We use cookies to enhance the usability of our website. If you continue, we'll assume that you are happy to receive all cookies. More information. Don't show this again.
REX1BD
HPA
RESOURCES
  • TISSUE
  • BRAIN
  • SINGLE CELL
  • SUBCELLULAR
  • CANCER
  • BLOOD
  • CELL LINE
  • STRUCTURE & INTERACTION
ABOUT
  • INTRODUCTION
  • HISTORY
  • ORGANIZATION
  • PUBLICATIONS
  • ANTIBODY SUBMISSION
  • ANTIBODY AVAILABILITY
  • ACKNOWLEDGMENTS
  • CONTACT
NEWS
  • NEWS ARTICLES
  • PRESS ROOM
LEARN
  • DICTIONARY
  • PROTEIN CLASSES
  • PROTEIN EVIDENCE
  • METHODS
  • EDUCATIONAL VIDEOS
DATA
  • DOWNLOADABLE DATA
  • PUBLICATION DATA
  • RELEASE HISTORY
HELP
  • ANTIBODY VALIDATION
  • ASSAYS & ANNOTATION
  • DISCLAIMER
  • HELP & FAQ
  • PRIVACY STATEMENT
  • LICENCE & CITATION
Fields »
Search result

Field
Term
Gene name
Class
Subclass
Class
Keyword
Chromosome
External id
Tissue
Cell type
Expression
Antibody panel
Tissue
Main location
Patient ID
Annotation
Tissue
Category
Tau score
Cluster
Reliability
Brain region
Category
Tau score
Brain region
Category
Tau score
Brain region
Category
Tau score
Cluster
Reliability
Tissue
Cell type
Enrichment
Cell type
Category
Tau score
Cell type
Category
Tau score
Cell type
Category
Tau score
Cell lineage
Category
Tau score
Cluster
Cluster
Location
Searches
Location
Cell line
Class
Type
Phase
Reliability
Cancer
Prognosis
Cancer
Category
Cancer
Category
Tau score
Cluster
Variants
Interacting gene (ensg_id)
Type
Number of interactions
Pathway
Category
Score
Score
Score
Validation
Validation
Validation
Validation
Antibodies
Data type
Column


  • SUMMARY

  • TISSUE

  • BRAIN

  • SINGLE CELL

  • SUBCELL

  • CANCER

  • BLOOD

  • CELL LINE

  • STRUCT & INT

  • REX1BD
TISSUE PRIMARY DATA SKIN Show tissue menu
ADIPOSE TISSUE ADRENAL GLAND AMYGDALA APPENDIX BASAL GANGLIA BONE MARROW BREAST BRONCHUS CEREBELLUM CEREBRAL CORTEX CERVIX CHOROID PLEXUS COLON DUODENUM
ENDOMETRIUM EPIDIDYMIS ESOPHAGUS FALLOPIAN TUBE GALLBLADDER HEART MUSCLE HIPPOCAMPAL FORMATION HYPOTHALAMUS KIDNEY LIVER LUNG LYMPH NODE MIDBRAIN NASOPHARYNX
ORAL MUCOSA OVARY PANCREAS PARATHYROID GLAND PITUITARY GLAND PLACENTA PROSTATE RECTUM RETINA SALIVARY GLAND SEMINAL VESICLE SKELETAL MUSCLE SKIN SMALL INTESTINE
SMOOTH MUSCLE SOFT TISSUE SPINAL CORD SPLEEN STOMACH TESTIS THYMUS THYROID GLAND TONGUE TONSIL URINARY BLADDER VAGINA
ANTIBODIES
AND
VALIDATION
Dictionary
Skin
Tissue proteome
Skin
SKIN - Expression summary
Protein expression
Skini

On the top, protein expression in current human tissue, based on all annotated cell types, is reported with the units not detected (n), low (l), medium (m) and high (h). Underneath, protein expression in each annotated cell type are reported using the same units.

Protein expression data is based on knowledge-based annotation. For genes where more than one antibody has been used, a collective score is set.

If knowledge-based annotation could not be performed for a gene, no data is displayed here. View antibody staining data further down this page.

h
m
l
n
Epidermal cells: Medium
Fibroblasts: Medium
Keratinocytes: Medium
Langerhans: Medium
Melanocytes: Medium
RNA expressioni

A summary of mRNA expression data available for current tissue based on several datasets. The mRNA expression levels in human tissues are based on RNA-seq data generated by the Human Protein Atlas (HPA), Genotype-Tissue Expression (GTEx) portal and CAGE data generated by the FANTOM5 consortium. Consensus normalized expression levels for human tissues was created by combining the data from HPA and GTEx datasets.

The mRNA expression levels in pig are based on RNA-seq data generated by the Human Protein Atlas (HPA), and for mouse, HPA data and in situ hybridization generated by the Allen brain atlas are reported.

Scroll down to view mRNA expression data in more detail.
Consensus:41.4 nTPM
HPA:4.0 nTPM
GTEx:41.4 nTPM

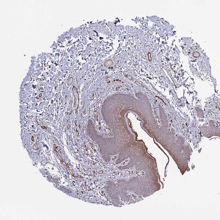
SKIN 1 - Antibody stainingi

Antibody staining in the annotated cell types in the current human tissue is reported as not detected, low, medium, or high, based on conventional immunohistochemistry profiling in selected tissues. This score is based on the combination of the staining intensity and fraction of stained cells.

Each image is clickable and will lead to virtual microscopy that enables deeper exploration of all samples and also displays staining intensity scores, fraction scores and subcellular localization as well as patient and tissue information for each sample.

Antibody HPA043414
Langerhans Medium
Fibroblasts Medium
Keratinocytes Medium
Melanocytes Medium

SKIN 2 - Antibody stainingi

Antibody staining in the annotated cell types in the current human tissue is reported as not detected, low, medium, or high, based on conventional immunohistochemistry profiling in selected tissues. This score is based on the combination of the staining intensity and fraction of stained cells.

Each image is clickable and will lead to virtual microscopy that enables deeper exploration of all samples and also displays staining intensity scores, fraction scores and subcellular localization as well as patient and tissue information for each sample.

Antibody HPA043414
Epidermal cells Medium
 
 
 


SKIN - HPA RNA-seqi

The RNA-seq details section shows detailed information about the individual samples used for the transcript profiling and results of the RNA-seq analysis.

Information about each individual sample is listed below, including gender, age, a tissue section image and estimated fractions of cell types. nTPM (normalized transcripts per million) values give a quantification of the gene abundance which is comparable between different genes and samples.
Average nTPMi

Max subtype nTPM is the value for the subtype with the largest average nTPM across the subtype samples.

4.0
overview
Female, age 34
Skin sample 225
nTPM: 0.5
Cell types%
Keratinocytes:
60

Other cell types:
40

overview
Female, age 30
Skin sample 226
nTPM: 0.2
Cell types%
Keratinocytes:
55

Other cell types:
45

N/A
Male, age 57
Skin sample 227
nTPM: 11.4

SKIN - GTEx RNA-seqi

RNA-Seq data generated by the Genotype-Tissue Expression (GTEx) project from human tissues is reported as mean nTPM. More information can be found on the GTEx portal.

Distribution across the dataset is visualized with box plots, shown as median and 25th and 75th percentiles. Points are displayed as outliers if they are above or below 1.5 times the interquartile range. nTPM values of the individual samples are presented next to the box plot.
Max subtype nTPMi

Max subtype nTPM is the value for the subtype with the largest average nTPM across the subtype samples.

41.4
GTEx sample id Sample description nTPM
Skin - Not Sun Exposed (Suprapubic)
Average nTPM: 41.4
Samples: 604

Max nTPM: 120.1
Min nTPM: 11.7
Std nTPM: 13.1
Median nTPM: 40.0
GTEX-ZF3C-0626-SM-DO92O 50-59 years, female 120.1
GTEX-1E2YA-2126-SM-7MXUO 50-59 years, male 103.4
GTEX-1OJC3-1226-SM-DTXER 20-29 years, male 94.7
GTEX-16YQH-2226-SM-7IGM2 30-39 years, male 90.2
GTEX-Y114-2126-SM-4TT8B 50-59 years, female 84.5
GTEX-X585-2426-SM-46MW2 50-59 years, male 83.4
GTEX-1PPH8-0126-SM-EWRN8 20-29 years, male 83.1
GTEX-Y5V6-2326-SM-4VDSA 60-69 years, male 80.3
GTEX-147F4-0726-SM-5TDDD 50-59 years, male 77.1
GTEX-14PJ3-1126-SM-5ZZVX 50-59 years, male 73.8
GTEX-XBEW-1126-SM-4QARW 40-49 years, male 72.7
GTEX-1HFI6-0126-SM-CNPPI 40-49 years, male 72.7
GTEX-Y111-0626-SM-4SOIT 50-59 years, male 72.1
GTEX-11OF3-0126-SM-5PNYF 60-69 years, male 71.1
GTEX-14ICL-1626-SM-5YYAO 30-39 years, male 70.6
GTEX-1HGF4-0126-SM-CNPPX 60-69 years, male 69.8
GTEX-17F97-2626-SM-7IGM5 50-59 years, male 69.7
GTEX-1HSMP-0926-SM-A9SKX 70-79 years, male 69.2
GTEX-1QP9N-1226-SM-E76QN 30-39 years, male 68.9
GTEX-1192X-2726-SM-5N9DN 50-59 years, male 68.8
GTEX-1J8EW-2726-SM-CY8HR 60-69 years, female 67.7
GTEX-1JMLX-0626-SM-ARL8T 50-59 years, male 66.1
GTEX-11O72-0626-SM-5PNYE 40-49 years, male 65.6
GTEX-131XH-0126-SM-5LZUY 50-59 years, male 65.6
GTEX-1CAMR-1326-SM-7PC1F 20-29 years, male 65.3
GTEX-1KAFJ-0126-SM-DIPEK 50-59 years, male 65.2
GTEX-ZPCL-1126-SM-4WWFE 60-69 years, female 65.1
GTEX-1RAZQ-1326-SM-E9TK6 30-39 years, male 65.1
GTEX-15RIG-0726-SM-7KUM7 40-49 years, male 64.8
GTEX-13JVG-0726-SM-5KM16 60-69 years, male 64.5
GTEX-14E1K-2026-SM-7DUEI 50-59 years, male 64.3
GTEX-1117F-2926-SM-5GZYI 60-69 years, female 63.7
GTEX-1S3DN-2126-SM-E9TIN 50-59 years, male 63.6
GTEX-1PIGE-1826-SM-E8VOU 20-29 years, male 63.4
GTEX-1399Q-2326-SM-5KM2X 40-49 years, male 63.2
GTEX-1N2DV-1526-SM-DTXEP 40-49 years, male 63.2
GTEX-ZYT6-2326-SM-5GZY3 30-39 years, male 63.1
GTEX-139TS-2126-SM-5K7XC 60-69 years, male 63.0
GTEX-15DYW-2726-SM-6EU2I 60-69 years, female 62.5
GTEX-1399R-1326-SM-5PNYS 30-39 years, male 61.8
GTEX-15G19-2426-SM-7KUMR 60-69 years, male 61.8
GTEX-1C6WA-2626-SM-7MKGM 60-69 years, male 61.7
GTEX-1R9K4-2826-SM-DTX8F 60-69 years, male 61.2
GTEX-1H3O1-1326-SM-9MQLD 60-69 years, male 61.0
GTEX-1JMQJ-0826-SM-CNPP7 50-59 years, male 61.0
GTEX-144FL-0626-SM-5LU43 50-59 years, male 60.6
GTEX-14LZ3-0126-SM-69LPM 60-69 years, female 60.5
GTEX-ZXG5-2126-SM-59HKD 60-69 years, male 59.8
GTEX-1C64O-1326-SM-7MGWR 60-69 years, male 59.7
GTEX-1MCYP-0526-SM-E9U6Q 20-29 years, female 58.8
GTEX-1NSGN-0726-SM-DTXEF 50-59 years, male 58.8
GTEX-14753-0726-SM-5QGQO 60-69 years, male 58.6
GTEX-17HHE-1326-SM-7EWDZ 50-59 years, male 58.6
GTEX-1N2EE-0626-SM-E76PW 60-69 years, male 58.5
GTEX-1QCLY-0226-SM-EWRNH 30-39 years, male 58.3
GTEX-1399S-0126-SM-5IJCF 30-39 years, female 58.2
GTEX-XBEC-0726-SM-4QARZ 50-59 years, male 58.1
GTEX-1JMPZ-0726-SM-CY8HZ 30-39 years, male 58.1
GTEX-ZT9X-1526-SM-5DUXD 40-49 years, male 57.9
GTEX-1PPGY-1626-SM-EVYBL 60-69 years, male 57.9
GTEX-WI4N-2726-SM-3LK7Y 40-49 years, female 57.8
GTEX-1JJEA-1826-SM-ARU8P 60-69 years, male 57.8
GTEX-1JN6P-2926-SM-CL54D 60-69 years, male 57.7
GTEX-14PII-0726-SM-6EU2B 60-69 years, male 57.6
GTEX-18465-2826-SM-7LT9J 50-59 years, male 57.6
GTEX-WXYG-2026-SM-4E3IY 50-59 years, female 57.1
GTEX-1LVAN-0626-SM-CNPOQ 50-59 years, female 57.1
GTEX-1MJK3-0726-SM-E6CJC 20-29 years, male 57.1
GTEX-1C64N-2626-SM-7PC2N 50-59 years, male 57.0
GTEX-1QAET-0326-SM-EVR3U 50-59 years, male 56.7
GTEX-ZE7O-2726-SM-51MT5 50-59 years, female 56.6
GTEX-1313W-0626-SM-5EQ4H 50-59 years, female 56.5
GTEX-148VJ-0626-SM-5LUAW 70-79 years, male 56.0
GTEX-1S82U-1026-SM-E6CJK 30-39 years, female 56.0
GTEX-144GO-2026-SM-5O99P 60-69 years, male 55.9
GTEX-1R9PM-1926-SM-EVR3O 20-29 years, male 55.9
GTEX-1GZ2Q-0126-SM-9WG6M 40-49 years, male 55.6
GTEX-17F9E-2326-SM-79OKD 50-59 years, male 55.4
GTEX-1KANA-1326-SM-DIPFA 20-29 years, male 55.4
GTEX-YEC3-1326-SM-DO92X 50-59 years, male 55.4
GTEX-1HB9E-0126-SM-CM2S5 50-59 years, male 55.3
GTEX-15CHR-1126-SM-7EWF4 50-59 years, male 55.2
GTEX-17F96-0126-SM-7EWDU 70-79 years, male 54.9
GTEX-1NV5F-0626-SM-DTXEG 60-69 years, female 54.7
GTEX-1QW4Y-1126-SM-DTXE3 30-39 years, male 54.6
GTEX-1I19N-0126-SM-CYPSF 70-79 years, male 54.5
GTEX-12126-0826-SM-5FQTZ 20-29 years, male 54.1
GTEX-XOT4-0626-SM-4B66L 60-69 years, female 54.1
GTEX-16MT8-2926-SM-7DUFO 60-69 years, female 54.0
GTEX-14C39-1726-SM-5RQIL 40-49 years, male 53.9
GTEX-ZTX8-1326-SM-4YCEL 20-29 years, male 53.8
GTEX-1HCU6-2526-SM-ADEHL 60-69 years, female 53.8
GTEX-145LS-0626-SM-7EPG7 60-69 years, female 53.7
GTEX-11WQC-1826-SM-5GU59 60-69 years, male 53.6
GTEX-1LKK1-2626-SM-DKPQE 50-59 years, female 53.5
GTEX-ZP4G-1426-SM-4WWCL 20-29 years, female 53.4
GTEX-1CAMQ-1326-SM-7P8RV 40-49 years, male 53.2
GTEX-1ICLZ-0326-SM-ARL82 60-69 years, male 52.9
GTEX-1F6I4-2326-SM-7RHGL 60-69 years, male 52.8
GTEX-1H1ZS-2726-SM-9WG75 70-79 years, male 52.8
GTEX-15SHW-0226-SM-7LTAT 60-69 years, male 52.7
GTEX-13112-0126-SM-5P9IU 50-59 years, male 52.4
GTEX-X4EO-2926-SM-4E3JH 60-69 years, female 52.3
GTEX-1GPI7-1826-SM-9KNU1 20-29 years, male 52.3
GTEX-14PJO-2526-SM-6AJBQ 60-69 years, male 52.1
GTEX-139TU-0726-SM-5L3EK 60-69 years, male 52.0
GTEX-WH7G-2026-SM-3NMBL 40-49 years, male 52.0
GTEX-12WSJ-1126-SM-5LZVJ 40-49 years, female 51.9
GTEX-15RJE-2826-SM-7KUM9 40-49 years, male 51.9
GTEX-1PIIG-2326-SM-DTXFR 30-39 years, male 51.8
GTEX-1EX96-1026-SM-7MKG2 50-59 years, male 51.6
GTEX-Z93S-1626-SM-5CVMB 50-59 years, male 51.6
GTEX-ZYW4-0626-SM-59HJR 60-69 years, male 51.6
GTEX-13SLX-2226-SM-62LEP 50-59 years, female 51.5
GTEX-Y3I4-1726-SM-4TT89 50-59 years, male 51.5
GTEX-1399U-1126-SM-5L3DB 50-59 years, female 51.3
GTEX-17EVP-2626-SM-7IGMA 40-49 years, male 51.3
GTEX-1J1OQ-0126-SM-D4P2N 40-49 years, female 51.3
GTEX-1LSVX-2526-SM-DIPEU 60-69 years, male 51.3
GTEX-WFG7-2026-SM-5SI7P 20-29 years, male 51.2
GTEX-1I1GP-1326-SM-A9G28 50-59 years, male 51.2
GTEX-11P81-2226-SM-5PNYI 30-39 years, female 51.1
GTEX-14JG1-1526-SM-5YY9X 40-49 years, male 51.1
GTEX-139UW-0326-SM-5J1ML 60-69 years, male 50.9
GTEX-XK95-0226-SM-4AT58 40-49 years, male 50.7
GTEX-11PRG-0726-SM-5EGL1 50-59 years, male 50.6
GTEX-ZYVF-0926-SM-5E44J 50-59 years, female 50.4
GTEX-1LVAO-2726-SM-E9TJ8 60-69 years, male 50.4
GTEX-16XZZ-0726-SM-7KUF2 60-69 years, male 50.3
GTEX-1EKGG-0626-SM-7DUGJ 60-69 years, male 50.3
GTEX-1LG7Y-2526-SM-EWRO7 50-59 years, male 50.2
GTEX-1JMQK-1226-SM-D4P2S 60-69 years, male 50.1
GTEX-1A8G7-1326-SM-73KVM 60-69 years, male 49.9
GTEX-1LGOU-1326-SM-D3L8M 20-29 years, female 49.5
GTEX-11TUW-0626-SM-5LU9M 60-69 years, male 49.4
GTEX-ZVE1-0726-SM-51MRN 50-59 years, female 49.4
GTEX-12WSH-1526-SM-5BC5W 50-59 years, male 49.2
GTEX-131XW-0626-SM-5PNVD 50-59 years, female 49.1
GTEX-13O3Q-0126-SM-5KM34 50-59 years, male 49.1
GTEX-1HT8W-0626-SM-A9G2H 30-39 years, male 49.1
GTEX-17HGU-2326-SM-7DUFE 50-59 years, male 49.0
GTEX-XQ8I-0926-SM-4BOOF 50-59 years, male 48.9
GTEX-1EMGI-2326-SM-7PBYA 60-69 years, male 48.9
GTEX-1HCU8-2526-SM-CE6RX 60-69 years, female 48.8
GTEX-ZAK1-0626-SM-5HL8E 50-59 years, female 48.6
GTEX-1K9T9-1526-SM-DIPFR 50-59 years, female 48.5
GTEX-13O61-1426-SM-5KM3D 60-69 years, male 48.4
GTEX-1JN76-0626-SM-CKZOQ 20-29 years, female 48.4
GTEX-11DXW-0826-SM-5H118 40-49 years, male 48.3
GTEX-17HG3-2626-SM-7DUF2 30-39 years, female 48.3
GTEX-1S82P-2126-SM-E6CI5 60-69 years, female 48.2
GTEX-13G51-1826-SM-5KLZH 60-69 years, male 48.1
GTEX-11NSD-0626-SM-5A5LU 20-29 years, male 48.0
GTEX-ZDYS-2426-SM-4WKGI 50-59 years, male 48.0
GTEX-ZVZP-1226-SM-5GID7 50-59 years, male 48.0
GTEX-1HR98-2226-SM-ADEI2 60-69 years, male 48.0
GTEX-1JMPY-0226-SM-CKZOK 30-39 years, male 48.0
GTEX-1I1GV-0626-SM-ARL7M 60-69 years, male 47.9
GTEX-11ZU8-0126-SM-5EQ58 60-69 years, male 47.7
GTEX-1B97I-0626-SM-73KUZ 40-49 years, male 47.7
GTEX-16NPX-0726-SM-7KULC 50-59 years, male 47.6
GTEX-ZDXO-3126-SM-5IJDF 60-69 years, male 47.6
GTEX-11DXZ-2026-SM-5987S 50-59 years, male 47.5
GTEX-13N1W-2426-SM-5IJD1 70-79 years, male 47.4
GTEX-13OVL-0126-SM-5L3GJ 50-59 years, male 47.4
GTEX-XQ3S-1426-SM-4BOPR 20-29 years, male 47.1
GTEX-1QP28-1126-SM-EVYC4 50-59 years, female 47.1
GTEX-1R46S-2426-SM-E76QA 60-69 years, female 47.0
GTEX-ZYFD-0626-SM-5E44E 50-59 years, male 46.9
GTEX-1HCUA-0826-SM-ADEHM 50-59 years, female 46.8
GTEX-1J8JJ-0626-SM-ARZMQ 60-69 years, female 46.8
GTEX-17EVQ-0126-SM-7IGLR 70-79 years, male 46.4
GTEX-1GN73-0726-SM-7P8TJ 60-69 years, male 46.4
GTEX-16MT9-0126-SM-7EPI8 60-69 years, female 46.3
GTEX-145MG-1526-SM-5Q5EM 50-59 years, male 46.2
GTEX-18D9A-1426-SM-7LT8M 30-39 years, female 46.2
GTEX-1MCC2-1826-SM-DIPEX 30-39 years, female 46.2
GTEX-146FQ-2126-SM-5RQHU 30-39 years, male 46.1
GTEX-ZPU1-1126-SM-4YCF3 40-49 years, male 46.1
GTEX-1H11D-1826-SM-9QEHM 40-49 years, male 46.1
GTEX-1CB4H-1126-SM-7MKGL 60-69 years, female 46.0
GTEX-1R9PN-0426-SM-DTXDT 40-49 years, female 46.0
GTEX-1AYD5-2626-SM-7PBXY 50-59 years, male 45.8
GTEX-1JMQI-1726-SM-ARL93 50-59 years, male 45.8
GTEX-18A7B-2726-SM-7LG56 70-79 years, male 45.7
GTEX-11DXY-0126-SM-5H11Q 60-69 years, male 45.6
GTEX-13FTY-2126-SM-5IFFB 40-49 years, female 45.6
GTEX-1I1HK-2326-SM-CKZOH 60-69 years, male 45.6
GTEX-13NYB-0126-SM-5J1MD 40-49 years, male 45.5
GTEX-14PHY-1226-SM-5ZZWK 60-69 years, female 45.5
GTEX-ZDTS-0826-SM-4WKHL 60-69 years, male 45.4
GTEX-1GF9V-0826-SM-9KNUV 60-69 years, male 45.4
GTEX-1RMOY-1326-SM-E9TIH 50-59 years, male 45.4
GTEX-YECK-0326-SM-4W1YS 60-69 years, male 45.3
GTEX-11DXX-2126-SM-5PNYR 60-69 years, female 45.2
GTEX-13PL6-1126-SM-5L3IE 40-49 years, female 45.2
GTEX-139TT-2126-SM-5LZWC 60-69 years, male 45.1
GTEX-1KD5A-0126-SM-E9U54 50-59 years, male 45.1
GTEX-1J8QM-2426-SM-A9SLS 60-69 years, female 45.0
GTEX-15RJ7-2126-SM-6PAMD 40-49 years, male 44.9
GTEX-16AAH-0626-SM-793C9 50-59 years, male 44.9
GTEX-ZVTK-0226-SM-51MRG 20-29 years, male 44.8
GTEX-1JJ6O-2726-SM-CNPOG 60-69 years, male 44.8
GTEX-ZYFG-1526-SM-5GZYM 60-69 years, female 44.7
GTEX-13D11-0926-SM-5J2NC 50-59 years, female 44.6
GTEX-145MH-2826-SM-5RQJF 50-59 years, male 44.6
GTEX-1CAMS-2226-SM-7PBXQ 40-49 years, female 44.6
GTEX-1GZ4I-2626-SM-9KNU3 50-59 years, male 44.6
GTEX-1QP29-1826-SM-DTX9S 50-59 years, male 44.5
GTEX-14A5H-0826-SM-5QGPJ 60-69 years, male 44.4
GTEX-1JK1U-0226-SM-ARZMX 60-69 years, male 44.4
GTEX-12584-0726-SM-5FQTK 40-49 years, male 44.3
GTEX-14JFF-0626-SM-5ZZVT 60-69 years, male 44.3
GTEX-1A3MV-1826-SM-731CD 30-39 years, male 44.2
GTEX-1IDJH-0126-SM-D3L92 70-79 years, male 44.2
GTEX-1H1DG-2426-SM-9QEHJ 70-79 years, male 44.0
GTEX-1IKOE-1426-SM-CE6T7 30-39 years, female 44.0
GTEX-Y8E4-2026-SM-5IFJB 40-49 years, male 43.8
GTEX-1LVAM-0726-SM-E6CIL 50-59 years, female 43.8
GTEX-ZF2S-1626-SM-57WES 50-59 years, female 43.7
GTEX-1PPH7-1126-SM-DTX9A 40-49 years, male 43.7
GTEX-11GSP-2326-SM-5HL63 60-69 years, female 43.6
GTEX-1GPI6-1926-SM-9KNV7 60-69 years, male 43.5
GTEX-15RIE-1926-SM-7KUKJ 60-69 years, male 43.4
GTEX-1F75W-2726-SM-7SB8H 60-69 years, male 43.4
GTEX-13FH7-1126-SM-5K7UG 50-59 years, female 43.3
GTEX-ZZPU-0826-SM-5GZX5 50-59 years, female 43.3
GTEX-12ZZX-2426-SM-5GCOE 40-49 years, female 43.1
GTEX-11DYG-1526-SM-5A5JS 60-69 years, male 43.0
GTEX-XYKS-1426-SM-4BRUO 60-69 years, female 43.0
GTEX-1H1CY-0126-SM-9YFLY 60-69 years, female 43.0
GTEX-11NUK-2726-SM-5A5MC 50-59 years, male 42.8
GTEX-12WSA-0426-SM-5EQ5X 60-69 years, male 42.8
GTEX-1N5O9-0926-SM-E9J3C 60-69 years, male 42.8
GTEX-13VXT-1926-SM-5K7UO 20-29 years, female 42.7
GTEX-VUSG-2326-SM-4KL1U 50-59 years, male 42.7
GTEX-1CB4I-0126-SM-7RHGG 50-59 years, male 42.7
GTEX-1RB15-1326-SM-E76Q9 60-69 years, male 42.7
GTEX-WHSB-1326-SM-3LK6W 50-59 years, male 42.6
GTEX-1PDJ9-1226-SM-EXUSX 20-29 years, male 42.6
GTEX-16Z82-2626-SM-7KULU 60-69 years, male 42.5
GTEX-11DZ1-2426-SM-5GZZX 50-59 years, male 42.4
GTEX-13OVG-1626-SM-5J1NF 60-69 years, male 42.4
GTEX-1JMOU-1026-SM-CYPSS 60-69 years, female 42.4
GTEX-13FTX-1526-SM-5K7VJ 20-29 years, female 42.3
GTEX-13OW5-2326-SM-5L3HO 60-69 years, male 42.3
GTEX-ZLFU-1826-SM-4WWBV 40-49 years, male 42.3
GTEX-13PVQ-0626-SM-5LU47 50-59 years, male 42.2
GTEX-18QFQ-1826-SM-72D52 30-39 years, male 42.2
GTEX-14PHX-2226-SM-6EU2P 50-59 years, male 42.1
GTEX-12ZZZ-0726-SM-5GCNZ 60-69 years, male 42.0
GTEX-1K2DA-1026-SM-CGQGF 50-59 years, male 42.0
GTEX-1QEPI-2626-SM-DTXF4 60-69 years, female 42.0
GTEX-1CAV2-0126-SM-7IGN7 40-49 years, female 41.9
GTEX-1CB4F-1026-SM-7DUH1 60-69 years, male 41.9
GTEX-1F52S-2926-SM-7MKGA 60-69 years, female 41.9
GTEX-YJ8O-2526-SM-5HL85 40-49 years, female 41.9
GTEX-11VI4-1126-SM-5EQMD 40-49 years, female 41.8
GTEX-13IVO-0726-SM-5LZYV 70-79 years, male 41.8
GTEX-1B8SF-0126-SM-7DUG3 60-69 years, male 41.8
GTEX-1LSNM-0826-SM-DIPG8 50-59 years, male 41.7
GTEX-13NYC-0126-SM-5L3F4 60-69 years, male 41.6
GTEX-YB5K-2026-SM-4VDT3 40-49 years, female 41.6
GTEX-133LE-2326-SM-5K7W3 20-29 years, female 41.4
GTEX-145ME-1726-SM-5Q5EU 40-49 years, female 41.4
GTEX-X5EB-1926-SM-4E3IW 40-49 years, male 41.4
GTEX-1KANB-2826-SM-CY8I6 50-59 years, male 41.4
GTEX-13JUV-2026-SM-5K7UA 40-49 years, female 41.3
GTEX-17HHY-0426-SM-7DHLC 50-59 years, male 41.3
GTEX-18A66-0626-SM-7LT8Z 60-69 years, male 41.3
GTEX-1H3VE-0726-SM-9YFL5 40-49 years, male 41.3
GTEX-ZC5H-1526-SM-5HL9Y 40-49 years, female 41.2
GTEX-1QPFJ-1926-SM-EVYBD 30-39 years, female 41.1
GTEX-1A8FM-0626-SM-7PC25 50-59 years, female 41.0
GTEX-1ICG6-1226-SM-A9SLN 70-79 years, female 41.0
GTEX-111FC-2526-SM-5GZXU 60-69 years, male 40.9
GTEX-14PK6-0226-SM-62LF5 70-79 years, female 40.9
GTEX-15CHQ-0326-SM-69LQD 60-69 years, male 40.9
GTEX-1RAZS-2526-SM-E6CHT 50-59 years, male 40.9
GTEX-131XG-0326-SM-5L3DX 50-59 years, female 40.8
GTEX-13RTJ-0126-SM-5S2NN 60-69 years, male 40.8
GTEX-145MN-1526-SM-5SI9T 30-39 years, male 40.8
GTEX-15SKB-2826-SM-6PAMH 60-69 years, male 40.8
GTEX-WK11-2726-SM-3NMAQ 50-59 years, male 40.8
GTEX-YFCO-1226-SM-5LUAT 40-49 years, male 40.8
GTEX-139T8-0626-SM-5KLZX 60-69 years, male 40.7
GTEX-145MO-2826-SM-5LU96 60-69 years, male 40.7
GTEX-1HCVE-2726-SM-CL54F 50-59 years, male 40.7
GTEX-1F6IF-0926-SM-7SB7M 60-69 years, male 40.6
GTEX-16GPK-0626-SM-7KFSF 60-69 years, male 40.5
GTEX-U8XE-0226-SM-4E3J3 30-39 years, male 40.5
GTEX-1F48J-0726-SM-7RHGS 50-59 years, female 40.5
GTEX-1F88F-0126-SM-9WYSZ 60-69 years, female 40.5
GTEX-13OW8-1026-SM-5J1NQ 60-69 years, male 40.4
GTEX-ZDTT-0426-SM-4WKFL 60-69 years, male 40.4
GTEX-ZU9S-1826-SM-5NQ9E 30-39 years, male 40.4
GTEX-ZY6K-1426-SM-5GZX2 50-59 years, male 40.4
GTEX-14LLW-2626-SM-62LDZ 70-79 years, female 40.3
GTEX-1S83E-1326-SM-E6CJM 40-49 years, male 40.3
GTEX-13X6I-1826-SM-5SIAO 60-69 years, male 40.1
GTEX-1B8KZ-0326-SM-73KY4 50-59 years, male 40.1
GTEX-139YR-1026-SM-5LZYN 50-59 years, male 40.0
GTEX-WHPG-2626-SM-3NMBR 50-59 years, male 39.9
GTEX-1O9I2-0226-SM-EYYXD 50-59 years, male 39.9
GTEX-1269C-0126-SM-5EQ5L 60-69 years, female 39.8
GTEX-1EH9U-2826-SM-7DUGT 60-69 years, male 39.8
GTEX-1497J-0226-SM-5QGPU 60-69 years, male 39.7
GTEX-YF7O-1526-SM-5IFI6 50-59 years, male 39.7
GTEX-1LB8K-0726-SM-D5OV2 50-59 years, male 39.7
GTEX-12BJ1-0926-SM-5EQ62 60-69 years, male 39.6
GTEX-12WSF-1626-SM-7KUG5 70-79 years, male 39.6
GTEX-13OVJ-0826-SM-5J1OK 50-59 years, female 39.6
GTEX-18D9B-0926-SM-7LG4U 60-69 years, male 39.6
GTEX-1GN1W-2426-SM-9KNUU 50-59 years, female 39.6
GTEX-1I1GT-1026-SM-ARZLV 60-69 years, female 39.6
GTEX-15D1Q-2826-SM-6LLH7 40-49 years, male 39.5
GTEX-1QMI2-2526-SM-E8VNZ 60-69 years, male 39.5
GTEX-1GZHY-0626-SM-9KNVC 50-59 years, female 39.4
GTEX-1F75B-0726-SM-7PC3R 50-59 years, male 39.2
GTEX-111YS-1526-SM-5GZYW 60-69 years, male 39.1
GTEX-15DDE-2926-SM-6LLJ3 50-59 years, female 39.1
GTEX-ZF29-0926-SM-4WKFZ 60-69 years, female 39.1
GTEX-13FTW-0326-SM-5K7UW 40-49 years, male 39.0
GTEX-13OW7-0426-SM-5K7VK 50-59 years, male 39.0
GTEX-1B996-0426-SM-7EWF8 60-69 years, male 38.9
GTEX-Y9LG-1126-SM-4VBQ7 30-39 years, male 38.9
GTEX-ZVP2-0326-SM-57WBP 50-59 years, male 38.9
GTEX-1H1DE-1326-SM-9KNUG 20-29 years, male 38.9
GTEX-111VG-1626-SM-5EGIO 60-69 years, male 38.8
GTEX-17HII-1426-SM-7EPGG 50-59 years, male 38.8
GTEX-17JCI-2926-SM-7DUFF 60-69 years, female 38.8
GTEX-YEC4-1826-SM-4W1YP 40-49 years, male 38.8
GTEX-ZLWG-0826-SM-59888 50-59 years, female 38.8
GTEX-1RAZA-2226-SM-E9U4X 20-29 years, male 38.7
GTEX-1IDJF-2026-SM-CL53V 20-29 years, male 38.6
GTEX-12WSK-2126-SM-5CVNC 40-49 years, female 38.5
GTEX-13SLW-0626-SM-5Q5ER 70-79 years, male 38.5
GTEX-XV7Q-1826-SM-4BRUV 40-49 years, female 38.5
GTEX-16MTA-0926-SM-6M47Z 50-59 years, male 38.4
GTEX-18A67-1626-SM-7LT9T 50-59 years, male 38.4
GTEX-1EWIQ-0326-SM-7DHMQ 70-79 years, female 38.4
GTEX-1F75I-2226-SM-7SB8U 40-49 years, male 38.4
GTEX-1IKJJ-2226-SM-CJI4C 60-69 years, male 38.4
GTEX-ZAJG-1526-SM-5CVML 50-59 years, female 38.3
GTEX-145MF-0926-SM-5Q5EA 50-59 years, male 38.2
GTEX-1B8KE-1126-SM-7EPHI 50-59 years, male 38.2
GTEX-1KANC-1226-SM-CYPT7 50-59 years, female 38.2
GTEX-1OJC4-2726-SM-E76PJ 50-59 years, female 38.2
GTEX-139D8-1126-SM-5LU8W 30-39 years, female 38.1
GTEX-13O3O-2326-SM-5IJD6 60-69 years, female 38.1
GTEX-144GL-0626-SM-5LU4D 50-59 years, male 38.1
GTEX-17KNJ-2126-SM-718AM 50-59 years, male 38.1
GTEX-1M4P7-0726-SM-E6CJ3 60-69 years, male 38.1
GTEX-13FHO-0426-SM-5L3F5 60-69 years, male 38.0
GTEX-14DAR-1226-SM-73KYV 50-59 years, male 38.0
GTEX-ZA64-1026-SM-5HL8R 20-29 years, male 38.0
GTEX-13OVH-0526-SM-5L3E6 70-79 years, male 37.8
GTEX-XPVG-2126-SM-4B667 50-59 years, male 37.8
GTEX-1IOXB-2726-SM-CM2RI 50-59 years, male 37.8
GTEX-1E1VI-0326-SM-793D1 50-59 years, male 37.7
GTEX-Y3IK-1626-SM-4YCF5 50-59 years, female 37.7
GTEX-1212Z-0126-SM-59HK4 60-69 years, male 37.6
GTEX-ZVT4-2426-SM-5GIEI 50-59 years, female 37.6
GTEX-1HCU9-0426-SM-9WYSD 20-29 years, male 37.6
GTEX-1K2DU-1226-SM-CYPT4 20-29 years, male 37.6
GTEX-1GMR3-0126-SM-A9SLW 40-49 years, male 37.5
GTEX-14BIN-1126-SM-5RQJZ 50-59 years, female 37.4
GTEX-ZZ64-1026-SM-5GZXG 20-29 years, male 37.4
GTEX-11EI6-2826-SM-5H11D 60-69 years, male 37.2
GTEX-14PJ5-1526-SM-6LLIL 60-69 years, female 37.2
GTEX-1BAJH-2426-SM-7IGP8 70-79 years, male 37.2
GTEX-1IE54-1126-SM-A9G2Z 40-49 years, female 37.2
GTEX-1J8Q2-2626-SM-ACKWQ 60-69 years, male 37.2
GTEX-147GR-2426-SM-5ZZWQ 60-69 years, male 37.1
GTEX-WHWD-1826-SM-3LK6I 50-59 years, male 37.1
GTEX-1GN1U-0626-SM-9MQL9 50-59 years, female 37.1
GTEX-1IDJC-1526-SM-B2LW4 50-59 years, male 37.0
GTEX-1A3MW-0626-SM-731CB 60-69 years, female 36.9
GTEX-WY7C-2126-SM-3NB2R 50-59 years, male 36.9
GTEX-1IL2V-1926-SM-B2LW8 70-79 years, male 36.9
GTEX-13113-1626-SM-5EQ4I 60-69 years, female 36.7
GTEX-17MF6-2626-SM-79OKQ 40-49 years, male 36.7
GTEX-1HSKV-1226-SM-ADEI4 60-69 years, male 36.7
GTEX-1IDJE-1426-SM-ADEIW 50-59 years, female 36.7
GTEX-1CB4E-0926-SM-7EPHT 60-69 years, male 36.6
GTEX-1GF9W-1426-SM-7PBYM 60-69 years, male 36.6
GTEX-1122O-1026-SM-9WYSF 60-69 years, female 36.5
GTEX-12WSC-2826-SM-5BC5Y 50-59 years, male 36.4
GTEX-14XAO-1226-SM-6EU1C 60-69 years, female 36.4
GTEX-1GZ4H-0526-SM-9KNU9 50-59 years, female 36.4
GTEX-1I1CD-0626-SM-CE6SW 60-69 years, female 36.4
GTEX-1JN1M-2726-SM-CY8I4 60-69 years, female 36.4
GTEX-13YAN-0226-SM-5TDC6 60-69 years, male 36.3
GTEX-15EO6-2426-SM-6PALZ 50-59 years, male 36.3
GTEX-1EN7A-2426-SM-793DB 40-49 years, male 36.3
GTEX-14JG6-1426-SM-9WG7C 30-39 years, female 36.3
GTEX-1I1GS-2626-SM-B2LY3 60-69 years, male 36.3
GTEX-1C6VQ-1226-SM-73KYD 50-59 years, male 36.2
GTEX-1QP66-1226-SM-DTX7U 50-59 years, male 36.2
GTEX-17MFQ-1526-SM-7KFRR 20-29 years, male 36.1
GTEX-1J1R8-2026-SM-CL53Y 40-49 years, male 36.1
GTEX-1JJE9-2626-SM-ARZMT 70-79 years, male 36.1
GTEX-13NYS-0626-SM-5L3F1 60-69 years, male 36.0
GTEX-14ABY-2026-SM-62LDL 50-59 years, male 36.0
GTEX-1LG7Z-1626-SM-CXKYR 30-39 years, male 36.0
GTEX-13N2G-0226-SM-5K7VF 60-69 years, male 35.8
GTEX-1C6VR-0126-SM-7RHGB 60-69 years, male 35.8
GTEX-1IDJD-2326-SM-ACKWX 30-39 years, male 35.8
GTEX-147F3-1726-SM-5SIAW 50-59 years, female 35.7
GTEX-11EM3-1226-SM-5N9DD 20-29 years, female 35.5
GTEX-XMD2-2126-SM-4YCF8 60-69 years, female 35.5
GTEX-14A6H-2026-SM-5Q5DD 30-39 years, male 35.4
GTEX-18A6Q-0626-SM-7KFRP 60-69 years, male 35.4
GTEX-1HSMQ-2626-SM-A9SML 50-59 years, male 35.4
GTEX-1HUB1-1426-SM-CGQF5 60-69 years, male 35.3
GTEX-WFON-1926-SM-3LK7L 40-49 years, male 35.2
GTEX-1LBAC-0826-SM-CY8IJ 20-29 years, male 35.2
GTEX-11UD2-2526-SM-5CVNU 50-59 years, male 35.0
GTEX-14PJ6-2626-SM-6EU2T 60-69 years, female 34.9
GTEX-18D9U-0126-SM-731BM 40-49 years, male 34.9
GTEX-ZUA1-2626-SM-5NQ92 40-49 years, male 34.9
GTEX-WHSE-0126-SM-3NMBT 20-29 years, male 34.8
GTEX-ZYFC-0426-SM-5GICQ 50-59 years, male 34.8
GTEX-1HCU7-0726-SM-A9SL1 50-59 years, male 34.8
GTEX-178AV-1726-SM-7KUL8 40-49 years, male 34.7
GTEX-183FY-1026-SM-7939A 20-29 years, male 34.6
GTEX-1KWVE-1026-SM-D3L9O 30-39 years, male 34.6
GTEX-Y5V5-0126-SM-5S2NW 60-69 years, female 34.5
GTEX-1JKYR-0626-SM-ARL8R 20-29 years, male 34.5
GTEX-13OW6-2726-SM-5J2OE 50-59 years, male 34.4
GTEX-1HR9M-2226-SM-CNPPY 60-69 years, male 34.4
GTEX-ZAB4-2126-SM-5HL8U 40-49 years, male 34.3
GTEX-ZWKS-0626-SM-5GIDV 30-39 years, male 34.3
GTEX-13FLV-0126-SM-5K7WT 50-59 years, male 34.2
GTEX-14AS3-1526-SM-5Q5ED 40-49 years, female 34.2
GTEX-1HKZK-0726-SM-ACKW2 40-49 years, male 34.2
GTEX-15G1A-1626-SM-7KUKN 30-39 years, male 34.1
GTEX-12WSM-1926-SM-5BC65 60-69 years, male 34.0
GTEX-1LGRB-0926-SM-COH3K 50-59 years, female 33.9
GTEX-1LVA9-2626-SM-EVYD4 50-59 years, male 33.9
GTEX-1POEN-2326-SM-E9J2L 30-39 years, female 33.9
GTEX-15UF6-1926-SM-7KUDV 70-79 years, female 33.8
GTEX-WRHU-2826-SM-3MJG8 50-59 years, female 33.8
GTEX-1I6K7-1926-SM-B2LXR 40-49 years, male 33.8
GTEX-1RLM8-2926-SM-E8VON 50-59 years, male 33.8
GTEX-11ZUS-2626-SM-5FQUR 30-39 years, male 33.7
GTEX-132AR-0326-SM-5KM2C 50-59 years, female 33.7
GTEX-X3Y1-2026-SM-3P5YM 40-49 years, male 33.7
GTEX-1HFI7-2326-SM-CGQFS 50-59 years, female 33.7
GTEX-1I6K6-1726-SM-CGQFD 30-39 years, male 33.7
GTEX-1IY9M-2826-SM-ARU8H 60-69 years, male 33.7
GTEX-1F5PK-2226-SM-7SB6N 50-59 years, male 33.6
GTEX-1KXAM-1626-SM-D3LAD 60-69 years, male 33.5
GTEX-1314G-1326-SM-5BC6E 30-39 years, male 33.3
GTEX-1F75A-0726-SM-7RHHD 50-59 years, male 33.2
GTEX-11EQ9-1626-SM-5PNY8 30-39 years, male 33.1
GTEX-13PDP-0726-SM-5L3HP 60-69 years, male 33.0
GTEX-XBED-1926-SM-47JYP 60-69 years, male 33.0
GTEX-1B8L1-2226-SM-7P8PT 60-69 years, male 33.0
GTEX-145LT-0526-SM-5LUB2 40-49 years, male 32.9
GTEX-14PKV-1126-SM-6LLJ1 20-29 years, female 32.9
GTEX-12ZZY-0726-SM-5EQ66 60-69 years, male 32.8
GTEX-147JS-0226-SM-5S2U9 60-69 years, male 32.8
GTEX-1HSMO-0626-SM-ACKXC 60-69 years, male 32.7
GTEX-11P7K-1126-SM-5HL4L 30-39 years, male 32.6
GTEX-1211K-1526-SM-5FQU4 60-69 years, female 32.6
GTEX-14E6E-0526-SM-793DN 30-39 years, male 32.5
GTEX-1S5ZU-2526-SM-E6CIF 20-29 years, female 32.5
GTEX-11TT1-1826-SM-5EQLV 20-29 years, male 32.4
GTEX-111CU-1126-SM-5EGIM 50-59 years, male 32.3
GTEX-1AX9I-2226-SM-73KUO 60-69 years, male 32.2
GTEX-11P82-1426-SM-DTXFY 20-29 years, male 32.2
GTEX-1H3NZ-2726-SM-9WYTQ 60-69 years, male 32.2
GTEX-1QCLZ-2426-SM-EVYBW 60-69 years, female 32.1
GTEX-17F9Y-0126-SM-79OKX 70-79 years, female 31.9
GTEX-1C2JI-1026-SM-73KY1 50-59 years, male 31.9
GTEX-131YS-2826-SM-5EQ47 60-69 years, female 31.8
GTEX-WYJK-0526-SM-3NM8Z 50-59 years, male 31.8
GTEX-XXEK-1626-SM-4BRUZ 50-59 years, male 31.8
GTEX-1GMR2-0826-SM-7PC3V 50-59 years, male 31.8
GTEX-1B932-2326-SM-79OL5 40-49 years, female 31.6
GTEX-1GN2E-0226-SM-9WG6K 60-69 years, male 31.6
GTEX-1B933-2426-SM-7DHMD 50-59 years, female 31.5
GTEX-1I1GU-0926-SM-ACKVS 40-49 years, male 31.5
GTEX-1L5NE-1126-SM-D3L9P 50-59 years, male 31.4
GTEX-117YX-1926-SM-5GIEC 50-59 years, male 31.3
GTEX-14PJN-1826-SM-6AJ98 30-39 years, male 31.3
GTEX-183WM-0326-SM-72D5V 70-79 years, female 31.3
GTEX-1CB4J-1326-SM-7P8RX 60-69 years, male 31.3
GTEX-14BMU-1226-SM-5S2OR 20-29 years, female 31.1
GTEX-WYVS-1626-SM-3NM9R 40-49 years, female 31.1
GTEX-11ZTT-2126-SM-5CVLO 60-69 years, female 31.0
GTEX-ZYY3-2926-SM-5GIEB 60-69 years, female 31.0
GTEX-X8HC-0626-SM-4E3HQ 50-59 years, female 30.9
GTEX-13QJC-0126-SM-5ZZWJ 60-69 years, female 30.7
GTEX-144GM-0526-SM-79OJO 20-29 years, male 30.6
GTEX-ZVT2-0126-SM-5GIDQ 50-59 years, female 30.6
GTEX-1QP2A-1726-SM-E76QC 50-59 years, male 30.6
GTEX-1A8G6-2726-SM-731AR 60-69 years, male 30.4
GTEX-ZE9C-2526-SM-5IJDR 60-69 years, male 30.4
GTEX-1GF9X-1326-SM-7PC2Y 40-49 years, female 30.2
GTEX-1C475-1326-SM-7SB73 40-49 years, female 30.1
GTEX-1ICLY-0826-SM-CMKG1 50-59 years, male 30.1
GTEX-ZTSS-1426-SM-5985P 40-49 years, male 30.0
GTEX-1J8Q3-0526-SM-ARL8U 60-69 years, male 30.0
GTEX-13VXU-0626-SM-5L3F9 50-59 years, male 29.9
GTEX-1GTWX-2026-SM-9YFLM 60-69 years, male 29.9
GTEX-12696-0126-SM-5EQ4L 60-69 years, male 29.7
GTEX-1HBPN-0126-SM-CGQEF 50-59 years, male 29.7
GTEX-1H4P4-2126-SM-9WYSL 50-59 years, male 29.6
GTEX-1JMQL-2226-SM-CNPP4 50-59 years, female 29.5
GTEX-12KS4-2126-SM-5FQUT 30-39 years, male 29.4
GTEX-XAJ8-1426-SM-47JYM 40-49 years, male 29.3
GTEX-1477Z-0326-SM-7IGLA 60-69 years, male 29.1
GTEX-15EU6-2226-SM-6EU2L 50-59 years, male 29.1
GTEX-13X6H-0926-SM-5SIB2 50-59 years, female 28.9
GTEX-145LU-1926-SM-79OJN 50-59 years, male 28.8
GTEX-17F98-1326-SM-7DUEP 40-49 years, female 28.8
GTEX-1A32A-0626-SM-731AQ 50-59 years, female 28.7
GTEX-X4EP-0626-SM-3P621 60-69 years, female 28.7
GTEX-12WSD-0626-SM-5GCMW 60-69 years, female 28.3
GTEX-14PKU-0126-SM-6LLHV 40-49 years, female 28.2
GTEX-13N11-2326-SM-5IJBF 50-59 years, female 28.1
GTEX-18A7A-0126-SM-731AH 50-59 years, female 28.1
GTEX-15CHC-1126-SM-6LLHQ 60-69 years, female 28.0
GTEX-1LSNL-2726-SM-E9TKJ 50-59 years, male 28.0
GTEX-1H2FU-0926-SM-9WPPT 60-69 years, female 27.8
GTEX-1HC8U-1326-SM-9YFMJ 40-49 years, female 27.8
GTEX-16BQI-1326-SM-6M486 30-39 years, female 27.7
GTEX-ZTTD-2826-SM-4YCFA 50-59 years, male 27.7
GTEX-1IDJV-0126-SM-COH3Y 60-69 years, male 27.7
GTEX-1GMR8-0626-SM-7RHI7 50-59 years, female 27.6
GTEX-1JKYN-0826-SM-ARU8S 30-39 years, male 27.5
GTEX-ZGAY-1826-SM-DO91Q 40-49 years, female 27.5
GTEX-1PBJJ-1026-SM-E76OS 30-39 years, male 27.4
GTEX-13OVK-1426-SM-6PAN7 40-49 years, male 27.3
GTEX-WYBS-0626-SM-3NMAS 60-69 years, female 27.1
GTEX-1IDJI-0126-SM-CMKHS 50-59 years, female 27.1
GTEX-14PJ2-0626-SM-6LLII 50-59 years, male 27.0
GTEX-1H23P-0626-SM-9WG6T 60-69 years, male 27.0
GTEX-ZVE2-2826-SM-5GU51 50-59 years, male 26.8
GTEX-1I4MK-0126-SM-CY8G6 50-59 years, female 26.8
GTEX-131XF-2626-SM-5EQ6K 60-69 years, male 26.6
GTEX-13NZ9-2626-SM-5L3FK 50-59 years, male 26.3
GTEX-14C38-0726-SM-5SI6M 50-59 years, male 26.3
GTEX-14C5O-0326-SM-5ZZUX 60-69 years, male 26.3
GTEX-14PJ4-0226-SM-5YY92 60-69 years, male 26.2
GTEX-1EU9M-1426-SM-793AI 60-69 years, male 26.2
GTEX-1H1E6-0426-SM-9WYUS 30-39 years, male 26.1
GTEX-1S831-1826-SM-EWROF 20-29 years, male 26.1
GTEX-ZPIC-0526-SM-DO91W 40-49 years, female 26.0
GTEX-1AX8Z-0726-SM-73KTS 60-69 years, male 25.8
GTEX-1HSGN-0826-SM-ACKW3 40-49 years, female 25.4
GTEX-1IDFM-0326-SM-ARL7V 60-69 years, male 25.4
GTEX-12WSL-2026-SM-5GCML 50-59 years, male 25.3
GTEX-1AX9J-1326-SM-731BJ 60-69 years, male 25.2
GTEX-11GS4-0226-SM-5HL77 60-69 years, male 25.1
GTEX-13U4I-2226-SM-5LU5H 40-49 years, female 25.1
GTEX-13X6J-0626-SM-5LU5F 50-59 years, male 25.0
GTEX-Y8LW-1526-SM-5IFHL 50-59 years, female 24.9
GTEX-1F5PL-0926-SM-7PC2W 40-49 years, female 24.8
GTEX-1H1DF-1126-SM-9WG7G 40-49 years, female 24.4
GTEX-1GN1V-2826-SM-9JGIA 60-69 years, male 24.2
GTEX-1A3MX-2626-SM-7PC24 60-69 years, male 23.9
GTEX-13NZ8-1226-SM-5KM4A 60-69 years, female 23.7
GTEX-14DAQ-0626-SM-793DS 60-69 years, female 23.5
GTEX-13X6K-0626-SM-5LU5D 60-69 years, female 23.4
GTEX-15FZZ-0526-SM-7KUGD 30-39 years, female 23.4
GTEX-1GL5R-1326-SM-7RHHF 50-59 years, male 23.3
GTEX-UPK5-0426-SM-3GAEK 40-49 years, male 23.1
GTEX-1HBPI-2126-SM-ARL9K 50-59 years, male 23.1
GTEX-14BMV-2826-SM-5TDED 50-59 years, male 22.6
GTEX-ZT9W-1126-SM-57WDR 50-59 years, male 22.4
GTEX-1GMRU-2126-SM-7P8RA 50-59 years, male 22.3
GTEX-13PVR-0426-SM-5RQK2 60-69 years, female 22.2
GTEX-13W3W-0726-SM-5IJDQ 60-69 years, female 22.0
GTEX-1F88E-1626-SM-7SB8Z 60-69 years, female 21.5
GTEX-XUW1-0926-SM-4BONX 50-59 years, female 21.4
GTEX-UPJH-0226-SM-3GADV 50-59 years, male 21.3
GTEX-145MI-0626-SM-5SI8S 60-69 years, female 21.2
GTEX-1AMEY-0826-SM-72D65 30-39 years, female 21.1
GTEX-13QBU-1226-SM-5LU4G 40-49 years, female 20.8
GTEX-1R7EU-1626-SM-DTXG3 60-69 years, male 20.1
GTEX-1RAZR-2126-SM-E9U6T 40-49 years, male 19.9
GTEX-1AMFI-1326-SM-7939R 50-59 years, female 19.8
GTEX-11WQK-1026-SM-5EQLX 50-59 years, male 19.5
GTEX-16NGA-0726-SM-731AO 40-49 years, female 19.4
GTEX-W5X1-2526-SM-3GILC 40-49 years, female 19.3
GTEX-VJYA-1526-SM-3GIJV 60-69 years, male 19.2
GTEX-WEY5-2326-SM-3GIKK 40-49 years, female 19.2
GTEX-11LCK-2226-SM-5HL4Q 30-39 years, male 19.1
GTEX-1GF9U-2026-SM-7SB92 40-49 years, female 18.8
GTEX-1HBPM-0726-SM-9YFL7 60-69 years, female 18.5
GTEX-14B4R-1326-SM-5Q5EZ 30-39 years, male 17.7
GTEX-12C56-1526-SM-5FQUQ 20-29 years, male 17.4
GTEX-1IDJU-1726-SM-CMKHU 60-69 years, female 17.3
GTEX-15ER7-0626-SM-6PANF 20-29 years, female 16.7
GTEX-ZLV1-1526-SM-DO91J 60-69 years, female 16.1
GTEX-14E6C-2426-SM-5S2NF 40-49 years, male 15.5
GTEX-V1D1-2026-SM-3GAF4 50-59 years, male 15.4
GTEX-WFG8-2126-SM-3GIKQ 20-29 years, male 13.4
GTEX-1F6RS-2026-SM-7RHHC 60-69 years, female 12.6
GTEX-Y5LM-0926-SM-6LLJG 40-49 years, female 12.4
GTEX-11EQ8-0926-SM-5H12V 60-69 years, male 11.7
Show allShow less
Skin - Sun Exposed (Lower leg)
Average nTPM: 37.1
Samples: 701

Max nTPM: 114.1
Min nTPM: 5.8
Std nTPM: 12.2
Median nTPM: 35.8
GTEX-1399U-2326-SM-5K7WY 50-59 years, female 114.1
GTEX-Y3IK-2426-SM-4WWDU 50-59 years, female 83.5
GTEX-P4PP-0126-SM-3LK69 30-39 years, female 79.0
GTEX-11UD1-0126-SM-5PNYG 40-49 years, female 76.1
GTEX-WVJS-0126-SM-4MVOT 50-59 years, male 75.9
GTEX-Y5V6-2426-SM-4VDSB 60-69 years, male 75.8
GTEX-15SB6-1726-SM-6PAME 50-59 years, female 73.7
GTEX-1CAV2-2226-SM-7P8P2 40-49 years, female 73.7
GTEX-1QP9N-1426-SM-DTXFL 30-39 years, male 72.4
GTEX-S33H-1026-SM-EZ6L6 30-39 years, male 71.4
GTEX-RVPV-0126-SM-EAZAW 60-69 years, male 71.0
GTEX-146FQ-0126-SM-5NQA9 30-39 years, male 70.2
GTEX-131XF-5016-SM-7MGWE 60-69 years, male 69.6
GTEX-13OVK-2026-SM-7KUEO 40-49 years, male 67.4
GTEX-SE5C-1626-SM-2XCE3 40-49 years, female 67.3
GTEX-O5YW-0126-SM-3LK6D 50-59 years, male 67.0
GTEX-14753-0426-SM-5NQAM 60-69 years, male 66.8
GTEX-1JN6P-0126-SM-D3L98 60-69 years, male 66.5
GTEX-1122O-2126-SM-5EGIR 60-69 years, female 65.5
GTEX-ZVTK-0426-SM-51MRS 20-29 years, male 65.4
GTEX-Y114-2426-SM-4TT8A 50-59 years, female 65.0
GTEX-13CF2-2526-SM-5LZYX 60-69 years, male 64.6
GTEX-ZVZO-0126-SM-5A5L9 40-49 years, male 64.1
GTEX-139UW-2826-SM-5L3E7 60-69 years, male 62.1
GTEX-ZF3C-0126-SM-DO92D 50-59 years, female 61.0
GTEX-1NV5F-0226-SM-E8VNY 60-69 years, female 60.5
GTEX-12126-0326-SM-5PNW3 20-29 years, male 60.3
GTEX-1KD4Q-0226-SM-E9TJ9 40-49 years, male 60.2
GTEX-ZDTS-0126-SM-4WAY5 60-69 years, male 60.1
GTEX-1RB15-2126-SM-E9TIM 60-69 years, male 59.8
GTEX-1IOXB-0126-SM-ARL8G 50-59 years, male 59.6
GTEX-139TS-2826-SM-5J1OO 60-69 years, male 59.4
GTEX-145MO-0326-SM-5Q5B3 60-69 years, male 59.3
GTEX-1J1OQ-0226-SM-CYPSH 40-49 years, female 58.6
GTEX-1PIIG-0226-SM-EWRN6 30-39 years, male 58.4
GTEX-14E6C-0126-SM-5RQIP 40-49 years, male 58.0
GTEX-1HCU6-0126-SM-CL54K 60-69 years, female 58.0
GTEX-XUZC-1726-SM-4BRWS 30-39 years, female 57.9
GTEX-1I1GV-0526-SM-A9G29 60-69 years, male 57.9
GTEX-WY7C-2326-SM-3NB2U 50-59 years, male 57.8
GTEX-1HR98-0126-SM-B2LWI 60-69 years, male 57.6
GTEX-Y111-0126-SM-4SOIV 50-59 years, male 57.1
GTEX-Y8DK-0126-SM-4TT3L 60-69 years, male 57.1
GTEX-1I1GP-2226-SM-CGQFK 50-59 years, male 57.0
GTEX-1IDJH-0326-SM-A9SLQ 70-79 years, male 57.0
GTEX-ZYFG-2326-SM-5E44B 60-69 years, female 56.7
GTEX-117XS-2726-SM-5N9BL 60-69 years, male 56.3
GTEX-RTLS-0126-SM-447CA 60-69 years, female 56.3
GTEX-1QP66-1726-SM-E8VO1 50-59 years, male 55.7
GTEX-1N2DW-0226-SM-E9TK2 50-59 years, male 55.0
GTEX-1JKYR-0126-SM-CNPOJ 20-29 years, male 54.5
GTEX-X585-0226-SM-4QAS2 50-59 years, male 54.1
GTEX-X8HC-0126-SM-4E3JW 50-59 years, female 54.1
GTEX-17JCI-0126-SM-7LG5G 60-69 years, female 53.8
GTEX-W5X1-3026-SM-EAZAX 40-49 years, female 53.7
GTEX-13O3Q-2426-SM-5IJBR 50-59 years, male 53.5
GTEX-1R9PM-2026-SM-E76OY 20-29 years, male 53.4
GTEX-14PII-0226-SM-6EU1T 60-69 years, male 53.3
GTEX-1F5PL-0326-SM-7P8PQ 40-49 years, female 53.3
GTEX-1QAET-0926-SM-E76QM 50-59 years, male 53.3
GTEX-13O21-1426-SM-5K7XI 50-59 years, male 53.2
GTEX-145MF-0626-SM-5LUAI 50-59 years, male 53.2
GTEX-14JG1-0426-SM-6ETZZ 40-49 years, male 52.9
GTEX-1HFI6-0226-SM-ADEHZ 40-49 years, male 52.8
GTEX-1IKK5-0626-SM-ARL8A 60-69 years, male 52.8
GTEX-11TTK-0126-SM-5987B 60-69 years, female 52.7
GTEX-17HHY-0126-SM-7LG5D 50-59 years, male 52.7
GTEX-O5YT-0126-SM-48TBW 20-29 years, male 52.7
GTEX-1H1CY-2826-SM-9MQM3 60-69 years, female 52.4
GTEX-1PBJI-0526-SM-E8VNK 20-29 years, female 52.3
GTEX-1QPFJ-0226-SM-E76PB 30-39 years, female 52.3
GTEX-139T4-0226-SM-5HL5S 50-59 years, female 52.1
GTEX-ZTX8-1426-SM-5DUVO 20-29 years, male 52.0
GTEX-1CAMR-1926-SM-7EPI2 20-29 years, male 51.7
GTEX-139T8-0126-SM-5K7XZ 60-69 years, male 51.2
GTEX-ZAK1-0126-SM-5IJD3 50-59 years, female 51.0
GTEX-1PDJ9-0326-SM-DTX95 20-29 years, male 51.0
GTEX-13FXS-0226-SM-5IJCK 50-59 years, male 50.9
GTEX-14ICK-0226-SM-6EU25 40-49 years, male 50.7
GTEX-15ER7-0326-SM-7KUEV 20-29 years, female 50.6
GTEX-ZYFD-0126-SM-5GIDL 50-59 years, male 50.6
GTEX-1GMR3-1926-SM-9KNUZ 40-49 years, male 50.6
GTEX-1R46S-0626-SM-E9J41 60-69 years, female 50.6
GTEX-1H3VE-0326-SM-9YFLH 40-49 years, male 50.5
GTEX-1OFPY-2426-SM-DTXEJ 60-69 years, male 50.5
GTEX-1QP29-0626-SM-EWRMX 50-59 years, male 50.4
GTEX-ZDXO-3026-SM-5J1N5 60-69 years, male 50.1
GTEX-1IDFM-0126-SM-COH2V 60-69 years, male 50.1
GTEX-U412-0426-SM-3DB9O 60-69 years, male 50.0
GTEX-X4EP-0126-SM-3P5YV 60-69 years, female 50.0
GTEX-1KWVE-1426-SM-E9TJO 30-39 years, male 50.0
GTEX-11O72-0126-SM-59887 40-49 years, male 49.9
GTEX-132NY-0326-SM-5IJBL 60-69 years, male 49.9
GTEX-1GN73-0226-SM-9WG67 60-69 years, male 49.9
GTEX-1GPI7-0126-SM-9MQL8 20-29 years, male 49.8
GTEX-1GZ2Q-0226-SM-7P8TL 40-49 years, male 49.8
GTEX-15UF6-0826-SM-6PALJ 70-79 years, female 49.7
GTEX-1MJK2-0426-SM-DTXE5 50-59 years, male 49.7
GTEX-1C4CL-0526-SM-73KVK 30-39 years, male 49.6
GTEX-13NZB-2526-SM-5J1OM 30-39 years, male 49.5
GTEX-1313W-0126-SM-5LZUN 50-59 years, female 49.4
GTEX-1H11D-0226-SM-9WG6Z 40-49 years, male 49.4
GTEX-1K2DU-2326-SM-E9TIV 20-29 years, male 49.4
GTEX-1MCYP-1926-SM-E9J2R 20-29 years, female 49.4
GTEX-12WSD-0126-SM-59HKN 60-69 years, female 49.2
GTEX-ZF28-0126-SM-4WKGK 60-69 years, male 49.1
GTEX-131YS-0126-SM-5KM1M 60-69 years, female 48.9
GTEX-117YW-2626-SM-5GZZH 50-59 years, male 48.8
GTEX-11OC5-0126-SM-5HL6A 60-69 years, male 48.8
GTEX-15CHC-2126-SM-6EU21 60-69 years, female 48.8
GTEX-ZF2S-2326-SM-4WWCE 50-59 years, female 48.6
GTEX-1HSKV-0226-SM-A9SKJ 60-69 years, male 48.6
GTEX-UJHI-1526-SM-3DB99 50-59 years, female 48.5
GTEX-1F6RS-0126-SM-9MQKZ 60-69 years, female 48.5
GTEX-13RTK-1426-SM-5QGQJ 20-29 years, male 48.3
GTEX-145MN-2226-SM-5SIAU 30-39 years, male 48.3
GTEX-1GF9W-0326-SM-9KNUN 60-69 years, male 48.1
GTEX-1S3DN-2226-SM-EVYCD 50-59 years, male 48.0
GTEX-ZC5H-0226-SM-4WAY9 40-49 years, female 47.8
GTEX-11DXW-0226-SM-5H122 40-49 years, male 47.7
GTEX-1QP67-1626-SM-EAZ3X 40-49 years, female 47.7
GTEX-PWCY-1826-SM-DHXIZ 20-29 years, female 47.7
GTEX-Y5LM-1926-SM-5RQJH 40-49 years, female 47.6
GTEX-YFC4-0126-SM-5CVLY 40-49 years, female 47.5
GTEX-ZWKS-0126-SM-5SIAA 30-39 years, male 47.5
GTEX-PWO3-1526-SM-48TCM 60-69 years, female 47.3
GTEX-13FH7-2026-SM-E9J4I 50-59 years, female 47.3
GTEX-1JJEA-0326-SM-CNPOT 60-69 years, male 47.1
GTEX-11DYG-0126-SM-59883 60-69 years, male 47.0
GTEX-11EM3-2426-SM-59861 20-29 years, female 46.9
GTEX-X62O-0126-SM-4E3JN 50-59 years, male 46.9
GTEX-1LVAN-0226-SM-COH3S 50-59 years, female 46.9
GTEX-TMZS-0126-SM-3DB9Q 60-69 years, male 46.8
GTEX-X4XX-0126-SM-3NMC2 60-69 years, male 46.8
GTEX-Z93T-0126-SM-5HL5N 50-59 years, male 46.8
GTEX-13OVL-0226-SM-5L3E9 50-59 years, male 46.7
GTEX-VUSG-2526-SM-4KL1V 50-59 years, male 46.7
GTEX-1J8JJ-0226-SM-CL53I 60-69 years, female 46.7
GTEX-1LNCM-1126-SM-E9U5E 50-59 years, female 46.7
GTEX-11P82-1626-SM-59879 20-29 years, male 46.6
GTEX-XQ3S-1526-SM-4BOOC 20-29 years, male 46.5
GTEX-ZVT4-0126-SM-DTXFN 50-59 years, female 46.5
GTEX-11H98-0126-SM-5EGHG 50-59 years, male 46.4
GTEX-1ICLY-0126-SM-D4P36 50-59 years, male 46.4
GTEX-1PPH8-0226-SM-E8VND 20-29 years, male 46.3
GTEX-14PJ3-1826-SM-62LEX 50-59 years, male 46.2
GTEX-1LB8K-0226-SM-EWRNW 50-59 years, male 46.2
GTEX-S7PM-0126-SM-4AD6S 60-69 years, male 46.1
GTEX-1CAMS-0426-SM-7P8T2 40-49 years, female 46.1
GTEX-1JMQJ-0526-SM-CYPSU 50-59 years, male 46.1
GTEX-17F98-0626-SM-79OMX 40-49 years, female 46.0
GTEX-XYKS-2126-SM-4E3IB 60-69 years, female 46.0
GTEX-1M4P7-0226-SM-DIPEV 60-69 years, male 45.9
GTEX-14LZ3-0226-SM-62LET 60-69 years, female 45.8
GTEX-144FL-0126-SM-5TDC8 50-59 years, male 45.6
GTEX-14BMV-0126-SM-5S2PO 50-59 years, male 45.6
GTEX-13NZ8-0826-SM-5MR3I 60-69 years, female 45.5
GTEX-16YQH-0126-SM-7DUFJ 30-39 years, male 45.5
GTEX-OIZG-0726-SM-33HBL 50-59 years, male 45.5
GTEX-1JMPZ-0226-SM-CNPP1 30-39 years, male 45.5
GTEX-1MA7X-2226-SM-E6CIY 60-69 years, male 45.2
GTEX-1OJC3-0126-SM-E76QX 20-29 years, male 45.1
GTEX-X4XY-0226-SM-4E3IZ 60-69 years, male 45.0
GTEX-WZTO-0126-SM-3NM95 40-49 years, male 44.9
GTEX-14PHX-2326-SM-62LEM 50-59 years, male 44.8
GTEX-ZV68-0126-SM-59HKS 50-59 years, female 44.8
GTEX-1ICG6-2526-SM-CGQFZ 70-79 years, female 44.8
GTEX-1QW4Y-1526-SM-EAZ3Z 30-39 years, male 44.8
GTEX-1HSGN-0226-SM-CGQFV 40-49 years, female 44.7
GTEX-1JN1M-0326-SM-CYPT3 60-69 years, female 44.7
GTEX-14PJM-0226-SM-62LF1 50-59 years, female 44.6
GTEX-ZAB4-0226-SM-5N9F5 40-49 years, male 44.6
GTEX-1F75B-0126-SM-9KNVL 50-59 years, male 44.6
GTEX-1314G-1526-SM-5EGK2 30-39 years, male 44.5
GTEX-1399R-2726-SM-5IJBA 30-39 years, male 44.5
GTEX-WXYG-2326-SM-4E3I6 50-59 years, female 44.5
GTEX-1KANA-0726-SM-D3L9I 20-29 years, male 44.5
GTEX-WI4N-1026-SM-3LK7N 40-49 years, female 44.4
GTEX-1N2DV-0226-SM-E6CJ6 40-49 years, male 44.4
GTEX-12WSJ-1826-SM-5GCNY 40-49 years, female 44.2
GTEX-ZVT2-2526-SM-51MT1 50-59 years, female 44.2
GTEX-T2IS-0126-SM-4DM6O 20-29 years, female 43.9
GTEX-1JMPY-1326-SM-ARL8Y 30-39 years, male 43.7
GTEX-1NHNU-1026-SM-E9J2A 50-59 years, male 43.7
GTEX-X88G-0126-SM-47JZ3 30-39 years, male 43.6
GTEX-13PDP-0126-SM-5L3HD 60-69 years, male 43.5
GTEX-1211K-2026-SM-5EQ4Z 60-69 years, female 43.4
GTEX-13111-1626-SM-5EGJY 50-59 years, male 43.4
GTEX-1B933-0126-SM-7PC29 50-59 years, female 43.4
GTEX-13RTL-0126-SM-7LG5S 40-49 years, male 43.3
GTEX-147F4-0226-SM-5QGPW 50-59 years, male 43.2
GTEX-139D8-0226-SM-5KLZO 30-39 years, female 43.1
GTEX-YB5E-2026-SM-5IFIS 40-49 years, male 43.1
GTEX-PLZ6-1426-SM-DKPOT 30-39 years, male 43.1
GTEX-13IVO-0126-SM-5J1NG 70-79 years, male 43.0
GTEX-11GSP-2526-SM-5N9BP 60-69 years, female 42.9
GTEX-1HCU9-1526-SM-A9SL7 20-29 years, male 42.8
GTEX-12ZZZ-0626-SM-5DUXI 60-69 years, male 42.7
GTEX-ZDYS-2026-SM-5HL5L 50-59 years, male 42.6
GTEX-1HGF4-2426-SM-ACKXM 60-69 years, male 42.6
GTEX-18QFQ-0126-SM-731BE 30-39 years, male 42.4
GTEX-1CB4E-2226-SM-793DC 60-69 years, male 42.4
GTEX-T6MN-0126-SM-32PLP 50-59 years, male 42.4
GTEX-ZVZP-2426-SM-59HKJ 50-59 years, male 42.4
GTEX-13G51-2526-SM-5LZYK 60-69 years, male 42.3
GTEX-13JUV-2726-SM-5LZZ8 40-49 years, female 42.2
GTEX-XBEW-0626-SM-4QASP 40-49 years, male 42.2
GTEX-1GN2E-0426-SM-9MQKX 60-69 years, male 42.2
GTEX-1LGOU-2026-SM-DIPFF 20-29 years, female 42.2
GTEX-13D11-2426-SM-5KM1V 50-59 years, female 42.0
GTEX-15SHW-0326-SM-6PAML 60-69 years, male 42.0
GTEX-13FTW-2626-SM-5K7WL 40-49 years, male 41.8
GTEX-T5JC-0426-SM-32PLO 20-29 years, male 41.8
GTEX-12WSG-2826-SM-E9J4H 50-59 years, female 41.8
GTEX-1LG7Y-0526-SM-DKPQC 50-59 years, male 41.8
GTEX-145LS-0126-SM-5QGP1 60-69 years, female 41.7
GTEX-XV7Q-2526-SM-4BRV9 40-49 years, female 41.7
GTEX-11DXZ-2326-SM-5EGGV 50-59 years, male 41.6
GTEX-16BQI-0226-SM-7KUEX 30-39 years, female 41.5
GTEX-13113-5016-SM-7EPIP 60-69 years, female 41.4
GTEX-13FHP-0126-SM-5IJBG 50-59 years, male 41.4
GTEX-1EMGI-0126-SM-9KNUE 60-69 years, male 41.4
GTEX-13112-2826-SM-5DUWH 50-59 years, male 41.3
GTEX-131XE-2326-SM-5PNZ2 50-59 years, male 41.3
GTEX-15RIG-0226-SM-7KFTL 40-49 years, male 41.2
GTEX-1J8QM-2126-SM-CYPSJ 60-69 years, female 41.2
GTEX-16MT8-0426-SM-7KUEY 60-69 years, female 41.1
GTEX-1AYCT-2426-SM-7IGQ3 50-59 years, male 41.0
GTEX-1RLM8-2326-SM-EWRN4 50-59 years, male 40.9
GTEX-1AX8Z-0126-SM-7DHM6 60-69 years, male 40.8
GTEX-1JMLX-0226-SM-CM2RO 50-59 years, male 40.8
GTEX-XAJ8-0826-SM-47JY6 40-49 years, male 40.7
GTEX-1PFEY-1526-SM-E76PP 30-39 years, male 40.7
GTEX-12WSK-2326-SM-5GCOH 40-49 years, female 40.6
GTEX-18A7A-0226-SM-718BH 50-59 years, female 40.6
GTEX-ZU9S-0226-SM-5E441 30-39 years, male 40.6
GTEX-1GPI6-0126-SM-9WG69 60-69 years, male 40.6
GTEX-1S83E-0126-SM-EWRO4 40-49 years, male 40.6
GTEX-OXRN-0126-SM-48TDM 50-59 years, male 40.5
GTEX-ZE7O-0126-SM-57WC1 50-59 years, female 40.5
GTEX-1IDJF-0126-SM-CM2RS 20-29 years, male 40.5
GTEX-1JMQI-2226-SM-CM2SD 50-59 years, male 40.5
GTEX-13N1W-0126-SM-5K7VT 70-79 years, male 40.4
GTEX-ZEX8-2426-SM-4WKG4 50-59 years, male 40.3
GTEX-1CB4F-0426-SM-9KNV4 60-69 years, male 40.3
GTEX-1GZHY-0326-SM-9QEHI 50-59 years, female 40.3
GTEX-111VG-2426-SM-5GZXD 60-69 years, male 40.2
GTEX-11GS4-2726-SM-5A5LE 60-69 years, male 40.1
GTEX-18A6Q-0126-SM-731BZ 60-69 years, male 40.1
GTEX-1F75A-0126-SM-7RHGM 50-59 years, male 40.1
GTEX-1J8Q2-0526-SM-CM2RW 60-69 years, male 40.1
GTEX-111FC-0126-SM-5N9DL 60-69 years, male 40.0
GTEX-17F97-0326-SM-7LG5B 50-59 years, male 40.0
GTEX-ZVT3-0126-SM-5GU6I 60-69 years, female 40.0
GTEX-ZF29-2326-SM-DO92K 60-69 years, female 40.0
GTEX-1192X-0226-SM-5H12D 50-59 years, male 39.9
GTEX-18A67-0126-SM-7LG5P 50-59 years, male 39.9
GTEX-1HSEH-0126-SM-ACKXN 60-69 years, male 39.9
GTEX-11EQ9-2426-SM-5HL5T 30-39 years, male 39.8
GTEX-1S82Y-2026-SM-EVYCM 40-49 years, male 39.8
GTEX-1EWIQ-0126-SM-7RHH2 70-79 years, female 39.7
GTEX-13X6I-0626-SM-5QGP9 60-69 years, male 39.6
GTEX-1HT8W-0126-SM-CNPPP 30-39 years, male 39.6
GTEX-14BMU-2226-SM-5TDE9 20-29 years, female 39.5
GTEX-18A7B-0126-SM-7LG64 70-79 years, male 39.4
GTEX-1JMQK-0226-SM-CL543 60-69 years, male 39.4
GTEX-WYVS-2126-SM-3NMA3 40-49 years, female 39.2
GTEX-ZXES-1826-SM-5E43S 30-39 years, female 39.2
GTEX-13FTY-0526-SM-5L3EV 40-49 years, female 39.0
GTEX-PLZ4-0126-SM-5SI8O 50-59 years, female 39.0
GTEX-XQ8I-0426-SM-4BOPO 50-59 years, male 39.0
GTEX-14E6D-0126-SM-62LDV 50-59 years, male 38.9
GTEX-183FY-0126-SM-7LT9P 20-29 years, male 38.8
GTEX-SIU8-0126-SM-2XCDT 50-59 years, male 38.8
GTEX-1H4P4-0726-SM-9YFLR 50-59 years, male 38.8
GTEX-13QJ3-0326-SM-5S2RA 50-59 years, male 38.7
GTEX-17MF6-0126-SM-7LG4F 40-49 years, male 38.7
GTEX-OXRP-0126-SM-3NB32 60-69 years, female 38.7
GTEX-1F6I4-0126-SM-9MQL2 60-69 years, male 38.7
GTEX-QDVN-2026-SM-3GAEP 50-59 years, male 38.6
GTEX-Y8E4-0626-SM-4WWDL 40-49 years, male 38.6
GTEX-ZGAY-0526-SM-4WWBB 40-49 years, female 38.6
GTEX-1R7EU-0226-SM-EVR4G 60-69 years, male 38.6
GTEX-1J1R8-1726-SM-ARL8M 40-49 years, male 38.5
GTEX-11NUK-0126-SM-5A5L3 50-59 years, male 38.4
GTEX-1497J-2426-SM-7IGNX 60-69 years, male 38.4
GTEX-169BO-1326-SM-9MQK2 50-59 years, male 38.3
GTEX-OXRK-0226-SM-3NB2G 50-59 years, female 38.2
GTEX-11P81-2326-SM-59875 30-39 years, female 38.1
GTEX-12WSA-0226-SM-5BC5V 60-69 years, male 38.1
GTEX-13N11-2526-SM-5K7UE 50-59 years, female 38.1
GTEX-1CB4I-0226-SM-79OLH 50-59 years, male 38.1
GTEX-U8T8-0126-SM-3DB94 60-69 years, male 38.1
GTEX-1ICLZ-0126-SM-CKZPO 60-69 years, male 38.0
GTEX-OHPL-0126-SM-2HMJ7 60-69 years, female 37.9
GTEX-ZZ64-1726-SM-5GZYB 20-29 years, male 37.9
GTEX-1LC47-0326-SM-E9TJP 60-69 years, male 37.8
GTEX-1MCQQ-0826-SM-DLHC2 60-69 years, male 37.8
GTEX-13W46-0226-SM-5SIAG 50-59 years, male 37.7
GTEX-1EKGG-0226-SM-9WYTH 60-69 years, male 37.7
GTEX-1IGQW-0126-SM-COH42 60-69 years, male 37.7
GTEX-13RTJ-2426-SM-5S2Q2 60-69 years, male 37.6
GTEX-13SLX-0526-SM-5S2ON 50-59 years, female 37.6
GTEX-ZYW4-0126-SM-5E44A 60-69 years, male 37.6
GTEX-1EX96-1626-SM-7PBXR 50-59 years, male 37.6
GTEX-1JJE9-0326-SM-CL53Z 70-79 years, male 37.6
GTEX-PX3G-0126-SM-2I3EN 20-29 years, female 37.5
GTEX-1H2FU-0126-SM-9WYSI 60-69 years, female 37.5
GTEX-1I1GR-0126-SM-CL55F 60-69 years, male 37.5
GTEX-13PVR-2326-SM-5QGR1 60-69 years, female 37.3
GTEX-18465-0126-SM-731BN 50-59 years, male 37.3
GTEX-13FTX-1826-SM-5J1NX 20-29 years, female 37.2
GTEX-1A32A-0126-SM-718B1 50-59 years, female 37.2
GTEX-1PIGE-0126-SM-EVYBJ 20-29 years, male 37.2
GTEX-YJ89-0126-SM-4TT3X 60-69 years, male 37.1
GTEX-17EVQ-0226-SM-7LG4P 70-79 years, male 37.0
GTEX-1PWST-0226-SM-E76QJ 70-79 years, male 37.0
GTEX-1RAZA-0126-SM-E6CI3 20-29 years, male 37.0
GTEX-13CF3-2426-SM-5IFGX 60-69 years, female 36.9
GTEX-13OW7-0126-SM-5MR3B 50-59 years, male 36.9
GTEX-11GSO-2426-SM-5A5LY 60-69 years, male 36.8
GTEX-131XH-2226-SM-5DUXJ 50-59 years, male 36.8
GTEX-1AYD5-2426-SM-73KXR 50-59 years, male 36.8
GTEX-QDT8-0126-SM-48TZ1 30-39 years, female 36.8
GTEX-TKQ1-1026-SM-4GICL 30-39 years, male 36.8
GTEX-X5EB-2226-SM-46MW4 40-49 years, male 36.8
GTEX-1F7RK-0126-SM-7PC2S 20-29 years, female 36.8
GTEX-1RDX4-0126-SM-E9J4P 50-59 years, female 36.8
GTEX-11UD2-0226-SM-5EQKY 50-59 years, male 36.7
GTEX-1LG7Z-1726-SM-D3LA4 30-39 years, male 36.7
GTEX-1MGNQ-0126-SM-EVYCJ 40-49 years, male 36.7
GTEX-1HBPI-1526-SM-C1YQ1 50-59 years, male 36.6
GTEX-1HBPH-0426-SM-B2LW5 40-49 years, female 36.5
GTEX-1RQEC-0426-SM-E6CHU 60-69 years, male 36.5
GTEX-17KNJ-2326-SM-7DHLQ 50-59 years, male 36.4
GTEX-1HCU8-0626-SM-A9SM9 60-69 years, female 36.4
GTEX-145LU-0126-SM-5TDCB 50-59 years, male 36.3
GTEX-14ABY-0226-SM-5TDCQ 50-59 years, male 36.3
GTEX-XBED-2226-SM-47JYQ 60-69 years, male 36.3
GTEX-Z93S-0126-SM-5HL7M 50-59 years, male 36.3
GTEX-1I19N-0326-SM-ACKVX 70-79 years, male 36.3
GTEX-12ZZX-0126-SM-5EGK9 40-49 years, female 36.2
GTEX-16GPK-0126-SM-7DHLE 60-69 years, male 36.2
GTEX-14DAR-2026-SM-5S2O3 50-59 years, male 36.1
GTEX-1HCVE-0126-SM-CGQEU 50-59 years, male 36.1
GTEX-133LE-1826-SM-5J1MV 20-29 years, female 36.0
GTEX-1QCLY-0326-SM-E8VOG 30-39 years, male 36.0
GTEX-1C2JI-1826-SM-73KXC 50-59 years, male 35.9
GTEX-1HUB1-0426-SM-E9U4U 60-69 years, male 35.9
GTEX-18D9A-1926-SM-7LG6P 30-39 years, female 35.8
GTEX-P4QT-0126-SM-2I3FL 50-59 years, female 35.8
GTEX-ZY6K-1826-SM-5GZXK 50-59 years, male 35.8
GTEX-1C6VQ-0126-SM-7P8RI 50-59 years, male 35.8
GTEX-1HSMP-0126-SM-E6CJS 70-79 years, male 35.8
GTEX-1B8KZ-2026-SM-7DHMB 50-59 years, male 35.7
GTEX-SUCS-1926-SM-32PM3 70-79 years, male 35.7
GTEX-ZYFC-0226-SM-5NQ75 50-59 years, male 35.7
GTEX-1E2YA-0126-SM-9KNUC 50-59 years, male 35.7
GTEX-1M5QR-1226-SM-EWROB 40-49 years, male 35.7
GTEX-1BAJH-0526-SM-793CQ 70-79 years, male 35.6
GTEX-1C6VS-0526-SM-7DUEN 60-69 years, male 35.6
GTEX-1IY9M-0126-SM-D3L8S 60-69 years, male 35.6
GTEX-13VXT-0126-SM-5LU4I 20-29 years, female 35.4
GTEX-14A6H-0126-SM-5QGPK 30-39 years, male 35.4
GTEX-XMD2-0126-SM-4YCDU 60-69 years, female 35.4
GTEX-1I1CD-0126-SM-CM2TK 60-69 years, female 35.4
GTEX-13VXU-0126-SM-5SI9F 50-59 years, male 35.3
GTEX-1GMRU-0126-SM-9YFLV 50-59 years, male 35.3
GTEX-14JG6-2226-SM-6EU2G 30-39 years, female 35.2
GTEX-14LLW-0126-SM-6LLIO 70-79 years, female 35.2
GTEX-1J8Q3-1626-SM-CMKGC 60-69 years, male 35.2
GTEX-1KAFJ-2026-SM-CY8ID 50-59 years, male 35.2
GTEX-113JC-2326-SM-5EQ4E 50-59 years, female 35.1
GTEX-12584-0126-SM-5EGKQ 40-49 years, male 35.1
GTEX-13X6H-2126-SM-7EWD5 50-59 years, female 35.1
GTEX-1IKOH-0226-SM-COH4E 60-69 years, female 35.1
GTEX-1JJ6O-0126-SM-E6CI8 60-69 years, male 35.1
GTEX-1PPH7-2326-SM-EVYB8 40-49 years, male 35.1
GTEX-1MA7W-2026-SM-E9TJ6 20-29 years, female 35.0
GTEX-13OW5-0126-SM-DTXFS 60-69 years, male 34.9
GTEX-1H3O1-0426-SM-9YFKY 60-69 years, male 34.9
GTEX-1LBAC-0126-SM-DIPEZ 20-29 years, male 34.9
GTEX-U4B1-1826-SM-4DXSU 40-49 years, male 34.7
GTEX-1I6K6-0126-SM-A9SLE 30-39 years, male 34.7
GTEX-1JMQL-0226-SM-CNPP5 50-59 years, female 34.6
GTEX-14A5H-0426-SM-5QGQF 60-69 years, male 34.5
GTEX-183WM-0126-SM-7LTAB 70-79 years, female 34.5
GTEX-1JKYN-1326-SM-CGQG9 30-39 years, male 34.5
GTEX-X4EO-0326-SM-3P5YO 60-69 years, female 34.4
GTEX-XPVG-2626-SM-4B669 50-59 years, male 34.4
GTEX-11DXX-2426-SM-5GZZW 60-69 years, female 34.2
GTEX-17HHE-2026-SM-79OKF 50-59 years, male 34.2
GTEX-Y3I4-2126-SM-4TT7C 50-59 years, male 34.2
GTEX-13NYB-2526-SM-5K7Z6 40-49 years, male 34.1
GTEX-14BIN-0626-SM-793DP 50-59 years, female 34.1
GTEX-ZE9C-2726-SM-57WB5 60-69 years, male 34.1
GTEX-146FH-0126-SM-5QGPP 50-59 years, female 34.0
GTEX-1A3MV-1926-SM-718BT 30-39 years, male 34.0
GTEX-14PN4-0126-SM-6EU2V 50-59 years, male 33.9
GTEX-1KANC-1526-SM-D3LAB 50-59 years, female 33.9
GTEX-1LGRB-2526-SM-CNPPQ 50-59 years, female 33.8
GTEX-13YAN-0326-SM-5O9DF 60-69 years, male 33.7
GTEX-145MI-0526-SM-5O9A8 60-69 years, female 33.7
GTEX-ZTSS-1926-SM-57WEW 40-49 years, male 33.7
GTEX-1C6WA-0126-SM-7PC2B 60-69 years, male 33.7
GTEX-1HSMO-0126-SM-CL547 60-69 years, male 33.7
GTEX-P4PQ-0126-SM-2S1NM 60-69 years, male 33.6
GTEX-1212Z-2526-SM-5EGKP 60-69 years, male 33.4
GTEX-1GF9U-2126-SM-7SB7L 40-49 years, female 33.4
GTEX-1GF9X-2026-SM-7PC3A 40-49 years, female 33.4
GTEX-1QMI2-0226-SM-EVYBX 60-69 years, male 33.4
GTEX-ZQG8-1626-SM-DHXIT 60-69 years, female 33.4
GTEX-Y5V5-2326-SM-4V6GA 60-69 years, female 33.3
GTEX-1RAZQ-0726-SM-EAZ43 30-39 years, male 33.3
GTEX-13OW6-0426-SM-5L3HM 50-59 years, male 33.2
GTEX-1B8SF-1426-SM-7DUGL 60-69 years, male 33.2
GTEX-1GMR8-0126-SM-9WYTM 50-59 years, female 33.2
GTEX-1HBPM-0226-SM-ARL9F 60-69 years, female 33.2
GTEX-1I1GS-0126-SM-B2LVW 60-69 years, male 33.2
GTEX-13OVH-0126-SM-5MR4B 70-79 years, male 33.1
GTEX-WYJK-0126-SM-3NMAB 50-59 years, male 33.1
GTEX-11DXY-2626-SM-5GIE7 60-69 years, male 32.8
GTEX-145LV-2126-SM-5LU8N 50-59 years, male 32.8
GTEX-16NPX-0226-SM-79OMT 50-59 years, male 32.8
GTEX-1H3VY-0126-SM-ACKXD 50-59 years, male 32.8
GTEX-1J8EW-0126-SM-CJI4F 60-69 years, female 32.8
GTEX-145ME-1826-SM-5SI9G 40-49 years, female 32.7
GTEX-15DCD-0126-SM-7KUEK 70-79 years, female 32.7
GTEX-1F6IF-0726-SM-7P8TW 60-69 years, male 32.7
GTEX-131XW-0426-SM-5LZWP 50-59 years, female 32.6
GTEX-1C64O-0126-SM-7SB8P 60-69 years, male 32.6
GTEX-13NYS-0126-SM-5MR3W 60-69 years, male 32.5
GTEX-15SDE-2226-SM-7IGLO 50-59 years, female 32.5
GTEX-1HB9E-0226-SM-E9U4R 50-59 years, male 32.4
GTEX-11DZ1-0126-SM-5985Q 50-59 years, male 32.3
GTEX-17HII-0226-SM-7LG4E 50-59 years, male 32.3
GTEX-1HSMQ-1226-SM-CGQFX 50-59 years, male 32.3
GTEX-1IKJJ-0126-SM-CNPQB 60-69 years, male 32.3
GTEX-1LH75-2426-SM-E9TJE 50-59 years, female 32.3
GTEX-1LSNM-1926-SM-E6CII 50-59 years, male 32.3
GTEX-14PK6-1926-SM-6ETZU 70-79 years, female 32.2
GTEX-1C64N-0126-SM-793D7 50-59 years, male 32.2
GTEX-OIZH-0126-SM-2HMIS 50-59 years, male 32.2
GTEX-1I4MK-2226-SM-ACKWD 50-59 years, female 32.2
GTEX-1POEN-0126-SM-EYYXJ 30-39 years, female 32.2
GTEX-1I1GQ-0126-SM-COH3H 50-59 years, male 32.1
GTEX-17MFQ-1726-SM-793C7 20-29 years, male 32.0
GTEX-1B8L1-2526-SM-9WYTF 60-69 years, male 32.0
GTEX-12WSE-0526-SM-793B2 20-29 years, male 31.9
GTEX-14BIM-0226-SM-7IGLD 60-69 years, female 31.9
GTEX-14PN3-2426-SM-6LLHS 60-69 years, female 31.9
GTEX-XUW1-0426-SM-4BOOT 50-59 years, female 31.9
GTEX-1QEPI-0126-SM-EWRMQ 60-69 years, female 31.9
GTEX-13OVJ-0126-SM-5KM36 50-59 years, female 31.8
GTEX-144GN-2326-SM-5LU4F 50-59 years, male 31.8
GTEX-17HG3-2226-SM-7938L 30-39 years, female 31.7
GTEX-QCQG-1726-SM-3GIJ9 50-59 years, female 31.7
GTEX-11LCK-1026-SM-5A5KB 30-39 years, male 31.6
GTEX-11P7K-2126-SM-5GU7G 30-39 years, male 31.6
GTEX-11XUK-2026-SM-5EQLF 40-49 years, female 31.6
GTEX-13O3P-0126-SM-5KM4S 50-59 years, male 31.6
GTEX-148VJ-0126-SM-5TDDN 70-79 years, male 31.6
GTEX-V1D1-2226-SM-3NMAX 50-59 years, male 31.6
GTEX-11OF3-2626-SM-5GU7F 60-69 years, male 31.5
GTEX-12WSC-0126-SM-5EQ4P 50-59 years, male 31.5
GTEX-13SLW-0126-SM-5SI6C 70-79 years, male 31.5
GTEX-11ZUS-0626-SM-59885 30-39 years, male 31.2
GTEX-13OVG-1926-SM-5L3DK 60-69 years, male 31.2
GTEX-U8XE-0326-SM-3DB8P 30-39 years, male 31.1
GTEX-WFON-2126-SM-3LK7O 40-49 years, male 31.1
GTEX-ZAB5-1826-SM-5HL7C 50-59 years, male 31.0
GTEX-1HCU7-0226-SM-CL545 50-59 years, male 31.0
GTEX-XXEK-2226-SM-4BRUM 50-59 years, male 30.9
GTEX-13O1R-0126-SM-5L3EH 60-69 years, male 30.8
GTEX-144GL-0126-SM-5TDE2 50-59 years, male 30.8
GTEX-1AX9J-0226-SM-73KXM 60-69 years, male 30.8
GTEX-ZZPT-0226-SM-5E43X 50-59 years, male 30.8
GTEX-13S7M-0126-SM-5SI6A 60-69 years, female 30.7
GTEX-14PJ6-2126-SM-6EU1V 60-69 years, female 30.7
GTEX-17EVP-0326-SM-7DHLG 40-49 years, male 30.7
GTEX-11ZTT-2426-SM-5EQLS 60-69 years, female 30.6
GTEX-SN8G-0126-SM-32PLI 50-59 years, female 30.6
GTEX-13U4I-0126-SM-5LU38 40-49 years, female 30.5
GTEX-VJYA-1126-SM-3GIJU 60-69 years, male 30.5
GTEX-S95S-1226-SM-4GICG 60-69 years, male 30.4
GTEX-1F48J-0126-SM-7P8TT 50-59 years, female 30.4
GTEX-1JMOU-1526-SM-CL54I 60-69 years, female 30.4
GTEX-1269C-2526-SM-5EGJ3 60-69 years, female 30.2
GTEX-QEG4-0226-SM-2S1PY 30-39 years, male 30.2
GTEX-1192W-2626-SM-5Q5AF 60-69 years, male 30.1
GTEX-131XG-2626-SM-5KM17 50-59 years, female 30.1
GTEX-X638-0126-SM-47JZ8 70-79 years, female 30.1
GTEX-YB5K-2126-SM-4WWDJ 40-49 years, female 30.1
GTEX-1KANB-0526-SM-E6CJH 50-59 years, male 30.1
GTEX-1KD5A-0226-SM-D5OV3 50-59 years, male 30.1
GTEX-15D1Q-0126-SM-7KUG6 40-49 years, male 30.0
GTEX-1CB4H-0226-SM-7PBXM 60-69 years, female 30.0
GTEX-1AX9K-2326-SM-73KWU 50-59 years, male 29.9
GTEX-XUYS-0126-SM-47JWZ 50-59 years, male 29.9
GTEX-ZAJG-0126-SM-5HL94 50-59 years, female 29.9
GTEX-12KS4-0326-SM-5EQ41 30-39 years, male 29.8
GTEX-13OVI-1426-SM-5L3EY 60-69 years, female 29.8
GTEX-1GN1V-0126-SM-9WPOS 60-69 years, male 29.8
GTEX-1GZ4H-1726-SM-7PBZJ 50-59 years, female 29.7
GTEX-1JK1U-2026-SM-CM2RZ 60-69 years, male 29.7
GTEX-139TU-0126-SM-5K7WH 60-69 years, male 29.6
GTEX-ZVE2-0226-SM-59HJB 50-59 years, male 29.6
GTEX-1MUQO-0126-SM-EAZ58 60-69 years, male 29.6
GTEX-1128S-2326-SM-5GZZY 60-69 years, female 29.5
GTEX-QV44-1926-SM-2S1RF 50-59 years, male 29.5
GTEX-1GL5R-1826-SM-9KNUY 50-59 years, male 29.5
GTEX-PSDG-0226-SM-DKPOZ 50-59 years, male 29.4
GTEX-139TT-0126-SM-5K7Y5 60-69 years, male 29.3
GTEX-13NZA-0226-SM-5K7Z7 60-69 years, male 29.2
GTEX-17EUY-0426-SM-793BD 20-29 years, male 29.2
GTEX-1K2DA-1826-SM-CGQGT 50-59 years, male 29.2
GTEX-R45C-0126-SM-EAZ2R 60-69 years, female 29.2
GTEX-11ZVC-2526-SM-5FQTE 50-59 years, female 29.1
GTEX-ZXG5-0126-SM-5GIEU 60-69 years, male 29.1
GTEX-1AX9I-0126-SM-7SB74 60-69 years, male 29.1
GTEX-16AAH-1726-SM-7939C 50-59 years, male 29.0
GTEX-ZQUD-1426-SM-57WER 30-39 years, male 29.0
GTEX-11TUW-2726-SM-E9J4M 60-69 years, male 29.0
GTEX-1L5NE-2526-SM-E6CIE 50-59 years, male 29.0
GTEX-T2YK-0526-SM-32QPJ 50-59 years, male 28.9
GTEX-12ZZY-0226-SM-5LZVE 60-69 years, male 28.8
GTEX-13X6J-0126-SM-5QGOU 50-59 years, male 28.8
GTEX-15DYW-0126-SM-7KULE 60-69 years, female 28.8
GTEX-1AMFI-2026-SM-731BH 50-59 years, female 28.8
GTEX-U3ZN-2326-SM-3DB7W 30-39 years, female 28.8
GTEX-1I1HK-0126-SM-COH49 60-69 years, male 28.8
GTEX-1R7EV-2426-SM-EVYBG 40-49 years, male 28.8
GTEX-RNOR-0126-SM-E9J4R 50-59 years, female 28.8
GTEX-11EI6-0126-SM-5985R 60-69 years, male 28.7
GTEX-X261-0126-SM-3NMD6 50-59 years, male 28.6
GTEX-1H1ZS-0426-SM-9WG6G 70-79 years, male 28.6
GTEX-1HKZK-0326-SM-9WYUH 40-49 years, male 28.6
GTEX-1CB4J-0626-SM-7DHMP 60-69 years, male 28.5
GTEX-RUSQ-1526-SM-2TF62 50-59 years, male 28.4
GTEX-1EU9M-0226-SM-7P8SP 60-69 years, male 28.4
GTEX-1H1E6-1726-SM-ACKVK 30-39 years, male 28.4
GTEX-1I1GT-0626-SM-CGQER 60-69 years, female 28.4
GTEX-OOBJ-0126-SM-E6CJW 60-69 years, male 28.3
GTEX-1R9PO-2126-SM-E9J4O 60-69 years, female 28.2
GTEX-POMQ-2226-SM-2I5FK 20-29 years, female 28.1
GTEX-ZYT6-0226-SM-5NQ6T 30-39 years, male 28.1
GTEX-14JIY-0126-SM-6LLH6 60-69 years, male 28.0
GTEX-1K9T9-0126-SM-EVYCF 50-59 years, female 28.0
GTEX-YJ8A-0426-SM-5IFID 20-29 years, male 27.9
GTEX-1GN1U-0126-SM-7PBZK 50-59 years, female 27.9
GTEX-Q2AI-1326-SM-2S1PL 40-49 years, male 27.8
GTEX-1HCUA-2426-SM-ADEIS 50-59 years, female 27.8
GTEX-1R9K4-0126-SM-DTX9X 60-69 years, male 27.8
GTEX-113IC-0126-SM-5HL6T 60-69 years, male 27.7
GTEX-16XZY-2126-SM-79OK1 70-79 years, male 27.7
GTEX-1GTWX-0126-SM-9YFLK 60-69 years, male 27.7
GTEX-147F3-0526-SM-5SI98 50-59 years, female 27.6
GTEX-1QP2A-0126-SM-E9J43 50-59 years, male 27.6
GTEX-117YX-2326-SM-5H12W 50-59 years, male 27.4
GTEX-1F52S-0126-SM-9MQJU 60-69 years, female 27.4
GTEX-1GF9V-0326-SM-7RHI5 60-69 years, male 27.4
GTEX-147GR-0526-SM-5S2MY 60-69 years, male 27.3
GTEX-RN64-0126-SM-2TC68 50-59 years, male 27.3
GTEX-11TT1-2526-SM-5EGIB 20-29 years, male 27.2
GTEX-13W3W-2426-SM-5LU5B 60-69 years, female 27.2
GTEX-15UKP-0426-SM-7KUFQ 20-29 years, male 27.2
GTEX-YEC4-2126-SM-5IFJH 40-49 years, male 27.2
GTEX-1H3NZ-0126-SM-ACKX7 60-69 years, male 27.2
GTEX-1N2EF-0226-SM-EYYXB 60-69 years, male 27.2
GTEX-1F5PK-2426-SM-7RHHY 50-59 years, male 27.1
GTEX-12WSL-2526-SM-5GCNJ 50-59 years, male 27.0
GTEX-14A5I-0126-SM-5TDEA 50-59 years, female 27.0
GTEX-Q734-1926-SM-2I5EV 40-49 years, female 26.8
GTEX-ZV6S-2326-SM-4YCEY 40-49 years, female 26.7
GTEX-1B996-0226-SM-7RHGO 60-69 years, male 26.7
GTEX-1S82Z-0826-SM-E6CHY 30-39 years, female 26.7
GTEX-OIZF-0126-SM-7SB8I 60-69 years, male 26.7
GTEX-15SHU-0126-SM-7KUEH 40-49 years, female 26.5
GTEX-NPJ8-0126-SM-2YUNR 40-49 years, male 26.5
GTEX-11EMC-2926-SM-5EQ4F 60-69 years, female 26.4
GTEX-12696-2426-SM-5EQ6H 60-69 years, male 26.4
GTEX-17F96-1626-SM-7DUFL 70-79 years, male 26.4
GTEX-11ZTS-0126-SM-5EQ6M 60-69 years, female 26.3
GTEX-1399T-2826-SM-5KLYZ 60-69 years, male 26.3
GTEX-14E7W-0126-SM-6LLJ9 70-79 years, male 26.3
GTEX-RU72-0926-SM-2TF6B 50-59 years, female 26.3
GTEX-11WQC-2526-SM-5CVLE 60-69 years, male 26.2
GTEX-NFK9-0226-SM-2HMKQ 40-49 years, male 26.2
GTEX-13O3O-0126-SM-E9J49 60-69 years, female 26.2
GTEX-1S5ZA-0126-SM-EVYCV 20-29 years, male 26.2
GTEX-145LT-1726-SM-5QGP3 40-49 years, male 26.0
GTEX-1B97I-1626-SM-73KYO 40-49 years, male 26.0
GTEX-1H1DG-0126-SM-9WYU2 70-79 years, male 25.9
GTEX-11ZU8-2526-SM-5EQKI 60-69 years, male 25.8
GTEX-W5WG-1826-SM-4KL2Y 50-59 years, female 25.8
GTEX-ZYY3-0126-SM-5GZY5 60-69 years, female 25.8
GTEX-1F75I-0326-SM-9YFLU 40-49 years, male 25.6
GTEX-1CB4G-0226-SM-7PC3O 60-69 years, male 25.4
GTEX-18A66-0226-SM-718BD 60-69 years, male 25.3
GTEX-12C56-1726-SM-5EQ61 20-29 years, male 25.1
GTEX-ZUA1-0126-SM-5GU76 40-49 years, male 25.1
GTEX-OXRL-0126-SM-2YUMP 50-59 years, male 25.0
GTEX-17HGU-0226-SM-7DHKV 50-59 years, male 24.9
GTEX-1A3MW-0126-SM-73KXX 60-69 years, female 24.9
GTEX-VJWN-0126-SM-3GIK7 50-59 years, female 24.7
GTEX-13FHO-0226-SM-5IFGY 60-69 years, male 24.6
GTEX-U3ZM-1526-SM-3DB9D 40-49 years, male 24.6
GTEX-WQUQ-0426-SM-3MJFU 60-69 years, male 24.6
GTEX-1OJC4-0126-SM-E9J2E 50-59 years, female 24.6
GTEX-PW2O-1526-SM-7RHHB 20-29 years, male 24.6
GTEX-1CAMQ-0226-SM-7IGPK 40-49 years, male 24.4
GTEX-1E1VI-0126-SM-7DHMZ 50-59 years, male 24.4
GTEX-1IDJU-2626-SM-CM2RT 60-69 years, female 24.4
GTEX-1O97I-0326-SM-EYYX7 60-69 years, male 24.4
GTEX-15ETS-0126-SM-7KUMW 40-49 years, female 24.2
GTEX-148VI-1626-SM-5SI6E 60-69 years, female 24.1
GTEX-Z9EW-1626-SM-5CVMN 40-49 years, male 24.1
GTEX-1A8FM-0226-SM-7SB7Q 50-59 years, female 24.1
GTEX-T5JW-1626-SM-3GADZ 20-29 years, female 24.0
GTEX-R55E-0126-SM-2TC5Y 20-29 years, male 23.8
GTEX-S7SE-0126-SM-2XCD5 50-59 years, male 23.8
GTEX-WOFL-0126-SM-3MJG2 60-69 years, male 23.8
GTEX-1AMEY-1326-SM-73KYK 30-39 years, female 23.7
GTEX-17GQL-2026-SM-718BA 60-69 years, male 23.6
GTEX-1KXAM-2226-SM-CYPTC 60-69 years, male 23.6
GTEX-14C5O-0126-SM-5SI6N 60-69 years, male 23.5
GTEX-ZTPG-0326-SM-5O9AX 20-29 years, female 23.5
GTEX-1HBPN-0226-SM-9YFM1 50-59 years, male 23.1
GTEX-QDVJ-1726-SM-2I5FX 50-59 years, male 22.9
GTEX-WH7G-2326-SM-3NMBC 40-49 years, male 22.9
GTEX-Y8LW-1826-SM-5S2MV 50-59 years, female 22.9
GTEX-1GN1W-0526-SM-9MQJQ 50-59 years, female 22.9
GTEX-1C6VR-2426-SM-79OLD 60-69 years, male 22.8
GTEX-11NSD-2226-SM-5986V 20-29 years, male 22.7
GTEX-11VI4-1726-SM-5CVLH 40-49 years, female 22.7
GTEX-R55G-2526-SM-2TC6D 40-49 years, female 22.7
GTEX-TML8-1926-SM-32QOS 40-49 years, female 22.6
GTEX-14E6E-1826-SM-5S2R7 30-39 years, male 22.5
GTEX-1A3MX-0126-SM-731BR 60-69 years, male 22.5
GTEX-QVJO-1626-SM-2S1QW 60-69 years, female 22.5
GTEX-1IL2U-0226-SM-CE6T8 60-69 years, male 22.5
GTEX-R3RS-0126-SM-3GIJL 40-49 years, female 22.4
GTEX-13N2G-2626-SM-5J1OT 60-69 years, male 22.3
GTEX-ZPIC-1726-SM-DHXIU 40-49 years, female 22.2
GTEX-15EOM-0126-SM-7KUGG 20-29 years, female 22.1
GTEX-16XZZ-0126-SM-793DV 60-69 years, male 22.0
GTEX-RWS6-2026-SM-2XCB5 60-69 years, female 22.0
GTEX-ZDTT-2726-SM-4WKF8 60-69 years, male 22.0
GTEX-SSA3-0126-SM-32QPU 60-69 years, male 21.9
GTEX-1JN76-0126-SM-CNPPE 20-29 years, female 21.9
GTEX-12WSN-5019-SM-79OM6 40-49 years, male 21.8
GTEX-RWSA-0126-SM-2XCBB 40-49 years, male 21.8
GTEX-1IL2V-0126-SM-CM2TX 70-79 years, male 21.8
GTEX-OOBK-0126-SM-2YUND 40-49 years, male 21.7
GTEX-1I1GU-2226-SM-CGQFA 40-49 years, male 21.7
GTEX-18D9B-0526-SM-7LTAS 60-69 years, male 21.4
GTEX-15F5U-1526-SM-6PANO 40-49 years, male 21.2
GTEX-18D9U-0226-SM-718BP 40-49 years, male 21.1
GTEX-13OW8-1326-SM-5J1OW 60-69 years, male 20.9
GTEX-15DDE-0126-SM-6LPKH 50-59 years, female 20.8
GTEX-OXRO-0126-SM-2YUN4 60-69 years, female 20.8
GTEX-1EN7A-0126-SM-7SB81 40-49 years, male 20.8
GTEX-1H1DE-2126-SM-9WG6R 20-29 years, male 20.6
GTEX-1IE54-0126-SM-CMKHW 40-49 years, female 20.6
GTEX-15EU6-0426-SM-6PAN5 50-59 years, male 20.5
GTEX-PLZ5-2026-SM-2S1O4 50-59 years, male 20.5
GTEX-SJXC-0126-SM-2XCFF 60-69 years, male 20.5
GTEX-1B8KE-2126-SM-73KYX 50-59 years, male 20.4
GTEX-UPJH-0326-SM-3GADU 50-59 years, male 19.8
GTEX-U3ZH-2026-SM-3DB78 30-39 years, male 19.4
GTEX-1F88F-2726-SM-7PBZZ 60-69 years, female 19.1
GTEX-14XAO-2326-SM-6EU1B 60-69 years, female 19.0
GTEX-T6MO-1626-SM-32QOM 40-49 years, female 18.8
GTEX-14BIL-0126-SM-5SI92 50-59 years, male 18.7
GTEX-Q2AG-0126-SM-33HBV 40-49 years, female 18.5
GTEX-WRHK-1426-SM-3MJF9 20-29 years, female 18.2
GTEX-15G19-0126-SM-6PANQ 60-69 years, male 18.0
GTEX-146FR-1326-SM-E9J48 60-69 years, female 17.7
GTEX-14DAQ-0126-SM-5S2MQ 60-69 years, female 17.4
GTEX-TMMY-0226-SM-33HBA 40-49 years, female 17.3
GTEX-16NGA-1726-SM-731B4 40-49 years, female 17.1
GTEX-1B8SG-0126-SM-73KZ3 50-59 years, male 17.0
GTEX-OHPM-0126-SM-2YUN9 50-59 years, male 16.9
GTEX-QLQW-1126-SM-2S1Q8 30-39 years, male 16.9
GTEX-QLQ7-1626-SM-2S1R8 60-69 years, male 16.6
GTEX-13NYC-0326-SM-E9J4S 60-69 years, male 16.6
GTEX-14PHW-0126-SM-6LLJI 60-69 years, female 16.2
GTEX-T8EM-1026-SM-3DB7M 40-49 years, male 16.0
GTEX-QESD-1426-SM-2S1R9 20-29 years, male 14.9
GTEX-1HFI7-1826-SM-ACKXH 50-59 years, female 14.9
GTEX-TSE9-0126-SM-3DB83 60-69 years, female 14.6
GTEX-S32W-2126-SM-2XCB1 50-59 years, female 13.7
GTEX-1C475-1826-SM-73KWA 40-49 years, female 13.6
GTEX-RM2N-1426-SM-2TF4H 50-59 years, male 13.1
GTEX-WFG8-2226-SM-3GIL9 20-29 years, male 13.1
GTEX-PVOW-0126-SM-2XCFA 40-49 years, male 13.0
GTEX-11WQK-0526-SM-5EQLD 50-59 years, male 12.3
GTEX-1H23P-0126-SM-ADEJ3 60-69 years, male 11.9
GTEX-P44H-0226-SM-2XCEU 40-49 years, male 9.5
GTEX-SNMC-1226-SM-2XCFP 20-29 years, male 9.2
GTEX-Q2AH-1626-SM-3GAF8 40-49 years, male 5.8
Show allShow less

Contact

  • NEWS ARTICLES
  • PRESS ROOM

The Project

  • INTRODUCTION
  • ORGANIZATION
  • PUBLICATIONS

The Human Protein Atlas

  • DOWNLOADABLE DATA
  • LICENCE & CITATION
  • HELP & FAQ
The Human Protein Atlas project is funded
by the Knut & Alice Wallenberg Foundation.


contact@proteinatlas.org