We use cookies to enhance the usability of our website. If you continue, we'll assume that you are happy to receive all cookies. More information. Don't show this again.
PKP3
HPA
RESOURCES
  • TISSUE
  • BRAIN
  • SINGLE CELL
  • SUBCELLULAR
  • CANCER
  • BLOOD
  • CELL LINE
  • STRUCTURE & INTERACTION
ABOUT
  • INTRODUCTION
  • HISTORY
  • ORGANIZATION
  • PUBLICATIONS
  • ANTIBODY SUBMISSION
  • ANTIBODY AVAILABILITY
  • ACKNOWLEDGMENTS
  • CONTACT
NEWS
  • NEWS ARTICLES
  • PRESS ROOM
LEARN
  • DICTIONARY
  • PROTEIN CLASSES
  • PROTEIN EVIDENCE
  • METHODS
  • EDUCATIONAL VIDEOS
DATA
  • DOWNLOADABLE DATA
  • PUBLICATION DATA
  • RELEASE HISTORY
HELP
  • ANTIBODY VALIDATION
  • ASSAYS & ANNOTATION
  • DISCLAIMER
  • HELP & FAQ
  • PRIVACY STATEMENT
  • LICENCE & CITATION
Fields »
Search result

Field
Term
Gene name
Class
Subclass
Class
Keyword
Chromosome
External id
Tissue
Cell type
Expression
Antibody panel
Tissue
Main location
Patient ID
Annotation
Tissue
Category
Tau score
Cluster
Reliability
Brain region
Category
Tau score
Brain region
Category
Tau score
Brain region
Category
Tau score
Cluster
Reliability
Tissue
Cell type
Enrichment
Cell type
Category
Tau score
Cell type
Category
Tau score
Cell type
Category
Tau score
Cell lineage
Category
Tau score
Cluster
Cluster
Location
Searches
Location
Cell line
Class
Type
Phase
Reliability
Cancer
Prognosis
Cancer
Category
Cancer
Category
Tau score
Cluster
Variants
Interacting gene (ensg_id)
Type
Number of interactions
Pathway
Category
Score
Score
Score
Validation
Validation
Validation
Validation
Antibodies
Data type
Column


  • SUMMARY

  • TISSUE

  • BRAIN

  • SINGLE CELL

  • SUBCELL

  • CANCER

  • BLOOD

  • CELL LINE

  • STRUCT & INT

  • PKP3
TISSUE PRIMARY DATA SKIN 2 Show tissue menu
ADIPOSE TISSUE ADRENAL GLAND AMYGDALA APPENDIX BASAL GANGLIA BONE MARROW BREAST BRONCHUS CEREBELLUM CEREBRAL CORTEX CERVIX CHOROID PLEXUS COLON DUODENUM
ENDOMETRIUM EPIDIDYMIS ESOPHAGUS FALLOPIAN TUBE GALLBLADDER HEART MUSCLE HIPPOCAMPAL FORMATION HYPOTHALAMUS KIDNEY LIVER LUNG LYMPH NODE MIDBRAIN NASOPHARYNX
ORAL MUCOSA OVARY PANCREAS PARATHYROID GLAND PITUITARY GLAND PLACENTA PROSTATE RECTUM RETINA SALIVARY GLAND SEMINAL VESICLE SKELETAL MUSCLE SKIN SMALL INTESTINE
SMOOTH MUSCLE SOFT TISSUE SPINAL CORD SPLEEN STOMACH TESTIS THYMUS THYROID GLAND TONGUE TONSIL URINARY BLADDER VAGINA
ANTIBODIES
AND
VALIDATION
Dictionary
Tissue proteome
SKIN - Expression summary
Protein expression
Skini

On the top, protein expression in current human tissue, based on all annotated cell types, is reported with the units not detected (n), low (l), medium (m) and high (h). Underneath, protein expression in each annotated cell type are reported using the same units.

Protein expression data is based on knowledge-based annotation. For genes where more than one antibody has been used, a collective score is set.

If knowledge-based annotation could not be performed for a gene, no data is displayed here. View antibody staining data further down this page.

h
m
l
n
Cells in basal layer: High
Cells in corneal layer: Not detected
Cells in granular layer: Medium
Cells in spinous layer: Medium
Endothelial cells: Not detected
Extracellular matrix: Not detected
Fibrohistiocytic cells: Not detected
Langerhans cells: Medium
Lymphocytes: Not detected
Melanocytes: Not detected
Vascular mural cells: Not detected
RNA expressioni

A summary of mRNA expression data available for current tissue based on several datasets. The mRNA expression levels in human tissues are based on RNA-seq data generated by the Human Protein Atlas (HPA), Genotype-Tissue Expression (GTEx) portal and CAGE data generated by the FANTOM5 consortium. Consensus normalized expression levels for human tissues was created by combining the data from HPA and GTEx datasets.

The mRNA expression levels in pig are based on RNA-seq data generated by the Human Protein Atlas (HPA), and for mouse, HPA data and in situ hybridization generated by the Allen brain atlas are reported.

Scroll down to view mRNA expression data in more detail.
Consensus:215.9 nTPM
HPA:122.2 nTPM
GTEx:215.9 nTPM

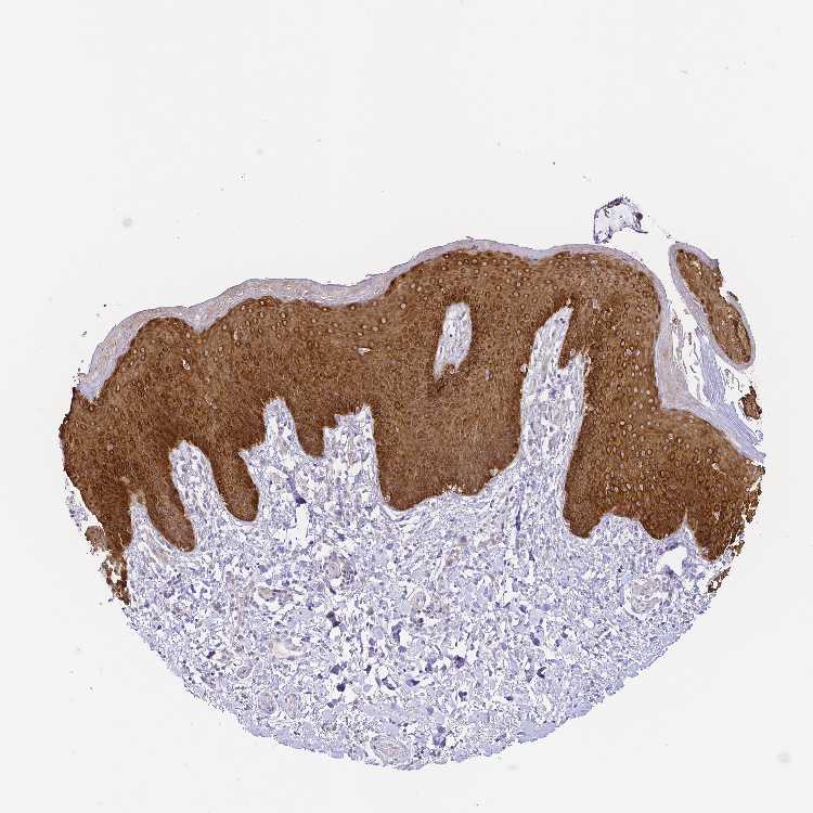
SKIN 1 - Antibody stainingi

Antibody staining in the annotated cell types in the current human tissue is reported as not detected, low, medium, or high, based on conventional immunohistochemistry profiling in selected tissues. This score is based on the combination of the staining intensity and fraction of stained cells.

Each image is clickable and will lead to virtual microscopy that enables deeper exploration of all samples and also displays staining intensity scores, fraction scores and subcellular localization as well as patient and tissue information for each sample.

Antibody HPA062937Antibody CAB012993
Langerhans High-
Cells in basal layer -Medium
Cells in corneal layer -Not detected
Cells in granular layer -Medium
Cells in spinous layer -Medium
Endothelial cells -Not detected
Extracellular matrix -Not detected
Fibroblasts High-
Fibrohistiocytic cells -Not detected
Keratinocytes High-
Langerhans cells -Medium
Lymphocytes -Not detected
Melanocytes HighNot detected
Vascular mural cells -Not detected



SKIN 2 - Antibody stainingi

Antibody staining in the annotated cell types in the current human tissue is reported as not detected, low, medium, or high, based on conventional immunohistochemistry profiling in selected tissues. This score is based on the combination of the staining intensity and fraction of stained cells.

Each image is clickable and will lead to virtual microscopy that enables deeper exploration of all samples and also displays staining intensity scores, fraction scores and subcellular localization as well as patient and tissue information for each sample.

Antibody HPA062937Antibody CAB012993
Cells in basal layer -High
Cells in corneal layer -Not detected
Cells in granular layer -Medium
Cells in spinous layer -Medium
Endothelial cells -Not detected
Epidermal cells High-
Extracellular matrix -Not detected
Fibrohistiocytic cells -Not detected
Langerhans cells -Medium
Lymphocytes -Not detected
Melanocytes -Not detected
Vascular mural cells -Not detected
  
  





SKIN - HPA RNA-seqi

The RNA-seq details section shows detailed information about the individual samples used for the transcript profiling and results of the RNA-seq analysis.

Information about each individual sample is listed below, including gender, age, a tissue section image and estimated fractions of cell types. nTPM (normalized transcripts per million) values give a quantification of the gene abundance which is comparable between different genes and samples.
Average nTPMi

Max subtype nTPM is the value for the subtype with the largest average nTPM across the subtype samples.

122.2
overview
Female, age 34
Skin sample 225
nTPM: 110
Cell types%
Keratinocytes:
60

Other cell types:
40

overview
Female, age 30
Skin sample 226
nTPM: 77.4
Cell types%
Keratinocytes:
55

Other cell types:
45

N/A
Male, age 57
Skin sample 227
nTPM: 179.1

SKIN - GTEx RNA-seqi

RNA-Seq data generated by the Genotype-Tissue Expression (GTEx) project from human tissues is reported as mean nTPM. More information can be found on the GTEx portal.

Distribution across the dataset is visualized with box plots, shown as median and 25th and 75th percentiles. Points are displayed as outliers if they are above or below 1.5 times the interquartile range. nTPM values of the individual samples are presented next to the box plot.
Max subtype nTPMi

Max subtype nTPM is the value for the subtype with the largest average nTPM across the subtype samples.

215.9
GTEx sample id Sample description nTPM
Skin - Not Sun Exposed (Suprapubic)
Average nTPM: 203.6
Samples: 604

Max nTPM: 665.0
Min nTPM: 42.1
Std nTPM: 78.9
Median nTPM: 191.3
GTEX-1PPH8-0126-SM-EWRN8 20-29 years, male 665.0
GTEX-1OJC3-1226-SM-DTXER 20-29 years, male 635.8
GTEX-Y114-2126-SM-4TT8B 50-59 years, female 552.6
GTEX-ZTX8-1326-SM-4YCEL 20-29 years, male 516.5
GTEX-1IKOE-1426-SM-CE6T7 30-39 years, female 505.8
GTEX-X585-2426-SM-46MW2 50-59 years, male 434.9
GTEX-WFG7-2026-SM-5SI7P 20-29 years, male 429.9
GTEX-1JMLX-0626-SM-ARL8T 50-59 years, male 429.8
GTEX-XBEW-1126-SM-4QARW 40-49 years, male 423.4
GTEX-111VG-1626-SM-5EGIO 60-69 years, male 414.1
GTEX-ZY6K-1426-SM-5GZX2 50-59 years, male 410.8
GTEX-1JMPY-0226-SM-CKZOK 30-39 years, male 406.7
GTEX-17HHE-1326-SM-7EWDZ 50-59 years, male 385.7
GTEX-147F4-0726-SM-5TDDD 50-59 years, male 382.9
GTEX-1MJK3-0726-SM-E6CJC 20-29 years, male 381.0
GTEX-1399S-0126-SM-5IJCF 30-39 years, female 379.5
GTEX-1R9PM-1926-SM-EVR3O 20-29 years, male 377.6
GTEX-1PIIG-2326-SM-DTXFR 30-39 years, male 376.7
GTEX-1N2DV-1526-SM-DTXEP 40-49 years, male 374.8
GTEX-WHSB-1326-SM-3LK6W 50-59 years, male 364.6
GTEX-1RMOY-1326-SM-E9TIH 50-59 years, male 363.7
GTEX-ZPCL-1126-SM-4WWFE 60-69 years, female 363.4
GTEX-1HCUA-0826-SM-ADEHM 50-59 years, female 361.3
GTEX-18A67-1626-SM-7LT9T 50-59 years, male 359.7
GTEX-15RIG-0726-SM-7KUM7 40-49 years, male 356.9
GTEX-17F97-2626-SM-7IGM5 50-59 years, male 353.1
GTEX-1E2YA-2126-SM-7MXUO 50-59 years, male 351.8
GTEX-1HBPN-0126-SM-CGQEF 50-59 years, male 348.1
GTEX-Y111-0626-SM-4SOIT 50-59 years, male 346.0
GTEX-1H2FU-0926-SM-9WPPT 60-69 years, female 344.3
GTEX-1IKJJ-2226-SM-CJI4C 60-69 years, male 342.0
GTEX-1NSGN-0726-SM-DTXEF 50-59 years, male 341.2
GTEX-1HGF4-0126-SM-CNPPX 60-69 years, male 337.1
GTEX-18QFQ-1826-SM-72D52 30-39 years, male 336.0
GTEX-1J8EW-2726-SM-CY8HR 60-69 years, female 335.2
GTEX-1C6WA-2626-SM-7MKGM 60-69 years, male 334.7
GTEX-1QPFJ-1926-SM-EVYBD 30-39 years, female 332.6
GTEX-1QP2A-1726-SM-E76QC 50-59 years, male 330.9
GTEX-1JMQJ-0826-SM-CNPP7 50-59 years, male 330.7
GTEX-14PJ3-1126-SM-5ZZVX 50-59 years, male 326.6
GTEX-1CB4J-1326-SM-7P8RX 60-69 years, male 326.2
GTEX-1I1GT-1026-SM-ARZLV 60-69 years, female 325.2
GTEX-1HSMQ-2626-SM-A9SML 50-59 years, male 324.8
GTEX-14C39-1726-SM-5RQIL 40-49 years, male 324.2
GTEX-131XG-0326-SM-5L3DX 50-59 years, female 323.2
GTEX-11PRG-0726-SM-5EGL1 50-59 years, male 321.3
GTEX-1MCYP-0526-SM-E9U6Q 20-29 years, female 321.1
GTEX-1GF9V-0826-SM-9KNUV 60-69 years, male 319.3
GTEX-17HII-1426-SM-7EPGG 50-59 years, male 317.0
GTEX-1GPI7-1826-SM-9KNU1 20-29 years, male 315.8
GTEX-15CHR-1126-SM-7EWF4 50-59 years, male 312.6
GTEX-111CU-1126-SM-5EGIM 50-59 years, male 311.4
GTEX-1JJEA-1826-SM-ARU8P 60-69 years, male 308.2
GTEX-1R9PN-0426-SM-DTXDT 40-49 years, female 307.9
GTEX-1S82U-1026-SM-E6CJK 30-39 years, female 306.9
GTEX-15RJE-2826-SM-7KUM9 40-49 years, male 304.8
GTEX-1PBJJ-1026-SM-E76OS 30-39 years, male 304.4
GTEX-1QP9N-1226-SM-E76QN 30-39 years, male 304.0
GTEX-1GZ4H-0526-SM-9KNU9 50-59 years, female 301.4
GTEX-12WSJ-1126-SM-5LZVJ 40-49 years, female 301.0
GTEX-Y9LG-1126-SM-4VBQ7 30-39 years, male 300.7
GTEX-1F6I4-2326-SM-7RHGL 60-69 years, male 299.6
GTEX-11DXZ-2026-SM-5987S 50-59 years, male 298.8
GTEX-1QP28-1126-SM-EVYC4 50-59 years, female 295.1
GTEX-131XF-2626-SM-5EQ6K 60-69 years, male 294.5
GTEX-14PII-0726-SM-6EU2B 60-69 years, male 294.2
GTEX-13IVO-0726-SM-5LZYV 70-79 years, male 293.8
GTEX-1KAFJ-0126-SM-DIPEK 50-59 years, male 291.1
GTEX-1S3DN-2126-SM-E9TIN 50-59 years, male 290.4
GTEX-WH7G-2026-SM-3NMBL 40-49 years, male 290.3
GTEX-ZVZP-1226-SM-5GID7 50-59 years, male 290.0
GTEX-1399Q-2326-SM-5KM2X 40-49 years, male 289.9
GTEX-13O61-1426-SM-5KM3D 60-69 years, male 288.2
GTEX-1B97I-0626-SM-73KUZ 40-49 years, male 286.6
GTEX-YFCO-1226-SM-5LUAT 40-49 years, male 284.6
GTEX-ZP4G-1426-SM-4WWCL 20-29 years, female 284.6
GTEX-1313W-0626-SM-5EQ4H 50-59 years, female 284.4
GTEX-11DYG-1526-SM-5A5JS 60-69 years, male 283.5
GTEX-14ICL-1626-SM-5YYAO 30-39 years, male 283.5
GTEX-13PDP-0726-SM-5L3HP 60-69 years, male 283.0
GTEX-145MH-2826-SM-5RQJF 50-59 years, male 282.8
GTEX-1LBAC-0826-SM-CY8IJ 20-29 years, male 282.4
GTEX-11WQC-1826-SM-5GU59 60-69 years, male 280.2
GTEX-1EMGI-2326-SM-7PBYA 60-69 years, male 280.0
GTEX-ZF29-0926-SM-4WKFZ 60-69 years, female 278.7
GTEX-1CAMQ-1326-SM-7P8RV 40-49 years, male 278.3
GTEX-1H3O1-1326-SM-9MQLD 60-69 years, male 277.9
GTEX-12ZZZ-0726-SM-5GCNZ 60-69 years, male 277.4
GTEX-XAJ8-1426-SM-47JYM 40-49 years, male 275.3
GTEX-13FTX-1526-SM-5K7VJ 20-29 years, female 274.9
GTEX-1RAZQ-1326-SM-E9TK6 30-39 years, male 273.6
GTEX-11O72-0626-SM-5PNYE 40-49 years, male 273.4
GTEX-ZLFU-1826-SM-4WWBV 40-49 years, male 272.1
GTEX-WHPG-2626-SM-3NMBR 50-59 years, male 271.5
GTEX-15DYW-2726-SM-6EU2I 60-69 years, female 270.9
GTEX-11ZU8-0126-SM-5EQ58 60-69 years, male 270.7
GTEX-16MT9-0126-SM-7EPI8 60-69 years, female 270.3
GTEX-1POEN-2326-SM-E9J2L 30-39 years, female 270.3
GTEX-1AX9J-1326-SM-731BJ 60-69 years, male 269.5
GTEX-17F9E-2326-SM-79OKD 50-59 years, male 269.2
GTEX-1GN1U-0626-SM-9MQL9 50-59 years, female 269.0
GTEX-ZYVF-0926-SM-5E44J 50-59 years, female 267.1
GTEX-ZYT6-2326-SM-5GZY3 30-39 years, male 267.0
GTEX-1GN1V-2826-SM-9JGIA 60-69 years, male 266.7
GTEX-12WSH-1526-SM-5BC5W 50-59 years, male 266.6
GTEX-1HCU7-0726-SM-A9SL1 50-59 years, male 266.6
GTEX-ZE9C-2526-SM-5IJDR 60-69 years, male 265.7
GTEX-16MTA-0926-SM-6M47Z 50-59 years, male 264.9
GTEX-ZT9X-1526-SM-5DUXD 40-49 years, male 264.0
GTEX-17F9Y-0126-SM-79OKX 70-79 years, female 262.3
GTEX-1I1GV-0626-SM-ARL7M 60-69 years, male 262.1
GTEX-1J8Q2-2626-SM-ACKWQ 60-69 years, male 261.9
GTEX-14PJ4-0226-SM-5YY92 60-69 years, male 260.8
GTEX-1LB8K-0726-SM-D5OV2 50-59 years, male 260.2
GTEX-11OF3-0126-SM-5PNYF 60-69 years, male 259.9
GTEX-1MCC2-1826-SM-DIPEX 30-39 years, female 259.9
GTEX-1LSNM-0826-SM-DIPG8 50-59 years, male 259.3
GTEX-1HCVE-2726-SM-CL54F 50-59 years, male 258.9
GTEX-ZDTT-0426-SM-4WKFL 60-69 years, male 258.7
GTEX-14PHY-1226-SM-5ZZWK 60-69 years, female 257.8
GTEX-1GN2E-0226-SM-9WG6K 60-69 years, male 257.7
GTEX-1B8SF-0126-SM-7DUG3 60-69 years, male 256.9
GTEX-1IE54-1126-SM-A9G2Z 40-49 years, female 256.9
GTEX-Y3I4-1726-SM-4TT89 50-59 years, male 256.2
GTEX-WI4N-2726-SM-3LK7Y 40-49 years, female 255.8
GTEX-1CB4F-1026-SM-7DUH1 60-69 years, male 255.6
GTEX-ZLV1-1526-SM-DO91J 60-69 years, female 255.5
GTEX-WHWD-1826-SM-3LK6I 50-59 years, male 255.2
GTEX-WXYG-2026-SM-4E3IY 50-59 years, female 254.9
GTEX-14C5O-0326-SM-5ZZUX 60-69 years, male 254.6
GTEX-ZVP2-0326-SM-57WBP 50-59 years, male 254.1
GTEX-1N2EE-0626-SM-E76PW 60-69 years, male 253.5
GTEX-1B8KE-1126-SM-7EPHI 50-59 years, male 253.3
GTEX-1CAMS-2226-SM-7PBXQ 40-49 years, female 253.1
GTEX-1GMRU-2126-SM-7P8RA 50-59 years, male 253.0
GTEX-1EKGG-0626-SM-7DUGJ 60-69 years, male 252.5
GTEX-1HCU6-2526-SM-ADEHL 60-69 years, female 252.4
GTEX-1GN73-0726-SM-7P8TJ 60-69 years, male 252.2
GTEX-12ZZX-2426-SM-5GCOE 40-49 years, female 251.5
GTEX-1C2JI-1026-SM-73KY1 50-59 years, male 251.0
GTEX-1ICLZ-0326-SM-ARL82 60-69 years, male 250.5
GTEX-13FTY-2126-SM-5IFFB 40-49 years, female 250.3
GTEX-1LVAN-0626-SM-CNPOQ 50-59 years, female 250.3
GTEX-ZC5H-1526-SM-5HL9Y 40-49 years, female 250.2
GTEX-13PL6-1126-SM-5L3IE 40-49 years, female 250.1
GTEX-1QCLY-0226-SM-EWRNH 30-39 years, male 249.3
GTEX-1PIGE-1826-SM-E8VOU 20-29 years, male 248.0
GTEX-13G51-1826-SM-5KLZH 60-69 years, male 247.6
GTEX-1I1GP-1326-SM-A9G28 50-59 years, male 246.5
GTEX-148VJ-0626-SM-5LUAW 70-79 years, male 246.1
GTEX-1CB4E-0926-SM-7EPHT 60-69 years, male 245.9
GTEX-17F98-1326-SM-7DUEP 40-49 years, female 244.6
GTEX-139TU-0726-SM-5L3EK 60-69 years, male 244.5
GTEX-1I1GU-0926-SM-ACKVS 40-49 years, male 243.9
GTEX-13SLX-2226-SM-62LEP 50-59 years, female 243.7
GTEX-1497J-0226-SM-5QGPU 60-69 years, male 243.4
GTEX-1K2DU-1226-SM-CYPT4 20-29 years, male 243.4
GTEX-1AYD5-2626-SM-7PBXY 50-59 years, male 242.7
GTEX-XQ3S-1426-SM-4BOPR 20-29 years, male 242.6
GTEX-1OJC4-2726-SM-E76PJ 50-59 years, female 242.5
GTEX-13QJC-0126-SM-5ZZWJ 60-69 years, female 242.4
GTEX-1H23P-0626-SM-9WG6T 60-69 years, male 241.7
GTEX-YECK-0326-SM-4W1YS 60-69 years, male 241.6
GTEX-11P81-2226-SM-5PNYI 30-39 years, female 241.3
GTEX-1192X-2726-SM-5N9DN 50-59 years, male 241.2
GTEX-14XAO-1226-SM-6EU1C 60-69 years, female 240.4
GTEX-11TUW-0626-SM-5LU9M 60-69 years, male 239.6
GTEX-14E1K-2026-SM-7DUEI 50-59 years, male 239.6
GTEX-1LKK1-2626-SM-DKPQE 50-59 years, female 239.6
GTEX-1GZHY-0626-SM-9KNVC 50-59 years, female 238.5
GTEX-1PPGY-1626-SM-EVYBL 60-69 years, male 238.5
GTEX-ZF2S-1626-SM-57WES 50-59 years, female 237.8
GTEX-1H4P4-2126-SM-9WYSL 50-59 years, male 237.8
GTEX-1KANB-2826-SM-CY8I6 50-59 years, male 237.3
GTEX-13112-0126-SM-5P9IU 50-59 years, male 237.1
GTEX-ZF3C-0626-SM-DO92O 50-59 years, female 237.0
GTEX-1R46S-2426-SM-E76QA 60-69 years, female 236.3
GTEX-11GSP-2326-SM-5HL63 60-69 years, female 235.4
GTEX-1399U-1126-SM-5L3DB 50-59 years, female 234.9
GTEX-13OVK-1426-SM-6PAN7 40-49 years, male 234.5
GTEX-1H11D-1826-SM-9QEHM 40-49 years, male 234.0
GTEX-1C6VR-0126-SM-7RHGB 60-69 years, male 233.7
GTEX-14PHX-2226-SM-6EU2P 50-59 years, male 233.5
GTEX-11DXX-2126-SM-5PNYR 60-69 years, female 232.9
GTEX-1HB9E-0126-SM-CM2S5 50-59 years, male 232.2
GTEX-1PDJ9-1226-SM-EXUSX 20-29 years, male 231.8
GTEX-15RJ7-2126-SM-6PAMD 40-49 years, male 231.7
GTEX-1JK1U-0226-SM-ARZMX 60-69 years, male 231.2
GTEX-X5EB-1926-SM-4E3IW 40-49 years, male 231.1
GTEX-1GPI6-1926-SM-9KNV7 60-69 years, male 230.3
GTEX-1GF9X-1326-SM-7PC2Y 40-49 years, female 228.7
GTEX-12ZZY-0726-SM-5EQ66 60-69 years, male 228.6
GTEX-1R9K4-2826-SM-DTX8F 60-69 years, male 227.9
GTEX-1N5O9-0926-SM-E9J3C 60-69 years, male 227.8
GTEX-UPJH-0226-SM-3GADV 50-59 years, male 227.6
GTEX-1RAZS-2526-SM-E6CHT 50-59 years, male 227.2
GTEX-ZVT4-2426-SM-5GIEI 50-59 years, female 226.5
GTEX-WFON-1926-SM-3LK7L 40-49 years, male 226.3
GTEX-ZAB4-2126-SM-5HL8U 40-49 years, male 224.6
GTEX-1JN76-0626-SM-CKZOQ 20-29 years, female 224.5
GTEX-145MG-1526-SM-5Q5EM 50-59 years, male 224.4
GTEX-XPVG-2126-SM-4B667 50-59 years, male 224.3
GTEX-1J1OQ-0126-SM-D4P2N 40-49 years, female 223.6
GTEX-12126-0826-SM-5FQTZ 20-29 years, male 223.2
GTEX-1269C-0126-SM-5EQ5L 60-69 years, female 222.9
GTEX-1HSMP-0926-SM-A9SKX 70-79 years, male 222.8
GTEX-1122O-1026-SM-9WYSF 60-69 years, female 222.5
GTEX-14753-0726-SM-5QGQO 60-69 years, male 222.1
GTEX-1LGRB-0926-SM-COH3K 50-59 years, female 221.9
GTEX-ZE7O-2726-SM-51MT5 50-59 years, female 221.7
GTEX-17F96-0126-SM-7EWDU 70-79 years, male 221.6
GTEX-18465-2826-SM-7LT9J 50-59 years, male 219.7
GTEX-147GR-2426-SM-5ZZWQ 60-69 years, male 219.4
GTEX-Y8E4-2026-SM-5IFJB 40-49 years, male 219.2
GTEX-144GO-2026-SM-5O99P 60-69 years, male 219.1
GTEX-13JVG-0726-SM-5KM16 60-69 years, male 218.5
GTEX-1EX96-1026-SM-7MKG2 50-59 years, male 218.1
GTEX-X4EO-2926-SM-4E3JH 60-69 years, female 218.1
GTEX-17EVP-2626-SM-7IGMA 40-49 years, male 217.5
GTEX-1HR9M-2226-SM-CNPPY 60-69 years, male 216.0
GTEX-131XH-0126-SM-5LZUY 50-59 years, male 215.8
GTEX-Z93S-1626-SM-5CVMB 50-59 years, male 215.3
GTEX-11P7K-1126-SM-5HL4L 30-39 years, male 215.2
GTEX-1JMQK-1226-SM-D4P2S 60-69 years, male 215.1
GTEX-13O3O-2326-SM-5IJD6 60-69 years, female 214.7
GTEX-11DXY-0126-SM-5H11Q 60-69 years, male 214.0
GTEX-14PJ6-2626-SM-6EU2T 60-69 years, female 213.9
GTEX-1NV5F-0626-SM-DTXEG 60-69 years, female 213.7
GTEX-16YQH-2226-SM-7IGM2 30-39 years, male 213.6
GTEX-16AAH-0626-SM-793C9 50-59 years, male 213.0
GTEX-1B8L1-2226-SM-7P8PT 60-69 years, male 213.0
GTEX-11DZ1-2426-SM-5GZZX 50-59 years, male 212.9
GTEX-1HSKV-1226-SM-ADEI4 60-69 years, male 212.7
GTEX-16MT8-2926-SM-7DUFO 60-69 years, female 212.1
GTEX-13FTW-0326-SM-5K7UW 40-49 years, male 211.8
GTEX-1H1DE-1326-SM-9KNUG 20-29 years, male 211.7
GTEX-14DAR-1226-SM-73KYV 50-59 years, male 211.4
GTEX-ZYFC-0426-SM-5GICQ 50-59 years, male 211.2
GTEX-139UW-0326-SM-5J1ML 60-69 years, male 211.1
GTEX-14BIN-1126-SM-5RQJZ 50-59 years, female 210.8
GTEX-1C64N-2626-SM-7PC2N 50-59 years, male 210.7
GTEX-1B933-2426-SM-7DHMD 50-59 years, female 210.6
GTEX-1I1HK-2326-SM-CKZOH 60-69 years, male 210.3
GTEX-1BAJH-2426-SM-7IGP8 70-79 years, male 209.6
GTEX-1EN7A-2426-SM-793DB 40-49 years, male 209.2
GTEX-XUW1-0926-SM-4BONX 50-59 years, female 209.1
GTEX-ZTTD-2826-SM-4YCFA 50-59 years, male 209.1
GTEX-15G19-2426-SM-7KUMR 60-69 years, male 208.8
GTEX-13OW7-0426-SM-5K7VK 50-59 years, male 207.9
GTEX-VUSG-2326-SM-4KL1U 50-59 years, male 207.9
GTEX-13NYB-0126-SM-5J1MD 40-49 years, male 207.8
GTEX-ZDYS-2426-SM-4WKGI 50-59 years, male 207.7
GTEX-139TS-2126-SM-5K7XC 60-69 years, male 207.2
GTEX-11LCK-2226-SM-5HL4Q 30-39 years, male 207.1
GTEX-13VXT-1926-SM-5K7UO 20-29 years, female 207.1
GTEX-13OW5-2326-SM-5L3HO 60-69 years, male 207.0
GTEX-ZXG5-2126-SM-59HKD 60-69 years, male 206.8
GTEX-145MI-0626-SM-5SI8S 60-69 years, female 206.2
GTEX-XOT4-0626-SM-4B66L 60-69 years, female 205.8
GTEX-1S82P-2126-SM-E6CI5 60-69 years, female 205.0
GTEX-1CAMR-1326-SM-7PC1F 20-29 years, male 204.8
GTEX-1QW4Y-1126-SM-DTXE3 30-39 years, male 204.5
GTEX-12WSM-1926-SM-5BC65 60-69 years, male 204.2
GTEX-133LE-2326-SM-5K7W3 20-29 years, female 203.3
GTEX-1HFI7-2326-SM-CGQFS 50-59 years, female 203.2
GTEX-1RB15-1326-SM-E76Q9 60-69 years, male 202.8
GTEX-ZZPU-0826-SM-5GZX5 50-59 years, female 202.7
GTEX-18D9A-1426-SM-7LT8M 30-39 years, female 201.9
GTEX-15SKB-2826-SM-6PAMH 60-69 years, male 201.7
GTEX-13OVH-0526-SM-5L3E6 70-79 years, male 200.3
GTEX-1C64O-1326-SM-7MGWR 60-69 years, male 200.2
GTEX-144GM-0526-SM-79OJO 20-29 years, male 199.9
GTEX-14LLW-2626-SM-62LDZ 70-79 years, female 199.8
GTEX-1A3MV-1826-SM-731CD 30-39 years, male 199.7
GTEX-ZWKS-0626-SM-5GIDV 30-39 years, male 199.4
GTEX-1R7EU-1626-SM-DTXG3 60-69 years, male 199.4
GTEX-1F75I-2226-SM-7SB8U 40-49 years, male 199.2
GTEX-17KNJ-2126-SM-718AM 50-59 years, male 198.9
GTEX-145MN-1526-SM-5SI9T 30-39 years, male 198.3
GTEX-17HHY-0426-SM-7DHLC 50-59 years, male 198.0
GTEX-15DDE-2926-SM-6LLJ3 50-59 years, female 197.4
GTEX-14PJ5-1526-SM-6LLIL 60-69 years, female 197.3
GTEX-12WSD-0626-SM-5GCMW 60-69 years, female 196.5
GTEX-1IL2V-1926-SM-B2LW8 70-79 years, male 196.3
GTEX-1HT8W-0626-SM-A9G2H 30-39 years, male 196.1
GTEX-1KANA-1326-SM-DIPFA 20-29 years, male 196.0
GTEX-ZDTS-0826-SM-4WKHL 60-69 years, male 195.8
GTEX-1F6RS-2026-SM-7RHHC 60-69 years, female 195.8
GTEX-15RIE-1926-SM-7KUKJ 60-69 years, male 195.3
GTEX-ZYY3-2926-SM-5GIEB 60-69 years, female 195.3
GTEX-11GS4-0226-SM-5HL77 60-69 years, male 195.0
GTEX-1GTWX-2026-SM-9YFLM 60-69 years, male 194.5
GTEX-14LZ3-0126-SM-69LPM 60-69 years, female 194.4
GTEX-XBEC-0726-SM-4QARZ 50-59 years, male 194.1
GTEX-WHSE-0126-SM-3NMBT 20-29 years, male 193.1
GTEX-11P82-1426-SM-DTXFY 20-29 years, male 193.0
GTEX-1IDJV-0126-SM-COH3Y 60-69 years, male 192.9
GTEX-14PJO-2526-SM-6AJBQ 60-69 years, male 192.3
GTEX-131XW-0626-SM-5PNVD 50-59 years, female 191.8
GTEX-17HGU-2326-SM-7DUFE 50-59 years, male 191.7
GTEX-1LVA9-2626-SM-EVYD4 50-59 years, male 191.6
GTEX-YEC3-1326-SM-DO92X 50-59 years, male 191.5
GTEX-15CHQ-0326-SM-69LQD 60-69 years, male 191.1
GTEX-1F75A-0726-SM-7RHHD 50-59 years, male 191.0
GTEX-1LVAM-0726-SM-E6CIL 50-59 years, female 190.6
GTEX-12WSK-2126-SM-5CVNC 40-49 years, female 190.5
GTEX-144FL-0626-SM-5LU43 50-59 years, male 189.3
GTEX-ZVT2-0126-SM-5GIDQ 50-59 years, female 188.4
GTEX-1GZ4I-2626-SM-9KNU3 50-59 years, male 188.3
GTEX-1CB4H-1126-SM-7MKGL 60-69 years, female 188.2
GTEX-1HSGN-0826-SM-ACKW3 40-49 years, female 188.1
GTEX-145LU-1926-SM-79OJN 50-59 years, male 187.9
GTEX-17MFQ-1526-SM-7KFRR 20-29 years, male 187.9
GTEX-13FHO-0426-SM-5L3F5 60-69 years, male 187.8
GTEX-15FZZ-0526-SM-7KUGD 30-39 years, female 187.7
GTEX-1JMQI-1726-SM-ARL93 50-59 years, male 187.4
GTEX-1S83E-1326-SM-E6CJM 40-49 years, male 187.0
GTEX-13O3Q-0126-SM-5KM34 50-59 years, male 186.6
GTEX-139D8-1126-SM-5LU8W 30-39 years, female 186.3
GTEX-1JN1M-2726-SM-CY8I4 60-69 years, female 186.3
GTEX-13SLW-0626-SM-5Q5ER 70-79 years, male 186.2
GTEX-ZU9S-1826-SM-5NQ9E 30-39 years, male 186.1
GTEX-1QAET-0326-SM-EVR3U 50-59 years, male 185.3
GTEX-ZYW4-0626-SM-59HJR 60-69 years, male 185.1
GTEX-183FY-1026-SM-7939A 20-29 years, male 185.0
GTEX-1212Z-0126-SM-59HK4 60-69 years, male 184.7
GTEX-14PJN-1826-SM-6AJ98 30-39 years, male 184.4
GTEX-13OVJ-0826-SM-5J1OK 50-59 years, female 184.3
GTEX-1H1ZS-2726-SM-9WG75 70-79 years, male 184.2
GTEX-11WQK-1026-SM-5EQLX 50-59 years, male 184.0
GTEX-15ER7-0626-SM-6PANF 20-29 years, female 184.0
GTEX-XQ8I-0926-SM-4BOOF 50-59 years, male 184.0
GTEX-18D9U-0126-SM-731BM 40-49 years, male 183.9
GTEX-1IDJU-1726-SM-CMKHU 60-69 years, female 183.8
GTEX-1IY9M-2826-SM-ARU8H 60-69 years, male 183.5
GTEX-15EO6-2426-SM-6PALZ 50-59 years, male 183.4
GTEX-1HBPI-2126-SM-ARL9K 50-59 years, male 183.3
GTEX-1IOXB-2726-SM-CM2RI 50-59 years, male 183.3
GTEX-13OW6-2726-SM-5J2OE 50-59 years, male 183.1
GTEX-1LSVX-2526-SM-DIPEU 60-69 years, male 182.3
GTEX-144GL-0626-SM-5LU4D 50-59 years, male 181.8
GTEX-1S831-1826-SM-EWROF 20-29 years, male 181.8
GTEX-13W3W-0726-SM-5IJDQ 60-69 years, female 181.5
GTEX-1F5PK-2226-SM-7SB6N 50-59 years, male 181.0
GTEX-1KD5A-0126-SM-E9U54 50-59 years, male 181.0
GTEX-13NYS-0626-SM-5L3F1 60-69 years, male 180.8
GTEX-12696-0126-SM-5EQ4L 60-69 years, male 180.7
GTEX-1F88F-0126-SM-9WYSZ 60-69 years, female 180.7
GTEX-13FLV-0126-SM-5K7WT 50-59 years, male 179.9
GTEX-1JMPZ-0726-SM-CY8HZ 30-39 years, male 179.8
GTEX-1CB4I-0126-SM-7RHGG 50-59 years, male 179.3
GTEX-1PPH7-1126-SM-DTX9A 40-49 years, male 179.3
GTEX-14PKU-0126-SM-6LLHV 40-49 years, female 179.2
GTEX-1EWIQ-0326-SM-7DHMQ 70-79 years, female 179.0
GTEX-11VI4-1126-SM-5EQMD 40-49 years, female 178.6
GTEX-1A8G7-1326-SM-73KVM 60-69 years, male 178.3
GTEX-11NUK-2726-SM-5A5MC 50-59 years, male 178.2
GTEX-1H1DG-2426-SM-9QEHJ 70-79 years, male 178.0
GTEX-11ZTT-2126-SM-5CVLO 60-69 years, female 177.9
GTEX-15G1A-1626-SM-7KUKN 30-39 years, male 177.8
GTEX-18A6Q-0626-SM-7KFRP 60-69 years, male 177.8
GTEX-139T8-0626-SM-5KLZX 60-69 years, male 177.5
GTEX-WY7C-2126-SM-3NB2R 50-59 years, male 177.2
GTEX-139TT-2126-SM-5LZWC 60-69 years, male 177.0
GTEX-1A8G6-2726-SM-731AR 60-69 years, male 176.5
GTEX-XBED-1926-SM-47JYP 60-69 years, male 176.5
GTEX-ZPIC-0526-SM-DO91W 40-49 years, female 176.4
GTEX-1J1R8-2026-SM-CL53Y 40-49 years, male 176.2
GTEX-ZPU1-1126-SM-4YCF3 40-49 years, male 175.7
GTEX-1JJ6O-2726-SM-CNPOG 60-69 years, male 175.7
GTEX-XXEK-1626-SM-4BRUZ 50-59 years, male 175.5
GTEX-1HC8U-1326-SM-9YFMJ 40-49 years, female 175.5
GTEX-145ME-1726-SM-5Q5EU 40-49 years, female 175.3
GTEX-WYJK-0526-SM-3NM8Z 50-59 years, male 175.3
GTEX-14B4R-1326-SM-5Q5EZ 30-39 years, male 174.9
GTEX-13D11-0926-SM-5J2NC 50-59 years, female 174.8
GTEX-1J8QM-2426-SM-A9SLS 60-69 years, female 174.1
GTEX-1GN1W-2426-SM-9KNUU 50-59 years, female 174.0
GTEX-1JN6P-2926-SM-CL54D 60-69 years, male 173.8
GTEX-14A6H-2026-SM-5Q5DD 30-39 years, male 173.7
GTEX-1K2DA-1026-SM-CGQGF 50-59 years, male 173.4
GTEX-1B932-2326-SM-79OL5 40-49 years, female 173.1
GTEX-17EVQ-0126-SM-7IGLR 70-79 years, male 172.6
GTEX-1F52S-2926-SM-7MKGA 60-69 years, female 172.3
GTEX-13PVQ-0626-SM-5LU47 50-59 years, male 171.6
GTEX-13RTJ-0126-SM-5S2NN 60-69 years, male 171.4
GTEX-1K9T9-1526-SM-DIPFR 50-59 years, female 171.4
GTEX-1LSNL-2726-SM-E9TKJ 50-59 years, male 171.3
GTEX-ZZ64-1026-SM-5GZXG 20-29 years, male 171.1
GTEX-1EH9U-2826-SM-7DUGT 60-69 years, male 170.0
GTEX-111YS-1526-SM-5GZYW 60-69 years, male 169.7
GTEX-YEC4-1826-SM-4W1YP 40-49 years, male 169.0
GTEX-1GF9W-1426-SM-7PBYM 60-69 years, male 168.6
GTEX-Y3IK-1626-SM-4YCF5 50-59 years, female 168.5
GTEX-13VXU-0626-SM-5L3F9 50-59 years, male 167.7
GTEX-ZAK1-0626-SM-5HL8E 50-59 years, female 167.6
GTEX-1C6VQ-1226-SM-73KYD 50-59 years, male 167.5
GTEX-1EU9M-1426-SM-793AI 60-69 years, male 167.5
GTEX-13YAN-0226-SM-5TDC6 60-69 years, male 167.4
GTEX-11EQ8-0926-SM-5H12V 60-69 years, male 167.0
GTEX-1KXAM-1626-SM-D3LAD 60-69 years, male 166.9
GTEX-13X6I-1826-SM-5SIAO 60-69 years, male 166.1
GTEX-15SHW-0226-SM-7LTAT 60-69 years, male 166.1
GTEX-1QP29-1826-SM-DTX9S 50-59 years, male 166.0
GTEX-1117F-2926-SM-5GZYI 60-69 years, female 165.8
GTEX-1JKYR-0626-SM-ARL8R 20-29 years, male 165.0
GTEX-14JG6-1426-SM-9WG7C 30-39 years, female 164.6
GTEX-WYVS-1626-SM-3NM9R 40-49 years, female 164.2
GTEX-16BQI-1326-SM-6M486 30-39 years, female 164.1
GTEX-18A66-0626-SM-7LT8Z 60-69 years, male 163.7
GTEX-X8HC-0626-SM-4E3HQ 50-59 years, female 163.5
GTEX-11NSD-0626-SM-5A5LU 20-29 years, male 163.3
GTEX-14PK6-0226-SM-62LF5 70-79 years, female 163.0
GTEX-14AS3-1526-SM-5Q5ED 40-49 years, female 162.7
GTEX-1IDJC-1526-SM-B2LW4 50-59 years, male 162.6
GTEX-XYKS-1426-SM-4BRUO 60-69 years, female 162.2
GTEX-1QMI2-2526-SM-E8VNZ 60-69 years, male 162.1
GTEX-1AMEY-0826-SM-72D65 30-39 years, female 161.7
GTEX-12WSF-1626-SM-7KUG5 70-79 years, male 161.5
GTEX-W5X1-2526-SM-3GILC 40-49 years, female 161.5
GTEX-13OW8-1026-SM-5J1NQ 60-69 years, male 160.5
GTEX-14PKV-1126-SM-6LLJ1 20-29 years, female 160.2
GTEX-13NYC-0126-SM-5L3F4 60-69 years, male 159.7
GTEX-1GMR8-0626-SM-7RHI7 50-59 years, female 159.7
GTEX-1QEPI-2626-SM-DTXF4 60-69 years, female 159.7
GTEX-1HCU8-2526-SM-CE6RX 60-69 years, female 159.1
GTEX-111FC-2526-SM-5GZXU 60-69 years, male 159.0
GTEX-16NPX-0726-SM-7KULC 50-59 years, male 159.0
GTEX-1I1CD-0626-SM-CE6SW 60-69 years, female 158.1
GTEX-145MF-0926-SM-5Q5EA 50-59 years, male 158.0
GTEX-1ICG6-1226-SM-A9SLN 70-79 years, female 157.7
GTEX-1AX9I-2226-SM-73KUO 60-69 years, male 157.0
GTEX-11EQ9-1626-SM-5PNY8 30-39 years, male 156.7
GTEX-15UF6-1926-SM-7KUDV 70-79 years, female 156.6
GTEX-14A5H-0826-SM-5QGPJ 60-69 years, male 156.2
GTEX-14ABY-2026-SM-62LDL 50-59 years, male 156.0
GTEX-1M4P7-0726-SM-E6CJ3 60-69 years, male 155.3
GTEX-145LS-0626-SM-7EPG7 60-69 years, female 155.2
GTEX-1GL5R-1326-SM-7RHHF 50-59 years, male 155.0
GTEX-1JMQL-2226-SM-CNPP4 50-59 years, female 154.7
GTEX-1A3MW-0626-SM-731CB 60-69 years, female 154.4
GTEX-1HKZK-0726-SM-ACKW2 40-49 years, male 153.9
GTEX-12WSC-2826-SM-5BC5Y 50-59 years, male 153.6
GTEX-1IDJH-0126-SM-D3L92 70-79 years, male 153.3
GTEX-ZYFD-0626-SM-5E44E 50-59 years, male 153.1
GTEX-1JJE9-2626-SM-ARZMT 70-79 years, male 153.0
GTEX-12KS4-2126-SM-5FQUT 30-39 years, male 152.0
GTEX-1JMOU-1026-SM-CYPSS 60-69 years, female 152.0
GTEX-XV7Q-1826-SM-4BRUV 40-49 years, female 151.8
GTEX-Y8LW-1526-SM-5IFHL 50-59 years, female 151.8
GTEX-1H1CY-0126-SM-9YFLY 60-69 years, female 151.6
GTEX-13N1W-2426-SM-5IJD1 70-79 years, male 151.4
GTEX-XK95-0226-SM-4AT58 40-49 years, male 151.4
GTEX-16Z82-2626-SM-7KULU 60-69 years, male 151.1
GTEX-U8XE-0226-SM-4E3J3 30-39 years, male 151.0
GTEX-12584-0726-SM-5FQTK 40-49 years, male 150.7
GTEX-1LG7Y-2526-SM-EWRO7 50-59 years, male 150.6
GTEX-11UD2-2526-SM-5CVNU 50-59 years, male 150.0
GTEX-13X6J-0626-SM-5LU5F 50-59 years, male 149.9
GTEX-1AMFI-1326-SM-7939R 50-59 years, female 149.9
GTEX-1S5ZU-2526-SM-E6CIF 20-29 years, female 149.8
GTEX-1HBPM-0726-SM-9YFL7 60-69 years, female 149.5
GTEX-1IDJI-0126-SM-CMKHS 50-59 years, female 149.3
GTEX-YJ8O-2526-SM-5HL85 40-49 years, female 148.5
GTEX-ZTSS-1426-SM-5985P 40-49 years, male 148.5
GTEX-1HR98-2226-SM-ADEI2 60-69 years, male 148.3
GTEX-14C38-0726-SM-5SI6M 50-59 years, male 148.2
GTEX-183WM-0326-SM-72D5V 70-79 years, female 147.7
GTEX-1I6K7-1926-SM-B2LXR 40-49 years, male 147.7
GTEX-1LG7Z-1626-SM-CXKYR 30-39 years, male 147.4
GTEX-1B996-0426-SM-7EWF8 60-69 years, male 147.3
GTEX-1KWVE-1026-SM-D3L9O 30-39 years, male 146.8
GTEX-18A7B-2726-SM-7LG56 70-79 years, male 146.6
GTEX-WRHU-2826-SM-3MJG8 50-59 years, female 146.5
GTEX-YF7O-1526-SM-5IFI6 50-59 years, male 146.4
GTEX-147F3-1726-SM-5SIAW 50-59 years, female 146.0
GTEX-18A7A-0126-SM-731AH 50-59 years, female 145.9
GTEX-ZA64-1026-SM-5HL8R 20-29 years, male 145.1
GTEX-16NGA-0726-SM-731AO 40-49 years, female 145.0
GTEX-1IDJD-2326-SM-ACKWX 30-39 years, male 144.9
GTEX-139YR-1026-SM-5LZYN 50-59 years, male 144.8
GTEX-13NZ8-1226-SM-5KM4A 60-69 years, female 144.7
GTEX-14JG1-1526-SM-5YY9X 40-49 years, male 144.0
GTEX-14JFF-0626-SM-5ZZVT 60-69 years, male 143.6
GTEX-145MO-2826-SM-5LU96 60-69 years, male 141.9
GTEX-12WSA-0426-SM-5EQ5X 60-69 years, male 141.4
GTEX-1211K-1526-SM-5FQU4 60-69 years, female 141.3
GTEX-15CHC-1126-SM-6LLHQ 60-69 years, female 140.0
GTEX-1I1GS-2626-SM-B2LY3 60-69 years, male 139.7
GTEX-Y5V6-2326-SM-4VDSA 60-69 years, male 138.8
GTEX-13NZ9-2626-SM-5L3FK 50-59 years, male 138.4
GTEX-1C475-1326-SM-7SB73 40-49 years, female 138.2
GTEX-1HFI6-0126-SM-CNPPI 40-49 years, male 138.1
GTEX-1H3VE-0726-SM-9YFL5 40-49 years, male 138.0
GTEX-ZDXO-3126-SM-5IJDF 60-69 years, male 137.6
GTEX-13X6K-0626-SM-5LU5D 60-69 years, female 136.9
GTEX-1H1E6-0426-SM-9WYUS 30-39 years, male 136.6
GTEX-1RLM8-2926-SM-E8VON 50-59 years, male 136.1
GTEX-1ICLY-0826-SM-CMKG1 50-59 years, male 135.2
GTEX-11DXW-0826-SM-5H118 40-49 years, male 135.0
GTEX-12C56-1526-SM-5FQUQ 20-29 years, male 134.5
GTEX-1I4MK-0126-SM-CY8G6 50-59 years, female 134.2
GTEX-1J8Q3-0526-SM-ARL8U 60-69 years, male 134.0
GTEX-13OVL-0126-SM-5L3GJ 50-59 years, male 133.2
GTEX-16XZZ-0726-SM-7KUF2 60-69 years, male 132.8
GTEX-1F5PL-0926-SM-7PC2W 40-49 years, female 132.3
GTEX-1LVAO-2726-SM-E9TJ8 60-69 years, male 131.8
GTEX-1JKYN-0826-SM-ARU8S 30-39 years, male 131.3
GTEX-11TT1-1826-SM-5EQLV 20-29 years, male 131.2
GTEX-ZGAY-1826-SM-DO91Q 40-49 years, female 131.1
GTEX-1HCU9-0426-SM-9WYSD 20-29 years, male 130.9
GTEX-13X6H-0926-SM-5SIB2 50-59 years, female 130.8
GTEX-1F75B-0726-SM-7PC3R 50-59 years, male 130.7
GTEX-11ZUS-2626-SM-5FQUR 30-39 years, male 130.4
GTEX-X3Y1-2026-SM-3P5YM 40-49 years, male 130.1
GTEX-13OVG-1626-SM-5J1NF 60-69 years, male 128.8
GTEX-17MF6-2626-SM-79OKQ 40-49 years, male 128.1
GTEX-Y5LM-0926-SM-6LLJG 40-49 years, female 126.4
GTEX-1GMR2-0826-SM-7PC3V 50-59 years, male 126.3
GTEX-178AV-1726-SM-7KUL8 40-49 years, male 125.0
GTEX-1B8KZ-0326-SM-73KY4 50-59 years, male 124.8
GTEX-WEY5-2326-SM-3GIKK 40-49 years, female 124.8
GTEX-1GZ2Q-0126-SM-9WG6M 40-49 years, male 124.6
GTEX-X4EP-0626-SM-3P621 60-69 years, female 124.3
GTEX-1AX8Z-0726-SM-73KTS 60-69 years, male 122.8
GTEX-131YS-2826-SM-5EQ47 60-69 years, female 122.7
GTEX-WK11-2726-SM-3NMAQ 50-59 years, male 122.5
GTEX-ZLWG-0826-SM-59888 50-59 years, female 122.4
GTEX-147JS-0226-SM-5S2U9 60-69 years, male 122.0
GTEX-14BMU-1226-SM-5S2OR 20-29 years, female 121.5
GTEX-1KANC-1226-SM-CYPT7 50-59 years, female 121.3
GTEX-1F48J-0726-SM-7RHGS 50-59 years, female 121.2
GTEX-1GMR3-0126-SM-A9SLW 40-49 years, male 120.6
GTEX-18D9B-0926-SM-7LG4U 60-69 years, male 120.5
GTEX-1A8FM-0626-SM-7PC25 50-59 years, female 120.5
GTEX-1I6K6-1726-SM-CGQFD 30-39 years, male 120.3
GTEX-1314G-1326-SM-5BC6E 30-39 years, male 120.2
GTEX-ZVE2-2826-SM-5GU51 50-59 years, male 119.5
GTEX-13N11-2326-SM-5IJBF 50-59 years, female 118.9
GTEX-Y5V5-0126-SM-5S2NW 60-69 years, female 118.8
GTEX-1477Z-0326-SM-7IGLA 60-69 years, male 117.9
GTEX-13U4I-2226-SM-5LU5H 40-49 years, female 116.7
GTEX-1A3MX-2626-SM-7PC24 60-69 years, male 116.7
GTEX-17HG3-2626-SM-7DUF2 30-39 years, female 116.1
GTEX-15D1Q-2826-SM-6LLH7 40-49 years, male 114.7
GTEX-146FQ-2126-SM-5RQHU 30-39 years, male 114.6
GTEX-13N2G-0226-SM-5K7VF 60-69 years, male 112.8
GTEX-1IDJF-2026-SM-CL53V 20-29 years, male 112.1
GTEX-1O9I2-0226-SM-EYYXD 50-59 years, male 111.9
GTEX-16GPK-0626-SM-7KFSF 60-69 years, male 111.4
GTEX-1J8JJ-0626-SM-ARZMQ 60-69 years, female 110.9
GTEX-132AR-0326-SM-5KM2C 50-59 years, female 110.5
GTEX-11EI6-2826-SM-5H11D 60-69 years, male 110.4
GTEX-13113-1626-SM-5EQ4I 60-69 years, female 109.8
GTEX-14BMV-2826-SM-5TDED 50-59 years, male 109.7
GTEX-1H1DF-1126-SM-9WG7G 40-49 years, female 109.2
GTEX-XMD2-2126-SM-4YCF8 60-69 years, female 108.9
GTEX-12BJ1-0926-SM-5EQ62 60-69 years, male 106.5
GTEX-1CAV2-0126-SM-7IGN7 40-49 years, female 106.1
GTEX-145LT-0526-SM-5LUB2 40-49 years, male 105.8
GTEX-1E1VI-0326-SM-793D1 50-59 years, male 105.8
GTEX-13PVR-0426-SM-5RQK2 60-69 years, female 104.8
GTEX-15EU6-2226-SM-6EU2L 50-59 years, male 104.6
GTEX-1GF9U-2026-SM-7SB92 40-49 years, female 104.6
GTEX-14E6E-0526-SM-793DN 30-39 years, male 104.3
GTEX-ZVE1-0726-SM-51MRN 50-59 years, female 103.6
GTEX-13FH7-1126-SM-5K7UG 50-59 years, female 102.7
GTEX-1HSMO-0626-SM-ACKXC 60-69 years, male 100.4
GTEX-1IDFM-0326-SM-ARL7V 60-69 years, male 100.3
GTEX-117YX-1926-SM-5GIEC 50-59 years, male 99.3
GTEX-14DAQ-0626-SM-793DS 60-69 years, female 99.1
GTEX-WFG8-2126-SM-3GIKQ 20-29 years, male 99.0
GTEX-1H3NZ-2726-SM-9WYTQ 60-69 years, male 97.8
GTEX-11EM3-1226-SM-5N9DD 20-29 years, female 97.7
GTEX-1QCLZ-2426-SM-EVYBW 60-69 years, female 97.5
GTEX-1RAZR-2126-SM-E9U6T 40-49 years, male 97.3
GTEX-1A32A-0626-SM-731AQ 50-59 years, female 97.0
GTEX-WYBS-0626-SM-3NMAS 60-69 years, female 95.6
GTEX-ZYFG-1526-SM-5GZYM 60-69 years, female 94.4
GTEX-V1D1-2026-SM-3GAF4 50-59 years, male 93.6
GTEX-1QP66-1226-SM-DTX7U 50-59 years, male 92.6
GTEX-1L5NE-1126-SM-D3L9P 50-59 years, male 89.8
GTEX-14E6C-2426-SM-5S2NF 40-49 years, male 89.2
GTEX-1LGOU-1326-SM-D3L8M 20-29 years, female 88.4
GTEX-ZUA1-2626-SM-5NQ92 40-49 years, male 87.9
GTEX-1HUB1-1426-SM-CGQF5 60-69 years, male 86.9
GTEX-1F88E-1626-SM-7SB8Z 60-69 years, female 86.8
GTEX-ZAJG-1526-SM-5CVML 50-59 years, female 84.1
GTEX-17JCI-2926-SM-7DUFF 60-69 years, female 83.3
GTEX-13JUV-2026-SM-5K7UA 40-49 years, female 78.8
GTEX-ZT9W-1126-SM-57WDR 50-59 years, male 78.7
GTEX-1IDJE-1426-SM-ADEIW 50-59 years, female 77.5
GTEX-VJYA-1526-SM-3GIJV 60-69 years, male 77.0
GTEX-12WSL-2026-SM-5GCML 50-59 years, male 76.7
GTEX-13QBU-1226-SM-5LU4G 40-49 years, female 73.9
GTEX-1RAZA-2226-SM-E9U4X 20-29 years, male 73.8
GTEX-14PJ2-0626-SM-6LLII 50-59 years, male 72.2
GTEX-UPK5-0426-SM-3GAEK 40-49 years, male 64.2
GTEX-ZVTK-0226-SM-51MRG 20-29 years, male 59.2
GTEX-1I19N-0126-SM-CYPSF 70-79 years, male 58.7
GTEX-1F6IF-0926-SM-7SB7M 60-69 years, male 58.2
GTEX-YB5K-2026-SM-4VDT3 40-49 years, female 51.6
GTEX-1399R-1326-SM-5PNYS 30-39 years, male 48.6
GTEX-1F75W-2726-SM-7SB8H 60-69 years, male 42.1
Show allShow less
Skin - Sun Exposed (Lower leg)
Average nTPM: 215.9
Samples: 701

Max nTPM: 726.5
Min nTPM: 5.7
Std nTPM: 94.5
Median nTPM: 203.5
GTEX-1JMLX-0226-SM-CM2RO 50-59 years, male 726.5
GTEX-P4QT-0126-SM-2I3FL 50-59 years, female 695.5
GTEX-1R9PM-2026-SM-E76OY 20-29 years, male 552.3
GTEX-Y3IK-2426-SM-4WWDU 50-59 years, female 551.2
GTEX-ZGAY-0526-SM-4WWBB 40-49 years, female 546.3
GTEX-ZXES-1826-SM-5E43S 30-39 years, female 531.8
GTEX-1CAV2-2226-SM-7P8P2 40-49 years, female 512.3
GTEX-XUZC-1726-SM-4BRWS 30-39 years, female 506.2
GTEX-POMQ-2226-SM-2I5FK 20-29 years, female 496.7
GTEX-15ER7-0326-SM-7KUEV 20-29 years, female 493.1
GTEX-1PIIG-0226-SM-EWRN6 30-39 years, male 476.8
GTEX-11DXZ-2326-SM-5EGGV 50-59 years, male 475.6
GTEX-13FXS-0226-SM-5IJCK 50-59 years, male 460.7
GTEX-1I1GV-0526-SM-A9G29 60-69 years, male 443.2
GTEX-ZTX8-1426-SM-5DUVO 20-29 years, male 432.9
GTEX-U412-0426-SM-3DB9O 60-69 years, male 432.7
GTEX-1OJC3-0126-SM-E76QX 20-29 years, male 428.0
GTEX-PSDG-0226-SM-DKPOZ 50-59 years, male 424.9
GTEX-Y114-2426-SM-4TT8A 50-59 years, female 423.0
GTEX-1KANC-1526-SM-D3LAB 50-59 years, female 422.8
GTEX-11DYG-0126-SM-59883 60-69 years, male 413.0
GTEX-131XE-2326-SM-5PNZ2 50-59 years, male 412.9
GTEX-14PN4-0126-SM-6EU2V 50-59 years, male 411.1
GTEX-T6MN-0126-SM-32PLP 50-59 years, male 410.9
GTEX-1B8KE-2126-SM-73KYX 50-59 years, male 404.2
GTEX-1LBAC-0126-SM-DIPEZ 20-29 years, male 402.7
GTEX-13111-1626-SM-5EGJY 50-59 years, male 401.9
GTEX-17JCI-0126-SM-7LG5G 60-69 years, female 399.5
GTEX-13FTW-2626-SM-5K7WL 40-49 years, male 395.5
GTEX-1LG7Z-1726-SM-D3LA4 30-39 years, male 390.4
GTEX-1EMGI-0126-SM-9KNUE 60-69 years, male 389.1
GTEX-18D9A-1926-SM-7LG6P 30-39 years, female 388.5
GTEX-YB5E-2026-SM-5IFIS 40-49 years, male 387.0
GTEX-SN8G-0126-SM-32PLI 50-59 years, female 383.6
GTEX-1E2YA-0126-SM-9KNUC 50-59 years, male 381.7
GTEX-ZVTK-0426-SM-51MRS 20-29 years, male 377.3
GTEX-1L5NE-2526-SM-E6CIE 50-59 years, male 377.0
GTEX-14PII-0226-SM-6EU1T 60-69 years, male 376.1
GTEX-1JMPY-1326-SM-ARL8Y 30-39 years, male 374.5
GTEX-1OFPY-2426-SM-DTXEJ 60-69 years, male 372.5
GTEX-139UW-2826-SM-5L3E7 60-69 years, male 372.2
GTEX-1122O-2126-SM-5EGIR 60-69 years, female 369.1
GTEX-ZF3C-0126-SM-DO92D 50-59 years, female 366.4
GTEX-ZVZO-0126-SM-5A5L9 40-49 years, male 365.2
GTEX-1K2DU-2326-SM-E9TIV 20-29 years, male 364.2
GTEX-UJHI-1526-SM-3DB99 50-59 years, female 363.8
GTEX-OIZH-0126-SM-2HMIS 50-59 years, male 362.9
GTEX-ZWKS-0126-SM-5SIAA 30-39 years, male 362.3
GTEX-1LB8K-0226-SM-EWRNW 50-59 years, male 360.8
GTEX-W5X1-3026-SM-EAZAX 40-49 years, female 359.5
GTEX-117XS-2726-SM-5N9BL 60-69 years, male 357.7
GTEX-TKQ1-1026-SM-4GICL 30-39 years, male 356.2
GTEX-13OVH-0126-SM-5MR4B 70-79 years, male 355.0
GTEX-1EWIQ-0126-SM-7RHH2 70-79 years, female 352.9
GTEX-ZU9S-0226-SM-5E441 30-39 years, male 352.8
GTEX-1JMQL-0226-SM-CNPP5 50-59 years, female 352.6
GTEX-RTLS-0126-SM-447CA 60-69 years, female 351.4
GTEX-U8T8-0126-SM-3DB94 60-69 years, male 349.6
GTEX-1F5PL-0326-SM-7P8PQ 40-49 years, female 349.5
GTEX-1I1GT-0626-SM-CGQER 60-69 years, female 347.9
GTEX-1KD4Q-0226-SM-E9TJ9 40-49 years, male 347.3
GTEX-1H1DG-0126-SM-9WYU2 70-79 years, male 347.1
GTEX-PX3G-0126-SM-2I3EN 20-29 years, female 345.8
GTEX-OOBJ-0126-SM-E6CJW 60-69 years, male 344.7
GTEX-ZVZP-2426-SM-59HKJ 50-59 years, male 342.1
GTEX-1S3DN-2226-SM-EVYCD 50-59 years, male 341.9
GTEX-1JN6P-0126-SM-D3L98 60-69 years, male 339.7
GTEX-1GMR3-1926-SM-9KNUZ 40-49 years, male 339.3
GTEX-Y8DK-0126-SM-4TT3L 60-69 years, male 339.1
GTEX-1QP9N-1426-SM-DTXFL 30-39 years, male 336.0
GTEX-17EVP-0326-SM-7DHLG 40-49 years, male 335.8
GTEX-13CF2-2526-SM-5LZYX 60-69 years, male 335.4
GTEX-YJ89-0126-SM-4TT3X 60-69 years, male 335.0
GTEX-1JJEA-0326-SM-CNPOT 60-69 years, male 333.5
GTEX-X88G-0126-SM-47JZ3 30-39 years, male 332.0
GTEX-145MO-0326-SM-5Q5B3 60-69 years, male 331.3
GTEX-ZF2S-2326-SM-4WWCE 50-59 years, female 331.3
GTEX-17GQL-2026-SM-718BA 60-69 years, male 330.0
GTEX-111FC-0126-SM-5N9DL 60-69 years, male 328.6
GTEX-1B8SF-1426-SM-7DUGL 60-69 years, male 328.5
GTEX-ZV68-0126-SM-59HKS 50-59 years, female 327.2
GTEX-XBEW-0626-SM-4QASP 40-49 years, male 326.4
GTEX-131YS-0126-SM-5KM1M 60-69 years, female 325.7
GTEX-1H4P4-0726-SM-9YFLR 50-59 years, male 325.0
GTEX-1GF9V-0326-SM-7RHI5 60-69 years, male 324.8
GTEX-1H1CY-2826-SM-9MQM3 60-69 years, female 324.8
GTEX-145MN-2226-SM-5SIAU 30-39 years, male 323.9
GTEX-15ETS-0126-SM-7KUMW 40-49 years, female 323.2
GTEX-1399U-2326-SM-5K7WY 50-59 years, female 322.4
GTEX-1399R-2726-SM-5IJBA 30-39 years, male 320.5
GTEX-NFK9-0226-SM-2HMKQ 40-49 years, male 320.5
GTEX-T2YK-0526-SM-32QPJ 50-59 years, male 320.4
GTEX-1IKJJ-0126-SM-CNPQB 60-69 years, male 319.9
GTEX-1HSKV-0226-SM-A9SKJ 60-69 years, male 319.6
GTEX-ZPIC-1726-SM-DHXIU 40-49 years, female 319.6
GTEX-1JN1M-0326-SM-CYPT3 60-69 years, female 318.6
GTEX-1K2DA-1826-SM-CGQGT 50-59 years, male 317.9
GTEX-1QPFJ-0226-SM-E76PB 30-39 years, female 317.6
GTEX-WI4N-1026-SM-3LK7N 40-49 years, female 316.9
GTEX-WYJK-0126-SM-3NMAB 50-59 years, male 315.5
GTEX-X4XX-0126-SM-3NMC2 60-69 years, male 315.1
GTEX-139TS-2826-SM-5J1OO 60-69 years, male 314.6
GTEX-S33H-1026-SM-EZ6L6 30-39 years, male 313.2
GTEX-T2IS-0126-SM-4DM6O 20-29 years, female 312.9
GTEX-14XAO-2326-SM-6EU1B 60-69 years, female 308.1
GTEX-1MJK2-0426-SM-DTXE5 50-59 years, male 308.1
GTEX-1IL2U-0226-SM-CE6T8 60-69 years, male 307.2
GTEX-1I4MK-2226-SM-ACKWD 50-59 years, female 307.0
GTEX-1PPH8-0226-SM-E8VND 20-29 years, male 306.6
GTEX-145ME-1826-SM-5SI9G 40-49 years, female 306.0
GTEX-1LVAN-0226-SM-COH3S 50-59 years, female 305.7
GTEX-12126-0326-SM-5PNW3 20-29 years, male 305.4
GTEX-13PDP-0126-SM-5L3HD 60-69 years, male 305.2
GTEX-WFON-2126-SM-3LK7O 40-49 years, male 303.8
GTEX-1GF9W-0326-SM-9KNUN 60-69 years, male 300.3
GTEX-1KWVE-1426-SM-E9TJO 30-39 years, male 299.7
GTEX-16GPK-0126-SM-7DHLE 60-69 years, male 298.8
GTEX-13OVK-2026-SM-7KUEO 40-49 years, male 296.4
GTEX-O5YW-0126-SM-3LK6D 50-59 years, male 296.4
GTEX-1HCU9-1526-SM-A9SL7 20-29 years, male 296.1
GTEX-1KXAM-2226-SM-CYPTC 60-69 years, male 295.8
GTEX-1B8L1-2526-SM-9WYTF 60-69 years, male 295.6
GTEX-1CB4I-0226-SM-79OLH 50-59 years, male 292.8
GTEX-YB5K-2126-SM-4WWDJ 40-49 years, female 292.1
GTEX-15F5U-1526-SM-6PANO 40-49 years, male 291.8
GTEX-1C4CL-0526-SM-73KVK 30-39 years, male 291.7
GTEX-T5JW-1626-SM-3GADZ 20-29 years, female 291.7
GTEX-1HSGN-0226-SM-CGQFV 40-49 years, female 291.0
GTEX-131XF-5016-SM-7MGWE 60-69 years, male 290.4
GTEX-1C475-1826-SM-73KWA 40-49 years, female 289.1
GTEX-18QFQ-0126-SM-731BE 30-39 years, male 288.6
GTEX-1GN1U-0126-SM-7PBZK 50-59 years, female 288.4
GTEX-1LSNM-1926-SM-E6CII 50-59 years, male 288.0
GTEX-1IDJH-0326-SM-A9SLQ 70-79 years, male 287.6
GTEX-1MA7W-2026-SM-E9TJ6 20-29 years, female 286.8
GTEX-1GN2E-0426-SM-9MQKX 60-69 years, male 286.3
GTEX-18A67-0126-SM-7LG5P 50-59 years, male 286.0
GTEX-QESD-1426-SM-2S1R9 20-29 years, male 285.7
GTEX-14JG1-0426-SM-6ETZZ 40-49 years, male 285.3
GTEX-1LH75-2426-SM-E9TJE 50-59 years, female 284.9
GTEX-1KANA-0726-SM-D3L9I 20-29 years, male 284.5
GTEX-13112-2826-SM-5DUWH 50-59 years, male 284.3
GTEX-13NYB-2526-SM-5K7Z6 40-49 years, male 284.2
GTEX-1JN76-0126-SM-CNPPE 20-29 years, female 284.1
GTEX-ZYT6-0226-SM-5NQ6T 30-39 years, male 283.7
GTEX-1GZHY-0326-SM-9QEHI 50-59 years, female 283.4
GTEX-12WSE-0526-SM-793B2 20-29 years, male 283.2
GTEX-12696-2426-SM-5EQ6H 60-69 years, male 282.6
GTEX-131XH-2226-SM-5DUXJ 50-59 years, male 281.8
GTEX-1S5ZA-0126-SM-EVYCV 20-29 years, male 281.0
GTEX-15RIG-0226-SM-7KFTL 40-49 years, male 280.8
GTEX-1JJ6O-0126-SM-E6CI8 60-69 years, male 280.2
GTEX-18A6Q-0126-SM-731BZ 60-69 years, male 279.8
GTEX-1JMQJ-0526-SM-CYPSU 50-59 years, male 279.6
GTEX-1HCUA-2426-SM-ADEIS 50-59 years, female 279.3
GTEX-139D8-0226-SM-5KLZO 30-39 years, female 279.1
GTEX-1QCLY-0326-SM-E8VOG 30-39 years, male 279.1
GTEX-1JMPZ-0226-SM-CNPP1 30-39 years, male 278.7
GTEX-XAJ8-0826-SM-47JY6 40-49 years, male 278.5
GTEX-132NY-0326-SM-5IJBL 60-69 years, male 277.7
GTEX-1CB4F-0426-SM-9KNV4 60-69 years, male 277.7
GTEX-1IOXB-0126-SM-ARL8G 50-59 years, male 276.9
GTEX-ZDTS-0126-SM-4WAY5 60-69 years, male 276.7
GTEX-ZYFD-0126-SM-5GIDL 50-59 years, male 276.7
GTEX-1S83E-0126-SM-EWRO4 40-49 years, male 276.3
GTEX-1212Z-2526-SM-5EGKP 60-69 years, male 276.2
GTEX-SUCS-1926-SM-32PM3 70-79 years, male 274.9
GTEX-1PFEY-1526-SM-E76PP 30-39 years, male 274.6
GTEX-P4PP-0126-SM-3LK69 30-39 years, female 273.5
GTEX-1IKK5-0626-SM-ARL8A 60-69 years, male 273.4
GTEX-12WSJ-1826-SM-5GCNY 40-49 years, female 271.3
GTEX-1R7EU-0226-SM-EVR4G 60-69 years, male 271.3
GTEX-12WSG-2826-SM-E9J4H 50-59 years, female 270.7
GTEX-1PDJ9-0326-SM-DTX95 20-29 years, male 270.7
GTEX-1KAFJ-2026-SM-CY8ID 50-59 years, male 270.1
GTEX-11UD1-0126-SM-5PNYG 40-49 years, female 270.0
GTEX-17F96-1626-SM-7DUFL 70-79 years, male 269.5
GTEX-Z93S-0126-SM-5HL7M 50-59 years, male 269.5
GTEX-X5EB-2226-SM-46MW4 40-49 years, male 269.3
GTEX-Y8E4-0626-SM-4WWDL 40-49 years, male 268.7
GTEX-13FHP-0126-SM-5IJBG 50-59 years, male 268.4
GTEX-Z93T-0126-SM-5HL5N 50-59 years, male 268.4
GTEX-ZVT2-2526-SM-51MT1 50-59 years, female 267.0
GTEX-13JUV-2726-SM-5LZZ8 40-49 years, female 266.7
GTEX-ZAB4-0226-SM-5N9F5 40-49 years, male 266.5
GTEX-1PIGE-0126-SM-EVYBJ 20-29 years, male 266.5
GTEX-131XG-2626-SM-5KM17 50-59 years, female 266.1
GTEX-WYVS-2126-SM-3NMA3 40-49 years, female 266.0
GTEX-1R46S-0626-SM-E9J41 60-69 years, female 265.8
GTEX-ZV6S-2326-SM-4YCEY 40-49 years, female 265.5
GTEX-1LGRB-2526-SM-CNPPQ 50-59 years, female 264.8
GTEX-1CB4E-2226-SM-793DC 60-69 years, male 264.7
GTEX-ZYFC-0226-SM-5NQ75 50-59 years, male 263.6
GTEX-X8HC-0126-SM-4E3JW 50-59 years, female 263.0
GTEX-14PJ6-2126-SM-6EU1V 60-69 years, female 262.8
GTEX-14A5H-0426-SM-5QGQF 60-69 years, male 260.9
GTEX-Y111-0126-SM-4SOIV 50-59 years, male 260.9
GTEX-1AX9J-0226-SM-73KXM 60-69 years, male 260.1
GTEX-1GF9X-2026-SM-7PC3A 40-49 years, female 259.9
GTEX-1J1OQ-0226-SM-CYPSH 40-49 years, female 259.2
GTEX-1GMRU-0126-SM-9YFLV 50-59 years, male 258.9
GTEX-ZTSS-1926-SM-57WEW 40-49 years, male 258.4
GTEX-17KNJ-2326-SM-7DHLQ 50-59 years, male 257.5
GTEX-13X6J-0126-SM-5QGOU 50-59 years, male 256.5
GTEX-14A5I-0126-SM-5TDEA 50-59 years, female 256.0
GTEX-1F6RS-0126-SM-9MQKZ 60-69 years, female 255.6
GTEX-O5YT-0126-SM-48TBW 20-29 years, male 255.2
GTEX-1313W-0126-SM-5LZUN 50-59 years, female 254.9
GTEX-1RDX4-0126-SM-E9J4P 50-59 years, female 254.8
GTEX-1I1GQ-0126-SM-COH3H 50-59 years, male 254.4
GTEX-13RTK-1426-SM-5QGQJ 20-29 years, male 254.2
GTEX-X585-0226-SM-4QAS2 50-59 years, male 253.9
GTEX-1399T-2826-SM-5KLYZ 60-69 years, male 253.0
GTEX-1HGF4-2426-SM-ACKXM 60-69 years, male 252.8
GTEX-1BAJH-0526-SM-793CQ 70-79 years, male 251.4
GTEX-145MI-0526-SM-5O9A8 60-69 years, female 250.0
GTEX-1JMQI-2226-SM-CM2SD 50-59 years, male 248.3
GTEX-1QAET-0926-SM-E76QM 50-59 years, male 248.2
GTEX-11EQ9-2426-SM-5HL5T 30-39 years, male 248.1
GTEX-1B8SG-0126-SM-73KZ3 50-59 years, male 247.8
GTEX-XPVG-2626-SM-4B669 50-59 years, male 247.4
GTEX-11TUW-2726-SM-E9J4M 60-69 years, male 247.4
GTEX-1H11D-0226-SM-9WG6Z 40-49 years, male 246.9
GTEX-13O21-1426-SM-5K7XI 50-59 years, male 245.7
GTEX-X4EO-0326-SM-3P5YO 60-69 years, female 245.7
GTEX-WQUQ-0426-SM-3MJFU 60-69 years, male 244.8
GTEX-17HG3-2226-SM-7938L 30-39 years, female 244.6
GTEX-14E6D-0126-SM-62LDV 50-59 years, male 244.0
GTEX-13X6H-2126-SM-7EWD5 50-59 years, female 243.9
GTEX-15SB6-1726-SM-6PAME 50-59 years, female 243.5
GTEX-XUYS-0126-SM-47JWZ 50-59 years, male 243.0
GTEX-1J8QM-2126-SM-CYPSJ 60-69 years, female 242.1
GTEX-13NZB-2526-SM-5J1OM 30-39 years, male 241.8
GTEX-1QMI2-0226-SM-EVYBX 60-69 years, male 241.8
GTEX-RWSA-0126-SM-2XCBB 40-49 years, male 241.7
GTEX-1HCVE-0126-SM-CGQEU 50-59 years, male 241.7
GTEX-14LZ3-0226-SM-62LET 60-69 years, female 241.1
GTEX-1M5QR-1226-SM-EWROB 40-49 years, male 240.8
GTEX-1HCU6-0126-SM-CL54K 60-69 years, female 240.4
GTEX-1N2EF-0226-SM-EYYXB 60-69 years, male 239.7
GTEX-1JMQK-0226-SM-CL543 60-69 years, male 239.6
GTEX-OIZG-0726-SM-33HBL 50-59 years, male 239.5
GTEX-12ZZZ-0626-SM-5DUXI 60-69 years, male 239.3
GTEX-1RB15-2126-SM-E9TIM 60-69 years, male 238.0
GTEX-1HCU8-0626-SM-A9SM9 60-69 years, female 237.8
GTEX-1GPI7-0126-SM-9MQL8 20-29 years, male 237.6
GTEX-1269C-2526-SM-5EGJ3 60-69 years, female 236.8
GTEX-144GL-0126-SM-5TDE2 50-59 years, male 236.7
GTEX-14PJM-0226-SM-62LF1 50-59 years, female 236.3
GTEX-ZZ64-1726-SM-5GZYB 20-29 years, male 236.1
GTEX-1HFI6-0226-SM-ADEHZ 40-49 years, male 234.8
GTEX-13IVO-0126-SM-5J1NG 70-79 years, male 234.7
GTEX-13SLW-0126-SM-5SI6C 70-79 years, male 234.4
GTEX-OHPL-0126-SM-2HMJ7 60-69 years, female 234.4
GTEX-1MCQQ-0826-SM-DLHC2 60-69 years, male 234.4
GTEX-14C5O-0126-SM-5SI6N 60-69 years, male 234.0
GTEX-1C64N-0126-SM-793D7 50-59 years, male 232.6
GTEX-15SHU-0126-SM-7KUEH 40-49 years, female 232.4
GTEX-WXYG-2326-SM-4E3I6 50-59 years, female 232.4
GTEX-1B97I-1626-SM-73KYO 40-49 years, male 232.1
GTEX-1NV5F-0226-SM-E8VNY 60-69 years, female 231.9
GTEX-12WSK-2326-SM-5GCOH 40-49 years, female 231.2
GTEX-1CB4G-0226-SM-7PC3O 60-69 years, male 231.0
GTEX-14PHX-2326-SM-62LEM 50-59 years, male 230.8
GTEX-X261-0126-SM-3NMD6 50-59 years, male 230.6
GTEX-13NZ8-0826-SM-5MR3I 60-69 years, female 229.3
GTEX-14ICK-0226-SM-6EU25 40-49 years, male 228.9
GTEX-13YAN-0326-SM-5O9DF 60-69 years, male 228.6
GTEX-1CB4H-0226-SM-7PBXM 60-69 years, female 228.3
GTEX-1N2DW-0226-SM-E9TK2 50-59 years, male 228.2
GTEX-1HT8W-0126-SM-CNPPP 30-39 years, male 228.0
GTEX-13CF3-2426-SM-5IFGX 60-69 years, female 226.8
GTEX-1J8JJ-0226-SM-CL53I 60-69 years, female 226.8
GTEX-17HII-0226-SM-7LG4E 50-59 years, male 226.4
GTEX-148VI-1626-SM-5SI6E 60-69 years, female 226.3
GTEX-1O97I-0326-SM-EYYX7 60-69 years, male 225.8
GTEX-XQ3S-1526-SM-4BOOC 20-29 years, male 225.5
GTEX-S7SE-0126-SM-2XCD5 50-59 years, male 225.4
GTEX-13VXU-0126-SM-5SI9F 50-59 years, male 225.0
GTEX-ZYFG-2326-SM-5E44B 60-69 years, female 225.0
GTEX-13OW6-0426-SM-5L3HM 50-59 years, male 224.6
GTEX-18A7B-0126-SM-7LG64 70-79 years, male 224.4
GTEX-RVPV-0126-SM-EAZAW 60-69 years, male 224.0
GTEX-14753-0426-SM-5NQAM 60-69 years, male 223.6
GTEX-12WSC-0126-SM-5EQ4P 50-59 years, male 223.3
GTEX-ZF29-2326-SM-DO92K 60-69 years, female 223.3
GTEX-12WSA-0226-SM-5BC5V 60-69 years, male 222.8
GTEX-1HCU7-0226-SM-CL545 50-59 years, male 221.8
GTEX-17MFQ-1726-SM-793C7 20-29 years, male 221.5
GTEX-ZE9C-2726-SM-57WB5 60-69 years, male 221.5
GTEX-11ZTS-0126-SM-5EQ6M 60-69 years, female 221.0
GTEX-TML8-1926-SM-32QOS 40-49 years, female 220.6
GTEX-1HSEH-0126-SM-ACKXN 60-69 years, male 220.6
GTEX-ZAK1-0126-SM-5IJD3 50-59 years, female 219.7
GTEX-13OW8-1326-SM-5J1OW 60-69 years, male 218.9
GTEX-TMZS-0126-SM-3DB9Q 60-69 years, male 218.7
GTEX-18D9U-0226-SM-718BP 40-49 years, male 218.6
GTEX-11H98-0126-SM-5EGHG 50-59 years, male 218.5
GTEX-1HR98-0126-SM-B2LWI 60-69 years, male 218.2
GTEX-16BQI-0226-SM-7KUEX 30-39 years, female 217.5
GTEX-ZDTT-2726-SM-4WKF8 60-69 years, male 217.5
GTEX-169BO-1326-SM-9MQK2 50-59 years, male 217.4
GTEX-1QP66-1726-SM-E8VO1 50-59 years, male 217.4
GTEX-ZQUD-1426-SM-57WER 30-39 years, male 217.0
GTEX-S7PM-0126-SM-4AD6S 60-69 years, male 216.3
GTEX-15DYW-0126-SM-7KULE 60-69 years, female 215.9
GTEX-13FTY-0526-SM-5L3EV 40-49 years, female 215.7
GTEX-1HSMQ-1226-SM-CGQFX 50-59 years, male 215.7
GTEX-13S7M-0126-SM-5SI6A 60-69 years, female 215.2
GTEX-UPJH-0326-SM-3GADU 50-59 years, male 215.0
GTEX-13OW5-0126-SM-DTXFS 60-69 years, male 214.9
GTEX-1I6K6-0126-SM-A9SLE 30-39 years, male 214.7
GTEX-1HBPN-0226-SM-9YFM1 50-59 years, male 214.0
GTEX-1HBPI-1526-SM-C1YQ1 50-59 years, male 213.8
GTEX-RU72-0926-SM-2TF6B 50-59 years, female 213.3
GTEX-1GZ2Q-0226-SM-7P8TL 40-49 years, male 213.0
GTEX-YFC4-0126-SM-5CVLY 40-49 years, female 212.8
GTEX-1J8EW-0126-SM-CJI4F 60-69 years, female 212.2
GTEX-14BIN-0626-SM-793DP 50-59 years, female 212.0
GTEX-13N2G-2626-SM-5J1OT 60-69 years, male 211.7
GTEX-T5JC-0426-SM-32PLO 20-29 years, male 210.9
GTEX-1314G-1526-SM-5EGK2 30-39 years, male 210.7
GTEX-ZAJG-0126-SM-5HL94 50-59 years, female 210.0
GTEX-OXRN-0126-SM-48TDM 50-59 years, male 209.7
GTEX-1HFI7-1826-SM-ACKXH 50-59 years, female 209.5
GTEX-11P81-2326-SM-59875 30-39 years, female 209.3
GTEX-X4EP-0126-SM-3P5YV 60-69 years, female 207.9
GTEX-133LE-1826-SM-5J1MV 20-29 years, female 207.7
GTEX-12ZZY-0226-SM-5LZVE 60-69 years, male 207.4
GTEX-12WSD-0126-SM-59HKN 60-69 years, female 207.3
GTEX-14DAR-2026-SM-5S2O3 50-59 years, male 207.2
GTEX-Y5V5-2326-SM-4V6GA 60-69 years, female 206.9
GTEX-XXEK-2226-SM-4BRUM 50-59 years, male 206.6
GTEX-ZYY3-0126-SM-5GZY5 60-69 years, female 206.4
GTEX-1EN7A-0126-SM-7SB81 40-49 years, male 206.3
GTEX-XYKS-2126-SM-4E3IB 60-69 years, female 206.1
GTEX-1GTWX-0126-SM-9YFLK 60-69 years, male 206.1
GTEX-1LGOU-2026-SM-DIPFF 20-29 years, female 206.1
GTEX-1CAMQ-0226-SM-7IGPK 40-49 years, male 205.8
GTEX-16MT8-0426-SM-7KUEY 60-69 years, female 205.5
GTEX-18465-0126-SM-731BN 50-59 years, male 205.4
GTEX-ZVT4-0126-SM-DTXFN 50-59 years, female 204.9
GTEX-Y5LM-1926-SM-5RQJH 40-49 years, female 204.7
GTEX-1GZ4H-1726-SM-7PBZJ 50-59 years, female 204.6
GTEX-12ZZX-0126-SM-5EGK9 40-49 years, female 204.5
GTEX-1GN73-0226-SM-9WG67 60-69 years, male 204.5
GTEX-145LS-0126-SM-5QGP1 60-69 years, female 204.2
GTEX-14BMV-0126-SM-5S2PO 50-59 years, male 203.8
GTEX-VUSG-2526-SM-4KL1V 50-59 years, male 203.8
GTEX-1H3VE-0326-SM-9YFLH 40-49 years, male 203.7
GTEX-PLZ6-1426-SM-DKPOT 30-39 years, male 203.5
GTEX-11GSO-2426-SM-5A5LY 60-69 years, male 203.4
GTEX-145LV-2126-SM-5LU8N 50-59 years, male 203.4
GTEX-1C6VR-2426-SM-79OLD 60-69 years, male 203.4
GTEX-RNOR-0126-SM-E9J4R 50-59 years, female 203.4
GTEX-111VG-2426-SM-5GZXD 60-69 years, male 203.2
GTEX-14BMU-2226-SM-5TDE9 20-29 years, female 203.1
GTEX-1RAZA-0126-SM-E6CI3 20-29 years, male 202.6
GTEX-13G51-2526-SM-5LZYK 60-69 years, male 202.3
GTEX-1CAMR-1926-SM-7EPI2 20-29 years, male 202.0
GTEX-1EX96-1626-SM-7PBXR 50-59 years, male 201.8
GTEX-145MF-0626-SM-5LUAI 50-59 years, male 201.4
GTEX-QV44-1926-SM-2S1RF 50-59 years, male 201.4
GTEX-1IL2V-0126-SM-CM2TX 70-79 years, male 200.5
GTEX-12584-0126-SM-5EGKQ 40-49 years, male 200.1
GTEX-1IDJF-0126-SM-CM2RS 20-29 years, male 199.7
GTEX-SIU8-0126-SM-2XCDT 50-59 years, male 199.4
GTEX-17F97-0326-SM-7LG5B 50-59 years, male 199.3
GTEX-13SLX-0526-SM-5S2ON 50-59 years, female 199.2
GTEX-13PVR-2326-SM-5QGR1 60-69 years, female 199.0
GTEX-11UD2-0226-SM-5EQKY 50-59 years, male 198.3
GTEX-13O1R-0126-SM-5L3EH 60-69 years, male 198.2
GTEX-1F6I4-0126-SM-9MQL2 60-69 years, male 198.0
GTEX-1J8Q2-0526-SM-CM2RW 60-69 years, male 198.0
GTEX-X4XY-0226-SM-4E3IZ 60-69 years, male 197.3
GTEX-13FTX-1826-SM-5J1NX 20-29 years, female 196.7
GTEX-15DDE-0126-SM-6LPKH 50-59 years, female 196.3
GTEX-S95S-1226-SM-4GICG 60-69 years, male 194.6
GTEX-11XUK-2026-SM-5EQLF 40-49 years, female 194.1
GTEX-S32W-2126-SM-2XCB1 50-59 years, female 194.0
GTEX-11GSP-2526-SM-5N9BP 60-69 years, female 193.8
GTEX-QEG4-0226-SM-2S1PY 30-39 years, male 193.8
GTEX-11OC5-0126-SM-5HL6A 60-69 years, male 193.5
GTEX-13O3P-0126-SM-5KM4S 50-59 years, male 193.5
GTEX-139TU-0126-SM-5K7WH 60-69 years, male 193.4
GTEX-17F98-0626-SM-79OMX 40-49 years, female 193.0
GTEX-ZQG8-1626-SM-DHXIT 60-69 years, female 192.8
GTEX-13O3Q-2426-SM-5IJBR 50-59 years, male 192.2
GTEX-U8XE-0326-SM-3DB8P 30-39 years, male 190.9
GTEX-1S82Y-2026-SM-EVYCM 40-49 years, male 190.8
GTEX-12WSL-2526-SM-5GCNJ 50-59 years, male 190.6
GTEX-1I1GR-0126-SM-CL55F 60-69 years, male 190.6
GTEX-11DXW-0226-SM-5H122 40-49 years, male 190.4
GTEX-Y5V6-2426-SM-4VDSB 60-69 years, male 190.4
GTEX-1GL5R-1826-SM-9KNUY 50-59 years, male 190.3
GTEX-18A66-0226-SM-718BD 60-69 years, male 190.1
GTEX-1F75B-0126-SM-9KNVL 50-59 years, male 190.0
GTEX-16YQH-0126-SM-7DUFJ 30-39 years, male 189.7
GTEX-16XZZ-0126-SM-793DV 60-69 years, male 189.2
GTEX-1192W-2626-SM-5Q5AF 60-69 years, male 188.8
GTEX-1H1DE-2126-SM-9WG6R 20-29 years, male 188.5
GTEX-146FQ-0126-SM-5NQA9 30-39 years, male 187.4
GTEX-PWCY-1826-SM-DHXIZ 20-29 years, female 187.0
GTEX-QVJO-1626-SM-2S1QW 60-69 years, female 186.8
GTEX-1AX9I-0126-SM-7SB74 60-69 years, male 186.8
GTEX-13113-5016-SM-7EPIP 60-69 years, female 186.7
GTEX-17HHY-0126-SM-7LG5D 50-59 years, male 186.5
GTEX-1H3O1-0426-SM-9YFKY 60-69 years, male 186.1
GTEX-WH7G-2326-SM-3NMBC 40-49 years, male 186.0
GTEX-1J1R8-1726-SM-ARL8M 40-49 years, male 186.0
GTEX-11TT1-2526-SM-5EGIB 20-29 years, male 185.9
GTEX-ZE7O-0126-SM-57WC1 50-59 years, female 185.9
GTEX-1EU9M-0226-SM-7P8SP 60-69 years, male 185.5
GTEX-1F7RK-0126-SM-7PC2S 20-29 years, female 184.8
GTEX-T8EM-1026-SM-3DB7M 40-49 years, male 184.7
GTEX-WRHK-1426-SM-3MJF9 20-29 years, female 184.6
GTEX-11EI6-0126-SM-5985R 60-69 years, male 183.6
GTEX-1F75A-0126-SM-7RHGM 50-59 years, male 183.6
GTEX-ZDYS-2026-SM-5HL5L 50-59 years, male 183.4
GTEX-1LG7Y-0526-SM-DKPQC 50-59 years, male 183.2
GTEX-13QJ3-0326-SM-5S2RA 50-59 years, male 183.0
GTEX-ZEX8-2426-SM-4WKG4 50-59 years, male 182.9
GTEX-144FL-0126-SM-5TDC8 50-59 years, male 182.3
GTEX-1JKYR-0126-SM-CNPOJ 20-29 years, male 182.3
GTEX-13W46-0226-SM-5SIAG 50-59 years, male 181.7
GTEX-1IDJU-2626-SM-CM2RT 60-69 years, female 181.4
GTEX-13NYS-0126-SM-5MR3W 60-69 years, male 181.2
GTEX-WVJS-0126-SM-4MVOT 50-59 years, male 180.9
GTEX-13FH7-2026-SM-E9J4I 50-59 years, female 180.8
GTEX-11DXY-2626-SM-5GIE7 60-69 years, male 180.7
GTEX-XBED-2226-SM-47JYQ 60-69 years, male 180.7
GTEX-ZXG5-0126-SM-5GIEU 60-69 years, male 180.6
GTEX-1MUQO-0126-SM-EAZ58 60-69 years, male 180.3
GTEX-1HB9E-0226-SM-E9U4R 50-59 years, male 179.6
GTEX-1CB4J-0626-SM-7DHMP 60-69 years, male 179.0
GTEX-1IKOH-0226-SM-COH4E 60-69 years, female 179.0
GTEX-NPJ8-0126-SM-2YUNR 40-49 years, male 178.9
GTEX-1H2FU-0126-SM-9WYSI 60-69 years, female 178.9
GTEX-13O3O-0126-SM-E9J49 60-69 years, female 178.6
GTEX-11NSD-2226-SM-5986V 20-29 years, male 178.2
GTEX-1MGNQ-0126-SM-EVYCJ 40-49 years, male 178.1
GTEX-1B996-0226-SM-7RHGO 60-69 years, male 177.4
GTEX-18A7A-0226-SM-718BH 50-59 years, female 177.3
GTEX-1CAMS-0426-SM-7P8T2 40-49 years, female 176.1
GTEX-17EUY-0426-SM-793BD 20-29 years, male 175.6
GTEX-15UF6-0826-SM-6PALJ 70-79 years, female 175.5
GTEX-OHPM-0126-SM-2YUN9 50-59 years, male 175.4
GTEX-11EM3-2426-SM-59861 20-29 years, female 175.1
GTEX-XUW1-0426-SM-4BOOT 50-59 years, female 175.1
GTEX-1497J-2426-SM-7IGNX 60-69 years, male 174.9
GTEX-17HHE-2026-SM-79OKF 50-59 years, male 174.8
GTEX-1H3VY-0126-SM-ACKXD 50-59 years, male 174.1
GTEX-16AAH-1726-SM-7939C 50-59 years, male 173.4
GTEX-1F6IF-0726-SM-7P8TW 60-69 years, male 173.4
GTEX-117YW-2626-SM-5GZZH 50-59 years, male 172.9
GTEX-1211K-2026-SM-5EQ4Z 60-69 years, female 172.8
GTEX-14E6E-1826-SM-5S2R7 30-39 years, male 171.9
GTEX-1GMR8-0126-SM-9WYTM 50-59 years, female 171.9
GTEX-145LU-0126-SM-5TDCB 50-59 years, male 171.7
GTEX-1A8FM-0226-SM-7SB7Q 50-59 years, female 171.7
GTEX-T6MO-1626-SM-32QOM 40-49 years, female 171.4
GTEX-1E1VI-0126-SM-7DHMZ 50-59 years, male 170.7
GTEX-1S82Z-0826-SM-E6CHY 30-39 years, female 170.1
GTEX-1KANB-0526-SM-E6CJH 50-59 years, male 169.9
GTEX-113JC-2326-SM-5EQ4E 50-59 years, female 169.6
GTEX-11DZ1-0126-SM-5985Q 50-59 years, male 169.0
GTEX-1R7EV-2426-SM-EVYBG 40-49 years, male 169.0
GTEX-Q2AI-1326-SM-2S1PL 40-49 years, male 168.8
GTEX-1HSMP-0126-SM-E6CJS 70-79 years, male 168.5
GTEX-XQ8I-0426-SM-4BOPO 50-59 years, male 168.0
GTEX-1ICG6-2526-SM-CGQFZ 70-79 years, female 167.9
GTEX-W5WG-1826-SM-4KL2Y 50-59 years, female 167.8
GTEX-RM2N-1426-SM-2TF4H 50-59 years, male 167.7
GTEX-WY7C-2326-SM-3NB2U 50-59 years, male 167.6
GTEX-PWO3-1526-SM-48TCM 60-69 years, female 167.5
GTEX-1F52S-0126-SM-9MQJU 60-69 years, female 167.2
GTEX-WZTO-0126-SM-3NM95 40-49 years, male 166.9
GTEX-SNMC-1226-SM-2XCFP 20-29 years, male 166.8
GTEX-1I1GP-2226-SM-CGQFK 50-59 years, male 166.3
GTEX-PVOW-0126-SM-2XCFA 40-49 years, male 165.5
GTEX-1EKGG-0226-SM-9WYTH 60-69 years, male 165.4
GTEX-148VJ-0126-SM-5TDDN 70-79 years, male 164.6
GTEX-11P7K-2126-SM-5GU7G 30-39 years, male 164.0
GTEX-1POEN-0126-SM-EYYXJ 30-39 years, female 163.7
GTEX-1128S-2326-SM-5GZZY 60-69 years, female 163.3
GTEX-11LCK-1026-SM-5A5KB 30-39 years, male 163.3
GTEX-13RTJ-2426-SM-5S2Q2 60-69 years, male 163.0
GTEX-ZVE2-0226-SM-59HJB 50-59 years, male 162.8
GTEX-139TT-0126-SM-5K7Y5 60-69 years, male 162.7
GTEX-1H1ZS-0426-SM-9WG6G 70-79 years, male 161.8
GTEX-11OF3-2626-SM-5GU7F 60-69 years, male 161.6
GTEX-16NGA-1726-SM-731B4 40-49 years, female 160.4
GTEX-1192X-0226-SM-5H12D 50-59 years, male 160.1
GTEX-131XW-0426-SM-5LZWP 50-59 years, female 160.1
GTEX-PW2O-1526-SM-7RHHB 20-29 years, male 159.7
GTEX-1A3MV-1926-SM-718BT 30-39 years, male 158.6
GTEX-ZAB5-1826-SM-5HL7C 50-59 years, male 158.4
GTEX-13D11-2426-SM-5KM1V 50-59 years, female 158.0
GTEX-12KS4-0326-SM-5EQ41 30-39 years, male 157.8
GTEX-14E6C-0126-SM-5RQIP 40-49 years, male 157.8
GTEX-YEC4-2126-SM-5IFJH 40-49 years, male 157.7
GTEX-1KD5A-0226-SM-D5OV3 50-59 years, male 157.4
GTEX-15CHC-2126-SM-6EU21 60-69 years, female 156.9
GTEX-1B933-0126-SM-7PC29 50-59 years, female 156.8
GTEX-ZC5H-0226-SM-4WAY9 40-49 years, female 156.3
GTEX-12C56-1726-SM-5EQ61 20-29 years, male 155.9
GTEX-1IDFM-0126-SM-COH2V 60-69 years, male 155.9
GTEX-146FH-0126-SM-5QGPP 50-59 years, female 155.6
GTEX-1A3MX-0126-SM-731BR 60-69 years, male 155.4
GTEX-1K9T9-0126-SM-EVYCF 50-59 years, female 155.4
GTEX-OXRO-0126-SM-2YUN4 60-69 years, female 154.8
GTEX-ZY6K-1826-SM-5GZXK 50-59 years, male 154.8
GTEX-QCQG-1726-SM-3GIJ9 50-59 years, female 154.2
GTEX-15DCD-0126-SM-7KUEK 70-79 years, female 154.0
GTEX-OXRP-0126-SM-3NB32 60-69 years, female 153.6
GTEX-PLZ5-2026-SM-2S1O4 50-59 years, male 153.3
GTEX-1ICLZ-0126-SM-CKZPO 60-69 years, male 152.7
GTEX-17EVQ-0226-SM-7LG4P 70-79 years, male 152.4
GTEX-14JG6-2226-SM-6EU2G 30-39 years, female 152.3
GTEX-WFG8-2226-SM-3GIL9 20-29 years, male 151.9
GTEX-VJYA-1126-SM-3GIJU 60-69 years, male 151.8
GTEX-1R9K4-0126-SM-DTX9X 60-69 years, male 151.7
GTEX-16NPX-0226-SM-79OMT 50-59 years, male 151.5
GTEX-QDVJ-1726-SM-2I5FX 50-59 years, male 151.2
GTEX-U3ZM-1526-SM-3DB9D 40-49 years, male 151.2
GTEX-13OVL-0226-SM-5L3E9 50-59 years, male 150.9
GTEX-1A32A-0126-SM-718B1 50-59 years, female 150.5
GTEX-183FY-0126-SM-7LT9P 20-29 years, male 149.8
GTEX-117YX-2326-SM-5H12W 50-59 years, male 149.3
GTEX-Z9EW-1626-SM-5CVMN 40-49 years, male 148.9
GTEX-13U4I-0126-SM-5LU38 40-49 years, female 148.4
GTEX-ZYW4-0126-SM-5E44A 60-69 years, male 148.1
GTEX-11GS4-2726-SM-5A5LE 60-69 years, male 148.0
GTEX-1AX8Z-0126-SM-7DHM6 60-69 years, male 147.5
GTEX-14PN3-2426-SM-6LLHS 60-69 years, female 146.2
GTEX-1HBPM-0226-SM-ARL9F 60-69 years, female 146.1
GTEX-139T8-0126-SM-5K7XZ 60-69 years, male 146.0
GTEX-1C6WA-0126-SM-7PC2B 60-69 years, male 146.0
GTEX-13X6I-0626-SM-5QGP9 60-69 years, male 145.1
GTEX-14PK6-1926-SM-6ETZU 70-79 years, female 145.1
GTEX-OOBK-0126-SM-2YUND 40-49 years, male 144.7
GTEX-1MCYP-1926-SM-E9J2R 20-29 years, female 144.6
GTEX-1C2JI-1826-SM-73KXC 50-59 years, male 143.4
GTEX-1RQEC-0426-SM-E6CHU 60-69 years, male 143.3
GTEX-13N11-2526-SM-5K7UE 50-59 years, female 142.0
GTEX-1QP29-0626-SM-EWRMX 50-59 years, male 141.5
GTEX-1GF9U-2126-SM-7SB7L 40-49 years, female 141.3
GTEX-14LLW-0126-SM-6LLIO 70-79 years, female 140.8
GTEX-1H23P-0126-SM-ADEJ3 60-69 years, male 140.6
GTEX-18D9B-0526-SM-7LTAS 60-69 years, male 140.3
GTEX-13N1W-0126-SM-5K7VT 70-79 years, male 140.2
GTEX-14E7W-0126-SM-6LLJ9 70-79 years, male 140.1
GTEX-13NZA-0226-SM-5K7Z7 60-69 years, male 140.0
GTEX-1AMFI-2026-SM-731BH 50-59 years, female 140.0
GTEX-TMMY-0226-SM-33HBA 40-49 years, female 139.9
GTEX-13OVI-1426-SM-5L3EY 60-69 years, female 139.6
GTEX-SJXC-0126-SM-2XCFF 60-69 years, male 139.6
GTEX-15SDE-2226-SM-7IGLO 50-59 years, female 139.2
GTEX-R55G-2526-SM-2TC6D 40-49 years, female 139.2
GTEX-R3RS-0126-SM-3GIJL 40-49 years, female 139.1
GTEX-15G19-0126-SM-6PANQ 60-69 years, male 138.9
GTEX-1C6VQ-0126-SM-7P8RI 50-59 years, male 138.6
GTEX-1ICLY-0126-SM-D4P36 50-59 years, male 138.4
GTEX-1QEPI-0126-SM-EWRMQ 60-69 years, female 138.2
GTEX-13RTL-0126-SM-7LG5S 40-49 years, male 137.8
GTEX-YJ8A-0426-SM-5IFID 20-29 years, male 137.8
GTEX-1HSMO-0126-SM-CL547 60-69 years, male 137.6
GTEX-13OVJ-0126-SM-5KM36 50-59 years, female 137.3
GTEX-14BIM-0226-SM-7IGLD 60-69 years, female 137.2
GTEX-11DXX-2426-SM-5GZZW 60-69 years, female 137.1
GTEX-1M4P7-0226-SM-DIPEV 60-69 years, male 137.1
GTEX-1F5PK-2426-SM-7RHHY 50-59 years, male 137.0
GTEX-1PPH7-2326-SM-EVYB8 40-49 years, male 137.0
GTEX-1GPI6-0126-SM-9WG69 60-69 years, male 136.4
GTEX-17HGU-0226-SM-7DHKV 50-59 years, male 136.3
GTEX-1GN1V-0126-SM-9WPOS 60-69 years, male 136.3
GTEX-1I1CD-0126-SM-CM2TK 60-69 years, female 136.0
GTEX-145LT-1726-SM-5QGP3 40-49 years, male 134.7
GTEX-U3ZH-2026-SM-3DB78 30-39 years, male 134.7
GTEX-11ZVC-2526-SM-5FQTE 50-59 years, female 133.1
GTEX-147F4-0226-SM-5QGPW 50-59 years, male 133.0
GTEX-1JK1U-2026-SM-CM2RZ 60-69 years, male 133.0
GTEX-11WQC-2526-SM-5CVLE 60-69 years, male 132.5
GTEX-13OVG-1926-SM-5L3DK 60-69 years, male 132.1
GTEX-147GR-0526-SM-5S2MY 60-69 years, male 131.5
GTEX-1QP2A-0126-SM-E9J43 50-59 years, male 130.8
GTEX-11O72-0126-SM-59887 40-49 years, male 130.6
GTEX-1B8KZ-2026-SM-7DHMB 50-59 years, male 130.5
GTEX-147F3-0526-SM-5SI98 50-59 years, female 130.4
GTEX-11VI4-1726-SM-5CVLH 40-49 years, female 130.3
GTEX-1IGQW-0126-SM-COH42 60-69 years, male 129.7
GTEX-13VXT-0126-SM-5LU4I 20-29 years, female 129.4
GTEX-ZVT3-0126-SM-5GU6I 60-69 years, female 129.4
GTEX-RWS6-2026-SM-2XCB5 60-69 years, female 128.7
GTEX-11WQK-0526-SM-5EQLD 50-59 years, male 128.3
GTEX-1PWST-0226-SM-E76QJ 70-79 years, male 128.2
GTEX-TSE9-0126-SM-3DB83 60-69 years, female 127.9
GTEX-ZTPG-0326-SM-5O9AX 20-29 years, female 126.9
GTEX-U3ZN-2326-SM-3DB7W 30-39 years, female 126.8
GTEX-OXRK-0226-SM-3NB2G 50-59 years, female 126.4
GTEX-PLZ4-0126-SM-5SI8O 50-59 years, female 126.4
GTEX-1C64O-0126-SM-7SB8P 60-69 years, male 126.3
GTEX-1AYD5-2426-SM-73KXR 50-59 years, male 126.2
GTEX-VJWN-0126-SM-3GIK7 50-59 years, female 126.1
GTEX-14DAQ-0126-SM-5S2MQ 60-69 years, female 126.0
GTEX-14PJ3-1826-SM-62LEX 50-59 years, male 125.3
GTEX-1JJE9-0326-SM-CL53Z 70-79 years, male 125.3
GTEX-Y3I4-2126-SM-4TT7C 50-59 years, male 124.2
GTEX-11ZU8-2526-SM-5EQKI 60-69 years, male 124.1
GTEX-XV7Q-2526-SM-4BRV9 40-49 years, female 123.8
GTEX-17MF6-0126-SM-7LG4F 40-49 years, male 123.4
GTEX-Y8LW-1826-SM-5S2MV 50-59 years, female 123.2
GTEX-1J8Q3-1626-SM-CMKGC 60-69 years, male 123.2
GTEX-1H3NZ-0126-SM-ACKX7 60-69 years, male 122.9
GTEX-1I1GS-0126-SM-B2LVW 60-69 years, male 122.8
GTEX-R45C-0126-SM-EAZ2R 60-69 years, female 122.3
GTEX-1MA7X-2226-SM-E6CIY 60-69 years, male 121.2
GTEX-1JKYN-1326-SM-CGQG9 30-39 years, male 120.4
GTEX-13NYC-0326-SM-E9J4S 60-69 years, male 119.2
GTEX-13FHO-0226-SM-5IFGY 60-69 years, male 118.5
GTEX-15UKP-0426-SM-7KUFQ 20-29 years, male 118.3
GTEX-1IY9M-0126-SM-D3L8S 60-69 years, male 117.8
GTEX-QLQW-1126-SM-2S1Q8 30-39 years, male 117.7
GTEX-1HKZK-0326-SM-9WYUH 40-49 years, male 117.7
GTEX-11NUK-0126-SM-5A5L3 50-59 years, male 115.2
GTEX-1JMOU-1526-SM-CL54I 60-69 years, female 114.5
GTEX-1NHNU-1026-SM-E9J2A 50-59 years, male 114.5
GTEX-Q2AH-1626-SM-3GAF8 40-49 years, male 114.1
GTEX-144GN-2326-SM-5LU4F 50-59 years, male 114.0
GTEX-XMD2-0126-SM-4YCDU 60-69 years, female 113.8
GTEX-11EMC-2926-SM-5EQ4F 60-69 years, female 113.1
GTEX-QLQ7-1626-SM-2S1R8 60-69 years, male 112.8
GTEX-RN64-0126-SM-2TC68 50-59 years, male 112.7
GTEX-1I1GU-2226-SM-CGQFA 40-49 years, male 112.4
GTEX-11P82-1626-SM-59879 20-29 years, male 111.5
GTEX-1I19N-0326-SM-ACKVX 70-79 years, male 111.4
GTEX-P4PQ-0126-SM-2S1NM 60-69 years, male 111.3
GTEX-ZF28-0126-SM-4WKGK 60-69 years, male 111.2
GTEX-ZDXO-3026-SM-5J1N5 60-69 years, male 111.1
GTEX-R55E-0126-SM-2TC5Y 20-29 years, male 111.0
GTEX-183WM-0126-SM-7LTAB 70-79 years, female 110.9
GTEX-1N2DV-0226-SM-E6CJ6 40-49 years, male 110.9
GTEX-1A3MW-0126-SM-73KXX 60-69 years, female 110.1
GTEX-1LC47-0326-SM-E9TJP 60-69 years, male 108.5
GTEX-OIZF-0126-SM-7SB8I 60-69 years, male 108.5
GTEX-1F88F-2726-SM-7PBZZ 60-69 years, female 107.2
GTEX-13OW7-0126-SM-5MR3B 50-59 years, male 106.3
GTEX-13W3W-2426-SM-5LU5B 60-69 years, female 105.4
GTEX-Q2AG-0126-SM-33HBV 40-49 years, female 104.1
GTEX-QDVN-2026-SM-3GAEP 50-59 years, male 102.9
GTEX-SSA3-0126-SM-32QPU 60-69 years, male 101.4
GTEX-15EU6-0426-SM-6PAN5 50-59 years, male 100.6
GTEX-1C6VS-0526-SM-7DUEN 60-69 years, male 99.6
GTEX-P44H-0226-SM-2XCEU 40-49 years, male 99.6
GTEX-14ABY-0226-SM-5TDCQ 50-59 years, male 99.2
GTEX-V1D1-2226-SM-3NMAX 50-59 years, male 98.9
GTEX-1I1HK-0126-SM-COH49 60-69 years, male 98.1
GTEX-RUSQ-1526-SM-2TF62 50-59 years, male 97.6
GTEX-11ZTT-2426-SM-5EQLS 60-69 years, female 96.4
GTEX-15SHW-0326-SM-6PAML 60-69 years, male 94.4
GTEX-15D1Q-0126-SM-7KUG6 40-49 years, male 93.1
GTEX-1LNCM-1126-SM-E9U5E 50-59 years, female 93.1
GTEX-1AYCT-2426-SM-7IGQ3 50-59 years, male 92.7
GTEX-1AMEY-1326-SM-73KYK 30-39 years, female 92.1
GTEX-X638-0126-SM-47JZ8 70-79 years, female 90.9
GTEX-14BIL-0126-SM-5SI92 50-59 years, male 86.8
GTEX-Q734-1926-SM-2I5EV 40-49 years, female 86.2
GTEX-1H1E6-1726-SM-ACKVK 30-39 years, male 85.8
GTEX-WOFL-0126-SM-3MJG2 60-69 years, male 84.6
GTEX-11TTK-0126-SM-5987B 60-69 years, female 84.5
GTEX-1F48J-0126-SM-7P8TT 50-59 years, female 84.0
GTEX-1AX9K-2326-SM-73KWU 50-59 years, male 83.8
GTEX-1GN1W-0526-SM-9MQJQ 50-59 years, female 81.5
GTEX-QDT8-0126-SM-48TZ1 30-39 years, female 79.3
GTEX-14A6H-0126-SM-5QGPK 30-39 years, male 78.4
GTEX-14PHW-0126-SM-6LLJI 60-69 years, female 74.7
GTEX-1HUB1-0426-SM-E9U4U 60-69 years, male 72.3
GTEX-1IE54-0126-SM-CMKHW 40-49 years, female 71.2
GTEX-16XZY-2126-SM-79OK1 70-79 years, male 71.1
GTEX-ZUA1-0126-SM-5GU76 40-49 years, male 70.7
GTEX-OXRL-0126-SM-2YUMP 50-59 years, male 69.3
GTEX-1PBJI-0526-SM-E8VNK 20-29 years, female 68.7
GTEX-1OJC4-0126-SM-E9J2E 50-59 years, female 68.0
GTEX-12WSN-5019-SM-79OM6 40-49 years, male 64.8
GTEX-15EOM-0126-SM-7KUGG 20-29 years, female 63.7
GTEX-ZZPT-0226-SM-5E43X 50-59 years, male 63.6
GTEX-1RLM8-2326-SM-EWRN4 50-59 years, male 61.5
GTEX-X62O-0126-SM-4E3JN 50-59 years, male 49.6
GTEX-1F75I-0326-SM-9YFLU 40-49 years, male 46.1
GTEX-139T4-0226-SM-5HL5S 50-59 years, female 43.7
GTEX-113IC-0126-SM-5HL6T 60-69 years, male 41.2
GTEX-SE5C-1626-SM-2XCE3 40-49 years, female 39.8
GTEX-1R9PO-2126-SM-E9J4O 60-69 years, female 25.4
GTEX-11ZUS-0626-SM-59885 30-39 years, male 23.0
GTEX-U4B1-1826-SM-4DXSU 40-49 years, male 16.5
GTEX-1QW4Y-1526-SM-EAZ3Z 30-39 years, male 16.4
GTEX-14JIY-0126-SM-6LLH6 60-69 years, male 10.7
GTEX-1HBPH-0426-SM-B2LW5 40-49 years, female 9.8
GTEX-1QP67-1626-SM-EAZ3X 40-49 years, female 9.2
GTEX-1RAZQ-0726-SM-EAZ43 30-39 years, male 7.8
GTEX-146FR-1326-SM-E9J48 60-69 years, female 5.7
Show allShow less

Contact

  • NEWS ARTICLES
  • PRESS ROOM

The Project

  • INTRODUCTION
  • ORGANIZATION
  • PUBLICATIONS

The Human Protein Atlas

  • DOWNLOADABLE DATA
  • LICENCE & CITATION
  • HELP & FAQ
The Human Protein Atlas project is funded
by the Knut & Alice Wallenberg Foundation.


contact@proteinatlas.org