We use cookies to enhance the usability of our website. If you continue, we'll assume that you are happy to receive all cookies. More information. Don't show this again.
CD44
HPA
RESOURCES
  • TISSUE
  • BRAIN
  • SINGLE CELL
  • SUBCELLULAR
  • CANCER
  • BLOOD
  • CELL LINE
  • STRUCTURE & INTERACTION
ABOUT
  • INTRODUCTION
  • HISTORY
  • ORGANIZATION
  • PUBLICATIONS
  • ANTIBODY SUBMISSION
  • ANTIBODY AVAILABILITY
  • ACKNOWLEDGMENTS
  • CONTACT
NEWS
  • NEWS ARTICLES
  • PRESS ROOM
LEARN
  • DICTIONARY
  • PROTEIN CLASSES
  • PROTEIN EVIDENCE
  • METHODS
  • EDUCATIONAL VIDEOS
DATA
  • DOWNLOADABLE DATA
  • PUBLICATION DATA
  • RELEASE HISTORY
HELP
  • ANTIBODY VALIDATION
  • ASSAYS & ANNOTATION
  • DISCLAIMER
  • HELP & FAQ
  • PRIVACY STATEMENT
  • LICENCE & CITATION
Fields »
Search result

Field
Term
Gene name
Class
Subclass
Class
Keyword
Chromosome
External id
Tissue
Cell type
Expression
Antibody panel
Tissue
Main location
Patient ID
Annotation
Tissue
Category
Tau score
Cluster
Reliability
Brain region
Category
Tau score
Brain region
Category
Tau score
Brain region
Category
Tau score
Cluster
Reliability
Tissue
Cell type
Enrichment
Cell type
Category
Tau score
Cell type
Category
Tau score
Cell type
Category
Tau score
Cell lineage
Category
Tau score
Cluster
Cluster
Location
Searches
Location
Cell line
Class
Type
Phase
Reliability
Cancer
Prognosis
Cancer
Category
Cancer
Category
Tau score
Cluster
Variants
Interacting gene (ensg_id)
Type
Number of interactions
Pathway
Category
Score
Score
Score
Validation
Validation
Validation
Validation
Antibodies
Data type
Column


  • SUMMARY

  • TISSUE

  • BRAIN

  • SINGLE CELL

  • SUBCELL

  • CANCER

  • BLOOD

  • CELL LINE

  • STRUCT & INT

  • CD44
TISSUE PRIMARY DATA SKELETAL MUSCLE Show tissue menu
ADIPOSE TISSUE ADRENAL GLAND AMYGDALA APPENDIX BASAL GANGLIA BONE MARROW BREAST BRONCHUS CEREBELLUM CEREBRAL CORTEX CERVIX CHOROID PLEXUS COLON DUODENUM
ENDOMETRIUM EPIDIDYMIS ESOPHAGUS FALLOPIAN TUBE GALLBLADDER HEART MUSCLE HIPPOCAMPAL FORMATION HYPOTHALAMUS KIDNEY LIVER LUNG LYMPH NODE MIDBRAIN NASOPHARYNX
ORAL MUCOSA OVARY PANCREAS PARATHYROID GLAND PITUITARY GLAND PLACENTA PROSTATE RECTUM RETINA SALIVARY GLAND SEMINAL VESICLE SKELETAL MUSCLE SKIN SMALL INTESTINE
SMOOTH MUSCLE SOFT TISSUE SPINAL CORD SPLEEN STOMACH TESTIS THYMUS THYROID GLAND TONGUE TONSIL URINARY BLADDER VAGINA
ANTIBODIES
AND
VALIDATION
Dictionary
Skeletal muscle
Tissue proteome
Skeletal muscle
SKELETAL MUSCLE - Expression summary
Protein expression
Skeletal musclei

On the top, protein expression in current human tissue, based on all annotated cell types, is reported with the units not detected (n), low (l), medium (m) and high (h). Underneath, protein expression in each annotated cell type are reported using the same units.

Protein expression data is based on knowledge-based annotation. For genes where more than one antibody has been used, a collective score is set.

If knowledge-based annotation could not be performed for a gene, no data is displayed here. View antibody staining data further down this page.

h
m
l
n
Myocytes: Not detected
RNA expressioni

A summary of mRNA expression data available for current tissue based on several datasets. The mRNA expression levels in human tissues are based on RNA-seq data generated by the Human Protein Atlas (HPA), Genotype-Tissue Expression (GTEx) portal and CAGE data generated by the FANTOM5 consortium. Consensus normalized expression levels for human tissues was created by combining the data from HPA and GTEx datasets.

The mRNA expression levels in pig are based on RNA-seq data generated by the Human Protein Atlas (HPA), and for mouse, HPA data and in situ hybridization generated by the Allen brain atlas are reported.

Scroll down to view mRNA expression data in more detail.
Consensus:16.4 nTPM
HPA:14.8 nTPM
GTEx:16.4 nTPM
FANTOM5:362.9 Scaled Tags Per Million

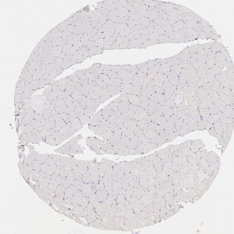
SKELETAL MUSCLE - Antibody stainingi

Antibody staining in the annotated cell types in the current human tissue is reported as not detected, low, medium, or high, based on conventional immunohistochemistry profiling in selected tissues. This score is based on the combination of the staining intensity and fraction of stained cells.

Each image is clickable and will lead to virtual microscopy that enables deeper exploration of all samples and also displays staining intensity scores, fraction scores and subcellular localization as well as patient and tissue information for each sample.

Antibody HPA005785Antibody CAB000112Antibody CAB000316
Myocytes Not detectedNot detectedNot detected






SKELETAL MUSCLE - HPA RNA-seqi

The RNA-seq details section shows detailed information about the individual samples used for the transcript profiling and results of the RNA-seq analysis.

Information about each individual sample is listed below, including gender, age, a tissue section image and estimated fractions of cell types. nTPM (normalized transcripts per million) values give a quantification of the gene abundance which is comparable between different genes and samples.
Average nTPMi

Max subtype nTPM is the value for the subtype with the largest average nTPM across the subtype samples.

14.8
N/A
Male, age 23
Skeletal muscle sample 339
nTPM: 18.2
N/A
Female, age 25
Skeletal muscle sample 340
nTPM: 10.8
N/A
Female, age -
Skeletal muscle sample 341
nTPM: 15.1
N/A
Female, age 22
Skeletal muscle sample 342
nTPM: 12.5
N/A
Male, age 29
Skeletal muscle sample 343
nTPM: 17.3

SKELETAL MUSCLE - GTEx RNA-seqi

RNA-Seq data generated by the Genotype-Tissue Expression (GTEx) project from human tissues is reported as mean nTPM. More information can be found on the GTEx portal.

Distribution across the dataset is visualized with box plots, shown as median and 25th and 75th percentiles. Points are displayed as outliers if they are above or below 1.5 times the interquartile range. nTPM values of the individual samples are presented next to the box plot.
Max subtype nTPMi

Max subtype nTPM is the value for the subtype with the largest average nTPM across the subtype samples.

16.4
GTEx sample id Sample description nTPM
Muscle - Skeletal
Average nTPM: 16.4
Samples: 803

Max nTPM: 153.2
Min nTPM: 1.0
Std nTPM: 12.7
Median nTPM: 13.3
GTEX-1IDJD-1326-SM-CM2TQ 30-39 years, male 153.2
GTEX-1N2EF-0526-SM-E76OK 60-69 years, male 102.8
GTEX-WHSE-0526-SM-5GZZD 20-29 years, male 101.0
GTEX-14ASI-0526-SM-5QGQP 60-69 years, male 77.2
GTEX-1LVAO-0526-SM-EWRNS 60-69 years, male 69.5
GTEX-14A5H-0326-SM-5RQIB 60-69 years, male 66.6
GTEX-1PWST-0426-SM-E76QV 70-79 years, male 64.9
GTEX-1JMQL-0126-SM-CY8HN 50-59 years, female 64.7
GTEX-1HSMO-0526-SM-ACKXB 60-69 years, male 64.2
GTEX-X4XY-0626-SM-4E3IN 60-69 years, male 63.0
GTEX-14E6C-1526-SM-664ND 40-49 years, male 62.3
GTEX-1MJIX-2126-SM-E9J3A 40-49 years, male 61.1
GTEX-144GM-2026-SM-5LU3D 20-29 years, male 57.8
GTEX-13YAN-0526-SM-5O9BE 60-69 years, male 53.0
GTEX-SE5C-1826-SM-2XCE4 40-49 years, female 50.5
GTEX-U8XE-0726-SM-3DB8O 30-39 years, male 50.3
GTEX-17EVQ-1226-SM-7LG59 70-79 years, male 50.1
GTEX-17MF6-2026-SM-7LG5I 40-49 years, male 50.0
GTEX-1R9K5-0326-SM-EWRNG 50-59 years, male 47.9
GTEX-1ICLZ-0626-SM-ARL83 60-69 years, male 47.3
GTEX-ZYW4-0526-SM-5GZZ5 60-69 years, male 47.1
GTEX-13FTY-0226-SM-5IJBW 40-49 years, female 45.9
GTEX-13FXS-0326-SM-5K7TV 50-59 years, male 45.9
GTEX-1JMPZ-0126-SM-CNPOZ 30-39 years, male 45.9
GTEX-12584-0526-SM-5FQTS 40-49 years, male 45.6
GTEX-13RTL-0326-SM-7LT89 40-49 years, male 44.2
GTEX-13S86-2326-SM-5RQK1 40-49 years, male 43.1
GTEX-18D9B-0426-SM-7LTAR 60-69 years, male 42.9
GTEX-OHPL-1626-SM-2HMIR 60-69 years, female 42.2
GTEX-OXRO-1726-SM-3LK6C 60-69 years, female 42.0
GTEX-11WQK-0726-SM-5GU71 50-59 years, male 41.9
GTEX-1J1OQ-0426-SM-A9SLI 40-49 years, female 41.5
GTEX-OHPN-2726-SM-2I5H4 60-69 years, female 41.4
GTEX-15G1A-2026-SM-7KUFG 30-39 years, male 41.2
GTEX-X8HC-0526-SM-4E3JA 50-59 years, female 40.7
GTEX-15UF7-2226-SM-6PAMQ 40-49 years, male 40.1
GTEX-1J8EW-0326-SM-CYPSX 60-69 years, female 40.1
GTEX-1IL2U-0726-SM-EAZ2Y 60-69 years, male 39.4
GTEX-1CB4J-1226-SM-7P8P3 60-69 years, male 38.7
GTEX-1KANB-0126-SM-E6CJT 50-59 years, male 37.9
GTEX-1EWIQ-0626-SM-7PBYW 70-79 years, female 37.4
GTEX-14PN4-0326-SM-6EU2N 50-59 years, male 37.1
GTEX-1GZ4I-0526-SM-9YFLX 50-59 years, male 37.0
GTEX-ZAKK-0326-SM-5EGHA 70-79 years, male 36.9
GTEX-1A32A-0526-SM-731B9 50-59 years, female 36.8
GTEX-VUSG-2626-SM-4KKZI 50-59 years, male 36.5
GTEX-132NY-0726-SM-5KLZM 60-69 years, male 36.4
GTEX-13SLW-0326-SM-5RQK5 70-79 years, male 36.4
GTEX-ZE7O-0326-SM-51MTH 50-59 years, female 36.4
GTEX-ZTPG-0126-SM-5O9AL 20-29 years, female 36.4
GTEX-N7MS-0426-SM-2YUN6 60-69 years, male 36.3
GTEX-1I1GQ-0326-SM-A9SKS 50-59 years, male 36.3
GTEX-1ICLY-0326-SM-ARL7S 50-59 years, male 35.8
GTEX-13OVL-1426-SM-5IJC1 50-59 years, male 35.6
GTEX-11ZVC-2726-SM-5FQSZ 50-59 years, female 35.4
GTEX-SJXC-0526-SM-2XCFG 60-69 years, male 35.4
GTEX-WRHU-0826-SM-3MJFN 50-59 years, female 35.1
GTEX-13O1R-0526-SM-5K7XU 60-69 years, male 34.9
GTEX-1F6IF-0226-SM-7PBZ6 60-69 years, male 34.2
GTEX-11GSP-2726-SM-5A5LJ 60-69 years, female 34.0
GTEX-132AR-1026-SM-5PNVL 50-59 years, female 33.5
GTEX-1117F-0426-SM-5EGHI 60-69 years, female 33.0
GTEX-1KD4Q-0326-SM-E9TJA 40-49 years, male 33.0
GTEX-1C6WA-0326-SM-7DUGE 60-69 years, male 32.7
GTEX-11UD1-0326-SM-5EQKX 40-49 years, female 32.5
GTEX-15CHR-2426-SM-7DUFX 50-59 years, male 32.4
GTEX-Q2AH-1826-SM-2S1Q2 40-49 years, male 32.1
GTEX-Y8E5-0326-SM-57WBM 60-69 years, male 32.0
GTEX-13NYC-0726-SM-5J2NQ 60-69 years, male 31.5
GTEX-WOFL-0626-SM-3MJG3 60-69 years, male 31.5
GTEX-146FH-0526-SM-5QGQ3 50-59 years, female 31.2
GTEX-1B933-0426-SM-7DHMC 50-59 years, female 31.2
GTEX-1R7EU-0626-SM-DTX9N 60-69 years, male 31.1
GTEX-1F5PL-0426-SM-7P8PR 40-49 years, female 31.0
GTEX-183WM-0426-SM-731B1 70-79 years, female 30.7
GTEX-OIZI-0626-SM-2XCEH 40-49 years, male 30.7
GTEX-QESD-1626-SM-2S1RB 20-29 years, male 30.6
GTEX-1IGQW-0526-SM-CKZO3 60-69 years, male 30.6
GTEX-113JC-2726-SM-5EGIS 50-59 years, female 30.5
GTEX-QXCU-1726-SM-2TC6L 50-59 years, male 30.2
GTEX-1JN1M-0526-SM-CJI3D 60-69 years, female 30.2
GTEX-REY6-0826-SM-2TF4S 60-69 years, male 30.1
GTEX-P44G-0526-SM-2XCD1 30-39 years, male 30.0
GTEX-1EU9M-0126-SM-7P8P8 60-69 years, male 30.0
GTEX-1F75W-0326-SM-7PC2Q 60-69 years, male 30.0
GTEX-1EN7A-0326-SM-7P8T1 40-49 years, male 29.7
GTEX-13O3P-0626-SM-5L3D5 50-59 years, male 29.3
GTEX-1IY9M-0326-SM-ARZMN 60-69 years, male 29.2
GTEX-1IKOH-0126-SM-COH4D 60-69 years, female 29.1
GTEX-13CF2-2726-SM-5LZWW 60-69 years, male 28.8
GTEX-139TT-0426-SM-5IJFA 60-69 years, male 28.7
GTEX-16Z82-0126-SM-7DHLF 60-69 years, male 28.7
GTEX-VJYA-1926-SM-3GIJJ 60-69 years, male 28.5
GTEX-1IKK5-0426-SM-CL53X 60-69 years, male 28.4
GTEX-1I1HK-0326-SM-ACKW5 60-69 years, male 28.2
GTEX-13OVJ-0226-SM-5L3GK 50-59 years, female 28.1
GTEX-Y5LM-2126-SM-4VDSY 40-49 years, female 28.1
GTEX-1H3NZ-0326-SM-9MQL6 60-69 years, male 28.0
GTEX-11WQC-2626-SM-5CVLF 60-69 years, male 27.7
GTEX-13OW8-1426-SM-5IJDT 60-69 years, male 27.7
GTEX-13X6I-0526-SM-5QGP8 60-69 years, male 27.7
GTEX-1B8KZ-2126-SM-73KYG 50-59 years, male 27.6
GTEX-1C6VR-2526-SM-7DHMT 60-69 years, male 27.6
GTEX-1HC8U-2626-SM-CNPPH 40-49 years, female 27.3
GTEX-ZXG5-0326-SM-5GICH 60-69 years, male 27.1
GTEX-QEG5-0426-SM-2I5GJ 20-29 years, male 26.9
GTEX-ZE9C-2326-SM-5J1NT 60-69 years, male 26.7
GTEX-11UD2-0326-SM-5EQLE 50-59 years, male 26.6
GTEX-14LLW-0526-SM-62LFB 70-79 years, female 26.5
GTEX-1A8G6-0126-SM-7DUFY 60-69 years, male 26.2
GTEX-11O72-0326-SM-5986D 40-49 years, male 26.0
GTEX-1F75A-0626-SM-7PBYI 50-59 years, male 26.0
GTEX-Y8LW-2026-SM-4V6G8 50-59 years, female 25.9
GTEX-1H23P-0526-SM-9WG6S 60-69 years, male 25.9
GTEX-144FL-0326-SM-5O99O 50-59 years, male 25.8
GTEX-18A7B-0326-SM-7LG65 70-79 years, male 25.8
GTEX-1QAET-2026-SM-E9J3S 50-59 years, male 25.8
GTEX-16XZY-2226-SM-7938N 70-79 years, male 25.7
GTEX-1C475-1726-SM-73KVX 40-49 years, female 25.7
GTEX-1E1VI-0426-SM-7DHN1 50-59 years, male 25.7
GTEX-13RTJ-2726-SM-73KVG 60-69 years, male 25.6
GTEX-QV31-1426-SM-2S1QD 30-39 years, male 25.6
GTEX-QVJO-0126-SM-3GIK4 60-69 years, female 25.6
GTEX-1JJEA-0126-SM-D3L8A 60-69 years, male 25.6
GTEX-13G51-2726-SM-5LZZ9 60-69 years, male 25.5
GTEX-WWYW-0526-SM-3NB2W 50-59 years, female 25.5
GTEX-1GN73-0126-SM-CNPPT 60-69 years, male 25.5
GTEX-1GF9X-2126-SM-7PBXN 40-49 years, female 25.4
GTEX-1GF9V-0126-SM-9WYT2 60-69 years, male 25.3
GTEX-15CHQ-0726-SM-6EU18 60-69 years, male 25.1
GTEX-1E2YA-0526-SM-7P8RY 50-59 years, male 25.0
GTEX-ZDTS-0526-SM-4WKH9 60-69 years, male 24.9
GTEX-1CB4H-0426-SM-7MXTL 60-69 years, female 24.9
GTEX-1GZHY-0126-SM-9WYUQ 50-59 years, female 24.9
GTEX-1A8FM-0526-SM-7P8SF 50-59 years, female 24.8
GTEX-139T4-0326-SM-5K7XN 50-59 years, female 24.7
GTEX-13X6K-0326-SM-5Q5D6 60-69 years, female 24.6
GTEX-14C38-0426-SM-5TDDZ 50-59 years, male 24.6
GTEX-1GF9U-2326-SM-7RHH9 40-49 years, female 24.3
GTEX-1I6K6-0326-SM-CJI4A 30-39 years, male 24.3
GTEX-1M4P7-0126-SM-DKPQF 60-69 years, male 24.3
GTEX-ZYFD-0326-SM-5NQ8I 50-59 years, male 24.2
GTEX-11XUK-2226-SM-5CVLL 40-49 years, female 23.8
GTEX-1IDJH-0226-SM-CYPSB 70-79 years, male 23.8
GTEX-WL46-0626-SM-3LK7R 50-59 years, male 23.7
GTEX-11ONC-2426-SM-5GU7H 60-69 years, male 23.6
GTEX-13FTZ-2226-SM-5LZXI 60-69 years, male 23.6
GTEX-1HFI6-0426-SM-B2LXB 40-49 years, male 23.6
GTEX-1J8JJ-0126-SM-D3L93 60-69 years, female 23.5
GTEX-1QW4Y-1726-SM-EWRN1 30-39 years, male 23.5
GTEX-1B8SG-0326-SM-73KXW 50-59 years, male 23.4
GTEX-WWTW-0626-SM-4MVNS 50-59 years, male 23.2
GTEX-1I1GP-2126-SM-CKZPJ 50-59 years, male 23.2
GTEX-13NYS-0326-SM-5MR4L 60-69 years, male 23.0
GTEX-U412-0326-SM-3DB9L 60-69 years, male 23.0
GTEX-13D11-2526-SM-5KM28 50-59 years, female 22.9
GTEX-146FQ-0326-SM-5NQAX 30-39 years, male 22.6
GTEX-11NV4-0326-SM-5HL58 60-69 years, male 22.5
GTEX-YBZK-0326-SM-59HLN 50-59 years, female 22.5
GTEX-1H3O1-0626-SM-9MQM4 60-69 years, male 22.5
GTEX-1I1GU-2126-SM-CGQF9 40-49 years, male 22.4
GTEX-XUYS-0326-SM-47JX2 50-59 years, male 22.3
GTEX-ZVT4-0326-SM-51MS5 50-59 years, female 22.3
GTEX-ZAB4-0426-SM-5HL7N 40-49 years, male 22.2
GTEX-1GN1V-0326-SM-9WYTO 60-69 years, male 22.2
GTEX-P4PP-1626-SM-2HMJF 30-39 years, female 22.1
GTEX-12ZZZ-0226-SM-59HKU 60-69 years, male 22.0
GTEX-148VJ-0326-SM-5QGQE 70-79 years, male 22.0
GTEX-17HHY-0326-SM-7938H 50-59 years, male 22.0
GTEX-1B8SF-0426-SM-79OL4 60-69 years, male 22.0
GTEX-ZF28-0526-SM-4WKGW 60-69 years, male 22.0
GTEX-14PII-0626-SM-69LPY 60-69 years, male 21.9
GTEX-1B8KE-2226-SM-7939K 50-59 years, male 21.8
GTEX-1F48J-0526-SM-9WYSX 50-59 years, female 21.7
GTEX-1HSKV-0126-SM-E6CI1 60-69 years, male 21.5
GTEX-131XH-2726-SM-5GCO2 50-59 years, male 21.4
GTEX-1A3MX-0526-SM-718A9 60-69 years, male 21.4
GTEX-1C4CL-0326-SM-7DHMH 30-39 years, male 21.4
GTEX-YJ8O-2826-SM-5CVM4 40-49 years, female 21.4
GTEX-1KWVE-0926-SM-CXZKP 30-39 years, male 21.4
GTEX-1LG7Z-2126-SM-CXKYU 30-39 years, male 21.4
GTEX-111FC-0326-SM-5GZZ1 60-69 years, male 21.3
GTEX-OXRP-2326-SM-2S1NL 60-69 years, female 21.3
GTEX-147F4-0326-SM-5TDCK 50-59 years, male 21.2
GTEX-15G19-0526-SM-6PAMT 60-69 years, male 21.2
GTEX-QDT8-0526-SM-3NMD8 30-39 years, female 21.2
GTEX-12WSF-0926-SM-6PALU 70-79 years, male 21.1
GTEX-1B8L1-2726-SM-793AL 60-69 years, male 21.1
GTEX-RUSQ-1726-SM-2TF68 50-59 years, male 21.1
GTEX-1LH75-2626-SM-E9TKL 50-59 years, female 21.1
GTEX-13IVO-0626-SM-5LZYJ 70-79 years, male 21.0
GTEX-TSE9-0526-SM-3DB7Z 60-69 years, female 21.0
GTEX-Z93S-1326-SM-5CVMR 50-59 years, male 21.0
GTEX-1F88E-1826-SM-9MQLV 60-69 years, female 21.0
GTEX-1CB4F-0326-SM-9MQKD 60-69 years, male 20.9
GTEX-13PDP-0326-SM-5K7XP 60-69 years, male 20.7
GTEX-13PLJ-0326-SM-5L3I7 60-69 years, female 20.7
GTEX-1H4P4-0626-SM-9YFKZ 50-59 years, male 20.7
GTEX-1MCQQ-0626-SM-E9U5Q 60-69 years, male 20.7
GTEX-131XW-0326-SM-5KM1J 50-59 years, female 20.6
GTEX-14PJM-0426-SM-5ZZVN 50-59 years, female 20.5
GTEX-17HII-0426-SM-793A3 50-59 years, male 20.5
GTEX-V955-2426-SM-3GAEF 60-69 years, male 20.5
GTEX-ZP4G-2026-SM-57WEH 20-29 years, female 20.5
GTEX-1RQED-0426-SM-E6CJP 60-69 years, male 20.5
GTEX-1A3MW-0526-SM-731BY 60-69 years, female 20.4
GTEX-1HBPH-0826-SM-ARZNB 40-49 years, female 20.4
GTEX-1IL2V-0526-SM-ARL8B 70-79 years, male 20.4
GTEX-13OW7-0326-SM-5J1MP 50-59 years, male 20.3
GTEX-1R9PM-2226-SM-E8VOC 20-29 years, male 20.3
GTEX-UTHO-0726-SM-3GAEN 60-69 years, male 20.2
GTEX-1EX96-1526-SM-7PBXK 50-59 years, male 20.2
GTEX-1HCU6-0526-SM-A9SKU 60-69 years, female 20.1
GTEX-12696-2826-SM-5FQTY 60-69 years, male 19.9
GTEX-13CF3-1826-SM-5J1NK 60-69 years, female 19.9
GTEX-ZDXO-0326-SM-4WKHJ 60-69 years, male 19.9
GTEX-1GTWX-0326-SM-9WYTP 60-69 years, male 19.9
GTEX-13FHO-0726-SM-5IJDG 60-69 years, male 19.8
GTEX-Y5V5-2526-SM-4VBQ4 60-69 years, female 19.8
GTEX-1HUB1-0526-SM-CL54N 60-69 years, male 19.8
GTEX-13NZ9-0626-SM-5IJCO 50-59 years, male 19.7
GTEX-1N2DV-0526-SM-DTX8W 40-49 years, male 19.7
GTEX-145MI-0326-SM-5Q5EV 60-69 years, female 19.6
GTEX-1KAFJ-2326-SM-D3L8Z 50-59 years, male 19.5
GTEX-1339X-2426-SM-5KLYU 40-49 years, male 19.4
GTEX-13PVQ-0326-SM-5K7YF 50-59 years, male 19.4
GTEX-14JIY-0426-SM-62LF7 60-69 years, male 19.4
GTEX-1I4MK-2326-SM-ADEHR 50-59 years, female 19.4
GTEX-S33H-2226-SM-DKPOP 30-39 years, male 19.4
GTEX-144GL-0326-SM-5QGOY 50-59 years, male 19.3
GTEX-1AYD5-2226-SM-73KX3 50-59 years, male 19.3
GTEX-1P4AB-0326-SM-EXUT3 50-59 years, male 19.3
GTEX-16GPK-0526-SM-7KUER 60-69 years, male 19.2
GTEX-13OVG-2126-SM-5KM1K 60-69 years, male 19.0
GTEX-12ZZY-0626-SM-5EQ5T 60-69 years, male 18.9
GTEX-13QJ3-0726-SM-5SI68 50-59 years, male 18.9
GTEX-1445S-0626-SM-5LU3C 60-69 years, male 18.9
GTEX-1EH9U-0326-SM-7P8S2 60-69 years, male 18.9
GTEX-11TUW-2526-SM-5EQKN 60-69 years, male 18.7
GTEX-16NPX-0626-SM-7KULB 50-59 years, male 18.6
GTEX-1AX9I-0326-SM-73KXQ 60-69 years, male 18.6
GTEX-ZVE2-0626-SM-5GU7I 50-59 years, male 18.6
GTEX-YF7O-2526-SM-5IFJX 50-59 years, male 18.5
GTEX-XQ8I-0626-SM-4BOPT 50-59 years, male 18.4
GTEX-1QPFJ-0326-SM-E8VO2 30-39 years, female 18.3
GTEX-QDVN-2426-SM-2S1Q4 50-59 years, male 18.2
GTEX-145MH-0326-SM-5LU8H 50-59 years, male 18.1
GTEX-1477Z-1626-SM-5SIA8 60-69 years, male 18.0
GTEX-147F3-0226-SM-5NQBV 50-59 years, female 18.0
GTEX-1C6VQ-0326-SM-7DHMS 50-59 years, male 18.0
GTEX-ZAB5-2126-SM-5K7UN 50-59 years, male 18.0
GTEX-13OVI-1726-SM-5L3DW 60-69 years, female 17.9
GTEX-QLQ7-1726-SM-2S1QQ 60-69 years, male 17.9
GTEX-11OC5-0326-SM-5PNW5 60-69 years, male 17.8
GTEX-ZZPU-2626-SM-5E45Y 50-59 years, female 17.8
GTEX-11TTK-0326-SM-5BC5N 60-69 years, female 17.7
GTEX-15UF6-1026-SM-7KUF7 70-79 years, female 17.7
GTEX-117XS-2526-SM-5H11G 60-69 years, male 17.6
GTEX-16NPV-2426-SM-6M482 50-59 years, female 17.6
GTEX-17HGU-0626-SM-7939Y 50-59 years, male 17.6
GTEX-1CB4G-0426-SM-7MXUN 60-69 years, male 17.6
GTEX-16YQH-0426-SM-7KUL7 30-39 years, male 17.5
GTEX-18A6Q-0326-SM-718AT 60-69 years, male 17.5
GTEX-1OFPY-2526-SM-DTXEK 60-69 years, male 17.5
GTEX-11H98-0326-SM-5HL4S 50-59 years, male 17.4
GTEX-11ZU8-2326-SM-5EQMJ 60-69 years, male 17.4
GTEX-14A6H-5019-SM-793DH 30-39 years, male 17.2
GTEX-X4XX-0626-SM-3NMC1 60-69 years, male 17.2
GTEX-1GMR3-2126-SM-9WYTZ 40-49 years, male 17.2
GTEX-1HT8W-0326-SM-CM2SG 30-39 years, male 17.2
GTEX-11PRG-0326-SM-5GU53 50-59 years, male 17.1
GTEX-ZUA1-0326-SM-5NQA3 40-49 years, male 17.1
GTEX-1JMLX-0326-SM-CM2RP 50-59 years, male 17.1
GTEX-1QEPI-0526-SM-E76QF 60-69 years, female 17.1
GTEX-1QMI2-0526-SM-DTXFU 60-69 years, male 17.1
GTEX-132Q8-0626-SM-5L3F3 60-69 years, male 17.0
GTEX-139UW-2626-SM-5K7W1 60-69 years, male 17.0
GTEX-15DCD-0626-SM-7KUG7 70-79 years, female 17.0
GTEX-17JCI-0326-SM-7LG5H 60-69 years, female 17.0
GTEX-145ME-2026-SM-5SIA5 40-49 years, female 16.9
GTEX-SSA3-0326-SM-32QPS 60-69 years, male 16.9
GTEX-Y3IK-2626-SM-4WWDK 50-59 years, female 16.9
GTEX-1I1GR-0326-SM-CKZPI 60-69 years, male 16.9
GTEX-1JMQK-0326-SM-ARZN5 60-69 years, male 16.9
GTEX-117YW-2426-SM-5Q5AE 50-59 years, male 16.8
GTEX-1BAJH-0126-SM-7DHMF 70-79 years, male 16.8
GTEX-1GMRU-0326-SM-9WYT6 50-59 years, male 16.8
GTEX-1I19N-2026-SM-ACKXJ 70-79 years, male 16.8
GTEX-1IDJE-2426-SM-ACKWF 50-59 years, female 16.8
GTEX-1LSNL-0126-SM-EWRNR 50-59 years, male 16.8
GTEX-13SLX-0326-SM-5Q5E4 50-59 years, female 16.7
GTEX-YECK-0626-SM-4W1ZE 60-69 years, male 16.7
GTEX-1R9PO-2426-SM-EVYBS 60-69 years, female 16.7
GTEX-1314G-1726-SM-5LZUX 30-39 years, male 16.6
GTEX-QEG4-0626-SM-2S1OY 30-39 years, male 16.6
GTEX-RU72-1326-SM-2TF6T 50-59 years, female 16.6
GTEX-12ZZX-0326-SM-5DUVH 40-49 years, female 16.5
GTEX-U3ZG-0326-SM-47JXN 50-59 years, male 16.5
GTEX-ZZ64-1526-SM-5E43K 20-29 years, male 16.5
GTEX-1H1CY-2726-SM-9MQLR 60-69 years, female 16.5
GTEX-131YS-0526-SM-5EGKJ 60-69 years, female 16.4
GTEX-145LS-0526-SM-5LU8Y 60-69 years, female 16.4
GTEX-PLZ6-1526-SM-2S1OC 30-39 years, male 16.4
GTEX-QDVJ-1926-SM-2S1PJ 50-59 years, male 16.4
GTEX-1F7RK-0326-SM-7RHH7 20-29 years, female 16.4
GTEX-T2IS-2626-SM-32QPP 20-29 years, female 16.3
GTEX-1S82Y-2226-SM-EWRNV 40-49 years, male 16.3
GTEX-S32W-2326-SM-2XCAW 50-59 years, female 16.2
GTEX-WRHK-1626-SM-3MJFH 20-29 years, female 16.2
GTEX-ZVZO-0326-SM-5HL4N 40-49 years, male 16.2
GTEX-12WSL-2726-SM-5CVNL 50-59 years, male 16.1
GTEX-18A7A-0626-SM-718BJ 50-59 years, female 16.1
GTEX-1PIEJ-0326-SM-EVYB5 20-29 years, female 16.1
GTEX-131XE-2726-SM-5P9G7 50-59 years, male 16.0
GTEX-145LU-2026-SM-5Q5E8 50-59 years, male 16.0
GTEX-ZPIC-2526-SM-57WDP 40-49 years, female 16.0
GTEX-1GPI6-0326-SM-9MQM6 60-69 years, male 16.0
GTEX-14PJ4-2426-SM-6EU1U 60-69 years, male 15.9
GTEX-WK11-2526-SM-3NM9Y 50-59 years, male 15.9
GTEX-1GZ4H-1626-SM-7PC3F 50-59 years, female 15.9
GTEX-111VG-2626-SM-5GZY2 60-69 years, male 15.8
GTEX-12WSC-0326-SM-5EQ5E 50-59 years, male 15.8
GTEX-QLQW-1326-SM-2S1QS 30-39 years, male 15.8
GTEX-Y111-0326-SM-4SOIX 50-59 years, male 15.8
GTEX-ZC5H-0326-SM-5HL9F 40-49 years, female 15.8
GTEX-1IE54-0326-SM-ARZMD 40-49 years, female 15.8
GTEX-RNOR-0526-SM-2TF4O 50-59 years, female 15.7
GTEX-13112-2626-SM-5BC66 50-59 years, male 15.6
GTEX-13VXU-0326-SM-5LU36 50-59 years, male 15.5
GTEX-17MFQ-1926-SM-793A6 20-29 years, male 15.5
GTEX-11NUK-0226-SM-5A5L4 50-59 years, male 15.4
GTEX-1HB9E-0326-SM-D3LA5 50-59 years, male 15.3
GTEX-ZYY3-0526-SM-5E45G 60-69 years, female 15.2
GTEX-17HG3-2726-SM-7DHL5 30-39 years, female 15.1
GTEX-ZWKS-0326-SM-5NQ7G 30-39 years, male 15.1
GTEX-1LGRB-2626-SM-CNPPR 50-59 years, female 15.1
GTEX-11EQ8-0526-SM-5N9BC 60-69 years, male 14.9
GTEX-POYW-0526-SM-2XCEY 60-69 years, male 14.9
GTEX-RU1J-1726-SM-2TF5S 20-29 years, female 14.9
GTEX-TKQ2-0826-SM-33HB6 50-59 years, male 14.9
GTEX-ZDYS-1726-SM-5HL4Y 50-59 years, male 14.9
GTEX-ZF2S-2126-SM-4WWAY 50-59 years, female 14.9
GTEX-1C64N-0326-SM-7P8QC 50-59 years, male 14.9
GTEX-1F52S-0826-SM-7P8TQ 60-69 years, female 14.9
GTEX-1I6K7-0326-SM-B2LXO 40-49 years, male 14.9
GTEX-1R9K4-0626-SM-E76OZ 60-69 years, male 14.9
GTEX-XMD1-0626-SM-EZ6MC 60-69 years, male 14.9
GTEX-U3ZH-1926-SM-4DXTR 30-39 years, male 14.8
GTEX-WZTO-0826-SM-3NM8Q 40-49 years, male 14.8
GTEX-ZVE1-0526-SM-5NQ71 50-59 years, female 14.8
GTEX-15ER7-0226-SM-7KUEU 20-29 years, female 14.7
GTEX-ZAK1-0526-SM-5K7X4 50-59 years, female 14.7
GTEX-13O3O-0526-SM-5J1NL 60-69 years, female 14.6
GTEX-13U4I-1826-SM-5IJD2 40-49 years, female 14.6
GTEX-13X6J-0326-SM-7EPGD 50-59 years, male 14.6
GTEX-1R9JW-2426-SM-DTXFI 30-39 years, female 14.6
GTEX-11DXY-2726-SM-5GID2 60-69 years, male 14.5
GTEX-12KS4-0826-SM-5BC5R 30-39 years, male 14.5
GTEX-147JS-0526-SM-5TDD3 60-69 years, male 14.5
GTEX-1GZ2Q-0426-SM-9WPOU 40-49 years, male 14.5
GTEX-1C2JI-2126-SM-793CG 50-59 years, male 14.4
GTEX-U3ZN-2226-SM-3DB88 30-39 years, female 14.4
GTEX-VJWN-0426-SM-3GIJI 50-59 years, female 14.4
GTEX-XBEC-0626-SM-4QARY 50-59 years, male 14.4
GTEX-1IKJJ-0326-SM-CL55L 60-69 years, male 14.4
GTEX-1GN2E-0726-SM-9MQLU 60-69 years, male 14.3
GTEX-1PIIG-0126-SM-E9J46 30-39 years, male 14.3
GTEX-139T6-2026-SM-5IFFL 50-59 years, male 14.2
GTEX-145MG-0226-SM-5TDDB 50-59 years, male 14.1
GTEX-PWN1-1626-SM-2S1OL 40-49 years, female 14.1
GTEX-Z9EW-1726-SM-5CVMO 40-49 years, male 14.1
GTEX-1HSMQ-1326-SM-ADEHS 50-59 years, male 14.1
GTEX-1JMPY-1226-SM-CJI3A 30-39 years, male 14.1
GTEX-13N1W-0526-SM-5MR4I 70-79 years, male 14.0
GTEX-SUCS-1626-SM-32PLS 70-79 years, male 14.0
GTEX-1HR9M-0326-SM-CL549 60-69 years, male 14.0
GTEX-12C56-1926-SM-5FQUG 20-29 years, male 13.9
GTEX-P44H-0426-SM-2XCEZ 40-49 years, male 13.9
GTEX-R55E-0526-SM-2TC6B 20-29 years, male 13.9
GTEX-12WSA-0726-SM-5FQU2 60-69 years, male 13.8
GTEX-12WSN-2526-SM-5LZU8 40-49 years, male 13.8
GTEX-13FHP-0526-SM-5K7UY 50-59 years, male 13.8
GTEX-14PJ5-2026-SM-6LLIN 60-69 years, female 13.8
GTEX-YB5E-2226-SM-5IFJ5 40-49 years, male 13.8
GTEX-ZA64-2026-SM-5PNXT 20-29 years, male 13.8
GTEX-1R46S-0326-SM-EWRNE 60-69 years, female 13.8
GTEX-139TS-2626-SM-5J1MT 60-69 years, male 13.7
GTEX-X638-0326-SM-47JY1 70-79 years, female 13.7
GTEX-1K9T9-0326-SM-EWRNQ 50-59 years, female 13.7
GTEX-11OF3-2526-SM-5P9JL 60-69 years, male 13.6
GTEX-X4EO-0526-SM-3P5Z3 60-69 years, female 13.6
GTEX-ZVTK-0626-SM-5GU6Y 20-29 years, male 13.6
GTEX-144GO-1326-SM-5Q5EL 60-69 years, male 13.5
GTEX-SIU8-0526-SM-2XCDP 50-59 years, male 13.5
GTEX-11ZTS-0526-SM-5CVL9 60-69 years, female 13.4
GTEX-T5JC-0626-SM-3NMA6 20-29 years, male 13.4
GTEX-XUW1-0826-SM-4BOP6 50-59 years, female 13.4
GTEX-YFC4-1026-SM-5RQJM 40-49 years, female 13.4
GTEX-11EMC-2626-SM-59864 60-69 years, female 13.3
GTEX-139T8-0526-SM-5KLZL 60-69 years, male 13.3
GTEX-ZZPT-0626-SM-5GZXT 50-59 years, male 13.3
GTEX-1RB15-2226-SM-DTXFZ 60-69 years, male 13.3
GTEX-X88G-0326-SM-47JZ4 30-39 years, male 13.2
GTEX-XMD2-0526-SM-4YCDI 60-69 years, female 13.2
GTEX-11EM3-2126-SM-5H11M 20-29 years, female 13.1
GTEX-13QIC-1226-SM-5K7YR 60-69 years, female 13.1
GTEX-14BIL-0326-SM-5SI9Q 50-59 years, male 13.0
GTEX-POMQ-1926-SM-3NB1Y 20-29 years, female 13.0
GTEX-YEC4-2226-SM-5IFJT 40-49 years, male 13.0
GTEX-ZYT6-1626-SM-5E45R 30-39 years, male 13.0
GTEX-1EMGI-0326-SM-9MQM5 60-69 years, male 13.0
GTEX-1LVA9-0326-SM-DLHBU 50-59 years, male 13.0
GTEX-13OVK-1926-SM-6M48G 40-49 years, male 12.9
GTEX-14PK6-2126-SM-6ETZV 70-79 years, female 12.9
GTEX-15RJ7-2426-SM-6M48L 40-49 years, male 12.9
GTEX-1A8G7-0326-SM-72D5B 60-69 years, male 12.9
GTEX-R3RS-0526-SM-3GADG 40-49 years, female 12.9
GTEX-S7PM-0526-SM-3NM92 60-69 years, male 12.9
GTEX-1HBPI-0226-SM-ADEJ7 50-59 years, male 12.9
GTEX-1I1GV-0126-SM-CL55G 60-69 years, male 12.9
GTEX-12WSM-0326-SM-5LZVI 60-69 years, male 12.8
GTEX-1IOXB-0326-SM-CL55M 50-59 years, male 12.8
GTEX-145MN-2426-SM-5NQA5 30-39 years, male 12.7
GTEX-15SHW-0726-SM-7KUEI 60-69 years, male 12.7
GTEX-16MT8-0326-SM-6PAM5 60-69 years, female 12.7
GTEX-18465-0326-SM-7LTAD 50-59 years, male 12.7
GTEX-1F88F-2526-SM-7PC2R 60-69 years, female 12.7
GTEX-1JMQI-2126-SM-CM2SC 50-59 years, male 12.7
GTEX-1399T-2426-SM-5L3FJ 60-69 years, male 12.6
GTEX-14PJ6-2326-SM-6ETZR 60-69 years, female 12.6
GTEX-15SDE-2326-SM-6PAL4 50-59 years, female 12.6
GTEX-14BIM-0326-SM-5SI9B 60-69 years, female 12.5
GTEX-OXRN-1326-SM-3LK5V 50-59 years, male 12.5
GTEX-XOT4-0526-SM-4B66O 60-69 years, female 12.5
GTEX-13S7M-0326-SM-5S2PH 60-69 years, female 12.4
GTEX-PSDG-0426-SM-5SI86 50-59 years, male 12.4
GTEX-1GMR8-0326-SM-9KNUO 50-59 years, female 12.4
GTEX-1LB8K-0126-SM-EVYCN 50-59 years, male 12.4
GTEX-11DZ1-0926-SM-5EQ5R 50-59 years, male 12.3
GTEX-1F5PK-2626-SM-7RHH6 50-59 years, male 12.3
GTEX-1H2FU-0526-SM-ACKXO 60-69 years, female 12.3
GTEX-1O9I2-0526-SM-EYYXI 50-59 years, male 12.3
GTEX-1S82U-1426-SM-E6CJL 30-39 years, female 12.3
GTEX-13113-5019-SM-7EPH2 60-69 years, female 12.2
GTEX-11DXW-0726-SM-5H12J 40-49 years, male 12.1
GTEX-13NZA-0526-SM-5L3D7 60-69 years, male 12.1
GTEX-14ABY-0126-SM-62LDI 50-59 years, male 12.1
GTEX-WHPG-2226-SM-3NMBO 50-59 years, male 12.1
GTEX-1HCU7-0426-SM-D3L8Q 50-59 years, male 12.1
GTEX-13VXT-0326-SM-5LU4U 20-29 years, female 12.0
GTEX-15D79-0526-SM-6ETZP 50-59 years, male 12.0
GTEX-16BQI-0326-SM-6PAM4 30-39 years, female 12.0
GTEX-ZAJG-0526-SM-5S2MT 50-59 years, female 12.0
GTEX-13W46-0726-SM-5LU3Z 50-59 years, male 11.9
GTEX-14A5I-0326-SM-5NQ9J 50-59 years, female 11.9
GTEX-14PJN-2126-SM-6AJBM 30-39 years, male 11.9
GTEX-R55G-2326-SM-2TC61 40-49 years, female 11.9
GTEX-RN64-0326-SM-2TC5J 50-59 years, male 11.9
GTEX-WFG8-2426-SM-3GILL 20-29 years, male 11.9
GTEX-1LC47-0626-SM-DIPFE 60-69 years, male 11.8
GTEX-1192X-0426-SM-5GIEE 50-59 years, male 11.7
GTEX-139TU-0526-SM-5J2M8 60-69 years, male 11.7
GTEX-14PJ2-0326-SM-6EU2Q 50-59 years, male 11.7
GTEX-PLZ4-0926-SM-2S1OI 50-59 years, female 11.7
GTEX-1GN1U-2226-SM-9MQK1 50-59 years, female 11.7
GTEX-Q734-2026-SM-3GADA 40-49 years, female 11.6
GTEX-145MO-0726-SM-5NQB9 60-69 years, male 11.5
GTEX-RTLS-0526-SM-2TF64 60-69 years, female 11.5
GTEX-1LG7Y-0126-SM-E6CJ8 50-59 years, male 11.5
GTEX-1RAZA-0526-SM-E76R2 20-29 years, male 11.5
GTEX-ZLFU-2526-SM-DO91K 40-49 years, male 11.5
GTEX-14C39-2426-SM-5S2U5 40-49 years, male 11.4
GTEX-RWS6-2126-SM-2XCAV 60-69 years, female 11.4
GTEX-RWSA-0726-SM-2XCBE 40-49 years, male 11.4
GTEX-1K2DU-2526-SM-D3L8V 20-29 years, male 11.4
GTEX-1399Q-2426-SM-5J2MO 40-49 years, male 11.3
GTEX-O5YT-1626-SM-32PK6 20-29 years, male 11.3
GTEX-1GF9W-0526-SM-9MQJP 60-69 years, male 11.3
GTEX-1HBPM-0426-SM-CKZOO 60-69 years, female 11.3
GTEX-1J8QM-2226-SM-CYPSK 60-69 years, female 11.3
GTEX-1JKYR-0326-SM-CNPOL 20-29 years, male 11.3
GTEX-1CAMS-0126-SM-79396 40-49 years, female 11.2
GTEX-1PBJJ-0326-SM-E8VNT 30-39 years, male 11.2
GTEX-12WSD-0526-SM-5EQ6F 60-69 years, female 11.1
GTEX-14DAQ-0326-SM-664MR 60-69 years, female 11.1
GTEX-17HHE-2126-SM-7DHLO 50-59 years, male 11.1
GTEX-1B996-0326-SM-7DHMU 60-69 years, male 11.1
GTEX-P4PQ-1626-SM-2HMKK 60-69 years, male 11.1
GTEX-WHSB-1826-SM-3TW8M 50-59 years, male 11.1
GTEX-X5EB-2326-SM-46MW5 40-49 years, male 11.1
GTEX-OIZF-1626-SM-2YUNE 60-69 years, male 11.1
GTEX-14LZ3-0626-SM-5ZZWP 60-69 years, female 11.0
GTEX-R53T-1826-SM-3GIJX 50-59 years, female 11.0
GTEX-131XG-2326-SM-5HL8F 50-59 years, female 10.9
GTEX-PX3G-1626-SM-2S1PT 20-29 years, female 10.9
GTEX-1H1DG-0326-SM-9QEHK 70-79 years, male 10.9
GTEX-1MCYP-2026-SM-DTXE4 20-29 years, female 10.9
GTEX-OHPK-1626-SM-2YUN3 50-59 years, female 10.8
GTEX-OOBK-1626-SM-2HMKG 40-49 years, male 10.8
GTEX-ZYFC-0526-SM-5GIDF 50-59 years, male 10.8
GTEX-1H3VE-0126-SM-9WYTW 40-49 years, male 10.8
GTEX-11ZUS-1426-SM-5FQSP 30-39 years, male 10.7
GTEX-13111-2226-SM-5LZUE 50-59 years, male 10.7
GTEX-146FR-1726-SM-5Q5DT 60-69 years, female 10.7
GTEX-Y3I4-2326-SM-4TT81 50-59 years, male 10.7
GTEX-1313W-0526-SM-5P9FZ 50-59 years, female 10.6
GTEX-16XZZ-0526-SM-7KUF1 60-69 years, male 10.6
GTEX-1AX9K-2726-SM-7DHMA 50-59 years, male 10.6
GTEX-1H1ZS-0626-SM-CNPPU 70-79 years, male 10.5
GTEX-139YR-2526-SM-5IJC6 50-59 years, male 10.4
GTEX-1AMEY-1526-SM-73KYW 30-39 years, female 10.4
GTEX-XBED-2626-SM-4E3J5 60-69 years, male 10.4
GTEX-1HSGN-0326-SM-ACKXQ 40-49 years, female 10.4
GTEX-1S5VW-0526-SM-E6CHL 60-69 years, male 10.4
GTEX-14XAO-2226-SM-6LLHU 60-69 years, female 10.3
GTEX-Q2AI-1526-SM-3GIJ3 40-49 years, male 10.3
GTEX-TMZS-0326-SM-3DB9P 60-69 years, male 10.3
GTEX-1GPI7-0426-SM-7RHHP 20-29 years, male 10.3
GTEX-11DXX-2726-SM-5PNXO 60-69 years, female 10.2
GTEX-11GSO-2526-SM-5PNVX 60-69 years, male 10.2
GTEX-139D8-0726-SM-5P9GJ 30-39 years, female 10.2
GTEX-14E6D-0326-SM-62LDX 50-59 years, male 10.2
GTEX-1JN76-0326-SM-ARZNJ 20-29 years, female 10.2
GTEX-1NHNU-1226-SM-DTX8I 50-59 years, male 10.2
GTEX-13PL6-0326-SM-5IJCP 40-49 years, female 10.1
GTEX-17KNJ-2426-SM-7DHLR 50-59 years, male 10.1
GTEX-18A67-0326-SM-7LG5X 50-59 years, male 10.1
GTEX-TMMY-0426-SM-33HBB 40-49 years, female 10.1
GTEX-1GN1W-0726-SM-9KNTV 50-59 years, female 10.1
GTEX-1HGF4-2626-SM-CM2SJ 60-69 years, male 10.1
GTEX-1PDJ9-0526-SM-DTXDL 20-29 years, male 10.1
GTEX-13NYB-2726-SM-5J2MT 40-49 years, male 10.0
GTEX-13OVH-0626-SM-5L3EI 70-79 years, male 10.0
GTEX-XV7Q-2926-SM-4BRUL 40-49 years, female 10.0
GTEX-1IDJC-2026-SM-ADEIK 50-59 years, male 10.0
GTEX-15SKB-2526-SM-6PALP 60-69 years, male 9.9
GTEX-Y8DK-0326-SM-4TT3P 60-69 years, male 9.9
GTEX-12WSG-5016-SM-7SB84 50-59 years, female 9.9
GTEX-1IDFM-1526-SM-ARL7U 60-69 years, male 9.9
GTEX-O5YV-2026-SM-2D7VS 60-69 years, female 9.8
GTEX-1H11D-0326-SM-9WG71 40-49 years, male 9.7
GTEX-1N2DW-0426-SM-E9TK4 50-59 years, male 9.7
GTEX-1PIGE-0226-SM-E76OT 20-29 years, male 9.7
GTEX-1211K-2126-SM-59HJZ 60-69 years, female 9.6
GTEX-13FTW-2326-SM-5K7YS 40-49 years, male 9.6
GTEX-15DDE-0526-SM-6ETZQ 50-59 years, female 9.6
GTEX-15DZA-2026-SM-6PANE 30-39 years, female 9.6
GTEX-PW2O-1726-SM-2S1OO 20-29 years, male 9.6
GTEX-SN8G-0326-SM-32PLG 50-59 years, female 9.6
GTEX-Y114-2526-SM-4TT8M 50-59 years, female 9.6
GTEX-1B97J-1226-SM-7PBZR 50-59 years, female 9.6
GTEX-1C6VS-0126-SM-7PC2H 60-69 years, male 9.6
GTEX-111YS-2326-SM-5987L 60-69 years, male 9.5
GTEX-11TT1-2326-SM-5GU6N 20-29 years, male 9.5
GTEX-1JMQJ-0126-SM-E6CI2 50-59 years, male 9.5
GTEX-13O21-1726-SM-5MR5A 50-59 years, male 9.4
GTEX-15SHV-2526-SM-6PAMG 60-69 years, male 9.4
GTEX-17F9E-0226-SM-79OKK 50-59 years, male 9.4
GTEX-ZVT3-0526-SM-5GIE9 60-69 years, female 9.4
GTEX-1H3VY-0326-SM-9WYU6 50-59 years, male 9.4
GTEX-1KD5A-0726-SM-DIPEO 50-59 years, male 9.4
GTEX-YFCO-1926-SM-4W212 40-49 years, male 9.3
GTEX-1JK1U-2226-SM-CNNPL 60-69 years, male 9.3
GTEX-1JN6P-0526-SM-COH33 60-69 years, male 9.3
GTEX-13JUV-2326-SM-5IJCE 40-49 years, female 9.2
GTEX-13OW5-0326-SM-5L3HK 60-69 years, male 9.2
GTEX-1HBPN-0526-SM-A9SM6 50-59 years, male 9.2
GTEX-11DXZ-2426-SM-5N9DT 50-59 years, male 9.1
GTEX-13N11-2726-SM-5L3ER 50-59 years, female 9.1
GTEX-14C5O-0626-SM-664N2 60-69 years, male 9.1
GTEX-Q2AG-0426-SM-2S1PU 40-49 years, female 9.1
GTEX-1QP6S-0426-SM-DTXG4 40-49 years, male 9.1
GTEX-ZEX8-2526-SM-DO92M 50-59 years, male 9.1
GTEX-12BJ1-2526-SM-5FQUE 60-69 years, male 9.0
GTEX-17GQL-1926-SM-718B9 60-69 years, male 9.0
GTEX-Y8E4-1026-SM-4VBQ5 40-49 years, male 9.0
GTEX-1AX8Z-5004-SM-ARZLD 60-69 years, male 9.0
GTEX-1F6I4-0326-SM-7P8T8 60-69 years, male 9.0
GTEX-1RAZR-0326-SM-EWRNM 40-49 years, male 9.0
GTEX-12126-0526-SM-5PNW4 20-29 years, male 8.9
GTEX-T6MN-0526-SM-32PMS 50-59 years, male 8.9
GTEX-1PPGY-0426-SM-DTXFE 60-69 years, male 8.9
GTEX-12WSH-2526-SM-5CVNH 50-59 years, male 8.8
GTEX-13OW6-0626-SM-5L3IB 50-59 years, male 8.8
GTEX-145LT-1626-SM-5O992 40-49 years, male 8.8
GTEX-1IDJF-0326-SM-ADEIG 20-29 years, male 8.8
GTEX-13FH7-2126-SM-5L3DJ 50-59 years, female 8.6
GTEX-1CAMQ-0326-SM-7MXUI 40-49 years, male 8.6
GTEX-1S83E-2126-SM-EWRO6 40-49 years, male 8.6
GTEX-17F97-0526-SM-7DUF8 50-59 years, male 8.5
GTEX-U4B1-1626-SM-3DB8N 40-49 years, male 8.5
GTEX-1LVAN-0526-SM-CNNQ1 50-59 years, female 8.5
GTEX-1212Z-2626-SM-5YY8P 60-69 years, male 8.4
GTEX-13PVR-2526-SM-5RQIT 60-69 years, female 8.4
GTEX-OXRK-1826-SM-2HMJE 50-59 years, female 8.4
GTEX-SNOS-1526-SM-32PLW 40-49 years, male 8.4
GTEX-ZY6K-2026-SM-5GZXQ 50-59 years, male 8.4
GTEX-11EQ9-2126-SM-5PNVW 30-39 years, male 8.3
GTEX-1399S-2726-SM-5KM22 30-39 years, female 8.3
GTEX-15ETS-0326-SM-6PANH 40-49 years, female 8.3
GTEX-1LGOU-2126-SM-DIPFG 20-29 years, female 8.3
GTEX-1R9PN-1826-SM-E8VO4 40-49 years, female 8.3
GTEX-1B932-0526-SM-73KU7 40-49 years, female 8.2
GTEX-YB5K-2326-SM-5IFHD 40-49 years, female 8.2
GTEX-1HCUA-2326-SM-ACKVJ 50-59 years, female 8.2
GTEX-1LNCM-1226-SM-E9U5C 50-59 years, female 8.2
GTEX-QV44-2026-SM-2S1RD 50-59 years, male 8.1
GTEX-QVUS-0226-SM-3GIJY 60-69 years, female 8.1
GTEX-1F75B-0526-SM-7P8T5 50-59 years, male 8.1
GTEX-13JVG-0126-SM-5L3D3 60-69 years, male 8.0
GTEX-13O61-2326-SM-5J1NJ 60-69 years, male 8.0
GTEX-1B97I-2026-SM-7DHN2 40-49 years, male 8.0
GTEX-XAJ8-1026-SM-47JY9 40-49 years, male 8.0
GTEX-ZPCL-2026-SM-57WFD 60-69 years, female 8.0
GTEX-14E1K-2326-SM-664MP 50-59 years, male 7.9
GTEX-15UKP-0326-SM-7KUFP 20-29 years, male 7.9
GTEX-OIZG-1326-SM-2HMIQ 50-59 years, male 7.9
GTEX-T5JW-1826-SM-3GAE1 20-29 years, female 7.9
GTEX-1JJ6O-0926-SM-CYPT1 60-69 years, male 7.9
GTEX-1MA7W-1826-SM-DIPFP 20-29 years, female 7.9
GTEX-117YX-2526-SM-5EQ4Q 50-59 years, male 7.8
GTEX-1269C-2626-SM-5EQ5C 60-69 years, female 7.8
GTEX-1399U-2526-SM-5L3DL 50-59 years, female 7.8
GTEX-14753-0526-SM-5QGPR 60-69 years, male 7.8
GTEX-14JG1-0126-SM-5ZZUP 40-49 years, male 7.8
GTEX-14PQA-0526-SM-7KUFS 50-59 years, female 7.8
GTEX-183FY-0226-SM-7LG54 20-29 years, male 7.8
GTEX-1HSEH-0326-SM-A9G26 60-69 years, male 7.8
GTEX-1J8Q2-0126-SM-E9J2G 60-69 years, male 7.8
GTEX-1QP66-1626-SM-E76PC 50-59 years, male 7.8
GTEX-1128S-2426-SM-5H11B 60-69 years, female 7.7
GTEX-14BMV-0326-SM-5RQHW 50-59 years, male 7.7
GTEX-1C64O-0326-SM-73KVW 60-69 years, male 7.7
GTEX-V1D1-2426-SM-3GAER 50-59 years, male 7.7
GTEX-1L5NE-2226-SM-CXZKS 50-59 years, male 7.7
GTEX-ZF29-2426-SM-DO92G 60-69 years, female 7.7
GTEX-NFK9-0626-SM-2HMIV 40-49 years, male 7.6
GTEX-XYKS-2426-SM-4AT43 60-69 years, female 7.6
GTEX-ZF3C-0326-SM-4WWBF 50-59 years, female 7.6
GTEX-13N2G-2326-SM-5J1ON 60-69 years, male 7.5
GTEX-13X6H-2326-SM-7EWEB 50-59 years, female 7.5
GTEX-17F96-2726-SM-7LT9F 70-79 years, male 7.5
GTEX-1CB4E-2126-SM-793AP 60-69 years, male 7.5
GTEX-U3ZM-1226-SM-3DB9G 40-49 years, male 7.5
GTEX-WYVS-2326-SM-3NMAI 40-49 years, female 7.5
GTEX-ZT9X-1826-SM-57WDU 40-49 years, male 7.5
GTEX-1KANA-0926-SM-D3L9K 20-29 years, male 7.5
GTEX-14PJO-0526-SM-6EU2O 60-69 years, male 7.4
GTEX-18QFQ-0326-SM-731C3 30-39 years, male 7.4
GTEX-WXYG-2526-SM-3NB3F 50-59 years, female 7.4
GTEX-YEC3-2126-SM-4YCDB 50-59 years, male 7.4
GTEX-ZTX8-1626-SM-51MRY 20-29 years, male 7.4
GTEX-11P7K-1926-SM-5GU6R 30-39 years, male 7.3
GTEX-13W3W-2626-SM-5SIA2 60-69 years, female 7.3
GTEX-17F98-1626-SM-7938R 40-49 years, female 7.3
GTEX-PWCY-2026-SM-5SI8R 20-29 years, female 7.3
GTEX-P4QT-1626-SM-DHXIR 50-59 years, female 7.3
GTEX-111CU-2026-SM-5GZZC 50-59 years, male 7.2
GTEX-11GS4-2526-SM-5A5KT 60-69 years, male 7.2
GTEX-14PJ3-2026-SM-5ZZVK 50-59 years, male 7.2
GTEX-15EO6-2826-SM-6PANB 50-59 years, male 7.2
GTEX-16AAH-1826-SM-7939D 50-59 years, male 7.2
GTEX-1HFI7-1926-SM-A96TQ 50-59 years, female 7.2
GTEX-1LSNM-2326-SM-EWRO8 50-59 years, male 7.2
GTEX-144GN-2426-SM-5LU4R 50-59 years, male 7.1
GTEX-UPJH-0526-SM-4IHK8 50-59 years, male 7.1
GTEX-ZV7C-2426-SM-5NQ7Q 50-59 years, male 7.1
GTEX-1NUQO-0726-SM-E9J3K 20-29 years, female 7.1
GTEX-1RQEC-0126-SM-E9J2H 60-69 years, male 7.1
GTEX-1AMFI-2226-SM-731C6 50-59 years, female 7.0
GTEX-UJMC-1826-SM-3GADT 50-59 years, male 7.0
GTEX-1H1E6-2126-SM-9KNVM 30-39 years, male 7.0
GTEX-1122O-2426-SM-5GIDN 60-69 years, female 6.9
GTEX-13O3Q-2726-SM-5KM51 50-59 years, male 6.9
GTEX-14JG6-2126-SM-6EU2F 30-39 years, female 6.9
GTEX-QEL4-0626-SM-3GIJM 50-59 years, male 6.9
GTEX-X261-0326-SM-3NMD4 50-59 years, male 6.9
GTEX-ZV68-0526-SM-59HKI 50-59 years, female 6.9
GTEX-1QP28-0526-SM-E8VNR 50-59 years, female 6.9
GTEX-ZQUD-1726-SM-7P8ON 30-39 years, male 6.9
GTEX-15SB6-1826-SM-6PALN 50-59 years, female 6.8
GTEX-OIZH-1626-SM-2HMKI 50-59 years, male 6.8
GTEX-UJHI-1726-SM-3DB9B 50-59 years, female 6.8
GTEX-OXRL-1626-SM-2YUMU 50-59 years, male 6.7
GTEX-13RTK-1626-SM-5QGQS 20-29 years, male 6.6
GTEX-1HCVE-0326-SM-CGQEW 50-59 years, male 6.6
GTEX-1LBAC-0326-SM-DIPF1 20-29 years, male 6.6
GTEX-11LCK-1226-SM-5Q5AM 30-39 years, male 6.5
GTEX-Y9LG-1926-SM-5IFHY 30-39 years, male 6.5
GTEX-13QBU-2426-SM-5LU4L 40-49 years, female 6.4
GTEX-15RIF-2126-SM-7KUM8 20-29 years, male 6.4
GTEX-1CAMR-1726-SM-793CU 20-29 years, male 6.4
GTEX-P78B-1626-SM-5SI85 40-49 years, female 6.4
GTEX-Y5V6-2626-SM-5IFIX 60-69 years, male 6.4
GTEX-169BO-1526-SM-9KNVR 50-59 years, male 6.4
GTEX-RM2N-1626-SM-2TF5N 50-59 years, male 6.3
GTEX-U8T8-1426-SM-3DB9H 60-69 years, male 6.3
GTEX-WFON-2326-SM-3LK7M 40-49 years, male 6.3
GTEX-1HKZK-0226-SM-9WYUG 40-49 years, male 6.3
GTEX-1IDJV-0426-SM-COH3Z 60-69 years, male 6.3
GTEX-TML8-1826-SM-32QOR 40-49 years, female 6.2
GTEX-XPT6-2026-SM-4B64V 20-29 years, male 6.2
GTEX-1KXAM-2426-SM-DIPFC 60-69 years, male 6.2
GTEX-1LVAM-0326-SM-DIPFL 50-59 years, female 6.2
GTEX-11EI6-0326-SM-5EQ6G 60-69 years, male 6.1
GTEX-T8EM-1326-SM-3DB7G 40-49 years, male 6.1
GTEX-XQ3S-0426-SM-4BOOA 20-29 years, male 6.1
GTEX-1I1GS-0326-SM-ARL7X 60-69 years, male 6.0
GTEX-11ZTT-2626-SM-5EQKK 60-69 years, female 5.9
GTEX-13NZB-2626-SM-5J2M7 30-39 years, male 5.9
GTEX-14E6E-2026-SM-664N5 30-39 years, male 5.9
GTEX-1MCC2-2726-SM-EWRN3 30-39 years, female 5.9
GTEX-147GR-0126-SM-62LER 60-69 years, male 5.8
GTEX-P4QS-1626-SM-2S1NH 60-69 years, male 5.8
GTEX-1H1DE-1726-SM-A9G3G 20-29 years, male 5.8
GTEX-145LV-2326-SM-5LU8Z 50-59 years, male 5.7
GTEX-ZVZP-2526-SM-57WBR 50-59 years, male 5.7
GTEX-S95S-1426-SM-2XCDM 60-69 years, male 5.6
GTEX-1QCLY-0426-SM-E8VOH 30-39 years, male 5.6
GTEX-1S82P-0326-SM-E9TIR 60-69 years, female 5.6
GTEX-11P81-2526-SM-5GU6H 30-39 years, female 5.5
GTEX-18A66-0126-SM-731CQ 60-69 years, male 5.5
GTEX-SNMC-1426-SM-2XCFM 20-29 years, male 5.5
GTEX-WFG7-2226-SM-3GIKP 20-29 years, male 5.5
GTEX-ZYFG-2426-SM-5GIE8 60-69 years, female 5.5
GTEX-1I1GT-0726-SM-B2LWN 60-69 years, female 5.5
GTEX-PLZ5-1726-SM-2I5F6 50-59 years, male 5.4
GTEX-1PPH7-2526-SM-E76OJ 40-49 years, male 5.4
GTEX-11P82-1826-SM-5PNYJ 20-29 years, male 5.3
GTEX-14DAR-1826-SM-664N1 50-59 years, male 5.3
GTEX-17EUY-0626-SM-793BE 20-29 years, male 5.3
GTEX-OOBJ-1626-SM-2I3F7 60-69 years, male 5.3
GTEX-1KANC-1626-SM-E6CIA 50-59 years, female 5.3
GTEX-11I78-2426-SM-5A5K9 50-59 years, female 5.2
GTEX-1AX9J-0126-SM-73KY2 60-69 years, male 5.2
GTEX-1QP2A-0526-SM-E8VN5 50-59 years, male 5.2
GTEX-13PL7-0626-SM-5IJCD 60-69 years, female 5.1
GTEX-1497J-2626-SM-5SI9K 60-69 years, male 5.1
GTEX-XPVG-2526-SM-4B66D 50-59 years, male 5.1
GTEX-1RAZQ-0426-SM-DTXFQ 30-39 years, male 5.1
GTEX-1S5ZA-0526-SM-EWRO1 20-29 years, male 5.1
GTEX-131XF-2326-SM-5BC6B 60-69 years, male 5.0
GTEX-15RIE-2426-SM-7KUDS 60-69 years, male 5.0
GTEX-16NGA-1926-SM-7LTA6 40-49 years, female 5.0
GTEX-WOFM-1326-SM-3MJFR 20-29 years, male 5.0
GTEX-WY7C-2526-SM-3NB2N 50-59 years, male 5.0
GTEX-ZV6S-2126-SM-4YCEM 40-49 years, female 5.0
GTEX-1HCU9-1926-SM-9WYSE 20-29 years, male 5.0
GTEX-14AS3-2126-SM-5S2MK 40-49 years, female 4.9
GTEX-14H4A-0926-SM-5ZZUU 40-49 years, female 4.9
GTEX-18D9U-0626-SM-7LTA4 40-49 years, male 4.9
GTEX-R55D-0626-SM-3GAD5 50-59 years, male 4.9
GTEX-ZVP2-2126-SM-5GU6E 50-59 years, male 4.9
GTEX-1CAV2-2426-SM-7P8QF 40-49 years, female 4.9
GTEX-1K2DA-2226-SM-CGQGM 50-59 years, male 4.9
GTEX-1MUQO-0226-SM-E9TJL 60-69 years, male 4.9
GTEX-1QCLZ-0326-SM-DTXG2 60-69 years, female 4.8
GTEX-1399R-2526-SM-5IFG2 30-39 years, male 4.7
GTEX-1J8Q3-1426-SM-CKZPU 60-69 years, male 4.6
GTEX-1M5QR-1326-SM-EWROC 40-49 years, male 4.6
GTEX-1QP67-1826-SM-DTX8D 40-49 years, female 4.6
GTEX-ZLWG-2126-SM-DO91M 50-59 years, female 4.6
GTEX-13FTX-2026-SM-5L3D6 20-29 years, female 4.5
GTEX-15F5U-1826-SM-6LLJF 40-49 years, male 4.5
GTEX-16MTA-2026-SM-7KUL3 50-59 years, male 4.5
GTEX-1GMR2-2126-SM-7P8TX 50-59 years, male 4.5
GTEX-1IDJU-2426-SM-ARZM9 60-69 years, female 4.4
GTEX-12WSJ-1726-SM-5LZVV 40-49 years, female 4.3
GTEX-15CHC-2426-SM-6EU22 60-69 years, female 4.3
GTEX-15SHU-0626-SM-7KUFH 40-49 years, female 4.2
GTEX-17EVP-1326-SM-7DHMR 40-49 years, male 4.2
GTEX-WEY5-2026-SM-CYPRC 40-49 years, female 4.2
GTEX-14ICL-1926-SM-5RQIZ 30-39 years, male 4.1
GTEX-1HSMP-0326-SM-A9SMC 70-79 years, male 4.1
GTEX-15RIG-0426-SM-7KUF4 40-49 years, male 4.0
GTEX-1MJK3-1426-SM-E9TK1 20-29 years, male 4.0
GTEX-1R7EV-2026-SM-DTX83 40-49 years, male 4.0
GTEX-18D9A-1826-SM-718BK 30-39 years, female 3.9
GTEX-TKQ1-1426-SM-4GICK 30-39 years, male 3.9
GTEX-XBEW-1026-SM-4QARV 40-49 years, male 3.9
GTEX-ZLV1-2126-SM-4WWD2 60-69 years, female 3.9
GTEX-ZGAY-0726-SM-DO91O 40-49 years, female 3.9
GTEX-11VI4-1926-SM-5CVLI 40-49 years, female 3.8
GTEX-1CB4I-0326-SM-7DHMM 50-59 years, male 3.8
GTEX-WYJK-1726-SM-3NM9U 50-59 years, male 3.8
GTEX-1PPH8-0326-SM-E76PR 20-29 years, male 3.8
GTEX-133LE-2026-SM-5K7WM 20-29 years, female 3.6
GTEX-XGQ4-2326-SM-4AT53 50-59 years, male 3.6
GTEX-ZVT2-2426-SM-57WCQ 50-59 years, female 3.6
GTEX-11NSD-2026-SM-5HL5U 20-29 years, male 3.5
GTEX-1J1R8-2326-SM-CKZPS 40-49 years, male 3.5
GTEX-QCQG-2126-SM-DTXFV 50-59 years, female 3.5
GTEX-R55C-1726-SM-3GADJ 40-49 years, male 3.4
GTEX-ZQG8-1226-SM-51MRX 60-69 years, female 3.4
GTEX-1ICG6-2726-SM-CKZPN 70-79 years, female 3.1
GTEX-14BMU-2026-SM-5S2W6 20-29 years, female 2.9
GTEX-1F75I-0526-SM-7RHI3 40-49 years, male 2.9
GTEX-W5WG-1926-SM-4KKZK 50-59 years, female 2.8
GTEX-1QP9N-1926-SM-E6CPY 30-39 years, male 2.8
GTEX-XUZC-2126-SM-4BRW8 30-39 years, female 2.6
GTEX-1A3MV-2026-SM-718BU 30-39 years, male 2.1
GTEX-1FIGZ-1726-SM-9MQKS 40-49 years, male 2.1
GTEX-1JKYN-1826-SM-ARZMZ 30-39 years, male 1.0
Show allShow less

SKELETAL MUSCLE - FANTOM5 CAGEi

RNA expression in human tissues obtained through Cap Analysis of Gene Expression (CAGE) generated by the FANTOM5 project are reported as Scaled Tags Per Million.

Max subtype Scaled Tags Per Millioni

Max subtype Scaled Tags Per Million is the value for the subtype with the largest average Scaled Tags Per Million across the subtype samples.

362.9
FANTOM5 sample id Sample description Scaled Tags Per Million
Skeletal muscle
Scaled Tags Per Million: 362.9
FF:10023-101D5 55,79,79 years, mixed 362.9
Skeletal muscle - soleus muscle
Scaled Tags Per Million: 69.4
FF:10282-104F3 male 69.4

Contact

  • NEWS ARTICLES
  • PRESS ROOM

The Project

  • INTRODUCTION
  • ORGANIZATION
  • PUBLICATIONS

The Human Protein Atlas

  • DOWNLOADABLE DATA
  • LICENCE & CITATION
  • HELP & FAQ
The Human Protein Atlas project is funded
by the Knut & Alice Wallenberg Foundation.


contact@proteinatlas.org