We use cookies to enhance the usability of our website. If you continue, we'll assume that you are happy to receive all cookies. More information. Don't show this again.
GPRC5A
HPA
RESOURCES
  • TISSUE
  • BRAIN
  • SINGLE CELL
  • SUBCELLULAR
  • CANCER
  • BLOOD
  • CELL LINE
  • STRUCTURE & INTERACTION
ABOUT
  • INTRODUCTION
  • HISTORY
  • ORGANIZATION
  • PUBLICATIONS
  • ANTIBODY SUBMISSION
  • ANTIBODY AVAILABILITY
  • ACKNOWLEDGMENTS
  • CONTACT
NEWS
  • NEWS ARTICLES
  • PRESS ROOM
LEARN
  • DICTIONARY
  • PROTEIN CLASSES
  • PROTEIN EVIDENCE
  • METHODS
  • EDUCATIONAL VIDEOS
DATA
  • DOWNLOADABLE DATA
  • PUBLICATION DATA
  • RELEASE HISTORY
HELP
  • ANTIBODY VALIDATION
  • ASSAYS & ANNOTATION
  • DISCLAIMER
  • HELP & FAQ
  • PRIVACY STATEMENT
  • LICENCE & CITATION
Fields »
Search result

Field
Term
Gene name
Class
Subclass
Class
Keyword
Chromosome
External id
Tissue
Cell type
Expression
Antibody panel
Tissue
Main location
Patient ID
Annotation
Tissue
Category
Tau score
Cluster
Reliability
Brain region
Category
Tau score
Brain region
Category
Tau score
Brain region
Category
Tau score
Cluster
Reliability
Tissue
Cell type
Enrichment
Cell type
Category
Tau score
Cell type
Category
Tau score
Cell type
Category
Tau score
Cell lineage
Category
Tau score
Cluster
Cluster
Location
Searches
Location
Cell line
Class
Type
Phase
Reliability
Cancer
Prognosis
Cancer
Category
Cancer
Category
Tau score
Cluster
Variants
Interacting gene (ensg_id)
Type
Number of interactions
Pathway
Category
Score
Score
Score
Validation
Validation
Validation
Validation
Antibodies
Data type
Column


  • SUMMARY

  • TISSUE

  • BRAIN

  • SINGLE CELL

  • SUBCELL

  • CANCER

  • BLOOD

  • CELL LINE

  • STRUCT & INT

  • GPRC5A
TISSUE PRIMARY DATA STOMACH Show tissue menu
ADIPOSE TISSUE ADRENAL GLAND AMYGDALA APPENDIX BASAL GANGLIA BONE MARROW BREAST BRONCHUS CEREBELLUM CEREBRAL CORTEX CERVIX CHOROID PLEXUS COLON DUODENUM
ENDOMETRIUM EPIDIDYMIS ESOPHAGUS FALLOPIAN TUBE GALLBLADDER HEART MUSCLE HIPPOCAMPAL FORMATION HYPOTHALAMUS KIDNEY LIVER LUNG LYMPH NODE MIDBRAIN NASOPHARYNX
ORAL MUCOSA OVARY PANCREAS PARATHYROID GLAND PITUITARY GLAND PLACENTA PROSTATE RECTUM RETINA SALIVARY GLAND SEMINAL VESICLE SKELETAL MUSCLE SKIN SMALL INTESTINE
SMOOTH MUSCLE SOFT TISSUE SPINAL CORD SPLEEN STOMACH TESTIS THYMUS THYROID GLAND TONGUE TONSIL URINARY BLADDER VAGINA
ANTIBODIES
AND
VALIDATION
Dictionary
Tissue proteome
Stomach
STOMACH - Expression summary
Protein expression
Stomachi

On the top, protein expression in current human tissue, based on all annotated cell types, is reported with the units not detected (n), low (l), medium (m) and high (h). Underneath, protein expression in each annotated cell type are reported using the same units.

Protein expression data is based on knowledge-based annotation. For genes where more than one antibody has been used, a collective score is set.

If knowledge-based annotation could not be performed for a gene, no data is displayed here. View antibody staining data further down this page.

h
m
l
n
Glandular cells: Not detected
RNA expressioni

A summary of mRNA expression data available for current tissue based on several datasets. The mRNA expression levels in human tissues are based on RNA-seq data generated by the Human Protein Atlas (HPA), Genotype-Tissue Expression (GTEx) portal and CAGE data generated by the FANTOM5 consortium. Consensus normalized expression levels for human tissues was created by combining the data from HPA and GTEx datasets.

The mRNA expression levels in pig are based on RNA-seq data generated by the Human Protein Atlas (HPA), and for mouse, HPA data and in situ hybridization generated by the Allen brain atlas are reported.

Scroll down to view mRNA expression data in more detail.
Consensus:32.7 nTPM
HPA:32.7 nTPM
GTEx:29.3 nTPM

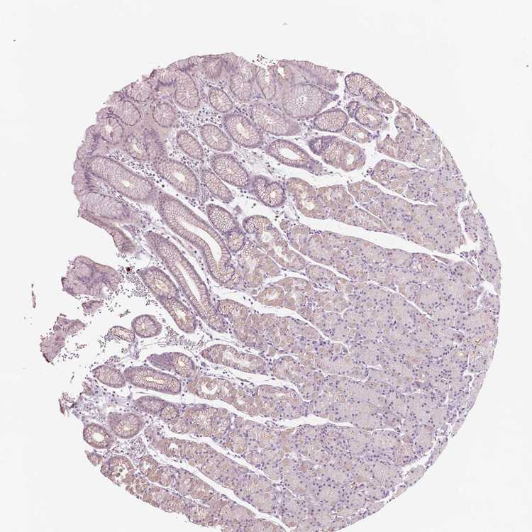
STOMACH 1 - Antibody stainingi

Antibody staining in the annotated cell types in the current human tissue is reported as not detected, low, medium, or high, based on conventional immunohistochemistry profiling in selected tissues. This score is based on the combination of the staining intensity and fraction of stained cells.

Each image is clickable and will lead to virtual microscopy that enables deeper exploration of all samples and also displays staining intensity scores, fraction scores and subcellular localization as well as patient and tissue information for each sample.

Antibody HPA007928
Glandular cells Not detected


STOMACH 2 - Antibody stainingi

Antibody staining in the annotated cell types in the current human tissue is reported as not detected, low, medium, or high, based on conventional immunohistochemistry profiling in selected tissues. This score is based on the combination of the staining intensity and fraction of stained cells.

Each image is clickable and will lead to virtual microscopy that enables deeper exploration of all samples and also displays staining intensity scores, fraction scores and subcellular localization as well as patient and tissue information for each sample.

Antibody HPA007928
Glandular cells Not detected


STOMACH - HPA RNA-seqi

The RNA-seq details section shows detailed information about the individual samples used for the transcript profiling and results of the RNA-seq analysis.

Information about each individual sample is listed below, including gender, age, a tissue section image and estimated fractions of cell types. nTPM (normalized transcripts per million) values give a quantification of the gene abundance which is comparable between different genes and samples.
Average nTPMi

Max subtype nTPM is the value for the subtype with the largest average nTPM across the subtype samples.

32.7
overview
Female, age 33
Stomach sample 61
nTPM: 5.1
Cell types%
Glandular cells:
60

Smooth muscle cells:
5

Other cell types:
35

N/A
Male, age 82
Stomach sample 240
nTPM: 21.9
Cell types%
Glandular cells:
65

Smooth muscle cells:
5

Other cell types:
30

overview
Male, age 71
Stomach sample 241
nTPM: 93.5
Cell types%
Glandular cells:
50

Smooth muscle cells:
5

Other cell types:
45

overview
Female, age 66
Stomach sample 369
nTPM: 10.5
Cell types%
Glandular cells:
50

Smooth muscle cells:
10

Other cell types:
40


STOMACH - GTEx RNA-seqi

RNA-Seq data generated by the Genotype-Tissue Expression (GTEx) project from human tissues is reported as mean nTPM. More information can be found on the GTEx portal.

Distribution across the dataset is visualized with box plots, shown as median and 25th and 75th percentiles. Points are displayed as outliers if they are above or below 1.5 times the interquartile range. nTPM values of the individual samples are presented next to the box plot.
Max subtype nTPMi

Max subtype nTPM is the value for the subtype with the largest average nTPM across the subtype samples.

29.3
GTEx sample id Sample description nTPM
Stomach
Average nTPM: 29.3
Samples: 359

Max nTPM: 578.7
Min nTPM: 0.4
Std nTPM: 65.0
Median nTPM: 10.6
GTEX-ZYY3-1726-SM-5EGH3 60-69 years, female 578.7
GTEX-11NUK-2426-SM-5BC4U 50-59 years, male 536.6
GTEX-13S7M-1826-SM-5RQK6 60-69 years, female 489.6
GTEX-15G19-1526-SM-6LPKP 60-69 years, male 369.3
GTEX-1HBPI-0726-SM-9WG7Z 50-59 years, male 265.1
GTEX-1GMRU-2526-SM-9WG7T 50-59 years, male 263.0
GTEX-13OW6-2526-SM-5IJEC 50-59 years, male 259.8
GTEX-1JMLX-2426-SM-CXZJQ 50-59 years, male 255.7
GTEX-ZVT3-2126-SM-59HL2 60-69 years, female 236.9
GTEX-11GSP-2126-SM-5HL5E 60-69 years, female 233.6
GTEX-U4B1-1026-SM-4DXT1 40-49 years, male 197.0
GTEX-RTLS-2626-SM-46MUJ 60-69 years, female 181.3
GTEX-13PVQ-2126-SM-5L3FW 50-59 years, male 170.0
GTEX-Y5LM-1326-SM-5RQIS 40-49 years, female 159.5
GTEX-18A7A-2726-SM-7LG6U 50-59 years, female 153.2
GTEX-YJ8A-1526-SM-5P9FT 20-29 years, male 153.1
GTEX-1JMPZ-1826-SM-CXZJT 30-39 years, male 149.0
GTEX-1J8EW-2226-SM-AHZ3T 60-69 years, female 131.8
GTEX-1QMI2-2126-SM-DPRXQ 60-69 years, male 121.1
GTEX-1JN1M-2926-SM-CNNPJ 60-69 years, female 119.3
GTEX-1HCU8-1326-SM-C1YQQ 60-69 years, female 117.4
GTEX-15SHW-2126-SM-6M46Y 60-69 years, male 116.0
GTEX-12WSD-2326-SM-59HKQ 60-69 years, female 106.1
GTEX-131XF-1226-SM-5HL8V 60-69 years, male 83.5
GTEX-WHPG-0426-SM-4M1XW 50-59 years, male 83.5
GTEX-1A8G6-1426-SM-731EZ 60-69 years, male 82.2
GTEX-144GM-1726-SM-5O9AS 20-29 years, male 76.5
GTEX-13X6J-2126-SM-5TDCV 50-59 years, male 75.0
GTEX-11EM3-1026-SM-5A5KL 20-29 years, female 74.1
GTEX-XV7Q-1326-SM-4BRWM 40-49 years, female 67.0
GTEX-117YW-2226-SM-5N9DB 50-59 years, male 66.8
GTEX-12BJ1-1726-SM-5HL9B 60-69 years, male 59.6
GTEX-11TT1-0726-SM-5GU5A 20-29 years, male 58.0
GTEX-18A67-2626-SM-718AD 50-59 years, male 57.1
GTEX-13CF3-1926-SM-5K7WF 60-69 years, female 56.9
GTEX-132AR-2426-SM-5IFFD 50-59 years, female 55.3
GTEX-1JKYN-1726-SM-AHZ48 30-39 years, male 54.9
GTEX-1C475-1026-SM-7MKFJ 40-49 years, female 54.8
GTEX-1H3VY-2326-SM-9WG81 50-59 years, male 53.5
GTEX-V1D1-1726-SM-4JBHB 50-59 years, male 53.4
GTEX-Q2AH-1126-SM-48TZM 40-49 years, male 52.0
GTEX-13N1W-2026-SM-5K7YU 70-79 years, male 51.9
GTEX-RM2N-0826-SM-48FD3 50-59 years, male 51.3
GTEX-ZLWG-1526-SM-DO12F 50-59 years, female 46.5
GTEX-139YR-1926-SM-5LZXM 50-59 years, male 46.3
GTEX-ZQUD-0826-SM-57WDQ 30-39 years, male 46.3
GTEX-14DAR-0926-SM-73KUQ 50-59 years, male 44.2
GTEX-1I1HK-2026-SM-CNNRB 60-69 years, male 43.8
GTEX-14BMV-2226-SM-5RQHX 50-59 years, male 42.4
GTEX-YFCO-0826-SM-5LUAG 40-49 years, male 41.4
GTEX-QXCU-1926-SM-48FE4 50-59 years, male 41.2
GTEX-1E1VI-2826-SM-7MGWU 50-59 years, male 38.7
GTEX-S4Q7-0726-SM-4AD5F 20-29 years, male 37.6
GTEX-WHSB-1226-SM-4M1XR 50-59 years, male 36.9
GTEX-Y3IK-1426-SM-4YCES 50-59 years, female 36.9
GTEX-WXYG-1626-SM-4ONCR 50-59 years, female 36.6
GTEX-1J8JJ-1726-SM-C1YQG 60-69 years, female 36.0
GTEX-131XG-1226-SM-5EGH9 50-59 years, female 35.8
GTEX-1L5NE-1526-SM-DIPFW 50-59 years, male 35.5
GTEX-OHPK-1526-SM-3MJGM 50-59 years, female 35.2
GTEX-17HGU-2126-SM-7IGOV 50-59 years, male 35.0
GTEX-QDVJ-1426-SM-48U1Y 50-59 years, male 35.0
GTEX-13113-0726-SM-5LZUF 60-69 years, female 34.1
GTEX-14B4R-0726-SM-5TDDR 30-39 years, male 33.6
GTEX-1JMPY-0926-SM-ARL92 30-39 years, male 32.3
GTEX-1R7EU-1126-SM-EAZ4M 60-69 years, male 32.0
GTEX-133LE-1326-SM-5IFGO 20-29 years, female 31.2
GTEX-OHPM-1526-SM-EV796 50-59 years, male 30.8
GTEX-1HBPN-1626-SM-9WPNP 50-59 years, male 30.1
GTEX-QDVN-1226-SM-48TZ5 50-59 years, male 29.3
GTEX-14PJ3-1426-SM-664O8 50-59 years, male 28.4
GTEX-145ME-1026-SM-5O9B4 40-49 years, female 27.9
GTEX-1H23P-2726-SM-9JGHN 60-69 years, male 27.7
GTEX-SNOS-0826-SM-4DM5N 40-49 years, male 27.2
GTEX-1JMQJ-1326-SM-D4P3B 50-59 years, male 27.2
GTEX-Y9LG-1026-SM-5IFJN 30-39 years, male 26.9
GTEX-15UF7-1226-SM-6M46G 40-49 years, male 26.8
GTEX-SNMC-0626-SM-4DM6H 20-29 years, male 26.8
GTEX-1RQEC-2126-SM-DPS15 60-69 years, male 25.4
GTEX-13RTK-0226-SM-5RQHR 20-29 years, male 25.3
GTEX-14BIL-1926-SM-73KYI 50-59 years, male 25.3
GTEX-1A3MV-1226-SM-718BW 30-39 years, male 25.0
GTEX-ZGAY-1626-SM-DNZZ3 40-49 years, female 24.9
GTEX-1I6K7-1726-SM-B2LXQ 40-49 years, male 24.8
GTEX-1QPFJ-1526-SM-DPRXT 30-39 years, female 24.5
GTEX-ZA64-0826-SM-5HL9U 20-29 years, male 24.2
GTEX-POMQ-0826-SM-3P61H 20-29 years, female 24.1
GTEX-1IDJD-2426-SM-C1YS6 30-39 years, male 23.6
GTEX-1F75I-1826-SM-7MKGX 40-49 years, male 23.3
GTEX-ZY6K-0726-SM-5A5L8 50-59 years, male 23.0
GTEX-Y3I4-1626-SM-4TT7W 50-59 years, male 22.4
GTEX-145MO-2226-SM-5Q5BN 60-69 years, male 22.2
GTEX-WY7C-1726-SM-4ONCC 50-59 years, male 22.2
GTEX-15RIE-1026-SM-6LPJQ 60-69 years, male 22.1
GTEX-1HSEH-1526-SM-B2LXG 60-69 years, male 22.1
GTEX-1A3MX-1926-SM-72D7F 60-69 years, male 21.7
GTEX-1QP29-2326-SM-EXOJO 50-59 years, male 21.7
GTEX-1MUQO-1926-SM-EAZ59 60-69 years, male 21.5
GTEX-13FTW-1726-SM-5KM2B 40-49 years, male 21.3
GTEX-1JK1U-1326-SM-AHZ45 60-69 years, male 21.1
GTEX-WYJK-2526-SM-4ONDF 50-59 years, male 20.6
GTEX-TMMY-1626-SM-4DXTY 40-49 years, female 20.4
GTEX-12WSK-1426-SM-5CVNN 40-49 years, female 20.2
GTEX-1CAMR-0726-SM-7EPIE 20-29 years, male 19.9
GTEX-ZYVF-2726-SM-5GID4 50-59 years, female 19.7
GTEX-1IDJU-1526-SM-CNNR3 60-69 years, female 19.7
GTEX-17HHE-1026-SM-79ON6 50-59 years, male 19.6
GTEX-1KANA-1126-SM-D3L9M 20-29 years, male 19.6
GTEX-117YX-1026-SM-5H11V 50-59 years, male 19.5
GTEX-1QCLY-1126-SM-EAZ4J 30-39 years, male 19.5
GTEX-17F98-1526-SM-7EWD8 40-49 years, female 19.4
GTEX-11EQ9-1226-SM-5987E 30-39 years, male 19.0
GTEX-1R9K5-1026-SM-EAZ4F 50-59 years, male 18.9
GTEX-WFG7-1326-SM-4LMK1 20-29 years, male 18.6
GTEX-1LGRB-1726-SM-CNNRA 50-59 years, female 18.6
GTEX-ZPU1-1626-SM-4WWB2 40-49 years, male 18.5
GTEX-ZVP2-1626-SM-5GU5D 50-59 years, male 18.4
GTEX-PWN1-1526-SM-48TDA 40-49 years, female 18.1
GTEX-1KXAM-0926-SM-CXZKA 60-69 years, male 18.0
GTEX-PW2O-1226-SM-48TCH 20-29 years, male 17.7
GTEX-WFG8-1326-SM-4LVN3 20-29 years, male 17.6
GTEX-14PHX-1026-SM-664OL 50-59 years, male 17.4
GTEX-13FTX-0726-SM-5N9BI 20-29 years, female 17.2
GTEX-Y8LW-0826-SM-4WWDO 50-59 years, female 17.2
GTEX-111CU-0926-SM-5EGIK 50-59 years, male 17.0
GTEX-1GL5R-1926-SM-9WG7U 50-59 years, male 16.8
GTEX-11DXX-1326-SM-5GIDZ 60-69 years, female 16.6
GTEX-14PJ5-0826-SM-6AJAR 60-69 years, female 16.5
GTEX-T8EM-1226-SM-4DM5J 40-49 years, male 16.5
GTEX-T6MO-0726-SM-4DM58 40-49 years, female 16.4
GTEX-VJYA-1026-SM-4KL21 60-69 years, male 16.3
GTEX-P78B-1826-SM-3P5YX 40-49 years, female 16.2
GTEX-ZVZP-1726-SM-5GZWY 50-59 years, male 16.2
GTEX-13QBU-1126-SM-5LU44 40-49 years, female 16.0
GTEX-17MF6-2126-SM-7KFS7 40-49 years, male 16.0
GTEX-1PIGE-1126-SM-EWRMV 20-29 years, male 16.0
GTEX-QMRM-1126-SM-447BN 50-59 years, male 15.8
GTEX-18A66-2226-SM-7189E 60-69 years, male 15.5
GTEX-1MCYP-1126-SM-E9J2P 20-29 years, female 15.5
GTEX-111YS-1126-SM-5GZYQ 60-69 years, male 15.4
GTEX-QCQG-0526-SM-48U2A 50-59 years, female 15.1
GTEX-1H1DG-2126-SM-9WPPB 70-79 years, male 14.8
GTEX-1HFI7-1526-SM-9WG7W 50-59 years, female 14.8
GTEX-P4PP-1526-SM-3P61M 30-39 years, female 14.7
GTEX-UJHI-1026-SM-4IHJP 50-59 years, female 14.5
GTEX-ZLFU-1326-SM-DO11R 40-49 years, male 14.5
GTEX-XMK1-1526-SM-EYYVO 40-49 years, male 14.4
GTEX-1F5PL-1426-SM-7MKFH 40-49 years, female 14.3
GTEX-Q2AI-0826-SM-48TZO 40-49 years, male 14.2
GTEX-1B8KZ-1226-SM-793CP 50-59 years, male 13.9
GTEX-13U4I-2526-SM-5SI8Z 40-49 years, female 13.8
GTEX-14E6E-0926-SM-664N8 30-39 years, male 13.6
GTEX-15DZA-1126-SM-6LPK8 30-39 years, female 13.6
GTEX-XBED-1226-SM-4AT5V 60-69 years, male 13.1
GTEX-ZXES-1426-SM-5NQ8S 30-39 years, female 12.8
GTEX-1B97J-1826-SM-7IGPP 50-59 years, female 12.5
GTEX-145MN-1326-SM-5NQ9S 30-39 years, male 12.4
GTEX-YB5E-1126-SM-664NU 40-49 years, male 12.4
GTEX-QDT8-2026-SM-EZ6LS 30-39 years, female 12.3
GTEX-14PKV-1826-SM-69LO9 20-29 years, female 12.2
GTEX-1LSNM-1026-SM-DHXL2 50-59 years, male 12.1
GTEX-14BMU-1126-SM-5RQJ8 20-29 years, female 12.0
GTEX-1S831-1126-SM-EWROI 20-29 years, male 12.0
GTEX-11WQK-2626-SM-5EQ4K 50-59 years, male 11.9
GTEX-ZYFG-1326-SM-5GICJ 60-69 years, female 11.9
GTEX-1I4MK-0926-SM-A9SLD 50-59 years, female 11.7
GTEX-16AAH-1226-SM-79OO9 50-59 years, male 11.5
GTEX-PWCY-0926-SM-48TD7 20-29 years, female 11.5
GTEX-QV31-0626-SM-447C5 30-39 years, male 11.5
GTEX-ZZ64-0426-SM-5E43F 20-29 years, male 11.5
GTEX-QLQ7-0826-SM-447B3 60-69 years, male 11.4
GTEX-ZF29-1526-SM-4WKF7 60-69 years, female 11.2
GTEX-ZDYS-1926-SM-5HL59 50-59 years, male 11.1
GTEX-12C56-0526-SM-5FQST 20-29 years, male 11.0
GTEX-WFJO-1126-SM-4LVLZ 30-39 years, male 10.9
GTEX-1B8KE-1326-SM-73KVI 50-59 years, male 10.8
GTEX-13O21-0926-SM-5IFGT 50-59 years, male 10.7
GTEX-1399S-1626-SM-5P9GI 30-39 years, female 10.6
GTEX-O5YW-1526-SM-3MJGL 50-59 years, male 10.6
GTEX-OOBJ-1526-SM-3NB1Q 60-69 years, male 10.6
GTEX-1MJIX-1126-SM-EV7AO 40-49 years, male 10.6
GTEX-S4P3-0726-SM-4AD57 50-59 years, female 10.5
GTEX-13OVI-2426-SM-5KM4J 60-69 years, female 10.4
GTEX-1AYCT-1326-SM-7MKHB 50-59 years, male 10.4
GTEX-XBEW-1826-SM-4RTWX 40-49 years, male 10.4
GTEX-1F5PK-1826-SM-7RHHX 50-59 years, male 10.4
GTEX-P4QT-1526-SM-3NMCT 50-59 years, female 10.3
GTEX-1LG7Z-1226-SM-DHXK4 30-39 years, male 10.3
GTEX-1MGNQ-1826-SM-DPRYI 40-49 years, male 10.3
GTEX-1H11D-2226-SM-9OSXN 40-49 years, male 10.2
GTEX-1LBAC-1426-SM-CXZKT 20-29 years, male 10.2
GTEX-1399R-1126-SM-5IFIO 30-39 years, male 10.0
GTEX-17EUY-1526-SM-793CA 20-29 years, male 10.0
GTEX-ZP4G-1226-SM-4WWCJ 20-29 years, female 10.0
GTEX-ZZPU-1426-SM-5GZZ6 50-59 years, female 10.0
GTEX-ZLV1-0826-SM-DO11P 60-69 years, female 10.0
GTEX-1LGOU-1526-SM-D3LAJ 20-29 years, female 9.7
GTEX-144GN-1226-SM-5O991 50-59 years, male 9.6
GTEX-1KD5A-1426-SM-D4P3V 50-59 years, male 9.6
GTEX-S341-0626-SM-4AD5T 40-49 years, female 9.4
GTEX-YEC4-1426-SM-5IFHS 40-49 years, male 9.4
GTEX-ZVT2-1626-SM-51MRC 50-59 years, female 9.2
GTEX-17JCI-2226-SM-7LTA1 60-69 years, female 9.1
GTEX-R55G-1126-SM-48FDG 40-49 years, female 9.1
GTEX-S3XE-1026-SM-4AD4O 50-59 years, male 9.1
GTEX-WEY5-1226-SM-4LMIQ 40-49 years, female 9.1
GTEX-1IL2V-2026-SM-ARZMA 70-79 years, male 9.1
GTEX-XUZC-0726-SM-4BOPH 30-39 years, female 8.8
GTEX-1RAZR-1526-SM-EAZ4U 40-49 years, male 8.8
GTEX-U3ZN-2026-SM-4DXUC 30-39 years, female 8.7
GTEX-132QS-1826-SM-5IFFN 60-69 years, male 8.6
GTEX-Y114-1226-SM-4TT88 50-59 years, female 8.6
GTEX-1GN1W-2126-SM-9JGI7 50-59 years, female 8.6
GTEX-18D9A-0626-SM-7KFTY 30-39 years, female 8.5
GTEX-1LVAN-2426-SM-CNNPZ 50-59 years, female 8.5
GTEX-1122O-1926-SM-5EGIQ 60-69 years, female 8.4
GTEX-14JG6-1226-SM-664O6 30-39 years, female 8.4
GTEX-15DCE-1626-SM-6LPJM 20-29 years, male 8.2
GTEX-RWS6-0926-SM-47JXE 60-69 years, female 8.2
GTEX-S4UY-1626-SM-4AD55 40-49 years, female 8.2
GTEX-1GZ4H-1026-SM-9OSXL 50-59 years, female 8.2
GTEX-OXRL-1526-SM-E6CHQ 50-59 years, male 8.1
GTEX-14PJ4-1626-SM-664OB 60-69 years, male 7.9
GTEX-146FR-2026-SM-5NQAI 60-69 years, female 7.8
GTEX-S7SF-0626-SM-4AD4V 20-29 years, female 7.8
GTEX-16NGA-1526-SM-72D56 40-49 years, female 7.7
GTEX-WFON-1126-SM-4LVMA 40-49 years, male 7.7
GTEX-ZV7C-1626-SM-5NQ7E 50-59 years, male 7.5
GTEX-139D8-2326-SM-5IFGE 30-39 years, female 7.4
GTEX-14PJ6-0826-SM-686Z9 60-69 years, female 7.3
GTEX-ZF2S-1426-SM-57WET 50-59 years, female 7.2
GTEX-11I78-1726-SM-5A5M3 50-59 years, female 7.1
GTEX-PX3G-1526-SM-48U11 20-29 years, female 7.1
GTEX-UJMC-1226-SM-4IHLI 50-59 years, male 7.1
GTEX-1I1GT-1726-SM-C1YS3 60-69 years, female 7.1
GTEX-V955-1326-SM-4JBHR 60-69 years, male 7.0
GTEX-WYVS-1326-SM-4ONCQ 40-49 years, female 7.0
GTEX-12696-1726-SM-5EQLH 60-69 years, male 6.7
GTEX-Q734-1026-SM-48U16 40-49 years, female 6.7
GTEX-13D11-2126-SM-5IFH2 50-59 years, female 6.6
GTEX-1ICG6-1826-SM-AHZ2O 70-79 years, female 6.4
GTEX-T5JW-0926-SM-4DM5K 20-29 years, female 6.3
GTEX-1HKZK-1526-SM-B2LWG 40-49 years, male 6.3
GTEX-145LT-1426-SM-5O9B3 40-49 years, male 6.2
GTEX-17F9E-2226-SM-7IGNC 50-59 years, male 6.1
GTEX-14ICL-0826-SM-5YY9W 30-39 years, male 6.0
GTEX-WRHK-0626-SM-4MVOE 20-29 years, female 6.0
GTEX-XXEK-0826-SM-4BRWG 50-59 years, male 6.0
GTEX-11P82-0726-SM-5PNYL 20-29 years, male 5.9
GTEX-12WSG-2026-SM-5FQUU 50-59 years, female 5.9
GTEX-S95S-0826-SM-4B64N 60-69 years, male 5.9
GTEX-1AMFI-1226-SM-731CZ 50-59 years, female 5.8
GTEX-1GF9U-1126-SM-AHZ4H 40-49 years, female 5.8
GTEX-1HCUA-1626-SM-A9SMG 50-59 years, female 5.8
GTEX-1N2DV-0926-SM-E9TJT 40-49 years, male 5.7
GTEX-O5YV-1926-SM-EV797 60-69 years, female 5.7
GTEX-ZAB4-1526-SM-5CVN7 40-49 years, male 5.6
GTEX-11EI6-2426-SM-5PNVS 60-69 years, male 5.4
GTEX-13FH7-1026-SM-5IJGF 50-59 years, female 5.4
GTEX-13PVR-2126-SM-73KVR 60-69 years, female 5.4
GTEX-1QCLZ-1826-SM-DPRXP 60-69 years, female 5.4
GTEX-13111-1226-SM-5GCNC 50-59 years, male 5.3
GTEX-17GQL-1226-SM-7KFTS 60-69 years, male 5.2
GTEX-17HII-2426-SM-7KFTT 50-59 years, male 5.2
GTEX-ZV6S-0926-SM-57WGB 40-49 years, female 5.2
GTEX-XQ8I-2026-SM-4BOOL 50-59 years, male 5.0
GTEX-OIZH-1526-SM-3NB1J 50-59 years, male 4.9
GTEX-Y8E4-1526-SM-4WWDI 40-49 years, male 4.9
GTEX-R55C-1026-SM-48FCM 40-49 years, male 4.8
GTEX-1PPH8-1326-SM-DTXFO 20-29 years, male 4.8
GTEX-146FH-2126-SM-5SI9U 50-59 years, female 4.7
GTEX-14PKU-1126-SM-69LOU 40-49 years, female 4.7
GTEX-QLQW-0726-SM-447AA 30-39 years, male 4.7
GTEX-R53T-1226-SM-48FCT 50-59 years, female 4.7
GTEX-S4Z8-1226-SM-4AD6W 60-69 years, male 4.7
GTEX-Y5V6-1326-SM-4VDTF 60-69 years, male 4.7
GTEX-1J8Q3-1926-SM-C1YSJ 60-69 years, male 4.6
GTEX-1RB15-1026-SM-E9U6V 60-69 years, male 4.6
GTEX-OIZF-1526-SM-2I5GR 60-69 years, male 4.6
GTEX-18QFQ-1226-SM-718AE 30-39 years, male 4.5
GTEX-NFK9-1526-SM-3LK7B 40-49 years, male 4.5
GTEX-11NSD-1426-SM-5HL67 20-29 years, male 4.4
GTEX-13OVK-0926-SM-7KUFX 40-49 years, male 4.4
GTEX-15G1A-1226-SM-7KUF3 30-39 years, male 4.4
GTEX-QV44-1226-SM-CJI1S 50-59 years, male 4.4
GTEX-11P7K-1726-SM-5GU6F 30-39 years, male 4.3
GTEX-ZTX8-0426-SM-59HLG 20-29 years, male 4.3
GTEX-1HSMQ-2426-SM-CE6RY 50-59 years, male 4.3
GTEX-1QP2A-2126-SM-DPRZ7 50-59 years, male 4.3
GTEX-OXRK-1626-SM-3NB17 50-59 years, female 4.2
GTEX-1RMOY-1126-SM-EV79E 50-59 years, male 4.2
GTEX-18D9B-2226-SM-718BM 60-69 years, male 4.1
GTEX-14PHY-0926-SM-5ZZWL 60-69 years, female 4.0
GTEX-1H1E6-1626-SM-9OSWC 30-39 years, male 4.0
GTEX-15EU6-2526-SM-7KUGB 50-59 years, male 3.9
GTEX-1AMEY-1226-SM-731DU 30-39 years, female 3.9
GTEX-1E2YA-2426-SM-7EPIG 50-59 years, male 3.9
GTEX-R55D-1526-SM-48FEJ 50-59 years, male 3.9
GTEX-PLZ5-1226-SM-EXOHA 50-59 years, male 3.9
GTEX-11VI4-0326-SM-5EQ6L 40-49 years, female 3.7
GTEX-PLZ6-0826-SM-3P61K 30-39 years, male 3.7
GTEX-X15G-1126-SM-4PQZG 50-59 years, female 3.7
GTEX-1B97I-1226-SM-7MGWQ 40-49 years, male 3.7
GTEX-1GPI7-1326-SM-9KNVA 20-29 years, male 3.7
GTEX-13O3Q-2126-SM-5KM4C 50-59 years, male 3.5
GTEX-13QJ3-2726-SM-5SI6L 50-59 years, male 3.5
GTEX-SUCS-0926-SM-4DM4Z 70-79 years, male 3.5
GTEX-W5WG-1726-SM-4LMI5 50-59 years, female 3.5
GTEX-ZT9W-1526-SM-4YCDE 50-59 years, male 3.5
GTEX-T5JC-1926-SM-4DM6Q 20-29 years, male 3.4
GTEX-UPK5-2126-SM-4JBJK 40-49 years, male 3.4
GTEX-WZTO-2126-SM-4PQYW 40-49 years, male 3.3
GTEX-1H3NZ-2226-SM-9WYUT 60-69 years, male 3.3
GTEX-TKQ1-0526-SM-4DXTG 30-39 years, male 3.2
GTEX-1AX9J-2626-SM-731EK 60-69 years, male 3.1
GTEX-WH7G-1526-SM-4LVMX 40-49 years, male 3.1
GTEX-1CB4H-2426-SM-7PBYR 60-69 years, female 3.1
GTEX-WHWD-1426-SM-4OORU 50-59 years, male 2.9
GTEX-1399U-1626-SM-5P9J3 50-59 years, female 2.7
GTEX-TKQ2-0926-SM-4DXU5 50-59 years, male 2.7
GTEX-ZE7O-3026-SM-51MS4 50-59 years, female 2.7
GTEX-1LVAM-1426-SM-E9TJ4 50-59 years, female 2.7
GTEX-1S3DN-1526-SM-EVYCB 50-59 years, male 2.7
GTEX-XPVG-1526-SM-4B66C 50-59 years, male 2.6
GTEX-14DAQ-2826-SM-664MU 60-69 years, female 2.5
GTEX-1CB4E-1326-SM-7DUGD 60-69 years, male 2.5
GTEX-1J8QM-1126-SM-C1YQB 60-69 years, female 2.5
GTEX-1NSGN-1926-SM-E9J36 50-59 years, male 2.5
GTEX-RUSQ-1126-SM-EAZAU 50-59 years, male 2.4
GTEX-1211K-1426-SM-5FQTF 60-69 years, female 2.3
GTEX-14PN3-1326-SM-6AJ9U 60-69 years, female 2.3
GTEX-1EH9U-2226-SM-7PBXX 60-69 years, male 2.3
GTEX-ZEX8-1626-SM-4WKG7 50-59 years, male 2.2
GTEX-1S82Z-1726-SM-E6CHZ 30-39 years, female 2.2
GTEX-12WSJ-0926-SM-5P9JD 40-49 years, female 2.1
GTEX-1B8L1-1526-SM-79OLK 60-69 years, male 2.1
GTEX-P4PQ-1526-SM-3NMCK 60-69 years, male 2.1
GTEX-1QP67-1026-SM-EVR47 40-49 years, female 2.1
GTEX-YEC3-1426-SM-D4P1S 50-59 years, male 1.9
GTEX-15CHR-1326-SM-79OLT 50-59 years, male 1.8
GTEX-13X6H-1626-SM-5Q5CT 50-59 years, female 1.6
GTEX-1H1DE-1226-SM-9JGHH 20-29 years, male 1.6
GTEX-1IDJF-1426-SM-ACKWK 20-29 years, male 1.5
GTEX-13O61-1126-SM-5L3FI 60-69 years, male 1.4
GTEX-14E1K-1526-SM-664MN 50-59 years, male 1.4
GTEX-1C64O-2226-SM-73KTV 60-69 years, male 1.3
GTEX-ZPIC-2026-SM-57WG3 40-49 years, female 1.3
GTEX-1HR9M-2326-SM-CNPPZ 60-69 years, male 1.3
GTEX-15RIF-1126-SM-7KUG2 20-29 years, male 1.2
GTEX-1K2DA-0826-SM-CGQGD 50-59 years, male 1.2
GTEX-1QP28-2126-SM-DTX8B 50-59 years, female 1.2
GTEX-131XE-2226-SM-5PNYX 50-59 years, male 1.1
GTEX-XAJ8-0326-SM-47JYI 40-49 years, male 1.1
GTEX-1HT8W-2326-SM-A9SLA 30-39 years, male 0.9
GTEX-RU1J-0526-SM-46MUT 20-29 years, female 0.8
GTEX-1JN76-0926-SM-ARZNH 20-29 years, female 0.7
GTEX-17KNJ-1526-SM-7LTA9 50-59 years, male 0.6
GTEX-1339X-1426-SM-5K7YO 40-49 years, male 0.5
GTEX-1QW4Y-0726-SM-DTX8E 30-39 years, male 0.4
Show allShow less

Contact

  • NEWS ARTICLES
  • PRESS ROOM

The Project

  • INTRODUCTION
  • ORGANIZATION
  • PUBLICATIONS

The Human Protein Atlas

  • DOWNLOADABLE DATA
  • LICENCE & CITATION
  • HELP & FAQ
The Human Protein Atlas project is funded
by the Knut & Alice Wallenberg Foundation.


contact@proteinatlas.org