We use cookies to enhance the usability of our website. If you continue, we'll assume that you are happy to receive all cookies. More information. Don't show this again.
TPSAB1
HPA
RESOURCES
  • TISSUE
  • BRAIN
  • SINGLE CELL
  • SUBCELLULAR
  • CANCER
  • BLOOD
  • CELL LINE
  • STRUCTURE & INTERACTION
ABOUT
  • INTRODUCTION
  • HISTORY
  • ORGANIZATION
  • PUBLICATIONS
  • ANTIBODY SUBMISSION
  • ANTIBODY AVAILABILITY
  • ACKNOWLEDGMENTS
  • CONTACT
NEWS
  • NEWS ARTICLES
  • PRESS ROOM
LEARN
  • DICTIONARY
  • PROTEIN CLASSES
  • PROTEIN EVIDENCE
  • METHODS
  • EDUCATIONAL VIDEOS
DATA
  • DOWNLOADABLE DATA
  • PUBLICATION DATA
  • RELEASE HISTORY
HELP
  • ANTIBODY VALIDATION
  • ASSAYS & ANNOTATION
  • DISCLAIMER
  • HELP & FAQ
  • PRIVACY STATEMENT
  • LICENCE & CITATION
Fields »
Search result

Field
Term
Gene name
Class
Subclass
Class
Keyword
Chromosome
External id
Tissue
Cell type
Expression
Antibody panel
Tissue
Main location
Patient ID
Annotation
Tissue
Category
Tau score
Cluster
Reliability
Brain region
Category
Tau score
Brain region
Category
Tau score
Brain region
Category
Tau score
Cluster
Reliability
Tissue
Cell type
Enrichment
Cell type
Category
Tau score
Cell type
Category
Tau score
Cell type
Category
Tau score
Cell lineage
Category
Tau score
Cluster
Cluster
Location
Searches
Location
Cell line
Class
Type
Phase
Reliability
Cancer
Prognosis
Cancer
Category
Cancer
Category
Tau score
Cluster
Variants
Interacting gene (ensg_id)
Type
Number of interactions
Pathway
Category
Score
Score
Score
Validation
Validation
Validation
Validation
Antibodies
Data type
Column


  • SUMMARY

  • TISSUE

  • BRAIN

  • SINGLE CELL

  • SUBCELL

  • CANCER

  • BLOOD

  • CELL LINE

  • STRUCT & INT

  • TPSAB1
TISSUE PRIMARY DATA SKIN 1 Show tissue menu
ADIPOSE TISSUE ADRENAL GLAND AMYGDALA APPENDIX BASAL GANGLIA BONE MARROW BREAST BRONCHUS CEREBELLUM CEREBRAL CORTEX CERVIX CHOROID PLEXUS COLON DUODENUM
ENDOMETRIUM EPIDIDYMIS ESOPHAGUS FALLOPIAN TUBE GALLBLADDER HEART MUSCLE HIPPOCAMPAL FORMATION HYPOTHALAMUS KIDNEY LIVER LUNG LYMPH NODE MIDBRAIN NASOPHARYNX
ORAL MUCOSA OVARY PANCREAS PARATHYROID GLAND PITUITARY GLAND PLACENTA PROSTATE RECTUM RETINA SALIVARY GLAND SEMINAL VESICLE SKELETAL MUSCLE SKIN SMALL INTESTINE
SMOOTH MUSCLE SOFT TISSUE SPINAL CORD SPLEEN STOMACH TESTIS THYMUS THYROID GLAND TONGUE TONSIL URINARY BLADDER VAGINA
ANTIBODIES
AND
VALIDATION
Dictionary
Skin
Tissue proteome
SKIN - Expression summary
Protein expression
Skini

On the top, protein expression in current human tissue, based on all annotated cell types, is reported with the units not detected (n), low (l), medium (m) and high (h). Underneath, protein expression in each annotated cell type are reported using the same units.

Protein expression data is based on knowledge-based annotation. For genes where more than one antibody has been used, a collective score is set.

If knowledge-based annotation could not be performed for a gene, no data is displayed here. View antibody staining data further down this page.

h
m
l
n
Epidermal cells: Not detected
Fibroblasts: Not detected
Keratinocytes: Not detected
Langerhans: Not detected
Melanocytes: Not detected
RNA expressioni

A summary of mRNA expression data available for current tissue based on several datasets. The mRNA expression levels in human tissues are based on RNA-seq data generated by the Human Protein Atlas (HPA), Genotype-Tissue Expression (GTEx) portal and CAGE data generated by the FANTOM5 consortium. Consensus normalized expression levels for human tissues was created by combining the data from HPA and GTEx datasets.

The mRNA expression levels in pig are based on RNA-seq data generated by the Human Protein Atlas (HPA), and for mouse, HPA data and in situ hybridization generated by the Allen brain atlas are reported.

Scroll down to view mRNA expression data in more detail.
Consensus:118.7 nTPM
HPA:24.9 nTPM
GTEx:118.7 nTPM

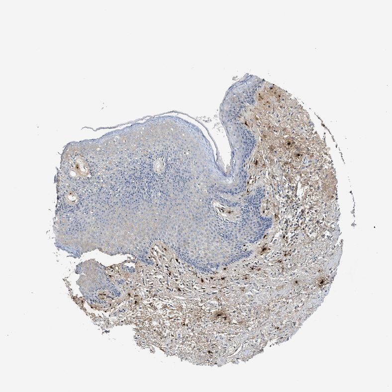
SKIN 1 - Antibody stainingi

Antibody staining in the annotated cell types in the current human tissue is reported as not detected, low, medium, or high, based on conventional immunohistochemistry profiling in selected tissues. This score is based on the combination of the staining intensity and fraction of stained cells.

Each image is clickable and will lead to virtual microscopy that enables deeper exploration of all samples and also displays staining intensity scores, fraction scores and subcellular localization as well as patient and tissue information for each sample.

Antibody HPA049153Antibody HPA049554Antibody CAB016369Antibody CAB022175
Langerhans Not detectedNot detectedNot detectedNot detected
Fibroblasts LowMedium-Not detected
Keratinocytes Not detectedLowNot detectedNot detected
Melanocytes Not detectedNot detectedNot detectedNot detected


SKIN 2 - Antibody stainingi

Antibody staining in the annotated cell types in the current human tissue is reported as not detected, low, medium, or high, based on conventional immunohistochemistry profiling in selected tissues. This score is based on the combination of the staining intensity and fraction of stained cells.

Each image is clickable and will lead to virtual microscopy that enables deeper exploration of all samples and also displays staining intensity scores, fraction scores and subcellular localization as well as patient and tissue information for each sample.

Antibody HPA049153Antibody HPA049554Antibody CAB016369Antibody CAB022175
Epidermal cells Not detectedLowNot detectedNot detected
    
    
    








SKIN - HPA RNA-seqi

The RNA-seq details section shows detailed information about the individual samples used for the transcript profiling and results of the RNA-seq analysis.

Information about each individual sample is listed below, including gender, age, a tissue section image and estimated fractions of cell types. nTPM (normalized transcripts per million) values give a quantification of the gene abundance which is comparable between different genes and samples.
Average nTPMi

Max subtype nTPM is the value for the subtype with the largest average nTPM across the subtype samples.

24.9
overview
Female, age 34
Skin sample 225
nTPM: 23.7
Cell types%
Keratinocytes:
60

Other cell types:
40

overview
Female, age 30
Skin sample 226
nTPM: 4.8
Cell types%
Keratinocytes:
55

Other cell types:
45

N/A
Male, age 57
Skin sample 227
nTPM: 46.1

SKIN - GTEx RNA-seqi

RNA-Seq data generated by the Genotype-Tissue Expression (GTEx) project from human tissues is reported as mean nTPM. More information can be found on the GTEx portal.

Distribution across the dataset is visualized with box plots, shown as median and 25th and 75th percentiles. Points are displayed as outliers if they are above or below 1.5 times the interquartile range. nTPM values of the individual samples are presented next to the box plot.
Max subtype nTPMi

Max subtype nTPM is the value for the subtype with the largest average nTPM across the subtype samples.

118.7
GTEx sample id Sample description nTPM
Skin - Not Sun Exposed (Suprapubic)
Average nTPM: 82.1
Samples: 604

Max nTPM: 590.8
Min nTPM: 3.2
Std nTPM: 66.3
Median nTPM: 63.8
GTEX-1399R-1326-SM-5PNYS 30-39 years, male 590.8
GTEX-1QP29-1826-SM-DTX9S 50-59 years, male 383.8
GTEX-XBEC-0726-SM-4QARZ 50-59 years, male 379.1
GTEX-16MTA-0926-SM-6M47Z 50-59 years, male 370.8
GTEX-14DAR-1226-SM-73KYV 50-59 years, male 325.3
GTEX-Y8LW-1526-SM-5IFHL 50-59 years, female 324.7
GTEX-1JKYN-0826-SM-ARU8S 30-39 years, male 318.2
GTEX-1JMOU-1026-SM-CYPSS 60-69 years, female 299.9
GTEX-ZYFG-1526-SM-5GZYM 60-69 years, female 295.2
GTEX-YEC4-1826-SM-4W1YP 40-49 years, male 292.6
GTEX-1I4MK-0126-SM-CY8G6 50-59 years, female 274.4
GTEX-13QBU-1226-SM-5LU4G 40-49 years, female 268.8
GTEX-1H1CY-0126-SM-9YFLY 60-69 years, female 267.4
GTEX-15FZZ-0526-SM-7KUGD 30-39 years, female 265.1
GTEX-1EKGG-0626-SM-7DUGJ 60-69 years, male 263.3
GTEX-ZAK1-0626-SM-5HL8E 50-59 years, female 250.3
GTEX-XPVG-2126-SM-4B667 50-59 years, male 248.6
GTEX-X5EB-1926-SM-4E3IW 40-49 years, male 247.3
GTEX-X8HC-0626-SM-4E3HQ 50-59 years, female 246.1
GTEX-1CAMR-1326-SM-7PC1F 20-29 years, male 245.1
GTEX-1F6I4-2326-SM-7RHGL 60-69 years, male 243.2
GTEX-ZA64-1026-SM-5HL8R 20-29 years, male 240.6
GTEX-1QCLZ-2426-SM-EVYBW 60-69 years, female 239.6
GTEX-12BJ1-0926-SM-5EQ62 60-69 years, male 235.3
GTEX-1K2DA-1026-SM-CGQGF 50-59 years, male 234.5
GTEX-XUW1-0926-SM-4BONX 50-59 years, female 233.9
GTEX-1117F-2926-SM-5GZYI 60-69 years, female 231.1
GTEX-ZTSS-1426-SM-5985P 40-49 years, male 229.1
GTEX-1LBAC-0826-SM-CY8IJ 20-29 years, male 227.0
GTEX-13OVK-1426-SM-6PAN7 40-49 years, male 223.3
GTEX-12WSJ-1126-SM-5LZVJ 40-49 years, female 220.8
GTEX-ZF2S-1626-SM-57WES 50-59 years, female 220.2
GTEX-11LCK-2226-SM-5HL4Q 30-39 years, male 219.3
GTEX-1H1ZS-2726-SM-9WG75 70-79 years, male 215.2
GTEX-11DXW-0826-SM-5H118 40-49 years, male 211.1
GTEX-13OVG-1626-SM-5J1NF 60-69 years, male 208.2
GTEX-16YQH-2226-SM-7IGM2 30-39 years, male 206.9
GTEX-11NSD-0626-SM-5A5LU 20-29 years, male 205.5
GTEX-17F97-2626-SM-7IGM5 50-59 years, male 204.5
GTEX-ZAB4-2126-SM-5HL8U 40-49 years, male 203.3
GTEX-145MN-1526-SM-5SI9T 30-39 years, male 202.8
GTEX-18D9B-0926-SM-7LG4U 60-69 years, male 201.3
GTEX-ZVE2-2826-SM-5GU51 50-59 years, male 199.8
GTEX-14PKV-1126-SM-6LLJ1 20-29 years, female 196.1
GTEX-1J8Q3-0526-SM-ARL8U 60-69 years, male 193.0
GTEX-1IDJI-0126-SM-CMKHS 50-59 years, female 190.8
GTEX-1JMQI-1726-SM-ARL93 50-59 years, male 187.8
GTEX-WYVS-1626-SM-3NM9R 40-49 years, female 178.9
GTEX-16BQI-1326-SM-6M486 30-39 years, female 176.7
GTEX-14PK6-0226-SM-62LF5 70-79 years, female 176.5
GTEX-ZYW4-0626-SM-59HJR 60-69 years, male 175.6
GTEX-1497J-0226-SM-5QGPU 60-69 years, male 173.7
GTEX-1MJK3-0726-SM-E6CJC 20-29 years, male 169.7
GTEX-1B996-0426-SM-7EWF8 60-69 years, male 169.2
GTEX-ZZPU-0826-SM-5GZX5 50-59 years, female 168.9
GTEX-Y3IK-1626-SM-4YCF5 50-59 years, female 168.4
GTEX-11DYG-1526-SM-5A5JS 60-69 years, male 168.1
GTEX-1F6IF-0926-SM-7SB7M 60-69 years, male 164.5
GTEX-1S3DN-2126-SM-E9TIN 50-59 years, male 163.6
GTEX-1HCU6-2526-SM-ADEHL 60-69 years, female 163.2
GTEX-WFG8-2126-SM-3GIKQ 20-29 years, male 162.1
GTEX-1MCC2-1826-SM-DIPEX 30-39 years, female 161.6
GTEX-1LVAN-0626-SM-CNPOQ 50-59 years, female 160.7
GTEX-Y5V5-0126-SM-5S2NW 60-69 years, female 160.3
GTEX-1HFI7-2326-SM-CGQFS 50-59 years, female 158.5
GTEX-1HKZK-0726-SM-ACKW2 40-49 years, male 156.7
GTEX-11VI4-1126-SM-5EQMD 40-49 years, female 155.6
GTEX-1I6K7-1926-SM-B2LXR 40-49 years, male 155.0
GTEX-17EVP-2626-SM-7IGMA 40-49 years, male 154.6
GTEX-X3Y1-2026-SM-3P5YM 40-49 years, male 151.9
GTEX-1I1CD-0626-SM-CE6SW 60-69 years, female 151.8
GTEX-15RJ7-2126-SM-6PAMD 40-49 years, male 150.9
GTEX-1R9PN-0426-SM-DTXDT 40-49 years, female 150.9
GTEX-17HGU-2326-SM-7DUFE 50-59 years, male 150.8
GTEX-XBEW-1126-SM-4QARW 40-49 years, male 150.7
GTEX-1GZ4H-0526-SM-9KNU9 50-59 years, female 150.5
GTEX-139TT-2126-SM-5LZWC 60-69 years, male 146.8
GTEX-11ZTT-2126-SM-5CVLO 60-69 years, female 145.3
GTEX-1B8KE-1126-SM-7EPHI 50-59 years, male 144.0
GTEX-1RAZR-2126-SM-E9U6T 40-49 years, male 144.0
GTEX-145ME-1726-SM-5Q5EU 40-49 years, female 143.8
GTEX-1R7EU-1626-SM-DTXG3 60-69 years, male 143.3
GTEX-ZT9W-1126-SM-57WDR 50-59 years, male 142.0
GTEX-Y8E4-2026-SM-5IFJB 40-49 years, male 141.2
GTEX-13X6H-0926-SM-5SIB2 50-59 years, female 138.7
GTEX-1EWIQ-0326-SM-7DHMQ 70-79 years, female 138.3
GTEX-ZVP2-0326-SM-57WBP 50-59 years, male 138.0
GTEX-1GF9W-1426-SM-7PBYM 60-69 years, male 136.8
GTEX-1H4P4-2126-SM-9WYSL 50-59 years, male 136.6
GTEX-YB5K-2026-SM-4VDT3 40-49 years, female 135.7
GTEX-111CU-1126-SM-5EGIM 50-59 years, male 134.3
GTEX-1F75A-0726-SM-7RHHD 50-59 years, male 134.2
GTEX-YJ8O-2526-SM-5HL85 40-49 years, female 133.7
GTEX-ZPCL-1126-SM-4WWFE 60-69 years, female 132.9
GTEX-1EMGI-2326-SM-7PBYA 60-69 years, male 131.9
GTEX-1JMLX-0626-SM-ARL8T 50-59 years, male 131.3
GTEX-ZDXO-3126-SM-5IJDF 60-69 years, male 131.1
GTEX-U8XE-0226-SM-4E3J3 30-39 years, male 130.9
GTEX-1F75W-2726-SM-7SB8H 60-69 years, male 130.7
GTEX-1LG7Z-1626-SM-CXKYR 30-39 years, male 130.5
GTEX-1HCUA-0826-SM-ADEHM 50-59 years, female 130.3
GTEX-147F3-1726-SM-5SIAW 50-59 years, female 129.9
GTEX-ZE7O-2726-SM-51MT5 50-59 years, female 129.6
GTEX-WHPG-2626-SM-3NMBR 50-59 years, male 129.0
GTEX-ZLWG-0826-SM-59888 50-59 years, female 128.4
GTEX-12ZZZ-0726-SM-5GCNZ 60-69 years, male 128.1
GTEX-XBED-1926-SM-47JYP 60-69 years, male 127.4
GTEX-ZGAY-1826-SM-DO91Q 40-49 years, female 127.2
GTEX-1IY9M-2826-SM-ARU8H 60-69 years, male 125.6
GTEX-131XH-0126-SM-5LZUY 50-59 years, male 124.4
GTEX-14ABY-2026-SM-62LDL 50-59 years, male 123.7
GTEX-16MT9-0126-SM-7EPI8 60-69 years, female 123.3
GTEX-1CB4I-0126-SM-7RHGG 50-59 years, male 122.3
GTEX-145MG-1526-SM-5Q5EM 50-59 years, male 120.1
GTEX-13112-0126-SM-5P9IU 50-59 years, male 119.5
GTEX-13SLX-2226-SM-62LEP 50-59 years, female 119.3
GTEX-1LSNM-0826-SM-DIPG8 50-59 years, male 119.3
GTEX-1J8JJ-0626-SM-ARZMQ 60-69 years, female 118.2
GTEX-11EI6-2826-SM-5H11D 60-69 years, male 117.9
GTEX-11GS4-0226-SM-5HL77 60-69 years, male 116.9
GTEX-1LSVX-2526-SM-DIPEU 60-69 years, male 116.7
GTEX-1H23P-0626-SM-9WG6T 60-69 years, male 116.3
GTEX-131XF-2626-SM-5EQ6K 60-69 years, male 116.0
GTEX-ZXG5-2126-SM-59HKD 60-69 years, male 115.9
GTEX-1B8KZ-0326-SM-73KY4 50-59 years, male 115.8
GTEX-139YR-1026-SM-5LZYN 50-59 years, male 115.7
GTEX-1HSMQ-2626-SM-A9SML 50-59 years, male 115.6
GTEX-1GZHY-0626-SM-9KNVC 50-59 years, female 115.0
GTEX-13N11-2326-SM-5IJBF 50-59 years, female 113.2
GTEX-Y111-0626-SM-4SOIT 50-59 years, male 113.2
GTEX-17HII-1426-SM-7EPGG 50-59 years, male 113.0
GTEX-178AV-1726-SM-7KUL8 40-49 years, male 112.8
GTEX-Y5V6-2326-SM-4VDSA 60-69 years, male 112.8
GTEX-17HG3-2626-SM-7DUF2 30-39 years, female 112.6
GTEX-144FL-0626-SM-5LU43 50-59 years, male 112.5
GTEX-18D9A-1426-SM-7LT8M 30-39 years, female 112.3
GTEX-17JCI-2926-SM-7DUFF 60-69 years, female 111.7
GTEX-1H3O1-1326-SM-9MQLD 60-69 years, male 111.7
GTEX-1PIGE-1826-SM-E8VOU 20-29 years, male 111.7
GTEX-XOT4-0626-SM-4B66L 60-69 years, female 110.9
GTEX-11EQ9-1626-SM-5PNY8 30-39 years, male 110.2
GTEX-12WSK-2126-SM-5CVNC 40-49 years, female 110.1
GTEX-15RIG-0726-SM-7KUM7 40-49 years, male 109.9
GTEX-12C56-1526-SM-5FQUQ 20-29 years, male 109.2
GTEX-ZLV1-1526-SM-DO91J 60-69 years, female 109.0
GTEX-13FH7-1126-SM-5K7UG 50-59 years, female 108.0
GTEX-1EN7A-2426-SM-793DB 40-49 years, male 107.7
GTEX-18QFQ-1826-SM-72D52 30-39 years, male 107.3
GTEX-WXYG-2026-SM-4E3IY 50-59 years, female 106.3
GTEX-14PJO-2526-SM-6AJBQ 60-69 years, male 105.5
GTEX-1477Z-0326-SM-7IGLA 60-69 years, male 105.3
GTEX-15CHQ-0326-SM-69LQD 60-69 years, male 104.8
GTEX-1BAJH-2426-SM-7IGP8 70-79 years, male 104.5
GTEX-WHSE-0126-SM-3NMBT 20-29 years, male 104.5
GTEX-1F75B-0726-SM-7PC3R 50-59 years, male 104.3
GTEX-X585-2426-SM-46MW2 50-59 years, male 104.2
GTEX-14E6E-0526-SM-793DN 30-39 years, male 103.3
GTEX-1IDJD-2326-SM-ACKWX 30-39 years, male 103.3
GTEX-ZF3C-0626-SM-DO92O 50-59 years, female 103.2
GTEX-13113-1626-SM-5EQ4I 60-69 years, female 103.0
GTEX-ZZ64-1026-SM-5GZXG 20-29 years, male 102.7
GTEX-1314G-1326-SM-5BC6E 30-39 years, male 101.3
GTEX-13OW8-1026-SM-5J1NQ 60-69 years, male 100.8
GTEX-17HHY-0426-SM-7DHLC 50-59 years, male 100.8
GTEX-14A5H-0826-SM-5QGPJ 60-69 years, male 99.7
GTEX-1GMR2-0826-SM-7PC3V 50-59 years, male 99.5
GTEX-13OVL-0126-SM-5L3GJ 50-59 years, male 99.3
GTEX-1GMRU-2126-SM-7P8RA 50-59 years, male 99.2
GTEX-VJYA-1526-SM-3GIJV 60-69 years, male 99.0
GTEX-11EQ8-0926-SM-5H12V 60-69 years, male 98.9
GTEX-WI4N-2726-SM-3LK7Y 40-49 years, female 98.2
GTEX-1EU9M-1426-SM-793AI 60-69 years, male 97.9
GTEX-ZU9S-1826-SM-5NQ9E 30-39 years, male 97.4
GTEX-1ICG6-1226-SM-A9SLN 70-79 years, female 97.4
GTEX-1LVAO-2726-SM-E9TJ8 60-69 years, male 97.3
GTEX-XQ8I-0926-SM-4BOOF 50-59 years, male 97.2
GTEX-1C475-1326-SM-7SB73 40-49 years, female 96.7
GTEX-XYKS-1426-SM-4BRUO 60-69 years, female 96.6
GTEX-WH7G-2026-SM-3NMBL 40-49 years, male 96.3
GTEX-14PKU-0126-SM-6LLHV 40-49 years, female 96.2
GTEX-1I1GS-2626-SM-B2LY3 60-69 years, male 95.7
GTEX-1GL5R-1326-SM-7RHHF 50-59 years, male 95.2
GTEX-1HSMO-0626-SM-ACKXC 60-69 years, male 94.2
GTEX-16Z82-2626-SM-7KULU 60-69 years, male 94.1
GTEX-146FQ-2126-SM-5RQHU 30-39 years, male 93.3
GTEX-11EM3-1226-SM-5N9DD 20-29 years, female 92.9
GTEX-1J8QM-2426-SM-A9SLS 60-69 years, female 92.6
GTEX-1IDJU-1726-SM-CMKHU 60-69 years, female 92.1
GTEX-14BMU-1226-SM-5S2OR 20-29 years, female 91.9
GTEX-WYBS-0626-SM-3NMAS 60-69 years, female 91.5
GTEX-16AAH-0626-SM-793C9 50-59 years, male 90.9
GTEX-1A32A-0626-SM-731AQ 50-59 years, female 90.8
GTEX-ZF29-0926-SM-4WKFZ 60-69 years, female 90.8
GTEX-12WSH-1526-SM-5BC5W 50-59 years, male 90.7
GTEX-133LE-2326-SM-5K7W3 20-29 years, female 90.7
GTEX-1AX8Z-0726-SM-73KTS 60-69 years, male 89.9
GTEX-1C6WA-2626-SM-7MKGM 60-69 years, male 89.4
GTEX-14PJN-1826-SM-6AJ98 30-39 years, male 89.2
GTEX-1211K-1526-SM-5FQU4 60-69 years, female 88.9
GTEX-12WSC-2826-SM-5BC5Y 50-59 years, male 88.9
GTEX-1H11D-1826-SM-9QEHM 40-49 years, male 88.8
GTEX-ZYFC-0426-SM-5GICQ 50-59 years, male 88.6
GTEX-183FY-1026-SM-7939A 20-29 years, male 88.0
GTEX-1EX96-1026-SM-7MKG2 50-59 years, male 87.5
GTEX-15DYW-2726-SM-6EU2I 60-69 years, female 87.4
GTEX-1QP28-1126-SM-EVYC4 50-59 years, female 87.2
GTEX-12KS4-2126-SM-5FQUT 30-39 years, male 87.1
GTEX-1JKYR-0626-SM-ARL8R 20-29 years, male 86.5
GTEX-WFON-1926-SM-3LK7L 40-49 years, male 86.4
GTEX-14JG1-1526-SM-5YY9X 40-49 years, male 86.3
GTEX-Z93S-1626-SM-5CVMB 50-59 years, male 85.6
GTEX-1QP9N-1226-SM-E76QN 30-39 years, male 84.8
GTEX-111FC-2526-SM-5GZXU 60-69 years, male 84.7
GTEX-ZPU1-1126-SM-4YCF3 40-49 years, male 84.2
GTEX-1122O-1026-SM-9WYSF 60-69 years, female 84.1
GTEX-ZDTT-0426-SM-4WKFL 60-69 years, male 84.0
GTEX-139D8-1126-SM-5LU8W 30-39 years, female 83.9
GTEX-13OVJ-0826-SM-5J1OK 50-59 years, female 83.6
GTEX-1LB8K-0726-SM-D5OV2 50-59 years, male 82.6
GTEX-1I1GT-1026-SM-ARZLV 60-69 years, female 81.9
GTEX-17HHE-1326-SM-7EWDZ 50-59 years, male 81.6
GTEX-14JG6-1426-SM-9WG7C 30-39 years, female 81.5
GTEX-147JS-0226-SM-5S2U9 60-69 years, male 81.4
GTEX-11UD2-2526-SM-5CVNU 50-59 years, male 81.1
GTEX-11PRG-0726-SM-5EGL1 50-59 years, male 81.0
GTEX-1JJ6O-2726-SM-CNPOG 60-69 years, male 80.5
GTEX-1I1GP-1326-SM-A9G28 50-59 years, male 79.9
GTEX-14ICL-1626-SM-5YYAO 30-39 years, male 79.7
GTEX-13U4I-2226-SM-5LU5H 40-49 years, female 79.5
GTEX-16NGA-0726-SM-731AO 40-49 years, female 79.5
GTEX-15SHW-0226-SM-7LTAT 60-69 years, male 79.4
GTEX-12WSL-2026-SM-5GCML 50-59 years, male 79.2
GTEX-ZTX8-1326-SM-4YCEL 20-29 years, male 79.2
GTEX-ZC5H-1526-SM-5HL9Y 40-49 years, female 79.1
GTEX-WFG7-2026-SM-5SI7P 20-29 years, male 78.3
GTEX-WK11-2726-SM-3NMAQ 50-59 years, male 78.3
GTEX-18A7A-0126-SM-731AH 50-59 years, female 78.0
GTEX-1C2JI-1026-SM-73KY1 50-59 years, male 77.9
GTEX-1GTWX-2026-SM-9YFLM 60-69 years, male 77.8
GTEX-11DXZ-2026-SM-5987S 50-59 years, male 77.6
GTEX-ZVT2-0126-SM-5GIDQ 50-59 years, female 77.5
GTEX-16MT8-2926-SM-7DUFO 60-69 years, female 77.2
GTEX-1H3NZ-2726-SM-9WYTQ 60-69 years, male 77.1
GTEX-1HUB1-1426-SM-CGQF5 60-69 years, male 76.8
GTEX-12126-0826-SM-5FQTZ 20-29 years, male 76.6
GTEX-WRHU-2826-SM-3MJG8 50-59 years, female 76.6
GTEX-ZDTS-0826-SM-4WKHL 60-69 years, male 76.6
GTEX-ZP4G-1426-SM-4WWCL 20-29 years, female 76.1
GTEX-13O61-1426-SM-5KM3D 60-69 years, male 75.9
GTEX-ZPIC-0526-SM-DO91W 40-49 years, female 75.9
GTEX-12WSF-1626-SM-7KUG5 70-79 years, male 75.8
GTEX-13X6J-0626-SM-5LU5F 50-59 years, male 75.7
GTEX-131XW-0626-SM-5PNVD 50-59 years, female 75.6
GTEX-WYJK-0526-SM-3NM8Z 50-59 years, male 75.0
GTEX-11ZU8-0126-SM-5EQ58 60-69 years, male 74.5
GTEX-145LT-0526-SM-5LUB2 40-49 years, male 74.5
GTEX-13PVR-0426-SM-5RQK2 60-69 years, female 74.4
GTEX-YF7O-1526-SM-5IFI6 50-59 years, male 74.3
GTEX-13FTX-1526-SM-5K7VJ 20-29 years, female 74.2
GTEX-ZUA1-2626-SM-5NQ92 40-49 years, male 74.0
GTEX-1ICLZ-0326-SM-ARL82 60-69 years, male 73.8
GTEX-18A7B-2726-SM-7LG56 70-79 years, male 73.7
GTEX-1H1DF-1126-SM-9WG7G 40-49 years, female 73.5
GTEX-1F5PL-0926-SM-7PC2W 40-49 years, female 72.6
GTEX-1KAFJ-0126-SM-DIPEK 50-59 years, male 72.3
GTEX-1J1R8-2026-SM-CL53Y 40-49 years, male 72.1
GTEX-1GMR3-0126-SM-A9SLW 40-49 years, male 72.0
GTEX-1IOXB-2726-SM-CM2RI 50-59 years, male 71.9
GTEX-1AYD5-2626-SM-7PBXY 50-59 years, male 71.8
GTEX-14LZ3-0126-SM-69LPM 60-69 years, female 71.6
GTEX-131YS-2826-SM-5EQ47 60-69 years, female 71.4
GTEX-15EO6-2426-SM-6PALZ 50-59 years, male 71.2
GTEX-ZVTK-0226-SM-51MRG 20-29 years, male 70.9
GTEX-1KXAM-1626-SM-D3LAD 60-69 years, male 70.8
GTEX-11GSP-2326-SM-5HL63 60-69 years, female 70.1
GTEX-17MF6-2626-SM-79OKQ 40-49 years, male 70.1
GTEX-13NYB-0126-SM-5J1MD 40-49 years, male 69.9
GTEX-14A6H-2026-SM-5Q5DD 30-39 years, male 69.9
GTEX-13FHO-0426-SM-5L3F5 60-69 years, male 69.5
GTEX-13OW5-2326-SM-5L3HO 60-69 years, male 69.5
GTEX-17EVQ-0126-SM-7IGLR 70-79 years, male 69.1
GTEX-X4EO-2926-SM-4E3JH 60-69 years, female 69.0
GTEX-1JN6P-2926-SM-CL54D 60-69 years, male 68.8
GTEX-XXEK-1626-SM-4BRUZ 50-59 years, male 67.8
GTEX-XQ3S-1426-SM-4BOPR 20-29 years, male 67.6
GTEX-17F9E-2326-SM-79OKD 50-59 years, male 67.4
GTEX-1GPI6-1926-SM-9KNV7 60-69 years, male 67.3
GTEX-1IDJF-2026-SM-CL53V 20-29 years, male 67.3
GTEX-11DXY-0126-SM-5H11Q 60-69 years, male 67.1
GTEX-139T8-0626-SM-5KLZX 60-69 years, male 67.1
GTEX-139TU-0726-SM-5L3EK 60-69 years, male 67.1
GTEX-1IDJE-1426-SM-ADEIW 50-59 years, female 67.0
GTEX-17F9Y-0126-SM-79OKX 70-79 years, female 66.6
GTEX-1A3MV-1826-SM-731CD 30-39 years, male 66.5
GTEX-1F48J-0726-SM-7RHGS 50-59 years, female 66.4
GTEX-1N2DV-1526-SM-DTXEP 40-49 years, male 66.2
GTEX-1HFI6-0126-SM-CNPPI 40-49 years, male 65.7
GTEX-13VXU-0626-SM-5L3F9 50-59 years, male 65.6
GTEX-15CHR-1126-SM-7EWF4 50-59 years, male 65.3
GTEX-18D9U-0126-SM-731BM 40-49 years, male 64.6
GTEX-1E2YA-2126-SM-7MXUO 50-59 years, male 64.0
GTEX-1AX9I-2226-SM-73KUO 60-69 years, male 63.9
GTEX-XV7Q-1826-SM-4BRUV 40-49 years, female 63.8
GTEX-1I1HK-2326-SM-CKZOH 60-69 years, male 63.8
GTEX-1S82P-2126-SM-E6CI5 60-69 years, female 63.7
GTEX-13FTW-0326-SM-5K7UW 40-49 years, male 63.6
GTEX-ZLFU-1826-SM-4WWBV 40-49 years, male 63.6
GTEX-13YAN-0226-SM-5TDC6 60-69 years, male 63.5
GTEX-145MO-2826-SM-5LU96 60-69 years, male 63.4
GTEX-13D11-0926-SM-5J2NC 50-59 years, female 63.2
GTEX-1IKOE-1426-SM-CE6T7 30-39 years, female 63.1
GTEX-XK95-0226-SM-4AT58 40-49 years, male 62.8
GTEX-1RMOY-1326-SM-E9TIH 50-59 years, male 62.3
GTEX-14PHX-2226-SM-6EU2P 50-59 years, male 61.6
GTEX-1JK1U-0226-SM-ARZMX 60-69 years, male 61.4
GTEX-1B8SF-0126-SM-7DUG3 60-69 years, male 61.3
GTEX-11NUK-2726-SM-5A5MC 50-59 years, male 61.2
GTEX-14E1K-2026-SM-7DUEI 50-59 years, male 60.8
GTEX-1A8FM-0626-SM-7PC25 50-59 years, female 60.7
GTEX-18A6Q-0626-SM-7KFRP 60-69 years, male 60.6
GTEX-14PHY-1226-SM-5ZZWK 60-69 years, female 60.1
GTEX-1HBPI-2126-SM-ARL9K 50-59 years, male 59.8
GTEX-ZAJG-1526-SM-5CVML 50-59 years, female 59.4
GTEX-1S82U-1026-SM-E6CJK 30-39 years, female 59.3
GTEX-ZY6K-1426-SM-5GZX2 50-59 years, male 58.9
GTEX-11OF3-0126-SM-5PNYF 60-69 years, male 58.7
GTEX-1CAMS-2226-SM-7PBXQ 40-49 years, female 58.4
GTEX-WEY5-2326-SM-3GIKK 40-49 years, female 58.0
GTEX-1S831-1826-SM-EWROF 20-29 years, male 58.0
GTEX-ZVT4-2426-SM-5GIEI 50-59 years, female 57.9
GTEX-1PPGY-1626-SM-EVYBL 60-69 years, male 57.8
GTEX-1HC8U-1326-SM-9YFMJ 40-49 years, female 57.6
GTEX-1KD5A-0126-SM-E9U54 50-59 years, male 57.5
GTEX-11O72-0626-SM-5PNYE 40-49 years, male 56.7
GTEX-132AR-0326-SM-5KM2C 50-59 years, female 56.4
GTEX-1L5NE-1126-SM-D3L9P 50-59 years, male 56.4
GTEX-14DAQ-0626-SM-793DS 60-69 years, female 56.3
GTEX-14PJ6-2626-SM-6EU2T 60-69 years, female 56.2
GTEX-1212Z-0126-SM-59HK4 60-69 years, male 56.1
GTEX-X4EP-0626-SM-3P621 60-69 years, female 56.0
GTEX-145MH-2826-SM-5RQJF 50-59 years, male 55.6
GTEX-Y3I4-1726-SM-4TT89 50-59 years, male 55.4
GTEX-1N2EE-0626-SM-E76PW 60-69 years, male 55.3
GTEX-1IDJC-1526-SM-B2LW4 50-59 years, male 55.0
GTEX-13OW6-2726-SM-5J2OE 50-59 years, male 54.8
GTEX-1JMQL-2226-SM-CNPP4 50-59 years, female 54.8
GTEX-1313W-0626-SM-5EQ4H 50-59 years, female 54.7
GTEX-14C39-1726-SM-5RQIL 40-49 years, male 54.7
GTEX-1F52S-2926-SM-7MKGA 60-69 years, female 54.7
GTEX-1I19N-0126-SM-CYPSF 70-79 years, male 54.7
GTEX-1JN76-0626-SM-CKZOQ 20-29 years, female 54.6
GTEX-139TS-2126-SM-5K7XC 60-69 years, male 54.5
GTEX-13PVQ-0626-SM-5LU47 50-59 years, male 53.9
GTEX-1CB4H-1126-SM-7MKGL 60-69 years, female 53.8
GTEX-ZYFD-0626-SM-5E44E 50-59 years, male 53.8
GTEX-13N2G-0226-SM-5K7VF 60-69 years, male 53.6
GTEX-1H1E6-0426-SM-9WYUS 30-39 years, male 53.3
GTEX-13FLV-0126-SM-5K7WT 50-59 years, male 52.9
GTEX-1I6K6-1726-SM-CGQFD 30-39 years, male 52.9
GTEX-14B4R-1326-SM-5Q5EZ 30-39 years, male 52.7
GTEX-117YX-1926-SM-5GIEC 50-59 years, male 52.4
GTEX-1I1GV-0626-SM-ARL7M 60-69 years, male 52.4
GTEX-15CHC-1126-SM-6LLHQ 60-69 years, female 51.8
GTEX-1E1VI-0326-SM-793D1 50-59 years, male 51.7
GTEX-12WSM-1926-SM-5BC65 60-69 years, male 51.1
GTEX-15RIE-1926-SM-7KUKJ 60-69 years, male 50.8
GTEX-1OJC3-1226-SM-DTXER 20-29 years, male 50.7
GTEX-1H3VE-0726-SM-9YFL5 40-49 years, male 50.6
GTEX-14PII-0726-SM-6EU2B 60-69 years, male 50.4
GTEX-17F96-0126-SM-7EWDU 70-79 years, male 50.4
GTEX-145LU-1926-SM-79OJN 50-59 years, male 50.1
GTEX-1HCU7-0726-SM-A9SL1 50-59 years, male 49.9
GTEX-1GF9V-0826-SM-9KNUV 60-69 years, male 49.8
GTEX-1192X-2726-SM-5N9DN 50-59 years, male 49.7
GTEX-1JN1M-2726-SM-CY8I4 60-69 years, female 49.6
GTEX-1HCU8-2526-SM-CE6RX 60-69 years, female 49.4
GTEX-1KANA-1326-SM-DIPFA 20-29 years, male 49.2
GTEX-13O3Q-0126-SM-5KM34 50-59 years, male 48.8
GTEX-1JJEA-1826-SM-ARU8P 60-69 years, male 48.8
GTEX-14PJ4-0226-SM-5YY92 60-69 years, male 48.7
GTEX-1AMEY-0826-SM-72D65 30-39 years, female 48.7
GTEX-1F88E-1626-SM-7SB8Z 60-69 years, female 48.7
GTEX-16NPX-0726-SM-7KULC 50-59 years, male 48.4
GTEX-1QEPI-2626-SM-DTXF4 60-69 years, female 47.9
GTEX-1R9K4-2826-SM-DTX8F 60-69 years, male 47.9
GTEX-YFCO-1226-SM-5LUAT 40-49 years, male 47.7
GTEX-1K2DU-1226-SM-CYPT4 20-29 years, male 47.7
GTEX-11P82-1426-SM-DTXFY 20-29 years, male 47.3
GTEX-1QP66-1226-SM-DTX7U 50-59 years, male 47.1
GTEX-1PIIG-2326-SM-DTXFR 30-39 years, male 46.8
GTEX-1IL2V-1926-SM-B2LW8 70-79 years, male 46.6
GTEX-16XZZ-0726-SM-7KUF2 60-69 years, male 46.5
GTEX-1GF9U-2026-SM-7SB92 40-49 years, female 46.4
GTEX-13VXT-1926-SM-5K7UO 20-29 years, female 46.3
GTEX-1B933-2426-SM-7DHMD 50-59 years, female 46.3
GTEX-1C64O-1326-SM-7MGWR 60-69 years, male 46.2
GTEX-15ER7-0626-SM-6PANF 20-29 years, female 46.1
GTEX-13JVG-0726-SM-5KM16 60-69 years, male 45.9
GTEX-15RJE-2826-SM-7KUM9 40-49 years, male 45.9
GTEX-13OW7-0426-SM-5K7VK 50-59 years, male 45.8
GTEX-1JMQJ-0826-SM-CNPP7 50-59 years, male 45.7
GTEX-1JJE9-2626-SM-ARZMT 70-79 years, male 45.6
GTEX-1RLM8-2926-SM-E8VON 50-59 years, male 45.5
GTEX-14753-0726-SM-5QGQO 60-69 years, male 45.3
GTEX-YEC3-1326-SM-DO92X 50-59 years, male 45.3
GTEX-17KNJ-2126-SM-718AM 50-59 years, male 45.1
GTEX-147F4-0726-SM-5TDDD 50-59 years, male 44.9
GTEX-WHWD-1826-SM-3LK6I 50-59 years, male 44.5
GTEX-12WSA-0426-SM-5EQ5X 60-69 years, male 44.4
GTEX-131XG-0326-SM-5L3DX 50-59 years, female 44.4
GTEX-13NYS-0626-SM-5L3F1 60-69 years, male 44.4
GTEX-14PJ2-0626-SM-6LLII 50-59 years, male 44.1
GTEX-145LS-0626-SM-7EPG7 60-69 years, female 43.9
GTEX-ZYVF-0926-SM-5E44J 50-59 years, female 43.5
GTEX-1CB4F-1026-SM-7DUH1 60-69 years, male 43.4
GTEX-YECK-0326-SM-4W1YS 60-69 years, male 43.4
GTEX-1JMPZ-0726-SM-CY8HZ 30-39 years, male 43.1
GTEX-1F75I-2226-SM-7SB8U 40-49 years, male 42.9
GTEX-139UW-0326-SM-5J1ML 60-69 years, male 42.8
GTEX-1HCU9-0426-SM-9WYSD 20-29 years, male 42.8
GTEX-1A8G7-1326-SM-73KVM 60-69 years, male 42.6
GTEX-11P81-2226-SM-5PNYI 30-39 years, female 42.5
GTEX-1QAET-0326-SM-EVR3U 50-59 years, male 42.5
GTEX-15G1A-1626-SM-7KUKN 30-39 years, male 42.3
GTEX-ZDYS-2426-SM-4WKGI 50-59 years, male 42.3
GTEX-ZT9X-1526-SM-5DUXD 40-49 years, male 42.3
GTEX-1HSGN-0826-SM-ACKW3 40-49 years, female 42.1
GTEX-13N1W-2426-SM-5IJD1 70-79 years, male 42.0
GTEX-W5X1-2526-SM-3GILC 40-49 years, female 42.0
GTEX-1K9T9-1526-SM-DIPFR 50-59 years, female 42.0
GTEX-1CAV2-0126-SM-7IGN7 40-49 years, female 41.8
GTEX-1PDJ9-1226-SM-EXUSX 20-29 years, male 41.8
GTEX-1LSNL-2726-SM-E9TKJ 50-59 years, male 41.5
GTEX-111VG-1626-SM-5EGIO 60-69 years, male 41.4
GTEX-ZTTD-2826-SM-4YCFA 50-59 years, male 41.3
GTEX-WY7C-2126-SM-3NB2R 50-59 years, male 41.2
GTEX-144GL-0626-SM-5LU4D 50-59 years, male 40.7
GTEX-1GN73-0726-SM-7P8TJ 60-69 years, male 40.6
GTEX-111YS-1526-SM-5GZYW 60-69 years, male 40.5
GTEX-1B97I-0626-SM-73KUZ 40-49 years, male 40.4
GTEX-12WSD-0626-SM-5GCMW 60-69 years, female 40.3
GTEX-13FTY-2126-SM-5IFFB 40-49 years, female 40.3
GTEX-1IKJJ-2226-SM-CJI4C 60-69 years, male 40.2
GTEX-18A66-0626-SM-7LT8Z 60-69 years, male 40.1
GTEX-1GN1W-2426-SM-9KNUU 50-59 years, female 40.1
GTEX-1J8EW-2726-SM-CY8HR 60-69 years, female 39.9
GTEX-1KANC-1226-SM-CYPT7 50-59 years, female 39.9
GTEX-1LGOU-1326-SM-D3L8M 20-29 years, female 39.6
GTEX-1PBJJ-1026-SM-E76OS 30-39 years, male 39.6
GTEX-1RB15-1326-SM-E76Q9 60-69 years, male 39.5
GTEX-17F98-1326-SM-7DUEP 40-49 years, female 39.4
GTEX-12ZZX-2426-SM-5GCOE 40-49 years, female 39.1
GTEX-11TUW-0626-SM-5LU9M 60-69 years, male 38.7
GTEX-13NYC-0126-SM-5L3F4 60-69 years, male 38.6
GTEX-14C5O-0326-SM-5ZZUX 60-69 years, male 38.6
GTEX-16GPK-0626-SM-7KFSF 60-69 years, male 38.2
GTEX-UPK5-0426-SM-3GAEK 40-49 years, male 38.0
GTEX-Y5LM-0926-SM-6LLJG 40-49 years, female 38.0
GTEX-1GPI7-1826-SM-9KNU1 20-29 years, male 38.0
GTEX-1IDJH-0126-SM-D3L92 70-79 years, male 37.7
GTEX-1HBPN-0126-SM-CGQEF 50-59 years, male 37.5
GTEX-1HSKV-1226-SM-ADEI4 60-69 years, male 37.5
GTEX-1QW4Y-1126-SM-DTXE3 30-39 years, male 37.4
GTEX-1C64N-2626-SM-7PC2N 50-59 years, male 37.3
GTEX-1R46S-2426-SM-E76QA 60-69 years, female 37.3
GTEX-UPJH-0226-SM-3GADV 50-59 years, male 37.2
GTEX-1HSMP-0926-SM-A9SKX 70-79 years, male 36.8
GTEX-1POEN-2326-SM-E9J2L 30-39 years, female 36.6
GTEX-15SKB-2826-SM-6PAMH 60-69 years, male 36.4
GTEX-XAJ8-1426-SM-47JYM 40-49 years, male 36.4
GTEX-Y114-2126-SM-4TT8B 50-59 years, female 36.2
GTEX-1A8G6-2726-SM-731AR 60-69 years, male 35.8
GTEX-13IVO-0726-SM-5LZYV 70-79 years, male 35.7
GTEX-13OVH-0526-SM-5L3E6 70-79 years, male 35.6
GTEX-14PJ5-1526-SM-6LLIL 60-69 years, female 35.5
GTEX-1HBPM-0726-SM-9YFL7 60-69 years, female 35.4
GTEX-1NSGN-0726-SM-DTXEF 50-59 years, male 35.2
GTEX-145MF-0926-SM-5Q5EA 50-59 years, male 34.9
GTEX-1A3MX-2626-SM-7PC24 60-69 years, male 34.9
GTEX-1J8Q2-2626-SM-ACKWQ 60-69 years, male 34.6
GTEX-14AS3-1526-SM-5Q5ED 40-49 years, female 34.4
GTEX-1C6VR-0126-SM-7RHGB 60-69 years, male 34.4
GTEX-13G51-1826-SM-5KLZH 60-69 years, male 34.2
GTEX-1LVA9-2626-SM-EVYD4 50-59 years, male 33.8
GTEX-1GN1U-0626-SM-9MQL9 50-59 years, female 33.5
GTEX-14BIN-1126-SM-5RQJZ 50-59 years, female 32.9
GTEX-1F88F-0126-SM-9WYSZ 60-69 years, female 32.8
GTEX-1RAZA-2226-SM-E9U4X 20-29 years, male 32.7
GTEX-1OJC4-2726-SM-E76PJ 50-59 years, female 32.4
GTEX-1KWVE-1026-SM-D3L9O 30-39 years, male 32.2
GTEX-1269C-0126-SM-5EQ5L 60-69 years, female 32.1
GTEX-1HR98-2226-SM-ADEI2 60-69 years, male 32.0
GTEX-V1D1-2026-SM-3GAF4 50-59 years, male 31.6
GTEX-1QPFJ-1926-SM-EVYBD 30-39 years, female 31.6
GTEX-1GN2E-0226-SM-9WG6K 60-69 years, male 31.4
GTEX-13X6I-1826-SM-5SIAO 60-69 years, male 31.3
GTEX-17MFQ-1526-SM-7KFRR 20-29 years, male 30.7
GTEX-1H2FU-0926-SM-9WPPT 60-69 years, female 30.4
GTEX-1IDJV-0126-SM-COH3Y 60-69 years, male 30.0
GTEX-1QMI2-2526-SM-E8VNZ 60-69 years, male 30.0
GTEX-1PPH7-1126-SM-DTX9A 40-49 years, male 29.9
GTEX-11DZ1-2426-SM-5GZZX 50-59 years, male 29.8
GTEX-1B8L1-2226-SM-7P8PT 60-69 years, male 29.7
GTEX-1C6VQ-1226-SM-73KYD 50-59 years, male 29.5
GTEX-1LG7Y-2526-SM-EWRO7 50-59 years, male 29.2
GTEX-1399U-1126-SM-5L3DB 50-59 years, female 29.0
GTEX-1MCYP-0526-SM-E9U6Q 20-29 years, female 28.8
GTEX-11WQC-1826-SM-5GU59 60-69 years, male 28.7
GTEX-1HB9E-0126-SM-CM2S5 50-59 years, male 28.3
GTEX-1JMQK-1226-SM-D4P2S 60-69 years, male 28.1
GTEX-13W3W-0726-SM-5IJDQ 60-69 years, female 27.6
GTEX-18465-2826-SM-7LT9J 50-59 years, male 27.6
GTEX-1IE54-1126-SM-A9G2Z 40-49 years, female 27.5
GTEX-VUSG-2326-SM-4KL1U 50-59 years, male 27.3
GTEX-144GO-2026-SM-5O99P 60-69 years, male 27.1
GTEX-1ICLY-0826-SM-CMKG1 50-59 years, male 27.1
GTEX-1RAZS-2526-SM-E6CHT 50-59 years, male 27.1
GTEX-15D1Q-2826-SM-6LLH7 40-49 years, male 27.0
GTEX-1CB4E-0926-SM-7EPHT 60-69 years, male 27.0
GTEX-1HCVE-2726-SM-CL54F 50-59 years, male 27.0
GTEX-11TT1-1826-SM-5EQLV 20-29 years, male 26.6
GTEX-14PJ3-1126-SM-5ZZVX 50-59 years, male 26.3
GTEX-148VJ-0626-SM-5LUAW 70-79 years, male 26.1
GTEX-13O3O-2326-SM-5IJD6 60-69 years, female 25.9
GTEX-1AMFI-1326-SM-7939R 50-59 years, female 25.9
GTEX-1H1DE-1326-SM-9KNUG 20-29 years, male 25.9
GTEX-1PPH8-0126-SM-EWRN8 20-29 years, male 25.8
GTEX-145MI-0626-SM-5SI8S 60-69 years, female 25.5
GTEX-144GM-0526-SM-79OJO 20-29 years, male 24.1
GTEX-1QCLY-0226-SM-EWRNH 30-39 years, male 23.8
GTEX-1AX9J-1326-SM-731BJ 60-69 years, male 23.5
GTEX-183WM-0326-SM-72D5V 70-79 years, female 23.4
GTEX-1F6RS-2026-SM-7RHHC 60-69 years, female 23.4
GTEX-13NZ9-2626-SM-5L3FK 50-59 years, male 23.2
GTEX-14E6C-2426-SM-5S2NF 40-49 years, male 23.0
GTEX-1IDFM-0326-SM-ARL7V 60-69 years, male 22.9
GTEX-Y9LG-1126-SM-4VBQ7 30-39 years, male 22.8
GTEX-1HT8W-0626-SM-A9G2H 30-39 years, male 22.8
GTEX-12696-0126-SM-5EQ4L 60-69 years, male 22.7
GTEX-1F5PK-2226-SM-7SB6N 50-59 years, male 22.4
GTEX-13JUV-2026-SM-5K7UA 40-49 years, female 22.1
GTEX-12584-0726-SM-5FQTK 40-49 years, male 22.0
GTEX-13PL6-1126-SM-5L3IE 40-49 years, female 22.0
GTEX-ZYT6-2326-SM-5GZY3 30-39 years, male 22.0
GTEX-1RAZQ-1326-SM-E9TK6 30-39 years, male 21.8
GTEX-1S5ZU-2526-SM-E6CIF 20-29 years, female 21.7
GTEX-12ZZY-0726-SM-5EQ66 60-69 years, male 21.6
GTEX-1B932-2326-SM-79OL5 40-49 years, female 21.5
GTEX-14LLW-2626-SM-62LDZ 70-79 years, female 21.3
GTEX-ZVZP-1226-SM-5GID7 50-59 years, male 21.2
GTEX-1CB4J-1326-SM-7P8RX 60-69 years, male 20.9
GTEX-1M4P7-0726-SM-E6CJ3 60-69 years, male 20.7
GTEX-13PDP-0726-SM-5L3HP 60-69 years, male 20.3
GTEX-1R9PM-1926-SM-EVR3O 20-29 years, male 20.1
GTEX-15DDE-2926-SM-6LLJ3 50-59 years, female 19.8
GTEX-1GMR8-0626-SM-7RHI7 50-59 years, female 19.7
GTEX-1I1GU-0926-SM-ACKVS 40-49 years, male 19.6
GTEX-1LGRB-0926-SM-COH3K 50-59 years, female 19.6
GTEX-1KANB-2826-SM-CY8I6 50-59 years, male 19.5
GTEX-1O9I2-0226-SM-EYYXD 50-59 years, male 19.0
GTEX-13NZ8-1226-SM-5KM4A 60-69 years, female 18.9
GTEX-15UF6-1926-SM-7KUDV 70-79 years, female 18.8
GTEX-1QP2A-1726-SM-E76QC 50-59 years, male 18.8
GTEX-1HGF4-0126-SM-CNPPX 60-69 years, male 18.1
GTEX-14BMV-2826-SM-5TDED 50-59 years, male 17.6
GTEX-13X6K-0626-SM-5LU5D 60-69 years, female 17.4
GTEX-WHSB-1326-SM-3LK6W 50-59 years, male 17.2
GTEX-15G19-2426-SM-7KUMR 60-69 years, male 17.0
GTEX-1H1DG-2426-SM-9QEHJ 70-79 years, male 16.9
GTEX-1JMPY-0226-SM-CKZOK 30-39 years, male 16.9
GTEX-1GZ2Q-0126-SM-9WG6M 40-49 years, male 16.8
GTEX-14C38-0726-SM-5SI6M 50-59 years, male 16.5
GTEX-1GZ4I-2626-SM-9KNU3 50-59 years, male 16.5
GTEX-1N5O9-0926-SM-E9J3C 60-69 years, male 16.4
GTEX-ZYY3-2926-SM-5GIEB 60-69 years, female 16.2
GTEX-XMD2-2126-SM-4YCF8 60-69 years, female 16.1
GTEX-15EU6-2226-SM-6EU2L 50-59 years, male 15.8
GTEX-14XAO-1226-SM-6EU1C 60-69 years, female 15.7
GTEX-1S83E-1326-SM-E6CJM 40-49 years, male 15.4
GTEX-1CAMQ-1326-SM-7P8RV 40-49 years, male 15.2
GTEX-1399Q-2326-SM-5KM2X 40-49 years, male 14.0
GTEX-1GF9X-1326-SM-7PC2Y 40-49 years, female 13.5
GTEX-1A3MW-0626-SM-731CB 60-69 years, female 13.4
GTEX-13SLW-0626-SM-5Q5ER 70-79 years, male 13.0
GTEX-1LKK1-2626-SM-DKPQE 50-59 years, female 13.0
GTEX-1399S-0126-SM-5IJCF 30-39 years, female 12.8
GTEX-11P7K-1126-SM-5HL4L 30-39 years, male 12.7
GTEX-11WQK-1026-SM-5EQLX 50-59 years, male 12.6
GTEX-11ZUS-2626-SM-5FQUR 30-39 years, male 12.4
GTEX-14JFF-0626-SM-5ZZVT 60-69 years, male 11.8
GTEX-1NV5F-0626-SM-DTXEG 60-69 years, female 11.8
GTEX-13QJC-0126-SM-5ZZWJ 60-69 years, female 11.4
GTEX-1GN1V-2826-SM-9JGIA 60-69 years, male 10.7
GTEX-11DXX-2126-SM-5PNYR 60-69 years, female 10.6
GTEX-18A67-1626-SM-7LT9T 50-59 years, male 9.9
GTEX-ZE9C-2526-SM-5IJDR 60-69 years, male 9.0
GTEX-1J1OQ-0126-SM-D4P2N 40-49 years, female 9.0
GTEX-1LVAM-0726-SM-E6CIL 50-59 years, female 7.6
GTEX-147GR-2426-SM-5ZZWQ 60-69 years, male 7.4
GTEX-ZWKS-0626-SM-5GIDV 30-39 years, male 6.3
GTEX-1HR9M-2226-SM-CNPPY 60-69 years, male 6.1
GTEX-ZVE1-0726-SM-51MRN 50-59 years, female 4.7
GTEX-1EH9U-2826-SM-7DUGT 60-69 years, male 4.4
GTEX-13RTJ-0126-SM-5S2NN 60-69 years, male 3.2
Show allShow less
Skin - Sun Exposed (Lower leg)
Average nTPM: 118.7
Samples: 701

Max nTPM: 698.5
Min nTPM: 4.7
Std nTPM: 85.8
Median nTPM: 99.3
GTEX-OXRL-0126-SM-2YUMP 50-59 years, male 698.5
GTEX-SSA3-0126-SM-32QPU 60-69 years, male 594.8
GTEX-O5YW-0126-SM-3LK6D 50-59 years, male 586.7
GTEX-P4PQ-0126-SM-2S1NM 60-69 years, male 503.9
GTEX-ZY6K-1826-SM-5GZXK 50-59 years, male 455.2
GTEX-14PK6-1926-SM-6ETZU 70-79 years, female 426.1
GTEX-WI4N-1026-SM-3LK7N 40-49 years, female 416.9
GTEX-1C64O-0126-SM-7SB8P 60-69 years, male 416.5
GTEX-1MA7X-2226-SM-E6CIY 60-69 years, male 406.8
GTEX-ZDXO-3026-SM-5J1N5 60-69 years, male 403.0
GTEX-1QP67-1626-SM-EAZ3X 40-49 years, female 392.8
GTEX-1ICG6-2526-SM-CGQFZ 70-79 years, female 382.9
GTEX-1HBPH-0426-SM-B2LW5 40-49 years, female 377.1
GTEX-RM2N-1426-SM-2TF4H 50-59 years, male 369.8
GTEX-RN64-0126-SM-2TC68 50-59 years, male 359.8
GTEX-13CF2-2526-SM-5LZYX 60-69 years, male 339.0
GTEX-14JIY-0126-SM-6LLH6 60-69 years, male 328.4
GTEX-TMZS-0126-SM-3DB9Q 60-69 years, male 325.7
GTEX-X62O-0126-SM-4E3JN 50-59 years, male 316.6
GTEX-ZF28-0126-SM-4WKGK 60-69 years, male 311.1
GTEX-Y8LW-1826-SM-5S2MV 50-59 years, female 310.6
GTEX-1F6I4-0126-SM-9MQL2 60-69 years, male 309.2
GTEX-11P82-1626-SM-59879 20-29 years, male 307.3
GTEX-1C6WA-0126-SM-7PC2B 60-69 years, male 303.1
GTEX-YEC4-2126-SM-5IFJH 40-49 years, male 303.0
GTEX-13VXU-0126-SM-5SI9F 50-59 years, male 302.0
GTEX-XUW1-0426-SM-4BOOT 50-59 years, female 294.1
GTEX-X8HC-0126-SM-4E3JW 50-59 years, female 292.5
GTEX-145MN-2226-SM-5SIAU 30-39 years, male 289.6
GTEX-1C6VS-0526-SM-7DUEN 60-69 years, male 289.6
GTEX-U8T8-0126-SM-3DB94 60-69 years, male 285.1
GTEX-PLZ4-0126-SM-5SI8O 50-59 years, female 281.0
GTEX-ZVT3-0126-SM-5GU6I 60-69 years, female 278.8
GTEX-12C56-1726-SM-5EQ61 20-29 years, male 277.9
GTEX-1HCU6-0126-SM-CL54K 60-69 years, female 277.6
GTEX-PLZ5-2026-SM-2S1O4 50-59 years, male 277.3
GTEX-18A7B-0126-SM-7LG64 70-79 years, male 276.8
GTEX-U3ZM-1526-SM-3DB9D 40-49 years, male 276.5
GTEX-ZC5H-0226-SM-4WAY9 40-49 years, female 275.9
GTEX-1399U-2326-SM-5K7WY 50-59 years, female 274.6
GTEX-1CB4G-0226-SM-7PC3O 60-69 years, male 270.0
GTEX-1I1HK-0126-SM-COH49 60-69 years, male 266.9
GTEX-13NZ8-0826-SM-5MR3I 60-69 years, female 266.1
GTEX-1H11D-0226-SM-9WG6Z 40-49 years, male 265.6
GTEX-13SLX-0526-SM-5S2ON 50-59 years, female 264.9
GTEX-13OVL-0226-SM-5L3E9 50-59 years, male 262.7
GTEX-ZYFG-2326-SM-5E44B 60-69 years, female 262.6
GTEX-Y111-0126-SM-4SOIV 50-59 years, male 258.1
GTEX-14LLW-0126-SM-6LLIO 70-79 years, female 255.1
GTEX-X5EB-2226-SM-46MW4 40-49 years, male 255.1
GTEX-144GN-2326-SM-5LU4F 50-59 years, male 253.0
GTEX-1EKGG-0226-SM-9WYTH 60-69 years, male 251.9
GTEX-13OVG-1926-SM-5L3DK 60-69 years, male 250.6
GTEX-1F6IF-0726-SM-7P8TW 60-69 years, male 248.6
GTEX-17F97-0326-SM-7LG5B 50-59 years, male 245.5
GTEX-11GSP-2526-SM-5N9BP 60-69 years, female 245.4
GTEX-S7PM-0126-SM-4AD6S 60-69 years, male 245.1
GTEX-15SHW-0326-SM-6PAML 60-69 years, male 244.7
GTEX-11TTK-0126-SM-5987B 60-69 years, female 244.2
GTEX-1A32A-0126-SM-718B1 50-59 years, female 243.7
GTEX-XXEK-2226-SM-4BRUM 50-59 years, male 240.3
GTEX-ZUA1-0126-SM-5GU76 40-49 years, male 239.5
GTEX-U412-0426-SM-3DB9O 60-69 years, male 239.3
GTEX-1HKZK-0326-SM-9WYUH 40-49 years, male 237.6
GTEX-139T4-0226-SM-5HL5S 50-59 years, female 237.4
GTEX-RTLS-0126-SM-447CA 60-69 years, female 236.9
GTEX-OOBK-0126-SM-2YUND 40-49 years, male 235.8
GTEX-ZQUD-1426-SM-57WER 30-39 years, male 235.1
GTEX-12WSJ-1826-SM-5GCNY 40-49 years, female 234.5
GTEX-WH7G-2326-SM-3NMBC 40-49 years, male 230.7
GTEX-13OW7-0126-SM-5MR3B 50-59 years, male 230.2
GTEX-12WSD-0126-SM-59HKN 60-69 years, female 229.4
GTEX-17HHY-0126-SM-7LG5D 50-59 years, male 229.2
GTEX-Q2AI-1326-SM-2S1PL 40-49 years, male 228.0
GTEX-17EVQ-0226-SM-7LG4P 70-79 years, male 225.3
GTEX-13NZA-0226-SM-5K7Z7 60-69 years, male 224.6
GTEX-OXRO-0126-SM-2YUN4 60-69 years, female 224.4
GTEX-18D9B-0526-SM-7LTAS 60-69 years, male 224.2
GTEX-13N11-2526-SM-5K7UE 50-59 years, female 219.5
GTEX-13VXT-0126-SM-5LU4I 20-29 years, female 218.3
GTEX-QLQW-1126-SM-2S1Q8 30-39 years, male 211.3
GTEX-117YW-2626-SM-5GZZH 50-59 years, male 211.2
GTEX-1OJC4-0126-SM-E9J2E 50-59 years, female 210.6
GTEX-139TT-0126-SM-5K7Y5 60-69 years, male 209.9
GTEX-13D11-2426-SM-5KM1V 50-59 years, female 209.9
GTEX-ZQG8-1626-SM-DHXIT 60-69 years, female 209.9
GTEX-1JKYN-1326-SM-CGQG9 30-39 years, male 209.7
GTEX-W5WG-1826-SM-4KL2Y 50-59 years, female 208.8
GTEX-132NY-0326-SM-5IJBL 60-69 years, male 208.1
GTEX-11VI4-1726-SM-5CVLH 40-49 years, female 205.7
GTEX-Q2AG-0126-SM-33HBV 40-49 years, female 205.7
GTEX-S95S-1226-SM-4GICG 60-69 years, male 205.1
GTEX-R55E-0126-SM-2TC5Y 20-29 years, male 204.0
GTEX-YFC4-0126-SM-5CVLY 40-49 years, female 203.9
GTEX-1HR98-0126-SM-B2LWI 60-69 years, male 202.4
GTEX-Y114-2426-SM-4TT8A 50-59 years, female 200.3
GTEX-X638-0126-SM-47JZ8 70-79 years, female 199.6
GTEX-ZF29-2326-SM-DO92K 60-69 years, female 199.3
GTEX-1MGNQ-0126-SM-EVYCJ 40-49 years, male 198.5
GTEX-13OVI-1426-SM-5L3EY 60-69 years, female 196.3
GTEX-1PBJI-0526-SM-E8VNK 20-29 years, female 195.5
GTEX-11GSO-2426-SM-5A5LY 60-69 years, male 195.4
GTEX-YB5E-2026-SM-5IFIS 40-49 years, male 193.8
GTEX-15DYW-0126-SM-7KULE 60-69 years, female 193.0
GTEX-131XF-5016-SM-7MGWE 60-69 years, male 192.9
GTEX-1JMOU-1526-SM-CL54I 60-69 years, female 192.4
GTEX-WZTO-0126-SM-3NM95 40-49 years, male 192.3
GTEX-1PFEY-1526-SM-E76PP 30-39 years, male 190.1
GTEX-11EMC-2926-SM-5EQ4F 60-69 years, female 189.4
GTEX-12KS4-0326-SM-5EQ41 30-39 years, male 188.8
GTEX-1HSEH-0126-SM-ACKXN 60-69 years, male 188.6
GTEX-T2IS-0126-SM-4DM6O 20-29 years, female 187.2
GTEX-13O1R-0126-SM-5L3EH 60-69 years, male 186.2
GTEX-1192X-0226-SM-5H12D 50-59 years, male 185.3
GTEX-ZAJG-0126-SM-5HL94 50-59 years, female 184.5
GTEX-ZDTT-2726-SM-4WKF8 60-69 years, male 183.9
GTEX-ZF3C-0126-SM-DO92D 50-59 years, female 182.9
GTEX-1KD5A-0226-SM-D5OV3 50-59 years, male 182.7
GTEX-QVJO-1626-SM-2S1QW 60-69 years, female 182.6
GTEX-15DCD-0126-SM-7KUEK 70-79 years, female 182.5
GTEX-11DXW-0226-SM-5H122 40-49 years, male 181.8
GTEX-1M4P7-0226-SM-DIPEV 60-69 years, male 181.5
GTEX-14753-0426-SM-5NQAM 60-69 years, male 181.2
GTEX-1IY9M-0126-SM-D3L8S 60-69 years, male 180.9
GTEX-ZE7O-0126-SM-57WC1 50-59 years, female 179.8
GTEX-15SDE-2226-SM-7IGLO 50-59 years, female 179.1
GTEX-WYJK-0126-SM-3NMAB 50-59 years, male 178.4
GTEX-1H2FU-0126-SM-9WYSI 60-69 years, female 178.4
GTEX-145MO-0326-SM-5Q5B3 60-69 years, male 177.7
GTEX-ZYY3-0126-SM-5GZY5 60-69 years, female 177.6
GTEX-ZAB4-0226-SM-5N9F5 40-49 years, male 176.7
GTEX-OXRP-0126-SM-3NB32 60-69 years, female 176.3
GTEX-WVJS-0126-SM-4MVOT 50-59 years, male 175.4
GTEX-117XS-2726-SM-5N9BL 60-69 years, male 174.9
GTEX-11ZTT-2426-SM-5EQLS 60-69 years, female 174.4
GTEX-1B8KZ-2026-SM-7DHMB 50-59 years, male 173.8
GTEX-XV7Q-2526-SM-4BRV9 40-49 years, female 173.8
GTEX-139D8-0226-SM-5KLZO 30-39 years, female 173.6
GTEX-U3ZN-2326-SM-3DB7W 30-39 years, female 172.9
GTEX-13G51-2526-SM-5LZYK 60-69 years, male 172.7
GTEX-ZYW4-0126-SM-5E44A 60-69 years, male 171.8
GTEX-PWCY-1826-SM-DHXIZ 20-29 years, female 171.6
GTEX-XUYS-0126-SM-47JWZ 50-59 years, male 171.5
GTEX-14DAR-2026-SM-5S2O3 50-59 years, male 171.3
GTEX-14PN4-0126-SM-6EU2V 50-59 years, male 171.3
GTEX-WYVS-2126-SM-3NMA3 40-49 years, female 170.7
GTEX-1H3VE-0326-SM-9YFLH 40-49 years, male 170.7
GTEX-11GS4-2726-SM-5A5LE 60-69 years, male 170.2
GTEX-13OVJ-0126-SM-5KM36 50-59 years, female 170.2
GTEX-1S5ZA-0126-SM-EVYCV 20-29 years, male 170.2
GTEX-13QJ3-0326-SM-5S2RA 50-59 years, male 168.5
GTEX-1S82Y-2026-SM-EVYCM 40-49 years, male 168.4
GTEX-X585-0226-SM-4QAS2 50-59 years, male 167.9
GTEX-U4B1-1826-SM-4DXSU 40-49 years, male 167.2
GTEX-11EI6-0126-SM-5985R 60-69 years, male 166.3
GTEX-1AYCT-2426-SM-7IGQ3 50-59 years, male 165.3
GTEX-1HSMP-0126-SM-E6CJS 70-79 years, male 164.4
GTEX-16MT8-0426-SM-7KUEY 60-69 years, female 164.3
GTEX-Y3IK-2426-SM-4WWDU 50-59 years, female 163.7
GTEX-16YQH-0126-SM-7DUFJ 30-39 years, male 163.0
GTEX-113IC-0126-SM-5HL6T 60-69 years, male 162.0
GTEX-1B933-0126-SM-7PC29 50-59 years, female 162.0
GTEX-1J8EW-0126-SM-CJI4F 60-69 years, female 161.9
GTEX-XMD2-0126-SM-4YCDU 60-69 years, female 161.7
GTEX-17HII-0226-SM-7LG4E 50-59 years, male 160.9
GTEX-ZVE2-0226-SM-59HJB 50-59 years, male 160.1
GTEX-ZYFC-0226-SM-5NQ75 50-59 years, male 160.1
GTEX-139TS-2826-SM-5J1OO 60-69 years, male 159.9
GTEX-17MF6-0126-SM-7LG4F 40-49 years, male 159.8
GTEX-14BIL-0126-SM-5SI92 50-59 years, male 159.4
GTEX-X4EO-0326-SM-3P5YO 60-69 years, female 158.9
GTEX-1R7EV-2426-SM-EVYBG 40-49 years, male 158.4
GTEX-1AX9K-2326-SM-73KWU 50-59 years, male 158.1
GTEX-1CAV2-2226-SM-7P8P2 40-49 years, female 157.8
GTEX-1N2DV-0226-SM-E6CJ6 40-49 years, male 157.3
GTEX-18QFQ-0126-SM-731BE 30-39 years, male 154.9
GTEX-ZAB5-1826-SM-5HL7C 50-59 years, male 154.6
GTEX-ZXES-1826-SM-5E43S 30-39 years, female 154.6
GTEX-WY7C-2326-SM-3NB2U 50-59 years, male 153.1
GTEX-Z93S-0126-SM-5HL7M 50-59 years, male 152.8
GTEX-1S82Z-0826-SM-E6CHY 30-39 years, female 152.8
GTEX-UJHI-1526-SM-3DB99 50-59 years, female 152.6
GTEX-1IDJU-2626-SM-CM2RT 60-69 years, female 152.3
GTEX-U3ZH-2026-SM-3DB78 30-39 years, male 152.1
GTEX-OHPM-0126-SM-2YUN9 50-59 years, male 151.4
GTEX-1AYD5-2426-SM-73KXR 50-59 years, male 150.9
GTEX-QCQG-1726-SM-3GIJ9 50-59 years, female 149.3
GTEX-18A6Q-0126-SM-731BZ 60-69 years, male 147.4
GTEX-1LVAN-0226-SM-COH3S 50-59 years, female 147.3
GTEX-ZTSS-1926-SM-57WEW 40-49 years, male 146.4
GTEX-18D9U-0226-SM-718BP 40-49 years, male 146.2
GTEX-11LCK-1026-SM-5A5KB 30-39 years, male 145.0
GTEX-1HCVE-0126-SM-CGQEU 50-59 years, male 144.3
GTEX-1211K-2026-SM-5EQ4Z 60-69 years, female 143.7
GTEX-148VI-1626-SM-5SI6E 60-69 years, female 143.5
GTEX-P4QT-0126-SM-2I3FL 50-59 years, female 142.6
GTEX-QDVN-2026-SM-3GAEP 50-59 years, male 142.6
GTEX-QDT8-0126-SM-48TZ1 30-39 years, female 141.5
GTEX-QV44-1926-SM-2S1RF 50-59 years, male 140.8
GTEX-1RB15-2126-SM-E9TIM 60-69 years, male 140.1
GTEX-Z9EW-1626-SM-5CVMN 40-49 years, male 139.3
GTEX-Q734-1926-SM-2I5EV 40-49 years, female 139.2
GTEX-16BQI-0226-SM-7KUEX 30-39 years, female 138.4
GTEX-NPJ8-0126-SM-2YUNR 40-49 years, male 137.7
GTEX-Y8E4-0626-SM-4WWDL 40-49 years, male 137.6
GTEX-1314G-1526-SM-5EGK2 30-39 years, male 137.2
GTEX-1GZHY-0326-SM-9QEHI 50-59 years, female 137.0
GTEX-146FR-1326-SM-E9J48 60-69 years, female 136.6
GTEX-1RQEC-0426-SM-E6CHU 60-69 years, male 136.4
GTEX-1I1CD-0126-SM-CM2TK 60-69 years, female 136.3
GTEX-14JG6-2226-SM-6EU2G 30-39 years, female 135.9
GTEX-11DXY-2626-SM-5GIE7 60-69 years, male 135.8
GTEX-SN8G-0126-SM-32PLI 50-59 years, female 135.7
GTEX-Y3I4-2126-SM-4TT7C 50-59 years, male 135.6
GTEX-OXRN-0126-SM-48TDM 50-59 years, male 135.4
GTEX-18A7A-0226-SM-718BH 50-59 years, female 135.3
GTEX-14ABY-0226-SM-5TDCQ 50-59 years, male 134.8
GTEX-ZVTK-0426-SM-51MRS 20-29 years, male 134.5
GTEX-1I1GT-0626-SM-CGQER 60-69 years, female 134.5
GTEX-ZEX8-2426-SM-4WKG4 50-59 years, male 134.4
GTEX-13O3O-0126-SM-E9J49 60-69 years, female 134.4
GTEX-QEG4-0226-SM-2S1PY 30-39 years, male 134.2
GTEX-1313W-0126-SM-5LZUN 50-59 years, female 134.1
GTEX-XAJ8-0826-SM-47JY6 40-49 years, male 134.1
GTEX-1GN73-0226-SM-9WG67 60-69 years, male 134.0
GTEX-1I1GS-0126-SM-B2LVW 60-69 years, male 133.2
GTEX-11XUK-2026-SM-5EQLF 40-49 years, female 132.9
GTEX-1QP29-0626-SM-EWRMX 50-59 years, male 132.9
GTEX-RU72-0926-SM-2TF6B 50-59 years, female 132.4
GTEX-1HSMO-0126-SM-CL547 60-69 years, male 132.3
GTEX-1IL2U-0226-SM-CE6T8 60-69 years, male 131.8
GTEX-ZYFD-0126-SM-5GIDL 50-59 years, male 131.2
GTEX-1QEPI-0126-SM-EWRMQ 60-69 years, female 131.0
GTEX-12WSC-0126-SM-5EQ4P 50-59 years, male 130.7
GTEX-1CAMR-1926-SM-7EPI2 20-29 years, male 130.0
GTEX-13N1W-0126-SM-5K7VT 70-79 years, male 129.4
GTEX-1HBPM-0226-SM-ARL9F 60-69 years, female 129.3
GTEX-S33H-1026-SM-EZ6L6 30-39 years, male 129.1
GTEX-1269C-2526-SM-5EGJ3 60-69 years, female 128.9
GTEX-WRHK-1426-SM-3MJF9 20-29 years, female 128.9
GTEX-144FL-0126-SM-5TDC8 50-59 years, male 128.7
GTEX-Y5V5-2326-SM-4V6GA 60-69 years, female 128.6
GTEX-XQ8I-0426-SM-4BOPO 50-59 years, male 128.3
GTEX-13X6H-2126-SM-7EWD5 50-59 years, female 127.5
GTEX-14PJM-0226-SM-62LF1 50-59 years, female 127.3
GTEX-1B8KE-2126-SM-73KYX 50-59 years, male 127.3
GTEX-SIU8-0126-SM-2XCDT 50-59 years, male 127.0
GTEX-147F3-0526-SM-5SI98 50-59 years, female 126.8
GTEX-1R46S-0626-SM-E9J41 60-69 years, female 126.8
GTEX-U8XE-0326-SM-3DB8P 30-39 years, male 126.7
GTEX-1J8Q3-1626-SM-CMKGC 60-69 years, male 126.7
GTEX-133LE-1826-SM-5J1MV 20-29 years, female 126.4
GTEX-13112-2826-SM-5DUWH 50-59 years, male 126.3
GTEX-11OC5-0126-SM-5HL6A 60-69 years, male 126.1
GTEX-1JK1U-2026-SM-CM2RZ 60-69 years, male 126.1
GTEX-1J8JJ-0226-SM-CL53I 60-69 years, female 125.2
GTEX-13O3Q-2426-SM-5IJBR 50-59 years, male 125.1
GTEX-Y5V6-2426-SM-4VDSB 60-69 years, male 125.0
GTEX-146FQ-0126-SM-5NQA9 30-39 years, male 124.6
GTEX-13YAN-0326-SM-5O9DF 60-69 years, male 124.4
GTEX-1HCUA-2426-SM-ADEIS 50-59 years, female 124.2
GTEX-1J1OQ-0226-SM-CYPSH 40-49 years, female 124.2
GTEX-14ICK-0226-SM-6EU25 40-49 years, male 124.0
GTEX-12WSN-5019-SM-79OM6 40-49 years, male 123.4
GTEX-13NZB-2526-SM-5J1OM 30-39 years, male 123.1
GTEX-11ZVC-2526-SM-5FQTE 50-59 years, female 122.8
GTEX-ZDYS-2026-SM-5HL5L 50-59 years, male 121.4
GTEX-1H3NZ-0126-SM-ACKX7 60-69 years, male 121.2
GTEX-1HFI7-1826-SM-ACKXH 50-59 years, female 121.1
GTEX-1HSMQ-1226-SM-CGQFX 50-59 years, male 120.7
GTEX-14E6D-0126-SM-62LDV 50-59 years, male 120.6
GTEX-111VG-2426-SM-5GZXD 60-69 years, male 120.4
GTEX-13O21-1426-SM-5K7XI 50-59 years, male 120.4
GTEX-1GZ4H-1726-SM-7PBZJ 50-59 years, female 120.4
GTEX-YJ8A-0426-SM-5IFID 20-29 years, male 120.1
GTEX-NFK9-0226-SM-2HMKQ 40-49 years, male 120.0
GTEX-1IE54-0126-SM-CMKHW 40-49 years, female 119.9
GTEX-14BIM-0226-SM-7IGLD 60-69 years, female 119.8
GTEX-ZAK1-0126-SM-5IJD3 50-59 years, female 119.5
GTEX-14E6C-0126-SM-5RQIP 40-49 years, male 119.4
GTEX-1A3MV-1926-SM-718BT 30-39 years, male 119.4
GTEX-1I1GU-2226-SM-CGQFA 40-49 years, male 119.3
GTEX-1JKYR-0126-SM-CNPOJ 20-29 years, male 118.8
GTEX-1QP66-1726-SM-E8VO1 50-59 years, male 118.5
GTEX-1122O-2126-SM-5EGIR 60-69 years, female 118.3
GTEX-1F7RK-0126-SM-7PC2S 20-29 years, female 118.2
GTEX-1J1R8-1726-SM-ARL8M 40-49 years, male 118.2
GTEX-ZVT4-0126-SM-DTXFN 50-59 years, female 118.0
GTEX-UPJH-0326-SM-3GADU 50-59 years, male 117.9
GTEX-14A6H-0126-SM-5QGPK 30-39 years, male 117.7
GTEX-T8EM-1026-SM-3DB7M 40-49 years, male 116.4
GTEX-15ER7-0326-SM-7KUEV 20-29 years, female 116.2
GTEX-13RTL-0126-SM-7LG5S 40-49 years, male 116.1
GTEX-VUSG-2526-SM-4KL1V 50-59 years, male 115.9
GTEX-1I4MK-2226-SM-ACKWD 50-59 years, female 115.4
GTEX-1LNCM-1126-SM-E9U5E 50-59 years, female 115.1
GTEX-11ZTS-0126-SM-5EQ6M 60-69 years, female 114.7
GTEX-1B8L1-2526-SM-9WYTF 60-69 years, male 114.6
GTEX-117YX-2326-SM-5H12W 50-59 years, male 114.3
GTEX-SUCS-1926-SM-32PM3 70-79 years, male 114.1
GTEX-1F75A-0126-SM-7RHGM 50-59 years, male 113.0
GTEX-1PPH7-2326-SM-EVYB8 40-49 years, male 113.0
GTEX-11EQ9-2426-SM-5HL5T 30-39 years, male 112.8
GTEX-13S7M-0126-SM-5SI6A 60-69 years, female 112.7
GTEX-14PJ3-1826-SM-62LEX 50-59 years, male 112.7
GTEX-PSDG-0226-SM-DKPOZ 50-59 years, male 112.6
GTEX-1CAMS-0426-SM-7P8T2 40-49 years, female 112.5
GTEX-1F75B-0126-SM-9KNVL 50-59 years, male 112.5
GTEX-17HGU-0226-SM-7DHKV 50-59 years, male 112.3
GTEX-XBED-2226-SM-47JYQ 60-69 years, male 111.5
GTEX-1EU9M-0226-SM-7P8SP 60-69 years, male 111.5
GTEX-13RTK-1426-SM-5QGQJ 20-29 years, male 111.2
GTEX-1N2EF-0226-SM-EYYXB 60-69 years, male 111.0
GTEX-1GN1V-0126-SM-9WPOS 60-69 years, male 110.9
GTEX-1AX8Z-0126-SM-7DHM6 60-69 years, male 110.2
GTEX-11P81-2326-SM-59875 30-39 years, female 110.0
GTEX-131XG-2626-SM-5KM17 50-59 years, female 110.0
GTEX-131XE-2326-SM-5PNZ2 50-59 years, male 109.8
GTEX-RUSQ-1526-SM-2TF62 50-59 years, male 109.8
GTEX-148VJ-0126-SM-5TDDN 70-79 years, male 109.7
GTEX-14PHX-2326-SM-62LEM 50-59 years, male 109.2
GTEX-14BMU-2226-SM-5TDE9 20-29 years, female 108.9
GTEX-PW2O-1526-SM-7RHHB 20-29 years, male 108.0
GTEX-X4XX-0126-SM-3NMC2 60-69 years, male 107.8
GTEX-1GTWX-0126-SM-9YFLK 60-69 years, male 107.2
GTEX-1IDFM-0126-SM-COH2V 60-69 years, male 106.9
GTEX-RNOR-0126-SM-E9J4R 50-59 years, female 106.0
GTEX-1IKOH-0226-SM-COH4E 60-69 years, female 105.9
GTEX-1B8SF-1426-SM-7DUGL 60-69 years, male 105.4
GTEX-183FY-0126-SM-7LT9P 20-29 years, male 104.9
GTEX-1QW4Y-1526-SM-EAZ3Z 30-39 years, male 104.9
GTEX-11EM3-2426-SM-59861 20-29 years, female 104.2
GTEX-147GR-0526-SM-5S2MY 60-69 years, male 104.1
GTEX-RWS6-2026-SM-2XCB5 60-69 years, female 103.3
GTEX-ZXG5-0126-SM-5GIEU 60-69 years, male 103.1
GTEX-YB5K-2126-SM-4WWDJ 40-49 years, female 102.9
GTEX-ZVT2-2526-SM-51MT1 50-59 years, female 102.9
GTEX-1ICLZ-0126-SM-CKZPO 60-69 years, male 102.4
GTEX-1497J-2426-SM-7IGNX 60-69 years, male 101.8
GTEX-1S3DN-2226-SM-EVYCD 50-59 years, male 101.6
GTEX-R45C-0126-SM-EAZ2R 60-69 years, female 101.2
GTEX-1GN2E-0426-SM-9MQKX 60-69 years, male 101.1
GTEX-1J8Q2-0526-SM-CM2RW 60-69 years, male 101.1
GTEX-13U4I-0126-SM-5LU38 40-49 years, female 100.7
GTEX-XUZC-1726-SM-4BRWS 30-39 years, female 100.7
GTEX-1GF9W-0326-SM-9KNUN 60-69 years, male 100.2
GTEX-1H1E6-1726-SM-ACKVK 30-39 years, male 100.2
GTEX-1MUQO-0126-SM-EAZ58 60-69 years, male 100.2
GTEX-11NUK-0126-SM-5A5L3 50-59 years, male 99.6
GTEX-14E7W-0126-SM-6LLJ9 70-79 years, male 99.4
GTEX-1F88F-2726-SM-7PBZZ 60-69 years, female 99.3
GTEX-13FTY-0526-SM-5L3EV 40-49 years, female 99.2
GTEX-1C2JI-1826-SM-73KXC 50-59 years, male 98.7
GTEX-11DYG-0126-SM-59883 60-69 years, male 98.6
GTEX-11H98-0126-SM-5EGHG 50-59 years, male 97.9
GTEX-1A8FM-0226-SM-7SB7Q 50-59 years, female 97.8
GTEX-1QP9N-1426-SM-DTXFL 30-39 years, male 97.8
GTEX-1I6K6-0126-SM-A9SLE 30-39 years, male 97.4
GTEX-13PVR-2326-SM-5QGR1 60-69 years, female 97.1
GTEX-18A67-0126-SM-7LG5P 50-59 years, male 96.8
GTEX-1HFI6-0226-SM-ADEHZ 40-49 years, male 96.6
GTEX-1HSGN-0226-SM-CGQFV 40-49 years, female 96.6
GTEX-13FHO-0226-SM-5IFGY 60-69 years, male 96.1
GTEX-1RAZA-0126-SM-E6CI3 20-29 years, male 95.9
GTEX-W5X1-3026-SM-EAZAX 40-49 years, female 95.9
GTEX-T6MO-1626-SM-32QOM 40-49 years, female 95.6
GTEX-XQ3S-1526-SM-4BOOC 20-29 years, male 95.4
GTEX-145LV-2126-SM-5LU8N 50-59 years, male 95.3
GTEX-145LT-1726-SM-5QGP3 40-49 years, male 94.4
GTEX-1K9T9-0126-SM-EVYCF 50-59 years, female 94.4
GTEX-WFG8-2226-SM-3GIL9 20-29 years, male 93.6
GTEX-146FH-0126-SM-5QGPP 50-59 years, female 92.9
GTEX-11OF3-2626-SM-5GU7F 60-69 years, male 92.6
GTEX-12126-0326-SM-5PNW3 20-29 years, male 92.3
GTEX-1KD4Q-0226-SM-E9TJ9 40-49 years, male 92.3
GTEX-TMMY-0226-SM-33HBA 40-49 years, female 92.1
GTEX-1LBAC-0126-SM-DIPEZ 20-29 years, male 92.1
GTEX-Y5LM-1926-SM-5RQJH 40-49 years, female 92.0
GTEX-169BO-1326-SM-9MQK2 50-59 years, male 91.7
GTEX-11UD1-0126-SM-5PNYG 40-49 years, female 91.6
GTEX-13NYS-0126-SM-5MR3W 60-69 years, male 91.6
GTEX-13N2G-2626-SM-5J1OT 60-69 years, male 90.5
GTEX-VJYA-1126-SM-3GIJU 60-69 years, male 90.3
GTEX-OXRK-0226-SM-3NB2G 50-59 years, female 90.0
GTEX-1192W-2626-SM-5Q5AF 60-69 years, male 89.4
GTEX-P4PP-0126-SM-3LK69 30-39 years, female 89.1
GTEX-1CB4I-0226-SM-79OLH 50-59 years, male 88.5
GTEX-1R9K4-0126-SM-DTX9X 60-69 years, male 88.3
GTEX-1I1GR-0126-SM-CL55F 60-69 years, male 88.0
GTEX-16NPX-0226-SM-79OMT 50-59 years, male 87.5
GTEX-15RIG-0226-SM-7KFTL 40-49 years, male 87.2
GTEX-15UF6-0826-SM-6PALJ 70-79 years, female 87.2
GTEX-RWSA-0126-SM-2XCBB 40-49 years, male 86.8
GTEX-15CHC-2126-SM-6EU21 60-69 years, female 86.7
GTEX-1HCU8-0626-SM-A9SM9 60-69 years, female 86.7
GTEX-1POEN-0126-SM-EYYXJ 30-39 years, female 86.7
GTEX-1KANB-0526-SM-E6CJH 50-59 years, male 86.6
GTEX-1CB4E-2226-SM-793DC 60-69 years, male 86.5
GTEX-1PIGE-0126-SM-EVYBJ 20-29 years, male 86.4
GTEX-1B996-0226-SM-7RHGO 60-69 years, male 86.2
GTEX-17GQL-2026-SM-718BA 60-69 years, male 86.0
GTEX-QDVJ-1726-SM-2I5FX 50-59 years, male 85.9
GTEX-WOFL-0126-SM-3MJG2 60-69 years, male 85.8
GTEX-1IOXB-0126-SM-ARL8G 50-59 years, male 85.8
GTEX-1JN1M-0326-SM-CYPT3 60-69 years, female 85.7
GTEX-13FTX-1826-SM-5J1NX 20-29 years, female 85.3
GTEX-1AX9J-0226-SM-73KXM 60-69 years, male 85.2
GTEX-12ZZZ-0626-SM-5DUXI 60-69 years, male 84.7
GTEX-1HT8W-0126-SM-CNPPP 30-39 years, male 84.6
GTEX-1GMRU-0126-SM-9YFLV 50-59 years, male 84.5
GTEX-TML8-1926-SM-32QOS 40-49 years, female 84.3
GTEX-ZVZP-2426-SM-59HKJ 50-59 years, male 84.3
GTEX-1JN76-0126-SM-CNPPE 20-29 years, female 84.2
GTEX-OOBJ-0126-SM-E6CJW 60-69 years, male 84.0
GTEX-1GF9U-2126-SM-7SB7L 40-49 years, female 83.8
GTEX-14JG1-0426-SM-6ETZZ 40-49 years, male 83.5
GTEX-QLQ7-1626-SM-2S1R8 60-69 years, male 82.8
GTEX-X4EP-0126-SM-3P5YV 60-69 years, female 82.6
GTEX-1H1ZS-0426-SM-9WG6G 70-79 years, male 82.6
GTEX-139TU-0126-SM-5K7WH 60-69 years, male 82.4
GTEX-1LC47-0326-SM-E9TJP 60-69 years, male 82.4
GTEX-1E1VI-0126-SM-7DHMZ 50-59 years, male 82.0
GTEX-14PII-0226-SM-6EU1T 60-69 years, male 81.9
GTEX-PVOW-0126-SM-2XCFA 40-49 years, male 80.9
GTEX-Y8DK-0126-SM-4TT3L 60-69 years, male 80.9
GTEX-XBEW-0626-SM-4QASP 40-49 years, male 80.8
GTEX-11ZU8-2526-SM-5EQKI 60-69 years, male 80.7
GTEX-OIZF-0126-SM-7SB8I 60-69 years, male 80.6
GTEX-X88G-0126-SM-47JZ3 30-39 years, male 80.5
GTEX-1I1GV-0526-SM-A9G29 60-69 years, male 80.5
GTEX-1JMQI-2226-SM-CM2SD 50-59 years, male 80.5
GTEX-15DDE-0126-SM-6LPKH 50-59 years, female 80.4
GTEX-13X6J-0126-SM-5QGOU 50-59 years, male 80.3
GTEX-14LZ3-0226-SM-62LET 60-69 years, female 80.1
GTEX-1H1DE-2126-SM-9WG6R 20-29 years, male 80.1
GTEX-13W3W-2426-SM-5LU5B 60-69 years, female 80.0
GTEX-1GF9V-0326-SM-7RHI5 60-69 years, male 80.0
GTEX-ZGAY-0526-SM-4WWBB 40-49 years, female 79.8
GTEX-1F5PK-2426-SM-7RHHY 50-59 years, male 79.6
GTEX-RVPV-0126-SM-EAZAW 60-69 years, male 79.4
GTEX-X4XY-0226-SM-4E3IZ 60-69 years, male 79.2
GTEX-1HBPN-0226-SM-9YFM1 50-59 years, male 79.1
GTEX-T5JC-0426-SM-32PLO 20-29 years, male 78.2
GTEX-16XZY-2126-SM-79OK1 70-79 years, male 78.0
GTEX-1LGOU-2026-SM-DIPFF 20-29 years, female 78.0
GTEX-Z93T-0126-SM-5HL5N 50-59 years, male 77.7
GTEX-113JC-2326-SM-5EQ4E 50-59 years, female 77.5
GTEX-18465-0126-SM-731BN 50-59 years, male 77.1
GTEX-1F48J-0126-SM-7P8TT 50-59 years, female 76.9
GTEX-1PDJ9-0326-SM-DTX95 20-29 years, male 76.9
GTEX-12WSL-2526-SM-5GCNJ 50-59 years, male 76.7
GTEX-ZVZO-0126-SM-5A5L9 40-49 years, male 76.6
GTEX-11WQC-2526-SM-5CVLE 60-69 years, male 76.3
GTEX-17EUY-0426-SM-793BD 20-29 years, male 75.9
GTEX-XYKS-2126-SM-4E3IB 60-69 years, female 75.9
GTEX-14C5O-0126-SM-5SI6N 60-69 years, male 75.8
GTEX-ZZ64-1726-SM-5GZYB 20-29 years, male 75.7
GTEX-15F5U-1526-SM-6PANO 40-49 years, male 75.5
GTEX-16XZZ-0126-SM-793DV 60-69 years, male 75.1
GTEX-1EX96-1626-SM-7PBXR 50-59 years, male 74.9
GTEX-1JMLX-0226-SM-CM2RO 50-59 years, male 74.6
GTEX-1C4CL-0526-SM-73KVK 30-39 years, male 74.4
GTEX-16NGA-1726-SM-731B4 40-49 years, female 74.3
GTEX-1HB9E-0226-SM-E9U4R 50-59 years, male 74.2
GTEX-S7SE-0126-SM-2XCD5 50-59 years, male 74.1
GTEX-13O3P-0126-SM-5KM4S 50-59 years, male 73.8
GTEX-ZF2S-2326-SM-4WWCE 50-59 years, female 73.5
GTEX-WQUQ-0426-SM-3MJFU 60-69 years, male 73.4
GTEX-TKQ1-1026-SM-4GICL 30-39 years, male 73.2
GTEX-P44H-0226-SM-2XCEU 40-49 years, male 73.1
GTEX-1EMGI-0126-SM-9KNUE 60-69 years, male 73.0
GTEX-17HG3-2226-SM-7938L 30-39 years, female 72.6
GTEX-1LB8K-0226-SM-EWRNW 50-59 years, male 72.6
GTEX-1QPFJ-0226-SM-E76PB 30-39 years, female 72.5
GTEX-13FTW-2626-SM-5K7WL 40-49 years, male 72.4
GTEX-13OW5-0126-SM-DTXFS 60-69 years, male 72.3
GTEX-1NV5F-0226-SM-E8VNY 60-69 years, female 72.1
GTEX-1JMQJ-0526-SM-CYPSU 50-59 years, male 71.6
GTEX-11DZ1-0126-SM-5985Q 50-59 years, male 71.4
GTEX-1HBPI-1526-SM-C1YQ1 50-59 years, male 71.4
GTEX-1A3MW-0126-SM-73KXX 60-69 years, female 71.2
GTEX-1JJE9-0326-SM-CL53Z 70-79 years, male 71.0
GTEX-1CB4J-0626-SM-7DHMP 60-69 years, male 70.9
GTEX-1OFPY-2426-SM-DTXEJ 60-69 years, male 70.8
GTEX-13OW8-1326-SM-5J1OW 60-69 years, male 70.6
GTEX-1IDJF-0126-SM-CM2RS 20-29 years, male 70.2
GTEX-1LG7Y-0526-SM-DKPQC 50-59 years, male 70.2
GTEX-111FC-0126-SM-5N9DL 60-69 years, male 70.1
GTEX-131XH-2226-SM-5DUXJ 50-59 years, male 69.8
GTEX-1212Z-2526-SM-5EGKP 60-69 years, male 69.6
GTEX-13OVK-2026-SM-7KUEO 40-49 years, male 68.9
GTEX-15SB6-1726-SM-6PAME 50-59 years, female 68.6
GTEX-1C6VQ-0126-SM-7P8RI 50-59 years, male 68.6
GTEX-17EVP-0326-SM-7DHLG 40-49 years, male 68.2
GTEX-1JMPY-1326-SM-ARL8Y 30-39 years, male 68.2
GTEX-Q2AH-1626-SM-3GAF8 40-49 years, male 68.0
GTEX-1GPI6-0126-SM-9WG69 60-69 years, male 66.9
GTEX-14PN3-2426-SM-6LLHS 60-69 years, female 66.8
GTEX-13W46-0226-SM-5SIAG 50-59 years, male 66.0
GTEX-OIZH-0126-SM-2HMIS 50-59 years, male 66.0
GTEX-ZDTS-0126-SM-4WAY5 60-69 years, male 66.0
GTEX-O5YT-0126-SM-48TBW 20-29 years, male 65.6
GTEX-1JN6P-0126-SM-D3L98 60-69 years, male 65.6
GTEX-12ZZY-0226-SM-5LZVE 60-69 years, male 65.2
GTEX-ZTPG-0326-SM-5O9AX 20-29 years, female 65.1
GTEX-13SLW-0126-SM-5SI6C 70-79 years, male 64.9
GTEX-17HHE-2026-SM-79OKF 50-59 years, male 64.8
GTEX-11DXZ-2326-SM-5EGGV 50-59 years, male 64.3
GTEX-11O72-0126-SM-59887 40-49 years, male 64.3
GTEX-11TT1-2526-SM-5EGIB 20-29 years, male 64.2
GTEX-1128S-2326-SM-5GZZY 60-69 years, female 63.5
GTEX-147F4-0226-SM-5QGPW 50-59 years, male 63.5
GTEX-131YS-0126-SM-5KM1M 60-69 years, female 63.4
GTEX-13PDP-0126-SM-5L3HD 60-69 years, male 63.1
GTEX-17MFQ-1726-SM-793C7 20-29 years, male 62.9
GTEX-1RDX4-0126-SM-E9J4P 50-59 years, female 62.8
GTEX-1HCU9-1526-SM-A9SL7 20-29 years, male 62.7
GTEX-OHPL-0126-SM-2HMJ7 60-69 years, female 62.4
GTEX-1GN1W-0526-SM-9MQJQ 50-59 years, female 62.2
GTEX-11NSD-2226-SM-5986V 20-29 years, male 61.6
GTEX-R3RS-0126-SM-3GIJL 40-49 years, female 61.4
GTEX-12696-2426-SM-5EQ6H 60-69 years, male 60.7
GTEX-1H1CY-2826-SM-9MQM3 60-69 years, female 60.5
GTEX-1LG7Z-1726-SM-D3LA4 30-39 years, male 60.2
GTEX-1F6RS-0126-SM-9MQKZ 60-69 years, female 60.0
GTEX-131XW-0426-SM-5LZWP 50-59 years, female 59.9
GTEX-1B8SG-0126-SM-73KZ3 50-59 years, male 59.9
GTEX-1C6VR-2426-SM-79OLD 60-69 years, male 59.9
GTEX-15EOM-0126-SM-7KUGG 20-29 years, female 59.7
GTEX-T6MN-0126-SM-32PLP 50-59 years, male 59.4
GTEX-18A66-0226-SM-718BD 60-69 years, male 59.2
GTEX-1GN1U-0126-SM-7PBZK 50-59 years, female 59.0
GTEX-1F52S-0126-SM-9MQJU 60-69 years, female 58.4
GTEX-16AAH-1726-SM-7939C 50-59 years, male 58.1
GTEX-XPVG-2626-SM-4B669 50-59 years, male 58.0
GTEX-WXYG-2326-SM-4E3I6 50-59 years, female 57.9
GTEX-13FH7-2026-SM-E9J4I 50-59 years, female 57.6
GTEX-14BIN-0626-SM-793DP 50-59 years, female 57.5
GTEX-1I1GP-2226-SM-CGQFK 50-59 years, male 56.1
GTEX-11DXX-2426-SM-5GZZW 60-69 years, female 55.8
GTEX-1HGF4-2426-SM-ACKXM 60-69 years, male 55.3
GTEX-1HUB1-0426-SM-E9U4U 60-69 years, male 55.3
GTEX-1IGQW-0126-SM-COH42 60-69 years, male 55.0
GTEX-QESD-1426-SM-2S1R9 20-29 years, male 54.8
GTEX-1H3VY-0126-SM-ACKXD 50-59 years, male 54.8
GTEX-12WSG-2826-SM-E9J4H 50-59 years, female 54.5
GTEX-R55G-2526-SM-2TC6D 40-49 years, female 54.3
GTEX-ZU9S-0226-SM-5E441 30-39 years, male 54.2
GTEX-14PHW-0126-SM-6LLJI 60-69 years, female 54.0
GTEX-1GF9X-2026-SM-7PC3A 40-49 years, female 53.7
GTEX-ZV6S-2326-SM-4YCEY 40-49 years, female 53.5
GTEX-1H23P-0126-SM-ADEJ3 60-69 years, male 53.2
GTEX-1IL2V-0126-SM-CM2TX 70-79 years, male 53.2
GTEX-T5JW-1626-SM-3GADZ 20-29 years, female 52.8
GTEX-1J8QM-2126-SM-CYPSJ 60-69 years, female 51.9
GTEX-TSE9-0126-SM-3DB83 60-69 years, female 51.7
GTEX-1QAET-0926-SM-E76QM 50-59 years, male 51.5
GTEX-1HSKV-0226-SM-A9SKJ 60-69 years, male 51.3
GTEX-SNMC-1226-SM-2XCFP 20-29 years, male 51.1
GTEX-14PJ6-2126-SM-6EU1V 60-69 years, female 50.9
GTEX-1K2DA-1826-SM-CGQGT 50-59 years, male 50.9
GTEX-12ZZX-0126-SM-5EGK9 40-49 years, female 50.7
GTEX-15SHU-0126-SM-7KUEH 40-49 years, female 50.4
GTEX-12WSK-2326-SM-5GCOH 40-49 years, female 50.3
GTEX-1NHNU-1026-SM-E9J2A 50-59 years, male 50.3
GTEX-17KNJ-2326-SM-7DHLQ 50-59 years, male 50.2
GTEX-1K2DU-2326-SM-E9TIV 20-29 years, male 50.2
GTEX-14DAQ-0126-SM-5S2MQ 60-69 years, female 50.0
GTEX-OIZG-0726-SM-33HBL 50-59 years, male 49.9
GTEX-183WM-0126-SM-7LTAB 70-79 years, female 49.4
GTEX-ZZPT-0226-SM-5E43X 50-59 years, male 49.1
GTEX-1KANC-1526-SM-D3LAB 50-59 years, female 48.8
GTEX-11WQK-0526-SM-5EQLD 50-59 years, male 48.7
GTEX-V1D1-2226-SM-3NMAX 50-59 years, male 48.7
GTEX-SJXC-0126-SM-2XCFF 60-69 years, male 48.0
GTEX-1R7EU-0226-SM-EVR4G 60-69 years, male 47.8
GTEX-1GZ2Q-0226-SM-7P8TL 40-49 years, male 47.5
GTEX-1O97I-0326-SM-EYYX7 60-69 years, male 47.5
GTEX-1QMI2-0226-SM-EVYBX 60-69 years, male 47.2
GTEX-1CB4H-0226-SM-7PBXM 60-69 years, female 47.0
GTEX-PLZ6-1426-SM-DKPOT 30-39 years, male 46.9
GTEX-11TUW-2726-SM-E9J4M 60-69 years, male 46.6
GTEX-1H1DG-0126-SM-9WYU2 70-79 years, male 46.5
GTEX-1IKK5-0626-SM-ARL8A 60-69 years, male 46.5
GTEX-13FXS-0226-SM-5IJCK 50-59 years, male 45.8
GTEX-1MJK2-0426-SM-DTXE5 50-59 years, male 45.7
GTEX-1F5PL-0326-SM-7P8PQ 40-49 years, female 44.9
GTEX-1GMR3-1926-SM-9KNUZ 40-49 years, male 44.1
GTEX-1JMPZ-0226-SM-CNPP1 30-39 years, male 44.1
GTEX-ZV68-0126-SM-59HKS 50-59 years, female 43.8
GTEX-1HCU7-0226-SM-CL545 50-59 years, male 43.4
GTEX-1QP2A-0126-SM-E9J43 50-59 years, male 43.2
GTEX-1H4P4-0726-SM-9YFLR 50-59 years, male 43.1
GTEX-1OJC3-0126-SM-E76QX 20-29 years, male 43.1
GTEX-1MA7W-2026-SM-E9TJ6 20-29 years, female 42.7
GTEX-1N2DW-0226-SM-E9TK2 50-59 years, male 42.7
GTEX-VJWN-0126-SM-3GIK7 50-59 years, female 42.6
GTEX-13X6I-0626-SM-5QGP9 60-69 years, male 42.2
GTEX-145MI-0526-SM-5O9A8 60-69 years, female 42.2
GTEX-13111-1626-SM-5EGJY 50-59 years, male 41.3
GTEX-1C64N-0126-SM-793D7 50-59 years, male 40.9
GTEX-1AX9I-0126-SM-7SB74 60-69 years, male 40.7
GTEX-1EWIQ-0126-SM-7RHH2 70-79 years, female 40.6
GTEX-17F98-0626-SM-79OMX 40-49 years, female 40.2
GTEX-1GPI7-0126-SM-9MQL8 20-29 years, male 40.0
GTEX-13CF3-2426-SM-5IFGX 60-69 years, female 39.9
GTEX-11P7K-2126-SM-5GU7G 30-39 years, male 39.0
GTEX-1EN7A-0126-SM-7SB81 40-49 years, male 39.0
GTEX-1MCYP-1926-SM-E9J2R 20-29 years, female 38.8
GTEX-1I1GQ-0126-SM-COH3H 50-59 years, male 38.3
GTEX-15UKP-0426-SM-7KUFQ 20-29 years, male 38.2
GTEX-1H3O1-0426-SM-9YFKY 60-69 years, male 38.1
GTEX-PWO3-1526-SM-48TCM 60-69 years, female 37.8
GTEX-1KXAM-2226-SM-CYPTC 60-69 years, male 37.3
GTEX-1JMQK-0226-SM-CL543 60-69 years, male 37.2
GTEX-14BMV-0126-SM-5S2PO 50-59 years, male 37.1
GTEX-1A3MX-0126-SM-731BR 60-69 years, male 36.9
GTEX-1KAFJ-2026-SM-CY8ID 50-59 years, male 36.8
GTEX-14A5I-0126-SM-5TDEA 50-59 years, female 36.6
GTEX-139T8-0126-SM-5K7XZ 60-69 years, male 36.3
GTEX-1PWST-0226-SM-E76QJ 70-79 years, male 36.3
GTEX-13OW6-0426-SM-5L3HM 50-59 years, male 35.9
GTEX-1LGRB-2526-SM-CNPPQ 50-59 years, female 35.8
GTEX-17JCI-0126-SM-7LG5G 60-69 years, female 35.4
GTEX-1ICLY-0126-SM-D4P36 50-59 years, male 35.3
GTEX-1RAZQ-0726-SM-EAZ43 30-39 years, male 35.3
GTEX-1R9PO-2126-SM-E9J4O 60-69 years, female 35.2
GTEX-1399T-2826-SM-5KLYZ 60-69 years, male 35.1
GTEX-ZPIC-1726-SM-DHXIU 40-49 years, female 35.0
GTEX-14A5H-0426-SM-5QGQF 60-69 years, male 34.8
GTEX-WFON-2126-SM-3LK7O 40-49 years, male 34.6
GTEX-1GL5R-1826-SM-9KNUY 50-59 years, male 34.0
GTEX-11ZUS-0626-SM-59885 30-39 years, male 33.9
GTEX-145MF-0626-SM-5LUAI 50-59 years, male 33.9
GTEX-16GPK-0126-SM-7DHLE 60-69 years, male 33.8
GTEX-ZYT6-0226-SM-5NQ6T 30-39 years, male 33.4
GTEX-1399R-2726-SM-5IJBA 30-39 years, male 33.3
GTEX-1CAMQ-0226-SM-7IGPK 40-49 years, male 32.9
GTEX-X261-0126-SM-3NMD6 50-59 years, male 32.8
GTEX-18D9A-1926-SM-7LG6P 30-39 years, female 32.0
GTEX-1E2YA-0126-SM-9KNUC 50-59 years, male 31.6
GTEX-1KWVE-1426-SM-E9TJO 30-39 years, male 31.0
GTEX-1LH75-2426-SM-E9TJE 50-59 years, female 31.0
GTEX-1RLM8-2326-SM-EWRN4 50-59 years, male 30.9
GTEX-1BAJH-0526-SM-793CQ 70-79 years, male 30.5
GTEX-13FHP-0126-SM-5IJBG 50-59 years, male 30.4
GTEX-T2YK-0526-SM-32QPJ 50-59 years, male 30.0
GTEX-1GMR8-0126-SM-9WYTM 50-59 years, female 30.0
GTEX-15D1Q-0126-SM-7KUG6 40-49 years, male 29.9
GTEX-SE5C-1626-SM-2XCE3 40-49 years, female 29.8
GTEX-139UW-2826-SM-5L3E7 60-69 years, male 29.7
GTEX-1QCLY-0326-SM-E8VOG 30-39 years, male 29.7
GTEX-14XAO-2326-SM-6EU1B 60-69 years, female 29.6
GTEX-1MCQQ-0826-SM-DLHC2 60-69 years, male 28.9
GTEX-144GL-0126-SM-5TDE2 50-59 years, male 28.6
GTEX-13NYC-0326-SM-E9J4S 60-69 years, male 28.2
GTEX-145LU-0126-SM-5TDCB 50-59 years, male 26.6
GTEX-15ETS-0126-SM-7KUMW 40-49 years, female 26.5
GTEX-1I19N-0326-SM-ACKVX 70-79 years, male 24.8
GTEX-1IKJJ-0126-SM-CNPQB 60-69 years, male 24.5
GTEX-14E6E-1826-SM-5S2R7 30-39 years, male 24.1
GTEX-1LSNM-1926-SM-E6CII 50-59 years, male 24.1
GTEX-11UD2-0226-SM-5EQKY 50-59 years, male 24.0
GTEX-1IDJH-0326-SM-A9SLQ 70-79 years, male 23.9
GTEX-12584-0126-SM-5EGKQ 40-49 years, male 23.8
GTEX-12WSA-0226-SM-5BC5V 60-69 years, male 23.6
GTEX-1PPH8-0226-SM-E8VND 20-29 years, male 23.6
GTEX-ZE9C-2726-SM-57WB5 60-69 years, male 23.5
GTEX-1S83E-0126-SM-EWRO4 40-49 years, male 23.4
GTEX-17F96-1626-SM-7DUFL 70-79 years, male 21.7
GTEX-1CB4F-0426-SM-9KNV4 60-69 years, male 21.5
GTEX-13113-5016-SM-7EPIP 60-69 years, female 21.0
GTEX-1PIIG-0226-SM-EWRN6 30-39 years, male 20.3
GTEX-13RTJ-2426-SM-5S2Q2 60-69 years, male 20.2
GTEX-13OVH-0126-SM-5MR4B 70-79 years, male 20.0
GTEX-1AMEY-1326-SM-73KYK 30-39 years, female 20.0
GTEX-POMQ-2226-SM-2I5FK 20-29 years, female 19.6
GTEX-145ME-1826-SM-5SI9G 40-49 years, female 18.7
GTEX-1AMFI-2026-SM-731BH 50-59 years, female 18.5
GTEX-13IVO-0126-SM-5J1NG 70-79 years, male 18.3
GTEX-13JUV-2726-SM-5LZZ8 40-49 years, female 17.4
GTEX-1B97I-1626-SM-73KYO 40-49 years, male 16.8
GTEX-YJ89-0126-SM-4TT3X 60-69 years, male 16.8
GTEX-1C475-1826-SM-73KWA 40-49 years, female 16.0
GTEX-PX3G-0126-SM-2I3EN 20-29 years, female 15.7
GTEX-ZWKS-0126-SM-5SIAA 30-39 years, male 14.9
GTEX-1M5QR-1226-SM-EWROB 40-49 years, male 14.9
GTEX-1JJ6O-0126-SM-E6CI8 60-69 years, male 14.8
GTEX-1F75I-0326-SM-9YFLU 40-49 years, male 14.1
GTEX-15G19-0126-SM-6PANQ 60-69 years, male 13.7
GTEX-145LS-0126-SM-5QGP1 60-69 years, female 12.4
GTEX-1JJEA-0326-SM-CNPOT 60-69 years, male 12.3
GTEX-13NYB-2526-SM-5K7Z6 40-49 years, male 11.7
GTEX-S32W-2126-SM-2XCB1 50-59 years, female 11.7
GTEX-12WSE-0526-SM-793B2 20-29 years, male 10.2
GTEX-1KANA-0726-SM-D3L9I 20-29 years, male 9.5
GTEX-1R9PM-2026-SM-E76OY 20-29 years, male 9.1
GTEX-ZTX8-1426-SM-5DUVO 20-29 years, male 8.6
GTEX-15EU6-0426-SM-6PAN5 50-59 years, male 6.8
GTEX-1L5NE-2526-SM-E6CIE 50-59 years, male 4.9
GTEX-1JMQL-0226-SM-CNPP5 50-59 years, female 4.7
Show allShow less

Contact

  • NEWS ARTICLES
  • PRESS ROOM

The Project

  • INTRODUCTION
  • ORGANIZATION
  • PUBLICATIONS

The Human Protein Atlas

  • DOWNLOADABLE DATA
  • LICENCE & CITATION
  • HELP & FAQ
The Human Protein Atlas project is funded
by the Knut & Alice Wallenberg Foundation.


contact@proteinatlas.org