We use cookies to enhance the usability of our website. If you continue, we'll assume that you are happy to receive all cookies. More information. Don't show this again.
C1QTNF5
HPA
RESOURCES
  • TISSUE
  • BRAIN
  • SINGLE CELL
  • SUBCELLULAR
  • CANCER
  • BLOOD
  • CELL LINE
  • STRUCTURE & INTERACTION
ABOUT
  • INTRODUCTION
  • HISTORY
  • ORGANIZATION
  • PUBLICATIONS
  • ANTIBODY SUBMISSION
  • ANTIBODY AVAILABILITY
  • ACKNOWLEDGMENTS
  • CONTACT
NEWS
  • NEWS ARTICLES
  • PRESS ROOM
LEARN
  • DICTIONARY
  • PROTEIN CLASSES
  • PROTEIN EVIDENCE
  • METHODS
  • EDUCATIONAL VIDEOS
DATA
  • DOWNLOADABLE DATA
  • PUBLICATION DATA
  • RELEASE HISTORY
HELP
  • ANTIBODY VALIDATION
  • ASSAYS & ANNOTATION
  • DISCLAIMER
  • HELP & FAQ
  • PRIVACY STATEMENT
  • LICENCE & CITATION
Fields »
Search result

Field
Term
Gene name
Class
Subclass
Class
Keyword
Chromosome
External id
Tissue
Cell type
Expression
Antibody panel
Tissue
Main location
Patient ID
Annotation
Tissue
Category
Tau score
Cluster
Reliability
Brain region
Category
Tau score
Brain region
Category
Tau score
Brain region
Category
Tau score
Cluster
Reliability
Tissue
Cell type
Enrichment
Cell type
Category
Tau score
Cell type
Category
Tau score
Cell type
Category
Tau score
Cell lineage
Category
Tau score
Cluster
Cluster
Location
Searches
Location
Cell line
Class
Type
Phase
Reliability
Cancer
Prognosis
Cancer
Category
Cancer
Category
Tau score
Cluster
Variants
Interacting gene (ensg_id)
Type
Number of interactions
Pathway
Category
Score
Score
Score
Validation
Validation
Validation
Validation
Antibodies
Data type
Column


  • SUMMARY

  • TISSUE

  • BRAIN

  • SINGLE CELL

  • SUBCELL

  • CANCER

  • BLOOD

  • CELL LINE

  • STRUCT & INT

  • C1QTNF5
TISSUE PRIMARY DATA SKIN 1 Show tissue menu
ADIPOSE TISSUE ADRENAL GLAND AMYGDALA APPENDIX BASAL GANGLIA BONE MARROW BREAST CEREBELLUM CEREBRAL CORTEX CERVIX CHOROID PLEXUS COLON DUODENUM
ENDOMETRIUM EPIDIDYMIS ESOPHAGUS FALLOPIAN TUBE GALLBLADDER HEART MUSCLE HIPPOCAMPAL FORMATION HYPOTHALAMUS KIDNEY LIVER LUNG LYMPH NODE MIDBRAIN
OVARY PANCREAS PARATHYROID GLAND PITUITARY GLAND PLACENTA PROSTATE RECTUM RETINA SALIVARY GLAND SEMINAL VESICLE SKELETAL MUSCLE SKIN SMALL INTESTINE
SMOOTH MUSCLE SPINAL CORD SPLEEN STOMACH TESTIS THYMUS THYROID GLAND TONGUE TONSIL URINARY BLADDER VAGINA
ANTIBODIES
AND
VALIDATION
Dictionary
Skin
Tissue proteome
SKIN - Expression summary
Protein expressioni

On the top, protein expression in current human tissue, based on all annotated cell types, is reported with the units not detected (n), low (l), medium (m) and high (h). Underneath, protein expression in each annotated cell type are reported using the same units.

Protein expression data is based on knowledge-based annotation. For genes where more than one antibody has been used, a collective score is set.

If knowledge-based annotation could not be performed for a gene, no data is displayed here. View antibody staining data further down this page.

No data
RNA expressioni

A summary of mRNA expression data available for current tissue based on several datasets. The mRNA expression levels in human tissues are based on RNA-seq data generated by the Human Protein Atlas (HPA), Genotype-Tissue Expression (GTEx) portal and CAGE data generated by the FANTOM5 consortium. Consensus normalized expression levels for human tissues was created by combining the data from HPA and GTEx datasets.

The mRNA expression levels in pig are based on RNA-seq data generated by the Human Protein Atlas (HPA), and for mouse, HPA data and in situ hybridization generated by the Allen brain atlas are reported.

Scroll down to view mRNA expression data in more detail.
Consensus:19.7 nTPM
HPA:4.3 nTPM
GTEx:19.7 nTPM

SKIN - Annotated protein expression
Pending normal tissue analysis

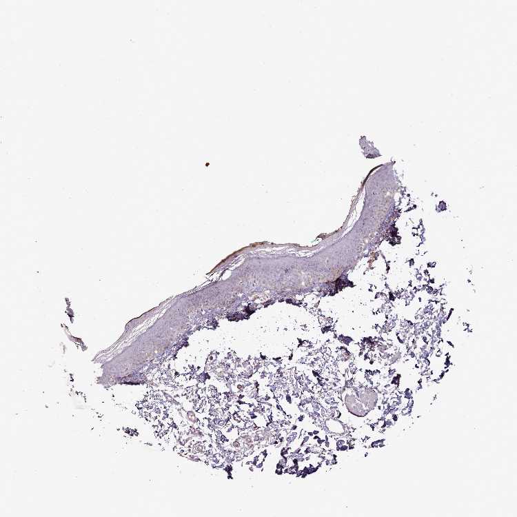
SKIN 1 - Antibody stainingi

Antibody staining in the annotated cell types in the current human tissue is reported as not detected, low, medium, or high, based on conventional immunohistochemistry profiling in selected tissues. This score is based on the combination of the staining intensity and fraction of stained cells.

Each image is clickable and will lead to virtual microscopy that enables deeper exploration of all samples and also displays staining intensity scores, fraction scores and subcellular localization as well as patient and tissue information for each sample.

Antibody HPA038604Antibody CAB025607
Langerhans Not detectedNot detected
Fibroblasts Not detectedMedium
Keratinocytes Not detectedNot detected
Melanocytes Not detectedNot detected


SKIN 2 - Antibody stainingi

Antibody staining in the annotated cell types in the current human tissue is reported as not detected, low, medium, or high, based on conventional immunohistochemistry profiling in selected tissues. This score is based on the combination of the staining intensity and fraction of stained cells.

Each image is clickable and will lead to virtual microscopy that enables deeper exploration of all samples and also displays staining intensity scores, fraction scores and subcellular localization as well as patient and tissue information for each sample.

Antibody HPA038604Antibody CAB025607
Epidermal cells Not detectedNot detected
  
  
  



SKIN - HPA RNA-seqi

The RNA-seq details section shows detailed information about the individual samples used for the transcript profiling and results of the RNA-seq analysis.

Information about each individual sample is listed below, including gender, age, a tissue section image and estimated fractions of cell types. nTPM (normalized transcripts per million) values give a quantification of the gene abundance which is comparable between different genes and samples.
Average nTPMi

Max subtype nTPM is the value for the subtype with the largest average nTPM across the subtype samples.

4.3
overview
Female, age 34
Skin sample 225
nTPM: 3.3
Cell types%
Keratinocytes:
60

Other cell types:
40

overview
Female, age 30
Skin sample 226
nTPM: 1.9
Cell types%
Keratinocytes:
55

Other cell types:
45

N/A
Male, age 57
Skin sample 227
nTPM: 7.6

SKIN - GTEx RNA-seqi

RNA-Seq data generated by the Genotype-Tissue Expression (GTEx) project from human tissues is reported as mean nTPM. More information can be found on the GTEx portal.

Distribution across the dataset is visualized with box plots, shown as median and 25th and 75th percentiles. Points are displayed as outliers if they are above or below 1.5 times the interquartile range. nTPM values of the individual samples are presented next to the box plot.
Max subtype nTPMi

Max subtype nTPM is the value for the subtype with the largest average nTPM across the subtype samples.

19.7
GTEx sample id Sample description nTPM
Skin - Not Sun Exposed (Suprapubic)
Average nTPM: 13.7
Samples: 604

Max nTPM: 84.7
Min nTPM: 1.7
Std nTPM: 9.7
Median nTPM: 11.1
GTEX-Y3IK-1626-SM-4YCF5 50-59 years, female 84.7
GTEX-18D9B-0926-SM-7LG4U 60-69 years, male 71.4
GTEX-1399R-1326-SM-5PNYS 30-39 years, male 67.1
GTEX-13OVJ-0826-SM-5J1OK 50-59 years, female 53.6
GTEX-14DAR-1226-SM-73KYV 50-59 years, male 52.6
GTEX-U8XE-0226-SM-4E3J3 30-39 years, male 49.6
GTEX-1JMOU-1026-SM-CYPSS 60-69 years, female 49.6
GTEX-139YR-1026-SM-5LZYN 50-59 years, male 49.2
GTEX-1IDJI-0126-SM-CMKHS 50-59 years, female 47.8
GTEX-17EVQ-0126-SM-7IGLR 70-79 years, male 46.5
GTEX-ZLFU-1826-SM-4WWBV 40-49 years, male 40.9
GTEX-11DZ1-2426-SM-5GZZX 50-59 years, male 40.6
GTEX-1117F-2926-SM-5GZYI 60-69 years, female 39.9
GTEX-1LBAC-0826-SM-CY8IJ 20-29 years, male 39.5
GTEX-WI4N-2726-SM-3LK7Y 40-49 years, female 39.0
GTEX-1H1ZS-2726-SM-9WG75 70-79 years, male 38.4
GTEX-1EX96-1026-SM-7MKG2 50-59 years, male 37.3
GTEX-14A5H-0826-SM-5QGPJ 60-69 years, male 37.2
GTEX-X585-2426-SM-46MW2 50-59 years, male 37.1
GTEX-XV7Q-1826-SM-4BRUV 40-49 years, female 36.2
GTEX-1RLM8-2926-SM-E8VON 50-59 years, male 36.2
GTEX-1QP29-1826-SM-DTX9S 50-59 years, male 35.8
GTEX-1HCU8-2526-SM-CE6RX 60-69 years, female 35.2
GTEX-WXYG-2026-SM-4E3IY 50-59 years, female 34.9
GTEX-1F48J-0726-SM-7RHGS 50-59 years, female 34.8
GTEX-12584-0726-SM-5FQTK 40-49 years, male 34.7
GTEX-ZYW4-0626-SM-59HJR 60-69 years, male 34.7
GTEX-X4EP-0626-SM-3P621 60-69 years, female 33.8
GTEX-1LVAO-2726-SM-E9TJ8 60-69 years, male 33.7
GTEX-13113-1626-SM-5EQ4I 60-69 years, female 33.3
GTEX-XK95-0226-SM-4AT58 40-49 years, male 32.7
GTEX-X3Y1-2026-SM-3P5YM 40-49 years, male 32.6
GTEX-15CHQ-0326-SM-69LQD 60-69 years, male 32.3
GTEX-145MG-1526-SM-5Q5EM 50-59 years, male 31.9
GTEX-117YX-1926-SM-5GIEC 50-59 years, male 31.6
GTEX-1HC8U-1326-SM-9YFMJ 40-49 years, female 31.4
GTEX-1F6I4-2326-SM-7RHGL 60-69 years, male 30.9
GTEX-13X6I-1826-SM-5SIAO 60-69 years, male 30.4
GTEX-1CAV2-0126-SM-7IGN7 40-49 years, female 30.3
GTEX-132AR-0326-SM-5KM2C 50-59 years, female 29.7
GTEX-139T8-0626-SM-5KLZX 60-69 years, male 29.6
GTEX-1H1CY-0126-SM-9YFLY 60-69 years, female 29.3
GTEX-111FC-2526-SM-5GZXU 60-69 years, male 29.2
GTEX-12WSJ-1126-SM-5LZVJ 40-49 years, female 29.0
GTEX-16GPK-0626-SM-7KFSF 60-69 years, male 28.9
GTEX-15RJ7-2126-SM-6PAMD 40-49 years, male 28.7
GTEX-1AX9J-1326-SM-731BJ 60-69 years, male 28.4
GTEX-1A32A-0626-SM-731AQ 50-59 years, female 28.3
GTEX-1HFI6-0126-SM-CNPPI 40-49 years, male 27.8
GTEX-ZPU1-1126-SM-4YCF3 40-49 years, male 27.5
GTEX-1IDJE-1426-SM-ADEIW 50-59 years, female 27.4
GTEX-11DXW-0826-SM-5H118 40-49 years, male 27.2
GTEX-WYBS-0626-SM-3NMAS 60-69 years, female 26.5
GTEX-14E6C-2426-SM-5S2NF 40-49 years, male 26.3
GTEX-1HUB1-1426-SM-CGQF5 60-69 years, male 26.3
GTEX-17F97-2626-SM-7IGM5 50-59 years, male 26.2
GTEX-12WSK-2126-SM-5CVNC 40-49 years, female 25.8
GTEX-1497J-0226-SM-5QGPU 60-69 years, male 25.7
GTEX-1AYD5-2626-SM-7PBXY 50-59 years, male 25.7
GTEX-1HCU6-2526-SM-ADEHL 60-69 years, female 25.6
GTEX-18A7B-2726-SM-7LG56 70-79 years, male 25.4
GTEX-1A3MW-0626-SM-731CB 60-69 years, female 25.4
GTEX-XYKS-1426-SM-4BRUO 60-69 years, female 25.2
GTEX-1O9I2-0226-SM-EYYXD 50-59 years, male 25.2
GTEX-1GMR2-0826-SM-7PC3V 50-59 years, male 25.0
GTEX-1S831-1826-SM-EWROF 20-29 years, male 25.0
GTEX-16YQH-2226-SM-7IGM2 30-39 years, male 24.9
GTEX-ZVE1-0726-SM-51MRN 50-59 years, female 24.7
GTEX-15SHW-0226-SM-7LTAT 60-69 years, male 24.3
GTEX-1CB4H-1126-SM-7MKGL 60-69 years, female 24.3
GTEX-1E2YA-2126-SM-7MXUO 50-59 years, male 24.0
GTEX-ZYFD-0626-SM-5E44E 50-59 years, male 23.8
GTEX-11DYG-1526-SM-5A5JS 60-69 years, male 23.5
GTEX-ZLWG-0826-SM-59888 50-59 years, female 23.5
GTEX-1F75W-2726-SM-7SB8H 60-69 years, male 23.2
GTEX-145ME-1726-SM-5Q5EU 40-49 years, female 23.1
GTEX-1H23P-0626-SM-9WG6T 60-69 years, male 23.1
GTEX-ZVP2-0326-SM-57WBP 50-59 years, male 23.0
GTEX-18A66-0626-SM-7LT8Z 60-69 years, male 22.9
GTEX-16BQI-1326-SM-6M486 30-39 years, female 22.7
GTEX-14PK6-0226-SM-62LF5 70-79 years, female 22.5
GTEX-13OVK-1426-SM-6PAN7 40-49 years, male 22.3
GTEX-18D9U-0126-SM-731BM 40-49 years, male 22.3
GTEX-1HCUA-0826-SM-ADEHM 50-59 years, female 22.0
GTEX-ZUA1-2626-SM-5NQ92 40-49 years, male 21.9
GTEX-1F75B-0726-SM-7PC3R 50-59 years, male 21.8
GTEX-12WSL-2026-SM-5GCML 50-59 years, male 21.7
GTEX-1IDJD-2326-SM-ACKWX 30-39 years, male 21.7
GTEX-1R9PN-0426-SM-DTXDT 40-49 years, female 21.7
GTEX-WRHU-2826-SM-3MJG8 50-59 years, female 21.2
GTEX-17JCI-2926-SM-7DUFF 60-69 years, female 21.1
GTEX-17MF6-2626-SM-79OKQ 40-49 years, male 21.1
GTEX-ZYFG-1526-SM-5GZYM 60-69 years, female 21.0
GTEX-1EWIQ-0326-SM-7DHMQ 70-79 years, female 20.9
GTEX-ZDTS-0826-SM-4WKHL 60-69 years, male 20.8
GTEX-1GZ2Q-0126-SM-9WG6M 40-49 years, male 20.8
GTEX-1RAZR-2126-SM-E9U6T 40-49 years, male 20.8
GTEX-13YAN-0226-SM-5TDC6 60-69 years, male 20.7
GTEX-14E1K-2026-SM-7DUEI 50-59 years, male 20.5
GTEX-1RB15-1326-SM-E76Q9 60-69 years, male 20.5
GTEX-13N2G-0226-SM-5K7VF 60-69 years, male 20.4
GTEX-14PHY-1226-SM-5ZZWK 60-69 years, female 20.4
GTEX-11NSD-0626-SM-5A5LU 20-29 years, male 20.3
GTEX-14JG1-1526-SM-5YY9X 40-49 years, male 20.3
GTEX-ZU9S-1826-SM-5NQ9E 30-39 years, male 20.3
GTEX-ZVTK-0226-SM-51MRG 20-29 years, male 20.2
GTEX-13NZ9-2626-SM-5L3FK 50-59 years, male 20.0
GTEX-13FTW-0326-SM-5K7UW 40-49 years, male 19.7
GTEX-X8HC-0626-SM-4E3HQ 50-59 years, female 19.7
GTEX-X5EB-1926-SM-4E3IW 40-49 years, male 19.6
GTEX-1R9K4-2826-SM-DTX8F 60-69 years, male 19.6
GTEX-131XH-0126-SM-5LZUY 50-59 years, male 19.5
GTEX-15UF6-1926-SM-7KUDV 70-79 years, female 19.5
GTEX-16MT9-0126-SM-7EPI8 60-69 years, female 19.5
GTEX-XOT4-0626-SM-4B66L 60-69 years, female 19.5
GTEX-1J8JJ-0626-SM-ARZMQ 60-69 years, female 19.5
GTEX-13PVQ-0626-SM-5LU47 50-59 years, male 19.2
GTEX-XPVG-2126-SM-4B667 50-59 years, male 19.2
GTEX-ZGAY-1826-SM-DO91Q 40-49 years, female 19.1
GTEX-11EI6-2826-SM-5H11D 60-69 years, male 19.0
GTEX-ZT9W-1126-SM-57WDR 50-59 years, male 19.0
GTEX-13FH7-1126-SM-5K7UG 50-59 years, female 18.9
GTEX-13NYS-0626-SM-5L3F1 60-69 years, male 18.9
GTEX-16MT8-2926-SM-7DUFO 60-69 years, female 18.9
GTEX-Y5V6-2326-SM-4VDSA 60-69 years, male 18.8
GTEX-ZDXO-3126-SM-5IJDF 60-69 years, male 18.7
GTEX-1C475-1326-SM-7SB73 40-49 years, female 18.7
GTEX-1F6IF-0926-SM-7SB7M 60-69 years, male 18.7
GTEX-14PJO-2526-SM-6AJBQ 60-69 years, male 18.6
GTEX-W5X1-2526-SM-3GILC 40-49 years, female 18.6
GTEX-WYVS-1626-SM-3NM9R 40-49 years, female 18.6
GTEX-17F96-0126-SM-7EWDU 70-79 years, male 18.5
GTEX-1H3NZ-2726-SM-9WYTQ 60-69 years, male 18.5
GTEX-1I1GS-2626-SM-B2LY3 60-69 years, male 18.4
GTEX-11TT1-1826-SM-5EQLV 20-29 years, male 18.3
GTEX-11WQC-1826-SM-5GU59 60-69 years, male 18.3
GTEX-WFG8-2126-SM-3GIKQ 20-29 years, male 18.3
GTEX-1F52S-2926-SM-7MKGA 60-69 years, female 18.2
GTEX-1I1CD-0626-SM-CE6SW 60-69 years, female 18.2
GTEX-1I1GP-1326-SM-A9G28 50-59 years, male 18.2
GTEX-1ICLZ-0326-SM-ARL82 60-69 years, male 18.2
GTEX-13JUV-2026-SM-5K7UA 40-49 years, female 18.1
GTEX-WHSE-0126-SM-3NMBT 20-29 years, male 18.0
GTEX-YF7O-1526-SM-5IFI6 50-59 years, male 18.0
GTEX-1JMLX-0626-SM-ARL8T 50-59 years, male 18.0
GTEX-145MN-1526-SM-5SI9T 30-39 years, male 17.9
GTEX-17HG3-2626-SM-7DUF2 30-39 years, female 17.9
GTEX-16AAH-0626-SM-793C9 50-59 years, male 17.7
GTEX-15D1Q-2826-SM-6LLH7 40-49 years, male 17.6
GTEX-VJYA-1526-SM-3GIJV 60-69 years, male 17.6
GTEX-1JN1M-2726-SM-CY8I4 60-69 years, female 17.5
GTEX-14E6E-0526-SM-793DN 30-39 years, male 17.4
GTEX-11UD2-2526-SM-5CVNU 50-59 years, male 17.3
GTEX-12WSA-0426-SM-5EQ5X 60-69 years, male 17.1
GTEX-15RIE-1926-SM-7KUKJ 60-69 years, male 17.1
GTEX-ZVE2-2826-SM-5GU51 50-59 years, male 17.1
GTEX-12WSF-1626-SM-7KUG5 70-79 years, male 17.0
GTEX-14PJ2-0626-SM-6LLII 50-59 years, male 17.0
GTEX-1HBPM-0726-SM-9YFL7 60-69 years, female 17.0
GTEX-1IL2V-1926-SM-B2LW8 70-79 years, male 16.9
GTEX-1192X-2726-SM-5N9DN 50-59 years, male 16.8
GTEX-11O72-0626-SM-5PNYE 40-49 years, male 16.8
GTEX-ZVT2-0126-SM-5GIDQ 50-59 years, female 16.8
GTEX-1JKYN-0826-SM-ARU8S 30-39 years, male 16.8
GTEX-ZAK1-0626-SM-5HL8E 50-59 years, female 16.7
GTEX-1314G-1326-SM-5BC6E 30-39 years, male 16.6
GTEX-139TS-2126-SM-5K7XC 60-69 years, male 16.6
GTEX-145MO-2826-SM-5LU96 60-69 years, male 16.5
GTEX-16XZZ-0726-SM-7KUF2 60-69 years, male 16.5
GTEX-XQ3S-1426-SM-4BOPR 20-29 years, male 16.4
GTEX-ZP4G-1426-SM-4WWCL 20-29 years, female 16.4
GTEX-14JG6-1426-SM-9WG7C 30-39 years, female 16.2
GTEX-1F75A-0726-SM-7RHHD 50-59 years, male 16.2
GTEX-1S82P-2126-SM-E6CI5 60-69 years, female 16.2
GTEX-ZAJG-1526-SM-5CVML 50-59 years, female 16.0
GTEX-18D9A-1426-SM-7LT8M 30-39 years, female 15.9
GTEX-13U4I-2226-SM-5LU5H 40-49 years, female 15.8
GTEX-WK11-2726-SM-3NMAQ 50-59 years, male 15.8
GTEX-1KD5A-0126-SM-E9U54 50-59 years, male 15.8
GTEX-14PKV-1126-SM-6LLJ1 20-29 years, female 15.7
GTEX-16MTA-0926-SM-6M47Z 50-59 years, male 15.7
GTEX-ZYFC-0426-SM-5GICQ 50-59 years, male 15.7
GTEX-145LS-0626-SM-7EPG7 60-69 years, female 15.6
GTEX-XBEC-0726-SM-4QARZ 50-59 years, male 15.6
GTEX-1GL5R-1326-SM-7RHHF 50-59 years, male 15.5
GTEX-1AX8Z-0726-SM-73KTS 60-69 years, male 15.4
GTEX-YB5K-2026-SM-4VDT3 40-49 years, female 15.4
GTEX-1BAJH-2426-SM-7IGP8 70-79 years, male 15.3
GTEX-1LSNL-2726-SM-E9TKJ 50-59 years, male 15.3
GTEX-13SLX-2226-SM-62LEP 50-59 years, female 15.2
GTEX-13FHO-0426-SM-5L3F5 60-69 years, male 15.0
GTEX-1JMPZ-0726-SM-CY8HZ 30-39 years, male 15.0
GTEX-1N5O9-0926-SM-E9J3C 60-69 years, male 15.0
GTEX-12126-0826-SM-5FQTZ 20-29 years, male 14.9
GTEX-13OVL-0126-SM-5L3GJ 50-59 years, male 14.9
GTEX-139TU-0726-SM-5L3EK 60-69 years, male 14.8
GTEX-131XW-0626-SM-5PNVD 50-59 years, female 14.7
GTEX-13X6J-0626-SM-5LU5F 50-59 years, male 14.7
GTEX-146FQ-2126-SM-5RQHU 30-39 years, male 14.6
GTEX-1POEN-2326-SM-E9J2L 30-39 years, female 14.6
GTEX-ZTSS-1426-SM-5985P 40-49 years, male 14.5
GTEX-1C64O-1326-SM-7MGWR 60-69 years, male 14.5
GTEX-1IY9M-2826-SM-ARU8H 60-69 years, male 14.5
GTEX-UPK5-0426-SM-3GAEK 40-49 years, male 14.4
GTEX-WFON-1926-SM-3LK7L 40-49 years, male 14.4
GTEX-XXEK-1626-SM-4BRUZ 50-59 years, male 14.4
GTEX-YJ8O-2526-SM-5HL85 40-49 years, female 14.3
GTEX-1HFI7-2326-SM-CGQFS 50-59 years, female 14.3
GTEX-12WSC-2826-SM-5BC5Y 50-59 years, male 14.2
GTEX-Y114-2126-SM-4TT8B 50-59 years, female 14.0
GTEX-1AX9I-2226-SM-73KUO 60-69 years, male 13.8
GTEX-1PIGE-1826-SM-E8VOU 20-29 years, male 13.8
GTEX-17F9E-2326-SM-79OKD 50-59 years, male 13.7
GTEX-X4EO-2926-SM-4E3JH 60-69 years, female 13.7
GTEX-1QP66-1226-SM-DTX7U 50-59 years, male 13.7
GTEX-144FL-0626-SM-5LU43 50-59 years, male 13.6
GTEX-1JMQL-2226-SM-CNPP4 50-59 years, female 13.6
GTEX-13OW5-2326-SM-5L3HO 60-69 years, male 13.5
GTEX-144GO-2026-SM-5O99P 60-69 years, male 13.5
GTEX-15G19-2426-SM-7KUMR 60-69 years, male 13.5
GTEX-1KANC-1226-SM-CYPT7 50-59 years, female 13.5
GTEX-1LG7Z-1626-SM-CXKYR 30-39 years, male 13.4
GTEX-13O61-1426-SM-5KM3D 60-69 years, male 13.3
GTEX-1H2FU-0926-SM-9WPPT 60-69 years, female 13.3
GTEX-1IDJC-1526-SM-B2LW4 50-59 years, male 13.3
GTEX-111CU-1126-SM-5EGIM 50-59 years, male 13.2
GTEX-YFCO-1226-SM-5LUAT 40-49 years, male 13.2
GTEX-1GF9U-2026-SM-7SB92 40-49 years, female 13.2
GTEX-1GZ4H-0526-SM-9KNU9 50-59 years, female 13.2
GTEX-1NSGN-0726-SM-DTXEF 50-59 years, male 13.2
GTEX-11VI4-1126-SM-5EQMD 40-49 years, female 13.1
GTEX-17HHY-0426-SM-7DHLC 50-59 years, male 13.1
GTEX-WH7G-2026-SM-3NMBL 40-49 years, male 13.1
GTEX-1C6WA-2626-SM-7MKGM 60-69 years, male 13.0
GTEX-1I6K6-1726-SM-CGQFD 30-39 years, male 13.0
GTEX-1IDJH-0126-SM-D3L92 70-79 years, male 13.0
GTEX-18465-2826-SM-7LT9J 50-59 years, male 12.9
GTEX-1B996-0426-SM-7EWF8 60-69 years, male 12.9
GTEX-1E1VI-0326-SM-793D1 50-59 years, male 12.9
GTEX-1CB4F-1026-SM-7DUH1 60-69 years, male 12.8
GTEX-11P7K-1126-SM-5HL4L 30-39 years, male 12.7
GTEX-1CAMR-1326-SM-7PC1F 20-29 years, male 12.7
GTEX-1HB9E-0126-SM-CM2S5 50-59 years, male 12.7
GTEX-1HSMO-0626-SM-ACKXC 60-69 years, male 12.7
GTEX-ZF3C-0626-SM-DO92O 50-59 years, female 12.7
GTEX-1LVAN-0626-SM-CNPOQ 50-59 years, female 12.6
GTEX-11P81-2226-SM-5PNYI 30-39 years, female 12.5
GTEX-131YS-2826-SM-5EQ47 60-69 years, female 12.5
GTEX-VUSG-2326-SM-4KL1U 50-59 years, male 12.5
GTEX-1EMGI-2326-SM-7PBYA 60-69 years, male 12.5
GTEX-Y3I4-1726-SM-4TT89 50-59 years, male 12.4
GTEX-1L5NE-1126-SM-D3L9P 50-59 years, male 12.4
GTEX-1LSNM-0826-SM-DIPG8 50-59 years, male 12.4
GTEX-13N1W-2426-SM-5IJD1 70-79 years, male 12.3
GTEX-13OW8-1026-SM-5J1NQ 60-69 years, male 12.3
GTEX-1477Z-0326-SM-7IGLA 60-69 years, male 12.3
GTEX-14BMU-1226-SM-5S2OR 20-29 years, female 12.3
GTEX-ZTTD-2826-SM-4YCFA 50-59 years, male 12.3
GTEX-1F75I-2226-SM-7SB8U 40-49 years, male 12.3
GTEX-183WM-0326-SM-72D5V 70-79 years, female 12.2
GTEX-XAJ8-1426-SM-47JYM 40-49 years, male 12.2
GTEX-Y5LM-0926-SM-6LLJG 40-49 years, female 12.2
GTEX-1A8FM-0626-SM-7PC25 50-59 years, female 12.2
GTEX-1LVA9-2626-SM-EVYD4 50-59 years, male 12.2
GTEX-16NPX-0726-SM-7KULC 50-59 years, male 12.1
GTEX-ZZPU-0826-SM-5GZX5 50-59 years, female 12.1
GTEX-139TT-2126-SM-5LZWC 60-69 years, male 12.0
GTEX-14ABY-2026-SM-62LDL 50-59 years, male 12.0
GTEX-WHPG-2626-SM-3NMBR 50-59 years, male 12.0
GTEX-16Z82-2626-SM-7KULU 60-69 years, male 11.9
GTEX-1C64N-2626-SM-7PC2N 50-59 years, male 11.9
GTEX-1IDJF-2026-SM-CL53V 20-29 years, male 11.9
GTEX-13RTJ-0126-SM-5S2NN 60-69 years, male 11.8
GTEX-147F4-0726-SM-5TDDD 50-59 years, male 11.8
GTEX-15EO6-2426-SM-6PALZ 50-59 years, male 11.8
GTEX-1H1DF-1126-SM-9WG7G 40-49 years, female 11.8
GTEX-1I4MK-0126-SM-CY8G6 50-59 years, female 11.8
GTEX-11ZTT-2126-SM-5CVLO 60-69 years, female 11.7
GTEX-17F98-1326-SM-7DUEP 40-49 years, female 11.7
GTEX-183FY-1026-SM-7939A 20-29 years, male 11.7
GTEX-WYJK-0526-SM-3NM8Z 50-59 years, male 11.7
GTEX-ZAB4-2126-SM-5HL8U 40-49 years, male 11.7
GTEX-ZWKS-0626-SM-5GIDV 30-39 years, male 11.7
GTEX-1A3MX-2626-SM-7PC24 60-69 years, male 11.6
GTEX-YEC3-1326-SM-DO92X 50-59 years, male 11.6
GTEX-12WSD-0626-SM-5GCMW 60-69 years, female 11.5
GTEX-139D8-1126-SM-5LU8W 30-39 years, female 11.5
GTEX-17HGU-2326-SM-7DUFE 50-59 years, male 11.5
GTEX-1JJE9-2626-SM-ARZMT 70-79 years, male 11.5
GTEX-1R7EU-1626-SM-DTXG3 60-69 years, male 11.5
GTEX-ZLV1-1526-SM-DO91J 60-69 years, female 11.5
GTEX-14AS3-1526-SM-5Q5ED 40-49 years, female 11.4
GTEX-14LZ3-0126-SM-69LPM 60-69 years, female 11.4
GTEX-1JN6P-2926-SM-CL54D 60-69 years, male 11.3
GTEX-1MJK3-0726-SM-E6CJC 20-29 years, male 11.3
GTEX-12BJ1-0926-SM-5EQ62 60-69 years, male 11.2
GTEX-YEC4-1826-SM-4W1YP 40-49 years, male 11.2
GTEX-11ZU8-0126-SM-5EQ58 60-69 years, male 11.1
GTEX-1212Z-0126-SM-59HK4 60-69 years, male 11.1
GTEX-14C38-0726-SM-5SI6M 50-59 years, male 11.1
GTEX-XMD2-2126-SM-4YCF8 60-69 years, female 11.1
GTEX-1J1R8-2026-SM-CL53Y 40-49 years, male 11.1
GTEX-1LSVX-2526-SM-DIPEU 60-69 years, male 11.1
GTEX-11NUK-2726-SM-5A5MC 50-59 years, male 11.0
GTEX-Z93S-1626-SM-5CVMB 50-59 years, male 11.0
GTEX-11EM3-1226-SM-5N9DD 20-29 years, female 10.9
GTEX-1HKZK-0726-SM-ACKW2 40-49 years, male 10.9
GTEX-1R9PM-1926-SM-EVR3O 20-29 years, male 10.9
GTEX-18A6Q-0626-SM-7KFRP 60-69 years, male 10.8
GTEX-Y8LW-1526-SM-5IFHL 50-59 years, female 10.8
GTEX-1GTWX-2026-SM-9YFLM 60-69 years, male 10.8
GTEX-1F88E-1626-SM-7SB8Z 60-69 years, female 10.7
GTEX-1I19N-0126-SM-CYPSF 70-79 years, male 10.7
GTEX-1LKK1-2626-SM-DKPQE 50-59 years, female 10.7
GTEX-1MCC2-1826-SM-DIPEX 30-39 years, female 10.7
GTEX-1QEPI-2626-SM-DTXF4 60-69 years, female 10.7
GTEX-13JVG-0726-SM-5KM16 60-69 years, male 10.6
GTEX-1ICLY-0826-SM-CMKG1 50-59 years, male 10.6
GTEX-1QMI2-2526-SM-E8VNZ 60-69 years, male 10.6
GTEX-14DAQ-0626-SM-793DS 60-69 years, female 10.5
GTEX-1J8EW-2726-SM-CY8HR 60-69 years, female 10.5
GTEX-1PIIG-2326-SM-DTXFR 30-39 years, male 10.5
GTEX-11OF3-0126-SM-5PNYF 60-69 years, male 10.4
GTEX-1211K-1526-SM-5FQU4 60-69 years, female 10.4
GTEX-1I1HK-2326-SM-CKZOH 60-69 years, male 10.4
GTEX-1K2DA-1026-SM-CGQGF 50-59 years, male 10.4
GTEX-11DXY-0126-SM-5H11Q 60-69 years, male 10.3
GTEX-13IVO-0726-SM-5LZYV 70-79 years, male 10.3
GTEX-144GM-0526-SM-79OJO 20-29 years, male 10.3
GTEX-1GMR8-0626-SM-7RHI7 50-59 years, female 10.3
GTEX-1I6K7-1926-SM-B2LXR 40-49 years, male 10.3
GTEX-1KANA-1326-SM-DIPFA 20-29 years, male 10.3
GTEX-131XF-2626-SM-5EQ6K 60-69 years, male 10.2
GTEX-15FZZ-0526-SM-7KUGD 30-39 years, female 10.2
GTEX-ZY6K-1426-SM-5GZX2 50-59 years, male 10.2
GTEX-1JMQK-1226-SM-D4P2S 60-69 years, male 10.2
GTEX-1KAFJ-0126-SM-DIPEK 50-59 years, male 10.2
GTEX-145LT-0526-SM-5LUB2 40-49 years, male 10.0
GTEX-XQ8I-0926-SM-4BOOF 50-59 years, male 10.0
GTEX-1CB4I-0126-SM-7RHGG 50-59 years, male 10.0
GTEX-1IOXB-2726-SM-CM2RI 50-59 years, male 10.0
GTEX-13PDP-0726-SM-5L3HP 60-69 years, male 9.9
GTEX-11EQ8-0926-SM-5H12V 60-69 years, male 9.8
GTEX-13N11-2326-SM-5IJBF 50-59 years, female 9.8
GTEX-15RIG-0726-SM-7KUM7 40-49 years, male 9.8
GTEX-1GZHY-0626-SM-9KNVC 50-59 years, female 9.8
GTEX-1S3DN-2126-SM-E9TIN 50-59 years, male 9.8
GTEX-ZPIC-0526-SM-DO91W 40-49 years, female 9.8
GTEX-145MF-0926-SM-5Q5EA 50-59 years, male 9.7
GTEX-WHWD-1826-SM-3LK6I 50-59 years, male 9.7
GTEX-1N2EE-0626-SM-E76PW 60-69 years, male 9.7
GTEX-ZZ64-1026-SM-5GZXG 20-29 years, male 9.6
GTEX-13NYB-0126-SM-5J1MD 40-49 years, male 9.5
GTEX-14LLW-2626-SM-62LDZ 70-79 years, female 9.5
GTEX-15CHR-1126-SM-7EWF4 50-59 years, male 9.5
GTEX-1A8G6-2726-SM-731AR 60-69 years, male 9.5
GTEX-WY7C-2126-SM-3NB2R 50-59 years, male 9.5
GTEX-ZDYS-2426-SM-4WKGI 50-59 years, male 9.5
GTEX-ZE7O-2726-SM-51MT5 50-59 years, female 9.5
GTEX-1GN2E-0226-SM-9WG6K 60-69 years, male 9.4
GTEX-1HCU9-0426-SM-9WYSD 20-29 years, male 9.4
GTEX-1JK1U-0226-SM-ARZMX 60-69 years, male 9.4
GTEX-11DXZ-2026-SM-5987S 50-59 years, male 9.3
GTEX-17HII-1426-SM-7EPGG 50-59 years, male 9.3
GTEX-ZXG5-2126-SM-59HKD 60-69 years, male 9.3
GTEX-1K9T9-1526-SM-DIPFR 50-59 years, female 9.3
GTEX-18A7A-0126-SM-731AH 50-59 years, female 9.2
GTEX-1B933-2426-SM-7DHMD 50-59 years, female 9.2
GTEX-1GMRU-2126-SM-7P8RA 50-59 years, male 9.2
GTEX-1H1E6-0426-SM-9WYUS 30-39 years, male 9.2
GTEX-1HR98-2226-SM-ADEI2 60-69 years, male 9.2
GTEX-1OJC3-1226-SM-DTXER 20-29 years, male 9.2
GTEX-11GS4-0226-SM-5HL77 60-69 years, male 9.1
GTEX-12ZZX-2426-SM-5GCOE 40-49 years, female 9.1
GTEX-18QFQ-1826-SM-72D52 30-39 years, male 9.1
GTEX-1JMQJ-0826-SM-CNPP7 50-59 years, male 9.1
GTEX-13O3O-2326-SM-5IJD6 60-69 years, female 9.0
GTEX-1GMR3-0126-SM-A9SLW 40-49 years, male 9.0
GTEX-Y5V5-0126-SM-5S2NW 60-69 years, female 8.9
GTEX-1RAZA-2226-SM-E9U4X 20-29 years, male 8.9
GTEX-15EU6-2226-SM-6EU2L 50-59 years, male 8.8
GTEX-1A3MV-1826-SM-731CD 30-39 years, male 8.8
GTEX-1B8KE-1126-SM-7EPHI 50-59 years, male 8.8
GTEX-1GPI7-1826-SM-9KNU1 20-29 years, male 8.8
GTEX-13112-0126-SM-5P9IU 50-59 years, male 8.7
GTEX-13FTY-2126-SM-5IFFB 40-49 years, female 8.7
GTEX-1JJ6O-2726-SM-CNPOG 60-69 years, male 8.7
GTEX-1QCLZ-2426-SM-EVYBW 60-69 years, female 8.7
GTEX-11EQ9-1626-SM-5PNY8 30-39 years, male 8.6
GTEX-11GSP-2326-SM-5HL63 60-69 years, female 8.6
GTEX-1EKGG-0626-SM-7DUGJ 60-69 years, male 8.6
GTEX-1H1DG-2426-SM-9QEHJ 70-79 years, male 8.6
GTEX-1K2DU-1226-SM-CYPT4 20-29 years, male 8.6
GTEX-1HSMP-0926-SM-A9SKX 70-79 years, male 8.5
GTEX-1EN7A-2426-SM-793DB 40-49 years, male 8.4
GTEX-XBED-1926-SM-47JYP 60-69 years, male 8.4
GTEX-Y8E4-2026-SM-5IFJB 40-49 years, male 8.4
GTEX-1M4P7-0726-SM-E6CJ3 60-69 years, male 8.4
GTEX-1QAET-0326-SM-EVR3U 50-59 years, male 8.4
GTEX-15G1A-1626-SM-7KUKN 30-39 years, male 8.3
GTEX-17MFQ-1526-SM-7KFRR 20-29 years, male 8.3
GTEX-Y111-0626-SM-4SOIT 50-59 years, male 8.3
GTEX-ZPCL-1126-SM-4WWFE 60-69 years, female 8.3
GTEX-1GF9W-1426-SM-7PBYM 60-69 years, male 8.3
GTEX-1IDFM-0326-SM-ARL7V 60-69 years, male 8.3
GTEX-1JMQI-1726-SM-ARL93 50-59 years, male 8.3
GTEX-1KWVE-1026-SM-D3L9O 30-39 years, male 8.3
GTEX-1RAZQ-1326-SM-E9TK6 30-39 years, male 8.3
GTEX-111VG-1626-SM-5EGIO 60-69 years, male 8.2
GTEX-13FTX-1526-SM-5K7VJ 20-29 years, female 8.2
GTEX-13OVG-1626-SM-5J1NF 60-69 years, male 8.2
GTEX-ZA64-1026-SM-5HL8R 20-29 years, male 8.2
GTEX-1J8Q3-0526-SM-ARL8U 60-69 years, male 8.2
GTEX-1KANB-2826-SM-CY8I6 50-59 years, male 8.2
GTEX-13NYC-0126-SM-5L3F4 60-69 years, male 8.1
GTEX-WEY5-2326-SM-3GIKK 40-49 years, female 8.1
GTEX-12KS4-2126-SM-5FQUT 30-39 years, male 8.0
GTEX-148VJ-0626-SM-5LUAW 70-79 years, male 8.0
GTEX-ZF2S-1626-SM-57WES 50-59 years, female 8.0
GTEX-14JFF-0626-SM-5ZZVT 60-69 years, male 8.0
GTEX-1IKOE-1426-SM-CE6T7 30-39 years, female 8.0
GTEX-1QP9N-1226-SM-E76QN 30-39 years, male 8.0
GTEX-1RAZS-2526-SM-E6CHT 50-59 years, male 8.0
GTEX-12WSH-1526-SM-5BC5W 50-59 years, male 7.9
GTEX-147JS-0226-SM-5S2U9 60-69 years, male 7.9
GTEX-ZC5H-1526-SM-5HL9Y 40-49 years, female 7.9
GTEX-1PPGY-1626-SM-EVYBL 60-69 years, male 7.9
GTEX-13QBU-1226-SM-5LU4G 40-49 years, female 7.8
GTEX-14753-0726-SM-5QGQO 60-69 years, male 7.8
GTEX-147F3-1726-SM-5SIAW 50-59 years, female 7.8
GTEX-ZTX8-1326-SM-4YCEL 20-29 years, male 7.8
GTEX-1F5PL-0926-SM-7PC2W 40-49 years, female 7.8
GTEX-13G51-1826-SM-5KLZH 60-69 years, male 7.7
GTEX-15DDE-2926-SM-6LLJ3 50-59 years, female 7.7
GTEX-17HHE-1326-SM-7EWDZ 50-59 years, male 7.7
GTEX-YECK-0326-SM-4W1YS 60-69 years, male 7.7
GTEX-1H4P4-2126-SM-9WYSL 50-59 years, male 7.7
GTEX-1LGOU-1326-SM-D3L8M 20-29 years, female 7.7
GTEX-13VXT-1926-SM-5K7UO 20-29 years, female 7.6
GTEX-1QCLY-0226-SM-EWRNH 30-39 years, male 7.6
GTEX-15RJE-2826-SM-7KUM9 40-49 years, male 7.5
GTEX-1B932-2326-SM-79OL5 40-49 years, female 7.5
GTEX-1ICG6-1226-SM-A9SLN 70-79 years, female 7.5
GTEX-133LE-2326-SM-5K7W3 20-29 years, female 7.4
GTEX-13VXU-0626-SM-5L3F9 50-59 years, male 7.4
GTEX-14BIN-1126-SM-5RQJZ 50-59 years, female 7.4
GTEX-178AV-1726-SM-7KUL8 40-49 years, male 7.4
GTEX-12C56-1526-SM-5FQUQ 20-29 years, male 7.3
GTEX-1HGF4-0126-SM-CNPPX 60-69 years, male 7.3
GTEX-1LB8K-0726-SM-D5OV2 50-59 years, male 7.3
GTEX-13W3W-0726-SM-5IJDQ 60-69 years, female 7.2
GTEX-15ER7-0626-SM-6PANF 20-29 years, female 7.2
GTEX-17EVP-2626-SM-7IGMA 40-49 years, male 7.2
GTEX-1B97I-0626-SM-73KUZ 40-49 years, male 7.2
GTEX-1EH9U-2826-SM-7DUGT 60-69 years, male 7.2
GTEX-XBEW-1126-SM-4QARW 40-49 years, male 7.2
GTEX-ZYVF-0926-SM-5E44J 50-59 years, female 7.2
GTEX-1H1DE-1326-SM-9KNUG 20-29 years, male 7.2
GTEX-1H3O1-1326-SM-9MQLD 60-69 years, male 7.2
GTEX-1LGRB-0926-SM-COH3K 50-59 years, female 7.2
GTEX-1S5ZU-2526-SM-E6CIF 20-29 years, female 7.2
GTEX-13OW6-2726-SM-5J2OE 50-59 years, male 7.1
GTEX-ZYT6-2326-SM-5GZY3 30-39 years, male 7.1
GTEX-13FLV-0126-SM-5K7WT 50-59 years, male 7.0
GTEX-145LU-1926-SM-79OJN 50-59 years, male 7.0
GTEX-15DYW-2726-SM-6EU2I 60-69 years, female 7.0
GTEX-ZE9C-2526-SM-5IJDR 60-69 years, male 7.0
GTEX-1IDJV-0126-SM-COH3Y 60-69 years, male 7.0
GTEX-14BMV-2826-SM-5TDED 50-59 years, male 6.9
GTEX-1H3VE-0726-SM-9YFL5 40-49 years, male 6.9
GTEX-14PHX-2226-SM-6EU2P 50-59 years, male 6.8
GTEX-WFG7-2026-SM-5SI7P 20-29 years, male 6.8
GTEX-1HT8W-0626-SM-A9G2H 30-39 years, male 6.8
GTEX-12ZZZ-0726-SM-5GCNZ 60-69 years, male 6.7
GTEX-131XG-0326-SM-5L3DX 50-59 years, female 6.7
GTEX-14C39-1726-SM-5RQIL 40-49 years, male 6.7
GTEX-Y9LG-1126-SM-4VBQ7 30-39 years, male 6.7
GTEX-1CAMQ-1326-SM-7P8RV 40-49 years, male 6.7
GTEX-1HSGN-0826-SM-ACKW3 40-49 years, female 6.7
GTEX-1HSKV-1226-SM-ADEI4 60-69 years, male 6.7
GTEX-1I1GV-0626-SM-ARL7M 60-69 years, male 6.7
GTEX-1QPFJ-1926-SM-EVYBD 30-39 years, female 6.7
GTEX-12696-0126-SM-5EQ4L 60-69 years, male 6.6
GTEX-1GF9V-0826-SM-9KNUV 60-69 years, male 6.5
GTEX-1QW4Y-1126-SM-DTXE3 30-39 years, male 6.5
GTEX-11ZUS-2626-SM-5FQUR 30-39 years, male 6.4
GTEX-14PJ3-1126-SM-5ZZVX 50-59 years, male 6.4
GTEX-UPJH-0226-SM-3GADV 50-59 years, male 6.4
GTEX-13OW7-0426-SM-5K7VK 50-59 years, male 6.3
GTEX-XUW1-0926-SM-4BONX 50-59 years, female 6.3
GTEX-1S82U-1026-SM-E6CJK 30-39 years, female 6.3
GTEX-14A6H-2026-SM-5Q5DD 30-39 years, male 6.2
GTEX-14ICL-1626-SM-5YYAO 30-39 years, male 6.2
GTEX-14PKU-0126-SM-6LLHV 40-49 years, female 6.2
GTEX-17KNJ-2126-SM-718AM 50-59 years, male 6.2
GTEX-1F88F-0126-SM-9WYSZ 60-69 years, female 6.2
GTEX-1HBPI-2126-SM-ARL9K 50-59 years, male 6.2
GTEX-ZDTT-0426-SM-4WKFL 60-69 years, male 6.1
GTEX-1JMPY-0226-SM-CKZOK 30-39 years, male 6.1
GTEX-1AMEY-0826-SM-72D65 30-39 years, female 6.0
GTEX-1H11D-1826-SM-9QEHM 40-49 years, male 6.0
GTEX-1KXAM-1626-SM-D3LAD 60-69 years, male 6.0
GTEX-11LCK-2226-SM-5HL4Q 30-39 years, male 5.9
GTEX-11TUW-0626-SM-5LU9M 60-69 years, male 5.9
GTEX-13O3Q-0126-SM-5KM34 50-59 years, male 5.9
GTEX-1JJEA-1826-SM-ARU8P 60-69 years, male 5.9
GTEX-1EU9M-1426-SM-793AI 60-69 years, male 5.8
GTEX-1R46S-2426-SM-E76QA 60-69 years, female 5.8
GTEX-11WQK-1026-SM-5EQLX 50-59 years, male 5.7
GTEX-13OVH-0526-SM-5L3E6 70-79 years, male 5.7
GTEX-14XAO-1226-SM-6EU1C 60-69 years, female 5.7
GTEX-15CHC-1126-SM-6LLHQ 60-69 years, female 5.7
GTEX-ZT9X-1526-SM-5DUXD 40-49 years, male 5.7
GTEX-11P82-1426-SM-DTXFY 20-29 years, male 5.7
GTEX-1GF9X-1326-SM-7PC2Y 40-49 years, female 5.7
GTEX-13PVR-0426-SM-5RQK2 60-69 years, female 5.6
GTEX-13X6H-0926-SM-5SIB2 50-59 years, female 5.6
GTEX-145MH-2826-SM-5RQJF 50-59 years, male 5.6
GTEX-1PPH8-0126-SM-EWRN8 20-29 years, male 5.6
GTEX-14C5O-0326-SM-5ZZUX 60-69 years, male 5.5
GTEX-1CAMS-2226-SM-7PBXQ 40-49 years, female 5.5
GTEX-1HCVE-2726-SM-CL54F 50-59 years, male 5.5
GTEX-1IE54-1126-SM-A9G2Z 40-49 years, female 5.5
GTEX-13D11-0926-SM-5J2NC 50-59 years, female 5.4
GTEX-1A8G7-1326-SM-73KVM 60-69 years, male 5.4
GTEX-1PPH7-1126-SM-DTX9A 40-49 years, male 5.4
GTEX-12ZZY-0726-SM-5EQ66 60-69 years, male 5.3
GTEX-147GR-2426-SM-5ZZWQ 60-69 years, male 5.3
GTEX-16NGA-0726-SM-731AO 40-49 years, female 5.3
GTEX-1RMOY-1326-SM-E9TIH 50-59 years, male 5.3
GTEX-111YS-1526-SM-5GZYW 60-69 years, male 5.2
GTEX-1399S-0126-SM-5IJCF 30-39 years, female 5.2
GTEX-144GL-0626-SM-5LU4D 50-59 years, male 5.2
GTEX-1B8SF-0126-SM-7DUG3 60-69 years, male 5.2
GTEX-1I1GU-0926-SM-ACKVS 40-49 years, male 5.2
GTEX-1J8Q2-2626-SM-ACKWQ 60-69 years, male 5.2
GTEX-139UW-0326-SM-5J1ML 60-69 years, male 5.1
GTEX-1N2DV-1526-SM-DTXEP 40-49 years, male 5.1
GTEX-1399Q-2326-SM-5KM2X 40-49 years, male 5.0
GTEX-14PJ6-2626-SM-6EU2T 60-69 years, female 5.0
GTEX-1AMFI-1326-SM-7939R 50-59 years, female 5.0
GTEX-ZVT4-2426-SM-5GIEI 50-59 years, female 5.0
GTEX-1PBJJ-1026-SM-E76OS 30-39 years, male 5.0
GTEX-1269C-0126-SM-5EQ5L 60-69 years, female 4.9
GTEX-13SLW-0626-SM-5Q5ER 70-79 years, male 4.9
GTEX-17F9Y-0126-SM-79OKX 70-79 years, female 4.9
GTEX-V1D1-2026-SM-3GAF4 50-59 years, male 4.9
GTEX-1J8QM-2426-SM-A9SLS 60-69 years, female 4.9
GTEX-1LG7Y-2526-SM-EWRO7 50-59 years, male 4.9
GTEX-ZF29-0926-SM-4WKFZ 60-69 years, female 4.8
GTEX-1CB4J-1326-SM-7P8RX 60-69 years, male 4.8
GTEX-1IDJU-1726-SM-CMKHU 60-69 years, female 4.8
GTEX-1GN1U-0626-SM-9MQL9 50-59 years, female 4.7
GTEX-11DXX-2126-SM-5PNYR 60-69 years, female 4.6
GTEX-13NZ8-1226-SM-5KM4A 60-69 years, female 4.6
GTEX-15SKB-2826-SM-6PAMH 60-69 years, male 4.6
GTEX-1HCU7-0726-SM-A9SL1 50-59 years, male 4.6
GTEX-1HSMQ-2626-SM-A9SML 50-59 years, male 4.6
GTEX-1PDJ9-1226-SM-EXUSX 20-29 years, male 4.6
GTEX-14B4R-1326-SM-5Q5EZ 30-39 years, male 4.5
GTEX-14PII-0726-SM-6EU2B 60-69 years, male 4.5
GTEX-1IKJJ-2226-SM-CJI4C 60-69 years, male 4.5
GTEX-1CB4E-0926-SM-7EPHT 60-69 years, male 4.4
GTEX-1HBPN-0126-SM-CGQEF 50-59 years, male 4.3
GTEX-11PRG-0726-SM-5EGL1 50-59 years, male 4.2
GTEX-12WSM-1926-SM-5BC65 60-69 years, male 4.2
GTEX-1GN1W-2426-SM-9KNUU 50-59 years, female 4.2
GTEX-1C6VQ-1226-SM-73KYD 50-59 years, male 4.1
GTEX-1JN76-0626-SM-CKZOQ 20-29 years, female 4.1
GTEX-1313W-0626-SM-5EQ4H 50-59 years, female 4.0
GTEX-13X6K-0626-SM-5LU5D 60-69 years, female 4.0
GTEX-145MI-0626-SM-5SI8S 60-69 years, female 3.9
GTEX-14PJN-1826-SM-6AJ98 30-39 years, male 3.9
GTEX-1B8KZ-0326-SM-73KY4 50-59 years, male 3.9
GTEX-ZYY3-2926-SM-5GIEB 60-69 years, female 3.9
GTEX-1122O-1026-SM-9WYSF 60-69 years, female 3.9
GTEX-1OJC4-2726-SM-E76PJ 50-59 years, female 3.9
GTEX-18A67-1626-SM-7LT9T 50-59 years, male 3.8
GTEX-1JKYR-0626-SM-ARL8R 20-29 years, male 3.8
GTEX-1GZ4I-2626-SM-9KNU3 50-59 years, male 3.7
GTEX-13PL6-1126-SM-5L3IE 40-49 years, female 3.6
GTEX-WHSB-1326-SM-3LK6W 50-59 years, male 3.6
GTEX-1LVAM-0726-SM-E6CIL 50-59 years, female 3.6
GTEX-14PJ5-1526-SM-6LLIL 60-69 years, female 3.5
GTEX-1NV5F-0626-SM-DTXEG 60-69 years, female 3.5
GTEX-1399U-1126-SM-5L3DB 50-59 years, female 3.4
GTEX-1C2JI-1026-SM-73KY1 50-59 years, male 3.4
GTEX-ZVZP-1226-SM-5GID7 50-59 years, male 3.4
GTEX-1HR9M-2226-SM-CNPPY 60-69 years, male 3.4
GTEX-1GPI6-1926-SM-9KNV7 60-69 years, male 3.3
GTEX-1J1OQ-0126-SM-D4P2N 40-49 years, female 3.3
GTEX-1S83E-1326-SM-E6CJM 40-49 years, male 3.3
GTEX-1C6VR-0126-SM-7RHGB 60-69 years, male 3.2
GTEX-1F6RS-2026-SM-7RHHC 60-69 years, female 3.2
GTEX-13QJC-0126-SM-5ZZWJ 60-69 years, female 3.0
GTEX-1F5PK-2226-SM-7SB6N 50-59 years, male 3.0
GTEX-14PJ4-0226-SM-5YY92 60-69 years, male 2.8
GTEX-1GN1V-2826-SM-9JGIA 60-69 years, male 2.7
GTEX-1I1GT-1026-SM-ARZLV 60-69 years, female 2.7
GTEX-1B8L1-2226-SM-7P8PT 60-69 years, male 2.4
GTEX-1GN73-0726-SM-7P8TJ 60-69 years, male 2.4
GTEX-1QP28-1126-SM-EVYC4 50-59 years, female 2.4
GTEX-1QP2A-1726-SM-E76QC 50-59 years, male 1.8
GTEX-1MCYP-0526-SM-E9U6Q 20-29 years, female 1.7
Show allShow less
Skin - Sun Exposed (Lower leg)
Average nTPM: 19.7
Samples: 701

Max nTPM: 145.3
Min nTPM: 1.3
Std nTPM: 16.2
Median nTPM: 15.3
GTEX-ZF28-0126-SM-4WKGK 60-69 years, male 145.3
GTEX-14E6C-0126-SM-5RQIP 40-49 years, male 114.0
GTEX-1PWST-0226-SM-E76QJ 70-79 years, male 95.9
GTEX-13OVJ-0126-SM-5KM36 50-59 years, female 90.8
GTEX-P4PQ-0126-SM-2S1NM 60-69 years, male 90.3
GTEX-WI4N-1026-SM-3LK7N 40-49 years, female 89.3
GTEX-RUSQ-1526-SM-2TF62 50-59 years, male 85.8
GTEX-113IC-0126-SM-5HL6T 60-69 years, male 82.4
GTEX-1HBPM-0226-SM-ARL9F 60-69 years, female 78.6
GTEX-XV7Q-2526-SM-4BRV9 40-49 years, female 78.3
GTEX-11TTK-0126-SM-5987B 60-69 years, female 78.1
GTEX-1AYD5-2426-SM-73KXR 50-59 years, male 75.4
GTEX-12584-0126-SM-5EGKQ 40-49 years, male 74.8
GTEX-ZZPT-0226-SM-5E43X 50-59 years, male 70.1
GTEX-15SHW-0326-SM-6PAML 60-69 years, male 69.9
GTEX-17EVQ-0226-SM-7LG4P 70-79 years, male 68.6
GTEX-1I1CD-0126-SM-CM2TK 60-69 years, female 67.4
GTEX-1I1GS-0126-SM-B2LVW 60-69 years, male 66.5
GTEX-WOFL-0126-SM-3MJG2 60-69 years, male 65.4
GTEX-14JIY-0126-SM-6LLH6 60-69 years, male 63.5
GTEX-ZYW4-0126-SM-5E44A 60-69 years, male 62.6
GTEX-QDT8-0126-SM-48TZ1 30-39 years, female 62.4
GTEX-ZTPG-0326-SM-5O9AX 20-29 years, female 61.0
GTEX-1C6VQ-0126-SM-7P8RI 50-59 years, male 60.2
GTEX-ZAB4-0226-SM-5N9F5 40-49 years, male 59.6
GTEX-Q734-1926-SM-2I5EV 40-49 years, female 59.2
GTEX-1H2FU-0126-SM-9WYSI 60-69 years, female 57.6
GTEX-RTLS-0126-SM-447CA 60-69 years, female 55.7
GTEX-17F97-0326-SM-7LG5B 50-59 years, male 55.2
GTEX-117YW-2626-SM-5GZZH 50-59 years, male 53.3
GTEX-1R9K4-0126-SM-DTX9X 60-69 years, male 53.3
GTEX-ZDXO-3026-SM-5J1N5 60-69 years, male 52.8
GTEX-1RLM8-2326-SM-EWRN4 50-59 years, male 52.6
GTEX-11DZ1-0126-SM-5985Q 50-59 years, male 50.3
GTEX-X638-0126-SM-47JZ8 70-79 years, female 50.3
GTEX-1ICLZ-0126-SM-CKZPO 60-69 years, male 49.6
GTEX-16MT8-0426-SM-7KUEY 60-69 years, female 49.2
GTEX-1JN1M-0326-SM-CYPT3 60-69 years, female 49.2
GTEX-1M4P7-0226-SM-DIPEV 60-69 years, male 49.2
GTEX-11UD1-0126-SM-5PNYG 40-49 years, female 49.1
GTEX-139T4-0226-SM-5HL5S 50-59 years, female 48.4
GTEX-X4EP-0126-SM-3P5YV 60-69 years, female 48.2
GTEX-111VG-2426-SM-5GZXD 60-69 years, male 48.0
GTEX-X585-0226-SM-4QAS2 50-59 years, male 48.0
GTEX-Y3IK-2426-SM-4WWDU 50-59 years, female 47.9
GTEX-1KD5A-0226-SM-D5OV3 50-59 years, male 47.5
GTEX-R45C-0126-SM-EAZ2R 60-69 years, female 46.4
GTEX-PLZ4-0126-SM-5SI8O 50-59 years, female 46.2
GTEX-1A3MW-0126-SM-73KXX 60-69 years, female 45.9
GTEX-11EMC-2926-SM-5EQ4F 60-69 years, female 45.0
GTEX-W5X1-3026-SM-EAZAX 40-49 years, female 44.7
GTEX-17MF6-0126-SM-7LG4F 40-49 years, male 44.3
GTEX-15UF6-0826-SM-6PALJ 70-79 years, female 43.8
GTEX-ZAJG-0126-SM-5HL94 50-59 years, female 43.7
GTEX-13IVO-0126-SM-5J1NG 70-79 years, male 43.6
GTEX-139T8-0126-SM-5K7XZ 60-69 years, male 43.1
GTEX-1192X-0226-SM-5H12D 50-59 years, male 42.6
GTEX-1H23P-0126-SM-ADEJ3 60-69 years, male 41.8
GTEX-X88G-0126-SM-47JZ3 30-39 years, male 41.7
GTEX-1A32A-0126-SM-718B1 50-59 years, female 41.2
GTEX-1HUB1-0426-SM-E9U4U 60-69 years, male 40.9
GTEX-ZVT2-2526-SM-51MT1 50-59 years, female 40.7
GTEX-1HBPH-0426-SM-B2LW5 40-49 years, female 40.7
GTEX-ZYY3-0126-SM-5GZY5 60-69 years, female 40.3
GTEX-1F48J-0126-SM-7P8TT 50-59 years, female 39.8
GTEX-1LNCM-1126-SM-E9U5E 50-59 years, female 39.5
GTEX-NPJ8-0126-SM-2YUNR 40-49 years, male 39.3
GTEX-117YX-2326-SM-5H12W 50-59 years, male 38.7
GTEX-1F6IF-0726-SM-7P8TW 60-69 years, male 38.6
GTEX-1C6WA-0126-SM-7PC2B 60-69 years, male 38.2
GTEX-15EOM-0126-SM-7KUGG 20-29 years, female 38.1
GTEX-X4XX-0126-SM-3NMC2 60-69 years, male 38.0
GTEX-13X6I-0626-SM-5QGP9 60-69 years, male 37.9
GTEX-OXRK-0226-SM-3NB2G 50-59 years, female 37.7
GTEX-1N2DW-0226-SM-E9TK2 50-59 years, male 37.6
GTEX-14PK6-1926-SM-6ETZU 70-79 years, female 37.4
GTEX-11DXW-0226-SM-5H122 40-49 years, male 37.2
GTEX-QLQW-1126-SM-2S1Q8 30-39 years, male 36.5
GTEX-SN8G-0126-SM-32PLI 50-59 years, female 36.5
GTEX-13OW7-0126-SM-5MR3B 50-59 years, male 36.4
GTEX-15SB6-1726-SM-6PAME 50-59 years, female 36.4
GTEX-Y114-2426-SM-4TT8A 50-59 years, female 35.9
GTEX-P4PP-0126-SM-3LK69 30-39 years, female 35.8
GTEX-1AYCT-2426-SM-7IGQ3 50-59 years, male 35.7
GTEX-11H98-0126-SM-5EGHG 50-59 years, male 35.6
GTEX-13O1R-0126-SM-5L3EH 60-69 years, male 35.5
GTEX-QVJO-1626-SM-2S1QW 60-69 years, female 35.0
GTEX-OXRL-0126-SM-2YUMP 50-59 years, male 34.9
GTEX-ZVE2-0226-SM-59HJB 50-59 years, male 34.9
GTEX-1F52S-0126-SM-9MQJU 60-69 years, female 34.9
GTEX-13NYS-0126-SM-5MR3W 60-69 years, male 34.8
GTEX-TMZS-0126-SM-3DB9Q 60-69 years, male 34.7
GTEX-X5EB-2226-SM-46MW4 40-49 years, male 34.3
GTEX-SSA3-0126-SM-32QPU 60-69 years, male 34.1
GTEX-13OVG-1926-SM-5L3DK 60-69 years, male 33.9
GTEX-18A67-0126-SM-7LG5P 50-59 years, male 33.7
GTEX-1GN1V-0126-SM-9WPOS 60-69 years, male 33.7
GTEX-11GSP-2526-SM-5N9BP 60-69 years, female 33.5
GTEX-1CAV2-2226-SM-7P8P2 40-49 years, female 33.5
GTEX-1R46S-0626-SM-E9J41 60-69 years, female 33.0
GTEX-1PBJI-0526-SM-E8VNK 20-29 years, female 32.9
GTEX-14A6H-0126-SM-5QGPK 30-39 years, male 32.8
GTEX-1J8EW-0126-SM-CJI4F 60-69 years, female 32.8
GTEX-18D9B-0526-SM-7LTAS 60-69 years, male 32.5
GTEX-13N1W-0126-SM-5K7VT 70-79 years, male 32.4
GTEX-1LC47-0326-SM-E9TJP 60-69 years, male 32.4
GTEX-139D8-0226-SM-5KLZO 30-39 years, female 32.2
GTEX-Q2AH-1626-SM-3GAF8 40-49 years, male 32.2
GTEX-1H3NZ-0126-SM-ACKX7 60-69 years, male 32.2
GTEX-1F6I4-0126-SM-9MQL2 60-69 years, male 32.1
GTEX-1JMOU-1526-SM-CL54I 60-69 years, female 32.1
GTEX-RN64-0126-SM-2TC68 50-59 years, male 31.7
GTEX-14PHW-0126-SM-6LLJI 60-69 years, female 31.6
GTEX-145LV-2126-SM-5LU8N 50-59 years, male 31.5
GTEX-15SDE-2226-SM-7IGLO 50-59 years, female 31.3
GTEX-13RTL-0126-SM-7LG5S 40-49 years, male 31.2
GTEX-1H1ZS-0426-SM-9WG6G 70-79 years, male 31.2
GTEX-13CF2-2526-SM-5LZYX 60-69 years, male 31.0
GTEX-S7PM-0126-SM-4AD6S 60-69 years, male 30.9
GTEX-ZVT3-0126-SM-5GU6I 60-69 years, female 30.9
GTEX-ZC5H-0226-SM-4WAY9 40-49 years, female 30.7
GTEX-13NZ8-0826-SM-5MR3I 60-69 years, female 30.6
GTEX-144GN-2326-SM-5LU4F 50-59 years, male 30.4
GTEX-Z93T-0126-SM-5HL5N 50-59 years, male 30.3
GTEX-OHPL-0126-SM-2HMJ7 60-69 years, female 30.2
GTEX-1ICG6-2526-SM-CGQFZ 70-79 years, female 30.2
GTEX-S33H-1026-SM-EZ6L6 30-39 years, male 30.1
GTEX-145MN-2226-SM-5SIAU 30-39 years, male 29.9
GTEX-1IDFM-0126-SM-COH2V 60-69 years, male 29.9
GTEX-1S82Y-2026-SM-EVYCM 40-49 years, male 29.9
GTEX-1OJC4-0126-SM-E9J2E 50-59 years, female 29.8
GTEX-13FHO-0226-SM-5IFGY 60-69 years, male 29.7
GTEX-16YQH-0126-SM-7DUFJ 30-39 years, male 29.4
GTEX-ZE7O-0126-SM-57WC1 50-59 years, female 29.3
GTEX-QV44-1926-SM-2S1RF 50-59 years, male 29.0
GTEX-12WSL-2526-SM-5GCNJ 50-59 years, male 28.7
GTEX-X4XY-0226-SM-4E3IZ 60-69 years, male 28.7
GTEX-X62O-0126-SM-4E3JN 50-59 years, male 28.4
GTEX-13O3P-0126-SM-5KM4S 50-59 years, male 28.3
GTEX-SIU8-0126-SM-2XCDT 50-59 years, male 28.0
GTEX-1QP67-1626-SM-EAZ3X 40-49 years, female 28.0
GTEX-1R9PO-2126-SM-E9J4O 60-69 years, female 28.0
GTEX-1I1HK-0126-SM-COH49 60-69 years, male 27.9
GTEX-1RAZQ-0726-SM-EAZ43 30-39 years, male 27.9
GTEX-13O21-1426-SM-5K7XI 50-59 years, male 27.8
GTEX-QDVJ-1726-SM-2I5FX 50-59 years, male 27.8
GTEX-1QEPI-0126-SM-EWRMQ 60-69 years, female 27.8
GTEX-16XZY-2126-SM-79OK1 70-79 years, male 27.4
GTEX-1J1OQ-0226-SM-CYPSH 40-49 years, female 27.4
GTEX-15D1Q-0126-SM-7KUG6 40-49 years, male 27.2
GTEX-OOBK-0126-SM-2YUND 40-49 years, male 27.2
GTEX-1QW4Y-1526-SM-EAZ3Z 30-39 years, male 27.2
GTEX-11ZTS-0126-SM-5EQ6M 60-69 years, female 26.9
GTEX-13NZA-0226-SM-5K7Z7 60-69 years, male 26.7
GTEX-146FQ-0126-SM-5NQA9 30-39 years, male 26.3
GTEX-15SHU-0126-SM-7KUEH 40-49 years, female 26.3
GTEX-T2IS-0126-SM-4DM6O 20-29 years, female 26.3
GTEX-ZEX8-2426-SM-4WKG4 50-59 years, male 26.3
GTEX-1HSMO-0126-SM-CL547 60-69 years, male 26.2
GTEX-1JMPZ-0226-SM-CNPP1 30-39 years, male 26.1
GTEX-1192W-2626-SM-5Q5AF 60-69 years, male 25.9
GTEX-11O72-0126-SM-59887 40-49 years, male 25.9
GTEX-12WSG-2826-SM-E9J4H 50-59 years, female 25.9
GTEX-1GZ2Q-0226-SM-7P8TL 40-49 years, male 25.7
GTEX-1399U-2326-SM-5K7WY 50-59 years, female 25.4
GTEX-18A7B-0126-SM-7LG64 70-79 years, male 25.4
GTEX-1H3VE-0326-SM-9YFLH 40-49 years, male 25.3
GTEX-U8XE-0326-SM-3DB8P 30-39 years, male 25.1
GTEX-1CB4H-0226-SM-7PBXM 60-69 years, female 25.1
GTEX-XXEK-2226-SM-4BRUM 50-59 years, male 24.9
GTEX-13G51-2526-SM-5LZYK 60-69 years, male 24.8
GTEX-X8HC-0126-SM-4E3JW 50-59 years, female 24.6
GTEX-183WM-0126-SM-7LTAB 70-79 years, female 24.5
GTEX-1EX96-1626-SM-7PBXR 50-59 years, male 24.5
GTEX-1314G-1526-SM-5EGK2 30-39 years, male 24.4
GTEX-144FL-0126-SM-5TDC8 50-59 years, male 24.4
GTEX-WYVS-2126-SM-3NMA3 40-49 years, female 24.4
GTEX-1HFI6-0226-SM-ADEHZ 40-49 years, male 24.4
GTEX-12WSK-2326-SM-5GCOH 40-49 years, female 24.3
GTEX-13PDP-0126-SM-5L3HD 60-69 years, male 24.1
GTEX-1JMQK-0226-SM-CL543 60-69 years, male 24.1
GTEX-18A7A-0226-SM-718BH 50-59 years, female 24.0
GTEX-1GTWX-0126-SM-9YFLK 60-69 years, male 24.0
GTEX-147F4-0226-SM-5QGPW 50-59 years, male 23.9
GTEX-1F75A-0126-SM-7RHGM 50-59 years, male 23.8
GTEX-ZPIC-1726-SM-DHXIU 40-49 years, female 23.8
GTEX-11GS4-2726-SM-5A5LE 60-69 years, male 23.6
GTEX-QCQG-1726-SM-3GIJ9 50-59 years, female 23.6
GTEX-132NY-0326-SM-5IJBL 60-69 years, male 23.5
GTEX-131XG-2626-SM-5KM17 50-59 years, female 23.4
GTEX-WXYG-2326-SM-4E3I6 50-59 years, female 23.2
GTEX-1H3VY-0126-SM-ACKXD 50-59 years, male 23.2
GTEX-1H3O1-0426-SM-9YFKY 60-69 years, male 23.1
GTEX-12WSJ-1826-SM-5GCNY 40-49 years, female 23.0
GTEX-PLZ5-2026-SM-2S1O4 50-59 years, male 23.0
GTEX-145MO-0326-SM-5Q5B3 60-69 years, male 22.8
GTEX-QEG4-0226-SM-2S1PY 30-39 years, male 22.8
GTEX-ZF3C-0126-SM-DO92D 50-59 years, female 22.8
GTEX-XYKS-2126-SM-4E3IB 60-69 years, female 22.7
GTEX-11VI4-1726-SM-5CVLH 40-49 years, female 22.6
GTEX-11ZUS-0626-SM-59885 30-39 years, male 22.6
GTEX-12WSD-0126-SM-59HKN 60-69 years, female 22.6
GTEX-ZDTS-0126-SM-4WAY5 60-69 years, male 22.5
GTEX-U4B1-1826-SM-4DXSU 40-49 years, male 22.3
GTEX-113JC-2326-SM-5EQ4E 50-59 years, female 22.1
GTEX-12ZZX-0126-SM-5EGK9 40-49 years, female 22.0
GTEX-WH7G-2326-SM-3NMBC 40-49 years, male 21.9
GTEX-11WQC-2526-SM-5CVLE 60-69 years, male 21.8
GTEX-146FR-1326-SM-E9J48 60-69 years, female 21.7
GTEX-U8T8-0126-SM-3DB94 60-69 years, male 21.6
GTEX-Q2AG-0126-SM-33HBV 40-49 years, female 21.5
GTEX-1LBAC-0126-SM-DIPEZ 20-29 years, male 21.3
GTEX-1R7EV-2426-SM-EVYBG 40-49 years, male 21.3
GTEX-11DXX-2426-SM-5GZZW 60-69 years, female 21.2
GTEX-U412-0426-SM-3DB9O 60-69 years, male 21.2
GTEX-Y5LM-1926-SM-5RQJH 40-49 years, female 21.2
GTEX-1GF9X-2026-SM-7PC3A 40-49 years, female 21.0
GTEX-OOBJ-0126-SM-E6CJW 60-69 years, male 21.0
GTEX-R55G-2526-SM-2TC6D 40-49 years, female 20.9
GTEX-ZUA1-0126-SM-5GU76 40-49 years, male 20.8
GTEX-OXRN-0126-SM-48TDM 50-59 years, male 20.7
GTEX-11ZVC-2526-SM-5FQTE 50-59 years, female 20.6
GTEX-13N11-2526-SM-5K7UE 50-59 years, female 20.5
GTEX-1CB4J-0626-SM-7DHMP 60-69 years, male 20.5
GTEX-1B8L1-2526-SM-9WYTF 60-69 years, male 20.5
GTEX-1269C-2526-SM-5EGJ3 60-69 years, female 20.4
GTEX-QDVN-2026-SM-3GAEP 50-59 years, male 20.4
GTEX-RNOR-0126-SM-E9J4R 50-59 years, female 20.4
GTEX-17HHY-0126-SM-7LG5D 50-59 years, male 20.2
GTEX-1GMR8-0126-SM-9WYTM 50-59 years, female 20.2
GTEX-1NV5F-0226-SM-E8VNY 60-69 years, female 20.2
GTEX-18QFQ-0126-SM-731BE 30-39 years, male 20.1
GTEX-Y8LW-1826-SM-5S2MV 50-59 years, female 20.1
GTEX-ZYFC-0226-SM-5NQ75 50-59 years, male 20.1
GTEX-1IY9M-0126-SM-D3L8S 60-69 years, male 20.0
GTEX-XAJ8-0826-SM-47JY6 40-49 years, male 19.9
GTEX-13D11-2426-SM-5KM1V 50-59 years, female 19.8
GTEX-PWO3-1526-SM-48TCM 60-69 years, female 19.8
GTEX-1A8FM-0226-SM-7SB7Q 50-59 years, female 19.8
GTEX-1N2EF-0226-SM-EYYXB 60-69 years, male 19.7
GTEX-11P82-1626-SM-59879 20-29 years, male 19.6
GTEX-14PN4-0126-SM-6EU2V 50-59 years, male 19.6
GTEX-O5YW-0126-SM-3LK6D 50-59 years, male 19.6
GTEX-R3RS-0126-SM-3GIJL 40-49 years, female 19.5
GTEX-R55E-0126-SM-2TC5Y 20-29 years, male 19.3
GTEX-XMD2-0126-SM-4YCDU 60-69 years, female 19.3
GTEX-13OVL-0226-SM-5L3E9 50-59 years, male 19.2
GTEX-13QJ3-0326-SM-5S2RA 50-59 years, male 19.1
GTEX-13SLX-0526-SM-5S2ON 50-59 years, female 19.1
GTEX-145LT-1726-SM-5QGP3 40-49 years, male 19.1
GTEX-11UD2-0226-SM-5EQKY 50-59 years, male 19.0
GTEX-OIZG-0726-SM-33HBL 50-59 years, male 19.0
GTEX-YJ8A-0426-SM-5IFID 20-29 years, male 19.0
GTEX-11P7K-2126-SM-5GU7G 30-39 years, male 18.8
GTEX-1HKZK-0326-SM-9WYUH 40-49 years, male 18.8
GTEX-11GSO-2426-SM-5A5LY 60-69 years, male 18.7
GTEX-13SLW-0126-SM-5SI6C 70-79 years, male 18.7
GTEX-13FTX-1826-SM-5J1NX 20-29 years, female 18.5
GTEX-WVJS-0126-SM-4MVOT 50-59 years, male 18.5
GTEX-RVPV-0126-SM-EAZAW 60-69 years, male 18.5
GTEX-12126-0326-SM-5PNW3 20-29 years, male 18.4
GTEX-13O3O-0126-SM-E9J49 60-69 years, female 18.4
GTEX-1F6RS-0126-SM-9MQKZ 60-69 years, female 18.2
GTEX-1J8JJ-0226-SM-CL53I 60-69 years, female 18.2
GTEX-1RB15-2126-SM-E9TIM 60-69 years, male 18.2
GTEX-13VXU-0126-SM-5SI9F 50-59 years, male 18.1
GTEX-13YAN-0326-SM-5O9DF 60-69 years, male 18.1
GTEX-15DYW-0126-SM-7KULE 60-69 years, female 18.1
GTEX-V1D1-2226-SM-3NMAX 50-59 years, male 18.1
GTEX-13FTY-0526-SM-5L3EV 40-49 years, female 18.0
GTEX-1HCU8-0626-SM-A9SM9 60-69 years, female 18.0
GTEX-1RAZA-0126-SM-E6CI3 20-29 years, male 18.0
GTEX-1GF9U-2126-SM-7SB7L 40-49 years, female 17.9
GTEX-1HGF4-2426-SM-ACKXM 60-69 years, male 17.9
GTEX-1I1GU-2226-SM-CGQFA 40-49 years, male 17.8
GTEX-11ZTT-2426-SM-5EQLS 60-69 years, female 17.7
GTEX-1F88F-2726-SM-7PBZZ 60-69 years, female 17.7
GTEX-RU72-0926-SM-2TF6B 50-59 years, female 17.6
GTEX-11NUK-0126-SM-5A5L3 50-59 years, male 17.4
GTEX-12WSN-5019-SM-79OM6 40-49 years, male 17.4
GTEX-13CF3-2426-SM-5IFGX 60-69 years, female 17.4
GTEX-1C6VS-0526-SM-7DUEN 60-69 years, male 17.4
GTEX-Y3I4-2126-SM-4TT7C 50-59 years, male 17.4
GTEX-ZY6K-1826-SM-5GZXK 50-59 years, male 17.4
GTEX-1211K-2026-SM-5EQ4Z 60-69 years, female 17.3
GTEX-1GN1U-0126-SM-7PBZK 50-59 years, female 17.3
GTEX-Q2AI-1326-SM-2S1PL 40-49 years, male 17.2
GTEX-13W46-0226-SM-5SIAG 50-59 years, male 17.1
GTEX-WZTO-0126-SM-3NM95 40-49 years, male 17.1
GTEX-1EMGI-0126-SM-9KNUE 60-69 years, male 17.1
GTEX-1HB9E-0226-SM-E9U4R 50-59 years, male 17.1
GTEX-1ICLY-0126-SM-D4P36 50-59 years, male 17.1
GTEX-13OVI-1426-SM-5L3EY 60-69 years, female 17.0
GTEX-YEC4-2126-SM-5IFJH 40-49 years, male 17.0
GTEX-1HSMP-0126-SM-E6CJS 70-79 years, male 17.0
GTEX-ZYFD-0126-SM-5GIDL 50-59 years, male 16.9
GTEX-1HCU6-0126-SM-CL54K 60-69 years, female 16.9
GTEX-1HCVE-0126-SM-CGQEU 50-59 years, male 16.9
GTEX-1IE54-0126-SM-CMKHW 40-49 years, female 16.9
GTEX-139TT-0126-SM-5K7Y5 60-69 years, male 16.8
GTEX-OHPM-0126-SM-2YUN9 50-59 years, male 16.8
GTEX-146FH-0126-SM-5QGPP 50-59 years, female 16.7
GTEX-1497J-2426-SM-7IGNX 60-69 years, male 16.7
GTEX-15G19-0126-SM-6PANQ 60-69 years, male 16.7
GTEX-T2YK-0526-SM-32QPJ 50-59 years, male 16.7
GTEX-1QP29-0626-SM-EWRMX 50-59 years, male 16.7
GTEX-Y111-0126-SM-4SOIV 50-59 years, male 16.6
GTEX-1RQEC-0426-SM-E6CHU 60-69 years, male 16.6
GTEX-1POEN-0126-SM-EYYXJ 30-39 years, female 16.5
GTEX-PWCY-1826-SM-DHXIZ 20-29 years, female 16.5
GTEX-183FY-0126-SM-7LT9P 20-29 years, male 16.4
GTEX-POMQ-2226-SM-2I5FK 20-29 years, female 16.4
GTEX-1S82Z-0826-SM-E6CHY 30-39 years, female 16.4
GTEX-17HII-0226-SM-7LG4E 50-59 years, male 16.3
GTEX-1H1DG-0126-SM-9WYU2 70-79 years, male 16.3
GTEX-1JJE9-0326-SM-CL53Z 70-79 years, male 16.3
GTEX-13VXT-0126-SM-5LU4I 20-29 years, female 16.2
GTEX-RM2N-1426-SM-2TF4H 50-59 years, male 16.2
GTEX-14LLW-0126-SM-6LLIO 70-79 years, female 16.1
GTEX-1F7RK-0126-SM-7PC2S 20-29 years, female 16.1
GTEX-1GMRU-0126-SM-9YFLV 50-59 years, male 16.1
GTEX-1H11D-0226-SM-9WG6Z 40-49 years, male 16.1
GTEX-14ABY-0226-SM-5TDCQ 50-59 years, male 16.0
GTEX-117XS-2726-SM-5N9BL 60-69 years, male 15.9
GTEX-11OC5-0126-SM-5HL6A 60-69 years, male 15.9
GTEX-1CB4G-0226-SM-7PC3O 60-69 years, male 15.9
GTEX-148VJ-0126-SM-5TDDN 70-79 years, male 15.8
GTEX-1MCQQ-0826-SM-DLHC2 60-69 years, male 15.8
GTEX-NFK9-0226-SM-2HMKQ 40-49 years, male 15.7
GTEX-OIZH-0126-SM-2HMIS 50-59 years, male 15.7
GTEX-YFC4-0126-SM-5CVLY 40-49 years, female 15.7
GTEX-1GPI6-0126-SM-9WG69 60-69 years, male 15.7
GTEX-1QP66-1726-SM-E8VO1 50-59 years, male 15.7
GTEX-11ZU8-2526-SM-5EQKI 60-69 years, male 15.6
GTEX-14XAO-2326-SM-6EU1B 60-69 years, female 15.6
GTEX-1A3MX-0126-SM-731BR 60-69 years, male 15.6
GTEX-169BO-1326-SM-9MQK2 50-59 years, male 15.6
GTEX-1GN2E-0426-SM-9MQKX 60-69 years, male 15.6
GTEX-ZVT4-0126-SM-DTXFN 50-59 years, female 15.6
GTEX-UJHI-1526-SM-3DB99 50-59 years, female 15.5
GTEX-VJYA-1126-SM-3GIJU 60-69 years, male 15.5
GTEX-1F75B-0126-SM-9KNVL 50-59 years, male 15.5
GTEX-1RDX4-0126-SM-E9J4P 50-59 years, female 15.5
GTEX-13OVK-2026-SM-7KUEO 40-49 years, male 15.4
GTEX-VUSG-2526-SM-4KL1V 50-59 years, male 15.4
GTEX-ZF29-2326-SM-DO92K 60-69 years, female 15.4
GTEX-11NSD-2226-SM-5986V 20-29 years, male 15.3
GTEX-13RTJ-2426-SM-5S2Q2 60-69 years, male 15.3
GTEX-17F98-0626-SM-79OMX 40-49 years, female 15.3
GTEX-1EKGG-0226-SM-9WYTH 60-69 years, male 15.3
GTEX-1KANB-0526-SM-E6CJH 50-59 years, male 15.3
GTEX-14A5H-0426-SM-5QGQF 60-69 years, male 15.2
GTEX-18D9U-0226-SM-718BP 40-49 years, male 15.1
GTEX-1B933-0126-SM-7PC29 50-59 years, female 15.1
GTEX-PW2O-1526-SM-7RHHB 20-29 years, male 15.1
GTEX-ZE9C-2726-SM-57WB5 60-69 years, male 15.0
GTEX-ZAB5-1826-SM-5HL7C 50-59 years, male 14.9
GTEX-ZDYS-2026-SM-5HL5L 50-59 years, male 14.9
GTEX-1LG7Y-0526-SM-DKPQC 50-59 years, male 14.9
GTEX-1O97I-0326-SM-EYYX7 60-69 years, male 14.9
GTEX-1AX8Z-0126-SM-7DHM6 60-69 years, male 14.8
GTEX-14DAQ-0126-SM-5S2MQ 60-69 years, female 14.7
GTEX-1IKOH-0226-SM-COH4E 60-69 years, female 14.7
GTEX-11TT1-2526-SM-5EGIB 20-29 years, male 14.5
GTEX-TML8-1926-SM-32QOS 40-49 years, female 14.5
GTEX-1LH75-2426-SM-E9TJE 50-59 years, female 14.5
GTEX-1MUQO-0126-SM-EAZ58 60-69 years, male 14.5
GTEX-14BIM-0226-SM-7IGLD 60-69 years, female 14.4
GTEX-1313W-0126-SM-5LZUN 50-59 years, female 14.3
GTEX-1KD4Q-0226-SM-E9TJ9 40-49 years, male 14.3
GTEX-131XW-0426-SM-5LZWP 50-59 years, female 14.2
GTEX-SUCS-1926-SM-32PM3 70-79 years, male 14.2
GTEX-XUW1-0426-SM-4BOOT 50-59 years, female 14.2
GTEX-14E6D-0126-SM-62LDV 50-59 years, male 14.1
GTEX-ZVZO-0126-SM-5A5L9 40-49 years, male 14.1
GTEX-11DXY-2626-SM-5GIE7 60-69 years, male 14.0
GTEX-1B8KZ-2026-SM-7DHMB 50-59 years, male 14.0
GTEX-RWS6-2026-SM-2XCB5 60-69 years, female 14.0
GTEX-1GZHY-0326-SM-9QEHI 50-59 years, female 14.0
GTEX-1HCUA-2426-SM-ADEIS 50-59 years, female 14.0
GTEX-1LB8K-0226-SM-EWRNW 50-59 years, male 14.0
GTEX-1MA7X-2226-SM-E6CIY 60-69 years, male 14.0
GTEX-1QMI2-0226-SM-EVYBX 60-69 years, male 14.0
GTEX-1HR98-0126-SM-B2LWI 60-69 years, male 13.9
GTEX-ZQG8-1626-SM-DHXIT 60-69 years, female 13.9
GTEX-X4EO-0326-SM-3P5YO 60-69 years, female 13.8
GTEX-Y8DK-0126-SM-4TT3L 60-69 years, male 13.8
GTEX-1C2JI-1826-SM-73KXC 50-59 years, male 13.7
GTEX-VJWN-0126-SM-3GIK7 50-59 years, female 13.7
GTEX-147F3-0526-SM-5SI98 50-59 years, female 13.6
GTEX-1EU9M-0226-SM-7P8SP 60-69 years, male 13.6
GTEX-1K9T9-0126-SM-EVYCF 50-59 years, female 13.6
GTEX-OIZF-0126-SM-7SB8I 60-69 years, male 13.6
GTEX-1GN73-0226-SM-9WG67 60-69 years, male 13.5
GTEX-WQUQ-0426-SM-3MJFU 60-69 years, male 13.4
GTEX-YB5E-2026-SM-5IFIS 40-49 years, male 13.4
GTEX-ZQUD-1426-SM-57WER 30-39 years, male 13.4
GTEX-ZU9S-0226-SM-5E441 30-39 years, male 13.4
GTEX-15CHC-2126-SM-6EU21 60-69 years, female 13.3
GTEX-11TUW-2726-SM-E9J4M 60-69 years, male 13.3
GTEX-XUYS-0126-SM-47JWZ 50-59 years, male 13.2
GTEX-1F75I-0326-SM-9YFLU 40-49 years, male 13.2
GTEX-13U4I-0126-SM-5LU38 40-49 years, female 13.1
GTEX-14ICK-0226-SM-6EU25 40-49 years, male 13.1
GTEX-16NPX-0226-SM-79OMT 50-59 years, male 13.1
GTEX-WYJK-0126-SM-3NMAB 50-59 years, male 13.0
GTEX-XBED-2226-SM-47JYQ 60-69 years, male 13.0
GTEX-1QCLY-0326-SM-E8VOG 30-39 years, male 12.9
GTEX-1GZ4H-1726-SM-7PBZJ 50-59 years, female 12.7
GTEX-1HBPN-0226-SM-9YFM1 50-59 years, male 12.7
GTEX-14BIL-0126-SM-5SI92 50-59 years, male 12.6
GTEX-17HGU-0226-SM-7DHKV 50-59 years, male 12.6
GTEX-TMMY-0226-SM-33HBA 40-49 years, female 12.6
GTEX-TSE9-0126-SM-3DB83 60-69 years, female 12.6
GTEX-ZAK1-0126-SM-5IJD3 50-59 years, female 12.6
GTEX-13FH7-2026-SM-E9J4I 50-59 years, female 12.6
GTEX-139TU-0126-SM-5K7WH 60-69 years, male 12.5
GTEX-14PJM-0226-SM-62LF1 50-59 years, female 12.5
GTEX-16GPK-0126-SM-7DHLE 60-69 years, male 12.5
GTEX-18465-0126-SM-731BN 50-59 years, male 12.5
GTEX-13X6H-2126-SM-7EWD5 50-59 years, female 12.4
GTEX-18A66-0226-SM-718BD 60-69 years, male 12.4
GTEX-131XF-5016-SM-7MGWE 60-69 years, male 12.4
GTEX-1H1CY-2826-SM-9MQM3 60-69 years, female 12.4
GTEX-11OF3-2626-SM-5GU7F 60-69 years, male 12.3
GTEX-1GF9W-0326-SM-9KNUN 60-69 years, male 12.3
GTEX-13113-5016-SM-7EPIP 60-69 years, female 12.2
GTEX-Z9EW-1626-SM-5CVMN 40-49 years, male 12.2
GTEX-1MCYP-1926-SM-E9J2R 20-29 years, female 12.2
GTEX-OXRP-0126-SM-3NB32 60-69 years, female 12.1
GTEX-11P81-2326-SM-59875 30-39 years, female 12.0
GTEX-13NZB-2526-SM-5J1OM 30-39 years, male 12.0
GTEX-148VI-1626-SM-5SI6E 60-69 years, female 12.0
GTEX-1HSEH-0126-SM-ACKXN 60-69 years, male 12.0
GTEX-1I1GV-0526-SM-A9G29 60-69 years, male 12.0
GTEX-14E7W-0126-SM-6LLJ9 70-79 years, male 11.8
GTEX-17HG3-2226-SM-7938L 30-39 years, female 11.8
GTEX-U3ZN-2326-SM-3DB7W 30-39 years, female 11.7
GTEX-13O3Q-2426-SM-5IJBR 50-59 years, male 11.6
GTEX-14753-0426-SM-5NQAM 60-69 years, male 11.6
GTEX-139TS-2826-SM-5J1OO 60-69 years, male 11.5
GTEX-P44H-0226-SM-2XCEU 40-49 years, male 11.5
GTEX-P4QT-0126-SM-2I3FL 50-59 years, female 11.5
GTEX-1JK1U-2026-SM-CM2RZ 60-69 years, male 11.5
GTEX-1QAET-0926-SM-E76QM 50-59 years, male 11.5
GTEX-18A6Q-0126-SM-731BZ 60-69 years, male 11.4
GTEX-1C4CL-0526-SM-73KVK 30-39 years, male 11.4
GTEX-OXRO-0126-SM-2YUN4 60-69 years, female 11.4
GTEX-T5JC-0426-SM-32PLO 20-29 years, male 11.4
GTEX-XQ8I-0426-SM-4BOPO 50-59 years, male 11.4
GTEX-1GN1W-0526-SM-9MQJQ 50-59 years, female 11.4
GTEX-1JKYN-1326-SM-CGQG9 30-39 years, male 11.4
GTEX-1JMPY-1326-SM-ARL8Y 30-39 years, male 11.4
GTEX-1N2DV-0226-SM-E6CJ6 40-49 years, male 11.4
GTEX-14DAR-2026-SM-5S2O3 50-59 years, male 11.3
GTEX-QLQ7-1626-SM-2S1R8 60-69 years, male 11.3
GTEX-1I1GP-2226-SM-CGQFK 50-59 years, male 11.3
GTEX-1JMQJ-0526-SM-CYPSU 50-59 years, male 11.3
GTEX-15DDE-0126-SM-6LPKH 50-59 years, female 11.2
GTEX-13FXS-0226-SM-5IJCK 50-59 years, male 11.1
GTEX-Z93S-0126-SM-5HL7M 50-59 years, male 11.1
GTEX-1C64O-0126-SM-7SB8P 60-69 years, male 11.1
GTEX-SJXC-0126-SM-2XCFF 60-69 years, male 11.0
GTEX-XQ3S-1526-SM-4BOOC 20-29 years, male 11.0
GTEX-XUZC-1726-SM-4BRWS 30-39 years, female 11.0
GTEX-1I1GR-0126-SM-CL55F 60-69 years, male 11.0
GTEX-1IGQW-0126-SM-COH42 60-69 years, male 11.0
GTEX-11EI6-0126-SM-5985R 60-69 years, male 10.9
GTEX-QESD-1426-SM-2S1R9 20-29 years, male 10.9
GTEX-UPJH-0326-SM-3GADU 50-59 years, male 10.9
GTEX-ZXES-1826-SM-5E43S 30-39 years, female 10.9
GTEX-13OW6-0426-SM-5L3HM 50-59 years, male 10.8
GTEX-14LZ3-0226-SM-62LET 60-69 years, female 10.8
GTEX-147GR-0526-SM-5S2MY 60-69 years, male 10.7
GTEX-15DCD-0126-SM-7KUEK 70-79 years, female 10.7
GTEX-15UKP-0426-SM-7KUFQ 20-29 years, male 10.7
GTEX-1CAMR-1926-SM-7EPI2 20-29 years, male 10.7
GTEX-RWSA-0126-SM-2XCBB 40-49 years, male 10.7
GTEX-U3ZM-1526-SM-3DB9D 40-49 years, male 10.7
GTEX-1CAMS-0426-SM-7P8T2 40-49 years, female 10.7
GTEX-1IL2V-0126-SM-CM2TX 70-79 years, male 10.7
GTEX-1PPH7-2326-SM-EVYB8 40-49 years, male 10.7
GTEX-O5YT-0126-SM-48TBW 20-29 years, male 10.6
GTEX-145LS-0126-SM-5QGP1 60-69 years, female 10.5
GTEX-14C5O-0126-SM-5SI6N 60-69 years, male 10.5
GTEX-1AX9I-0126-SM-7SB74 60-69 years, male 10.5
GTEX-1GF9V-0326-SM-7RHI5 60-69 years, male 10.5
GTEX-1HFI7-1826-SM-ACKXH 50-59 years, female 10.5
GTEX-Y5V6-2426-SM-4VDSB 60-69 years, male 10.4
GTEX-1H4P4-0726-SM-9YFLR 50-59 years, male 10.4
GTEX-1PIGE-0126-SM-EVYBJ 20-29 years, male 10.4
GTEX-11DYG-0126-SM-59883 60-69 years, male 10.3
GTEX-11XUK-2026-SM-5EQLF 40-49 years, female 10.3
GTEX-13112-2826-SM-5DUWH 50-59 years, male 10.3
GTEX-1LGRB-2526-SM-CNPPQ 50-59 years, female 10.3
GTEX-1NHNU-1026-SM-E9J2A 50-59 years, male 10.3
GTEX-1EWIQ-0126-SM-7RHH2 70-79 years, female 10.2
GTEX-1MGNQ-0126-SM-EVYCJ 40-49 years, male 10.2
GTEX-14PII-0226-SM-6EU1T 60-69 years, male 10.1
GTEX-15ETS-0126-SM-7KUMW 40-49 years, female 10.1
GTEX-WY7C-2326-SM-3NB2U 50-59 years, male 10.1
GTEX-1I6K6-0126-SM-A9SLE 30-39 years, male 10.1
GTEX-1QP2A-0126-SM-E9J43 50-59 years, male 10.1
GTEX-13FTW-2626-SM-5K7WL 40-49 years, male 10.0
GTEX-17MFQ-1726-SM-793C7 20-29 years, male 10.0
GTEX-ZGAY-0526-SM-4WWBB 40-49 years, female 10.0
GTEX-1IDJF-0126-SM-CM2RS 20-29 years, male 10.0
GTEX-1QPFJ-0226-SM-E76PB 30-39 years, female 10.0
GTEX-1S3DN-2226-SM-EVYCD 50-59 years, male 10.0
GTEX-131XH-2226-SM-5DUXJ 50-59 years, male 9.9
GTEX-Y8E4-0626-SM-4WWDL 40-49 years, male 9.9
GTEX-ZV6S-2326-SM-4YCEY 40-49 years, female 9.9
GTEX-1B996-0226-SM-7RHGO 60-69 years, male 9.9
GTEX-14JG1-0426-SM-6ETZZ 40-49 years, male 9.8
GTEX-1I19N-0326-SM-ACKVX 70-79 years, male 9.8
GTEX-1J8QM-2126-SM-CYPSJ 60-69 years, female 9.8
GTEX-14PJ3-1826-SM-62LEX 50-59 years, male 9.7
GTEX-1B8SG-0126-SM-73KZ3 50-59 years, male 9.7
GTEX-17EUY-0426-SM-793BD 20-29 years, male 9.6
GTEX-1AMEY-1326-SM-73KYK 30-39 years, female 9.6
GTEX-12ZZZ-0626-SM-5DUXI 60-69 years, male 9.5
GTEX-131XE-2326-SM-5PNZ2 50-59 years, male 9.5
GTEX-13OW8-1326-SM-5J1OW 60-69 years, male 9.5
GTEX-17KNJ-2326-SM-7DHLQ 50-59 years, male 9.5
GTEX-1IKK5-0626-SM-ARL8A 60-69 years, male 9.5
GTEX-1KAFJ-2026-SM-CY8ID 50-59 years, male 9.5
GTEX-17HHE-2026-SM-79OKF 50-59 years, male 9.4
GTEX-1EN7A-0126-SM-7SB81 40-49 years, male 9.4
GTEX-12C56-1726-SM-5EQ61 20-29 years, male 9.3
GTEX-16BQI-0226-SM-7KUEX 30-39 years, female 9.3
GTEX-1B8KE-2126-SM-73KYX 50-59 years, male 9.3
GTEX-1BAJH-0526-SM-793CQ 70-79 years, male 9.3
GTEX-ZDTT-2726-SM-4WKF8 60-69 years, male 9.3
GTEX-1GPI7-0126-SM-9MQL8 20-29 years, male 9.3
GTEX-1PFEY-1526-SM-E76PP 30-39 years, male 9.3
GTEX-16XZZ-0126-SM-793DV 60-69 years, male 9.2
GTEX-1C64N-0126-SM-793D7 50-59 years, male 9.2
GTEX-1J8Q3-1626-SM-CMKGC 60-69 years, male 9.2
GTEX-12WSA-0226-SM-5BC5V 60-69 years, male 9.1
GTEX-15ER7-0326-SM-7KUEV 20-29 years, female 9.1
GTEX-1B8SF-1426-SM-7DUGL 60-69 years, male 9.1
GTEX-T6MO-1626-SM-32QOM 40-49 years, female 9.1
GTEX-1JMLX-0226-SM-CM2RO 50-59 years, male 9.1
GTEX-1399T-2826-SM-5KLYZ 60-69 years, male 9.0
GTEX-13X6J-0126-SM-5QGOU 50-59 years, male 9.0
GTEX-1H1E6-1726-SM-ACKVK 30-39 years, male 9.0
GTEX-12WSC-0126-SM-5EQ4P 50-59 years, male 8.9
GTEX-14BMU-2226-SM-5TDE9 20-29 years, female 8.9
GTEX-15RIG-0226-SM-7KFTL 40-49 years, male 8.9
GTEX-1AX9K-2326-SM-73KWU 50-59 years, male 8.9
GTEX-ZYFG-2326-SM-5E44B 60-69 years, female 8.9
GTEX-14BMV-0126-SM-5S2PO 50-59 years, male 8.8
GTEX-14JG6-2226-SM-6EU2G 30-39 years, female 8.8
GTEX-1JN6P-0126-SM-D3L98 60-69 years, male 8.8
GTEX-12KS4-0326-SM-5EQ41 30-39 years, male 8.7
GTEX-1HBPI-1526-SM-C1YQ1 50-59 years, male 8.7
GTEX-1HSKV-0226-SM-A9SKJ 60-69 years, male 8.7
GTEX-1K2DU-2326-SM-E9TIV 20-29 years, male 8.6
GTEX-11WQK-0526-SM-5EQLD 50-59 years, male 8.5
GTEX-16NGA-1726-SM-731B4 40-49 years, female 8.5
GTEX-U3ZH-2026-SM-3DB78 30-39 years, male 8.5
GTEX-13PVR-2326-SM-5QGR1 60-69 years, female 8.4
GTEX-1H1DE-2126-SM-9WG6R 20-29 years, male 8.4
GTEX-1I4MK-2226-SM-ACKWD 50-59 years, female 8.4
GTEX-1JN76-0126-SM-CNPPE 20-29 years, female 8.4
GTEX-1122O-2126-SM-5EGIR 60-69 years, female 8.3
GTEX-139UW-2826-SM-5L3E7 60-69 years, male 8.3
GTEX-145MI-0526-SM-5O9A8 60-69 years, female 8.3
GTEX-1R7EU-0226-SM-EVR4G 60-69 years, male 8.3
GTEX-133LE-1826-SM-5J1MV 20-29 years, female 8.2
GTEX-145ME-1826-SM-5SI9G 40-49 years, female 8.2
GTEX-S95S-1226-SM-4GICG 60-69 years, male 8.2
GTEX-1IOXB-0126-SM-ARL8G 50-59 years, male 8.2
GTEX-1128S-2326-SM-5GZZY 60-69 years, female 8.1
GTEX-TKQ1-1026-SM-4GICL 30-39 years, male 8.1
GTEX-1S5ZA-0126-SM-EVYCV 20-29 years, male 8.1
GTEX-12696-2426-SM-5EQ6H 60-69 years, male 8.0
GTEX-14BIN-0626-SM-793DP 50-59 years, female 8.0
GTEX-1C6VR-2426-SM-79OLD 60-69 years, male 8.0
GTEX-ZTSS-1926-SM-57WEW 40-49 years, male 7.9
GTEX-1J1R8-1726-SM-ARL8M 40-49 years, male 7.9
GTEX-1KWVE-1426-SM-E9TJO 30-39 years, male 7.9
GTEX-131YS-0126-SM-5KM1M 60-69 years, female 7.8
GTEX-13W3W-2426-SM-5LU5B 60-69 years, female 7.8
GTEX-ZWKS-0126-SM-5SIAA 30-39 years, male 7.8
GTEX-1399R-2726-SM-5IJBA 30-39 years, male 7.7
GTEX-PVOW-0126-SM-2XCFA 40-49 years, male 7.7
GTEX-1JMQI-2226-SM-CM2SD 50-59 years, male 7.6
GTEX-14PN3-2426-SM-6LLHS 60-69 years, female 7.5
GTEX-1IL2U-0226-SM-CE6T8 60-69 years, male 7.5
GTEX-11DXZ-2326-SM-5EGGV 50-59 years, male 7.4
GTEX-1J8Q2-0526-SM-CM2RW 60-69 years, male 7.4
GTEX-1E1VI-0126-SM-7DHMZ 50-59 years, male 7.3
GTEX-1GMR3-1926-SM-9KNUZ 40-49 years, male 7.3
GTEX-111FC-0126-SM-5N9DL 60-69 years, male 7.2
GTEX-W5WG-1826-SM-4KL2Y 50-59 years, female 7.2
GTEX-WRHK-1426-SM-3MJF9 20-29 years, female 7.2
GTEX-1LVAN-0226-SM-COH3S 50-59 years, female 7.2
GTEX-11EQ9-2426-SM-5HL5T 30-39 years, male 7.1
GTEX-13S7M-0126-SM-5SI6A 60-69 years, female 7.1
GTEX-ZXG5-0126-SM-5GIEU 60-69 years, male 7.1
GTEX-13OW5-0126-SM-DTXFS 60-69 years, male 7.1
GTEX-1CB4F-0426-SM-9KNV4 60-69 years, male 7.1
GTEX-S7SE-0126-SM-2XCD5 50-59 years, male 7.0
GTEX-ZV68-0126-SM-59HKS 50-59 years, female 6.9
GTEX-1E2YA-0126-SM-9KNUC 50-59 years, male 6.9
GTEX-1HSMQ-1226-SM-CGQFX 50-59 years, male 6.9
GTEX-1CB4I-0226-SM-79OLH 50-59 years, male 6.8
GTEX-XBEW-0626-SM-4QASP 40-49 years, male 6.8
GTEX-1KXAM-2226-SM-CYPTC 60-69 years, male 6.8
GTEX-15F5U-1526-SM-6PANO 40-49 years, male 6.7
GTEX-YB5K-2126-SM-4WWDJ 40-49 years, female 6.7
GTEX-11EM3-2426-SM-59861 20-29 years, female 6.6
GTEX-17GQL-2026-SM-718BA 60-69 years, male 6.6
GTEX-T6MN-0126-SM-32PLP 50-59 years, male 6.6
GTEX-SE5C-1626-SM-2XCE3 40-49 years, female 6.6
GTEX-14PHX-2326-SM-62LEM 50-59 years, male 6.5
GTEX-1A3MV-1926-SM-718BT 30-39 years, male 6.5
GTEX-ZVTK-0426-SM-51MRS 20-29 years, male 6.5
GTEX-13NYC-0326-SM-E9J4S 60-69 years, male 6.5
GTEX-1CB4E-2226-SM-793DC 60-69 years, male 6.4
GTEX-1OJC3-0126-SM-E76QX 20-29 years, male 6.4
GTEX-1QP9N-1426-SM-DTXFL 30-39 years, male 6.4
GTEX-1AMFI-2026-SM-731BH 50-59 years, female 6.3
GTEX-XPVG-2626-SM-4B669 50-59 years, male 6.3
GTEX-1MA7W-2026-SM-E9TJ6 20-29 years, female 6.3
GTEX-1OFPY-2426-SM-DTXEJ 60-69 years, male 6.3
GTEX-1AX9J-0226-SM-73KXM 60-69 years, male 6.2
GTEX-1212Z-2526-SM-5EGKP 60-69 years, male 6.1
GTEX-14PJ6-2126-SM-6EU1V 60-69 years, female 6.1
GTEX-T8EM-1026-SM-3DB7M 40-49 years, male 6.1
GTEX-1IDJU-2626-SM-CM2RT 60-69 years, female 6.1
GTEX-1PDJ9-0326-SM-DTX95 20-29 years, male 6.1
GTEX-1IDJH-0326-SM-A9SLQ 70-79 years, male 6.0
GTEX-1JKYR-0126-SM-CNPOJ 20-29 years, male 6.0
GTEX-13RTK-1426-SM-5QGQJ 20-29 years, male 5.9
GTEX-1LGOU-2026-SM-DIPFF 20-29 years, female 5.9
GTEX-16AAH-1726-SM-7939C 50-59 years, male 5.8
GTEX-1HSGN-0226-SM-CGQFV 40-49 years, female 5.8
GTEX-14A5I-0126-SM-5TDEA 50-59 years, female 5.7
GTEX-17F96-1626-SM-7DUFL 70-79 years, male 5.7
GTEX-1HT8W-0126-SM-CNPPP 30-39 years, male 5.7
GTEX-1LSNM-1926-SM-E6CII 50-59 years, male 5.7
GTEX-13FHP-0126-SM-5IJBG 50-59 years, male 5.6
GTEX-13N2G-2626-SM-5J1OT 60-69 years, male 5.6
GTEX-145LU-0126-SM-5TDCB 50-59 years, male 5.6
GTEX-ZZ64-1726-SM-5GZYB 20-29 years, male 5.6
GTEX-1I1GT-0626-SM-CGQER 60-69 years, female 5.6
GTEX-PLZ6-1426-SM-DKPOT 30-39 years, male 5.6
GTEX-145MF-0626-SM-5LUAI 50-59 years, male 5.5
GTEX-PSDG-0226-SM-DKPOZ 50-59 years, male 5.5
GTEX-11LCK-1026-SM-5A5KB 30-39 years, male 5.4
GTEX-X261-0126-SM-3NMD6 50-59 years, male 5.4
GTEX-1F5PL-0326-SM-7P8PQ 40-49 years, female 5.4
GTEX-1K2DA-1826-SM-CGQGT 50-59 years, male 5.4
GTEX-12ZZY-0226-SM-5LZVE 60-69 years, male 5.3
GTEX-PX3G-0126-SM-2I3EN 20-29 years, female 5.3
GTEX-1MJK2-0426-SM-DTXE5 50-59 years, male 5.3
GTEX-1PIIG-0226-SM-EWRN6 30-39 years, male 5.3
GTEX-13NYB-2526-SM-5K7Z6 40-49 years, male 5.2
GTEX-17EVP-0326-SM-7DHLG 40-49 years, male 5.2
GTEX-WFG8-2226-SM-3GIL9 20-29 years, male 5.2
GTEX-1F5PK-2426-SM-7RHHY 50-59 years, male 5.2
GTEX-1PPH8-0226-SM-E8VND 20-29 years, male 5.2
GTEX-ZVZP-2426-SM-59HKJ 50-59 years, male 5.1
GTEX-1I1GQ-0126-SM-COH3H 50-59 years, male 5.1
GTEX-1M5QR-1226-SM-EWROB 40-49 years, male 5.1
GTEX-144GL-0126-SM-5TDE2 50-59 years, male 4.9
GTEX-1JJEA-0326-SM-CNPOT 60-69 years, male 4.9
GTEX-1R9PM-2026-SM-E76OY 20-29 years, male 4.8
GTEX-17JCI-0126-SM-7LG5G 60-69 years, female 4.6
GTEX-ZF2S-2326-SM-4WWCE 50-59 years, female 4.6
GTEX-T5JW-1626-SM-3GADZ 20-29 years, female 4.5
GTEX-YJ89-0126-SM-4TT3X 60-69 years, male 4.5
GTEX-1JJ6O-0126-SM-E6CI8 60-69 years, male 4.5
GTEX-S32W-2126-SM-2XCB1 50-59 years, female 4.4
GTEX-14E6E-1826-SM-5S2R7 30-39 years, male 4.1
GTEX-Y5V5-2326-SM-4V6GA 60-69 years, female 4.1
GTEX-ZYT6-0226-SM-5NQ6T 30-39 years, male 4.1
GTEX-13JUV-2726-SM-5LZZ8 40-49 years, female 3.9
GTEX-1IKJJ-0126-SM-CNPQB 60-69 years, male 3.9
GTEX-1LG7Z-1726-SM-D3LA4 30-39 years, male 3.9
GTEX-18D9A-1926-SM-7LG6P 30-39 years, female 3.7
GTEX-SNMC-1226-SM-2XCFP 20-29 years, male 3.7
GTEX-1KANA-0726-SM-D3L9I 20-29 years, male 3.5
GTEX-1HCU9-1526-SM-A9SL7 20-29 years, male 3.4
GTEX-1JMQL-0226-SM-CNPP5 50-59 years, female 3.3
GTEX-13OVH-0126-SM-5MR4B 70-79 years, male 3.2
GTEX-1CAMQ-0226-SM-7IGPK 40-49 years, male 3.1
GTEX-WFON-2126-SM-3LK7O 40-49 years, male 3.0
GTEX-1GL5R-1826-SM-9KNUY 50-59 years, male 3.0
GTEX-12WSE-0526-SM-793B2 20-29 years, male 2.9
GTEX-1HCU7-0226-SM-CL545 50-59 years, male 2.9
GTEX-1S83E-0126-SM-EWRO4 40-49 years, male 2.9
GTEX-ZTX8-1426-SM-5DUVO 20-29 years, male 2.6
GTEX-15EU6-0426-SM-6PAN5 50-59 years, male 2.5
GTEX-1C475-1826-SM-73KWA 40-49 years, female 2.4
GTEX-1KANC-1526-SM-D3LAB 50-59 years, female 2.4
GTEX-1B97I-1626-SM-73KYO 40-49 years, male 2.3
GTEX-13111-1626-SM-5EGJY 50-59 years, male 1.7
GTEX-1L5NE-2526-SM-E6CIE 50-59 years, male 1.3
Show allShow less

Contact

  • NEWS ARTICLES
  • PRESS ROOM

The Project

  • INTRODUCTION
  • ORGANIZATION
  • PUBLICATIONS

The Human Protein Atlas

  • DOWNLOADABLE DATA
  • LICENCE & CITATION
  • HELP & FAQ
The Human Protein Atlas project is funded
by the Knut & Alice Wallenberg Foundation.


contact@proteinatlas.org