We use cookies to enhance the usability of our website. If you continue, we'll assume that you are happy to receive all cookies. More information. Don't show this again.
DDX11
HPA
RESOURCES
  • TISSUE
  • BRAIN
  • SINGLE CELL
  • SUBCELLULAR
  • CANCER
  • BLOOD
  • CELL LINE
  • STRUCTURE & INTERACTION
ABOUT
  • INTRODUCTION
  • HISTORY
  • ORGANIZATION
  • PUBLICATIONS
  • ANTIBODY SUBMISSION
  • ANTIBODY AVAILABILITY
  • ACKNOWLEDGMENTS
  • CONTACT
NEWS
  • NEWS ARTICLES
  • PRESS ROOM
LEARN
  • DICTIONARY
  • PROTEIN CLASSES
  • PROTEIN EVIDENCE
  • METHODS
  • EDUCATIONAL VIDEOS
DATA
  • DOWNLOADABLE DATA
  • PUBLICATION DATA
  • RELEASE HISTORY
HELP
  • ANTIBODY VALIDATION
  • ASSAYS & ANNOTATION
  • DISCLAIMER
  • HELP & FAQ
  • PRIVACY STATEMENT
  • LICENCE & CITATION
Fields »
Search result

Field
Term
Gene name
Class
Subclass
Class
Keyword
Chromosome
External id
Tissue
Cell type
Expression
Antibody panel
Tissue
Main location
Patient ID
Annotation
Tissue
Category
Tau score
Cluster
Reliability
Brain region
Category
Tau score
Brain region
Category
Tau score
Brain region
Category
Tau score
Cluster
Reliability
Tissue
Cell type
Enrichment
Cell type
Category
Tau score
Cell type
Category
Tau score
Cell type
Category
Tau score
Cell lineage
Category
Tau score
Cluster
Cluster
Location
Searches
Location
Cell line
Class
Type
Phase
Reliability
Cancer
Prognosis
Cancer
Category
Cancer
Category
Tau score
Cluster
Variants
Interacting gene (ensg_id)
Type
Number of interactions
Pathway
Category
Score
Score
Score
Validation
Validation
Validation
Validation
Antibodies
Data type
Column


  • SUMMARY

  • TISSUE

  • BRAIN

  • SINGLE CELL

  • SUBCELL

  • CANCER

  • BLOOD

  • CELL LINE

  • STRUCT & INT

  • DDX11
TISSUE PRIMARY DATA SKIN Show tissue menu
ADIPOSE TISSUE ADRENAL GLAND AMYGDALA APPENDIX BASAL GANGLIA BONE MARROW BREAST BRONCHUS CEREBELLUM CEREBRAL CORTEX CERVIX CHOROID PLEXUS COLON DUODENUM
ENDOMETRIUM EPIDIDYMIS ESOPHAGUS FALLOPIAN TUBE GALLBLADDER HEART MUSCLE HIPPOCAMPAL FORMATION HYPOTHALAMUS KIDNEY LIVER LUNG LYMPH NODE MIDBRAIN NASOPHARYNX
ORAL MUCOSA OVARY PANCREAS PARATHYROID GLAND PITUITARY GLAND PLACENTA PROSTATE RECTUM RETINA SALIVARY GLAND SEMINAL VESICLE SKELETAL MUSCLE SKIN SMALL INTESTINE
SMOOTH MUSCLE SOFT TISSUE SPINAL CORD SPLEEN STOMACH TESTIS THYMUS THYROID GLAND TONGUE TONSIL URINARY BLADDER VAGINA
ANTIBODIES
AND
VALIDATION
Dictionary
Skin
Tissue proteome
Skin
SKIN - Expression summary
Protein expression
Skini

On the top, protein expression in current human tissue, based on all annotated cell types, is reported with the units not detected (n), low (l), medium (m) and high (h). Underneath, protein expression in each annotated cell type are reported using the same units.

Protein expression data is based on knowledge-based annotation. For genes where more than one antibody has been used, a collective score is set.

If knowledge-based annotation could not be performed for a gene, no data is displayed here. View antibody staining data further down this page.

h
m
l
n
Epidermal cells: Medium
Fibroblasts: Medium
Keratinocytes: Medium
Langerhans: Medium
Melanocytes: Medium
RNA expressioni

A summary of mRNA expression data available for current tissue based on several datasets. The mRNA expression levels in human tissues are based on RNA-seq data generated by the Human Protein Atlas (HPA), Genotype-Tissue Expression (GTEx) portal and CAGE data generated by the FANTOM5 consortium. Consensus normalized expression levels for human tissues was created by combining the data from HPA and GTEx datasets.

The mRNA expression levels in pig are based on RNA-seq data generated by the Human Protein Atlas (HPA), and for mouse, HPA data and in situ hybridization generated by the Allen brain atlas are reported.

Scroll down to view mRNA expression data in more detail.
Consensus:16.3 nTPM
HPA:16.3 nTPM
GTEx:9.3 nTPM

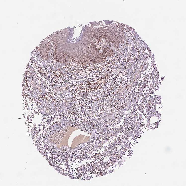
SKIN 1 - Antibody stainingi

Antibody staining in the annotated cell types in the current human tissue is reported as not detected, low, medium, or high, based on conventional immunohistochemistry profiling in selected tissues. This score is based on the combination of the staining intensity and fraction of stained cells.

Each image is clickable and will lead to virtual microscopy that enables deeper exploration of all samples and also displays staining intensity scores, fraction scores and subcellular localization as well as patient and tissue information for each sample.

Antibody HPA065197
Langerhans Medium
Fibroblasts Medium
Keratinocytes Medium
Melanocytes High


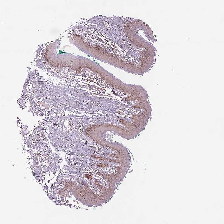
SKIN 2 - Antibody stainingi

Antibody staining in the annotated cell types in the current human tissue is reported as not detected, low, medium, or high, based on conventional immunohistochemistry profiling in selected tissues. This score is based on the combination of the staining intensity and fraction of stained cells.

Each image is clickable and will lead to virtual microscopy that enables deeper exploration of all samples and also displays staining intensity scores, fraction scores and subcellular localization as well as patient and tissue information for each sample.

Antibody HPA065197
Epidermal cells Medium
 
 
 


SKIN - HPA RNA-seqi

The RNA-seq details section shows detailed information about the individual samples used for the transcript profiling and results of the RNA-seq analysis.

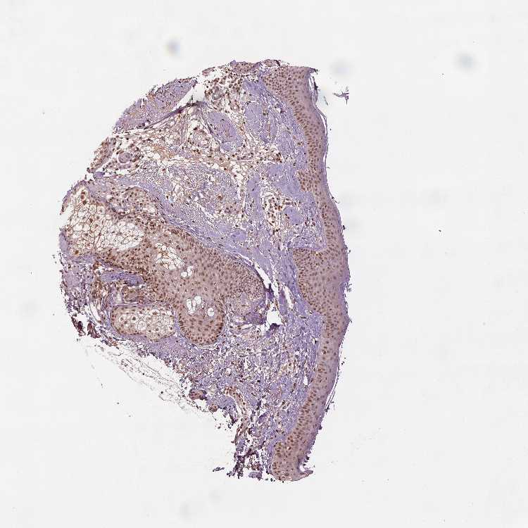
Information about each individual sample is listed below, including gender, age, a tissue section image and estimated fractions of cell types. nTPM (normalized transcripts per million) values give a quantification of the gene abundance which is comparable between different genes and samples.
Average nTPMi

Max subtype nTPM is the value for the subtype with the largest average nTPM across the subtype samples.

16.3
overview
Female, age 34
Skin sample 225
nTPM: 11.2
Cell types%
Keratinocytes:
60

Other cell types:
40

overview
Female, age 30
Skin sample 226
nTPM: 14.6
Cell types%
Keratinocytes:
55

Other cell types:
45

N/A
Male, age 57
Skin sample 227
nTPM: 23

SKIN - GTEx RNA-seqi

RNA-Seq data generated by the Genotype-Tissue Expression (GTEx) project from human tissues is reported as mean nTPM. More information can be found on the GTEx portal.

Distribution across the dataset is visualized with box plots, shown as median and 25th and 75th percentiles. Points are displayed as outliers if they are above or below 1.5 times the interquartile range. nTPM values of the individual samples are presented next to the box plot.
Max subtype nTPMi

Max subtype nTPM is the value for the subtype with the largest average nTPM across the subtype samples.

9.3
GTEx sample id Sample description nTPM
Skin - Not Sun Exposed (Suprapubic)
Average nTPM: 9.3
Samples: 604

Max nTPM: 21.5
Min nTPM: 2.7
Std nTPM: 3.6
Median nTPM: 9.0
GTEX-Y111-0626-SM-4SOIT 50-59 years, male 21.5
GTEX-11OF3-0126-SM-5PNYF 60-69 years, male 20.2
GTEX-1QP2A-1726-SM-E76QC 50-59 years, male 19.9
GTEX-13NYC-0126-SM-5L3F4 60-69 years, male 19.5
GTEX-13NZ8-1226-SM-5KM4A 60-69 years, female 19.2
GTEX-14PJ4-0226-SM-5YY92 60-69 years, male 19.2
GTEX-13OW6-2726-SM-5J2OE 50-59 years, male 18.7
GTEX-11WQK-1026-SM-5EQLX 50-59 years, male 18.2
GTEX-14BIN-1126-SM-5RQJZ 50-59 years, female 18.2
GTEX-13W3W-0726-SM-5IJDQ 60-69 years, female 17.9
GTEX-XQ3S-1426-SM-4BOPR 20-29 years, male 17.8
GTEX-1R7EU-1626-SM-DTXG3 60-69 years, male 17.7
GTEX-11DXX-2126-SM-5PNYR 60-69 years, female 17.6
GTEX-X4EP-0626-SM-3P621 60-69 years, female 17.4
GTEX-1HCU8-2526-SM-CE6RX 60-69 years, female 17.3
GTEX-14E6E-0526-SM-793DN 30-39 years, male 17.0
GTEX-1MCYP-0526-SM-E9U6Q 20-29 years, female 17.0
GTEX-1POEN-2326-SM-E9J2L 30-39 years, female 17.0
GTEX-Y114-2126-SM-4TT8B 50-59 years, female 16.9
GTEX-145LS-0626-SM-7EPG7 60-69 years, female 16.8
GTEX-1A8G6-2726-SM-731AR 60-69 years, male 16.8
GTEX-1H3VE-0726-SM-9YFL5 40-49 years, male 16.5
GTEX-ZPCL-1126-SM-4WWFE 60-69 years, female 16.4
GTEX-11ZUS-2626-SM-5FQUR 30-39 years, male 16.3
GTEX-1EN7A-2426-SM-793DB 40-49 years, male 16.2
GTEX-V1D1-2026-SM-3GAF4 50-59 years, male 16.1
GTEX-ZYVF-0926-SM-5E44J 50-59 years, female 16.0
GTEX-1HB9E-0126-SM-CM2S5 50-59 years, male 16.0
GTEX-12WSA-0426-SM-5EQ5X 60-69 years, male 15.9
GTEX-XAJ8-1426-SM-47JYM 40-49 years, male 15.8
GTEX-XV7Q-1826-SM-4BRUV 40-49 years, female 15.8
GTEX-1IDJU-1726-SM-CMKHU 60-69 years, female 15.8
GTEX-131XG-0326-SM-5L3DX 50-59 years, female 15.7
GTEX-1GTWX-2026-SM-9YFLM 60-69 years, male 15.7
GTEX-1PDJ9-1226-SM-EXUSX 20-29 years, male 15.7
GTEX-13X6J-0626-SM-5LU5F 50-59 years, male 15.6
GTEX-1399R-1326-SM-5PNYS 30-39 years, male 15.5
GTEX-1HFI7-2326-SM-CGQFS 50-59 years, female 15.4
GTEX-1J8Q3-0526-SM-ARL8U 60-69 years, male 15.3
GTEX-13112-0126-SM-5P9IU 50-59 years, male 15.2
GTEX-139T8-0626-SM-5KLZX 60-69 years, male 15.2
GTEX-XUW1-0926-SM-4BONX 50-59 years, female 15.2
GTEX-U8XE-0226-SM-4E3J3 30-39 years, male 15.1
GTEX-1GN73-0726-SM-7P8TJ 60-69 years, male 15.0
GTEX-11ZU8-0126-SM-5EQ58 60-69 years, male 14.9
GTEX-13O3O-2326-SM-5IJD6 60-69 years, female 14.9
GTEX-12WSJ-1126-SM-5LZVJ 40-49 years, female 14.7
GTEX-144FL-0626-SM-5LU43 50-59 years, male 14.7
GTEX-15CHR-1126-SM-7EWF4 50-59 years, male 14.7
GTEX-WY7C-2126-SM-3NB2R 50-59 years, male 14.7
GTEX-139TU-0726-SM-5L3EK 60-69 years, male 14.5
GTEX-13VXT-1926-SM-5K7UO 20-29 years, female 14.5
GTEX-16Z82-2626-SM-7KULU 60-69 years, male 14.5
GTEX-ZDTS-0826-SM-4WKHL 60-69 years, male 14.5
GTEX-1QAET-0326-SM-EVR3U 50-59 years, male 14.5
GTEX-139TS-2126-SM-5K7XC 60-69 years, male 14.4
GTEX-14XAO-1226-SM-6EU1C 60-69 years, female 14.3
GTEX-15EO6-2426-SM-6PALZ 50-59 years, male 14.3
GTEX-1AX8Z-0726-SM-73KTS 60-69 years, male 14.3
GTEX-1AX9I-2226-SM-73KUO 60-69 years, male 14.3
GTEX-1B97I-0626-SM-73KUZ 40-49 years, male 14.3
GTEX-1J8JJ-0626-SM-ARZMQ 60-69 years, female 14.3
GTEX-13N2G-0226-SM-5K7VF 60-69 years, male 14.2
GTEX-1EKGG-0626-SM-7DUGJ 60-69 years, male 14.2
GTEX-ZYT6-2326-SM-5GZY3 30-39 years, male 14.2
GTEX-1LVA9-2626-SM-EVYD4 50-59 years, male 14.2
GTEX-13RTJ-0126-SM-5S2NN 60-69 years, male 14.1
GTEX-WI4N-2726-SM-3LK7Y 40-49 years, female 14.1
GTEX-1JKYN-0826-SM-ARU8S 30-39 years, male 14.1
GTEX-1K2DA-1026-SM-CGQGF 50-59 years, male 14.1
GTEX-15D1Q-2826-SM-6LLH7 40-49 years, male 13.9
GTEX-ZAK1-0626-SM-5HL8E 50-59 years, female 13.9
GTEX-1IOXB-2726-SM-CM2RI 50-59 years, male 13.9
GTEX-17JCI-2926-SM-7DUFF 60-69 years, female 13.8
GTEX-1F88F-0126-SM-9WYSZ 60-69 years, female 13.8
GTEX-1KD5A-0126-SM-E9U54 50-59 years, male 13.8
GTEX-111VG-1626-SM-5EGIO 60-69 years, male 13.7
GTEX-WHSE-0126-SM-3NMBT 20-29 years, male 13.7
GTEX-ZP4G-1426-SM-4WWCL 20-29 years, female 13.7
GTEX-1CAMQ-1326-SM-7P8RV 40-49 years, male 13.7
GTEX-1S82U-1026-SM-E6CJK 30-39 years, female 13.7
GTEX-13G51-1826-SM-5KLZH 60-69 years, male 13.6
GTEX-16MT8-2926-SM-7DUFO 60-69 years, female 13.6
GTEX-ZVE1-0726-SM-51MRN 50-59 years, female 13.6
GTEX-16GPK-0626-SM-7KFSF 60-69 years, male 13.5
GTEX-14C5O-0326-SM-5ZZUX 60-69 years, male 13.4
GTEX-1JJE9-2626-SM-ARZMT 70-79 years, male 13.4
GTEX-13IVO-0726-SM-5LZYV 70-79 years, male 13.3
GTEX-1JK1U-0226-SM-ARZMX 60-69 years, male 13.3
GTEX-17F96-0126-SM-7EWDU 70-79 years, male 13.2
GTEX-1HCUA-0826-SM-ADEHM 50-59 years, female 13.2
GTEX-1HT8W-0626-SM-A9G2H 30-39 years, male 13.2
GTEX-1JMQK-1226-SM-D4P2S 60-69 years, male 13.2
GTEX-1JN76-0626-SM-CKZOQ 20-29 years, female 13.2
GTEX-1QPFJ-1926-SM-EVYBD 30-39 years, female 13.2
GTEX-11TUW-0626-SM-5LU9M 60-69 years, male 13.1
GTEX-1313W-0626-SM-5EQ4H 50-59 years, female 13.0
GTEX-1399Q-2326-SM-5KM2X 40-49 years, male 13.0
GTEX-13FTW-0326-SM-5K7UW 40-49 years, male 13.0
GTEX-16MT9-0126-SM-7EPI8 60-69 years, female 13.0
GTEX-1C6VR-0126-SM-7RHGB 60-69 years, male 13.0
GTEX-1LKK1-2626-SM-DKPQE 50-59 years, female 13.0
GTEX-145LT-0526-SM-5LUB2 40-49 years, male 12.8
GTEX-148VJ-0626-SM-5LUAW 70-79 years, male 12.8
GTEX-15CHC-1126-SM-6LLHQ 60-69 years, female 12.8
GTEX-1CB4I-0126-SM-7RHGG 50-59 years, male 12.8
GTEX-ZF3C-0626-SM-DO92O 50-59 years, female 12.8
GTEX-1H11D-1826-SM-9QEHM 40-49 years, male 12.7
GTEX-1HCU9-0426-SM-9WYSD 20-29 years, male 12.7
GTEX-13JVG-0726-SM-5KM16 60-69 years, male 12.6
GTEX-1AMEY-0826-SM-72D65 30-39 years, female 12.6
GTEX-1B996-0426-SM-7EWF8 60-69 years, male 12.6
GTEX-WRHU-2826-SM-3MJG8 50-59 years, female 12.6
GTEX-1IDJH-0126-SM-D3L92 70-79 years, male 12.6
GTEX-1LSNM-0826-SM-DIPG8 50-59 years, male 12.6
GTEX-18QFQ-1826-SM-72D52 30-39 years, male 12.5
GTEX-WFON-1926-SM-3LK7L 40-49 years, male 12.5
GTEX-ZPIC-0526-SM-DO91W 40-49 years, female 12.5
GTEX-11PRG-0726-SM-5EGL1 50-59 years, male 12.4
GTEX-1212Z-0126-SM-59HK4 60-69 years, male 12.4
GTEX-1R9PM-1926-SM-EVR3O 20-29 years, male 12.4
GTEX-1S3DN-2126-SM-E9TIN 50-59 years, male 12.4
GTEX-11UD2-2526-SM-5CVNU 50-59 years, male 12.3
GTEX-14PJ6-2626-SM-6EU2T 60-69 years, female 12.3
GTEX-117YX-1926-SM-5GIEC 50-59 years, male 12.2
GTEX-18A7B-2726-SM-7LG56 70-79 years, male 12.2
GTEX-XBEC-0726-SM-4QARZ 50-59 years, male 12.2
GTEX-ZU9S-1826-SM-5NQ9E 30-39 years, male 12.2
GTEX-12WSM-1926-SM-5BC65 60-69 years, male 12.1
GTEX-17HG3-2626-SM-7DUF2 30-39 years, female 12.1
GTEX-1GMR3-0126-SM-A9SLW 40-49 years, male 12.1
GTEX-1J8EW-2726-SM-CY8HR 60-69 years, female 12.1
GTEX-1LVAO-2726-SM-E9TJ8 60-69 years, male 12.1
GTEX-144GL-0626-SM-5LU4D 50-59 years, male 12.0
GTEX-1JMOU-1026-SM-CYPSS 60-69 years, female 12.0
GTEX-13U4I-2226-SM-5LU5H 40-49 years, female 11.9
GTEX-1A3MW-0626-SM-731CB 60-69 years, female 11.9
GTEX-1CB4E-0926-SM-7EPHT 60-69 years, male 11.9
GTEX-YB5K-2026-SM-4VDT3 40-49 years, female 11.9
GTEX-1GN2E-0226-SM-9WG6K 60-69 years, male 11.9
GTEX-1I1GP-1326-SM-A9G28 50-59 years, male 11.9
GTEX-1LG7Z-1626-SM-CXKYR 30-39 years, male 11.9
GTEX-13OVG-1626-SM-5J1NF 60-69 years, male 11.8
GTEX-178AV-1726-SM-7KUL8 40-49 years, male 11.8
GTEX-17HII-1426-SM-7EPGG 50-59 years, male 11.8
GTEX-1H1CY-0126-SM-9YFLY 60-69 years, female 11.8
GTEX-1HR98-2226-SM-ADEI2 60-69 years, male 11.8
GTEX-1S831-1826-SM-EWROF 20-29 years, male 11.8
GTEX-12WSD-0626-SM-5GCMW 60-69 years, female 11.7
GTEX-13JUV-2026-SM-5K7UA 40-49 years, female 11.7
GTEX-ZDXO-3126-SM-5IJDF 60-69 years, male 11.7
GTEX-1S5ZU-2526-SM-E6CIF 20-29 years, female 11.7
GTEX-11DXY-0126-SM-5H11Q 60-69 years, male 11.6
GTEX-12WSF-1626-SM-7KUG5 70-79 years, male 11.6
GTEX-14ICL-1626-SM-5YYAO 30-39 years, male 11.6
GTEX-1A3MX-2626-SM-7PC24 60-69 years, male 11.6
GTEX-1QP66-1226-SM-DTX7U 50-59 years, male 11.6
GTEX-13FTX-1526-SM-5K7VJ 20-29 years, female 11.5
GTEX-13N1W-2426-SM-5IJD1 70-79 years, male 11.5
GTEX-13NYB-0126-SM-5J1MD 40-49 years, male 11.5
GTEX-13OW7-0426-SM-5K7VK 50-59 years, male 11.5
GTEX-13SLX-2226-SM-62LEP 50-59 years, female 11.5
GTEX-145MF-0926-SM-5Q5EA 50-59 years, male 11.5
GTEX-14PKV-1126-SM-6LLJ1 20-29 years, female 11.5
GTEX-ZWKS-0626-SM-5GIDV 30-39 years, male 11.5
GTEX-1F75W-2726-SM-7SB8H 60-69 years, male 11.5
GTEX-1KANB-2826-SM-CY8I6 50-59 years, male 11.5
GTEX-15DDE-2926-SM-6LLJ3 50-59 years, female 11.4
GTEX-XBED-1926-SM-47JYP 60-69 years, male 11.4
GTEX-1I1GV-0626-SM-ARL7M 60-69 years, male 11.4
GTEX-13VXU-0626-SM-5L3F9 50-59 years, male 11.3
GTEX-1BAJH-2426-SM-7IGP8 70-79 years, male 11.3
GTEX-Y3IK-1626-SM-4YCF5 50-59 years, female 11.3
GTEX-1CB4J-1326-SM-7P8RX 60-69 years, male 11.3
GTEX-1J1OQ-0126-SM-D4P2N 40-49 years, female 11.3
GTEX-12584-0726-SM-5FQTK 40-49 years, male 11.2
GTEX-15EU6-2226-SM-6EU2L 50-59 years, male 11.2
GTEX-15RIE-1926-SM-7KUKJ 60-69 years, male 11.2
GTEX-18D9B-0926-SM-7LG4U 60-69 years, male 11.2
GTEX-1K9T9-1526-SM-DIPFR 50-59 years, female 11.2
GTEX-1RAZR-2126-SM-E9U6T 40-49 years, male 11.2
GTEX-15DYW-2726-SM-6EU2I 60-69 years, female 11.1
GTEX-1QP28-1126-SM-EVYC4 50-59 years, female 11.1
GTEX-11ZTT-2126-SM-5CVLO 60-69 years, female 11.0
GTEX-15RJE-2826-SM-7KUM9 40-49 years, male 11.0
GTEX-17EVQ-0126-SM-7IGLR 70-79 years, male 11.0
GTEX-ZE9C-2526-SM-5IJDR 60-69 years, male 11.0
GTEX-1GF9U-2026-SM-7SB92 40-49 years, female 10.9
GTEX-1IDJV-0126-SM-COH3Y 60-69 years, male 10.9
GTEX-1MCC2-1826-SM-DIPEX 30-39 years, female 10.9
GTEX-13FTY-2126-SM-5IFFB 40-49 years, female 10.8
GTEX-14PHX-2226-SM-6EU2P 50-59 years, male 10.8
GTEX-18A6Q-0626-SM-7KFRP 60-69 years, male 10.8
GTEX-1LB8K-0726-SM-D5OV2 50-59 years, male 10.8
GTEX-11DXW-0826-SM-5H118 40-49 years, male 10.7
GTEX-11NUK-2726-SM-5A5MC 50-59 years, male 10.7
GTEX-1399U-1126-SM-5L3DB 50-59 years, female 10.7
GTEX-139UW-0326-SM-5J1ML 60-69 years, male 10.7
GTEX-1B8SF-0126-SM-7DUG3 60-69 years, male 10.7
GTEX-ZF2S-1626-SM-57WES 50-59 years, female 10.7
GTEX-1HFI6-0126-SM-CNPPI 40-49 years, male 10.7
GTEX-12126-0826-SM-5FQTZ 20-29 years, male 10.6
GTEX-146FQ-2126-SM-5RQHU 30-39 years, male 10.6
GTEX-14PKU-0126-SM-6LLHV 40-49 years, female 10.6
GTEX-1A8FM-0626-SM-7PC25 50-59 years, female 10.6
GTEX-1HBPI-2126-SM-ARL9K 50-59 years, male 10.6
GTEX-1IDJE-1426-SM-ADEIW 50-59 years, female 10.6
GTEX-131XW-0626-SM-5PNVD 50-59 years, female 10.5
GTEX-17HGU-2326-SM-7DUFE 50-59 years, male 10.5
GTEX-ZUA1-2626-SM-5NQ92 40-49 years, male 10.5
GTEX-1F75I-2226-SM-7SB8U 40-49 years, male 10.5
GTEX-1H1DE-1326-SM-9KNUG 20-29 years, male 10.5
GTEX-14A6H-2026-SM-5Q5DD 30-39 years, male 10.4
GTEX-1CB4H-1126-SM-7MKGL 60-69 years, female 10.4
GTEX-1GZ4I-2626-SM-9KNU3 50-59 years, male 10.4
GTEX-1H1DG-2426-SM-9QEHJ 70-79 years, male 10.4
GTEX-1LGOU-1326-SM-D3L8M 20-29 years, female 10.4
GTEX-Y3I4-1726-SM-4TT89 50-59 years, male 10.3
GTEX-1GF9X-1326-SM-7PC2Y 40-49 years, female 10.3
GTEX-147F4-0726-SM-5TDDD 50-59 years, male 10.2
GTEX-14PJ3-1126-SM-5ZZVX 50-59 years, male 10.2
GTEX-1E2YA-2126-SM-7MXUO 50-59 years, male 10.2
GTEX-1GZ2Q-0126-SM-9WG6M 40-49 years, male 10.2
GTEX-1HSGN-0826-SM-ACKW3 40-49 years, female 10.2
GTEX-XPVG-2126-SM-4B667 50-59 years, male 10.1
GTEX-Y5V6-2326-SM-4VDSA 60-69 years, male 10.1
GTEX-11GSP-2326-SM-5HL63 60-69 years, female 10.0
GTEX-11O72-0626-SM-5PNYE 40-49 years, male 10.0
GTEX-13FHO-0426-SM-5L3F5 60-69 years, male 10.0
GTEX-14AS3-1526-SM-5Q5ED 40-49 years, female 10.0
GTEX-15FZZ-0526-SM-7KUGD 30-39 years, female 10.0
GTEX-1B8KZ-0326-SM-73KY4 50-59 years, male 10.0
GTEX-WK11-2726-SM-3NMAQ 50-59 years, male 10.0
GTEX-ZY6K-1426-SM-5GZX2 50-59 years, male 10.0
GTEX-1JMQI-1726-SM-ARL93 50-59 years, male 10.0
GTEX-1KWVE-1026-SM-D3L9O 30-39 years, male 10.0
GTEX-1PPH7-1126-SM-DTX9A 40-49 years, male 10.0
GTEX-1QW4Y-1126-SM-DTXE3 30-39 years, male 10.0
GTEX-13OW8-1026-SM-5J1NQ 60-69 years, male 9.9
GTEX-XQ8I-0926-SM-4BOOF 50-59 years, male 9.9
GTEX-ZDYS-2426-SM-4WKGI 50-59 years, male 9.9
GTEX-14JG6-1426-SM-9WG7C 30-39 years, female 9.9
GTEX-1N2DV-1526-SM-DTXEP 40-49 years, male 9.9
GTEX-1O9I2-0226-SM-EYYXD 50-59 years, male 9.9
GTEX-1RAZS-2526-SM-E6CHT 50-59 years, male 9.9
GTEX-145MI-0626-SM-5SI8S 60-69 years, female 9.8
GTEX-1A8G7-1326-SM-73KVM 60-69 years, male 9.8
GTEX-WFG7-2026-SM-5SI7P 20-29 years, male 9.8
GTEX-WFG8-2126-SM-3GIKQ 20-29 years, male 9.8
GTEX-1JMPY-0226-SM-CKZOK 30-39 years, male 9.8
GTEX-1KXAM-1626-SM-D3LAD 60-69 years, male 9.8
GTEX-1N2EE-0626-SM-E76PW 60-69 years, male 9.8
GTEX-13X6H-0926-SM-5SIB2 50-59 years, female 9.7
GTEX-14PK6-0226-SM-62LF5 70-79 years, female 9.7
GTEX-15CHQ-0326-SM-69LQD 60-69 years, male 9.7
GTEX-ZT9X-1526-SM-5DUXD 40-49 years, male 9.7
GTEX-ZVP2-0326-SM-57WBP 50-59 years, male 9.7
GTEX-1NV5F-0626-SM-DTXEG 60-69 years, female 9.7
GTEX-1QMI2-2526-SM-E8VNZ 60-69 years, male 9.7
GTEX-1R9PN-0426-SM-DTXDT 40-49 years, female 9.7
GTEX-1S83E-1326-SM-E6CJM 40-49 years, male 9.7
GTEX-1192X-2726-SM-5N9DN 50-59 years, male 9.6
GTEX-1EU9M-1426-SM-793AI 60-69 years, male 9.6
GTEX-ZZ64-1026-SM-5GZXG 20-29 years, male 9.6
GTEX-1HGF4-0126-SM-CNPPX 60-69 years, male 9.6
GTEX-11NSD-0626-SM-5A5LU 20-29 years, male 9.5
GTEX-12WSC-2826-SM-5BC5Y 50-59 years, male 9.5
GTEX-131YS-2826-SM-5EQ47 60-69 years, female 9.5
GTEX-139D8-1126-SM-5LU8W 30-39 years, female 9.5
GTEX-17F98-1326-SM-7DUEP 40-49 years, female 9.5
GTEX-1EX96-1026-SM-7MKG2 50-59 years, male 9.5
GTEX-ZVT2-0126-SM-5GIDQ 50-59 years, female 9.5
GTEX-1LG7Y-2526-SM-EWRO7 50-59 years, male 9.5
GTEX-1QCLY-0226-SM-EWRNH 30-39 years, male 9.5
GTEX-13NZ9-2626-SM-5L3FK 50-59 years, male 9.4
GTEX-XBEW-1126-SM-4QARW 40-49 years, male 9.4
GTEX-XOT4-0626-SM-4B66L 60-69 years, female 9.4
GTEX-133LE-2326-SM-5K7W3 20-29 years, female 9.3
GTEX-144GO-2026-SM-5O99P 60-69 years, male 9.3
GTEX-1C6VQ-1226-SM-73KYD 50-59 years, male 9.3
GTEX-1EWIQ-0326-SM-7DHMQ 70-79 years, female 9.3
GTEX-WHPG-2626-SM-3NMBR 50-59 years, male 9.3
GTEX-1H3O1-1326-SM-9MQLD 60-69 years, male 9.3
GTEX-1PIIG-2326-SM-DTXFR 30-39 years, male 9.3
GTEX-11GS4-0226-SM-5HL77 60-69 years, male 9.2
GTEX-13PVR-0426-SM-5RQK2 60-69 years, female 9.2
GTEX-13X6I-1826-SM-5SIAO 60-69 years, male 9.2
GTEX-15G19-2426-SM-7KUMR 60-69 years, male 9.2
GTEX-WYJK-0526-SM-3NM8Z 50-59 years, male 9.2
GTEX-ZTSS-1426-SM-5985P 40-49 years, male 9.2
GTEX-ZVT4-2426-SM-5GIEI 50-59 years, female 9.2
GTEX-1H1DF-1126-SM-9WG7G 40-49 years, female 9.2
GTEX-139YR-1026-SM-5LZYN 50-59 years, male 9.1
GTEX-145LU-1926-SM-79OJN 50-59 years, male 9.1
GTEX-14DAQ-0626-SM-793DS 60-69 years, female 9.1
GTEX-14E6C-2426-SM-5S2NF 40-49 years, male 9.1
GTEX-XXEK-1626-SM-4BRUZ 50-59 years, male 9.1
GTEX-YECK-0326-SM-4W1YS 60-69 years, male 9.1
GTEX-ZF29-0926-SM-4WKFZ 60-69 years, female 9.1
GTEX-1ICLY-0826-SM-CMKG1 50-59 years, male 9.1
GTEX-1J1R8-2026-SM-CL53Y 40-49 years, male 9.1
GTEX-17F97-2626-SM-7IGM5 50-59 years, male 9.0
GTEX-WYBS-0626-SM-3NMAS 60-69 years, female 9.0
GTEX-YFCO-1226-SM-5LUAT 40-49 years, male 9.0
GTEX-1F6RS-2026-SM-7RHHC 60-69 years, female 9.0
GTEX-1GMRU-2126-SM-7P8RA 50-59 years, male 9.0
GTEX-1H1E6-0426-SM-9WYUS 30-39 years, male 9.0
GTEX-1LSVX-2526-SM-DIPEU 60-69 years, male 9.0
GTEX-11VI4-1126-SM-5EQMD 40-49 years, female 8.9
GTEX-12ZZY-0726-SM-5EQ66 60-69 years, male 8.9
GTEX-12ZZZ-0726-SM-5GCNZ 60-69 years, male 8.9
GTEX-13SLW-0626-SM-5Q5ER 70-79 years, male 8.9
GTEX-XYKS-1426-SM-4BRUO 60-69 years, female 8.9
GTEX-14JFF-0626-SM-5ZZVT 60-69 years, male 8.9
GTEX-1AYD5-2626-SM-7PBXY 50-59 years, male 8.9
GTEX-1HCU6-2526-SM-ADEHL 60-69 years, female 8.9
GTEX-1I19N-0126-SM-CYPSF 70-79 years, male 8.9
GTEX-1MJK3-0726-SM-E6CJC 20-29 years, male 8.9
GTEX-1QCLZ-2426-SM-EVYBW 60-69 years, female 8.9
GTEX-111YS-1526-SM-5GZYW 60-69 years, male 8.8
GTEX-14DAR-1226-SM-73KYV 50-59 years, male 8.8
GTEX-1HR9M-2226-SM-CNPPY 60-69 years, male 8.8
GTEX-145MH-2826-SM-5RQJF 50-59 years, male 8.7
GTEX-16BQI-1326-SM-6M486 30-39 years, female 8.7
GTEX-1I1HK-2326-SM-CKZOH 60-69 years, male 8.7
GTEX-1OJC4-2726-SM-E76PJ 50-59 years, female 8.7
GTEX-147GR-2426-SM-5ZZWQ 60-69 years, male 8.6
GTEX-14C39-1726-SM-5RQIL 40-49 years, male 8.6
GTEX-X8HC-0626-SM-4E3HQ 50-59 years, female 8.6
GTEX-14B4R-1326-SM-5Q5EZ 30-39 years, male 8.5
GTEX-ZYFG-1526-SM-5GZYM 60-69 years, female 8.5
GTEX-1C64O-1326-SM-7MGWR 60-69 years, male 8.5
GTEX-1GN1V-2826-SM-9JGIA 60-69 years, male 8.5
GTEX-1I1CD-0626-SM-CE6SW 60-69 years, female 8.5
GTEX-1JMQJ-0826-SM-CNPP7 50-59 years, male 8.5
GTEX-1RB15-1326-SM-E76Q9 60-69 years, male 8.5
GTEX-12696-0126-SM-5EQ4L 60-69 years, male 8.4
GTEX-13D11-0926-SM-5J2NC 50-59 years, female 8.4
GTEX-145MO-2826-SM-5LU96 60-69 years, male 8.4
GTEX-1EH9U-2826-SM-7DUGT 60-69 years, male 8.4
GTEX-1ICG6-1226-SM-A9SLN 70-79 years, female 8.4
GTEX-1PPGY-1626-SM-EVYBL 60-69 years, male 8.4
GTEX-139TT-2126-SM-5LZWC 60-69 years, male 8.3
GTEX-16AAH-0626-SM-793C9 50-59 years, male 8.3
GTEX-1C2JI-1026-SM-73KY1 50-59 years, male 8.3
GTEX-X4EO-2926-SM-4E3JH 60-69 years, female 8.3
GTEX-X5EB-1926-SM-4E3IW 40-49 years, male 8.3
GTEX-Y5V5-0126-SM-5S2NW 60-69 years, female 8.3
GTEX-ZPU1-1126-SM-4YCF3 40-49 years, male 8.3
GTEX-1I4MK-0126-SM-CY8G6 50-59 years, female 8.3
GTEX-1117F-2926-SM-5GZYI 60-69 years, female 8.2
GTEX-1JMPZ-0726-SM-CY8HZ 30-39 years, male 8.2
GTEX-1KANA-1326-SM-DIPFA 20-29 years, male 8.2
GTEX-1RAZQ-1326-SM-E9TK6 30-39 years, male 8.2
GTEX-15G1A-1626-SM-7KUKN 30-39 years, male 8.1
GTEX-W5X1-2526-SM-3GILC 40-49 years, female 8.1
GTEX-ZTTD-2826-SM-4YCFA 50-59 years, male 8.1
GTEX-1HSMP-0926-SM-A9SKX 70-79 years, male 8.1
GTEX-1OJC3-1226-SM-DTXER 20-29 years, male 8.1
GTEX-11DXZ-2026-SM-5987S 50-59 years, male 8.0
GTEX-13FH7-1126-SM-5K7UG 50-59 years, female 8.0
GTEX-13O3Q-0126-SM-5KM34 50-59 years, male 8.0
GTEX-1F75A-0726-SM-7RHHD 50-59 years, male 8.0
GTEX-144GM-0526-SM-79OJO 20-29 years, male 7.9
GTEX-15RIG-0726-SM-7KUM7 40-49 years, male 7.9
GTEX-17MF6-2626-SM-79OKQ 40-49 years, male 7.9
GTEX-1CB4F-1026-SM-7DUH1 60-69 years, male 7.9
GTEX-WHWD-1826-SM-3LK6I 50-59 years, male 7.9
GTEX-1HCVE-2726-SM-CL54F 50-59 years, male 7.9
GTEX-1HSMQ-2626-SM-A9SML 50-59 years, male 7.9
GTEX-1I1GS-2626-SM-B2LY3 60-69 years, male 7.9
GTEX-1LGRB-0926-SM-COH3K 50-59 years, female 7.9
GTEX-18A67-1626-SM-7LT9T 50-59 years, male 7.8
GTEX-WYVS-1626-SM-3NM9R 40-49 years, female 7.8
GTEX-1H23P-0626-SM-9WG6T 60-69 years, male 7.8
GTEX-1JJ6O-2726-SM-CNPOG 60-69 years, male 7.8
GTEX-1JN6P-2926-SM-CL54D 60-69 years, male 7.8
GTEX-ZLV1-1526-SM-DO91J 60-69 years, female 7.8
GTEX-17F9E-2326-SM-79OKD 50-59 years, male 7.7
GTEX-ZVE2-2826-SM-5GU51 50-59 years, male 7.7
GTEX-1F48J-0726-SM-7RHGS 50-59 years, female 7.7
GTEX-1F5PK-2226-SM-7SB6N 50-59 years, male 7.7
GTEX-1F5PL-0926-SM-7PC2W 40-49 years, female 7.7
GTEX-1GZHY-0626-SM-9KNVC 50-59 years, female 7.7
GTEX-1269C-0126-SM-5EQ5L 60-69 years, female 7.6
GTEX-147F3-1726-SM-5SIAW 50-59 years, female 7.6
GTEX-14PJN-1826-SM-6AJ98 30-39 years, male 7.6
GTEX-15SKB-2826-SM-6PAMH 60-69 years, male 7.6
GTEX-ZVTK-0226-SM-51MRG 20-29 years, male 7.6
GTEX-1HSKV-1226-SM-ADEI4 60-69 years, male 7.6
GTEX-1I6K6-1726-SM-CGQFD 30-39 years, male 7.6
GTEX-1R9K4-2826-SM-DTX8F 60-69 years, male 7.6
GTEX-12KS4-2126-SM-5FQUT 30-39 years, male 7.5
GTEX-13X6K-0626-SM-5LU5D 60-69 years, female 7.5
GTEX-18465-2826-SM-7LT9J 50-59 years, male 7.5
GTEX-ZAJG-1526-SM-5CVML 50-59 years, female 7.5
GTEX-1PPH8-0126-SM-EWRN8 20-29 years, male 7.5
GTEX-15ER7-0626-SM-6PANF 20-29 years, female 7.4
GTEX-17MFQ-1526-SM-7KFRR 20-29 years, male 7.4
GTEX-11P82-1426-SM-DTXFY 20-29 years, male 7.4
GTEX-1CAMR-1326-SM-7PC1F 20-29 years, male 7.4
GTEX-1H1ZS-2726-SM-9WG75 70-79 years, male 7.4
GTEX-1RLM8-2926-SM-E8VON 50-59 years, male 7.4
GTEX-16YQH-2226-SM-7IGM2 30-39 years, male 7.3
GTEX-18D9U-0126-SM-731BM 40-49 years, male 7.3
GTEX-1AX9J-1326-SM-731BJ 60-69 years, male 7.3
GTEX-1F52S-2926-SM-7MKGA 60-69 years, female 7.3
GTEX-1122O-1026-SM-9WYSF 60-69 years, female 7.3
GTEX-1HCU7-0726-SM-A9SL1 50-59 years, male 7.3
GTEX-1QP9N-1226-SM-E76QN 30-39 years, male 7.3
GTEX-12WSK-2126-SM-5CVNC 40-49 years, female 7.2
GTEX-131XF-2626-SM-5EQ6K 60-69 years, male 7.2
GTEX-WH7G-2026-SM-3NMBL 40-49 years, male 7.2
GTEX-1GN1U-0626-SM-9MQL9 50-59 years, female 7.2
GTEX-1I6K7-1926-SM-B2LXR 40-49 years, male 7.2
GTEX-1K2DU-1226-SM-CYPT4 20-29 years, male 7.2
GTEX-1LBAC-0826-SM-CY8IJ 20-29 years, male 7.2
GTEX-1N5O9-0926-SM-E9J3C 60-69 years, male 7.2
GTEX-12C56-1526-SM-5FQUQ 20-29 years, male 7.1
GTEX-14JG1-1526-SM-5YY9X 40-49 years, male 7.1
GTEX-1GPI6-1926-SM-9KNV7 60-69 years, male 7.1
GTEX-1I1GT-1026-SM-ARZLV 60-69 years, female 7.1
GTEX-11LCK-2226-SM-5HL4Q 30-39 years, male 7.0
GTEX-145ME-1726-SM-5Q5EU 40-49 years, female 7.0
GTEX-1ICLZ-0326-SM-ARL82 60-69 years, male 7.0
GTEX-13QJC-0126-SM-5ZZWJ 60-69 years, female 6.9
GTEX-111CU-1126-SM-5EGIM 50-59 years, male 6.8
GTEX-13OVJ-0826-SM-5J1OK 50-59 years, female 6.8
GTEX-YEC4-1826-SM-4W1YP 40-49 years, male 6.8
GTEX-ZTX8-1326-SM-4YCEL 20-29 years, male 6.8
GTEX-ZYY3-2926-SM-5GIEB 60-69 years, female 6.8
GTEX-1QP29-1826-SM-DTX9S 50-59 years, male 6.8
GTEX-1RMOY-1326-SM-E9TIH 50-59 years, male 6.8
GTEX-14753-0726-SM-5QGQO 60-69 years, male 6.7
GTEX-14C38-0726-SM-5SI6M 50-59 years, male 6.7
GTEX-ZLWG-0826-SM-59888 50-59 years, female 6.7
GTEX-1R46S-2426-SM-E76QA 60-69 years, female 6.7
GTEX-14A5H-0826-SM-5QGPJ 60-69 years, male 6.6
GTEX-183WM-0326-SM-72D5V 70-79 years, female 6.6
GTEX-WHSB-1326-SM-3LK6W 50-59 years, male 6.6
GTEX-YJ8O-2526-SM-5HL85 40-49 years, female 6.6
GTEX-ZE7O-2726-SM-51MT5 50-59 years, female 6.6
GTEX-ZYFD-0626-SM-5E44E 50-59 years, male 6.6
GTEX-1PBJJ-1026-SM-E76OS 30-39 years, male 6.6
GTEX-13PDP-0726-SM-5L3HP 60-69 years, male 6.5
GTEX-14PII-0726-SM-6EU2B 60-69 years, male 6.5
GTEX-14PJ5-1526-SM-6LLIL 60-69 years, female 6.5
GTEX-1A32A-0626-SM-731AQ 50-59 years, female 6.5
GTEX-Y9LG-1126-SM-4VBQ7 30-39 years, male 6.5
GTEX-1C64N-2626-SM-7PC2N 50-59 years, male 6.5
GTEX-1J8Q2-2626-SM-ACKWQ 60-69 years, male 6.5
GTEX-1L5NE-1126-SM-D3L9P 50-59 years, male 6.5
GTEX-14ABY-2026-SM-62LDL 50-59 years, male 6.4
GTEX-14LLW-2626-SM-62LDZ 70-79 years, female 6.4
GTEX-14PJO-2526-SM-6AJBQ 60-69 years, male 6.4
GTEX-183FY-1026-SM-7939A 20-29 years, male 6.4
GTEX-18A66-0626-SM-7LT8Z 60-69 years, male 6.4
GTEX-X585-2426-SM-46MW2 50-59 years, male 6.4
GTEX-1JJEA-1826-SM-ARU8P 60-69 years, male 6.4
GTEX-1KANC-1226-SM-CYPT7 50-59 years, female 6.4
GTEX-13OW5-2326-SM-5L3HO 60-69 years, male 6.3
GTEX-1GF9W-1426-SM-7PBYM 60-69 years, male 6.3
GTEX-1H2FU-0926-SM-9WPPT 60-69 years, female 6.3
GTEX-1IDJF-2026-SM-CL53V 20-29 years, male 6.3
GTEX-1J8QM-2426-SM-A9SLS 60-69 years, female 6.3
GTEX-1LVAM-0726-SM-E6CIL 50-59 years, female 6.3
GTEX-11TT1-1826-SM-5EQLV 20-29 years, male 6.2
GTEX-145MG-1526-SM-5Q5EM 50-59 years, male 6.2
GTEX-14BMV-2826-SM-5TDED 50-59 years, male 6.2
GTEX-17F9Y-0126-SM-79OKX 70-79 years, female 6.2
GTEX-1A3MV-1826-SM-731CD 30-39 years, male 6.2
GTEX-1B933-2426-SM-7DHMD 50-59 years, female 6.2
GTEX-1F88E-1626-SM-7SB8Z 60-69 years, female 6.2
GTEX-1211K-1526-SM-5FQU4 60-69 years, female 6.1
GTEX-132AR-0326-SM-5KM2C 50-59 years, female 6.1
GTEX-1JMQL-2226-SM-CNPP4 50-59 years, female 6.1
GTEX-ZGAY-1826-SM-DO91Q 40-49 years, female 6.1
GTEX-11EM3-1226-SM-5N9DD 20-29 years, female 6.0
GTEX-13OVH-0526-SM-5L3E6 70-79 years, male 6.0
GTEX-1AMFI-1326-SM-7939R 50-59 years, female 6.0
GTEX-1I1GU-0926-SM-ACKVS 40-49 years, male 6.0
GTEX-1IDJC-1526-SM-B2LW4 50-59 years, male 6.0
GTEX-1CAV2-0126-SM-7IGN7 40-49 years, female 5.9
GTEX-VUSG-2326-SM-4KL1U 50-59 years, male 5.9
GTEX-ZYW4-0626-SM-59HJR 60-69 years, male 5.9
GTEX-1IKJJ-2226-SM-CJI4C 60-69 years, male 5.9
GTEX-12WSH-1526-SM-5BC5W 50-59 years, male 5.8
GTEX-1477Z-0326-SM-7IGLA 60-69 years, male 5.7
GTEX-1497J-0226-SM-5QGPU 60-69 years, male 5.7
GTEX-17HHY-0426-SM-7DHLC 50-59 years, male 5.7
GTEX-17KNJ-2126-SM-718AM 50-59 years, male 5.7
GTEX-1F6I4-2326-SM-7RHGL 60-69 years, male 5.7
GTEX-1HUB1-1426-SM-CGQF5 60-69 years, male 5.7
GTEX-1JN1M-2726-SM-CY8I4 60-69 years, female 5.7
GTEX-11EQ8-0926-SM-5H12V 60-69 years, male 5.6
GTEX-1399S-0126-SM-5IJCF 30-39 years, female 5.6
GTEX-13OVL-0126-SM-5L3GJ 50-59 years, male 5.6
GTEX-1B8KE-1126-SM-7EPHI 50-59 years, male 5.6
GTEX-WEY5-2326-SM-3GIKK 40-49 years, female 5.6
GTEX-1B8L1-2226-SM-7P8PT 60-69 years, male 5.6
GTEX-1F75B-0726-SM-7PC3R 50-59 years, male 5.6
GTEX-1NSGN-0726-SM-DTXEF 50-59 years, male 5.6
GTEX-13YAN-0226-SM-5TDC6 60-69 years, male 5.5
GTEX-X3Y1-2026-SM-3P5YM 40-49 years, male 5.5
GTEX-Y8E4-2026-SM-5IFJB 40-49 years, male 5.5
GTEX-ZVZP-1226-SM-5GID7 50-59 years, male 5.5
GTEX-1EMGI-2326-SM-7PBYA 60-69 years, male 5.5
GTEX-11P7K-1126-SM-5HL4L 30-39 years, male 5.4
GTEX-131XH-0126-SM-5LZUY 50-59 years, male 5.4
GTEX-14PHY-1226-SM-5ZZWK 60-69 years, female 5.4
GTEX-ZAB4-2126-SM-5HL8U 40-49 years, male 5.4
GTEX-1HC8U-1326-SM-9YFMJ 40-49 years, female 5.4
GTEX-1LSNL-2726-SM-E9TKJ 50-59 years, male 5.4
GTEX-1QEPI-2626-SM-DTXF4 60-69 years, female 5.4
GTEX-15SHW-0226-SM-7LTAT 60-69 years, male 5.3
GTEX-17EVP-2626-SM-7IGMA 40-49 years, male 5.3
GTEX-Y5LM-0926-SM-6LLJG 40-49 years, female 5.3
GTEX-1JKYR-0626-SM-ARL8R 20-29 years, male 5.3
GTEX-1IDFM-0326-SM-ARL7V 60-69 years, male 5.2
GTEX-17HHE-1326-SM-7EWDZ 50-59 years, male 5.1
GTEX-1CAMS-2226-SM-7PBXQ 40-49 years, female 5.1
GTEX-1M4P7-0726-SM-E6CJ3 60-69 years, male 5.1
GTEX-1PIGE-1826-SM-E8VOU 20-29 years, male 5.1
GTEX-YEC3-1326-SM-DO92X 50-59 years, male 5.0
GTEX-1B932-2326-SM-79OL5 40-49 years, female 4.9
GTEX-1E1VI-0326-SM-793D1 50-59 years, male 4.9
GTEX-XMD2-2126-SM-4YCF8 60-69 years, female 4.9
GTEX-1GZ4H-0526-SM-9KNU9 50-59 years, female 4.9
GTEX-1JMLX-0626-SM-ARL8T 50-59 years, male 4.9
GTEX-111FC-2526-SM-5GZXU 60-69 years, male 4.8
GTEX-1HBPM-0726-SM-9YFL7 60-69 years, female 4.8
GTEX-1IKOE-1426-SM-CE6T7 30-39 years, female 4.8
GTEX-1IL2V-1926-SM-B2LW8 70-79 years, male 4.8
GTEX-13FLV-0126-SM-5K7WT 50-59 years, male 4.7
GTEX-13QBU-1226-SM-5LU4G 40-49 years, female 4.7
GTEX-XK95-0226-SM-4AT58 40-49 years, male 4.7
GTEX-1H3NZ-2726-SM-9WYTQ 60-69 years, male 4.7
GTEX-13113-1626-SM-5EQ4I 60-69 years, female 4.6
GTEX-13NYS-0626-SM-5L3F1 60-69 years, male 4.6
GTEX-13PVQ-0626-SM-5LU47 50-59 years, male 4.6
GTEX-1HBPN-0126-SM-CGQEF 50-59 years, male 4.6
GTEX-11EQ9-1626-SM-5PNY8 30-39 years, male 4.5
GTEX-11WQC-1826-SM-5GU59 60-69 years, male 4.5
GTEX-1GMR8-0626-SM-7RHI7 50-59 years, female 4.5
GTEX-1GN1W-2426-SM-9KNUU 50-59 years, female 4.5
GTEX-1H4P4-2126-SM-9WYSL 50-59 years, male 4.5
GTEX-1IDJI-0126-SM-CMKHS 50-59 years, female 4.5
GTEX-13OVK-1426-SM-6PAN7 40-49 years, male 4.4
GTEX-13PL6-1126-SM-5L3IE 40-49 years, female 4.4
GTEX-14E1K-2026-SM-7DUEI 50-59 years, male 4.4
GTEX-15UF6-1926-SM-7KUDV 70-79 years, female 4.4
GTEX-18A7A-0126-SM-731AH 50-59 years, female 4.4
GTEX-UPJH-0226-SM-3GADV 50-59 years, male 4.4
GTEX-1GL5R-1326-SM-7RHHF 50-59 years, male 4.4
GTEX-16NGA-0726-SM-731AO 40-49 years, female 4.3
GTEX-Z93S-1626-SM-5CVMB 50-59 years, male 4.3
GTEX-ZDTT-0426-SM-4WKFL 60-69 years, male 4.3
GTEX-ZZPU-0826-SM-5GZX5 50-59 years, female 4.3
GTEX-1GPI7-1826-SM-9KNU1 20-29 years, male 4.3
GTEX-1KAFJ-0126-SM-DIPEK 50-59 years, male 4.3
GTEX-11DZ1-2426-SM-5GZZX 50-59 years, male 4.2
GTEX-1C6WA-2626-SM-7MKGM 60-69 years, male 4.2
GTEX-1F6IF-0926-SM-7SB7M 60-69 years, male 4.2
GTEX-1HKZK-0726-SM-ACKW2 40-49 years, male 4.2
GTEX-1IY9M-2826-SM-ARU8H 60-69 years, male 4.2
GTEX-1LVAN-0626-SM-CNPOQ 50-59 years, female 4.2
GTEX-145MN-1526-SM-5SI9T 30-39 years, male 4.0
GTEX-14LZ3-0126-SM-69LPM 60-69 years, female 4.0
GTEX-16MTA-0926-SM-6M47Z 50-59 years, male 4.0
GTEX-UPK5-0426-SM-3GAEK 40-49 years, male 4.0
GTEX-1IDJD-2326-SM-ACKWX 30-39 years, male 4.0
GTEX-12ZZX-2426-SM-5GCOE 40-49 years, female 3.9
GTEX-147JS-0226-SM-5S2U9 60-69 years, male 3.9
GTEX-ZC5H-1526-SM-5HL9Y 40-49 years, female 3.9
GTEX-1GF9V-0826-SM-9KNUV 60-69 years, male 3.9
GTEX-1RAZA-2226-SM-E9U4X 20-29 years, male 3.9
GTEX-1S82P-2126-SM-E6CI5 60-69 years, female 3.9
GTEX-11DYG-1526-SM-5A5JS 60-69 years, male 3.8
GTEX-1314G-1326-SM-5BC6E 30-39 years, male 3.8
GTEX-16NPX-0726-SM-7KULC 50-59 years, male 3.8
GTEX-1C475-1326-SM-7SB73 40-49 years, female 3.7
GTEX-1GMR2-0826-SM-7PC3V 50-59 years, male 3.7
GTEX-WXYG-2026-SM-4E3IY 50-59 years, female 3.6
GTEX-11EI6-2826-SM-5H11D 60-69 years, male 3.5
GTEX-13N11-2326-SM-5IJBF 50-59 years, female 3.5
GTEX-VJYA-1526-SM-3GIJV 60-69 years, male 3.5
GTEX-YF7O-1526-SM-5IFI6 50-59 years, male 3.5
GTEX-ZYFC-0426-SM-5GICQ 50-59 years, male 3.5
GTEX-15RJ7-2126-SM-6PAMD 40-49 years, male 3.4
GTEX-ZT9W-1126-SM-57WDR 50-59 years, male 3.4
GTEX-ZXG5-2126-SM-59HKD 60-69 years, male 3.4
GTEX-12BJ1-0926-SM-5EQ62 60-69 years, male 3.3
GTEX-13O61-1426-SM-5KM3D 60-69 years, male 3.3
GTEX-11P81-2226-SM-5PNYI 30-39 years, female 3.2
GTEX-16XZZ-0726-SM-7KUF2 60-69 years, male 3.2
GTEX-14PJ2-0626-SM-6LLII 50-59 years, male 3.1
GTEX-ZA64-1026-SM-5HL8R 20-29 years, male 3.1
GTEX-ZLFU-1826-SM-4WWBV 40-49 years, male 3.1
GTEX-12WSL-2026-SM-5GCML 50-59 years, male 3.0
GTEX-18D9A-1426-SM-7LT8M 30-39 years, female 3.0
GTEX-14BMU-1226-SM-5S2OR 20-29 years, female 2.9
GTEX-1HSMO-0626-SM-ACKXC 60-69 years, male 2.8
GTEX-1IE54-1126-SM-A9G2Z 40-49 years, female 2.8
GTEX-Y8LW-1526-SM-5IFHL 50-59 years, female 2.7
Show allShow less
Skin - Sun Exposed (Lower leg)
Average nTPM: 8.2
Samples: 701

Max nTPM: 18.6
Min nTPM: 2.0
Std nTPM: 3.1
Median nTPM: 8.0
GTEX-1HCU9-1526-SM-A9SL7 20-29 years, male 18.6
GTEX-WFON-2126-SM-3LK7O 40-49 years, male 16.8
GTEX-13FTY-0526-SM-5L3EV 40-49 years, female 16.7
GTEX-13NZB-2526-SM-5J1OM 30-39 years, male 16.1
GTEX-1CAMQ-0226-SM-7IGPK 40-49 years, male 16.1
GTEX-1IOXB-0126-SM-ARL8G 50-59 years, male 16.1
GTEX-SE5C-1626-SM-2XCE3 40-49 years, female 16.0
GTEX-O5YT-0126-SM-48TBW 20-29 years, male 15.8
GTEX-QDT8-0126-SM-48TZ1 30-39 years, female 15.8
GTEX-Y114-2426-SM-4TT8A 50-59 years, female 15.8
GTEX-13NYC-0326-SM-E9J4S 60-69 years, male 15.8
GTEX-1KANB-0526-SM-E6CJH 50-59 years, male 15.6
GTEX-1GTWX-0126-SM-9YFLK 60-69 years, male 15.3
GTEX-139UW-2826-SM-5L3E7 60-69 years, male 15.2
GTEX-XBED-2226-SM-47JYQ 60-69 years, male 15.2
GTEX-1LGOU-2026-SM-DIPFF 20-29 years, female 15.2
GTEX-PWO3-1526-SM-48TCM 60-69 years, female 15.0
GTEX-TKQ1-1026-SM-4GICL 30-39 years, male 14.9
GTEX-1HB9E-0226-SM-E9U4R 50-59 years, male 14.9
GTEX-13RTJ-2426-SM-5S2Q2 60-69 years, male 14.8
GTEX-14XAO-2326-SM-6EU1B 60-69 years, female 14.8
GTEX-1B97I-1626-SM-73KYO 40-49 years, male 14.8
GTEX-1QAET-0926-SM-E76QM 50-59 years, male 14.8
GTEX-13111-1626-SM-5EGJY 50-59 years, male 14.6
GTEX-1C6VR-2426-SM-79OLD 60-69 years, male 14.6
GTEX-XUZC-1726-SM-4BRWS 30-39 years, female 14.6
GTEX-1HR98-0126-SM-B2LWI 60-69 years, male 14.6
GTEX-13112-2826-SM-5DUWH 50-59 years, male 14.5
GTEX-WY7C-2326-SM-3NB2U 50-59 years, male 14.5
GTEX-13W3W-2426-SM-5LU5B 60-69 years, female 14.4
GTEX-QDVN-2026-SM-3GAEP 50-59 years, male 14.4
GTEX-1KWVE-1426-SM-E9TJO 30-39 years, male 14.4
GTEX-1LSNM-1926-SM-E6CII 50-59 years, male 14.4
GTEX-15CHC-2126-SM-6EU21 60-69 years, female 14.3
GTEX-UJHI-1526-SM-3DB99 50-59 years, female 14.3
GTEX-139TS-2826-SM-5J1OO 60-69 years, male 14.1
GTEX-1EN7A-0126-SM-7SB81 40-49 years, male 14.1
GTEX-144FL-0126-SM-5TDC8 50-59 years, male 13.8
GTEX-145LS-0126-SM-5QGP1 60-69 years, female 13.8
GTEX-18D9B-0526-SM-7LTAS 60-69 years, male 13.8
GTEX-O5YW-0126-SM-3LK6D 50-59 years, male 13.8
GTEX-11WQK-0526-SM-5EQLD 50-59 years, male 13.7
GTEX-1JK1U-2026-SM-CM2RZ 60-69 years, male 13.7
GTEX-ZVT3-0126-SM-5GU6I 60-69 years, female 13.5
GTEX-1EKGG-0226-SM-9WYTH 60-69 years, male 13.5
GTEX-17F98-0626-SM-79OMX 40-49 years, female 13.4
GTEX-RWS6-2026-SM-2XCB5 60-69 years, female 13.4
GTEX-1H3VE-0326-SM-9YFLH 40-49 years, male 13.4
GTEX-1QPFJ-0226-SM-E76PB 30-39 years, female 13.4
GTEX-X4EP-0126-SM-3P5YV 60-69 years, female 13.3
GTEX-XUW1-0426-SM-4BOOT 50-59 years, female 13.3
GTEX-1JJE9-0326-SM-CL53Z 70-79 years, male 13.3
GTEX-1MJK2-0426-SM-DTXE5 50-59 years, male 13.3
GTEX-11OF3-2626-SM-5GU7F 60-69 years, male 13.2
GTEX-13OW6-0426-SM-5L3HM 50-59 years, male 13.1
GTEX-POMQ-2226-SM-2I5FK 20-29 years, female 13.1
GTEX-13O3O-0126-SM-E9J49 60-69 years, female 13.1
GTEX-15SB6-1726-SM-6PAME 50-59 years, female 13.0
GTEX-1R7EU-0226-SM-EVR4G 60-69 years, male 13.0
GTEX-14PJ6-2126-SM-6EU1V 60-69 years, female 12.9
GTEX-18A7B-0126-SM-7LG64 70-79 years, male 12.8
GTEX-1IDJU-2626-SM-CM2RT 60-69 years, female 12.8
GTEX-11ZTS-0126-SM-5EQ6M 60-69 years, female 12.7
GTEX-145MF-0626-SM-5LUAI 50-59 years, male 12.7
GTEX-14C5O-0126-SM-5SI6N 60-69 years, male 12.7
GTEX-1CB4I-0226-SM-79OLH 50-59 years, male 12.7
GTEX-U8XE-0326-SM-3DB8P 30-39 years, male 12.7
GTEX-Y111-0126-SM-4SOIV 50-59 years, male 12.7
GTEX-1J8EW-0126-SM-CJI4F 60-69 years, female 12.7
GTEX-11DXX-2426-SM-5GZZW 60-69 years, female 12.6
GTEX-XXEK-2226-SM-4BRUM 50-59 years, male 12.6
GTEX-14BIN-0626-SM-793DP 50-59 years, female 12.5
GTEX-U8T8-0126-SM-3DB94 60-69 years, male 12.5
GTEX-1GN2E-0426-SM-9MQKX 60-69 years, male 12.4
GTEX-11DXY-2626-SM-5GIE7 60-69 years, male 12.3
GTEX-V1D1-2226-SM-3NMAX 50-59 years, male 12.3
GTEX-X4XX-0126-SM-3NMC2 60-69 years, male 12.3
GTEX-XV7Q-2526-SM-4BRV9 40-49 years, female 12.3
GTEX-T2IS-0126-SM-4DM6O 20-29 years, female 12.2
GTEX-1JMQK-0226-SM-CL543 60-69 years, male 12.2
GTEX-13N1W-0126-SM-5K7VT 70-79 years, male 12.1
GTEX-YB5K-2126-SM-4WWDJ 40-49 years, female 12.1
GTEX-1QP2A-0126-SM-E9J43 50-59 years, male 12.1
GTEX-12WSA-0226-SM-5BC5V 60-69 years, male 12.0
GTEX-14E6E-1826-SM-5S2R7 30-39 years, male 12.0
GTEX-XAJ8-0826-SM-47JY6 40-49 years, male 12.0
GTEX-1IDJH-0326-SM-A9SLQ 70-79 years, male 12.0
GTEX-1IKK5-0626-SM-ARL8A 60-69 years, male 12.0
GTEX-ZF3C-0126-SM-DO92D 50-59 years, female 12.0
GTEX-1192W-2626-SM-5Q5AF 60-69 years, male 11.9
GTEX-1K2DA-1826-SM-CGQGT 50-59 years, male 11.9
GTEX-XQ3S-1526-SM-4BOOC 20-29 years, male 11.8
GTEX-Y3IK-2426-SM-4WWDU 50-59 years, female 11.8
GTEX-ZAK1-0126-SM-5IJD3 50-59 years, female 11.8
GTEX-ZYT6-0226-SM-5NQ6T 30-39 years, male 11.8
GTEX-1H1CY-2826-SM-9MQM3 60-69 years, female 11.8
GTEX-13FHP-0126-SM-5IJBG 50-59 years, male 11.7
GTEX-13NYB-2526-SM-5K7Z6 40-49 years, male 11.7
GTEX-169BO-1326-SM-9MQK2 50-59 years, male 11.7
GTEX-1MA7W-2026-SM-E9TJ6 20-29 years, female 11.7
GTEX-11ZTT-2426-SM-5EQLS 60-69 years, female 11.6
GTEX-1399R-2726-SM-5IJBA 30-39 years, male 11.6
GTEX-15D1Q-0126-SM-7KUG6 40-49 years, male 11.6
GTEX-XUYS-0126-SM-47JWZ 50-59 years, male 11.6
GTEX-1GF9U-2126-SM-7SB7L 40-49 years, female 11.6
GTEX-13VXT-0126-SM-5LU4I 20-29 years, female 11.5
GTEX-14JG6-2226-SM-6EU2G 30-39 years, female 11.5
GTEX-RM2N-1426-SM-2TF4H 50-59 years, male 11.5
GTEX-SN8G-0126-SM-32PLI 50-59 years, female 11.5
GTEX-144GL-0126-SM-5TDE2 50-59 years, male 11.4
GTEX-PLZ5-2026-SM-2S1O4 50-59 years, male 11.4
GTEX-1HBPI-1526-SM-C1YQ1 50-59 years, male 11.4
GTEX-139TU-0126-SM-5K7WH 60-69 years, male 11.3
GTEX-17F96-1626-SM-7DUFL 70-79 years, male 11.3
GTEX-PVOW-0126-SM-2XCFA 40-49 years, male 11.3
GTEX-ZTPG-0326-SM-5O9AX 20-29 years, female 11.3
GTEX-1PDJ9-0326-SM-DTX95 20-29 years, male 11.3
GTEX-1128S-2326-SM-5GZZY 60-69 years, female 11.2
GTEX-139T8-0126-SM-5K7XZ 60-69 years, male 11.2
GTEX-13N2G-2626-SM-5J1OT 60-69 years, male 11.2
GTEX-TMMY-0226-SM-33HBA 40-49 years, female 11.2
GTEX-1I1GP-2226-SM-CGQFK 50-59 years, male 11.2
GTEX-1MCYP-1926-SM-E9J2R 20-29 years, female 11.2
GTEX-16GPK-0126-SM-7DHLE 60-69 years, male 11.1
GTEX-16MT8-0426-SM-7KUEY 60-69 years, female 11.1
GTEX-ZDTS-0126-SM-4WAY5 60-69 years, male 11.1
GTEX-ZDYS-2026-SM-5HL5L 50-59 years, male 11.1
GTEX-11O72-0126-SM-59887 40-49 years, male 11.0
GTEX-17JCI-0126-SM-7LG5G 60-69 years, female 11.0
GTEX-1A3MX-0126-SM-731BR 60-69 years, male 11.0
GTEX-1QCLY-0326-SM-E8VOG 30-39 years, male 11.0
GTEX-11ZU8-2526-SM-5EQKI 60-69 years, male 10.9
GTEX-18A6Q-0126-SM-731BZ 60-69 years, male 10.9
GTEX-1AX8Z-0126-SM-7DHM6 60-69 years, male 10.9
GTEX-1BAJH-0526-SM-793CQ 70-79 years, male 10.9
GTEX-Q2AH-1626-SM-3GAF8 40-49 years, male 10.9
GTEX-11TTK-0126-SM-5987B 60-69 years, female 10.8
GTEX-14JG1-0426-SM-6ETZZ 40-49 years, male 10.8
GTEX-OHPL-0126-SM-2HMJ7 60-69 years, female 10.8
GTEX-1F6RS-0126-SM-9MQKZ 60-69 years, female 10.8
GTEX-1HSEH-0126-SM-ACKXN 60-69 years, male 10.8
GTEX-1KD5A-0226-SM-D5OV3 50-59 years, male 10.8
GTEX-1LG7Z-1726-SM-D3LA4 30-39 years, male 10.8
GTEX-11GSO-2426-SM-5A5LY 60-69 years, male 10.7
GTEX-1313W-0126-SM-5LZUN 50-59 years, female 10.7
GTEX-13RTL-0126-SM-7LG5S 40-49 years, male 10.7
GTEX-145MI-0526-SM-5O9A8 60-69 years, female 10.7
GTEX-1C64N-0126-SM-793D7 50-59 years, male 10.7
GTEX-Q2AG-0126-SM-33HBV 40-49 years, female 10.7
GTEX-ZVT4-0126-SM-DTXFN 50-59 years, female 10.7
GTEX-S7SE-0126-SM-2XCD5 50-59 years, male 10.6
GTEX-1JN76-0126-SM-CNPPE 20-29 years, female 10.6
GTEX-1QMI2-0226-SM-EVYBX 60-69 years, male 10.6
GTEX-146FQ-0126-SM-5NQA9 30-39 years, male 10.5
GTEX-14BIM-0226-SM-7IGLD 60-69 years, female 10.5
GTEX-18QFQ-0126-SM-731BE 30-39 years, male 10.5
GTEX-ZDXO-3026-SM-5J1N5 60-69 years, male 10.5
GTEX-1I1GS-0126-SM-B2LVW 60-69 years, male 10.5
GTEX-117YX-2326-SM-5H12W 50-59 years, male 10.4
GTEX-11DXZ-2326-SM-5EGGV 50-59 years, male 10.4
GTEX-13NZ8-0826-SM-5MR3I 60-69 years, female 10.4
GTEX-14PHX-2326-SM-62LEM 50-59 years, male 10.4
GTEX-VJWN-0126-SM-3GIK7 50-59 years, female 10.4
GTEX-1B996-0226-SM-7RHGO 60-69 years, male 10.4
GTEX-11NUK-0126-SM-5A5L3 50-59 years, male 10.3
GTEX-1212Z-2526-SM-5EGKP 60-69 years, male 10.3
GTEX-131XG-2626-SM-5KM17 50-59 years, female 10.3
GTEX-1B8SF-1426-SM-7DUGL 60-69 years, male 10.3
GTEX-P4PP-0126-SM-3LK69 30-39 years, female 10.3
GTEX-1I6K6-0126-SM-A9SLE 30-39 years, male 10.3
GTEX-1J8Q3-1626-SM-CMKGC 60-69 years, male 10.3
GTEX-1JKYN-1326-SM-CGQG9 30-39 years, male 10.3
GTEX-12WSK-2326-SM-5GCOH 40-49 years, female 10.2
GTEX-131YS-0126-SM-5KM1M 60-69 years, female 10.2
GTEX-13IVO-0126-SM-5J1NG 70-79 years, male 10.2
GTEX-14E7W-0126-SM-6LLJ9 70-79 years, male 10.2
GTEX-17MF6-0126-SM-7LG4F 40-49 years, male 10.2
GTEX-T6MN-0126-SM-32PLP 50-59 years, male 10.2
GTEX-YJ8A-0426-SM-5IFID 20-29 years, male 10.2
GTEX-1H11D-0226-SM-9WG6Z 40-49 years, male 10.2
GTEX-1H1ZS-0426-SM-9WG6G 70-79 years, male 10.2
GTEX-1H3VY-0126-SM-ACKXD 50-59 years, male 10.2
GTEX-1HBPH-0426-SM-B2LW5 40-49 years, female 10.2
GTEX-11UD2-0226-SM-5EQKY 50-59 years, male 10.1
GTEX-1LG7Y-0526-SM-DKPQC 50-59 years, male 10.1
GTEX-1S3DN-2226-SM-EVYCD 50-59 years, male 10.1
GTEX-12ZZY-0226-SM-5LZVE 60-69 years, male 10.0
GTEX-13FTW-2626-SM-5K7WL 40-49 years, male 10.0
GTEX-RUSQ-1526-SM-2TF62 50-59 years, male 10.0
GTEX-ZXES-1826-SM-5E43S 30-39 years, female 10.0
GTEX-1HFI7-1826-SM-ACKXH 50-59 years, female 10.0
GTEX-1J8JJ-0226-SM-CL53I 60-69 years, female 10.0
GTEX-1R9K4-0126-SM-DTX9X 60-69 years, male 10.0
GTEX-13OW8-1326-SM-5J1OW 60-69 years, male 9.9
GTEX-17MFQ-1726-SM-793C7 20-29 years, male 9.9
GTEX-Y5V6-2426-SM-4VDSB 60-69 years, male 9.9
GTEX-1HCVE-0126-SM-CGQEU 50-59 years, male 9.9
GTEX-1HT8W-0126-SM-CNPPP 30-39 years, male 9.9
GTEX-1I1GV-0526-SM-A9G29 60-69 years, male 9.9
GTEX-1LB8K-0226-SM-EWRNW 50-59 years, male 9.9
GTEX-1N2DW-0226-SM-E9TK2 50-59 years, male 9.9
GTEX-1QP66-1726-SM-E8VO1 50-59 years, male 9.9
GTEX-14E6D-0126-SM-62LDV 50-59 years, male 9.8
GTEX-XYKS-2126-SM-4E3IB 60-69 years, female 9.8
GTEX-1A8FM-0226-SM-7SB7Q 50-59 years, female 9.8
GTEX-1GMR3-1926-SM-9KNUZ 40-49 years, male 9.8
GTEX-1H3O1-0426-SM-9YFKY 60-69 years, male 9.8
GTEX-1HCU8-0626-SM-A9SM9 60-69 years, female 9.8
GTEX-11NSD-2226-SM-5986V 20-29 years, male 9.7
GTEX-139T4-0226-SM-5HL5S 50-59 years, female 9.7
GTEX-13FTX-1826-SM-5J1NX 20-29 years, female 9.7
GTEX-1A3MW-0126-SM-73KXX 60-69 years, female 9.7
GTEX-ZAJG-0126-SM-5HL94 50-59 years, female 9.7
GTEX-ZU9S-0226-SM-5E441 30-39 years, male 9.7
GTEX-1L5NE-2526-SM-E6CIE 50-59 years, male 9.7
GTEX-1192X-0226-SM-5H12D 50-59 years, male 9.6
GTEX-12WSJ-1826-SM-5GCNY 40-49 years, female 9.6
GTEX-144GN-2326-SM-5LU4F 50-59 years, male 9.6
GTEX-W5WG-1826-SM-4KL2Y 50-59 years, female 9.6
GTEX-R45C-0126-SM-EAZ2R 60-69 years, female 9.6
GTEX-132NY-0326-SM-5IJBL 60-69 years, male 9.5
GTEX-YJ89-0126-SM-4TT3X 60-69 years, male 9.5
GTEX-ZZ64-1726-SM-5GZYB 20-29 years, male 9.5
GTEX-1F75I-0326-SM-9YFLU 40-49 years, male 9.5
GTEX-ZPIC-1726-SM-DHXIU 40-49 years, female 9.5
GTEX-113IC-0126-SM-5HL6T 60-69 years, male 9.4
GTEX-13OVG-1926-SM-5L3DK 60-69 years, male 9.4
GTEX-13PVR-2326-SM-5QGR1 60-69 years, female 9.4
GTEX-13X6H-2126-SM-7EWD5 50-59 years, female 9.4
GTEX-15DCD-0126-SM-7KUEK 70-79 years, female 9.4
GTEX-1CB4J-0626-SM-7DHMP 60-69 years, male 9.4
GTEX-WVJS-0126-SM-4MVOT 50-59 years, male 9.4
GTEX-ZVE2-0226-SM-59HJB 50-59 years, male 9.4
GTEX-1F88F-2726-SM-7PBZZ 60-69 years, female 9.4
GTEX-1J8Q2-0526-SM-CM2RW 60-69 years, male 9.4
GTEX-1M5QR-1226-SM-EWROB 40-49 years, male 9.4
GTEX-OOBJ-0126-SM-E6CJW 60-69 years, male 9.4
GTEX-W5X1-3026-SM-EAZAX 40-49 years, female 9.4
GTEX-14PK6-1926-SM-6ETZU 70-79 years, female 9.3
GTEX-T5JC-0426-SM-32PLO 20-29 years, male 9.3
GTEX-ZY6K-1826-SM-5GZXK 50-59 years, male 9.3
GTEX-1GN73-0226-SM-9WG67 60-69 years, male 9.3
GTEX-RNOR-0126-SM-E9J4R 50-59 years, female 9.3
GTEX-12WSD-0126-SM-59HKN 60-69 years, female 9.2
GTEX-145ME-1826-SM-5SI9G 40-49 years, female 9.2
GTEX-148VJ-0126-SM-5TDDN 70-79 years, male 9.2
GTEX-1CB4E-2226-SM-793DC 60-69 years, male 9.2
GTEX-U3ZM-1526-SM-3DB9D 40-49 years, male 9.2
GTEX-U412-0426-SM-3DB9O 60-69 years, male 9.2
GTEX-WYJK-0126-SM-3NMAB 50-59 years, male 9.2
GTEX-XPVG-2626-SM-4B669 50-59 years, male 9.2
GTEX-11LCK-1026-SM-5A5KB 30-39 years, male 9.1
GTEX-OIZG-0726-SM-33HBL 50-59 years, male 9.1
GTEX-Y5V5-2326-SM-4V6GA 60-69 years, female 9.1
GTEX-ZV6S-2326-SM-4YCEY 40-49 years, female 9.1
GTEX-117XS-2726-SM-5N9BL 60-69 years, male 9.0
GTEX-1399U-2326-SM-5K7WY 50-59 years, female 9.0
GTEX-13X6J-0126-SM-5QGOU 50-59 years, male 9.0
GTEX-14PII-0226-SM-6EU1T 60-69 years, male 9.0
GTEX-Y8DK-0126-SM-4TT3L 60-69 years, male 9.0
GTEX-ZZPT-0226-SM-5E43X 50-59 years, male 9.0
GTEX-1HSMP-0126-SM-E6CJS 70-79 years, male 9.0
GTEX-1KXAM-2226-SM-CYPTC 60-69 years, male 9.0
GTEX-1QP29-0626-SM-EWRMX 50-59 years, male 9.0
GTEX-1QP9N-1426-SM-DTXFL 30-39 years, male 9.0
GTEX-X5EB-2226-SM-46MW4 40-49 years, male 8.9
GTEX-1I1GQ-0126-SM-COH3H 50-59 years, male 8.9
GTEX-1OFPY-2426-SM-DTXEJ 60-69 years, male 8.9
GTEX-S33H-1026-SM-EZ6L6 30-39 years, male 8.9
GTEX-12ZZZ-0626-SM-5DUXI 60-69 years, male 8.8
GTEX-15EU6-0426-SM-6PAN5 50-59 years, male 8.8
GTEX-1B8KZ-2026-SM-7DHMB 50-59 years, male 8.8
GTEX-RWSA-0126-SM-2XCBB 40-49 years, male 8.8
GTEX-13OW5-0126-SM-DTXFS 60-69 years, male 8.8
GTEX-1O97I-0326-SM-EYYX7 60-69 years, male 8.8
GTEX-11ZUS-0626-SM-59885 30-39 years, male 8.7
GTEX-11ZVC-2526-SM-5FQTE 50-59 years, female 8.7
GTEX-13FXS-0226-SM-5IJCK 50-59 years, male 8.7
GTEX-145LU-0126-SM-5TDCB 50-59 years, male 8.7
GTEX-14PJ3-1826-SM-62LEX 50-59 years, male 8.7
GTEX-16BQI-0226-SM-7KUEX 30-39 years, female 8.7
GTEX-QESD-1426-SM-2S1R9 20-29 years, male 8.7
GTEX-1LC47-0326-SM-E9TJP 60-69 years, male 8.7
GTEX-1399T-2826-SM-5KLYZ 60-69 years, male 8.6
GTEX-15DYW-0126-SM-7KULE 60-69 years, female 8.6
GTEX-18D9U-0226-SM-718BP 40-49 years, male 8.6
GTEX-WI4N-1026-SM-3LK7N 40-49 years, female 8.6
GTEX-XQ8I-0426-SM-4BOPO 50-59 years, male 8.6
GTEX-YB5E-2026-SM-5IFIS 40-49 years, male 8.6
GTEX-ZAB5-1826-SM-5HL7C 50-59 years, male 8.6
GTEX-ZF2S-2326-SM-4WWCE 50-59 years, female 8.6
GTEX-ZV68-0126-SM-59HKS 50-59 years, female 8.6
GTEX-1HSKV-0226-SM-A9SKJ 60-69 years, male 8.6
GTEX-1K9T9-0126-SM-EVYCF 50-59 years, female 8.6
GTEX-12WSC-0126-SM-5EQ4P 50-59 years, male 8.5
GTEX-14753-0426-SM-5NQAM 60-69 years, male 8.5
GTEX-147F4-0226-SM-5QGPW 50-59 years, male 8.5
GTEX-1497J-2426-SM-7IGNX 60-69 years, male 8.5
GTEX-15F5U-1526-SM-6PANO 40-49 years, male 8.5
GTEX-U3ZH-2026-SM-3DB78 30-39 years, male 8.5
GTEX-WQUQ-0426-SM-3MJFU 60-69 years, male 8.5
GTEX-ZUA1-0126-SM-5GU76 40-49 years, male 8.5
GTEX-ZWKS-0126-SM-5SIAA 30-39 years, male 8.5
GTEX-11TUW-2726-SM-E9J4M 60-69 years, male 8.5
GTEX-1EX96-1626-SM-7PBXR 50-59 years, male 8.5
GTEX-1H1DE-2126-SM-9WG6R 20-29 years, male 8.5
GTEX-1JMQL-0226-SM-CNPP5 50-59 years, female 8.5
GTEX-1N2EF-0226-SM-EYYXB 60-69 years, male 8.5
GTEX-1PBJI-0526-SM-E8VNK 20-29 years, female 8.5
GTEX-1PFEY-1526-SM-E76PP 30-39 years, male 8.5
GTEX-12584-0126-SM-5EGKQ 40-49 years, male 8.4
GTEX-P4QT-0126-SM-2I3FL 50-59 years, female 8.4
GTEX-WZTO-0126-SM-3NM95 40-49 years, male 8.4
GTEX-1F5PL-0326-SM-7P8PQ 40-49 years, female 8.4
GTEX-1F75B-0126-SM-9KNVL 50-59 years, male 8.4
GTEX-1GF9W-0326-SM-9KNUN 60-69 years, male 8.4
GTEX-1JMPY-1326-SM-ARL8Y 30-39 years, male 8.4
GTEX-1KANA-0726-SM-D3L9I 20-29 years, male 8.4
GTEX-11UD1-0126-SM-5PNYG 40-49 years, female 8.3
GTEX-139TT-0126-SM-5K7Y5 60-69 years, male 8.3
GTEX-17EVQ-0226-SM-7LG4P 70-79 years, male 8.3
GTEX-17HGU-0226-SM-7DHKV 50-59 years, male 8.3
GTEX-18465-0126-SM-731BN 50-59 years, male 8.3
GTEX-P4PQ-0126-SM-2S1NM 60-69 years, male 8.3
GTEX-WYVS-2126-SM-3NMA3 40-49 years, female 8.3
GTEX-ZTSS-1926-SM-57WEW 40-49 years, male 8.3
GTEX-1GZ2Q-0226-SM-7P8TL 40-49 years, male 8.3
GTEX-146FH-0126-SM-5QGPP 50-59 years, female 8.2
GTEX-14A5H-0426-SM-5QGQF 60-69 years, male 8.2
GTEX-14BMV-0126-SM-5S2PO 50-59 years, male 8.2
GTEX-14DAR-2026-SM-5S2O3 50-59 years, male 8.2
GTEX-17HII-0226-SM-7LG4E 50-59 years, male 8.2
GTEX-QVJO-1626-SM-2S1QW 60-69 years, female 8.2
GTEX-1AX9I-0126-SM-7SB74 60-69 years, male 8.2
GTEX-1F7RK-0126-SM-7PC2S 20-29 years, female 8.2
GTEX-1GZHY-0326-SM-9QEHI 50-59 years, female 8.2
GTEX-1HFI6-0226-SM-ADEHZ 40-49 years, male 8.2
GTEX-1ICG6-2526-SM-CGQFZ 70-79 years, female 8.2
GTEX-1IGQW-0126-SM-COH42 60-69 years, male 8.2
GTEX-ZQG8-1626-SM-DHXIT 60-69 years, female 8.2
GTEX-13G51-2526-SM-5LZYK 60-69 years, male 8.1
GTEX-13JUV-2726-SM-5LZZ8 40-49 years, female 8.1
GTEX-13PDP-0126-SM-5L3HD 60-69 years, male 8.1
GTEX-13QJ3-0326-SM-5S2RA 50-59 years, male 8.1
GTEX-14ICK-0226-SM-6EU25 40-49 years, male 8.1
GTEX-QCQG-1726-SM-3GIJ9 50-59 years, female 8.1
GTEX-1E2YA-0126-SM-9KNUC 50-59 years, male 8.1
GTEX-1RLM8-2326-SM-EWRN4 50-59 years, male 8.1
GTEX-11GSP-2526-SM-5N9BP 60-69 years, female 8.0
GTEX-11H98-0126-SM-5EGHG 50-59 years, male 8.0
GTEX-13SLW-0126-SM-5SI6C 70-79 years, male 8.0
GTEX-1AX9J-0226-SM-73KXM 60-69 years, male 8.0
GTEX-1AYCT-2426-SM-7IGQ3 50-59 years, male 8.0
GTEX-TMZS-0126-SM-3DB9Q 60-69 years, male 8.0
GTEX-Y3I4-2126-SM-4TT7C 50-59 years, male 8.0
GTEX-Y8E4-0626-SM-4WWDL 40-49 years, male 8.0
GTEX-ZYFG-2326-SM-5E44B 60-69 years, female 8.0
GTEX-1GN1V-0126-SM-9WPOS 60-69 years, male 8.0
GTEX-1JJ6O-0126-SM-E6CI8 60-69 years, male 8.0
GTEX-1JMQI-2226-SM-CM2SD 50-59 years, male 8.0
GTEX-111VG-2426-SM-5GZXD 60-69 years, male 7.9
GTEX-13113-5016-SM-7EPIP 60-69 years, female 7.9
GTEX-133LE-1826-SM-5J1MV 20-29 years, female 7.9
GTEX-13X6I-0626-SM-5QGP9 60-69 years, male 7.9
GTEX-14DAQ-0126-SM-5S2MQ 60-69 years, female 7.9
GTEX-14PHW-0126-SM-6LLJI 60-69 years, female 7.9
GTEX-15G19-0126-SM-6PANQ 60-69 years, male 7.9
GTEX-13FH7-2026-SM-E9J4I 50-59 years, female 7.9
GTEX-1CB4H-0226-SM-7PBXM 60-69 years, female 7.9
GTEX-1ICLZ-0126-SM-CKZPO 60-69 years, male 7.9
GTEX-1MCQQ-0826-SM-DLHC2 60-69 years, male 7.9
GTEX-1NV5F-0226-SM-E8VNY 60-69 years, female 7.9
GTEX-1PIIG-0226-SM-EWRN6 30-39 years, male 7.9
GTEX-14PN4-0126-SM-6EU2V 50-59 years, male 7.8
GTEX-PX3G-0126-SM-2I3EN 20-29 years, female 7.8
GTEX-T5JW-1626-SM-3GADZ 20-29 years, female 7.8
GTEX-T6MO-1626-SM-32QOM 40-49 years, female 7.8
GTEX-WH7G-2326-SM-3NMBC 40-49 years, male 7.8
GTEX-X4EO-0326-SM-3P5YO 60-69 years, female 7.8
GTEX-YEC4-2126-SM-5IFJH 40-49 years, male 7.8
GTEX-1EU9M-0226-SM-7P8SP 60-69 years, male 7.8
GTEX-1HCU6-0126-SM-CL54K 60-69 years, female 7.8
GTEX-1I19N-0326-SM-ACKVX 70-79 years, male 7.8
GTEX-1JMPZ-0226-SM-CNPP1 30-39 years, male 7.8
GTEX-11VI4-1726-SM-5CVLH 40-49 years, female 7.7
GTEX-12C56-1726-SM-5EQ61 20-29 years, male 7.7
GTEX-12KS4-0326-SM-5EQ41 30-39 years, male 7.7
GTEX-13YAN-0326-SM-5O9DF 60-69 years, male 7.7
GTEX-15RIG-0226-SM-7KFTL 40-49 years, male 7.7
GTEX-16YQH-0126-SM-7DUFJ 30-39 years, male 7.7
GTEX-18A67-0126-SM-7LG5P 50-59 years, male 7.7
GTEX-1A32A-0126-SM-718B1 50-59 years, female 7.7
GTEX-R55E-0126-SM-2TC5Y 20-29 years, male 7.7
GTEX-X261-0126-SM-3NMD6 50-59 years, male 7.7
GTEX-ZGAY-0526-SM-4WWBB 40-49 years, female 7.7
GTEX-1IKOH-0226-SM-COH4E 60-69 years, female 7.7
GTEX-1R9PM-2026-SM-E76OY 20-29 years, male 7.7
GTEX-1S83E-0126-SM-EWRO4 40-49 years, male 7.7
GTEX-12696-2426-SM-5EQ6H 60-69 years, male 7.6
GTEX-131XW-0426-SM-5LZWP 50-59 years, female 7.6
GTEX-13O1R-0126-SM-5L3EH 60-69 years, male 7.6
GTEX-15SHU-0126-SM-7KUEH 40-49 years, female 7.6
GTEX-WFG8-2226-SM-3GIL9 20-29 years, male 7.6
GTEX-1HSGN-0226-SM-CGQFV 40-49 years, female 7.6
GTEX-1N2DV-0226-SM-E6CJ6 40-49 years, male 7.6
GTEX-PW2O-1526-SM-7RHHB 20-29 years, male 7.6
GTEX-13S7M-0126-SM-5SI6A 60-69 years, female 7.5
GTEX-13SLX-0526-SM-5S2ON 50-59 years, female 7.5
GTEX-ZEX8-2426-SM-4WKG4 50-59 years, male 7.5
GTEX-1HCU7-0226-SM-CL545 50-59 years, male 7.5
GTEX-1LNCM-1126-SM-E9U5E 50-59 years, female 7.5
GTEX-1RB15-2126-SM-E9TIM 60-69 years, male 7.5
GTEX-11GS4-2726-SM-5A5LE 60-69 years, male 7.4
GTEX-13O21-1426-SM-5K7XI 50-59 years, male 7.4
GTEX-14JIY-0126-SM-6LLH6 60-69 years, male 7.4
GTEX-Z93T-0126-SM-5HL5N 50-59 years, male 7.4
GTEX-Z9EW-1626-SM-5CVMN 40-49 years, male 7.4
GTEX-1F52S-0126-SM-9MQJU 60-69 years, female 7.4
GTEX-1H23P-0126-SM-ADEJ3 60-69 years, male 7.4
GTEX-11P7K-2126-SM-5GU7G 30-39 years, male 7.3
GTEX-145LT-1726-SM-5QGP3 40-49 years, male 7.3
GTEX-ZE7O-0126-SM-57WC1 50-59 years, female 7.3
GTEX-1GMRU-0126-SM-9YFLV 50-59 years, male 7.3
GTEX-1S82Y-2026-SM-EVYCM 40-49 years, male 7.3
GTEX-117YW-2626-SM-5GZZH 50-59 years, male 7.2
GTEX-13U4I-0126-SM-5LU38 40-49 years, female 7.2
GTEX-13VXU-0126-SM-5SI9F 50-59 years, male 7.2
GTEX-NFK9-0226-SM-2HMKQ 40-49 years, male 7.2
GTEX-QEG4-0226-SM-2S1PY 30-39 years, male 7.2
GTEX-R55G-2526-SM-2TC6D 40-49 years, female 7.2
GTEX-U4B1-1826-SM-4DXSU 40-49 years, male 7.2
GTEX-Z93S-0126-SM-5HL7M 50-59 years, male 7.2
GTEX-ZE9C-2726-SM-57WB5 60-69 years, male 7.2
GTEX-ZTX8-1426-SM-5DUVO 20-29 years, male 7.2
GTEX-ZVT2-2526-SM-51MT1 50-59 years, female 7.2
GTEX-ZYW4-0126-SM-5E44A 60-69 years, male 7.2
GTEX-1GF9X-2026-SM-7PC3A 40-49 years, female 7.2
GTEX-1OJC3-0126-SM-E76QX 20-29 years, male 7.2
GTEX-1POEN-0126-SM-EYYXJ 30-39 years, female 7.2
GTEX-OIZF-0126-SM-7SB8I 60-69 years, male 7.2
GTEX-12126-0326-SM-5PNW3 20-29 years, male 7.1
GTEX-1269C-2526-SM-5EGJ3 60-69 years, female 7.1
GTEX-147F3-0526-SM-5SI98 50-59 years, female 7.1
GTEX-14A6H-0126-SM-5QGPK 30-39 years, male 7.1
GTEX-183FY-0126-SM-7LT9P 20-29 years, male 7.1
GTEX-RN64-0126-SM-2TC68 50-59 years, male 7.1
GTEX-WRHK-1426-SM-3MJF9 20-29 years, female 7.1
GTEX-1RDX4-0126-SM-E9J4P 50-59 years, female 7.1
GTEX-NPJ8-0126-SM-2YUNR 40-49 years, male 7.0
GTEX-TSE9-0126-SM-3DB83 60-69 years, female 7.0
GTEX-ZQUD-1426-SM-57WER 30-39 years, male 7.0
GTEX-1HCUA-2426-SM-ADEIS 50-59 years, female 7.0
GTEX-145LV-2126-SM-5LU8N 50-59 years, male 6.9
GTEX-1A3MV-1926-SM-718BT 30-39 years, male 6.9
GTEX-1AMEY-1326-SM-73KYK 30-39 years, female 6.9
GTEX-Q2AI-1326-SM-2S1PL 40-49 years, male 6.9
GTEX-R3RS-0126-SM-3GIJL 40-49 years, female 6.9
GTEX-1CB4F-0426-SM-9KNV4 60-69 years, male 6.9
GTEX-1H1DG-0126-SM-9WYU2 70-79 years, male 6.9
GTEX-1ICLY-0126-SM-D4P36 50-59 years, male 6.9
GTEX-1J1OQ-0226-SM-CYPSH 40-49 years, female 6.9
GTEX-13OW7-0126-SM-5MR3B 50-59 years, male 6.8
GTEX-147GR-0526-SM-5S2MY 60-69 years, male 6.8
GTEX-17EUY-0426-SM-793BD 20-29 years, male 6.8
GTEX-ZVZO-0126-SM-5A5L9 40-49 years, male 6.8
GTEX-1H1E6-1726-SM-ACKVK 30-39 years, male 6.8
GTEX-1I1GR-0126-SM-CL55F 60-69 years, male 6.8
GTEX-1KANC-1526-SM-D3LAB 50-59 years, female 6.8
GTEX-1PPH7-2326-SM-EVYB8 40-49 years, male 6.8
GTEX-1R7EV-2426-SM-EVYBG 40-49 years, male 6.8
GTEX-11P82-1626-SM-59879 20-29 years, male 6.7
GTEX-13FHO-0226-SM-5IFGY 60-69 years, male 6.7
GTEX-13O3Q-2426-SM-5IJBR 50-59 years, male 6.7
GTEX-14BIL-0126-SM-5SI92 50-59 years, male 6.7
GTEX-17GQL-2026-SM-718BA 60-69 years, male 6.7
GTEX-1AYD5-2426-SM-73KXR 50-59 years, male 6.7
GTEX-ZVZP-2426-SM-59HKJ 50-59 years, male 6.7
GTEX-1GF9V-0326-SM-7RHI5 60-69 years, male 6.7
GTEX-1JMQJ-0526-SM-CYPSU 50-59 years, male 6.7
GTEX-13O3P-0126-SM-5KM4S 50-59 years, male 6.6
GTEX-13RTK-1426-SM-5QGQJ 20-29 years, male 6.6
GTEX-PLZ4-0126-SM-5SI8O 50-59 years, female 6.6
GTEX-S95S-1226-SM-4GICG 60-69 years, male 6.6
GTEX-ZYY3-0126-SM-5GZY5 60-69 years, female 6.6
GTEX-1IDJF-0126-SM-CM2RS 20-29 years, male 6.6
GTEX-13W46-0226-SM-5SIAG 50-59 years, male 6.5
GTEX-1B8SG-0126-SM-73KZ3 50-59 years, male 6.5
GTEX-1C6VS-0526-SM-7DUEN 60-69 years, male 6.5
GTEX-1HSMQ-1226-SM-CGQFX 50-59 years, male 6.5
GTEX-1IL2V-0126-SM-CM2TX 70-79 years, male 6.5
GTEX-1LGRB-2526-SM-CNPPQ 50-59 years, female 6.5
GTEX-RVPV-0126-SM-EAZAW 60-69 years, male 6.5
GTEX-ZF29-2326-SM-DO92K 60-69 years, female 6.5
GTEX-1C2JI-1826-SM-73KXC 50-59 years, male 6.4
GTEX-1GN1U-0126-SM-7PBZK 50-59 years, female 6.4
GTEX-1HGF4-2426-SM-ACKXM 60-69 years, male 6.4
GTEX-1JN6P-0126-SM-D3L98 60-69 years, male 6.4
GTEX-1211K-2026-SM-5EQ4Z 60-69 years, female 6.3
GTEX-15DDE-0126-SM-6LPKH 50-59 years, female 6.3
GTEX-15UF6-0826-SM-6PALJ 70-79 years, female 6.3
GTEX-XBEW-0626-SM-4QASP 40-49 years, male 6.3
GTEX-ZF28-0126-SM-4WKGK 60-69 years, male 6.3
GTEX-1GPI6-0126-SM-9WG69 60-69 years, male 6.3
GTEX-1S82Z-0826-SM-E6CHY 30-39 years, female 6.3
GTEX-11EI6-0126-SM-5985R 60-69 years, male 6.2
GTEX-12WSE-0526-SM-793B2 20-29 years, male 6.2
GTEX-14PN3-2426-SM-6LLHS 60-69 years, female 6.2
GTEX-1CAMR-1926-SM-7EPI2 20-29 years, male 6.2
GTEX-1F75A-0126-SM-7RHGM 50-59 years, male 6.2
GTEX-1I1HK-0126-SM-COH49 60-69 years, male 6.2
GTEX-1JMLX-0226-SM-CM2RO 50-59 years, male 6.2
GTEX-11DXW-0226-SM-5H122 40-49 years, male 6.1
GTEX-13D11-2426-SM-5KM1V 50-59 years, female 6.1
GTEX-148VI-1626-SM-5SI6E 60-69 years, female 6.1
GTEX-15UKP-0426-SM-7KUFQ 20-29 years, male 6.1
GTEX-X4XY-0226-SM-4E3IZ 60-69 years, male 6.1
GTEX-12WSG-2826-SM-E9J4H 50-59 years, female 6.1
GTEX-1QP67-1626-SM-EAZ3X 40-49 years, female 6.1
GTEX-1QW4Y-1526-SM-EAZ3Z 30-39 years, male 6.1
GTEX-PSDG-0226-SM-DKPOZ 50-59 years, male 6.1
GTEX-12WSN-5019-SM-79OM6 40-49 years, male 6.0
GTEX-OXRN-0126-SM-48TDM 50-59 years, male 6.0
GTEX-1LH75-2426-SM-E9TJE 50-59 years, female 6.0
GTEX-1RQEC-0426-SM-E6CHU 60-69 years, male 6.0
GTEX-11OC5-0126-SM-5HL6A 60-69 years, male 5.9
GTEX-12ZZX-0126-SM-5EGK9 40-49 years, female 5.9
GTEX-14E6C-0126-SM-5RQIP 40-49 years, male 5.9
GTEX-QDVJ-1726-SM-2I5FX 50-59 years, male 5.9
GTEX-1CAV2-2226-SM-7P8P2 40-49 years, female 5.9
GTEX-1K2DU-2326-SM-E9TIV 20-29 years, male 5.9
GTEX-11TT1-2526-SM-5EGIB 20-29 years, male 5.8
GTEX-13OVJ-0126-SM-5KM36 50-59 years, female 5.8
GTEX-15EOM-0126-SM-7KUGG 20-29 years, female 5.8
GTEX-16AAH-1726-SM-7939C 50-59 years, male 5.8
GTEX-17F97-0326-SM-7LG5B 50-59 years, male 5.8
GTEX-131XF-5016-SM-7MGWE 60-69 years, male 5.8
GTEX-1EWIQ-0126-SM-7RHH2 70-79 years, female 5.8
GTEX-1F5PK-2426-SM-7RHHY 50-59 years, male 5.8
GTEX-1I1GT-0626-SM-CGQER 60-69 years, female 5.8
GTEX-1I4MK-2226-SM-ACKWD 50-59 years, female 5.8
GTEX-1JMOU-1526-SM-CL54I 60-69 years, female 5.8
GTEX-113JC-2326-SM-5EQ4E 50-59 years, female 5.7
GTEX-17KNJ-2326-SM-7DHLQ 50-59 years, male 5.7
GTEX-Q734-1926-SM-2I5EV 40-49 years, female 5.7
GTEX-QLQ7-1626-SM-2S1R8 60-69 years, male 5.7
GTEX-SJXC-0126-SM-2XCFF 60-69 years, male 5.7
GTEX-WOFL-0126-SM-3MJG2 60-69 years, male 5.7
GTEX-1C64O-0126-SM-7SB8P 60-69 years, male 5.7
GTEX-111FC-0126-SM-5N9DL 60-69 years, male 5.6
GTEX-13NZA-0226-SM-5K7Z7 60-69 years, male 5.6
GTEX-1HUB1-0426-SM-E9U4U 60-69 years, male 5.6
GTEX-1I1CD-0126-SM-CM2TK 60-69 years, female 5.6
GTEX-17HHY-0126-SM-7LG5D 50-59 years, male 5.5
GTEX-1C475-1826-SM-73KWA 40-49 years, female 5.5
GTEX-OXRP-0126-SM-3NB32 60-69 years, female 5.5
GTEX-SIU8-0126-SM-2XCDT 50-59 years, male 5.5
GTEX-XMD2-0126-SM-4YCDU 60-69 years, female 5.5
GTEX-1C6VQ-0126-SM-7P8RI 50-59 years, male 5.5
GTEX-1IKJJ-0126-SM-CNPQB 60-69 years, male 5.5
GTEX-1J1R8-1726-SM-ARL8M 40-49 years, male 5.5
GTEX-1KAFJ-2026-SM-CY8ID 50-59 years, male 5.5
GTEX-1R9PO-2126-SM-E9J4O 60-69 years, female 5.5
GTEX-139D8-0226-SM-5KLZO 30-39 years, female 5.4
GTEX-17HG3-2226-SM-7938L 30-39 years, female 5.4
GTEX-1C4CL-0526-SM-73KVK 30-39 years, male 5.4
GTEX-1QEPI-0126-SM-EWRMQ 60-69 years, female 5.4
GTEX-11EM3-2426-SM-59861 20-29 years, female 5.3
GTEX-1JN1M-0326-SM-CYPT3 60-69 years, female 5.3
GTEX-1314G-1526-SM-5EGK2 30-39 years, male 5.2
GTEX-13CF3-2426-SM-5IFGX 60-69 years, female 5.2
GTEX-15ER7-0326-SM-7KUEV 20-29 years, female 5.2
GTEX-1E1VI-0126-SM-7DHMZ 50-59 years, male 5.2
GTEX-X88G-0126-SM-47JZ3 30-39 years, male 5.2
GTEX-13N11-2526-SM-5K7UE 50-59 years, female 5.1
GTEX-17EVP-0326-SM-7DHLG 40-49 years, male 5.1
GTEX-18A66-0226-SM-718BD 60-69 years, male 5.1
GTEX-ZXG5-0126-SM-5GIEU 60-69 years, male 5.1
GTEX-1MUQO-0126-SM-EAZ58 60-69 years, male 5.1
GTEX-131XE-2326-SM-5PNZ2 50-59 years, male 5.0
GTEX-ZVTK-0426-SM-51MRS 20-29 years, male 5.0
GTEX-1H2FU-0126-SM-9WYSI 60-69 years, female 5.0
GTEX-1M4P7-0226-SM-DIPEV 60-69 years, male 5.0
GTEX-T2YK-0526-SM-32QPJ 50-59 years, male 4.9
GTEX-12WSL-2526-SM-5GCNJ 50-59 years, male 4.8
GTEX-183WM-0126-SM-7LTAB 70-79 years, female 4.8
GTEX-S32W-2126-SM-2XCB1 50-59 years, female 4.8
GTEX-SNMC-1226-SM-2XCFP 20-29 years, male 4.8
GTEX-UPJH-0326-SM-3GADU 50-59 years, male 4.8
GTEX-VUSG-2526-SM-4KL1V 50-59 years, male 4.8
GTEX-X8HC-0126-SM-4E3JW 50-59 years, female 4.8
GTEX-1EMGI-0126-SM-9KNUE 60-69 years, male 4.8
GTEX-1LBAC-0126-SM-DIPEZ 20-29 years, male 4.8
GTEX-11EMC-2926-SM-5EQ4F 60-69 years, female 4.7
GTEX-16XZZ-0126-SM-793DV 60-69 years, male 4.7
GTEX-OOBK-0126-SM-2YUND 40-49 years, male 4.7
GTEX-14LZ3-0226-SM-62LET 60-69 years, female 4.6
GTEX-16NGA-1726-SM-731B4 40-49 years, female 4.6
GTEX-U3ZN-2326-SM-3DB7W 30-39 years, female 4.6
GTEX-1B8L1-2526-SM-9WYTF 60-69 years, male 4.6
GTEX-1H4P4-0726-SM-9YFLR 50-59 years, male 4.6
GTEX-SUCS-1926-SM-32PM3 70-79 years, male 4.5
GTEX-YFC4-0126-SM-5CVLY 40-49 years, female 4.5
GTEX-ZYFC-0226-SM-5NQ75 50-59 years, male 4.5
GTEX-1B933-0126-SM-7PC29 50-59 years, female 4.5
GTEX-1KD4Q-0226-SM-E9TJ9 40-49 years, male 4.5
GTEX-15SDE-2226-SM-7IGLO 50-59 years, female 4.4
GTEX-1GL5R-1826-SM-9KNUY 50-59 years, male 4.4
GTEX-1GZ4H-1726-SM-7PBZJ 50-59 years, female 4.4
GTEX-1HBPN-0226-SM-9YFM1 50-59 years, male 4.4
GTEX-1HSMO-0126-SM-CL547 60-69 years, male 4.4
GTEX-1PPH8-0226-SM-E8VND 20-29 years, male 4.4
GTEX-16NPX-0226-SM-79OMT 50-59 years, male 4.3
GTEX-QV44-1926-SM-2S1RF 50-59 years, male 4.3
GTEX-S7PM-0126-SM-4AD6S 60-69 years, male 4.3
GTEX-1CAMS-0426-SM-7P8T2 40-49 years, female 4.3
GTEX-13OVH-0126-SM-5MR4B 70-79 years, male 4.2
GTEX-16XZY-2126-SM-79OK1 70-79 years, male 4.2
GTEX-18A7A-0226-SM-718BH 50-59 years, female 4.2
GTEX-RU72-0926-SM-2TF6B 50-59 years, female 4.2
GTEX-X638-0126-SM-47JZ8 70-79 years, female 4.2
GTEX-1F48J-0126-SM-7P8TT 50-59 years, female 4.2
GTEX-1F6I4-0126-SM-9MQL2 60-69 years, male 4.2
GTEX-1H3NZ-0126-SM-ACKX7 60-69 years, male 4.2
GTEX-11DYG-0126-SM-59883 60-69 years, male 4.1
GTEX-11EQ9-2426-SM-5HL5T 30-39 years, male 4.1
GTEX-11P81-2326-SM-59875 30-39 years, female 4.1
GTEX-13OVL-0226-SM-5L3E9 50-59 years, male 4.1
GTEX-145MO-0326-SM-5Q5B3 60-69 years, male 4.1
GTEX-14A5I-0126-SM-5TDEA 50-59 years, female 4.1
GTEX-14ABY-0226-SM-5TDCQ 50-59 years, male 4.1
GTEX-QLQW-1126-SM-2S1Q8 30-39 years, male 4.1
GTEX-VJYA-1126-SM-3GIJU 60-69 years, male 4.1
GTEX-WXYG-2326-SM-4E3I6 50-59 years, female 4.1
GTEX-X585-0226-SM-4QAS2 50-59 years, male 4.1
GTEX-1HKZK-0326-SM-9WYUH 40-49 years, male 4.1
GTEX-1IL2U-0226-SM-CE6T8 60-69 years, male 4.1
GTEX-1NHNU-1026-SM-E9J2A 50-59 years, male 4.1
GTEX-11XUK-2026-SM-5EQLF 40-49 years, female 4.0
GTEX-131XH-2226-SM-5DUXJ 50-59 years, male 4.0
GTEX-1HBPM-0226-SM-ARL9F 60-69 years, female 4.0
GTEX-1PWST-0226-SM-E76QJ 70-79 years, male 4.0
GTEX-PLZ6-1426-SM-DKPOT 30-39 years, male 4.0
GTEX-13OVK-2026-SM-7KUEO 40-49 years, male 3.9
GTEX-ZC5H-0226-SM-4WAY9 40-49 years, female 3.9
GTEX-15ETS-0126-SM-7KUMW 40-49 years, female 3.8
GTEX-ZYFD-0126-SM-5GIDL 50-59 years, male 3.8
GTEX-1IY9M-0126-SM-D3L8S 60-69 years, male 3.8
GTEX-1RAZA-0126-SM-E6CI3 20-29 years, male 3.8
GTEX-1AMFI-2026-SM-731BH 50-59 years, female 3.7
GTEX-OXRO-0126-SM-2YUN4 60-69 years, female 3.7
GTEX-Y5LM-1926-SM-5RQJH 40-49 years, female 3.7
GTEX-1GPI7-0126-SM-9MQL8 20-29 years, male 3.7
GTEX-1IDFM-0126-SM-COH2V 60-69 years, male 3.7
GTEX-1JJEA-0326-SM-CNPOT 60-69 years, male 3.7
GTEX-1MA7X-2226-SM-E6CIY 60-69 years, male 3.7
GTEX-14PJM-0226-SM-62LF1 50-59 years, female 3.6
GTEX-15SHW-0326-SM-6PAML 60-69 years, male 3.6
GTEX-OIZH-0126-SM-2HMIS 50-59 years, male 3.6
GTEX-P44H-0226-SM-2XCEU 40-49 years, male 3.6
GTEX-RTLS-0126-SM-447CA 60-69 years, female 3.6
GTEX-PWCY-1826-SM-DHXIZ 20-29 years, female 3.6
GTEX-OXRL-0126-SM-2YUMP 50-59 years, male 3.5
GTEX-1C6WA-0126-SM-7PC2B 60-69 years, male 3.5
GTEX-1CB4G-0226-SM-7PC3O 60-69 years, male 3.5
GTEX-13CF2-2526-SM-5LZYX 60-69 years, male 3.4
GTEX-OHPM-0126-SM-2YUN9 50-59 years, male 3.4
GTEX-18D9A-1926-SM-7LG6P 30-39 years, female 3.3
GTEX-1B8KE-2126-SM-73KYX 50-59 years, male 3.3
GTEX-T8EM-1026-SM-3DB7M 40-49 years, male 3.3
GTEX-X62O-0126-SM-4E3JN 50-59 years, male 3.3
GTEX-1IE54-0126-SM-CMKHW 40-49 years, female 3.3
GTEX-1AX9K-2326-SM-73KWU 50-59 years, male 3.2
GTEX-OXRK-0226-SM-3NB2G 50-59 years, female 3.2
GTEX-11DZ1-0126-SM-5985Q 50-59 years, male 3.1
GTEX-11WQC-2526-SM-5CVLE 60-69 years, male 3.1
GTEX-13NYS-0126-SM-5MR3W 60-69 years, male 3.1
GTEX-SSA3-0126-SM-32QPU 60-69 years, male 3.1
GTEX-Y8LW-1826-SM-5S2MV 50-59 years, female 3.1
GTEX-1LVAN-0226-SM-COH3S 50-59 years, female 3.0
GTEX-1PIGE-0126-SM-EVYBJ 20-29 years, male 3.0
GTEX-14LLW-0126-SM-6LLIO 70-79 years, female 2.9
GTEX-1F6IF-0726-SM-7P8TW 60-69 years, male 2.9
GTEX-1J8QM-2126-SM-CYPSJ 60-69 years, female 2.9
GTEX-1OJC4-0126-SM-E9J2E 50-59 years, female 2.9
GTEX-1S5ZA-0126-SM-EVYCV 20-29 years, male 2.9
GTEX-13OVI-1426-SM-5L3EY 60-69 years, female 2.8
GTEX-14BMU-2226-SM-5TDE9 20-29 years, female 2.7
GTEX-1I1GU-2226-SM-CGQFA 40-49 years, male 2.7
GTEX-1JKYR-0126-SM-CNPOJ 20-29 years, male 2.7
GTEX-1MGNQ-0126-SM-EVYCJ 40-49 years, male 2.6
GTEX-1122O-2126-SM-5EGIR 60-69 years, female 2.5
GTEX-1GMR8-0126-SM-9WYTM 50-59 years, female 2.5
GTEX-17HHE-2026-SM-79OKF 50-59 years, male 2.4
GTEX-ZAB4-0226-SM-5N9F5 40-49 years, male 2.4
GTEX-1R46S-0626-SM-E9J41 60-69 years, female 2.4
GTEX-ZDTT-2726-SM-4WKF8 60-69 years, male 2.3
GTEX-1RAZQ-0726-SM-EAZ43 30-39 years, male 2.3
GTEX-TML8-1926-SM-32QOS 40-49 years, female 2.2
GTEX-145MN-2226-SM-5SIAU 30-39 years, male 2.1
GTEX-1GN1W-0526-SM-9MQJQ 50-59 years, female 2.1
GTEX-146FR-1326-SM-E9J48 60-69 years, female 2.0
Show allShow less

Contact

  • NEWS ARTICLES
  • PRESS ROOM

The Project

  • INTRODUCTION
  • ORGANIZATION
  • PUBLICATIONS

The Human Protein Atlas

  • DOWNLOADABLE DATA
  • LICENCE & CITATION
  • HELP & FAQ
The Human Protein Atlas project is funded
by the Knut & Alice Wallenberg Foundation.


contact@proteinatlas.org