We use cookies to enhance the usability of our website. If you continue, we'll assume that you are happy to receive all cookies. More information. Don't show this again.
CRLF1
HPA
RESOURCES
  • TISSUE
  • BRAIN
  • SINGLE CELL
  • SUBCELLULAR
  • CANCER
  • BLOOD
  • CELL LINE
  • STRUCTURE & INTERACTION
ABOUT
  • INTRODUCTION
  • HISTORY
  • ORGANIZATION
  • PUBLICATIONS
  • ANTIBODY SUBMISSION
  • ANTIBODY AVAILABILITY
  • ACKNOWLEDGMENTS
  • CONTACT
NEWS
  • NEWS ARTICLES
  • PRESS ROOM
LEARN
  • DICTIONARY
  • PROTEIN CLASSES
  • PROTEIN EVIDENCE
  • METHODS
  • EDUCATIONAL VIDEOS
DATA
  • DOWNLOADABLE DATA
  • PUBLICATION DATA
  • RELEASE HISTORY
HELP
  • ANTIBODY VALIDATION
  • ASSAYS & ANNOTATION
  • DISCLAIMER
  • HELP & FAQ
  • PRIVACY STATEMENT
  • LICENCE & CITATION
Fields »
Search result

Field
Term
Gene name
Class
Subclass
Class
Keyword
Chromosome
External id
Tissue
Cell type
Expression
Antibody panel
Tissue
Main location
Patient ID
Annotation
Tissue
Category
Tau score
Cluster
Reliability
Brain region
Category
Tau score
Brain region
Category
Tau score
Brain region
Category
Tau score
Cluster
Reliability
Tissue
Cell type
Enrichment
Cell type
Category
Tau score
Cell type
Category
Tau score
Cell type
Category
Tau score
Cell lineage
Category
Tau score
Cluster
Cluster
Location
Searches
Location
Cell line
Class
Type
Phase
Reliability
Cancer
Prognosis
Cancer
Category
Cancer
Category
Tau score
Cluster
Variants
Interacting gene (ensg_id)
Type
Number of interactions
Pathway
Category
Score
Score
Score
Validation
Validation
Validation
Validation
Antibodies
Data type
Column


  • SUMMARY

  • TISSUE

  • BRAIN

  • SINGLE CELL

  • SUBCELL

  • CANCER

  • BLOOD

  • CELL LINE

  • STRUCT & INT

  • CRLF1
TISSUE PRIMARY DATA HEART MUSCLE Show tissue menu
ADIPOSE TISSUE ADRENAL GLAND AMYGDALA APPENDIX BASAL GANGLIA BONE MARROW BREAST BRONCHUS CEREBELLUM CEREBRAL CORTEX CERVIX CHOROID PLEXUS COLON DUODENUM
ENDOMETRIUM EPIDIDYMIS ESOPHAGUS FALLOPIAN TUBE GALLBLADDER HEART MUSCLE HIPPOCAMPAL FORMATION HYPOTHALAMUS KIDNEY LIVER LUNG LYMPH NODE MIDBRAIN NASOPHARYNX
ORAL MUCOSA OVARY PANCREAS PARATHYROID GLAND PITUITARY GLAND PLACENTA PROSTATE RECTUM RETINA SALIVARY GLAND SEMINAL VESICLE SKELETAL MUSCLE SKIN SMALL INTESTINE
SMOOTH MUSCLE SOFT TISSUE SPINAL CORD SPLEEN STOMACH TESTIS THYMUS THYROID GLAND TONGUE TONSIL URINARY BLADDER VAGINA
ANTIBODIES
AND
VALIDATION
Dictionary
Heart muscle
Tissue proteome
Heart
HEART MUSCLE - Expression summary
Protein expression
Heart musclei

On the top, protein expression in current human tissue, based on all annotated cell types, is reported with the units not detected (n), low (l), medium (m) and high (h). Underneath, protein expression in each annotated cell type are reported using the same units.

Protein expression data is based on knowledge-based annotation. For genes where more than one antibody has been used, a collective score is set.

If knowledge-based annotation could not be performed for a gene, no data is displayed here. View antibody staining data further down this page.

h
m
l
n
Cardiomyocytes: Not detected
RNA expressioni

A summary of mRNA expression data available for current tissue based on several datasets. The mRNA expression levels in human tissues are based on RNA-seq data generated by the Human Protein Atlas (HPA), Genotype-Tissue Expression (GTEx) portal and CAGE data generated by the FANTOM5 consortium. Consensus normalized expression levels for human tissues was created by combining the data from HPA and GTEx datasets.

The mRNA expression levels in pig are based on RNA-seq data generated by the Human Protein Atlas (HPA), and for mouse, HPA data and in situ hybridization generated by the Allen brain atlas are reported.

Scroll down to view mRNA expression data in more detail.
Consensus:85.7 nTPM
HPA:5.5 nTPM
GTEx:85.7 nTPM
FANTOM5:192.5 Scaled Tags Per Million

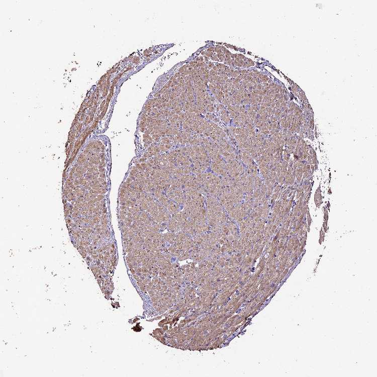
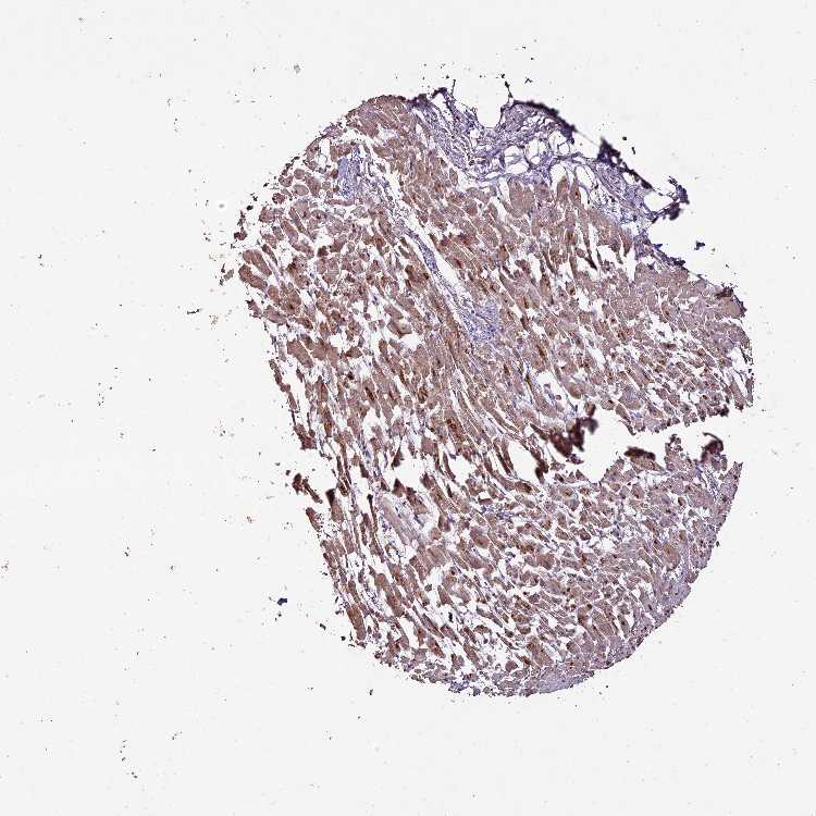
HEART MUSCLE - Antibody stainingi

Antibody staining in the annotated cell types in the current human tissue is reported as not detected, low, medium, or high, based on conventional immunohistochemistry profiling in selected tissues. This score is based on the combination of the staining intensity and fraction of stained cells.

Each image is clickable and will lead to virtual microscopy that enables deeper exploration of all samples and also displays staining intensity scores, fraction scores and subcellular localization as well as patient and tissue information for each sample.

Antibody HPA041493Antibody HPA041793
Cardiomyocytes MediumLow





HEART MUSCLE - HPA RNA-seqi

The RNA-seq details section shows detailed information about the individual samples used for the transcript profiling and results of the RNA-seq analysis.

Information about each individual sample is listed below, including gender, age, a tissue section image and estimated fractions of cell types. nTPM (normalized transcripts per million) values give a quantification of the gene abundance which is comparable between different genes and samples.
Average nTPMi

Max subtype nTPM is the value for the subtype with the largest average nTPM across the subtype samples.

5.5
overview
Female, age 48
Heart muscle sample 149
nTPM: 5.3
Cell types%
Myocytes:
15

Fibroblasts:
55

Endothelial cells:
25

Other cell types:
5

overview
Female, age 42
Heart muscle sample 150
nTPM: 5
Cell types%
Myocytes:
20

Fibroblasts:
45

Endothelial cells:
30

Other cell types:
5

overview
Male, age 53
Heart muscle sample 151
nTPM: 4.7
Cell types%
Myocytes:
20

Fibroblasts:
45

Endothelial cells:
30

Other cell types:
5

overview
Female, age 69
Heart muscle sample 152
nTPM: 6.9
Cell types%
Myocytes:
20

Fibroblasts:
45

Endothelial cells:
30

Other cell types:
5


HEART MUSCLE - GTEx RNA-seqi

RNA-Seq data generated by the Genotype-Tissue Expression (GTEx) project from human tissues is reported as mean nTPM. More information can be found on the GTEx portal.

Distribution across the dataset is visualized with box plots, shown as median and 25th and 75th percentiles. Points are displayed as outliers if they are above or below 1.5 times the interquartile range. nTPM values of the individual samples are presented next to the box plot.
Max subtype nTPMi

Max subtype nTPM is the value for the subtype with the largest average nTPM across the subtype samples.

85.7
GTEx sample id Sample description nTPM
Heart - Atrial Appendage
Average nTPM: 85.7
Samples: 429

Max nTPM: 1004.8
Min nTPM: 1.4
Std nTPM: 118.7
Median nTPM: 45.7
GTEX-1C6VQ-0826-SM-7PBZT 50-59 years, male 1004.8
GTEX-1JJ6O-2226-SM-AHZ3I 60-69 years, male 977.5
GTEX-14C38-1326-SM-62LDK 50-59 years, male 774.1
GTEX-1LVAO-0626-SM-EWRNT 60-69 years, male 699.0
GTEX-13RTJ-0526-SM-62LDP 60-69 years, male 668.9
GTEX-1RLM8-0226-SM-E6CJY 50-59 years, male 647.2
GTEX-15D1Q-0426-SM-6AJ9G 40-49 years, male 509.3
GTEX-1JMQK-0926-SM-ARL96 60-69 years, male 488.4
GTEX-11WQK-0226-SM-5EQLI 50-59 years, male 379.9
GTEX-14C39-0726-SM-5RQIK 40-49 years, male 377.2
GTEX-1CB4H-0626-SM-7IGN3 60-69 years, female 377.0
GTEX-16XZZ-1026-SM-7DHKS 60-69 years, male 367.9
GTEX-1E2YA-0626-SM-7P8P4 50-59 years, male 356.8
GTEX-WOFL-1226-SM-4OOST 60-69 years, male 346.1
GTEX-1HSMO-1126-SM-CGQF2 60-69 years, male 307.3
GTEX-14E6C-0326-SM-5Q5EE 40-49 years, male 304.1
GTEX-11EMC-0826-SM-59862 60-69 years, female 287.7
GTEX-WYBS-1226-SM-3NM9N 60-69 years, female 283.7
GTEX-ZAB4-0926-SM-5CVN4 40-49 years, male 279.5
GTEX-1HCU7-1226-SM-B2LX8 50-59 years, male 278.4
GTEX-1HBPM-1026-SM-ARL9D 60-69 years, female 278.1
GTEX-ZZPU-1126-SM-5N9CW 50-59 years, female 276.7
GTEX-ZZPT-0926-SM-5GICZ 50-59 years, male 269.0
GTEX-145LS-1326-SM-5Q5EP 60-69 years, female 267.7
GTEX-1HC8U-0626-SM-B2LWB 40-49 years, female 261.0
GTEX-14C5O-1226-SM-664N3 60-69 years, male 260.2
GTEX-1JMOU-0326-SM-ARL8X 60-69 years, female 258.5
GTEX-1M5QR-1626-SM-E9U5O 40-49 years, male 258.3
GTEX-14PN4-0826-SM-69LON 50-59 years, male 253.5
GTEX-1LSNL-0626-SM-DIPFJ 50-59 years, male 251.4
GTEX-145LV-0226-SM-5S2QG 50-59 years, male 245.5
GTEX-1GN1V-1026-SM-CNPPS 60-69 years, male 244.2
GTEX-1192W-0226-SM-5EGGT 60-69 years, male 241.9
GTEX-131XE-0526-SM-5K7YT 50-59 years, male 231.9
GTEX-1F75I-1326-SM-7PBZX 40-49 years, male 227.7
GTEX-1H1DG-0826-SM-9QEIW 70-79 years, male 226.7
GTEX-1117F-0726-SM-5GIEN 60-69 years, female 223.8
GTEX-1LVAN-1526-SM-CNPQN 50-59 years, female 218.0
GTEX-16MT8-0826-SM-7KULO 60-69 years, female 217.5
GTEX-1I19N-0626-SM-A9SKY 70-79 years, male 217.4
GTEX-X8HC-1026-SM-46MWH 50-59 years, female 212.9
GTEX-X4XX-1126-SM-3NMBY 60-69 years, male 207.1
GTEX-XLM4-2026-SM-4AT4X 60-69 years, male 205.2
GTEX-13SLW-0826-SM-5QGP7 70-79 years, male 201.2
GTEX-1H2FU-0826-SM-9WYSU 60-69 years, female 199.6
GTEX-ZPIC-0426-SM-DO91V 40-49 years, female 197.6
GTEX-1LSNM-0426-SM-E9TIZ 50-59 years, male 197.3
GTEX-1HCVE-0826-SM-CM2SF 50-59 years, male 193.4
GTEX-1H3NZ-1026-SM-A9SM5 60-69 years, male 193.1
GTEX-1JMQL-1026-SM-CMKGV 50-59 years, female 191.4
GTEX-13JVG-1126-SM-5KM2M 60-69 years, male 179.2
GTEX-1GMR8-1026-SM-9MQLA 50-59 years, female 178.9
GTEX-X4EP-0326-SM-3P5Z6 60-69 years, female 177.1
GTEX-WFG8-0726-SM-3GILP 20-29 years, male 175.3
GTEX-X261-0926-SM-3NMCY 50-59 years, male 174.9
GTEX-12584-1026-SM-59HK3 40-49 years, male 174.6
GTEX-XPT6-0226-SM-4B65L 20-29 years, male 172.1
GTEX-148VJ-1426-SM-5TDE3 70-79 years, male 171.9
GTEX-14PII-1026-SM-5ZZVW 60-69 years, male 171.5
GTEX-13OVI-0326-SM-5K7X1 60-69 years, female 166.3
GTEX-1CB4J-0226-SM-7P8T4 60-69 years, male 163.2
GTEX-1CAMQ-0726-SM-7P8SG 40-49 years, male 163.1
GTEX-15SHU-0926-SM-6PAMK 40-49 years, female 161.6
GTEX-17F96-0826-SM-7DHLU 70-79 years, male 160.6
GTEX-132Q8-1126-SM-5K7XS 60-69 years, male 159.0
GTEX-17MF6-0926-SM-7LTAL 40-49 years, male 157.5
GTEX-13O3P-1426-SM-5L3DT 50-59 years, male 150.9
GTEX-ZTPG-1326-SM-51MSQ 20-29 years, female 150.9
GTEX-1CAMS-1126-SM-7MXUQ 40-49 years, female 149.7
GTEX-ZYVF-1826-SM-5E44F 50-59 years, female 149.4
GTEX-1F48J-1126-SM-9WYSY 50-59 years, female 148.1
GTEX-13PDP-1326-SM-5K7U9 60-69 years, male 147.7
GTEX-13W3W-0526-SM-5LU3X 60-69 years, female 146.5
GTEX-14BIL-0926-SM-7DHKN 50-59 years, male 146.1
GTEX-1KD5A-0926-SM-D4P3U 50-59 years, male 145.0
GTEX-13JUV-0226-SM-5IJCC 40-49 years, female 143.9
GTEX-1EH9U-0626-SM-7PC33 60-69 years, male 143.4
GTEX-13OVG-0426-SM-5KM2T 60-69 years, male 141.5
GTEX-1C64O-0926-SM-79OLN 60-69 years, male 137.5
GTEX-13N11-0726-SM-5L3DP 50-59 years, female 132.2
GTEX-1HUB1-0726-SM-CGQF4 60-69 years, male 131.7
GTEX-14PJO-0826-SM-6ETZK 60-69 years, male 129.0
GTEX-13NYS-1926-SM-5IJCB 60-69 years, male 128.9
GTEX-X62O-0826-SM-46MW8 50-59 years, male 128.6
GTEX-1R7EV-0426-SM-DTX7Z 40-49 years, male 128.2
GTEX-1AX8Z-1126-SM-731CS 60-69 years, male 126.4
GTEX-1GTWX-0926-SM-9MQKM 60-69 years, male 124.4
GTEX-14BIM-2726-SM-5Q5EG 60-69 years, female 124.0
GTEX-1192X-0726-SM-5987R 50-59 years, male 123.1
GTEX-1399U-0726-SM-5KM1D 50-59 years, female 122.1
GTEX-1K2DU-0226-SM-DIPF6 20-29 years, male 121.3
GTEX-13D11-1526-SM-5J2NA 50-59 years, female 120.8
GTEX-1L5NE-0526-SM-DIPG5 50-59 years, male 120.5
GTEX-1GZ2Q-0926-SM-7RHHN 40-49 years, male 120.4
GTEX-ZYFG-0526-SM-5GZXX 60-69 years, female 119.1
GTEX-XQ3S-0526-SM-4BOQA 20-29 years, male 117.6
GTEX-132QS-0526-SM-5IJC7 60-69 years, male 117.5
GTEX-1H3O1-0226-SM-9WYSW 60-69 years, male 117.5
GTEX-15CHQ-1326-SM-6871Z 60-69 years, male 116.1
GTEX-1LH75-0526-SM-DIPG2 50-59 years, female 114.9
GTEX-13FTW-0826-SM-5K7XR 40-49 years, male 114.1
GTEX-WY7C-1126-SM-3NB3A 50-59 years, male 113.9
GTEX-11GSP-1226-SM-5985M 60-69 years, female 113.0
GTEX-1H1ZS-1026-SM-9WG6E 70-79 years, male 113.0
GTEX-15EU6-1326-SM-6PANG 50-59 years, male 112.1
GTEX-1A8FM-1026-SM-7PC26 50-59 years, female 111.4
GTEX-1CB4I-1526-SM-7DHMY 50-59 years, male 111.2
GTEX-183WM-0926-SM-718AN 70-79 years, female 109.9
GTEX-13FHO-1226-SM-5L3EF 60-69 years, male 109.8
GTEX-1477Z-1126-SM-5P9GK 60-69 years, male 109.6
GTEX-ZAJG-0926-SM-5Q5AB 50-59 years, female 109.5
GTEX-1AX9K-0426-SM-73KUG 50-59 years, male 108.4
GTEX-1IL2V-1126-SM-CMKGH 70-79 years, male 107.8
GTEX-12WSI-0426-SM-5EQ5J 50-59 years, male 106.9
GTEX-1F75B-1126-SM-7RHGP 50-59 years, male 106.3
GTEX-131XG-0526-SM-5DUWF 50-59 years, female 104.4
GTEX-1JMLX-1826-SM-CNPOX 50-59 years, male 104.3
GTEX-14PHX-0626-SM-5YY8Z 50-59 years, male 102.7
GTEX-UTHO-1226-SM-3GAEE 60-69 years, male 100.4
GTEX-1339X-0326-SM-5K7Z8 40-49 years, male 98.0
GTEX-1R9JW-0426-SM-E76QL 30-39 years, female 95.3
GTEX-1H1CY-0426-SM-9KNVD 60-69 years, female 94.3
GTEX-1IKOE-0626-SM-A9G31 30-39 years, female 94.0
GTEX-WI4N-0726-SM-3TW93 40-49 years, female 93.2
GTEX-1J1OQ-2226-SM-A96SS 40-49 years, female 92.0
GTEX-132AR-1926-SM-5EGK5 50-59 years, female 91.8
GTEX-1NHNU-0626-SM-E6CP1 50-59 years, male 91.8
GTEX-ZV7C-0526-SM-9WPNK 50-59 years, male 88.8
GTEX-1C6WA-0826-SM-7PBXS 60-69 years, male 87.5
GTEX-13NZA-0826-SM-5K7WS 60-69 years, male 86.0
GTEX-ZVT4-1326-SM-5NQ8E 50-59 years, female 82.6
GTEX-11ZVC-0526-SM-5N9G1 50-59 years, female 81.9
GTEX-17F9Y-1226-SM-7EPGE 70-79 years, female 81.8
GTEX-12BJ1-0326-SM-5FQUB 60-69 years, male 81.4
GTEX-15RJE-0726-SM-7KUEG 40-49 years, male 80.7
GTEX-1EX96-2626-SM-9MQJV 50-59 years, male 79.9
GTEX-13FTZ-0326-SM-5J1O1 60-69 years, male 79.5
GTEX-1R9K4-1026-SM-EXUT1 60-69 years, male 79.1
GTEX-1HFI7-0526-SM-A9SMA 50-59 years, female 79.0
GTEX-1NSGN-1226-SM-E76OL 50-59 years, male 78.7
GTEX-147F4-1126-SM-5TDDE 50-59 years, male 78.3
GTEX-XV7Q-0726-SM-4BRV6 40-49 years, female 78.2
GTEX-1122O-0626-SM-5N9B9 60-69 years, female 76.7
GTEX-11UD2-0926-SM-5CVL6 50-59 years, male 76.2
GTEX-ZTTD-0626-SM-4YCCY 50-59 years, male 75.8
GTEX-1IKK5-1726-SM-CM2RU 60-69 years, male 75.8
GTEX-1IKOH-0926-SM-A9SLU 60-69 years, female 75.2
GTEX-1QP29-1426-SM-DTX9Q 50-59 years, male 75.2
GTEX-1399S-0826-SM-5KM23 30-39 years, female 73.7
GTEX-XPVG-0726-SM-4B658 50-59 years, male 73.1
GTEX-1H3VY-1126-SM-A96TP 50-59 years, male 73.0
GTEX-1212Z-0726-SM-5EGI5 60-69 years, male 72.6
GTEX-1A3MX-1226-SM-731B3 60-69 years, male 72.3
GTEX-1I1CD-1326-SM-A9SMM 60-69 years, female 72.3
GTEX-WHPG-1026-SM-3NMBA 50-59 years, male 72.0
GTEX-ZPU1-0726-SM-5HL6O 40-49 years, male 71.3
GTEX-11LCK-0826-SM-5PNYD 30-39 years, male 70.7
GTEX-139YR-0526-SM-5L3DG 50-59 years, male 70.6
GTEX-12WSN-0226-SM-5DUXH 40-49 years, male 69.9
GTEX-13FHP-0826-SM-5K7V5 50-59 years, male 68.0
GTEX-1OFPY-0926-SM-DTX8Q 60-69 years, male 67.9
GTEX-13QBU-0226-SM-5LU48 40-49 years, female 67.7
GTEX-13O3Q-0326-SM-5L3FE 50-59 years, male 66.2
GTEX-XGQ4-0526-SM-4AT6C 50-59 years, male 65.9
GTEX-1I1GR-1026-SM-A9SLC 60-69 years, male 65.9
GTEX-1IOXB-0726-SM-A9G32 50-59 years, male 64.2
GTEX-11EM3-0426-SM-5N9BZ 20-29 years, female 64.0
GTEX-Y114-0126-SM-4TT8K 50-59 years, female 63.8
GTEX-11O72-1026-SM-5986B 40-49 years, male 63.3
GTEX-XXEK-2026-SM-4BRVE 50-59 years, male 63.2
GTEX-14A5I-1026-SM-5Q5E3 50-59 years, female 62.7
GTEX-1LGOU-0326-SM-D3LAM 20-29 years, female 62.1
GTEX-12ZZY-1226-SM-5GCNK 60-69 years, male 61.8
GTEX-111VG-0326-SM-5GZX7 60-69 years, male 61.5
GTEX-ZXG5-0626-SM-5NQ85 60-69 years, male 61.4
GTEX-15SDE-1826-SM-7KUFN 50-59 years, female 60.4
GTEX-XBEC-1226-SM-4AT65 50-59 years, male 60.4
GTEX-18D9B-1126-SM-7KFSH 60-69 years, male 59.3
GTEX-1J8QM-0326-SM-CL53D 60-69 years, female 58.7
GTEX-11EQ8-1326-SM-5EGJQ 60-69 years, male 58.5
GTEX-XYKS-0226-SM-4BRW3 60-69 years, female 58.3
GTEX-14PHY-0326-SM-62LE3 60-69 years, female 58.1
GTEX-15SHV-0526-SM-7KUEN 60-69 years, male 57.9
GTEX-12WSK-0526-SM-5CVNA 40-49 years, female 57.6
GTEX-17HGU-1126-SM-793BP 50-59 years, male 56.8
GTEX-13X6K-1726-SM-7IGLG 60-69 years, female 56.7
GTEX-V955-0826-SM-CYPR5 60-69 years, male 56.0
GTEX-1B933-0826-SM-79OMW 50-59 years, female 55.7
GTEX-12WSA-1126-SM-5EGKU 60-69 years, male 55.3
GTEX-1QPFJ-0926-SM-EVR3K 30-39 years, female 55.1
GTEX-17EVP-0526-SM-7EPGY 40-49 years, male 54.8
GTEX-Y5V5-0726-SM-4VBPY 60-69 years, female 54.1
GTEX-1J8Q2-1026-SM-ARU8I 60-69 years, male 53.9
GTEX-1QCLZ-1126-SM-EWRNB 60-69 years, female 53.8
GTEX-1GMR2-1326-SM-9KNUT 50-59 years, male 53.7
GTEX-ZVT2-0926-SM-5GICE 50-59 years, female 53.6
GTEX-14BIN-2126-SM-793AX 50-59 years, female 53.2
GTEX-17GQL-0626-SM-731CN 60-69 years, male 53.0
GTEX-VJWN-1026-SM-4M1ZN 50-59 years, female 53.0
GTEX-1B8L1-0426-SM-7SB76 60-69 years, male 51.7
GTEX-1JK1U-0626-SM-CKZOJ 60-69 years, male 51.1
GTEX-18A6Q-1526-SM-731CO 60-69 years, male 50.8
GTEX-ZPCL-0526-SM-DO91R 60-69 years, female 50.1
GTEX-145MN-0726-SM-5NQBH 30-39 years, male 49.6
GTEX-1QMI2-1026-SM-DTX7T 60-69 years, male 49.3
GTEX-1H11D-1026-SM-9QEIU 40-49 years, male 49.2
GTEX-1GN1W-0226-SM-7P8QY 50-59 years, female 49.0
GTEX-WWYW-1126-SM-3NB2Q 50-59 years, female 48.6
GTEX-15CHC-0326-SM-5ZZVP 60-69 years, female 48.2
GTEX-ZLFU-0326-SM-4WWBK 40-49 years, male 47.5
GTEX-YF7O-0526-SM-5P9IO 50-59 years, male 47.4
GTEX-WH7G-0326-SM-3NMBH 40-49 years, male 46.7
GTEX-13FH7-0826-SM-5J2NW 50-59 years, female 46.6
GTEX-YEC4-0226-SM-4W1YG 40-49 years, male 46.1
GTEX-11TT1-1426-SM-5EGIA 20-29 years, male 45.7
GTEX-ZDTT-0326-SM-4WKF9 60-69 years, male 45.6
GTEX-Y3I4-0526-SM-4TT6X 50-59 years, male 45.4
GTEX-ZT9W-0526-SM-57WFG 50-59 years, male 44.6
GTEX-1KANC-0226-SM-E9TIW 50-59 years, female 44.3
GTEX-14XAO-0926-SM-69LPZ 60-69 years, female 44.1
GTEX-1HFI6-0826-SM-9YFM2 40-49 years, male 43.8
GTEX-XQ8I-0226-SM-4BOPM 50-59 years, male 43.0
GTEX-1J8Q3-1126-SM-ARU8N 60-69 years, male 43.0
GTEX-11DXY-1026-SM-5987V 60-69 years, male 42.6
GTEX-13O21-0326-SM-5J1N9 50-59 years, male 42.4
GTEX-WHWD-0326-SM-3LK6L 50-59 years, male 41.2
GTEX-ZF3C-1126-SM-57WEG 50-59 years, female 40.9
GTEX-1GL5R-0426-SM-9WPOP 50-59 years, male 40.9
GTEX-11DXX-0526-SM-5PNVR 60-69 years, female 40.6
GTEX-1RB15-0426-SM-E9U4Y 60-69 years, male 40.3
GTEX-11DYG-1026-SM-5A5JQ 60-69 years, male 40.1
GTEX-YB5K-0226-SM-5IFJE 40-49 years, female 40.1
GTEX-1HSMQ-0426-SM-ADEIM 50-59 years, male 40.0
GTEX-132NY-1426-SM-5J1MJ 60-69 years, male 39.8
GTEX-11ONC-1026-SM-5GU64 60-69 years, male 39.3
GTEX-16XZY-0526-SM-7DHKY 70-79 years, male 39.3
GTEX-17F9E-0726-SM-793A1 50-59 years, male 39.3
GTEX-VUSG-0726-SM-3GIK1 50-59 years, male 39.1
GTEX-WHSE-0826-SM-4SOJU 20-29 years, male 39.1
GTEX-1KANB-1126-SM-DHXJT 50-59 years, male 39.1
GTEX-15UF7-1526-SM-6LPI7 40-49 years, male 38.4
GTEX-14PN3-0726-SM-6EU14 60-69 years, female 37.6
GTEX-1B996-1026-SM-793CF 60-69 years, male 37.6
GTEX-13NYB-0326-SM-5IJDP 40-49 years, male 36.4
GTEX-1GMRU-1326-SM-9WYUI 50-59 years, male 36.4
GTEX-1ICG6-0726-SM-B2LY5 70-79 years, female 36.3
GTEX-13SLX-0926-SM-5S2NM 50-59 years, female 35.4
GTEX-1HSGN-0926-SM-CNNQM 40-49 years, female 35.4
GTEX-13NZB-0426-SM-5KM26 30-39 years, male 35.1
GTEX-WL46-0726-SM-3LK5Z 50-59 years, male 34.7
GTEX-1GN1U-1426-SM-7P8TF 50-59 years, female 34.6
GTEX-13O61-0426-SM-5L3ET 60-69 years, male 34.3
GTEX-1AX9J-0926-SM-73KXA 60-69 years, male 34.1
GTEX-ZG7Y-1426-SM-4WWBM 50-59 years, male 34.0
GTEX-11GS4-0426-SM-5N9CD 60-69 years, male 33.5
GTEX-117YX-0626-SM-5EGJI 50-59 years, male 33.4
GTEX-YECK-1226-SM-4W21G 60-69 years, male 33.4
GTEX-14H4A-0426-SM-5ZZWO 40-49 years, female 33.2
GTEX-1211K-0226-SM-59HJY 60-69 years, female 32.6
GTEX-13OW5-0926-SM-5L3GZ 60-69 years, male 32.3
GTEX-1JJEA-0926-SM-CYPSO 60-69 years, male 31.7
GTEX-12696-1226-SM-5FQSM 60-69 years, male 31.6
GTEX-1F88F-0326-SM-9KNV3 60-69 years, female 30.8
GTEX-WFON-0226-SM-3GIKR 40-49 years, male 30.5
GTEX-WQUQ-1326-SM-3MJFF 60-69 years, male 30.5
GTEX-1KXAM-1426-SM-D3LAC 60-69 years, male 30.1
GTEX-1IL2U-1226-SM-CL53P 60-69 years, male 30.0
GTEX-1HBPN-0926-SM-CGQEG 50-59 years, male 29.6
GTEX-18D9U-1426-SM-718BO 40-49 years, male 29.5
GTEX-1E1VI-1426-SM-793CY 50-59 years, male 29.5
GTEX-1JN6P-0826-SM-ARL97 60-69 years, male 29.5
GTEX-1HT8W-1326-SM-CGQEN 30-39 years, male 29.2
GTEX-Y3IK-1026-SM-51MR7 50-59 years, female 27.9
GTEX-X3Y1-0226-SM-3P5Z5 40-49 years, male 27.6
GTEX-ZE7O-0626-SM-57WCD 50-59 years, female 27.4
GTEX-14PJ4-0926-SM-5YY98 60-69 years, male 27.1
GTEX-V1D1-0626-SM-4JBHN 50-59 years, male 27.0
GTEX-1LG7Y-1426-SM-D4P31 50-59 years, male 27.0
GTEX-16YQH-0726-SM-7IGM1 30-39 years, male 26.6
GTEX-1I1GQ-1226-SM-CL55J 50-59 years, male 26.5
GTEX-1GZ4I-0826-SM-9WG6O 50-59 years, male 26.0
GTEX-1B97J-0326-SM-7939H 50-59 years, female 25.8
GTEX-Z93S-0326-SM-5HL84 50-59 years, male 25.8
GTEX-11P81-0526-SM-59873 30-39 years, female 25.6
GTEX-1IDJU-0626-SM-CKZOG 60-69 years, female 25.4
GTEX-1IKJJ-0626-SM-CY8GF 60-69 years, male 24.9
GTEX-11TUW-1126-SM-5EQKJ 60-69 years, male 24.8
GTEX-1HCUA-0626-SM-ACKVT 50-59 years, female 24.8
GTEX-ZEX8-0326-SM-DO92C 50-59 years, male 24.6
GTEX-1P4AB-0926-SM-E76PV 50-59 years, male 24.3
GTEX-1B8SG-0726-SM-79ONS 50-59 years, male 24.2
GTEX-1399R-1726-SM-5K7YJ 30-39 years, male 24.1
GTEX-14PJ6-0626-SM-686Z6 60-69 years, female 24.0
GTEX-13O1R-0926-SM-5L3DS 60-69 years, male 23.7
GTEX-UPK5-0226-SM-3GAEV 40-49 years, male 23.6
GTEX-15DCE-0826-SM-7KULW 20-29 years, male 23.3
GTEX-X5EB-0626-SM-46MVQ 40-49 years, male 23.3
GTEX-13NZ9-0126-SM-5K7XV 50-59 years, male 23.2
GTEX-13PVR-0926-SM-5S2RB 60-69 years, female 23.1
GTEX-1BAJH-1026-SM-7EWEG 70-79 years, male 23.0
GTEX-13FXS-1026-SM-62LFQ 50-59 years, male 22.8
GTEX-ZYT6-0926-SM-5GIEM 30-39 years, male 22.8
GTEX-1I1HK-0626-SM-CNPQM 60-69 years, male 22.7
GTEX-146FR-0926-SM-5QGPE 60-69 years, female 22.6
GTEX-14PK6-0726-SM-6LLIX 70-79 years, female 22.6
GTEX-1EMGI-1126-SM-9KNUF 60-69 years, male 22.6
GTEX-13CF2-0226-SM-5L3DV 60-69 years, male 22.5
GTEX-18A67-1026-SM-731CE 50-59 years, male 22.5
GTEX-18A66-1126-SM-731C5 60-69 years, male 22.4
GTEX-12WSC-1026-SM-5EQ5Y 50-59 years, male 22.1
GTEX-146FH-1126-SM-5NQAT 50-59 years, female 21.9
GTEX-117YW-0426-SM-5GZZZ 50-59 years, male 21.7
GTEX-1MJK2-1626-SM-EVYCQ 50-59 years, male 21.7
GTEX-111YS-0326-SM-5GZZ3 60-69 years, male 21.6
GTEX-16NPX-0826-SM-6M489 50-59 years, male 21.5
GTEX-1MCC2-0226-SM-EVYD5 30-39 years, female 20.8
GTEX-1CB4E-0626-SM-7DHMW 60-69 years, male 20.4
GTEX-1GF9U-0526-SM-7P8SK 40-49 years, female 20.0
GTEX-13PL7-0726-SM-5KM1S 60-69 years, female 19.8
GTEX-1A8G6-1826-SM-73KY8 60-69 years, male 19.8
GTEX-13VXT-0726-SM-5SIAD 20-29 years, female 19.5
GTEX-11ZTT-0526-SM-5EQLA 60-69 years, female 19.1
GTEX-WFG7-0826-SM-3GIKU 20-29 years, male 18.9
GTEX-1IDJD-0226-SM-CKZOA 30-39 years, male 18.9
GTEX-15CHR-0326-SM-7DHN3 50-59 years, male 18.5
GTEX-1B8SF-1326-SM-7IGQJ 60-69 years, male 18.3
GTEX-ZDYS-0326-SM-5HL4W 50-59 years, male 18.2
GTEX-11NV4-0826-SM-5BC4S 60-69 years, male 18.1
GTEX-13YAN-1426-SM-7EPG8 60-69 years, male 18.1
GTEX-13PL6-0826-SM-5IJBI 40-49 years, female 17.8
GTEX-14E7W-1126-SM-5ZZVS 70-79 years, male 17.8
GTEX-1I1GP-0626-SM-ARL7H 50-59 years, male 17.8
GTEX-ZVZQ-0726-SM-51MR3 60-69 years, female 17.7
GTEX-ZVT3-0826-SM-5GIC8 60-69 years, female 17.6
GTEX-1HR98-1026-SM-CKZOM 60-69 years, male 17.6
GTEX-YEC3-0426-SM-CYPS8 50-59 years, male 17.4
GTEX-13S86-0326-SM-5SI6K 40-49 years, male 17.2
GTEX-1LGRB-1026-SM-CNPQD 50-59 years, female 16.9
GTEX-13O3O-1426-SM-5KM2S 60-69 years, female 16.8
GTEX-1IDJH-1126-SM-COH3R 70-79 years, male 16.6
GTEX-1IDJF-0826-SM-ARU7N 20-29 years, male 16.4
GTEX-15SKB-0926-SM-7KUFC 60-69 years, male 16.3
GTEX-ZYFC-1026-SM-5GZX9 50-59 years, male 16.3
GTEX-1C2JI-0626-SM-7DHM1 50-59 years, male 16.1
GTEX-1IY9M-0626-SM-D4P2L 60-69 years, male 16.0
GTEX-1QEPI-1126-SM-E8VN7 60-69 years, female 16.0
GTEX-1399T-0726-SM-5J1MH 60-69 years, male 15.7
GTEX-1445S-1226-SM-5O9BF 60-69 years, male 15.5
GTEX-ZUA1-0726-SM-4YCD9 40-49 years, male 15.4
GTEX-1MJIX-0426-SM-DTXEN 40-49 years, male 15.3
GTEX-117XS-0726-SM-5H131 60-69 years, male 15.2
GTEX-1F6I4-0826-SM-7RHGK 60-69 years, male 15.2
GTEX-131XF-0426-SM-5HL7U 60-69 years, male 15.0
GTEX-1C64N-0826-SM-7RHGQ 50-59 years, male 14.9
GTEX-1LB8K-0926-SM-D4P42 50-59 years, male 14.9
GTEX-13U4I-0626-SM-5LU5L 40-49 years, female 14.8
GTEX-WEY5-0226-SM-3GIKN 40-49 years, female 14.7
GTEX-WYJK-1126-SM-3NM9Z 50-59 years, male 14.7
GTEX-13X6J-1226-SM-79OMF 50-59 years, male 14.6
GTEX-YFC4-0426-SM-4TT3J 40-49 years, female 14.1
GTEX-ZAB5-0126-SM-5CVMT 50-59 years, male 14.0
GTEX-13OW6-0926-SM-5L3GM 50-59 years, male 13.9
GTEX-11DXZ-0326-SM-5EGH1 50-59 years, male 13.8
GTEX-ZF29-0426-SM-4WKFN 60-69 years, female 13.5
GTEX-1313W-1126-SM-5EQ5U 50-59 years, female 13.4
GTEX-12ZZX-0726-SM-5EGKA 40-49 years, female 13.3
GTEX-WRHU-1026-SM-4E3ID 50-59 years, female 13.3
GTEX-12WSG-1226-SM-5EQ4C 50-59 years, female 13.0
GTEX-11NUK-0926-SM-5HL57 50-59 years, male 12.9
GTEX-13PVQ-1326-SM-5LU4J 50-59 years, male 12.7
GTEX-ZDTS-1226-SM-4WKGL 60-69 years, male 12.7
GTEX-144GL-1026-SM-5O99R 50-59 years, male 12.6
GTEX-11ZUS-0326-SM-5EQ4W 30-39 years, male 12.4
GTEX-139TU-1926-SM-5J2OC 60-69 years, male 12.1
GTEX-13N1W-0926-SM-5MR36 70-79 years, male 12.0
GTEX-18465-0726-SM-7LG4L 50-59 years, male 11.5
GTEX-14E1K-0826-SM-5ZZW9 50-59 years, male 11.3
GTEX-Y8E4-0426-SM-4V6GB 40-49 years, male 11.2
GTEX-1B8KE-0326-SM-73KTY 50-59 years, male 11.0
GTEX-14JG1-0826-SM-5ZZWR 40-49 years, male 10.9
GTEX-ZGAY-0226-SM-4WWAL 40-49 years, female 10.9
GTEX-1AX9I-1026-SM-73KYF 60-69 years, male 10.8
GTEX-14DAQ-1026-SM-793B1 60-69 years, female 10.7
GTEX-17KNJ-0626-SM-7LT9L 50-59 years, male 10.5
GTEX-1GMR3-0426-SM-7PC17 40-49 years, male 10.5
GTEX-18A7A-1226-SM-7LTAJ 50-59 years, female 10.1
GTEX-1GF9V-1726-SM-9KNW4 60-69 years, male 9.7
GTEX-1GN73-2326-SM-9MQKV 60-69 years, male 9.6
GTEX-1POEN-0726-SM-DTXDU 30-39 years, female 9.6
GTEX-14PJ2-1126-SM-69LOD 50-59 years, male 9.4
GTEX-1I1GV-1426-SM-B2LXN 60-69 years, male 9.4
GTEX-14BMV-1026-SM-5SI6B 50-59 years, male 8.9
GTEX-ZF2S-0826-SM-4WWBI 50-59 years, female 8.9
GTEX-1EU9M-1926-SM-7RHH4 60-69 years, male 8.9
GTEX-1HSKV-0726-SM-ACKWE 60-69 years, male 8.9
GTEX-147JS-1326-SM-5SI6D 60-69 years, male 8.4
GTEX-W5X1-0826-SM-3GILN 40-49 years, female 8.3
GTEX-1PPGY-0926-SM-DTXFF 60-69 years, male 8.1
GTEX-14A6H-0326-SM-5NQAN 30-39 years, male 7.9
GTEX-1J8EW-0626-SM-CM2TY 60-69 years, female 7.8
GTEX-1A32A-1326-SM-73KWW 50-59 years, female 7.7
GTEX-111FC-0626-SM-5N9CU 60-69 years, male 7.2
GTEX-14PJM-0826-SM-6LLIW 50-59 years, female 7.0
GTEX-1EWIQ-1126-SM-7EPIK 70-79 years, female 6.5
GTEX-1GN2E-1426-SM-7RHHI 60-69 years, male 6.3
GTEX-12WSD-1226-SM-5HL9Q 60-69 years, female 6.1
GTEX-1AYCT-0526-SM-7RHHS 50-59 years, male 5.8
GTEX-WZTO-1226-SM-3NMAZ 40-49 years, male 5.7
GTEX-1F75A-1026-SM-7PC3W 50-59 years, male 5.7
GTEX-15RIE-1326-SM-6PAMM 60-69 years, male 5.5
GTEX-ZYFD-2026-SM-5E459 50-59 years, male 5.3
GTEX-1QP6S-1026-SM-DTXFW 40-49 years, male 5.1
GTEX-1B932-1326-SM-79OM4 40-49 years, female 5.0
GTEX-ZDXO-0426-SM-4WKF6 60-69 years, male 5.0
GTEX-WK11-0626-SM-3NMAV 50-59 years, male 4.5
GTEX-1CB4G-0726-SM-79OOJ 60-69 years, male 4.4
GTEX-ZAK1-1126-SM-5PNXU 50-59 years, female 4.4
GTEX-12WSE-0926-SM-5S2VX 20-29 years, male 3.8
GTEX-13112-0526-SM-5EQ4S 50-59 years, male 3.6
GTEX-131YS-0826-SM-5PNYV 60-69 years, female 3.5
GTEX-U8XE-0926-SM-3DB8V 30-39 years, male 3.5
GTEX-15ER7-0826-SM-6PALW 20-29 years, female 3.0
GTEX-16GPK-1226-SM-7LTAU 60-69 years, male 2.8
GTEX-13OW7-1626-SM-5IJDH 50-59 years, male 2.4
GTEX-YJ8O-0826-SM-5CVM3 40-49 years, female 2.2
GTEX-XOT4-1126-SM-4B66E 60-69 years, female 2.0
GTEX-17JCI-0826-SM-7LT8W 60-69 years, female 1.9
GTEX-14ASI-0826-SM-5Q5EB 60-69 years, male 1.5
GTEX-1HBPH-0226-SM-9WYSM 40-49 years, female 1.4
Show allShow less
Heart - Left Ventricle
Average nTPM: 32.3
Samples: 432

Max nTPM: 297.3
Min nTPM: 0.5
Std nTPM: 36.9
Median nTPM: 19.8
GTEX-1JJ6O-2126-SM-CNNP6 60-69 years, male 297.3
GTEX-14C39-0926-SM-5TDDV 40-49 years, male 248.8
GTEX-13JVG-1326-SM-5N9F8 60-69 years, male 224.5
GTEX-12ZZW-1026-SM-5GCMM 50-59 years, male 221.2
GTEX-17HII-1326-SM-7IGOB 50-59 years, male 196.5
GTEX-1HCVE-1126-SM-9WPPG 50-59 years, male 194.7
GTEX-13N1W-1026-SM-5IJC5 70-79 years, male 158.8
GTEX-1JMQK-0626-SM-D4P2R 60-69 years, male 147.5
GTEX-1C6VQ-1126-SM-7EWET 50-59 years, male 144.0
GTEX-145MO-1126-SM-5NQBX 60-69 years, male 142.7
GTEX-X261-1426-SM-4PQZ1 50-59 years, male 139.5
GTEX-14C5O-1326-SM-5S2UW 60-69 years, male 135.7
GTEX-1ICLZ-1026-SM-A9SLF 60-69 years, male 134.3
GTEX-ZAJG-0826-SM-5PNVA 50-59 years, female 130.4
GTEX-11EMC-0726-SM-5EGJO 60-69 years, female 128.9
GTEX-1A3MW-1326-SM-7189P 60-69 years, female 128.6
GTEX-1H1CY-0326-SM-9QEIZ 60-69 years, female 125.1
GTEX-1LG7Y-1226-SM-CXZKD 50-59 years, male 115.5
GTEX-1JJE9-1426-SM-ARL8P 70-79 years, male 106.6
GTEX-13X6I-1426-SM-5SI9Z 60-69 years, male 98.8
GTEX-1GMRU-1526-SM-9WYT5 50-59 years, male 94.8
GTEX-1C64O-0826-SM-79OKZ 60-69 years, male 94.3
GTEX-XPT6-0126-SM-4B65S 20-29 years, male 94.0
GTEX-X8HC-1626-SM-46MWE 50-59 years, female 93.9
GTEX-17F9Y-1326-SM-7MGW9 70-79 years, female 93.6
GTEX-1H23P-1226-SM-9QEJ2 60-69 years, male 91.4
GTEX-1LH75-0426-SM-E9TJF 50-59 years, female 86.5
GTEX-1JMLX-1626-SM-ARZMV 50-59 years, male 85.3
GTEX-1F75I-1126-SM-9WYUO 40-49 years, male 84.8
GTEX-1HBPM-1226-SM-A9SM8 60-69 years, female 84.2
GTEX-1JMPZ-1426-SM-CJI3C 30-39 years, male 80.8
GTEX-1PWST-1026-SM-DTXF2 70-79 years, male 79.9
GTEX-ZDTT-0726-SM-4WKFK 60-69 years, male 77.2
GTEX-1A3MX-1326-SM-72D58 60-69 years, male 77.0
GTEX-OXRO-2026-SM-2YUMZ 60-69 years, female 75.9
GTEX-147JS-1526-SM-5ZZWF 60-69 years, male 75.5
GTEX-1S3DN-0726-SM-E9TIO 50-59 years, male 73.3
GTEX-NPJ8-0426-SM-2HMK6 40-49 years, male 73.0
GTEX-15RJE-0626-SM-7KUKR 40-49 years, male 72.9
GTEX-ZPCL-0426-SM-DNZZ4 60-69 years, female 72.3
GTEX-1LSNM-0526-SM-DIPG6 50-59 years, male 72.2
GTEX-11I78-0826-SM-5A5K4 50-59 years, female 71.5
GTEX-15DDE-1126-SM-6LLHN 50-59 years, female 70.7
GTEX-WY7C-0526-SM-3NB3D 50-59 years, male 70.7
GTEX-SIU8-0826-SM-2XCDQ 50-59 years, male 70.4
GTEX-1HC8U-0726-SM-ACKXL 40-49 years, female 69.3
GTEX-ZV7C-0326-SM-57WB1 50-59 years, male 69.0
GTEX-1497J-1226-SM-5Q5BL 60-69 years, male 68.2
GTEX-1EH9U-0826-SM-7IGPT 60-69 years, male 67.7
GTEX-13OW5-1126-SM-5J1NR 60-69 years, male 67.2
GTEX-1JN1M-1026-SM-CNPOS 60-69 years, female 66.2
GTEX-WI4N-0626-SM-3TW8Z 40-49 years, female 65.9
GTEX-13O1R-1226-SM-5J1NU 60-69 years, male 65.8
GTEX-17HHY-1426-SM-7EWDQ 50-59 years, male 64.4
GTEX-13O3P-1626-SM-5K7X3 50-59 years, male 64.0
GTEX-15SHU-1126-SM-7KUMB 40-49 years, female 64.0
GTEX-1JMOU-0226-SM-CNNPD 60-69 years, female 62.6
GTEX-13FHP-1026-SM-5K7Y2 50-59 years, male 62.2
GTEX-1H3NZ-1126-SM-9WYT9 60-69 years, male 61.6
GTEX-1CB4I-1626-SM-7RHGV 50-59 years, male 61.0
GTEX-RTLS-0826-SM-2TF5Q 60-69 years, female 60.7
GTEX-17MF6-0726-SM-7LT8E 40-49 years, male 59.6
GTEX-145MN-0626-SM-5QGRH 30-39 years, male 58.9
GTEX-14C38-1426-SM-5RQHZ 50-59 years, male 58.7
GTEX-13RTJ-0726-SM-5QGQN 60-69 years, male 57.6
GTEX-17GQL-0526-SM-72D5N 60-69 years, male 57.3
GTEX-1HSMO-1226-SM-CL548 60-69 years, male 56.3
GTEX-13OW6-1126-SM-5L3HL 50-59 years, male 54.7
GTEX-13X6K-1826-SM-5O9CR 60-69 years, female 54.6
GTEX-QEL4-0926-SM-3GAD1 50-59 years, male 54.1
GTEX-ZZPU-0926-SM-5GZYT 50-59 years, female 53.5
GTEX-14H4A-0626-SM-5ZZUT 40-49 years, female 53.3
GTEX-PLZ5-0626-SM-2I5F8 50-59 years, male 52.8
GTEX-12WSK-0626-SM-5LZUJ 40-49 years, female 52.6
GTEX-1CB4J-0326-SM-7PBZO 60-69 years, male 51.3
GTEX-11ONC-0126-SM-5PNW6 60-69 years, male 51.2
GTEX-1M5QR-1026-SM-DHXK9 40-49 years, male 51.1
GTEX-1211K-0626-SM-5FQUZ 60-69 years, female 50.4
GTEX-ZAB4-1026-SM-5HL7T 40-49 years, male 50.4
GTEX-ZYFG-0426-SM-5E43M 60-69 years, female 50.1
GTEX-1IDJU-0726-SM-CNPQ9 60-69 years, female 49.8
GTEX-1GN2E-1326-SM-9KNVG 60-69 years, male 48.3
GTEX-1HSMQ-0226-SM-C1YQL 50-59 years, male 48.2
GTEX-XGQ4-0326-SM-4GIEE 50-59 years, male 48.0
GTEX-1R9JW-0526-SM-EWRNK 30-39 years, female 47.3
GTEX-15CHC-0426-SM-6LLHI 60-69 years, female 46.4
GTEX-14E6C-0426-SM-5YYA8 40-49 years, male 46.3
GTEX-16MT8-0926-SM-6M487 60-69 years, female 46.0
GTEX-13QBU-0426-SM-5J2O4 40-49 years, female 45.9
GTEX-131XG-0626-SM-5GCMP 50-59 years, female 45.2
GTEX-SE5C-0626-SM-2XCDV 40-49 years, female 45.0
GTEX-1J8Q3-1226-SM-CKZPT 60-69 years, male 44.5
GTEX-147F4-1226-SM-5NQAY 50-59 years, male 44.3
GTEX-13W3W-0426-SM-5SI9D 60-69 years, female 43.9
GTEX-1HCU7-1326-SM-CNPPW 50-59 years, male 43.7
GTEX-1B8SG-0826-SM-7EWF7 50-59 years, male 43.6
GTEX-1B97J-0726-SM-7RHG3 50-59 years, female 43.6
GTEX-1LGOU-0726-SM-E9TIY 20-29 years, female 43.5
GTEX-1ICG6-0626-SM-ACKWS 70-79 years, female 43.3
GTEX-1269C-0826-SM-5N9EM 60-69 years, female 43.1
GTEX-1HFI7-0826-SM-A9G23 50-59 years, female 43.0
GTEX-1IKJJ-0826-SM-A96SP 60-69 years, male 42.9
GTEX-WWYW-1326-SM-3NB2S 50-59 years, female 42.8
GTEX-131XH-0226-SM-5LZVB 50-59 years, male 42.3
GTEX-1122O-0826-SM-5GICV 60-69 years, female 41.8
GTEX-UJMC-0526-SM-3GAE3 50-59 years, male 41.5
GTEX-1J8QM-0426-SM-AHZ3X 60-69 years, female 41.4
GTEX-13OW8-2126-SM-5J1OS 60-69 years, male 41.2
GTEX-11EM3-0626-SM-5H12Z 20-29 years, female 40.4
GTEX-131XE-0626-SM-5HL98 50-59 years, male 40.0
GTEX-14PHY-0226-SM-5ZZWM 60-69 years, female 39.9
GTEX-NFK9-0926-SM-2HMJU 40-49 years, male 39.0
GTEX-18D9B-1226-SM-72D6V 60-69 years, male 38.8
GTEX-PWCY-0526-SM-5P9HG 20-29 years, female 38.6
GTEX-1339X-0426-SM-5KLZY 40-49 years, male 38.4
GTEX-11DXX-0326-SM-5PNWC 60-69 years, female 38.3
GTEX-146FR-0626-SM-5RQJ1 60-69 years, female 38.3
GTEX-14BIN-2226-SM-5YYA1 50-59 years, female 38.0
GTEX-1399T-0426-SM-5PNVJ 60-69 years, male 37.3
GTEX-1O9I2-1126-SM-DTXEA 50-59 years, male 36.9
GTEX-11TT1-1326-SM-5PNYM 20-29 years, male 36.6
GTEX-1I1GP-0826-SM-A96SD 50-59 years, male 36.5
GTEX-ZPIC-0826-SM-4WWFJ 40-49 years, female 36.4
GTEX-1EX96-2526-SM-7RHGW 50-59 years, male 36.3
GTEX-N7MT-1326-SM-2I3FV 60-69 years, female 36.0
GTEX-145LV-0326-SM-5Q5BW 50-59 years, male 35.6
GTEX-13PVQ-1226-SM-5IJDC 50-59 years, male 35.5
GTEX-1F5PK-0326-SM-9KNUD 50-59 years, male 35.1
GTEX-WFG7-0726-SM-3GIKO 20-29 years, male 34.7
GTEX-1L5NE-0426-SM-E9TIX 50-59 years, male 34.7
GTEX-R45C-0926-SM-3GAD4 60-69 years, female 34.6
GTEX-ZVZP-0226-SM-5NQ73 50-59 years, male 34.6
GTEX-1QCLZ-0926-SM-E6CQZ 60-69 years, female 34.6
GTEX-13D11-1726-SM-5IFGQ 50-59 years, female 34.5
GTEX-16BQI-0926-SM-6M485 30-39 years, female 34.5
GTEX-ZF3C-1226-SM-4WWCB 50-59 years, female 34.4
GTEX-1J8Q2-1226-SM-A9G2W 60-69 years, male 34.3
GTEX-ZTPG-1226-SM-4YCDO 20-29 years, female 34.2
GTEX-13OVG-0526-SM-5K7YD 60-69 years, male 33.9
GTEX-17HGU-1026-SM-79OKL 50-59 years, male 33.8
GTEX-QEG5-0926-SM-2TC64 20-29 years, male 33.8
GTEX-1LVAN-1726-SM-CNNR1 50-59 years, female 33.8
GTEX-1AX9K-0526-SM-73KV1 50-59 years, male 33.7
GTEX-11DXY-0826-SM-5EGGR 60-69 years, male 33.2
GTEX-18A6Q-1626-SM-7KFTA 60-69 years, male 32.9
GTEX-1399U-0526-SM-5K7YM 50-59 years, female 32.8
GTEX-1JK1U-0526-SM-CYPSQ 60-69 years, male 32.7
GTEX-1R7EV-0326-SM-E76PA 40-49 years, male 32.7
GTEX-1CAMS-1326-SM-79OJR 40-49 years, female 32.5
GTEX-1LGRB-1126-SM-CNPP2 50-59 years, female 32.5
GTEX-14A5I-1226-SM-5NQBW 50-59 years, female 32.0
GTEX-1RAZS-0826-SM-E76QP 50-59 years, male 31.8
GTEX-11LCK-0926-SM-5A5KA 30-39 years, male 30.7
GTEX-YEC3-0726-SM-CMKFH 50-59 years, male 30.5
GTEX-132QS-0426-SM-5KLZ6 60-69 years, male 30.2
GTEX-14PHX-2126-SM-6EU2U 50-59 years, male 30.2
GTEX-13FTW-1026-SM-5L3E3 40-49 years, male 30.1
GTEX-ZYW4-0926-SM-59HJS 60-69 years, male 30.1
GTEX-1GN1V-0826-SM-9KNU6 60-69 years, male 29.8
GTEX-13NYB-0226-SM-5N9G4 40-49 years, male 29.3
GTEX-1EWIQ-1426-SM-7IGOS 70-79 years, female 29.2
GTEX-1QP2A-1126-SM-EVR3H 50-59 years, male 28.8
GTEX-1399S-1026-SM-5KLZ9 30-39 years, female 28.6
GTEX-1OKEX-0726-SM-DPRYE 60-69 years, male 28.3
GTEX-13FH7-0926-SM-5J2MR 50-59 years, female 28.1
GTEX-1KANC-0426-SM-CXZK5 50-59 years, female 28.1
GTEX-13CF3-0726-SM-5J2MY 60-69 years, female 27.3
GTEX-O5YW-0326-SM-2I5EI 50-59 years, male 27.2
GTEX-1IKK5-1526-SM-CKZPW 60-69 years, male 27.2
GTEX-RU72-0326-SM-2TF5T 50-59 years, female 27.1
GTEX-117YX-1126-SM-5H128 50-59 years, male 27.0
GTEX-RN64-0826-SM-2TC62 50-59 years, male 27.0
GTEX-P44G-0826-SM-2I5ES 30-39 years, male 26.9
GTEX-1HSGN-1126-SM-CJI4G 40-49 years, female 26.6
GTEX-13SLX-1026-SM-5ZZUQ 50-59 years, female 26.2
GTEX-WFG8-0626-SM-3GILJ 20-29 years, male 25.9
GTEX-11ZVC-0426-SM-5CVLD 50-59 years, female 25.8
GTEX-13VXT-1126-SM-5LU3A 20-29 years, female 25.7
GTEX-14BIL-1126-SM-79OMC 50-59 years, male 25.7
GTEX-ZUA1-0826-SM-4YCDL 40-49 years, male 25.7
GTEX-1R9PO-0326-SM-DTXA1 60-69 years, female 25.6
GTEX-P44H-0726-SM-48TBT 40-49 years, male 25.5
GTEX-1KD4Q-0726-SM-DIPGE 40-49 years, male 25.4
GTEX-1GMR2-1426-SM-7RHHK 50-59 years, male 25.3
GTEX-WHPG-0826-SM-3NMBF 50-59 years, male 25.2
GTEX-139YR-0826-SM-5LZXY 50-59 years, male 24.8
GTEX-11TUW-1026-SM-5GU7D 60-69 years, male 24.5
GTEX-1ICLY-1326-SM-CJI47 50-59 years, male 24.4
GTEX-1314G-0126-SM-5LZUL 30-39 years, male 23.8
GTEX-1QPFJ-1026-SM-E6CR6 30-39 years, female 23.7
GTEX-14PJ4-1126-SM-5YY91 60-69 years, male 23.5
GTEX-1PPH7-2026-SM-E9J3N 40-49 years, male 23.1
GTEX-148VJ-1526-SM-5Q5DU 70-79 years, male 23.0
GTEX-1IDJE-0326-SM-CM2TD 50-59 years, female 23.0
GTEX-1O97I-0826-SM-E8VNE 60-69 years, male 23.0
GTEX-YF7O-0426-SM-5P9FS 50-59 years, male 22.7
GTEX-12584-0926-SM-5FQTN 40-49 years, male 22.5
GTEX-1RMOY-0626-SM-E9TIE 50-59 years, male 22.5
GTEX-1GN1W-0326-SM-9JGHF 50-59 years, female 22.3
GTEX-1KXAM-1326-SM-E9TJW 60-69 years, male 22.0
GTEX-OXRL-0326-SM-2I3F2 50-59 years, male 21.8
GTEX-P4PQ-0326-SM-2HMJ8 60-69 years, male 21.8
GTEX-13O61-0526-SM-5J2M1 60-69 years, male 21.7
GTEX-PVOW-0426-SM-5MR5R 40-49 years, male 21.5
GTEX-1MUQO-1226-SM-E9TJK 60-69 years, male 21.5
GTEX-1N2EF-2826-SM-E6CQF 60-69 years, male 21.1
GTEX-1NV8Z-1526-SM-DTX8X 60-69 years, male 21.0
GTEX-1GTWX-1026-SM-7P8QW 60-69 years, male 20.8
GTEX-RUSQ-0526-SM-2TF72 50-59 years, male 20.7
GTEX-1F48J-1026-SM-7P8SO 50-59 years, female 20.5
GTEX-1LC47-1026-SM-D3LAH 60-69 years, male 20.5
GTEX-1R9K4-1326-SM-DTX8G 60-69 years, male 20.5
GTEX-SUCS-0326-SM-32PLL 70-79 years, male 20.4
GTEX-1IDJH-1026-SM-E9TKH 70-79 years, male 20.0
GTEX-132AR-2026-SM-5IJG4 50-59 years, female 19.9
GTEX-1313W-1426-SM-5KLZU 50-59 years, female 19.8
GTEX-ZDYS-0226-SM-5HL4K 50-59 years, male 19.8
GTEX-11GSP-1326-SM-5A5KY 60-69 years, female 19.7
GTEX-14E6D-0926-SM-5S2QV 50-59 years, male 19.6
GTEX-QDVN-0326-SM-2I3FS 50-59 years, male 19.6
GTEX-1EKGG-1126-SM-7MGXB 60-69 years, male 19.4
GTEX-OXRK-0826-SM-2HMK7 50-59 years, female 19.2
GTEX-WEY5-0426-SM-3GIKT 40-49 years, female 19.2
GTEX-13YAN-1326-SM-5Q5F1 60-69 years, male 18.8
GTEX-1MCC2-0326-SM-EV7AK 30-39 years, female 18.7
GTEX-111YS-0426-SM-5987O 60-69 years, male 18.5
GTEX-13PVR-1026-SM-5QGQW 60-69 years, female 18.4
GTEX-WQUQ-1426-SM-3MJFD 60-69 years, male 18.4
GTEX-1F6IF-2526-SM-7P8TV 60-69 years, male 18.4
GTEX-15CHQ-1526-SM-69LPW 60-69 years, male 18.3
GTEX-XQ8I-0126-SM-4BOPL 50-59 years, male 18.2
GTEX-UJHI-0426-SM-3DB8Y 50-59 years, female 18.1
GTEX-Y3I4-0626-SM-4TT7A 50-59 years, male 18.1
GTEX-1IKOE-1026-SM-ARZMF 30-39 years, female 17.7
GTEX-13O3O-1526-SM-5KM1C 60-69 years, female 17.6
GTEX-1IL2U-1326-SM-A9G2O 60-69 years, male 17.5
GTEX-N7MS-0826-SM-2HML4 60-69 years, male 17.4
GTEX-OHPK-0326-SM-2HMJO 50-59 years, female 17.4
GTEX-148VI-0326-SM-5RQK7 60-69 years, female 17.2
GTEX-WH7G-0426-SM-3NMBJ 40-49 years, male 17.2
GTEX-1JN6P-1126-SM-CKZON 60-69 years, male 17.2
GTEX-13O21-2326-SM-5MR3X 50-59 years, male 17.1
GTEX-YEC4-0326-SM-4W216 40-49 years, male 17.0
GTEX-13NZB-0226-SM-5KM1T 30-39 years, male 16.6
GTEX-13X6H-0426-SM-5LU4E 50-59 years, female 16.6
GTEX-1CB4E-0526-SM-7MXTK 60-69 years, male 16.6
GTEX-1IDJI-1026-SM-A96TE 50-59 years, female 16.6
GTEX-1PPGY-1126-SM-E76OU 60-69 years, male 16.2
GTEX-P4PP-0326-SM-33HC4 30-39 years, female 16.0
GTEX-R53T-0926-SM-3GADH 50-59 years, female 16.0
GTEX-QV44-0526-SM-2S1RE 50-59 years, male 15.7
GTEX-SNMC-0126-SM-2XCFO 20-29 years, male 15.7
GTEX-13N11-0426-SM-5KM3O 50-59 years, female 15.6
GTEX-Y114-0226-SM-4TT8W 50-59 years, female 15.4
GTEX-1212Z-0626-SM-5FQTB 60-69 years, male 15.2
GTEX-1GL5R-0326-SM-9WYTJ 50-59 years, male 15.2
GTEX-12ZZZ-1726-SM-59HK5 60-69 years, male 15.0
GTEX-QMRM-0526-SM-2I5GA 50-59 years, male 14.9
GTEX-ZF29-0226-SM-4WKHO 60-69 years, female 14.9
GTEX-UPK5-0326-SM-CYPR4 40-49 years, male 14.9
GTEX-14XAO-1126-SM-6EU11 60-69 years, female 14.7
GTEX-QDVJ-0426-SM-2I5FW 50-59 years, male 14.6
GTEX-1HCUA-0526-SM-A9SMH 50-59 years, female 14.6
GTEX-14PJM-1126-SM-6LLHK 50-59 years, female 14.5
GTEX-WHWD-0426-SM-3LK83 50-59 years, male 14.5
GTEX-OHPM-0326-SM-33HCA 50-59 years, male 14.4
GTEX-12696-1126-SM-5FQTI 60-69 years, male 14.3
GTEX-13112-0426-SM-5PNVC 50-59 years, male 14.3
GTEX-ZGAY-0326-SM-57WF5 40-49 years, female 14.3
GTEX-1F6I4-0726-SM-7PC2P 60-69 years, male 14.3
GTEX-1KD5A-1026-SM-CY8I8 50-59 years, male 14.2
GTEX-1EN7A-0726-SM-7PBXT 40-49 years, male 14.1
GTEX-1RB15-0326-SM-E6CQB 60-69 years, male 14.0
GTEX-1LVA9-0926-SM-EVR5G 50-59 years, male 13.9
GTEX-1MJIX-0326-SM-EVR42 40-49 years, male 13.9
GTEX-12WSC-1126-SM-5EQ4G 50-59 years, male 13.8
GTEX-14E1K-1026-SM-73KUR 50-59 years, male 13.8
GTEX-QVJO-1926-SM-2S1QZ 60-69 years, female 13.8
GTEX-S32W-0626-SM-2XCBG 50-59 years, female 13.8
GTEX-1H11D-1226-SM-9WPQ2 40-49 years, male 13.7
GTEX-PSDG-0926-SM-2I5FP 50-59 years, male 13.5
GTEX-ZPU1-0626-SM-4YCDM 40-49 years, male 13.5
GTEX-ZVT2-1026-SM-5GU55 50-59 years, female 13.5
GTEX-1B996-1126-SM-73KWN 60-69 years, male 13.4
GTEX-WHSE-0926-SM-3NMBS 20-29 years, male 13.2
GTEX-12WSN-5001-SM-7DHMK 40-49 years, male 13.1
GTEX-ZYT6-1726-SM-5E44P 30-39 years, male 13.1
GTEX-1QP29-1526-SM-EXUSY 50-59 years, male 13.1
GTEX-1I1GV-1326-SM-A96SE 60-69 years, male 13.0
GTEX-ZAB5-0226-SM-5CVMH 50-59 years, male 12.9
GTEX-XBED-0526-SM-47JY3 60-69 years, male 12.8
GTEX-1EMGI-1226-SM-793DD 60-69 years, male 12.7
GTEX-REY6-1026-SM-2TF4Y 60-69 years, male 12.7
GTEX-XV7Q-0826-SM-4BRV7 40-49 years, female 12.6
GTEX-1HCU6-1026-SM-A9G25 60-69 years, female 12.6
GTEX-1LB8K-1026-SM-DHXJJ 50-59 years, male 12.4
GTEX-131XF-5001-SM-7DHLY 60-69 years, male 12.3
GTEX-146FH-1026-SM-5RQIF 50-59 years, female 12.2
GTEX-1C2JI-0526-SM-7EWEQ 50-59 years, male 12.1
GTEX-XPVG-0826-SM-4B654 50-59 years, male 12.1
GTEX-1GF9U-0426-SM-7RHHA 40-49 years, female 12.1
GTEX-O5YT-0326-SM-32PKA 20-29 years, male 11.9
GTEX-Y3IK-0826-SM-51MT8 50-59 years, female 11.9
GTEX-1H1ZS-1126-SM-9MQLJ 70-79 years, male 11.9
GTEX-117YW-0326-SM-5N9CY 50-59 years, male 11.8
GTEX-13FTZ-0226-SM-5K7X6 60-69 years, male 11.8
GTEX-Y5V5-0626-SM-4VBPX 60-69 years, female 11.8
GTEX-18465-0926-SM-731AY 50-59 years, male 11.7
GTEX-ZYFC-1126-SM-5E44W 50-59 years, male 11.7
GTEX-15CHR-0226-SM-7PC2Z 50-59 years, male 11.4
GTEX-1OFPY-1026-SM-EXUSO 60-69 years, male 11.4
GTEX-16XZY-0426-SM-793BI 70-79 years, male 11.3
GTEX-17JCI-1126-SM-7IGMM 60-69 years, female 11.1
GTEX-1BAJH-1626-SM-73KUV 70-79 years, male 11.1
GTEX-P4QS-0326-SM-2I3EU 60-69 years, male 11.1
GTEX-1I1HK-0726-SM-B2LY4 60-69 years, male 11.1
GTEX-OIZI-0926-SM-E6CHF 40-49 years, male 11.1
GTEX-1E1VI-1326-SM-7IGQD 50-59 years, male 10.9
GTEX-YB5K-0126-SM-5IFJ2 40-49 years, female 10.8
GTEX-1JJEA-0826-SM-CL53T 60-69 years, male 10.8
GTEX-1AX9I-1126-SM-7EPHH 60-69 years, male 10.6
GTEX-12BJ1-0226-SM-5LUA2 60-69 years, male 10.5
GTEX-14E7W-1226-SM-5RQIU 70-79 years, male 10.5
GTEX-P78B-0426-SM-2I5F5 40-49 years, female 10.4
GTEX-WFON-0326-SM-3GIKX 40-49 years, male 10.4
GTEX-ZF2S-1026-SM-9QEGK 50-59 years, female 10.4
GTEX-OIZF-0326-SM-3MJGY 60-69 years, male 10.3
GTEX-12WSD-1126-SM-5EGJD 60-69 years, female 10.2
GTEX-U3ZH-0326-SM-3DB7A 30-39 years, male 10.2
GTEX-18D9U-1126-SM-72D5Y 40-49 years, male 10.0
GTEX-16NPX-0926-SM-7KUEZ 50-59 years, male 9.9
GTEX-1CB4G-0826-SM-7DUGF 60-69 years, male 9.9
GTEX-1IDJF-0726-SM-CJI1U 20-29 years, male 9.9
GTEX-1R9K5-1326-SM-E6CPR 50-59 years, male 9.8
GTEX-14PJ2-1026-SM-6EU1M 50-59 years, male 9.7
GTEX-1HT8W-1726-SM-CNNQB 30-39 years, male 9.6
GTEX-12ZZY-1126-SM-5DUWQ 60-69 years, male 9.5
GTEX-QLQ7-0526-SM-2I5G3 60-69 years, male 9.0
GTEX-U4B1-0326-SM-3DB8K 40-49 years, male 9.0
GTEX-16YQH-0926-SM-793BC 30-39 years, male 8.9
GTEX-18A66-1226-SM-7LT8G 60-69 years, male 8.9
GTEX-T2IS-0426-SM-32QPE 20-29 years, female 8.8
GTEX-14PN3-0526-SM-69LQF 60-69 years, female 8.3
GTEX-1B8KE-0126-SM-793AM 50-59 years, male 8.3
GTEX-OHPL-0326-SM-33HC8 60-69 years, female 8.3
GTEX-15EOM-5007-SM-793DG 20-29 years, female 8.2
GTEX-15SHW-1226-SM-6M46C 60-69 years, male 8.2
GTEX-X3Y1-0426-SM-3P5Z4 40-49 years, male 8.2
GTEX-ZDTS-1326-SM-6LLHE 60-69 years, male 8.2
GTEX-15RIE-1726-SM-7KUMU 60-69 years, male 8.2
GTEX-X15G-0426-SM-4PQZ6 50-59 years, female 8.1
GTEX-1AX8Z-5007-SM-AHZ36 60-69 years, male 8.1
GTEX-WL46-0926-SM-3LK7T 50-59 years, male 8.0
GTEX-S33H-0526-SM-COH1W 30-39 years, male 7.9
GTEX-OIZG-1126-SM-2HMIU 50-59 years, male 7.8
GTEX-WRHU-1226-SM-4E3IJ 50-59 years, female 7.8
GTEX-OIZH-0326-SM-2HMKC 50-59 years, male 7.7
GTEX-T6MN-0926-SM-32PLX 50-59 years, male 7.7
GTEX-11ZUS-0226-SM-5FQT8 30-39 years, male 7.6
GTEX-14PJ6-0726-SM-69LOL 60-69 years, female 7.5
GTEX-O5YV-0326-SM-2I5H2 60-69 years, female 7.3
GTEX-RNOR-0826-SM-2TF5C 50-59 years, female 7.3
GTEX-1K9T9-1126-SM-D3L9E 50-59 years, female 7.3
GTEX-111FC-0826-SM-5GZWO 60-69 years, male 7.2
GTEX-11GS4-0526-SM-5A5KQ 60-69 years, male 7.2
GTEX-1399R-1926-SM-5K7X8 30-39 years, male 7.2
GTEX-14DAQ-1126-SM-664MT 60-69 years, female 7.2
GTEX-1GF9V-1626-SM-7PBXL 60-69 years, male 7.1
GTEX-ZEX8-0426-SM-DO92Y 50-59 years, male 7.1
GTEX-1I6K7-0626-SM-ARL7Q 40-49 years, male 7.0
GTEX-R55C-0326-SM-3GAF1 40-49 years, male 6.9
GTEX-1I1GQ-1426-SM-B2LWY 50-59 years, male 6.9
GTEX-1EU9M-1826-SM-7DUGU 60-69 years, male 6.8
GTEX-RWS6-0326-SM-2XCAP 60-69 years, female 6.8
GTEX-Y8E4-0326-SM-4VBRR 40-49 years, male 6.8
GTEX-15RJ7-0226-SM-7KUMN 40-49 years, male 6.7
GTEX-OOBJ-0326-SM-33HBO 60-69 years, male 6.6
GTEX-15DYW-1126-SM-6LPK5 60-69 years, female 6.5
GTEX-PX3G-0326-SM-2I3EO 20-29 years, female 6.5
GTEX-1J8EW-0926-SM-A9G33 60-69 years, female 6.3
GTEX-11O72-1126-SM-5N9E2 40-49 years, male 6.2
GTEX-QEG4-0426-SM-33HC3 30-39 years, male 6.2
GTEX-14JIY-1126-SM-6EU28 60-69 years, male 6.1
GTEX-WYJK-1026-SM-3NM8W 50-59 years, male 6.1
GTEX-QESD-0526-SM-2I5G5 20-29 years, male 6.0
GTEX-R55G-0526-SM-2TC5O 40-49 years, female 6.0
GTEX-V955-0726-SM-3GAFG 60-69 years, male 6.0
GTEX-132NY-1726-SM-5EGKK 60-69 years, male 5.9
GTEX-14JG1-1026-SM-6ETZY 40-49 years, male 5.9
GTEX-17F9E-0926-SM-7IGMG 50-59 years, male 5.8
GTEX-RWSA-0626-SM-2XCBD 40-49 years, male 5.8
GTEX-15ER7-1726-SM-6PAMX 20-29 years, female 5.7
GTEX-1RQEC-0926-SM-EWROG 60-69 years, male 5.0
GTEX-13FLV-0926-SM-5L3DZ 50-59 years, male 4.9
GTEX-1B8L1-0526-SM-79ONX 60-69 years, male 4.9
GTEX-Q2AH-0526-SM-2I3ED 40-49 years, male 4.9
GTEX-1AYCT-0426-SM-73KVZ 50-59 years, male 4.7
GTEX-V1D1-0526-SM-4JBGW 50-59 years, male 4.7
GTEX-YFC4-0526-SM-5ZZVI 40-49 years, female 4.7
GTEX-1GZ4I-1026-SM-9KNV5 50-59 years, male 4.7
GTEX-12WSG-0526-SM-5FQTH 50-59 years, female 4.6
GTEX-13CF2-0426-SM-5KM1H 60-69 years, male 4.6
GTEX-1GMR3-0326-SM-7P8QT 40-49 years, male 4.6
GTEX-ZLFU-0226-SM-4WWFH 40-49 years, male 4.5
GTEX-XXEK-0926-SM-4BRWH 50-59 years, male 4.3
GTEX-Y5V6-0826-SM-4VBRU 60-69 years, male 4.3
GTEX-14A6H-0226-SM-5Q5DX 30-39 years, male 4.2
GTEX-U3ZN-1426-SM-3DB87 30-39 years, female 4.2
GTEX-WK11-0826-SM-EZ6LH 50-59 years, male 4.0
GTEX-1AX9J-1026-SM-72D6E 60-69 years, male 3.6
GTEX-XQ3S-0626-SM-4BOOB 20-29 years, male 3.4
GTEX-17KNJ-0826-SM-793A4 50-59 years, male 3.2
GTEX-XBEC-1326-SM-4AT69 50-59 years, male 3.1
GTEX-ZG7Y-0926-SM-5EQ6O 50-59 years, male 3.1
GTEX-WZTO-1326-SM-3NM8X 40-49 years, male 3.0
GTEX-YJ8O-0926-SM-EAZ2Z 40-49 years, female 3.0
GTEX-18A67-1226-SM-7KFRS 50-59 years, male 2.8
GTEX-ZDXO-0726-SM-57WBT 60-69 years, male 2.8
GTEX-1A8G6-1626-SM-7MGWO 60-69 years, male 2.8
GTEX-1POEN-0626-SM-EVR4B 30-39 years, female 2.8
GTEX-14PK6-0826-SM-5ZZVO 70-79 years, female 2.7
GTEX-1B932-1026-SM-793CL 40-49 years, female 2.7
GTEX-U8XE-1126-SM-3DB8W 30-39 years, male 2.6
GTEX-11DXZ-0626-SM-5GU77 50-59 years, male 2.5
GTEX-ZQUD-1526-SM-7IGO2 30-39 years, male 2.5
GTEX-1GN73-2426-SM-7RHFQ 60-69 years, male 2.5
GTEX-POMQ-0326-SM-2I5FO 20-29 years, female 2.3
GTEX-13OVL-0526-SM-5KLZQ 50-59 years, male 2.1
GTEX-13U4I-0826-SM-5SIBD 40-49 years, female 1.8
GTEX-R55E-1026-SM-2TC5S 20-29 years, male 1.2
GTEX-13S86-0226-SM-5S2PJ 40-49 years, male 0.7
GTEX-1HBPH-0126-SM-CNNQ7 40-49 years, female 0.5
Show allShow less

HEART MUSCLE - FANTOM5 CAGEi

RNA expression in human tissues obtained through Cap Analysis of Gene Expression (CAGE) generated by the FANTOM5 project are reported as Scaled Tags Per Million.

Max subtype Scaled Tags Per Millioni

Max subtype Scaled Tags Per Million is the value for the subtype with the largest average Scaled Tags Per Million across the subtype samples.

192.5
FANTOM5 sample id Sample description Scaled Tags Per Million
Heart
Scaled Tags Per Million: 74.3
FF:10016-101C7 70,73,74 years, mixed 74.3
Left atrium
Scaled Tags Per Million: 43.3
FF:10079-102A7 40 years, male 43.3
Left ventricle
Scaled Tags Per Million: 192.5
FF:10078-102A6 73 years, female 192.5

Contact

  • NEWS ARTICLES
  • PRESS ROOM

The Project

  • INTRODUCTION
  • ORGANIZATION
  • PUBLICATIONS

The Human Protein Atlas

  • DOWNLOADABLE DATA
  • LICENCE & CITATION
  • HELP & FAQ
The Human Protein Atlas project is funded
by the Knut & Alice Wallenberg Foundation.


contact@proteinatlas.org