We use cookies to enhance the usability of our website. If you continue, we'll assume that you are happy to receive all cookies. More information. Don't show this again.
ANLN
HPA
RESOURCES
  • TISSUE
  • BRAIN
  • SINGLE CELL
  • SUBCELLULAR
  • CANCER
  • BLOOD
  • CELL LINE
  • STRUCTURE & INTERACTION
ABOUT
  • INTRODUCTION
  • HISTORY
  • ORGANIZATION
  • PUBLICATIONS
  • ANTIBODY SUBMISSION
  • ANTIBODY AVAILABILITY
  • ACKNOWLEDGMENTS
  • CONTACT
NEWS
  • NEWS ARTICLES
  • PRESS ROOM
LEARN
  • DICTIONARY
  • PROTEIN CLASSES
  • PROTEIN EVIDENCE
  • METHODS
  • EDUCATIONAL VIDEOS
DATA
  • DOWNLOADABLE DATA
  • PUBLICATION DATA
  • RELEASE HISTORY
HELP
  • ANTIBODY VALIDATION
  • ASSAYS & ANNOTATION
  • DISCLAIMER
  • HELP & FAQ
  • PRIVACY STATEMENT
  • LICENCE & CITATION
Fields »
Search result

Field
Term
Gene name
Class
Subclass
Class
Keyword
Chromosome
External id
Tissue
Cell type
Expression
Antibody panel
Tissue
Main location
Patient ID
Annotation
Tissue
Category
Tau score
Cluster
Reliability
Brain region
Category
Tau score
Brain region
Category
Tau score
Brain region
Category
Tau score
Cluster
Reliability
Tissue
Cell type
Enrichment
Cell type
Category
Tau score
Cell type
Category
Tau score
Cell type
Category
Tau score
Cell lineage
Category
Tau score
Cluster
Cluster
Location
Searches
Location
Cell line
Class
Type
Phase
Reliability
Cancer
Prognosis
Cancer
Category
Cancer
Category
Tau score
Cluster
Variants
Interacting gene (ensg_id)
Type
Number of interactions
Pathway
Category
Score
Score
Score
Validation
Validation
Validation
Validation
Antibodies
Data type
Column


  • SUMMARY

  • TISSUE

  • BRAIN

  • SINGLE CELL

  • SUBCELL

  • CANCER

  • BLOOD

  • CELL LINE

  • STRUCT & INT

  • ANLN
TISSUE PRIMARY DATA BREAST Show tissue menu
ADIPOSE TISSUE ADRENAL GLAND AMYGDALA APPENDIX BASAL GANGLIA BONE MARROW BREAST BRONCHUS CEREBELLUM CEREBRAL CORTEX CERVIX CHOROID PLEXUS COLON DUODENUM
ENDOMETRIUM EPIDIDYMIS ESOPHAGUS FALLOPIAN TUBE GALLBLADDER HEART MUSCLE HIPPOCAMPAL FORMATION HYPOTHALAMUS KIDNEY LIVER LUNG LYMPH NODE MIDBRAIN NASOPHARYNX
ORAL MUCOSA OVARY PANCREAS PARATHYROID GLAND PITUITARY GLAND PLACENTA PROSTATE RECTUM RETINA SALIVARY GLAND SEMINAL VESICLE SKELETAL MUSCLE SKIN SMALL INTESTINE
SMOOTH MUSCLE SOFT TISSUE SPINAL CORD SPLEEN STOMACH TESTIS THYMUS THYROID GLAND TONGUE TONSIL URINARY BLADDER VAGINA
ANTIBODIES
AND
VALIDATION
Dictionary
Breast
Tissue proteome
Breast
BREAST - Expression summary
Protein expression
Breasti

On the top, protein expression in current human tissue, based on all annotated cell types, is reported with the units not detected (n), low (l), medium (m) and high (h). Underneath, protein expression in each annotated cell type are reported using the same units.

Protein expression data is based on knowledge-based annotation. For genes where more than one antibody has been used, a collective score is set.

If knowledge-based annotation could not be performed for a gene, no data is displayed here. View antibody staining data further down this page.

h
m
l
n
Adipocytes: Not detected
Glandular cells: Medium
Myoepithelial cells: Not detected
RNA expressioni

A summary of mRNA expression data available for current tissue based on several datasets. The mRNA expression levels in human tissues are based on RNA-seq data generated by the Human Protein Atlas (HPA), Genotype-Tissue Expression (GTEx) portal and CAGE data generated by the FANTOM5 consortium. Consensus normalized expression levels for human tissues was created by combining the data from HPA and GTEx datasets.

The mRNA expression levels in pig are based on RNA-seq data generated by the Human Protein Atlas (HPA), and for mouse, HPA data and in situ hybridization generated by the Allen brain atlas are reported.

Scroll down to view mRNA expression data in more detail.
Consensus:1.9 nTPM
HPA:1.9 nTPM
GTEx:0.4 nTPM
FANTOM5:3.0 Scaled Tags Per Million

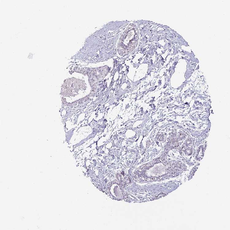
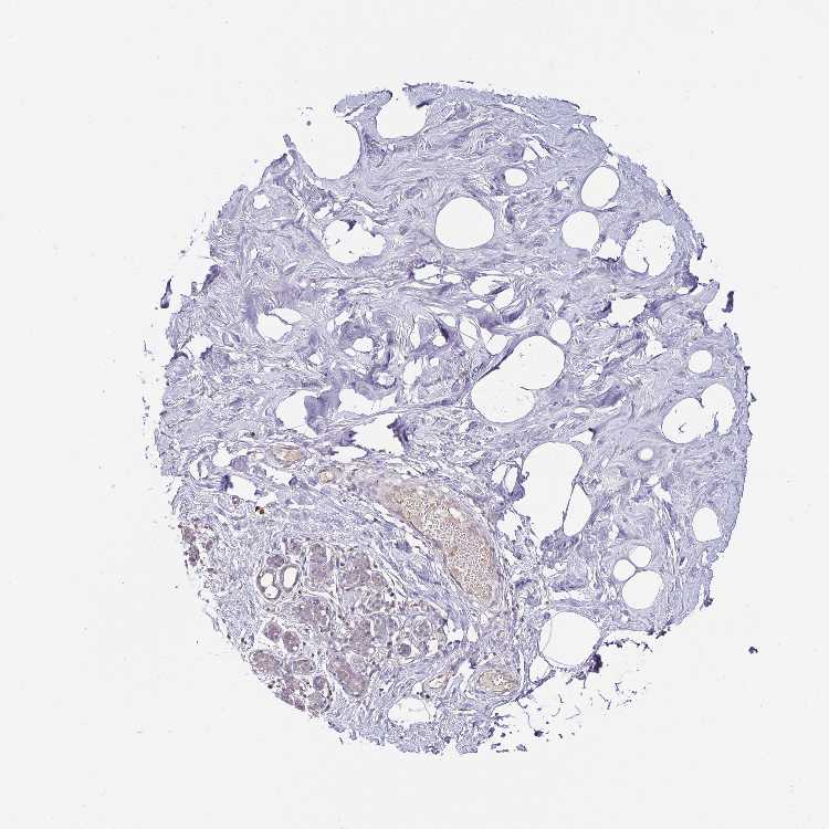
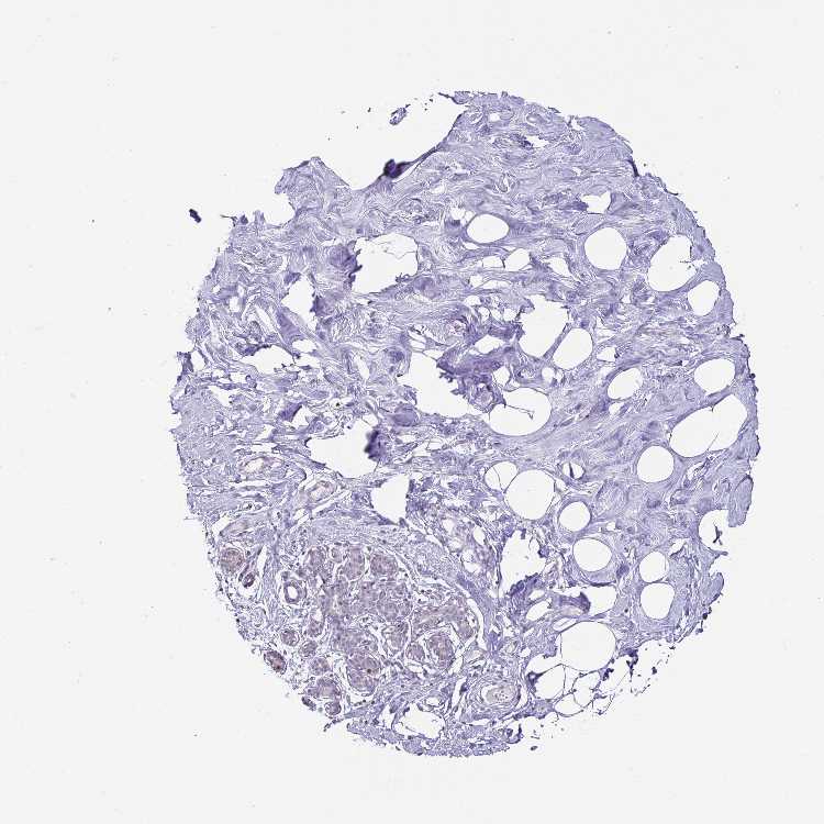
BREAST - Antibody stainingi

Antibody staining in the annotated cell types in the current human tissue is reported as not detected, low, medium, or high, based on conventional immunohistochemistry profiling in selected tissues. This score is based on the combination of the staining intensity and fraction of stained cells.

Each image is clickable and will lead to virtual microscopy that enables deeper exploration of all samples and also displays staining intensity scores, fraction scores and subcellular localization as well as patient and tissue information for each sample.

Antibody HPA005680Antibody HPA050556Antibody CAB033902Antibody CAB062547Antibody CAB068175
Adipocytes Not detectedNot detectedLowNot detectedNot detected
Glandular cells MediumLowNot detectedMediumMedium
Myoepithelial cells Not detectedNot detectedNot detectedNot detectedNot detected










BREAST - HPA RNA-seqi

The RNA-seq details section shows detailed information about the individual samples used for the transcript profiling and results of the RNA-seq analysis.

Information about each individual sample is listed below, including gender, age, a tissue section image and estimated fractions of cell types. nTPM (normalized transcripts per million) values give a quantification of the gene abundance which is comparable between different genes and samples.
Average nTPMi

Max subtype nTPM is the value for the subtype with the largest average nTPM across the subtype samples.

1.9
overview
Female, age 52
Breast sample 373
nTPM: 1.4
Cell types%
Glandular cells:
15

Adipocytes:
5

Other cell types:
80

overview
Female, age 80
Breast sample 390
nTPM: 1.3
Cell types%
Glandular cells:
5

Adipocytes:
15

Other cell types:
80

overview
Female, age 47
Breast sample 405
nTPM: 0.3
Cell types%
Glandular cells:
5

Adipocytes:
5

Other cell types:
90

overview
Female, age 38
Breast sample 410
nTPM: 4.7
Cell types%
Glandular cells:
40

Adipocytes:
5

Other cell types:
55


BREAST - GTEx RNA-seqi

RNA-Seq data generated by the Genotype-Tissue Expression (GTEx) project from human tissues is reported as mean nTPM. More information can be found on the GTEx portal.

Distribution across the dataset is visualized with box plots, shown as median and 25th and 75th percentiles. Points are displayed as outliers if they are above or below 1.5 times the interquartile range. nTPM values of the individual samples are presented next to the box plot.
Max subtype nTPMi

Max subtype nTPM is the value for the subtype with the largest average nTPM across the subtype samples.

0.4
GTEx sample id Sample description nTPM
Breast - Mammary Tissue
Average nTPM: 0.4
Samples: 459

Max nTPM: 8.1
Min nTPM: 0.0
Std nTPM: 0.6
Median nTPM: 0.3
GTEX-13QJ3-0826-SM-7DHKK 50-59 years, male 8.1
GTEX-1LG7Z-0726-SM-CXKYD 30-39 years, male 6.3
GTEX-11EQ9-1826-SM-5Q5AJ 30-39 years, male 6.0
GTEX-1GZ2Q-2626-SM-7MXV9 40-49 years, male 3.7
GTEX-Y3I4-1526-SM-4TT7K 50-59 years, male 2.9
GTEX-11ZTT-2326-SM-5EQLG 60-69 years, female 2.2
GTEX-13FTW-1426-SM-5LZWZ 40-49 years, male 2.0
GTEX-14A5I-0726-SM-5TDEB 50-59 years, female 1.8
GTEX-1C6VQ-0426-SM-79OOX 50-59 years, male 1.8
GTEX-1LSVX-2426-SM-E6CJX 60-69 years, male 1.8
GTEX-1POEN-0926-SM-DTX88 30-39 years, female 1.8
GTEX-18A7B-2626-SM-7LG55 70-79 years, male 1.7
GTEX-T5JW-2026-SM-4DM63 20-29 years, female 1.7
GTEX-ZTPG-2826-SM-57WGA 20-29 years, female 1.7
GTEX-WFON-1826-SM-3GILG 40-49 years, male 1.6
GTEX-QMRM-1626-SM-D4P1U 50-59 years, male 1.6
GTEX-183FY-1126-SM-7DHLJ 20-29 years, male 1.5
GTEX-1AX8Z-0926-SM-731AW 60-69 years, male 1.5
GTEX-1JKYN-0726-SM-ARZMY 30-39 years, male 1.5
GTEX-ZQG8-0726-SM-5P9H9 60-69 years, female 1.4
GTEX-1HR9M-2426-SM-ACKXI 60-69 years, male 1.4
GTEX-V955-2026-SM-3GAFA 60-69 years, male 1.3
GTEX-WY7C-2726-SM-3NB3P 50-59 years, male 1.3
GTEX-WYBS-0926-SM-3NM94 60-69 years, female 1.2
GTEX-1HC8U-0826-SM-ADEIL 40-49 years, female 1.2
GTEX-1IGQW-0926-SM-ADEH6 60-69 years, male 1.2
GTEX-145LT-0726-SM-5S2VM 40-49 years, male 1.1
GTEX-Y114-2026-SM-4TT7L 50-59 years, female 1.1
GTEX-13QIC-2326-SM-5LU5N 60-69 years, female 1.0
GTEX-17F96-2426-SM-7IGLN 70-79 years, male 1.0
GTEX-18D9A-1526-SM-7LG4J 30-39 years, female 1.0
GTEX-1R7EV-1526-SM-E8VOD 40-49 years, male 1.0
GTEX-11P81-1926-SM-5BC53 30-39 years, female 0.9
GTEX-13FHO-0826-SM-5L3E8 60-69 years, male 0.9
GTEX-VJWN-0726-SM-3GIJ8 50-59 years, female 0.9
GTEX-1HBPN-2326-SM-9WPPU 50-59 years, male 0.9
GTEX-11DXZ-1926-SM-5GZZL 50-59 years, male 0.8
GTEX-11GSO-1926-SM-5A5K3 60-69 years, male 0.8
GTEX-17HG3-0126-SM-7IGNH 30-39 years, female 0.8
GTEX-17KNJ-2026-SM-7LG53 50-59 years, male 0.8
GTEX-TKQ2-1826-SM-33HB2 50-59 years, male 0.8
GTEX-TML8-1226-SM-32QON 40-49 years, female 0.8
GTEX-YB5E-1726-SM-5IFJ3 40-49 years, male 0.8
GTEX-1HCU8-0126-SM-ADEHH 60-69 years, female 0.8
GTEX-1HFI7-0126-SM-CGQFQ 50-59 years, female 0.8
GTEX-WFG8-2026-SM-EXOHO 20-29 years, male 0.8
GTEX-117XS-1926-SM-5GICO 60-69 years, male 0.7
GTEX-139T8-0826-SM-5L3DE 60-69 years, male 0.7
GTEX-15UF7-0726-SM-6M46D 40-49 years, male 0.7
GTEX-QVJO-1826-SM-447C9 60-69 years, female 0.7
GTEX-SE5C-2126-SM-4BRUJ 40-49 years, female 0.7
GTEX-U412-1826-SM-4DXTJ 60-69 years, male 0.7
GTEX-U8XE-0826-SM-4E3J1 30-39 years, male 0.7
GTEX-UJHI-1426-SM-3DB9C 50-59 years, female 0.7
GTEX-11GSP-0926-SM-9WYSG 60-69 years, female 0.7
GTEX-17F9E-2526-SM-7MGW2 50-59 years, male 0.7
GTEX-1I1GV-2426-SM-CGQFM 60-69 years, male 0.7
GTEX-1KD5A-1926-SM-DKPQA 50-59 years, male 0.7
GTEX-WHSB-1926-SM-EXOHH 50-59 years, male 0.7
GTEX-11P7K-0726-SM-5EGKX 30-39 years, male 0.6
GTEX-12WSK-2226-SM-5GCO5 40-49 years, female 0.6
GTEX-131YS-0626-SM-5EGKL 60-69 years, female 0.6
GTEX-14B4R-1226-SM-5TDDT 30-39 years, male 0.6
GTEX-14E7W-0826-SM-62LEJ 70-79 years, male 0.6
GTEX-15FZZ-0726-SM-7KUFZ 30-39 years, female 0.6
GTEX-1AX9J-1126-SM-731B7 60-69 years, male 0.6
GTEX-T2YK-2226-SM-32QPT 50-59 years, male 0.6
GTEX-T6MN-0726-SM-32PML 50-59 years, male 0.6
GTEX-X261-0626-SM-3NMD9 50-59 years, male 0.6
GTEX-Y8E4-1626-SM-5S2MW 40-49 years, male 0.6
GTEX-1GPI7-0926-SM-7PC3J 20-29 years, male 0.6
GTEX-1H4P4-2226-SM-9MQKQ 50-59 years, male 0.6
GTEX-1IDJH-2226-SM-E6CJV 70-79 years, male 0.6
GTEX-1J8EW-2626-SM-CL53E 60-69 years, female 0.6
GTEX-1QEPI-0926-SM-DTXF3 60-69 years, female 0.6
GTEX-ZLV1-1426-SM-DO92Z 60-69 years, female 0.6
GTEX-11DXW-0626-SM-5N9ER 40-49 years, male 0.5
GTEX-11ONC-2126-SM-5HL6E 60-69 years, male 0.5
GTEX-1269C-2426-SM-5FQSN 60-69 years, female 0.5
GTEX-131XW-0726-SM-5EGK3 50-59 years, female 0.5
GTEX-133LE-1726-SM-5K7VQ 20-29 years, female 0.5
GTEX-139TU-0626-SM-5KM3X 60-69 years, male 0.5
GTEX-13PVR-2226-SM-7DHKP 60-69 years, female 0.5
GTEX-144GL-2026-SM-5LU3O 50-59 years, male 0.5
GTEX-144GM-0926-SM-5O994 20-29 years, male 0.5
GTEX-147F4-2826-SM-5NQBN 50-59 years, male 0.5
GTEX-14BMU-1626-SM-5TDE7 20-29 years, female 0.5
GTEX-15ETS-0626-SM-7KUMX 40-49 years, female 0.5
GTEX-15RJE-2626-SM-7KFT1 40-49 years, male 0.5
GTEX-18A7A-0726-SM-7LTAI 50-59 years, female 0.5
GTEX-1BAJH-0826-SM-7EWEF 70-79 years, male 0.5
GTEX-TMMY-0726-SM-33HBE 40-49 years, female 0.5
GTEX-WOFL-0826-SM-3MJG1 60-69 years, male 0.5
GTEX-Y5V6-2126-SM-4WWFX 60-69 years, male 0.5
GTEX-YJ8O-2226-SM-5IFHW 40-49 years, female 0.5
GTEX-ZYW4-0826-SM-5GIDG 60-69 years, male 0.5
GTEX-1F75B-0626-SM-7SB8A 50-59 years, male 0.5
GTEX-1GF9V-2526-SM-7SB8K 60-69 years, male 0.5
GTEX-1GN2E-2226-SM-9WG6J 60-69 years, male 0.5
GTEX-1GZHY-0726-SM-9WG6B 50-59 years, female 0.5
GTEX-1H3VY-0926-SM-ACKXE 50-59 years, male 0.5
GTEX-1I4MK-1626-SM-CM2TJ 50-59 years, female 0.5
GTEX-1IDJE-0826-SM-CKZNZ 50-59 years, female 0.5
GTEX-1IY9M-2726-SM-CMKG5 60-69 years, male 0.5
GTEX-1J8QM-2026-SM-ARZMW 60-69 years, female 0.5
GTEX-1LSNL-2826-SM-E9U5L 50-59 years, male 0.5
GTEX-1S82U-1126-SM-E9U6I 30-39 years, female 0.5
GTEX-ZDTT-2126-SM-DKPOM 60-69 years, male 0.5
GTEX-11GS4-2126-SM-5A5KR 60-69 years, male 0.4
GTEX-11PRG-0826-SM-5EQ6A 50-59 years, male 0.4
GTEX-11WQC-1726-SM-5GU4W 60-69 years, male 0.4
GTEX-11ZUS-0826-SM-5FQUY 30-39 years, male 0.4
GTEX-12WSN-1326-SM-5GCNT 40-49 years, male 0.4
GTEX-1314G-1226-SM-5BC6D 30-39 years, male 0.4
GTEX-13N11-1726-SM-5J1OJ 50-59 years, female 0.4
GTEX-13NZ9-1026-SM-5MR5K 50-59 years, male 0.4
GTEX-13O3P-0826-SM-5L3DH 50-59 years, male 0.4
GTEX-13VXU-2826-SM-664MA 50-59 years, male 0.4
GTEX-13W46-0826-SM-5LU3H 50-59 years, male 0.4
GTEX-14E6C-1326-SM-62LEQ 40-49 years, male 0.4
GTEX-17EUY-1926-SM-7DUF6 20-29 years, male 0.4
GTEX-17F98-0526-SM-79OK5 40-49 years, female 0.4
GTEX-17GQL-0326-SM-7LG5U 60-69 years, male 0.4
GTEX-17HGU-1326-SM-79OKB 50-59 years, male 0.4
GTEX-1B8SG-1226-SM-7IGPF 50-59 years, male 0.4
GTEX-1CB4G-2326-SM-79OOI 60-69 years, male 0.4
GTEX-1EKGG-2626-SM-7IGPY 60-69 years, male 0.4
GTEX-QEL4-2126-SM-447AE 50-59 years, male 0.4
GTEX-REY6-2426-SM-48FF5 60-69 years, male 0.4
GTEX-RWS6-1926-SM-47JXY 60-69 years, female 0.4
GTEX-S33H-0326-SM-4AD6N 30-39 years, male 0.4
GTEX-S4P3-1326-SM-4AD6V 50-59 years, female 0.4
GTEX-Y5LM-1726-SM-4VDSX 40-49 years, female 0.4
GTEX-Y5V5-2126-SM-4WWFO 60-69 years, female 0.4
GTEX-Y8LW-1626-SM-5IFHX 50-59 years, female 0.4
GTEX-ZVZQ-0826-SM-51MRF 60-69 years, female 0.4
GTEX-1F6I4-2526-SM-7SB8F 60-69 years, male 0.4
GTEX-1F75A-1826-SM-7SB8G 50-59 years, male 0.4
GTEX-1GMR2-1926-SM-9MQLZ 50-59 years, male 0.4
GTEX-1HSKV-2026-SM-CMKGX 60-69 years, male 0.4
GTEX-1I1GU-1026-SM-ADEHJ 40-49 years, male 0.4
GTEX-1I6K6-0826-SM-ARL7Z 30-39 years, male 0.4
GTEX-1I6K7-1026-SM-A9SLK 40-49 years, male 0.4
GTEX-1IDJF-2326-SM-ARL86 20-29 years, male 0.4
GTEX-1IDJU-1826-SM-CMKHV 60-69 years, female 0.4
GTEX-1IE54-0626-SM-ARL8D 40-49 years, female 0.4
GTEX-1IKOH-2326-SM-CM2TW 60-69 years, female 0.4
GTEX-1IOXB-1926-SM-ARL8E 50-59 years, male 0.4
GTEX-1J8Q3-1326-SM-CMKI1 60-69 years, male 0.4
GTEX-1JJE9-2326-SM-ARL8Q 70-79 years, male 0.4
GTEX-1LBAC-0926-SM-CXKY9 20-29 years, male 0.4
GTEX-1LSNM-1326-SM-E9TJ1 50-59 years, male 0.4
GTEX-1MCYP-0126-SM-E6CIS 20-29 years, female 0.4
GTEX-1QCLY-1626-SM-DTXDW 30-39 years, male 0.4
GTEX-1QCLZ-2326-SM-DTXDO 60-69 years, female 0.4
GTEX-1R46S-2526-SM-E8VN2 60-69 years, female 0.4
GTEX-1R9PM-1826-SM-EVYBH 20-29 years, male 0.4
GTEX-1RAZQ-1226-SM-EWRNL 30-39 years, male 0.4
GTEX-1RAZS-1226-SM-E8VMT 50-59 years, male 0.4
GTEX-1S82Z-0726-SM-E6CHX 30-39 years, female 0.4
GTEX-ZGAY-1726-SM-DO91P 40-49 years, female 0.4
GTEX-117YX-1426-SM-5H12H 50-59 years, male 0.3
GTEX-11NV4-2026-SM-5N9DG 60-69 years, male 0.3
GTEX-1211K-1926-SM-5EQLB 60-69 years, female 0.3
GTEX-12WSM-1726-SM-5BC6J 60-69 years, male 0.3
GTEX-13O3O-0826-SM-5K7WE 60-69 years, female 0.3
GTEX-13O3Q-2226-SM-5KM4O 50-59 years, male 0.3
GTEX-13OW8-0226-SM-5K7UP 60-69 years, male 0.3
GTEX-14AS3-1626-SM-5S2OY 40-49 years, female 0.3
GTEX-14E6E-1326-SM-5S2NR 30-39 years, male 0.3
GTEX-14ICK-2426-SM-6EU27 40-49 years, male 0.3
GTEX-14PKU-0426-SM-6EU1P 40-49 years, female 0.3
GTEX-15ER7-1626-SM-6PAMZ 20-29 years, female 0.3
GTEX-15SHW-1326-SM-6PAL8 60-69 years, male 0.3
GTEX-16YQH-2826-SM-6PAMY 30-39 years, male 0.3
GTEX-17EVP-0226-SM-79OND 40-49 years, male 0.3
GTEX-17HHY-0926-SM-793C1 50-59 years, male 0.3
GTEX-17JCI-0726-SM-7EPH1 60-69 years, female 0.3
GTEX-18QFQ-0826-SM-718AX 30-39 years, male 0.3
GTEX-1A3MV-1626-SM-731C1 30-39 years, male 0.3
GTEX-1AX9I-0726-SM-73KWV 60-69 years, male 0.3
GTEX-1B933-2526-SM-7IGO5 50-59 years, female 0.3
GTEX-1CB4E-0226-SM-79OLW 60-69 years, male 0.3
GTEX-Q2AG-0326-SM-48U1O 40-49 years, female 0.3
GTEX-R53T-1526-SM-48FEK 50-59 years, female 0.3
GTEX-R55D-0826-SM-48FEA 50-59 years, male 0.3
GTEX-RUSQ-2026-SM-4GIAK 50-59 years, male 0.3
GTEX-T5JC-2126-SM-32PMO 20-29 years, male 0.3
GTEX-VUSG-2226-SM-4KKZO 50-59 years, male 0.3
GTEX-WYJK-1326-SM-3NB2T 50-59 years, male 0.3
GTEX-X4XY-0926-SM-4E3JD 60-69 years, male 0.3
GTEX-XQ8I-2426-SM-4WAXY 50-59 years, male 0.3
GTEX-XUW1-2326-SM-4BOO5 50-59 years, female 0.3
GTEX-Y3IK-2326-SM-4WWDT 50-59 years, female 0.3
GTEX-YFC4-1426-SM-5IFJG 40-49 years, female 0.3
GTEX-ZC5H-2626-SM-5J2MG 40-49 years, female 0.3
GTEX-ZT9W-2026-SM-51MRA 50-59 years, male 0.3
GTEX-ZTTD-1026-SM-51MRD 50-59 years, male 0.3
GTEX-ZTX8-1226-SM-4YCE9 20-29 years, male 0.3
GTEX-ZV6S-1826-SM-5NQ8D 40-49 years, female 0.3
GTEX-ZVE2-1226-SM-5NQ8R 50-59 years, male 0.3
GTEX-ZVT2-1826-SM-5NQ8W 50-59 years, female 0.3
GTEX-ZZPU-0626-SM-5E43T 50-59 years, female 0.3
GTEX-13113-5013-SM-7SB7G 60-69 years, female 0.3
GTEX-1C6WA-2426-SM-7SB86 60-69 years, male 0.3
GTEX-1EN7A-1426-SM-7PBY4 40-49 years, male 0.3
GTEX-1F5PL-1026-SM-7RHI1 40-49 years, female 0.3
GTEX-1GMR3-2626-SM-7RHHG 40-49 years, male 0.3
GTEX-1GMR8-0726-SM-9KNVI 50-59 years, female 0.3
GTEX-1GZ4I-2826-SM-9MQK5 50-59 years, male 0.3
GTEX-1H11D-1526-SM-9MQJY 40-49 years, male 0.3
GTEX-1H1CY-2226-SM-9WG7E 60-69 years, female 0.3
GTEX-1H1ZS-0126-SM-9YFKQ 70-79 years, male 0.3
GTEX-1H23P-0726-SM-9WG7K 60-69 years, male 0.3
GTEX-1HBPM-0126-SM-ARL9E 60-69 years, female 0.3
GTEX-1HCU7-1026-SM-ADEIP 50-59 years, male 0.3
GTEX-1JKYR-0926-SM-CMKGJ 20-29 years, male 0.3
GTEX-1JN1M-3026-SM-CMKGK 60-69 years, female 0.3
GTEX-1KD4Q-2326-SM-D4P3M 40-49 years, male 0.3
GTEX-1KXAM-1026-SM-CY8IA 60-69 years, male 0.3
GTEX-1LGRB-1826-SM-CNPQL 50-59 years, female 0.3
GTEX-1M5QR-2526-SM-E9U5P 40-49 years, male 0.3
GTEX-1N2EE-2126-SM-E8VNN 60-69 years, male 0.3
GTEX-1OKEX-0826-SM-E9J2B 60-69 years, male 0.3
GTEX-1P4AB-1826-SM-E76PU 50-59 years, male 0.3
GTEX-1PPGY-1526-SM-EVYBK 60-69 years, male 0.3
GTEX-1PPH7-0826-SM-E8VNX 40-49 years, male 0.3
GTEX-1QMI2-0726-SM-E9J4F 60-69 years, male 0.3
GTEX-1QPFJ-2026-SM-EVYBE 30-39 years, female 0.3
GTEX-1R7EU-1226-SM-E8VMR 60-69 years, male 0.3
GTEX-Z9EW-1526-SM-EZ6LU 40-49 years, male 0.3
GTEX-ZAK1-1326-SM-EVYAS 50-59 years, female 0.3
GTEX-1117F-2826-SM-5GZXL 60-69 years, female 0.2
GTEX-1122O-1226-SM-5H113 60-69 years, female 0.2
GTEX-1192X-2326-SM-5987X 50-59 years, male 0.2
GTEX-11EI6-0626-SM-5985T 60-69 years, male 0.2
GTEX-11EM3-1326-SM-5N9C6 20-29 years, female 0.2
GTEX-11I78-2226-SM-5PNYA 50-59 years, female 0.2
GTEX-11WQK-2426-SM-5GU5C 50-59 years, male 0.2
GTEX-12BJ1-1826-SM-5HL9N 60-69 years, male 0.2
GTEX-12KS4-0126-SM-5Q5A5 30-39 years, male 0.2
GTEX-1313W-0826-SM-5EQ4T 50-59 years, female 0.2
GTEX-132AR-0826-SM-5EGK6 50-59 years, female 0.2
GTEX-132NY-0826-SM-5K7Y7 60-69 years, male 0.2
GTEX-132Q8-1426-SM-5EGK7 60-69 years, male 0.2
GTEX-1399U-1826-SM-5PNZ1 50-59 years, female 0.2
GTEX-139T6-1626-SM-5PNYZ 50-59 years, male 0.2
GTEX-13CF3-2126-SM-5IFJP 60-69 years, female 0.2
GTEX-13FTX-1126-SM-5N9EN 20-29 years, female 0.2
GTEX-13FTY-2226-SM-5J1ND 40-49 years, female 0.2
GTEX-13NZ8-0126-SM-5IJCT 60-69 years, female 0.2
GTEX-13OW5-2226-SM-5L3HC 60-69 years, male 0.2
GTEX-13PL6-2926-SM-5L3I2 40-49 years, female 0.2
GTEX-13S86-1226-SM-5S2OA 40-49 years, male 0.2
GTEX-145ME-1526-SM-5Q5F2 40-49 years, female 0.2
GTEX-145MO-0826-SM-5NQBL 60-69 years, male 0.2
GTEX-146FH-0826-SM-5SI8T 50-59 years, female 0.2
GTEX-14ABY-2126-SM-5QGQZ 50-59 years, male 0.2
GTEX-14DAR-1326-SM-7DUEG 50-59 years, male 0.2
GTEX-14LLW-0626-SM-62LFC 70-79 years, female 0.2
GTEX-14PHY-1926-SM-5YY95 60-69 years, female 0.2
GTEX-14PN4-0626-SM-62LFP 50-59 years, male 0.2
GTEX-15EOM-5019-SM-793DK 20-29 years, female 0.2
GTEX-15G19-2126-SM-6M48J 60-69 years, male 0.2
GTEX-15UF6-0126-SM-6PAMB 70-79 years, female 0.2
GTEX-16BQI-1026-SM-7KUEA 30-39 years, female 0.2
GTEX-16NGA-0826-SM-718AF 40-49 years, female 0.2
GTEX-17MFQ-0926-SM-7LG4S 20-29 years, male 0.2
GTEX-18465-2026-SM-718AP 50-59 years, male 0.2
GTEX-1A3MX-2726-SM-718B6 60-69 years, male 0.2
GTEX-1B8KZ-1526-SM-7DUG7 50-59 years, male 0.2
GTEX-1B932-0826-SM-73KXG 40-49 years, female 0.2
GTEX-1B97I-0426-SM-79OL7 40-49 years, male 0.2
GTEX-1CAMR-1426-SM-793BO 20-29 years, male 0.2
GTEX-1CB4J-1826-SM-7EWF9 60-69 years, male 0.2
GTEX-1E2YA-2726-SM-7IGPW 50-59 years, male 0.2
GTEX-1EU9M-2826-SM-7EWFH 60-69 years, male 0.2
GTEX-QDT8-0626-SM-48TYW 30-39 years, female 0.2
GTEX-R3RS-0626-SM-48FE1 40-49 years, female 0.2
GTEX-RU1J-0626-SM-4WAWY 20-29 years, female 0.2
GTEX-S7SE-0826-SM-4AT4D 50-59 years, male 0.2
GTEX-T2IS-1526-SM-32QPR 20-29 years, female 0.2
GTEX-T6MO-0326-SM-32QOK 40-49 years, female 0.2
GTEX-U3ZH-1426-SM-4DXSR 30-39 years, male 0.2
GTEX-WI4N-1426-SM-3LK7H 40-49 years, female 0.2
GTEX-WRHU-0326-SM-3MJFY 50-59 years, female 0.2
GTEX-WYVS-1726-SM-3NMAY 40-49 years, female 0.2
GTEX-XBED-1626-SM-47JYN 60-69 years, male 0.2
GTEX-XYKS-1326-SM-4BRUN 60-69 years, female 0.2
GTEX-YEC3-1026-SM-5IFI5 50-59 years, male 0.2
GTEX-YFCO-1826-SM-4W1YH 40-49 years, male 0.2
GTEX-ZAJG-0626-SM-5HL8X 50-59 years, female 0.2
GTEX-ZDXO-0126-SM-5S2ND 60-69 years, male 0.2
GTEX-ZEX8-2226-SM-57WC6 50-59 years, male 0.2
GTEX-ZPIC-1126-SM-5BC7F 40-49 years, female 0.2
GTEX-ZQUD-1926-SM-51MSA 30-39 years, male 0.2
GTEX-ZU9S-1926-SM-5NQBP 30-39 years, male 0.2
GTEX-ZUA1-1526-SM-59HLS 40-49 years, male 0.2
GTEX-ZV7C-1826-SM-5NQ83 50-59 years, male 0.2
GTEX-ZVTK-0326-SM-51MRR 20-29 years, male 0.2
GTEX-ZWKS-2826-SM-5NQ74 30-39 years, male 0.2
GTEX-ZY6K-1626-SM-5GZWV 50-59 years, male 0.2
GTEX-ZYFC-0826-SM-5E44K 50-59 years, male 0.2
GTEX-1B8L1-2426-SM-9WYTE 60-69 years, male 0.2
GTEX-1EWIQ-1726-SM-7SB7T 70-79 years, female 0.2
GTEX-1GF9U-1726-SM-7MGY5 40-49 years, female 0.2
GTEX-1GF9X-1026-SM-ACKX2 40-49 years, female 0.2
GTEX-1GMRU-0826-SM-9WYT7 50-59 years, male 0.2
GTEX-1GN1U-0526-SM-9KNTT 50-59 years, female 0.2
GTEX-1GN1W-1926-SM-7P8TH 50-59 years, female 0.2
GTEX-1GZ4H-0326-SM-7P8QX 50-59 years, female 0.2
GTEX-1HCUA-0726-SM-ACKVU 50-59 years, female 0.2
GTEX-1HSEH-2026-SM-ADEHN 60-69 years, male 0.2
GTEX-1HSGN-1526-SM-A9SMO 40-49 years, female 0.2
GTEX-1HSMO-0826-SM-ADEIV 60-69 years, male 0.2
GTEX-1HT8W-2226-SM-CGQEC 30-39 years, male 0.2
GTEX-1I1GP-0426-SM-COH3N 50-59 years, male 0.2
GTEX-1ICLZ-0426-SM-B2LW2 60-69 years, male 0.2
GTEX-1IDFM-0426-SM-B2LVV 60-69 years, male 0.2
GTEX-1IKJJ-2326-SM-COH3U 60-69 years, male 0.2
GTEX-1IKOE-1326-SM-CE6T6 30-39 years, female 0.2
GTEX-1JMLX-2026-SM-CMKGN 50-59 years, male 0.2
GTEX-1JMOU-2026-SM-CMKGU 60-69 years, female 0.2
GTEX-1JMPY-0526-SM-CL54O 30-39 years, male 0.2
GTEX-1K2DA-1726-SM-CGQGS 50-59 years, male 0.2
GTEX-1KANC-1426-SM-CYPT9 50-59 years, female 0.2
GTEX-1L5NE-2126-SM-CY8IH 50-59 years, male 0.2
GTEX-1LC47-1226-SM-D4P44 60-69 years, male 0.2
GTEX-1MA7X-1626-SM-E9U5B 60-69 years, male 0.2
GTEX-1MCC2-2126-SM-EWRON 30-39 years, female 0.2
GTEX-1MJK3-1126-SM-E9J3F 20-29 years, male 0.2
GTEX-1N2EF-2226-SM-E9J33 60-69 years, male 0.2
GTEX-1NHNU-0926-SM-E9J2T 50-59 years, male 0.2
GTEX-1NV8Z-2826-SM-E8VME 60-69 years, male 0.2
GTEX-1QP28-1226-SM-E9J2M 50-59 years, female 0.2
GTEX-1R9PN-0326-SM-DTX85 40-49 years, female 0.2
GTEX-1RLM8-2226-SM-EVYD1 50-59 years, male 0.2
GTEX-QEG5-0726-SM-D4P1T 20-29 years, male 0.2
GTEX-X62O-0526-SM-EWRMA 50-59 years, male 0.2
GTEX-ZF3C-2326-SM-5S2NC 50-59 years, female 0.2
GTEX-111YS-1926-SM-5GICC 60-69 years, male 0.1
GTEX-11DXY-2326-SM-5GICW 60-69 years, male 0.1
GTEX-11DZ1-0326-SM-5N9BN 50-59 years, male 0.1
GTEX-11EMC-2026-SM-5A5JV 60-69 years, female 0.1
GTEX-11LCK-2426-SM-5HL5F 30-39 years, male 0.1
GTEX-11NSD-0926-SM-5N9DR 20-29 years, male 0.1
GTEX-11O72-2126-SM-5N9FO 40-49 years, male 0.1
GTEX-11OF3-1926-SM-59889 60-69 years, male 0.1
GTEX-11P82-1326-SM-5HL62 20-29 years, male 0.1
GTEX-11TT1-2126-SM-5GU5Y 20-29 years, male 0.1
GTEX-11TUW-1826-SM-5BC5D 60-69 years, male 0.1
GTEX-12ZZX-1126-SM-5EGKB 40-49 years, female 0.1
GTEX-13D11-1026-SM-5IJFB 50-59 years, female 0.1
GTEX-13N1W-0626-SM-5MR4U 70-79 years, male 0.1
GTEX-13NZB-2126-SM-5MR4Y 30-39 years, male 0.1
GTEX-13O61-1826-SM-5KM4I 60-69 years, male 0.1
GTEX-13PVQ-1026-SM-5KM3M 50-59 years, male 0.1
GTEX-13SLW-2526-SM-62LDQ 70-79 years, male 0.1
GTEX-145MF-2226-SM-7EPIR 50-59 years, male 0.1
GTEX-145MN-1926-SM-5SIAI 30-39 years, male 0.1
GTEX-14753-2426-SM-5LU8U 60-69 years, male 0.1
GTEX-14BMV-0626-SM-793AU 50-59 years, male 0.1
GTEX-14H4A-2526-SM-5YYAY 40-49 years, female 0.1
GTEX-17EVQ-0426-SM-7LG57 70-79 years, male 0.1
GTEX-17MF6-0326-SM-7EPH5 40-49 years, male 0.1
GTEX-183WM-0726-SM-7LTAA 70-79 years, female 0.1
GTEX-18A6Q-0926-SM-7LG4N 60-69 years, male 0.1
GTEX-1A8G7-2426-SM-731AK 60-69 years, male 0.1
GTEX-1B8KE-1226-SM-73KWK 50-59 years, male 0.1
GTEX-1B97J-0426-SM-79OLQ 50-59 years, female 0.1
GTEX-1C64O-0726-SM-7DUFU 60-69 years, male 0.1
GTEX-1C6VS-0726-SM-7EPHF 60-69 years, male 0.1
GTEX-1CAMS-1426-SM-7IGPM 40-49 years, female 0.1
GTEX-PSDG-1626-SM-48TCQ 50-59 years, male 0.1
GTEX-RU72-0626-SM-46MUI 50-59 years, female 0.1
GTEX-S32W-2026-SM-4AD6E 50-59 years, female 0.1
GTEX-S341-1526-SM-4AD6K 40-49 years, female 0.1
GTEX-S4Q7-1126-SM-4AD6R 20-29 years, male 0.1
GTEX-U3ZN-1926-SM-4DXSG 30-39 years, female 0.1
GTEX-UPK5-2326-SM-3P5Z8 40-49 years, male 0.1
GTEX-UTHO-1026-SM-3GAF7 60-69 years, male 0.1
GTEX-W5X1-2326-SM-3GIL6 40-49 years, female 0.1
GTEX-WXYG-2226-SM-4E3IM 50-59 years, female 0.1
GTEX-X4EP-2926-SM-3P5YQ 60-69 years, female 0.1
GTEX-XMD1-0826-SM-4AT52 60-69 years, male 0.1
GTEX-XMD2-0926-SM-4WWEF 60-69 years, female 0.1
GTEX-XMK1-1126-SM-4IHJ8 40-49 years, male 0.1
GTEX-XOT4-0726-SM-4GIAW 60-69 years, female 0.1
GTEX-XQ3S-1326-SM-4BOPQ 20-29 years, male 0.1
GTEX-XUZC-1626-SM-4BRVP 30-39 years, female 0.1
GTEX-XV7Q-2326-SM-4BRVZ 40-49 years, female 0.1
GTEX-Y111-2026-SM-4SOJA 50-59 years, male 0.1
GTEX-Y9LG-1426-SM-5IFJZ 30-39 years, male 0.1
GTEX-YB5K-1626-SM-5IFIN 40-49 years, female 0.1
GTEX-ZAB4-2526-SM-5HL8M 40-49 years, male 0.1
GTEX-ZDYS-1126-SM-5K7UB 50-59 years, male 0.1
GTEX-ZF29-1926-SM-5S2P1 60-69 years, female 0.1
GTEX-ZF2S-2026-SM-5E461 50-59 years, female 0.1
GTEX-ZVT4-1026-SM-57WC4 50-59 years, female 0.1
GTEX-ZXES-0826-SM-5E43C 30-39 years, female 0.1
GTEX-ZYT6-0126-SM-5E45J 30-39 years, male 0.1
GTEX-ZZ64-1226-SM-5E43R 20-29 years, male 0.1
GTEX-18A66-1726-SM-7LG5N 60-69 years, male 0.1
GTEX-1C475-1226-SM-7SB72 40-49 years, female 0.1
GTEX-1GPI6-0626-SM-7RHHJ 60-69 years, male 0.1
GTEX-1H1DG-0526-SM-9YFLN 70-79 years, male 0.1
GTEX-1H1E6-0926-SM-9YFLT 30-39 years, male 0.1
GTEX-1HCU9-0326-SM-9WYSC 20-29 years, male 0.1
GTEX-1HCVE-2626-SM-ADEJ8 50-59 years, male 0.1
GTEX-1HKZK-1826-SM-ADEJ2 40-49 years, male 0.1
GTEX-1HR98-0426-SM-COH36 60-69 years, male 0.1
GTEX-1HUB1-1626-SM-CM2SL 60-69 years, male 0.1
GTEX-1I19N-2826-SM-CL55D 70-79 years, male 0.1
GTEX-1I1GT-1126-SM-ARL7J 60-69 years, female 0.1
GTEX-1I1HK-2426-SM-ADEHX 60-69 years, male 0.1
GTEX-1ICG6-1326-SM-ACKWR 70-79 years, female 0.1
GTEX-1ICLY-1726-SM-B2LVT 50-59 years, male 0.1
GTEX-1J8Q2-2726-SM-A9G2X 60-69 years, male 0.1
GTEX-1JK1U-1826-SM-ARL8W 60-69 years, male 0.1
GTEX-1JMPZ-1626-SM-COH31 30-39 years, male 0.1
GTEX-1KAFJ-0226-SM-DIPEL 50-59 years, male 0.1
GTEX-1KANA-2026-SM-DIPFB 20-29 years, male 0.1
GTEX-1LNCM-0226-SM-DIPF4 50-59 years, female 0.1
GTEX-1LVAM-0926-SM-E9TJ2 50-59 years, female 0.1
GTEX-1LVAN-1326-SM-CNPQE 50-59 years, female 0.1
GTEX-1M4P7-2626-SM-E9U5F 60-69 years, male 0.1
GTEX-1MA7W-1026-SM-DKPQK 20-29 years, female 0.1
GTEX-1MJK2-2226-SM-EVYCR 50-59 years, male 0.1
GTEX-1N5O9-1126-SM-DTXEQ 60-69 years, male 0.1
GTEX-1NUQO-2226-SM-E9U68 20-29 years, female 0.1
GTEX-1PDJ9-1126-SM-EXUSW 20-29 years, male 0.1
GTEX-1QP29-1726-SM-E8VMQ 50-59 years, male 0.1
GTEX-1R9JW-0326-SM-EAZ45 30-39 years, female 0.1
GTEX-1RQEC-2026-SM-DTXDM 60-69 years, male 0.1
GTEX-ZLFU-2126-SM-DO931 40-49 years, male 0.1
GTEX-ZLWG-1926-SM-DO92J 50-59 years, female 0.1
GTEX-13CF2-2026-SM-5K7VI 60-69 years, male 0.0
GTEX-13SLX-2326-SM-5ZZWE 50-59 years, female 0.0
GTEX-13W3W-1226-SM-5LU4H 60-69 years, female 0.0
GTEX-14PJ4-2126-SM-6ETZJ 60-69 years, male 0.0
GTEX-14PJO-0726-SM-69LO8 60-69 years, male 0.0
GTEX-17F97-2526-SM-7EWDV 50-59 years, male 0.0
GTEX-17HHE-1426-SM-7EPH4 50-59 years, male 0.0
GTEX-1AMEY-1026-SM-718AA 30-39 years, female 0.0
GTEX-S4UY-0726-SM-4AD6X 40-49 years, female 0.0
GTEX-TKQ1-0226-SM-33HB5 30-39 years, male 0.0
GTEX-X15G-1626-SM-3NMB3 50-59 years, female 0.0
GTEX-XGQ4-0926-SM-4AT4U 50-59 years, male 0.0
GTEX-ZA64-1526-SM-5CVMD 20-29 years, male 0.0
GTEX-169BO-1126-SM-7MGWN 50-59 years, male 0.0
GTEX-1F5PK-2126-SM-7PC28 50-59 years, male 0.0
GTEX-1F75I-2026-SM-7SB7N 40-49 years, male 0.0
GTEX-1JJEA-2726-SM-ARL8V 60-69 years, male 0.0
GTEX-1JMQK-2626-SM-COH2W 60-69 years, male 0.0
GTEX-1JN6P-2426-SM-ARL99 60-69 years, male 0.0
GTEX-1K9T9-1426-SM-DIPFQ 50-59 years, female 0.0
GTEX-1QP9N-1826-SM-E8VMP 30-39 years, male 0.0
GTEX-1QW4Y-1026-SM-DTXE2 30-39 years, male 0.0
GTEX-YECK-0726-SM-EZ6LV 60-69 years, male 0.0
Show allShow less

BREAST - FANTOM5 CAGEi

RNA expression in human tissues obtained through Cap Analysis of Gene Expression (CAGE) generated by the FANTOM5 project are reported as Scaled Tags Per Million.

Max subtype Scaled Tags Per Millioni

Max subtype Scaled Tags Per Million is the value for the subtype with the largest average Scaled Tags Per Million across the subtype samples.

3.0
FANTOM5 sample id Sample description Scaled Tags Per Million
Breast
Scaled Tags Per Million: 3.0
FF:10080-102A8 77 years, female 3.0

Contact

  • NEWS ARTICLES
  • PRESS ROOM

The Project

  • INTRODUCTION
  • ORGANIZATION
  • PUBLICATIONS

The Human Protein Atlas

  • DOWNLOADABLE DATA
  • LICENCE & CITATION
  • HELP & FAQ
The Human Protein Atlas project is funded
by the Knut & Alice Wallenberg Foundation.


contact@proteinatlas.org