We use cookies to enhance the usability of our website. If you continue, we'll assume that you are happy to receive all cookies. More information. Don't show this again.
R3HDM4
HPA
RESOURCES
  • TISSUE
  • BRAIN
  • SINGLE CELL
  • SUBCELLULAR
  • CANCER
  • BLOOD
  • CELL LINE
  • STRUCTURE & INTERACTION
ABOUT
  • INTRODUCTION
  • HISTORY
  • ORGANIZATION
  • PUBLICATIONS
  • ANTIBODY SUBMISSION
  • ANTIBODY AVAILABILITY
  • ACKNOWLEDGMENTS
  • CONTACT
NEWS
  • NEWS ARTICLES
  • PRESS ROOM
LEARN
  • DICTIONARY
  • PROTEIN CLASSES
  • PROTEIN EVIDENCE
  • METHODS
  • EDUCATIONAL VIDEOS
DATA
  • DOWNLOADABLE DATA
  • PUBLICATION DATA
  • RELEASE HISTORY
HELP
  • ANTIBODY VALIDATION
  • ASSAYS & ANNOTATION
  • DISCLAIMER
  • HELP & FAQ
  • PRIVACY STATEMENT
  • LICENCE & CITATION
Fields »
Search result

Field
Term
Gene name
Class
Subclass
Class
Keyword
Chromosome
External id
Tissue
Cell type
Expression
Antibody panel
Tissue
Main location
Patient ID
Annotation
Tissue
Category
Tau score
Cluster
Reliability
Brain region
Category
Tau score
Brain region
Category
Tau score
Brain region
Category
Tau score
Cluster
Reliability
Tissue
Cell type
Enrichment
Cell type
Category
Tau score
Cell type
Category
Tau score
Cell type
Category
Tau score
Cell lineage
Category
Tau score
Cluster
Cluster
Location
Searches
Location
Cell line
Class
Type
Phase
Reliability
Cancer
Prognosis
Cancer
Category
Cancer
Category
Tau score
Cluster
Variants
Interacting gene (ensg_id)
Type
Number of interactions
Pathway
Category
Score
Score
Score
Validation
Validation
Validation
Validation
Antibodies
Data type
Column


  • SUMMARY

  • TISSUE

  • BRAIN

  • SINGLE CELL

  • SUBCELL

  • CANCER

  • BLOOD

  • CELL LINE

  • STRUCT & INT

  • R3HDM4
TISSUE PRIMARY DATA SKIN 1 Show tissue menu
ADIPOSE TISSUE ADRENAL GLAND AMYGDALA APPENDIX BASAL GANGLIA BONE MARROW BREAST BRONCHUS CEREBELLUM CEREBRAL CORTEX CERVIX CHOROID PLEXUS COLON DUODENUM
ENDOMETRIUM EPIDIDYMIS ESOPHAGUS FALLOPIAN TUBE GALLBLADDER HEART MUSCLE HIPPOCAMPAL FORMATION HYPOTHALAMUS KIDNEY LIVER LUNG LYMPH NODE MIDBRAIN NASOPHARYNX
ORAL MUCOSA OVARY PANCREAS PARATHYROID GLAND PITUITARY GLAND PLACENTA PROSTATE RECTUM RETINA SALIVARY GLAND SEMINAL VESICLE SKELETAL MUSCLE SKIN SMALL INTESTINE
SMOOTH MUSCLE SOFT TISSUE SPINAL CORD SPLEEN STOMACH TESTIS THYMUS THYROID GLAND TONGUE TONSIL URINARY BLADDER VAGINA
ANTIBODIES
AND
VALIDATION
Dictionary
Skin
Tissue proteome
SKIN - Expression summary
Protein expression
Skini

On the top, protein expression in current human tissue, based on all annotated cell types, is reported with the units not detected (n), low (l), medium (m) and high (h). Underneath, protein expression in each annotated cell type are reported using the same units.

Protein expression data is based on knowledge-based annotation. For genes where more than one antibody has been used, a collective score is set.

If knowledge-based annotation could not be performed for a gene, no data is displayed here. View antibody staining data further down this page.

h
m
l
n
Epidermal cells: Not detected
Fibroblasts: Medium
Keratinocytes: Medium
Langerhans: Medium
Melanocytes: Low
RNA expressioni

A summary of mRNA expression data available for current tissue based on several datasets. The mRNA expression levels in human tissues are based on RNA-seq data generated by the Human Protein Atlas (HPA), Genotype-Tissue Expression (GTEx) portal and CAGE data generated by the FANTOM5 consortium. Consensus normalized expression levels for human tissues was created by combining the data from HPA and GTEx datasets.

The mRNA expression levels in pig are based on RNA-seq data generated by the Human Protein Atlas (HPA), and for mouse, HPA data and in situ hybridization generated by the Allen brain atlas are reported.

Scroll down to view mRNA expression data in more detail.
Consensus:57.0 nTPM
HPA:31.4 nTPM
GTEx:57.0 nTPM

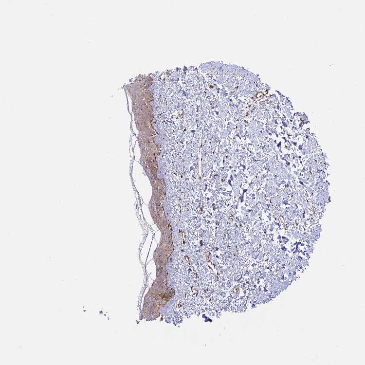
SKIN 1 - Antibody stainingi

Antibody staining in the annotated cell types in the current human tissue is reported as not detected, low, medium, or high, based on conventional immunohistochemistry profiling in selected tissues. This score is based on the combination of the staining intensity and fraction of stained cells.

Each image is clickable and will lead to virtual microscopy that enables deeper exploration of all samples and also displays staining intensity scores, fraction scores and subcellular localization as well as patient and tissue information for each sample.

Antibody HPA043025Antibody HPA048638
Langerhans MediumNot detected
Fibroblasts HighNot detected
Keratinocytes MediumHigh
Melanocytes LowNot detected




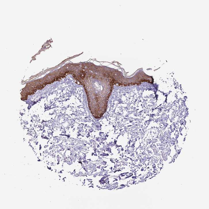
SKIN 2 - Antibody stainingi

Antibody staining in the annotated cell types in the current human tissue is reported as not detected, low, medium, or high, based on conventional immunohistochemistry profiling in selected tissues. This score is based on the combination of the staining intensity and fraction of stained cells.

Each image is clickable and will lead to virtual microscopy that enables deeper exploration of all samples and also displays staining intensity scores, fraction scores and subcellular localization as well as patient and tissue information for each sample.

Antibody HPA043025Antibody HPA048638
Epidermal cells Not detectedHigh
  
  
  



SKIN - HPA RNA-seqi

The RNA-seq details section shows detailed information about the individual samples used for the transcript profiling and results of the RNA-seq analysis.

Information about each individual sample is listed below, including gender, age, a tissue section image and estimated fractions of cell types. nTPM (normalized transcripts per million) values give a quantification of the gene abundance which is comparable between different genes and samples.
Average nTPMi

Max subtype nTPM is the value for the subtype with the largest average nTPM across the subtype samples.

31.4
overview
Female, age 34
Skin sample 225
nTPM: 30.8
Cell types%
Keratinocytes:
60

Other cell types:
40

overview
Female, age 30
Skin sample 226
nTPM: 17
Cell types%
Keratinocytes:
55

Other cell types:
45

N/A
Male, age 57
Skin sample 227
nTPM: 46.5

SKIN - GTEx RNA-seqi

RNA-Seq data generated by the Genotype-Tissue Expression (GTEx) project from human tissues is reported as mean nTPM. More information can be found on the GTEx portal.

Distribution across the dataset is visualized with box plots, shown as median and 25th and 75th percentiles. Points are displayed as outliers if they are above or below 1.5 times the interquartile range. nTPM values of the individual samples are presented next to the box plot.
Max subtype nTPMi

Max subtype nTPM is the value for the subtype with the largest average nTPM across the subtype samples.

57.0
GTEx sample id Sample description nTPM
Skin - Not Sun Exposed (Suprapubic)
Average nTPM: 57.0
Samples: 604

Max nTPM: 207.2
Min nTPM: 21.8
Std nTPM: 21.4
Median nTPM: 53.2
GTEX-1ICLZ-0326-SM-ARL82 60-69 years, male 207.2
GTEX-WI4N-2726-SM-3LK7Y 40-49 years, female 197.1
GTEX-11WQK-1026-SM-5EQLX 50-59 years, male 191.1
GTEX-WHSE-0126-SM-3NMBT 20-29 years, male 162.1
GTEX-1PPH8-0126-SM-EWRN8 20-29 years, male 151.8
GTEX-X585-2426-SM-46MW2 50-59 years, male 132.0
GTEX-ZY6K-1426-SM-5GZX2 50-59 years, male 131.7
GTEX-15UF6-1926-SM-7KUDV 70-79 years, female 130.2
GTEX-148VJ-0626-SM-5LUAW 70-79 years, male 122.1
GTEX-U8XE-0226-SM-4E3J3 30-39 years, male 118.2
GTEX-15G1A-1626-SM-7KUKN 30-39 years, male 118.1
GTEX-1399S-0126-SM-5IJCF 30-39 years, female 115.9
GTEX-13YAN-0226-SM-5TDC6 60-69 years, male 113.8
GTEX-1H23P-0626-SM-9WG6T 60-69 years, male 111.3
GTEX-ZYFD-0626-SM-5E44E 50-59 years, male 110.1
GTEX-1JMQL-2226-SM-CNPP4 50-59 years, female 109.2
GTEX-13NYC-0126-SM-5L3F4 60-69 years, male 107.7
GTEX-WFG7-2026-SM-5SI7P 20-29 years, male 105.6
GTEX-1R9PN-0426-SM-DTXDT 40-49 years, female 103.5
GTEX-1MJK3-0726-SM-E6CJC 20-29 years, male 103.2
GTEX-11DYG-1526-SM-5A5JS 60-69 years, male 102.3
GTEX-14XAO-1226-SM-6EU1C 60-69 years, female 99.2
GTEX-X8HC-0626-SM-4E3HQ 50-59 years, female 99.1
GTEX-14C38-0726-SM-5SI6M 50-59 years, male 98.8
GTEX-ZTX8-1326-SM-4YCEL 20-29 years, male 97.6
GTEX-1CB4J-1326-SM-7P8RX 60-69 years, male 97.2
GTEX-1R9K4-2826-SM-DTX8F 60-69 years, male 97.2
GTEX-Y114-2126-SM-4TT8B 50-59 years, female 97.0
GTEX-11DZ1-2426-SM-5GZZX 50-59 years, male 95.8
GTEX-1IKOE-1426-SM-CE6T7 30-39 years, female 93.4
GTEX-WH7G-2026-SM-3NMBL 40-49 years, male 93.1
GTEX-12WSJ-1126-SM-5LZVJ 40-49 years, female 92.6
GTEX-XBEW-1126-SM-4QARW 40-49 years, male 92.4
GTEX-1HCU6-2526-SM-ADEHL 60-69 years, female 92.1
GTEX-1E2YA-2126-SM-7MXUO 50-59 years, male 91.8
GTEX-13O61-1426-SM-5KM3D 60-69 years, male 91.6
GTEX-17F97-2626-SM-7IGM5 50-59 years, male 91.5
GTEX-1I1GU-0926-SM-ACKVS 40-49 years, male 91.2
GTEX-13NZ8-1226-SM-5KM4A 60-69 years, female 90.9
GTEX-1H2FU-0926-SM-9WPPT 60-69 years, female 90.2
GTEX-12WSK-2126-SM-5CVNC 40-49 years, female 89.7
GTEX-ZYW4-0626-SM-59HJR 60-69 years, male 89.7
GTEX-14ICL-1626-SM-5YYAO 30-39 years, male 89.6
GTEX-1MCYP-0526-SM-E9U6Q 20-29 years, female 89.3
GTEX-1RMOY-1326-SM-E9TIH 50-59 years, male 89.1
GTEX-1N2DV-1526-SM-DTXEP 40-49 years, male 89.0
GTEX-14E6C-2426-SM-5S2NF 40-49 years, male 87.8
GTEX-1OJC3-1226-SM-DTXER 20-29 years, male 87.0
GTEX-1PBJJ-1026-SM-E76OS 30-39 years, male 86.9
GTEX-144FL-0626-SM-5LU43 50-59 years, male 86.0
GTEX-1399Q-2326-SM-5KM2X 40-49 years, male 85.2
GTEX-13OVJ-0826-SM-5J1OK 50-59 years, female 84.8
GTEX-16AAH-0626-SM-793C9 50-59 years, male 84.6
GTEX-1CAMS-2226-SM-7PBXQ 40-49 years, female 84.5
GTEX-11TUW-0626-SM-5LU9M 60-69 years, male 83.7
GTEX-13RTJ-0126-SM-5S2NN 60-69 years, male 83.4
GTEX-XQ8I-0926-SM-4BOOF 50-59 years, male 83.3
GTEX-14A5H-0826-SM-5QGPJ 60-69 years, male 83.1
GTEX-11PRG-0726-SM-5EGL1 50-59 years, male 81.9
GTEX-15G19-2426-SM-7KUMR 60-69 years, male 81.6
GTEX-1HBPN-0126-SM-CGQEF 50-59 years, male 80.9
GTEX-11WQC-1826-SM-5GU59 60-69 years, male 79.9
GTEX-139UW-0326-SM-5J1ML 60-69 years, male 79.8
GTEX-144GL-0626-SM-5LU4D 50-59 years, male 79.8
GTEX-1KAFJ-0126-SM-DIPEK 50-59 years, male 79.6
GTEX-1J1OQ-0126-SM-D4P2N 40-49 years, female 79.5
GTEX-13O3O-2326-SM-5IJD6 60-69 years, female 79.4
GTEX-ZDTS-0826-SM-4WKHL 60-69 years, male 79.1
GTEX-13OVK-1426-SM-6PAN7 40-49 years, male 78.9
GTEX-1J8JJ-0626-SM-ARZMQ 60-69 years, female 78.5
GTEX-15RJE-2826-SM-7KUM9 40-49 years, male 78.3
GTEX-1LKK1-2626-SM-DKPQE 50-59 years, female 78.3
GTEX-ZVZP-1226-SM-5GID7 50-59 years, male 78.2
GTEX-YECK-0326-SM-4W1YS 60-69 years, male 78.1
GTEX-1HKZK-0726-SM-ACKW2 40-49 years, male 77.9
GTEX-147F4-0726-SM-5TDDD 50-59 years, male 77.8
GTEX-Y111-0626-SM-4SOIT 50-59 years, male 77.4
GTEX-ZLFU-1826-SM-4WWBV 40-49 years, male 77.0
GTEX-14C5O-0326-SM-5ZZUX 60-69 years, male 76.6
GTEX-14PJ3-1126-SM-5ZZVX 50-59 years, male 76.4
GTEX-1JN1M-2726-SM-CY8I4 60-69 years, female 76.2
GTEX-VUSG-2326-SM-4KL1U 50-59 years, male 76.1
GTEX-1HBPM-0726-SM-9YFL7 60-69 years, female 76.1
GTEX-16YQH-2226-SM-7IGM2 30-39 years, male 75.9
GTEX-1PPH7-1126-SM-DTX9A 40-49 years, male 75.8
GTEX-11ZU8-0126-SM-5EQ58 60-69 years, male 75.5
GTEX-13G51-1826-SM-5KLZH 60-69 years, male 75.4
GTEX-ZYVF-0926-SM-5E44J 50-59 years, female 75.1
GTEX-16XZZ-0726-SM-7KUF2 60-69 years, male 75.0
GTEX-1A3MW-0626-SM-731CB 60-69 years, female 74.9
GTEX-1AYD5-2626-SM-7PBXY 50-59 years, male 74.6
GTEX-1H3O1-1326-SM-9MQLD 60-69 years, male 74.5
GTEX-1JMQK-1226-SM-D4P2S 60-69 years, male 74.4
GTEX-1S82P-2126-SM-E6CI5 60-69 years, female 74.4
GTEX-13IVO-0726-SM-5LZYV 70-79 years, male 74.2
GTEX-1LSVX-2526-SM-DIPEU 60-69 years, male 73.6
GTEX-1LVAN-0626-SM-CNPOQ 50-59 years, female 73.6
GTEX-17F9E-2326-SM-79OKD 50-59 years, male 73.2
GTEX-1H11D-1826-SM-9QEHM 40-49 years, male 73.0
GTEX-13NYS-0626-SM-5L3F1 60-69 years, male 72.4
GTEX-147GR-2426-SM-5ZZWQ 60-69 years, male 72.3
GTEX-15SHW-0226-SM-7LTAT 60-69 years, male 72.0
GTEX-13OVH-0526-SM-5L3E6 70-79 years, male 71.9
GTEX-YFCO-1226-SM-5LUAT 40-49 years, male 71.5
GTEX-ZTTD-2826-SM-4YCFA 50-59 years, male 71.0
GTEX-12WSH-1526-SM-5BC5W 50-59 years, male 70.9
GTEX-13JVG-0726-SM-5KM16 60-69 years, male 70.8
GTEX-1F5PK-2226-SM-7SB6N 50-59 years, male 70.8
GTEX-1HCU7-0726-SM-A9SL1 50-59 years, male 70.6
GTEX-1J8Q2-2626-SM-ACKWQ 60-69 years, male 70.4
GTEX-1NSGN-0726-SM-DTXEF 50-59 years, male 70.3
GTEX-1PIIG-2326-SM-DTXFR 30-39 years, male 70.3
GTEX-1F6I4-2326-SM-7RHGL 60-69 years, male 70.2
GTEX-1269C-0126-SM-5EQ5L 60-69 years, female 70.1
GTEX-Z93S-1626-SM-5CVMB 50-59 years, male 70.0
GTEX-Y9LG-1126-SM-4VBQ7 30-39 years, male 69.8
GTEX-ZPCL-1126-SM-4WWFE 60-69 years, female 69.7
GTEX-1R46S-2426-SM-E76QA 60-69 years, female 69.7
GTEX-ZYT6-2326-SM-5GZY3 30-39 years, male 69.2
GTEX-14C39-1726-SM-5RQIL 40-49 years, male 68.5
GTEX-13W3W-0726-SM-5IJDQ 60-69 years, female 67.8
GTEX-1S83E-1326-SM-E6CJM 40-49 years, male 67.7
GTEX-1F48J-0726-SM-7RHGS 50-59 years, female 67.6
GTEX-1JJEA-1826-SM-ARU8P 60-69 years, male 67.5
GTEX-14PKV-1126-SM-6LLJ1 20-29 years, female 67.3
GTEX-1JMQI-1726-SM-ARL93 50-59 years, male 67.3
GTEX-131XH-0126-SM-5LZUY 50-59 years, male 67.2
GTEX-17HII-1426-SM-7EPGG 50-59 years, male 67.2
GTEX-1B996-0426-SM-7EWF8 60-69 years, male 66.8
GTEX-1JMPY-0226-SM-CKZOK 30-39 years, male 66.7
GTEX-16MTA-0926-SM-6M47Z 50-59 years, male 66.6
GTEX-W5X1-2526-SM-3GILC 40-49 years, female 66.6
GTEX-1GZHY-0626-SM-9KNVC 50-59 years, female 66.4
GTEX-1LVAO-2726-SM-E9TJ8 60-69 years, male 66.3
GTEX-1NV5F-0626-SM-DTXEG 60-69 years, female 66.2
GTEX-14PJO-2526-SM-6AJBQ 60-69 years, male 66.1
GTEX-1GZ4H-0526-SM-9KNU9 50-59 years, female 65.9
GTEX-131XG-0326-SM-5L3DX 50-59 years, female 65.8
GTEX-1QP29-1826-SM-DTX9S 50-59 years, male 65.8
GTEX-1S82U-1026-SM-E6CJK 30-39 years, female 65.8
GTEX-13112-0126-SM-5P9IU 50-59 years, male 65.7
GTEX-1JMLX-0626-SM-ARL8T 50-59 years, male 65.5
GTEX-131YS-2826-SM-5EQ47 60-69 years, female 65.4
GTEX-XK95-0226-SM-4AT58 40-49 years, male 65.3
GTEX-1F6RS-2026-SM-7RHHC 60-69 years, female 65.3
GTEX-ZYY3-2926-SM-5GIEB 60-69 years, female 65.0
GTEX-1QP9N-1226-SM-E76QN 30-39 years, male 65.0
GTEX-17MF6-2626-SM-79OKQ 40-49 years, male 64.9
GTEX-1BAJH-2426-SM-7IGP8 70-79 years, male 64.9
GTEX-1EX96-1026-SM-7MKG2 50-59 years, male 64.9
GTEX-144GO-2026-SM-5O99P 60-69 years, male 64.8
GTEX-YEC4-1826-SM-4W1YP 40-49 years, male 64.8
GTEX-1GZ2Q-0126-SM-9WG6M 40-49 years, male 64.7
GTEX-1S5ZU-2526-SM-E6CIF 20-29 years, female 64.7
GTEX-1CAMQ-1326-SM-7P8RV 40-49 years, male 64.5
GTEX-XQ3S-1426-SM-4BOPR 20-29 years, male 64.2
GTEX-11DXY-0126-SM-5H11Q 60-69 years, male 63.9
GTEX-12584-0726-SM-5FQTK 40-49 years, male 63.9
GTEX-ZVP2-0326-SM-57WBP 50-59 years, male 63.8
GTEX-1GF9W-1426-SM-7PBYM 60-69 years, male 63.8
GTEX-1192X-2726-SM-5N9DN 50-59 years, male 63.6
GTEX-14PJ4-0226-SM-5YY92 60-69 years, male 63.6
GTEX-Y5LM-0926-SM-6LLJG 40-49 years, female 63.6
GTEX-1QP2A-1726-SM-E76QC 50-59 years, male 63.6
GTEX-12126-0826-SM-5FQTZ 20-29 years, male 63.5
GTEX-ZVT4-2426-SM-5GIEI 50-59 years, female 63.3
GTEX-17F98-1326-SM-7DUEP 40-49 years, female 63.1
GTEX-ZE7O-2726-SM-51MT5 50-59 years, female 63.0
GTEX-1IL2V-1926-SM-B2LW8 70-79 years, male 63.0
GTEX-14753-0726-SM-5QGQO 60-69 years, male 62.9
GTEX-XV7Q-1826-SM-4BRUV 40-49 years, female 62.8
GTEX-ZAJG-1526-SM-5CVML 50-59 years, female 62.8
GTEX-14PHY-1226-SM-5ZZWK 60-69 years, female 62.7
GTEX-1I1GP-1326-SM-A9G28 50-59 years, male 62.7
GTEX-XOT4-0626-SM-4B66L 60-69 years, female 62.4
GTEX-1IDFM-0326-SM-ARL7V 60-69 years, male 62.1
GTEX-1C6WA-2626-SM-7MKGM 60-69 years, male 61.9
GTEX-1GPI7-1826-SM-9KNU1 20-29 years, male 61.9
GTEX-1I1CD-0626-SM-CE6SW 60-69 years, female 61.9
GTEX-1F75I-2226-SM-7SB8U 40-49 years, male 61.8
GTEX-1QCLY-0226-SM-EWRNH 30-39 years, male 61.7
GTEX-1RAZQ-1326-SM-E9TK6 30-39 years, male 61.6
GTEX-WXYG-2026-SM-4E3IY 50-59 years, female 61.5
GTEX-1J8EW-2726-SM-CY8HR 60-69 years, female 61.2
GTEX-11NUK-2726-SM-5A5MC 50-59 years, male 61.1
GTEX-1GF9V-0826-SM-9KNUV 60-69 years, male 60.9
GTEX-1HCUA-0826-SM-ADEHM 50-59 years, female 60.9
GTEX-ZLV1-1526-SM-DO91J 60-69 years, female 60.9
GTEX-1QAET-0326-SM-EVR3U 50-59 years, male 60.8
GTEX-18QFQ-1826-SM-72D52 30-39 years, male 60.6
GTEX-1IY9M-2826-SM-ARU8H 60-69 years, male 60.6
GTEX-11O72-0626-SM-5PNYE 40-49 years, male 60.5
GTEX-117YX-1926-SM-5GIEC 50-59 years, male 59.9
GTEX-XXEK-1626-SM-4BRUZ 50-59 years, male 59.9
GTEX-17F9Y-0126-SM-79OKX 70-79 years, female 59.8
GTEX-12ZZX-2426-SM-5GCOE 40-49 years, female 59.7
GTEX-13N1W-2426-SM-5IJD1 70-79 years, male 59.7
GTEX-1313W-0626-SM-5EQ4H 50-59 years, female 59.4
GTEX-18D9B-0926-SM-7LG4U 60-69 years, male 59.4
GTEX-1HSMQ-2626-SM-A9SML 50-59 years, male 59.4
GTEX-13FTY-2126-SM-5IFFB 40-49 years, female 59.3
GTEX-1F75B-0726-SM-7PC3R 50-59 years, male 59.3
GTEX-1H1DF-1126-SM-9WG7G 40-49 years, female 59.2
GTEX-13PL6-1126-SM-5L3IE 40-49 years, female 59.0
GTEX-1O9I2-0226-SM-EYYXD 50-59 years, male 59.0
GTEX-1CB4F-1026-SM-7DUH1 60-69 years, male 58.8
GTEX-16MT8-2926-SM-7DUFO 60-69 years, female 58.7
GTEX-1OJC4-2726-SM-E76PJ 50-59 years, female 58.7
GTEX-1HB9E-0126-SM-CM2S5 50-59 years, male 58.6
GTEX-145MH-2826-SM-5RQJF 50-59 years, male 58.4
GTEX-1HT8W-0626-SM-A9G2H 30-39 years, male 58.4
GTEX-1ICLY-0826-SM-CMKG1 50-59 years, male 58.4
GTEX-XPVG-2126-SM-4B667 50-59 years, male 58.3
GTEX-1EMGI-2326-SM-7PBYA 60-69 years, male 58.3
GTEX-1HC8U-1326-SM-9YFMJ 40-49 years, female 58.3
GTEX-Y5V5-0126-SM-5S2NW 60-69 years, female 58.0
GTEX-1LVA9-2626-SM-EVYD4 50-59 years, male 58.0
GTEX-139TU-0726-SM-5L3EK 60-69 years, male 57.9
GTEX-18A67-1626-SM-7LT9T 50-59 years, male 57.8
GTEX-ZWKS-0626-SM-5GIDV 30-39 years, male 57.8
GTEX-1LBAC-0826-SM-CY8IJ 20-29 years, male 57.8
GTEX-1F88F-0126-SM-9WYSZ 60-69 years, female 57.7
GTEX-1IKJJ-2226-SM-CJI4C 60-69 years, male 57.7
GTEX-1JN6P-2926-SM-CL54D 60-69 years, male 57.7
GTEX-11TT1-1826-SM-5EQLV 20-29 years, male 57.6
GTEX-13OW6-2726-SM-5J2OE 50-59 years, male 57.6
GTEX-145MN-1526-SM-5SI9T 30-39 years, male 57.6
GTEX-15D1Q-2826-SM-6LLH7 40-49 years, male 57.3
GTEX-1GN73-0726-SM-7P8TJ 60-69 years, male 57.3
GTEX-1C64N-2626-SM-7PC2N 50-59 years, male 57.1
GTEX-13OW7-0426-SM-5K7VK 50-59 years, male 57.0
GTEX-17HHY-0426-SM-7DHLC 50-59 years, male 57.0
GTEX-11EQ8-0926-SM-5H12V 60-69 years, male 56.9
GTEX-144GM-0526-SM-79OJO 20-29 years, male 56.9
GTEX-1AX8Z-0726-SM-73KTS 60-69 years, male 56.9
GTEX-1C2JI-1026-SM-73KY1 50-59 years, male 56.7
GTEX-15ER7-0626-SM-6PANF 20-29 years, female 56.6
GTEX-17F96-0126-SM-7EWDU 70-79 years, male 56.6
GTEX-14LLW-2626-SM-62LDZ 70-79 years, female 56.5
GTEX-UPJH-0226-SM-3GADV 50-59 years, male 56.5
GTEX-ZTSS-1426-SM-5985P 40-49 years, male 56.5
GTEX-1GN1V-2826-SM-9JGIA 60-69 years, male 56.4
GTEX-1HFI6-0126-SM-CNPPI 40-49 years, male 56.3
GTEX-1JMOU-1026-SM-CYPSS 60-69 years, female 56.1
GTEX-11GS4-0226-SM-5HL77 60-69 years, male 56.0
GTEX-1CAMR-1326-SM-7PC1F 20-29 years, male 56.0
GTEX-1I1HK-2326-SM-CKZOH 60-69 years, male 56.0
GTEX-1RLM8-2926-SM-E8VON 50-59 years, male 56.0
GTEX-11DXX-2126-SM-5PNYR 60-69 years, female 55.9
GTEX-1JJE9-2626-SM-ARZMT 70-79 years, male 55.9
GTEX-111VG-1626-SM-5EGIO 60-69 years, male 55.8
GTEX-WHPG-2626-SM-3NMBR 50-59 years, male 55.8
GTEX-ZF29-0926-SM-4WKFZ 60-69 years, female 55.8
GTEX-14PHX-2226-SM-6EU2P 50-59 years, male 55.7
GTEX-1JMQJ-0826-SM-CNPP7 50-59 years, male 55.6
GTEX-17EVP-2626-SM-7IGMA 40-49 years, male 55.5
GTEX-Y8LW-1526-SM-5IFHL 50-59 years, female 55.5
GTEX-ZT9X-1526-SM-5DUXD 40-49 years, male 55.5
GTEX-ZVE1-0726-SM-51MRN 50-59 years, female 55.4
GTEX-1H1DG-2426-SM-9QEHJ 70-79 years, male 55.4
GTEX-1PDJ9-1226-SM-EXUSX 20-29 years, male 55.4
GTEX-13FTX-1526-SM-5K7VJ 20-29 years, female 55.3
GTEX-1I1GS-2626-SM-B2LY3 60-69 years, male 55.3
GTEX-13VXT-1926-SM-5K7UO 20-29 years, female 55.1
GTEX-14PJN-1826-SM-6AJ98 30-39 years, male 55.1
GTEX-139T8-0626-SM-5KLZX 60-69 years, male 55.0
GTEX-11DXZ-2026-SM-5987S 50-59 years, male 54.9
GTEX-15RIG-0726-SM-7KUM7 40-49 years, male 54.9
GTEX-1B933-2426-SM-7DHMD 50-59 years, female 54.9
GTEX-Y3I4-1726-SM-4TT89 50-59 years, male 54.9
GTEX-ZC5H-1526-SM-5HL9Y 40-49 years, female 54.9
GTEX-1HGF4-0126-SM-CNPPX 60-69 years, male 54.9
GTEX-1R7EU-1626-SM-DTXG3 60-69 years, male 54.9
GTEX-11OF3-0126-SM-5PNYF 60-69 years, male 54.8
GTEX-1C6VQ-1226-SM-73KYD 50-59 years, male 54.7
GTEX-1LVAM-0726-SM-E6CIL 50-59 years, female 54.7
GTEX-13SLW-0626-SM-5Q5ER 70-79 years, male 54.5
GTEX-1K2DU-1226-SM-CYPT4 20-29 years, male 54.3
GTEX-ZDTT-0426-SM-4WKFL 60-69 years, male 54.2
GTEX-145MG-1526-SM-5Q5EM 50-59 years, male 54.1
GTEX-18465-2826-SM-7LT9J 50-59 years, male 54.1
GTEX-1QPFJ-1926-SM-EVYBD 30-39 years, female 54.1
GTEX-1RAZS-2526-SM-E6CHT 50-59 years, male 54.1
GTEX-1S831-1826-SM-EWROF 20-29 years, male 54.1
GTEX-15RIE-1926-SM-7KUKJ 60-69 years, male 54.0
GTEX-WHSB-1326-SM-3LK6W 50-59 years, male 54.0
GTEX-14JG1-1526-SM-5YY9X 40-49 years, male 53.9
GTEX-1HSMP-0926-SM-A9SKX 70-79 years, male 53.9
GTEX-1M4P7-0726-SM-E6CJ3 60-69 years, male 53.9
GTEX-1PPGY-1626-SM-EVYBL 60-69 years, male 53.9
GTEX-11UD2-2526-SM-5CVNU 50-59 years, male 53.8
GTEX-14E6E-0526-SM-793DN 30-39 years, male 53.8
GTEX-XBEC-0726-SM-4QARZ 50-59 years, male 53.7
GTEX-133LE-2326-SM-5K7W3 20-29 years, female 53.6
GTEX-14E1K-2026-SM-7DUEI 50-59 years, male 53.6
GTEX-1H3VE-0726-SM-9YFL5 40-49 years, male 53.6
GTEX-17MFQ-1526-SM-7KFRR 20-29 years, male 53.5
GTEX-18A6Q-0626-SM-7KFRP 60-69 years, male 53.5
GTEX-1E1VI-0326-SM-793D1 50-59 years, male 53.5
GTEX-13FLV-0126-SM-5K7WT 50-59 years, male 53.3
GTEX-1HCU8-2526-SM-CE6RX 60-69 years, female 53.3
GTEX-11LCK-2226-SM-5HL4Q 30-39 years, male 53.2
GTEX-11P7K-1126-SM-5HL4L 30-39 years, male 53.2
GTEX-13PVQ-0626-SM-5LU47 50-59 years, male 53.2
GTEX-14PII-0726-SM-6EU2B 60-69 years, male 53.2
GTEX-18D9U-0126-SM-731BM 40-49 years, male 53.0
GTEX-13OW5-2326-SM-5L3HO 60-69 years, male 52.9
GTEX-1AX9I-2226-SM-73KUO 60-69 years, male 52.9
GTEX-ZVE2-2826-SM-5GU51 50-59 years, male 52.7
GTEX-111CU-1126-SM-5EGIM 50-59 years, male 52.6
GTEX-12696-0126-SM-5EQ4L 60-69 years, male 52.6
GTEX-XMD2-2126-SM-4YCF8 60-69 years, female 52.6
GTEX-13PDP-0726-SM-5L3HP 60-69 years, male 52.5
GTEX-15CHR-1126-SM-7EWF4 50-59 years, male 52.4
GTEX-1I4MK-0126-SM-CY8G6 50-59 years, female 52.4
GTEX-139TS-2126-SM-5K7XC 60-69 years, male 52.3
GTEX-17HGU-2326-SM-7DUFE 50-59 years, male 52.3
GTEX-1CB4H-1126-SM-7MKGL 60-69 years, female 52.3
GTEX-14PJ6-2626-SM-6EU2T 60-69 years, female 52.2
GTEX-ZP4G-1426-SM-4WWCL 20-29 years, female 52.2
GTEX-12WSD-0626-SM-5GCMW 60-69 years, female 52.1
GTEX-15CHQ-0326-SM-69LQD 60-69 years, male 52.0
GTEX-1117F-2926-SM-5GZYI 60-69 years, female 51.9
GTEX-132AR-0326-SM-5KM2C 50-59 years, female 51.9
GTEX-13SLX-2226-SM-62LEP 50-59 years, female 51.9
GTEX-XYKS-1426-SM-4BRUO 60-69 years, female 51.9
GTEX-1PIGE-1826-SM-E8VOU 20-29 years, male 51.9
GTEX-139D8-1126-SM-5LU8W 30-39 years, female 51.4
GTEX-16NGA-0726-SM-731AO 40-49 years, female 51.4
GTEX-WYBS-0626-SM-3NMAS 60-69 years, female 51.4
GTEX-WHWD-1826-SM-3LK6I 50-59 years, male 51.3
GTEX-1GMRU-2126-SM-7P8RA 50-59 years, male 51.3
GTEX-1JK1U-0226-SM-ARZMX 60-69 years, male 51.3
GTEX-12ZZZ-0726-SM-5GCNZ 60-69 years, male 51.2
GTEX-14LZ3-0126-SM-69LPM 60-69 years, female 51.2
GTEX-1GL5R-1326-SM-7RHHF 50-59 years, male 51.2
GTEX-12ZZY-0726-SM-5EQ66 60-69 years, male 51.0
GTEX-15RJ7-2126-SM-6PAMD 40-49 years, male 51.0
GTEX-1MCC2-1826-SM-DIPEX 30-39 years, female 51.0
GTEX-1EN7A-2426-SM-793DB 40-49 years, male 50.9
GTEX-1N2EE-0626-SM-E76PW 60-69 years, male 50.9
GTEX-ZF3C-0626-SM-DO92O 50-59 years, female 50.9
GTEX-131XF-2626-SM-5EQ6K 60-69 years, male 50.8
GTEX-12WSF-1626-SM-7KUG5 70-79 years, male 50.5
GTEX-1A8G6-2726-SM-731AR 60-69 years, male 50.5
GTEX-1B8SF-0126-SM-7DUG3 60-69 years, male 50.5
GTEX-15EO6-2426-SM-6PALZ 50-59 years, male 50.4
GTEX-11P82-1426-SM-DTXFY 20-29 years, male 50.2
GTEX-13NYB-0126-SM-5J1MD 40-49 years, male 50.1
GTEX-ZPU1-1126-SM-4YCF3 40-49 years, male 50.1
GTEX-1A3MX-2626-SM-7PC24 60-69 years, male 50.1
GTEX-18D9A-1426-SM-7LT8M 30-39 years, female 50.0
GTEX-12BJ1-0926-SM-5EQ62 60-69 years, male 49.9
GTEX-1477Z-0326-SM-7IGLA 60-69 years, male 49.9
GTEX-1LSNM-0826-SM-DIPG8 50-59 years, male 49.9
GTEX-1I1GT-1026-SM-ARZLV 60-69 years, female 49.7
GTEX-1IDJH-0126-SM-D3L92 70-79 years, male 49.6
GTEX-1F88E-1626-SM-7SB8Z 60-69 years, female 49.5
GTEX-1POEN-2326-SM-E9J2L 30-39 years, female 49.5
GTEX-14BIN-1126-SM-5RQJZ 50-59 years, female 49.2
GTEX-1CAV2-0126-SM-7IGN7 40-49 years, female 49.2
GTEX-WFG8-2126-SM-3GIKQ 20-29 years, male 49.1
GTEX-X5EB-1926-SM-4E3IW 40-49 years, male 49.1
GTEX-12WSM-1926-SM-5BC65 60-69 years, male 49.0
GTEX-13D11-0926-SM-5J2NC 50-59 years, female 48.8
GTEX-13QJC-0126-SM-5ZZWJ 60-69 years, female 48.7
GTEX-1B97I-0626-SM-73KUZ 40-49 years, male 48.7
GTEX-1JKYR-0626-SM-ARL8R 20-29 years, male 48.7
GTEX-1HBPI-2126-SM-ARL9K 50-59 years, male 48.6
GTEX-13X6I-1826-SM-5SIAO 60-69 years, male 48.4
GTEX-16MT9-0126-SM-7EPI8 60-69 years, female 48.4
GTEX-1IE54-1126-SM-A9G2Z 40-49 years, female 48.4
GTEX-1CB4E-0926-SM-7EPHT 60-69 years, male 48.3
GTEX-1H1CY-0126-SM-9YFLY 60-69 years, female 48.3
GTEX-139TT-2126-SM-5LZWC 60-69 years, male 48.2
GTEX-ZXG5-2126-SM-59HKD 60-69 years, male 48.2
GTEX-XUW1-0926-SM-4BONX 50-59 years, female 48.1
GTEX-ZDYS-2426-SM-4WKGI 50-59 years, male 48.1
GTEX-ZYFC-0426-SM-5GICQ 50-59 years, male 48.1
GTEX-1QW4Y-1126-SM-DTXE3 30-39 years, male 48.1
GTEX-XAJ8-1426-SM-47JYM 40-49 years, male 48.0
GTEX-1H1E6-0426-SM-9WYUS 30-39 years, male 48.0
GTEX-WFON-1926-SM-3LK7L 40-49 years, male 47.9
GTEX-X4EP-0626-SM-3P621 60-69 years, female 47.9
GTEX-1H1ZS-2726-SM-9WG75 70-79 years, male 47.9
GTEX-WRHU-2826-SM-3MJG8 50-59 years, female 47.8
GTEX-ZE9C-2526-SM-5IJDR 60-69 years, male 47.8
GTEX-1F75A-0726-SM-7RHHD 50-59 years, male 47.8
GTEX-13FHO-0426-SM-5L3F5 60-69 years, male 47.7
GTEX-1GMR3-0126-SM-A9SLW 40-49 years, male 47.7
GTEX-1GMR8-0626-SM-7RHI7 50-59 years, female 47.7
GTEX-15DYW-2726-SM-6EU2I 60-69 years, female 47.2
GTEX-1H1DE-1326-SM-9KNUG 20-29 years, male 47.2
GTEX-1399U-1126-SM-5L3DB 50-59 years, female 47.0
GTEX-XBED-1926-SM-47JYP 60-69 years, male 47.0
GTEX-ZDXO-3126-SM-5IJDF 60-69 years, male 46.9
GTEX-WEY5-2326-SM-3GIKK 40-49 years, female 46.8
GTEX-1A8G7-1326-SM-73KVM 60-69 years, male 46.7
GTEX-ZA64-1026-SM-5HL8R 20-29 years, male 46.7
GTEX-1R9PM-1926-SM-EVR3O 20-29 years, male 46.6
GTEX-X4EO-2926-SM-4E3JH 60-69 years, female 46.5
GTEX-1K2DA-1026-SM-CGQGF 50-59 years, male 46.5
GTEX-1B8KE-1126-SM-7EPHI 50-59 years, male 46.4
GTEX-1GTWX-2026-SM-9YFLM 60-69 years, male 46.4
GTEX-1KANB-2826-SM-CY8I6 50-59 years, male 46.4
GTEX-11DXW-0826-SM-5H118 40-49 years, male 46.3
GTEX-1QP28-1126-SM-EVYC4 50-59 years, female 46.3
GTEX-13X6J-0626-SM-5LU5F 50-59 years, male 46.2
GTEX-1GPI6-1926-SM-9KNV7 60-69 years, male 46.2
GTEX-16NPX-0726-SM-7KULC 50-59 years, male 46.1
GTEX-17HHE-1326-SM-7EWDZ 50-59 years, male 46.1
GTEX-1GMR2-0826-SM-7PC3V 50-59 years, male 46.0
GTEX-14PK6-0226-SM-62LF5 70-79 years, female 45.8
GTEX-1J8QM-2426-SM-A9SLS 60-69 years, female 45.8
GTEX-1JKYN-0826-SM-ARU8S 30-39 years, male 45.8
GTEX-ZZ64-1026-SM-5GZXG 20-29 years, male 45.7
GTEX-1S3DN-2126-SM-E9TIN 50-59 years, male 45.7
GTEX-17HG3-2626-SM-7DUF2 30-39 years, female 45.6
GTEX-1LG7Y-2526-SM-EWRO7 50-59 years, male 45.6
GTEX-111YS-1526-SM-5GZYW 60-69 years, male 45.4
GTEX-1GF9X-1326-SM-7PC2Y 40-49 years, female 45.4
GTEX-1IDJV-0126-SM-COH3Y 60-69 years, male 45.4
GTEX-1I1GV-0626-SM-ARL7M 60-69 years, male 45.3
GTEX-1EU9M-1426-SM-793AI 60-69 years, male 45.2
GTEX-1LGRB-0926-SM-COH3K 50-59 years, female 45.2
GTEX-13X6H-0926-SM-5SIB2 50-59 years, female 45.1
GTEX-1A3MV-1826-SM-731CD 30-39 years, male 45.1
GTEX-1A32A-0626-SM-731AQ 50-59 years, female 45.0
GTEX-1GZ4I-2626-SM-9KNU3 50-59 years, male 45.0
GTEX-1KANA-1326-SM-DIPFA 20-29 years, male 45.0
GTEX-145LU-1926-SM-79OJN 50-59 years, male 44.8
GTEX-14DAR-1226-SM-73KYV 50-59 years, male 44.8
GTEX-1EH9U-2826-SM-7DUGT 60-69 years, male 44.8
GTEX-14BMV-2826-SM-5TDED 50-59 years, male 44.7
GTEX-1EKGG-0626-SM-7DUGJ 60-69 years, male 44.7
GTEX-ZYFG-1526-SM-5GZYM 60-69 years, female 44.7
GTEX-13VXU-0626-SM-5L3F9 50-59 years, male 44.6
GTEX-1C64O-1326-SM-7MGWR 60-69 years, male 44.6
GTEX-12WSA-0426-SM-5EQ5X 60-69 years, male 44.5
GTEX-1JN76-0626-SM-CKZOQ 20-29 years, female 44.5
GTEX-1KXAM-1626-SM-D3LAD 60-69 years, male 44.5
GTEX-1IDJI-0126-SM-CMKHS 50-59 years, female 44.4
GTEX-11GSP-2326-SM-5HL63 60-69 years, female 44.2
GTEX-1AMEY-0826-SM-72D65 30-39 years, female 44.2
GTEX-11ZUS-2626-SM-5FQUR 30-39 years, male 44.0
GTEX-1497J-0226-SM-5QGPU 60-69 years, male 44.0
GTEX-1HCVE-2726-SM-CL54F 50-59 years, male 44.0
GTEX-1IOXB-2726-SM-CM2RI 50-59 years, male 44.0
GTEX-1LSNL-2726-SM-E9TKJ 50-59 years, male 43.9
GTEX-14ABY-2026-SM-62LDL 50-59 years, male 43.8
GTEX-1F52S-2926-SM-7MKGA 60-69 years, female 43.8
GTEX-Y8E4-2026-SM-5IFJB 40-49 years, male 43.8
GTEX-15DDE-2926-SM-6LLJ3 50-59 years, female 43.5
GTEX-Y3IK-1626-SM-4YCF5 50-59 years, female 43.5
GTEX-14PJ5-1526-SM-6LLIL 60-69 years, female 43.4
GTEX-18A7B-2726-SM-7LG56 70-79 years, male 43.4
GTEX-145MO-2826-SM-5LU96 60-69 years, male 43.3
GTEX-1IDJU-1726-SM-CMKHU 60-69 years, female 43.2
GTEX-16BQI-1326-SM-6M486 30-39 years, female 43.1
GTEX-145ME-1726-SM-5Q5EU 40-49 years, female 43.0
GTEX-11EM3-1226-SM-5N9DD 20-29 years, female 42.9
GTEX-ZAB4-2126-SM-5HL8U 40-49 years, male 42.9
GTEX-1H4P4-2126-SM-9WYSL 50-59 years, male 42.9
GTEX-183WM-0326-SM-72D5V 70-79 years, female 42.8
GTEX-1HR98-2226-SM-ADEI2 60-69 years, male 42.8
GTEX-13QBU-1226-SM-5LU4G 40-49 years, female 42.6
GTEX-1HSKV-1226-SM-ADEI4 60-69 years, male 42.6
GTEX-1212Z-0126-SM-59HK4 60-69 years, male 42.5
GTEX-139YR-1026-SM-5LZYN 50-59 years, male 42.5
GTEX-1HR9M-2226-SM-CNPPY 60-69 years, male 42.4
GTEX-11EQ9-1626-SM-5PNY8 30-39 years, male 42.3
GTEX-13FH7-1126-SM-5K7UG 50-59 years, female 42.2
GTEX-15SKB-2826-SM-6PAMH 60-69 years, male 42.2
GTEX-ZU9S-1826-SM-5NQ9E 30-39 years, male 42.0
GTEX-1LB8K-0726-SM-D5OV2 50-59 years, male 42.0
GTEX-1211K-1526-SM-5FQU4 60-69 years, female 41.9
GTEX-145LS-0626-SM-7EPG7 60-69 years, female 41.9
GTEX-ZF2S-1626-SM-57WES 50-59 years, female 41.9
GTEX-11VI4-1126-SM-5EQMD 40-49 years, female 41.7
GTEX-15EU6-2226-SM-6EU2L 50-59 years, male 41.7
GTEX-1N5O9-0926-SM-E9J3C 60-69 years, male 41.6
GTEX-131XW-0626-SM-5PNVD 50-59 years, female 41.5
GTEX-1A8FM-0626-SM-7PC25 50-59 years, female 41.5
GTEX-1GN2E-0226-SM-9WG6K 60-69 years, male 41.5
GTEX-1J1R8-2026-SM-CL53Y 40-49 years, male 41.1
GTEX-YEC3-1326-SM-DO92X 50-59 years, male 41.1
GTEX-1EWIQ-0326-SM-7DHMQ 70-79 years, female 41.0
GTEX-ZVT2-0126-SM-5GIDQ 50-59 years, female 40.9
GTEX-1GN1U-0626-SM-9MQL9 50-59 years, female 40.9
GTEX-1JJ6O-2726-SM-CNPOG 60-69 years, male 40.7
GTEX-13O3Q-0126-SM-5KM34 50-59 years, male 40.6
GTEX-14PKU-0126-SM-6LLHV 40-49 years, female 40.5
GTEX-183FY-1026-SM-7939A 20-29 years, male 40.5
GTEX-13NZ9-2626-SM-5L3FK 50-59 years, male 40.4
GTEX-1IDJC-1526-SM-B2LW4 50-59 years, male 40.4
GTEX-11ZTT-2126-SM-5CVLO 60-69 years, female 40.3
GTEX-ZGAY-1826-SM-DO91Q 40-49 years, female 40.2
GTEX-13OVG-1626-SM-5J1NF 60-69 years, male 40.1
GTEX-1I6K6-1726-SM-CGQFD 30-39 years, male 39.8
GTEX-14JG6-1426-SM-9WG7C 30-39 years, female 39.6
GTEX-ZPIC-0526-SM-DO91W 40-49 years, female 39.6
GTEX-1AMFI-1326-SM-7939R 50-59 years, female 39.5
GTEX-11NSD-0626-SM-5A5LU 20-29 years, male 39.4
GTEX-13FTW-0326-SM-5K7UW 40-49 years, male 39.4
GTEX-1314G-1326-SM-5BC6E 30-39 years, male 39.3
GTEX-13OW8-1026-SM-5J1NQ 60-69 years, male 39.3
GTEX-11P81-2226-SM-5PNYI 30-39 years, female 39.0
GTEX-1IDJF-2026-SM-CL53V 20-29 years, male 39.0
GTEX-13113-1626-SM-5EQ4I 60-69 years, female 38.8
GTEX-14JFF-0626-SM-5ZZVT 60-69 years, male 38.8
GTEX-11EI6-2826-SM-5H11D 60-69 years, male 38.7
GTEX-ZT9W-1126-SM-57WDR 50-59 years, male 38.6
GTEX-12KS4-2126-SM-5FQUT 30-39 years, male 38.4
GTEX-1B8L1-2226-SM-7P8PT 60-69 years, male 38.4
GTEX-1HUB1-1426-SM-CGQF5 60-69 years, male 38.4
GTEX-13X6K-0626-SM-5LU5D 60-69 years, female 38.3
GTEX-1HFI7-2326-SM-CGQFS 50-59 years, female 38.2
GTEX-1RB15-1326-SM-E76Q9 60-69 years, male 38.2
GTEX-147JS-0226-SM-5S2U9 60-69 years, male 38.1
GTEX-13JUV-2026-SM-5K7UA 40-49 years, female 38.0
GTEX-ZLWG-0826-SM-59888 50-59 years, female 38.0
GTEX-ZZPU-0826-SM-5GZX5 50-59 years, female 38.0
GTEX-17KNJ-2126-SM-718AM 50-59 years, male 37.9
GTEX-14AS3-1526-SM-5Q5ED 40-49 years, female 37.8
GTEX-14B4R-1326-SM-5Q5EZ 30-39 years, male 37.8
GTEX-14BMU-1226-SM-5S2OR 20-29 years, female 37.7
GTEX-ZAK1-0626-SM-5HL8E 50-59 years, female 37.7
GTEX-1C6VR-0126-SM-7RHGB 60-69 years, male 37.5
GTEX-1KD5A-0126-SM-E9U54 50-59 years, male 37.5
GTEX-1LG7Z-1626-SM-CXKYR 30-39 years, male 37.5
GTEX-14A6H-2026-SM-5Q5DD 30-39 years, male 37.4
GTEX-WY7C-2126-SM-3NB2R 50-59 years, male 37.4
GTEX-1GN1W-2426-SM-9KNUU 50-59 years, female 37.4
GTEX-1122O-1026-SM-9WYSF 60-69 years, female 37.2
GTEX-1HSMO-0626-SM-ACKXC 60-69 years, male 37.2
GTEX-12WSL-2026-SM-5GCML 50-59 years, male 37.1
GTEX-145MI-0626-SM-5SI8S 60-69 years, female 37.0
GTEX-1K9T9-1526-SM-DIPFR 50-59 years, female 36.9
GTEX-YB5K-2026-SM-4VDT3 40-49 years, female 36.8
GTEX-YJ8O-2526-SM-5HL85 40-49 years, female 36.8
GTEX-1CB4I-0126-SM-7RHGG 50-59 years, male 36.6
GTEX-WYVS-1626-SM-3NM9R 40-49 years, female 36.5
GTEX-1H3NZ-2726-SM-9WYTQ 60-69 years, male 36.5
GTEX-12C56-1526-SM-5FQUQ 20-29 years, male 36.4
GTEX-13N11-2326-SM-5IJBF 50-59 years, female 36.4
GTEX-145MF-0926-SM-5Q5EA 50-59 years, male 36.3
GTEX-16Z82-2626-SM-7KULU 60-69 years, male 36.3
GTEX-1JMPZ-0726-SM-CY8HZ 30-39 years, male 36.2
GTEX-1B932-2326-SM-79OL5 40-49 years, female 36.1
GTEX-1C475-1326-SM-7SB73 40-49 years, female 36.1
GTEX-WK11-2726-SM-3NMAQ 50-59 years, male 36.0
GTEX-WYJK-0526-SM-3NM8Z 50-59 years, male 35.9
GTEX-146FQ-2126-SM-5RQHU 30-39 years, male 35.8
GTEX-1I19N-0126-SM-CYPSF 70-79 years, male 35.6
GTEX-X3Y1-2026-SM-3P5YM 40-49 years, male 35.3
GTEX-VJYA-1526-SM-3GIJV 60-69 years, male 35.2
GTEX-1HCU9-0426-SM-9WYSD 20-29 years, male 35.2
GTEX-1IDJD-2326-SM-ACKWX 30-39 years, male 35.2
GTEX-1QP66-1226-SM-DTX7U 50-59 years, male 35.1
GTEX-1QEPI-2626-SM-DTXF4 60-69 years, female 35.0
GTEX-1QMI2-2526-SM-E8VNZ 60-69 years, male 34.7
GTEX-1F6IF-0926-SM-7SB7M 60-69 years, male 34.6
GTEX-1ICG6-1226-SM-A9SLN 70-79 years, female 34.6
GTEX-1B8KZ-0326-SM-73KY4 50-59 years, male 34.4
GTEX-17JCI-2926-SM-7DUFF 60-69 years, female 34.3
GTEX-12WSC-2826-SM-5BC5Y 50-59 years, male 34.1
GTEX-13PVR-0426-SM-5RQK2 60-69 years, female 34.1
GTEX-1KWVE-1026-SM-D3L9O 30-39 years, male 34.1
GTEX-1RAZR-2126-SM-E9U6T 40-49 years, male 34.1
GTEX-1I6K7-1926-SM-B2LXR 40-49 years, male 34.0
GTEX-ZVTK-0226-SM-51MRG 20-29 years, male 33.9
GTEX-18A66-0626-SM-7LT8Z 60-69 years, male 33.7
GTEX-13N2G-0226-SM-5K7VF 60-69 years, male 33.3
GTEX-13U4I-2226-SM-5LU5H 40-49 years, female 33.1
GTEX-147F3-1726-SM-5SIAW 50-59 years, female 33.1
GTEX-1J8Q3-0526-SM-ARL8U 60-69 years, male 33.0
GTEX-15FZZ-0526-SM-7KUGD 30-39 years, female 32.5
GTEX-13OVL-0126-SM-5L3GJ 50-59 years, male 32.3
GTEX-1F5PL-0926-SM-7PC2W 40-49 years, female 32.3
GTEX-178AV-1726-SM-7KUL8 40-49 years, male 32.2
GTEX-1KANC-1226-SM-CYPT7 50-59 years, female 32.2
GTEX-14PJ2-0626-SM-6LLII 50-59 years, male 32.1
GTEX-145LT-0526-SM-5LUB2 40-49 years, male 32.0
GTEX-18A7A-0126-SM-731AH 50-59 years, female 32.0
GTEX-16GPK-0626-SM-7KFSF 60-69 years, male 31.4
GTEX-17EVQ-0126-SM-7IGLR 70-79 years, male 31.4
GTEX-1L5NE-1126-SM-D3L9P 50-59 years, male 30.7
GTEX-15CHC-1126-SM-6LLHQ 60-69 years, female 30.5
GTEX-1AX9J-1326-SM-731BJ 60-69 years, male 30.3
GTEX-111FC-2526-SM-5GZXU 60-69 years, male 30.2
GTEX-V1D1-2026-SM-3GAF4 50-59 years, male 30.1
GTEX-1F75W-2726-SM-7SB8H 60-69 years, male 30.1
GTEX-1399R-1326-SM-5PNYS 30-39 years, male 30.0
GTEX-ZUA1-2626-SM-5NQ92 40-49 years, male 29.6
GTEX-1RAZA-2226-SM-E9U4X 20-29 years, male 29.5
GTEX-1HSGN-0826-SM-ACKW3 40-49 years, female 28.5
GTEX-14DAQ-0626-SM-793DS 60-69 years, female 28.4
GTEX-1QCLZ-2426-SM-EVYBW 60-69 years, female 28.2
GTEX-1LGOU-1326-SM-D3L8M 20-29 years, female 27.9
GTEX-YF7O-1526-SM-5IFI6 50-59 years, male 27.3
GTEX-UPK5-0426-SM-3GAEK 40-49 years, male 26.9
GTEX-1IDJE-1426-SM-ADEIW 50-59 years, female 26.6
GTEX-Y5V6-2326-SM-4VDSA 60-69 years, male 22.2
GTEX-1GF9U-2026-SM-7SB92 40-49 years, female 21.8
Show allShow less
Skin - Sun Exposed (Lower leg)
Average nTPM: 53.7
Samples: 701

Max nTPM: 173.6
Min nTPM: 25.8
Std nTPM: 19.3
Median nTPM: 49.1
GTEX-WI4N-1026-SM-3LK7N 40-49 years, female 173.6
GTEX-14E6C-0126-SM-5RQIP 40-49 years, male 172.8
GTEX-14XAO-2326-SM-6EU1B 60-69 years, female 147.1
GTEX-W5X1-3026-SM-EAZAX 40-49 years, female 144.4
GTEX-15UF6-0826-SM-6PALJ 70-79 years, female 137.3
GTEX-T2YK-0526-SM-32QPJ 50-59 years, male 132.3
GTEX-X4XY-0226-SM-4E3IZ 60-69 years, male 126.7
GTEX-ZYFD-0126-SM-5GIDL 50-59 years, male 123.4
GTEX-ZF3C-0126-SM-DO92D 50-59 years, female 121.9
GTEX-Y3IK-2426-SM-4WWDU 50-59 years, female 119.8
GTEX-1JN1M-0326-SM-CYPT3 60-69 years, female 119.2
GTEX-O5YT-0126-SM-48TBW 20-29 years, male 115.1
GTEX-1JMQL-0226-SM-CNPP5 50-59 years, female 114.4
GTEX-U8XE-0326-SM-3DB8P 30-39 years, male 112.9
GTEX-11TT1-2526-SM-5EGIB 20-29 years, male 111.2
GTEX-14PN4-0126-SM-6EU2V 50-59 years, male 111.1
GTEX-XUZC-1726-SM-4BRWS 30-39 years, female 108.1
GTEX-P4QT-0126-SM-2I3FL 50-59 years, female 107.8
GTEX-X8HC-0126-SM-4E3JW 50-59 years, female 107.8
GTEX-1HSMO-0126-SM-CL547 60-69 years, male 106.3
GTEX-1H1DG-0126-SM-9WYU2 70-79 years, male 104.7
GTEX-RUSQ-1526-SM-2TF62 50-59 years, male 103.7
GTEX-T5JW-1626-SM-3GADZ 20-29 years, female 102.9
GTEX-11WQK-0526-SM-5EQLD 50-59 years, male 101.1
GTEX-1A3MW-0126-SM-73KXX 60-69 years, female 98.1
GTEX-1PDJ9-0326-SM-DTX95 20-29 years, male 97.0
GTEX-1399U-2326-SM-5K7WY 50-59 years, female 95.9
GTEX-1PWST-0226-SM-E76QJ 70-79 years, male 94.5
GTEX-1L5NE-2526-SM-E6CIE 50-59 years, male 94.0
GTEX-183WM-0126-SM-7LTAB 70-79 years, female 93.6
GTEX-1R46S-0626-SM-E9J41 60-69 years, female 93.1
GTEX-ZAJG-0126-SM-5HL94 50-59 years, female 92.8
GTEX-S7PM-0126-SM-4AD6S 60-69 years, male 92.4
GTEX-11TUW-2726-SM-E9J4M 60-69 years, male 91.8
GTEX-U412-0426-SM-3DB9O 60-69 years, male 89.9
GTEX-1JMLX-0226-SM-CM2RO 50-59 years, male 89.9
GTEX-1A3MX-0126-SM-731BR 60-69 years, male 89.5
GTEX-QESD-1426-SM-2S1R9 20-29 years, male 89.4
GTEX-139UW-2826-SM-5L3E7 60-69 years, male 89.3
GTEX-1497J-2426-SM-7IGNX 60-69 years, male 89.2
GTEX-U8T8-0126-SM-3DB94 60-69 years, male 88.7
GTEX-Y114-2426-SM-4TT8A 50-59 years, female 88.6
GTEX-11DYG-0126-SM-59883 60-69 years, male 87.9
GTEX-1ICLZ-0126-SM-CKZPO 60-69 years, male 86.8
GTEX-13OVH-0126-SM-5MR4B 70-79 years, male 86.3
GTEX-X88G-0126-SM-47JZ3 30-39 years, male 86.0
GTEX-POMQ-2226-SM-2I5FK 20-29 years, female 85.5
GTEX-OOBJ-0126-SM-E6CJW 60-69 years, male 85.3
GTEX-T5JC-0426-SM-32PLO 20-29 years, male 85.2
GTEX-1JN76-0126-SM-CNPPE 20-29 years, female 84.9
GTEX-15UKP-0426-SM-7KUFQ 20-29 years, male 84.0
GTEX-13RTJ-2426-SM-5S2Q2 60-69 years, male 83.6
GTEX-1HBPM-0226-SM-ARL9F 60-69 years, female 82.7
GTEX-139TS-2826-SM-5J1OO 60-69 years, male 82.2
GTEX-UJHI-1526-SM-3DB99 50-59 years, female 82.0
GTEX-ZU9S-0226-SM-5E441 30-39 years, male 81.8
GTEX-13NYS-0126-SM-5MR3W 60-69 years, male 81.5
GTEX-ZVZO-0126-SM-5A5L9 40-49 years, male 80.4
GTEX-NPJ8-0126-SM-2YUNR 40-49 years, male 79.9
GTEX-PSDG-0226-SM-DKPOZ 50-59 years, male 79.9
GTEX-13X6H-2126-SM-7EWD5 50-59 years, female 79.5
GTEX-1N2DW-0226-SM-E9TK2 50-59 years, male 79.5
GTEX-11DXZ-2326-SM-5EGGV 50-59 years, male 78.7
GTEX-1JMQK-0226-SM-CL543 60-69 years, male 78.7
GTEX-14ICK-0226-SM-6EU25 40-49 years, male 78.5
GTEX-1JMPY-1326-SM-ARL8Y 30-39 years, male 78.4
GTEX-13FTW-2626-SM-5K7WL 40-49 years, male 78.0
GTEX-1QP9N-1426-SM-DTXFL 30-39 years, male 77.7
GTEX-132NY-0326-SM-5IJBL 60-69 years, male 77.6
GTEX-ZTX8-1426-SM-5DUVO 20-29 years, male 76.7
GTEX-13O1R-0126-SM-5L3EH 60-69 years, male 76.3
GTEX-SN8G-0126-SM-32PLI 50-59 years, female 76.2
GTEX-1QAET-0926-SM-E76QM 50-59 years, male 76.2
GTEX-1R9K4-0126-SM-DTX9X 60-69 years, male 75.5
GTEX-QDVN-2026-SM-3GAEP 50-59 years, male 75.4
GTEX-14E6E-1826-SM-5S2R7 30-39 years, male 75.0
GTEX-1H1CY-2826-SM-9MQM3 60-69 years, female 74.6
GTEX-1CAV2-2226-SM-7P8P2 40-49 years, female 74.5
GTEX-1LH75-2426-SM-E9TJE 50-59 years, female 74.5
GTEX-1K2DU-2326-SM-E9TIV 20-29 years, male 74.2
GTEX-13YAN-0326-SM-5O9DF 60-69 years, male 74.1
GTEX-YB5E-2026-SM-5IFIS 40-49 years, male 74.0
GTEX-TKQ1-1026-SM-4GICL 30-39 years, male 73.0
GTEX-ZTPG-0326-SM-5O9AX 20-29 years, female 72.9
GTEX-12584-0126-SM-5EGKQ 40-49 years, male 72.6
GTEX-1N2EF-0226-SM-EYYXB 60-69 years, male 72.6
GTEX-O5YW-0126-SM-3LK6D 50-59 years, male 72.2
GTEX-13CF2-2526-SM-5LZYX 60-69 years, male 72.1
GTEX-11UD1-0126-SM-5PNYG 40-49 years, female 71.9
GTEX-12WSL-2526-SM-5GCNJ 50-59 years, male 70.9
GTEX-1GZHY-0326-SM-9QEHI 50-59 years, female 70.9
GTEX-145MO-0326-SM-5Q5B3 60-69 years, male 70.8
GTEX-1192W-2626-SM-5Q5AF 60-69 years, male 70.3
GTEX-13NZ8-0826-SM-5MR3I 60-69 years, female 69.9
GTEX-12WSJ-1826-SM-5GCNY 40-49 years, female 69.8
GTEX-1B8SF-1426-SM-7DUGL 60-69 years, male 69.8
GTEX-1B8KE-2126-SM-73KYX 50-59 years, male 69.7
GTEX-YJ89-0126-SM-4TT3X 60-69 years, male 69.7
GTEX-1F6RS-0126-SM-9MQKZ 60-69 years, female 69.5
GTEX-16XZZ-0126-SM-793DV 60-69 years, male 69.3
GTEX-13FXS-0226-SM-5IJCK 50-59 years, male 69.2
GTEX-144FL-0126-SM-5TDC8 50-59 years, male 69.2
GTEX-1GZ2Q-0226-SM-7P8TL 40-49 years, male 69.2
GTEX-139T8-0126-SM-5K7XZ 60-69 years, male 69.0
GTEX-13CF3-2426-SM-5IFGX 60-69 years, female 69.0
GTEX-YJ8A-0426-SM-5IFID 20-29 years, male 68.8
GTEX-1JJ6O-0126-SM-E6CI8 60-69 years, male 68.6
GTEX-1LC47-0326-SM-E9TJP 60-69 years, male 68.6
GTEX-131XE-2326-SM-5PNZ2 50-59 years, male 68.5
GTEX-OXRO-0126-SM-2YUN4 60-69 years, female 68.4
GTEX-1PPH8-0226-SM-E8VND 20-29 years, male 68.4
GTEX-15EOM-0126-SM-7KUGG 20-29 years, female 68.2
GTEX-17GQL-2026-SM-718BA 60-69 years, male 67.9
GTEX-XXEK-2226-SM-4BRUM 50-59 years, male 67.8
GTEX-146FH-0126-SM-5QGPP 50-59 years, female 67.7
GTEX-X4EP-0126-SM-3P5YV 60-69 years, female 67.7
GTEX-145MN-2226-SM-5SIAU 30-39 years, male 67.3
GTEX-ZE7O-0126-SM-57WC1 50-59 years, female 67.3
GTEX-14A5H-0426-SM-5QGQF 60-69 years, male 67.0
GTEX-ZGAY-0526-SM-4WWBB 40-49 years, female 66.9
GTEX-131XG-2626-SM-5KM17 50-59 years, female 66.6
GTEX-X4XX-0126-SM-3NMC2 60-69 years, male 66.4
GTEX-1I1GV-0526-SM-A9G29 60-69 years, male 66.3
GTEX-OIZH-0126-SM-2HMIS 50-59 years, male 65.8
GTEX-1GF9X-2026-SM-7PC3A 40-49 years, female 65.8
GTEX-1K2DA-1826-SM-CGQGT 50-59 years, male 65.8
GTEX-NFK9-0226-SM-2HMKQ 40-49 years, male 65.6
GTEX-RVPV-0126-SM-EAZAW 60-69 years, male 65.5
GTEX-OHPL-0126-SM-2HMJ7 60-69 years, female 65.4
GTEX-11UD2-0226-SM-5EQKY 50-59 years, male 65.3
GTEX-ZAB4-0226-SM-5N9F5 40-49 years, male 64.9
GTEX-11H98-0126-SM-5EGHG 50-59 years, male 64.8
GTEX-WYJK-0126-SM-3NMAB 50-59 years, male 64.7
GTEX-1GN2E-0426-SM-9MQKX 60-69 years, male 64.7
GTEX-1I1GU-2226-SM-CGQFA 40-49 years, male 64.7
GTEX-11DXW-0226-SM-5H122 40-49 years, male 64.4
GTEX-13OVI-1426-SM-5L3EY 60-69 years, female 64.3
GTEX-1HGF4-2426-SM-ACKXM 60-69 years, male 64.3
GTEX-1211K-2026-SM-5EQ4Z 60-69 years, female 64.2
GTEX-12WSK-2326-SM-5GCOH 40-49 years, female 64.2
GTEX-OOBK-0126-SM-2YUND 40-49 years, male 64.2
GTEX-13O3O-0126-SM-E9J49 60-69 years, female 64.2
GTEX-1PIIG-0226-SM-EWRN6 30-39 years, male 64.2
GTEX-14PK6-1926-SM-6ETZU 70-79 years, female 63.9
GTEX-RTLS-0126-SM-447CA 60-69 years, female 63.8
GTEX-Y8DK-0126-SM-4TT3L 60-69 years, male 63.8
GTEX-1HCU8-0626-SM-A9SM9 60-69 years, female 63.5
GTEX-1LSNM-1926-SM-E6CII 50-59 years, male 63.4
GTEX-1RDX4-0126-SM-E9J4P 50-59 years, female 63.1
GTEX-ZWKS-0126-SM-5SIAA 30-39 years, male 63.0
GTEX-1GMR3-1926-SM-9KNUZ 40-49 years, male 62.8
GTEX-1LVAN-0226-SM-COH3S 50-59 years, female 62.8
GTEX-1NV5F-0226-SM-E8VNY 60-69 years, female 62.2
GTEX-16MT8-0426-SM-7KUEY 60-69 years, female 62.1
GTEX-RU72-0926-SM-2TF6B 50-59 years, female 62.1
GTEX-XYKS-2126-SM-4E3IB 60-69 years, female 62.0
GTEX-ZXES-1826-SM-5E43S 30-39 years, female 61.9
GTEX-131XF-5016-SM-7MGWE 60-69 years, male 61.9
GTEX-1HCUA-2426-SM-ADEIS 50-59 years, female 61.9
GTEX-15ER7-0326-SM-7KUEV 20-29 years, female 61.8
GTEX-16GPK-0126-SM-7DHLE 60-69 years, male 61.4
GTEX-1OJC3-0126-SM-E76QX 20-29 years, male 61.4
GTEX-T6MN-0126-SM-32PLP 50-59 years, male 61.2
GTEX-XBEW-0626-SM-4QASP 40-49 years, male 61.2
GTEX-1IKK5-0626-SM-ARL8A 60-69 years, male 61.2
GTEX-YB5K-2126-SM-4WWDJ 40-49 years, female 61.1
GTEX-13PVR-2326-SM-5QGR1 60-69 years, female 61.0
GTEX-1192X-0226-SM-5H12D 50-59 years, male 60.9
GTEX-1C64N-0126-SM-793D7 50-59 years, male 60.9
GTEX-ZVTK-0426-SM-51MRS 20-29 years, male 60.8
GTEX-117YW-2626-SM-5GZZH 50-59 years, male 60.7
GTEX-145MI-0526-SM-5O9A8 60-69 years, female 60.7
GTEX-Y5LM-1926-SM-5RQJH 40-49 years, female 60.7
GTEX-1C6VQ-0126-SM-7P8RI 50-59 years, male 60.3
GTEX-18A6Q-0126-SM-731BZ 60-69 years, male 60.0
GTEX-1H23P-0126-SM-ADEJ3 60-69 years, male 60.0
GTEX-P4PP-0126-SM-3LK69 30-39 years, female 59.9
GTEX-1122O-2126-SM-5EGIR 60-69 years, female 59.8
GTEX-13113-5016-SM-7EPIP 60-69 years, female 59.8
GTEX-14753-0426-SM-5NQAM 60-69 years, male 59.6
GTEX-1IOXB-0126-SM-ARL8G 50-59 years, male 59.6
GTEX-1LGRB-2526-SM-CNPPQ 50-59 years, female 59.6
GTEX-SUCS-1926-SM-32PM3 70-79 years, male 59.5
GTEX-1MJK2-0426-SM-DTXE5 50-59 years, male 59.5
GTEX-111VG-2426-SM-5GZXD 60-69 years, male 59.4
GTEX-12126-0326-SM-5PNW3 20-29 years, male 59.4
GTEX-13O3P-0126-SM-5KM4S 50-59 years, male 59.3
GTEX-W5WG-1826-SM-4KL2Y 50-59 years, female 59.3
GTEX-1C475-1826-SM-73KWA 40-49 years, female 59.1
GTEX-12696-2426-SM-5EQ6H 60-69 years, male 59.0
GTEX-13OVJ-0126-SM-5KM36 50-59 years, female 58.9
GTEX-X5EB-2226-SM-46MW4 40-49 years, male 58.8
GTEX-1JN6P-0126-SM-D3L98 60-69 years, male 58.8
GTEX-S33H-1026-SM-EZ6L6 30-39 years, male 58.8
GTEX-ZPIC-1726-SM-DHXIU 40-49 years, female 58.8
GTEX-WVJS-0126-SM-4MVOT 50-59 years, male 58.6
GTEX-ZV6S-2326-SM-4YCEY 40-49 years, female 58.6
GTEX-11EM3-2426-SM-59861 20-29 years, female 58.5
GTEX-1I6K6-0126-SM-A9SLE 30-39 years, male 58.5
GTEX-144GN-2326-SM-5LU4F 50-59 years, male 58.3
GTEX-ZYFC-0226-SM-5NQ75 50-59 years, male 58.3
GTEX-1OFPY-2426-SM-DTXEJ 60-69 years, male 58.3
GTEX-1GF9V-0326-SM-7RHI5 60-69 years, male 58.2
GTEX-1J1OQ-0226-SM-CYPSH 40-49 years, female 58.2
GTEX-1LG7Z-1726-SM-D3LA4 30-39 years, male 58.1
GTEX-117XS-2726-SM-5N9BL 60-69 years, male 58.0
GTEX-ZDTS-0126-SM-4WAY5 60-69 years, male 57.9
GTEX-12WSA-0226-SM-5BC5V 60-69 years, male 57.8
GTEX-1H1DE-2126-SM-9WG6R 20-29 years, male 57.8
GTEX-148VJ-0126-SM-5TDDN 70-79 years, male 57.7
GTEX-Q2AI-1326-SM-2S1PL 40-49 years, male 57.7
GTEX-OIZG-0726-SM-33HBL 50-59 years, male 57.5
GTEX-OXRN-0126-SM-48TDM 50-59 years, male 57.4
GTEX-1PFEY-1526-SM-E76PP 30-39 years, male 57.3
GTEX-13NYC-0326-SM-E9J4S 60-69 years, male 57.1
GTEX-1RB15-2126-SM-E9TIM 60-69 years, male 57.1
GTEX-ZVZP-2426-SM-59HKJ 50-59 years, male 57.0
GTEX-11DZ1-0126-SM-5985Q 50-59 years, male 56.9
GTEX-WFG8-2226-SM-3GIL9 20-29 years, male 56.6
GTEX-SE5C-1626-SM-2XCE3 40-49 years, female 56.6
GTEX-14A5I-0126-SM-5TDEA 50-59 years, female 56.4
GTEX-15SB6-1726-SM-6PAME 50-59 years, female 56.4
GTEX-SIU8-0126-SM-2XCDT 50-59 years, male 56.4
GTEX-14C5O-0126-SM-5SI6N 60-69 years, male 56.3
GTEX-1HCU6-0126-SM-CL54K 60-69 years, female 56.3
GTEX-13D11-2426-SM-5KM1V 50-59 years, female 56.2
GTEX-13N1W-0126-SM-5K7VT 70-79 years, male 56.1
GTEX-YFC4-0126-SM-5CVLY 40-49 years, female 56.1
GTEX-1KD4Q-0226-SM-E9TJ9 40-49 years, male 56.1
GTEX-1KXAM-2226-SM-CYPTC 60-69 years, male 56.1
GTEX-1R7EU-0226-SM-EVR4G 60-69 years, male 56.1
GTEX-1I1GS-0126-SM-B2LVW 60-69 years, male 56.0
GTEX-1KANC-1526-SM-D3LAB 50-59 years, female 55.9
GTEX-T8EM-1026-SM-3DB7M 40-49 years, male 55.7
GTEX-1JMPZ-0226-SM-CNPP1 30-39 years, male 55.7
GTEX-XAJ8-0826-SM-47JY6 40-49 years, male 55.6
GTEX-YEC4-2126-SM-5IFJH 40-49 years, male 55.6
GTEX-ZDXO-3026-SM-5J1N5 60-69 years, male 55.5
GTEX-1JMQI-2226-SM-CM2SD 50-59 years, male 55.5
GTEX-1J8EW-0126-SM-CJI4F 60-69 years, female 55.4
GTEX-11ZTS-0126-SM-5EQ6M 60-69 years, female 55.3
GTEX-16YQH-0126-SM-7DUFJ 30-39 years, male 55.3
GTEX-XQ3S-1526-SM-4BOOC 20-29 years, male 55.3
GTEX-1IDJH-0326-SM-A9SLQ 70-79 years, male 55.2
GTEX-PX3G-0126-SM-2I3EN 20-29 years, female 55.1
GTEX-X261-0126-SM-3NMD6 50-59 years, male 55.0
GTEX-1N2DV-0226-SM-E6CJ6 40-49 years, male 54.8
GTEX-11O72-0126-SM-59887 40-49 years, male 54.7
GTEX-14PII-0226-SM-6EU1T 60-69 years, male 54.7
GTEX-1B8SG-0126-SM-73KZ3 50-59 years, male 54.6
GTEX-13G51-2526-SM-5LZYK 60-69 years, male 54.4
GTEX-12ZZZ-0626-SM-5DUXI 60-69 years, male 54.3
GTEX-ZYW4-0126-SM-5E44A 60-69 years, male 54.3
GTEX-1399R-2726-SM-5IJBA 30-39 years, male 54.2
GTEX-14PHX-2326-SM-62LEM 50-59 years, male 54.1
GTEX-T6MO-1626-SM-32QOM 40-49 years, female 54.1
GTEX-ZTSS-1926-SM-57WEW 40-49 years, male 54.1
GTEX-1CAMS-0426-SM-7P8T2 40-49 years, female 54.1
GTEX-1E2YA-0126-SM-9KNUC 50-59 years, male 54.1
GTEX-1HBPN-0226-SM-9YFM1 50-59 years, male 53.8
GTEX-1QMI2-0226-SM-EVYBX 60-69 years, male 53.8
GTEX-ZVT4-0126-SM-DTXFN 50-59 years, female 53.7
GTEX-18D9A-1926-SM-7LG6P 30-39 years, female 53.5
GTEX-14JG1-0426-SM-6ETZZ 40-49 years, male 53.4
GTEX-WXYG-2326-SM-4E3I6 50-59 years, female 53.4
GTEX-PWCY-1826-SM-DHXIZ 20-29 years, female 53.4
GTEX-1F5PL-0326-SM-7P8PQ 40-49 years, female 53.3
GTEX-13RTK-1426-SM-5QGQJ 20-29 years, male 53.2
GTEX-1CB4J-0626-SM-7DHMP 60-69 years, male 53.2
GTEX-T2IS-0126-SM-4DM6O 20-29 years, female 53.1
GTEX-1F6IF-0726-SM-7P8TW 60-69 years, male 53.1
GTEX-X585-0226-SM-4QAS2 50-59 years, male 53.0
GTEX-1CB4H-0226-SM-7PBXM 60-69 years, female 53.0
GTEX-1HB9E-0226-SM-E9U4R 50-59 years, male 53.0
GTEX-1J8Q2-0526-SM-CM2RW 60-69 years, male 52.9
GTEX-12WSD-0126-SM-59HKN 60-69 years, female 52.8
GTEX-17EVP-0326-SM-7DHLG 40-49 years, male 52.8
GTEX-WRHK-1426-SM-3MJF9 20-29 years, female 52.7
GTEX-XPVG-2626-SM-4B669 50-59 years, male 52.7
GTEX-1J8QM-2126-SM-CYPSJ 60-69 years, female 52.6
GTEX-1JMOU-1526-SM-CL54I 60-69 years, female 52.6
GTEX-13FH7-2026-SM-E9J4I 50-59 years, female 52.5
GTEX-1QPFJ-0226-SM-E76PB 30-39 years, female 52.4
GTEX-Z93S-0126-SM-5HL7M 50-59 years, male 52.3
GTEX-1HFI6-0226-SM-ADEHZ 40-49 years, male 52.3
GTEX-12ZZX-0126-SM-5EGK9 40-49 years, female 52.2
GTEX-13NYB-2526-SM-5K7Z6 40-49 years, male 52.0
GTEX-ZF2S-2326-SM-4WWCE 50-59 years, female 52.0
GTEX-ZVT2-2526-SM-51MT1 50-59 years, female 52.0
GTEX-1JMQJ-0526-SM-CYPSU 50-59 years, male 52.0
GTEX-111FC-0126-SM-5N9DL 60-69 years, male 51.8
GTEX-1HR98-0126-SM-B2LWI 60-69 years, male 51.8
GTEX-1ICLY-0126-SM-D4P36 50-59 years, male 51.8
GTEX-13PDP-0126-SM-5L3HD 60-69 years, male 51.7
GTEX-P4PQ-0126-SM-2S1NM 60-69 years, male 51.7
GTEX-1LB8K-0226-SM-EWRNW 50-59 years, male 51.7
GTEX-15D1Q-0126-SM-7KUG6 40-49 years, male 51.6
GTEX-1LBAC-0126-SM-DIPEZ 20-29 years, male 51.6
GTEX-1RLM8-2326-SM-EWRN4 50-59 years, male 51.6
GTEX-15F5U-1526-SM-6PANO 40-49 years, male 51.4
GTEX-13OW5-0126-SM-DTXFS 60-69 years, male 51.4
GTEX-Y111-0126-SM-4SOIV 50-59 years, male 51.3
GTEX-1C4CL-0526-SM-73KVK 30-39 years, male 51.1
GTEX-1EMGI-0126-SM-9KNUE 60-69 years, male 51.1
GTEX-ZYFG-2326-SM-5E44B 60-69 years, female 51.0
GTEX-1HCU7-0226-SM-CL545 50-59 years, male 51.0
GTEX-1M5QR-1226-SM-EWROB 40-49 years, male 50.9
GTEX-1R7EV-2426-SM-EVYBG 40-49 years, male 50.9
GTEX-117YX-2326-SM-5H12W 50-59 years, male 50.8
GTEX-13NZB-2526-SM-5J1OM 30-39 years, male 50.8
GTEX-15DDE-0126-SM-6LPKH 50-59 years, female 50.8
GTEX-XQ8I-0426-SM-4BOPO 50-59 years, male 50.8
GTEX-ZVE2-0226-SM-59HJB 50-59 years, male 50.8
GTEX-1GF9W-0326-SM-9KNUN 60-69 years, male 50.8
GTEX-1H3VE-0326-SM-9YFLH 40-49 years, male 50.8
GTEX-13IVO-0126-SM-5J1NG 70-79 years, male 50.7
GTEX-17F98-0626-SM-79OMX 40-49 years, female 50.6
GTEX-X4EO-0326-SM-3P5YO 60-69 years, female 50.6
GTEX-1128S-2326-SM-5GZZY 60-69 years, female 50.5
GTEX-1KANB-0526-SM-E6CJH 50-59 years, male 50.5
GTEX-145MF-0626-SM-5LUAI 50-59 years, male 50.4
GTEX-17EUY-0426-SM-793BD 20-29 years, male 50.4
GTEX-1EX96-1626-SM-7PBXR 50-59 years, male 50.4
GTEX-1HSMP-0126-SM-E6CJS 70-79 years, male 50.4
GTEX-1399T-2826-SM-5KLYZ 60-69 years, male 50.3
GTEX-13OVK-2026-SM-7KUEO 40-49 years, male 50.3
GTEX-XV7Q-2526-SM-4BRV9 40-49 years, female 50.3
GTEX-11GSP-2526-SM-5N9BP 60-69 years, female 50.2
GTEX-1212Z-2526-SM-5EGKP 60-69 years, male 50.2
GTEX-13FHP-0126-SM-5IJBG 50-59 years, male 50.0
GTEX-1F6I4-0126-SM-9MQL2 60-69 years, male 50.0
GTEX-169BO-1326-SM-9MQK2 50-59 years, male 49.9
GTEX-1S5ZA-0126-SM-EVYCV 20-29 years, male 49.9
GTEX-S32W-2126-SM-2XCB1 50-59 years, female 49.8
GTEX-ZZ64-1726-SM-5GZYB 20-29 years, male 49.8
GTEX-1IL2U-0226-SM-CE6T8 60-69 years, male 49.8
GTEX-148VI-1626-SM-5SI6E 60-69 years, female 49.7
GTEX-PWO3-1526-SM-48TCM 60-69 years, female 49.7
GTEX-WFON-2126-SM-3LK7O 40-49 years, male 49.7
GTEX-1QP66-1726-SM-E8VO1 50-59 years, male 49.7
GTEX-TMZS-0126-SM-3DB9Q 60-69 years, male 49.6
GTEX-131YS-0126-SM-5KM1M 60-69 years, female 49.4
GTEX-17MF6-0126-SM-7LG4F 40-49 years, male 49.4
GTEX-1CB4E-2226-SM-793DC 60-69 years, male 49.4
GTEX-13OVL-0226-SM-5L3E9 50-59 years, male 49.3
GTEX-XBED-2226-SM-47JYQ 60-69 years, male 49.3
GTEX-12WSG-2826-SM-E9J4H 50-59 years, female 49.3
GTEX-1HCVE-0126-SM-CGQEU 50-59 years, male 49.3
GTEX-17HII-0226-SM-7LG4E 50-59 years, male 49.2
GTEX-ZV68-0126-SM-59HKS 50-59 years, female 49.2
GTEX-13111-1626-SM-5EGJY 50-59 years, male 49.1
GTEX-18QFQ-0126-SM-731BE 30-39 years, male 49.1
GTEX-WOFL-0126-SM-3MJG2 60-69 years, male 49.0
GTEX-13VXU-0126-SM-5SI9F 50-59 years, male 48.9
GTEX-Y3I4-2126-SM-4TT7C 50-59 years, male 48.9
GTEX-13SLW-0126-SM-5SI6C 70-79 years, male 48.8
GTEX-1GMR8-0126-SM-9WYTM 50-59 years, female 48.8
GTEX-17KNJ-2326-SM-7DHLQ 50-59 years, male 48.7
GTEX-15ETS-0126-SM-7KUMW 40-49 years, female 48.6
GTEX-14LLW-0126-SM-6LLIO 70-79 years, female 48.5
GTEX-1HSEH-0126-SM-ACKXN 60-69 years, male 48.5
GTEX-1HSGN-0226-SM-CGQFV 40-49 years, female 48.5
GTEX-1HSKV-0226-SM-A9SKJ 60-69 years, male 48.5
GTEX-1KWVE-1426-SM-E9TJO 30-39 years, male 48.5
GTEX-1S82Z-0826-SM-E6CHY 30-39 years, female 48.5
GTEX-12WSE-0526-SM-793B2 20-29 years, male 48.4
GTEX-1J8JJ-0226-SM-CL53I 60-69 years, female 48.4
GTEX-1JJEA-0326-SM-CNPOT 60-69 years, male 48.4
GTEX-OXRP-0126-SM-3NB32 60-69 years, female 48.3
GTEX-1EWIQ-0126-SM-7RHH2 70-79 years, female 48.3
GTEX-1S3DN-2226-SM-EVYCD 50-59 years, male 48.3
GTEX-1I4MK-2226-SM-ACKWD 50-59 years, female 48.2
GTEX-VUSG-2526-SM-4KL1V 50-59 years, male 48.1
GTEX-1H2FU-0126-SM-9WYSI 60-69 years, female 48.1
GTEX-1MA7W-2026-SM-E9TJ6 20-29 years, female 48.1
GTEX-QDT8-0126-SM-48TZ1 30-39 years, female 48.0
GTEX-1MCQQ-0826-SM-DLHC2 60-69 years, male 48.0
GTEX-15RIG-0226-SM-7KFTL 40-49 years, male 47.8
GTEX-1BAJH-0526-SM-793CQ 70-79 years, male 47.7
GTEX-ZE9C-2726-SM-57WB5 60-69 years, male 47.7
GTEX-145LS-0126-SM-5QGP1 60-69 years, female 47.6
GTEX-13N2G-2626-SM-5J1OT 60-69 years, male 47.5
GTEX-145LT-1726-SM-5QGP3 40-49 years, male 47.5
GTEX-1AX8Z-0126-SM-7DHM6 60-69 years, male 47.5
GTEX-14BIN-0626-SM-793DP 50-59 years, female 47.4
GTEX-1CB4I-0226-SM-79OLH 50-59 years, male 47.4
GTEX-S95S-1226-SM-4GICG 60-69 years, male 47.4
GTEX-Y5V6-2426-SM-4VDSB 60-69 years, male 47.4
GTEX-1F75B-0126-SM-9KNVL 50-59 years, male 47.4
GTEX-11GS4-2726-SM-5A5LE 60-69 years, male 47.3
GTEX-1B996-0226-SM-7RHGO 60-69 years, male 47.3
GTEX-1HUB1-0426-SM-E9U4U 60-69 years, male 47.3
GTEX-1I1GT-0626-SM-CGQER 60-69 years, female 47.3
GTEX-1KAFJ-2026-SM-CY8ID 50-59 years, male 47.3
GTEX-11OF3-2626-SM-5GU7F 60-69 years, male 47.2
GTEX-18A67-0126-SM-7LG5P 50-59 years, male 47.2
GTEX-1AX9I-0126-SM-7SB74 60-69 years, male 47.2
GTEX-1QCLY-0326-SM-E8VOG 30-39 years, male 47.2
GTEX-139D8-0226-SM-5KLZO 30-39 years, female 47.1
GTEX-S7SE-0126-SM-2XCD5 50-59 years, male 47.1
GTEX-ZYT6-0226-SM-5NQ6T 30-39 years, male 47.1
GTEX-WH7G-2326-SM-3NMBC 40-49 years, male 47.0
GTEX-1314G-1526-SM-5EGK2 30-39 years, male 46.9
GTEX-131XW-0426-SM-5LZWP 50-59 years, female 46.9
GTEX-OHPM-0126-SM-2YUN9 50-59 years, male 46.9
GTEX-QLQW-1126-SM-2S1Q8 30-39 years, male 46.9
GTEX-1RAZA-0126-SM-E6CI3 20-29 years, male 46.9
GTEX-13112-2826-SM-5DUWH 50-59 years, male 46.8
GTEX-P44H-0226-SM-2XCEU 40-49 years, male 46.8
GTEX-1C6WA-0126-SM-7PC2B 60-69 years, male 46.8
GTEX-1R9PM-2026-SM-E76OY 20-29 years, male 46.8
GTEX-1C2JI-1826-SM-73KXC 50-59 years, male 46.7
GTEX-ZDYS-2026-SM-5HL5L 50-59 years, male 46.7
GTEX-133LE-1826-SM-5J1MV 20-29 years, female 46.6
GTEX-1AX9J-0226-SM-73KXM 60-69 years, male 46.6
GTEX-18D9U-0226-SM-718BP 40-49 years, male 46.5
GTEX-QV44-1926-SM-2S1RF 50-59 years, male 46.5
GTEX-UPJH-0326-SM-3GADU 50-59 years, male 46.5
GTEX-1PPH7-2326-SM-EVYB8 40-49 years, male 46.5
GTEX-139TU-0126-SM-5K7WH 60-69 years, male 46.4
GTEX-RM2N-1426-SM-2TF4H 50-59 years, male 46.4
GTEX-PLZ4-0126-SM-5SI8O 50-59 years, female 46.1
GTEX-Q2AH-1626-SM-3GAF8 40-49 years, male 46.1
GTEX-XUW1-0426-SM-4BOOT 50-59 years, female 46.1
GTEX-12ZZY-0226-SM-5LZVE 60-69 years, male 46.0
GTEX-13N11-2526-SM-5K7UE 50-59 years, female 46.0
GTEX-17EVQ-0226-SM-7LG4P 70-79 years, male 46.0
GTEX-R55G-2526-SM-2TC6D 40-49 years, female 46.0
GTEX-1M4P7-0226-SM-DIPEV 60-69 years, male 46.0
GTEX-13X6J-0126-SM-5QGOU 50-59 years, male 45.9
GTEX-13S7M-0126-SM-5SI6A 60-69 years, female 45.8
GTEX-WQUQ-0426-SM-3MJFU 60-69 years, male 45.8
GTEX-11WQC-2526-SM-5CVLE 60-69 years, male 45.7
GTEX-1GTWX-0126-SM-9YFLK 60-69 years, male 45.7
GTEX-1GZ4H-1726-SM-7PBZJ 50-59 years, female 45.7
GTEX-11EQ9-2426-SM-5HL5T 30-39 years, male 45.6
GTEX-18465-0126-SM-731BN 50-59 years, male 45.6
GTEX-1S83E-0126-SM-EWRO4 40-49 years, male 45.6
GTEX-QEG4-0226-SM-2S1PY 30-39 years, male 45.5
GTEX-1HBPI-1526-SM-C1YQ1 50-59 years, male 45.5
GTEX-1LGOU-2026-SM-DIPFF 20-29 years, female 45.5
GTEX-11OC5-0126-SM-5HL6A 60-69 years, male 45.4
GTEX-15G19-0126-SM-6PANQ 60-69 years, male 45.4
GTEX-RWSA-0126-SM-2XCBB 40-49 years, male 45.4
GTEX-1ICG6-2526-SM-CGQFZ 70-79 years, female 45.4
GTEX-145LV-2126-SM-5LU8N 50-59 years, male 45.3
GTEX-1GN73-0226-SM-9WG67 60-69 years, male 45.3
GTEX-PLZ6-1426-SM-DKPOT 30-39 years, male 45.3
GTEX-146FQ-0126-SM-5NQA9 30-39 years, male 45.2
GTEX-Z93T-0126-SM-5HL5N 50-59 years, male 45.2
GTEX-13FHO-0226-SM-5IFGY 60-69 years, male 45.1
GTEX-VJWN-0126-SM-3GIK7 50-59 years, female 45.1
GTEX-1MUQO-0126-SM-EAZ58 60-69 years, male 45.0
GTEX-1O97I-0326-SM-EYYX7 60-69 years, male 45.0
GTEX-ZF29-2326-SM-DO92K 60-69 years, female 45.0
GTEX-17F97-0326-SM-7LG5B 50-59 years, male 44.9
GTEX-ZY6K-1826-SM-5GZXK 50-59 years, male 44.9
GTEX-1H4P4-0726-SM-9YFLR 50-59 years, male 44.9
GTEX-1LNCM-1126-SM-E9U5E 50-59 years, female 44.9
GTEX-17HG3-2226-SM-7938L 30-39 years, female 44.8
GTEX-18A7A-0226-SM-718BH 50-59 years, female 44.8
GTEX-1B8L1-2526-SM-9WYTF 60-69 years, male 44.8
GTEX-1J1R8-1726-SM-ARL8M 40-49 years, male 44.8
GTEX-11DXX-2426-SM-5GZZW 60-69 years, female 44.7
GTEX-1313W-0126-SM-5LZUN 50-59 years, female 44.7
GTEX-18A7B-0126-SM-7LG64 70-79 years, male 44.7
GTEX-PLZ5-2026-SM-2S1O4 50-59 years, male 44.7
GTEX-PVOW-0126-SM-2XCFA 40-49 years, male 44.5
GTEX-1IKJJ-0126-SM-CNPQB 60-69 years, male 44.5
GTEX-RNOR-0126-SM-E9J4R 50-59 years, female 44.5
GTEX-ZQG8-1626-SM-DHXIT 60-69 years, female 44.5
GTEX-ZDTT-2726-SM-4WKF8 60-69 years, male 44.4
GTEX-13X6I-0626-SM-5QGP9 60-69 years, male 44.2
GTEX-1A32A-0126-SM-718B1 50-59 years, female 44.1
GTEX-13O21-1426-SM-5K7XI 50-59 years, male 44.0
GTEX-14PJM-0226-SM-62LF1 50-59 years, female 44.0
GTEX-11GSO-2426-SM-5A5LY 60-69 years, male 43.9
GTEX-17F96-1626-SM-7DUFL 70-79 years, male 43.9
GTEX-15DCD-0126-SM-7KUEK 70-79 years, female 43.7
GTEX-XUYS-0126-SM-47JWZ 50-59 years, male 43.7
GTEX-ZAK1-0126-SM-5IJD3 50-59 years, female 43.7
GTEX-1IDJF-0126-SM-CM2RS 20-29 years, male 43.7
GTEX-14E6D-0126-SM-62LDV 50-59 years, male 43.5
GTEX-1I1GP-2226-SM-CGQFK 50-59 years, male 43.5
GTEX-1MCYP-1926-SM-E9J2R 20-29 years, female 43.5
GTEX-1CB4G-0226-SM-7PC3O 60-69 years, male 43.4
GTEX-1H3O1-0426-SM-9YFKY 60-69 years, male 43.4
GTEX-131XH-2226-SM-5DUXJ 50-59 years, male 43.3
GTEX-ZYY3-0126-SM-5GZY5 60-69 years, female 43.3
GTEX-11EMC-2926-SM-5EQ4F 60-69 years, female 43.1
GTEX-14BMU-2226-SM-5TDE9 20-29 years, female 43.1
GTEX-WYVS-2126-SM-3NMA3 40-49 years, female 43.1
GTEX-1GN1U-0126-SM-7PBZK 50-59 years, female 43.1
GTEX-1269C-2526-SM-5EGJ3 60-69 years, female 43.0
GTEX-QDVJ-1726-SM-2I5FX 50-59 years, male 43.0
GTEX-1CB4F-0426-SM-9KNV4 60-69 years, male 43.0
GTEX-1HT8W-0126-SM-CNPPP 30-39 years, male 43.0
GTEX-1IL2V-0126-SM-CM2TX 70-79 years, male 43.0
GTEX-1AX9K-2326-SM-73KWU 50-59 years, male 42.8
GTEX-TMMY-0226-SM-33HBA 40-49 years, female 42.7
GTEX-14BIM-0226-SM-7IGLD 60-69 years, female 42.6
GTEX-17JCI-0126-SM-7LG5G 60-69 years, female 42.6
GTEX-1CAMQ-0226-SM-7IGPK 40-49 years, male 42.6
GTEX-SNMC-1226-SM-2XCFP 20-29 years, male 42.6
GTEX-Y8LW-1826-SM-5S2MV 50-59 years, female 42.6
GTEX-1KANA-0726-SM-D3L9I 20-29 years, male 42.6
GTEX-1QP29-0626-SM-EWRMX 50-59 years, male 42.5
GTEX-11TTK-0126-SM-5987B 60-69 years, female 42.4
GTEX-XMD2-0126-SM-4YCDU 60-69 years, female 42.1
GTEX-ZZPT-0226-SM-5E43X 50-59 years, male 42.1
GTEX-1RQEC-0426-SM-E6CHU 60-69 years, male 42.1
GTEX-13JUV-2726-SM-5LZZ8 40-49 years, female 42.0
GTEX-13SLX-0526-SM-5S2ON 50-59 years, female 42.0
GTEX-14PJ6-2126-SM-6EU1V 60-69 years, female 42.0
GTEX-15SHU-0126-SM-7KUEH 40-49 years, female 42.0
GTEX-1CAMR-1926-SM-7EPI2 20-29 years, male 42.0
GTEX-11NSD-2226-SM-5986V 20-29 years, male 41.9
GTEX-145ME-1826-SM-5SI9G 40-49 years, female 41.9
GTEX-1C6VS-0526-SM-7DUEN 60-69 years, male 41.9
GTEX-1GL5R-1826-SM-9KNUY 50-59 years, male 41.9
GTEX-RN64-0126-SM-2TC68 50-59 years, male 41.8
GTEX-1B933-0126-SM-7PC29 50-59 years, female 41.8
GTEX-13OW7-0126-SM-5MR3B 50-59 years, male 41.7
GTEX-14DAR-2026-SM-5S2O3 50-59 years, male 41.7
GTEX-QVJO-1626-SM-2S1QW 60-69 years, female 41.7
GTEX-1IDFM-0126-SM-COH2V 60-69 years, male 41.7
GTEX-11P82-1626-SM-59879 20-29 years, male 41.6
GTEX-1H1ZS-0426-SM-9WG6G 70-79 years, male 41.5
GTEX-1S82Y-2026-SM-EVYCM 40-49 years, male 41.5
GTEX-SJXC-0126-SM-2XCFF 60-69 years, male 41.1
GTEX-13OW6-0426-SM-5L3HM 50-59 years, male 41.0
GTEX-11NUK-0126-SM-5A5L3 50-59 years, male 40.9
GTEX-1AYCT-2426-SM-7IGQ3 50-59 years, male 40.9
GTEX-WY7C-2326-SM-3NB2U 50-59 years, male 40.9
GTEX-13NZA-0226-SM-5K7Z7 60-69 years, male 40.8
GTEX-144GL-0126-SM-5TDE2 50-59 years, male 40.8
GTEX-15SHW-0326-SM-6PAML 60-69 years, male 40.8
GTEX-1GN1V-0126-SM-9WPOS 60-69 years, male 40.8
GTEX-TML8-1926-SM-32QOS 40-49 years, female 40.7
GTEX-1H3VY-0126-SM-ACKXD 50-59 years, male 40.7
GTEX-13O3Q-2426-SM-5IJBR 50-59 years, male 40.6
GTEX-1KD5A-0226-SM-D5OV3 50-59 years, male 40.6
GTEX-1AMEY-1326-SM-73KYK 30-39 years, female 40.4
GTEX-1GMRU-0126-SM-9YFLV 50-59 years, male 40.4
GTEX-1I1CD-0126-SM-CM2TK 60-69 years, female 40.3
GTEX-12KS4-0326-SM-5EQ41 30-39 years, male 40.2
GTEX-12C56-1726-SM-5EQ61 20-29 years, male 40.1
GTEX-13VXT-0126-SM-5LU4I 20-29 years, female 40.1
GTEX-WZTO-0126-SM-3NM95 40-49 years, male 40.1
GTEX-1HFI7-1826-SM-ACKXH 50-59 years, female 40.1
GTEX-1MA7X-2226-SM-E6CIY 60-69 years, male 40.0
GTEX-11P7K-2126-SM-5GU7G 30-39 years, male 39.9
GTEX-113JC-2326-SM-5EQ4E 50-59 years, female 39.8
GTEX-14LZ3-0226-SM-62LET 60-69 years, female 39.8
GTEX-X62O-0126-SM-4E3JN 50-59 years, male 39.8
GTEX-1HCU9-1526-SM-A9SL7 20-29 years, male 39.8
GTEX-1HSMQ-1226-SM-CGQFX 50-59 years, male 39.8
GTEX-1C6VR-2426-SM-79OLD 60-69 years, male 39.7
GTEX-1F7RK-0126-SM-7PC2S 20-29 years, female 39.7
GTEX-1H11D-0226-SM-9WG6Z 40-49 years, male 39.7
GTEX-17HHY-0126-SM-7LG5D 50-59 years, male 39.6
GTEX-1AYD5-2426-SM-73KXR 50-59 years, male 39.5
GTEX-1F48J-0126-SM-7P8TT 50-59 years, female 39.5
GTEX-11XUK-2026-SM-5EQLF 40-49 years, female 39.3
GTEX-1I1GQ-0126-SM-COH3H 50-59 years, male 39.2
GTEX-11LCK-1026-SM-5A5KB 30-39 years, male 39.1
GTEX-ZC5H-0226-SM-4WAY9 40-49 years, female 39.1
GTEX-U3ZM-1526-SM-3DB9D 40-49 years, male 39.0
GTEX-ZQUD-1426-SM-57WER 30-39 years, male 39.0
GTEX-147F4-0226-SM-5QGPW 50-59 years, male 38.9
GTEX-14BMV-0126-SM-5S2PO 50-59 years, male 38.9
GTEX-Q734-1926-SM-2I5EV 40-49 years, female 38.9
GTEX-ZF28-0126-SM-4WKGK 60-69 years, male 38.9
GTEX-1GF9U-2126-SM-7SB7L 40-49 years, female 38.9
GTEX-139TT-0126-SM-5K7Y5 60-69 years, male 38.8
GTEX-Y5V5-2326-SM-4V6GA 60-69 years, female 38.8
GTEX-1F5PK-2426-SM-7RHHY 50-59 years, male 38.7
GTEX-11ZU8-2526-SM-5EQKI 60-69 years, male 38.5
GTEX-1JKYN-1326-SM-CGQG9 30-39 years, male 38.4
GTEX-1LG7Y-0526-SM-DKPQC 50-59 years, male 38.4
GTEX-1POEN-0126-SM-EYYXJ 30-39 years, female 38.4
GTEX-15DYW-0126-SM-7KULE 60-69 years, female 38.3
GTEX-1QP2A-0126-SM-E9J43 50-59 years, male 38.3
GTEX-13FTY-0526-SM-5L3EV 40-49 years, female 38.1
GTEX-11ZVC-2526-SM-5FQTE 50-59 years, female 38.0
GTEX-1PBJI-0526-SM-E8VNK 20-29 years, female 38.0
GTEX-145LU-0126-SM-5TDCB 50-59 years, male 37.8
GTEX-13OVG-1926-SM-5L3DK 60-69 years, male 37.7
GTEX-1B97I-1626-SM-73KYO 40-49 years, male 37.7
GTEX-R55E-0126-SM-2TC5Y 20-29 years, male 37.6
GTEX-11DXY-2626-SM-5GIE7 60-69 years, male 37.5
GTEX-OXRL-0126-SM-2YUMP 50-59 years, male 37.5
GTEX-1IDJU-2626-SM-CM2RT 60-69 years, female 37.5
GTEX-14PN3-2426-SM-6LLHS 60-69 years, female 37.4
GTEX-16BQI-0226-SM-7KUEX 30-39 years, female 37.4
GTEX-13QJ3-0326-SM-5S2RA 50-59 years, male 37.3
GTEX-15EU6-0426-SM-6PAN5 50-59 years, male 37.3
GTEX-1EN7A-0126-SM-7SB81 40-49 years, male 37.3
GTEX-1GPI7-0126-SM-9MQL8 20-29 years, male 37.2
GTEX-1JKYR-0126-SM-CNPOJ 20-29 years, male 37.2
GTEX-11P81-2326-SM-59875 30-39 years, female 37.1
GTEX-12WSC-0126-SM-5EQ4P 50-59 years, male 37.1
GTEX-14JG6-2226-SM-6EU2G 30-39 years, female 37.1
GTEX-Y8E4-0626-SM-4WWDL 40-49 years, male 37.0
GTEX-1I19N-0326-SM-ACKVX 70-79 years, male 36.9
GTEX-14PJ3-1826-SM-62LEX 50-59 years, male 36.8
GTEX-RWS6-2026-SM-2XCB5 60-69 years, female 36.8
GTEX-1H3NZ-0126-SM-ACKX7 60-69 years, male 36.8
GTEX-1I1GR-0126-SM-CL55F 60-69 years, male 36.8
GTEX-16AAH-1726-SM-7939C 50-59 years, male 36.6
GTEX-PW2O-1526-SM-7RHHB 20-29 years, male 36.6
GTEX-17HGU-0226-SM-7DHKV 50-59 years, male 36.5
GTEX-TSE9-0126-SM-3DB83 60-69 years, female 36.5
GTEX-1F52S-0126-SM-9MQJU 60-69 years, female 36.5
GTEX-1EKGG-0226-SM-9WYTH 60-69 years, male 36.4
GTEX-13OW8-1326-SM-5J1OW 60-69 years, male 36.3
GTEX-183FY-0126-SM-7LT9P 20-29 years, male 36.3
GTEX-1NHNU-1026-SM-E9J2A 50-59 years, male 36.3
GTEX-1QEPI-0126-SM-EWRMQ 60-69 years, female 36.3
GTEX-VJYA-1126-SM-3GIJU 60-69 years, male 36.2
GTEX-R45C-0126-SM-EAZ2R 60-69 years, female 36.1
GTEX-13U4I-0126-SM-5LU38 40-49 years, female 36.0
GTEX-QCQG-1726-SM-3GIJ9 50-59 years, female 35.9
GTEX-Z9EW-1626-SM-5CVMN 40-49 years, male 35.9
GTEX-1A8FM-0226-SM-7SB7Q 50-59 years, female 35.9
GTEX-1H1E6-1726-SM-ACKVK 30-39 years, male 35.9
GTEX-1IKOH-0226-SM-COH4E 60-69 years, female 35.7
GTEX-18D9B-0526-SM-7LTAS 60-69 years, male 35.6
GTEX-SSA3-0126-SM-32QPU 60-69 years, male 35.5
GTEX-1IY9M-0126-SM-D3L8S 60-69 years, male 35.5
GTEX-1MGNQ-0126-SM-EVYCJ 40-49 years, male 35.5
GTEX-U4B1-1826-SM-4DXSU 40-49 years, male 35.4
GTEX-OXRK-0226-SM-3NB2G 50-59 years, female 35.3
GTEX-13RTL-0126-SM-7LG5S 40-49 years, male 35.1
GTEX-1HKZK-0326-SM-9WYUH 40-49 years, male 35.1
GTEX-13W3W-2426-SM-5LU5B 60-69 years, female 35.0
GTEX-1A3MV-1926-SM-718BT 30-39 years, male 34.8
GTEX-1IGQW-0126-SM-COH42 60-69 years, male 34.8
GTEX-U3ZN-2326-SM-3DB7W 30-39 years, female 34.7
GTEX-14PHW-0126-SM-6LLJI 60-69 years, female 34.6
GTEX-1JK1U-2026-SM-CM2RZ 60-69 years, male 34.6
GTEX-13FTX-1826-SM-5J1NX 20-29 years, female 34.5
GTEX-1B8KZ-2026-SM-7DHMB 50-59 years, male 34.5
GTEX-1JJE9-0326-SM-CL53Z 70-79 years, male 34.5
GTEX-18A66-0226-SM-718BD 60-69 years, male 34.4
GTEX-1E1VI-0126-SM-7DHMZ 50-59 years, male 34.4
GTEX-1PIGE-0126-SM-EVYBJ 20-29 years, male 34.4
GTEX-146FR-1326-SM-E9J48 60-69 years, female 34.3
GTEX-15SDE-2226-SM-7IGLO 50-59 years, female 34.2
GTEX-ZUA1-0126-SM-5GU76 40-49 years, male 34.2
GTEX-15CHC-2126-SM-6EU21 60-69 years, female 34.1
GTEX-X638-0126-SM-47JZ8 70-79 years, female 34.1
GTEX-1GPI6-0126-SM-9WG69 60-69 years, male 34.1
GTEX-16NPX-0226-SM-79OMT 50-59 years, male 34.0
GTEX-1K9T9-0126-SM-EVYCF 50-59 years, female 34.0
GTEX-ZEX8-2426-SM-4WKG4 50-59 years, male 33.9
GTEX-11ZTT-2426-SM-5EQLS 60-69 years, female 33.8
GTEX-12WSN-5019-SM-79OM6 40-49 years, male 33.8
GTEX-U3ZH-2026-SM-3DB78 30-39 years, male 33.7
GTEX-147GR-0526-SM-5S2MY 60-69 years, male 33.5
GTEX-11EI6-0126-SM-5985R 60-69 years, male 33.4
GTEX-14DAQ-0126-SM-5S2MQ 60-69 years, female 33.4
GTEX-1EU9M-0226-SM-7P8SP 60-69 years, male 33.3
GTEX-1F88F-2726-SM-7PBZZ 60-69 years, female 33.3
GTEX-QLQ7-1626-SM-2S1R8 60-69 years, male 33.2
GTEX-1HBPH-0426-SM-B2LW5 40-49 years, female 33.1
GTEX-OIZF-0126-SM-7SB8I 60-69 years, male 32.8
GTEX-17MFQ-1726-SM-793C7 20-29 years, male 32.7
GTEX-1C64O-0126-SM-7SB8P 60-69 years, male 32.7
GTEX-1F75A-0126-SM-7RHGM 50-59 years, male 32.7
GTEX-1F75I-0326-SM-9YFLU 40-49 years, male 32.7
GTEX-1J8Q3-1626-SM-CMKGC 60-69 years, male 32.6
GTEX-16NGA-1726-SM-731B4 40-49 years, female 32.4
GTEX-R3RS-0126-SM-3GIJL 40-49 years, female 31.8
GTEX-ZAB5-1826-SM-5HL7C 50-59 years, male 31.7
GTEX-V1D1-2226-SM-3NMAX 50-59 years, male 31.6
GTEX-11VI4-1726-SM-5CVLH 40-49 years, female 31.4
GTEX-16XZY-2126-SM-79OK1 70-79 years, male 31.2
GTEX-139T4-0226-SM-5HL5S 50-59 years, female 31.1
GTEX-ZVT3-0126-SM-5GU6I 60-69 years, female 31.0
GTEX-113IC-0126-SM-5HL6T 60-69 years, male 30.7
GTEX-14A6H-0126-SM-5QGPK 30-39 years, male 30.7
GTEX-1AMFI-2026-SM-731BH 50-59 years, female 30.6
GTEX-14ABY-0226-SM-5TDCQ 50-59 years, male 30.4
GTEX-17HHE-2026-SM-79OKF 50-59 years, male 30.3
GTEX-14BIL-0126-SM-5SI92 50-59 years, male 30.1
GTEX-1R9PO-2126-SM-E9J4O 60-69 years, female 29.7
GTEX-1IE54-0126-SM-CMKHW 40-49 years, female 29.5
GTEX-14JIY-0126-SM-6LLH6 60-69 years, male 29.0
GTEX-Q2AG-0126-SM-33HBV 40-49 years, female 28.5
GTEX-14E7W-0126-SM-6LLJ9 70-79 years, male 28.3
GTEX-ZXG5-0126-SM-5GIEU 60-69 years, male 27.9
GTEX-1OJC4-0126-SM-E9J2E 50-59 years, female 27.6
GTEX-1GN1W-0526-SM-9MQJQ 50-59 years, female 27.5
GTEX-1I1HK-0126-SM-COH49 60-69 years, male 27.2
GTEX-1QP67-1626-SM-EAZ3X 40-49 years, female 27.0
GTEX-147F3-0526-SM-5SI98 50-59 years, female 26.9
GTEX-1RAZQ-0726-SM-EAZ43 30-39 years, male 26.6
GTEX-11ZUS-0626-SM-59885 30-39 years, male 25.8
GTEX-13W46-0226-SM-5SIAG 50-59 years, male 25.8
GTEX-1QW4Y-1526-SM-EAZ3Z 30-39 years, male 25.8
Show allShow less

Contact

  • NEWS ARTICLES
  • PRESS ROOM

The Project

  • INTRODUCTION
  • ORGANIZATION
  • PUBLICATIONS

The Human Protein Atlas

  • DOWNLOADABLE DATA
  • LICENCE & CITATION
  • HELP & FAQ
The Human Protein Atlas project is funded
by the Knut & Alice Wallenberg Foundation.


contact@proteinatlas.org