We use cookies to enhance the usability of our website. If you continue, we'll assume that you are happy to receive all cookies. More information. Don't show this again.
ADAMTS13
HPA
RESOURCES
  • TISSUE
  • BRAIN
  • SINGLE CELL
  • SUBCELLULAR
  • CANCER
  • BLOOD
  • CELL LINE
  • STRUCTURE & INTERACTION
ABOUT
  • INTRODUCTION
  • HISTORY
  • ORGANIZATION
  • PUBLICATIONS
  • ANTIBODY SUBMISSION
  • ANTIBODY AVAILABILITY
  • ACKNOWLEDGMENTS
  • CONTACT
NEWS
  • NEWS ARTICLES
  • PRESS ROOM
LEARN
  • DICTIONARY
  • PROTEIN CLASSES
  • PROTEIN EVIDENCE
  • METHODS
  • EDUCATIONAL VIDEOS
DATA
  • DOWNLOADABLE DATA
  • PUBLICATION DATA
  • RELEASE HISTORY
HELP
  • ANTIBODY VALIDATION
  • ASSAYS & ANNOTATION
  • DISCLAIMER
  • HELP & FAQ
  • PRIVACY STATEMENT
  • LICENCE & CITATION
Fields »
Search result

Field
Term
Gene name
Class
Subclass
Class
Keyword
Chromosome
External id
Tissue
Cell type
Expression
Antibody panel
Tissue
Main location
Patient ID
Annotation
Tissue
Category
Tau score
Cluster
Reliability
Brain region
Category
Tau score
Brain region
Category
Tau score
Brain region
Category
Tau score
Cluster
Reliability
Tissue
Cell type
Enrichment
Cell type
Category
Tau score
Cell type
Category
Tau score
Cell type
Category
Tau score
Cell lineage
Category
Tau score
Cluster
Cluster
Location
Searches
Location
Cell line
Class
Type
Phase
Reliability
Cancer
Prognosis
Cancer
Category
Cancer
Category
Tau score
Cluster
Variants
Interacting gene (ensg_id)
Type
Number of interactions
Pathway
Category
Score
Score
Score
Validation
Validation
Validation
Validation
Antibodies
Data type
Column


  • SUMMARY

  • TISSUE

  • BRAIN

  • SINGLE CELL

  • SUBCELL

  • CANCER

  • BLOOD

  • CELL LINE

  • STRUCT & INT

  • ADAMTS13
TISSUE PRIMARY DATA HIPPOCAMPUS Show tissue menu
ADIPOSE TISSUE ADRENAL GLAND AMYGDALA APPENDIX BASAL GANGLIA BONE MARROW BREAST BRONCHUS CEREBELLUM CEREBRAL CORTEX CERVIX CHOROID PLEXUS COLON DUODENUM
ENDOMETRIUM EPIDIDYMIS ESOPHAGUS FALLOPIAN TUBE GALLBLADDER HEART MUSCLE HIPPOCAMPAL FORMATION HYPOTHALAMUS KIDNEY LIVER LUNG LYMPH NODE MIDBRAIN NASOPHARYNX
ORAL MUCOSA OVARY PANCREAS PARATHYROID GLAND PITUITARY GLAND PLACENTA PROSTATE RECTUM RETINA SALIVARY GLAND SEMINAL VESICLE SKELETAL MUSCLE SKIN SMALL INTESTINE
SMOOTH MUSCLE SOFT TISSUE SPINAL CORD SPLEEN STOMACH TESTIS THYMUS THYROID GLAND TONGUE TONSIL URINARY BLADDER VAGINA
ANTIBODIES
AND
VALIDATION
Dictionary
Hippocampus
Tissue proteome
HIPPOCAMPUS - Expression summary
Protein expression
Hippocampusi

On the top, protein expression in current human tissue, based on all annotated cell types, is reported with the units not detected (n), low (l), medium (m) and high (h). Underneath, protein expression in each annotated cell type are reported using the same units.

Protein expression data is based on knowledge-based annotation. For genes where more than one antibody has been used, a collective score is set.

If knowledge-based annotation could not be performed for a gene, no data is displayed here. View antibody staining data further down this page.

h
m
l
n
Glial cells: Not detected
Neuronal cells: Not detected
RNA expressioni

A summary of mRNA expression data available for current tissue based on several datasets. The mRNA expression levels in human tissues are based on RNA-seq data generated by the Human Protein Atlas (HPA), Genotype-Tissue Expression (GTEx) portal and CAGE data generated by the FANTOM5 consortium. Consensus normalized expression levels for human tissues was created by combining the data from HPA and GTEx datasets.

The mRNA expression levels in pig are based on RNA-seq data generated by the Human Protein Atlas (HPA), and for mouse, HPA data and in situ hybridization generated by the Allen brain atlas are reported.

Scroll down to view mRNA expression data in more detail.
HPA Brain:5.1 nTPM
GTEx:11.0 nTPM
FANTOM5:0.0 Scaled Tags Per Million

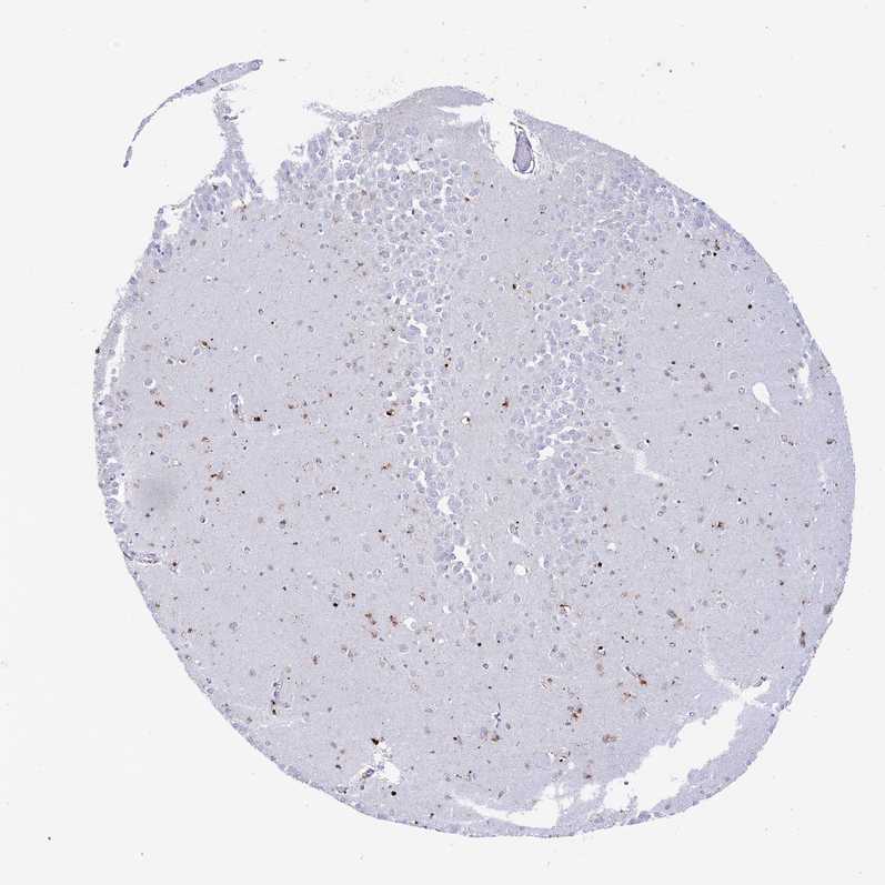
HIPPOCAMPUS - Antibody stainingi

Antibody staining in the annotated cell types in the current human tissue is reported as not detected, low, medium, or high, based on conventional immunohistochemistry profiling in selected tissues. This score is based on the combination of the staining intensity and fraction of stained cells.

Each image is clickable and will lead to virtual microscopy that enables deeper exploration of all samples and also displays staining intensity scores, fraction scores and subcellular localization as well as patient and tissue information for each sample.

Antibody HPA042014Antibody HPA042844
Glial cells MediumNot detected
Neuronal cells LowLow





HIPPOCAMPUS - HPA Brain RNA-seq
Max subtype nTPMi

Max subtype nTPM is the value for the subtype with the largest average nTPM across the subtype samples.

5.1
Sample id Sample description nTPM
Hippocampus
nTPM: 5.1
1911 Female, age 85, right hemisphere 6.0
2621 Female, age 67, right hemisphere 5.8
2148 Female, age 91, left hemisphere 5.4
1855 Male, age 76, left hemisphere 5.2
2529 Female, age 94, left hemisphere 4.4
1898 Male, age 80, left hemisphere 4.0

HIPPOCAMPUS - GTEx RNA-seqi

RNA-Seq data generated by the Genotype-Tissue Expression (GTEx) project from human tissues is reported as mean nTPM. More information can be found on the GTEx portal.

Distribution across the dataset is visualized with box plots, shown as median and 25th and 75th percentiles. Points are displayed as outliers if they are above or below 1.5 times the interquartile range. nTPM values of the individual samples are presented next to the box plot.
Max subtype nTPMi

Max subtype nTPM is the value for the subtype with the largest average nTPM across the subtype samples.

11.0
GTEx sample id Sample description nTPM
Brain - Hippocampus
Average nTPM: 11.0
Samples: 197

Max nTPM: 23.6
Min nTPM: 2.9
Std nTPM: 3.9
Median nTPM: 10.5
GTEX-ZF28-0011-R1a-SM-4WWD1 60-69 years, male 23.6
GTEX-13OW7-0011-R1b-SM-5L3HF 50-59 years, male 22.9
GTEX-139T8-0011-R1a-SM-5HL75 60-69 years, male 22.6
GTEX-Y8DK-0011-R1A-SM-4RGLO 60-69 years, male 21.1
GTEX-1GF9V-0011-R1a-SM-CKZNQ 60-69 years, male 20.8
GTEX-12WSM-0011-R1a-SM-5LZW6 60-69 years, male 19.9
GTEX-13FTY-0011-R1a-SM-5LZXE 40-49 years, female 19.9
GTEX-1F6I4-0011-R1a-SM-9OSWU 60-69 years, male 19.6
GTEX-17F97-0011-R1b-SM-7IGM9 50-59 years, male 18.9
GTEX-13O3Q-0011-R1b-SM-5KM3L 50-59 years, male 18.4
GTEX-1EWIQ-0011-R1a-SM-9OSX7 70-79 years, female 18.0
GTEX-1H3VE-0011-R1a-SM-A9G1K 40-49 years, male 18.0
GTEX-14E6D-0011-R1b-SM-5YYAW 50-59 years, male 17.8
GTEX-13CF2-0011-R1a-SM-5LZY1 60-69 years, male 17.6
GTEX-14PJM-0011-R1a-SM-CNPO3 50-59 years, female 17.5
GTEX-1EX96-0011-R1a-SM-CE6R5 50-59 years, male 17.3
GTEX-12WSD-0011-R1b-SM-5LZVY 60-69 years, female 17.1
GTEX-WVLH-0011-R1A-SM-4MVOK 50-59 years, male 16.8
GTEX-13FHP-0011-R1b-SM-5K7XL 50-59 years, male 16.7
GTEX-1GN2E-0011-R1b-SM-CE6RJ 60-69 years, male 16.6
GTEX-13SLW-0011-R1a-SM-5S2W7 70-79 years, male 16.5
GTEX-13112-0011-R1b-SM-5HL7K 50-59 years, male 15.9
GTEX-13PDP-0011-R1a-SM-5PNX5 60-69 years, male 15.6
GTEX-12WSE-0011-R1b-SM-5GU4V 20-29 years, male 15.4
GTEX-1J8Q2-0011-R1a-SM-D4P2D 60-69 years, male 15.4
GTEX-1A8G6-0011-R1a-SM-7P8PC 60-69 years, male 15.3
GTEX-1EKGG-0011-R1b-SM-9QEI1 60-69 years, male 15.3
GTEX-1HR98-0011-R1a-SM-ARZLQ 60-69 years, male 15.2
GTEX-ZE7O-0011-R1a-SM-57WDM 50-59 years, female 15.1
GTEX-1GTWX-0011-R1a-SM-CE6RL 60-69 years, male 15.1
GTEX-OHPN-0011-R1A-SM-2I5GB 60-69 years, female 15.0
GTEX-1LG7Y-0011-R1a-SM-EYYWV 50-59 years, male 14.8
GTEX-NL3H-0011-R1a-SM-48TDJ 60-69 years, male 14.7
GTEX-13NYB-0011-R1b-SM-5KM4F 40-49 years, male 14.6
GTEX-1I1HK-0011-R1b-SM-CM2T7 60-69 years, male 14.6
GTEX-1I1GS-0011-R1a-SM-CJI43 60-69 years, male 14.1
GTEX-11EI6-0011-R1a-SM-DO93L 60-69 years, male 14.0
GTEX-11WQC-0011-R1b-SM-DO932 60-69 years, male 14.0
GTEX-1GN1U-0011-R1a-SM-CJI25 50-59 years, female 13.9
GTEX-14ASI-0011-R1b-SM-5S2TY 60-69 years, male 13.8
GTEX-ZVZQ-0011-R1a-SM-57WBU 60-69 years, female 13.7
GTEX-WHSE-0011-R1A-SM-3P5ZK 20-29 years, male 13.6
GTEX-YFC4-0011-R1a-SM-4V6EH 40-49 years, female 13.6
GTEX-1EH9U-0011-R1b-SM-CJI2B 60-69 years, male 13.6
GTEX-14BIM-0011-R1a-SM-69LQI 60-69 years, female 13.5
GTEX-183WM-0011-R1a-SM-718A8 70-79 years, female 13.5
GTEX-1C6VR-0011-R1a-SM-7MXUE 60-69 years, male 13.3
GTEX-16GPK-0011-R1b-SM-7EWDH 60-69 years, male 13.2
GTEX-13FLW-0011-R1b-SM-5LZX2 50-59 years, male 13.1
GTEX-1GMR8-0011-R1b-SM-CJI2O 50-59 years, female 13.1
GTEX-1IKK5-0011-R1b-SM-CE6SQ 60-69 years, male 13.1
GTEX-17HHY-0011-R1a-SM-7189V 50-59 years, male 13.0
GTEX-16NPV-0011-R1b-SM-7MGVZ 50-59 years, female 13.0
GTEX-1399T-0011-R1b-SM-5DUWN 60-69 years, male 12.9
GTEX-1GF9W-0011-R1a-SM-9QEIQ 60-69 years, male 12.9
GTEX-1HT8W-0011-R1b-SM-CJI3V 30-39 years, male 12.9
GTEX-13FXS-0011-R1a-SM-5K7U6 50-59 years, male 12.8
GTEX-139TT-0011-R1a-SM-5LZVD 60-69 years, male 12.7
GTEX-14PN4-0011-R1b-SM-69LP8 50-59 years, male 12.6
GTEX-11GSP-0011-R1a-SM-9QEJ3 60-69 years, female 12.5
GTEX-P44G-0011-R1A-SM-2I3FE 30-39 years, male 12.4
GTEX-1A3MX-0011-R1b-SM-7P8PH 60-69 years, male 12.4
GTEX-1J1OQ-0011-R1a-SM-A9G1Z 40-49 years, female 12.4
GTEX-11DXW-0011-R1a-SM-DNZZD 40-49 years, male 12.3
GTEX-13OVL-0011-R1a-SM-5L3H5 50-59 years, male 12.2
GTEX-16Z82-0011-R1b-SM-7EPHZ 60-69 years, male 12.2
GTEX-144GO-0011-R1a-SM-5PNWO 60-69 years, male 12.1
GTEX-1GN73-0011-R1a-SM-CKZNT 60-69 years, male 12.0
GTEX-1ICLZ-0011-R1b-SM-A9SM3 60-69 years, male 12.0
GTEX-1F75A-0011-R1b-SM-CE6RA 50-59 years, male 11.9
GTEX-1HSMO-0011-R1a-SM-CM2SV 60-69 years, male 11.8
GTEX-13X6I-0011-R1b-SM-5PNZC 60-69 years, male 11.7
GTEX-NPJ7-0011-R1a-SM-3GACT 60-69 years, female 11.7
GTEX-15CHQ-0011-R1a-SM-COH27 60-69 years, male 11.7
GTEX-1H4P4-0011-R1b-SM-CL54V 50-59 years, male 11.7
GTEX-17HG3-0011-R1a-SM-7LG6H 30-39 years, female 11.5
GTEX-13OW6-0011-R1a-SM-5L3HQ 50-59 years, male 11.4
GTEX-14JIY-0011-R1a-SM-68713 60-69 years, male 11.4
GTEX-14PJO-0011-R1b-SM-6AJAK 60-69 years, male 11.4
GTEX-17MF6-0011-R1a-SM-72D6O 40-49 years, male 11.4
GTEX-ZAB4-0011-R1a-SM-4RGNO 40-49 years, male 11.3
GTEX-1CB4G-0011-R1b-SM-9QEHT 60-69 years, male 11.3
GTEX-1HBPI-0011-R1b-SM-A9SKF 50-59 years, male 11.3
GTEX-T5JC-0011-R1A-SM-32PM6 20-29 years, male 11.2
GTEX-1B933-0011-R1b-SM-9QEGW 50-59 years, female 11.2
GTEX-1C64N-0011-R1b-SM-7P8Q7 50-59 years, male 11.2
GTEX-11ONC-0011-R1a-SM-57WD4 60-69 years, male 11.1
GTEX-132Q8-0011-R1a-SM-5EGLK 60-69 years, male 11.1
GTEX-X4XX-0011-R1B-SM-3P622 60-69 years, male 11.1
GTEX-11GS4-0011-R1a-SM-DO129 60-69 years, male 11.1
GTEX-S7SE-0011-R1A-SM-2XCDE 50-59 years, male 11.0
GTEX-1HGF4-0011-R1a-SM-CJI3S 60-69 years, male 11.0
GTEX-13JUV-0011-R1a-SM-5LZY4 40-49 years, female 10.9
GTEX-15DCD-0011-R1b-SM-6LPIJ 70-79 years, female 10.9
GTEX-1F75W-0011-R1a-SM-ARU81 60-69 years, male 10.9
GTEX-ZDXO-0011-R1a-SM-4WKF4 60-69 years, male 10.7
GTEX-1B8SF-0011-R1b-SM-7P8Q8 60-69 years, male 10.6
GTEX-14PQA-0011-R1b-SM-6EU1G 50-59 years, female 10.5
GTEX-N7MS-0011-R1a-SM-2HMJG 60-69 years, male 10.5
GTEX-131YS-0011-R1a-SM-5DUXC 60-69 years, female 10.4
GTEX-13OW8-0011-R1a-SM-5L3HI 60-69 years, male 10.4
GTEX-13S7M-0011-R1b-SM-5PNZE 60-69 years, female 10.2
GTEX-14ABY-0011-R1a-SM-6EU2W 50-59 years, male 10.2
GTEX-1C6VQ-0011-R1a-SM-7P8Q2 50-59 years, male 10.2
GTEX-1IDJH-0011-R1b-SM-ARU6U 70-79 years, male 10.2
GTEX-11UD1-0011-R1b-SM-5BC7D 40-49 years, female 10.1
GTEX-17EVP-0011-R1a-SM-7DHLA 40-49 years, male 10.1
GTEX-1F48J-0011-R1a-SM-9QEIC 50-59 years, female 10.1
GTEX-15UF6-0011-R1a-SM-9QEGH 70-79 years, female 10.0
GTEX-14LZ3-0011-R1a-SM-69LP5 60-69 years, female 9.9
GTEX-15ER7-0011-R1b-SM-7KUE1 20-29 years, female 9.9
GTEX-PVOW-0011-R1A-SM-32PL6 40-49 years, male 9.8
GTEX-1GZHY-0011-R1a-SM-CE6RR 50-59 years, female 9.8
GTEX-1IOXB-0011-R1a-SM-D4P27 50-59 years, male 9.8
GTEX-13FHO-0011-R1b-SM-5KLZG 60-69 years, male 9.7
GTEX-18A6Q-0011-R1b-SM-731DI 60-69 years, male 9.7
GTEX-Q2AG-0011-R1A-SM-2HMJI 40-49 years, female 9.7
GTEX-11ZTS-0011-R1a-SM-5BC71 60-69 years, female 9.6
GTEX-13N2G-0011-R1b-SM-5MR3G 60-69 years, male 9.5
GTEX-17HII-0011-R1b-SM-7MGVW 50-59 years, male 9.5
GTEX-1BAJH-0011-R1a-SM-7P8SV 70-79 years, male 9.5
GTEX-1EMGI-0011-R1b-SM-9OSWZ 60-69 years, male 9.5
GTEX-YJ89-0011-R1a-SM-4RGLS 60-69 years, male 9.4
GTEX-1E1VI-0011-R1a-SM-ARZMM 50-59 years, male 9.4
GTEX-1E2YA-0011-R1b-SM-CJI29 50-59 years, male 9.3
GTEX-12WSF-0011-R1a-SM-5DUVI 70-79 years, male 9.1
GTEX-17JCI-0011-R1b-SM-718A3 60-69 years, female 9.1
GTEX-1H3NZ-0011-R1a-SM-CKZP5 60-69 years, male 9.1
GTEX-16YQH-0011-R1a-SM-7LT8R 30-39 years, male 9.0
GTEX-1CAV2-0011-R1a-SM-ARZML 40-49 years, female 9.0
GTEX-N7MT-0011-R1a-SM-CNPO1 60-69 years, female 9.0
GTEX-13QJC-0011-R1b-SM-5S2UU 60-69 years, female 8.9
GTEX-13O3O-0011-R1b-SM-5KM2K 60-69 years, female 8.8
GTEX-145MH-0011-R1b-SM-5PNWY 50-59 years, male 8.8
GTEX-16XZZ-0011-R1a-SM-7LTAH 60-69 years, male 8.7
GTEX-P44H-0011-R1A-SM-3NM8J 40-49 years, male 8.7
GTEX-T6MN-0011-R1A-SM-32QOY 50-59 years, male 8.6
GTEX-1313W-0011-R1b-SM-5EQ4A 50-59 years, female 8.5
GTEX-1LB8K-0011-R1b-SM-EZ6MV 50-59 years, male 8.5
GTEX-131XH-0011-R1a-SM-5DUWA 50-59 years, male 8.4
GTEX-13N1W-0011-R1b-SM-5MR4T 70-79 years, male 8.4
GTEX-WL46-0011-R1A-SM-3LK6M 50-59 years, male 8.4
GTEX-XMD1-0011-R1A-SM-4AT4C 60-69 years, male 8.4
GTEX-13RTL-0011-R1a-SM-5PNZ8 40-49 years, male 8.3
GTEX-1A32A-0011-R1a-SM-7P8SQ 50-59 years, female 8.3
GTEX-1H1CY-0011-R1a-SM-CKZOZ 60-69 years, female 8.3
GTEX-1I1GQ-0011-R1a-SM-CY8GG 50-59 years, male 8.3
GTEX-12WSH-0011-R1a-SM-5GU5V 50-59 years, male 8.1
GTEX-13JVG-0011-R1a-SM-5KM32 60-69 years, male 8.1
GTEX-17EVQ-0011-R1a-SM-7189S 70-79 years, male 8.1
GTEX-QVJO-0011-R1A-SM-2S1QI 60-69 years, female 8.1
GTEX-1H1DG-0011-R1b-SM-CKZP1 70-79 years, male 8.1
GTEX-13G51-0011-R1a-SM-5LZYR 60-69 years, male 8.0
GTEX-WWYW-0011-R1A-SM-3TW8G 50-59 years, female 8.0
GTEX-1B8L1-0011-R1a-SM-7P8SS 60-69 years, male 8.0
GTEX-1AX9I-0011-R1b-SM-7RHG2 60-69 years, male 7.9
GTEX-1212Z-0011-R1b-SM-5BC72 60-69 years, male 7.8
GTEX-R55E-0011-R1A-SM-2TC6N 20-29 years, male 7.8
GTEX-13NZA-0011-R1b-SM-5LUAF 60-69 years, male 7.7
GTEX-1I1GV-0011-R1a-SM-CL559 60-69 years, male 7.7
GTEX-13QIC-0011-R1a-SM-5O9CJ 60-69 years, female 7.6
GTEX-QVUS-0011-R1A-SM-3GAD2 60-69 years, female 7.6
GTEX-TSE9-0011-R1A-SM-3DB7E 60-69 years, female 7.6
GTEX-RNOR-0011-R1A-SM-CNNP5 50-59 years, female 7.5
GTEX-PWO3-0011-R1A-SM-2I5EW 60-69 years, female 7.3
GTEX-ZUA1-0011-R1a-SM-4YCE2 40-49 years, male 7.3
GTEX-1GZ2Q-0011-R1a-SM-CJI2Y 40-49 years, male 7.3
GTEX-WZTO-0011-R1B-SM-3NMAR 40-49 years, male 7.2
GTEX-13NYS-0011-R1b-SM-5MR55 60-69 years, male 7.1
GTEX-1F6IF-0011-R1b-SM-9WG78 60-69 years, male 7.1
GTEX-X585-0011-R1B-SM-46MVE 50-59 years, male 7.0
GTEX-1H3O1-0011-R1b-SM-CL554 60-69 years, male 6.9
GTEX-14E7W-0011-R1b-SM-5YYAT 70-79 years, male 6.7
GTEX-1H1ZS-0011-R1b-SM-A9G1E 70-79 years, male 6.7
GTEX-13OVJ-0011-R1b-SM-5L3I6 50-59 years, female 6.6
GTEX-QMR6-0011-R1A-SM-32PKW 50-59 years, male 6.6
GTEX-1B996-0011-R1b-SM-7P8PO 60-69 years, male 6.6
GTEX-13OW5-0011-R1b-SM-5L3GE 60-69 years, male 6.5
GTEX-11GSO-0011-R1b-SM-57WD3 60-69 years, male 6.4
GTEX-11ZVC-0011-R1b-SM-5BC6M 50-59 years, female 6.4
GTEX-1H23P-0011-R1a-SM-ACKVC 60-69 years, male 6.4
GTEX-1HSKV-0011-R1b-SM-CMKH7 60-69 years, male 6.4
GTEX-NPJ8-0011-R1a-SM-33HCB 40-49 years, male 6.3
GTEX-1IY9M-0011-R1a-SM-EXURZ 60-69 years, male 6.3
GTEX-144GL-0011-R1a-SM-5PNZ5 50-59 years, male 6.2
GTEX-13RTJ-0011-R1a-SM-5O9D9 60-69 years, male 6.1
GTEX-145LS-0011-R1b-SM-5PNUP 60-69 years, female 6.1
GTEX-QDT8-0011-R1A-SM-32PKS 30-39 years, female 5.9
GTEX-145LU-0011-R1a-SM-5Q5CE 50-59 years, male 5.5
GTEX-14C5O-0011-R1b-SM-6AJBW 60-69 years, male 5.3
GTEX-X4EP-0011-R1A-SM-3P624 60-69 years, female 5.2
GTEX-13NZ8-0011-R1b-SM-5KM3V 60-69 years, female 4.6
GTEX-12ZZX-0011-R1a-SM-5EQ6B 40-49 years, female 4.3
GTEX-11TUW-0011-R1a-SM-DO92S 60-69 years, male 3.5
GTEX-14LLW-0011-R1a-SM-5ZZVD 70-79 years, female 3.4
GTEX-UTHO-0011-R1A-SM-3GIJO 60-69 years, male 3.3
GTEX-1CB4J-0011-R1a-SM-9WG64 60-69 years, male 2.9
Show allShow less

HIPPOCAMPUS - FANTOM5 CAGEi

RNA expression in human tissues obtained through Cap Analysis of Gene Expression (CAGE) generated by the FANTOM5 project are reported as Scaled Tags Per Million.

Max subtype Scaled Tags Per Millioni

Max subtype Scaled Tags Per Million is the value for the subtype with the largest average Scaled Tags Per Million across the subtype samples.

0
FANTOM5 sample id Sample description Scaled Tags Per Million
Hippocampus
Scaled Tags Per Million: 0.0
FF:10169-103B7 60 years, female 0.0
FF:10153-102I9 76 years, female 0.0

Contact

  • NEWS ARTICLES
  • PRESS ROOM

The Project

  • INTRODUCTION
  • ORGANIZATION
  • PUBLICATIONS

The Human Protein Atlas

  • DOWNLOADABLE DATA
  • LICENCE & CITATION
  • HELP & FAQ
The Human Protein Atlas project is funded
by the Knut & Alice Wallenberg Foundation.


contact@proteinatlas.org