We use cookies to enhance the usability of our website. If you continue, we'll assume that you are happy to receive all cookies. More information. Don't show this again.
MUC6
HPA
RESOURCES
  • TISSUE
  • BRAIN
  • SINGLE CELL
  • SUBCELLULAR
  • CANCER
  • BLOOD
  • CELL LINE
  • STRUCTURE & INTERACTION
ABOUT
  • INTRODUCTION
  • HISTORY
  • ORGANIZATION
  • PUBLICATIONS
  • ANTIBODY SUBMISSION
  • ANTIBODY AVAILABILITY
  • ACKNOWLEDGMENTS
  • CONTACT
NEWS
  • NEWS ARTICLES
  • PRESS ROOM
LEARN
  • DICTIONARY
  • PROTEIN CLASSES
  • PROTEIN EVIDENCE
  • METHODS
  • EDUCATIONAL VIDEOS
DATA
  • DOWNLOADABLE DATA
  • PUBLICATION DATA
  • RELEASE HISTORY
HELP
  • ANTIBODY VALIDATION
  • ASSAYS & ANNOTATION
  • DISCLAIMER
  • HELP & FAQ
  • PRIVACY STATEMENT
  • LICENCE & CITATION
Fields »
Search result

Field
Term
Gene name
Class
Subclass
Class
Keyword
Chromosome
External id
Tissue
Cell type
Expression
Antibody panel
Tissue
Main location
Patient ID
Annotation
Tissue
Category
Tau score
Cluster
Reliability
Brain region
Category
Tau score
Brain region
Category
Tau score
Brain region
Category
Tau score
Cluster
Reliability
Tissue
Cell type
Enrichment
Cell type
Category
Tau score
Cell type
Category
Tau score
Cell type
Category
Tau score
Cell lineage
Category
Tau score
Cluster
Cluster
Location
Searches
Location
Cell line
Class
Type
Phase
Reliability
Cancer
Prognosis
Cancer
Category
Cancer
Category
Tau score
Cluster
Variants
Interacting gene (ensg_id)
Type
Number of interactions
Pathway
Category
Score
Score
Score
Validation
Validation
Validation
Validation
Antibodies
Data type
Column


  • SUMMARY

  • TISSUE

  • BRAIN

  • SINGLE CELL

  • SUBCELL

  • CANCER

  • BLOOD

  • CELL LINE

  • STRUCT & INT

  • MUC6
TISSUE PRIMARY DATA STOMACH 1 Show tissue menu
ADIPOSE TISSUE ADRENAL GLAND AMYGDALA APPENDIX BASAL GANGLIA BONE MARROW BREAST BRONCHUS CEREBELLUM CEREBRAL CORTEX CERVIX CHOROID PLEXUS COLON DUODENUM
ENDOMETRIUM EPIDIDYMIS ESOPHAGUS FALLOPIAN TUBE GALLBLADDER HEART MUSCLE HIPPOCAMPAL FORMATION HYPOTHALAMUS KIDNEY LIVER LUNG LYMPH NODE MIDBRAIN NASOPHARYNX
ORAL MUCOSA OVARY PANCREAS PARATHYROID GLAND PITUITARY GLAND PLACENTA PROSTATE RECTUM RETINA SALIVARY GLAND SEMINAL VESICLE SKELETAL MUSCLE SKIN SMALL INTESTINE
SMOOTH MUSCLE SOFT TISSUE SPINAL CORD SPLEEN STOMACH TESTIS THYMUS THYROID GLAND TONGUE TONSIL URINARY BLADDER VAGINA
ANTIBODIES
AND
VALIDATION
Dictionary
Tissue proteome
STOMACH - Expression summary
Protein expression
Stomachi

On the top, protein expression in current human tissue, based on all annotated cell types, is reported with the units not detected (n), low (l), medium (m) and high (h). Underneath, protein expression in each annotated cell type are reported using the same units.

Protein expression data is based on knowledge-based annotation. For genes where more than one antibody has been used, a collective score is set.

If knowledge-based annotation could not be performed for a gene, no data is displayed here. View antibody staining data further down this page.

h
m
l
n
Glandular cells: High
RNA expressioni

A summary of mRNA expression data available for current tissue based on several datasets. The mRNA expression levels in human tissues are based on RNA-seq data generated by the Human Protein Atlas (HPA), Genotype-Tissue Expression (GTEx) portal and CAGE data generated by the FANTOM5 consortium. Consensus normalized expression levels for human tissues was created by combining the data from HPA and GTEx datasets.

The mRNA expression levels in pig are based on RNA-seq data generated by the Human Protein Atlas (HPA), and for mouse, HPA data and in situ hybridization generated by the Allen brain atlas are reported.

Scroll down to view mRNA expression data in more detail.
Consensus:398.8 nTPM
HPA:25.4 nTPM
GTEx:398.8 nTPM

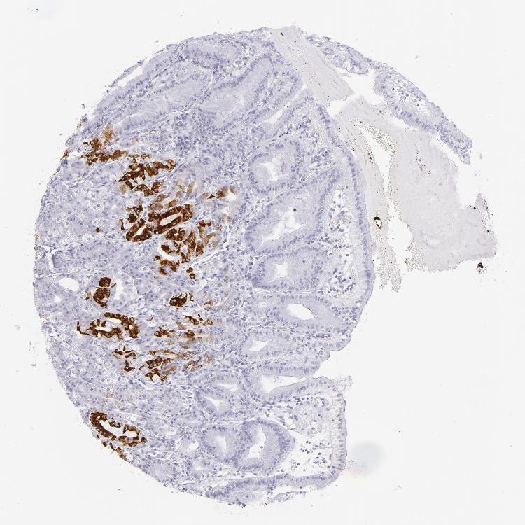
STOMACH 1 - Antibody stainingi

Antibody staining in the annotated cell types in the current human tissue is reported as not detected, low, medium, or high, based on conventional immunohistochemistry profiling in selected tissues. This score is based on the combination of the staining intensity and fraction of stained cells.

Each image is clickable and will lead to virtual microscopy that enables deeper exploration of all samples and also displays staining intensity scores, fraction scores and subcellular localization as well as patient and tissue information for each sample.

Antibody CAB002165
Glandular cells Medium


STOMACH 2 - Antibody stainingi

Antibody staining in the annotated cell types in the current human tissue is reported as not detected, low, medium, or high, based on conventional immunohistochemistry profiling in selected tissues. This score is based on the combination of the staining intensity and fraction of stained cells.

Each image is clickable and will lead to virtual microscopy that enables deeper exploration of all samples and also displays staining intensity scores, fraction scores and subcellular localization as well as patient and tissue information for each sample.

Antibody CAB002165
Glandular cells High


STOMACH - HPA RNA-seqi

The RNA-seq details section shows detailed information about the individual samples used for the transcript profiling and results of the RNA-seq analysis.

Information about each individual sample is listed below, including gender, age, a tissue section image and estimated fractions of cell types. nTPM (normalized transcripts per million) values give a quantification of the gene abundance which is comparable between different genes and samples.
Average nTPMi

Max subtype nTPM is the value for the subtype with the largest average nTPM across the subtype samples.

25.4
overview
Female, age 33
Stomach sample 61
nTPM: 15
Cell types%
Glandular cells:
60

Smooth muscle cells:
5

Other cell types:
35

N/A
Male, age 82
Stomach sample 240
nTPM: 18.8
Cell types%
Glandular cells:
65

Smooth muscle cells:
5

Other cell types:
30

overview
Male, age 71
Stomach sample 241
nTPM: 45.7
Cell types%
Glandular cells:
50

Smooth muscle cells:
5

Other cell types:
45

overview
Female, age 66
Stomach sample 369
nTPM: 22.3
Cell types%
Glandular cells:
50

Smooth muscle cells:
10

Other cell types:
40


STOMACH - GTEx RNA-seqi

RNA-Seq data generated by the Genotype-Tissue Expression (GTEx) project from human tissues is reported as mean nTPM. More information can be found on the GTEx portal.

Distribution across the dataset is visualized with box plots, shown as median and 25th and 75th percentiles. Points are displayed as outliers if they are above or below 1.5 times the interquartile range. nTPM values of the individual samples are presented next to the box plot.
Max subtype nTPMi

Max subtype nTPM is the value for the subtype with the largest average nTPM across the subtype samples.

398.8
GTEx sample id Sample description nTPM
Stomach
Average nTPM: 398.8
Samples: 359

Max nTPM: 2396.7
Min nTPM: 0.0
Std nTPM: 407.0
Median nTPM: 327.5
GTEX-U3ZN-2026-SM-4DXUC 30-39 years, female 2396.7
GTEX-145ME-1026-SM-5O9B4 40-49 years, female 1950.1
GTEX-OOBJ-1526-SM-3NB1Q 60-69 years, male 1875.8
GTEX-13CF3-1926-SM-5K7WF 60-69 years, female 1693.8
GTEX-X15G-1126-SM-4PQZG 50-59 years, female 1610.0
GTEX-1I1HK-2026-SM-CNNRB 60-69 years, male 1581.2
GTEX-1HCU8-1326-SM-C1YQQ 60-69 years, female 1504.9
GTEX-ZA64-0826-SM-5HL9U 20-29 years, male 1480.0
GTEX-14BIL-1926-SM-73KYI 50-59 years, male 1460.4
GTEX-POMQ-0826-SM-3P61H 20-29 years, female 1455.6
GTEX-144GN-1226-SM-5O991 50-59 years, male 1443.3
GTEX-1GF9U-1126-SM-AHZ4H 40-49 years, female 1423.0
GTEX-1J8JJ-1726-SM-C1YQG 60-69 years, female 1415.8
GTEX-VJYA-1026-SM-4KL21 60-69 years, male 1350.4
GTEX-1A8G6-1426-SM-731EZ 60-69 years, male 1265.9
GTEX-12696-1726-SM-5EQLH 60-69 years, male 1251.4
GTEX-1GL5R-1926-SM-9WG7U 50-59 years, male 1249.2
GTEX-1H1DG-2126-SM-9WPPB 70-79 years, male 1240.2
GTEX-11NUK-2426-SM-5BC4U 50-59 years, male 1224.7
GTEX-ZAB4-1526-SM-5CVN7 40-49 years, male 1206.0
GTEX-ZYY3-1726-SM-5EGH3 60-69 years, female 1180.8
GTEX-12WSG-2026-SM-5FQUU 50-59 years, female 1176.0
GTEX-1H23P-2726-SM-9JGHN 60-69 years, male 1161.7
GTEX-14E6E-0926-SM-664N8 30-39 years, male 1154.6
GTEX-PX3G-1526-SM-48U11 20-29 years, female 1154.0
GTEX-1AYCT-1326-SM-7MKHB 50-59 years, male 1149.7
GTEX-17HGU-2126-SM-7IGOV 50-59 years, male 1145.5
GTEX-P78B-1826-SM-3P5YX 40-49 years, female 1134.9
GTEX-W5WG-1726-SM-4LMI5 50-59 years, female 1074.8
GTEX-132QS-1826-SM-5IFFN 60-69 years, male 1070.9
GTEX-Q2AH-1126-SM-48TZM 40-49 years, male 1015.2
GTEX-T5JW-0926-SM-4DM5K 20-29 years, female 1005.0
GTEX-WFG7-1326-SM-4LMK1 20-29 years, male 1004.2
GTEX-145MO-2226-SM-5Q5BN 60-69 years, male 969.1
GTEX-15UF7-1226-SM-6M46G 40-49 years, male 957.2
GTEX-13OVK-0926-SM-7KUFX 40-49 years, male 947.9
GTEX-ZZ64-0426-SM-5E43F 20-29 years, male 940.5
GTEX-13U4I-2526-SM-5SI8Z 40-49 years, female 930.8
GTEX-1RB15-1026-SM-E9U6V 60-69 years, male 915.9
GTEX-XBED-1226-SM-4AT5V 60-69 years, male 892.8
GTEX-13FH7-1026-SM-5IJGF 50-59 years, female 868.1
GTEX-1C475-1026-SM-7MKFJ 40-49 years, female 858.6
GTEX-ZXES-1426-SM-5NQ8S 30-39 years, female 856.1
GTEX-1JMPZ-1826-SM-CXZJT 30-39 years, male 855.8
GTEX-RWS6-0926-SM-47JXE 60-69 years, female 845.9
GTEX-11EM3-1026-SM-5A5KL 20-29 years, female 832.4
GTEX-17MF6-2126-SM-7KFS7 40-49 years, male 825.9
GTEX-13OW6-2526-SM-5IJEC 50-59 years, male 822.9
GTEX-QDVJ-1426-SM-48U1Y 50-59 years, male 819.6
GTEX-1HKZK-1526-SM-B2LWG 40-49 years, male 819.1
GTEX-17F98-1526-SM-7EWD8 40-49 years, female 800.9
GTEX-14PHX-1026-SM-664OL 50-59 years, male 793.8
GTEX-1HBPI-0726-SM-9WG7Z 50-59 years, male 792.0
GTEX-WFG8-1326-SM-4LVN3 20-29 years, male 790.4
GTEX-T6MO-0726-SM-4DM58 40-49 years, female 775.0
GTEX-111CU-0926-SM-5EGIK 50-59 years, male 774.5
GTEX-1A3MV-1226-SM-718BW 30-39 years, male 751.3
GTEX-Q2AI-0826-SM-48TZO 40-49 years, male 743.9
GTEX-OIZF-1526-SM-2I5GR 60-69 years, male 735.9
GTEX-Q734-1026-SM-48U16 40-49 years, female 735.1
GTEX-YEC4-1426-SM-5IFHS 40-49 years, male 733.3
GTEX-UJMC-1226-SM-4IHLI 50-59 years, male 722.2
GTEX-13FTX-0726-SM-5N9BI 20-29 years, female 721.6
GTEX-1JMLX-2426-SM-CXZJQ 50-59 years, male 716.1
GTEX-O5YW-1526-SM-3MJGL 50-59 years, male 714.1
GTEX-ZF2S-1426-SM-57WET 50-59 years, female 709.5
GTEX-OXRK-1626-SM-3NB17 50-59 years, female 691.7
GTEX-1B97I-1226-SM-7MGWQ 40-49 years, male 689.1
GTEX-14JG6-1226-SM-664O6 30-39 years, female 682.4
GTEX-1H1E6-1626-SM-9OSWC 30-39 years, male 679.7
GTEX-QDVN-1226-SM-48TZ5 50-59 years, male 678.9
GTEX-144GM-1726-SM-5O9AS 20-29 years, male 678.1
GTEX-13S7M-1826-SM-5RQK6 60-69 years, female 676.5
GTEX-1I6K7-1726-SM-B2LXQ 40-49 years, male 662.9
GTEX-18A7A-2726-SM-7LG6U 50-59 years, female 652.3
GTEX-QLQW-0726-SM-447AA 30-39 years, male 645.3
GTEX-18A66-2226-SM-7189E 60-69 years, male 643.4
GTEX-14ICL-0826-SM-5YY9W 30-39 years, male 642.3
GTEX-ZLV1-0826-SM-DO11P 60-69 years, female 635.5
GTEX-145LT-1426-SM-5O9B3 40-49 years, male 633.4
GTEX-ZQUD-0826-SM-57WDQ 30-39 years, male 620.0
GTEX-ZDYS-1926-SM-5HL59 50-59 years, male 618.9
GTEX-11DXX-1326-SM-5GIDZ 60-69 years, female 604.3
GTEX-PW2O-1226-SM-48TCH 20-29 years, male 603.2
GTEX-Y3I4-1626-SM-4TT7W 50-59 years, male 602.3
GTEX-PWCY-0926-SM-48TD7 20-29 years, female 595.3
GTEX-17HHE-1026-SM-79ON6 50-59 years, male 591.0
GTEX-1J8QM-1126-SM-C1YQB 60-69 years, female 585.3
GTEX-XMK1-1526-SM-EYYVO 40-49 years, male 580.8
GTEX-QCQG-0526-SM-48U2A 50-59 years, female 579.7
GTEX-1399R-1126-SM-5IFIO 30-39 years, male 568.6
GTEX-13O21-0926-SM-5IFGT 50-59 years, male 562.0
GTEX-1B97J-1826-SM-7IGPP 50-59 years, female 561.1
GTEX-WYVS-1326-SM-4ONCQ 40-49 years, female 552.6
GTEX-11GSP-2126-SM-5HL5E 60-69 years, female 552.5
GTEX-S95S-0826-SM-4B64N 60-69 years, male 544.9
GTEX-S3XE-1026-SM-4AD4O 50-59 years, male 539.2
GTEX-14PJ6-0826-SM-686Z9 60-69 years, female 537.1
GTEX-YJ8A-1526-SM-5P9FT 20-29 years, male 536.8
GTEX-1HFI7-1526-SM-9WG7W 50-59 years, female 532.2
GTEX-ZF29-1526-SM-4WKF7 60-69 years, female 529.4
GTEX-15RIE-1026-SM-6LPJQ 60-69 years, male 527.4
GTEX-ZPU1-1626-SM-4WWB2 40-49 years, male 524.6
GTEX-1E1VI-2826-SM-7MGWU 50-59 years, male 520.8
GTEX-WRHK-0626-SM-4MVOE 20-29 years, female 519.0
GTEX-1IDJD-2426-SM-C1YS6 30-39 years, male 518.4
GTEX-OHPK-1526-SM-3MJGM 50-59 years, female 516.1
GTEX-Y3IK-1426-SM-4YCES 50-59 years, female 513.9
GTEX-1J8Q3-1926-SM-C1YSJ 60-69 years, male 512.4
GTEX-SUCS-0926-SM-4DM4Z 70-79 years, male 510.1
GTEX-14PJ5-0826-SM-6AJAR 60-69 years, female 507.2
GTEX-Y8LW-0826-SM-4WWDO 50-59 years, female 505.2
GTEX-ZT9W-1526-SM-4YCDE 50-59 years, male 504.2
GTEX-14DAR-0926-SM-73KUQ 50-59 years, male 503.1
GTEX-1QMI2-2126-SM-DPRXQ 60-69 years, male 496.1
GTEX-1GZ4H-1026-SM-9OSXL 50-59 years, female 493.5
GTEX-17HII-2426-SM-7KFTT 50-59 years, male 486.1
GTEX-QXCU-1926-SM-48FE4 50-59 years, male 486.1
GTEX-PWN1-1526-SM-48TDA 40-49 years, female 485.9
GTEX-14B4R-0726-SM-5TDDR 30-39 years, male 482.8
GTEX-WXYG-1626-SM-4ONCR 50-59 years, female 481.4
GTEX-1R7EU-1126-SM-EAZ4M 60-69 years, male 477.4
GTEX-1LVAN-2426-SM-CNNPZ 50-59 years, female 476.7
GTEX-1GN1W-2126-SM-9JGI7 50-59 years, female 476.5
GTEX-13D11-2126-SM-5IFH2 50-59 years, female 472.3
GTEX-117YW-2226-SM-5N9DB 50-59 years, male 471.8
GTEX-14PJ4-1626-SM-664OB 60-69 years, male 470.3
GTEX-SNOS-0826-SM-4DM5N 40-49 years, male 469.2
GTEX-12WSK-1426-SM-5CVNN 40-49 years, female 463.7
GTEX-12WSD-2326-SM-59HKQ 60-69 years, female 457.0
GTEX-1RMOY-1126-SM-EV79E 50-59 years, male 456.9
GTEX-XUZC-0726-SM-4BOPH 30-39 years, female 449.3
GTEX-1B8KZ-1226-SM-793CP 50-59 years, male 448.2
GTEX-XXEK-0826-SM-4BRWG 50-59 years, male 441.9
GTEX-1122O-1926-SM-5EGIQ 60-69 years, female 441.0
GTEX-WHWD-1426-SM-4OORU 50-59 years, male 440.5
GTEX-V955-1326-SM-4JBHR 60-69 years, male 439.9
GTEX-S4Q7-0726-SM-4AD5F 20-29 years, male 431.0
GTEX-WFON-1126-SM-4LVMA 40-49 years, male 428.4
GTEX-ZVZP-1726-SM-5GZWY 50-59 years, male 426.0
GTEX-139YR-1926-SM-5LZXM 50-59 years, male 424.5
GTEX-1KXAM-0926-SM-CXZKA 60-69 years, male 424.1
GTEX-1F5PL-1426-SM-7MKFH 40-49 years, female 420.3
GTEX-1QPFJ-1526-SM-DPRXT 30-39 years, female 418.0
GTEX-1QCLZ-1826-SM-DPRXP 60-69 years, female 410.9
GTEX-11I78-1726-SM-5A5M3 50-59 years, female 410.5
GTEX-1R9K5-1026-SM-EAZ4F 50-59 years, male 409.7
GTEX-V1D1-1726-SM-4JBHB 50-59 years, male 408.9
GTEX-OHPM-1526-SM-EV796 50-59 years, male 407.2
GTEX-OXRL-1526-SM-E6CHQ 50-59 years, male 404.5
GTEX-ZV7C-1626-SM-5NQ7E 50-59 years, male 404.3
GTEX-1RAZR-1526-SM-EAZ4U 40-49 years, male 401.2
GTEX-14BMU-1126-SM-5RQJ8 20-29 years, female 400.0
GTEX-1ICG6-1826-SM-AHZ2O 70-79 years, female 389.6
GTEX-1399S-1626-SM-5P9GI 30-39 years, female 388.2
GTEX-ZGAY-1626-SM-DNZZ3 40-49 years, female 382.9
GTEX-1LGOU-1526-SM-D3LAJ 20-29 years, female 382.6
GTEX-1LGRB-1726-SM-CNNRA 50-59 years, female 380.9
GTEX-QV31-0626-SM-447C5 30-39 years, male 373.6
GTEX-17F9E-2226-SM-7IGNC 50-59 years, male 369.5
GTEX-R53T-1226-SM-48FCT 50-59 years, female 367.2
GTEX-133LE-1326-SM-5IFGO 20-29 years, female 362.6
GTEX-13QBU-1126-SM-5LU44 40-49 years, female 359.7
GTEX-Y5V6-1326-SM-4VDTF 60-69 years, male 358.2
GTEX-16AAH-1226-SM-79OO9 50-59 years, male 356.8
GTEX-YB5E-1126-SM-664NU 40-49 years, male 351.9
GTEX-1QP2A-2126-SM-DPRZ7 50-59 years, male 347.6
GTEX-12BJ1-1726-SM-5HL9B 60-69 years, male 341.9
GTEX-1HBPN-1626-SM-9WPNP 50-59 years, male 341.6
GTEX-11NSD-1426-SM-5HL67 20-29 years, male 341.2
GTEX-RTLS-2626-SM-46MUJ 60-69 years, female 339.6
GTEX-15DCE-1626-SM-6LPJM 20-29 years, male 339.2
GTEX-1LBAC-1426-SM-CXZKT 20-29 years, male 337.8
GTEX-15G19-1526-SM-6LPKP 60-69 years, male 336.2
GTEX-WYJK-2526-SM-4ONDF 50-59 years, male 335.2
GTEX-1IDJU-1526-SM-CNNR3 60-69 years, female 330.6
GTEX-145MN-1326-SM-5NQ9S 30-39 years, male 330.1
GTEX-1I1GT-1726-SM-C1YS3 60-69 years, female 327.9
GTEX-18QFQ-1226-SM-718AE 30-39 years, male 327.8
GTEX-XQ8I-2026-SM-4BOOL 50-59 years, male 327.5
GTEX-13PVR-2126-SM-73KVR 60-69 years, female 323.9
GTEX-Y9LG-1026-SM-5IFJN 30-39 years, male 321.7
GTEX-WHPG-0426-SM-4M1XW 50-59 years, male 319.7
GTEX-1LG7Z-1226-SM-DHXK4 30-39 years, male 313.7
GTEX-S341-0626-SM-4AD5T 40-49 years, female 313.2
GTEX-QLQ7-0826-SM-447B3 60-69 years, male 312.6
GTEX-WEY5-1226-SM-4LMIQ 40-49 years, female 311.2
GTEX-14PKV-1826-SM-69LO9 20-29 years, female 309.7
GTEX-S4UY-1626-SM-4AD55 40-49 years, female 309.1
GTEX-18D9A-0626-SM-7KFTY 30-39 years, female 306.8
GTEX-1AMFI-1226-SM-731CZ 50-59 years, female 305.3
GTEX-1F75I-1826-SM-7MKGX 40-49 years, male 291.9
GTEX-ZVT2-1626-SM-51MRC 50-59 years, female 288.5
GTEX-1H3VY-2326-SM-9WG81 50-59 years, male 283.1
GTEX-1I4MK-0926-SM-A9SLD 50-59 years, female 278.3
GTEX-WHSB-1226-SM-4M1XR 50-59 years, male 274.0
GTEX-ZY6K-0726-SM-5A5L8 50-59 years, male 271.7
GTEX-14BMV-2226-SM-5RQHX 50-59 years, male 268.5
GTEX-P4PP-1526-SM-3P61M 30-39 years, female 267.7
GTEX-ZYFG-1326-SM-5GICJ 60-69 years, female 263.3
GTEX-131XF-1226-SM-5HL8V 60-69 years, male 255.9
GTEX-1MJIX-1126-SM-EV7AO 40-49 years, male 251.1
GTEX-1QCLY-1126-SM-EAZ4J 30-39 years, male 250.7
GTEX-1A3MX-1926-SM-72D7F 60-69 years, male 247.6
GTEX-QMRM-1126-SM-447BN 50-59 years, male 242.5
GTEX-14PJ3-1426-SM-664O8 50-59 years, male 240.3
GTEX-1LSNM-1026-SM-DHXL2 50-59 years, male 233.2
GTEX-ZLFU-1326-SM-DO11R 40-49 years, male 232.8
GTEX-O5YV-1926-SM-EV797 60-69 years, female 229.9
GTEX-ZZPU-1426-SM-5GZZ6 50-59 years, female 228.8
GTEX-13FTW-1726-SM-5KM2B 40-49 years, male 228.5
GTEX-PLZ5-1226-SM-EXOHA 50-59 years, male 228.3
GTEX-QDT8-2026-SM-EZ6LS 30-39 years, female 225.3
GTEX-1JK1U-1326-SM-AHZ45 60-69 years, male 220.7
GTEX-XV7Q-1326-SM-4BRWM 40-49 years, female 219.2
GTEX-17JCI-2226-SM-7LTA1 60-69 years, female 218.4
GTEX-1AMEY-1226-SM-731DU 30-39 years, female 218.0
GTEX-RM2N-0826-SM-48FD3 50-59 years, male 217.6
GTEX-QV44-1226-SM-CJI1S 50-59 years, male 216.5
GTEX-1MGNQ-1826-SM-DPRYI 40-49 years, male 212.6
GTEX-ZP4G-1226-SM-4WWCJ 20-29 years, female 208.5
GTEX-111YS-1126-SM-5GZYQ 60-69 years, male 204.1
GTEX-13113-0726-SM-5LZUF 60-69 years, female 203.1
GTEX-132AR-2426-SM-5IFFD 50-59 years, female 202.2
GTEX-14DAQ-2826-SM-664MU 60-69 years, female 197.6
GTEX-13RTK-0226-SM-5RQHR 20-29 years, male 196.4
GTEX-1J8EW-2226-SM-AHZ3T 60-69 years, female 196.4
GTEX-1KANA-1126-SM-D3L9M 20-29 years, male 195.8
GTEX-131XG-1226-SM-5EGH9 50-59 years, female 181.2
GTEX-1GMRU-2526-SM-9WG7T 50-59 years, male 180.9
GTEX-Y8E4-1526-SM-4WWDI 40-49 years, male 176.5
GTEX-13PVQ-2126-SM-5L3FW 50-59 years, male 176.3
GTEX-1HSEH-1526-SM-B2LXG 60-69 years, male 168.6
GTEX-WY7C-1726-SM-4ONCC 50-59 years, male 167.3
GTEX-1MUQO-1926-SM-EAZ59 60-69 years, male 160.8
GTEX-117YX-1026-SM-5H11V 50-59 years, male 156.6
GTEX-ZVP2-1626-SM-5GU5D 50-59 years, male 155.1
GTEX-S7SF-0626-SM-4AD4V 20-29 years, female 154.6
GTEX-15CHR-1326-SM-79OLT 50-59 years, male 152.6
GTEX-ZEX8-1626-SM-4WKG7 50-59 years, male 151.5
GTEX-1JKYN-1726-SM-AHZ48 30-39 years, male 136.4
GTEX-1RQEC-2126-SM-DPS15 60-69 years, male 134.8
GTEX-TMMY-1626-SM-4DXTY 40-49 years, female 130.5
GTEX-17GQL-1226-SM-7KFTS 60-69 years, male 130.3
GTEX-13X6J-2126-SM-5TDCV 50-59 years, male 122.6
GTEX-1JN1M-2926-SM-CNNPJ 60-69 years, female 116.5
GTEX-WZTO-2126-SM-4PQYW 40-49 years, male 116.1
GTEX-U4B1-1026-SM-4DXT1 40-49 years, male 113.9
GTEX-15DZA-1126-SM-6LPK8 30-39 years, female 113.7
GTEX-1F5PK-1826-SM-7RHHX 50-59 years, male 108.3
GTEX-139D8-2326-SM-5IFGE 30-39 years, female 103.9
GTEX-1B8KE-1326-SM-73KVI 50-59 years, male 102.0
GTEX-1AX9J-2626-SM-731EK 60-69 years, male 100.8
GTEX-YFCO-0826-SM-5LUAG 40-49 years, male 90.8
GTEX-1QP29-2326-SM-EXOJO 50-59 years, male 90.6
GTEX-Y5LM-1326-SM-5RQIS 40-49 years, female 84.9
GTEX-ZLWG-1526-SM-DO12F 50-59 years, female 78.8
GTEX-SNMC-0626-SM-4DM6H 20-29 years, male 73.3
GTEX-T8EM-1226-SM-4DM5J 40-49 years, male 67.1
GTEX-ZVT3-2126-SM-59HL2 60-69 years, female 64.8
GTEX-1JMQJ-1326-SM-D4P3B 50-59 years, male 64.1
GTEX-1H11D-2226-SM-9OSXN 40-49 years, male 59.6
GTEX-XBEW-1826-SM-4RTWX 40-49 years, male 58.4
GTEX-1CAMR-0726-SM-7EPIE 20-29 years, male 53.1
GTEX-NFK9-1526-SM-3LK7B 40-49 years, male 43.9
GTEX-11TT1-0726-SM-5GU5A 20-29 years, male 42.1
GTEX-1JMPY-0926-SM-ARL92 30-39 years, male 36.0
GTEX-1HSMQ-2426-SM-CE6RY 50-59 years, male 33.9
GTEX-18A67-2626-SM-718AD 50-59 years, male 30.7
GTEX-16NGA-1526-SM-72D56 40-49 years, female 26.4
GTEX-15SHW-2126-SM-6M46Y 60-69 years, male 22.0
GTEX-11EI6-2426-SM-5PNVS 60-69 years, male 19.9
GTEX-14PHY-0926-SM-5ZZWL 60-69 years, female 14.3
GTEX-146FH-2126-SM-5SI9U 50-59 years, female 14.0
GTEX-T5JC-1926-SM-4DM6Q 20-29 years, male 12.2
GTEX-18D9B-2226-SM-718BM 60-69 years, male 5.6
GTEX-1NSGN-1926-SM-E9J36 50-59 years, male 3.7
GTEX-15G1A-1226-SM-7KUF3 30-39 years, male 3.3
GTEX-1IL2V-2026-SM-ARZMA 70-79 years, male 3.0
GTEX-1E2YA-2426-SM-7EPIG 50-59 years, male 2.8
GTEX-1EH9U-2226-SM-7PBXX 60-69 years, male 2.6
GTEX-13O3Q-2126-SM-5KM4C 50-59 years, male 2.4
GTEX-1211K-1426-SM-5FQTF 60-69 years, female 2.2
GTEX-1PPH8-1326-SM-DTXFO 20-29 years, male 2.2
GTEX-11EQ9-1226-SM-5987E 30-39 years, male 1.5
GTEX-1KD5A-1426-SM-D4P3V 50-59 years, male 1.3
GTEX-1MCYP-1126-SM-E9J2P 20-29 years, female 1.3
GTEX-PLZ6-0826-SM-3P61K 30-39 years, male 1.1
GTEX-1B8L1-1526-SM-79OLK 60-69 years, male 1.0
GTEX-17KNJ-1526-SM-7LTA9 50-59 years, male 0.9
GTEX-TKQ1-0526-SM-4DXTG 30-39 years, male 0.9
GTEX-UPK5-2126-SM-4JBJK 40-49 years, male 0.9
GTEX-1CB4H-2426-SM-7PBYR 60-69 years, female 0.8
GTEX-13QJ3-2726-SM-5SI6L 50-59 years, male 0.7
GTEX-WH7G-1526-SM-4LVMX 40-49 years, male 0.7
GTEX-1QW4Y-0726-SM-DTX8E 30-39 years, male 0.6
GTEX-12C56-0526-SM-5FQST 20-29 years, male 0.4
GTEX-ZYVF-2726-SM-5GID4 50-59 years, female 0.4
GTEX-1HCUA-1626-SM-A9SMG 50-59 years, female 0.4
GTEX-1L5NE-1526-SM-DIPFW 50-59 years, male 0.4
GTEX-1LVAM-1426-SM-E9TJ4 50-59 years, female 0.4
GTEX-1QP28-2126-SM-DTX8B 50-59 years, female 0.4
GTEX-1399U-1626-SM-5P9J3 50-59 years, female 0.3
GTEX-146FR-2026-SM-5NQAI 60-69 years, female 0.3
GTEX-OIZH-1526-SM-3NB1J 50-59 years, male 0.3
GTEX-XPVG-1526-SM-4B66C 50-59 years, male 0.3
GTEX-1H3NZ-2226-SM-9WYUT 60-69 years, male 0.3
GTEX-14PN3-1326-SM-6AJ9U 60-69 years, female 0.2
GTEX-R55D-1526-SM-48FEJ 50-59 years, male 0.2
GTEX-R55G-1126-SM-48FDG 40-49 years, female 0.2
GTEX-Y114-1226-SM-4TT88 50-59 years, female 0.2
GTEX-1GPI7-1326-SM-9KNVA 20-29 years, male 0.2
GTEX-1H1DE-1226-SM-9JGHH 20-29 years, male 0.2
GTEX-1IDJF-1426-SM-ACKWK 20-29 years, male 0.2
GTEX-RUSQ-1126-SM-EAZAU 50-59 years, male 0.2
GTEX-17EUY-1526-SM-793CA 20-29 years, male 0.1
GTEX-1C64O-2226-SM-73KTV 60-69 years, male 0.1
GTEX-P4PQ-1526-SM-3NMCK 60-69 years, male 0.1
GTEX-R55C-1026-SM-48FCM 40-49 years, male 0.1
GTEX-S4P3-0726-SM-4AD57 50-59 years, female 0.1
GTEX-S4Z8-1226-SM-4AD6W 60-69 years, male 0.1
GTEX-TKQ2-0926-SM-4DXU5 50-59 years, male 0.1
GTEX-WFJO-1126-SM-4LVLZ 30-39 years, male 0.1
GTEX-XAJ8-0326-SM-47JYI 40-49 years, male 0.1
GTEX-ZPIC-2026-SM-57WG3 40-49 years, female 0.1
GTEX-ZTX8-0426-SM-59HLG 20-29 years, male 0.1
GTEX-1K2DA-0826-SM-CGQGD 50-59 years, male 0.1
GTEX-1N2DV-0926-SM-E9TJT 40-49 years, male 0.1
GTEX-1PIGE-1126-SM-EWRMV 20-29 years, male 0.1
GTEX-1S3DN-1526-SM-EVYCB 50-59 years, male 0.1
GTEX-11P7K-1726-SM-5GU6F 30-39 years, male 0.0
GTEX-11P82-0726-SM-5PNYL 20-29 years, male 0.0
GTEX-11VI4-0326-SM-5EQ6L 40-49 years, female 0.0
GTEX-11WQK-2626-SM-5EQ4K 50-59 years, male 0.0
GTEX-12WSJ-0926-SM-5P9JD 40-49 years, female 0.0
GTEX-13111-1226-SM-5GCNC 50-59 years, male 0.0
GTEX-131XE-2226-SM-5PNYX 50-59 years, male 0.0
GTEX-1339X-1426-SM-5K7YO 40-49 years, male 0.0
GTEX-13N1W-2026-SM-5K7YU 70-79 years, male 0.0
GTEX-13O61-1126-SM-5L3FI 60-69 years, male 0.0
GTEX-13OVI-2426-SM-5KM4J 60-69 years, female 0.0
GTEX-13X6H-1626-SM-5Q5CT 50-59 years, female 0.0
GTEX-14E1K-1526-SM-664MN 50-59 years, male 0.0
GTEX-14PKU-1126-SM-69LOU 40-49 years, female 0.0
GTEX-15EU6-2526-SM-7KUGB 50-59 years, male 0.0
GTEX-15RIF-1126-SM-7KUG2 20-29 years, male 0.0
GTEX-1CB4E-1326-SM-7DUGD 60-69 years, male 0.0
GTEX-P4QT-1526-SM-3NMCT 50-59 years, female 0.0
GTEX-RU1J-0526-SM-46MUT 20-29 years, female 0.0
GTEX-UJHI-1026-SM-4IHJP 50-59 years, female 0.0
GTEX-ZE7O-3026-SM-51MS4 50-59 years, female 0.0
GTEX-ZV6S-0926-SM-57WGB 40-49 years, female 0.0
GTEX-1HR9M-2326-SM-CNPPZ 60-69 years, male 0.0
GTEX-1HT8W-2326-SM-A9SLA 30-39 years, male 0.0
GTEX-1JN76-0926-SM-ARZNH 20-29 years, female 0.0
GTEX-1QP67-1026-SM-EVR47 40-49 years, female 0.0
GTEX-1S82Z-1726-SM-E6CHZ 30-39 years, female 0.0
GTEX-1S831-1126-SM-EWROI 20-29 years, male 0.0
GTEX-YEC3-1426-SM-D4P1S 50-59 years, male 0.0
Show allShow less

Contact

  • NEWS ARTICLES
  • PRESS ROOM

The Project

  • INTRODUCTION
  • ORGANIZATION
  • PUBLICATIONS

The Human Protein Atlas

  • DOWNLOADABLE DATA
  • LICENCE & CITATION
  • HELP & FAQ
The Human Protein Atlas project is funded
by the Knut & Alice Wallenberg Foundation.


contact@proteinatlas.org