We use cookies to enhance the usability of our website. If you continue, we'll assume that you are happy to receive all cookies. More information. Don't show this again.
PRR9
HPA
RESOURCES
  • TISSUE
  • BRAIN
  • SINGLE CELL
  • SUBCELLULAR
  • CANCER
  • BLOOD
  • CELL LINE
  • STRUCTURE & INTERACTION
ABOUT
  • INTRODUCTION
  • HISTORY
  • ORGANIZATION
  • PUBLICATIONS
  • ANTIBODY SUBMISSION
  • ANTIBODY AVAILABILITY
  • ACKNOWLEDGMENTS
  • CONTACT
NEWS
  • NEWS ARTICLES
  • PRESS ROOM
LEARN
  • DICTIONARY
  • PROTEIN CLASSES
  • PROTEIN EVIDENCE
  • METHODS
  • EDUCATIONAL VIDEOS
DATA
  • DOWNLOADABLE DATA
  • PUBLICATION DATA
  • RELEASE HISTORY
HELP
  • ANTIBODY VALIDATION
  • ASSAYS & ANNOTATION
  • DISCLAIMER
  • HELP & FAQ
  • PRIVACY STATEMENT
  • LICENCE & CITATION
Fields »
Search result

Field
Term
Gene name
Class
Subclass
Class
Keyword
Chromosome
External id
Tissue
Cell type
Expression
Antibody panel
Tissue
Main location
Patient ID
Annotation
Tissue
Category
Tau score
Cluster
Reliability
Brain region
Category
Tau score
Brain region
Category
Tau score
Brain region
Category
Tau score
Cluster
Reliability
Tissue
Cell type
Enrichment
Cell type
Category
Tau score
Cell type
Category
Tau score
Cell type
Category
Tau score
Cell lineage
Category
Tau score
Cluster
Cluster
Location
Searches
Location
Cell line
Class
Type
Phase
Reliability
Cancer
Prognosis
Cancer
Category
Cancer
Category
Tau score
Cluster
Variants
Interacting gene (ensg_id)
Type
Number of interactions
Pathway
Category
Score
Score
Score
Validation
Validation
Validation
Validation
Antibodies
Data type
Column


  • SUMMARY

  • TISSUE

  • BRAIN

  • SINGLE CELL

  • SUBCELL

  • CANCER

  • BLOOD

  • CELL LINE

  • STRUCT & INT

  • PRR9
TISSUE PRIMARY DATA CAUDATE Show tissue menu
ADIPOSE TISSUE ADRENAL GLAND AMYGDALA APPENDIX BASAL GANGLIA BONE MARROW BREAST BRONCHUS CEREBELLUM CEREBRAL CORTEX CERVIX CHOROID PLEXUS COLON DUODENUM
ENDOMETRIUM EPIDIDYMIS ESOPHAGUS FALLOPIAN TUBE GALLBLADDER HAIR HEART MUSCLE HIPPOCAMPAL FORMATION HYPOTHALAMUS KIDNEY LIVER LUNG LYMPH NODE MIDBRAIN
NASOPHARYNX ORAL MUCOSA OVARY PANCREAS PARATHYROID GLAND PITUITARY GLAND PLACENTA PROSTATE RECTUM RETINA SALIVARY GLAND SEMINAL VESICLE SKELETAL MUSCLE SKIN
SMALL INTESTINE SMOOTH MUSCLE SOFT TISSUE SPINAL CORD SPLEEN STOMACH TESTIS THYMUS THYROID GLAND TONGUE TONSIL URINARY BLADDER VAGINA
ANTIBODIES
AND
VALIDATION
Dictionary
Caudate
Tissue proteome
CAUDATE - Expression summary
Protein expression
Caudatei

On the top, protein expression in current human tissue, based on all annotated cell types, is reported with the units not detected (n), low (l), medium (m) and high (h). Underneath, protein expression in each annotated cell type are reported using the same units.

Protein expression data is based on knowledge-based annotation. For genes where more than one antibody has been used, a collective score is set.

If knowledge-based annotation could not be performed for a gene, no data is displayed here. View antibody staining data further down this page.

h
m
l
n
Glial cells: Not detected
Neuronal cells: Not detected
RNA expressioni

A summary of mRNA expression data available for current tissue based on several datasets. The mRNA expression levels in human tissues are based on RNA-seq data generated by the Human Protein Atlas (HPA), Genotype-Tissue Expression (GTEx) portal and CAGE data generated by the FANTOM5 consortium. Consensus normalized expression levels for human tissues was created by combining the data from HPA and GTEx datasets.

The mRNA expression levels in pig are based on RNA-seq data generated by the Human Protein Atlas (HPA), and for mouse, HPA data and in situ hybridization generated by the Allen brain atlas are reported.

Scroll down to view mRNA expression data in more detail.
GTEx:0.0 nTPM
FANTOM5:0.0 Scaled Tags Per Million
Pig:0.0 nTPM

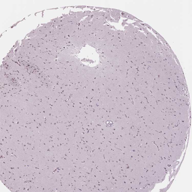
CAUDATE - Antibody stainingi

Antibody staining in the annotated cell types in the current human tissue is reported as not detected, low, medium, or high, based on conventional immunohistochemistry profiling in selected tissues. This score is based on the combination of the staining intensity and fraction of stained cells.

Each image is clickable and will lead to virtual microscopy that enables deeper exploration of all samples and also displays staining intensity scores, fraction scores and subcellular localization as well as patient and tissue information for each sample.

Antibody HPA027714
Glial cells Not detected
Neuronal cells Not detected



CAUDATE - GTEx RNA-seqi

RNA-Seq data generated by the Genotype-Tissue Expression (GTEx) project from human tissues is reported as mean nTPM. More information can be found on the GTEx portal.

Distribution across the dataset is visualized with box plots, shown as median and 25th and 75th percentiles. Points are displayed as outliers if they are above or below 1.5 times the interquartile range. nTPM values of the individual samples are presented next to the box plot.
Max subtype nTPMi

Max subtype nTPM is the value for the subtype with the largest average nTPM across the subtype samples.

0.0
GTEx sample id Sample description nTPM
Brain - Caudate (basal ganglia)
Average nTPM: 0.0
Samples: 246

Max nTPM: 0.3
Min nTPM: 0.0
Std nTPM: 0.0
Median nTPM:
GTEX-12WSF-0011-R5a-SM-5HL8K 70-79 years, male 0.3
GTEX-T5JC-0011-R5A-SM-32PLK 20-29 years, male 0.2
GTEX-139TU-0011-R5b-SM-5L3E1 60-69 years, male 0.1
GTEX-S7PM-0011-R5A-SM-3NM8G 60-69 years, male 0.1
GTEX-TSE9-0011-R5A-SM-3DB7J 60-69 years, female 0.1
GTEX-WZTO-0011-R5B-SM-3NMC5 40-49 years, male 0.1
GTEX-X261-0011-R5A-SM-3NMB4 50-59 years, male 0.1
GTEX-1C6WA-0011-R5a-SM-9WG5X 60-69 years, male 0.1
GTEX-11GSP-0011-R5a-SM-57WBE 60-69 years, female 0.0
GTEX-11H98-0011-R5b-SM-57WCF 50-59 years, male 0.0
GTEX-11NV4-0011-R5a-SM-5NQ88 60-69 years, male 0.0
GTEX-11OF3-0011-R5a-SM-57WB4 60-69 years, male 0.0
GTEX-11UD1-0011-R5b-SM-5P9FP 40-49 years, female 0.0
GTEX-11WQC-0011-R5a-SM-5BC74 60-69 years, male 0.0
GTEX-12WSA-0011-R5b-SM-5GU5I 60-69 years, male 0.0
GTEX-12WSC-0011-R5b-SM-5CVNS 50-59 years, male 0.0
GTEX-12WSD-0011-R5b-SM-5CVNG 60-69 years, female 0.0
GTEX-12WSH-0011-R5b-SM-5P9F3 50-59 years, male 0.0
GTEX-12WSM-0011-R5a-SM-5EQ4Y 60-69 years, male 0.0
GTEX-12ZZW-0011-R5a-SM-5DUVN 50-59 years, male 0.0
GTEX-12ZZX-0011-R5a-SM-5HL89 40-49 years, female 0.0
GTEX-12ZZY-0011-R5a-SM-5EGL9 60-69 years, male 0.0
GTEX-12ZZZ-0011-R5a-SM-5EQ4M 60-69 years, male 0.0
GTEX-13112-0011-R5b-SM-5DUV8 50-59 years, male 0.0
GTEX-1313W-0011-R5b-SM-5L3EP 50-59 years, female 0.0
GTEX-131YS-0011-R5b-SM-5K7YB 60-69 years, female 0.0
GTEX-132Q8-0011-R5a-SM-5IJDM 60-69 years, male 0.0
GTEX-1399T-0011-R5b-SM-5IJDK 60-69 years, male 0.0
GTEX-139T8-0011-R5b-SM-5J1MO 60-69 years, male 0.0
GTEX-139TS-0011-R5b-SM-5J2MZ 60-69 years, male 0.0
GTEX-139TT-0011-R5b-SM-5K7W8 60-69 years, male 0.0
GTEX-13CF2-0011-R5a-SM-5LZWS 60-69 years, male 0.0
GTEX-13CIG-0011-R5b-SM-5L3F2 50-59 years, male 0.0
GTEX-13CZV-0011-R5a-SM-5K7XA 60-69 years, male 0.0
GTEX-13FHO-0011-R5b-SM-5LZZ3 60-69 years, male 0.0
GTEX-13FHP-0011-R5b-SM-5LZY2 50-59 years, male 0.0
GTEX-13FLV-0011-R5a-SM-5LZWT 50-59 years, male 0.0
GTEX-13FLW-0011-R5a-SM-5LZX6 50-59 years, male 0.0
GTEX-13FXS-0011-R5b-SM-5LZYE 50-59 years, male 0.0
GTEX-13G51-0011-R5a-SM-5L3EB 60-69 years, male 0.0
GTEX-13JUV-0011-R5a-SM-5LZY5 40-49 years, female 0.0
GTEX-13JVG-0011-R5a-SM-5MR4O 60-69 years, male 0.0
GTEX-13N1W-0011-R5b-SM-5MR5Q 70-79 years, male 0.0
GTEX-13NYB-0011-R5a-SM-5MR45 40-49 years, male 0.0
GTEX-13NYS-0011-R5a-SM-5MR4D 60-69 years, male 0.0
GTEX-13NZA-0011-R5b-SM-5KM4K 60-69 years, male 0.0
GTEX-13O3O-0011-R5b-SM-5KM44 60-69 years, female 0.0
GTEX-13O3Q-0011-R5b-SM-5P9H4 50-59 years, male 0.0
GTEX-13OVH-0011-R5b-SM-5KM4L 70-79 years, male 0.0
GTEX-13OVJ-0011-R5a-SM-5P9H7 50-59 years, female 0.0
GTEX-13OVL-0011-R5b-SM-5L3FU 50-59 years, male 0.0
GTEX-13OW5-0011-R5b-SM-5L3FR 60-69 years, male 0.0
GTEX-13OW6-0011-R5a-SM-5O9BK 50-59 years, male 0.0
GTEX-13OW7-0011-R5b-SM-5O9DM 50-59 years, male 0.0
GTEX-13OW8-0011-R5b-SM-5L3FQ 60-69 years, male 0.0
GTEX-13PL6-0011-R5b-SM-5O9BI 40-49 years, female 0.0
GTEX-13PLJ-0011-R5a-SM-5O9BG 60-69 years, female 0.0
GTEX-13PVQ-0011-R5b-SM-5O9DI 50-59 years, male 0.0
GTEX-13RTJ-0011-R5a-SM-5P9HR 60-69 years, male 0.0
GTEX-13S7M-0011-R5b-SM-5P9HS 60-69 years, female 0.0
GTEX-13SLW-0011-R5b-SM-5SI6Z 70-79 years, male 0.0
GTEX-13SLX-0011-R5a-SM-5O9BV 50-59 years, female 0.0
GTEX-13VXU-0011-R5a-SM-5O9D7 50-59 years, male 0.0
GTEX-13X6I-0011-R5a-SM-5PNWW 60-69 years, male 0.0
GTEX-13X6J-0011-R5b-SM-5PNWT 50-59 years, male 0.0
GTEX-13X6K-0011-R5b-SM-5PNUE 60-69 years, female 0.0
GTEX-1445S-0011-R5a-SM-5PNUS 60-69 years, male 0.0
GTEX-144GL-0011-R5b-SM-5PNUJ 50-59 years, male 0.0
GTEX-144GO-0011-R5a-SM-5PNUR 60-69 years, male 0.0
GTEX-145LS-0011-R5a-SM-5SI65 60-69 years, female 0.0
GTEX-145MG-0011-R5b-SM-5S2VU 50-59 years, male 0.0
GTEX-145MH-0011-R5a-SM-5P9JT 50-59 years, male 0.0
GTEX-14753-0011-R5a-SM-5S2VW 60-69 years, male 0.0
GTEX-1477Z-0011-R5b-SM-5PNUO 60-69 years, male 0.0
GTEX-14ABY-0011-R5b-SM-5SI7B 50-59 years, male 0.0
GTEX-14ASI-0011-R5b-SM-6EU2M 60-69 years, male 0.0
GTEX-14BIM-0011-R5b-SM-5S2RM 60-69 years, female 0.0
GTEX-14BIN-0011-R5b-SM-5SI78 50-59 years, female 0.0
GTEX-14BMV-0011-R5b-SM-62LFT 50-59 years, male 0.0
GTEX-14C39-0011-R5b-SM-5ZZV1 40-49 years, male 0.0
GTEX-14DAQ-0011-R5b-SM-5YYAK 60-69 years, female 0.0
GTEX-14E6D-0011-R5b-SM-69LQR 50-59 years, male 0.0
GTEX-14JG1-0011-R5a-SM-62LED 40-49 years, male 0.0
GTEX-14JIY-0011-R5b-SM-62LE7 60-69 years, male 0.0
GTEX-14LLW-0011-R5b-SM-5ZZU6 70-79 years, female 0.0
GTEX-14LZ3-0011-R5b-SM-5ZZV8 60-69 years, female 0.0
GTEX-14PJO-0011-R5a-SM-6AJBZ 60-69 years, male 0.0
GTEX-14PN4-0011-R5a-SM-686ZV 50-59 years, male 0.0
GTEX-14PQA-0011-R5b-SM-6AJC2 50-59 years, female 0.0
GTEX-15CHQ-0011-R5b-SM-6AJAN 60-69 years, male 0.0
GTEX-15DYW-0011-R5a-SM-6M46W 60-69 years, female 0.0
GTEX-15EO6-0011-R5b-SM-7KUDZ 50-59 years, male 0.0
GTEX-15ER7-0011-R5b-SM-6M46T 20-29 years, female 0.0
GTEX-15G19-0011-R5b-SM-6M46P 60-69 years, male 0.0
GTEX-15SHU-0011-R5a-SM-7938Q 40-49 years, female 0.0
GTEX-16NPV-0011-R5a-SM-7EPGK 50-59 years, female 0.0
GTEX-16YQH-0011-R5b-SM-7938U 30-39 years, male 0.0
GTEX-16Z82-0011-R5a-SM-7EPGB 60-69 years, male 0.0
GTEX-17EVP-0011-R5b-SM-7DHKW 40-49 years, male 0.0
GTEX-17EVQ-0011-R5a-SM-7LT92 70-79 years, male 0.0
GTEX-17F97-0011-R5a-SM-7LG4Z 50-59 years, male 0.0
GTEX-17HG3-0011-R5a-SM-7DUEW 30-39 years, female 0.0
GTEX-17HHY-0011-R5b-SM-79OMZ 50-59 years, male 0.0
GTEX-17HII-0011-R5a-SM-7LG51 50-59 years, male 0.0
GTEX-17MF6-0011-R5a-SM-731BA 40-49 years, male 0.0
GTEX-183WM-0011-R5a-SM-718A4 70-79 years, female 0.0
GTEX-18464-0011-R5b-SM-718A6 50-59 years, male 0.0
GTEX-18465-0011-R5a-SM-72D5J 50-59 years, male 0.0
GTEX-1A3MX-0011-R5a-SM-79OM5 60-69 years, male 0.0
GTEX-1A8G6-0011-R5b-SM-7IGQG 60-69 years, male 0.0
GTEX-1AX9I-0011-R5b-SM-793DI 60-69 years, male 0.0
GTEX-1B8L1-0011-R5a-SM-7DHN5 60-69 years, male 0.0
GTEX-1B8SF-0011-R5a-SM-79OOO 60-69 years, male 0.0
GTEX-N7MS-0011-R5a-SM-2HMK8 60-69 years, male 0.0
GTEX-N7MT-0011-R5a-SM-2I3G6 60-69 years, female 0.0
GTEX-NL3H-0011-R5a-SM-2I3GB 60-69 years, male 0.0
GTEX-NL4W-0011-R5a-SM-2I3GD 50-59 years, male 0.0
GTEX-NPJ7-0011-R5a-SM-33HBK 60-69 years, female 0.0
GTEX-NPJ8-0011-R5a-SM-2HMJY 40-49 years, male 0.0
GTEX-OXRN-0011-R5A-SM-2I5EF 50-59 years, male 0.0
GTEX-OXRO-0011-R5A-SM-2I5EG 60-69 years, female 0.0
GTEX-P44G-0011-R5A-SM-2I3FA 30-39 years, male 0.0
GTEX-P44H-0011-R5A-SM-2XCEX 40-49 years, male 0.0
GTEX-PVOW-0011-R5A-SM-32PL7 40-49 years, male 0.0
GTEX-PWO3-0011-R5A-SM-2I5EZ 60-69 years, female 0.0
GTEX-Q2AG-0011-R5A-SM-2HMJH 40-49 years, female 0.0
GTEX-QDT8-0011-R5A-SM-32PKN 30-39 years, female 0.0
GTEX-QMR6-0011-R5A-SM-32PKT 50-59 years, male 0.0
GTEX-QVJO-0011-R5A-SM-2S1QM 60-69 years, female 0.0
GTEX-R55E-0011-R5A-SM-2TC5N 20-29 years, male 0.0
GTEX-RNOR-0011-R5A-SM-2TF4J 50-59 years, female 0.0
GTEX-RU72-0011-R5A-SM-2TF6U 50-59 years, female 0.0
GTEX-RVPV-0011-R5A-SM-2TF69 60-69 years, male 0.0
GTEX-S7SE-0011-R5A-SM-2XCDA 50-59 years, male 0.0
GTEX-T2IS-0011-R5A-SM-32QP4 20-29 years, female 0.0
GTEX-T6MN-0011-R5A-SM-32QPD 50-59 years, male 0.0
GTEX-UTHO-0011-R5A-SM-3GIJD 60-69 years, male 0.0
GTEX-WL46-0011-R5A-SM-3LK6V 50-59 years, male 0.0
GTEX-WVLH-0011-R5A-SM-3MJFW 50-59 years, male 0.0
GTEX-WWYW-0011-R5A-SM-3NB3E 50-59 years, female 0.0
GTEX-X4XX-0011-R5A-SM-46MWN 60-69 years, male 0.0
GTEX-X585-0011-R5A-SM-46MVI 50-59 years, male 0.0
GTEX-XMD1-0011-R5A-SM-4AT47 60-69 years, male 0.0
GTEX-Y8DK-0011-R5B-SM-4RTW6 60-69 years, male 0.0
GTEX-YFC4-0011-R5a-SM-4RGLR 40-49 years, female 0.0
GTEX-YJ89-0011-R5a-SM-4V6GM 60-69 years, male 0.0
GTEX-Z93S-0011-R5b-SM-4RGNI 50-59 years, male 0.0
GTEX-ZAB4-0011-R5a-SM-4SOKC 40-49 years, male 0.0
GTEX-ZDXO-0011-R5a-SM-4WKG5 60-69 years, male 0.0
GTEX-ZE7O-0011-R5a-SM-57WBO 50-59 years, female 0.0
GTEX-ZE9C-0011-R5a-SM-5EGLO 60-69 years, male 0.0
GTEX-ZF28-0011-R5a-SM-4WWCZ 60-69 years, male 0.0
GTEX-ZUA1-0011-R5b-SM-51MTG 40-49 years, male 0.0
GTEX-ZV68-0011-R5a-SM-4YCDW 50-59 years, female 0.0
GTEX-ZVT3-0011-R5a-SM-51MSI 60-69 years, female 0.0
GTEX-ZVZQ-0011-R5b-SM-57WDC 60-69 years, female 0.0
GTEX-ZXG5-0011-R5b-SM-57WBN 60-69 years, male 0.0
GTEX-1192X-0011-R5a-SM-DNZZA 50-59 years, male 0.0
GTEX-11DXW-0011-R5b-SM-DO11D 40-49 years, male 0.0
GTEX-11DXY-0011-R5b-SM-DNZZL 60-69 years, male 0.0
GTEX-11DYG-0011-R5a-SM-DO928 60-69 years, male 0.0
GTEX-11DZ1-0011-R5a-SM-DO11J 50-59 years, male 0.0
GTEX-11NUK-0011-R5a-SM-DO93N 50-59 years, male 0.0
GTEX-11O72-0011-R5a-SM-DO922 40-49 years, male 0.0
GTEX-11ONC-0011-R5b-SM-DO93I 60-69 years, male 0.0
GTEX-11PRG-0011-R5b-SM-DNZZS 50-59 years, male 0.0
GTEX-11TTK-0011-R5a-SM-DNZZV 60-69 years, female 0.0
GTEX-15DCD-0011-R5a-SM-CXZKZ 70-79 years, female 0.0
GTEX-1B933-0011-R5b-SM-7P8SA 50-59 years, female 0.0
GTEX-1B996-0011-R5a-SM-7P8PN 60-69 years, male 0.0
GTEX-1C6VR-0011-R5a-SM-9QEH1 60-69 years, male 0.0
GTEX-1C6VS-0011-R5a-SM-7MXU9 60-69 years, male 0.0
GTEX-1CAV2-0011-R5b-SM-9QEH4 40-49 years, female 0.0
GTEX-1CB4G-0011-R5a-SM-CKZNM 60-69 years, male 0.0
GTEX-1CB4H-0011-R5b-SM-9QEGN 60-69 years, female 0.0
GTEX-1E1VI-0011-R5b-SM-9WG5V 50-59 years, male 0.0
GTEX-1E2YA-0011-R5a-SM-9QEGT 50-59 years, male 0.0
GTEX-1EH9U-0011-R5a-SM-CJI2K 60-69 years, male 0.0
GTEX-1EKGG-0011-R5a-SM-9OSVQ 60-69 years, male 0.0
GTEX-1EMGI-0011-R5a-SM-CJI2E 60-69 years, male 0.0
GTEX-1EN7A-0011-R5a-SM-9QEH6 40-49 years, male 0.0
GTEX-1EX96-0011-R5a-SM-ARU83 50-59 years, male 0.0
GTEX-1F48J-0011-R5b-SM-9OSVZ 50-59 years, female 0.0
GTEX-1F52S-0011-R5a-SM-CJI22 60-69 years, female 0.0
GTEX-1F6I4-0011-R5b-SM-9QEHA 60-69 years, male 0.0
GTEX-1F6IF-0011-R5b-SM-CM2RH 60-69 years, male 0.0
GTEX-1F75A-0011-R5a-SM-ARZMJ 50-59 years, male 0.0
GTEX-1F75B-0011-R5a-SM-9QEHC 50-59 years, male 0.0
GTEX-1F75W-0011-R5b-SM-9QEGV 60-69 years, male 0.0
GTEX-1F7RK-0011-R5b-SM-9WG5S 20-29 years, female 0.0
GTEX-1GF9V-0011-R5a-SM-9QEI8 60-69 years, male 0.0
GTEX-1GF9W-0011-R5a-SM-CKZO4 60-69 years, male 0.0
GTEX-1GMR8-0011-R5b-SM-9QEIH 50-59 years, female 0.0
GTEX-1GMRU-0011-R5a-SM-CKZNS 50-59 years, male 0.0
GTEX-1GN1U-0011-R5a-SM-9QEIS 50-59 years, female 0.0
GTEX-1GN2E-0011-R5b-SM-CJI2M 60-69 years, male 0.0
GTEX-1GN73-0011-R5a-SM-9QEIM 60-69 years, male 0.0
GTEX-1GPI6-0011-R5a-SM-CJI2W 60-69 years, male 0.0
GTEX-1GTWX-0011-R5b-SM-CKZO6 60-69 years, male 0.0
GTEX-1GZ2Q-0011-R5a-SM-A96RQ 40-49 years, male 0.0
GTEX-1GZ4I-0011-R5a-SM-9OSWQ 50-59 years, male 0.0
GTEX-1H1CY-0011-R5a-SM-CM2SN 60-69 years, female 0.0
GTEX-1H1DG-0011-R5b-SM-CJI33 70-79 years, male 0.0
GTEX-1H1ZS-0011-R5b-SM-CL53L 70-79 years, male 0.0
GTEX-1H23P-0011-R5a-SM-CKZOI 60-69 years, male 0.0
GTEX-1H2FU-0011-R5b-SM-CL552 60-69 years, female 0.0
GTEX-1H3NZ-0011-R5a-SM-CM2SP 60-69 years, male 0.0
GTEX-1H3O1-0011-R5b-SM-ADEH8 60-69 years, male 0.0
GTEX-1H3VE-0011-R5a-SM-CKZOU 40-49 years, male 0.0
GTEX-1HB9E-0011-R5b-SM-ARU78 50-59 years, male 0.0
GTEX-1HBPH-0011-R5b-SM-A9G1R 40-49 years, female 0.0
GTEX-1HBPI-0011-R5a-SM-CKZOW 50-59 years, male 0.0
GTEX-1HCU6-0011-R5a-SM-ARU76 60-69 years, female 0.0
GTEX-1HCVE-0011-R5b-SM-CKZP7 50-59 years, male 0.0
GTEX-1HFI6-0011-R5a-SM-A9G1J 40-49 years, male 0.0
GTEX-1HGF4-0011-R5b-SM-CM2ST 60-69 years, male 0.0
GTEX-1HR98-0011-R5a-SM-A9G1V 60-69 years, male 0.0
GTEX-1HR9M-0011-R5a-SM-ARU72 60-69 years, male 0.0
GTEX-1HSKV-0011-R5b-SM-ARZLN 60-69 years, male 0.0
GTEX-1HT8W-0011-R5b-SM-CJI3P 30-39 years, male 0.0
GTEX-1HUB1-0011-R5a-SM-CKZOY 60-69 years, male 0.0
GTEX-1I19N-0011-R5b-SM-ARU6X 70-79 years, male 0.0
GTEX-1I1GQ-0011-R5a-SM-CMKHJ 50-59 years, male 0.0
GTEX-1I1GR-0011-R5a-SM-CMKHD 60-69 years, male 0.0
GTEX-1I1GS-0011-R5a-SM-CKZPC 60-69 years, male 0.0
GTEX-1I1GV-0011-R5b-SM-CKZPD 60-69 years, male 0.0
GTEX-1I1HK-0011-R5b-SM-ARU6S 60-69 years, male 0.0
GTEX-1IDJH-0011-R5a-SM-CE6SR 70-79 years, male 0.0
GTEX-1IGQW-0011-R5b-SM-CJI44 60-69 years, male 0.0
GTEX-1IKJJ-0011-R5b-SM-CE6SL 60-69 years, male 0.0
GTEX-1IKK5-0011-R5b-SM-CL55B 60-69 years, male 0.0
GTEX-1IKOH-0011-R5a-SM-ARU8C 60-69 years, female 0.0
GTEX-1IL2U-0011-R5a-SM-CE6SN 60-69 years, male 0.0
GTEX-1IL2V-0011-R5a-SM-ARL78 70-79 years, male 0.0
GTEX-1IY9M-0011-R5a-SM-A9SLX 60-69 years, male 0.0
GTEX-1J1OQ-0011-R5a-SM-D3L8K 40-49 years, female 0.0
GTEX-1J8EW-0011-R5b-SM-ARU8B 60-69 years, female 0.0
GTEX-1J8JJ-0011-R5a-SM-D4P2G 60-69 years, female 0.0
GTEX-1J8Q2-0011-R5b-SM-A9SKH 60-69 years, male 0.0
GTEX-1JMPZ-0011-R5b-SM-EYYWY 30-39 years, male 0.0
GTEX-1JMQJ-0011-R5a-SM-EYYXO 50-59 years, male 0.0
GTEX-1LG7Y-0011-R5a-SM-EZ6MU 50-59 years, male 0.0
GTEX-1N2DW-0011-R5a-SM-EYYX3 50-59 years, male 0.0
GTEX-1R9K4-0011-R5b-SM-EZ6N8 60-69 years, male 0.0
GTEX-1R9PO-0011-R5a-SM-EZ6NA 60-69 years, female 0.0
GTEX-1RNSC-0011-R5a-SM-EZ6N5 60-69 years, male 0.0
Show allShow less

CAUDATE - FANTOM5 CAGEi

RNA expression in human tissues obtained through Cap Analysis of Gene Expression (CAGE) generated by the FANTOM5 project are reported as Scaled Tags Per Million.

Max subtype Scaled Tags Per Millioni

Max subtype Scaled Tags Per Million is the value for the subtype with the largest average Scaled Tags Per Million across the subtype samples.

0
FANTOM5 sample id Sample description Scaled Tags Per Million
Caudate nucleus
Scaled Tags Per Million: 0.0
FF:10164-103B2 76 years, female 0.0

CAUDATE - Pig RNA-seqi

RNA-seq data obtained from pig brain is reported as nTPM .

Normal distribution across the dataset is visualized with box plots, shown as median and 25th and 75th percentiles. Points are displayed as outliers if they are above or below 1.5 times the interquartile range. nTPM values of the individual samples are presented next to the box plot.
Max subtype nTPMi

Max subtype nTPM is the value for the subtype with the largest average nTPM across the subtype samples.

0.0
Pig sample Sample description nTPM
Caudate
nTPM: 0.0
Samples: 4

Max nTPM: 0.0
Min nTPM: 0.0
Sample A Female 0.0
Sample B Female 0.0
Sample C Male 0.0
Sample D Male 0.0

Contact

  • NEWS ARTICLES
  • PRESS ROOM

The Project

  • INTRODUCTION
  • ORGANIZATION
  • PUBLICATIONS

The Human Protein Atlas

  • DOWNLOADABLE DATA
  • LICENCE & CITATION
  • HELP & FAQ
The Human Protein Atlas project is funded
by the Knut & Alice Wallenberg Foundation.


contact@proteinatlas.org