We use cookies to enhance the usability of our website. If you continue, we'll assume that you are happy to receive all cookies. More information. Don't show this again.
FGR
HPA
RESOURCES
  • TISSUE
  • BRAIN
  • SINGLE CELL
  • SUBCELLULAR
  • CANCER
  • BLOOD
  • CELL LINE
  • STRUCTURE & INTERACTION
ABOUT
  • INTRODUCTION
  • HISTORY
  • ORGANIZATION
  • PUBLICATIONS
  • ANTIBODY SUBMISSION
  • ANTIBODY AVAILABILITY
  • ACKNOWLEDGMENTS
  • CONTACT
NEWS
  • NEWS ARTICLES
  • PRESS ROOM
LEARN
  • DICTIONARY
  • PROTEIN CLASSES
  • PROTEIN EVIDENCE
  • METHODS
  • EDUCATIONAL VIDEOS
DATA
  • DOWNLOADABLE DATA
  • PUBLICATION DATA
  • RELEASE HISTORY
HELP
  • ANTIBODY VALIDATION
  • ASSAYS & ANNOTATION
  • DISCLAIMER
  • HELP & FAQ
  • PRIVACY STATEMENT
  • LICENCE & CITATION
Fields »
Search result

Field
Term
Gene name
Class
Subclass
Class
Keyword
Chromosome
External id
Tissue
Cell type
Expression
Antibody panel
Tissue
Main location
Patient ID
Annotation
Tissue
Category
Tau score
Cluster
Reliability
Brain region
Category
Tau score
Brain region
Category
Tau score
Brain region
Category
Tau score
Cluster
Reliability
Tissue
Cell type
Enrichment
Cell type
Category
Tau score
Cell type
Category
Tau score
Cell type
Category
Tau score
Cell lineage
Category
Tau score
Cluster
Cluster
Location
Searches
Location
Cell line
Class
Type
Phase
Reliability
Cancer
Prognosis
Cancer
Category
Cancer
Category
Tau score
Cluster
Variants
Interacting gene (ensg_id)
Type
Number of interactions
Pathway
Category
Score
Score
Score
Validation
Validation
Validation
Validation
Antibodies
Data type
Column


  • SUMMARY

  • TISSUE

  • BRAIN

  • SINGLE CELL

  • SUBCELL

  • CANCER

  • BLOOD

  • CELL LINE

  • STRUCT & INT

  • FGR
TISSUE PRIMARY DATA LIVER Show tissue menu
ADIPOSE TISSUE ADRENAL GLAND AMYGDALA APPENDIX BASAL GANGLIA BONE MARROW BREAST BRONCHUS CEREBELLUM CEREBRAL CORTEX CERVIX CHOROID PLEXUS COLON DUODENUM
ENDOMETRIUM EPIDIDYMIS ESOPHAGUS FALLOPIAN TUBE GALLBLADDER HEART MUSCLE HIPPOCAMPAL FORMATION HYPOTHALAMUS KIDNEY LIVER LUNG LYMPH NODE MIDBRAIN NASOPHARYNX
ORAL MUCOSA OVARY PANCREAS PARATHYROID GLAND PITUITARY GLAND PLACENTA PROSTATE RECTUM RETINA SALIVARY GLAND SEMINAL VESICLE SKELETAL MUSCLE SKIN SMALL INTESTINE
SMOOTH MUSCLE SOFT TISSUE SPINAL CORD SPLEEN STOMACH TESTIS THYMUS THYROID GLAND TONGUE TONSIL URINARY BLADDER VAGINA
ANTIBODIES
AND
VALIDATION
Dictionary
Liver
Tissue proteome
Liver
LIVER - Expression summary
Protein expression
Liveri

On the top, protein expression in current human tissue, based on all annotated cell types, is reported with the units not detected (n), low (l), medium (m) and high (h). Underneath, protein expression in each annotated cell type are reported using the same units.

Protein expression data is based on knowledge-based annotation. For genes where more than one antibody has been used, a collective score is set.

If knowledge-based annotation could not be performed for a gene, no data is displayed here. View antibody staining data further down this page.

h
m
l
n
Cholangiocytes: Not detected
Hepatocytes: Not detected
RNA expressioni

A summary of mRNA expression data available for current tissue based on several datasets. The mRNA expression levels in human tissues are based on RNA-seq data generated by the Human Protein Atlas (HPA), Genotype-Tissue Expression (GTEx) portal and CAGE data generated by the FANTOM5 consortium. Consensus normalized expression levels for human tissues was created by combining the data from HPA and GTEx datasets.

The mRNA expression levels in pig are based on RNA-seq data generated by the Human Protein Atlas (HPA), and for mouse, HPA data and in situ hybridization generated by the Allen brain atlas are reported.

Scroll down to view mRNA expression data in more detail.
Consensus:10.6 nTPM
HPA:8.5 nTPM
GTEx:10.6 nTPM
FANTOM5:6.8 Scaled Tags Per Million

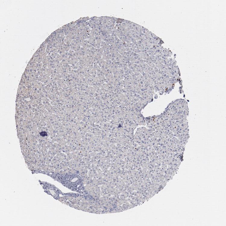
LIVER - Antibody stainingi

Antibody staining in the annotated cell types in the current human tissue is reported as not detected, low, medium, or high, based on conventional immunohistochemistry profiling in selected tissues. This score is based on the combination of the staining intensity and fraction of stained cells.

Each image is clickable and will lead to virtual microscopy that enables deeper exploration of all samples and also displays staining intensity scores, fraction scores and subcellular localization as well as patient and tissue information for each sample.

Antibody HPA002024
Cholangiocytes Low
Hepatocytes Medium



LIVER - HPA RNA-seqi

The RNA-seq details section shows detailed information about the individual samples used for the transcript profiling and results of the RNA-seq analysis.

Information about each individual sample is listed below, including gender, age, a tissue section image and estimated fractions of cell types. nTPM (normalized transcripts per million) values give a quantification of the gene abundance which is comparable between different genes and samples.
Average nTPMi

Max subtype nTPM is the value for the subtype with the largest average nTPM across the subtype samples.

8.5
N/A
Female, age 60
Liver sample 21
nTPM: 9.6
overview
Male, age 54
Liver sample 23
nTPM: 6.5
Cell types%
Hepatocytes:
80

Fibroblasts:
15

Other cell types:
5

overview
Male, age 74
Liver sample 24
nTPM: 4.4
Cell types%
Hepatocytes:
85

Fibroblasts:
5

Other cell types:
10

overview
Female, age 62
Liver sample 350
nTPM: 6.8
Cell types%
Hepatocytes:
70

Fibroblasts:
10

Other cell types:
20

overview
Male, age 78
Liver sample 351
nTPM: 6.4
Cell types%
Hepatocytes:
75

Fibroblasts:
5

Other cell types:
20

overview
Male, age 53
Liver sample 352
nTPM: 5.9
Cell types%
Hepatocytes:
80

Fibroblasts:
5

Other cell types:
15

overview
Male, age 77
Liver sample 353
nTPM: 12.6
Cell types%
Hepatocytes:
75

Fibroblasts:
5

Other cell types:
20

overview
Female, age 72
Liver sample 359
nTPM: 13
Cell types%
Hepatocytes:
50

Fibroblasts:
10

Other cell types:
40

overview
Male, age 70
Liver sample 367
nTPM: 5
Cell types%
Hepatocytes:
65

Fibroblasts:
10

Other cell types:
25

overview
Female, age 23
Liver sample 396
nTPM: 14.3
Cell types%
Hepatocytes:
70

Fibroblasts:
5

Other cell types:
25


LIVER - GTEx RNA-seqi

RNA-Seq data generated by the Genotype-Tissue Expression (GTEx) project from human tissues is reported as mean nTPM. More information can be found on the GTEx portal.

Distribution across the dataset is visualized with box plots, shown as median and 25th and 75th percentiles. Points are displayed as outliers if they are above or below 1.5 times the interquartile range. nTPM values of the individual samples are presented next to the box plot.
Max subtype nTPMi

Max subtype nTPM is the value for the subtype with the largest average nTPM across the subtype samples.

10.6
GTEx sample id Sample description nTPM
Liver
Average nTPM: 10.6
Samples: 226

Max nTPM: 57.3
Min nTPM: 2.6
Std nTPM: 7.2
Median nTPM: 8.6
GTEX-131XE-0326-SM-5LZVO 50-59 years, male 57.3
GTEX-O5YT-0826-SM-3TW8N 20-29 years, male 47.7
GTEX-1S82Y-1026-SM-EV7BJ 40-49 years, male 40.4
GTEX-1497J-0726-SM-5Q5D1 60-69 years, male 37.8
GTEX-17MF6-1126-SM-7DUFS 40-49 years, male 35.8
GTEX-1GF9W-0826-SM-7MKHI 60-69 years, male 35.4
GTEX-1E2YA-1226-SM-7MGY3 50-59 years, male 31.8
GTEX-14C38-1526-SM-5RQJ7 50-59 years, male 26.0
GTEX-1MJIX-0726-SM-DPRYP 40-49 years, male 24.5
GTEX-YB5E-0326-SM-5IFHU 40-49 years, male 24.2
GTEX-S32W-1926-SM-4AD63 50-59 years, female 24.1
GTEX-12ZZZ-1326-SM-59HKW 60-69 years, male 23.6
GTEX-1PIIG-1326-SM-EXOIR 30-39 years, male 22.8
GTEX-ZTPG-1426-SM-51MT3 20-29 years, female 22.4
GTEX-ZAB4-0826-SM-5LU9D 40-49 years, male 21.2
GTEX-1A32A-0826-SM-72D5C 50-59 years, female 21.1
GTEX-18D9B-1526-SM-7KFRK 60-69 years, male 20.8
GTEX-17HII-1026-SM-7IGLY 50-59 years, male 20.4
GTEX-QESD-2026-SM-447BI 20-29 years, male 18.9
GTEX-1PBJJ-0626-SM-DPRYO 30-39 years, male 18.8
GTEX-P44G-1126-SM-3NM9D 30-39 years, male 18.5
GTEX-15ER7-1826-SM-6LLI7 20-29 years, female 18.1
GTEX-YFC4-1526-SM-5IFJS 40-49 years, female 18.0
GTEX-U8XE-1526-SM-4E3HT 30-39 years, male 17.4
GTEX-14XAO-0226-SM-68728 60-69 years, female 16.8
GTEX-1ICLY-1526-SM-C1YS4 50-59 years, male 16.4
GTEX-11TUW-1726-SM-5BC5C 60-69 years, male 16.3
GTEX-1269C-0626-SM-5FQSS 60-69 years, female 15.6
GTEX-139YR-0226-SM-5IFEM 50-59 years, male 15.6
GTEX-Q2AG-1126-SM-48U1P 40-49 years, female 15.5
GTEX-1CB4J-0726-SM-7IGN8 60-69 years, male 15.1
GTEX-QDVN-0826-SM-48TZ2 50-59 years, male 15.1
GTEX-QEL4-1226-SM-447A4 50-59 years, male 14.9
GTEX-1GF9V-1226-SM-7MKGY 60-69 years, male 14.8
GTEX-1HB9E-0626-SM-AHZ4K 50-59 years, male 14.8
GTEX-1B8SG-1326-SM-79ONT 50-59 years, male 14.6
GTEX-1A8G7-1126-SM-731ED 60-69 years, male 14.5
GTEX-13O1R-2026-SM-5KM3N 60-69 years, male 14.4
GTEX-1K9T9-0726-SM-CXZJZ 50-59 years, female 14.4
GTEX-1CAMQ-1426-SM-7MKFL 40-49 years, male 14.0
GTEX-14PHX-0526-SM-664NW 50-59 years, male 13.9
GTEX-1GF9X-0426-SM-7MKHN 40-49 years, female 13.9
GTEX-13X6J-1826-SM-5TDCT 50-59 years, male 13.7
GTEX-RU72-1426-SM-46MUF 50-59 years, female 13.6
GTEX-1KAFJ-0726-SM-CXZKF 50-59 years, male 13.5
GTEX-17HGU-1826-SM-7IGQM 50-59 years, male 13.3
GTEX-WYVS-1926-SM-4PQZ2 40-49 years, female 13.3
GTEX-1HCU7-1726-SM-B2LX9 50-59 years, male 13.3
GTEX-WFON-1726-SM-4LVMQ 40-49 years, male 13.2
GTEX-13FLV-0326-SM-5N9DJ 50-59 years, male 13.1
GTEX-1CB4F-1726-SM-7MGXH 60-69 years, male 13.0
GTEX-X3Y1-2726-SM-4PQZH 40-49 years, male 12.9
GTEX-1R9JW-0826-SM-DPRZJ 30-39 years, female 12.8
GTEX-1GN73-1126-SM-9OSW5 60-69 years, male 12.7
GTEX-XBEC-1526-SM-4AT68 50-59 years, male 12.6
GTEX-1F75A-1626-SM-9JGGT 50-59 years, male 12.5
GTEX-RM2N-1926-SM-48FCU 50-59 years, male 12.4
GTEX-YEC4-0826-SM-5P9FV 40-49 years, male 12.3
GTEX-14PJO-1726-SM-68719 60-69 years, male 12.2
GTEX-RWSA-1426-SM-47JXA 40-49 years, male 11.9
GTEX-ZVT4-0626-SM-5E45T 50-59 years, female 11.9
GTEX-13QJC-0726-SM-5RQJK 60-69 years, female 11.6
GTEX-1EKGG-1226-SM-7IGNO 60-69 years, male 11.6
GTEX-TKQ2-1726-SM-4DXUP 50-59 years, male 11.5
GTEX-1EH9U-1126-SM-7IGLU 60-69 years, male 11.2
GTEX-UPK5-1426-SM-4JBHH 40-49 years, male 11.2
GTEX-1LH75-0926-SM-EAZ5C 50-59 years, female 11.2
GTEX-139TS-1426-SM-5IFJD 60-69 years, male 11.1
GTEX-1AX8Z-1026-SM-7189R 60-69 years, male 11.1
GTEX-ZVP2-0626-SM-51MSO 50-59 years, male 11.1
GTEX-1LGRB-0626-SM-CNNQH 50-59 years, female 11.1
GTEX-1KD4Q-1526-SM-D4P3L 40-49 years, male 11.0
GTEX-1JMLX-1326-SM-CXZJO 50-59 years, male 10.9
GTEX-13PVQ-1526-SM-5IFEQ 50-59 years, male 10.8
GTEX-1B932-1426-SM-793AN 40-49 years, female 10.8
GTEX-13N11-0926-SM-5IJG2 50-59 years, female 10.7
GTEX-1IKK5-0326-SM-C1YPY 60-69 years, male 10.7
GTEX-REY6-1226-SM-48FDR 60-69 years, male 10.6
GTEX-Y5V5-0926-SM-4VBPZ 60-69 years, female 10.5
GTEX-1EN7A-2026-SM-7MGY4 40-49 years, male 10.5
GTEX-1S5VW-1826-SM-EAZ53 60-69 years, male 10.5
GTEX-1KD5A-1226-SM-CXZK7 50-59 years, male 10.4
GTEX-1QP66-0226-SM-DPRXS 50-59 years, male 10.4
GTEX-17EVP-1026-SM-7IGOZ 40-49 years, male 10.3
GTEX-1JJ6O-0826-SM-CXZJL 60-69 years, male 10.2
GTEX-ZF29-2026-SM-DNZYW 60-69 years, female 10.2
GTEX-WK11-1326-SM-4OOSI 50-59 years, male 10.1
GTEX-12WSL-0226-SM-5CVMJ 50-59 years, male 10.0
GTEX-PX3G-0826-SM-48TZS 20-29 years, female 10.0
GTEX-YECK-1926-SM-4W21H 60-69 years, male 10.0
GTEX-13FTW-1126-SM-5J2NV 40-49 years, male 9.9
GTEX-13O3O-1826-SM-5IFGW 60-69 years, female 9.9
GTEX-1HBPI-1026-SM-AHZ4N 50-59 years, male 9.9
GTEX-145LU-1326-SM-5LU9N 50-59 years, male 9.8
GTEX-15RJE-1126-SM-6LPI5 40-49 years, male 9.8
GTEX-T6MN-1226-SM-3NMA5 50-59 years, male 9.8
GTEX-12WSD-1426-SM-5GCN9 60-69 years, female 9.7
GTEX-14753-1626-SM-5NQ9L 60-69 years, male 9.7
GTEX-13NYB-1026-SM-5IFH3 40-49 years, male 9.5
GTEX-1C6VQ-1626-SM-79OO1 50-59 years, male 9.5
GTEX-13112-1426-SM-5EGH8 50-59 years, male 9.4
GTEX-SJXC-1226-SM-4DM78 60-69 years, male 9.3
GTEX-11TT1-1726-SM-5EQLJ 20-29 years, male 9.2
GTEX-12KS4-1326-SM-5LUB3 30-39 years, male 9.2
GTEX-13113-1326-SM-5GCOI 60-69 years, female 9.1
GTEX-13PVR-0126-SM-5S2PY 60-69 years, female 9.1
GTEX-1AX9I-1626-SM-72D5D 60-69 years, male 9.0
GTEX-X4XY-1626-SM-46MVN 60-69 years, male 9.0
GTEX-ZVT3-1626-SM-5GU66 60-69 years, female 9.0
GTEX-1HCVE-1526-SM-B2LWW 50-59 years, male 9.0
GTEX-UTHO-2426-SM-4JBHD 60-69 years, male 8.8
GTEX-S33H-1626-SM-4AD68 30-39 years, male 8.7
GTEX-11NUK-1226-SM-5P9GM 50-59 years, male 8.6
GTEX-12WSM-0726-SM-5GCOW 60-69 years, male 8.6
GTEX-144GM-1326-SM-5LU5E 20-29 years, male 8.6
GTEX-O5YV-0726-SM-EV798 60-69 years, female 8.5
GTEX-11ZUS-2526-SM-59872 30-39 years, male 8.4
GTEX-Z9EW-0426-SM-5CVM9 40-49 years, male 8.4
GTEX-144GL-1426-SM-79OMA 50-59 years, male 8.3
GTEX-X4EP-1026-SM-4QAS5 60-69 years, female 8.3
GTEX-12696-0826-SM-5EGGE 60-69 years, male 8.2
GTEX-1IKJJ-1526-SM-C1YSC 60-69 years, male 8.1
GTEX-RN64-1826-SM-48FDV 50-59 years, male 8.0
GTEX-X261-1726-SM-4PQYT 50-59 years, male 8.0
GTEX-1GN1U-0926-SM-9WPPY 50-59 years, female 8.0
GTEX-1RQEC-1126-SM-EAZ5E 60-69 years, male 8.0
GTEX-1212Z-0226-SM-59HLF 60-69 years, male 7.9
GTEX-1HBPH-2626-SM-A96TV 40-49 years, female 7.9
GTEX-132AR-0426-SM-5IFH8 50-59 years, female 7.8
GTEX-Y5LM-0426-SM-4VBRO 40-49 years, female 7.8
GTEX-1I1GR-1526-SM-CNNQE 60-69 years, male 7.8
GTEX-1ICG6-1026-SM-B2LY6 70-79 years, female 7.8
GTEX-145MO-2326-SM-5NQ9K 60-69 years, male 7.7
GTEX-13NZ9-1326-SM-5MR3V 50-59 years, male 7.6
GTEX-1B996-1426-SM-7EPIA 60-69 years, male 7.6
GTEX-1EWIQ-0726-SM-7MKFW 70-79 years, female 7.6
GTEX-1QCLZ-1226-SM-EAZ49 60-69 years, female 7.5
GTEX-12WSG-0626-SM-5FQTQ 50-59 years, female 7.3
GTEX-15RJ7-2026-SM-6LPJ4 40-49 years, male 7.3
GTEX-OOBJ-0826-SM-3NB2K 60-69 years, male 7.3
GTEX-S4Z8-0526-SM-4AD4T 60-69 years, male 7.3
GTEX-ZEX8-0826-SM-4WKHK 50-59 years, male 7.3
GTEX-147GR-1326-SM-7IGLB 60-69 years, male 7.2
GTEX-18465-1626-SM-7LG6N 50-59 years, male 7.2
GTEX-139TU-0826-SM-5IJFG 60-69 years, male 7.1
GTEX-14BIL-1326-SM-79OMR 50-59 years, male 7.1
GTEX-11GSP-0626-SM-5986T 60-69 years, female 7.0
GTEX-13NZB-0626-SM-5IFH6 30-39 years, male 7.0
GTEX-WY7C-0726-SM-4ONCB 50-59 years, male 7.0
GTEX-132NY-0926-SM-5P9G3 60-69 years, male 6.9
GTEX-1399T-0826-SM-5IFES 60-69 years, male 6.9
GTEX-WZTO-0626-SM-4PQYY 40-49 years, male 6.9
GTEX-147F4-1426-SM-5LUA8 50-59 years, male 6.8
GTEX-VUSG-0126-SM-4KL1X 50-59 years, male 6.8
GTEX-ZF2S-3026-SM-4WWCH 50-59 years, female 6.8
GTEX-ZPU1-0826-SM-57WG2 40-49 years, male 6.8
GTEX-1J8EW-1626-SM-C1YQ8 60-69 years, female 6.8
GTEX-11EQ9-0526-SM-5A5JZ 30-39 years, male 6.7
GTEX-131YS-1626-SM-5HL6C 60-69 years, female 6.7
GTEX-14DAQ-1726-SM-5S2R2 60-69 years, female 6.7
GTEX-P78B-1326-SM-3P611 40-49 years, female 6.7
GTEX-ZZPU-0426-SM-5GZYH 50-59 years, female 6.7
GTEX-1I1HK-1126-SM-AHZ2L 60-69 years, male 6.7
GTEX-11WQC-0726-SM-5EQMR 60-69 years, male 6.6
GTEX-13N2G-0926-SM-5IFGJ 60-69 years, male 6.6
GTEX-WQUQ-1926-SM-4OOSA 60-69 years, male 6.6
GTEX-1399R-1226-SM-5P9GF 30-39 years, male 6.5
GTEX-18A66-2026-SM-7189C 60-69 years, male 6.5
GTEX-XXEK-1126-SM-4BRUX 50-59 years, male 6.5
GTEX-ZYY3-0626-SM-5NQ6W 60-69 years, female 6.5
GTEX-14AS3-0126-SM-5Q5F4 40-49 years, female 6.4
GTEX-1BAJH-1526-SM-7RHGI 70-79 years, male 6.4
GTEX-131XH-0626-SM-5LZWH 50-59 years, male 6.3
GTEX-11NV4-1326-SM-5HL6V 60-69 years, male 6.2
GTEX-14E7W-1526-SM-6871X 70-79 years, male 6.2
GTEX-1B933-1226-SM-731DW 50-59 years, female 6.2
GTEX-QV44-0326-SM-C1YQX 50-59 years, male 6.2
GTEX-X4EO-1126-SM-4QARQ 60-69 years, female 6.1
GTEX-1GN2E-0926-SM-9WPOH 60-69 years, male 6.1
GTEX-ZAB5-0426-SM-5CVMI 50-59 years, male 6.0
GTEX-1B8L1-0726-SM-7P8RT 60-69 years, male 6.0
GTEX-1QPFJ-1126-SM-E9U5V 30-39 years, female 6.0
GTEX-WVLH-2126-SM-EYYWD 50-59 years, male 6.0
GTEX-13OW6-2626-SM-5IFF2 50-59 years, male 5.9
GTEX-147JS-1126-SM-5RQIW 60-69 years, male 5.8
GTEX-15SZO-1226-SM-6LPIP 50-59 years, male 5.8
GTEX-Q734-0326-SM-48U15 40-49 years, female 5.8
GTEX-OIZF-0826-SM-3MJGO 60-69 years, male 5.8
GTEX-13SLX-1226-SM-5S2Q6 50-59 years, female 5.7
GTEX-15DYW-1326-SM-6LPIV 60-69 years, female 5.7
GTEX-U3ZN-0226-SM-3DB8D 30-39 years, female 5.6
GTEX-ZYT6-0626-SM-5E45V 30-39 years, male 5.6
GTEX-1JJEA-1526-SM-CNNPK 60-69 years, male 5.6
GTEX-Y111-0726-SM-EYYVM 50-59 years, male 5.6
GTEX-1AMFI-0826-SM-731DV 50-59 years, female 5.5
GTEX-1HT8W-0826-SM-C1YRJ 30-39 years, male 5.4
GTEX-146FH-1526-SM-5NQBU 50-59 years, female 5.3
GTEX-1H11D-0826-SM-9OSWB 40-49 years, male 5.3
GTEX-13FTZ-0726-SM-5IFFY 60-69 years, male 5.2
GTEX-18A6Q-2026-SM-718AQ 60-69 years, male 5.2
GTEX-17F96-1226-SM-79OK2 70-79 years, male 5.0
GTEX-1QP6S-1326-SM-DPRZ8 40-49 years, male 5.0
GTEX-14A5I-1726-SM-5QGQ5 50-59 years, female 4.9
GTEX-148VI-0626-SM-5TDDH 60-69 years, female 4.8
GTEX-1A8FM-1226-SM-7IGMD 50-59 years, female 4.8
GTEX-1KANB-2226-SM-DHXJW 50-59 years, male 4.8
GTEX-18A7A-1526-SM-72D69 50-59 years, female 4.5
GTEX-11DXZ-0126-SM-5EGGY 50-59 years, male 4.4
GTEX-14E1K-0326-SM-5S2PE 50-59 years, male 4.4
GTEX-14JG1-1626-SM-664NH 40-49 years, male 4.4
GTEX-17HHE-0126-SM-79398 50-59 years, male 4.4
GTEX-1KWVE-0326-SM-EV7AF 30-39 years, male 4.4
GTEX-11ZTS-1426-SM-5EQMM 60-69 years, female 4.3
GTEX-1GZ4I-1526-SM-9OSW9 50-59 years, male 4.2
GTEX-QEG4-1826-SM-CKZN9 30-39 years, male 4.2
GTEX-12WSI-0226-SM-5GCNA 50-59 years, male 4.1
GTEX-1NV8Z-1626-SM-DPRYT 60-69 years, male 4.1
GTEX-RTLS-1326-SM-46MUN 60-69 years, female 4.0
GTEX-15SHU-1826-SM-7KUKS 40-49 years, female 3.7
GTEX-11OF3-0726-SM-5BC4Z 60-69 years, male 3.6
GTEX-11ZVC-0726-SM-5FQT9 50-59 years, female 3.6
GTEX-R53T-0326-SM-48FEC 50-59 years, female 3.4
GTEX-145MF-0826-SM-5QGQA 50-59 years, male 3.2
GTEX-RNOR-1426-SM-48FDJ 50-59 years, female 3.1
GTEX-13VXU-0926-SM-5IFFH 50-59 years, male 3.0
GTEX-11DXY-0526-SM-5EGGQ 60-69 years, male 2.6
Show allShow less

LIVER - FANTOM5 CAGEi

RNA expression in human tissues obtained through Cap Analysis of Gene Expression (CAGE) generated by the FANTOM5 project are reported as Scaled Tags Per Million.

Max subtype Scaled Tags Per Millioni

Max subtype Scaled Tags Per Million is the value for the subtype with the largest average Scaled Tags Per Million across the subtype samples.

6.8
FANTOM5 sample id Sample description Scaled Tags Per Million
Liver
Scaled Tags Per Million: 6.8
FF:10018-101C9 64,69,70 years, mixed 6.8

Contact

  • NEWS ARTICLES
  • PRESS ROOM

The Project

  • INTRODUCTION
  • ORGANIZATION
  • PUBLICATIONS

The Human Protein Atlas

  • DOWNLOADABLE DATA
  • LICENCE & CITATION
  • HELP & FAQ
The Human Protein Atlas project is funded
by the Knut & Alice Wallenberg Foundation.


contact@proteinatlas.org