We use cookies to enhance the usability of our website. If you continue, we'll assume that you are happy to receive all cookies. More information. Don't show this again.
CDH1
HPA
RESOURCES
  • TISSUE
  • BRAIN
  • SINGLE CELL
  • SUBCELLULAR
  • CANCER
  • BLOOD
  • CELL LINE
  • STRUCTURE & INTERACTION
ABOUT
  • INTRODUCTION
  • HISTORY
  • ORGANIZATION
  • PUBLICATIONS
  • ANTIBODY SUBMISSION
  • ANTIBODY AVAILABILITY
  • ACKNOWLEDGMENTS
  • CONTACT
NEWS
  • NEWS ARTICLES
  • PRESS ROOM
LEARN
  • DICTIONARY
  • PROTEIN CLASSES
  • PROTEIN EVIDENCE
  • METHODS
  • EDUCATIONAL VIDEOS
DATA
  • DOWNLOADABLE DATA
  • PUBLICATION DATA
  • RELEASE HISTORY
HELP
  • ANTIBODY VALIDATION
  • ASSAYS & ANNOTATION
  • DISCLAIMER
  • HELP & FAQ
  • PRIVACY STATEMENT
  • LICENCE & CITATION
Fields »
Search result

Field
Term
Gene name
Class
Subclass
Class
Keyword
Chromosome
External id
Tissue
Cell type
Expression
Antibody panel
Tissue
Main location
Patient ID
Annotation
Tissue
Category
Tau score
Cluster
Reliability
Brain region
Category
Tau score
Brain region
Category
Tau score
Brain region
Category
Tau score
Cluster
Reliability
Tissue
Cell type
Enrichment
Cell type
Category
Tau score
Cell type
Category
Tau score
Cell type
Category
Tau score
Cell lineage
Category
Tau score
Cluster
Cluster
Location
Searches
Location
Cell line
Class
Type
Phase
Reliability
Cancer
Prognosis
Cancer
Category
Cancer
Category
Tau score
Cluster
Variants
Interacting gene (ensg_id)
Type
Number of interactions
Pathway
Category
Score
Score
Score
Validation
Validation
Validation
Validation
Antibodies
Data type
Column


  • SUMMARY

  • TISSUE

  • BRAIN

  • SINGLE CELL

  • SUBCELL

  • CANCER

  • BLOOD

  • CELL LINE

  • STRUCT & INT

  • CDH1
TISSUE PRIMARY DATA SKIN Show tissue menu
ADIPOSE TISSUE ADRENAL GLAND AMYGDALA APPENDIX BASAL GANGLIA BONE MARROW BREAST BRONCHUS CEREBELLUM CEREBRAL CORTEX CERVIX CHOROID PLEXUS COLON DUODENUM
ENDOMETRIUM EPIDIDYMIS ESOPHAGUS FALLOPIAN TUBE GALLBLADDER HEART MUSCLE HIPPOCAMPAL FORMATION HYPOTHALAMUS KIDNEY LIVER LUNG LYMPH NODE MIDBRAIN NASOPHARYNX
ORAL MUCOSA OVARY PANCREAS PARATHYROID GLAND PITUITARY GLAND PLACENTA PROSTATE RECTUM RETINA SALIVARY GLAND SEMINAL VESICLE SKELETAL MUSCLE SKIN SMALL INTESTINE
SMOOTH MUSCLE SOFT TISSUE SPINAL CORD SPLEEN STOMACH TESTIS THYMUS THYROID GLAND TONGUE TONSIL URINARY BLADDER VAGINA
ANTIBODIES
AND
VALIDATION
Dictionary
Skin
Tissue proteome
Skin
SKIN - Expression summary
Protein expression
Skini

On the top, protein expression in current human tissue, based on all annotated cell types, is reported with the units not detected (n), low (l), medium (m) and high (h). Underneath, protein expression in each annotated cell type are reported using the same units.

Protein expression data is based on knowledge-based annotation. For genes where more than one antibody has been used, a collective score is set.

If knowledge-based annotation could not be performed for a gene, no data is displayed here. View antibody staining data further down this page.

h
m
l
n
Cells in basal layer: High
Cells in corneal layer: Not detected
Cells in granular layer: Medium
Cells in spinous layer: High
Eccrine glands: High
Endothelial cells: Not detected
Extracellular matrix: Not detected
Fibrohistiocytic cells: Not detected
Hair follicles: Medium
Langerhans cells: High
Lymphocytes: Not detected
Melanocytes: High
Vascular mural cells: Not detected
RNA expressioni

A summary of mRNA expression data available for current tissue based on several datasets. The mRNA expression levels in human tissues are based on RNA-seq data generated by the Human Protein Atlas (HPA), Genotype-Tissue Expression (GTEx) portal and CAGE data generated by the FANTOM5 consortium. Consensus normalized expression levels for human tissues was created by combining the data from HPA and GTEx datasets.

The mRNA expression levels in pig are based on RNA-seq data generated by the Human Protein Atlas (HPA), and for mouse, HPA data and in situ hybridization generated by the Allen brain atlas are reported.

Scroll down to view mRNA expression data in more detail.
Consensus:104.8 nTPM
HPA:104.8 nTPM
GTEx:53.2 nTPM

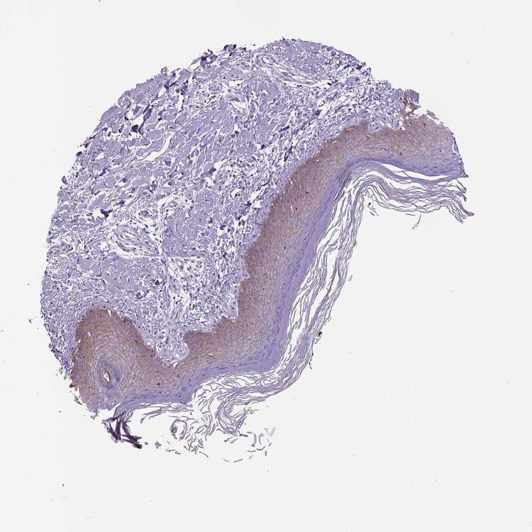
SKIN 1 - Antibody stainingi

Antibody staining in the annotated cell types in the current human tissue is reported as not detected, low, medium, or high, based on conventional immunohistochemistry profiling in selected tissues. This score is based on the combination of the staining intensity and fraction of stained cells.

Each image is clickable and will lead to virtual microscopy that enables deeper exploration of all samples and also displays staining intensity scores, fraction scores and subcellular localization as well as patient and tissue information for each sample.

Antibody HPA004812Antibody CAB000087Antibody CAB028364Antibody CAB072855Antibody CAB072856Antibody CAB072857
Langerhans HighNot detectedHighHigh-Medium
Cells in basal layer ----High-
Cells in corneal layer ----Not detected-
Cells in granular layer ----Low-
Cells in spinous layer ----High-
Eccrine glands ----High-
Endothelial cells ----Not detected-
Extracellular matrix ----Not detected-
Fibroblasts Not detectedNot detectedNot detectedNot detected-Not detected
Fibrohistiocytic cells ----Not detected-
Keratinocytes MediumMediumHighHigh-Low
Langerhans cells ----High-
Lymphocytes ----Not detected-
Melanocytes MediumLowHighMediumHighNot detected
Vascular mural cells ----Not detected-











SKIN 2 - Antibody stainingi

Antibody staining in the annotated cell types in the current human tissue is reported as not detected, low, medium, or high, based on conventional immunohistochemistry profiling in selected tissues. This score is based on the combination of the staining intensity and fraction of stained cells.

Each image is clickable and will lead to virtual microscopy that enables deeper exploration of all samples and also displays staining intensity scores, fraction scores and subcellular localization as well as patient and tissue information for each sample.

Antibody HPA004812Antibody CAB000087Antibody CAB028364Antibody CAB072855Antibody CAB072856Antibody CAB072857
Cells in basal layer ----High-
Cells in corneal layer ----Not detected-
Cells in granular layer ----Medium-
Cells in spinous layer ----High-
Eccrine glands ----High-
Endothelial cells ----Not detected-
Epidermal cells MediumHighHighHigh-Medium
Extracellular matrix ----Not detected-
Fibrohistiocytic cells ----Not detected-
Hair follicles ----Medium-
Langerhans cells ----High-
Lymphocytes ----Not detected-
Melanocytes ----High-
Vascular mural cells ----Not detected-
      













SKIN - HPA RNA-seqi

The RNA-seq details section shows detailed information about the individual samples used for the transcript profiling and results of the RNA-seq analysis.

Information about each individual sample is listed below, including gender, age, a tissue section image and estimated fractions of cell types. nTPM (normalized transcripts per million) values give a quantification of the gene abundance which is comparable between different genes and samples.
Average nTPMi

Max subtype nTPM is the value for the subtype with the largest average nTPM across the subtype samples.

104.8
overview
Female, age 34
Skin sample 225
nTPM: 107.5
Cell types%
Keratinocytes:
60

Other cell types:
40

overview
Female, age 30
Skin sample 226
nTPM: 132
Cell types%
Keratinocytes:
55

Other cell types:
45

N/A
Male, age 57
Skin sample 227
nTPM: 74.9

SKIN - GTEx RNA-seqi

RNA-Seq data generated by the Genotype-Tissue Expression (GTEx) project from human tissues is reported as mean nTPM. More information can be found on the GTEx portal.

Distribution across the dataset is visualized with box plots, shown as median and 25th and 75th percentiles. Points are displayed as outliers if they are above or below 1.5 times the interquartile range. nTPM values of the individual samples are presented next to the box plot.
Max subtype nTPMi

Max subtype nTPM is the value for the subtype with the largest average nTPM across the subtype samples.

53.2
GTEx sample id Sample description nTPM
Skin - Not Sun Exposed (Suprapubic)
Average nTPM: 53.2
Samples: 604

Max nTPM: 118.8
Min nTPM: 13.2
Std nTPM: 16.8
Median nTPM: 52.4
GTEX-1N2DV-1526-SM-DTXEP 40-49 years, male 118.8
GTEX-1NV5F-0626-SM-DTXEG 60-69 years, female 103.2
GTEX-1OJC3-1226-SM-DTXER 20-29 years, male 101.2
GTEX-15RJ7-2126-SM-6PAMD 40-49 years, male 99.8
GTEX-ZTX8-1326-SM-4YCEL 20-29 years, male 98.9
GTEX-11DYG-1526-SM-5A5JS 60-69 years, male 97.2
GTEX-144GL-0626-SM-5LU4D 50-59 years, male 97.0
GTEX-15G1A-1626-SM-7KUKN 30-39 years, male 96.7
GTEX-1HBPI-2126-SM-ARL9K 50-59 years, male 92.9
GTEX-1NSGN-0726-SM-DTXEF 50-59 years, male 92.8
GTEX-17KNJ-2126-SM-718AM 50-59 years, male 90.9
GTEX-1EX96-1026-SM-7MKG2 50-59 years, male 88.8
GTEX-11WQC-1826-SM-5GU59 60-69 years, male 88.2
GTEX-14XAO-1226-SM-6EU1C 60-69 years, female 88.1
GTEX-1LVAM-0726-SM-E6CIL 50-59 years, female 87.5
GTEX-WHPG-2626-SM-3NMBR 50-59 years, male 87.1
GTEX-145MH-2826-SM-5RQJF 50-59 years, male 86.5
GTEX-WHWD-1826-SM-3LK6I 50-59 years, male 86.5
GTEX-13FTX-1526-SM-5K7VJ 20-29 years, female 85.8
GTEX-1I1GT-1026-SM-ARZLV 60-69 years, female 85.8
GTEX-WHSB-1326-SM-3LK6W 50-59 years, male 85.7
GTEX-1MJK3-0726-SM-E6CJC 20-29 years, male 84.8
GTEX-13O61-1426-SM-5KM3D 60-69 years, male 84.5
GTEX-13G51-1826-SM-5KLZH 60-69 years, male 84.4
GTEX-1PPH8-0126-SM-EWRN8 20-29 years, male 83.9
GTEX-1JJEA-1826-SM-ARU8P 60-69 years, male 83.2
GTEX-17F98-1326-SM-7DUEP 40-49 years, female 83.0
GTEX-WFG7-2026-SM-5SI7P 20-29 years, male 83.0
GTEX-1JMPY-0226-SM-CKZOK 30-39 years, male 82.8
GTEX-1RAZS-2526-SM-E6CHT 50-59 years, male 82.8
GTEX-1S83E-1326-SM-E6CJM 40-49 years, male 82.7
GTEX-1EU9M-1426-SM-793AI 60-69 years, male 82.6
GTEX-Y114-2126-SM-4TT8B 50-59 years, female 82.5
GTEX-11P7K-1126-SM-5HL4L 30-39 years, male 82.4
GTEX-1A8G6-2726-SM-731AR 60-69 years, male 82.0
GTEX-1HSMQ-2626-SM-A9SML 50-59 years, male 82.0
GTEX-144FL-0626-SM-5LU43 50-59 years, male 81.5
GTEX-14PHX-2226-SM-6EU2P 50-59 years, male 81.5
GTEX-1S82U-1026-SM-E6CJK 30-39 years, female 81.1
GTEX-1QP2A-1726-SM-E76QC 50-59 years, male 80.9
GTEX-1MCYP-0526-SM-E9U6Q 20-29 years, female 80.0
GTEX-11DXX-2126-SM-5PNYR 60-69 years, female 79.6
GTEX-1AX9I-2226-SM-73KUO 60-69 years, male 79.3
GTEX-1QPFJ-1926-SM-EVYBD 30-39 years, female 79.3
GTEX-18A6Q-0626-SM-7KFRP 60-69 years, male 79.1
GTEX-12WSK-2126-SM-5CVNC 40-49 years, female 78.8
GTEX-1BAJH-2426-SM-7IGP8 70-79 years, male 78.2
GTEX-1JN76-0626-SM-CKZOQ 20-29 years, female 78.1
GTEX-WFON-1926-SM-3LK7L 40-49 years, male 78.0
GTEX-1JK1U-0226-SM-ARZMX 60-69 years, male 78.0
GTEX-14PJ3-1126-SM-5ZZVX 50-59 years, male 77.7
GTEX-1GPI6-1926-SM-9KNV7 60-69 years, male 77.4
GTEX-1GN1W-2426-SM-9KNUU 50-59 years, female 77.2
GTEX-131XF-2626-SM-5EQ6K 60-69 years, male 76.6
GTEX-18A66-0626-SM-7LT8Z 60-69 years, male 76.3
GTEX-UPJH-0226-SM-3GADV 50-59 years, male 76.1
GTEX-17MFQ-1526-SM-7KFRR 20-29 years, male 76.0
GTEX-13VXU-0626-SM-5L3F9 50-59 years, male 75.7
GTEX-14ICL-1626-SM-5YYAO 30-39 years, male 75.7
GTEX-1IOXB-2726-SM-CM2RI 50-59 years, male 75.7
GTEX-ZDYS-2426-SM-4WKGI 50-59 years, male 75.3
GTEX-183FY-1026-SM-7939A 20-29 years, male 75.2
GTEX-YECK-0326-SM-4W1YS 60-69 years, male 75.1
GTEX-1PIIG-2326-SM-DTXFR 30-39 years, male 75.1
GTEX-1F75A-0726-SM-7RHHD 50-59 years, male 75.0
GTEX-1QP28-1126-SM-EVYC4 50-59 years, female 74.6
GTEX-1J8EW-2726-SM-CY8HR 60-69 years, female 74.0
GTEX-1AMFI-1326-SM-7939R 50-59 years, female 73.7
GTEX-13NYB-0126-SM-5J1MD 40-49 years, male 73.6
GTEX-ZF29-0926-SM-4WKFZ 60-69 years, female 73.5
GTEX-1PPGY-1626-SM-EVYBL 60-69 years, male 73.5
GTEX-16NGA-0726-SM-731AO 40-49 years, female 73.4
GTEX-17HHY-0426-SM-7DHLC 50-59 years, male 73.0
GTEX-1F75I-2226-SM-7SB8U 40-49 years, male 72.7
GTEX-14BIN-1126-SM-5RQJZ 50-59 years, female 72.6
GTEX-1399Q-2326-SM-5KM2X 40-49 years, male 72.4
GTEX-1F6I4-2326-SM-7RHGL 60-69 years, male 72.3
GTEX-1KANB-2826-SM-CY8I6 50-59 years, male 72.3
GTEX-1B932-2326-SM-79OL5 40-49 years, female 72.1
GTEX-1H11D-1826-SM-9QEHM 40-49 years, male 72.0
GTEX-1QCLY-0226-SM-EWRNH 30-39 years, male 72.0
GTEX-1GZ4I-2626-SM-9KNU3 50-59 years, male 71.9
GTEX-1IKOE-1426-SM-CE6T7 30-39 years, female 71.9
GTEX-12ZZX-2426-SM-5GCOE 40-49 years, female 71.8
GTEX-15ER7-0626-SM-6PANF 20-29 years, female 71.8
GTEX-18QFQ-1826-SM-72D52 30-39 years, male 71.7
GTEX-ZF2S-1626-SM-57WES 50-59 years, female 71.6
GTEX-1H2FU-0926-SM-9WPPT 60-69 years, female 71.2
GTEX-1F5PK-2226-SM-7SB6N 50-59 years, male 71.0
GTEX-16AAH-0626-SM-793C9 50-59 years, male 70.7
GTEX-WH7G-2026-SM-3NMBL 40-49 years, male 70.7
GTEX-11ZTT-2126-SM-5CVLO 60-69 years, female 70.6
GTEX-1I1GP-1326-SM-A9G28 50-59 years, male 70.2
GTEX-17HHE-1326-SM-7EWDZ 50-59 years, male 70.1
GTEX-18A67-1626-SM-7LT9T 50-59 years, male 70.1
GTEX-15SKB-2826-SM-6PAMH 60-69 years, male 70.0
GTEX-147GR-2426-SM-5ZZWQ 60-69 years, male 69.9
GTEX-11WQK-1026-SM-5EQLX 50-59 years, male 69.8
GTEX-139UW-0326-SM-5J1ML 60-69 years, male 69.5
GTEX-1H3O1-1326-SM-9MQLD 60-69 years, male 69.3
GTEX-12ZZY-0726-SM-5EQ66 60-69 years, male 69.2
GTEX-1S82P-2126-SM-E6CI5 60-69 years, female 69.2
GTEX-17F9E-2326-SM-79OKD 50-59 years, male 69.1
GTEX-1HR9M-2226-SM-CNPPY 60-69 years, male 69.1
GTEX-ZT9X-1526-SM-5DUXD 40-49 years, male 68.7
GTEX-1R7EU-1626-SM-DTXG3 60-69 years, male 68.7
GTEX-1IY9M-2826-SM-ARU8H 60-69 years, male 68.6
GTEX-XBED-1926-SM-47JYP 60-69 years, male 68.4
GTEX-1AYD5-2626-SM-7PBXY 50-59 years, male 68.4
GTEX-1HBPM-0726-SM-9YFL7 60-69 years, female 68.4
GTEX-14JG6-1426-SM-9WG7C 30-39 years, female 68.3
GTEX-1QMI2-2526-SM-E8VNZ 60-69 years, male 68.3
GTEX-14PJ4-0226-SM-5YY92 60-69 years, male 68.2
GTEX-1HT8W-0626-SM-A9G2H 30-39 years, male 68.0
GTEX-139TT-2126-SM-5LZWC 60-69 years, male 67.9
GTEX-1F88F-0126-SM-9WYSZ 60-69 years, female 67.9
GTEX-1R9PN-0426-SM-DTXDT 40-49 years, female 67.8
GTEX-1I1GU-0926-SM-ACKVS 40-49 years, male 67.6
GTEX-1I1GV-0626-SM-ARL7M 60-69 years, male 67.6
GTEX-145LU-1926-SM-79OJN 50-59 years, male 67.0
GTEX-13X6K-0626-SM-5LU5D 60-69 years, female 66.9
GTEX-YEC3-1326-SM-DO92X 50-59 years, male 66.9
GTEX-1F5PL-0926-SM-7PC2W 40-49 years, female 66.8
GTEX-1GMRU-2126-SM-7P8RA 50-59 years, male 66.8
GTEX-14PHY-1226-SM-5ZZWK 60-69 years, female 66.7
GTEX-1CB4F-1026-SM-7DUH1 60-69 years, male 66.7
GTEX-11P82-1426-SM-DTXFY 20-29 years, male 66.7
GTEX-1HSMP-0926-SM-A9SKX 70-79 years, male 66.6
GTEX-13VXT-1926-SM-5K7UO 20-29 years, female 66.3
GTEX-ZDTT-0426-SM-4WKFL 60-69 years, male 66.3
GTEX-1GN1V-2826-SM-9JGIA 60-69 years, male 66.3
GTEX-1IE54-1126-SM-A9G2Z 40-49 years, female 66.1
GTEX-11DXZ-2026-SM-5987S 50-59 years, male 65.8
GTEX-13PDP-0726-SM-5L3HP 60-69 years, male 65.8
GTEX-Y8E4-2026-SM-5IFJB 40-49 years, male 65.8
GTEX-14PJ5-1526-SM-6LLIL 60-69 years, female 65.6
GTEX-1I6K7-1926-SM-B2LXR 40-49 years, male 65.6
GTEX-1LSVX-2526-SM-DIPEU 60-69 years, male 65.6
GTEX-WY7C-2126-SM-3NB2R 50-59 years, male 65.5
GTEX-Y111-0626-SM-4SOIT 50-59 years, male 65.4
GTEX-ZYT6-2326-SM-5GZY3 30-39 years, male 65.4
GTEX-1H1DE-1326-SM-9KNUG 20-29 years, male 65.3
GTEX-1C2JI-1026-SM-73KY1 50-59 years, male 65.2
GTEX-111VG-1626-SM-5EGIO 60-69 years, male 65.1
GTEX-1CB4E-0926-SM-7EPHT 60-69 years, male 65.1
GTEX-1JMQJ-0826-SM-CNPP7 50-59 years, male 65.1
GTEX-15G19-2426-SM-7KUMR 60-69 years, male 65.0
GTEX-1C64N-2626-SM-7PC2N 50-59 years, male 64.9
GTEX-12KS4-2126-SM-5FQUT 30-39 years, male 64.6
GTEX-12WSD-0626-SM-5GCMW 60-69 years, female 64.5
GTEX-11PRG-0726-SM-5EGL1 50-59 years, male 64.4
GTEX-145MF-0926-SM-5Q5EA 50-59 years, male 64.4
GTEX-131XG-0326-SM-5L3DX 50-59 years, female 64.3
GTEX-1H1CY-0126-SM-9YFLY 60-69 years, female 64.3
GTEX-1RAZA-2226-SM-E9U4X 20-29 years, male 64.3
GTEX-14PKU-0126-SM-6LLHV 40-49 years, female 64.2
GTEX-1JKYR-0626-SM-ARL8R 20-29 years, male 64.1
GTEX-1LVA9-2626-SM-EVYD4 50-59 years, male 64.0
GTEX-14PJ6-2626-SM-6EU2T 60-69 years, female 63.8
GTEX-1C6VQ-1226-SM-73KYD 50-59 years, male 63.8
GTEX-14JG1-1526-SM-5YY9X 40-49 years, male 63.7
GTEX-13PVR-0426-SM-5RQK2 60-69 years, female 63.6
GTEX-144GM-0526-SM-79OJO 20-29 years, male 63.6
GTEX-1HBPN-0126-SM-CGQEF 50-59 years, male 63.6
GTEX-17HGU-2326-SM-7DUFE 50-59 years, male 63.5
GTEX-ZY6K-1426-SM-5GZX2 50-59 years, male 63.3
GTEX-1HCU7-0726-SM-A9SL1 50-59 years, male 63.3
GTEX-146FQ-2126-SM-5RQHU 30-39 years, male 63.2
GTEX-1KXAM-1626-SM-D3LAD 60-69 years, male 63.1
GTEX-11OF3-0126-SM-5PNYF 60-69 years, male 62.8
GTEX-1RAZR-2126-SM-E9U6T 40-49 years, male 62.6
GTEX-1I1HK-2326-SM-CKZOH 60-69 years, male 62.5
GTEX-13X6J-0626-SM-5LU5F 50-59 years, male 62.3
GTEX-1A8FM-0626-SM-7PC25 50-59 years, female 62.2
GTEX-1R9K4-2826-SM-DTX8F 60-69 years, male 62.2
GTEX-1B8KE-1126-SM-7EPHI 50-59 years, male 62.1
GTEX-ZE9C-2526-SM-5IJDR 60-69 years, male 62.1
GTEX-1PBJJ-1026-SM-E76OS 30-39 years, male 62.1
GTEX-1EKGG-0626-SM-7DUGJ 60-69 years, male 62.0
GTEX-1122O-1026-SM-9WYSF 60-69 years, female 61.7
GTEX-1HCVE-2726-SM-CL54F 50-59 years, male 61.7
GTEX-11P81-2226-SM-5PNYI 30-39 years, female 61.6
GTEX-18A7A-0126-SM-731AH 50-59 years, female 61.6
GTEX-V1D1-2026-SM-3GAF4 50-59 years, male 61.6
GTEX-1HSKV-1226-SM-ADEI4 60-69 years, male 61.6
GTEX-1C6VR-0126-SM-7RHGB 60-69 years, male 61.4
GTEX-1GN2E-0226-SM-9WG6K 60-69 years, male 61.4
GTEX-1QP9N-1226-SM-E76QN 30-39 years, male 61.3
GTEX-15RIG-0726-SM-7KUM7 40-49 years, male 61.2
GTEX-XBEW-1126-SM-4QARW 40-49 years, male 61.2
GTEX-1GF9V-0826-SM-9KNUV 60-69 years, male 61.2
GTEX-14JFF-0626-SM-5ZZVT 60-69 years, male 61.1
GTEX-111YS-1526-SM-5GZYW 60-69 years, male 60.9
GTEX-ZZ64-1026-SM-5GZXG 20-29 years, male 60.9
GTEX-YF7O-1526-SM-5IFI6 50-59 years, male 60.8
GTEX-ZYFC-0426-SM-5GICQ 50-59 years, male 60.8
GTEX-12C56-1526-SM-5FQUQ 20-29 years, male 60.7
GTEX-14B4R-1326-SM-5Q5EZ 30-39 years, male 60.6
GTEX-1LSNL-2726-SM-E9TKJ 50-59 years, male 60.6
GTEX-1B8SF-0126-SM-7DUG3 60-69 years, male 60.5
GTEX-145MO-2826-SM-5LU96 60-69 years, male 60.4
GTEX-1R9PM-1926-SM-EVR3O 20-29 years, male 60.4
GTEX-13JVG-0726-SM-5KM16 60-69 years, male 60.2
GTEX-1B8L1-2226-SM-7P8PT 60-69 years, male 60.1
GTEX-1B933-2426-SM-7DHMD 50-59 years, female 60.0
GTEX-13FHO-0426-SM-5L3F5 60-69 years, male 59.9
GTEX-ZC5H-1526-SM-5HL9Y 40-49 years, female 59.9
GTEX-13FLV-0126-SM-5K7WT 50-59 years, male 59.8
GTEX-Y3I4-1726-SM-4TT89 50-59 years, male 59.6
GTEX-178AV-1726-SM-7KUL8 40-49 years, male 59.3
GTEX-1GN73-0726-SM-7P8TJ 60-69 years, male 59.2
GTEX-1B97I-0626-SM-73KUZ 40-49 years, male 59.1
GTEX-1QW4Y-1126-SM-DTXE3 30-39 years, male 59.1
GTEX-13OVL-0126-SM-5L3GJ 50-59 years, male 59.0
GTEX-13FTY-2126-SM-5IFFB 40-49 years, female 58.9
GTEX-1JN1M-2726-SM-CY8I4 60-69 years, female 58.6
GTEX-1AMEY-0826-SM-72D65 30-39 years, female 58.5
GTEX-X585-2426-SM-46MW2 50-59 years, male 58.5
GTEX-ZPU1-1126-SM-4YCF3 40-49 years, male 58.4
GTEX-13OW7-0426-SM-5K7VK 50-59 years, male 58.3
GTEX-1LB8K-0726-SM-D5OV2 50-59 years, male 58.1
GTEX-1LVAN-0626-SM-CNPOQ 50-59 years, female 58.1
GTEX-1IDJC-1526-SM-B2LW4 50-59 years, male 58.0
GTEX-14BMV-2826-SM-5TDED 50-59 years, male 57.8
GTEX-1E2YA-2126-SM-7MXUO 50-59 years, male 57.8
GTEX-11ZU8-0126-SM-5EQ58 60-69 years, male 57.7
GTEX-14LZ3-0126-SM-69LPM 60-69 years, female 57.7
GTEX-15CHR-1126-SM-7EWF4 50-59 years, male 57.6
GTEX-17HG3-2626-SM-7DUF2 30-39 years, female 57.5
GTEX-13OW6-2726-SM-5J2OE 50-59 years, male 57.4
GTEX-14C38-0726-SM-5SI6M 50-59 years, male 57.4
GTEX-15EU6-2226-SM-6EU2L 50-59 years, male 57.4
GTEX-VJYA-1526-SM-3GIJV 60-69 years, male 57.2
GTEX-WHSE-0126-SM-3NMBT 20-29 years, male 57.2
GTEX-Y9LG-1126-SM-4VBQ7 30-39 years, male 57.2
GTEX-13D11-0926-SM-5J2NC 50-59 years, female 57.1
GTEX-WRHU-2826-SM-3MJG8 50-59 years, female 57.1
GTEX-1A3MV-1826-SM-731CD 30-39 years, male 57.0
GTEX-1QEPI-2626-SM-DTXF4 60-69 years, female 57.0
GTEX-1399U-1126-SM-5L3DB 50-59 years, female 56.8
GTEX-1IL2V-1926-SM-B2LW8 70-79 years, male 56.8
GTEX-18D9U-0126-SM-731BM 40-49 years, male 56.7
GTEX-ZXG5-2126-SM-59HKD 60-69 years, male 56.7
GTEX-1H1E6-0426-SM-9WYUS 30-39 years, male 56.6
GTEX-1GPI7-1826-SM-9KNU1 20-29 years, male 56.5
GTEX-1ICLY-0826-SM-CMKG1 50-59 years, male 56.5
GTEX-1RB15-1326-SM-E76Q9 60-69 years, male 56.5
GTEX-1399S-0126-SM-5IJCF 30-39 years, female 56.3
GTEX-14PJN-1826-SM-6AJ98 30-39 years, male 56.3
GTEX-11VI4-1126-SM-5EQMD 40-49 years, female 56.2
GTEX-12126-0826-SM-5FQTZ 20-29 years, male 56.1
GTEX-X5EB-1926-SM-4E3IW 40-49 years, male 56.1
GTEX-XQ3S-1426-SM-4BOPR 20-29 years, male 56.1
GTEX-1GL5R-1326-SM-7RHHF 50-59 years, male 56.1
GTEX-1OJC4-2726-SM-E76PJ 50-59 years, female 56.1
GTEX-11GS4-0226-SM-5HL77 60-69 years, male 55.9
GTEX-1N5O9-0926-SM-E9J3C 60-69 years, male 55.7
GTEX-14AS3-1526-SM-5Q5ED 40-49 years, female 55.6
GTEX-1HGF4-0126-SM-CNPPX 60-69 years, male 55.6
GTEX-139YR-1026-SM-5LZYN 50-59 years, male 55.5
GTEX-1KANA-1326-SM-DIPFA 20-29 years, male 55.5
GTEX-1QAET-0326-SM-EVR3U 50-59 years, male 55.5
GTEX-1GN1U-0626-SM-9MQL9 50-59 years, female 55.4
GTEX-1IDJF-2026-SM-CL53V 20-29 years, male 55.3
GTEX-11O72-0626-SM-5PNYE 40-49 years, male 55.2
GTEX-12WSM-1926-SM-5BC65 60-69 years, male 55.2
GTEX-18A7B-2726-SM-7LG56 70-79 years, male 55.2
GTEX-111CU-1126-SM-5EGIM 50-59 years, male 55.1
GTEX-14A6H-2026-SM-5Q5DD 30-39 years, male 55.1
GTEX-1GF9X-1326-SM-7PC2Y 40-49 years, female 55.1
GTEX-1J8QM-2426-SM-A9SLS 60-69 years, female 54.9
GTEX-ZPIC-0526-SM-DO91W 40-49 years, female 54.9
GTEX-1HR98-2226-SM-ADEI2 60-69 years, male 54.8
GTEX-13QBU-1226-SM-5LU4G 40-49 years, female 54.7
GTEX-14ABY-2026-SM-62LDL 50-59 years, male 54.7
GTEX-13PL6-1126-SM-5L3IE 40-49 years, female 54.4
GTEX-147F3-1726-SM-5SIAW 50-59 years, female 54.4
GTEX-16GPK-0626-SM-7KFSF 60-69 years, male 54.2
GTEX-1GZ4H-0526-SM-9KNU9 50-59 years, female 54.2
GTEX-13OVK-1426-SM-6PAN7 40-49 years, male 54.1
GTEX-14PII-0726-SM-6EU2B 60-69 years, male 54.0
GTEX-1GZHY-0626-SM-9KNVC 50-59 years, female 54.0
GTEX-1269C-0126-SM-5EQ5L 60-69 years, female 53.9
GTEX-17F97-2626-SM-7IGM5 50-59 years, male 53.7
GTEX-W5X1-2526-SM-3GILC 40-49 years, female 53.7
GTEX-13X6H-0926-SM-5SIB2 50-59 years, female 53.6
GTEX-XXEK-1626-SM-4BRUZ 50-59 years, male 53.6
GTEX-1PIGE-1826-SM-E8VOU 20-29 years, male 53.6
GTEX-13113-1626-SM-5EQ4I 60-69 years, female 53.5
GTEX-ZUA1-2626-SM-5NQ92 40-49 years, male 53.4
GTEX-1PDJ9-1226-SM-EXUSX 20-29 years, male 53.4
GTEX-139TU-0726-SM-5L3EK 60-69 years, male 53.2
GTEX-13FTW-0326-SM-5K7UW 40-49 years, male 53.2
GTEX-13SLW-0626-SM-5Q5ER 70-79 years, male 53.2
GTEX-1HC8U-1326-SM-9YFMJ 40-49 years, female 52.9
GTEX-1F52S-2926-SM-7MKGA 60-69 years, female 52.8
GTEX-15CHC-1126-SM-6LLHQ 60-69 years, female 52.7
GTEX-15RIE-1926-SM-7KUKJ 60-69 years, male 52.7
GTEX-1IDJU-1726-SM-CMKHU 60-69 years, female 52.7
GTEX-11LCK-2226-SM-5HL4Q 30-39 years, male 52.6
GTEX-1AX9J-1326-SM-731BJ 60-69 years, male 52.6
GTEX-1E1VI-0326-SM-793D1 50-59 years, male 52.6
GTEX-ZYVF-0926-SM-5E44J 50-59 years, female 52.3
GTEX-11EQ9-1626-SM-5PNY8 30-39 years, male 52.1
GTEX-WXYG-2026-SM-4E3IY 50-59 years, female 52.0
GTEX-1EMGI-2326-SM-7PBYA 60-69 years, male 52.0
GTEX-145MN-1526-SM-5SI9T 30-39 years, male 51.9
GTEX-13O3Q-0126-SM-5KM34 50-59 years, male 51.8
GTEX-ZWKS-0626-SM-5GIDV 30-39 years, male 51.8
GTEX-131XH-0126-SM-5LZUY 50-59 years, male 51.7
GTEX-131YS-2826-SM-5EQ47 60-69 years, female 51.7
GTEX-15FZZ-0526-SM-7KUGD 30-39 years, female 51.7
GTEX-1313W-0626-SM-5EQ4H 50-59 years, female 51.6
GTEX-ZTTD-2826-SM-4YCFA 50-59 years, male 51.6
GTEX-1S3DN-2126-SM-E9TIN 50-59 years, male 51.6
GTEX-12WSH-1526-SM-5BC5W 50-59 years, male 51.5
GTEX-12WSJ-1126-SM-5LZVJ 40-49 years, female 51.5
GTEX-13N11-2326-SM-5IJBF 50-59 years, female 51.5
GTEX-1IDFM-0326-SM-ARL7V 60-69 years, male 51.3
GTEX-1F6RS-2026-SM-7RHHC 60-69 years, female 51.2
GTEX-183WM-0326-SM-72D5V 70-79 years, female 51.1
GTEX-YEC4-1826-SM-4W1YP 40-49 years, male 50.9
GTEX-13NZ9-2626-SM-5L3FK 50-59 years, male 50.8
GTEX-17HII-1426-SM-7EPGG 50-59 years, male 50.8
GTEX-1IKJJ-2226-SM-CJI4C 60-69 years, male 50.8
GTEX-1KD5A-0126-SM-E9U54 50-59 years, male 50.8
GTEX-12WSC-2826-SM-5BC5Y 50-59 years, male 50.7
GTEX-X4EO-2926-SM-4E3JH 60-69 years, female 50.7
GTEX-15SHW-0226-SM-7LTAT 60-69 years, male 50.5
GTEX-1CAMS-2226-SM-7PBXQ 40-49 years, female 50.5
GTEX-1LGRB-0926-SM-COH3K 50-59 years, female 50.5
GTEX-ZAK1-0626-SM-5HL8E 50-59 years, female 50.4
GTEX-11NUK-2726-SM-5A5MC 50-59 years, male 50.3
GTEX-ZVT4-2426-SM-5GIEI 50-59 years, female 50.3
GTEX-139D8-1126-SM-5LU8W 30-39 years, female 50.2
GTEX-ZT9W-1126-SM-57WDR 50-59 years, male 50.2
GTEX-1HCU6-2526-SM-ADEHL 60-69 years, female 50.1
GTEX-1KWVE-1026-SM-D3L9O 30-39 years, male 50.1
GTEX-15DDE-2926-SM-6LLJ3 50-59 years, female 50.0
GTEX-1C64O-1326-SM-7MGWR 60-69 years, male 50.0
GTEX-14753-0726-SM-5QGQO 60-69 years, male 49.9
GTEX-Z93S-1626-SM-5CVMB 50-59 years, male 49.9
GTEX-ZDTS-0826-SM-4WKHL 60-69 years, male 49.9
GTEX-1B8KZ-0326-SM-73KY4 50-59 years, male 49.7
GTEX-1HCUA-0826-SM-ADEHM 50-59 years, female 49.6
GTEX-11EQ8-0926-SM-5H12V 60-69 years, male 49.4
GTEX-WEY5-2326-SM-3GIKK 40-49 years, female 49.2
GTEX-14C5O-0326-SM-5ZZUX 60-69 years, male 49.1
GTEX-1H4P4-2126-SM-9WYSL 50-59 years, male 49.1
GTEX-1AX8Z-0726-SM-73KTS 60-69 years, male 49.0
GTEX-1H1DG-2426-SM-9QEHJ 70-79 years, male 49.0
GTEX-ZLV1-1526-SM-DO91J 60-69 years, female 49.0
GTEX-13RTJ-0126-SM-5S2NN 60-69 years, male 48.7
GTEX-1RLM8-2926-SM-E8VON 50-59 years, male 48.7
GTEX-13YAN-0226-SM-5TDC6 60-69 years, male 48.6
GTEX-17F9Y-0126-SM-79OKX 70-79 years, female 48.6
GTEX-1192X-2726-SM-5N9DN 50-59 years, male 48.5
GTEX-147F4-0726-SM-5TDDD 50-59 years, male 48.5
GTEX-1I6K6-1726-SM-CGQFD 30-39 years, male 48.5
GTEX-1N2EE-0626-SM-E76PW 60-69 years, male 48.4
GTEX-WYBS-0626-SM-3NMAS 60-69 years, female 48.3
GTEX-1S831-1826-SM-EWROF 20-29 years, male 48.3
GTEX-1RAZQ-1326-SM-E9TK6 30-39 years, male 48.2
GTEX-131XW-0626-SM-5PNVD 50-59 years, female 48.1
GTEX-17EVP-2626-SM-7IGMA 40-49 years, male 48.1
GTEX-XAJ8-1426-SM-47JYM 40-49 years, male 48.1
GTEX-1C475-1326-SM-7SB73 40-49 years, female 48.1
GTEX-11DZ1-2426-SM-5GZZX 50-59 years, male 47.8
GTEX-ZZPU-0826-SM-5GZX5 50-59 years, female 47.8
GTEX-144GO-2026-SM-5O99P 60-69 years, male 47.7
GTEX-15RJE-2826-SM-7KUM9 40-49 years, male 47.7
GTEX-16NPX-0726-SM-7KULC 50-59 years, male 47.7
GTEX-1GMR3-0126-SM-A9SLW 40-49 years, male 47.7
GTEX-1HSGN-0826-SM-ACKW3 40-49 years, female 47.7
GTEX-YFCO-1226-SM-5LUAT 40-49 years, male 47.6
GTEX-1R46S-2426-SM-E76QA 60-69 years, female 47.5
GTEX-13OVH-0526-SM-5L3E6 70-79 years, male 47.4
GTEX-13QJC-0126-SM-5ZZWJ 60-69 years, female 47.4
GTEX-13NYS-0626-SM-5L3F1 60-69 years, male 47.2
GTEX-1A3MW-0626-SM-731CB 60-69 years, female 47.2
GTEX-ZE7O-2726-SM-51MT5 50-59 years, female 47.2
GTEX-ZLFU-1826-SM-4WWBV 40-49 years, male 47.1
GTEX-1PPH7-1126-SM-DTX9A 40-49 years, male 47.0
GTEX-YJ8O-2526-SM-5HL85 40-49 years, female 46.8
GTEX-ZP4G-1426-SM-4WWCL 20-29 years, female 46.8
GTEX-16BQI-1326-SM-6M486 30-39 years, female 46.6
GTEX-XUW1-0926-SM-4BONX 50-59 years, female 46.6
GTEX-1LGOU-1326-SM-D3L8M 20-29 years, female 46.5
GTEX-1RMOY-1326-SM-E9TIH 50-59 years, male 46.5
GTEX-XYKS-1426-SM-4BRUO 60-69 years, female 46.3
GTEX-11ZUS-2626-SM-5FQUR 30-39 years, male 46.2
GTEX-18D9A-1426-SM-7LT8M 30-39 years, female 46.2
GTEX-1CB4J-1326-SM-7P8RX 60-69 years, male 46.0
GTEX-14C39-1726-SM-5RQIL 40-49 years, male 45.9
GTEX-1H1DF-1126-SM-9WG7G 40-49 years, female 45.8
GTEX-148VJ-0626-SM-5LUAW 70-79 years, male 45.7
GTEX-18465-2826-SM-7LT9J 50-59 years, male 45.4
GTEX-139TS-2126-SM-5K7XC 60-69 years, male 45.1
GTEX-1LKK1-2626-SM-DKPQE 50-59 years, female 45.0
GTEX-15DYW-2726-SM-6EU2I 60-69 years, female 44.9
GTEX-1KAFJ-0126-SM-DIPEK 50-59 years, male 44.7
GTEX-1JMLX-0626-SM-ARL8T 50-59 years, male 44.6
GTEX-1CAMR-1326-SM-7PC1F 20-29 years, male 44.5
GTEX-1HFI7-2326-SM-CGQFS 50-59 years, female 44.5
GTEX-15EO6-2426-SM-6PALZ 50-59 years, male 44.3
GTEX-UPK5-0426-SM-3GAEK 40-49 years, male 44.3
GTEX-14PKV-1126-SM-6LLJ1 20-29 years, female 44.0
GTEX-1EWIQ-0326-SM-7DHMQ 70-79 years, female 44.0
GTEX-ZA64-1026-SM-5HL8R 20-29 years, male 44.0
GTEX-13OW5-2326-SM-5L3HO 60-69 years, male 43.7
GTEX-1ICG6-1226-SM-A9SLN 70-79 years, female 43.7
GTEX-1A8G7-1326-SM-73KVM 60-69 years, male 43.6
GTEX-1HFI6-0126-SM-CNPPI 40-49 years, male 43.6
GTEX-1EN7A-2426-SM-793DB 40-49 years, male 43.5
GTEX-13SLX-2226-SM-62LEP 50-59 years, female 43.4
GTEX-14PJO-2526-SM-6AJBQ 60-69 years, male 43.4
GTEX-1JMQK-1226-SM-D4P2S 60-69 years, male 43.4
GTEX-1497J-0226-SM-5QGPU 60-69 years, male 43.3
GTEX-14LLW-2626-SM-62LDZ 70-79 years, female 43.3
GTEX-11NSD-0626-SM-5A5LU 20-29 years, male 43.2
GTEX-16Z82-2626-SM-7KULU 60-69 years, male 43.2
GTEX-1LBAC-0826-SM-CY8IJ 20-29 years, male 43.1
GTEX-1212Z-0126-SM-59HK4 60-69 years, male 43.0
GTEX-13112-0126-SM-5P9IU 50-59 years, male 43.0
GTEX-1HSMO-0626-SM-ACKXC 60-69 years, male 43.0
GTEX-133LE-2326-SM-5K7W3 20-29 years, female 42.9
GTEX-1CAMQ-1326-SM-7P8RV 40-49 years, male 42.9
GTEX-145LT-0526-SM-5LUB2 40-49 years, male 42.7
GTEX-WYJK-0526-SM-3NM8Z 50-59 years, male 42.7
GTEX-Y3IK-1626-SM-4YCF5 50-59 years, female 42.7
GTEX-1J8Q3-0526-SM-ARL8U 60-69 years, male 42.7
GTEX-1EH9U-2826-SM-7DUGT 60-69 years, male 42.6
GTEX-ZGAY-1826-SM-DO91Q 40-49 years, female 42.6
GTEX-13NYC-0126-SM-5L3F4 60-69 years, male 42.5
GTEX-1ICLZ-0326-SM-ARL82 60-69 years, male 42.5
GTEX-ZVT2-0126-SM-5GIDQ 50-59 years, female 42.4
GTEX-11EM3-1226-SM-5N9DD 20-29 years, female 42.2
GTEX-ZVZP-1226-SM-5GID7 50-59 years, male 42.1
GTEX-18D9B-0926-SM-7LG4U 60-69 years, male 42.0
GTEX-WK11-2726-SM-3NMAQ 50-59 years, male 41.9
GTEX-12ZZZ-0726-SM-5GCNZ 60-69 years, male 41.8
GTEX-1I1GS-2626-SM-B2LY3 60-69 years, male 41.8
GTEX-13W3W-0726-SM-5IJDQ 60-69 years, female 41.7
GTEX-1K2DU-1226-SM-CYPT4 20-29 years, male 41.7
GTEX-16YQH-2226-SM-7IGM2 30-39 years, male 41.6
GTEX-1C6WA-2626-SM-7MKGM 60-69 years, male 41.5
GTEX-1POEN-2326-SM-E9J2L 30-39 years, female 41.5
GTEX-13JUV-2026-SM-5K7UA 40-49 years, female 41.4
GTEX-1F48J-0726-SM-7RHGS 50-59 years, female 41.3
GTEX-1HKZK-0726-SM-ACKW2 40-49 years, male 41.2
GTEX-14DAQ-0626-SM-793DS 60-69 years, female 40.9
GTEX-1IDJH-0126-SM-D3L92 70-79 years, male 40.8
GTEX-1IDJV-0126-SM-COH3Y 60-69 years, male 40.8
GTEX-1KANC-1226-SM-CYPT7 50-59 years, female 40.8
GTEX-1GMR8-0626-SM-7RHI7 50-59 years, female 40.6
GTEX-11EI6-2826-SM-5H11D 60-69 years, male 40.5
GTEX-12696-0126-SM-5EQ4L 60-69 years, male 40.5
GTEX-14A5H-0826-SM-5QGPJ 60-69 years, male 40.4
GTEX-1JMQI-1726-SM-ARL93 50-59 years, male 40.4
GTEX-11TUW-0626-SM-5LU9M 60-69 years, male 40.3
GTEX-Y8LW-1526-SM-5IFHL 50-59 years, female 40.3
GTEX-14E1K-2026-SM-7DUEI 50-59 years, male 40.2
GTEX-1GF9U-2026-SM-7SB92 40-49 years, female 40.2
GTEX-13PVQ-0626-SM-5LU47 50-59 years, male 40.1
GTEX-WYVS-1626-SM-3NM9R 40-49 years, female 40.1
GTEX-1F75B-0726-SM-7PC3R 50-59 years, male 40.1
GTEX-1GTWX-2026-SM-9YFLM 60-69 years, male 40.0
GTEX-1J1R8-2026-SM-CL53Y 40-49 years, male 40.0
GTEX-11DXY-0126-SM-5H11Q 60-69 years, male 39.9
GTEX-13O3O-2326-SM-5IJD6 60-69 years, female 39.9
GTEX-13IVO-0726-SM-5LZYV 70-79 years, male 39.6
GTEX-13U4I-2226-SM-5LU5H 40-49 years, female 39.5
GTEX-ZVP2-0326-SM-57WBP 50-59 years, male 39.3
GTEX-1GF9W-1426-SM-7PBYM 60-69 years, male 39.3
GTEX-1HCU9-0426-SM-9WYSD 20-29 years, male 39.2
GTEX-1J1OQ-0126-SM-D4P2N 40-49 years, female 39.2
GTEX-1S5ZU-2526-SM-E6CIF 20-29 years, female 39.2
GTEX-12BJ1-0926-SM-5EQ62 60-69 years, male 39.0
GTEX-Y5V5-0126-SM-5S2NW 60-69 years, female 38.9
GTEX-1211K-1526-SM-5FQU4 60-69 years, female 38.8
GTEX-1CB4I-0126-SM-7RHGG 50-59 years, male 38.8
GTEX-1M4P7-0726-SM-E6CJ3 60-69 years, male 38.8
GTEX-145MI-0626-SM-5SI8S 60-69 years, female 38.7
GTEX-1QP66-1226-SM-DTX7U 50-59 years, male 38.6
GTEX-11TT1-1826-SM-5EQLV 20-29 years, male 38.4
GTEX-1LG7Y-2526-SM-EWRO7 50-59 years, male 38.4
GTEX-17F96-0126-SM-7EWDU 70-79 years, male 38.2
GTEX-13OVG-1626-SM-5J1NF 60-69 years, male 38.1
GTEX-1F88E-1626-SM-7SB8Z 60-69 years, female 38.0
GTEX-14PK6-0226-SM-62LF5 70-79 years, female 37.9
GTEX-ZAJG-1526-SM-5CVML 50-59 years, female 37.9
GTEX-13NZ8-1226-SM-5KM4A 60-69 years, female 37.7
GTEX-ZPCL-1126-SM-4WWFE 60-69 years, female 37.7
GTEX-1I1CD-0626-SM-CE6SW 60-69 years, female 37.6
GTEX-ZYFD-0626-SM-5E44E 50-59 years, male 37.5
GTEX-1GMR2-0826-SM-7PC3V 50-59 years, male 37.5
GTEX-VUSG-2326-SM-4KL1U 50-59 years, male 37.0
GTEX-13OW8-1026-SM-5J1NQ 60-69 years, male 36.9
GTEX-1LSNM-0826-SM-DIPG8 50-59 years, male 36.9
GTEX-XMD2-2126-SM-4YCF8 60-69 years, female 36.8
GTEX-11DXW-0826-SM-5H118 40-49 years, male 36.7
GTEX-12WSF-1626-SM-7KUG5 70-79 years, male 36.6
GTEX-1314G-1326-SM-5BC6E 30-39 years, male 36.6
GTEX-11UD2-2526-SM-5CVNU 50-59 years, male 36.5
GTEX-1HB9E-0126-SM-CM2S5 50-59 years, male 36.5
GTEX-117YX-1926-SM-5GIEC 50-59 years, male 36.1
GTEX-XPVG-2126-SM-4B667 50-59 years, male 36.0
GTEX-1K9T9-1526-SM-DIPFR 50-59 years, female 36.0
GTEX-11GSP-2326-SM-5HL63 60-69 years, female 35.9
GTEX-15UF6-1926-SM-7KUDV 70-79 years, female 35.9
GTEX-ZLWG-0826-SM-59888 50-59 years, female 35.9
GTEX-13X6I-1826-SM-5SIAO 60-69 years, male 35.8
GTEX-132AR-0326-SM-5KM2C 50-59 years, female 35.7
GTEX-16MT8-2926-SM-7DUFO 60-69 years, female 35.7
GTEX-17MF6-2626-SM-79OKQ 40-49 years, male 35.6
GTEX-1JMQL-2226-SM-CNPP4 50-59 years, female 35.6
GTEX-1J8JJ-0626-SM-ARZMQ 60-69 years, female 35.5
GTEX-1JKYN-0826-SM-ARU8S 30-39 years, male 35.5
GTEX-147JS-0226-SM-5S2U9 60-69 years, male 35.2
GTEX-XBEC-0726-SM-4QARZ 50-59 years, male 35.1
GTEX-1QCLZ-2426-SM-EVYBW 60-69 years, female 35.1
GTEX-13N1W-2426-SM-5IJD1 70-79 years, male 35.0
GTEX-ZVE2-2826-SM-5GU51 50-59 years, male 35.0
GTEX-15D1Q-2826-SM-6LLH7 40-49 years, male 34.8
GTEX-ZDXO-3126-SM-5IJDF 60-69 years, male 34.6
GTEX-16MTA-0926-SM-6M47Z 50-59 years, male 34.4
GTEX-1K2DA-1026-SM-CGQGF 50-59 years, male 34.4
GTEX-1F6IF-0926-SM-7SB7M 60-69 years, male 34.2
GTEX-1JMPZ-0726-SM-CY8HZ 30-39 years, male 34.2
GTEX-1L5NE-1126-SM-D3L9P 50-59 years, male 33.4
GTEX-1JJE9-2626-SM-ARZMT 70-79 years, male 33.3
GTEX-14E6C-2426-SM-5S2NF 40-49 years, male 33.2
GTEX-X8HC-0626-SM-4E3HQ 50-59 years, female 33.2
GTEX-XQ8I-0926-SM-4BOOF 50-59 years, male 33.2
GTEX-145LS-0626-SM-7EPG7 60-69 years, female 33.1
GTEX-U8XE-0226-SM-4E3J3 30-39 years, male 33.1
GTEX-13FH7-1126-SM-5K7UG 50-59 years, female 32.9
GTEX-WI4N-2726-SM-3LK7Y 40-49 years, female 32.9
GTEX-14PJ2-0626-SM-6LLII 50-59 years, male 32.7
GTEX-1MCC2-1826-SM-DIPEX 30-39 years, female 32.7
GTEX-Y5LM-0926-SM-6LLJG 40-49 years, female 32.2
GTEX-1A3MX-2626-SM-7PC24 60-69 years, male 32.1
GTEX-145MG-1526-SM-5Q5EM 50-59 years, male 31.9
GTEX-1GZ2Q-0126-SM-9WG6M 40-49 years, male 31.9
GTEX-1IDJI-0126-SM-CMKHS 50-59 years, female 31.9
GTEX-1LG7Z-1626-SM-CXKYR 30-39 years, male 31.7
GTEX-1H3VE-0726-SM-9YFL5 40-49 years, male 31.4
GTEX-1IDJE-1426-SM-ADEIW 50-59 years, female 31.4
GTEX-15CHQ-0326-SM-69LQD 60-69 years, male 31.2
GTEX-139T8-0626-SM-5KLZX 60-69 years, male 31.1
GTEX-XK95-0226-SM-4AT58 40-49 years, male 31.0
GTEX-1J8Q2-2626-SM-ACKWQ 60-69 years, male 30.8
GTEX-14BMU-1226-SM-5S2OR 20-29 years, female 30.7
GTEX-16MT9-0126-SM-7EPI8 60-69 years, female 30.2
GTEX-1CB4H-1126-SM-7MKGL 60-69 years, female 30.2
GTEX-1HCU8-2526-SM-CE6RX 60-69 years, female 30.2
GTEX-1CAV2-0126-SM-7IGN7 40-49 years, female 30.0
GTEX-1A32A-0626-SM-731AQ 50-59 years, female 29.9
GTEX-1H3NZ-2726-SM-9WYTQ 60-69 years, male 29.9
GTEX-1JJ6O-2726-SM-CNPOG 60-69 years, male 29.9
GTEX-14E6E-0526-SM-793DN 30-39 years, male 29.8
GTEX-XV7Q-1826-SM-4BRUV 40-49 years, female 29.8
GTEX-ZYY3-2926-SM-5GIEB 60-69 years, female 29.7
GTEX-17EVQ-0126-SM-7IGLR 70-79 years, male 29.3
GTEX-1477Z-0326-SM-7IGLA 60-69 years, male 29.0
GTEX-1IDJD-2326-SM-ACKWX 30-39 years, male 28.8
GTEX-13N2G-0226-SM-5K7VF 60-69 years, male 28.7
GTEX-WFG8-2126-SM-3GIKQ 20-29 years, male 28.4
GTEX-16XZZ-0726-SM-7KUF2 60-69 years, male 28.1
GTEX-1B996-0426-SM-7EWF8 60-69 years, male 28.1
GTEX-145ME-1726-SM-5Q5EU 40-49 years, female 28.0
GTEX-17JCI-2926-SM-7DUFF 60-69 years, female 27.7
GTEX-XOT4-0626-SM-4B66L 60-69 years, female 27.6
GTEX-12WSA-0426-SM-5EQ5X 60-69 years, male 27.2
GTEX-X3Y1-2026-SM-3P5YM 40-49 years, male 27.1
GTEX-X4EP-0626-SM-3P621 60-69 years, female 26.4
GTEX-ZYFG-1526-SM-5GZYM 60-69 years, female 26.2
GTEX-ZVE1-0726-SM-51MRN 50-59 years, female 25.8
GTEX-1LVAO-2726-SM-E9TJ8 60-69 years, male 25.5
GTEX-1JN6P-2926-SM-CL54D 60-69 years, male 24.9
GTEX-1O9I2-0226-SM-EYYXD 50-59 years, male 24.8
GTEX-12WSL-2026-SM-5GCML 50-59 years, male 24.4
GTEX-1H23P-0626-SM-9WG6T 60-69 years, male 24.4
GTEX-ZYW4-0626-SM-59HJR 60-69 years, male 24.0
GTEX-ZF3C-0626-SM-DO92O 50-59 years, female 24.0
GTEX-ZAB4-2126-SM-5HL8U 40-49 years, male 23.9
GTEX-1117F-2926-SM-5GZYI 60-69 years, female 23.8
GTEX-1QP29-1826-SM-DTX9S 50-59 years, male 23.5
GTEX-14DAR-1226-SM-73KYV 50-59 years, male 22.9
GTEX-13OVJ-0826-SM-5J1OK 50-59 years, female 22.7
GTEX-12584-0726-SM-5FQTK 40-49 years, male 22.1
GTEX-ZTSS-1426-SM-5985P 40-49 years, male 21.9
GTEX-1I19N-0126-SM-CYPSF 70-79 years, male 21.8
GTEX-YB5K-2026-SM-4VDT3 40-49 years, female 20.4
GTEX-ZVTK-0226-SM-51MRG 20-29 years, male 20.3
GTEX-1JMOU-1026-SM-CYPSS 60-69 years, female 20.0
GTEX-1I4MK-0126-SM-CY8G6 50-59 years, female 19.7
GTEX-1F75W-2726-SM-7SB8H 60-69 years, male 19.5
GTEX-1HUB1-1426-SM-CGQF5 60-69 years, male 19.5
GTEX-Y5V6-2326-SM-4VDSA 60-69 years, male 19.4
GTEX-1H1ZS-2726-SM-9WG75 70-79 years, male 19.4
GTEX-111FC-2526-SM-5GZXU 60-69 years, male 18.9
GTEX-ZU9S-1826-SM-5NQ9E 30-39 years, male 18.0
GTEX-1399R-1326-SM-5PNYS 30-39 years, male 13.2
Show allShow less
Skin - Sun Exposed (Lower leg)
Average nTPM: 51.9
Samples: 701

Max nTPM: 124.1
Min nTPM: 5.1
Std nTPM: 19.9
Median nTPM: 49.9
GTEX-11DXZ-2326-SM-5EGGV 50-59 years, male 124.1
GTEX-1KANC-1526-SM-D3LAB 50-59 years, female 116.7
GTEX-1EMGI-0126-SM-9KNUE 60-69 years, male 112.5
GTEX-13CF2-2526-SM-5LZYX 60-69 years, male 112.1
GTEX-1LSNM-1926-SM-E6CII 50-59 years, male 111.5
GTEX-1B97I-1626-SM-73KYO 40-49 years, male 107.7
GTEX-ZYT6-0226-SM-5NQ6T 30-39 years, male 106.7
GTEX-1C475-1826-SM-73KWA 40-49 years, female 105.8
GTEX-1JJEA-0326-SM-CNPOT 60-69 years, male 104.1
GTEX-15EU6-0426-SM-6PAN5 50-59 years, male 103.9
GTEX-15ETS-0126-SM-7KUMW 40-49 years, female 103.5
GTEX-1MA7W-2026-SM-E9TJ6 20-29 years, female 103.2
GTEX-13111-1626-SM-5EGJY 50-59 years, male 101.2
GTEX-1K2DA-1826-SM-CGQGT 50-59 years, male 99.0
GTEX-13FHP-0126-SM-5IJBG 50-59 years, male 98.2
GTEX-16AAH-1726-SM-7939C 50-59 years, male 96.9
GTEX-12WSK-2326-SM-5GCOH 40-49 years, female 96.3
GTEX-1PPH8-0226-SM-E8VND 20-29 years, male 96.1
GTEX-YJ89-0126-SM-4TT3X 60-69 years, male 96.0
GTEX-ZF2S-2326-SM-4WWCE 50-59 years, female 94.6
GTEX-1PIIG-0226-SM-EWRN6 30-39 years, male 93.6
GTEX-T6MN-0126-SM-32PLP 50-59 years, male 93.4
GTEX-PX3G-0126-SM-2I3EN 20-29 years, female 93.3
GTEX-ZGAY-0526-SM-4WWBB 40-49 years, female 93.3
GTEX-14BIN-0626-SM-793DP 50-59 years, female 93.2
GTEX-15F5U-1526-SM-6PANO 40-49 years, male 92.7
GTEX-1LG7Z-1726-SM-D3LA4 30-39 years, male 92.7
GTEX-1C64N-0126-SM-793D7 50-59 years, male 92.5
GTEX-1CB4E-2226-SM-793DC 60-69 years, male 92.3
GTEX-1CB4F-0426-SM-9KNV4 60-69 years, male 92.3
GTEX-14E6E-1826-SM-5S2R7 30-39 years, male 92.0
GTEX-1MJK2-0426-SM-DTXE5 50-59 years, male 91.9
GTEX-1R9PM-2026-SM-E76OY 20-29 years, male 90.9
GTEX-1I4MK-2226-SM-ACKWD 50-59 years, female 90.7
GTEX-1BAJH-0526-SM-793CQ 70-79 years, male 89.1
GTEX-1HCU7-0226-SM-CL545 50-59 years, male 88.8
GTEX-Y8DK-0126-SM-4TT3L 60-69 years, male 88.2
GTEX-1IOXB-0126-SM-ARL8G 50-59 years, male 88.1
GTEX-1KD4Q-0226-SM-E9TJ9 40-49 years, male 88.0
GTEX-Y5V5-2326-SM-4V6GA 60-69 years, female 87.5
GTEX-1LVAN-0226-SM-COH3S 50-59 years, female 87.4
GTEX-1QMI2-0226-SM-EVYBX 60-69 years, male 87.3
GTEX-T2YK-0526-SM-32QPJ 50-59 years, male 86.5
GTEX-1PDJ9-0326-SM-DTX95 20-29 years, male 86.3
GTEX-1HB9E-0226-SM-E9U4R 50-59 years, male 86.2
GTEX-ZV68-0126-SM-59HKS 50-59 years, female 86.1
GTEX-1B8SF-1426-SM-7DUGL 60-69 years, male 86.0
GTEX-1QP9N-1426-SM-DTXFL 30-39 years, male 85.8
GTEX-1OJC3-0126-SM-E76QX 20-29 years, male 85.6
GTEX-1R7EU-0226-SM-EVR4G 60-69 years, male 85.3
GTEX-1JMQI-2226-SM-CM2SD 50-59 years, male 85.2
GTEX-17EVP-0326-SM-7DHLG 40-49 years, male 84.6
GTEX-17KNJ-2326-SM-7DHLQ 50-59 years, male 84.5
GTEX-11DYG-0126-SM-59883 60-69 years, male 84.2
GTEX-1N2DW-0226-SM-E9TK2 50-59 years, male 83.8
GTEX-16GPK-0126-SM-7DHLE 60-69 years, male 83.6
GTEX-XBEW-0626-SM-4QASP 40-49 years, male 83.3
GTEX-13NYC-0326-SM-E9J4S 60-69 years, male 83.1
GTEX-ZTX8-1426-SM-5DUVO 20-29 years, male 83.0
GTEX-1HSKV-0226-SM-A9SKJ 60-69 years, male 82.6
GTEX-1399R-2726-SM-5IJBA 30-39 years, male 82.1
GTEX-1J8JJ-0226-SM-CL53I 60-69 years, female 82.0
GTEX-WFG8-2226-SM-3GIL9 20-29 years, male 81.9
GTEX-1HBPI-1526-SM-C1YQ1 50-59 years, male 81.5
GTEX-1HFI6-0226-SM-ADEHZ 40-49 years, male 81.2
GTEX-13FXS-0226-SM-5IJCK 50-59 years, male 81.0
GTEX-145MF-0626-SM-5LUAI 50-59 years, male 80.3
GTEX-1NV5F-0226-SM-E8VNY 60-69 years, female 80.3
GTEX-17HG3-2226-SM-7938L 30-39 years, female 80.2
GTEX-Y111-0126-SM-4SOIV 50-59 years, male 80.1
GTEX-XUYS-0126-SM-47JWZ 50-59 years, male 79.6
GTEX-1C4CL-0526-SM-73KVK 30-39 years, male 79.2
GTEX-WFON-2126-SM-3LK7O 40-49 years, male 79.2
GTEX-SJXC-0126-SM-2XCFF 60-69 years, male 79.1
GTEX-11WQK-0526-SM-5EQLD 50-59 years, male 78.6
GTEX-13FTW-2626-SM-5K7WL 40-49 years, male 78.3
GTEX-1H4P4-0726-SM-9YFLR 50-59 years, male 76.5
GTEX-17GQL-2026-SM-718BA 60-69 years, male 76.4
GTEX-13N2G-2626-SM-5J1OT 60-69 years, male 75.8
GTEX-111FC-0126-SM-5N9DL 60-69 years, male 75.7
GTEX-1EWIQ-0126-SM-7RHH2 70-79 years, female 75.7
GTEX-POMQ-2226-SM-2I5FK 20-29 years, female 75.5
GTEX-17F96-1626-SM-7DUFL 70-79 years, male 75.4
GTEX-QESD-1426-SM-2S1R9 20-29 years, male 75.3
GTEX-ZVZO-0126-SM-5A5L9 40-49 years, male 75.3
GTEX-ZF3C-0126-SM-DO92D 50-59 years, female 75.0
GTEX-14PJM-0226-SM-62LF1 50-59 years, female 74.9
GTEX-13OVH-0126-SM-5MR4B 70-79 years, male 74.8
GTEX-1HSGN-0226-SM-CGQFV 40-49 years, female 74.6
GTEX-1I1GR-0126-SM-CL55F 60-69 years, male 74.6
GTEX-VJYA-1126-SM-3GIJU 60-69 years, male 74.5
GTEX-1JMQJ-0526-SM-CYPSU 50-59 years, male 74.2
GTEX-PVOW-0126-SM-2XCFA 40-49 years, male 73.5
GTEX-1GL5R-1826-SM-9KNUY 50-59 years, male 73.5
GTEX-1S5ZA-0126-SM-EVYCV 20-29 years, male 73.2
GTEX-1IL2U-0226-SM-CE6T8 60-69 years, male 73.1
GTEX-15ER7-0326-SM-7KUEV 20-29 years, female 73.0
GTEX-15G19-0126-SM-6PANQ 60-69 years, male 72.9
GTEX-1IDJH-0326-SM-A9SLQ 70-79 years, male 72.9
GTEX-TKQ1-1026-SM-4GICL 30-39 years, male 72.3
GTEX-1399T-2826-SM-5KLYZ 60-69 years, male 72.2
GTEX-13X6J-0126-SM-5QGOU 50-59 years, male 72.1
GTEX-1I1GQ-0126-SM-COH3H 50-59 years, male 72.1
GTEX-ZAK1-0126-SM-5IJD3 50-59 years, female 72.0
GTEX-13G51-2526-SM-5LZYK 60-69 years, male 71.6
GTEX-14PHX-2326-SM-62LEM 50-59 years, male 71.6
GTEX-13NYB-2526-SM-5K7Z6 40-49 years, male 71.4
GTEX-14PII-0226-SM-6EU1T 60-69 years, male 71.4
GTEX-ZY6K-1826-SM-5GZXK 50-59 years, male 71.3
GTEX-13PVR-2326-SM-5QGR1 60-69 years, female 71.2
GTEX-1H3VE-0326-SM-9YFLH 40-49 years, male 71.2
GTEX-18A6Q-0126-SM-731BZ 60-69 years, male 70.6
GTEX-1PIGE-0126-SM-EVYBJ 20-29 years, male 70.6
GTEX-139UW-2826-SM-5L3E7 60-69 years, male 70.4
GTEX-P4QT-0126-SM-2I3FL 50-59 years, female 70.4
GTEX-ZV6S-2326-SM-4YCEY 40-49 years, female 70.4
GTEX-1H1CY-2826-SM-9MQM3 60-69 years, female 70.4
GTEX-Y3IK-2426-SM-4WWDU 50-59 years, female 69.6
GTEX-YB5K-2126-SM-4WWDJ 40-49 years, female 69.4
GTEX-17JCI-0126-SM-7LG5G 60-69 years, female 69.1
GTEX-12WSE-0526-SM-793B2 20-29 years, male 69.0
GTEX-1JJ6O-0126-SM-E6CI8 60-69 years, male 69.0
GTEX-11OF3-2626-SM-5GU7F 60-69 years, male 68.6
GTEX-1GZ4H-1726-SM-7PBZJ 50-59 years, female 68.6
GTEX-1I1GV-0526-SM-A9G29 60-69 years, male 68.4
GTEX-145LU-0126-SM-5TDCB 50-59 years, male 68.3
GTEX-PSDG-0226-SM-DKPOZ 50-59 years, male 68.1
GTEX-18D9A-1926-SM-7LG6P 30-39 years, female 67.9
GTEX-1J8QM-2126-SM-CYPSJ 60-69 years, female 67.8
GTEX-1S83E-0126-SM-EWRO4 40-49 years, male 67.8
GTEX-1F5PK-2426-SM-7RHHY 50-59 years, male 67.7
GTEX-1B8L1-2526-SM-9WYTF 60-69 years, male 67.4
GTEX-17EUY-0426-SM-793BD 20-29 years, male 67.3
GTEX-11TUW-2726-SM-E9J4M 60-69 years, male 67.3
GTEX-PLZ6-1426-SM-DKPOT 30-39 years, male 67.3
GTEX-11P81-2326-SM-59875 30-39 years, female 67.1
GTEX-131XH-2226-SM-5DUXJ 50-59 years, male 67.0
GTEX-139D8-0226-SM-5KLZO 30-39 years, female 67.0
GTEX-17F98-0626-SM-79OMX 40-49 years, female 66.8
GTEX-1F52S-0126-SM-9MQJU 60-69 years, female 66.8
GTEX-1JMLX-0226-SM-CM2RO 50-59 years, male 66.8
GTEX-WXYG-2326-SM-4E3I6 50-59 years, female 66.6
GTEX-X88G-0126-SM-47JZ3 30-39 years, male 66.6
GTEX-ZDYS-2026-SM-5HL5L 50-59 years, male 66.6
GTEX-1L5NE-2526-SM-E6CIE 50-59 years, male 66.6
GTEX-13YAN-0326-SM-5O9DF 60-69 years, male 66.4
GTEX-1CB4G-0226-SM-7PC3O 60-69 years, male 66.4
GTEX-1GN1U-0126-SM-7PBZK 50-59 years, female 66.4
GTEX-S7SE-0126-SM-2XCD5 50-59 years, male 66.1
GTEX-WYJK-0126-SM-3NMAB 50-59 years, male 66.1
GTEX-12ZZY-0226-SM-5LZVE 60-69 years, male 65.8
GTEX-1C6VR-2426-SM-79OLD 60-69 years, male 65.8
GTEX-1CB4I-0226-SM-79OLH 50-59 years, male 65.8
GTEX-T5JW-1626-SM-3GADZ 20-29 years, female 65.7
GTEX-1GMRU-0126-SM-9YFLV 50-59 years, male 65.7
GTEX-1AX9J-0226-SM-73KXM 60-69 years, male 65.6
GTEX-1IDJU-2626-SM-CM2RT 60-69 years, female 65.5
GTEX-13112-2826-SM-5DUWH 50-59 years, male 65.4
GTEX-18465-0126-SM-731BN 50-59 years, male 65.3
GTEX-QCQG-1726-SM-3GIJ9 50-59 years, female 65.2
GTEX-14DAQ-0126-SM-5S2MQ 60-69 years, female 65.1
GTEX-14JG1-0426-SM-6ETZZ 40-49 years, male 65.1
GTEX-1GZHY-0326-SM-9QEHI 50-59 years, female 65.1
GTEX-TML8-1926-SM-32QOS 40-49 years, female 65.0
GTEX-183WM-0126-SM-7LTAB 70-79 years, female 64.6
GTEX-12ZZX-0126-SM-5EGK9 40-49 years, female 64.0
GTEX-YB5E-2026-SM-5IFIS 40-49 years, male 63.9
GTEX-1KANA-0726-SM-D3L9I 20-29 years, male 63.9
GTEX-X261-0126-SM-3NMD6 50-59 years, male 63.8
GTEX-1CAV2-2226-SM-7P8P2 40-49 years, female 63.7
GTEX-144GL-0126-SM-5TDE2 50-59 years, male 63.5
GTEX-T8EM-1026-SM-3DB7M 40-49 years, male 63.5
GTEX-1HCUA-2426-SM-ADEIS 50-59 years, female 63.5
GTEX-144FL-0126-SM-5TDC8 50-59 years, male 63.3
GTEX-ZZ64-1726-SM-5GZYB 20-29 years, male 63.3
GTEX-1F5PL-0326-SM-7P8PQ 40-49 years, female 63.3
GTEX-16NGA-1726-SM-731B4 40-49 years, female 63.2
GTEX-W5WG-1826-SM-4KL2Y 50-59 years, female 63.2
GTEX-1OFPY-2426-SM-DTXEJ 60-69 years, male 63.1
GTEX-XYKS-2126-SM-4E3IB 60-69 years, female 62.9
GTEX-1GPI7-0126-SM-9MQL8 20-29 years, male 62.8
GTEX-NFK9-0226-SM-2HMKQ 40-49 years, male 62.7
GTEX-1JMQK-0226-SM-CL543 60-69 years, male 62.7
GTEX-13OW6-0426-SM-5L3HM 50-59 years, male 62.6
GTEX-S32W-2126-SM-2XCB1 50-59 years, female 62.6
GTEX-145ME-1826-SM-5SI9G 40-49 years, female 62.5
GTEX-ZVTK-0426-SM-51MRS 20-29 years, male 62.4
GTEX-1B8KZ-2026-SM-7DHMB 50-59 years, male 62.1
GTEX-ZYFD-0126-SM-5GIDL 50-59 years, male 62.1
GTEX-1IKJJ-0126-SM-CNPQB 60-69 years, male 62.0
GTEX-13D11-2426-SM-5KM1V 50-59 years, female 61.9
GTEX-13S7M-0126-SM-5SI6A 60-69 years, female 61.8
GTEX-1JN6P-0126-SM-D3L98 60-69 years, male 61.8
GTEX-1LB8K-0226-SM-EWRNW 50-59 years, male 61.8
GTEX-13RTK-1426-SM-5QGQJ 20-29 years, male 61.7
GTEX-1F6RS-0126-SM-9MQKZ 60-69 years, female 61.5
GTEX-13NYS-0126-SM-5MR3W 60-69 years, male 61.4
GTEX-18A66-0226-SM-718BD 60-69 years, male 61.4
GTEX-15RIG-0226-SM-7KFTL 40-49 years, male 61.2
GTEX-1212Z-2526-SM-5EGKP 60-69 years, male 60.9
GTEX-131YS-0126-SM-5KM1M 60-69 years, female 60.8
GTEX-13OVL-0226-SM-5L3E9 50-59 years, male 60.8
GTEX-18D9U-0226-SM-718BP 40-49 years, male 60.8
GTEX-ZDTS-0126-SM-4WAY5 60-69 years, male 60.7
GTEX-ZE9C-2726-SM-57WB5 60-69 years, male 60.7
GTEX-1GF9V-0326-SM-7RHI5 60-69 years, male 60.7
GTEX-1AX9I-0126-SM-7SB74 60-69 years, male 60.6
GTEX-1POEN-0126-SM-EYYXJ 30-39 years, female 60.6
GTEX-SNMC-1226-SM-2XCFP 20-29 years, male 60.4
GTEX-12WSC-0126-SM-5EQ4P 50-59 years, male 60.3
GTEX-RWSA-0126-SM-2XCBB 40-49 years, male 60.2
GTEX-1F88F-2726-SM-7PBZZ 60-69 years, female 60.2
GTEX-1LGOU-2026-SM-DIPFF 20-29 years, female 60.2
GTEX-SIU8-0126-SM-2XCDT 50-59 years, male 60.1
GTEX-1KXAM-2226-SM-CYPTC 60-69 years, male 60.1
GTEX-1S82Z-0826-SM-E6CHY 30-39 years, female 60.0
GTEX-1I6K6-0126-SM-A9SLE 30-39 years, male 59.9
GTEX-1JMQL-0226-SM-CNPP5 50-59 years, female 59.9
GTEX-13O3P-0126-SM-5KM4S 50-59 years, male 59.8
GTEX-14BMV-0126-SM-5S2PO 50-59 years, male 59.6
GTEX-Y8E4-0626-SM-4WWDL 40-49 years, male 59.6
GTEX-OIZH-0126-SM-2HMIS 50-59 years, male 59.2
GTEX-1KAFJ-2026-SM-CY8ID 50-59 years, male 59.2
GTEX-12WSL-2526-SM-5GCNJ 50-59 years, male 59.1
GTEX-1R9K4-0126-SM-DTX9X 60-69 years, male 59.1
GTEX-11XUK-2026-SM-5EQLF 40-49 years, female 59.0
GTEX-1B8SG-0126-SM-73KZ3 50-59 years, male 59.0
GTEX-1JMPZ-0226-SM-CNPP1 30-39 years, male 59.0
GTEX-1A3MV-1926-SM-718BT 30-39 years, male 58.9
GTEX-Y114-2426-SM-4TT8A 50-59 years, female 58.9
GTEX-1I1GT-0626-SM-CGQER 60-69 years, female 58.7
GTEX-1RDX4-0126-SM-E9J4P 50-59 years, female 58.7
GTEX-1HBPN-0226-SM-9YFM1 50-59 years, male 58.6
GTEX-1JMPY-1326-SM-ARL8Y 30-39 years, male 58.5
GTEX-XQ3S-1526-SM-4BOOC 20-29 years, male 58.4
GTEX-UJHI-1526-SM-3DB99 50-59 years, female 58.3
GTEX-ZQG8-1626-SM-DHXIT 60-69 years, female 58.3
GTEX-WQUQ-0426-SM-3MJFU 60-69 years, male 58.2
GTEX-14XAO-2326-SM-6EU1B 60-69 years, female 58.1
GTEX-18A7A-0226-SM-718BH 50-59 years, female 58.1
GTEX-1F75A-0126-SM-7RHGM 50-59 years, male 58.1
GTEX-1B996-0226-SM-7RHGO 60-69 years, male 58.0
GTEX-1HCU9-1526-SM-A9SL7 20-29 years, male 57.9
GTEX-ZE7O-0126-SM-57WC1 50-59 years, female 57.7
GTEX-147GR-0526-SM-5S2MY 60-69 years, male 57.5
GTEX-14ABY-0226-SM-5TDCQ 50-59 years, male 57.4
GTEX-Z9EW-1626-SM-5CVMN 40-49 years, male 57.4
GTEX-1GN2E-0426-SM-9MQKX 60-69 years, male 57.3
GTEX-YJ8A-0426-SM-5IFID 20-29 years, male 57.2
GTEX-12584-0126-SM-5EGKQ 40-49 years, male 56.9
GTEX-13SLW-0126-SM-5SI6C 70-79 years, male 56.8
GTEX-O5YT-0126-SM-48TBW 20-29 years, male 56.8
GTEX-XBED-2226-SM-47JYQ 60-69 years, male 56.8
GTEX-14E6D-0126-SM-62LDV 50-59 years, male 56.7
GTEX-1H11D-0226-SM-9WG6Z 40-49 years, male 56.7
GTEX-XPVG-2626-SM-4B669 50-59 years, male 56.6
GTEX-1F6IF-0726-SM-7P8TW 60-69 years, male 56.6
GTEX-PWCY-1826-SM-DHXIZ 20-29 years, female 56.6
GTEX-U3ZH-2026-SM-3DB78 30-39 years, male 56.5
GTEX-1M5QR-1226-SM-EWROB 40-49 years, male 56.5
GTEX-13113-5016-SM-7EPIP 60-69 years, female 56.4
GTEX-145MN-2226-SM-5SIAU 30-39 years, male 56.4
GTEX-1AX8Z-0126-SM-7DHM6 60-69 years, male 56.4
GTEX-1QAET-0926-SM-E76QM 50-59 years, male 56.4
GTEX-OXRN-0126-SM-48TDM 50-59 years, male 56.3
GTEX-S7PM-0126-SM-4AD6S 60-69 years, male 56.2
GTEX-139TS-2826-SM-5J1OO 60-69 years, male 56.0
GTEX-1AMFI-2026-SM-731BH 50-59 years, female 56.0
GTEX-1IDJF-0126-SM-CM2RS 20-29 years, male 56.0
GTEX-1LBAC-0126-SM-DIPEZ 20-29 years, male 56.0
GTEX-1QCLY-0326-SM-E8VOG 30-39 years, male 55.9
GTEX-1HR98-0126-SM-B2LWI 60-69 years, male 55.8
GTEX-1ICLZ-0126-SM-CKZPO 60-69 years, male 55.6
GTEX-UPJH-0326-SM-3GADU 50-59 years, male 55.4
GTEX-1S82Y-2026-SM-EVYCM 40-49 years, male 55.4
GTEX-1E1VI-0126-SM-7DHMZ 50-59 years, male 55.3
GTEX-RWS6-2026-SM-2XCB5 60-69 years, female 55.3
GTEX-14PN3-2426-SM-6LLHS 60-69 years, female 55.1
GTEX-1F75B-0126-SM-9KNVL 50-59 years, male 55.1
GTEX-1RAZA-0126-SM-E6CI3 20-29 years, male 55.0
GTEX-113JC-2326-SM-5EQ4E 50-59 years, female 54.8
GTEX-183FY-0126-SM-7LT9P 20-29 years, male 54.8
GTEX-1A3MX-0126-SM-731BR 60-69 years, male 54.8
GTEX-1LGRB-2526-SM-CNPPQ 50-59 years, female 54.8
GTEX-13OVK-2026-SM-7KUEO 40-49 years, male 54.6
GTEX-1GMR3-1926-SM-9KNUZ 40-49 years, male 54.6
GTEX-14ICK-0226-SM-6EU25 40-49 years, male 54.4
GTEX-ZWKS-0126-SM-5SIAA 30-39 years, male 54.4
GTEX-13SLX-0526-SM-5S2ON 50-59 years, female 54.3
GTEX-1GMR8-0126-SM-9WYTM 50-59 years, female 54.2
GTEX-15SHU-0126-SM-7KUEH 40-49 years, female 53.9
GTEX-1F6I4-0126-SM-9MQL2 60-69 years, male 53.8
GTEX-1KWVE-1426-SM-E9TJO 30-39 years, male 53.8
GTEX-1O97I-0326-SM-EYYX7 60-69 years, male 53.8
GTEX-12KS4-0326-SM-5EQ41 30-39 years, male 53.6
GTEX-QDVJ-1726-SM-2I5FX 50-59 years, male 53.6
GTEX-WRHK-1426-SM-3MJF9 20-29 years, female 53.5
GTEX-1PFEY-1526-SM-E76PP 30-39 years, male 53.5
GTEX-1313W-0126-SM-5LZUN 50-59 years, female 53.3
GTEX-1RQEC-0426-SM-E6CHU 60-69 years, male 53.3
GTEX-131XE-2326-SM-5PNZ2 50-59 years, male 53.2
GTEX-SUCS-1926-SM-32PM3 70-79 years, male 53.2
GTEX-1I1CD-0126-SM-CM2TK 60-69 years, female 53.2
GTEX-14JG6-2226-SM-6EU2G 30-39 years, female 53.0
GTEX-1B8KE-2126-SM-73KYX 50-59 years, male 52.9
GTEX-OOBJ-0126-SM-E6CJW 60-69 years, male 52.9
GTEX-OIZG-0726-SM-33HBL 50-59 years, male 52.8
GTEX-U8XE-0326-SM-3DB8P 30-39 years, male 52.8
GTEX-1HFI7-1826-SM-ACKXH 50-59 years, female 52.8
GTEX-S33H-1026-SM-EZ6L6 30-39 years, male 52.7
GTEX-1JKYR-0126-SM-CNPOJ 20-29 years, male 52.5
GTEX-1MA7X-2226-SM-E6CIY 60-69 years, male 52.5
GTEX-Q2AH-1626-SM-3GAF8 40-49 years, male 52.4
GTEX-13OW5-0126-SM-DTXFS 60-69 years, male 52.4
GTEX-11EI6-0126-SM-5985R 60-69 years, male 52.3
GTEX-SSA3-0126-SM-32QPU 60-69 years, male 52.2
GTEX-1GF9X-2026-SM-7PC3A 40-49 years, female 52.2
GTEX-13VXU-0126-SM-5SI9F 50-59 years, male 52.1
GTEX-12696-2426-SM-5EQ6H 60-69 years, male 52.0
GTEX-P44H-0226-SM-2XCEU 40-49 years, male 52.0
GTEX-ZYFC-0226-SM-5NQ75 50-59 years, male 52.0
GTEX-OIZF-0126-SM-7SB8I 60-69 years, male 51.9
GTEX-RNOR-0126-SM-E9J4R 50-59 years, female 51.8
GTEX-11TT1-2526-SM-5EGIB 20-29 years, male 51.7
GTEX-1HSMQ-1226-SM-CGQFX 50-59 years, male 51.7
GTEX-1HT8W-0126-SM-CNPPP 30-39 years, male 51.7
GTEX-1J8EW-0126-SM-CJI4F 60-69 years, female 51.7
GTEX-1JN76-0126-SM-CNPPE 20-29 years, female 51.6
GTEX-1211K-2026-SM-5EQ4Z 60-69 years, female 51.5
GTEX-13X6H-2126-SM-7EWD5 50-59 years, female 51.3
GTEX-1H3O1-0426-SM-9YFKY 60-69 years, male 51.3
GTEX-11WQC-2526-SM-5CVLE 60-69 years, male 51.2
GTEX-11O72-0126-SM-59887 40-49 years, male 51.0
GTEX-12ZZZ-0626-SM-5DUXI 60-69 years, male 51.0
GTEX-1EU9M-0226-SM-7P8SP 60-69 years, male 51.0
GTEX-15DYW-0126-SM-7KULE 60-69 years, female 50.9
GTEX-1K2DU-2326-SM-E9TIV 20-29 years, male 50.7
GTEX-1KANB-0526-SM-E6CJH 50-59 years, male 50.7
GTEX-11DXW-0226-SM-5H122 40-49 years, male 50.6
GTEX-16NPX-0226-SM-79OMT 50-59 years, male 50.6
GTEX-OOBK-0126-SM-2YUND 40-49 years, male 50.4
GTEX-T5JC-0426-SM-32PLO 20-29 years, male 50.4
GTEX-11ZTS-0126-SM-5EQ6M 60-69 years, female 50.2
GTEX-S95S-1226-SM-4GICG 60-69 years, male 50.2
GTEX-131XW-0426-SM-5LZWP 50-59 years, female 50.1
GTEX-13U4I-0126-SM-5LU38 40-49 years, female 50.1
GTEX-13VXT-0126-SM-5LU4I 20-29 years, female 50.1
GTEX-1IY9M-0126-SM-D3L8S 60-69 years, male 50.1
GTEX-145LV-2126-SM-5LU8N 50-59 years, male 50.0
GTEX-1GF9W-0326-SM-9KNUN 60-69 years, male 50.0
GTEX-132NY-0326-SM-5IJBL 60-69 years, male 49.9
GTEX-1CB4J-0626-SM-7DHMP 60-69 years, male 49.9
GTEX-XUZC-1726-SM-4BRWS 30-39 years, female 49.9
GTEX-1IKOH-0226-SM-COH4E 60-69 years, female 49.9
GTEX-16BQI-0226-SM-7KUEX 30-39 years, female 49.8
GTEX-1MUQO-0126-SM-EAZ58 60-69 years, male 49.8
GTEX-ZXES-1826-SM-5E43S 30-39 years, female 49.7
GTEX-1CAMS-0426-SM-7P8T2 40-49 years, female 49.5
GTEX-1497J-2426-SM-7IGNX 60-69 years, male 49.4
GTEX-1122O-2126-SM-5EGIR 60-69 years, female 49.2
GTEX-145MI-0526-SM-5O9A8 60-69 years, female 49.2
GTEX-Z93T-0126-SM-5HL5N 50-59 years, male 49.2
GTEX-ZXG5-0126-SM-5GIEU 60-69 years, male 49.2
GTEX-11EQ9-2426-SM-5HL5T 30-39 years, male 49.1
GTEX-13NZB-2526-SM-5J1OM 30-39 years, male 49.1
GTEX-OHPL-0126-SM-2HMJ7 60-69 years, female 49.1
GTEX-1KD5A-0226-SM-D5OV3 50-59 years, male 49.0
GTEX-17HHY-0126-SM-7LG5D 50-59 years, male 48.8
GTEX-QEG4-0226-SM-2S1PY 30-39 years, male 48.8
GTEX-1QPFJ-0226-SM-E76PB 30-39 years, female 48.8
GTEX-13OVI-1426-SM-5L3EY 60-69 years, female 48.7
GTEX-14E7W-0126-SM-6LLJ9 70-79 years, male 48.7
GTEX-1J1R8-1726-SM-ARL8M 40-49 years, male 48.7
GTEX-1K9T9-0126-SM-EVYCF 50-59 years, female 48.7
GTEX-11GS4-2726-SM-5A5LE 60-69 years, male 48.6
GTEX-139TU-0126-SM-5K7WH 60-69 years, male 48.6
GTEX-ZC5H-0226-SM-4WAY9 40-49 years, female 48.6
GTEX-1S3DN-2226-SM-EVYCD 50-59 years, male 48.5
GTEX-ZPIC-1726-SM-DHXIU 40-49 years, female 48.4
GTEX-11UD2-0226-SM-5EQKY 50-59 years, male 48.2
GTEX-147F3-0526-SM-5SI98 50-59 years, female 48.2
GTEX-1CAMQ-0226-SM-7IGPK 40-49 years, male 48.2
GTEX-1J1OQ-0226-SM-CYPSH 40-49 years, female 48.2
GTEX-YFC4-0126-SM-5CVLY 40-49 years, female 48.1
GTEX-Z93S-0126-SM-5HL7M 50-59 years, male 48.0
GTEX-12126-0326-SM-5PNW3 20-29 years, male 47.9
GTEX-13JUV-2726-SM-5LZZ8 40-49 years, female 47.8
GTEX-17HHE-2026-SM-79OKF 50-59 years, male 47.6
GTEX-117XS-2726-SM-5N9BL 60-69 years, male 47.5
GTEX-12WSN-5019-SM-79OM6 40-49 years, male 47.5
GTEX-1M4P7-0226-SM-DIPEV 60-69 years, male 47.5
GTEX-1EKGG-0226-SM-9WYTH 60-69 years, male 47.4
GTEX-1IL2V-0126-SM-CM2TX 70-79 years, male 47.4
GTEX-1IKK5-0626-SM-ARL8A 60-69 years, male 46.9
GTEX-1GN73-0226-SM-9WG67 60-69 years, male 46.8
GTEX-OXRP-0126-SM-3NB32 60-69 years, female 46.7
GTEX-ZYFG-2326-SM-5E44B 60-69 years, female 46.7
GTEX-1HCU8-0626-SM-A9SM9 60-69 years, female 46.7
GTEX-14PN4-0126-SM-6EU2V 50-59 years, male 46.6
GTEX-1RB15-2126-SM-E9TIM 60-69 years, male 46.5
GTEX-ZTSS-1926-SM-57WEW 40-49 years, male 46.4
GTEX-13CF3-2426-SM-5IFGX 60-69 years, female 46.3
GTEX-ZDTT-2726-SM-4WKF8 60-69 years, male 46.3
GTEX-QLQ7-1626-SM-2S1R8 60-69 years, male 46.2
GTEX-13FTX-1826-SM-5J1NX 20-29 years, female 46.1
GTEX-14A5H-0426-SM-5QGQF 60-69 years, male 46.0
GTEX-13FH7-2026-SM-E9J4I 50-59 years, female 45.8
GTEX-14LZ3-0226-SM-62LET 60-69 years, female 45.7
GTEX-R3RS-0126-SM-3GIJL 40-49 years, female 45.7
GTEX-ZF29-2326-SM-DO92K 60-69 years, female 45.6
GTEX-18QFQ-0126-SM-731BE 30-39 years, male 45.5
GTEX-17MFQ-1726-SM-793C7 20-29 years, male 45.4
GTEX-13X6I-0626-SM-5QGP9 60-69 years, male 45.3
GTEX-XMD2-0126-SM-4YCDU 60-69 years, female 45.3
GTEX-1IGQW-0126-SM-COH42 60-69 years, male 45.3
GTEX-W5X1-3026-SM-EAZAX 40-49 years, female 45.2
GTEX-XAJ8-0826-SM-47JY6 40-49 years, male 45.1
GTEX-1HGF4-2426-SM-ACKXM 60-69 years, male 45.1
GTEX-139TT-0126-SM-5K7Y5 60-69 years, male 45.0
GTEX-1QEPI-0126-SM-EWRMQ 60-69 years, female 45.0
GTEX-11LCK-1026-SM-5A5KB 30-39 years, male 44.9
GTEX-1269C-2526-SM-5EGJ3 60-69 years, female 44.9
GTEX-146FH-0126-SM-5QGPP 50-59 years, female 44.9
GTEX-14PJ3-1826-SM-62LEX 50-59 years, male 44.9
GTEX-1H2FU-0126-SM-9WYSI 60-69 years, female 44.8
GTEX-ZTPG-0326-SM-5O9AX 20-29 years, female 44.7
GTEX-1E2YA-0126-SM-9KNUC 50-59 years, male 44.7
GTEX-P4PP-0126-SM-3LK69 30-39 years, female 44.6
GTEX-1PPH7-2326-SM-EVYB8 40-49 years, male 44.6
GTEX-14A5I-0126-SM-5TDEA 50-59 years, female 44.5
GTEX-RU72-0926-SM-2TF6B 50-59 years, female 44.5
GTEX-T2IS-0126-SM-4DM6O 20-29 years, female 44.5
GTEX-ZVT2-2526-SM-51MT1 50-59 years, female 44.4
GTEX-145MO-0326-SM-5Q5B3 60-69 years, male 44.3
GTEX-1A8FM-0226-SM-7SB7Q 50-59 years, female 44.3
GTEX-1192W-2626-SM-5Q5AF 60-69 years, male 44.2
GTEX-15UKP-0426-SM-7KUFQ 20-29 years, male 44.1
GTEX-18D9B-0526-SM-7LTAS 60-69 years, male 44.0
GTEX-1EX96-1626-SM-7PBXR 50-59 years, male 44.0
GTEX-15DDE-0126-SM-6LPKH 50-59 years, female 43.9
GTEX-145LS-0126-SM-5QGP1 60-69 years, female 43.8
GTEX-ZQUD-1426-SM-57WER 30-39 years, male 43.8
GTEX-ZU9S-0226-SM-5E441 30-39 years, male 43.7
GTEX-11DZ1-0126-SM-5985Q 50-59 years, male 43.6
GTEX-WH7G-2326-SM-3NMBC 40-49 years, male 43.6
GTEX-11ZVC-2526-SM-5FQTE 50-59 years, female 43.5
GTEX-1CAMR-1926-SM-7EPI2 20-29 years, male 43.3
GTEX-Q2AG-0126-SM-33HBV 40-49 years, female 43.2
GTEX-1C2JI-1826-SM-73KXC 50-59 years, male 43.1
GTEX-PWO3-1526-SM-48TCM 60-69 years, female 43.1
GTEX-ZVT4-0126-SM-DTXFN 50-59 years, female 43.1
GTEX-X4EO-0326-SM-3P5YO 60-69 years, female 43.0
GTEX-14C5O-0126-SM-5SI6N 60-69 years, male 42.9
GTEX-ZVZP-2426-SM-59HKJ 50-59 years, male 42.9
GTEX-U8T8-0126-SM-3DB94 60-69 years, male 42.8
GTEX-1128S-2326-SM-5GZZY 60-69 years, female 42.7
GTEX-14PJ6-2126-SM-6EU1V 60-69 years, female 42.7
GTEX-17HGU-0226-SM-7DHKV 50-59 years, male 42.7
GTEX-OHPM-0126-SM-2YUN9 50-59 years, male 42.7
GTEX-1MCQQ-0826-SM-DLHC2 60-69 years, male 42.7
GTEX-11ZU8-2526-SM-5EQKI 60-69 years, male 42.6
GTEX-14DAR-2026-SM-5S2O3 50-59 years, male 42.6
GTEX-WYVS-2126-SM-3NMA3 40-49 years, female 42.6
GTEX-13O21-1426-SM-5K7XI 50-59 years, male 42.5
GTEX-1GZ2Q-0226-SM-7P8TL 40-49 years, male 42.5
GTEX-1N2EF-0226-SM-EYYXB 60-69 years, male 42.5
GTEX-117YW-2626-SM-5GZZH 50-59 years, male 42.4
GTEX-1F7RK-0126-SM-7PC2S 20-29 years, female 42.4
GTEX-16XZY-2126-SM-79OK1 70-79 years, male 42.3
GTEX-1H3VY-0126-SM-ACKXD 50-59 years, male 42.3
GTEX-117YX-2326-SM-5H12W 50-59 years, male 42.1
GTEX-Q2AI-1326-SM-2S1PL 40-49 years, male 42.1
GTEX-1JK1U-2026-SM-CM2RZ 60-69 years, male 42.1
GTEX-V1D1-2226-SM-3NMAX 50-59 years, male 42.0
GTEX-QVJO-1626-SM-2S1QW 60-69 years, female 41.8
GTEX-1I1GU-2226-SM-CGQFA 40-49 years, male 41.7
GTEX-11VI4-1726-SM-5CVLH 40-49 years, female 41.6
GTEX-15CHC-2126-SM-6EU21 60-69 years, female 41.5
GTEX-15DCD-0126-SM-7KUEK 70-79 years, female 41.5
GTEX-WI4N-1026-SM-3LK7N 40-49 years, female 41.5
GTEX-1ICG6-2526-SM-CGQFZ 70-79 years, female 41.5
GTEX-VUSG-2526-SM-4KL1V 50-59 years, male 41.4
GTEX-ZVT3-0126-SM-5GU6I 60-69 years, female 41.4
GTEX-1HCU6-0126-SM-CL54K 60-69 years, female 41.4
GTEX-139T8-0126-SM-5K7XZ 60-69 years, male 41.3
GTEX-11NUK-0126-SM-5A5L3 50-59 years, male 41.2
GTEX-QLQW-1126-SM-2S1Q8 30-39 years, male 41.1
GTEX-1MGNQ-0126-SM-EVYCJ 40-49 years, male 41.1
GTEX-16YQH-0126-SM-7DUFJ 30-39 years, male 40.9
GTEX-131XF-5016-SM-7MGWE 60-69 years, male 40.9
GTEX-11DXY-2626-SM-5GIE7 60-69 years, male 40.8
GTEX-1GN1W-0526-SM-9MQJQ 50-59 years, female 40.7
GTEX-1H1DG-0126-SM-9WYU2 70-79 years, male 40.6
GTEX-1N2DV-0226-SM-E6CJ6 40-49 years, male 40.6
GTEX-11OC5-0126-SM-5HL6A 60-69 years, male 40.4
GTEX-1314G-1526-SM-5EGK2 30-39 years, male 40.3
GTEX-1399U-2326-SM-5K7WY 50-59 years, female 40.2
GTEX-1GPI6-0126-SM-9WG69 60-69 years, male 40.2
GTEX-1H3NZ-0126-SM-ACKX7 60-69 years, male 40.2
GTEX-15SDE-2226-SM-7IGLO 50-59 years, female 40.1
GTEX-1AYD5-2426-SM-73KXR 50-59 years, male 40.1
GTEX-14753-0426-SM-5NQAM 60-69 years, male 39.7
GTEX-1PWST-0226-SM-E76QJ 70-79 years, male 39.6
GTEX-RVPV-0126-SM-EAZAW 60-69 years, male 39.6
GTEX-11EM3-2426-SM-59861 20-29 years, female 39.3
GTEX-133LE-1826-SM-5J1MV 20-29 years, female 39.3
GTEX-XUW1-0426-SM-4BOOT 50-59 years, female 39.3
GTEX-12WSD-0126-SM-59HKN 60-69 years, female 39.2
GTEX-1QP66-1726-SM-E8VO1 50-59 years, male 39.2
GTEX-11P7K-2126-SM-5GU7G 30-39 years, male 39.1
GTEX-1QP2A-0126-SM-E9J43 50-59 years, male 39.1
GTEX-15UF6-0826-SM-6PALJ 70-79 years, female 39.0
GTEX-RM2N-1426-SM-2TF4H 50-59 years, male 39.0
GTEX-YEC4-2126-SM-5IFJH 40-49 years, male 39.0
GTEX-15SB6-1726-SM-6PAME 50-59 years, female 38.9
GTEX-1192X-0226-SM-5H12D 50-59 years, male 38.8
GTEX-148VJ-0126-SM-5TDDN 70-79 years, male 38.8
GTEX-PW2O-1526-SM-7RHHB 20-29 years, male 38.8
GTEX-11ZTT-2426-SM-5EQLS 60-69 years, female 38.7
GTEX-13QJ3-0326-SM-5S2RA 50-59 years, male 38.7
GTEX-148VI-1626-SM-5SI6E 60-69 years, female 38.7
GTEX-1J8Q2-0526-SM-CM2RW 60-69 years, male 38.7
GTEX-1LC47-0326-SM-E9TJP 60-69 years, male 38.7
GTEX-17MF6-0126-SM-7LG4F 40-49 years, male 38.6
GTEX-1AX9K-2326-SM-73KWU 50-59 years, male 38.5
GTEX-1ICLY-0126-SM-D4P36 50-59 years, male 38.4
GTEX-14A6H-0126-SM-5QGPK 30-39 years, male 38.3
GTEX-QV44-1926-SM-2S1RF 50-59 years, male 38.3
GTEX-12WSJ-1826-SM-5GCNY 40-49 years, female 38.2
GTEX-1C64O-0126-SM-7SB8P 60-69 years, male 38.2
GTEX-13NZ8-0826-SM-5MR3I 60-69 years, female 38.1
GTEX-1AMEY-1326-SM-73KYK 30-39 years, female 38.1
GTEX-PLZ5-2026-SM-2S1O4 50-59 years, male 38.1
GTEX-X4XY-0226-SM-4E3IZ 60-69 years, male 38.1
GTEX-12C56-1726-SM-5EQ61 20-29 years, male 38.0
GTEX-13N11-2526-SM-5K7UE 50-59 years, female 38.0
GTEX-13RTJ-2426-SM-5S2Q2 60-69 years, male 37.9
GTEX-13W46-0226-SM-5SIAG 50-59 years, male 37.9
GTEX-WZTO-0126-SM-3NM95 40-49 years, male 37.9
GTEX-1R46S-0626-SM-E9J41 60-69 years, female 37.9
GTEX-145LT-1726-SM-5QGP3 40-49 years, male 37.8
GTEX-U412-0426-SM-3DB9O 60-69 years, male 37.8
GTEX-1LG7Y-0526-SM-DKPQC 50-59 years, male 37.7
GTEX-13N1W-0126-SM-5K7VT 70-79 years, male 37.3
GTEX-Y5LM-1926-SM-5RQJH 40-49 years, female 37.2
GTEX-1GF9U-2126-SM-7SB7L 40-49 years, female 37.2
GTEX-ZVE2-0226-SM-59HJB 50-59 years, male 37.1
GTEX-1EN7A-0126-SM-7SB81 40-49 years, male 37.1
GTEX-OXRK-0226-SM-3NB2G 50-59 years, female 37.0
GTEX-1NHNU-1026-SM-E9J2A 50-59 years, male 37.0
GTEX-VJWN-0126-SM-3GIK7 50-59 years, female 36.9
GTEX-1I1GP-2226-SM-CGQFK 50-59 years, male 36.9
GTEX-13OW8-1326-SM-5J1OW 60-69 years, male 36.8
GTEX-14BIM-0226-SM-7IGLD 60-69 years, female 36.8
GTEX-1JJE9-0326-SM-CL53Z 70-79 years, male 36.8
GTEX-18A67-0126-SM-7LG5P 50-59 years, male 36.7
GTEX-1H1DE-2126-SM-9WG6R 20-29 years, male 36.7
GTEX-ZAJG-0126-SM-5HL94 50-59 years, female 36.6
GTEX-12WSG-2826-SM-E9J4H 50-59 years, female 36.5
GTEX-1R7EV-2426-SM-EVYBG 40-49 years, male 36.5
GTEX-15SHW-0326-SM-6PAML 60-69 years, male 36.4
GTEX-ZAB5-1826-SM-5HL7C 50-59 years, male 36.4
GTEX-1CB4H-0226-SM-7PBXM 60-69 years, female 36.4
GTEX-TSE9-0126-SM-3DB83 60-69 years, female 36.2
GTEX-14PHW-0126-SM-6LLJI 60-69 years, female 36.0
GTEX-146FQ-0126-SM-5NQA9 30-39 years, male 35.8
GTEX-11GSP-2526-SM-5N9BP 60-69 years, female 35.7
GTEX-11UD1-0126-SM-5PNYG 40-49 years, female 35.7
GTEX-111VG-2426-SM-5GZXD 60-69 years, male 35.5
GTEX-1A3MW-0126-SM-73KXX 60-69 years, female 35.4
GTEX-Y3I4-2126-SM-4TT7C 50-59 years, male 35.4
GTEX-WY7C-2326-SM-3NB2U 50-59 years, male 35.2
GTEX-1IE54-0126-SM-CMKHW 40-49 years, female 35.1
GTEX-12WSA-0226-SM-5BC5V 60-69 years, male 34.9
GTEX-TMZS-0126-SM-3DB9Q 60-69 years, male 34.8
GTEX-1B933-0126-SM-7PC29 50-59 years, female 34.8
GTEX-1GTWX-0126-SM-9YFLK 60-69 years, male 34.8
GTEX-11GSO-2426-SM-5A5LY 60-69 years, male 34.6
GTEX-13IVO-0126-SM-5J1NG 70-79 years, male 34.5
GTEX-WVJS-0126-SM-4MVOT 50-59 years, male 34.4
GTEX-X638-0126-SM-47JZ8 70-79 years, female 34.4
GTEX-RN64-0126-SM-2TC68 50-59 years, male 34.3
GTEX-T6MO-1626-SM-32QOM 40-49 years, female 34.3
GTEX-1H23P-0126-SM-ADEJ3 60-69 years, male 34.3
GTEX-1C6WA-0126-SM-7PC2B 60-69 years, male 34.2
GTEX-1F48J-0126-SM-7P8TT 50-59 years, female 34.2
GTEX-144GN-2326-SM-5LU4F 50-59 years, male 33.9
GTEX-11NSD-2226-SM-5986V 20-29 years, male 33.7
GTEX-13FHO-0226-SM-5IFGY 60-69 years, male 33.7
GTEX-TMMY-0226-SM-33HBA 40-49 years, female 33.6
GTEX-1C6VQ-0126-SM-7P8RI 50-59 years, male 33.5
GTEX-1J8Q3-1626-SM-CMKGC 60-69 years, male 33.5
GTEX-13O3Q-2426-SM-5IJBR 50-59 years, male 33.3
GTEX-1HBPM-0226-SM-ARL9F 60-69 years, female 33.2
GTEX-XXEK-2226-SM-4BRUM 50-59 years, male 33.1
GTEX-1JKYN-1326-SM-CGQG9 30-39 years, male 33.0
GTEX-13W3W-2426-SM-5LU5B 60-69 years, female 32.8
GTEX-X585-0226-SM-4QAS2 50-59 years, male 32.8
GTEX-11DXX-2426-SM-5GZZW 60-69 years, female 32.7
GTEX-14BMU-2226-SM-5TDE9 20-29 years, female 32.7
GTEX-11P82-1626-SM-59879 20-29 years, male 32.6
GTEX-XQ8I-0426-SM-4BOPO 50-59 years, male 32.5
GTEX-X8HC-0126-SM-4E3JW 50-59 years, female 32.3
GTEX-17EVQ-0226-SM-7LG4P 70-79 years, male 32.0
GTEX-1A32A-0126-SM-718B1 50-59 years, female 32.0
GTEX-13OW7-0126-SM-5MR3B 50-59 years, male 31.9
GTEX-R55E-0126-SM-2TC5Y 20-29 years, male 31.9
GTEX-X4XX-0126-SM-3NMC2 60-69 years, male 31.9
GTEX-1H1E6-1726-SM-ACKVK 30-39 years, male 31.7
GTEX-X5EB-2226-SM-46MW4 40-49 years, male 31.6
GTEX-1I19N-0326-SM-ACKVX 70-79 years, male 31.6
GTEX-13PDP-0126-SM-5L3HD 60-69 years, male 31.3
GTEX-11H98-0126-SM-5EGHG 50-59 years, male 31.1
GTEX-16XZZ-0126-SM-793DV 60-69 years, male 31.1
GTEX-U3ZN-2326-SM-3DB7W 30-39 years, female 30.8
GTEX-1HCVE-0126-SM-CGQEU 50-59 years, male 30.7
GTEX-1I1GS-0126-SM-B2LVW 60-69 years, male 30.7
GTEX-1MCYP-1926-SM-E9J2R 20-29 years, female 30.7
GTEX-13NZA-0226-SM-5K7Z7 60-69 years, male 30.6
GTEX-1HSMP-0126-SM-E6CJS 70-79 years, male 30.4
GTEX-15D1Q-0126-SM-7KUG6 40-49 years, male 30.2
GTEX-1R9PO-2126-SM-E9J4O 60-69 years, female 30.2
GTEX-18A7B-0126-SM-7LG64 70-79 years, male 29.4
GTEX-X4EP-0126-SM-3P5YV 60-69 years, female 29.3
GTEX-1LH75-2426-SM-E9TJE 50-59 years, female 29.3
GTEX-17F97-0326-SM-7LG5B 50-59 years, male 28.8
GTEX-ZUA1-0126-SM-5GU76 40-49 years, male 28.8
GTEX-169BO-1326-SM-9MQK2 50-59 years, male 28.8
GTEX-16MT8-0426-SM-7KUEY 60-69 years, female 28.7
GTEX-13O1R-0126-SM-5L3EH 60-69 years, male 28.5
GTEX-13RTL-0126-SM-7LG5S 40-49 years, male 28.4
GTEX-147F4-0226-SM-5QGPW 50-59 years, male 28.4
GTEX-14LLW-0126-SM-6LLIO 70-79 years, female 28.4
GTEX-1HSEH-0126-SM-ACKXN 60-69 years, male 28.2
GTEX-1IDFM-0126-SM-COH2V 60-69 years, male 28.2
GTEX-1JN1M-0326-SM-CYPT3 60-69 years, female 28.0
GTEX-13O3O-0126-SM-E9J49 60-69 years, female 27.8
GTEX-1PBJI-0526-SM-E8VNK 20-29 years, female 27.7
GTEX-1HUB1-0426-SM-E9U4U 60-69 years, male 27.6
GTEX-13FTY-0526-SM-5L3EV 40-49 years, female 27.4
GTEX-QDVN-2026-SM-3GAEP 50-59 years, male 27.3
GTEX-R55G-2526-SM-2TC6D 40-49 years, female 27.3
GTEX-17HII-0226-SM-7LG4E 50-59 years, male 27.0
GTEX-Y8LW-1826-SM-5S2MV 50-59 years, female 26.8
GTEX-1F75I-0326-SM-9YFLU 40-49 years, male 26.2
GTEX-13OVG-1926-SM-5L3DK 60-69 years, male 25.3
GTEX-14E6C-0126-SM-5RQIP 40-49 years, male 25.0
GTEX-O5YW-0126-SM-3LK6D 50-59 years, male 25.0
GTEX-1HKZK-0326-SM-9WYUH 40-49 years, male 24.9
GTEX-XV7Q-2526-SM-4BRV9 40-49 years, female 24.8
GTEX-1QP29-0626-SM-EWRMX 50-59 years, male 24.6
GTEX-1I1HK-0126-SM-COH49 60-69 years, male 24.3
GTEX-ZEX8-2426-SM-4WKG4 50-59 years, male 23.6
GTEX-1GN1V-0126-SM-9WPOS 60-69 years, male 23.3
GTEX-ZYY3-0126-SM-5GZY5 60-69 years, female 23.1
GTEX-13OVJ-0126-SM-5KM36 50-59 years, female 23.0
GTEX-131XG-2626-SM-5KM17 50-59 years, female 22.9
GTEX-ZDXO-3026-SM-5J1N5 60-69 years, male 22.7
GTEX-SN8G-0126-SM-32PLI 50-59 years, female 22.3
GTEX-1H1ZS-0426-SM-9WG6G 70-79 years, male 21.8
GTEX-1AYCT-2426-SM-7IGQ3 50-59 years, male 21.4
GTEX-1RLM8-2326-SM-EWRN4 50-59 years, male 21.4
GTEX-P4PQ-0126-SM-2S1NM 60-69 years, male 21.2
GTEX-RUSQ-1526-SM-2TF62 50-59 years, male 21.1
GTEX-11ZUS-0626-SM-59885 30-39 years, male 21.0
GTEX-NPJ8-0126-SM-2YUNR 40-49 years, male 21.0
GTEX-PLZ4-0126-SM-5SI8O 50-59 years, female 20.5
GTEX-Y5V6-2426-SM-4VDSB 60-69 years, male 20.5
GTEX-U3ZM-1526-SM-3DB9D 40-49 years, male 20.2
GTEX-OXRO-0126-SM-2YUN4 60-69 years, female 19.8
GTEX-RTLS-0126-SM-447CA 60-69 years, female 19.7
GTEX-14BIL-0126-SM-5SI92 50-59 years, male 19.4
GTEX-1LNCM-1126-SM-E9U5E 50-59 years, female 18.8
GTEX-11EMC-2926-SM-5EQ4F 60-69 years, female 18.7
GTEX-15EOM-0126-SM-7KUGG 20-29 years, female 18.1
GTEX-R45C-0126-SM-EAZ2R 60-69 years, female 17.9
GTEX-113IC-0126-SM-5HL6T 60-69 years, male 17.5
GTEX-1C6VS-0526-SM-7DUEN 60-69 years, male 17.5
GTEX-1QW4Y-1526-SM-EAZ3Z 30-39 years, male 17.4
GTEX-14PK6-1926-SM-6ETZU 70-79 years, female 17.3
GTEX-Q734-1926-SM-2I5EV 40-49 years, female 17.2
GTEX-14JIY-0126-SM-6LLH6 60-69 years, male 16.8
GTEX-X62O-0126-SM-4E3JN 50-59 years, male 16.7
GTEX-1JMOU-1526-SM-CL54I 60-69 years, female 16.7
GTEX-QDT8-0126-SM-48TZ1 30-39 years, female 16.1
GTEX-WOFL-0126-SM-3MJG2 60-69 years, male 16.1
GTEX-ZAB4-0226-SM-5N9F5 40-49 years, male 16.0
GTEX-11TTK-0126-SM-5987B 60-69 years, female 15.6
GTEX-OXRL-0126-SM-2YUMP 50-59 years, male 14.1
GTEX-ZZPT-0226-SM-5E43X 50-59 years, male 13.8
GTEX-1HSMO-0126-SM-CL547 60-69 years, male 13.7
GTEX-ZYW4-0126-SM-5E44A 60-69 years, male 13.5
GTEX-1OJC4-0126-SM-E9J2E 50-59 years, female 13.2
GTEX-139T4-0226-SM-5HL5S 50-59 years, female 12.6
GTEX-ZF28-0126-SM-4WKGK 60-69 years, male 12.2
GTEX-146FR-1326-SM-E9J48 60-69 years, female 10.9
GTEX-1HBPH-0426-SM-B2LW5 40-49 years, female 10.4
GTEX-1QP67-1626-SM-EAZ3X 40-49 years, female 9.6
GTEX-U4B1-1826-SM-4DXSU 40-49 years, male 9.5
GTEX-SE5C-1626-SM-2XCE3 40-49 years, female 6.7
GTEX-1RAZQ-0726-SM-EAZ43 30-39 years, male 5.1
Show allShow less

Contact

  • NEWS ARTICLES
  • PRESS ROOM

The Project

  • INTRODUCTION
  • ORGANIZATION
  • PUBLICATIONS

The Human Protein Atlas

  • DOWNLOADABLE DATA
  • LICENCE & CITATION
  • HELP & FAQ
The Human Protein Atlas project is funded
by the Knut & Alice Wallenberg Foundation.


contact@proteinatlas.org