We use cookies to enhance the usability of our website. If you continue, we'll assume that you are happy to receive all cookies. More information. Don't show this again.
ATOSB
HPA
RESOURCES
  • TISSUE
  • BRAIN
  • SINGLE CELL
  • SUBCELLULAR
  • CANCER
  • BLOOD
  • CELL LINE
  • STRUCTURE & INTERACTION
ABOUT
  • INTRODUCTION
  • HISTORY
  • ORGANIZATION
  • PUBLICATIONS
  • ANTIBODY SUBMISSION
  • ANTIBODY AVAILABILITY
  • ACKNOWLEDGMENTS
  • CONTACT
NEWS
  • NEWS ARTICLES
  • PRESS ROOM
LEARN
  • DICTIONARY
  • PROTEIN CLASSES
  • PROTEIN EVIDENCE
  • METHODS
  • EDUCATIONAL VIDEOS
DATA
  • DOWNLOADABLE DATA
  • PUBLICATION DATA
  • RELEASE HISTORY
HELP
  • ANTIBODY VALIDATION
  • ASSAYS & ANNOTATION
  • DISCLAIMER
  • HELP & FAQ
  • PRIVACY STATEMENT
  • LICENCE & CITATION
Fields »
Search result

Field
Term
Gene name
Class
Subclass
Class
Keyword
Chromosome
External id
Tissue
Cell type
Expression
Antibody panel
Tissue
Main location
Patient ID
Annotation
Tissue
Category
Tau score
Cluster
Reliability
Brain region
Category
Tau score
Brain region
Category
Tau score
Brain region
Category
Tau score
Cluster
Reliability
Tissue
Cell type
Enrichment
Cell type
Category
Tau score
Cell type
Category
Tau score
Cell type
Category
Tau score
Cell lineage
Category
Tau score
Cluster
Cluster
Location
Searches
Location
Cell line
Class
Type
Phase
Reliability
Cancer
Prognosis
Cancer
Category
Cancer
Category
Tau score
Cluster
Variants
Interacting gene (ensg_id)
Type
Number of interactions
Pathway
Category
Score
Score
Score
Validation
Validation
Validation
Validation
Antibodies
Data type
Column


  • SUMMARY

  • TISSUE

  • BRAIN

  • SINGLE CELL

  • SUBCELL

  • CANCER

  • BLOOD

  • CELL LINE

  • STRUCT & INT

  • ATOSB
TISSUE PRIMARY DATA ADIPOSE TISSUE Show tissue menu
ADIPOSE TISSUE ADRENAL GLAND AMYGDALA APPENDIX BASAL GANGLIA BONE MARROW BREAST BRONCHUS CEREBELLUM CEREBRAL CORTEX CERVIX CHOROID PLEXUS COLON DUODENUM
ENDOMETRIUM EPIDIDYMIS ESOPHAGUS FALLOPIAN TUBE GALLBLADDER HEART MUSCLE HIPPOCAMPAL FORMATION HYPOTHALAMUS KIDNEY LIVER LUNG LYMPH NODE MIDBRAIN NASOPHARYNX
ORAL MUCOSA OVARY PANCREAS PARATHYROID GLAND PITUITARY GLAND PLACENTA PROSTATE RECTUM RETINA SALIVARY GLAND SEMINAL VESICLE SKELETAL MUSCLE SKIN SMALL INTESTINE
SMOOTH MUSCLE SOFT TISSUE SPINAL CORD SPLEEN STOMACH TESTIS THYMUS THYROID GLAND TONGUE TONSIL URINARY BLADDER VAGINA
ANTIBODIES
AND
VALIDATION
Dictionary
Tissue proteome
Adipose tissue
ADIPOSE TISSUE - Expression summary
Protein expression
Adipose tissuei

On the top, protein expression in current human tissue, based on all annotated cell types, is reported with the units not detected (n), low (l), medium (m) and high (h). Underneath, protein expression in each annotated cell type are reported using the same units.

Protein expression data is based on knowledge-based annotation. For genes where more than one antibody has been used, a collective score is set.

If knowledge-based annotation could not be performed for a gene, no data is displayed here. View antibody staining data further down this page.

h
m
l
n
Adipocytes: Medium
RNA expressioni

A summary of mRNA expression data available for current tissue based on several datasets. The mRNA expression levels in human tissues are based on RNA-seq data generated by the Human Protein Atlas (HPA), Genotype-Tissue Expression (GTEx) portal and CAGE data generated by the FANTOM5 consortium. Consensus normalized expression levels for human tissues was created by combining the data from HPA and GTEx datasets.

The mRNA expression levels in pig are based on RNA-seq data generated by the Human Protein Atlas (HPA), and for mouse, HPA data and in situ hybridization generated by the Allen brain atlas are reported.

Scroll down to view mRNA expression data in more detail.
Consensus:13.4 nTPM
HPA:11.8 nTPM
GTEx:13.4 nTPM
FANTOM5:16.6 Scaled Tags Per Million

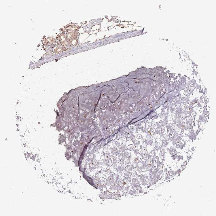
ADIPOSE TISSUE - Antibody stainingi

Antibody staining in the annotated cell types in the current human tissue is reported as not detected, low, medium, or high, based on conventional immunohistochemistry profiling in selected tissues. This score is based on the combination of the staining intensity and fraction of stained cells.

Each image is clickable and will lead to virtual microscopy that enables deeper exploration of all samples and also displays staining intensity scores, fraction scores and subcellular localization as well as patient and tissue information for each sample.

Antibody HPA048831Antibody HPA055751
Adipocytes MediumNot detected









ADIPOSE TISSUE - HPA RNA-seqi

The RNA-seq details section shows detailed information about the individual samples used for the transcript profiling and results of the RNA-seq analysis.

Information about each individual sample is listed below, including gender, age, a tissue section image and estimated fractions of cell types. nTPM (normalized transcripts per million) values give a quantification of the gene abundance which is comparable between different genes and samples.
Average nTPMi

Max subtype nTPM is the value for the subtype with the largest average nTPM across the subtype samples.

11.8
N/A
Female, age 80
Adipose tissue sample 86
nTPM: 11.2
Cell types%
Adipocytes:
95

Other cell types:
5

N/A
Female, age 45
Adipose tissue sample 115
nTPM: 8.9
N/A
Female, age 57
Adipose tissue sample 137
nTPM: 8.7
Cell types%
Adipocytes:
60

Fibroblasts:
20

Smooth muscle cells:
15

Other cell types:
5

overview
Female, age 74
Adipose tissue sample 329
nTPM: 12.3
Cell types%
Adipocytes:
50

Fibroblasts:
30

Smooth muscle cells:
15

Other cell types:
5

overview
Female, age 59
Adipose tissue sample 331
nTPM: 18.1
Cell types%
Adipocytes:
40

Fibroblasts:
40

Smooth muscle cells:
15

Other cell types:
5


ADIPOSE TISSUE - GTEx RNA-seqi

RNA-Seq data generated by the Genotype-Tissue Expression (GTEx) project from human tissues is reported as mean nTPM. More information can be found on the GTEx portal.

Distribution across the dataset is visualized with box plots, shown as median and 25th and 75th percentiles. Points are displayed as outliers if they are above or below 1.5 times the interquartile range. nTPM values of the individual samples are presented next to the box plot.
Max subtype nTPMi

Max subtype nTPM is the value for the subtype with the largest average nTPM across the subtype samples.

13.4
GTEx sample id Sample description nTPM
Adipose - Subcutaneous
Average nTPM: 13.4
Samples: 663

Max nTPM: 32.1
Min nTPM: 4.4
Std nTPM: 3.8
Median nTPM: 12.9
GTEX-1R7EV-1926-SM-EVYBF 40-49 years, male 32.1
GTEX-1H1ZS-0526-SM-9WG5L 70-79 years, male 27.9
GTEX-QDT8-0226-SM-32PL4 30-39 years, female 27.3
GTEX-1MA7W-1926-SM-E6CIO 20-29 years, female 26.3
GTEX-13JVG-0226-SM-5J1MW 60-69 years, male 26.0
GTEX-XPVG-2726-SM-4B66W 50-59 years, male 26.0
GTEX-1RAZQ-0626-SM-E8VOR 30-39 years, male 25.2
GTEX-ZYY3-0226-SM-5E45M 60-69 years, female 24.3
GTEX-ZXES-2026-SM-5NQ6R 30-39 years, female 24.1
GTEX-132QS-2526-SM-62LFJ 60-69 years, male 23.8
GTEX-YB5E-2126-SM-5IFI7 40-49 years, male 23.8
GTEX-13QBU-2526-SM-5LU4X 40-49 years, female 23.6
GTEX-ZGAY-0626-SM-DO92E 40-49 years, female 23.6
GTEX-WY7C-2426-SM-3NB2V 50-59 years, male 23.4
GTEX-13NYS-0226-SM-5MR49 60-69 years, male 23.0
GTEX-11GSO-2326-SM-5A5LX 60-69 years, male 22.9
GTEX-S32W-2226-SM-2XCAY 50-59 years, female 22.9
GTEX-111VG-2326-SM-5N9BK 60-69 years, male 22.6
GTEX-1122O-2026-SM-9YFMG 60-69 years, female 22.6
GTEX-1JN76-0226-SM-CMKGO 20-29 years, female 22.3
GTEX-QCQG-1826-SM-2S1P2 50-59 years, female 22.1
GTEX-PLZ6-1326-SM-3NB24 30-39 years, male 21.6
GTEX-1S82P-0226-SM-E6CI6 60-69 years, female 21.6
GTEX-1HFI7-2026-SM-CGQFR 50-59 years, female 21.5
GTEX-1C475-1926-SM-7DUFV 40-49 years, female 21.4
GTEX-1F75W-0226-SM-9JGGP 60-69 years, male 21.2
GTEX-13FHO-0326-SM-5IJBH 60-69 years, male 21.1
GTEX-14E6C-0226-SM-5S2N3 40-49 years, male 21.1
GTEX-SUCS-1826-SM-32PM1 70-79 years, male 21.1
GTEX-ZQG8-1526-SM-5HL65 60-69 years, female 21.1
GTEX-11TT1-2426-SM-5EQMK 20-29 years, male 21.0
GTEX-ZPIC-1826-SM-57WFE 40-49 years, female 21.0
GTEX-Y9LG-2026-SM-62LFS 30-39 years, male 20.9
GTEX-1GN1U-0226-SM-9YFLQ 50-59 years, female 20.9
GTEX-Q2AH-1726-SM-DIPDV 40-49 years, male 20.9
GTEX-145MN-2626-SM-5NQAH 30-39 years, male 20.7
GTEX-W5WG-2526-SM-4SOJ2 50-59 years, female 20.6
GTEX-WFG7-2526-SM-EWRM5 20-29 years, male 20.6
GTEX-18A67-0226-SM-7LG67 50-59 years, male 20.5
GTEX-1KANA-0826-SM-D3L9J 20-29 years, male 20.4
GTEX-PWN1-0226-SM-DKPO9 40-49 years, female 20.4
GTEX-S95S-1326-SM-2XCDK 60-69 years, male 20.3
GTEX-139D8-0326-SM-5IJCJ 30-39 years, female 20.2
GTEX-ZDTT-2626-SM-5S2OP 60-69 years, male 20.2
GTEX-XBED-2326-SM-47JYR 60-69 years, male 20.0
GTEX-13113-1826-SM-5LZW4 60-69 years, female 19.8
GTEX-WEY5-1926-SM-3GIL8 40-49 years, female 19.8
GTEX-1JJ6O-0226-SM-E6CI9 60-69 years, male 19.8
GTEX-11LCK-1126-SM-5A5KC 30-39 years, male 19.7
GTEX-1GMRU-0226-SM-9YFLW 50-59 years, male 19.7
GTEX-14DAR-1926-SM-5S2NQ 50-59 years, male 19.5
GTEX-R55G-2426-SM-2TC5I 40-49 years, female 19.5
GTEX-PX3G-0226-SM-DKPOF 20-29 years, female 19.4
GTEX-1269C-2726-SM-5EGJ4 60-69 years, female 19.2
GTEX-1HCVE-0226-SM-CGQEV 50-59 years, male 19.2
GTEX-1LSNM-2026-SM-E6CIJ 50-59 years, male 19.2
GTEX-1GN1W-0626-SM-9MQK3 50-59 years, female 19.1
GTEX-131XF-2226-SM-5EQKG 60-69 years, male 19.0
GTEX-WFG8-2326-SM-DIPDX 20-29 years, male 19.0
GTEX-1C6VQ-0226-SM-7P8S5 50-59 years, male 18.8
GTEX-1PWST-0326-SM-EAZ42 70-79 years, male 18.8
GTEX-ZTX8-1526-SM-5N9GI 20-29 years, male 18.7
GTEX-13N1W-0226-SM-5K7W6 70-79 years, male 18.5
GTEX-XAJ8-0926-SM-47JXZ 40-49 years, male 18.5
GTEX-1CB4J-1126-SM-7PBY1 60-69 years, male 18.5
GTEX-1HCUA-2226-SM-ADEHF 50-59 years, female 18.5
GTEX-11EM3-2326-SM-5H12B 20-29 years, female 18.4
GTEX-1399R-2626-SM-5KLZ7 30-39 years, male 18.4
GTEX-17F96-1726-SM-7IGMB 70-79 years, male 18.4
GTEX-ZTPG-0226-SM-5O99I 20-29 years, female 18.4
GTEX-ZP4G-2326-SM-57WEM 20-29 years, female 18.3
GTEX-1ICLZ-0226-SM-CKZPP 60-69 years, male 18.3
GTEX-183FY-0326-SM-793BY 20-29 years, male 18.2
GTEX-1S831-0326-SM-EVYD3 20-29 years, male 18.2
GTEX-132AR-0226-SM-5IJBE 50-59 years, female 18.1
GTEX-ZZ64-1626-SM-5E43W 20-29 years, male 18.1
GTEX-1K2DA-2126-SM-CGQGL 50-59 years, male 18.1
GTEX-13NZA-0126-SM-5K7UH 60-69 years, male 18.0
GTEX-13YAN-0426-SM-5O9DR 60-69 years, male 18.0
GTEX-1I1GS-0226-SM-B2LVX 60-69 years, male 17.9
GTEX-1POEN-0226-SM-EYYXE 30-39 years, female 17.9
GTEX-12ZZX-0226-SM-5DUXU 40-49 years, female 17.8
GTEX-S7SE-0226-SM-2XCD4 50-59 years, male 17.8
GTEX-1GZ4I-0226-SM-7RHHO 50-59 years, male 17.8
GTEX-1KXAM-2326-SM-CYPTD 60-69 years, male 17.8
GTEX-12696-2526-SM-5EQLN 60-69 years, male 17.7
GTEX-PSDG-0326-SM-48TCP 50-59 years, male 17.7
GTEX-1IDJU-2526-SM-CMKGF 60-69 years, female 17.7
GTEX-146FR-1826-SM-5QGPF 60-69 years, female 17.6
GTEX-1HSMP-0226-SM-CGQFI 70-79 years, male 17.6
GTEX-X4LF-1726-SM-3NMBZ 50-59 years, male 17.5
GTEX-1JKYN-1226-SM-CGQG8 30-39 years, male 17.5
GTEX-13OVJ-0326-SM-5L3GL 50-59 years, female 17.4
GTEX-17HII-0326-SM-7LG4X 50-59 years, male 17.4
GTEX-ZF29-2226-SM-4WWB9 60-69 years, female 17.4
GTEX-1EKGG-0126-SM-9YFLS 60-69 years, male 17.4
GTEX-11ZTT-2526-SM-5EQM9 60-69 years, female 17.3
GTEX-14BIL-0226-SM-5SI9E 50-59 years, male 17.3
GTEX-1I6K7-0226-SM-CJI46 40-49 years, male 17.3
GTEX-1J1R8-2226-SM-ARZMP 40-49 years, male 17.3
GTEX-1QPFJ-0126-SM-E9J4B 30-39 years, female 17.3
GTEX-14C5O-0226-SM-5SI6O 60-69 years, male 17.2
GTEX-14PHX-2426-SM-62LEN 50-59 years, male 17.2
GTEX-15UKP-0526-SM-7KFRO 20-29 years, male 17.2
GTEX-1M5QR-2126-SM-DKPQM 40-49 years, male 17.2
GTEX-1B8KE-2526-SM-73KYQ 50-59 years, male 17.1
GTEX-XUW1-0526-SM-4BOP3 50-59 years, female 17.1
GTEX-WYJK-0226-SM-EYYV8 50-59 years, male 17.1
GTEX-1399T-2726-SM-5K7XK 60-69 years, male 17.0
GTEX-16MTA-2126-SM-6PALC 50-59 years, male 16.9
GTEX-16NGA-1826-SM-7LG5L 40-49 years, female 16.9
GTEX-11ZU8-2426-SM-5EQMV 60-69 years, male 16.8
GTEX-13FH7-2226-SM-5IJD4 50-59 years, female 16.8
GTEX-1QCLY-0526-SM-EAZ47 30-39 years, male 16.8
GTEX-OHPK-0226-SM-3MJH6 50-59 years, female 16.7
GTEX-TML8-2026-SM-32QOP 40-49 years, female 16.7
GTEX-13X6J-0226-SM-7EPGC 50-59 years, male 16.6
GTEX-1AX9J-0326-SM-73KXY 60-69 years, male 16.6
GTEX-ZTSS-2026-SM-5987K 40-49 years, male 16.6
GTEX-13OW7-0226-SM-5MR3N 50-59 years, male 16.5
GTEX-16GPK-0226-SM-7DUFI 60-69 years, male 16.5
GTEX-PLZ5-1826-SM-3NB22 50-59 years, male 16.5
GTEX-YB5K-2226-SM-4WWG1 40-49 years, female 16.5
GTEX-YFCO-2026-SM-4W21Q 40-49 years, male 16.5
GTEX-YJ8O-2426-SM-5HL7S 40-49 years, female 16.5
GTEX-1QP9N-1526-SM-DTXFK 30-39 years, male 16.5
GTEX-13G51-2626-SM-5LZYW 60-69 years, male 16.4
GTEX-1OFPY-2326-SM-E8VNU 60-69 years, male 16.4
GTEX-13VXT-0226-SM-5LU9Q 20-29 years, female 16.3
GTEX-17HG3-2326-SM-79OKH 30-39 years, female 16.3
GTEX-XGQ4-2226-SM-4AT4Y 50-59 years, male 16.3
GTEX-ZPCL-2126-SM-57WFZ 60-69 years, female 16.3
GTEX-1MA7X-2126-SM-E6CIX 60-69 years, male 16.3
GTEX-1RDX4-0226-SM-DTXG1 50-59 years, female 16.3
GTEX-1211K-2226-SM-5FQU6 60-69 years, female 16.2
GTEX-14C39-2526-SM-5S2UH 40-49 years, male 16.2
GTEX-OXRL-0226-SM-3NB18 50-59 years, male 16.2
GTEX-P44H-0326-SM-2XCES 40-49 years, male 16.2
GTEX-XUZC-1826-SM-4BRVO 30-39 years, female 16.2
GTEX-ZYFC-0326-SM-5NQ7H 50-59 years, male 16.2
GTEX-1LGRB-2426-SM-CNPP3 50-59 years, female 16.2
GTEX-U3ZM-1026-SM-EZ6LD 40-49 years, male 16.2
GTEX-17HHE-1926-SM-7EPGW 50-59 years, male 16.1
GTEX-POMQ-2326-SM-DHXIS 20-29 years, female 16.1
GTEX-P4QS-0226-SM-3NB1U 60-69 years, male 16.0
GTEX-T6MN-0226-SM-32PMD 50-59 years, male 16.0
GTEX-XUYS-0226-SM-47JX1 50-59 years, male 16.0
GTEX-Z93S-0226-SM-5HL7R 50-59 years, male 16.0
GTEX-1I1GU-2326-SM-CGQFB 40-49 years, male 16.0
GTEX-1JN1M-0126-SM-D4P23 60-69 years, female 16.0
GTEX-13D11-2326-SM-5IJCY 50-59 years, female 15.9
GTEX-Z93T-0226-SM-5HL5Z 50-59 years, male 15.9
GTEX-1GF9X-1926-SM-ADEIC 40-49 years, female 15.9
GTEX-145MG-0126-SM-5TDDA 50-59 years, male 15.8
GTEX-NFK9-0326-SM-3MJGV 40-49 years, male 15.8
GTEX-TKQ1-1126-SM-4GIAZ 30-39 years, male 15.8
GTEX-1I4MK-2026-SM-B2LVR 50-59 years, female 15.8
GTEX-1PPH8-0626-SM-EWRN9 20-29 years, male 15.8
GTEX-13O3Q-2326-SM-5KM3G 50-59 years, male 15.7
GTEX-147F3-0626-SM-5NQ9I 50-59 years, female 15.7
GTEX-Y3I4-2226-SM-4TT7O 50-59 years, male 15.7
GTEX-YEC3-1226-SM-5IFI8 50-59 years, male 15.7
GTEX-1HR9M-0226-SM-COH3E 60-69 years, male 15.7
GTEX-1S5ZU-0226-SM-E6CHW 20-29 years, female 15.7
GTEX-13PLJ-0126-SM-5L3HU 60-69 years, female 15.6
GTEX-R55C-1626-SM-48FEG 40-49 years, male 15.6
GTEX-11TUW-2626-SM-5EQKZ 60-69 years, male 15.5
GTEX-16MT8-0526-SM-6PAM6 60-69 years, female 15.5
GTEX-17HGU-0326-SM-7DUER 50-59 years, male 15.5
GTEX-Q2AG-0226-SM-2S1P4 40-49 years, female 15.5
GTEX-RM2N-1726-SM-2TF55 50-59 years, male 15.5
GTEX-X5EB-2426-SM-4E3HX 40-49 years, male 15.5
GTEX-1GTWX-0226-SM-9YFLL 60-69 years, male 15.5
GTEX-14JG1-0526-SM-6LLHW 40-49 years, male 15.4
GTEX-18A7A-0326-SM-731AT 50-59 years, female 15.4
GTEX-OOBK-0226-SM-2YUMF 40-49 years, male 15.4
GTEX-U4B1-1726-SM-3DB9F 40-49 years, male 15.4
GTEX-1HSGN-0126-SM-CGQFU 40-49 years, female 15.4
GTEX-1N2DW-0326-SM-E9TK3 50-59 years, male 15.4
GTEX-1RAZR-0226-SM-EVYC6 40-49 years, male 15.4
GTEX-ZLFU-2626-SM-DO91L 40-49 years, male 15.4
GTEX-13PVR-2426-SM-5RQHN 60-69 years, female 15.3
GTEX-N7MS-0326-SM-4E3K2 60-69 years, male 15.3
GTEX-WH7G-2226-SM-3NMBN 40-49 years, male 15.3
GTEX-X8HC-0226-SM-4E3K1 50-59 years, female 15.3
GTEX-ZVT2-2226-SM-5NQ6P 50-59 years, female 15.3
GTEX-1HBPM-0326-SM-CMKGR 60-69 years, female 15.3
GTEX-1117F-0226-SM-5GZZ7 60-69 years, female 15.2
GTEX-139T6-2126-SM-5KM37 50-59 years, male 15.2
GTEX-14PJ4-2226-SM-6LLIS 60-69 years, male 15.2
GTEX-1A3MV-2126-SM-718BV 30-39 years, male 15.1
GTEX-X15G-2326-SM-4PQZS 50-59 years, female 15.1
GTEX-1AMEY-1426-SM-7939I 30-39 years, female 15.0
GTEX-TMZS-0226-SM-3DB9N 60-69 years, male 15.0
GTEX-ZLV1-1826-SM-5FQU5 60-69 years, female 15.0
GTEX-1ICG6-2626-SM-CGQG1 70-79 years, female 15.0
GTEX-1LSVX-0126-SM-EVYCY 60-69 years, male 15.0
GTEX-1MCYP-1826-SM-E9J2Q 20-29 years, female 15.0
GTEX-131XE-2426-SM-5EQ5V 50-59 years, male 14.9
GTEX-1AX9K-2426-SM-73KZ4 50-59 years, male 14.9
GTEX-1C4CL-0426-SM-7939N 30-39 years, male 14.9
GTEX-OIZH-0226-SM-2YUMH 50-59 years, male 14.9
GTEX-X638-0226-SM-47JZ9 70-79 years, female 14.9
GTEX-11DXX-2326-SM-9YFKS 60-69 years, female 14.9
GTEX-16XZZ-0226-SM-7MGVJ 60-69 years, male 14.9
GTEX-1J8QM-2326-SM-CYPSL 60-69 years, female 14.9
GTEX-144GL-0226-SM-5QGOX 50-59 years, male 14.8
GTEX-145LT-1826-SM-5QGP4 40-49 years, male 14.8
GTEX-SN8G-0226-SM-4DM6B 50-59 years, female 14.8
GTEX-YEC4-2426-SM-57WFO 40-49 years, male 14.8
GTEX-YF7O-2426-SM-5IFJL 50-59 years, male 14.8
GTEX-12ZZY-0326-SM-5LZVQ 60-69 years, male 14.7
GTEX-13CF3-2326-SM-5IFGL 60-69 years, female 14.7
GTEX-18A66-0326-SM-718BE 60-69 years, male 14.7
GTEX-OXRN-0226-SM-2I5EJ 50-59 years, male 14.7
GTEX-XBEW-0726-SM-4QARX 40-49 years, male 14.7
GTEX-1LH75-2526-SM-E9U5A 50-59 years, female 14.7
GTEX-RVPV-1526-SM-EXOHF 60-69 years, male 14.7
GTEX-13OVI-1326-SM-5IJBO 60-69 years, female 14.6
GTEX-1LG7Z-2026-SM-DLHBP 30-39 years, male 14.6
GTEX-14PJ6-2226-SM-6LLIV 60-69 years, female 14.5
GTEX-XLM4-0226-SM-4AT4N 60-69 years, male 14.5
GTEX-ZVZO-0226-SM-5A5LA 40-49 years, male 14.5
GTEX-11UD1-0226-SM-5EQKL 40-49 years, female 14.4
GTEX-13IVO-0226-SM-5LZXU 70-79 years, male 14.4
GTEX-1C64O-0226-SM-73KXB 60-69 years, male 14.4
GTEX-Y8LW-1926-SM-4WWFZ 50-59 years, female 14.4
GTEX-1J8JJ-0326-SM-CMKG6 60-69 years, female 14.4
GTEX-1KWVE-1326-SM-E6CJ1 30-39 years, male 14.4
GTEX-1LGOU-2226-SM-E9U56 20-29 years, female 14.4
GTEX-16YQH-0226-SM-6PALD 30-39 years, male 14.3
GTEX-RTLS-0226-SM-2TF5E 60-69 years, female 14.3
GTEX-1J8Q3-1526-SM-CMKGB 60-69 years, male 14.3
GTEX-1PFEY-1626-SM-E9J3M 30-39 years, male 14.3
GTEX-11H98-0226-SM-5NQ89 50-59 years, male 14.2
GTEX-13O1R-0226-SM-5K7U5 60-69 years, male 14.2
GTEX-1A3MX-0226-SM-731C4 60-69 years, male 14.2
GTEX-1JMQL-0326-SM-CNPP6 50-59 years, female 14.2
GTEX-ZDYS-2126-SM-5S2P2 50-59 years, male 14.2
GTEX-P4PQ-0226-SM-2S1NK 60-69 years, male 14.1
GTEX-QDVN-2126-SM-33HBS 50-59 years, male 14.1
GTEX-T2IS-0226-SM-32QPH 20-29 years, female 14.1
GTEX-XMD2-0226-SM-4WWEE 60-69 years, female 14.1
GTEX-Y5V6-2526-SM-5IFJV 60-69 years, male 14.1
GTEX-1CAMR-1826-SM-7MXUJ 20-29 years, male 14.1
GTEX-1HFI6-0326-SM-ADEI5 40-49 years, male 14.1
GTEX-1I1HK-0226-SM-COH4A 60-69 years, male 14.1
GTEX-13N11-2626-SM-5K7UQ 50-59 years, female 14.0
GTEX-1C2JI-2226-SM-7IGPJ 50-59 years, male 14.0
GTEX-Q734-1826-SM-2I3EL 40-49 years, female 14.0
GTEX-S4P3-1526-SM-E9J3W 50-59 years, female 14.0
GTEX-111YS-2426-SM-5GZZQ 60-69 years, male 13.9
GTEX-1128S-2126-SM-5H12U 60-69 years, female 13.9
GTEX-17F98-1126-SM-79OJS 40-49 years, female 13.9
GTEX-1BAJH-0426-SM-73KWY 70-79 years, male 13.9
GTEX-Y8E5-0226-SM-57WCM 60-69 years, male 13.9
GTEX-ZYT6-0326-SM-7LG5R 30-39 years, male 13.9
GTEX-1HCU6-0226-SM-CGQES 60-69 years, female 13.9
GTEX-1HT8W-0226-SM-CMKGT 30-39 years, male 13.9
GTEX-1PIIG-0326-SM-EVYBV 30-39 years, male 13.9
GTEX-VUSH-0226-SM-EXUQV 30-39 years, male 13.9
GTEX-ZLWG-2226-SM-DO92V 50-59 years, female 13.9
GTEX-QV44-1825-SM-447CF 50-59 years, male 13.8
GTEX-1F88F-2626-SM-9WG5K 60-69 years, female 13.8
GTEX-PWCY-1926-SM-3NB25 20-29 years, female 13.7
GTEX-1HSMQ-1426-SM-ADEHT 50-59 years, male 13.7
GTEX-1LB8K-0326-SM-E9TJC 50-59 years, male 13.7
GTEX-113IC-0226-SM-5HL5C 60-69 years, male 13.6
GTEX-13CF2-2626-SM-5LZZA 60-69 years, male 13.6
GTEX-14H4A-1026-SM-62LDY 40-49 years, female 13.6
GTEX-1EWIQ-0226-SM-793D3 70-79 years, female 13.6
GTEX-OOBJ-0226-SM-2YUMM 60-69 years, male 13.6
GTEX-P4QT-0226-SM-3LK68 50-59 years, female 13.6
GTEX-QLQW-1226-SM-2S1Q9 30-39 years, male 13.6
GTEX-YECK-0226-SM-4W215 60-69 years, male 13.6
GTEX-1H23P-0226-SM-9YFLO 60-69 years, male 13.6
GTEX-1I19N-0426-SM-ACKVY 70-79 years, male 13.6
GTEX-1NHNU-1126-SM-E9J2C 50-59 years, male 13.6
GTEX-OIZF-0226-SM-E9TI3 60-69 years, male 13.6
GTEX-111CU-1826-SM-5GZYN 50-59 years, male 13.5
GTEX-13S7M-0226-SM-5S2UG 60-69 years, female 13.5
GTEX-OHPN-0226-SM-48TBV 60-69 years, female 13.5
GTEX-T6MO-1726-SM-33HB8 40-49 years, female 13.5
GTEX-ZVZP-2326-SM-59HL4 50-59 years, male 13.5
GTEX-ZXG5-0226-SM-59HJI 60-69 years, male 13.5
GTEX-169BO-1426-SM-9MQJT 50-59 years, male 13.5
GTEX-11EMC-2826-SM-5PNY6 60-69 years, female 13.4
GTEX-1E1VI-0226-SM-793CZ 50-59 years, male 13.4
GTEX-Q2AI-1426-SM-2S1P5 40-49 years, male 13.4
GTEX-SNOS-1426-SM-32PLY 40-49 years, male 13.4
GTEX-1QEPI-0226-SM-EWRMR 60-69 years, female 13.4
GTEX-14LLW-0226-SM-62LEL 70-79 years, female 13.3
GTEX-OXRK-0326-SM-3NB3R 50-59 years, female 13.3
GTEX-T8EM-1126-SM-3DB7D 40-49 years, male 13.3
GTEX-1E2YA-0226-SM-9MQLY 50-59 years, male 13.3
GTEX-1H4P4-0226-SM-9YFKT 50-59 years, male 13.3
GTEX-1R7EU-0326-SM-EWRNJ 60-69 years, male 13.3
GTEX-12C56-1626-SM-5FQUO 20-29 years, male 13.2
GTEX-14A5H-0526-SM-5TDCN 60-69 years, male 13.2
GTEX-14BMU-2126-SM-5S2TS 20-29 years, female 13.2
GTEX-14PJ3-1926-SM-62LEY 50-59 years, male 13.2
GTEX-18QFQ-0226-SM-731BQ 30-39 years, male 13.2
GTEX-1CAMS-0326-SM-7PC35 40-49 years, female 13.2
GTEX-1I1CD-0226-SM-CM2TL 60-69 years, female 13.2
GTEX-13111-1726-SM-5EGJZ 50-59 years, male 13.1
GTEX-14PN3-2526-SM-6EU15 60-69 years, female 13.1
GTEX-O5YT-0226-SM-32PK5 20-29 years, male 13.1
GTEX-WFON-2226-SM-3TW8W 40-49 years, male 13.1
GTEX-X88G-0226-SM-4GIE4 30-39 years, male 13.1
GTEX-ZVT4-0226-SM-51MSD 50-59 years, female 13.1
GTEX-1CB4G-0326-SM-7SB8R 60-69 years, male 13.1
GTEX-1I1GT-0526-SM-CGQEQ 60-69 years, female 13.1
GTEX-11ZTS-0226-SM-5EQKD 60-69 years, female 13.0
GTEX-12WSM-0226-SM-5LZV6 60-69 years, male 13.0
GTEX-13SLW-0226-SM-5S2NA 70-79 years, male 13.0
GTEX-144FL-0226-SM-5Q5D4 50-59 years, male 13.0
GTEX-18A6Q-0226-SM-718AS 60-69 years, male 13.0
GTEX-1A3MW-0226-SM-7939O 60-69 years, female 13.0
GTEX-OIZI-0226-SM-2XCEE 40-49 years, male 13.0
GTEX-SJXC-0226-SM-2XCDU 60-69 years, male 13.0
GTEX-SSA3-0226-SM-32QPN 60-69 years, male 13.0
GTEX-ZAK1-0226-SM-5CVMX 50-59 years, female 13.0
GTEX-1JKYR-0226-SM-CNPOK 20-29 years, male 13.0
GTEX-1MCC2-2326-SM-E9U5G 30-39 years, female 13.0
GTEX-1OJC4-1726-SM-EXUSV 50-59 years, female 13.0
GTEX-1RQEC-0526-SM-E6CHV 60-69 years, male 13.0
GTEX-OIZG-0826-SM-E9TI4 50-59 years, male 13.0
GTEX-R3RS-0226-SM-EYYVE 40-49 years, female 13.0
GTEX-117YX-2226-SM-5EGJJ 50-59 years, male 12.9
GTEX-145MI-0426-SM-5O99V 60-69 years, female 12.9
GTEX-1497J-2326-SM-5NQBK 60-69 years, male 12.9
GTEX-13NYB-2626-SM-9YFMI 40-49 years, male 12.9
GTEX-1JJEA-0226-SM-COH2X 60-69 years, male 12.9
GTEX-15DCD-0226-SM-6LPKC 70-79 years, female 12.8
GTEX-O5YV-0226-SM-48TBY 60-69 years, female 12.8
GTEX-Y5V5-2426-SM-5IFJA 60-69 years, female 12.8
GTEX-1H3VY-0226-SM-9YFMF 50-59 years, male 12.8
GTEX-13O21-1526-SM-5K7W4 50-59 years, male 12.7
GTEX-14PII-0326-SM-6LLIQ 60-69 years, male 12.7
GTEX-ZYVF-0226-SM-5GIEG 50-59 years, female 12.7
GTEX-1I1GQ-0226-SM-COH3I 50-59 years, male 12.7
GTEX-1JMPY-1426-SM-ARL8Z 30-39 years, male 12.7
GTEX-1RAZA-0226-SM-E9U4W 20-29 years, male 12.7
GTEX-11OF3-2426-SM-5Q5AS 60-69 years, male 12.6
GTEX-146FH-0226-SM-5QGPQ 50-59 years, female 12.6
GTEX-15ETS-0426-SM-6PANI 40-49 years, female 12.6
GTEX-1CB4I-0426-SM-7IGPR 50-59 years, male 12.6
GTEX-XBEC-0326-SM-4AT4M 50-59 years, male 12.6
GTEX-XQ8I-0526-SM-4BOPS 50-59 years, male 12.6
GTEX-1EH9U-0226-SM-7PBY8 60-69 years, male 12.6
GTEX-1HGF4-2526-SM-ADEIZ 60-69 years, male 12.6
GTEX-11EQ9-2526-SM-5HL66 30-39 years, male 12.5
GTEX-11ZVC-2626-SM-5FQTA 50-59 years, female 12.5
GTEX-131XW-0526-SM-5PNXZ 50-59 years, female 12.5
GTEX-148VI-1726-SM-5S2W9 60-69 years, female 12.5
GTEX-14BIN-0726-SM-793DQ 50-59 years, female 12.5
GTEX-QLQ7-1526-SM-2S1QA 60-69 years, male 12.5
GTEX-X4XY-0326-SM-46MVZ 60-69 years, male 12.5
GTEX-1EU9M-0326-SM-7RHGF 60-69 years, male 12.5
GTEX-1F5PK-2526-SM-9MQKN 50-59 years, male 12.5
GTEX-1HBPI-1426-SM-B2LW7 50-59 years, male 12.5
GTEX-1S83E-0226-SM-EVYCW 40-49 years, male 12.5
GTEX-11EQ8-0226-SM-5EQ5G 60-69 years, male 12.4
GTEX-11PRG-0626-SM-5BC56 50-59 years, male 12.4
GTEX-15ER7-0426-SM-6PAM3 20-29 years, female 12.4
GTEX-15SDE-2426-SM-7KFRC 50-59 years, female 12.4
GTEX-17EUY-0526-SM-7EWDE 20-29 years, male 12.4
GTEX-VUSG-2426-SM-4KKZG 50-59 years, male 12.4
GTEX-ZDTS-0226-SM-5HL7Q 60-69 years, male 12.4
GTEX-1GF9V-0226-SM-9MQKA 60-69 years, male 12.4
GTEX-1IDJF-0226-SM-CMKGE 20-29 years, male 12.4
GTEX-1IL2U-0326-SM-CE6T9 60-69 years, male 12.4
GTEX-1QP29-0726-SM-DTXFM 50-59 years, male 12.4
GTEX-1R46S-0526-SM-EVYBZ 60-69 years, female 12.4
GTEX-12126-0426-SM-5Q5AP 20-29 years, male 12.3
GTEX-RU72-1026-SM-46MUG 50-59 years, female 12.3
GTEX-X4EO-0426-SM-4QASA 60-69 years, female 12.3
GTEX-ZPU1-2426-SM-4WWFM 40-49 years, male 12.3
GTEX-ZZPU-2726-SM-5NQ8O 50-59 years, female 12.3
GTEX-1GN73-0326-SM-9KNTW 60-69 years, male 12.3
GTEX-1HB9E-0426-SM-CNPPV 50-59 years, male 12.3
GTEX-1QP2A-0226-SM-EVYBC 50-59 years, male 12.3
GTEX-11P81-2426-SM-5GU65 30-39 years, female 12.2
GTEX-11UD2-0126-SM-5EQL2 50-59 years, male 12.2
GTEX-131YS-0226-SM-5IJEH 60-69 years, female 12.2
GTEX-14BMV-0226-SM-5S2N2 50-59 years, male 12.2
GTEX-1B8KZ-1926-SM-7DUG8 50-59 years, male 12.2
GTEX-1B8SG-0226-SM-7939Q 50-59 years, male 12.2
GTEX-ZVTK-0526-SM-5GZWT 20-29 years, male 12.2
GTEX-11DXW-0326-SM-5H11W 40-49 years, male 12.1
GTEX-11ZUS-0726-SM-59886 30-39 years, male 12.1
GTEX-12WSL-2426-SM-5GCN7 50-59 years, male 12.1
GTEX-139T4-0126-SM-5HL5G 50-59 years, female 12.1
GTEX-139TU-0226-SM-5J1NM 60-69 years, male 12.1
GTEX-18D9A-2026-SM-718BL 30-39 years, female 12.1
GTEX-1AYD5-2326-SM-73KXF 50-59 years, male 12.1
GTEX-P78B-0226-SM-3NB1Z 40-49 years, female 12.1
GTEX-WVLH-0226-SM-3MJG6 50-59 years, male 12.1
GTEX-1B932-0226-SM-7PBYH 40-49 years, female 12.1
GTEX-1IKK5-0526-SM-CMKGG 60-69 years, male 12.1
GTEX-1K9T9-0226-SM-E9U6K 50-59 years, female 12.1
GTEX-RUSQ-1626-SM-EZ6L4 50-59 years, male 12.1
GTEX-11P7K-2026-SM-5GU74 30-39 years, male 12.0
GTEX-13NZB-2426-SM-5K7UF 30-39 years, male 12.0
GTEX-14PJM-0326-SM-62LF2 50-59 years, female 12.0
GTEX-QEL4-0326-SM-3GAE5 50-59 years, male 12.0
GTEX-1MGNQ-0226-SM-EVYCK 40-49 years, male 12.0
GTEX-1PBJI-0426-SM-E8VNM 20-29 years, female 12.0
GTEX-1QAET-1126-SM-E8VML 50-59 years, male 12.0
GTEX-12584-0226-SM-5EQL5 40-49 years, male 11.9
GTEX-12WSA-0326-SM-5BC6I 60-69 years, male 11.9
GTEX-13FTY-0626-SM-5L3F8 40-49 years, female 11.9
GTEX-16BQI-0526-SM-6PAM8 30-39 years, female 11.9
GTEX-UJHI-1626-SM-3DB9A 50-59 years, female 11.9
GTEX-X261-0226-SM-3NMD2 50-59 years, male 11.9
GTEX-1GPI7-0226-SM-9MQKB 20-29 years, male 11.9
GTEX-XOT4-0226-SM-4B66Z 60-69 years, female 11.9
GTEX-11P82-1726-SM-5Q5AT 20-29 years, male 11.8
GTEX-147JS-0426-SM-5TDD2 60-69 years, male 11.8
GTEX-WHPG-2126-SM-4M1ZM 50-59 years, male 11.8
GTEX-Y111-0226-SM-4SOIW 50-59 years, male 11.8
GTEX-145ME-1926-SM-5MR6T 40-49 years, female 11.8
GTEX-1B8L1-2626-SM-7SB77 60-69 years, male 11.8
GTEX-1FIGZ-1626-SM-7SB8L 40-49 years, male 11.8
GTEX-1I1GP-2326-SM-CGQFL 50-59 years, male 11.8
GTEX-1212Z-2426-SM-5EQ5D 60-69 years, male 11.7
GTEX-14753-0326-SM-5QGQB 60-69 years, male 11.7
GTEX-14ABY-0326-SM-5TDDK 50-59 years, male 11.7
GTEX-14ICL-2026-SM-62LDN 30-39 years, male 11.7
GTEX-17HHY-0226-SM-793BQ 50-59 years, male 11.7
GTEX-18D9U-0726-SM-7LG5J 40-49 years, male 11.7
GTEX-1AMFI-2126-SM-731BT 50-59 years, female 11.7
GTEX-XMK1-2226-SM-4B673 40-49 years, male 11.7
GTEX-1EMGI-0226-SM-9MQL1 60-69 years, male 11.7
GTEX-1F48J-0226-SM-7SB82 50-59 years, female 11.7
GTEX-1L5NE-2626-SM-E9U6P 50-59 years, male 11.7
GTEX-QEG4-0326-SM-DIPE3 30-39 years, male 11.7
GTEX-OXRO-0226-SM-3LK6F 60-69 years, female 11.6
GTEX-1A8G6-0526-SM-7PC1E 60-69 years, male 11.6
GTEX-1MJK2-0526-SM-DTXE6 50-59 years, male 11.6
GTEX-17MFQ-1826-SM-7DHLS 20-29 years, male 11.5
GTEX-RWSA-0226-SM-2XCBA 40-49 years, male 11.5
GTEX-1B996-0126-SM-7PBYF 60-69 years, male 11.5
GTEX-1C6VR-2626-SM-7MGX2 60-69 years, male 11.5
GTEX-1H2FU-0226-SM-9YFKO 60-69 years, female 11.5
GTEX-1H3VE-0226-SM-9WYST 40-49 years, male 11.5
GTEX-1IOXB-0226-SM-CMKHY 50-59 years, male 11.5
GTEX-1KD5A-0326-SM-D5OVD 50-59 years, male 11.5
GTEX-17EVP-0426-SM-79OKG 40-49 years, male 11.4
GTEX-SIU8-0226-SM-2XCDS 50-59 years, male 11.4
GTEX-YJ89-0226-SM-4TT3Y 60-69 years, male 11.4
GTEX-Z9EW-1826-SM-5CVMA 40-49 years, male 11.4
GTEX-1AX9I-0226-SM-7SB75 60-69 years, male 11.4
GTEX-1H1CY-2626-SM-9MQKJ 60-69 years, female 11.4
GTEX-1HBPH-0526-SM-9YFMN 40-49 years, female 11.4
GTEX-11I78-2626-SM-5Q5AI 50-59 years, female 11.3
GTEX-13112-2726-SM-5DUW5 50-59 years, male 11.3
GTEX-1B97I-1726-SM-7939V 40-49 years, male 11.3
GTEX-QV31-1326-SM-2S1QE 30-39 years, male 11.3
GTEX-U3ZN-2626-SM-3DB7T 30-39 years, female 11.3
GTEX-WL46-0326-SM-3LK6Y 50-59 years, male 11.3
GTEX-ZUA1-0226-SM-5NQ9Q 40-49 years, male 11.3
GTEX-1IGQW-0226-SM-COH43 60-69 years, male 11.3
GTEX-1JMLX-0126-SM-CMKG9 50-59 years, male 11.3
GTEX-11TTK-0226-SM-5N9EC 60-69 years, female 11.2
GTEX-12WSC-0226-SM-5EQ52 50-59 years, male 11.2
GTEX-12WSD-0226-SM-59HKO 60-69 years, female 11.2
GTEX-13OVK-2126-SM-6PAN1 40-49 years, male 11.2
GTEX-13PDP-0226-SM-5K7W9 60-69 years, male 11.2
GTEX-14AS3-2026-SM-5TDD9 40-49 years, female 11.2
GTEX-ZT9X-1926-SM-57WE7 40-49 years, male 11.2
GTEX-1HSKV-0326-SM-ADEJC 60-69 years, male 11.2
GTEX-1I1GR-0226-SM-CMKHQ 60-69 years, male 11.2
GTEX-1LSNL-0526-SM-DIPFI 50-59 years, male 11.2
GTEX-13U4I-0226-SM-5SIB1 40-49 years, female 11.1
GTEX-R53T-1626-SM-3GAEW 50-59 years, female 11.1
GTEX-WVJS-0226-SM-4MVOU 50-59 years, male 11.1
GTEX-XQ3S-1626-SM-4WAYN 20-29 years, male 11.1
GTEX-1QP28-0226-SM-E9J2N 50-59 years, female 11.1
GTEX-1R9K5-0226-SM-EWRNF 50-59 years, male 11.1
GTEX-111FC-0226-SM-5N9B8 60-69 years, male 11.0
GTEX-OXRP-0226-SM-3NB14 60-69 years, female 11.0
GTEX-1HCU8-0726-SM-ADEIR 60-69 years, female 11.0
GTEX-1IY9M-0226-SM-CMKHP 60-69 years, male 11.0
GTEX-1J1OQ-0326-SM-CYPTJ 40-49 years, female 11.0
GTEX-1LG7Y-0426-SM-DKPQB 50-59 years, male 11.0
GTEX-RNOR-0226-SM-EZ6MF 50-59 years, female 11.0
GTEX-1313W-0226-SM-5LZV7 50-59 years, female 10.9
GTEX-13SLX-0426-SM-5QGRC 50-59 years, female 10.9
GTEX-14E1K-2126-SM-793DU 50-59 years, male 10.9
GTEX-1LVAN-0126-SM-COH4H 50-59 years, female 10.9
GTEX-1QP66-1326-SM-DTXDQ 50-59 years, male 10.9
GTEX-1R9PM-2126-SM-E8VOB 20-29 years, male 10.9
GTEX-1B8SF-0526-SM-7939F 60-69 years, male 10.8
GTEX-WFJO-1926-SM-3GILA 30-39 years, male 10.8
GTEX-11NUK-0326-SM-5HL5K 50-59 years, male 10.8
GTEX-1IKJJ-0226-SM-COH3T 60-69 years, male 10.8
GTEX-1QW4Y-1626-SM-EAZ41 30-39 years, male 10.8
GTEX-P4PP-0226-SM-D4P1Z 30-39 years, female 10.8
GTEX-11ONC-2526-SM-5986W 60-69 years, male 10.7
GTEX-11XUK-2126-SM-5EQLR 40-49 years, female 10.7
GTEX-133LE-1926-SM-5N9FV 20-29 years, female 10.7
GTEX-1F88E-0526-SM-7SB8J 60-69 years, female 10.7
GTEX-1GMR3-2026-SM-9MQLG 40-49 years, male 10.7
GTEX-1KAFJ-2426-SM-D4P32 50-59 years, male 10.7
GTEX-1MUQO-0526-SM-E9J31 60-69 years, male 10.7
GTEX-1PDJ9-0426-SM-E9J3E 20-29 years, male 10.7
GTEX-1QP67-1726-SM-E8VOP 40-49 years, female 10.7
GTEX-11EI6-0226-SM-5EQ64 60-69 years, male 10.6
GTEX-13FTW-2526-SM-5IJC8 40-49 years, male 10.6
GTEX-16NPX-0326-SM-7EWDI 50-59 years, male 10.6
GTEX-1H1DF-0226-SM-ARL9A 40-49 years, female 10.6
GTEX-NPJ8-0226-SM-48TBN 40-49 years, male 10.5
GTEX-OHPM-0226-SM-3LK61 50-59 years, male 10.5
GTEX-W5X1-2626-SM-4LMI8 40-49 years, female 10.5
GTEX-Y8E4-0726-SM-4WWFN 40-49 years, male 10.5
GTEX-ZVP2-1826-SM-5GU62 50-59 years, male 10.5
GTEX-1CB4E-1826-SM-7RHG8 60-69 years, male 10.5
GTEX-1F75A-0226-SM-7PC2K 50-59 years, male 10.5
GTEX-1I1GV-0426-SM-ARZLX 60-69 years, male 10.5
GTEX-1PIGE-0526-SM-DTXFA 20-29 years, male 10.5
GTEX-11GS4-2626-SM-5A5LD 60-69 years, male 10.4
GTEX-13O61-2426-SM-5J1NV 60-69 years, male 10.4
GTEX-15CHQ-0226-SM-6EU2S 60-69 years, male 10.4
GTEX-R55D-0326-SM-48FES 50-59 years, male 10.4
GTEX-1GN2E-0326-SM-COH3C 60-69 years, male 10.4
GTEX-1HR98-0226-SM-CGQEK 60-69 years, male 10.4
GTEX-1J8EW-0226-SM-CYPSW 60-69 years, female 10.4
GTEX-13OW8-1226-SM-5K7XD 60-69 years, male 10.3
GTEX-144GO-1626-SM-7EPG5 60-69 years, male 10.3
GTEX-17F97-0426-SM-7LT9U 50-59 years, male 10.3
GTEX-QMRM-1726-SM-2S1QG 50-59 years, male 10.3
GTEX-YJ8A-0526-SM-5IFHT 20-29 years, male 10.3
GTEX-1HSEH-0226-SM-ACKVV 60-69 years, male 10.3
GTEX-1QP6S-0126-SM-E9J4K 40-49 years, male 10.3
GTEX-R45C-0226-SM-EVYAJ 60-69 years, female 10.3
GTEX-1399U-2426-SM-5K7XB 50-59 years, female 10.2
GTEX-139YR-2426-SM-5J1OB 50-59 years, male 10.2
GTEX-13N2G-2726-SM-5J1MG 60-69 years, male 10.2
GTEX-13O3P-0226-SM-5KM3Z 50-59 years, male 10.2
GTEX-147GR-0426-SM-5S2OL 60-69 years, male 10.2
GTEX-18465-0226-SM-7LG5M 50-59 years, male 10.2
GTEX-1C6WA-0226-SM-7IGPO 60-69 years, male 10.2
GTEX-TSE9-0226-SM-3DB84 60-69 years, female 10.2
GTEX-1F6I4-0226-SM-9MQMA 60-69 years, male 10.2
GTEX-1JK1U-2126-SM-CNPOU 60-69 years, male 10.2
GTEX-1JMQK-0126-SM-CM2S3 60-69 years, male 10.2
GTEX-11WQC-2426-SM-5EQKQ 60-69 years, male 10.1
GTEX-P44G-2326-SM-2XCCZ 30-39 years, male 10.1
GTEX-WI4N-1126-SM-3LK7Q 40-49 years, female 10.1
GTEX-Y3IK-2526-SM-4WWDM 50-59 years, female 10.1
GTEX-1HUB1-0326-SM-A9SKQ 60-69 years, male 10.0
GTEX-VJWN-0226-SM-EZ6LF 50-59 years, female 10.0
GTEX-14JG6-2326-SM-6LLH3 30-39 years, female 9.9
GTEX-VJYA-1326-SM-3GIJC 60-69 years, male 9.9
GTEX-1PPGY-0326-SM-DTXFD 60-69 years, male 9.9
GTEX-12KS4-0426-SM-5EQMC 30-39 years, male 9.8
GTEX-13OW6-0526-SM-5L3HY 50-59 years, male 9.8
GTEX-145MO-0426-SM-5QGP6 60-69 years, male 9.8
GTEX-QDVJ-1826-SM-2S1P3 50-59 years, male 9.8
GTEX-XV7Q-2626-SM-4BRVA 40-49 years, female 9.8
GTEX-1IL2V-0226-SM-CMKI2 70-79 years, male 9.8
GTEX-13X6K-0226-SM-5QGPB 60-69 years, female 9.7
GTEX-14JIY-0526-SM-62LFH 60-69 years, male 9.7
GTEX-16AAH-2026-SM-7LG5F 50-59 years, male 9.7
GTEX-17MF6-0226-SM-7LG4G 40-49 years, male 9.7
GTEX-1B933-0526-SM-7EPHM 50-59 years, female 9.7
GTEX-UTHO-0426-SM-CE6QU 60-69 years, male 9.7
GTEX-13OVL-0326-SM-5IJCS 50-59 years, male 9.6
GTEX-XYKS-2726-SM-4E3IC 60-69 years, female 9.6
GTEX-ZF3C-0226-SM-4WWB3 50-59 years, female 9.6
GTEX-ZYW4-0226-SM-5E44M 60-69 years, male 9.6
GTEX-1GMR8-0226-SM-9YFL3 50-59 years, female 9.6
GTEX-14PK6-2026-SM-6LLHP 70-79 years, female 9.5
GTEX-1CAMQ-0126-SM-7SB7S 40-49 years, male 9.5
GTEX-1GZ2Q-0326-SM-9WG6N 40-49 years, male 9.5
GTEX-1LBAC-0226-SM-DHXJZ 20-29 years, male 9.5
GTEX-S33H-1126-SM-2XCB6 30-39 years, male 9.4
GTEX-1H3O1-0526-SM-9MQLS 60-69 years, male 9.4
GTEX-139T8-0226-SM-5L3EA 60-69 years, male 9.3
GTEX-13QJ3-0426-SM-5RQHP 50-59 years, male 9.3
GTEX-T5JC-0526-SM-32PM7 20-29 years, male 9.3
GTEX-1CB4H-0326-SM-9WG5G 60-69 years, female 9.3
GTEX-1GMR2-2526-SM-9MQKW 50-59 years, male 9.3
GTEX-1H1DE-2026-SM-9WG6Q 20-29 years, male 9.3
GTEX-139TT-0226-SM-5K7YH 60-69 years, male 9.2
GTEX-QEG5-0326-SM-2S1PB 20-29 years, male 9.2
GTEX-ZF28-0226-SM-5S2OE 60-69 years, male 9.2
GTEX-14DAQ-0226-SM-664MQ 60-69 years, female 9.1
GTEX-183WM-0226-SM-7LT8T 70-79 years, female 9.1
GTEX-SNMC-1326-SM-2XCFK 20-29 years, male 9.1
GTEX-ZE7O-0226-SM-5S2N1 50-59 years, female 9.0
GTEX-ZE9C-2826-SM-5S2MO 60-69 years, male 9.0
GTEX-1F75I-0426-SM-7PC3S 40-49 years, male 9.0
GTEX-15RIE-2326-SM-7KFSC 60-69 years, male 8.9
GTEX-ZAJG-0226-SM-5HL81 50-59 years, female 8.9
GTEX-17KNJ-2226-SM-DKPOU 50-59 years, male 8.9
GTEX-1F6RS-0226-SM-9MQKO 60-69 years, female 8.9
GTEX-1JN6P-0226-SM-COH34 60-69 years, male 8.9
GTEX-11O72-0226-SM-59869 40-49 years, male 8.8
GTEX-13NZ8-0926-SM-5MR3U 60-69 years, female 8.8
GTEX-ZEX8-2326-SM-5S2MN 50-59 years, male 8.8
GTEX-PLZ4-0226-SM-CYPR1 50-59 years, female 8.8
GTEX-12ZZZ-0526-SM-5DUX6 60-69 years, male 8.7
GTEX-1314G-1626-SM-5EQ67 30-39 years, male 8.7
GTEX-REY6-0326-SM-2TF5A 60-69 years, male 8.7
GTEX-T5JW-1726-SM-3GADN 20-29 years, female 8.7
GTEX-Y114-2326-SM-4TT7X 50-59 years, female 8.7
GTEX-1IE54-0226-SM-CMKHX 40-49 years, female 8.7
GTEX-14E6D-0226-SM-62LDW 50-59 years, male 8.6
GTEX-1H1E6-2026-SM-9KNVK 30-39 years, male 8.6
GTEX-1IDJD-1226-SM-CM2TP 30-39 years, male 8.6
GTEX-13FHP-0226-SM-5K7WD 50-59 years, male 8.5
GTEX-13W3W-2526-SM-5SI9P 60-69 years, female 8.4
GTEX-14E6E-1926-SM-664N4 30-39 years, male 8.4
GTEX-U412-0526-SM-3DB9I 60-69 years, male 8.4
GTEX-13VXU-0226-SM-5SI9R 50-59 years, male 8.3
GTEX-11DZ1-0226-SM-5A5KF 50-59 years, male 8.2
GTEX-14ICK-0326-SM-6LLIZ 40-49 years, male 8.2
GTEX-1A32A-0226-SM-718B2 50-59 years, female 8.2
GTEX-1A8G7-0226-SM-731AS 60-69 years, male 8.2
GTEX-QESD-1526-SM-2S1QT 20-29 years, male 8.2
GTEX-1EX96-1426-SM-7PBZ5 50-59 years, male 8.2
GTEX-1HSMO-0226-SM-CGQEZ 60-69 years, male 8.2
GTEX-1I6K6-0226-SM-ADEID 30-39 years, male 8.2
GTEX-145MF-0526-SM-5LUA6 50-59 years, male 8.1
GTEX-16XZY-2526-SM-7DHL2 70-79 years, male 8.1
GTEX-1C6VS-0426-SM-79OJV 60-69 years, male 8.1
GTEX-ZDXO-2426-SM-5S2NJ 60-69 years, male 8.1
GTEX-ZVE2-0326-SM-57WFC 50-59 years, male 8.1
GTEX-1GZ4H-1826-SM-9MQLE 50-59 years, female 8.1
GTEX-13JUV-2826-SM-5LZWU 40-49 years, female 8.0
GTEX-146FQ-0226-SM-5NQAL 30-39 years, male 8.0
GTEX-14PJ2-0226-SM-6LLH4 50-59 years, male 8.0
GTEX-1A8FM-0126-SM-7SB7P 50-59 years, female 7.9
GTEX-13PVQ-0226-SM-5SIBG 50-59 years, male 7.8
GTEX-15DDE-0226-SM-6LLJ6 50-59 years, female 7.8
GTEX-ZV68-0226-SM-59HJF 50-59 years, female 7.6
GTEX-13NZ9-0526-SM-5J1OX 50-59 years, male 7.5
GTEX-144GM-1926-SM-5LUAN 20-29 years, male 7.5
GTEX-17F9Y-0326-SM-7IGLS 70-79 years, female 7.5
GTEX-U8XE-0426-SM-3DB91 30-39 years, male 7.5
GTEX-YFC4-0226-SM-57WD2 40-49 years, female 7.5
GTEX-145LS-0226-SM-5O9A5 60-69 years, female 7.4
GTEX-ZC5H-0126-SM-4WAYL 40-49 years, female 7.4
GTEX-1CB4F-0526-SM-9KNW2 60-69 years, male 7.4
GTEX-1GN1V-0226-SM-9WYTN 60-69 years, male 7.4
GTEX-1LVA9-0226-SM-E9U5N 50-59 years, male 7.4
GTEX-XK95-0426-SM-4AT4R 40-49 years, male 7.3
GTEX-1IDFM-0226-SM-CMKFX 60-69 years, male 7.3
GTEX-1F52S-0226-SM-7SB7U 60-69 years, female 7.1
GTEX-1JMQI-2026-SM-CMKGP 50-59 years, male 7.0
GTEX-1N2EF-0626-SM-E9J32 60-69 years, male 7.0
GTEX-1HCU7-0326-SM-CMKGI 50-59 years, male 6.8
GTEX-POYW-0726-SM-2XCEO 60-69 years, male 6.7
GTEX-1AYCT-2226-SM-7SB98 50-59 years, male 6.7
GTEX-1JJE9-1226-SM-CNPOI 70-79 years, male 6.7
GTEX-13RTJ-2526-SM-5S2Q3 60-69 years, male 6.4
GTEX-XXEK-2426-SM-4BRUS 50-59 years, male 6.3
GTEX-1LVAO-0226-SM-E9U6O 60-69 years, male 6.1
GTEX-1ICLY-0226-SM-ARL7R 50-59 years, male 5.8
GTEX-ZYFD-0226-SM-5NQ86 50-59 years, male 4.5
GTEX-15G19-0226-SM-6PAL2 60-69 years, male 4.4
Show allShow less
Adipose - Visceral (Omentum)
Average nTPM: 12.4
Samples: 541

Max nTPM: 36.6
Min nTPM: 3.9
Std nTPM: 4.8
Median nTPM: 11.2
GTEX-1MA7W-0526-SM-E6CIN 20-29 years, female 36.6
GTEX-1JKYN-0526-SM-CGQG3 30-39 years, male 35.9
GTEX-1122O-0926-SM-9YFLC 60-69 years, female 31.3
GTEX-Y9LG-1226-SM-4VBQA 30-39 years, male 31.2
GTEX-1R7EV-1026-SM-DTX81 40-49 years, male 30.9
GTEX-14PKU-0226-SM-6EU16 40-49 years, female 29.5
GTEX-1RNTQ-0826-SM-E9TK8 20-29 years, female 28.7
GTEX-XPVG-1626-SM-EYYVK 50-59 years, male 26.7
GTEX-XAJ8-0226-SM-4GIB2 40-49 years, male 26.4
GTEX-13X6H-1726-SM-5Q5EH 50-59 years, female 25.6
GTEX-1ICG6-1726-SM-ARU7K 70-79 years, female 25.6
GTEX-1RAZQ-1526-SM-E6CJI 30-39 years, male 25.6
GTEX-1I6K7-1826-SM-CGQFO 40-49 years, male 24.5
GTEX-139D8-1626-SM-5IJFZ 30-39 years, female 24.0
GTEX-1B996-1226-SM-73KWZ 60-69 years, male 24.0
GTEX-1KXAM-0526-SM-DKPQN 60-69 years, male 23.8
GTEX-YEC4-0926-SM-5PNXY 40-49 years, male 23.7
GTEX-1OFPY-0826-SM-DTX8P 60-69 years, male 23.7
GTEX-XBED-1326-SM-4AT4F 60-69 years, male 23.6
GTEX-1MJK3-0626-SM-E6CJB 20-29 years, male 23.6
GTEX-1QCLY-1226-SM-EVYC3 30-39 years, male 23.5
GTEX-ZYFG-1426-SM-5GICS 60-69 years, female 23.4
GTEX-14B4R-0526-SM-5QGQT 30-39 years, male 22.2
GTEX-14E6C-1226-SM-5ZZUN 40-49 years, male 22.2
GTEX-1KANA-1426-SM-CY8IF 20-29 years, male 22.2
GTEX-ZDTT-0526-SM-5HL4M 60-69 years, male 21.8
GTEX-ZT9W-1026-SM-57WG5 50-59 years, male 21.5
GTEX-1IDJU-0926-SM-ARL88 60-69 years, female 21.5
GTEX-132QS-0826-SM-5K7WV 60-69 years, male 21.4
GTEX-1J1R8-0526-SM-ACKWO 40-49 years, male 21.4
GTEX-18A67-1326-SM-7LT8V 50-59 years, male 21.3
GTEX-1HBPN-1526-SM-9WYSB 50-59 years, male 21.2
GTEX-WOFM-0726-SM-3MJF8 20-29 years, male 20.6
GTEX-XUZC-1126-SM-4BOPZ 30-39 years, female 20.5
GTEX-1QP9N-0426-SM-DTXFT 30-39 years, male 20.4
GTEX-14PHX-1626-SM-69LQB 50-59 years, male 20.3
GTEX-ZVZP-1126-SM-5GICU 50-59 years, male 20.2
GTEX-1AX9J-2226-SM-731CW 60-69 years, male 20.1
GTEX-ZPIC-0726-SM-57WFM 40-49 years, female 20.1
GTEX-12WSL-1126-SM-5CVNK 50-59 years, male 20.0
GTEX-13OVG-1326-SM-5K7Y3 60-69 years, male 20.0
GTEX-1LGOU-0826-SM-DHXKL 20-29 years, female 20.0
GTEX-1QPFJ-2126-SM-EXOJV 30-39 years, female 19.9
GTEX-15EU6-1726-SM-6M48H 50-59 years, male 19.8
GTEX-18D9U-0426-SM-731AN 40-49 years, male 19.8
GTEX-1GN1W-1226-SM-9MQLW 50-59 years, female 19.8
GTEX-ZF2S-1526-SM-5S2OO 50-59 years, female 19.7
GTEX-1B97I-0526-SM-73KXE 40-49 years, male 19.6
GTEX-1C2JI-0826-SM-7EPHB 50-59 years, male 19.6
GTEX-Z9EW-0826-SM-5HL9T 40-49 years, male 19.2
GTEX-1PFEY-0726-SM-E76PO 30-39 years, male 19.2
GTEX-1OJC3-1326-SM-E9J3D 20-29 years, male 19.1
GTEX-11LCK-0326-SM-5A5M7 30-39 years, male 18.9
GTEX-14PJ4-0126-SM-62LEZ 60-69 years, male 18.9
GTEX-1GL5R-0726-SM-9MQL5 50-59 years, male 18.9
GTEX-13113-1126-SM-5LZU9 60-69 years, female 18.8
GTEX-ZDYS-2226-SM-5S2MI 50-59 years, male 18.8
GTEX-131XG-0126-SM-5K7UJ 50-59 years, female 18.6
GTEX-Y3I4-0726-SM-E9J3Y 50-59 years, male 18.6
GTEX-ZP4G-1326-SM-5EGIW 20-29 years, female 18.5
GTEX-144GN-0726-SM-5O98O 50-59 years, male 18.4
GTEX-14PJ5-0426-SM-5ZZW2 60-69 years, female 18.3
GTEX-1C475-0326-SM-7SB8O 40-49 years, female 18.3
GTEX-WH7G-1126-SM-3NMBK 40-49 years, male 18.2
GTEX-1HC8U-0926-SM-A9G3L 40-49 years, female 18.2
GTEX-1RB15-1126-SM-E8VMX 60-69 years, male 18.1
GTEX-ZF29-0826-SM-5S2O2 60-69 years, female 18.1
GTEX-11I78-0226-SM-5HL6R 50-59 years, female 18.0
GTEX-16XZZ-1626-SM-7KUEC 60-69 years, male 18.0
GTEX-1HSMQ-1026-SM-ADEHU 50-59 years, male 18.0
GTEX-111CU-1026-SM-5EGIL 50-59 years, male 17.8
GTEX-ZAB4-1426-SM-5CVN6 40-49 years, male 17.8
GTEX-13111-0626-SM-5LZVR 50-59 years, male 17.7
GTEX-WY7C-0926-SM-3NB34 50-59 years, male 17.6
GTEX-1L5NE-1726-SM-DHXKX 50-59 years, male 17.2
GTEX-12C56-0826-SM-5EGJ5 20-29 years, male 17.1
GTEX-1K2DA-1126-SM-CGQGG 50-59 years, male 17.1
GTEX-131XF-0726-SM-5GIE5 60-69 years, male 17.0
GTEX-X3Y1-0926-SM-3P5YT 40-49 years, male 16.9
GTEX-15D1Q-1326-SM-69LOA 40-49 years, male 16.8
GTEX-17EVQ-0626-SM-7KFTB 70-79 years, male 16.7
GTEX-1I1GU-0626-SM-CMKHR 40-49 years, male 16.7
GTEX-1MCC2-0626-SM-DKPQI 30-39 years, female 16.7
GTEX-1B8KE-0826-SM-72D6S 50-59 years, male 16.6
GTEX-1QAET-1226-SM-DTX9I 50-59 years, male 16.6
GTEX-1A3MV-0626-SM-731CH 30-39 years, male 16.5
GTEX-1H1DE-0826-SM-ARU8V 20-29 years, male 16.5
GTEX-WRHK-0826-SM-3MJFG 20-29 years, female 16.4
GTEX-ZZPU-0326-SM-5N9BJ 50-59 years, female 16.4
GTEX-1B97J-1126-SM-7SB79 50-59 years, female 16.4
GTEX-13FTW-0426-SM-5K7X2 40-49 years, male 16.3
GTEX-ZLV1-0926-SM-5S2MR 60-69 years, female 16.3
GTEX-1S82P-0926-SM-EWRNP 60-69 years, female 16.3
GTEX-11EM3-1126-SM-5A5KM 20-29 years, female 16.2
GTEX-11XUK-1726-SM-5GU61 40-49 years, female 16.2
GTEX-16MTA-1326-SM-6PALX 50-59 years, male 16.2
GTEX-16NGA-0526-SM-731AJ 40-49 years, female 16.2
GTEX-1AX8Z-1626-SM-73KWD 60-69 years, male 16.2
GTEX-1399U-2026-SM-9WPNN 50-59 years, female 16.2
GTEX-1JKYR-1226-SM-CM2S7 20-29 years, male 16.2
GTEX-13O21-3126-SM-5J1OI 50-59 years, male 16.1
GTEX-XQ8I-1426-SM-4BOPW 50-59 years, male 16.0
GTEX-ZZ64-0626-SM-5GZWR 20-29 years, male 16.0
GTEX-1HCUA-0926-SM-ADEIX 50-59 years, female 16.0
GTEX-1LG7Z-0226-SM-E6CIG 30-39 years, male 16.0
GTEX-13FH7-1926-SM-5J2OL 50-59 years, female 15.9
GTEX-13O61-1926-SM-5KM1R 60-69 years, male 15.9
GTEX-Y5LM-0826-SM-4VDSW 40-49 years, female 15.9
GTEX-ZYW4-2226-SM-5GZYG 60-69 years, male 15.9
GTEX-1QP29-1626-SM-EXUSZ 50-59 years, male 15.9
GTEX-11EQ9-1126-SM-5987I 30-39 years, male 15.8
GTEX-17F98-0326-SM-7DHLH 40-49 years, female 15.8
GTEX-ZQG8-1026-SM-51MR9 60-69 years, female 15.8
GTEX-1O9I2-1326-SM-E6CQD 50-59 years, male 15.8
GTEX-13FHO-2026-SM-5J1OA 60-69 years, male 15.7
GTEX-1HKZK-1726-SM-ADEJ9 40-49 years, male 15.7
GTEX-1LSNL-1426-SM-E6CJ9 50-59 years, male 15.7
GTEX-1IDJC-0226-SM-CMKG2 50-59 years, male 15.6
GTEX-139T6-0526-SM-5IJC9 50-59 years, male 15.5
GTEX-1IDJD-0926-SM-ACKWW 30-39 years, male 15.5
GTEX-1MUQO-0826-SM-EVYCZ 60-69 years, male 15.5
GTEX-11DXX-2026-SM-5EGJL 60-69 years, female 15.4
GTEX-12696-1826-SM-5EGJS 60-69 years, male 15.4
GTEX-14C38-1026-SM-73KY7 50-59 years, male 15.4
GTEX-Y8LW-0926-SM-4VBQ8 50-59 years, female 15.4
GTEX-1GPI7-0826-SM-9JGG7 20-29 years, male 15.4
GTEX-1H1ZS-1326-SM-9WG74 70-79 years, male 15.4
GTEX-183FY-1226-SM-7DHLK 20-29 years, male 15.3
GTEX-ZPCL-1026-SM-5GCOX 60-69 years, female 15.3
GTEX-13VXT-0926-SM-5LU5K 20-29 years, female 15.2
GTEX-13FTX-0626-SM-5J2NS 20-29 years, female 15.1
GTEX-1HSEH-1326-SM-ADEI1 60-69 years, male 15.0
GTEX-11VI4-1226-SM-5EQMP 40-49 years, female 14.9
GTEX-13OVH-1126-SM-5K7YP 70-79 years, male 14.9
GTEX-Y5V6-0626-SM-4WWFY 60-69 years, male 14.9
GTEX-14PN4-1426-SM-6LLJ4 50-59 years, male 14.8
GTEX-1CB4E-0826-SM-793CS 60-69 years, male 14.8
GTEX-1211K-1226-SM-5EQ4N 60-69 years, female 14.7
GTEX-169BO-0426-SM-7EPI1 50-59 years, male 14.7
GTEX-17HHE-1526-SM-793AS 50-59 years, male 14.7
GTEX-1AX9K-0926-SM-7939G 50-59 years, male 14.7
GTEX-1BAJH-2126-SM-7EWFB 70-79 years, male 14.7
GTEX-ZV6S-1626-SM-5NQ81 40-49 years, female 14.7
GTEX-ZYFC-1826-SM-5GZZA 50-59 years, male 14.7
GTEX-1PPH8-1026-SM-DPRXN 20-29 years, male 14.7
GTEX-13O3P-0926-SM-5IFFI 50-59 years, male 14.6
GTEX-ZTX8-0726-SM-59HL9 20-29 years, male 14.6
GTEX-1LGRB-0526-SM-COH3A 50-59 years, female 14.6
GTEX-1EU9M-1126-SM-793DE 60-69 years, male 14.5
GTEX-18D9B-1726-SM-7LTAP 60-69 years, male 14.4
GTEX-YEC3-0926-SM-5Q5AC 50-59 years, male 14.4
GTEX-ZA64-0926-SM-5HL7H 20-29 years, male 14.4
GTEX-13N11-1826-SM-5IJDS 50-59 years, female 14.3
GTEX-14C39-0826-SM-5TDDU 40-49 years, male 14.2
GTEX-VJYA-1626-SM-EXOHL 60-69 years, male 14.2
GTEX-1HSMP-1126-SM-B2LXJ 70-79 years, male 14.1
GTEX-1128S-0926-SM-5GZZU 60-69 years, female 14.0
GTEX-13OVJ-0926-SM-5K7U1 50-59 years, female 14.0
GTEX-WYJK-1426-SM-3NM8V 50-59 years, male 14.0
GTEX-XMK1-0926-SM-4B66X 40-49 years, male 14.0
GTEX-1CAMR-0326-SM-793AH 20-29 years, male 13.9
GTEX-1IDJF-1726-SM-A9SLL 20-29 years, male 13.9
GTEX-1KANC-0526-SM-D4P3T 50-59 years, female 13.9
GTEX-12584-2126-SM-5FQUM 40-49 years, male 13.8
GTEX-145ME-0726-SM-5O9A3 40-49 years, female 13.8
GTEX-17GQL-0826-SM-731AM 60-69 years, male 13.8
GTEX-1HFI7-0726-SM-ACKVN 50-59 years, female 13.8
GTEX-1LVAM-1026-SM-DIPFK 50-59 years, female 13.8
GTEX-UPK5-1826-SM-3GAEB 40-49 years, male 13.7
GTEX-WEY5-1326-SM-3GILS 40-49 years, female 13.7
GTEX-X8HC-2326-SM-4QAS4 50-59 years, female 13.6
GTEX-YECK-1426-SM-5IFHE 60-69 years, male 13.6
GTEX-1H1DG-2026-SM-9QEIV 70-79 years, male 13.6
GTEX-1LSNM-0626-SM-DIPG7 50-59 years, male 13.6
GTEX-14PHY-1026-SM-62LEV 60-69 years, female 13.5
GTEX-17KNJ-0426-SM-718AK 50-59 years, male 13.5
GTEX-1AMEY-0526-SM-72D62 30-39 years, female 13.4
GTEX-12BJ1-0826-SM-5EQ5P 60-69 years, male 13.3
GTEX-1399S-1426-SM-5PNYQ 30-39 years, female 13.3
GTEX-1RLM8-1026-SM-EWROE 50-59 years, male 13.3
GTEX-1I4MK-0726-SM-ACKWC 50-59 years, female 13.2
GTEX-1I6K6-1526-SM-CGQFC 30-39 years, male 13.2
GTEX-111YS-1326-SM-5EGGK 60-69 years, male 13.0
GTEX-133LE-0926-SM-5P9J1 20-29 years, female 13.0
GTEX-U8XE-1926-SM-3DB98 30-39 years, male 13.0
GTEX-XGQ4-1026-SM-4AT4L 50-59 years, male 13.0
GTEX-YFCO-1126-SM-5S2N9 40-49 years, male 13.0
GTEX-VJWN-2326-SM-EVYAP 50-59 years, female 13.0
GTEX-11TT1-1926-SM-5PNYN 20-29 years, male 12.9
GTEX-14BMU-0626-SM-73KZ6 20-29 years, female 12.9
GTEX-17MFQ-1126-SM-7LT9O 20-29 years, male 12.9
GTEX-ZQUD-0526-SM-57WG4 30-39 years, male 12.9
GTEX-1B8L1-0126-SM-9KNVS 60-69 years, male 12.9
GTEX-1JMPY-0326-SM-CM2S2 30-39 years, male 12.9
GTEX-ZVP2-0226-SM-57WBD 50-59 years, male 12.8
GTEX-1GMR2-0226-SM-9JGHO 50-59 years, male 12.8
GTEX-145LT-1526-SM-5O98P 40-49 years, male 12.7
GTEX-15CHC-0826-SM-686YW 60-69 years, female 12.7
GTEX-WHPG-0626-SM-3NMBD 50-59 years, male 12.7
GTEX-XBEW-1726-SM-4RGMA 40-49 years, male 12.7
GTEX-ZPU1-1226-SM-5HL71 40-49 years, male 12.7
GTEX-1GMRU-0726-SM-7PBZH 50-59 years, male 12.7
GTEX-1KANB-2426-SM-EV7BE 50-59 years, male 12.7
GTEX-1RQEC-2526-SM-EVYD2 60-69 years, male 12.7
GTEX-15SHU-2326-SM-7KUMC 40-49 years, female 12.6
GTEX-WK11-2426-SM-3NMAA 50-59 years, male 12.6
GTEX-1H4P4-0326-SM-9WYTD 50-59 years, male 12.6
GTEX-132NY-1126-SM-5PNVE 60-69 years, male 12.5
GTEX-146FH-2026-SM-5SI9I 50-59 years, female 12.5
GTEX-15UKP-1426-SM-7KUDX 20-29 years, male 12.5
GTEX-WXYG-0926-SM-3NB2O 50-59 years, female 12.5
GTEX-1HSGN-1926-SM-CMKGS 40-49 years, female 12.5
GTEX-1RMOY-0826-SM-E9TIF 50-59 years, male 12.5
GTEX-ZLWG-0726-SM-5S2N4 50-59 years, female 12.5
GTEX-11DXZ-1426-SM-5H12A 50-59 years, male 12.4
GTEX-13QBU-1326-SM-5LU4K 40-49 years, female 12.4
GTEX-16GPK-1326-SM-7KUE4 60-69 years, male 12.4
GTEX-ZVT2-0226-SM-5GIE3 50-59 years, female 12.4
GTEX-WI4N-1526-SM-EZ6LG 40-49 years, female 12.4
GTEX-13X6I-1526-SM-5SIAC 60-69 years, male 12.3
GTEX-14E1K-0426-SM-5S2PF 50-59 years, male 12.3
GTEX-17HGU-1726-SM-79OKM 50-59 years, male 12.3
GTEX-1LKK1-1526-SM-EVYCO 50-59 years, female 12.3
GTEX-1LVAN-0926-SM-CNNQ2 50-59 years, female 12.3
GTEX-132AR-0526-SM-5J2MJ 50-59 years, female 12.2
GTEX-14JG6-0526-SM-6LLIH 30-39 years, female 12.2
GTEX-14PK6-0926-SM-62LF4 70-79 years, female 12.2
GTEX-ZYT6-2126-SM-5GZZ4 30-39 years, male 12.2
GTEX-WFON-1226-SM-3TW8F 40-49 years, male 12.1
GTEX-ZV7C-0826-SM-59HK8 50-59 years, male 12.1
GTEX-1J1OQ-1526-SM-CJI4E 40-49 years, female 12.1
GTEX-17HHY-1026-SM-7LG5E 50-59 years, male 12.0
GTEX-1GF9U-1226-SM-ARL9I 40-49 years, female 12.0
GTEX-1QP67-1126-SM-EAZ4C 40-49 years, female 12.0
GTEX-13RTK-0726-SM-5Q5EN 20-29 years, male 11.9
GTEX-1B8SG-1426-SM-7EWEM 50-59 years, male 11.9
GTEX-Y111-0926-SM-4SOIU 50-59 years, male 11.9
GTEX-1CAMS-0926-SM-7SB7F 40-49 years, female 11.9
GTEX-1J8Q2-2226-SM-CM2TZ 60-69 years, male 11.9
GTEX-13N1W-1226-SM-5K7UM 70-79 years, male 11.8
GTEX-15DZA-0626-SM-6PANC 30-39 years, female 11.8
GTEX-17MF6-1326-SM-79ONE 40-49 years, male 11.8
GTEX-ZTSS-1026-SM-5985N 40-49 years, male 11.8
GTEX-1EKGG-1426-SM-7PBY2 60-69 years, male 11.8
GTEX-1IDJH-1626-SM-A9SLP 70-79 years, male 11.8
GTEX-13D11-0526-SM-5LZYM 50-59 years, female 11.7
GTEX-18A66-1926-SM-7LTAG 60-69 years, male 11.7
GTEX-1A3MX-0826-SM-72D64 60-69 years, male 11.7
GTEX-1AX9I-1726-SM-731BX 60-69 years, male 11.7
GTEX-1I1GS-0926-SM-A9SL5 60-69 years, male 11.7
GTEX-1IY9M-1226-SM-ACKX1 60-69 years, male 11.7
GTEX-1N2EE-1526-SM-DTXE9 60-69 years, male 11.7
GTEX-1OKEX-0926-SM-E8VNJ 60-69 years, male 11.7
GTEX-1POEN-1626-SM-EVYC2 30-39 years, female 11.7
GTEX-ZYVF-1026-SM-5E44V 50-59 years, female 11.6
GTEX-1N2DV-0626-SM-E9U5H 40-49 years, male 11.6
GTEX-12WSC-1726-SM-5GCN3 50-59 years, male 11.5
GTEX-13CF3-1126-SM-5LZXB 60-69 years, female 11.5
GTEX-13N2G-1926-SM-5J1O3 60-69 years, male 11.5
GTEX-1GZ4H-0926-SM-9WG6Y 50-59 years, female 11.5
GTEX-1JN76-1026-SM-ARZNI 20-29 years, female 11.5
GTEX-1KWVE-0226-SM-E9TKK 30-39 years, male 11.5
GTEX-1117F-1326-SM-5EGHH 60-69 years, female 11.4
GTEX-14PJO-1626-SM-69LPQ 60-69 years, male 11.4
GTEX-1B932-1726-SM-793A5 40-49 years, female 11.4
GTEX-11ZUS-1826-SM-5FQTR 30-39 years, male 11.3
GTEX-12WSK-1026-SM-5CVNR 40-49 years, female 11.3
GTEX-13FXS-1326-SM-62LFR 50-59 years, male 11.3
GTEX-11PRG-1526-SM-5HL6Z 50-59 years, male 11.2
GTEX-14E6D-1326-SM-62LES 50-59 years, male 11.2
GTEX-14ICL-0926-SM-5S2TU 30-39 years, male 11.2
GTEX-16BQI-1126-SM-7KULF 30-39 years, female 11.2
GTEX-117YW-0826-SM-5H11O 50-59 years, male 11.1
GTEX-12WSG-0426-SM-5FQSE 50-59 years, female 11.1
GTEX-1CB4F-1126-SM-79OLG 60-69 years, male 11.1
GTEX-WYBS-1026-SM-4ONCY 60-69 years, female 11.1
GTEX-ZT9X-0926-SM-5O9C4 40-49 years, male 11.1
GTEX-1I19N-1026-SM-A96TT 70-79 years, male 11.1
GTEX-11NUK-2026-SM-5PNVZ 50-59 years, male 11.0
GTEX-14ABY-1926-SM-62LDJ 50-59 years, male 11.0
GTEX-14BMV-1626-SM-73KVQ 50-59 years, male 11.0
GTEX-178AV-0626-SM-6PAM1 40-49 years, male 11.0
GTEX-WL46-2026-SM-3LK7U 50-59 years, male 11.0
GTEX-1GF9X-0926-SM-7PC2X 40-49 years, female 11.0
GTEX-1I1GQ-1026-SM-CNNQS 50-59 years, male 11.0
GTEX-13G51-0526-SM-5IJCQ 60-69 years, male 10.9
GTEX-14E6E-0226-SM-7DUEF 30-39 years, male 10.9
GTEX-17JCI-1626-SM-7EPGZ 60-69 years, female 10.9
GTEX-1C6VQ-1526-SM-73KU9 50-59 years, male 10.9
GTEX-1MA7X-1026-SM-DKPQ8 60-69 years, male 10.9
GTEX-13PVR-0526-SM-5S2OB 60-69 years, female 10.8
GTEX-14ICK-1726-SM-6AJA5 40-49 years, male 10.8
GTEX-1AMFI-1026-SM-73KYM 50-59 years, female 10.8
GTEX-1RAZR-1026-SM-E8VOJ 40-49 years, male 10.8
GTEX-11P81-0726-SM-5PNYH 30-39 years, female 10.7
GTEX-11P82-0326-SM-5HL51 20-29 years, male 10.7
GTEX-15EOM-2326-SM-7KUMV 20-29 years, female 10.7
GTEX-WFJO-1026-SM-3GIKL 30-39 years, male 10.7
GTEX-WHWD-0826-SM-3LK6R 50-59 years, male 10.7
GTEX-1ICLZ-1626-SM-CE6SS 60-69 years, male 10.7
GTEX-1K2DU-0726-SM-DIPF7 20-29 years, male 10.7
GTEX-1LBAC-1026-SM-CXKYA 20-29 years, male 10.7
GTEX-1P4AB-1226-SM-DTXET 50-59 years, male 10.7
GTEX-1S5ZA-1026-SM-EWRO2 20-29 years, male 10.7
GTEX-132Q8-1726-SM-5EGK8 60-69 years, male 10.6
GTEX-13PL7-1226-SM-5SIAR 60-69 years, female 10.6
GTEX-17F9E-1326-SM-7DHL4 50-59 years, male 10.6
GTEX-1C6VS-1826-SM-73KXN 60-69 years, male 10.6
GTEX-ZDXO-2326-SM-5LU9W 60-69 years, male 10.6
GTEX-ZG7Y-1626-SM-5S2NO 50-59 years, male 10.6
GTEX-12WSA-1626-SM-5EGJV 60-69 years, male 10.5
GTEX-1313W-1626-SM-5J1OE 50-59 years, female 10.5
GTEX-1339X-0726-SM-5L3FF 40-49 years, male 10.5
GTEX-13OW7-1126-SM-5K7V6 50-59 years, male 10.5
GTEX-14PJN-0626-SM-6EU13 30-39 years, male 10.5
GTEX-15ER7-1026-SM-7KUMD 20-29 years, female 10.5
GTEX-ZGAY-1326-SM-5S2NS 40-49 years, female 10.5
GTEX-1CB4I-0826-SM-7MGX1 50-59 years, male 10.5
GTEX-1GZ2Q-1226-SM-9MQM8 40-49 years, male 10.5
GTEX-146FR-0226-SM-5Q5F6 60-69 years, female 10.4
GTEX-14AS3-0426-SM-5QGQK 40-49 years, female 10.4
GTEX-1H11D-1126-SM-9YFM5 40-49 years, male 10.4
GTEX-1IDJI-0926-SM-ACKWZ 50-59 years, female 10.4
GTEX-1QP28-0926-SM-EVR4D 50-59 years, female 10.4
GTEX-1QP66-0626-SM-E76PD 50-59 years, male 10.4
GTEX-13W3W-1126-SM-5L3DO 60-69 years, female 10.3
GTEX-14PN3-0326-SM-6EU1X 60-69 years, female 10.3
GTEX-1A8G6-2026-SM-73KYC 60-69 years, male 10.3
GTEX-1AYD5-0126-SM-7DUG5 50-59 years, male 10.3
GTEX-1H23P-1726-SM-A9SMN 60-69 years, male 10.3
GTEX-1RAZA-0926-SM-E6CQ8 20-29 years, male 10.3
GTEX-117YX-0726-SM-5GIET 50-59 years, male 10.2
GTEX-13S7M-0826-SM-5QGQX 60-69 years, female 10.2
GTEX-15RIE-0126-SM-7KUF8 60-69 years, male 10.2
GTEX-18D9A-0726-SM-7LTA7 30-39 years, female 10.2
GTEX-1B933-1326-SM-7939U 50-59 years, female 10.2
GTEX-1C6VR-1126-SM-7EPHD 60-69 years, male 10.2
GTEX-XLM4-1026-SM-4AT51 60-69 years, male 10.2
GTEX-Y8E4-1226-SM-5IFIM 40-49 years, male 10.2
GTEX-1JMQK-1326-SM-CNPOR 60-69 years, male 10.2
GTEX-1N2DW-0726-SM-DTX97 50-59 years, male 10.2
GTEX-1S3DN-1626-SM-EVYCC 50-59 years, male 10.2
GTEX-16AAH-1526-SM-7LT9W 50-59 years, male 10.1
GTEX-1EWIQ-2526-SM-7EPIJ 70-79 years, female 10.1
GTEX-WWTW-1326-SM-4MVNT 50-59 years, male 10.1
GTEX-XYKS-1826-SM-4E3JV 60-69 years, female 10.1
GTEX-13OVK-0326-SM-7KUEJ 40-49 years, male 10.0
GTEX-14PJ3-0726-SM-69LQE 50-59 years, male 10.0
GTEX-15DYW-1526-SM-7KUEP 60-69 years, female 10.0
GTEX-1CB4G-2126-SM-7IGQ8 60-69 years, male 10.0
GTEX-1F48J-1826-SM-7SB8T 50-59 years, female 10.0
GTEX-1H3VE-1926-SM-9YFL4 40-49 years, male 10.0
GTEX-1HFI6-1726-SM-CGQFH 40-49 years, male 10.0
GTEX-1MCQQ-1426-SM-E6CJA 60-69 years, male 10.0
GTEX-1212Z-0526-SM-5FQSQ 60-69 years, male 9.9
GTEX-131XH-0826-SM-5GCN8 50-59 years, male 9.9
GTEX-13S86-0926-SM-5SI6I 40-49 years, male 9.9
GTEX-14DAR-0426-SM-664MW 50-59 years, male 9.9
GTEX-W5X1-1426-SM-3GIKH 40-49 years, female 9.9
GTEX-ZTPG-2326-SM-57WFL 20-29 years, female 9.9
GTEX-1GTWX-1526-SM-9MQLF 60-69 years, male 9.9
GTEX-1H1E6-1126-SM-9JGGV 30-39 years, male 9.9
GTEX-1HR9M-1426-SM-A9SMB 60-69 years, male 9.9
GTEX-1HSMO-1426-SM-CNNQN 60-69 years, male 9.9
GTEX-1KD4Q-1426-SM-D4P3K 40-49 years, male 9.9
GTEX-1N2EF-0926-SM-E8VNW 60-69 years, male 9.9
GTEX-1QMI2-1626-SM-EYYXK 60-69 years, male 9.9
GTEX-ZUA1-2126-SM-57YRB 40-49 years, male 9.8
GTEX-1GN73-0626-SM-7PC3I 60-69 years, male 9.8
GTEX-WVLH-1626-SM-EXURN 50-59 years, male 9.8
GTEX-144GM-0626-SM-79OKY 20-29 years, male 9.7
GTEX-XBEC-1826-SM-4QASN 50-59 years, male 9.7
GTEX-1J8EW-1526-SM-CMKFZ 60-69 years, female 9.7
GTEX-1NV5F-2526-SM-EXUSK 60-69 years, female 9.7
GTEX-1QEPI-2226-SM-E8VN6 60-69 years, female 9.7
GTEX-11DXY-0326-SM-5H12F 60-69 years, male 9.6
GTEX-13NZ9-2026-SM-5KM1U 50-59 years, male 9.6
GTEX-13VXU-1026-SM-5KLZE 50-59 years, male 9.6
GTEX-1F5PL-1326-SM-7SB83 40-49 years, female 9.6
GTEX-ZXG5-1626-SM-59HJK 60-69 years, male 9.5
GTEX-1I1GT-1326-SM-ACKWB 60-69 years, female 9.5
GTEX-1QW4Y-0826-SM-DTXE1 30-39 years, male 9.5
GTEX-11WQK-1526-SM-5EGKN 50-59 years, male 9.4
GTEX-18QFQ-1326-SM-731CF 30-39 years, male 9.4
GTEX-1HBPI-1826-SM-ADEHE 50-59 years, male 9.4
GTEX-1K9T9-1626-SM-DIPFS 50-59 years, female 9.4
GTEX-1S831-1926-SM-EV79P 20-29 years, male 9.4
GTEX-145LV-1026-SM-5O9AE 50-59 years, male 9.3
GTEX-ZEX8-1226-SM-5S2OK 50-59 years, male 9.3
GTEX-12ZZX-1726-SM-5BC63 40-49 years, female 9.2
GTEX-13OW6-2426-SM-5K7WO 50-59 years, male 9.2
GTEX-14C5O-0926-SM-793DM 60-69 years, male 9.2
GTEX-XQ3S-2426-SM-4WAYB 20-29 years, male 9.2
GTEX-1HBPH-2226-SM-9WYSO 40-49 years, female 9.2
GTEX-17F96-0726-SM-793CB 70-79 years, male 9.1
GTEX-1F6I4-2126-SM-7PC2J 60-69 years, male 9.1
GTEX-1HUB1-1526-SM-CGQF6 60-69 years, male 9.1
GTEX-1S5VW-2426-SM-EAZ52 60-69 years, male 9.1
GTEX-13X6J-1926-SM-5TDCU 50-59 years, male 9.0
GTEX-13X6K-0726-SM-5LU2Z 60-69 years, female 9.0
GTEX-17F97-1226-SM-79OJT 50-59 years, male 9.0
GTEX-17HII-0826-SM-7DUFH 50-59 years, male 9.0
GTEX-13NYS-0726-SM-5J1OR 60-69 years, male 8.9
GTEX-13O3Q-1126-SM-5K7YK 50-59 years, male 8.9
GTEX-145MF-1026-SM-5Q5EQ 50-59 years, male 8.9
GTEX-VUSG-1426-SM-3GIJN 50-59 years, male 8.9
GTEX-XOT4-0826-SM-4B66Y 60-69 years, female 8.9
GTEX-ZE9C-1326-SM-5S2OW 60-69 years, male 8.9
GTEX-1H2FU-1426-SM-9WPO6 60-69 years, female 8.9
GTEX-1HSKV-1926-SM-CNPPN 60-69 years, male 8.9
GTEX-1I1GR-1726-SM-COH39 60-69 years, male 8.9
GTEX-1JJ6O-2826-SM-CNNP7 60-69 years, male 8.9
GTEX-139YR-0326-SM-5J1MC 50-59 years, male 8.8
GTEX-1GMR3-0826-SM-9WYT4 40-49 years, male 8.8
GTEX-1HCU7-2026-SM-A9G2B 50-59 years, male 8.8
GTEX-1I1GP-1426-SM-ACKVZ 50-59 years, male 8.8
GTEX-1LSVX-1326-SM-DIPET 60-69 years, male 8.8
GTEX-11OF3-0826-SM-5BC51 60-69 years, male 8.7
GTEX-1399T-1326-SM-5PNVH 60-69 years, male 8.7
GTEX-13U4I-1726-SM-5J1MF 40-49 years, female 8.7
GTEX-14PJ2-1426-SM-62LFF 50-59 years, male 8.7
GTEX-16NPV-0626-SM-7IGOR 50-59 years, female 8.7
GTEX-1CAV2-0226-SM-7IGPQ 40-49 years, female 8.7
GTEX-ZXES-0926-SM-5E43O 30-39 years, female 8.7
GTEX-1HT8W-0726-SM-A9SLB 30-39 years, male 8.7
GTEX-1PIGE-1226-SM-EVR3Q 20-29 years, male 8.7
GTEX-11GSO-0226-SM-5A5LV 60-69 years, male 8.6
GTEX-11ZTS-1326-SM-5EQMA 60-69 years, female 8.6
GTEX-131YS-1726-SM-5HL7G 60-69 years, female 8.6
GTEX-ZAB5-1126-SM-5Q5AD 50-59 years, male 8.6
GTEX-1H1CY-0826-SM-9WYTU 60-69 years, female 8.6
GTEX-1IL2U-2726-SM-C1YSG 60-69 years, male 8.6
GTEX-1KD5A-1326-SM-CYPTB 50-59 years, male 8.6
GTEX-11DYG-2026-SM-5EGGX 60-69 years, male 8.5
GTEX-131XE-2026-SM-5LZW1 50-59 years, male 8.5
GTEX-1AYCT-1126-SM-79OO8 50-59 years, male 8.5
GTEX-WYVS-0626-SM-4SOJY 40-49 years, female 8.5
GTEX-1JMLX-1026-SM-D3L8U 50-59 years, male 8.5
GTEX-1LVAO-2126-SM-DIPGA 60-69 years, male 8.5
GTEX-11P7K-0826-SM-5BC5F 30-39 years, male 8.4
GTEX-12WSM-0626-SM-5GCOK 60-69 years, male 8.4
GTEX-14DAQ-2526-SM-5RQIO 60-69 years, female 8.4
GTEX-11GSP-1026-SM-9WYSH 60-69 years, female 8.4
GTEX-13112-1126-SM-5GCMY 50-59 years, male 8.3
GTEX-13NZB-0826-SM-5K7X5 30-39 years, male 8.3
GTEX-13PL6-0926-SM-5KLYY 40-49 years, female 8.3
GTEX-14BIL-2426-SM-5QGQR 50-59 years, male 8.3
GTEX-18A7B-1226-SM-718AU 70-79 years, male 8.3
GTEX-1B8SF-1726-SM-73KZ5 60-69 years, male 8.3
GTEX-1CAMQ-1226-SM-7SB7E 40-49 years, male 8.3
GTEX-11GS4-1026-SM-5N9DE 60-69 years, male 8.2
GTEX-12WSI-1526-SM-5GCNM 50-59 years, male 8.2
GTEX-X585-2526-SM-4QAS1 50-59 years, male 8.2
GTEX-ZAJG-1626-SM-5HL7I 50-59 years, female 8.2
GTEX-ZDTS-1826-SM-5S2N6 60-69 years, male 8.2
GTEX-1GF9V-1126-SM-9MQM7 60-69 years, male 8.2
GTEX-1GZ4I-2326-SM-9YFMO 50-59 years, male 8.2
GTEX-1JJE9-1526-SM-CM2RR 70-79 years, male 8.2
GTEX-13OVL-0826-SM-5L3GV 50-59 years, male 8.1
GTEX-1A8G7-1226-SM-73KYP 60-69 years, male 8.1
GTEX-1EH9U-1326-SM-79OM3 60-69 years, male 8.1
GTEX-Y5V5-0226-SM-5S2N8 60-69 years, female 8.1
GTEX-1GN1U-0726-SM-9MQKL 50-59 years, female 8.1
GTEX-1LG7Y-1126-SM-CYPTE 50-59 years, male 8.1
GTEX-147JS-1026-SM-5S2MP 60-69 years, male 8.0
GTEX-14BIM-1626-SM-7EWD2 60-69 years, female 8.0
GTEX-18465-1826-SM-731BB 50-59 years, male 8.0
GTEX-1B8KZ-1026-SM-73KYN 50-59 years, male 8.0
GTEX-XV7Q-1726-SM-4BRUU 40-49 years, female 8.0
GTEX-ZVE2-1826-SM-51MRZ 50-59 years, male 8.0
GTEX-1F75B-1226-SM-7MXTW 50-59 years, male 8.0
GTEX-1HB9E-0526-SM-ARZNM 50-59 years, male 8.0
GTEX-12WSF-1526-SM-6PAN6 70-79 years, male 7.9
GTEX-16NPX-1026-SM-6PAM7 50-59 years, male 7.9
GTEX-18A6Q-1026-SM-7LT9S 60-69 years, male 7.9
GTEX-1192X-1526-SM-5H11I 50-59 years, male 7.8
GTEX-14BIN-1226-SM-5S2OM 50-59 years, female 7.8
GTEX-1HCU8-1126-SM-CM2SA 60-69 years, female 7.8
GTEX-1PBJI-1326-SM-E9J2V 20-29 years, female 7.8
GTEX-1QP6S-1626-SM-EVYC5 40-49 years, male 7.8
GTEX-11NV4-1426-SM-5BC4W 60-69 years, male 7.7
GTEX-18A7A-0926-SM-7LT8H 50-59 years, female 7.7
GTEX-1KAFJ-0826-SM-CYPTF 50-59 years, male 7.7
GTEX-Y114-1326-SM-4TT9A 50-59 years, female 7.6
GTEX-ZF28-1426-SM-5S2OG 60-69 years, male 7.6
GTEX-1F6IF-2026-SM-7P8SE 60-69 years, male 7.6
GTEX-1LH75-1026-SM-EWROK 50-59 years, female 7.6
GTEX-14E7W-2326-SM-69LQC 70-79 years, male 7.5
GTEX-15G19-1126-SM-7KUEL 60-69 years, male 7.5
GTEX-1E1VI-1826-SM-9WG5J 50-59 years, male 7.5
GTEX-1IKOE-1726-SM-CNNQ6 30-39 years, female 7.5
GTEX-139TU-1426-SM-5LZY9 60-69 years, male 7.4
GTEX-1GF9W-1026-SM-7SB8X 60-69 years, male 7.4
GTEX-1H1DF-1426-SM-9YFMC 40-49 years, female 7.4
GTEX-1EN7A-1626-SM-79OLV 40-49 years, male 7.3
GTEX-UTHO-1826-SM-3GAFE 60-69 years, male 7.3
GTEX-ZE7O-1526-SM-5J1NH 50-59 years, female 7.3
GTEX-1EMGI-0726-SM-7PBZ4 60-69 years, male 7.2
GTEX-12ZZW-2326-SM-5DUW2 50-59 years, male 7.1
GTEX-15CHQ-1126-SM-686YY 60-69 years, male 7.1
GTEX-1C64N-1326-SM-7SB7D 50-59 years, male 7.1
GTEX-1I1CD-1026-SM-COH3G 60-69 years, female 7.1
GTEX-1IE54-1426-SM-CL53C 40-49 years, female 7.1
GTEX-YJ8A-1926-SM-EZ6LQ 20-29 years, male 7.1
GTEX-14PJM-1226-SM-686Z7 50-59 years, female 7.0
GTEX-ZC5H-1626-SM-5HL7L 40-49 years, female 7.0
GTEX-13PDP-1226-SM-5K7TW 60-69 years, male 6.9
GTEX-145MI-0826-SM-5SI95 60-69 years, female 6.9
GTEX-14JIY-1426-SM-6EU29 60-69 years, male 6.9
GTEX-17F9Y-0726-SM-7LT9G 70-79 years, female 6.9
GTEX-ZF3C-1026-SM-5S2OC 50-59 years, female 6.9
GTEX-17EVP-1426-SM-79OMN 40-49 years, male 6.8
GTEX-1HCU9-0626-SM-ACKW6 20-29 years, male 6.7
GTEX-145LU-1226-SM-5LU9B 50-59 years, male 6.6
GTEX-15SKB-1626-SM-6PAL6 60-69 years, male 6.6
GTEX-1F75I-1026-SM-7SB8B 40-49 years, male 6.6
GTEX-1445S-2426-SM-79ON2 60-69 years, male 6.3
GTEX-1R9PO-0926-SM-E9U4Q 60-69 years, female 6.3
GTEX-12KS4-1526-SM-5EQ6E 30-39 years, male 6.2
GTEX-XXEK-1426-SM-4BRW1 50-59 years, male 6.2
GTEX-1ICLY-1426-SM-CJI48 50-59 years, male 6.2
GTEX-1HCU6-1626-SM-CMKGW 60-69 years, female 6.1
GTEX-113JC-0726-SM-5GZZR 50-59 years, female 6.0
GTEX-1A8FM-2126-SM-7PC27 50-59 years, female 6.0
GTEX-1F52S-1326-SM-7SB6Q 60-69 years, female 6.0
GTEX-1JMQJ-1926-SM-D4P3A 50-59 years, male 6.0
GTEX-1JN6P-1626-SM-CYPSV 60-69 years, male 6.0
GTEX-13YAN-1126-SM-5TDC7 60-69 years, male 5.9
GTEX-13OW8-0326-SM-5L3FB 60-69 years, male 5.8
GTEX-1JMQI-1026-SM-COH2U 50-59 years, male 5.8
GTEX-14753-2526-SM-5LU97 60-69 years, male 5.7
GTEX-1HGF4-0226-SM-CNNQL 60-69 years, male 5.7
GTEX-1R9K4-1426-SM-DPRY4 60-69 years, male 5.4
GTEX-13IVO-2426-SM-5K7V9 70-79 years, male 5.3
GTEX-1A32A-0926-SM-718AB 50-59 years, female 5.3
GTEX-YJ89-1926-SM-5IFJ6 60-69 years, male 5.0
GTEX-13W46-1226-SM-5SIAS 50-59 years, male 4.7
GTEX-13JUV-0626-SM-5J1MQ 40-49 years, female 4.3
GTEX-13PVQ-2226-SM-5L3G9 50-59 years, male 4.3
GTEX-1IKK5-0826-SM-ACKWN 60-69 years, male 4.3
GTEX-14PHW-1626-SM-6EU2H 60-69 years, female 3.9
Show allShow less

ADIPOSE TISSUE - FANTOM5 CAGEi

RNA expression in human tissues obtained through Cap Analysis of Gene Expression (CAGE) generated by the FANTOM5 project are reported as Scaled Tags Per Million.

Max subtype Scaled Tags Per Millioni

Max subtype Scaled Tags Per Million is the value for the subtype with the largest average Scaled Tags Per Million across the subtype samples.

16.6
FANTOM5 sample id Sample description Scaled Tags Per Million
Adipose tissue
Scaled Tags Per Million: 16.6
FF:10010-101C1 65,65,76 years, mixed 16.6

Contact

  • NEWS ARTICLES
  • PRESS ROOM

The Project

  • INTRODUCTION
  • ORGANIZATION
  • PUBLICATIONS

The Human Protein Atlas

  • DOWNLOADABLE DATA
  • LICENCE & CITATION
  • HELP & FAQ
The Human Protein Atlas project is funded
by the Knut & Alice Wallenberg Foundation.


contact@proteinatlas.org