We use cookies to enhance the usability of our website. If you continue, we'll assume that you are happy to receive all cookies. More information. Don't show this again.
C1QC
HPA
RESOURCES
  • TISSUE
  • BRAIN
  • SINGLE CELL
  • SUBCELLULAR
  • CANCER
  • BLOOD
  • CELL LINE
  • STRUCTURE & INTERACTION
ABOUT
  • INTRODUCTION
  • HISTORY
  • ORGANIZATION
  • PUBLICATIONS
  • ANTIBODY SUBMISSION
  • ANTIBODY AVAILABILITY
  • ACKNOWLEDGMENTS
  • CONTACT
NEWS
  • NEWS ARTICLES
  • PRESS ROOM
LEARN
  • DICTIONARY
  • PROTEIN CLASSES
  • PROTEIN EVIDENCE
  • METHODS
  • EDUCATIONAL VIDEOS
DATA
  • DOWNLOADABLE DATA
  • PUBLICATION DATA
  • RELEASE HISTORY
HELP
  • ANTIBODY VALIDATION
  • ASSAYS & ANNOTATION
  • DISCLAIMER
  • HELP & FAQ
  • PRIVACY STATEMENT
  • LICENCE & CITATION
Fields »
Search result

Field
Term
Gene name
Class
Subclass
Class
Keyword
Chromosome
External id
Tissue
Cell type
Expression
Antibody panel
Tissue
Main location
Patient ID
Annotation
Tissue
Category
Tau score
Cluster
Reliability
Brain region
Category
Tau score
Brain region
Category
Tau score
Brain region
Category
Tau score
Cluster
Reliability
Tissue
Cell type
Enrichment
Cell type
Category
Tau score
Cell type
Category
Tau score
Cell type
Category
Tau score
Cell lineage
Category
Tau score
Cluster
Cluster
Location
Searches
Location
Cell line
Class
Type
Phase
Reliability
Cancer
Prognosis
Cancer
Category
Cancer
Category
Tau score
Cluster
Variants
Interacting gene (ensg_id)
Type
Number of interactions
Pathway
Category
Score
Score
Score
Validation
Validation
Validation
Validation
Antibodies
Data type
Column


  • SUMMARY

  • TISSUE

  • BRAIN

  • SINGLE CELL

  • SUBCELL

  • CANCER

  • BLOOD

  • CELL LINE

  • STRUCT & INT

  • C1QC
TISSUE PRIMARY DATA SKIN 2 Show tissue menu
ADIPOSE TISSUE ADRENAL GLAND AMYGDALA APPENDIX BASAL GANGLIA BONE MARROW BREAST BRONCHUS CEREBELLUM CEREBRAL CORTEX CERVIX CHOROID PLEXUS COLON DUODENUM
ENDOMETRIUM EPIDIDYMIS ESOPHAGUS FALLOPIAN TUBE GALLBLADDER HEART MUSCLE HIPPOCAMPAL FORMATION HYPOTHALAMUS KIDNEY LIVER LUNG LYMPH NODE MIDBRAIN NASOPHARYNX
ORAL MUCOSA OVARY PANCREAS PARATHYROID GLAND PITUITARY GLAND PLACENTA PROSTATE RECTUM RETINA SALIVARY GLAND SEMINAL VESICLE SKELETAL MUSCLE SKIN SMALL INTESTINE
SMOOTH MUSCLE SOFT TISSUE SPINAL CORD SPLEEN STOMACH TESTIS THYMUS THYROID GLAND TONGUE TONSIL URINARY BLADDER VAGINA
ANTIBODIES
AND
VALIDATION
Dictionary
Tissue proteome
SKIN - Expression summary
Protein expression
Skini

On the top, protein expression in current human tissue, based on all annotated cell types, is reported with the units not detected (n), low (l), medium (m) and high (h). Underneath, protein expression in each annotated cell type are reported using the same units.

Protein expression data is based on knowledge-based annotation. For genes where more than one antibody has been used, a collective score is set.

If knowledge-based annotation could not be performed for a gene, no data is displayed here. View antibody staining data further down this page.

h
m
l
n
Cells in basal layer: Not detected
Cells in corneal layer: Low
Cells in granular layer: Not detected
Cells in spinous layer: Low
Endothelial cells: Not detected
Extracellular matrix: High
Fibrohistiocytic cells: High
Langerhans cells: Not detected
Lymphocytes: Medium
Melanocytes: Not detected
Vascular mural cells: Not detected
RNA expressioni

A summary of mRNA expression data available for current tissue based on several datasets. The mRNA expression levels in human tissues are based on RNA-seq data generated by the Human Protein Atlas (HPA), Genotype-Tissue Expression (GTEx) portal and CAGE data generated by the FANTOM5 consortium. Consensus normalized expression levels for human tissues was created by combining the data from HPA and GTEx datasets.

The mRNA expression levels in pig are based on RNA-seq data generated by the Human Protein Atlas (HPA), and for mouse, HPA data and in situ hybridization generated by the Allen brain atlas are reported.

Scroll down to view mRNA expression data in more detail.
Consensus:17.7 nTPM
HPA:8.0 nTPM
GTEx:17.7 nTPM

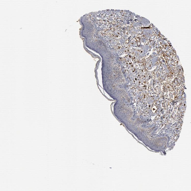
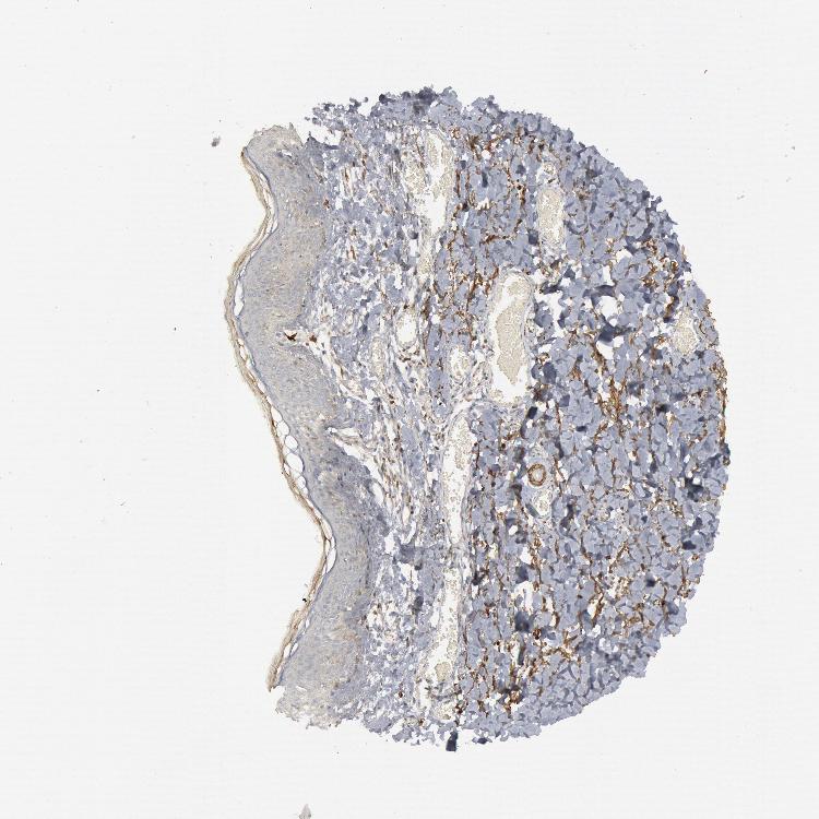
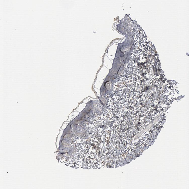
SKIN 1 - Antibody stainingi

Antibody staining in the annotated cell types in the current human tissue is reported as not detected, low, medium, or high, based on conventional immunohistochemistry profiling in selected tissues. This score is based on the combination of the staining intensity and fraction of stained cells.

Each image is clickable and will lead to virtual microscopy that enables deeper exploration of all samples and also displays staining intensity scores, fraction scores and subcellular localization as well as patient and tissue information for each sample.

Antibody HPA001471Antibody CAB009828
Langerhans -Not detected
Cells in basal layer Not detected-
Cells in corneal layer Low-
Cells in granular layer Not detected-
Cells in spinous layer Not detected-
Endothelial cells Not detected-
Extracellular matrix High-
Fibroblasts -Low
Fibrohistiocytic cells Medium-
Keratinocytes -Medium
Langerhans cells Not detected-
Lymphocytes Not detected-
Melanocytes Not detectedNot detected
Vascular mural cells Not detected-



SKIN 2 - Antibody stainingi

Antibody staining in the annotated cell types in the current human tissue is reported as not detected, low, medium, or high, based on conventional immunohistochemistry profiling in selected tissues. This score is based on the combination of the staining intensity and fraction of stained cells.

Each image is clickable and will lead to virtual microscopy that enables deeper exploration of all samples and also displays staining intensity scores, fraction scores and subcellular localization as well as patient and tissue information for each sample.

Antibody HPA001471Antibody CAB009828
Cells in basal layer Not detected-
Cells in corneal layer Not detected-
Cells in granular layer Not detected-
Cells in spinous layer Low-
Endothelial cells Not detected-
Epidermal cells -High
Extracellular matrix High-
Fibrohistiocytic cells High-
Langerhans cells Not detected-
Lymphocytes Medium-
Melanocytes Not detected-
Vascular mural cells Not detected-
  
  




SKIN - HPA RNA-seqi

The RNA-seq details section shows detailed information about the individual samples used for the transcript profiling and results of the RNA-seq analysis.

Information about each individual sample is listed below, including gender, age, a tissue section image and estimated fractions of cell types. nTPM (normalized transcripts per million) values give a quantification of the gene abundance which is comparable between different genes and samples.
Average nTPMi

Max subtype nTPM is the value for the subtype with the largest average nTPM across the subtype samples.

8.0
overview
Female, age 34
Skin sample 225
nTPM: 8.8
Cell types%
Keratinocytes:
60

Other cell types:
40

overview
Female, age 30
Skin sample 226
nTPM: 5.4
Cell types%
Keratinocytes:
55

Other cell types:
45

N/A
Male, age 57
Skin sample 227
nTPM: 9.6

SKIN - GTEx RNA-seqi

RNA-Seq data generated by the Genotype-Tissue Expression (GTEx) project from human tissues is reported as mean nTPM. More information can be found on the GTEx portal.

Distribution across the dataset is visualized with box plots, shown as median and 25th and 75th percentiles. Points are displayed as outliers if they are above or below 1.5 times the interquartile range. nTPM values of the individual samples are presented next to the box plot.
Max subtype nTPMi

Max subtype nTPM is the value for the subtype with the largest average nTPM across the subtype samples.

17.7
GTEx sample id Sample description nTPM
Skin - Not Sun Exposed (Suprapubic)
Average nTPM: 14.9
Samples: 604

Max nTPM: 157.6
Min nTPM: 0.5
Std nTPM: 14.4
Median nTPM: 11.0
GTEX-13113-1626-SM-5EQ4I 60-69 years, female 157.6
GTEX-1RLM8-2926-SM-E8VON 50-59 years, male 101.5
GTEX-139YR-1026-SM-5LZYN 50-59 years, male 94.8
GTEX-13OW5-2326-SM-5L3HO 60-69 years, male 74.2
GTEX-1477Z-0326-SM-7IGLA 60-69 years, male 66.7
GTEX-1JMOU-1026-SM-CYPSS 60-69 years, female 63.6
GTEX-1F48J-0726-SM-7RHGS 50-59 years, female 62.1
GTEX-U8XE-0226-SM-4E3J3 30-39 years, male 61.3
GTEX-ZZPU-0826-SM-5GZX5 50-59 years, female 61.0
GTEX-13N11-2326-SM-5IJBF 50-59 years, female 59.6
GTEX-1H3NZ-2726-SM-9WYTQ 60-69 years, male 58.2
GTEX-14BMU-1226-SM-5S2OR 20-29 years, female 57.8
GTEX-Y3IK-1626-SM-4YCF5 50-59 years, female 57.1
GTEX-1399R-1326-SM-5PNYS 30-39 years, male 56.0
GTEX-17F97-2626-SM-7IGM5 50-59 years, male 54.7
GTEX-13OVK-1426-SM-6PAN7 40-49 years, male 54.3
GTEX-1IDJC-1526-SM-B2LW4 50-59 years, male 52.8
GTEX-YB5K-2026-SM-4VDT3 40-49 years, female 52.4
GTEX-1IDJI-0126-SM-CMKHS 50-59 years, female 51.2
GTEX-15RJ7-2126-SM-6PAMD 40-49 years, male 50.1
GTEX-12C56-1526-SM-5FQUQ 20-29 years, male 47.6
GTEX-13OVJ-0826-SM-5J1OK 50-59 years, female 47.4
GTEX-11EM3-1226-SM-5N9DD 20-29 years, female 47.3
GTEX-X3Y1-2026-SM-3P5YM 40-49 years, male 46.7
GTEX-18D9B-0926-SM-7LG4U 60-69 years, male 45.6
GTEX-ZGAY-1826-SM-DO91Q 40-49 years, female 45.3
GTEX-ZT9W-1126-SM-57WDR 50-59 years, male 45.1
GTEX-1IDJF-2026-SM-CL53V 20-29 years, male 44.3
GTEX-WFON-1926-SM-3LK7L 40-49 years, male 42.4
GTEX-1L5NE-1126-SM-D3L9P 50-59 years, male 42.0
GTEX-WI4N-2726-SM-3LK7Y 40-49 years, female 41.6
GTEX-1S82P-2126-SM-E6CI5 60-69 years, female 40.6
GTEX-18A66-0626-SM-7LT8Z 60-69 years, male 40.3
GTEX-1B8KE-1126-SM-7EPHI 50-59 years, male 40.2
GTEX-1LBAC-0826-SM-CY8IJ 20-29 years, male 39.5
GTEX-1QCLZ-2426-SM-EVYBW 60-69 years, female 39.5
GTEX-ZYFG-1526-SM-5GZYM 60-69 years, female 38.6
GTEX-1H1ZS-2726-SM-9WG75 70-79 years, male 38.6
GTEX-X5EB-1926-SM-4E3IW 40-49 years, male 37.8
GTEX-Y8E4-2026-SM-5IFJB 40-49 years, male 37.1
GTEX-XBED-1926-SM-47JYP 60-69 years, male 37.0
GTEX-WH7G-2026-SM-3NMBL 40-49 years, male 36.3
GTEX-X4EP-0626-SM-3P621 60-69 years, female 35.9
GTEX-1JMQL-2226-SM-CNPP4 50-59 years, female 35.6
GTEX-12WSL-2026-SM-5GCML 50-59 years, male 35.5
GTEX-13FHO-0426-SM-5L3F5 60-69 years, male 35.3
GTEX-WYVS-1626-SM-3NM9R 40-49 years, female 34.4
GTEX-1QP66-1226-SM-DTX7U 50-59 years, male 34.4
GTEX-Y5V6-2326-SM-4VDSA 60-69 years, male 34.0
GTEX-14JG6-1426-SM-9WG7C 30-39 years, female 34.0
GTEX-11NSD-0626-SM-5A5LU 20-29 years, male 33.8
GTEX-16BQI-1326-SM-6M486 30-39 years, female 33.6
GTEX-1JN1M-2726-SM-CY8I4 60-69 years, female 33.4
GTEX-WFG8-2126-SM-3GIKQ 20-29 years, male 33.3
GTEX-14PK6-0226-SM-62LF5 70-79 years, female 33.0
GTEX-12WSH-1526-SM-5BC5W 50-59 years, male 32.9
GTEX-1HC8U-1326-SM-9YFMJ 40-49 years, female 32.9
GTEX-11DZ1-2426-SM-5GZZX 50-59 years, male 32.8
GTEX-1IDJE-1426-SM-ADEIW 50-59 years, female 32.6
GTEX-WXYG-2026-SM-4E3IY 50-59 years, female 32.2
GTEX-1R9PN-0426-SM-DTXDT 40-49 years, female 32.0
GTEX-ZVP2-0326-SM-57WBP 50-59 years, male 31.8
GTEX-12584-0726-SM-5FQTK 40-49 years, male 31.7
GTEX-1314G-1326-SM-5BC6E 30-39 years, male 31.7
GTEX-1QP29-1826-SM-DTX9S 50-59 years, male 31.3
GTEX-ZZ64-1026-SM-5GZXG 20-29 years, male 31.1
GTEX-144FL-0626-SM-5LU43 50-59 years, male 31.0
GTEX-1AX8Z-0726-SM-73KTS 60-69 years, male 30.9
GTEX-ZYW4-0626-SM-59HJR 60-69 years, male 30.2
GTEX-1IDJD-2326-SM-ACKWX 30-39 years, male 30.1
GTEX-11VI4-1126-SM-5EQMD 40-49 years, female 29.9
GTEX-ZDYS-2426-SM-4WKGI 50-59 years, male 29.8
GTEX-1497J-0226-SM-5QGPU 60-69 years, male 29.7
GTEX-14DAR-1226-SM-73KYV 50-59 years, male 29.7
GTEX-ZAK1-0626-SM-5HL8E 50-59 years, female 29.7
GTEX-WHPG-2626-SM-3NMBR 50-59 years, male 29.2
GTEX-ZLWG-0826-SM-59888 50-59 years, female 29.0
GTEX-1HUB1-1426-SM-CGQF5 60-69 years, male 28.8
GTEX-YF7O-1526-SM-5IFI6 50-59 years, male 28.6
GTEX-139T8-0626-SM-5KLZX 60-69 years, male 27.9
GTEX-YEC4-1826-SM-4W1YP 40-49 years, male 27.5
GTEX-Y5LM-0926-SM-6LLJG 40-49 years, female 27.0
GTEX-W5X1-2526-SM-3GILC 40-49 years, female 26.9
GTEX-1RAZR-2126-SM-E9U6T 40-49 years, male 26.6
GTEX-WY7C-2126-SM-3NB2R 50-59 years, male 26.3
GTEX-1GMRU-2126-SM-7P8RA 50-59 years, male 26.3
GTEX-ZVE2-2826-SM-5GU51 50-59 years, male 26.2
GTEX-1MJK3-0726-SM-E6CJC 20-29 years, male 26.2
GTEX-ZT9X-1526-SM-5DUXD 40-49 years, male 25.9
GTEX-Y8LW-1526-SM-5IFHL 50-59 years, female 25.7
GTEX-183FY-1026-SM-7939A 20-29 years, male 25.6
GTEX-1EWIQ-0326-SM-7DHMQ 70-79 years, female 25.4
GTEX-14PHX-2226-SM-6EU2P 50-59 years, male 25.3
GTEX-1PIGE-1826-SM-E8VOU 20-29 years, male 25.3
GTEX-145MN-1526-SM-5SI9T 30-39 years, male 25.2
GTEX-WFG7-2026-SM-5SI7P 20-29 years, male 25.2
GTEX-13O61-1426-SM-5KM3D 60-69 years, male 25.0
GTEX-1F75A-0726-SM-7RHHD 50-59 years, male 25.0
GTEX-1J8Q3-0526-SM-ARL8U 60-69 years, male 25.0
GTEX-13X6H-0926-SM-5SIB2 50-59 years, female 24.9
GTEX-ZVT2-0126-SM-5GIDQ 50-59 years, female 24.9
GTEX-1JMQK-1226-SM-D4P2S 60-69 years, male 24.9
GTEX-ZDXO-3126-SM-5IJDF 60-69 years, male 24.8
GTEX-14PJN-1826-SM-6AJ98 30-39 years, male 24.6
GTEX-Y3I4-1726-SM-4TT89 50-59 years, male 24.5
GTEX-ZA64-1026-SM-5HL8R 20-29 years, male 23.9
GTEX-145ME-1726-SM-5Q5EU 40-49 years, female 23.7
GTEX-12ZZZ-0726-SM-5GCNZ 60-69 years, male 23.4
GTEX-ZLFU-1826-SM-4WWBV 40-49 years, male 23.3
GTEX-X8HC-0626-SM-4E3HQ 50-59 years, female 23.2
GTEX-YJ8O-2526-SM-5HL85 40-49 years, female 23.2
GTEX-15G1A-1626-SM-7KUKN 30-39 years, male 23.1
GTEX-1AX9I-2226-SM-73KUO 60-69 years, male 23.1
GTEX-1AYD5-2626-SM-7PBXY 50-59 years, male 23.1
GTEX-11ZTT-2126-SM-5CVLO 60-69 years, female 23.0
GTEX-1LG7Z-1626-SM-CXKYR 30-39 years, male 23.0
GTEX-ZTX8-1326-SM-4YCEL 20-29 years, male 22.7
GTEX-1C475-1326-SM-7SB73 40-49 years, female 22.7
GTEX-15UF6-1926-SM-7KUDV 70-79 years, female 22.3
GTEX-WEY5-2326-SM-3GIKK 40-49 years, female 22.3
GTEX-15G19-2426-SM-7KUMR 60-69 years, male 22.1
GTEX-1117F-2926-SM-5GZYI 60-69 years, female 21.9
GTEX-16YQH-2226-SM-7IGM2 30-39 years, male 21.8
GTEX-XOT4-0626-SM-4B66L 60-69 years, female 21.8
GTEX-1QP9N-1226-SM-E76QN 30-39 years, male 21.7
GTEX-VJYA-1526-SM-3GIJV 60-69 years, male 21.6
GTEX-13QBU-1226-SM-5LU4G 40-49 years, female 21.1
GTEX-WYBS-0626-SM-3NMAS 60-69 years, female 21.0
GTEX-1HSMO-0626-SM-ACKXC 60-69 years, male 20.9
GTEX-1JMLX-0626-SM-ARL8T 50-59 years, male 20.7
GTEX-XYKS-1426-SM-4BRUO 60-69 years, female 20.5
GTEX-ZPIC-0526-SM-DO91W 40-49 years, female 20.4
GTEX-1O9I2-0226-SM-EYYXD 50-59 years, male 20.3
GTEX-11EQ9-1626-SM-5PNY8 30-39 years, male 20.1
GTEX-133LE-2326-SM-5K7W3 20-29 years, female 20.1
GTEX-1GZHY-0626-SM-9KNVC 50-59 years, female 20.1
GTEX-1IE54-1126-SM-A9G2Z 40-49 years, female 20.1
GTEX-1IKOE-1426-SM-CE6T7 30-39 years, female 20.1
GTEX-11LCK-2226-SM-5HL4Q 30-39 years, male 20.0
GTEX-145LT-0526-SM-5LUB2 40-49 years, male 19.9
GTEX-1I6K7-1926-SM-B2LXR 40-49 years, male 19.9
GTEX-13NYS-0626-SM-5L3F1 60-69 years, male 19.8
GTEX-XPVG-2126-SM-4B667 50-59 years, male 19.6
GTEX-11P82-1426-SM-DTXFY 20-29 years, male 19.6
GTEX-1QAET-0326-SM-EVR3U 50-59 years, male 19.6
GTEX-15RIG-0726-SM-7KUM7 40-49 years, male 19.4
GTEX-1GF9U-2026-SM-7SB92 40-49 years, female 19.4
GTEX-12WSJ-1126-SM-5LZVJ 40-49 years, female 19.2
GTEX-17HGU-2326-SM-7DUFE 50-59 years, male 19.1
GTEX-18D9A-1426-SM-7LT8M 30-39 years, female 19.1
GTEX-1GTWX-2026-SM-9YFLM 60-69 years, male 19.1
GTEX-1H1DF-1126-SM-9WG7G 40-49 years, female 19.1
GTEX-13VXT-1926-SM-5K7UO 20-29 years, female 19.0
GTEX-147F3-1726-SM-5SIAW 50-59 years, female 18.8
GTEX-1GF9W-1426-SM-7PBYM 60-69 years, male 18.8
GTEX-15EU6-2226-SM-6EU2L 50-59 years, male 18.7
GTEX-1R9K4-2826-SM-DTX8F 60-69 years, male 18.1
GTEX-111CU-1126-SM-5EGIM 50-59 years, male 18.0
GTEX-1KANA-1326-SM-DIPFA 20-29 years, male 18.0
GTEX-132AR-0326-SM-5KM2C 50-59 years, female 17.9
GTEX-15CHC-1126-SM-6LLHQ 60-69 years, female 17.9
GTEX-1I4MK-0126-SM-CY8G6 50-59 years, female 17.8
GTEX-13FTW-0326-SM-5K7UW 40-49 years, male 17.7
GTEX-1HBPM-0726-SM-9YFL7 60-69 years, female 17.7
GTEX-1IDJU-1726-SM-CMKHU 60-69 years, female 17.7
GTEX-1JKYN-0826-SM-ARU8S 30-39 years, male 17.7
GTEX-XK95-0226-SM-4AT58 40-49 years, male 17.6
GTEX-XV7Q-1826-SM-4BRUV 40-49 years, female 17.6
GTEX-1S831-1826-SM-EWROF 20-29 years, male 17.3
GTEX-131XF-2626-SM-5EQ6K 60-69 years, male 17.2
GTEX-13FTX-1526-SM-5K7VJ 20-29 years, female 17.2
GTEX-1F75I-2226-SM-7SB8U 40-49 years, male 17.2
GTEX-13FH7-1126-SM-5K7UG 50-59 years, female 17.0
GTEX-1J8QM-2426-SM-A9SLS 60-69 years, female 17.0
GTEX-1B97I-0626-SM-73KUZ 40-49 years, male 16.9
GTEX-1GMR2-0826-SM-7PC3V 50-59 years, male 16.9
GTEX-1RAZA-2226-SM-E9U4X 20-29 years, male 16.8
GTEX-12BJ1-0926-SM-5EQ62 60-69 years, male 16.7
GTEX-16NGA-0726-SM-731AO 40-49 years, female 16.5
GTEX-17HG3-2626-SM-7DUF2 30-39 years, female 16.5
GTEX-17HII-1426-SM-7EPGG 50-59 years, male 16.4
GTEX-1GL5R-1326-SM-7RHHF 50-59 years, male 16.3
GTEX-1HKZK-0726-SM-ACKW2 40-49 years, male 16.3
GTEX-YFCO-1226-SM-5LUAT 40-49 years, male 16.2
GTEX-1QP28-1126-SM-EVYC4 50-59 years, female 16.2
GTEX-11O72-0626-SM-5PNYE 40-49 years, male 16.1
GTEX-15CHQ-0326-SM-69LQD 60-69 years, male 16.0
GTEX-1F52S-2926-SM-7MKGA 60-69 years, female 16.0
GTEX-13PVR-0426-SM-5RQK2 60-69 years, female 15.9
GTEX-14A5H-0826-SM-5QGPJ 60-69 years, male 15.9
GTEX-WHWD-1826-SM-3LK6I 50-59 years, male 15.9
GTEX-146FQ-2126-SM-5RQHU 30-39 years, male 15.7
GTEX-18D9U-0126-SM-731BM 40-49 years, male 15.7
GTEX-1C6WA-2626-SM-7MKGM 60-69 years, male 15.7
GTEX-1CAMR-1326-SM-7PC1F 20-29 years, male 15.7
GTEX-1K9T9-1526-SM-DIPFR 50-59 years, female 15.7
GTEX-1KANC-1226-SM-CYPT7 50-59 years, female 15.6
GTEX-14LZ3-0126-SM-69LPM 60-69 years, female 15.5
GTEX-17F9E-2326-SM-79OKD 50-59 years, male 15.5
GTEX-1GZ4H-0526-SM-9KNU9 50-59 years, female 15.5
GTEX-ZLV1-1526-SM-DO91J 60-69 years, female 15.5
GTEX-1EMGI-2326-SM-7PBYA 60-69 years, male 15.4
GTEX-15EO6-2426-SM-6PALZ 50-59 years, male 15.3
GTEX-1LVAN-0626-SM-CNPOQ 50-59 years, female 15.3
GTEX-14XAO-1226-SM-6EU1C 60-69 years, female 15.2
GTEX-ZAB4-2126-SM-5HL8U 40-49 years, male 15.1
GTEX-13D11-0926-SM-5J2NC 50-59 years, female 15.0
GTEX-1MCC2-1826-SM-DIPEX 30-39 years, female 15.0
GTEX-178AV-1726-SM-7KUL8 40-49 years, male 14.9
GTEX-14PJ5-1526-SM-6LLIL 60-69 years, female 14.7
GTEX-1B8KZ-0326-SM-73KY4 50-59 years, male 14.7
GTEX-183WM-0326-SM-72D5V 70-79 years, female 14.6
GTEX-1H3VE-0726-SM-9YFL5 40-49 years, male 14.5
GTEX-ZAJG-1526-SM-5CVML 50-59 years, female 14.4
GTEX-14E1K-2026-SM-7DUEI 50-59 years, male 14.3
GTEX-13U4I-2226-SM-5LU5H 40-49 years, female 14.2
GTEX-14E6E-0526-SM-793DN 30-39 years, male 14.2
GTEX-1PDJ9-1226-SM-EXUSX 20-29 years, male 14.2
GTEX-1A32A-0626-SM-731AQ 50-59 years, female 14.1
GTEX-13O3O-2326-SM-5IJD6 60-69 years, female 14.0
GTEX-XXEK-1626-SM-4BRUZ 50-59 years, male 14.0
GTEX-1I1GS-2626-SM-B2LY3 60-69 years, male 14.0
GTEX-17MFQ-1526-SM-7KFRR 20-29 years, male 13.9
GTEX-1AX9J-1326-SM-731BJ 60-69 years, male 13.9
GTEX-1BAJH-2426-SM-7IGP8 70-79 years, male 13.9
GTEX-ZPCL-1126-SM-4WWFE 60-69 years, female 13.9
GTEX-1R46S-2426-SM-E76QA 60-69 years, female 13.9
GTEX-14PKU-0126-SM-6LLHV 40-49 years, female 13.8
GTEX-13OVG-1626-SM-5J1NF 60-69 years, male 13.6
GTEX-147JS-0226-SM-5S2U9 60-69 years, male 13.6
GTEX-1GPI7-1826-SM-9KNU1 20-29 years, male 13.6
GTEX-1HCU9-0426-SM-9WYSD 20-29 years, male 13.6
GTEX-11P7K-1126-SM-5HL4L 30-39 years, male 13.5
GTEX-13IVO-0726-SM-5LZYV 70-79 years, male 13.5
GTEX-Y5V5-0126-SM-5S2NW 60-69 years, female 13.4
GTEX-1F75W-2726-SM-7SB8H 60-69 years, male 13.4
GTEX-1ICLZ-0326-SM-ARL82 60-69 years, male 13.4
GTEX-11P81-2226-SM-5PNYI 30-39 years, female 13.3
GTEX-1211K-1526-SM-5FQU4 60-69 years, female 12.9
GTEX-12KS4-2126-SM-5FQUT 30-39 years, male 12.9
GTEX-14PJ6-2626-SM-6EU2T 60-69 years, female 12.9
GTEX-XUW1-0926-SM-4BONX 50-59 years, female 12.9
GTEX-1F5PL-0926-SM-7PC2W 40-49 years, female 12.9
GTEX-1IY9M-2826-SM-ARU8H 60-69 years, male 12.9
GTEX-11EQ8-0926-SM-5H12V 60-69 years, male 12.8
GTEX-1H1DG-2426-SM-9QEHJ 70-79 years, male 12.8
GTEX-14PJ4-0226-SM-5YY92 60-69 years, male 12.7
GTEX-1K2DU-1226-SM-CYPT4 20-29 years, male 12.7
GTEX-1EU9M-1426-SM-793AI 60-69 years, male 12.6
GTEX-XBEW-1126-SM-4QARW 40-49 years, male 12.6
GTEX-Y114-2126-SM-4TT8B 50-59 years, female 12.6
GTEX-111FC-2526-SM-5GZXU 60-69 years, male 12.5
GTEX-17F98-1326-SM-7DUEP 40-49 years, female 12.5
GTEX-17JCI-2926-SM-7DUFF 60-69 years, female 12.5
GTEX-1A3MW-0626-SM-731CB 60-69 years, female 12.5
GTEX-ZP4G-1426-SM-4WWCL 20-29 years, female 12.5
GTEX-1HCUA-0826-SM-ADEHM 50-59 years, female 12.5
GTEX-1JJE9-2626-SM-ARZMT 70-79 years, male 12.5
GTEX-1R7EU-1626-SM-DTXG3 60-69 years, male 12.5
GTEX-1HCU6-2526-SM-ADEHL 60-69 years, female 12.4
GTEX-14PKV-1126-SM-6LLJ1 20-29 years, female 12.3
GTEX-XBEC-0726-SM-4QARZ 50-59 years, male 12.3
GTEX-1RB15-1326-SM-E76Q9 60-69 years, male 12.3
GTEX-15DYW-2726-SM-6EU2I 60-69 years, female 12.2
GTEX-15RIE-1926-SM-7KUKJ 60-69 years, male 12.2
GTEX-1GN1U-0626-SM-9MQL9 50-59 years, female 12.2
GTEX-1QMI2-2526-SM-E8VNZ 60-69 years, male 12.2
GTEX-1192X-2726-SM-5N9DN 50-59 years, male 12.1
GTEX-11DXX-2126-SM-5PNYR 60-69 years, female 12.0
GTEX-13X6I-1826-SM-5SIAO 60-69 years, male 12.0
GTEX-ZDTT-0426-SM-4WKFL 60-69 years, male 11.9
GTEX-14PHY-1226-SM-5ZZWK 60-69 years, female 11.8
GTEX-1CB4I-0126-SM-7RHGG 50-59 years, male 11.8
GTEX-1GN1W-2426-SM-9KNUU 50-59 years, female 11.8
GTEX-1K2DA-1026-SM-CGQGF 50-59 years, male 11.8
GTEX-139TU-0726-SM-5L3EK 60-69 years, male 11.7
GTEX-14PII-0726-SM-6EU2B 60-69 years, male 11.7
GTEX-1HCU8-2526-SM-CE6RX 60-69 years, female 11.7
GTEX-1HSMQ-2626-SM-A9SML 50-59 years, male 11.7
GTEX-X4EO-2926-SM-4E3JH 60-69 years, female 11.6
GTEX-ZF2S-1626-SM-57WES 50-59 years, female 11.6
GTEX-ZYVF-0926-SM-5E44J 50-59 years, female 11.6
GTEX-ZF3C-0626-SM-DO92O 50-59 years, female 11.6
GTEX-UPK5-0426-SM-3GAEK 40-49 years, male 11.5
GTEX-1LSNL-2726-SM-E9TKJ 50-59 years, male 11.5
GTEX-1RAZQ-1326-SM-E9TK6 30-39 years, male 11.5
GTEX-1C64O-1326-SM-7MGWR 60-69 years, male 11.4
GTEX-1LGOU-1326-SM-D3L8M 20-29 years, female 11.4
GTEX-11DYG-1526-SM-5A5JS 60-69 years, male 11.3
GTEX-14B4R-1326-SM-5Q5EZ 30-39 years, male 11.3
GTEX-YEC3-1326-SM-DO92X 50-59 years, male 11.3
GTEX-131XH-0126-SM-5LZUY 50-59 years, male 11.2
GTEX-16MT8-2926-SM-7DUFO 60-69 years, female 11.2
GTEX-16MTA-0926-SM-6M47Z 50-59 years, male 11.2
GTEX-1LGRB-0926-SM-COH3K 50-59 years, female 11.2
GTEX-1LSNM-0826-SM-DIPG8 50-59 years, male 11.2
GTEX-12WSD-0626-SM-5GCMW 60-69 years, female 11.1
GTEX-14C38-0726-SM-5SI6M 50-59 years, male 11.1
GTEX-15FZZ-0526-SM-7KUGD 30-39 years, female 11.1
GTEX-1E2YA-2126-SM-7MXUO 50-59 years, male 11.1
GTEX-1F6I4-2326-SM-7RHGL 60-69 years, male 11.0
GTEX-1JK1U-0226-SM-ARZMX 60-69 years, male 11.0
GTEX-11GS4-0226-SM-5HL77 60-69 years, male 10.9
GTEX-1CAV2-0126-SM-7IGN7 40-49 years, female 10.9
GTEX-ZU9S-1826-SM-5NQ9E 30-39 years, male 10.9
GTEX-1QPFJ-1926-SM-EVYBD 30-39 years, female 10.9
GTEX-117YX-1926-SM-5GIEC 50-59 years, male 10.8
GTEX-14PJ3-1126-SM-5ZZVX 50-59 years, male 10.8
GTEX-13N2G-0226-SM-5K7VF 60-69 years, male 10.7
GTEX-15RJE-2826-SM-7KUM9 40-49 years, male 10.7
GTEX-ZVT4-2426-SM-5GIEI 50-59 years, female 10.7
GTEX-15SHW-0226-SM-7LTAT 60-69 years, male 10.6
GTEX-Z93S-1626-SM-5CVMB 50-59 years, male 10.6
GTEX-1KAFJ-0126-SM-DIPEK 50-59 years, male 10.5
GTEX-131XG-0326-SM-5L3DX 50-59 years, female 10.4
GTEX-1I6K6-1726-SM-CGQFD 30-39 years, male 10.4
GTEX-16NPX-0726-SM-7KULC 50-59 years, male 10.3
GTEX-ZDTS-0826-SM-4WKHL 60-69 years, male 10.3
GTEX-1GN73-0726-SM-7P8TJ 60-69 years, male 10.3
GTEX-1HSKV-1226-SM-ADEI4 60-69 years, male 10.3
GTEX-ZPU1-1126-SM-4YCF3 40-49 years, male 10.2
GTEX-1S3DN-2126-SM-E9TIN 50-59 years, male 10.2
GTEX-17EVQ-0126-SM-7IGLR 70-79 years, male 10.1
GTEX-1E1VI-0326-SM-793D1 50-59 years, male 10.1
GTEX-1LVAO-2726-SM-E9TJ8 60-69 years, male 10.1
GTEX-11EI6-2826-SM-5H11D 60-69 years, male 10.0
GTEX-VUSG-2326-SM-4KL1U 50-59 years, male 10.0
GTEX-1F6IF-0926-SM-7SB7M 60-69 years, male 10.0
GTEX-1PBJJ-1026-SM-E76OS 30-39 years, male 10.0
GTEX-ZC5H-1526-SM-5HL9Y 40-49 years, female 9.9
GTEX-1OJC3-1226-SM-DTXER 20-29 years, male 9.8
GTEX-1F75B-0726-SM-7PC3R 50-59 years, male 9.7
GTEX-1ICG6-1226-SM-A9SLN 70-79 years, female 9.7
GTEX-1LB8K-0726-SM-D5OV2 50-59 years, male 9.7
GTEX-1CB4J-1326-SM-7P8RX 60-69 years, male 9.6
GTEX-1JJ6O-2726-SM-CNPOG 60-69 years, male 9.6
GTEX-1R9PM-1926-SM-EVR3O 20-29 years, male 9.6
GTEX-1CB4H-1126-SM-7MKGL 60-69 years, female 9.5
GTEX-14C39-1726-SM-5RQIL 40-49 years, male 9.4
GTEX-17HHY-0426-SM-7DHLC 50-59 years, male 9.4
GTEX-144GM-0526-SM-79OJO 20-29 years, male 9.3
GTEX-18A7A-0126-SM-731AH 50-59 years, female 9.3
GTEX-UPJH-0226-SM-3GADV 50-59 years, male 9.3
GTEX-1H23P-0626-SM-9WG6T 60-69 years, male 9.3
GTEX-16XZZ-0726-SM-7KUF2 60-69 years, male 9.1
GTEX-1F5PK-2226-SM-7SB6N 50-59 years, male 9.0
GTEX-14PJO-2526-SM-6AJBQ 60-69 years, male 8.9
GTEX-1EN7A-2426-SM-793DB 40-49 years, male 8.9
GTEX-ZTSS-1426-SM-5985P 40-49 years, male 8.9
GTEX-1JKYR-0626-SM-ARL8R 20-29 years, male 8.9
GTEX-1N2DV-1526-SM-DTXEP 40-49 years, male 8.9
GTEX-1N2EE-0626-SM-E76PW 60-69 years, male 8.9
GTEX-1QEPI-2626-SM-DTXF4 60-69 years, female 8.9
GTEX-145MG-1526-SM-5Q5EM 50-59 years, male 8.8
GTEX-14AS3-1526-SM-5Q5ED 40-49 years, female 8.8
GTEX-15D1Q-2826-SM-6LLH7 40-49 years, male 8.8
GTEX-15ER7-0626-SM-6PANF 20-29 years, female 8.7
GTEX-1122O-1026-SM-9WYSF 60-69 years, female 8.7
GTEX-1H1E6-0426-SM-9WYUS 30-39 years, male 8.7
GTEX-1JJEA-1826-SM-ARU8P 60-69 years, male 8.7
GTEX-1S82U-1026-SM-E6CJK 30-39 years, female 8.7
GTEX-13NYC-0126-SM-5L3F4 60-69 years, male 8.6
GTEX-14E6C-2426-SM-5S2NF 40-49 years, male 8.6
GTEX-YECK-0326-SM-4W1YS 60-69 years, male 8.6
GTEX-ZF29-0926-SM-4WKFZ 60-69 years, female 8.6
GTEX-1GPI6-1926-SM-9KNV7 60-69 years, male 8.6
GTEX-12WSF-1626-SM-7KUG5 70-79 years, male 8.5
GTEX-139D8-1126-SM-5LU8W 30-39 years, female 8.5
GTEX-17EVP-2626-SM-7IGMA 40-49 years, male 8.5
GTEX-1CB4F-1026-SM-7DUH1 60-69 years, male 8.5
GTEX-1IKJJ-2226-SM-CJI4C 60-69 years, male 8.5
GTEX-13OW6-2726-SM-5J2OE 50-59 years, male 8.4
GTEX-147F4-0726-SM-5TDDD 50-59 years, male 8.4
GTEX-1B8SF-0126-SM-7DUG3 60-69 years, male 8.4
GTEX-1H1CY-0126-SM-9YFLY 60-69 years, female 8.4
GTEX-1J8Q2-2626-SM-ACKWQ 60-69 years, male 8.4
GTEX-1A3MV-1826-SM-731CD 30-39 years, male 8.3
GTEX-1IDJV-0126-SM-COH3Y 60-69 years, male 8.3
GTEX-17KNJ-2126-SM-718AM 50-59 years, male 8.2
GTEX-1EX96-1026-SM-7MKG2 50-59 years, male 8.2
GTEX-1QW4Y-1126-SM-DTXE3 30-39 years, male 8.1
GTEX-1AMEY-0826-SM-72D65 30-39 years, female 7.9
GTEX-1JN76-0626-SM-CKZOQ 20-29 years, female 7.9
GTEX-1KXAM-1626-SM-D3LAD 60-69 years, male 7.9
GTEX-17HHE-1326-SM-7EWDZ 50-59 years, male 7.8
GTEX-1CB4E-0926-SM-7EPHT 60-69 years, male 7.8
GTEX-ZXG5-2126-SM-59HKD 60-69 years, male 7.8
GTEX-1HSGN-0826-SM-ACKW3 40-49 years, female 7.8
GTEX-1H2FU-0926-SM-9WPPT 60-69 years, female 7.7
GTEX-18A6Q-0626-SM-7KFRP 60-69 years, male 7.6
GTEX-XAJ8-1426-SM-47JYM 40-49 years, male 7.6
GTEX-1H1DE-1326-SM-9KNUG 20-29 years, male 7.6
GTEX-1I1GV-0626-SM-ARL7M 60-69 years, male 7.6
GTEX-111YS-1526-SM-5GZYW 60-69 years, male 7.5
GTEX-13OVH-0526-SM-5L3E6 70-79 years, male 7.5
GTEX-Y111-0626-SM-4SOIT 50-59 years, male 7.5
GTEX-13N1W-2426-SM-5IJD1 70-79 years, male 7.4
GTEX-1H11D-1826-SM-9QEHM 40-49 years, male 7.4
GTEX-1HCVE-2726-SM-CL54F 50-59 years, male 7.4
GTEX-13PVQ-0626-SM-5LU47 50-59 years, male 7.3
GTEX-17F9Y-0126-SM-79OKX 70-79 years, female 7.3
GTEX-18A7B-2726-SM-7LG56 70-79 years, male 7.3
GTEX-18QFQ-1826-SM-72D52 30-39 years, male 7.3
GTEX-1C2JI-1026-SM-73KY1 50-59 years, male 7.3
GTEX-1GF9X-1326-SM-7PC2Y 40-49 years, female 7.3
GTEX-145MH-2826-SM-5RQJF 50-59 years, male 7.2
GTEX-16AAH-0626-SM-793C9 50-59 years, male 7.2
GTEX-1JMPZ-0726-SM-CY8HZ 30-39 years, male 7.2
GTEX-13X6K-0626-SM-5LU5D 60-69 years, female 7.1
GTEX-XQ8I-0926-SM-4BOOF 50-59 years, male 7.1
GTEX-1A3MX-2626-SM-7PC24 60-69 years, male 7.1
GTEX-1KD5A-0126-SM-E9U54 50-59 years, male 7.1
GTEX-145LU-1926-SM-79OJN 50-59 years, male 7.0
GTEX-1HBPN-0126-SM-CGQEF 50-59 years, male 7.0
GTEX-1HCU7-0726-SM-A9SL1 50-59 years, male 7.0
GTEX-1N5O9-0926-SM-E9J3C 60-69 years, male 7.0
GTEX-13NZ9-2626-SM-5L3FK 50-59 years, male 6.9
GTEX-15SKB-2826-SM-6PAMH 60-69 years, male 6.9
GTEX-11ZU8-0126-SM-5EQ58 60-69 years, male 6.8
GTEX-15CHR-1126-SM-7EWF4 50-59 years, male 6.8
GTEX-1A8G7-1326-SM-73KVM 60-69 years, male 6.8
GTEX-WYJK-0526-SM-3NM8Z 50-59 years, male 6.8
GTEX-1CAMS-2226-SM-7PBXQ 40-49 years, female 6.8
GTEX-1RMOY-1326-SM-E9TIH 50-59 years, male 6.8
GTEX-11DXW-0826-SM-5H118 40-49 years, male 6.7
GTEX-13JUV-2026-SM-5K7UA 40-49 years, female 6.5
GTEX-17MF6-2626-SM-79OKQ 40-49 years, male 6.5
GTEX-1B933-2426-SM-7DHMD 50-59 years, female 6.5
GTEX-1LVA9-2626-SM-EVYD4 50-59 years, male 6.5
GTEX-13OW8-1026-SM-5J1NQ 60-69 years, male 6.4
GTEX-145MO-2826-SM-5LU96 60-69 years, male 6.4
GTEX-1GMR3-0126-SM-A9SLW 40-49 years, male 6.4
GTEX-11NUK-2726-SM-5A5MC 50-59 years, male 6.3
GTEX-12WSK-2126-SM-5CVNC 40-49 years, female 6.3
GTEX-13112-0126-SM-5P9IU 50-59 years, male 6.3
GTEX-1EKGG-0626-SM-7DUGJ 60-69 years, male 6.3
GTEX-ZYFC-0426-SM-5GICQ 50-59 years, male 6.3
GTEX-14C5O-0326-SM-5ZZUX 60-69 years, male 6.2
GTEX-16MT9-0126-SM-7EPI8 60-69 years, female 6.2
GTEX-1B996-0426-SM-7EWF8 60-69 years, male 6.2
GTEX-ZY6K-1426-SM-5GZX2 50-59 years, male 6.2
GTEX-1J1R8-2026-SM-CL53Y 40-49 years, male 6.2
GTEX-14ABY-2026-SM-62LDL 50-59 years, male 6.1
GTEX-14BMV-2826-SM-5TDED 50-59 years, male 6.1
GTEX-1GF9V-0826-SM-9KNUV 60-69 years, male 6.1
GTEX-1LG7Y-2526-SM-EWRO7 50-59 years, male 6.1
GTEX-1LVAM-0726-SM-E6CIL 50-59 years, female 6.1
GTEX-V1D1-2026-SM-3GAF4 50-59 years, male 6.0
GTEX-1HB9E-0126-SM-CM2S5 50-59 years, male 6.0
GTEX-111VG-1626-SM-5EGIO 60-69 years, male 5.9
GTEX-11DXZ-2026-SM-5987S 50-59 years, male 5.9
GTEX-12WSC-2826-SM-5BC5Y 50-59 years, male 5.9
GTEX-12WSM-1926-SM-5BC65 60-69 years, male 5.9
GTEX-13OW7-0426-SM-5K7VK 50-59 years, male 5.9
GTEX-14ICL-1626-SM-5YYAO 30-39 years, male 5.9
GTEX-Y9LG-1126-SM-4VBQ7 30-39 years, male 5.9
GTEX-1B932-2326-SM-79OL5 40-49 years, female 5.8
GTEX-1C6VQ-1226-SM-73KYD 50-59 years, male 5.8
GTEX-1HSMP-0926-SM-A9SKX 70-79 years, male 5.7
GTEX-1PPH7-1126-SM-DTX9A 40-49 years, male 5.7
GTEX-14753-0726-SM-5QGQO 60-69 years, male 5.6
GTEX-WHSE-0126-SM-3NMBT 20-29 years, male 5.6
GTEX-X585-2426-SM-46MW2 50-59 years, male 5.6
GTEX-1I1CD-0626-SM-CE6SW 60-69 years, female 5.6
GTEX-1KWVE-1026-SM-D3L9O 30-39 years, male 5.6
GTEX-1M4P7-0726-SM-E6CJ3 60-69 years, male 5.6
GTEX-1NSGN-0726-SM-DTXEF 50-59 years, male 5.6
GTEX-11TT1-1826-SM-5EQLV 20-29 years, male 5.4
GTEX-11WQK-1026-SM-5EQLX 50-59 years, male 5.4
GTEX-12696-0126-SM-5EQ4L 60-69 years, male 5.4
GTEX-13YAN-0226-SM-5TDC6 60-69 years, male 5.4
GTEX-139TS-2126-SM-5K7XC 60-69 years, male 5.3
GTEX-16Z82-2626-SM-7KULU 60-69 years, male 5.2
GTEX-1I1HK-2326-SM-CKZOH 60-69 years, male 5.2
GTEX-1JMQI-1726-SM-ARL93 50-59 years, male 5.2
GTEX-1PPGY-1626-SM-EVYBL 60-69 years, male 5.2
GTEX-131XW-0626-SM-5PNVD 50-59 years, female 5.1
GTEX-139UW-0326-SM-5J1ML 60-69 years, male 5.1
GTEX-18465-2826-SM-7LT9J 50-59 years, male 5.1
GTEX-18A67-1626-SM-7LT9T 50-59 years, male 5.1
GTEX-1JMQJ-0826-SM-CNPP7 50-59 years, male 5.1
GTEX-1QCLY-0226-SM-EWRNH 30-39 years, male 5.1
GTEX-1A8FM-0626-SM-7PC25 50-59 years, female 5.0
GTEX-1HFI7-2326-SM-CGQFS 50-59 years, female 5.0
GTEX-1POEN-2326-SM-E9J2L 30-39 years, female 5.0
GTEX-1QP2A-1726-SM-E76QC 50-59 years, male 5.0
GTEX-1313W-0626-SM-5EQ4H 50-59 years, female 4.9
GTEX-13W3W-0726-SM-5IJDQ 60-69 years, female 4.9
GTEX-WHSB-1326-SM-3LK6W 50-59 years, male 4.9
GTEX-ZVZP-1226-SM-5GID7 50-59 years, male 4.9
GTEX-ZYFD-0626-SM-5E44E 50-59 years, male 4.9
GTEX-12ZZX-2426-SM-5GCOE 40-49 years, female 4.8
GTEX-13OVL-0126-SM-5L3GJ 50-59 years, male 4.7
GTEX-1I1GU-0926-SM-ACKVS 40-49 years, male 4.7
GTEX-12ZZY-0726-SM-5EQ66 60-69 years, male 4.6
GTEX-ZYY3-2926-SM-5GIEB 60-69 years, female 4.6
GTEX-1B8L1-2226-SM-7P8PT 60-69 years, male 4.6
GTEX-1JMPY-0226-SM-CKZOK 30-39 years, male 4.6
GTEX-WRHU-2826-SM-3MJG8 50-59 years, female 4.5
GTEX-1C64N-2626-SM-7PC2N 50-59 years, male 4.5
GTEX-1IL2V-1926-SM-B2LW8 70-79 years, male 4.5
GTEX-13SLW-0626-SM-5Q5ER 70-79 years, male 4.4
GTEX-1GMR8-0626-SM-7RHI7 50-59 years, female 4.4
GTEX-1I1GT-1026-SM-ARZLV 60-69 years, female 4.4
GTEX-1399U-1126-SM-5L3DB 50-59 years, female 4.3
GTEX-1CAMQ-1326-SM-7P8RV 40-49 years, male 4.3
GTEX-1GZ4I-2626-SM-9KNU3 50-59 years, male 4.3
GTEX-1H3O1-1326-SM-9MQLD 60-69 years, male 4.3
GTEX-1J8JJ-0626-SM-ARZMQ 60-69 years, female 4.3
GTEX-13JVG-0726-SM-5KM16 60-69 years, male 4.2
GTEX-13QJC-0126-SM-5ZZWJ 60-69 years, female 4.2
GTEX-11GSP-2326-SM-5HL63 60-69 years, female 4.1
GTEX-1GN2E-0226-SM-9WG6K 60-69 years, male 4.1
GTEX-1ICLY-0826-SM-CMKG1 50-59 years, male 4.1
GTEX-1J1OQ-0126-SM-D4P2N 40-49 years, female 4.1
GTEX-1J8EW-2726-SM-CY8HR 60-69 years, female 4.1
GTEX-11DXY-0126-SM-5H11Q 60-69 years, male 4.0
GTEX-11WQC-1826-SM-5GU59 60-69 years, male 4.0
GTEX-145LS-0626-SM-7EPG7 60-69 years, female 4.0
GTEX-17F96-0126-SM-7EWDU 70-79 years, male 4.0
GTEX-13X6J-0626-SM-5LU5F 50-59 years, male 3.9
GTEX-ZTTD-2826-SM-4YCFA 50-59 years, male 3.9
GTEX-1AMFI-1326-SM-7939R 50-59 years, female 3.8
GTEX-ZUA1-2626-SM-5NQ92 40-49 years, male 3.8
GTEX-1399S-0126-SM-5IJCF 30-39 years, female 3.7
GTEX-13FLV-0126-SM-5K7WT 50-59 years, male 3.7
GTEX-144GL-0626-SM-5LU4D 50-59 years, male 3.7
GTEX-16GPK-0626-SM-7KFSF 60-69 years, male 3.7
GTEX-1MCYP-0526-SM-E9U6Q 20-29 years, female 3.7
GTEX-1S5ZU-2526-SM-E6CIF 20-29 years, female 3.7
GTEX-14BIN-1126-SM-5RQJZ 50-59 years, female 3.6
GTEX-1399Q-2326-SM-5KM2X 40-49 years, male 3.5
GTEX-13PDP-0726-SM-5L3HP 60-69 years, male 3.5
GTEX-147GR-2426-SM-5ZZWQ 60-69 years, male 3.5
GTEX-ZVE1-0726-SM-51MRN 50-59 years, female 3.5
GTEX-12126-0826-SM-5FQTZ 20-29 years, male 3.4
GTEX-ZVTK-0226-SM-51MRG 20-29 years, male 3.4
GTEX-1JN6P-2926-SM-CL54D 60-69 years, male 3.4
GTEX-13SLX-2226-SM-62LEP 50-59 years, female 3.3
GTEX-14JG1-1526-SM-5YY9X 40-49 years, male 3.3
GTEX-11OF3-0126-SM-5PNYF 60-69 years, male 3.2
GTEX-13NYB-0126-SM-5J1MD 40-49 years, male 3.2
GTEX-14LLW-2626-SM-62LDZ 70-79 years, female 3.2
GTEX-14PJ2-0626-SM-6LLII 50-59 years, male 3.2
GTEX-1LKK1-2626-SM-DKPQE 50-59 years, female 3.2
GTEX-1PIIG-2326-SM-DTXFR 30-39 years, male 3.2
GTEX-1PPH8-0126-SM-EWRN8 20-29 years, male 3.2
GTEX-12WSA-0426-SM-5EQ5X 60-69 years, male 3.1
GTEX-131YS-2826-SM-5EQ47 60-69 years, female 3.1
GTEX-15DDE-2926-SM-6LLJ3 50-59 years, female 3.1
GTEX-1HBPI-2126-SM-ARL9K 50-59 years, male 3.1
GTEX-1I19N-0126-SM-CYPSF 70-79 years, male 3.1
GTEX-11ZUS-2626-SM-5FQUR 30-39 years, male 3.0
GTEX-145MI-0626-SM-5SI8S 60-69 years, female 3.0
GTEX-14A6H-2026-SM-5Q5DD 30-39 years, male 3.0
GTEX-1RAZS-2526-SM-E6CHT 50-59 years, male 3.0
GTEX-1269C-0126-SM-5EQ5L 60-69 years, female 2.9
GTEX-13G51-1826-SM-5KLZH 60-69 years, male 2.9
GTEX-14DAQ-0626-SM-793DS 60-69 years, female 2.9
GTEX-1OJC4-2726-SM-E76PJ 50-59 years, female 2.9
GTEX-13O3Q-0126-SM-5KM34 50-59 years, male 2.8
GTEX-13RTJ-0126-SM-5S2NN 60-69 years, male 2.8
GTEX-144GO-2026-SM-5O99P 60-69 years, male 2.8
GTEX-WK11-2726-SM-3NMAQ 50-59 years, male 2.8
GTEX-1C6VR-0126-SM-7RHGB 60-69 years, male 2.8
GTEX-1NV5F-0626-SM-DTXEG 60-69 years, female 2.8
GTEX-139TT-2126-SM-5LZWC 60-69 years, male 2.7
GTEX-11UD2-2526-SM-5CVNU 50-59 years, male 2.6
GTEX-1212Z-0126-SM-59HK4 60-69 years, male 2.6
GTEX-13FTY-2126-SM-5IFFB 40-49 years, female 2.6
GTEX-1IDJH-0126-SM-D3L92 70-79 years, male 2.6
GTEX-145MF-0926-SM-5Q5EA 50-59 years, male 2.5
GTEX-1HGF4-0126-SM-CNPPX 60-69 years, male 2.5
GTEX-1S83E-1326-SM-E6CJM 40-49 years, male 2.5
GTEX-1H4P4-2126-SM-9WYSL 50-59 years, male 2.4
GTEX-1HR9M-2226-SM-CNPPY 60-69 years, male 2.4
GTEX-14JFF-0626-SM-5ZZVT 60-69 years, male 2.3
GTEX-1I1GP-1326-SM-A9G28 50-59 years, male 2.3
GTEX-11TUW-0626-SM-5LU9M 60-69 years, male 2.2
GTEX-148VJ-0626-SM-5LUAW 70-79 years, male 2.0
GTEX-ZYT6-2326-SM-5GZY3 30-39 years, male 2.0
GTEX-1GN1V-2826-SM-9JGIA 60-69 years, male 2.0
GTEX-XMD2-2126-SM-4YCF8 60-69 years, female 1.9
GTEX-XQ3S-1426-SM-4BOPR 20-29 years, male 1.9
GTEX-1LSVX-2526-SM-DIPEU 60-69 years, male 1.9
GTEX-ZE9C-2526-SM-5IJDR 60-69 years, male 1.8
GTEX-1IOXB-2726-SM-CM2RI 50-59 years, male 1.8
GTEX-13PL6-1126-SM-5L3IE 40-49 years, female 1.7
GTEX-1F88F-0126-SM-9WYSZ 60-69 years, female 1.7
GTEX-1GZ2Q-0126-SM-9WG6M 40-49 years, male 1.7
GTEX-13VXU-0626-SM-5L3F9 50-59 years, male 1.5
GTEX-1A8G6-2726-SM-731AR 60-69 years, male 1.5
GTEX-1IDFM-0326-SM-ARL7V 60-69 years, male 1.5
GTEX-11PRG-0726-SM-5EGL1 50-59 years, male 1.4
GTEX-1EH9U-2826-SM-7DUGT 60-69 years, male 1.4
GTEX-1F88E-1626-SM-7SB8Z 60-69 years, female 1.4
GTEX-1HT8W-0626-SM-A9G2H 30-39 years, male 1.2
GTEX-1F6RS-2026-SM-7RHHC 60-69 years, female 1.1
GTEX-1HFI6-0126-SM-CNPPI 40-49 years, male 1.1
GTEX-1HR98-2226-SM-ADEI2 60-69 years, male 1.0
GTEX-ZE7O-2726-SM-51MT5 50-59 years, female 0.8
GTEX-ZWKS-0626-SM-5GIDV 30-39 years, male 0.7
GTEX-1KANB-2826-SM-CY8I6 50-59 years, male 0.7
GTEX-13NZ8-1226-SM-5KM4A 60-69 years, female 0.5
Show allShow less
Skin - Sun Exposed (Lower leg)
Average nTPM: 17.7
Samples: 701

Max nTPM: 160.1
Min nTPM: 0.5
Std nTPM: 16.9
Median nTPM: 12.8
GTEX-Y3I4-2126-SM-4TT7C 50-59 years, male 160.1
GTEX-13OVJ-0126-SM-5KM36 50-59 years, female 120.4
GTEX-WI4N-1026-SM-3LK7N 40-49 years, female 112.9
GTEX-PLZ4-0126-SM-5SI8O 50-59 years, female 108.4
GTEX-ZTPG-0326-SM-5O9AX 20-29 years, female 101.5
GTEX-1QP67-1626-SM-EAZ3X 40-49 years, female 93.6
GTEX-11EMC-2926-SM-5EQ4F 60-69 years, female 92.7
GTEX-X88G-0126-SM-47JZ3 30-39 years, male 87.2
GTEX-1H3VE-0326-SM-9YFLH 40-49 years, male 81.9
GTEX-1F48J-0126-SM-7P8TT 50-59 years, female 79.2
GTEX-144GN-2326-SM-5LU4F 50-59 years, male 76.5
GTEX-OOBK-0126-SM-2YUND 40-49 years, male 76.5
GTEX-1H2FU-0126-SM-9WYSI 60-69 years, female 75.1
GTEX-Q734-1926-SM-2I5EV 40-49 years, female 72.2
GTEX-14BIL-0126-SM-5SI92 50-59 years, male 67.9
GTEX-RUSQ-1526-SM-2TF62 50-59 years, male 67.6
GTEX-X4EP-0126-SM-3P5YV 60-69 years, female 64.4
GTEX-1ICLZ-0126-SM-CKZPO 60-69 years, male 63.3
GTEX-ZQG8-1626-SM-DHXIT 60-69 years, female 63.2
GTEX-U4B1-1826-SM-4DXSU 40-49 years, male 62.5
GTEX-13VXT-0126-SM-5LU4I 20-29 years, female 59.8
GTEX-1211K-2026-SM-5EQ4Z 60-69 years, female 59.2
GTEX-1AX8Z-0126-SM-7DHM6 60-69 years, male 59.0
GTEX-SN8G-0126-SM-32PLI 50-59 years, female 58.9
GTEX-145MO-0326-SM-5Q5B3 60-69 years, male 58.3
GTEX-13OVG-1926-SM-5L3DK 60-69 years, male 58.0
GTEX-1PWST-0226-SM-E76QJ 70-79 years, male 56.3
GTEX-1HB9E-0226-SM-E9U4R 50-59 years, male 54.6
GTEX-ZF3C-0126-SM-DO92D 50-59 years, female 54.5
GTEX-113IC-0126-SM-5HL6T 60-69 years, male 53.3
GTEX-WY7C-2326-SM-3NB2U 50-59 years, male 52.8
GTEX-1HUB1-0426-SM-E9U4U 60-69 years, male 51.9
GTEX-1HGF4-2426-SM-ACKXM 60-69 years, male 50.9
GTEX-18A66-0226-SM-718BD 60-69 years, male 50.6
GTEX-QDT8-0126-SM-48TZ1 30-39 years, female 49.7
GTEX-ZVT2-2526-SM-51MT1 50-59 years, female 48.7
GTEX-13D11-2426-SM-5KM1V 50-59 years, female 48.6
GTEX-1R46S-0626-SM-E9J41 60-69 years, female 48.1
GTEX-QDVN-2026-SM-3GAEP 50-59 years, male 47.4
GTEX-13NYS-0126-SM-5MR3W 60-69 years, male 47.1
GTEX-1AYD5-2426-SM-73KXR 50-59 years, male 46.6
GTEX-1C6VQ-0126-SM-7P8RI 50-59 years, male 45.9
GTEX-1JKYN-1326-SM-CGQG9 30-39 years, male 45.3
GTEX-13N11-2526-SM-5K7UE 50-59 years, female 44.6
GTEX-17F97-0326-SM-7LG5B 50-59 years, male 44.4
GTEX-ZAB4-0226-SM-5N9F5 40-49 years, male 44.3
GTEX-1399U-2326-SM-5K7WY 50-59 years, female 43.5
GTEX-14JIY-0126-SM-6LLH6 60-69 years, male 43.4
GTEX-Q2AG-0126-SM-33HBV 40-49 years, female 42.2
GTEX-ZDYS-2026-SM-5HL5L 50-59 years, male 41.9
GTEX-12KS4-0326-SM-5EQ41 30-39 years, male 41.8
GTEX-ZY6K-1826-SM-5GZXK 50-59 years, male 41.8
GTEX-1JK1U-2026-SM-CM2RZ 60-69 years, male 41.8
GTEX-14PN4-0126-SM-6EU2V 50-59 years, male 41.7
GTEX-14PK6-1926-SM-6ETZU 70-79 years, female 40.6
GTEX-XBED-2226-SM-47JYQ 60-69 years, male 40.5
GTEX-11DZ1-0126-SM-5985Q 50-59 years, male 40.2
GTEX-1192X-0226-SM-5H12D 50-59 years, male 40.1
GTEX-PLZ5-2026-SM-2S1O4 50-59 years, male 39.3
GTEX-1RAZQ-0726-SM-EAZ43 30-39 years, male 39.2
GTEX-U8T8-0126-SM-3DB94 60-69 years, male 38.9
GTEX-11ZVC-2526-SM-5FQTE 50-59 years, female 38.8
GTEX-11TTK-0126-SM-5987B 60-69 years, female 38.7
GTEX-XV7Q-2526-SM-4BRV9 40-49 years, female 38.3
GTEX-1CAV2-2226-SM-7P8P2 40-49 years, female 38.3
GTEX-113JC-2326-SM-5EQ4E 50-59 years, female 38.2
GTEX-12584-0126-SM-5EGKQ 40-49 years, male 38.1
GTEX-1HBPM-0226-SM-ARL9F 60-69 years, female 37.8
GTEX-1R9K4-0126-SM-DTX9X 60-69 years, male 37.7
GTEX-1269C-2526-SM-5EGJ3 60-69 years, female 37.4
GTEX-13FHO-0226-SM-5IFGY 60-69 years, male 36.6
GTEX-11DXX-2426-SM-5GZZW 60-69 years, female 36.4
GTEX-146FH-0126-SM-5QGPP 50-59 years, female 36.3
GTEX-1GMR8-0126-SM-9WYTM 50-59 years, female 35.8
GTEX-WH7G-2326-SM-3NMBC 40-49 years, male 35.1
GTEX-111VG-2426-SM-5GZXD 60-69 years, male 35.0
GTEX-1HCU6-0126-SM-CL54K 60-69 years, female 34.8
GTEX-183WM-0126-SM-7LTAB 70-79 years, female 34.4
GTEX-1497J-2426-SM-7IGNX 60-69 years, male 34.3
GTEX-ZYW4-0126-SM-5E44A 60-69 years, male 34.3
GTEX-144FL-0126-SM-5TDC8 50-59 years, male 33.9
GTEX-SE5C-1626-SM-2XCE3 40-49 years, female 33.8
GTEX-14753-0426-SM-5NQAM 60-69 years, male 33.7
GTEX-13O1R-0126-SM-5L3EH 60-69 years, male 33.5
GTEX-1GZ4H-1726-SM-7PBZJ 50-59 years, female 33.4
GTEX-Y5LM-1926-SM-5RQJH 40-49 years, female 32.4
GTEX-1ICG6-2526-SM-CGQFZ 70-79 years, female 32.3
GTEX-18QFQ-0126-SM-731BE 30-39 years, male 32.2
GTEX-1I1GS-0126-SM-B2LVW 60-69 years, male 32.2
GTEX-15SB6-1726-SM-6PAME 50-59 years, female 32.0
GTEX-ZVE2-0226-SM-59HJB 50-59 years, male 31.6
GTEX-12WSL-2526-SM-5GCNJ 50-59 years, male 31.3
GTEX-12WSN-5019-SM-79OM6 40-49 years, male 31.2
GTEX-13CF2-2526-SM-5LZYX 60-69 years, male 31.1
GTEX-Y3IK-2426-SM-4WWDU 50-59 years, female 30.7
GTEX-ZF28-0126-SM-4WKGK 60-69 years, male 30.7
GTEX-139D8-0226-SM-5KLZO 30-39 years, female 30.4
GTEX-TMZS-0126-SM-3DB9Q 60-69 years, male 30.4
GTEX-ZC5H-0226-SM-4WAY9 40-49 years, female 30.1
GTEX-1CB4G-0226-SM-7PC3O 60-69 years, male 30.1
GTEX-11ZTT-2426-SM-5EQLS 60-69 years, female 30.0
GTEX-13RTJ-2426-SM-5S2Q2 60-69 years, male 30.0
GTEX-13RTL-0126-SM-7LG5S 40-49 years, male 30.0
GTEX-1IDJF-0126-SM-CM2RS 20-29 years, male 30.0
GTEX-Q2AI-1326-SM-2S1PL 40-49 years, male 29.8
GTEX-ZDXO-3026-SM-5J1N5 60-69 years, male 29.7
GTEX-ZF29-2326-SM-DO92K 60-69 years, female 29.6
GTEX-O5YT-0126-SM-48TBW 20-29 years, male 29.1
GTEX-146FR-1326-SM-E9J48 60-69 years, female 28.7
GTEX-R45C-0126-SM-EAZ2R 60-69 years, female 28.7
GTEX-11XUK-2026-SM-5EQLF 40-49 years, female 28.5
GTEX-14PHX-2326-SM-62LEM 50-59 years, male 28.5
GTEX-13X6I-0626-SM-5QGP9 60-69 years, male 28.4
GTEX-OXRN-0126-SM-48TDM 50-59 years, male 28.3
GTEX-ZVT3-0126-SM-5GU6I 60-69 years, female 28.2
GTEX-1QPFJ-0226-SM-E76PB 30-39 years, female 28.2
GTEX-15UF6-0826-SM-6PALJ 70-79 years, female 28.1
GTEX-ZAJG-0126-SM-5HL94 50-59 years, female 27.8
GTEX-QDVJ-1726-SM-2I5FX 50-59 years, male 27.6
GTEX-P4PQ-0126-SM-2S1NM 60-69 years, male 27.4
GTEX-1J1OQ-0226-SM-CYPSH 40-49 years, female 27.4
GTEX-YEC4-2126-SM-5IFJH 40-49 years, male 27.3
GTEX-17EVQ-0226-SM-7LG4P 70-79 years, male 27.2
GTEX-1C64O-0126-SM-7SB8P 60-69 years, male 27.2
GTEX-1H3NZ-0126-SM-ACKX7 60-69 years, male 27.2
GTEX-11EM3-2426-SM-59861 20-29 years, female 27.0
GTEX-1S82Z-0826-SM-E6CHY 30-39 years, female 26.8
GTEX-18A7A-0226-SM-718BH 50-59 years, female 26.5
GTEX-11P7K-2126-SM-5GU7G 30-39 years, male 26.3
GTEX-RTLS-0126-SM-447CA 60-69 years, female 25.9
GTEX-1HCUA-2426-SM-ADEIS 50-59 years, female 25.8
GTEX-16MT8-0426-SM-7KUEY 60-69 years, female 25.5
GTEX-139T8-0126-SM-5K7XZ 60-69 years, male 25.4
GTEX-12C56-1726-SM-5EQ61 20-29 years, male 25.3
GTEX-13YAN-0326-SM-5O9DF 60-69 years, male 25.3
GTEX-1C6WA-0126-SM-7PC2B 60-69 years, male 25.1
GTEX-17HII-0226-SM-7LG4E 50-59 years, male 24.9
GTEX-13O3O-0126-SM-E9J49 60-69 years, female 24.7
GTEX-1RLM8-2326-SM-EWRN4 50-59 years, male 24.6
GTEX-12WSJ-1826-SM-5GCNY 40-49 years, female 24.3
GTEX-S7PM-0126-SM-4AD6S 60-69 years, male 24.3
GTEX-15SDE-2226-SM-7IGLO 50-59 years, female 24.2
GTEX-T2IS-0126-SM-4DM6O 20-29 years, female 24.2
GTEX-1JMOU-1526-SM-CL54I 60-69 years, female 24.2
GTEX-O5YW-0126-SM-3LK6D 50-59 years, male 23.9
GTEX-14LLW-0126-SM-6LLIO 70-79 years, female 23.7
GTEX-1C6VS-0526-SM-7DUEN 60-69 years, male 23.7
GTEX-P44H-0226-SM-2XCEU 40-49 years, male 23.7
GTEX-ZDTT-2726-SM-4WKF8 60-69 years, male 23.7
GTEX-ZEX8-2426-SM-4WKG4 50-59 years, male 23.6
GTEX-1HR98-0126-SM-B2LWI 60-69 years, male 23.6
GTEX-1PPH7-2326-SM-EVYB8 40-49 years, male 23.6
GTEX-1F5PK-2426-SM-7RHHY 50-59 years, male 23.5
GTEX-133LE-1826-SM-5J1MV 20-29 years, female 23.4
GTEX-13OW7-0126-SM-5MR3B 50-59 years, male 23.4
GTEX-1MGNQ-0126-SM-EVYCJ 40-49 years, male 23.3
GTEX-U412-0426-SM-3DB9O 60-69 years, male 23.2
GTEX-11H98-0126-SM-5EGHG 50-59 years, male 22.9
GTEX-13SLW-0126-SM-5SI6C 70-79 years, male 22.9
GTEX-U3ZM-1526-SM-3DB9D 40-49 years, male 22.8
GTEX-1CAMS-0426-SM-7P8T2 40-49 years, female 22.7
GTEX-183FY-0126-SM-7LT9P 20-29 years, male 22.5
GTEX-Y8E4-0626-SM-4WWDL 40-49 years, male 22.5
GTEX-1J8EW-0126-SM-CJI4F 60-69 years, female 22.3
GTEX-1QP66-1726-SM-E8VO1 50-59 years, male 22.3
GTEX-QVJO-1626-SM-2S1QW 60-69 years, female 22.2
GTEX-PSDG-0226-SM-DKPOZ 50-59 years, male 22.2
GTEX-1H1DG-0126-SM-9WYU2 70-79 years, male 22.1
GTEX-145LV-2126-SM-5LU8N 50-59 years, male 22.0
GTEX-X8HC-0126-SM-4E3JW 50-59 years, female 22.0
GTEX-OIZF-0126-SM-7SB8I 60-69 years, male 21.9
GTEX-RWS6-2026-SM-2XCB5 60-69 years, female 21.7
GTEX-146FQ-0126-SM-5NQA9 30-39 years, male 21.5
GTEX-PWCY-1826-SM-DHXIZ 20-29 years, female 21.5
GTEX-15ER7-0326-SM-7KUEV 20-29 years, female 21.4
GTEX-QEG4-0226-SM-2S1PY 30-39 years, male 21.4
GTEX-Z93T-0126-SM-5HL5N 50-59 years, male 21.3
GTEX-13RTK-1426-SM-5QGQJ 20-29 years, male 21.2
GTEX-14ABY-0226-SM-5TDCQ 50-59 years, male 21.2
GTEX-14PJ3-1826-SM-62LEX 50-59 years, male 21.2
GTEX-XUW1-0426-SM-4BOOT 50-59 years, female 21.2
GTEX-1LC47-0326-SM-E9TJP 60-69 years, male 21.2
GTEX-OXRK-0226-SM-3NB2G 50-59 years, female 21.1
GTEX-X62O-0126-SM-4E3JN 50-59 years, male 21.1
GTEX-YB5K-2126-SM-4WWDJ 40-49 years, female 21.1
GTEX-1KD5A-0226-SM-D5OV3 50-59 years, male 21.0
GTEX-1192W-2626-SM-5Q5AF 60-69 years, male 20.9
GTEX-131XF-5016-SM-7MGWE 60-69 years, male 20.8
GTEX-18D9U-0226-SM-718BP 40-49 years, male 20.7
GTEX-SUCS-1926-SM-32PM3 70-79 years, male 20.7
GTEX-1RB15-2126-SM-E9TIM 60-69 years, male 20.6
GTEX-14BMU-2226-SM-5TDE9 20-29 years, female 20.5
GTEX-16XZY-2126-SM-79OK1 70-79 years, male 20.5
GTEX-1B8KE-2126-SM-73KYX 50-59 years, male 20.4
GTEX-X5EB-2226-SM-46MW4 40-49 years, male 20.3
GTEX-X638-0126-SM-47JZ8 70-79 years, female 20.3
GTEX-ZGAY-0526-SM-4WWBB 40-49 years, female 20.3
GTEX-1A8FM-0226-SM-7SB7Q 50-59 years, female 20.3
GTEX-1J8Q3-1626-SM-CMKGC 60-69 years, male 20.3
GTEX-1314G-1526-SM-5EGK2 30-39 years, male 20.2
GTEX-139TT-0126-SM-5K7Y5 60-69 years, male 20.2
GTEX-R55E-0126-SM-2TC5Y 20-29 years, male 20.2
GTEX-1CB4J-0626-SM-7DHMP 60-69 years, male 20.1
GTEX-ZAB5-1826-SM-5HL7C 50-59 years, male 20.1
GTEX-1JMQK-0226-SM-CL543 60-69 years, male 20.1
GTEX-XAJ8-0826-SM-47JY6 40-49 years, male 20.0
GTEX-1LNCM-1126-SM-E9U5E 50-59 years, female 20.0
GTEX-11VI4-1726-SM-5CVLH 40-49 years, female 19.9
GTEX-11P81-2326-SM-59875 30-39 years, female 19.8
GTEX-1PIGE-0126-SM-EVYBJ 20-29 years, male 19.6
GTEX-T8EM-1026-SM-3DB7M 40-49 years, male 19.4
GTEX-11O72-0126-SM-59887 40-49 years, male 19.2
GTEX-13IVO-0126-SM-5J1NG 70-79 years, male 19.2
GTEX-13NZA-0226-SM-5K7Z7 60-69 years, male 19.1
GTEX-1R9PO-2126-SM-E9J4O 60-69 years, female 19.1
GTEX-11P82-1626-SM-59879 20-29 years, male 19.0
GTEX-13X6H-2126-SM-7EWD5 50-59 years, female 18.9
GTEX-QCQG-1726-SM-3GIJ9 50-59 years, female 18.9
GTEX-U8XE-0326-SM-3DB8P 30-39 years, male 18.9
GTEX-W5X1-3026-SM-EAZAX 40-49 years, female 18.9
GTEX-XXEK-2226-SM-4BRUM 50-59 years, male 18.8
GTEX-ZYFD-0126-SM-5GIDL 50-59 years, male 18.7
GTEX-12WSD-0126-SM-59HKN 60-69 years, female 18.6
GTEX-NPJ8-0126-SM-2YUNR 40-49 years, male 18.5
GTEX-OXRL-0126-SM-2YUMP 50-59 years, male 18.5
GTEX-1K9T9-0126-SM-EVYCF 50-59 years, female 18.5
GTEX-17F98-0626-SM-79OMX 40-49 years, female 18.4
GTEX-18D9B-0526-SM-7LTAS 60-69 years, male 18.4
GTEX-X4XY-0226-SM-4E3IZ 60-69 years, male 18.1
GTEX-YFC4-0126-SM-5CVLY 40-49 years, female 18.1
GTEX-SSA3-0126-SM-32QPU 60-69 years, male 18.0
GTEX-R55G-2526-SM-2TC6D 40-49 years, female 17.9
GTEX-1GF9X-2026-SM-7PC3A 40-49 years, female 17.9
GTEX-13W46-0226-SM-5SIAG 50-59 years, male 17.5
GTEX-ZYY3-0126-SM-5GZY5 60-69 years, female 17.5
GTEX-1AX9J-0226-SM-73KXM 60-69 years, male 17.4
GTEX-13N2G-2626-SM-5J1OT 60-69 years, male 17.3
GTEX-17EUY-0426-SM-793BD 20-29 years, male 17.3
GTEX-XBEW-0626-SM-4QASP 40-49 years, male 17.3
GTEX-1F6IF-0726-SM-7P8TW 60-69 years, male 17.3
GTEX-18A67-0126-SM-7LG5P 50-59 years, male 17.1
GTEX-1B933-0126-SM-7PC29 50-59 years, female 17.1
GTEX-1F6I4-0126-SM-9MQL2 60-69 years, male 17.1
GTEX-147GR-0526-SM-5S2MY 60-69 years, male 17.0
GTEX-Y8LW-1826-SM-5S2MV 50-59 years, female 17.0
GTEX-1N2DV-0226-SM-E6CJ6 40-49 years, male 17.0
GTEX-RNOR-0126-SM-E9J4R 50-59 years, female 17.0
GTEX-ZVT4-0126-SM-DTXFN 50-59 years, female 17.0
GTEX-13QJ3-0326-SM-5S2RA 50-59 years, male 16.8
GTEX-145MN-2226-SM-5SIAU 30-39 years, male 16.7
GTEX-T2YK-0526-SM-32QPJ 50-59 years, male 16.7
GTEX-Y111-0126-SM-4SOIV 50-59 years, male 16.7
GTEX-1QP9N-1426-SM-DTXFL 30-39 years, male 16.7
GTEX-11ZTS-0126-SM-5EQ6M 60-69 years, female 16.6
GTEX-13OVI-1426-SM-5L3EY 60-69 years, female 16.6
GTEX-VUSG-2526-SM-4KL1V 50-59 years, male 16.6
GTEX-11GS4-2726-SM-5A5LE 60-69 years, male 16.5
GTEX-11OF3-2626-SM-5GU7F 60-69 years, male 16.5
GTEX-13OW5-0126-SM-DTXFS 60-69 years, male 16.5
GTEX-1H11D-0226-SM-9WG6Z 40-49 years, male 16.5
GTEX-1ICLY-0126-SM-D4P36 50-59 years, male 16.5
GTEX-YJ8A-0426-SM-5IFID 20-29 years, male 16.4
GTEX-1QW4Y-1526-SM-EAZ3Z 30-39 years, male 16.4
GTEX-13SLX-0526-SM-5S2ON 50-59 years, female 16.3
GTEX-16XZZ-0126-SM-793DV 60-69 years, male 16.3
GTEX-Y114-2426-SM-4TT8A 50-59 years, female 16.3
GTEX-1GTWX-0126-SM-9YFLK 60-69 years, male 16.3
GTEX-13O21-1426-SM-5K7XI 50-59 years, male 16.2
GTEX-16BQI-0226-SM-7KUEX 30-39 years, female 16.2
GTEX-1A3MW-0126-SM-73KXX 60-69 years, female 16.2
GTEX-1A3MX-0126-SM-731BR 60-69 years, male 16.2
GTEX-RN64-0126-SM-2TC68 50-59 years, male 16.2
GTEX-14PJM-0226-SM-62LF1 50-59 years, female 16.1
GTEX-145LT-1726-SM-5QGP3 40-49 years, male 16.0
GTEX-14PII-0226-SM-6EU1T 60-69 years, male 16.0
GTEX-YB5E-2026-SM-5IFIS 40-49 years, male 16.0
GTEX-11GSO-2426-SM-5A5LY 60-69 years, male 15.9
GTEX-U3ZH-2026-SM-3DB78 30-39 years, male 15.8
GTEX-1OJC4-0126-SM-E9J2E 50-59 years, female 15.8
GTEX-15G19-0126-SM-6PANQ 60-69 years, male 15.7
GTEX-1POEN-0126-SM-EYYXJ 30-39 years, female 15.7
GTEX-17HHY-0126-SM-7LG5D 50-59 years, male 15.6
GTEX-U3ZN-2326-SM-3DB7W 30-39 years, female 15.6
GTEX-1H1E6-1726-SM-ACKVK 30-39 years, male 15.6
GTEX-1IE54-0126-SM-CMKHW 40-49 years, female 15.6
GTEX-QLQW-1126-SM-2S1Q8 30-39 years, male 15.5
GTEX-13N1W-0126-SM-5K7VT 70-79 years, male 15.4
GTEX-1AX9K-2326-SM-73KWU 50-59 years, male 15.3
GTEX-UPJH-0326-SM-3GADU 50-59 years, male 15.2
GTEX-1IY9M-0126-SM-D3L8S 60-69 years, male 15.2
GTEX-11DXZ-2326-SM-5EGGV 50-59 years, male 15.1
GTEX-1C2JI-1826-SM-73KXC 50-59 years, male 15.1
GTEX-148VJ-0126-SM-5TDDN 70-79 years, male 14.9
GTEX-17HGU-0226-SM-7DHKV 50-59 years, male 14.9
GTEX-18A6Q-0126-SM-731BZ 60-69 years, male 14.9
GTEX-OXRP-0126-SM-3NB32 60-69 years, female 14.9
GTEX-14ICK-0226-SM-6EU25 40-49 years, male 14.8
GTEX-15DYW-0126-SM-7KULE 60-69 years, female 14.8
GTEX-NFK9-0226-SM-2HMKQ 40-49 years, male 14.8
GTEX-PWO3-1526-SM-48TCM 60-69 years, female 14.8
GTEX-XMD2-0126-SM-4YCDU 60-69 years, female 14.7
GTEX-1I1CD-0126-SM-CM2TK 60-69 years, female 14.7
GTEX-WYJK-0126-SM-3NMAB 50-59 years, male 14.6
GTEX-1GF9W-0326-SM-9KNUN 60-69 years, male 14.6
GTEX-1HCU8-0626-SM-A9SM9 60-69 years, female 14.6
GTEX-WXYG-2326-SM-4E3I6 50-59 years, female 14.5
GTEX-131XG-2626-SM-5KM17 50-59 years, female 14.4
GTEX-XYKS-2126-SM-4E3IB 60-69 years, female 14.3
GTEX-14PHW-0126-SM-6LLJI 60-69 years, female 14.2
GTEX-TMMY-0226-SM-33HBA 40-49 years, female 14.2
GTEX-ZXES-1826-SM-5E43S 30-39 years, female 14.2
GTEX-OOBJ-0126-SM-E6CJW 60-69 years, male 14.2
GTEX-145MI-0526-SM-5O9A8 60-69 years, female 14.1
GTEX-1I1GU-2226-SM-CGQFA 40-49 years, male 14.1
GTEX-13FTW-2626-SM-5K7WL 40-49 years, male 14.0
GTEX-ZU9S-0226-SM-5E441 30-39 years, male 14.0
GTEX-1CB4H-0226-SM-7PBXM 60-69 years, female 14.0
GTEX-1JN76-0126-SM-CNPPE 20-29 years, female 14.0
GTEX-17MFQ-1726-SM-793C7 20-29 years, male 13.9
GTEX-W5WG-1826-SM-4KL2Y 50-59 years, female 13.9
GTEX-1GN1W-0526-SM-9MQJQ 50-59 years, female 13.9
GTEX-13G51-2526-SM-5LZYK 60-69 years, male 13.8
GTEX-13U4I-0126-SM-5LU38 40-49 years, female 13.8
GTEX-TML8-1926-SM-32QOS 40-49 years, female 13.8
GTEX-13113-5016-SM-7EPIP 60-69 years, female 13.7
GTEX-15UKP-0426-SM-7KUFQ 20-29 years, male 13.7
GTEX-1H23P-0126-SM-ADEJ3 60-69 years, male 13.7
GTEX-T6MO-1626-SM-32QOM 40-49 years, female 13.6
GTEX-15SHU-0126-SM-7KUEH 40-49 years, female 13.5
GTEX-POMQ-2226-SM-2I5FK 20-29 years, female 13.5
GTEX-QLQ7-1626-SM-2S1R8 60-69 years, male 13.5
GTEX-1EX96-1626-SM-7PBXR 50-59 years, male 13.5
GTEX-1S82Y-2026-SM-EVYCM 40-49 years, male 13.5
GTEX-WQUQ-0426-SM-3MJFU 60-69 years, male 13.4
GTEX-X585-0226-SM-4QAS2 50-59 years, male 13.4
GTEX-1GN1V-0126-SM-9WPOS 60-69 years, male 13.4
GTEX-1GN2E-0426-SM-9MQKX 60-69 years, male 13.4
GTEX-13OVL-0226-SM-5L3E9 50-59 years, male 13.3
GTEX-1I4MK-2226-SM-ACKWD 50-59 years, female 13.3
GTEX-18A7B-0126-SM-7LG64 70-79 years, male 13.2
GTEX-1JMPZ-0226-SM-CNPP1 30-39 years, male 13.2
GTEX-11EI6-0126-SM-5985R 60-69 years, male 13.1
GTEX-11NUK-0126-SM-5A5L3 50-59 years, male 13.1
GTEX-1PFEY-1526-SM-E76PP 30-39 years, male 13.0
GTEX-11LCK-1026-SM-5A5KB 30-39 years, male 12.9
GTEX-ZZ64-1726-SM-5GZYB 20-29 years, male 12.9
GTEX-1J1R8-1726-SM-ARL8M 40-49 years, male 12.9
GTEX-1QP29-0626-SM-EWRMX 50-59 years, male 12.9
GTEX-13CF3-2426-SM-5IFGX 60-69 years, female 12.8
GTEX-ZAK1-0126-SM-5IJD3 50-59 years, female 12.8
GTEX-1F88F-2726-SM-7PBZZ 60-69 years, female 12.8
GTEX-1HSMQ-1226-SM-CGQFX 50-59 years, male 12.8
GTEX-139T4-0226-SM-5HL5S 50-59 years, female 12.7
GTEX-1IDJU-2626-SM-CM2RT 60-69 years, female 12.7
GTEX-15D1Q-0126-SM-7KUG6 40-49 years, male 12.6
GTEX-17HG3-2226-SM-7938L 30-39 years, female 12.6
GTEX-148VI-1626-SM-5SI6E 60-69 years, female 12.5
GTEX-17HHE-2026-SM-79OKF 50-59 years, male 12.5
GTEX-1CB4E-2226-SM-793DC 60-69 years, male 12.5
GTEX-VJWN-0126-SM-3GIK7 50-59 years, female 12.5
GTEX-ZVZO-0126-SM-5A5L9 40-49 years, male 12.5
GTEX-1I6K6-0126-SM-A9SLE 30-39 years, male 12.5
GTEX-1NV5F-0226-SM-E8VNY 60-69 years, female 12.5
GTEX-X4XX-0126-SM-3NMC2 60-69 years, male 12.4
GTEX-1HKZK-0326-SM-9WYUH 40-49 years, male 12.4
GTEX-ZPIC-1726-SM-DHXIU 40-49 years, female 12.4
GTEX-11WQK-0526-SM-5EQLD 50-59 years, male 12.3
GTEX-1HBPH-0426-SM-B2LW5 40-49 years, female 12.3
GTEX-11OC5-0126-SM-5HL6A 60-69 years, male 12.2
GTEX-1LBAC-0126-SM-DIPEZ 20-29 years, male 12.2
GTEX-11UD1-0126-SM-5PNYG 40-49 years, female 12.1
GTEX-PVOW-0126-SM-2XCFA 40-49 years, male 12.1
GTEX-1M4P7-0226-SM-DIPEV 60-69 years, male 12.1
GTEX-1N2DW-0226-SM-E9TK2 50-59 years, male 12.1
GTEX-X4EO-0326-SM-3P5YO 60-69 years, female 12.0
GTEX-Z9EW-1626-SM-5CVMN 40-49 years, male 12.0
GTEX-ZVZP-2426-SM-59HKJ 50-59 years, male 12.0
GTEX-VJYA-1126-SM-3GIJU 60-69 years, male 11.9
GTEX-WRHK-1426-SM-3MJF9 20-29 years, female 11.9
GTEX-ZV6S-2326-SM-4YCEY 40-49 years, female 11.9
GTEX-ZZPT-0226-SM-5E43X 50-59 years, male 11.9
GTEX-ZVTK-0426-SM-51MRS 20-29 years, male 11.8
GTEX-ZXG5-0126-SM-5GIEU 60-69 years, male 11.7
GTEX-1JMQJ-0526-SM-CYPSU 50-59 years, male 11.7
GTEX-1NHNU-1026-SM-E9J2A 50-59 years, male 11.7
GTEX-RU72-0926-SM-2TF6B 50-59 years, female 11.6
GTEX-1JN1M-0326-SM-CYPT3 60-69 years, female 11.6
GTEX-14BIM-0226-SM-7IGLD 60-69 years, female 11.5
GTEX-14JG6-2226-SM-6EU2G 30-39 years, female 11.5
GTEX-16AAH-1726-SM-7939C 50-59 years, male 11.5
GTEX-Q2AH-1626-SM-3GAF8 40-49 years, male 11.5
GTEX-1GN73-0226-SM-9WG67 60-69 years, male 11.5
GTEX-1JMPY-1326-SM-ARL8Y 30-39 years, male 11.5
GTEX-12696-2426-SM-5EQ6H 60-69 years, male 11.4
GTEX-17EVP-0326-SM-7DHLG 40-49 years, male 11.4
GTEX-1B996-0226-SM-7RHGO 60-69 years, male 11.4
GTEX-1H3VY-0126-SM-ACKXD 50-59 years, male 11.4
GTEX-1JKYR-0126-SM-CNPOJ 20-29 years, male 11.4
GTEX-117YX-2326-SM-5H12W 50-59 years, male 11.3
GTEX-12WSC-0126-SM-5EQ4P 50-59 years, male 11.3
GTEX-14DAR-2026-SM-5S2O3 50-59 years, male 11.3
GTEX-OHPL-0126-SM-2HMJ7 60-69 years, female 11.3
GTEX-P4PP-0126-SM-3LK69 30-39 years, female 11.3
GTEX-SIU8-0126-SM-2XCDT 50-59 years, male 11.3
GTEX-WYVS-2126-SM-3NMA3 40-49 years, female 11.3
GTEX-ZTSS-1926-SM-57WEW 40-49 years, male 11.3
GTEX-1HBPN-0226-SM-9YFM1 50-59 years, male 11.3
GTEX-15DDE-0126-SM-6LPKH 50-59 years, female 11.2
GTEX-1K2DA-1826-SM-CGQGT 50-59 years, male 11.2
GTEX-1HCVE-0126-SM-CGQEU 50-59 years, male 11.1
GTEX-12ZZX-0126-SM-5EGK9 40-49 years, female 11.0
GTEX-1GPI7-0126-SM-9MQL8 20-29 years, male 11.0
GTEX-1I1GV-0526-SM-A9G29 60-69 years, male 11.0
GTEX-S33H-1026-SM-EZ6L6 30-39 years, male 11.0
GTEX-13O3P-0126-SM-5KM4S 50-59 years, male 10.9
GTEX-13VXU-0126-SM-5SI9F 50-59 years, male 10.9
GTEX-14A6H-0126-SM-5QGPK 30-39 years, male 10.9
GTEX-1AMEY-1326-SM-73KYK 30-39 years, female 10.9
GTEX-12WSG-2826-SM-E9J4H 50-59 years, female 10.9
GTEX-RM2N-1426-SM-2TF4H 50-59 years, male 10.8
GTEX-XUYS-0126-SM-47JWZ 50-59 years, male 10.8
GTEX-1F7RK-0126-SM-7PC2S 20-29 years, female 10.8
GTEX-1128S-2326-SM-5GZZY 60-69 years, female 10.7
GTEX-14E6D-0126-SM-62LDV 50-59 years, male 10.7
GTEX-15SHW-0326-SM-6PAML 60-69 years, male 10.7
GTEX-13OW6-0426-SM-5L3HM 50-59 years, male 10.6
GTEX-13PVR-2326-SM-5QGR1 60-69 years, female 10.6
GTEX-Y5V6-2426-SM-4VDSB 60-69 years, male 10.6
GTEX-11ZU8-2526-SM-5EQKI 60-69 years, male 10.5
GTEX-13NZB-2526-SM-5J1OM 30-39 years, male 10.5
GTEX-S95S-1226-SM-4GICG 60-69 years, male 10.5
GTEX-ZV68-0126-SM-59HKS 50-59 years, female 10.5
GTEX-1313W-0126-SM-5LZUN 50-59 years, female 10.4
GTEX-13NZ8-0826-SM-5MR3I 60-69 years, female 10.4
GTEX-WVJS-0126-SM-4MVOT 50-59 years, male 10.4
GTEX-ZUA1-0126-SM-5GU76 40-49 years, male 10.4
GTEX-T5JC-0426-SM-32PLO 20-29 years, male 10.3
GTEX-1GN1U-0126-SM-7PBZK 50-59 years, female 10.3
GTEX-1QEPI-0126-SM-EWRMQ 60-69 years, female 10.3
GTEX-13W3W-2426-SM-5LU5B 60-69 years, female 10.2
GTEX-1E1VI-0126-SM-7DHMZ 50-59 years, male 10.2
GTEX-ZQUD-1426-SM-57WER 30-39 years, male 10.2
GTEX-1F75I-0326-SM-9YFLU 40-49 years, male 10.2
GTEX-1I1GR-0126-SM-CL55F 60-69 years, male 10.2
GTEX-1LG7Y-0526-SM-DKPQC 50-59 years, male 10.2
GTEX-1R7EV-2426-SM-EVYBG 40-49 years, male 10.2
GTEX-11DXW-0226-SM-5H122 40-49 years, male 10.0
GTEX-11WQC-2526-SM-5CVLE 60-69 years, male 10.0
GTEX-13112-2826-SM-5DUWH 50-59 years, male 10.0
GTEX-1A32A-0126-SM-718B1 50-59 years, female 10.0
GTEX-1GMRU-0126-SM-9YFLV 50-59 years, male 9.9
GTEX-11ZUS-0626-SM-59885 30-39 years, male 9.8
GTEX-ZDTS-0126-SM-4WAY5 60-69 years, male 9.8
GTEX-1MA7X-2226-SM-E6CIY 60-69 years, male 9.8
GTEX-1R7EU-0226-SM-EVR4G 60-69 years, male 9.8
GTEX-11GSP-2526-SM-5N9BP 60-69 years, female 9.7
GTEX-13S7M-0126-SM-5SI6A 60-69 years, female 9.7
GTEX-1AYCT-2426-SM-7IGQ3 50-59 years, male 9.7
GTEX-1B8L1-2526-SM-9WYTF 60-69 years, male 9.7
GTEX-17GQL-2026-SM-718BA 60-69 years, male 9.6
GTEX-RWSA-0126-SM-2XCBB 40-49 years, male 9.6
GTEX-SJXC-0126-SM-2XCFF 60-69 years, male 9.5
GTEX-1AX9I-0126-SM-7SB74 60-69 years, male 9.5
GTEX-15DCD-0126-SM-7KUEK 70-79 years, female 9.4
GTEX-16GPK-0126-SM-7DHLE 60-69 years, male 9.4
GTEX-WFG8-2226-SM-3GIL9 20-29 years, male 9.4
GTEX-Z93S-0126-SM-5HL7M 50-59 years, male 9.4
GTEX-132NY-0326-SM-5IJBL 60-69 years, male 9.3
GTEX-18D9A-1926-SM-7LG6P 30-39 years, female 9.3
GTEX-RVPV-0126-SM-EAZAW 60-69 years, male 9.3
GTEX-11EQ9-2426-SM-5HL5T 30-39 years, male 9.2
GTEX-1B8KZ-2026-SM-7DHMB 50-59 years, male 9.1
GTEX-1CAMR-1926-SM-7EPI2 20-29 years, male 9.1
GTEX-17MF6-0126-SM-7LG4F 40-49 years, male 9.0
GTEX-1HFI6-0226-SM-ADEHZ 40-49 years, male 9.0
GTEX-1S5ZA-0126-SM-EVYCV 20-29 years, male 9.0
GTEX-12ZZZ-0626-SM-5DUXI 60-69 years, male 8.9
GTEX-13FTX-1826-SM-5J1NX 20-29 years, female 8.9
GTEX-TSE9-0126-SM-3DB83 60-69 years, female 8.8
GTEX-1E2YA-0126-SM-9KNUC 50-59 years, male 8.8
GTEX-1EU9M-0226-SM-7P8SP 60-69 years, male 8.8
GTEX-1OFPY-2426-SM-DTXEJ 60-69 years, male 8.8
GTEX-145LU-0126-SM-5TDCB 50-59 years, male 8.7
GTEX-1I1GT-0626-SM-CGQER 60-69 years, female 8.7
GTEX-1LGOU-2026-SM-DIPFF 20-29 years, female 8.7
GTEX-14PN3-2426-SM-6LLHS 60-69 years, female 8.6
GTEX-1HSMP-0126-SM-E6CJS 70-79 years, male 8.5
GTEX-1QMI2-0226-SM-EVYBX 60-69 years, male 8.5
GTEX-1OJC3-0126-SM-E76QX 20-29 years, male 8.4
GTEX-1RQEC-0426-SM-E6CHU 60-69 years, male 8.4
GTEX-R3RS-0126-SM-3GIJL 40-49 years, female 8.3
GTEX-13NYC-0326-SM-E9J4S 60-69 years, male 8.3
GTEX-1JMQI-2226-SM-CM2SD 50-59 years, male 8.3
GTEX-139TU-0126-SM-5K7WH 60-69 years, male 8.2
GTEX-WOFL-0126-SM-3MJG2 60-69 years, male 8.2
GTEX-ZYFG-2326-SM-5E44B 60-69 years, female 8.2
GTEX-1HCU9-1526-SM-A9SL7 20-29 years, male 8.2
GTEX-1MUQO-0126-SM-EAZ58 60-69 years, male 8.2
GTEX-117YW-2626-SM-5GZZH 50-59 years, male 8.1
GTEX-131XW-0426-SM-5LZWP 50-59 years, female 8.1
GTEX-14E6E-1826-SM-5S2R7 30-39 years, male 8.1
GTEX-1HSGN-0226-SM-CGQFV 40-49 years, female 8.1
GTEX-1M5QR-1226-SM-EWROB 40-49 years, male 8.1
GTEX-16YQH-0126-SM-7DUFJ 30-39 years, male 8.0
GTEX-UJHI-1526-SM-3DB99 50-59 years, female 8.0
GTEX-1IKOH-0226-SM-COH4E 60-69 years, female 8.0
GTEX-14BIN-0626-SM-793DP 50-59 years, female 7.9
GTEX-1F52S-0126-SM-9MQJU 60-69 years, female 7.9
GTEX-1LVAN-0226-SM-COH3S 50-59 years, female 7.9
GTEX-1N2EF-0226-SM-EYYXB 60-69 years, male 7.9
GTEX-1122O-2126-SM-5EGIR 60-69 years, female 7.8
GTEX-14E6C-0126-SM-5RQIP 40-49 years, male 7.8
GTEX-OHPM-0126-SM-2YUN9 50-59 years, male 7.8
GTEX-1JN6P-0126-SM-D3L98 60-69 years, male 7.8
GTEX-1LB8K-0226-SM-EWRNW 50-59 years, male 7.8
GTEX-PW2O-1526-SM-7RHHB 20-29 years, male 7.8
GTEX-15RIG-0226-SM-7KFTL 40-49 years, male 7.7
GTEX-147F4-0226-SM-5QGPW 50-59 years, male 7.6
GTEX-1K2DU-2326-SM-E9TIV 20-29 years, male 7.6
GTEX-117XS-2726-SM-5N9BL 60-69 years, male 7.5
GTEX-139TS-2826-SM-5J1OO 60-69 years, male 7.5
GTEX-13FH7-2026-SM-E9J4I 50-59 years, female 7.5
GTEX-1EWIQ-0126-SM-7RHH2 70-79 years, female 7.5
GTEX-1QAET-0926-SM-E76QM 50-59 years, male 7.5
GTEX-T6MN-0126-SM-32PLP 50-59 years, male 7.4
GTEX-Y5V5-2326-SM-4V6GA 60-69 years, female 7.4
GTEX-1HCU7-0226-SM-CL545 50-59 years, male 7.4
GTEX-1RAZA-0126-SM-E6CI3 20-29 years, male 7.3
GTEX-1IDFM-0126-SM-COH2V 60-69 years, male 7.2
GTEX-1IL2U-0226-SM-CE6T8 60-69 years, male 7.2
GTEX-11TT1-2526-SM-5EGIB 20-29 years, male 7.1
GTEX-12WSK-2326-SM-5GCOH 40-49 years, female 7.1
GTEX-131XH-2226-SM-5DUXJ 50-59 years, male 7.1
GTEX-XPVG-2626-SM-4B669 50-59 years, male 7.1
GTEX-169BO-1326-SM-9MQK2 50-59 years, male 7.0
GTEX-1F5PL-0326-SM-7P8PQ 40-49 years, female 7.0
GTEX-1H1DE-2126-SM-9WG6R 20-29 years, male 7.0
GTEX-1MA7W-2026-SM-E9TJ6 20-29 years, female 7.0
GTEX-11DXY-2626-SM-5GIE7 60-69 years, male 6.9
GTEX-15F5U-1526-SM-6PANO 40-49 years, male 6.9
GTEX-OIZH-0126-SM-2HMIS 50-59 years, male 6.9
GTEX-1HSEH-0126-SM-ACKXN 60-69 years, male 6.9
GTEX-11NSD-2226-SM-5986V 20-29 years, male 6.8
GTEX-16NPX-0226-SM-79OMT 50-59 years, male 6.8
GTEX-WZTO-0126-SM-3NM95 40-49 years, male 6.8
GTEX-1F75A-0126-SM-7RHGM 50-59 years, male 6.8
GTEX-1GF9U-2126-SM-7SB7L 40-49 years, female 6.8
GTEX-1LG7Z-1726-SM-D3LA4 30-39 years, male 6.8
GTEX-1PDJ9-0326-SM-DTX95 20-29 years, male 6.8
GTEX-14LZ3-0226-SM-62LET 60-69 years, female 6.7
GTEX-1O97I-0326-SM-EYYX7 60-69 years, male 6.7
GTEX-1QP2A-0126-SM-E9J43 50-59 years, male 6.7
GTEX-15ETS-0126-SM-7KUMW 40-49 years, female 6.6
GTEX-131YS-0126-SM-5KM1M 60-69 years, female 6.5
GTEX-1IOXB-0126-SM-ARL8G 50-59 years, male 6.5
GTEX-11DYG-0126-SM-59883 60-69 years, male 6.4
GTEX-18465-0126-SM-731BN 50-59 years, male 6.4
GTEX-XQ8I-0426-SM-4BOPO 50-59 years, male 6.4
GTEX-Y8DK-0126-SM-4TT3L 60-69 years, male 6.4
GTEX-1I1HK-0126-SM-COH49 60-69 years, male 6.4
GTEX-1JJE9-0326-SM-CL53Z 70-79 years, male 6.4
GTEX-17F96-1626-SM-7DUFL 70-79 years, male 6.3
GTEX-P4QT-0126-SM-2I3FL 50-59 years, female 6.3
GTEX-ZWKS-0126-SM-5SIAA 30-39 years, male 6.3
GTEX-1F6RS-0126-SM-9MQKZ 60-69 years, female 6.3
GTEX-1MCYP-1926-SM-E9J2R 20-29 years, female 6.3
GTEX-1PBJI-0526-SM-E8VNK 20-29 years, female 6.3
GTEX-QESD-1426-SM-2S1R9 20-29 years, male 6.2
GTEX-1KD4Q-0226-SM-E9TJ9 40-49 years, male 6.2
GTEX-14BMV-0126-SM-5S2PO 50-59 years, male 6.1
GTEX-15EOM-0126-SM-7KUGG 20-29 years, female 6.1
GTEX-1C6VR-2426-SM-79OLD 60-69 years, male 6.1
GTEX-1A3MV-1926-SM-718BT 30-39 years, male 6.0
GTEX-OIZG-0726-SM-33HBL 50-59 years, male 6.0
GTEX-V1D1-2226-SM-3NMAX 50-59 years, male 6.0
GTEX-1EKGG-0226-SM-9WYTH 60-69 years, male 6.0
GTEX-1GZHY-0326-SM-9QEHI 50-59 years, female 6.0
GTEX-1KAFJ-2026-SM-CY8ID 50-59 years, male 6.0
GTEX-13X6J-0126-SM-5QGOU 50-59 years, male 5.9
GTEX-1B8SG-0126-SM-73KZ3 50-59 years, male 5.9
GTEX-OXRO-0126-SM-2YUN4 60-69 years, female 5.9
GTEX-XUZC-1726-SM-4BRWS 30-39 years, female 5.9
GTEX-1J8Q2-0526-SM-CM2RW 60-69 years, male 5.9
GTEX-14XAO-2326-SM-6EU1B 60-69 years, female 5.8
GTEX-13FXS-0226-SM-5IJCK 50-59 years, male 5.7
GTEX-1IGQW-0126-SM-COH42 60-69 years, male 5.7
GTEX-1RDX4-0126-SM-E9J4P 50-59 years, female 5.7
GTEX-14PJ6-2126-SM-6EU1V 60-69 years, female 5.6
GTEX-ZYFC-0226-SM-5NQ75 50-59 years, male 5.6
GTEX-1212Z-2526-SM-5EGKP 60-69 years, male 5.5
GTEX-13FTY-0526-SM-5L3EV 40-49 years, female 5.5
GTEX-1B8SF-1426-SM-7DUGL 60-69 years, male 5.5
GTEX-1GPI6-0126-SM-9WG69 60-69 years, male 5.5
GTEX-1HSKV-0226-SM-A9SKJ 60-69 years, male 5.5
GTEX-1MCQQ-0826-SM-DLHC2 60-69 years, male 5.5
GTEX-PLZ6-1426-SM-DKPOT 30-39 years, male 5.5
GTEX-147F3-0526-SM-5SI98 50-59 years, female 5.4
GTEX-S7SE-0126-SM-2XCD5 50-59 years, male 5.3
GTEX-14DAQ-0126-SM-5S2MQ 60-69 years, female 5.2
GTEX-13OVH-0126-SM-5MR4B 70-79 years, male 5.1
GTEX-TKQ1-1026-SM-4GICL 30-39 years, male 5.1
GTEX-1GL5R-1826-SM-9KNUY 50-59 years, male 5.1
GTEX-1I1GP-2226-SM-CGQFK 50-59 years, male 5.1
GTEX-1IKK5-0626-SM-ARL8A 60-69 years, male 5.1
GTEX-1J8JJ-0226-SM-CL53I 60-69 years, female 5.1
GTEX-1GF9V-0326-SM-7RHI5 60-69 years, male 5.0
GTEX-1CB4I-0226-SM-79OLH 50-59 years, male 4.9
GTEX-1JMLX-0226-SM-CM2RO 50-59 years, male 4.9
GTEX-15CHC-2126-SM-6EU21 60-69 years, female 4.8
GTEX-ZE7O-0126-SM-57WC1 50-59 years, female 4.8
GTEX-1LGRB-2526-SM-CNPPQ 50-59 years, female 4.8
GTEX-13O3Q-2426-SM-5IJBR 50-59 years, male 4.7
GTEX-T5JW-1626-SM-3GADZ 20-29 years, female 4.7
GTEX-1CB4F-0426-SM-9KNV4 60-69 years, male 4.7
GTEX-14A5I-0126-SM-5TDEA 50-59 years, female 4.6
GTEX-14JG1-0426-SM-6ETZZ 40-49 years, male 4.6
GTEX-1B97I-1626-SM-73KYO 40-49 years, male 4.6
GTEX-13111-1626-SM-5EGJY 50-59 years, male 4.5
GTEX-13PDP-0126-SM-5L3HD 60-69 years, male 4.5
GTEX-1EMGI-0126-SM-9KNUE 60-69 years, male 4.5
GTEX-1R9PM-2026-SM-E76OY 20-29 years, male 4.5
GTEX-11UD2-0226-SM-5EQKY 50-59 years, male 4.4
GTEX-12ZZY-0226-SM-5LZVE 60-69 years, male 4.4
GTEX-131XE-2326-SM-5PNZ2 50-59 years, male 4.4
GTEX-14C5O-0126-SM-5SI6N 60-69 years, male 4.4
GTEX-1C4CL-0526-SM-73KVK 30-39 years, male 4.4
GTEX-ZTX8-1426-SM-5DUVO 20-29 years, male 4.4
GTEX-ZYT6-0226-SM-5NQ6T 30-39 years, male 4.4
GTEX-1C64N-0126-SM-793D7 50-59 years, male 4.3
GTEX-WFON-2126-SM-3LK7O 40-49 years, male 4.3
GTEX-1MJK2-0426-SM-DTXE5 50-59 years, male 4.3
GTEX-ZE9C-2726-SM-57WB5 60-69 years, male 4.2
GTEX-SNMC-1226-SM-2XCFP 20-29 years, male 4.1
GTEX-X261-0126-SM-3NMD6 50-59 years, male 4.1
GTEX-1S3DN-2226-SM-EVYCD 50-59 years, male 4.1
GTEX-1399R-2726-SM-5IJBA 30-39 years, male 4.0
GTEX-1BAJH-0526-SM-793CQ 70-79 years, male 4.0
GTEX-1LH75-2426-SM-E9TJE 50-59 years, female 4.0
GTEX-XQ3S-1526-SM-4BOOC 20-29 years, male 3.9
GTEX-1F75B-0126-SM-9KNVL 50-59 years, male 3.8
GTEX-1H1ZS-0426-SM-9WG6G 70-79 years, male 3.8
GTEX-1PPH8-0226-SM-E8VND 20-29 years, male 3.8
GTEX-145ME-1826-SM-5SI9G 40-49 years, female 3.7
GTEX-14E7W-0126-SM-6LLJ9 70-79 years, male 3.7
GTEX-11TUW-2726-SM-E9J4M 60-69 years, male 3.7
GTEX-16NGA-1726-SM-731B4 40-49 years, female 3.6
GTEX-QV44-1926-SM-2S1RF 50-59 years, male 3.6
GTEX-1KANB-0526-SM-E6CJH 50-59 years, male 3.6
GTEX-1L5NE-2526-SM-E6CIE 50-59 years, male 3.5
GTEX-15EU6-0426-SM-6PAN5 50-59 years, male 3.4
GTEX-1HBPI-1526-SM-C1YQ1 50-59 years, male 3.4
GTEX-1HT8W-0126-SM-CNPPP 30-39 years, male 3.4
GTEX-13OVK-2026-SM-7KUEO 40-49 years, male 3.3
GTEX-13OW8-1326-SM-5J1OW 60-69 years, male 3.2
GTEX-17JCI-0126-SM-7LG5G 60-69 years, female 3.2
GTEX-1GZ2Q-0226-SM-7P8TL 40-49 years, male 3.2
GTEX-1H4P4-0726-SM-9YFLR 50-59 years, male 3.2
GTEX-1IL2V-0126-SM-CM2TX 70-79 years, male 3.2
GTEX-1JJEA-0326-SM-CNPOT 60-69 years, male 3.2
GTEX-145LS-0126-SM-5QGP1 60-69 years, female 3.1
GTEX-PX3G-0126-SM-2I3EN 20-29 years, female 3.1
GTEX-ZF2S-2326-SM-4WWCE 50-59 years, female 3.1
GTEX-1H1CY-2826-SM-9MQM3 60-69 years, female 3.1
GTEX-1H3O1-0426-SM-9YFKY 60-69 years, male 3.1
GTEX-17KNJ-2326-SM-7DHLQ 50-59 years, male 3.0
GTEX-YJ89-0126-SM-4TT3X 60-69 years, male 3.0
GTEX-1I1GQ-0126-SM-COH3H 50-59 years, male 3.0
GTEX-1QCLY-0326-SM-E8VOG 30-39 years, male 3.0
GTEX-1399T-2826-SM-5KLYZ 60-69 years, male 2.9
GTEX-1I19N-0326-SM-ACKVX 70-79 years, male 2.9
GTEX-1KANA-0726-SM-D3L9I 20-29 years, male 2.9
GTEX-1KANC-1526-SM-D3LAB 50-59 years, female 2.9
GTEX-1GMR3-1926-SM-9KNUZ 40-49 years, male 2.8
GTEX-1HFI7-1826-SM-ACKXH 50-59 years, female 2.8
GTEX-1S83E-0126-SM-EWRO4 40-49 years, male 2.8
GTEX-1IKJJ-0126-SM-CNPQB 60-69 years, male 2.7
GTEX-111FC-0126-SM-5N9DL 60-69 years, male 2.6
GTEX-1C475-1826-SM-73KWA 40-49 years, female 2.6
GTEX-1KWVE-1426-SM-E9TJO 30-39 years, male 2.6
GTEX-1LSNM-1926-SM-E6CII 50-59 years, male 2.6
GTEX-145MF-0626-SM-5LUAI 50-59 years, male 2.4
GTEX-12126-0326-SM-5PNW3 20-29 years, male 2.3
GTEX-144GL-0126-SM-5TDE2 50-59 years, male 2.3
GTEX-14A5H-0426-SM-5QGQF 60-69 years, male 2.3
GTEX-13FHP-0126-SM-5IJBG 50-59 years, male 2.2
GTEX-1J8QM-2126-SM-CYPSJ 60-69 years, female 2.2
GTEX-1JMQL-0226-SM-CNPP5 50-59 years, female 2.2
GTEX-139UW-2826-SM-5L3E7 60-69 years, male 2.1
GTEX-S32W-2126-SM-2XCB1 50-59 years, female 2.1
GTEX-1EN7A-0126-SM-7SB81 40-49 years, male 2.1
GTEX-1KXAM-2226-SM-CYPTC 60-69 years, male 2.1
GTEX-1IDJH-0326-SM-A9SLQ 70-79 years, male 1.9
GTEX-1AMFI-2026-SM-731BH 50-59 years, female 1.8
GTEX-1HSMO-0126-SM-CL547 60-69 years, male 1.8
GTEX-13JUV-2726-SM-5LZZ8 40-49 years, female 1.6
GTEX-13NYB-2526-SM-5K7Z6 40-49 years, male 1.5
GTEX-1CAMQ-0226-SM-7IGPK 40-49 years, male 1.4
GTEX-12WSA-0226-SM-5BC5V 60-69 years, male 1.2
GTEX-1JJ6O-0126-SM-E6CI8 60-69 years, male 1.0
GTEX-1PIIG-0226-SM-EWRN6 30-39 years, male 1.0
GTEX-12WSE-0526-SM-793B2 20-29 years, male 0.5
Show allShow less

Contact

  • NEWS ARTICLES
  • PRESS ROOM

The Project

  • INTRODUCTION
  • ORGANIZATION
  • PUBLICATIONS

The Human Protein Atlas

  • DOWNLOADABLE DATA
  • LICENCE & CITATION
  • HELP & FAQ
The Human Protein Atlas project is funded
by the Knut & Alice Wallenberg Foundation.


contact@proteinatlas.org