We use cookies to enhance the usability of our website. If you continue, we'll assume that you are happy to receive all cookies. More information. Don't show this again.
PROM2
HPA
RESOURCES
  • TISSUE
  • BRAIN
  • SINGLE CELL
  • SUBCELLULAR
  • CANCER
  • BLOOD
  • CELL LINE
  • STRUCTURE & INTERACTION
ABOUT
  • INTRODUCTION
  • HISTORY
  • ORGANIZATION
  • PUBLICATIONS
  • ANTIBODY SUBMISSION
  • ANTIBODY AVAILABILITY
  • ACKNOWLEDGMENTS
  • CONTACT
NEWS
  • NEWS ARTICLES
  • PRESS ROOM
LEARN
  • DICTIONARY
  • PROTEIN CLASSES
  • PROTEIN EVIDENCE
  • METHODS
  • EDUCATIONAL VIDEOS
DATA
  • DOWNLOADABLE DATA
  • PUBLICATION DATA
  • RELEASE HISTORY
HELP
  • ANTIBODY VALIDATION
  • ASSAYS & ANNOTATION
  • DISCLAIMER
  • HELP & FAQ
  • PRIVACY STATEMENT
  • LICENCE & CITATION
Fields »
Search result

Field
Term
Gene name
Class
Subclass
Class
Keyword
Chromosome
External id
Tissue
Cell type
Expression
Antibody panel
Tissue
Main location
Patient ID
Annotation
Tissue
Category
Tau score
Cluster
Reliability
Brain region
Category
Tau score
Brain region
Category
Tau score
Brain region
Category
Tau score
Cluster
Reliability
Tissue
Cell type
Enrichment
Cell type
Category
Tau score
Cell type
Category
Tau score
Cell type
Category
Tau score
Cell lineage
Category
Tau score
Cluster
Cluster
Location
Searches
Location
Cell line
Class
Type
Phase
Reliability
Cancer
Prognosis
Cancer
Category
Cancer
Category
Tau score
Cluster
Variants
Interacting gene (ensg_id)
Type
Number of interactions
Pathway
Category
Score
Score
Score
Validation
Validation
Validation
Validation
Antibodies
Data type
Column


  • SUMMARY

  • TISSUE

  • BRAIN

  • SINGLE CELL

  • SUBCELL

  • CANCER

  • BLOOD

  • CELL LINE

  • STRUCT & INT

  • PROM2
TISSUE PRIMARY DATA SKIN 1 Show tissue menu
ADIPOSE TISSUE ADRENAL GLAND AMYGDALA APPENDIX BASAL GANGLIA BONE MARROW BREAST BRONCHUS CEREBELLUM CEREBRAL CORTEX CERVIX CHOROID PLEXUS COLON DUODENUM
ENDOMETRIUM EPIDIDYMIS ESOPHAGUS FALLOPIAN TUBE GALLBLADDER HEART MUSCLE HIPPOCAMPAL FORMATION HYPOTHALAMUS KIDNEY LIVER LUNG LYMPH NODE MIDBRAIN NASOPHARYNX
ORAL MUCOSA OVARY PANCREAS PARATHYROID GLAND PITUITARY GLAND PLACENTA PROSTATE RECTUM RETINA SALIVARY GLAND SEMINAL VESICLE SKELETAL MUSCLE SKIN SMALL INTESTINE
SMOOTH MUSCLE SOFT TISSUE SPINAL CORD SPLEEN STOMACH TESTIS THYMUS THYROID GLAND TONGUE TONSIL URINARY BLADDER VAGINA
ANTIBODIES
AND
VALIDATION
Dictionary
Skin
Tissue proteome
SKIN - Expression summary
Protein expression
Skini

On the top, protein expression in current human tissue, based on all annotated cell types, is reported with the units not detected (n), low (l), medium (m) and high (h). Underneath, protein expression in each annotated cell type are reported using the same units.

Protein expression data is based on knowledge-based annotation. For genes where more than one antibody has been used, a collective score is set.

If knowledge-based annotation could not be performed for a gene, no data is displayed here. View antibody staining data further down this page.

h
m
l
n
Epidermal cells: High
Fibroblasts: Not detected
Keratinocytes: High
Langerhans: High
Melanocytes: Not detected
RNA expressioni

A summary of mRNA expression data available for current tissue based on several datasets. The mRNA expression levels in human tissues are based on RNA-seq data generated by the Human Protein Atlas (HPA), Genotype-Tissue Expression (GTEx) portal and CAGE data generated by the FANTOM5 consortium. Consensus normalized expression levels for human tissues was created by combining the data from HPA and GTEx datasets.

The mRNA expression levels in pig are based on RNA-seq data generated by the Human Protein Atlas (HPA), and for mouse, HPA data and in situ hybridization generated by the Allen brain atlas are reported.

Scroll down to view mRNA expression data in more detail.
Consensus:58.4 nTPM
HPA:58.4 nTPM
GTEx:45.6 nTPM

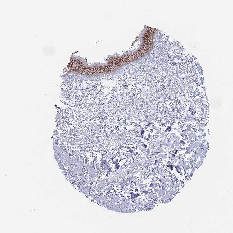
SKIN 1 - Antibody stainingi

Antibody staining in the annotated cell types in the current human tissue is reported as not detected, low, medium, or high, based on conventional immunohistochemistry profiling in selected tissues. This score is based on the combination of the staining intensity and fraction of stained cells.

Each image is clickable and will lead to virtual microscopy that enables deeper exploration of all samples and also displays staining intensity scores, fraction scores and subcellular localization as well as patient and tissue information for each sample.

Antibody HPA063728Antibody CAB046005
Langerhans MediumHigh
Fibroblasts MediumNot detected
Keratinocytes MediumHigh
Melanocytes LowNot detected


SKIN 2 - Antibody stainingi

Antibody staining in the annotated cell types in the current human tissue is reported as not detected, low, medium, or high, based on conventional immunohistochemistry profiling in selected tissues. This score is based on the combination of the staining intensity and fraction of stained cells.

Each image is clickable and will lead to virtual microscopy that enables deeper exploration of all samples and also displays staining intensity scores, fraction scores and subcellular localization as well as patient and tissue information for each sample.

Antibody HPA063728Antibody CAB046005
Epidermal cells MediumHigh
  
  
  




SKIN - HPA RNA-seqi

The RNA-seq details section shows detailed information about the individual samples used for the transcript profiling and results of the RNA-seq analysis.

Information about each individual sample is listed below, including gender, age, a tissue section image and estimated fractions of cell types. nTPM (normalized transcripts per million) values give a quantification of the gene abundance which is comparable between different genes and samples.
Average nTPMi

Max subtype nTPM is the value for the subtype with the largest average nTPM across the subtype samples.

58.4
overview
Female, age 34
Skin sample 225
nTPM: 54.7
Cell types%
Keratinocytes:
60

Other cell types:
40

overview
Female, age 30
Skin sample 226
nTPM: 50.3
Cell types%
Keratinocytes:
55

Other cell types:
45

N/A
Male, age 57
Skin sample 227
nTPM: 70.2

SKIN - GTEx RNA-seqi

RNA-Seq data generated by the Genotype-Tissue Expression (GTEx) project from human tissues is reported as mean nTPM. More information can be found on the GTEx portal.

Distribution across the dataset is visualized with box plots, shown as median and 25th and 75th percentiles. Points are displayed as outliers if they are above or below 1.5 times the interquartile range. nTPM values of the individual samples are presented next to the box plot.
Max subtype nTPMi

Max subtype nTPM is the value for the subtype with the largest average nTPM across the subtype samples.

45.6
GTEx sample id Sample description nTPM
Skin - Not Sun Exposed (Suprapubic)
Average nTPM: 45.6
Samples: 604

Max nTPM: 109.2
Min nTPM: 15.0
Std nTPM: 14.4
Median nTPM: 44.8
GTEX-1OJC3-1226-SM-DTXER 20-29 years, male 109.2
GTEX-Y114-2126-SM-4TT8B 50-59 years, female 101.4
GTEX-14XAO-1226-SM-6EU1C 60-69 years, female 96.7
GTEX-1RMOY-1326-SM-E9TIH 50-59 years, male 91.4
GTEX-111VG-1626-SM-5EGIO 60-69 years, male 89.7
GTEX-1RAZQ-1326-SM-E9TK6 30-39 years, male 88.8
GTEX-14PJ3-1126-SM-5ZZVX 50-59 years, male 87.3
GTEX-1GF9X-1326-SM-7PC2Y 40-49 years, female 82.7
GTEX-1R9PN-0426-SM-DTXDT 40-49 years, female 80.5
GTEX-WFG7-2026-SM-5SI7P 20-29 years, male 80.3
GTEX-ZTX8-1326-SM-4YCEL 20-29 years, male 80.1
GTEX-11DXX-2126-SM-5PNYR 60-69 years, female 79.8
GTEX-Y111-0626-SM-4SOIT 50-59 years, male 79.6
GTEX-1PPH8-0126-SM-EWRN8 20-29 years, male 79.4
GTEX-1R9PM-1926-SM-EVR3O 20-29 years, male 78.8
GTEX-16MT9-0126-SM-7EPI8 60-69 years, female 76.9
GTEX-1399S-0126-SM-5IJCF 30-39 years, female 75.8
GTEX-WI4N-2726-SM-3LK7Y 40-49 years, female 75.2
GTEX-145MH-2826-SM-5RQJF 50-59 years, male 74.7
GTEX-WHPG-2626-SM-3NMBR 50-59 years, male 74.7
GTEX-11P7K-1126-SM-5HL4L 30-39 years, male 73.8
GTEX-WHSB-1326-SM-3LK6W 50-59 years, male 73.8
GTEX-15RJ7-2126-SM-6PAMD 40-49 years, male 73.2
GTEX-1LVAM-0726-SM-E6CIL 50-59 years, female 73.2
GTEX-11DXZ-2026-SM-5987S 50-59 years, male 73.1
GTEX-1S82U-1026-SM-E6CJK 30-39 years, female 72.9
GTEX-1F88F-0126-SM-9WYSZ 60-69 years, female 72.6
GTEX-XBEW-1126-SM-4QARW 40-49 years, male 71.4
GTEX-1C6VR-0126-SM-7RHGB 60-69 years, male 70.8
GTEX-1IKOE-1426-SM-CE6T7 30-39 years, female 69.8
GTEX-17HHE-1326-SM-7EWDZ 50-59 years, male 69.6
GTEX-1H11D-1826-SM-9QEHM 40-49 years, male 69.6
GTEX-1S83E-1326-SM-E6CJM 40-49 years, male 69.6
GTEX-ZE9C-2526-SM-5IJDR 60-69 years, male 69.4
GTEX-15CHC-1126-SM-6LLHQ 60-69 years, female 68.5
GTEX-ZT9X-1526-SM-5DUXD 40-49 years, male 68.5
GTEX-ZP4G-1426-SM-4WWCL 20-29 years, female 68.1
GTEX-14PHY-1226-SM-5ZZWK 60-69 years, female 68.0
GTEX-1N2DV-1526-SM-DTXEP 40-49 years, male 68.0
GTEX-1B97I-0626-SM-73KUZ 40-49 years, male 67.9
GTEX-1OJC4-2726-SM-E76PJ 50-59 years, female 67.7
GTEX-1HGF4-0126-SM-CNPPX 60-69 years, male 67.5
GTEX-ZWKS-0626-SM-5GIDV 30-39 years, male 67.3
GTEX-1HSMP-0926-SM-A9SKX 70-79 years, male 67.1
GTEX-1LB8K-0726-SM-D5OV2 50-59 years, male 67.1
GTEX-1QAET-0326-SM-EVR3U 50-59 years, male 66.5
GTEX-12ZZX-2426-SM-5GCOE 40-49 years, female 66.3
GTEX-131XG-0326-SM-5L3DX 50-59 years, female 66.2
GTEX-ZPCL-1126-SM-4WWFE 60-69 years, female 66.2
GTEX-15RIG-0726-SM-7KUM7 40-49 years, male 66.1
GTEX-1CB4E-0926-SM-7EPHT 60-69 years, male 66.0
GTEX-1J8EW-2726-SM-CY8HR 60-69 years, female 65.9
GTEX-1MJK3-0726-SM-E6CJC 20-29 years, male 65.9
GTEX-11TT1-1826-SM-5EQLV 20-29 years, male 65.8
GTEX-1PIIG-2326-SM-DTXFR 30-39 years, male 65.7
GTEX-14C38-0726-SM-5SI6M 50-59 years, male 65.5
GTEX-1S3DN-2126-SM-E9TIN 50-59 years, male 64.9
GTEX-1HBPN-0126-SM-CGQEF 50-59 years, male 64.8
GTEX-12WSJ-1126-SM-5LZVJ 40-49 years, female 64.7
GTEX-11PRG-0726-SM-5EGL1 50-59 years, male 64.6
GTEX-1I1GU-0926-SM-ACKVS 40-49 years, male 64.6
GTEX-1S82P-2126-SM-E6CI5 60-69 years, female 64.5
GTEX-XYKS-1426-SM-4BRUO 60-69 years, female 64.3
GTEX-X585-2426-SM-46MW2 50-59 years, male 64.1
GTEX-1JMPY-0226-SM-CKZOK 30-39 years, male 64.1
GTEX-ZDTT-0426-SM-4WKFL 60-69 years, male 64.0
GTEX-1KANB-2826-SM-CY8I6 50-59 years, male 63.8
GTEX-1QP28-1126-SM-EVYC4 50-59 years, female 63.7
GTEX-XAJ8-1426-SM-47JYM 40-49 years, male 63.6
GTEX-13FTX-1526-SM-5K7VJ 20-29 years, female 63.5
GTEX-15ER7-0626-SM-6PANF 20-29 years, female 63.5
GTEX-ZY6K-1426-SM-5GZX2 50-59 years, male 63.5
GTEX-ZYVF-0926-SM-5E44J 50-59 years, female 63.3
GTEX-147GR-2426-SM-5ZZWQ 60-69 years, male 63.1
GTEX-UPJH-0226-SM-3GADV 50-59 years, male 62.5
GTEX-1K2DU-1226-SM-CYPT4 20-29 years, male 62.2
GTEX-ZVP2-0326-SM-57WBP 50-59 years, male 62.0
GTEX-1PPGY-1626-SM-EVYBL 60-69 years, male 61.9
GTEX-YECK-0326-SM-4W1YS 60-69 years, male 61.7
GTEX-1HSGN-0826-SM-ACKW3 40-49 years, female 61.5
GTEX-1QPFJ-1926-SM-EVYBD 30-39 years, female 61.2
GTEX-1AYD5-2626-SM-7PBXY 50-59 years, male 61.1
GTEX-ZPIC-0526-SM-DO91W 40-49 years, female 60.9
GTEX-1H2FU-0926-SM-9WPPT 60-69 years, female 60.7
GTEX-15CHR-1126-SM-7EWF4 50-59 years, male 60.6
GTEX-11GS4-0226-SM-5HL77 60-69 years, male 60.5
GTEX-13JVG-0726-SM-5KM16 60-69 years, male 60.5
GTEX-1J1OQ-0126-SM-D4P2N 40-49 years, female 60.4
GTEX-13O3Q-0126-SM-5KM34 50-59 years, male 60.3
GTEX-1GF9V-0826-SM-9KNUV 60-69 years, male 60.0
GTEX-14C5O-0326-SM-5ZZUX 60-69 years, male 59.9
GTEX-1QP9N-1226-SM-E76QN 30-39 years, male 59.9
GTEX-1R46S-2426-SM-E76QA 60-69 years, female 59.8
GTEX-1399Q-2326-SM-5KM2X 40-49 years, male 59.7
GTEX-18QFQ-1826-SM-72D52 30-39 years, male 59.7
GTEX-1CAMR-1326-SM-7PC1F 20-29 years, male 59.6
GTEX-1H1DE-1326-SM-9KNUG 20-29 years, male 59.6
GTEX-1POEN-2326-SM-E9J2L 30-39 years, female 59.5
GTEX-11OF3-0126-SM-5PNYF 60-69 years, male 59.4
GTEX-1PDJ9-1226-SM-EXUSX 20-29 years, male 59.3
GTEX-18D9U-0126-SM-731BM 40-49 years, male 59.0
GTEX-1C2JI-1026-SM-73KY1 50-59 years, male 58.8
GTEX-18A67-1626-SM-7LT9T 50-59 years, male 58.7
GTEX-12ZZY-0726-SM-5EQ66 60-69 years, male 58.6
GTEX-1212Z-0126-SM-59HK4 60-69 years, male 58.5
GTEX-14C39-1726-SM-5RQIL 40-49 years, male 58.5
GTEX-1B8KE-1126-SM-7EPHI 50-59 years, male 58.5
GTEX-1NV5F-0626-SM-DTXEG 60-69 years, female 58.2
GTEX-Y9LG-1126-SM-4VBQ7 30-39 years, male 58.1
GTEX-1I1GT-1026-SM-ARZLV 60-69 years, female 58.1
GTEX-1IOXB-2726-SM-CM2RI 50-59 years, male 58.1
GTEX-11LCK-2226-SM-5HL4Q 30-39 years, male 58.0
GTEX-14ABY-2026-SM-62LDL 50-59 years, male 58.0
GTEX-1QCLY-0226-SM-EWRNH 30-39 years, male 57.8
GTEX-ZDYS-2426-SM-4WKGI 50-59 years, male 57.7
GTEX-13G51-1826-SM-5KLZH 60-69 years, male 57.5
GTEX-1HB9E-0126-SM-CM2S5 50-59 years, male 57.4
GTEX-1313W-0626-SM-5EQ4H 50-59 years, female 57.3
GTEX-1GN1W-2426-SM-9KNUU 50-59 years, female 57.3
GTEX-1IY9M-2826-SM-ARU8H 60-69 years, male 57.2
GTEX-13OVK-1426-SM-6PAN7 40-49 years, male 57.0
GTEX-14PHX-2226-SM-6EU2P 50-59 years, male 56.7
GTEX-ZZPU-0826-SM-5GZX5 50-59 years, female 56.7
GTEX-1B8SF-0126-SM-7DUG3 60-69 years, male 56.6
GTEX-1QP2A-1726-SM-E76QC 50-59 years, male 56.6
GTEX-12126-0826-SM-5FQTZ 20-29 years, male 56.4
GTEX-15FZZ-0526-SM-7KUGD 30-39 years, female 56.4
GTEX-145LU-1926-SM-79OJN 50-59 years, male 56.3
GTEX-14PJ4-0226-SM-5YY92 60-69 years, male 56.3
GTEX-1A8G6-2726-SM-731AR 60-69 years, male 56.3
GTEX-1HSMQ-2626-SM-A9SML 50-59 years, male 56.3
GTEX-11VI4-1126-SM-5EQMD 40-49 years, female 56.2
GTEX-Y3I4-1726-SM-4TT89 50-59 years, male 56.2
GTEX-1F75A-0726-SM-7RHHD 50-59 years, male 56.1
GTEX-V1D1-2026-SM-3GAF4 50-59 years, male 56.0
GTEX-1R7EU-1626-SM-DTXG3 60-69 years, male 56.0
GTEX-15G1A-1626-SM-7KUKN 30-39 years, male 55.8
GTEX-1RAZS-2526-SM-E6CHT 50-59 years, male 55.8
GTEX-11P81-2226-SM-5PNYI 30-39 years, female 55.7
GTEX-1GZ4H-0526-SM-9KNU9 50-59 years, female 55.7
GTEX-1GMRU-2126-SM-7P8RA 50-59 years, male 55.4
GTEX-11ZTT-2126-SM-5CVLO 60-69 years, female 55.3
GTEX-1CAMS-2226-SM-7PBXQ 40-49 years, female 55.2
GTEX-139YR-1026-SM-5LZYN 50-59 years, male 55.1
GTEX-14BIN-1126-SM-5RQJZ 50-59 years, female 55.0
GTEX-1CAMQ-1326-SM-7P8RV 40-49 years, male 55.0
GTEX-139TU-0726-SM-5L3EK 60-69 years, male 54.9
GTEX-1B932-2326-SM-79OL5 40-49 years, female 54.8
GTEX-WHWD-1826-SM-3LK6I 50-59 years, male 54.8
GTEX-111CU-1126-SM-5EGIM 50-59 years, male 54.6
GTEX-1HC8U-1326-SM-9YFMJ 40-49 years, female 54.6
GTEX-13FTW-0326-SM-5K7UW 40-49 years, male 54.5
GTEX-WFON-1926-SM-3LK7L 40-49 years, male 54.5
GTEX-1HT8W-0626-SM-A9G2H 30-39 years, male 54.5
GTEX-1HSKV-1226-SM-ADEI4 60-69 years, male 54.3
GTEX-1IDJU-1726-SM-CMKHU 60-69 years, female 54.1
GTEX-11P82-1426-SM-DTXFY 20-29 years, male 54.0
GTEX-1PPH7-1126-SM-DTX9A 40-49 years, male 54.0
GTEX-145MF-0926-SM-5Q5EA 50-59 years, male 53.9
GTEX-1F6I4-2326-SM-7RHGL 60-69 years, male 53.9
GTEX-1GN73-0726-SM-7P8TJ 60-69 years, male 53.9
GTEX-1IDJV-0126-SM-COH3Y 60-69 years, male 53.8
GTEX-ZYT6-2326-SM-5GZY3 30-39 years, male 53.7
GTEX-1KAFJ-0126-SM-DIPEK 50-59 years, male 53.7
GTEX-XXEK-1626-SM-4BRUZ 50-59 years, male 53.6
GTEX-1GN2E-0226-SM-9WG6K 60-69 years, male 53.4
GTEX-1EKGG-0626-SM-7DUGJ 60-69 years, male 53.3
GTEX-14PII-0726-SM-6EU2B 60-69 years, male 53.2
GTEX-XBEC-0726-SM-4QARZ 50-59 years, male 53.2
GTEX-1192X-2726-SM-5N9DN 50-59 years, male 53.0
GTEX-1399U-1126-SM-5L3DB 50-59 years, female 53.0
GTEX-14B4R-1326-SM-5Q5EZ 30-39 years, male 53.0
GTEX-17HGU-2326-SM-7DUFE 50-59 years, male 53.0
GTEX-17KNJ-2126-SM-718AM 50-59 years, male 53.0
GTEX-13PDP-0726-SM-5L3HP 60-69 years, male 52.9
GTEX-1GL5R-1326-SM-7RHHF 50-59 years, male 52.9
GTEX-YEC3-1326-SM-DO92X 50-59 years, male 52.7
GTEX-ZC5H-1526-SM-5HL9Y 40-49 years, female 52.5
GTEX-11DYG-1526-SM-5A5JS 60-69 years, male 52.1
GTEX-1HBPI-2126-SM-ARL9K 50-59 years, male 52.1
GTEX-14A6H-2026-SM-5Q5DD 30-39 years, male 51.8
GTEX-131XF-2626-SM-5EQ6K 60-69 years, male 51.7
GTEX-Y8E4-2026-SM-5IFJB 40-49 years, male 51.7
GTEX-1JJEA-1826-SM-ARU8P 60-69 years, male 51.6
GTEX-1LSNL-2726-SM-E9TKJ 50-59 years, male 51.6
GTEX-ZPU1-1126-SM-4YCF3 40-49 years, male 51.5
GTEX-1122O-1026-SM-9WYSF 60-69 years, female 51.5
GTEX-13IVO-0726-SM-5LZYV 70-79 years, male 51.4
GTEX-147F4-0726-SM-5TDDD 50-59 years, male 51.4
GTEX-YFCO-1226-SM-5LUAT 40-49 years, male 51.4
GTEX-1HCU7-0726-SM-A9SL1 50-59 years, male 51.4
GTEX-144GM-0526-SM-79OJO 20-29 years, male 51.2
GTEX-1JMLX-0626-SM-ARL8T 50-59 years, male 51.2
GTEX-12WSH-1526-SM-5BC5W 50-59 years, male 51.1
GTEX-1K9T9-1526-SM-DIPFR 50-59 years, female 51.1
GTEX-1JN76-0626-SM-CKZOQ 20-29 years, female 51.0
GTEX-1EU9M-1426-SM-793AI 60-69 years, male 50.9
GTEX-15RIE-1926-SM-7KUKJ 60-69 years, male 50.8
GTEX-1JMQK-1226-SM-D4P2S 60-69 years, male 50.8
GTEX-1JN1M-2726-SM-CY8I4 60-69 years, female 50.6
GTEX-145MN-1526-SM-5SI9T 30-39 years, male 50.5
GTEX-1EN7A-2426-SM-793DB 40-49 years, male 50.5
GTEX-1CB4I-0126-SM-7RHGG 50-59 years, male 50.5
GTEX-1K2DA-1026-SM-CGQGF 50-59 years, male 50.4
GTEX-111YS-1526-SM-5GZYW 60-69 years, male 50.3
GTEX-14PJO-2526-SM-6AJBQ 60-69 years, male 50.3
GTEX-XQ3S-1426-SM-4BOPR 20-29 years, male 50.3
GTEX-11ZU8-0126-SM-5EQ58 60-69 years, male 50.2
GTEX-131XH-0126-SM-5LZUY 50-59 years, male 50.1
GTEX-15EU6-2226-SM-6EU2L 50-59 years, male 50.1
GTEX-ZAK1-0626-SM-5HL8E 50-59 years, female 50.1
GTEX-13OW7-0426-SM-5K7VK 50-59 years, male 50.0
GTEX-14PJN-1826-SM-6AJ98 30-39 years, male 50.0
GTEX-1AMFI-1326-SM-7939R 50-59 years, female 49.9
GTEX-ZVZP-1226-SM-5GID7 50-59 years, male 49.8
GTEX-12WSC-2826-SM-5BC5Y 50-59 years, male 49.5
GTEX-1LKK1-2626-SM-DKPQE 50-59 years, female 49.5
GTEX-11WQK-1026-SM-5EQLX 50-59 years, male 49.4
GTEX-1EX96-1026-SM-7MKG2 50-59 years, male 49.4
GTEX-14ICL-1626-SM-5YYAO 30-39 years, male 49.3
GTEX-ZDTS-0826-SM-4WKHL 60-69 years, male 49.3
GTEX-11NSD-0626-SM-5A5LU 20-29 years, male 49.1
GTEX-13FTY-2126-SM-5IFFB 40-49 years, female 49.1
GTEX-1GZ4I-2626-SM-9KNU3 50-59 years, male 49.1
GTEX-WH7G-2026-SM-3NMBL 40-49 years, male 49.0
GTEX-13O61-1426-SM-5KM3D 60-69 years, male 48.9
GTEX-14PK6-0226-SM-62LF5 70-79 years, female 48.9
GTEX-16MTA-0926-SM-6M47Z 50-59 years, male 48.9
GTEX-1B8L1-2226-SM-7P8PT 60-69 years, male 48.9
GTEX-1HCU8-2526-SM-CE6RX 60-69 years, female 48.9
GTEX-1JK1U-0226-SM-ARZMX 60-69 years, male 48.9
GTEX-15G19-2426-SM-7KUMR 60-69 years, male 48.8
GTEX-1QW4Y-1126-SM-DTXE3 30-39 years, male 48.8
GTEX-WY7C-2126-SM-3NB2R 50-59 years, male 48.7
GTEX-1GN1U-0626-SM-9MQL9 50-59 years, female 48.7
GTEX-1I1GP-1326-SM-A9G28 50-59 years, male 48.7
GTEX-ZLV1-1526-SM-DO91J 60-69 years, female 48.7
GTEX-178AV-1726-SM-7KUL8 40-49 years, male 48.6
GTEX-1I6K7-1926-SM-B2LXR 40-49 years, male 48.6
GTEX-17HHY-0426-SM-7DHLC 50-59 years, male 48.5
GTEX-ZTTD-2826-SM-4YCFA 50-59 years, male 48.5
GTEX-ZYFC-0426-SM-5GICQ 50-59 years, male 48.5
GTEX-1MCC2-1826-SM-DIPEX 30-39 years, female 48.3
GTEX-1NSGN-0726-SM-DTXEF 50-59 years, male 48.2
GTEX-17EVP-2626-SM-7IGMA 40-49 years, male 48.1
GTEX-XPVG-2126-SM-4B667 50-59 years, male 48.1
GTEX-XBED-1926-SM-47JYP 60-69 years, male 47.9
GTEX-ZVT2-0126-SM-5GIDQ 50-59 years, female 47.9
GTEX-1I1HK-2326-SM-CKZOH 60-69 years, male 47.9
GTEX-1LGRB-0926-SM-COH3K 50-59 years, female 47.8
GTEX-1MCYP-0526-SM-E9U6Q 20-29 years, female 47.8
GTEX-1HCVE-2726-SM-CL54F 50-59 years, male 47.7
GTEX-1ICG6-1226-SM-A9SLN 70-79 years, female 47.7
GTEX-1I1GV-0626-SM-ARL7M 60-69 years, male 47.6
GTEX-17F97-2626-SM-7IGM5 50-59 years, male 47.5
GTEX-1F75I-2226-SM-7SB8U 40-49 years, male 47.4
GTEX-11O72-0626-SM-5PNYE 40-49 years, male 47.3
GTEX-13OW6-2726-SM-5J2OE 50-59 years, male 47.3
GTEX-14PJ6-2626-SM-6EU2T 60-69 years, female 47.3
GTEX-1C64O-1326-SM-7MGWR 60-69 years, male 47.3
GTEX-139D8-1126-SM-5LU8W 30-39 years, female 47.2
GTEX-Y3IK-1626-SM-4YCF5 50-59 years, female 47.2
GTEX-1PIGE-1826-SM-E8VOU 20-29 years, male 47.1
GTEX-132AR-0326-SM-5KM2C 50-59 years, female 47.0
GTEX-13OVH-0526-SM-5L3E6 70-79 years, male 46.9
GTEX-13U4I-2226-SM-5LU5H 40-49 years, female 46.8
GTEX-144GL-0626-SM-5LU4D 50-59 years, male 46.8
GTEX-1J8QM-2426-SM-A9SLS 60-69 years, female 46.8
GTEX-1LBAC-0826-SM-CY8IJ 20-29 years, male 46.8
GTEX-13FLV-0126-SM-5K7WT 50-59 years, male 46.7
GTEX-17F98-1326-SM-7DUEP 40-49 years, female 46.7
GTEX-18A6Q-0626-SM-7KFRP 60-69 years, male 46.7
GTEX-1E2YA-2126-SM-7MXUO 50-59 years, male 46.7
GTEX-1QMI2-2526-SM-E8VNZ 60-69 years, male 46.7
GTEX-17HII-1426-SM-7EPGG 50-59 years, male 46.6
GTEX-Z93S-1626-SM-5CVMB 50-59 years, male 46.6
GTEX-1S5ZU-2526-SM-E6CIF 20-29 years, female 46.6
GTEX-13NYB-0126-SM-5J1MD 40-49 years, male 46.4
GTEX-13OVL-0126-SM-5L3GJ 50-59 years, male 46.4
GTEX-1CB4F-1026-SM-7DUH1 60-69 years, male 46.2
GTEX-11WQC-1826-SM-5GU59 60-69 years, male 46.1
GTEX-WXYG-2026-SM-4E3IY 50-59 years, female 46.1
GTEX-X4EP-0626-SM-3P621 60-69 years, female 46.1
GTEX-1HR9M-2226-SM-CNPPY 60-69 years, male 46.0
GTEX-12ZZZ-0726-SM-5GCNZ 60-69 years, male 45.9
GTEX-1AX9I-2226-SM-73KUO 60-69 years, male 45.9
GTEX-1N2EE-0626-SM-E76PW 60-69 years, male 45.9
GTEX-139TT-2126-SM-5LZWC 60-69 years, male 45.8
GTEX-VUSG-2326-SM-4KL1U 50-59 years, male 45.8
GTEX-1H1DF-1126-SM-9WG7G 40-49 years, female 45.8
GTEX-13OW8-1026-SM-5J1NQ 60-69 years, male 45.5
GTEX-145LT-0526-SM-5LUB2 40-49 years, male 45.5
GTEX-16Z82-2626-SM-7KULU 60-69 years, male 45.5
GTEX-1AMEY-0826-SM-72D65 30-39 years, female 45.4
GTEX-1JMQJ-0826-SM-CNPP7 50-59 years, male 45.4
GTEX-ZAB4-2126-SM-5HL8U 40-49 years, male 45.3
GTEX-15RJE-2826-SM-7KUM9 40-49 years, male 45.1
GTEX-1KXAM-1626-SM-D3LAD 60-69 years, male 45.1
GTEX-1CB4J-1326-SM-7P8RX 60-69 years, male 45.0
GTEX-1H1E6-0426-SM-9WYUS 30-39 years, male 45.0
GTEX-17F9Y-0126-SM-79OKX 70-79 years, female 44.9
GTEX-1EMGI-2326-SM-7PBYA 60-69 years, male 44.9
GTEX-18A66-0626-SM-7LT8Z 60-69 years, male 44.8
GTEX-1H1DG-2426-SM-9QEHJ 70-79 years, male 44.7
GTEX-1H3O1-1326-SM-9MQLD 60-69 years, male 44.7
GTEX-1A3MV-1826-SM-731CD 30-39 years, male 44.6
GTEX-ZF2S-1626-SM-57WES 50-59 years, female 44.6
GTEX-ZF29-0926-SM-4WKFZ 60-69 years, female 44.5
GTEX-14AS3-1526-SM-5Q5ED 40-49 years, female 44.4
GTEX-17F96-0126-SM-7EWDU 70-79 years, male 44.4
GTEX-1A3MW-0626-SM-731CB 60-69 years, female 44.4
GTEX-13FHO-0426-SM-5L3F5 60-69 years, male 44.3
GTEX-13QJC-0126-SM-5ZZWJ 60-69 years, female 44.3
GTEX-XV7Q-1826-SM-4BRUV 40-49 years, female 44.2
GTEX-13X6J-0626-SM-5LU5F 50-59 years, male 44.0
GTEX-13SLX-2226-SM-62LEP 50-59 years, female 43.9
GTEX-1C64N-2626-SM-7PC2N 50-59 years, male 43.9
GTEX-14PKU-0126-SM-6LLHV 40-49 years, female 43.8
GTEX-183FY-1026-SM-7939A 20-29 years, male 43.8
GTEX-1B933-2426-SM-7DHMD 50-59 years, female 43.7
GTEX-1GN1V-2826-SM-9JGIA 60-69 years, male 43.7
GTEX-WRHU-2826-SM-3MJG8 50-59 years, female 43.6
GTEX-1PBJJ-1026-SM-E76OS 30-39 years, male 43.6
GTEX-U8XE-0226-SM-4E3J3 30-39 years, male 43.5
GTEX-1IDJD-2326-SM-ACKWX 30-39 years, male 43.5
GTEX-13NYS-0626-SM-5L3F1 60-69 years, male 43.4
GTEX-14BMV-2826-SM-5TDED 50-59 years, male 43.1
GTEX-11GSP-2326-SM-5HL63 60-69 years, female 43.0
GTEX-14JFF-0626-SM-5ZZVT 60-69 years, male 43.0
GTEX-13D11-0926-SM-5J2NC 50-59 years, female 42.8
GTEX-146FQ-2126-SM-5RQHU 30-39 years, male 42.8
GTEX-1LSNM-0826-SM-DIPG8 50-59 years, male 42.8
GTEX-17MFQ-1526-SM-7KFRR 20-29 years, male 42.7
GTEX-1269C-0126-SM-5EQ5L 60-69 years, female 42.6
GTEX-1AX8Z-0726-SM-73KTS 60-69 years, male 42.6
GTEX-13W3W-0726-SM-5IJDQ 60-69 years, female 42.3
GTEX-1IDJI-0126-SM-CMKHS 50-59 years, female 42.3
GTEX-1S831-1826-SM-EWROF 20-29 years, male 42.3
GTEX-133LE-2326-SM-5K7W3 20-29 years, female 42.2
GTEX-YEC4-1826-SM-4W1YP 40-49 years, male 42.2
GTEX-1C6VQ-1226-SM-73KYD 50-59 years, male 42.1
GTEX-1RLM8-2926-SM-E8VON 50-59 years, male 42.1
GTEX-11ZUS-2626-SM-5FQUR 30-39 years, male 42.0
GTEX-13VXU-0626-SM-5L3F9 50-59 years, male 42.0
GTEX-12696-0126-SM-5EQ4L 60-69 years, male 41.9
GTEX-17HG3-2626-SM-7DUF2 30-39 years, female 41.9
GTEX-W5X1-2526-SM-3GILC 40-49 years, female 41.9
GTEX-1HFI7-2326-SM-CGQFS 50-59 years, female 41.8
GTEX-1J1R8-2026-SM-CL53Y 40-49 years, male 41.8
GTEX-1LVA9-2626-SM-EVYD4 50-59 years, male 41.8
GTEX-1BAJH-2426-SM-7IGP8 70-79 years, male 41.7
GTEX-13PL6-1126-SM-5L3IE 40-49 years, female 41.6
GTEX-1J8Q2-2626-SM-ACKWQ 60-69 years, male 41.5
GTEX-1IKJJ-2226-SM-CJI4C 60-69 years, male 41.4
GTEX-1KD5A-0126-SM-E9U54 50-59 years, male 41.4
GTEX-11TUW-0626-SM-5LU9M 60-69 years, male 41.3
GTEX-1A8G7-1326-SM-73KVM 60-69 years, male 41.2
GTEX-WYVS-1626-SM-3NM9R 40-49 years, female 41.2
GTEX-1JKYR-0626-SM-ARL8R 20-29 years, male 41.2
GTEX-1KANC-1226-SM-CYPT7 50-59 years, female 41.2
GTEX-1EWIQ-0326-SM-7DHMQ 70-79 years, female 41.1
GTEX-13X6I-1826-SM-5SIAO 60-69 years, male 41.0
GTEX-17F9E-2326-SM-79OKD 50-59 years, male 40.9
GTEX-1H4P4-2126-SM-9WYSL 50-59 years, male 40.9
GTEX-1QEPI-2626-SM-DTXF4 60-69 years, female 40.9
GTEX-13SLW-0626-SM-5Q5ER 70-79 years, male 40.8
GTEX-X5EB-1926-SM-4E3IW 40-49 years, male 40.8
GTEX-YJ8O-2526-SM-5HL85 40-49 years, female 40.8
GTEX-18D9A-1426-SM-7LT8M 30-39 years, female 40.8
GTEX-1ICLY-0826-SM-CMKG1 50-59 years, male 40.8
GTEX-1KANA-1326-SM-DIPFA 20-29 years, male 40.8
GTEX-1C6WA-2626-SM-7MKGM 60-69 years, male 40.7
GTEX-1F52S-2926-SM-7MKGA 60-69 years, female 40.4
GTEX-1GPI6-1926-SM-9KNV7 60-69 years, male 40.4
GTEX-1IE54-1126-SM-A9G2Z 40-49 years, female 40.4
GTEX-14LZ3-0126-SM-69LPM 60-69 years, female 40.3
GTEX-1GPI7-1826-SM-9KNU1 20-29 years, male 40.3
GTEX-1B8KZ-0326-SM-73KY4 50-59 years, male 40.2
GTEX-16AAH-0626-SM-793C9 50-59 years, male 40.1
GTEX-18465-2826-SM-7LT9J 50-59 years, male 40.1
GTEX-18A7A-0126-SM-731AH 50-59 years, female 39.9
GTEX-ZTSS-1426-SM-5985P 40-49 years, male 39.9
GTEX-12WSD-0626-SM-5GCMW 60-69 years, female 39.8
GTEX-1LVAN-0626-SM-CNPOQ 50-59 years, female 39.8
GTEX-14JG1-1526-SM-5YY9X 40-49 years, male 39.7
GTEX-1LG7Y-2526-SM-EWRO7 50-59 years, male 39.7
GTEX-Y5V6-2326-SM-4VDSA 60-69 years, male 39.6
GTEX-1HCUA-0826-SM-ADEHM 50-59 years, female 39.6
GTEX-1IDJC-1526-SM-B2LW4 50-59 years, male 39.6
GTEX-1RAZR-2126-SM-E9U6T 40-49 years, male 39.6
GTEX-14E6E-0526-SM-793DN 30-39 years, male 39.5
GTEX-1HFI6-0126-SM-CNPPI 40-49 years, male 39.0
GTEX-1IL2V-1926-SM-B2LW8 70-79 years, male 39.0
GTEX-ZYY3-2926-SM-5GIEB 60-69 years, female 38.8
GTEX-1HBPM-0726-SM-9YFL7 60-69 years, female 38.8
GTEX-13NZ9-2626-SM-5L3FK 50-59 years, male 38.7
GTEX-16YQH-2226-SM-7IGM2 30-39 years, male 38.6
GTEX-12WSF-1626-SM-7KUG5 70-79 years, male 38.4
GTEX-131XW-0626-SM-5PNVD 50-59 years, female 38.4
GTEX-1A3MX-2626-SM-7PC24 60-69 years, male 38.4
GTEX-1F5PL-0926-SM-7PC2W 40-49 years, female 38.3
GTEX-12WSM-1926-SM-5BC65 60-69 years, male 38.2
GTEX-139T8-0626-SM-5KLZX 60-69 years, male 38.1
GTEX-1GZHY-0626-SM-9KNVC 50-59 years, female 38.0
GTEX-1JJE9-2626-SM-ARZMT 70-79 years, male 38.0
GTEX-1JMOU-1026-SM-CYPSS 60-69 years, female 37.9
GTEX-1N5O9-0926-SM-E9J3C 60-69 years, male 37.9
GTEX-12WSA-0426-SM-5EQ5X 60-69 years, male 37.8
GTEX-ZZ64-1026-SM-5GZXG 20-29 years, male 37.8
GTEX-16NGA-0726-SM-731AO 40-49 years, female 37.7
GTEX-ZVT4-2426-SM-5GIEI 50-59 years, female 37.7
GTEX-14E1K-2026-SM-7DUEI 50-59 years, male 37.6
GTEX-15EO6-2426-SM-6PALZ 50-59 years, male 37.6
GTEX-1CB4H-1126-SM-7MKGL 60-69 years, female 37.4
GTEX-1F6RS-2026-SM-7RHHC 60-69 years, female 37.4
GTEX-1EH9U-2826-SM-7DUGT 60-69 years, male 37.3
GTEX-XUW1-0926-SM-4BONX 50-59 years, female 37.3
GTEX-11NUK-2726-SM-5A5MC 50-59 years, male 37.2
GTEX-15DDE-2926-SM-6LLJ3 50-59 years, female 37.1
GTEX-145MO-2826-SM-5LU96 60-69 years, male 37.0
GTEX-1AX9J-1326-SM-731BJ 60-69 years, male 37.0
GTEX-1QCLZ-2426-SM-EVYBW 60-69 years, female 36.8
GTEX-1JMQI-1726-SM-ARL93 50-59 years, male 36.7
GTEX-1RB15-1326-SM-E76Q9 60-69 years, male 36.5
GTEX-11EQ8-0926-SM-5H12V 60-69 years, male 36.3
GTEX-139TS-2126-SM-5K7XC 60-69 years, male 36.2
GTEX-1GMR3-0126-SM-A9SLW 40-49 years, male 36.2
GTEX-12C56-1526-SM-5FQUQ 20-29 years, male 36.0
GTEX-13NYC-0126-SM-5L3F4 60-69 years, male 36.0
GTEX-1JKYN-0826-SM-ARU8S 30-39 years, male 36.0
GTEX-1GZ2Q-0126-SM-9WG6M 40-49 years, male 35.9
GTEX-13PVR-0426-SM-5RQK2 60-69 years, female 35.8
GTEX-WK11-2726-SM-3NMAQ 50-59 years, male 35.8
GTEX-ZXG5-2126-SM-59HKD 60-69 years, male 35.8
GTEX-13OW5-2326-SM-5L3HO 60-69 years, male 35.7
GTEX-WEY5-2326-SM-3GIKK 40-49 years, female 35.7
GTEX-Y8LW-1526-SM-5IFHL 50-59 years, female 35.7
GTEX-1E1VI-0326-SM-793D1 50-59 years, male 35.6
GTEX-VJYA-1526-SM-3GIJV 60-69 years, male 35.5
GTEX-13N2G-0226-SM-5K7VF 60-69 years, male 35.4
GTEX-1LVAO-2726-SM-E9TJ8 60-69 years, male 35.4
GTEX-1F5PK-2226-SM-7SB6N 50-59 years, male 35.3
GTEX-1GMR8-0626-SM-7RHI7 50-59 years, female 35.3
GTEX-11EQ9-1626-SM-5PNY8 30-39 years, male 35.2
GTEX-13X6K-0626-SM-5LU5D 60-69 years, female 35.1
GTEX-145MI-0626-SM-5SI8S 60-69 years, female 35.1
GTEX-16NPX-0726-SM-7KULC 50-59 years, male 35.0
GTEX-183WM-0326-SM-72D5V 70-79 years, female 35.0
GTEX-1LSVX-2526-SM-DIPEU 60-69 years, male 34.9
GTEX-12KS4-2126-SM-5FQUT 30-39 years, male 34.7
GTEX-13O3O-2326-SM-5IJD6 60-69 years, female 34.6
GTEX-14JG6-1426-SM-9WG7C 30-39 years, female 34.6
GTEX-1HCU9-0426-SM-9WYSD 20-29 years, male 34.6
GTEX-13PVQ-0626-SM-5LU47 50-59 years, male 34.5
GTEX-144FL-0626-SM-5LU43 50-59 years, male 34.5
GTEX-1IDJF-2026-SM-CL53V 20-29 years, male 34.5
GTEX-1JMQL-2226-SM-CNPP4 50-59 years, female 34.5
GTEX-15D1Q-2826-SM-6LLH7 40-49 years, male 34.4
GTEX-XOT4-0626-SM-4B66L 60-69 years, female 34.4
GTEX-1H1CY-0126-SM-9YFLY 60-69 years, female 34.4
GTEX-1R9K4-2826-SM-DTX8F 60-69 years, male 34.4
GTEX-131YS-2826-SM-5EQ47 60-69 years, female 34.3
GTEX-1KWVE-1026-SM-D3L9O 30-39 years, male 34.3
GTEX-16BQI-1326-SM-6M486 30-39 years, female 34.2
GTEX-XK95-0226-SM-4AT58 40-49 years, male 34.2
GTEX-ZUA1-2626-SM-5NQ92 40-49 years, male 34.2
GTEX-WYJK-0526-SM-3NM8Z 50-59 years, male 34.1
GTEX-1LG7Z-1626-SM-CXKYR 30-39 years, male 34.1
GTEX-1J8Q3-0526-SM-ARL8U 60-69 years, male 33.8
GTEX-13VXT-1926-SM-5K7UO 20-29 years, female 33.7
GTEX-15DYW-2726-SM-6EU2I 60-69 years, female 33.7
GTEX-1HR98-2226-SM-ADEI2 60-69 years, male 33.7
GTEX-1RAZA-2226-SM-E9U4X 20-29 years, male 33.7
GTEX-XQ8I-0926-SM-4BOOF 50-59 years, male 33.6
GTEX-ZDXO-3126-SM-5IJDF 60-69 years, male 33.6
GTEX-1GTWX-2026-SM-9YFLM 60-69 years, male 33.6
GTEX-11EI6-2826-SM-5H11D 60-69 years, male 33.5
GTEX-144GO-2026-SM-5O99P 60-69 years, male 33.5
GTEX-Y5LM-0926-SM-6LLJG 40-49 years, female 33.5
GTEX-Y5V5-0126-SM-5S2NW 60-69 years, female 33.4
GTEX-145LS-0626-SM-7EPG7 60-69 years, female 33.3
GTEX-13N11-2326-SM-5IJBF 50-59 years, female 33.2
GTEX-12BJ1-0926-SM-5EQ62 60-69 years, male 33.1
GTEX-13112-0126-SM-5P9IU 50-59 years, male 32.9
GTEX-ZA64-1026-SM-5HL8R 20-29 years, male 32.8
GTEX-1F48J-0726-SM-7RHGS 50-59 years, female 32.8
GTEX-11DZ1-2426-SM-5GZZX 50-59 years, male 32.6
GTEX-17JCI-2926-SM-7DUFF 60-69 years, female 32.6
GTEX-145ME-1726-SM-5Q5EU 40-49 years, female 32.5
GTEX-14DAQ-0626-SM-793DS 60-69 years, female 32.5
GTEX-15CHQ-0326-SM-69LQD 60-69 years, male 32.5
GTEX-1477Z-0326-SM-7IGLA 60-69 years, male 32.4
GTEX-ZE7O-2726-SM-51MT5 50-59 years, female 32.4
GTEX-13NZ8-1226-SM-5KM4A 60-69 years, female 32.3
GTEX-13OVG-1626-SM-5J1NF 60-69 years, male 32.3
GTEX-1I6K6-1726-SM-CGQFD 30-39 years, male 32.3
GTEX-1IDFM-0326-SM-ARL7V 60-69 years, male 32.2
GTEX-14PKV-1126-SM-6LLJ1 20-29 years, female 32.1
GTEX-15SHW-0226-SM-7LTAT 60-69 years, male 32.1
GTEX-1GF9W-1426-SM-7PBYM 60-69 years, male 32.1
GTEX-1JN6P-2926-SM-CL54D 60-69 years, male 32.1
GTEX-13OVJ-0826-SM-5J1OK 50-59 years, female 31.9
GTEX-1O9I2-0226-SM-EYYXD 50-59 years, male 31.9
GTEX-1I1CD-0626-SM-CE6SW 60-69 years, female 31.8
GTEX-139UW-0326-SM-5J1ML 60-69 years, male 31.6
GTEX-X4EO-2926-SM-4E3JH 60-69 years, female 31.6
GTEX-1I19N-0126-SM-CYPSF 70-79 years, male 31.6
GTEX-1JMPZ-0726-SM-CY8HZ 30-39 years, male 31.4
GTEX-11UD2-2526-SM-5CVNU 50-59 years, male 31.2
GTEX-14PJ5-1526-SM-6LLIL 60-69 years, female 31.2
GTEX-UPK5-0426-SM-3GAEK 40-49 years, male 31.2
GTEX-1C475-1326-SM-7SB73 40-49 years, female 31.2
GTEX-ZF3C-0626-SM-DO92O 50-59 years, female 31.0
GTEX-18A7B-2726-SM-7LG56 70-79 years, male 30.9
GTEX-X3Y1-2026-SM-3P5YM 40-49 years, male 30.9
GTEX-1H3NZ-2726-SM-9WYTQ 60-69 years, male 30.9
GTEX-13N1W-2426-SM-5IJD1 70-79 years, male 30.8
GTEX-1IDJH-0126-SM-D3L92 70-79 years, male 30.8
GTEX-1JJ6O-2726-SM-CNPOG 60-69 years, male 30.7
GTEX-14A5H-0826-SM-5QGPJ 60-69 years, male 30.5
GTEX-13113-1626-SM-5EQ4I 60-69 years, female 30.4
GTEX-1314G-1326-SM-5BC6E 30-39 years, male 30.4
GTEX-1GMR2-0826-SM-7PC3V 50-59 years, male 30.4
GTEX-13JUV-2026-SM-5K7UA 40-49 years, female 30.1
GTEX-147F3-1726-SM-5SIAW 50-59 years, female 30.1
GTEX-147JS-0226-SM-5S2U9 60-69 years, male 30.1
GTEX-1QP29-1826-SM-DTX9S 50-59 years, male 30.1
GTEX-1H23P-0626-SM-9WG6T 60-69 years, male 29.8
GTEX-ZGAY-1826-SM-DO91Q 40-49 years, female 29.8
GTEX-16MT8-2926-SM-7DUFO 60-69 years, female 29.7
GTEX-1F75B-0726-SM-7PC3R 50-59 years, male 29.6
GTEX-1QP66-1226-SM-DTX7U 50-59 years, male 29.6
GTEX-145MG-1526-SM-5Q5EM 50-59 years, male 29.5
GTEX-1M4P7-0726-SM-E6CJ3 60-69 years, male 29.5
GTEX-11DXY-0126-SM-5H11Q 60-69 years, male 29.3
GTEX-1211K-1526-SM-5FQU4 60-69 years, female 29.2
GTEX-13FH7-1126-SM-5K7UG 50-59 years, female 29.2
GTEX-12WSK-2126-SM-5CVNC 40-49 years, female 29.1
GTEX-XMD2-2126-SM-4YCF8 60-69 years, female 29.1
GTEX-ZLWG-0826-SM-59888 50-59 years, female 29.1
GTEX-ZYFD-0626-SM-5E44E 50-59 years, male 28.9
GTEX-14753-0726-SM-5QGQO 60-69 years, male 28.8
GTEX-1I1GS-2626-SM-B2LY3 60-69 years, male 28.7
GTEX-14LLW-2626-SM-62LDZ 70-79 years, female 28.5
GTEX-18D9B-0926-SM-7LG4U 60-69 years, male 28.5
GTEX-ZVE1-0726-SM-51MRN 50-59 years, female 28.5
GTEX-111FC-2526-SM-5GZXU 60-69 years, male 28.1
GTEX-1497J-0226-SM-5QGPU 60-69 years, male 28.1
GTEX-14PJ2-0626-SM-6LLII 50-59 years, male 28.1
GTEX-WHSE-0126-SM-3NMBT 20-29 years, male 27.8
GTEX-1HCU6-2526-SM-ADEHL 60-69 years, female 27.8
GTEX-1LGOU-1326-SM-D3L8M 20-29 years, female 27.8
GTEX-ZVE2-2826-SM-5GU51 50-59 years, male 27.7
GTEX-ZYFG-1526-SM-5GZYM 60-69 years, female 27.3
GTEX-16GPK-0626-SM-7KFSF 60-69 years, male 27.2
GTEX-WFG8-2126-SM-3GIKQ 20-29 years, male 27.2
GTEX-12584-0726-SM-5FQTK 40-49 years, male 26.9
GTEX-1B996-0426-SM-7EWF8 60-69 years, male 26.9
GTEX-X8HC-0626-SM-4E3HQ 50-59 years, female 26.7
GTEX-1I4MK-0126-SM-CY8G6 50-59 years, female 26.6
GTEX-13RTJ-0126-SM-5S2NN 60-69 years, male 26.5
GTEX-1ICLZ-0326-SM-ARL82 60-69 years, male 26.4
GTEX-117YX-1926-SM-5GIEC 50-59 years, male 26.3
GTEX-11DXW-0826-SM-5H118 40-49 years, male 26.3
GTEX-17MF6-2626-SM-79OKQ 40-49 years, male 26.3
GTEX-15UF6-1926-SM-7KUDV 70-79 years, female 26.2
GTEX-1IDJE-1426-SM-ADEIW 50-59 years, female 26.1
GTEX-ZLFU-1826-SM-4WWBV 40-49 years, male 25.7
GTEX-16XZZ-0726-SM-7KUF2 60-69 years, male 25.4
GTEX-1GF9U-2026-SM-7SB92 40-49 years, female 25.4
GTEX-1H3VE-0726-SM-9YFL5 40-49 years, male 24.7
GTEX-YF7O-1526-SM-5IFI6 50-59 years, male 24.5
GTEX-ZAJG-1526-SM-5CVML 50-59 years, female 24.5
GTEX-15SKB-2826-SM-6PAMH 60-69 years, male 24.3
GTEX-1HKZK-0726-SM-ACKW2 40-49 years, male 24.0
GTEX-1HSMO-0626-SM-ACKXC 60-69 years, male 23.9
GTEX-148VJ-0626-SM-5LUAW 70-79 years, male 23.7
GTEX-ZU9S-1826-SM-5NQ9E 30-39 years, male 23.7
GTEX-1H1ZS-2726-SM-9WG75 70-79 years, male 23.6
GTEX-14DAR-1226-SM-73KYV 50-59 years, male 23.5
GTEX-ZT9W-1126-SM-57WDR 50-59 years, male 23.5
GTEX-11EM3-1226-SM-5N9DD 20-29 years, female 23.3
GTEX-1A8FM-0626-SM-7PC25 50-59 years, female 23.2
GTEX-1F6IF-0926-SM-7SB7M 60-69 years, male 23.1
GTEX-17EVQ-0126-SM-7IGLR 70-79 years, male 23.0
GTEX-1117F-2926-SM-5GZYI 60-69 years, female 22.8
GTEX-WYBS-0626-SM-3NMAS 60-69 years, female 22.7
GTEX-1J8JJ-0626-SM-ARZMQ 60-69 years, female 22.7
GTEX-14BMU-1226-SM-5S2OR 20-29 years, female 22.6
GTEX-1A32A-0626-SM-731AQ 50-59 years, female 22.3
GTEX-13X6H-0926-SM-5SIB2 50-59 years, female 22.0
GTEX-13YAN-0226-SM-5TDC6 60-69 years, male 21.8
GTEX-ZVTK-0226-SM-51MRG 20-29 years, male 21.6
GTEX-ZYW4-0626-SM-59HJR 60-69 years, male 21.5
GTEX-1L5NE-1126-SM-D3L9P 50-59 years, male 19.3
GTEX-13QBU-1226-SM-5LU4G 40-49 years, female 18.9
GTEX-1F88E-1626-SM-7SB8Z 60-69 years, female 18.8
GTEX-12WSL-2026-SM-5GCML 50-59 years, male 18.6
GTEX-1CAV2-0126-SM-7IGN7 40-49 years, female 17.7
GTEX-14E6C-2426-SM-5S2NF 40-49 years, male 16.5
GTEX-1399R-1326-SM-5PNYS 30-39 years, male 15.8
GTEX-1F75W-2726-SM-7SB8H 60-69 years, male 15.1
GTEX-1HUB1-1426-SM-CGQF5 60-69 years, male 15.1
GTEX-YB5K-2026-SM-4VDT3 40-49 years, female 15.0
Show allShow less
Skin - Sun Exposed (Lower leg)
Average nTPM: 43.5
Samples: 701

Max nTPM: 104.8
Min nTPM: 6.7
Std nTPM: 14.9
Median nTPM: 42.4
GTEX-XUZC-1726-SM-4BRWS 30-39 years, female 104.8
GTEX-1R9PM-2026-SM-E76OY 20-29 years, male 101.7
GTEX-13111-1626-SM-5EGJY 50-59 years, male 95.8
GTEX-T6MN-0126-SM-32PLP 50-59 years, male 93.9
GTEX-ZXES-1826-SM-5E43S 30-39 years, female 91.2
GTEX-PX3G-0126-SM-2I3EN 20-29 years, female 89.6
GTEX-117XS-2726-SM-5N9BL 60-69 years, male 86.5
GTEX-17JCI-0126-SM-7LG5G 60-69 years, female 83.8
GTEX-1JMLX-0226-SM-CM2RO 50-59 years, male 82.9
GTEX-Y3IK-2426-SM-4WWDU 50-59 years, female 82.5
GTEX-XYKS-2126-SM-4E3IB 60-69 years, female 82.1
GTEX-1LG7Z-1726-SM-D3LA4 30-39 years, male 81.3
GTEX-1OJC3-0126-SM-E76QX 20-29 years, male 80.7
GTEX-P4QT-0126-SM-2I3FL 50-59 years, female 78.8
GTEX-111FC-0126-SM-5N9DL 60-69 years, male 78.4
GTEX-ZYT6-0226-SM-5NQ6T 30-39 years, male 77.4
GTEX-1L5NE-2526-SM-E6CIE 50-59 years, male 77.2
GTEX-ZF3C-0126-SM-DO92D 50-59 years, female 77.2
GTEX-POMQ-2226-SM-2I5FK 20-29 years, female 77.1
GTEX-1CB4I-0226-SM-79OLH 50-59 years, male 76.8
GTEX-ZVZO-0126-SM-5A5L9 40-49 years, male 76.4
GTEX-ZV68-0126-SM-59HKS 50-59 years, female 73.9
GTEX-1K2DA-1826-SM-CGQGT 50-59 years, male 73.9
GTEX-11DXZ-2326-SM-5EGGV 50-59 years, male 73.8
GTEX-1QP9N-1426-SM-DTXFL 30-39 years, male 73.8
GTEX-1PIIG-0226-SM-EWRN6 30-39 years, male 73.0
GTEX-13FHP-0126-SM-5IJBG 50-59 years, male 72.6
GTEX-Y114-2426-SM-4TT8A 50-59 years, female 71.9
GTEX-1KANC-1526-SM-D3LAB 50-59 years, female 71.9
GTEX-18D9A-1926-SM-7LG6P 30-39 years, female 71.8
GTEX-X88G-0126-SM-47JZ3 30-39 years, male 71.0
GTEX-13FTW-2626-SM-5K7WL 40-49 years, male 70.5
GTEX-13OW6-0426-SM-5L3HM 50-59 years, male 70.4
GTEX-ZWKS-0126-SM-5SIAA 30-39 years, male 70.0
GTEX-1399R-2726-SM-5IJBA 30-39 years, male 69.8
GTEX-1B97I-1626-SM-73KYO 40-49 years, male 69.7
GTEX-T5JW-1626-SM-3GADZ 20-29 years, female 68.9
GTEX-15F5U-1526-SM-6PANO 40-49 years, male 68.6
GTEX-1MJK2-0426-SM-DTXE5 50-59 years, male 68.6
GTEX-ZTX8-1426-SM-5DUVO 20-29 years, male 68.0
GTEX-PSDG-0226-SM-DKPOZ 50-59 years, male 67.9
GTEX-1M5QR-1226-SM-EWROB 40-49 years, male 67.5
GTEX-13FXS-0226-SM-5IJCK 50-59 years, male 67.4
GTEX-11DYG-0126-SM-59883 60-69 years, male 67.3
GTEX-1F5PL-0326-SM-7P8PQ 40-49 years, female 67.3
GTEX-1EMGI-0126-SM-9KNUE 60-69 years, male 67.1
GTEX-1C64N-0126-SM-793D7 50-59 years, male 67.0
GTEX-YB5E-2026-SM-5IFIS 40-49 years, male 66.9
GTEX-WFON-2126-SM-3LK7O 40-49 years, male 66.7
GTEX-1I1GV-0526-SM-A9G29 60-69 years, male 66.7
GTEX-1IL2U-0226-SM-CE6T8 60-69 years, male 66.6
GTEX-1S83E-0126-SM-EWRO4 40-49 years, male 65.9
GTEX-14JG1-0426-SM-6ETZZ 40-49 years, male 65.6
GTEX-14LZ3-0226-SM-62LET 60-69 years, female 65.6
GTEX-1J1OQ-0226-SM-CYPSH 40-49 years, female 65.4
GTEX-1S3DN-2226-SM-EVYCD 50-59 years, male 65.4
GTEX-SUCS-1926-SM-32PM3 70-79 years, male 65.0
GTEX-ZF2S-2326-SM-4WWCE 50-59 years, female 65.0
GTEX-15ETS-0126-SM-7KUMW 40-49 years, female 64.6
GTEX-ZVTK-0426-SM-51MRS 20-29 years, male 64.6
GTEX-1C475-1826-SM-73KWA 40-49 years, female 64.5
GTEX-OIZH-0126-SM-2HMIS 50-59 years, male 64.4
GTEX-1HSKV-0226-SM-A9SKJ 60-69 years, male 64.2
GTEX-Y8DK-0126-SM-4TT3L 60-69 years, male 64.0
GTEX-1HB9E-0226-SM-E9U4R 50-59 years, male 64.0
GTEX-1PPH8-0226-SM-E8VND 20-29 years, male 64.0
GTEX-17F96-1626-SM-7DUFL 70-79 years, male 63.8
GTEX-1QAET-0926-SM-E76QM 50-59 years, male 63.6
GTEX-1EWIQ-0126-SM-7RHH2 70-79 years, female 63.5
GTEX-139D8-0226-SM-5KLZO 30-39 years, female 63.4
GTEX-1LBAC-0126-SM-DIPEZ 20-29 years, male 63.4
GTEX-1CB4E-2226-SM-793DC 60-69 years, male 63.3
GTEX-TKQ1-1026-SM-4GICL 30-39 years, male 63.0
GTEX-15ER7-0326-SM-7KUEV 20-29 years, female 62.8
GTEX-O5YT-0126-SM-48TBW 20-29 years, male 62.8
GTEX-1CB4F-0426-SM-9KNV4 60-69 years, male 62.0
GTEX-1212Z-2526-SM-5EGKP 60-69 years, male 61.9
GTEX-1JMQL-0226-SM-CNPP5 50-59 years, female 61.4
GTEX-14A5H-0426-SM-5QGQF 60-69 years, male 61.2
GTEX-1JJEA-0326-SM-CNPOT 60-69 years, male 61.0
GTEX-W5WG-1826-SM-4KL2Y 50-59 years, female 60.9
GTEX-QEG4-0226-SM-2S1PY 30-39 years, male 60.6
GTEX-16GPK-0126-SM-7DHLE 60-69 years, male 60.5
GTEX-ZAK1-0126-SM-5IJD3 50-59 years, female 60.3
GTEX-Y8E4-0626-SM-4WWDL 40-49 years, male 60.1
GTEX-1H11D-0226-SM-9WG6Z 40-49 years, male 60.1
GTEX-1JJ6O-0126-SM-E6CI8 60-69 years, male 60.0
GTEX-17HG3-2226-SM-7938L 30-39 years, female 59.8
GTEX-1J8EW-0126-SM-CJI4F 60-69 years, female 59.7
GTEX-ZGAY-0526-SM-4WWBB 40-49 years, female 59.5
GTEX-13CF2-2526-SM-5LZYX 60-69 years, male 59.4
GTEX-13OVH-0126-SM-5MR4B 70-79 years, male 59.1
GTEX-1KXAM-2226-SM-CYPTC 60-69 years, male 59.1
GTEX-OOBJ-0126-SM-E6CJW 60-69 years, male 58.7
GTEX-1R9K4-0126-SM-DTX9X 60-69 years, male 58.6
GTEX-OHPL-0126-SM-2HMJ7 60-69 years, female 58.5
GTEX-1GMR3-1926-SM-9KNUZ 40-49 years, male 58.5
GTEX-145MF-0626-SM-5LUAI 50-59 years, male 58.4
GTEX-ZY6K-1826-SM-5GZXK 50-59 years, male 58.3
GTEX-1QCLY-0326-SM-E8VOG 30-39 years, male 58.3
GTEX-14PJ6-2126-SM-6EU1V 60-69 years, female 58.1
GTEX-S7SE-0126-SM-2XCD5 50-59 years, male 58.0
GTEX-1GF9V-0326-SM-7RHI5 60-69 years, male 58.0
GTEX-S33H-1026-SM-EZ6L6 30-39 years, male 58.0
GTEX-YJ89-0126-SM-4TT3X 60-69 years, male 57.9
GTEX-ZTSS-1926-SM-57WEW 40-49 years, male 57.9
GTEX-1I1GQ-0126-SM-COH3H 50-59 years, male 57.8
GTEX-TMZS-0126-SM-3DB9Q 60-69 years, male 57.7
GTEX-NFK9-0226-SM-2HMKQ 40-49 years, male 57.5
GTEX-14BMV-0126-SM-5S2PO 50-59 years, male 57.4
GTEX-OIZG-0726-SM-33HBL 50-59 years, male 57.4
GTEX-11ZTS-0126-SM-5EQ6M 60-69 years, female 57.3
GTEX-1BAJH-0526-SM-793CQ 70-79 years, male 57.3
GTEX-X4XX-0126-SM-3NMC2 60-69 years, male 57.2
GTEX-Y111-0126-SM-4SOIV 50-59 years, male 57.2
GTEX-1R7EU-0226-SM-EVR4G 60-69 years, male 57.1
GTEX-1KD4Q-0226-SM-E9TJ9 40-49 years, male 57.0
GTEX-WI4N-1026-SM-3LK7N 40-49 years, female 56.9
GTEX-1IOXB-0126-SM-ARL8G 50-59 years, male 56.9
GTEX-18D9U-0226-SM-718BP 40-49 years, male 56.8
GTEX-1PIGE-0126-SM-EVYBJ 20-29 years, male 56.8
GTEX-1B8SF-1426-SM-7DUGL 60-69 years, male 56.6
GTEX-1H4P4-0726-SM-9YFLR 50-59 years, male 56.5
GTEX-1RQEC-0426-SM-E6CHU 60-69 years, male 56.2
GTEX-1K9T9-0126-SM-EVYCF 50-59 years, female 56.0
GTEX-1OFPY-2426-SM-DTXEJ 60-69 years, male 56.0
GTEX-14E6E-1826-SM-5S2R7 30-39 years, male 55.9
GTEX-1IL2V-0126-SM-CM2TX 70-79 years, male 55.7
GTEX-13N2G-2626-SM-5J1OT 60-69 years, male 55.5
GTEX-14PHX-2326-SM-62LEM 50-59 years, male 55.5
GTEX-QESD-1426-SM-2S1R9 20-29 years, male 55.5
GTEX-U8XE-0326-SM-3DB8P 30-39 years, male 55.5
GTEX-12WSJ-1826-SM-5GCNY 40-49 years, female 55.4
GTEX-12ZZY-0226-SM-5LZVE 60-69 years, male 55.3
GTEX-1GZHY-0326-SM-9QEHI 50-59 years, female 55.2
GTEX-1KAFJ-2026-SM-CY8ID 50-59 years, male 55.2
GTEX-1JMQI-2226-SM-CM2SD 50-59 years, male 55.1
GTEX-1LB8K-0226-SM-EWRNW 50-59 years, male 55.0
GTEX-145MN-2226-SM-5SIAU 30-39 years, male 54.8
GTEX-WYJK-0126-SM-3NMAB 50-59 years, male 54.8
GTEX-13NYB-2526-SM-5K7Z6 40-49 years, male 54.7
GTEX-131YS-0126-SM-5KM1M 60-69 years, female 54.6
GTEX-1KANA-0726-SM-D3L9I 20-29 years, male 54.6
GTEX-14PII-0226-SM-6EU1T 60-69 years, male 54.5
GTEX-OXRN-0126-SM-48TDM 50-59 years, male 54.4
GTEX-W5X1-3026-SM-EAZAX 40-49 years, female 54.4
GTEX-11TT1-2526-SM-5EGIB 20-29 years, male 54.3
GTEX-ZYFC-0226-SM-5NQ75 50-59 years, male 54.3
GTEX-1HFI6-0226-SM-ADEHZ 40-49 years, male 54.3
GTEX-1JN6P-0126-SM-D3L98 60-69 years, male 54.3
GTEX-14E6D-0126-SM-62LDV 50-59 years, male 54.2
GTEX-SIU8-0126-SM-2XCDT 50-59 years, male 54.2
GTEX-1CAV2-2226-SM-7P8P2 40-49 years, female 54.2
GTEX-1LSNM-1926-SM-E6CII 50-59 years, male 54.2
GTEX-1QMI2-0226-SM-EVYBX 60-69 years, male 54.2
GTEX-1MA7W-2026-SM-E9TJ6 20-29 years, female 53.8
GTEX-1399U-2326-SM-5K7WY 50-59 years, female 53.7
GTEX-12WSC-0126-SM-5EQ4P 50-59 years, male 53.5
GTEX-13NZB-2526-SM-5J1OM 30-39 years, male 53.5
GTEX-13SLW-0126-SM-5SI6C 70-79 years, male 53.3
GTEX-ZZ64-1726-SM-5GZYB 20-29 years, male 53.3
GTEX-1HSGN-0226-SM-CGQFV 40-49 years, female 53.3
GTEX-VJYA-1126-SM-3GIJU 60-69 years, male 53.2
GTEX-1S5ZA-0126-SM-EVYCV 20-29 years, male 53.2
GTEX-17KNJ-2326-SM-7DHLQ 50-59 years, male 53.1
GTEX-XBEW-0626-SM-4QASP 40-49 years, male 53.1
GTEX-18A67-0126-SM-7LG5P 50-59 years, male 53.0
GTEX-Y5V5-2326-SM-4V6GA 60-69 years, female 53.0
GTEX-1HCU9-1526-SM-A9SL7 20-29 years, male 53.0
GTEX-15CHC-2126-SM-6EU21 60-69 years, female 52.9
GTEX-1B8L1-2526-SM-9WYTF 60-69 years, male 52.8
GTEX-12696-2426-SM-5EQ6H 60-69 years, male 52.7
GTEX-12ZZX-0126-SM-5EGK9 40-49 years, female 52.7
GTEX-15RIG-0226-SM-7KFTL 40-49 years, male 52.7
GTEX-17EVP-0326-SM-7DHLG 40-49 years, male 52.7
GTEX-1GN1U-0126-SM-7PBZK 50-59 years, female 52.7
GTEX-1KWVE-1426-SM-E9TJO 30-39 years, male 52.6
GTEX-1H3VE-0326-SM-9YFLH 40-49 years, male 52.5
GTEX-1IDJH-0326-SM-A9SLQ 70-79 years, male 52.5
GTEX-11EI6-0126-SM-5985R 60-69 years, male 52.3
GTEX-1HR98-0126-SM-B2LWI 60-69 years, male 52.3
GTEX-1PDJ9-0326-SM-DTX95 20-29 years, male 52.3
GTEX-13FTY-0526-SM-5L3EV 40-49 years, female 52.2
GTEX-1IKK5-0626-SM-ARL8A 60-69 years, male 52.2
GTEX-1PFEY-1526-SM-E76PP 30-39 years, male 52.1
GTEX-WY7C-2326-SM-3NB2U 50-59 years, male 52.0
GTEX-Z93S-0126-SM-5HL7M 50-59 years, male 52.0
GTEX-Z93T-0126-SM-5HL5N 50-59 years, male 52.0
GTEX-1HCU7-0226-SM-CL545 50-59 years, male 52.0
GTEX-1C6VR-2426-SM-79OLD 60-69 years, male 51.9
GTEX-1CB4H-0226-SM-7PBXM 60-69 years, female 51.9
GTEX-1KANB-0526-SM-E6CJH 50-59 years, male 51.9
GTEX-1399T-2826-SM-5KLYZ 60-69 years, male 51.8
GTEX-1JMPY-1326-SM-ARL8Y 30-39 years, male 51.8
GTEX-11P81-2326-SM-59875 30-39 years, female 51.7
GTEX-144GL-0126-SM-5TDE2 50-59 years, male 51.7
GTEX-QVJO-1626-SM-2S1QW 60-69 years, female 51.7
GTEX-XQ3S-1526-SM-4BOOC 20-29 years, male 51.7
GTEX-1JMPZ-0226-SM-CNPP1 30-39 years, male 51.6
GTEX-14PN4-0126-SM-6EU2V 50-59 years, male 51.5
GTEX-13G51-2526-SM-5LZYK 60-69 years, male 51.3
GTEX-XUYS-0126-SM-47JWZ 50-59 years, male 51.0
GTEX-1S82Z-0826-SM-E6CHY 30-39 years, female 50.8
GTEX-UJHI-1526-SM-3DB99 50-59 years, female 50.7
GTEX-XAJ8-0826-SM-47JY6 40-49 years, male 50.5
GTEX-144FL-0126-SM-5TDC8 50-59 years, male 50.4
GTEX-131XE-2326-SM-5PNZ2 50-59 years, male 50.2
GTEX-13JUV-2726-SM-5LZZ8 40-49 years, female 50.1
GTEX-18A6Q-0126-SM-731BZ 60-69 years, male 50.1
GTEX-1E1VI-0126-SM-7DHMZ 50-59 years, male 50.1
GTEX-ZVZP-2426-SM-59HKJ 50-59 years, male 50.1
GTEX-14C5O-0126-SM-5SI6N 60-69 years, male 50.0
GTEX-RNOR-0126-SM-E9J4R 50-59 years, female 50.0
GTEX-1ICG6-2526-SM-CGQFZ 70-79 years, female 49.9
GTEX-17MFQ-1726-SM-793C7 20-29 years, male 49.8
GTEX-1IKJJ-0126-SM-CNPQB 60-69 years, male 49.8
GTEX-14XAO-2326-SM-6EU1B 60-69 years, female 49.7
GTEX-1RDX4-0126-SM-E9J4P 50-59 years, female 49.6
GTEX-11XUK-2026-SM-5EQLF 40-49 years, female 49.5
GTEX-11OF3-2626-SM-5GU7F 60-69 years, male 49.4
GTEX-132NY-0326-SM-5IJBL 60-69 years, male 49.4
GTEX-146FQ-0126-SM-5NQA9 30-39 years, male 49.4
GTEX-14PJM-0226-SM-62LF1 50-59 years, female 49.4
GTEX-WQUQ-0426-SM-3MJFU 60-69 years, male 49.4
GTEX-1H1DG-0126-SM-9WYU2 70-79 years, male 49.4
GTEX-1CAMQ-0226-SM-7IGPK 40-49 years, male 49.3
GTEX-12126-0326-SM-5PNW3 20-29 years, male 49.1
GTEX-1QPFJ-0226-SM-E76PB 30-39 years, female 49.1
GTEX-1GN2E-0426-SM-9MQKX 60-69 years, male 48.9
GTEX-13OW8-1326-SM-5J1OW 60-69 years, male 48.8
GTEX-1GL5R-1826-SM-9KNUY 50-59 years, male 48.8
GTEX-11DXX-2426-SM-5GZZW 60-69 years, female 48.6
GTEX-1I6K6-0126-SM-A9SLE 30-39 years, male 48.5
GTEX-QDVJ-1726-SM-2I5FX 50-59 years, male 48.2
GTEX-13OW5-0126-SM-DTXFS 60-69 years, male 48.2
GTEX-1HSMP-0126-SM-E6CJS 70-79 years, male 48.2
GTEX-Z9EW-1626-SM-5CVMN 40-49 years, male 48.0
GTEX-1MGNQ-0126-SM-EVYCJ 40-49 years, male 48.0
GTEX-OHPM-0126-SM-2YUN9 50-59 years, male 47.9
GTEX-1F52S-0126-SM-9MQJU 60-69 years, female 47.9
GTEX-1H3VY-0126-SM-ACKXD 50-59 years, male 47.9
GTEX-1HCU8-0626-SM-A9SM9 60-69 years, female 47.9
GTEX-1HGF4-2426-SM-ACKXM 60-69 years, male 47.8
GTEX-1128S-2326-SM-5GZZY 60-69 years, female 47.7
GTEX-QV44-1926-SM-2S1RF 50-59 years, male 47.7
GTEX-1313W-0126-SM-5LZUN 50-59 years, female 47.6
GTEX-1314G-1526-SM-5EGK2 30-39 years, male 47.6
GTEX-1RAZA-0126-SM-E6CI3 20-29 years, male 47.6
GTEX-131XH-2226-SM-5DUXJ 50-59 years, male 47.5
GTEX-ZDYS-2026-SM-5HL5L 50-59 years, male 47.4
GTEX-1269C-2526-SM-5EGJ3 60-69 years, female 47.3
GTEX-18QFQ-0126-SM-731BE 30-39 years, male 47.3
GTEX-13X6J-0126-SM-5QGOU 50-59 years, male 47.2
GTEX-1HT8W-0126-SM-CNPPP 30-39 years, male 47.2
GTEX-145LS-0126-SM-5QGP1 60-69 years, female 47.1
GTEX-YB5K-2126-SM-4WWDJ 40-49 years, female 47.0
GTEX-ZDTT-2726-SM-4WKF8 60-69 years, male 47.0
GTEX-15DCD-0126-SM-7KUEK 70-79 years, female 46.9
GTEX-1C4CL-0526-SM-73KVK 30-39 years, male 46.9
GTEX-ZAB5-1826-SM-5HL7C 50-59 years, male 46.9
GTEX-169BO-1326-SM-9MQK2 50-59 years, male 46.9
GTEX-17F98-0626-SM-79OMX 40-49 years, female 46.7
GTEX-U412-0426-SM-3DB9O 60-69 years, male 46.6
GTEX-1O97I-0326-SM-EYYX7 60-69 years, male 46.6
GTEX-Q2AI-1326-SM-2S1PL 40-49 years, male 46.5
GTEX-SJXC-0126-SM-2XCFF 60-69 years, male 46.5
GTEX-1GPI7-0126-SM-9MQL8 20-29 years, male 46.5
GTEX-133LE-1826-SM-5J1MV 20-29 years, female 46.3
GTEX-139UW-2826-SM-5L3E7 60-69 years, male 46.2
GTEX-13O3Q-2426-SM-5IJBR 50-59 years, male 46.2
GTEX-18A7A-0226-SM-718BH 50-59 years, female 46.2
GTEX-X4EP-0126-SM-3P5YV 60-69 years, female 46.2
GTEX-1GMR8-0126-SM-9WYTM 50-59 years, female 46.2
GTEX-T5JC-0426-SM-32PLO 20-29 years, male 46.1
GTEX-11TUW-2726-SM-E9J4M 60-69 years, male 46.1
GTEX-1GMRU-0126-SM-9YFLV 50-59 years, male 46.1
GTEX-15EU6-0426-SM-6PAN5 50-59 years, male 46.0
GTEX-16NPX-0226-SM-79OMT 50-59 years, male 45.9
GTEX-17EUY-0426-SM-793BD 20-29 years, male 45.9
GTEX-ZC5H-0226-SM-4WAY9 40-49 years, female 45.9
GTEX-1H1CY-2826-SM-9MQM3 60-69 years, female 45.9
GTEX-1K2DU-2326-SM-E9TIV 20-29 years, male 45.9
GTEX-12WSK-2326-SM-5GCOH 40-49 years, female 45.8
GTEX-UPJH-0326-SM-3GADU 50-59 years, male 45.8
GTEX-1JMQK-0226-SM-CL543 60-69 years, male 45.8
GTEX-15SHU-0126-SM-7KUEH 40-49 years, female 45.6
GTEX-RWS6-2026-SM-2XCB5 60-69 years, female 45.6
GTEX-13CF3-2426-SM-5IFGX 60-69 years, female 45.5
GTEX-1QP66-1726-SM-E8VO1 50-59 years, male 45.5
GTEX-ZDTS-0126-SM-4WAY5 60-69 years, male 45.4
GTEX-ZXG5-0126-SM-5GIEU 60-69 years, male 45.4
GTEX-13OVK-2026-SM-7KUEO 40-49 years, male 45.3
GTEX-14ICK-0226-SM-6EU25 40-49 years, male 45.2
GTEX-17F97-0326-SM-7LG5B 50-59 years, male 45.2
GTEX-WZTO-0126-SM-3NM95 40-49 years, male 45.2
GTEX-1IDJF-0126-SM-CM2RS 20-29 years, male 45.2
GTEX-145LV-2126-SM-5LU8N 50-59 years, male 45.1
GTEX-TML8-1926-SM-32QOS 40-49 years, female 45.1
GTEX-1JMQJ-0526-SM-CYPSU 50-59 years, male 45.1
GTEX-1NV5F-0226-SM-E8VNY 60-69 years, female 45.1
GTEX-XBED-2226-SM-47JYQ 60-69 years, male 45.0
GTEX-145ME-1826-SM-5SI9G 40-49 years, female 44.9
GTEX-1I1GT-0626-SM-CGQER 60-69 years, female 44.9
GTEX-XXEK-2226-SM-4BRUM 50-59 years, male 44.8
GTEX-1EKGG-0226-SM-9WYTH 60-69 years, male 44.8
GTEX-ZQG8-1626-SM-DHXIT 60-69 years, female 44.8
GTEX-PVOW-0126-SM-2XCFA 40-49 years, male 44.7
GTEX-S32W-2126-SM-2XCB1 50-59 years, female 44.7
GTEX-12WSE-0526-SM-793B2 20-29 years, male 44.6
GTEX-1E2YA-0126-SM-9KNUC 50-59 years, male 44.6
GTEX-O5YW-0126-SM-3LK6D 50-59 years, male 44.5
GTEX-QLQW-1126-SM-2S1Q8 30-39 years, male 44.5
GTEX-1HBPN-0226-SM-9YFM1 50-59 years, male 44.4
GTEX-1MCQQ-0826-SM-DLHC2 60-69 years, male 44.4
GTEX-12ZZZ-0626-SM-5DUXI 60-69 years, male 44.3
GTEX-11P7K-2126-SM-5GU7G 30-39 years, male 44.2
GTEX-1GF9X-2026-SM-7PC3A 40-49 years, female 44.2
GTEX-145MI-0526-SM-5O9A8 60-69 years, female 44.1
GTEX-1HBPI-1526-SM-C1YQ1 50-59 years, male 44.1
GTEX-Q734-1926-SM-2I5EV 40-49 years, female 44.0
GTEX-1GN73-0226-SM-9WG67 60-69 years, male 44.0
GTEX-ZPIC-1726-SM-DHXIU 40-49 years, female 44.0
GTEX-14BIN-0626-SM-793DP 50-59 years, female 43.9
GTEX-1GZ4H-1726-SM-7PBZJ 50-59 years, female 43.9
GTEX-11WQK-0526-SM-5EQLD 50-59 years, male 43.8
GTEX-1122O-2126-SM-5EGIR 60-69 years, female 43.6
GTEX-13S7M-0126-SM-5SI6A 60-69 years, female 43.6
GTEX-13SLX-0526-SM-5S2ON 50-59 years, female 43.6
GTEX-13VXU-0126-SM-5SI9F 50-59 years, male 43.6
GTEX-1R46S-0626-SM-E9J41 60-69 years, female 43.6
GTEX-14PJ3-1826-SM-62LEX 50-59 years, male 43.5
GTEX-1EU9M-0226-SM-7P8SP 60-69 years, male 43.5
GTEX-U3ZN-2326-SM-3DB7W 30-39 years, female 43.4
GTEX-11UD2-0226-SM-5EQKY 50-59 years, male 43.3
GTEX-1IKOH-0226-SM-COH4E 60-69 years, female 43.3
GTEX-1JKYR-0126-SM-CNPOJ 20-29 years, male 43.3
GTEX-16BQI-0226-SM-7KUEX 30-39 years, female 43.2
GTEX-1CAMR-1926-SM-7EPI2 20-29 years, male 43.2
GTEX-11EQ9-2426-SM-5HL5T 30-39 years, male 43.1
GTEX-147GR-0526-SM-5S2MY 60-69 years, male 43.0
GTEX-XMD2-0126-SM-4YCDU 60-69 years, female 43.0
GTEX-1LGRB-2526-SM-CNPPQ 50-59 years, female 42.8
GTEX-1LH75-2426-SM-E9TJE 50-59 years, female 42.8
GTEX-15SB6-1726-SM-6PAME 50-59 years, female 42.7
GTEX-RWSA-0126-SM-2XCBB 40-49 years, male 42.6
GTEX-113JC-2326-SM-5EQ4E 50-59 years, female 42.5
GTEX-1GF9W-0326-SM-9KNUN 60-69 years, male 42.5
GTEX-PW2O-1526-SM-7RHHB 20-29 years, male 42.5
GTEX-14DAQ-0126-SM-5S2MQ 60-69 years, female 42.4
GTEX-YFC4-0126-SM-5CVLY 40-49 years, female 42.4
GTEX-ZV6S-2326-SM-4YCEY 40-49 years, female 42.4
GTEX-1F88F-2726-SM-7PBZZ 60-69 years, female 42.4
GTEX-17HHY-0126-SM-7LG5D 50-59 years, male 42.3
GTEX-1AX9J-0226-SM-73KXM 60-69 years, male 42.3
GTEX-11OC5-0126-SM-5HL6A 60-69 years, male 42.2
GTEX-145LU-0126-SM-5TDCB 50-59 years, male 42.2
GTEX-T2IS-0126-SM-4DM6O 20-29 years, female 42.2
GTEX-WVJS-0126-SM-4MVOT 50-59 years, male 42.2
GTEX-1B8KE-2126-SM-73KYX 50-59 years, male 42.1
GTEX-13PDP-0126-SM-5L3HD 60-69 years, male 42.0
GTEX-S7PM-0126-SM-4AD6S 60-69 years, male 42.0
GTEX-ZYFG-2326-SM-5E44B 60-69 years, female 42.0
GTEX-1IDJU-2626-SM-CM2RT 60-69 years, female 41.9
GTEX-1J8Q2-0526-SM-CM2RW 60-69 years, male 41.9
GTEX-1192X-0226-SM-5H12D 50-59 years, male 41.8
GTEX-T8EM-1026-SM-3DB7M 40-49 years, male 41.8
GTEX-11LCK-1026-SM-5A5KB 30-39 years, male 41.7
GTEX-VUSG-2526-SM-4KL1V 50-59 years, male 41.7
GTEX-WXYG-2326-SM-4E3I6 50-59 years, female 41.7
GTEX-1HSMQ-1226-SM-CGQFX 50-59 years, male 41.7
GTEX-RU72-0926-SM-2TF6B 50-59 years, female 41.6
GTEX-1HCVE-0126-SM-CGQEU 50-59 years, male 41.6
GTEX-13W46-0226-SM-5SIAG 50-59 years, male 41.3
GTEX-13FH7-2026-SM-E9J4I 50-59 years, female 41.3
GTEX-1S82Y-2026-SM-EVYCM 40-49 years, male 41.3
GTEX-12WSD-0126-SM-59HKN 60-69 years, female 41.1
GTEX-13112-2826-SM-5DUWH 50-59 years, male 41.0
GTEX-1HCUA-2426-SM-ADEIS 50-59 years, female 41.0
GTEX-139TS-2826-SM-5J1OO 60-69 years, male 40.9
GTEX-15G19-0126-SM-6PANQ 60-69 years, male 40.9
GTEX-12C56-1726-SM-5EQ61 20-29 years, male 40.7
GTEX-139TU-0126-SM-5K7WH 60-69 years, male 40.7
GTEX-1F6RS-0126-SM-9MQKZ 60-69 years, female 40.7
GTEX-1HSEH-0126-SM-ACKXN 60-69 years, male 40.7
GTEX-16AAH-1726-SM-7939C 50-59 years, male 40.5
GTEX-18A66-0226-SM-718BD 60-69 years, male 40.4
GTEX-ZU9S-0226-SM-5E441 30-39 years, male 40.4
GTEX-12WSL-2526-SM-5GCNJ 50-59 years, male 40.3
GTEX-R3RS-0126-SM-3GIJL 40-49 years, female 40.3
GTEX-WYVS-2126-SM-3NMA3 40-49 years, female 40.3
GTEX-X585-0226-SM-4QAS2 50-59 years, male 40.3
GTEX-ZE9C-2726-SM-57WB5 60-69 years, male 40.3
GTEX-1EX96-1626-SM-7PBXR 50-59 years, male 40.3
GTEX-18465-0126-SM-731BN 50-59 years, male 40.2
GTEX-PLZ5-2026-SM-2S1O4 50-59 years, male 40.2
GTEX-1QEPI-0126-SM-EWRMQ 60-69 years, female 40.2
GTEX-PWO3-1526-SM-48TCM 60-69 years, female 40.0
GTEX-SN8G-0126-SM-32PLI 50-59 years, female 40.0
GTEX-SNMC-1226-SM-2XCFP 20-29 years, male 40.0
GTEX-1CAMS-0426-SM-7P8T2 40-49 years, female 40.0
GTEX-13OVL-0226-SM-5L3E9 50-59 years, male 39.9
GTEX-1LVAN-0226-SM-COH3S 50-59 years, female 39.9
GTEX-1A3MX-0126-SM-731BR 60-69 years, male 39.8
GTEX-13NYC-0326-SM-E9J4S 60-69 years, male 39.8
GTEX-11GS4-2726-SM-5A5LE 60-69 years, male 39.7
GTEX-Y5V6-2426-SM-4VDSB 60-69 years, male 39.7
GTEX-1B996-0226-SM-7RHGO 60-69 years, male 39.7
GTEX-ZAJG-0126-SM-5HL94 50-59 years, female 39.6
GTEX-11NUK-0126-SM-5A5L3 50-59 years, male 39.5
GTEX-OOBK-0126-SM-2YUND 40-49 years, male 39.5
GTEX-1J8QM-2126-SM-CYPSJ 60-69 years, female 39.5
GTEX-RM2N-1426-SM-2TF4H 50-59 years, male 39.4
GTEX-XPVG-2626-SM-4B669 50-59 years, male 39.3
GTEX-1HFI7-1826-SM-ACKXH 50-59 years, female 39.3
GTEX-1J8JJ-0226-SM-CL53I 60-69 years, female 39.2
GTEX-1N2DW-0226-SM-E9TK2 50-59 years, male 39.2
GTEX-RVPV-0126-SM-EAZAW 60-69 years, male 39.2
GTEX-13O21-1426-SM-5K7XI 50-59 years, male 39.1
GTEX-12WSG-2826-SM-E9J4H 50-59 years, female 39.1
GTEX-13IVO-0126-SM-5J1NG 70-79 years, male 38.9
GTEX-1EN7A-0126-SM-7SB81 40-49 years, male 38.9
GTEX-11NSD-2226-SM-5986V 20-29 years, male 38.7
GTEX-16YQH-0126-SM-7DUFJ 30-39 years, male 38.6
GTEX-1AX9I-0126-SM-7SB74 60-69 years, male 38.6
GTEX-1I4MK-2226-SM-ACKWD 50-59 years, female 38.6
GTEX-11DXY-2626-SM-5GIE7 60-69 years, male 38.5
GTEX-S95S-1226-SM-4GICG 60-69 years, male 38.4
GTEX-1CB4G-0226-SM-7PC3O 60-69 years, male 38.4
GTEX-TMMY-0226-SM-33HBA 40-49 years, female 38.1
GTEX-1J1R8-1726-SM-ARL8M 40-49 years, male 38.0
GTEX-11DXW-0226-SM-5H122 40-49 years, male 37.9
GTEX-11VI4-1726-SM-5CVLH 40-49 years, female 37.9
GTEX-OXRK-0226-SM-3NB2G 50-59 years, female 37.9
GTEX-1LGOU-2026-SM-DIPFF 20-29 years, female 37.9
GTEX-1MUQO-0126-SM-EAZ58 60-69 years, male 37.9
GTEX-13O3P-0126-SM-5KM4S 50-59 years, male 37.8
GTEX-13PVR-2326-SM-5QGR1 60-69 years, female 37.8
GTEX-1JN76-0126-SM-CNPPE 20-29 years, female 37.8
GTEX-11UD1-0126-SM-5PNYG 40-49 years, female 37.7
GTEX-17GQL-2026-SM-718BA 60-69 years, male 37.7
GTEX-1F6I4-0126-SM-9MQL2 60-69 years, male 37.7
GTEX-1POEN-0126-SM-EYYXJ 30-39 years, female 37.7
GTEX-13X6I-0626-SM-5QGP9 60-69 years, male 37.6
GTEX-X261-0126-SM-3NMD6 50-59 years, male 37.6
GTEX-QCQG-1726-SM-3GIJ9 50-59 years, female 37.5
GTEX-PLZ6-1426-SM-DKPOT 30-39 years, male 37.5
GTEX-ZEX8-2426-SM-4WKG4 50-59 years, male 37.4
GTEX-Q2AH-1626-SM-3GAF8 40-49 years, male 37.3
GTEX-1ICLY-0126-SM-D4P36 50-59 years, male 37.3
GTEX-111VG-2426-SM-5GZXD 60-69 years, male 37.2
GTEX-13NZA-0226-SM-5K7Z7 60-69 years, male 37.2
GTEX-11O72-0126-SM-59887 40-49 years, male 37.0
GTEX-1I19N-0326-SM-ACKVX 70-79 years, male 37.0
GTEX-ZVT2-2526-SM-51MT1 50-59 years, female 36.8
GTEX-WFG8-2226-SM-3GIL9 20-29 years, male 36.7
GTEX-183FY-0126-SM-7LT9P 20-29 years, male 36.5
GTEX-ZQUD-1426-SM-57WER 30-39 years, male 36.5
GTEX-1GZ2Q-0226-SM-7P8TL 40-49 years, male 36.5
GTEX-ZVT4-0126-SM-DTXFN 50-59 years, female 36.5
GTEX-15UKP-0426-SM-7KUFQ 20-29 years, male 36.4
GTEX-1B8KZ-2026-SM-7DHMB 50-59 years, male 36.4
GTEX-Y5LM-1926-SM-5RQJH 40-49 years, female 36.4
GTEX-1B933-0126-SM-7PC29 50-59 years, female 36.4
GTEX-1F7RK-0126-SM-7PC2S 20-29 years, female 36.4
GTEX-1H3NZ-0126-SM-ACKX7 60-69 years, male 36.4
GTEX-1A3MV-1926-SM-718BT 30-39 years, male 36.3
GTEX-1C2JI-1826-SM-73KXC 50-59 years, male 36.3
GTEX-13QJ3-0326-SM-5S2RA 50-59 years, male 36.2
GTEX-ZVT3-0126-SM-5GU6I 60-69 years, female 36.2
GTEX-13O3O-0126-SM-E9J49 60-69 years, female 36.0
GTEX-P4PP-0126-SM-3LK69 30-39 years, female 35.9
GTEX-13FTX-1826-SM-5J1NX 20-29 years, female 35.6
GTEX-1IGQW-0126-SM-COH42 60-69 years, male 35.6
GTEX-RN64-0126-SM-2TC68 50-59 years, male 35.5
GTEX-1RB15-2126-SM-E9TIM 60-69 years, male 35.5
GTEX-144GN-2326-SM-5LU4F 50-59 years, male 35.4
GTEX-1497J-2426-SM-7IGNX 60-69 years, male 35.3
GTEX-QLQ7-1626-SM-2S1R8 60-69 years, male 35.3
GTEX-XQ8I-0426-SM-4BOPO 50-59 years, male 35.3
GTEX-13YAN-0326-SM-5O9DF 60-69 years, male 35.2
GTEX-18D9B-0526-SM-7LTAS 60-69 years, male 35.2
GTEX-1GN1V-0126-SM-9WPOS 60-69 years, male 35.2
GTEX-1JJE9-0326-SM-CL53Z 70-79 years, male 35.1
GTEX-1NHNU-1026-SM-E9J2A 50-59 years, male 35.1
GTEX-T2YK-0526-SM-32QPJ 50-59 years, male 35.0
GTEX-U3ZH-2026-SM-3DB78 30-39 years, male 35.0
GTEX-ZE7O-0126-SM-57WC1 50-59 years, female 35.0
GTEX-1A8FM-0226-SM-7SB7Q 50-59 years, female 35.0
GTEX-1H2FU-0126-SM-9WYSI 60-69 years, female 35.0
GTEX-12584-0126-SM-5EGKQ 40-49 years, male 34.9
GTEX-T6MO-1626-SM-32QOM 40-49 years, female 34.9
GTEX-WH7G-2326-SM-3NMBC 40-49 years, male 34.9
GTEX-1F75A-0126-SM-7RHGM 50-59 years, male 34.8
GTEX-1PWST-0226-SM-E76QJ 70-79 years, male 34.8
GTEX-11ZVC-2526-SM-5FQTE 50-59 years, female 34.7
GTEX-1AMFI-2026-SM-731BH 50-59 years, female 34.7
GTEX-1HCU6-0126-SM-CL54K 60-69 years, female 34.7
GTEX-1I1GU-2226-SM-CGQFA 40-49 years, male 34.7
GTEX-1H3O1-0426-SM-9YFKY 60-69 years, male 34.5
GTEX-14PK6-1926-SM-6ETZU 70-79 years, female 34.3
GTEX-1F75B-0126-SM-9KNVL 50-59 years, male 34.3
GTEX-1I1GR-0126-SM-CL55F 60-69 years, male 34.3
GTEX-1KD5A-0226-SM-D5OV3 50-59 years, male 34.3
GTEX-1QP2A-0126-SM-E9J43 50-59 years, male 34.3
GTEX-11DZ1-0126-SM-5985Q 50-59 years, male 34.2
GTEX-1ICLZ-0126-SM-CKZPO 60-69 years, male 34.2
GTEX-13113-5016-SM-7EPIP 60-69 years, female 34.1
GTEX-14JG6-2226-SM-6EU2G 30-39 years, female 34.1
GTEX-1MA7X-2226-SM-E6CIY 60-69 years, male 34.1
GTEX-131XF-5016-SM-7MGWE 60-69 years, male 34.0
GTEX-1192W-2626-SM-5Q5AF 60-69 years, male 33.8
GTEX-15DDE-0126-SM-6LPKH 50-59 years, female 33.8
GTEX-1AX8Z-0126-SM-7DHM6 60-69 years, male 33.8
GTEX-Q2AG-0126-SM-33HBV 40-49 years, female 33.8
GTEX-11EM3-2426-SM-59861 20-29 years, female 33.7
GTEX-Y3I4-2126-SM-4TT7C 50-59 years, male 33.7
GTEX-117YX-2326-SM-5H12W 50-59 years, male 33.6
GTEX-145MO-0326-SM-5Q5B3 60-69 years, male 33.6
GTEX-17HGU-0226-SM-7DHKV 50-59 years, male 33.6
GTEX-1211K-2026-SM-5EQ4Z 60-69 years, female 33.4
GTEX-17HHE-2026-SM-79OKF 50-59 years, male 33.3
GTEX-SSA3-0126-SM-32QPU 60-69 years, male 33.3
GTEX-15SDE-2226-SM-7IGLO 50-59 years, female 33.2
GTEX-11ZU8-2526-SM-5EQKI 60-69 years, male 33.1
GTEX-12KS4-0326-SM-5EQ41 30-39 years, male 33.1
GTEX-18A7B-0126-SM-7LG64 70-79 years, male 33.1
GTEX-1B8SG-0126-SM-73KZ3 50-59 years, male 33.1
GTEX-R55G-2526-SM-2TC6D 40-49 years, female 33.1
GTEX-ZAB4-0226-SM-5N9F5 40-49 years, male 33.1
GTEX-ZVE2-0226-SM-59HJB 50-59 years, male 33.1
GTEX-13OVJ-0126-SM-5KM36 50-59 years, female 33.0
GTEX-13NZ8-0826-SM-5MR3I 60-69 years, female 32.8
GTEX-U8T8-0126-SM-3DB94 60-69 years, male 32.8
GTEX-1JN1M-0326-SM-CYPT3 60-69 years, female 32.8
GTEX-16MT8-0426-SM-7KUEY 60-69 years, female 32.7
GTEX-131XW-0426-SM-5LZWP 50-59 years, female 32.6
GTEX-1F6IF-0726-SM-7P8TW 60-69 years, male 32.6
GTEX-13RTK-1426-SM-5QGQJ 20-29 years, male 32.5
GTEX-U3ZM-1526-SM-3DB9D 40-49 years, male 32.5
GTEX-ZYFD-0126-SM-5GIDL 50-59 years, male 32.5
GTEX-139TT-0126-SM-5K7Y5 60-69 years, male 32.4
GTEX-14E7W-0126-SM-6LLJ9 70-79 years, male 32.4
GTEX-1GPI6-0126-SM-9WG69 60-69 years, male 32.4
GTEX-13FHO-0226-SM-5IFGY 60-69 years, male 32.3
GTEX-1JKYN-1326-SM-CGQG9 30-39 years, male 32.3
GTEX-13D11-2426-SM-5KM1V 50-59 years, female 32.2
GTEX-14A5I-0126-SM-5TDEA 50-59 years, female 32.2
GTEX-14ABY-0226-SM-5TDCQ 50-59 years, male 32.2
GTEX-1HBPM-0226-SM-ARL9F 60-69 years, female 32.2
GTEX-ZF29-2326-SM-DO92K 60-69 years, female 32.2
GTEX-13W3W-2426-SM-5LU5B 60-69 years, female 31.9
GTEX-15DYW-0126-SM-7KULE 60-69 years, female 31.9
GTEX-13U4I-0126-SM-5LU38 40-49 years, female 31.7
GTEX-14BIM-0226-SM-7IGLD 60-69 years, female 31.7
GTEX-WRHK-1426-SM-3MJF9 20-29 years, female 31.7
GTEX-1C64O-0126-SM-7SB8P 60-69 years, male 31.7
GTEX-1JK1U-2026-SM-CM2RZ 60-69 years, male 31.4
GTEX-OIZF-0126-SM-7SB8I 60-69 years, male 31.4
GTEX-YEC4-2126-SM-5IFJH 40-49 years, male 31.2
GTEX-1H1E6-1726-SM-ACKVK 30-39 years, male 31.2
GTEX-1LG7Y-0526-SM-DKPQC 50-59 years, male 31.2
GTEX-X4EO-0326-SM-3P5YO 60-69 years, female 31.0
GTEX-X8HC-0126-SM-4E3JW 50-59 years, female 31.0
GTEX-ZTPG-0326-SM-5O9AX 20-29 years, female 31.0
GTEX-1C6WA-0126-SM-7PC2B 60-69 years, male 31.0
GTEX-NPJ8-0126-SM-2YUNR 40-49 years, male 30.9
GTEX-Y8LW-1826-SM-5S2MV 50-59 years, female 30.8
GTEX-1H23P-0126-SM-ADEJ3 60-69 years, male 30.7
GTEX-11GSO-2426-SM-5A5LY 60-69 years, male 30.4
GTEX-1QP29-0626-SM-EWRMX 50-59 years, male 30.4
GTEX-13OVG-1926-SM-5L3DK 60-69 years, male 30.3
GTEX-148VI-1626-SM-5SI6E 60-69 years, female 30.3
GTEX-1I1GP-2226-SM-CGQFK 50-59 years, male 30.3
GTEX-13RTJ-2426-SM-5S2Q2 60-69 years, male 30.2
GTEX-14DAR-2026-SM-5S2O3 50-59 years, male 30.2
GTEX-1AX9K-2326-SM-73KWU 50-59 years, male 30.2
GTEX-V1D1-2226-SM-3NMAX 50-59 years, male 30.2
GTEX-ZYY3-0126-SM-5GZY5 60-69 years, female 30.2
GTEX-11ZTT-2426-SM-5EQLS 60-69 years, female 30.1
GTEX-1GF9U-2126-SM-7SB7L 40-49 years, female 30.1
GTEX-15D1Q-0126-SM-7KUG6 40-49 years, male 30.0
GTEX-11GSP-2526-SM-5N9BP 60-69 years, female 29.8
GTEX-17EVQ-0226-SM-7LG4P 70-79 years, male 29.8
GTEX-16NGA-1726-SM-731B4 40-49 years, female 29.7
GTEX-1A3MW-0126-SM-73KXX 60-69 years, female 29.7
GTEX-117YW-2626-SM-5GZZH 50-59 years, male 29.6
GTEX-13RTL-0126-SM-7LG5S 40-49 years, male 29.6
GTEX-14BMU-2226-SM-5TDE9 20-29 years, female 29.5
GTEX-15UF6-0826-SM-6PALJ 70-79 years, female 29.5
GTEX-QDVN-2026-SM-3GAEP 50-59 years, male 29.5
GTEX-147F3-0526-SM-5SI98 50-59 years, female 29.4
GTEX-XUW1-0426-SM-4BOOT 50-59 years, female 29.4
GTEX-ZDXO-3026-SM-5J1N5 60-69 years, male 29.4
GTEX-1IY9M-0126-SM-D3L8S 60-69 years, male 29.4
GTEX-P4PQ-0126-SM-2S1NM 60-69 years, male 29.3
GTEX-145LT-1726-SM-5QGP3 40-49 years, male 29.1
GTEX-RTLS-0126-SM-447CA 60-69 years, female 29.1
GTEX-X5EB-2226-SM-46MW4 40-49 years, male 29.1
GTEX-1I1CD-0126-SM-CM2TK 60-69 years, female 29.1
GTEX-PLZ4-0126-SM-5SI8O 50-59 years, female 28.7
GTEX-X638-0126-SM-47JZ8 70-79 years, female 28.7
GTEX-YJ8A-0426-SM-5IFID 20-29 years, male 28.7
GTEX-1I1HK-0126-SM-COH49 60-69 years, male 28.7
GTEX-1J8Q3-1626-SM-CMKGC 60-69 years, male 28.5
GTEX-RUSQ-1526-SM-2TF62 50-59 years, male 28.2
GTEX-1H1DE-2126-SM-9WG6R 20-29 years, male 28.2
GTEX-1R7EV-2426-SM-EVYBG 40-49 years, male 28.2
GTEX-12WSA-0226-SM-5BC5V 60-69 years, male 28.1
GTEX-139T8-0126-SM-5K7XZ 60-69 years, male 27.8
GTEX-R55E-0126-SM-2TC5Y 20-29 years, male 27.8
GTEX-1A32A-0126-SM-718B1 50-59 years, female 27.7
GTEX-1HKZK-0326-SM-9WYUH 40-49 years, male 27.7
GTEX-14753-0426-SM-5NQAM 60-69 years, male 27.6
GTEX-OXRO-0126-SM-2YUN4 60-69 years, female 27.6
GTEX-1GTWX-0126-SM-9YFLK 60-69 years, male 27.5
GTEX-1C6VQ-0126-SM-7P8RI 50-59 years, male 27.2
GTEX-1H1ZS-0426-SM-9WG6G 70-79 years, male 27.2
GTEX-13N11-2526-SM-5K7UE 50-59 years, female 27.1
GTEX-146FH-0126-SM-5QGPP 50-59 years, female 26.9
GTEX-16XZZ-0126-SM-793DV 60-69 years, male 26.9
GTEX-1N2EF-0226-SM-EYYXB 60-69 years, male 26.9
GTEX-1AMEY-1326-SM-73KYK 30-39 years, female 26.8
GTEX-1F5PK-2426-SM-7RHHY 50-59 years, male 26.8
GTEX-OXRL-0126-SM-2YUMP 50-59 years, male 26.7
GTEX-XV7Q-2526-SM-4BRV9 40-49 years, female 26.7
GTEX-R45C-0126-SM-EAZ2R 60-69 years, female 26.6
GTEX-131XG-2626-SM-5KM17 50-59 years, female 26.5
GTEX-13OW7-0126-SM-5MR3B 50-59 years, male 26.4
GTEX-TSE9-0126-SM-3DB83 60-69 years, female 26.4
GTEX-147F4-0226-SM-5QGPW 50-59 years, male 26.3
GTEX-X4XY-0226-SM-4E3IZ 60-69 years, male 26.1
GTEX-OXRP-0126-SM-3NB32 60-69 years, female 26.0
GTEX-13NYS-0126-SM-5MR3W 60-69 years, male 25.8
GTEX-1N2DV-0226-SM-E6CJ6 40-49 years, male 25.6
GTEX-1IE54-0126-SM-CMKHW 40-49 years, female 25.2
GTEX-PWCY-1826-SM-DHXIZ 20-29 years, female 25.2
GTEX-1LC47-0326-SM-E9TJP 60-69 years, male 25.1
GTEX-14PN3-2426-SM-6LLHS 60-69 years, female 25.0
GTEX-11P82-1626-SM-59879 20-29 years, male 24.9
GTEX-14A6H-0126-SM-5QGPK 30-39 years, male 24.9
GTEX-VJWN-0126-SM-3GIK7 50-59 years, female 24.5
GTEX-WOFL-0126-SM-3MJG2 60-69 years, male 24.4
GTEX-14LLW-0126-SM-6LLIO 70-79 years, female 24.3
GTEX-11WQC-2526-SM-5CVLE 60-69 years, male 24.2
GTEX-1GN1W-0526-SM-9MQJQ 50-59 years, female 24.2
GTEX-1F75I-0326-SM-9YFLU 40-49 years, male 24.1
GTEX-1AYD5-2426-SM-73KXR 50-59 years, male 23.9
GTEX-ZUA1-0126-SM-5GU76 40-49 years, male 23.9
GTEX-13O1R-0126-SM-5L3EH 60-69 years, male 23.7
GTEX-13X6H-2126-SM-7EWD5 50-59 years, female 23.7
GTEX-15SHW-0326-SM-6PAML 60-69 years, male 23.7
GTEX-1LNCM-1126-SM-E9U5E 50-59 years, female 23.6
GTEX-11H98-0126-SM-5EGHG 50-59 years, male 23.5
GTEX-1PPH7-2326-SM-EVYB8 40-49 years, male 23.5
GTEX-16XZY-2126-SM-79OK1 70-79 years, male 23.3
GTEX-183WM-0126-SM-7LTAB 70-79 years, female 23.3
GTEX-1I1GS-0126-SM-B2LVW 60-69 years, male 23.3
GTEX-1IDFM-0126-SM-COH2V 60-69 years, male 23.2
GTEX-17MF6-0126-SM-7LG4F 40-49 years, male 22.8
GTEX-12WSN-5019-SM-79OM6 40-49 years, male 22.6
GTEX-1CB4J-0626-SM-7DHMP 60-69 years, male 22.6
GTEX-P44H-0226-SM-2XCEU 40-49 years, male 22.6
GTEX-13VXT-0126-SM-5LU4I 20-29 years, female 22.5
GTEX-13N1W-0126-SM-5K7VT 70-79 years, male 22.2
GTEX-11EMC-2926-SM-5EQ4F 60-69 years, female 22.0
GTEX-1M4P7-0226-SM-DIPEV 60-69 years, male 21.9
GTEX-1PBJI-0526-SM-E8VNK 20-29 years, female 21.8
GTEX-14PHW-0126-SM-6LLJI 60-69 years, female 21.5
GTEX-11ZUS-0626-SM-59885 30-39 years, male 21.3
GTEX-17HII-0226-SM-7LG4E 50-59 years, male 21.3
GTEX-13OVI-1426-SM-5L3EY 60-69 years, female 21.1
GTEX-ZF28-0126-SM-4WKGK 60-69 years, male 21.1
GTEX-148VJ-0126-SM-5TDDN 70-79 years, male 20.0
GTEX-QDT8-0126-SM-48TZ1 30-39 years, female 19.9
GTEX-1AYCT-2426-SM-7IGQ3 50-59 years, male 19.7
GTEX-1F48J-0126-SM-7P8TT 50-59 years, female 18.6
GTEX-1MCYP-1926-SM-E9J2R 20-29 years, female 18.6
GTEX-1HUB1-0426-SM-E9U4U 60-69 years, male 18.3
GTEX-139T4-0226-SM-5HL5S 50-59 years, female 18.2
GTEX-1RLM8-2326-SM-EWRN4 50-59 years, male 17.9
GTEX-X62O-0126-SM-4E3JN 50-59 years, male 17.8
GTEX-ZYW4-0126-SM-5E44A 60-69 years, male 17.7
GTEX-113IC-0126-SM-5HL6T 60-69 years, male 16.9
GTEX-14BIL-0126-SM-5SI92 50-59 years, male 16.6
GTEX-1R9PO-2126-SM-E9J4O 60-69 years, female 16.6
GTEX-1JMOU-1526-SM-CL54I 60-69 years, female 16.0
GTEX-ZZPT-0226-SM-5E43X 50-59 years, male 15.6
GTEX-1OJC4-0126-SM-E9J2E 50-59 years, female 15.5
GTEX-1C6VS-0526-SM-7DUEN 60-69 years, male 15.2
GTEX-11TTK-0126-SM-5987B 60-69 years, female 15.0
GTEX-U4B1-1826-SM-4DXSU 40-49 years, male 14.6
GTEX-1QW4Y-1526-SM-EAZ3Z 30-39 years, male 13.5
GTEX-14E6C-0126-SM-5RQIP 40-49 years, male 12.7
GTEX-15EOM-0126-SM-7KUGG 20-29 years, female 12.7
GTEX-1HSMO-0126-SM-CL547 60-69 years, male 11.3
GTEX-SE5C-1626-SM-2XCE3 40-49 years, female 10.4
GTEX-14JIY-0126-SM-6LLH6 60-69 years, male 9.5
GTEX-1HBPH-0426-SM-B2LW5 40-49 years, female 8.6
GTEX-1RAZQ-0726-SM-EAZ43 30-39 years, male 8.5
GTEX-146FR-1326-SM-E9J48 60-69 years, female 7.2
GTEX-1QP67-1626-SM-EAZ3X 40-49 years, female 6.7
Show allShow less

Contact

  • NEWS ARTICLES
  • PRESS ROOM

The Project

  • INTRODUCTION
  • ORGANIZATION
  • PUBLICATIONS

The Human Protein Atlas

  • DOWNLOADABLE DATA
  • LICENCE & CITATION
  • HELP & FAQ
The Human Protein Atlas project is funded
by the Knut & Alice Wallenberg Foundation.


contact@proteinatlas.org