We use cookies to enhance the usability of our website. If you continue, we'll assume that you are happy to receive all cookies. More information. Don't show this again.
DMKN
HPA
RESOURCES
  • TISSUE
  • BRAIN
  • SINGLE CELL
  • SUBCELLULAR
  • CANCER
  • BLOOD
  • CELL LINE
  • STRUCTURE & INTERACTION
ABOUT
  • INTRODUCTION
  • HISTORY
  • ORGANIZATION
  • PUBLICATIONS
  • ANTIBODY SUBMISSION
  • ANTIBODY AVAILABILITY
  • ACKNOWLEDGMENTS
  • CONTACT
NEWS
  • NEWS ARTICLES
  • PRESS ROOM
LEARN
  • DICTIONARY
  • PROTEIN CLASSES
  • PROTEIN EVIDENCE
  • METHODS
  • EDUCATIONAL VIDEOS
DATA
  • DOWNLOADABLE DATA
  • PUBLICATION DATA
  • RELEASE HISTORY
HELP
  • ANTIBODY VALIDATION
  • ASSAYS & ANNOTATION
  • DISCLAIMER
  • HELP & FAQ
  • PRIVACY STATEMENT
  • LICENCE & CITATION
Fields »
Search result

Field
Term
Gene name
Class
Subclass
Class
Keyword
Chromosome
External id
Tissue
Cell type
Expression
Antibody panel
Tissue
Main location
Patient ID
Annotation
Tissue
Category
Tau score
Cluster
Reliability
Brain region
Category
Tau score
Brain region
Category
Tau score
Brain region
Category
Tau score
Cluster
Reliability
Tissue
Cell type
Enrichment
Cell type
Category
Tau score
Cell type
Category
Tau score
Cell type
Category
Tau score
Cell lineage
Category
Tau score
Cluster
Cluster
Location
Searches
Location
Cell line
Class
Type
Phase
Reliability
Cancer
Prognosis
Cancer
Category
Cancer
Category
Tau score
Cluster
Variants
Interacting gene (ensg_id)
Type
Number of interactions
Pathway
Category
Score
Score
Score
Validation
Validation
Validation
Validation
Antibodies
Data type
Column


  • SUMMARY

  • TISSUE

  • BRAIN

  • SINGLE CELL

  • SUBCELL

  • CANCER

  • BLOOD

  • CELL LINE

  • STRUCT & INT

  • DMKN
TISSUE PRIMARY DATA SKIN 1 Show tissue menu
ADIPOSE TISSUE ADRENAL GLAND AMYGDALA APPENDIX BASAL GANGLIA BONE MARROW BREAST BRONCHUS CEREBELLUM CEREBRAL CORTEX CERVIX CHOROID PLEXUS COLON DUODENUM
ENDOMETRIUM EPIDIDYMIS ESOPHAGUS FALLOPIAN TUBE GALLBLADDER HEART MUSCLE HIPPOCAMPAL FORMATION HYPOTHALAMUS KIDNEY LIVER LUNG LYMPH NODE MIDBRAIN NASOPHARYNX
ORAL MUCOSA OVARY PANCREAS PARATHYROID GLAND PITUITARY GLAND PLACENTA PROSTATE RECTUM RETINA SALIVARY GLAND SEMINAL VESICLE SKELETAL MUSCLE SKIN SMALL INTESTINE
SMOOTH MUSCLE SOFT TISSUE SPINAL CORD SPLEEN STOMACH TESTIS THYMUS THYROID GLAND TONGUE TONSIL URINARY BLADDER VAGINA
ANTIBODIES
AND
VALIDATION
Dictionary
Skin
Tissue proteome
SKIN - Expression summary
Protein expression
Skini

On the top, protein expression in current human tissue, based on all annotated cell types, is reported with the units not detected (n), low (l), medium (m) and high (h). Underneath, protein expression in each annotated cell type are reported using the same units.

Protein expression data is based on knowledge-based annotation. For genes where more than one antibody has been used, a collective score is set.

If knowledge-based annotation could not be performed for a gene, no data is displayed here. View antibody staining data further down this page.

h
m
l
n
Cells in basal layer: Not detected
Cells in corneal layer: High
Cells in granular layer: High
Cells in spinous layer: Medium
Endothelial cells: Not detected
Extracellular matrix: Medium
Fibrohistiocytic cells: Not detected
Langerhans cells: Medium
Lymphocytes: Not detected
Melanocytes: Not detected
Vascular mural cells: Not detected
RNA expressioni

A summary of mRNA expression data available for current tissue based on several datasets. The mRNA expression levels in human tissues are based on RNA-seq data generated by the Human Protein Atlas (HPA), Genotype-Tissue Expression (GTEx) portal and CAGE data generated by the FANTOM5 consortium. Consensus normalized expression levels for human tissues was created by combining the data from HPA and GTEx datasets.

The mRNA expression levels in pig are based on RNA-seq data generated by the Human Protein Atlas (HPA), and for mouse, HPA data and in situ hybridization generated by the Allen brain atlas are reported.

Scroll down to view mRNA expression data in more detail.
Consensus:4645.8 nTPM
HPA:3291.7 nTPM
GTEx:4645.8 nTPM

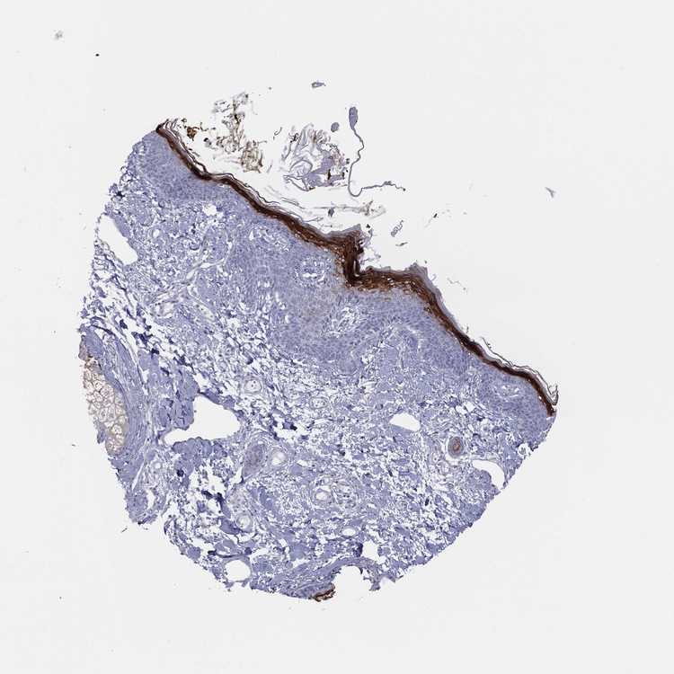
SKIN 1 - Antibody stainingi

Antibody staining in the annotated cell types in the current human tissue is reported as not detected, low, medium, or high, based on conventional immunohistochemistry profiling in selected tissues. This score is based on the combination of the staining intensity and fraction of stained cells.

Each image is clickable and will lead to virtual microscopy that enables deeper exploration of all samples and also displays staining intensity scores, fraction scores and subcellular localization as well as patient and tissue information for each sample.

Antibody HPA029406Antibody HPA071641
Langerhans -Not detected
Cells in basal layer Not detected-
Cells in corneal layer High-
Cells in granular layer High-
Cells in spinous layer Medium-
Endothelial cells Not detected-
Extracellular matrix Medium-
Fibroblasts -Not detected
Fibrohistiocytic cells Not detected-
Keratinocytes -High
Langerhans cells Medium-
Lymphocytes Not detected-
Melanocytes Not detectedNot detected
Vascular mural cells Not detected-



SKIN 2 - Antibody stainingi

Antibody staining in the annotated cell types in the current human tissue is reported as not detected, low, medium, or high, based on conventional immunohistochemistry profiling in selected tissues. This score is based on the combination of the staining intensity and fraction of stained cells.

Each image is clickable and will lead to virtual microscopy that enables deeper exploration of all samples and also displays staining intensity scores, fraction scores and subcellular localization as well as patient and tissue information for each sample.

Antibody HPA029406Antibody HPA071641
Cells in basal layer Not detected-
Cells in corneal layer High-
Cells in granular layer High-
Cells in spinous layer Medium-
Endothelial cells Not detected-
Epidermal cells -High
Extracellular matrix Medium-
Fibrohistiocytic cells Not detected-
Langerhans cells Medium-
Lymphocytes Not detected-
Melanocytes Not detected-
Vascular mural cells Not detected-
  
  



SKIN - HPA RNA-seqi

The RNA-seq details section shows detailed information about the individual samples used for the transcript profiling and results of the RNA-seq analysis.

Information about each individual sample is listed below, including gender, age, a tissue section image and estimated fractions of cell types. nTPM (normalized transcripts per million) values give a quantification of the gene abundance which is comparable between different genes and samples.
Average nTPMi

Max subtype nTPM is the value for the subtype with the largest average nTPM across the subtype samples.

3291.7
overview
Female, age 34
Skin sample 225
nTPM: 3866.4
Cell types%
Keratinocytes:
60

Other cell types:
40

overview
Female, age 30
Skin sample 226
nTPM: 2370.1
Cell types%
Keratinocytes:
55

Other cell types:
45

N/A
Male, age 57
Skin sample 227
nTPM: 3638.6

SKIN - GTEx RNA-seqi

RNA-Seq data generated by the Genotype-Tissue Expression (GTEx) project from human tissues is reported as mean nTPM. More information can be found on the GTEx portal.

Distribution across the dataset is visualized with box plots, shown as median and 25th and 75th percentiles. Points are displayed as outliers if they are above or below 1.5 times the interquartile range. nTPM values of the individual samples are presented next to the box plot.
Max subtype nTPMi

Max subtype nTPM is the value for the subtype with the largest average nTPM across the subtype samples.

4645.8
GTEx sample id Sample description nTPM
Skin - Not Sun Exposed (Suprapubic)
Average nTPM: 4393.5
Samples: 604

Max nTPM: 13577.4
Min nTPM: 97.9
Std nTPM: 1968.7
Median nTPM: 4267.9
GTEX-WFG7-2026-SM-5SI7P 20-29 years, male 13577.4
GTEX-ZTX8-1326-SM-4YCEL 20-29 years, male 13182.5
GTEX-1OJC3-1226-SM-DTXER 20-29 years, male 12585.9
GTEX-Y114-2126-SM-4TT8B 50-59 years, female 11981.5
GTEX-1PPH8-0126-SM-EWRN8 20-29 years, male 11496.4
GTEX-17F97-2626-SM-7IGM5 50-59 years, male 10652.9
GTEX-15RIG-0726-SM-7KUM7 40-49 years, male 10635.0
GTEX-147F4-0726-SM-5TDDD 50-59 years, male 9807.6
GTEX-WHSB-1326-SM-3LK6W 50-59 years, male 9591.0
GTEX-YECK-0326-SM-4W1YS 60-69 years, male 9549.8
GTEX-1399S-0126-SM-5IJCF 30-39 years, female 9519.1
GTEX-ZPCL-1126-SM-4WWFE 60-69 years, female 9509.2
GTEX-14PJ3-1126-SM-5ZZVX 50-59 years, male 9320.0
GTEX-1JMPY-0226-SM-CKZOK 30-39 years, male 9263.4
GTEX-XBEW-1126-SM-4QARW 40-49 years, male 8917.0
GTEX-1QP9N-1226-SM-E76QN 30-39 years, male 8779.4
GTEX-17HII-1426-SM-7EPGG 50-59 years, male 8695.8
GTEX-111VG-1626-SM-5EGIO 60-69 years, male 8666.8
GTEX-ZVZP-1226-SM-5GID7 50-59 years, male 8248.2
GTEX-14ICL-1626-SM-5YYAO 30-39 years, male 8245.7
GTEX-1IKOE-1426-SM-CE6T7 30-39 years, female 8060.0
GTEX-ZP4G-1426-SM-4WWCL 20-29 years, female 8014.6
GTEX-1JMQJ-0826-SM-CNPP7 50-59 years, male 8010.9
GTEX-131XF-2626-SM-5EQ6K 60-69 years, male 7963.0
GTEX-17HHE-1326-SM-7EWDZ 50-59 years, male 7952.2
GTEX-ZF3C-0626-SM-DO92O 50-59 years, female 7924.0
GTEX-1HBPN-0126-SM-CGQEF 50-59 years, male 7828.5
GTEX-Y9LG-1126-SM-4VBQ7 30-39 years, male 7822.8
GTEX-14C39-1726-SM-5RQIL 40-49 years, male 7797.5
GTEX-ZT9X-1526-SM-5DUXD 40-49 years, male 7770.8
GTEX-1J8EW-2726-SM-CY8HR 60-69 years, female 7735.6
GTEX-1HGF4-0126-SM-CNPPX 60-69 years, male 7685.7
GTEX-1LKK1-2626-SM-DKPQE 50-59 years, female 7591.8
GTEX-X585-2426-SM-46MW2 50-59 years, male 7572.4
GTEX-1JMLX-0626-SM-ARL8T 50-59 years, male 7538.4
GTEX-1CAMQ-1326-SM-7P8RV 40-49 years, male 7535.9
GTEX-Y111-0626-SM-4SOIT 50-59 years, male 7488.7
GTEX-1MJK3-0726-SM-E6CJC 20-29 years, male 7471.2
GTEX-1CAMR-1326-SM-7PC1F 20-29 years, male 7432.7
GTEX-1QP2A-1726-SM-E76QC 50-59 years, male 7422.0
GTEX-13JVG-0726-SM-5KM16 60-69 years, male 7409.1
GTEX-11ZU8-0126-SM-5EQ58 60-69 years, male 7377.7
GTEX-1I1GT-1026-SM-ARZLV 60-69 years, female 7355.2
GTEX-1RMOY-1326-SM-E9TIH 50-59 years, male 7335.4
GTEX-148VJ-0626-SM-5LUAW 70-79 years, male 7329.6
GTEX-1QPFJ-1926-SM-EVYBD 30-39 years, female 7285.5
GTEX-15RJE-2826-SM-7KUM9 40-49 years, male 7225.6
GTEX-1IKJJ-2226-SM-CJI4C 60-69 years, male 7216.9
GTEX-14PII-0726-SM-6EU2B 60-69 years, male 7137.1
GTEX-YFCO-1226-SM-5LUAT 40-49 years, male 7124.2
GTEX-1RAZQ-1326-SM-E9TK6 30-39 years, male 7075.4
GTEX-ZF29-0926-SM-4WKFZ 60-69 years, female 7023.7
GTEX-139UW-0326-SM-5J1ML 60-69 years, male 7011.0
GTEX-13NYB-0126-SM-5J1MD 40-49 years, male 7003.8
GTEX-1HCUA-0826-SM-ADEHM 50-59 years, female 6998.1
GTEX-12WSJ-1126-SM-5LZVJ 40-49 years, female 6996.7
GTEX-ZE7O-2726-SM-51MT5 50-59 years, female 6989.8
GTEX-1H2FU-0926-SM-9WPPT 60-69 years, female 6978.5
GTEX-1PBJJ-1026-SM-E76OS 30-39 years, male 6958.2
GTEX-WI4N-2726-SM-3LK7Y 40-49 years, female 6924.5
GTEX-1JJEA-1826-SM-ARU8P 60-69 years, male 6924.5
GTEX-13PL6-1126-SM-5L3IE 40-49 years, female 6852.7
GTEX-1N2DV-1526-SM-DTXEP 40-49 years, male 6831.9
GTEX-1313W-0626-SM-5EQ4H 50-59 years, female 6826.7
GTEX-13PDP-0726-SM-5L3HP 60-69 years, male 6794.4
GTEX-1C6WA-2626-SM-7MKGM 60-69 years, male 6790.0
GTEX-14E1K-2026-SM-7DUEI 50-59 years, male 6773.0
GTEX-ZVP2-0326-SM-57WBP 50-59 years, male 6765.5
GTEX-131XG-0326-SM-5L3DX 50-59 years, female 6740.2
GTEX-1H3O1-1326-SM-9MQLD 60-69 years, male 6728.9
GTEX-11OF3-0126-SM-5PNYF 60-69 years, male 6671.0
GTEX-1CAMS-2226-SM-7PBXQ 40-49 years, female 6638.9
GTEX-111CU-1126-SM-5EGIM 50-59 years, male 6621.2
GTEX-1H11D-1826-SM-9QEHM 40-49 years, male 6611.3
GTEX-1E2YA-2126-SM-7MXUO 50-59 years, male 6589.1
GTEX-ZLFU-1826-SM-4WWBV 40-49 years, male 6563.5
GTEX-1192X-2726-SM-5N9DN 50-59 years, male 6549.0
GTEX-1MCYP-0526-SM-E9U6Q 20-29 years, female 6545.6
GTEX-1QP28-1126-SM-EVYC4 50-59 years, female 6519.4
GTEX-1NV5F-0626-SM-DTXEG 60-69 years, female 6454.9
GTEX-ZDTT-0426-SM-4WKFL 60-69 years, male 6454.8
GTEX-13OVK-1426-SM-6PAN7 40-49 years, male 6449.7
GTEX-13O61-1426-SM-5KM3D 60-69 years, male 6428.0
GTEX-1S3DN-2126-SM-E9TIN 50-59 years, male 6427.4
GTEX-1GN1V-2826-SM-9JGIA 60-69 years, male 6420.6
GTEX-145MH-2826-SM-5RQJF 50-59 years, male 6402.5
GTEX-16MTA-0926-SM-6M47Z 50-59 years, male 6343.1
GTEX-1HSMQ-2626-SM-A9SML 50-59 years, male 6296.1
GTEX-1PIIG-2326-SM-DTXFR 30-39 years, male 6281.1
GTEX-1C64N-2626-SM-7PC2N 50-59 years, male 6265.2
GTEX-18QFQ-1826-SM-72D52 30-39 years, male 6217.3
GTEX-11P7K-1126-SM-5HL4L 30-39 years, male 6203.1
GTEX-13FTY-2126-SM-5IFFB 40-49 years, female 6189.0
GTEX-11WQC-1826-SM-5GU59 60-69 years, male 6170.2
GTEX-11PRG-0726-SM-5EGL1 50-59 years, male 6166.7
GTEX-1122O-1026-SM-9WYSF 60-69 years, female 6147.4
GTEX-1PIGE-1826-SM-E8VOU 20-29 years, male 6139.0
GTEX-1GMRU-2126-SM-7P8RA 50-59 years, male 6073.0
GTEX-17F9E-2326-SM-79OKD 50-59 years, male 6056.1
GTEX-1HCU7-0726-SM-A9SL1 50-59 years, male 6039.1
GTEX-1B8KE-1126-SM-7EPHI 50-59 years, male 6021.0
GTEX-1EMGI-2326-SM-7PBYA 60-69 years, male 6019.7
GTEX-12WSH-1526-SM-5BC5W 50-59 years, male 6016.4
GTEX-ZF2S-1626-SM-57WES 50-59 years, female 6015.9
GTEX-11P82-1426-SM-DTXFY 20-29 years, male 6013.6
GTEX-1KANB-2826-SM-CY8I6 50-59 years, male 6002.6
GTEX-11DYG-1526-SM-5A5JS 60-69 years, male 6000.3
GTEX-1GZ4H-0526-SM-9KNU9 50-59 years, female 5998.3
GTEX-1NSGN-0726-SM-DTXEF 50-59 years, male 5994.9
GTEX-Y3I4-1726-SM-4TT89 50-59 years, male 5980.0
GTEX-1R46S-2426-SM-E76QA 60-69 years, female 5972.9
GTEX-ZXG5-2126-SM-59HKD 60-69 years, male 5941.8
GTEX-1OJC4-2726-SM-E76PJ 50-59 years, female 5917.4
GTEX-15DYW-2726-SM-6EU2I 60-69 years, female 5897.3
GTEX-17F98-1326-SM-7DUEP 40-49 years, female 5871.0
GTEX-147GR-2426-SM-5ZZWQ 60-69 years, male 5866.7
GTEX-11DXZ-2026-SM-5987S 50-59 years, male 5856.1
GTEX-1CB4J-1326-SM-7P8RX 60-69 years, male 5847.6
GTEX-1399U-1126-SM-5L3DB 50-59 years, female 5826.5
GTEX-1KAFJ-0126-SM-DIPEK 50-59 years, male 5824.6
GTEX-1399Q-2326-SM-5KM2X 40-49 years, male 5818.0
GTEX-ZE9C-2526-SM-5IJDR 60-69 years, male 5802.4
GTEX-1J1OQ-0126-SM-D4P2N 40-49 years, female 5792.7
GTEX-1C6VQ-1226-SM-73KYD 50-59 years, male 5791.3
GTEX-1JK1U-0226-SM-ARZMX 60-69 years, male 5783.0
GTEX-13G51-1826-SM-5KLZH 60-69 years, male 5762.9
GTEX-1AYD5-2626-SM-7PBXY 50-59 years, male 5753.6
GTEX-1S82P-2126-SM-E6CI5 60-69 years, female 5741.5
GTEX-1JMQK-1226-SM-D4P2S 60-69 years, male 5733.4
GTEX-1R9PM-1926-SM-EVR3O 20-29 years, male 5730.7
GTEX-1B97I-0626-SM-73KUZ 40-49 years, male 5725.8
GTEX-13SLW-0626-SM-5Q5ER 70-79 years, male 5718.3
GTEX-17F9Y-0126-SM-79OKX 70-79 years, female 5716.6
GTEX-1F6I4-2326-SM-7RHGL 60-69 years, male 5693.1
GTEX-11DXX-2126-SM-5PNYR 60-69 years, female 5691.3
GTEX-ZC5H-1526-SM-5HL9Y 40-49 years, female 5653.5
GTEX-131XH-0126-SM-5LZUY 50-59 years, male 5644.8
GTEX-11DXY-0126-SM-5H11Q 60-69 years, male 5642.4
GTEX-Z93S-1626-SM-5CVMB 50-59 years, male 5635.2
GTEX-1CB4F-1026-SM-7DUH1 60-69 years, male 5625.1
GTEX-1EX96-1026-SM-7MKG2 50-59 years, male 5615.4
GTEX-11ZTT-2126-SM-5CVLO 60-69 years, female 5608.2
GTEX-1BAJH-2426-SM-7IGP8 70-79 years, male 5603.7
GTEX-1C2JI-1026-SM-73KY1 50-59 years, male 5595.7
GTEX-15FZZ-0526-SM-7KUGD 30-39 years, female 5570.2
GTEX-ZYW4-0626-SM-59HJR 60-69 years, male 5548.2
GTEX-1QCLY-0226-SM-EWRNH 30-39 years, male 5541.2
GTEX-14PJN-1826-SM-6AJ98 30-39 years, male 5529.1
GTEX-1LVAN-0626-SM-CNPOQ 50-59 years, female 5526.3
GTEX-1I1GV-0626-SM-ARL7M 60-69 years, male 5517.8
GTEX-17EVP-2626-SM-7IGMA 40-49 years, male 5497.1
GTEX-1HT8W-0626-SM-A9G2H 30-39 years, male 5495.1
GTEX-ZZPU-0826-SM-5GZX5 50-59 years, female 5473.5
GTEX-1PPGY-1626-SM-EVYBL 60-69 years, male 5463.5
GTEX-1497J-0226-SM-5QGPU 60-69 years, male 5458.0
GTEX-ZLV1-1526-SM-DO91J 60-69 years, female 5449.1
GTEX-14PHX-2226-SM-6EU2P 50-59 years, male 5439.4
GTEX-YEC4-1826-SM-4W1YP 40-49 years, male 5438.4
GTEX-1RAZS-2526-SM-E6CHT 50-59 years, male 5428.4
GTEX-1LB8K-0726-SM-D5OV2 50-59 years, male 5410.6
GTEX-1HB9E-0126-SM-CM2S5 50-59 years, male 5405.2
GTEX-12ZZZ-0726-SM-5GCNZ 60-69 years, male 5403.1
GTEX-1GF9V-0826-SM-9KNUV 60-69 years, male 5394.4
GTEX-13SLX-2226-SM-62LEP 50-59 years, female 5377.6
GTEX-Y3IK-1626-SM-4YCF5 50-59 years, female 5375.8
GTEX-18A67-1626-SM-7LT9T 50-59 years, male 5365.3
GTEX-11GSP-2326-SM-5HL63 60-69 years, female 5344.8
GTEX-144FL-0626-SM-5LU43 50-59 years, male 5336.3
GTEX-13QJC-0126-SM-5ZZWJ 60-69 years, female 5329.1
GTEX-14753-0726-SM-5QGQO 60-69 years, male 5308.0
GTEX-13FTX-1526-SM-5K7VJ 20-29 years, female 5292.2
GTEX-WHPG-2626-SM-3NMBR 50-59 years, male 5271.0
GTEX-UPJH-0226-SM-3GADV 50-59 years, male 5223.5
GTEX-14PHY-1226-SM-5ZZWK 60-69 years, female 5218.4
GTEX-1HCU6-2526-SM-ADEHL 60-69 years, female 5217.4
GTEX-1HBPI-2126-SM-ARL9K 50-59 years, male 5212.5
GTEX-14PJ6-2626-SM-6EU2T 60-69 years, female 5211.3
GTEX-1GN1U-0626-SM-9MQL9 50-59 years, female 5202.5
GTEX-15G19-2426-SM-7KUMR 60-69 years, male 5199.8
GTEX-ZAB4-2126-SM-5HL8U 40-49 years, male 5113.4
GTEX-1269C-0126-SM-5EQ5L 60-69 years, female 5083.7
GTEX-15ER7-0626-SM-6PANF 20-29 years, female 5081.8
GTEX-1ICLZ-0326-SM-ARL82 60-69 years, male 5066.6
GTEX-15CHR-1126-SM-7EWF4 50-59 years, male 5065.7
GTEX-12ZZY-0726-SM-5EQ66 60-69 years, male 5063.2
GTEX-139TU-0726-SM-5L3EK 60-69 years, male 5056.3
GTEX-12ZZX-2426-SM-5GCOE 40-49 years, female 5053.9
GTEX-16BQI-1326-SM-6M486 30-39 years, female 5051.4
GTEX-16YQH-2226-SM-7IGM2 30-39 years, male 5050.3
GTEX-ZYT6-2326-SM-5GZY3 30-39 years, male 5031.3
GTEX-WXYG-2026-SM-4E3IY 50-59 years, female 5030.2
GTEX-1POEN-2326-SM-E9J2L 30-39 years, female 5028.0
GTEX-14PJO-2526-SM-6AJBQ 60-69 years, male 5011.8
GTEX-13OW6-2726-SM-5J2OE 50-59 years, male 5005.9
GTEX-1GN73-0726-SM-7P8TJ 60-69 years, male 5003.9
GTEX-1CB4E-0926-SM-7EPHT 60-69 years, male 4988.7
GTEX-ZDYS-2426-SM-4WKGI 50-59 years, male 4983.1
GTEX-15RJ7-2126-SM-6PAMD 40-49 years, male 4981.4
GTEX-11P81-2226-SM-5PNYI 30-39 years, female 4975.0
GTEX-12126-0826-SM-5FQTZ 20-29 years, male 4973.9
GTEX-W5X1-2526-SM-3GILC 40-49 years, female 4972.4
GTEX-1IE54-1126-SM-A9G2Z 40-49 years, female 4966.5
GTEX-XQ8I-0926-SM-4BOOF 50-59 years, male 4962.2
GTEX-1PDJ9-1226-SM-EXUSX 20-29 years, male 4954.7
GTEX-14PJ4-0226-SM-5YY92 60-69 years, male 4950.1
GTEX-ZWKS-0626-SM-5GIDV 30-39 years, male 4938.9
GTEX-13IVO-0726-SM-5LZYV 70-79 years, male 4928.4
GTEX-1S83E-1326-SM-E6CJM 40-49 years, male 4900.8
GTEX-144GL-0626-SM-5LU4D 50-59 years, male 4884.2
GTEX-11UD2-2526-SM-5CVNU 50-59 years, male 4865.0
GTEX-1LSVX-2526-SM-DIPEU 60-69 years, male 4855.1
GTEX-1EKGG-0626-SM-7DUGJ 60-69 years, male 4843.0
GTEX-14PK6-0226-SM-62LF5 70-79 years, female 4837.8
GTEX-XOT4-0626-SM-4B66L 60-69 years, female 4836.4
GTEX-11GS4-0226-SM-5HL77 60-69 years, male 4831.2
GTEX-11VI4-1126-SM-5EQMD 40-49 years, female 4827.1
GTEX-13FHO-0426-SM-5L3F5 60-69 years, male 4826.2
GTEX-1HFI7-2326-SM-CGQFS 50-59 years, female 4809.2
GTEX-1S82U-1026-SM-E6CJK 30-39 years, female 4800.8
GTEX-16AAH-0626-SM-793C9 50-59 years, male 4787.4
GTEX-1F75A-0726-SM-7RHHD 50-59 years, male 4784.7
GTEX-1A3MV-1826-SM-731CD 30-39 years, male 4777.7
GTEX-1GZ4I-2626-SM-9KNU3 50-59 years, male 4777.3
GTEX-1H1ZS-2726-SM-9WG75 70-79 years, male 4775.5
GTEX-ZTTD-2826-SM-4YCFA 50-59 years, male 4764.0
GTEX-18A6Q-0626-SM-7KFRP 60-69 years, male 4761.9
GTEX-14DAR-1226-SM-73KYV 50-59 years, male 4759.9
GTEX-WH7G-2026-SM-3NMBL 40-49 years, male 4758.8
GTEX-14LZ3-0126-SM-69LPM 60-69 years, female 4748.6
GTEX-13RTJ-0126-SM-5S2NN 60-69 years, male 4737.2
GTEX-1HCVE-2726-SM-CL54F 50-59 years, male 4731.8
GTEX-14PJ5-1526-SM-6LLIL 60-69 years, female 4727.5
GTEX-13YAN-0226-SM-5TDC6 60-69 years, male 4725.5
GTEX-WHWD-1826-SM-3LK6I 50-59 years, male 4719.1
GTEX-1RLM8-2926-SM-E8VON 50-59 years, male 4709.5
GTEX-1J8Q2-2626-SM-ACKWQ 60-69 years, male 4709.3
GTEX-ZYY3-2926-SM-5GIEB 60-69 years, female 4708.6
GTEX-18D9U-0126-SM-731BM 40-49 years, male 4706.3
GTEX-1B8SF-0126-SM-7DUG3 60-69 years, male 4701.8
GTEX-13OVJ-0826-SM-5J1OK 50-59 years, female 4698.6
GTEX-1C6VR-0126-SM-7RHGB 60-69 years, male 4697.0
GTEX-Y5V6-2326-SM-4VDSA 60-69 years, male 4678.5
GTEX-1H4P4-2126-SM-9WYSL 50-59 years, male 4675.0
GTEX-139TS-2126-SM-5K7XC 60-69 years, male 4670.2
GTEX-12WSK-2126-SM-5CVNC 40-49 years, female 4657.6
GTEX-17MFQ-1526-SM-7KFRR 20-29 years, male 4655.0
GTEX-ZVT4-2426-SM-5GIEI 50-59 years, female 4643.6
GTEX-15UF6-1926-SM-7KUDV 70-79 years, female 4639.9
GTEX-1117F-2926-SM-5GZYI 60-69 years, female 4633.5
GTEX-1GPI6-1926-SM-9KNV7 60-69 years, male 4623.2
GTEX-15SKB-2826-SM-6PAMH 60-69 years, male 4620.2
GTEX-13112-0126-SM-5P9IU 50-59 years, male 4602.7
GTEX-1GPI7-1826-SM-9KNU1 20-29 years, male 4592.5
GTEX-1QW4Y-1126-SM-DTXE3 30-39 years, male 4585.7
GTEX-1HSKV-1226-SM-ADEI4 60-69 years, male 4579.4
GTEX-XYKS-1426-SM-4BRUO 60-69 years, female 4565.2
GTEX-1LGRB-0926-SM-COH3K 50-59 years, female 4560.1
GTEX-Y8E4-2026-SM-5IFJB 40-49 years, male 4557.8
GTEX-ZPIC-0526-SM-DO91W 40-49 years, female 4555.7
GTEX-1R7EU-1626-SM-DTXG3 60-69 years, male 4554.2
GTEX-1I1GU-0926-SM-ACKVS 40-49 years, male 4544.0
GTEX-13OW5-2326-SM-5L3HO 60-69 years, male 4542.7
GTEX-ZDTS-0826-SM-4WKHL 60-69 years, male 4540.8
GTEX-1F88F-0126-SM-9WYSZ 60-69 years, female 4540.2
GTEX-17KNJ-2126-SM-718AM 50-59 years, male 4538.8
GTEX-133LE-2326-SM-5K7W3 20-29 years, female 4532.4
GTEX-13FTW-0326-SM-5K7UW 40-49 years, male 4531.1
GTEX-WY7C-2126-SM-3NB2R 50-59 years, male 4525.2
GTEX-111YS-1526-SM-5GZYW 60-69 years, male 4506.4
GTEX-139YR-1026-SM-5LZYN 50-59 years, male 4502.0
GTEX-1I1GS-2626-SM-B2LY3 60-69 years, male 4501.4
GTEX-1N2EE-0626-SM-E76PW 60-69 years, male 4498.5
GTEX-1K2DA-1026-SM-CGQGF 50-59 years, male 4497.6
GTEX-1R9PN-0426-SM-DTXDT 40-49 years, female 4496.5
GTEX-15EO6-2426-SM-6PALZ 50-59 years, male 4494.3
GTEX-X4EO-2926-SM-4E3JH 60-69 years, female 4475.7
GTEX-14LLW-2626-SM-62LDZ 70-79 years, female 4458.3
GTEX-145ME-1726-SM-5Q5EU 40-49 years, female 4449.9
GTEX-1F52S-2926-SM-7MKGA 60-69 years, female 4435.4
GTEX-ZVT2-0126-SM-5GIDQ 50-59 years, female 4434.3
GTEX-1JN76-0626-SM-CKZOQ 20-29 years, female 4416.7
GTEX-13OW7-0426-SM-5K7VK 50-59 years, male 4402.2
GTEX-ZAK1-0626-SM-5HL8E 50-59 years, female 4396.7
GTEX-ZYFC-0426-SM-5GICQ 50-59 years, male 4393.6
GTEX-Y8LW-1526-SM-5IFHL 50-59 years, female 4381.1
GTEX-1HSGN-0826-SM-ACKW3 40-49 years, female 4376.3
GTEX-1QMI2-2526-SM-E8VNZ 60-69 years, male 4369.2
GTEX-ZPU1-1126-SM-4YCF3 40-49 years, male 4353.4
GTEX-XAJ8-1426-SM-47JYM 40-49 years, male 4350.5
GTEX-1LVA9-2626-SM-EVYD4 50-59 years, male 4349.0
GTEX-1GN2E-0226-SM-9WG6K 60-69 years, male 4348.6
GTEX-13D11-0926-SM-5J2NC 50-59 years, female 4342.7
GTEX-1QAET-0326-SM-EVR3U 50-59 years, male 4339.0
GTEX-145MI-0626-SM-5SI8S 60-69 years, female 4324.7
GTEX-1IDJU-1726-SM-CMKHU 60-69 years, female 4319.0
GTEX-1R9K4-2826-SM-DTX8F 60-69 years, male 4318.0
GTEX-1H1DE-1326-SM-9KNUG 20-29 years, male 4316.8
GTEX-1LBAC-0826-SM-CY8IJ 20-29 years, male 4312.6
GTEX-1I1HK-2326-SM-CKZOH 60-69 years, male 4306.7
GTEX-14C5O-0326-SM-5ZZUX 60-69 years, male 4281.1
GTEX-11LCK-2226-SM-5HL4Q 30-39 years, male 4280.3
GTEX-ZY6K-1426-SM-5GZX2 50-59 years, male 4268.6
GTEX-X5EB-1926-SM-4E3IW 40-49 years, male 4267.2
GTEX-ZA64-1026-SM-5HL8R 20-29 years, male 4254.2
GTEX-1LVAM-0726-SM-E6CIL 50-59 years, female 4251.6
GTEX-1S831-1826-SM-EWROF 20-29 years, male 4238.1
GTEX-14ABY-2026-SM-62LDL 50-59 years, male 4232.4
GTEX-17F96-0126-SM-7EWDU 70-79 years, male 4231.6
GTEX-XV7Q-1826-SM-4BRUV 40-49 years, female 4230.0
GTEX-17HGU-2326-SM-7DUFE 50-59 years, male 4225.4
GTEX-1F75B-0726-SM-7PC3R 50-59 years, male 4211.6
GTEX-11NUK-2726-SM-5A5MC 50-59 years, male 4211.4
GTEX-13W3W-0726-SM-5IJDQ 60-69 years, female 4203.6
GTEX-1GTWX-2026-SM-9YFLM 60-69 years, male 4186.0
GTEX-1CB4H-1126-SM-7MKGL 60-69 years, female 4157.4
GTEX-1JJ6O-2726-SM-CNPOG 60-69 years, male 4153.4
GTEX-1HBPM-0726-SM-9YFL7 60-69 years, female 4131.7
GTEX-1K2DU-1226-SM-CYPT4 20-29 years, male 4128.6
GTEX-1S5ZU-2526-SM-E6CIF 20-29 years, female 4118.2
GTEX-1EU9M-1426-SM-793AI 60-69 years, male 4114.4
GTEX-14BIN-1126-SM-5RQJZ 50-59 years, female 4090.8
GTEX-145MG-1526-SM-5Q5EM 50-59 years, male 4069.5
GTEX-11NSD-0626-SM-5A5LU 20-29 years, male 4055.7
GTEX-13NYS-0626-SM-5L3F1 60-69 years, male 4051.6
GTEX-1EN7A-2426-SM-793DB 40-49 years, male 4047.7
GTEX-1HSMP-0926-SM-A9SKX 70-79 years, male 4034.9
GTEX-1F75I-2226-SM-7SB8U 40-49 years, male 4031.7
GTEX-14C38-0726-SM-5SI6M 50-59 years, male 4031.1
GTEX-139D8-1126-SM-5LU8W 30-39 years, female 4029.8
GTEX-145LS-0626-SM-7EPG7 60-69 years, female 4021.6
GTEX-12WSD-0626-SM-5GCMW 60-69 years, female 4019.0
GTEX-18D9A-1426-SM-7LT8M 30-39 years, female 4015.5
GTEX-144GM-0526-SM-79OJO 20-29 years, male 3994.5
GTEX-15CHQ-0326-SM-69LQD 60-69 years, male 3993.5
GTEX-131XW-0626-SM-5PNVD 50-59 years, female 3992.8
GTEX-14B4R-1326-SM-5Q5EZ 30-39 years, male 3992.3
GTEX-11TUW-0626-SM-5LU9M 60-69 years, male 3991.8
GTEX-11O72-0626-SM-5PNYE 40-49 years, male 3990.5
GTEX-12WSM-1926-SM-5BC65 60-69 years, male 3977.5
GTEX-1I1GP-1326-SM-A9G28 50-59 years, male 3965.5
GTEX-XBED-1926-SM-47JYP 60-69 years, male 3962.6
GTEX-YEC3-1326-SM-DO92X 50-59 years, male 3955.8
GTEX-13FLV-0126-SM-5K7WT 50-59 years, male 3941.3
GTEX-1LSNL-2726-SM-E9TKJ 50-59 years, male 3932.5
GTEX-XXEK-1626-SM-4BRUZ 50-59 years, male 3930.0
GTEX-1212Z-0126-SM-59HK4 60-69 years, male 3926.2
GTEX-145LU-1926-SM-79OJN 50-59 years, male 3922.6
GTEX-11DZ1-2426-SM-5GZZX 50-59 years, male 3917.6
GTEX-13O3Q-0126-SM-5KM34 50-59 years, male 3917.5
GTEX-1JMQL-2226-SM-CNPP4 50-59 years, female 3895.9
GTEX-15G1A-1626-SM-7KUKN 30-39 years, male 3885.5
GTEX-1HR9M-2226-SM-CNPPY 60-69 years, male 3882.3
GTEX-1LG7Y-2526-SM-EWRO7 50-59 years, male 3879.4
GTEX-1A8G6-2726-SM-731AR 60-69 years, male 3876.5
GTEX-1IOXB-2726-SM-CM2RI 50-59 years, male 3866.5
GTEX-1PPH7-1126-SM-DTX9A 40-49 years, male 3861.6
GTEX-18A7A-0126-SM-731AH 50-59 years, female 3849.6
GTEX-1KXAM-1626-SM-D3LAD 60-69 years, male 3846.2
GTEX-145MN-1526-SM-5SI9T 30-39 years, male 3840.5
GTEX-1AX9I-2226-SM-73KUO 60-69 years, male 3825.9
GTEX-XQ3S-1426-SM-4BOPR 20-29 years, male 3823.7
GTEX-15D1Q-2826-SM-6LLH7 40-49 years, male 3821.3
GTEX-1GF9X-1326-SM-7PC2Y 40-49 years, female 3812.0
GTEX-1A8G7-1326-SM-73KVM 60-69 years, male 3789.8
GTEX-15CHC-1126-SM-6LLHQ 60-69 years, female 3775.0
GTEX-1H1DG-2426-SM-9QEHJ 70-79 years, male 3774.4
GTEX-1GF9W-1426-SM-7PBYM 60-69 years, male 3770.9
GTEX-1JN1M-2726-SM-CY8I4 60-69 years, female 3758.3
GTEX-1H23P-0626-SM-9WG6T 60-69 years, male 3751.9
GTEX-14JFF-0626-SM-5ZZVT 60-69 years, male 3737.6
GTEX-1IY9M-2826-SM-ARU8H 60-69 years, male 3686.5
GTEX-13O3O-2326-SM-5IJD6 60-69 years, female 3685.5
GTEX-X8HC-0626-SM-4E3HQ 50-59 years, female 3668.8
GTEX-1F6RS-2026-SM-7RHHC 60-69 years, female 3664.5
GTEX-14PKU-0126-SM-6LLHV 40-49 years, female 3658.7
GTEX-XBEC-0726-SM-4QARZ 50-59 years, male 3654.9
GTEX-11WQK-1026-SM-5EQLX 50-59 years, male 3636.2
GTEX-1J1R8-2026-SM-CL53Y 40-49 years, male 3635.5
GTEX-15RIE-1926-SM-7KUKJ 60-69 years, male 3630.9
GTEX-1F5PK-2226-SM-7SB6N 50-59 years, male 3629.8
GTEX-18465-2826-SM-7LT9J 50-59 years, male 3625.2
GTEX-16NGA-0726-SM-731AO 40-49 years, female 3605.2
GTEX-WEY5-2326-SM-3GIKK 40-49 years, female 3604.5
GTEX-1C64O-1326-SM-7MGWR 60-69 years, male 3603.4
GTEX-1B8L1-2226-SM-7P8PT 60-69 years, male 3585.3
GTEX-XUW1-0926-SM-4BONX 50-59 years, female 3556.0
GTEX-12KS4-2126-SM-5FQUT 30-39 years, male 3535.8
GTEX-1LSNM-0826-SM-DIPG8 50-59 years, male 3529.7
GTEX-13NZ8-1226-SM-5KM4A 60-69 years, female 3523.6
GTEX-1QEPI-2626-SM-DTXF4 60-69 years, female 3516.1
GTEX-1MCC2-1826-SM-DIPEX 30-39 years, female 3493.0
GTEX-16MT9-0126-SM-7EPI8 60-69 years, female 3481.0
GTEX-13NYC-0126-SM-5L3F4 60-69 years, male 3476.4
GTEX-12C56-1526-SM-5FQUQ 20-29 years, male 3468.3
GTEX-1AMEY-0826-SM-72D65 30-39 years, female 3465.7
GTEX-1QP29-1826-SM-DTX9S 50-59 years, male 3460.3
GTEX-1HKZK-0726-SM-ACKW2 40-49 years, male 3455.7
GTEX-13N1W-2426-SM-5IJD1 70-79 years, male 3449.1
GTEX-1IL2V-1926-SM-B2LW8 70-79 years, male 3422.5
GTEX-15SHW-0226-SM-7LTAT 60-69 years, male 3418.3
GTEX-1HR98-2226-SM-ADEI2 60-69 years, male 3413.7
GTEX-U8XE-0226-SM-4E3J3 30-39 years, male 3406.0
GTEX-139T8-0626-SM-5KLZX 60-69 years, male 3403.8
GTEX-1J8QM-2426-SM-A9SLS 60-69 years, female 3402.5
GTEX-1IDFM-0326-SM-ARL7V 60-69 years, male 3394.9
GTEX-13OVH-0526-SM-5L3E6 70-79 years, male 3368.6
GTEX-ZTSS-1426-SM-5985P 40-49 years, male 3360.0
GTEX-XPVG-2126-SM-4B667 50-59 years, male 3359.8
GTEX-1GZHY-0626-SM-9KNVC 50-59 years, female 3359.8
GTEX-16Z82-2626-SM-7KULU 60-69 years, male 3343.7
GTEX-13PVQ-0626-SM-5LU47 50-59 years, male 3340.2
GTEX-13X6H-0926-SM-5SIB2 50-59 years, female 3338.9
GTEX-1F5PL-0926-SM-7PC2W 40-49 years, female 3326.0
GTEX-1H3VE-0726-SM-9YFL5 40-49 years, male 3321.2
GTEX-1EH9U-2826-SM-7DUGT 60-69 years, male 3318.3
GTEX-ZYFG-1526-SM-5GZYM 60-69 years, female 3315.6
GTEX-1EWIQ-0326-SM-7DHMQ 70-79 years, female 3315.2
GTEX-WHSE-0126-SM-3NMBT 20-29 years, male 3305.9
GTEX-13VXT-1926-SM-5K7UO 20-29 years, female 3305.4
GTEX-14JG1-1526-SM-5YY9X 40-49 years, male 3290.6
GTEX-1JMPZ-0726-SM-CY8HZ 30-39 years, male 3284.8
GTEX-13X6K-0626-SM-5LU5D 60-69 years, female 3276.0
GTEX-14AS3-1526-SM-5Q5ED 40-49 years, female 3250.2
GTEX-139TT-2126-SM-5LZWC 60-69 years, male 3240.5
GTEX-1C475-1326-SM-7SB73 40-49 years, female 3235.8
GTEX-11EQ8-0926-SM-5H12V 60-69 years, male 3234.5
GTEX-1ICLY-0826-SM-CMKG1 50-59 years, male 3229.5
GTEX-183WM-0326-SM-72D5V 70-79 years, female 3206.2
GTEX-ZYVF-0926-SM-5E44J 50-59 years, female 3201.7
GTEX-1GL5R-1326-SM-7RHHF 50-59 years, male 3169.9
GTEX-15EU6-2226-SM-6EU2L 50-59 years, male 3157.5
GTEX-1B933-2426-SM-7DHMD 50-59 years, female 3156.0
GTEX-17HHY-0426-SM-7DHLC 50-59 years, male 3147.0
GTEX-12WSA-0426-SM-5EQ5X 60-69 years, male 3144.9
GTEX-16MT8-2926-SM-7DUFO 60-69 years, female 3140.1
GTEX-1AMFI-1326-SM-7939R 50-59 years, female 3136.7
GTEX-144GO-2026-SM-5O99P 60-69 years, male 3117.8
GTEX-13VXU-0626-SM-5L3F9 50-59 years, male 3113.2
GTEX-13X6I-1826-SM-5SIAO 60-69 years, male 3103.1
GTEX-1HC8U-1326-SM-9YFMJ 40-49 years, female 3100.5
GTEX-1GN1W-2426-SM-9KNUU 50-59 years, female 3095.7
GTEX-1JMQI-1726-SM-ARL93 50-59 years, male 3092.3
GTEX-VUSG-2326-SM-4KL1U 50-59 years, male 3085.1
GTEX-11EQ9-1626-SM-5PNY8 30-39 years, male 3084.3
GTEX-1F88E-1626-SM-7SB8Z 60-69 years, female 3083.0
GTEX-1KWVE-1026-SM-D3L9O 30-39 years, male 3075.1
GTEX-14A5H-0826-SM-5QGPJ 60-69 years, male 3070.3
GTEX-1477Z-0326-SM-7IGLA 60-69 years, male 3066.1
GTEX-147F3-1726-SM-5SIAW 50-59 years, female 3064.6
GTEX-1JJE9-2626-SM-ARZMT 70-79 years, male 3063.8
GTEX-13N11-2326-SM-5IJBF 50-59 years, female 3051.2
GTEX-11ZUS-2626-SM-5FQUR 30-39 years, male 3042.8
GTEX-YJ8O-2526-SM-5HL85 40-49 years, female 3039.3
GTEX-13X6J-0626-SM-5LU5F 50-59 years, male 3034.2
GTEX-146FQ-2126-SM-5RQHU 30-39 years, male 3028.2
GTEX-18A66-0626-SM-7LT8Z 60-69 years, male 3025.6
GTEX-1M4P7-0726-SM-E6CJ3 60-69 years, male 3024.2
GTEX-15DDE-2926-SM-6LLJ3 50-59 years, female 3018.6
GTEX-1KANA-1326-SM-DIPFA 20-29 years, male 3014.0
GTEX-1RAZR-2126-SM-E9U6T 40-49 years, male 3011.7
GTEX-14A6H-2026-SM-5Q5DD 30-39 years, male 3010.1
GTEX-1CB4I-0126-SM-7RHGG 50-59 years, male 2998.8
GTEX-13113-1626-SM-5EQ4I 60-69 years, female 2993.9
GTEX-14XAO-1226-SM-6EU1C 60-69 years, female 2993.9
GTEX-WRHU-2826-SM-3MJG8 50-59 years, female 2987.2
GTEX-1IDJH-0126-SM-D3L92 70-79 years, male 2969.3
GTEX-1JKYR-0626-SM-ARL8R 20-29 years, male 2966.2
GTEX-X4EP-0626-SM-3P621 60-69 years, female 2965.2
GTEX-14PKV-1126-SM-6LLJ1 20-29 years, female 2962.5
GTEX-12696-0126-SM-5EQ4L 60-69 years, male 2944.1
GTEX-1B8KZ-0326-SM-73KY4 50-59 years, male 2933.9
GTEX-ZDXO-3126-SM-5IJDF 60-69 years, male 2923.4
GTEX-1HFI6-0126-SM-CNPPI 40-49 years, male 2920.3
GTEX-ZU9S-1826-SM-5NQ9E 30-39 years, male 2889.8
GTEX-1IDJI-0126-SM-CMKHS 50-59 years, female 2887.4
GTEX-1JKYN-0826-SM-ARU8S 30-39 years, male 2883.3
GTEX-1IDJV-0126-SM-COH3Y 60-69 years, male 2882.9
GTEX-1KD5A-0126-SM-E9U54 50-59 years, male 2877.4
GTEX-1F48J-0726-SM-7RHGS 50-59 years, female 2877.2
GTEX-1GMR8-0626-SM-7RHI7 50-59 years, female 2865.6
GTEX-145MF-0926-SM-5Q5EA 50-59 years, male 2862.8
GTEX-ZGAY-1826-SM-DO91Q 40-49 years, female 2862.6
GTEX-1GMR2-0826-SM-7PC3V 50-59 years, male 2839.6
GTEX-1JMOU-1026-SM-CYPSS 60-69 years, female 2839.3
GTEX-1JN6P-2926-SM-CL54D 60-69 years, male 2814.7
GTEX-1A3MW-0626-SM-731CB 60-69 years, female 2798.5
GTEX-X3Y1-2026-SM-3P5YM 40-49 years, male 2790.7
GTEX-13PVR-0426-SM-5RQK2 60-69 years, female 2765.4
GTEX-1N5O9-0926-SM-E9J3C 60-69 years, male 2764.4
GTEX-1H1E6-0426-SM-9WYUS 30-39 years, male 2760.7
GTEX-16XZZ-0726-SM-7KUF2 60-69 years, male 2760.5
GTEX-1A8FM-0626-SM-7PC25 50-59 years, female 2745.1
GTEX-17MF6-2626-SM-79OKQ 40-49 years, male 2724.0
GTEX-11EM3-1226-SM-5N9DD 20-29 years, female 2706.1
GTEX-1LVAO-2726-SM-E9TJ8 60-69 years, male 2702.0
GTEX-1K9T9-1526-SM-DIPFR 50-59 years, female 2701.8
GTEX-1J8Q3-0526-SM-ARL8U 60-69 years, male 2690.1
GTEX-1B996-0426-SM-7EWF8 60-69 years, male 2672.7
GTEX-1211K-1526-SM-5FQU4 60-69 years, female 2657.5
GTEX-ZZ64-1026-SM-5GZXG 20-29 years, male 2649.7
GTEX-V1D1-2026-SM-3GAF4 50-59 years, male 2635.1
GTEX-13U4I-2226-SM-5LU5H 40-49 years, female 2625.2
GTEX-16NPX-0726-SM-7KULC 50-59 years, male 2619.6
GTEX-ZVE2-2826-SM-5GU51 50-59 years, male 2607.2
GTEX-1ICG6-1226-SM-A9SLN 70-79 years, female 2600.6
GTEX-13OW8-1026-SM-5J1NQ 60-69 years, male 2567.8
GTEX-12WSF-1626-SM-7KUG5 70-79 years, male 2566.8
GTEX-WYVS-1626-SM-3NM9R 40-49 years, female 2550.5
GTEX-14DAQ-0626-SM-793DS 60-69 years, female 2547.8
GTEX-12584-0726-SM-5FQTK 40-49 years, male 2542.9
GTEX-1KANC-1226-SM-CYPT7 50-59 years, female 2541.9
GTEX-1B932-2326-SM-79OL5 40-49 years, female 2527.5
GTEX-12WSC-2826-SM-5BC5Y 50-59 years, male 2523.6
GTEX-178AV-1726-SM-7KUL8 40-49 years, male 2513.5
GTEX-1I4MK-0126-SM-CY8G6 50-59 years, female 2506.1
GTEX-13FH7-1126-SM-5K7UG 50-59 years, female 2473.6
GTEX-XMD2-2126-SM-4YCF8 60-69 years, female 2469.8
GTEX-13OVL-0126-SM-5L3GJ 50-59 years, male 2456.7
GTEX-Y5V5-0126-SM-5S2NW 60-69 years, female 2452.2
GTEX-117YX-1926-SM-5GIEC 50-59 years, male 2438.1
GTEX-1H1DF-1126-SM-9WG7G 40-49 years, female 2430.5
GTEX-ZAJG-1526-SM-5CVML 50-59 years, female 2430.2
GTEX-14BMV-2826-SM-5TDED 50-59 years, male 2422.8
GTEX-131YS-2826-SM-5EQ47 60-69 years, female 2394.1
GTEX-14E6E-0526-SM-793DN 30-39 years, male 2377.3
GTEX-1HSMO-0626-SM-ACKXC 60-69 years, male 2366.9
GTEX-1HCU9-0426-SM-9WYSD 20-29 years, male 2362.1
GTEX-ZLWG-0826-SM-59888 50-59 years, female 2331.2
GTEX-WYBS-0626-SM-3NMAS 60-69 years, female 2318.9
GTEX-18D9B-0926-SM-7LG4U 60-69 years, male 2316.9
GTEX-1I1CD-0626-SM-CE6SW 60-69 years, female 2316.4
GTEX-1314G-1326-SM-5BC6E 30-39 years, male 2302.3
GTEX-1IDJF-2026-SM-CL53V 20-29 years, male 2267.2
GTEX-1CAV2-0126-SM-7IGN7 40-49 years, female 2227.8
GTEX-13OVG-1626-SM-5J1NF 60-69 years, male 2220.0
GTEX-183FY-1026-SM-7939A 20-29 years, male 2217.8
GTEX-Y5LM-0926-SM-6LLJG 40-49 years, female 2205.0
GTEX-1I6K7-1926-SM-B2LXR 40-49 years, male 2196.0
GTEX-14JG6-1426-SM-9WG7C 30-39 years, female 2165.7
GTEX-12BJ1-0926-SM-5EQ62 60-69 years, male 2142.8
GTEX-1IDJD-2326-SM-ACKWX 30-39 years, male 2138.2
GTEX-WK11-2726-SM-3NMAQ 50-59 years, male 2136.9
GTEX-1O9I2-0226-SM-EYYXD 50-59 years, male 2131.4
GTEX-1GZ2Q-0126-SM-9WG6M 40-49 years, male 2129.7
GTEX-147JS-0226-SM-5S2U9 60-69 years, male 2125.5
GTEX-17HG3-2626-SM-7DUF2 30-39 years, female 2123.7
GTEX-14BMU-1226-SM-5S2OR 20-29 years, female 2110.1
GTEX-1QCLZ-2426-SM-EVYBW 60-69 years, female 2104.0
GTEX-1A32A-0626-SM-731AQ 50-59 years, female 2071.1
GTEX-132AR-0326-SM-5KM2C 50-59 years, female 2062.8
GTEX-XK95-0226-SM-4AT58 40-49 years, male 2060.3
GTEX-13N2G-0226-SM-5K7VF 60-69 years, male 2042.9
GTEX-ZVE1-0726-SM-51MRN 50-59 years, female 2041.8
GTEX-1A3MX-2626-SM-7PC24 60-69 years, male 2006.2
GTEX-11EI6-2826-SM-5H11D 60-69 years, male 1991.6
GTEX-11DXW-0826-SM-5H118 40-49 years, male 1963.9
GTEX-145LT-0526-SM-5LUB2 40-49 years, male 1952.5
GTEX-1GMR3-0126-SM-A9SLW 40-49 years, male 1883.6
GTEX-1IDJC-1526-SM-B2LW4 50-59 years, male 1879.8
GTEX-1RB15-1326-SM-E76Q9 60-69 years, male 1878.8
GTEX-1HCU8-2526-SM-CE6RX 60-69 years, female 1864.2
GTEX-ZYFD-0626-SM-5E44E 50-59 years, male 1862.2
GTEX-1H1CY-0126-SM-9YFLY 60-69 years, female 1842.7
GTEX-12WSL-2026-SM-5GCML 50-59 years, male 1841.0
GTEX-13QBU-1226-SM-5LU4G 40-49 years, female 1810.1
GTEX-18A7B-2726-SM-7LG56 70-79 years, male 1792.9
GTEX-1AX8Z-0726-SM-73KTS 60-69 years, male 1788.0
GTEX-14E6C-2426-SM-5S2NF 40-49 years, male 1728.8
GTEX-WFON-1926-SM-3LK7L 40-49 years, male 1724.3
GTEX-1LG7Z-1626-SM-CXKYR 30-39 years, male 1713.8
GTEX-1I6K6-1726-SM-CGQFD 30-39 years, male 1702.2
GTEX-1LGOU-1326-SM-D3L8M 20-29 years, female 1669.2
GTEX-1IDJE-1426-SM-ADEIW 50-59 years, female 1644.5
GTEX-1J8JJ-0626-SM-ARZMQ 60-69 years, female 1611.8
GTEX-UPK5-0426-SM-3GAEK 40-49 years, male 1607.1
GTEX-14PJ2-0626-SM-6LLII 50-59 years, male 1577.6
GTEX-1HUB1-1426-SM-CGQF5 60-69 years, male 1569.5
GTEX-YB5K-2026-SM-4VDT3 40-49 years, female 1549.6
GTEX-VJYA-1526-SM-3GIJV 60-69 years, male 1513.6
GTEX-145MO-2826-SM-5LU96 60-69 years, male 1499.1
GTEX-13NZ9-2626-SM-5L3FK 50-59 years, male 1483.5
GTEX-1H3NZ-2726-SM-9WYTQ 60-69 years, male 1442.5
GTEX-WYJK-0526-SM-3NM8Z 50-59 years, male 1391.7
GTEX-WFG8-2126-SM-3GIKQ 20-29 years, male 1302.9
GTEX-1E1VI-0326-SM-793D1 50-59 years, male 1247.7
GTEX-1RAZA-2226-SM-E9U4X 20-29 years, male 1203.5
GTEX-13JUV-2026-SM-5K7UA 40-49 years, female 1185.1
GTEX-17JCI-2926-SM-7DUFF 60-69 years, female 1164.7
GTEX-ZT9W-1126-SM-57WDR 50-59 years, male 1158.3
GTEX-1QP66-1226-SM-DTX7U 50-59 years, male 1144.8
GTEX-11TT1-1826-SM-5EQLV 20-29 years, male 1140.3
GTEX-1F6IF-0926-SM-7SB7M 60-69 years, male 1131.0
GTEX-1I19N-0126-SM-CYPSF 70-79 years, male 995.3
GTEX-1F75W-2726-SM-7SB8H 60-69 years, male 610.4
GTEX-1399R-1326-SM-5PNYS 30-39 years, male 561.9
GTEX-ZUA1-2626-SM-5NQ92 40-49 years, male 362.8
GTEX-YF7O-1526-SM-5IFI6 50-59 years, male 345.8
GTEX-1AX9J-1326-SM-731BJ 60-69 years, male 299.6
GTEX-ZVTK-0226-SM-51MRG 20-29 years, male 278.3
GTEX-111FC-2526-SM-5GZXU 60-69 years, male 251.4
GTEX-16GPK-0626-SM-7KFSF 60-69 years, male 228.3
GTEX-17EVQ-0126-SM-7IGLR 70-79 years, male 173.0
GTEX-1L5NE-1126-SM-D3L9P 50-59 years, male 109.8
GTEX-1GF9U-2026-SM-7SB92 40-49 years, female 97.9
Show allShow less
Skin - Sun Exposed (Lower leg)
Average nTPM: 4645.8
Samples: 701

Max nTPM: 14645.1
Min nTPM: 20.1
Std nTPM: 2137.5
Median nTPM: 4314.6
GTEX-P4QT-0126-SM-2I3FL 50-59 years, female 14645.1
GTEX-1JMLX-0226-SM-CM2RO 50-59 years, male 13495.6
GTEX-Y3IK-2426-SM-4WWDU 50-59 years, female 13167.4
GTEX-XUZC-1726-SM-4BRWS 30-39 years, female 12858.7
GTEX-ZGAY-0526-SM-4WWBB 40-49 years, female 12040.2
GTEX-ZXES-1826-SM-5E43S 30-39 years, female 10988.4
GTEX-1399U-2326-SM-5K7WY 50-59 years, female 10875.4
GTEX-1122O-2126-SM-5EGIR 60-69 years, female 10685.9
GTEX-U412-0426-SM-3DB9O 60-69 years, male 10647.7
GTEX-ZVTK-0426-SM-51MRS 20-29 years, male 10523.6
GTEX-1KANC-1526-SM-D3LAB 50-59 years, female 10424.7
GTEX-1CAV2-2226-SM-7P8P2 40-49 years, female 10237.2
GTEX-ZF3C-0126-SM-DO92D 50-59 years, female 10078.1
GTEX-1K2DA-1826-SM-CGQGT 50-59 years, male 10056.9
GTEX-1PIIG-0226-SM-EWRN6 30-39 years, male 9927.7
GTEX-PX3G-0126-SM-2I3EN 20-29 years, female 9748.6
GTEX-139TS-2826-SM-5J1OO 60-69 years, male 9734.3
GTEX-UJHI-1526-SM-3DB99 50-59 years, female 9582.7
GTEX-1I1GV-0526-SM-A9G29 60-69 years, male 9508.6
GTEX-13FXS-0226-SM-5IJCK 50-59 years, male 9497.6
GTEX-O5YW-0126-SM-3LK6D 50-59 years, male 9477.8
GTEX-13FTW-2626-SM-5K7WL 40-49 years, male 9388.0
GTEX-18D9A-1926-SM-7LG6P 30-39 years, female 9376.3
GTEX-11DYG-0126-SM-59883 60-69 years, male 9271.6
GTEX-YJ89-0126-SM-4TT3X 60-69 years, male 9228.0
GTEX-139UW-2826-SM-5L3E7 60-69 years, male 9153.1
GTEX-1QP9N-1426-SM-DTXFL 30-39 years, male 9132.6
GTEX-1R9PM-2026-SM-E76OY 20-29 years, male 9130.6
GTEX-17JCI-0126-SM-7LG5G 60-69 years, female 9086.0
GTEX-T6MN-0126-SM-32PLP 50-59 years, male 9073.1
GTEX-15ER7-0326-SM-7KUEV 20-29 years, female 8963.9
GTEX-13111-1626-SM-5EGJY 50-59 years, male 8930.3
GTEX-111FC-0126-SM-5N9DL 60-69 years, male 8922.7
GTEX-13CF2-2526-SM-5LZYX 60-69 years, male 8904.5
GTEX-Y114-2426-SM-4TT8A 50-59 years, female 8870.6
GTEX-1F5PL-0326-SM-7P8PQ 40-49 years, female 8729.5
GTEX-15ETS-0126-SM-7KUMW 40-49 years, female 8655.2
GTEX-WI4N-1026-SM-3LK7N 40-49 years, female 8579.0
GTEX-ZVT2-2526-SM-51MT1 50-59 years, female 8392.3
GTEX-1MJK2-0426-SM-DTXE5 50-59 years, male 8384.9
GTEX-15SB6-1726-SM-6PAME 50-59 years, female 8320.1
GTEX-1S3DN-2226-SM-EVYCD 50-59 years, male 8301.8
GTEX-OIZH-0126-SM-2HMIS 50-59 years, male 8298.7
GTEX-11DXZ-2326-SM-5EGGV 50-59 years, male 8276.4
GTEX-13NYB-2526-SM-5K7Z6 40-49 years, male 8272.2
GTEX-ZPIC-1726-SM-DHXIU 40-49 years, female 8223.3
GTEX-ZV68-0126-SM-59HKS 50-59 years, female 8220.5
GTEX-YB5E-2026-SM-5IFIS 40-49 years, male 8215.0
GTEX-1PPH8-0226-SM-E8VND 20-29 years, male 7973.9
GTEX-ZTX8-1426-SM-5DUVO 20-29 years, male 7942.0
GTEX-1LG7Z-1726-SM-D3LA4 30-39 years, male 7853.4
GTEX-1S83E-0126-SM-EWRO4 40-49 years, male 7784.9
GTEX-ZYFG-2326-SM-5E44B 60-69 years, female 7767.3
GTEX-1LB8K-0226-SM-EWRNW 50-59 years, male 7753.6
GTEX-131XE-2326-SM-5PNZ2 50-59 years, male 7742.9
GTEX-PSDG-0226-SM-DKPOZ 50-59 years, male 7735.3
GTEX-1399R-2726-SM-5IJBA 30-39 years, male 7709.6
GTEX-OOBJ-0126-SM-E6CJW 60-69 years, male 7692.1
GTEX-U8T8-0126-SM-3DB94 60-69 years, male 7677.0
GTEX-T5JW-1626-SM-3GADZ 20-29 years, female 7674.4
GTEX-W5X1-3026-SM-EAZAX 40-49 years, female 7659.1
GTEX-1OJC3-0126-SM-E76QX 20-29 years, male 7614.9
GTEX-1MA7W-2026-SM-E9TJ6 20-29 years, female 7578.3
GTEX-117XS-2726-SM-5N9BL 60-69 years, male 7543.8
GTEX-1JMQL-0226-SM-CNPP5 50-59 years, female 7526.7
GTEX-1B8SF-1426-SM-7DUGL 60-69 years, male 7523.0
GTEX-1OFPY-2426-SM-DTXEJ 60-69 years, male 7510.1
GTEX-1J8EW-0126-SM-CJI4F 60-69 years, female 7502.3
GTEX-X88G-0126-SM-47JZ3 30-39 years, male 7458.2
GTEX-ZYT6-0226-SM-5NQ6T 30-39 years, male 7445.1
GTEX-1CB4I-0226-SM-79OLH 50-59 years, male 7407.7
GTEX-14PII-0226-SM-6EU1T 60-69 years, male 7326.7
GTEX-ZYFD-0126-SM-5GIDL 50-59 years, male 7269.4
GTEX-1J1OQ-0226-SM-CYPSH 40-49 years, female 7214.2
GTEX-1EWIQ-0126-SM-7RHH2 70-79 years, female 7210.6
GTEX-15RIG-0226-SM-7KFTL 40-49 years, male 7195.9
GTEX-1IOXB-0126-SM-ARL8G 50-59 years, male 7142.7
GTEX-POMQ-2226-SM-2I5FK 20-29 years, female 7134.9
GTEX-TML8-1926-SM-32QOS 40-49 years, female 7081.3
GTEX-1S5ZA-0126-SM-EVYCV 20-29 years, male 7078.2
GTEX-14PN4-0126-SM-6EU2V 50-59 years, male 7076.7
GTEX-1GF9V-0326-SM-7RHI5 60-69 years, male 7050.2
GTEX-P4PP-0126-SM-3LK69 30-39 years, female 7044.5
GTEX-1PFEY-1526-SM-E76PP 30-39 years, male 7011.3
GTEX-1BAJH-0526-SM-793CQ 70-79 years, male 6980.6
GTEX-ZWKS-0126-SM-5SIAA 30-39 years, male 6966.3
GTEX-1JJ6O-0126-SM-E6CI8 60-69 years, male 6965.2
GTEX-RTLS-0126-SM-447CA 60-69 years, female 6949.5
GTEX-12WSK-2326-SM-5GCOH 40-49 years, female 6949.2
GTEX-1H1CY-2826-SM-9MQM3 60-69 years, female 6883.8
GTEX-1H4P4-0726-SM-9YFLR 50-59 years, male 6881.1
GTEX-1M5QR-1226-SM-EWROB 40-49 years, male 6841.6
GTEX-14753-0426-SM-5NQAM 60-69 years, male 6837.8
GTEX-1KXAM-2226-SM-CYPTC 60-69 years, male 6823.0
GTEX-S33H-1026-SM-EZ6L6 30-39 years, male 6803.3
GTEX-1313W-0126-SM-5LZUN 50-59 years, female 6784.5
GTEX-1B8KE-2126-SM-73KYX 50-59 years, male 6781.1
GTEX-WYJK-0126-SM-3NMAB 50-59 years, male 6769.4
GTEX-1QAET-0926-SM-E76QM 50-59 years, male 6745.8
GTEX-13SLW-0126-SM-5SI6C 70-79 years, male 6745.2
GTEX-ZF2S-2326-SM-4WWCE 50-59 years, female 6714.2
GTEX-Z93S-0126-SM-5HL7M 50-59 years, male 6674.4
GTEX-1JMPY-1326-SM-ARL8Y 30-39 years, male 6672.8
GTEX-1LVAN-0226-SM-COH3S 50-59 years, female 6657.7
GTEX-14E6C-0126-SM-5RQIP 40-49 years, male 6644.4
GTEX-145MN-2226-SM-5SIAU 30-39 years, male 6640.1
GTEX-ZVZP-2426-SM-59HKJ 50-59 years, male 6623.3
GTEX-1J8QM-2126-SM-CYPSJ 60-69 years, female 6614.6
GTEX-ZDTS-0126-SM-4WAY5 60-69 years, male 6593.4
GTEX-11ZTS-0126-SM-5EQ6M 60-69 years, female 6592.3
GTEX-YB5K-2126-SM-4WWDJ 40-49 years, female 6587.8
GTEX-131YS-0126-SM-5KM1M 60-69 years, female 6573.7
GTEX-Y8DK-0126-SM-4TT3L 60-69 years, male 6568.5
GTEX-1HSGN-0226-SM-CGQFV 40-49 years, female 6541.4
GTEX-12WSE-0526-SM-793B2 20-29 years, male 6504.4
GTEX-13OVH-0126-SM-5MR4B 70-79 years, male 6500.4
GTEX-18A6Q-0126-SM-731BZ 60-69 years, male 6491.5
GTEX-1JMQJ-0526-SM-CYPSU 50-59 years, male 6474.2
GTEX-SUCS-1926-SM-32PM3 70-79 years, male 6438.0
GTEX-1JN1M-0326-SM-CYPT3 60-69 years, female 6430.4
GTEX-131XH-2226-SM-5DUXJ 50-59 years, male 6400.4
GTEX-SN8G-0126-SM-32PLI 50-59 years, female 6375.2
GTEX-PLZ6-1426-SM-DKPOT 30-39 years, male 6372.8
GTEX-13NZB-2526-SM-5J1OM 30-39 years, male 6371.1
GTEX-17GQL-2026-SM-718BA 60-69 years, male 6354.9
GTEX-1QPFJ-0226-SM-E76PB 30-39 years, female 6331.2
GTEX-132NY-0326-SM-5IJBL 60-69 years, male 6325.0
GTEX-O5YT-0126-SM-48TBW 20-29 years, male 6305.2
GTEX-1269C-2526-SM-5EGJ3 60-69 years, female 6291.9
GTEX-1PDJ9-0326-SM-DTX95 20-29 years, male 6280.8
GTEX-145MO-0326-SM-5Q5B3 60-69 years, male 6267.7
GTEX-XBEW-0626-SM-4QASP 40-49 years, male 6267.1
GTEX-1JN6P-0126-SM-D3L98 60-69 years, male 6266.7
GTEX-145ME-1826-SM-5SI9G 40-49 years, female 6263.2
GTEX-14JG1-0426-SM-6ETZZ 40-49 years, male 6238.6
GTEX-1F6RS-0126-SM-9MQKZ 60-69 years, female 6222.1
GTEX-17EVP-0326-SM-7DHLG 40-49 years, male 6206.8
GTEX-11UD2-0226-SM-5EQKY 50-59 years, male 6199.0
GTEX-1EMGI-0126-SM-9KNUE 60-69 years, male 6186.0
GTEX-ZYFC-0226-SM-5NQ75 50-59 years, male 6185.4
GTEX-145LS-0126-SM-5QGP1 60-69 years, female 6152.1
GTEX-1AX9J-0226-SM-73KXM 60-69 years, male 6143.8
GTEX-NFK9-0226-SM-2HMKQ 40-49 years, male 6130.0
GTEX-139D8-0226-SM-5KLZO 30-39 years, female 6122.1
GTEX-Y8E4-0626-SM-4WWDL 40-49 years, male 6114.7
GTEX-13OVK-2026-SM-7KUEO 40-49 years, male 6106.7
GTEX-1LGOU-2026-SM-DIPFF 20-29 years, female 6086.5
GTEX-Y5V5-2326-SM-4V6GA 60-69 years, female 6074.3
GTEX-1QP66-1726-SM-E8VO1 50-59 years, male 6074.3
GTEX-X8HC-0126-SM-4E3JW 50-59 years, female 6070.4
GTEX-1GN2E-0426-SM-9MQKX 60-69 years, male 6065.5
GTEX-15SHU-0126-SM-7KUEH 40-49 years, female 6064.3
GTEX-1212Z-2526-SM-5EGKP 60-69 years, male 6055.7
GTEX-1LBAC-0126-SM-DIPEZ 20-29 years, male 6030.8
GTEX-X4EP-0126-SM-3P5YV 60-69 years, female 6026.9
GTEX-1CAMQ-0226-SM-7IGPK 40-49 years, male 6020.9
GTEX-1E2YA-0126-SM-9KNUC 50-59 years, male 6008.5
GTEX-1I1GT-0626-SM-CGQER 60-69 years, female 5992.3
GTEX-13FHP-0126-SM-5IJBG 50-59 years, male 5991.6
GTEX-YFC4-0126-SM-5CVLY 40-49 years, female 5985.7
GTEX-1CB4E-2226-SM-793DC 60-69 years, male 5985.6
GTEX-1C475-1826-SM-73KWA 40-49 years, female 5979.7
GTEX-ZTSS-1926-SM-57WEW 40-49 years, male 5969.7
GTEX-1HGF4-2426-SM-ACKXM 60-69 years, male 5959.3
GTEX-14PHX-2326-SM-62LEM 50-59 years, male 5953.7
GTEX-1HSKV-0226-SM-A9SKJ 60-69 years, male 5940.5
GTEX-146FQ-0126-SM-5NQA9 30-39 years, male 5928.3
GTEX-13NZ8-0826-SM-5MR3I 60-69 years, female 5922.1
GTEX-13JUV-2726-SM-5LZZ8 40-49 years, female 5917.0
GTEX-ZAJG-0126-SM-5HL94 50-59 years, female 5912.1
GTEX-1JJEA-0326-SM-CNPOT 60-69 years, male 5911.7
GTEX-1KD4Q-0226-SM-E9TJ9 40-49 years, male 5910.4
GTEX-1IL2U-0226-SM-CE6T8 60-69 years, male 5887.7
GTEX-Z93T-0126-SM-5HL5N 50-59 years, male 5883.9
GTEX-ZDTT-2726-SM-4WKF8 60-69 years, male 5882.4
GTEX-1QCLY-0326-SM-E8VOG 30-39 years, male 5882.1
GTEX-ZAK1-0126-SM-5IJD3 50-59 years, female 5867.2
GTEX-OIZG-0726-SM-33HBL 50-59 years, male 5851.7
GTEX-1C64N-0126-SM-793D7 50-59 years, male 5851.4
GTEX-1KWVE-1426-SM-E9TJO 30-39 years, male 5836.6
GTEX-1IDJH-0326-SM-A9SLQ 70-79 years, male 5832.7
GTEX-T2IS-0126-SM-4DM6O 20-29 years, female 5828.0
GTEX-ZE9C-2726-SM-57WB5 60-69 years, male 5820.5
GTEX-RVPV-0126-SM-EAZAW 60-69 years, male 5785.3
GTEX-1LGRB-2526-SM-CNPPQ 50-59 years, female 5770.4
GTEX-X4XX-0126-SM-3NMC2 60-69 years, male 5759.7
GTEX-Y111-0126-SM-4SOIV 50-59 years, male 5758.6
GTEX-1JMPZ-0226-SM-CNPP1 30-39 years, male 5747.2
GTEX-1GF9W-0326-SM-9KNUN 60-69 years, male 5733.9
GTEX-1QMI2-0226-SM-EVYBX 60-69 years, male 5728.4
GTEX-1H1DG-0126-SM-9WYU2 70-79 years, male 5723.0
GTEX-1L5NE-2526-SM-E6CIE 50-59 years, male 5718.1
GTEX-15F5U-1526-SM-6PANO 40-49 years, male 5697.4
GTEX-18QFQ-0126-SM-731BE 30-39 years, male 5690.2
GTEX-TKQ1-1026-SM-4GICL 30-39 years, male 5690.2
GTEX-1GZHY-0326-SM-9QEHI 50-59 years, female 5690.2
GTEX-Y5V6-2426-SM-4VDSB 60-69 years, male 5679.0
GTEX-13X6J-0126-SM-5QGOU 50-59 years, male 5671.6
GTEX-U8XE-0326-SM-3DB8P 30-39 years, male 5671.0
GTEX-14PJ6-2126-SM-6EU1V 60-69 years, female 5668.1
GTEX-1GMR3-1926-SM-9KNUZ 40-49 years, male 5668.0
GTEX-ZVZO-0126-SM-5A5L9 40-49 years, male 5663.3
GTEX-12126-0326-SM-5PNW3 20-29 years, male 5640.4
GTEX-16GPK-0126-SM-7DHLE 60-69 years, male 5623.0
GTEX-1HBPM-0226-SM-ARL9F 60-69 years, female 5589.1
GTEX-13PVR-2326-SM-5QGR1 60-69 years, female 5575.4
GTEX-1IKK5-0626-SM-ARL8A 60-69 years, male 5568.8
GTEX-S32W-2126-SM-2XCB1 50-59 years, female 5560.9
GTEX-S7SE-0126-SM-2XCD5 50-59 years, male 5559.5
GTEX-1GN1U-0126-SM-7PBZK 50-59 years, female 5558.3
GTEX-1RDX4-0126-SM-E9J4P 50-59 years, female 5542.6
GTEX-1NV5F-0226-SM-E8VNY 60-69 years, female 5537.5
GTEX-17HG3-2226-SM-7938L 30-39 years, female 5520.8
GTEX-1HBPI-1526-SM-C1YQ1 50-59 years, male 5514.9
GTEX-12696-2426-SM-5EQ6H 60-69 years, male 5511.0
GTEX-1HT8W-0126-SM-CNPPP 30-39 years, male 5498.7
GTEX-131XF-5016-SM-7MGWE 60-69 years, male 5470.6
GTEX-1H3VE-0326-SM-9YFLH 40-49 years, male 5436.6
GTEX-1PIGE-0126-SM-EVYBJ 20-29 years, male 5426.4
GTEX-1C4CL-0526-SM-73KVK 30-39 years, male 5416.2
GTEX-RNOR-0126-SM-E9J4R 50-59 years, female 5403.4
GTEX-12WSJ-1826-SM-5GCNY 40-49 years, female 5402.8
GTEX-14PJM-0226-SM-62LF1 50-59 years, female 5385.8
GTEX-1HCU6-0126-SM-CL54K 60-69 years, female 5379.5
GTEX-14E6D-0126-SM-62LDV 50-59 years, male 5379.4
GTEX-14ICK-0226-SM-6EU25 40-49 years, male 5364.7
GTEX-13OW6-0426-SM-5L3HM 50-59 years, male 5361.3
GTEX-15UF6-0826-SM-6PALJ 70-79 years, female 5360.2
GTEX-1J8JJ-0226-SM-CL53I 60-69 years, female 5352.5
GTEX-13O21-1426-SM-5K7XI 50-59 years, male 5346.4
GTEX-1JMQK-0226-SM-CL543 60-69 years, male 5342.7
GTEX-1R7EU-0226-SM-EVR4G 60-69 years, male 5340.0
GTEX-17F96-1626-SM-7DUFL 70-79 years, male 5307.1
GTEX-133LE-1826-SM-5J1MV 20-29 years, female 5304.1
GTEX-1CB4F-0426-SM-9KNV4 60-69 years, male 5302.9
GTEX-18D9U-0226-SM-718BP 40-49 years, male 5300.6
GTEX-X5EB-2226-SM-46MW4 40-49 years, male 5278.6
GTEX-ZVT4-0126-SM-DTXFN 50-59 years, female 5274.6
GTEX-14A5I-0126-SM-5TDEA 50-59 years, female 5261.4
GTEX-11GSO-2426-SM-5A5LY 60-69 years, male 5256.9
GTEX-11EQ9-2426-SM-5HL5T 30-39 years, male 5247.4
GTEX-14LZ3-0226-SM-62LET 60-69 years, female 5223.3
GTEX-TMZS-0126-SM-3DB9Q 60-69 years, male 5221.5
GTEX-1B97I-1626-SM-73KYO 40-49 years, male 5219.1
GTEX-13PDP-0126-SM-5L3HD 60-69 years, male 5216.4
GTEX-QESD-1426-SM-2S1R9 20-29 years, male 5210.6
GTEX-1CB4H-0226-SM-7PBXM 60-69 years, female 5186.4
GTEX-169BO-1326-SM-9MQK2 50-59 years, male 5185.4
GTEX-13OW5-0126-SM-DTXFS 60-69 years, male 5183.8
GTEX-13O3P-0126-SM-5KM4S 50-59 years, male 5179.6
GTEX-OHPL-0126-SM-2HMJ7 60-69 years, female 5179.6
GTEX-ZV6S-2326-SM-4YCEY 40-49 years, female 5172.7
GTEX-145MF-0626-SM-5LUAI 50-59 years, male 5162.2
GTEX-XQ3S-1526-SM-4BOOC 20-29 years, male 5160.7
GTEX-17KNJ-2326-SM-7DHLQ 50-59 years, male 5153.9
GTEX-ZU9S-0226-SM-5E441 30-39 years, male 5139.9
GTEX-16NGA-1726-SM-731B4 40-49 years, female 5128.8
GTEX-14BIN-0626-SM-793DP 50-59 years, female 5126.5
GTEX-1HFI6-0226-SM-ADEHZ 40-49 years, male 5116.6
GTEX-1I4MK-2226-SM-ACKWD 50-59 years, female 5111.4
GTEX-1KAFJ-2026-SM-CY8ID 50-59 years, male 5102.5
GTEX-W5WG-1826-SM-4KL2Y 50-59 years, female 5089.8
GTEX-UPJH-0326-SM-3GADU 50-59 years, male 5081.0
GTEX-S95S-1226-SM-4GICG 60-69 years, male 5080.2
GTEX-WFON-2126-SM-3LK7O 40-49 years, male 5077.9
GTEX-1GMRU-0126-SM-9YFLV 50-59 years, male 5069.9
GTEX-X4EO-0326-SM-3P5YO 60-69 years, female 5056.8
GTEX-ZDYS-2026-SM-5HL5L 50-59 years, male 5032.6
GTEX-14BMU-2226-SM-5TDE9 20-29 years, female 5029.4
GTEX-1LSNM-1926-SM-E6CII 50-59 years, male 5026.1
GTEX-1H11D-0226-SM-9WG6Z 40-49 years, male 5021.4
GTEX-145LT-1726-SM-5QGP3 40-49 years, male 5011.4
GTEX-13FTY-0526-SM-5L3EV 40-49 years, female 4995.3
GTEX-WQUQ-0426-SM-3MJFU 60-69 years, male 4993.2
GTEX-T2YK-0526-SM-32QPJ 50-59 years, male 4989.3
GTEX-11UD1-0126-SM-5PNYG 40-49 years, female 4986.9
GTEX-1HCU9-1526-SM-A9SL7 20-29 years, male 4965.0
GTEX-16XZZ-0126-SM-793DV 60-69 years, male 4963.0
GTEX-1R46S-0626-SM-E9J41 60-69 years, female 4950.7
GTEX-13S7M-0126-SM-5SI6A 60-69 years, female 4949.6
GTEX-17F98-0626-SM-79OMX 40-49 years, female 4933.3
GTEX-1MGNQ-0126-SM-EVYCJ 40-49 years, male 4912.2
GTEX-13X6H-2126-SM-7EWD5 50-59 years, female 4903.9
GTEX-1IKJJ-0126-SM-CNPQB 60-69 years, male 4895.6
GTEX-1CB4G-0226-SM-7PC3O 60-69 years, male 4890.2
GTEX-1399T-2826-SM-5KLYZ 60-69 years, male 4876.0
GTEX-13YAN-0326-SM-5O9DF 60-69 years, male 4842.6
GTEX-11DXW-0226-SM-5H122 40-49 years, male 4830.3
GTEX-1MCQQ-0826-SM-DLHC2 60-69 years, male 4826.8
GTEX-1JMQI-2226-SM-CM2SD 50-59 years, male 4820.7
GTEX-1I1GQ-0126-SM-COH3H 50-59 years, male 4804.8
GTEX-1KANA-0726-SM-D3L9I 20-29 years, male 4793.1
GTEX-17HII-0226-SM-7LG4E 50-59 years, male 4792.5
GTEX-13113-5016-SM-7EPIP 60-69 years, female 4782.6
GTEX-1O97I-0326-SM-EYYX7 60-69 years, male 4775.3
GTEX-ZAB4-0226-SM-5N9F5 40-49 years, male 4765.1
GTEX-1RAZA-0126-SM-E6CI3 20-29 years, male 4760.0
GTEX-XYKS-2126-SM-4E3IB 60-69 years, female 4755.2
GTEX-11TUW-2726-SM-E9J4M 60-69 years, male 4735.5
GTEX-11H98-0126-SM-5EGHG 50-59 years, male 4726.4
GTEX-13VXU-0126-SM-5SI9F 50-59 years, male 4724.6
GTEX-Y5LM-1926-SM-5RQJH 40-49 years, female 4713.5
GTEX-1HCU8-0626-SM-A9SM9 60-69 years, female 4704.6
GTEX-12ZZZ-0626-SM-5DUXI 60-69 years, male 4690.3
GTEX-18A7B-0126-SM-7LG64 70-79 years, male 4683.4
GTEX-14PK6-1926-SM-6ETZU 70-79 years, female 4660.5
GTEX-12ZZX-0126-SM-5EGK9 40-49 years, female 4659.3
GTEX-1GZ2Q-0226-SM-7P8TL 40-49 years, male 4654.0
GTEX-13IVO-0126-SM-5J1NG 70-79 years, male 4640.4
GTEX-145LV-2126-SM-5LU8N 50-59 years, male 4639.3
GTEX-1RB15-2126-SM-E9TIM 60-69 years, male 4638.4
GTEX-12ZZY-0226-SM-5LZVE 60-69 years, male 4630.1
GTEX-ZZ64-1726-SM-5GZYB 20-29 years, male 4626.1
GTEX-ZE7O-0126-SM-57WC1 50-59 years, female 4623.9
GTEX-1JN76-0126-SM-CNPPE 20-29 years, female 4621.9
GTEX-13QJ3-0326-SM-5S2RA 50-59 years, male 4591.8
GTEX-13CF3-2426-SM-5IFGX 60-69 years, female 4587.4
GTEX-QEG4-0226-SM-2S1PY 30-39 years, male 4584.2
GTEX-145MI-0526-SM-5O9A8 60-69 years, female 4581.1
GTEX-SIU8-0126-SM-2XCDT 50-59 years, male 4575.0
GTEX-12WSD-0126-SM-59HKN 60-69 years, female 4557.9
GTEX-1HCUA-2426-SM-ADEIS 50-59 years, female 4557.1
GTEX-X585-0226-SM-4QAS2 50-59 years, male 4542.4
GTEX-13G51-2526-SM-5LZYK 60-69 years, male 4537.5
GTEX-111VG-2426-SM-5GZXD 60-69 years, male 4522.5
GTEX-11EM3-2426-SM-59861 20-29 years, female 4507.6
GTEX-RM2N-1426-SM-2TF4H 50-59 years, male 4501.4
GTEX-1EX96-1626-SM-7PBXR 50-59 years, male 4467.4
GTEX-16YQH-0126-SM-7DUFJ 30-39 years, male 4463.7
GTEX-15DDE-0126-SM-6LPKH 50-59 years, female 4445.2
GTEX-144GL-0126-SM-5TDE2 50-59 years, male 4443.0
GTEX-14DAR-2026-SM-5S2O3 50-59 years, male 4440.1
GTEX-13112-2826-SM-5DUWH 50-59 years, male 4428.6
GTEX-XUYS-0126-SM-47JWZ 50-59 years, male 4428.4
GTEX-1211K-2026-SM-5EQ4Z 60-69 years, female 4427.5
GTEX-1HR98-0126-SM-B2LWI 60-69 years, male 4422.5
GTEX-QV44-1926-SM-2S1RF 50-59 years, male 4405.5
GTEX-1497J-2426-SM-7IGNX 60-69 years, male 4381.9
GTEX-17EUY-0426-SM-793BD 20-29 years, male 4376.8
GTEX-13OW8-1326-SM-5J1OW 60-69 years, male 4376.5
GTEX-1HBPN-0226-SM-9YFM1 50-59 years, male 4349.6
GTEX-RU72-0926-SM-2TF6B 50-59 years, female 4342.9
GTEX-139TU-0126-SM-5K7WH 60-69 years, male 4334.0
GTEX-1CAMR-1926-SM-7EPI2 20-29 years, male 4329.9
GTEX-1ICG6-2526-SM-CGQFZ 70-79 years, female 4329.7
GTEX-WRHK-1426-SM-3MJF9 20-29 years, female 4329.6
GTEX-SNMC-1226-SM-2XCFP 20-29 years, male 4324.6
GTEX-1F75B-0126-SM-9KNVL 50-59 years, male 4316.9
GTEX-QVJO-1626-SM-2S1QW 60-69 years, female 4316.4
GTEX-ZYY3-0126-SM-5GZY5 60-69 years, female 4316.2
GTEX-12WSA-0226-SM-5BC5V 60-69 years, male 4314.6
GTEX-12WSG-2826-SM-E9J4H 50-59 years, female 4314.2
GTEX-13O3O-0126-SM-E9J49 60-69 years, female 4311.4
GTEX-18A7A-0226-SM-718BH 50-59 years, female 4308.4
GTEX-11EI6-0126-SM-5985R 60-69 years, male 4297.5
GTEX-12WSC-0126-SM-5EQ4P 50-59 years, male 4293.8
GTEX-ZF29-2326-SM-DO92K 60-69 years, female 4283.4
GTEX-11VI4-1726-SM-5CVLH 40-49 years, female 4267.9
GTEX-14BMV-0126-SM-5S2PO 50-59 years, male 4237.6
GTEX-1H2FU-0126-SM-9WYSI 60-69 years, female 4236.3
GTEX-13SLX-0526-SM-5S2ON 50-59 years, female 4228.6
GTEX-15EU6-0426-SM-6PAN5 50-59 years, male 4227.0
GTEX-13RTK-1426-SM-5QGQJ 20-29 years, male 4209.4
GTEX-14A5H-0426-SM-5QGQF 60-69 years, male 4205.9
GTEX-11GSP-2526-SM-5N9BP 60-69 years, female 4200.0
GTEX-14XAO-2326-SM-6EU1B 60-69 years, female 4195.5
GTEX-16BQI-0226-SM-7KUEX 30-39 years, female 4190.8
GTEX-RWSA-0126-SM-2XCBB 40-49 years, male 4190.1
GTEX-1HCVE-0126-SM-CGQEU 50-59 years, male 4186.8
GTEX-S7PM-0126-SM-4AD6S 60-69 years, male 4185.4
GTEX-1GZ4H-1726-SM-7PBZJ 50-59 years, female 4183.0
GTEX-WYVS-2126-SM-3NMA3 40-49 years, female 4179.4
GTEX-1B8L1-2526-SM-9WYTF 60-69 years, male 4175.6
GTEX-1HSMP-0126-SM-E6CJS 70-79 years, male 4173.7
GTEX-1128S-2326-SM-5GZZY 60-69 years, female 4167.4
GTEX-1F6I4-0126-SM-9MQL2 60-69 years, male 4162.4
GTEX-1F52S-0126-SM-9MQJU 60-69 years, female 4149.6
GTEX-XAJ8-0826-SM-47JY6 40-49 years, male 4148.7
GTEX-1C6VR-2426-SM-79OLD 60-69 years, male 4146.8
GTEX-T8EM-1026-SM-3DB7M 40-49 years, male 4111.9
GTEX-1LH75-2426-SM-E9TJE 50-59 years, female 4107.5
GTEX-1C6VQ-0126-SM-7P8RI 50-59 years, male 4094.8
GTEX-1PWST-0226-SM-E76QJ 70-79 years, male 4081.1
GTEX-16MT8-0426-SM-7KUEY 60-69 years, female 4076.0
GTEX-ZY6K-1826-SM-5GZXK 50-59 years, male 4066.7
GTEX-XXEK-2226-SM-4BRUM 50-59 years, male 4065.7
GTEX-1IL2V-0126-SM-CM2TX 70-79 years, male 4051.3
GTEX-13D11-2426-SM-5KM1V 50-59 years, female 4045.7
GTEX-PWCY-1826-SM-DHXIZ 20-29 years, female 4034.5
GTEX-1GPI7-0126-SM-9MQL8 20-29 years, male 4025.7
GTEX-18465-0126-SM-731BN 50-59 years, male 4019.7
GTEX-1HCU7-0226-SM-CL545 50-59 years, male 4014.8
GTEX-1HSEH-0126-SM-ACKXN 60-69 years, male 4012.7
GTEX-1B8SG-0126-SM-73KZ3 50-59 years, male 3988.3
GTEX-13FH7-2026-SM-E9J4I 50-59 years, female 3986.9
GTEX-WXYG-2326-SM-4E3I6 50-59 years, female 3969.3
GTEX-1AX9I-0126-SM-7SB74 60-69 years, male 3957.7
GTEX-T5JC-0426-SM-32PLO 20-29 years, male 3956.0
GTEX-1MUQO-0126-SM-EAZ58 60-69 years, male 3939.4
GTEX-ZXG5-0126-SM-5GIEU 60-69 years, male 3938.1
GTEX-1KANB-0526-SM-E6CJH 50-59 years, male 3937.1
GTEX-1IKOH-0226-SM-COH4E 60-69 years, female 3936.9
GTEX-OXRN-0126-SM-48TDM 50-59 years, male 3932.1
GTEX-1GN73-0226-SM-9WG67 60-69 years, male 3931.9
GTEX-18A66-0226-SM-718BD 60-69 years, male 3919.5
GTEX-1A3MX-0126-SM-731BR 60-69 years, male 3916.1
GTEX-13O3Q-2426-SM-5IJBR 50-59 years, male 3915.3
GTEX-113JC-2326-SM-5EQ4E 50-59 years, female 3915.2
GTEX-148VI-1626-SM-5SI6E 60-69 years, female 3914.4
GTEX-1GTWX-0126-SM-9YFLK 60-69 years, male 3913.4
GTEX-PVOW-0126-SM-2XCFA 40-49 years, male 3903.3
GTEX-11OF3-2626-SM-5GU7F 60-69 years, male 3893.4
GTEX-1IDJF-0126-SM-CM2RS 20-29 years, male 3891.8
GTEX-QCQG-1726-SM-3GIJ9 50-59 years, female 3888.0
GTEX-1J8Q2-0526-SM-CM2RW 60-69 years, male 3885.5
GTEX-1GF9X-2026-SM-7PC3A 40-49 years, female 3883.2
GTEX-11P81-2326-SM-59875 30-39 years, female 3881.0
GTEX-Q2AI-1326-SM-2S1PL 40-49 years, male 3866.1
GTEX-15G19-0126-SM-6PANQ 60-69 years, male 3861.0
GTEX-WFG8-2226-SM-3GIL9 20-29 years, male 3849.2
GTEX-15DYW-0126-SM-7KULE 60-69 years, female 3848.9
GTEX-1B933-0126-SM-7PC29 50-59 years, female 3835.6
GTEX-1S82Z-0826-SM-E6CHY 30-39 years, female 3830.5
GTEX-1CAMS-0426-SM-7P8T2 40-49 years, female 3825.1
GTEX-XQ8I-0426-SM-4BOPO 50-59 years, male 3823.3
GTEX-17HHE-2026-SM-79OKF 50-59 years, male 3819.0
GTEX-1E1VI-0126-SM-7DHMZ 50-59 years, male 3815.2
GTEX-11XUK-2026-SM-5EQLF 40-49 years, female 3808.4
GTEX-1B996-0226-SM-7RHGO 60-69 years, male 3807.9
GTEX-11GS4-2726-SM-5A5LE 60-69 years, male 3802.7
GTEX-17F97-0326-SM-7LG5B 50-59 years, male 3796.3
GTEX-X261-0126-SM-3NMD6 50-59 years, male 3793.8
GTEX-1J1R8-1726-SM-ARL8M 40-49 years, male 3779.1
GTEX-1HFI7-1826-SM-ACKXH 50-59 years, female 3773.0
GTEX-XPVG-2626-SM-4B669 50-59 years, male 3770.6
GTEX-R3RS-0126-SM-3GIJL 40-49 years, female 3768.9
GTEX-12584-0126-SM-5EGKQ 40-49 years, male 3766.2
GTEX-11LCK-1026-SM-5A5KB 30-39 years, male 3758.4
GTEX-WH7G-2326-SM-3NMBC 40-49 years, male 3757.0
GTEX-13FTX-1826-SM-5J1NX 20-29 years, female 3736.7
GTEX-11WQK-0526-SM-5EQLD 50-59 years, male 3735.2
GTEX-1N2DW-0226-SM-E9TK2 50-59 years, male 3722.2
GTEX-14C5O-0126-SM-5SI6N 60-69 years, male 3720.7
GTEX-11P7K-2126-SM-5GU7G 30-39 years, male 3709.6
GTEX-1S82Y-2026-SM-EVYCM 40-49 years, male 3698.7
GTEX-YEC4-2126-SM-5IFJH 40-49 years, male 3697.2
GTEX-WY7C-2326-SM-3NB2U 50-59 years, male 3696.1
GTEX-17HHY-0126-SM-7LG5D 50-59 years, male 3687.9
GTEX-11TT1-2526-SM-5EGIB 20-29 years, male 3685.0
GTEX-1I1GR-0126-SM-CL55F 60-69 years, male 3680.0
GTEX-1EN7A-0126-SM-7SB81 40-49 years, male 3679.4
GTEX-1314G-1526-SM-5EGK2 30-39 years, male 3668.1
GTEX-131XG-2626-SM-5KM17 50-59 years, female 3667.9
GTEX-1H3O1-0426-SM-9YFKY 60-69 years, male 3658.9
GTEX-15DCD-0126-SM-7KUEK 70-79 years, female 3655.6
GTEX-13N11-2526-SM-5K7UE 50-59 years, female 3652.7
GTEX-1192X-0226-SM-5H12D 50-59 years, male 3649.6
GTEX-1H23P-0126-SM-ADEJ3 60-69 years, male 3645.4
GTEX-T6MO-1626-SM-32QOM 40-49 years, female 3638.1
GTEX-148VJ-0126-SM-5TDDN 70-79 years, male 3636.9
GTEX-TMMY-0226-SM-33HBA 40-49 years, female 3635.8
GTEX-14JG6-2226-SM-6EU2G 30-39 years, female 3635.3
GTEX-1EU9M-0226-SM-7P8SP 60-69 years, male 3634.9
GTEX-17HGU-0226-SM-7DHKV 50-59 years, male 3625.1
GTEX-12C56-1726-SM-5EQ61 20-29 years, male 3624.0
GTEX-1POEN-0126-SM-EYYXJ 30-39 years, female 3620.3
GTEX-13W46-0226-SM-5SIAG 50-59 years, male 3609.4
GTEX-13RTJ-2426-SM-5S2Q2 60-69 years, male 3604.2
GTEX-1JKYR-0126-SM-CNPOJ 20-29 years, male 3595.7
GTEX-11NSD-2226-SM-5986V 20-29 years, male 3588.8
GTEX-1A32A-0126-SM-718B1 50-59 years, female 3584.6
GTEX-11DXY-2626-SM-5GIE7 60-69 years, male 3578.0
GTEX-1I6K6-0126-SM-A9SLE 30-39 years, male 3566.2
GTEX-ZQG8-1626-SM-DHXIT 60-69 years, female 3564.9
GTEX-NPJ8-0126-SM-2YUNR 40-49 years, male 3562.3
GTEX-XBED-2226-SM-47JYQ 60-69 years, male 3554.8
GTEX-1GL5R-1826-SM-9KNUY 50-59 years, male 3553.6
GTEX-VJYA-1126-SM-3GIJU 60-69 years, male 3552.8
GTEX-16NPX-0226-SM-79OMT 50-59 years, male 3547.7
GTEX-OHPM-0126-SM-2YUN9 50-59 years, male 3534.1
GTEX-117YX-2326-SM-5H12W 50-59 years, male 3528.2
GTEX-117YW-2626-SM-5GZZH 50-59 years, male 3526.8
GTEX-1K2DU-2326-SM-E9TIV 20-29 years, male 3518.8
GTEX-13U4I-0126-SM-5LU38 40-49 years, female 3518.1
GTEX-WVJS-0126-SM-4MVOT 50-59 years, male 3513.4
GTEX-12KS4-0326-SM-5EQ41 30-39 years, male 3509.3
GTEX-QDVJ-1726-SM-2I5FX 50-59 years, male 3506.4
GTEX-13FHO-0226-SM-5IFGY 60-69 years, male 3506.0
GTEX-1N2EF-0226-SM-EYYXB 60-69 years, male 3502.6
GTEX-1IDJU-2626-SM-CM2RT 60-69 years, female 3501.9
GTEX-1R7EV-2426-SM-EVYBG 40-49 years, male 3489.0
GTEX-ZVT3-0126-SM-5GU6I 60-69 years, female 3487.2
GTEX-PWO3-1526-SM-48TCM 60-69 years, female 3483.9
GTEX-14LLW-0126-SM-6LLIO 70-79 years, female 3481.3
GTEX-1RQEC-0426-SM-E6CHU 60-69 years, male 3481.3
GTEX-XUW1-0426-SM-4BOOT 50-59 years, female 3480.4
GTEX-1F6IF-0726-SM-7P8TW 60-69 years, male 3474.8
GTEX-13OVJ-0126-SM-5KM36 50-59 years, female 3468.1
GTEX-131XW-0426-SM-5LZWP 50-59 years, female 3466.0
GTEX-1ICLY-0126-SM-D4P36 50-59 years, male 3462.5
GTEX-144FL-0126-SM-5TDC8 50-59 years, male 3459.8
GTEX-1I1CD-0126-SM-CM2TK 60-69 years, female 3451.2
GTEX-145LU-0126-SM-5TDCB 50-59 years, male 3443.2
GTEX-Q2AH-1626-SM-3GAF8 40-49 years, male 3434.2
GTEX-11ZVC-2526-SM-5FQTE 50-59 years, female 3432.1
GTEX-1HSMQ-1226-SM-CGQFX 50-59 years, male 3412.3
GTEX-13NYC-0326-SM-E9J4S 60-69 years, male 3410.5
GTEX-11DXX-2426-SM-5GZZW 60-69 years, female 3381.7
GTEX-11DZ1-0126-SM-5985Q 50-59 years, male 3381.0
GTEX-OXRP-0126-SM-3NB32 60-69 years, female 3376.4
GTEX-17MFQ-1726-SM-793C7 20-29 years, male 3371.7
GTEX-13OVL-0226-SM-5L3E9 50-59 years, male 3369.9
GTEX-1H1ZS-0426-SM-9WG6G 70-79 years, male 3353.7
GTEX-TSE9-0126-SM-3DB83 60-69 years, female 3325.0
GTEX-ZEX8-2426-SM-4WKG4 50-59 years, male 3324.5
GTEX-PW2O-1526-SM-7RHHB 20-29 years, male 3314.0
GTEX-VJWN-0126-SM-3GIK7 50-59 years, female 3293.7
GTEX-OXRK-0226-SM-3NB2G 50-59 years, female 3287.2
GTEX-ZAB5-1826-SM-5HL7C 50-59 years, male 3287.1
GTEX-14DAQ-0126-SM-5S2MQ 60-69 years, female 3274.7
GTEX-WZTO-0126-SM-3NM95 40-49 years, male 3272.8
GTEX-RWS6-2026-SM-2XCB5 60-69 years, female 3249.0
GTEX-1HB9E-0226-SM-E9U4R 50-59 years, male 3245.5
GTEX-1I1GS-0126-SM-B2LVW 60-69 years, male 3239.6
GTEX-Z9EW-1626-SM-5CVMN 40-49 years, male 3226.4
GTEX-1A3MV-1926-SM-718BT 30-39 years, male 3224.4
GTEX-147GR-0526-SM-5S2MY 60-69 years, male 3223.2
GTEX-1H1DE-2126-SM-9WG6R 20-29 years, male 3222.0
GTEX-Y3I4-2126-SM-4TT7C 50-59 years, male 3206.1
GTEX-1H3VY-0126-SM-ACKXD 50-59 years, male 3203.2
GTEX-SJXC-0126-SM-2XCFF 60-69 years, male 3200.2
GTEX-13NZA-0226-SM-5K7Z7 60-69 years, male 3187.3
GTEX-13N2G-2626-SM-5J1OT 60-69 years, male 3177.9
GTEX-13NYS-0126-SM-5MR3W 60-69 years, male 3158.3
GTEX-Y8LW-1826-SM-5S2MV 50-59 years, female 3142.9
GTEX-1LG7Y-0526-SM-DKPQC 50-59 years, male 3120.3
GTEX-1GMR8-0126-SM-9WYTM 50-59 years, female 3119.5
GTEX-12WSL-2526-SM-5GCNJ 50-59 years, male 3118.6
GTEX-18A67-0126-SM-7LG5P 50-59 years, male 3116.6
GTEX-1A8FM-0226-SM-7SB7Q 50-59 years, female 3094.8
GTEX-1F75A-0126-SM-7RHGM 50-59 years, male 3090.7
GTEX-1GF9U-2126-SM-7SB7L 40-49 years, female 3086.9
GTEX-15CHC-2126-SM-6EU21 60-69 years, female 3074.3
GTEX-R55G-2526-SM-2TC6D 40-49 years, female 3062.3
GTEX-XV7Q-2526-SM-4BRV9 40-49 years, female 3059.9
GTEX-1AMFI-2026-SM-731BH 50-59 years, female 3021.3
GTEX-13O1R-0126-SM-5L3EH 60-69 years, male 3019.8
GTEX-17EVQ-0226-SM-7LG4P 70-79 years, male 3015.3
GTEX-14PN3-2426-SM-6LLHS 60-69 years, female 3014.4
GTEX-VUSG-2526-SM-4KL1V 50-59 years, male 3014.0
GTEX-1IGQW-0126-SM-COH42 60-69 years, male 3013.7
GTEX-14E6E-1826-SM-5S2R7 30-39 years, male 3004.5
GTEX-ZC5H-0226-SM-4WAY9 40-49 years, female 3003.6
GTEX-13OVI-1426-SM-5L3EY 60-69 years, female 3002.5
GTEX-14PJ3-1826-SM-62LEX 50-59 years, male 2993.3
GTEX-1F88F-2726-SM-7PBZZ 60-69 years, female 2973.9
GTEX-1F7RK-0126-SM-7PC2S 20-29 years, female 2971.8
GTEX-P44H-0226-SM-2XCEU 40-49 years, male 2968.3
GTEX-1C2JI-1826-SM-73KXC 50-59 years, male 2966.2
GTEX-11OC5-0126-SM-5HL6A 60-69 years, male 2964.3
GTEX-1MCYP-1926-SM-E9J2R 20-29 years, female 2963.2
GTEX-1QP29-0626-SM-EWRMX 50-59 years, male 2962.9
GTEX-OXRO-0126-SM-2YUN4 60-69 years, female 2954.5
GTEX-YJ8A-0426-SM-5IFID 20-29 years, male 2947.4
GTEX-1I1GP-2226-SM-CGQFK 50-59 years, male 2933.1
GTEX-1KD5A-0226-SM-D5OV3 50-59 years, male 2933.0
GTEX-ZVE2-0226-SM-59HJB 50-59 years, male 2909.3
GTEX-139TT-0126-SM-5K7Y5 60-69 years, male 2902.1
GTEX-139T8-0126-SM-5K7XZ 60-69 years, male 2901.5
GTEX-17MF6-0126-SM-7LG4F 40-49 years, male 2892.6
GTEX-U3ZH-2026-SM-3DB78 30-39 years, male 2886.4
GTEX-PLZ5-2026-SM-2S1O4 50-59 years, male 2872.9
GTEX-1CB4J-0626-SM-7DHMP 60-69 years, male 2872.8
GTEX-11WQC-2526-SM-5CVLE 60-69 years, male 2872.1
GTEX-16AAH-1726-SM-7939C 50-59 years, male 2866.4
GTEX-18D9B-0526-SM-7LTAS 60-69 years, male 2862.5
GTEX-U3ZM-1526-SM-3DB9D 40-49 years, male 2858.8
GTEX-R45C-0126-SM-EAZ2R 60-69 years, female 2849.7
GTEX-1C64O-0126-SM-7SB8P 60-69 years, male 2824.5
GTEX-U3ZN-2326-SM-3DB7W 30-39 years, female 2817.3
GTEX-OOBK-0126-SM-2YUND 40-49 years, male 2808.9
GTEX-1B8KZ-2026-SM-7DHMB 50-59 years, male 2793.3
GTEX-P4PQ-0126-SM-2S1NM 60-69 years, male 2792.8
GTEX-1JK1U-2026-SM-CM2RZ 60-69 years, male 2770.5
GTEX-15SDE-2226-SM-7IGLO 50-59 years, female 2769.8
GTEX-1192W-2626-SM-5Q5AF 60-69 years, male 2753.3
GTEX-147F4-0226-SM-5QGPW 50-59 years, male 2743.5
GTEX-1K9T9-0126-SM-EVYCF 50-59 years, female 2738.5
GTEX-1QEPI-0126-SM-EWRMQ 60-69 years, female 2738.1
GTEX-15D1Q-0126-SM-7KUG6 40-49 years, male 2719.9
GTEX-13N1W-0126-SM-5K7VT 70-79 years, male 2705.6
GTEX-1HSMO-0126-SM-CL547 60-69 years, male 2701.1
GTEX-ZDXO-3026-SM-5J1N5 60-69 years, male 2692.4
GTEX-1ICLZ-0126-SM-CKZPO 60-69 years, male 2678.7
GTEX-14E7W-0126-SM-6LLJ9 70-79 years, male 2674.2
GTEX-183FY-0126-SM-7LT9P 20-29 years, male 2669.2
GTEX-1IDFM-0126-SM-COH2V 60-69 years, male 2662.8
GTEX-13OVG-1926-SM-5L3DK 60-69 years, male 2659.5
GTEX-13RTL-0126-SM-7LG5S 40-49 years, male 2633.4
GTEX-QLQ7-1626-SM-2S1R8 60-69 years, male 2629.8
GTEX-1GN1V-0126-SM-9WPOS 60-69 years, male 2611.8
GTEX-QDVN-2026-SM-3GAEP 50-59 years, male 2604.0
GTEX-11O72-0126-SM-59887 40-49 years, male 2602.4
GTEX-183WM-0126-SM-7LTAB 70-79 years, female 2594.2
GTEX-11P82-1626-SM-59879 20-29 years, male 2588.4
GTEX-ZTPG-0326-SM-5O9AX 20-29 years, female 2585.6
GTEX-1IY9M-0126-SM-D3L8S 60-69 years, male 2577.8
GTEX-1H3NZ-0126-SM-ACKX7 60-69 years, male 2528.4
GTEX-146FH-0126-SM-5QGPP 50-59 years, female 2520.8
GTEX-1JJE9-0326-SM-CL53Z 70-79 years, male 2520.2
GTEX-Q2AG-0126-SM-33HBV 40-49 years, female 2511.8
GTEX-XMD2-0126-SM-4YCDU 60-69 years, female 2500.7
GTEX-1C6VS-0526-SM-7DUEN 60-69 years, male 2490.8
GTEX-11ZU8-2526-SM-5EQKI 60-69 years, male 2469.8
GTEX-13X6I-0626-SM-5QGP9 60-69 years, male 2467.2
GTEX-11EMC-2926-SM-5EQ4F 60-69 years, female 2460.0
GTEX-1F5PK-2426-SM-7RHHY 50-59 years, male 2451.2
GTEX-X638-0126-SM-47JZ8 70-79 years, female 2417.5
GTEX-1J8Q3-1626-SM-CMKGC 60-69 years, male 2405.7
GTEX-PLZ4-0126-SM-5SI8O 50-59 years, female 2404.1
GTEX-SSA3-0126-SM-32QPU 60-69 years, male 2348.1
GTEX-OIZF-0126-SM-7SB8I 60-69 years, male 2334.5
GTEX-1EKGG-0226-SM-9WYTH 60-69 years, male 2320.6
GTEX-15SHW-0326-SM-6PAML 60-69 years, male 2314.5
GTEX-QLQW-1126-SM-2S1Q8 30-39 years, male 2281.0
GTEX-ZQUD-1426-SM-57WER 30-39 years, male 2277.4
GTEX-1M4P7-0226-SM-DIPEV 60-69 years, male 2274.5
GTEX-QDT8-0126-SM-48TZ1 30-39 years, female 2262.8
GTEX-1MA7X-2226-SM-E6CIY 60-69 years, male 2261.1
GTEX-14ABY-0226-SM-5TDCQ 50-59 years, male 2253.7
GTEX-ZYW4-0126-SM-5E44A 60-69 years, male 2240.1
GTEX-WOFL-0126-SM-3MJG2 60-69 years, male 2211.9
GTEX-1C6WA-0126-SM-7PC2B 60-69 years, male 2196.1
GTEX-13OW7-0126-SM-5MR3B 50-59 years, male 2185.8
GTEX-1NHNU-1026-SM-E9J2A 50-59 years, male 2173.1
GTEX-ZF28-0126-SM-4WKGK 60-69 years, male 2146.7
GTEX-1AX8Z-0126-SM-7DHM6 60-69 years, male 2145.1
GTEX-11NUK-0126-SM-5A5L3 50-59 years, male 2143.0
GTEX-1QP2A-0126-SM-E9J43 50-59 years, male 2141.7
GTEX-147F3-0526-SM-5SI98 50-59 years, female 2117.2
GTEX-11ZTT-2426-SM-5EQLS 60-69 years, female 2105.3
GTEX-1HKZK-0326-SM-9WYUH 40-49 years, male 2099.4
GTEX-1GPI6-0126-SM-9WG69 60-69 years, male 2093.4
GTEX-1JKYN-1326-SM-CGQG9 30-39 years, male 2071.2
GTEX-1N2DV-0226-SM-E6CJ6 40-49 years, male 2029.4
GTEX-13W3W-2426-SM-5LU5B 60-69 years, female 2015.1
GTEX-12WSN-5019-SM-79OM6 40-49 years, male 2004.3
GTEX-1AMEY-1326-SM-73KYK 30-39 years, female 1971.4
GTEX-1I1HK-0126-SM-COH49 60-69 years, male 1955.9
GTEX-R55E-0126-SM-2TC5Y 20-29 years, male 1945.1
GTEX-1I1GU-2226-SM-CGQFA 40-49 years, male 1921.7
GTEX-14PHW-0126-SM-6LLJI 60-69 years, female 1895.5
GTEX-1I19N-0326-SM-ACKVX 70-79 years, male 1891.4
GTEX-1LC47-0326-SM-E9TJP 60-69 years, male 1888.9
GTEX-1F48J-0126-SM-7P8TT 50-59 years, female 1859.3
GTEX-RUSQ-1526-SM-2TF62 50-59 years, male 1853.4
GTEX-V1D1-2226-SM-3NMAX 50-59 years, male 1825.4
GTEX-1AYCT-2426-SM-7IGQ3 50-59 years, male 1812.2
GTEX-1JMOU-1526-SM-CL54I 60-69 years, female 1798.3
GTEX-1AX9K-2326-SM-73KWU 50-59 years, male 1770.7
GTEX-RN64-0126-SM-2TC68 50-59 years, male 1757.4
GTEX-1PPH7-2326-SM-EVYB8 40-49 years, male 1750.2
GTEX-1H1E6-1726-SM-ACKVK 30-39 years, male 1748.0
GTEX-14BIL-0126-SM-5SI92 50-59 years, male 1728.9
GTEX-1AYD5-2426-SM-73KXR 50-59 years, male 1726.4
GTEX-11TTK-0126-SM-5987B 60-69 years, female 1722.0
GTEX-15UKP-0426-SM-7KUFQ 20-29 years, male 1720.2
GTEX-13VXT-0126-SM-5LU4I 20-29 years, female 1716.5
GTEX-144GN-2326-SM-5LU4F 50-59 years, male 1699.5
GTEX-ZZPT-0226-SM-5E43X 50-59 years, male 1698.7
GTEX-14BIM-0226-SM-7IGLD 60-69 years, female 1666.6
GTEX-1LNCM-1126-SM-E9U5E 50-59 years, female 1590.9
GTEX-14A6H-0126-SM-5QGPK 30-39 years, male 1583.2
GTEX-1A3MW-0126-SM-73KXX 60-69 years, female 1569.3
GTEX-1IE54-0126-SM-CMKHW 40-49 years, female 1521.5
GTEX-Q734-1926-SM-2I5EV 40-49 years, female 1511.2
GTEX-1R9K4-0126-SM-DTX9X 60-69 years, male 1492.2
GTEX-OXRL-0126-SM-2YUMP 50-59 years, male 1485.9
GTEX-1GN1W-0526-SM-9MQJQ 50-59 years, female 1484.0
GTEX-ZUA1-0126-SM-5GU76 40-49 years, male 1479.4
GTEX-16XZY-2126-SM-79OK1 70-79 years, male 1462.6
GTEX-X4XY-0226-SM-4E3IZ 60-69 years, male 1442.7
GTEX-1OJC4-0126-SM-E9J2E 50-59 years, female 1387.1
GTEX-15EOM-0126-SM-7KUGG 20-29 years, female 1162.7
GTEX-1HUB1-0426-SM-E9U4U 60-69 years, male 1042.1
GTEX-1RLM8-2326-SM-EWRN4 50-59 years, male 1010.3
GTEX-113IC-0126-SM-5HL6T 60-69 years, male 899.1
GTEX-SE5C-1626-SM-2XCE3 40-49 years, female 871.5
GTEX-1PBJI-0526-SM-E8VNK 20-29 years, female 803.5
GTEX-139T4-0226-SM-5HL5S 50-59 years, female 657.2
GTEX-X62O-0126-SM-4E3JN 50-59 years, male 613.6
GTEX-1F75I-0326-SM-9YFLU 40-49 years, male 563.3
GTEX-1R9PO-2126-SM-E9J4O 60-69 years, female 270.5
GTEX-1QP67-1626-SM-EAZ3X 40-49 years, female 113.4
GTEX-U4B1-1826-SM-4DXSU 40-49 years, male 71.5
GTEX-11ZUS-0626-SM-59885 30-39 years, male 61.4
GTEX-1QW4Y-1526-SM-EAZ3Z 30-39 years, male 36.0
GTEX-1HBPH-0426-SM-B2LW5 40-49 years, female 32.4
GTEX-1RAZQ-0726-SM-EAZ43 30-39 years, male 30.8
GTEX-14JIY-0126-SM-6LLH6 60-69 years, male 29.6
GTEX-146FR-1326-SM-E9J48 60-69 years, female 20.1
Show allShow less

Contact

  • NEWS ARTICLES
  • PRESS ROOM

The Project

  • INTRODUCTION
  • ORGANIZATION
  • PUBLICATIONS

The Human Protein Atlas

  • DOWNLOADABLE DATA
  • LICENCE & CITATION
  • HELP & FAQ
The Human Protein Atlas project is funded
by the Knut & Alice Wallenberg Foundation.


contact@proteinatlas.org