We use cookies to enhance the usability of our website. If you continue, we'll assume that you are happy to receive all cookies. More information. Don't show this again.
UBE2L6
HPA
RESOURCES
  • TISSUE
  • BRAIN
  • SINGLE CELL
  • SUBCELLULAR
  • CANCER
  • BLOOD
  • CELL LINE
  • STRUCTURE & INTERACTION
ABOUT
  • INTRODUCTION
  • HISTORY
  • ORGANIZATION
  • PUBLICATIONS
  • ANTIBODY SUBMISSION
  • ANTIBODY AVAILABILITY
  • ACKNOWLEDGMENTS
  • CONTACT
NEWS
  • NEWS ARTICLES
  • PRESS ROOM
LEARN
  • DICTIONARY
  • PROTEIN CLASSES
  • PROTEIN EVIDENCE
  • METHODS
  • EDUCATIONAL VIDEOS
DATA
  • DOWNLOADABLE DATA
  • PUBLICATION DATA
  • RELEASE HISTORY
HELP
  • ANTIBODY VALIDATION
  • ASSAYS & ANNOTATION
  • DISCLAIMER
  • HELP & FAQ
  • PRIVACY STATEMENT
  • LICENCE & CITATION
Fields »
Search result

Field
Term
Gene name
Class
Subclass
Class
Keyword
Chromosome
External id
Tissue
Cell type
Expression
Antibody panel
Tissue
Main location
Patient ID
Annotation
Tissue
Category
Tau score
Cluster
Reliability
Brain region
Category
Tau score
Brain region
Category
Tau score
Brain region
Category
Tau score
Cluster
Reliability
Tissue
Cell type
Enrichment
Cell type
Category
Tau score
Cell type
Category
Tau score
Cell type
Category
Tau score
Cell lineage
Category
Tau score
Cluster
Cluster
Location
Searches
Location
Cell line
Class
Type
Phase
Reliability
Cancer
Prognosis
Cancer
Category
Cancer
Category
Tau score
Cluster
Variants
Interacting gene (ensg_id)
Type
Number of interactions
Pathway
Category
Score
Score
Score
Validation
Validation
Validation
Validation
Antibodies
Data type
Column


  • SUMMARY

  • TISSUE

  • BRAIN

  • SINGLE CELL

  • SUBCELL

  • CANCER

  • BLOOD

  • CELL LINE

  • STRUCT & INT

  • UBE2L6
TISSUE PRIMARY DATA CAUDATE Show tissue menu
ADIPOSE TISSUE ADRENAL GLAND AMYGDALA APPENDIX BASAL GANGLIA BONE MARROW BREAST BRONCHUS CEREBELLUM CEREBRAL CORTEX CERVIX CHOROID PLEXUS COLON DUODENUM
ENDOMETRIUM EPIDIDYMIS ESOPHAGUS FALLOPIAN TUBE GALLBLADDER HEART MUSCLE HIPPOCAMPAL FORMATION HYPOTHALAMUS KIDNEY LIVER LUNG LYMPH NODE MIDBRAIN NASOPHARYNX
ORAL MUCOSA OVARY PANCREAS PARATHYROID GLAND PITUITARY GLAND PLACENTA PROSTATE RECTUM RETINA SALIVARY GLAND SEMINAL VESICLE SKELETAL MUSCLE SKIN SMALL INTESTINE
SMOOTH MUSCLE SOFT TISSUE SPINAL CORD SPLEEN STOMACH TESTIS THYMUS THYROID GLAND TONGUE TONSIL URINARY BLADDER VAGINA
ANTIBODIES
AND
VALIDATION
Dictionary
Caudate
Tissue proteome
CAUDATE - Expression summary
Protein expression
Caudatei

On the top, protein expression in current human tissue, based on all annotated cell types, is reported with the units not detected (n), low (l), medium (m) and high (h). Underneath, protein expression in each annotated cell type are reported using the same units.

Protein expression data is based on knowledge-based annotation. For genes where more than one antibody has been used, a collective score is set.

If knowledge-based annotation could not be performed for a gene, no data is displayed here. View antibody staining data further down this page.

h
m
l
n
Glial cells: Not detected
Neuronal cells: Not detected
RNA expressioni

A summary of mRNA expression data available for current tissue based on several datasets. The mRNA expression levels in human tissues are based on RNA-seq data generated by the Human Protein Atlas (HPA), Genotype-Tissue Expression (GTEx) portal and CAGE data generated by the FANTOM5 consortium. Consensus normalized expression levels for human tissues was created by combining the data from HPA and GTEx datasets.

The mRNA expression levels in pig are based on RNA-seq data generated by the Human Protein Atlas (HPA), and for mouse, HPA data and in situ hybridization generated by the Allen brain atlas are reported.

Scroll down to view mRNA expression data in more detail.
GTEx:56.9 nTPM
FANTOM5:102.8 Scaled Tags Per Million
Pig:15.8 nTPM

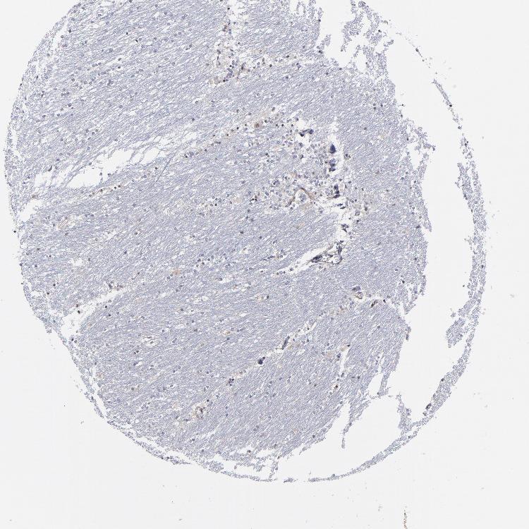
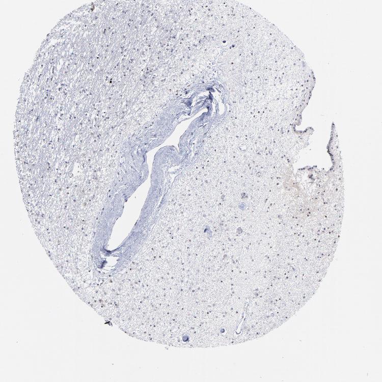
CAUDATE - Antibody stainingi

Antibody staining in the annotated cell types in the current human tissue is reported as not detected, low, medium, or high, based on conventional immunohistochemistry profiling in selected tissues. This score is based on the combination of the staining intensity and fraction of stained cells.

Each image is clickable and will lead to virtual microscopy that enables deeper exploration of all samples and also displays staining intensity scores, fraction scores and subcellular localization as well as patient and tissue information for each sample.

Antibody HPA003328Antibody CAB073407
Glial cells Not detectedNot detected
Neuronal cells Not detectedNot detected




CAUDATE - GTEx RNA-seqi

RNA-Seq data generated by the Genotype-Tissue Expression (GTEx) project from human tissues is reported as mean nTPM. More information can be found on the GTEx portal.

Distribution across the dataset is visualized with box plots, shown as median and 25th and 75th percentiles. Points are displayed as outliers if they are above or below 1.5 times the interquartile range. nTPM values of the individual samples are presented next to the box plot.
Max subtype nTPMi

Max subtype nTPM is the value for the subtype with the largest average nTPM across the subtype samples.

56.9
GTEx sample id Sample description nTPM
Brain - Caudate (basal ganglia)
Average nTPM: 56.9
Samples: 246

Max nTPM: 129.7
Min nTPM: 26.9
Std nTPM: 17.5
Median nTPM: 52.8
GTEX-17F97-0011-R5a-SM-7LG4Z 50-59 years, male 129.7
GTEX-1GN1U-0011-R5a-SM-9QEIS 50-59 years, female 122.5
GTEX-1RNSC-0011-R5a-SM-EZ6N5 60-69 years, male 105.3
GTEX-13NYS-0011-R5a-SM-5MR4D 60-69 years, male 104.3
GTEX-14LZ3-0011-R5b-SM-5ZZV8 60-69 years, female 101.0
GTEX-17HG3-0011-R5a-SM-7DUEW 30-39 years, female 100.8
GTEX-16NPV-0011-R5a-SM-7EPGK 50-59 years, female 99.8
GTEX-1CB4H-0011-R5b-SM-9QEGN 60-69 years, female 99.8
GTEX-1H1DG-0011-R5b-SM-CJI33 70-79 years, male 99.7
GTEX-15G19-0011-R5b-SM-6M46P 60-69 years, male 98.6
GTEX-1EH9U-0011-R5a-SM-CJI2K 60-69 years, male 94.0
GTEX-11TTK-0011-R5a-SM-DNZZV 60-69 years, female 92.4
GTEX-X261-0011-R5A-SM-3NMB4 50-59 years, male 89.2
GTEX-NPJ8-0011-R5a-SM-2HMJY 40-49 years, male 87.2
GTEX-1J8JJ-0011-R5a-SM-D4P2G 60-69 years, female 86.6
GTEX-1A8G6-0011-R5b-SM-7IGQG 60-69 years, male 85.5
GTEX-1J8EW-0011-R5b-SM-ARU8B 60-69 years, female 84.7
GTEX-183WM-0011-R5a-SM-718A4 70-79 years, female 84.2
GTEX-1E2YA-0011-R5a-SM-9QEGT 50-59 years, male 84.1
GTEX-OXRO-0011-R5A-SM-2I5EG 60-69 years, female 83.9
GTEX-1IGQW-0011-R5b-SM-CJI44 60-69 years, male 82.5
GTEX-13OVJ-0011-R5a-SM-5P9H7 50-59 years, female 82.1
GTEX-13JVG-0011-R5a-SM-5MR4O 60-69 years, male 81.9
GTEX-1N2DW-0011-R5a-SM-EYYX3 50-59 years, male 80.9
GTEX-13NZA-0011-R5b-SM-5KM4K 60-69 years, male 80.5
GTEX-14LLW-0011-R5b-SM-5ZZU6 70-79 years, female 80.3
GTEX-1445S-0011-R5a-SM-5PNUS 60-69 years, male 79.9
GTEX-1CAV2-0011-R5b-SM-9QEH4 40-49 years, female 79.5
GTEX-PWO3-0011-R5A-SM-2I5EZ 60-69 years, female 79.1
GTEX-139T8-0011-R5b-SM-5J1MO 60-69 years, male 78.7
GTEX-1F48J-0011-R5b-SM-9OSVZ 50-59 years, female 77.9
GTEX-14JG1-0011-R5a-SM-62LED 40-49 years, male 77.7
GTEX-1C6VR-0011-R5a-SM-9QEH1 60-69 years, male 77.7
GTEX-11DZ1-0011-R5a-SM-DO11J 50-59 years, male 76.0
GTEX-ZE9C-0011-R5a-SM-5EGLO 60-69 years, male 75.4
GTEX-132Q8-0011-R5a-SM-5IJDM 60-69 years, male 75.2
GTEX-ZV68-0011-R5a-SM-4YCDW 50-59 years, female 74.9
GTEX-NL4W-0011-R5a-SM-2I3GD 50-59 years, male 74.2
GTEX-1EN7A-0011-R5a-SM-9QEH6 40-49 years, male 74.1
GTEX-13CIG-0011-R5b-SM-5L3F2 50-59 years, male 73.9
GTEX-13JUV-0011-R5a-SM-5LZY5 40-49 years, female 73.4
GTEX-1C6VS-0011-R5a-SM-7MXU9 60-69 years, male 73.4
GTEX-139TT-0011-R5b-SM-5K7W8 60-69 years, male 73.3
GTEX-1F52S-0011-R5a-SM-CJI22 60-69 years, female 73.1
GTEX-1GPI6-0011-R5a-SM-CJI2W 60-69 years, male 72.9
GTEX-12WSH-0011-R5b-SM-5P9F3 50-59 years, male 72.5
GTEX-11O72-0011-R5a-SM-DO922 40-49 years, male 72.5
GTEX-NPJ7-0011-R5a-SM-33HBK 60-69 years, female 72.1
GTEX-1B996-0011-R5a-SM-7P8PN 60-69 years, male 71.7
GTEX-1F75B-0011-R5a-SM-9QEHC 50-59 years, male 71.6
GTEX-1H3O1-0011-R5b-SM-ADEH8 60-69 years, male 71.3
GTEX-1I19N-0011-R5b-SM-ARU6X 70-79 years, male 71.2
GTEX-1H2FU-0011-R5b-SM-CL552 60-69 years, female 69.1
GTEX-1IL2U-0011-R5a-SM-CE6SN 60-69 years, male 69.1
GTEX-1HR98-0011-R5a-SM-A9G1V 60-69 years, male 69.0
GTEX-14753-0011-R5a-SM-5S2VW 60-69 years, male 68.9
GTEX-13OW5-0011-R5b-SM-5L3FR 60-69 years, male 68.7
GTEX-NL3H-0011-R5a-SM-2I3GB 60-69 years, male 68.4
GTEX-ZF28-0011-R5a-SM-4WWCZ 60-69 years, male 68.3
GTEX-11UD1-0011-R5b-SM-5P9FP 40-49 years, female 68.2
GTEX-1H23P-0011-R5a-SM-CKZOI 60-69 years, male 68.1
GTEX-1HR9M-0011-R5a-SM-ARU72 60-69 years, male 67.5
GTEX-1HCU6-0011-R5a-SM-ARU76 60-69 years, female 67.2
GTEX-1EKGG-0011-R5a-SM-9OSVQ 60-69 years, male 66.2
GTEX-1I1GV-0011-R5b-SM-CKZPD 60-69 years, male 66.2
GTEX-1477Z-0011-R5b-SM-5PNUO 60-69 years, male 65.9
GTEX-ZVT3-0011-R5a-SM-51MSI 60-69 years, female 65.9
GTEX-13CF2-0011-R5a-SM-5LZWS 60-69 years, male 65.4
GTEX-14PQA-0011-R5b-SM-6AJC2 50-59 years, female 65.4
GTEX-1E1VI-0011-R5b-SM-9WG5V 50-59 years, male 64.6
GTEX-1HUB1-0011-R5a-SM-CKZOY 60-69 years, male 64.5
GTEX-1J8Q2-0011-R5b-SM-A9SKH 60-69 years, male 64.3
GTEX-145MG-0011-R5b-SM-5S2VU 50-59 years, male 64.1
GTEX-16Z82-0011-R5a-SM-7EPGB 60-69 years, male 63.7
GTEX-1F75W-0011-R5b-SM-9QEGV 60-69 years, male 63.5
GTEX-1GZ2Q-0011-R5a-SM-A96RQ 40-49 years, male 63.5
GTEX-12WSA-0011-R5b-SM-5GU5I 60-69 years, male 62.6
GTEX-13FLV-0011-R5a-SM-5LZWT 50-59 years, male 62.4
GTEX-1GMR8-0011-R5b-SM-9QEIH 50-59 years, female 62.1
GTEX-1H3VE-0011-R5a-SM-CKZOU 40-49 years, male 61.7
GTEX-1F6I4-0011-R5b-SM-9QEHA 60-69 years, male 61.5
GTEX-1HSKV-0011-R5b-SM-ARZLN 60-69 years, male 61.5
GTEX-1GN2E-0011-R5b-SM-CJI2M 60-69 years, male 61.4
GTEX-1J1OQ-0011-R5a-SM-D3L8K 40-49 years, female 60.5
GTEX-13112-0011-R5b-SM-5DUV8 50-59 years, male 60.1
GTEX-N7MT-0011-R5a-SM-2I3G6 60-69 years, female 60.1
GTEX-13NYB-0011-R5a-SM-5MR45 40-49 years, male 59.5
GTEX-1JMPZ-0011-R5b-SM-EYYWY 30-39 years, male 59.4
GTEX-17MF6-0011-R5a-SM-731BA 40-49 years, male 59.1
GTEX-11H98-0011-R5b-SM-57WCF 50-59 years, male 58.4
GTEX-18465-0011-R5a-SM-72D5J 50-59 years, male 58.3
GTEX-144GO-0011-R5a-SM-5PNUR 60-69 years, male 58.1
GTEX-14JIY-0011-R5b-SM-62LE7 60-69 years, male 57.8
GTEX-14E6D-0011-R5b-SM-69LQR 50-59 years, male 57.7
GTEX-ZVZQ-0011-R5b-SM-57WDC 60-69 years, female 57.2
GTEX-17EVQ-0011-R5a-SM-7LT92 70-79 years, male 57.0
GTEX-S7PM-0011-R5A-SM-3NM8G 60-69 years, male 57.0
GTEX-1H1CY-0011-R5a-SM-CM2SN 60-69 years, female 57.0
GTEX-QDT8-0011-R5A-SM-32PKN 30-39 years, female 56.9
GTEX-1192X-0011-R5a-SM-DNZZA 50-59 years, male 56.5
GTEX-OXRN-0011-R5A-SM-2I5EF 50-59 years, male 56.4
GTEX-1A3MX-0011-R5a-SM-79OM5 60-69 years, male 55.9
GTEX-1HT8W-0011-R5b-SM-CJI3P 30-39 years, male 55.6
GTEX-13PLJ-0011-R5a-SM-5O9BG 60-69 years, female 55.3
GTEX-12WSM-0011-R5a-SM-5EQ4Y 60-69 years, male 55.1
GTEX-17EVP-0011-R5b-SM-7DHKW 40-49 years, male 54.9
GTEX-WWYW-0011-R5A-SM-3NB3E 50-59 years, female 54.7
GTEX-1GF9W-0011-R5a-SM-CKZO4 60-69 years, male 54.6
GTEX-1IKOH-0011-R5a-SM-ARU8C 60-69 years, female 54.4
GTEX-13FHO-0011-R5b-SM-5LZZ3 60-69 years, male 54.3
GTEX-14PN4-0011-R5a-SM-686ZV 50-59 years, male 54.3
GTEX-11PRG-0011-R5b-SM-DNZZS 50-59 years, male 54.3
GTEX-13OVH-0011-R5b-SM-5KM4L 70-79 years, male 54.0
GTEX-17HHY-0011-R5b-SM-79OMZ 50-59 years, male 54.0
GTEX-1GF9V-0011-R5a-SM-9QEI8 60-69 years, male 54.0
GTEX-1GZ4I-0011-R5a-SM-9OSWQ 50-59 years, male 53.9
GTEX-12WSF-0011-R5a-SM-5HL8K 70-79 years, male 53.7
GTEX-13X6K-0011-R5b-SM-5PNUE 60-69 years, female 53.3
GTEX-14BIM-0011-R5b-SM-5S2RM 60-69 years, female 53.3
GTEX-13PVQ-0011-R5b-SM-5O9DI 50-59 years, male 53.1
GTEX-1LG7Y-0011-R5a-SM-EZ6MU 50-59 years, male 53.1
GTEX-13N1W-0011-R5b-SM-5MR5Q 70-79 years, male 52.8
GTEX-ZUA1-0011-R5b-SM-51MTG 40-49 years, male 52.8
GTEX-1R9K4-0011-R5b-SM-EZ6N8 60-69 years, male 52.8
GTEX-12ZZW-0011-R5a-SM-5DUVN 50-59 years, male 52.7
GTEX-1B8SF-0011-R5a-SM-79OOO 60-69 years, male 52.5
GTEX-11DYG-0011-R5a-SM-DO928 60-69 years, male 52.5
GTEX-13PL6-0011-R5b-SM-5O9BI 40-49 years, female 52.0
GTEX-13RTJ-0011-R5a-SM-5P9HR 60-69 years, male 51.9
GTEX-14BMV-0011-R5b-SM-62LFT 50-59 years, male 51.8
GTEX-X4XX-0011-R5A-SM-46MWN 60-69 years, male 51.8
GTEX-15DCD-0011-R5a-SM-CXZKZ 70-79 years, female 51.8
GTEX-1F75A-0011-R5a-SM-ARZMJ 50-59 years, male 51.8
GTEX-1JMQJ-0011-R5a-SM-EYYXO 50-59 years, male 51.8
GTEX-12ZZX-0011-R5a-SM-5HL89 40-49 years, female 51.5
GTEX-139TU-0011-R5b-SM-5L3E1 60-69 years, male 51.5
GTEX-144GL-0011-R5b-SM-5PNUJ 50-59 years, male 51.3
GTEX-1H3NZ-0011-R5a-SM-CM2SP 60-69 years, male 51.3
GTEX-139TS-0011-R5b-SM-5J2MZ 60-69 years, male 51.2
GTEX-14C39-0011-R5b-SM-5ZZV1 40-49 years, male 50.8
GTEX-13CZV-0011-R5a-SM-5K7XA 60-69 years, male 50.7
GTEX-11NUK-0011-R5a-SM-DO93N 50-59 years, male 50.5
GTEX-P44G-0011-R5A-SM-2I3FA 30-39 years, male 50.1
GTEX-13SLW-0011-R5b-SM-5SI6Z 70-79 years, male 50.0
GTEX-YJ89-0011-R5a-SM-4V6GM 60-69 years, male 50.0
GTEX-R55E-0011-R5A-SM-2TC5N 20-29 years, male 49.8
GTEX-1GTWX-0011-R5b-SM-CKZO6 60-69 years, male 49.8
GTEX-1I1HK-0011-R5b-SM-ARU6S 60-69 years, male 49.4
GTEX-1IL2V-0011-R5a-SM-ARL78 70-79 years, male 49.1
GTEX-1I1GS-0011-R5a-SM-CKZPC 60-69 years, male 49.0
GTEX-11WQC-0011-R5a-SM-5BC74 60-69 years, male 48.9
GTEX-13FHP-0011-R5b-SM-5LZY2 50-59 years, male 48.9
GTEX-ZXG5-0011-R5b-SM-57WBN 60-69 years, male 48.9
GTEX-ZE7O-0011-R5a-SM-57WBO 50-59 years, female 48.8
GTEX-Y8DK-0011-R5B-SM-4RTW6 60-69 years, male 48.7
GTEX-13X6I-0011-R5a-SM-5PNWW 60-69 years, male 48.3
GTEX-14PJO-0011-R5a-SM-6AJBZ 60-69 years, male 48.3
GTEX-RU72-0011-R5A-SM-2TF6U 50-59 years, female 48.3
GTEX-1CB4G-0011-R5a-SM-CKZNM 60-69 years, male 48.1
GTEX-13OW8-0011-R5b-SM-5L3FQ 60-69 years, male 47.7
GTEX-XMD1-0011-R5A-SM-4AT47 60-69 years, male 47.6
GTEX-13SLX-0011-R5a-SM-5O9BV 50-59 years, female 47.5
GTEX-T5JC-0011-R5A-SM-32PLK 20-29 years, male 47.5
GTEX-TSE9-0011-R5A-SM-3DB7J 60-69 years, female 47.5
GTEX-1B933-0011-R5b-SM-7P8SA 50-59 years, female 47.5
GTEX-11DXW-0011-R5b-SM-DO11D 40-49 years, male 47.4
GTEX-13OW6-0011-R5a-SM-5O9BK 50-59 years, male 47.3
GTEX-1HB9E-0011-R5b-SM-ARU78 50-59 years, male 47.2
GTEX-T6MN-0011-R5A-SM-32QPD 50-59 years, male 47.1
GTEX-11ONC-0011-R5b-SM-DO93I 60-69 years, male 47.0
GTEX-1R9PO-0011-R5a-SM-EZ6NA 60-69 years, female 47.0
GTEX-11OF3-0011-R5a-SM-57WB4 60-69 years, male 46.8
GTEX-14ASI-0011-R5b-SM-6EU2M 60-69 years, male 46.7
GTEX-1HFI6-0011-R5a-SM-A9G1J 40-49 years, male 46.3
GTEX-1HGF4-0011-R5b-SM-CM2ST 60-69 years, male 45.9
GTEX-1GMRU-0011-R5a-SM-CKZNS 50-59 years, male 45.8
GTEX-11GSP-0011-R5a-SM-57WBE 60-69 years, female 45.5
GTEX-15EO6-0011-R5b-SM-7KUDZ 50-59 years, male 45.5
GTEX-ZAB4-0011-R5a-SM-4SOKC 40-49 years, male 45.5
GTEX-1C6WA-0011-R5a-SM-9WG5X 60-69 years, male 45.0
GTEX-15DYW-0011-R5a-SM-6M46W 60-69 years, female 44.8
GTEX-17HII-0011-R5a-SM-7LG51 50-59 years, male 44.7
GTEX-1IKJJ-0011-R5b-SM-CE6SL 60-69 years, male 44.7
GTEX-YFC4-0011-R5a-SM-4RGLR 40-49 years, female 44.6
GTEX-Q2AG-0011-R5A-SM-2HMJH 40-49 years, female 44.4
GTEX-13OW7-0011-R5b-SM-5O9DM 50-59 years, male 44.3
GTEX-12WSC-0011-R5b-SM-5CVNS 50-59 years, male 44.1
GTEX-1EMGI-0011-R5a-SM-CJI2E 60-69 years, male 44.1
GTEX-1313W-0011-R5b-SM-5L3EP 50-59 years, female 43.8
GTEX-X585-0011-R5A-SM-46MVI 50-59 years, male 43.6
GTEX-ZDXO-0011-R5a-SM-4WKG5 60-69 years, male 43.6
GTEX-1I1GQ-0011-R5a-SM-CMKHJ 50-59 years, male 43.6
GTEX-11NV4-0011-R5a-SM-5NQ88 60-69 years, male 43.4
GTEX-14BIN-0011-R5b-SM-5SI78 50-59 years, female 43.4
GTEX-13G51-0011-R5a-SM-5L3EB 60-69 years, male 43.3
GTEX-QMR6-0011-R5A-SM-32PKT 50-59 years, male 43.0
GTEX-1H1ZS-0011-R5b-SM-CL53L 70-79 years, male 42.8
GTEX-13FLW-0011-R5a-SM-5LZX6 50-59 years, male 42.6
GTEX-13OVL-0011-R5b-SM-5L3FU 50-59 years, male 42.6
GTEX-1F7RK-0011-R5b-SM-9WG5S 20-29 years, female 42.6
GTEX-14ABY-0011-R5b-SM-5SI7B 50-59 years, male 42.5
GTEX-11DXY-0011-R5b-SM-DNZZL 60-69 years, male 42.5
GTEX-12ZZZ-0011-R5a-SM-5EQ4M 60-69 years, male 42.4
GTEX-14DAQ-0011-R5b-SM-5YYAK 60-69 years, female 42.3
GTEX-1I1GR-0011-R5a-SM-CMKHD 60-69 years, male 42.3
GTEX-12WSD-0011-R5b-SM-5CVNG 60-69 years, female 41.9
GTEX-12ZZY-0011-R5a-SM-5EGL9 60-69 years, male 41.8
GTEX-P44H-0011-R5A-SM-2XCEX 40-49 years, male 41.8
GTEX-13O3Q-0011-R5b-SM-5P9H4 50-59 years, male 41.1
GTEX-13VXU-0011-R5a-SM-5O9D7 50-59 years, male 41.0
GTEX-1IKK5-0011-R5b-SM-CL55B 60-69 years, male 41.0
GTEX-1HBPI-0011-R5a-SM-CKZOW 50-59 years, male 40.7
GTEX-18464-0011-R5b-SM-718A6 50-59 years, male 40.3
GTEX-1HCVE-0011-R5b-SM-CKZP7 50-59 years, male 39.9
GTEX-WZTO-0011-R5B-SM-3NMC5 40-49 years, male 39.5
GTEX-13X6J-0011-R5b-SM-5PNWT 50-59 years, male 39.1
GTEX-UTHO-0011-R5A-SM-3GIJD 60-69 years, male 39.0
GTEX-13FXS-0011-R5b-SM-5LZYE 50-59 years, male 38.9
GTEX-WVLH-0011-R5A-SM-3MJFW 50-59 years, male 38.6
GTEX-145LS-0011-R5a-SM-5SI65 60-69 years, female 38.5
GTEX-1399T-0011-R5b-SM-5IJDK 60-69 years, male 38.3
GTEX-S7SE-0011-R5A-SM-2XCDA 50-59 years, male 38.1
GTEX-1IY9M-0011-R5a-SM-A9SLX 60-69 years, male 38.0
GTEX-RVPV-0011-R5A-SM-2TF69 60-69 years, male 37.9
GTEX-13S7M-0011-R5b-SM-5P9HS 60-69 years, female 37.2
GTEX-QVJO-0011-R5A-SM-2S1QM 60-69 years, female 37.0
GTEX-131YS-0011-R5b-SM-5K7YB 60-69 years, female 35.7
GTEX-1B8L1-0011-R5a-SM-7DHN5 60-69 years, male 35.7
GTEX-1F6IF-0011-R5b-SM-CM2RH 60-69 years, male 35.7
GTEX-N7MS-0011-R5a-SM-2HMK8 60-69 years, male 35.6
GTEX-15CHQ-0011-R5b-SM-6AJAN 60-69 years, male 35.4
GTEX-1EX96-0011-R5a-SM-ARU83 50-59 years, male 35.4
GTEX-1GN73-0011-R5a-SM-9QEIM 60-69 years, male 35.1
GTEX-WL46-0011-R5A-SM-3LK6V 50-59 years, male 33.0
GTEX-1IDJH-0011-R5a-SM-CE6SR 70-79 years, male 33.0
GTEX-145MH-0011-R5a-SM-5P9JT 50-59 years, male 32.7
GTEX-1AX9I-0011-R5b-SM-793DI 60-69 years, male 32.4
GTEX-Z93S-0011-R5b-SM-4RGNI 50-59 years, male 32.4
GTEX-1HBPH-0011-R5b-SM-A9G1R 40-49 years, female 31.6
GTEX-13O3O-0011-R5b-SM-5KM44 60-69 years, female 30.6
GTEX-16YQH-0011-R5b-SM-7938U 30-39 years, male 30.2
GTEX-15ER7-0011-R5b-SM-6M46T 20-29 years, female 30.1
GTEX-15SHU-0011-R5a-SM-7938Q 40-49 years, female 29.5
GTEX-RNOR-0011-R5A-SM-2TF4J 50-59 years, female 29.4
GTEX-PVOW-0011-R5A-SM-32PL7 40-49 years, male 28.5
GTEX-T2IS-0011-R5A-SM-32QP4 20-29 years, female 26.9
Show allShow less

CAUDATE - FANTOM5 CAGEi

RNA expression in human tissues obtained through Cap Analysis of Gene Expression (CAGE) generated by the FANTOM5 project are reported as Scaled Tags Per Million.

Max subtype Scaled Tags Per Millioni

Max subtype Scaled Tags Per Million is the value for the subtype with the largest average Scaled Tags Per Million across the subtype samples.

102.8
FANTOM5 sample id Sample description Scaled Tags Per Million
Caudate nucleus
Scaled Tags Per Million: 102.8
FF:10164-103B2 76 years, female 102.8

CAUDATE - Pig RNA-seqi

RNA-seq data obtained from pig brain is reported as nTPM .

Normal distribution across the dataset is visualized with box plots, shown as median and 25th and 75th percentiles. Points are displayed as outliers if they are above or below 1.5 times the interquartile range. nTPM values of the individual samples are presented next to the box plot.
Max subtype nTPMi

Max subtype nTPM is the value for the subtype with the largest average nTPM across the subtype samples.

15.8
Pig sample Sample description nTPM
Caudate
nTPM: 15.8
Samples: 4

Max nTPM: 16.6
Min nTPM: 15.2
Sample A Female 16.6
Sample B Female 15.6
Sample C Male 15.2
Sample D Male 15.8

Contact

  • NEWS ARTICLES
  • PRESS ROOM

The Project

  • INTRODUCTION
  • ORGANIZATION
  • PUBLICATIONS

The Human Protein Atlas

  • DOWNLOADABLE DATA
  • LICENCE & CITATION
  • HELP & FAQ
The Human Protein Atlas project is funded
by the Knut & Alice Wallenberg Foundation.


contact@proteinatlas.org