We use cookies to enhance the usability of our website. If you continue, we'll assume that you are happy to receive all cookies. More information. Don't show this again.
TBC1D23
HPA
RESOURCES
  • TISSUE
  • BRAIN
  • SINGLE CELL
  • SUBCELLULAR
  • CANCER
  • BLOOD
  • CELL LINE
  • STRUCTURE & INTERACTION
ABOUT
  • INTRODUCTION
  • HISTORY
  • ORGANIZATION
  • PUBLICATIONS
  • ANTIBODY SUBMISSION
  • ANTIBODY AVAILABILITY
  • ACKNOWLEDGMENTS
  • CONTACT
NEWS
  • NEWS ARTICLES
  • PRESS ROOM
LEARN
  • DICTIONARY
  • PROTEIN CLASSES
  • PROTEIN EVIDENCE
  • METHODS
  • EDUCATIONAL VIDEOS
DATA
  • DOWNLOADABLE DATA
  • PUBLICATION DATA
  • RELEASE HISTORY
HELP
  • ANTIBODY VALIDATION
  • ASSAYS & ANNOTATION
  • DISCLAIMER
  • HELP & FAQ
  • PRIVACY STATEMENT
  • LICENCE & CITATION
Fields »
Search result

Field
Term
Gene name
Class
Subclass
Class
Keyword
Chromosome
External id
Tissue
Cell type
Expression
Antibody panel
Tissue
Main location
Patient ID
Annotation
Tissue
Category
Tau score
Cluster
Reliability
Brain region
Category
Tau score
Brain region
Category
Tau score
Brain region
Category
Tau score
Cluster
Reliability
Tissue
Cell type
Enrichment
Cell type
Category
Tau score
Cell type
Category
Tau score
Cell type
Category
Tau score
Cell lineage
Category
Tau score
Cluster
Cluster
Location
Searches
Location
Cell line
Class
Type
Phase
Reliability
Cancer
Prognosis
Cancer
Category
Cancer
Category
Tau score
Cluster
Variants
Interacting gene (ensg_id)
Type
Number of interactions
Pathway
Category
Score
Score
Score
Validation
Validation
Validation
Validation
Antibodies
Data type
Column


  • SUMMARY

  • TISSUE

  • BRAIN

  • SINGLE CELL

  • SUBCELL

  • CANCER

  • BLOOD

  • CELL LINE

  • STRUCT & INT

  • TBC1D23
TISSUE PRIMARY DATA SKIN Show tissue menu
ADIPOSE TISSUE ADRENAL GLAND AMYGDALA APPENDIX BASAL GANGLIA BONE MARROW BREAST BRONCHUS CEREBELLUM CEREBRAL CORTEX CERVIX CHOROID PLEXUS COLON DUODENUM
ENDOMETRIUM EPIDIDYMIS ESOPHAGUS FALLOPIAN TUBE GALLBLADDER HEART MUSCLE HIPPOCAMPAL FORMATION HYPOTHALAMUS KIDNEY LIVER LUNG LYMPH NODE MIDBRAIN NASOPHARYNX
ORAL MUCOSA OVARY PANCREAS PARATHYROID GLAND PITUITARY GLAND PLACENTA PROSTATE RECTUM RETINA SALIVARY GLAND SEMINAL VESICLE SKELETAL MUSCLE SKIN SMALL INTESTINE
SMOOTH MUSCLE SOFT TISSUE SPINAL CORD SPLEEN STOMACH TESTIS THYMUS THYROID GLAND TONGUE TONSIL URINARY BLADDER VAGINA
ANTIBODIES
AND
VALIDATION
Dictionary
Skin
Tissue proteome
Skin
SKIN - Expression summary
Protein expression
Skini

On the top, protein expression in current human tissue, based on all annotated cell types, is reported with the units not detected (n), low (l), medium (m) and high (h). Underneath, protein expression in each annotated cell type are reported using the same units.

Protein expression data is based on knowledge-based annotation. For genes where more than one antibody has been used, a collective score is set.

If knowledge-based annotation could not be performed for a gene, no data is displayed here. View antibody staining data further down this page.

h
m
l
n
Epidermal cells: High
Fibroblasts: Medium
Keratinocytes: High
Langerhans: Medium
Melanocytes: Medium
RNA expressioni

A summary of mRNA expression data available for current tissue based on several datasets. The mRNA expression levels in human tissues are based on RNA-seq data generated by the Human Protein Atlas (HPA), Genotype-Tissue Expression (GTEx) portal and CAGE data generated by the FANTOM5 consortium. Consensus normalized expression levels for human tissues was created by combining the data from HPA and GTEx datasets.

The mRNA expression levels in pig are based on RNA-seq data generated by the Human Protein Atlas (HPA), and for mouse, HPA data and in situ hybridization generated by the Allen brain atlas are reported.

Scroll down to view mRNA expression data in more detail.
Consensus:13.2 nTPM
HPA:13.2 nTPM
GTEx:9.8 nTPM

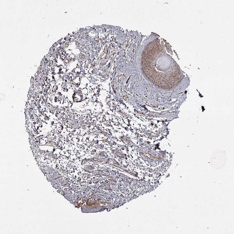
SKIN 1 - Antibody stainingi

Antibody staining in the annotated cell types in the current human tissue is reported as not detected, low, medium, or high, based on conventional immunohistochemistry profiling in selected tissues. This score is based on the combination of the staining intensity and fraction of stained cells.

Each image is clickable and will lead to virtual microscopy that enables deeper exploration of all samples and also displays staining intensity scores, fraction scores and subcellular localization as well as patient and tissue information for each sample.

Antibody HPA038151Antibody HPA038152
Langerhans MediumMedium
Fibroblasts MediumMedium
Keratinocytes HighMedium
Melanocytes MediumMedium


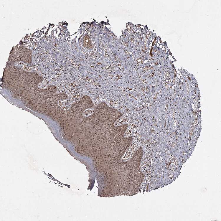
SKIN 2 - Antibody stainingi

Antibody staining in the annotated cell types in the current human tissue is reported as not detected, low, medium, or high, based on conventional immunohistochemistry profiling in selected tissues. This score is based on the combination of the staining intensity and fraction of stained cells.

Each image is clickable and will lead to virtual microscopy that enables deeper exploration of all samples and also displays staining intensity scores, fraction scores and subcellular localization as well as patient and tissue information for each sample.

Antibody HPA038151Antibody HPA038152
Epidermal cells HighMedium
  
  
  



SKIN - HPA RNA-seqi

The RNA-seq details section shows detailed information about the individual samples used for the transcript profiling and results of the RNA-seq analysis.

Information about each individual sample is listed below, including gender, age, a tissue section image and estimated fractions of cell types. nTPM (normalized transcripts per million) values give a quantification of the gene abundance which is comparable between different genes and samples.
Average nTPMi

Max subtype nTPM is the value for the subtype with the largest average nTPM across the subtype samples.

13.2
overview
Female, age 34
Skin sample 225
nTPM: 14.8
Cell types%
Keratinocytes:
60

Other cell types:
40

overview
Female, age 30
Skin sample 226
nTPM: 15.6
Cell types%
Keratinocytes:
55

Other cell types:
45

N/A
Male, age 57
Skin sample 227
nTPM: 9

SKIN - GTEx RNA-seqi

RNA-Seq data generated by the Genotype-Tissue Expression (GTEx) project from human tissues is reported as mean nTPM. More information can be found on the GTEx portal.

Distribution across the dataset is visualized with box plots, shown as median and 25th and 75th percentiles. Points are displayed as outliers if they are above or below 1.5 times the interquartile range. nTPM values of the individual samples are presented next to the box plot.
Max subtype nTPMi

Max subtype nTPM is the value for the subtype with the largest average nTPM across the subtype samples.

9.8
GTEx sample id Sample description nTPM
Skin - Not Sun Exposed (Suprapubic)
Average nTPM: 9.1
Samples: 604

Max nTPM: 20.8
Min nTPM: 2.6
Std nTPM: 2.6
Median nTPM: 8.9
GTEX-1F6RS-2026-SM-7RHHC 60-69 years, female 20.8
GTEX-1AX9J-1326-SM-731BJ 60-69 years, male 18.8
GTEX-1GF9U-2026-SM-7SB92 40-49 years, female 18.4
GTEX-1GN1U-0626-SM-9MQL9 50-59 years, female 17.4
GTEX-YF7O-1526-SM-5IFI6 50-59 years, male 17.1
GTEX-14JG6-1426-SM-9WG7C 30-39 years, female 16.4
GTEX-1IE54-1126-SM-A9G2Z 40-49 years, female 16.2
GTEX-1F5PL-0926-SM-7PC2W 40-49 years, female 16.0
GTEX-1AMFI-1326-SM-7939R 50-59 years, female 15.8
GTEX-1RB15-1326-SM-E76Q9 60-69 years, male 15.8
GTEX-ZVT4-2426-SM-5GIEI 50-59 years, female 15.6
GTEX-WFON-1926-SM-3LK7L 40-49 years, male 15.4
GTEX-13PDP-0726-SM-5L3HP 60-69 years, male 15.2
GTEX-15SKB-2826-SM-6PAMH 60-69 years, male 15.2
GTEX-1GMR8-0626-SM-7RHI7 50-59 years, female 15.2
GTEX-15UF6-1926-SM-7KUDV 70-79 years, female 15.1
GTEX-11TUW-0626-SM-5LU9M 60-69 years, male 15.0
GTEX-1IKJJ-2226-SM-CJI4C 60-69 years, male 15.0
GTEX-144GL-0626-SM-5LU4D 50-59 years, male 14.8
GTEX-1B933-2426-SM-7DHMD 50-59 years, female 14.6
GTEX-1HBPM-0726-SM-9YFL7 60-69 years, female 14.6
GTEX-1S5ZU-2526-SM-E6CIF 20-29 years, female 14.6
GTEX-1H4P4-2126-SM-9WYSL 50-59 years, male 14.4
GTEX-WYJK-0526-SM-3NM8Z 50-59 years, male 14.1
GTEX-1269C-0126-SM-5EQ5L 60-69 years, female 14.0
GTEX-1HSKV-1226-SM-ADEI4 60-69 years, male 14.0
GTEX-1R46S-2426-SM-E76QA 60-69 years, female 14.0
GTEX-13NZ8-1226-SM-5KM4A 60-69 years, female 13.8
GTEX-145MI-0626-SM-5SI8S 60-69 years, female 13.8
GTEX-WYBS-0626-SM-3NMAS 60-69 years, female 13.8
GTEX-1GF9X-1326-SM-7PC2Y 40-49 years, female 13.8
GTEX-1QP2A-1726-SM-E76QC 50-59 years, male 13.8
GTEX-14PJ4-0226-SM-5YY92 60-69 years, male 13.7
GTEX-17HHE-1326-SM-7EWDZ 50-59 years, male 13.7
GTEX-1QPFJ-1926-SM-EVYBD 30-39 years, female 13.7
GTEX-14C5O-0326-SM-5ZZUX 60-69 years, male 13.5
GTEX-1J8Q2-2626-SM-ACKWQ 60-69 years, male 13.5
GTEX-1PBJJ-1026-SM-E76OS 30-39 years, male 13.5
GTEX-13QJC-0126-SM-5ZZWJ 60-69 years, female 13.4
GTEX-1HSMO-0626-SM-ACKXC 60-69 years, male 13.4
GTEX-1LGRB-0926-SM-COH3K 50-59 years, female 13.4
GTEX-1GF9V-0826-SM-9KNUV 60-69 years, male 13.3
GTEX-ZVT2-0126-SM-5GIDQ 50-59 years, female 13.2
GTEX-1GN2E-0226-SM-9WG6K 60-69 years, male 13.2
GTEX-1HCVE-2726-SM-CL54F 50-59 years, male 13.2
GTEX-1I1GU-0926-SM-ACKVS 40-49 years, male 13.1
GTEX-1J8Q3-0526-SM-ARL8U 60-69 years, male 13.1
GTEX-1HR9M-2226-SM-CNPPY 60-69 years, male 13.0
GTEX-12ZZZ-0726-SM-5GCNZ 60-69 years, male 12.9
GTEX-145MO-2826-SM-5LU96 60-69 years, male 12.9
GTEX-11EQ9-1626-SM-5PNY8 30-39 years, male 12.8
GTEX-1CB4J-1326-SM-7P8RX 60-69 years, male 12.7
GTEX-1HT8W-0626-SM-A9G2H 30-39 years, male 12.7
GTEX-1I1GT-1026-SM-ARZLV 60-69 years, female 12.7
GTEX-1KWVE-1026-SM-D3L9O 30-39 years, male 12.7
GTEX-1R7EU-1626-SM-DTXG3 60-69 years, male 12.7
GTEX-13O3O-2326-SM-5IJD6 60-69 years, female 12.6
GTEX-14A6H-2026-SM-5Q5DD 30-39 years, male 12.5
GTEX-ZZ64-1026-SM-5GZXG 20-29 years, male 12.5
GTEX-1GF9W-1426-SM-7PBYM 60-69 years, male 12.5
GTEX-1I1CD-0626-SM-CE6SW 60-69 years, female 12.5
GTEX-15EO6-2426-SM-6PALZ 50-59 years, male 12.4
GTEX-1AMEY-0826-SM-72D65 30-39 years, female 12.4
GTEX-WH7G-2026-SM-3NMBL 40-49 years, male 12.4
GTEX-1KXAM-1626-SM-D3LAD 60-69 years, male 12.4
GTEX-1S83E-1326-SM-E6CJM 40-49 years, male 12.4
GTEX-147JS-0226-SM-5S2U9 60-69 years, male 12.3
GTEX-1F88E-1626-SM-7SB8Z 60-69 years, female 12.3
GTEX-14PKU-0126-SM-6LLHV 40-49 years, female 12.2
GTEX-1EU9M-1426-SM-793AI 60-69 years, male 12.2
GTEX-1JKYR-0626-SM-ARL8R 20-29 years, male 12.2
GTEX-XAJ8-1426-SM-47JYM 40-49 years, male 12.1
GTEX-1IDJV-0126-SM-COH3Y 60-69 years, male 12.1
GTEX-12WSM-1926-SM-5BC65 60-69 years, male 12.0
GTEX-13SLW-0626-SM-5Q5ER 70-79 years, male 12.0
GTEX-1LB8K-0726-SM-D5OV2 50-59 years, male 12.0
GTEX-17F9Y-0126-SM-79OKX 70-79 years, female 11.9
GTEX-12WSK-2126-SM-5CVNC 40-49 years, female 11.8
GTEX-14E6C-2426-SM-5S2NF 40-49 years, male 11.8
GTEX-1I1GS-2626-SM-B2LY3 60-69 years, male 11.8
GTEX-13D11-0926-SM-5J2NC 50-59 years, female 11.7
GTEX-14BMV-2826-SM-5TDED 50-59 years, male 11.7
GTEX-ZYFD-0626-SM-5E44E 50-59 years, male 11.7
GTEX-111FC-2526-SM-5GZXU 60-69 years, male 11.6
GTEX-1399U-1126-SM-5L3DB 50-59 years, female 11.6
GTEX-13OVJ-0826-SM-5J1OK 50-59 years, female 11.6
GTEX-13OW5-2326-SM-5L3HO 60-69 years, male 11.6
GTEX-148VJ-0626-SM-5LUAW 70-79 years, male 11.6
GTEX-14B4R-1326-SM-5Q5EZ 30-39 years, male 11.6
GTEX-1CB4F-1026-SM-7DUH1 60-69 years, male 11.6
GTEX-1EH9U-2826-SM-7DUGT 60-69 years, male 11.6
GTEX-ZVE2-2826-SM-5GU51 50-59 years, male 11.6
GTEX-1IDJH-0126-SM-D3L92 70-79 years, male 11.6
GTEX-1B8KZ-0326-SM-73KY4 50-59 years, male 11.5
GTEX-XK95-0226-SM-4AT58 40-49 years, male 11.5
GTEX-1B8L1-2226-SM-7P8PT 60-69 years, male 11.5
GTEX-1I1GV-0626-SM-ARL7M 60-69 years, male 11.5
GTEX-1IDJU-1726-SM-CMKHU 60-69 years, female 11.5
GTEX-UPJH-0226-SM-3GADV 50-59 years, male 11.4
GTEX-YJ8O-2526-SM-5HL85 40-49 years, female 11.4
GTEX-1HCU7-0726-SM-A9SL1 50-59 years, male 11.4
GTEX-1ICLY-0826-SM-CMKG1 50-59 years, male 11.4
GTEX-1LVAM-0726-SM-E6CIL 50-59 years, female 11.4
GTEX-1QP66-1226-SM-DTX7U 50-59 years, male 11.4
GTEX-15CHQ-0326-SM-69LQD 60-69 years, male 11.3
GTEX-WHSB-1326-SM-3LK6W 50-59 years, male 11.3
GTEX-1GMR3-0126-SM-A9SLW 40-49 years, male 11.3
GTEX-1IDFM-0326-SM-ARL7V 60-69 years, male 11.3
GTEX-1S831-1826-SM-EWROF 20-29 years, male 11.3
GTEX-13FLV-0126-SM-5K7WT 50-59 years, male 11.2
GTEX-13X6J-0626-SM-5LU5F 50-59 years, male 11.2
GTEX-ZF29-0926-SM-4WKFZ 60-69 years, female 11.2
GTEX-1F48J-0726-SM-7RHGS 50-59 years, female 11.2
GTEX-1QMI2-2526-SM-E8VNZ 60-69 years, male 11.2
GTEX-111VG-1626-SM-5EGIO 60-69 years, male 11.1
GTEX-133LE-2326-SM-5K7W3 20-29 years, female 11.1
GTEX-13NZ9-2626-SM-5L3FK 50-59 years, male 11.1
GTEX-14PJN-1826-SM-6AJ98 30-39 years, male 11.1
GTEX-18A67-1626-SM-7LT9T 50-59 years, male 11.1
GTEX-1GPI6-1926-SM-9KNV7 60-69 years, male 11.1
GTEX-1QEPI-2626-SM-DTXF4 60-69 years, female 11.1
GTEX-ZGAY-1826-SM-DO91Q 40-49 years, female 11.1
GTEX-11O72-0626-SM-5PNYE 40-49 years, male 11.0
GTEX-14PJ6-2626-SM-6EU2T 60-69 years, female 11.0
GTEX-14XAO-1226-SM-6EU1C 60-69 years, female 11.0
GTEX-1B8SF-0126-SM-7DUG3 60-69 years, male 11.0
GTEX-1C2JI-1026-SM-73KY1 50-59 years, male 11.0
GTEX-11EQ8-0926-SM-5H12V 60-69 years, male 10.9
GTEX-139D8-1126-SM-5LU8W 30-39 years, female 10.9
GTEX-13IVO-0726-SM-5LZYV 70-79 years, male 10.9
GTEX-144GM-0526-SM-79OJO 20-29 years, male 10.9
GTEX-1F52S-2926-SM-7MKGA 60-69 years, female 10.9
GTEX-1JN6P-2926-SM-CL54D 60-69 years, male 10.9
GTEX-1N5O9-0926-SM-E9J3C 60-69 years, male 10.9
GTEX-111YS-1526-SM-5GZYW 60-69 years, male 10.8
GTEX-11WQK-1026-SM-5EQLX 50-59 years, male 10.8
GTEX-13FHO-0426-SM-5L3F5 60-69 years, male 10.8
GTEX-14PJ2-0626-SM-6LLII 50-59 years, male 10.8
GTEX-183FY-1026-SM-7939A 20-29 years, male 10.8
GTEX-ZE9C-2526-SM-5IJDR 60-69 years, male 10.8
GTEX-1PDJ9-1226-SM-EXUSX 20-29 years, male 10.8
GTEX-11LCK-2226-SM-5HL4Q 30-39 years, male 10.7
GTEX-15CHC-1126-SM-6LLHQ 60-69 years, female 10.7
GTEX-178AV-1726-SM-7KUL8 40-49 years, male 10.7
GTEX-1A32A-0626-SM-731AQ 50-59 years, female 10.7
GTEX-1HUB1-1426-SM-CGQF5 60-69 years, male 10.7
GTEX-1QP28-1126-SM-EVYC4 50-59 years, female 10.7
GTEX-1QP29-1826-SM-DTX9S 50-59 years, male 10.7
GTEX-11P81-2226-SM-5PNYI 30-39 years, female 10.6
GTEX-13PVR-0426-SM-5RQK2 60-69 years, female 10.6
GTEX-15ER7-0626-SM-6PANF 20-29 years, female 10.6
GTEX-1I6K7-1926-SM-B2LXR 40-49 years, male 10.6
GTEX-1ICLZ-0326-SM-ARL82 60-69 years, male 10.6
GTEX-1JK1U-0226-SM-ARZMX 60-69 years, male 10.6
GTEX-1RAZA-2226-SM-E9U4X 20-29 years, male 10.6
GTEX-13PL6-1126-SM-5L3IE 40-49 years, female 10.5
GTEX-13VXT-1926-SM-5K7UO 20-29 years, female 10.5
GTEX-14PJ5-1526-SM-6LLIL 60-69 years, female 10.5
GTEX-16GPK-0626-SM-7KFSF 60-69 years, male 10.5
GTEX-1C6WA-2626-SM-7MKGM 60-69 years, male 10.5
GTEX-1GZHY-0626-SM-9KNVC 50-59 years, female 10.5
GTEX-1HR98-2226-SM-ADEI2 60-69 years, male 10.5
GTEX-1MCC2-1826-SM-DIPEX 30-39 years, female 10.5
GTEX-1RAZS-2526-SM-E6CHT 50-59 years, male 10.5
GTEX-11DZ1-2426-SM-5GZZX 50-59 years, male 10.4
GTEX-13QBU-1226-SM-5LU4G 40-49 years, female 10.4
GTEX-15RJE-2826-SM-7KUM9 40-49 years, male 10.4
GTEX-1KD5A-0126-SM-E9U54 50-59 years, male 10.4
GTEX-1PPH7-1126-SM-DTX9A 40-49 years, male 10.4
GTEX-11EI6-2826-SM-5H11D 60-69 years, male 10.3
GTEX-12WSC-2826-SM-5BC5Y 50-59 years, male 10.3
GTEX-14BIN-1126-SM-5RQJZ 50-59 years, female 10.3
GTEX-15RIE-1926-SM-7KUKJ 60-69 years, male 10.3
GTEX-1CB4H-1126-SM-7MKGL 60-69 years, female 10.3
GTEX-XBED-1926-SM-47JYP 60-69 years, male 10.3
GTEX-Y5V5-0126-SM-5S2NW 60-69 years, female 10.3
GTEX-1H3NZ-2726-SM-9WYTQ 60-69 years, male 10.3
GTEX-1RLM8-2926-SM-E8VON 50-59 years, male 10.3
GTEX-1AX9I-2226-SM-73KUO 60-69 years, male 10.2
GTEX-1J1R8-2026-SM-CL53Y 40-49 years, male 10.2
GTEX-1K9T9-1526-SM-DIPFR 50-59 years, female 10.2
GTEX-12ZZX-2426-SM-5GCOE 40-49 years, female 10.1
GTEX-139T8-0626-SM-5KLZX 60-69 years, male 10.1
GTEX-13NYC-0126-SM-5L3F4 60-69 years, male 10.1
GTEX-13OVL-0126-SM-5L3GJ 50-59 years, male 10.1
GTEX-13YAN-0226-SM-5TDC6 60-69 years, male 10.1
GTEX-18A66-0626-SM-7LT8Z 60-69 years, male 10.1
GTEX-1A8G7-1326-SM-73KVM 60-69 years, male 10.1
GTEX-1C6VQ-1226-SM-73KYD 50-59 years, male 10.1
GTEX-Y9LG-1126-SM-4VBQ7 30-39 years, male 10.1
GTEX-ZE7O-2726-SM-51MT5 50-59 years, female 10.1
GTEX-ZYY3-2926-SM-5GIEB 60-69 years, female 10.1
GTEX-1GZ4I-2626-SM-9KNU3 50-59 years, male 10.1
GTEX-1HKZK-0726-SM-ACKW2 40-49 years, male 10.1
GTEX-145MH-2826-SM-5RQJF 50-59 years, male 10.0
GTEX-18A7B-2726-SM-7LG56 70-79 years, male 10.0
GTEX-ZAJG-1526-SM-5CVML 50-59 years, female 10.0
GTEX-1GN1V-2826-SM-9JGIA 60-69 years, male 10.0
GTEX-1OJC4-2726-SM-E76PJ 50-59 years, female 10.0
GTEX-1R9PM-1926-SM-EVR3O 20-29 years, male 10.0
GTEX-YEC3-1326-SM-DO92X 50-59 years, male 10.0
GTEX-139UW-0326-SM-5J1ML 60-69 years, male 9.9
GTEX-13PVQ-0626-SM-5LU47 50-59 years, male 9.9
GTEX-ZYFC-0426-SM-5GICQ 50-59 years, male 9.9
GTEX-1RAZR-2126-SM-E9U6T 40-49 years, male 9.9
GTEX-13OW7-0426-SM-5K7VK 50-59 years, male 9.8
GTEX-17HHY-0426-SM-7DHLC 50-59 years, male 9.8
GTEX-18A7A-0126-SM-731AH 50-59 years, female 9.8
GTEX-XQ8I-0926-SM-4BOOF 50-59 years, male 9.8
GTEX-ZY6K-1426-SM-5GZX2 50-59 years, male 9.8
GTEX-ZZPU-0826-SM-5GZX5 50-59 years, female 9.8
GTEX-1C6VR-0126-SM-7RHGB 60-69 years, male 9.8
GTEX-1GTWX-2026-SM-9YFLM 60-69 years, male 9.8
GTEX-1J8JJ-0626-SM-ARZMQ 60-69 years, female 9.8
GTEX-1KAFJ-0126-SM-DIPEK 50-59 years, male 9.8
GTEX-1N2EE-0626-SM-E76PW 60-69 years, male 9.8
GTEX-1NV5F-0626-SM-DTXEG 60-69 years, female 9.8
GTEX-1B932-2326-SM-79OL5 40-49 years, female 9.7
GTEX-1B97I-0626-SM-73KUZ 40-49 years, male 9.7
GTEX-14JFF-0626-SM-5ZZVT 60-69 years, male 9.7
GTEX-1GN1W-2426-SM-9KNUU 50-59 years, female 9.7
GTEX-13FTW-0326-SM-5K7UW 40-49 years, male 9.6
GTEX-147F3-1726-SM-5SIAW 50-59 years, female 9.6
GTEX-1EKGG-0626-SM-7DUGJ 60-69 years, male 9.6
GTEX-ZAB4-2126-SM-5HL8U 40-49 years, male 9.6
GTEX-1122O-1026-SM-9WYSF 60-69 years, female 9.6
GTEX-1GMRU-2126-SM-7P8RA 50-59 years, male 9.6
GTEX-1I1GP-1326-SM-A9G28 50-59 years, male 9.6
GTEX-12C56-1526-SM-5FQUQ 20-29 years, male 9.5
GTEX-13113-1626-SM-5EQ4I 60-69 years, female 9.5
GTEX-131YS-2826-SM-5EQ47 60-69 years, female 9.5
GTEX-13N1W-2426-SM-5IJD1 70-79 years, male 9.5
GTEX-13OW6-2726-SM-5J2OE 50-59 years, male 9.5
GTEX-1497J-0226-SM-5QGPU 60-69 years, male 9.5
GTEX-14ICL-1626-SM-5YYAO 30-39 years, male 9.5
GTEX-ZXG5-2126-SM-59HKD 60-69 years, male 9.5
GTEX-1F75B-0726-SM-7PC3R 50-59 years, male 9.5
GTEX-1I6K6-1726-SM-CGQFD 30-39 years, male 9.5
GTEX-1IDJD-2326-SM-ACKWX 30-39 years, male 9.5
GTEX-12WSD-0626-SM-5GCMW 60-69 years, female 9.4
GTEX-14LZ3-0126-SM-69LPM 60-69 years, female 9.4
GTEX-17HII-1426-SM-7EPGG 50-59 years, male 9.4
GTEX-1A8G6-2726-SM-731AR 60-69 years, male 9.4
GTEX-1E1VI-0326-SM-793D1 50-59 years, male 9.4
GTEX-ZTTD-2826-SM-4YCFA 50-59 years, male 9.4
GTEX-1H2FU-0926-SM-9WPPT 60-69 years, female 9.4
GTEX-1JMPZ-0726-SM-CY8HZ 30-39 years, male 9.4
GTEX-11ZUS-2626-SM-5FQUR 30-39 years, male 9.3
GTEX-13FTY-2126-SM-5IFFB 40-49 years, female 9.3
GTEX-144GO-2026-SM-5O99P 60-69 years, male 9.3
GTEX-1477Z-0326-SM-7IGLA 60-69 years, male 9.3
GTEX-17KNJ-2126-SM-718AM 50-59 years, male 9.3
GTEX-1HB9E-0126-SM-CM2S5 50-59 years, male 9.3
GTEX-1HSGN-0826-SM-ACKW3 40-49 years, female 9.3
GTEX-1IDJC-1526-SM-B2LW4 50-59 years, male 9.3
GTEX-1J8QM-2426-SM-A9SLS 60-69 years, female 9.3
GTEX-1JN1M-2726-SM-CY8I4 60-69 years, female 9.3
GTEX-1KANA-1326-SM-DIPFA 20-29 years, male 9.3
GTEX-1S82P-2126-SM-E6CI5 60-69 years, female 9.3
GTEX-11UD2-2526-SM-5CVNU 50-59 years, male 9.2
GTEX-12696-0126-SM-5EQ4L 60-69 years, male 9.2
GTEX-12ZZY-0726-SM-5EQ66 60-69 years, male 9.2
GTEX-1314G-1326-SM-5BC6E 30-39 years, male 9.2
GTEX-13X6H-0926-SM-5SIB2 50-59 years, female 9.2
GTEX-14C39-1726-SM-5RQIL 40-49 years, male 9.2
GTEX-17F98-1326-SM-7DUEP 40-49 years, female 9.2
GTEX-1JJE9-2626-SM-ARZMT 70-79 years, male 9.2
GTEX-1LKK1-2626-SM-DKPQE 50-59 years, female 9.2
GTEX-1LSNL-2726-SM-E9TKJ 50-59 years, male 9.2
GTEX-1PIIG-2326-SM-DTXFR 30-39 years, male 9.2
GTEX-11ZU8-0126-SM-5EQ58 60-69 years, male 9.1
GTEX-12WSL-2026-SM-5GCML 50-59 years, male 9.1
GTEX-139TT-2126-SM-5LZWC 60-69 years, male 9.1
GTEX-13X6K-0626-SM-5LU5D 60-69 years, female 9.1
GTEX-145LU-1926-SM-79OJN 50-59 years, male 9.1
GTEX-17EVQ-0126-SM-7IGLR 70-79 years, male 9.1
GTEX-ZF2S-1626-SM-57WES 50-59 years, female 9.1
GTEX-1GN73-0726-SM-7P8TJ 60-69 years, male 9.1
GTEX-1IOXB-2726-SM-CM2RI 50-59 years, male 9.1
GTEX-1KANC-1226-SM-CYPT7 50-59 years, female 9.1
GTEX-1PPGY-1626-SM-EVYBL 60-69 years, male 9.1
GTEX-1RAZQ-1326-SM-E9TK6 30-39 years, male 9.1
GTEX-14DAQ-0626-SM-793DS 60-69 years, female 9.0
GTEX-14PII-0726-SM-6EU2B 60-69 years, male 9.0
GTEX-15EU6-2226-SM-6EU2L 50-59 years, male 9.0
GTEX-15FZZ-0526-SM-7KUGD 30-39 years, female 9.0
GTEX-ZDYS-2426-SM-4WKGI 50-59 years, male 9.0
GTEX-18D9A-1426-SM-7LT8M 30-39 years, female 9.0
GTEX-1A8FM-0626-SM-7PC25 50-59 years, female 9.0
GTEX-1GL5R-1326-SM-7RHHF 50-59 years, male 9.0
GTEX-1H11D-1826-SM-9QEHM 40-49 years, male 9.0
GTEX-1JMQL-2226-SM-CNPP4 50-59 years, female 9.0
GTEX-1LG7Z-1626-SM-CXKYR 30-39 years, male 9.0
GTEX-ZLV1-1526-SM-DO91J 60-69 years, female 9.0
GTEX-12584-0726-SM-5FQTK 40-49 years, male 8.9
GTEX-14AS3-1526-SM-5Q5ED 40-49 years, female 8.9
GTEX-16BQI-1326-SM-6M486 30-39 years, female 8.9
GTEX-17EVP-2626-SM-7IGMA 40-49 years, male 8.9
GTEX-17HG3-2626-SM-7DUF2 30-39 years, female 8.9
GTEX-1B996-0426-SM-7EWF8 60-69 years, male 8.9
GTEX-1CAV2-0126-SM-7IGN7 40-49 years, female 8.9
GTEX-ZT9X-1526-SM-5DUXD 40-49 years, male 8.9
GTEX-ZUA1-2626-SM-5NQ92 40-49 years, male 8.9
GTEX-1GZ4H-0526-SM-9KNU9 50-59 years, female 8.9
GTEX-1QCLZ-2426-SM-EVYBW 60-69 years, female 8.9
GTEX-1R9K4-2826-SM-DTX8F 60-69 years, male 8.9
GTEX-111CU-1126-SM-5EGIM 50-59 years, male 8.8
GTEX-11EM3-1226-SM-5N9DD 20-29 years, female 8.8
GTEX-11GSP-2326-SM-5HL63 60-69 years, female 8.8
GTEX-13JUV-2026-SM-5K7UA 40-49 years, female 8.8
GTEX-13O3Q-0126-SM-5KM34 50-59 years, male 8.8
GTEX-13OVK-1426-SM-6PAN7 40-49 years, male 8.8
GTEX-14C38-0726-SM-5SI6M 50-59 years, male 8.8
GTEX-14PHX-2226-SM-6EU2P 50-59 years, male 8.8
GTEX-17MFQ-1526-SM-7KFRR 20-29 years, male 8.8
GTEX-18465-2826-SM-7LT9J 50-59 years, male 8.8
GTEX-ZC5H-1526-SM-5HL9Y 40-49 years, female 8.8
GTEX-ZP4G-1426-SM-4WWCL 20-29 years, female 8.8
GTEX-ZT9W-1126-SM-57WDR 50-59 years, male 8.8
GTEX-ZVZP-1226-SM-5GID7 50-59 years, male 8.8
GTEX-1C64N-2626-SM-7PC2N 50-59 years, male 8.8
GTEX-1HBPI-2126-SM-ARL9K 50-59 years, male 8.8
GTEX-1JMOU-1026-SM-CYPSS 60-69 years, female 8.8
GTEX-1QW4Y-1126-SM-DTXE3 30-39 years, male 8.8
GTEX-131XW-0626-SM-5PNVD 50-59 years, female 8.7
GTEX-13OW8-1026-SM-5J1NQ 60-69 years, male 8.7
GTEX-WK11-2726-SM-3NMAQ 50-59 years, male 8.7
GTEX-WRHU-2826-SM-3MJG8 50-59 years, female 8.7
GTEX-X4EO-2926-SM-4E3JH 60-69 years, female 8.7
GTEX-1CAMQ-1326-SM-7P8RV 40-49 years, male 8.7
GTEX-1H1DF-1126-SM-9WG7G 40-49 years, female 8.7
GTEX-1HFI7-2326-SM-CGQFS 50-59 years, female 8.7
GTEX-1KANB-2826-SM-CY8I6 50-59 years, male 8.7
GTEX-1L5NE-1126-SM-D3L9P 50-59 years, male 8.7
GTEX-1M4P7-0726-SM-E6CJ3 60-69 years, male 8.7
GTEX-1NSGN-0726-SM-DTXEF 50-59 years, male 8.7
GTEX-1313W-0626-SM-5EQ4H 50-59 years, female 8.6
GTEX-1F75A-0726-SM-7RHHD 50-59 years, male 8.6
GTEX-1H23P-0626-SM-9WG6T 60-69 years, male 8.6
GTEX-1LSNM-0826-SM-DIPG8 50-59 years, male 8.6
GTEX-11DXX-2126-SM-5PNYR 60-69 years, female 8.5
GTEX-13VXU-0626-SM-5L3F9 50-59 years, male 8.5
GTEX-145MF-0926-SM-5Q5EA 50-59 years, male 8.5
GTEX-16NGA-0726-SM-731AO 40-49 years, female 8.5
GTEX-1A3MV-1826-SM-731CD 30-39 years, male 8.5
GTEX-ZDTT-0426-SM-4WKFL 60-69 years, male 8.5
GTEX-1HCU9-0426-SM-9WYSD 20-29 years, male 8.5
GTEX-1IDJE-1426-SM-ADEIW 50-59 years, female 8.5
GTEX-1IDJI-0126-SM-CMKHS 50-59 years, female 8.5
GTEX-1J1OQ-0126-SM-D4P2N 40-49 years, female 8.5
GTEX-1JJ6O-2726-SM-CNPOG 60-69 years, male 8.5
GTEX-1S3DN-2126-SM-E9TIN 50-59 years, male 8.5
GTEX-1117F-2926-SM-5GZYI 60-69 years, female 8.4
GTEX-11DXW-0826-SM-5H118 40-49 years, male 8.4
GTEX-11DXY-0126-SM-5H11Q 60-69 years, male 8.4
GTEX-11ZTT-2126-SM-5CVLO 60-69 years, female 8.4
GTEX-16NPX-0726-SM-7KULC 50-59 years, male 8.4
GTEX-WHSE-0126-SM-3NMBT 20-29 years, male 8.4
GTEX-X8HC-0626-SM-4E3HQ 50-59 years, female 8.4
GTEX-ZLWG-0826-SM-59888 50-59 years, female 8.4
GTEX-1GPI7-1826-SM-9KNU1 20-29 years, male 8.4
GTEX-1HC8U-1326-SM-9YFMJ 40-49 years, female 8.4
GTEX-1IDJF-2026-SM-CL53V 20-29 years, male 8.4
GTEX-1LG7Y-2526-SM-EWRO7 50-59 years, male 8.4
GTEX-1B8KE-1126-SM-7EPHI 50-59 years, male 8.3
GTEX-U8XE-0226-SM-4E3J3 30-39 years, male 8.3
GTEX-W5X1-2526-SM-3GILC 40-49 years, female 8.3
GTEX-ZYVF-0926-SM-5E44J 50-59 years, female 8.3
GTEX-1F6IF-0926-SM-7SB7M 60-69 years, male 8.3
GTEX-1H3VE-0726-SM-9YFL5 40-49 years, male 8.3
GTEX-1K2DU-1226-SM-CYPT4 20-29 years, male 8.3
GTEX-1MCYP-0526-SM-E9U6Q 20-29 years, female 8.3
GTEX-1211K-1526-SM-5FQU4 60-69 years, female 8.2
GTEX-12WSA-0426-SM-5EQ5X 60-69 years, male 8.2
GTEX-131XF-2626-SM-5EQ6K 60-69 years, male 8.2
GTEX-13FTX-1526-SM-5K7VJ 20-29 years, female 8.2
GTEX-14753-0726-SM-5QGQO 60-69 years, male 8.2
GTEX-15DDE-2926-SM-6LLJ3 50-59 years, female 8.2
GTEX-1EWIQ-0326-SM-7DHMQ 70-79 years, female 8.2
GTEX-1JMQJ-0826-SM-CNPP7 50-59 years, male 8.2
GTEX-1QCLY-0226-SM-EWRNH 30-39 years, male 8.2
GTEX-139YR-1026-SM-5LZYN 50-59 years, male 8.1
GTEX-13N2G-0226-SM-5K7VF 60-69 years, male 8.1
GTEX-13NYS-0626-SM-5L3F1 60-69 years, male 8.1
GTEX-14LLW-2626-SM-62LDZ 70-79 years, female 8.1
GTEX-16XZZ-0726-SM-7KUF2 60-69 years, male 8.1
GTEX-VUSG-2326-SM-4KL1U 50-59 years, male 8.1
GTEX-WFG8-2126-SM-3GIKQ 20-29 years, male 8.1
GTEX-XPVG-2126-SM-4B667 50-59 years, male 8.1
GTEX-ZPCL-1126-SM-4WWFE 60-69 years, female 8.1
GTEX-ZWKS-0626-SM-5GIDV 30-39 years, male 8.1
GTEX-1I19N-0126-SM-CYPSF 70-79 years, male 8.1
GTEX-1I1HK-2326-SM-CKZOH 60-69 years, male 8.1
GTEX-1JMPY-0226-SM-CKZOK 30-39 years, male 8.1
GTEX-12KS4-2126-SM-5FQUT 30-39 years, male 8.0
GTEX-13OVG-1626-SM-5J1NF 60-69 years, male 8.0
GTEX-13OVH-0526-SM-5L3E6 70-79 years, male 8.0
GTEX-145LT-0526-SM-5LUB2 40-49 years, male 8.0
GTEX-145MG-1526-SM-5Q5EM 50-59 years, male 8.0
GTEX-1A3MW-0626-SM-731CB 60-69 years, female 8.0
GTEX-WYVS-1626-SM-3NM9R 40-49 years, female 8.0
GTEX-1H1DG-2426-SM-9QEHJ 70-79 years, male 8.0
GTEX-17MF6-2626-SM-79OKQ 40-49 years, male 7.9
GTEX-VJYA-1526-SM-3GIJV 60-69 years, male 7.9
GTEX-XMD2-2126-SM-4YCF8 60-69 years, female 7.9
GTEX-ZYT6-2326-SM-5GZY3 30-39 years, male 7.9
GTEX-11P82-1426-SM-DTXFY 20-29 years, male 7.9
GTEX-1H1CY-0126-SM-9YFLY 60-69 years, female 7.9
GTEX-1HBPN-0126-SM-CGQEF 50-59 years, male 7.9
GTEX-1JKYN-0826-SM-ARU8S 30-39 years, male 7.9
GTEX-ZPIC-0526-SM-DO91W 40-49 years, female 7.9
GTEX-13112-0126-SM-5P9IU 50-59 years, male 7.8
GTEX-15G1A-1626-SM-7KUKN 30-39 years, male 7.8
GTEX-18D9B-0926-SM-7LG4U 60-69 years, male 7.8
GTEX-WY7C-2126-SM-3NB2R 50-59 years, male 7.8
GTEX-1A3MX-2626-SM-7PC24 60-69 years, male 7.8
GTEX-1F5PK-2226-SM-7SB6N 50-59 years, male 7.8
GTEX-1JJEA-1826-SM-ARU8P 60-69 years, male 7.8
GTEX-V1D1-2026-SM-3GAF4 50-59 years, male 7.7
GTEX-X4EP-0626-SM-3P621 60-69 years, female 7.7
GTEX-1C475-1326-SM-7SB73 40-49 years, female 7.7
GTEX-1C64O-1326-SM-7MGWR 60-69 years, male 7.7
GTEX-1HCU6-2526-SM-ADEHL 60-69 years, female 7.7
GTEX-1ICG6-1226-SM-A9SLN 70-79 years, female 7.7
GTEX-15CHR-1126-SM-7EWF4 50-59 years, male 7.6
GTEX-16AAH-0626-SM-793C9 50-59 years, male 7.6
GTEX-16MT8-2926-SM-7DUFO 60-69 years, female 7.6
GTEX-18D9U-0126-SM-731BM 40-49 years, male 7.6
GTEX-1BAJH-2426-SM-7IGP8 70-79 years, male 7.6
GTEX-1CB4E-0926-SM-7EPHT 60-69 years, male 7.6
GTEX-1EX96-1026-SM-7MKG2 50-59 years, male 7.6
GTEX-WHPG-2626-SM-3NMBR 50-59 years, male 7.6
GTEX-ZU9S-1826-SM-5NQ9E 30-39 years, male 7.6
GTEX-1JN76-0626-SM-CKZOQ 20-29 years, female 7.6
GTEX-1LGOU-1326-SM-D3L8M 20-29 years, female 7.6
GTEX-1O9I2-0226-SM-EYYXD 50-59 years, male 7.6
GTEX-1QAET-0326-SM-EVR3U 50-59 years, male 7.6
GTEX-1RMOY-1326-SM-E9TIH 50-59 years, male 7.6
GTEX-1192X-2726-SM-5N9DN 50-59 years, male 7.5
GTEX-18A6Q-0626-SM-7KFRP 60-69 years, male 7.5
GTEX-1F75W-2726-SM-7SB8H 60-69 years, male 7.5
GTEX-1H1DE-1326-SM-9KNUG 20-29 years, male 7.5
GTEX-1HSMQ-2626-SM-A9SML 50-59 years, male 7.5
GTEX-117YX-1926-SM-5GIEC 50-59 years, male 7.4
GTEX-14A5H-0826-SM-5QGPJ 60-69 years, male 7.4
GTEX-17HGU-2326-SM-7DUFE 50-59 years, male 7.4
GTEX-1EN7A-2426-SM-793DB 40-49 years, male 7.4
GTEX-Y5LM-0926-SM-6LLJG 40-49 years, female 7.4
GTEX-YECK-0326-SM-4W1YS 60-69 years, male 7.4
GTEX-ZLFU-1826-SM-4WWBV 40-49 years, male 7.4
GTEX-1J8EW-2726-SM-CY8HR 60-69 years, female 7.4
GTEX-1LSVX-2526-SM-DIPEU 60-69 years, male 7.4
GTEX-1MJK3-0726-SM-E6CJC 20-29 years, male 7.4
GTEX-145LS-0626-SM-7EPG7 60-69 years, female 7.3
GTEX-139TU-0726-SM-5L3EK 60-69 years, male 7.2
GTEX-13U4I-2226-SM-5LU5H 40-49 years, female 7.2
GTEX-13X6I-1826-SM-5SIAO 60-69 years, male 7.2
GTEX-14E1K-2026-SM-7DUEI 50-59 years, male 7.2
GTEX-14E6E-0526-SM-793DN 30-39 years, male 7.2
GTEX-14JG1-1526-SM-5YY9X 40-49 years, male 7.2
GTEX-Z93S-1626-SM-5CVMB 50-59 years, male 7.2
GTEX-ZA64-1026-SM-5HL8R 20-29 years, male 7.2
GTEX-1H1E6-0426-SM-9WYUS 30-39 years, male 7.2
GTEX-1H3O1-1326-SM-9MQLD 60-69 years, male 7.2
GTEX-11VI4-1126-SM-5EQMD 40-49 years, female 7.1
GTEX-13O61-1426-SM-5KM3D 60-69 years, male 7.1
GTEX-14ABY-2026-SM-62LDL 50-59 years, male 7.1
GTEX-14PK6-0226-SM-62LF5 70-79 years, female 7.1
GTEX-183WM-0326-SM-72D5V 70-79 years, female 7.1
GTEX-13SLX-2226-SM-62LEP 50-59 years, female 7.0
GTEX-14PJ3-1126-SM-5ZZVX 50-59 years, male 7.0
GTEX-X5EB-1926-SM-4E3IW 40-49 years, male 7.0
GTEX-1IL2V-1926-SM-B2LW8 70-79 years, male 7.0
GTEX-1R9PN-0426-SM-DTXDT 40-49 years, female 7.0
GTEX-13FH7-1126-SM-5K7UG 50-59 years, female 6.9
GTEX-145ME-1726-SM-5Q5EU 40-49 years, female 6.9
GTEX-147GR-2426-SM-5ZZWQ 60-69 years, male 6.9
GTEX-16YQH-2226-SM-7IGM2 30-39 years, male 6.9
GTEX-YEC4-1826-SM-4W1YP 40-49 years, male 6.9
GTEX-ZAK1-0626-SM-5HL8E 50-59 years, female 6.9
GTEX-1E2YA-2126-SM-7MXUO 50-59 years, male 6.9
GTEX-1HCUA-0826-SM-ADEHM 50-59 years, female 6.9
GTEX-1S82U-1026-SM-E6CJK 30-39 years, female 6.9
GTEX-144FL-0626-SM-5LU43 50-59 years, male 6.8
GTEX-15D1Q-2826-SM-6LLH7 40-49 years, male 6.8
GTEX-ZVE1-0726-SM-51MRN 50-59 years, female 6.8
GTEX-1HGF4-0126-SM-CNPPX 60-69 years, male 6.8
GTEX-1I4MK-0126-SM-CY8G6 50-59 years, female 6.8
GTEX-1LVA9-2626-SM-EVYD4 50-59 years, male 6.8
GTEX-13RTJ-0126-SM-5S2NN 60-69 years, male 6.7
GTEX-14DAR-1226-SM-73KYV 50-59 years, male 6.7
GTEX-15G19-2426-SM-7KUMR 60-69 years, male 6.7
GTEX-15RJ7-2126-SM-6PAMD 40-49 years, male 6.7
GTEX-16Z82-2626-SM-7KULU 60-69 years, male 6.7
GTEX-18QFQ-1826-SM-72D52 30-39 years, male 6.7
GTEX-WHWD-1826-SM-3LK6I 50-59 years, male 6.7
GTEX-YFCO-1226-SM-5LUAT 40-49 years, male 6.7
GTEX-ZTSS-1426-SM-5985P 40-49 years, male 6.7
GTEX-1CAMS-2226-SM-7PBXQ 40-49 years, female 6.7
GTEX-1LVAO-2726-SM-E9TJ8 60-69 years, male 6.7
GTEX-1POEN-2326-SM-E9J2L 30-39 years, female 6.7
GTEX-1PPH8-0126-SM-EWRN8 20-29 years, male 6.7
GTEX-11GS4-0226-SM-5HL77 60-69 years, male 6.6
GTEX-12BJ1-0926-SM-5EQ62 60-69 years, male 6.6
GTEX-13W3W-0726-SM-5IJDQ 60-69 years, female 6.6
GTEX-14BMU-1226-SM-5S2OR 20-29 years, female 6.6
GTEX-XUW1-0926-SM-4BONX 50-59 years, female 6.6
GTEX-ZYFG-1526-SM-5GZYM 60-69 years, female 6.6
GTEX-11WQC-1826-SM-5GU59 60-69 years, male 6.5
GTEX-1212Z-0126-SM-59HK4 60-69 years, male 6.5
GTEX-12WSF-1626-SM-7KUG5 70-79 years, male 6.5
GTEX-14PKV-1126-SM-6LLJ1 20-29 years, female 6.5
GTEX-15DYW-2726-SM-6EU2I 60-69 years, female 6.5
GTEX-1LVAN-0626-SM-CNPOQ 50-59 years, female 6.5
GTEX-1399S-0126-SM-5IJCF 30-39 years, female 6.4
GTEX-145MN-1526-SM-5SI9T 30-39 years, male 6.4
GTEX-146FQ-2126-SM-5RQHU 30-39 years, male 6.4
GTEX-1LBAC-0826-SM-CY8IJ 20-29 years, male 6.4
GTEX-11OF3-0126-SM-5PNYF 60-69 years, male 6.3
GTEX-11P7K-1126-SM-5HL4L 30-39 years, male 6.3
GTEX-1399Q-2326-SM-5KM2X 40-49 years, male 6.3
GTEX-13N11-2326-SM-5IJBF 50-59 years, female 6.3
GTEX-17JCI-2926-SM-7DUFF 60-69 years, female 6.3
GTEX-Y8E4-2026-SM-5IFJB 40-49 years, male 6.3
GTEX-1EMGI-2326-SM-7PBYA 60-69 years, male 6.3
GTEX-1F75I-2226-SM-7SB8U 40-49 years, male 6.3
GTEX-1IKOE-1426-SM-CE6T7 30-39 years, female 6.3
GTEX-11NUK-2726-SM-5A5MC 50-59 years, male 6.2
GTEX-WXYG-2026-SM-4E3IY 50-59 years, female 6.2
GTEX-YB5K-2026-SM-4VDT3 40-49 years, female 6.2
GTEX-ZDTS-0826-SM-4WKHL 60-69 years, male 6.2
GTEX-1IY9M-2826-SM-ARU8H 60-69 years, male 6.2
GTEX-1JMQI-1726-SM-ARL93 50-59 years, male 6.2
GTEX-1JMQK-1226-SM-D4P2S 60-69 years, male 6.2
GTEX-1K2DA-1026-SM-CGQGF 50-59 years, male 6.2
GTEX-12WSH-1526-SM-5BC5W 50-59 years, male 6.1
GTEX-139TS-2126-SM-5K7XC 60-69 years, male 6.1
GTEX-15SHW-0226-SM-7LTAT 60-69 years, male 6.1
GTEX-131XG-0326-SM-5L3DX 50-59 years, female 5.9
GTEX-XV7Q-1826-SM-4BRUV 40-49 years, female 5.9
GTEX-Y111-0626-SM-4SOIT 50-59 years, male 5.9
GTEX-Y8LW-1526-SM-5IFHL 50-59 years, female 5.9
GTEX-ZPU1-1126-SM-4YCF3 40-49 years, male 5.9
GTEX-1CB4I-0126-SM-7RHGG 50-59 years, male 5.9
GTEX-1N2DV-1526-SM-DTXEP 40-49 years, male 5.9
GTEX-11TT1-1826-SM-5EQLV 20-29 years, male 5.8
GTEX-147F4-0726-SM-5TDDD 50-59 years, male 5.8
GTEX-16MTA-0926-SM-6M47Z 50-59 years, male 5.8
GTEX-1AX8Z-0726-SM-73KTS 60-69 years, male 5.8
GTEX-XXEK-1626-SM-4BRUZ 50-59 years, male 5.8
GTEX-11DXZ-2026-SM-5987S 50-59 years, male 5.7
GTEX-1HSMP-0926-SM-A9SKX 70-79 years, male 5.7
GTEX-13G51-1826-SM-5KLZH 60-69 years, male 5.6
GTEX-XYKS-1426-SM-4BRUO 60-69 years, female 5.6
GTEX-1GMR2-0826-SM-7PC3V 50-59 years, male 5.6
GTEX-11NSD-0626-SM-5A5LU 20-29 years, male 5.5
GTEX-ZVP2-0326-SM-57WBP 50-59 years, male 5.5
GTEX-ZVTK-0226-SM-51MRG 20-29 years, male 5.5
GTEX-1F88F-0126-SM-9WYSZ 60-69 years, female 5.5
GTEX-12WSJ-1126-SM-5LZVJ 40-49 years, female 5.4
GTEX-13NYB-0126-SM-5J1MD 40-49 years, male 5.4
GTEX-15RIG-0726-SM-7KUM7 40-49 years, male 5.4
GTEX-16MT9-0126-SM-7EPI8 60-69 years, female 5.4
GTEX-WEY5-2326-SM-3GIKK 40-49 years, female 5.4
GTEX-XBEC-0726-SM-4QARZ 50-59 years, male 5.4
GTEX-XQ3S-1426-SM-4BOPR 20-29 years, male 5.4
GTEX-1399R-1326-SM-5PNYS 30-39 years, male 5.3
GTEX-UPK5-0426-SM-3GAEK 40-49 years, male 5.3
GTEX-Y3I4-1726-SM-4TT89 50-59 years, male 5.3
GTEX-12126-0826-SM-5FQTZ 20-29 years, male 5.2
GTEX-X3Y1-2026-SM-3P5YM 40-49 years, male 5.2
GTEX-17F97-2626-SM-7IGM5 50-59 years, male 5.1
GTEX-1GZ2Q-0126-SM-9WG6M 40-49 years, male 5.1
GTEX-1H1ZS-2726-SM-9WG75 70-79 years, male 5.1
GTEX-WI4N-2726-SM-3LK7Y 40-49 years, female 5.0
GTEX-1CAMR-1326-SM-7PC1F 20-29 years, male 5.0
GTEX-1HCU8-2526-SM-CE6RX 60-69 years, female 5.0
GTEX-1OJC3-1226-SM-DTXER 20-29 years, male 5.0
GTEX-1QP9N-1226-SM-E76QN 30-39 years, male 5.0
GTEX-131XH-0126-SM-5LZUY 50-59 years, male 4.9
GTEX-14PHY-1226-SM-5ZZWK 60-69 years, female 4.9
GTEX-ZTX8-1326-SM-4YCEL 20-29 years, male 4.9
GTEX-17F96-0126-SM-7EWDU 70-79 years, male 4.8
GTEX-17F9E-2326-SM-79OKD 50-59 years, male 4.8
GTEX-WFG7-2026-SM-5SI7P 20-29 years, male 4.8
GTEX-XOT4-0626-SM-4B66L 60-69 years, female 4.8
GTEX-14PJO-2526-SM-6AJBQ 60-69 years, male 4.7
GTEX-1AYD5-2626-SM-7PBXY 50-59 years, male 4.6
GTEX-13JVG-0726-SM-5KM16 60-69 years, male 4.5
GTEX-11PRG-0726-SM-5EGL1 50-59 years, male 4.4
GTEX-132AR-0326-SM-5KM2C 50-59 years, female 4.4
GTEX-XBEW-1126-SM-4QARW 40-49 years, male 4.4
GTEX-1HFI6-0126-SM-CNPPI 40-49 years, male 4.4
GTEX-Y5V6-2326-SM-4VDSA 60-69 years, male 4.3
GTEX-Y3IK-1626-SM-4YCF5 50-59 years, female 4.2
GTEX-1JMLX-0626-SM-ARL8T 50-59 years, male 4.1
GTEX-1PIGE-1826-SM-E8VOU 20-29 years, male 4.1
GTEX-ZDXO-3126-SM-5IJDF 60-69 years, male 3.9
GTEX-11DYG-1526-SM-5A5JS 60-69 years, male 3.7
GTEX-ZYW4-0626-SM-59HJR 60-69 years, male 3.7
GTEX-X585-2426-SM-46MW2 50-59 years, male 3.6
GTEX-ZF3C-0626-SM-DO92O 50-59 years, female 3.6
GTEX-1F6I4-2326-SM-7RHGL 60-69 years, male 3.4
GTEX-Y114-2126-SM-4TT8B 50-59 years, female 2.6
Show allShow less
Skin - Sun Exposed (Lower leg)
Average nTPM: 9.8
Samples: 701

Max nTPM: 24.1
Min nTPM: 3.3
Std nTPM: 2.8
Median nTPM: 9.6
GTEX-1C475-1826-SM-73KWA 40-49 years, female 24.1
GTEX-14A5I-0126-SM-5TDEA 50-59 years, female 22.9
GTEX-1IKJJ-0126-SM-CNPQB 60-69 years, male 20.3
GTEX-1N2EF-0226-SM-EYYXB 60-69 years, male 19.8
GTEX-17HII-0226-SM-7LG4E 50-59 years, male 19.0
GTEX-1I1GT-0626-SM-CGQER 60-69 years, female 18.2
GTEX-13NYC-0326-SM-E9J4S 60-69 years, male 17.7
GTEX-ZF2S-2326-SM-4WWCE 50-59 years, female 17.4
GTEX-S32W-2126-SM-2XCB1 50-59 years, female 17.3
GTEX-145MI-0526-SM-5O9A8 60-69 years, female 16.7
GTEX-1E2YA-0126-SM-9KNUC 50-59 years, male 16.7
GTEX-1GMR3-1926-SM-9KNUZ 40-49 years, male 16.7
GTEX-14C5O-0126-SM-5SI6N 60-69 years, male 16.6
GTEX-15EU6-0426-SM-6PAN5 50-59 years, male 16.3
GTEX-1H4P4-0726-SM-9YFLR 50-59 years, male 16.3
GTEX-1J8QM-2126-SM-CYPSJ 60-69 years, female 16.3
GTEX-1LH75-2426-SM-E9TJE 50-59 years, female 16.3
GTEX-1HCU7-0226-SM-CL545 50-59 years, male 16.2
GTEX-1IDJU-2626-SM-CM2RT 60-69 years, female 16.2
GTEX-TMMY-0226-SM-33HBA 40-49 years, female 16.1
GTEX-ZVT4-0126-SM-DTXFN 50-59 years, female 16.1
GTEX-14BIL-0126-SM-5SI92 50-59 years, male 15.8
GTEX-11TUW-2726-SM-E9J4M 60-69 years, male 15.8
GTEX-17JCI-0126-SM-7LG5G 60-69 years, female 15.7
GTEX-1E1VI-0126-SM-7DHMZ 50-59 years, male 15.7
GTEX-ZYT6-0226-SM-5NQ6T 30-39 years, male 15.6
GTEX-12WSG-2826-SM-E9J4H 50-59 years, female 15.6
GTEX-1QPFJ-0226-SM-E76PB 30-39 years, female 15.5
GTEX-RWSA-0126-SM-2XCBB 40-49 years, male 15.4
GTEX-13N2G-2626-SM-5J1OT 60-69 years, male 15.3
GTEX-17F96-1626-SM-7DUFL 70-79 years, male 15.3
GTEX-1HT8W-0126-SM-CNPPP 30-39 years, male 15.3
GTEX-1JMOU-1526-SM-CL54I 60-69 years, female 15.3
GTEX-1CB4H-0226-SM-7PBXM 60-69 years, female 15.0
GTEX-13O1R-0126-SM-5L3EH 60-69 years, male 14.9
GTEX-11H98-0126-SM-5EGHG 50-59 years, male 14.6
GTEX-15EOM-0126-SM-7KUGG 20-29 years, female 14.6
GTEX-17GQL-2026-SM-718BA 60-69 years, male 14.6
GTEX-1B8SG-0126-SM-73KZ3 50-59 years, male 14.6
GTEX-1JK1U-2026-SM-CM2RZ 60-69 years, male 14.6
GTEX-11LCK-1026-SM-5A5KB 30-39 years, male 14.5
GTEX-1HFI7-1826-SM-ACKXH 50-59 years, female 14.5
GTEX-1I1GR-0126-SM-CL55F 60-69 years, male 14.5
GTEX-1S82Z-0826-SM-E6CHY 30-39 years, female 14.5
GTEX-146FH-0126-SM-5QGPP 50-59 years, female 14.4
GTEX-1HSMO-0126-SM-CL547 60-69 years, male 14.3
GTEX-12WSC-0126-SM-5EQ4P 50-59 years, male 14.2
GTEX-13JUV-2726-SM-5LZZ8 40-49 years, female 14.2
GTEX-145LS-0126-SM-5QGP1 60-69 years, female 14.2
GTEX-148VJ-0126-SM-5TDDN 70-79 years, male 14.0
GTEX-1B8KE-2126-SM-73KYX 50-59 years, male 13.9
GTEX-15F5U-1526-SM-6PANO 40-49 years, male 13.8
GTEX-1IE54-0126-SM-CMKHW 40-49 years, female 13.8
GTEX-1J8Q2-0526-SM-CM2RW 60-69 years, male 13.8
GTEX-13FTX-1826-SM-5J1NX 20-29 years, female 13.7
GTEX-11EQ9-2426-SM-5HL5T 30-39 years, male 13.6
GTEX-139TT-0126-SM-5K7Y5 60-69 years, male 13.6
GTEX-16AAH-1726-SM-7939C 50-59 years, male 13.6
GTEX-UPJH-0326-SM-3GADU 50-59 years, male 13.6
GTEX-ZWKS-0126-SM-5SIAA 30-39 years, male 13.6
GTEX-146FR-1326-SM-E9J48 60-69 years, female 13.6
GTEX-1POEN-0126-SM-EYYXJ 30-39 years, female 13.6
GTEX-12WSL-2526-SM-5GCNJ 50-59 years, male 13.5
GTEX-12ZZY-0226-SM-5LZVE 60-69 years, male 13.5
GTEX-14PN3-2426-SM-6LLHS 60-69 years, female 13.5
GTEX-15DDE-0126-SM-6LPKH 50-59 years, female 13.5
GTEX-15ER7-0326-SM-7KUEV 20-29 years, female 13.5
GTEX-1B97I-1626-SM-73KYO 40-49 years, male 13.5
GTEX-ZXG5-0126-SM-5GIEU 60-69 years, male 13.5
GTEX-TSE9-0126-SM-3DB83 60-69 years, female 13.4
GTEX-1F5PK-2426-SM-7RHHY 50-59 years, male 13.4
GTEX-14LLW-0126-SM-6LLIO 70-79 years, female 13.3
GTEX-15DYW-0126-SM-7KULE 60-69 years, female 13.3
GTEX-1I1GQ-0126-SM-COH3H 50-59 years, male 13.3
GTEX-1JJEA-0326-SM-CNPOT 60-69 years, male 13.3
GTEX-1LBAC-0126-SM-DIPEZ 20-29 years, male 13.3
GTEX-1212Z-2526-SM-5EGKP 60-69 years, male 13.2
GTEX-13112-2826-SM-5DUWH 50-59 years, male 13.2
GTEX-1JN76-0126-SM-CNPPE 20-29 years, female 13.2
GTEX-ZF29-2326-SM-DO92K 60-69 years, female 13.2
GTEX-1269C-2526-SM-5EGJ3 60-69 years, female 13.1
GTEX-144GL-0126-SM-5TDE2 50-59 years, male 13.1
GTEX-14BMV-0126-SM-5S2PO 50-59 years, male 13.1
GTEX-16XZZ-0126-SM-793DV 60-69 years, male 13.1
GTEX-1C64N-0126-SM-793D7 50-59 years, male 13.1
GTEX-ZTX8-1426-SM-5DUVO 20-29 years, male 13.1
GTEX-1R46S-0626-SM-E9J41 60-69 years, female 13.1
GTEX-14E6C-0126-SM-5RQIP 40-49 years, male 13.0
GTEX-17HHE-2026-SM-79OKF 50-59 years, male 13.0
GTEX-ZV6S-2326-SM-4YCEY 40-49 years, female 13.0
GTEX-1GF9V-0326-SM-7RHI5 60-69 years, male 13.0
GTEX-1JJ6O-0126-SM-E6CI8 60-69 years, male 13.0
GTEX-1PPH7-2326-SM-EVYB8 40-49 years, male 13.0
GTEX-133LE-1826-SM-5J1MV 20-29 years, female 12.9
GTEX-13OW6-0426-SM-5L3HM 50-59 years, male 12.9
GTEX-14BIN-0626-SM-793DP 50-59 years, female 12.9
GTEX-18D9A-1926-SM-7LG6P 30-39 years, female 12.9
GTEX-1A3MV-1926-SM-718BT 30-39 years, male 12.9
GTEX-QESD-1426-SM-2S1R9 20-29 years, male 12.9
GTEX-1A8FM-0226-SM-7SB7Q 50-59 years, female 12.9
GTEX-1EU9M-0226-SM-7P8SP 60-69 years, male 12.9
GTEX-1GL5R-1826-SM-9KNUY 50-59 years, male 12.9
GTEX-1HSMQ-1226-SM-CGQFX 50-59 years, male 12.9
GTEX-1O97I-0326-SM-EYYX7 60-69 years, male 12.9
GTEX-1R9PM-2026-SM-E76OY 20-29 years, male 12.9
GTEX-1S3DN-2226-SM-EVYCD 50-59 years, male 12.9
GTEX-1A3MW-0126-SM-73KXX 60-69 years, female 12.8
GTEX-1F52S-0126-SM-9MQJU 60-69 years, female 12.8
GTEX-12WSN-5019-SM-79OM6 40-49 years, male 12.7
GTEX-OXRO-0126-SM-2YUN4 60-69 years, female 12.7
GTEX-SNMC-1226-SM-2XCFP 20-29 years, male 12.7
GTEX-1LGRB-2526-SM-CNPPQ 50-59 years, female 12.7
GTEX-X4XY-0226-SM-4E3IZ 60-69 years, male 12.6
GTEX-1B996-0226-SM-7RHGO 60-69 years, male 12.6
GTEX-1I4MK-2226-SM-ACKWD 50-59 years, female 12.6
GTEX-11VI4-1726-SM-5CVLH 40-49 years, female 12.5
GTEX-13SLX-0526-SM-5S2ON 50-59 years, female 12.5
GTEX-1JJE9-0326-SM-CL53Z 70-79 years, male 12.5
GTEX-131XE-2326-SM-5PNZ2 50-59 years, male 12.4
GTEX-13PDP-0126-SM-5L3HD 60-69 years, male 12.4
GTEX-1CB4G-0226-SM-7PC3O 60-69 years, male 12.4
GTEX-1HUB1-0426-SM-E9U4U 60-69 years, male 12.4
GTEX-1K9T9-0126-SM-EVYCF 50-59 years, female 12.4
GTEX-1RB15-2126-SM-E9TIM 60-69 years, male 12.4
GTEX-16BQI-0226-SM-7KUEX 30-39 years, female 12.3
GTEX-17EVP-0326-SM-7DHLG 40-49 years, male 12.3
GTEX-VJWN-0126-SM-3GIK7 50-59 years, female 12.3
GTEX-1JKYN-1326-SM-CGQG9 30-39 years, male 12.3
GTEX-113JC-2326-SM-5EQ4E 50-59 years, female 12.2
GTEX-12KS4-0326-SM-5EQ41 30-39 years, male 12.2
GTEX-1I1CD-0126-SM-CM2TK 60-69 years, female 12.2
GTEX-1LGOU-2026-SM-DIPFF 20-29 years, female 12.2
GTEX-11WQK-0526-SM-5EQLD 50-59 years, male 12.1
GTEX-15G19-0126-SM-6PANQ 60-69 years, male 12.1
GTEX-ZDTT-2726-SM-4WKF8 60-69 years, male 12.1
GTEX-1GMR8-0126-SM-9WYTM 50-59 years, female 12.1
GTEX-1I1GU-2226-SM-CGQFA 40-49 years, male 12.1
GTEX-1JN1M-0326-SM-CYPT3 60-69 years, female 12.1
GTEX-1QP2A-0126-SM-E9J43 50-59 years, male 12.1
GTEX-148VI-1626-SM-5SI6E 60-69 years, female 12.0
GTEX-17KNJ-2326-SM-7DHLQ 50-59 years, male 12.0
GTEX-18A66-0226-SM-718BD 60-69 years, male 12.0
GTEX-1AMFI-2026-SM-731BH 50-59 years, female 12.0
GTEX-P44H-0226-SM-2XCEU 40-49 years, male 12.0
GTEX-T5JC-0426-SM-32PLO 20-29 years, male 12.0
GTEX-T8EM-1026-SM-3DB7M 40-49 years, male 12.0
GTEX-X261-0126-SM-3NMD6 50-59 years, male 12.0
GTEX-13OW5-0126-SM-DTXFS 60-69 years, male 12.0
GTEX-11EI6-0126-SM-5985R 60-69 years, male 11.9
GTEX-12WSE-0526-SM-793B2 20-29 years, male 11.9
GTEX-13OVJ-0126-SM-5KM36 50-59 years, female 11.9
GTEX-13S7M-0126-SM-5SI6A 60-69 years, female 11.9
GTEX-15UKP-0426-SM-7KUFQ 20-29 years, male 11.9
GTEX-ZVE2-0226-SM-59HJB 50-59 years, male 11.9
GTEX-1F48J-0126-SM-7P8TT 50-59 years, female 11.9
GTEX-1QMI2-0226-SM-EVYBX 60-69 years, male 11.9
GTEX-12WSA-0226-SM-5BC5V 60-69 years, male 11.8
GTEX-13IVO-0126-SM-5J1NG 70-79 years, male 11.8
GTEX-13OW8-1326-SM-5J1OW 60-69 years, male 11.8
GTEX-13YAN-0326-SM-5O9DF 60-69 years, male 11.8
GTEX-15ETS-0126-SM-7KUMW 40-49 years, female 11.8
GTEX-17MFQ-1726-SM-793C7 20-29 years, male 11.8
GTEX-WFG8-2226-SM-3GIL9 20-29 years, male 11.8
GTEX-ZXES-1826-SM-5E43S 30-39 years, female 11.8
GTEX-1HSKV-0226-SM-A9SKJ 60-69 years, male 11.8
GTEX-1ICLY-0126-SM-D4P36 50-59 years, male 11.8
GTEX-1PIGE-0126-SM-EVYBJ 20-29 years, male 11.8
GTEX-111VG-2426-SM-5GZXD 60-69 years, male 11.7
GTEX-13NYS-0126-SM-5MR3W 60-69 years, male 11.7
GTEX-17HG3-2226-SM-7938L 30-39 years, female 11.7
GTEX-1AX9K-2326-SM-73KWU 50-59 years, male 11.7
GTEX-1F75I-0326-SM-9YFLU 40-49 years, male 11.7
GTEX-1HB9E-0226-SM-E9U4R 50-59 years, male 11.7
GTEX-1IGQW-0126-SM-COH42 60-69 years, male 11.7
GTEX-1KD5A-0226-SM-D5OV3 50-59 years, male 11.7
GTEX-1L5NE-2526-SM-E6CIE 50-59 years, male 11.7
GTEX-1MA7W-2026-SM-E9TJ6 20-29 years, female 11.7
GTEX-PSDG-0226-SM-DKPOZ 50-59 years, male 11.7
GTEX-13W46-0226-SM-5SIAG 50-59 years, male 11.6
GTEX-1CAMQ-0226-SM-7IGPK 40-49 years, male 11.6
GTEX-Z9EW-1626-SM-5CVMN 40-49 years, male 11.6
GTEX-1ICLZ-0126-SM-CKZPO 60-69 years, male 11.6
GTEX-ZQUD-1426-SM-57WER 30-39 years, male 11.5
GTEX-ZYW4-0126-SM-5E44A 60-69 years, male 11.5
GTEX-1HSGN-0226-SM-CGQFV 40-49 years, female 11.5
GTEX-1IDFM-0126-SM-COH2V 60-69 years, male 11.5
GTEX-1PDJ9-0326-SM-DTX95 20-29 years, male 11.5
GTEX-ZQG8-1626-SM-DHXIT 60-69 years, female 11.5
GTEX-11ZU8-2526-SM-5EQKI 60-69 years, male 11.4
GTEX-145ME-1826-SM-5SI9G 40-49 years, female 11.4
GTEX-14E6E-1826-SM-5S2R7 30-39 years, male 11.4
GTEX-15UF6-0826-SM-6PALJ 70-79 years, female 11.4
GTEX-18A7B-0126-SM-7LG64 70-79 years, male 11.4
GTEX-1C6VR-2426-SM-79OLD 60-69 years, male 11.4
GTEX-OXRN-0126-SM-48TDM 50-59 years, male 11.4
GTEX-WFON-2126-SM-3LK7O 40-49 years, male 11.4
GTEX-11DZ1-0126-SM-5985Q 50-59 years, male 11.3
GTEX-16YQH-0126-SM-7DUFJ 30-39 years, male 11.3
GTEX-1AX9J-0226-SM-73KXM 60-69 years, male 11.3
GTEX-1KWVE-1426-SM-E9TJO 30-39 years, male 11.3
GTEX-1PIIG-0226-SM-EWRN6 30-39 years, male 11.3
GTEX-11O72-0126-SM-59887 40-49 years, male 11.2
GTEX-131XH-2226-SM-5DUXJ 50-59 years, male 11.2
GTEX-13OVH-0126-SM-5MR4B 70-79 years, male 11.2
GTEX-15RIG-0226-SM-7KFTL 40-49 years, male 11.2
GTEX-17EUY-0426-SM-793BD 20-29 years, male 11.2
GTEX-183WM-0126-SM-7LTAB 70-79 years, female 11.2
GTEX-OXRP-0126-SM-3NB32 60-69 years, female 11.2
GTEX-QDVJ-1726-SM-2I5FX 50-59 years, male 11.2
GTEX-XPVG-2626-SM-4B669 50-59 years, male 11.2
GTEX-ZU9S-0226-SM-5E441 30-39 years, male 11.2
GTEX-ZZ64-1726-SM-5GZYB 20-29 years, male 11.2
GTEX-1EN7A-0126-SM-7SB81 40-49 years, male 11.2
GTEX-1H3VE-0326-SM-9YFLH 40-49 years, male 11.2
GTEX-1HCU6-0126-SM-CL54K 60-69 years, female 11.2
GTEX-12ZZZ-0626-SM-5DUXI 60-69 years, male 11.1
GTEX-139TU-0126-SM-5K7WH 60-69 years, male 11.1
GTEX-13CF3-2426-SM-5IFGX 60-69 years, female 11.1
GTEX-13OVG-1926-SM-5L3DK 60-69 years, male 11.1
GTEX-ZGAY-0526-SM-4WWBB 40-49 years, female 11.1
GTEX-1GN1U-0126-SM-7PBZK 50-59 years, female 11.1
GTEX-1H1DG-0126-SM-9WYU2 70-79 years, male 11.1
GTEX-1IL2V-0126-SM-CM2TX 70-79 years, male 11.1
GTEX-1R9K4-0126-SM-DTX9X 60-69 years, male 11.1
GTEX-1RDX4-0126-SM-E9J4P 50-59 years, female 11.1
GTEX-1S83E-0126-SM-EWRO4 40-49 years, male 11.1
GTEX-11EM3-2426-SM-59861 20-29 years, female 11.0
GTEX-14PHW-0126-SM-6LLJI 60-69 years, female 11.0
GTEX-15DCD-0126-SM-7KUEK 70-79 years, female 11.0
GTEX-18465-0126-SM-731BN 50-59 years, male 11.0
GTEX-18A67-0126-SM-7LG5P 50-59 years, male 11.0
GTEX-1KD4Q-0226-SM-E9TJ9 40-49 years, male 11.0
GTEX-1LB8K-0226-SM-EWRNW 50-59 years, male 11.0
GTEX-1399T-2826-SM-5KLYZ 60-69 years, male 10.9
GTEX-18D9B-0526-SM-7LTAS 60-69 years, male 10.9
GTEX-POMQ-2226-SM-2I5FK 20-29 years, female 10.9
GTEX-Y5V5-2326-SM-4V6GA 60-69 years, female 10.9
GTEX-1F6RS-0126-SM-9MQKZ 60-69 years, female 10.9
GTEX-1GZHY-0326-SM-9QEHI 50-59 years, female 10.9
GTEX-1H23P-0126-SM-ADEJ3 60-69 years, male 10.9
GTEX-1H3NZ-0126-SM-ACKX7 60-69 years, male 10.9
GTEX-1KAFJ-2026-SM-CY8ID 50-59 years, male 10.9
GTEX-1QEPI-0126-SM-EWRMQ 60-69 years, female 10.9
GTEX-XUYS-0126-SM-47JWZ 50-59 years, male 10.8
GTEX-1HBPI-1526-SM-C1YQ1 50-59 years, male 10.8
GTEX-1HBPN-0226-SM-9YFM1 50-59 years, male 10.8
GTEX-1J8Q3-1626-SM-CMKGC 60-69 years, male 10.8
GTEX-1LG7Z-1726-SM-D3LA4 30-39 years, male 10.8
GTEX-11TTK-0126-SM-5987B 60-69 years, female 10.7
GTEX-12696-2426-SM-5EQ6H 60-69 years, male 10.7
GTEX-14PJM-0226-SM-62LF1 50-59 years, female 10.7
GTEX-1LVAN-0226-SM-COH3S 50-59 years, female 10.7
GTEX-11XUK-2026-SM-5EQLF 40-49 years, female 10.6
GTEX-1314G-1526-SM-5EGK2 30-39 years, male 10.6
GTEX-145MO-0326-SM-5Q5B3 60-69 years, male 10.6
GTEX-14PHX-2326-SM-62LEM 50-59 years, male 10.6
GTEX-X4EO-0326-SM-3P5YO 60-69 years, female 10.6
GTEX-1F5PL-0326-SM-7P8PQ 40-49 years, female 10.6
GTEX-1K2DU-2326-SM-E9TIV 20-29 years, male 10.6
GTEX-111FC-0126-SM-5N9DL 60-69 years, male 10.5
GTEX-139D8-0226-SM-5KLZO 30-39 years, female 10.5
GTEX-14E7W-0126-SM-6LLJ9 70-79 years, male 10.5
GTEX-14PJ6-2126-SM-6EU1V 60-69 years, female 10.5
GTEX-15SHU-0126-SM-7KUEH 40-49 years, female 10.5
GTEX-Q2AG-0126-SM-33HBV 40-49 years, female 10.5
GTEX-1C6VQ-0126-SM-7P8RI 50-59 years, male 10.5
GTEX-131XW-0426-SM-5LZWP 50-59 years, female 10.4
GTEX-17EVQ-0226-SM-7LG4P 70-79 years, male 10.4
GTEX-17HGU-0226-SM-7DHKV 50-59 years, male 10.4
GTEX-XBEW-0626-SM-4QASP 40-49 years, male 10.4
GTEX-ZVT2-2526-SM-51MT1 50-59 years, female 10.4
GTEX-1F7RK-0126-SM-7PC2S 20-29 years, female 10.4
GTEX-1H2FU-0126-SM-9WYSI 60-69 years, female 10.4
GTEX-1KANA-0726-SM-D3L9I 20-29 years, male 10.4
GTEX-11UD2-0226-SM-5EQKY 50-59 years, male 10.3
GTEX-SJXC-0126-SM-2XCFF 60-69 years, male 10.3
GTEX-VUSG-2526-SM-4KL1V 50-59 years, male 10.3
GTEX-Y8E4-0626-SM-4WWDL 40-49 years, male 10.3
GTEX-1EWIQ-0126-SM-7RHH2 70-79 years, female 10.3
GTEX-1J1OQ-0226-SM-CYPSH 40-49 years, female 10.3
GTEX-1R7EU-0226-SM-EVR4G 60-69 years, male 10.3
GTEX-13N1W-0126-SM-5K7VT 70-79 years, male 10.2
GTEX-13VXT-0126-SM-5LU4I 20-29 years, female 10.2
GTEX-1CB4J-0626-SM-7DHMP 60-69 years, male 10.2
GTEX-ZYY3-0126-SM-5GZY5 60-69 years, female 10.2
GTEX-1GF9X-2026-SM-7PC3A 40-49 years, female 10.2
GTEX-1IKOH-0226-SM-COH4E 60-69 years, female 10.2
GTEX-1MUQO-0126-SM-EAZ58 60-69 years, male 10.2
GTEX-1128S-2326-SM-5GZZY 60-69 years, female 10.1
GTEX-13RTJ-2426-SM-5S2Q2 60-69 years, male 10.1
GTEX-13X6I-0626-SM-5QGP9 60-69 years, male 10.1
GTEX-1C2JI-1826-SM-73KXC 50-59 years, male 10.1
GTEX-YB5K-2126-SM-4WWDJ 40-49 years, female 10.1
GTEX-1F75B-0126-SM-9KNVL 50-59 years, male 10.1
GTEX-1GMRU-0126-SM-9YFLV 50-59 years, male 10.1
GTEX-1GN73-0226-SM-9WG67 60-69 years, male 10.1
GTEX-1JMQJ-0526-SM-CYPSU 50-59 years, male 10.1
GTEX-1QCLY-0326-SM-E8VOG 30-39 years, male 10.1
GTEX-1R7EV-2426-SM-EVYBG 40-49 years, male 10.1
GTEX-1R9PO-2126-SM-E9J4O 60-69 years, female 10.1
GTEX-11WQC-2526-SM-5CVLE 60-69 years, male 10.0
GTEX-11ZTT-2426-SM-5EQLS 60-69 years, female 10.0
GTEX-14DAR-2026-SM-5S2O3 50-59 years, male 10.0
GTEX-14XAO-2326-SM-6EU1B 60-69 years, female 10.0
GTEX-16MT8-0426-SM-7KUEY 60-69 years, female 10.0
GTEX-1BAJH-0526-SM-793CQ 70-79 years, male 10.0
GTEX-RWS6-2026-SM-2XCB5 60-69 years, female 10.0
GTEX-U4B1-1826-SM-4DXSU 40-49 years, male 10.0
GTEX-ZVZP-2426-SM-59HKJ 50-59 years, male 10.0
GTEX-1M5QR-1226-SM-EWROB 40-49 years, male 10.0
GTEX-1QP29-0626-SM-EWRMX 50-59 years, male 10.0
GTEX-1313W-0126-SM-5LZUN 50-59 years, female 9.9
GTEX-13NZ8-0826-SM-5MR3I 60-69 years, female 9.9
GTEX-13QJ3-0326-SM-5S2RA 50-59 years, male 9.9
GTEX-13RTL-0126-SM-7LG5S 40-49 years, male 9.9
GTEX-14DAQ-0126-SM-5S2MQ 60-69 years, female 9.9
GTEX-14E6D-0126-SM-62LDV 50-59 years, male 9.9
GTEX-15CHC-2126-SM-6EU21 60-69 years, female 9.9
GTEX-1A3MX-0126-SM-731BR 60-69 years, male 9.9
GTEX-1C6VS-0526-SM-7DUEN 60-69 years, male 9.9
GTEX-1CAMR-1926-SM-7EPI2 20-29 years, male 9.9
GTEX-13FH7-2026-SM-E9J4I 50-59 years, female 9.9
GTEX-1JN6P-0126-SM-D3L98 60-69 years, male 9.9
GTEX-1QP67-1626-SM-EAZ3X 40-49 years, female 9.9
GTEX-11GSO-2426-SM-5A5LY 60-69 years, male 9.8
GTEX-11ZVC-2526-SM-5FQTE 50-59 years, female 9.8
GTEX-13D11-2426-SM-5KM1V 50-59 years, female 9.8
GTEX-13NZA-0226-SM-5K7Z7 60-69 years, male 9.8
GTEX-13OVK-2026-SM-7KUEO 40-49 years, male 9.8
GTEX-145LU-0126-SM-5TDCB 50-59 years, male 9.8
GTEX-183FY-0126-SM-7LT9P 20-29 years, male 9.8
GTEX-P4QT-0126-SM-2I3FL 50-59 years, female 9.8
GTEX-T5JW-1626-SM-3GADZ 20-29 years, female 9.8
GTEX-Z93S-0126-SM-5HL7M 50-59 years, male 9.8
GTEX-ZTSS-1926-SM-57WEW 40-49 years, male 9.8
GTEX-1F75A-0126-SM-7RHGM 50-59 years, male 9.8
GTEX-1H1DE-2126-SM-9WG6R 20-29 years, male 9.8
GTEX-11OF3-2626-SM-5GU7F 60-69 years, male 9.7
GTEX-131YS-0126-SM-5KM1M 60-69 years, female 9.7
GTEX-13RTK-1426-SM-5QGQJ 20-29 years, male 9.7
GTEX-13X6J-0126-SM-5QGOU 50-59 years, male 9.7
GTEX-147F3-0526-SM-5SI98 50-59 years, female 9.7
GTEX-14LZ3-0226-SM-62LET 60-69 years, female 9.7
GTEX-16NGA-1726-SM-731B4 40-49 years, female 9.7
GTEX-1CB4I-0226-SM-79OLH 50-59 years, male 9.7
GTEX-S7SE-0126-SM-2XCD5 50-59 years, male 9.7
GTEX-1F88F-2726-SM-7PBZZ 60-69 years, female 9.7
GTEX-1RAZQ-0726-SM-EAZ43 30-39 years, male 9.7
GTEX-ZPIC-1726-SM-DHXIU 40-49 years, female 9.7
GTEX-11TT1-2526-SM-5EGIB 20-29 years, male 9.6
GTEX-13U4I-0126-SM-5LU38 40-49 years, female 9.6
GTEX-16XZY-2126-SM-79OK1 70-79 years, male 9.6
GTEX-SN8G-0126-SM-32PLI 50-59 years, female 9.6
GTEX-WRHK-1426-SM-3MJF9 20-29 years, female 9.6
GTEX-1H3VY-0126-SM-ACKXD 50-59 years, male 9.6
GTEX-1HCVE-0126-SM-CGQEU 50-59 years, male 9.6
GTEX-1KANC-1526-SM-D3LAB 50-59 years, female 9.6
GTEX-1M4P7-0226-SM-DIPEV 60-69 years, male 9.6
GTEX-1QAET-0926-SM-E76QM 50-59 years, male 9.6
GTEX-11ZUS-0626-SM-59885 30-39 years, male 9.5
GTEX-14ABY-0226-SM-5TDCQ 50-59 years, male 9.5
GTEX-ZUA1-0126-SM-5GU76 40-49 years, male 9.5
GTEX-1C6WA-0126-SM-7PC2B 60-69 years, male 9.5
GTEX-1H1E6-1726-SM-ACKVK 30-39 years, male 9.5
GTEX-1JMQI-2226-SM-CM2SD 50-59 years, male 9.5
GTEX-SE5C-1626-SM-2XCE3 40-49 years, female 9.5
GTEX-17MF6-0126-SM-7LG4F 40-49 years, male 9.4
GTEX-U3ZH-2026-SM-3DB78 30-39 years, male 9.4
GTEX-1GTWX-0126-SM-9YFLK 60-69 years, male 9.4
GTEX-1I19N-0326-SM-ACKVX 70-79 years, male 9.4
GTEX-1IDJF-0126-SM-CM2RS 20-29 years, male 9.4
GTEX-1K2DA-1826-SM-CGQGT 50-59 years, male 9.4
GTEX-1KXAM-2226-SM-CYPTC 60-69 years, male 9.4
GTEX-1LC47-0326-SM-E9TJP 60-69 years, male 9.4
GTEX-1MJK2-0426-SM-DTXE5 50-59 years, male 9.4
GTEX-1QW4Y-1526-SM-EAZ3Z 30-39 years, male 9.4
GTEX-OIZF-0126-SM-7SB8I 60-69 years, male 9.4
GTEX-11NSD-2226-SM-5986V 20-29 years, male 9.3
GTEX-13O3P-0126-SM-5KM4S 50-59 years, male 9.3
GTEX-147GR-0526-SM-5S2MY 60-69 years, male 9.3
GTEX-14A5H-0426-SM-5QGQF 60-69 years, male 9.3
GTEX-16GPK-0126-SM-7DHLE 60-69 years, male 9.3
GTEX-V1D1-2226-SM-3NMAX 50-59 years, male 9.3
GTEX-1GPI7-0126-SM-9MQL8 20-29 years, male 9.3
GTEX-1ICG6-2526-SM-CGQFZ 70-79 years, female 9.3
GTEX-1LG7Y-0526-SM-DKPQC 50-59 years, male 9.3
GTEX-1RLM8-2326-SM-EWRN4 50-59 years, male 9.3
GTEX-12584-0126-SM-5EGKQ 40-49 years, male 9.2
GTEX-14JG6-2226-SM-6EU2G 30-39 years, female 9.2
GTEX-17HHY-0126-SM-7LG5D 50-59 years, male 9.2
GTEX-YJ8A-0426-SM-5IFID 20-29 years, male 9.2
GTEX-ZAB5-1826-SM-5HL7C 50-59 years, male 9.2
GTEX-1GF9W-0326-SM-9KNUN 60-69 years, male 9.2
GTEX-1RAZA-0126-SM-E6CI3 20-29 years, male 9.2
GTEX-11P81-2326-SM-59875 30-39 years, female 9.1
GTEX-15SHW-0326-SM-6PAML 60-69 years, male 9.1
GTEX-ZDTS-0126-SM-4WAY5 60-69 years, male 9.1
GTEX-1GN1W-0526-SM-9MQJQ 50-59 years, female 9.1
GTEX-1399R-2726-SM-5IJBA 30-39 years, male 9.0
GTEX-139T8-0126-SM-5K7XZ 60-69 years, male 9.0
GTEX-13OVI-1426-SM-5L3EY 60-69 years, female 9.0
GTEX-1AMEY-1326-SM-73KYK 30-39 years, female 9.0
GTEX-1B8KZ-2026-SM-7DHMB 50-59 years, male 9.0
GTEX-1CB4E-2226-SM-793DC 60-69 years, male 9.0
GTEX-QDVN-2026-SM-3GAEP 50-59 years, male 9.0
GTEX-WYVS-2126-SM-3NMA3 40-49 years, female 9.0
GTEX-Y8LW-1826-SM-5S2MV 50-59 years, female 9.0
GTEX-ZZPT-0226-SM-5E43X 50-59 years, male 9.0
GTEX-1JMQK-0226-SM-CL543 60-69 years, male 9.0
GTEX-1MA7X-2226-SM-E6CIY 60-69 years, male 9.0
GTEX-13OVL-0226-SM-5L3E9 50-59 years, male 8.9
GTEX-13X6H-2126-SM-7EWD5 50-59 years, female 8.9
GTEX-14PN4-0126-SM-6EU2V 50-59 years, male 8.9
GTEX-RN64-0126-SM-2TC68 50-59 years, male 8.9
GTEX-WQUQ-0426-SM-3MJFU 60-69 years, male 8.9
GTEX-XAJ8-0826-SM-47JY6 40-49 years, male 8.9
GTEX-ZC5H-0226-SM-4WAY9 40-49 years, female 8.9
GTEX-ZTPG-0326-SM-5O9AX 20-29 years, female 8.9
GTEX-1B933-0126-SM-7PC29 50-59 years, female 8.9
GTEX-1I1HK-0126-SM-COH49 60-69 years, male 8.9
GTEX-1JKYR-0126-SM-CNPOJ 20-29 years, male 8.9
GTEX-1MCQQ-0826-SM-DLHC2 60-69 years, male 8.9
GTEX-1OFPY-2426-SM-DTXEJ 60-69 years, male 8.9
GTEX-PLZ6-1426-SM-DKPOT 30-39 years, male 8.9
GTEX-11ZTS-0126-SM-5EQ6M 60-69 years, female 8.8
GTEX-12ZZX-0126-SM-5EGK9 40-49 years, female 8.8
GTEX-13FTY-0526-SM-5L3EV 40-49 years, female 8.8
GTEX-14A6H-0126-SM-5QGPK 30-39 years, male 8.8
GTEX-14PII-0226-SM-6EU1T 60-69 years, male 8.8
GTEX-1B8SF-1426-SM-7DUGL 60-69 years, male 8.8
GTEX-OOBK-0126-SM-2YUND 40-49 years, male 8.8
GTEX-1F6IF-0726-SM-7P8TW 60-69 years, male 8.8
GTEX-1GZ4H-1726-SM-7PBZJ 50-59 years, female 8.8
GTEX-1H11D-0226-SM-9WG6Z 40-49 years, male 8.8
GTEX-1HCU9-1526-SM-A9SL7 20-29 years, male 8.8
GTEX-1HGF4-2426-SM-ACKXM 60-69 years, male 8.8
GTEX-1IY9M-0126-SM-D3L8S 60-69 years, male 8.8
GTEX-1J1R8-1726-SM-ARL8M 40-49 years, male 8.8
GTEX-1LSNM-1926-SM-E6CII 50-59 years, male 8.8
GTEX-1OJC4-0126-SM-E9J2E 50-59 years, female 8.8
GTEX-1RQEC-0426-SM-E6CHU 60-69 years, male 8.8
GTEX-1192W-2626-SM-5Q5AF 60-69 years, male 8.7
GTEX-12C56-1726-SM-5EQ61 20-29 years, male 8.7
GTEX-13VXU-0126-SM-5SI9F 50-59 years, male 8.7
GTEX-T6MO-1626-SM-32QOM 40-49 years, female 8.7
GTEX-VJYA-1126-SM-3GIJU 60-69 years, male 8.7
GTEX-1EKGG-0226-SM-9WYTH 60-69 years, male 8.7
GTEX-117XS-2726-SM-5N9BL 60-69 years, male 8.6
GTEX-139UW-2826-SM-5L3E7 60-69 years, male 8.6
GTEX-144FL-0126-SM-5TDC8 50-59 years, male 8.6
GTEX-145LT-1726-SM-5QGP3 40-49 years, male 8.6
GTEX-Q2AH-1626-SM-3GAF8 40-49 years, male 8.6
GTEX-T2IS-0126-SM-4DM6O 20-29 years, female 8.6
GTEX-XMD2-0126-SM-4YCDU 60-69 years, female 8.6
GTEX-ZAK1-0126-SM-5IJD3 50-59 years, female 8.6
GTEX-ZY6K-1826-SM-5GZXK 50-59 years, male 8.6
GTEX-1GN1V-0126-SM-9WPOS 60-69 years, male 8.6
GTEX-1HCUA-2426-SM-ADEIS 50-59 years, female 8.6
GTEX-13113-5016-SM-7EPIP 60-69 years, female 8.5
GTEX-14JIY-0126-SM-6LLH6 60-69 years, male 8.5
GTEX-15D1Q-0126-SM-7KUG6 40-49 years, male 8.5
GTEX-17F97-0326-SM-7LG5B 50-59 years, male 8.5
GTEX-18D9U-0226-SM-718BP 40-49 years, male 8.5
GTEX-OIZH-0126-SM-2HMIS 50-59 years, male 8.5
GTEX-R3RS-0126-SM-3GIJL 40-49 years, female 8.5
GTEX-ZAB4-0226-SM-5N9F5 40-49 years, male 8.5
GTEX-1CB4F-0426-SM-9KNV4 60-69 years, male 8.5
GTEX-1GPI6-0126-SM-9WG69 60-69 years, male 8.5
GTEX-1HCU8-0626-SM-A9SM9 60-69 years, female 8.5
GTEX-1JMLX-0226-SM-CM2RO 50-59 years, male 8.5
GTEX-13NZB-2526-SM-5J1OM 30-39 years, male 8.4
GTEX-R55E-0126-SM-2TC5Y 20-29 years, male 8.4
GTEX-R55G-2526-SM-2TC6D 40-49 years, female 8.4
GTEX-U8T8-0126-SM-3DB94 60-69 years, male 8.4
GTEX-ZAJG-0126-SM-5HL94 50-59 years, female 8.4
GTEX-ZEX8-2426-SM-4WKG4 50-59 years, male 8.4
GTEX-ZV68-0126-SM-59HKS 50-59 years, female 8.4
GTEX-ZYFD-0126-SM-5GIDL 50-59 years, male 8.4
GTEX-13O3O-0126-SM-E9J49 60-69 years, female 8.4
GTEX-1PWST-0226-SM-E76QJ 70-79 years, male 8.4
GTEX-1S82Y-2026-SM-EVYCM 40-49 years, male 8.4
GTEX-13111-1626-SM-5EGJY 50-59 years, male 8.3
GTEX-13PVR-2326-SM-5QGR1 60-69 years, female 8.3
GTEX-16NPX-0226-SM-79OMT 50-59 years, male 8.3
GTEX-RNOR-0126-SM-E9J4R 50-59 years, female 8.3
GTEX-11DXX-2426-SM-5GZZW 60-69 years, female 8.2
GTEX-13OW7-0126-SM-5MR3B 50-59 years, male 8.2
GTEX-13SLW-0126-SM-5SI6C 70-79 years, male 8.2
GTEX-OHPM-0126-SM-2YUN9 50-59 years, male 8.2
GTEX-SSA3-0126-SM-32QPU 60-69 years, male 8.2
GTEX-1HBPH-0426-SM-B2LW5 40-49 years, female 8.2
GTEX-1IL2U-0226-SM-CE6T8 60-69 years, male 8.2
GTEX-1MCYP-1926-SM-E9J2R 20-29 years, female 8.2
GTEX-1PPH8-0226-SM-E8VND 20-29 years, male 8.2
GTEX-1QP9N-1426-SM-DTXFL 30-39 years, male 8.2
GTEX-13NYB-2526-SM-5K7Z6 40-49 years, male 8.1
GTEX-14JG1-0426-SM-6ETZZ 40-49 years, male 8.1
GTEX-TKQ1-1026-SM-4GICL 30-39 years, male 8.1
GTEX-WYJK-0126-SM-3NMAB 50-59 years, male 8.1
GTEX-XBED-2226-SM-47JYQ 60-69 years, male 8.1
GTEX-ZE9C-2726-SM-57WB5 60-69 years, male 8.1
GTEX-1HKZK-0326-SM-9WYUH 40-49 years, male 8.1
GTEX-1IDJH-0326-SM-A9SLQ 70-79 years, male 8.1
GTEX-1MGNQ-0126-SM-EVYCJ 40-49 years, male 8.1
GTEX-11GS4-2726-SM-5A5LE 60-69 years, male 8.0
GTEX-12WSJ-1826-SM-5GCNY 40-49 years, female 8.0
GTEX-14ICK-0226-SM-6EU25 40-49 years, male 8.0
GTEX-PLZ4-0126-SM-5SI8O 50-59 years, female 8.0
GTEX-PLZ5-2026-SM-2S1O4 50-59 years, male 8.0
GTEX-PVOW-0126-SM-2XCFA 40-49 years, male 8.0
GTEX-T2YK-0526-SM-32QPJ 50-59 years, male 8.0
GTEX-U3ZN-2326-SM-3DB7W 30-39 years, female 8.0
GTEX-YB5E-2026-SM-5IFIS 40-49 years, male 8.0
GTEX-1HSEH-0126-SM-ACKXN 60-69 years, male 8.0
GTEX-1I1GP-2226-SM-CGQFK 50-59 years, male 8.0
GTEX-1QP66-1726-SM-E8VO1 50-59 years, male 8.0
GTEX-11DXW-0226-SM-5H122 40-49 years, male 7.9
GTEX-145MF-0626-SM-5LUAI 50-59 years, male 7.9
GTEX-18A7A-0226-SM-718BH 50-59 years, female 7.9
GTEX-WOFL-0126-SM-3MJG2 60-69 years, male 7.9
GTEX-XUW1-0426-SM-4BOOT 50-59 years, female 7.9
GTEX-YJ89-0126-SM-4TT3X 60-69 years, male 7.9
GTEX-1OJC3-0126-SM-E76QX 20-29 years, male 7.9
GTEX-1C4CL-0526-SM-73KVK 30-39 years, male 7.8
GTEX-TML8-1926-SM-32QOS 40-49 years, female 7.8
GTEX-X638-0126-SM-47JZ8 70-79 years, female 7.8
GTEX-YEC4-2126-SM-5IFJH 40-49 years, male 7.8
GTEX-ZDYS-2026-SM-5HL5L 50-59 years, male 7.8
GTEX-ZE7O-0126-SM-57WC1 50-59 years, female 7.8
GTEX-1NHNU-1026-SM-E9J2A 50-59 years, male 7.8
GTEX-R45C-0126-SM-EAZ2R 60-69 years, female 7.8
GTEX-12WSK-2326-SM-5GCOH 40-49 years, female 7.7
GTEX-131XG-2626-SM-5KM17 50-59 years, female 7.7
GTEX-QCQG-1726-SM-3GIJ9 50-59 years, female 7.7
GTEX-QLQ7-1626-SM-2S1R8 60-69 years, male 7.7
GTEX-QLQW-1126-SM-2S1Q8 30-39 years, male 7.7
GTEX-1AX9I-0126-SM-7SB74 60-69 years, male 7.7
GTEX-1GN2E-0426-SM-9MQKX 60-69 years, male 7.7
GTEX-1JMPZ-0226-SM-CNPP1 30-39 years, male 7.7
GTEX-1122O-2126-SM-5EGIR 60-69 years, female 7.6
GTEX-117YX-2326-SM-5H12W 50-59 years, male 7.6
GTEX-11GSP-2526-SM-5N9BP 60-69 years, female 7.6
GTEX-13W3W-2426-SM-5LU5B 60-69 years, female 7.6
GTEX-145LV-2126-SM-5LU8N 50-59 years, male 7.6
GTEX-PWO3-1526-SM-48TCM 60-69 years, female 7.6
GTEX-WXYG-2326-SM-4E3I6 50-59 years, female 7.6
GTEX-1KANB-0526-SM-E6CJH 50-59 years, male 7.6
GTEX-1N2DW-0226-SM-E9TK2 50-59 years, male 7.6
GTEX-1PFEY-1526-SM-E76PP 30-39 years, male 7.6
GTEX-NFK9-0226-SM-2HMKQ 40-49 years, male 7.5
GTEX-OXRK-0226-SM-3NB2G 50-59 years, female 7.5
GTEX-ZVT3-0126-SM-5GU6I 60-69 years, female 7.5
GTEX-1I6K6-0126-SM-A9SLE 30-39 years, male 7.5
GTEX-1J8JJ-0226-SM-CL53I 60-69 years, female 7.5
GTEX-11OC5-0126-SM-5HL6A 60-69 years, male 7.4
GTEX-11P82-1626-SM-59879 20-29 years, male 7.4
GTEX-139TS-2826-SM-5J1OO 60-69 years, male 7.4
GTEX-18A6Q-0126-SM-731BZ 60-69 years, male 7.4
GTEX-OHPL-0126-SM-2HMJ7 60-69 years, female 7.4
GTEX-XUZC-1726-SM-4BRWS 30-39 years, female 7.4
GTEX-1EX96-1626-SM-7PBXR 50-59 years, male 7.4
GTEX-1HSMP-0126-SM-E6CJS 70-79 years, male 7.4
GTEX-1S5ZA-0126-SM-EVYCV 20-29 years, male 7.4
GTEX-PWCY-1826-SM-DHXIZ 20-29 years, female 7.4
GTEX-11EMC-2926-SM-5EQ4F 60-69 years, female 7.3
GTEX-13FTW-2626-SM-5K7WL 40-49 years, male 7.3
GTEX-147F4-0226-SM-5QGPW 50-59 years, male 7.3
GTEX-1A32A-0126-SM-718B1 50-59 years, female 7.3
GTEX-1AX8Z-0126-SM-7DHM6 60-69 years, male 7.3
GTEX-PX3G-0126-SM-2I3EN 20-29 years, female 7.3
GTEX-ZVZO-0126-SM-5A5L9 40-49 years, male 7.3
GTEX-131XF-5016-SM-7MGWE 60-69 years, male 7.3
GTEX-1B8L1-2526-SM-9WYTF 60-69 years, male 7.3
GTEX-1C64O-0126-SM-7SB8P 60-69 years, male 7.3
GTEX-1H1CY-2826-SM-9MQM3 60-69 years, female 7.3
GTEX-1H1ZS-0426-SM-9WG6G 70-79 years, male 7.3
GTEX-1JMPY-1326-SM-ARL8Y 30-39 years, male 7.3
GTEX-1PBJI-0526-SM-E8VNK 20-29 years, female 7.3
GTEX-PW2O-1526-SM-7RHHB 20-29 years, male 7.3
GTEX-144GN-2326-SM-5LU4F 50-59 years, male 7.2
GTEX-RM2N-1426-SM-2TF4H 50-59 years, male 7.2
GTEX-UJHI-1526-SM-3DB99 50-59 years, female 7.2
GTEX-Z93T-0126-SM-5HL5N 50-59 years, male 7.2
GTEX-ZF28-0126-SM-4WKGK 60-69 years, male 7.2
GTEX-ZYFC-0226-SM-5NQ75 50-59 years, male 7.2
GTEX-1HR98-0126-SM-B2LWI 60-69 years, male 7.2
GTEX-11DXY-2626-SM-5GIE7 60-69 years, male 7.1
GTEX-1211K-2026-SM-5EQ4Z 60-69 years, female 7.1
GTEX-13FXS-0226-SM-5IJCK 50-59 years, male 7.1
GTEX-U3ZM-1526-SM-3DB9D 40-49 years, male 7.1
GTEX-X4XX-0126-SM-3NMC2 60-69 years, male 7.1
GTEX-Y8DK-0126-SM-4TT3L 60-69 years, male 7.1
GTEX-1GF9U-2126-SM-7SB7L 40-49 years, female 7.1
GTEX-1J8EW-0126-SM-CJI4F 60-69 years, female 7.1
GTEX-ZF3C-0126-SM-DO92D 50-59 years, female 7.1
GTEX-12WSD-0126-SM-59HKN 60-69 years, female 7.0
GTEX-13FHP-0126-SM-5IJBG 50-59 years, male 7.0
GTEX-14BMU-2226-SM-5TDE9 20-29 years, female 7.0
GTEX-WZTO-0126-SM-3NM95 40-49 years, male 7.0
GTEX-X5EB-2226-SM-46MW4 40-49 years, male 7.0
GTEX-X8HC-0126-SM-4E3JW 50-59 years, female 7.0
GTEX-1EMGI-0126-SM-9KNUE 60-69 years, male 7.0
GTEX-QEG4-0226-SM-2S1PY 30-39 years, male 6.9
GTEX-S7PM-0126-SM-4AD6S 60-69 years, male 6.9
GTEX-U412-0426-SM-3DB9O 60-69 years, male 6.9
GTEX-1GZ2Q-0226-SM-7P8TL 40-49 years, male 6.9
GTEX-W5WG-1826-SM-4KL2Y 50-59 years, female 6.8
GTEX-WI4N-1026-SM-3LK7N 40-49 years, female 6.8
GTEX-1HBPM-0226-SM-ARL9F 60-69 years, female 6.8
GTEX-1HFI6-0226-SM-ADEHZ 40-49 years, male 6.8
GTEX-113IC-0126-SM-5HL6T 60-69 years, male 6.7
GTEX-13CF2-2526-SM-5LZYX 60-69 years, male 6.7
GTEX-13G51-2526-SM-5LZYK 60-69 years, male 6.7
GTEX-15SB6-1726-SM-6PAME 50-59 years, female 6.7
GTEX-17F98-0626-SM-79OMX 40-49 years, female 6.7
GTEX-QVJO-1626-SM-2S1QW 60-69 years, female 6.7
GTEX-WH7G-2326-SM-3NMBC 40-49 years, male 6.7
GTEX-X62O-0126-SM-4E3JN 50-59 years, male 6.7
GTEX-Y3I4-2126-SM-4TT7C 50-59 years, male 6.7
GTEX-11DXZ-2326-SM-5EGGV 50-59 years, male 6.6
GTEX-13N11-2526-SM-5K7UE 50-59 years, female 6.6
GTEX-O5YW-0126-SM-3LK6D 50-59 years, male 6.6
GTEX-S95S-1226-SM-4GICG 60-69 years, male 6.6
GTEX-Y111-0126-SM-4SOIV 50-59 years, male 6.6
GTEX-169BO-1326-SM-9MQK2 50-59 years, male 6.6
GTEX-1H3O1-0426-SM-9YFKY 60-69 years, male 6.6
GTEX-RUSQ-1526-SM-2TF62 50-59 years, male 6.5
GTEX-XQ8I-0426-SM-4BOPO 50-59 years, male 6.5
GTEX-OOBJ-0126-SM-E6CJW 60-69 years, male 6.5
GTEX-117YW-2626-SM-5GZZH 50-59 years, male 6.4
GTEX-13FHO-0226-SM-5IFGY 60-69 years, male 6.4
GTEX-145MN-2226-SM-5SIAU 30-39 years, male 6.4
GTEX-15SDE-2226-SM-7IGLO 50-59 years, female 6.4
GTEX-QV44-1926-SM-2S1RF 50-59 years, male 6.4
GTEX-T6MN-0126-SM-32PLP 50-59 years, male 6.4
GTEX-1NV5F-0226-SM-E8VNY 60-69 years, female 6.4
GTEX-14PJ3-1826-SM-62LEX 50-59 years, male 6.3
GTEX-1LNCM-1126-SM-E9U5E 50-59 years, female 6.3
GTEX-14BIM-0226-SM-7IGLD 60-69 years, female 6.2
GTEX-OIZG-0726-SM-33HBL 50-59 years, male 6.2
GTEX-P4PQ-0126-SM-2S1NM 60-69 years, male 6.2
GTEX-Q2AI-1326-SM-2S1PL 40-49 years, male 6.2
GTEX-X4EP-0126-SM-3P5YV 60-69 years, female 6.2
GTEX-1CAMS-0426-SM-7P8T2 40-49 years, female 6.2
GTEX-1JMQL-0226-SM-CNPP5 50-59 years, female 6.2
GTEX-11NUK-0126-SM-5A5L3 50-59 years, male 6.1
GTEX-132NY-0326-SM-5IJBL 60-69 years, male 6.1
GTEX-146FQ-0126-SM-5NQA9 30-39 years, male 6.1
GTEX-1AYD5-2426-SM-73KXR 50-59 years, male 6.1
GTEX-SUCS-1926-SM-32PM3 70-79 years, male 6.1
GTEX-XYKS-2126-SM-4E3IB 60-69 years, female 6.1
GTEX-YFC4-0126-SM-5CVLY 40-49 years, female 6.1
GTEX-139T4-0226-SM-5HL5S 50-59 years, female 6.0
GTEX-18QFQ-0126-SM-731BE 30-39 years, male 6.0
GTEX-1AYCT-2426-SM-7IGQ3 50-59 years, male 6.0
GTEX-U8XE-0326-SM-3DB8P 30-39 years, male 6.0
GTEX-ZVTK-0426-SM-51MRS 20-29 years, male 6.0
GTEX-1F6I4-0126-SM-9MQL2 60-69 years, male 6.0
GTEX-O5YT-0126-SM-48TBW 20-29 years, male 5.9
GTEX-XQ3S-1526-SM-4BOOC 20-29 years, male 5.9
GTEX-XXEK-2226-SM-4BRUM 50-59 years, male 5.9
GTEX-ZYFG-2326-SM-5E44B 60-69 years, female 5.9
GTEX-1192X-0226-SM-5H12D 50-59 years, male 5.8
GTEX-Y5LM-1926-SM-5RQJH 40-49 years, female 5.8
GTEX-Y5V6-2426-SM-4VDSB 60-69 years, male 5.8
GTEX-1I1GS-0126-SM-B2LVW 60-69 years, male 5.8
GTEX-1I1GV-0526-SM-A9G29 60-69 years, male 5.8
GTEX-11DYG-0126-SM-59883 60-69 years, male 5.7
GTEX-QDT8-0126-SM-48TZ1 30-39 years, female 5.7
GTEX-12126-0326-SM-5PNW3 20-29 years, male 5.6
GTEX-13O3Q-2426-SM-5IJBR 50-59 years, male 5.6
GTEX-14753-0426-SM-5NQAM 60-69 years, male 5.6
GTEX-1N2DV-0226-SM-E6CJ6 40-49 years, male 5.6
GTEX-RTLS-0126-SM-447CA 60-69 years, female 5.5
GTEX-X585-0226-SM-4QAS2 50-59 years, male 5.5
GTEX-ZDXO-3026-SM-5J1N5 60-69 years, male 5.5
GTEX-XV7Q-2526-SM-4BRV9 40-49 years, female 5.4
GTEX-13O21-1426-SM-5K7XI 50-59 years, male 5.3
GTEX-RU72-0926-SM-2TF6B 50-59 years, female 5.3
GTEX-WY7C-2326-SM-3NB2U 50-59 years, male 5.2
GTEX-S33H-1026-SM-EZ6L6 30-39 years, male 5.2
GTEX-1IOXB-0126-SM-ARL8G 50-59 years, male 5.1
GTEX-11P7K-2126-SM-5GU7G 30-39 years, male 5.0
GTEX-Q734-1926-SM-2I5EV 40-49 years, female 5.0
GTEX-1CAV2-2226-SM-7P8P2 40-49 years, female 5.0
GTEX-Y3IK-2426-SM-4WWDU 50-59 years, female 4.7
GTEX-NPJ8-0126-SM-2YUNR 40-49 years, male 4.6
GTEX-SIU8-0126-SM-2XCDT 50-59 years, male 4.6
GTEX-Y114-2426-SM-4TT8A 50-59 years, female 4.5
GTEX-1497J-2426-SM-7IGNX 60-69 years, male 4.4
GTEX-X88G-0126-SM-47JZ3 30-39 years, male 4.4
GTEX-OXRL-0126-SM-2YUMP 50-59 years, male 4.3
GTEX-WVJS-0126-SM-4MVOT 50-59 years, male 4.2
GTEX-1IKK5-0626-SM-ARL8A 60-69 years, male 4.2
GTEX-RVPV-0126-SM-EAZAW 60-69 years, male 4.1
GTEX-11UD1-0126-SM-5PNYG 40-49 years, female 3.9
GTEX-P4PP-0126-SM-3LK69 30-39 years, female 3.9
GTEX-W5X1-3026-SM-EAZAX 40-49 years, female 3.7
GTEX-1399U-2326-SM-5K7WY 50-59 years, female 3.6
GTEX-TMZS-0126-SM-3DB9Q 60-69 years, male 3.5
GTEX-14PK6-1926-SM-6ETZU 70-79 years, female 3.3
Show allShow less

Contact

  • NEWS ARTICLES
  • PRESS ROOM

The Project

  • INTRODUCTION
  • ORGANIZATION
  • PUBLICATIONS

The Human Protein Atlas

  • DOWNLOADABLE DATA
  • LICENCE & CITATION
  • HELP & FAQ
The Human Protein Atlas project is funded
by the Knut & Alice Wallenberg Foundation.


contact@proteinatlas.org