We use cookies to enhance the usability of our website. If you continue, we'll assume that you are happy to receive all cookies. More information. Don't show this again.
GRN
HPA
RESOURCES
  • TISSUE
  • BRAIN
  • SINGLE CELL
  • SUBCELLULAR
  • CANCER
  • BLOOD
  • CELL LINE
  • STRUCTURE & INTERACTION
ABOUT
  • INTRODUCTION
  • HISTORY
  • ORGANIZATION
  • PUBLICATIONS
  • ANTIBODY SUBMISSION
  • ANTIBODY AVAILABILITY
  • ACKNOWLEDGMENTS
  • CONTACT
NEWS
  • NEWS ARTICLES
  • PRESS ROOM
LEARN
  • DICTIONARY
  • PROTEIN CLASSES
  • PROTEIN EVIDENCE
  • METHODS
  • EDUCATIONAL VIDEOS
DATA
  • DOWNLOADABLE DATA
  • PUBLICATION DATA
  • RELEASE HISTORY
HELP
  • ANTIBODY VALIDATION
  • ASSAYS & ANNOTATION
  • DISCLAIMER
  • HELP & FAQ
  • PRIVACY STATEMENT
  • LICENCE & CITATION
Fields »
Search result

Field
Term
Gene name
Class
Subclass
Class
Keyword
Chromosome
External id
Tissue
Cell type
Expression
Antibody panel
Tissue
Main location
Patient ID
Annotation
Tissue
Category
Tau score
Cluster
Reliability
Brain region
Category
Tau score
Brain region
Category
Tau score
Brain region
Category
Tau score
Cluster
Reliability
Tissue
Cell type
Enrichment
Cell type
Category
Tau score
Cell type
Category
Tau score
Cell type
Category
Tau score
Cell lineage
Category
Tau score
Cluster
Cluster
Location
Searches
Location
Cell line
Class
Type
Phase
Reliability
Cancer
Prognosis
Cancer
Category
Cancer
Category
Tau score
Cluster
Variants
Interacting gene (ensg_id)
Type
Number of interactions
Pathway
Category
Score
Score
Score
Validation
Validation
Validation
Validation
Antibodies
Data type
Column


  • SUMMARY

  • TISSUE

  • BRAIN

  • SINGLE CELL

  • SUBCELL

  • CANCER

  • BLOOD

  • CELL LINE

  • STRUCT & INT

  • GRN
TISSUE PRIMARY DATA SKIN Show tissue menu
ADIPOSE TISSUE ADRENAL GLAND AMYGDALA APPENDIX BASAL GANGLIA BONE MARROW BREAST CEREBELLUM CEREBRAL CORTEX CERVIX CHOROID PLEXUS COLON DUODENUM
ENDOMETRIUM EPIDIDYMIS ESOPHAGUS FALLOPIAN TUBE GALLBLADDER HEART MUSCLE HIPPOCAMPAL FORMATION HYPOTHALAMUS KIDNEY LIVER LUNG LYMPH NODE MIDBRAIN
OVARY PANCREAS PARATHYROID GLAND PITUITARY GLAND PLACENTA PROSTATE RECTUM RETINA SALIVARY GLAND SEMINAL VESICLE SKELETAL MUSCLE SKIN SMALL INTESTINE
SMOOTH MUSCLE SPINAL CORD SPLEEN STOMACH TESTIS THYMUS THYROID GLAND TONGUE TONSIL URINARY BLADDER VAGINA
ANTIBODIES
AND
VALIDATION
Dictionary
Skin
Tissue proteome
Skin
SKIN - Expression summary
Protein expressioni

On the top, protein expression in current human tissue, based on all annotated cell types, is reported with the units not detected (n), low (l), medium (m) and high (h). Underneath, protein expression in each annotated cell type are reported using the same units.

Protein expression data is based on knowledge-based annotation. For genes where more than one antibody has been used, a collective score is set.

If knowledge-based annotation could not be performed for a gene, no data is displayed here. View antibody staining data further down this page.

No data
RNA expressioni

A summary of mRNA expression data available for current tissue based on several datasets. The mRNA expression levels in human tissues are based on RNA-seq data generated by the Human Protein Atlas (HPA), Genotype-Tissue Expression (GTEx) portal and CAGE data generated by the FANTOM5 consortium. Consensus normalized expression levels for human tissues was created by combining the data from HPA and GTEx datasets.

The mRNA expression levels in pig are based on RNA-seq data generated by the Human Protein Atlas (HPA), and for mouse, HPA data and in situ hybridization generated by the Allen brain atlas are reported.

Scroll down to view mRNA expression data in more detail.
Consensus:184.7 nTPM
HPA:184.7 nTPM
GTEx:182.9 nTPM

SKIN - Annotated protein expression
Pending normal tissue analysis

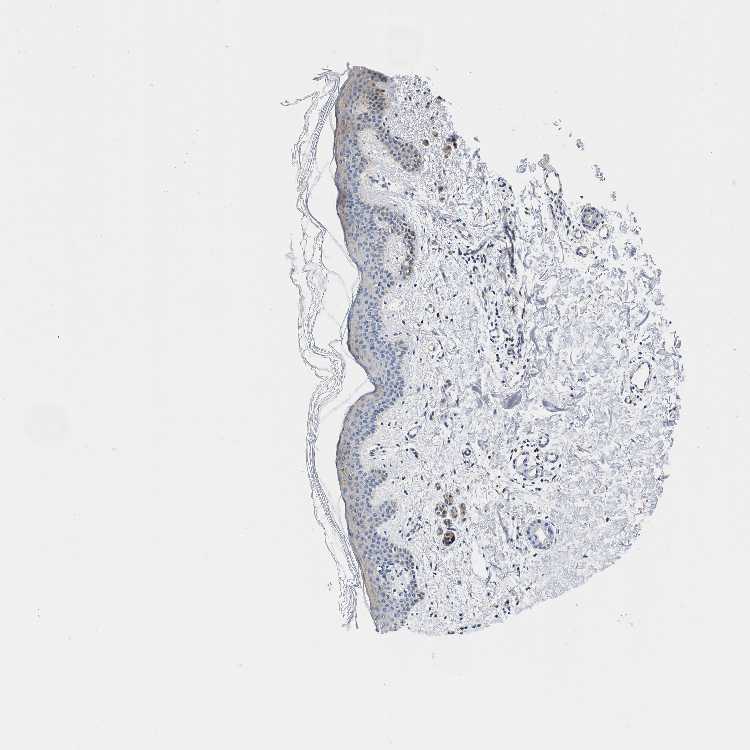
SKIN 1 - Antibody stainingi

Antibody staining in the annotated cell types in the current human tissue is reported as not detected, low, medium, or high, based on conventional immunohistochemistry profiling in selected tissues. This score is based on the combination of the staining intensity and fraction of stained cells.

Each image is clickable and will lead to virtual microscopy that enables deeper exploration of all samples and also displays staining intensity scores, fraction scores and subcellular localization as well as patient and tissue information for each sample.

Antibody HPA008763Antibody HPA028747Antibody CAB019394
Langerhans Not detectedMediumNot detected
Fibroblasts LowMediumNot detected
Keratinocytes LowMediumLow
Melanocytes MediumMediumNot detected






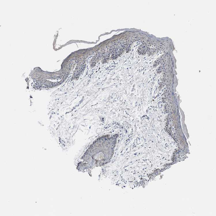
SKIN 2 - Antibody stainingi

Antibody staining in the annotated cell types in the current human tissue is reported as not detected, low, medium, or high, based on conventional immunohistochemistry profiling in selected tissues. This score is based on the combination of the staining intensity and fraction of stained cells.

Each image is clickable and will lead to virtual microscopy that enables deeper exploration of all samples and also displays staining intensity scores, fraction scores and subcellular localization as well as patient and tissue information for each sample.

Antibody HPA008763Antibody HPA028747Antibody CAB019394
Epidermal cells LowMediumLow
   
   
   





SKIN - HPA RNA-seqi

The RNA-seq details section shows detailed information about the individual samples used for the transcript profiling and results of the RNA-seq analysis.

Information about each individual sample is listed below, including gender, age, a tissue section image and estimated fractions of cell types. nTPM (normalized transcripts per million) values give a quantification of the gene abundance which is comparable between different genes and samples.
Average nTPMi

Max subtype nTPM is the value for the subtype with the largest average nTPM across the subtype samples.

184.7
overview
Female, age 34
Skin sample 225
nTPM: 179.1
Cell types%
Keratinocytes:
60

Other cell types:
40

overview
Female, age 30
Skin sample 226
nTPM: 123
Cell types%
Keratinocytes:
55

Other cell types:
45

N/A
Male, age 57
Skin sample 227
nTPM: 252.1

SKIN - GTEx RNA-seqi

RNA-Seq data generated by the Genotype-Tissue Expression (GTEx) project from human tissues is reported as mean nTPM. More information can be found on the GTEx portal.

Distribution across the dataset is visualized with box plots, shown as median and 25th and 75th percentiles. Points are displayed as outliers if they are above or below 1.5 times the interquartile range. nTPM values of the individual samples are presented next to the box plot.
Max subtype nTPMi

Max subtype nTPM is the value for the subtype with the largest average nTPM across the subtype samples.

182.9
GTEx sample id Sample description nTPM
Skin - Not Sun Exposed (Suprapubic)
Average nTPM: 176.9
Samples: 604

Max nTPM: 448.8
Min nTPM: 75.5
Std nTPM: 50.0
Median nTPM: 170.0
GTEX-11DYG-1526-SM-5A5JS 60-69 years, male 448.8
GTEX-WI4N-2726-SM-3LK7Y 40-49 years, female 388.3
GTEX-WFG7-2026-SM-5SI7P 20-29 years, male 370.4
GTEX-1OJC3-1226-SM-DTXER 20-29 years, male 366.7
GTEX-ZTX8-1326-SM-4YCEL 20-29 years, male 362.4
GTEX-144FL-0626-SM-5LU43 50-59 years, male 359.4
GTEX-15RJ7-2126-SM-6PAMD 40-49 years, male 338.7
GTEX-Y114-2126-SM-4TT8B 50-59 years, female 336.8
GTEX-17F97-2626-SM-7IGM5 50-59 years, male 325.4
GTEX-1E2YA-2126-SM-7MXUO 50-59 years, male 324.9
GTEX-147F4-0726-SM-5TDDD 50-59 years, male 323.7
GTEX-11PRG-0726-SM-5EGL1 50-59 years, male 309.3
GTEX-1JMLX-0626-SM-ARL8T 50-59 years, male 307.4
GTEX-X585-2426-SM-46MW2 50-59 years, male 306.9
GTEX-1EX96-1026-SM-7MKG2 50-59 years, male 304.9
GTEX-1F6I4-2326-SM-7RHGL 60-69 years, male 304.4
GTEX-1AYD5-2626-SM-7PBXY 50-59 years, male 293.7
GTEX-12WSJ-1126-SM-5LZVJ 40-49 years, female 292.9
GTEX-WHPG-2626-SM-3NMBR 50-59 years, male 292.7
GTEX-1N2DV-1526-SM-DTXEP 40-49 years, male 288.0
GTEX-1PPH8-0126-SM-EWRN8 20-29 years, male 286.9
GTEX-1IKOE-1426-SM-CE6T7 30-39 years, female 285.8
GTEX-Y111-0626-SM-4SOIT 50-59 years, male 283.5
GTEX-ZYVF-0926-SM-5E44J 50-59 years, female 276.8
GTEX-YECK-0326-SM-4W1YS 60-69 years, male 275.9
GTEX-1JJEA-1826-SM-ARU8P 60-69 years, male 275.1
GTEX-ZDTS-0826-SM-4WKHL 60-69 years, male 274.5
GTEX-W5X1-2526-SM-3GILC 40-49 years, female 272.4
GTEX-148VJ-0626-SM-5LUAW 70-79 years, male 271.8
GTEX-16MT9-0126-SM-7EPI8 60-69 years, female 271.0
GTEX-1JMQL-2226-SM-CNPP4 50-59 years, female 270.6
GTEX-139UW-0326-SM-5J1ML 60-69 years, male 268.6
GTEX-1HBPI-2126-SM-ARL9K 50-59 years, male 268.6
GTEX-1PIIG-2326-SM-DTXFR 30-39 years, male 267.7
GTEX-14PJO-2526-SM-6AJBQ 60-69 years, male 267.1
GTEX-15SHW-0226-SM-7LTAT 60-69 years, male 266.4
GTEX-ZE7O-2726-SM-51MT5 50-59 years, female 266.0
GTEX-Y3I4-1726-SM-4TT89 50-59 years, male 265.5
GTEX-11WQC-1826-SM-5GU59 60-69 years, male 261.3
GTEX-Y3IK-1626-SM-4YCF5 50-59 years, female 257.7
GTEX-1IKJJ-2226-SM-CJI4C 60-69 years, male 257.0
GTEX-1HGF4-0126-SM-CNPPX 60-69 years, male 255.8
GTEX-11O72-0626-SM-5PNYE 40-49 years, male 252.4
GTEX-14PJ3-1126-SM-5ZZVX 50-59 years, male 252.3
GTEX-17HG3-2626-SM-7DUF2 30-39 years, female 250.4
GTEX-XBEW-1126-SM-4QARW 40-49 years, male 249.2
GTEX-1399Q-2326-SM-5KM2X 40-49 years, male 249.0
GTEX-ZYW4-0626-SM-59HJR 60-69 years, male 247.9
GTEX-13JVG-0726-SM-5KM16 60-69 years, male 247.6
GTEX-ZT9X-1526-SM-5DUXD 40-49 years, male 246.8
GTEX-18D9B-0926-SM-7LG4U 60-69 years, male 246.6
GTEX-13NYB-0126-SM-5J1MD 40-49 years, male 245.5
GTEX-11OF3-0126-SM-5PNYF 60-69 years, male 244.9
GTEX-11DXZ-2026-SM-5987S 50-59 years, male 243.1
GTEX-12ZZY-0726-SM-5EQ66 60-69 years, male 242.4
GTEX-16YQH-2226-SM-7IGM2 30-39 years, male 241.6
GTEX-1GMRU-2126-SM-7P8RA 50-59 years, male 240.9
GTEX-XQ3S-1426-SM-4BOPR 20-29 years, male 240.6
GTEX-13112-0126-SM-5P9IU 50-59 years, male 240.5
GTEX-11P7K-1126-SM-5HL4L 30-39 years, male 239.9
GTEX-1A3MW-0626-SM-731CB 60-69 years, female 239.0
GTEX-ZY6K-1426-SM-5GZX2 50-59 years, male 238.8
GTEX-13G51-1826-SM-5KLZH 60-69 years, male 238.2
GTEX-1HCU6-2526-SM-ADEHL 60-69 years, female 236.2
GTEX-1313W-0626-SM-5EQ4H 50-59 years, female 234.8
GTEX-11ZU8-0126-SM-5EQ58 60-69 years, male 234.3
GTEX-131XH-0126-SM-5LZUY 50-59 years, male 234.2
GTEX-145MH-2826-SM-5RQJF 50-59 years, male 233.6
GTEX-1ICLZ-0326-SM-ARL82 60-69 years, male 233.2
GTEX-14C39-1726-SM-5RQIL 40-49 years, male 231.8
GTEX-1BAJH-2426-SM-7IGP8 70-79 years, male 230.7
GTEX-14XAO-1226-SM-6EU1C 60-69 years, female 230.4
GTEX-13PL6-1126-SM-5L3IE 40-49 years, female 229.8
GTEX-12WSH-1526-SM-5BC5W 50-59 years, male 229.5
GTEX-15UF6-1926-SM-7KUDV 70-79 years, female 228.1
GTEX-139YR-1026-SM-5LZYN 50-59 years, male 228.0
GTEX-1HSMQ-2626-SM-A9SML 50-59 years, male 227.6
GTEX-WHWD-1826-SM-3LK6I 50-59 years, male 227.3
GTEX-1497J-0226-SM-5QGPU 60-69 years, male 226.8
GTEX-WY7C-2126-SM-3NB2R 50-59 years, male 226.5
GTEX-12126-0826-SM-5FQTZ 20-29 years, male 224.8
GTEX-145MG-1526-SM-5Q5EM 50-59 years, male 224.1
GTEX-Z93S-1626-SM-5CVMB 50-59 years, male 224.0
GTEX-ZYFC-0426-SM-5GICQ 50-59 years, male 223.7
GTEX-1R9K4-2826-SM-DTX8F 60-69 years, male 223.5
GTEX-ZC5H-1526-SM-5HL9Y 40-49 years, female 222.8
GTEX-13FHO-0426-SM-5L3F5 60-69 years, male 222.6
GTEX-139TU-0726-SM-5L3EK 60-69 years, male 222.3
GTEX-1IY9M-2826-SM-ARU8H 60-69 years, male 222.2
GTEX-1399S-0126-SM-5IJCF 30-39 years, female 221.8
GTEX-147GR-2426-SM-5ZZWQ 60-69 years, male 221.7
GTEX-1QAET-0326-SM-EVR3U 50-59 years, male 221.3
GTEX-YEC4-1826-SM-4W1YP 40-49 years, male 221.2
GTEX-13X6J-0626-SM-5LU5F 50-59 years, male 221.1
GTEX-15SKB-2826-SM-6PAMH 60-69 years, male 221.0
GTEX-13SLX-2226-SM-62LEP 50-59 years, female 220.9
GTEX-111VG-1626-SM-5EGIO 60-69 years, male 220.8
GTEX-139TS-2126-SM-5K7XC 60-69 years, male 220.4
GTEX-1LVA9-2626-SM-EVYD4 50-59 years, male 220.4
GTEX-1I1GP-1326-SM-A9G28 50-59 years, male 220.2
GTEX-13OVJ-0826-SM-5J1OK 50-59 years, female 218.1
GTEX-ZTTD-2826-SM-4YCFA 50-59 years, male 218.0
GTEX-131XG-0326-SM-5L3DX 50-59 years, female 217.9
GTEX-1IL2V-1926-SM-B2LW8 70-79 years, male 217.7
GTEX-1H3O1-1326-SM-9MQLD 60-69 years, male 217.6
GTEX-1F75A-0726-SM-7RHHD 50-59 years, male 217.2
GTEX-1LSNL-2726-SM-E9TKJ 50-59 years, male 216.8
GTEX-1GN1V-2826-SM-9JGIA 60-69 years, male 216.3
GTEX-1GF9V-0826-SM-9KNUV 60-69 years, male 216.0
GTEX-1J1OQ-0126-SM-D4P2N 40-49 years, female 216.0
GTEX-ZAK1-0626-SM-5HL8E 50-59 years, female 215.3
GTEX-1J8EW-2726-SM-CY8HR 60-69 years, female 214.8
GTEX-1LSVX-2526-SM-DIPEU 60-69 years, male 214.6
GTEX-ZYT6-2326-SM-5GZY3 30-39 years, male 213.6
GTEX-WXYG-2026-SM-4E3IY 50-59 years, female 212.9
GTEX-1JMPY-0226-SM-CKZOK 30-39 years, male 212.6
GTEX-13FTY-2126-SM-5IFFB 40-49 years, female 212.5
GTEX-1JMQI-1726-SM-ARL93 50-59 years, male 212.5
GTEX-1C64N-2626-SM-7PC2N 50-59 years, male 212.2
GTEX-1HC8U-1326-SM-9YFMJ 40-49 years, female 211.7
GTEX-ZF2S-1626-SM-57WES 50-59 years, female 211.5
GTEX-16MTA-0926-SM-6M47Z 50-59 years, male 211.1
GTEX-1C6VQ-1226-SM-73KYD 50-59 years, male 210.7
GTEX-18A6Q-0626-SM-7KFRP 60-69 years, male 210.6
GTEX-12ZZZ-0726-SM-5GCNZ 60-69 years, male 210.3
GTEX-WHSB-1326-SM-3LK6W 50-59 years, male 210.0
GTEX-1CAMS-2226-SM-7PBXQ 40-49 years, female 209.8
GTEX-1QP9N-1226-SM-E76QN 30-39 years, male 209.7
GTEX-1B8SF-0126-SM-7DUG3 60-69 years, male 209.5
GTEX-WHSE-0126-SM-3NMBT 20-29 years, male 208.1
GTEX-11GS4-0226-SM-5HL77 60-69 years, male 207.9
GTEX-15DDE-2926-SM-6LLJ3 50-59 years, female 207.9
GTEX-WH7G-2026-SM-3NMBL 40-49 years, male 207.6
GTEX-ZPU1-1126-SM-4YCF3 40-49 years, male 207.4
GTEX-1HT8W-0626-SM-A9G2H 30-39 years, male 207.4
GTEX-1AX9I-2226-SM-73KUO 60-69 years, male 207.1
GTEX-11WQK-1026-SM-5EQLX 50-59 years, male 206.7
GTEX-1A8FM-0626-SM-7PC25 50-59 years, female 206.7
GTEX-14C38-0726-SM-5SI6M 50-59 years, male 206.6
GTEX-ZVP2-0326-SM-57WBP 50-59 years, male 206.1
GTEX-15DYW-2726-SM-6EU2I 60-69 years, female 205.3
GTEX-14A5H-0826-SM-5QGPJ 60-69 years, male 204.2
GTEX-14ABY-2026-SM-62LDL 50-59 years, male 204.2
GTEX-1C6WA-2626-SM-7MKGM 60-69 years, male 204.2
GTEX-1EU9M-1426-SM-793AI 60-69 years, male 203.5
GTEX-11P82-1426-SM-DTXFY 20-29 years, male 203.4
GTEX-17HII-1426-SM-7EPGG 50-59 years, male 203.1
GTEX-11ZTT-2126-SM-5CVLO 60-69 years, female 202.6
GTEX-13IVO-0726-SM-5LZYV 70-79 years, male 202.0
GTEX-1H1CY-0126-SM-9YFLY 60-69 years, female 201.9
GTEX-12WSD-0626-SM-5GCMW 60-69 years, female 201.6
GTEX-UPJH-0226-SM-3GADV 50-59 years, male 201.6
GTEX-15RIG-0726-SM-7KUM7 40-49 years, male 200.9
GTEX-18D9U-0126-SM-731BM 40-49 years, male 200.4
GTEX-1POEN-2326-SM-E9J2L 30-39 years, female 200.0
GTEX-X8HC-0626-SM-4E3HQ 50-59 years, female 199.1
GTEX-15G1A-1626-SM-7KUKN 30-39 years, male 199.0
GTEX-1HBPN-0126-SM-CGQEF 50-59 years, male 198.8
GTEX-14PHX-2226-SM-6EU2P 50-59 years, male 198.6
GTEX-1S831-1826-SM-EWROF 20-29 years, male 198.5
GTEX-14LZ3-0126-SM-69LPM 60-69 years, female 198.4
GTEX-1EKGG-0626-SM-7DUGJ 60-69 years, male 198.2
GTEX-15G19-2426-SM-7KUMR 60-69 years, male 197.8
GTEX-1RLM8-2926-SM-E8VON 50-59 years, male 197.3
GTEX-11NSD-0626-SM-5A5LU 20-29 years, male 196.9
GTEX-13OW5-2326-SM-5L3HO 60-69 years, male 196.7
GTEX-144GL-0626-SM-5LU4D 50-59 years, male 196.7
GTEX-1CB4F-1026-SM-7DUH1 60-69 years, male 196.5
GTEX-1HFI6-0126-SM-CNPPI 40-49 years, male 196.5
GTEX-1N2EE-0626-SM-E76PW 60-69 years, male 196.5
GTEX-1HCU7-0726-SM-A9SL1 50-59 years, male 196.4
GTEX-Y5V6-2326-SM-4VDSA 60-69 years, male 196.3
GTEX-13OVK-1426-SM-6PAN7 40-49 years, male 196.1
GTEX-1JMQJ-0826-SM-CNPP7 50-59 years, male 195.7
GTEX-1CAMR-1326-SM-7PC1F 20-29 years, male 194.6
GTEX-1I1GV-0626-SM-ARL7M 60-69 years, male 194.5
GTEX-1QW4Y-1126-SM-DTXE3 30-39 years, male 194.5
GTEX-1PPGY-1626-SM-EVYBL 60-69 years, male 194.4
GTEX-131XF-2626-SM-5EQ6K 60-69 years, male 193.6
GTEX-ZDXO-3126-SM-5IJDF 60-69 years, male 193.6
GTEX-1H4P4-2126-SM-9WYSL 50-59 years, male 193.5
GTEX-13U4I-2226-SM-5LU5H 40-49 years, female 193.3
GTEX-1117F-2926-SM-5GZYI 60-69 years, female 193.1
GTEX-1HR9M-2226-SM-CNPPY 60-69 years, male 192.9
GTEX-1IE54-1126-SM-A9G2Z 40-49 years, female 192.6
GTEX-17HHY-0426-SM-7DHLC 50-59 years, male 192.2
GTEX-X5EB-1926-SM-4E3IW 40-49 years, male 191.9
GTEX-ZAB4-2126-SM-5HL8U 40-49 years, male 191.5
GTEX-1GPI6-1926-SM-9KNV7 60-69 years, male 191.5
GTEX-18A66-0626-SM-7LT8Z 60-69 years, male 191.1
GTEX-15RJE-2826-SM-7KUM9 40-49 years, male 190.9
GTEX-16MT8-2926-SM-7DUFO 60-69 years, female 190.5
GTEX-1A8G6-2726-SM-731AR 60-69 years, male 190.4
GTEX-14ICL-1626-SM-5YYAO 30-39 years, male 190.2
GTEX-ZF3C-0626-SM-DO92O 50-59 years, female 189.7
GTEX-1AX8Z-0726-SM-73KTS 60-69 years, male 189.3
GTEX-U8XE-0226-SM-4E3J3 30-39 years, male 188.7
GTEX-ZVT4-2426-SM-5GIEI 50-59 years, female 188.6
GTEX-17EVP-2626-SM-7IGMA 40-49 years, male 188.5
GTEX-X4EO-2926-SM-4E3JH 60-69 years, female 188.4
GTEX-1GZHY-0626-SM-9KNVC 50-59 years, female 188.4
GTEX-139D8-1126-SM-5LU8W 30-39 years, female 188.0
GTEX-XOT4-0626-SM-4B66L 60-69 years, female 188.0
GTEX-14JG1-1526-SM-5YY9X 40-49 years, male 187.6
GTEX-145MN-1526-SM-5SI9T 30-39 years, male 187.5
GTEX-111CU-1126-SM-5EGIM 50-59 years, male 187.2
GTEX-ZE9C-2526-SM-5IJDR 60-69 years, male 187.1
GTEX-13YAN-0226-SM-5TDC6 60-69 years, male 186.8
GTEX-YJ8O-2526-SM-5HL85 40-49 years, female 186.8
GTEX-1NV5F-0626-SM-DTXEG 60-69 years, female 186.7
GTEX-13SLW-0626-SM-5Q5ER 70-79 years, male 186.6
GTEX-17HGU-2326-SM-7DUFE 50-59 years, male 186.6
GTEX-13N1W-2426-SM-5IJD1 70-79 years, male 186.5
GTEX-14BIN-1126-SM-5RQJZ 50-59 years, female 186.4
GTEX-1EN7A-2426-SM-793DB 40-49 years, male 186.2
GTEX-1CB4J-1326-SM-7P8RX 60-69 years, male 186.2
GTEX-1H2FU-0926-SM-9WPPT 60-69 years, female 186.2
GTEX-11NUK-2726-SM-5A5MC 50-59 years, male 185.8
GTEX-1LBAC-0826-SM-CY8IJ 20-29 years, male 185.7
GTEX-1EMGI-2326-SM-7PBYA 60-69 years, male 185.5
GTEX-12KS4-2126-SM-5FQUT 30-39 years, male 185.4
GTEX-13PVQ-0626-SM-5LU47 50-59 years, male 185.3
GTEX-17HHE-1326-SM-7EWDZ 50-59 years, male 185.2
GTEX-13113-1626-SM-5EQ4I 60-69 years, female 185.1
GTEX-1LKK1-2626-SM-DKPQE 50-59 years, female 185.0
GTEX-11DXX-2126-SM-5PNYR 60-69 years, female 184.7
GTEX-1CAMQ-1326-SM-7P8RV 40-49 years, male 184.3
GTEX-11LCK-2226-SM-5HL4Q 30-39 years, male 184.1
GTEX-17F9E-2326-SM-79OKD 50-59 years, male 184.1
GTEX-132AR-0326-SM-5KM2C 50-59 years, female 184.0
GTEX-18465-2826-SM-7LT9J 50-59 years, male 184.0
GTEX-18QFQ-1826-SM-72D52 30-39 years, male 183.7
GTEX-13OW7-0426-SM-5K7VK 50-59 years, male 183.4
GTEX-ZDYS-2426-SM-4WKGI 50-59 years, male 183.4
GTEX-1H1DE-1326-SM-9KNUG 20-29 years, male 183.3
GTEX-1B933-2426-SM-7DHMD 50-59 years, female 183.2
GTEX-1R46S-2426-SM-E76QA 60-69 years, female 183.0
GTEX-12ZZX-2426-SM-5GCOE 40-49 years, female 182.8
GTEX-1H3VE-0726-SM-9YFL5 40-49 years, male 182.4
GTEX-144GO-2026-SM-5O99P 60-69 years, male 181.7
GTEX-1B97I-0626-SM-73KUZ 40-49 years, male 181.6
GTEX-Y8LW-1526-SM-5IFHL 50-59 years, female 181.4
GTEX-1J8Q2-2626-SM-ACKWQ 60-69 years, male 181.0
GTEX-1192X-2726-SM-5N9DN 50-59 years, male 180.8
GTEX-XXEK-1626-SM-4BRUZ 50-59 years, male 180.2
GTEX-1PBJJ-1026-SM-E76OS 30-39 years, male 180.1
GTEX-17F9Y-0126-SM-79OKX 70-79 years, female 179.9
GTEX-11TUW-0626-SM-5LU9M 60-69 years, male 179.8
GTEX-ZDTT-0426-SM-4WKFL 60-69 years, male 179.8
GTEX-145LU-1926-SM-79OJN 50-59 years, male 179.4
GTEX-139TT-2126-SM-5LZWC 60-69 years, male 179.3
GTEX-Y9LG-1126-SM-4VBQ7 30-39 years, male 179.1
GTEX-Y8E4-2026-SM-5IFJB 40-49 years, male 178.7
GTEX-1I1GU-0926-SM-ACKVS 40-49 years, male 178.7
GTEX-WYVS-1626-SM-3NM9R 40-49 years, female 178.5
GTEX-1R9PM-1926-SM-EVR3O 20-29 years, male 177.9
GTEX-11P81-2226-SM-5PNYI 30-39 years, female 177.8
GTEX-131XW-0626-SM-5PNVD 50-59 years, female 177.8
GTEX-13X6K-0626-SM-5LU5D 60-69 years, female 177.4
GTEX-1GN73-0726-SM-7P8TJ 60-69 years, male 177.4
GTEX-1C6VR-0126-SM-7RHGB 60-69 years, male 177.3
GTEX-1JMOU-1026-SM-CYPSS 60-69 years, female 177.2
GTEX-16AAH-0626-SM-793C9 50-59 years, male 176.8
GTEX-1EWIQ-0326-SM-7DHMQ 70-79 years, female 176.8
GTEX-1IOXB-2726-SM-CM2RI 50-59 years, male 176.7
GTEX-1I1GS-2626-SM-B2LY3 60-69 years, male 176.5
GTEX-13N11-2326-SM-5IJBF 50-59 years, female 175.9
GTEX-1211K-1526-SM-5FQU4 60-69 years, female 175.4
GTEX-ZPCL-1126-SM-4WWFE 60-69 years, female 175.4
GTEX-1S5ZU-2526-SM-E6CIF 20-29 years, female 175.1
GTEX-1KAFJ-0126-SM-DIPEK 50-59 years, male 174.8
GTEX-1RAZS-2526-SM-E6CHT 50-59 years, male 174.8
GTEX-ZXG5-2126-SM-59HKD 60-69 years, male 174.6
GTEX-ZZ64-1026-SM-5GZXG 20-29 years, male 174.6
GTEX-12WSF-1626-SM-7KUG5 70-79 years, male 174.5
GTEX-15RIE-1926-SM-7KUKJ 60-69 years, male 174.4
GTEX-1S82U-1026-SM-E6CJK 30-39 years, female 174.4
GTEX-1F75I-2226-SM-7SB8U 40-49 years, male 174.3
GTEX-1RMOY-1326-SM-E9TIH 50-59 years, male 174.2
GTEX-11DXW-0826-SM-5H118 40-49 years, male 174.0
GTEX-1RAZQ-1326-SM-E9TK6 30-39 years, male 174.0
GTEX-WFG8-2126-SM-3GIKQ 20-29 years, male 173.3
GTEX-1NSGN-0726-SM-DTXEF 50-59 years, male 173.3
GTEX-1A8G7-1326-SM-73KVM 60-69 years, male 173.2
GTEX-13FTX-1526-SM-5K7VJ 20-29 years, female 172.5
GTEX-1HSMP-0926-SM-A9SKX 70-79 years, male 172.5
GTEX-1PPH7-1126-SM-DTX9A 40-49 years, male 172.5
GTEX-1JMQK-1226-SM-D4P2S 60-69 years, male 172.4
GTEX-11TT1-1826-SM-5EQLV 20-29 years, male 172.2
GTEX-14PHY-1226-SM-5ZZWK 60-69 years, female 172.1
GTEX-1MJK3-0726-SM-E6CJC 20-29 years, male 172.1
GTEX-1AX9J-1326-SM-731BJ 60-69 years, male 172.0
GTEX-ZPIC-0526-SM-DO91W 40-49 years, female 171.6
GTEX-14DAR-1226-SM-73KYV 50-59 years, male 171.2
GTEX-14E1K-2026-SM-7DUEI 50-59 years, male 170.8
GTEX-111YS-1526-SM-5GZYW 60-69 years, male 170.6
GTEX-13VXU-0626-SM-5L3F9 50-59 years, male 170.6
GTEX-1QP2A-1726-SM-E76QC 50-59 years, male 170.4
GTEX-13NZ9-2626-SM-5L3FK 50-59 years, male 170.1
GTEX-16NPX-0726-SM-7KULC 50-59 years, male 170.1
GTEX-1MCYP-0526-SM-E9U6Q 20-29 years, female 170.1
GTEX-16BQI-1326-SM-6M486 30-39 years, female 170.0
GTEX-1LB8K-0726-SM-D5OV2 50-59 years, male 170.0
GTEX-13O61-1426-SM-5KM3D 60-69 years, male 169.9
GTEX-1QCLY-0226-SM-EWRNH 30-39 years, male 169.9
GTEX-1PDJ9-1226-SM-EXUSX 20-29 years, male 169.5
GTEX-1I6K7-1926-SM-B2LXR 40-49 years, male 169.3
GTEX-1JN6P-2926-SM-CL54D 60-69 years, male 169.3
GTEX-ZYY3-2926-SM-5GIEB 60-69 years, female 169.0
GTEX-WYBS-0626-SM-3NMAS 60-69 years, female 168.9
GTEX-14JFF-0626-SM-5ZZVT 60-69 years, male 168.9
GTEX-1H23P-0626-SM-9WG6T 60-69 years, male 168.9
GTEX-1HCU8-2526-SM-CE6RX 60-69 years, female 168.7
GTEX-1M4P7-0726-SM-E6CJ3 60-69 years, male 168.7
GTEX-1I1CD-0626-SM-CE6SW 60-69 years, female 168.2
GTEX-1IDJI-0126-SM-CMKHS 50-59 years, female 168.2
GTEX-145MI-0626-SM-5SI8S 60-69 years, female 168.1
GTEX-13O3Q-0126-SM-5KM34 50-59 years, male 168.0
GTEX-1E1VI-0326-SM-793D1 50-59 years, male 167.8
GTEX-1CB4E-0926-SM-7EPHT 60-69 years, male 167.7
GTEX-1F75B-0726-SM-7PC3R 50-59 years, male 167.7
GTEX-14PJ4-0226-SM-5YY92 60-69 years, male 167.6
GTEX-1QP29-1826-SM-DTX9S 50-59 years, male 167.6
GTEX-18A67-1626-SM-7LT9T 50-59 years, male 167.5
GTEX-XBED-1926-SM-47JYP 60-69 years, male 167.4
GTEX-1GN2E-0226-SM-9WG6K 60-69 years, male 167.4
GTEX-VJYA-1526-SM-3GIJV 60-69 years, male 167.2
GTEX-1JN76-0626-SM-CKZOQ 20-29 years, female 166.8
GTEX-1H1DF-1126-SM-9WG7G 40-49 years, female 166.2
GTEX-1H1ZS-2726-SM-9WG75 70-79 years, male 166.1
GTEX-WRHU-2826-SM-3MJG8 50-59 years, female 166.0
GTEX-1I1HK-2326-SM-CKZOH 60-69 years, male 165.9
GTEX-1S3DN-2126-SM-E9TIN 50-59 years, male 165.4
GTEX-13D11-0926-SM-5J2NC 50-59 years, female 165.3
GTEX-1B8KE-1126-SM-7EPHI 50-59 years, male 164.9
GTEX-1GN1U-0626-SM-9MQL9 50-59 years, female 164.9
GTEX-145ME-1726-SM-5Q5EU 40-49 years, female 164.8
GTEX-1GTWX-2026-SM-9YFLM 60-69 years, male 164.8
GTEX-X3Y1-2026-SM-3P5YM 40-49 years, male 164.1
GTEX-1IDFM-0326-SM-ARL7V 60-69 years, male 164.0
GTEX-1GF9W-1426-SM-7PBYM 60-69 years, male 163.8
GTEX-1H11D-1826-SM-9QEHM 40-49 years, male 163.7
GTEX-15CHQ-0326-SM-69LQD 60-69 years, male 163.6
GTEX-17F98-1326-SM-7DUEP 40-49 years, female 163.2
GTEX-1B8KZ-0326-SM-73KY4 50-59 years, male 162.9
GTEX-16NGA-0726-SM-731AO 40-49 years, female 162.6
GTEX-ZLFU-1826-SM-4WWBV 40-49 years, male 162.2
GTEX-1GZ4H-0526-SM-9KNU9 50-59 years, female 161.8
GTEX-14E6E-0526-SM-793DN 30-39 years, male 161.7
GTEX-1IDJC-1526-SM-B2LW4 50-59 years, male 161.7
GTEX-ZA64-1026-SM-5HL8R 20-29 years, male 161.3
GTEX-13RTJ-0126-SM-5S2NN 60-69 years, male 161.1
GTEX-1RB15-1326-SM-E76Q9 60-69 years, male 160.9
GTEX-146FQ-2126-SM-5RQHU 30-39 years, male 160.8
GTEX-1N5O9-0926-SM-E9J3C 60-69 years, male 160.7
GTEX-1399U-1126-SM-5L3DB 50-59 years, female 160.5
GTEX-1JKYN-0826-SM-ARU8S 30-39 years, male 160.3
GTEX-14753-0726-SM-5QGQO 60-69 years, male 160.1
GTEX-1HSKV-1226-SM-ADEI4 60-69 years, male 159.8
GTEX-1PIGE-1826-SM-E8VOU 20-29 years, male 159.4
GTEX-XYKS-1426-SM-4BRUO 60-69 years, female 159.2
GTEX-1S82P-2126-SM-E6CI5 60-69 years, female 159.0
GTEX-15ER7-0626-SM-6PANF 20-29 years, female 158.9
GTEX-17F96-0126-SM-7EWDU 70-79 years, male 158.7
GTEX-1477Z-0326-SM-7IGLA 60-69 years, male 158.6
GTEX-XPVG-2126-SM-4B667 50-59 years, male 158.6
GTEX-ZYFG-1526-SM-5GZYM 60-69 years, female 158.5
GTEX-12584-0726-SM-5FQTK 40-49 years, male 158.1
GTEX-1F48J-0726-SM-7RHGS 50-59 years, female 158.0
GTEX-13OW6-2726-SM-5J2OE 50-59 years, male 157.9
GTEX-12WSL-2026-SM-5GCML 50-59 years, male 157.8
GTEX-12WSK-2126-SM-5CVNC 40-49 years, female 157.5
GTEX-1GMR3-0126-SM-A9SLW 40-49 years, male 157.5
GTEX-11DXY-0126-SM-5H11Q 60-69 years, male 157.4
GTEX-1JJE9-2626-SM-ARZMT 70-79 years, male 157.3
GTEX-144GM-0526-SM-79OJO 20-29 years, male 157.2
GTEX-1J8JJ-0626-SM-ARZMQ 60-69 years, female 157.1
GTEX-14PJ5-1526-SM-6LLIL 60-69 years, female 156.3
GTEX-18A7A-0126-SM-731AH 50-59 years, female 156.3
GTEX-14PII-0726-SM-6EU2B 60-69 years, male 156.2
GTEX-WFON-1926-SM-3LK7L 40-49 years, male 156.0
GTEX-1RAZR-2126-SM-E9U6T 40-49 years, male 155.9
GTEX-ZZPU-0826-SM-5GZX5 50-59 years, female 155.8
GTEX-XV7Q-1826-SM-4BRUV 40-49 years, female 155.6
GTEX-1OJC4-2726-SM-E76PJ 50-59 years, female 155.4
GTEX-1O9I2-0226-SM-EYYXD 50-59 years, male 155.3
GTEX-YFCO-1226-SM-5LUAT 40-49 years, male 155.2
GTEX-139T8-0626-SM-5KLZX 60-69 years, male 155.1
GTEX-1HR98-2226-SM-ADEI2 60-69 years, male 155.0
GTEX-1GPI7-1826-SM-9KNU1 20-29 years, male 154.9
GTEX-13PDP-0726-SM-5L3HP 60-69 years, male 154.6
GTEX-13NYS-0626-SM-5L3F1 60-69 years, male 154.4
GTEX-12696-0126-SM-5EQ4L 60-69 years, male 154.2
GTEX-XBEC-0726-SM-4QARZ 50-59 years, male 154.2
GTEX-1J8QM-2426-SM-A9SLS 60-69 years, female 153.9
GTEX-1LSNM-0826-SM-DIPG8 50-59 years, male 153.9
GTEX-1QMI2-2526-SM-E8VNZ 60-69 years, male 153.9
GTEX-15EU6-2226-SM-6EU2L 50-59 years, male 153.7
GTEX-1KANB-2826-SM-CY8I6 50-59 years, male 153.6
GTEX-11GSP-2326-SM-5HL63 60-69 years, female 153.3
GTEX-15EO6-2426-SM-6PALZ 50-59 years, male 153.3
GTEX-13O3O-2326-SM-5IJD6 60-69 years, female 153.2
GTEX-13X6I-1826-SM-5SIAO 60-69 years, male 153.2
GTEX-1399R-1326-SM-5PNYS 30-39 years, male 153.1
GTEX-14PK6-0226-SM-62LF5 70-79 years, female 152.5
GTEX-17MFQ-1526-SM-7KFRR 20-29 years, male 152.4
GTEX-15CHR-1126-SM-7EWF4 50-59 years, male 152.0
GTEX-1HCUA-0826-SM-ADEHM 50-59 years, female 152.0
GTEX-1KD5A-0126-SM-E9U54 50-59 years, male 151.7
GTEX-183FY-1026-SM-7939A 20-29 years, male 151.4
GTEX-14C5O-0326-SM-5ZZUX 60-69 years, male 151.0
GTEX-1R9PN-0426-SM-DTXDT 40-49 years, female 150.7
GTEX-1A3MV-1826-SM-731CD 30-39 years, male 150.1
GTEX-1JK1U-0226-SM-ARZMX 60-69 years, male 150.0
GTEX-ZP4G-1426-SM-4WWCL 20-29 years, female 149.9
GTEX-1GMR2-0826-SM-7PC3V 50-59 years, male 149.8
GTEX-1KXAM-1626-SM-D3LAD 60-69 years, male 149.6
GTEX-14BMV-2826-SM-5TDED 50-59 years, male 149.4
GTEX-1JMPZ-0726-SM-CY8HZ 30-39 years, male 149.0
GTEX-1A32A-0626-SM-731AQ 50-59 years, female 148.7
GTEX-145LT-0526-SM-5LUB2 40-49 years, male 148.5
GTEX-145MF-0926-SM-5Q5EA 50-59 years, male 148.5
GTEX-ZF29-0926-SM-4WKFZ 60-69 years, female 148.5
GTEX-XK95-0226-SM-4AT58 40-49 years, male 148.4
GTEX-12C56-1526-SM-5FQUQ 20-29 years, male 148.1
GTEX-13FLV-0126-SM-5K7WT 50-59 years, male 148.1
GTEX-YEC3-1326-SM-DO92X 50-59 years, male 147.7
GTEX-1GZ2Q-0126-SM-9WG6M 40-49 years, male 147.2
GTEX-1QP28-1126-SM-EVYC4 50-59 years, female 146.6
GTEX-17KNJ-2126-SM-718AM 50-59 years, male 146.4
GTEX-147JS-0226-SM-5S2U9 60-69 years, male 146.3
GTEX-11ZUS-2626-SM-5FQUR 30-39 years, male 146.1
GTEX-133LE-2326-SM-5K7W3 20-29 years, female 145.9
GTEX-1269C-0126-SM-5EQ5L 60-69 years, female 145.6
GTEX-12BJ1-0926-SM-5EQ62 60-69 years, male 145.4
GTEX-1GZ4I-2626-SM-9KNU3 50-59 years, male 145.4
GTEX-1GL5R-1326-SM-7RHHF 50-59 years, male 144.8
GTEX-1F88F-0126-SM-9WYSZ 60-69 years, female 144.7
GTEX-13OVG-1626-SM-5J1NF 60-69 years, male 144.4
GTEX-1K2DU-1226-SM-CYPT4 20-29 years, male 144.3
GTEX-12WSC-2826-SM-5BC5Y 50-59 years, male 143.4
GTEX-15FZZ-0526-SM-7KUGD 30-39 years, female 143.1
GTEX-1LG7Y-2526-SM-EWRO7 50-59 years, male 143.0
GTEX-145LS-0626-SM-7EPG7 60-69 years, female 142.6
GTEX-1IDJF-2026-SM-CL53V 20-29 years, male 142.5
GTEX-17EVQ-0126-SM-7IGLR 70-79 years, male 142.4
GTEX-ZYFD-0626-SM-5E44E 50-59 years, male 142.0
GTEX-1EH9U-2826-SM-7DUGT 60-69 years, male 141.8
GTEX-11UD2-2526-SM-5CVNU 50-59 years, male 141.5
GTEX-16Z82-2626-SM-7KULU 60-69 years, male 141.5
GTEX-1F52S-2926-SM-7MKGA 60-69 years, female 141.4
GTEX-X4EP-0626-SM-3P621 60-69 years, female 141.2
GTEX-1B996-0426-SM-7EWF8 60-69 years, male 141.1
GTEX-1K2DA-1026-SM-CGQGF 50-59 years, male 140.9
GTEX-13OVH-0526-SM-5L3E6 70-79 years, male 140.8
GTEX-1HB9E-0126-SM-CM2S5 50-59 years, male 140.8
GTEX-1J8Q3-0526-SM-ARL8U 60-69 years, male 140.7
GTEX-11VI4-1126-SM-5EQMD 40-49 years, female 140.1
GTEX-14PJN-1826-SM-6AJ98 30-39 years, male 139.5
GTEX-1H1DG-2426-SM-9QEHJ 70-79 years, male 139.5
GTEX-1LVAN-0626-SM-CNPOQ 50-59 years, female 139.1
GTEX-1IDJE-1426-SM-ADEIW 50-59 years, female 138.9
GTEX-18A7B-2726-SM-7LG56 70-79 years, male 138.7
GTEX-ZT9W-1126-SM-57WDR 50-59 years, male 138.3
GTEX-1C64O-1326-SM-7MGWR 60-69 years, male 138.3
GTEX-WK11-2726-SM-3NMAQ 50-59 years, male 138.2
GTEX-1B8L1-2226-SM-7P8PT 60-69 years, male 138.2
GTEX-1JN1M-2726-SM-CY8I4 60-69 years, female 138.2
GTEX-1I1GT-1026-SM-ARZLV 60-69 years, female 137.9
GTEX-178AV-1726-SM-7KUL8 40-49 years, male 137.8
GTEX-11EM3-1226-SM-5N9DD 20-29 years, female 137.7
GTEX-13OVL-0126-SM-5L3GJ 50-59 years, male 137.4
GTEX-13FTW-0326-SM-5K7UW 40-49 years, male 137.0
GTEX-ZVZP-1226-SM-5GID7 50-59 years, male 136.9
GTEX-1LGRB-0926-SM-COH3K 50-59 years, female 136.9
GTEX-1GN1W-2426-SM-9KNUU 50-59 years, female 136.8
GTEX-1IDJH-0126-SM-D3L92 70-79 years, male 136.8
GTEX-1KWVE-1026-SM-D3L9O 30-39 years, male 136.8
GTEX-1QPFJ-1926-SM-EVYBD 30-39 years, female 136.8
GTEX-VUSG-2326-SM-4KL1U 50-59 years, male 136.4
GTEX-1LVAM-0726-SM-E6CIL 50-59 years, female 136.3
GTEX-1212Z-0126-SM-59HK4 60-69 years, male 136.1
GTEX-1314G-1326-SM-5BC6E 30-39 years, male 136.1
GTEX-ZLV1-1526-SM-DO91J 60-69 years, female 135.9
GTEX-15D1Q-2826-SM-6LLH7 40-49 years, male 135.8
GTEX-ZU9S-1826-SM-5NQ9E 30-39 years, male 135.4
GTEX-13VXT-1926-SM-5K7UO 20-29 years, female 135.2
GTEX-1CAV2-0126-SM-7IGN7 40-49 years, female 134.6
GTEX-147F3-1726-SM-5SIAW 50-59 years, female 134.3
GTEX-1GF9X-1326-SM-7PC2Y 40-49 years, female 134.2
GTEX-1QEPI-2626-SM-DTXF4 60-69 years, female 134.1
GTEX-1HKZK-0726-SM-ACKW2 40-49 years, male 133.5
GTEX-1K9T9-1526-SM-DIPFR 50-59 years, female 133.4
GTEX-14PJ6-2626-SM-6EU2T 60-69 years, female 133.3
GTEX-13QJC-0126-SM-5ZZWJ 60-69 years, female 133.1
GTEX-16XZZ-0726-SM-7KUF2 60-69 years, male 133.1
GTEX-14A6H-2026-SM-5Q5DD 30-39 years, male 132.9
GTEX-WEY5-2326-SM-3GIKK 40-49 years, female 132.8
GTEX-14LLW-2626-SM-62LDZ 70-79 years, female 132.7
GTEX-1HUB1-1426-SM-CGQF5 60-69 years, male 132.7
GTEX-131YS-2826-SM-5EQ47 60-69 years, female 132.5
GTEX-1HFI7-2326-SM-CGQFS 50-59 years, female 132.4
GTEX-ZLWG-0826-SM-59888 50-59 years, female 131.7
GTEX-1IDJD-2326-SM-ACKWX 30-39 years, male 131.7
GTEX-183WM-0326-SM-72D5V 70-79 years, female 131.5
GTEX-1C475-1326-SM-7SB73 40-49 years, female 131.1
GTEX-14PKV-1126-SM-6LLJ1 20-29 years, female 130.9
GTEX-17MF6-2626-SM-79OKQ 40-49 years, male 130.9
GTEX-1C2JI-1026-SM-73KY1 50-59 years, male 130.8
GTEX-XMD2-2126-SM-4YCF8 60-69 years, female 130.3
GTEX-17JCI-2926-SM-7DUFF 60-69 years, female 130.2
GTEX-ZVE1-0726-SM-51MRN 50-59 years, female 130.1
GTEX-18D9A-1426-SM-7LT8M 30-39 years, female 129.8
GTEX-111FC-2526-SM-5GZXU 60-69 years, male 129.7
GTEX-11EQ8-0926-SM-5H12V 60-69 years, male 129.6
GTEX-14JG6-1426-SM-9WG7C 30-39 years, female 129.4
GTEX-1S83E-1326-SM-E6CJM 40-49 years, male 129.3
GTEX-13X6H-0926-SM-5SIB2 50-59 years, female 129.0
GTEX-12WSM-1926-SM-5BC65 60-69 years, male 128.9
GTEX-YB5K-2026-SM-4VDT3 40-49 years, female 128.5
GTEX-1F6IF-0926-SM-7SB7M 60-69 years, male 128.5
GTEX-Y5LM-0926-SM-6LLJG 40-49 years, female 128.0
GTEX-1H1E6-0426-SM-9WYUS 30-39 years, male 127.9
GTEX-1122O-1026-SM-9WYSF 60-69 years, female 127.6
GTEX-YF7O-1526-SM-5IFI6 50-59 years, male 127.5
GTEX-1JKYR-0626-SM-ARL8R 20-29 years, male 126.4
GTEX-1R7EU-1626-SM-DTXG3 60-69 years, male 125.8
GTEX-11EI6-2826-SM-5H11D 60-69 years, male 124.8
GTEX-1I19N-0126-SM-CYPSF 70-79 years, male 124.6
GTEX-14BMU-1226-SM-5S2OR 20-29 years, female 124.4
GTEX-XAJ8-1426-SM-47JYM 40-49 years, male 124.3
GTEX-13NYC-0126-SM-5L3F4 60-69 years, male 124.2
GTEX-11EQ9-1626-SM-5PNY8 30-39 years, male 123.2
GTEX-15CHC-1126-SM-6LLHQ 60-69 years, female 122.8
GTEX-1GMR8-0626-SM-7RHI7 50-59 years, female 122.8
GTEX-13FH7-1126-SM-5K7UG 50-59 years, female 122.5
GTEX-1KANA-1326-SM-DIPFA 20-29 years, male 122.5
GTEX-1A3MX-2626-SM-7PC24 60-69 years, male 122.0
GTEX-WYJK-0526-SM-3NM8Z 50-59 years, male 121.8
GTEX-1B932-2326-SM-79OL5 40-49 years, female 121.5
GTEX-1LVAO-2726-SM-E9TJ8 60-69 years, male 121.5
GTEX-1HCVE-2726-SM-CL54F 50-59 years, male 121.1
GTEX-ZAJG-1526-SM-5CVML 50-59 years, female 121.0
GTEX-117YX-1926-SM-5GIEC 50-59 years, male 120.6
GTEX-13PVR-0426-SM-5RQK2 60-69 years, female 120.6
GTEX-ZWKS-0626-SM-5GIDV 30-39 years, male 120.2
GTEX-ZGAY-1826-SM-DO91Q 40-49 years, female 120.0
GTEX-1LG7Z-1626-SM-CXKYR 30-39 years, male 119.8
GTEX-13OW8-1026-SM-5J1NQ 60-69 years, male 119.5
GTEX-145MO-2826-SM-5LU96 60-69 years, male 119.5
GTEX-1HBPM-0726-SM-9YFL7 60-69 years, female 119.5
GTEX-1MCC2-1826-SM-DIPEX 30-39 years, female 119.1
GTEX-12WSA-0426-SM-5EQ5X 60-69 years, male 118.3
GTEX-13JUV-2026-SM-5K7UA 40-49 years, female 117.7
GTEX-13QBU-1226-SM-5LU4G 40-49 years, female 117.4
GTEX-1IDJV-0126-SM-COH3Y 60-69 years, male 117.1
GTEX-11DZ1-2426-SM-5GZZX 50-59 years, male 117.0
GTEX-1HCU9-0426-SM-9WYSD 20-29 years, male 117.0
GTEX-1H3NZ-2726-SM-9WYTQ 60-69 years, male 116.8
GTEX-1F5PK-2226-SM-7SB6N 50-59 years, male 116.7
GTEX-ZUA1-2626-SM-5NQ92 40-49 years, male 115.4
GTEX-1F5PL-0926-SM-7PC2W 40-49 years, female 115.4
GTEX-14AS3-1526-SM-5Q5ED 40-49 years, female 114.9
GTEX-13NZ8-1226-SM-5KM4A 60-69 years, female 114.8
GTEX-1QCLZ-2426-SM-EVYBW 60-69 years, female 114.4
GTEX-14B4R-1326-SM-5Q5EZ 30-39 years, male 114.3
GTEX-13W3W-0726-SM-5IJDQ 60-69 years, female 114.1
GTEX-14E6C-2426-SM-5S2NF 40-49 years, male 114.0
GTEX-14PKU-0126-SM-6LLHV 40-49 years, female 114.0
GTEX-1KANC-1226-SM-CYPT7 50-59 years, female 113.8
GTEX-XUW1-0926-SM-4BONX 50-59 years, female 113.2
GTEX-1RAZA-2226-SM-E9U4X 20-29 years, male 112.8
GTEX-1I6K6-1726-SM-CGQFD 30-39 years, male 112.6
GTEX-14PJ2-0626-SM-6LLII 50-59 years, male 111.6
GTEX-Y5V5-0126-SM-5S2NW 60-69 years, female 111.5
GTEX-1IDJU-1726-SM-CMKHU 60-69 years, female 111.1
GTEX-1JJ6O-2726-SM-CNPOG 60-69 years, male 111.1
GTEX-1F75W-2726-SM-7SB8H 60-69 years, male 110.7
GTEX-1HSMO-0626-SM-ACKXC 60-69 years, male 110.4
GTEX-13N2G-0226-SM-5K7VF 60-69 years, male 110.3
GTEX-ZTSS-1426-SM-5985P 40-49 years, male 110.1
GTEX-14DAQ-0626-SM-793DS 60-69 years, female 109.9
GTEX-1HSGN-0826-SM-ACKW3 40-49 years, female 109.8
GTEX-1J1R8-2026-SM-CL53Y 40-49 years, male 109.3
GTEX-16GPK-0626-SM-7KFSF 60-69 years, male 108.6
GTEX-UPK5-0426-SM-3GAEK 40-49 years, male 108.4
GTEX-1F6RS-2026-SM-7RHHC 60-69 years, female 108.4
GTEX-1L5NE-1126-SM-D3L9P 50-59 years, male 108.1
GTEX-1CB4H-1126-SM-7MKGL 60-69 years, female 107.9
GTEX-ZVT2-0126-SM-5GIDQ 50-59 years, female 107.8
GTEX-1ICLY-0826-SM-CMKG1 50-59 years, male 107.2
GTEX-1LGOU-1326-SM-D3L8M 20-29 years, female 106.9
GTEX-ZVTK-0226-SM-51MRG 20-29 years, male 104.9
GTEX-1QP66-1226-SM-DTX7U 50-59 years, male 101.3
GTEX-V1D1-2026-SM-3GAF4 50-59 years, male 100.7
GTEX-1CB4I-0126-SM-7RHGG 50-59 years, male 100.5
GTEX-1ICG6-1226-SM-A9SLN 70-79 years, female 98.8
GTEX-XQ8I-0926-SM-4BOOF 50-59 years, male 98.1
GTEX-1I4MK-0126-SM-CY8G6 50-59 years, female 95.5
GTEX-1GF9U-2026-SM-7SB92 40-49 years, female 93.0
GTEX-1AMFI-1326-SM-7939R 50-59 years, female 84.1
GTEX-1F88E-1626-SM-7SB8Z 60-69 years, female 78.5
GTEX-1AMEY-0826-SM-72D65 30-39 years, female 78.4
GTEX-ZVE2-2826-SM-5GU51 50-59 years, male 75.5
Show allShow less
Skin - Sun Exposed (Lower leg)
Average nTPM: 182.9
Samples: 701

Max nTPM: 438.9
Min nTPM: 75.2
Std nTPM: 56.5
Median nTPM: 173.3
GTEX-1JMLX-0226-SM-CM2RO 50-59 years, male 438.9
GTEX-Y3IK-2426-SM-4WWDU 50-59 years, female 430.9
GTEX-13CF2-2526-SM-5LZYX 60-69 years, male 423.1
GTEX-1R9K4-0126-SM-DTX9X 60-69 years, male 389.0
GTEX-POMQ-2226-SM-2I5FK 20-29 years, female 383.3
GTEX-13FXS-0226-SM-5IJCK 50-59 years, male 379.7
GTEX-1QAET-0926-SM-E76QM 50-59 years, male 357.8
GTEX-1CAV2-2226-SM-7P8P2 40-49 years, female 356.2
GTEX-11DYG-0126-SM-59883 60-69 years, male 347.5
GTEX-131XE-2326-SM-5PNZ2 50-59 years, male 340.4
GTEX-139TS-2826-SM-5J1OO 60-69 years, male 336.1
GTEX-139UW-2826-SM-5L3E7 60-69 years, male 335.2
GTEX-1PIIG-0226-SM-EWRN6 30-39 years, male 333.9
GTEX-W5X1-3026-SM-EAZAX 40-49 years, female 333.8
GTEX-T6MN-0126-SM-32PLP 50-59 years, male 328.9
GTEX-1399U-2326-SM-5K7WY 50-59 years, female 327.5
GTEX-ZVZO-0126-SM-5A5L9 40-49 years, male 325.1
GTEX-YJ89-0126-SM-4TT3X 60-69 years, male 324.3
GTEX-1N2DW-0226-SM-E9TK2 50-59 years, male 322.0
GTEX-ZTX8-1426-SM-5DUVO 20-29 years, male 320.9
GTEX-11DXZ-2326-SM-5EGGV 50-59 years, male 319.0
GTEX-S33H-1026-SM-EZ6L6 30-39 years, male 313.9
GTEX-O5YT-0126-SM-48TBW 20-29 years, male 313.2
GTEX-1J8EW-0126-SM-CJI4F 60-69 years, female 312.7
GTEX-1JMQL-0226-SM-CNPP5 50-59 years, female 312.3
GTEX-X88G-0126-SM-47JZ3 30-39 years, male 310.3
GTEX-117XS-2726-SM-5N9BL 60-69 years, male 306.3
GTEX-1ICLZ-0126-SM-CKZPO 60-69 years, male 304.8
GTEX-Y8DK-0126-SM-4TT3L 60-69 years, male 304.2
GTEX-1I1GV-0526-SM-A9G29 60-69 years, male 300.9
GTEX-ZF3C-0126-SM-DO92D 50-59 years, female 300.5
GTEX-1H3VE-0326-SM-9YFLH 40-49 years, male 297.6
GTEX-WI4N-1026-SM-3LK7N 40-49 years, female 296.1
GTEX-S7PM-0126-SM-4AD6S 60-69 years, male 294.0
GTEX-ZYFD-0126-SM-5GIDL 50-59 years, male 291.4
GTEX-X8HC-0126-SM-4E3JW 50-59 years, female 289.8
GTEX-SN8G-0126-SM-32PLI 50-59 years, female 284.3
GTEX-1B8SF-1426-SM-7DUGL 60-69 years, male 282.8
GTEX-Y111-0126-SM-4SOIV 50-59 years, male 282.8
GTEX-13X6J-0126-SM-5QGOU 50-59 years, male 281.1
GTEX-1HGF4-2426-SM-ACKXM 60-69 years, male 280.8
GTEX-OIZH-0126-SM-2HMIS 50-59 years, male 280.0
GTEX-ZDTS-0126-SM-4WAY5 60-69 years, male 279.3
GTEX-14PN4-0126-SM-6EU2V 50-59 years, male 278.0
GTEX-P4QT-0126-SM-2I3FL 50-59 years, female 276.7
GTEX-13FHP-0126-SM-5IJBG 50-59 years, male 276.2
GTEX-U412-0426-SM-3DB9O 60-69 years, male 276.0
GTEX-PX3G-0126-SM-2I3EN 20-29 years, female 275.9
GTEX-1H1CY-2826-SM-9MQM3 60-69 years, female 275.5
GTEX-11DXW-0226-SM-5H122 40-49 years, male 275.2
GTEX-ZVTK-0426-SM-51MRS 20-29 years, male 274.6
GTEX-Y114-2426-SM-4TT8A 50-59 years, female 273.8
GTEX-1EMGI-0126-SM-9KNUE 60-69 years, male 271.9
GTEX-1JN6P-0126-SM-D3L98 60-69 years, male 271.9
GTEX-XUZC-1726-SM-4BRWS 30-39 years, female 271.3
GTEX-13111-1626-SM-5EGJY 50-59 years, male 271.2
GTEX-ZAB4-0226-SM-5N9F5 40-49 years, male 270.9
GTEX-13G51-2526-SM-5LZYK 60-69 years, male 270.3
GTEX-1C6VQ-0126-SM-7P8RI 50-59 years, male 268.5
GTEX-144FL-0126-SM-5TDC8 50-59 years, male 268.3
GTEX-ZYFC-0226-SM-5NQ75 50-59 years, male 268.1
GTEX-13YAN-0326-SM-5O9DF 60-69 years, male 267.1
GTEX-1HB9E-0226-SM-E9U4R 50-59 years, male 267.1
GTEX-1IKK5-0626-SM-ARL8A 60-69 years, male 266.3
GTEX-11UD1-0126-SM-5PNYG 40-49 years, female 266.1
GTEX-1313W-0126-SM-5LZUN 50-59 years, female 262.2
GTEX-17HG3-2226-SM-7938L 30-39 years, female 261.5
GTEX-PSDG-0226-SM-DKPOZ 50-59 years, male 261.4
GTEX-1MJK2-0426-SM-DTXE5 50-59 years, male 261.0
GTEX-1F6IF-0726-SM-7P8TW 60-69 years, male 260.9
GTEX-1PWST-0226-SM-E76QJ 70-79 years, male 260.1
GTEX-1BAJH-0526-SM-793CQ 70-79 years, male 258.0
GTEX-18A6Q-0126-SM-731BZ 60-69 years, male 256.8
GTEX-15SB6-1726-SM-6PAME 50-59 years, female 256.0
GTEX-1497J-2426-SM-7IGNX 60-69 years, male 254.6
GTEX-15ER7-0326-SM-7KUEV 20-29 years, female 254.4
GTEX-1JMPZ-0226-SM-CNPP1 30-39 years, male 253.9
GTEX-1OJC3-0126-SM-E76QX 20-29 years, male 251.8
GTEX-1HFI6-0226-SM-ADEHZ 40-49 years, male 251.6
GTEX-SIU8-0126-SM-2XCDT 50-59 years, male 251.2
GTEX-1KD4Q-0226-SM-E9TJ9 40-49 years, male 251.1
GTEX-T5JC-0426-SM-32PLO 20-29 years, male 251.0
GTEX-1C64N-0126-SM-793D7 50-59 years, male 250.2
GTEX-12WSJ-1826-SM-5GCNY 40-49 years, female 250.0
GTEX-XQ3S-1526-SM-4BOOC 20-29 years, male 249.4
GTEX-1QP9N-1426-SM-DTXFL 30-39 years, male 248.4
GTEX-QEG4-0226-SM-2S1PY 30-39 years, male 247.7
GTEX-13NYB-2526-SM-5K7Z6 40-49 years, male 246.0
GTEX-132NY-0326-SM-5IJBL 60-69 years, male 245.8
GTEX-X4XX-0126-SM-3NMC2 60-69 years, male 245.1
GTEX-1GF9V-0326-SM-7RHI5 60-69 years, male 243.5
GTEX-OIZG-0726-SM-33HBL 50-59 years, male 243.2
GTEX-13FTW-2626-SM-5K7WL 40-49 years, male 243.0
GTEX-117YW-2626-SM-5GZZH 50-59 years, male 241.3
GTEX-11ZTS-0126-SM-5EQ6M 60-69 years, female 241.1
GTEX-1PDJ9-0326-SM-DTX95 20-29 years, male 241.0
GTEX-17HII-0226-SM-7LG4E 50-59 years, male 240.9
GTEX-1NV5F-0226-SM-E8VNY 60-69 years, female 240.7
GTEX-ZPIC-1726-SM-DHXIU 40-49 years, female 240.7
GTEX-X4EP-0126-SM-3P5YV 60-69 years, female 239.7
GTEX-1GN2E-0426-SM-9MQKX 60-69 years, male 239.4
GTEX-13OVJ-0126-SM-5KM36 50-59 years, female 238.5
GTEX-1L5NE-2526-SM-E6CIE 50-59 years, male 237.9
GTEX-1M4P7-0226-SM-DIPEV 60-69 years, male 237.4
GTEX-YFC4-0126-SM-5CVLY 40-49 years, female 237.2
GTEX-11TUW-2726-SM-E9J4M 60-69 years, male 236.1
GTEX-ZV68-0126-SM-59HKS 50-59 years, female 235.9
GTEX-17HHY-0126-SM-7LG5D 50-59 years, male 235.4
GTEX-TKQ1-1026-SM-4GICL 30-39 years, male 234.7
GTEX-1HT8W-0126-SM-CNPPP 30-39 years, male 234.7
GTEX-1CB4G-0226-SM-7PC3O 60-69 years, male 234.2
GTEX-1M5QR-1226-SM-EWROB 40-49 years, male 234.2
GTEX-ZDXO-3026-SM-5J1N5 60-69 years, male 233.5
GTEX-1QMI2-0226-SM-EVYBX 60-69 years, male 233.5
GTEX-ZE9C-2726-SM-57WB5 60-69 years, male 233.3
GTEX-15UF6-0826-SM-6PALJ 70-79 years, female 232.7
GTEX-1J8JJ-0226-SM-CL53I 60-69 years, female 232.6
GTEX-12126-0326-SM-5PNW3 20-29 years, male 232.5
GTEX-Q734-1926-SM-2I5EV 40-49 years, female 232.4
GTEX-1H1DG-0126-SM-9WYU2 70-79 years, male 232.1
GTEX-13112-2826-SM-5DUWH 50-59 years, male 231.7
GTEX-12WSE-0526-SM-793B2 20-29 years, male 231.1
GTEX-16MT8-0426-SM-7KUEY 60-69 years, female 229.8
GTEX-1HBPM-0226-SM-ARL9F 60-69 years, female 229.7
GTEX-1JJEA-0326-SM-CNPOT 60-69 years, male 229.6
GTEX-T2IS-0126-SM-4DM6O 20-29 years, female 228.2
GTEX-111FC-0126-SM-5N9DL 60-69 years, male 227.6
GTEX-P4PP-0126-SM-3LK69 30-39 years, female 227.4
GTEX-1JMPY-1326-SM-ARL8Y 30-39 years, male 227.4
GTEX-131XH-2226-SM-5DUXJ 50-59 years, male 227.0
GTEX-RTLS-0126-SM-447CA 60-69 years, female 226.8
GTEX-1JMQI-2226-SM-CM2SD 50-59 years, male 226.7
GTEX-13VXU-0126-SM-5SI9F 50-59 years, male 226.5
GTEX-131YS-0126-SM-5KM1M 60-69 years, female 226.4
GTEX-12584-0126-SM-5EGKQ 40-49 years, male 225.8
GTEX-1JMQJ-0526-SM-CYPSU 50-59 years, male 225.3
GTEX-14JG1-0426-SM-6ETZZ 40-49 years, male 225.0
GTEX-1HBPI-1526-SM-C1YQ1 50-59 years, male 225.0
GTEX-1IOXB-0126-SM-ARL8G 50-59 years, male 224.6
GTEX-1IL2U-0226-SM-CE6T8 60-69 years, male 224.1
GTEX-QESD-1426-SM-2S1R9 20-29 years, male 224.0
GTEX-1LB8K-0226-SM-EWRNW 50-59 years, male 224.0
GTEX-1HCU6-0126-SM-CL54K 60-69 years, female 223.3
GTEX-14PJM-0226-SM-62LF1 50-59 years, female 222.5
GTEX-17EVP-0326-SM-7DHLG 40-49 years, male 222.3
GTEX-O5YW-0126-SM-3LK6D 50-59 years, male 221.9
GTEX-11GSP-2526-SM-5N9BP 60-69 years, female 220.9
GTEX-ZVT4-0126-SM-DTXFN 50-59 years, female 220.9
GTEX-1399R-2726-SM-5IJBA 30-39 years, male 220.7
GTEX-1269C-2526-SM-5EGJ3 60-69 years, female 219.7
GTEX-WFG8-2226-SM-3GIL9 20-29 years, male 219.6
GTEX-139TU-0126-SM-5K7WH 60-69 years, male 219.0
GTEX-1IDJH-0326-SM-A9SLQ 70-79 years, male 218.8
GTEX-14PII-0226-SM-6EU1T 60-69 years, male 218.3
GTEX-1H2FU-0126-SM-9WYSI 60-69 years, female 218.2
GTEX-14753-0426-SM-5NQAM 60-69 years, male 217.9
GTEX-ZC5H-0226-SM-4WAY9 40-49 years, female 217.7
GTEX-1CB4F-0426-SM-9KNV4 60-69 years, male 217.5
GTEX-Y3I4-2126-SM-4TT7C 50-59 years, male 217.3
GTEX-15DDE-0126-SM-6LPKH 50-59 years, female 217.0
GTEX-OXRN-0126-SM-48TDM 50-59 years, male 216.1
GTEX-1192X-0226-SM-5H12D 50-59 years, male 215.8
GTEX-UJHI-1526-SM-3DB99 50-59 years, female 215.8
GTEX-17JCI-0126-SM-7LG5G 60-69 years, female 215.0
GTEX-1GMR3-1926-SM-9KNUZ 40-49 years, male 215.0
GTEX-1GMRU-0126-SM-9YFLV 50-59 years, male 215.0
GTEX-1HSKV-0226-SM-A9SKJ 60-69 years, male 214.7
GTEX-WY7C-2326-SM-3NB2U 50-59 years, male 213.9
GTEX-146FQ-0126-SM-5NQA9 30-39 years, male 213.6
GTEX-1211K-2026-SM-5EQ4Z 60-69 years, female 213.5
GTEX-T2YK-0526-SM-32QPJ 50-59 years, male 213.2
GTEX-X4EO-0326-SM-3P5YO 60-69 years, female 213.1
GTEX-12696-2426-SM-5EQ6H 60-69 years, male 213.0
GTEX-145MN-2226-SM-5SIAU 30-39 years, male 212.9
GTEX-S7SE-0126-SM-2XCD5 50-59 years, male 212.3
GTEX-13X6H-2126-SM-7EWD5 50-59 years, female 212.1
GTEX-1EWIQ-0126-SM-7RHH2 70-79 years, female 212.1
GTEX-12WSK-2326-SM-5GCOH 40-49 years, female 211.7
GTEX-14PHX-2326-SM-62LEM 50-59 years, male 211.4
GTEX-12ZZX-0126-SM-5EGK9 40-49 years, female 211.3
GTEX-U8T8-0126-SM-3DB94 60-69 years, male 210.6
GTEX-145MF-0626-SM-5LUAI 50-59 years, male 210.4
GTEX-X5EB-2226-SM-46MW4 40-49 years, male 209.6
GTEX-1JN76-0126-SM-CNPPE 20-29 years, female 209.0
GTEX-16GPK-0126-SM-7DHLE 60-69 years, male 208.8
GTEX-145MO-0326-SM-5Q5B3 60-69 years, male 207.8
GTEX-1B8L1-2526-SM-9WYTF 60-69 years, male 206.8
GTEX-1GF9W-0326-SM-9KNUN 60-69 years, male 206.7
GTEX-RVPV-0126-SM-EAZAW 60-69 years, male 206.7
GTEX-Z93T-0126-SM-5HL5N 50-59 years, male 206.1
GTEX-ZDYS-2026-SM-5HL5L 50-59 years, male 205.7
GTEX-14E6D-0126-SM-62LDV 50-59 years, male 205.5
GTEX-113JC-2326-SM-5EQ4E 50-59 years, female 205.4
GTEX-ZTPG-0326-SM-5O9AX 20-29 years, female 205.2
GTEX-15SHU-0126-SM-7KUEH 40-49 years, female 204.0
GTEX-WQUQ-0426-SM-3MJFU 60-69 years, male 204.0
GTEX-ZAJG-0126-SM-5HL94 50-59 years, female 203.5
GTEX-11TT1-2526-SM-5EGIB 20-29 years, male 203.3
GTEX-1AX8Z-0126-SM-7DHM6 60-69 years, male 203.3
GTEX-1J1OQ-0226-SM-CYPSH 40-49 years, female 202.3
GTEX-WYJK-0126-SM-3NMAB 50-59 years, male 202.2
GTEX-13NZ8-0826-SM-5MR3I 60-69 years, female 201.5
GTEX-1R46S-0626-SM-E9J41 60-69 years, female 201.3
GTEX-144GN-2326-SM-5LU4F 50-59 years, male 201.2
GTEX-17F97-0326-SM-7LG5B 50-59 years, male 201.1
GTEX-PVOW-0126-SM-2XCFA 40-49 years, male 200.8
GTEX-YJ8A-0426-SM-5IFID 20-29 years, male 200.6
GTEX-1GZHY-0326-SM-9QEHI 50-59 years, female 200.5
GTEX-ZAK1-0126-SM-5IJD3 50-59 years, female 200.4
GTEX-1212Z-2526-SM-5EGKP 60-69 years, male 199.9
GTEX-U8XE-0326-SM-3DB8P 30-39 years, male 199.9
GTEX-YB5E-2026-SM-5IFIS 40-49 years, male 199.9
GTEX-1POEN-0126-SM-EYYXJ 30-39 years, female 199.8
GTEX-1KANC-1526-SM-D3LAB 50-59 years, female 199.5
GTEX-PLZ4-0126-SM-5SI8O 50-59 years, female 198.6
GTEX-QDT8-0126-SM-48TZ1 30-39 years, female 198.3
GTEX-14E6C-0126-SM-5RQIP 40-49 years, male 197.9
GTEX-1HCUA-2426-SM-ADEIS 50-59 years, female 197.9
GTEX-TMZS-0126-SM-3DB9Q 60-69 years, male 197.5
GTEX-11GS4-2726-SM-5A5LE 60-69 years, male 197.4
GTEX-1RB15-2126-SM-E9TIM 60-69 years, male 197.4
GTEX-13OW7-0126-SM-5MR3B 50-59 years, male 197.2
GTEX-QVJO-1626-SM-2S1QW 60-69 years, female 197.1
GTEX-1R9PM-2026-SM-E76OY 20-29 years, male 197.1
GTEX-13O3P-0126-SM-5KM4S 50-59 years, male 196.9
GTEX-RU72-0926-SM-2TF6B 50-59 years, female 196.8
GTEX-12WSD-0126-SM-59HKN 60-69 years, female 196.7
GTEX-1CB4E-2226-SM-793DC 60-69 years, male 196.3
GTEX-NPJ8-0126-SM-2YUNR 40-49 years, male 195.9
GTEX-ZYT6-0226-SM-5NQ6T 30-39 years, male 195.9
GTEX-11H98-0126-SM-5EGHG 50-59 years, male 195.8
GTEX-16YQH-0126-SM-7DUFJ 30-39 years, male 195.7
GTEX-Z93S-0126-SM-5HL7M 50-59 years, male 195.7
GTEX-13PDP-0126-SM-5L3HD 60-69 years, male 195.1
GTEX-1399T-2826-SM-5KLYZ 60-69 years, male 194.5
GTEX-1192W-2626-SM-5Q5AF 60-69 years, male 194.3
GTEX-QDVN-2026-SM-3GAEP 50-59 years, male 194.2
GTEX-TML8-1926-SM-32QOS 40-49 years, female 194.2
GTEX-1F6I4-0126-SM-9MQL2 60-69 years, male 193.6
GTEX-1A3MX-0126-SM-731BR 60-69 years, male 193.3
GTEX-XYKS-2126-SM-4E3IB 60-69 years, female 193.3
GTEX-YB5K-2126-SM-4WWDJ 40-49 years, female 193.3
GTEX-13U4I-0126-SM-5LU38 40-49 years, female 192.9
GTEX-17EVQ-0226-SM-7LG4P 70-79 years, male 192.9
GTEX-OOBJ-0126-SM-E6CJW 60-69 years, male 192.9
GTEX-14XAO-2326-SM-6EU1B 60-69 years, female 192.7
GTEX-1H4P4-0726-SM-9YFLR 50-59 years, male 192.7
GTEX-12ZZY-0226-SM-5LZVE 60-69 years, male 192.6
GTEX-1HCU8-0626-SM-A9SM9 60-69 years, female 192.1
GTEX-1KWVE-1426-SM-E9TJO 30-39 years, male 192.0
GTEX-12KS4-0326-SM-5EQ41 30-39 years, male 191.9
GTEX-131XW-0426-SM-5LZWP 50-59 years, female 191.9
GTEX-Q2AI-1326-SM-2S1PL 40-49 years, male 191.8
GTEX-1KXAM-2226-SM-CYPTC 60-69 years, male 191.6
GTEX-14BIN-0626-SM-793DP 50-59 years, female 191.2
GTEX-ZU9S-0226-SM-5E441 30-39 years, male 191.2
GTEX-11OF3-2626-SM-5GU7F 60-69 years, male 191.0
GTEX-1EX96-1626-SM-7PBXR 50-59 years, male 190.9
GTEX-13OVL-0226-SM-5L3E9 50-59 years, male 190.7
GTEX-1HR98-0126-SM-B2LWI 60-69 years, male 190.7
GTEX-13NYS-0126-SM-5MR3W 60-69 years, male 190.5
GTEX-1F6RS-0126-SM-9MQKZ 60-69 years, female 190.2
GTEX-ZQG8-1626-SM-DHXIT 60-69 years, female 189.7
GTEX-Y5LM-1926-SM-5RQJH 40-49 years, female 189.4
GTEX-1LBAC-0126-SM-DIPEZ 20-29 years, male 189.4
GTEX-1GN73-0226-SM-9WG67 60-69 years, male 189.1
GTEX-OXRO-0126-SM-2YUN4 60-69 years, female 188.5
GTEX-1AYD5-2426-SM-73KXR 50-59 years, male 188.4
GTEX-ZY6K-1826-SM-5GZXK 50-59 years, male 188.1
GTEX-1GZ2Q-0226-SM-7P8TL 40-49 years, male 188.0
GTEX-WYVS-2126-SM-3NMA3 40-49 years, female 187.9
GTEX-11UD2-0226-SM-5EQKY 50-59 years, male 187.7
GTEX-144GL-0126-SM-5TDE2 50-59 years, male 187.6
GTEX-13O21-1426-SM-5K7XI 50-59 years, male 187.4
GTEX-XBED-2226-SM-47JYQ 60-69 years, male 187.4
GTEX-1F75B-0126-SM-9KNVL 50-59 years, male 187.4
GTEX-1JMQK-0226-SM-CL543 60-69 years, male 187.3
GTEX-1RDX4-0126-SM-E9J4P 50-59 years, female 187.2
GTEX-11ZVC-2526-SM-5FQTE 50-59 years, female 186.9
GTEX-13OW6-0426-SM-5L3HM 50-59 years, male 186.9
GTEX-17F98-0626-SM-79OMX 40-49 years, female 186.9
GTEX-1C6VR-2426-SM-79OLD 60-69 years, male 186.2
GTEX-UPJH-0326-SM-3GADU 50-59 years, male 186.2
GTEX-11EMC-2926-SM-5EQ4F 60-69 years, female 186.1
GTEX-1C6WA-0126-SM-7PC2B 60-69 years, male 186.0
GTEX-13SLW-0126-SM-5SI6C 70-79 years, male 185.9
GTEX-13S7M-0126-SM-5SI6A 60-69 years, female 185.8
GTEX-11OC5-0126-SM-5HL6A 60-69 years, male 185.5
GTEX-12WSG-2826-SM-E9J4H 50-59 years, female 185.5
GTEX-14A5I-0126-SM-5TDEA 50-59 years, female 185.4
GTEX-13FHO-0226-SM-5IFGY 60-69 years, male 185.1
GTEX-1A32A-0126-SM-718B1 50-59 years, female 185.1
GTEX-16XZZ-0126-SM-793DV 60-69 years, male 185.0
GTEX-ZYW4-0126-SM-5E44A 60-69 years, male 185.0
GTEX-WH7G-2326-SM-3NMBC 40-49 years, male 184.9
GTEX-ZGAY-0526-SM-4WWBB 40-49 years, female 184.9
GTEX-18QFQ-0126-SM-731BE 30-39 years, male 184.5
GTEX-1B8KE-2126-SM-73KYX 50-59 years, male 184.4
GTEX-131XF-5016-SM-7MGWE 60-69 years, male 184.2
GTEX-YEC4-2126-SM-5IFJH 40-49 years, male 183.9
GTEX-1B8SG-0126-SM-73KZ3 50-59 years, male 183.7
GTEX-ZE7O-0126-SM-57WC1 50-59 years, female 183.4
GTEX-183WM-0126-SM-7LTAB 70-79 years, female 183.3
GTEX-13N1W-0126-SM-5K7VT 70-79 years, male 181.8
GTEX-1PPH8-0226-SM-E8VND 20-29 years, male 181.8
GTEX-13N11-2526-SM-5K7UE 50-59 years, female 181.5
GTEX-ZVT3-0126-SM-5GU6I 60-69 years, female 181.5
GTEX-RWSA-0126-SM-2XCBB 40-49 years, male 181.4
GTEX-1I1GS-0126-SM-B2LVW 60-69 years, male 181.3
GTEX-18A7A-0226-SM-718BH 50-59 years, female 181.2
GTEX-13OW5-0126-SM-DTXFS 60-69 years, male 181.2
GTEX-WXYG-2326-SM-4E3I6 50-59 years, female 181.1
GTEX-13JUV-2726-SM-5LZZ8 40-49 years, female 180.8
GTEX-15DYW-0126-SM-7KULE 60-69 years, female 180.6
GTEX-148VJ-0126-SM-5TDDN 70-79 years, male 180.1
GTEX-1H3O1-0426-SM-9YFKY 60-69 years, male 179.9
GTEX-14BIM-0226-SM-7IGLD 60-69 years, female 179.3
GTEX-1JN1M-0326-SM-CYPT3 60-69 years, female 179.3
GTEX-OHPL-0126-SM-2HMJ7 60-69 years, female 178.9
GTEX-XUYS-0126-SM-47JWZ 50-59 years, male 178.8
GTEX-1314G-1526-SM-5EGK2 30-39 years, male 178.6
GTEX-S32W-2126-SM-2XCB1 50-59 years, female 178.5
GTEX-1B8KZ-2026-SM-7DHMB 50-59 years, male 178.2
GTEX-XXEK-2226-SM-4BRUM 50-59 years, male 177.9
GTEX-1C4CL-0526-SM-73KVK 30-39 years, male 177.4
GTEX-1F5PL-0326-SM-7P8PQ 40-49 years, female 177.2
GTEX-NFK9-0226-SM-2HMKQ 40-49 years, male 177.0
GTEX-1MA7X-2226-SM-E6CIY 60-69 years, male 177.0
GTEX-1K2DA-1826-SM-CGQGT 50-59 years, male 176.9
GTEX-15SHW-0326-SM-6PAML 60-69 years, male 176.8
GTEX-13FTY-0526-SM-5L3EV 40-49 years, female 176.6
GTEX-1MCQQ-0826-SM-DLHC2 60-69 years, male 176.6
GTEX-11P7K-2126-SM-5GU7G 30-39 years, male 176.5
GTEX-13CF3-2426-SM-5IFGX 60-69 years, female 176.4
GTEX-13NZA-0226-SM-5K7Z7 60-69 years, male 176.4
GTEX-VJYA-1126-SM-3GIJU 60-69 years, male 176.2
GTEX-12WSL-2526-SM-5GCNJ 50-59 years, male 175.9
GTEX-145LT-1726-SM-5QGP3 40-49 years, male 175.7
GTEX-139D8-0226-SM-5KLZO 30-39 years, female 175.1
GTEX-OXRP-0126-SM-3NB32 60-69 years, female 175.0
GTEX-WZTO-0126-SM-3NM95 40-49 years, male 174.9
GTEX-139T8-0126-SM-5K7XZ 60-69 years, male 174.5
GTEX-1H1DE-2126-SM-9WG6R 20-29 years, male 174.5
GTEX-18D9A-1926-SM-7LG6P 30-39 years, female 174.3
GTEX-11WQC-2526-SM-5CVLE 60-69 years, male 174.1
GTEX-1A3MW-0126-SM-73KXX 60-69 years, female 174.1
GTEX-P4PQ-0126-SM-2S1NM 60-69 years, male 173.7
GTEX-1LC47-0326-SM-E9TJP 60-69 years, male 173.7
GTEX-1F75A-0126-SM-7RHGM 50-59 years, male 173.6
GTEX-18465-0126-SM-731BN 50-59 years, male 173.4
GTEX-Y5V5-2326-SM-4V6GA 60-69 years, female 173.3
GTEX-13SLX-0526-SM-5S2ON 50-59 years, female 173.2
GTEX-1I1CD-0126-SM-CM2TK 60-69 years, female 173.0
GTEX-131XG-2626-SM-5KM17 50-59 years, female 172.9
GTEX-XV7Q-2526-SM-4BRV9 40-49 years, female 172.9
GTEX-ZVT2-2526-SM-51MT1 50-59 years, female 172.9
GTEX-ZWKS-0126-SM-5SIAA 30-39 years, male 172.9
GTEX-1IKJJ-0126-SM-CNPQB 60-69 years, male 172.8
GTEX-13O1R-0126-SM-5L3EH 60-69 years, male 172.6
GTEX-1B933-0126-SM-7PC29 50-59 years, female 172.5
GTEX-1LG7Z-1726-SM-D3LA4 30-39 years, male 172.5
GTEX-ZF2S-2326-SM-4WWCE 50-59 years, female 172.3
GTEX-145MI-0526-SM-5O9A8 60-69 years, female 172.2
GTEX-12WSA-0226-SM-5BC5V 60-69 years, male 172.1
GTEX-1OFPY-2426-SM-DTXEJ 60-69 years, male 172.1
GTEX-1GN1U-0126-SM-7PBZK 50-59 years, female 171.8
GTEX-11ZU8-2526-SM-5EQKI 60-69 years, male 171.6
GTEX-1F7RK-0126-SM-7PC2S 20-29 years, female 171.2
GTEX-111VG-2426-SM-5GZXD 60-69 years, male 171.0
GTEX-13OVG-1926-SM-5L3DK 60-69 years, male 171.0
GTEX-QCQG-1726-SM-3GIJ9 50-59 years, female 171.0
GTEX-11DZ1-0126-SM-5985Q 50-59 years, male 170.6
GTEX-W5WG-1826-SM-4KL2Y 50-59 years, female 170.4
GTEX-1EN7A-0126-SM-7SB81 40-49 years, male 170.4
GTEX-145LU-0126-SM-5TDCB 50-59 years, male 170.2
GTEX-13NZB-2526-SM-5J1OM 30-39 years, male 170.1
GTEX-148VI-1626-SM-5SI6E 60-69 years, female 170.1
GTEX-1C475-1826-SM-73KWA 40-49 years, female 169.9
GTEX-X585-0226-SM-4QAS2 50-59 years, male 169.6
GTEX-1CAMS-0426-SM-7P8T2 40-49 years, female 169.3
GTEX-1AX9I-0126-SM-7SB74 60-69 years, male 169.2
GTEX-1IDJF-0126-SM-CM2RS 20-29 years, male 169.2
GTEX-WVJS-0126-SM-4MVOT 50-59 years, male 169.1
GTEX-11GSO-2426-SM-5A5LY 60-69 years, male 168.9
GTEX-11WQK-0526-SM-5EQLD 50-59 years, male 168.5
GTEX-1H3VY-0126-SM-ACKXD 50-59 years, male 168.5
GTEX-ZYY3-0126-SM-5GZY5 60-69 years, female 168.4
GTEX-1R7EU-0226-SM-EVR4G 60-69 years, male 168.1
GTEX-14BMU-2226-SM-5TDE9 20-29 years, female 168.0
GTEX-13O3Q-2426-SM-5IJBR 50-59 years, male 167.6
GTEX-13IVO-0126-SM-5J1NG 70-79 years, male 167.5
GTEX-1I1GR-0126-SM-CL55F 60-69 years, male 167.0
GTEX-1PFEY-1526-SM-E76PP 30-39 years, male 167.0
GTEX-RNOR-0126-SM-E9J4R 50-59 years, female 166.9
GTEX-1A8FM-0226-SM-7SB7Q 50-59 years, female 166.8
GTEX-18A7B-0126-SM-7LG64 70-79 years, male 166.7
GTEX-RN64-0126-SM-2TC68 50-59 years, male 166.6
GTEX-13OVI-1426-SM-5L3EY 60-69 years, female 166.2
GTEX-XBEW-0626-SM-4QASP 40-49 years, male 166.0
GTEX-R55E-0126-SM-2TC5Y 20-29 years, male 165.8
GTEX-113IC-0126-SM-5HL6T 60-69 years, male 165.4
GTEX-12ZZZ-0626-SM-5DUXI 60-69 years, male 165.3
GTEX-WOFL-0126-SM-3MJG2 60-69 years, male 165.3
GTEX-Y5V6-2426-SM-4VDSB 60-69 years, male 165.3
GTEX-RUSQ-1526-SM-2TF62 50-59 years, male 165.2
GTEX-13O3O-0126-SM-E9J49 60-69 years, female 165.2
GTEX-117YX-2326-SM-5H12W 50-59 years, male 164.7
GTEX-S95S-1226-SM-4GICG 60-69 years, male 164.6
GTEX-1LGOU-2026-SM-DIPFF 20-29 years, female 164.2
GTEX-1I1GQ-0126-SM-COH3H 50-59 years, male 164.1
GTEX-11NUK-0126-SM-5A5L3 50-59 years, male 164.0
GTEX-11P81-2326-SM-59875 30-39 years, female 164.0
GTEX-1122O-2126-SM-5EGIR 60-69 years, female 163.9
GTEX-11TTK-0126-SM-5987B 60-69 years, female 163.7
GTEX-1HSMO-0126-SM-CL547 60-69 years, male 163.7
GTEX-18D9U-0226-SM-718BP 40-49 years, male 163.4
GTEX-139TT-0126-SM-5K7Y5 60-69 years, male 163.3
GTEX-147GR-0526-SM-5S2MY 60-69 years, male 163.3
GTEX-1F88F-2726-SM-7PBZZ 60-69 years, female 163.3
GTEX-13OVK-2026-SM-7KUEO 40-49 years, male 163.0
GTEX-1GMR8-0126-SM-9WYTM 50-59 years, female 163.0
GTEX-X261-0126-SM-3NMD6 50-59 years, male 162.9
GTEX-1MA7W-2026-SM-E9TJ6 20-29 years, female 162.9
GTEX-XPVG-2626-SM-4B669 50-59 years, male 162.8
GTEX-QDVJ-1726-SM-2I5FX 50-59 years, male 162.7
GTEX-15D1Q-0126-SM-7KUG6 40-49 years, male 162.4
GTEX-QLQW-1126-SM-2S1Q8 30-39 years, male 161.4
GTEX-WFON-2126-SM-3LK7O 40-49 years, male 160.8
GTEX-1IKOH-0226-SM-COH4E 60-69 years, female 160.8
GTEX-13D11-2426-SM-5KM1V 50-59 years, female 160.7
GTEX-Y8E4-0626-SM-4WWDL 40-49 years, male 160.6
GTEX-14A5H-0426-SM-5QGQF 60-69 years, male 160.4
GTEX-15F5U-1526-SM-6PANO 40-49 years, male 160.4
GTEX-12WSC-0126-SM-5EQ4P 50-59 years, male 160.3
GTEX-13OW8-1326-SM-5J1OW 60-69 years, male 160.3
GTEX-1HFI7-1826-SM-ACKXH 50-59 years, female 160.0
GTEX-1KAFJ-2026-SM-CY8ID 50-59 years, male 159.5
GTEX-17HGU-0226-SM-7DHKV 50-59 years, male 159.4
GTEX-17GQL-2026-SM-718BA 60-69 years, male 159.2
GTEX-1AX9J-0226-SM-73KXM 60-69 years, male 159.1
GTEX-PLZ6-1426-SM-DKPOT 30-39 years, male 159.1
GTEX-1EKGG-0226-SM-9WYTH 60-69 years, male 158.8
GTEX-PWCY-1826-SM-DHXIZ 20-29 years, female 158.6
GTEX-OXRK-0226-SM-3NB2G 50-59 years, female 158.4
GTEX-14BMV-0126-SM-5S2PO 50-59 years, male 157.9
GTEX-SSA3-0126-SM-32QPU 60-69 years, male 157.8
GTEX-T6MO-1626-SM-32QOM 40-49 years, female 157.7
GTEX-1CB4H-0226-SM-7PBXM 60-69 years, female 157.6
GTEX-1HSGN-0226-SM-CGQFV 40-49 years, female 157.5
GTEX-11O72-0126-SM-59887 40-49 years, male 157.4
GTEX-1I6K6-0126-SM-A9SLE 30-39 years, male 157.4
GTEX-1O97I-0326-SM-EYYX7 60-69 years, male 157.3
GTEX-1KANB-0526-SM-E6CJH 50-59 years, male 157.0
GTEX-ZXES-1826-SM-5E43S 30-39 years, female 156.6
GTEX-11XUK-2026-SM-5EQLF 40-49 years, female 156.5
GTEX-OXRL-0126-SM-2YUMP 50-59 years, male 156.2
GTEX-17MF6-0126-SM-7LG4F 40-49 years, male 155.7
GTEX-1S82Y-2026-SM-EVYCM 40-49 years, male 155.6
GTEX-145LS-0126-SM-5QGP1 60-69 years, female 155.5
GTEX-13VXT-0126-SM-5LU4I 20-29 years, female 155.2
GTEX-1IY9M-0126-SM-D3L8S 60-69 years, male 155.1
GTEX-1E1VI-0126-SM-7DHMZ 50-59 years, male 154.9
GTEX-ZZ64-1726-SM-5GZYB 20-29 years, male 154.7
GTEX-133LE-1826-SM-5J1MV 20-29 years, female 154.5
GTEX-18A66-0226-SM-718BD 60-69 years, male 154.5
GTEX-ZF28-0126-SM-4WKGK 60-69 years, male 154.3
GTEX-1HSMQ-1226-SM-CGQFX 50-59 years, male 154.3
GTEX-13PVR-2326-SM-5QGR1 60-69 years, female 154.2
GTEX-T8EM-1026-SM-3DB7M 40-49 years, male 154.2
GTEX-1EU9M-0226-SM-7P8SP 60-69 years, male 154.1
GTEX-1R7EV-2426-SM-EVYBG 40-49 years, male 154.0
GTEX-U3ZH-2026-SM-3DB78 30-39 years, male 153.9
GTEX-15ETS-0126-SM-7KUMW 40-49 years, female 153.8
GTEX-1GZ4H-1726-SM-7PBZJ 50-59 years, female 153.6
GTEX-14E6E-1826-SM-5S2R7 30-39 years, male 153.4
GTEX-15RIG-0226-SM-7KFTL 40-49 years, male 153.2
GTEX-ZTSS-1926-SM-57WEW 40-49 years, male 153.0
GTEX-14PJ3-1826-SM-62LEX 50-59 years, male 152.8
GTEX-1ICG6-2526-SM-CGQFZ 70-79 years, female 152.8
GTEX-1F48J-0126-SM-7P8TT 50-59 years, female 152.7
GTEX-14DAQ-0126-SM-5S2MQ 60-69 years, female 152.4
GTEX-11P82-1626-SM-59879 20-29 years, male 152.1
GTEX-146FH-0126-SM-5QGPP 50-59 years, female 152.1
GTEX-T5JW-1626-SM-3GADZ 20-29 years, female 152.0
GTEX-ZQUD-1426-SM-57WER 30-39 years, male 151.9
GTEX-1S83E-0126-SM-EWRO4 40-49 years, male 151.9
GTEX-1N2EF-0226-SM-EYYXB 60-69 years, male 151.8
GTEX-SJXC-0126-SM-2XCFF 60-69 years, male 151.5
GTEX-P44H-0226-SM-2XCEU 40-49 years, male 151.4
GTEX-12C56-1726-SM-5EQ61 20-29 years, male 151.3
GTEX-1RQEC-0426-SM-E6CHU 60-69 years, male 151.0
GTEX-14PK6-1926-SM-6ETZU 70-79 years, female 150.9
GTEX-XAJ8-0826-SM-47JY6 40-49 years, male 150.8
GTEX-1HCU7-0226-SM-CL545 50-59 years, male 150.8
GTEX-1B97I-1626-SM-73KYO 40-49 years, male 150.7
GTEX-ZVZP-2426-SM-59HKJ 50-59 years, male 150.2
GTEX-1QP66-1726-SM-E8VO1 50-59 years, male 150.1
GTEX-1I4MK-2226-SM-ACKWD 50-59 years, female 149.8
GTEX-Q2AG-0126-SM-33HBV 40-49 years, female 149.7
GTEX-SUCS-1926-SM-32PM3 70-79 years, male 149.4
GTEX-16NPX-0226-SM-79OMT 50-59 years, male 149.3
GTEX-1IGQW-0126-SM-COH42 60-69 years, male 149.2
GTEX-1LG7Y-0526-SM-DKPQC 50-59 years, male 148.7
GTEX-13QJ3-0326-SM-5S2RA 50-59 years, male 148.0
GTEX-QV44-1926-SM-2S1RF 50-59 years, male 147.9
GTEX-OOBK-0126-SM-2YUND 40-49 years, male 147.6
GTEX-13OVH-0126-SM-5MR4B 70-79 years, male 147.5
GTEX-ZF29-2326-SM-DO92K 60-69 years, female 147.5
GTEX-1GN1V-0126-SM-9WPOS 60-69 years, male 147.0
GTEX-1S5ZA-0126-SM-EVYCV 20-29 years, male 147.0
GTEX-1IL2V-0126-SM-CM2TX 70-79 years, male 146.8
GTEX-15DCD-0126-SM-7KUEK 70-79 years, female 146.7
GTEX-11DXX-2426-SM-5GZZW 60-69 years, female 146.5
GTEX-1GF9U-2126-SM-7SB7L 40-49 years, female 146.1
GTEX-ZDTT-2726-SM-4WKF8 60-69 years, male 146.0
GTEX-11EM3-2426-SM-59861 20-29 years, female 145.9
GTEX-U3ZM-1526-SM-3DB9D 40-49 years, male 145.9
GTEX-1H11D-0226-SM-9WG6Z 40-49 years, male 145.7
GTEX-145LV-2126-SM-5LU8N 50-59 years, male 145.1
GTEX-R55G-2526-SM-2TC6D 40-49 years, female 145.0
GTEX-13FH7-2026-SM-E9J4I 50-59 years, female 144.4
GTEX-1HUB1-0426-SM-E9U4U 60-69 years, male 144.4
GTEX-1LGRB-2526-SM-CNPPQ 50-59 years, female 144.1
GTEX-1KD5A-0226-SM-D5OV3 50-59 years, male 143.8
GTEX-1JKYN-1326-SM-CGQG9 30-39 years, male 143.7
GTEX-PLZ5-2026-SM-2S1O4 50-59 years, male 143.0
GTEX-15SDE-2226-SM-7IGLO 50-59 years, female 142.5
GTEX-1H3NZ-0126-SM-ACKX7 60-69 years, male 142.3
GTEX-1HCU9-1526-SM-A9SL7 20-29 years, male 142.1
GTEX-18D9B-0526-SM-7LTAS 60-69 years, male 141.9
GTEX-ZV6S-2326-SM-4YCEY 40-49 years, female 141.9
GTEX-1GTWX-0126-SM-9YFLK 60-69 years, male 141.6
GTEX-1CB4I-0226-SM-79OLH 50-59 years, male 141.4
GTEX-1HBPH-0426-SM-B2LW5 40-49 years, female 141.0
GTEX-1QEPI-0126-SM-EWRMQ 60-69 years, female 141.0
GTEX-14ABY-0226-SM-5TDCQ 50-59 years, male 140.7
GTEX-13NYC-0326-SM-E9J4S 60-69 years, male 140.6
GTEX-169BO-1326-SM-9MQK2 50-59 years, male 140.2
GTEX-17EUY-0426-SM-793BD 20-29 years, male 139.9
GTEX-1GF9X-2026-SM-7PC3A 40-49 years, female 139.7
GTEX-1I1GP-2226-SM-CGQFK 50-59 years, male 139.6
GTEX-1JJ6O-0126-SM-E6CI8 60-69 years, male 139.6
GTEX-ZYFG-2326-SM-5E44B 60-69 years, female 139.2
GTEX-13W46-0226-SM-5SIAG 50-59 years, male 138.7
GTEX-1GPI6-0126-SM-9WG69 60-69 years, male 138.6
GTEX-15EU6-0426-SM-6PAN5 50-59 years, male 138.3
GTEX-1J1R8-1726-SM-ARL8M 40-49 years, male 138.3
GTEX-1S3DN-2226-SM-EVYCD 50-59 years, male 137.4
GTEX-1H23P-0126-SM-ADEJ3 60-69 years, male 137.2
GTEX-15G19-0126-SM-6PANQ 60-69 years, male 137.1
GTEX-11EI6-0126-SM-5985R 60-69 years, male 136.7
GTEX-14JIY-0126-SM-6LLH6 60-69 years, male 136.5
GTEX-17KNJ-2326-SM-7DHLQ 50-59 years, male 136.2
GTEX-XUW1-0426-SM-4BOOT 50-59 years, female 136.0
GTEX-1LNCM-1126-SM-E9U5E 50-59 years, female 135.9
GTEX-1RAZA-0126-SM-E6CI3 20-29 years, male 135.8
GTEX-1RLM8-2326-SM-EWRN4 50-59 years, male 135.6
GTEX-1C6VS-0526-SM-7DUEN 60-69 years, male 135.5
GTEX-VUSG-2526-SM-4KL1V 50-59 years, male 135.5
GTEX-1E2YA-0126-SM-9KNUC 50-59 years, male 135.5
GTEX-13RTL-0126-SM-7LG5S 40-49 years, male 135.3
GTEX-1HSMP-0126-SM-E6CJS 70-79 years, male 135.2
GTEX-1QP67-1626-SM-EAZ3X 40-49 years, female 135.1
GTEX-145ME-1826-SM-5SI9G 40-49 years, female 134.4
GTEX-Q2AH-1626-SM-3GAF8 40-49 years, male 134.4
GTEX-1LSNM-1926-SM-E6CII 50-59 years, male 134.4
GTEX-1K2DU-2326-SM-E9TIV 20-29 years, male 134.3
GTEX-ZUA1-0126-SM-5GU76 40-49 years, male 134.2
GTEX-1IDFM-0126-SM-COH2V 60-69 years, male 133.8
GTEX-183FY-0126-SM-7LT9P 20-29 years, male 133.7
GTEX-1J8Q2-0526-SM-CM2RW 60-69 years, male 133.7
GTEX-R3RS-0126-SM-3GIJL 40-49 years, female 133.5
GTEX-1MGNQ-0126-SM-EVYCJ 40-49 years, male 133.5
GTEX-14ICK-0226-SM-6EU25 40-49 years, male 133.4
GTEX-14LLW-0126-SM-6LLIO 70-79 years, female 133.4
GTEX-17MFQ-1726-SM-793C7 20-29 years, male 133.2
GTEX-ZEX8-2426-SM-4WKG4 50-59 years, male 133.2
GTEX-1B996-0226-SM-7RHGO 60-69 years, male 133.1
GTEX-14DAR-2026-SM-5S2O3 50-59 years, male 132.3
GTEX-1S82Z-0826-SM-E6CHY 30-39 years, female 132.1
GTEX-147F4-0226-SM-5QGPW 50-59 years, male 132.0
GTEX-13X6I-0626-SM-5QGP9 60-69 years, male 131.6
GTEX-1A3MV-1926-SM-718BT 30-39 years, male 131.0
GTEX-XQ8I-0426-SM-4BOPO 50-59 years, male 130.8
GTEX-WRHK-1426-SM-3MJF9 20-29 years, female 130.4
GTEX-Z9EW-1626-SM-5CVMN 40-49 years, male 130.3
GTEX-1GPI7-0126-SM-9MQL8 20-29 years, male 130.2
GTEX-13113-5016-SM-7EPIP 60-69 years, female 130.1
GTEX-PW2O-1526-SM-7RHHB 20-29 years, male 130.0
GTEX-PWO3-1526-SM-48TCM 60-69 years, female 129.9
GTEX-13FTX-1826-SM-5J1NX 20-29 years, female 129.5
GTEX-1CAMR-1926-SM-7EPI2 20-29 years, male 129.3
GTEX-U3ZN-2326-SM-3DB7W 30-39 years, female 129.3
GTEX-X638-0126-SM-47JZ8 70-79 years, female 129.0
GTEX-XMD2-0126-SM-4YCDU 60-69 years, female 129.0
GTEX-1PIGE-0126-SM-EVYBJ 20-29 years, male 128.9
GTEX-1QCLY-0326-SM-E8VOG 30-39 years, male 128.7
GTEX-1GL5R-1826-SM-9KNUY 50-59 years, male 128.5
GTEX-13RTK-1426-SM-5QGQJ 20-29 years, male 128.4
GTEX-1HBPN-0226-SM-9YFM1 50-59 years, male 128.4
GTEX-11DXY-2626-SM-5GIE7 60-69 years, male 128.3
GTEX-14BIL-0126-SM-5SI92 50-59 years, male 128.3
GTEX-1J8QM-2126-SM-CYPSJ 60-69 years, female 127.9
GTEX-16AAH-1726-SM-7939C 50-59 years, male 127.8
GTEX-11LCK-1026-SM-5A5KB 30-39 years, male 127.6
GTEX-1MUQO-0126-SM-EAZ58 60-69 years, male 127.4
GTEX-14LZ3-0226-SM-62LET 60-69 years, female 127.2
GTEX-1HCVE-0126-SM-CGQEU 50-59 years, male 126.6
GTEX-QLQ7-1626-SM-2S1R8 60-69 years, male 126.4
GTEX-1I19N-0326-SM-ACKVX 70-79 years, male 126.3
GTEX-18A67-0126-SM-7LG5P 50-59 years, male 126.0
GTEX-1PPH7-2326-SM-EVYB8 40-49 years, male 125.8
GTEX-OHPM-0126-SM-2YUN9 50-59 years, male 124.8
GTEX-1QPFJ-0226-SM-E76PB 30-39 years, female 124.7
GTEX-1CB4J-0626-SM-7DHMP 60-69 years, male 124.6
GTEX-1128S-2326-SM-5GZZY 60-69 years, female 124.4
GTEX-11ZTT-2426-SM-5EQLS 60-69 years, female 124.3
GTEX-14C5O-0126-SM-5SI6N 60-69 years, male 123.0
GTEX-1CAMQ-0226-SM-7IGPK 40-49 years, male 122.9
GTEX-11VI4-1726-SM-5CVLH 40-49 years, female 122.2
GTEX-1HKZK-0326-SM-9WYUH 40-49 years, male 122.0
GTEX-TSE9-0126-SM-3DB83 60-69 years, female 121.8
GTEX-14A6H-0126-SM-5QGPK 30-39 years, male 121.7
GTEX-1HSEH-0126-SM-ACKXN 60-69 years, male 121.5
GTEX-147F3-0526-SM-5SI98 50-59 years, female 120.9
GTEX-1LH75-2426-SM-E9TJE 50-59 years, female 120.1
GTEX-X4XY-0226-SM-4E3IZ 60-69 years, male 119.6
GTEX-1C2JI-1826-SM-73KXC 50-59 years, male 119.5
GTEX-1F52S-0126-SM-9MQJU 60-69 years, female 119.0
GTEX-1H1ZS-0426-SM-9WG6G 70-79 years, male 118.9
GTEX-16NGA-1726-SM-731B4 40-49 years, female 118.8
GTEX-1ICLY-0126-SM-D4P36 50-59 years, male 118.7
GTEX-1I1GU-2226-SM-CGQFA 40-49 years, male 118.6
GTEX-R45C-0126-SM-EAZ2R 60-69 years, female 118.6
GTEX-RM2N-1426-SM-2TF4H 50-59 years, male 118.4
GTEX-1JMOU-1526-SM-CL54I 60-69 years, female 118.3
GTEX-16BQI-0226-SM-7KUEX 30-39 years, female 118.2
GTEX-1N2DV-0226-SM-E6CJ6 40-49 years, male 118.1
GTEX-OIZF-0126-SM-7SB8I 60-69 years, male 118.1
GTEX-17HHE-2026-SM-79OKF 50-59 years, male 117.9
GTEX-1JKYR-0126-SM-CNPOJ 20-29 years, male 117.8
GTEX-13RTJ-2426-SM-5S2Q2 60-69 years, male 117.6
GTEX-VJWN-0126-SM-3GIK7 50-59 years, female 117.4
GTEX-13N2G-2626-SM-5J1OT 60-69 years, male 116.6
GTEX-1LVAN-0226-SM-COH3S 50-59 years, female 116.2
GTEX-ZXG5-0126-SM-5GIEU 60-69 years, male 116.1
GTEX-17F96-1626-SM-7DUFL 70-79 years, male 115.8
GTEX-12WSN-5019-SM-79OM6 40-49 years, male 115.3
GTEX-14JG6-2226-SM-6EU2G 30-39 years, female 115.1
GTEX-1K9T9-0126-SM-EVYCF 50-59 years, female 114.5
GTEX-1AX9K-2326-SM-73KWU 50-59 years, male 113.9
GTEX-Y8LW-1826-SM-5S2MV 50-59 years, female 113.8
GTEX-1MCYP-1926-SM-E9J2R 20-29 years, female 113.8
GTEX-1AYCT-2426-SM-7IGQ3 50-59 years, male 113.7
GTEX-V1D1-2226-SM-3NMAX 50-59 years, male 113.4
GTEX-RWS6-2026-SM-2XCB5 60-69 years, female 113.2
GTEX-1JJE9-0326-SM-CL53Z 70-79 years, male 112.7
GTEX-14PN3-2426-SM-6LLHS 60-69 years, female 112.6
GTEX-1IE54-0126-SM-CMKHW 40-49 years, female 112.2
GTEX-15UKP-0426-SM-7KUFQ 20-29 years, male 112.1
GTEX-SNMC-1226-SM-2XCFP 20-29 years, male 111.5
GTEX-11EQ9-2426-SM-5HL5T 30-39 years, male 111.4
GTEX-11NSD-2226-SM-5986V 20-29 years, male 110.7
GTEX-ZZPT-0226-SM-5E43X 50-59 years, male 110.1
GTEX-1OJC4-0126-SM-E9J2E 50-59 years, female 110.0
GTEX-1F5PK-2426-SM-7RHHY 50-59 years, male 109.2
GTEX-1NHNU-1026-SM-E9J2A 50-59 years, male 109.2
GTEX-14PJ6-2126-SM-6EU1V 60-69 years, female 109.1
GTEX-U4B1-1826-SM-4DXSU 40-49 years, male 108.8
GTEX-1J8Q3-1626-SM-CMKGC 60-69 years, male 108.8
GTEX-15CHC-2126-SM-6EU21 60-69 years, female 107.8
GTEX-14E7W-0126-SM-6LLJ9 70-79 years, male 107.1
GTEX-1RAZQ-0726-SM-EAZ43 30-39 years, male 106.5
GTEX-1JK1U-2026-SM-CM2RZ 60-69 years, male 105.7
GTEX-1QP29-0626-SM-EWRMX 50-59 years, male 105.6
GTEX-1I1HK-0126-SM-COH49 60-69 years, male 105.4
GTEX-139T4-0226-SM-5HL5S 50-59 years, female 105.0
GTEX-16XZY-2126-SM-79OK1 70-79 years, male 105.0
GTEX-1PBJI-0526-SM-E8VNK 20-29 years, female 103.8
GTEX-1I1GT-0626-SM-CGQER 60-69 years, female 103.3
GTEX-1QP2A-0126-SM-E9J43 50-59 years, male 102.6
GTEX-1H1E6-1726-SM-ACKVK 30-39 years, male 101.9
GTEX-ZAB5-1826-SM-5HL7C 50-59 years, male 101.6
GTEX-11ZUS-0626-SM-59885 30-39 years, male 100.7
GTEX-14PHW-0126-SM-6LLJI 60-69 years, female 99.5
GTEX-1KANA-0726-SM-D3L9I 20-29 years, male 99.3
GTEX-X62O-0126-SM-4E3JN 50-59 years, male 98.7
GTEX-1R9PO-2126-SM-E9J4O 60-69 years, female 97.8
GTEX-15EOM-0126-SM-7KUGG 20-29 years, female 95.6
GTEX-13W3W-2426-SM-5LU5B 60-69 years, female 94.7
GTEX-1GN1W-0526-SM-9MQJQ 50-59 years, female 92.7
GTEX-1IDJU-2626-SM-CM2RT 60-69 years, female 92.6
GTEX-1AMEY-1326-SM-73KYK 30-39 years, female 91.5
GTEX-TMMY-0226-SM-33HBA 40-49 years, female 90.9
GTEX-1C64O-0126-SM-7SB8P 60-69 years, male 90.5
GTEX-1F75I-0326-SM-9YFLU 40-49 years, male 90.4
GTEX-1QW4Y-1526-SM-EAZ3Z 30-39 years, male 87.8
GTEX-146FR-1326-SM-E9J48 60-69 years, female 87.7
GTEX-1AMFI-2026-SM-731BH 50-59 years, female 87.1
GTEX-SE5C-1626-SM-2XCE3 40-49 years, female 78.4
GTEX-ZVE2-0226-SM-59HJB 50-59 years, male 75.2
Show allShow less

Contact

  • NEWS ARTICLES
  • PRESS ROOM

The Project

  • INTRODUCTION
  • ORGANIZATION
  • PUBLICATIONS

The Human Protein Atlas

  • DOWNLOADABLE DATA
  • LICENCE & CITATION
  • HELP & FAQ
The Human Protein Atlas project is funded
by the Knut & Alice Wallenberg Foundation.


contact@proteinatlas.org