We use cookies to enhance the usability of our website. If you continue, we'll assume that you are happy to receive all cookies. More information. Don't show this again.
WAS
HPA
RESOURCES
  • TISSUE
  • BRAIN
  • SINGLE CELL
  • SUBCELLULAR
  • CANCER
  • BLOOD
  • CELL LINE
  • STRUCTURE & INTERACTION
ABOUT
  • INTRODUCTION
  • HISTORY
  • ORGANIZATION
  • PUBLICATIONS
  • ANTIBODY SUBMISSION
  • ANTIBODY AVAILABILITY
  • ACKNOWLEDGMENTS
  • CONTACT
NEWS
  • NEWS ARTICLES
  • PRESS ROOM
LEARN
  • DICTIONARY
  • PROTEIN CLASSES
  • PROTEIN EVIDENCE
  • METHODS
  • EDUCATIONAL VIDEOS
DATA
  • DOWNLOADABLE DATA
  • PUBLICATION DATA
  • RELEASE HISTORY
HELP
  • ANTIBODY VALIDATION
  • ASSAYS & ANNOTATION
  • DISCLAIMER
  • HELP & FAQ
  • PRIVACY STATEMENT
  • LICENCE & CITATION
Fields »
Search result

Field
Term
Gene name
Class
Subclass
Class
Keyword
Chromosome
External id
Tissue
Cell type
Expression
Antibody panel
Tissue
Main location
Patient ID
Annotation
Tissue
Category
Tau score
Cluster
Reliability
Brain region
Category
Tau score
Brain region
Category
Tau score
Brain region
Category
Tau score
Cluster
Reliability
Tissue
Cell type
Enrichment
Cell type
Category
Tau score
Cell type
Category
Tau score
Cell type
Category
Tau score
Cell lineage
Category
Tau score
Cluster
Cluster
Location
Searches
Location
Cell line
Class
Type
Phase
Reliability
Cancer
Prognosis
Cancer
Category
Cancer
Category
Tau score
Cluster
Variants
Interacting gene (ensg_id)
Type
Number of interactions
Pathway
Category
Score
Score
Score
Validation
Validation
Validation
Validation
Antibodies
Data type
Column


  • SUMMARY

  • TISSUE

  • BRAIN

  • SINGLE CELL

  • SUBCELL

  • CANCER

  • BLOOD

  • CELL LINE

  • STRUCT & INT

  • WAS
TISSUE PRIMARY DATA ADIPOSE TISSUE Show tissue menu
ADIPOSE TISSUE ADRENAL GLAND AMYGDALA APPENDIX BASAL GANGLIA BONE MARROW BREAST BRONCHUS CEREBELLUM CEREBRAL CORTEX CERVIX CHOROID PLEXUS COLON DUODENUM
ENDOMETRIUM EPIDIDYMIS ESOPHAGUS FALLOPIAN TUBE GALLBLADDER HEART MUSCLE HIPPOCAMPAL FORMATION HYPOTHALAMUS KIDNEY LIVER LUNG LYMPH NODE MIDBRAIN NASOPHARYNX
ORAL MUCOSA OVARY PANCREAS PARATHYROID GLAND PITUITARY GLAND PLACENTA PROSTATE RECTUM RETINA SALIVARY GLAND SEMINAL VESICLE SKELETAL MUSCLE SKIN SMALL INTESTINE
SMOOTH MUSCLE SOFT TISSUE SPINAL CORD SPLEEN STOMACH TESTIS THYMUS THYROID GLAND TONGUE TONSIL URINARY BLADDER VAGINA
ANTIBODIES
AND
VALIDATION
Dictionary
Tissue proteome
Adipose tissue
ADIPOSE TISSUE - Expression summary
Protein expression
Adipose tissuei

On the top, protein expression in current human tissue, based on all annotated cell types, is reported with the units not detected (n), low (l), medium (m) and high (h). Underneath, protein expression in each annotated cell type are reported using the same units.

Protein expression data is based on knowledge-based annotation. For genes where more than one antibody has been used, a collective score is set.

If knowledge-based annotation could not be performed for a gene, no data is displayed here. View antibody staining data further down this page.

h
m
l
n
Adipocytes: Medium
RNA expressioni

A summary of mRNA expression data available for current tissue based on several datasets. The mRNA expression levels in human tissues are based on RNA-seq data generated by the Human Protein Atlas (HPA), Genotype-Tissue Expression (GTEx) portal and CAGE data generated by the FANTOM5 consortium. Consensus normalized expression levels for human tissues was created by combining the data from HPA and GTEx datasets.

The mRNA expression levels in pig are based on RNA-seq data generated by the Human Protein Atlas (HPA), and for mouse, HPA data and in situ hybridization generated by the Allen brain atlas are reported.

Scroll down to view mRNA expression data in more detail.
Consensus:10.7 nTPM
HPA:10.7 nTPM
GTEx:9.7 nTPM
FANTOM5:46.6 Scaled Tags Per Million

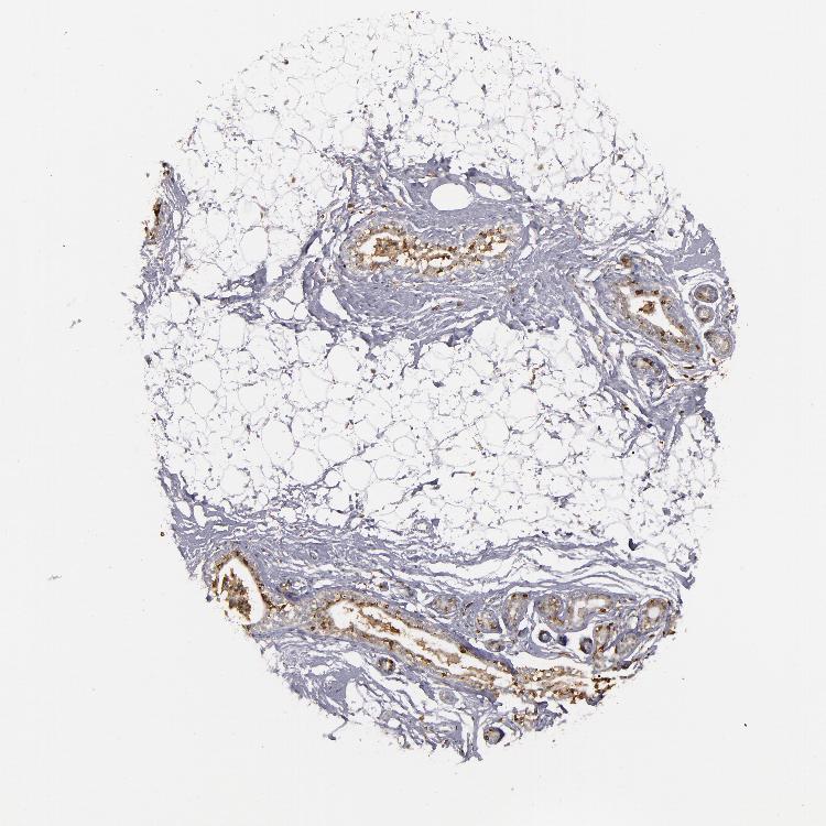
ADIPOSE TISSUE - Antibody stainingi

Antibody staining in the annotated cell types in the current human tissue is reported as not detected, low, medium, or high, based on conventional immunohistochemistry profiling in selected tissues. This score is based on the combination of the staining intensity and fraction of stained cells.

Each image is clickable and will lead to virtual microscopy that enables deeper exploration of all samples and also displays staining intensity scores, fraction scores and subcellular localization as well as patient and tissue information for each sample.

Antibody HPA002022Antibody CAB004290
Adipocytes MediumMedium










ADIPOSE TISSUE - HPA RNA-seqi

The RNA-seq details section shows detailed information about the individual samples used for the transcript profiling and results of the RNA-seq analysis.

Information about each individual sample is listed below, including gender, age, a tissue section image and estimated fractions of cell types. nTPM (normalized transcripts per million) values give a quantification of the gene abundance which is comparable between different genes and samples.
Average nTPMi

Max subtype nTPM is the value for the subtype with the largest average nTPM across the subtype samples.

10.7
N/A
Female, age 80
Adipose tissue sample 86
nTPM: 4.4
Cell types%
Adipocytes:
95

Other cell types:
5

N/A
Female, age 45
Adipose tissue sample 115
nTPM: 3.8
N/A
Female, age 57
Adipose tissue sample 137
nTPM: 3.9
Cell types%
Adipocytes:
60

Fibroblasts:
20

Smooth muscle cells:
15

Other cell types:
5

overview
Female, age 74
Adipose tissue sample 329
nTPM: 14.5
Cell types%
Adipocytes:
50

Fibroblasts:
30

Smooth muscle cells:
15

Other cell types:
5

overview
Female, age 59
Adipose tissue sample 331
nTPM: 26.9
Cell types%
Adipocytes:
40

Fibroblasts:
40

Smooth muscle cells:
15

Other cell types:
5


ADIPOSE TISSUE - GTEx RNA-seqi

RNA-Seq data generated by the Genotype-Tissue Expression (GTEx) project from human tissues is reported as mean nTPM. More information can be found on the GTEx portal.

Distribution across the dataset is visualized with box plots, shown as median and 25th and 75th percentiles. Points are displayed as outliers if they are above or below 1.5 times the interquartile range. nTPM values of the individual samples are presented next to the box plot.
Max subtype nTPMi

Max subtype nTPM is the value for the subtype with the largest average nTPM across the subtype samples.

9.7
GTEx sample id Sample description nTPM
Adipose - Subcutaneous
Average nTPM: 6.8
Samples: 663

Max nTPM: 32.3
Min nTPM: 0.4
Std nTPM: 3.6
Median nTPM: 6.2
GTEX-13NYS-0226-SM-5MR49 60-69 years, male 32.3
GTEX-Q734-1826-SM-2I3EL 40-49 years, female 25.3
GTEX-111VG-2326-SM-5N9BK 60-69 years, male 25.1
GTEX-1ICLZ-0226-SM-CKZPP 60-69 years, male 22.5
GTEX-ZVZO-0226-SM-5A5LA 40-49 years, male 21.4
GTEX-11GSO-2326-SM-5A5LX 60-69 years, male 20.2
GTEX-13YAN-0426-SM-5O9DR 60-69 years, male 19.9
GTEX-13JVG-0226-SM-5J1MW 60-69 years, male 19.5
GTEX-OOBK-0226-SM-2YUMF 40-49 years, male 18.6
GTEX-13NZA-0126-SM-5K7UH 60-69 years, male 18.2
GTEX-1F75W-0226-SM-9JGGP 60-69 years, male 17.9
GTEX-111CU-1826-SM-5GZYN 50-59 years, male 17.5
GTEX-13O3Q-2326-SM-5KM3G 50-59 years, male 17.2
GTEX-1HCU8-0726-SM-ADEIR 60-69 years, female 17.2
GTEX-OXRN-0226-SM-2I5EJ 50-59 years, male 16.7
GTEX-1RAZQ-0626-SM-E8VOR 30-39 years, male 16.6
GTEX-PLZ4-0226-SM-CYPR1 50-59 years, female 16.6
GTEX-POMQ-2326-SM-DHXIS 20-29 years, female 16.2
GTEX-WFG7-2526-SM-EWRM5 20-29 years, male 15.9
GTEX-1AX9K-2426-SM-73KZ4 50-59 years, male 15.4
GTEX-11UD1-0226-SM-5EQKL 40-49 years, female 15.3
GTEX-1POEN-0226-SM-EYYXE 30-39 years, female 15.3
GTEX-139TU-0226-SM-5J1NM 60-69 years, male 15.1
GTEX-ZAJG-0226-SM-5HL81 50-59 years, female 14.9
GTEX-12C56-1626-SM-5FQUO 20-29 years, male 14.7
GTEX-13FHO-0326-SM-5IJBH 60-69 years, male 14.7
GTEX-183WM-0226-SM-7LT8T 70-79 years, female 14.6
GTEX-X88G-0226-SM-4GIE4 30-39 years, male 14.6
GTEX-146FQ-0226-SM-5NQAL 30-39 years, male 14.4
GTEX-1J1OQ-0326-SM-CYPTJ 40-49 years, female 13.9
GTEX-WFON-2226-SM-3TW8W 40-49 years, male 13.6
GTEX-QCQG-1826-SM-2S1P2 50-59 years, female 13.5
GTEX-ZF3C-0226-SM-4WWB3 50-59 years, female 13.5
GTEX-1GZ4I-0226-SM-7RHHO 50-59 years, male 13.4
GTEX-1HCVE-0226-SM-CGQEV 50-59 years, male 13.0
GTEX-13QBU-2526-SM-5LU4X 40-49 years, female 12.9
GTEX-13S7M-0226-SM-5S2UG 60-69 years, female 12.9
GTEX-144FL-0226-SM-5Q5D4 50-59 years, male 12.8
GTEX-14DAQ-0226-SM-664MQ 60-69 years, female 12.8
GTEX-14BIN-0726-SM-793DQ 50-59 years, female 12.7
GTEX-1R46S-0526-SM-EVYBZ 60-69 years, female 12.7
GTEX-139T6-2126-SM-5KM37 50-59 years, male 12.5
GTEX-R55G-2426-SM-2TC5I 40-49 years, female 12.5
GTEX-1S831-0326-SM-EVYD3 20-29 years, male 12.3
GTEX-11O72-0226-SM-59869 40-49 years, male 12.2
GTEX-13VXT-0226-SM-5LU9Q 20-29 years, female 12.2
GTEX-XMD2-0226-SM-4WWEE 60-69 years, female 12.2
GTEX-1M5QR-2126-SM-DKPQM 40-49 years, male 12.2
GTEX-WL46-0326-SM-3LK6Y 50-59 years, male 12.1
GTEX-14C39-2526-SM-5S2UH 40-49 years, male 12.0
GTEX-1GMRU-0226-SM-9YFLW 50-59 years, male 12.0
GTEX-1HR98-0226-SM-CGQEK 60-69 years, male 11.9
GTEX-TMZS-0226-SM-3DB9N 60-69 years, male 11.8
GTEX-YF7O-2426-SM-5IFJL 50-59 years, male 11.8
GTEX-131XW-0526-SM-5PNXZ 50-59 years, female 11.7
GTEX-1JKYN-1226-SM-CGQG8 30-39 years, male 11.7
GTEX-1LBAC-0226-SM-DHXJZ 20-29 years, male 11.7
GTEX-1QEPI-0226-SM-EWRMR 60-69 years, female 11.7
GTEX-1211K-2226-SM-5FQU6 60-69 years, female 11.6
GTEX-11ZVC-2626-SM-5FQTA 50-59 years, female 11.4
GTEX-RM2N-1726-SM-2TF55 50-59 years, male 11.4
GTEX-UJHI-1626-SM-3DB9A 50-59 years, female 11.4
GTEX-ZF29-2226-SM-4WWB9 60-69 years, female 11.4
GTEX-13D11-2326-SM-5IJCY 50-59 years, female 11.3
GTEX-1HBPH-0526-SM-9YFMN 40-49 years, female 11.3
GTEX-1H3VE-0226-SM-9WYST 40-49 years, male 11.2
GTEX-U4B1-1726-SM-3DB9F 40-49 years, male 11.1
GTEX-Y3I4-2226-SM-4TT7O 50-59 years, male 11.1
GTEX-OHPN-0226-SM-48TBV 60-69 years, female 11.0
GTEX-N7MS-0326-SM-4E3K2 60-69 years, male 10.9
GTEX-OXRP-0226-SM-3NB14 60-69 years, female 10.9
GTEX-YFCO-2026-SM-4W21Q 40-49 years, male 10.9
GTEX-1EX96-1426-SM-7PBZ5 50-59 years, male 10.9
GTEX-14PJ6-2226-SM-6LLIV 60-69 years, female 10.8
GTEX-Y5V5-2426-SM-5IFJA 60-69 years, female 10.8
GTEX-WFG8-2326-SM-DIPDX 20-29 years, male 10.7
GTEX-17F96-1726-SM-7IGMB 70-79 years, male 10.6
GTEX-SUCS-1826-SM-32PM1 70-79 years, male 10.6
GTEX-13SLW-0226-SM-5S2NA 70-79 years, male 10.5
GTEX-13SLX-0426-SM-5QGRC 50-59 years, female 10.5
GTEX-16MT8-0526-SM-6PAM6 60-69 years, female 10.5
GTEX-1I1CD-0226-SM-CM2TL 60-69 years, female 10.5
GTEX-12WSL-2426-SM-5GCN7 50-59 years, male 10.4
GTEX-131XE-2426-SM-5EQ5V 50-59 years, male 10.4
GTEX-QDT8-0226-SM-32PL4 30-39 years, female 10.4
GTEX-1KXAM-2326-SM-CYPTD 60-69 years, male 10.4
GTEX-14E6C-0226-SM-5S2N3 40-49 years, male 10.3
GTEX-14LLW-0226-SM-62LEL 70-79 years, female 10.3
GTEX-1LGRB-2426-SM-CNPP3 50-59 years, female 10.3
GTEX-U3ZM-1026-SM-EZ6LD 40-49 years, male 10.3
GTEX-11TUW-2626-SM-5EQKZ 60-69 years, male 10.2
GTEX-WI4N-1126-SM-3LK7Q 40-49 years, female 10.2
GTEX-1JN1M-0126-SM-D4P23 60-69 years, female 10.2
GTEX-VJWN-0226-SM-EZ6LF 50-59 years, female 10.1
GTEX-11ZU8-2426-SM-5EQMV 60-69 years, male 10.0
GTEX-13OVJ-0326-SM-5L3GL 50-59 years, female 10.0
GTEX-14PJM-0326-SM-62LF2 50-59 years, female 10.0
GTEX-P4QS-0226-SM-3NB1U 60-69 years, male 10.0
GTEX-1GN2E-0326-SM-COH3C 60-69 years, male 10.0
GTEX-1KD5A-0326-SM-D5OVD 50-59 years, male 10.0
GTEX-WVLH-0226-SM-3MJG6 50-59 years, male 9.9
GTEX-113IC-0226-SM-5HL5C 60-69 years, male 9.8
GTEX-145MN-2626-SM-5NQAH 30-39 years, male 9.8
GTEX-P4QT-0226-SM-3LK68 50-59 years, female 9.8
GTEX-16XZZ-0226-SM-7MGVJ 60-69 years, male 9.8
GTEX-1CB4E-1826-SM-7RHG8 60-69 years, male 9.8
GTEX-1GZ2Q-0326-SM-9WG6N 40-49 years, male 9.8
GTEX-11I78-2626-SM-5Q5AI 50-59 years, female 9.7
GTEX-1C6VS-0426-SM-79OJV 60-69 years, male 9.7
GTEX-ZVT4-0226-SM-51MSD 50-59 years, female 9.7
GTEX-1E2YA-0226-SM-9MQLY 50-59 years, male 9.7
GTEX-11DZ1-0226-SM-5A5KF 50-59 years, male 9.6
GTEX-145MI-0426-SM-5O99V 60-69 years, female 9.6
GTEX-1CB4J-1126-SM-7PBY1 60-69 years, male 9.6
GTEX-1HR9M-0226-SM-COH3E 60-69 years, male 9.6
GTEX-PX3G-0226-SM-DKPOF 20-29 years, female 9.6
GTEX-13FH7-2226-SM-5IJD4 50-59 years, female 9.5
GTEX-1497J-2326-SM-5NQBK 60-69 years, male 9.5
GTEX-X5EB-2426-SM-4E3HX 40-49 years, male 9.5
GTEX-ZVZP-2326-SM-59HL4 50-59 years, male 9.4
GTEX-14E6E-1926-SM-664N4 30-39 years, male 9.3
GTEX-1AYD5-2326-SM-73KXF 50-59 years, male 9.3
GTEX-ZPCL-2126-SM-57WFZ 60-69 years, female 9.3
GTEX-1H1DF-0226-SM-ARL9A 40-49 years, female 9.3
GTEX-13FTY-0626-SM-5L3F8 40-49 years, female 9.2
GTEX-16NPX-0326-SM-7EWDI 50-59 years, male 9.2
GTEX-1QP6S-0126-SM-E9J4K 40-49 years, male 9.2
GTEX-132AR-0226-SM-5IJBE 50-59 years, female 9.1
GTEX-13O1R-0226-SM-5K7U5 60-69 years, male 9.1
GTEX-14BIL-0226-SM-5SI9E 50-59 years, male 9.1
GTEX-QV44-1825-SM-447CF 50-59 years, male 9.1
GTEX-X15G-2326-SM-4PQZS 50-59 years, female 9.1
GTEX-ZQG8-1526-SM-5HL65 60-69 years, female 9.1
GTEX-1RAZR-0226-SM-EVYC6 40-49 years, male 9.1
GTEX-12WSC-0226-SM-5EQ52 50-59 years, male 9.0
GTEX-14JIY-0526-SM-62LFH 60-69 years, male 9.0
GTEX-T2IS-0226-SM-32QPH 20-29 years, female 9.0
GTEX-VUSG-2426-SM-4KKZG 50-59 years, male 9.0
GTEX-X8HC-0226-SM-4E3K1 50-59 years, female 9.0
GTEX-1QP9N-1526-SM-DTXFK 30-39 years, male 9.0
GTEX-12ZZX-0226-SM-5DUXU 40-49 years, female 8.9
GTEX-QLQW-1226-SM-2S1Q9 30-39 years, male 8.9
GTEX-RU72-1026-SM-46MUG 50-59 years, female 8.9
GTEX-ZTPG-0226-SM-5O99I 20-29 years, female 8.9
GTEX-ZVP2-1826-SM-5GU62 50-59 years, male 8.9
GTEX-1MA7W-1926-SM-E6CIO 20-29 years, female 8.9
GTEX-S4P3-1526-SM-E9J3W 50-59 years, female 8.9
GTEX-12KS4-0426-SM-5EQMC 30-39 years, male 8.8
GTEX-13NZB-2426-SM-5K7UF 30-39 years, male 8.8
GTEX-13OW7-0226-SM-5MR3N 50-59 years, male 8.8
GTEX-1AMEY-1426-SM-7939I 30-39 years, female 8.8
GTEX-13X6J-0226-SM-7EPGC 50-59 years, male 8.7
GTEX-1B8SF-0526-SM-7939F 60-69 years, male 8.7
GTEX-XUZC-1826-SM-4BRVO 30-39 years, female 8.7
GTEX-YJ8O-2426-SM-5HL7S 40-49 years, female 8.7
GTEX-1N2DW-0326-SM-E9TK3 50-59 years, male 8.7
GTEX-1QAET-1126-SM-E8VML 50-59 years, male 8.7
GTEX-ZLFU-2626-SM-DO91L 40-49 years, male 8.7
GTEX-11EQ8-0226-SM-5EQ5G 60-69 years, male 8.6
GTEX-15SDE-2426-SM-7KFRC 50-59 years, female 8.6
GTEX-Y9LG-2026-SM-62LFS 30-39 years, male 8.6
GTEX-1FIGZ-1626-SM-7SB8L 40-49 years, male 8.6
GTEX-1GMR8-0226-SM-9YFL3 50-59 years, female 8.6
GTEX-1JMQL-0326-SM-CNPP6 50-59 years, female 8.6
GTEX-1QP29-0726-SM-DTXFM 50-59 years, male 8.6
GTEX-1S82P-0226-SM-E6CI6 60-69 years, female 8.6
GTEX-R3RS-0226-SM-EYYVE 40-49 years, female 8.6
GTEX-1E1VI-0226-SM-793CZ 50-59 years, male 8.5
GTEX-XUW1-0526-SM-4BOP3 50-59 years, female 8.5
GTEX-Y8E5-0226-SM-57WCM 60-69 years, male 8.5
GTEX-1HSMO-0226-SM-CGQEZ 60-69 years, male 8.5
GTEX-11ZUS-0726-SM-59886 30-39 years, male 8.4
GTEX-12ZZY-0326-SM-5LZVQ 60-69 years, male 8.4
GTEX-14A5H-0526-SM-5TDCN 60-69 years, male 8.4
GTEX-16BQI-0526-SM-6PAM8 30-39 years, female 8.4
GTEX-12584-0226-SM-5EQL5 40-49 years, male 8.3
GTEX-1C64O-0226-SM-73KXB 60-69 years, male 8.3
GTEX-XAJ8-0926-SM-47JXZ 40-49 years, male 8.3
GTEX-1F48J-0226-SM-7SB82 50-59 years, female 8.3
GTEX-1PIIG-0326-SM-EVYBV 30-39 years, male 8.3
GTEX-111YS-2426-SM-5GZZQ 60-69 years, male 8.2
GTEX-12ZZZ-0526-SM-5DUX6 60-69 years, male 8.2
GTEX-1399R-2626-SM-5KLZ7 30-39 years, male 8.2
GTEX-146FH-0226-SM-5QGPQ 50-59 years, female 8.2
GTEX-17EVP-0426-SM-79OKG 40-49 years, male 8.2
GTEX-O5YV-0226-SM-48TBY 60-69 years, female 8.2
GTEX-RWSA-0226-SM-2XCBA 40-49 years, male 8.2
GTEX-13PDP-0226-SM-5K7W9 60-69 years, male 8.1
GTEX-13PLJ-0126-SM-5L3HU 60-69 years, female 8.1
GTEX-SNOS-1426-SM-32PLY 40-49 years, male 8.1
GTEX-XK95-0426-SM-4AT4R 40-49 years, male 8.1
GTEX-1JKYR-0226-SM-CNPOK 20-29 years, male 8.1
GTEX-11ZTS-0226-SM-5EQKD 60-69 years, female 8.0
GTEX-1269C-2726-SM-5EGJ4 60-69 years, female 8.0
GTEX-PSDG-0326-SM-48TCP 50-59 years, male 8.0
GTEX-Q2AG-0226-SM-2S1P4 40-49 years, female 8.0
GTEX-1GN1W-0626-SM-9MQK3 50-59 years, female 8.0
GTEX-1HGF4-2526-SM-ADEIZ 60-69 years, male 8.0
GTEX-1I1GS-0226-SM-B2LVX 60-69 years, male 8.0
GTEX-1J8EW-0226-SM-CYPSW 60-69 years, female 8.0
GTEX-1212Z-2426-SM-5EQ5D 60-69 years, male 7.9
GTEX-RTLS-0226-SM-2TF5E 60-69 years, female 7.9
GTEX-XGQ4-2226-SM-4AT4Y 50-59 years, male 7.9
GTEX-Y3IK-2526-SM-4WWDM 50-59 years, female 7.9
GTEX-1C6VQ-0226-SM-7P8S5 50-59 years, male 7.9
GTEX-17HG3-2326-SM-79OKH 30-39 years, female 7.8
GTEX-OXRO-0226-SM-3LK6F 60-69 years, female 7.8
GTEX-SN8G-0226-SM-4DM6B 50-59 years, female 7.8
GTEX-ZV68-0226-SM-59HJF 50-59 years, female 7.8
GTEX-1CB4G-0326-SM-7SB8R 60-69 years, male 7.8
GTEX-1HSGN-0126-SM-CGQFU 40-49 years, female 7.8
GTEX-1IDFM-0226-SM-CMKFX 60-69 years, male 7.8
GTEX-11PRG-0626-SM-5BC56 50-59 years, male 7.7
GTEX-11UD2-0126-SM-5EQL2 50-59 years, male 7.7
GTEX-13O21-1526-SM-5K7W4 50-59 years, male 7.7
GTEX-15DCD-0226-SM-6LPKC 70-79 years, female 7.7
GTEX-18A6Q-0226-SM-718AS 60-69 years, male 7.7
GTEX-QLQ7-1526-SM-2S1QA 60-69 years, male 7.7
GTEX-XQ8I-0526-SM-4BOPS 50-59 years, male 7.7
GTEX-ZYVF-0226-SM-5GIEG 50-59 years, female 7.7
GTEX-ZZPU-2726-SM-5NQ8O 50-59 years, female 7.7
GTEX-1B932-0226-SM-7PBYH 40-49 years, female 7.7
GTEX-1I1GP-2326-SM-CGQFL 50-59 years, male 7.7
GTEX-132QS-2526-SM-62LFJ 60-69 years, male 7.6
GTEX-1AX9I-0226-SM-7SB75 60-69 years, male 7.6
GTEX-1MCYP-1826-SM-E9J2Q 20-29 years, female 7.6
GTEX-1R9PM-2126-SM-E8VOB 20-29 years, male 7.6
GTEX-12WSD-0226-SM-59HKO 60-69 years, female 7.5
GTEX-13N2G-2726-SM-5J1MG 60-69 years, male 7.5
GTEX-18A67-0226-SM-7LG67 50-59 years, male 7.5
GTEX-S95S-1326-SM-2XCDK 60-69 years, male 7.5
GTEX-TML8-2026-SM-32QOP 40-49 years, female 7.5
GTEX-X4LF-1726-SM-3NMBZ 50-59 years, male 7.5
GTEX-ZYW4-0226-SM-5E44M 60-69 years, male 7.5
GTEX-1122O-2026-SM-9YFMG 60-69 years, female 7.5
GTEX-11EMC-2826-SM-5PNY6 60-69 years, female 7.4
GTEX-11H98-0226-SM-5NQ89 50-59 years, male 7.4
GTEX-1399T-2726-SM-5K7XK 60-69 years, male 7.4
GTEX-13FHP-0226-SM-5K7WD 50-59 years, male 7.4
GTEX-13PVR-2426-SM-5RQHN 60-69 years, female 7.4
GTEX-ZDXO-2426-SM-5S2NJ 60-69 years, male 7.4
GTEX-ZLV1-1826-SM-5FQU5 60-69 years, female 7.4
GTEX-1I1GV-0426-SM-ARZLX 60-69 years, male 7.4
GTEX-1128S-2126-SM-5H12U 60-69 years, female 7.3
GTEX-131YS-0226-SM-5IJEH 60-69 years, female 7.3
GTEX-Y5V6-2526-SM-5IFJV 60-69 years, male 7.3
GTEX-YEC4-2426-SM-57WFO 40-49 years, male 7.3
GTEX-ZDTT-2626-SM-5S2OP 60-69 years, male 7.3
GTEX-13113-1826-SM-5LZW4 60-69 years, female 7.2
GTEX-145LT-1826-SM-5QGP4 40-49 years, male 7.2
GTEX-14E1K-2126-SM-793DU 50-59 years, male 7.2
GTEX-18D9A-2026-SM-718BL 30-39 years, female 7.2
GTEX-1A3MV-2126-SM-718BV 30-39 years, male 7.2
GTEX-1EWIQ-0226-SM-793D3 70-79 years, female 7.2
GTEX-Q2AI-1426-SM-2S1P5 40-49 years, male 7.2
GTEX-R55C-1626-SM-48FEG 40-49 years, male 7.2
GTEX-TKQ1-1126-SM-4GIAZ 30-39 years, male 7.2
GTEX-XV7Q-2626-SM-4BRVA 40-49 years, female 7.2
GTEX-11GS4-2626-SM-5A5LD 60-69 years, male 7.1
GTEX-11P81-2426-SM-5GU65 30-39 years, female 7.1
GTEX-YFC4-0226-SM-57WD2 40-49 years, female 7.1
GTEX-1IDJD-1226-SM-CM2TP 30-39 years, male 7.1
GTEX-13O61-2426-SM-5J1NV 60-69 years, male 7.0
GTEX-17F9Y-0326-SM-7IGLS 70-79 years, female 7.0
GTEX-P4PQ-0226-SM-2S1NK 60-69 years, male 7.0
GTEX-XBEC-0326-SM-4AT4M 50-59 years, male 7.0
GTEX-YB5E-2126-SM-5IFI7 40-49 years, male 7.0
GTEX-ZP4G-2326-SM-57WEM 20-29 years, female 7.0
GTEX-ZPIC-1826-SM-57WFE 40-49 years, female 7.0
GTEX-1GF9V-0226-SM-9MQKA 60-69 years, male 7.0
GTEX-1HB9E-0426-SM-CNPPV 50-59 years, male 7.0
GTEX-1JN6P-0226-SM-COH34 60-69 years, male 7.0
GTEX-1PWST-0326-SM-EAZ42 70-79 years, male 7.0
GTEX-11LCK-1126-SM-5A5KC 30-39 years, male 6.9
GTEX-WFJO-1926-SM-3GILA 30-39 years, male 6.9
GTEX-1HFI7-2026-SM-CGQFR 50-59 years, female 6.9
GTEX-1QP66-1326-SM-DTXDQ 50-59 years, male 6.9
GTEX-12126-0426-SM-5Q5AP 20-29 years, male 6.8
GTEX-13N11-2626-SM-5K7UQ 50-59 years, female 6.8
GTEX-17HHE-1926-SM-7EPGW 50-59 years, male 6.8
GTEX-ZC5H-0126-SM-4WAYL 40-49 years, female 6.8
GTEX-ZTSS-2026-SM-5987K 40-49 years, male 6.8
GTEX-1KAFJ-2426-SM-D4P32 50-59 years, male 6.8
GTEX-1RDX4-0226-SM-DTXG1 50-59 years, female 6.8
GTEX-ZGAY-0626-SM-DO92E 40-49 years, female 6.8
GTEX-117YX-2226-SM-5EGJJ 50-59 years, male 6.7
GTEX-11ZTT-2526-SM-5EQM9 60-69 years, female 6.7
GTEX-13IVO-0226-SM-5LZXU 70-79 years, male 6.7
GTEX-16GPK-0226-SM-7DUFI 60-69 years, male 6.7
GTEX-17MF6-0226-SM-7LG4G 40-49 years, male 6.7
GTEX-ZVT2-2226-SM-5NQ6P 50-59 years, female 6.7
GTEX-1I6K7-0226-SM-CJI46 40-49 years, male 6.7
GTEX-1IDJF-0226-SM-CMKGE 20-29 years, male 6.7
GTEX-1J8QM-2326-SM-CYPSL 60-69 years, female 6.7
GTEX-1OFPY-2326-SM-E8VNU 60-69 years, male 6.7
GTEX-1OJC4-1726-SM-EXUSV 50-59 years, female 6.7
GTEX-13RTJ-2526-SM-5S2Q3 60-69 years, male 6.6
GTEX-15CHQ-0226-SM-6EU2S 60-69 years, male 6.6
GTEX-16YQH-0226-SM-6PALD 30-39 years, male 6.6
GTEX-NPJ8-0226-SM-48TBN 40-49 years, male 6.6
GTEX-OIZH-0226-SM-2YUMH 50-59 years, male 6.6
GTEX-QMRM-1726-SM-2S1QG 50-59 years, male 6.6
GTEX-W5WG-2526-SM-4SOJ2 50-59 years, female 6.6
GTEX-1F6RS-0226-SM-9MQKO 60-69 years, female 6.6
GTEX-13CF2-2626-SM-5LZZA 60-69 years, male 6.5
GTEX-1B8KZ-1926-SM-7DUG8 50-59 years, male 6.5
GTEX-PLZ5-1826-SM-3NB22 50-59 years, male 6.5
GTEX-YEC3-1226-SM-5IFI8 50-59 years, male 6.5
GTEX-ZT9X-1926-SM-57WE7 40-49 years, male 6.5
GTEX-1CAMQ-0126-SM-7SB7S 40-49 years, male 6.5
GTEX-1LVAN-0126-SM-COH4H 50-59 years, female 6.5
GTEX-ZLWG-2226-SM-DO92V 50-59 years, female 6.5
GTEX-11EI6-0226-SM-5EQ64 60-69 years, male 6.4
GTEX-133LE-1926-SM-5N9FV 20-29 years, female 6.4
GTEX-147F3-0626-SM-5NQ9I 50-59 years, female 6.4
GTEX-14PJ4-2226-SM-6LLIS 60-69 years, male 6.4
GTEX-1A3MX-0226-SM-731C4 60-69 years, male 6.4
GTEX-ZXG5-0226-SM-59HJI 60-69 years, male 6.4
GTEX-1LVA9-0226-SM-E9U5N 50-59 years, male 6.4
GTEX-OIZF-0226-SM-E9TI3 60-69 years, male 6.4
GTEX-11ONC-2526-SM-5986W 60-69 years, male 6.3
GTEX-WY7C-2426-SM-3NB2V 50-59 years, male 6.3
GTEX-Y114-2326-SM-4TT7X 50-59 years, female 6.3
GTEX-11DXX-2326-SM-9YFKS 60-69 years, female 6.3
GTEX-1GF9X-1926-SM-ADEIC 40-49 years, female 6.3
GTEX-1HBPM-0326-SM-CMKGR 60-69 years, female 6.3
GTEX-1I6K6-0226-SM-ADEID 30-39 years, male 6.3
GTEX-1QP28-0226-SM-E9J2N 50-59 years, female 6.3
GTEX-139D8-0326-SM-5IJCJ 30-39 years, female 6.2
GTEX-13CF3-2326-SM-5IFGL 60-69 years, female 6.2
GTEX-13X6K-0226-SM-5QGPB 60-69 years, female 6.2
GTEX-147JS-0426-SM-5TDD2 60-69 years, male 6.2
GTEX-183FY-0326-SM-793BY 20-29 years, male 6.2
GTEX-WVJS-0226-SM-4MVOU 50-59 years, male 6.2
GTEX-Z93T-0226-SM-5HL5Z 50-59 years, male 6.2
GTEX-1LGOU-2226-SM-E9U56 20-29 years, female 6.2
GTEX-ZDYS-2126-SM-5S2P2 50-59 years, male 6.2
GTEX-1117F-0226-SM-5GZZ7 60-69 years, female 6.1
GTEX-111FC-0226-SM-5N9B8 60-69 years, male 6.1
GTEX-1314G-1626-SM-5EQ67 30-39 years, male 6.1
GTEX-13W3W-2526-SM-5SI9P 60-69 years, female 6.1
GTEX-14PHX-2426-SM-62LEN 50-59 years, male 6.1
GTEX-14PII-0326-SM-6LLIQ 60-69 years, male 6.1
GTEX-17HHY-0226-SM-793BQ 50-59 years, male 6.1
GTEX-WHPG-2126-SM-4M1ZM 50-59 years, male 6.1
GTEX-1F75A-0226-SM-7PC2K 50-59 years, male 6.1
GTEX-1I19N-0426-SM-ACKVY 70-79 years, male 6.1
GTEX-1I1GT-0526-SM-CGQEQ 60-69 years, female 6.1
GTEX-RUSQ-1626-SM-EZ6L4 50-59 years, male 6.1
GTEX-144GL-0226-SM-5QGOX 50-59 years, male 6.0
GTEX-16XZY-2526-SM-7DHL2 70-79 years, male 6.0
GTEX-OHPK-0226-SM-3MJH6 50-59 years, female 6.0
GTEX-QV31-1326-SM-2S1QE 30-39 years, male 6.0
GTEX-VJYA-1326-SM-3GIJC 60-69 years, male 6.0
GTEX-ZVE2-0326-SM-57WFC 50-59 years, male 6.0
GTEX-1H23P-0226-SM-9YFLO 60-69 years, male 6.0
GTEX-1QPFJ-0126-SM-E9J4B 30-39 years, female 6.0
GTEX-1QW4Y-1626-SM-EAZ41 30-39 years, male 6.0
GTEX-11EQ9-2526-SM-5HL66 30-39 years, male 5.9
GTEX-139T4-0126-SM-5HL5G 50-59 years, female 5.9
GTEX-13O3P-0226-SM-5KM3Z 50-59 years, male 5.9
GTEX-14PJ3-1926-SM-62LEY 50-59 years, male 5.9
GTEX-17HGU-0326-SM-7DUER 50-59 years, male 5.9
GTEX-1C2JI-2226-SM-7IGPJ 50-59 years, male 5.9
GTEX-1GTWX-0226-SM-9YFLL 60-69 years, male 5.9
GTEX-1H3VY-0226-SM-9YFMF 50-59 years, male 5.9
GTEX-1J8Q3-1526-SM-CMKGB 60-69 years, male 5.9
GTEX-PWN1-0226-SM-DKPO9 40-49 years, female 5.9
GTEX-11TTK-0226-SM-5N9EC 60-69 years, female 5.8
GTEX-13NZ9-0526-SM-5J1OX 50-59 years, male 5.8
GTEX-17MFQ-1826-SM-7DHLS 20-29 years, male 5.8
GTEX-XYKS-2726-SM-4E3IC 60-69 years, female 5.8
GTEX-Z9EW-1826-SM-5CVMA 40-49 years, male 5.8
GTEX-1IOXB-0226-SM-CMKHY 50-59 years, male 5.8
GTEX-1LG7Y-0426-SM-DKPQB 50-59 years, male 5.8
GTEX-RVPV-1526-SM-EXOHF 60-69 years, male 5.8
GTEX-1A3MW-0226-SM-7939O 60-69 years, female 5.7
GTEX-QDVJ-1826-SM-2S1P3 50-59 years, male 5.7
GTEX-R55D-0326-SM-48FES 50-59 years, male 5.7
GTEX-X638-0226-SM-47JZ9 70-79 years, female 5.7
GTEX-Y8E4-0726-SM-4WWFN 40-49 years, male 5.7
GTEX-1HCU6-0226-SM-CGQES 60-69 years, female 5.7
GTEX-1LSVX-0126-SM-EVYCY 60-69 years, male 5.7
GTEX-1R9K5-0226-SM-EWRNF 50-59 years, male 5.7
GTEX-1313W-0226-SM-5LZV7 50-59 years, female 5.6
GTEX-W5X1-2626-SM-4LMI8 40-49 years, female 5.6
GTEX-ZEX8-2326-SM-5S2MN 50-59 years, male 5.6
GTEX-1IE54-0226-SM-CMKHX 40-49 years, female 5.6
GTEX-14753-0326-SM-5QGQB 60-69 years, male 5.5
GTEX-14BMV-0226-SM-5S2N2 50-59 years, male 5.5
GTEX-18A66-0326-SM-718BE 60-69 years, male 5.5
GTEX-1EKGG-0126-SM-9YFLS 60-69 years, male 5.5
GTEX-1F6I4-0226-SM-9MQMA 60-69 years, male 5.5
GTEX-1J1R8-2226-SM-ARZMP 40-49 years, male 5.5
GTEX-15ETS-0426-SM-6PANI 40-49 years, female 5.4
GTEX-15G19-0226-SM-6PAL2 60-69 years, male 5.4
GTEX-1GMR3-2026-SM-9MQLG 40-49 years, male 5.4
GTEX-1HCUA-2226-SM-ADEHF 50-59 years, female 5.4
GTEX-1HT8W-0226-SM-CMKGT 30-39 years, male 5.4
GTEX-14JG1-0526-SM-6LLHW 40-49 years, male 5.3
GTEX-18A7A-0326-SM-731AT 50-59 years, female 5.3
GTEX-1B933-0526-SM-7EPHM 50-59 years, female 5.3
GTEX-X261-0226-SM-3NMD2 50-59 years, male 5.3
GTEX-X4EO-0426-SM-4QASA 60-69 years, female 5.3
GTEX-XPVG-2726-SM-4B66W 50-59 years, male 5.3
GTEX-ZF28-0226-SM-5S2OE 60-69 years, male 5.3
GTEX-1A8FM-0126-SM-7SB7P 50-59 years, female 5.3
GTEX-1B996-0126-SM-7PBYF 60-69 years, male 5.3
GTEX-1HUB1-0326-SM-A9SKQ 60-69 years, male 5.3
GTEX-1MA7X-2126-SM-E6CIX 60-69 years, male 5.3
GTEX-1PPGY-0326-SM-DTXFD 60-69 years, male 5.3
GTEX-OXRL-0226-SM-3NB18 50-59 years, male 5.2
GTEX-ZUA1-0226-SM-5NQ9Q 40-49 years, male 5.2
GTEX-1HSEH-0226-SM-ACKVV 60-69 years, male 5.2
GTEX-1NHNU-1126-SM-E9J2C 50-59 years, male 5.2
GTEX-1PBJI-0426-SM-E8VNM 20-29 years, female 5.2
GTEX-13NZ8-0926-SM-5MR3U 60-69 years, female 5.1
GTEX-13OVK-2126-SM-6PAN1 40-49 years, male 5.1
GTEX-16MTA-2126-SM-6PALC 50-59 years, male 5.1
GTEX-QEL4-0326-SM-3GAE5 50-59 years, male 5.1
GTEX-XLM4-0226-SM-4AT4N 60-69 years, male 5.1
GTEX-ZTX8-1526-SM-5N9GI 20-29 years, male 5.1
GTEX-ZYT6-0326-SM-7LG5R 30-39 years, male 5.1
GTEX-1HBPI-1426-SM-B2LW7 50-59 years, male 5.1
GTEX-1IKK5-0526-SM-CMKGG 60-69 years, male 5.1
GTEX-1LB8K-0326-SM-E9TJC 50-59 years, male 5.1
GTEX-14DAR-1926-SM-5S2NQ 50-59 years, male 5.0
GTEX-14PJ2-0226-SM-6LLH4 50-59 years, male 5.0
GTEX-17F97-0426-SM-7LT9U 50-59 years, male 5.0
GTEX-O5YT-0226-SM-32PK5 20-29 years, male 5.0
GTEX-169BO-1426-SM-9MQJT 50-59 years, male 5.0
GTEX-147GR-0426-SM-5S2OL 60-69 years, male 4.9
GTEX-14AS3-2026-SM-5TDD9 40-49 years, female 4.9
GTEX-1A32A-0226-SM-718B2 50-59 years, female 4.9
GTEX-T6MO-1726-SM-33HB8 40-49 years, female 4.9
GTEX-1IKJJ-0226-SM-COH3T 60-69 years, male 4.9
GTEX-Q2AH-1726-SM-DIPDV 40-49 years, male 4.9
GTEX-13FTW-2526-SM-5IJC8 40-49 years, male 4.8
GTEX-1A8G7-0226-SM-731AS 60-69 years, male 4.8
GTEX-WH7G-2226-SM-3NMBN 40-49 years, male 4.8
GTEX-ZAK1-0226-SM-5CVMX 50-59 years, female 4.8
GTEX-1A8G6-0526-SM-7PC1E 60-69 years, male 4.8
GTEX-1I1GR-0226-SM-CMKHQ 60-69 years, male 4.8
GTEX-QEG4-0326-SM-DIPE3 30-39 years, male 4.8
GTEX-11OF3-2426-SM-5Q5AS 60-69 years, male 4.7
GTEX-12WSM-0226-SM-5LZV6 60-69 years, male 4.7
GTEX-13U4I-0226-SM-5SIB1 40-49 years, female 4.7
GTEX-146FR-1826-SM-5QGPF 60-69 years, female 4.7
GTEX-14PK6-2026-SM-6LLHP 70-79 years, female 4.7
GTEX-15ER7-0426-SM-6PAM3 20-29 years, female 4.7
GTEX-QEG5-0326-SM-2S1PB 20-29 years, male 4.7
GTEX-R53T-1626-SM-3GAEW 50-59 years, female 4.7
GTEX-REY6-0326-SM-2TF5A 60-69 years, male 4.7
GTEX-XBEW-0726-SM-4QARX 40-49 years, male 4.7
GTEX-YB5K-2226-SM-4WWG1 40-49 years, female 4.7
GTEX-ZDTS-0226-SM-5HL7Q 60-69 years, male 4.7
GTEX-ZXES-2026-SM-5NQ6R 30-39 years, female 4.7
GTEX-1LG7Z-2026-SM-DLHBP 30-39 years, male 4.7
GTEX-1RAZA-0226-SM-E9U4W 20-29 years, male 4.7
GTEX-11DXW-0326-SM-5H11W 40-49 years, male 4.6
GTEX-12696-2526-SM-5EQLN 60-69 years, male 4.6
GTEX-13111-1726-SM-5EGJZ 50-59 years, male 4.6
GTEX-139T8-0226-SM-5L3EA 60-69 years, male 4.6
GTEX-139YR-2426-SM-5J1OB 50-59 years, male 4.6
GTEX-145MG-0126-SM-5TDDA 50-59 years, male 4.6
GTEX-17EUY-0526-SM-7EWDE 20-29 years, male 4.6
GTEX-1AX9J-0326-SM-73KXY 60-69 years, male 4.6
GTEX-1C6WA-0226-SM-7IGPO 60-69 years, male 4.6
GTEX-P44H-0326-SM-2XCES 40-49 years, male 4.6
GTEX-SSA3-0226-SM-32QPN 60-69 years, male 4.6
GTEX-U8XE-0426-SM-3DB91 30-39 years, male 4.6
GTEX-YJ8A-0526-SM-5IFHT 20-29 years, male 4.6
GTEX-1ICLY-0226-SM-ARL7R 50-59 years, male 4.6
GTEX-1IDJU-2526-SM-CMKGF 60-69 years, female 4.6
GTEX-1JN76-0226-SM-CMKGO 20-29 years, female 4.6
GTEX-1PIGE-0526-SM-DTXFA 20-29 years, male 4.6
GTEX-WYJK-0226-SM-EYYV8 50-59 years, male 4.6
GTEX-13OVL-0326-SM-5IJCS 50-59 years, male 4.5
GTEX-145MO-0426-SM-5QGP6 60-69 years, male 4.5
GTEX-14JG6-2326-SM-6LLH3 30-39 years, female 4.5
GTEX-16AAH-2026-SM-7LG5F 50-59 years, male 4.5
GTEX-1B97I-1726-SM-7939V 40-49 years, male 4.5
GTEX-U412-0526-SM-3DB9I 60-69 years, male 4.5
GTEX-Z93S-0226-SM-5HL7R 50-59 years, male 4.5
GTEX-1H1DE-2026-SM-9WG6Q 20-29 years, male 4.5
GTEX-1H2FU-0226-SM-9YFKO 60-69 years, female 4.5
GTEX-17F98-1126-SM-79OJS 40-49 years, female 4.4
GTEX-OXRK-0326-SM-3NB3R 50-59 years, female 4.4
GTEX-XUYS-0226-SM-47JX1 50-59 years, male 4.4
GTEX-YJ89-0226-SM-4TT3Y 60-69 years, male 4.4
GTEX-1IL2U-0326-SM-CE6T9 60-69 years, male 4.4
GTEX-11P82-1726-SM-5Q5AT 20-29 years, male 4.3
GTEX-144GM-1926-SM-5LUAN 20-29 years, male 4.3
GTEX-145LS-0226-SM-5O9A5 60-69 years, female 4.3
GTEX-1C475-1926-SM-7DUFV 40-49 years, female 4.3
GTEX-X4XY-0326-SM-46MVZ 60-69 years, male 4.3
GTEX-ZPU1-2426-SM-4WWFM 40-49 years, male 4.3
GTEX-1GPI7-0226-SM-9MQKB 20-29 years, male 4.3
GTEX-1I1GQ-0226-SM-COH3I 50-59 years, male 4.3
GTEX-1J8JJ-0326-SM-CMKG6 60-69 years, female 4.3
GTEX-1QP67-1726-SM-E8VOP 40-49 years, female 4.3
GTEX-13N1W-0226-SM-5K7W6 70-79 years, male 4.2
GTEX-14C5O-0226-SM-5SI6O 60-69 years, male 4.2
GTEX-14ICK-0326-SM-6LLIZ 40-49 years, male 4.2
GTEX-OHPM-0226-SM-3LK61 50-59 years, male 4.2
GTEX-XBED-2326-SM-47JYR 60-69 years, male 4.2
GTEX-XMK1-2226-SM-4B673 40-49 years, male 4.2
GTEX-1F88E-0526-SM-7SB8J 60-69 years, female 4.2
GTEX-1IGQW-0226-SM-COH43 60-69 years, male 4.2
GTEX-S33H-1126-SM-2XCB6 30-39 years, male 4.1
GTEX-S7SE-0226-SM-2XCD4 50-59 years, male 4.1
GTEX-SJXC-0226-SM-2XCDU 60-69 years, male 4.1
GTEX-Y8LW-1926-SM-4WWFZ 50-59 years, female 4.1
GTEX-1CAMS-0326-SM-7PC35 40-49 years, female 4.1
GTEX-1F5PK-2526-SM-9MQKN 50-59 years, male 4.1
GTEX-11TT1-2426-SM-5EQMK 20-29 years, male 4.0
GTEX-13112-2726-SM-5DUW5 50-59 years, male 4.0
GTEX-13PVQ-0226-SM-5SIBG 50-59 years, male 4.0
GTEX-13VXU-0226-SM-5SI9R 50-59 years, male 4.0
GTEX-S32W-2226-SM-2XCAY 50-59 years, female 4.0
GTEX-T5JC-0526-SM-32PM7 20-29 years, male 4.0
GTEX-T6MN-0226-SM-32PMD 50-59 years, male 4.0
GTEX-1ICG6-2626-SM-CGQG1 70-79 years, female 4.0
GTEX-1JMPY-1426-SM-ARL8Z 30-39 years, male 4.0
GTEX-1LH75-2526-SM-E9U5A 50-59 years, female 4.0
GTEX-1PFEY-1626-SM-E9J3M 30-39 years, male 4.0
GTEX-13G51-2626-SM-5LZYW 60-69 years, male 3.9
GTEX-P78B-0226-SM-3NB1Z 40-49 years, female 3.9
GTEX-1CB4F-0526-SM-9KNW2 60-69 years, male 3.9
GTEX-1GN1U-0226-SM-9YFLQ 50-59 years, female 3.9
GTEX-1HSMP-0226-SM-CGQFI 70-79 years, male 3.9
GTEX-1JMQI-2026-SM-CMKGP 50-59 years, male 3.9
GTEX-1PDJ9-0426-SM-E9J3E 20-29 years, male 3.9
GTEX-1S83E-0226-SM-EVYCW 40-49 years, male 3.9
GTEX-13OVI-1326-SM-5IJBO 60-69 years, female 3.8
GTEX-13OW8-1226-SM-5K7XD 60-69 years, male 3.8
GTEX-144GO-1626-SM-7EPG5 60-69 years, male 3.8
GTEX-16NGA-1826-SM-7LG5L 40-49 years, female 3.8
GTEX-YECK-0226-SM-4W215 60-69 years, male 3.8
GTEX-145ME-1926-SM-5MR6T 40-49 years, female 3.8
GTEX-18QFQ-0226-SM-731BQ 30-39 years, male 3.8
GTEX-1F88F-2626-SM-9WG5K 60-69 years, female 3.8
GTEX-1JMLX-0126-SM-CMKG9 50-59 years, male 3.8
GTEX-1MJK2-0526-SM-DTXE6 50-59 years, male 3.8
GTEX-XOT4-0226-SM-4B66Z 60-69 years, female 3.8
GTEX-WEY5-1926-SM-3GIL8 40-49 years, female 3.7
GTEX-1K9T9-0226-SM-E9U6K 50-59 years, female 3.7
GTEX-1LVAO-0226-SM-E9U6O 60-69 years, male 3.7
GTEX-P4PP-0226-SM-D4P1Z 30-39 years, female 3.7
GTEX-13JUV-2826-SM-5LZWU 40-49 years, female 3.6
GTEX-14ICL-2026-SM-62LDN 30-39 years, male 3.6
GTEX-14PN3-2526-SM-6EU15 60-69 years, female 3.6
GTEX-T8EM-1126-SM-3DB7D 40-49 years, male 3.6
GTEX-U3ZN-2626-SM-3DB7T 30-39 years, female 3.6
GTEX-ZYFD-0226-SM-5NQ86 50-59 years, male 3.6
GTEX-1HCU7-0326-SM-CMKGI 50-59 years, male 3.6
GTEX-1HSMQ-1426-SM-ADEHT 50-59 years, male 3.6
GTEX-1I1GU-2326-SM-CGQFB 40-49 years, male 3.6
GTEX-1I1HK-0226-SM-COH4A 60-69 years, male 3.6
GTEX-1RQEC-0526-SM-E6CHV 60-69 years, male 3.6
GTEX-RNOR-0226-SM-EZ6MF 50-59 years, female 3.6
GTEX-14H4A-1026-SM-62LDY 40-49 years, female 3.5
GTEX-T5JW-1726-SM-3GADN 20-29 years, female 3.5
GTEX-ZYY3-0226-SM-5E45M 60-69 years, female 3.5
GTEX-1MCC2-2326-SM-E9U5G 30-39 years, female 3.5
GTEX-148VI-1726-SM-5S2W9 60-69 years, female 3.4
GTEX-18465-0226-SM-7LG5M 50-59 years, male 3.4
GTEX-1AMFI-2126-SM-731BT 50-59 years, female 3.4
GTEX-1B8KE-2526-SM-73KYQ 50-59 years, male 3.4
GTEX-1CAMR-1826-SM-7MXUJ 20-29 years, male 3.4
GTEX-1R7EV-1926-SM-EVYBF 40-49 years, male 3.4
GTEX-OIZG-0826-SM-E9TI4 50-59 years, male 3.4
GTEX-R45C-0226-SM-EVYAJ 60-69 years, female 3.4
GTEX-VUSH-0226-SM-EXUQV 30-39 years, male 3.4
GTEX-OIZI-0226-SM-2XCEE 40-49 years, male 3.3
GTEX-PWCY-1926-SM-3NB25 20-29 years, female 3.3
GTEX-QESD-1526-SM-2S1QT 20-29 years, male 3.3
GTEX-Y111-0226-SM-4SOIW 50-59 years, male 3.3
GTEX-ZE7O-0226-SM-5S2N1 50-59 years, female 3.3
GTEX-17KNJ-2226-SM-DKPOU 50-59 years, male 3.3
GTEX-1H4P4-0226-SM-9YFKT 50-59 years, male 3.3
GTEX-1IY9M-0226-SM-CMKHP 60-69 years, male 3.3
GTEX-OOBJ-0226-SM-2YUMM 60-69 years, male 3.2
GTEX-QDVN-2126-SM-33HBS 50-59 years, male 3.2
GTEX-1K2DA-2126-SM-CGQGL 50-59 years, male 3.2
GTEX-1MUQO-0526-SM-E9J31 60-69 years, male 3.2
GTEX-11EM3-2326-SM-5H12B 20-29 years, female 3.1
GTEX-12WSA-0326-SM-5BC6I 60-69 years, male 3.1
GTEX-14BMU-2126-SM-5S2TS 20-29 years, female 3.1
GTEX-14E6D-0226-SM-62LDW 50-59 years, male 3.1
GTEX-SIU8-0226-SM-2XCDS 50-59 years, male 3.1
GTEX-1GN1V-0226-SM-9WYTN 60-69 years, male 3.1
GTEX-1JJE9-1226-SM-CNPOI 70-79 years, male 3.1
GTEX-1KWVE-1326-SM-E6CJ1 30-39 years, male 3.1
GTEX-1S5ZU-0226-SM-E6CHW 20-29 years, female 3.1
GTEX-1CB4H-0326-SM-9WG5G 60-69 years, female 3.0
GTEX-11WQC-2426-SM-5EQKQ 60-69 years, male 2.9
GTEX-11XUK-2126-SM-5EQLR 40-49 years, female 2.9
GTEX-13OW6-0526-SM-5L3HY 50-59 years, male 2.9
GTEX-145MF-0526-SM-5LUA6 50-59 years, male 2.9
GTEX-15DDE-0226-SM-6LLJ6 50-59 years, female 2.9
GTEX-17HII-0326-SM-7LG4X 50-59 years, male 2.9
GTEX-1B8SG-0226-SM-7939Q 50-59 years, male 2.9
GTEX-1C4CL-0426-SM-7939N 30-39 years, male 2.9
GTEX-XXEK-2426-SM-4BRUS 50-59 years, male 2.9
GTEX-11P7K-2026-SM-5GU74 30-39 years, male 2.8
GTEX-139TT-0226-SM-5K7YH 60-69 years, male 2.8
GTEX-15RIE-2326-SM-7KFSC 60-69 years, male 2.8
GTEX-1BAJH-0426-SM-73KWY 70-79 years, male 2.8
GTEX-ZZ64-1626-SM-5E43W 20-29 years, male 2.8
GTEX-13NYB-2626-SM-9YFMI 40-49 years, male 2.8
GTEX-1AYCT-2226-SM-7SB98 50-59 years, male 2.8
GTEX-1EH9U-0226-SM-7PBY8 60-69 years, male 2.8
GTEX-1F52S-0226-SM-7SB7U 60-69 years, female 2.8
GTEX-1H1CY-2626-SM-9MQKJ 60-69 years, female 2.8
GTEX-1HSKV-0326-SM-ADEJC 60-69 years, male 2.8
GTEX-1IL2V-0226-SM-CMKI2 70-79 years, male 2.8
GTEX-1JJ6O-0226-SM-E6CI9 60-69 years, male 2.8
GTEX-131XF-2226-SM-5EQKG 60-69 years, male 2.7
GTEX-13QJ3-0426-SM-5RQHP 50-59 years, male 2.7
GTEX-1GMR2-2526-SM-9MQKW 50-59 years, male 2.7
GTEX-1H1ZS-0526-SM-9WG5L 70-79 years, male 2.7
GTEX-1HFI6-0326-SM-ADEI5 40-49 years, male 2.7
GTEX-1N2EF-0626-SM-E9J32 60-69 years, male 2.7
GTEX-14ABY-0326-SM-5TDDK 50-59 years, male 2.6
GTEX-1EU9M-0326-SM-7RHGF 60-69 years, male 2.6
GTEX-1I4MK-2026-SM-B2LVR 50-59 years, female 2.6
GTEX-1LSNL-0526-SM-DIPFI 50-59 years, male 2.6
GTEX-1PPH8-0626-SM-EWRN9 20-29 years, male 2.6
GTEX-1QCLY-0526-SM-EAZ47 30-39 years, male 2.6
GTEX-1QP2A-0226-SM-EVYBC 50-59 years, male 2.6
GTEX-UTHO-0426-SM-CE6QU 60-69 years, male 2.6
GTEX-1GZ4H-1826-SM-9MQLE 50-59 years, female 2.5
GTEX-1JJEA-0226-SM-COH2X 60-69 years, male 2.5
GTEX-1JK1U-2126-SM-CNPOU 60-69 years, male 2.5
GTEX-1399U-2426-SM-5K7XB 50-59 years, female 2.4
GTEX-ZVTK-0526-SM-5GZWT 20-29 years, male 2.4
GTEX-1GN73-0326-SM-9KNTW 60-69 years, male 2.4
GTEX-1JMQK-0126-SM-CM2S3 60-69 years, male 2.4
GTEX-15UKP-0526-SM-7KFRO 20-29 years, male 2.3
GTEX-1CB4I-0426-SM-7IGPR 50-59 years, male 2.3
GTEX-1L5NE-2626-SM-E9U6P 50-59 years, male 2.3
GTEX-POYW-0726-SM-2XCEO 60-69 years, male 2.2
GTEX-ZYFC-0326-SM-5NQ7H 50-59 years, male 2.2
GTEX-11NUK-0326-SM-5HL5K 50-59 years, male 2.1
GTEX-1KANA-0826-SM-D3L9J 20-29 years, male 2.1
GTEX-1LSNM-2026-SM-E6CIJ 50-59 years, male 2.1
GTEX-1EMGI-0226-SM-9MQL1 60-69 years, male 2.0
GTEX-1H3O1-0526-SM-9MQLS 60-69 years, male 2.0
GTEX-NFK9-0326-SM-3MJGV 40-49 years, male 1.9
GTEX-PLZ6-1326-SM-3NB24 30-39 years, male 1.9
GTEX-ZE9C-2826-SM-5S2MO 60-69 years, male 1.9
GTEX-SNMC-1326-SM-2XCFK 20-29 years, male 1.8
GTEX-1C6VR-2626-SM-7MGX2 60-69 years, male 1.8
GTEX-1MGNQ-0226-SM-EVYCK 40-49 years, male 1.7
GTEX-1H1E6-2026-SM-9KNVK 30-39 years, male 1.6
GTEX-XQ3S-1626-SM-4WAYN 20-29 years, male 1.5
GTEX-18D9U-0726-SM-7LG5J 40-49 years, male 1.4
GTEX-1R7EU-0326-SM-EWRNJ 60-69 years, male 1.4
GTEX-1F75I-0426-SM-7PC3S 40-49 years, male 1.3
GTEX-1B8L1-2626-SM-7SB77 60-69 years, male 1.2
GTEX-TSE9-0226-SM-3DB84 60-69 years, female 1.1
GTEX-P44G-2326-SM-2XCCZ 30-39 years, male 0.4
Show allShow less
Adipose - Visceral (Omentum)
Average nTPM: 9.7
Samples: 541

Max nTPM: 63.5
Min nTPM: 1.6
Std nTPM: 6.2
Median nTPM: 8.3
GTEX-ZVZP-1126-SM-5GICU 50-59 years, male 63.5
GTEX-Y9LG-1226-SM-4VBQA 30-39 years, male 57.4
GTEX-1JKYN-0526-SM-CGQG3 30-39 years, male 39.9
GTEX-11EM3-1126-SM-5A5KM 20-29 years, female 37.3
GTEX-ZV7C-0826-SM-59HK8 50-59 years, male 29.1
GTEX-1IDJD-0926-SM-ACKWW 30-39 years, male 27.6
GTEX-ZDYS-2226-SM-5S2MI 50-59 years, male 27.0
GTEX-13FHO-2026-SM-5J1OA 60-69 years, male 26.9
GTEX-VJYA-1626-SM-EXOHL 60-69 years, male 26.4
GTEX-1HKZK-1726-SM-ADEJ9 40-49 years, male 25.8
GTEX-13PL7-1226-SM-5SIAR 60-69 years, female 25.6
GTEX-1O9I2-1326-SM-E6CQD 50-59 years, male 25.5
GTEX-1I6K7-1826-SM-CGQFO 40-49 years, male 25.0
GTEX-1B97J-1126-SM-7SB79 50-59 years, female 24.6
GTEX-XBED-1326-SM-4AT4F 60-69 years, male 24.0
GTEX-1RLM8-1026-SM-EWROE 50-59 years, male 24.0
GTEX-13X6H-1726-SM-5Q5EH 50-59 years, female 23.4
GTEX-ZAB4-1426-SM-5CVN6 40-49 years, male 22.6
GTEX-XYKS-1826-SM-4E3JV 60-69 years, female 22.5
GTEX-1KXAM-0526-SM-DKPQN 60-69 years, male 22.2
GTEX-13X6I-1526-SM-5SIAC 60-69 years, male 22.1
GTEX-1IDJF-1726-SM-A9SLL 20-29 years, male 22.0
GTEX-1IDJU-0926-SM-ARL88 60-69 years, female 22.0
GTEX-YEC4-0926-SM-5PNXY 40-49 years, male 21.9
GTEX-1QCLY-1226-SM-EVYC3 30-39 years, male 21.4
GTEX-ZA64-0926-SM-5HL7H 20-29 years, male 20.4
GTEX-1LG7Z-0226-SM-E6CIG 30-39 years, male 20.4
GTEX-13O61-1926-SM-5KM1R 60-69 years, male 20.2
GTEX-14PJ4-0126-SM-62LEZ 60-69 years, male 20.2
GTEX-ZZPU-0326-SM-5N9BJ 50-59 years, female 20.2
GTEX-14C39-0826-SM-5TDDU 40-49 years, male 20.1
GTEX-1QP28-0926-SM-EVR4D 50-59 years, female 19.8
GTEX-17EVQ-0626-SM-7KFTB 70-79 years, male 19.7
GTEX-13N11-1826-SM-5IJDS 50-59 years, female 19.6
GTEX-1LGOU-0826-SM-DHXKL 20-29 years, female 18.7
GTEX-1RB15-1126-SM-E8VMX 60-69 years, male 18.6
GTEX-132Q8-1726-SM-5EGK8 60-69 years, male 18.4
GTEX-18A6Q-1026-SM-7LT9S 60-69 years, male 18.4
GTEX-1S82P-0926-SM-EWRNP 60-69 years, female 18.3
GTEX-1AX8Z-1626-SM-73KWD 60-69 years, male 18.2
GTEX-Y3I4-0726-SM-E9J3Y 50-59 years, male 18.2
GTEX-14B4R-0526-SM-5QGQT 30-39 years, male 18.1
GTEX-ZTPG-2326-SM-57WFL 20-29 years, female 18.1
GTEX-ZVT2-0226-SM-5GIE3 50-59 years, female 18.1
GTEX-14PHX-1626-SM-69LQB 50-59 years, male 17.9
GTEX-13O3P-0926-SM-5IFFI 50-59 years, male 17.6
GTEX-1QAET-1226-SM-DTX9I 50-59 years, male 17.6
GTEX-18QFQ-1326-SM-731CF 30-39 years, male 17.4
GTEX-13FTW-0426-SM-5K7X2 40-49 years, male 17.3
GTEX-1HSMP-1126-SM-B2LXJ 70-79 years, male 17.2
GTEX-117YX-0726-SM-5GIET 50-59 years, male 17.1
GTEX-132AR-0526-SM-5J2MJ 50-59 years, female 17.1
GTEX-18D9U-0426-SM-731AN 40-49 years, male 17.1
GTEX-Z9EW-0826-SM-5HL9T 40-49 years, male 17.1
GTEX-146FR-0226-SM-5Q5F6 60-69 years, female 16.9
GTEX-1GTWX-1526-SM-9MQLF 60-69 years, male 16.9
GTEX-1LSVX-1326-SM-DIPET 60-69 years, male 16.9
GTEX-14E6C-1226-SM-5ZZUN 40-49 years, male 16.6
GTEX-ZDTT-0526-SM-5HL4M 60-69 years, male 16.6
GTEX-11LCK-0326-SM-5A5M7 30-39 years, male 16.5
GTEX-133LE-0926-SM-5P9J1 20-29 years, female 16.5
GTEX-1AYD5-0126-SM-7DUG5 50-59 years, male 16.5
GTEX-13RTK-0726-SM-5Q5EN 20-29 years, male 16.4
GTEX-11I78-0226-SM-5HL6R 50-59 years, female 16.1
GTEX-12WSG-0426-SM-5FQSE 50-59 years, female 16.1
GTEX-1399S-1426-SM-5PNYQ 30-39 years, female 16.1
GTEX-14DAR-0426-SM-664MW 50-59 years, male 16.1
GTEX-16MTA-1326-SM-6PALX 50-59 years, male 16.1
GTEX-13O21-3126-SM-5J1OI 50-59 years, male 15.9
GTEX-Y114-1326-SM-4TT9A 50-59 years, female 15.9
GTEX-1HCU8-1126-SM-CM2SA 60-69 years, female 15.9
GTEX-17MFQ-1126-SM-7LT9O 20-29 years, male 15.6
GTEX-1RNTQ-0826-SM-E9TK8 20-29 years, female 15.6
GTEX-ZT9X-0926-SM-5O9C4 40-49 years, male 15.5
GTEX-146FH-2026-SM-5SI9I 50-59 years, female 15.4
GTEX-14PK6-0926-SM-62LF4 70-79 years, female 15.4
GTEX-1AMEY-0526-SM-72D62 30-39 years, female 15.3
GTEX-14PJ5-0426-SM-5ZZW2 60-69 years, female 15.1
GTEX-132QS-0826-SM-5K7WV 60-69 years, male 15.0
GTEX-13OVH-1126-SM-5K7YP 70-79 years, male 15.0
GTEX-1HB9E-0526-SM-ARZNM 50-59 years, male 15.0
GTEX-XGQ4-1026-SM-4AT4L 50-59 years, male 14.7
GTEX-1GPI7-0826-SM-9JGG7 20-29 years, male 14.7
GTEX-1KANA-1426-SM-CY8IF 20-29 years, male 14.7
GTEX-WFON-1226-SM-3TW8F 40-49 years, male 14.4
GTEX-1I1GS-0926-SM-A9SL5 60-69 years, male 14.3
GTEX-131XG-0126-SM-5K7UJ 50-59 years, female 14.2
GTEX-XUZC-1126-SM-4BOPZ 30-39 years, female 14.2
GTEX-1QPFJ-2126-SM-EXOJV 30-39 years, female 14.2
GTEX-1RAZR-1026-SM-E8VOJ 40-49 years, male 14.2
GTEX-ZF29-0826-SM-5S2O2 60-69 years, female 14.1
GTEX-1MCC2-0626-SM-DKPQI 30-39 years, female 14.0
GTEX-1RAZA-0926-SM-E6CQ8 20-29 years, male 14.0
GTEX-13111-0626-SM-5LZVR 50-59 years, male 13.9
GTEX-ZYW4-2226-SM-5GZYG 60-69 years, male 13.9
GTEX-15D1Q-1326-SM-69LOA 40-49 years, male 13.8
GTEX-WY7C-0926-SM-3NB34 50-59 years, male 13.6
GTEX-1RAZQ-1526-SM-E6CJI 30-39 years, male 13.6
GTEX-1128S-0926-SM-5GZZU 60-69 years, female 13.5
GTEX-11VI4-1226-SM-5EQMP 40-49 years, female 13.5
GTEX-13113-1126-SM-5LZU9 60-69 years, female 13.5
GTEX-13FTX-0626-SM-5J2NS 20-29 years, female 13.5
GTEX-144GN-0726-SM-5O98O 50-59 years, male 13.5
GTEX-17MF6-1326-SM-79ONE 40-49 years, male 13.5
GTEX-14PN4-1426-SM-6LLJ4 50-59 years, male 13.4
GTEX-ZTSS-1026-SM-5985N 40-49 years, male 13.4
GTEX-13YAN-1126-SM-5TDC7 60-69 years, male 13.3
GTEX-1C475-0326-SM-7SB8O 40-49 years, female 13.3
GTEX-1JN76-1026-SM-ARZNI 20-29 years, female 13.3
GTEX-1S5ZA-1026-SM-EWRO2 20-29 years, male 13.3
GTEX-131XF-0726-SM-5GIE5 60-69 years, male 13.2
GTEX-1H11D-1126-SM-9YFM5 40-49 years, male 13.2
GTEX-1ICLY-1426-SM-CJI48 50-59 years, male 13.2
GTEX-U8XE-1926-SM-3DB98 30-39 years, male 13.0
GTEX-12WSK-1026-SM-5CVNR 40-49 years, female 12.9
GTEX-13U4I-1726-SM-5J1MF 40-49 years, female 12.9
GTEX-1QP29-1626-SM-EXUSZ 50-59 years, male 12.9
GTEX-13VXT-0926-SM-5LU5K 20-29 years, female 12.8
GTEX-16BQI-1126-SM-7KULF 30-39 years, female 12.8
GTEX-1H1E6-1126-SM-9JGGV 30-39 years, male 12.8
GTEX-1I1GR-1726-SM-COH39 60-69 years, male 12.8
GTEX-1LVAM-1026-SM-DIPFK 50-59 years, female 12.8
GTEX-11P81-0726-SM-5PNYH 30-39 years, female 12.7
GTEX-1C2JI-0826-SM-7EPHB 50-59 years, male 12.5
GTEX-Y5V6-0626-SM-4WWFY 60-69 years, male 12.5
GTEX-1CB4I-0826-SM-7MGX1 50-59 years, male 12.5
GTEX-1LGRB-0526-SM-COH3A 50-59 years, female 12.5
GTEX-11GS4-1026-SM-5N9DE 60-69 years, male 12.4
GTEX-XLM4-1026-SM-4AT51 60-69 years, male 12.4
GTEX-1CAMR-0326-SM-793AH 20-29 years, male 12.2
GTEX-UPK5-1826-SM-3GAEB 40-49 years, male 12.2
GTEX-WHPG-0626-SM-3NMBD 50-59 years, male 12.2
GTEX-1J1OQ-1526-SM-CJI4E 40-49 years, female 12.2
GTEX-1LH75-1026-SM-EWROK 50-59 years, female 12.2
GTEX-W5X1-1426-SM-3GIKH 40-49 years, female 12.1
GTEX-ZTX8-0726-SM-59HL9 20-29 years, male 12.1
GTEX-ZYFG-1426-SM-5GICS 60-69 years, female 12.1
GTEX-1K9T9-1626-SM-DIPFS 50-59 years, female 12.1
GTEX-1LKK1-1526-SM-EVYCO 50-59 years, female 12.1
GTEX-1QEPI-2226-SM-E8VN6 60-69 years, female 12.1
GTEX-13OVG-1326-SM-5K7Y3 60-69 years, male 12.0
GTEX-13W3W-1126-SM-5L3DO 60-69 years, female 12.0
GTEX-ZXES-0926-SM-5E43O 30-39 years, female 12.0
GTEX-1ICLZ-1626-SM-CE6SS 60-69 years, male 12.0
GTEX-11EQ9-1126-SM-5987I 30-39 years, male 11.8
GTEX-WWTW-1326-SM-4MVNT 50-59 years, male 11.8
GTEX-1HCU9-0626-SM-ACKW6 20-29 years, male 11.8
GTEX-117YW-0826-SM-5H11O 50-59 years, male 11.7
GTEX-1H1ZS-1326-SM-9WG74 70-79 years, male 11.7
GTEX-1HSGN-1926-SM-CMKGS 40-49 years, female 11.7
GTEX-17F97-1226-SM-79OJT 50-59 years, male 11.6
GTEX-14BIL-2426-SM-5QGQR 50-59 years, male 11.5
GTEX-15CHC-0826-SM-686YW 60-69 years, female 11.5
GTEX-1QP9N-0426-SM-DTXFT 30-39 years, male 11.5
GTEX-1A3MV-0626-SM-731CH 30-39 years, male 11.4
GTEX-WH7G-1126-SM-3NMBK 40-49 years, male 11.4
GTEX-145LT-1526-SM-5O98P 40-49 years, male 11.3
GTEX-ZPCL-1026-SM-5GCOX 60-69 years, female 11.3
GTEX-ZQG8-1026-SM-51MR9 60-69 years, female 11.3
GTEX-13D11-0526-SM-5LZYM 50-59 years, female 11.2
GTEX-16AAH-1526-SM-7LT9W 50-59 years, male 11.2
GTEX-X3Y1-0926-SM-3P5YT 40-49 years, male 11.1
GTEX-11P82-0326-SM-5HL51 20-29 years, male 11.0
GTEX-1GF9U-1226-SM-ARL9I 40-49 years, female 11.0
GTEX-1GZ2Q-1226-SM-9MQM8 40-49 years, male 11.0
GTEX-1MUQO-0826-SM-EVYCZ 60-69 years, male 10.9
GTEX-111YS-1326-SM-5EGGK 60-69 years, male 10.8
GTEX-12584-2126-SM-5FQUM 40-49 years, male 10.8
GTEX-1OJC3-1326-SM-E9J3D 20-29 years, male 10.8
GTEX-13QBU-1326-SM-5LU4K 40-49 years, female 10.7
GTEX-16NPV-0626-SM-7IGOR 50-59 years, female 10.7
GTEX-1AX9K-0926-SM-7939G 50-59 years, male 10.7
GTEX-ZC5H-1626-SM-5HL7L 40-49 years, female 10.7
GTEX-1I1GQ-1026-SM-CNNQS 50-59 years, male 10.7
GTEX-1LVAN-0926-SM-CNNQ2 50-59 years, female 10.7
GTEX-11GSO-0226-SM-5A5LV 60-69 years, male 10.6
GTEX-14C38-1026-SM-73KY7 50-59 years, male 10.6
GTEX-1GL5R-0726-SM-9MQL5 50-59 years, male 10.6
GTEX-1ICG6-1726-SM-ARU7K 70-79 years, female 10.6
GTEX-1IKOE-1726-SM-CNNQ6 30-39 years, female 10.6
GTEX-13PVR-0526-SM-5S2OB 60-69 years, female 10.5
GTEX-16XZZ-1626-SM-7KUEC 60-69 years, male 10.5
GTEX-1B932-1726-SM-793A5 40-49 years, female 10.5
GTEX-1H2FU-1426-SM-9WPO6 60-69 years, female 10.5
GTEX-1IDJC-0226-SM-CMKG2 50-59 years, male 10.5
GTEX-1PPH8-1026-SM-DPRXN 20-29 years, male 10.5
GTEX-13S86-0926-SM-5SI6I 40-49 years, male 10.4
GTEX-WOFM-0726-SM-3MJF8 20-29 years, male 10.4
GTEX-Y5V5-0226-SM-5S2N8 60-69 years, female 10.4
GTEX-YEC3-0926-SM-5Q5AC 50-59 years, male 10.4
GTEX-1JMQK-1326-SM-CNPOR 60-69 years, male 10.4
GTEX-13OVJ-0926-SM-5K7U1 50-59 years, female 10.3
GTEX-18D9A-0726-SM-7LTA7 30-39 years, female 10.3
GTEX-12C56-0826-SM-5EGJ5 20-29 years, male 10.2
GTEX-139T6-0526-SM-5IJC9 50-59 years, male 10.2
GTEX-144GM-0626-SM-79OKY 20-29 years, male 10.2
GTEX-14PJN-0626-SM-6EU13 30-39 years, male 10.2
GTEX-ZGAY-1326-SM-5S2NS 40-49 years, female 10.2
GTEX-WFJO-1026-SM-3GIKL 30-39 years, male 10.1
GTEX-ZLWG-0726-SM-5S2N4 50-59 years, female 10.1
GTEX-145ME-0726-SM-5O9A3 40-49 years, female 10.0
GTEX-15DZA-0626-SM-6PANC 30-39 years, female 10.0
GTEX-ZVP2-0226-SM-57WBD 50-59 years, male 10.0
GTEX-1F48J-1826-SM-7SB8T 50-59 years, female 10.0
GTEX-15EU6-1726-SM-6M48H 50-59 years, male 9.9
GTEX-Y8LW-0926-SM-4VBQ8 50-59 years, female 9.9
GTEX-131XE-2026-SM-5LZW1 50-59 years, male 9.8
GTEX-139TU-1426-SM-5LZY9 60-69 years, male 9.8
GTEX-1K2DU-0726-SM-DIPF7 20-29 years, male 9.8
GTEX-1RMOY-0826-SM-E9TIF 50-59 years, male 9.8
GTEX-111CU-1026-SM-5EGIL 50-59 years, male 9.7
GTEX-1211K-1226-SM-5EQ4N 60-69 years, female 9.7
GTEX-12WSM-0626-SM-5GCOK 60-69 years, male 9.7
GTEX-14JG6-0526-SM-6LLIH 30-39 years, female 9.7
GTEX-ZPIC-0726-SM-57WFM 40-49 years, female 9.7
GTEX-1S5VW-2426-SM-EAZ52 60-69 years, male 9.7
GTEX-14BMU-0626-SM-73KZ6 20-29 years, female 9.6
GTEX-1HCUA-0926-SM-ADEIX 50-59 years, female 9.6
GTEX-1QMI2-1626-SM-EYYXK 60-69 years, male 9.6
GTEX-18A7B-1226-SM-718AU 70-79 years, male 9.5
GTEX-1A8G7-1226-SM-73KYP 60-69 years, male 9.5
GTEX-1192X-1526-SM-5H11I 50-59 years, male 9.4
GTEX-139D8-1626-SM-5IJFZ 30-39 years, female 9.4
GTEX-14C5O-0926-SM-793DM 60-69 years, male 9.3
GTEX-15SKB-1626-SM-6PAL6 60-69 years, male 9.3
GTEX-183FY-1226-SM-7DHLK 20-29 years, male 9.3
GTEX-1GMR2-0226-SM-9JGHO 50-59 years, male 9.3
GTEX-139YR-0326-SM-5J1MC 50-59 years, male 9.2
GTEX-15CHQ-1126-SM-686YY 60-69 years, male 9.2
GTEX-ZLV1-0926-SM-5S2MR 60-69 years, female 9.2
GTEX-1I6K6-1526-SM-CGQFC 30-39 years, male 9.2
GTEX-1JMPY-0326-SM-CM2S2 30-39 years, male 9.2
GTEX-1KAFJ-0826-SM-CYPTF 50-59 years, male 9.2
GTEX-1S831-1926-SM-EV79P 20-29 years, male 9.2
GTEX-XPVG-1626-SM-EYYVK 50-59 years, male 9.2
GTEX-ZE9C-1326-SM-5S2OW 60-69 years, male 9.1
GTEX-ZEX8-1226-SM-5S2OK 50-59 years, male 9.1
GTEX-ZT9W-1026-SM-57WG5 50-59 years, male 9.1
GTEX-1122O-0926-SM-9YFLC 60-69 years, female 9.1
GTEX-1GN1W-1226-SM-9MQLW 50-59 years, female 9.1
GTEX-1IDJI-0926-SM-ACKWZ 50-59 years, female 9.1
GTEX-1LBAC-1026-SM-CXKYA 20-29 years, male 9.1
GTEX-1QP6S-1626-SM-EVYC5 40-49 years, male 9.1
GTEX-1117F-1326-SM-5EGHH 60-69 years, female 9.0
GTEX-14PJM-1226-SM-686Z7 50-59 years, female 9.0
GTEX-1445S-2426-SM-79ON2 60-69 years, male 8.9
GTEX-14E6D-1326-SM-62LES 50-59 years, male 8.9
GTEX-14PHY-1026-SM-62LEV 60-69 years, female 8.9
GTEX-XQ8I-1426-SM-4BOPW 50-59 years, male 8.9
GTEX-YFCO-1126-SM-5S2N9 40-49 years, male 8.9
GTEX-1AYCT-1126-SM-79OO8 50-59 years, male 8.8
GTEX-1J8Q2-2226-SM-CM2TZ 60-69 years, male 8.8
GTEX-13S7M-0826-SM-5QGQX 60-69 years, female 8.6
GTEX-14PJ2-1426-SM-62LFF 50-59 years, male 8.6
GTEX-18A66-1926-SM-7LTAG 60-69 years, male 8.6
GTEX-1PIGE-1226-SM-EVR3Q 20-29 years, male 8.6
GTEX-11DXZ-1426-SM-5H12A 50-59 years, male 8.5
GTEX-1J1R8-0526-SM-ACKWO 40-49 years, male 8.5
GTEX-14E1K-0426-SM-5S2PF 50-59 years, male 8.4
GTEX-17EVP-1426-SM-79OMN 40-49 years, male 8.4
GTEX-ZAJG-1626-SM-5HL7I 50-59 years, female 8.4
GTEX-1H1DG-2026-SM-9QEIV 70-79 years, male 8.4
GTEX-1HCU7-2026-SM-A9G2B 50-59 years, male 8.4
GTEX-13OVL-0826-SM-5L3GV 50-59 years, male 8.3
GTEX-145MI-0826-SM-5SI95 60-69 years, female 8.3
GTEX-17KNJ-0426-SM-718AK 50-59 years, male 8.3
GTEX-18D9B-1726-SM-7LTAP 60-69 years, male 8.3
GTEX-WXYG-0926-SM-3NB2O 50-59 years, female 8.3
GTEX-WYBS-1026-SM-4ONCY 60-69 years, female 8.3
GTEX-Y5LM-0826-SM-4VDSW 40-49 years, female 8.3
GTEX-1MCQQ-1426-SM-E6CJA 60-69 years, male 8.3
GTEX-1MJK3-0626-SM-E6CJB 20-29 years, male 8.3
GTEX-1OFPY-0826-SM-DTX8P 60-69 years, male 8.3
GTEX-12KS4-1526-SM-5EQ6E 30-39 years, male 8.2
GTEX-13OVK-0326-SM-7KUEJ 40-49 years, male 8.2
GTEX-WYJK-1426-SM-3NM8V 50-59 years, male 8.2
GTEX-1GF9V-1126-SM-9MQM7 60-69 years, male 8.2
GTEX-1KANC-0526-SM-D4P3T 50-59 years, female 8.2
GTEX-169BO-0426-SM-7EPI1 50-59 years, male 8.1
GTEX-131XH-0826-SM-5GCN8 50-59 years, male 8.0
GTEX-14ICK-1726-SM-6AJA5 40-49 years, male 8.0
GTEX-16NPX-1026-SM-6PAM7 50-59 years, male 8.0
GTEX-17GQL-0826-SM-731AM 60-69 years, male 8.0
GTEX-ZAB5-1126-SM-5Q5AD 50-59 years, male 8.0
GTEX-ZPU1-1226-SM-5HL71 40-49 years, male 8.0
GTEX-ZV6S-1626-SM-5NQ81 40-49 years, female 8.0
GTEX-ZYVF-1026-SM-5E44V 50-59 years, female 8.0
GTEX-1A8FM-2126-SM-7PC27 50-59 years, female 8.0
GTEX-1GF9X-0926-SM-7PC2X 40-49 years, female 7.9
GTEX-1GZ4H-0926-SM-9WG6Y 50-59 years, female 7.9
GTEX-1H4P4-0326-SM-9WYTD 50-59 years, male 7.9
GTEX-1JKYR-1226-SM-CM2S7 20-29 years, male 7.9
GTEX-1QW4Y-0826-SM-DTXE1 30-39 years, male 7.9
GTEX-VJWN-2326-SM-EVYAP 50-59 years, female 7.9
GTEX-11PRG-1526-SM-5HL6Z 50-59 years, male 7.8
GTEX-13N2G-1926-SM-5J1O3 60-69 years, male 7.8
GTEX-1HFI7-0726-SM-ACKVN 50-59 years, female 7.8
GTEX-1I1GP-1426-SM-ACKVZ 50-59 years, male 7.8
GTEX-1HSEH-1326-SM-ADEI1 60-69 years, male 7.7
GTEX-1HSMQ-1026-SM-ADEHU 50-59 years, male 7.7
GTEX-11DXX-2026-SM-5EGJL 60-69 years, female 7.6
GTEX-12BJ1-0826-SM-5EQ5P 60-69 years, male 7.6
GTEX-16NGA-0526-SM-731AJ 40-49 years, female 7.6
GTEX-1A32A-0926-SM-718AB 50-59 years, female 7.6
GTEX-1CB4E-0826-SM-793CS 60-69 years, male 7.6
GTEX-1CAMS-0926-SM-7SB7F 40-49 years, female 7.6
GTEX-1I4MK-0726-SM-ACKWC 50-59 years, female 7.6
GTEX-ZZ64-0626-SM-5GZWR 20-29 years, male 7.5
GTEX-1HC8U-0926-SM-A9G3L 40-49 years, female 7.5
GTEX-1I1GT-1326-SM-ACKWB 60-69 years, female 7.5
GTEX-12696-1826-SM-5EGJS 60-69 years, male 7.4
GTEX-13X6K-0726-SM-5LU2Z 60-69 years, female 7.4
GTEX-18A67-1326-SM-7LT8V 50-59 years, male 7.4
GTEX-XAJ8-0226-SM-4GIB2 40-49 years, male 7.4
GTEX-1399U-2026-SM-9WPNN 50-59 years, female 7.4
GTEX-1NV5F-2526-SM-EXUSK 60-69 years, female 7.4
GTEX-1R9K4-1426-SM-DPRY4 60-69 years, male 7.4
GTEX-11XUK-1726-SM-5GU61 40-49 years, female 7.3
GTEX-17HII-0826-SM-7DUFH 50-59 years, male 7.3
GTEX-WHWD-0826-SM-3LK6R 50-59 years, male 7.3
GTEX-ZF28-1426-SM-5S2OG 60-69 years, male 7.3
GTEX-1MA7W-0526-SM-E6CIN 20-29 years, female 7.3
GTEX-12WSL-1126-SM-5CVNK 50-59 years, male 7.2
GTEX-13N1W-1226-SM-5K7UM 70-79 years, male 7.2
GTEX-13NZ9-2026-SM-5KM1U 50-59 years, male 7.2
GTEX-14E6E-0226-SM-7DUEF 30-39 years, male 7.2
GTEX-X8HC-2326-SM-4QAS4 50-59 years, female 7.2
GTEX-1I1GU-0626-SM-CMKHR 40-49 years, male 7.2
GTEX-1IKK5-0826-SM-ACKWN 60-69 years, male 7.2
GTEX-1JN6P-1626-SM-CYPSV 60-69 years, male 7.2
GTEX-12WSC-1726-SM-5GCN3 50-59 years, male 7.1
GTEX-1B8KZ-1026-SM-73KYN 50-59 years, male 7.1
GTEX-XMK1-0926-SM-4B66X 40-49 years, male 7.1
GTEX-ZVE2-1826-SM-51MRZ 50-59 years, male 7.1
GTEX-1GN1U-0726-SM-9MQKL 50-59 years, female 7.1
GTEX-11P7K-0826-SM-5BC5F 30-39 years, male 7.0
GTEX-14BIN-1226-SM-5S2OM 50-59 years, female 7.0
GTEX-14PJ3-0726-SM-69LQE 50-59 years, male 7.0
GTEX-15G19-1126-SM-7KUEL 60-69 years, male 7.0
GTEX-17F98-0326-SM-7DHLH 40-49 years, female 7.0
GTEX-WEY5-1326-SM-3GILS 40-49 years, female 7.0
GTEX-1KD5A-1326-SM-CYPTB 50-59 years, male 7.0
GTEX-1PFEY-0726-SM-E76PO 30-39 years, male 7.0
GTEX-1S3DN-1626-SM-EVYCC 50-59 years, male 7.0
GTEX-WRHK-0826-SM-3MJFG 20-29 years, female 6.9
GTEX-1JJ6O-2826-SM-CNNP7 60-69 years, male 6.9
GTEX-1LSNL-1426-SM-E6CJ9 50-59 years, male 6.9
GTEX-1N2DV-0626-SM-E9U5H 40-49 years, male 6.9
GTEX-12ZZW-2326-SM-5DUW2 50-59 years, male 6.8
GTEX-17HHE-1526-SM-793AS 50-59 years, male 6.8
GTEX-1GN73-0626-SM-7PC3I 60-69 years, male 6.8
GTEX-1HBPN-1526-SM-9WYSB 50-59 years, male 6.8
GTEX-1LVAO-2126-SM-DIPGA 60-69 years, male 6.8
GTEX-13X6J-1926-SM-5TDCU 50-59 years, male 6.7
GTEX-15RIE-0126-SM-7KUF8 60-69 years, male 6.7
GTEX-1B996-1226-SM-73KWZ 60-69 years, male 6.7
GTEX-1CB4G-2126-SM-7IGQ8 60-69 years, male 6.7
GTEX-XBEC-1826-SM-4QASN 50-59 years, male 6.7
GTEX-1E1VI-1826-SM-9WG5J 50-59 years, male 6.7
GTEX-1K2DA-1126-SM-CGQGG 50-59 years, male 6.7
GTEX-1L5NE-1726-SM-DHXKX 50-59 years, male 6.7
GTEX-13FXS-1326-SM-62LFR 50-59 years, male 6.6
GTEX-17F96-0726-SM-793CB 70-79 years, male 6.6
GTEX-1B97I-0526-SM-73KXE 40-49 years, male 6.6
GTEX-14ABY-1926-SM-62LDJ 50-59 years, male 6.5
GTEX-1H23P-1726-SM-A9SMN 60-69 years, male 6.5
GTEX-11DXY-0326-SM-5H12F 60-69 years, male 6.4
GTEX-12WSI-1526-SM-5GCNM 50-59 years, male 6.4
GTEX-14PN3-0326-SM-6EU1X 60-69 years, female 6.4
GTEX-17HHY-1026-SM-7LG5E 50-59 years, male 6.4
GTEX-17JCI-1626-SM-7EPGZ 60-69 years, female 6.4
GTEX-1B8SF-1726-SM-73KZ5 60-69 years, male 6.4
GTEX-1C6VQ-1526-SM-73KU9 50-59 years, male 6.4
GTEX-1EN7A-1626-SM-79OLV 40-49 years, male 6.4
GTEX-1EU9M-1126-SM-793DE 60-69 years, male 6.4
GTEX-1F75I-1026-SM-7SB8B 40-49 years, male 6.4
GTEX-1I19N-1026-SM-A96TT 70-79 years, male 6.4
GTEX-1AX9J-2226-SM-731CW 60-69 years, male 6.3
GTEX-1B8SG-1426-SM-7EWEM 50-59 years, male 6.3
GTEX-ZF2S-1526-SM-5S2OO 50-59 years, female 6.3
GTEX-132NY-1126-SM-5PNVE 60-69 years, male 6.2
GTEX-17HGU-1726-SM-79OKM 50-59 years, male 6.2
GTEX-1GMRU-0726-SM-7PBZH 50-59 years, male 6.2
GTEX-1QP66-0626-SM-E76PD 50-59 years, male 6.2
GTEX-1R9PO-0926-SM-E9U4Q 60-69 years, female 6.2
GTEX-ZQUD-0526-SM-57WG4 30-39 years, male 6.1
GTEX-1F5PL-1326-SM-7SB83 40-49 years, female 6.1
GTEX-13CF3-1126-SM-5LZXB 60-69 years, female 6.0
GTEX-17F9E-1326-SM-7DHL4 50-59 years, male 6.0
GTEX-1MA7X-1026-SM-DKPQ8 60-69 years, male 6.0
GTEX-11DYG-2026-SM-5EGGX 60-69 years, male 5.9
GTEX-1212Z-0526-SM-5FQSQ 60-69 years, male 5.9
GTEX-13NYS-0726-SM-5J1OR 60-69 years, male 5.9
GTEX-13PDP-1226-SM-5K7TW 60-69 years, male 5.9
GTEX-15DYW-1526-SM-7KUEP 60-69 years, female 5.9
GTEX-ZF3C-1026-SM-5S2OC 50-59 years, female 5.9
GTEX-ZG7Y-1626-SM-5S2NO 50-59 years, male 5.9
GTEX-ZP4G-1326-SM-5EGIW 20-29 years, female 5.9
GTEX-12WSA-1626-SM-5EGJV 60-69 years, male 5.8
GTEX-14753-2526-SM-5LU97 60-69 years, male 5.8
GTEX-1LSNM-0626-SM-DIPG7 50-59 years, male 5.8
GTEX-1QP67-1126-SM-EAZ4C 40-49 years, female 5.8
GTEX-15UKP-1426-SM-7KUDX 20-29 years, male 5.7
GTEX-178AV-0626-SM-6PAM1 40-49 years, male 5.7
GTEX-1C6VR-1126-SM-7EPHD 60-69 years, male 5.7
GTEX-YECK-1426-SM-5IFHE 60-69 years, male 5.7
GTEX-1HSMO-1426-SM-CNNQN 60-69 years, male 5.7
GTEX-1N2DW-0726-SM-DTX97 50-59 years, male 5.7
GTEX-1399T-1326-SM-5PNVH 60-69 years, male 5.6
GTEX-14JIY-1426-SM-6EU29 60-69 years, male 5.6
GTEX-Y8E4-1226-SM-5IFIM 40-49 years, male 5.6
GTEX-1IL2U-2726-SM-C1YSG 60-69 years, male 5.5
GTEX-1N2EE-1526-SM-DTXE9 60-69 years, male 5.5
GTEX-1R7EV-1026-SM-DTX81 40-49 years, male 5.5
GTEX-12WSF-1526-SM-6PAN6 70-79 years, male 5.4
GTEX-1EWIQ-2526-SM-7EPIJ 70-79 years, female 5.4
GTEX-WYVS-0626-SM-4SOJY 40-49 years, female 5.4
GTEX-1GMR3-0826-SM-9WYT4 40-49 years, male 5.4
GTEX-14E7W-2326-SM-69LQC 70-79 years, male 5.3
GTEX-18465-1826-SM-731BB 50-59 years, male 5.3
GTEX-Y111-0926-SM-4SOIU 50-59 years, male 5.3
GTEX-ZE7O-1526-SM-5J1NH 50-59 years, female 5.3
GTEX-1P4AB-1226-SM-DTXET 50-59 years, male 5.3
GTEX-1PBJI-1326-SM-E9J2V 20-29 years, female 5.3
GTEX-WI4N-1526-SM-EZ6LG 40-49 years, female 5.3
GTEX-11WQK-1526-SM-5EGKN 50-59 years, male 5.2
GTEX-13PVQ-2226-SM-5L3G9 50-59 years, male 5.2
GTEX-147JS-1026-SM-5S2MP 60-69 years, male 5.1
GTEX-1F6I4-2126-SM-7PC2J 60-69 years, male 5.1
GTEX-1HR9M-1426-SM-A9SMB 60-69 years, male 5.1
GTEX-11ZTS-1326-SM-5EQMA 60-69 years, female 5.0
GTEX-YJ89-1926-SM-5IFJ6 60-69 years, male 5.0
GTEX-YJ8A-1926-SM-EZ6LQ 20-29 years, male 5.0
GTEX-1B8KE-0826-SM-72D6S 50-59 years, male 4.9
GTEX-ZDTS-1826-SM-5S2N6 60-69 years, male 4.9
GTEX-ZXG5-1626-SM-59HJK 60-69 years, male 4.8
GTEX-1JJE9-1526-SM-CM2RR 70-79 years, male 4.8
GTEX-13FH7-1926-SM-5J2OL 50-59 years, female 4.7
GTEX-145LU-1226-SM-5LU9B 50-59 years, male 4.7
GTEX-15ER7-1026-SM-7KUMD 20-29 years, female 4.7
GTEX-1B933-1326-SM-7939U 50-59 years, female 4.7
GTEX-XBEW-1726-SM-4RGMA 40-49 years, male 4.7
GTEX-1HGF4-0226-SM-CNNQL 60-69 years, male 4.7
GTEX-1LG7Y-1126-SM-CYPTE 50-59 years, male 4.7
GTEX-16GPK-1326-SM-7KUE4 60-69 years, male 4.6
GTEX-1AX9I-1726-SM-731BX 60-69 years, male 4.6
GTEX-14PHW-1626-SM-6EU2H 60-69 years, female 4.5
GTEX-WVLH-1626-SM-EXURN 50-59 years, male 4.5
GTEX-11NUK-2026-SM-5PNVZ 50-59 years, male 4.4
GTEX-1339X-0726-SM-5L3FF 40-49 years, male 4.4
GTEX-ZUA1-2126-SM-57YRB 40-49 years, male 4.4
GTEX-1H1DF-1426-SM-9YFMC 40-49 years, female 4.4
GTEX-1I1CD-1026-SM-COH3G 60-69 years, female 4.4
GTEX-1IY9M-1226-SM-ACKX1 60-69 years, male 4.4
GTEX-13OW8-0326-SM-5L3FB 60-69 years, male 4.3
GTEX-1A3MX-0826-SM-72D64 60-69 years, male 4.3
GTEX-1CAMQ-1226-SM-7SB7E 40-49 years, male 4.3
GTEX-1F75B-1226-SM-7MXTW 50-59 years, male 4.3
GTEX-1IE54-1426-SM-CL53C 40-49 years, female 4.3
GTEX-1J8EW-1526-SM-CMKFZ 60-69 years, female 4.3
GTEX-1C6VS-1826-SM-73KXN 60-69 years, male 4.2
GTEX-XV7Q-1726-SM-4BRUU 40-49 years, female 4.2
GTEX-11GSP-1026-SM-9WYSH 60-69 years, female 4.2
GTEX-1313W-1626-SM-5J1OE 50-59 years, female 4.1
GTEX-13PL6-0926-SM-5KLYY 40-49 years, female 4.1
GTEX-1B8L1-0126-SM-9KNVS 60-69 years, male 4.1
GTEX-1EMGI-0726-SM-7PBZ4 60-69 years, male 4.1
GTEX-1RQEC-2526-SM-EVYD2 60-69 years, male 4.1
GTEX-11OF3-0826-SM-5BC51 60-69 years, male 4.0
GTEX-14AS3-0426-SM-5QGQK 40-49 years, female 4.0
GTEX-1CAV2-0226-SM-7IGPQ 40-49 years, female 4.0
GTEX-VUSG-1426-SM-3GIJN 50-59 years, male 4.0
GTEX-XOT4-0826-SM-4B66Y 60-69 years, female 4.0
GTEX-XXEK-1426-SM-4BRW1 50-59 years, male 4.0
GTEX-14DAQ-2526-SM-5RQIO 60-69 years, female 3.9
GTEX-1A8G6-2026-SM-73KYC 60-69 years, male 3.9
GTEX-1CB4F-1126-SM-79OLG 60-69 years, male 3.9
GTEX-13112-1126-SM-5GCMY 50-59 years, male 3.8
GTEX-13G51-0526-SM-5IJCQ 60-69 years, male 3.8
GTEX-WK11-2426-SM-3NMAA 50-59 years, male 3.8
GTEX-1C64N-1326-SM-7SB7D 50-59 years, male 3.8
GTEX-1JMQI-1026-SM-COH2U 50-59 years, male 3.8
GTEX-1KD4Q-1426-SM-D4P3K 40-49 years, male 3.8
GTEX-11NV4-1426-SM-5BC4W 60-69 years, male 3.7
GTEX-14ICL-0926-SM-5S2TU 30-39 years, male 3.7
GTEX-1H3VE-1926-SM-9YFL4 40-49 years, male 3.7
GTEX-1HFI6-1726-SM-CGQFH 40-49 years, male 3.7
GTEX-131YS-1726-SM-5HL7G 60-69 years, female 3.6
GTEX-145LV-1026-SM-5O9AE 50-59 years, male 3.6
GTEX-1AMFI-1026-SM-73KYM 50-59 years, female 3.6
GTEX-1HBPH-2226-SM-9WYSO 40-49 years, female 3.6
GTEX-1HBPI-1826-SM-ADEHE 50-59 years, male 3.6
GTEX-11ZUS-1826-SM-5FQTR 30-39 years, male 3.5
GTEX-13OW6-2426-SM-5K7WO 50-59 years, male 3.5
GTEX-15EOM-2326-SM-7KUMV 20-29 years, female 3.5
GTEX-1EH9U-1326-SM-79OM3 60-69 years, male 3.5
GTEX-1H1DE-0826-SM-ARU8V 20-29 years, male 3.5
GTEX-13NZB-0826-SM-5K7X5 30-39 years, male 3.4
GTEX-14PKU-0226-SM-6EU16 40-49 years, female 3.4
GTEX-14PJO-1626-SM-69LPQ 60-69 years, male 3.3
GTEX-18A7A-0926-SM-7LT8H 50-59 years, female 3.3
GTEX-WL46-2026-SM-3LK7U 50-59 years, male 3.3
GTEX-X585-2526-SM-4QAS1 50-59 years, male 3.3
GTEX-1GF9W-1026-SM-7SB8X 60-69 years, male 3.3
GTEX-1GZ4I-2326-SM-9YFMO 50-59 years, male 3.3
GTEX-13W46-1226-SM-5SIAS 50-59 years, male 3.2
GTEX-1IDJH-1626-SM-A9SLP 70-79 years, male 3.2
GTEX-ZYFC-1826-SM-5GZZA 50-59 years, male 3.1
GTEX-1EKGG-1426-SM-7PBY2 60-69 years, male 3.1
GTEX-1JMLX-1026-SM-D3L8U 50-59 years, male 3.1
GTEX-1JMQJ-1926-SM-D4P3A 50-59 years, male 3.1
GTEX-1KWVE-0226-SM-E9TKK 30-39 years, male 3.1
GTEX-15SHU-2326-SM-7KUMC 40-49 years, female 3.0
GTEX-1HCU6-1626-SM-CMKGW 60-69 years, female 3.0
GTEX-1N2EF-0926-SM-E8VNW 60-69 years, male 3.0
GTEX-XQ3S-2426-SM-4WAYB 20-29 years, male 2.9
GTEX-1HUB1-1526-SM-CGQF6 60-69 years, male 2.9
GTEX-17F9Y-0726-SM-7LT9G 70-79 years, female 2.8
GTEX-1F6IF-2026-SM-7P8SE 60-69 years, male 2.8
GTEX-1KANB-2426-SM-EV7BE 50-59 years, male 2.8
GTEX-13IVO-2426-SM-5K7V9 70-79 years, male 2.7
GTEX-13OW7-1126-SM-5K7V6 50-59 years, male 2.7
GTEX-1OKEX-0926-SM-E8VNJ 60-69 years, male 2.7
GTEX-13O3Q-1126-SM-5K7YK 50-59 years, male 2.6
GTEX-13VXU-1026-SM-5KLZE 50-59 years, male 2.6
GTEX-14BIM-1626-SM-7EWD2 60-69 years, female 2.6
GTEX-1BAJH-2126-SM-7EWFB 70-79 years, male 2.6
GTEX-UTHO-1826-SM-3GAFE 60-69 years, male 2.6
GTEX-ZYT6-2126-SM-5GZZ4 30-39 years, male 2.6
GTEX-1H1CY-0826-SM-9WYTU 60-69 years, female 2.6
GTEX-1HT8W-0726-SM-A9SLB 30-39 years, male 2.6
GTEX-11TT1-1926-SM-5PNYN 20-29 years, male 2.5
GTEX-14BMV-1626-SM-73KVQ 50-59 years, male 2.5
GTEX-113JC-0726-SM-5GZZR 50-59 years, female 2.4
GTEX-13JUV-0626-SM-5J1MQ 40-49 years, female 2.1
GTEX-1POEN-1626-SM-EVYC2 30-39 years, female 2.1
GTEX-ZDXO-2326-SM-5LU9W 60-69 years, male 2.0
GTEX-1HSKV-1926-SM-CNPPN 60-69 years, male 2.0
GTEX-1F52S-1326-SM-7SB6Q 60-69 years, female 1.8
GTEX-145MF-1026-SM-5Q5EQ 50-59 years, male 1.7
GTEX-12ZZX-1726-SM-5BC63 40-49 years, female 1.6
Show allShow less

ADIPOSE TISSUE - FANTOM5 CAGEi

RNA expression in human tissues obtained through Cap Analysis of Gene Expression (CAGE) generated by the FANTOM5 project are reported as Scaled Tags Per Million.

Max subtype Scaled Tags Per Millioni

Max subtype Scaled Tags Per Million is the value for the subtype with the largest average Scaled Tags Per Million across the subtype samples.

46.6
FANTOM5 sample id Sample description Scaled Tags Per Million
Adipose tissue
Scaled Tags Per Million: 46.6
FF:10010-101C1 65,65,76 years, mixed 46.6

Contact

  • NEWS ARTICLES
  • PRESS ROOM

The Project

  • INTRODUCTION
  • ORGANIZATION
  • PUBLICATIONS

The Human Protein Atlas

  • DOWNLOADABLE DATA
  • LICENCE & CITATION
  • HELP & FAQ
The Human Protein Atlas project is funded
by the Knut & Alice Wallenberg Foundation.


contact@proteinatlas.org