We use cookies to enhance the usability of our website. If you continue, we'll assume that you are happy to receive all cookies. More information. Don't show this again.
CLDN1
HPA
RESOURCES
  • TISSUE
  • BRAIN
  • SINGLE CELL
  • SUBCELLULAR
  • CANCER
  • BLOOD
  • CELL LINE
  • STRUCTURE & INTERACTION
ABOUT
  • INTRODUCTION
  • HISTORY
  • ORGANIZATION
  • PUBLICATIONS
  • ANTIBODY SUBMISSION
  • ANTIBODY AVAILABILITY
  • ACKNOWLEDGMENTS
  • CONTACT
NEWS
  • NEWS ARTICLES
  • PRESS ROOM
LEARN
  • DICTIONARY
  • PROTEIN CLASSES
  • PROTEIN EVIDENCE
  • METHODS
  • EDUCATIONAL VIDEOS
DATA
  • DOWNLOADABLE DATA
  • PUBLICATION DATA
  • RELEASE HISTORY
HELP
  • ANTIBODY VALIDATION
  • ASSAYS & ANNOTATION
  • DISCLAIMER
  • HELP & FAQ
  • PRIVACY STATEMENT
  • LICENCE & CITATION
Fields »
Search result

Field
Term
Gene name
Class
Subclass
Class
Keyword
Chromosome
External id
Tissue
Cell type
Expression
Antibody panel
Tissue
Main location
Patient ID
Annotation
Tissue
Category
Tau score
Cluster
Reliability
Brain region
Category
Tau score
Brain region
Category
Tau score
Brain region
Category
Tau score
Cluster
Reliability
Tissue
Cell type
Enrichment
Cell type
Category
Tau score
Cell type
Category
Tau score
Cell type
Category
Tau score
Cell lineage
Category
Tau score
Cluster
Cluster
Location
Searches
Location
Cell line
Class
Type
Phase
Reliability
Cancer
Prognosis
Cancer
Category
Cancer
Category
Tau score
Cluster
Variants
Interacting gene (ensg_id)
Type
Number of interactions
Pathway
Category
Score
Score
Score
Validation
Validation
Validation
Validation
Antibodies
Data type
Column


  • SUMMARY

  • TISSUE

  • BRAIN

  • SINGLE CELL

  • SUBCELL

  • CANCER

  • BLOOD

  • CELL LINE

  • STRUCT & INT

  • CLDN1
TISSUE PRIMARY DATA SKIN 1 Show tissue menu
ADIPOSE TISSUE ADRENAL GLAND AMYGDALA APPENDIX BASAL GANGLIA BONE MARROW BREAST BRONCHUS CEREBELLUM CEREBRAL CORTEX CERVIX CHOROID PLEXUS COLON DUODENUM
ENDOMETRIUM EPIDIDYMIS ESOPHAGUS FALLOPIAN TUBE GALLBLADDER HEART MUSCLE HIPPOCAMPAL FORMATION HYPOTHALAMUS KIDNEY LIVER LUNG LYMPH NODE MIDBRAIN NASOPHARYNX
ORAL MUCOSA OVARY PANCREAS PARATHYROID GLAND PITUITARY GLAND PLACENTA PROSTATE RECTUM RETINA SALIVARY GLAND SEMINAL VESICLE SKELETAL MUSCLE SKIN SMALL INTESTINE
SMOOTH MUSCLE SOFT TISSUE SPINAL CORD SPLEEN STOMACH TESTIS THYMUS THYROID GLAND TONGUE TONSIL URINARY BLADDER VAGINA
ANTIBODIES
AND
VALIDATION
Dictionary
Skin
Tissue proteome
SKIN - Expression summary
Protein expression
Skini

On the top, protein expression in current human tissue, based on all annotated cell types, is reported with the units not detected (n), low (l), medium (m) and high (h). Underneath, protein expression in each annotated cell type are reported using the same units.

Protein expression data is based on knowledge-based annotation. For genes where more than one antibody has been used, a collective score is set.

If knowledge-based annotation could not be performed for a gene, no data is displayed here. View antibody staining data further down this page.

h
m
l
n
Cells in basal layer: Not detected
Cells in corneal layer: Not detected
Cells in granular layer: High
Cells in spinous layer: High
Endothelial cells: Not detected
Extracellular matrix: Not detected
Fibrohistiocytic cells: High
Hair follicles: High
Langerhans cells: Not detected
Lymphocytes: Not detected
Melanocytes: Not detected
Vascular mural cells: Not detected
RNA expressioni

A summary of mRNA expression data available for current tissue based on several datasets. The mRNA expression levels in human tissues are based on RNA-seq data generated by the Human Protein Atlas (HPA), Genotype-Tissue Expression (GTEx) portal and CAGE data generated by the FANTOM5 consortium. Consensus normalized expression levels for human tissues was created by combining the data from HPA and GTEx datasets.

The mRNA expression levels in pig are based on RNA-seq data generated by the Human Protein Atlas (HPA), and for mouse, HPA data and in situ hybridization generated by the Allen brain atlas are reported.

Scroll down to view mRNA expression data in more detail.
Consensus:279.4 nTPM
HPA:253.4 nTPM
GTEx:279.4 nTPM

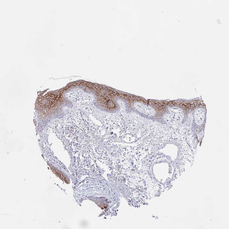
SKIN 1 - Antibody stainingi

Antibody staining in the annotated cell types in the current human tissue is reported as not detected, low, medium, or high, based on conventional immunohistochemistry profiling in selected tissues. This score is based on the combination of the staining intensity and fraction of stained cells.

Each image is clickable and will lead to virtual microscopy that enables deeper exploration of all samples and also displays staining intensity scores, fraction scores and subcellular localization as well as patient and tissue information for each sample.

Antibody HPA048319Antibody CAB002602
Langerhans -High
Cells in basal layer Not detected-
Cells in corneal layer Not detected-
Cells in granular layer High-
Cells in spinous layer High-
Endothelial cells Not detected-
Extracellular matrix Not detected-
Fibroblasts -Not detected
Fibrohistiocytic cells Not detected-
Hair follicles High-
Keratinocytes -High
Langerhans cells Not detected-
Lymphocytes Not detected-
Melanocytes Not detectedHigh
Vascular mural cells Not detected-




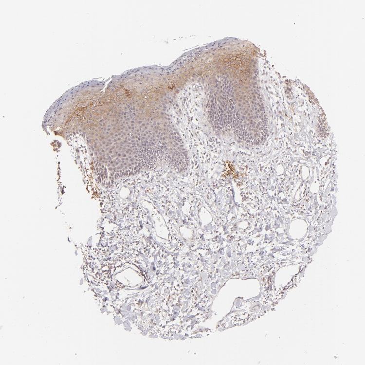
SKIN 2 - Antibody stainingi

Antibody staining in the annotated cell types in the current human tissue is reported as not detected, low, medium, or high, based on conventional immunohistochemistry profiling in selected tissues. This score is based on the combination of the staining intensity and fraction of stained cells.

Each image is clickable and will lead to virtual microscopy that enables deeper exploration of all samples and also displays staining intensity scores, fraction scores and subcellular localization as well as patient and tissue information for each sample.

Antibody HPA048319Antibody CAB002602
Cells in basal layer Not detected-
Cells in corneal layer Not detected-
Cells in granular layer Not detected-
Cells in spinous layer High-
Endothelial cells Not detected-
Epidermal cells -Medium
Extracellular matrix Not detected-
Fibrohistiocytic cells High-
Langerhans cells Not detected-
Lymphocytes Not detected-
Melanocytes Not detected-
Vascular mural cells Not detected-
  
  
  




SKIN - HPA RNA-seqi

The RNA-seq details section shows detailed information about the individual samples used for the transcript profiling and results of the RNA-seq analysis.

Information about each individual sample is listed below, including gender, age, a tissue section image and estimated fractions of cell types. nTPM (normalized transcripts per million) values give a quantification of the gene abundance which is comparable between different genes and samples.
Average nTPMi

Max subtype nTPM is the value for the subtype with the largest average nTPM across the subtype samples.

253.4
overview
Female, age 34
Skin sample 225
nTPM: 298
Cell types%
Keratinocytes:
60

Other cell types:
40

overview
Female, age 30
Skin sample 226
nTPM: 309.1
Cell types%
Keratinocytes:
55

Other cell types:
45

N/A
Male, age 57
Skin sample 227
nTPM: 153.2

SKIN - GTEx RNA-seqi

RNA-Seq data generated by the Genotype-Tissue Expression (GTEx) project from human tissues is reported as mean nTPM. More information can be found on the GTEx portal.

Distribution across the dataset is visualized with box plots, shown as median and 25th and 75th percentiles. Points are displayed as outliers if they are above or below 1.5 times the interquartile range. nTPM values of the individual samples are presented next to the box plot.
Max subtype nTPMi

Max subtype nTPM is the value for the subtype with the largest average nTPM across the subtype samples.

279.4
GTEx sample id Sample description nTPM
Skin - Not Sun Exposed (Suprapubic)
Average nTPM: 279.4
Samples: 604

Max nTPM: 994.5
Min nTPM: 57.2
Std nTPM: 116.4
Median nTPM: 263.3
GTEX-1F6RS-2026-SM-7RHHC 60-69 years, female 994.5
GTEX-13PDP-0726-SM-5L3HP 60-69 years, male 743.5
GTEX-14PJ5-1526-SM-6LLIL 60-69 years, female 725.3
GTEX-1NV5F-0626-SM-DTXEG 60-69 years, female 710.3
GTEX-1IE54-1126-SM-A9G2Z 40-49 years, female 700.9
GTEX-1HBPM-0726-SM-9YFL7 60-69 years, female 697.8
GTEX-13QJC-0126-SM-5ZZWJ 60-69 years, female 682.9
GTEX-13NZ8-1226-SM-5KM4A 60-69 years, female 652.3
GTEX-1399U-1126-SM-5L3DB 50-59 years, female 625.9
GTEX-148VJ-0626-SM-5LUAW 70-79 years, male 580.3
GTEX-1QP2A-1726-SM-E76QC 50-59 years, male 579.9
GTEX-1J8Q2-2626-SM-ACKWQ 60-69 years, male 553.0
GTEX-17F9Y-0126-SM-79OKX 70-79 years, female 551.1
GTEX-1LGRB-0926-SM-COH3K 50-59 years, female 550.4
GTEX-145MI-0626-SM-5SI8S 60-69 years, female 548.4
GTEX-14ICL-1626-SM-5YYAO 30-39 years, male 547.8
GTEX-1HCU7-0726-SM-A9SL1 50-59 years, male 542.4
GTEX-13IVO-0726-SM-5LZYV 70-79 years, male 541.7
GTEX-1LKK1-2626-SM-DKPQE 50-59 years, female 539.9
GTEX-15SKB-2826-SM-6PAMH 60-69 years, male 535.3
GTEX-13OW5-2326-SM-5L3HO 60-69 years, male 527.5
GTEX-1IDFM-0326-SM-ARL7V 60-69 years, male 526.2
GTEX-13O61-1426-SM-5KM3D 60-69 years, male 524.1
GTEX-139UW-0326-SM-5J1ML 60-69 years, male 517.5
GTEX-ZVE1-0726-SM-51MRN 50-59 years, female 512.8
GTEX-WHSB-1326-SM-3LK6W 50-59 years, male 512.4
GTEX-14PJN-1826-SM-6AJ98 30-39 years, male 510.7
GTEX-1AMFI-1326-SM-7939R 50-59 years, female 505.2
GTEX-ZF29-0926-SM-4WKFZ 60-69 years, female 504.1
GTEX-ZVZP-1226-SM-5GID7 50-59 years, male 503.0
GTEX-1GMR8-0626-SM-7RHI7 50-59 years, female 501.5
GTEX-1PBJJ-1026-SM-E76OS 30-39 years, male 499.3
GTEX-1QPFJ-1926-SM-EVYBD 30-39 years, female 496.8
GTEX-14C39-1726-SM-5RQIL 40-49 years, male 488.0
GTEX-1122O-1026-SM-9WYSF 60-69 years, female 479.2
GTEX-Y9LG-1126-SM-4VBQ7 30-39 years, male 476.4
GTEX-139D8-1126-SM-5LU8W 30-39 years, female 471.7
GTEX-1KAFJ-0126-SM-DIPEK 50-59 years, male 470.9
GTEX-1QP28-1126-SM-EVYC4 50-59 years, female 468.9
GTEX-1PDJ9-1226-SM-EXUSX 20-29 years, male 459.2
GTEX-1HSMQ-2626-SM-A9SML 50-59 years, male 456.8
GTEX-1F5PK-2226-SM-7SB6N 50-59 years, male 451.5
GTEX-1H3VE-0726-SM-9YFL5 40-49 years, male 449.9
GTEX-1I1GT-1026-SM-ARZLV 60-69 years, female 449.7
GTEX-14PJ6-2626-SM-6EU2T 60-69 years, female 448.1
GTEX-12WSK-2126-SM-5CVNC 40-49 years, female 446.1
GTEX-1R46S-2426-SM-E76QA 60-69 years, female 445.9
GTEX-XAJ8-1426-SM-47JYM 40-49 years, male 445.5
GTEX-ZPCL-1126-SM-4WWFE 60-69 years, female 445.4
GTEX-ZVT2-0126-SM-5GIDQ 50-59 years, female 445.0
GTEX-13PL6-1126-SM-5L3IE 40-49 years, female 441.3
GTEX-1HGF4-0126-SM-CNPPX 60-69 years, male 441.0
GTEX-14PII-0726-SM-6EU2B 60-69 years, male 437.8
GTEX-17F98-1326-SM-7DUEP 40-49 years, female 437.7
GTEX-15DDE-2926-SM-6LLJ3 50-59 years, female 435.6
GTEX-13SLW-0626-SM-5Q5ER 70-79 years, male 434.8
GTEX-1S5ZU-2526-SM-E6CIF 20-29 years, female 434.1
GTEX-1AMEY-0826-SM-72D65 30-39 years, female 433.6
GTEX-13YAN-0226-SM-5TDC6 60-69 years, male 430.1
GTEX-ZWKS-0626-SM-5GIDV 30-39 years, male 426.8
GTEX-1JK1U-0226-SM-ARZMX 60-69 years, male 426.3
GTEX-1K2DU-1226-SM-CYPT4 20-29 years, male 425.3
GTEX-1GZ4H-0526-SM-9KNU9 50-59 years, female 425.1
GTEX-1F5PL-0926-SM-7PC2W 40-49 years, female 422.3
GTEX-1F75I-2226-SM-7SB8U 40-49 years, male 421.3
GTEX-1399S-0126-SM-5IJCF 30-39 years, female 417.6
GTEX-1HR9M-2226-SM-CNPPY 60-69 years, male 417.1
GTEX-1MCYP-0526-SM-E9U6Q 20-29 years, female 414.5
GTEX-XQ8I-0926-SM-4BOOF 50-59 years, male 414.2
GTEX-1J8EW-2726-SM-CY8HR 60-69 years, female 410.9
GTEX-ZVT4-2426-SM-5GIEI 50-59 years, female 410.6
GTEX-1EH9U-2826-SM-7DUGT 60-69 years, male 408.7
GTEX-131XF-2626-SM-5EQ6K 60-69 years, male 407.8
GTEX-1F52S-2926-SM-7MKGA 60-69 years, female 407.2
GTEX-13FTX-1526-SM-5K7VJ 20-29 years, female 406.7
GTEX-YFCO-1226-SM-5LUAT 40-49 years, male 406.0
GTEX-1JJ6O-2726-SM-CNPOG 60-69 years, male 405.6
GTEX-1GN73-0726-SM-7P8TJ 60-69 years, male 405.3
GTEX-1CB4H-1126-SM-7MKGL 60-69 years, female 404.7
GTEX-14PKU-0126-SM-6LLHV 40-49 years, female 404.0
GTEX-133LE-2326-SM-5K7W3 20-29 years, female 402.2
GTEX-14C5O-0326-SM-5ZZUX 60-69 years, male 401.3
GTEX-Y114-2126-SM-4TT8B 50-59 years, female 401.0
GTEX-1A8G7-1326-SM-73KVM 60-69 years, male 398.7
GTEX-1GMR3-0126-SM-A9SLW 40-49 years, male 395.5
GTEX-13D11-0926-SM-5J2NC 50-59 years, female 392.5
GTEX-13OVK-1426-SM-6PAN7 40-49 years, male 391.3
GTEX-13NYS-0626-SM-5L3F1 60-69 years, male 390.0
GTEX-13VXT-1926-SM-5K7UO 20-29 years, female 386.8
GTEX-11EQ8-0926-SM-5H12V 60-69 years, male 386.2
GTEX-1269C-0126-SM-5EQ5L 60-69 years, female 385.9
GTEX-ZLV1-1526-SM-DO91J 60-69 years, female 385.5
GTEX-1LVAN-0626-SM-CNPOQ 50-59 years, female 383.6
GTEX-17HHE-1326-SM-7EWDZ 50-59 years, male 383.4
GTEX-147F3-1726-SM-5SIAW 50-59 years, female 382.9
GTEX-15UF6-1926-SM-7KUDV 70-79 years, female 382.8
GTEX-ZF3C-0626-SM-DO92O 50-59 years, female 381.7
GTEX-14PJ4-0226-SM-5YY92 60-69 years, male 380.2
GTEX-1GN1W-2426-SM-9KNUU 50-59 years, female 379.7
GTEX-15EO6-2426-SM-6PALZ 50-59 years, male 377.0
GTEX-1H2FU-0926-SM-9WPPT 60-69 years, female 375.4
GTEX-ZGAY-1826-SM-DO91Q 40-49 years, female 375.0
GTEX-15RIG-0726-SM-7KUM7 40-49 years, male 374.6
GTEX-1F75B-0726-SM-7PC3R 50-59 years, male 373.7
GTEX-131XG-0326-SM-5L3DX 50-59 years, female 373.5
GTEX-1HSKV-1226-SM-ADEI4 60-69 years, male 373.5
GTEX-14LLW-2626-SM-62LDZ 70-79 years, female 373.4
GTEX-1GN1U-0626-SM-9MQL9 50-59 years, female 373.1
GTEX-13JVG-0726-SM-5KM16 60-69 years, male 372.9
GTEX-16BQI-1326-SM-6M486 30-39 years, female 369.5
GTEX-12WSM-1926-SM-5BC65 60-69 years, male 368.9
GTEX-14753-0726-SM-5QGQO 60-69 years, male 368.8
GTEX-16AAH-0626-SM-793C9 50-59 years, male 368.5
GTEX-1HB9E-0126-SM-CM2S5 50-59 years, male 368.0
GTEX-17MFQ-1526-SM-7KFRR 20-29 years, male 367.2
GTEX-1JMPY-0226-SM-CKZOK 30-39 years, male 367.0
GTEX-18A67-1626-SM-7LT9T 50-59 years, male 366.9
GTEX-1IKJJ-2226-SM-CJI4C 60-69 years, male 366.5
GTEX-1PPH7-1126-SM-DTX9A 40-49 years, male 366.5
GTEX-1211K-1526-SM-5FQU4 60-69 years, female 363.6
GTEX-13X6H-0926-SM-5SIB2 50-59 years, female 363.2
GTEX-139T8-0626-SM-5KLZX 60-69 years, male 362.2
GTEX-XUW1-0926-SM-4BONX 50-59 years, female 362.1
GTEX-ZE7O-2726-SM-51MT5 50-59 years, female 361.6
GTEX-11DXY-0126-SM-5H11Q 60-69 years, male 361.1
GTEX-1A3MV-1826-SM-731CD 30-39 years, male 358.7
GTEX-1HCU6-2526-SM-ADEHL 60-69 years, female 358.1
GTEX-ZYY3-2926-SM-5GIEB 60-69 years, female 356.1
GTEX-1ICLY-0826-SM-CMKG1 50-59 years, male 355.9
GTEX-ZTX8-1326-SM-4YCEL 20-29 years, male 354.7
GTEX-1HFI7-2326-SM-CGQFS 50-59 years, female 354.3
GTEX-144GL-0626-SM-5LU4D 50-59 years, male 353.9
GTEX-1J1OQ-0126-SM-D4P2N 40-49 years, female 353.8
GTEX-1GPI7-1826-SM-9KNU1 20-29 years, male 353.4
GTEX-14B4R-1326-SM-5Q5EZ 30-39 years, male 351.9
GTEX-16XZZ-0726-SM-7KUF2 60-69 years, male 351.4
GTEX-1R7EU-1626-SM-DTXG3 60-69 years, male 351.3
GTEX-XBED-1926-SM-47JYP 60-69 years, male 351.2
GTEX-YECK-0326-SM-4W1YS 60-69 years, male 350.4
GTEX-13O3O-2326-SM-5IJD6 60-69 years, female 350.0
GTEX-1HKZK-0726-SM-ACKW2 40-49 years, male 350.0
GTEX-1KXAM-1626-SM-D3LAD 60-69 years, male 348.4
GTEX-13FLV-0126-SM-5K7WT 50-59 years, male 346.8
GTEX-1RAZQ-1326-SM-E9TK6 30-39 years, male 346.2
GTEX-1JN1M-2726-SM-CY8I4 60-69 years, female 346.0
GTEX-WYBS-0626-SM-3NMAS 60-69 years, female 345.8
GTEX-11P81-2226-SM-5PNYI 30-39 years, female 345.2
GTEX-1H11D-1826-SM-9QEHM 40-49 years, male 344.2
GTEX-1CB4J-1326-SM-7P8RX 60-69 years, male 342.1
GTEX-13PVR-0426-SM-5RQK2 60-69 years, female 341.1
GTEX-1IDJV-0126-SM-COH3Y 60-69 years, male 340.5
GTEX-1GPI6-1926-SM-9KNV7 60-69 years, male 338.8
GTEX-11ZU8-0126-SM-5EQ58 60-69 years, male 337.6
GTEX-WXYG-2026-SM-4E3IY 50-59 years, female 336.3
GTEX-ZXG5-2126-SM-59HKD 60-69 years, male 335.7
GTEX-15ER7-0626-SM-6PANF 20-29 years, female 334.9
GTEX-1C6VR-0126-SM-7RHGB 60-69 years, male 334.8
GTEX-1N2DV-1526-SM-DTXEP 40-49 years, male 334.3
GTEX-15RJE-2826-SM-7KUM9 40-49 years, male 333.6
GTEX-12ZZZ-0726-SM-5GCNZ 60-69 years, male 332.8
GTEX-ZZPU-0826-SM-5GZX5 50-59 years, female 332.3
GTEX-1JMQJ-0826-SM-CNPP7 50-59 years, male 332.2
GTEX-ZC5H-1526-SM-5HL9Y 40-49 years, female 332.1
GTEX-ZP4G-1426-SM-4WWCL 20-29 years, female 331.7
GTEX-1B8KE-1126-SM-7EPHI 50-59 years, male 330.6
GTEX-1IDJU-1726-SM-CMKHU 60-69 years, female 328.5
GTEX-Y3I4-1726-SM-4TT89 50-59 years, male 328.3
GTEX-ZE9C-2526-SM-5IJDR 60-69 years, male 328.1
GTEX-UPJH-0226-SM-3GADV 50-59 years, male 326.4
GTEX-13NYC-0126-SM-5L3F4 60-69 years, male 326.3
GTEX-13RTJ-0126-SM-5S2NN 60-69 years, male 326.2
GTEX-14LZ3-0126-SM-69LPM 60-69 years, female 325.9
GTEX-1GZ4I-2626-SM-9KNU3 50-59 years, male 325.3
GTEX-1313W-0626-SM-5EQ4H 50-59 years, female 324.6
GTEX-13OVH-0526-SM-5L3E6 70-79 years, male 324.1
GTEX-1PPH8-0126-SM-EWRN8 20-29 years, male 323.7
GTEX-1HSGN-0826-SM-ACKW3 40-49 years, female 323.6
GTEX-1S83E-1326-SM-E6CJM 40-49 years, male 321.3
GTEX-145MH-2826-SM-5RQJF 50-59 years, male 320.8
GTEX-1HBPN-0126-SM-CGQEF 50-59 years, male 320.7
GTEX-17KNJ-2126-SM-718AM 50-59 years, male 319.3
GTEX-1GF9V-0826-SM-9KNUV 60-69 years, male 319.0
GTEX-1OJC3-1226-SM-DTXER 20-29 years, male 318.9
GTEX-1GF9X-1326-SM-7PC2Y 40-49 years, female 318.0
GTEX-12KS4-2126-SM-5FQUT 30-39 years, male 317.6
GTEX-17HII-1426-SM-7EPGG 50-59 years, male 317.6
GTEX-111CU-1126-SM-5EGIM 50-59 years, male 316.4
GTEX-13OW6-2726-SM-5J2OE 50-59 years, male 316.4
GTEX-1LG7Y-2526-SM-EWRO7 50-59 years, male 316.2
GTEX-11P82-1426-SM-DTXFY 20-29 years, male 315.7
GTEX-1A8G6-2726-SM-731AR 60-69 years, male 315.4
GTEX-14PHY-1226-SM-5ZZWK 60-69 years, female 315.2
GTEX-ZVE2-2826-SM-5GU51 50-59 years, male 314.0
GTEX-1HCVE-2726-SM-CL54F 50-59 years, male 313.8
GTEX-ZYW4-0626-SM-59HJR 60-69 years, male 313.1
GTEX-1H3O1-1326-SM-9MQLD 60-69 years, male 311.6
GTEX-XBEW-1126-SM-4QARW 40-49 years, male 311.2
GTEX-145ME-1726-SM-5Q5EU 40-49 years, female 311.1
GTEX-1HT8W-0626-SM-A9G2H 30-39 years, male 309.6
GTEX-WY7C-2126-SM-3NB2R 50-59 years, male 308.7
GTEX-1497J-0226-SM-5QGPU 60-69 years, male 308.5
GTEX-14JG6-1426-SM-9WG7C 30-39 years, female 308.3
GTEX-1LVAM-0726-SM-E6CIL 50-59 years, female 306.8
GTEX-1JN76-0626-SM-CKZOQ 20-29 years, female 306.2
GTEX-ZDTT-0426-SM-4WKFL 60-69 years, male 305.4
GTEX-14BIN-1126-SM-5RQJZ 50-59 years, female 304.3
GTEX-131XW-0626-SM-5PNVD 50-59 years, female 304.1
GTEX-ZDYS-2426-SM-4WKGI 50-59 years, male 303.8
GTEX-ZF2S-1626-SM-57WES 50-59 years, female 303.6
GTEX-13N1W-2426-SM-5IJD1 70-79 years, male 303.5
GTEX-1E2YA-2126-SM-7MXUO 50-59 years, male 303.1
GTEX-1C64N-2626-SM-7PC2N 50-59 years, male 302.0
GTEX-1192X-2726-SM-5N9DN 50-59 years, male 301.8
GTEX-18D9A-1426-SM-7LT8M 30-39 years, female 301.0
GTEX-1I1GV-0626-SM-ARL7M 60-69 years, male 300.4
GTEX-1R9PM-1926-SM-EVR3O 20-29 years, male 300.4
GTEX-1S3DN-2126-SM-E9TIN 50-59 years, male 300.0
GTEX-1CAMQ-1326-SM-7P8RV 40-49 years, male 299.5
GTEX-11DXX-2126-SM-5PNYR 60-69 years, female 298.8
GTEX-Y8LW-1526-SM-5IFHL 50-59 years, female 297.7
GTEX-ZA64-1026-SM-5HL8R 20-29 years, male 297.0
GTEX-1KANA-1326-SM-DIPFA 20-29 years, male 296.9
GTEX-14AS3-1526-SM-5Q5ED 40-49 years, female 296.4
GTEX-11ZTT-2126-SM-5CVLO 60-69 years, female 295.5
GTEX-1JKYR-0626-SM-ARL8R 20-29 years, male 295.4
GTEX-1F88E-1626-SM-7SB8Z 60-69 years, female 295.3
GTEX-1C2JI-1026-SM-73KY1 50-59 years, male 295.2
GTEX-1HCUA-0826-SM-ADEHM 50-59 years, female 294.9
GTEX-1B8L1-2226-SM-7P8PT 60-69 years, male 294.3
GTEX-WHWD-1826-SM-3LK6I 50-59 years, male 293.5
GTEX-11VI4-1126-SM-5EQMD 40-49 years, female 293.3
GTEX-144GM-0526-SM-79OJO 20-29 years, male 293.2
GTEX-WEY5-2326-SM-3GIKK 40-49 years, female 292.9
GTEX-1LSVX-2526-SM-DIPEU 60-69 years, male 292.7
GTEX-13FTW-0326-SM-5K7UW 40-49 years, male 292.5
GTEX-15CHC-1126-SM-6LLHQ 60-69 years, female 291.8
GTEX-145LU-1926-SM-79OJN 50-59 years, male 291.5
GTEX-17F9E-2326-SM-79OKD 50-59 years, male 289.5
GTEX-145MO-2826-SM-5LU96 60-69 years, male 289.0
GTEX-1EX96-1026-SM-7MKG2 50-59 years, male 288.2
GTEX-1GN1V-2826-SM-9JGIA 60-69 years, male 287.6
GTEX-1J8QM-2426-SM-A9SLS 60-69 years, female 287.5
GTEX-1A8FM-0626-SM-7PC25 50-59 years, female 286.7
GTEX-13FTY-2126-SM-5IFFB 40-49 years, female 286.5
GTEX-VUSG-2326-SM-4KL1U 50-59 years, male 286.5
GTEX-1JMQI-1726-SM-ARL93 50-59 years, male 286.1
GTEX-1J1R8-2026-SM-CL53Y 40-49 years, male 284.9
GTEX-18QFQ-1826-SM-72D52 30-39 years, male 284.7
GTEX-ZLFU-1826-SM-4WWBV 40-49 years, male 284.6
GTEX-13X6I-1826-SM-5SIAO 60-69 years, male 284.3
GTEX-11EM3-1226-SM-5N9DD 20-29 years, female 283.9
GTEX-14PJ3-1126-SM-5ZZVX 50-59 years, male 283.8
GTEX-1I1GS-2626-SM-B2LY3 60-69 years, male 282.6
GTEX-15EU6-2226-SM-6EU2L 50-59 years, male 282.1
GTEX-X8HC-0626-SM-4E3HQ 50-59 years, female 281.7
GTEX-1JJEA-1826-SM-ARU8P 60-69 years, male 281.7
GTEX-1GF9W-1426-SM-7PBYM 60-69 years, male 281.4
GTEX-1NSGN-0726-SM-DTXEF 50-59 years, male 280.9
GTEX-11DZ1-2426-SM-5GZZX 50-59 years, male 280.7
GTEX-1GN2E-0226-SM-9WG6K 60-69 years, male 280.6
GTEX-1CAMS-2226-SM-7PBXQ 40-49 years, female 280.3
GTEX-1LB8K-0726-SM-D5OV2 50-59 years, male 279.6
GTEX-147GR-2426-SM-5ZZWQ 60-69 years, male 277.9
GTEX-YEC4-1826-SM-4W1YP 40-49 years, male 276.5
GTEX-18D9U-0126-SM-731BM 40-49 years, male 276.4
GTEX-1OJC4-2726-SM-E76PJ 50-59 years, female 276.3
GTEX-12WSL-2026-SM-5GCML 50-59 years, male 276.0
GTEX-14DAQ-0626-SM-793DS 60-69 years, female 275.3
GTEX-1QMI2-2526-SM-E8VNZ 60-69 years, male 274.6
GTEX-1B8KZ-0326-SM-73KY4 50-59 years, male 274.1
GTEX-1GMRU-2126-SM-7P8RA 50-59 years, male 273.7
GTEX-1F75A-0726-SM-7RHHD 50-59 years, male 273.5
GTEX-1MJK3-0726-SM-E6CJC 20-29 years, male 273.3
GTEX-X5EB-1926-SM-4E3IW 40-49 years, male 273.1
GTEX-1EMGI-2326-SM-7PBYA 60-69 years, male 272.8
GTEX-14E1K-2026-SM-7DUEI 50-59 years, male 272.7
GTEX-1H1DF-1126-SM-9WG7G 40-49 years, female 272.6
GTEX-ZAB4-2126-SM-5HL8U 40-49 years, male 272.0
GTEX-1HSMO-0626-SM-ACKXC 60-69 years, male 271.4
GTEX-11WQC-1826-SM-5GU59 60-69 years, male 271.0
GTEX-1F88F-0126-SM-9WYSZ 60-69 years, female 270.4
GTEX-1JJE9-2626-SM-ARZMT 70-79 years, male 270.4
GTEX-139TU-0726-SM-5L3EK 60-69 years, male 270.0
GTEX-144GO-2026-SM-5O99P 60-69 years, male 270.0
GTEX-WFG7-2026-SM-5SI7P 20-29 years, male 269.7
GTEX-1J8Q3-0526-SM-ARL8U 60-69 years, male 269.7
GTEX-14PHX-2226-SM-6EU2P 50-59 years, male 269.5
GTEX-1MCC2-1826-SM-DIPEX 30-39 years, female 269.3
GTEX-1B933-2426-SM-7DHMD 50-59 years, female 268.3
GTEX-12ZZY-0726-SM-5EQ66 60-69 years, male 267.6
GTEX-111YS-1526-SM-5GZYW 60-69 years, male 267.3
GTEX-139YR-1026-SM-5LZYN 50-59 years, male 267.2
GTEX-13W3W-0726-SM-5IJDQ 60-69 years, female 266.7
GTEX-1B8SF-0126-SM-7DUG3 60-69 years, male 266.2
GTEX-V1D1-2026-SM-3GAF4 50-59 years, male 266.1
GTEX-X585-2426-SM-46MW2 50-59 years, male 266.0
GTEX-1QCLY-0226-SM-EWRNH 30-39 years, male 265.4
GTEX-12696-0126-SM-5EQ4L 60-69 years, male 265.3
GTEX-12WSH-1526-SM-5BC5W 50-59 years, male 264.5
GTEX-ZLWG-0826-SM-59888 50-59 years, female 264.3
GTEX-15DYW-2726-SM-6EU2I 60-69 years, female 264.1
GTEX-1HR98-2226-SM-ADEI2 60-69 years, male 263.3
GTEX-1PIIG-2326-SM-DTXFR 30-39 years, male 263.3
GTEX-14BMU-1226-SM-5S2OR 20-29 years, female 260.9
GTEX-1AX9I-2226-SM-73KUO 60-69 years, male 259.6
GTEX-ZZ64-1026-SM-5GZXG 20-29 years, male 259.4
GTEX-1S82P-2126-SM-E6CI5 60-69 years, female 259.0
GTEX-ZTTD-2826-SM-4YCFA 50-59 years, male 258.7
GTEX-17EVP-2626-SM-7IGMA 40-49 years, male 258.6
GTEX-Y5V6-2326-SM-4VDSA 60-69 years, male 257.8
GTEX-1B932-2326-SM-79OL5 40-49 years, female 256.4
GTEX-12ZZX-2426-SM-5GCOE 40-49 years, female 256.1
GTEX-14A6H-2026-SM-5Q5DD 30-39 years, male 255.4
GTEX-1I1GP-1326-SM-A9G28 50-59 years, male 255.4
GTEX-15FZZ-0526-SM-7KUGD 30-39 years, female 255.3
GTEX-15D1Q-2826-SM-6LLH7 40-49 years, male 255.0
GTEX-13NYB-0126-SM-5J1MD 40-49 years, male 254.5
GTEX-1I1GU-0926-SM-ACKVS 40-49 years, male 253.8
GTEX-1F48J-0726-SM-7RHGS 50-59 years, female 253.1
GTEX-1117F-2926-SM-5GZYI 60-69 years, female 252.9
GTEX-147JS-0226-SM-5S2U9 60-69 years, male 252.6
GTEX-1S82U-1026-SM-E6CJK 30-39 years, female 252.3
GTEX-145LS-0626-SM-7EPG7 60-69 years, female 251.8
GTEX-12WSD-0626-SM-5GCMW 60-69 years, female 251.6
GTEX-13FHO-0426-SM-5L3F5 60-69 years, male 251.6
GTEX-18A7A-0126-SM-731AH 50-59 years, female 251.6
GTEX-1IKOE-1426-SM-CE6T7 30-39 years, female 251.0
GTEX-11GSP-2326-SM-5HL63 60-69 years, female 250.2
GTEX-1EU9M-1426-SM-793AI 60-69 years, male 250.1
GTEX-1N2EE-0626-SM-E76PW 60-69 years, male 249.9
GTEX-1BAJH-2426-SM-7IGP8 70-79 years, male 249.7
GTEX-1C475-1326-SM-7SB73 40-49 years, female 249.5
GTEX-1LGOU-1326-SM-D3L8M 20-29 years, female 248.9
GTEX-11TUW-0626-SM-5LU9M 60-69 years, male 248.8
GTEX-ZAJG-1526-SM-5CVML 50-59 years, female 248.6
GTEX-1S831-1826-SM-EWROF 20-29 years, male 248.3
GTEX-11UD2-2526-SM-5CVNU 50-59 years, male 247.6
GTEX-1399Q-2326-SM-5KM2X 40-49 years, male 247.6
GTEX-13VXU-0626-SM-5L3F9 50-59 years, male 246.9
GTEX-15RIE-1926-SM-7KUKJ 60-69 years, male 246.3
GTEX-1C6VQ-1226-SM-73KYD 50-59 years, male 244.1
GTEX-144FL-0626-SM-5LU43 50-59 years, male 243.6
GTEX-1GL5R-1326-SM-7RHHF 50-59 years, male 243.6
GTEX-1A3MX-2626-SM-7PC24 60-69 years, male 243.4
GTEX-11EQ9-1626-SM-5PNY8 30-39 years, male 243.2
GTEX-14JFF-0626-SM-5ZZVT 60-69 years, male 242.8
GTEX-X4EO-2926-SM-4E3JH 60-69 years, female 242.5
GTEX-ZYT6-2326-SM-5GZY3 30-39 years, male 242.2
GTEX-1H1E6-0426-SM-9WYUS 30-39 years, male 240.2
GTEX-1JN6P-2926-SM-CL54D 60-69 years, male 239.9
GTEX-17F97-2626-SM-7IGM5 50-59 years, male 239.3
GTEX-YEC3-1326-SM-DO92X 50-59 years, male 239.1
GTEX-17HHY-0426-SM-7DHLC 50-59 years, male 238.9
GTEX-1B97I-0626-SM-73KUZ 40-49 years, male 238.8
GTEX-ZT9X-1526-SM-5DUXD 40-49 years, male 238.7
GTEX-145MF-0926-SM-5Q5EA 50-59 years, male 238.5
GTEX-1QP9N-1226-SM-E76QN 30-39 years, male 238.3
GTEX-XXEK-1626-SM-4BRUZ 50-59 years, male 237.9
GTEX-13OVJ-0826-SM-5J1OK 50-59 years, female 237.8
GTEX-1JMQK-1226-SM-D4P2S 60-69 years, male 237.8
GTEX-12C56-1526-SM-5FQUQ 20-29 years, male 237.2
GTEX-13OW8-1026-SM-5J1NQ 60-69 years, male 236.2
GTEX-1GZ2Q-0126-SM-9WG6M 40-49 years, male 236.1
GTEX-1CB4F-1026-SM-7DUH1 60-69 years, male 235.8
GTEX-1KD5A-0126-SM-E9U54 50-59 years, male 235.3
GTEX-1RAZR-2126-SM-E9U6T 40-49 years, male 235.3
GTEX-13QBU-1226-SM-5LU4G 40-49 years, female 235.1
GTEX-1314G-1326-SM-5BC6E 30-39 years, male 234.8
GTEX-1R9PN-0426-SM-DTXDT 40-49 years, female 234.6
GTEX-1H4P4-2126-SM-9WYSL 50-59 years, male 234.4
GTEX-1QW4Y-1126-SM-DTXE3 30-39 years, male 234.3
GTEX-16NGA-0726-SM-731AO 40-49 years, female 233.8
GTEX-1KANB-2826-SM-CY8I6 50-59 years, male 233.5
GTEX-1I1HK-2326-SM-CKZOH 60-69 years, male 233.1
GTEX-13SLX-2226-SM-62LEP 50-59 years, female 232.7
GTEX-11GS4-0226-SM-5HL77 60-69 years, male 232.0
GTEX-1PPGY-1626-SM-EVYBL 60-69 years, male 231.4
GTEX-1IDJH-0126-SM-D3L92 70-79 years, male 230.8
GTEX-11ZUS-2626-SM-5FQUR 30-39 years, male 230.7
GTEX-13JUV-2026-SM-5K7UA 40-49 years, female 229.8
GTEX-178AV-1726-SM-7KUL8 40-49 years, male 229.8
GTEX-1RAZS-2526-SM-E6CHT 50-59 years, male 229.7
GTEX-1CAMR-1326-SM-7PC1F 20-29 years, male 229.5
GTEX-13G51-1826-SM-5KLZH 60-69 years, male 229.3
GTEX-12WSJ-1126-SM-5LZVJ 40-49 years, female 229.0
GTEX-WRHU-2826-SM-3MJG8 50-59 years, female 228.8
GTEX-1H1DE-1326-SM-9KNUG 20-29 years, male 228.2
GTEX-16MTA-0926-SM-6M47Z 50-59 years, male 227.9
GTEX-12WSA-0426-SM-5EQ5X 60-69 years, male 227.3
GTEX-XV7Q-1826-SM-4BRUV 40-49 years, female 227.1
GTEX-1IDJI-0126-SM-CMKHS 50-59 years, female 226.2
GTEX-1RMOY-1326-SM-E9TIH 50-59 years, male 225.6
GTEX-1R9K4-2826-SM-DTX8F 60-69 years, male 225.3
GTEX-WH7G-2026-SM-3NMBL 40-49 years, male 225.1
GTEX-1477Z-0326-SM-7IGLA 60-69 years, male 225.0
GTEX-14PK6-0226-SM-62LF5 70-79 years, female 223.2
GTEX-11O72-0626-SM-5PNYE 40-49 years, male 222.6
GTEX-1A32A-0626-SM-731AQ 50-59 years, female 222.1
GTEX-139TT-2126-SM-5LZWC 60-69 years, male 222.0
GTEX-XMD2-2126-SM-4YCF8 60-69 years, female 222.0
GTEX-15G1A-1626-SM-7KUKN 30-39 years, male 221.9
GTEX-1HCU9-0426-SM-9WYSD 20-29 years, male 221.9
GTEX-11DXZ-2026-SM-5987S 50-59 years, male 221.8
GTEX-14E6E-0526-SM-793DN 30-39 years, male 221.5
GTEX-1PIGE-1826-SM-E8VOU 20-29 years, male 221.5
GTEX-1H23P-0626-SM-9WG6T 60-69 years, male 220.3
GTEX-1H1DG-2426-SM-9QEHJ 70-79 years, male 219.7
GTEX-183WM-0326-SM-72D5V 70-79 years, female 219.2
GTEX-13PVQ-0626-SM-5LU47 50-59 years, male 218.7
GTEX-13O3Q-0126-SM-5KM34 50-59 years, male 217.9
GTEX-17MF6-2626-SM-79OKQ 40-49 years, male 217.2
GTEX-1LVA9-2626-SM-EVYD4 50-59 years, male 217.0
GTEX-111VG-1626-SM-5EGIO 60-69 years, male 216.9
GTEX-1JMPZ-0726-SM-CY8HZ 30-39 years, male 216.9
GTEX-1CB4E-0926-SM-7EPHT 60-69 years, male 216.5
GTEX-1IOXB-2726-SM-CM2RI 50-59 years, male 216.5
GTEX-15CHR-1126-SM-7EWF4 50-59 years, male 215.5
GTEX-16MT8-2926-SM-7DUFO 60-69 years, female 215.0
GTEX-13X6K-0626-SM-5LU5D 60-69 years, female 214.3
GTEX-1C6WA-2626-SM-7MKGM 60-69 years, male 213.7
GTEX-1LSNL-2726-SM-E9TKJ 50-59 years, male 213.4
GTEX-13OW7-0426-SM-5K7VK 50-59 years, male 213.2
GTEX-1N5O9-0926-SM-E9J3C 60-69 years, male 212.7
GTEX-1EWIQ-0326-SM-7DHMQ 70-79 years, female 212.6
GTEX-1HBPI-2126-SM-ARL9K 50-59 years, male 211.1
GTEX-12WSC-2826-SM-5BC5Y 50-59 years, male 211.0
GTEX-ZYFG-1526-SM-5GZYM 60-69 years, female 210.9
GTEX-139TS-2126-SM-5K7XC 60-69 years, male 210.8
GTEX-1QEPI-2626-SM-DTXF4 60-69 years, female 210.3
GTEX-13X6J-0626-SM-5LU5F 50-59 years, male 210.2
GTEX-131XH-0126-SM-5LZUY 50-59 years, male 210.1
GTEX-13113-1626-SM-5EQ4I 60-69 years, female 209.2
GTEX-ZPIC-0526-SM-DO91W 40-49 years, female 209.2
GTEX-117YX-1926-SM-5GIEC 50-59 years, male 208.6
GTEX-11P7K-1126-SM-5HL4L 30-39 years, male 208.1
GTEX-1GZHY-0626-SM-9KNVC 50-59 years, female 207.6
GTEX-16YQH-2226-SM-7IGM2 30-39 years, male 207.3
GTEX-11DYG-1526-SM-5A5JS 60-69 years, male 206.7
GTEX-1GTWX-2026-SM-9YFLM 60-69 years, male 206.5
GTEX-1K9T9-1526-SM-DIPFR 50-59 years, female 206.3
GTEX-1EN7A-2426-SM-793DB 40-49 years, male 205.6
GTEX-Z93S-1626-SM-5CVMB 50-59 years, male 205.1
GTEX-13OVL-0126-SM-5L3GJ 50-59 years, male 204.0
GTEX-1KWVE-1026-SM-D3L9O 30-39 years, male 203.1
GTEX-18A6Q-0626-SM-7KFRP 60-69 years, male 202.3
GTEX-ZYFC-0426-SM-5GICQ 50-59 years, male 200.1
GTEX-WHSE-0126-SM-3NMBT 20-29 years, male 199.8
GTEX-1QCLZ-2426-SM-EVYBW 60-69 years, female 199.0
GTEX-15RJ7-2126-SM-6PAMD 40-49 years, male 198.8
GTEX-ZTSS-1426-SM-5985P 40-49 years, male 198.0
GTEX-ZAK1-0626-SM-5HL8E 50-59 years, female 197.9
GTEX-WHPG-2626-SM-3NMBR 50-59 years, male 197.8
GTEX-14JG1-1526-SM-5YY9X 40-49 years, male 197.6
GTEX-1M4P7-0726-SM-E6CJ3 60-69 years, male 197.5
GTEX-XBEC-0726-SM-4QARZ 50-59 years, male 197.4
GTEX-15G19-2426-SM-7KUMR 60-69 years, male 197.2
GTEX-YJ8O-2526-SM-5HL85 40-49 years, female 196.2
GTEX-XYKS-1426-SM-4BRUO 60-69 years, female 196.1
GTEX-1K2DA-1026-SM-CGQGF 50-59 years, male 195.7
GTEX-13112-0126-SM-5P9IU 50-59 years, male 195.6
GTEX-Y111-0626-SM-4SOIT 50-59 years, male 195.3
GTEX-1EKGG-0626-SM-7DUGJ 60-69 years, male 195.1
GTEX-14PKV-1126-SM-6LLJ1 20-29 years, female 195.0
GTEX-147F4-0726-SM-5TDDD 50-59 years, male 194.6
GTEX-ZVP2-0326-SM-57WBP 50-59 years, male 194.0
GTEX-1RB15-1326-SM-E76Q9 60-69 years, male 193.6
GTEX-18465-2826-SM-7LT9J 50-59 years, male 193.4
GTEX-1LBAC-0826-SM-CY8IJ 20-29 years, male 192.6
GTEX-12BJ1-0926-SM-5EQ62 60-69 years, male 191.6
GTEX-1ICG6-1226-SM-A9SLN 70-79 years, female 191.0
GTEX-1IDJF-2026-SM-CL53V 20-29 years, male 190.2
GTEX-1POEN-2326-SM-E9J2L 30-39 years, female 190.0
GTEX-X4EP-0626-SM-3P621 60-69 years, female 189.6
GTEX-ZDTS-0826-SM-4WKHL 60-69 years, male 189.4
GTEX-18A7B-2726-SM-7LG56 70-79 years, male 189.2
GTEX-1HUB1-1426-SM-CGQF5 60-69 years, male 188.8
GTEX-1ICLZ-0326-SM-ARL82 60-69 years, male 188.8
GTEX-11EI6-2826-SM-5H11D 60-69 years, male 188.2
GTEX-1LVAO-2726-SM-E9TJ8 60-69 years, male 187.7
GTEX-12WSF-1626-SM-7KUG5 70-79 years, male 187.6
GTEX-14BMV-2826-SM-5TDED 50-59 years, male 187.6
GTEX-183FY-1026-SM-7939A 20-29 years, male 187.5
GTEX-1QAET-0326-SM-EVR3U 50-59 years, male 187.1
GTEX-11LCK-2226-SM-5HL4Q 30-39 years, male 186.8
GTEX-Y5V5-0126-SM-5S2NW 60-69 years, female 186.3
GTEX-11PRG-0726-SM-5EGL1 50-59 years, male 185.8
GTEX-14PJO-2526-SM-6AJBQ 60-69 years, male 185.0
GTEX-11NUK-2726-SM-5A5MC 50-59 years, male 184.6
GTEX-1HFI6-0126-SM-CNPPI 40-49 years, male 183.6
GTEX-1RLM8-2926-SM-E8VON 50-59 years, male 183.3
GTEX-1JKYN-0826-SM-ARU8S 30-39 years, male 183.2
GTEX-1KANC-1226-SM-CYPT7 50-59 years, female 182.0
GTEX-1LSNM-0826-SM-DIPG8 50-59 years, male 182.0
GTEX-14C38-0726-SM-5SI6M 50-59 years, male 181.6
GTEX-1I6K6-1726-SM-CGQFD 30-39 years, male 181.1
GTEX-Y8E4-2026-SM-5IFJB 40-49 years, male 180.5
GTEX-1C64O-1326-SM-7MGWR 60-69 years, male 179.9
GTEX-1CB4I-0126-SM-7RHGG 50-59 years, male 179.6
GTEX-14DAR-1226-SM-73KYV 50-59 years, male 178.7
GTEX-16NPX-0726-SM-7KULC 50-59 years, male 178.5
GTEX-1F6IF-0926-SM-7SB7M 60-69 years, male 178.3
GTEX-17F96-0126-SM-7EWDU 70-79 years, male 178.1
GTEX-18A66-0626-SM-7LT8Z 60-69 years, male 177.1
GTEX-ZPU1-1126-SM-4YCF3 40-49 years, male 175.7
GTEX-14ABY-2026-SM-62LDL 50-59 years, male 175.3
GTEX-1GMR2-0826-SM-7PC3V 50-59 years, male 175.2
GTEX-15CHQ-0326-SM-69LQD 60-69 years, male 173.9
GTEX-13FH7-1126-SM-5K7UG 50-59 years, female 173.7
GTEX-1CAV2-0126-SM-7IGN7 40-49 years, female 173.4
GTEX-WFON-1926-SM-3LK7L 40-49 years, male 172.7
GTEX-13N2G-0226-SM-5K7VF 60-69 years, male 172.3
GTEX-1HSMP-0926-SM-A9SKX 70-79 years, male 172.3
GTEX-146FQ-2126-SM-5RQHU 30-39 years, male 171.9
GTEX-17HGU-2326-SM-7DUFE 50-59 years, male 171.7
GTEX-XPVG-2126-SM-4B667 50-59 years, male 171.5
GTEX-1B996-0426-SM-7EWF8 60-69 years, male 171.2
GTEX-145MN-1526-SM-5SI9T 30-39 years, male 171.1
GTEX-11OF3-0126-SM-5PNYF 60-69 years, male 170.2
GTEX-ZYFD-0626-SM-5E44E 50-59 years, male 169.0
GTEX-1IL2V-1926-SM-B2LW8 70-79 years, male 169.0
GTEX-145LT-0526-SM-5LUB2 40-49 years, male 168.0
GTEX-1RAZA-2226-SM-E9U4X 20-29 years, male 167.3
GTEX-U8XE-0226-SM-4E3J3 30-39 years, male 166.2
GTEX-1AYD5-2626-SM-7PBXY 50-59 years, male 165.8
GTEX-11WQK-1026-SM-5EQLX 50-59 years, male 165.4
GTEX-15SHW-0226-SM-7LTAT 60-69 years, male 164.8
GTEX-XOT4-0626-SM-4B66L 60-69 years, female 164.7
GTEX-XK95-0226-SM-4AT58 40-49 years, male 164.0
GTEX-16Z82-2626-SM-7KULU 60-69 years, male 163.7
GTEX-1IY9M-2826-SM-ARU8H 60-69 years, male 163.7
GTEX-1I6K7-1926-SM-B2LXR 40-49 years, male 162.7
GTEX-1I1CD-0626-SM-CE6SW 60-69 years, female 162.3
GTEX-Y5LM-0926-SM-6LLJG 40-49 years, female 161.3
GTEX-1F6I4-2326-SM-7RHGL 60-69 years, male 160.5
GTEX-14A5H-0826-SM-5QGPJ 60-69 years, male 159.8
GTEX-13OVG-1626-SM-5J1NF 60-69 years, male 159.5
GTEX-1IDJD-2326-SM-ACKWX 30-39 years, male 159.5
GTEX-XQ3S-1426-SM-4BOPR 20-29 years, male 159.2
GTEX-Y3IK-1626-SM-4YCF5 50-59 years, female 159.1
GTEX-1H1ZS-2726-SM-9WG75 70-79 years, male 159.1
GTEX-WK11-2726-SM-3NMAQ 50-59 years, male 158.2
GTEX-1212Z-0126-SM-59HK4 60-69 years, male 157.9
GTEX-12126-0826-SM-5FQTZ 20-29 years, male 157.1
GTEX-ZT9W-1126-SM-57WDR 50-59 years, male 157.1
GTEX-1H1CY-0126-SM-9YFLY 60-69 years, female 156.6
GTEX-YF7O-1526-SM-5IFI6 50-59 years, male 156.1
GTEX-1I4MK-0126-SM-CY8G6 50-59 years, female 155.9
GTEX-12584-0726-SM-5FQTK 40-49 years, male 155.1
GTEX-1IDJC-1526-SM-B2LW4 50-59 years, male 155.1
GTEX-UPK5-0426-SM-3GAEK 40-49 years, male 154.2
GTEX-1E1VI-0326-SM-793D1 50-59 years, male 152.0
GTEX-11DXW-0826-SM-5H118 40-49 years, male 151.7
GTEX-ZYVF-0926-SM-5E44J 50-59 years, female 151.1
GTEX-WYVS-1626-SM-3NM9R 40-49 years, female 150.5
GTEX-1JMLX-0626-SM-ARL8T 50-59 years, male 147.5
GTEX-131YS-2826-SM-5EQ47 60-69 years, female 146.4
GTEX-ZU9S-1826-SM-5NQ9E 30-39 years, male 144.6
GTEX-WYJK-0526-SM-3NM8Z 50-59 years, male 143.6
GTEX-14PJ2-0626-SM-6LLII 50-59 years, male 143.4
GTEX-1QP29-1826-SM-DTX9S 50-59 years, male 141.5
GTEX-ZDXO-3126-SM-5IJDF 60-69 years, male 139.2
GTEX-13NZ9-2626-SM-5L3FK 50-59 years, male 138.5
GTEX-13N11-2326-SM-5IJBF 50-59 years, female 136.8
GTEX-X3Y1-2026-SM-3P5YM 40-49 years, male 135.0
GTEX-ZUA1-2626-SM-5NQ92 40-49 years, male 134.1
GTEX-WI4N-2726-SM-3LK7Y 40-49 years, female 133.8
GTEX-14E6C-2426-SM-5S2NF 40-49 years, male 132.2
GTEX-VJYA-1526-SM-3GIJV 60-69 years, male 131.4
GTEX-YB5K-2026-SM-4VDT3 40-49 years, female 131.0
GTEX-1JMQL-2226-SM-CNPP4 50-59 years, female 130.5
GTEX-1HCU8-2526-SM-CE6RX 60-69 years, female 129.4
GTEX-W5X1-2526-SM-3GILC 40-49 years, female 127.4
GTEX-18D9B-0926-SM-7LG4U 60-69 years, male 127.2
GTEX-1A3MW-0626-SM-731CB 60-69 years, female 123.7
GTEX-1JMOU-1026-SM-CYPSS 60-69 years, female 120.9
GTEX-17HG3-2626-SM-7DUF2 30-39 years, female 119.7
GTEX-14XAO-1226-SM-6EU1C 60-69 years, female 119.1
GTEX-11NSD-0626-SM-5A5LU 20-29 years, male 118.7
GTEX-1I19N-0126-SM-CYPSF 70-79 years, male 115.9
GTEX-13U4I-2226-SM-5LU5H 40-49 years, female 112.8
GTEX-1H3NZ-2726-SM-9WYTQ 60-69 years, male 110.5
GTEX-1AX9J-1326-SM-731BJ 60-69 years, male 110.4
GTEX-1HC8U-1326-SM-9YFMJ 40-49 years, female 109.4
GTEX-1J8JJ-0626-SM-ARZMQ 60-69 years, female 108.7
GTEX-16GPK-0626-SM-7KFSF 60-69 years, male 108.2
GTEX-1IDJE-1426-SM-ADEIW 50-59 years, female 108.1
GTEX-1O9I2-0226-SM-EYYXD 50-59 years, male 105.7
GTEX-145MG-1526-SM-5Q5EM 50-59 years, male 105.5
GTEX-1LG7Z-1626-SM-CXKYR 30-39 years, male 103.9
GTEX-1QP66-1226-SM-DTX7U 50-59 years, male 101.9
GTEX-1F75W-2726-SM-7SB8H 60-69 years, male 99.9
GTEX-1AX8Z-0726-SM-73KTS 60-69 years, male 97.4
GTEX-1GF9U-2026-SM-7SB92 40-49 years, female 96.1
GTEX-11TT1-1826-SM-5EQLV 20-29 years, male 92.3
GTEX-17JCI-2926-SM-7DUFF 60-69 years, female 84.4
GTEX-17EVQ-0126-SM-7IGLR 70-79 years, male 83.8
GTEX-132AR-0326-SM-5KM2C 50-59 years, female 82.1
GTEX-ZY6K-1426-SM-5GZX2 50-59 years, male 80.8
GTEX-16MT9-0126-SM-7EPI8 60-69 years, female 74.9
GTEX-ZVTK-0226-SM-51MRG 20-29 years, male 66.5
GTEX-WFG8-2126-SM-3GIKQ 20-29 years, male 66.0
GTEX-111FC-2526-SM-5GZXU 60-69 years, male 63.7
GTEX-1L5NE-1126-SM-D3L9P 50-59 years, male 58.5
GTEX-1399R-1326-SM-5PNYS 30-39 years, male 57.2
Show allShow less
Skin - Sun Exposed (Lower leg)
Average nTPM: 250.9
Samples: 701

Max nTPM: 924.9
Min nTPM: 11.3
Std nTPM: 114.3
Median nTPM: 232.9
GTEX-1LVAN-0226-SM-COH3S 50-59 years, female 924.9
GTEX-ZTX8-1426-SM-5DUVO 20-29 years, male 765.6
GTEX-14A5I-0126-SM-5TDEA 50-59 years, female 654.2
GTEX-T6MO-1626-SM-32QOM 40-49 years, female 650.0
GTEX-15ETS-0126-SM-7KUMW 40-49 years, female 630.2
GTEX-T8EM-1026-SM-3DB7M 40-49 years, male 627.8
GTEX-P4QT-0126-SM-2I3FL 50-59 years, female 621.3
GTEX-1J8QM-2126-SM-CYPSJ 60-69 years, female 612.4
GTEX-T5JW-1626-SM-3GADZ 20-29 years, female 591.9
GTEX-17GQL-2026-SM-718BA 60-69 years, male 588.1
GTEX-1122O-2126-SM-5EGIR 60-69 years, female 570.0
GTEX-S32W-2126-SM-2XCB1 50-59 years, female 568.2
GTEX-SNMC-1226-SM-2XCFP 20-29 years, male 563.1
GTEX-1L5NE-2526-SM-E6CIE 50-59 years, male 559.2
GTEX-1F6RS-0126-SM-9MQKZ 60-69 years, female 544.6
GTEX-1B97I-1626-SM-73KYO 40-49 years, male 542.5
GTEX-13FTX-1826-SM-5J1NX 20-29 years, female 542.1
GTEX-ZV6S-2326-SM-4YCEY 40-49 years, female 527.5
GTEX-1C475-1826-SM-73KWA 40-49 years, female 524.9
GTEX-ZVT2-2526-SM-51MT1 50-59 years, female 510.1
GTEX-1I4MK-2226-SM-ACKWD 50-59 years, female 509.1
GTEX-1PDJ9-0326-SM-DTX95 20-29 years, male 489.8
GTEX-1GMR3-1926-SM-9KNUZ 40-49 years, male 481.2
GTEX-13NYC-0326-SM-E9J4S 60-69 years, male 480.4
GTEX-1KXAM-2226-SM-CYPTC 60-69 years, male 479.4
GTEX-1QPFJ-0226-SM-E76PB 30-39 years, female 476.6
GTEX-ZGAY-0526-SM-4WWBB 40-49 years, female 475.0
GTEX-1I1GT-0626-SM-CGQER 60-69 years, female 474.8
GTEX-1HCU7-0226-SM-CL545 50-59 years, male 473.7
GTEX-ZWKS-0126-SM-5SIAA 30-39 years, male 473.0
GTEX-1GL5R-1826-SM-9KNUY 50-59 years, male 470.7
GTEX-1M5QR-1226-SM-EWROB 40-49 years, male 465.9
GTEX-1E2YA-0126-SM-9KNUC 50-59 years, male 454.2
GTEX-11EM3-2426-SM-59861 20-29 years, female 448.8
GTEX-ZVZP-2426-SM-59HKJ 50-59 years, male 448.6
GTEX-18D9A-1926-SM-7LG6P 30-39 years, female 447.9
GTEX-13OW5-0126-SM-DTXFS 60-69 years, male 447.6
GTEX-1LGRB-2526-SM-CNPPQ 50-59 years, female 446.1
GTEX-145ME-1826-SM-5SI9G 40-49 years, female 445.6
GTEX-ZTSS-1926-SM-57WEW 40-49 years, male 444.0
GTEX-1GMR8-0126-SM-9WYTM 50-59 years, female 443.8
GTEX-PSDG-0226-SM-DKPOZ 50-59 years, male 442.9
GTEX-1K2DA-1826-SM-CGQGT 50-59 years, male 438.8
GTEX-13RTK-1426-SM-5QGQJ 20-29 years, male 436.3
GTEX-OIZH-0126-SM-2HMIS 50-59 years, male 435.8
GTEX-133LE-1826-SM-5J1MV 20-29 years, female 435.0
GTEX-1KANA-0726-SM-D3L9I 20-29 years, male 434.7
GTEX-13OVH-0126-SM-5MR4B 70-79 years, male 433.3
GTEX-1R9PM-2026-SM-E76OY 20-29 years, male 432.9
GTEX-1KANC-1526-SM-D3LAB 50-59 years, female 432.8
GTEX-1A3MV-1926-SM-718BT 30-39 years, male 431.9
GTEX-Y114-2426-SM-4TT8A 50-59 years, female 430.8
GTEX-1MA7W-2026-SM-E9TJ6 20-29 years, female 430.4
GTEX-16XZZ-0126-SM-793DV 60-69 years, male 428.8
GTEX-1B8KE-2126-SM-73KYX 50-59 years, male 425.3
GTEX-ZF2S-2326-SM-4WWCE 50-59 years, female 425.1
GTEX-ZF29-2326-SM-DO92K 60-69 years, female 422.7
GTEX-1LGOU-2026-SM-DIPFF 20-29 years, female 422.4
GTEX-1AX9J-0226-SM-73KXM 60-69 years, male 420.8
GTEX-15EU6-0426-SM-6PAN5 50-59 years, male 418.3
GTEX-P4PP-0126-SM-3LK69 30-39 years, female 418.3
GTEX-X261-0126-SM-3NMD6 50-59 years, male 416.3
GTEX-1H2FU-0126-SM-9WYSI 60-69 years, female 416.2
GTEX-14PJ6-2126-SM-6EU1V 60-69 years, female 414.8
GTEX-13D11-2426-SM-5KM1V 50-59 years, female 413.9
GTEX-UJHI-1526-SM-3DB99 50-59 years, female 413.5
GTEX-1AMFI-2026-SM-731BH 50-59 years, female 413.2
GTEX-1LBAC-0126-SM-DIPEZ 20-29 years, male 413.1
GTEX-P44H-0226-SM-2XCEU 40-49 years, male 411.6
GTEX-13OVK-2026-SM-7KUEO 40-49 years, male 410.2
GTEX-1R46S-0626-SM-E9J41 60-69 years, female 409.7
GTEX-1B8SF-1426-SM-7DUGL 60-69 years, male 408.9
GTEX-1211K-2026-SM-5EQ4Z 60-69 years, female 408.5
GTEX-16AAH-1726-SM-7939C 50-59 years, male 407.8
GTEX-TMMY-0226-SM-33HBA 40-49 years, female 406.8
GTEX-11EQ9-2426-SM-5HL5T 30-39 years, male 402.0
GTEX-145LS-0126-SM-5QGP1 60-69 years, female 401.7
GTEX-1GZ4H-1726-SM-7PBZJ 50-59 years, female 399.1
GTEX-1S3DN-2226-SM-EVYCD 50-59 years, male 399.0
GTEX-ZYFG-2326-SM-5E44B 60-69 years, female 398.3
GTEX-WFON-2126-SM-3LK7O 40-49 years, male 396.5
GTEX-13113-5016-SM-7EPIP 60-69 years, female 394.9
GTEX-XBEW-0626-SM-4QASP 40-49 years, male 388.7
GTEX-WRHK-1426-SM-3MJF9 20-29 years, female 387.3
GTEX-1399R-2726-SM-5IJBA 30-39 years, male 386.9
GTEX-1HSGN-0226-SM-CGQFV 40-49 years, female 385.5
GTEX-1IDJU-2626-SM-CM2RT 60-69 years, female 382.9
GTEX-1HBPM-0226-SM-ARL9F 60-69 years, female 381.7
GTEX-1R7EU-0226-SM-EVR4G 60-69 years, male 379.7
GTEX-1F5PK-2426-SM-7RHHY 50-59 years, male 375.3
GTEX-139UW-2826-SM-5L3E7 60-69 years, male 375.1
GTEX-YB5E-2026-SM-5IFIS 40-49 years, male 374.9
GTEX-1GN1U-0126-SM-7PBZK 50-59 years, female 374.3
GTEX-TKQ1-1026-SM-4GICL 30-39 years, male 374.2
GTEX-1GF9V-0326-SM-7RHI5 60-69 years, male 374.0
GTEX-1MUQO-0126-SM-EAZ58 60-69 years, male 369.2
GTEX-1IKJJ-0126-SM-CNPQB 60-69 years, male 368.3
GTEX-11DXZ-2326-SM-5EGGV 50-59 years, male 366.4
GTEX-PLZ6-1426-SM-DKPOT 30-39 years, male 365.0
GTEX-13PVR-2326-SM-5QGR1 60-69 years, female 364.7
GTEX-13YAN-0326-SM-5O9DF 60-69 years, male 363.6
GTEX-13111-1626-SM-5EGJY 50-59 years, male 362.9
GTEX-XUZC-1726-SM-4BRWS 30-39 years, female 362.6
GTEX-TSE9-0126-SM-3DB83 60-69 years, female 362.5
GTEX-1HCUA-2426-SM-ADEIS 50-59 years, female 362.3
GTEX-1K2DU-2326-SM-E9TIV 20-29 years, male 362.0
GTEX-13PDP-0126-SM-5L3HD 60-69 years, male 359.9
GTEX-17KNJ-2326-SM-7DHLQ 50-59 years, male 359.7
GTEX-1J1OQ-0226-SM-CYPSH 40-49 years, female 357.8
GTEX-1HFI7-1826-SM-ACKXH 50-59 years, female 357.1
GTEX-WXYG-2326-SM-4E3I6 50-59 years, female 356.2
GTEX-ZZ64-1726-SM-5GZYB 20-29 years, male 356.1
GTEX-1J8Q3-1626-SM-CMKGC 60-69 years, male 354.5
GTEX-1F52S-0126-SM-9MQJU 60-69 years, female 353.7
GTEX-14PII-0226-SM-6EU1T 60-69 years, male 351.5
GTEX-ZXG5-0126-SM-5GIEU 60-69 years, male 351.5
GTEX-1KAFJ-2026-SM-CY8ID 50-59 years, male 350.5
GTEX-13S7M-0126-SM-5SI6A 60-69 years, female 349.7
GTEX-1OJC3-0126-SM-E76QX 20-29 years, male 348.7
GTEX-145MI-0526-SM-5O9A8 60-69 years, female 346.9
GTEX-1HSMQ-1226-SM-CGQFX 50-59 years, male 344.8
GTEX-15F5U-1526-SM-6PANO 40-49 years, male 343.8
GTEX-1CAMQ-0226-SM-7IGPK 40-49 years, male 343.4
GTEX-12WSK-2326-SM-5GCOH 40-49 years, female 343.2
GTEX-14BMU-2226-SM-5TDE9 20-29 years, female 342.0
GTEX-1H4P4-0726-SM-9YFLR 50-59 years, male 340.3
GTEX-1CAV2-2226-SM-7P8P2 40-49 years, female 339.7
GTEX-17F96-1626-SM-7DUFL 70-79 years, male 339.6
GTEX-1EWIQ-0126-SM-7RHH2 70-79 years, female 338.0
GTEX-15RIG-0226-SM-7KFTL 40-49 years, male 337.8
GTEX-13FTW-2626-SM-5K7WL 40-49 years, male 336.8
GTEX-1PPH8-0226-SM-E8VND 20-29 years, male 336.7
GTEX-13NZ8-0826-SM-5MR3I 60-69 years, female 336.3
GTEX-1LG7Z-1726-SM-D3LA4 30-39 years, male 336.3
GTEX-14LZ3-0226-SM-62LET 60-69 years, female 336.1
GTEX-ZDTT-2726-SM-4WKF8 60-69 years, male 335.7
GTEX-1LSNM-1926-SM-E6CII 50-59 years, male 335.0
GTEX-1S83E-0126-SM-EWRO4 40-49 years, male 334.4
GTEX-14E6C-0126-SM-5RQIP 40-49 years, male 334.2
GTEX-1QP66-1726-SM-E8VO1 50-59 years, male 333.4
GTEX-1F5PL-0326-SM-7P8PQ 40-49 years, female 333.3
GTEX-1JJEA-0326-SM-CNPOT 60-69 years, male 332.9
GTEX-12WSA-0226-SM-5BC5V 60-69 years, male 332.7
GTEX-17EVP-0326-SM-7DHLG 40-49 years, male 331.6
GTEX-14BIN-0626-SM-793DP 50-59 years, female 330.4
GTEX-1CB4H-0226-SM-7PBXM 60-69 years, female 329.3
GTEX-14PN3-2426-SM-6LLHS 60-69 years, female 327.8
GTEX-14PHX-2326-SM-62LEM 50-59 years, male 327.4
GTEX-1128S-2326-SM-5GZZY 60-69 years, female 326.4
GTEX-1JN1M-0326-SM-CYPT3 60-69 years, female 326.4
GTEX-OIZG-0726-SM-33HBL 50-59 years, male 325.5
GTEX-13O3P-0126-SM-5KM4S 50-59 years, male 325.4
GTEX-17JCI-0126-SM-7LG5G 60-69 years, female 325.4
GTEX-1H1E6-1726-SM-ACKVK 30-39 years, male 325.3
GTEX-1HGF4-2426-SM-ACKXM 60-69 years, male 325.2
GTEX-YB5K-2126-SM-4WWDJ 40-49 years, female 324.6
GTEX-145MO-0326-SM-5Q5B3 60-69 years, male 324.4
GTEX-11DZ1-0126-SM-5985Q 50-59 years, male 323.6
GTEX-1F75B-0126-SM-9KNVL 50-59 years, male 323.0
GTEX-13SLW-0126-SM-5SI6C 70-79 years, male 322.8
GTEX-14ICK-0226-SM-6EU25 40-49 years, male 322.8
GTEX-ZXES-1826-SM-5E43S 30-39 years, female 322.7
GTEX-1N2EF-0226-SM-EYYXB 60-69 years, male 322.7
GTEX-12696-2426-SM-5EQ6H 60-69 years, male 321.2
GTEX-1PIIG-0226-SM-EWRN6 30-39 years, male 321.2
GTEX-14C5O-0126-SM-5SI6N 60-69 years, male 321.0
GTEX-1OFPY-2426-SM-DTXEJ 60-69 years, male 320.5
GTEX-145LV-2126-SM-5LU8N 50-59 years, male 319.4
GTEX-WFG8-2226-SM-3GIL9 20-29 years, male 319.3
GTEX-14DAR-2026-SM-5S2O3 50-59 years, male 318.3
GTEX-15UF6-0826-SM-6PALJ 70-79 years, female 318.0
GTEX-1HCU6-0126-SM-CL54K 60-69 years, female 317.2
GTEX-14PJM-0226-SM-62LF1 50-59 years, female 315.8
GTEX-ZV68-0126-SM-59HKS 50-59 years, female 314.7
GTEX-13JUV-2726-SM-5LZZ8 40-49 years, female 312.9
GTEX-ZDYS-2026-SM-5HL5L 50-59 years, male 312.6
GTEX-1JJ6O-0126-SM-E6CI8 60-69 years, male 312.6
GTEX-1RB15-2126-SM-E9TIM 60-69 years, male 310.9
GTEX-1JMQI-2226-SM-CM2SD 50-59 years, male 310.6
GTEX-145MF-0626-SM-5LUAI 50-59 years, male 308.7
GTEX-RWS6-2026-SM-2XCB5 60-69 years, female 308.0
GTEX-U8T8-0126-SM-3DB94 60-69 years, male 305.8
GTEX-131XF-5016-SM-7MGWE 60-69 years, male 304.5
GTEX-XQ8I-0426-SM-4BOPO 50-59 years, male 303.4
GTEX-WYJK-0126-SM-3NMAB 50-59 years, male 303.1
GTEX-14JG6-2226-SM-6EU2G 30-39 years, female 300.9
GTEX-11P81-2326-SM-59875 30-39 years, female 300.8
GTEX-W5WG-1826-SM-4KL2Y 50-59 years, female 300.3
GTEX-12ZZZ-0626-SM-5DUXI 60-69 years, male 300.1
GTEX-16NGA-1726-SM-731B4 40-49 years, female 300.1
GTEX-TML8-1926-SM-32QOS 40-49 years, female 299.5
GTEX-18A66-0226-SM-718BD 60-69 years, male 299.2
GTEX-13X6H-2126-SM-7EWD5 50-59 years, female 299.0
GTEX-13NYS-0126-SM-5MR3W 60-69 years, male 298.5
GTEX-T2YK-0526-SM-32QPJ 50-59 years, male 298.1
GTEX-OHPL-0126-SM-2HMJ7 60-69 years, female 296.2
GTEX-139TS-2826-SM-5J1OO 60-69 years, male 296.1
GTEX-1J8Q2-0526-SM-CM2RW 60-69 years, male 295.8
GTEX-12KS4-0326-SM-5EQ41 30-39 years, male 295.5
GTEX-1PFEY-1526-SM-E76PP 30-39 years, male 294.8
GTEX-13CF3-2426-SM-5IFGX 60-69 years, female 294.2
GTEX-1LH75-2426-SM-E9TJE 50-59 years, female 294.0
GTEX-PX3G-0126-SM-2I3EN 20-29 years, female 293.5
GTEX-QCQG-1726-SM-3GIJ9 50-59 years, female 293.5
GTEX-ZVT4-0126-SM-DTXFN 50-59 years, female 292.6
GTEX-145LT-1726-SM-5QGP3 40-49 years, male 291.3
GTEX-X4XY-0226-SM-4E3IZ 60-69 years, male 291.0
GTEX-ZYFD-0126-SM-5GIDL 50-59 years, male 290.8
GTEX-1B996-0226-SM-7RHGO 60-69 years, male 290.8
GTEX-SJXC-0126-SM-2XCFF 60-69 years, male 290.7
GTEX-1GN2E-0426-SM-9MQKX 60-69 years, male 290.6
GTEX-1GZHY-0326-SM-9QEHI 50-59 years, female 290.2
GTEX-ZVE2-0226-SM-59HJB 50-59 years, male 289.7
GTEX-13N2G-2626-SM-5J1OT 60-69 years, male 289.0
GTEX-XPVG-2626-SM-4B669 50-59 years, male 288.9
GTEX-1I1GR-0126-SM-CL55F 60-69 years, male 288.2
GTEX-15ER7-0326-SM-7KUEV 20-29 years, female 287.9
GTEX-131YS-0126-SM-5KM1M 60-69 years, female 287.2
GTEX-139D8-0226-SM-5KLZO 30-39 years, female 287.2
GTEX-16BQI-0226-SM-7KUEX 30-39 years, female 287.0
GTEX-17EUY-0426-SM-793BD 20-29 years, male 286.8
GTEX-13CF2-2526-SM-5LZYX 60-69 years, male 286.6
GTEX-1H11D-0226-SM-9WG6Z 40-49 years, male 286.5
GTEX-1JK1U-2026-SM-CM2RZ 60-69 years, male 286.2
GTEX-13VXT-0126-SM-5LU4I 20-29 years, female 285.6
GTEX-Z9EW-1626-SM-5CVMN 40-49 years, male 285.1
GTEX-XUW1-0426-SM-4BOOT 50-59 years, female 284.1
GTEX-148VJ-0126-SM-5TDDN 70-79 years, male 283.9
GTEX-12WSJ-1826-SM-5GCNY 40-49 years, female 282.7
GTEX-15CHC-2126-SM-6EU21 60-69 years, female 282.7
GTEX-1JN6P-0126-SM-D3L98 60-69 years, male 282.7
GTEX-ZF3C-0126-SM-DO92D 50-59 years, female 282.6
GTEX-11LCK-1026-SM-5A5KB 30-39 years, male 282.1
GTEX-1QP9N-1426-SM-DTXFL 30-39 years, male 281.8
GTEX-1R7EV-2426-SM-EVYBG 40-49 years, male 281.5
GTEX-117YX-2326-SM-5H12W 50-59 years, male 281.3
GTEX-131XW-0426-SM-5LZWP 50-59 years, female 278.2
GTEX-11TUW-2726-SM-E9J4M 60-69 years, male 277.9
GTEX-18D9U-0226-SM-718BP 40-49 years, male 277.3
GTEX-1RDX4-0126-SM-E9J4P 50-59 years, female 276.9
GTEX-13IVO-0126-SM-5J1NG 70-79 years, male 275.8
GTEX-14E6E-1826-SM-5S2R7 30-39 years, male 275.5
GTEX-11DXX-2426-SM-5GZZW 60-69 years, female 275.3
GTEX-11NSD-2226-SM-5986V 20-29 years, male 275.1
GTEX-1399U-2326-SM-5K7WY 50-59 years, female 275.1
GTEX-1GF9X-2026-SM-7PC3A 40-49 years, female 274.5
GTEX-Y5LM-1926-SM-5RQJH 40-49 years, female 274.0
GTEX-1S82Z-0826-SM-E6CHY 30-39 years, female 273.4
GTEX-11VI4-1726-SM-5CVLH 40-49 years, female 272.9
GTEX-1EMGI-0126-SM-9KNUE 60-69 years, male 272.1
GTEX-1O97I-0326-SM-EYYX7 60-69 years, male 271.9
GTEX-1BAJH-0526-SM-793CQ 70-79 years, male 271.5
GTEX-1C2JI-1826-SM-73KXC 50-59 years, male 270.2
GTEX-1B8KZ-2026-SM-7DHMB 50-59 years, male 268.5
GTEX-1GPI7-0126-SM-9MQL8 20-29 years, male 268.1
GTEX-1JMQL-0226-SM-CNPP5 50-59 years, female 267.9
GTEX-OXRN-0126-SM-48TDM 50-59 years, male 267.4
GTEX-ZYT6-0226-SM-5NQ6T 30-39 years, male 267.4
GTEX-1PIGE-0126-SM-EVYBJ 20-29 years, male 266.6
GTEX-17F98-0626-SM-79OMX 40-49 years, female 266.2
GTEX-12ZZY-0226-SM-5LZVE 60-69 years, male 266.1
GTEX-1HCU9-1526-SM-A9SL7 20-29 years, male 266.0
GTEX-ZVTK-0426-SM-51MRS 20-29 years, male 265.7
GTEX-1LB8K-0226-SM-EWRNW 50-59 years, male 264.6
GTEX-1269C-2526-SM-5EGJ3 60-69 years, female 264.3
GTEX-17HII-0226-SM-7LG4E 50-59 years, male 263.7
GTEX-11DYG-0126-SM-59883 60-69 years, male 263.4
GTEX-1H3VE-0326-SM-9YFLH 40-49 years, male 262.9
GTEX-1HSEH-0126-SM-ACKXN 60-69 years, male 262.1
GTEX-111FC-0126-SM-5N9DL 60-69 years, male 260.5
GTEX-1J1R8-1726-SM-ARL8M 40-49 years, male 260.5
GTEX-11UD2-0226-SM-5EQKY 50-59 years, male 260.1
GTEX-15SHU-0126-SM-7KUEH 40-49 years, female 259.1
GTEX-11H98-0126-SM-5EGHG 50-59 years, male 258.9
GTEX-ZAK1-0126-SM-5IJD3 50-59 years, female 257.8
GTEX-1EX96-1626-SM-7PBXR 50-59 years, male 257.6
GTEX-117XS-2726-SM-5N9BL 60-69 years, male 256.0
GTEX-1QCLY-0326-SM-E8VOG 30-39 years, male 255.5
GTEX-1B8SG-0126-SM-73KZ3 50-59 years, male 255.4
GTEX-R3RS-0126-SM-3GIJL 40-49 years, female 255.3
GTEX-17MFQ-1726-SM-793C7 20-29 years, male 254.9
GTEX-1C6VR-2426-SM-79OLD 60-69 years, male 254.7
GTEX-14LLW-0126-SM-6LLIO 70-79 years, female 254.6
GTEX-13FXS-0226-SM-5IJCK 50-59 years, male 254.4
GTEX-UPJH-0326-SM-3GADU 50-59 years, male 254.0
GTEX-ZPIC-1726-SM-DHXIU 40-49 years, female 253.7
GTEX-NFK9-0226-SM-2HMKQ 40-49 years, male 253.4
GTEX-OOBK-0126-SM-2YUND 40-49 years, male 252.6
GTEX-OXRP-0126-SM-3NB32 60-69 years, female 252.2
GTEX-1JN76-0126-SM-CNPPE 20-29 years, female 251.9
GTEX-XAJ8-0826-SM-47JY6 40-49 years, male 251.8
GTEX-QDVJ-1726-SM-2I5FX 50-59 years, male 251.7
GTEX-11XUK-2026-SM-5EQLF 40-49 years, female 251.6
GTEX-13FH7-2026-SM-E9J4I 50-59 years, female 251.6
GTEX-13X6I-0626-SM-5QGP9 60-69 years, male 251.5
GTEX-1HCU8-0626-SM-A9SM9 60-69 years, female 251.4
GTEX-1QMI2-0226-SM-EVYBX 60-69 years, male 251.1
GTEX-T6MN-0126-SM-32PLP 50-59 years, male 251.0
GTEX-1HBPN-0226-SM-9YFM1 50-59 years, male 250.8
GTEX-OXRK-0226-SM-3NB2G 50-59 years, female 250.4
GTEX-15UKP-0426-SM-7KUFQ 20-29 years, male 250.3
GTEX-Y5V6-2426-SM-4VDSB 60-69 years, male 250.2
GTEX-145MN-2226-SM-5SIAU 30-39 years, male 249.4
GTEX-1S5ZA-0126-SM-EVYCV 20-29 years, male 248.9
GTEX-1E1VI-0126-SM-7DHMZ 50-59 years, male 247.8
GTEX-14753-0426-SM-5NQAM 60-69 years, male 247.6
GTEX-131XH-2226-SM-5DUXJ 50-59 years, male 247.4
GTEX-16GPK-0126-SM-7DHLE 60-69 years, male 246.4
GTEX-VJWN-0126-SM-3GIK7 50-59 years, female 246.0
GTEX-13SLX-0526-SM-5S2ON 50-59 years, female 245.4
GTEX-1CB4E-2226-SM-793DC 60-69 years, male 245.2
GTEX-13NYB-2526-SM-5K7Z6 40-49 years, male 245.0
GTEX-1KD4Q-0226-SM-E9TJ9 40-49 years, male 244.9
GTEX-RM2N-1426-SM-2TF4H 50-59 years, male 244.4
GTEX-15DDE-0126-SM-6LPKH 50-59 years, female 244.3
GTEX-YEC4-2126-SM-5IFJH 40-49 years, male 244.2
GTEX-1313W-0126-SM-5LZUN 50-59 years, female 244.1
GTEX-1JKYR-0126-SM-CNPOJ 20-29 years, male 244.0
GTEX-Y5V5-2326-SM-4V6GA 60-69 years, female 243.9
GTEX-1HSKV-0226-SM-A9SKJ 60-69 years, male 243.5
GTEX-1CB4I-0226-SM-79OLH 50-59 years, male 243.2
GTEX-1C64N-0126-SM-793D7 50-59 years, male 242.9
GTEX-13W46-0226-SM-5SIAG 50-59 years, male 242.7
GTEX-11P82-1626-SM-59879 20-29 years, male 242.6
GTEX-X4EO-0326-SM-3P5YO 60-69 years, female 242.0
GTEX-13112-2826-SM-5DUWH 50-59 years, male 241.7
GTEX-11DXY-2626-SM-5GIE7 60-69 years, male 241.6
GTEX-1IDJF-0126-SM-CM2RS 20-29 years, male 241.5
GTEX-PWCY-1826-SM-DHXIZ 20-29 years, female 241.1
GTEX-1NV5F-0226-SM-E8VNY 60-69 years, female 240.9
GTEX-XYKS-2126-SM-4E3IB 60-69 years, female 240.6
GTEX-12WSC-0126-SM-5EQ4P 50-59 years, male 240.4
GTEX-SUCS-1926-SM-32PM3 70-79 years, male 240.4
GTEX-1JMPY-1326-SM-ARL8Y 30-39 years, male 240.3
GTEX-1399T-2826-SM-5KLYZ 60-69 years, male 239.8
GTEX-1AX9K-2326-SM-73KWU 50-59 years, male 239.3
GTEX-13RTJ-2426-SM-5S2Q2 60-69 years, male 239.1
GTEX-13OW6-0426-SM-5L3HM 50-59 years, male 238.5
GTEX-WQUQ-0426-SM-3MJFU 60-69 years, male 238.1
GTEX-1JMQJ-0526-SM-CYPSU 50-59 years, male 238.1
GTEX-1I1GQ-0126-SM-COH3H 50-59 years, male 237.6
GTEX-1MJK2-0426-SM-DTXE5 50-59 years, male 236.4
GTEX-Y8E4-0626-SM-4WWDL 40-49 years, male 235.9
GTEX-1ICLY-0126-SM-D4P36 50-59 years, male 235.6
GTEX-13OW8-1326-SM-5J1OW 60-69 years, male 235.4
GTEX-1CB4G-0226-SM-7PC3O 60-69 years, male 234.7
GTEX-1HT8W-0126-SM-CNPPP 30-39 years, male 234.0
GTEX-1KWVE-1426-SM-E9TJO 30-39 years, male 233.8
GTEX-1CAMS-0426-SM-7P8T2 40-49 years, female 233.6
GTEX-VUSG-2526-SM-4KL1V 50-59 years, male 233.2
GTEX-14E6D-0126-SM-62LDV 50-59 years, male 232.9
GTEX-1CAMR-1926-SM-7EPI2 20-29 years, male 232.5
GTEX-1212Z-2526-SM-5EGKP 60-69 years, male 231.9
GTEX-1QP29-0626-SM-EWRMX 50-59 years, male 231.7
GTEX-OHPM-0126-SM-2YUN9 50-59 years, male 231.4
GTEX-14PN4-0126-SM-6EU2V 50-59 years, male 230.9
GTEX-ZQG8-1626-SM-DHXIT 60-69 years, female 230.4
GTEX-ZY6K-1826-SM-5GZXK 50-59 years, male 230.1
GTEX-13O1R-0126-SM-5L3EH 60-69 years, male 229.0
GTEX-11EI6-0126-SM-5985R 60-69 years, male 228.7
GTEX-11ZTS-0126-SM-5EQ6M 60-69 years, female 228.1
GTEX-147F3-0526-SM-5SI98 50-59 years, female 227.7
GTEX-131XE-2326-SM-5PNZ2 50-59 years, male 226.5
GTEX-S95S-1226-SM-4GICG 60-69 years, male 226.5
GTEX-Y8LW-1826-SM-5S2MV 50-59 years, female 225.9
GTEX-YJ89-0126-SM-4TT3X 60-69 years, male 225.8
GTEX-1I1GV-0526-SM-A9G29 60-69 years, male 225.6
GTEX-RWSA-0126-SM-2XCBB 40-49 years, male 225.2
GTEX-1GMRU-0126-SM-9YFLV 50-59 years, male 225.2
GTEX-12WSN-5019-SM-79OM6 40-49 years, male 224.9
GTEX-WY7C-2326-SM-3NB2U 50-59 years, male 224.0
GTEX-PVOW-0126-SM-2XCFA 40-49 years, male 223.6
GTEX-OIZF-0126-SM-7SB8I 60-69 years, male 223.6
GTEX-15G19-0126-SM-6PANQ 60-69 years, male 223.4
GTEX-1IDJH-0326-SM-A9SLQ 70-79 years, male 223.1
GTEX-RTLS-0126-SM-447CA 60-69 years, female 222.8
GTEX-Z93S-0126-SM-5HL7M 50-59 years, male 222.5
GTEX-1IL2U-0226-SM-CE6T8 60-69 years, male 222.4
GTEX-XBED-2226-SM-47JYQ 60-69 years, male 222.3
GTEX-1C4CL-0526-SM-73KVK 30-39 years, male 222.0
GTEX-1AX9I-0126-SM-7SB74 60-69 years, male 221.3
GTEX-O5YT-0126-SM-48TBW 20-29 years, male 221.2
GTEX-1CB4F-0426-SM-9KNV4 60-69 years, male 221.0
GTEX-1POEN-0126-SM-EYYXJ 30-39 years, female 220.9
GTEX-11ZTT-2426-SM-5EQLS 60-69 years, female 220.5
GTEX-13QJ3-0326-SM-5S2RA 50-59 years, male 219.9
GTEX-1I6K6-0126-SM-A9SLE 30-39 years, male 219.9
GTEX-1GN73-0226-SM-9WG67 60-69 years, male 219.4
GTEX-RNOR-0126-SM-E9J4R 50-59 years, female 219.4
GTEX-1QP2A-0126-SM-E9J43 50-59 years, male 219.3
GTEX-T5JC-0426-SM-32PLO 20-29 years, male 218.8
GTEX-X8HC-0126-SM-4E3JW 50-59 years, female 218.6
GTEX-13FHP-0126-SM-5IJBG 50-59 years, male 218.5
GTEX-13O21-1426-SM-5K7XI 50-59 years, male 218.2
GTEX-QESD-1426-SM-2S1R9 20-29 years, male 218.0
GTEX-13VXU-0126-SM-5SI9F 50-59 years, male 217.9
GTEX-18A67-0126-SM-7LG5P 50-59 years, male 216.6
GTEX-PLZ4-0126-SM-5SI8O 50-59 years, female 215.9
GTEX-OOBJ-0126-SM-E6CJW 60-69 years, male 215.3
GTEX-QLQ7-1626-SM-2S1R8 60-69 years, male 214.8
GTEX-139T8-0126-SM-5K7XZ 60-69 years, male 214.0
GTEX-139TT-0126-SM-5K7Y5 60-69 years, male 214.0
GTEX-148VI-1626-SM-5SI6E 60-69 years, female 213.5
GTEX-14A5H-0426-SM-5QGQF 60-69 years, male 213.2
GTEX-1CB4J-0626-SM-7DHMP 60-69 years, male 211.7
GTEX-Y3IK-2426-SM-4WWDU 50-59 years, female 211.6
GTEX-1H1DG-0126-SM-9WYU2 70-79 years, male 211.5
GTEX-13W3W-2426-SM-5LU5B 60-69 years, female 211.0
GTEX-1F75I-0326-SM-9YFLU 40-49 years, male 211.0
GTEX-1JJE9-0326-SM-CL53Z 70-79 years, male 210.7
GTEX-1PPH7-2326-SM-EVYB8 40-49 years, male 210.7
GTEX-17HHE-2026-SM-79OKF 50-59 years, male 210.3
GTEX-12WSG-2826-SM-E9J4H 50-59 years, female 210.0
GTEX-WVJS-0126-SM-4MVOT 50-59 years, male 209.9
GTEX-1GZ2Q-0226-SM-7P8TL 40-49 years, male 209.9
GTEX-1J8JJ-0226-SM-CL53I 60-69 years, female 209.7
GTEX-1C6VS-0526-SM-7DUEN 60-69 years, male 209.4
GTEX-12ZZX-0126-SM-5EGK9 40-49 years, female 209.3
GTEX-1IKOH-0226-SM-COH4E 60-69 years, female 209.1
GTEX-1IE54-0126-SM-CMKHW 40-49 years, female 208.9
GTEX-U412-0426-SM-3DB9O 60-69 years, male 208.1
GTEX-145LU-0126-SM-5TDCB 50-59 years, male 207.0
GTEX-RVPV-0126-SM-EAZAW 60-69 years, male 206.5
GTEX-X4EP-0126-SM-3P5YV 60-69 years, female 206.1
GTEX-1HCVE-0126-SM-CGQEU 50-59 years, male 205.4
GTEX-1J8EW-0126-SM-CJI4F 60-69 years, female 204.1
GTEX-S7SE-0126-SM-2XCD5 50-59 years, male 203.8
GTEX-X4XX-0126-SM-3NMC2 60-69 years, male 203.5
GTEX-ZAB5-1826-SM-5HL7C 50-59 years, male 203.3
GTEX-QV44-1926-SM-2S1RF 50-59 years, male 203.2
GTEX-X5EB-2226-SM-46MW4 40-49 years, male 202.8
GTEX-13O3O-0126-SM-E9J49 60-69 years, female 202.7
GTEX-1HBPI-1526-SM-C1YQ1 50-59 years, male 202.3
GTEX-18465-0126-SM-731BN 50-59 years, male 202.2
GTEX-11OF3-2626-SM-5GU7F 60-69 years, male 201.5
GTEX-WYVS-2126-SM-3NMA3 40-49 years, female 201.3
GTEX-1EU9M-0226-SM-7P8SP 60-69 years, male 201.1
GTEX-113JC-2326-SM-5EQ4E 50-59 years, female 201.0
GTEX-1AMEY-1326-SM-73KYK 30-39 years, female 200.9
GTEX-12C56-1726-SM-5EQ61 20-29 years, male 200.3
GTEX-14JG1-0426-SM-6ETZZ 40-49 years, male 200.2
GTEX-144FL-0126-SM-5TDC8 50-59 years, male 199.6
GTEX-14DAQ-0126-SM-5S2MQ 60-69 years, female 199.2
GTEX-1QAET-0926-SM-E76QM 50-59 years, male 199.2
GTEX-111VG-2426-SM-5GZXD 60-69 years, male 199.0
GTEX-PWO3-1526-SM-48TCM 60-69 years, female 198.8
GTEX-139TU-0126-SM-5K7WH 60-69 years, male 197.9
GTEX-12WSE-0526-SM-793B2 20-29 years, male 197.7
GTEX-VJYA-1126-SM-3GIJU 60-69 years, male 197.6
GTEX-PLZ5-2026-SM-2S1O4 50-59 years, male 197.4
GTEX-15EOM-0126-SM-7KUGG 20-29 years, female 197.0
GTEX-1I1CD-0126-SM-CM2TK 60-69 years, female 196.3
GTEX-1JMLX-0226-SM-CM2RO 50-59 years, male 196.3
GTEX-14BMV-0126-SM-5S2PO 50-59 years, male 196.1
GTEX-1B8L1-2526-SM-9WYTF 60-69 years, male 196.0
GTEX-1H1CY-2826-SM-9MQM3 60-69 years, female 196.0
GTEX-13FTY-0526-SM-5L3EV 40-49 years, female 195.3
GTEX-1IDFM-0126-SM-COH2V 60-69 years, male 195.1
GTEX-1IOXB-0126-SM-ARL8G 50-59 years, male 194.1
GTEX-1GF9W-0326-SM-9KNUN 60-69 years, male 194.0
GTEX-1MGNQ-0126-SM-EVYCJ 40-49 years, male 193.9
GTEX-13NZB-2526-SM-5J1OM 30-39 years, male 193.4
GTEX-183FY-0126-SM-7LT9P 20-29 years, male 193.3
GTEX-17HG3-2226-SM-7938L 30-39 years, female 193.2
GTEX-144GL-0126-SM-5TDE2 50-59 years, male 193.1
GTEX-X88G-0126-SM-47JZ3 30-39 years, male 192.9
GTEX-QDVN-2026-SM-3GAEP 50-59 years, male 192.6
GTEX-11GSO-2426-SM-5A5LY 60-69 years, male 191.9
GTEX-1JMQK-0226-SM-CL543 60-69 years, male 191.9
GTEX-13G51-2526-SM-5LZYK 60-69 years, male 191.7
GTEX-1IGQW-0126-SM-COH42 60-69 years, male 191.6
GTEX-1GF9U-2126-SM-7SB7L 40-49 years, female 191.4
GTEX-18QFQ-0126-SM-731BE 30-39 years, male 191.0
GTEX-16MT8-0426-SM-7KUEY 60-69 years, female 190.9
GTEX-ZDTS-0126-SM-4WAY5 60-69 years, male 190.9
GTEX-YFC4-0126-SM-5CVLY 40-49 years, female 190.3
GTEX-Q2AH-1626-SM-3GAF8 40-49 years, male 189.0
GTEX-1MCYP-1926-SM-E9J2R 20-29 years, female 189.0
GTEX-13X6J-0126-SM-5QGOU 50-59 years, male 188.4
GTEX-Y8DK-0126-SM-4TT3L 60-69 years, male 188.3
GTEX-13OVI-1426-SM-5L3EY 60-69 years, female 187.6
GTEX-RU72-0926-SM-2TF6B 50-59 years, female 187.5
GTEX-1A3MX-0126-SM-731BR 60-69 years, male 187.0
GTEX-11TT1-2526-SM-5EGIB 20-29 years, male 186.1
GTEX-1314G-1526-SM-5EGK2 30-39 years, male 185.1
GTEX-1S82Y-2026-SM-EVYCM 40-49 years, male 185.0
GTEX-PW2O-1526-SM-7RHHB 20-29 years, male 185.0
GTEX-1JKYN-1326-SM-CGQG9 30-39 years, male 184.9
GTEX-ZQUD-1426-SM-57WER 30-39 years, male 184.5
GTEX-131XG-2626-SM-5KM17 50-59 years, female 184.1
GTEX-13OVL-0226-SM-5L3E9 50-59 years, male 184.1
GTEX-NPJ8-0126-SM-2YUNR 40-49 years, male 183.7
GTEX-13NZA-0226-SM-5K7Z7 60-69 years, male 183.6
GTEX-O5YW-0126-SM-3LK6D 50-59 years, male 183.5
GTEX-1JMOU-1526-SM-CL54I 60-69 years, female 183.3
GTEX-1RAZA-0126-SM-E6CI3 20-29 years, male 182.8
GTEX-1GN1W-0526-SM-9MQJQ 50-59 years, female 182.3
GTEX-1H3VY-0126-SM-ACKXD 50-59 years, male 182.0
GTEX-14PJ3-1826-SM-62LEX 50-59 years, male 181.7
GTEX-1ICG6-2526-SM-CGQFZ 70-79 years, female 181.3
GTEX-XUYS-0126-SM-47JWZ 50-59 years, male 181.2
GTEX-11DXW-0226-SM-5H122 40-49 years, male 181.0
GTEX-1F7RK-0126-SM-7PC2S 20-29 years, female 181.0
GTEX-147GR-0526-SM-5S2MY 60-69 years, male 179.8
GTEX-U3ZN-2326-SM-3DB7W 30-39 years, female 179.3
GTEX-ZU9S-0226-SM-5E441 30-39 years, male 179.3
GTEX-ZC5H-0226-SM-4WAY9 40-49 years, female 178.7
GTEX-1LC47-0326-SM-E9TJP 60-69 years, male 178.7
GTEX-1H3NZ-0126-SM-ACKX7 60-69 years, male 178.5
GTEX-18A7B-0126-SM-7LG64 70-79 years, male 178.1
GTEX-1I19N-0326-SM-ACKVX 70-79 years, male 177.7
GTEX-15DYW-0126-SM-7KULE 60-69 years, female 177.3
GTEX-1H1DE-2126-SM-9WG6R 20-29 years, male 177.3
GTEX-1MCQQ-0826-SM-DLHC2 60-69 years, male 176.5
GTEX-18A6Q-0126-SM-731BZ 60-69 years, male 176.2
GTEX-1F88F-2726-SM-7PBZZ 60-69 years, female 176.2
GTEX-13U4I-0126-SM-5LU38 40-49 years, female 176.1
GTEX-V1D1-2226-SM-3NMAX 50-59 years, male 175.5
GTEX-18A7A-0226-SM-718BH 50-59 years, female 174.9
GTEX-SN8G-0126-SM-32PLI 50-59 years, female 174.8
GTEX-11WQK-0526-SM-5EQLD 50-59 years, male 174.7
GTEX-T2IS-0126-SM-4DM6O 20-29 years, female 174.7
GTEX-14BIM-0226-SM-7IGLD 60-69 years, female 174.6
GTEX-WH7G-2326-SM-3NMBC 40-49 years, male 174.6
GTEX-X585-0226-SM-4QAS2 50-59 years, male 174.0
GTEX-17HGU-0226-SM-7DHKV 50-59 years, male 172.0
GTEX-1NHNU-1026-SM-E9J2A 50-59 years, male 172.0
GTEX-1C64O-0126-SM-7SB8P 60-69 years, male 171.8
GTEX-Q2AG-0126-SM-33HBV 40-49 years, female 171.5
GTEX-S33H-1026-SM-EZ6L6 30-39 years, male 171.3
GTEX-U3ZH-2026-SM-3DB78 30-39 years, male 171.2
GTEX-R55G-2526-SM-2TC6D 40-49 years, female 170.0
GTEX-XQ3S-1526-SM-4BOOC 20-29 years, male 169.6
GTEX-146FH-0126-SM-5QGPP 50-59 years, female 169.0
GTEX-16NPX-0226-SM-79OMT 50-59 years, male 168.7
GTEX-Z93T-0126-SM-5HL5N 50-59 years, male 168.5
GTEX-132NY-0326-SM-5IJBL 60-69 years, male 168.4
GTEX-1497J-2426-SM-7IGNX 60-69 years, male 168.1
GTEX-1ICLZ-0126-SM-CKZPO 60-69 years, male 168.1
GTEX-ZEX8-2426-SM-4WKG4 50-59 years, male 167.9
GTEX-17F97-0326-SM-7LG5B 50-59 years, male 167.6
GTEX-1LG7Y-0526-SM-DKPQC 50-59 years, male 167.5
GTEX-ZTPG-0326-SM-5O9AX 20-29 years, female 166.8
GTEX-WI4N-1026-SM-3LK7N 40-49 years, female 166.7
GTEX-14PK6-1926-SM-6ETZU 70-79 years, female 166.6
GTEX-169BO-1326-SM-9MQK2 50-59 years, male 166.5
GTEX-1A8FM-0226-SM-7SB7Q 50-59 years, female 165.8
GTEX-11OC5-0126-SM-5HL6A 60-69 years, male 164.4
GTEX-1HKZK-0326-SM-9WYUH 40-49 years, male 164.3
GTEX-ZE9C-2726-SM-57WB5 60-69 years, male 163.8
GTEX-1192X-0226-SM-5H12D 50-59 years, male 162.7
GTEX-14PHW-0126-SM-6LLJI 60-69 years, female 162.6
GTEX-P4PQ-0126-SM-2S1NM 60-69 years, male 162.4
GTEX-11ZU8-2526-SM-5EQKI 60-69 years, male 162.3
GTEX-ZAJG-0126-SM-5HL94 50-59 years, female 162.3
GTEX-U3ZM-1526-SM-3DB9D 40-49 years, male 162.2
GTEX-11O72-0126-SM-59887 40-49 years, male 161.9
GTEX-1HR98-0126-SM-B2LWI 60-69 years, male 161.9
GTEX-14E7W-0126-SM-6LLJ9 70-79 years, male 161.8
GTEX-U8XE-0326-SM-3DB8P 30-39 years, male 161.3
GTEX-XMD2-0126-SM-4YCDU 60-69 years, female 161.3
GTEX-12WSL-2526-SM-5GCNJ 50-59 years, male 161.0
GTEX-QVJO-1626-SM-2S1QW 60-69 years, female 160.9
GTEX-1H3O1-0426-SM-9YFKY 60-69 years, male 160.3
GTEX-1H23P-0126-SM-ADEJ3 60-69 years, male 159.0
GTEX-1B933-0126-SM-7PC29 50-59 years, female 158.8
GTEX-17MF6-0126-SM-7LG4F 40-49 years, male 158.3
GTEX-QLQW-1126-SM-2S1Q8 30-39 years, male 158.3
GTEX-1KD5A-0226-SM-D5OV3 50-59 years, male 158.3
GTEX-1GTWX-0126-SM-9YFLK 60-69 years, male 158.2
GTEX-SIU8-0126-SM-2XCDT 50-59 years, male 158.0
GTEX-ZYY3-0126-SM-5GZY5 60-69 years, female 157.9
GTEX-QEG4-0226-SM-2S1PY 30-39 years, male 157.2
GTEX-1JMPZ-0226-SM-CNPP1 30-39 years, male 156.6
GTEX-X638-0126-SM-47JZ8 70-79 years, female 156.3
GTEX-1IL2V-0126-SM-CM2TX 70-79 years, male 156.0
GTEX-13FHO-0226-SM-5IFGY 60-69 years, male 155.9
GTEX-ZYFC-0226-SM-5NQ75 50-59 years, male 155.9
GTEX-1RQEC-0426-SM-E6CHU 60-69 years, male 155.6
GTEX-13O3Q-2426-SM-5IJBR 50-59 years, male 155.2
GTEX-Q2AI-1326-SM-2S1PL 40-49 years, male 154.9
GTEX-OXRO-0126-SM-2YUN4 60-69 years, female 154.3
GTEX-16YQH-0126-SM-7DUFJ 30-39 years, male 154.1
GTEX-1A32A-0126-SM-718B1 50-59 years, female 153.4
GTEX-1C6VQ-0126-SM-7P8RI 50-59 years, male 152.6
GTEX-11ZVC-2526-SM-5FQTE 50-59 years, female 152.4
GTEX-13N1W-0126-SM-5K7VT 70-79 years, male 151.6
GTEX-1EN7A-0126-SM-7SB81 40-49 years, male 151.5
GTEX-Y3I4-2126-SM-4TT7C 50-59 years, male 150.8
GTEX-1K9T9-0126-SM-EVYCF 50-59 years, female 150.3
GTEX-1I1GS-0126-SM-B2LVW 60-69 years, male 150.0
GTEX-1F6IF-0726-SM-7P8TW 60-69 years, male 149.7
GTEX-15SDE-2226-SM-7IGLO 50-59 years, female 149.4
GTEX-12584-0126-SM-5EGKQ 40-49 years, male 149.1
GTEX-1EKGG-0226-SM-9WYTH 60-69 years, male 147.8
GTEX-17EVQ-0226-SM-7LG4P 70-79 years, male 147.0
GTEX-15SB6-1726-SM-6PAME 50-59 years, female 146.9
GTEX-13N11-2526-SM-5K7UE 50-59 years, female 146.6
GTEX-1H1ZS-0426-SM-9WG6G 70-79 years, male 146.1
GTEX-1PWST-0226-SM-E76QJ 70-79 years, male 145.9
GTEX-1F75A-0126-SM-7RHGM 50-59 years, male 145.8
GTEX-15D1Q-0126-SM-7KUG6 40-49 years, male 145.5
GTEX-1GN1V-0126-SM-9WPOS 60-69 years, male 145.3
GTEX-ZE7O-0126-SM-57WC1 50-59 years, female 144.4
GTEX-146FQ-0126-SM-5NQA9 30-39 years, male 143.7
GTEX-Y111-0126-SM-4SOIV 50-59 years, male 142.5
GTEX-1QEPI-0126-SM-EWRMQ 60-69 years, female 142.4
GTEX-183WM-0126-SM-7LTAB 70-79 years, female 142.0
GTEX-XV7Q-2526-SM-4BRV9 40-49 years, female 141.9
GTEX-WZTO-0126-SM-3NM95 40-49 years, male 141.3
GTEX-1GPI6-0126-SM-9WG69 60-69 years, male 140.8
GTEX-14ABY-0226-SM-5TDCQ 50-59 years, male 140.6
GTEX-15DCD-0126-SM-7KUEK 70-79 years, female 140.6
GTEX-1HFI6-0226-SM-ADEHZ 40-49 years, male 140.6
GTEX-ZVZO-0126-SM-5A5L9 40-49 years, male 140.4
GTEX-1N2DV-0226-SM-E6CJ6 40-49 years, male 139.9
GTEX-11WQC-2526-SM-5CVLE 60-69 years, male 139.7
GTEX-TMZS-0126-SM-3DB9Q 60-69 years, male 139.1
GTEX-XXEK-2226-SM-4BRUM 50-59 years, male 138.8
GTEX-11NUK-0126-SM-5A5L3 50-59 years, male 138.2
GTEX-1F6I4-0126-SM-9MQL2 60-69 years, male 137.7
GTEX-1I1GU-2226-SM-CGQFA 40-49 years, male 137.7
GTEX-11P7K-2126-SM-5GU7G 30-39 years, male 137.3
GTEX-12WSD-0126-SM-59HKN 60-69 years, female 135.9
GTEX-14XAO-2326-SM-6EU1B 60-69 years, female 134.9
GTEX-1HB9E-0226-SM-E9U4R 50-59 years, male 134.3
GTEX-18D9B-0526-SM-7LTAS 60-69 years, male 133.8
GTEX-147F4-0226-SM-5QGPW 50-59 years, male 133.7
GTEX-17HHY-0126-SM-7LG5D 50-59 years, male 133.6
GTEX-R45C-0126-SM-EAZ2R 60-69 years, female 133.2
GTEX-S7PM-0126-SM-4AD6S 60-69 years, male 131.9
GTEX-1A3MW-0126-SM-73KXX 60-69 years, female 131.6
GTEX-11GS4-2726-SM-5A5LE 60-69 years, male 130.9
GTEX-1F48J-0126-SM-7P8TT 50-59 years, female 130.2
GTEX-14BIL-0126-SM-5SI92 50-59 years, male 130.0
GTEX-11TTK-0126-SM-5987B 60-69 years, female 129.2
GTEX-POMQ-2226-SM-2I5FK 20-29 years, female 129.2
GTEX-1IKK5-0626-SM-ARL8A 60-69 years, male 125.7
GTEX-YJ8A-0426-SM-5IFID 20-29 years, male 125.2
GTEX-12126-0326-SM-5PNW3 20-29 years, male 124.3
GTEX-1I1GP-2226-SM-CGQFK 50-59 years, male 123.9
GTEX-ZF28-0126-SM-4WKGK 60-69 years, male 123.0
GTEX-WOFL-0126-SM-3MJG2 60-69 years, male 121.8
GTEX-W5X1-3026-SM-EAZAX 40-49 years, female 121.0
GTEX-ZZPT-0226-SM-5E43X 50-59 years, male 119.6
GTEX-11EMC-2926-SM-5EQ4F 60-69 years, female 119.4
GTEX-13RTL-0126-SM-7LG5S 40-49 years, male 118.0
GTEX-14A6H-0126-SM-5QGPK 30-39 years, male 117.5
GTEX-RN64-0126-SM-2TC68 50-59 years, male 117.0
GTEX-117YW-2626-SM-5GZZH 50-59 years, male 116.9
GTEX-1C6WA-0126-SM-7PC2B 60-69 years, male 116.9
GTEX-ZVT3-0126-SM-5GU6I 60-69 years, female 116.7
GTEX-11GSP-2526-SM-5N9BP 60-69 years, female 115.6
GTEX-ZAB4-0226-SM-5N9F5 40-49 years, male 115.6
GTEX-SSA3-0126-SM-32QPU 60-69 years, male 111.2
GTEX-13OVG-1926-SM-5L3DK 60-69 years, male 109.0
GTEX-1192W-2626-SM-5Q5AF 60-69 years, male 105.9
GTEX-1HSMO-0126-SM-CL547 60-69 years, male 105.7
GTEX-13OW7-0126-SM-5MR3B 50-59 years, male 105.5
GTEX-1IY9M-0126-SM-D3L8S 60-69 years, male 104.8
GTEX-11UD1-0126-SM-5PNYG 40-49 years, female 104.7
GTEX-1I1HK-0126-SM-COH49 60-69 years, male 104.6
GTEX-13OVJ-0126-SM-5KM36 50-59 years, female 104.3
GTEX-1HSMP-0126-SM-E6CJS 70-79 years, male 102.9
GTEX-15SHW-0326-SM-6PAML 60-69 years, male 101.9
GTEX-R55E-0126-SM-2TC5Y 20-29 years, male 101.9
GTEX-1N2DW-0226-SM-E9TK2 50-59 years, male 101.8
GTEX-ZYW4-0126-SM-5E44A 60-69 years, male 100.5
GTEX-1KANB-0526-SM-E6CJH 50-59 years, male 98.7
GTEX-1MA7X-2226-SM-E6CIY 60-69 years, male 93.5
GTEX-1M4P7-0226-SM-DIPEV 60-69 years, male 91.4
GTEX-144GN-2326-SM-5LU4F 50-59 years, male 91.3
GTEX-1LNCM-1126-SM-E9U5E 50-59 years, female 90.3
GTEX-1AX8Z-0126-SM-7DHM6 60-69 years, male 90.1
GTEX-1PBJI-0526-SM-E8VNK 20-29 years, female 87.9
GTEX-1R9PO-2126-SM-E9J4O 60-69 years, female 84.4
GTEX-Q734-1926-SM-2I5EV 40-49 years, female 84.3
GTEX-ZUA1-0126-SM-5GU76 40-49 years, male 81.6
GTEX-ZDXO-3026-SM-5J1N5 60-69 years, male 81.4
GTEX-X62O-0126-SM-4E3JN 50-59 years, male 79.2
GTEX-16XZY-2126-SM-79OK1 70-79 years, male 78.1
GTEX-QDT8-0126-SM-48TZ1 30-39 years, female 77.4
GTEX-1HUB1-0426-SM-E9U4U 60-69 years, male 71.2
GTEX-1OJC4-0126-SM-E9J2E 50-59 years, female 70.1
GTEX-1AYD5-2426-SM-73KXR 50-59 years, male 69.5
GTEX-1AYCT-2426-SM-7IGQ3 50-59 years, male 69.0
GTEX-OXRL-0126-SM-2YUMP 50-59 years, male 67.9
GTEX-1RLM8-2326-SM-EWRN4 50-59 years, male 54.0
GTEX-113IC-0126-SM-5HL6T 60-69 years, male 52.8
GTEX-11ZUS-0626-SM-59885 30-39 years, male 51.4
GTEX-139T4-0226-SM-5HL5S 50-59 years, female 49.1
GTEX-1QW4Y-1526-SM-EAZ3Z 30-39 years, male 47.6
GTEX-U4B1-1826-SM-4DXSU 40-49 years, male 46.9
GTEX-RUSQ-1526-SM-2TF62 50-59 years, male 45.0
GTEX-SE5C-1626-SM-2XCE3 40-49 years, female 30.6
GTEX-1QP67-1626-SM-EAZ3X 40-49 years, female 29.2
GTEX-14JIY-0126-SM-6LLH6 60-69 years, male 21.7
GTEX-146FR-1326-SM-E9J48 60-69 years, female 20.6
GTEX-1R9K4-0126-SM-DTX9X 60-69 years, male 19.3
GTEX-1RAZQ-0726-SM-EAZ43 30-39 years, male 15.0
GTEX-1HBPH-0426-SM-B2LW5 40-49 years, female 11.3
Show allShow less

Contact

  • NEWS ARTICLES
  • PRESS ROOM

The Project

  • INTRODUCTION
  • ORGANIZATION
  • PUBLICATIONS

The Human Protein Atlas

  • DOWNLOADABLE DATA
  • LICENCE & CITATION
  • HELP & FAQ
The Human Protein Atlas project is funded
by the Knut & Alice Wallenberg Foundation.


contact@proteinatlas.org