We use cookies to enhance the usability of our website. If you continue, we'll assume that you are happy to receive all cookies. More information. Don't show this again.
CNP
HPA
RESOURCES
  • TISSUE
  • BRAIN
  • SINGLE CELL
  • SUBCELLULAR
  • CANCER
  • BLOOD
  • CELL LINE
  • STRUCTURE & INTERACTION
ABOUT
  • INTRODUCTION
  • HISTORY
  • ORGANIZATION
  • PUBLICATIONS
  • ANTIBODY SUBMISSION
  • ANTIBODY AVAILABILITY
  • ACKNOWLEDGMENTS
  • CONTACT
NEWS
  • NEWS ARTICLES
  • PRESS ROOM
LEARN
  • DICTIONARY
  • PROTEIN CLASSES
  • PROTEIN EVIDENCE
  • METHODS
  • EDUCATIONAL VIDEOS
DATA
  • DOWNLOADABLE DATA
  • PUBLICATION DATA
  • RELEASE HISTORY
HELP
  • ANTIBODY VALIDATION
  • ASSAYS & ANNOTATION
  • DISCLAIMER
  • HELP & FAQ
  • PRIVACY STATEMENT
  • LICENCE & CITATION
Fields »
Search result

Field
Term
Gene name
Class
Subclass
Class
Keyword
Chromosome
External id
Tissue
Cell type
Expression
Antibody panel
Tissue
Main location
Patient ID
Annotation
Tissue
Category
Tau score
Cluster
Reliability
Brain region
Category
Tau score
Brain region
Category
Tau score
Brain region
Category
Tau score
Cluster
Reliability
Tissue
Cell type
Enrichment
Cell type
Category
Tau score
Cell type
Category
Tau score
Cell type
Category
Tau score
Cell lineage
Category
Tau score
Cluster
Cluster
Location
Searches
Location
Cell line
Class
Type
Phase
Reliability
Cancer
Prognosis
Cancer
Category
Cancer
Category
Tau score
Cluster
Variants
Interacting gene (ensg_id)
Type
Number of interactions
Pathway
Category
Score
Score
Score
Validation
Validation
Validation
Validation
Antibodies
Data type
Column


  • SUMMARY

  • TISSUE

  • BRAIN

  • SINGLE CELL

  • SUBCELL

  • CANCER

  • BLOOD

  • CELL LINE

  • STRUCT & INT

  • CNP
TISSUE PRIMARY DATA CAUDATE Show tissue menu
ADIPOSE TISSUE ADRENAL GLAND AMYGDALA APPENDIX BASAL GANGLIA BONE MARROW BREAST BRONCHUS CEREBELLUM CEREBRAL CORTEX CERVIX CHOROID PLEXUS COLON DUODENUM
ENDOMETRIUM EPIDIDYMIS ESOPHAGUS FALLOPIAN TUBE GALLBLADDER HEART MUSCLE HIPPOCAMPAL FORMATION HYPOTHALAMUS KIDNEY LIVER LUNG LYMPH NODE MIDBRAIN ORAL MUCOSA
OVARY PANCREAS PARATHYROID GLAND PITUITARY GLAND PLACENTA PROSTATE RECTUM RETINA SALIVARY GLAND SEMINAL VESICLE SKELETAL MUSCLE SKIN SMALL INTESTINE SMOOTH MUSCLE
SOFT TISSUE SPINAL CORD SPLEEN STOMACH TESTIS THYMUS THYROID GLAND TONGUE TONSIL URINARY BLADDER VAGINA
ANTIBODIES
AND
VALIDATION
Dictionary
Caudate
Tissue proteome
CAUDATE - Expression summary
Protein expression
Caudatei

On the top, protein expression in current human tissue, based on all annotated cell types, is reported with the units not detected (n), low (l), medium (m) and high (h). Underneath, protein expression in each annotated cell type are reported using the same units.

Protein expression data is based on knowledge-based annotation. For genes where more than one antibody has been used, a collective score is set.

If knowledge-based annotation could not be performed for a gene, no data is displayed here. View antibody staining data further down this page.

h
m
l
n
Glial cells: High
Neuronal cells: Not detected
RNA expressioni

A summary of mRNA expression data available for current tissue based on several datasets. The mRNA expression levels in human tissues are based on RNA-seq data generated by the Human Protein Atlas (HPA), Genotype-Tissue Expression (GTEx) portal and CAGE data generated by the FANTOM5 consortium. Consensus normalized expression levels for human tissues was created by combining the data from HPA and GTEx datasets.

The mRNA expression levels in pig are based on RNA-seq data generated by the Human Protein Atlas (HPA), and for mouse, HPA data and in situ hybridization generated by the Allen brain atlas are reported.

Scroll down to view mRNA expression data in more detail.
GTEx:270.4 nTPM
FANTOM5:271.1 Scaled Tags Per Million
Pig:157.1 nTPM

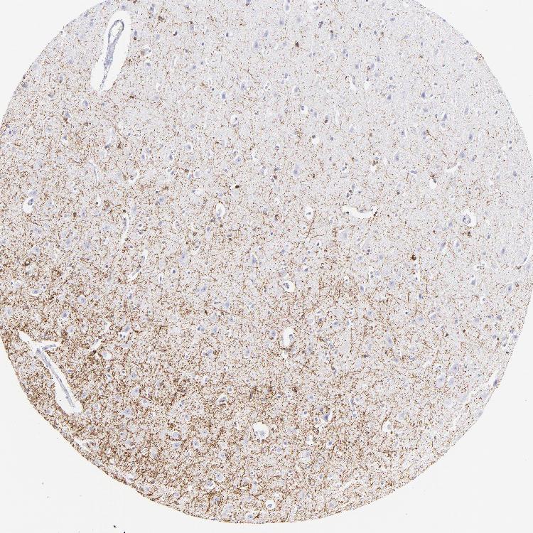
CAUDATE - Antibody stainingi

Antibody staining in the annotated cell types in the current human tissue is reported as not detected, low, medium, or high, based on conventional immunohistochemistry profiling in selected tissues. This score is based on the combination of the staining intensity and fraction of stained cells.

Each image is clickable and will lead to virtual microscopy that enables deeper exploration of all samples and also displays staining intensity scores, fraction scores and subcellular localization as well as patient and tissue information for each sample.

Antibody HPA023266Antibody HPA023278Antibody HPA023280Antibody HPA023338Antibody CAB002672
Glial cells HighMediumMediumMediumHigh
Neuronal cells Not detectedNot detectedNot detectedNot detectedNot detected







CAUDATE - GTEx RNA-seqi

RNA-Seq data generated by the Genotype-Tissue Expression (GTEx) project from human tissues is reported as mean nTPM. More information can be found on the GTEx portal.

Distribution across the dataset is visualized with box plots, shown as median and 25th and 75th percentiles. Points are displayed as outliers if they are above or below 1.5 times the interquartile range. nTPM values of the individual samples are presented next to the box plot.
Max subtype nTPMi

Max subtype nTPM is the value for the subtype with the largest average nTPM across the subtype samples.

270.4
GTEx sample id Sample description nTPM
Brain - Caudate (basal ganglia)
Average nTPM: 270.4
Samples: 246

Max nTPM: 1053.8
Min nTPM: 61.0
Std nTPM: 133.6
Median nTPM: 240.8
GTEX-12WSA-0011-R5b-SM-5GU5I 60-69 years, male 1053.8
GTEX-17MF6-0011-R5a-SM-731BA 40-49 years, male 936.8
GTEX-17EVQ-0011-R5a-SM-7LT92 70-79 years, male 605.6
GTEX-1HBPH-0011-R5b-SM-A9G1R 40-49 years, female 600.7
GTEX-11ONC-0011-R5b-SM-DO93I 60-69 years, male 598.4
GTEX-1HCVE-0011-R5b-SM-CKZP7 50-59 years, male 576.4
GTEX-QMR6-0011-R5A-SM-32PKT 50-59 years, male 558.7
GTEX-14E6D-0011-R5b-SM-69LQR 50-59 years, male 542.9
GTEX-1F48J-0011-R5b-SM-9OSVZ 50-59 years, female 542.1
GTEX-1EN7A-0011-R5a-SM-9QEH6 40-49 years, male 535.9
GTEX-1E1VI-0011-R5b-SM-9WG5V 50-59 years, male 534.5
GTEX-1RNSC-0011-R5a-SM-EZ6N5 60-69 years, male 529.3
GTEX-1GMRU-0011-R5a-SM-CKZNS 50-59 years, male 513.8
GTEX-1R9PO-0011-R5a-SM-EZ6NA 60-69 years, female 510.4
GTEX-WL46-0011-R5A-SM-3LK6V 50-59 years, male 503.4
GTEX-17HHY-0011-R5b-SM-79OMZ 50-59 years, male 501.0
GTEX-13FHP-0011-R5b-SM-5LZY2 50-59 years, male 500.9
GTEX-13NYB-0011-R5a-SM-5MR45 40-49 years, male 499.7
GTEX-17HII-0011-R5a-SM-7LG51 50-59 years, male 491.5
GTEX-ZDXO-0011-R5a-SM-4WKG5 60-69 years, male 488.2
GTEX-13PL6-0011-R5b-SM-5O9BI 40-49 years, female 482.0
GTEX-1H1CY-0011-R5a-SM-CM2SN 60-69 years, female 462.6
GTEX-N7MS-0011-R5a-SM-2HMK8 60-69 years, male 461.5
GTEX-17EVP-0011-R5b-SM-7DHKW 40-49 years, male 447.9
GTEX-1IKK5-0011-R5b-SM-CL55B 60-69 years, male 442.9
GTEX-13FLV-0011-R5a-SM-5LZWT 50-59 years, male 441.7
GTEX-1I1GR-0011-R5a-SM-CMKHD 60-69 years, male 435.8
GTEX-1I1HK-0011-R5b-SM-ARU6S 60-69 years, male 435.5
GTEX-13CF2-0011-R5a-SM-5LZWS 60-69 years, male 433.8
GTEX-1H23P-0011-R5a-SM-CKZOI 60-69 years, male 433.0
GTEX-18465-0011-R5a-SM-72D5J 50-59 years, male 430.0
GTEX-11NUK-0011-R5a-SM-DO93N 50-59 years, male 424.1
GTEX-X4XX-0011-R5A-SM-46MWN 60-69 years, male 421.3
GTEX-QDT8-0011-R5A-SM-32PKN 30-39 years, female 410.4
GTEX-144GL-0011-R5b-SM-5PNUJ 50-59 years, male 410.0
GTEX-R55E-0011-R5A-SM-2TC5N 20-29 years, male 404.3
GTEX-1F52S-0011-R5a-SM-CJI22 60-69 years, female 399.6
GTEX-11NV4-0011-R5a-SM-5NQ88 60-69 years, male 397.4
GTEX-13OVH-0011-R5b-SM-5KM4L 70-79 years, male 396.7
GTEX-1IL2U-0011-R5a-SM-CE6SN 60-69 years, male 392.0
GTEX-1E2YA-0011-R5a-SM-9QEGT 50-59 years, male 391.3
GTEX-1HUB1-0011-R5a-SM-CKZOY 60-69 years, male 388.9
GTEX-12ZZZ-0011-R5a-SM-5EQ4M 60-69 years, male 377.1
GTEX-13OW8-0011-R5b-SM-5L3FQ 60-69 years, male 376.5
GTEX-1GN2E-0011-R5b-SM-CJI2M 60-69 years, male 370.3
GTEX-1IDJH-0011-R5a-SM-CE6SR 70-79 years, male 369.7
GTEX-1GZ4I-0011-R5a-SM-9OSWQ 50-59 years, male 368.4
GTEX-13O3O-0011-R5b-SM-5KM44 60-69 years, female 368.3
GTEX-P44G-0011-R5A-SM-2I3FA 30-39 years, male 368.0
GTEX-RVPV-0011-R5A-SM-2TF69 60-69 years, male 365.1
GTEX-12WSH-0011-R5b-SM-5P9F3 50-59 years, male 355.9
GTEX-13JVG-0011-R5a-SM-5MR4O 60-69 years, male 348.8
GTEX-1GTWX-0011-R5b-SM-CKZO6 60-69 years, male 345.7
GTEX-1I1GQ-0011-R5a-SM-CMKHJ 50-59 years, male 339.7
GTEX-13112-0011-R5b-SM-5DUV8 50-59 years, male 338.6
GTEX-1CAV2-0011-R5b-SM-9QEH4 40-49 years, female 336.1
GTEX-1JMPZ-0011-R5b-SM-EYYWY 30-39 years, male 334.8
GTEX-16Z82-0011-R5a-SM-7EPGB 60-69 years, male 332.9
GTEX-Z93S-0011-R5b-SM-4RGNI 50-59 years, male 332.7
GTEX-11DXY-0011-R5b-SM-DNZZL 60-69 years, male 332.4
GTEX-139T8-0011-R5b-SM-5J1MO 60-69 years, male 327.3
GTEX-17HG3-0011-R5a-SM-7DUEW 30-39 years, female 327.3
GTEX-1HSKV-0011-R5b-SM-ARZLN 60-69 years, male 326.2
GTEX-14BIN-0011-R5b-SM-5SI78 50-59 years, female 324.4
GTEX-14DAQ-0011-R5b-SM-5YYAK 60-69 years, female 321.0
GTEX-16YQH-0011-R5b-SM-7938U 30-39 years, male 320.4
GTEX-1HR9M-0011-R5a-SM-ARU72 60-69 years, male 319.3
GTEX-WZTO-0011-R5B-SM-3NMC5 40-49 years, male 317.3
GTEX-13PVQ-0011-R5b-SM-5O9DI 50-59 years, male 316.2
GTEX-1F6I4-0011-R5b-SM-9QEHA 60-69 years, male 315.6
GTEX-1HFI6-0011-R5a-SM-A9G1J 40-49 years, male 313.4
GTEX-ZF28-0011-R5a-SM-4WWCZ 60-69 years, male 312.5
GTEX-14JG1-0011-R5a-SM-62LED 40-49 years, male 310.7
GTEX-YFC4-0011-R5a-SM-4RGLR 40-49 years, female 308.6
GTEX-15DYW-0011-R5a-SM-6M46W 60-69 years, female 308.4
GTEX-1EKGG-0011-R5a-SM-9OSVQ 60-69 years, male 308.1
GTEX-ZVT3-0011-R5a-SM-51MSI 60-69 years, female 305.5
GTEX-1GF9V-0011-R5a-SM-9QEI8 60-69 years, male 302.2
GTEX-1EH9U-0011-R5a-SM-CJI2K 60-69 years, male 300.4
GTEX-NL4W-0011-R5a-SM-2I3GD 50-59 years, male 296.2
GTEX-1IGQW-0011-R5b-SM-CJI44 60-69 years, male 296.0
GTEX-1GN73-0011-R5a-SM-9QEIM 60-69 years, male 295.5
GTEX-13X6I-0011-R5a-SM-5PNWW 60-69 years, male 294.6
GTEX-1C6VR-0011-R5a-SM-9QEH1 60-69 years, male 294.5
GTEX-1B996-0011-R5a-SM-7P8PN 60-69 years, male 294.2
GTEX-ZXG5-0011-R5b-SM-57WBN 60-69 years, male 294.0
GTEX-14C39-0011-R5b-SM-5ZZV1 40-49 years, male 291.9
GTEX-1CB4G-0011-R5a-SM-CKZNM 60-69 years, male 291.7
GTEX-1IKOH-0011-R5a-SM-ARU8C 60-69 years, female 291.6
GTEX-ZAB4-0011-R5a-SM-4SOKC 40-49 years, male 291.1
GTEX-1HCU6-0011-R5a-SM-ARU76 60-69 years, female 287.9
GTEX-11WQC-0011-R5a-SM-5BC74 60-69 years, male 286.6
GTEX-13X6K-0011-R5b-SM-5PNUE 60-69 years, female 284.3
GTEX-PVOW-0011-R5A-SM-32PL7 40-49 years, male 284.1
GTEX-13OW7-0011-R5b-SM-5O9DM 50-59 years, male 282.1
GTEX-13FXS-0011-R5b-SM-5LZYE 50-59 years, male 276.9
GTEX-1IKJJ-0011-R5b-SM-CE6SL 60-69 years, male 276.0
GTEX-1N2DW-0011-R5a-SM-EYYX3 50-59 years, male 271.9
GTEX-WWYW-0011-R5A-SM-3NB3E 50-59 years, female 271.5
GTEX-1GN1U-0011-R5a-SM-9QEIS 50-59 years, female 270.9
GTEX-1C6WA-0011-R5a-SM-9WG5X 60-69 years, male 269.4
GTEX-11O72-0011-R5a-SM-DO922 40-49 years, male 267.2
GTEX-11DYG-0011-R5a-SM-DO928 60-69 years, male 264.5
GTEX-1J8JJ-0011-R5a-SM-D4P2G 60-69 years, female 262.9
GTEX-1CB4H-0011-R5b-SM-9QEGN 60-69 years, female 261.1
GTEX-17F97-0011-R5a-SM-7LG4Z 50-59 years, male 258.6
GTEX-YJ89-0011-R5a-SM-4V6GM 60-69 years, male 257.4
GTEX-18464-0011-R5b-SM-718A6 50-59 years, male 256.0
GTEX-NPJ7-0011-R5a-SM-33HBK 60-69 years, female 255.8
GTEX-13RTJ-0011-R5a-SM-5P9HR 60-69 years, male 255.7
GTEX-14PJO-0011-R5a-SM-6AJBZ 60-69 years, male 255.2
GTEX-ZUA1-0011-R5b-SM-51MTG 40-49 years, male 254.6
GTEX-1A3MX-0011-R5a-SM-79OM5 60-69 years, male 252.0
GTEX-1445S-0011-R5a-SM-5PNUS 60-69 years, male 251.9
GTEX-1C6VS-0011-R5a-SM-7MXU9 60-69 years, male 249.9
GTEX-145LS-0011-R5a-SM-5SI65 60-69 years, female 249.7
GTEX-12ZZW-0011-R5a-SM-5DUVN 50-59 years, male 249.1
GTEX-11DZ1-0011-R5a-SM-DO11J 50-59 years, male 249.1
GTEX-ZV68-0011-R5a-SM-4YCDW 50-59 years, female 244.0
GTEX-1477Z-0011-R5b-SM-5PNUO 60-69 years, male 243.8
GTEX-1I19N-0011-R5b-SM-ARU6X 70-79 years, male 242.6
GTEX-13OVJ-0011-R5a-SM-5P9H7 50-59 years, female 242.2
GTEX-11UD1-0011-R5b-SM-5P9FP 40-49 years, female 240.9
GTEX-13FLW-0011-R5a-SM-5LZX6 50-59 years, male 240.6
GTEX-14PQA-0011-R5b-SM-6AJC2 50-59 years, female 240.2
GTEX-13SLW-0011-R5b-SM-5SI6Z 70-79 years, male 239.1
GTEX-183WM-0011-R5a-SM-718A4 70-79 years, female 233.9
GTEX-139TU-0011-R5b-SM-5L3E1 60-69 years, male 233.5
GTEX-1HT8W-0011-R5b-SM-CJI3P 30-39 years, male 231.6
GTEX-13OVL-0011-R5b-SM-5L3FU 50-59 years, male 231.2
GTEX-12WSF-0011-R5a-SM-5HL8K 70-79 years, male 229.3
GTEX-15DCD-0011-R5a-SM-CXZKZ 70-79 years, female 228.7
GTEX-13FHO-0011-R5b-SM-5LZZ3 60-69 years, male 225.5
GTEX-ZE7O-0011-R5a-SM-57WBO 50-59 years, female 224.2
GTEX-1AX9I-0011-R5b-SM-793DI 60-69 years, male 223.4
GTEX-1A8G6-0011-R5b-SM-7IGQG 60-69 years, male 221.8
GTEX-14LLW-0011-R5b-SM-5ZZU6 70-79 years, female 220.9
GTEX-15EO6-0011-R5b-SM-7KUDZ 50-59 years, male 219.9
GTEX-1HB9E-0011-R5b-SM-ARU78 50-59 years, male 219.3
GTEX-11DXW-0011-R5b-SM-DO11D 40-49 years, male 219.2
GTEX-1IL2V-0011-R5a-SM-ARL78 70-79 years, male 217.9
GTEX-1F7RK-0011-R5b-SM-9WG5S 20-29 years, female 217.1
GTEX-1J8EW-0011-R5b-SM-ARU8B 60-69 years, female 214.4
GTEX-14753-0011-R5a-SM-5S2VW 60-69 years, male 213.5
GTEX-144GO-0011-R5a-SM-5PNUR 60-69 years, male 213.2
GTEX-14BMV-0011-R5b-SM-62LFT 50-59 years, male 212.6
GTEX-X585-0011-R5A-SM-46MVI 50-59 years, male 211.9
GTEX-12ZZY-0011-R5a-SM-5EGL9 60-69 years, male 210.4
GTEX-13S7M-0011-R5b-SM-5P9HS 60-69 years, female 210.0
GTEX-1H1ZS-0011-R5b-SM-CL53L 70-79 years, male 209.9
GTEX-OXRN-0011-R5A-SM-2I5EF 50-59 years, male 209.5
GTEX-12WSD-0011-R5b-SM-5CVNG 60-69 years, female 208.6
GTEX-1B8L1-0011-R5a-SM-7DHN5 60-69 years, male 207.5
GTEX-1I1GS-0011-R5a-SM-CKZPC 60-69 years, male 206.1
GTEX-16NPV-0011-R5a-SM-7EPGK 50-59 years, female 204.2
GTEX-1HGF4-0011-R5b-SM-CM2ST 60-69 years, male 204.0
GTEX-1F75W-0011-R5b-SM-9QEGV 60-69 years, male 201.2
GTEX-WVLH-0011-R5A-SM-3MJFW 50-59 years, male 198.6
GTEX-11H98-0011-R5b-SM-57WCF 50-59 years, male 197.4
GTEX-13PLJ-0011-R5a-SM-5O9BG 60-69 years, female 196.4
GTEX-1R9K4-0011-R5b-SM-EZ6N8 60-69 years, male 195.3
GTEX-1H3NZ-0011-R5a-SM-CM2SP 60-69 years, male 194.3
GTEX-14ASI-0011-R5b-SM-6EU2M 60-69 years, male 193.6
GTEX-QVJO-0011-R5A-SM-2S1QM 60-69 years, female 193.5
GTEX-1J8Q2-0011-R5b-SM-A9SKH 60-69 years, male 192.2
GTEX-139TS-0011-R5b-SM-5J2MZ 60-69 years, male 192.0
GTEX-13SLX-0011-R5a-SM-5O9BV 50-59 years, female 191.9
GTEX-1GZ2Q-0011-R5a-SM-A96RQ 40-49 years, male 191.8
GTEX-13NZA-0011-R5b-SM-5KM4K 60-69 years, male 191.0
GTEX-11GSP-0011-R5a-SM-57WBE 60-69 years, female 190.8
GTEX-ZVZQ-0011-R5b-SM-57WDC 60-69 years, female 190.5
GTEX-1H3O1-0011-R5b-SM-ADEH8 60-69 years, male 189.6
GTEX-1GPI6-0011-R5a-SM-CJI2W 60-69 years, male 187.2
GTEX-1I1GV-0011-R5b-SM-CKZPD 60-69 years, male 186.2
GTEX-13OW5-0011-R5b-SM-5L3FR 60-69 years, male 186.1
GTEX-1HR98-0011-R5a-SM-A9G1V 60-69 years, male 186.1
GTEX-132Q8-0011-R5a-SM-5IJDM 60-69 years, male 185.7
GTEX-13OW6-0011-R5a-SM-5O9BK 50-59 years, male 185.7
GTEX-15CHQ-0011-R5b-SM-6AJAN 60-69 years, male 183.7
GTEX-145MG-0011-R5b-SM-5S2VU 50-59 years, male 182.0
GTEX-S7PM-0011-R5A-SM-3NM8G 60-69 years, male 181.2
GTEX-1F75A-0011-R5a-SM-ARZMJ 50-59 years, male 180.8
GTEX-Y8DK-0011-R5B-SM-4RTW6 60-69 years, male 179.6
GTEX-PWO3-0011-R5A-SM-2I5EZ 60-69 years, female 179.1
GTEX-ZE9C-0011-R5a-SM-5EGLO 60-69 years, male 177.1
GTEX-X261-0011-R5A-SM-3NMB4 50-59 years, male 172.1
GTEX-TSE9-0011-R5A-SM-3DB7J 60-69 years, female 169.9
GTEX-14LZ3-0011-R5b-SM-5ZZV8 60-69 years, female 169.5
GTEX-12ZZX-0011-R5a-SM-5HL89 40-49 years, female 169.3
GTEX-RU72-0011-R5A-SM-2TF6U 50-59 years, female 167.8
GTEX-1H2FU-0011-R5b-SM-CL552 60-69 years, female 167.2
GTEX-139TT-0011-R5b-SM-5K7W8 60-69 years, male 166.9
GTEX-13N1W-0011-R5b-SM-5MR5Q 70-79 years, male 165.2
GTEX-1GMR8-0011-R5b-SM-9QEIH 50-59 years, female 163.8
GTEX-1H1DG-0011-R5b-SM-CJI33 70-79 years, male 163.0
GTEX-13CZV-0011-R5a-SM-5K7XA 60-69 years, male 162.8
GTEX-11TTK-0011-R5a-SM-DNZZV 60-69 years, female 161.9
GTEX-1GF9W-0011-R5a-SM-CKZO4 60-69 years, male 161.1
GTEX-S7SE-0011-R5A-SM-2XCDA 50-59 years, male 160.3
GTEX-15ER7-0011-R5b-SM-6M46T 20-29 years, female 157.1
GTEX-15SHU-0011-R5a-SM-7938Q 40-49 years, female 156.3
GTEX-NL3H-0011-R5a-SM-2I3GB 60-69 years, male 156.3
GTEX-1B8SF-0011-R5a-SM-79OOO 60-69 years, male 155.8
GTEX-13VXU-0011-R5a-SM-5O9D7 50-59 years, male 153.3
GTEX-131YS-0011-R5b-SM-5K7YB 60-69 years, female 152.8
GTEX-1192X-0011-R5a-SM-DNZZA 50-59 years, male 152.2
GTEX-1HBPI-0011-R5a-SM-CKZOW 50-59 years, male 151.9
GTEX-N7MT-0011-R5a-SM-2I3G6 60-69 years, female 151.8
GTEX-1H3VE-0011-R5a-SM-CKZOU 40-49 years, male 151.7
GTEX-13NYS-0011-R5a-SM-5MR4D 60-69 years, male 151.4
GTEX-13JUV-0011-R5a-SM-5LZY5 40-49 years, female 150.3
GTEX-14ABY-0011-R5b-SM-5SI7B 50-59 years, male 148.6
GTEX-Q2AG-0011-R5A-SM-2HMJH 40-49 years, female 148.5
GTEX-1EMGI-0011-R5a-SM-CJI2E 60-69 years, male 147.6
GTEX-13O3Q-0011-R5b-SM-5P9H4 50-59 years, male 145.9
GTEX-15G19-0011-R5b-SM-6M46P 60-69 years, male 143.8
GTEX-13X6J-0011-R5b-SM-5PNWT 50-59 years, male 143.2
GTEX-1IY9M-0011-R5a-SM-A9SLX 60-69 years, male 143.1
GTEX-12WSM-0011-R5a-SM-5EQ4Y 60-69 years, male 142.9
GTEX-145MH-0011-R5a-SM-5P9JT 50-59 years, male 142.5
GTEX-T6MN-0011-R5A-SM-32QPD 50-59 years, male 142.3
GTEX-1JMQJ-0011-R5a-SM-EYYXO 50-59 years, male 141.1
GTEX-13CIG-0011-R5b-SM-5L3F2 50-59 years, male 139.7
GTEX-12WSC-0011-R5b-SM-5CVNS 50-59 years, male 138.9
GTEX-OXRO-0011-R5A-SM-2I5EG 60-69 years, female 137.1
GTEX-XMD1-0011-R5A-SM-4AT47 60-69 years, male 136.5
GTEX-1313W-0011-R5b-SM-5L3EP 50-59 years, female 135.4
GTEX-P44H-0011-R5A-SM-2XCEX 40-49 years, male 132.4
GTEX-1B933-0011-R5b-SM-7P8SA 50-59 years, female 131.8
GTEX-14JIY-0011-R5b-SM-62LE7 60-69 years, male 131.1
GTEX-1LG7Y-0011-R5a-SM-EZ6MU 50-59 years, male 130.2
GTEX-1399T-0011-R5b-SM-5IJDK 60-69 years, male 127.7
GTEX-14BIM-0011-R5b-SM-5S2RM 60-69 years, female 126.9
GTEX-T5JC-0011-R5A-SM-32PLK 20-29 years, male 126.5
GTEX-13G51-0011-R5a-SM-5L3EB 60-69 years, male 121.3
GTEX-11OF3-0011-R5a-SM-57WB4 60-69 years, male 121.0
GTEX-1F75B-0011-R5a-SM-9QEHC 50-59 years, male 117.5
GTEX-UTHO-0011-R5A-SM-3GIJD 60-69 years, male 116.4
GTEX-11PRG-0011-R5b-SM-DNZZS 50-59 years, male 115.7
GTEX-1EX96-0011-R5a-SM-ARU83 50-59 years, male 113.6
GTEX-NPJ8-0011-R5a-SM-2HMJY 40-49 years, male 109.8
GTEX-14PN4-0011-R5a-SM-686ZV 50-59 years, male 107.4
GTEX-1J1OQ-0011-R5a-SM-D3L8K 40-49 years, female 101.5
GTEX-1F6IF-0011-R5b-SM-CM2RH 60-69 years, male 92.4
GTEX-RNOR-0011-R5A-SM-2TF4J 50-59 years, female 91.7
GTEX-T2IS-0011-R5A-SM-32QP4 20-29 years, female 61.0
Show allShow less

CAUDATE - FANTOM5 CAGEi

RNA expression in human tissues obtained through Cap Analysis of Gene Expression (CAGE) generated by the FANTOM5 project are reported as Scaled Tags Per Million.

Max subtype Scaled Tags Per Millioni

Max subtype Scaled Tags Per Million is the value for the subtype with the largest average Scaled Tags Per Million across the subtype samples.

271.1
FANTOM5 sample id Sample description Scaled Tags Per Million
Caudate nucleus
Scaled Tags Per Million: 271.1
FF:10164-103B2 76 years, female 271.1

CAUDATE - Pig RNA-seqi

RNA-seq data obtained from pig brain is reported as nTPM .

Normal distribution across the dataset is visualized with box plots, shown as median and 25th and 75th percentiles. Points are displayed as outliers if they are above or below 1.5 times the interquartile range. nTPM values of the individual samples are presented next to the box plot.
Max subtype nTPMi

Max subtype nTPM is the value for the subtype with the largest average nTPM across the subtype samples.

157.1
Pig sample Sample description nTPM
Caudate
nTPM: 157.1
Samples: 4

Max nTPM: 163.9
Min nTPM: 153.3
Sample A Female 163.9
Sample B Female 153.6
Sample C Male 153.3
Sample D Male 157.7

Contact

  • NEWS ARTICLES
  • PRESS ROOM

The Project

  • INTRODUCTION
  • ORGANIZATION
  • PUBLICATIONS

The Human Protein Atlas

  • DOWNLOADABLE DATA
  • LICENCE & CITATION
  • HELP & FAQ
The Human Protein Atlas project is funded
by the Knut & Alice Wallenberg Foundation.


contact@proteinatlas.org