We use cookies to enhance the usability of our website. If you continue, we'll assume that you are happy to receive all cookies. More information. Don't show this again.
ELOVL5
HPA
RESOURCES
  • TISSUE
  • BRAIN
  • SINGLE CELL
  • SUBCELLULAR
  • CANCER
  • BLOOD
  • CELL LINE
  • STRUCTURE & INTERACTION
ABOUT
  • INTRODUCTION
  • HISTORY
  • ORGANIZATION
  • PUBLICATIONS
  • ANTIBODY SUBMISSION
  • ANTIBODY AVAILABILITY
  • ACKNOWLEDGMENTS
  • CONTACT
NEWS
  • NEWS ARTICLES
  • PRESS ROOM
LEARN
  • DICTIONARY
  • PROTEIN CLASSES
  • PROTEIN EVIDENCE
  • METHODS
  • EDUCATIONAL VIDEOS
DATA
  • DOWNLOADABLE DATA
  • PUBLICATION DATA
  • RELEASE HISTORY
HELP
  • ANTIBODY VALIDATION
  • ASSAYS & ANNOTATION
  • DISCLAIMER
  • HELP & FAQ
  • PRIVACY STATEMENT
  • LICENCE & CITATION
Fields »
Search result

Field
Term
Gene name
Class
Subclass
Class
Keyword
Chromosome
External id
Tissue
Cell type
Expression
Antibody panel
Tissue
Main location
Patient ID
Annotation
Tissue
Category
Tau score
Cluster
Reliability
Brain region
Category
Tau score
Brain region
Category
Tau score
Brain region
Category
Tau score
Cluster
Reliability
Tissue
Cell type
Enrichment
Cell type
Category
Tau score
Cell type
Category
Tau score
Cell type
Category
Tau score
Cell lineage
Category
Tau score
Cluster
Cluster
Location
Searches
Location
Cell line
Class
Type
Phase
Reliability
Cancer
Prognosis
Cancer
Category
Cancer
Category
Tau score
Cluster
Variants
Interacting gene (ensg_id)
Type
Number of interactions
Pathway
Category
Score
Score
Score
Validation
Validation
Validation
Validation
Antibodies
Data type
Column


  • SUMMARY

  • TISSUE

  • BRAIN

  • SINGLE CELL

  • SUBCELL

  • CANCER

  • BLOOD

  • CELL LINE

  • STRUCT & INT

  • ELOVL5
TISSUE PRIMARY DATA BREAST Show tissue menu
ADIPOSE TISSUE ADRENAL GLAND AMYGDALA APPENDIX BASAL GANGLIA BONE MARROW BREAST BRONCHUS CEREBELLUM CEREBRAL CORTEX CERVIX CHOROID PLEXUS COLON DUODENUM
ENDOMETRIUM EPIDIDYMIS ESOPHAGUS FALLOPIAN TUBE GALLBLADDER HEART MUSCLE HIPPOCAMPAL FORMATION HYPOTHALAMUS KIDNEY LIVER LUNG LYMPH NODE MIDBRAIN NASOPHARYNX
ORAL MUCOSA OVARY PANCREAS PARATHYROID GLAND PITUITARY GLAND PLACENTA PROSTATE RECTUM RETINA SALIVARY GLAND SEMINAL VESICLE SKELETAL MUSCLE SKIN SMALL INTESTINE
SMOOTH MUSCLE SOFT TISSUE SPINAL CORD SPLEEN STOMACH TESTIS THYMUS THYROID GLAND TONGUE TONSIL URINARY BLADDER VAGINA
ANTIBODIES
AND
VALIDATION
Dictionary
Breast
Tissue proteome
Breast
BREAST - Expression summary
Protein expression
Breasti

On the top, protein expression in current human tissue, based on all annotated cell types, is reported with the units not detected (n), low (l), medium (m) and high (h). Underneath, protein expression in each annotated cell type are reported using the same units.

Protein expression data is based on knowledge-based annotation. For genes where more than one antibody has been used, a collective score is set.

If knowledge-based annotation could not be performed for a gene, no data is displayed here. View antibody staining data further down this page.

h
m
l
n
Adipocytes: Not detected
Glandular cells: High
Myoepithelial cells: Not detected
RNA expressioni

A summary of mRNA expression data available for current tissue based on several datasets. The mRNA expression levels in human tissues are based on RNA-seq data generated by the Human Protein Atlas (HPA), Genotype-Tissue Expression (GTEx) portal and CAGE data generated by the FANTOM5 consortium. Consensus normalized expression levels for human tissues was created by combining the data from HPA and GTEx datasets.

The mRNA expression levels in pig are based on RNA-seq data generated by the Human Protein Atlas (HPA), and for mouse, HPA data and in situ hybridization generated by the Allen brain atlas are reported.

Scroll down to view mRNA expression data in more detail.
Consensus:193.6 nTPM
HPA:193.6 nTPM
GTEx:133.2 nTPM
FANTOM5:636.5 Scaled Tags Per Million

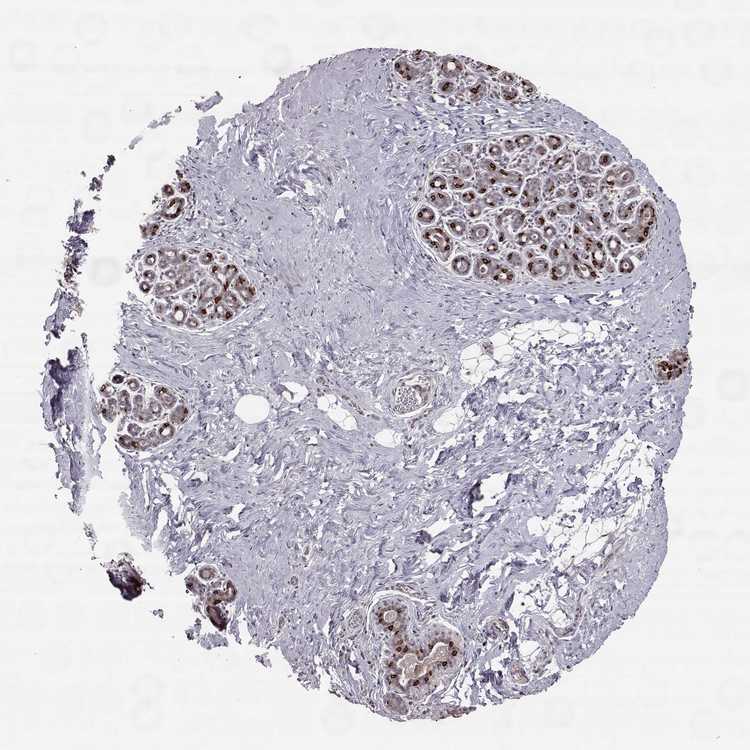
BREAST - Antibody stainingi

Antibody staining in the annotated cell types in the current human tissue is reported as not detected, low, medium, or high, based on conventional immunohistochemistry profiling in selected tissues. This score is based on the combination of the staining intensity and fraction of stained cells.

Each image is clickable and will lead to virtual microscopy that enables deeper exploration of all samples and also displays staining intensity scores, fraction scores and subcellular localization as well as patient and tissue information for each sample.

Antibody HPA047752Antibody CAB017042
Adipocytes Not detectedNot detected
Glandular cells HighHigh
Myoepithelial cells Not detectedNot detected




BREAST - HPA RNA-seqi

The RNA-seq details section shows detailed information about the individual samples used for the transcript profiling and results of the RNA-seq analysis.

Information about each individual sample is listed below, including gender, age, a tissue section image and estimated fractions of cell types. nTPM (normalized transcripts per million) values give a quantification of the gene abundance which is comparable between different genes and samples.
Average nTPMi

Max subtype nTPM is the value for the subtype with the largest average nTPM across the subtype samples.

193.6
overview
Female, age 52
Breast sample 373
nTPM: 105.9
Cell types%
Glandular cells:
15

Adipocytes:
5

Other cell types:
80

overview
Female, age 80
Breast sample 390
nTPM: 148
Cell types%
Glandular cells:
5

Adipocytes:
15

Other cell types:
80

overview
Female, age 47
Breast sample 405
nTPM: 448.6
Cell types%
Glandular cells:
5

Adipocytes:
5

Other cell types:
90

overview
Female, age 38
Breast sample 410
nTPM: 71.8
Cell types%
Glandular cells:
40

Adipocytes:
5

Other cell types:
55


BREAST - GTEx RNA-seqi

RNA-Seq data generated by the Genotype-Tissue Expression (GTEx) project from human tissues is reported as mean nTPM. More information can be found on the GTEx portal.

Distribution across the dataset is visualized with box plots, shown as median and 25th and 75th percentiles. Points are displayed as outliers if they are above or below 1.5 times the interquartile range. nTPM values of the individual samples are presented next to the box plot.
Max subtype nTPMi

Max subtype nTPM is the value for the subtype with the largest average nTPM across the subtype samples.

133.2
GTEx sample id Sample description nTPM
Breast - Mammary Tissue
Average nTPM: 133.2
Samples: 459

Max nTPM: 770.8
Min nTPM: 21.9
Std nTPM: 90.1
Median nTPM: 108.0
GTEX-WY7C-2726-SM-3NB3P 50-59 years, male 770.8
GTEX-1ICG6-1326-SM-ACKWR 70-79 years, female 602.1
GTEX-U8XE-0826-SM-4E3J1 30-39 years, male 580.8
GTEX-11TUW-1826-SM-5BC5D 60-69 years, male 566.1
GTEX-1JMPY-0526-SM-CL54O 30-39 years, male 561.7
GTEX-11ZTT-2326-SM-5EQLG 60-69 years, female 473.4
GTEX-1CAMR-1426-SM-793BO 20-29 years, male 432.5
GTEX-YB5K-1626-SM-5IFIN 40-49 years, female 432.2
GTEX-ZDYS-1126-SM-5K7UB 50-59 years, male 410.5
GTEX-1RAZQ-1226-SM-EWRNL 30-39 years, male 397.5
GTEX-1R7EU-1226-SM-E8VMR 60-69 years, male 362.1
GTEX-144GM-0926-SM-5O994 20-29 years, male 348.7
GTEX-U412-1826-SM-4DXTJ 60-69 years, male 344.6
GTEX-14E6E-1326-SM-5S2NR 30-39 years, male 344.1
GTEX-1J8Q2-2726-SM-A9G2X 60-69 years, male 336.9
GTEX-15EOM-5019-SM-793DK 20-29 years, female 333.1
GTEX-1B8SG-1226-SM-7IGPF 50-59 years, male 312.0
GTEX-1QP9N-1826-SM-E8VMP 30-39 years, male 309.2
GTEX-1F75I-2026-SM-7SB7N 40-49 years, male 301.4
GTEX-14ICK-2426-SM-6EU27 40-49 years, male 300.5
GTEX-1HSEH-2026-SM-ADEHN 60-69 years, male 300.0
GTEX-TKQ1-0226-SM-33HB5 30-39 years, male 294.5
GTEX-ZDXO-0126-SM-5S2ND 60-69 years, male 282.5
GTEX-111YS-1926-SM-5GICC 60-69 years, male 281.7
GTEX-ZU9S-1926-SM-5NQBP 30-39 years, male 276.4
GTEX-1R7EV-1526-SM-E8VOD 40-49 years, male 273.9
GTEX-1LSNM-1326-SM-E9TJ1 50-59 years, male 271.0
GTEX-RUSQ-2026-SM-4GIAK 50-59 years, male 269.8
GTEX-11P82-1326-SM-5HL62 20-29 years, male 265.6
GTEX-1QP29-1726-SM-E8VMQ 50-59 years, male 262.9
GTEX-1JMQK-2626-SM-COH2W 60-69 years, male 261.4
GTEX-ZQG8-0726-SM-5P9H9 60-69 years, female 260.7
GTEX-13PVQ-1026-SM-5KM3M 50-59 years, male 259.6
GTEX-13OW5-2226-SM-5L3HC 60-69 years, male 258.6
GTEX-1B97J-0426-SM-79OLQ 50-59 years, female 255.5
GTEX-16YQH-2826-SM-6PAMY 30-39 years, male 254.9
GTEX-1C6VS-0726-SM-7EPHF 60-69 years, male 253.4
GTEX-13CF3-2126-SM-5IFJP 60-69 years, female 251.7
GTEX-1I1GP-0426-SM-COH3N 50-59 years, male 249.5
GTEX-17EUY-1926-SM-7DUF6 20-29 years, male 246.6
GTEX-SE5C-2126-SM-4BRUJ 40-49 years, female 244.6
GTEX-13N1W-0626-SM-5MR4U 70-79 years, male 242.2
GTEX-T5JW-2026-SM-4DM63 20-29 years, female 240.5
GTEX-1RQEC-2026-SM-DTXDM 60-69 years, male 237.2
GTEX-1IKJJ-2326-SM-COH3U 60-69 years, male 237.0
GTEX-117YX-1426-SM-5H12H 50-59 years, male 234.8
GTEX-147F4-2826-SM-5NQBN 50-59 years, male 234.6
GTEX-1I1GU-1026-SM-ADEHJ 40-49 years, male 233.2
GTEX-1A3MV-1626-SM-731C1 30-39 years, male 232.3
GTEX-T5JC-2126-SM-32PMO 20-29 years, male 230.7
GTEX-1HSKV-2026-SM-CMKGX 60-69 years, male 229.6
GTEX-1N2EF-2226-SM-E9J33 60-69 years, male 229.4
GTEX-1KANA-2026-SM-DIPFB 20-29 years, male 226.9
GTEX-1CB4J-1826-SM-7EWF9 60-69 years, male 220.3
GTEX-145LT-0726-SM-5S2VM 40-49 years, male 219.5
GTEX-X4XY-0926-SM-4E3JD 60-69 years, male 218.6
GTEX-1EU9M-2826-SM-7EWFH 60-69 years, male 218.1
GTEX-1QCLZ-2326-SM-DTXDO 60-69 years, female 217.8
GTEX-17EVP-0226-SM-79OND 40-49 years, male 217.1
GTEX-17GQL-0326-SM-7LG5U 60-69 years, male 215.8
GTEX-ZVT2-1826-SM-5NQ8W 50-59 years, female 215.7
GTEX-145ME-1526-SM-5Q5F2 40-49 years, female 215.1
GTEX-1J8Q3-1326-SM-CMKI1 60-69 years, male 214.9
GTEX-QMRM-1626-SM-D4P1U 50-59 years, male 213.7
GTEX-1QCLY-1626-SM-DTXDW 30-39 years, male 212.4
GTEX-Z9EW-1526-SM-EZ6LU 40-49 years, male 208.2
GTEX-1QP28-1226-SM-E9J2M 50-59 years, female 207.3
GTEX-1RAZS-1226-SM-E8VMT 50-59 years, male 206.8
GTEX-QEG5-0726-SM-D4P1T 20-29 years, male 206.5
GTEX-18D9A-1526-SM-7LG4J 30-39 years, female 205.7
GTEX-1OKEX-0826-SM-E9J2B 60-69 years, male 203.3
GTEX-1B8KE-1226-SM-73KWK 50-59 years, male 200.9
GTEX-1N5O9-1126-SM-DTXEQ 60-69 years, male 200.1
GTEX-ZV7C-1826-SM-5NQ83 50-59 years, male 199.1
GTEX-1PDJ9-1126-SM-EXUSW 20-29 years, male 199.1
GTEX-13FTX-1126-SM-5N9EN 20-29 years, female 197.4
GTEX-13FTW-1426-SM-5LZWZ 40-49 years, male 195.9
GTEX-ZT9W-2026-SM-51MRA 50-59 years, male 195.2
GTEX-Y114-2026-SM-4TT7L 50-59 years, female 193.4
GTEX-145MO-0826-SM-5NQBL 60-69 years, male 193.3
GTEX-ZVTK-0326-SM-51MRR 20-29 years, male 193.2
GTEX-1IDJU-1826-SM-CMKHV 60-69 years, female 192.5
GTEX-11I78-2226-SM-5PNYA 50-59 years, female 192.0
GTEX-WFON-1826-SM-3GILG 40-49 years, male 190.6
GTEX-XQ3S-1326-SM-4BOPQ 20-29 years, male 190.0
GTEX-V955-2026-SM-3GAFA 60-69 years, male 188.3
GTEX-QEL4-2126-SM-447AE 50-59 years, male 188.1
GTEX-VJWN-0726-SM-3GIJ8 50-59 years, female 188.0
GTEX-ZTX8-1226-SM-4YCE9 20-29 years, male 187.9
GTEX-WYJK-1326-SM-3NB2T 50-59 years, male 187.7
GTEX-ZTTD-1026-SM-51MRD 50-59 years, male 186.1
GTEX-1CB4E-0226-SM-79OLW 60-69 years, male 185.4
GTEX-1GMR3-2626-SM-7RHHG 40-49 years, male 185.3
GTEX-ZQUD-1926-SM-51MSA 30-39 years, male 184.6
GTEX-1BAJH-0826-SM-7EWEF 70-79 years, male 183.8
GTEX-1LVAM-0926-SM-E9TJ2 50-59 years, female 181.7
GTEX-1A8G7-2426-SM-731AK 60-69 years, male 181.6
GTEX-14ABY-2126-SM-5QGQZ 50-59 years, male 181.0
GTEX-1GZ4I-2826-SM-9MQK5 50-59 years, male 180.4
GTEX-1L5NE-2126-SM-CY8IH 50-59 years, male 177.1
GTEX-14B4R-1226-SM-5TDDT 30-39 years, male 177.0
GTEX-ZLWG-1926-SM-DO92J 50-59 years, female 175.7
GTEX-14LLW-0626-SM-62LFC 70-79 years, female 175.1
GTEX-ZXES-0826-SM-5E43C 30-39 years, female 175.0
GTEX-132AR-0826-SM-5EGK6 50-59 years, female 174.5
GTEX-1I4MK-1626-SM-CM2TJ 50-59 years, female 173.9
GTEX-1HUB1-1626-SM-CM2SL 60-69 years, male 173.1
GTEX-1F5PK-2126-SM-7PC28 50-59 years, male 172.8
GTEX-1HCVE-2626-SM-ADEJ8 50-59 years, male 172.6
GTEX-18A6Q-0926-SM-7LG4N 60-69 years, male 171.8
GTEX-1JKYN-0726-SM-ARZMY 30-39 years, male 171.3
GTEX-1H1E6-0926-SM-9YFLT 30-39 years, male 171.2
GTEX-REY6-2426-SM-48FF5 60-69 years, male 171.0
GTEX-17HGU-1326-SM-79OKB 50-59 years, male 170.0
GTEX-T6MN-0726-SM-32PML 50-59 years, male 169.4
GTEX-1H11D-1526-SM-9MQJY 40-49 years, male 169.1
GTEX-1HFI7-0126-SM-CGQFQ 50-59 years, female 168.7
GTEX-ZF29-1926-SM-5S2P1 60-69 years, female 168.6
GTEX-11EMC-2026-SM-5A5JV 60-69 years, female 168.4
GTEX-12WSN-1326-SM-5GCNT 40-49 years, male 168.2
GTEX-XYKS-1326-SM-4BRUN 60-69 years, female 167.4
GTEX-1S82U-1126-SM-E9U6I 30-39 years, female 166.8
GTEX-YB5E-1726-SM-5IFJ3 40-49 years, male 166.5
GTEX-YECK-0726-SM-EZ6LV 60-69 years, male 166.3
GTEX-YEC3-1026-SM-5IFI5 50-59 years, male 165.9
GTEX-1HCU9-0326-SM-9WYSC 20-29 years, male 165.9
GTEX-XBED-1626-SM-47JYN 60-69 years, male 165.8
GTEX-1IY9M-2726-SM-CMKG5 60-69 years, male 165.8
GTEX-1C64O-0726-SM-7DUFU 60-69 years, male 165.0
GTEX-1NHNU-0926-SM-E9J2T 50-59 years, male 164.7
GTEX-11P7K-0726-SM-5EGKX 30-39 years, male 163.5
GTEX-1GMR2-1926-SM-9MQLZ 50-59 years, male 163.4
GTEX-1GPI6-0626-SM-7RHHJ 60-69 years, male 162.0
GTEX-14E6C-1326-SM-62LEQ 40-49 years, male 159.2
GTEX-18465-2026-SM-718AP 50-59 years, male 158.7
GTEX-WFG8-2026-SM-EXOHO 20-29 years, male 158.5
GTEX-S32W-2026-SM-4AD6E 50-59 years, female 156.7
GTEX-13CF2-2026-SM-5K7VI 60-69 years, male 156.5
GTEX-11TT1-2126-SM-5GU5Y 20-29 years, male 156.3
GTEX-14A5I-0726-SM-5TDEB 50-59 years, female 156.0
GTEX-1JK1U-1826-SM-ARL8W 60-69 years, male 155.7
GTEX-XGQ4-0926-SM-4AT4U 50-59 years, male 154.5
GTEX-1I1GV-2426-SM-CGQFM 60-69 years, male 152.7
GTEX-13O3O-0826-SM-5K7WE 60-69 years, female 152.4
GTEX-14DAR-1326-SM-7DUEG 50-59 years, male 150.3
GTEX-S4UY-0726-SM-4AD6X 40-49 years, female 147.8
GTEX-1211K-1926-SM-5EQLB 60-69 years, female 146.9
GTEX-1LG7Z-0726-SM-CXKYD 30-39 years, male 146.3
GTEX-1GF9U-1726-SM-7MGY5 40-49 years, female 146.1
GTEX-14BMV-0626-SM-793AU 50-59 years, male 145.0
GTEX-1C6VQ-0426-SM-79OOX 50-59 years, male 144.7
GTEX-13W3W-1226-SM-5LU4H 60-69 years, female 144.2
GTEX-1GN1W-1926-SM-7P8TH 50-59 years, female 143.3
GTEX-1F5PL-1026-SM-7RHI1 40-49 years, female 142.6
GTEX-PSDG-1626-SM-48TCQ 50-59 years, male 141.8
GTEX-1MA7W-1026-SM-DKPQK 20-29 years, female 141.8
GTEX-1S82Z-0726-SM-E6CHX 30-39 years, female 139.8
GTEX-13OW8-0226-SM-5K7UP 60-69 years, male 138.1
GTEX-ZPIC-1126-SM-5BC7F 40-49 years, female 138.1
GTEX-1KAFJ-0226-SM-DIPEL 50-59 years, male 137.7
GTEX-1MJK3-1126-SM-E9J3F 20-29 years, male 137.7
GTEX-1F6I4-2526-SM-7SB8F 60-69 years, male 137.3
GTEX-17F98-0526-SM-79OK5 40-49 years, female 137.0
GTEX-13NZB-2126-SM-5MR4Y 30-39 years, male 136.6
GTEX-14PKU-0426-SM-6EU1P 40-49 years, female 135.6
GTEX-1N2EE-2126-SM-E8VNN 60-69 years, male 135.6
GTEX-1H23P-0726-SM-9WG7K 60-69 years, male 135.5
GTEX-1QPFJ-2026-SM-EVYBE 30-39 years, female 135.0
GTEX-12BJ1-1826-SM-5HL9N 60-69 years, male 134.0
GTEX-1HKZK-1826-SM-ADEJ2 40-49 years, male 132.4
GTEX-11GS4-2126-SM-5A5KR 60-69 years, male 132.3
GTEX-R55D-0826-SM-48FEA 50-59 years, male 132.2
GTEX-11LCK-2426-SM-5HL5F 30-39 years, male 132.1
GTEX-1F75A-1826-SM-7SB8G 50-59 years, male 132.0
GTEX-1MA7X-1626-SM-E9U5B 60-69 years, male 131.6
GTEX-1KANC-1426-SM-CYPT9 50-59 years, female 131.1
GTEX-17HHY-0926-SM-793C1 50-59 years, male 130.8
GTEX-S4Q7-1126-SM-4AD6R 20-29 years, male 130.5
GTEX-14PN4-0626-SM-62LFP 50-59 years, male 130.3
GTEX-139T6-1626-SM-5PNYZ 50-59 years, male 129.8
GTEX-1LSNL-2826-SM-E9U5L 50-59 years, male 128.9
GTEX-18QFQ-0826-SM-718AX 30-39 years, male 128.7
GTEX-1399U-1826-SM-5PNZ1 50-59 years, female 128.3
GTEX-1H1DG-0526-SM-9YFLN 70-79 years, male 127.5
GTEX-1KXAM-1026-SM-CY8IA 60-69 years, male 127.5
GTEX-YJ8O-2226-SM-5IFHW 40-49 years, female 127.0
GTEX-1HR9M-2426-SM-ACKXI 60-69 years, male 125.9
GTEX-1K2DA-1726-SM-CGQGS 50-59 years, male 125.5
GTEX-Y5V6-2126-SM-4WWFX 60-69 years, male 125.1
GTEX-ZZ64-1226-SM-5E43R 20-29 years, male 125.1
GTEX-1I6K7-1026-SM-A9SLK 40-49 years, male 124.8
GTEX-13113-5013-SM-7SB7G 60-69 years, female 124.5
GTEX-1M5QR-2526-SM-E9U5P 40-49 years, male 124.3
GTEX-1RLM8-2226-SM-EVYD1 50-59 years, male 124.3
GTEX-14PJO-0726-SM-69LO8 60-69 years, male 124.0
GTEX-1314G-1226-SM-5BC6D 30-39 years, male 122.6
GTEX-1B97I-0426-SM-79OL7 40-49 years, male 122.6
GTEX-11WQK-2426-SM-5GU5C 50-59 years, male 121.4
GTEX-Y111-2026-SM-4SOJA 50-59 years, male 121.3
GTEX-1HC8U-0826-SM-ADEIL 40-49 years, female 120.9
GTEX-144GL-2026-SM-5LU3O 50-59 years, male 120.5
GTEX-ZV6S-1826-SM-5NQ8D 40-49 years, female 120.3
GTEX-ZDTT-2126-SM-DKPOM 60-69 years, male 119.0
GTEX-1CB4G-2326-SM-79OOI 60-69 years, male 118.9
GTEX-11O72-2126-SM-5N9FO 40-49 years, male 118.2
GTEX-11EQ9-1826-SM-5Q5AJ 30-39 years, male 117.9
GTEX-1GN2E-2226-SM-9WG6J 60-69 years, male 117.8
GTEX-1LVAN-1326-SM-CNPQE 50-59 years, female 117.3
GTEX-139TU-0626-SM-5KM3X 60-69 years, male 116.8
GTEX-XMK1-1126-SM-4IHJ8 40-49 years, male 116.8
GTEX-13PVR-2226-SM-7DHKP 60-69 years, female 116.6
GTEX-14753-2426-SM-5LU8U 60-69 years, male 115.2
GTEX-1I1HK-2426-SM-ADEHX 60-69 years, male 115.2
GTEX-1MJK2-2226-SM-EVYCR 50-59 years, male 114.9
GTEX-ZLFU-2126-SM-DO931 40-49 years, male 114.7
GTEX-1IKOE-1326-SM-CE6T6 30-39 years, female 114.6
GTEX-11ZUS-0826-SM-5FQUY 30-39 years, male 113.6
GTEX-T6MO-0326-SM-32QOK 40-49 years, female 113.3
GTEX-Y3I4-1526-SM-4TT7K 50-59 years, male 113.2
GTEX-1HSGN-1526-SM-A9SMO 40-49 years, female 113.2
GTEX-UTHO-1026-SM-3GAF7 60-69 years, male 112.6
GTEX-15UF7-0726-SM-6M46D 40-49 years, male 112.5
GTEX-1ICLY-1726-SM-B2LVT 50-59 years, male 112.2
GTEX-1F75B-0626-SM-7SB8A 50-59 years, male 112.0
GTEX-S341-1526-SM-4AD6K 40-49 years, female 111.6
GTEX-1AMEY-1026-SM-718AA 30-39 years, female 111.4
GTEX-Y9LG-1426-SM-5IFJZ 30-39 years, male 110.8
GTEX-Q2AG-0326-SM-48U1O 40-49 years, female 110.6
GTEX-WRHU-0326-SM-3MJFY 50-59 years, female 108.5
GTEX-Y8LW-1626-SM-5IFHX 50-59 years, female 108.0
GTEX-ZVT4-1026-SM-57WC4 50-59 years, female 107.8
GTEX-13O61-1826-SM-5KM4I 60-69 years, male 107.6
GTEX-ZLV1-1426-SM-DO92Z 60-69 years, female 107.5
GTEX-1H3VY-0926-SM-ACKXE 50-59 years, male 107.2
GTEX-1LGRB-1826-SM-CNPQL 50-59 years, female 107.0
GTEX-14PJ4-2126-SM-6ETZJ 60-69 years, male 106.9
GTEX-1C475-1226-SM-7SB72 40-49 years, female 106.9
GTEX-1HCU7-1026-SM-ADEIP 50-59 years, male 106.9
GTEX-1313W-0826-SM-5EQ4T 50-59 years, female 106.4
GTEX-1IKOH-2326-SM-CM2TW 60-69 years, female 106.3
GTEX-1LBAC-0926-SM-CXKY9 20-29 years, male 106.2
GTEX-ZYT6-0126-SM-5E45J 30-39 years, male 105.8
GTEX-1E2YA-2726-SM-7IGPW 50-59 years, male 105.5
GTEX-11DXW-0626-SM-5N9ER 40-49 years, male 104.8
GTEX-13S86-1226-SM-5S2OA 40-49 years, male 104.1
GTEX-12KS4-0126-SM-5Q5A5 30-39 years, male 103.3
GTEX-15ETS-0626-SM-7KUMX 40-49 years, female 103.2
GTEX-1HCU8-0126-SM-ADEHH 60-69 years, female 103.1
GTEX-ZGAY-1726-SM-DO91P 40-49 years, female 102.5
GTEX-14BMU-1626-SM-5TDE7 20-29 years, female 102.2
GTEX-16BQI-1026-SM-7KUEA 30-39 years, female 101.9
GTEX-ZY6K-1626-SM-5GZWV 50-59 years, male 101.9
GTEX-1PPH7-0826-SM-E8VNX 40-49 years, male 101.6
GTEX-ZUA1-1526-SM-59HLS 40-49 years, male 101.4
GTEX-11DZ1-0326-SM-5N9BN 50-59 years, male 101.0
GTEX-YFCO-1826-SM-4W1YH 40-49 years, male 100.9
GTEX-117XS-1926-SM-5GICO 60-69 years, male 100.7
GTEX-XMD1-0826-SM-4AT52 60-69 years, male 100.7
GTEX-13FHO-0826-SM-5L3E8 60-69 years, male 100.0
GTEX-1A3MX-2726-SM-718B6 60-69 years, male 99.8
GTEX-WHSB-1926-SM-EXOHH 50-59 years, male 99.1
GTEX-132Q8-1426-SM-5EGK7 60-69 years, male 99.0
GTEX-15G19-2126-SM-6M48J 60-69 years, male 98.3
GTEX-15SHW-1326-SM-6PAL8 60-69 years, male 97.7
GTEX-1JJEA-2726-SM-ARL8V 60-69 years, male 97.7
GTEX-ZA64-1526-SM-5CVMD 20-29 years, male 97.4
GTEX-XV7Q-2326-SM-4BRVZ 40-49 years, female 97.3
GTEX-13QIC-2326-SM-5LU5N 60-69 years, female 97.1
GTEX-1GMR8-0726-SM-9KNVI 50-59 years, female 97.0
GTEX-1H1ZS-0126-SM-9YFKQ 70-79 years, male 96.5
GTEX-XQ8I-2426-SM-4WAXY 50-59 years, male 95.9
GTEX-1B8L1-2426-SM-9WYTE 60-69 years, male 95.5
GTEX-12WSM-1726-SM-5BC6J 60-69 years, male 95.3
GTEX-1B8KZ-1526-SM-7DUG7 50-59 years, male 95.1
GTEX-1GMRU-0826-SM-9WYT7 50-59 years, male 95.1
GTEX-183FY-1126-SM-7DHLJ 20-29 years, male 94.2
GTEX-X261-0626-SM-3NMD9 50-59 years, male 93.8
GTEX-13N11-1726-SM-5J1OJ 50-59 years, female 93.6
GTEX-1EKGG-2626-SM-7IGPY 60-69 years, male 92.9
GTEX-145MN-1926-SM-5SIAI 30-39 years, male 92.2
GTEX-Y8E4-1626-SM-5S2MW 40-49 years, male 90.8
GTEX-VUSG-2226-SM-4KKZO 50-59 years, male 90.6
GTEX-11GSP-0926-SM-9WYSG 60-69 years, female 90.3
GTEX-1LNCM-0226-SM-DIPF4 50-59 years, female 90.1
GTEX-15RJE-2626-SM-7KFT1 40-49 years, male 89.5
GTEX-1192X-2326-SM-5987X 50-59 years, male 89.4
GTEX-ZYFC-0826-SM-5E44K 50-59 years, male 89.1
GTEX-1JN1M-3026-SM-CMKGK 60-69 years, female 88.4
GTEX-TKQ2-1826-SM-33HB2 50-59 years, male 87.7
GTEX-11ONC-2126-SM-5HL6E 60-69 years, male 87.5
GTEX-1R46S-2526-SM-E8VN2 60-69 years, female 87.1
GTEX-T2YK-2226-SM-32QPT 50-59 years, male 86.8
GTEX-R53T-1526-SM-48FEK 50-59 years, female 86.6
GTEX-1I1GT-1126-SM-ARL7J 60-69 years, female 86.6
GTEX-1122O-1226-SM-5H113 60-69 years, female 86.0
GTEX-13NZ8-0126-SM-5IJCT 60-69 years, female 85.6
GTEX-1POEN-0926-SM-DTX88 30-39 years, female 85.4
GTEX-146FH-0826-SM-5SI8T 50-59 years, female 85.3
GTEX-1P4AB-1826-SM-E76PU 50-59 years, male 85.2
GTEX-17HHE-1426-SM-7EPH4 50-59 years, male 84.9
GTEX-RWS6-1926-SM-47JXY 60-69 years, female 84.8
GTEX-1R9PN-0326-SM-DTX85 40-49 years, female 84.1
GTEX-11DXZ-1926-SM-5GZZL 50-59 years, male 83.1
GTEX-YFC4-1426-SM-5IFJG 40-49 years, female 82.9
GTEX-XUZC-1626-SM-4BRVP 30-39 years, female 82.8
GTEX-1QW4Y-1026-SM-DTXE2 30-39 years, male 82.6
GTEX-1EWIQ-1726-SM-7SB7T 70-79 years, female 82.0
GTEX-17F9E-2526-SM-7MGW2 50-59 years, male 81.7
GTEX-1J8QM-2026-SM-ARZMW 60-69 years, female 81.1
GTEX-17HG3-0126-SM-7IGNH 30-39 years, female 80.9
GTEX-13SLX-2326-SM-5ZZWE 50-59 years, female 80.7
GTEX-1JMOU-2026-SM-CMKGU 60-69 years, female 80.4
GTEX-1C6WA-2426-SM-7SB86 60-69 years, male 80.3
GTEX-1IOXB-1926-SM-ARL8E 50-59 years, male 80.0
GTEX-U3ZH-1426-SM-4DXSR 30-39 years, male 79.9
GTEX-1AX8Z-0926-SM-731AW 60-69 years, male 79.7
GTEX-1I19N-2826-SM-CL55D 70-79 years, male 79.5
GTEX-11NSD-0926-SM-5N9DR 20-29 years, male 79.3
GTEX-17MFQ-0926-SM-7LG4S 20-29 years, male 79.1
GTEX-13O3P-0826-SM-5L3DH 50-59 years, male 78.5
GTEX-UPK5-2326-SM-3P5Z8 40-49 years, male 78.5
GTEX-1IDJF-2326-SM-ARL86 20-29 years, male 78.3
GTEX-ZAB4-2526-SM-5HL8M 40-49 years, male 77.8
GTEX-1GZ2Q-2626-SM-7MXV9 40-49 years, male 77.4
GTEX-145MF-2226-SM-7EPIR 50-59 years, male 77.0
GTEX-13SLW-2526-SM-62LDQ 70-79 years, male 76.9
GTEX-18A7B-2626-SM-7LG55 70-79 years, male 76.8
GTEX-1B933-2526-SM-7IGO5 50-59 years, female 76.8
GTEX-S33H-0326-SM-4AD6N 30-39 years, male 76.6
GTEX-1AX9J-1126-SM-731B7 60-69 years, male 76.2
GTEX-1JMPZ-1626-SM-COH31 30-39 years, male 76.0
GTEX-17F96-2426-SM-7IGLN 70-79 years, male 75.7
GTEX-132NY-0826-SM-5K7Y7 60-69 years, male 75.4
GTEX-WXYG-2226-SM-4E3IM 50-59 years, female 75.4
GTEX-1GF9V-2526-SM-7SB8K 60-69 years, male 75.4
GTEX-1KD5A-1926-SM-DKPQA 50-59 years, male 75.4
GTEX-11PRG-0826-SM-5EQ6A 50-59 years, male 75.1
GTEX-TMMY-0726-SM-33HBE 40-49 years, female 75.1
GTEX-1IDJE-0826-SM-CKZNZ 50-59 years, female 74.9
GTEX-1M4P7-2626-SM-E9U5F 60-69 years, male 74.9
GTEX-Y5LM-1726-SM-4VDSX 40-49 years, female 74.5
GTEX-11DXY-2326-SM-5GICW 60-69 years, male 74.2
GTEX-13FTY-2226-SM-5J1ND 40-49 years, female 74.2
GTEX-1HBPM-0126-SM-ARL9E 60-69 years, female 74.1
GTEX-1JJE9-2326-SM-ARL8Q 70-79 years, male 74.1
GTEX-18A66-1726-SM-7LG5N 60-69 years, male 73.8
GTEX-Y3IK-2326-SM-4WWDT 50-59 years, female 73.6
GTEX-133LE-1726-SM-5K7VQ 20-29 years, female 73.2
GTEX-ZF3C-2326-SM-5S2NC 50-59 years, female 72.7
GTEX-WOFL-0826-SM-3MJG1 60-69 years, male 72.6
GTEX-11OF3-1926-SM-59889 60-69 years, male 71.9
GTEX-XUW1-2326-SM-4BOO5 50-59 years, female 71.9
GTEX-14H4A-2526-SM-5YYAY 40-49 years, female 71.4
GTEX-1GN1U-0526-SM-9KNTT 50-59 years, female 71.3
GTEX-1GPI7-0926-SM-7PC3J 20-29 years, male 71.3
GTEX-1CAMS-1426-SM-7IGPM 40-49 years, female 71.2
GTEX-ZZPU-0626-SM-5E43T 50-59 years, female 71.0
GTEX-Y5V5-2126-SM-4WWFO 60-69 years, female 70.7
GTEX-1JN6P-2426-SM-ARL99 60-69 years, male 70.7
GTEX-13VXU-2826-SM-664MA 50-59 years, male 70.6
GTEX-S7SE-0826-SM-4AT4D 50-59 years, male 70.6
GTEX-WYVS-1726-SM-3NMAY 40-49 years, female 70.0
GTEX-ZAJG-0626-SM-5HL8X 50-59 years, female 69.9
GTEX-17JCI-0726-SM-7EPH1 60-69 years, female 69.7
GTEX-17KNJ-2026-SM-7LG53 50-59 years, male 69.4
GTEX-RU72-0626-SM-46MUI 50-59 years, female 69.2
GTEX-ZYW4-0826-SM-5GIDG 60-69 years, male 69.2
GTEX-ZVE2-1226-SM-5NQ8R 50-59 years, male 69.0
GTEX-11WQC-1726-SM-5GU4W 60-69 years, male 68.8
GTEX-11EI6-0626-SM-5985T 60-69 years, male 68.2
GTEX-16NGA-0826-SM-718AF 40-49 years, female 68.2
GTEX-X15G-1626-SM-3NMB3 50-59 years, female 67.7
GTEX-1R9JW-0326-SM-EAZ45 30-39 years, female 67.5
GTEX-13D11-1026-SM-5IJFB 50-59 years, female 67.4
GTEX-WI4N-1426-SM-3LK7H 40-49 years, female 67.4
GTEX-13QJ3-0826-SM-7DHKK 50-59 years, male 67.3
GTEX-139T8-0826-SM-5L3DE 60-69 years, male 67.2
GTEX-1NV8Z-2826-SM-E8VME 60-69 years, male 66.9
GTEX-1R9PM-1826-SM-EVYBH 20-29 years, male 66.9
GTEX-14E7W-0826-SM-62LEJ 70-79 years, male 66.6
GTEX-183WM-0726-SM-7LTAA 70-79 years, female 66.5
GTEX-1LSVX-2426-SM-E6CJX 60-69 years, male 66.2
GTEX-15UF6-0126-SM-6PAMB 70-79 years, female 65.0
GTEX-1AX9I-0726-SM-73KWV 60-69 years, male 64.7
GTEX-1IDFM-0426-SM-B2LVV 60-69 years, male 64.7
GTEX-XMD2-0926-SM-4WWEF 60-69 years, female 64.5
GTEX-169BO-1126-SM-7MGWN 50-59 years, male 64.3
GTEX-17MF6-0326-SM-7EPH5 40-49 years, male 64.0
GTEX-11EM3-1326-SM-5N9C6 20-29 years, female 63.8
GTEX-1JKYR-0926-SM-CMKGJ 20-29 years, male 63.6
GTEX-1GZHY-0726-SM-9WG6B 50-59 years, female 62.6
GTEX-1HT8W-2226-SM-CGQEC 30-39 years, male 62.4
GTEX-1I6K6-0826-SM-ARL7Z 30-39 years, male 62.4
GTEX-17F97-2526-SM-7EWDV 50-59 years, male 60.3
GTEX-17EVQ-0426-SM-7LG57 70-79 years, male 59.4
GTEX-1GF9X-1026-SM-ACKX2 40-49 years, female 59.1
GTEX-1LC47-1226-SM-D4P44 60-69 years, male 58.8
GTEX-ZF2S-2026-SM-5E461 50-59 years, female 58.7
GTEX-1117F-2826-SM-5GZXL 60-69 years, female 58.6
GTEX-1PPGY-1526-SM-EVYBK 60-69 years, male 58.6
GTEX-ZWKS-2826-SM-5NQ74 30-39 years, male 57.6
GTEX-1HSMO-0826-SM-ADEIV 60-69 years, male 57.1
GTEX-WYBS-0926-SM-3NM94 60-69 years, female 56.9
GTEX-1GZ4H-0326-SM-7P8QX 50-59 years, female 56.9
GTEX-13NZ9-1026-SM-5MR5K 50-59 years, male 56.5
GTEX-1H4P4-2226-SM-9MQKQ 50-59 years, male 56.0
GTEX-1K9T9-1426-SM-DIPFQ 50-59 years, female 56.0
GTEX-1IDJH-2226-SM-E6CJV 70-79 years, male 55.9
GTEX-1MCC2-2126-SM-EWRON 30-39 years, female 55.8
GTEX-TML8-1226-SM-32QON 40-49 years, female 55.7
GTEX-14AS3-1626-SM-5S2OY 40-49 years, female 55.5
GTEX-S4P3-1326-SM-4AD6V 50-59 years, female 54.8
GTEX-11NV4-2026-SM-5N9DG 60-69 years, male 53.7
GTEX-1JMLX-2026-SM-CMKGN 50-59 years, male 53.7
GTEX-11GSO-1926-SM-5A5K3 60-69 years, male 53.5
GTEX-X62O-0526-SM-EWRMA 50-59 years, male 53.4
GTEX-UJHI-1426-SM-3DB9C 50-59 years, female 53.0
GTEX-11P81-1926-SM-5BC53 30-39 years, female 52.7
GTEX-1QMI2-0726-SM-E9J4F 60-69 years, male 52.3
GTEX-13O3Q-2226-SM-5KM4O 50-59 years, male 52.0
GTEX-QVJO-1826-SM-447C9 60-69 years, female 51.4
GTEX-X4EP-2926-SM-3P5YQ 60-69 years, female 50.4
GTEX-XOT4-0726-SM-4GIAW 60-69 years, female 49.9
GTEX-1HR98-0426-SM-COH36 60-69 years, male 49.9
GTEX-T2IS-1526-SM-32QPR 20-29 years, female 49.8
GTEX-14PHY-1926-SM-5YY95 60-69 years, female 49.7
GTEX-1EN7A-1426-SM-7PBY4 40-49 years, male 49.3
GTEX-ZAK1-1326-SM-EVYAS 50-59 years, female 48.8
GTEX-ZVZQ-0826-SM-51MRF 60-69 years, female 48.0
GTEX-RU1J-0626-SM-4WAWY 20-29 years, female 47.7
GTEX-1J8EW-2626-SM-CL53E 60-69 years, female 47.7
GTEX-1IE54-0626-SM-ARL8D 40-49 years, female 47.5
GTEX-1KD4Q-2326-SM-D4P3M 40-49 years, male 47.5
GTEX-1ICLZ-0426-SM-B2LW2 60-69 years, male 47.2
GTEX-1IGQW-0926-SM-ADEH6 60-69 years, male 46.3
GTEX-1MCYP-0126-SM-E6CIS 20-29 years, female 46.3
GTEX-131XW-0726-SM-5EGK3 50-59 years, female 45.8
GTEX-13W46-0826-SM-5LU3H 50-59 years, male 45.2
GTEX-1NUQO-2226-SM-E9U68 20-29 years, female 44.5
GTEX-131YS-0626-SM-5EGKL 60-69 years, female 43.5
GTEX-1HCUA-0726-SM-ACKVU 50-59 years, female 43.5
GTEX-1269C-2426-SM-5FQSN 60-69 years, female 42.4
GTEX-1B932-0826-SM-73KXG 40-49 years, female 42.4
GTEX-1QEPI-0926-SM-DTXF3 60-69 years, female 41.5
GTEX-1H1CY-2226-SM-9WG7E 60-69 years, female 39.9
GTEX-18A7A-0726-SM-7LTAI 50-59 years, female 37.8
GTEX-ZEX8-2226-SM-57WC6 50-59 years, male 37.2
GTEX-U3ZN-1926-SM-4DXSG 30-39 years, female 33.9
GTEX-13PL6-2926-SM-5L3I2 40-49 years, female 32.9
GTEX-12WSK-2226-SM-5GCO5 40-49 years, female 29.8
GTEX-15ER7-1626-SM-6PAMZ 20-29 years, female 29.4
GTEX-ZC5H-2626-SM-5J2MG 40-49 years, female 28.1
GTEX-QDT8-0626-SM-48TYW 30-39 years, female 27.4
GTEX-15FZZ-0726-SM-7KUFZ 30-39 years, female 27.3
GTEX-12ZZX-1126-SM-5EGKB 40-49 years, female 27.0
GTEX-W5X1-2326-SM-3GIL6 40-49 years, female 26.2
GTEX-R3RS-0626-SM-48FE1 40-49 years, female 25.7
GTEX-1HBPN-2326-SM-9WPPU 50-59 years, male 22.0
GTEX-ZTPG-2826-SM-57WGA 20-29 years, female 21.9
Show allShow less

BREAST - FANTOM5 CAGEi

RNA expression in human tissues obtained through Cap Analysis of Gene Expression (CAGE) generated by the FANTOM5 project are reported as Scaled Tags Per Million.

Max subtype Scaled Tags Per Millioni

Max subtype Scaled Tags Per Million is the value for the subtype with the largest average Scaled Tags Per Million across the subtype samples.

636.5
FANTOM5 sample id Sample description Scaled Tags Per Million
Breast
Scaled Tags Per Million: 636.5
FF:10080-102A8 77 years, female 636.5

Contact

  • NEWS ARTICLES
  • PRESS ROOM

The Project

  • INTRODUCTION
  • ORGANIZATION
  • PUBLICATIONS

The Human Protein Atlas

  • DOWNLOADABLE DATA
  • LICENCE & CITATION
  • HELP & FAQ
The Human Protein Atlas project is funded
by the Knut & Alice Wallenberg Foundation.


contact@proteinatlas.org