We use cookies to enhance the usability of our website. If you continue, we'll assume that you are happy to receive all cookies. More information. Don't show this again.
PRR13
HPA
RESOURCES
  • TISSUE
  • BRAIN
  • SINGLE CELL
  • SUBCELLULAR
  • CANCER
  • BLOOD
  • CELL LINE
  • STRUCTURE & INTERACTION
ABOUT
  • INTRODUCTION
  • HISTORY
  • ORGANIZATION
  • PUBLICATIONS
  • ANTIBODY SUBMISSION
  • ANTIBODY AVAILABILITY
  • ACKNOWLEDGMENTS
  • CONTACT
NEWS
  • NEWS ARTICLES
  • PRESS ROOM
LEARN
  • DICTIONARY
  • PROTEIN CLASSES
  • PROTEIN EVIDENCE
  • METHODS
  • EDUCATIONAL VIDEOS
DATA
  • DOWNLOADABLE DATA
  • PUBLICATION DATA
  • RELEASE HISTORY
HELP
  • ANTIBODY VALIDATION
  • ASSAYS & ANNOTATION
  • DISCLAIMER
  • HELP & FAQ
  • PRIVACY STATEMENT
  • LICENCE & CITATION
Fields »
Search result

Field
Term
Gene name
Class
Subclass
Class
Keyword
Chromosome
External id
Tissue
Cell type
Expression
Antibody panel
Tissue
Main location
Patient ID
Annotation
Tissue
Category
Tau score
Cluster
Reliability
Brain region
Category
Tau score
Brain region
Category
Tau score
Brain region
Category
Tau score
Cluster
Reliability
Tissue
Cell type
Enrichment
Cell type
Category
Tau score
Cell type
Category
Tau score
Cell type
Category
Tau score
Cell lineage
Category
Tau score
Cluster
Cluster
Location
Searches
Location
Cell line
Class
Type
Phase
Reliability
Cancer
Prognosis
Cancer
Category
Cancer
Category
Tau score
Cluster
Variants
Interacting gene (ensg_id)
Type
Number of interactions
Pathway
Category
Score
Score
Score
Validation
Validation
Validation
Validation
Antibodies
Data type
Column


  • SUMMARY

  • TISSUE

  • BRAIN

  • SINGLE CELL

  • SUBCELL

  • CANCER

  • BLOOD

  • CELL LINE

  • STRUCT & INT

  • PRR13
TISSUE PRIMARY DATA STOMACH 1 Show tissue menu
ADIPOSE TISSUE ADRENAL GLAND AMYGDALA APPENDIX BASAL GANGLIA BONE MARROW BREAST BRONCHUS CEREBELLUM CEREBRAL CORTEX CERVIX CHOROID PLEXUS COLON DUODENUM
ENDOMETRIUM EPIDIDYMIS ESOPHAGUS FALLOPIAN TUBE GALLBLADDER HEART MUSCLE HIPPOCAMPAL FORMATION HYPOTHALAMUS KIDNEY LIVER LUNG LYMPH NODE MIDBRAIN NASOPHARYNX
ORAL MUCOSA OVARY PANCREAS PARATHYROID GLAND PITUITARY GLAND PLACENTA PROSTATE RECTUM RETINA SALIVARY GLAND SEMINAL VESICLE SKELETAL MUSCLE SKIN SMALL INTESTINE
SMOOTH MUSCLE SOFT TISSUE SPINAL CORD SPLEEN STOMACH TESTIS THYMUS THYROID GLAND TONGUE TONSIL URINARY BLADDER VAGINA
ANTIBODIES
AND
VALIDATION
Dictionary
Tissue proteome
STOMACH - Expression summary
Protein expression
Stomachi

On the top, protein expression in current human tissue, based on all annotated cell types, is reported with the units not detected (n), low (l), medium (m) and high (h). Underneath, protein expression in each annotated cell type are reported using the same units.

Protein expression data is based on knowledge-based annotation. For genes where more than one antibody has been used, a collective score is set.

If knowledge-based annotation could not be performed for a gene, no data is displayed here. View antibody staining data further down this page.

h
m
l
n
Glandular cells: Medium
RNA expressioni

A summary of mRNA expression data available for current tissue based on several datasets. The mRNA expression levels in human tissues are based on RNA-seq data generated by the Human Protein Atlas (HPA), Genotype-Tissue Expression (GTEx) portal and CAGE data generated by the FANTOM5 consortium. Consensus normalized expression levels for human tissues was created by combining the data from HPA and GTEx datasets.

The mRNA expression levels in pig are based on RNA-seq data generated by the Human Protein Atlas (HPA), and for mouse, HPA data and in situ hybridization generated by the Allen brain atlas are reported.

Scroll down to view mRNA expression data in more detail.
Consensus:240.7 nTPM
HPA:201.4 nTPM
GTEx:240.7 nTPM

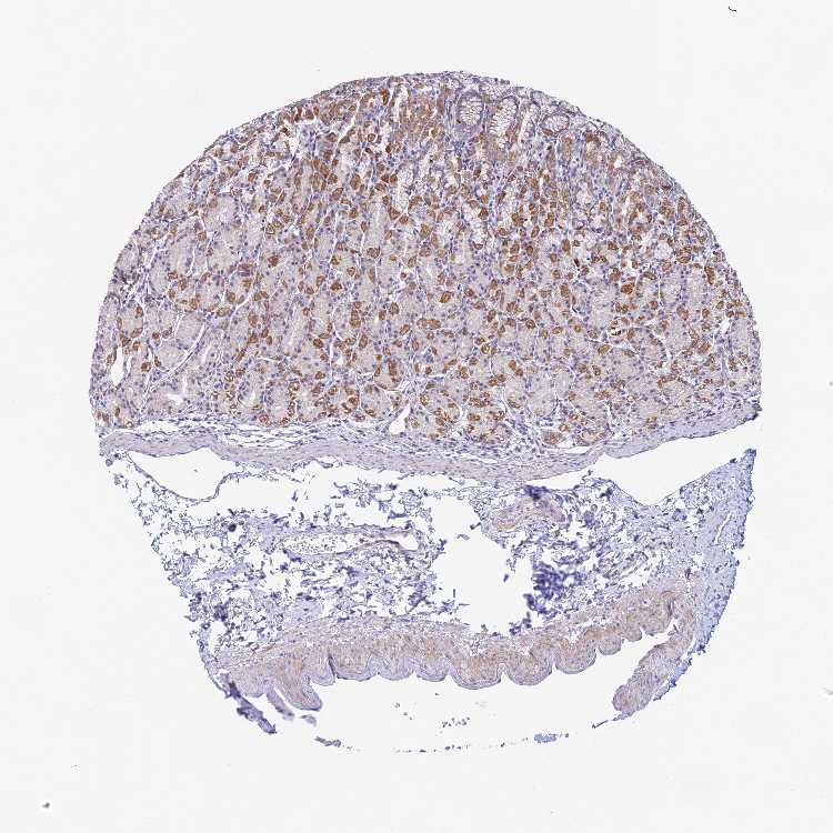
STOMACH 1 - Antibody stainingi

Antibody staining in the annotated cell types in the current human tissue is reported as not detected, low, medium, or high, based on conventional immunohistochemistry profiling in selected tissues. This score is based on the combination of the staining intensity and fraction of stained cells.

Each image is clickable and will lead to virtual microscopy that enables deeper exploration of all samples and also displays staining intensity scores, fraction scores and subcellular localization as well as patient and tissue information for each sample.

Antibody HPA046219
Glandular cells High


STOMACH 2 - Antibody stainingi

Antibody staining in the annotated cell types in the current human tissue is reported as not detected, low, medium, or high, based on conventional immunohistochemistry profiling in selected tissues. This score is based on the combination of the staining intensity and fraction of stained cells.

Each image is clickable and will lead to virtual microscopy that enables deeper exploration of all samples and also displays staining intensity scores, fraction scores and subcellular localization as well as patient and tissue information for each sample.

Antibody HPA046219
Glandular cells Medium



STOMACH - HPA RNA-seqi

The RNA-seq details section shows detailed information about the individual samples used for the transcript profiling and results of the RNA-seq analysis.

Information about each individual sample is listed below, including gender, age, a tissue section image and estimated fractions of cell types. nTPM (normalized transcripts per million) values give a quantification of the gene abundance which is comparable between different genes and samples.
Average nTPMi

Max subtype nTPM is the value for the subtype with the largest average nTPM across the subtype samples.

201.4
overview
Female, age 33
Stomach sample 61
nTPM: 204.7
Cell types%
Glandular cells:
60

Smooth muscle cells:
5

Other cell types:
35

N/A
Male, age 82
Stomach sample 240
nTPM: 176.7
Cell types%
Glandular cells:
65

Smooth muscle cells:
5

Other cell types:
30

overview
Male, age 71
Stomach sample 241
nTPM: 222.2
Cell types%
Glandular cells:
50

Smooth muscle cells:
5

Other cell types:
45

overview
Female, age 66
Stomach sample 369
nTPM: 202.2
Cell types%
Glandular cells:
50

Smooth muscle cells:
10

Other cell types:
40


STOMACH - GTEx RNA-seqi

RNA-Seq data generated by the Genotype-Tissue Expression (GTEx) project from human tissues is reported as mean nTPM. More information can be found on the GTEx portal.

Distribution across the dataset is visualized with box plots, shown as median and 25th and 75th percentiles. Points are displayed as outliers if they are above or below 1.5 times the interquartile range. nTPM values of the individual samples are presented next to the box plot.
Max subtype nTPMi

Max subtype nTPM is the value for the subtype with the largest average nTPM across the subtype samples.

240.7
GTEx sample id Sample description nTPM
Stomach
Average nTPM: 240.7
Samples: 359

Max nTPM: 436.1
Min nTPM: 72.1
Std nTPM: 82.8
Median nTPM: 240.6
GTEX-ZYY3-1726-SM-5EGH3 60-69 years, female 436.1
GTEX-1GL5R-1926-SM-9WG7U 50-59 years, male 434.6
GTEX-OXRL-1526-SM-E6CHQ 50-59 years, male 429.2
GTEX-14PHX-1026-SM-664OL 50-59 years, male 417.5
GTEX-1CAMR-0726-SM-7EPIE 20-29 years, male 416.4
GTEX-13PVQ-2126-SM-5L3FW 50-59 years, male 410.9
GTEX-131XG-1226-SM-5EGH9 50-59 years, female 404.9
GTEX-13FTW-1726-SM-5KM2B 40-49 years, male 401.6
GTEX-WHPG-0426-SM-4M1XW 50-59 years, male 398.8
GTEX-QCQG-0526-SM-48U2A 50-59 years, female 394.9
GTEX-1KANA-1126-SM-D3L9M 20-29 years, male 392.0
GTEX-11DXX-1326-SM-5GIDZ 60-69 years, female 391.9
GTEX-14PJ6-0826-SM-686Z9 60-69 years, female 390.4
GTEX-WFG8-1326-SM-4LVN3 20-29 years, male 390.2
GTEX-145MN-1326-SM-5NQ9S 30-39 years, male 389.7
GTEX-PX3G-1526-SM-48U11 20-29 years, female 387.2
GTEX-1399S-1626-SM-5P9GI 30-39 years, female 385.6
GTEX-RWS6-0926-SM-47JXE 60-69 years, female 384.4
GTEX-144GM-1726-SM-5O9AS 20-29 years, male 381.3
GTEX-QLQW-0726-SM-447AA 30-39 years, male 379.1
GTEX-Y3IK-1426-SM-4YCES 50-59 years, female 377.2
GTEX-14PKV-1826-SM-69LO9 20-29 years, female 376.1
GTEX-1F5PL-1426-SM-7MKFH 40-49 years, female 374.0
GTEX-ZLV1-0826-SM-DO11P 60-69 years, female 370.0
GTEX-P4PP-1526-SM-3P61M 30-39 years, female 369.0
GTEX-117YX-1026-SM-5H11V 50-59 years, male 368.2
GTEX-VJYA-1026-SM-4KL21 60-69 years, male 366.3
GTEX-PWN1-1526-SM-48TDA 40-49 years, female 365.7
GTEX-ZA64-0826-SM-5HL9U 20-29 years, male 363.4
GTEX-14PJ4-1626-SM-664OB 60-69 years, male 361.9
GTEX-YEC4-1426-SM-5IFHS 40-49 years, male 361.9
GTEX-1QMI2-2126-SM-DPRXQ 60-69 years, male 357.6
GTEX-13CF3-1926-SM-5K7WF 60-69 years, female 357.1
GTEX-Q2AH-1126-SM-48TZM 40-49 years, male 356.9
GTEX-12BJ1-1726-SM-5HL9B 60-69 years, male 356.1
GTEX-WFON-1126-SM-4LVMA 40-49 years, male 353.4
GTEX-OHPK-1526-SM-3MJGM 50-59 years, female 351.5
GTEX-15G19-1526-SM-6LPKP 60-69 years, male 349.1
GTEX-QDVN-1226-SM-48TZ5 50-59 years, male 348.3
GTEX-XUZC-0726-SM-4BOPH 30-39 years, female 347.9
GTEX-ZYFG-1326-SM-5GICJ 60-69 years, female 346.9
GTEX-WHSB-1226-SM-4M1XR 50-59 years, male 345.9
GTEX-SNMC-0626-SM-4DM6H 20-29 years, male 343.9
GTEX-12696-1726-SM-5EQLH 60-69 years, male 342.2
GTEX-OOBJ-1526-SM-3NB1Q 60-69 years, male 341.8
GTEX-ZP4G-1226-SM-4WWCJ 20-29 years, female 341.2
GTEX-13FTX-0726-SM-5N9BI 20-29 years, female 338.6
GTEX-13O21-0926-SM-5IFGT 50-59 years, male 338.5
GTEX-1RB15-1026-SM-E9U6V 60-69 years, male 337.8
GTEX-1MJIX-1126-SM-EV7AO 40-49 years, male 336.5
GTEX-ZVP2-1626-SM-5GU5D 50-59 years, male 336.1
GTEX-ZLWG-1526-SM-DO12F 50-59 years, female 333.3
GTEX-Q2AI-0826-SM-48TZO 40-49 years, male 332.0
GTEX-1JK1U-1326-SM-AHZ45 60-69 years, male 330.9
GTEX-1IDJU-1526-SM-CNNR3 60-69 years, female 330.0
GTEX-UJMC-1226-SM-4IHLI 50-59 years, male 328.8
GTEX-1LG7Z-1226-SM-DHXK4 30-39 years, male 328.1
GTEX-T5JW-0926-SM-4DM5K 20-29 years, female 326.8
GTEX-S341-0626-SM-4AD5T 40-49 years, female 326.1
GTEX-QDVJ-1426-SM-48U1Y 50-59 years, male 322.7
GTEX-ZVT2-1626-SM-51MRC 50-59 years, female 318.1
GTEX-POMQ-0826-SM-3P61H 20-29 years, female 317.4
GTEX-1B97J-1826-SM-7IGPP 50-59 years, female 317.3
GTEX-15DCE-1626-SM-6LPJM 20-29 years, male 316.8
GTEX-ZF29-1526-SM-4WKF7 60-69 years, female 315.4
GTEX-1RMOY-1126-SM-EV79E 50-59 years, male 314.9
GTEX-131XF-1226-SM-5HL8V 60-69 years, male 314.3
GTEX-1QPFJ-1526-SM-DPRXT 30-39 years, female 313.8
GTEX-WXYG-1626-SM-4ONCR 50-59 years, female 312.9
GTEX-T6MO-0726-SM-4DM58 40-49 years, female 311.6
GTEX-ZXES-1426-SM-5NQ8S 30-39 years, female 311.4
GTEX-YB5E-1126-SM-664NU 40-49 years, male 310.3
GTEX-17F9E-2226-SM-7IGNC 50-59 years, male 310.1
GTEX-1LGOU-1526-SM-D3LAJ 20-29 years, female 310.1
GTEX-ZAB4-1526-SM-5CVN7 40-49 years, male 309.9
GTEX-11GSP-2126-SM-5HL5E 60-69 years, female 307.6
GTEX-SUCS-0926-SM-4DM4Z 70-79 years, male 307.0
GTEX-RM2N-0826-SM-48FD3 50-59 years, male 305.8
GTEX-15DZA-1126-SM-6LPK8 30-39 years, female 304.9
GTEX-11NUK-2426-SM-5BC4U 50-59 years, male 304.1
GTEX-17GQL-1226-SM-7KFTS 60-69 years, male 303.8
GTEX-14ICL-0826-SM-5YY9W 30-39 years, male 303.7
GTEX-S95S-0826-SM-4B64N 60-69 years, male 302.8
GTEX-111CU-0926-SM-5EGIK 50-59 years, male 302.0
GTEX-ZZ64-0426-SM-5E43F 20-29 years, male 301.8
GTEX-13D11-2126-SM-5IFH2 50-59 years, female 301.6
GTEX-1C475-1026-SM-7MKFJ 40-49 years, female 300.4
GTEX-11NSD-1426-SM-5HL67 20-29 years, male 300.2
GTEX-T8EM-1226-SM-4DM5J 40-49 years, male 298.5
GTEX-QLQ7-0826-SM-447B3 60-69 years, male 297.7
GTEX-QXCU-1926-SM-48FE4 50-59 years, male 297.7
GTEX-X15G-1126-SM-4PQZG 50-59 years, female 297.7
GTEX-ZY6K-0726-SM-5A5L8 50-59 years, male 297.7
GTEX-1MGNQ-1826-SM-DPRYI 40-49 years, male 297.1
GTEX-1ICG6-1826-SM-AHZ2O 70-79 years, female 296.7
GTEX-ZLFU-1326-SM-DO11R 40-49 years, male 296.7
GTEX-1KXAM-0926-SM-CXZKA 60-69 years, male 296.2
GTEX-XBED-1226-SM-4AT5V 60-69 years, male 294.6
GTEX-1HBPN-1626-SM-9WPNP 50-59 years, male 293.6
GTEX-15RIF-1126-SM-7KUG2 20-29 years, male 292.9
GTEX-1I6K7-1726-SM-B2LXQ 40-49 years, male 292.7
GTEX-QV44-1226-SM-CJI1S 50-59 years, male 292.7
GTEX-132QS-1826-SM-5IFFN 60-69 years, male 292.1
GTEX-XMK1-1526-SM-EYYVO 40-49 years, male 291.6
GTEX-1MUQO-1926-SM-EAZ59 60-69 years, male 291.1
GTEX-14PJ5-0826-SM-6AJAR 60-69 years, female 290.7
GTEX-15CHR-1326-SM-79OLT 50-59 years, male 289.3
GTEX-Y9LG-1026-SM-5IFJN 30-39 years, male 288.7
GTEX-1A8G6-1426-SM-731EZ 60-69 years, male 286.9
GTEX-S4UY-1626-SM-4AD55 40-49 years, female 286.8
GTEX-RTLS-2626-SM-46MUJ 60-69 years, female 285.0
GTEX-Q734-1026-SM-48U16 40-49 years, female 284.2
GTEX-Y8LW-0826-SM-4WWDO 50-59 years, female 283.9
GTEX-1HFI7-1526-SM-9WG7W 50-59 years, female 283.4
GTEX-QV31-0626-SM-447C5 30-39 years, male 282.7
GTEX-14BMU-1126-SM-5RQJ8 20-29 years, female 282.4
GTEX-13FH7-1026-SM-5IJGF 50-59 years, female 281.5
GTEX-ZDYS-1926-SM-5HL59 50-59 years, male 281.3
GTEX-ZT9W-1526-SM-4YCDE 50-59 years, male 280.7
GTEX-1QP2A-2126-SM-DPRZ7 50-59 years, male 280.3
GTEX-ZV7C-1626-SM-5NQ7E 50-59 years, male 280.2
GTEX-1339X-1426-SM-5K7YO 40-49 years, male 279.8
GTEX-WRHK-0626-SM-4MVOE 20-29 years, female 279.6
GTEX-ZPU1-1626-SM-4WWB2 40-49 years, male 278.2
GTEX-12WSD-2326-SM-59HKQ 60-69 years, female 278.0
GTEX-WY7C-1726-SM-4ONCC 50-59 years, male 277.7
GTEX-1AYCT-1326-SM-7MKHB 50-59 years, male 277.4
GTEX-ZQUD-0826-SM-57WDQ 30-39 years, male 277.3
GTEX-18D9A-0626-SM-7KFTY 30-39 years, female 275.3
GTEX-11EM3-1026-SM-5A5KL 20-29 years, female 273.6
GTEX-14PJ3-1426-SM-664O8 50-59 years, male 273.4
GTEX-13OW6-2526-SM-5IJEC 50-59 years, male 272.9
GTEX-OIZF-1526-SM-2I5GR 60-69 years, male 272.3
GTEX-11I78-1726-SM-5A5M3 50-59 years, female 271.8
GTEX-ZVZP-1726-SM-5GZWY 50-59 years, male 271.0
GTEX-1B8KZ-1226-SM-793CP 50-59 years, male 270.2
GTEX-WEY5-1226-SM-4LMIQ 40-49 years, female 270.1
GTEX-1122O-1926-SM-5EGIQ 60-69 years, female 269.1
GTEX-1HKZK-1526-SM-B2LWG 40-49 years, male 269.0
GTEX-12WSK-1426-SM-5CVNN 40-49 years, female 268.6
GTEX-16AAH-1226-SM-79OO9 50-59 years, male 268.4
GTEX-18A7A-2726-SM-7LG6U 50-59 years, female 267.5
GTEX-1JKYN-1726-SM-AHZ48 30-39 years, male 266.5
GTEX-1B97I-1226-SM-7MGWQ 40-49 years, male 265.6
GTEX-ZF2S-1426-SM-57WET 50-59 years, female 265.5
GTEX-OHPM-1526-SM-EV796 50-59 years, male 265.4
GTEX-YFCO-0826-SM-5LUAG 40-49 years, male 263.6
GTEX-U3ZN-2026-SM-4DXUC 30-39 years, female 263.5
GTEX-145ME-1026-SM-5O9B4 40-49 years, female 263.3
GTEX-1B8KE-1326-SM-73KVI 50-59 years, male 261.4
GTEX-13113-0726-SM-5LZUF 60-69 years, female 261.2
GTEX-14E6E-0926-SM-664N8 30-39 years, male 260.8
GTEX-XQ8I-2026-SM-4BOOL 50-59 years, male 260.6
GTEX-ZGAY-1626-SM-DNZZ3 40-49 years, female 260.0
GTEX-PWCY-0926-SM-48TD7 20-29 years, female 258.9
GTEX-1F75I-1826-SM-7MKGX 40-49 years, male 258.8
GTEX-1H1E6-1626-SM-9OSWC 30-39 years, male 257.6
GTEX-Y5LM-1326-SM-5RQIS 40-49 years, female 257.5
GTEX-13X6H-1626-SM-5Q5CT 50-59 years, female 256.9
GTEX-145LT-1426-SM-5O9B3 40-49 years, male 256.9
GTEX-15G1A-1226-SM-7KUF3 30-39 years, male 255.2
GTEX-17HGU-2126-SM-7IGOV 50-59 years, male 255.1
GTEX-1JMLX-2426-SM-CXZJQ 50-59 years, male 255.0
GTEX-12WSG-2026-SM-5FQUU 50-59 years, female 254.9
GTEX-14B4R-0726-SM-5TDDR 30-39 years, male 254.5
GTEX-WFG7-1326-SM-4LMK1 20-29 years, male 253.6
GTEX-Y5V6-1326-SM-4VDTF 60-69 years, male 252.9
GTEX-17F98-1526-SM-7EWD8 40-49 years, female 251.6
GTEX-S3XE-1026-SM-4AD4O 50-59 years, male 251.0
GTEX-1399R-1126-SM-5IFIO 30-39 years, male 250.3
GTEX-133LE-1326-SM-5IFGO 20-29 years, female 249.9
GTEX-17HHE-1026-SM-79ON6 50-59 years, male 249.9
GTEX-XXEK-0826-SM-4BRWG 50-59 years, male 249.8
GTEX-14JG6-1226-SM-664O6 30-39 years, female 249.7
GTEX-1HBPI-0726-SM-9WG7Z 50-59 years, male 248.1
GTEX-1J8Q3-1926-SM-C1YSJ 60-69 years, male 247.9
GTEX-1LGRB-1726-SM-CNNRA 50-59 years, female 247.5
GTEX-XV7Q-1326-SM-4BRWM 40-49 years, female 243.9
GTEX-1AMFI-1226-SM-731CZ 50-59 years, female 242.2
GTEX-1J8QM-1126-SM-C1YQB 60-69 years, female 240.6
GTEX-1A3MV-1226-SM-718BW 30-39 years, male 240.3
GTEX-S4Q7-0726-SM-4AD5F 20-29 years, male 240.3
GTEX-V1D1-1726-SM-4JBHB 50-59 years, male 240.1
GTEX-11TT1-0726-SM-5GU5A 20-29 years, male 240.0
GTEX-13OVK-0926-SM-7KUFX 40-49 years, male 238.5
GTEX-17HII-2426-SM-7KFTT 50-59 years, male 238.4
GTEX-P78B-1826-SM-3P5YX 40-49 years, female 237.8
GTEX-1GMRU-2526-SM-9WG7T 50-59 years, male 236.5
GTEX-W5WG-1726-SM-4LMI5 50-59 years, female 236.4
GTEX-144GN-1226-SM-5O991 50-59 years, male 235.8
GTEX-1211K-1426-SM-5FQTF 60-69 years, female 235.6
GTEX-ZZPU-1426-SM-5GZZ6 50-59 years, female 235.5
GTEX-18A67-2626-SM-718AD 50-59 years, male 234.4
GTEX-1QCLY-1126-SM-EAZ4J 30-39 years, male 234.2
GTEX-V955-1326-SM-4JBHR 60-69 years, male 233.9
GTEX-1QCLZ-1826-SM-DPRXP 60-69 years, female 233.0
GTEX-13S7M-1826-SM-5RQK6 60-69 years, female 232.7
GTEX-ZVT3-2126-SM-59HL2 60-69 years, female 232.5
GTEX-1R7EU-1126-SM-EAZ4M 60-69 years, male 232.3
GTEX-13RTK-0226-SM-5RQHR 20-29 years, male 231.5
GTEX-1R9K5-1026-SM-EAZ4F 50-59 years, male 231.5
GTEX-1JMPZ-1826-SM-CXZJT 30-39 years, male 231.0
GTEX-18QFQ-1226-SM-718AE 30-39 years, male 229.6
GTEX-1I1HK-2026-SM-CNNRB 60-69 years, male 229.3
GTEX-P4PQ-1526-SM-3NMCK 60-69 years, male 228.3
GTEX-12WSJ-0926-SM-5P9JD 40-49 years, female 227.7
GTEX-16NGA-1526-SM-72D56 40-49 years, female 227.6
GTEX-117YW-2226-SM-5N9DB 50-59 years, male 227.3
GTEX-TMMY-1626-SM-4DXTY 40-49 years, female 226.9
GTEX-1AMEY-1226-SM-731DU 30-39 years, female 226.5
GTEX-15RIE-1026-SM-6LPJQ 60-69 years, male 225.8
GTEX-18A66-2226-SM-7189E 60-69 years, male 225.6
GTEX-15UF7-1226-SM-6M46G 40-49 years, male 224.1
GTEX-ZV6S-0926-SM-57WGB 40-49 years, female 224.0
GTEX-1LBAC-1426-SM-CXZKT 20-29 years, male 224.0
GTEX-1I1GT-1726-SM-C1YS3 60-69 years, female 223.9
GTEX-13O61-1126-SM-5L3FI 60-69 years, male 222.4
GTEX-XBEW-1826-SM-4RTWX 40-49 years, male 221.7
GTEX-13U4I-2526-SM-5SI8Z 40-49 years, female 221.0
GTEX-QMRM-1126-SM-447BN 50-59 years, male 220.7
GTEX-14DAR-0926-SM-73KUQ 50-59 years, male 220.3
GTEX-1H1DG-2126-SM-9WPPB 70-79 years, male 220.3
GTEX-TKQ1-0526-SM-4DXTG 30-39 years, male 219.3
GTEX-111YS-1126-SM-5GZYQ 60-69 years, male 219.2
GTEX-NFK9-1526-SM-3LK7B 40-49 years, male 218.3
GTEX-SNOS-0826-SM-4DM5N 40-49 years, male 217.1
GTEX-WYJK-2526-SM-4ONDF 50-59 years, male 215.6
GTEX-1GZ4H-1026-SM-9OSXL 50-59 years, female 212.1
GTEX-14BIL-1926-SM-73KYI 50-59 years, male 211.6
GTEX-15EU6-2526-SM-7KUGB 50-59 years, male 209.0
GTEX-1F5PK-1826-SM-7RHHX 50-59 years, male 207.7
GTEX-R53T-1226-SM-48FCT 50-59 years, female 204.8
GTEX-17MF6-2126-SM-7KFS7 40-49 years, male 203.9
GTEX-U4B1-1026-SM-4DXT1 40-49 years, male 202.1
GTEX-13PVR-2126-SM-73KVR 60-69 years, female 201.5
GTEX-R55C-1026-SM-48FCM 40-49 years, male 201.4
GTEX-1MCYP-1126-SM-E9J2P 20-29 years, female 198.6
GTEX-1LSNM-1026-SM-DHXL2 50-59 years, male 198.4
GTEX-PW2O-1226-SM-48TCH 20-29 years, male 197.7
GTEX-14DAQ-2826-SM-664MU 60-69 years, female 197.6
GTEX-13QBU-1126-SM-5LU44 40-49 years, female 197.2
GTEX-1LVAN-2426-SM-CNNPZ 50-59 years, female 197.1
GTEX-1IDJD-2426-SM-C1YS6 30-39 years, male 197.0
GTEX-PLZ5-1226-SM-EXOHA 50-59 years, male 196.8
GTEX-1H3VY-2326-SM-9WG81 50-59 years, male 195.9
GTEX-P4QT-1526-SM-3NMCT 50-59 years, female 195.7
GTEX-1RAZR-1526-SM-EAZ4U 40-49 years, male 195.6
GTEX-12C56-0526-SM-5FQST 20-29 years, male 195.1
GTEX-1S82Z-1726-SM-E6CHZ 30-39 years, female 195.0
GTEX-PLZ6-0826-SM-3P61K 30-39 years, male 194.2
GTEX-1AX9J-2626-SM-731EK 60-69 years, male 193.8
GTEX-1HCUA-1626-SM-A9SMG 50-59 years, female 191.1
GTEX-14PKU-1126-SM-69LOU 40-49 years, female 191.0
GTEX-13OVI-2426-SM-5KM4J 60-69 years, female 189.8
GTEX-OXRK-1626-SM-3NB17 50-59 years, female 185.2
GTEX-ZTX8-0426-SM-59HLG 20-29 years, male 185.2
GTEX-ZEX8-1626-SM-4WKG7 50-59 years, male 185.0
GTEX-17EUY-1526-SM-793CA 20-29 years, male 184.7
GTEX-XPVG-1526-SM-4B66C 50-59 years, male 184.0
GTEX-YJ8A-1526-SM-5P9FT 20-29 years, male 181.6
GTEX-1HCU8-1326-SM-C1YQQ 60-69 years, female 181.4
GTEX-1H23P-2726-SM-9JGHN 60-69 years, male 180.9
GTEX-132AR-2426-SM-5IFFD 50-59 years, female 180.8
GTEX-1GF9U-1126-SM-AHZ4H 40-49 years, female 180.6
GTEX-18D9B-2226-SM-718BM 60-69 years, male 180.3
GTEX-1J8JJ-1726-SM-C1YQG 60-69 years, female 179.8
GTEX-QDT8-2026-SM-EZ6LS 30-39 years, female 179.5
GTEX-Y8E4-1526-SM-4WWDI 40-49 years, male 178.6
GTEX-O5YW-1526-SM-3MJGL 50-59 years, male 177.3
GTEX-1399U-1626-SM-5P9J3 50-59 years, female 177.1
GTEX-13X6J-2126-SM-5TDCV 50-59 years, male 175.9
GTEX-WH7G-1526-SM-4LVMX 40-49 years, male 174.2
GTEX-WHWD-1426-SM-4OORU 50-59 years, male 173.2
GTEX-1RQEC-2126-SM-DPS15 60-69 years, male 171.3
GTEX-1I4MK-0926-SM-A9SLD 50-59 years, female 170.5
GTEX-11P82-0726-SM-5PNYL 20-29 years, male 169.0
GTEX-1QP29-2326-SM-EXOJO 50-59 years, male 168.9
GTEX-Y3I4-1626-SM-4TT7W 50-59 years, male 168.7
GTEX-1A3MX-1926-SM-72D7F 60-69 years, male 167.7
GTEX-1HSEH-1526-SM-B2LXG 60-69 years, male 166.7
GTEX-139YR-1926-SM-5LZXM 50-59 years, male 166.1
GTEX-145MO-2226-SM-5Q5BN 60-69 years, male 165.9
GTEX-1J8EW-2226-SM-AHZ3T 60-69 years, female 161.6
GTEX-WFJO-1126-SM-4LVLZ 30-39 years, male 161.4
GTEX-ZYVF-2726-SM-5GID4 50-59 years, female 160.7
GTEX-RUSQ-1126-SM-EAZAU 50-59 years, male 160.7
GTEX-1S831-1126-SM-EWROI 20-29 years, male 159.6
GTEX-146FR-2026-SM-5NQAI 60-69 years, female 159.3
GTEX-1N2DV-0926-SM-E9TJT 40-49 years, male 159.2
GTEX-1PPH8-1326-SM-DTXFO 20-29 years, male 158.8
GTEX-1GN1W-2126-SM-9JGI7 50-59 years, female 158.4
GTEX-11EQ9-1226-SM-5987E 30-39 years, male 156.4
GTEX-1L5NE-1526-SM-DIPFW 50-59 years, male 155.3
GTEX-14E1K-1526-SM-664MN 50-59 years, male 154.7
GTEX-13N1W-2026-SM-5K7YU 70-79 years, male 153.5
GTEX-1JMPY-0926-SM-ARL92 30-39 years, male 153.2
GTEX-11WQK-2626-SM-5EQ4K 50-59 years, male 152.1
GTEX-14PN3-1326-SM-6AJ9U 60-69 years, female 151.9
GTEX-1JMQJ-1326-SM-D4P3B 50-59 years, male 149.8
GTEX-1IDJF-1426-SM-ACKWK 20-29 years, male 148.0
GTEX-1HSMQ-2426-SM-CE6RY 50-59 years, male 146.5
GTEX-Y114-1226-SM-4TT88 50-59 years, female 144.6
GTEX-1NSGN-1926-SM-E9J36 50-59 years, male 142.6
GTEX-14PHY-0926-SM-5ZZWL 60-69 years, female 140.9
GTEX-R55G-1126-SM-48FDG 40-49 years, female 140.9
GTEX-1QP28-2126-SM-DTX8B 50-59 years, female 140.5
GTEX-ZPIC-2026-SM-57WG3 40-49 years, female 139.7
GTEX-WYVS-1326-SM-4ONCQ 40-49 years, female 139.5
GTEX-S7SF-0626-SM-4AD4V 20-29 years, female 139.2
GTEX-146FH-2126-SM-5SI9U 50-59 years, female 138.9
GTEX-YEC3-1426-SM-D4P1S 50-59 years, male 138.1
GTEX-1QP67-1026-SM-EVR47 40-49 years, female 137.4
GTEX-11P7K-1726-SM-5GU6F 30-39 years, male 136.2
GTEX-1JN1M-2926-SM-CNNPJ 60-69 years, female 135.0
GTEX-1CB4E-1326-SM-7DUGD 60-69 years, male 134.8
GTEX-11VI4-0326-SM-5EQ6L 40-49 years, female 133.2
GTEX-13111-1226-SM-5GCNC 50-59 years, male 132.7
GTEX-1H1DE-1226-SM-9JGHH 20-29 years, male 128.5
GTEX-1K2DA-0826-SM-CGQGD 50-59 years, male 128.1
GTEX-14BMV-2226-SM-5RQHX 50-59 years, male 128.0
GTEX-1E1VI-2826-SM-7MGWU 50-59 years, male 127.4
GTEX-1CB4H-2426-SM-7PBYR 60-69 years, female 126.0
GTEX-15SHW-2126-SM-6M46Y 60-69 years, male 125.2
GTEX-1EH9U-2226-SM-7PBXX 60-69 years, male 124.0
GTEX-1JN76-0926-SM-ARZNH 20-29 years, female 122.8
GTEX-139D8-2326-SM-5IFGE 30-39 years, female 121.7
GTEX-1LVAM-1426-SM-E9TJ4 50-59 years, female 120.7
GTEX-R55D-1526-SM-48FEJ 50-59 years, male 120.1
GTEX-UJHI-1026-SM-4IHJP 50-59 years, female 119.8
GTEX-S4Z8-1226-SM-4AD6W 60-69 years, male 118.9
GTEX-O5YV-1926-SM-EV797 60-69 years, female 118.3
GTEX-1PIGE-1126-SM-EWRMV 20-29 years, male 116.0
GTEX-XAJ8-0326-SM-47JYI 40-49 years, male 113.9
GTEX-S4P3-0726-SM-4AD57 50-59 years, female 113.6
GTEX-1H11D-2226-SM-9OSXN 40-49 years, male 113.4
GTEX-UPK5-2126-SM-4JBJK 40-49 years, male 113.2
GTEX-1C64O-2226-SM-73KTV 60-69 years, male 112.1
GTEX-1GPI7-1326-SM-9KNVA 20-29 years, male 110.5
GTEX-131XE-2226-SM-5PNYX 50-59 years, male 110.3
GTEX-1QW4Y-0726-SM-DTX8E 30-39 years, male 108.1
GTEX-1H3NZ-2226-SM-9WYUT 60-69 years, male 107.6
GTEX-WZTO-2126-SM-4PQYW 40-49 years, male 106.8
GTEX-1IL2V-2026-SM-ARZMA 70-79 years, male 104.7
GTEX-T5JC-1926-SM-4DM6Q 20-29 years, male 104.5
GTEX-1S3DN-1526-SM-EVYCB 50-59 years, male 102.8
GTEX-RU1J-0526-SM-46MUT 20-29 years, female 101.9
GTEX-OIZH-1526-SM-3NB1J 50-59 years, male 101.7
GTEX-17KNJ-1526-SM-7LTA9 50-59 years, male 101.5
GTEX-ZE7O-3026-SM-51MS4 50-59 years, female 99.8
GTEX-1HR9M-2326-SM-CNPPZ 60-69 years, male 94.0
GTEX-1E2YA-2426-SM-7EPIG 50-59 years, male 93.5
GTEX-17JCI-2226-SM-7LTA1 60-69 years, female 92.2
GTEX-1KD5A-1426-SM-D4P3V 50-59 years, male 90.8
GTEX-1B8L1-1526-SM-79OLK 60-69 years, male 90.7
GTEX-13QJ3-2726-SM-5SI6L 50-59 years, male 87.9
GTEX-11EI6-2426-SM-5PNVS 60-69 years, male 86.9
GTEX-13O3Q-2126-SM-5KM4C 50-59 years, male 83.3
GTEX-TKQ2-0926-SM-4DXU5 50-59 years, male 76.3
GTEX-1HT8W-2326-SM-A9SLA 30-39 years, male 72.1
Show allShow less

Contact

  • NEWS ARTICLES
  • PRESS ROOM

The Project

  • INTRODUCTION
  • ORGANIZATION
  • PUBLICATIONS

The Human Protein Atlas

  • DOWNLOADABLE DATA
  • LICENCE & CITATION
  • HELP & FAQ
The Human Protein Atlas project is funded
by the Knut & Alice Wallenberg Foundation.


contact@proteinatlas.org