426-SM-79OLD 60-69 years, male 143.4
GTEX-ZXG5-0126-SM-5GIEU 60-69 years, male 143.3
GTEX-1LB8K-0226-SM-EWRNW 50-59 years, male 143.1
GTEX-PVOW-0126-SM-2XCFA 40-49 years, male 142.6
GTEX-1H2FU-0126-SM-9WYSI 60-69 years, female 142.5
GTEX-1399T-2826-SM-5KLYZ 60-69 years, male 141.8
GTEX-11H98-0126-SM-5EGHG 50-59 years, male 141.6
GTEX-1EWIQ-0126-SM-7RHH2 70-79 years, female 141.2
GTEX-17GQL-2026-SM-718BA 60-69 years, male 141.0
GTEX-11EQ9-2426-SM-5HL5T 30-39 years, male 140.5
GTEX-1BAJH-0526-SM-793CQ 70-79 years, male 140.3
GTEX-R3RS-0126-SM-3GIJL 40-49 years, female 139.7
GTEX-1B8KE-2126-SM-73KYX 50-59 years, male 139.6
GTEX-ZVZP-2426-SM-59HKJ 50-59 years, male 139.5
GTEX-ZVTK-0426-SM-51MRS 20-29 years, male 139.2
GTEX-ZYT6-0226-SM-5NQ6T 30-39 years, male 138.8
GTEX-111FC-0126-SM-5N9DL 60-69 years, male 138.7
GTEX-1IOXB-0126-SM-ARL8G 50-59 years, male 138.7
GTEX-WYJK-0126-SM-3NMAB 50-59 years, male 138.4
GTEX-1HFI7-1826-SM-ACKXH 50-59 years, female 138.4
GTEX-11UD2-0226-SM-5EQKY 50-59 years, male 138.2
GTEX-1J8QM-2126-SM-CYPSJ 60-69 years, female 138.2
GTEX-ZYFC-0226-SM-5NQ75 50-59 years, male 137.2
GTEX-1LGRB-2526-SM-CNPPQ 50-59 years, female 137.2
GTEX-1CB4E-2226-SM-793DC 60-69 years, male 136.6
GTEX-13FTY-0526-SM-5L3EV 40-49 years, female 136.3
GTEX-1QP9N-1426-SM-DTXFL 30-39 years, male 136.2
GTEX-1GMRU-0126-SM-9YFLV 50-59 years, male 136.1
GTEX-1GN2E-0426-SM-9MQKX 60-69 years, male 136.0
GTEX-1212Z-2526-SM-5EGKP 60-69 years, male 135.1
GTEX-13NYB-2526-SM-5K7Z6 40-49 years, male 134.5
GTEX-1IKJJ-0126-SM-CNPQB 60-69 years, male 134.0
GTEX-1QCLY-0326-SM-E8VOG 30-39 years, male 133.9
GTEX-XYKS-2126-SM-4E3IB 60-69 years, female 133.8
GTEX-ZAK1-0126-SM-5IJD3 50-59 years, female 133.6
GTEX-12WSE-0526-SM-793B2 20-29 years, male 132.3
GTEX-1JMQJ-0526-SM-CYPSU 50-59 years, male 132.3
GTEX-1EMGI-0126-SM-9KNUE 60-69 years, male 132.2
GTEX-1GF9V-0326-SM-7RHI5 60-69 years, male 132.1
GTEX-OOBK-0126-SM-2YUND 40-49 years, male 132.0
GTEX-SUCS-1926-SM-32PM3 70-79 years, male 131.6
GTEX-1I4MK-2226-SM-ACKWD 50-59 years, female 131.5
GTEX-1QMI2-0226-SM-EVYBX 60-69 years, male 130.6
GTEX-ZDTS-0126-SM-4WAY5 60-69 years, male 130.0
GTEX-146FQ-0126-SM-5NQA9 30-39 years, male 129.9
GTEX-13OW5-0126-SM-DTXFS 60-69 years, male 129.3
GTEX-11GSO-2426-SM-5A5LY 60-69 years, male 129.0
GTEX-13O3P-0126-SM-5KM4S 50-59 years, male 128.6
GTEX-WQUQ-0426-SM-3MJFU 60-69 years, male 128.6
GTEX-1RDX4-0126-SM-E9J4P 50-59 years, female 128.5
GTEX-ZTSS-1926-SM-57WEW 40-49 years, male 128.2
GTEX-TSE9-0126-SM-3DB83 60-69 years, female 128.0
GTEX-1MA7W-2026-SM-E9TJ6 20-29 years, female 127.7
GTEX-131XH-2226-SM-5DUXJ 50-59 years, male 127.5
GTEX-OOBJ-0126-SM-E6CJW 60-69 years, male 127.5
GTEX-1F5PL-0326-SM-7P8PQ 40-49 years, female 127.2
GTEX-Y114-2426-SM-4TT8A 50-59 years, female 127.1
GTEX-1MJK2-0426-SM-DTXE5 50-59 years, male 126.8
GTEX-U8T8-0126-SM-3DB94 60-69 years, male 126.7
GTEX-1JMPY-1326-SM-ARL8Y 30-39 years, male 126.7
GTEX-1LSNM-1926-SM-E6CII 50-59 years, male 126.5
GTEX-15SHU-0126-SM-7KUEH 40-49 years, female 126.3
GTEX-ZVE2-0226-SM-59HJB 50-59 years, male 125.8
GTEX-1GZHY-0326-SM-9QEHI 50-59 years, female 125.7
GTEX-12ZZX-0126-SM-5EGK9 40-49 years, female 125.1
GTEX-14E6C-0126-SM-5RQIP 40-49 years, male 125.1
GTEX-16GPK-0126-SM-7DHLE 60-69 years, male 125.0
GTEX-1I1GR-0126-SM-CL55F 60-69 years, male 124.9
GTEX-XQ8I-0426-SM-4BOPO 50-59 years, male 124.7
GTEX-12ZZZ-0626-SM-5DUXI 60-69 years, male 124.6
GTEX-13OVK-2026-SM-7KUEO 40-49 years, male 124.6
GTEX-OIZH-0126-SM-2HMIS 50-59 years, male 124.4
GTEX-X4EP-0126-SM-3P5YV 60-69 years, female 124.2
GTEX-1JJEA-0326-SM-CNPOT 60-69 years, male 124.1
GTEX-1F75B-0126-SM-9KNVL 50-59 years, male 123.9
GTEX-Y8DK-0126-SM-4TT3L 60-69 years, male 123.8
GTEX-1O97I-0326-SM-EYYX7 60-69 years, male 123.8
GTEX-Y5LM-1926-SM-5RQJH 40-49 years, female 123.6
GTEX-ZF3C-0126-SM-DO92D 50-59 years, female 123.5
GTEX-1H1CY-2826-SM-9MQM3 60-69 years, female 123.4
GTEX-1NV5F-0226-SM-E8VNY 60-69 years, female 123.4
GTEX-1HGF4-2426-SM-ACKXM 60-69 years, male 123.3
GTEX-12696-2426-SM-5EQ6H 60-69 years, male 123.2
GTEX-1I1GQ-0126-SM-COH3H 50-59 years, male 123.2
GTEX-X8HC-0126-SM-4E3JW 50-59 years, female 123.1
GTEX-WRHK-1426-SM-3MJF9 20-29 years, female 123.0
GTEX-17HG3-2226-SM-7938L 30-39 years, female 122.9
GTEX-1KXAM-2226-SM-CYPTC 60-69 years, male 122.7
GTEX-14LLW-0126-SM-6LLIO 70-79 years, female 122.5
GTEX-UPJH-0326-SM-3GADU 50-59 years, male 122.3
GTEX-117XS-2726-SM-5N9BL 60-69 years, male 122.1
GTEX-NFK9-0226-SM-2HMKQ 40-49 years, male 122.1
GTEX-1KAFJ-2026-SM-CY8ID 50-59 years, male 122.1
GTEX-Y5V5-2326-SM-4V6GA 60-69 years, female 122.0
GTEX-1GZ4H-1726-SM-7PBZJ 50-59 years, female 122.0
GTEX-1CB4H-0226-SM-7PBXM 60-69 years, female 121.9
GTEX-145ME-1826-SM-5SI9G 40-49 years, female 121.7
GTEX-12WSC-0126-SM-5EQ4P 50-59 years, male 121.6
GTEX-1OFPY-2426-SM-DTXEJ 60-69 years, male 121.6
GTEX-15DDE-0126-SM-6LPKH 50-59 years, female 121.4
GTEX-YB5K-2126-SM-4WWDJ 40-49 years, female 121.4
GTEX-17HII-0226-SM-7LG4E 50-59 years, male 121.3
GTEX-YFC4-0126-SM-5CVLY 40-49 years, female 121.3
GTEX-OIZG-0726-SM-33HBL 50-59 years, male 121.1
GTEX-1RB15-2126-SM-E9TIM 60-69 years, male 121.0
GTEX-11NSD-2226-SM-5986V 20-29 years, male 120.9
GTEX-12WSJ-1826-SM-5GCNY 40-49 years, female 120.9
GTEX-VJWN-0126-SM-3GIK7 50-59 years, female 120.9
GTEX-1KWVE-1426-SM-E9TJO 30-39 years, male 120.9
GTEX-17KNJ-2326-SM-7DHLQ 50-59 years, male 120.8
GTEX-145MO-0326-SM-5Q5B3 60-69 years, male 120.6
GTEX-1399U-2326-SM-5K7WY 50-59 years, female 120.4
GTEX-1H11D-0226-SM-9WG6Z 40-49 years, male 119.9
GTEX-1S5ZA-0126-SM-EVYCV 20-29 years, male 119.9
GTEX-1GN73-0226-SM-9WG67 60-69 years, male 119.8
GTEX-1B8L1-2526-SM-9WYTF 60-69 years, male 119.4
GTEX-13SLX-0526-SM-5S2ON 50-59 years, female 119.2
GTEX-1K2DU-2326-SM-E9TIV 20-29 years, male 119.2
GTEX-WYVS-2126-SM-3NMA3 40-49 years, female 119.1
GTEX-1122O-2126-SM-5EGIR 60-69 years, female 119.0
GTEX-145LV-2126-SM-5LU8N 50-59 years, male 118.9
GTEX-1S82Y-2026-SM-EVYCM 40-49 years, male 118.9
GTEX-11EI6-0126-SM-5985R 60-69 years, male 118.6
GTEX-12ZZY-0226-SM-5LZVE 60-69 years, male 118.6
GTEX-133LE-1826-SM-5J1MV 20-29 years, female 118.1
GTEX-W5WG-1826-SM-4KL2Y 50-59 years, female 117.9
GTEX-1J8JJ-0226-SM-CL53I 60-69 years, female 117.8
GTEX-1MUQO-0126-SM-EAZ58 60-69 years, male 117.6
GTEX-ZYFG-2326-SM-5E44B 60-69 years, female 117.5
GTEX-145MI-0526-SM-5O9A8 60-69 years, female 117.2
GTEX-ZDTT-2726-SM-4WKF8 60-69 years, male 117.1
GTEX-1LGOU-2026-SM-DIPFF 20-29 years, female 117.0
GTEX-16NGA-1726-SM-731B4 40-49 years, female 116.9
GTEX-1GF9W-0326-SM-9KNUN 60-69 years, male 116.6
GTEX-1HCU6-0126-SM-CL54K 60-69 years, female 116.4
GTEX-ZVT4-0126-SM-DTXFN 50-59 years, female 116.4
GTEX-1LH75-2426-SM-E9TJE 50-59 years, female 116.1
GTEX-1J8EW-0126-SM-CJI4F 60-69 years, female 115.9
GTEX-1GF9X-2026-SM-7PC3A 40-49 years, female 115.8
GTEX-SJXC-0126-SM-2XCFF 60-69 years, male 115.6
GTEX-13PVR-2326-SM-5QGR1 60-69 years, female 115.5
GTEX-17F97-0326-SM-7LG5B 50-59 years, male 115.2
GTEX-1AX9J-0226-SM-73KXM 60-69 years, male 115.2
GTEX-1R7EU-0226-SM-EVR4G 60-69 years, male 115.2
GTEX-1EU9M-0226-SM-7P8SP 60-69 years, male 114.7
GTEX-14A5I-0126-SM-5TDEA 50-59 years, female 114.6
GTEX-RWSA-0126-SM-2XCBB 40-49 years, male 114.6
GTEX-1IL2V-0126-SM-CM2TX 70-79 years, male 114.3
GTEX-139T8-0126-SM-5K7XZ 60-69 years, male 114.2
GTEX-1H3VE-0326-SM-9YFLH 40-49 years, male 114.2
GTEX-13VXU-0126-SM-5SI9F 50-59 years, male 114.0
GTEX-1CB4G-0226-SM-7PC3O 60-69 years, male 113.9
GTEX-1GMR8-0126-SM-9WYTM 50-59 years, female 113.9
GTEX-1HBPM-0226-SM-ARL9F 60-69 years, female 113.5
GTEX-13NZ8-0826-SM-5MR3I 60-69 years, female 113.2
GTEX-ZAB5-1826-SM-5HL7C 50-59 years, male 113.1
GTEX-14PJM-0226-SM-62LF1 50-59 years, female 112.9
GTEX-1QP66-1726-SM-E8VO1 50-59 years, male 112.8
GTEX-13113-5016-SM-7EPIP 60-69 years, female 112.7
GTEX-TMMY-0226-SM-33HBA 40-49 years, female 112.5
GTEX-13NZB-2526-SM-5J1OM 30-39 years, male 111.6
GTEX-XPVG-2626-SM-4B669 50-59 years, male 111.4
GTEX-1KANB-0526-SM-E6CJH 50-59 years, male 111.4
GTEX-S33H-1026-SM-EZ6L6 30-39 years, male 111.4
GTEX-P4PP-0126-SM-3LK69 30-39 years, female 111.2
GTEX-13YAN-0326-SM-5O9DF 60-69 years, male 110.9
GTEX-PWO3-1526-SM-48TCM 60-69 years, female 110.9
GTEX-XUW1-0426-SM-4BOOT 50-59 years, female 110.6
GTEX-132NY-0326-SM-5IJBL 60-69 years, male 110.0
GTEX-12KS4-0326-SM-5EQ41 30-39 years, male 109.6
GTEX-147GR-0526-SM-5S2MY 60-69 years, male 109.6
GTEX-1KD4Q-0226-SM-E9TJ9 40-49 years, male 109.6
GTEX-12584-0126-SM-5EGKQ 40-49 years, male 109.5
GTEX-144GL-0126-SM-5TDE2 50-59 years, male 109.4
GTEX-1F52S-0126-SM-9MQJU 60-69 years, female 109.4
GTEX-11EM3-2426-SM-59861 20-29 years, female 109.1
GTEX-S32W-2126-SM-2XCB1 50-59 years, female 109.1
GTEX-1K9T9-0126-SM-EVYCF 50-59 years, female 109.1
GTEX-ZYFD-0126-SM-5GIDL 50-59 years, male 108.9
GTEX-1GZ2Q-0226-SM-7P8TL 40-49 years, male 108.7
GTEX-1IDJH-0326-SM-A9SLQ 70-79 years, male 108.5
GTEX-T6MO-1626-SM-32QOM 40-49 years, female 108.4
GTEX-WFON-2126-SM-3LK7O 40-49 years, male 108.4
GTEX-XQ3S-1526-SM-4BOOC 20-29 years, male 108.3
GTEX-1HCU8-0626-SM-A9SM9 60-69 years, female 108.2
GTEX-16NPX-0226-SM-79OMT 50-59 years, male 107.9
GTEX-18QFQ-0126-SM-731BE 30-39 years, male 107.9
GTEX-1HR98-0126-SM-B2LWI 60-69 years, male 107.9
GTEX-ZE9C-2726-SM-57WB5 60-69 years, male 107.7
GTEX-1IGQW-0126-SM-COH42 60-69 years, male 107.7
GTEX-18A66-0226-SM-718BD 60-69 years, male 107.6
GTEX-12WSG-2826-SM-E9J4H 50-59 years, female 107.6
GTEX-1H3O1-0426-SM-9YFKY 60-69 years, male 107.6
GTEX-RTLS-0126-SM-447CA 60-69 years, female 107.5
GTEX-U3ZN-2326-SM-3DB7W 30-39 years, female 107.3
GTEX-1C64N-0126-SM-793D7 50-59 years, male 107.0
GTEX-1CB4F-0426-SM-9KNV4 60-69 years, male 107.0
GTEX-X585-0226-SM-4QAS2 50-59 years, male 106.9
GTEX-ZC5H-0226-SM-4WAY9 40-49 years, female 106.9
GTEX-1POEN-0126-SM-EYYXJ 30-39 years, female 106.9
GTEX-X4XX-0126-SM-3NMC2 60-69 years, male 106.6
GTEX-11ZTS-0126-SM-5EQ6M 60-69 years, female 106.4
GTEX-13RTK-1426-SM-5QGQJ 20-29 years, male 106.4
GTEX-1RAZA-0126-SM-E6CI3 20-29 years, male 106.2
GTEX-QV44-1926-SM-2S1RF 50-59 years, male 106.1
GTEX-1HFI6-0226-SM-ADEHZ 40-49 years, male 105.9
GTEX-18D9U-0226-SM-718BP 40-49 years, male 105.6
GTEX-1KANA-0726-SM-D3L9I 20-29 years, male 105.5
GTEX-14BMV-0126-SM-5S2PO 50-59 years, male 104.9
GTEX-14DAQ-0126-SM-5S2MQ 60-69 years, female 104.9
GTEX-SIU8-0126-SM-2XCDT 50-59 years, male 104.9
GTEX-11TUW-2726-SM-E9J4M 60-69 years, male 104.9
GTEX-1EX96-1626-SM-7PBXR 50-59 years, male 104.7
GTEX-1HBPI-1526-SM-C1YQ1 50-59 years, male 104.3
GTEX-11XUK-2026-SM-5EQLF 40-49 years, female 104.2
GTEX-13QJ3-0326-SM-5S2RA 50-59 years, male 104.0
GTEX-1E1VI-0126-SM-7DHMZ 50-59 years, male 104.0
GTEX-14PJ6-2126-SM-6EU1V 60-69 years, female 103.8
GTEX-13N2G-2626-SM-5J1OT 60-69 years, male 103.4
GTEX-RWS6-2026-SM-2XCB5 60-69 years, female 103.1
GTEX-13O3O-0126-SM-E9J49 60-69 years, female 102.9
GTEX-1KD5A-0226-SM-D5OV3 50-59 years, male 102.8
GTEX-111VG-2426-SM-5GZXD 60-69 years, male 102.7
GTEX-11P81-2326-SM-59875 30-39 years, female 102.6
GTEX-1HSEH-0126-SM-ACKXN 60-69 years, male 102.6
GTEX-1J1R8-1726-SM-ARL8M 40-49 years, male 102.6
GTEX-1R7EV-2426-SM-EVYBG 40-49 years, male 102.5
GTEX-14E6D-0126-SM-62LDV 50-59 years, male 102.3
GTEX-RNOR-0126-SM-E9J4R 50-59 years, female 102.3
GTEX-1269C-2526-SM-5EGJ3 60-69 years, female 102.1
GTEX-O5YW-0126-SM-3LK6D 50-59 years, male 102.0
GTEX-U3ZH-2026-SM-3DB78 30-39 years, male 101.2
GTEX-QVJO-1626-SM-2S1QW 60-69 years, female 101.1
GTEX-13OW8-1326-SM-5J1OW 60-69 years, male 101.0
GTEX-1GPI7-0126-SM-9MQL8 20-29 years, male 101.0
GTEX-1H3VY-0126-SM-ACKXD 50-59 years, male 101.0
GTEX-12C56-1726-SM-5EQ61 20-29 years, male 100.9
GTEX-16XZZ-0126-SM-793DV 60-69 years, male 100.8
GTEX-PLZ6-1426-SM-DKPOT 30-39 years, male 100.5
GTEX-13112-2826-SM-5DUWH 50-59 years, male 100.4
GTEX-P44H-0226-SM-2XCEU 40-49 years, male 100.4
GTEX-T5JC-0426-SM-32PLO 20-29 years, male 100.4
GTEX-1F5PK-2426-SM-7RHHY 50-59 years, male 100.4
GTEX-145MF-0626-SM-5LUAI 50-59 years, male 100.0
GTEX-Z93S-0126-SM-5HL7M 50-59 years, male 100.0
GTEX-Q2AH-1626-SM-3GAF8 40-49 years, male 99.8
GTEX-1B8SG-0126-SM-73KZ3 50-59 years, male 99.6
GTEX-PW2O-1526-SM-7RHHB 20-29 years, male 99.6
GTEX-ZZ64-1726-SM-5GZYB 20-29 years, male 99.5
GTEX-1S82Z-0826-SM-E6CHY 30-39 years, female 99.5
GTEX-13IVO-0126-SM-5J1NG 70-79 years, male 99.4
GTEX-1314G-1526-SM-5EGK2 30-39 years, male 99.3
GTEX-VJYA-1126-SM-3GIJU 60-69 years, male 99.3
GTEX-18465-0126-SM-731BN 50-59 years, male 98.8
GTEX-131XW-0426-SM-5LZWP 50-59 years, female 98.6
GTEX-1JMQK-0226-SM-CL543 60-69 years, male 98.6
GTEX-OIZF-0126-SM-7SB8I 60-69 years, male 98.6
GTEX-1JN76-0126-SM-CNPPE 20-29 years, female 98.5
GTEX-ZEX8-2426-SM-4WKG4 50-59 years, male 98.3
GTEX-1I1CD-0126-SM-CM2TK 60-69 years, female 98.3
GTEX-18A7A-0226-SM-718BH 50-59 years, female 98.2
GTEX-1IDJU-2626-SM-CM2RT 60-69 years, female 98.2
GTEX-15DYW-0126-SM-7KULE 60-69 years, female 98.0
GTEX-1I1GS-0126-SM-B2LVW 60-69 years, male 97.5
GTEX-X4XY-0226-SM-4E3IZ 60-69 years, male 97.4
GTEX-ZYY3-0126-SM-5GZY5 60-69 years, female 97.4
GTEX-1I6K6-0126-SM-A9SLE 30-39 years, male 97.2
GTEX-14ICK-0226-SM-6EU25 40-49 years, male 97.1
GTEX-S7SE-0126-SM-2XCD5 50-59 years, male 97.1
GTEX-145LU-0126-SM-5TDCB 50-59 years, male 97.0
GTEX-17HHY-0126-SM-7LG5D 50-59 years, male 96.9
GTEX-S7PM-0126-SM-4AD6S 60-69 years, male 96.9
GTEX-1HBPN-0226-SM-9YFM1 50-59 years, male 96.8
GTEX-R45C-0126-SM-EAZ2R 60-69 years, female 96.8
GTEX-1GL5R-1826-SM-9KNUY 50-59 years, male 96.6
GTEX-Y8LW-1826-SM-5S2MV 50-59 years, female 96.4
GTEX-1RQEC-0426-SM-E6CHU 60-69 years, male 96.3
GTEX-12WSA-0226-SM-5BC5V 60-69 years, male 96.1
GTEX-13O21-1426-SM-5K7XI 50-59 years, male 96.1
GTEX-QEG4-0226-SM-2S1PY 30-39 years, male 96.0
GTEX-XV7Q-2526-SM-4BRV9 40-49 years, female 95.8
GTEX-13S7M-0126-SM-5SI6A 60-69 years, female 95.4
GTEX-OXRP-0126-SM-3NB32 60-69 years, female 95.3
GTEX-NPJ8-0126-SM-2YUNR 40-49 years, male 95.1
GTEX-14JG6-2226-SM-6EU2G 30-39 years, female 94.9
GTEX-Q2AG-0126-SM-33HBV 40-49 years, female 94.9
GTEX-VUSG-2526-SM-4KL1V 50-59 years, male 94.9
GTEX-16BQI-0226-SM-7KUEX 30-39 years, female 94.8
GTEX-XAJ8-0826-SM-47JY6 40-49 years, male 94.4
GTEX-1MGNQ-0126-SM-EVYCJ 40-49 years, male 94.4
GTEX-11UD1-0126-SM-5PNYG 40-49 years, female 94.2
GTEX-1IKOH-0226-SM-COH4E 60-69 years, female 94.1
GTEX-1MCQQ-0826-SM-DLHC2 60-69 years, male 94.1
GTEX-1ICLZ-0126-SM-CKZPO 60-69 years, male 93.9
GTEX-1N2EF-0226-SM-EYYXB 60-69 years, male 93.9
GTEX-17HHE-2026-SM-79OKF 50-59 years, male 93.7
GTEX-14E7W-0126-SM-6LLJ9 70-79 years, male 93.5
GTEX-Z93T-0126-SM-5HL5N 50-59 years, male 93.5
GTEX-11ZVC-2526-SM-5FQTE 50-59 years, female 93.4
GTEX-OXRK-0226-SM-3NB2G 50-59 years, female 93.4
GTEX-WXYG-2326-SM-4E3I6 50-59 years, female 92.7
GTEX-1JMQL-0226-SM-CNPP5 50-59 years, female 92.6
GTEX-QESD-1426-SM-2S1R9 20-29 years, male 92.5
GTEX-16MT8-0426-SM-7KUEY 60-69 years, female 92.0
GTEX-139TU-0126-SM-5K7WH 60-69 years, male 91.9
GTEX-16YQH-0126-SM-7DUFJ 30-39 years, male 91.9
GTEX-1HCVE-0126-SM-CGQEU 50-59 years, male 91.9
GTEX-15CHC-2126-SM-6EU21 60-69 years, female 91.8
GTEX-13NYS-0126-SM-5MR3W 60-69 years, male 91.5
GTEX-13NZA-0226-SM-5K7Z7 60-69 years, male 91.4
GTEX-17F98-0626-SM-79OMX 40-49 years, female 91.3
GTEX-ZAB4-0226-SM-5N9F5 40-49 years, male 91.3
GTEX-1PPH8-0226-SM-E8VND 20-29 years, male 91.3
GTEX-11DXX-2426-SM-5GZZW 60-69 years, female 90.8
GTEX-OXRN-0126-SM-48TDM 50-59 years, male 90.8
GTEX-13X6J-0126-SM-5QGOU 50-59 years, male 90.7
GTEX-1C4CL-0526-SM-73KVK 30-39 years, male 90.7
GTEX-1EN7A-0126-SM-7SB81 40-49 years, male 90.6
GTEX-1HCUA-2426-SM-ADEIS 50-59 years, female 90.3
GTEX-14C5O-0126-SM-5SI6N 60-69 years, male 90.1
GTEX-ZTPG-0326-SM-5O9AX 20-29 years, female 89.7
GTEX-11GS4-2726-SM-5A5LE 60-69 years, male 89.6
GTEX-14A5H-0426-SM-5QGQF 60-69 years, male 89.5
GTEX-14PN3-2426-SM-6LLHS 60-69 years, female 89.3
GTEX-X88G-0126-SM-47JZ3 30-39 years, male 89.2
GTEX-14DAR-2026-SM-5S2O3 50-59 years, male 89.1
GTEX-WVJS-0126-SM-4MVOT 50-59 years, male 89.0
GTEX-13O3Q-2426-SM-5IJBR 50-59 years, male 88.8
GTEX-14BMU-2226-SM-5TDE9 20-29 years, female 88.5
GTEX-1QP29-0626-SM-EWRMX 50-59 years, male 88.5
GTEX-15G19-0126-SM-6PANQ 60-69 years, male 88.3
GTEX-1M4P7-0226-SM-DIPEV 60-69 years, male 88.2
GTEX-11GSP-2526-SM-5N9BP 60-69 years, female 88.1
GTEX-15UF6-0826-SM-6PALJ 70-79 years, female 88.0
GTEX-S95S-1226-SM-4GICG 60-69 years, male 87.9
GTEX-QCQG-1726-SM-3GIJ9 50-59 years, female 87.7
GTEX-1GN1V-0126-SM-9WPOS 60-69 years, male 87.3
GTEX-1JJE9-0326-SM-CL53Z 70-79 years, male 87.3
GTEX-13NYC-0326-SM-E9J4S 60-69 years, male 87.2
GTEX-RU72-0926-SM-2TF6B 50-59 years, female 87.0
GTEX-PWCY-1826-SM-DHXIZ 20-29 years, female 86.8
GTEX-1R46S-0626-SM-E9J41 60-69 years, female 86.6
GTEX-17EUY-0426-SM-793BD 20-29 years, male 86.2
GTEX-139D8-0226-SM-5KLZO 30-39 years, female 86.1
GTEX-1192X-0226-SM-5H12D 50-59 years, male 86.0
GTEX-11LCK-1026-SM-5A5KB 30-39 years, male 86.0
GTEX-1C6VS-0526-SM-7DUEN 60-69 years, male 85.8
GTEX-W5X1-3026-SM-EAZAX 40-49 years, female 85.8
GTEX-14753-0426-SM-5NQAM 60-69 years, male 85.7
GTEX-139TT-0126-SM-5K7Y5 60-69 years, male 85.6
GTEX-1B8KZ-2026-SM-7DHMB 50-59 years, male 85.4
GTEX-1H1DG-0126-SM-9WYU2 70-79 years, male 85.3
GTEX-14PN4-0126-SM-6EU2V 50-59 years, male 85.1
GTEX-1IDJF-0126-SM-CM2RS 20-29 years, male 85.0
GTEX-18A7B-0126-SM-7LG64 70-79 years, male 84.7
GTEX-15SB6-1726-SM-6PAME 50-59 years, female 84.6
GTEX-1ICLY-0126-SM-D4P36 50-59 years, male 84.6
GTEX-144FL-0126-SM-5TDC8 50-59 years, male 84.4
GTEX-15DCD-0126-SM-7KUEK 70-79 years, female 84.3
GTEX-YEC4-2126-SM-5IFJH 40-49 years, male 84.2
GTEX-RVPV-0126-SM-EAZAW 60-69 years, male 84.2
GTEX-1A32A-0126-SM-718B1 50-59 years, female 84.1
GTEX-ZY6K-1826-SM-5GZXK 50-59 years, male 84.0
GTEX-1QEPI-0126-SM-EWRMQ 60-69 years, female 83.9
GTEX-1ICG6-2526-SM-CGQFZ 70-79 years, female 83.6
GTEX-13CF3-2426-SM-5IFGX 60-69 years, female 83.3
GTEX-X5EB-2226-SM-46MW4 40-49 years, male 83.3
GTEX-XXEK-2226-SM-4BRUM 50-59 years, male 83.3
GTEX-1F6IF-0726-SM-7P8TW 60-69 years, male 83.3
GTEX-1JKYR-0126-SM-CNPOJ 20-29 years, male 83.1
GTEX-1HB9E-0226-SM-E9U4R 50-59 years, male 82.9
GTEX-1HSMQ-1226-SM-CGQFX 50-59 years, male 82.8
GTEX-11WQC-2526-SM-5CVLE 60-69 years, male 82.7
GTEX-17MFQ-1726-SM-793C7 20-29 years, male 82.7
GTEX-ZF29-2326-SM-DO92K 60-69 years, female 82.7
GTEX-148VI-1626-SM-5SI6E 60-69 years, female 82.6
GTEX-RM2N-1426-SM-2TF4H 50-59 years, male 82.6
GTEX-1F7RK-0126-SM-7PC2S 20-29 years, female 82.5
GTEX-1CAMR-1926-SM-7EPI2 20-29 years, male 82.3
GTEX-11OF3-2626-SM-5GU7F 60-69 years, male 82.2
GTEX-WFG8-2226-SM-3GIL9 20-29 years, male 82.0
GTEX-WZTO-0126-SM-3NM95 40-49 years, male 82.0
GTEX-XUYS-0126-SM-47JWZ 50-59 years, male 82.0
GTEX-13OVL-0226-SM-5L3E9 50-59 years, male 81.8
GTEX-1H1E6-1726-SM-ACKVK 30-39 years, male 81.8
GTEX-1IKK5-0626-SM-ARL8A 60-69 years, male 81.7
GTEX-11DXW-0226-SM-5H122 40-49 years, male 81.5
GTEX-11DXY-2626-SM-5GIE7 60-69 years, male 81.4
GTEX-1H23P-0126-SM-ADEJ3 60-69 years, male 81.4
GTEX-169BO-1326-SM-9MQK2 50-59 years, male 81.2
GTEX-11VI4-1726-SM-5CVLH 40-49 years, female 81.1
GTEX-1F88F-2726-SM-7PBZZ 60-69 years, female 81.0
GTEX-131XF-5016-SM-7MGWE 60-69 years, male 80.8
GTEX-13D11-2426-SM-5KM1V 50-59 years, female 80.7
GTEX-ZQUD-1426-SM-57WER 30-39 years, male 80.6
GTEX-1A8FM-0226-SM-7SB7Q 50-59 years, female 80.5
GTEX-15SHW-0326-SM-6PAML 60-69 years, male 80.0
GTEX-117YX-2326-SM-5H12W 50-59 years, male 79.8
GTEX-15EU6-0426-SM-6PAN5 50-59 years, male 79.6
GTEX-1LG7Y-0526-SM-DKPQC 50-59 years, male 79.6
GTEX-1AMFI-2026-SM-731BH 50-59 years, female 79.2
GTEX-QDVJ-1726-SM-2I5FX 50-59 years, male 79.2
GTEX-1F6I4-0126-SM-9MQL2 60-69 years, male 79.1
GTEX-1IDFM-0126-SM-COH2V 60-69 years, male 79.1
GTEX-13X6H-2126-SM-7EWD5 50-59 years, female 78.9
GTEX-1EKGG-0226-SM-9WYTH 60-69 years, male 78.9
GTEX-1128S-2326-SM-5GZZY 60-69 years, female 78.8
GTEX-17EVQ-0226-SM-7LG4P 70-79 years, male 78.8
GTEX-XMD2-0126-SM-4YCDU 60-69 years, female 78.7
GTEX-1192W-2626-SM-5Q5AF 60-69 years, male 78.6
GTEX-18A67-0126-SM-7LG5P 50-59 years, male 78.6
GTEX-ZPIC-1726-SM-DHXIU 40-49 years, female 78.3
GTEX-13N1W-0126-SM-5K7VT 70-79 years, male 78.2
GTEX-17HGU-0226-SM-7DHKV 50-59 years, male 78.1
GTEX-Z9EW-1626-SM-5CVMN 40-49 years, male 78.0
GTEX-ZVT2-2526-SM-51MT1 50-59 years, female 77.9
GTEX-1I19N-0326-SM-ACKVX 70-79 years, male 77.7
GTEX-11P82-1626-SM-59879 20-29 years, male 77.4
GTEX-U8XE-0326-SM-3DB8P 30-39 years, male 77.3
GTEX-1211K-2026-SM-5EQ4Z 60-69 years, female 77.0
GTEX-147F3-0526-SM-5SI98 50-59 years, female 76.5
GTEX-183WM-0126-SM-7LTAB 70-79 years, female 76.3
GTEX-ZQG8-1626-SM-DHXIT 60-69 years, female 76.3
GTEX-OHPM-0126-SM-2YUN9 50-59 years, male 76.1
GTEX-13OW7-0126-SM-5MR3B 50-59 years, male 76.0
GTEX-1GTWX-0126-SM-9YFLK 60-69 years, male 75.9
GTEX-13FHO-0226-SM-5IFGY 60-69 years, male 75.5
GTEX-13OW6-0426-SM-5L3HM 50-59 years, male 75.5
GTEX-ZAJG-0126-SM-5HL94 50-59 years, female 75.3
GTEX-ZVT3-0126-SM-5GU6I 60-69 years, female 75.3
GTEX-13FH7-2026-SM-E9J4I 50-59 years, female 75.1
GTEX-13VXT-0126-SM-5LU4I 20-29 years, female 74.8
GTEX-ZU9S-0226-SM-5E441 30-39 years, male 74.6
GTEX-1AX9I-0126-SM-7SB74 60-69 years, male 74.5
GTEX-13FTX-1826-SM-5J1NX 20-29 years, female 74.4
GTEX-1JK1U-2026-SM-CM2RZ 60-69 years, male 74.3
GTEX-12WSK-2326-SM-5GCOH 40-49 years, female 74.2
GTEX-1HSMO-0126-SM-CL547 60-69 years, male 74.2
GTEX-15SDE-2226-SM-7IGLO 50-59 years, female 74.1
GTEX-1HSMP-0126-SM-E6CJS 70-79 years, male 74.0
GTEX-16AAH-1726-SM-7939C 50-59 years, male 73.8
GTEX-1B996-0226-SM-7RHGO 60-69 years, male 73.8
GTEX-OXRO-0126-SM-2YUN4 60-69 years, female 73.7
GTEX-11ZU8-2526-SM-5EQKI 60-69 years, male 73.6
GTEX-PLZ5-2026-SM-2S1O4 50-59 years, male 73.5
GTEX-1GF9U-2126-SM-7SB7L 40-49 years, female 73.3
GTEX-13OVJ-0126-SM-5KM36 50-59 years, female 73.2
GTEX-13U4I-0126-SM-5LU38 40-49 years, female 73.1
GTEX-1PWST-0226-SM-E76QJ 70-79 years, male 72.9
GTEX-12WSD-0126-SM-59HKN 60-69 years, female 72.5
GTEX-11WQK-0526-SM-5EQLD 50-59 years, male 72.4
GTEX-113JC-2326-SM-5EQ4E 50-59 years, female 72.2
GTEX-TMZS-0126-SM-3DB9Q 60-69 years, male 72.0
GTEX-1C64O-0126-SM-7SB8P 60-69 years, male 71.7
GTEX-1A3MV-1926-SM-718BT 30-39 years, male 71.6
GTEX-13N11-2526-SM-5K7UE 50-59 years, female 71.5
GTEX-RN64-0126-SM-2TC68 50-59 years, male 71.2
GTEX-13W46-0226-SM-5SIAG 50-59 years, male 70.7
GTEX-P4PQ-0126-SM-2S1NM 60-69 years, male 70.7
GTEX-WY7C-2326-SM-3NB2U 50-59 years, male 70.4
GTEX-1C2JI-1826-SM-73KXC 50-59 years, male 70.3
GTEX-131XG-2626-SM-5KM17 50-59 years, female 70.2
GTEX-1GPI6-0126-SM-9WG69 60-69 years, male 70.0
GTEX-11DZ1-0126-SM-5985Q 50-59 years, male 69.9
GTEX-17MF6-0126-SM-7LG4F 40-49 years, male 69.7
GTEX-1HKZK-0326-SM-9WYUH 40-49 years, male 69.7
GTEX-13O1R-0126-SM-5L3EH 60-69 years, male 69.5
GTEX-R55G-2526-SM-2TC6D 40-49 years, female 69.4
GTEX-1F75A-0126-SM-7RHGM 50-59 years, male 69.4
GTEX-12126-0326-SM-5PNW3 20-29 years, male 69.1
GTEX-WOFL-0126-SM-3MJG2 60-69 years, male 68.7
GTEX-1H3NZ-0126-SM-ACKX7 60-69 years, male 68.7
GTEX-11P7K-2126-SM-5GU7G 30-39 years, male 68.4
GTEX-117YW-2626-SM-5GZZH 50-59 years, male 68.2
GTEX-1J8Q2-0526-SM-CM2RW 60-69 years, male 68.1
GTEX-1MA7X-2226-SM-E6CIY 60-69 years, male 68.1
GTEX-1B933-0126-SM-7PC29 50-59 years, female 68.0
GTEX-WH7G-2326-SM-3NMBC 40-49 years, male 67.8
GTEX-1H1DE-2126-SM-9WG6R 20-29 years, male 67.5
GTEX-14PK6-1926-SM-6ETZU 70-79 years, female 66.7
GTEX-18D9B-0526-SM-7LTAS 60-69 years, male 66.4
GTEX-13RTL-0126-SM-7LG5S 40-49 years, male 66.2
GTEX-1IY9M-0126-SM-D3L8S 60-69 years, male 66.1
GTEX-ZDYS-2026-SM-5HL5L 50-59 years, male 65.7
GTEX-OHPL-0126-SM-2HMJ7 60-69 years, female 65.6
GTEX-1N2DW-0226-SM-E9TK2 50-59 years, male 65.4
GTEX-1A3MX-0126-SM-731BR 60-69 years, male 65.2
GTEX-13RTJ-2426-SM-5S2Q2 60-69 years, male 65.1
GTEX-13G51-2526-SM-5LZYK 60-69 years, male 64.8
GTEX-1I1GP-2226-SM-CGQFK 50-59 years, male 64.8
GTEX-V1D1-2226-SM-3NMAX 50-59 years, male 64.6
GTEX-ZYW4-0126-SM-5E44A 60-69 years, male 64.6
GTEX-1LC47-0326-SM-E9TJP 60-69 years, male 64.6
GTEX-1QP2A-0126-SM-E9J43 50-59 years, male 64.4
GTEX-147F4-0226-SM-5QGPW 50-59 years, male 64.2
GTEX-14BIL-0126-SM-5SI92 50-59 years, male 64.2
GTEX-13W3W-2426-SM-5LU5B 60-69 years, female 63.6
GTEX-QDT8-0126-SM-48TZ1 30-39 years, female 63.5
GTEX-XBED-2226-SM-47JYQ 60-69 years, male 63.4
GTEX-14XAO-2326-SM-6EU1B 60-69 years, female 63.3
GTEX-1IE54-0126-SM-CMKHW 40-49 years, female 63.2
GTEX-1H1ZS-0426-SM-9WG6G 70-79 years, male 63.1
GTEX-SSA3-0126-SM-32QPU 60-69 years, male 62.7
GTEX-1C6VQ-0126-SM-7P8RI 50-59 years, male 62.1
GTEX-13X6I-0626-SM-5QGP9 60-69 years, male 61.8
GTEX-WI4N-1026-SM-3LK7N 40-49 years, female 61.7
GTEX-1N2DV-0226-SM-E6CJ6 40-49 years, male 61.6
GTEX-PLZ4-0126-SM-5SI8O 50-59 years, female 61.3
GTEX-13OVG-1926-SM-5L3DK 60-69 years, male 60.9
GTEX-1NHNU-1026-SM-E9J2A 50-59 years, male 60.8
GTEX-POMQ-2226-SM-2I5FK 20-29 years, female 60.7
GTEX-ZF28-0126-SM-4WKGK 60-69 years, male 60.6
GTEX-1C6WA-0126-SM-7PC2B 60-69 years, male 60.5
GTEX-11OC5-0126-SM-5HL6A 60-69 years, male 59.3
GTEX-145LT-1726-SM-5QGP3 40-49 years, male 59.1
GTEX-13OVI-1426-SM-5L3EY 60-69 years, female 58.4
GTEX-R55E-0126-SM-2TC5Y 20-29 years, male 57.7
GTEX-1CB4J-0626-SM-7DHMP 60-69 years, male 57.5
GTEX-14ABY-0226-SM-5TDCQ 50-59 years, male 57.4
GTEX-1LNCM-1126-SM-E9U5E 50-59 years, female 56.8
GTEX-183FY-0126-SM-7LT9P 20-29 years, male 56.6
GTEX-1J8Q3-1626-SM-CMKGC 60-69 years, male 56.4
GTEX-12WSL-2526-SM-5GCNJ 50-59 years, male 56.3
GTEX-1MCYP-1926-SM-E9J2R 20-29 years, female 56.3
GTEX-11NUK-0126-SM-5A5L3 50-59 years, male 55.9
GTEX-1F48J-0126-SM-7P8TT 50-59 years, female 55.8
GTEX-QDVN-2026-SM-3GAEP 50-59 years, male 55.7
GTEX-1JKYN-1326-SM-CGQG9 30-39 years, male 55.7
GTEX-U3ZM-1526-SM-3DB9D 40-49 years, male 55.6
GTEX-11O72-0126-SM-59887 40-49 years, male 55.0
GTEX-ZE7O-0126-SM-57WC1 50-59 years, female 55.0
GTEX-1AX9K-2326-SM-73KWU 50-59 years, male 54.9
GTEX-O5YT-0126-SM-48TBW 20-29 years, male 54.9
GTEX-14PJ3-1826-SM-62LEX 50-59 years, male 54.8
GTEX-ZZPT-0226-SM-5E43X 50-59 years, male 54.8
GTEX-14PHW-0126-SM-6LLJI 60-69 years, female 54.6
GTEX-11TTK-0126-SM-5987B 60-69 years, female 54.5
GTEX-15D1Q-0126-SM-7KUG6 40-49 years, male 54.5
GTEX-1CAMS-0426-SM-7P8T2 40-49 years, female 54.5
GTEX-QLQW-1126-SM-2S1Q8 30-39 years, male 54.1
GTEX-1AYCT-2426-SM-7IGQ3 50-59 years, male 53.9
GTEX-14E6E-1826-SM-5S2R7 30-39 years, male 53.8
GTEX-QLQ7-1626-SM-2S1R8 60-69 years, male 53.8
GTEX-ZDXO-3026-SM-5J1N5 60-69 years, male 53.2
GTEX-YJ8A-0426-SM-5IFID 20-29 years, male 52.9
GTEX-ZVZO-0126-SM-5A5L9 40-49 years, male 52.9
GTEX-11TT1-2526-SM-5EGIB 20-29 years, male 52.6
GTEX-11EMC-2926-SM-5EQ4F 60-69 years, female 52.3
GTEX-1I1HK-0126-SM-COH49 60-69 years, male 52.3
GTEX-Q2AI-1326-SM-2S1PL 40-49 years, male 52.1
GTEX-11ZTT-2426-SM-5EQLS 60-69 years, female 51.3
GTEX-1PPH7-2326-SM-EVYB8 40-49 years, male 50.9
GTEX-1JMOU-1526-SM-CL54I 60-69 years, female 50.3
GTEX-1497J-2426-SM-7IGNX 60-69 years, male 50.1
GTEX-146FH-0126-SM-5QGPP 50-59 years, female 50.0
GTEX-X638-0126-SM-47JZ8 70-79 years, female 47.8
GTEX-Y3I4-2126-SM-4TT7C 50-59 years, male 46.9
GTEX-Q734-1926-SM-2I5EV 40-49 years, female 46.1
GTEX-14BIM-0226-SM-7IGLD 60-69 years, female 45.7
GTEX-12WSN-5019-SM-79OM6 40-49 years, male 44.6
GTEX-1AMEY-1326-SM-73KYK 30-39 years, female 44.2
GTEX-1GN1W-0526-SM-9MQJQ 50-59 years, female 43.6
GTEX-ZUA1-0126-SM-5GU76 40-49 years, male 43.0
GTEX-X62O-0126-SM-4E3JN 50-59 years, male 42.6
GTEX-1AYD5-2426-SM-73KXR 50-59 years, male 42.1
GTEX-15UKP-0426-SM-7KUFQ 20-29 years, male 40.9
GTEX-16XZY-2126-SM-79OK1 70-79 years, male 40.5
GTEX-14A6H-0126-SM-5QGPK 30-39 years, male 39.5
GTEX-1I1GU-2226-SM-CGQFA 40-49 years, male 37.0
GTEX-15EOM-0126-SM-7KUGG 20-29 years, female 36.6
GTEX-1OJC4-0126-SM-E9J2E 50-59 years, female 36.5
GTEX-1A3MW-0126-SM-73KXX 60-69 years, female 36.1
GTEX-1AX8Z-0126-SM-7DHM6 60-69 years, male 35.7
GTEX-OXRL-0126-SM-2YUMP 50-59 years, male 34.8
GTEX-1PBJI-0526-SM-E8VNK 20-29 years, female 34.6
GTEX-Y5V6-2426-SM-4VDSB 60-69 years, male 34.2
GTEX-1RLM8-2326-SM-EWRN4 50-59 years, male 30.1
GTEX-144GN-2326-SM-5LU4F 50-59 years, male 29.4
GTEX-RUSQ-1526-SM-2TF62 50-59 years, male 29.3
GTEX-139T4-0226-SM-5HL5S 50-59 years, female 27.2
GTEX-1F75I-0326-SM-9YFLU 40-49 years, male 26.0
GTEX-1HUB1-0426-SM-E9U4U 60-69 years, male 25.8
GTEX-1R9K4-0126-SM-DTX9X 60-69 years, male 24.3
GTEX-113IC-0126-SM-5HL6T 60-69 years, male 20.9
GTEX-SE5C-1626-SM-2XCE3 40-49 years, female 18.3
GTEX-1R9PO-2126-SM-E9J4O 60-69 years, female 18.1
GTEX-11ZUS-0626-SM-59885 30-39 years, male 12.5
GTEX-146FR-1326-SM-E9J48 60-69 years, female 10.7
GTEX-14JIY-0126-SM-6LLH6 60-69 years, male 10.4
GTEX-1HBPH-0426-SM-B2LW5 40-49 years, female 10.2
GTEX-1QP67-1626-SM-EAZ3X 40-49 years, female 8.5
GTEX-U4B1-1826-SM-4DXSU 40-49 years, male 7.9
GTEX-1QW4Y-1526-SM-EAZ3Z 30-39 years, male 5.7
GTEX-1RAZQ-0726-SM-EAZ43 30-39 years, male 4.8
Show allShow less

Contact

  • NEWS ARTICLES
  • PRESS ROOM

The Project

  • INTRODUCTION
  • ORGANIZATION
  • PUBLICATIONS

The Human Protein Atlas

  • DOWNLOADABLE DATA
  • LICENCE & CITATION
  • HELP & FAQ
The Human Protein Atlas project is funded
by the Knut & Alice Wallenberg Foundation.


contact@proteinatlas.org