We use cookies to enhance the usability of our website. If you continue, we'll assume that you are happy to receive all cookies. More information. Don't show this again.
ZRANB1
HPA
RESOURCES
  • TISSUE
  • BRAIN
  • SINGLE CELL
  • SUBCELLULAR
  • CANCER
  • BLOOD
  • CELL LINE
  • STRUCTURE & INTERACTION
ABOUT
  • INTRODUCTION
  • HISTORY
  • ORGANIZATION
  • PUBLICATIONS
  • ANTIBODY SUBMISSION
  • ANTIBODY AVAILABILITY
  • ACKNOWLEDGMENTS
  • CONTACT
NEWS
  • NEWS ARTICLES
  • PRESS ROOM
LEARN
  • DICTIONARY
  • PROTEIN CLASSES
  • PROTEIN EVIDENCE
  • METHODS
  • EDUCATIONAL VIDEOS
DATA
  • DOWNLOADABLE DATA
  • PUBLICATION DATA
  • RELEASE HISTORY
HELP
  • ANTIBODY VALIDATION
  • ASSAYS & ANNOTATION
  • DISCLAIMER
  • HELP & FAQ
  • PRIVACY STATEMENT
  • LICENCE & CITATION
Fields »
Search result

Field
Term
Gene name
Class
Subclass
Class
Keyword
Chromosome
External id
Tissue
Cell type
Expression
Antibody panel
Tissue
Main location
Patient ID
Annotation
Tissue
Category
Tau score
Cluster
Reliability
Brain region
Category
Tau score
Brain region
Category
Tau score
Brain region
Category
Tau score
Cluster
Reliability
Tissue
Cell type
Enrichment
Cell type
Category
Tau score
Cell type
Category
Tau score
Cell type
Category
Tau score
Cell lineage
Category
Tau score
Cluster
Cluster
Location
Searches
Location
Cell line
Class
Type
Phase
Reliability
Cancer
Prognosis
Cancer
Category
Cancer
Category
Tau score
Cluster
Variants
Interacting gene (ensg_id)
Type
Number of interactions
Pathway
Category
Score
Score
Score
Validation
Validation
Validation
Validation
Antibodies
Data type
Column


  • SUMMARY

  • TISSUE

  • BRAIN

  • SINGLE CELL

  • SUBCELL

  • CANCER

  • BLOOD

  • CELL LINE

  • STRUCT & INT

  • ZRANB1
TISSUE PRIMARY DATA SKIN Show tissue menu
ADIPOSE TISSUE ADRENAL GLAND AMYGDALA APPENDIX BASAL GANGLIA BONE MARROW BREAST BRONCHUS CEREBELLUM CEREBRAL CORTEX CERVIX CHOROID PLEXUS COLON DUODENUM
ENDOMETRIUM EPIDIDYMIS ESOPHAGUS FALLOPIAN TUBE GALLBLADDER HEART MUSCLE HIPPOCAMPAL FORMATION HYPOTHALAMUS KIDNEY LIVER LUNG LYMPH NODE MIDBRAIN NASOPHARYNX
ORAL MUCOSA OVARY PANCREAS PARATHYROID GLAND PITUITARY GLAND PLACENTA PROSTATE RECTUM RETINA SALIVARY GLAND SEMINAL VESICLE SKELETAL MUSCLE SKIN SMALL INTESTINE
SMOOTH MUSCLE SOFT TISSUE SPINAL CORD SPLEEN STOMACH TESTIS THYMUS THYROID GLAND TONGUE TONSIL URINARY BLADDER VAGINA
ANTIBODIES
AND
VALIDATION
Dictionary
Skin
Tissue proteome
Skin
SKIN - Expression summary
Protein expression
Skini

On the top, protein expression in current human tissue, based on all annotated cell types, is reported with the units not detected (n), low (l), medium (m) and high (h). Underneath, protein expression in each annotated cell type are reported using the same units.

Protein expression data is based on knowledge-based annotation. For genes where more than one antibody has been used, a collective score is set.

If knowledge-based annotation could not be performed for a gene, no data is displayed here. View antibody staining data further down this page.

h
m
l
n
Epidermal cells: Medium
Fibroblasts: Not detected
Keratinocytes: Not detected
Langerhans: Not detected
Melanocytes: Not detected
RNA expressioni

A summary of mRNA expression data available for current tissue based on several datasets. The mRNA expression levels in human tissues are based on RNA-seq data generated by the Human Protein Atlas (HPA), Genotype-Tissue Expression (GTEx) portal and CAGE data generated by the FANTOM5 consortium. Consensus normalized expression levels for human tissues was created by combining the data from HPA and GTEx datasets.

The mRNA expression levels in pig are based on RNA-seq data generated by the Human Protein Atlas (HPA), and for mouse, HPA data and in situ hybridization generated by the Allen brain atlas are reported.

Scroll down to view mRNA expression data in more detail.
Consensus:14.5 nTPM
HPA:14.2 nTPM
GTEx:14.5 nTPM

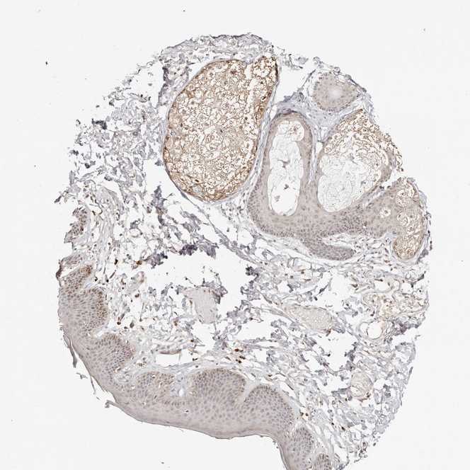
SKIN 1 - Antibody stainingi

Antibody staining in the annotated cell types in the current human tissue is reported as not detected, low, medium, or high, based on conventional immunohistochemistry profiling in selected tissues. This score is based on the combination of the staining intensity and fraction of stained cells.

Each image is clickable and will lead to virtual microscopy that enables deeper exploration of all samples and also displays staining intensity scores, fraction scores and subcellular localization as well as patient and tissue information for each sample.

Antibody HPA029239Antibody HPA029240Antibody HPA029241
Langerhans Not detectedNot detectedNot detected
Fibroblasts MediumNot detectedNot detected
Keratinocytes Not detectedNot detectedNot detected
Melanocytes LowNot detectedNot detected






SKIN 2 - Antibody stainingi

Antibody staining in the annotated cell types in the current human tissue is reported as not detected, low, medium, or high, based on conventional immunohistochemistry profiling in selected tissues. This score is based on the combination of the staining intensity and fraction of stained cells.

Each image is clickable and will lead to virtual microscopy that enables deeper exploration of all samples and also displays staining intensity scores, fraction scores and subcellular localization as well as patient and tissue information for each sample.

Antibody HPA029239Antibody HPA029240Antibody HPA029241
Epidermal cells Not detectedNot detectedMedium
   
   
   







SKIN - HPA RNA-seqi

The RNA-seq details section shows detailed information about the individual samples used for the transcript profiling and results of the RNA-seq analysis.

Information about each individual sample is listed below, including gender, age, a tissue section image and estimated fractions of cell types. nTPM (normalized transcripts per million) values give a quantification of the gene abundance which is comparable between different genes and samples.
Average nTPMi

Max subtype nTPM is the value for the subtype with the largest average nTPM across the subtype samples.

14.2
overview
Female, age 34
Skin sample 225
nTPM: 13.4
Cell types%
Keratinocytes:
60

Other cell types:
40

overview
Female, age 30
Skin sample 226
nTPM: 18.5
Cell types%
Keratinocytes:
55

Other cell types:
45

N/A
Male, age 57
Skin sample 227
nTPM: 10.6

SKIN - GTEx RNA-seqi

RNA-Seq data generated by the Genotype-Tissue Expression (GTEx) project from human tissues is reported as mean nTPM. More information can be found on the GTEx portal.

Distribution across the dataset is visualized with box plots, shown as median and 25th and 75th percentiles. Points are displayed as outliers if they are above or below 1.5 times the interquartile range. nTPM values of the individual samples are presented next to the box plot.
Max subtype nTPMi

Max subtype nTPM is the value for the subtype with the largest average nTPM across the subtype samples.

14.5
GTEx sample id Sample description nTPM
Skin - Not Sun Exposed (Suprapubic)
Average nTPM: 12.7
Samples: 604

Max nTPM: 32.1
Min nTPM: 5.0
Std nTPM: 3.4
Median nTPM: 12.1
GTEX-13PDP-0726-SM-5L3HP 60-69 years, male 32.1
GTEX-1F6RS-2026-SM-7RHHC 60-69 years, female 24.7
GTEX-1I1GT-1026-SM-ARZLV 60-69 years, female 22.9
GTEX-ZAB4-2126-SM-5HL8U 40-49 years, male 22.8
GTEX-1QPFJ-1926-SM-EVYBD 30-39 years, female 22.0
GTEX-14C5O-0326-SM-5ZZUX 60-69 years, male 21.9
GTEX-1GZ4H-0526-SM-9KNU9 50-59 years, female 21.7
GTEX-1AX9J-1326-SM-731BJ 60-69 years, male 21.3
GTEX-13IVO-0726-SM-5LZYV 70-79 years, male 20.9
GTEX-17F9Y-0126-SM-79OKX 70-79 years, female 20.7
GTEX-1HBPM-0726-SM-9YFL7 60-69 years, female 20.6
GTEX-1S3DN-2126-SM-E9TIN 50-59 years, male 20.6
GTEX-1S5ZU-2526-SM-E6CIF 20-29 years, female 20.4
GTEX-ZVT2-0126-SM-5GIDQ 50-59 years, female 20.2
GTEX-1JJ6O-2726-SM-CNPOG 60-69 years, male 20.1
GTEX-13O61-1426-SM-5KM3D 60-69 years, male 20.0
GTEX-ZPCL-1126-SM-4WWFE 60-69 years, female 20.0
GTEX-1HCU7-0726-SM-A9SL1 50-59 years, male 19.9
GTEX-13QJC-0126-SM-5ZZWJ 60-69 years, female 19.8
GTEX-1AMEY-0826-SM-72D65 30-39 years, female 19.8
GTEX-1HBPN-0126-SM-CGQEF 50-59 years, male 19.8
GTEX-1LGRB-0926-SM-COH3K 50-59 years, female 19.8
GTEX-1H2FU-0926-SM-9WPPT 60-69 years, female 19.7
GTEX-1JMPY-0226-SM-CKZOK 30-39 years, male 19.7
GTEX-1PBJJ-1026-SM-E76OS 30-39 years, male 19.7
GTEX-139D8-1126-SM-5LU8W 30-39 years, female 19.6
GTEX-ZVZP-1226-SM-5GID7 50-59 years, male 19.6
GTEX-1HCVE-2726-SM-CL54F 50-59 years, male 19.5
GTEX-1NV5F-0626-SM-DTXEG 60-69 years, female 19.4
GTEX-1QP29-1826-SM-DTX9S 50-59 years, male 19.4
GTEX-11EQ8-0926-SM-5H12V 60-69 years, male 18.9
GTEX-1CB4H-1126-SM-7MKGL 60-69 years, female 18.9
GTEX-1QP2A-1726-SM-E76QC 50-59 years, male 18.9
GTEX-131XF-2626-SM-5EQ6K 60-69 years, male 18.8
GTEX-1GF9X-1326-SM-7PC2Y 40-49 years, female 18.8
GTEX-1MCC2-1826-SM-DIPEX 30-39 years, female 18.8
GTEX-14PJN-1826-SM-6AJ98 30-39 years, male 18.7
GTEX-1122O-1026-SM-9WYSF 60-69 years, female 18.7
GTEX-ZLV1-1526-SM-DO91J 60-69 years, female 18.7
GTEX-14PJ5-1526-SM-6LLIL 60-69 years, female 18.5
GTEX-1F52S-2926-SM-7MKGA 60-69 years, female 18.5
GTEX-1QP28-1126-SM-EVYC4 50-59 years, female 18.4
GTEX-YF7O-1526-SM-5IFI6 50-59 years, male 18.2
GTEX-14JG6-1426-SM-9WG7C 30-39 years, female 18.2
GTEX-15UF6-1926-SM-7KUDV 70-79 years, female 18.0
GTEX-139T8-0626-SM-5KLZX 60-69 years, male 17.9
GTEX-1AMFI-1326-SM-7939R 50-59 years, female 17.9
GTEX-1C2JI-1026-SM-73KY1 50-59 years, male 17.9
GTEX-1ICLZ-0326-SM-ARL82 60-69 years, male 17.9
GTEX-1399U-1126-SM-5L3DB 50-59 years, female 17.7
GTEX-14PII-0726-SM-6EU2B 60-69 years, male 17.6
GTEX-WHSB-1326-SM-3LK6W 50-59 years, male 17.6
GTEX-1HCUA-0826-SM-ADEHM 50-59 years, female 17.6
GTEX-1HSMQ-2626-SM-A9SML 50-59 years, male 17.6
GTEX-1MJK3-0726-SM-E6CJC 20-29 years, male 17.6
GTEX-1399S-0126-SM-5IJCF 30-39 years, female 17.3
GTEX-14PJ4-0226-SM-5YY92 60-69 years, male 17.3
GTEX-1R46S-2426-SM-E76QA 60-69 years, female 17.3
GTEX-WXYG-2026-SM-4E3IY 50-59 years, female 17.1
GTEX-1B8KE-1126-SM-7EPHI 50-59 years, male 17.0
GTEX-1HB9E-0126-SM-CM2S5 50-59 years, male 17.0
GTEX-1IDJU-1726-SM-CMKHU 60-69 years, female 17.0
GTEX-1JK1U-0226-SM-ARZMX 60-69 years, male 17.0
GTEX-13PL6-1126-SM-5L3IE 40-49 years, female 16.9
GTEX-15EO6-2426-SM-6PALZ 50-59 years, male 16.9
GTEX-18QFQ-1826-SM-72D52 30-39 years, male 16.9
GTEX-11LCK-2226-SM-5HL4Q 30-39 years, male 16.7
GTEX-17HHE-1326-SM-7EWDZ 50-59 years, male 16.7
GTEX-Y9LG-1126-SM-4VBQ7 30-39 years, male 16.7
GTEX-YFCO-1226-SM-5LUAT 40-49 years, male 16.7
GTEX-13113-1626-SM-5EQ4I 60-69 years, female 16.6
GTEX-13FTW-0326-SM-5K7UW 40-49 years, male 16.6
GTEX-13NZ8-1226-SM-5KM4A 60-69 years, female 16.6
GTEX-WYBS-0626-SM-3NMAS 60-69 years, female 16.6
GTEX-1GL5R-1326-SM-7RHHF 50-59 years, male 16.6
GTEX-1H23P-0626-SM-9WG6T 60-69 years, male 16.6
GTEX-1RMOY-1326-SM-E9TIH 50-59 years, male 16.6
GTEX-1KAFJ-0126-SM-DIPEK 50-59 years, male 16.5
GTEX-1QP9N-1226-SM-E76QN 30-39 years, male 16.5
GTEX-11EQ9-1626-SM-5PNY8 30-39 years, male 16.4
GTEX-1RAZS-2526-SM-E6CHT 50-59 years, male 16.4
GTEX-1117F-2926-SM-5GZYI 60-69 years, female 16.3
GTEX-14ICL-1626-SM-5YYAO 30-39 years, male 16.3
GTEX-12ZZZ-0726-SM-5GCNZ 60-69 years, male 16.2
GTEX-147F3-1726-SM-5SIAW 50-59 years, female 16.2
GTEX-1CAMQ-1326-SM-7P8RV 40-49 years, male 16.2
GTEX-1NSGN-0726-SM-DTXEF 50-59 years, male 16.2
GTEX-1S83E-1326-SM-E6CJM 40-49 years, male 16.2
GTEX-13YAN-0226-SM-5TDC6 60-69 years, male 16.1
GTEX-ZVT4-2426-SM-5GIEI 50-59 years, female 16.1
GTEX-1HFI7-2326-SM-CGQFS 50-59 years, female 16.1
GTEX-1LSNM-0826-SM-DIPG8 50-59 years, male 16.1
GTEX-1R7EU-1626-SM-DTXG3 60-69 years, male 16.1
GTEX-1RLM8-2926-SM-E8VON 50-59 years, male 16.1
GTEX-13NYS-0626-SM-5L3F1 60-69 years, male 16.0
GTEX-14C39-1726-SM-5RQIL 40-49 years, male 16.0
GTEX-16BQI-1326-SM-6M486 30-39 years, female 16.0
GTEX-ZYY3-2926-SM-5GIEB 60-69 years, female 16.0
GTEX-ZGAY-1826-SM-DO91Q 40-49 years, female 16.0
GTEX-13FHO-0426-SM-5L3F5 60-69 years, male 15.9
GTEX-14753-0726-SM-5QGQO 60-69 years, male 15.9
GTEX-15FZZ-0526-SM-7KUGD 30-39 years, female 15.9
GTEX-1PPH7-1126-SM-DTX9A 40-49 years, male 15.9
GTEX-XK95-0226-SM-4AT58 40-49 years, male 15.8
GTEX-ZP4G-1426-SM-4WWCL 20-29 years, female 15.8
GTEX-ZZ64-1026-SM-5GZXG 20-29 years, male 15.8
GTEX-18D9A-1426-SM-7LT8M 30-39 years, female 15.8
GTEX-1F75I-2226-SM-7SB8U 40-49 years, male 15.8
GTEX-1GN73-0726-SM-7P8TJ 60-69 years, male 15.8
GTEX-1HSGN-0826-SM-ACKW3 40-49 years, female 15.8
GTEX-1IKOE-1426-SM-CE6T7 30-39 years, female 15.8
GTEX-1OJC3-1226-SM-DTXER 20-29 years, male 15.8
GTEX-12WSK-2126-SM-5CVNC 40-49 years, female 15.7
GTEX-14DAR-1226-SM-73KYV 50-59 years, male 15.7
GTEX-1CAMS-2226-SM-7PBXQ 40-49 years, female 15.7
GTEX-1JMQJ-0826-SM-CNPP7 50-59 years, male 15.7
GTEX-111CU-1126-SM-5EGIM 50-59 years, male 15.6
GTEX-17F98-1326-SM-7DUEP 40-49 years, female 15.6
GTEX-1IKJJ-2226-SM-CJI4C 60-69 years, male 15.6
GTEX-1J1R8-2026-SM-CL53Y 40-49 years, male 15.6
GTEX-14AS3-1526-SM-5Q5ED 40-49 years, female 15.5
GTEX-14PKU-0126-SM-6LLHV 40-49 years, female 15.5
GTEX-13FTX-1526-SM-5K7VJ 20-29 years, female 15.4
GTEX-13X6H-0926-SM-5SIB2 50-59 years, female 15.4
GTEX-111VG-1626-SM-5EGIO 60-69 years, male 15.3
GTEX-131XG-0326-SM-5L3DX 50-59 years, female 15.3
GTEX-1GN1U-0626-SM-9MQL9 50-59 years, female 15.3
GTEX-1IDJV-0126-SM-COH3Y 60-69 years, male 15.3
GTEX-1N2DV-1526-SM-DTXEP 40-49 years, male 15.3
GTEX-XUW1-0926-SM-4BONX 50-59 years, female 15.2
GTEX-1GF9W-1426-SM-7PBYM 60-69 years, male 15.2
GTEX-1J8Q2-2626-SM-ACKWQ 60-69 years, male 15.2
GTEX-111YS-1526-SM-5GZYW 60-69 years, male 15.1
GTEX-13SLW-0626-SM-5Q5ER 70-79 years, male 15.1
GTEX-13VXT-1926-SM-5K7UO 20-29 years, female 15.1
GTEX-13X6I-1826-SM-5SIAO 60-69 years, male 15.1
GTEX-1F5PL-0926-SM-7PC2W 40-49 years, female 15.1
GTEX-1LVAO-2726-SM-E9TJ8 60-69 years, male 15.1
GTEX-1314G-1326-SM-5BC6E 30-39 years, male 15.0
GTEX-133LE-2326-SM-5K7W3 20-29 years, female 15.0
GTEX-14B4R-1326-SM-5Q5EZ 30-39 years, male 15.0
GTEX-ZTX8-1326-SM-4YCEL 20-29 years, male 15.0
GTEX-1F75B-0726-SM-7PC3R 50-59 years, male 15.0
GTEX-1MCYP-0526-SM-E9U6Q 20-29 years, female 15.0
GTEX-1R9PM-1926-SM-EVR3O 20-29 years, male 15.0
GTEX-15RJE-2826-SM-7KUM9 40-49 years, male 14.9
GTEX-1A3MV-1826-SM-731CD 30-39 years, male 14.9
GTEX-ZC5H-1526-SM-5HL9Y 40-49 years, female 14.9
GTEX-1HKZK-0726-SM-ACKW2 40-49 years, male 14.9
GTEX-1S82P-2126-SM-E6CI5 60-69 years, female 14.9
GTEX-ZDTT-0426-SM-4WKFL 60-69 years, male 14.8
GTEX-ZT9W-1126-SM-57WDR 50-59 years, male 14.8
GTEX-ZZPU-0826-SM-5GZX5 50-59 years, female 14.8
GTEX-1K2DU-1226-SM-CYPT4 20-29 years, male 14.8
GTEX-12WSL-2026-SM-5GCML 50-59 years, male 14.7
GTEX-15SKB-2826-SM-6PAMH 60-69 years, male 14.7
GTEX-18A67-1626-SM-7LT9T 50-59 years, male 14.7
GTEX-1GF9U-2026-SM-7SB92 40-49 years, female 14.7
GTEX-1GMRU-2126-SM-7P8RA 50-59 years, male 14.7
GTEX-1HGF4-0126-SM-CNPPX 60-69 years, male 14.7
GTEX-1192X-2726-SM-5N9DN 50-59 years, male 14.6
GTEX-11O72-0626-SM-5PNYE 40-49 years, male 14.6
GTEX-144GM-0526-SM-79OJO 20-29 years, male 14.6
GTEX-15ER7-0626-SM-6PANF 20-29 years, female 14.6
GTEX-16XZZ-0726-SM-7KUF2 60-69 years, male 14.6
GTEX-ZF29-0926-SM-4WKFZ 60-69 years, female 14.6
GTEX-1GMR8-0626-SM-7RHI7 50-59 years, female 14.6
GTEX-1I1GS-2626-SM-B2LY3 60-69 years, male 14.6
GTEX-1RAZQ-1326-SM-E9TK6 30-39 years, male 14.6
GTEX-11DZ1-2426-SM-5GZZX 50-59 years, male 14.5
GTEX-18D9U-0126-SM-731BM 40-49 years, male 14.5
GTEX-1C6WA-2626-SM-7MKGM 60-69 years, male 14.5
GTEX-WH7G-2026-SM-3NMBL 40-49 years, male 14.5
GTEX-1497J-0226-SM-5QGPU 60-69 years, male 14.4
GTEX-ZLFU-1826-SM-4WWBV 40-49 years, male 14.4
GTEX-1HSKV-1226-SM-ADEI4 60-69 years, male 14.4
GTEX-13OW5-2326-SM-5L3HO 60-69 years, male 14.3
GTEX-15RIG-0726-SM-7KUM7 40-49 years, male 14.3
GTEX-16AAH-0626-SM-793C9 50-59 years, male 14.3
GTEX-17HII-1426-SM-7EPGG 50-59 years, male 14.3
GTEX-1EU9M-1426-SM-793AI 60-69 years, male 14.3
GTEX-1F48J-0726-SM-7RHGS 50-59 years, female 14.3
GTEX-1GPI7-1826-SM-9KNU1 20-29 years, male 14.3
GTEX-1JKYR-0626-SM-ARL8R 20-29 years, male 14.3
GTEX-1CB4J-1326-SM-7P8RX 60-69 years, male 14.2
GTEX-1IDJI-0126-SM-CMKHS 50-59 years, female 14.2
GTEX-14E1K-2026-SM-7DUEI 50-59 years, male 14.1
GTEX-XQ8I-0926-SM-4BOOF 50-59 years, male 14.1
GTEX-1LVAM-0726-SM-E6CIL 50-59 years, female 14.1
GTEX-1R9K4-2826-SM-DTX8F 60-69 years, male 14.1
GTEX-11P81-2226-SM-5PNYI 30-39 years, female 14.0
GTEX-12C56-1526-SM-5FQUQ 20-29 years, male 14.0
GTEX-ZVE2-2826-SM-5GU51 50-59 years, male 14.0
GTEX-1J1OQ-0126-SM-D4P2N 40-49 years, female 14.0
GTEX-1QCLY-0226-SM-EWRNH 30-39 years, male 14.0
GTEX-145LS-0626-SM-7EPG7 60-69 years, female 13.9
GTEX-1I1GV-0626-SM-ARL7M 60-69 years, male 13.9
GTEX-1LB8K-0726-SM-D5OV2 50-59 years, male 13.9
GTEX-1LKK1-2626-SM-DKPQE 50-59 years, female 13.9
GTEX-1RB15-1326-SM-E76Q9 60-69 years, male 13.9
GTEX-1S831-1826-SM-EWROF 20-29 years, male 13.9
GTEX-11DXY-0126-SM-5H11Q 60-69 years, male 13.8
GTEX-1GF9V-0826-SM-9KNUV 60-69 years, male 13.8
GTEX-1I6K6-1726-SM-CGQFD 30-39 years, male 13.8
GTEX-1KXAM-1626-SM-D3LAD 60-69 years, male 13.8
GTEX-1L5NE-1126-SM-D3L9P 50-59 years, male 13.8
GTEX-1EH9U-2826-SM-7DUGT 60-69 years, male 13.7
GTEX-ZLWG-0826-SM-59888 50-59 years, female 13.7
GTEX-1OJC4-2726-SM-E76PJ 50-59 years, female 13.7
GTEX-1477Z-0326-SM-7IGLA 60-69 years, male 13.5
GTEX-15CHQ-0326-SM-69LQD 60-69 years, male 13.5
GTEX-17F96-0126-SM-7EWDU 70-79 years, male 13.5
GTEX-17F9E-2326-SM-79OKD 50-59 years, male 13.5
GTEX-X5EB-1926-SM-4E3IW 40-49 years, male 13.5
GTEX-ZE7O-2726-SM-51MT5 50-59 years, female 13.5
GTEX-1HR9M-2226-SM-CNPPY 60-69 years, male 13.5
GTEX-1LVAN-0626-SM-CNPOQ 50-59 years, female 13.5
GTEX-11GSP-2326-SM-5HL63 60-69 years, female 13.4
GTEX-13OVK-1426-SM-6PAN7 40-49 years, male 13.4
GTEX-XBEW-1126-SM-4QARW 40-49 years, male 13.4
GTEX-ZXG5-2126-SM-59HKD 60-69 years, male 13.4
GTEX-13QBU-1226-SM-5LU4G 40-49 years, female 13.3
GTEX-15CHC-1126-SM-6LLHQ 60-69 years, female 13.3
GTEX-1IE54-1126-SM-A9G2Z 40-49 years, female 13.3
GTEX-13PVR-0426-SM-5RQK2 60-69 years, female 13.2
GTEX-14PHX-2226-SM-6EU2P 50-59 years, male 13.2
GTEX-1EMGI-2326-SM-7PBYA 60-69 years, male 13.2
GTEX-1GMR2-0826-SM-7PC3V 50-59 years, male 13.2
GTEX-12WSM-1926-SM-5BC65 60-69 years, male 13.1
GTEX-1313W-0626-SM-5EQ4H 50-59 years, female 13.1
GTEX-13D11-0926-SM-5J2NC 50-59 years, female 13.1
GTEX-145MI-0626-SM-5SI8S 60-69 years, female 13.1
GTEX-17F97-2626-SM-7IGM5 50-59 years, male 13.1
GTEX-UPJH-0226-SM-3GADV 50-59 years, male 13.1
GTEX-ZDYS-2426-SM-4WKGI 50-59 years, male 13.1
GTEX-1B97I-0626-SM-73KUZ 40-49 years, male 13.0
GTEX-1KANA-1326-SM-DIPFA 20-29 years, male 13.0
GTEX-1PDJ9-1226-SM-EXUSX 20-29 years, male 13.0
GTEX-148VJ-0626-SM-5LUAW 70-79 years, male 12.9
GTEX-14BMU-1226-SM-5S2OR 20-29 years, female 12.9
GTEX-14PJ6-2626-SM-6EU2T 60-69 years, female 12.9
GTEX-16NGA-0726-SM-731AO 40-49 years, female 12.9
GTEX-17MFQ-1526-SM-7KFRR 20-29 years, male 12.9
GTEX-XAJ8-1426-SM-47JYM 40-49 years, male 12.9
GTEX-13FLV-0126-SM-5K7WT 50-59 years, male 12.8
GTEX-WY7C-2126-SM-3NB2R 50-59 years, male 12.8
GTEX-Y8E4-2026-SM-5IFJB 40-49 years, male 12.8
GTEX-Y8LW-1526-SM-5IFHL 50-59 years, female 12.8
GTEX-1IDFM-0326-SM-ARL7V 60-69 years, male 12.8
GTEX-1J8EW-2726-SM-CY8HR 60-69 years, female 12.8
GTEX-11ZTT-2126-SM-5CVLO 60-69 years, female 12.7
GTEX-1269C-0126-SM-5EQ5L 60-69 years, female 12.7
GTEX-144GL-0626-SM-5LU4D 50-59 years, male 12.7
GTEX-145ME-1726-SM-5Q5EU 40-49 years, female 12.7
GTEX-145MO-2826-SM-5LU96 60-69 years, male 12.7
GTEX-WYJK-0526-SM-3NM8Z 50-59 years, male 12.7
GTEX-WYVS-1626-SM-3NM9R 40-49 years, female 12.7
GTEX-X8HC-0626-SM-4E3HQ 50-59 years, female 12.7
GTEX-1B8L1-2226-SM-7P8PT 60-69 years, male 12.7
GTEX-1CAMR-1326-SM-7PC1F 20-29 years, male 12.7
GTEX-1F88E-1626-SM-7SB8Z 60-69 years, female 12.7
GTEX-14PJ3-1126-SM-5ZZVX 50-59 years, male 12.6
GTEX-1CB4F-1026-SM-7DUH1 60-69 years, male 12.6
GTEX-WFON-1926-SM-3LK7L 40-49 years, male 12.6
GTEX-XBED-1926-SM-47JYP 60-69 years, male 12.6
GTEX-1AYD5-2626-SM-7PBXY 50-59 years, male 12.6
GTEX-11ZU8-0126-SM-5EQ58 60-69 years, male 12.5
GTEX-1211K-1526-SM-5FQU4 60-69 years, female 12.5
GTEX-12ZZY-0726-SM-5EQ66 60-69 years, male 12.5
GTEX-13OVJ-0826-SM-5J1OK 50-59 years, female 12.5
GTEX-14E6C-2426-SM-5S2NF 40-49 years, male 12.5
GTEX-14LLW-2626-SM-62LDZ 70-79 years, female 12.5
GTEX-WFG7-2026-SM-5SI7P 20-29 years, male 12.5
GTEX-ZA64-1026-SM-5HL8R 20-29 years, male 12.5
GTEX-ZT9X-1526-SM-5DUXD 40-49 years, male 12.5
GTEX-12WSA-0426-SM-5EQ5X 60-69 years, male 12.4
GTEX-145MN-1526-SM-5SI9T 30-39 years, male 12.4
GTEX-WEY5-2326-SM-3GIKK 40-49 years, female 12.4
GTEX-1GPI6-1926-SM-9KNV7 60-69 years, male 12.4
GTEX-1H4P4-2126-SM-9WYSL 50-59 years, male 12.4
GTEX-1I1GU-0926-SM-ACKVS 40-49 years, male 12.4
GTEX-1LBAC-0826-SM-CY8IJ 20-29 years, male 12.4
GTEX-13N2G-0226-SM-5K7VF 60-69 years, male 12.3
GTEX-ZTSS-1426-SM-5985P 40-49 years, male 12.3
GTEX-1C64N-2626-SM-7PC2N 50-59 years, male 12.3
GTEX-1ICLY-0826-SM-CMKG1 50-59 years, male 12.3
GTEX-1KD5A-0126-SM-E9U54 50-59 years, male 12.3
GTEX-1PIIG-2326-SM-DTXFR 30-39 years, male 12.3
GTEX-11DXX-2126-SM-5PNYR 60-69 years, female 12.2
GTEX-11WQC-1826-SM-5GU59 60-69 years, male 12.2
GTEX-183FY-1026-SM-7939A 20-29 years, male 12.2
GTEX-18A7A-0126-SM-731AH 50-59 years, female 12.2
GTEX-1B933-2426-SM-7DHMD 50-59 years, female 12.2
GTEX-Y3I4-1726-SM-4TT89 50-59 years, male 12.2
GTEX-1F5PK-2226-SM-7SB6N 50-59 years, male 12.2
GTEX-1HCU9-0426-SM-9WYSD 20-29 years, male 12.2
GTEX-1IDJD-2326-SM-ACKWX 30-39 years, male 12.2
GTEX-1IDJF-2026-SM-CL53V 20-29 years, male 12.2
GTEX-1JMQK-1226-SM-D4P2S 60-69 years, male 12.2
GTEX-1KWVE-1026-SM-D3L9O 30-39 years, male 12.2
GTEX-1LGOU-1326-SM-D3L8M 20-29 years, female 12.2
GTEX-1AX9I-2226-SM-73KUO 60-69 years, male 12.1
GTEX-X4EP-0626-SM-3P621 60-69 years, female 12.1
GTEX-ZWKS-0626-SM-5GIDV 30-39 years, male 12.1
GTEX-ZY6K-1426-SM-5GZX2 50-59 years, male 12.1
GTEX-1GN2E-0226-SM-9WG6K 60-69 years, male 12.1
GTEX-1KANB-2826-SM-CY8I6 50-59 years, male 12.1
GTEX-117YX-1926-SM-5GIEC 50-59 years, male 12.0
GTEX-ZPU1-1126-SM-4YCF3 40-49 years, male 12.0
GTEX-ZTTD-2826-SM-4YCFA 50-59 years, male 12.0
GTEX-11P82-1426-SM-DTXFY 20-29 years, male 12.0
GTEX-1KANC-1226-SM-CYPT7 50-59 years, female 12.0
GTEX-1PIGE-1826-SM-E8VOU 20-29 years, male 12.0
GTEX-1RAZR-2126-SM-E9U6T 40-49 years, male 12.0
GTEX-11EM3-1226-SM-5N9DD 20-29 years, female 11.9
GTEX-139UW-0326-SM-5J1ML 60-69 years, male 11.9
GTEX-139YR-1026-SM-5LZYN 50-59 years, male 11.9
GTEX-13NYC-0126-SM-5L3F4 60-69 years, male 11.9
GTEX-X4EO-2926-SM-4E3JH 60-69 years, female 11.9
GTEX-Y114-2126-SM-4TT8B 50-59 years, female 11.9
GTEX-Z93S-1626-SM-5CVMB 50-59 years, male 11.9
GTEX-1HSMO-0626-SM-ACKXC 60-69 years, male 11.9
GTEX-1JJEA-1826-SM-ARU8P 60-69 years, male 11.9
GTEX-1JMOU-1026-SM-CYPSS 60-69 years, female 11.9
GTEX-1N5O9-0926-SM-E9J3C 60-69 years, male 11.9
GTEX-11P7K-1126-SM-5HL4L 30-39 years, male 11.8
GTEX-12BJ1-0926-SM-5EQ62 60-69 years, male 11.8
GTEX-Y5V5-0126-SM-5S2NW 60-69 years, female 11.8
GTEX-13FTY-2126-SM-5IFFB 40-49 years, female 11.7
GTEX-13OW6-2726-SM-5J2OE 50-59 years, male 11.7
GTEX-15CHR-1126-SM-7EWF4 50-59 years, male 11.7
GTEX-YECK-0326-SM-4W1YS 60-69 years, male 11.7
GTEX-YJ8O-2526-SM-5HL85 40-49 years, female 11.7
GTEX-1GN1V-2826-SM-9JGIA 60-69 years, male 11.7
GTEX-1J8Q3-0526-SM-ARL8U 60-69 years, male 11.7
GTEX-1JMPZ-0726-SM-CY8HZ 30-39 years, male 11.7
GTEX-1PPGY-1626-SM-EVYBL 60-69 years, male 11.7
GTEX-12WSD-0626-SM-5GCMW 60-69 years, female 11.6
GTEX-131YS-2826-SM-5EQ47 60-69 years, female 11.6
GTEX-16MTA-0926-SM-6M47Z 50-59 years, male 11.6
GTEX-16NPX-0726-SM-7KULC 50-59 years, male 11.6
GTEX-XPVG-2126-SM-4B667 50-59 years, male 11.6
GTEX-ZAJG-1526-SM-5CVML 50-59 years, female 11.6
GTEX-1GTWX-2026-SM-9YFLM 60-69 years, male 11.6
GTEX-1I4MK-0126-SM-CY8G6 50-59 years, female 11.6
GTEX-1JKYN-0826-SM-ARU8S 30-39 years, male 11.6
GTEX-11VI4-1126-SM-5EQMD 40-49 years, female 11.5
GTEX-12WSF-1626-SM-7KUG5 70-79 years, male 11.5
GTEX-13NZ9-2626-SM-5L3FK 50-59 years, male 11.5
GTEX-14A6H-2026-SM-5Q5DD 30-39 years, male 11.5
GTEX-14PKV-1126-SM-6LLJ1 20-29 years, female 11.5
GTEX-17KNJ-2126-SM-718AM 50-59 years, male 11.5
GTEX-18A66-0626-SM-7LT8Z 60-69 years, male 11.5
GTEX-1A32A-0626-SM-731AQ 50-59 years, female 11.5
GTEX-1CAV2-0126-SM-7IGN7 40-49 years, female 11.5
GTEX-1C64O-1326-SM-7MGWR 60-69 years, male 11.5
GTEX-1JJE9-2626-SM-ARZMT 70-79 years, male 11.5
GTEX-11DXZ-2026-SM-5987S 50-59 years, male 11.4
GTEX-12ZZX-2426-SM-5GCOE 40-49 years, female 11.4
GTEX-139TU-0726-SM-5L3EK 60-69 years, male 11.4
GTEX-13W3W-0726-SM-5IJDQ 60-69 years, female 11.4
GTEX-15EU6-2226-SM-6EU2L 50-59 years, male 11.4
GTEX-16MT8-2926-SM-7DUFO 60-69 years, female 11.4
GTEX-1EKGG-0626-SM-7DUGJ 60-69 years, male 11.4
GTEX-WHSE-0126-SM-3NMBT 20-29 years, male 11.4
GTEX-ZF2S-1626-SM-57WES 50-59 years, female 11.4
GTEX-1HT8W-0626-SM-A9G2H 30-39 years, male 11.4
GTEX-1JMLX-0626-SM-ARL8T 50-59 years, male 11.4
GTEX-1JN76-0626-SM-CKZOQ 20-29 years, female 11.4
GTEX-12WSH-1526-SM-5BC5W 50-59 years, male 11.3
GTEX-13N1W-2426-SM-5IJD1 70-79 years, male 11.3
GTEX-147JS-0226-SM-5S2U9 60-69 years, male 11.3
GTEX-14PK6-0226-SM-62LF5 70-79 years, female 11.3
GTEX-ZVP2-0326-SM-57WBP 50-59 years, male 11.3
GTEX-1H3VE-0726-SM-9YFL5 40-49 years, male 11.3
GTEX-14DAQ-0626-SM-793DS 60-69 years, female 11.2
GTEX-15SHW-0226-SM-7LTAT 60-69 years, male 11.2
GTEX-17EVQ-0126-SM-7IGLR 70-79 years, male 11.2
GTEX-1JMQI-1726-SM-ARL93 50-59 years, male 11.2
GTEX-1QCLZ-2426-SM-EVYBW 60-69 years, female 11.2
GTEX-11GS4-0226-SM-5HL77 60-69 years, male 11.1
GTEX-145LT-0526-SM-5LUB2 40-49 years, male 11.1
GTEX-145LU-1926-SM-79OJN 50-59 years, male 11.1
GTEX-18A7B-2726-SM-7LG56 70-79 years, male 11.1
GTEX-1B8SF-0126-SM-7DUG3 60-69 years, male 11.1
GTEX-ZE9C-2526-SM-5IJDR 60-69 years, male 11.1
GTEX-1C475-1326-SM-7SB73 40-49 years, female 11.1
GTEX-1HC8U-1326-SM-9YFMJ 40-49 years, female 11.1
GTEX-1N2EE-0626-SM-E76PW 60-69 years, male 11.1
GTEX-YEC3-1326-SM-DO92X 50-59 years, male 11.1
GTEX-12696-0126-SM-5EQ4L 60-69 years, male 11.0
GTEX-13PVQ-0626-SM-5LU47 50-59 years, male 11.0
GTEX-13X6K-0626-SM-5LU5D 60-69 years, female 11.0
GTEX-14PJ2-0626-SM-6LLII 50-59 years, male 11.0
GTEX-17MF6-2626-SM-79OKQ 40-49 years, male 11.0
GTEX-WHWD-1826-SM-3LK6I 50-59 years, male 11.0
GTEX-WI4N-2726-SM-3LK7Y 40-49 years, female 11.0
GTEX-ZYFC-0426-SM-5GICQ 50-59 years, male 11.0
GTEX-1GN1W-2426-SM-9KNUU 50-59 years, female 11.0
GTEX-1IDJH-0126-SM-D3L92 70-79 years, male 11.0
GTEX-11TUW-0626-SM-5LU9M 60-69 years, male 10.9
GTEX-12KS4-2126-SM-5FQUT 30-39 years, male 10.9
GTEX-144FL-0626-SM-5LU43 50-59 years, male 10.9
GTEX-17HGU-2326-SM-7DUFE 50-59 years, male 10.9
GTEX-18D9B-0926-SM-7LG4U 60-69 years, male 10.9
GTEX-1EX96-1026-SM-7MKG2 50-59 years, male 10.9
GTEX-1HBPI-2126-SM-ARL9K 50-59 years, male 10.9
GTEX-1IDJC-1526-SM-B2LW4 50-59 years, male 10.9
GTEX-1K9T9-1526-SM-DIPFR 50-59 years, female 10.9
GTEX-1PPH8-0126-SM-EWRN8 20-29 years, male 10.9
GTEX-11NSD-0626-SM-5A5LU 20-29 years, male 10.8
GTEX-12584-0726-SM-5FQTK 40-49 years, male 10.8
GTEX-17EVP-2626-SM-7IGMA 40-49 years, male 10.8
GTEX-1EWIQ-0326-SM-7DHMQ 70-79 years, female 10.8
GTEX-XMD2-2126-SM-4YCF8 60-69 years, female 10.8
GTEX-1H1E6-0426-SM-9WYUS 30-39 years, male 10.8
GTEX-1H3O1-1326-SM-9MQLD 60-69 years, male 10.8
GTEX-1M4P7-0726-SM-E6CJ3 60-69 years, male 10.8
GTEX-13G51-1826-SM-5KLZH 60-69 years, male 10.7
GTEX-145MH-2826-SM-5RQJF 50-59 years, male 10.7
GTEX-15DYW-2726-SM-6EU2I 60-69 years, female 10.7
GTEX-1A8G7-1326-SM-73KVM 60-69 years, male 10.7
GTEX-VUSG-2326-SM-4KL1U 50-59 years, male 10.7
GTEX-1F75A-0726-SM-7RHHD 50-59 years, male 10.7
GTEX-1H11D-1826-SM-9QEHM 40-49 years, male 10.7
GTEX-1H1DF-1126-SM-9WG7G 40-49 years, female 10.7
GTEX-1I1CD-0626-SM-CE6SW 60-69 years, female 10.7
GTEX-1I6K7-1926-SM-B2LXR 40-49 years, male 10.7
GTEX-1LG7Z-1626-SM-CXKYR 30-39 years, male 10.7
GTEX-1QP66-1226-SM-DTX7U 50-59 years, male 10.7
GTEX-13FH7-1126-SM-5K7UG 50-59 years, female 10.6
GTEX-13SLX-2226-SM-62LEP 50-59 years, female 10.6
GTEX-1IOXB-2726-SM-CM2RI 50-59 years, male 10.6
GTEX-1K2DA-1026-SM-CGQGF 50-59 years, male 10.6
GTEX-1S82U-1026-SM-E6CJK 30-39 years, female 10.6
GTEX-11WQK-1026-SM-5EQLX 50-59 years, male 10.5
GTEX-12WSC-2826-SM-5BC5Y 50-59 years, male 10.5
GTEX-13NYB-0126-SM-5J1MD 40-49 years, male 10.5
GTEX-14PHY-1226-SM-5ZZWK 60-69 years, female 10.5
GTEX-WHPG-2626-SM-3NMBR 50-59 years, male 10.5
GTEX-1C6VR-0126-SM-7RHGB 60-69 years, male 10.5
GTEX-1GMR3-0126-SM-A9SLW 40-49 years, male 10.5
GTEX-1GZ4I-2626-SM-9KNU3 50-59 years, male 10.5
GTEX-1GZHY-0626-SM-9KNVC 50-59 years, female 10.5
GTEX-1QEPI-2626-SM-DTXF4 60-69 years, female 10.5
GTEX-11EI6-2826-SM-5H11D 60-69 years, male 10.4
GTEX-13N11-2326-SM-5IJBF 50-59 years, female 10.4
GTEX-147GR-2426-SM-5ZZWQ 60-69 years, male 10.4
GTEX-13JUV-2026-SM-5K7UA 40-49 years, female 10.3
GTEX-13RTJ-0126-SM-5S2NN 60-69 years, male 10.3
GTEX-14PJO-2526-SM-6AJBQ 60-69 years, male 10.3
GTEX-15RIE-1926-SM-7KUKJ 60-69 years, male 10.3
GTEX-1H1DE-1326-SM-9KNUG 20-29 years, male 10.3
GTEX-1HCU6-2526-SM-ADEHL 60-69 years, female 10.3
GTEX-1I1HK-2326-SM-CKZOH 60-69 years, male 10.3
GTEX-15RJ7-2126-SM-6PAMD 40-49 years, male 10.2
GTEX-1C6VQ-1226-SM-73KYD 50-59 years, male 10.2
GTEX-W5X1-2526-SM-3GILC 40-49 years, female 10.2
GTEX-XBEC-0726-SM-4QARZ 50-59 years, male 10.2
GTEX-1POEN-2326-SM-E9J2L 30-39 years, female 10.2
GTEX-131XW-0626-SM-5PNVD 50-59 years, female 10.1
GTEX-13OW7-0426-SM-5K7VK 50-59 years, male 10.1
GTEX-16MT9-0126-SM-7EPI8 60-69 years, female 10.1
GTEX-Y111-0626-SM-4SOIT 50-59 years, male 10.1
GTEX-ZYFG-1526-SM-5GZYM 60-69 years, female 10.1
GTEX-1JN6P-2926-SM-CL54D 60-69 years, male 10.1
GTEX-11NUK-2726-SM-5A5MC 50-59 years, male 10.0
GTEX-14BIN-1126-SM-5RQJZ 50-59 years, female 10.0
GTEX-1B8KZ-0326-SM-73KY4 50-59 years, male 10.0
GTEX-WK11-2726-SM-3NMAQ 50-59 years, male 10.0
GTEX-1I1GP-1326-SM-A9G28 50-59 years, male 10.0
GTEX-1J8QM-2426-SM-A9SLS 60-69 years, female 10.0
GTEX-1LSNL-2726-SM-E9TKJ 50-59 years, male 10.0
GTEX-1LSVX-2526-SM-DIPEU 60-69 years, male 10.0
GTEX-1QMI2-2526-SM-E8VNZ 60-69 years, male 10.0
GTEX-1RAZA-2226-SM-E9U4X 20-29 years, male 10.0
GTEX-15G1A-1626-SM-7KUKN 30-39 years, male 9.9
GTEX-1CB4E-0926-SM-7EPHT 60-69 years, male 9.9
GTEX-X3Y1-2026-SM-3P5YM 40-49 years, male 9.9
GTEX-1H3NZ-2726-SM-9WYTQ 60-69 years, male 9.9
GTEX-147F4-0726-SM-5TDDD 50-59 years, male 9.8
GTEX-1B996-0426-SM-7EWF8 60-69 years, male 9.8
GTEX-UPK5-0426-SM-3GAEK 40-49 years, male 9.8
GTEX-X585-2426-SM-46MW2 50-59 years, male 9.8
GTEX-XXEK-1626-SM-4BRUZ 50-59 years, male 9.8
GTEX-YEC4-1826-SM-4W1YP 40-49 years, male 9.8
GTEX-13OW8-1026-SM-5J1NQ 60-69 years, male 9.7
GTEX-15D1Q-2826-SM-6LLH7 40-49 years, male 9.7
GTEX-15DDE-2926-SM-6LLJ3 50-59 years, female 9.7
GTEX-1B932-2326-SM-79OL5 40-49 years, female 9.7
GTEX-ZAK1-0626-SM-5HL8E 50-59 years, female 9.7
GTEX-14JFF-0626-SM-5ZZVT 60-69 years, male 9.7
GTEX-1F88F-0126-SM-9WYSZ 60-69 years, female 9.7
GTEX-11DXW-0826-SM-5H118 40-49 years, male 9.6
GTEX-11UD2-2526-SM-5CVNU 50-59 years, male 9.6
GTEX-1EN7A-2426-SM-793DB 40-49 years, male 9.6
GTEX-V1D1-2026-SM-3GAF4 50-59 years, male 9.6
GTEX-XV7Q-1826-SM-4BRUV 40-49 years, female 9.6
GTEX-1JMQL-2226-SM-CNPP4 50-59 years, female 9.6
GTEX-1JN1M-2726-SM-CY8I4 60-69 years, female 9.6
GTEX-1399Q-2326-SM-5KM2X 40-49 years, male 9.5
GTEX-17HHY-0426-SM-7DHLC 50-59 years, male 9.5
GTEX-1IY9M-2826-SM-ARU8H 60-69 years, male 9.5
GTEX-13O3Q-0126-SM-5KM34 50-59 years, male 9.4
GTEX-18A6Q-0626-SM-7KFRP 60-69 years, male 9.4
GTEX-Y3IK-1626-SM-4YCF5 50-59 years, female 9.4
GTEX-1HCU8-2526-SM-CE6RX 60-69 years, female 9.4
GTEX-1R9PN-0426-SM-DTXDT 40-49 years, female 9.4
GTEX-13O3O-2326-SM-5IJD6 60-69 years, female 9.3
GTEX-13OVG-1626-SM-5J1NF 60-69 years, male 9.3
GTEX-146FQ-2126-SM-5RQHU 30-39 years, male 9.3
GTEX-14E6E-0526-SM-793DN 30-39 years, male 9.3
GTEX-178AV-1726-SM-7KUL8 40-49 years, male 9.3
GTEX-ZVE1-0726-SM-51MRN 50-59 years, female 9.3
GTEX-1A3MX-2626-SM-7PC24 60-69 years, male 9.3
GTEX-1CB4I-0126-SM-7RHGG 50-59 years, male 9.3
GTEX-1HR98-2226-SM-ADEI2 60-69 years, male 9.3
GTEX-1HSMP-0926-SM-A9SKX 70-79 years, male 9.3
GTEX-13OVH-0526-SM-5L3E6 70-79 years, male 9.2
GTEX-13OVL-0126-SM-5L3GJ 50-59 years, male 9.2
GTEX-1HUB1-1426-SM-CGQF5 60-69 years, male 9.2
GTEX-1QW4Y-1126-SM-DTXE3 30-39 years, male 9.2
GTEX-11PRG-0726-SM-5EGL1 50-59 years, male 9.1
GTEX-14LZ3-0126-SM-69LPM 60-69 years, female 9.1
GTEX-18465-2826-SM-7LT9J 50-59 years, male 9.1
GTEX-1BAJH-2426-SM-7IGP8 70-79 years, male 9.1
GTEX-ZDTS-0826-SM-4WKHL 60-69 years, male 9.1
GTEX-1212Z-0126-SM-59HK4 60-69 years, male 9.0
GTEX-12WSJ-1126-SM-5LZVJ 40-49 years, female 9.0
GTEX-145MG-1526-SM-5Q5EM 50-59 years, male 9.0
GTEX-14BMV-2826-SM-5TDED 50-59 years, male 9.0
GTEX-VJYA-1526-SM-3GIJV 60-69 years, male 9.0
GTEX-1I19N-0126-SM-CYPSF 70-79 years, male 9.0
GTEX-1IL2V-1926-SM-B2LW8 70-79 years, male 9.0
GTEX-111FC-2526-SM-5GZXU 60-69 years, male 8.9
GTEX-13112-0126-SM-5P9IU 50-59 years, male 8.9
GTEX-16GPK-0626-SM-7KFSF 60-69 years, male 8.9
GTEX-16Z82-2626-SM-7KULU 60-69 years, male 8.9
GTEX-183WM-0326-SM-72D5V 70-79 years, female 8.9
GTEX-1A8FM-0626-SM-7PC25 50-59 years, female 8.9
GTEX-WFG8-2126-SM-3GIKQ 20-29 years, male 8.8
GTEX-1H1ZS-2726-SM-9WG75 70-79 years, male 8.8
GTEX-ZF3C-0626-SM-DO92O 50-59 years, female 8.8
GTEX-13X6J-0626-SM-5LU5F 50-59 years, male 8.7
GTEX-ZU9S-1826-SM-5NQ9E 30-39 years, male 8.7
GTEX-1ICG6-1226-SM-A9SLN 70-79 years, female 8.7
GTEX-139TT-2126-SM-5LZWC 60-69 years, male 8.6
GTEX-145MF-0926-SM-5Q5EA 50-59 years, male 8.6
GTEX-Y5LM-0926-SM-6LLJG 40-49 years, female 8.6
GTEX-ZYFD-0626-SM-5E44E 50-59 years, male 8.6
GTEX-1GZ2Q-0126-SM-9WG6M 40-49 years, male 8.6
GTEX-1IDJE-1426-SM-ADEIW 50-59 years, female 8.6
GTEX-1LG7Y-2526-SM-EWRO7 50-59 years, male 8.6
GTEX-U8XE-0226-SM-4E3J3 30-39 years, male 8.5
GTEX-13U4I-2226-SM-5LU5H 40-49 years, female 8.4
GTEX-144GO-2026-SM-5O99P 60-69 years, male 8.4
GTEX-1A8G6-2726-SM-731AR 60-69 years, male 8.4
GTEX-YB5K-2026-SM-4VDT3 40-49 years, female 8.4
GTEX-139TS-2126-SM-5K7XC 60-69 years, male 8.3
GTEX-14C38-0726-SM-5SI6M 50-59 years, male 8.3
GTEX-XOT4-0626-SM-4B66L 60-69 years, female 8.3
GTEX-1J8JJ-0626-SM-ARZMQ 60-69 years, female 8.3
GTEX-ZPIC-0526-SM-DO91W 40-49 years, female 8.3
GTEX-ZYVF-0926-SM-5E44J 50-59 years, female 8.2
GTEX-1H1DG-2426-SM-9QEHJ 70-79 years, male 8.2
GTEX-XYKS-1426-SM-4BRUO 60-69 years, female 8.1
GTEX-11OF3-0126-SM-5PNYF 60-69 years, male 8.0
GTEX-12126-0826-SM-5FQTZ 20-29 years, male 8.0
GTEX-16YQH-2226-SM-7IGM2 30-39 years, male 8.0
GTEX-1A3MW-0626-SM-731CB 60-69 years, female 8.0
GTEX-1O9I2-0226-SM-EYYXD 50-59 years, male 8.0
GTEX-14JG1-1526-SM-5YY9X 40-49 years, male 7.9
GTEX-1HFI6-0126-SM-CNPPI 40-49 years, male 7.9
GTEX-13JVG-0726-SM-5KM16 60-69 years, male 7.8
GTEX-1QAET-0326-SM-EVR3U 50-59 years, male 7.8
GTEX-131XH-0126-SM-5LZUY 50-59 years, male 7.7
GTEX-14ABY-2026-SM-62LDL 50-59 years, male 7.6
GTEX-14XAO-1226-SM-6EU1C 60-69 years, female 7.6
GTEX-1AX8Z-0726-SM-73KTS 60-69 years, male 7.6
GTEX-WRHU-2826-SM-3MJG8 50-59 years, female 7.6
GTEX-13VXU-0626-SM-5L3F9 50-59 years, male 7.5
GTEX-ZUA1-2626-SM-5NQ92 40-49 years, male 7.5
GTEX-1H1CY-0126-SM-9YFLY 60-69 years, female 7.5
GTEX-1LVA9-2626-SM-EVYD4 50-59 years, male 7.5
GTEX-ZYT6-2326-SM-5GZY3 30-39 years, male 7.4
GTEX-1F6I4-2326-SM-7RHGL 60-69 years, male 7.4
GTEX-1F75W-2726-SM-7SB8H 60-69 years, male 7.4
GTEX-1E2YA-2126-SM-7MXUO 50-59 years, male 7.3
GTEX-15G19-2426-SM-7KUMR 60-69 years, male 7.2
GTEX-1F6IF-0926-SM-7SB7M 60-69 years, male 6.9
GTEX-132AR-0326-SM-5KM2C 50-59 years, female 6.7
GTEX-17JCI-2926-SM-7DUFF 60-69 years, female 6.6
GTEX-XQ3S-1426-SM-4BOPR 20-29 years, male 6.6
GTEX-17HG3-2626-SM-7DUF2 30-39 years, female 6.5
GTEX-1E1VI-0326-SM-793D1 50-59 years, male 6.5
GTEX-1399R-1326-SM-5PNYS 30-39 years, male 6.4
GTEX-ZYW4-0626-SM-59HJR 60-69 years, male 6.4
GTEX-11ZUS-2626-SM-5FQUR 30-39 years, male 6.3
GTEX-ZDXO-3126-SM-5IJDF 60-69 years, male 6.1
GTEX-11TT1-1826-SM-5EQLV 20-29 years, male 6.0
GTEX-11DYG-1526-SM-5A5JS 60-69 years, male 5.9
GTEX-14A5H-0826-SM-5QGPJ 60-69 years, male 5.7
GTEX-ZVTK-0226-SM-51MRG 20-29 years, male 5.6
GTEX-Y5V6-2326-SM-4VDSA 60-69 years, male 5.0
Show allShow less
Skin - Sun Exposed (Lower leg)
Average nTPM: 14.5
Samples: 701

Max nTPM: 66.6
Min nTPM: 5.5
Std nTPM: 4.7
Median nTPM: 13.7
GTEX-SE5C-1626-SM-2XCE3 40-49 years, female 66.6
GTEX-ZXES-1826-SM-5E43S 30-39 years, female 42.5
GTEX-1I1GT-0626-SM-CGQER 60-69 years, female 31.3
GTEX-1S3DN-2226-SM-EVYCD 50-59 years, male 30.1
GTEX-1122O-2126-SM-5EGIR 60-69 years, female 28.8
GTEX-1LVAN-0226-SM-COH3S 50-59 years, female 28.3
GTEX-1KANC-1526-SM-D3LAB 50-59 years, female 27.8
GTEX-1E2YA-0126-SM-9KNUC 50-59 years, male 27.6
GTEX-ZDTT-2726-SM-4WKF8 60-69 years, male 27.1
GTEX-1MA7W-2026-SM-E9TJ6 20-29 years, female 26.8
GTEX-18D9A-1926-SM-7LG6P 30-39 years, female 26.1
GTEX-1QPFJ-0226-SM-E76PB 30-39 years, female 26.1
GTEX-SNMC-1226-SM-2XCFP 20-29 years, male 25.5
GTEX-ZVZP-2426-SM-59HKJ 50-59 years, male 25.5
GTEX-1JJ6O-0126-SM-E6CI8 60-69 years, male 25.2
GTEX-1S82Z-0826-SM-E6CHY 30-39 years, female 24.9
GTEX-UJHI-1526-SM-3DB99 50-59 years, female 24.1
GTEX-1L5NE-2526-SM-E6CIE 50-59 years, male 24.1
GTEX-139D8-0226-SM-5KLZO 30-39 years, female 23.9
GTEX-XBEW-0626-SM-4QASP 40-49 years, male 23.9
GTEX-ZV6S-2326-SM-4YCEY 40-49 years, female 23.9
GTEX-1J8QM-2126-SM-CYPSJ 60-69 years, female 23.8
GTEX-1I4MK-2226-SM-ACKWD 50-59 years, female 23.7
GTEX-15F5U-1526-SM-6PANO 40-49 years, male 23.6
GTEX-17F96-1626-SM-7DUFL 70-79 years, male 23.5
GTEX-YB5E-2026-SM-5IFIS 40-49 years, male 23.5
GTEX-1LGRB-2526-SM-CNPPQ 50-59 years, female 23.4
GTEX-11EQ9-2426-SM-5HL5T 30-39 years, male 23.3
GTEX-1HSGN-0226-SM-CGQFV 40-49 years, female 23.3
GTEX-15ETS-0126-SM-7KUMW 40-49 years, female 23.1
GTEX-NFK9-0226-SM-2HMKQ 40-49 years, male 23.1
GTEX-17GQL-2026-SM-718BA 60-69 years, male 22.9
GTEX-1C475-1826-SM-73KWA 40-49 years, female 22.9
GTEX-P4QT-0126-SM-2I3FL 50-59 years, female 22.8
GTEX-1K2DA-1826-SM-CGQGT 50-59 years, male 22.7
GTEX-ZF29-2326-SM-DO92K 60-69 years, female 22.7
GTEX-ZGAY-0526-SM-4WWBB 40-49 years, female 22.5
GTEX-145ME-1826-SM-5SI9G 40-49 years, female 22.3
GTEX-1LSNM-1926-SM-E6CII 50-59 years, male 22.3
GTEX-1QCLY-0326-SM-E8VOG 30-39 years, male 22.3
GTEX-ZF2S-2326-SM-4WWCE 50-59 years, female 22.2
GTEX-1MUQO-0126-SM-EAZ58 60-69 years, male 22.2
GTEX-1S83E-0126-SM-EWRO4 40-49 years, male 22.1
GTEX-PSDG-0226-SM-DKPOZ 50-59 years, male 21.9
GTEX-1KXAM-2226-SM-CYPTC 60-69 years, male 21.8
GTEX-17JCI-0126-SM-7LG5G 60-69 years, female 21.7
GTEX-13JUV-2726-SM-5LZZ8 40-49 years, female 21.5
GTEX-ZF28-0126-SM-4WKGK 60-69 years, male 21.5
GTEX-1H2FU-0126-SM-9WYSI 60-69 years, female 21.5
GTEX-14PII-0226-SM-6EU1T 60-69 years, male 21.4
GTEX-145MN-2226-SM-5SIAU 30-39 years, male 21.2
GTEX-1AX9J-0226-SM-73KXM 60-69 years, male 21.2
GTEX-1B8KE-2126-SM-73KYX 50-59 years, male 21.2
GTEX-T8EM-1026-SM-3DB7M 40-49 years, male 21.2
GTEX-1OJC3-0126-SM-E76QX 20-29 years, male 21.2
GTEX-ZTX8-1426-SM-5DUVO 20-29 years, male 21.1
GTEX-1JK1U-2026-SM-CM2RZ 60-69 years, male 20.9
GTEX-1KANA-0726-SM-D3L9I 20-29 years, male 20.9
GTEX-1LBAC-0126-SM-DIPEZ 20-29 years, male 20.9
GTEX-13NZ8-0826-SM-5MR3I 60-69 years, female 20.8
GTEX-18A66-0226-SM-718BD 60-69 years, male 20.7
GTEX-1LG7Z-1726-SM-D3LA4 30-39 years, male 20.7
GTEX-ZWKS-0126-SM-5SIAA 30-39 years, male 20.6
GTEX-1IDJU-2626-SM-CM2RT 60-69 years, female 20.6
GTEX-14DAR-2026-SM-5S2O3 50-59 years, male 20.5
GTEX-1J1OQ-0226-SM-CYPSH 40-49 years, female 20.5
GTEX-TMMY-0226-SM-33HBA 40-49 years, female 20.4
GTEX-ZVT2-2526-SM-51MT1 50-59 years, female 20.4
GTEX-1R9PM-2026-SM-E76OY 20-29 years, male 20.4
GTEX-14LZ3-0226-SM-62LET 60-69 years, female 20.3
GTEX-1B97I-1626-SM-73KYO 40-49 years, male 20.3
GTEX-15SHU-0126-SM-7KUEH 40-49 years, female 20.1
GTEX-17HII-0226-SM-7LG4E 50-59 years, male 20.1
GTEX-XUW1-0426-SM-4BOOT 50-59 years, female 20.1
GTEX-ZZPT-0226-SM-5E43X 50-59 years, male 20.1
GTEX-1LGOU-2026-SM-DIPFF 20-29 years, female 20.1
GTEX-16NGA-1726-SM-731B4 40-49 years, female 20.0
GTEX-T6MO-1626-SM-32QOM 40-49 years, female 20.0
GTEX-16AAH-1726-SM-7939C 50-59 years, male 19.9
GTEX-1F6RS-0126-SM-9MQKZ 60-69 years, female 19.8
GTEX-1PFEY-1526-SM-E76PP 30-39 years, male 19.7
GTEX-T5JW-1626-SM-3GADZ 20-29 years, female 19.6
GTEX-1GN1U-0126-SM-7PBZK 50-59 years, female 19.6
GTEX-1OFPY-2426-SM-DTXEJ 60-69 years, male 19.5
GTEX-14PHX-2326-SM-62LEM 50-59 years, male 19.4
GTEX-14PN3-2426-SM-6LLHS 60-69 years, female 19.4
GTEX-SN8G-0126-SM-32PLI 50-59 years, female 19.4
GTEX-WYJK-0126-SM-3NMAB 50-59 years, male 19.4
GTEX-13FTX-1826-SM-5J1NX 20-29 years, female 19.3
GTEX-13O3P-0126-SM-5KM4S 50-59 years, male 19.3
GTEX-13PDP-0126-SM-5L3HD 60-69 years, male 19.3
GTEX-14A5I-0126-SM-5TDEA 50-59 years, female 19.3
GTEX-1HCU7-0226-SM-CL545 50-59 years, male 19.3
GTEX-1GZ4H-1726-SM-7PBZJ 50-59 years, female 19.2
GTEX-1JN1M-0326-SM-CYPT3 60-69 years, female 19.2
GTEX-1PIGE-0126-SM-EVYBJ 20-29 years, male 19.2
GTEX-1R7EU-0226-SM-EVR4G 60-69 years, male 19.2
GTEX-133LE-1826-SM-5J1MV 20-29 years, female 19.1
GTEX-14E6C-0126-SM-5RQIP 40-49 years, male 19.1
GTEX-1CB4I-0226-SM-79OLH 50-59 years, male 19.1
GTEX-Y8E4-0626-SM-4WWDL 40-49 years, male 19.1
GTEX-1CB4H-0226-SM-7PBXM 60-69 years, female 19.1
GTEX-11EM3-2426-SM-59861 20-29 years, female 19.0
GTEX-14C5O-0126-SM-5SI6N 60-69 years, male 19.0
GTEX-13QJ3-0326-SM-5S2RA 50-59 years, male 18.9
GTEX-ZQUD-1426-SM-57WER 30-39 years, male 18.9
GTEX-1HFI7-1826-SM-ACKXH 50-59 years, female 18.9
GTEX-ZYT6-0226-SM-5NQ6T 30-39 years, male 18.8
GTEX-1F5PK-2426-SM-7RHHY 50-59 years, male 18.8
GTEX-15RIG-0226-SM-7KFTL 40-49 years, male 18.7
GTEX-1EWIQ-0126-SM-7RHH2 70-79 years, female 18.7
GTEX-1GMR8-0126-SM-9WYTM 50-59 years, female 18.7
GTEX-OOBJ-0126-SM-E6CJW 60-69 years, male 18.7
GTEX-145LS-0126-SM-5QGP1 60-69 years, female 18.6
GTEX-14PJ6-2126-SM-6EU1V 60-69 years, female 18.6
GTEX-1CAMR-1926-SM-7EPI2 20-29 years, male 18.6
GTEX-1GF9V-0326-SM-7RHI5 60-69 years, male 18.6
GTEX-1GL5R-1826-SM-9KNUY 50-59 years, male 18.6
GTEX-13NZB-2526-SM-5J1OM 30-39 years, male 18.5
GTEX-13PVR-2326-SM-5QGR1 60-69 years, female 18.5
GTEX-17EUY-0426-SM-793BD 20-29 years, male 18.5
GTEX-131XG-2626-SM-5KM17 50-59 years, female 18.4
GTEX-13OVK-2026-SM-7KUEO 40-49 years, male 18.4
GTEX-WRHK-1426-SM-3MJF9 20-29 years, female 18.4
GTEX-Y5LM-1926-SM-5RQJH 40-49 years, female 18.4
GTEX-1PDJ9-0326-SM-DTX95 20-29 years, male 18.4
GTEX-13OVI-1426-SM-5L3EY 60-69 years, female 18.2
GTEX-145LV-2126-SM-5LU8N 50-59 years, male 18.2
GTEX-14LLW-0126-SM-6LLIO 70-79 years, female 18.2
GTEX-OHPM-0126-SM-2YUN9 50-59 years, male 18.2
GTEX-16XZZ-0126-SM-793DV 60-69 years, male 18.1
GTEX-ZTSS-1926-SM-57WEW 40-49 years, male 18.1
GTEX-OIZH-0126-SM-2HMIS 50-59 years, male 17.9
GTEX-1HSEH-0126-SM-ACKXN 60-69 years, male 17.9
GTEX-1JKYN-1326-SM-CGQG9 30-39 years, male 17.9
GTEX-13YAN-0326-SM-5O9DF 60-69 years, male 17.8
GTEX-1GMR3-1926-SM-9KNUZ 40-49 years, male 17.8
GTEX-145MO-0326-SM-5Q5B3 60-69 years, male 17.7
GTEX-11DXX-2426-SM-5GZZW 60-69 years, female 17.6
GTEX-14ICK-0226-SM-6EU25 40-49 years, male 17.6
GTEX-15EU6-0426-SM-6PAN5 50-59 years, male 17.6
GTEX-18QFQ-0126-SM-731BE 30-39 years, male 17.6
GTEX-1C2JI-1826-SM-73KXC 50-59 years, male 17.6
GTEX-1CAMQ-0226-SM-7IGPK 40-49 years, male 17.6
GTEX-S32W-2126-SM-2XCB1 50-59 years, female 17.6
GTEX-1F52S-0126-SM-9MQJU 60-69 years, female 17.6
GTEX-1HSMQ-1226-SM-CGQFX 50-59 years, male 17.6
GTEX-1MGNQ-0126-SM-EVYCJ 40-49 years, male 17.6
GTEX-Y5V5-2326-SM-4V6GA 60-69 years, female 17.5
GTEX-1J1R8-1726-SM-ARL8M 40-49 years, male 17.5
GTEX-18D9U-0226-SM-718BP 40-49 years, male 17.4
GTEX-ZVE2-0226-SM-59HJB 50-59 years, male 17.4
GTEX-XAJ8-0826-SM-47JY6 40-49 years, male 17.3
GTEX-1HCUA-2426-SM-ADEIS 50-59 years, female 17.2
GTEX-1N2DV-0226-SM-E6CJ6 40-49 years, male 17.2
GTEX-1QP66-1726-SM-E8VO1 50-59 years, male 17.2
GTEX-RM2N-1426-SM-2TF4H 50-59 years, male 17.1
GTEX-1F5PL-0326-SM-7P8PQ 40-49 years, female 17.1
GTEX-117YX-2326-SM-5H12W 50-59 years, male 17.0
GTEX-11VI4-1726-SM-5CVLH 40-49 years, female 17.0
GTEX-13D11-2426-SM-5KM1V 50-59 years, female 17.0
GTEX-PLZ4-0126-SM-5SI8O 50-59 years, female 17.0
GTEX-S95S-1226-SM-4GICG 60-69 years, male 17.0
GTEX-13OW5-0126-SM-DTXFS 60-69 years, male 17.0
GTEX-1GPI7-0126-SM-9MQL8 20-29 years, male 17.0
GTEX-1R7EV-2426-SM-EVYBG 40-49 years, male 17.0
GTEX-11DZ1-0126-SM-5985Q 50-59 years, male 16.9
GTEX-13111-1626-SM-5EGJY 50-59 years, male 16.9
GTEX-13W46-0226-SM-5SIAG 50-59 years, male 16.9
GTEX-PLZ5-2026-SM-2S1O4 50-59 years, male 16.9
GTEX-146FR-1326-SM-E9J48 60-69 years, female 16.9
GTEX-Q2AH-1626-SM-3GAF8 40-49 years, male 16.8
GTEX-ZY6K-1826-SM-5GZXK 50-59 years, male 16.8
GTEX-ZYFG-2326-SM-5E44B 60-69 years, female 16.8
GTEX-1HCU9-1526-SM-A9SL7 20-29 years, male 16.8
GTEX-1JMPY-1326-SM-ARL8Y 30-39 years, male 16.8
GTEX-1JN76-0126-SM-CNPPE 20-29 years, female 16.8
GTEX-1LH75-2426-SM-E9TJE 50-59 years, female 16.8
GTEX-1RB15-2126-SM-E9TIM 60-69 years, male 16.8
GTEX-TML8-1926-SM-32QOS 40-49 years, female 16.7
GTEX-13N2G-2626-SM-5J1OT 60-69 years, male 16.6
GTEX-15EOM-0126-SM-7KUGG 20-29 years, female 16.6
GTEX-TSE9-0126-SM-3DB83 60-69 years, female 16.6
GTEX-1H11D-0226-SM-9WG6Z 40-49 years, male 16.6
GTEX-1R46S-0626-SM-E9J41 60-69 years, female 16.6
GTEX-11NSD-2226-SM-5986V 20-29 years, male 16.5
GTEX-13OVJ-0126-SM-5KM36 50-59 years, female 16.5
GTEX-WQUQ-0426-SM-3MJFU 60-69 years, male 16.5
GTEX-1HBPM-0226-SM-ARL9F 60-69 years, female 16.5
GTEX-PLZ6-1426-SM-DKPOT 30-39 years, male 16.5
GTEX-ZPIC-1726-SM-DHXIU 40-49 years, female 16.5
GTEX-ZQG8-1626-SM-DHXIT 60-69 years, female 16.5
GTEX-WYVS-2126-SM-3NMA3 40-49 years, female 16.4
GTEX-1N2EF-0226-SM-EYYXB 60-69 years, male 16.4
GTEX-1RAZA-0126-SM-E6CI3 20-29 years, male 16.4
GTEX-13113-5016-SM-7EPIP 60-69 years, female 16.3
GTEX-131XE-2326-SM-5PNZ2 50-59 years, male 16.3
GTEX-1399R-2726-SM-5IJBA 30-39 years, male 16.3
GTEX-16BQI-0226-SM-7KUEX 30-39 years, female 16.3
GTEX-RWSA-0126-SM-2XCBB 40-49 years, male 16.3
GTEX-WXYG-2326-SM-4E3I6 50-59 years, female 16.3
GTEX-12WSG-2826-SM-E9J4H 50-59 years, female 16.3
GTEX-13O21-1426-SM-5K7XI 50-59 years, male 16.2
GTEX-13RTK-1426-SM-5QGQJ 20-29 years, male 16.2
GTEX-QCQG-1726-SM-3GIJ9 50-59 years, female 16.2
GTEX-RWS6-2026-SM-2XCB5 60-69 years, female 16.2
GTEX-1JMPZ-0226-SM-CNPP1 30-39 years, male 16.2
GTEX-1QP9N-1426-SM-DTXFL 30-39 years, male 16.2
GTEX-1J8Q3-1626-SM-CMKGC 60-69 years, male 16.1
GTEX-1JMOU-1526-SM-CL54I 60-69 years, female 16.1
GTEX-WFON-2126-SM-3LK7O 40-49 years, male 16.0
GTEX-ZZ64-1726-SM-5GZYB 20-29 years, male 16.0
GTEX-1QP29-0626-SM-EWRMX 50-59 years, male 16.0
GTEX-11UD2-0226-SM-5EQKY 50-59 years, male 15.9
GTEX-139T8-0126-SM-5K7XZ 60-69 years, male 15.9
GTEX-13SLW-0126-SM-5SI6C 70-79 years, male 15.9
GTEX-1M5QR-1226-SM-EWROB 40-49 years, male 15.9
GTEX-17EVP-0326-SM-7DHLG 40-49 years, male 15.8
GTEX-WI4N-1026-SM-3LK7N 40-49 years, female 15.8
GTEX-XPVG-2626-SM-4B669 50-59 years, male 15.8
GTEX-111VG-2426-SM-5GZXD 60-69 years, male 15.7
GTEX-O5YW-0126-SM-3LK6D 50-59 years, male 15.7
GTEX-ZXG5-0126-SM-5GIEU 60-69 years, male 15.7
GTEX-1I1GR-0126-SM-CL55F 60-69 years, male 15.7
GTEX-1KAFJ-2026-SM-CY8ID 50-59 years, male 15.7
GTEX-17MFQ-1726-SM-793C7 20-29 years, male 15.6
GTEX-1A3MV-1926-SM-718BT 30-39 years, male 15.6
GTEX-ZAB4-0226-SM-5N9F5 40-49 years, male 15.6
GTEX-13FH7-2026-SM-E9J4I 50-59 years, female 15.6
GTEX-1IL2U-0226-SM-CE6T8 60-69 years, male 15.6
GTEX-1LB8K-0226-SM-EWRNW 50-59 years, male 15.6
GTEX-11LCK-1026-SM-5A5KB 30-39 years, male 15.5
GTEX-131YS-0126-SM-5KM1M 60-69 years, female 15.5
GTEX-13FTW-2626-SM-5K7WL 40-49 years, male 15.5
GTEX-13VXT-0126-SM-5LU4I 20-29 years, female 15.5
GTEX-15ER7-0326-SM-7KUEV 20-29 years, female 15.5
GTEX-SUCS-1926-SM-32PM3 70-79 years, male 15.5
GTEX-Y8LW-1826-SM-5S2MV 50-59 years, female 15.5
GTEX-12WSK-2326-SM-5GCOH 40-49 years, female 15.4
GTEX-OXRK-0226-SM-3NB2G 50-59 years, female 15.4
GTEX-RTLS-0126-SM-447CA 60-69 years, female 15.4
GTEX-X261-0126-SM-3NMD6 50-59 years, male 15.4
GTEX-X585-0226-SM-4QAS2 50-59 years, male 15.4
GTEX-1F48J-0126-SM-7P8TT 50-59 years, female 15.4
GTEX-1H1E6-1726-SM-ACKVK 30-39 years, male 15.4
GTEX-1K2DU-2326-SM-E9TIV 20-29 years, male 15.4
GTEX-11EI6-0126-SM-5985R 60-69 years, male 15.3
GTEX-13NYS-0126-SM-5MR3W 60-69 years, male 15.3
GTEX-VJWN-0126-SM-3GIK7 50-59 years, female 15.3
GTEX-Z9EW-1626-SM-5CVMN 40-49 years, male 15.3
GTEX-1JMQI-2226-SM-CM2SD 50-59 years, male 15.3
GTEX-1PIIG-0226-SM-EWRN6 30-39 years, male 15.3
GTEX-117XS-2726-SM-5N9BL 60-69 years, male 15.2
GTEX-13OW8-1326-SM-5J1OW 60-69 years, male 15.2
GTEX-T2YK-0526-SM-32QPJ 50-59 years, male 15.2
GTEX-12ZZY-0226-SM-5LZVE 60-69 years, male 15.1
GTEX-147F3-0526-SM-5SI98 50-59 years, female 15.1
GTEX-148VI-1626-SM-5SI6E 60-69 years, female 15.1
GTEX-17HHE-2026-SM-79OKF 50-59 years, male 15.1
GTEX-Q2AG-0126-SM-33HBV 40-49 years, female 15.1
GTEX-QDVJ-1726-SM-2I5FX 50-59 years, male 15.1
GTEX-1HSMO-0126-SM-CL547 60-69 years, male 15.1
GTEX-1IKJJ-0126-SM-CNPQB 60-69 years, male 15.1
GTEX-U412-0426-SM-3DB9O 60-69 years, male 15.0
GTEX-XUYS-0126-SM-47JWZ 50-59 years, male 15.0
GTEX-ZAB5-1826-SM-5HL7C 50-59 years, male 15.0
GTEX-1H1DG-0126-SM-9WYU2 70-79 years, male 15.0
GTEX-11P81-2326-SM-59875 30-39 years, female 14.9
GTEX-14JG6-2226-SM-6EU2G 30-39 years, female 14.9
GTEX-17F97-0326-SM-7LG5B 50-59 years, male 14.9
GTEX-XQ8I-0426-SM-4BOPO 50-59 years, male 14.9
GTEX-YB5K-2126-SM-4WWDJ 40-49 years, female 14.9
GTEX-1I1GQ-0126-SM-COH3H 50-59 years, male 14.9
GTEX-11DXZ-2326-SM-5EGGV 50-59 years, male 14.8
GTEX-145MI-0526-SM-5O9A8 60-69 years, female 14.8
GTEX-1B8SG-0126-SM-73KZ3 50-59 years, male 14.8
GTEX-1K9T9-0126-SM-EVYCF 50-59 years, female 14.8
GTEX-145LT-1726-SM-5QGP3 40-49 years, male 14.7
GTEX-14BMU-2226-SM-5TDE9 20-29 years, female 14.7
GTEX-P44H-0226-SM-2XCEU 40-49 years, male 14.7
GTEX-QVJO-1626-SM-2S1QW 60-69 years, female 14.7
GTEX-1C64O-0126-SM-7SB8P 60-69 years, male 14.7
GTEX-1HT8W-0126-SM-CNPPP 30-39 years, male 14.7
GTEX-1JMQK-0226-SM-CL543 60-69 years, male 14.7
GTEX-1269C-2526-SM-5EGJ3 60-69 years, female 14.6
GTEX-12WSA-0226-SM-5BC5V 60-69 years, male 14.6
GTEX-ZDYS-2026-SM-5HL5L 50-59 years, male 14.6
GTEX-1H4P4-0726-SM-9YFLR 50-59 years, male 14.6
GTEX-1IL2V-0126-SM-CM2TX 70-79 years, male 14.6
GTEX-ZF3C-0126-SM-DO92D 50-59 years, female 14.6
GTEX-1128S-2326-SM-5GZZY 60-69 years, female 14.5
GTEX-1399T-2826-SM-5KLYZ 60-69 years, male 14.5
GTEX-OIZG-0726-SM-33HBL 50-59 years, male 14.5
GTEX-ZAJG-0126-SM-5HL94 50-59 years, female 14.5
GTEX-ZV68-0126-SM-59HKS 50-59 years, female 14.5
GTEX-11WQK-0526-SM-5EQLD 50-59 years, male 14.4
GTEX-12WSJ-1826-SM-5GCNY 40-49 years, female 14.4
GTEX-13IVO-0126-SM-5J1NG 70-79 years, male 14.4
GTEX-13SLX-0526-SM-5S2ON 50-59 years, female 14.4
GTEX-13X6J-0126-SM-5QGOU 50-59 years, male 14.4
GTEX-1H3VE-0326-SM-9YFLH 40-49 years, male 14.4
GTEX-1JN6P-0126-SM-D3L98 60-69 years, male 14.4
GTEX-1314G-1526-SM-5EGK2 30-39 years, male 14.3
GTEX-13CF3-2426-SM-5IFGX 60-69 years, female 14.3
GTEX-15DYW-0126-SM-7KULE 60-69 years, female 14.3
GTEX-U3ZM-1526-SM-3DB9D 40-49 years, male 14.3
GTEX-U8T8-0126-SM-3DB94 60-69 years, male 14.3
GTEX-1HCU6-0126-SM-CL54K 60-69 years, female 14.3
GTEX-1HCVE-0126-SM-CGQEU 50-59 years, male 14.3
GTEX-1192X-0226-SM-5H12D 50-59 years, male 14.2
GTEX-11P82-1626-SM-59879 20-29 years, male 14.2
GTEX-11XUK-2026-SM-5EQLF 40-49 years, female 14.2
GTEX-12696-2426-SM-5EQ6H 60-69 years, male 14.2
GTEX-U3ZN-2326-SM-3DB7W 30-39 years, female 14.2
GTEX-1MJK2-0426-SM-DTXE5 50-59 years, male 14.2
GTEX-1QP2A-0126-SM-E9J43 50-59 years, male 14.2
GTEX-13OW6-0426-SM-5L3HM 50-59 years, male 14.1
GTEX-16NPX-0226-SM-79OMT 50-59 years, male 14.1
GTEX-16YQH-0126-SM-7DUFJ 30-39 years, male 14.1
GTEX-1B996-0226-SM-7RHGO 60-69 years, male 14.1
GTEX-1I6K6-0126-SM-A9SLE 30-39 years, male 14.1
GTEX-1S5ZA-0126-SM-EVYCV 20-29 years, male 14.1
GTEX-1211K-2026-SM-5EQ4Z 60-69 years, female 14.0
GTEX-12WSC-0126-SM-5EQ4P 50-59 years, male 14.0
GTEX-OXRN-0126-SM-48TDM 50-59 years, male 14.0
GTEX-X4EP-0126-SM-3P5YV 60-69 years, female 14.0
GTEX-1GF9W-0326-SM-9KNUN 60-69 years, male 14.0
GTEX-1HSKV-0226-SM-A9SKJ 60-69 years, male 14.0
GTEX-1JKYR-0126-SM-CNPOJ 20-29 years, male 14.0
GTEX-1KANB-0526-SM-E6CJH 50-59 years, male 14.0
GTEX-1LC47-0326-SM-E9TJP 60-69 years, male 14.0
GTEX-PWCY-1826-SM-DHXIZ 20-29 years, female 14.0
GTEX-1313W-0126-SM-5LZUN 50-59 years, female 13.9
GTEX-T5JC-0426-SM-32PLO 20-29 years, male 13.9
GTEX-T6MN-0126-SM-32PLP 50-59 years, male 13.9
GTEX-U3ZH-2026-SM-3DB78 30-39 years, male 13.9
GTEX-X4EO-0326-SM-3P5YO 60-69 years, female 13.9
GTEX-1CAV2-2226-SM-7P8P2 40-49 years, female 13.9
GTEX-1CB4G-0226-SM-7PC3O 60-69 years, male 13.9
GTEX-1EN7A-0126-SM-7SB81 40-49 years, male 13.9
GTEX-1POEN-0126-SM-EYYXJ 30-39 years, female 13.9
GTEX-R45C-0126-SM-EAZ2R 60-69 years, female 13.9
GTEX-11TTK-0126-SM-5987B 60-69 years, female 13.8
GTEX-14753-0426-SM-5NQAM 60-69 years, male 13.8
GTEX-Y114-2426-SM-4TT8A 50-59 years, female 13.8
GTEX-1GN1W-0526-SM-9MQJQ 50-59 years, female 13.8
GTEX-1ICLY-0126-SM-D4P36 50-59 years, male 13.8
GTEX-111FC-0126-SM-5N9DL 60-69 years, male 13.7
GTEX-139TT-0126-SM-5K7Y5 60-69 years, male 13.7
GTEX-14PJM-0226-SM-62LF1 50-59 years, female 13.7
GTEX-1AMFI-2026-SM-731BH 50-59 years, female 13.7
GTEX-QESD-1426-SM-2S1R9 20-29 years, male 13.7
GTEX-Z93T-0126-SM-5HL5N 50-59 years, male 13.7
GTEX-1GF9X-2026-SM-7PC3A 40-49 years, female 13.7
GTEX-1GMRU-0126-SM-9YFLV 50-59 years, male 13.7
GTEX-1GZ2Q-0226-SM-7P8TL 40-49 years, male 13.7
GTEX-1IDJH-0326-SM-A9SLQ 70-79 years, male 13.7
GTEX-14PHW-0126-SM-6LLJI 60-69 years, female 13.6
GTEX-18A7B-0126-SM-7LG64 70-79 years, male 13.6
GTEX-1AMEY-1326-SM-73KYK 30-39 years, female 13.6
GTEX-1B8SF-1426-SM-7DUGL 60-69 years, male 13.6
GTEX-P4PP-0126-SM-3LK69 30-39 years, female 13.6
GTEX-TKQ1-1026-SM-4GICL 30-39 years, male 13.6
GTEX-11TUW-2726-SM-E9J4M 60-69 years, male 13.6
GTEX-13NYC-0326-SM-E9J4S 60-69 years, male 13.6
GTEX-1H3NZ-0126-SM-ACKX7 60-69 years, male 13.6
GTEX-1I1CD-0126-SM-CM2TK 60-69 years, female 13.6
GTEX-1MCYP-1926-SM-E9J2R 20-29 years, female 13.6
GTEX-1PPH8-0226-SM-E8VND 20-29 years, male 13.6
GTEX-13S7M-0126-SM-5SI6A 60-69 years, female 13.5
GTEX-WH7G-2326-SM-3NMBC 40-49 years, male 13.5
GTEX-1S82Y-2026-SM-EVYCM 40-49 years, male 13.5
GTEX-16GPK-0126-SM-7DHLE 60-69 years, male 13.4
GTEX-17F98-0626-SM-79OMX 40-49 years, female 13.4
GTEX-1CB4E-2226-SM-793DC 60-69 years, male 13.4
GTEX-PX3G-0126-SM-2I3EN 20-29 years, female 13.4
GTEX-1NV5F-0226-SM-E8VNY 60-69 years, female 13.4
GTEX-11GSO-2426-SM-5A5LY 60-69 years, male 13.3
GTEX-12KS4-0326-SM-5EQ41 30-39 years, male 13.3
GTEX-13CF2-2526-SM-5LZYX 60-69 years, male 13.3
GTEX-13FXS-0226-SM-5IJCK 50-59 years, male 13.3
GTEX-13X6H-2126-SM-7EWD5 50-59 years, female 13.3
GTEX-17KNJ-2326-SM-7DHLQ 50-59 years, male 13.3
GTEX-1E1VI-0126-SM-7DHMZ 50-59 years, male 13.3
GTEX-X5EB-2226-SM-46MW4 40-49 years, male 13.3
GTEX-X88G-0126-SM-47JZ3 30-39 years, male 13.3
GTEX-YEC4-2126-SM-5IFJH 40-49 years, male 13.3
GTEX-ZAK1-0126-SM-5IJD3 50-59 years, female 13.3
GTEX-ZVTK-0426-SM-51MRS 20-29 years, male 13.3
GTEX-1JMLX-0226-SM-CM2RO 50-59 years, male 13.3
GTEX-12WSE-0526-SM-793B2 20-29 years, male 13.2
GTEX-12ZZZ-0626-SM-5DUXI 60-69 years, male 13.2
GTEX-R55G-2526-SM-2TC6D 40-49 years, female 13.2
GTEX-SJXC-0126-SM-2XCFF 60-69 years, male 13.2
GTEX-WFG8-2226-SM-3GIL9 20-29 years, male 13.2
GTEX-YJ89-0126-SM-4TT3X 60-69 years, male 13.2
GTEX-1EX96-1626-SM-7PBXR 50-59 years, male 13.2
GTEX-1HGF4-2426-SM-ACKXM 60-69 years, male 13.1
GTEX-11H98-0126-SM-5EGHG 50-59 years, male 13.0
GTEX-13NZA-0226-SM-5K7Z7 60-69 years, male 13.0
GTEX-144GL-0126-SM-5TDE2 50-59 years, male 13.0
GTEX-R3RS-0126-SM-3GIJL 40-49 years, female 13.0
GTEX-1H3VY-0126-SM-ACKXD 50-59 years, male 13.0
GTEX-1O97I-0326-SM-EYYX7 60-69 years, male 13.0
GTEX-1PPH7-2326-SM-EVYB8 40-49 years, male 13.0
GTEX-1QMI2-0226-SM-EVYBX 60-69 years, male 13.0
GTEX-131XH-2226-SM-5DUXJ 50-59 years, male 12.9
GTEX-UPJH-0326-SM-3GADU 50-59 years, male 12.9
GTEX-XBED-2226-SM-47JYQ 60-69 years, male 12.9
GTEX-1B8L1-2526-SM-9WYTF 60-69 years, male 12.9
GTEX-1H23P-0126-SM-ADEJ3 60-69 years, male 12.9
GTEX-1HBPI-1526-SM-C1YQ1 50-59 years, male 12.9
GTEX-1HSMP-0126-SM-E6CJS 70-79 years, male 12.9
GTEX-12C56-1726-SM-5EQ61 20-29 years, male 12.8
GTEX-13NYB-2526-SM-5K7Z6 40-49 years, male 12.8
GTEX-X4XX-0126-SM-3NMC2 60-69 years, male 12.8
GTEX-1AX9I-0126-SM-7SB74 60-69 years, male 12.8
GTEX-1EU9M-0226-SM-7P8SP 60-69 years, male 12.8
GTEX-ZVT4-0126-SM-DTXFN 50-59 years, female 12.8
GTEX-12WSN-5019-SM-79OM6 40-49 years, male 12.7
GTEX-139TU-0126-SM-5K7WH 60-69 years, male 12.7
GTEX-13RTL-0126-SM-7LG5S 40-49 years, male 12.7
GTEX-146FH-0126-SM-5QGPP 50-59 years, female 12.7
GTEX-14BIL-0126-SM-5SI92 50-59 years, male 12.7
GTEX-1BAJH-0526-SM-793CQ 70-79 years, male 12.7
GTEX-1C4CL-0526-SM-73KVK 30-39 years, male 12.7
GTEX-1CB4J-0626-SM-7DHMP 60-69 years, male 12.7
GTEX-S7SE-0126-SM-2XCD5 50-59 years, male 12.7
GTEX-XQ3S-1526-SM-4BOOC 20-29 years, male 12.7
GTEX-1GZHY-0326-SM-9QEHI 50-59 years, female 12.7
GTEX-1HCU8-0626-SM-A9SM9 60-69 years, female 12.7
GTEX-1JJEA-0326-SM-CNPOT 60-69 years, male 12.7
GTEX-1KD5A-0226-SM-D5OV3 50-59 years, male 12.7
GTEX-11P7K-2126-SM-5GU7G 30-39 years, male 12.6
GTEX-13FHP-0126-SM-5IJBG 50-59 years, male 12.6
GTEX-13O1R-0126-SM-5L3EH 60-69 years, male 12.6
GTEX-145LU-0126-SM-5TDCB 50-59 years, male 12.6
GTEX-148VJ-0126-SM-5TDDN 70-79 years, male 12.6
GTEX-17EVQ-0226-SM-7LG4P 70-79 years, male 12.6
GTEX-17HG3-2226-SM-7938L 30-39 years, female 12.6
GTEX-1HBPN-0226-SM-9YFM1 50-59 years, male 12.6
GTEX-1399U-2326-SM-5K7WY 50-59 years, female 12.5
GTEX-15SDE-2226-SM-7IGLO 50-59 years, female 12.5
GTEX-VUSG-2526-SM-4KL1V 50-59 years, male 12.5
GTEX-XUZC-1726-SM-4BRWS 30-39 years, female 12.5
GTEX-ZYY3-0126-SM-5GZY5 60-69 years, female 12.5
GTEX-131XF-5016-SM-7MGWE 60-69 years, male 12.5
GTEX-1CAMS-0426-SM-7P8T2 40-49 years, female 12.5
GTEX-1F75B-0126-SM-9KNVL 50-59 years, male 12.5
GTEX-1F75I-0326-SM-9YFLU 40-49 years, male 12.5
GTEX-1IDJF-0126-SM-CM2RS 20-29 years, male 12.5
GTEX-1RAZQ-0726-SM-EAZ43 30-39 years, male 12.5
GTEX-13OVH-0126-SM-5MR4B 70-79 years, male 12.4
GTEX-13X6I-0626-SM-5QGP9 60-69 years, male 12.4
GTEX-15DDE-0126-SM-6LPKH 50-59 years, female 12.4
GTEX-1C6VS-0526-SM-7DUEN 60-69 years, male 12.4
GTEX-PVOW-0126-SM-2XCFA 40-49 years, male 12.4
GTEX-ZDTS-0126-SM-4WAY5 60-69 years, male 12.4
GTEX-1I1GV-0526-SM-A9G29 60-69 years, male 12.4
GTEX-1NHNU-1026-SM-E9J2A 50-59 years, male 12.4
GTEX-1QP67-1626-SM-EAZ3X 40-49 years, female 12.4
GTEX-11DYG-0126-SM-59883 60-69 years, male 12.3
GTEX-11GSP-2526-SM-5N9BP 60-69 years, female 12.3
GTEX-13OVG-1926-SM-5L3DK 60-69 years, male 12.3
GTEX-14BMV-0126-SM-5S2PO 50-59 years, male 12.3
GTEX-14XAO-2326-SM-6EU1B 60-69 years, female 12.3
GTEX-17HGU-0226-SM-7DHKV 50-59 years, male 12.3
GTEX-1C64N-0126-SM-793D7 50-59 years, male 12.3
GTEX-OOBK-0126-SM-2YUND 40-49 years, male 12.3
GTEX-QV44-1926-SM-2S1RF 50-59 years, male 12.3
GTEX-Z93S-0126-SM-5HL7M 50-59 years, male 12.3
GTEX-1EMGI-0126-SM-9KNUE 60-69 years, male 12.3
GTEX-1F75A-0126-SM-7RHGM 50-59 years, male 12.3
GTEX-1212Z-2526-SM-5EGKP 60-69 years, male 12.2
GTEX-12ZZX-0126-SM-5EGK9 40-49 years, female 12.2
GTEX-14PN4-0126-SM-6EU2V 50-59 years, male 12.2
GTEX-U4B1-1826-SM-4DXSU 40-49 years, male 12.2
GTEX-VJYA-1126-SM-3GIJU 60-69 years, male 12.2
GTEX-ZE9C-2726-SM-57WB5 60-69 years, male 12.2
GTEX-ZYW4-0126-SM-5E44A 60-69 years, male 12.2
GTEX-1GN73-0226-SM-9WG67 60-69 years, male 12.2
GTEX-14DAQ-0126-SM-5S2MQ 60-69 years, female 12.1
GTEX-14E6D-0126-SM-62LDV 50-59 years, male 12.1
GTEX-T2IS-0126-SM-4DM6O 20-29 years, female 12.1
GTEX-W5WG-1826-SM-4KL2Y 50-59 years, female 12.1
GTEX-XV7Q-2526-SM-4BRV9 40-49 years, female 12.1
GTEX-ZYFC-0226-SM-5NQ75 50-59 years, male 12.1
GTEX-1H1DE-2126-SM-9WG6R 20-29 years, male 12.1
GTEX-1RDX4-0126-SM-E9J4P 50-59 years, female 12.1
GTEX-OIZF-0126-SM-7SB8I 60-69 years, male 12.1
GTEX-15UF6-0826-SM-6PALJ 70-79 years, female 12.0
GTEX-Y3I4-2126-SM-4TT7C 50-59 years, male 12.0
GTEX-ZU9S-0226-SM-5E441 30-39 years, male 12.0
GTEX-1IOXB-0126-SM-ARL8G 50-59 years, male 12.0
GTEX-14BIM-0226-SM-7IGLD 60-69 years, female 11.9
GTEX-14BIN-0626-SM-793DP 50-59 years, female 11.9
GTEX-15G19-0126-SM-6PANQ 60-69 years, male 11.9
GTEX-18A6Q-0126-SM-731BZ 60-69 years, male 11.9
GTEX-1H1CY-2826-SM-9MQM3 60-69 years, female 11.9
GTEX-1J8Q2-0526-SM-CM2RW 60-69 years, male 11.9
GTEX-1JMQJ-0526-SM-CYPSU 50-59 years, male 11.9
GTEX-13W3W-2426-SM-5LU5B 60-69 years, female 11.8
GTEX-WOFL-0126-SM-3MJG2 60-69 years, male 11.8
GTEX-1MCQQ-0826-SM-DLHC2 60-69 years, male 11.8
GTEX-1PWST-0226-SM-E76QJ 70-79 years, male 11.8
GTEX-1A32A-0126-SM-718B1 50-59 years, female 11.7
GTEX-ZC5H-0226-SM-4WAY9 40-49 years, female 11.7
GTEX-ZEX8-2426-SM-4WKG4 50-59 years, male 11.7
GTEX-1I19N-0326-SM-ACKVX 70-79 years, male 11.7
GTEX-1I1GU-2226-SM-CGQFA 40-49 years, male 11.7
GTEX-13VXU-0126-SM-5SI9F 50-59 years, male 11.6
GTEX-17MF6-0126-SM-7LG4F 40-49 years, male 11.6
GTEX-OXRO-0126-SM-2YUN4 60-69 years, female 11.6
GTEX-OXRP-0126-SM-3NB32 60-69 years, female 11.6
GTEX-QDVN-2026-SM-3GAEP 50-59 years, male 11.6
GTEX-1H3O1-0426-SM-9YFKY 60-69 years, male 11.6
GTEX-1I1HK-0126-SM-COH49 60-69 years, male 11.6
GTEX-1IE54-0126-SM-CMKHW 40-49 years, female 11.6
GTEX-1JJE9-0326-SM-CL53Z 70-79 years, male 11.6
GTEX-1KWVE-1426-SM-E9TJO 30-39 years, male 11.6
GTEX-PW2O-1526-SM-7RHHB 20-29 years, male 11.6
GTEX-144FL-0126-SM-5TDC8 50-59 years, male 11.5
GTEX-18465-0126-SM-731BN 50-59 years, male 11.5
GTEX-18A67-0126-SM-7LG5P 50-59 years, male 11.5
GTEX-X638-0126-SM-47JZ8 70-79 years, female 11.5
GTEX-1GF9U-2126-SM-7SB7L 40-49 years, female 11.5
GTEX-1IKOH-0226-SM-COH4E 60-69 years, female 11.5
GTEX-15SHW-0326-SM-6PAML 60-69 years, male 11.4
GTEX-1HFI6-0226-SM-ADEHZ 40-49 years, male 11.4
GTEX-1ICLZ-0126-SM-CKZPO 60-69 years, male 11.4
GTEX-1LNCM-1126-SM-E9U5E 50-59 years, female 11.4
GTEX-12WSL-2526-SM-5GCNJ 50-59 years, male 11.3
GTEX-13112-2826-SM-5DUWH 50-59 years, male 11.3
GTEX-13FTY-0526-SM-5L3EV 40-49 years, female 11.3
GTEX-146FQ-0126-SM-5NQA9 30-39 years, male 11.3
GTEX-14JG1-0426-SM-6ETZZ 40-49 years, male 11.3
GTEX-QEG4-0226-SM-2S1PY 30-39 years, male 11.3
GTEX-ZE7O-0126-SM-57WC1 50-59 years, female 11.3
GTEX-1H1ZS-0426-SM-9WG6G 70-79 years, male 11.3
GTEX-1I1GS-0126-SM-B2LVW 60-69 years, male 11.3
GTEX-13N1W-0126-SM-5K7VT 70-79 years, male 11.2
GTEX-1AX9K-2326-SM-73KWU 50-59 years, male 11.2
GTEX-1A8FM-0226-SM-7SB7Q 50-59 years, female 11.2
GTEX-1HKZK-0326-SM-9WYUH 40-49 years, male 11.2
GTEX-1J8EW-0126-SM-CJI4F 60-69 years, female 11.2
GTEX-131XW-0426-SM-5LZWP 50-59 years, female 11.1
GTEX-14A5H-0426-SM-5QGQF 60-69 years, male 11.1
GTEX-183FY-0126-SM-7LT9P 20-29 years, male 11.1
GTEX-18D9B-0526-SM-7LTAS 60-69 years, male 11.1
GTEX-YJ8A-0426-SM-5IFID 20-29 years, male 11.1
GTEX-13OVL-0226-SM-5L3E9 50-59 years, male 11.0
GTEX-1C6VR-2426-SM-79OLD 60-69 years, male 11.0
GTEX-POMQ-2226-SM-2I5FK 20-29 years, female 11.0
GTEX-Y8DK-0126-SM-4TT3L 60-69 years, male 11.0
GTEX-11ZTT-2426-SM-5EQLS 60-69 years, female 10.9
GTEX-12584-0126-SM-5EGKQ 40-49 years, male 10.9
GTEX-15DCD-0126-SM-7KUEK 70-79 years, female 10.9
GTEX-WZTO-0126-SM-3NM95 40-49 years, male 10.9
GTEX-1ICG6-2526-SM-CGQFZ 70-79 years, female 10.9
GTEX-11ZVC-2526-SM-5FQTE 50-59 years, female 10.8
GTEX-15UKP-0426-SM-7KUFQ 20-29 years, male 10.8
GTEX-QLQ7-1626-SM-2S1R8 60-69 years, male 10.8
GTEX-QLQW-1126-SM-2S1Q8 30-39 years, male 10.8
GTEX-Y3IK-2426-SM-4WWDU 50-59 years, female 10.8
GTEX-13O3O-0126-SM-E9J49 60-69 years, female 10.8
GTEX-1I1GP-2226-SM-CGQFK 50-59 years, male 10.8
GTEX-1J8JJ-0226-SM-CL53I 60-69 years, female 10.8
GTEX-11TT1-2526-SM-5EGIB 20-29 years, male 10.7
GTEX-1A3MW-0126-SM-73KXX 60-69 years, female 10.7
GTEX-R55E-0126-SM-2TC5Y 20-29 years, male 10.7
GTEX-WY7C-2326-SM-3NB2U 50-59 years, male 10.7
GTEX-1CB4F-0426-SM-9KNV4 60-69 years, male 10.7
GTEX-1F88F-2726-SM-7PBZZ 60-69 years, female 10.7
GTEX-1RLM8-2326-SM-EWRN4 50-59 years, male 10.7
GTEX-1RQEC-0426-SM-E6CHU 60-69 years, male 10.7
GTEX-147GR-0526-SM-5S2MY 60-69 years, male 10.6
GTEX-16MT8-0426-SM-7KUEY 60-69 years, female 10.6
GTEX-X8HC-0126-SM-4E3JW 50-59 years, female 10.6
GTEX-1JMQL-0226-SM-CNPP5 50-59 years, female 10.6
GTEX-11OF3-2626-SM-5GU7F 60-69 years, male 10.5
GTEX-11ZTS-0126-SM-5EQ6M 60-69 years, female 10.5
GTEX-13U4I-0126-SM-5LU38 40-49 years, female 10.5
GTEX-14E6E-1826-SM-5S2R7 30-39 years, male 10.5
GTEX-169BO-1326-SM-9MQK2 50-59 years, male 10.5
GTEX-1C6WA-0126-SM-7PC2B 60-69 years, male 10.5
GTEX-1IDFM-0126-SM-COH2V 60-69 years, male 10.5
GTEX-S7PM-0126-SM-4AD6S 60-69 years, male 10.4
GTEX-WVJS-0126-SM-4MVOT 50-59 years, male 10.4
GTEX-1GN2E-0426-SM-9MQKX 60-69 years, male 10.4
GTEX-1GTWX-0126-SM-9YFLK 60-69 years, male 10.4
GTEX-113JC-2326-SM-5EQ4E 50-59 years, female 10.3
GTEX-11DXY-2626-SM-5GIE7 60-69 years, male 10.3
GTEX-14PJ3-1826-SM-62LEX 50-59 years, male 10.3
GTEX-1AYD5-2426-SM-73KXR 50-59 years, male 10.3
GTEX-PWO3-1526-SM-48TCM 60-69 years, female 10.3
GTEX-X62O-0126-SM-4E3JN 50-59 years, male 10.3
GTEX-1QEPI-0126-SM-EWRMQ 60-69 years, female 10.3
GTEX-RNOR-0126-SM-E9J4R 50-59 years, female 10.3
GTEX-12WSD-0126-SM-59HKN 60-69 years, female 10.2
GTEX-132NY-0326-SM-5IJBL 60-69 years, male 10.2
GTEX-139TS-2826-SM-5J1OO 60-69 years, male 10.2
GTEX-14A6H-0126-SM-5QGPK 30-39 years, male 10.2
GTEX-15CHC-2126-SM-6EU21 60-69 years, female 10.2
GTEX-OHPL-0126-SM-2HMJ7 60-69 years, female 10.2
GTEX-ZTPG-0326-SM-5O9AX 20-29 years, female 10.2
GTEX-1F7RK-0126-SM-7PC2S 20-29 years, female 10.2
GTEX-11DXW-0226-SM-5H122 40-49 years, male 10.1
GTEX-13FHO-0226-SM-5IFGY 60-69 years, male 10.1
GTEX-1B8KZ-2026-SM-7DHMB 50-59 years, male 10.1
GTEX-1EKGG-0226-SM-9WYTH 60-69 years, male 10.1
GTEX-1GN1V-0126-SM-9WPOS 60-69 years, male 10.1
GTEX-1IKK5-0626-SM-ARL8A 60-69 years, male 10.1
GTEX-1MA7X-2226-SM-E6CIY 60-69 years, male 10.1
GTEX-P4PQ-0126-SM-2S1NM 60-69 years, male 10.0
GTEX-RU72-0926-SM-2TF6B 50-59 years, female 10.0
GTEX-1IGQW-0126-SM-COH42 60-69 years, male 10.0
GTEX-113IC-0126-SM-5HL6T 60-69 years, male 9.9
GTEX-11WQC-2526-SM-5CVLE 60-69 years, male 9.8
GTEX-1AX8Z-0126-SM-7DHM6 60-69 years, male 9.8
GTEX-XMD2-0126-SM-4YCDU 60-69 years, female 9.8
GTEX-Y111-0126-SM-4SOIV 50-59 years, male 9.8
GTEX-13RTJ-2426-SM-5S2Q2 60-69 years, male 9.7
GTEX-14E7W-0126-SM-6LLJ9 70-79 years, male 9.7
GTEX-1AYCT-2426-SM-7IGQ3 50-59 years, male 9.7
GTEX-1LG7Y-0526-SM-DKPQC 50-59 years, male 9.7
GTEX-1R9PO-2126-SM-E9J4O 60-69 years, female 9.7
GTEX-11GS4-2726-SM-5A5LE 60-69 years, male 9.6
GTEX-13G51-2526-SM-5LZYK 60-69 years, male 9.6
GTEX-15SB6-1726-SM-6PAME 50-59 years, female 9.6
GTEX-QDT8-0126-SM-48TZ1 30-39 years, female 9.6
GTEX-X4XY-0226-SM-4E3IZ 60-69 years, male 9.6
GTEX-XXEK-2226-SM-4BRUM 50-59 years, male 9.6
GTEX-1B933-0126-SM-7PC29 50-59 years, female 9.6
GTEX-1F6IF-0726-SM-7P8TW 60-69 years, male 9.6
GTEX-1QAET-0926-SM-E76QM 50-59 years, male 9.6
GTEX-1QW4Y-1526-SM-EAZ3Z 30-39 years, male 9.6
GTEX-117YW-2626-SM-5GZZH 50-59 years, male 9.5
GTEX-13O3Q-2426-SM-5IJBR 50-59 years, male 9.5
GTEX-18A7A-0226-SM-718BH 50-59 years, female 9.5
GTEX-ZVT3-0126-SM-5GU6I 60-69 years, female 9.5
GTEX-1HB9E-0226-SM-E9U4R 50-59 years, male 9.5
GTEX-1HR98-0126-SM-B2LWI 60-69 years, male 9.5
GTEX-1IY9M-0126-SM-D3L8S 60-69 years, male 9.5
GTEX-S33H-1026-SM-EZ6L6 30-39 years, male 9.5
GTEX-XYKS-2126-SM-4E3IB 60-69 years, female 9.4
GTEX-1HUB1-0426-SM-E9U4U 60-69 years, male 9.4
GTEX-1OJC4-0126-SM-E9J2E 50-59 years, female 9.4
GTEX-11UD1-0126-SM-5PNYG 40-49 years, female 9.3
GTEX-YFC4-0126-SM-5CVLY 40-49 years, female 9.3
GTEX-1F6I4-0126-SM-9MQL2 60-69 years, male 9.3
GTEX-17HHY-0126-SM-7LG5D 50-59 years, male 9.2
GTEX-NPJ8-0126-SM-2YUNR 40-49 years, male 9.2
GTEX-1GPI6-0126-SM-9WG69 60-69 years, male 9.2
GTEX-11OC5-0126-SM-5HL6A 60-69 years, male 9.1
GTEX-139UW-2826-SM-5L3E7 60-69 years, male 9.1
GTEX-SSA3-0126-SM-32QPU 60-69 years, male 9.0
GTEX-1KD4Q-0226-SM-E9TJ9 40-49 years, male 9.0
GTEX-O5YT-0126-SM-48TBW 20-29 years, male 8.9
GTEX-ZYFD-0126-SM-5GIDL 50-59 years, male 8.8
GTEX-W5X1-3026-SM-EAZAX 40-49 years, female 8.8
GTEX-14PK6-1926-SM-6ETZU 70-79 years, female 8.7
GTEX-RN64-0126-SM-2TC68 50-59 years, male 8.7
GTEX-11ZU8-2526-SM-5EQKI 60-69 years, male 8.6
GTEX-144GN-2326-SM-5LU4F 50-59 years, male 8.6
GTEX-147F4-0226-SM-5QGPW 50-59 years, male 8.6
GTEX-183WM-0126-SM-7LTAB 70-79 years, female 8.6
GTEX-OXRL-0126-SM-2YUMP 50-59 years, male 8.6
GTEX-11O72-0126-SM-59887 40-49 years, male 8.5
GTEX-12126-0326-SM-5PNW3 20-29 years, male 8.5
GTEX-13N11-2526-SM-5K7UE 50-59 years, female 8.5
GTEX-145MF-0626-SM-5LUAI 50-59 years, male 8.5
GTEX-V1D1-2226-SM-3NMAX 50-59 years, male 8.5
GTEX-13OW7-0126-SM-5MR3B 50-59 years, male 8.4
GTEX-14ABY-0226-SM-5TDCQ 50-59 years, male 8.4
GTEX-ZVZO-0126-SM-5A5L9 40-49 years, male 8.4
GTEX-Q2AI-1326-SM-2S1PL 40-49 years, male 8.3
GTEX-U8XE-0326-SM-3DB8P 30-39 years, male 8.3
GTEX-11NUK-0126-SM-5A5L3 50-59 years, male 8.2
GTEX-1497J-2426-SM-7IGNX 60-69 years, male 8.2
GTEX-SIU8-0126-SM-2XCDT 50-59 years, male 8.1
GTEX-1A3MX-0126-SM-731BR 60-69 years, male 8.0
GTEX-RUSQ-1526-SM-2TF62 50-59 years, male 8.0
GTEX-Y5V6-2426-SM-4VDSB 60-69 years, male 8.0
GTEX-ZUA1-0126-SM-5GU76 40-49 years, male 8.0
GTEX-11EMC-2926-SM-5EQ4F 60-69 years, female 7.9
GTEX-16XZY-2126-SM-79OK1 70-79 years, male 7.9
GTEX-TMZS-0126-SM-3DB9Q 60-69 years, male 7.9
GTEX-1M4P7-0226-SM-DIPEV 60-69 years, male 7.9
GTEX-139T4-0226-SM-5HL5S 50-59 years, female 7.8
GTEX-1C6VQ-0126-SM-7P8RI 50-59 years, male 7.7
GTEX-RVPV-0126-SM-EAZAW 60-69 years, male 7.7
GTEX-14JIY-0126-SM-6LLH6 60-69 years, male 7.6
GTEX-1N2DW-0226-SM-E9TK2 50-59 years, male 7.5
GTEX-11ZUS-0626-SM-59885 30-39 years, male 7.3
GTEX-15D1Q-0126-SM-7KUG6 40-49 years, male 7.3
GTEX-ZDXO-3026-SM-5J1N5 60-69 years, male 7.3
GTEX-1192W-2626-SM-5Q5AF 60-69 years, male 7.2
GTEX-1PBJI-0526-SM-E8VNK 20-29 years, female 7.0
GTEX-1R9K4-0126-SM-DTX9X 60-69 years, male 6.5
GTEX-1HBPH-0426-SM-B2LW5 40-49 years, female 5.9
GTEX-Q734-1926-SM-2I5EV 40-49 years, female 5.5
Show allShow less

Contact

  • NEWS ARTICLES
  • PRESS ROOM

The Project

  • INTRODUCTION
  • ORGANIZATION
  • PUBLICATIONS

The Human Protein Atlas

  • DOWNLOADABLE DATA
  • LICENCE & CITATION
  • HELP & FAQ
The Human Protein Atlas project is funded
by the Knut & Alice Wallenberg Foundation.


contact@proteinatlas.org