We use cookies to enhance the usability of our website. If you continue, we'll assume that you are happy to receive all cookies. More information. Don't show this again.
CST6
HPA
RESOURCES
  • TISSUE
  • BRAIN
  • SINGLE CELL
  • SUBCELLULAR
  • CANCER
  • BLOOD
  • CELL LINE
  • STRUCTURE & INTERACTION
ABOUT
  • INTRODUCTION
  • HISTORY
  • ORGANIZATION
  • PUBLICATIONS
  • ANTIBODY SUBMISSION
  • ANTIBODY AVAILABILITY
  • ACKNOWLEDGMENTS
  • CONTACT
NEWS
  • NEWS ARTICLES
  • PRESS ROOM
LEARN
  • DICTIONARY
  • PROTEIN CLASSES
  • PROTEIN EVIDENCE
  • METHODS
  • EDUCATIONAL VIDEOS
DATA
  • DOWNLOADABLE DATA
  • PUBLICATION DATA
  • RELEASE HISTORY
HELP
  • ANTIBODY VALIDATION
  • ASSAYS & ANNOTATION
  • DISCLAIMER
  • HELP & FAQ
  • PRIVACY STATEMENT
  • LICENCE & CITATION
Fields »
Search result

Field
Term
Gene name
Class
Subclass
Class
Keyword
Chromosome
External id
Tissue
Cell type
Expression
Antibody panel
Tissue
Main location
Patient ID
Annotation
Tissue
Category
Tau score
Cluster
Reliability
Brain region
Category
Tau score
Brain region
Category
Tau score
Brain region
Category
Tau score
Cluster
Reliability
Tissue
Cell type
Enrichment
Cell type
Category
Tau score
Cell type
Category
Tau score
Cell type
Category
Tau score
Cell lineage
Category
Tau score
Cluster
Cluster
Location
Searches
Location
Cell line
Class
Type
Phase
Reliability
Cancer
Prognosis
Cancer
Category
Cancer
Category
Tau score
Cluster
Variants
Interacting gene (ensg_id)
Type
Number of interactions
Pathway
Category
Score
Score
Score
Validation
Validation
Validation
Validation
Antibodies
Data type
Column


  • SUMMARY

  • TISSUE

  • BRAIN

  • SINGLE CELL

  • SUBCELL

  • CANCER

  • BLOOD

  • CELL LINE

  • STRUCT & INT

  • CST6
TISSUE PRIMARY DATA SKIN 1 Show tissue menu
ADIPOSE TISSUE ADRENAL GLAND AMYGDALA APPENDIX BASAL GANGLIA BONE MARROW BREAST BRONCHUS CEREBELLUM CEREBRAL CORTEX CERVIX CHOROID PLEXUS COLON DUODENUM
ENDOMETRIUM EPIDIDYMIS ESOPHAGUS FALLOPIAN TUBE GALLBLADDER HEART MUSCLE HIPPOCAMPAL FORMATION HYPOTHALAMUS KIDNEY LIVER LUNG LYMPH NODE MIDBRAIN NASOPHARYNX
ORAL MUCOSA OVARY PANCREAS PARATHYROID GLAND PITUITARY GLAND PLACENTA PROSTATE RECTUM RETINA SALIVARY GLAND SEMINAL VESICLE SKELETAL MUSCLE SKIN SMALL INTESTINE
SMOOTH MUSCLE SOFT TISSUE SPINAL CORD SPLEEN STOMACH TESTIS THYMUS THYROID GLAND TONGUE TONSIL URINARY BLADDER VAGINA
ANTIBODIES
AND
VALIDATION
Dictionary
Skin
Tissue proteome
SKIN - Expression summary
Protein expression
Skini

On the top, protein expression in current human tissue, based on all annotated cell types, is reported with the units not detected (n), low (l), medium (m) and high (h). Underneath, protein expression in each annotated cell type are reported using the same units.

Protein expression data is based on knowledge-based annotation. For genes where more than one antibody has been used, a collective score is set.

If knowledge-based annotation could not be performed for a gene, no data is displayed here. View antibody staining data further down this page.

h
m
l
n
Arrector pili muscle cells: Not detected
Cells in basal layer: Not detected
Cells in corneal layer: High
Cells in granular layer: High
Cells in spinous layer: Not detected
Endothelial cells: Not detected
Extracellular matrix: Not detected
Fibrohistiocytic cells: Not detected
Hair follicles: Not detected
Langerhans cells: Not detected
Lymphocytes: Not detected
Melanocytes: Not detected
Sebaceous glands: Medium
Vascular mural cells: Not detected
RNA expressioni

A summary of mRNA expression data available for current tissue based on several datasets. The mRNA expression levels in human tissues are based on RNA-seq data generated by the Human Protein Atlas (HPA), Genotype-Tissue Expression (GTEx) portal and CAGE data generated by the FANTOM5 consortium. Consensus normalized expression levels for human tissues was created by combining the data from HPA and GTEx datasets.

The mRNA expression levels in pig are based on RNA-seq data generated by the Human Protein Atlas (HPA), and for mouse, HPA data and in situ hybridization generated by the Allen brain atlas are reported.

Scroll down to view mRNA expression data in more detail.
Consensus:738.0 nTPM
HPA:271.4 nTPM
GTEx:738.0 nTPM

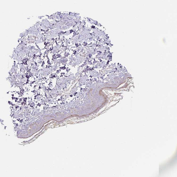
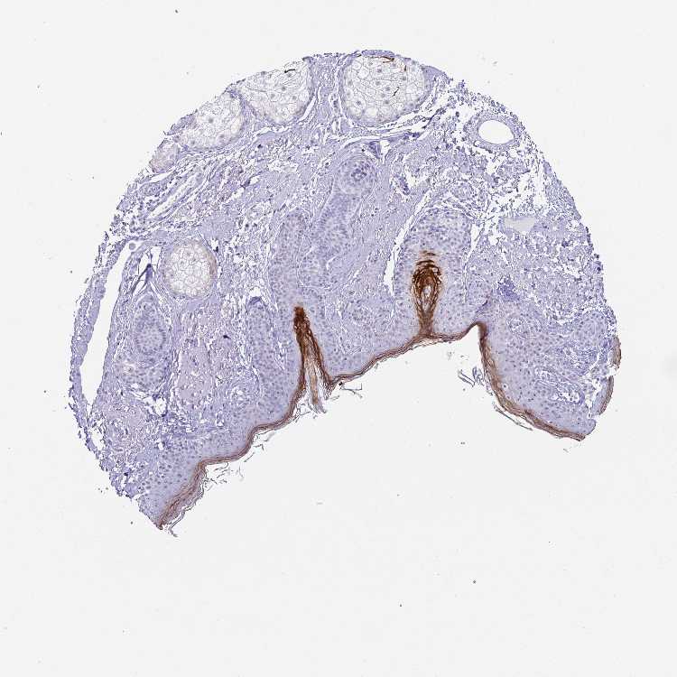
SKIN 1 - Antibody stainingi

Antibody staining in the annotated cell types in the current human tissue is reported as not detected, low, medium, or high, based on conventional immunohistochemistry profiling in selected tissues. This score is based on the combination of the staining intensity and fraction of stained cells.

Each image is clickable and will lead to virtual microscopy that enables deeper exploration of all samples and also displays staining intensity scores, fraction scores and subcellular localization as well as patient and tissue information for each sample.

Antibody HPA044963Antibody CAB019316
Langerhans -Not detected
Cells in basal layer Not detected-
Cells in corneal layer High-
Cells in granular layer High-
Cells in spinous layer Not detected-
Endothelial cells Not detected-
Extracellular matrix Not detected-
Fibroblasts -Not detected
Fibrohistiocytic cells Not detected-
Hair follicles Not detected-
Keratinocytes -Medium
Langerhans cells Not detected-
Lymphocytes Not detected-
Melanocytes Not detectedNot detected
Sebaceous glands Medium-
Vascular mural cells Not detected-




SKIN 2 - Antibody stainingi

Antibody staining in the annotated cell types in the current human tissue is reported as not detected, low, medium, or high, based on conventional immunohistochemistry profiling in selected tissues. This score is based on the combination of the staining intensity and fraction of stained cells.

Each image is clickable and will lead to virtual microscopy that enables deeper exploration of all samples and also displays staining intensity scores, fraction scores and subcellular localization as well as patient and tissue information for each sample.

Antibody HPA044963Antibody CAB019316
Arrector pili muscle cells Not detected-
Cells in basal layer Not detected-
Cells in corneal layer Low-
Cells in granular layer Not detected-
Cells in spinous layer Not detected-
Endothelial cells Not detected-
Epidermal cells -Low
Extracellular matrix Not detected-
Fibrohistiocytic cells Not detected-
Langerhans cells Not detected-
Lymphocytes Not detected-
Melanocytes Not detected-
Vascular mural cells Not detected-
  
  
  




SKIN - HPA RNA-seqi

The RNA-seq details section shows detailed information about the individual samples used for the transcript profiling and results of the RNA-seq analysis.

Information about each individual sample is listed below, including gender, age, a tissue section image and estimated fractions of cell types. nTPM (normalized transcripts per million) values give a quantification of the gene abundance which is comparable between different genes and samples.
Average nTPMi

Max subtype nTPM is the value for the subtype with the largest average nTPM across the subtype samples.

271.4
overview
Female, age 34
Skin sample 225
nTPM: 289
Cell types%
Keratinocytes:
60

Other cell types:
40

overview
Female, age 30
Skin sample 226
nTPM: 164.6
Cell types%
Keratinocytes:
55

Other cell types:
45

N/A
Male, age 57
Skin sample 227
nTPM: 360.7

SKIN - GTEx RNA-seqi

RNA-Seq data generated by the Genotype-Tissue Expression (GTEx) project from human tissues is reported as mean nTPM. More information can be found on the GTEx portal.

Distribution across the dataset is visualized with box plots, shown as median and 25th and 75th percentiles. Points are displayed as outliers if they are above or below 1.5 times the interquartile range. nTPM values of the individual samples are presented next to the box plot.
Max subtype nTPMi

Max subtype nTPM is the value for the subtype with the largest average nTPM across the subtype samples.

738.0
GTEx sample id Sample description nTPM
Skin - Not Sun Exposed (Suprapubic)
Average nTPM: 738.0
Samples: 604

Max nTPM: 5266.2
Min nTPM: 7.6
Std nTPM: 700.8
Median nTPM: 504.1
GTEX-1C64O-1326-SM-7MGWR 60-69 years, male 5266.2
GTEX-18D9A-1426-SM-7LT8M 30-39 years, female 4868.1
GTEX-1QP9N-1226-SM-E76QN 30-39 years, male 4331.0
GTEX-YEC3-1326-SM-DO92X 50-59 years, male 4118.9
GTEX-15RIE-1926-SM-7KUKJ 60-69 years, male 3980.0
GTEX-1PIGE-1826-SM-E8VOU 20-29 years, male 3949.6
GTEX-18A66-0626-SM-7LT8Z 60-69 years, male 3750.4
GTEX-ZZ64-1026-SM-5GZXG 20-29 years, male 3232.4
GTEX-ZT9W-1126-SM-57WDR 50-59 years, male 3167.1
GTEX-1N2EE-0626-SM-E76PW 60-69 years, male 3087.7
GTEX-13JUV-2026-SM-5K7UA 40-49 years, female 2895.8
GTEX-14PKV-1126-SM-6LLJ1 20-29 years, female 2824.7
GTEX-14PJ3-1126-SM-5ZZVX 50-59 years, male 2806.5
GTEX-111YS-1526-SM-5GZYW 60-69 years, male 2761.2
GTEX-12WSF-1626-SM-7KUG5 70-79 years, male 2693.1
GTEX-1IY9M-2826-SM-ARU8H 60-69 years, male 2634.3
GTEX-1IDJF-2026-SM-CL53V 20-29 years, male 2629.3
GTEX-11EI6-2826-SM-5H11D 60-69 years, male 2566.3
GTEX-145MO-2826-SM-5LU96 60-69 years, male 2489.4
GTEX-14BIN-1126-SM-5RQJZ 50-59 years, female 2473.9
GTEX-WFON-1926-SM-3LK7L 40-49 years, male 2473.0
GTEX-ZUA1-2626-SM-5NQ92 40-49 years, male 2413.8
GTEX-183FY-1026-SM-7939A 20-29 years, male 2389.3
GTEX-147F3-1726-SM-5SIAW 50-59 years, female 2374.1
GTEX-YJ8O-2526-SM-5HL85 40-49 years, female 2339.8
GTEX-178AV-1726-SM-7KUL8 40-49 years, male 2300.2
GTEX-12WSM-1926-SM-5BC65 60-69 years, male 2289.4
GTEX-12BJ1-0926-SM-5EQ62 60-69 years, male 2241.2
GTEX-139TT-2126-SM-5LZWC 60-69 years, male 2239.6
GTEX-14PJO-2526-SM-6AJBQ 60-69 years, male 2224.1
GTEX-1HSMP-0926-SM-A9SKX 70-79 years, male 2169.8
GTEX-14ICL-1626-SM-5YYAO 30-39 years, male 2147.8
GTEX-11TT1-1826-SM-5EQLV 20-29 years, male 2144.9
GTEX-1GMR3-0126-SM-A9SLW 40-49 years, male 2094.9
GTEX-14PHX-2226-SM-6EU2P 50-59 years, male 2054.3
GTEX-139TU-0726-SM-5L3EK 60-69 years, male 2043.3
GTEX-14A5H-0826-SM-5QGPJ 60-69 years, male 2026.3
GTEX-1S3DN-2126-SM-E9TIN 50-59 years, male 2023.0
GTEX-WHWD-1826-SM-3LK6I 50-59 years, male 1991.0
GTEX-15RIG-0726-SM-7KUM7 40-49 years, male 1933.4
GTEX-1192X-2726-SM-5N9DN 50-59 years, male 1925.8
GTEX-1I6K7-1926-SM-B2LXR 40-49 years, male 1916.8
GTEX-13PVR-0426-SM-5RQK2 60-69 years, female 1909.6
GTEX-1QCLY-0226-SM-EWRNH 30-39 years, male 1893.5
GTEX-YEC4-1826-SM-4W1YP 40-49 years, male 1890.4
GTEX-13OW6-2726-SM-5J2OE 50-59 years, male 1877.9
GTEX-18A7B-2726-SM-7LG56 70-79 years, male 1832.2
GTEX-1N2DV-1526-SM-DTXEP 40-49 years, male 1826.8
GTEX-WRHU-2826-SM-3MJG8 50-59 years, female 1776.9
GTEX-XPVG-2126-SM-4B667 50-59 years, male 1706.8
GTEX-17MFQ-1526-SM-7KFRR 20-29 years, male 1703.6
GTEX-1HFI6-0126-SM-CNPPI 40-49 years, male 1698.1
GTEX-14JG6-1426-SM-9WG7C 30-39 years, female 1678.2
GTEX-1RAZA-2226-SM-E9U4X 20-29 years, male 1670.4
GTEX-1RMOY-1326-SM-E9TIH 50-59 years, male 1658.8
GTEX-1PIIG-2326-SM-DTXFR 30-39 years, male 1636.7
GTEX-UPK5-0426-SM-3GAEK 40-49 years, male 1634.2
GTEX-1RB15-1326-SM-E76Q9 60-69 years, male 1624.4
GTEX-1CAMQ-1326-SM-7P8RV 40-49 years, male 1618.8
GTEX-ZWKS-0626-SM-5GIDV 30-39 years, male 1607.2
GTEX-1E2YA-2126-SM-7MXUO 50-59 years, male 1563.4
GTEX-1IOXB-2726-SM-CM2RI 50-59 years, male 1561.6
GTEX-18A6Q-0626-SM-7KFRP 60-69 years, male 1555.1
GTEX-WFG7-2026-SM-5SI7P 20-29 years, male 1542.9
GTEX-WH7G-2026-SM-3NMBL 40-49 years, male 1539.5
GTEX-ZTTD-2826-SM-4YCFA 50-59 years, male 1526.4
GTEX-ZDTS-0826-SM-4WKHL 60-69 years, male 1522.6
GTEX-11DXX-2126-SM-5PNYR 60-69 years, female 1490.8
GTEX-13PVQ-0626-SM-5LU47 50-59 years, male 1446.6
GTEX-1B8KZ-0326-SM-73KY4 50-59 years, male 1442.8
GTEX-145MN-1526-SM-5SI9T 30-39 years, male 1423.6
GTEX-ZXG5-2126-SM-59HKD 60-69 years, male 1406.6
GTEX-1AX9I-2226-SM-73KUO 60-69 years, male 1398.5
GTEX-1H1CY-0126-SM-9YFLY 60-69 years, female 1397.8
GTEX-1KXAM-1626-SM-D3LAD 60-69 years, male 1395.5
GTEX-1R7EU-1626-SM-DTXG3 60-69 years, male 1385.3
GTEX-Y8E4-2026-SM-5IFJB 40-49 years, male 1380.7
GTEX-18465-2826-SM-7LT9J 50-59 years, male 1379.6
GTEX-12WSA-0426-SM-5EQ5X 60-69 years, male 1371.5
GTEX-ZYT6-2326-SM-5GZY3 30-39 years, male 1371.2
GTEX-1B8KE-1126-SM-7EPHI 50-59 years, male 1361.7
GTEX-14JFF-0626-SM-5ZZVT 60-69 years, male 1352.2
GTEX-1I1GS-2626-SM-B2LY3 60-69 years, male 1350.2
GTEX-17F96-0126-SM-7EWDU 70-79 years, male 1342.9
GTEX-1A8G7-1326-SM-73KVM 60-69 years, male 1302.7
GTEX-17F98-1326-SM-7DUEP 40-49 years, female 1302.4
GTEX-146FQ-2126-SM-5RQHU 30-39 years, male 1300.0
GTEX-11DYG-1526-SM-5A5JS 60-69 years, male 1290.5
GTEX-17F9E-2326-SM-79OKD 50-59 years, male 1289.4
GTEX-1GZ4I-2626-SM-9KNU3 50-59 years, male 1273.6
GTEX-1R9PM-1926-SM-EVR3O 20-29 years, male 1267.3
GTEX-1399Q-2326-SM-5KM2X 40-49 years, male 1265.0
GTEX-1KD5A-0126-SM-E9U54 50-59 years, male 1249.5
GTEX-XQ3S-1426-SM-4BOPR 20-29 years, male 1240.8
GTEX-17F97-2626-SM-7IGM5 50-59 years, male 1238.8
GTEX-16NPX-0726-SM-7KULC 50-59 years, male 1237.6
GTEX-ZVT4-2426-SM-5GIEI 50-59 years, female 1235.4
GTEX-1B933-2426-SM-7DHMD 50-59 years, female 1210.7
GTEX-1399R-1326-SM-5PNYS 30-39 years, male 1187.4
GTEX-131YS-2826-SM-5EQ47 60-69 years, female 1182.0
GTEX-1HGF4-0126-SM-CNPPX 60-69 years, male 1181.8
GTEX-X4EO-2926-SM-4E3JH 60-69 years, female 1180.4
GTEX-1F5PK-2226-SM-7SB6N 50-59 years, male 1172.7
GTEX-1A8G6-2726-SM-731AR 60-69 years, male 1171.1
GTEX-15RJ7-2126-SM-6PAMD 40-49 years, male 1169.5
GTEX-17KNJ-2126-SM-718AM 50-59 years, male 1167.0
GTEX-ZP4G-1426-SM-4WWCL 20-29 years, female 1166.8
GTEX-13NZ9-2626-SM-5L3FK 50-59 years, male 1147.9
GTEX-13O3O-2326-SM-5IJD6 60-69 years, female 1147.3
GTEX-144GO-2026-SM-5O99P 60-69 years, male 1136.3
GTEX-1QPFJ-1926-SM-EVYBD 30-39 years, female 1136.3
GTEX-1GN1W-2426-SM-9KNUU 50-59 years, female 1130.1
GTEX-12WSD-0626-SM-5GCMW 60-69 years, female 1123.5
GTEX-1N5O9-0926-SM-E9J3C 60-69 years, male 1116.6
GTEX-1K2DU-1226-SM-CYPT4 20-29 years, male 1105.3
GTEX-1H2FU-0926-SM-9WPPT 60-69 years, female 1098.2
GTEX-ZDTT-0426-SM-4WKFL 60-69 years, male 1096.1
GTEX-1F75W-2726-SM-7SB8H 60-69 years, male 1091.8
GTEX-13PDP-0726-SM-5L3HP 60-69 years, male 1083.2
GTEX-12KS4-2126-SM-5FQUT 30-39 years, male 1058.6
GTEX-1AX8Z-0726-SM-73KTS 60-69 years, male 1058.5
GTEX-139D8-1126-SM-5LU8W 30-39 years, female 1048.4
GTEX-145MF-0926-SM-5Q5EA 50-59 years, male 1028.8
GTEX-111VG-1626-SM-5EGIO 60-69 years, male 1022.5
GTEX-16NGA-0726-SM-731AO 40-49 years, female 1012.1
GTEX-Y114-2126-SM-4TT8B 50-59 years, female 1005.0
GTEX-15SHW-0226-SM-7LTAT 60-69 years, male 1003.7
GTEX-ZAB4-2126-SM-5HL8U 40-49 years, male 1000.1
GTEX-ZPU1-1126-SM-4YCF3 40-49 years, male 999.2
GTEX-1QAET-0326-SM-EVR3U 50-59 years, male 993.0
GTEX-14AS3-1526-SM-5Q5ED 40-49 years, female 992.1
GTEX-Z93S-1626-SM-5CVMB 50-59 years, male 977.6
GTEX-1GF9W-1426-SM-7PBYM 60-69 years, male 975.8
GTEX-15D1Q-2826-SM-6LLH7 40-49 years, male 975.1
GTEX-1JN6P-2926-SM-CL54D 60-69 years, male 973.0
GTEX-1LKK1-2626-SM-DKPQE 50-59 years, female 973.0
GTEX-UPJH-0226-SM-3GADV 50-59 years, male 969.2
GTEX-WXYG-2026-SM-4E3IY 50-59 years, female 959.0
GTEX-14C5O-0326-SM-5ZZUX 60-69 years, male 957.6
GTEX-17HGU-2326-SM-7DUFE 50-59 years, male 955.7
GTEX-YECK-0326-SM-4W1YS 60-69 years, male 954.6
GTEX-1HCU7-0726-SM-A9SL1 50-59 years, male 950.5
GTEX-1GF9V-0826-SM-9KNUV 60-69 years, male 945.2
GTEX-14LZ3-0126-SM-69LPM 60-69 years, female 941.1
GTEX-11WQC-1826-SM-5GU59 60-69 years, male 927.9
GTEX-1RLM8-2926-SM-E8VON 50-59 years, male 918.1
GTEX-XK95-0226-SM-4AT58 40-49 years, male 912.7
GTEX-1HCVE-2726-SM-CL54F 50-59 years, male 905.5
GTEX-1A8FM-0626-SM-7PC25 50-59 years, female 899.6
GTEX-ZT9X-1526-SM-5DUXD 40-49 years, male 888.4
GTEX-WK11-2726-SM-3NMAQ 50-59 years, male 879.4
GTEX-X3Y1-2026-SM-3P5YM 40-49 years, male 867.4
GTEX-1F6IF-0926-SM-7SB7M 60-69 years, male 865.3
GTEX-1JN76-0626-SM-CKZOQ 20-29 years, female 864.2
GTEX-WY7C-2126-SM-3NB2R 50-59 years, male 860.9
GTEX-13OVG-1626-SM-5J1NF 60-69 years, male 853.1
GTEX-17HHY-0426-SM-7DHLC 50-59 years, male 852.1
GTEX-1I1GP-1326-SM-A9G28 50-59 years, male 851.6
GTEX-13G51-1826-SM-5KLZH 60-69 years, male 841.0
GTEX-139T8-0626-SM-5KLZX 60-69 years, male 840.6
GTEX-ZYFD-0626-SM-5E44E 50-59 years, male 838.2
GTEX-1GN1U-0626-SM-9MQL9 50-59 years, female 836.6
GTEX-ZPIC-0526-SM-DO91W 40-49 years, female 828.1
GTEX-ZE7O-2726-SM-51MT5 50-59 years, female 827.3
GTEX-1F52S-2926-SM-7MKGA 60-69 years, female 827.2
GTEX-V1D1-2026-SM-3GAF4 50-59 years, male 821.7
GTEX-WHSB-1326-SM-3LK6W 50-59 years, male 819.5
GTEX-13NYB-0126-SM-5J1MD 40-49 years, male 816.3
GTEX-1JMQJ-0826-SM-CNPP7 50-59 years, male 815.4
GTEX-1JMPY-0226-SM-CKZOK 30-39 years, male 814.7
GTEX-1JN1M-2726-SM-CY8I4 60-69 years, female 805.8
GTEX-1GN73-0726-SM-7P8TJ 60-69 years, male 803.6
GTEX-15CHR-1126-SM-7EWF4 50-59 years, male 803.0
GTEX-YF7O-1526-SM-5IFI6 50-59 years, male 800.5
GTEX-1LVAO-2726-SM-E9TJ8 60-69 years, male 799.1
GTEX-14C39-1726-SM-5RQIL 40-49 years, male 798.1
GTEX-WYJK-0526-SM-3NM8Z 50-59 years, male 792.3
GTEX-1CAMR-1326-SM-7PC1F 20-29 years, male 790.9
GTEX-1H1ZS-2726-SM-9WG75 70-79 years, male 788.5
GTEX-13U4I-2226-SM-5LU5H 40-49 years, female 786.3
GTEX-X5EB-1926-SM-4E3IW 40-49 years, male 786.0
GTEX-1211K-1526-SM-5FQU4 60-69 years, female 784.1
GTEX-1GZ4H-0526-SM-9KNU9 50-59 years, female 783.5
GTEX-1A3MV-1826-SM-731CD 30-39 years, male 781.4
GTEX-1R46S-2426-SM-E76QA 60-69 years, female 778.9
GTEX-12WSH-1526-SM-5BC5W 50-59 years, male 771.4
GTEX-1H4P4-2126-SM-9WYSL 50-59 years, male 762.3
GTEX-1H23P-0626-SM-9WG6T 60-69 years, male 759.6
GTEX-1LG7Y-2526-SM-EWRO7 50-59 years, male 757.8
GTEX-139UW-0326-SM-5J1ML 60-69 years, male 756.6
GTEX-11P7K-1126-SM-5HL4L 30-39 years, male 752.7
GTEX-1I6K6-1726-SM-CGQFD 30-39 years, male 751.5
GTEX-1399S-0126-SM-5IJCF 30-39 years, female 736.4
GTEX-1K2DA-1026-SM-CGQGF 50-59 years, male 735.5
GTEX-1EN7A-2426-SM-793DB 40-49 years, male 731.8
GTEX-1HBPN-0126-SM-CGQEF 50-59 years, male 729.1
GTEX-1313W-0626-SM-5EQ4H 50-59 years, female 726.2
GTEX-1B8L1-2226-SM-7P8PT 60-69 years, male 724.6
GTEX-1E1VI-0326-SM-793D1 50-59 years, male 723.0
GTEX-ZTX8-1326-SM-4YCEL 20-29 years, male 722.5
GTEX-1JKYN-0826-SM-ARU8S 30-39 years, male 722.4
GTEX-ZF2S-1626-SM-57WES 50-59 years, female 719.5
GTEX-14E6E-0526-SM-793DN 30-39 years, male 716.8
GTEX-XBEC-0726-SM-4QARZ 50-59 years, male 716.5
GTEX-14PJN-1826-SM-6AJ98 30-39 years, male 715.8
GTEX-1314G-1326-SM-5BC6E 30-39 years, male 715.4
GTEX-13X6I-1826-SM-5SIAO 60-69 years, male 715.0
GTEX-1AYD5-2626-SM-7PBXY 50-59 years, male 714.5
GTEX-133LE-2326-SM-5K7W3 20-29 years, female 714.0
GTEX-13X6K-0626-SM-5LU5D 60-69 years, female 713.4
GTEX-WI4N-2726-SM-3LK7Y 40-49 years, female 712.9
GTEX-15UF6-1926-SM-7KUDV 70-79 years, female 712.2
GTEX-1JMQK-1226-SM-D4P2S 60-69 years, male 708.3
GTEX-Y5V6-2326-SM-4VDSA 60-69 years, male 701.3
GTEX-1NV5F-0626-SM-DTXEG 60-69 years, female 699.8
GTEX-13YAN-0226-SM-5TDC6 60-69 years, male 695.7
GTEX-1GZ2Q-0126-SM-9WG6M 40-49 years, male 691.5
GTEX-16YQH-2226-SM-7IGM2 30-39 years, male 689.4
GTEX-16GPK-0626-SM-7KFSF 60-69 years, male 687.0
GTEX-13FLV-0126-SM-5K7WT 50-59 years, male 685.8
GTEX-11DXZ-2026-SM-5987S 50-59 years, male 683.3
GTEX-131XG-0326-SM-5L3DX 50-59 years, female 682.5
GTEX-18QFQ-1826-SM-72D52 30-39 years, male 682.1
GTEX-13IVO-0726-SM-5LZYV 70-79 years, male 680.0
GTEX-14BMV-2826-SM-5TDED 50-59 years, male 678.1
GTEX-ZVE2-2826-SM-5GU51 50-59 years, male 674.2
GTEX-1EH9U-2826-SM-7DUGT 60-69 years, male 672.9
GTEX-13SLW-0626-SM-5Q5ER 70-79 years, male 671.6
GTEX-144GL-0626-SM-5LU4D 50-59 years, male 668.3
GTEX-1KAFJ-0126-SM-DIPEK 50-59 years, male 667.7
GTEX-131XF-2626-SM-5EQ6K 60-69 years, male 665.0
GTEX-145LT-0526-SM-5LUB2 40-49 years, male 660.8
GTEX-1CB4F-1026-SM-7DUH1 60-69 years, male 658.0
GTEX-14JG1-1526-SM-5YY9X 40-49 years, male 657.4
GTEX-1GMRU-2126-SM-7P8RA 50-59 years, male 656.2
GTEX-1C6WA-2626-SM-7MKGM 60-69 years, male 655.8
GTEX-1QCLZ-2426-SM-EVYBW 60-69 years, female 655.0
GTEX-13D11-0926-SM-5J2NC 50-59 years, female 654.2
GTEX-1PPH7-1126-SM-DTX9A 40-49 years, male 650.6
GTEX-1I1GV-0626-SM-ARL7M 60-69 years, male 647.6
GTEX-13OW8-1026-SM-5J1NQ 60-69 years, male 646.8
GTEX-11UD2-2526-SM-5CVNU 50-59 years, male 646.1
GTEX-1C64N-2626-SM-7PC2N 50-59 years, male 645.7
GTEX-Y9LG-1126-SM-4VBQ7 30-39 years, male 643.1
GTEX-1H1E6-0426-SM-9WYUS 30-39 years, male 642.2
GTEX-11EQ8-0926-SM-5H12V 60-69 years, male 640.5
GTEX-1IDJE-1426-SM-ADEIW 50-59 years, female 637.0
GTEX-1PBJJ-1026-SM-E76OS 30-39 years, male 635.1
GTEX-ZVZP-1226-SM-5GID7 50-59 years, male 625.3
GTEX-WHSE-0126-SM-3NMBT 20-29 years, male 624.9
GTEX-16MT8-2926-SM-7DUFO 60-69 years, female 623.9
GTEX-XBEW-1126-SM-4QARW 40-49 years, male 621.8
GTEX-XMD2-2126-SM-4YCF8 60-69 years, female 620.8
GTEX-1PDJ9-1226-SM-EXUSX 20-29 years, male 618.1
GTEX-13N1W-2426-SM-5IJD1 70-79 years, male 605.7
GTEX-13O61-1426-SM-5KM3D 60-69 years, male 604.7
GTEX-1LSNL-2726-SM-E9TKJ 50-59 years, male 603.7
GTEX-11DZ1-2426-SM-5GZZX 50-59 years, male 603.4
GTEX-ZAK1-0626-SM-5HL8E 50-59 years, female 601.0
GTEX-ZE9C-2526-SM-5IJDR 60-69 years, male 600.5
GTEX-YFCO-1226-SM-5LUAT 40-49 years, male 598.3
GTEX-1J8EW-2726-SM-CY8HR 60-69 years, female 595.9
GTEX-12ZZY-0726-SM-5EQ66 60-69 years, male 595.3
GTEX-1I1GT-1026-SM-ARZLV 60-69 years, female 593.7
GTEX-1KANC-1226-SM-CYPT7 50-59 years, female 589.9
GTEX-1JJEA-1826-SM-ARU8P 60-69 years, male 588.2
GTEX-1OJC4-2726-SM-E76PJ 50-59 years, female 583.9
GTEX-1KANA-1326-SM-DIPFA 20-29 years, male 580.3
GTEX-147F4-0726-SM-5TDDD 50-59 years, male 578.8
GTEX-1F5PL-0926-SM-7PC2W 40-49 years, female 574.0
GTEX-14ABY-2026-SM-62LDL 50-59 years, male 567.7
GTEX-131XW-0626-SM-5PNVD 50-59 years, female 566.4
GTEX-1B8SF-0126-SM-7DUG3 60-69 years, male 565.6
GTEX-12696-0126-SM-5EQ4L 60-69 years, male 564.9
GTEX-1R9K4-2826-SM-DTX8F 60-69 years, male 563.1
GTEX-1F6I4-2326-SM-7RHGL 60-69 years, male 561.9
GTEX-18A67-1626-SM-7LT9T 50-59 years, male 555.5
GTEX-14B4R-1326-SM-5Q5EZ 30-39 years, male 555.3
GTEX-1QP66-1226-SM-DTX7U 50-59 years, male 553.1
GTEX-Y5LM-0926-SM-6LLJG 40-49 years, female 548.4
GTEX-1GZHY-0626-SM-9KNVC 50-59 years, female 547.8
GTEX-12WSC-2826-SM-5BC5Y 50-59 years, male 547.0
GTEX-1HT8W-0626-SM-A9G2H 30-39 years, male 546.5
GTEX-1MJK3-0726-SM-E6CJC 20-29 years, male 546.1
GTEX-11OF3-0126-SM-5PNYF 60-69 years, male 538.9
GTEX-11DXY-0126-SM-5H11Q 60-69 years, male 535.5
GTEX-1117F-2926-SM-5GZYI 60-69 years, female 534.9
GTEX-144GM-0526-SM-79OJO 20-29 years, male 534.0
GTEX-1C6VR-0126-SM-7RHGB 60-69 years, male 530.7
GTEX-1IKJJ-2226-SM-CJI4C 60-69 years, male 530.1
GTEX-1PPH8-0126-SM-EWRN8 20-29 years, male 529.0
GTEX-ZYW4-0626-SM-59HJR 60-69 years, male 527.7
GTEX-14PJ5-1526-SM-6LLIL 60-69 years, female 526.1
GTEX-17F9Y-0126-SM-79OKX 70-79 years, female 524.6
GTEX-1LSNM-0826-SM-DIPG8 50-59 years, male 524.0
GTEX-WYBS-0626-SM-3NMAS 60-69 years, female 523.5
GTEX-11O72-0626-SM-5PNYE 40-49 years, male 520.9
GTEX-13N11-2326-SM-5IJBF 50-59 years, female 516.6
GTEX-16XZZ-0726-SM-7KUF2 60-69 years, male 515.0
GTEX-13FTW-0326-SM-5K7UW 40-49 years, male 512.1
GTEX-1BAJH-2426-SM-7IGP8 70-79 years, male 509.2
GTEX-18A7A-0126-SM-731AH 50-59 years, female 506.3
GTEX-13OVL-0126-SM-5L3GJ 50-59 years, male 501.9
GTEX-1CB4I-0126-SM-7RHGG 50-59 years, male 501.7
GTEX-1I1HK-2326-SM-CKZOH 60-69 years, male 496.7
GTEX-1QP28-1126-SM-EVYC4 50-59 years, female 496.1
GTEX-W5X1-2526-SM-3GILC 40-49 years, female 491.8
GTEX-14753-0726-SM-5QGQO 60-69 years, male 490.1
GTEX-11EQ9-1626-SM-5PNY8 30-39 years, male 489.0
GTEX-1EU9M-1426-SM-793AI 60-69 years, male 486.7
GTEX-15CHQ-0326-SM-69LQD 60-69 years, male 486.5
GTEX-13OW5-2326-SM-5L3HO 60-69 years, male 485.4
GTEX-12ZZX-2426-SM-5GCOE 40-49 years, female 483.7
GTEX-13FHO-0426-SM-5L3F5 60-69 years, male 480.5
GTEX-1QP2A-1726-SM-E76QC 50-59 years, male 479.8
GTEX-13PL6-1126-SM-5L3IE 40-49 years, female 479.2
GTEX-1IDJH-0126-SM-D3L92 70-79 years, male 477.8
GTEX-1HB9E-0126-SM-CM2S5 50-59 years, male 476.3
GTEX-1F75A-0726-SM-7RHHD 50-59 years, male 473.5
GTEX-145MH-2826-SM-5RQJF 50-59 years, male 473.1
GTEX-11VI4-1126-SM-5EQMD 40-49 years, female 473.0
GTEX-1PPGY-1626-SM-EVYBL 60-69 years, male 472.5
GTEX-13112-0126-SM-5P9IU 50-59 years, male 471.6
GTEX-1HBPM-0726-SM-9YFL7 60-69 years, female 470.5
GTEX-15EO6-2426-SM-6PALZ 50-59 years, male 470.4
GTEX-13OVK-1426-SM-6PAN7 40-49 years, male 469.3
GTEX-15SKB-2826-SM-6PAMH 60-69 years, male 468.8
GTEX-1JMOU-1026-SM-CYPSS 60-69 years, female 468.7
GTEX-1JMPZ-0726-SM-CY8HZ 30-39 years, male 468.2
GTEX-1CB4J-1326-SM-7P8RX 60-69 years, male 466.0
GTEX-1I4MK-0126-SM-CY8G6 50-59 years, female 465.6
GTEX-XXEK-1626-SM-4BRUZ 50-59 years, male 465.4
GTEX-12126-0826-SM-5FQTZ 20-29 years, male 464.9
GTEX-ZPCL-1126-SM-4WWFE 60-69 years, female 464.5
GTEX-11GSP-2326-SM-5HL63 60-69 years, female 463.9
GTEX-13VXU-0626-SM-5L3F9 50-59 years, male 463.3
GTEX-1IE54-1126-SM-A9G2Z 40-49 years, female 460.8
GTEX-1NSGN-0726-SM-DTXEF 50-59 years, male 460.4
GTEX-14PII-0726-SM-6EU2B 60-69 years, male 460.2
GTEX-1269C-0126-SM-5EQ5L 60-69 years, female 459.7
GTEX-1M4P7-0726-SM-E6CJ3 60-69 years, male 459.4
GTEX-17HII-1426-SM-7EPGG 50-59 years, male 458.7
GTEX-1QW4Y-1126-SM-DTXE3 30-39 years, male 457.6
GTEX-132AR-0326-SM-5KM2C 50-59 years, female 457.5
GTEX-ZLFU-1826-SM-4WWBV 40-49 years, male 456.4
GTEX-17HHE-1326-SM-7EWDZ 50-59 years, male 455.1
GTEX-Y111-0626-SM-4SOIT 50-59 years, male 454.0
GTEX-16MTA-0926-SM-6M47Z 50-59 years, male 453.3
GTEX-11ZTT-2126-SM-5CVLO 60-69 years, female 453.1
GTEX-1LSVX-2526-SM-DIPEU 60-69 years, male 453.0
GTEX-15DDE-2926-SM-6LLJ3 50-59 years, female 451.0
GTEX-15RJE-2826-SM-7KUM9 40-49 years, male 449.9
GTEX-1LG7Z-1626-SM-CXKYR 30-39 years, male 449.9
GTEX-14E1K-2026-SM-7DUEI 50-59 years, male 449.6
GTEX-13FTY-2126-SM-5IFFB 40-49 years, female 449.2
GTEX-145LS-0626-SM-7EPG7 60-69 years, female 448.5
GTEX-15G19-2426-SM-7KUMR 60-69 years, male 447.6
GTEX-13OVH-0526-SM-5L3E6 70-79 years, male 442.5
GTEX-139TS-2126-SM-5K7XC 60-69 years, male 441.6
GTEX-1212Z-0126-SM-59HK4 60-69 years, male 440.5
GTEX-1HSMQ-2626-SM-A9SML 50-59 years, male 438.1
GTEX-1CB4H-1126-SM-7MKGL 60-69 years, female 437.3
GTEX-15DYW-2726-SM-6EU2I 60-69 years, female 436.2
GTEX-1S831-1826-SM-EWROF 20-29 years, male 434.6
GTEX-XQ8I-0926-SM-4BOOF 50-59 years, male 432.1
GTEX-1KANB-2826-SM-CY8I6 50-59 years, male 431.7
GTEX-13QJC-0126-SM-5ZZWJ 60-69 years, female 428.5
GTEX-1HSGN-0826-SM-ACKW3 40-49 years, female 427.3
GTEX-11LCK-2226-SM-5HL4Q 30-39 years, male 425.7
GTEX-ZF3C-0626-SM-DO92O 50-59 years, female 422.4
GTEX-1OJC3-1226-SM-DTXER 20-29 years, male 420.8
GTEX-17EVP-2626-SM-7IGMA 40-49 years, male 420.5
GTEX-ZC5H-1526-SM-5HL9Y 40-49 years, female 418.8
GTEX-139YR-1026-SM-5LZYN 50-59 years, male 418.7
GTEX-1F6RS-2026-SM-7RHHC 60-69 years, female 417.4
GTEX-1JK1U-0226-SM-ARZMX 60-69 years, male 416.1
GTEX-ZY6K-1426-SM-5GZX2 50-59 years, male 415.0
GTEX-1HCU6-2526-SM-ADEHL 60-69 years, female 410.5
GTEX-1GMR2-0826-SM-7PC3V 50-59 years, male 404.8
GTEX-16AAH-0626-SM-793C9 50-59 years, male 402.1
GTEX-1ICLY-0826-SM-CMKG1 50-59 years, male 402.0
GTEX-13OW7-0426-SM-5K7VK 50-59 years, male 400.6
GTEX-14DAR-1226-SM-73KYV 50-59 years, male 400.0
GTEX-13FTX-1526-SM-5K7VJ 20-29 years, female 398.0
GTEX-1J1R8-2026-SM-CL53Y 40-49 years, male 394.7
GTEX-11WQK-1026-SM-5EQLX 50-59 years, male 393.6
GTEX-1HSKV-1226-SM-ADEI4 60-69 years, male 393.4
GTEX-1CAMS-2226-SM-7PBXQ 40-49 years, female 392.6
GTEX-X8HC-0626-SM-4E3HQ 50-59 years, female 391.6
GTEX-ZAJG-1526-SM-5CVML 50-59 years, female 391.5
GTEX-1I19N-0126-SM-CYPSF 70-79 years, male 388.5
GTEX-11TUW-0626-SM-5LU9M 60-69 years, male 387.2
GTEX-13NYS-0626-SM-5L3F1 60-69 years, male 387.2
GTEX-1MCC2-1826-SM-DIPEX 30-39 years, female 387.2
GTEX-1J1OQ-0126-SM-D4P2N 40-49 years, female 383.2
GTEX-1I1GU-0926-SM-ACKVS 40-49 years, male 383.1
GTEX-11P82-1426-SM-DTXFY 20-29 years, male 382.4
GTEX-1POEN-2326-SM-E9J2L 30-39 years, female 381.8
GTEX-11DXW-0826-SM-5H118 40-49 years, male 379.5
GTEX-1JMLX-0626-SM-ARL8T 50-59 years, male 378.2
GTEX-14PHY-1226-SM-5ZZWK 60-69 years, female 377.9
GTEX-1LB8K-0726-SM-D5OV2 50-59 years, male 377.4
GTEX-1GPI7-1826-SM-9KNU1 20-29 years, male 377.0
GTEX-ZDYS-2426-SM-4WKGI 50-59 years, male 372.4
GTEX-Y8LW-1526-SM-5IFHL 50-59 years, female 372.2
GTEX-1S5ZU-2526-SM-E6CIF 20-29 years, female 372.0
GTEX-147GR-2426-SM-5ZZWQ 60-69 years, male 364.7
GTEX-1QP29-1826-SM-DTX9S 50-59 years, male 363.2
GTEX-14C38-0726-SM-5SI6M 50-59 years, male 363.0
GTEX-ZU9S-1826-SM-5NQ9E 30-39 years, male 362.0
GTEX-111FC-2526-SM-5GZXU 60-69 years, male 361.7
GTEX-XOT4-0626-SM-4B66L 60-69 years, female 356.1
GTEX-1MCYP-0526-SM-E9U6Q 20-29 years, female 355.5
GTEX-VJYA-1526-SM-3GIJV 60-69 years, male 355.3
GTEX-WHPG-2626-SM-3NMBR 50-59 years, male 354.8
GTEX-1C2JI-1026-SM-73KY1 50-59 years, male 354.6
GTEX-ZYY3-2926-SM-5GIEB 60-69 years, female 354.1
GTEX-11GS4-0226-SM-5HL77 60-69 years, male 351.0
GTEX-1S83E-1326-SM-E6CJM 40-49 years, male 350.1
GTEX-145LU-1926-SM-79OJN 50-59 years, male 348.9
GTEX-VUSG-2326-SM-4KL1U 50-59 years, male 348.5
GTEX-1EMGI-2326-SM-7PBYA 60-69 years, male 348.4
GTEX-1LVAM-0726-SM-E6CIL 50-59 years, female 347.2
GTEX-16Z82-2626-SM-7KULU 60-69 years, male 346.9
GTEX-1EWIQ-0326-SM-7DHMQ 70-79 years, female 343.5
GTEX-1IKOE-1426-SM-CE6T7 30-39 years, female 343.3
GTEX-1IDFM-0326-SM-ARL7V 60-69 years, male 342.6
GTEX-14PJ2-0626-SM-6LLII 50-59 years, male 341.8
GTEX-15FZZ-0526-SM-7KUGD 30-39 years, female 341.3
GTEX-1GN2E-0226-SM-9WG6K 60-69 years, male 340.0
GTEX-1CB4E-0926-SM-7EPHT 60-69 years, male 339.7
GTEX-X585-2426-SM-46MW2 50-59 years, male 338.3
GTEX-16BQI-1326-SM-6M486 30-39 years, female 336.2
GTEX-ZDXO-3126-SM-5IJDF 60-69 years, male 335.0
GTEX-1K9T9-1526-SM-DIPFR 50-59 years, female 334.7
GTEX-ZA64-1026-SM-5HL8R 20-29 years, male 334.4
GTEX-XYKS-1426-SM-4BRUO 60-69 years, female 333.6
GTEX-1GL5R-1326-SM-7RHHF 50-59 years, male 331.4
GTEX-145MG-1526-SM-5Q5EM 50-59 years, male 330.9
GTEX-11NSD-0626-SM-5A5LU 20-29 years, male 329.6
GTEX-15CHC-1126-SM-6LLHQ 60-69 years, female 328.7
GTEX-1H1DG-2426-SM-9QEHJ 70-79 years, male 326.5
GTEX-15ER7-0626-SM-6PANF 20-29 years, female 325.5
GTEX-ZZPU-0826-SM-5GZX5 50-59 years, female 325.3
GTEX-11P81-2226-SM-5PNYI 30-39 years, female 321.3
GTEX-1GF9X-1326-SM-7PC2Y 40-49 years, female 318.3
GTEX-ZYFC-0426-SM-5GICQ 50-59 years, male 316.9
GTEX-12ZZZ-0726-SM-5GCNZ 60-69 years, male 310.2
GTEX-ZF29-0926-SM-4WKFZ 60-69 years, female 309.9
GTEX-Y5V5-0126-SM-5S2NW 60-69 years, female 306.3
GTEX-1477Z-0326-SM-7IGLA 60-69 years, male 305.5
GTEX-Y3I4-1726-SM-4TT89 50-59 years, male 304.4
GTEX-11ZU8-0126-SM-5EQ58 60-69 years, male 303.6
GTEX-1IDJU-1726-SM-CMKHU 60-69 years, female 303.5
GTEX-1122O-1026-SM-9WYSF 60-69 years, female 301.9
GTEX-1399U-1126-SM-5L3DB 50-59 years, female 301.8
GTEX-ZLV1-1526-SM-DO91J 60-69 years, female 300.2
GTEX-11NUK-2726-SM-5A5MC 50-59 years, male 299.8
GTEX-12584-0726-SM-5FQTK 40-49 years, male 299.5
GTEX-WEY5-2326-SM-3GIKK 40-49 years, female 298.5
GTEX-1HBPI-2126-SM-ARL9K 50-59 years, male 298.5
GTEX-1IL2V-1926-SM-B2LW8 70-79 years, male 295.3
GTEX-17JCI-2926-SM-7DUFF 60-69 years, female 293.3
GTEX-15G1A-1626-SM-7KUKN 30-39 years, male 291.4
GTEX-1H3O1-1326-SM-9MQLD 60-69 years, male 290.4
GTEX-1EKGG-0626-SM-7DUGJ 60-69 years, male 286.6
GTEX-1F75B-0726-SM-7PC3R 50-59 years, male 286.5
GTEX-13SLX-2226-SM-62LEP 50-59 years, female 285.4
GTEX-12WSJ-1126-SM-5LZVJ 40-49 years, female 284.8
GTEX-1ICLZ-0326-SM-ARL82 60-69 years, male 284.7
GTEX-1LBAC-0826-SM-CY8IJ 20-29 years, male 284.0
GTEX-14A6H-2026-SM-5Q5DD 30-39 years, male 283.6
GTEX-ZVP2-0326-SM-57WBP 50-59 years, male 282.5
GTEX-1JMQI-1726-SM-ARL93 50-59 years, male 280.7
GTEX-111CU-1126-SM-5EGIM 50-59 years, male 279.6
GTEX-1KWVE-1026-SM-D3L9O 30-39 years, male 278.5
GTEX-13O3Q-0126-SM-5KM34 50-59 years, male 277.3
GTEX-YB5K-2026-SM-4VDT3 40-49 years, female 277.2
GTEX-1HUB1-1426-SM-CGQF5 60-69 years, male 273.4
GTEX-14PJ6-2626-SM-6EU2T 60-69 years, female 273.3
GTEX-ZVT2-0126-SM-5GIDQ 50-59 years, female 270.3
GTEX-XAJ8-1426-SM-47JYM 40-49 years, male 267.5
GTEX-14E6C-2426-SM-5S2NF 40-49 years, male 267.4
GTEX-1HR9M-2226-SM-CNPPY 60-69 years, male 266.6
GTEX-1HCUA-0826-SM-ADEHM 50-59 years, female 264.3
GTEX-XV7Q-1826-SM-4BRUV 40-49 years, female 264.0
GTEX-1H3NZ-2726-SM-9WYTQ 60-69 years, male 260.5
GTEX-1RAZS-2526-SM-E6CHT 50-59 years, male 259.1
GTEX-1AMEY-0826-SM-72D65 30-39 years, female 257.2
GTEX-XBED-1926-SM-47JYP 60-69 years, male 255.5
GTEX-ZVTK-0226-SM-51MRG 20-29 years, male 255.4
GTEX-1AX9J-1326-SM-731BJ 60-69 years, male 252.4
GTEX-1LGRB-0926-SM-COH3K 50-59 years, female 251.0
GTEX-13X6J-0626-SM-5LU5F 50-59 years, male 250.6
GTEX-13OVJ-0826-SM-5J1OK 50-59 years, female 250.4
GTEX-1EX96-1026-SM-7MKG2 50-59 years, male 249.7
GTEX-1R9PN-0426-SM-DTXDT 40-49 years, female 249.4
GTEX-12C56-1526-SM-5FQUQ 20-29 years, male 248.7
GTEX-1H1DE-1326-SM-9KNUG 20-29 years, male 246.3
GTEX-1RAZQ-1326-SM-E9TK6 30-39 years, male 246.0
GTEX-1IDJD-2326-SM-ACKWX 30-39 years, male 245.5
GTEX-13W3W-0726-SM-5IJDQ 60-69 years, female 244.9
GTEX-1GTWX-2026-SM-9YFLM 60-69 years, male 243.2
GTEX-145ME-1726-SM-5Q5EU 40-49 years, female 241.4
GTEX-1IDJV-0126-SM-COH3Y 60-69 years, male 237.8
GTEX-1QMI2-2526-SM-E8VNZ 60-69 years, male 237.4
GTEX-1QEPI-2626-SM-DTXF4 60-69 years, female 236.7
GTEX-148VJ-0626-SM-5LUAW 70-79 years, male 234.3
GTEX-1B996-0426-SM-7EWF8 60-69 years, male 233.0
GTEX-WYVS-1626-SM-3NM9R 40-49 years, female 231.0
GTEX-ZTSS-1426-SM-5985P 40-49 years, male 230.3
GTEX-1S82P-2126-SM-E6CI5 60-69 years, female 229.2
GTEX-1JJ6O-2726-SM-CNPOG 60-69 years, male 227.0
GTEX-1H11D-1826-SM-9QEHM 40-49 years, male 226.4
GTEX-17MF6-2626-SM-79OKQ 40-49 years, male 226.2
GTEX-14PKU-0126-SM-6LLHV 40-49 years, female 218.2
GTEX-145MI-0626-SM-5SI8S 60-69 years, female 217.5
GTEX-U8XE-0226-SM-4E3J3 30-39 years, male 213.5
GTEX-ZLWG-0826-SM-59888 50-59 years, female 212.7
GTEX-1GMR8-0626-SM-7RHI7 50-59 years, female 211.6
GTEX-1F75I-2226-SM-7SB8U 40-49 years, male 210.1
GTEX-1A3MX-2626-SM-7PC24 60-69 years, male 209.5
GTEX-WFG8-2126-SM-3GIKQ 20-29 years, male 209.3
GTEX-X4EP-0626-SM-3P621 60-69 years, female 209.2
GTEX-1C475-1326-SM-7SB73 40-49 years, female 208.9
GTEX-13VXT-1926-SM-5K7UO 20-29 years, female 206.9
GTEX-18D9U-0126-SM-731BM 40-49 years, male 204.9
GTEX-1F88E-1626-SM-7SB8Z 60-69 years, female 204.7
GTEX-147JS-0226-SM-5S2U9 60-69 years, male 202.7
GTEX-1B97I-0626-SM-73KUZ 40-49 years, male 202.5
GTEX-1JKYR-0626-SM-ARL8R 20-29 years, male 202.2
GTEX-13X6H-0926-SM-5SIB2 50-59 years, female 201.7
GTEX-1J8QM-2426-SM-A9SLS 60-69 years, female 200.4
GTEX-13N2G-0226-SM-5K7VF 60-69 years, male 199.9
GTEX-1O9I2-0226-SM-EYYXD 50-59 years, male 199.8
GTEX-14DAQ-0626-SM-793DS 60-69 years, female 199.4
GTEX-1J8Q2-2626-SM-ACKWQ 60-69 years, male 199.1
GTEX-ZYFG-1526-SM-5GZYM 60-69 years, female 194.4
GTEX-1ICG6-1226-SM-A9SLN 70-79 years, female 194.4
GTEX-1F48J-0726-SM-7RHGS 50-59 years, female 190.3
GTEX-1F88F-0126-SM-9WYSZ 60-69 years, female 188.8
GTEX-144FL-0626-SM-5LU43 50-59 years, male 184.6
GTEX-Y3IK-1626-SM-4YCF5 50-59 years, female 181.3
GTEX-13113-1626-SM-5EQ4I 60-69 years, female 178.2
GTEX-12WSL-2026-SM-5GCML 50-59 years, male 174.6
GTEX-1GPI6-1926-SM-9KNV7 60-69 years, male 173.6
GTEX-14PK6-0226-SM-62LF5 70-79 years, female 171.2
GTEX-1IDJI-0126-SM-CMKHS 50-59 years, female 169.9
GTEX-1LVAN-0626-SM-CNPOQ 50-59 years, female 167.1
GTEX-1J8JJ-0626-SM-ARZMQ 60-69 years, female 165.8
GTEX-1HSMO-0626-SM-ACKXC 60-69 years, male 164.3
GTEX-XUW1-0926-SM-4BONX 50-59 years, female 161.3
GTEX-1C6VQ-1226-SM-73KYD 50-59 years, male 158.9
GTEX-12WSK-2126-SM-5CVNC 40-49 years, female 157.3
GTEX-11EM3-1226-SM-5N9DD 20-29 years, female 155.9
GTEX-ZGAY-1826-SM-DO91Q 40-49 years, female 155.8
GTEX-13NZ8-1226-SM-5KM4A 60-69 years, female 155.6
GTEX-14BMU-1226-SM-5S2OR 20-29 years, female 154.4
GTEX-117YX-1926-SM-5GIEC 50-59 years, male 154.3
GTEX-ZVE1-0726-SM-51MRN 50-59 years, female 154.3
GTEX-1HCU8-2526-SM-CE6RX 60-69 years, female 154.3
GTEX-13FH7-1126-SM-5K7UG 50-59 years, female 152.4
GTEX-1HCU9-0426-SM-9WYSD 20-29 years, male 151.7
GTEX-1CAV2-0126-SM-7IGN7 40-49 years, female 150.2
GTEX-11PRG-0726-SM-5EGL1 50-59 years, male 150.0
GTEX-1RAZR-2126-SM-E9U6T 40-49 years, male 147.5
GTEX-14PJ4-0226-SM-5YY92 60-69 years, male 146.4
GTEX-13NYC-0126-SM-5L3F4 60-69 years, male 145.8
GTEX-18D9B-0926-SM-7LG4U 60-69 years, male 145.4
GTEX-14LLW-2626-SM-62LDZ 70-79 years, female 142.6
GTEX-1497J-0226-SM-5QGPU 60-69 years, male 142.2
GTEX-1HC8U-1326-SM-9YFMJ 40-49 years, female 140.3
GTEX-13RTJ-0126-SM-5S2NN 60-69 years, male 137.4
GTEX-1JJE9-2626-SM-ARZMT 70-79 years, male 129.0
GTEX-1AMFI-1326-SM-7939R 50-59 years, female 126.6
GTEX-1HFI7-2326-SM-CGQFS 50-59 years, female 125.0
GTEX-1A32A-0626-SM-731AQ 50-59 years, female 122.7
GTEX-15EU6-2226-SM-6EU2L 50-59 years, male 119.5
GTEX-17EVQ-0126-SM-7IGLR 70-79 years, male 115.6
GTEX-1HKZK-0726-SM-ACKW2 40-49 years, male 114.0
GTEX-1I1CD-0626-SM-CE6SW 60-69 years, female 113.1
GTEX-13JVG-0726-SM-5KM16 60-69 years, male 108.8
GTEX-1H1DF-1126-SM-9WG7G 40-49 years, female 105.6
GTEX-1GN1V-2826-SM-9JGIA 60-69 years, male 102.7
GTEX-1JMQL-2226-SM-CNPP4 50-59 years, female 100.0
GTEX-1A3MW-0626-SM-731CB 60-69 years, female 97.1
GTEX-1LGOU-1326-SM-D3L8M 20-29 years, female 94.1
GTEX-1B932-2326-SM-79OL5 40-49 years, female 87.5
GTEX-131XH-0126-SM-5LZUY 50-59 years, male 86.6
GTEX-11ZUS-2626-SM-5FQUR 30-39 years, male 84.5
GTEX-1J8Q3-0526-SM-ARL8U 60-69 years, male 82.6
GTEX-1S82U-1026-SM-E6CJK 30-39 years, female 82.4
GTEX-1IDJC-1526-SM-B2LW4 50-59 years, male 75.6
GTEX-1GF9U-2026-SM-7SB92 40-49 years, female 74.8
GTEX-17HG3-2626-SM-7DUF2 30-39 years, female 73.0
GTEX-1LVA9-2626-SM-EVYD4 50-59 years, male 70.3
GTEX-16MT9-0126-SM-7EPI8 60-69 years, female 68.9
GTEX-183WM-0326-SM-72D5V 70-79 years, female 68.1
GTEX-13QBU-1226-SM-5LU4G 40-49 years, female 58.0
GTEX-14XAO-1226-SM-6EU1C 60-69 years, female 50.7
GTEX-1L5NE-1126-SM-D3L9P 50-59 years, male 47.4
GTEX-ZYVF-0926-SM-5E44J 50-59 years, female 21.1
GTEX-1HR98-2226-SM-ADEI2 60-69 years, male 16.6
GTEX-1H3VE-0726-SM-9YFL5 40-49 years, male 7.6
Show allShow less
Skin - Sun Exposed (Lower leg)
Average nTPM: 435.7
Samples: 701

Max nTPM: 3015.9
Min nTPM: 0.1
Std nTPM: 368.3
Median nTPM: 342.1
GTEX-11TT1-2526-SM-5EGIB 20-29 years, male 3015.9
GTEX-131XF-5016-SM-7MGWE 60-69 years, male 2828.4
GTEX-1R7EU-0226-SM-EVR4G 60-69 years, male 2383.0
GTEX-SIU8-0126-SM-2XCDT 50-59 years, male 2381.3
GTEX-1KANA-0726-SM-D3L9I 20-29 years, male 2361.3
GTEX-PWCY-1826-SM-DHXIZ 20-29 years, female 2212.3
GTEX-14PJ3-1826-SM-62LEX 50-59 years, male 1988.0
GTEX-OIZG-0726-SM-33HBL 50-59 years, male 1944.3
GTEX-ZXES-1826-SM-5E43S 30-39 years, female 1824.7
GTEX-1K2DA-1826-SM-CGQGT 50-59 years, male 1694.9
GTEX-1I1GR-0126-SM-CL55F 60-69 years, male 1608.3
GTEX-17F98-0626-SM-79OMX 40-49 years, female 1592.0
GTEX-RN64-0126-SM-2TC68 50-59 years, male 1586.4
GTEX-15CHC-2126-SM-6EU21 60-69 years, female 1575.0
GTEX-17MF6-0126-SM-7LG4F 40-49 years, male 1514.2
GTEX-1JKYR-0126-SM-CNPOJ 20-29 years, male 1479.6
GTEX-1I6K6-0126-SM-A9SLE 30-39 years, male 1463.5
GTEX-145LT-1726-SM-5QGP3 40-49 years, male 1431.6
GTEX-13OVL-0226-SM-5L3E9 50-59 years, male 1424.3
GTEX-1H2FU-0126-SM-9WYSI 60-69 years, female 1397.2
GTEX-12WSA-0226-SM-5BC5V 60-69 years, male 1363.0
GTEX-Y8DK-0126-SM-4TT3L 60-69 years, male 1315.4
GTEX-1122O-2126-SM-5EGIR 60-69 years, female 1263.9
GTEX-14753-0426-SM-5NQAM 60-69 years, male 1235.8
GTEX-1KXAM-2226-SM-CYPTC 60-69 years, male 1234.9
GTEX-11EM3-2426-SM-59861 20-29 years, female 1203.6
GTEX-ZGAY-0526-SM-4WWBB 40-49 years, female 1188.8
GTEX-1AX9J-0226-SM-73KXM 60-69 years, male 1152.7
GTEX-139D8-0226-SM-5KLZO 30-39 years, female 1151.9
GTEX-1HCVE-0126-SM-CGQEU 50-59 years, male 1127.2
GTEX-1399U-2326-SM-5K7WY 50-59 years, female 1101.5
GTEX-YB5E-2026-SM-5IFIS 40-49 years, male 1098.0
GTEX-ZDTS-0126-SM-4WAY5 60-69 years, male 1080.4
GTEX-145LU-0126-SM-5TDCB 50-59 years, male 1075.6
GTEX-14BIN-0626-SM-793DP 50-59 years, female 1073.6
GTEX-1J1R8-1726-SM-ARL8M 40-49 years, male 1048.7
GTEX-1EMGI-0126-SM-9KNUE 60-69 years, male 1044.9
GTEX-XUZC-1726-SM-4BRWS 30-39 years, female 1044.0
GTEX-XQ8I-0426-SM-4BOPO 50-59 years, male 1040.4
GTEX-YJ8A-0426-SM-5IFID 20-29 years, male 1037.9
GTEX-12ZZX-0126-SM-5EGK9 40-49 years, female 1032.3
GTEX-S33H-1026-SM-EZ6L6 30-39 years, male 1032.2
GTEX-1N2EF-0226-SM-EYYXB 60-69 years, male 1031.8
GTEX-12696-2426-SM-5EQ6H 60-69 years, male 1028.1
GTEX-13CF2-2526-SM-5LZYX 60-69 years, male 1025.2
GTEX-PSDG-0226-SM-DKPOZ 50-59 years, male 1022.3
GTEX-QLQW-1126-SM-2S1Q8 30-39 years, male 1019.2
GTEX-Q2AG-0126-SM-33HBV 40-49 years, female 1010.2
GTEX-11WQK-0526-SM-5EQLD 50-59 years, male 1002.3
GTEX-1CAMR-1926-SM-7EPI2 20-29 years, male 999.2
GTEX-12ZZY-0226-SM-5LZVE 60-69 years, male 996.6
GTEX-ZTX8-1426-SM-5DUVO 20-29 years, male 973.8
GTEX-1399T-2826-SM-5KLYZ 60-69 years, male 971.5
GTEX-1HCU6-0126-SM-CL54K 60-69 years, female 967.7
GTEX-11EQ9-2426-SM-5HL5T 30-39 years, male 963.3
GTEX-1A3MX-0126-SM-731BR 60-69 years, male 932.9
GTEX-WYJK-0126-SM-3NMAB 50-59 years, male 923.6
GTEX-R55E-0126-SM-2TC5Y 20-29 years, male 905.3
GTEX-X88G-0126-SM-47JZ3 30-39 years, male 904.1
GTEX-145MF-0626-SM-5LUAI 50-59 years, male 902.4
GTEX-1LBAC-0126-SM-DIPEZ 20-29 years, male 894.6
GTEX-14JG1-0426-SM-6ETZZ 40-49 years, male 893.9
GTEX-1KANC-1526-SM-D3LAB 50-59 years, female 893.5
GTEX-17JCI-0126-SM-7LG5G 60-69 years, female 891.1
GTEX-1R9PM-2026-SM-E76OY 20-29 years, male 889.1
GTEX-OIZH-0126-SM-2HMIS 50-59 years, male 888.6
GTEX-11O72-0126-SM-59887 40-49 years, male 879.6
GTEX-14BMV-0126-SM-5S2PO 50-59 years, male 861.4
GTEX-TKQ1-1026-SM-4GICL 30-39 years, male 860.1
GTEX-P4QT-0126-SM-2I3FL 50-59 years, female 848.8
GTEX-1NV5F-0226-SM-E8VNY 60-69 years, female 836.1
GTEX-ZU9S-0226-SM-5E441 30-39 years, male 832.5
GTEX-U8XE-0326-SM-3DB8P 30-39 years, male 828.0
GTEX-1GZ2Q-0226-SM-7P8TL 40-49 years, male 827.7
GTEX-ZVT2-2526-SM-51MT1 50-59 years, female 826.5
GTEX-UJHI-1526-SM-3DB99 50-59 years, female 824.6
GTEX-1F6IF-0726-SM-7P8TW 60-69 years, male 822.1
GTEX-1S3DN-2226-SM-EVYCD 50-59 years, male 818.3
GTEX-WZTO-0126-SM-3NM95 40-49 years, male 810.5
GTEX-1I1GT-0626-SM-CGQER 60-69 years, female 809.7
GTEX-117YW-2626-SM-5GZZH 50-59 years, male 809.4
GTEX-1F5PL-0326-SM-7P8PQ 40-49 years, female 805.4
GTEX-139TS-2826-SM-5J1OO 60-69 years, male 804.6
GTEX-ZQG8-1626-SM-DHXIT 60-69 years, female 804.1
GTEX-14DAR-2026-SM-5S2O3 50-59 years, male 797.9
GTEX-17EUY-0426-SM-793BD 20-29 years, male 792.1
GTEX-1QPFJ-0226-SM-E76PB 30-39 years, female 791.0
GTEX-1F6RS-0126-SM-9MQKZ 60-69 years, female 788.6
GTEX-XBEW-0626-SM-4QASP 40-49 years, male 786.0
GTEX-U8T8-0126-SM-3DB94 60-69 years, male 782.9
GTEX-18A66-0226-SM-718BD 60-69 years, male 782.8
GTEX-15SDE-2226-SM-7IGLO 50-59 years, female 776.3
GTEX-1EKGG-0226-SM-9WYTH 60-69 years, male 769.0
GTEX-11DYG-0126-SM-59883 60-69 years, male 761.3
GTEX-139T8-0126-SM-5K7XZ 60-69 years, male 761.2
GTEX-13YAN-0326-SM-5O9DF 60-69 years, male 757.6
GTEX-11NUK-0126-SM-5A5L3 50-59 years, male 755.7
GTEX-ZWKS-0126-SM-5SIAA 30-39 years, male 754.1
GTEX-ZVTK-0426-SM-51MRS 20-29 years, male 753.4
GTEX-1KD4Q-0226-SM-E9TJ9 40-49 years, male 752.3
GTEX-Y3IK-2426-SM-4WWDU 50-59 years, female 742.7
GTEX-1A3MV-1926-SM-718BT 30-39 years, male 736.7
GTEX-X5EB-2226-SM-46MW4 40-49 years, male 734.7
GTEX-1GF9V-0326-SM-7RHI5 60-69 years, male 730.4
GTEX-183FY-0126-SM-7LT9P 20-29 years, male 728.2
GTEX-14C5O-0126-SM-5SI6N 60-69 years, male 720.1
GTEX-14LLW-0126-SM-6LLIO 70-79 years, female 712.7
GTEX-SJXC-0126-SM-2XCFF 60-69 years, male 703.2
GTEX-111FC-0126-SM-5N9DL 60-69 years, male 699.7
GTEX-13113-5016-SM-7EPIP 60-69 years, female 698.1
GTEX-1CB4F-0426-SM-9KNV4 60-69 years, male 697.5
GTEX-1C2JI-1826-SM-73KXC 50-59 years, male 694.1
GTEX-13SLW-0126-SM-5SI6C 70-79 years, male 693.4
GTEX-18QFQ-0126-SM-731BE 30-39 years, male 693.2
GTEX-13O21-1426-SM-5K7XI 50-59 years, male 692.0
GTEX-1JMPY-1326-SM-ARL8Y 30-39 years, male 682.8
GTEX-1I4MK-2226-SM-ACKWD 50-59 years, female 678.1
GTEX-ZF2S-2326-SM-4WWCE 50-59 years, female 677.3
GTEX-1EX96-1626-SM-7PBXR 50-59 years, male 674.3
GTEX-W5X1-3026-SM-EAZAX 40-49 years, female 666.6
GTEX-O5YW-0126-SM-3LK6D 50-59 years, male 662.3
GTEX-1JMPZ-0226-SM-CNPP1 30-39 years, male 660.5
GTEX-1PIIG-0226-SM-EWRN6 30-39 years, male 658.7
GTEX-1LGRB-2526-SM-CNPPQ 50-59 years, female 658.1
GTEX-XV7Q-2526-SM-4BRV9 40-49 years, female 652.7
GTEX-1R46S-0626-SM-E9J41 60-69 years, female 651.1
GTEX-1QCLY-0326-SM-E8VOG 30-39 years, male 650.8
GTEX-11ZU8-2526-SM-5EQKI 60-69 years, male 649.7
GTEX-117XS-2726-SM-5N9BL 60-69 years, male 641.6
GTEX-1IGQW-0126-SM-COH42 60-69 years, male 638.7
GTEX-1LB8K-0226-SM-EWRNW 50-59 years, male 630.9
GTEX-ZF3C-0126-SM-DO92D 50-59 years, female 630.0
GTEX-YJ89-0126-SM-4TT3X 60-69 years, male 629.0
GTEX-13FTW-2626-SM-5K7WL 40-49 years, male 627.9
GTEX-ZZPT-0226-SM-5E43X 50-59 years, male 626.0
GTEX-ZDTT-2726-SM-4WKF8 60-69 years, male 625.9
GTEX-QV44-1926-SM-2S1RF 50-59 years, male 623.7
GTEX-1J1OQ-0226-SM-CYPSH 40-49 years, female 622.8
GTEX-U412-0426-SM-3DB9O 60-69 years, male 622.5
GTEX-1EU9M-0226-SM-7P8SP 60-69 years, male 621.8
GTEX-1399R-2726-SM-5IJBA 30-39 years, male 621.1
GTEX-1S82Y-2026-SM-EVYCM 40-49 years, male 619.8
GTEX-15UKP-0426-SM-7KUFQ 20-29 years, male 616.6
GTEX-14A5H-0426-SM-5QGQF 60-69 years, male 616.2
GTEX-18D9A-1926-SM-7LG6P 30-39 years, female 616.0
GTEX-ZYFD-0126-SM-5GIDL 50-59 years, male 615.2
GTEX-1I1GV-0526-SM-A9G29 60-69 years, male 613.6
GTEX-13OVH-0126-SM-5MR4B 70-79 years, male 612.0
GTEX-15DCD-0126-SM-7KUEK 70-79 years, female 604.0
GTEX-13N1W-0126-SM-5K7VT 70-79 years, male 601.8
GTEX-1314G-1526-SM-5EGK2 30-39 years, male 601.1
GTEX-13OVK-2026-SM-7KUEO 40-49 years, male 598.1
GTEX-RVPV-0126-SM-EAZAW 60-69 years, male 596.9
GTEX-1LH75-2426-SM-E9TJE 50-59 years, female 595.1
GTEX-16AAH-1726-SM-7939C 50-59 years, male 592.3
GTEX-1HT8W-0126-SM-CNPPP 30-39 years, male 589.5
GTEX-Y114-2426-SM-4TT8A 50-59 years, female 588.5
GTEX-1HSKV-0226-SM-A9SKJ 60-69 years, male 587.4
GTEX-11DXX-2426-SM-5GZZW 60-69 years, female 586.1
GTEX-132NY-0326-SM-5IJBL 60-69 years, male 582.7
GTEX-1K2DU-2326-SM-E9TIV 20-29 years, male 580.0
GTEX-146FQ-0126-SM-5NQA9 30-39 years, male 579.5
GTEX-QESD-1426-SM-2S1R9 20-29 years, male 575.3
GTEX-ZVZP-2426-SM-59HKJ 50-59 years, male 575.1
GTEX-1JMQK-0226-SM-CL543 60-69 years, male 574.0
GTEX-1JK1U-2026-SM-CM2RZ 60-69 years, male 573.9
GTEX-1313W-0126-SM-5LZUN 50-59 years, female 573.4
GTEX-1GN73-0226-SM-9WG67 60-69 years, male 567.1
GTEX-1GL5R-1826-SM-9KNUY 50-59 years, male 566.5
GTEX-17F96-1626-SM-7DUFL 70-79 years, male 563.6
GTEX-11H98-0126-SM-5EGHG 50-59 years, male 558.7
GTEX-NFK9-0226-SM-2HMKQ 40-49 years, male 556.2
GTEX-13NZB-2526-SM-5J1OM 30-39 years, male 549.8
GTEX-1HSGN-0226-SM-CGQFV 40-49 years, female 549.8
GTEX-1MJK2-0426-SM-DTXE5 50-59 years, male 549.1
GTEX-P4PP-0126-SM-3LK69 30-39 years, female 548.1
GTEX-ZYFC-0226-SM-5NQ75 50-59 years, male 548.0
GTEX-1J8QM-2126-SM-CYPSJ 60-69 years, female 546.8
GTEX-1QMI2-0226-SM-EVYBX 60-69 years, male 541.0
GTEX-WYVS-2126-SM-3NMA3 40-49 years, female 538.7
GTEX-1JJEA-0326-SM-CNPOT 60-69 years, male 537.6
GTEX-13QJ3-0326-SM-5S2RA 50-59 years, male 536.1
GTEX-13OW6-0426-SM-5L3HM 50-59 years, male 529.8
GTEX-11DXW-0226-SM-5H122 40-49 years, male 527.5
GTEX-ZV6S-2326-SM-4YCEY 40-49 years, female 527.2
GTEX-11DXZ-2326-SM-5EGGV 50-59 years, male 526.9
GTEX-WFON-2126-SM-3LK7O 40-49 years, male 526.8
GTEX-1GMR3-1926-SM-9KNUZ 40-49 years, male 524.9
GTEX-1S83E-0126-SM-EWRO4 40-49 years, male 524.5
GTEX-ZE9C-2726-SM-57WB5 60-69 years, male 522.8
GTEX-1QP66-1726-SM-E8VO1 50-59 years, male 519.9
GTEX-ZVE2-0226-SM-59HJB 50-59 years, male 519.1
GTEX-13X6I-0626-SM-5QGP9 60-69 years, male 515.5
GTEX-1PIGE-0126-SM-EVYBJ 20-29 years, male 515.1
GTEX-Y8E4-0626-SM-4WWDL 40-49 years, male 515.0
GTEX-1B8L1-2526-SM-9WYTF 60-69 years, male 512.0
GTEX-13O3P-0126-SM-5KM4S 50-59 years, male 510.8
GTEX-14PII-0226-SM-6EU1T 60-69 years, male 508.5
GTEX-1GPI7-0126-SM-9MQL8 20-29 years, male 505.3
GTEX-11XUK-2026-SM-5EQLF 40-49 years, female 504.8
GTEX-WVJS-0126-SM-4MVOT 50-59 years, male 504.6
GTEX-1EWIQ-0126-SM-7RHH2 70-79 years, female 504.2
GTEX-17KNJ-2326-SM-7DHLQ 50-59 years, male 501.9
GTEX-1HR98-0126-SM-B2LWI 60-69 years, male 500.0
GTEX-1GN2E-0426-SM-9MQKX 60-69 years, male 499.7
GTEX-RWSA-0126-SM-2XCBB 40-49 years, male 497.1
GTEX-139TT-0126-SM-5K7Y5 60-69 years, male 496.5
GTEX-16GPK-0126-SM-7DHLE 60-69 years, male 495.8
GTEX-1HBPM-0226-SM-ARL9F 60-69 years, female 494.1
GTEX-14LZ3-0226-SM-62LET 60-69 years, female 493.8
GTEX-1H11D-0226-SM-9WG6Z 40-49 years, male 489.7
GTEX-13D11-2426-SM-5KM1V 50-59 years, female 489.5
GTEX-1M5QR-1226-SM-EWROB 40-49 years, male 489.5
GTEX-1CAV2-2226-SM-7P8P2 40-49 years, female 489.0
GTEX-1F5PK-2426-SM-7RHHY 50-59 years, male 485.7
GTEX-SUCS-1926-SM-32PM3 70-79 years, male 485.3
GTEX-11UD2-0226-SM-5EQKY 50-59 years, male 484.6
GTEX-131YS-0126-SM-5KM1M 60-69 years, female 483.4
GTEX-1KWVE-1426-SM-E9TJO 30-39 years, male 482.3
GTEX-Y111-0126-SM-4SOIV 50-59 years, male 480.8
GTEX-13G51-2526-SM-5LZYK 60-69 years, male 480.6
GTEX-YB5K-2126-SM-4WWDJ 40-49 years, female 480.2
GTEX-T6MN-0126-SM-32PLP 50-59 years, male 477.3
GTEX-18A7A-0226-SM-718BH 50-59 years, female 476.6
GTEX-WY7C-2326-SM-3NB2U 50-59 years, male 476.3
GTEX-1GF9X-2026-SM-7PC3A 40-49 years, female 474.4
GTEX-T8EM-1026-SM-3DB7M 40-49 years, male 474.0
GTEX-17HG3-2226-SM-7938L 30-39 years, female 472.7
GTEX-SNMC-1226-SM-2XCFP 20-29 years, male 469.4
GTEX-1JMQI-2226-SM-CM2SD 50-59 years, male 466.2
GTEX-T2IS-0126-SM-4DM6O 20-29 years, female 463.6
GTEX-XUYS-0126-SM-47JWZ 50-59 years, male 462.8
GTEX-OXRN-0126-SM-48TDM 50-59 years, male 462.2
GTEX-15ER7-0326-SM-7KUEV 20-29 years, female 462.0
GTEX-1QP9N-1426-SM-DTXFL 30-39 years, male 461.7
GTEX-1CB4I-0226-SM-79OLH 50-59 years, male 459.2
GTEX-ZYT6-0226-SM-5NQ6T 30-39 years, male 459.1
GTEX-1497J-2426-SM-7IGNX 60-69 years, male 458.3
GTEX-PLZ6-1426-SM-DKPOT 30-39 years, male 457.0
GTEX-1B8SF-1426-SM-7DUGL 60-69 years, male 453.7
GTEX-11DZ1-0126-SM-5985Q 50-59 years, male 453.6
GTEX-1QP29-0626-SM-EWRMX 50-59 years, male 451.3
GTEX-1B8KZ-2026-SM-7DHMB 50-59 years, male 450.0
GTEX-13PVR-2326-SM-5QGR1 60-69 years, female 449.9
GTEX-X8HC-0126-SM-4E3JW 50-59 years, female 449.5
GTEX-1HBPI-1526-SM-C1YQ1 50-59 years, male 449.3
GTEX-1B8KE-2126-SM-73KYX 50-59 years, male 447.8
GTEX-Y5LM-1926-SM-5RQJH 40-49 years, female 447.2
GTEX-13O3Q-2426-SM-5IJBR 50-59 years, male 446.9
GTEX-1HCU7-0226-SM-CL545 50-59 years, male 446.7
GTEX-X585-0226-SM-4QAS2 50-59 years, male 446.5
GTEX-U3ZH-2026-SM-3DB78 30-39 years, male 446.3
GTEX-17HHY-0126-SM-7LG5D 50-59 years, male 445.3
GTEX-X4XX-0126-SM-3NMC2 60-69 years, male 445.3
GTEX-XYKS-2126-SM-4E3IB 60-69 years, female 444.0
GTEX-14ICK-0226-SM-6EU25 40-49 years, male 441.1
GTEX-S7PM-0126-SM-4AD6S 60-69 years, male 440.2
GTEX-1BAJH-0526-SM-793CQ 70-79 years, male 439.9
GTEX-14BMU-2226-SM-5TDE9 20-29 years, female 439.7
GTEX-ZVT4-0126-SM-DTXFN 50-59 years, female 439.7
GTEX-1IOXB-0126-SM-ARL8G 50-59 years, male 438.6
GTEX-11P81-2326-SM-59875 30-39 years, female 436.3
GTEX-14E6D-0126-SM-62LDV 50-59 years, male 436.2
GTEX-1PDJ9-0326-SM-DTX95 20-29 years, male 432.8
GTEX-1IDJH-0326-SM-A9SLQ 70-79 years, male 431.9
GTEX-13SLX-0526-SM-5S2ON 50-59 years, female 430.8
GTEX-13PDP-0126-SM-5L3HD 60-69 years, male 428.3
GTEX-1C64N-0126-SM-793D7 50-59 years, male 427.8
GTEX-1HGF4-2426-SM-ACKXM 60-69 years, male 426.7
GTEX-17MFQ-1726-SM-793C7 20-29 years, male 425.6
GTEX-ZPIC-1726-SM-DHXIU 40-49 years, female 424.2
GTEX-1ICLY-0126-SM-D4P36 50-59 years, male 424.1
GTEX-13W46-0226-SM-5SIAG 50-59 years, male 421.9
GTEX-15SHU-0126-SM-7KUEH 40-49 years, female 421.6
GTEX-1H1DE-2126-SM-9WG6R 20-29 years, male 421.4
GTEX-13IVO-0126-SM-5J1NG 70-79 years, male 418.3
GTEX-17GQL-2026-SM-718BA 60-69 years, male 418.0
GTEX-YEC4-2126-SM-5IFJH 40-49 years, male 418.0
GTEX-NPJ8-0126-SM-2YUNR 40-49 years, male 417.7
GTEX-1C6VR-2426-SM-79OLD 60-69 years, male 417.6
GTEX-ZVT3-0126-SM-5GU6I 60-69 years, female 416.7
GTEX-1JN6P-0126-SM-D3L98 60-69 years, male 416.3
GTEX-OXRK-0226-SM-3NB2G 50-59 years, female 414.5
GTEX-1R7EV-2426-SM-EVYBG 40-49 years, male 412.7
GTEX-18465-0126-SM-731BN 50-59 years, male 412.3
GTEX-17EVP-0326-SM-7DHLG 40-49 years, male 410.0
GTEX-145LV-2126-SM-5LU8N 50-59 years, male 409.7
GTEX-ZV68-0126-SM-59HKS 50-59 years, female 409.7
GTEX-13NZ8-0826-SM-5MR3I 60-69 years, female 407.4
GTEX-Y5V6-2426-SM-4VDSB 60-69 years, male 407.2
GTEX-14PN4-0126-SM-6EU2V 50-59 years, male 405.4
GTEX-PLZ5-2026-SM-2S1O4 50-59 years, male 404.2
GTEX-12C56-1726-SM-5EQ61 20-29 years, male 402.7
GTEX-16YQH-0126-SM-7DUFJ 30-39 years, male 402.7
GTEX-RTLS-0126-SM-447CA 60-69 years, female 402.4
GTEX-14PHX-2326-SM-62LEM 50-59 years, male 401.8
GTEX-1O97I-0326-SM-EYYX7 60-69 years, male 400.4
GTEX-WI4N-1026-SM-3LK7N 40-49 years, female 399.7
GTEX-12126-0326-SM-5PNW3 20-29 years, male 398.6
GTEX-XXEK-2226-SM-4BRUM 50-59 years, male 397.8
GTEX-ZDYS-2026-SM-5HL5L 50-59 years, male 397.3
GTEX-13111-1626-SM-5EGJY 50-59 years, male 395.9
GTEX-18A6Q-0126-SM-731BZ 60-69 years, male 395.6
GTEX-ZZ64-1726-SM-5GZYB 20-29 years, male 395.3
GTEX-Z93S-0126-SM-5HL7M 50-59 years, male 392.1
GTEX-X4EO-0326-SM-3P5YO 60-69 years, female 391.5
GTEX-1OFPY-2426-SM-DTXEJ 60-69 years, male 391.1
GTEX-145MO-0326-SM-5Q5B3 60-69 years, male 390.5
GTEX-ZAB4-0226-SM-5N9F5 40-49 years, male 383.8
GTEX-1LC47-0326-SM-E9TJP 60-69 years, male 382.4
GTEX-13X6J-0126-SM-5QGOU 50-59 years, male 381.8
GTEX-1HFI7-1826-SM-ACKXH 50-59 years, female 381.0
GTEX-13JUV-2726-SM-5LZZ8 40-49 years, female 380.6
GTEX-145MN-2226-SM-5SIAU 30-39 years, male 379.1
GTEX-Y8LW-1826-SM-5S2MV 50-59 years, female 377.6
GTEX-1H1CY-2826-SM-9MQM3 60-69 years, female 377.6
GTEX-UPJH-0326-SM-3GADU 50-59 years, male 377.3
GTEX-147F4-0226-SM-5QGPW 50-59 years, male 376.9
GTEX-1HCUA-2426-SM-ADEIS 50-59 years, female 376.3
GTEX-1LG7Z-1726-SM-D3LA4 30-39 years, male 375.9
GTEX-1HSMQ-1226-SM-CGQFX 50-59 years, male 375.4
GTEX-ZAB5-1826-SM-5HL7C 50-59 years, male 375.3
GTEX-1JN76-0126-SM-CNPPE 20-29 years, female 374.6
GTEX-1IY9M-0126-SM-D3L8S 60-69 years, male 374.5
GTEX-1LG7Y-0526-SM-DKPQC 50-59 years, male 373.8
GTEX-1H1DG-0126-SM-9WYU2 70-79 years, male 373.1
GTEX-1C475-1826-SM-73KWA 40-49 years, female 372.6
GTEX-13NYB-2526-SM-5K7Z6 40-49 years, male 372.3
GTEX-S7SE-0126-SM-2XCD5 50-59 years, male 372.1
GTEX-1IKJJ-0126-SM-CNPQB 60-69 years, male 372.0
GTEX-13N2G-2626-SM-5J1OT 60-69 years, male 371.6
GTEX-13OW5-0126-SM-DTXFS 60-69 years, male 370.5
GTEX-1LVAN-0226-SM-COH3S 50-59 years, female 369.4
GTEX-OHPM-0126-SM-2YUN9 50-59 years, male 367.4
GTEX-15F5U-1526-SM-6PANO 40-49 years, male 367.3
GTEX-1MA7W-2026-SM-E9TJ6 20-29 years, female 367.3
GTEX-11GSP-2526-SM-5N9BP 60-69 years, female 365.3
GTEX-145ME-1826-SM-5SI9G 40-49 years, female 360.8
GTEX-1JMLX-0226-SM-CM2RO 50-59 years, male 357.1
GTEX-117YX-2326-SM-5H12W 50-59 years, male 355.8
GTEX-11NSD-2226-SM-5986V 20-29 years, male 355.7
GTEX-1IDJF-0126-SM-CM2RS 20-29 years, male 350.8
GTEX-1E1VI-0126-SM-7DHMZ 50-59 years, male 349.7
GTEX-1H3VE-0326-SM-9YFLH 40-49 years, male 347.9
GTEX-11UD1-0126-SM-5PNYG 40-49 years, female 347.6
GTEX-15ETS-0126-SM-7KUMW 40-49 years, female 346.7
GTEX-1MCYP-1926-SM-E9J2R 20-29 years, female 346.1
GTEX-1S5ZA-0126-SM-EVYCV 20-29 years, male 345.8
GTEX-13FXS-0226-SM-5IJCK 50-59 years, male 345.5
GTEX-15SB6-1726-SM-6PAME 50-59 years, female 344.3
GTEX-145LS-0126-SM-5QGP1 60-69 years, female 342.1
GTEX-1GMRU-0126-SM-9YFLV 50-59 years, male 342.0
GTEX-1POEN-0126-SM-EYYXJ 30-39 years, female 341.0
GTEX-14PJM-0226-SM-62LF1 50-59 years, female 340.7
GTEX-1PPH8-0226-SM-E8VND 20-29 years, male 336.8
GTEX-144GL-0126-SM-5TDE2 50-59 years, male 336.7
GTEX-XAJ8-0826-SM-47JY6 40-49 years, male 336.5
GTEX-1AX8Z-0126-SM-7DHM6 60-69 years, male 334.5
GTEX-1KAFJ-2026-SM-CY8ID 50-59 years, male 333.2
GTEX-1JJ6O-0126-SM-E6CI8 60-69 years, male 332.8
GTEX-1OJC3-0126-SM-E76QX 20-29 years, male 332.6
GTEX-11TUW-2726-SM-E9J4M 60-69 years, male 332.3
GTEX-14JG6-2226-SM-6EU2G 30-39 years, female 331.3
GTEX-14XAO-2326-SM-6EU1B 60-69 years, female 331.0
GTEX-1KD5A-0226-SM-D5OV3 50-59 years, male 330.2
GTEX-13OW8-1326-SM-5J1OW 60-69 years, male 329.9
GTEX-131XH-2226-SM-5DUXJ 50-59 years, male 328.8
GTEX-1HFI6-0226-SM-ADEHZ 40-49 years, male 327.9
GTEX-12WSE-0526-SM-793B2 20-29 years, male 326.0
GTEX-13OVJ-0126-SM-5KM36 50-59 years, female 324.6
GTEX-QCQG-1726-SM-3GIJ9 50-59 years, female 323.0
GTEX-ZAK1-0126-SM-5IJD3 50-59 years, female 321.7
GTEX-Y5V5-2326-SM-4V6GA 60-69 years, female 320.5
GTEX-ZE7O-0126-SM-57WC1 50-59 years, female 320.0
GTEX-SN8G-0126-SM-32PLI 50-59 years, female 319.7
GTEX-16BQI-0226-SM-7KUEX 30-39 years, female 319.1
GTEX-1L5NE-2526-SM-E6CIE 50-59 years, male 319.0
GTEX-1128S-2326-SM-5GZZY 60-69 years, female 318.3
GTEX-X261-0126-SM-3NMD6 50-59 years, male 316.9
GTEX-13RTK-1426-SM-5QGQJ 20-29 years, male 316.3
GTEX-13VXU-0126-SM-5SI9F 50-59 years, male 313.9
GTEX-ZTSS-1926-SM-57WEW 40-49 years, male 313.3
GTEX-1CB4H-0226-SM-7PBXM 60-69 years, female 313.1
GTEX-1JN1M-0326-SM-CYPT3 60-69 years, female 313.1
GTEX-1QEPI-0126-SM-EWRMQ 60-69 years, female 312.6
GTEX-11GSO-2426-SM-5A5LY 60-69 years, male 312.0
GTEX-12WSK-2326-SM-5GCOH 40-49 years, female 312.0
GTEX-11EI6-0126-SM-5985R 60-69 years, male 310.6
GTEX-ZF29-2326-SM-DO92K 60-69 years, female 309.4
GTEX-1GZHY-0326-SM-9QEHI 50-59 years, female 308.6
GTEX-17HII-0226-SM-7LG4E 50-59 years, male 307.3
GTEX-1H4P4-0726-SM-9YFLR 50-59 years, male 307.2
GTEX-13FHP-0126-SM-5IJBG 50-59 years, male 305.7
GTEX-131XE-2326-SM-5PNZ2 50-59 years, male 305.4
GTEX-13NYS-0126-SM-5MR3W 60-69 years, male 305.3
GTEX-1S82Z-0826-SM-E6CHY 30-39 years, female 305.3
GTEX-148VI-1626-SM-5SI6E 60-69 years, female 305.2
GTEX-13OVI-1426-SM-5L3EY 60-69 years, female 303.5
GTEX-15RIG-0226-SM-7KFTL 40-49 years, male 302.7
GTEX-1F6I4-0126-SM-9MQL2 60-69 years, male 302.5
GTEX-1E2YA-0126-SM-9KNUC 50-59 years, male 301.7
GTEX-YFC4-0126-SM-5CVLY 40-49 years, female 301.3
GTEX-1MUQO-0126-SM-EAZ58 60-69 years, male 300.2
GTEX-VJYA-1126-SM-3GIJU 60-69 years, male 300.1
GTEX-16NPX-0226-SM-79OMT 50-59 years, male 300.0
GTEX-1F52S-0126-SM-9MQJU 60-69 years, female 299.9
GTEX-18A7B-0126-SM-7LG64 70-79 years, male 299.6
GTEX-1I1CD-0126-SM-CM2TK 60-69 years, female 298.9
GTEX-PX3G-0126-SM-2I3EN 20-29 years, female 298.0
GTEX-1GMR8-0126-SM-9WYTM 50-59 years, female 295.6
GTEX-1I1GQ-0126-SM-COH3H 50-59 years, male 292.3
GTEX-X4EP-0126-SM-3P5YV 60-69 years, female 291.2
GTEX-1MGNQ-0126-SM-EVYCJ 40-49 years, male 290.7
GTEX-1F88F-2726-SM-7PBZZ 60-69 years, female 290.5
GTEX-1GZ4H-1726-SM-7PBZJ 50-59 years, female 290.5
GTEX-ZY6K-1826-SM-5GZXK 50-59 years, male 289.8
GTEX-S95S-1226-SM-4GICG 60-69 years, male 289.7
GTEX-13112-2826-SM-5DUWH 50-59 years, male 289.2
GTEX-1B933-0126-SM-7PC29 50-59 years, female 288.9
GTEX-OIZF-0126-SM-7SB8I 60-69 years, male 288.9
GTEX-T5JC-0426-SM-32PLO 20-29 years, male 286.9
GTEX-ZDXO-3026-SM-5J1N5 60-69 years, male 286.7
GTEX-QDVJ-1726-SM-2I5FX 50-59 years, male 286.3
GTEX-1RDX4-0126-SM-E9J4P 50-59 years, female 285.6
GTEX-XQ3S-1526-SM-4BOOC 20-29 years, male 283.6
GTEX-1ICG6-2526-SM-CGQFZ 70-79 years, female 282.3
GTEX-1N2DV-0226-SM-E6CJ6 40-49 years, male 282.3
GTEX-1H1E6-1726-SM-ACKVK 30-39 years, male 280.3
GTEX-11LCK-1026-SM-5A5KB 30-39 years, male 279.1
GTEX-13FTX-1826-SM-5J1NX 20-29 years, female 278.4
GTEX-111VG-2426-SM-5GZXD 60-69 years, male 276.9
GTEX-1CB4G-0226-SM-7PC3O 60-69 years, male 275.5
GTEX-145MI-0526-SM-5O9A8 60-69 years, female 275.0
GTEX-139UW-2826-SM-5L3E7 60-69 years, male 274.6
GTEX-15D1Q-0126-SM-7KUG6 40-49 years, male 274.4
GTEX-RM2N-1426-SM-2TF4H 50-59 years, male 273.3
GTEX-1AX9I-0126-SM-7SB74 60-69 years, male 271.7
GTEX-147F3-0526-SM-5SI98 50-59 years, female 271.6
GTEX-1I19N-0326-SM-ACKVX 70-79 years, male 270.7
GTEX-1RB15-2126-SM-E9TIM 60-69 years, male 270.7
GTEX-13CF3-2426-SM-5IFGX 60-69 years, female 270.0
GTEX-QVJO-1626-SM-2S1QW 60-69 years, female 269.5
GTEX-WQUQ-0426-SM-3MJFU 60-69 years, male 268.2
GTEX-1JMQJ-0526-SM-CYPSU 50-59 years, male 267.7
GTEX-OOBJ-0126-SM-E6CJW 60-69 years, male 267.3
GTEX-14A5I-0126-SM-5TDEA 50-59 years, female 265.2
GTEX-O5YT-0126-SM-48TBW 20-29 years, male 262.6
GTEX-1PPH7-2326-SM-EVYB8 40-49 years, male 262.5
GTEX-QEG4-0226-SM-2S1PY 30-39 years, male 260.1
GTEX-15EOM-0126-SM-7KUGG 20-29 years, female 256.2
GTEX-1B8SG-0126-SM-73KZ3 50-59 years, male 255.2
GTEX-13U4I-0126-SM-5LU38 40-49 years, female 254.9
GTEX-1269C-2526-SM-5EGJ3 60-69 years, female 252.6
GTEX-1PWST-0226-SM-E76QJ 70-79 years, male 251.5
GTEX-WRHK-1426-SM-3MJF9 20-29 years, female 250.7
GTEX-1EN7A-0126-SM-7SB81 40-49 years, male 250.6
GTEX-147GR-0526-SM-5S2MY 60-69 years, male 249.9
GTEX-1192X-0226-SM-5H12D 50-59 years, male 249.6
GTEX-1IL2U-0226-SM-CE6T8 60-69 years, male 247.8
GTEX-RU72-0926-SM-2TF6B 50-59 years, female 244.1
GTEX-1IKK5-0626-SM-ARL8A 60-69 years, male 243.6
GTEX-1RQEC-0426-SM-E6CHU 60-69 years, male 242.2
GTEX-ZC5H-0226-SM-4WAY9 40-49 years, female 241.5
GTEX-V1D1-2226-SM-3NMAX 50-59 years, male 240.2
GTEX-11WQC-2526-SM-5CVLE 60-69 years, male 239.8
GTEX-169BO-1326-SM-9MQK2 50-59 years, male 239.8
GTEX-16NGA-1726-SM-731B4 40-49 years, female 239.5
GTEX-1IL2V-0126-SM-CM2TX 70-79 years, male 238.5
GTEX-1IDFM-0126-SM-COH2V 60-69 years, male 235.1
GTEX-14PJ6-2126-SM-6EU1V 60-69 years, female 233.6
GTEX-1GN1U-0126-SM-7PBZK 50-59 years, female 232.7
GTEX-1K9T9-0126-SM-EVYCF 50-59 years, female 232.2
GTEX-12WSJ-1826-SM-5GCNY 40-49 years, female 231.5
GTEX-1H3O1-0426-SM-9YFKY 60-69 years, male 231.2
GTEX-18D9U-0226-SM-718BP 40-49 years, male 230.7
GTEX-PWO3-1526-SM-48TCM 60-69 years, female 230.3
GTEX-U3ZN-2326-SM-3DB7W 30-39 years, female 228.2
GTEX-17F97-0326-SM-7LG5B 50-59 years, male 228.1
GTEX-S32W-2126-SM-2XCB1 50-59 years, female 227.2
GTEX-14PN3-2426-SM-6LLHS 60-69 years, female 226.9
GTEX-13X6H-2126-SM-7EWD5 50-59 years, female 226.4
GTEX-113JC-2326-SM-5EQ4E 50-59 years, female 226.3
GTEX-1QAET-0926-SM-E76QM 50-59 years, male 226.2
GTEX-T2YK-0526-SM-32QPJ 50-59 years, male 225.9
GTEX-13FHO-0226-SM-5IFGY 60-69 years, male 225.8
GTEX-1H23P-0126-SM-ADEJ3 60-69 years, male 224.2
GTEX-11ZVC-2526-SM-5FQTE 50-59 years, female 223.7
GTEX-1HCU8-0626-SM-A9SM9 60-69 years, female 222.8
GTEX-13O3O-0126-SM-E9J49 60-69 years, female 222.1
GTEX-P4PQ-0126-SM-2S1NM 60-69 years, male 221.3
GTEX-1B996-0226-SM-7RHGO 60-69 years, male 220.6
GTEX-PW2O-1526-SM-7RHHB 20-29 years, male 220.6
GTEX-PVOW-0126-SM-2XCFA 40-49 years, male 220.3
GTEX-131XW-0426-SM-5LZWP 50-59 years, female 219.9
GTEX-1C4CL-0526-SM-73KVK 30-39 years, male 217.2
GTEX-1J8JJ-0226-SM-CL53I 60-69 years, female 217.2
GTEX-ZQUD-1426-SM-57WER 30-39 years, male 216.7
GTEX-13OW7-0126-SM-5MR3B 50-59 years, male 215.4
GTEX-1JKYN-1326-SM-CGQG9 30-39 years, male 215.4
GTEX-TMMY-0226-SM-33HBA 40-49 years, female 214.7
GTEX-1J8EW-0126-SM-CJI4F 60-69 years, female 212.7
GTEX-1CAMQ-0226-SM-7IGPK 40-49 years, male 212.5
GTEX-QDVN-2026-SM-3GAEP 50-59 years, male 211.0
GTEX-1H3VY-0126-SM-ACKXD 50-59 years, male 210.0
GTEX-17HGU-0226-SM-7DHKV 50-59 years, male 206.3
GTEX-15DYW-0126-SM-7KULE 60-69 years, female 205.7
GTEX-1H3NZ-0126-SM-ACKX7 60-69 years, male 205.3
GTEX-11GS4-2726-SM-5A5LE 60-69 years, male 204.9
GTEX-12ZZZ-0626-SM-5DUXI 60-69 years, male 204.6
GTEX-RWS6-2026-SM-2XCB5 60-69 years, female 204.4
GTEX-14PK6-1926-SM-6ETZU 70-79 years, female 203.1
GTEX-1LSNM-1926-SM-E6CII 50-59 years, male 203.0
GTEX-12584-0126-SM-5EGKQ 40-49 years, male 201.5
GTEX-16XZZ-0126-SM-793DV 60-69 years, male 201.4
GTEX-OXRP-0126-SM-3NB32 60-69 years, female 200.9
GTEX-R3RS-0126-SM-3GIJL 40-49 years, female 200.6
GTEX-OXRL-0126-SM-2YUMP 50-59 years, male 200.5
GTEX-1IDJU-2626-SM-CM2RT 60-69 years, female 200.0
GTEX-13S7M-0126-SM-5SI6A 60-69 years, female 199.4
GTEX-VUSG-2526-SM-4KL1V 50-59 years, male 198.4
GTEX-144FL-0126-SM-5TDC8 50-59 years, male 198.1
GTEX-WH7G-2326-SM-3NMBC 40-49 years, male 198.1
GTEX-1I1GP-2226-SM-CGQFK 50-59 years, male 197.3
GTEX-12WSC-0126-SM-5EQ4P 50-59 years, male 196.8
GTEX-1F75B-0126-SM-9KNVL 50-59 years, male 196.4
GTEX-1HKZK-0326-SM-9WYUH 40-49 years, male 195.8
GTEX-1CB4E-2226-SM-793DC 60-69 years, male 194.1
GTEX-ZAJG-0126-SM-5HL94 50-59 years, female 193.7
GTEX-1211K-2026-SM-5EQ4Z 60-69 years, female 193.5
GTEX-11DXY-2626-SM-5GIE7 60-69 years, male 189.2
GTEX-139TU-0126-SM-5K7WH 60-69 years, male 188.8
GTEX-13NYC-0326-SM-E9J4S 60-69 years, male 188.7
GTEX-1HSMP-0126-SM-E6CJS 70-79 years, male 188.4
GTEX-1LGOU-2026-SM-DIPFF 20-29 years, female 188.3
GTEX-TML8-1926-SM-32QOS 40-49 years, female 188.1
GTEX-17EVQ-0226-SM-7LG4P 70-79 years, male 187.6
GTEX-ZEX8-2426-SM-4WKG4 50-59 years, male 187.6
GTEX-18D9B-0526-SM-7LTAS 60-69 years, male 185.9
GTEX-15SHW-0326-SM-6PAML 60-69 years, male 185.6
GTEX-12WSG-2826-SM-E9J4H 50-59 years, female 185.1
GTEX-14A6H-0126-SM-5QGPK 30-39 years, male 185.0
GTEX-POMQ-2226-SM-2I5FK 20-29 years, female 184.9
GTEX-1I1HK-0126-SM-COH49 60-69 years, male 184.7
GTEX-11ZTS-0126-SM-5EQ6M 60-69 years, female 183.9
GTEX-1A32A-0126-SM-718B1 50-59 years, female 181.5
GTEX-1HCU9-1526-SM-A9SL7 20-29 years, male 181.1
GTEX-16MT8-0426-SM-7KUEY 60-69 years, female 180.9
GTEX-15DDE-0126-SM-6LPKH 50-59 years, female 180.0
GTEX-14E6C-0126-SM-5RQIP 40-49 years, male 179.8
GTEX-P44H-0226-SM-2XCEU 40-49 years, male 178.8
GTEX-1HSEH-0126-SM-ACKXN 60-69 years, male 178.8
GTEX-13RTL-0126-SM-7LG5S 40-49 years, male 177.2
GTEX-ZUA1-0126-SM-5GU76 40-49 years, male 177.0
GTEX-OHPL-0126-SM-2HMJ7 60-69 years, female 176.4
GTEX-T5JW-1626-SM-3GADZ 20-29 years, female 176.0
GTEX-1C6VS-0526-SM-7DUEN 60-69 years, male 175.8
GTEX-XBED-2226-SM-47JYQ 60-69 years, male 175.7
GTEX-TMZS-0126-SM-3DB9Q 60-69 years, male 175.5
GTEX-1GF9U-2126-SM-7SB7L 40-49 years, female 175.5
GTEX-1JMOU-1526-SM-CL54I 60-69 years, female 175.2
GTEX-14DAQ-0126-SM-5S2MQ 60-69 years, female 174.7
GTEX-13NZA-0226-SM-5K7Z7 60-69 years, male 174.1
GTEX-X638-0126-SM-47JZ8 70-79 years, female 173.5
GTEX-1F7RK-0126-SM-7PC2S 20-29 years, female 173.2
GTEX-12KS4-0326-SM-5EQ41 30-39 years, male 172.0
GTEX-11P82-1626-SM-59879 20-29 years, male 170.9
GTEX-1F75A-0126-SM-7RHGM 50-59 years, male 170.9
GTEX-12WSN-5019-SM-79OM6 40-49 years, male 170.2
GTEX-12WSD-0126-SM-59HKN 60-69 years, female 169.9
GTEX-131XG-2626-SM-5KM17 50-59 years, female 169.5
GTEX-1212Z-2526-SM-5EGKP 60-69 years, male 168.1
GTEX-ZF28-0126-SM-4WKGK 60-69 years, male 166.5
GTEX-ZXG5-0126-SM-5GIEU 60-69 years, male 165.8
GTEX-XUW1-0426-SM-4BOOT 50-59 years, female 164.4
GTEX-PLZ4-0126-SM-5SI8O 50-59 years, female 163.5
GTEX-QLQ7-1626-SM-2S1R8 60-69 years, male 163.4
GTEX-1PFEY-1526-SM-E76PP 30-39 years, male 162.6
GTEX-1PBJI-0526-SM-E8VNK 20-29 years, female 162.5
GTEX-1HB9E-0226-SM-E9U4R 50-59 years, male 159.9
GTEX-18A67-0126-SM-7LG5P 50-59 years, male 158.8
GTEX-113IC-0126-SM-5HL6T 60-69 years, male 158.3
GTEX-11EMC-2926-SM-5EQ4F 60-69 years, female 157.4
GTEX-1I1GS-0126-SM-B2LVW 60-69 years, male 157.3
GTEX-T6MO-1626-SM-32QOM 40-49 years, female 157.1
GTEX-15EU6-0426-SM-6PAN5 50-59 years, male 156.8
GTEX-U3ZM-1526-SM-3DB9D 40-49 years, male 156.6
GTEX-11VI4-1726-SM-5CVLH 40-49 years, female 155.4
GTEX-1QP2A-0126-SM-E9J43 50-59 years, male 155.1
GTEX-1HBPN-0226-SM-9YFM1 50-59 years, male 154.5
GTEX-13RTJ-2426-SM-5S2Q2 60-69 years, male 153.4
GTEX-ZTPG-0326-SM-5O9AX 20-29 years, female 153.3
GTEX-SE5C-1626-SM-2XCE3 40-49 years, female 151.9
GTEX-13OVG-1926-SM-5L3DK 60-69 years, male 151.5
GTEX-1GPI6-0126-SM-9WG69 60-69 years, male 150.8
GTEX-WXYG-2326-SM-4E3I6 50-59 years, female 150.7
GTEX-ZYFG-2326-SM-5E44B 60-69 years, female 150.7
GTEX-139T4-0226-SM-5HL5S 50-59 years, female 147.7
GTEX-13FTY-0526-SM-5L3EV 40-49 years, female 146.9
GTEX-1MA7X-2226-SM-E6CIY 60-69 years, male 146.9
GTEX-Z93T-0126-SM-5HL5N 50-59 years, male 144.8
GTEX-15G19-0126-SM-6PANQ 60-69 years, male 144.3
GTEX-13N11-2526-SM-5K7UE 50-59 years, female 143.2
GTEX-12WSL-2526-SM-5GCNJ 50-59 years, male 141.9
GTEX-1MCQQ-0826-SM-DLHC2 60-69 years, male 139.2
GTEX-1GN1W-0526-SM-9MQJQ 50-59 years, female 139.0
GTEX-ZYY3-0126-SM-5GZY5 60-69 years, female 138.7
GTEX-1J8Q2-0526-SM-CM2RW 60-69 years, male 138.3
GTEX-11P7K-2126-SM-5GU7G 30-39 years, male 137.9
GTEX-11OF3-2626-SM-5GU7F 60-69 years, male 137.7
GTEX-148VJ-0126-SM-5TDDN 70-79 years, male 136.7
GTEX-17HHE-2026-SM-79OKF 50-59 years, male 136.6
GTEX-1C6WA-0126-SM-7PC2B 60-69 years, male 136.4
GTEX-1NHNU-1026-SM-E9J2A 50-59 years, male 136.2
GTEX-XPVG-2626-SM-4B669 50-59 years, male 136.0
GTEX-XMD2-0126-SM-4YCDU 60-69 years, female 133.5
GTEX-1CAMS-0426-SM-7P8T2 40-49 years, female 133.4
GTEX-14ABY-0226-SM-5TDCQ 50-59 years, male 133.1
GTEX-1192W-2626-SM-5Q5AF 60-69 years, male 132.1
GTEX-1KANB-0526-SM-E6CJH 50-59 years, male 131.7
GTEX-Y3I4-2126-SM-4TT7C 50-59 years, male 131.4
GTEX-133LE-1826-SM-5J1MV 20-29 years, female 129.2
GTEX-SSA3-0126-SM-32QPU 60-69 years, male 129.2
GTEX-1JJE9-0326-SM-CL53Z 70-79 years, male 129.0
GTEX-1AMEY-1326-SM-73KYK 30-39 years, female 126.6
GTEX-146FH-0126-SM-5QGPP 50-59 years, female 124.7
GTEX-14E6E-1826-SM-5S2R7 30-39 years, male 124.7
GTEX-1IKOH-0226-SM-COH4E 60-69 years, female 124.5
GTEX-1RAZA-0126-SM-E6CI3 20-29 years, male 124.2
GTEX-1GF9W-0326-SM-9KNUN 60-69 years, male 123.5
GTEX-1CB4J-0626-SM-7DHMP 60-69 years, male 122.3
GTEX-RNOR-0126-SM-E9J4R 50-59 years, female 122.0
GTEX-14PHW-0126-SM-6LLJI 60-69 years, female 120.8
GTEX-1C6VQ-0126-SM-7P8RI 50-59 years, male 120.4
GTEX-11TTK-0126-SM-5987B 60-69 years, female 119.0
GTEX-1C64O-0126-SM-7SB8P 60-69 years, male 116.7
GTEX-1J8Q3-1626-SM-CMKGC 60-69 years, male 115.7
GTEX-VJWN-0126-SM-3GIK7 50-59 years, female 112.2
GTEX-WFG8-2226-SM-3GIL9 20-29 years, male 111.3
GTEX-1A8FM-0226-SM-7SB7Q 50-59 years, female 110.2
GTEX-OOBK-0126-SM-2YUND 40-49 years, male 109.7
GTEX-1JMQL-0226-SM-CNPP5 50-59 years, female 108.7
GTEX-R45C-0126-SM-EAZ2R 60-69 years, female 108.2
GTEX-13W3W-2426-SM-5LU5B 60-69 years, female 106.8
GTEX-1H1ZS-0426-SM-9WG6G 70-79 years, male 106.6
GTEX-ZVZO-0126-SM-5A5L9 40-49 years, male 106.5
GTEX-14E7W-0126-SM-6LLJ9 70-79 years, male 106.3
GTEX-OXRO-0126-SM-2YUN4 60-69 years, female 104.6
GTEX-1IE54-0126-SM-CMKHW 40-49 years, female 102.0
GTEX-13VXT-0126-SM-5LU4I 20-29 years, female 101.3
GTEX-Z9EW-1626-SM-5CVMN 40-49 years, male 101.2
GTEX-W5WG-1826-SM-4KL2Y 50-59 years, female 96.5
GTEX-1LNCM-1126-SM-E9U5E 50-59 years, female 93.0
GTEX-Q734-1926-SM-2I5EV 40-49 years, female 92.1
GTEX-1F48J-0126-SM-7P8TT 50-59 years, female 89.7
GTEX-11ZTT-2426-SM-5EQLS 60-69 years, female 89.1
GTEX-13O1R-0126-SM-5L3EH 60-69 years, male 88.4
GTEX-QDT8-0126-SM-48TZ1 30-39 years, female 86.1
GTEX-1HSMO-0126-SM-CL547 60-69 years, male 86.0
GTEX-1RLM8-2326-SM-EWRN4 50-59 years, male 84.7
GTEX-X4XY-0226-SM-4E3IZ 60-69 years, male 84.1
GTEX-RUSQ-1526-SM-2TF62 50-59 years, male 84.0
GTEX-WOFL-0126-SM-3MJG2 60-69 years, male 83.9
GTEX-1B97I-1626-SM-73KYO 40-49 years, male 81.0
GTEX-1OJC4-0126-SM-E9J2E 50-59 years, female 80.3
GTEX-11OC5-0126-SM-5HL6A 60-69 years, male 79.7
GTEX-1I1GU-2226-SM-CGQFA 40-49 years, male 78.6
GTEX-1A3MW-0126-SM-73KXX 60-69 years, female 78.0
GTEX-14BIL-0126-SM-5SI92 50-59 years, male 77.7
GTEX-1ICLZ-0126-SM-CKZPO 60-69 years, male 77.3
GTEX-1AMFI-2026-SM-731BH 50-59 years, female 73.8
GTEX-R55G-2526-SM-2TC6D 40-49 years, female 72.3
GTEX-13FH7-2026-SM-E9J4I 50-59 years, female 71.6
GTEX-15UF6-0826-SM-6PALJ 70-79 years, female 66.0
GTEX-16XZY-2126-SM-79OK1 70-79 years, male 66.0
GTEX-1GN1V-0126-SM-9WPOS 60-69 years, male 63.0
GTEX-1HUB1-0426-SM-E9U4U 60-69 years, male 60.5
GTEX-183WM-0126-SM-7LTAB 70-79 years, female 60.4
GTEX-Q2AI-1326-SM-2S1PL 40-49 years, male 59.9
GTEX-TSE9-0126-SM-3DB83 60-69 years, female 59.6
GTEX-1GTWX-0126-SM-9YFLK 60-69 years, male 59.2
GTEX-144GN-2326-SM-5LU4F 50-59 years, male 55.2
GTEX-ZYW4-0126-SM-5E44A 60-69 years, male 54.8
GTEX-1N2DW-0226-SM-E9TK2 50-59 years, male 51.2
GTEX-Q2AH-1626-SM-3GAF8 40-49 years, male 49.4
GTEX-1M4P7-0226-SM-DIPEV 60-69 years, male 44.2
GTEX-1AYD5-2426-SM-73KXR 50-59 years, male 44.0
GTEX-1AYCT-2426-SM-7IGQ3 50-59 years, male 43.7
GTEX-14BIM-0226-SM-7IGLD 60-69 years, female 39.7
GTEX-X62O-0126-SM-4E3JN 50-59 years, male 36.2
GTEX-1AX9K-2326-SM-73KWU 50-59 years, male 34.3
GTEX-1F75I-0326-SM-9YFLU 40-49 years, male 11.4
GTEX-1QP67-1626-SM-EAZ3X 40-49 years, female 10.4
GTEX-1R9K4-0126-SM-DTX9X 60-69 years, male 10.1
GTEX-1R9PO-2126-SM-E9J4O 60-69 years, female 9.0
GTEX-11ZUS-0626-SM-59885 30-39 years, male 5.8
GTEX-14JIY-0126-SM-6LLH6 60-69 years, male 0.9
GTEX-1QW4Y-1526-SM-EAZ3Z 30-39 years, male 0.7
GTEX-1RAZQ-0726-SM-EAZ43 30-39 years, male 0.3
GTEX-U4B1-1826-SM-4DXSU 40-49 years, male 0.2
GTEX-1HBPH-0426-SM-B2LW5 40-49 years, female 0.2
GTEX-146FR-1326-SM-E9J48 60-69 years, female 0.1
Show allShow less

Contact

  • NEWS ARTICLES
  • PRESS ROOM

The Project

  • INTRODUCTION
  • ORGANIZATION
  • PUBLICATIONS

The Human Protein Atlas

  • DOWNLOADABLE DATA
  • LICENCE & CITATION
  • HELP & FAQ
The Human Protein Atlas project is funded
by the Knut & Alice Wallenberg Foundation.


contact@proteinatlas.org