We use cookies to enhance the usability of our website. If you continue, we'll assume that you are happy to receive all cookies. More information. Don't show this again.
TSPAN6
HPA
RESOURCES
  • TISSUE
  • BRAIN
  • SINGLE CELL
  • SUBCELLULAR
  • CANCER
  • BLOOD
  • CELL LINE
  • STRUCTURE & INTERACTION
ABOUT
  • INTRODUCTION
  • HISTORY
  • ORGANIZATION
  • PUBLICATIONS
  • ANTIBODY SUBMISSION
  • ANTIBODY AVAILABILITY
  • ACKNOWLEDGMENTS
  • CONTACT
NEWS
  • NEWS ARTICLES
  • PRESS ROOM
LEARN
  • DICTIONARY
  • PROTEIN CLASSES
  • PROTEIN EVIDENCE
  • METHODS
  • EDUCATIONAL VIDEOS
DATA
  • DOWNLOADABLE DATA
  • PUBLICATION DATA
  • RELEASE HISTORY
HELP
  • ANTIBODY VALIDATION
  • ASSAYS & ANNOTATION
  • DISCLAIMER
  • HELP & FAQ
  • PRIVACY STATEMENT
  • LICENCE & CITATION
Fields »
Search result

Field
Term
Gene name
Class
Subclass
Class
Keyword
Chromosome
External id
Tissue
Cell type
Expression
Antibody panel
Tissue
Main location
Patient ID
Annotation
Tissue
Category
Tau score
Cluster
Reliability
Brain region
Category
Tau score
Brain region
Category
Tau score
Brain region
Category
Tau score
Cluster
Reliability
Tissue
Cell type
Enrichment
Cell type
Category
Tau score
Cell type
Category
Tau score
Cell type
Category
Tau score
Cell lineage
Category
Tau score
Cluster
Cluster
Location
Searches
Location
Cell line
Class
Type
Phase
Reliability
Cancer
Prognosis
Cancer
Category
Cancer
Category
Tau score
Cluster
Variants
Interacting gene (ensg_id)
Type
Number of interactions
Pathway
Category
Score
Score
Score
Validation
Validation
Validation
Validation
Antibodies
Data type
Column


  • SUMMARY

  • TISSUE

  • BRAIN

  • SINGLE CELL

  • SUBCELL

  • CANCER

  • BLOOD

  • CELL LINE

  • STRUCT & INT

  • TSPAN6
TISSUE PRIMARY DATA SKIN Show tissue menu
ADIPOSE TISSUE ADRENAL GLAND AMYGDALA APPENDIX BASAL GANGLIA BONE MARROW BREAST BRONCHUS CEREBELLUM CEREBRAL CORTEX CERVIX CHOROID PLEXUS COLON DUODENUM
ENDOMETRIUM EPIDIDYMIS ESOPHAGUS FALLOPIAN TUBE GALLBLADDER HEART MUSCLE HIPPOCAMPAL FORMATION HYPOTHALAMUS KIDNEY LIVER LUNG LYMPH NODE MIDBRAIN NASOPHARYNX
ORAL MUCOSA OVARY PANCREAS PARATHYROID GLAND PITUITARY GLAND PLACENTA PROSTATE RECTUM RETINA SALIVARY GLAND SEMINAL VESICLE SKELETAL MUSCLE SKIN SMALL INTESTINE
SMOOTH MUSCLE SOFT TISSUE SPINAL CORD SPLEEN STOMACH TESTIS THYMUS THYROID GLAND TONGUE TONSIL URINARY BLADDER VAGINA
ANTIBODIES
AND
VALIDATION
Dictionary
Skin
Tissue proteome
Skin
SKIN - Expression summary
Protein expression
Skini

On the top, protein expression in current human tissue, based on all annotated cell types, is reported with the units not detected (n), low (l), medium (m) and high (h). Underneath, protein expression in each annotated cell type are reported using the same units.

Protein expression data is based on knowledge-based annotation. For genes where more than one antibody has been used, a collective score is set.

If knowledge-based annotation could not be performed for a gene, no data is displayed here. View antibody staining data further down this page.

h
m
l
n
Epidermal cells: Medium
Fibroblasts: Not detected
Keratinocytes: High
Langerhans: Not detected
Melanocytes: Not detected
RNA expressioni

A summary of mRNA expression data available for current tissue based on several datasets. The mRNA expression levels in human tissues are based on RNA-seq data generated by the Human Protein Atlas (HPA), Genotype-Tissue Expression (GTEx) portal and CAGE data generated by the FANTOM5 consortium. Consensus normalized expression levels for human tissues was created by combining the data from HPA and GTEx datasets.

The mRNA expression levels in pig are based on RNA-seq data generated by the Human Protein Atlas (HPA), and for mouse, HPA data and in situ hybridization generated by the Allen brain atlas are reported.

Scroll down to view mRNA expression data in more detail.
Consensus:9.3 nTPM
HPA:3.8 nTPM
GTEx:9.3 nTPM

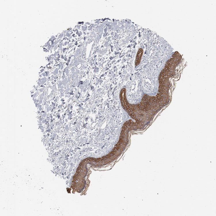
SKIN 1 - Antibody stainingi

Antibody staining in the annotated cell types in the current human tissue is reported as not detected, low, medium, or high, based on conventional immunohistochemistry profiling in selected tissues. This score is based on the combination of the staining intensity and fraction of stained cells.

Each image is clickable and will lead to virtual microscopy that enables deeper exploration of all samples and also displays staining intensity scores, fraction scores and subcellular localization as well as patient and tissue information for each sample.

Antibody HPA004109
Langerhans Not detected
Fibroblasts Not detected
Keratinocytes High
Melanocytes Not detected


SKIN 2 - Antibody stainingi

Antibody staining in the annotated cell types in the current human tissue is reported as not detected, low, medium, or high, based on conventional immunohistochemistry profiling in selected tissues. This score is based on the combination of the staining intensity and fraction of stained cells.

Each image is clickable and will lead to virtual microscopy that enables deeper exploration of all samples and also displays staining intensity scores, fraction scores and subcellular localization as well as patient and tissue information for each sample.

Antibody HPA004109
Epidermal cells Medium
 
 
 



SKIN - HPA RNA-seqi

The RNA-seq details section shows detailed information about the individual samples used for the transcript profiling and results of the RNA-seq analysis.

Information about each individual sample is listed below, including gender, age, a tissue section image and estimated fractions of cell types. nTPM (normalized transcripts per million) values give a quantification of the gene abundance which is comparable between different genes and samples.
Average nTPMi

Max subtype nTPM is the value for the subtype with the largest average nTPM across the subtype samples.

3.8
overview
Female, age 34
Skin sample 225
nTPM: 4.6
Cell types%
Keratinocytes:
60

Other cell types:
40

overview
Female, age 30
Skin sample 226
nTPM: 3.4
Cell types%
Keratinocytes:
55

Other cell types:
45

N/A
Male, age 57
Skin sample 227
nTPM: 3.3

SKIN - GTEx RNA-seqi

RNA-Seq data generated by the Genotype-Tissue Expression (GTEx) project from human tissues is reported as mean nTPM. More information can be found on the GTEx portal.

Distribution across the dataset is visualized with box plots, shown as median and 25th and 75th percentiles. Points are displayed as outliers if they are above or below 1.5 times the interquartile range. nTPM values of the individual samples are presented next to the box plot.
Max subtype nTPMi

Max subtype nTPM is the value for the subtype with the largest average nTPM across the subtype samples.

9.3
GTEx sample id Sample description nTPM
Skin - Not Sun Exposed (Suprapubic)
Average nTPM: 9.3
Samples: 604

Max nTPM: 26.7
Min nTPM: 2.8
Std nTPM: 3.5
Median nTPM: 8.5
GTEX-15RIE-1926-SM-7KUKJ 60-69 years, male 26.7
GTEX-YEC4-1826-SM-4W1YP 40-49 years, male 26.2
GTEX-1PIGE-1826-SM-E8VOU 20-29 years, male 26.2
GTEX-1CAV2-0126-SM-7IGN7 40-49 years, female 24.4
GTEX-1AX9J-1326-SM-731BJ 60-69 years, male 22.7
GTEX-YB5K-2026-SM-4VDT3 40-49 years, female 20.8
GTEX-12BJ1-0926-SM-5EQ62 60-69 years, male 20.7
GTEX-12WSL-2026-SM-5GCML 50-59 years, male 19.9
GTEX-178AV-1726-SM-7KUL8 40-49 years, male 19.9
GTEX-YEC3-1326-SM-DO92X 50-59 years, male 19.9
GTEX-1I6K7-1926-SM-B2LXR 40-49 years, male 19.5
GTEX-WEY5-2326-SM-3GIKK 40-49 years, female 19.3
GTEX-16GPK-0626-SM-7KFSF 60-69 years, male 19.0
GTEX-ZT9W-1126-SM-57WDR 50-59 years, male 19.0
GTEX-1L5NE-1126-SM-D3L9P 50-59 years, male 19.0
GTEX-UPK5-0426-SM-3GAEK 40-49 years, male 17.9
GTEX-1RAZA-2226-SM-E9U4X 20-29 years, male 17.9
GTEX-13PVR-0426-SM-5RQK2 60-69 years, female 17.8
GTEX-17EVQ-0126-SM-7IGLR 70-79 years, male 17.8
GTEX-14E6C-2426-SM-5S2NF 40-49 years, male 17.5
GTEX-1F5PK-2226-SM-7SB6N 50-59 years, male 17.2
GTEX-1IDJF-2026-SM-CL53V 20-29 years, male 17.2
GTEX-17KNJ-2126-SM-718AM 50-59 years, male 17.1
GTEX-1QP66-1226-SM-DTX7U 50-59 years, male 17.0
GTEX-1HSMP-0926-SM-A9SKX 70-79 years, male 16.9
GTEX-1H1ZS-2726-SM-9WG75 70-79 years, male 16.8
GTEX-ZYW4-0626-SM-59HJR 60-69 years, male 16.6
GTEX-18A7B-2726-SM-7LG56 70-79 years, male 16.5
GTEX-ZUA1-2626-SM-5NQ92 40-49 years, male 16.1
GTEX-13OVG-1626-SM-5J1NF 60-69 years, male 16.0
GTEX-145MO-2826-SM-5LU96 60-69 years, male 16.0
GTEX-ZAJG-1526-SM-5CVML 50-59 years, female 16.0
GTEX-145LT-0526-SM-5LUB2 40-49 years, male 15.9
GTEX-117YX-1926-SM-5GIEC 50-59 years, male 15.4
GTEX-YF7O-1526-SM-5IFI6 50-59 years, male 15.4
GTEX-1GF9U-2026-SM-7SB92 40-49 years, female 15.4
GTEX-1GMR3-0126-SM-A9SLW 40-49 years, male 15.4
GTEX-18D9A-1426-SM-7LT8M 30-39 years, female 15.3
GTEX-1QCLY-0226-SM-EWRNH 30-39 years, male 15.3
GTEX-11P7K-1126-SM-5HL4L 30-39 years, male 15.2
GTEX-16NGA-0726-SM-731AO 40-49 years, female 15.2
GTEX-1B996-0426-SM-7EWF8 60-69 years, male 15.2
GTEX-18A66-0626-SM-7LT8Z 60-69 years, male 15.0
GTEX-Y5LM-0926-SM-6LLJG 40-49 years, female 14.9
GTEX-15SHW-0226-SM-7LTAT 60-69 years, male 14.8
GTEX-Y5V6-2326-SM-4VDSA 60-69 years, male 14.8
GTEX-Y8LW-1526-SM-5IFHL 50-59 years, female 14.8
GTEX-1I6K6-1726-SM-CGQFD 30-39 years, male 14.8
GTEX-ZZ64-1026-SM-5GZXG 20-29 years, male 14.7
GTEX-11DXX-2126-SM-5PNYR 60-69 years, female 14.6
GTEX-WYJK-0526-SM-3NM8Z 50-59 years, male 14.6
GTEX-1H1CY-0126-SM-9YFLY 60-69 years, female 14.6
GTEX-1RB15-1326-SM-E76Q9 60-69 years, male 14.6
GTEX-1KANC-1226-SM-CYPT7 50-59 years, female 14.4
GTEX-1LGOU-1326-SM-D3L8M 20-29 years, female 14.4
GTEX-1211K-1526-SM-5FQU4 60-69 years, female 14.3
GTEX-13JUV-2026-SM-5K7UA 40-49 years, female 14.3
GTEX-13U4I-2226-SM-5LU5H 40-49 years, female 14.3
GTEX-1I4MK-0126-SM-CY8G6 50-59 years, female 14.3
GTEX-11EM3-1226-SM-5N9DD 20-29 years, female 14.1
GTEX-13FH7-1126-SM-5K7UG 50-59 years, female 14.0
GTEX-16XZZ-0726-SM-7KUF2 60-69 years, male 14.0
GTEX-1S3DN-2126-SM-E9TIN 50-59 years, male 14.0
GTEX-12KS4-2126-SM-5FQUT 30-39 years, male 13.9
GTEX-13NZ9-2626-SM-5L3FK 50-59 years, male 13.9
GTEX-14DAR-1226-SM-73KYV 50-59 years, male 13.9
GTEX-1HFI6-0126-SM-CNPPI 40-49 years, male 13.8
GTEX-11TT1-1826-SM-5EQLV 20-29 years, male 13.7
GTEX-1I19N-0126-SM-CYPSF 70-79 years, male 13.7
GTEX-1AX8Z-0726-SM-73KTS 60-69 years, male 13.6
GTEX-ZVTK-0226-SM-51MRG 20-29 years, male 13.6
GTEX-139TS-2126-SM-5K7XC 60-69 years, male 13.4
GTEX-17F9E-2326-SM-79OKD 50-59 years, male 13.4
GTEX-WFG8-2126-SM-3GIKQ 20-29 years, male 13.4
GTEX-145MN-1526-SM-5SI9T 30-39 years, male 13.3
GTEX-XK95-0226-SM-4AT58 40-49 years, male 13.3
GTEX-111YS-1526-SM-5GZYW 60-69 years, male 13.2
GTEX-15UF6-1926-SM-7KUDV 70-79 years, female 13.2
GTEX-XMD2-2126-SM-4YCF8 60-69 years, female 13.2
GTEX-ZU9S-1826-SM-5NQ9E 30-39 years, male 13.2
GTEX-ZDTT-0426-SM-4WKFL 60-69 years, male 13.1
GTEX-1F52S-2926-SM-7MKGA 60-69 years, female 13.0
GTEX-1192X-2726-SM-5N9DN 50-59 years, male 12.9
GTEX-12696-0126-SM-5EQ4L 60-69 years, male 12.9
GTEX-1E1VI-0326-SM-793D1 50-59 years, male 12.9
GTEX-14AS3-1526-SM-5Q5ED 40-49 years, female 12.8
GTEX-18A6Q-0626-SM-7KFRP 60-69 years, male 12.8
GTEX-14JG6-1426-SM-9WG7C 30-39 years, female 12.8
GTEX-1N5O9-0926-SM-E9J3C 60-69 years, male 12.8
GTEX-1A32A-0626-SM-731AQ 50-59 years, female 12.7
GTEX-1E2YA-2126-SM-7MXUO 50-59 years, male 12.7
GTEX-1F75B-0726-SM-7PC3R 50-59 years, male 12.7
GTEX-11EI6-2826-SM-5H11D 60-69 years, male 12.6
GTEX-ZLFU-1826-SM-4WWBV 40-49 years, male 12.6
GTEX-11DYG-1526-SM-5A5JS 60-69 years, male 12.5
GTEX-12C56-1526-SM-5FQUQ 20-29 years, male 12.5
GTEX-ZPU1-1126-SM-4YCF3 40-49 years, male 12.5
GTEX-1C64O-1326-SM-7MGWR 60-69 years, male 12.5
GTEX-14B4R-1326-SM-5Q5EZ 30-39 years, male 12.4
GTEX-17MFQ-1526-SM-7KFRR 20-29 years, male 12.4
GTEX-183FY-1026-SM-7939A 20-29 years, male 12.4
GTEX-1F6IF-0926-SM-7SB7M 60-69 years, male 12.4
GTEX-12WSD-0626-SM-5GCMW 60-69 years, female 12.3
GTEX-14E1K-2026-SM-7DUEI 50-59 years, male 12.3
GTEX-WK11-2726-SM-3NMAQ 50-59 years, male 12.3
GTEX-1I1GP-1326-SM-A9G28 50-59 years, male 12.3
GTEX-1KANA-1326-SM-DIPFA 20-29 years, male 12.2
GTEX-11NSD-0626-SM-5A5LU 20-29 years, male 12.1
GTEX-13X6I-1826-SM-5SIAO 60-69 years, male 12.1
GTEX-14753-0726-SM-5QGQO 60-69 years, male 12.1
GTEX-1497J-0226-SM-5QGPU 60-69 years, male 12.1
GTEX-14PJO-2526-SM-6AJBQ 60-69 years, male 12.1
GTEX-1GMR2-0826-SM-7PC3V 50-59 years, male 12.1
GTEX-13N1W-2426-SM-5IJD1 70-79 years, male 12.0
GTEX-12WSF-1626-SM-7KUG5 70-79 years, male 11.9
GTEX-17JCI-2926-SM-7DUFF 60-69 years, female 11.9
GTEX-X8HC-0626-SM-4E3HQ 50-59 years, female 11.9
GTEX-ZYFG-1526-SM-5GZYM 60-69 years, female 11.9
GTEX-1QP9N-1226-SM-E76QN 30-39 years, male 11.9
GTEX-139TT-2126-SM-5LZWC 60-69 years, male 11.8
GTEX-13N2G-0226-SM-5K7VF 60-69 years, male 11.8
GTEX-14PJ3-1126-SM-5ZZVX 50-59 years, male 11.8
GTEX-VJYA-1526-SM-3GIJV 60-69 years, male 11.8
GTEX-X3Y1-2026-SM-3P5YM 40-49 years, male 11.8
GTEX-1CB4I-0126-SM-7RHGG 50-59 years, male 11.8
GTEX-11EQ9-1626-SM-5PNY8 30-39 years, male 11.7
GTEX-Y8E4-2026-SM-5IFJB 40-49 years, male 11.7
GTEX-ZWKS-0626-SM-5GIDV 30-39 years, male 11.7
GTEX-12584-0726-SM-5FQTK 40-49 years, male 11.6
GTEX-146FQ-2126-SM-5RQHU 30-39 years, male 11.6
GTEX-1K2DA-1026-SM-CGQGF 50-59 years, male 11.6
GTEX-13X6K-0626-SM-5LU5D 60-69 years, female 11.5
GTEX-145ME-1726-SM-5Q5EU 40-49 years, female 11.5
GTEX-14BMU-1226-SM-5S2OR 20-29 years, female 11.5
GTEX-14PKV-1126-SM-6LLJ1 20-29 years, female 11.5
GTEX-15RJE-2826-SM-7KUM9 40-49 years, male 11.5
GTEX-WH7G-2026-SM-3NMBL 40-49 years, male 11.5
GTEX-13N11-2326-SM-5IJBF 50-59 years, female 11.4
GTEX-1A3MV-1826-SM-731CD 30-39 years, male 11.4
GTEX-ZVE1-0726-SM-51MRN 50-59 years, female 11.4
GTEX-1F75W-2726-SM-7SB8H 60-69 years, male 11.4
GTEX-148VJ-0626-SM-5LUAW 70-79 years, male 11.3
GTEX-16NPX-0726-SM-7KULC 50-59 years, male 11.3
GTEX-17F96-0126-SM-7EWDU 70-79 years, male 11.3
GTEX-1A8FM-0626-SM-7PC25 50-59 years, female 11.3
GTEX-ZF3C-0626-SM-DO92O 50-59 years, female 11.3
GTEX-1HCU9-0426-SM-9WYSD 20-29 years, male 11.2
GTEX-1JN76-0626-SM-CKZOQ 20-29 years, female 11.2
GTEX-13OVL-0126-SM-5L3GJ 50-59 years, male 11.1
GTEX-14PJ2-0626-SM-6LLII 50-59 years, male 11.1
GTEX-1IDJE-1426-SM-ADEIW 50-59 years, female 11.1
GTEX-1QCLZ-2426-SM-EVYBW 60-69 years, female 11.1
GTEX-11O72-0626-SM-5PNYE 40-49 years, male 11.0
GTEX-147F3-1726-SM-5SIAW 50-59 years, female 11.0
GTEX-WHWD-1826-SM-3LK6I 50-59 years, male 11.0
GTEX-1GN1W-2426-SM-9KNUU 50-59 years, female 11.0
GTEX-145MG-1526-SM-5Q5EM 50-59 years, male 10.9
GTEX-14LZ3-0126-SM-69LPM 60-69 years, female 10.9
GTEX-ZVE2-2826-SM-5GU51 50-59 years, male 10.9
GTEX-1LG7Z-1626-SM-CXKYR 30-39 years, male 10.9
GTEX-ZGAY-1826-SM-DO91Q 40-49 years, female 10.9
GTEX-145MF-0926-SM-5Q5EA 50-59 years, male 10.8
GTEX-14JG1-1526-SM-5YY9X 40-49 years, male 10.8
GTEX-1117F-2926-SM-5GZYI 60-69 years, female 10.7
GTEX-11DZ1-2426-SM-5GZZX 50-59 years, male 10.7
GTEX-13OVJ-0826-SM-5J1OK 50-59 years, female 10.7
GTEX-13YAN-0226-SM-5TDC6 60-69 years, male 10.7
GTEX-17MF6-2626-SM-79OKQ 40-49 years, male 10.7
GTEX-1CAMR-1326-SM-7PC1F 20-29 years, male 10.7
GTEX-1IDFM-0326-SM-ARL7V 60-69 years, male 10.7
GTEX-139UW-0326-SM-5J1ML 60-69 years, male 10.6
GTEX-144GO-2026-SM-5O99P 60-69 years, male 10.6
GTEX-1H1DG-2426-SM-9QEHJ 70-79 years, male 10.6
GTEX-1H3NZ-2726-SM-9WYTQ 60-69 years, male 10.6
GTEX-1O9I2-0226-SM-EYYXD 50-59 years, male 10.6
GTEX-1399R-1326-SM-5PNYS 30-39 years, male 10.5
GTEX-12WSC-2826-SM-5BC5Y 50-59 years, male 10.4
GTEX-12WSM-1926-SM-5BC65 60-69 years, male 10.4
GTEX-131YS-2826-SM-5EQ47 60-69 years, female 10.4
GTEX-16MT8-2926-SM-7DUFO 60-69 years, female 10.4
GTEX-1B8KZ-0326-SM-73KY4 50-59 years, male 10.4
GTEX-V1D1-2026-SM-3GAF4 50-59 years, male 10.4
GTEX-X4EO-2926-SM-4E3JH 60-69 years, female 10.4
GTEX-ZTTD-2826-SM-4YCFA 50-59 years, male 10.4
GTEX-1H1DF-1126-SM-9WG7G 40-49 years, female 10.4
GTEX-1HCU6-2526-SM-ADEHL 60-69 years, female 10.4
GTEX-1KWVE-1026-SM-D3L9O 30-39 years, male 10.4
GTEX-18465-2826-SM-7LT9J 50-59 years, male 10.3
GTEX-1AX9I-2226-SM-73KUO 60-69 years, male 10.3
GTEX-ZYFD-0626-SM-5E44E 50-59 years, male 10.3
GTEX-1F48J-0726-SM-7RHGS 50-59 years, female 10.3
GTEX-1IL2V-1926-SM-B2LW8 70-79 years, male 10.3
GTEX-1314G-1326-SM-5BC6E 30-39 years, male 10.2
GTEX-16BQI-1326-SM-6M486 30-39 years, female 10.2
GTEX-18D9B-0926-SM-7LG4U 60-69 years, male 10.2
GTEX-14JFF-0626-SM-5ZZVT 60-69 years, male 10.2
GTEX-1H1E6-0426-SM-9WYUS 30-39 years, male 10.2
GTEX-1IY9M-2826-SM-ARU8H 60-69 years, male 10.2
GTEX-1JMPZ-0726-SM-CY8HZ 30-39 years, male 10.2
GTEX-1LKK1-2626-SM-DKPQE 50-59 years, female 10.2
GTEX-1HGF4-0126-SM-CNPPX 60-69 years, male 10.1
GTEX-1QEPI-2626-SM-DTXF4 60-69 years, female 10.1
GTEX-WFON-1926-SM-3LK7L 40-49 years, male 10.0
GTEX-1HFI7-2326-SM-CGQFS 50-59 years, female 10.0
GTEX-1S5ZU-2526-SM-E6CIF 20-29 years, female 10.0
GTEX-131XG-0326-SM-5L3DX 50-59 years, female 9.9
GTEX-13RTJ-0126-SM-5S2NN 60-69 years, male 9.9
GTEX-14A5H-0826-SM-5QGPJ 60-69 years, male 9.9
GTEX-15D1Q-2826-SM-6LLH7 40-49 years, male 9.9
GTEX-15RIG-0726-SM-7KUM7 40-49 years, male 9.9
GTEX-1B933-2426-SM-7DHMD 50-59 years, female 9.9
GTEX-YJ8O-2526-SM-5HL85 40-49 years, female 9.9
GTEX-ZLWG-0826-SM-59888 50-59 years, female 9.9
GTEX-1HCVE-2726-SM-CL54F 50-59 years, male 9.9
GTEX-1N2DV-1526-SM-DTXEP 40-49 years, male 9.9
GTEX-VUSG-2326-SM-4KL1U 50-59 years, male 9.8
GTEX-Y3IK-1626-SM-4YCF5 50-59 years, female 9.8
GTEX-1HUB1-1426-SM-CGQF5 60-69 years, male 9.8
GTEX-1R9K4-2826-SM-DTX8F 60-69 years, male 9.8
GTEX-111FC-2526-SM-5GZXU 60-69 years, male 9.7
GTEX-11DXW-0826-SM-5H118 40-49 years, male 9.7
GTEX-UPJH-0226-SM-3GADV 50-59 years, male 9.7
GTEX-WRHU-2826-SM-3MJG8 50-59 years, female 9.7
GTEX-11VI4-1126-SM-5EQMD 40-49 years, female 9.6
GTEX-139TU-0726-SM-5L3EK 60-69 years, male 9.6
GTEX-145LS-0626-SM-7EPG7 60-69 years, female 9.6
GTEX-14E6E-0526-SM-793DN 30-39 years, male 9.6
GTEX-14ICL-1626-SM-5YYAO 30-39 years, male 9.6
GTEX-1LGRB-0926-SM-COH3K 50-59 years, female 9.6
GTEX-1RLM8-2926-SM-E8VON 50-59 years, male 9.6
GTEX-13PVQ-0626-SM-5LU47 50-59 years, male 9.5
GTEX-13X6J-0626-SM-5LU5F 50-59 years, male 9.5
GTEX-14BMV-2826-SM-5TDED 50-59 years, male 9.5
GTEX-14LLW-2626-SM-62LDZ 70-79 years, female 9.5
GTEX-1F75I-2226-SM-7SB8U 40-49 years, male 9.5
GTEX-1HR98-2226-SM-ADEI2 60-69 years, male 9.5
GTEX-1IDJC-1526-SM-B2LW4 50-59 years, male 9.5
GTEX-1IDJH-0126-SM-D3L92 70-79 years, male 9.5
GTEX-131XH-0126-SM-5LZUY 50-59 years, male 9.4
GTEX-13O3O-2326-SM-5IJD6 60-69 years, female 9.4
GTEX-144GM-0526-SM-79OJO 20-29 years, male 9.4
GTEX-YECK-0326-SM-4W1YS 60-69 years, male 9.4
GTEX-1IDJD-2326-SM-ACKWX 30-39 years, male 9.4
GTEX-1LVA9-2626-SM-EVYD4 50-59 years, male 9.4
GTEX-12WSA-0426-SM-5EQ5X 60-69 years, male 9.3
GTEX-14PJN-1826-SM-6AJ98 30-39 years, male 9.3
GTEX-15ER7-0626-SM-6PANF 20-29 years, female 9.3
GTEX-1HC8U-1326-SM-9YFMJ 40-49 years, female 9.3
GTEX-1LSNM-0826-SM-DIPG8 50-59 years, male 9.3
GTEX-139T8-0626-SM-5KLZX 60-69 years, male 9.2
GTEX-17F98-1326-SM-7DUEP 40-49 years, female 9.2
GTEX-1B8KE-1126-SM-7EPHI 50-59 years, male 9.2
GTEX-1C475-1326-SM-7SB73 40-49 years, female 9.2
GTEX-1R9PM-1926-SM-EVR3O 20-29 years, male 9.2
GTEX-131XW-0626-SM-5PNVD 50-59 years, female 9.1
GTEX-14DAQ-0626-SM-793DS 60-69 years, female 9.1
GTEX-1EH9U-2826-SM-7DUGT 60-69 years, male 9.1
GTEX-1IKOE-1426-SM-CE6T7 30-39 years, female 9.1
GTEX-1J1R8-2026-SM-CL53Y 40-49 years, male 9.1
GTEX-1JN1M-2726-SM-CY8I4 60-69 years, female 9.1
GTEX-11DXY-0126-SM-5H11Q 60-69 years, male 9.0
GTEX-13112-0126-SM-5P9IU 50-59 years, male 9.0
GTEX-1GF9X-1326-SM-7PC2Y 40-49 years, female 9.0
GTEX-1GZ2Q-0126-SM-9WG6M 40-49 years, male 9.0
GTEX-1I1CD-0626-SM-CE6SW 60-69 years, female 9.0
GTEX-1JKYN-0826-SM-ARU8S 30-39 years, male 9.0
GTEX-1QW4Y-1126-SM-DTXE3 30-39 years, male 9.0
GTEX-11UD2-2526-SM-5CVNU 50-59 years, male 8.9
GTEX-11WQC-1826-SM-5GU59 60-69 years, male 8.9
GTEX-139YR-1026-SM-5LZYN 50-59 years, male 8.9
GTEX-14PHX-2226-SM-6EU2P 50-59 years, male 8.9
GTEX-14PJ5-1526-SM-6LLIL 60-69 years, female 8.9
GTEX-1BAJH-2426-SM-7IGP8 70-79 years, male 8.9
GTEX-1GN1U-0626-SM-9MQL9 50-59 years, female 8.9
GTEX-1QMI2-2526-SM-E8VNZ 60-69 years, male 8.9
GTEX-13NYB-0126-SM-5J1MD 40-49 years, male 8.8
GTEX-ZDXO-3126-SM-5IJDF 60-69 years, male 8.8
GTEX-ZVT4-2426-SM-5GIEI 50-59 years, female 8.8
GTEX-ZXG5-2126-SM-59HKD 60-69 years, male 8.8
GTEX-1GMR8-0626-SM-7RHI7 50-59 years, female 8.8
GTEX-1HCU8-2526-SM-CE6RX 60-69 years, female 8.8
GTEX-1J8JJ-0626-SM-ARZMQ 60-69 years, female 8.8
GTEX-1JJ6O-2726-SM-CNPOG 60-69 years, male 8.8
GTEX-1JMLX-0626-SM-ARL8T 50-59 years, male 8.8
GTEX-1LSVX-2526-SM-DIPEU 60-69 years, male 8.8
GTEX-ZTSS-1426-SM-5985P 40-49 years, male 8.7
GTEX-1PIIG-2326-SM-DTXFR 30-39 years, male 8.7
GTEX-11EQ8-0926-SM-5H12V 60-69 years, male 8.6
GTEX-133LE-2326-SM-5K7W3 20-29 years, female 8.6
GTEX-13NZ8-1226-SM-5KM4A 60-69 years, female 8.6
GTEX-15DDE-2926-SM-6LLJ3 50-59 years, female 8.6
GTEX-18A67-1626-SM-7LT9T 50-59 years, male 8.6
GTEX-WHPG-2626-SM-3NMBR 50-59 years, male 8.6
GTEX-WYBS-0626-SM-3NMAS 60-69 years, female 8.6
GTEX-1KD5A-0126-SM-E9U54 50-59 years, male 8.6
GTEX-1LG7Y-2526-SM-EWRO7 50-59 years, male 8.6
GTEX-1N2EE-0626-SM-E76PW 60-69 years, male 8.6
GTEX-11LCK-2226-SM-5HL4Q 30-39 years, male 8.5
GTEX-1A8G6-2726-SM-731AR 60-69 years, male 8.5
GTEX-1B932-2326-SM-79OL5 40-49 years, female 8.5
GTEX-XQ3S-1426-SM-4BOPR 20-29 years, male 8.5
GTEX-1IDJU-1726-SM-CMKHU 60-69 years, female 8.5
GTEX-1LVAO-2726-SM-E9TJ8 60-69 years, male 8.5
GTEX-11NUK-2726-SM-5A5MC 50-59 years, male 8.4
GTEX-11ZUS-2626-SM-5FQUR 30-39 years, male 8.4
GTEX-12WSK-2126-SM-5CVNC 40-49 years, female 8.4
GTEX-131XF-2626-SM-5EQ6K 60-69 years, male 8.4
GTEX-13OW5-2326-SM-5L3HO 60-69 years, male 8.4
GTEX-144FL-0626-SM-5LU43 50-59 years, male 8.4
GTEX-1GZ4I-2626-SM-9KNU3 50-59 years, male 8.4
GTEX-1HBPI-2126-SM-ARL9K 50-59 years, male 8.4
GTEX-1J8Q3-0526-SM-ARL8U 60-69 years, male 8.4
GTEX-1JMOU-1026-SM-CYPSS 60-69 years, female 8.4
GTEX-1JN6P-2926-SM-CL54D 60-69 years, male 8.4
GTEX-1RAZR-2126-SM-E9U6T 40-49 years, male 8.4
GTEX-13QBU-1226-SM-5LU4G 40-49 years, female 8.3
GTEX-13VXU-0626-SM-5L3F9 50-59 years, male 8.3
GTEX-15SKB-2826-SM-6PAMH 60-69 years, male 8.3
GTEX-18A7A-0126-SM-731AH 50-59 years, female 8.3
GTEX-18D9U-0126-SM-731BM 40-49 years, male 8.3
GTEX-WYVS-1626-SM-3NM9R 40-49 years, female 8.3
GTEX-Y114-2126-SM-4TT8B 50-59 years, female 8.3
GTEX-YFCO-1226-SM-5LUAT 40-49 years, male 8.3
GTEX-ZDTS-0826-SM-4WKHL 60-69 years, male 8.3
GTEX-ZVP2-0326-SM-57WBP 50-59 years, male 8.3
GTEX-1C64N-2626-SM-7PC2N 50-59 years, male 8.3
GTEX-132AR-0326-SM-5KM2C 50-59 years, female 8.2
GTEX-1399Q-2326-SM-5KM2X 40-49 years, male 8.2
GTEX-14PHY-1226-SM-5ZZWK 60-69 years, female 8.2
GTEX-ZYT6-2326-SM-5GZY3 30-39 years, male 8.2
GTEX-1CAMS-2226-SM-7PBXQ 40-49 years, female 8.2
GTEX-1GF9W-1426-SM-7PBYM 60-69 years, male 8.2
GTEX-1GL5R-1326-SM-7RHHF 50-59 years, male 8.2
GTEX-1IOXB-2726-SM-CM2RI 50-59 years, male 8.2
GTEX-1PBJJ-1026-SM-E76OS 30-39 years, male 8.2
GTEX-12126-0826-SM-5FQTZ 20-29 years, male 8.1
GTEX-12ZZX-2426-SM-5GCOE 40-49 years, female 8.1
GTEX-13D11-0926-SM-5J2NC 50-59 years, female 8.1
GTEX-13G51-1826-SM-5KLZH 60-69 years, male 8.1
GTEX-13SLX-2226-SM-62LEP 50-59 years, female 8.1
GTEX-13X6H-0926-SM-5SIB2 50-59 years, female 8.1
GTEX-18QFQ-1826-SM-72D52 30-39 years, male 8.1
GTEX-1A3MW-0626-SM-731CB 60-69 years, female 8.1
GTEX-XPVG-2126-SM-4B667 50-59 years, male 8.1
GTEX-ZA64-1026-SM-5HL8R 20-29 years, male 8.1
GTEX-ZF2S-1626-SM-57WES 50-59 years, female 8.1
GTEX-11P82-1426-SM-DTXFY 20-29 years, male 8.1
GTEX-1HSMO-0626-SM-ACKXC 60-69 years, male 8.1
GTEX-1JMQL-2226-SM-CNPP4 50-59 years, female 8.1
GTEX-1RMOY-1326-SM-E9TIH 50-59 years, male 8.1
GTEX-15DYW-2726-SM-6EU2I 60-69 years, female 8.0
GTEX-16AAH-0626-SM-793C9 50-59 years, male 8.0
GTEX-1AMFI-1326-SM-7939R 50-59 years, female 8.0
GTEX-XV7Q-1826-SM-4BRUV 40-49 years, female 8.0
GTEX-ZF29-0926-SM-4WKFZ 60-69 years, female 8.0
GTEX-1H4P4-2126-SM-9WYSL 50-59 years, male 8.0
GTEX-1S831-1826-SM-EWROF 20-29 years, male 8.0
GTEX-1399U-1126-SM-5L3DB 50-59 years, female 7.9
GTEX-13OVH-0526-SM-5L3E6 70-79 years, male 7.9
GTEX-13PL6-1126-SM-5L3IE 40-49 years, female 7.9
GTEX-17HHY-0426-SM-7DHLC 50-59 years, male 7.9
GTEX-1F6RS-2026-SM-7RHHC 60-69 years, female 7.9
GTEX-1F88E-1626-SM-7SB8Z 60-69 years, female 7.9
GTEX-1JKYR-0626-SM-ARL8R 20-29 years, male 7.9
GTEX-ZPIC-0526-SM-DO91W 40-49 years, female 7.9
GTEX-12WSH-1526-SM-5BC5W 50-59 years, male 7.8
GTEX-147F4-0726-SM-5TDDD 50-59 years, male 7.8
GTEX-X5EB-1926-SM-4E3IW 40-49 years, male 7.8
GTEX-XAJ8-1426-SM-47JYM 40-49 years, male 7.8
GTEX-Z93S-1626-SM-5CVMB 50-59 years, male 7.8
GTEX-1B8L1-2226-SM-7P8PT 60-69 years, male 7.8
GTEX-1F6I4-2326-SM-7RHGL 60-69 years, male 7.8
GTEX-1NSGN-0726-SM-DTXEF 50-59 years, male 7.8
GTEX-13FLV-0126-SM-5K7WT 50-59 years, male 7.7
GTEX-1477Z-0326-SM-7IGLA 60-69 years, male 7.7
GTEX-14BIN-1126-SM-5RQJZ 50-59 years, female 7.7
GTEX-14PII-0726-SM-6EU2B 60-69 years, male 7.7
GTEX-1CB4H-1126-SM-7MKGL 60-69 years, female 7.7
GTEX-XXEK-1626-SM-4BRUZ 50-59 years, male 7.7
GTEX-1GTWX-2026-SM-9YFLM 60-69 years, male 7.7
GTEX-1I1GS-2626-SM-B2LY3 60-69 years, male 7.7
GTEX-1ICLY-0826-SM-CMKG1 50-59 years, male 7.7
GTEX-1JMPY-0226-SM-CKZOK 30-39 years, male 7.7
GTEX-1LBAC-0826-SM-CY8IJ 20-29 years, male 7.7
GTEX-1QPFJ-1926-SM-EVYBD 30-39 years, female 7.7
GTEX-1R7EU-1626-SM-DTXG3 60-69 years, male 7.7
GTEX-11DXZ-2026-SM-5987S 50-59 years, male 7.6
GTEX-WXYG-2026-SM-4E3IY 50-59 years, female 7.6
GTEX-WY7C-2126-SM-3NB2R 50-59 years, male 7.6
GTEX-Y5V5-0126-SM-5S2NW 60-69 years, female 7.6
GTEX-ZYFC-0426-SM-5GICQ 50-59 years, male 7.6
GTEX-1AYD5-2626-SM-7PBXY 50-59 years, male 7.6
GTEX-1F75A-0726-SM-7RHHD 50-59 years, male 7.6
GTEX-1JMQK-1226-SM-D4P2S 60-69 years, male 7.6
GTEX-13OW8-1026-SM-5J1NQ 60-69 years, male 7.5
GTEX-13PDP-0726-SM-5L3HP 60-69 years, male 7.5
GTEX-WHSE-0126-SM-3NMBT 20-29 years, male 7.5
GTEX-XBEC-0726-SM-4QARZ 50-59 years, male 7.5
GTEX-XYKS-1426-SM-4BRUO 60-69 years, female 7.5
GTEX-1IKJJ-2226-SM-CJI4C 60-69 years, male 7.5
GTEX-111CU-1126-SM-5EGIM 50-59 years, male 7.4
GTEX-1212Z-0126-SM-59HK4 60-69 years, male 7.4
GTEX-12ZZY-0726-SM-5EQ66 60-69 years, male 7.4
GTEX-13O61-1426-SM-5KM3D 60-69 years, male 7.4
GTEX-1C2JI-1026-SM-73KY1 50-59 years, male 7.4
GTEX-X4EP-0626-SM-3P621 60-69 years, female 7.4
GTEX-XUW1-0926-SM-4BONX 50-59 years, female 7.4
GTEX-13FTW-0326-SM-5K7UW 40-49 years, male 7.3
GTEX-14PK6-0226-SM-62LF5 70-79 years, female 7.3
GTEX-15CHQ-0326-SM-69LQD 60-69 years, male 7.3
GTEX-15RJ7-2126-SM-6PAMD 40-49 years, male 7.3
GTEX-1CAMQ-1326-SM-7P8RV 40-49 years, male 7.3
GTEX-1F5PL-0926-SM-7PC2W 40-49 years, female 7.3
GTEX-1I1GV-0626-SM-ARL7M 60-69 years, male 7.3
GTEX-1IE54-1126-SM-A9G2Z 40-49 years, female 7.3
GTEX-1K9T9-1526-SM-DIPFR 50-59 years, female 7.3
GTEX-1OJC3-1226-SM-DTXER 20-29 years, male 7.3
GTEX-13113-1626-SM-5EQ4I 60-69 years, female 7.2
GTEX-145MI-0626-SM-5SI8S 60-69 years, female 7.2
GTEX-15FZZ-0526-SM-7KUGD 30-39 years, female 7.2
GTEX-17F9Y-0126-SM-79OKX 70-79 years, female 7.2
GTEX-1C6WA-2626-SM-7MKGM 60-69 years, male 7.2
GTEX-ZC5H-1526-SM-5HL9Y 40-49 years, female 7.2
GTEX-ZVZP-1226-SM-5GID7 50-59 years, male 7.2
GTEX-1A3MX-2626-SM-7PC24 60-69 years, male 7.2
GTEX-1GF9V-0826-SM-9KNUV 60-69 years, male 7.2
GTEX-1GPI7-1826-SM-9KNU1 20-29 years, male 7.2
GTEX-1HKZK-0726-SM-ACKW2 40-49 years, male 7.2
GTEX-13NYS-0626-SM-5L3F1 60-69 years, male 7.1
GTEX-147JS-0226-SM-5S2U9 60-69 years, male 7.1
GTEX-14ABY-2026-SM-62LDL 50-59 years, male 7.1
GTEX-15CHC-1126-SM-6LLHQ 60-69 years, female 7.1
GTEX-16Z82-2626-SM-7KULU 60-69 years, male 7.1
GTEX-1EX96-1026-SM-7MKG2 50-59 years, male 7.1
GTEX-W5X1-2526-SM-3GILC 40-49 years, female 7.1
GTEX-ZT9X-1526-SM-5DUXD 40-49 years, male 7.1
GTEX-1JMQJ-0826-SM-CNPP7 50-59 years, male 7.1
GTEX-1M4P7-0726-SM-E6CJ3 60-69 years, male 7.1
GTEX-13FTX-1526-SM-5K7VJ 20-29 years, female 7.0
GTEX-15EO6-2426-SM-6PALZ 50-59 years, male 7.0
GTEX-15EU6-2226-SM-6EU2L 50-59 years, male 7.0
GTEX-15G19-2426-SM-7KUMR 60-69 years, male 7.0
GTEX-ZDYS-2426-SM-4WKGI 50-59 years, male 7.0
GTEX-ZP4G-1426-SM-4WWCL 20-29 years, female 7.0
GTEX-ZYVF-0926-SM-5E44J 50-59 years, female 7.0
GTEX-1H1DE-1326-SM-9KNUG 20-29 years, male 7.0
GTEX-1J8Q2-2626-SM-ACKWQ 60-69 years, male 7.0
GTEX-1LVAN-0626-SM-CNPOQ 50-59 years, female 7.0
GTEX-1QP29-1826-SM-DTX9S 50-59 years, male 7.0
GTEX-13VXT-1926-SM-5K7UO 20-29 years, female 6.9
GTEX-16MTA-0926-SM-6M47Z 50-59 years, male 6.9
GTEX-183WM-0326-SM-72D5V 70-79 years, female 6.9
GTEX-XBED-1926-SM-47JYP 60-69 years, male 6.9
GTEX-XOT4-0626-SM-4B66L 60-69 years, female 6.9
GTEX-1GN2E-0226-SM-9WG6K 60-69 years, male 6.9
GTEX-1HR9M-2226-SM-CNPPY 60-69 years, male 6.9
GTEX-1IDJI-0126-SM-CMKHS 50-59 years, female 6.9
GTEX-1KXAM-1626-SM-D3LAD 60-69 years, male 6.9
GTEX-1269C-0126-SM-5EQ5L 60-69 years, female 6.8
GTEX-13FTY-2126-SM-5IFFB 40-49 years, female 6.8
GTEX-16MT9-0126-SM-7EPI8 60-69 years, female 6.8
GTEX-17F97-2626-SM-7IGM5 50-59 years, male 6.8
GTEX-1CB4E-0926-SM-7EPHT 60-69 years, male 6.8
GTEX-1EU9M-1426-SM-793AI 60-69 years, male 6.8
GTEX-X585-2426-SM-46MW2 50-59 years, male 6.8
GTEX-1IDJV-0126-SM-COH3Y 60-69 years, male 6.8
GTEX-1KANB-2826-SM-CY8I6 50-59 years, male 6.8
GTEX-11TUW-0626-SM-5LU9M 60-69 years, male 6.7
GTEX-11ZTT-2126-SM-5CVLO 60-69 years, female 6.7
GTEX-13OW6-2726-SM-5J2OE 50-59 years, male 6.7
GTEX-145LU-1926-SM-79OJN 50-59 years, male 6.7
GTEX-14PJ6-2626-SM-6EU2T 60-69 years, female 6.7
GTEX-1A8G7-1326-SM-73KVM 60-69 years, male 6.7
GTEX-1CB4F-1026-SM-7DUH1 60-69 years, male 6.7
GTEX-XQ8I-0926-SM-4BOOF 50-59 years, male 6.7
GTEX-ZAK1-0626-SM-5HL8E 50-59 years, female 6.7
GTEX-ZE7O-2726-SM-51MT5 50-59 years, female 6.7
GTEX-1H2FU-0926-SM-9WPPT 60-69 years, female 6.7
GTEX-1I1HK-2326-SM-CKZOH 60-69 years, male 6.7
GTEX-1MJK3-0726-SM-E6CJC 20-29 years, male 6.7
GTEX-1QAET-0326-SM-EVR3U 50-59 years, male 6.7
GTEX-139D8-1126-SM-5LU8W 30-39 years, female 6.6
GTEX-1C6VQ-1226-SM-73KYD 50-59 years, male 6.6
GTEX-Y3I4-1726-SM-4TT89 50-59 years, male 6.6
GTEX-13OVK-1426-SM-6PAN7 40-49 years, male 6.5
GTEX-14PKU-0126-SM-6LLHV 40-49 years, female 6.5
GTEX-1B97I-0626-SM-73KUZ 40-49 years, male 6.5
GTEX-1HCUA-0826-SM-ADEHM 50-59 years, female 6.5
GTEX-1PPGY-1626-SM-EVYBL 60-69 years, male 6.5
GTEX-13W3W-0726-SM-5IJDQ 60-69 years, female 6.4
GTEX-15G1A-1626-SM-7KUKN 30-39 years, male 6.4
GTEX-17HGU-2326-SM-7DUFE 50-59 years, male 6.4
GTEX-XBEW-1126-SM-4QARW 40-49 years, male 6.4
GTEX-ZE9C-2526-SM-5IJDR 60-69 years, male 6.4
GTEX-1H23P-0626-SM-9WG6T 60-69 years, male 6.4
GTEX-1HSKV-1226-SM-ADEI4 60-69 years, male 6.4
GTEX-1ICG6-1226-SM-A9SLN 70-79 years, female 6.4
GTEX-11WQK-1026-SM-5EQLX 50-59 years, male 6.3
GTEX-1313W-0626-SM-5EQ4H 50-59 years, female 6.3
GTEX-14A6H-2026-SM-5Q5DD 30-39 years, male 6.3
GTEX-ZPCL-1126-SM-4WWFE 60-69 years, female 6.3
GTEX-1GZHY-0626-SM-9KNVC 50-59 years, female 6.3
GTEX-1PPH7-1126-SM-DTX9A 40-49 years, male 6.3
GTEX-ZLV1-1526-SM-DO91J 60-69 years, female 6.3
GTEX-1EN7A-2426-SM-793DB 40-49 years, male 6.2
GTEX-ZY6K-1426-SM-5GZX2 50-59 years, male 6.2
GTEX-1CB4J-1326-SM-7P8RX 60-69 years, male 6.2
GTEX-1HCU7-0726-SM-A9SL1 50-59 years, male 6.2
GTEX-13JVG-0726-SM-5KM16 60-69 years, male 6.1
GTEX-13QJC-0126-SM-5ZZWJ 60-69 years, female 6.1
GTEX-147GR-2426-SM-5ZZWQ 60-69 years, male 6.1
GTEX-17HHE-1326-SM-7EWDZ 50-59 years, male 6.1
GTEX-WI4N-2726-SM-3LK7Y 40-49 years, female 6.1
GTEX-ZZPU-0826-SM-5GZX5 50-59 years, female 6.1
GTEX-1HSGN-0826-SM-ACKW3 40-49 years, female 6.1
GTEX-11GSP-2326-SM-5HL63 60-69 years, female 6.0
GTEX-1MCC2-1826-SM-DIPEX 30-39 years, female 6.0
GTEX-1PDJ9-1226-SM-EXUSX 20-29 years, male 6.0
GTEX-11P81-2226-SM-5PNYI 30-39 years, female 5.9
GTEX-13O3Q-0126-SM-5KM34 50-59 years, male 5.9
GTEX-145MH-2826-SM-5RQJF 50-59 years, male 5.9
GTEX-1AMEY-0826-SM-72D65 30-39 years, female 5.9
GTEX-ZAB4-2126-SM-5HL8U 40-49 years, male 5.9
GTEX-1H3VE-0726-SM-9YFL5 40-49 years, male 5.9
GTEX-1HSMQ-2626-SM-A9SML 50-59 years, male 5.9
GTEX-1I1GT-1026-SM-ARZLV 60-69 years, female 5.9
GTEX-1JK1U-0226-SM-ARZMX 60-69 years, male 5.9
GTEX-13IVO-0726-SM-5LZYV 70-79 years, male 5.8
GTEX-13OW7-0426-SM-5K7VK 50-59 years, male 5.8
GTEX-144GL-0626-SM-5LU4D 50-59 years, male 5.8
GTEX-17EVP-2626-SM-7IGMA 40-49 years, male 5.8
GTEX-Y9LG-1126-SM-4VBQ7 30-39 years, male 5.8
GTEX-1GZ4H-0526-SM-9KNU9 50-59 years, female 5.8
GTEX-1H3O1-1326-SM-9MQLD 60-69 years, male 5.8
GTEX-1JJE9-2626-SM-ARZMT 70-79 years, male 5.8
GTEX-1LVAM-0726-SM-E6CIL 50-59 years, female 5.8
GTEX-12WSJ-1126-SM-5LZVJ 40-49 years, female 5.7
GTEX-1HBPN-0126-SM-CGQEF 50-59 years, male 5.7
GTEX-1HT8W-0626-SM-A9G2H 30-39 years, male 5.7
GTEX-1J8QM-2426-SM-A9SLS 60-69 years, female 5.7
GTEX-1JMQI-1726-SM-ARL93 50-59 years, male 5.7
GTEX-1PPH8-0126-SM-EWRN8 20-29 years, male 5.7
GTEX-1QP28-1126-SM-EVYC4 50-59 years, female 5.7
GTEX-12ZZZ-0726-SM-5GCNZ 60-69 years, male 5.6
GTEX-16YQH-2226-SM-7IGM2 30-39 years, male 5.6
GTEX-ZVT2-0126-SM-5GIDQ 50-59 years, female 5.6
GTEX-ZYY3-2926-SM-5GIEB 60-69 years, female 5.6
GTEX-1GMRU-2126-SM-7P8RA 50-59 years, male 5.6
GTEX-1HB9E-0126-SM-CM2S5 50-59 years, male 5.6
GTEX-11OF3-0126-SM-5PNYF 60-69 years, male 5.5
GTEX-1399S-0126-SM-5IJCF 30-39 years, female 5.5
GTEX-14PJ4-0226-SM-5YY92 60-69 years, male 5.5
GTEX-15CHR-1126-SM-7EWF4 50-59 years, male 5.5
GTEX-1122O-1026-SM-9WYSF 60-69 years, female 5.5
GTEX-1GPI6-1926-SM-9KNV7 60-69 years, male 5.5
GTEX-1LSNL-2726-SM-E9TKJ 50-59 years, male 5.5
GTEX-13NYC-0126-SM-5L3F4 60-69 years, male 5.4
GTEX-13SLW-0626-SM-5Q5ER 70-79 years, male 5.4
GTEX-14C5O-0326-SM-5ZZUX 60-69 years, male 5.4
GTEX-14C39-1726-SM-5RQIL 40-49 years, male 5.3
GTEX-1B8SF-0126-SM-7DUG3 60-69 years, male 5.3
GTEX-WHSB-1326-SM-3LK6W 50-59 years, male 5.3
GTEX-1GN73-0726-SM-7P8TJ 60-69 years, male 5.3
GTEX-1H11D-1826-SM-9QEHM 40-49 years, male 5.3
GTEX-1RAZQ-1326-SM-E9TK6 30-39 years, male 5.3
GTEX-11ZU8-0126-SM-5EQ58 60-69 years, male 5.2
GTEX-17HG3-2626-SM-7DUF2 30-39 years, female 5.2
GTEX-1C6VR-0126-SM-7RHGB 60-69 years, male 5.2
GTEX-1F88F-0126-SM-9WYSZ 60-69 years, female 5.2
GTEX-1LB8K-0726-SM-D5OV2 50-59 years, male 5.2
GTEX-1OJC4-2726-SM-E76PJ 50-59 years, female 5.2
GTEX-1R46S-2426-SM-E76QA 60-69 years, female 5.2
GTEX-13FHO-0426-SM-5L3F5 60-69 years, male 5.1
GTEX-1EWIQ-0326-SM-7DHMQ 70-79 years, female 5.1
GTEX-1EMGI-2326-SM-7PBYA 60-69 years, male 5.1
GTEX-1GN1V-2826-SM-9JGIA 60-69 years, male 5.1
GTEX-1HBPM-0726-SM-9YFL7 60-69 years, female 5.1
GTEX-1J8EW-2726-SM-CY8HR 60-69 years, female 5.1
GTEX-U8XE-0226-SM-4E3J3 30-39 years, male 5.0
GTEX-WFG7-2026-SM-5SI7P 20-29 years, male 5.0
GTEX-1POEN-2326-SM-E9J2L 30-39 years, female 5.0
GTEX-1RAZS-2526-SM-E6CHT 50-59 years, male 5.0
GTEX-14C38-0726-SM-5SI6M 50-59 years, male 4.9
GTEX-17HII-1426-SM-7EPGG 50-59 years, male 4.9
GTEX-1ICLZ-0326-SM-ARL82 60-69 years, male 4.9
GTEX-11GS4-0226-SM-5HL77 60-69 years, male 4.8
GTEX-ZTX8-1326-SM-4YCEL 20-29 years, male 4.8
GTEX-1I1GU-0926-SM-ACKVS 40-49 years, male 4.6
GTEX-1J1OQ-0126-SM-D4P2N 40-49 years, female 4.6
GTEX-1KAFJ-0126-SM-DIPEK 50-59 years, male 4.6
GTEX-1QP2A-1726-SM-E76QC 50-59 years, male 4.6
GTEX-1S82P-2126-SM-E6CI5 60-69 years, female 4.6
GTEX-1K2DU-1226-SM-CYPT4 20-29 years, male 4.5
GTEX-1MCYP-0526-SM-E9U6Q 20-29 years, female 4.5
GTEX-1NV5F-0626-SM-DTXEG 60-69 years, female 4.5
GTEX-1S83E-1326-SM-E6CJM 40-49 years, male 4.5
GTEX-11PRG-0726-SM-5EGL1 50-59 years, male 4.4
GTEX-14XAO-1226-SM-6EU1C 60-69 years, female 4.3
GTEX-1JJEA-1826-SM-ARU8P 60-69 years, male 4.2
GTEX-1R9PN-0426-SM-DTXDT 40-49 years, female 4.2
GTEX-111VG-1626-SM-5EGIO 60-69 years, male 4.0
GTEX-Y111-0626-SM-4SOIT 50-59 years, male 4.0
GTEX-1EKGG-0626-SM-7DUGJ 60-69 years, male 3.8
GTEX-1S82U-1026-SM-E6CJK 30-39 years, female 2.8
Show allShow less
Skin - Sun Exposed (Lower leg)
Average nTPM: 9.3
Samples: 701

Max nTPM: 32.4
Min nTPM: 3.1
Std nTPM: 2.8
Median nTPM: 9.1
GTEX-1RAZQ-0726-SM-EAZ43 30-39 years, male 32.4
GTEX-1R9PO-2126-SM-E9J4O 60-69 years, female 28.9
GTEX-1497J-2426-SM-7IGNX 60-69 years, male 22.4
GTEX-12WSN-5019-SM-79OM6 40-49 years, male 20.5
GTEX-1QW4Y-1526-SM-EAZ3Z 30-39 years, male 20.0
GTEX-OIZG-0726-SM-33HBL 50-59 years, male 18.0
GTEX-1QP67-1626-SM-EAZ3X 40-49 years, female 17.6
GTEX-11ZUS-0626-SM-59885 30-39 years, male 17.0
GTEX-146FR-1326-SM-E9J48 60-69 years, female 16.9
GTEX-1F75A-0126-SM-7RHGM 50-59 years, male 16.7
GTEX-1PPH7-2326-SM-EVYB8 40-49 years, male 16.5
GTEX-Y8LW-1826-SM-5S2MV 50-59 years, female 16.3
GTEX-13N1W-0126-SM-5K7VT 70-79 years, male 16.2
GTEX-OXRO-0126-SM-2YUN4 60-69 years, female 15.6
GTEX-UPJH-0326-SM-3GADU 50-59 years, male 15.2
GTEX-131XG-2626-SM-5KM17 50-59 years, female 15.1
GTEX-1AMEY-1326-SM-73KYK 30-39 years, female 15.1
GTEX-S95S-1226-SM-4GICG 60-69 years, male 15.0
GTEX-14BIL-0126-SM-5SI92 50-59 years, male 14.8
GTEX-14LLW-0126-SM-6LLIO 70-79 years, female 14.8
GTEX-1AX8Z-0126-SM-7DHM6 60-69 years, male 14.8
GTEX-QDVN-2026-SM-3GAEP 50-59 years, male 14.8
GTEX-Q2AG-0126-SM-33HBV 40-49 years, female 14.7
GTEX-1F75I-0326-SM-9YFLU 40-49 years, male 14.7
GTEX-ZF28-0126-SM-4WKGK 60-69 years, male 14.6
GTEX-1PBJI-0526-SM-E8VNK 20-29 years, female 14.6
GTEX-1RLM8-2326-SM-EWRN4 50-59 years, male 14.6
GTEX-1MCYP-1926-SM-E9J2R 20-29 years, female 14.5
GTEX-QCQG-1726-SM-3GIJ9 50-59 years, female 14.4
GTEX-X8HC-0126-SM-4E3JW 50-59 years, female 14.4
GTEX-13X6I-0626-SM-5QGP9 60-69 years, male 14.1
GTEX-131XF-5016-SM-7MGWE 60-69 years, male 14.1
GTEX-1JMOU-1526-SM-CL54I 60-69 years, female 14.1
GTEX-1QP2A-0126-SM-E9J43 50-59 years, male 14.1
GTEX-11UD1-0126-SM-5PNYG 40-49 years, female 14.0
GTEX-14JIY-0126-SM-6LLH6 60-69 years, male 14.0
GTEX-1LG7Y-0526-SM-DKPQC 50-59 years, male 14.0
GTEX-13O1R-0126-SM-5L3EH 60-69 years, male 13.9
GTEX-15SB6-1726-SM-6PAME 50-59 years, female 13.8
GTEX-1NHNU-1026-SM-E9J2A 50-59 years, male 13.8
GTEX-PWCY-1826-SM-DHXIZ 20-29 years, female 13.8
GTEX-ZQUD-1426-SM-57WER 30-39 years, male 13.6
GTEX-1HCVE-0126-SM-CGQEU 50-59 years, male 13.6
GTEX-13YAN-0326-SM-5O9DF 60-69 years, male 13.5
GTEX-145LT-1726-SM-5QGP3 40-49 years, male 13.5
GTEX-14PJ3-1826-SM-62LEX 50-59 years, male 13.4
GTEX-146FH-0126-SM-5QGPP 50-59 years, female 13.3
GTEX-SJXC-0126-SM-2XCFF 60-69 years, male 13.3
GTEX-1C2JI-1826-SM-73KXC 50-59 years, male 13.2
GTEX-1H3VY-0126-SM-ACKXD 50-59 years, male 13.2
GTEX-S33H-1026-SM-EZ6L6 30-39 years, male 13.2
GTEX-113IC-0126-SM-5HL6T 60-69 years, male 13.1
GTEX-P4PQ-0126-SM-2S1NM 60-69 years, male 13.1
GTEX-139T4-0226-SM-5HL5S 50-59 years, female 13.0
GTEX-15D1Q-0126-SM-7KUG6 40-49 years, male 13.0
GTEX-1R46S-0626-SM-E9J41 60-69 years, female 13.0
GTEX-17EUY-0426-SM-793BD 20-29 years, male 12.9
GTEX-1CAMR-1926-SM-7EPI2 20-29 years, male 12.9
GTEX-RM2N-1426-SM-2TF4H 50-59 years, male 12.9
GTEX-VJWN-0126-SM-3GIK7 50-59 years, female 12.9
GTEX-1H2FU-0126-SM-9WYSI 60-69 years, female 12.9
GTEX-117YX-2326-SM-5H12W 50-59 years, male 12.8
GTEX-11EM3-2426-SM-59861 20-29 years, female 12.8
GTEX-PLZ4-0126-SM-5SI8O 50-59 years, female 12.8
GTEX-14753-0426-SM-5NQAM 60-69 years, male 12.7
GTEX-147F3-0526-SM-5SI98 50-59 years, female 12.7
GTEX-QDVJ-1726-SM-2I5FX 50-59 years, male 12.6
GTEX-T8EM-1026-SM-3DB7M 40-49 years, male 12.6
GTEX-U4B1-1826-SM-4DXSU 40-49 years, male 12.6
GTEX-1HCU6-0126-SM-CL54K 60-69 years, female 12.6
GTEX-1HSMQ-1226-SM-CGQFX 50-59 years, male 12.6
GTEX-131XW-0426-SM-5LZWP 50-59 years, female 12.5
GTEX-13FTX-1826-SM-5J1NX 20-29 years, female 12.5
GTEX-1K2DA-1826-SM-CGQGT 50-59 years, male 12.5
GTEX-16XZZ-0126-SM-793DV 60-69 years, male 12.4
GTEX-WRHK-1426-SM-3MJF9 20-29 years, female 12.4
GTEX-XAJ8-0826-SM-47JY6 40-49 years, male 12.4
GTEX-ZYW4-0126-SM-5E44A 60-69 years, male 12.4
GTEX-139UW-2826-SM-5L3E7 60-69 years, male 12.3
GTEX-U3ZM-1526-SM-3DB9D 40-49 years, male 12.3
GTEX-WOFL-0126-SM-3MJG2 60-69 years, male 12.3
GTEX-1JKYN-1326-SM-CGQG9 30-39 years, male 12.3
GTEX-1JKYR-0126-SM-CNPOJ 20-29 years, male 12.3
GTEX-11WQC-2526-SM-5CVLE 60-69 years, male 12.2
GTEX-13OVL-0226-SM-5L3E9 50-59 years, male 12.2
GTEX-X62O-0126-SM-4E3JN 50-59 years, male 12.2
GTEX-Y5V6-2426-SM-4VDSB 60-69 years, male 12.2
GTEX-1J1R8-1726-SM-ARL8M 40-49 years, male 12.2
GTEX-17HHE-2026-SM-79OKF 50-59 years, male 12.1
GTEX-1B8SG-0126-SM-73KZ3 50-59 years, male 12.1
GTEX-Q2AH-1626-SM-3GAF8 40-49 years, male 12.1
GTEX-R55E-0126-SM-2TC5Y 20-29 years, male 12.1
GTEX-1H1CY-2826-SM-9MQM3 60-69 years, female 12.1
GTEX-148VI-1626-SM-5SI6E 60-69 years, female 12.0
GTEX-14ICK-0226-SM-6EU25 40-49 years, male 12.0
GTEX-15UF6-0826-SM-6PALJ 70-79 years, female 12.0
GTEX-1C6VS-0526-SM-7DUEN 60-69 years, male 12.0
GTEX-T6MO-1626-SM-32QOM 40-49 years, female 12.0
GTEX-TMMY-0226-SM-33HBA 40-49 years, female 12.0
GTEX-12WSG-2826-SM-E9J4H 50-59 years, female 12.0
GTEX-14BIM-0226-SM-7IGLD 60-69 years, female 11.9
GTEX-15SDE-2226-SM-7IGLO 50-59 years, female 11.9
GTEX-1A3MV-1926-SM-718BT 30-39 years, male 11.9
GTEX-1CB4J-0626-SM-7DHMP 60-69 years, male 11.9
GTEX-OXRL-0126-SM-2YUMP 50-59 years, male 11.9
GTEX-QDT8-0126-SM-48TZ1 30-39 years, female 11.9
GTEX-13O3O-0126-SM-E9J49 60-69 years, female 11.9
GTEX-1H1DE-2126-SM-9WG6R 20-29 years, male 11.9
GTEX-1IDFM-0126-SM-COH2V 60-69 years, male 11.9
GTEX-1IKK5-0626-SM-ARL8A 60-69 years, male 11.9
GTEX-14E7W-0126-SM-6LLJ9 70-79 years, male 11.8
GTEX-R45C-0126-SM-EAZ2R 60-69 years, female 11.8
GTEX-12C56-1726-SM-5EQ61 20-29 years, male 11.7
GTEX-13U4I-0126-SM-5LU38 40-49 years, female 11.7
GTEX-WXYG-2326-SM-4E3I6 50-59 years, female 11.7
GTEX-ZVT2-2526-SM-51MT1 50-59 years, female 11.7
GTEX-1GN1U-0126-SM-7PBZK 50-59 years, female 11.7
GTEX-1J8QM-2126-SM-CYPSJ 60-69 years, female 11.7
GTEX-1C6WA-0126-SM-7PC2B 60-69 years, male 11.6
GTEX-1GPI6-0126-SM-9WG69 60-69 years, male 11.6
GTEX-1IDJF-0126-SM-CM2RS 20-29 years, male 11.6
GTEX-12WSD-0126-SM-59HKN 60-69 years, female 11.5
GTEX-139T8-0126-SM-5K7XZ 60-69 years, male 11.5
GTEX-15DDE-0126-SM-6LPKH 50-59 years, female 11.5
GTEX-O5YW-0126-SM-3LK6D 50-59 years, male 11.5
GTEX-1HUB1-0426-SM-E9U4U 60-69 years, male 11.5
GTEX-1OJC4-0126-SM-E9J2E 50-59 years, female 11.5
GTEX-13W46-0226-SM-5SIAG 50-59 years, male 11.4
GTEX-14BMU-2226-SM-5TDE9 20-29 years, female 11.4
GTEX-14PHW-0126-SM-6LLJI 60-69 years, female 11.4
GTEX-15SHW-0326-SM-6PAML 60-69 years, male 11.4
GTEX-OXRP-0126-SM-3NB32 60-69 years, female 11.4
GTEX-XV7Q-2526-SM-4BRV9 40-49 years, female 11.4
GTEX-1H3O1-0426-SM-9YFKY 60-69 years, male 11.4
GTEX-11DZ1-0126-SM-5985Q 50-59 years, male 11.3
GTEX-13113-5016-SM-7EPIP 60-69 years, female 11.3
GTEX-148VJ-0126-SM-5TDDN 70-79 years, male 11.3
GTEX-17MFQ-1726-SM-793C7 20-29 years, male 11.3
GTEX-P44H-0226-SM-2XCEU 40-49 years, male 11.3
GTEX-RU72-0926-SM-2TF6B 50-59 years, female 11.3
GTEX-1F48J-0126-SM-7P8TT 50-59 years, female 11.3
GTEX-1HGF4-2426-SM-ACKXM 60-69 years, male 11.3
GTEX-1ICLY-0126-SM-D4P36 50-59 years, male 11.3
GTEX-PW2O-1526-SM-7RHHB 20-29 years, male 11.3
GTEX-117YW-2626-SM-5GZZH 50-59 years, male 11.2
GTEX-11ZTT-2426-SM-5EQLS 60-69 years, female 11.2
GTEX-13FHO-0226-SM-5IFGY 60-69 years, male 11.2
GTEX-13O21-1426-SM-5K7XI 50-59 years, male 11.2
GTEX-145LU-0126-SM-5TDCB 50-59 years, male 11.2
GTEX-1C4CL-0526-SM-73KVK 30-39 years, male 11.2
GTEX-1HCUA-2426-SM-ADEIS 50-59 years, female 11.2
GTEX-ZF29-2326-SM-DO92K 60-69 years, female 11.2
GTEX-11H98-0126-SM-5EGHG 50-59 years, male 11.1
GTEX-13RTJ-2426-SM-5S2Q2 60-69 years, male 11.1
GTEX-145MO-0326-SM-5Q5B3 60-69 years, male 11.1
GTEX-QLQ7-1626-SM-2S1R8 60-69 years, male 11.1
GTEX-1CAMS-0426-SM-7P8T2 40-49 years, female 11.1
GTEX-1KANA-0726-SM-D3L9I 20-29 years, male 11.1
GTEX-11GS4-2726-SM-5A5LE 60-69 years, male 11.0
GTEX-13NZ8-0826-SM-5MR3I 60-69 years, female 11.0
GTEX-RWS6-2026-SM-2XCB5 60-69 years, female 11.0
GTEX-ZTPG-0326-SM-5O9AX 20-29 years, female 11.0
GTEX-1B996-0226-SM-7RHGO 60-69 years, male 11.0
GTEX-1I19N-0326-SM-ACKVX 70-79 years, male 11.0
GTEX-1I1GP-2226-SM-CGQFK 50-59 years, male 11.0
GTEX-1MUQO-0126-SM-EAZ58 60-69 years, male 11.0
GTEX-14DAR-2026-SM-5S2O3 50-59 years, male 10.9
GTEX-1A32A-0126-SM-718B1 50-59 years, female 10.9
GTEX-QV44-1926-SM-2S1RF 50-59 years, male 10.9
GTEX-1CAV2-2226-SM-7P8P2 40-49 years, female 10.9
GTEX-1GN1W-0526-SM-9MQJQ 50-59 years, female 10.9
GTEX-1I1GU-2226-SM-CGQFA 40-49 years, male 10.9
GTEX-12KS4-0326-SM-5EQ41 30-39 years, male 10.8
GTEX-X4XY-0226-SM-4E3IZ 60-69 years, male 10.8
GTEX-X585-0226-SM-4QAS2 50-59 years, male 10.8
GTEX-ZDTT-2726-SM-4WKF8 60-69 years, male 10.8
GTEX-1I1GR-0126-SM-CL55F 60-69 years, male 10.8
GTEX-111VG-2426-SM-5GZXD 60-69 years, male 10.7
GTEX-1192X-0226-SM-5H12D 50-59 years, male 10.7
GTEX-11OC5-0126-SM-5HL6A 60-69 years, male 10.7
GTEX-12WSJ-1826-SM-5GCNY 40-49 years, female 10.7
GTEX-183WM-0126-SM-7LTAB 70-79 years, female 10.7
GTEX-1F88F-2726-SM-7PBZZ 60-69 years, female 10.7
GTEX-1HBPM-0226-SM-ARL9F 60-69 years, female 10.7
GTEX-1QCLY-0326-SM-E8VOG 30-39 years, male 10.7
GTEX-OIZF-0126-SM-7SB8I 60-69 years, male 10.7
GTEX-13OVI-1426-SM-5L3EY 60-69 years, female 10.6
GTEX-17EVQ-0226-SM-7LG4P 70-79 years, male 10.6
GTEX-1AX9K-2326-SM-73KWU 50-59 years, male 10.6
GTEX-POMQ-2226-SM-2I5FK 20-29 years, female 10.6
GTEX-U3ZH-2026-SM-3DB78 30-39 years, male 10.6
GTEX-ZU9S-0226-SM-5E441 30-39 years, male 10.6
GTEX-1F6IF-0726-SM-7P8TW 60-69 years, male 10.6
GTEX-1HSMO-0126-SM-CL547 60-69 years, male 10.6
GTEX-1J8Q3-1626-SM-CMKGC 60-69 years, male 10.6
GTEX-PLZ6-1426-SM-DKPOT 30-39 years, male 10.6
GTEX-14A6H-0126-SM-5QGPK 30-39 years, male 10.5
GTEX-15ETS-0126-SM-7KUMW 40-49 years, female 10.5
GTEX-SSA3-0126-SM-32QPU 60-69 years, male 10.5
GTEX-WQUQ-0426-SM-3MJFU 60-69 years, male 10.5
GTEX-WVJS-0126-SM-4MVOT 50-59 years, male 10.5
GTEX-X88G-0126-SM-47JZ3 30-39 years, male 10.5
GTEX-11TT1-2526-SM-5EGIB 20-29 years, male 10.4
GTEX-11TTK-0126-SM-5987B 60-69 years, female 10.4
GTEX-X4XX-0126-SM-3NMC2 60-69 years, male 10.4
GTEX-X638-0126-SM-47JZ8 70-79 years, female 10.4
GTEX-1ICLZ-0126-SM-CKZPO 60-69 years, male 10.4
GTEX-11EMC-2926-SM-5EQ4F 60-69 years, female 10.3
GTEX-144FL-0126-SM-5TDC8 50-59 years, male 10.3
GTEX-16AAH-1726-SM-7939C 50-59 years, male 10.3
GTEX-S7PM-0126-SM-4AD6S 60-69 years, male 10.3
GTEX-1EWIQ-0126-SM-7RHH2 70-79 years, female 10.3
GTEX-1F7RK-0126-SM-7PC2S 20-29 years, female 10.3
GTEX-11OF3-2626-SM-5GU7F 60-69 years, male 10.2
GTEX-12WSA-0226-SM-5BC5V 60-69 years, male 10.2
GTEX-12ZZX-0126-SM-5EGK9 40-49 years, female 10.2
GTEX-13CF3-2426-SM-5IFGX 60-69 years, female 10.2
GTEX-13D11-2426-SM-5KM1V 50-59 years, female 10.2
GTEX-13OVK-2026-SM-7KUEO 40-49 years, male 10.2
GTEX-13RTK-1426-SM-5QGQJ 20-29 years, male 10.2
GTEX-13W3W-2426-SM-5LU5B 60-69 years, female 10.2
GTEX-RWSA-0126-SM-2XCBB 40-49 years, male 10.2
GTEX-ZAB4-0226-SM-5N9F5 40-49 years, male 10.2
GTEX-13FH7-2026-SM-E9J4I 50-59 years, female 10.2
GTEX-1JMPZ-0226-SM-CNPP1 30-39 years, male 10.2
GTEX-1POEN-0126-SM-EYYXJ 30-39 years, female 10.2
GTEX-14PN3-2426-SM-6LLHS 60-69 years, female 10.1
GTEX-183FY-0126-SM-7LT9P 20-29 years, male 10.1
GTEX-QEG4-0226-SM-2S1PY 30-39 years, male 10.1
GTEX-RN64-0126-SM-2TC68 50-59 years, male 10.1
GTEX-X5EB-2226-SM-46MW4 40-49 years, male 10.1
GTEX-XQ8I-0426-SM-4BOPO 50-59 years, male 10.1
GTEX-Y5LM-1926-SM-5RQJH 40-49 years, female 10.1
GTEX-1F52S-0126-SM-9MQJU 60-69 years, female 10.1
GTEX-11P7K-2126-SM-5GU7G 30-39 years, male 10.0
GTEX-13NZA-0226-SM-5K7Z7 60-69 years, male 10.0
GTEX-16XZY-2126-SM-79OK1 70-79 years, male 10.0
GTEX-QLQW-1126-SM-2S1Q8 30-39 years, male 10.0
GTEX-RTLS-0126-SM-447CA 60-69 years, female 10.0
GTEX-ZVE2-0226-SM-59HJB 50-59 years, male 10.0
GTEX-1I1CD-0126-SM-CM2TK 60-69 years, female 10.0
GTEX-1I6K6-0126-SM-A9SLE 30-39 years, male 10.0
GTEX-1IL2V-0126-SM-CM2TX 70-79 years, male 10.0
GTEX-1LGRB-2526-SM-CNPPQ 50-59 years, female 10.0
GTEX-1R7EV-2426-SM-EVYBG 40-49 years, male 10.0
GTEX-13G51-2526-SM-5LZYK 60-69 years, male 9.9
GTEX-13N11-2526-SM-5K7UE 50-59 years, female 9.9
GTEX-OXRK-0226-SM-3NB2G 50-59 years, female 9.9
GTEX-R55G-2526-SM-2TC6D 40-49 years, female 9.9
GTEX-X4EO-0326-SM-3P5YO 60-69 years, female 9.9
GTEX-Y114-2426-SM-4TT8A 50-59 years, female 9.9
GTEX-11TUW-2726-SM-E9J4M 60-69 years, male 9.9
GTEX-1F6RS-0126-SM-9MQKZ 60-69 years, female 9.9
GTEX-1IY9M-0126-SM-D3L8S 60-69 years, male 9.9
GTEX-1JMPY-1326-SM-ARL8Y 30-39 years, male 9.9
GTEX-11NUK-0126-SM-5A5L3 50-59 years, male 9.8
GTEX-12696-2426-SM-5EQ6H 60-69 years, male 9.8
GTEX-13OVJ-0126-SM-5KM36 50-59 years, female 9.8
GTEX-145LV-2126-SM-5LU8N 50-59 years, male 9.8
GTEX-14E6C-0126-SM-5RQIP 40-49 years, male 9.8
GTEX-14JG6-2226-SM-6EU2G 30-39 years, female 9.8
GTEX-15SHU-0126-SM-7KUEH 40-49 years, female 9.8
GTEX-18A66-0226-SM-718BD 60-69 years, male 9.8
GTEX-WH7G-2326-SM-3NMBC 40-49 years, male 9.8
GTEX-ZZ64-1726-SM-5GZYB 20-29 years, male 9.8
GTEX-1GZ4H-1726-SM-7PBZJ 50-59 years, female 9.8
GTEX-1HBPH-0426-SM-B2LW5 40-49 years, female 9.8
GTEX-1I4MK-2226-SM-ACKWD 50-59 years, female 9.8
GTEX-1IE54-0126-SM-CMKHW 40-49 years, female 9.8
GTEX-113JC-2326-SM-5EQ4E 50-59 years, female 9.7
GTEX-11LCK-1026-SM-5A5KB 30-39 years, male 9.7
GTEX-1399U-2326-SM-5K7WY 50-59 years, female 9.7
GTEX-13O3Q-2426-SM-5IJBR 50-59 years, male 9.7
GTEX-17F98-0626-SM-79OMX 40-49 years, female 9.7
GTEX-18QFQ-0126-SM-731BE 30-39 years, male 9.7
GTEX-1AX9J-0226-SM-73KXM 60-69 years, male 9.7
GTEX-1AYD5-2426-SM-73KXR 50-59 years, male 9.7
GTEX-ZYFD-0126-SM-5GIDL 50-59 years, male 9.7
GTEX-1F75B-0126-SM-9KNVL 50-59 years, male 9.7
GTEX-1GPI7-0126-SM-9MQL8 20-29 years, male 9.7
GTEX-1H1E6-1726-SM-ACKVK 30-39 years, male 9.7
GTEX-1JK1U-2026-SM-CM2RZ 60-69 years, male 9.7
GTEX-1NV5F-0226-SM-E8VNY 60-69 years, female 9.7
GTEX-11ZVC-2526-SM-5FQTE 50-59 years, female 9.6
GTEX-139TT-0126-SM-5K7Y5 60-69 years, male 9.6
GTEX-139TU-0126-SM-5K7WH 60-69 years, male 9.6
GTEX-13IVO-0126-SM-5J1NG 70-79 years, male 9.6
GTEX-14A5I-0126-SM-5TDEA 50-59 years, female 9.6
GTEX-16MT8-0426-SM-7KUEY 60-69 years, female 9.6
GTEX-18D9B-0526-SM-7LTAS 60-69 years, male 9.6
GTEX-VJYA-1126-SM-3GIJU 60-69 years, male 9.6
GTEX-WY7C-2326-SM-3NB2U 50-59 years, male 9.6
GTEX-XBED-2226-SM-47JYQ 60-69 years, male 9.6
GTEX-XMD2-0126-SM-4YCDU 60-69 years, female 9.6
GTEX-YEC4-2126-SM-5IFJH 40-49 years, male 9.6
GTEX-1F6I4-0126-SM-9MQL2 60-69 years, male 9.6
GTEX-1PWST-0226-SM-E76QJ 70-79 years, male 9.6
GTEX-RNOR-0126-SM-E9J4R 50-59 years, female 9.6
GTEX-1122O-2126-SM-5EGIR 60-69 years, female 9.5
GTEX-11GSP-2526-SM-5N9BP 60-69 years, female 9.5
GTEX-139D8-0226-SM-5KLZO 30-39 years, female 9.5
GTEX-13PDP-0126-SM-5L3HD 60-69 years, male 9.5
GTEX-14ABY-0226-SM-5TDCQ 50-59 years, male 9.5
GTEX-1B8KZ-2026-SM-7DHMB 50-59 years, male 9.5
GTEX-T2YK-0526-SM-32QPJ 50-59 years, male 9.5
GTEX-1J8JJ-0226-SM-CL53I 60-69 years, female 9.5
GTEX-1PIGE-0126-SM-EVYBJ 20-29 years, male 9.5
GTEX-11DXX-2426-SM-5GZZW 60-69 years, female 9.4
GTEX-11XUK-2026-SM-5EQLF 40-49 years, female 9.4
GTEX-13FHP-0126-SM-5IJBG 50-59 years, male 9.4
GTEX-18465-0126-SM-731BN 50-59 years, male 9.4
GTEX-1C64N-0126-SM-793D7 50-59 years, male 9.4
GTEX-ZXES-1826-SM-5E43S 30-39 years, female 9.4
GTEX-1OFPY-2426-SM-DTXEJ 60-69 years, male 9.4
GTEX-13OW7-0126-SM-5MR3B 50-59 years, male 9.3
GTEX-13QJ3-0326-SM-5S2RA 50-59 years, male 9.3
GTEX-13VXT-0126-SM-5LU4I 20-29 years, female 9.3
GTEX-147GR-0526-SM-5S2MY 60-69 years, male 9.3
GTEX-14PII-0226-SM-6EU1T 60-69 years, male 9.3
GTEX-14PN4-0126-SM-6EU2V 50-59 years, male 9.3
GTEX-1B8KE-2126-SM-73KYX 50-59 years, male 9.3
GTEX-SNMC-1226-SM-2XCFP 20-29 years, male 9.3
GTEX-SUCS-1926-SM-32PM3 70-79 years, male 9.3
GTEX-XUW1-0426-SM-4BOOT 50-59 years, female 9.3
GTEX-Y3I4-2126-SM-4TT7C 50-59 years, male 9.3
GTEX-YB5K-2126-SM-4WWDJ 40-49 years, female 9.3
GTEX-ZE7O-0126-SM-57WC1 50-59 years, female 9.3
GTEX-1AX9I-0126-SM-7SB74 60-69 years, male 9.3
GTEX-1B933-0126-SM-7PC29 50-59 years, female 9.3
GTEX-1C6VQ-0126-SM-7P8RI 50-59 years, male 9.3
GTEX-1H23P-0126-SM-ADEJ3 60-69 years, male 9.3
GTEX-1HFI7-1826-SM-ACKXH 50-59 years, female 9.3
GTEX-1HSMP-0126-SM-E6CJS 70-79 years, male 9.3
GTEX-11P82-1626-SM-59879 20-29 years, male 9.2
GTEX-1211K-2026-SM-5EQ4Z 60-69 years, female 9.2
GTEX-NFK9-0226-SM-2HMKQ 40-49 years, male 9.2
GTEX-S7SE-0126-SM-2XCD5 50-59 years, male 9.2
GTEX-Y3IK-2426-SM-4WWDU 50-59 years, female 9.2
GTEX-ZGAY-0526-SM-4WWBB 40-49 years, female 9.2
GTEX-1CB4G-0226-SM-7PC3O 60-69 years, male 9.2
GTEX-1R7EU-0226-SM-EVR4G 60-69 years, male 9.2
GTEX-1RDX4-0126-SM-E9J4P 50-59 years, female 9.2
GTEX-11VI4-1726-SM-5CVLH 40-49 years, female 9.1
GTEX-12126-0326-SM-5PNW3 20-29 years, male 9.1
GTEX-12WSK-2326-SM-5GCOH 40-49 years, female 9.1
GTEX-139TS-2826-SM-5J1OO 60-69 years, male 9.1
GTEX-13X6H-2126-SM-7EWD5 50-59 years, female 9.1
GTEX-18A7B-0126-SM-7LG64 70-79 years, male 9.1
GTEX-1GF9X-2026-SM-7PC3A 40-49 years, female 9.1
GTEX-1GZ2Q-0226-SM-7P8TL 40-49 years, male 9.1
GTEX-1LC47-0326-SM-E9TJP 60-69 years, male 9.1
GTEX-1PPH8-0226-SM-E8VND 20-29 years, male 9.1
GTEX-RVPV-0126-SM-EAZAW 60-69 years, male 9.1
GTEX-1128S-2326-SM-5GZZY 60-69 years, female 9.0
GTEX-11P81-2326-SM-59875 30-39 years, female 9.0
GTEX-147F4-0226-SM-5QGPW 50-59 years, male 9.0
GTEX-14PK6-1926-SM-6ETZU 70-79 years, female 9.0
GTEX-17HII-0226-SM-7LG4E 50-59 years, male 9.0
GTEX-V1D1-2226-SM-3NMAX 50-59 years, male 9.0
GTEX-XBEW-0626-SM-4QASP 40-49 years, male 9.0
GTEX-ZAB5-1826-SM-5HL7C 50-59 years, male 9.0
GTEX-ZVZP-2426-SM-59HKJ 50-59 years, male 9.0
GTEX-1C64O-0126-SM-7SB8P 60-69 years, male 9.0
GTEX-1EKGG-0226-SM-9WYTH 60-69 years, male 9.0
GTEX-1GN73-0226-SM-9WG67 60-69 years, male 9.0
GTEX-1H1ZS-0426-SM-9WG6G 70-79 years, male 9.0
GTEX-1IGQW-0126-SM-COH42 60-69 years, male 9.0
GTEX-1MCQQ-0826-SM-DLHC2 60-69 years, male 9.0
GTEX-1QP66-1726-SM-E8VO1 50-59 years, male 9.0
GTEX-11GSO-2426-SM-5A5LY 60-69 years, male 8.9
GTEX-11ZU8-2526-SM-5EQKI 60-69 years, male 8.9
GTEX-15CHC-2126-SM-6EU21 60-69 years, female 8.9
GTEX-17F96-1626-SM-7DUFL 70-79 years, male 8.9
GTEX-18A6Q-0126-SM-731BZ 60-69 years, male 8.9
GTEX-PLZ5-2026-SM-2S1O4 50-59 years, male 8.9
GTEX-XQ3S-1526-SM-4BOOC 20-29 years, male 8.9
GTEX-1CB4F-0426-SM-9KNV4 60-69 years, male 8.9
GTEX-1ICG6-2526-SM-CGQFZ 70-79 years, female 8.9
GTEX-1LNCM-1126-SM-E9U5E 50-59 years, female 8.9
GTEX-1R9PM-2026-SM-E76OY 20-29 years, male 8.9
GTEX-131XH-2226-SM-5DUXJ 50-59 years, male 8.8
GTEX-16BQI-0226-SM-7KUEX 30-39 years, female 8.8
GTEX-WYVS-2126-SM-3NMA3 40-49 years, female 8.8
GTEX-12584-0126-SM-5EGKQ 40-49 years, male 8.7
GTEX-13OVG-1926-SM-5L3DK 60-69 years, male 8.7
GTEX-146FQ-0126-SM-5NQA9 30-39 years, male 8.7
GTEX-17MF6-0126-SM-7LG4F 40-49 years, male 8.7
GTEX-1B8SF-1426-SM-7DUGL 60-69 years, male 8.7
GTEX-TML8-1926-SM-32QOS 40-49 years, female 8.7
GTEX-Y8DK-0126-SM-4TT3L 60-69 years, male 8.7
GTEX-Y8E4-0626-SM-4WWDL 40-49 years, male 8.7
GTEX-Z93T-0126-SM-5HL5N 50-59 years, male 8.7
GTEX-ZE9C-2726-SM-57WB5 60-69 years, male 8.7
GTEX-1J8Q2-0526-SM-CM2RW 60-69 years, male 8.7
GTEX-1MGNQ-0126-SM-EVYCJ 40-49 years, male 8.7
GTEX-ZQG8-1626-SM-DHXIT 60-69 years, female 8.7
GTEX-1269C-2526-SM-5EGJ3 60-69 years, female 8.6
GTEX-15ER7-0326-SM-7KUEV 20-29 years, female 8.6
GTEX-1A3MX-0126-SM-731BR 60-69 years, male 8.6
GTEX-PWO3-1526-SM-48TCM 60-69 years, female 8.6
GTEX-SIU8-0126-SM-2XCDT 50-59 years, male 8.6
GTEX-YB5E-2026-SM-5IFIS 40-49 years, male 8.6
GTEX-ZAJG-0126-SM-5HL94 50-59 years, female 8.6
GTEX-1EU9M-0226-SM-7P8SP 60-69 years, male 8.6
GTEX-1F5PK-2426-SM-7RHHY 50-59 years, male 8.6
GTEX-1H3NZ-0126-SM-ACKX7 60-69 years, male 8.6
GTEX-1HBPI-1526-SM-C1YQ1 50-59 years, male 8.6
GTEX-13RTL-0126-SM-7LG5S 40-49 years, male 8.5
GTEX-13VXU-0126-SM-5SI9F 50-59 years, male 8.5
GTEX-YJ8A-0426-SM-5IFID 20-29 years, male 8.5
GTEX-ZDTS-0126-SM-4WAY5 60-69 years, male 8.5
GTEX-1N2EF-0226-SM-EYYXB 60-69 years, male 8.5
GTEX-11EQ9-2426-SM-5HL5T 30-39 years, male 8.4
GTEX-145MF-0626-SM-5LUAI 50-59 years, male 8.4
GTEX-14DAQ-0126-SM-5S2MQ 60-69 years, female 8.4
GTEX-15EU6-0426-SM-6PAN5 50-59 years, male 8.4
GTEX-OIZH-0126-SM-2HMIS 50-59 years, male 8.4
GTEX-U412-0426-SM-3DB9O 60-69 years, male 8.4
GTEX-WYJK-0126-SM-3NMAB 50-59 years, male 8.4
GTEX-X4EP-0126-SM-3P5YV 60-69 years, female 8.4
GTEX-ZWKS-0126-SM-5SIAA 30-39 years, male 8.4
GTEX-13NYC-0326-SM-E9J4S 60-69 years, male 8.4
GTEX-1EMGI-0126-SM-9KNUE 60-69 years, male 8.4
GTEX-1IKOH-0226-SM-COH4E 60-69 years, female 8.4
GTEX-1N2DV-0226-SM-E6CJ6 40-49 years, male 8.4
GTEX-11O72-0126-SM-59887 40-49 years, male 8.3
GTEX-13OW8-1326-SM-5J1OW 60-69 years, male 8.3
GTEX-13X6J-0126-SM-5QGOU 50-59 years, male 8.3
GTEX-15DYW-0126-SM-7KULE 60-69 years, female 8.3
GTEX-1AMFI-2026-SM-731BH 50-59 years, female 8.3
GTEX-Z9EW-1626-SM-5CVMN 40-49 years, male 8.3
GTEX-1QP9N-1426-SM-DTXFL 30-39 years, male 8.3
GTEX-1R9K4-0126-SM-DTX9X 60-69 years, male 8.3
GTEX-12ZZY-0226-SM-5LZVE 60-69 years, male 8.2
GTEX-13FXS-0226-SM-5IJCK 50-59 years, male 8.2
GTEX-13NYS-0126-SM-5MR3W 60-69 years, male 8.2
GTEX-15UKP-0426-SM-7KUFQ 20-29 years, male 8.2
GTEX-17F97-0326-SM-7LG5B 50-59 years, male 8.2
GTEX-1A3MW-0126-SM-73KXX 60-69 years, female 8.2
GTEX-TMZS-0126-SM-3DB9Q 60-69 years, male 8.2
GTEX-ZDYS-2026-SM-5HL5L 50-59 years, male 8.2
GTEX-ZUA1-0126-SM-5GU76 40-49 years, male 8.2
GTEX-13OW5-0126-SM-DTXFS 60-69 years, male 8.2
GTEX-1H1DG-0126-SM-9WYU2 70-79 years, male 8.2
GTEX-1KANC-1526-SM-D3LAB 50-59 years, female 8.2
GTEX-1KD4Q-0226-SM-E9TJ9 40-49 years, male 8.2
GTEX-W5X1-3026-SM-EAZAX 40-49 years, female 8.2
GTEX-11ZTS-0126-SM-5EQ6M 60-69 years, female 8.1
GTEX-P4PP-0126-SM-3LK69 30-39 years, female 8.1
GTEX-Q734-1926-SM-2I5EV 40-49 years, female 8.1
GTEX-TSE9-0126-SM-3DB83 60-69 years, female 8.1
GTEX-1GMRU-0126-SM-9YFLV 50-59 years, male 8.1
GTEX-1GN1V-0126-SM-9WPOS 60-69 years, male 8.1
GTEX-1QP29-0626-SM-EWRMX 50-59 years, male 8.1
GTEX-1S5ZA-0126-SM-EVYCV 20-29 years, male 8.1
GTEX-1314G-1526-SM-5EGK2 30-39 years, male 8.0
GTEX-13JUV-2726-SM-5LZZ8 40-49 years, female 8.0
GTEX-13OW6-0426-SM-5L3HM 50-59 years, male 8.0
GTEX-13S7M-0126-SM-5SI6A 60-69 years, female 8.0
GTEX-145ME-1826-SM-5SI9G 40-49 years, female 8.0
GTEX-14PJM-0226-SM-62LF1 50-59 years, female 8.0
GTEX-16YQH-0126-SM-7DUFJ 30-39 years, male 8.0
GTEX-18A7A-0226-SM-718BH 50-59 years, female 8.0
GTEX-T2IS-0126-SM-4DM6O 20-29 years, female 8.0
GTEX-ZEX8-2426-SM-4WKG4 50-59 years, male 8.0
GTEX-169BO-1326-SM-9MQK2 50-59 years, male 8.0
GTEX-1A8FM-0226-SM-7SB7Q 50-59 years, female 8.0
GTEX-1GF9W-0326-SM-9KNUN 60-69 years, male 8.0
GTEX-1HFI6-0226-SM-ADEHZ 40-49 years, male 8.0
GTEX-1S82Y-2026-SM-EVYCM 40-49 years, male 8.0
GTEX-13FTW-2626-SM-5K7WL 40-49 years, male 7.9
GTEX-14LZ3-0226-SM-62LET 60-69 years, female 7.9
GTEX-15G19-0126-SM-6PANQ 60-69 years, male 7.9
GTEX-18D9A-1926-SM-7LG6P 30-39 years, female 7.9
GTEX-1AYCT-2426-SM-7IGQ3 50-59 years, male 7.9
GTEX-U3ZN-2326-SM-3DB7W 30-39 years, female 7.9
GTEX-UJHI-1526-SM-3DB99 50-59 years, female 7.9
GTEX-1HSEH-0126-SM-ACKXN 60-69 years, male 7.9
GTEX-1HT8W-0126-SM-CNPPP 30-39 years, male 7.9
GTEX-1I1GT-0626-SM-CGQER 60-69 years, female 7.9
GTEX-1K9T9-0126-SM-EVYCF 50-59 years, female 7.9
GTEX-1QEPI-0126-SM-EWRMQ 60-69 years, female 7.9
GTEX-1S3DN-2226-SM-EVYCD 50-59 years, male 7.9
GTEX-OOBJ-0126-SM-E6CJW 60-69 years, male 7.9
GTEX-11DXY-2626-SM-5GIE7 60-69 years, male 7.8
GTEX-12WSL-2526-SM-5GCNJ 50-59 years, male 7.8
GTEX-14C5O-0126-SM-5SI6N 60-69 years, male 7.8
GTEX-17HGU-0226-SM-7DHKV 50-59 years, male 7.8
GTEX-RUSQ-1526-SM-2TF62 50-59 years, male 7.8
GTEX-WZTO-0126-SM-3NM95 40-49 years, male 7.8
GTEX-ZVT3-0126-SM-5GU6I 60-69 years, female 7.8
GTEX-1CB4H-0226-SM-7PBXM 60-69 years, female 7.8
GTEX-1GN2E-0426-SM-9MQKX 60-69 years, male 7.8
GTEX-1HKZK-0326-SM-9WYUH 40-49 years, male 7.8
GTEX-1HSGN-0226-SM-CGQFV 40-49 years, female 7.8
GTEX-1I1GS-0126-SM-B2LVW 60-69 years, male 7.8
GTEX-1313W-0126-SM-5LZUN 50-59 years, female 7.7
GTEX-14PHX-2326-SM-62LEM 50-59 years, male 7.7
GTEX-15DCD-0126-SM-7KUEK 70-79 years, female 7.7
GTEX-15F5U-1526-SM-6PANO 40-49 years, male 7.7
GTEX-U8T8-0126-SM-3DB94 60-69 years, male 7.7
GTEX-XUYS-0126-SM-47JWZ 50-59 years, male 7.7
GTEX-ZZPT-0226-SM-5E43X 50-59 years, male 7.7
GTEX-1GF9U-2126-SM-7SB7L 40-49 years, female 7.7
GTEX-1JN6P-0126-SM-D3L98 60-69 years, male 7.7
GTEX-13O3P-0126-SM-5KM4S 50-59 years, male 7.6
GTEX-14E6D-0126-SM-62LDV 50-59 years, male 7.6
GTEX-14E6E-1826-SM-5S2R7 30-39 years, male 7.6
GTEX-16NGA-1726-SM-731B4 40-49 years, female 7.6
GTEX-1BAJH-0526-SM-793CQ 70-79 years, male 7.6
GTEX-XYKS-2126-SM-4E3IB 60-69 years, female 7.6
GTEX-1B8L1-2526-SM-9WYTF 60-69 years, male 7.6
GTEX-1I1GV-0526-SM-A9G29 60-69 years, male 7.6
GTEX-1J8EW-0126-SM-CJI4F 60-69 years, female 7.6
GTEX-1JMQI-2226-SM-CM2SD 50-59 years, male 7.6
GTEX-1KXAM-2226-SM-CYPTC 60-69 years, male 7.6
GTEX-11DXW-0226-SM-5H122 40-49 years, male 7.5
GTEX-11EI6-0126-SM-5985R 60-69 years, male 7.5
GTEX-11NSD-2226-SM-5986V 20-29 years, male 7.5
GTEX-132NY-0326-SM-5IJBL 60-69 years, male 7.5
GTEX-1399R-2726-SM-5IJBA 30-39 years, male 7.5
GTEX-13SLW-0126-SM-5SI6C 70-79 years, male 7.5
GTEX-15EOM-0126-SM-7KUGG 20-29 years, female 7.5
GTEX-16NPX-0226-SM-79OMT 50-59 years, male 7.5
GTEX-PVOW-0126-SM-2XCFA 40-49 years, male 7.5
GTEX-T5JC-0426-SM-32PLO 20-29 years, male 7.5
GTEX-TKQ1-1026-SM-4GICL 30-39 years, male 7.5
GTEX-W5WG-1826-SM-4KL2Y 50-59 years, female 7.5
GTEX-WFG8-2226-SM-3GIL9 20-29 years, male 7.5
GTEX-ZYFG-2326-SM-5E44B 60-69 years, female 7.5
GTEX-1GTWX-0126-SM-9YFLK 60-69 years, male 7.5
GTEX-1H3VE-0326-SM-9YFLH 40-49 years, male 7.5
GTEX-1JJE9-0326-SM-CL53Z 70-79 years, male 7.5
GTEX-1JMQK-0226-SM-CL543 60-69 years, male 7.5
GTEX-1O97I-0326-SM-EYYX7 60-69 years, male 7.5
GTEX-1RB15-2126-SM-E9TIM 60-69 years, male 7.5
GTEX-1S82Z-0826-SM-E6CHY 30-39 years, female 7.5
GTEX-13CF2-2526-SM-5LZYX 60-69 years, male 7.4
GTEX-13PVR-2326-SM-5QGR1 60-69 years, female 7.4
GTEX-145MI-0526-SM-5O9A8 60-69 years, female 7.4
GTEX-18D9U-0226-SM-718BP 40-49 years, male 7.4
GTEX-SN8G-0126-SM-32PLI 50-59 years, female 7.4
GTEX-Y111-0126-SM-4SOIV 50-59 years, male 7.4
GTEX-ZYY3-0126-SM-5GZY5 60-69 years, female 7.4
GTEX-1IDJH-0326-SM-A9SLQ 70-79 years, male 7.4
GTEX-1JN1M-0326-SM-CYPT3 60-69 years, female 7.4
GTEX-1PDJ9-0326-SM-DTX95 20-29 years, male 7.4
GTEX-1QMI2-0226-SM-EVYBX 60-69 years, male 7.4
GTEX-12ZZZ-0626-SM-5DUXI 60-69 years, male 7.3
GTEX-133LE-1826-SM-5J1MV 20-29 years, female 7.3
GTEX-144GN-2326-SM-5LU4F 50-59 years, male 7.3
GTEX-145MN-2226-SM-5SIAU 30-39 years, male 7.3
GTEX-15RIG-0226-SM-7KFTL 40-49 years, male 7.3
GTEX-P4QT-0126-SM-2I3FL 50-59 years, female 7.3
GTEX-R3RS-0126-SM-3GIJL 40-49 years, female 7.3
GTEX-WI4N-1026-SM-3LK7N 40-49 years, female 7.3
GTEX-ZTSS-1926-SM-57WEW 40-49 years, male 7.3
GTEX-1EX96-1626-SM-7PBXR 50-59 years, male 7.3
GTEX-1HBPN-0226-SM-9YFM1 50-59 years, male 7.3
GTEX-1HCU8-0626-SM-A9SM9 60-69 years, female 7.3
GTEX-1I1HK-0126-SM-COH49 60-69 years, male 7.3
GTEX-1K2DU-2326-SM-E9TIV 20-29 years, male 7.3
GTEX-PSDG-0226-SM-DKPOZ 50-59 years, male 7.3
GTEX-16GPK-0126-SM-7DHLE 60-69 years, male 7.2
GTEX-17HHY-0126-SM-7LG5D 50-59 years, male 7.2
GTEX-QVJO-1626-SM-2S1QW 60-69 years, female 7.2
GTEX-Y5V5-2326-SM-4V6GA 60-69 years, female 7.2
GTEX-ZC5H-0226-SM-4WAY9 40-49 years, female 7.2
GTEX-ZXG5-0126-SM-5GIEU 60-69 years, male 7.2
GTEX-1JMQJ-0526-SM-CYPSU 50-59 years, male 7.2
GTEX-13112-2826-SM-5DUWH 50-59 years, male 7.1
GTEX-O5YT-0126-SM-48TBW 20-29 years, male 7.1
GTEX-U8XE-0326-SM-3DB8P 30-39 years, male 7.1
GTEX-XUZC-1726-SM-4BRWS 30-39 years, female 7.1
GTEX-ZDXO-3026-SM-5J1N5 60-69 years, male 7.1
GTEX-1F5PL-0326-SM-7P8PQ 40-49 years, female 7.1
GTEX-1JN76-0126-SM-CNPPE 20-29 years, female 7.1
GTEX-12WSE-0526-SM-793B2 20-29 years, male 7.0
GTEX-13SLX-0526-SM-5S2ON 50-59 years, female 7.0
GTEX-14JG1-0426-SM-6ETZZ 40-49 years, male 7.0
GTEX-18A67-0126-SM-7LG5P 50-59 years, male 7.0
GTEX-OHPM-0126-SM-2YUN9 50-59 years, male 7.0
GTEX-1KD5A-0226-SM-D5OV3 50-59 years, male 7.0
GTEX-1KWVE-1426-SM-E9TJO 30-39 years, male 7.0
GTEX-1OJC3-0126-SM-E76QX 20-29 years, male 7.0
GTEX-ZPIC-1726-SM-DHXIU 40-49 years, female 7.0
GTEX-ZVT4-0126-SM-DTXFN 50-59 years, female 7.0
GTEX-11UD2-0226-SM-5EQKY 50-59 years, male 6.9
GTEX-1399T-2826-SM-5KLYZ 60-69 years, male 6.9
GTEX-14BIN-0626-SM-793DP 50-59 years, female 6.9
GTEX-17JCI-0126-SM-7LG5G 60-69 years, female 6.9
GTEX-1C6VR-2426-SM-79OLD 60-69 years, male 6.9
GTEX-Z93S-0126-SM-5HL7M 50-59 years, male 6.9
GTEX-1EN7A-0126-SM-7SB81 40-49 years, male 6.9
GTEX-1GL5R-1826-SM-9KNUY 50-59 years, male 6.9
GTEX-131YS-0126-SM-5KM1M 60-69 years, female 6.8
GTEX-144GL-0126-SM-5TDE2 50-59 years, male 6.8
GTEX-14A5H-0426-SM-5QGQF 60-69 years, male 6.8
GTEX-YFC4-0126-SM-5CVLY 40-49 years, female 6.8
GTEX-13NZB-2526-SM-5J1OM 30-39 years, male 6.7
GTEX-13OVH-0126-SM-5MR4B 70-79 years, male 6.7
GTEX-17EVP-0326-SM-7DHLG 40-49 years, male 6.7
GTEX-Q2AI-1326-SM-2S1PL 40-49 years, male 6.7
GTEX-ZVTK-0426-SM-51MRS 20-29 years, male 6.7
GTEX-1GMR8-0126-SM-9WYTM 50-59 years, female 6.7
GTEX-1IKJJ-0126-SM-CNPQB 60-69 years, male 6.7
GTEX-1S83E-0126-SM-EWRO4 40-49 years, male 6.7
GTEX-13NYB-2526-SM-5K7Z6 40-49 years, male 6.6
GTEX-VUSG-2526-SM-4KL1V 50-59 years, male 6.6
GTEX-YJ89-0126-SM-4TT3X 60-69 years, male 6.6
GTEX-1GF9V-0326-SM-7RHI5 60-69 years, male 6.6
GTEX-1HR98-0126-SM-B2LWI 60-69 years, male 6.6
GTEX-11DYG-0126-SM-59883 60-69 years, male 6.5
GTEX-131XE-2326-SM-5PNZ2 50-59 years, male 6.5
GTEX-145LS-0126-SM-5QGP1 60-69 years, female 6.5
GTEX-14BMV-0126-SM-5S2PO 50-59 years, male 6.5
GTEX-OOBK-0126-SM-2YUND 40-49 years, male 6.5
GTEX-ZYT6-0226-SM-5NQ6T 30-39 years, male 6.5
GTEX-1IL2U-0226-SM-CE6T8 60-69 years, male 6.5
GTEX-1LB8K-0226-SM-EWRNW 50-59 years, male 6.5
GTEX-1LGOU-2026-SM-DIPFF 20-29 years, female 6.5
GTEX-1LVAN-0226-SM-COH3S 50-59 years, female 6.5
GTEX-17GQL-2026-SM-718BA 60-69 years, male 6.4
GTEX-X261-0126-SM-3NMD6 50-59 years, male 6.4
GTEX-ZF2S-2326-SM-4WWCE 50-59 years, female 6.4
GTEX-17HG3-2226-SM-7938L 30-39 years, female 6.3
GTEX-NPJ8-0126-SM-2YUNR 40-49 years, male 6.3
GTEX-OXRN-0126-SM-48TDM 50-59 years, male 6.3
GTEX-PX3G-0126-SM-2I3EN 20-29 years, female 6.3
GTEX-1GZHY-0326-SM-9QEHI 50-59 years, female 6.3
GTEX-1HSKV-0226-SM-A9SKJ 60-69 years, male 6.3
GTEX-1JJEA-0326-SM-CNPOT 60-69 years, male 6.3
GTEX-1LBAC-0126-SM-DIPEZ 20-29 years, male 6.3
GTEX-1M4P7-0226-SM-DIPEV 60-69 years, male 6.3
GTEX-14XAO-2326-SM-6EU1B 60-69 years, female 6.2
GTEX-1E1VI-0126-SM-7DHMZ 50-59 years, male 6.2
GTEX-1KAFJ-2026-SM-CY8ID 50-59 years, male 6.2
GTEX-1LH75-2426-SM-E9TJE 50-59 years, female 6.2
GTEX-1LSNM-1926-SM-E6CII 50-59 years, male 6.2
GTEX-1MA7W-2026-SM-E9TJ6 20-29 years, female 6.2
GTEX-1MA7X-2226-SM-E6CIY 60-69 years, male 6.2
GTEX-ZF3C-0126-SM-DO92D 50-59 years, female 6.2
GTEX-1CB4E-2226-SM-793DC 60-69 years, male 6.1
GTEX-1CB4I-0226-SM-79OLH 50-59 years, male 6.1
GTEX-OHPL-0126-SM-2HMJ7 60-69 years, female 6.1
GTEX-S32W-2126-SM-2XCB1 50-59 years, female 6.1
GTEX-ZYFC-0226-SM-5NQ75 50-59 years, male 6.1
GTEX-1J1OQ-0226-SM-CYPSH 40-49 years, female 6.1
GTEX-17KNJ-2326-SM-7DHLQ 50-59 years, male 6.0
GTEX-QESD-1426-SM-2S1R9 20-29 years, male 6.0
GTEX-XPVG-2626-SM-4B669 50-59 years, male 6.0
GTEX-XXEK-2226-SM-4BRUM 50-59 years, male 6.0
GTEX-ZAK1-0126-SM-5IJD3 50-59 years, female 6.0
GTEX-1IDJU-2626-SM-CM2RT 60-69 years, female 6.0
GTEX-117XS-2726-SM-5N9BL 60-69 years, male 5.9
GTEX-14PJ6-2126-SM-6EU1V 60-69 years, female 5.9
GTEX-1B97I-1626-SM-73KYO 40-49 years, male 5.9
GTEX-T5JW-1626-SM-3GADZ 20-29 years, female 5.9
GTEX-ZV6S-2326-SM-4YCEY 40-49 years, female 5.9
GTEX-1H11D-0226-SM-9WG6Z 40-49 years, male 5.9
GTEX-1I1GQ-0126-SM-COH3H 50-59 years, male 5.9
GTEX-1N2DW-0226-SM-E9TK2 50-59 years, male 5.9
GTEX-12WSC-0126-SM-5EQ4P 50-59 years, male 5.8
GTEX-ZY6K-1826-SM-5GZXK 50-59 years, male 5.8
GTEX-1RQEC-0426-SM-E6CHU 60-69 years, male 5.8
GTEX-1HCU7-0226-SM-CL545 50-59 years, male 5.7
GTEX-1QPFJ-0226-SM-E76PB 30-39 years, female 5.7
GTEX-ZVZO-0126-SM-5A5L9 40-49 years, male 5.6
GTEX-1E2YA-0126-SM-9KNUC 50-59 years, male 5.6
GTEX-1HB9E-0226-SM-E9U4R 50-59 years, male 5.5
GTEX-1LG7Z-1726-SM-D3LA4 30-39 years, male 5.5
GTEX-1PFEY-1526-SM-E76PP 30-39 years, male 5.5
GTEX-1JMLX-0226-SM-CM2RO 50-59 years, male 5.4
GTEX-1MJK2-0426-SM-DTXE5 50-59 years, male 5.4
GTEX-1212Z-2526-SM-5EGKP 60-69 years, male 5.3
GTEX-1HCU9-1526-SM-A9SL7 20-29 years, male 5.3
GTEX-1C475-1826-SM-73KWA 40-49 years, female 5.2
GTEX-ZV68-0126-SM-59HKS 50-59 years, female 5.2
GTEX-1RAZA-0126-SM-E6CI3 20-29 years, male 5.2
GTEX-13N2G-2626-SM-5J1OT 60-69 years, male 5.1
GTEX-13111-1626-SM-5EGJY 50-59 years, male 5.0
GTEX-13FTY-0526-SM-5L3EV 40-49 years, female 5.0
GTEX-111FC-0126-SM-5N9DL 60-69 years, male 4.9
GTEX-ZTX8-1426-SM-5DUVO 20-29 years, male 4.9
GTEX-1H4P4-0726-SM-9YFLR 50-59 years, male 4.9
GTEX-11DXZ-2326-SM-5EGGV 50-59 years, male 4.8
GTEX-T6MN-0126-SM-32PLP 50-59 years, male 4.8
GTEX-1IOXB-0126-SM-ARL8G 50-59 years, male 4.7
GTEX-1M5QR-1226-SM-EWROB 40-49 years, male 4.7
GTEX-1PIIG-0226-SM-EWRN6 30-39 years, male 4.7
GTEX-1QAET-0926-SM-E76QM 50-59 years, male 4.7
GTEX-1JMQL-0226-SM-CNPP5 50-59 years, female 4.6
GTEX-1GMR3-1926-SM-9KNUZ 40-49 years, male 4.5
GTEX-1192W-2626-SM-5Q5AF 60-69 years, male 4.4
GTEX-1CAMQ-0226-SM-7IGPK 40-49 years, male 4.3
GTEX-1KANB-0526-SM-E6CJH 50-59 years, male 4.3
GTEX-WFON-2126-SM-3LK7O 40-49 years, male 4.1
GTEX-1JJ6O-0126-SM-E6CI8 60-69 years, male 4.1
GTEX-1L5NE-2526-SM-E6CIE 50-59 years, male 3.9
GTEX-SE5C-1626-SM-2XCE3 40-49 years, female 3.4
GTEX-11WQK-0526-SM-5EQLD 50-59 years, male 3.1
Show allShow less

Contact

  • NEWS ARTICLES
  • PRESS ROOM

The Project

  • INTRODUCTION
  • ORGANIZATION
  • PUBLICATIONS

The Human Protein Atlas

  • DOWNLOADABLE DATA
  • LICENCE & CITATION
  • HELP & FAQ
The Human Protein Atlas project is funded
by the Knut & Alice Wallenberg Foundation.


contact@proteinatlas.org