We use cookies to enhance the usability of our website. If you continue, we'll assume that you are happy to receive all cookies. More information. Don't show this again.
LAD1
HPA
RESOURCES
  • TISSUE
  • BRAIN
  • SINGLE CELL
  • SUBCELLULAR
  • CANCER
  • BLOOD
  • CELL LINE
  • STRUCTURE & INTERACTION
ABOUT
  • INTRODUCTION
  • HISTORY
  • ORGANIZATION
  • PUBLICATIONS
  • ANTIBODY SUBMISSION
  • ANTIBODY AVAILABILITY
  • ACKNOWLEDGMENTS
  • CONTACT
NEWS
  • NEWS ARTICLES
  • PRESS ROOM
LEARN
  • DICTIONARY
  • PROTEIN CLASSES
  • PROTEIN EVIDENCE
  • METHODS
  • EDUCATIONAL VIDEOS
DATA
  • DOWNLOADABLE DATA
  • PUBLICATION DATA
  • RELEASE HISTORY
HELP
  • ANTIBODY VALIDATION
  • ASSAYS & ANNOTATION
  • DISCLAIMER
  • HELP & FAQ
  • PRIVACY STATEMENT
  • LICENCE & CITATION
Fields »
Search result

Field
Term
Gene name
Class
Subclass
Class
Keyword
Chromosome
External id
Tissue
Cell type
Expression
Antibody panel
Tissue
Main location
Patient ID
Annotation
Tissue
Category
Tau score
Cluster
Reliability
Brain region
Category
Tau score
Brain region
Category
Tau score
Brain region
Category
Tau score
Cluster
Reliability
Tissue
Cell type
Enrichment
Cell type
Category
Tau score
Cell type
Category
Tau score
Cell type
Category
Tau score
Cell lineage
Category
Tau score
Cluster
Cluster
Location
Searches
Location
Cell line
Class
Type
Phase
Reliability
Cancer
Prognosis
Cancer
Category
Cancer
Category
Tau score
Cluster
Variants
Interacting gene (ensg_id)
Type
Number of interactions
Pathway
Category
Score
Score
Score
Validation
Validation
Validation
Validation
Antibodies
Data type
Column


  • SUMMARY

  • TISSUE

  • BRAIN

  • SINGLE CELL

  • SUBCELL

  • CANCER

  • BLOOD

  • CELL LINE

  • STRUCT & INT

  • LAD1
TISSUE PRIMARY DATA SKIN 1 Show tissue menu
ADIPOSE TISSUE ADRENAL GLAND AMYGDALA APPENDIX BASAL GANGLIA BONE MARROW BREAST BRONCHUS CEREBELLUM CEREBRAL CORTEX CERVIX CHOROID PLEXUS COLON DUODENUM
ENDOMETRIUM EPIDIDYMIS ESOPHAGUS FALLOPIAN TUBE GALLBLADDER HEART MUSCLE HIPPOCAMPAL FORMATION HYPOTHALAMUS KIDNEY LIVER LUNG LYMPH NODE MIDBRAIN NASOPHARYNX
ORAL MUCOSA OVARY PANCREAS PARATHYROID GLAND PITUITARY GLAND PLACENTA PROSTATE RECTUM RETINA SALIVARY GLAND SEMINAL VESICLE SKELETAL MUSCLE SKIN SMALL INTESTINE
SMOOTH MUSCLE SOFT TISSUE SPINAL CORD SPLEEN STOMACH TESTIS THYMUS THYROID GLAND TONGUE TONSIL URINARY BLADDER VAGINA
ANTIBODIES
AND
VALIDATION
Dictionary
Skin
Tissue proteome
SKIN - Expression summary
Protein expression
Skini

On the top, protein expression in current human tissue, based on all annotated cell types, is reported with the units not detected (n), low (l), medium (m) and high (h). Underneath, protein expression in each annotated cell type are reported using the same units.

Protein expression data is based on knowledge-based annotation. For genes where more than one antibody has been used, a collective score is set.

If knowledge-based annotation could not be performed for a gene, no data is displayed here. View antibody staining data further down this page.

h
m
l
n
Epidermal cells: Medium
Fibroblasts: Not detected
Keratinocytes: Low
Langerhans: Low
Melanocytes: Not detected
RNA expressioni

A summary of mRNA expression data available for current tissue based on several datasets. The mRNA expression levels in human tissues are based on RNA-seq data generated by the Human Protein Atlas (HPA), Genotype-Tissue Expression (GTEx) portal and CAGE data generated by the FANTOM5 consortium. Consensus normalized expression levels for human tissues was created by combining the data from HPA and GTEx datasets.

The mRNA expression levels in pig are based on RNA-seq data generated by the Human Protein Atlas (HPA), and for mouse, HPA data and in situ hybridization generated by the Allen brain atlas are reported.

Scroll down to view mRNA expression data in more detail.
Consensus:208.5 nTPM
HPA:186.0 nTPM
GTEx:208.5 nTPM

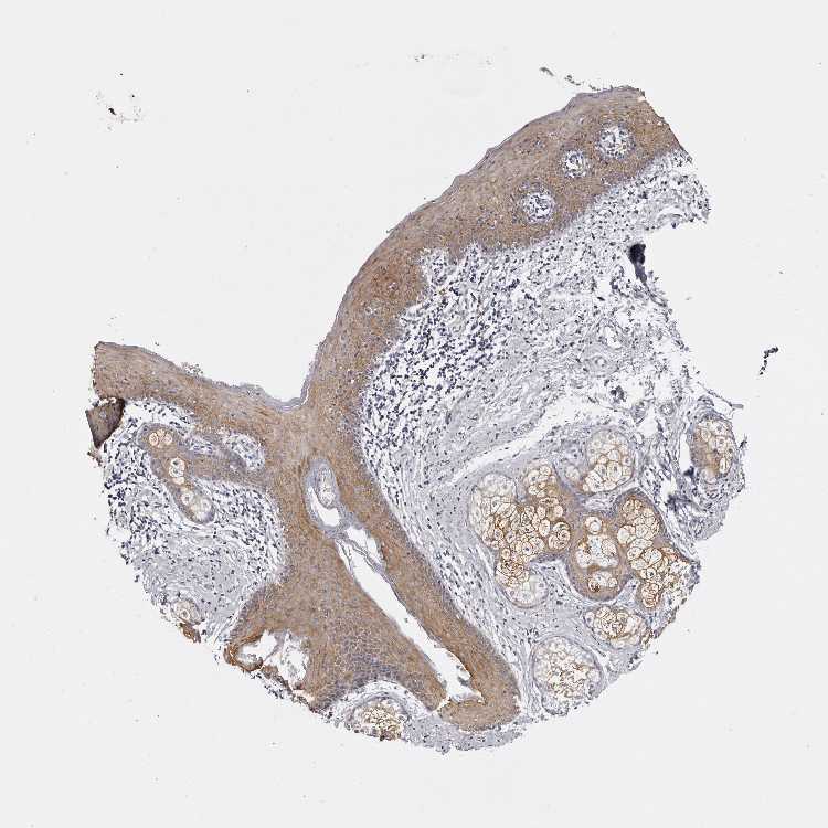
SKIN 1 - Antibody stainingi

Antibody staining in the annotated cell types in the current human tissue is reported as not detected, low, medium, or high, based on conventional immunohistochemistry profiling in selected tissues. This score is based on the combination of the staining intensity and fraction of stained cells.

Each image is clickable and will lead to virtual microscopy that enables deeper exploration of all samples and also displays staining intensity scores, fraction scores and subcellular localization as well as patient and tissue information for each sample.

Antibody HPA007256Antibody HPA028732
Langerhans MediumNot detected
Fibroblasts Not detectedNot detected
Keratinocytes MediumLow
Melanocytes Not detectedNot detected


SKIN 2 - Antibody stainingi

Antibody staining in the annotated cell types in the current human tissue is reported as not detected, low, medium, or high, based on conventional immunohistochemistry profiling in selected tissues. This score is based on the combination of the staining intensity and fraction of stained cells.

Each image is clickable and will lead to virtual microscopy that enables deeper exploration of all samples and also displays staining intensity scores, fraction scores and subcellular localization as well as patient and tissue information for each sample.

Antibody HPA007256Antibody HPA028732
Epidermal cells MediumMedium
  
  
  





SKIN - HPA RNA-seqi

The RNA-seq details section shows detailed information about the individual samples used for the transcript profiling and results of the RNA-seq analysis.

Information about each individual sample is listed below, including gender, age, a tissue section image and estimated fractions of cell types. nTPM (normalized transcripts per million) values give a quantification of the gene abundance which is comparable between different genes and samples.
Average nTPMi

Max subtype nTPM is the value for the subtype with the largest average nTPM across the subtype samples.

186.0
overview
Female, age 34
Skin sample 225
nTPM: 210.1
Cell types%
Keratinocytes:
60

Other cell types:
40

overview
Female, age 30
Skin sample 226
nTPM: 160.9
Cell types%
Keratinocytes:
55

Other cell types:
45

N/A
Male, age 57
Skin sample 227
nTPM: 186.9

SKIN - GTEx RNA-seqi

RNA-Seq data generated by the Genotype-Tissue Expression (GTEx) project from human tissues is reported as mean nTPM. More information can be found on the GTEx portal.

Distribution across the dataset is visualized with box plots, shown as median and 25th and 75th percentiles. Points are displayed as outliers if they are above or below 1.5 times the interquartile range. nTPM values of the individual samples are presented next to the box plot.
Max subtype nTPMi

Max subtype nTPM is the value for the subtype with the largest average nTPM across the subtype samples.

208.5
GTEx sample id Sample description nTPM
Skin - Not Sun Exposed (Suprapubic)
Average nTPM: 208.3
Samples: 604

Max nTPM: 568.6
Min nTPM: 44.9
Std nTPM: 74.8
Median nTPM: 204.9
GTEX-1PPH8-0126-SM-EWRN8 20-29 years, male 568.6
GTEX-1OJC3-1226-SM-DTXER 20-29 years, male 517.5
GTEX-1IKOE-1426-SM-CE6T7 30-39 years, female 473.5
GTEX-Y114-2126-SM-4TT8B 50-59 years, female 454.3
GTEX-1399S-0126-SM-5IJCF 30-39 years, female 430.5
GTEX-17F97-2626-SM-7IGM5 50-59 years, male 422.9
GTEX-ZY6K-1426-SM-5GZX2 50-59 years, male 418.7
GTEX-1H2FU-0926-SM-9WPPT 60-69 years, female 416.2
GTEX-111VG-1626-SM-5EGIO 60-69 years, male 406.9
GTEX-11DYG-1526-SM-5A5JS 60-69 years, male 405.1
GTEX-1R9PM-1926-SM-EVR3O 20-29 years, male 403.5
GTEX-1399Q-2326-SM-5KM2X 40-49 years, male 402.7
GTEX-WFG7-2026-SM-5SI7P 20-29 years, male 402.6
GTEX-1PBJJ-1026-SM-E76OS 30-39 years, male 376.2
GTEX-15RIG-0726-SM-7KUM7 40-49 years, male 374.2
GTEX-1ICLZ-0326-SM-ARL82 60-69 years, male 372.3
GTEX-1N2DV-1526-SM-DTXEP 40-49 years, male 369.5
GTEX-X585-2426-SM-46MW2 50-59 years, male 365.1
GTEX-11WQC-1826-SM-5GU59 60-69 years, male 364.1
GTEX-1JJEA-1826-SM-ARU8P 60-69 years, male 359.5
GTEX-1E2YA-2126-SM-7MXUO 50-59 years, male 359.0
GTEX-ZPCL-1126-SM-4WWFE 60-69 years, female 356.2
GTEX-1MJK3-0726-SM-E6CJC 20-29 years, male 354.9
GTEX-ZTX8-1326-SM-4YCEL 20-29 years, male 351.9
GTEX-13G51-1826-SM-5KLZH 60-69 years, male 350.5
GTEX-11PRG-0726-SM-5EGL1 50-59 years, male 348.5
GTEX-1R9PN-0426-SM-DTXDT 40-49 years, female 345.8
GTEX-1PIIG-2326-SM-DTXFR 30-39 years, male 343.7
GTEX-YECK-0326-SM-4W1YS 60-69 years, male 342.4
GTEX-WH7G-2026-SM-3NMBL 40-49 years, male 339.6
GTEX-ZYVF-0926-SM-5E44J 50-59 years, female 339.0
GTEX-144GL-0626-SM-5LU4D 50-59 years, male 338.3
GTEX-1JMPY-0226-SM-CKZOK 30-39 years, male 336.8
GTEX-1QP2A-1726-SM-E76QC 50-59 years, male 336.6
GTEX-1JMLX-0626-SM-ARL8T 50-59 years, male 335.8
GTEX-12WSH-1526-SM-5BC5W 50-59 years, male 335.1
GTEX-14ICL-1626-SM-5YYAO 30-39 years, male 334.3
GTEX-18A67-1626-SM-7LT9T 50-59 years, male 333.6
GTEX-17F9Y-0126-SM-79OKX 70-79 years, female 333.0
GTEX-1H11D-1826-SM-9QEHM 40-49 years, male 326.0
GTEX-1NSGN-0726-SM-DTXEF 50-59 years, male 325.5
GTEX-1J1OQ-0126-SM-D4P2N 40-49 years, female 324.9
GTEX-XBEW-1126-SM-4QARW 40-49 years, male 321.8
GTEX-1J8EW-2726-SM-CY8HR 60-69 years, female 318.6
GTEX-147F4-0726-SM-5TDDD 50-59 years, male 316.9
GTEX-13PDP-0726-SM-5L3HP 60-69 years, male 313.3
GTEX-1IKJJ-2226-SM-CJI4C 60-69 years, male 310.9
GTEX-15G19-2426-SM-7KUMR 60-69 years, male 309.8
GTEX-1OJC4-2726-SM-E76PJ 50-59 years, female 308.0
GTEX-13PL6-1126-SM-5L3IE 40-49 years, female 307.7
GTEX-1CB4J-1326-SM-7P8RX 60-69 years, male 306.5
GTEX-1HCU7-0726-SM-A9SL1 50-59 years, male 306.5
GTEX-YFCO-1226-SM-5LUAT 40-49 years, male 306.4
GTEX-12ZZX-2426-SM-5GCOE 40-49 years, female 304.4
GTEX-15SKB-2826-SM-6PAMH 60-69 years, male 304.1
GTEX-Y111-0626-SM-4SOIT 50-59 years, male 303.4
GTEX-1RAZQ-1326-SM-E9TK6 30-39 years, male 303.1
GTEX-1GMRU-2126-SM-7P8RA 50-59 years, male 301.8
GTEX-12WSJ-1126-SM-5LZVJ 40-49 years, female 301.6
GTEX-13JVG-0726-SM-5KM16 60-69 years, male 300.6
GTEX-14PJ3-1126-SM-5ZZVX 50-59 years, male 300.3
GTEX-18QFQ-1826-SM-72D52 30-39 years, male 300.0
GTEX-17F9E-2326-SM-79OKD 50-59 years, male 299.7
GTEX-1AX9J-1326-SM-731BJ 60-69 years, male 299.6
GTEX-11OF3-0126-SM-5PNYF 60-69 years, male 298.9
GTEX-1QP9N-1226-SM-E76QN 30-39 years, male 298.7
GTEX-1GN1V-2826-SM-9JGIA 60-69 years, male 298.4
GTEX-1JMQJ-0826-SM-CNPP7 50-59 years, male 297.9
GTEX-147GR-2426-SM-5ZZWQ 60-69 years, male 297.7
GTEX-1313W-0626-SM-5EQ4H 50-59 years, female 297.3
GTEX-1F6RS-2026-SM-7RHHC 60-69 years, female 294.5
GTEX-17HHE-1326-SM-7EWDZ 50-59 years, male 293.7
GTEX-1RMOY-1326-SM-E9TIH 50-59 years, male 292.9
GTEX-ZT9X-1526-SM-5DUXD 40-49 years, male 292.4
GTEX-14PII-0726-SM-6EU2B 60-69 years, male 292.0
GTEX-13O61-1426-SM-5KM3D 60-69 years, male 291.4
GTEX-1KANB-2826-SM-CY8I6 50-59 years, male 290.8
GTEX-1CAMS-2226-SM-7PBXQ 40-49 years, female 290.7
GTEX-1AYD5-2626-SM-7PBXY 50-59 years, male 288.3
GTEX-11DXZ-2026-SM-5987S 50-59 years, male 288.2
GTEX-ZYT6-2326-SM-5GZY3 30-39 years, male 287.3
GTEX-139D8-1126-SM-5LU8W 30-39 years, female 286.7
GTEX-14PHY-1226-SM-5ZZWK 60-69 years, female 286.3
GTEX-1GF9X-1326-SM-7PC2Y 40-49 years, female 285.2
GTEX-1BAJH-2426-SM-7IGP8 70-79 years, male 285.1
GTEX-1GZ4H-0526-SM-9KNU9 50-59 years, female 284.5
GTEX-17HII-1426-SM-7EPGG 50-59 years, male 283.9
GTEX-ZXG5-2126-SM-59HKD 60-69 years, male 283.9
GTEX-1S82P-2126-SM-E6CI5 60-69 years, female 283.9
GTEX-1GPI7-1826-SM-9KNU1 20-29 years, male 282.4
GTEX-14E1K-2026-SM-7DUEI 50-59 years, male 281.8
GTEX-15ER7-0626-SM-6PANF 20-29 years, female 281.7
GTEX-1F6I4-2326-SM-7RHGL 60-69 years, male 281.0
GTEX-1F88F-0126-SM-9WYSZ 60-69 years, female 281.0
GTEX-ZE9C-2526-SM-5IJDR 60-69 years, male 280.6
GTEX-1KAFJ-0126-SM-DIPEK 50-59 years, male 280.6
GTEX-15RJE-2826-SM-7KUM9 40-49 years, male 279.6
GTEX-1S82U-1026-SM-E6CJK 30-39 years, female 278.9
GTEX-1MCYP-0526-SM-E9U6Q 20-29 years, female 278.8
GTEX-11DXX-2126-SM-5PNYR 60-69 years, female 278.3
GTEX-12126-0826-SM-5FQTZ 20-29 years, male 277.5
GTEX-1PIGE-1826-SM-E8VOU 20-29 years, male 277.3
GTEX-ZE7O-2726-SM-51MT5 50-59 years, female 277.1
GTEX-1PPGY-1626-SM-EVYBL 60-69 years, male 276.8
GTEX-11DZ1-2426-SM-5GZZX 50-59 years, male 276.6
GTEX-13NYB-0126-SM-5J1MD 40-49 years, male 276.4
GTEX-WHSB-1326-SM-3LK6W 50-59 years, male 276.4
GTEX-ZLV1-1526-SM-DO91J 60-69 years, female 276.3
GTEX-145MH-2826-SM-5RQJF 50-59 years, male 274.2
GTEX-144FL-0626-SM-5LU43 50-59 years, male 273.9
GTEX-131XG-0326-SM-5L3DX 50-59 years, female 271.8
GTEX-1NV5F-0626-SM-DTXEG 60-69 years, female 271.4
GTEX-139UW-0326-SM-5J1ML 60-69 years, male 271.3
GTEX-1GZ4I-2626-SM-9KNU3 50-59 years, male 270.9
GTEX-1QP28-1126-SM-EVYC4 50-59 years, female 270.7
GTEX-1EMGI-2326-SM-7PBYA 60-69 years, male 270.4
GTEX-UPJH-0226-SM-3GADV 50-59 years, male 269.8
GTEX-13OVK-1426-SM-6PAN7 40-49 years, male 269.6
GTEX-1HSMQ-2626-SM-A9SML 50-59 years, male 268.7
GTEX-1HT8W-0626-SM-A9G2H 30-39 years, male 268.5
GTEX-17F98-1326-SM-7DUEP 40-49 years, female 266.6
GTEX-1192X-2726-SM-5N9DN 50-59 years, male 266.4
GTEX-16MT9-0126-SM-7EPI8 60-69 years, female 265.4
GTEX-ZC5H-1526-SM-5HL9Y 40-49 years, female 265.1
GTEX-11ZU8-0126-SM-5EQ58 60-69 years, male 264.9
GTEX-13YAN-0226-SM-5TDC6 60-69 years, male 264.9
GTEX-16YQH-2226-SM-7IGM2 30-39 years, male 264.9
GTEX-15RJ7-2126-SM-6PAMD 40-49 years, male 264.4
GTEX-1H3O1-1326-SM-9MQLD 60-69 years, male 264.0
GTEX-1GPI6-1926-SM-9KNV7 60-69 years, male 263.2
GTEX-1EX96-1026-SM-7MKG2 50-59 years, male 263.0
GTEX-13SLW-0626-SM-5Q5ER 70-79 years, male 262.6
GTEX-18A6Q-0626-SM-7KFRP 60-69 years, male 262.1
GTEX-WHSE-0126-SM-3NMBT 20-29 years, male 261.0
GTEX-W5X1-2526-SM-3GILC 40-49 years, female 260.6
GTEX-1I1GT-1026-SM-ARZLV 60-69 years, female 260.1
GTEX-14LZ3-0126-SM-69LPM 60-69 years, female 259.4
GTEX-1HGF4-0126-SM-CNPPX 60-69 years, male 259.0
GTEX-1C6WA-2626-SM-7MKGM 60-69 years, male 258.7
GTEX-ZP4G-1426-SM-4WWCL 20-29 years, female 258.5
GTEX-1C64N-2626-SM-7PC2N 50-59 years, male 257.2
GTEX-1C6VQ-1226-SM-73KYD 50-59 years, male 257.0
GTEX-1HBPN-0126-SM-CGQEF 50-59 years, male 256.6
GTEX-13FTY-2126-SM-5IFFB 40-49 years, female 256.5
GTEX-148VJ-0626-SM-5LUAW 70-79 years, male 255.3
GTEX-14C5O-0326-SM-5ZZUX 60-69 years, male 254.8
GTEX-1CAMQ-1326-SM-7P8RV 40-49 years, male 252.5
GTEX-1I1GU-0926-SM-ACKVS 40-49 years, male 251.5
GTEX-WHPG-2626-SM-3NMBR 50-59 years, male 250.1
GTEX-1LGRB-0926-SM-COH3K 50-59 years, female 249.6
GTEX-14PHX-2226-SM-6EU2P 50-59 years, male 249.4
GTEX-15RIE-1926-SM-7KUKJ 60-69 years, male 248.1
GTEX-1LVAN-0626-SM-CNPOQ 50-59 years, female 247.2
GTEX-15DDE-2926-SM-6LLJ3 50-59 years, female 247.0
GTEX-1R46S-2426-SM-E76QA 60-69 years, female 246.3
GTEX-1I1GV-0626-SM-ARL7M 60-69 years, male 246.2
GTEX-11NUK-2726-SM-5A5MC 50-59 years, male 246.0
GTEX-ZLFU-1826-SM-4WWBV 40-49 years, male 246.0
GTEX-1I1GP-1326-SM-A9G28 50-59 years, male 245.8
GTEX-11DXY-0126-SM-5H11Q 60-69 years, male 244.9
GTEX-1GN73-0726-SM-7P8TJ 60-69 years, male 244.9
GTEX-XQ3S-1426-SM-4BOPR 20-29 years, male 244.8
GTEX-1GF9V-0826-SM-9KNUV 60-69 years, male 244.8
GTEX-13SLX-2226-SM-62LEP 50-59 years, female 244.0
GTEX-1C6VR-0126-SM-7RHGB 60-69 years, male 243.9
GTEX-11EQ8-0926-SM-5H12V 60-69 years, male 243.2
GTEX-1HR9M-2226-SM-CNPPY 60-69 years, male 242.7
GTEX-13NYC-0126-SM-5L3F4 60-69 years, male 241.9
GTEX-1HSKV-1226-SM-ADEI4 60-69 years, male 241.7
GTEX-1IL2V-1926-SM-B2LW8 70-79 years, male 241.6
GTEX-1LVAM-0726-SM-E6CIL 50-59 years, female 241.0
GTEX-1POEN-2326-SM-E9J2L 30-39 years, female 240.9
GTEX-1B97I-0626-SM-73KUZ 40-49 years, male 240.3
GTEX-1HB9E-0126-SM-CM2S5 50-59 years, male 239.9
GTEX-16AAH-0626-SM-793C9 50-59 years, male 239.4
GTEX-12WSK-2126-SM-5CVNC 40-49 years, female 239.2
GTEX-1B8SF-0126-SM-7DUG3 60-69 years, male 238.4
GTEX-ZDTT-0426-SM-4WKFL 60-69 years, male 238.3
GTEX-1R9K4-2826-SM-DTX8F 60-69 years, male 238.2
GTEX-131XF-2626-SM-5EQ6K 60-69 years, male 237.8
GTEX-14C39-1726-SM-5RQIL 40-49 years, male 237.7
GTEX-1EKGG-0626-SM-7DUGJ 60-69 years, male 237.7
GTEX-1LVA9-2626-SM-EVYD4 50-59 years, male 237.5
GTEX-1HSMP-0926-SM-A9SKX 70-79 years, male 237.4
GTEX-ZWKS-0626-SM-5GIDV 30-39 years, male 237.2
GTEX-1QPFJ-1926-SM-EVYBD 30-39 years, female 237.1
GTEX-11GS4-0226-SM-5HL77 60-69 years, male 236.7
GTEX-13OW6-2726-SM-5J2OE 50-59 years, male 236.7
GTEX-ZTTD-2826-SM-4YCFA 50-59 years, male 236.2
GTEX-1HCU6-2526-SM-ADEHL 60-69 years, female 236.2
GTEX-14BIN-1126-SM-5RQJZ 50-59 years, female 235.9
GTEX-Y9LG-1126-SM-4VBQ7 30-39 years, male 235.5
GTEX-15G1A-1626-SM-7KUKN 30-39 years, male 235.3
GTEX-Y3I4-1726-SM-4TT89 50-59 years, male 235.2
GTEX-1S83E-1326-SM-E6CJM 40-49 years, male 235.2
GTEX-111CU-1126-SM-5EGIM 50-59 years, male 234.6
GTEX-131XH-0126-SM-5LZUY 50-59 years, male 234.6
GTEX-1H4P4-2126-SM-9WYSL 50-59 years, male 234.1
GTEX-ZDTS-0826-SM-4WKHL 60-69 years, male 233.5
GTEX-17EVP-2626-SM-7IGMA 40-49 years, male 232.8
GTEX-1CB4E-0926-SM-7EPHT 60-69 years, male 232.1
GTEX-1HCUA-0826-SM-ADEHM 50-59 years, female 232.0
GTEX-1JN1M-2726-SM-CY8I4 60-69 years, female 231.7
GTEX-13O3O-2326-SM-5IJD6 60-69 years, female 231.4
GTEX-ZF2S-1626-SM-57WES 50-59 years, female 231.4
GTEX-1RAZS-2526-SM-E6CHT 50-59 years, male 231.4
GTEX-15SHW-0226-SM-7LTAT 60-69 years, male 231.3
GTEX-16MTA-0926-SM-6M47Z 50-59 years, male 230.4
GTEX-14PJ4-0226-SM-5YY92 60-69 years, male 230.2
GTEX-1S3DN-2126-SM-E9TIN 50-59 years, male 230.0
GTEX-1A8G6-2726-SM-731AR 60-69 years, male 229.9
GTEX-13OW5-2326-SM-5L3HO 60-69 years, male 229.8
GTEX-11P7K-1126-SM-5HL4L 30-39 years, male 229.3
GTEX-ZVZP-1226-SM-5GID7 50-59 years, male 229.0
GTEX-1QCLY-0226-SM-EWRNH 30-39 years, male 228.9
GTEX-1B8KE-1126-SM-7EPHI 50-59 years, male 228.8
GTEX-13IVO-0726-SM-5LZYV 70-79 years, male 228.7
GTEX-ZVT4-2426-SM-5GIEI 50-59 years, female 228.4
GTEX-1IY9M-2826-SM-ARU8H 60-69 years, male 228.4
GTEX-1LKK1-2626-SM-DKPQE 50-59 years, female 228.3
GTEX-1B933-2426-SM-7DHMD 50-59 years, female 227.4
GTEX-ZVE1-0726-SM-51MRN 50-59 years, female 227.3
GTEX-139TU-0726-SM-5L3EK 60-69 years, male 227.0
GTEX-17MFQ-1526-SM-7KFRR 20-29 years, male 226.9
GTEX-ZF29-0926-SM-4WKFZ 60-69 years, female 226.9
GTEX-1HBPI-2126-SM-ARL9K 50-59 years, male 226.7
GTEX-13112-0126-SM-5P9IU 50-59 years, male 226.5
GTEX-1I1HK-2326-SM-CKZOH 60-69 years, male 225.8
GTEX-15UF6-1926-SM-7KUDV 70-79 years, female 225.5
GTEX-1A3MV-1826-SM-731CD 30-39 years, male 225.5
GTEX-12ZZZ-0726-SM-5GCNZ 60-69 years, male 225.4
GTEX-1F75I-2226-SM-7SB8U 40-49 years, male 225.0
GTEX-1H1DE-1326-SM-9KNUG 20-29 years, male 224.4
GTEX-1IE54-1126-SM-A9G2Z 40-49 years, female 224.0
GTEX-Z93S-1626-SM-5CVMB 50-59 years, male 223.5
GTEX-144GM-0526-SM-79OJO 20-29 years, male 223.4
GTEX-12WSD-0626-SM-5GCMW 60-69 years, female 223.2
GTEX-1PPH7-1126-SM-DTX9A 40-49 years, male 223.1
GTEX-1RB15-1326-SM-E76Q9 60-69 years, male 223.1
GTEX-1CB4F-1026-SM-7DUH1 60-69 years, male 222.7
GTEX-12KS4-2126-SM-5FQUT 30-39 years, male 222.5
GTEX-1EU9M-1426-SM-793AI 60-69 years, male 222.5
GTEX-ZYFD-0626-SM-5E44E 50-59 years, male 222.4
GTEX-ZAB4-2126-SM-5HL8U 40-49 years, male 222.3
GTEX-ZVP2-0326-SM-57WBP 50-59 years, male 222.3
GTEX-WXYG-2026-SM-4E3IY 50-59 years, female 222.1
GTEX-1S831-1826-SM-EWROF 20-29 years, male 221.9
GTEX-1F52S-2926-SM-7MKGA 60-69 years, female 221.7
GTEX-1LBAC-0826-SM-CY8IJ 20-29 years, male 221.7
GTEX-15CHR-1126-SM-7EWF4 50-59 years, male 220.4
GTEX-145LU-1926-SM-79OJN 50-59 years, male 219.9
GTEX-1R7EU-1626-SM-DTXG3 60-69 years, male 219.9
GTEX-1LB8K-0726-SM-D5OV2 50-59 years, male 219.8
GTEX-1K2DU-1226-SM-CYPT4 20-29 years, male 218.9
GTEX-15EO6-2426-SM-6PALZ 50-59 years, male 218.8
GTEX-1269C-0126-SM-5EQ5L 60-69 years, female 218.3
GTEX-17KNJ-2126-SM-718AM 50-59 years, male 218.3
GTEX-1JK1U-0226-SM-ARZMX 60-69 years, male 218.2
GTEX-1HCVE-2726-SM-CL54F 50-59 years, male 217.9
GTEX-13FTX-1526-SM-5K7VJ 20-29 years, female 217.5
GTEX-1LSNM-0826-SM-DIPG8 50-59 years, male 217.1
GTEX-14XAO-1226-SM-6EU1C 60-69 years, female 217.0
GTEX-13NYS-0626-SM-5L3F1 60-69 years, male 216.2
GTEX-1LSNL-2726-SM-E9TKJ 50-59 years, male 216.1
GTEX-1JMQK-1226-SM-D4P2S 60-69 years, male 215.5
GTEX-13OW7-0426-SM-5K7VK 50-59 years, male 215.4
GTEX-1399U-1126-SM-5L3DB 50-59 years, female 215.3
GTEX-1F5PK-2226-SM-7SB6N 50-59 years, male 214.8
GTEX-144GO-2026-SM-5O99P 60-69 years, male 214.6
GTEX-11WQK-1026-SM-5EQLX 50-59 years, male 214.5
GTEX-12ZZY-0726-SM-5EQ66 60-69 years, male 213.7
GTEX-1F75A-0726-SM-7RHHD 50-59 years, male 213.7
GTEX-18465-2826-SM-7LT9J 50-59 years, male 213.6
GTEX-1QAET-0326-SM-EVR3U 50-59 years, male 212.7
GTEX-XXEK-1626-SM-4BRUZ 50-59 years, male 211.8
GTEX-1CAMR-1326-SM-7PC1F 20-29 years, male 211.7
GTEX-1PDJ9-1226-SM-EXUSX 20-29 years, male 211.5
GTEX-X4EO-2926-SM-4E3JH 60-69 years, female 211.4
GTEX-14PJO-2526-SM-6AJBQ 60-69 years, male 211.3
GTEX-ZYY3-2926-SM-5GIEB 60-69 years, female 210.6
GTEX-17HHY-0426-SM-7DHLC 50-59 years, male 210.4
GTEX-11P81-2226-SM-5PNYI 30-39 years, female 210.3
GTEX-Y8E4-2026-SM-5IFJB 40-49 years, male 210.2
GTEX-XOT4-0626-SM-4B66L 60-69 years, female 210.1
GTEX-11O72-0626-SM-5PNYE 40-49 years, male 209.8
GTEX-14753-0726-SM-5QGQO 60-69 years, male 209.8
GTEX-1C2JI-1026-SM-73KY1 50-59 years, male 209.6
GTEX-18D9A-1426-SM-7LT8M 30-39 years, female 209.2
GTEX-1HR98-2226-SM-ADEI2 60-69 years, male 208.6
GTEX-145MG-1526-SM-5Q5EM 50-59 years, male 208.4
GTEX-13NZ8-1226-SM-5KM4A 60-69 years, female 208.3
GTEX-WI4N-2726-SM-3LK7Y 40-49 years, female 208.1
GTEX-11GSP-2326-SM-5HL63 60-69 years, female 207.6
GTEX-1N2EE-0626-SM-E76PW 60-69 years, male 207.5
GTEX-15DYW-2726-SM-6EU2I 60-69 years, female 207.2
GTEX-WHWD-1826-SM-3LK6I 50-59 years, male 207.2
GTEX-13OVH-0526-SM-5L3E6 70-79 years, male 207.0
GTEX-14PJ6-2626-SM-6EU2T 60-69 years, female 206.8
GTEX-139TT-2126-SM-5LZWC 60-69 years, male 206.3
GTEX-13O3Q-0126-SM-5KM34 50-59 years, male 206.2
GTEX-1EN7A-2426-SM-793DB 40-49 years, male 205.2
GTEX-1JN76-0626-SM-CKZOQ 20-29 years, female 205.0
GTEX-WFON-1926-SM-3LK7L 40-49 years, male 204.8
GTEX-1JMQL-2226-SM-CNPP4 50-59 years, female 204.3
GTEX-13FHO-0426-SM-5L3F5 60-69 years, male 203.8
GTEX-ZZPU-0826-SM-5GZX5 50-59 years, female 203.6
GTEX-145LS-0626-SM-7EPG7 60-69 years, female 203.2
GTEX-XK95-0226-SM-4AT58 40-49 years, male 203.0
GTEX-14PJN-1826-SM-6AJ98 30-39 years, male 201.8
GTEX-11P82-1426-SM-DTXFY 20-29 years, male 200.4
GTEX-1LSVX-2526-SM-DIPEU 60-69 years, male 199.0
GTEX-14JG1-1526-SM-5YY9X 40-49 years, male 198.8
GTEX-1HC8U-1326-SM-9YFMJ 40-49 years, female 198.6
GTEX-ZAK1-0626-SM-5HL8E 50-59 years, female 198.5
GTEX-18D9U-0126-SM-731BM 40-49 years, male 198.0
GTEX-ZYFC-0426-SM-5GICQ 50-59 years, male 196.8
GTEX-14JFF-0626-SM-5ZZVT 60-69 years, male 196.7
GTEX-1H1CY-0126-SM-9YFLY 60-69 years, female 196.7
GTEX-17HGU-2326-SM-7DUFE 50-59 years, male 196.6
GTEX-Y5V6-2326-SM-4VDSA 60-69 years, male 196.6
GTEX-13QJC-0126-SM-5ZZWJ 60-69 years, female 196.5
GTEX-14AS3-1526-SM-5Q5ED 40-49 years, female 196.1
GTEX-1C64O-1326-SM-7MGWR 60-69 years, male 195.8
GTEX-1A8G7-1326-SM-73KVM 60-69 years, male 195.4
GTEX-13FLV-0126-SM-5K7WT 50-59 years, male 195.3
GTEX-1J8Q2-2626-SM-ACKWQ 60-69 years, male 195.3
GTEX-14ABY-2026-SM-62LDL 50-59 years, male 194.7
GTEX-1GZHY-0626-SM-9KNVC 50-59 years, female 194.7
GTEX-XAJ8-1426-SM-47JYM 40-49 years, male 194.5
GTEX-1GN1U-0626-SM-9MQL9 50-59 years, female 193.9
GTEX-11ZUS-2626-SM-5FQUR 30-39 years, male 193.8
GTEX-1JMQI-1726-SM-ARL93 50-59 years, male 193.8
GTEX-1MCC2-1826-SM-DIPEX 30-39 years, female 193.7
GTEX-14PK6-0226-SM-62LF5 70-79 years, female 192.2
GTEX-11TUW-0626-SM-5LU9M 60-69 years, male 192.0
GTEX-13W3W-0726-SM-5IJDQ 60-69 years, female 191.6
GTEX-1AX9I-2226-SM-73KUO 60-69 years, male 191.0
GTEX-ZDYS-2426-SM-4WKGI 50-59 years, male 190.6
GTEX-1B932-2326-SM-79OL5 40-49 years, female 190.4
GTEX-145MF-0926-SM-5Q5EA 50-59 years, male 190.0
GTEX-1IOXB-2726-SM-CM2RI 50-59 years, male 189.7
GTEX-VUSG-2326-SM-4KL1U 50-59 years, male 189.6
GTEX-18A66-0626-SM-7LT8Z 60-69 years, male 189.4
GTEX-11LCK-2226-SM-5HL4Q 30-39 years, male 189.3
GTEX-ZZ64-1026-SM-5GZXG 20-29 years, male 188.4
GTEX-1QW4Y-1126-SM-DTXE3 30-39 years, male 188.1
GTEX-ZF3C-0626-SM-DO92O 50-59 years, female 188.0
GTEX-U8XE-0226-SM-4E3J3 30-39 years, male 187.7
GTEX-14A6H-2026-SM-5Q5DD 30-39 years, male 187.2
GTEX-14JG6-1426-SM-9WG7C 30-39 years, female 187.2
GTEX-1GN2E-0226-SM-9WG6K 60-69 years, male 186.4
GTEX-XYKS-1426-SM-4BRUO 60-69 years, female 186.3
GTEX-1GF9W-1426-SM-7PBYM 60-69 years, male 186.2
GTEX-14B4R-1326-SM-5Q5EZ 30-39 years, male 185.1
GTEX-131YS-2826-SM-5EQ47 60-69 years, female 184.9
GTEX-1122O-1026-SM-9WYSF 60-69 years, female 184.5
GTEX-131XW-0626-SM-5PNVD 50-59 years, female 184.3
GTEX-1HBPM-0726-SM-9YFL7 60-69 years, female 184.1
GTEX-17EVQ-0126-SM-7IGLR 70-79 years, male 183.9
GTEX-1RLM8-2926-SM-E8VON 50-59 years, male 183.7
GTEX-12WSF-1626-SM-7KUG5 70-79 years, male 183.2
GTEX-111YS-1526-SM-5GZYW 60-69 years, male 182.8
GTEX-1B8L1-2226-SM-7P8PT 60-69 years, male 182.6
GTEX-1HCU8-2526-SM-CE6RX 60-69 years, female 182.6
GTEX-ZPU1-1126-SM-4YCF3 40-49 years, male 182.0
GTEX-12WSM-1926-SM-5BC65 60-69 years, male 181.9
GTEX-YEC3-1326-SM-DO92X 50-59 years, male 181.8
GTEX-1S5ZU-2526-SM-E6CIF 20-29 years, female 181.6
GTEX-1KD5A-0126-SM-E9U54 50-59 years, male 181.3
GTEX-YJ8O-2526-SM-5HL85 40-49 years, female 180.9
GTEX-145MN-1526-SM-5SI9T 30-39 years, male 180.3
GTEX-11NSD-0626-SM-5A5LU 20-29 years, male 180.1
GTEX-139YR-1026-SM-5LZYN 50-59 years, male 179.9
GTEX-Y3IK-1626-SM-4YCF5 50-59 years, female 179.8
GTEX-11ZTT-2126-SM-5CVLO 60-69 years, female 179.1
GTEX-1A3MW-0626-SM-731CB 60-69 years, female 178.8
GTEX-1H23P-0626-SM-9WG6T 60-69 years, male 178.5
GTEX-183FY-1026-SM-7939A 20-29 years, male 177.6
GTEX-1F75B-0726-SM-7PC3R 50-59 years, male 177.4
GTEX-17F96-0126-SM-7EWDU 70-79 years, male 177.3
GTEX-14PJ5-1526-SM-6LLIL 60-69 years, female 176.7
GTEX-18A7A-0126-SM-731AH 50-59 years, female 176.7
GTEX-XPVG-2126-SM-4B667 50-59 years, male 176.6
GTEX-ZYW4-0626-SM-59HJR 60-69 years, male 176.1
GTEX-1IDFM-0326-SM-ARL7V 60-69 years, male 176.0
GTEX-XBEC-0726-SM-4QARZ 50-59 years, male 175.3
GTEX-1QMI2-2526-SM-E8VNZ 60-69 years, male 175.0
GTEX-1HFI6-0126-SM-CNPPI 40-49 years, male 174.5
GTEX-1H1E6-0426-SM-9WYUS 30-39 years, male 174.4
GTEX-1EWIQ-0326-SM-7DHMQ 70-79 years, female 174.3
GTEX-139TS-2126-SM-5K7XC 60-69 years, male 173.8
GTEX-15CHQ-0326-SM-69LQD 60-69 years, male 173.8
GTEX-17HG3-2626-SM-7DUF2 30-39 years, female 173.2
GTEX-X5EB-1926-SM-4E3IW 40-49 years, male 173.1
GTEX-ZPIC-0526-SM-DO91W 40-49 years, female 172.8
GTEX-16BQI-1326-SM-6M486 30-39 years, female 172.5
GTEX-X8HC-0626-SM-4E3HQ 50-59 years, female 172.3
GTEX-133LE-2326-SM-5K7W3 20-29 years, female 171.5
GTEX-145MO-2826-SM-5LU96 60-69 years, male 171.5
GTEX-1I1GS-2626-SM-B2LY3 60-69 years, male 171.4
GTEX-1I1CD-0626-SM-CE6SW 60-69 years, female 170.6
GTEX-14PKU-0126-SM-6LLHV 40-49 years, female 169.8
GTEX-15FZZ-0526-SM-7KUGD 30-39 years, female 169.8
GTEX-146FQ-2126-SM-5RQHU 30-39 years, male 169.6
GTEX-145MI-0626-SM-5SI8S 60-69 years, female 169.0
GTEX-183WM-0326-SM-72D5V 70-79 years, female 168.7
GTEX-1ICLY-0826-SM-CMKG1 50-59 years, male 168.1
GTEX-XBED-1926-SM-47JYP 60-69 years, male 168.0
GTEX-13OVJ-0826-SM-5J1OK 50-59 years, female 167.9
GTEX-1LG7Y-2526-SM-EWRO7 50-59 years, male 167.8
GTEX-1J8QM-2426-SM-A9SLS 60-69 years, female 167.7
GTEX-XQ8I-0926-SM-4BOOF 50-59 years, male 167.5
GTEX-1H1DG-2426-SM-9QEHJ 70-79 years, male 167.5
GTEX-WYJK-0526-SM-3NM8Z 50-59 years, male 167.1
GTEX-13X6K-0626-SM-5LU5D 60-69 years, female 166.9
GTEX-1CB4H-1126-SM-7MKGL 60-69 years, female 166.8
GTEX-1A8FM-0626-SM-7PC25 50-59 years, female 165.8
GTEX-1117F-2926-SM-5GZYI 60-69 years, female 165.6
GTEX-16MT8-2926-SM-7DUFO 60-69 years, female 165.4
GTEX-15D1Q-2826-SM-6LLH7 40-49 years, male 165.2
GTEX-14BMV-2826-SM-5TDED 50-59 years, male 164.6
GTEX-13D11-0926-SM-5J2NC 50-59 years, female 164.4
GTEX-1HSGN-0826-SM-ACKW3 40-49 years, female 164.3
GTEX-XUW1-0926-SM-4BONX 50-59 years, female 164.0
GTEX-13N1W-2426-SM-5IJD1 70-79 years, male 162.9
GTEX-1IDJV-0126-SM-COH3Y 60-69 years, male 162.8
GTEX-147F3-1726-SM-5SIAW 50-59 years, female 162.3
GTEX-13NZ9-2626-SM-5L3FK 50-59 years, male 161.5
GTEX-1M4P7-0726-SM-E6CJ3 60-69 years, male 161.0
GTEX-14C38-0726-SM-5SI6M 50-59 years, male 160.8
GTEX-1GN1W-2426-SM-9KNUU 50-59 years, female 160.8
GTEX-1JKYR-0626-SM-ARL8R 20-29 years, male 160.8
GTEX-1JMPZ-0726-SM-CY8HZ 30-39 years, male 160.7
GTEX-15CHC-1126-SM-6LLHQ 60-69 years, female 160.6
GTEX-11VI4-1126-SM-5EQMD 40-49 years, female 160.5
GTEX-14A5H-0826-SM-5QGPJ 60-69 years, male 160.5
GTEX-1K9T9-1526-SM-DIPFR 50-59 years, female 160.4
GTEX-1N5O9-0926-SM-E9J3C 60-69 years, male 160.0
GTEX-YEC4-1826-SM-4W1YP 40-49 years, male 159.9
GTEX-13FTW-0326-SM-5K7UW 40-49 years, male 159.7
GTEX-16Z82-2626-SM-7KULU 60-69 years, male 159.7
GTEX-WY7C-2126-SM-3NB2R 50-59 years, male 159.6
GTEX-1KANA-1326-SM-DIPFA 20-29 years, male 159.4
GTEX-XV7Q-1826-SM-4BRUV 40-49 years, female 159.1
GTEX-1QEPI-2626-SM-DTXF4 60-69 years, female 158.6
GTEX-1F48J-0726-SM-7RHGS 50-59 years, female 158.2
GTEX-1QP29-1826-SM-DTX9S 50-59 years, male 157.8
GTEX-13VXU-0626-SM-5L3F9 50-59 years, male 157.3
GTEX-13RTJ-0126-SM-5S2NN 60-69 years, male 156.8
GTEX-13X6J-0626-SM-5LU5F 50-59 years, male 155.9
GTEX-14DAR-1226-SM-73KYV 50-59 years, male 155.7
GTEX-1AMEY-0826-SM-72D65 30-39 years, female 154.9
GTEX-1IDJC-1526-SM-B2LW4 50-59 years, male 154.8
GTEX-16XZZ-0726-SM-7KUF2 60-69 years, male 154.3
GTEX-1212Z-0126-SM-59HK4 60-69 years, male 154.2
GTEX-X4EP-0626-SM-3P621 60-69 years, female 154.1
GTEX-1KXAM-1626-SM-D3LAD 60-69 years, male 154.0
GTEX-13X6I-1826-SM-5SIAO 60-69 years, male 153.7
GTEX-15EU6-2226-SM-6EU2L 50-59 years, male 153.2
GTEX-1AMFI-1326-SM-7939R 50-59 years, female 153.0
GTEX-11DXW-0826-SM-5H118 40-49 years, male 152.9
GTEX-1CB4I-0126-SM-7RHGG 50-59 years, male 152.8
GTEX-1GL5R-1326-SM-7RHHF 50-59 years, male 152.7
GTEX-1JJE9-2626-SM-ARZMT 70-79 years, male 152.6
GTEX-12584-0726-SM-5FQTK 40-49 years, male 152.4
GTEX-139T8-0626-SM-5KLZX 60-69 years, male 152.0
GTEX-WRHU-2826-SM-3MJG8 50-59 years, female 152.0
GTEX-1K2DA-1026-SM-CGQGF 50-59 years, male 151.8
GTEX-ZDXO-3126-SM-5IJDF 60-69 years, male 151.7
GTEX-1I6K7-1926-SM-B2LXR 40-49 years, male 151.7
GTEX-11UD2-2526-SM-5CVNU 50-59 years, male 151.6
GTEX-13N11-2326-SM-5IJBF 50-59 years, female 151.6
GTEX-178AV-1726-SM-7KUL8 40-49 years, male 151.2
GTEX-1H1DF-1126-SM-9WG7G 40-49 years, female 150.8
GTEX-XMD2-2126-SM-4YCF8 60-69 years, female 150.5
GTEX-1F88E-1626-SM-7SB8Z 60-69 years, female 150.5
GTEX-12WSC-2826-SM-5BC5Y 50-59 years, male 149.2
GTEX-1GTWX-2026-SM-9YFLM 60-69 years, male 149.2
GTEX-12C56-1526-SM-5FQUQ 20-29 years, male 149.0
GTEX-WYVS-1626-SM-3NM9R 40-49 years, female 147.8
GTEX-13PVQ-0626-SM-5LU47 50-59 years, male 147.7
GTEX-Y5LM-0926-SM-6LLJG 40-49 years, female 147.7
GTEX-1GMR8-0626-SM-7RHI7 50-59 years, female 147.3
GTEX-1JJ6O-2726-SM-CNPOG 60-69 years, male 146.4
GTEX-ZVE2-2826-SM-5GU51 50-59 years, male 145.5
GTEX-11EQ9-1626-SM-5PNY8 30-39 years, male 144.6
GTEX-16NPX-0726-SM-7KULC 50-59 years, male 144.3
GTEX-1HFI7-2326-SM-CGQFS 50-59 years, female 144.0
GTEX-YF7O-1526-SM-5IFI6 50-59 years, male 143.9
GTEX-1H3VE-0726-SM-9YFL5 40-49 years, male 143.9
GTEX-1IDJU-1726-SM-CMKHU 60-69 years, female 143.6
GTEX-13VXT-1926-SM-5K7UO 20-29 years, female 142.4
GTEX-V1D1-2026-SM-3GAF4 50-59 years, male 142.1
GTEX-18A7B-2726-SM-7LG56 70-79 years, male 141.5
GTEX-18D9B-0926-SM-7LG4U 60-69 years, male 141.1
GTEX-ZA64-1026-SM-5HL8R 20-29 years, male 141.0
GTEX-1A3MX-2626-SM-7PC24 60-69 years, male 140.7
GTEX-17MF6-2626-SM-79OKQ 40-49 years, male 140.2
GTEX-1JKYN-0826-SM-ARU8S 30-39 years, male 140.2
GTEX-1JN6P-2926-SM-CL54D 60-69 years, male 139.7
GTEX-1B8KZ-0326-SM-73KY4 50-59 years, male 139.6
GTEX-1IDJH-0126-SM-D3L92 70-79 years, male 139.5
GTEX-1IDJI-0126-SM-CMKHS 50-59 years, female 139.4
GTEX-132AR-0326-SM-5KM2C 50-59 years, female 139.1
GTEX-1JMOU-1026-SM-CYPSS 60-69 years, female 138.4
GTEX-13OVL-0126-SM-5L3GJ 50-59 years, male 137.5
GTEX-Y8LW-1526-SM-5IFHL 50-59 years, female 136.9
GTEX-14LLW-2626-SM-62LDZ 70-79 years, female 136.8
GTEX-111FC-2526-SM-5GZXU 60-69 years, male 136.5
GTEX-13OW8-1026-SM-5J1NQ 60-69 years, male 135.7
GTEX-1477Z-0326-SM-7IGLA 60-69 years, male 134.9
GTEX-1HKZK-0726-SM-ACKW2 40-49 years, male 134.1
GTEX-1KWVE-1026-SM-D3L9O 30-39 years, male 133.8
GTEX-1C475-1326-SM-7SB73 40-49 years, female 133.4
GTEX-145ME-1726-SM-5Q5EU 40-49 years, female 133.1
GTEX-1J8JJ-0626-SM-ARZMQ 60-69 years, female 132.9
GTEX-1J1R8-2026-SM-CL53Y 40-49 years, male 131.9
GTEX-ZVT2-0126-SM-5GIDQ 50-59 years, female 131.8
GTEX-12696-0126-SM-5EQ4L 60-69 years, male 131.4
GTEX-1AX8Z-0726-SM-73KTS 60-69 years, male 130.9
GTEX-16NGA-0726-SM-731AO 40-49 years, female 129.9
GTEX-1314G-1326-SM-5BC6E 30-39 years, male 129.8
GTEX-1IDJD-2326-SM-ACKWX 30-39 years, male 129.0
GTEX-13U4I-2226-SM-5LU5H 40-49 years, female 128.8
GTEX-1RAZR-2126-SM-E9U6T 40-49 years, male 128.8
GTEX-14PKV-1126-SM-6LLJ1 20-29 years, female 128.6
GTEX-ZU9S-1826-SM-5NQ9E 30-39 years, male 128.6
GTEX-1497J-0226-SM-5QGPU 60-69 years, male 128.4
GTEX-1ICG6-1226-SM-A9SLN 70-79 years, female 127.4
GTEX-11EI6-2826-SM-5H11D 60-69 years, male 127.1
GTEX-1EH9U-2826-SM-7DUGT 60-69 years, male 126.1
GTEX-147JS-0226-SM-5S2U9 60-69 years, male 124.9
GTEX-13X6H-0926-SM-5SIB2 50-59 years, female 124.7
GTEX-13PVR-0426-SM-5RQK2 60-69 years, female 124.6
GTEX-WYBS-0626-SM-3NMAS 60-69 years, female 124.1
GTEX-WEY5-2326-SM-3GIKK 40-49 years, female 124.0
GTEX-1GF9U-2026-SM-7SB92 40-49 years, female 123.2
GTEX-1IDJF-2026-SM-CL53V 20-29 years, male 122.7
GTEX-ZTSS-1426-SM-5985P 40-49 years, male 121.8
GTEX-1GMR3-0126-SM-A9SLW 40-49 years, male 121.7
GTEX-16GPK-0626-SM-7KFSF 60-69 years, male 121.6
GTEX-ZUA1-2626-SM-5NQ92 40-49 years, male 121.6
GTEX-1LVAO-2726-SM-E9TJ8 60-69 years, male 121.0
GTEX-1HCU9-0426-SM-9WYSD 20-29 years, male 120.8
GTEX-ZAJG-1526-SM-5CVML 50-59 years, female 120.7
GTEX-WK11-2726-SM-3NMAQ 50-59 years, male 120.1
GTEX-1GMR2-0826-SM-7PC3V 50-59 years, male 118.7
GTEX-1HSMO-0626-SM-ACKXC 60-69 years, male 118.2
GTEX-1H1ZS-2726-SM-9WG75 70-79 years, male 117.9
GTEX-1211K-1526-SM-5FQU4 60-69 years, female 116.9
GTEX-ZGAY-1826-SM-DO91Q 40-49 years, female 116.7
GTEX-145LT-0526-SM-5LUB2 40-49 years, male 116.6
GTEX-13113-1626-SM-5EQ4I 60-69 years, female 116.5
GTEX-14DAQ-0626-SM-793DS 60-69 years, female 115.3
GTEX-1O9I2-0226-SM-EYYXD 50-59 years, male 114.6
GTEX-12WSA-0426-SM-5EQ5X 60-69 years, male 112.7
GTEX-VJYA-1526-SM-3GIJV 60-69 years, male 111.4
GTEX-1KANC-1226-SM-CYPT7 50-59 years, female 110.5
GTEX-1QP66-1226-SM-DTX7U 50-59 years, male 109.8
GTEX-1LG7Z-1626-SM-CXKYR 30-39 years, male 109.5
GTEX-Y5V5-0126-SM-5S2NW 60-69 years, female 108.1
GTEX-1F5PL-0926-SM-7PC2W 40-49 years, female 108.0
GTEX-1E1VI-0326-SM-793D1 50-59 years, male 107.4
GTEX-X3Y1-2026-SM-3P5YM 40-49 years, male 107.3
GTEX-13N2G-0226-SM-5K7VF 60-69 years, male 105.8
GTEX-12BJ1-0926-SM-5EQ62 60-69 years, male 105.5
GTEX-UPK5-0426-SM-3GAEK 40-49 years, male 103.7
GTEX-1J8Q3-0526-SM-ARL8U 60-69 years, male 102.7
GTEX-1A32A-0626-SM-731AQ 50-59 years, female 101.2
GTEX-ZT9W-1126-SM-57WDR 50-59 years, male 100.4
GTEX-1H3NZ-2726-SM-9WYTQ 60-69 years, male 99.0
GTEX-13OVG-1626-SM-5J1NF 60-69 years, male 97.5
GTEX-14BMU-1226-SM-5S2OR 20-29 years, female 97.3
GTEX-1GZ2Q-0126-SM-9WG6M 40-49 years, male 97.1
GTEX-ZLWG-0826-SM-59888 50-59 years, female 97.0
GTEX-14PJ2-0626-SM-6LLII 50-59 years, male 95.7
GTEX-1I4MK-0126-SM-CY8G6 50-59 years, female 94.4
GTEX-1I6K6-1726-SM-CGQFD 30-39 years, male 94.4
GTEX-14E6C-2426-SM-5S2NF 40-49 years, male 93.9
GTEX-11TT1-1826-SM-5EQLV 20-29 years, male 93.4
GTEX-14E6E-0526-SM-793DN 30-39 years, male 92.9
GTEX-13FH7-1126-SM-5K7UG 50-59 years, female 91.4
GTEX-WFG8-2126-SM-3GIKQ 20-29 years, male 90.5
GTEX-1B996-0426-SM-7EWF8 60-69 years, male 89.3
GTEX-17JCI-2926-SM-7DUFF 60-69 years, female 89.1
GTEX-1QCLZ-2426-SM-EVYBW 60-69 years, female 88.8
GTEX-13JUV-2026-SM-5K7UA 40-49 years, female 84.7
GTEX-117YX-1926-SM-5GIEC 50-59 years, male 83.3
GTEX-1IDJE-1426-SM-ADEIW 50-59 years, female 81.0
GTEX-ZYFG-1526-SM-5GZYM 60-69 years, female 80.5
GTEX-1L5NE-1126-SM-D3L9P 50-59 years, male 79.8
GTEX-11EM3-1226-SM-5N9DD 20-29 years, female 78.2
GTEX-1CAV2-0126-SM-7IGN7 40-49 years, female 76.7
GTEX-1I19N-0126-SM-CYPSF 70-79 years, male 76.1
GTEX-12WSL-2026-SM-5GCML 50-59 years, male 75.8
GTEX-YB5K-2026-SM-4VDT3 40-49 years, female 74.4
GTEX-1F6IF-0926-SM-7SB7M 60-69 years, male 71.1
GTEX-1LGOU-1326-SM-D3L8M 20-29 years, female 70.4
GTEX-1RAZA-2226-SM-E9U4X 20-29 years, male 68.0
GTEX-13QBU-1226-SM-5LU4G 40-49 years, female 66.5
GTEX-1HUB1-1426-SM-CGQF5 60-69 years, male 59.6
GTEX-ZVTK-0226-SM-51MRG 20-29 years, male 51.8
GTEX-1F75W-2726-SM-7SB8H 60-69 years, male 50.6
GTEX-1399R-1326-SM-5PNYS 30-39 years, male 44.9
Show allShow less
Skin - Sun Exposed (Lower leg)
Average nTPM: 208.5
Samples: 701

Max nTPM: 544.8
Min nTPM: 3.9
Std nTPM: 86.1
Median nTPM: 198.1
GTEX-P4QT-0126-SM-2I3FL 50-59 years, female 544.8
GTEX-POMQ-2226-SM-2I5FK 20-29 years, female 524.6
GTEX-XUZC-1726-SM-4BRWS 30-39 years, female 522.7
GTEX-Y3IK-2426-SM-4WWDU 50-59 years, female 500.9
GTEX-1R9PM-2026-SM-E76OY 20-29 years, male 490.0
GTEX-1LG7Z-1726-SM-D3LA4 30-39 years, male 474.5
GTEX-1JMLX-0226-SM-CM2RO 50-59 years, male 472.4
GTEX-139UW-2826-SM-5L3E7 60-69 years, male 455.2
GTEX-T6MN-0126-SM-32PLP 50-59 years, male 449.3
GTEX-17JCI-0126-SM-7LG5G 60-69 years, female 447.7
GTEX-11DXZ-2326-SM-5EGGV 50-59 years, male 439.9
GTEX-W5X1-3026-SM-EAZAX 40-49 years, female 438.5
GTEX-13FXS-0226-SM-5IJCK 50-59 years, male 433.3
GTEX-1I1GV-0526-SM-A9G29 60-69 years, male 433.3
GTEX-T2YK-0526-SM-32QPJ 50-59 years, male 431.9
GTEX-ZVTK-0426-SM-51MRS 20-29 years, male 431.1
GTEX-1OJC3-0126-SM-E76QX 20-29 years, male 427.6
GTEX-1PIIG-0226-SM-EWRN6 30-39 years, male 423.8
GTEX-11DYG-0126-SM-59883 60-69 years, male 395.4
GTEX-ZYT6-0226-SM-5NQ6T 30-39 years, male 392.4
GTEX-13OVH-0126-SM-5MR4B 70-79 years, male 388.5
GTEX-1L5NE-2526-SM-E6CIE 50-59 years, male 386.0
GTEX-X88G-0126-SM-47JZ3 30-39 years, male 383.4
GTEX-18D9A-1926-SM-7LG6P 30-39 years, female 383.3
GTEX-111FC-0126-SM-5N9DL 60-69 years, male 377.4
GTEX-1399R-2726-SM-5IJBA 30-39 years, male 375.5
GTEX-1MJK2-0426-SM-DTXE5 50-59 years, male 375.5
GTEX-ZV68-0126-SM-59HKS 50-59 years, female 372.2
GTEX-1K2DA-1826-SM-CGQGT 50-59 years, male 366.6
GTEX-YJ89-0126-SM-4TT3X 60-69 years, male 366.3
GTEX-1B8SF-1426-SM-7DUGL 60-69 years, male 365.4
GTEX-PX3G-0126-SM-2I3EN 20-29 years, female 365.0
GTEX-1LSNM-1926-SM-E6CII 50-59 years, male 364.7
GTEX-145MN-2226-SM-5SIAU 30-39 years, male 364.3
GTEX-T5JW-1626-SM-3GADZ 20-29 years, female 364.2
GTEX-1KANC-1526-SM-D3LAB 50-59 years, female 363.1
GTEX-1JJEA-0326-SM-CNPOT 60-69 years, male 361.4
GTEX-U412-0426-SM-3DB9O 60-69 years, male 361.1
GTEX-PSDG-0226-SM-DKPOZ 50-59 years, male 361.0
GTEX-13111-1626-SM-5EGJY 50-59 years, male 359.2
GTEX-13FTW-2626-SM-5K7WL 40-49 years, male 357.8
GTEX-ZGAY-0526-SM-4WWBB 40-49 years, female 357.7
GTEX-NFK9-0226-SM-2HMKQ 40-49 years, male 354.5
GTEX-15ER7-0326-SM-7KUEV 20-29 years, female 353.0
GTEX-ZXES-1826-SM-5E43S 30-39 years, female 352.9
GTEX-ZVZO-0126-SM-5A5L9 40-49 years, male 352.4
GTEX-1QP9N-1426-SM-DTXFL 30-39 years, male 352.1
GTEX-13FHP-0126-SM-5IJBG 50-59 years, male 350.9
GTEX-UJHI-1526-SM-3DB99 50-59 years, female 348.8
GTEX-OIZG-0726-SM-33HBL 50-59 years, male 346.9
GTEX-Y114-2426-SM-4TT8A 50-59 years, female 346.8
GTEX-ZWKS-0126-SM-5SIAA 30-39 years, male 345.3
GTEX-13NYB-2526-SM-5K7Z6 40-49 years, male 343.2
GTEX-OOBJ-0126-SM-E6CJW 60-69 years, male 343.0
GTEX-1LB8K-0226-SM-EWRNW 50-59 years, male 342.9
GTEX-Y8DK-0126-SM-4TT3L 60-69 years, male 342.7
GTEX-1GF9X-2026-SM-7PC3A 40-49 years, female 340.1
GTEX-1CAV2-2226-SM-7P8P2 40-49 years, female 340.0
GTEX-14PII-0226-SM-6EU1T 60-69 years, male 339.7
GTEX-ZF2S-2326-SM-4WWCE 50-59 years, female 338.9
GTEX-1JMQL-0226-SM-CNPP5 50-59 years, female 338.9
GTEX-ZYFD-0126-SM-5GIDL 50-59 years, male 338.4
GTEX-1122O-2126-SM-5EGIR 60-69 years, female 338.1
GTEX-OIZH-0126-SM-2HMIS 50-59 years, male 338.0
GTEX-1PPH8-0226-SM-E8VND 20-29 years, male 337.6
GTEX-13CF2-2526-SM-5LZYX 60-69 years, male 337.1
GTEX-1EWIQ-0126-SM-7RHH2 70-79 years, female 336.7
GTEX-XBEW-0626-SM-4QASP 40-49 years, male 335.8
GTEX-1JMPY-1326-SM-ARL8Y 30-39 years, male 334.8
GTEX-1CB4E-2226-SM-793DC 60-69 years, male 332.6
GTEX-1LBAC-0126-SM-DIPEZ 20-29 years, male 327.9
GTEX-1399U-2326-SM-5K7WY 50-59 years, female 327.0
GTEX-1C475-1826-SM-73KWA 40-49 years, female 322.4
GTEX-1S83E-0126-SM-EWRO4 40-49 years, male 319.0
GTEX-1C64N-0126-SM-793D7 50-59 years, male 318.9
GTEX-QESD-1426-SM-2S1R9 20-29 years, male 318.4
GTEX-117XS-2726-SM-5N9BL 60-69 years, male 317.9
GTEX-1F6RS-0126-SM-9MQKZ 60-69 years, female 317.9
GTEX-1EMGI-0126-SM-9KNUE 60-69 years, male 317.6
GTEX-1IL2U-0226-SM-CE6T8 60-69 years, male 313.8
GTEX-1GMR3-1926-SM-9KNUZ 40-49 years, male 312.8
GTEX-ZTX8-1426-SM-5DUVO 20-29 years, male 312.2
GTEX-1JN6P-0126-SM-D3L98 60-69 years, male 311.3
GTEX-1CB4I-0226-SM-79OLH 50-59 years, male 311.0
GTEX-ZF3C-0126-SM-DO92D 50-59 years, female 309.9
GTEX-S33H-1026-SM-EZ6L6 30-39 years, male 309.1
GTEX-WQUQ-0426-SM-3MJFU 60-69 years, male 308.3
GTEX-16GPK-0126-SM-7DHLE 60-69 years, male 306.3
GTEX-15F5U-1526-SM-6PANO 40-49 years, male 305.5
GTEX-139TS-2826-SM-5J1OO 60-69 years, male 303.1
GTEX-1LVAN-0226-SM-COH3S 50-59 years, female 303.0
GTEX-1LGRB-2526-SM-CNPPQ 50-59 years, female 302.4
GTEX-1KD4Q-0226-SM-E9TJ9 40-49 years, male 302.2
GTEX-1KAFJ-2026-SM-CY8ID 50-59 years, male 301.8
GTEX-1H1CY-2826-SM-9MQM3 60-69 years, female 298.6
GTEX-1HFI6-0226-SM-ADEHZ 40-49 years, male 298.6
GTEX-1PIGE-0126-SM-EVYBJ 20-29 years, male 297.6
GTEX-WYJK-0126-SM-3NMAB 50-59 years, male 297.5
GTEX-15ETS-0126-SM-7KUMW 40-49 years, female 297.3
GTEX-1IOXB-0126-SM-ARL8G 50-59 years, male 296.4
GTEX-1H4P4-0726-SM-9YFLR 50-59 years, male 295.3
GTEX-1B8KE-2126-SM-73KYX 50-59 years, male 295.1
GTEX-1S3DN-2226-SM-EVYCD 50-59 years, male 293.8
GTEX-1BAJH-0526-SM-793CQ 70-79 years, male 293.2
GTEX-15RIG-0226-SM-7KFTL 40-49 years, male 293.1
GTEX-YB5E-2026-SM-5IFIS 40-49 years, male 292.2
GTEX-12WSE-0526-SM-793B2 20-29 years, male 291.9
GTEX-131XE-2326-SM-5PNZ2 50-59 years, male 291.3
GTEX-15SB6-1726-SM-6PAME 50-59 years, female 291.0
GTEX-1HCU7-0226-SM-CL545 50-59 years, male 291.0
GTEX-Z93S-0126-SM-5HL7M 50-59 years, male 289.6
GTEX-14JG1-0426-SM-6ETZZ 40-49 years, male 288.1
GTEX-YB5K-2126-SM-4WWDJ 40-49 years, female 287.8
GTEX-17KNJ-2326-SM-7DHLQ 50-59 years, male 287.7
GTEX-1PDJ9-0326-SM-DTX95 20-29 years, male 286.7
GTEX-1JMPZ-0226-SM-CNPP1 30-39 years, male 286.1
GTEX-1GF9V-0326-SM-7RHI5 60-69 years, male 285.0
GTEX-1MA7W-2026-SM-E9TJ6 20-29 years, female 284.8
GTEX-1JMQI-2226-SM-CM2SD 50-59 years, male 284.6
GTEX-Y8E4-0626-SM-4WWDL 40-49 years, male 283.1
GTEX-1J8EW-0126-SM-CJI4F 60-69 years, female 281.5
GTEX-1OFPY-2426-SM-DTXEJ 60-69 years, male 281.2
GTEX-13OVK-2026-SM-7KUEO 40-49 years, male 280.7
GTEX-P4PP-0126-SM-3LK69 30-39 years, female 280.6
GTEX-14E6D-0126-SM-62LDV 50-59 years, male 280.2
GTEX-1CB4F-0426-SM-9KNV4 60-69 years, male 279.8
GTEX-TKQ1-1026-SM-4GICL 30-39 years, male 279.6
GTEX-17GQL-2026-SM-718BA 60-69 years, male 279.0
GTEX-SUCS-1926-SM-32PM3 70-79 years, male 278.6
GTEX-1HSKV-0226-SM-A9SKJ 60-69 years, male 278.3
GTEX-U8XE-0326-SM-3DB8P 30-39 years, male 277.9
GTEX-1I4MK-2226-SM-ACKWD 50-59 years, female 277.4
GTEX-18A67-0126-SM-7LG5P 50-59 years, male 276.4
GTEX-1B8L1-2526-SM-9WYTF 60-69 years, male 276.3
GTEX-18A6Q-0126-SM-731BZ 60-69 years, male 276.2
GTEX-1HSGN-0226-SM-CGQFV 40-49 years, female 276.0
GTEX-13NZB-2526-SM-5J1OM 30-39 years, male 274.2
GTEX-Y5V6-2426-SM-4VDSB 60-69 years, male 274.1
GTEX-14PN4-0126-SM-6EU2V 50-59 years, male 273.4
GTEX-1J8JJ-0226-SM-CL53I 60-69 years, female 272.9
GTEX-1KANA-0726-SM-D3L9I 20-29 years, male 270.8
GTEX-1N2DW-0226-SM-E9TK2 50-59 years, male 269.9
GTEX-S7SE-0126-SM-2XCD5 50-59 years, male 268.9
GTEX-1GN2E-0426-SM-9MQKX 60-69 years, male 268.7
GTEX-O5YT-0126-SM-48TBW 20-29 years, male 268.6
GTEX-ZAK1-0126-SM-5IJD3 50-59 years, female 268.4
GTEX-145LS-0126-SM-5QGP1 60-69 years, female 267.9
GTEX-1E2YA-0126-SM-9KNUC 50-59 years, male 267.9
GTEX-1GZHY-0326-SM-9QEHI 50-59 years, female 267.6
GTEX-1GF9W-0326-SM-9KNUN 60-69 years, male 266.2
GTEX-1JJ6O-0126-SM-E6CI8 60-69 years, male 265.9
GTEX-1M5QR-1226-SM-EWROB 40-49 years, male 265.9
GTEX-131XH-2226-SM-5DUXJ 50-59 years, male 265.3
GTEX-XAJ8-0826-SM-47JY6 40-49 years, male 264.1
GTEX-1JMQJ-0526-SM-CYPSU 50-59 years, male 264.1
GTEX-131YS-0126-SM-5KM1M 60-69 years, female 264.0
GTEX-SNMC-1226-SM-2XCFP 20-29 years, male 263.0
GTEX-1QMI2-0226-SM-EVYBX 60-69 years, male 262.9
GTEX-139D8-0226-SM-5KLZO 30-39 years, female 262.3
GTEX-12126-0326-SM-5PNW3 20-29 years, male 262.0
GTEX-1C4CL-0526-SM-73KVK 30-39 years, male 261.6
GTEX-1JN76-0126-SM-CNPPE 20-29 years, female 261.5
GTEX-1GZ4H-1726-SM-7PBZJ 50-59 years, female 259.8
GTEX-1IKJJ-0126-SM-CNPQB 60-69 years, male 259.5
GTEX-ZU9S-0226-SM-5E441 30-39 years, male 259.0
GTEX-14BIN-0626-SM-793DP 50-59 years, female 258.5
GTEX-1IDJH-0326-SM-A9SLQ 70-79 years, male 258.5
GTEX-1HCU8-0626-SM-A9SM9 60-69 years, female 257.9
GTEX-Z93T-0126-SM-5HL5N 50-59 years, male 257.3
GTEX-1I1GT-0626-SM-CGQER 60-69 years, female 256.8
GTEX-1JMQK-0226-SM-CL543 60-69 years, male 256.8
GTEX-13SLW-0126-SM-5SI6C 70-79 years, male 256.0
GTEX-18A7A-0226-SM-718BH 50-59 years, female 255.9
GTEX-1QCLY-0326-SM-E8VOG 30-39 years, male 254.5
GTEX-ZVT2-2526-SM-51MT1 50-59 years, female 254.4
GTEX-Y111-0126-SM-4SOIV 50-59 years, male 253.4
GTEX-18QFQ-0126-SM-731BE 30-39 years, male 253.3
GTEX-17EVP-0326-SM-7DHLG 40-49 years, male 252.7
GTEX-1R7EU-0226-SM-EVR4G 60-69 years, male 252.7
GTEX-17F98-0626-SM-79OMX 40-49 years, female 252.6
GTEX-1J1OQ-0226-SM-CYPSH 40-49 years, female 252.2
GTEX-13PDP-0126-SM-5L3HD 60-69 years, male 250.2
GTEX-1QPFJ-0226-SM-E76PB 30-39 years, female 249.1
GTEX-1PFEY-1526-SM-E76PP 30-39 years, male 248.1
GTEX-1F5PL-0326-SM-7P8PQ 40-49 years, female 247.3
GTEX-14A5H-0426-SM-5QGQF 60-69 years, male 247.1
GTEX-14E6E-1826-SM-5S2R7 30-39 years, male 247.0
GTEX-1399T-2826-SM-5KLYZ 60-69 years, male 246.7
GTEX-1H3VE-0326-SM-9YFLH 40-49 years, male 246.4
GTEX-1HR98-0126-SM-B2LWI 60-69 years, male 245.5
GTEX-XQ3S-1526-SM-4BOOC 20-29 years, male 245.3
GTEX-132NY-0326-SM-5IJBL 60-69 years, male 245.2
GTEX-146FQ-0126-SM-5NQA9 30-39 years, male 244.5
GTEX-183WM-0126-SM-7LTAB 70-79 years, female 244.4
GTEX-1NV5F-0226-SM-E8VNY 60-69 years, female 244.4
GTEX-1192W-2626-SM-5Q5AF 60-69 years, male 244.2
GTEX-1KXAM-2226-SM-CYPTC 60-69 years, male 244.1
GTEX-1S5ZA-0126-SM-EVYCV 20-29 years, male 244.1
GTEX-14BMV-0126-SM-5S2PO 50-59 years, male 243.9
GTEX-PVOW-0126-SM-2XCFA 40-49 years, male 242.8
GTEX-T8EM-1026-SM-3DB7M 40-49 years, male 242.5
GTEX-13X6J-0126-SM-5QGOU 50-59 years, male 241.9
GTEX-1HCUA-2426-SM-ADEIS 50-59 years, female 241.9
GTEX-U8T8-0126-SM-3DB94 60-69 years, male 241.8
GTEX-1GMRU-0126-SM-9YFLV 50-59 years, male 241.3
GTEX-1KWVE-1426-SM-E9TJO 30-39 years, male 241.0
GTEX-1497J-2426-SM-7IGNX 60-69 years, male 240.9
GTEX-14PHX-2326-SM-62LEM 50-59 years, male 240.6
GTEX-X4XX-0126-SM-3NMC2 60-69 years, male 240.3
GTEX-13OW6-0426-SM-5L3HM 50-59 years, male 240.0
GTEX-17HG3-2226-SM-7938L 30-39 years, female 240.0
GTEX-13G51-2526-SM-5LZYK 60-69 years, male 239.8
GTEX-SIU8-0126-SM-2XCDT 50-59 years, male 239.7
GTEX-RTLS-0126-SM-447CA 60-69 years, female 239.6
GTEX-1HSEH-0126-SM-ACKXN 60-69 years, male 238.9
GTEX-ZE9C-2726-SM-57WB5 60-69 years, male 238.7
GTEX-1313W-0126-SM-5LZUN 50-59 years, female 238.6
GTEX-145MO-0326-SM-5Q5B3 60-69 years, male 238.6
GTEX-ZV6S-2326-SM-4YCEY 40-49 years, female 238.6
GTEX-145MF-0626-SM-5LUAI 50-59 years, male 238.5
GTEX-16BQI-0226-SM-7KUEX 30-39 years, female 238.4
GTEX-NPJ8-0126-SM-2YUNR 40-49 years, male 238.4
GTEX-1HT8W-0126-SM-CNPPP 30-39 years, male 238.1
GTEX-12WSJ-1826-SM-5GCNY 40-49 years, female 237.4
GTEX-1HCU9-1526-SM-A9SL7 20-29 years, male 237.3
GTEX-WI4N-1026-SM-3LK7N 40-49 years, female 237.0
GTEX-YFC4-0126-SM-5CVLY 40-49 years, female 237.0
GTEX-13YAN-0326-SM-5O9DF 60-69 years, male 236.7
GTEX-1H1DG-0126-SM-9WYU2 70-79 years, male 236.2
GTEX-1F75B-0126-SM-9KNVL 50-59 years, male 235.7
GTEX-13OW5-0126-SM-DTXFS 60-69 years, male 235.0
GTEX-1B97I-1626-SM-73KYO 40-49 years, male 234.8
GTEX-1EX96-1626-SM-7PBXR 50-59 years, male 234.7
GTEX-1HB9E-0226-SM-E9U4R 50-59 years, male 234.7
GTEX-17F96-1626-SM-7DUFL 70-79 years, male 233.7
GTEX-1H11D-0226-SM-9WG6Z 40-49 years, male 233.7
GTEX-15G19-0126-SM-6PANQ 60-69 years, male 233.3
GTEX-12ZZX-0126-SM-5EGK9 40-49 years, female 233.1
GTEX-T2IS-0126-SM-4DM6O 20-29 years, female 233.1
GTEX-ZVZP-2426-SM-59HKJ 50-59 years, male 233.0
GTEX-1RB15-2126-SM-E9TIM 60-69 years, male 232.9
GTEX-11TUW-2726-SM-E9J4M 60-69 years, male 232.5
GTEX-1C6VR-2426-SM-79OLD 60-69 years, male 232.4
GTEX-XUYS-0126-SM-47JWZ 50-59 years, male 231.6
GTEX-ZDTS-0126-SM-4WAY5 60-69 years, male 231.3
GTEX-11XUK-2026-SM-5EQLF 40-49 years, female 231.1
GTEX-13VXU-0126-SM-5SI9F 50-59 years, male 230.6
GTEX-13CF3-2426-SM-5IFGX 60-69 years, female 230.5
GTEX-1QAET-0926-SM-E76QM 50-59 years, male 230.2
GTEX-14LZ3-0226-SM-62LET 60-69 years, female 230.1
GTEX-1R9K4-0126-SM-DTX9X 60-69 years, male 229.6
GTEX-11ZTS-0126-SM-5EQ6M 60-69 years, female 228.9
GTEX-TMZS-0126-SM-3DB9Q 60-69 years, male 228.2
GTEX-1GN73-0226-SM-9WG67 60-69 years, male 228.2
GTEX-14PJM-0226-SM-62LF1 50-59 years, female 227.4
GTEX-12WSL-2526-SM-5GCNJ 50-59 years, male 227.2
GTEX-WYVS-2126-SM-3NMA3 40-49 years, female 227.2
GTEX-1J8QM-2126-SM-CYPSJ 60-69 years, female 226.3
GTEX-WFON-2126-SM-3LK7O 40-49 years, male 225.8
GTEX-1HCU6-0126-SM-CL54K 60-69 years, female 225.3
GTEX-UPJH-0326-SM-3GADU 50-59 years, male 225.1
GTEX-1CB4H-0226-SM-7PBXM 60-69 years, female 225.1
GTEX-X8HC-0126-SM-4E3JW 50-59 years, female 224.6
GTEX-SJXC-0126-SM-2XCFF 60-69 years, male 223.7
GTEX-144GL-0126-SM-5TDE2 50-59 years, male 223.6
GTEX-1JN1M-0326-SM-CYPT3 60-69 years, female 223.4
GTEX-W5WG-1826-SM-4KL2Y 50-59 years, female 223.2
GTEX-1HBPI-1526-SM-C1YQ1 50-59 years, male 223.0
GTEX-QVJO-1626-SM-2S1QW 60-69 years, female 222.9
GTEX-14C5O-0126-SM-5SI6N 60-69 years, male 222.8
GTEX-OHPL-0126-SM-2HMJ7 60-69 years, female 222.8
GTEX-1212Z-2526-SM-5EGKP 60-69 years, male 222.6
GTEX-13JUV-2726-SM-5LZZ8 40-49 years, female 222.0
GTEX-1KANB-0526-SM-E6CJH 50-59 years, male 221.9
GTEX-14XAO-2326-SM-6EU1B 60-69 years, female 221.3
GTEX-O5YW-0126-SM-3LK6D 50-59 years, male 220.9
GTEX-11EQ9-2426-SM-5HL5T 30-39 years, male 220.2
GTEX-12WSK-2326-SM-5GCOH 40-49 years, female 220.2
GTEX-11DXW-0226-SM-5H122 40-49 years, male 220.1
GTEX-11UD1-0126-SM-5PNYG 40-49 years, female 220.1
GTEX-X4EO-0326-SM-3P5YO 60-69 years, female 220.0
GTEX-11OF3-2626-SM-5GU7F 60-69 years, male 219.9
GTEX-OOBK-0126-SM-2YUND 40-49 years, male 219.7
GTEX-14ICK-0226-SM-6EU25 40-49 years, male 218.4
GTEX-RVPV-0126-SM-EAZAW 60-69 years, male 218.2
GTEX-1314G-1526-SM-5EGK2 30-39 years, male 218.1
GTEX-133LE-1826-SM-5J1MV 20-29 years, female 217.9
GTEX-ZPIC-1726-SM-DHXIU 40-49 years, female 217.8
GTEX-18D9U-0226-SM-718BP 40-49 years, male 217.6
GTEX-13O3P-0126-SM-5KM4S 50-59 years, male 217.5
GTEX-1K2DU-2326-SM-E9TIV 20-29 years, male 217.0
GTEX-Y5V5-2326-SM-4V6GA 60-69 years, female 216.9
GTEX-1IL2V-0126-SM-CM2TX 70-79 years, male 216.8
GTEX-13113-5016-SM-7EPIP 60-69 years, female 216.5
GTEX-1IKK5-0626-SM-ARL8A 60-69 years, male 215.3
GTEX-ZTSS-1926-SM-57WEW 40-49 years, male 215.2
GTEX-1GPI7-0126-SM-9MQL8 20-29 years, male 214.9
GTEX-1O97I-0326-SM-EYYX7 60-69 years, male 214.7
GTEX-12WSC-0126-SM-5EQ4P 50-59 years, male 214.4
GTEX-12696-2426-SM-5EQ6H 60-69 years, male 214.3
GTEX-TML8-1926-SM-32QOS 40-49 years, female 213.4
GTEX-X4EP-0126-SM-3P5YV 60-69 years, female 213.4
GTEX-1GN1U-0126-SM-7PBZK 50-59 years, female 212.6
GTEX-1I6K6-0126-SM-A9SLE 30-39 years, male 212.5
GTEX-ZYFG-2326-SM-5E44B 60-69 years, female 212.0
GTEX-131XF-5016-SM-7MGWE 60-69 years, male 211.9
GTEX-14E6C-0126-SM-5RQIP 40-49 years, male 211.8
GTEX-1AX9J-0226-SM-73KXM 60-69 years, male 210.4
GTEX-1RAZA-0126-SM-E6CI3 20-29 years, male 210.4
GTEX-111VG-2426-SM-5GZXD 60-69 years, male 210.3
GTEX-ZYFC-0226-SM-5NQ75 50-59 years, male 210.3
GTEX-XYKS-2126-SM-4E3IB 60-69 years, female 210.0
GTEX-1GZ2Q-0226-SM-7P8TL 40-49 years, male 209.9
GTEX-13112-2826-SM-5DUWH 50-59 years, male 209.7
GTEX-14753-0426-SM-5NQAM 60-69 years, male 209.6
GTEX-11OC5-0126-SM-5HL6A 60-69 years, male 209.3
GTEX-1QP66-1726-SM-E8VO1 50-59 years, male 209.3
GTEX-1CB4G-0226-SM-7PC3O 60-69 years, male 208.6
GTEX-145ME-1826-SM-5SI9G 40-49 years, female 208.2
GTEX-1F6IF-0726-SM-7P8TW 60-69 years, male 207.6
GTEX-XXEK-2226-SM-4BRUM 50-59 years, male 207.5
GTEX-1I1GR-0126-SM-CL55F 60-69 years, male 207.3
GTEX-ZQUD-1426-SM-57WER 30-39 years, male 206.9
GTEX-13SLX-0526-SM-5S2ON 50-59 years, female 206.8
GTEX-ZZ64-1726-SM-5GZYB 20-29 years, male 206.8
GTEX-12ZZY-0226-SM-5LZVE 60-69 years, male 206.4
GTEX-1B8SG-0126-SM-73KZ3 50-59 years, male 206.3
GTEX-PLZ6-1426-SM-DKPOT 30-39 years, male 206.2
GTEX-13N2G-2626-SM-5J1OT 60-69 years, male 205.7
GTEX-X261-0126-SM-3NMD6 50-59 years, male 205.7
GTEX-ZDTT-2726-SM-4WKF8 60-69 years, male 205.7
GTEX-X585-0226-SM-4QAS2 50-59 years, male 205.2
GTEX-1JKYR-0126-SM-CNPOJ 20-29 years, male 205.0
GTEX-1F52S-0126-SM-9MQJU 60-69 years, female 204.4
GTEX-1HBPN-0226-SM-9YFM1 50-59 years, male 203.5
GTEX-145LV-2126-SM-5LU8N 50-59 years, male 203.3
GTEX-18465-0126-SM-731BN 50-59 years, male 202.4
GTEX-XQ8I-0426-SM-4BOPO 50-59 years, male 201.4
GTEX-QEG4-0226-SM-2S1PY 30-39 years, male 201.2
GTEX-11UD2-0226-SM-5EQKY 50-59 years, male 201.1
GTEX-12ZZZ-0626-SM-5DUXI 60-69 years, male 201.0
GTEX-1HGF4-2426-SM-ACKXM 60-69 years, male 201.0
GTEX-13O21-1426-SM-5K7XI 50-59 years, male 199.5
GTEX-1ICLZ-0126-SM-CKZPO 60-69 years, male 199.4
GTEX-11EI6-0126-SM-5985R 60-69 years, male 199.3
GTEX-VJYA-1126-SM-3GIJU 60-69 years, male 199.1
GTEX-PWO3-1526-SM-48TCM 60-69 years, female 199.0
GTEX-WVJS-0126-SM-4MVOT 50-59 years, male 198.8
GTEX-1I1GQ-0126-SM-COH3H 50-59 years, male 198.8
GTEX-ZVT4-0126-SM-DTXFN 50-59 years, female 198.6
GTEX-17HHY-0126-SM-7LG5D 50-59 years, male 198.1
GTEX-14PJ6-2126-SM-6EU1V 60-69 years, female 197.7
GTEX-1F6I4-0126-SM-9MQL2 60-69 years, male 197.5
GTEX-1RDX4-0126-SM-E9J4P 50-59 years, female 197.2
GTEX-13NZ8-0826-SM-5MR3I 60-69 years, female 196.6
GTEX-13NYC-0326-SM-E9J4S 60-69 years, male 196.3
GTEX-PWCY-1826-SM-DHXIZ 20-29 years, female 196.1
GTEX-145MI-0526-SM-5O9A8 60-69 years, female 195.7
GTEX-1H2FU-0126-SM-9WYSI 60-69 years, female 195.5
GTEX-1S82Y-2026-SM-EVYCM 40-49 years, male 195.5
GTEX-VUSG-2526-SM-4KL1V 50-59 years, male 194.2
GTEX-SN8G-0126-SM-32PLI 50-59 years, female 194.0
GTEX-ZDYS-2026-SM-5HL5L 50-59 years, male 193.6
GTEX-11WQC-2526-SM-5CVLE 60-69 years, male 193.4
GTEX-16MT8-0426-SM-7KUEY 60-69 years, female 193.2
GTEX-ZVE2-0226-SM-59HJB 50-59 years, male 193.2
GTEX-RNOR-0126-SM-E9J4R 50-59 years, female 193.0
GTEX-1POEN-0126-SM-EYYXJ 30-39 years, female 192.9
GTEX-Q2AI-1326-SM-2S1PL 40-49 years, male 192.8
GTEX-S95S-1226-SM-4GICG 60-69 years, male 192.7
GTEX-13O3Q-2426-SM-5IJBR 50-59 years, male 192.6
GTEX-12584-0126-SM-5EGKQ 40-49 years, male 192.2
GTEX-WFG8-2226-SM-3GIL9 20-29 years, male 191.8
GTEX-15SHU-0126-SM-7KUEH 40-49 years, female 191.7
GTEX-S32W-2126-SM-2XCB1 50-59 years, female 191.3
GTEX-QV44-1926-SM-2S1RF 50-59 years, male 191.2
GTEX-1CAMS-0426-SM-7P8T2 40-49 years, female 191.1
GTEX-1EU9M-0226-SM-7P8SP 60-69 years, male 191.0
GTEX-144FL-0126-SM-5TDC8 50-59 years, male 190.6
GTEX-1MGNQ-0126-SM-EVYCJ 40-49 years, male 190.6
GTEX-148VI-1626-SM-5SI6E 60-69 years, female 190.5
GTEX-1CAMR-1926-SM-7EPI2 20-29 years, male 190.3
GTEX-ZF29-2326-SM-DO92K 60-69 years, female 190.1
GTEX-ZQG8-1626-SM-DHXIT 60-69 years, female 189.1
GTEX-X4XY-0226-SM-4E3IZ 60-69 years, male 188.5
GTEX-1IKOH-0226-SM-COH4E 60-69 years, female 188.0
GTEX-1E1VI-0126-SM-7DHMZ 50-59 years, male 187.6
GTEX-TMMY-0226-SM-33HBA 40-49 years, female 187.1
GTEX-1F75A-0126-SM-7RHGM 50-59 years, male 186.8
GTEX-RU72-0926-SM-2TF6B 50-59 years, female 186.4
GTEX-1IDJF-0126-SM-CM2RS 20-29 years, male 186.4
GTEX-13D11-2426-SM-5KM1V 50-59 years, female 186.1
GTEX-1RQEC-0426-SM-E6CHU 60-69 years, male 186.0
GTEX-15DDE-0126-SM-6LPKH 50-59 years, female 185.7
GTEX-QDVJ-1726-SM-2I5FX 50-59 years, male 185.7
GTEX-1269C-2526-SM-5EGJ3 60-69 years, female 185.4
GTEX-169BO-1326-SM-9MQK2 50-59 years, male 185.0
GTEX-13OVL-0226-SM-5L3E9 50-59 years, male 184.9
GTEX-11H98-0126-SM-5EGHG 50-59 years, male 184.6
GTEX-1CAMQ-0226-SM-7IGPK 40-49 years, male 183.9
GTEX-WXYG-2326-SM-4E3I6 50-59 years, female 183.5
GTEX-13PVR-2326-SM-5QGR1 60-69 years, female 183.4
GTEX-RWSA-0126-SM-2XCBB 40-49 years, male 183.1
GTEX-1A3MX-0126-SM-731BR 60-69 years, male 182.8
GTEX-OXRN-0126-SM-48TDM 50-59 years, male 182.1
GTEX-1PWST-0226-SM-E76QJ 70-79 years, male 181.2
GTEX-14A5I-0126-SM-5TDEA 50-59 years, female 180.9
GTEX-ZE7O-0126-SM-57WC1 50-59 years, female 180.5
GTEX-1S82Z-0826-SM-E6CHY 30-39 years, female 180.4
GTEX-11P81-2326-SM-59875 30-39 years, female 180.2
GTEX-15DYW-0126-SM-7KULE 60-69 years, female 180.2
GTEX-16AAH-1726-SM-7939C 50-59 years, male 180.1
GTEX-1R46S-0626-SM-E9J41 60-69 years, female 179.6
GTEX-11GS4-2726-SM-5A5LE 60-69 years, male 179.5
GTEX-1HSMP-0126-SM-E6CJS 70-79 years, male 179.4
GTEX-16NPX-0226-SM-79OMT 50-59 years, male 179.2
GTEX-131XW-0426-SM-5LZWP 50-59 years, female 179.1
GTEX-S7PM-0126-SM-4AD6S 60-69 years, male 179.1
GTEX-OHPM-0126-SM-2YUN9 50-59 years, male 178.9
GTEX-17F97-0326-SM-7LG5B 50-59 years, male 178.8
GTEX-17MFQ-1726-SM-793C7 20-29 years, male 178.7
GTEX-145LU-0126-SM-5TDCB 50-59 years, male 178.3
GTEX-1MUQO-0126-SM-EAZ58 60-69 years, male 178.2
GTEX-14BMU-2226-SM-5TDE9 20-29 years, female 178.1
GTEX-XUW1-0426-SM-4BOOT 50-59 years, female 178.1
GTEX-ZAB5-1826-SM-5HL7C 50-59 years, male 178.0
GTEX-13S7M-0126-SM-5SI6A 60-69 years, female 177.8
GTEX-R3RS-0126-SM-3GIJL 40-49 years, female 177.6
GTEX-1B933-0126-SM-7PC29 50-59 years, female 177.6
GTEX-1EN7A-0126-SM-7SB81 40-49 years, male 177.4
GTEX-1128S-2326-SM-5GZZY 60-69 years, female 176.7
GTEX-13RTK-1426-SM-5QGQJ 20-29 years, male 176.4
GTEX-1C6VQ-0126-SM-7P8RI 50-59 years, male 175.9
GTEX-12WSG-2826-SM-E9J4H 50-59 years, female 175.3
GTEX-1J1R8-1726-SM-ARL8M 40-49 years, male 175.0
GTEX-13FTY-0526-SM-5L3EV 40-49 years, female 174.7
GTEX-183FY-0126-SM-7LT9P 20-29 years, male 174.7
GTEX-15EU6-0426-SM-6PAN5 50-59 years, male 174.6
GTEX-1MCQQ-0826-SM-DLHC2 60-69 years, male 174.6
GTEX-1H3O1-0426-SM-9YFKY 60-69 years, male 174.3
GTEX-Q2AH-1626-SM-3GAF8 40-49 years, male 173.8
GTEX-12KS4-0326-SM-5EQ41 30-39 years, male 173.6
GTEX-1GL5R-1826-SM-9KNUY 50-59 years, male 173.6
GTEX-147GR-0526-SM-5S2MY 60-69 years, male 173.5
GTEX-17EUY-0426-SM-793BD 20-29 years, male 173.2
GTEX-1192X-0226-SM-5H12D 50-59 years, male 173.0
GTEX-11GSP-2526-SM-5N9BP 60-69 years, female 173.0
GTEX-QCQG-1726-SM-3GIJ9 50-59 years, female 173.0
GTEX-1HFI7-1826-SM-ACKXH 50-59 years, female 172.3
GTEX-15UKP-0426-SM-7KUFQ 20-29 years, male 172.0
GTEX-WH7G-2326-SM-3NMBC 40-49 years, male 171.9
GTEX-T5JC-0426-SM-32PLO 20-29 years, male 171.8
GTEX-1IDJU-2626-SM-CM2RT 60-69 years, female 171.8
GTEX-RM2N-1426-SM-2TF4H 50-59 years, male 171.7
GTEX-12C56-1726-SM-5EQ61 20-29 years, male 171.4
GTEX-Y5LM-1926-SM-5RQJH 40-49 years, female 171.3
GTEX-1LH75-2426-SM-E9TJE 50-59 years, female 171.2
GTEX-Z9EW-1626-SM-5CVMN 40-49 years, male 170.9
GTEX-ZAJG-0126-SM-5HL94 50-59 years, female 170.9
GTEX-ZXG5-0126-SM-5GIEU 60-69 years, male 170.9
GTEX-1H3VY-0126-SM-ACKXD 50-59 years, male 170.9
GTEX-11GSO-2426-SM-5A5LY 60-69 years, male 170.7
GTEX-18A66-0226-SM-718BD 60-69 years, male 170.5
GTEX-1A32A-0126-SM-718B1 50-59 years, female 170.4
GTEX-13IVO-0126-SM-5J1NG 70-79 years, male 170.1
GTEX-XMD2-0126-SM-4YCDU 60-69 years, female 170.1
GTEX-16YQH-0126-SM-7DUFJ 30-39 years, male 168.9
GTEX-11DZ1-0126-SM-5985Q 50-59 years, male 168.8
GTEX-11NSD-2226-SM-5986V 20-29 years, male 168.7
GTEX-1HSMQ-1226-SM-CGQFX 50-59 years, male 168.7
GTEX-13X6H-2126-SM-7EWD5 50-59 years, female 168.4
GTEX-13QJ3-0326-SM-5S2RA 50-59 years, male 168.3
GTEX-11TT1-2526-SM-5EGIB 20-29 years, male 168.1
GTEX-RWS6-2026-SM-2XCB5 60-69 years, female 167.8
GTEX-1N2EF-0226-SM-EYYXB 60-69 years, male 167.4
GTEX-1EKGG-0226-SM-9WYTH 60-69 years, male 167.3
GTEX-ZY6K-1826-SM-5GZXK 50-59 years, male 167.1
GTEX-117YW-2626-SM-5GZZH 50-59 years, male 167.0
GTEX-1GMR8-0126-SM-9WYTM 50-59 years, female 166.2
GTEX-1A3MV-1926-SM-718BT 30-39 years, male 165.7
GTEX-139TU-0126-SM-5K7WH 60-69 years, male 165.6
GTEX-WZTO-0126-SM-3NM95 40-49 years, male 165.6
GTEX-15DCD-0126-SM-7KUEK 70-79 years, female 165.3
GTEX-14DAR-2026-SM-5S2O3 50-59 years, male 165.2
GTEX-14DAQ-0126-SM-5S2MQ 60-69 years, female 164.8
GTEX-11EM3-2426-SM-59861 20-29 years, female 164.6
GTEX-ZAB4-0226-SM-5N9F5 40-49 years, male 164.6
GTEX-14PN3-2426-SM-6LLHS 60-69 years, female 164.4
GTEX-18D9B-0526-SM-7LTAS 60-69 years, male 164.2
GTEX-1F7RK-0126-SM-7PC2S 20-29 years, female 164.0
GTEX-XBED-2226-SM-47JYQ 60-69 years, male 163.7
GTEX-13U4I-0126-SM-5LU38 40-49 years, female 162.1
GTEX-1B996-0226-SM-7RHGO 60-69 years, male 162.0
GTEX-XPVG-2626-SM-4B669 50-59 years, male 161.8
GTEX-1ICG6-2526-SM-CGQFZ 70-79 years, female 160.9
GTEX-1F88F-2726-SM-7PBZZ 60-69 years, female 160.0
GTEX-1M4P7-0226-SM-DIPEV 60-69 years, male 160.0
GTEX-13N11-2526-SM-5K7UE 50-59 years, female 159.8
GTEX-14PK6-1926-SM-6ETZU 70-79 years, female 159.3
GTEX-12WSA-0226-SM-5BC5V 60-69 years, male 159.1
GTEX-12WSD-0126-SM-59HKN 60-69 years, female 159.1
GTEX-PLZ5-2026-SM-2S1O4 50-59 years, male 159.1
GTEX-X5EB-2226-SM-46MW4 40-49 years, male 159.1
GTEX-13O3O-0126-SM-E9J49 60-69 years, female 158.7
GTEX-1AX9I-0126-SM-7SB74 60-69 years, male 158.2
GTEX-148VJ-0126-SM-5TDDN 70-79 years, male 157.3
GTEX-13OW8-1326-SM-5J1OW 60-69 years, male 156.6
GTEX-1J8Q2-0526-SM-CM2RW 60-69 years, male 156.6
GTEX-QLQW-1126-SM-2S1Q8 30-39 years, male 155.7
GTEX-1LGOU-2026-SM-DIPFF 20-29 years, female 155.7
GTEX-11LCK-1026-SM-5A5KB 30-39 years, male 155.6
GTEX-17HHE-2026-SM-79OKF 50-59 years, male 155.2
GTEX-13FH7-2026-SM-E9J4I 50-59 years, female 154.3
GTEX-13NYS-0126-SM-5MR3W 60-69 years, male 154.2
GTEX-WRHK-1426-SM-3MJF9 20-29 years, female 154.2
GTEX-13X6I-0626-SM-5QGP9 60-69 years, male 153.2
GTEX-1F5PK-2426-SM-7RHHY 50-59 years, male 152.9
GTEX-TSE9-0126-SM-3DB83 60-69 years, female 152.4
GTEX-1A8FM-0226-SM-7SB7Q 50-59 years, female 151.9
GTEX-1HCVE-0126-SM-CGQEU 50-59 years, male 151.9
GTEX-11O72-0126-SM-59887 40-49 years, male 151.8
GTEX-1HBPM-0226-SM-ARL9F 60-69 years, female 151.8
GTEX-1IDFM-0126-SM-COH2V 60-69 years, male 151.7
GTEX-T6MO-1626-SM-32QOM 40-49 years, female 151.6
GTEX-139T8-0126-SM-5K7XZ 60-69 years, male 150.9
GTEX-131XG-2626-SM-5KM17 50-59 years, female 150.7
GTEX-1IGQW-0126-SM-COH42 60-69 years, male 150.7
GTEX-15CHC-2126-SM-6EU21 60-69 years, female 150.5
GTEX-11DXX-2426-SM-5GZZW 60-69 years, female 150.1
GTEX-14JG6-2226-SM-6EU2G 30-39 years, female 150.1
GTEX-11P7K-2126-SM-5GU7G 30-39 years, male 149.9
GTEX-146FH-0126-SM-5QGPP 50-59 years, female 149.6
GTEX-16XZZ-0126-SM-793DV 60-69 years, male 149.2
GTEX-1QEPI-0126-SM-EWRMQ 60-69 years, female 149.0
GTEX-11DXY-2626-SM-5GIE7 60-69 years, male 148.9
GTEX-1KD5A-0226-SM-D5OV3 50-59 years, male 148.3
GTEX-ZVT3-0126-SM-5GU6I 60-69 years, female 148.1
GTEX-113JC-2326-SM-5EQ4E 50-59 years, female 147.9
GTEX-WY7C-2326-SM-3NB2U 50-59 years, male 147.4
GTEX-1GF9U-2126-SM-7SB7L 40-49 years, female 147.3
GTEX-1C2JI-1826-SM-73KXC 50-59 years, male 147.1
GTEX-18A7B-0126-SM-7LG64 70-79 years, male 146.5
GTEX-11WQK-0526-SM-5EQLD 50-59 years, male 146.4
GTEX-1211K-2026-SM-5EQ4Z 60-69 years, female 146.4
GTEX-1H1DE-2126-SM-9WG6R 20-29 years, male 146.3
GTEX-11ZVC-2526-SM-5FQTE 50-59 years, female 146.1
GTEX-U3ZH-2026-SM-3DB78 30-39 years, male 145.6
GTEX-1I1CD-0126-SM-CM2TK 60-69 years, female 145.5
GTEX-13W46-0226-SM-5SIAG 50-59 years, male 145.0
GTEX-13NZA-0226-SM-5K7Z7 60-69 years, male 144.8
GTEX-1R7EV-2426-SM-EVYBG 40-49 years, male 144.8
GTEX-15UF6-0826-SM-6PALJ 70-79 years, female 144.7
GTEX-1LG7Y-0526-SM-DKPQC 50-59 years, male 144.4
GTEX-16NGA-1726-SM-731B4 40-49 years, female 144.2
GTEX-17EVQ-0226-SM-7LG4P 70-79 years, male 144.0
GTEX-1B8KZ-2026-SM-7DHMB 50-59 years, male 144.0
GTEX-1AMFI-2026-SM-731BH 50-59 years, female 143.9
GTEX-ZTPG-0326-SM-5O9AX 20-29 years, female 141.9
GTEX-1I1GS-0126-SM-B2LVW 60-69 years, male 141.9
GTEX-OXRK-0226-SM-3NB2G 50-59 years, female 141.8
GTEX-OXRO-0126-SM-2YUN4 60-69 years, female 140.4
GTEX-1K9T9-0126-SM-EVYCF 50-59 years, female 140.4
GTEX-ZC5H-0226-SM-4WAY9 40-49 years, female 140.3
GTEX-117YX-2326-SM-5H12W 50-59 years, male 140.1
GTEX-13OVJ-0126-SM-5KM36 50-59 years, female 140.0
GTEX-17HII-0226-SM-7LG4E 50-59 years, male 140.0
GTEX-OIZF-0126-SM-7SB8I 60-69 years, male 140.0
GTEX-R45C-0126-SM-EAZ2R 60-69 years, female 139.7
GTEX-ZEX8-2426-SM-4WKG4 50-59 years, male 139.0
GTEX-13O1R-0126-SM-5L3EH 60-69 years, male 137.7
GTEX-13RTJ-2426-SM-5S2Q2 60-69 years, male 137.7
GTEX-Q2AG-0126-SM-33HBV 40-49 years, female 136.9
GTEX-17HGU-0226-SM-7DHKV 50-59 years, male 136.4
GTEX-14PJ3-1826-SM-62LEX 50-59 years, male 136.3
GTEX-1C64O-0126-SM-7SB8P 60-69 years, male 136.0
GTEX-1H23P-0126-SM-ADEJ3 60-69 years, male 135.5
GTEX-147F3-0526-SM-5SI98 50-59 years, female 135.4
GTEX-1C6WA-0126-SM-7PC2B 60-69 years, male 134.9
GTEX-1AX8Z-0126-SM-7DHM6 60-69 years, male 134.8
GTEX-13FHO-0226-SM-5IFGY 60-69 years, male 134.7
GTEX-1GTWX-0126-SM-9YFLK 60-69 years, male 134.0
GTEX-1ICLY-0126-SM-D4P36 50-59 years, male 133.9
GTEX-139TT-0126-SM-5K7Y5 60-69 years, male 133.6
GTEX-XV7Q-2526-SM-4BRV9 40-49 years, female 133.5
GTEX-Y3I4-2126-SM-4TT7C 50-59 years, male 133.5
GTEX-YEC4-2126-SM-5IFJH 40-49 years, male 133.1
GTEX-17MF6-0126-SM-7LG4F 40-49 years, male 133.0
GTEX-YJ8A-0426-SM-5IFID 20-29 years, male 132.7
GTEX-PW2O-1526-SM-7RHHB 20-29 years, male 132.3
GTEX-14ABY-0226-SM-5TDCQ 50-59 years, male 132.0
GTEX-OXRP-0126-SM-3NB32 60-69 years, female 131.5
GTEX-11NUK-0126-SM-5A5L3 50-59 years, male 130.7
GTEX-15SDE-2226-SM-7IGLO 50-59 years, female 130.4
GTEX-1MA7X-2226-SM-E6CIY 60-69 years, male 130.1
GTEX-1CB4J-0626-SM-7DHMP 60-69 years, male 129.7
GTEX-1QP2A-0126-SM-E9J43 50-59 years, male 129.3
GTEX-11VI4-1726-SM-5CVLH 40-49 years, female 128.6
GTEX-11ZU8-2526-SM-5EQKI 60-69 years, male 128.0
GTEX-1I1GP-2226-SM-CGQFK 50-59 years, male 127.7
GTEX-1H3NZ-0126-SM-ACKX7 60-69 years, male 127.6
GTEX-P44H-0226-SM-2XCEU 40-49 years, male 127.1
GTEX-VJWN-0126-SM-3GIK7 50-59 years, female 126.9
GTEX-ZYY3-0126-SM-5GZY5 60-69 years, female 126.8
GTEX-145LT-1726-SM-5QGP3 40-49 years, male 124.5
GTEX-1I19N-0326-SM-ACKVX 70-79 years, male 124.5
GTEX-1IY9M-0126-SM-D3L8S 60-69 years, male 123.9
GTEX-1JJE9-0326-SM-CL53Z 70-79 years, male 123.6
GTEX-13FTX-1826-SM-5J1NX 20-29 years, female 123.5
GTEX-14E7W-0126-SM-6LLJ9 70-79 years, male 122.5
GTEX-U3ZM-1526-SM-3DB9D 40-49 years, male 122.2
GTEX-13N1W-0126-SM-5K7VT 70-79 years, male 120.1
GTEX-1H1ZS-0426-SM-9WG6G 70-79 years, male 119.9
GTEX-13RTL-0126-SM-7LG5S 40-49 years, male 119.3
GTEX-1LC47-0326-SM-E9TJP 60-69 years, male 119.3
GTEX-1JK1U-2026-SM-CM2RZ 60-69 years, male 118.8
GTEX-P4PQ-0126-SM-2S1NM 60-69 years, male 117.8
GTEX-1H1E6-1726-SM-ACKVK 30-39 years, male 116.0
GTEX-14BIM-0226-SM-7IGLD 60-69 years, female 115.8
GTEX-14LLW-0126-SM-6LLIO 70-79 years, female 115.6
GTEX-U3ZN-2326-SM-3DB7W 30-39 years, female 115.6
GTEX-QLQ7-1626-SM-2S1R8 60-69 years, male 115.1
GTEX-13OW7-0126-SM-5MR3B 50-59 years, male 113.8
GTEX-13OVG-1926-SM-5L3DK 60-69 years, male 113.7
GTEX-RUSQ-1526-SM-2TF62 50-59 years, male 113.6
GTEX-SSA3-0126-SM-32QPU 60-69 years, male 113.5
GTEX-1MCYP-1926-SM-E9J2R 20-29 years, female 112.6
GTEX-1JKYN-1326-SM-CGQG9 30-39 years, male 111.8
GTEX-13OVI-1426-SM-5L3EY 60-69 years, female 110.6
GTEX-1GPI6-0126-SM-9WG69 60-69 years, male 110.3
GTEX-PLZ4-0126-SM-5SI8O 50-59 years, female 109.7
GTEX-1I1GU-2226-SM-CGQFA 40-49 years, male 109.7
GTEX-1GN1V-0126-SM-9WPOS 60-69 years, male 109.6
GTEX-1N2DV-0226-SM-E6CJ6 40-49 years, male 109.2
GTEX-1QP29-0626-SM-EWRMX 50-59 years, male 108.4
GTEX-Y8LW-1826-SM-5S2MV 50-59 years, female 108.2
GTEX-15D1Q-0126-SM-7KUG6 40-49 years, male 108.0
GTEX-RN64-0126-SM-2TC68 50-59 years, male 107.0
GTEX-1HKZK-0326-SM-9WYUH 40-49 years, male 106.4
GTEX-R55G-2526-SM-2TC6D 40-49 years, female 105.0
GTEX-1F48J-0126-SM-7P8TT 50-59 years, female 104.9
GTEX-11P82-1626-SM-59879 20-29 years, male 104.2
GTEX-QDVN-2026-SM-3GAEP 50-59 years, male 103.8
GTEX-15SHW-0326-SM-6PAML 60-69 years, male 103.7
GTEX-1HSMO-0126-SM-CL547 60-69 years, male 103.6
GTEX-1AYCT-2426-SM-7IGQ3 50-59 years, male 103.0
GTEX-V1D1-2226-SM-3NMAX 50-59 years, male 103.0
GTEX-X638-0126-SM-47JZ8 70-79 years, female 102.7
GTEX-144GN-2326-SM-5LU4F 50-59 years, male 101.8
GTEX-ZDXO-3026-SM-5J1N5 60-69 years, male 101.8
GTEX-1PPH7-2326-SM-EVYB8 40-49 years, male 101.4
GTEX-14PHW-0126-SM-6LLJI 60-69 years, female 101.3
GTEX-13VXT-0126-SM-5LU4I 20-29 years, female 100.7
GTEX-1AMEY-1326-SM-73KYK 30-39 years, female 100.2
GTEX-147F4-0226-SM-5QGPW 50-59 years, male 100.0
GTEX-R55E-0126-SM-2TC5Y 20-29 years, male 99.0
GTEX-11EMC-2926-SM-5EQ4F 60-69 years, female 98.2
GTEX-1NHNU-1026-SM-E9J2A 50-59 years, male 95.2
GTEX-1J8Q3-1626-SM-CMKGC 60-69 years, male 94.5
GTEX-1AYD5-2426-SM-73KXR 50-59 years, male 93.7
GTEX-1C6VS-0526-SM-7DUEN 60-69 years, male 89.9
GTEX-1LNCM-1126-SM-E9U5E 50-59 years, female 89.6
GTEX-16XZY-2126-SM-79OK1 70-79 years, male 89.1
GTEX-13W3W-2426-SM-5LU5B 60-69 years, female 87.7
GTEX-1GN1W-0526-SM-9MQJQ 50-59 years, female 84.3
GTEX-QDT8-0126-SM-48TZ1 30-39 years, female 83.7
GTEX-WOFL-0126-SM-3MJG2 60-69 years, male 83.7
GTEX-1RLM8-2326-SM-EWRN4 50-59 years, male 83.3
GTEX-ZF28-0126-SM-4WKGK 60-69 years, male 82.6
GTEX-ZYW4-0126-SM-5E44A 60-69 years, male 82.4
GTEX-1JMOU-1526-SM-CL54I 60-69 years, female 82.2
GTEX-Q734-1926-SM-2I5EV 40-49 years, female 81.7
GTEX-1I1HK-0126-SM-COH49 60-69 years, male 80.9
GTEX-14A6H-0126-SM-5QGPK 30-39 years, male 78.0
GTEX-1AX9K-2326-SM-73KWU 50-59 years, male 77.8
GTEX-ZUA1-0126-SM-5GU76 40-49 years, male 77.7
GTEX-11ZTT-2426-SM-5EQLS 60-69 years, female 76.1
GTEX-1IE54-0126-SM-CMKHW 40-49 years, female 75.6
GTEX-14BIL-0126-SM-5SI92 50-59 years, male 72.3
GTEX-1A3MW-0126-SM-73KXX 60-69 years, female 67.3
GTEX-ZZPT-0226-SM-5E43X 50-59 years, male 67.1
GTEX-12WSN-5019-SM-79OM6 40-49 years, male 66.5
GTEX-1PBJI-0526-SM-E8VNK 20-29 years, female 62.3
GTEX-1OJC4-0126-SM-E9J2E 50-59 years, female 61.7
GTEX-OXRL-0126-SM-2YUMP 50-59 years, male 57.6
GTEX-1HUB1-0426-SM-E9U4U 60-69 years, male 56.4
GTEX-11TTK-0126-SM-5987B 60-69 years, female 54.4
GTEX-15EOM-0126-SM-7KUGG 20-29 years, female 53.9
GTEX-SE5C-1626-SM-2XCE3 40-49 years, female 49.8
GTEX-113IC-0126-SM-5HL6T 60-69 years, male 45.6
GTEX-X62O-0126-SM-4E3JN 50-59 years, male 42.9
GTEX-139T4-0226-SM-5HL5S 50-59 years, female 40.8
GTEX-1F75I-0326-SM-9YFLU 40-49 years, male 36.2
GTEX-1R9PO-2126-SM-E9J4O 60-69 years, female 24.1
GTEX-11ZUS-0626-SM-59885 30-39 years, male 24.0
GTEX-1QW4Y-1526-SM-EAZ3Z 30-39 years, male 20.4
GTEX-U4B1-1826-SM-4DXSU 40-49 years, male 11.1
GTEX-1QP67-1626-SM-EAZ3X 40-49 years, female 10.4
GTEX-14JIY-0126-SM-6LLH6 60-69 years, male 7.9
GTEX-1HBPH-0426-SM-B2LW5 40-49 years, female 6.0
GTEX-1RAZQ-0726-SM-EAZ43 30-39 years, male 5.8
GTEX-146FR-1326-SM-E9J48 60-69 years, female 3.9
Show allShow less

Contact

  • NEWS ARTICLES
  • PRESS ROOM

The Project

  • INTRODUCTION
  • ORGANIZATION
  • PUBLICATIONS

The Human Protein Atlas

  • DOWNLOADABLE DATA
  • LICENCE & CITATION
  • HELP & FAQ
The Human Protein Atlas project is funded
by the Knut & Alice Wallenberg Foundation.


contact@proteinatlas.org