We use cookies to enhance the usability of our website. If you continue, we'll assume that you are happy to receive all cookies. More information. Don't show this again.
PARP3
HPA
RESOURCES
  • TISSUE
  • BRAIN
  • SINGLE CELL
  • SUBCELLULAR
  • CANCER
  • BLOOD
  • CELL LINE
  • STRUCTURE & INTERACTION
ABOUT
  • INTRODUCTION
  • HISTORY
  • ORGANIZATION
  • PUBLICATIONS
  • ANTIBODY SUBMISSION
  • ANTIBODY AVAILABILITY
  • ACKNOWLEDGMENTS
  • CONTACT
NEWS
  • NEWS ARTICLES
  • PRESS ROOM
LEARN
  • DICTIONARY
  • PROTEIN CLASSES
  • PROTEIN EVIDENCE
  • METHODS
  • EDUCATIONAL VIDEOS
DATA
  • DOWNLOADABLE DATA
  • PUBLICATION DATA
  • RELEASE HISTORY
HELP
  • ANTIBODY VALIDATION
  • ASSAYS & ANNOTATION
  • DISCLAIMER
  • HELP & FAQ
  • PRIVACY STATEMENT
  • LICENCE & CITATION
Fields »
Search result

Field
Term
Gene name
Class
Subclass
Class
Keyword
Chromosome
External id
Tissue
Cell type
Expression
Antibody panel
Tissue
Main location
Patient ID
Annotation
Tissue
Category
Tau score
Cluster
Reliability
Brain region
Category
Tau score
Brain region
Category
Tau score
Brain region
Category
Tau score
Cluster
Reliability
Tissue
Cell type
Enrichment
Cell type
Category
Tau score
Cell type
Category
Tau score
Cell type
Category
Tau score
Cell lineage
Category
Tau score
Cluster
Cluster
Location
Searches
Location
Cell line
Class
Type
Phase
Reliability
Cancer
Prognosis
Cancer
Category
Cancer
Category
Tau score
Cluster
Variants
Interacting gene (ensg_id)
Type
Number of interactions
Pathway
Category
Score
Score
Score
Validation
Validation
Validation
Validation
Antibodies
Data type
Column


  • SUMMARY

  • TISSUE

  • BRAIN

  • SINGLE CELL

  • SUBCELL

  • CANCER

  • BLOOD

  • CELL LINE

  • STRUCT & INT

  • PARP3
TISSUE PRIMARY DATA SKELETAL MUSCLE Show tissue menu
ADIPOSE TISSUE ADRENAL GLAND AMYGDALA APPENDIX BASAL GANGLIA BONE MARROW BREAST BRONCHUS CEREBELLUM CEREBRAL CORTEX CERVIX CHOROID PLEXUS COLON DUODENUM
ENDOMETRIUM EPIDIDYMIS ESOPHAGUS FALLOPIAN TUBE GALLBLADDER HEART MUSCLE HIPPOCAMPAL FORMATION HYPOTHALAMUS KIDNEY LIVER LUNG LYMPH NODE MIDBRAIN NASOPHARYNX
ORAL MUCOSA OVARY PANCREAS PARATHYROID GLAND PITUITARY GLAND PLACENTA PROSTATE RECTUM RETINA SALIVARY GLAND SEMINAL VESICLE SKELETAL MUSCLE SKIN SMALL INTESTINE
SMOOTH MUSCLE SOFT TISSUE SPINAL CORD SPLEEN STOMACH TESTIS THYMUS THYROID GLAND TONGUE TONSIL URINARY BLADDER VAGINA
ANTIBODIES
AND
VALIDATION
Dictionary
Skeletal muscle
Tissue proteome
Skeletal muscle
SKELETAL MUSCLE - Expression summary
Protein expression
Skeletal musclei

On the top, protein expression in current human tissue, based on all annotated cell types, is reported with the units not detected (n), low (l), medium (m) and high (h). Underneath, protein expression in each annotated cell type are reported using the same units.

Protein expression data is based on knowledge-based annotation. For genes where more than one antibody has been used, a collective score is set.

If knowledge-based annotation could not be performed for a gene, no data is displayed here. View antibody staining data further down this page.

h
m
l
n
Myocytes: Medium
RNA expressioni

A summary of mRNA expression data available for current tissue based on several datasets. The mRNA expression levels in human tissues are based on RNA-seq data generated by the Human Protein Atlas (HPA), Genotype-Tissue Expression (GTEx) portal and CAGE data generated by the FANTOM5 consortium. Consensus normalized expression levels for human tissues was created by combining the data from HPA and GTEx datasets.

The mRNA expression levels in pig are based on RNA-seq data generated by the Human Protein Atlas (HPA), and for mouse, HPA data and in situ hybridization generated by the Allen brain atlas are reported.

Scroll down to view mRNA expression data in more detail.
Consensus:15.3 nTPM
HPA:15.3 nTPM
GTEx:12.8 nTPM
FANTOM5:38.3 Scaled Tags Per Million

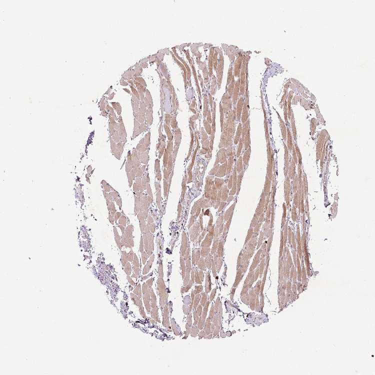
SKELETAL MUSCLE - Antibody stainingi

Antibody staining in the annotated cell types in the current human tissue is reported as not detected, low, medium, or high, based on conventional immunohistochemistry profiling in selected tissues. This score is based on the combination of the staining intensity and fraction of stained cells.

Each image is clickable and will lead to virtual microscopy that enables deeper exploration of all samples and also displays staining intensity scores, fraction scores and subcellular localization as well as patient and tissue information for each sample.

Antibody HPA067657
Myocytes Medium



SKELETAL MUSCLE - HPA RNA-seqi

The RNA-seq details section shows detailed information about the individual samples used for the transcript profiling and results of the RNA-seq analysis.

Information about each individual sample is listed below, including gender, age, a tissue section image and estimated fractions of cell types. nTPM (normalized transcripts per million) values give a quantification of the gene abundance which is comparable between different genes and samples.
Average nTPMi

Max subtype nTPM is the value for the subtype with the largest average nTPM across the subtype samples.

15.3
N/A
Male, age 23
Skeletal muscle sample 339
nTPM: 16.9
N/A
Female, age 25
Skeletal muscle sample 340
nTPM: 15
N/A
Female, age -
Skeletal muscle sample 341
nTPM: 11.7
N/A
Female, age 22
Skeletal muscle sample 342
nTPM: 14.2
N/A
Male, age 29
Skeletal muscle sample 343
nTPM: 18.6

SKELETAL MUSCLE - GTEx RNA-seqi

RNA-Seq data generated by the Genotype-Tissue Expression (GTEx) project from human tissues is reported as mean nTPM. More information can be found on the GTEx portal.

Distribution across the dataset is visualized with box plots, shown as median and 25th and 75th percentiles. Points are displayed as outliers if they are above or below 1.5 times the interquartile range. nTPM values of the individual samples are presented next to the box plot.
Max subtype nTPMi

Max subtype nTPM is the value for the subtype with the largest average nTPM across the subtype samples.

12.8
GTEx sample id Sample description nTPM
Muscle - Skeletal
Average nTPM: 12.8
Samples: 803

Max nTPM: 34.1
Min nTPM: 2.6
Std nTPM: 4.4
Median nTPM: 12.3
GTEX-1C4CL-0326-SM-7DHMH 30-39 years, male 34.1
GTEX-1H4P4-0626-SM-9YFKZ 50-59 years, male 27.3
GTEX-14E6D-0326-SM-62LDX 50-59 years, male 26.8
GTEX-1LB8K-0126-SM-EVYCN 50-59 years, male 25.5
GTEX-17HG3-2726-SM-7DHL5 30-39 years, female 25.4
GTEX-11GS4-2526-SM-5A5KT 60-69 years, male 25.2
GTEX-1497J-2626-SM-5SI9K 60-69 years, male 25.0
GTEX-13X6J-0326-SM-7EPGD 50-59 years, male 24.9
GTEX-13FHP-0526-SM-5K7UY 50-59 years, male 24.3
GTEX-1HSKV-0126-SM-E6CI1 60-69 years, male 23.9
GTEX-17EVP-1326-SM-7DHMR 40-49 years, male 23.7
GTEX-13N1W-0526-SM-5MR4I 70-79 years, male 23.5
GTEX-XBEW-1026-SM-4QARV 40-49 years, male 23.4
GTEX-RWSA-0726-SM-2XCBE 40-49 years, male 23.3
GTEX-1LGOU-2126-SM-DIPFG 20-29 years, female 23.1
GTEX-111VG-2626-SM-5GZY2 60-69 years, male 23.0
GTEX-11P82-1826-SM-5PNYJ 20-29 years, male 23.0
GTEX-18A6Q-0326-SM-718AT 60-69 years, male 23.0
GTEX-13FXS-0326-SM-5K7TV 50-59 years, male 22.9
GTEX-11DXZ-2426-SM-5N9DT 50-59 years, male 22.7
GTEX-15SHV-2526-SM-6PAMG 60-69 years, male 22.4
GTEX-1KD5A-0726-SM-DIPEO 50-59 years, male 22.4
GTEX-145MG-0226-SM-5TDDB 50-59 years, male 22.3
GTEX-16YQH-0426-SM-7KUL7 30-39 years, male 22.3
GTEX-1LVA9-0326-SM-DLHBU 50-59 years, male 21.8
GTEX-XBEC-0626-SM-4QARY 50-59 years, male 21.6
GTEX-1EH9U-0326-SM-7P8S2 60-69 years, male 21.6
GTEX-147F4-0326-SM-5TDCK 50-59 years, male 21.5
GTEX-ZYFC-0526-SM-5GIDF 50-59 years, male 21.5
GTEX-11OF3-2526-SM-5P9JL 60-69 years, male 21.4
GTEX-1IDJH-0226-SM-CYPSB 70-79 years, male 21.4
GTEX-15D79-0526-SM-6ETZP 50-59 years, male 21.3
GTEX-16GPK-0526-SM-7KUER 60-69 years, male 21.3
GTEX-ZUA1-0326-SM-5NQA3 40-49 years, male 21.2
GTEX-1MA7W-1826-SM-DIPFP 20-29 years, female 21.2
GTEX-T5JC-0626-SM-3NMA6 20-29 years, male 21.1
GTEX-1HKZK-0226-SM-9WYUG 40-49 years, male 20.9
GTEX-1JKYN-1826-SM-ARZMZ 30-39 years, male 20.8
GTEX-131XW-0326-SM-5KM1J 50-59 years, female 20.7
GTEX-11NUK-0226-SM-5A5L4 50-59 years, male 20.6
GTEX-13FTZ-2226-SM-5LZXI 60-69 years, male 20.6
GTEX-12WSF-0926-SM-6PALU 70-79 years, male 20.5
GTEX-Y111-0326-SM-4SOIX 50-59 years, male 20.5
GTEX-12WSM-0326-SM-5LZVI 60-69 years, male 20.4
GTEX-15RIF-2126-SM-7KUM8 20-29 years, male 20.4
GTEX-15SB6-1826-SM-6PALN 50-59 years, female 20.4
GTEX-1K2DA-2226-SM-CGQGM 50-59 years, male 20.4
GTEX-WY7C-2526-SM-3NB2N 50-59 years, male 20.3
GTEX-1LSNM-2326-SM-EWRO8 50-59 years, male 20.3
GTEX-1PPGY-0426-SM-DTXFE 60-69 years, male 20.3
GTEX-1HFI7-1926-SM-A96TQ 50-59 years, female 20.2
GTEX-1RAZQ-0426-SM-DTXFQ 30-39 years, male 20.2
GTEX-18465-0326-SM-7LTAD 50-59 years, male 20.1
GTEX-WFON-2326-SM-3LK7M 40-49 years, male 20.1
GTEX-YJ8O-2826-SM-5CVM4 40-49 years, female 20.0
GTEX-17HHY-0326-SM-7938H 50-59 years, male 19.9
GTEX-1128S-2426-SM-5H11B 60-69 years, female 19.7
GTEX-12126-0526-SM-5PNW4 20-29 years, male 19.7
GTEX-1313W-0526-SM-5P9FZ 50-59 years, female 19.7
GTEX-14JG1-0126-SM-5ZZUP 40-49 years, male 19.7
GTEX-XQ3S-0426-SM-4BOOA 20-29 years, male 19.7
GTEX-1I1GR-0326-SM-CKZPI 60-69 years, male 19.7
GTEX-1PPH8-0326-SM-E76PR 20-29 years, male 19.7
GTEX-111FC-0326-SM-5GZZ1 60-69 years, male 19.6
GTEX-139TT-0426-SM-5IJFA 60-69 years, male 19.6
GTEX-XPT6-2026-SM-4B64V 20-29 years, male 19.6
GTEX-WEY5-2026-SM-CYPRC 40-49 years, female 19.6
GTEX-13N2G-2326-SM-5J1ON 60-69 years, male 19.3
GTEX-XUZC-2126-SM-4BRW8 30-39 years, female 19.3
GTEX-OXRK-1826-SM-2HMJE 50-59 years, female 19.2
GTEX-WK11-2526-SM-3NM9Y 50-59 years, male 19.2
GTEX-1S82U-1426-SM-E6CJL 30-39 years, female 19.2
GTEX-1GZHY-0126-SM-9WYUQ 50-59 years, female 19.1
GTEX-1IL2V-0526-SM-ARL8B 70-79 years, male 19.1
GTEX-14753-0526-SM-5QGPR 60-69 years, male 19.0
GTEX-11ZUS-1426-SM-5FQSP 30-39 years, male 18.9
GTEX-13W3W-2626-SM-5SIA2 60-69 years, female 18.9
GTEX-XUYS-0326-SM-47JX2 50-59 years, male 18.9
GTEX-1RQEC-0126-SM-E9J2H 60-69 years, male 18.9
GTEX-1F88F-2526-SM-7PC2R 60-69 years, female 18.8
GTEX-139TU-0526-SM-5J2M8 60-69 years, male 18.6
GTEX-13PVQ-0326-SM-5K7YF 50-59 years, male 18.6
GTEX-14BMV-0326-SM-5RQHW 50-59 years, male 18.6
GTEX-R55G-2326-SM-2TC61 40-49 years, female 18.6
GTEX-SIU8-0526-SM-2XCDP 50-59 years, male 18.6
GTEX-1HT8W-0326-SM-CM2SG 30-39 years, male 18.6
GTEX-17JCI-0326-SM-7LG5H 60-69 years, female 18.5
GTEX-1JKYR-0326-SM-CNPOL 20-29 years, male 18.5
GTEX-12C56-1926-SM-5FQUG 20-29 years, male 18.4
GTEX-UPJH-0526-SM-4IHK8 50-59 years, male 18.4
GTEX-1H11D-0326-SM-9WG71 40-49 years, male 18.4
GTEX-1JMQJ-0126-SM-E6CI2 50-59 years, male 18.4
GTEX-1RAZR-0326-SM-EWRNM 40-49 years, male 18.4
GTEX-14DAR-1826-SM-664N1 50-59 years, male 18.3
GTEX-XPVG-2526-SM-4B66D 50-59 years, male 18.2
GTEX-1I1GV-0126-SM-CL55G 60-69 years, male 18.2
GTEX-1JJ6O-0926-SM-CYPT1 60-69 years, male 18.2
GTEX-1LG7Y-0126-SM-E6CJ8 50-59 years, male 18.2
GTEX-1QP67-1826-SM-DTX8D 40-49 years, female 18.2
GTEX-13111-2226-SM-5LZUE 50-59 years, male 18.1
GTEX-132NY-0726-SM-5KLZM 60-69 years, male 18.1
GTEX-T2IS-2626-SM-32QPP 20-29 years, female 18.1
GTEX-W5WG-1926-SM-4KKZK 50-59 years, female 18.1
GTEX-1C6VS-0126-SM-7PC2H 60-69 years, male 18.1
GTEX-1QMI2-0526-SM-DTXFU 60-69 years, male 18.1
GTEX-169BO-1526-SM-9KNVR 50-59 years, male 18.0
GTEX-139UW-2626-SM-5K7W1 60-69 years, male 17.9
GTEX-15DZA-2026-SM-6PANE 30-39 years, female 17.9
GTEX-17F96-2726-SM-7LT9F 70-79 years, male 17.9
GTEX-ZAK1-0526-SM-5K7X4 50-59 years, female 17.9
GTEX-1EX96-1526-SM-7PBXK 50-59 years, male 17.9
GTEX-144GL-0326-SM-5QGOY 50-59 years, male 17.8
GTEX-1KWVE-0926-SM-CXZKP 30-39 years, male 17.8
GTEX-117XS-2526-SM-5H11G 60-69 years, male 17.7
GTEX-15RIG-0426-SM-7KUF4 40-49 years, male 17.7
GTEX-1R9K4-0626-SM-E76OZ 60-69 years, male 17.7
GTEX-Y8DK-0326-SM-4TT3P 60-69 years, male 17.6
GTEX-YECK-0626-SM-4W1ZE 60-69 years, male 17.6
GTEX-ZVTK-0626-SM-5GU6Y 20-29 years, male 17.6
GTEX-1HBPI-0226-SM-ADEJ7 50-59 years, male 17.6
GTEX-1HFI6-0426-SM-B2LXB 40-49 years, male 17.6
GTEX-1M4P7-0126-SM-DKPQF 60-69 years, male 17.6
GTEX-1PPH7-2526-SM-E76OJ 40-49 years, male 17.6
GTEX-14ABY-0126-SM-62LDI 50-59 years, male 17.5
GTEX-1AX9K-2726-SM-7DHMA 50-59 years, male 17.5
GTEX-ZQG8-1226-SM-51MRX 60-69 years, female 17.5
GTEX-1HSEH-0326-SM-A9G26 60-69 years, male 17.5
GTEX-1J8JJ-0126-SM-D3L93 60-69 years, female 17.5
GTEX-1S5ZA-0526-SM-EWRO1 20-29 years, male 17.5
GTEX-1399T-2426-SM-5L3FJ 60-69 years, male 17.4
GTEX-1KANA-0926-SM-D3L9K 20-29 years, male 17.4
GTEX-1MCC2-2726-SM-EWRN3 30-39 years, female 17.4
GTEX-1S83E-2126-SM-EWRO6 40-49 years, male 17.4
GTEX-11TUW-2526-SM-5EQKN 60-69 years, male 17.3
GTEX-1HCVE-0326-SM-CGQEW 50-59 years, male 17.3
GTEX-1KD4Q-0326-SM-E9TJA 40-49 years, male 17.3
GTEX-1RQED-0426-SM-E6CJP 60-69 years, male 17.3
GTEX-1S5VW-0526-SM-E6CHL 60-69 years, male 17.3
GTEX-ZDTS-0526-SM-4WKH9 60-69 years, male 17.2
GTEX-1H3VY-0326-SM-9WYU6 50-59 years, male 17.2
GTEX-1R9PN-1826-SM-E8VO4 40-49 years, female 17.2
GTEX-1269C-2626-SM-5EQ5C 60-69 years, female 17.1
GTEX-WRHU-0826-SM-3MJFN 50-59 years, female 17.1
GTEX-131XH-2726-SM-5GCO2 50-59 years, male 17.0
GTEX-145LT-1626-SM-5O992 40-49 years, male 17.0
GTEX-1A3MV-2026-SM-718BU 30-39 years, male 17.0
GTEX-PWCY-2026-SM-5SI8R 20-29 years, female 17.0
GTEX-1F75I-0526-SM-7RHI3 40-49 years, male 17.0
GTEX-1GN73-0126-SM-CNPPT 60-69 years, male 17.0
GTEX-1GPI6-0326-SM-9MQM6 60-69 years, male 17.0
GTEX-S7PM-0526-SM-3NM92 60-69 years, male 16.9
GTEX-WL46-0626-SM-3LK7R 50-59 years, male 16.9
GTEX-1N2DW-0426-SM-E9TK4 50-59 years, male 16.9
GTEX-11DXY-2726-SM-5GID2 60-69 years, male 16.8
GTEX-11ZTT-2626-SM-5EQKK 60-69 years, female 16.8
GTEX-13OW7-0326-SM-5J1MP 50-59 years, male 16.8
GTEX-14E1K-2326-SM-664MP 50-59 years, male 16.8
GTEX-14PJN-2126-SM-6AJBM 30-39 years, male 16.8
GTEX-1IOXB-0326-SM-CL55M 50-59 years, male 16.8
GTEX-1JJEA-0126-SM-D3L8A 60-69 years, male 16.8
GTEX-1QP66-1626-SM-E76PC 50-59 years, male 16.8
GTEX-14PJM-0426-SM-5ZZVN 50-59 years, female 16.7
GTEX-N7MS-0426-SM-2YUN6 60-69 years, male 16.7
GTEX-1IY9M-0326-SM-ARZMN 60-69 years, male 16.7
GTEX-1M5QR-1326-SM-EWROC 40-49 years, male 16.7
GTEX-YB5E-2226-SM-5IFJ5 40-49 years, male 16.6
GTEX-1KANB-0126-SM-E6CJT 50-59 years, male 16.6
GTEX-1CB4E-2126-SM-793AP 60-69 years, male 16.5
GTEX-13VXU-0326-SM-5LU36 50-59 years, male 16.4
GTEX-OXRL-1626-SM-2YUMU 50-59 years, male 16.4
GTEX-1GN2E-0726-SM-9MQLU 60-69 years, male 16.4
GTEX-1MCQQ-0626-SM-E9U5Q 60-69 years, male 16.4
GTEX-12ZZY-0626-SM-5EQ5T 60-69 years, male 16.3
GTEX-13N11-2726-SM-5L3ER 50-59 years, female 16.3
GTEX-ZVT4-0326-SM-51MS5 50-59 years, female 16.3
GTEX-14BIL-0326-SM-5SI9Q 50-59 years, male 16.2
GTEX-1J8Q2-0126-SM-E9J2G 60-69 years, male 16.2
GTEX-12WSD-0526-SM-5EQ6F 60-69 years, female 16.1
GTEX-13NZA-0526-SM-5L3D7 60-69 years, male 16.1
GTEX-1C64N-0326-SM-7P8QC 50-59 years, male 16.1
GTEX-11PRG-0326-SM-5GU53 50-59 years, male 16.0
GTEX-147GR-0126-SM-62LER 60-69 years, male 16.0
GTEX-14PK6-2126-SM-6ETZV 70-79 years, female 16.0
GTEX-15CHC-2426-SM-6EU22 60-69 years, female 16.0
GTEX-1ICG6-2726-SM-CKZPN 70-79 years, female 16.0
GTEX-1N2DV-0526-SM-DTX8W 40-49 years, male 16.0
GTEX-WOFM-1326-SM-3MJFR 20-29 years, male 15.9
GTEX-ZAB4-0426-SM-5HL7N 40-49 years, male 15.9
GTEX-1KXAM-2426-SM-DIPFC 60-69 years, male 15.9
GTEX-11P7K-1926-SM-5GU6R 30-39 years, male 15.8
GTEX-11ZTS-0526-SM-5CVL9 60-69 years, female 15.8
GTEX-13OVK-1926-SM-6M48G 40-49 years, male 15.8
GTEX-17HGU-0626-SM-7939Y 50-59 years, male 15.8
GTEX-1C6WA-0326-SM-7DUGE 60-69 years, male 15.8
GTEX-OHPK-1626-SM-2YUN3 50-59 years, female 15.8
GTEX-RN64-0326-SM-2TC5J 50-59 years, male 15.8
GTEX-1HBPH-0826-SM-ARZNB 40-49 years, female 15.8
GTEX-1IKJJ-0326-SM-CL55L 60-69 years, male 15.8
GTEX-13OVH-0626-SM-5L3EI 70-79 years, male 15.7
GTEX-SNMC-1426-SM-2XCFM 20-29 years, male 15.7
GTEX-1CB4G-0426-SM-7MXUN 60-69 years, male 15.7
GTEX-1J8QM-2226-SM-CYPSK 60-69 years, female 15.7
GTEX-ZEX8-2526-SM-DO92M 50-59 years, male 15.7
GTEX-11NV4-0326-SM-5HL58 60-69 years, male 15.6
GTEX-ZF2S-2126-SM-4WWAY 50-59 years, female 15.6
GTEX-ZLWG-2126-SM-DO91M 50-59 years, female 15.6
GTEX-1HCU9-1926-SM-9WYSE 20-29 years, male 15.5
GTEX-1LSNL-0126-SM-EWRNR 50-59 years, male 15.5
GTEX-1B996-0326-SM-7DHMU 60-69 years, male 15.4
GTEX-1BAJH-0126-SM-7DHMF 70-79 years, male 15.4
GTEX-1GF9U-2326-SM-7RHH9 40-49 years, female 15.4
GTEX-13OVL-1426-SM-5IJC1 50-59 years, male 15.3
GTEX-ZPIC-2526-SM-57WDP 40-49 years, female 15.3
GTEX-1GF9V-0126-SM-9WYT2 60-69 years, male 15.3
GTEX-1I1GQ-0326-SM-A9SKS 50-59 years, male 15.3
GTEX-1QP2A-0526-SM-E8VN5 50-59 years, male 15.3
GTEX-11UD2-0326-SM-5EQLE 50-59 years, male 15.2
GTEX-146FQ-0326-SM-5NQAX 30-39 years, male 15.2
GTEX-14A6H-5019-SM-793DH 30-39 years, male 15.2
GTEX-15SHU-0626-SM-7KUFH 40-49 years, female 15.2
GTEX-S95S-1426-SM-2XCDM 60-69 years, male 15.2
GTEX-1I1GP-2126-SM-CKZPJ 50-59 years, male 15.2
GTEX-1QEPI-0526-SM-E76QF 60-69 years, female 15.2
GTEX-11NSD-2026-SM-5HL5U 20-29 years, male 15.1
GTEX-13113-5019-SM-7EPH2 60-69 years, female 15.1
GTEX-14PII-0626-SM-69LPY 60-69 years, male 15.1
GTEX-14PJ3-2026-SM-5ZZVK 50-59 years, male 15.1
GTEX-15CHR-2426-SM-7DUFX 50-59 years, male 15.1
GTEX-ZV68-0526-SM-59HKI 50-59 years, female 15.1
GTEX-13RTL-0326-SM-7LT89 40-49 years, male 15.0
GTEX-145MO-0726-SM-5NQB9 60-69 years, male 15.0
GTEX-1A8G6-0126-SM-7DUFY 60-69 years, male 15.0
GTEX-1B8KZ-2126-SM-73KYG 50-59 years, male 15.0
GTEX-U8T8-1426-SM-3DB9H 60-69 years, male 15.0
GTEX-ZYT6-1626-SM-5E45R 30-39 years, male 15.0
GTEX-1GN1V-0326-SM-9WYTO 60-69 years, male 15.0
GTEX-1GN1W-0726-SM-9KNTV 50-59 years, female 15.0
GTEX-1GPI7-0426-SM-7RHHP 20-29 years, male 15.0
GTEX-1I19N-2026-SM-ACKXJ 70-79 years, male 15.0
GTEX-139T4-0326-SM-5K7XN 50-59 years, female 14.9
GTEX-13CF2-2726-SM-5LZWW 60-69 years, male 14.9
GTEX-1B933-0426-SM-7DHMC 50-59 years, female 14.9
GTEX-PW2O-1726-SM-2S1OO 20-29 years, male 14.9
GTEX-R55E-0526-SM-2TC6B 20-29 years, male 14.9
GTEX-Y9LG-1926-SM-5IFHY 30-39 years, male 14.9
GTEX-ZE7O-0326-SM-51MTH 50-59 years, female 14.9
GTEX-TMZS-0326-SM-3DB9P 60-69 years, male 14.8
GTEX-12WSC-0326-SM-5EQ5E 50-59 years, male 14.7
GTEX-QEG4-0626-SM-2S1OY 30-39 years, male 14.7
GTEX-R55C-1726-SM-3GADJ 40-49 years, male 14.7
GTEX-1GMR3-2126-SM-9WYTZ 40-49 years, male 14.7
GTEX-1HCU7-0426-SM-D3L8Q 50-59 years, male 14.7
GTEX-1I6K7-0326-SM-B2LXO 40-49 years, male 14.7
GTEX-13O3Q-2726-SM-5KM51 50-59 years, male 14.6
GTEX-1PIIG-0126-SM-E9J46 30-39 years, male 14.6
GTEX-145MI-0326-SM-5Q5EV 60-69 years, female 14.5
GTEX-148VJ-0326-SM-5QGQE 70-79 years, male 14.5
GTEX-U412-0326-SM-3DB9L 60-69 years, male 14.5
GTEX-WZTO-0826-SM-3NM8Q 40-49 years, male 14.5
GTEX-YEC3-2126-SM-4YCDB 50-59 years, male 14.5
GTEX-ZA64-2026-SM-5PNXT 20-29 years, male 14.5
GTEX-11GSP-2726-SM-5A5LJ 60-69 years, female 14.4
GTEX-12KS4-0826-SM-5BC5R 30-39 years, male 14.4
GTEX-1AX9I-0326-SM-73KXQ 60-69 years, male 14.4
GTEX-QV31-1426-SM-2S1QD 30-39 years, male 14.4
GTEX-1EWIQ-0626-SM-7PBYW 70-79 years, female 14.4
GTEX-13SLW-0326-SM-5RQK5 70-79 years, male 14.3
GTEX-U3ZG-0326-SM-47JXN 50-59 years, male 14.3
GTEX-1JMLX-0326-SM-CM2RP 50-59 years, male 14.3
GTEX-11VI4-1926-SM-5CVLI 40-49 years, female 14.2
GTEX-1212Z-2626-SM-5YY8P 60-69 years, male 14.2
GTEX-133LE-2026-SM-5K7WM 20-29 years, female 14.2
GTEX-13OW6-0626-SM-5L3IB 50-59 years, male 14.2
GTEX-13QJ3-0726-SM-5SI68 50-59 years, male 14.2
GTEX-17GQL-1926-SM-718B9 60-69 years, male 14.2
GTEX-U3ZM-1226-SM-3DB9G 40-49 years, male 14.2
GTEX-1CAMQ-0326-SM-7MXUI 40-49 years, male 14.2
GTEX-13FTX-2026-SM-5L3D6 20-29 years, female 14.1
GTEX-13PL7-0626-SM-5IJCD 60-69 years, female 14.1
GTEX-1B8SF-0426-SM-79OL4 60-69 years, male 14.1
GTEX-1B97I-2026-SM-7DHN2 40-49 years, male 14.1
GTEX-1F6IF-0226-SM-7PBZ6 60-69 years, male 14.1
GTEX-1JN76-0326-SM-ARZNJ 20-29 years, female 14.1
GTEX-1QCLY-0426-SM-E8VOH 30-39 years, male 14.1
GTEX-1QP9N-1926-SM-E6CPY 30-39 years, male 14.1
GTEX-1QW4Y-1726-SM-EWRN1 30-39 years, male 14.1
GTEX-13O3O-0526-SM-5J1NL 60-69 years, female 14.0
GTEX-ZLV1-2126-SM-4WWD2 60-69 years, female 14.0
GTEX-1EN7A-0326-SM-7P8T1 40-49 years, male 14.0
GTEX-1F75A-0626-SM-7PBYI 50-59 years, male 14.0
GTEX-11WQC-2626-SM-5CVLF 60-69 years, male 13.9
GTEX-13PLJ-0326-SM-5L3I7 60-69 years, female 13.9
GTEX-17F9E-0226-SM-79OKK 50-59 years, male 13.9
GTEX-OXRN-1326-SM-3LK5V 50-59 years, male 13.9
GTEX-OXRP-2326-SM-2S1NL 60-69 years, female 13.9
GTEX-1CAV2-2426-SM-7P8QF 40-49 years, female 13.9
GTEX-1LNCM-1226-SM-E9U5C 50-59 years, female 13.9
GTEX-13G51-2726-SM-5LZZ9 60-69 years, male 13.8
GTEX-13NYB-2726-SM-5J2MT 40-49 years, male 13.8
GTEX-145MH-0326-SM-5LU8H 50-59 years, male 13.8
GTEX-16Z82-0126-SM-7DHLF 60-69 years, male 13.8
GTEX-T6MN-0526-SM-32PMS 50-59 years, male 13.8
GTEX-ZDXO-0326-SM-4WKHJ 60-69 years, male 13.8
GTEX-1F7RK-0326-SM-7RHH7 20-29 years, female 13.8
GTEX-1JMQK-0326-SM-ARZN5 60-69 years, male 13.8
GTEX-11EI6-0326-SM-5EQ6G 60-69 years, male 13.7
GTEX-145LU-2026-SM-5Q5E8 50-59 years, male 13.7
GTEX-1C6VR-2526-SM-7DHMT 60-69 years, male 13.7
GTEX-XQ8I-0626-SM-4BOPT 50-59 years, male 13.7
GTEX-YEC4-2226-SM-5IFJT 40-49 years, male 13.7
GTEX-1FIGZ-1726-SM-9MQKS 40-49 years, male 13.7
GTEX-1GMR2-2126-SM-7P8TX 50-59 years, male 13.7
GTEX-1NUQO-0726-SM-E9J3K 20-29 years, female 13.7
GTEX-12WSH-2526-SM-5CVNH 50-59 years, male 13.6
GTEX-12WSN-2526-SM-5LZU8 40-49 years, male 13.6
GTEX-12ZZZ-0226-SM-59HKU 60-69 years, male 13.6
GTEX-131XF-2326-SM-5BC6B 60-69 years, male 13.6
GTEX-131YS-0526-SM-5EGKJ 60-69 years, female 13.6
GTEX-14H4A-0926-SM-5ZZUU 40-49 years, female 13.6
GTEX-1HBPN-0526-SM-A9SM6 50-59 years, male 13.6
GTEX-1HSMQ-1326-SM-ADEHS 50-59 years, male 13.6
GTEX-13112-2626-SM-5BC66 50-59 years, male 13.5
GTEX-14LZ3-0626-SM-5ZZWP 60-69 years, female 13.5
GTEX-16NPX-0626-SM-7KULB 50-59 years, male 13.5
GTEX-PX3G-1626-SM-2S1PT 20-29 years, female 13.5
GTEX-WOFL-0626-SM-3MJG3 60-69 years, male 13.5
GTEX-1HUB1-0526-SM-CL54N 60-69 years, male 13.5
GTEX-12ZZX-0326-SM-5DUVH 40-49 years, female 13.4
GTEX-13FHO-0726-SM-5IJDG 60-69 years, male 13.4
GTEX-14ICL-1926-SM-5RQIZ 30-39 years, male 13.4
GTEX-14JIY-0426-SM-62LF7 60-69 years, male 13.4
GTEX-WWTW-0626-SM-4MVNS 50-59 years, male 13.4
GTEX-1GMRU-0326-SM-9WYT6 50-59 years, male 13.4
GTEX-113JC-2726-SM-5EGIS 50-59 years, female 13.3
GTEX-17F97-0526-SM-7DUF8 50-59 years, male 13.3
GTEX-18D9B-0426-SM-7LTAR 60-69 years, male 13.3
GTEX-1E1VI-0426-SM-7DHN1 50-59 years, male 13.3
GTEX-T5JW-1826-SM-3GAE1 20-29 years, female 13.3
GTEX-U3ZH-1926-SM-4DXTR 30-39 years, male 13.3
GTEX-13FH7-2126-SM-5L3DJ 50-59 years, female 13.2
GTEX-13S7M-0326-SM-5S2PH 60-69 years, female 13.2
GTEX-YB5K-2326-SM-5IFHD 40-49 years, female 13.2
GTEX-ZVT3-0526-SM-5GIE9 60-69 years, female 13.2
GTEX-ZYFG-2426-SM-5GIE8 60-69 years, female 13.2
GTEX-1LVAO-0526-SM-EWRNS 60-69 years, male 13.2
GTEX-ZF29-2426-SM-DO92G 60-69 years, female 13.2
GTEX-111YS-2326-SM-5987L 60-69 years, male 13.1
GTEX-11ZU8-2326-SM-5EQMJ 60-69 years, male 13.1
GTEX-14PJ4-2426-SM-6EU1U 60-69 years, male 13.1
GTEX-1E2YA-0526-SM-7P8RY 50-59 years, male 13.1
GTEX-1JMQI-2126-SM-CM2SC 50-59 years, male 13.1
GTEX-13O21-1726-SM-5MR5A 50-59 years, male 13.0
GTEX-14C39-2426-SM-5S2U5 40-49 years, male 13.0
GTEX-15EO6-2826-SM-6PANB 50-59 years, male 13.0
GTEX-XBED-2626-SM-4E3J5 60-69 years, male 13.0
GTEX-YFC4-1026-SM-5RQJM 40-49 years, female 13.0
GTEX-1H1ZS-0626-SM-CNPPU 70-79 years, male 13.0
GTEX-1H3VE-0126-SM-9WYTW 40-49 years, male 13.0
GTEX-13QIC-1226-SM-5K7YR 60-69 years, female 12.9
GTEX-15SDE-2326-SM-6PAL4 50-59 years, female 12.9
GTEX-RM2N-1626-SM-2TF5N 50-59 years, male 12.9
GTEX-Z93S-1326-SM-5CVMR 50-59 years, male 12.9
GTEX-ZY6K-2026-SM-5GZXQ 50-59 years, male 12.9
GTEX-ZYFD-0326-SM-5NQ8I 50-59 years, male 12.9
GTEX-1PDJ9-0526-SM-DTXDL 20-29 years, male 12.9
GTEX-1S82Y-2226-SM-EWRNV 40-49 years, male 12.9
GTEX-11LCK-1226-SM-5Q5AM 30-39 years, male 12.8
GTEX-11ONC-2426-SM-5GU7H 60-69 years, male 12.8
GTEX-1211K-2126-SM-59HJZ 60-69 years, female 12.8
GTEX-13OW5-0326-SM-5L3HK 60-69 years, male 12.8
GTEX-14PJ2-0326-SM-6EU2Q 50-59 years, male 12.8
GTEX-1B8SG-0326-SM-73KXW 50-59 years, male 12.8
GTEX-RU72-1326-SM-2TF6T 50-59 years, female 12.8
GTEX-U4B1-1626-SM-3DB8N 40-49 years, male 12.8
GTEX-YF7O-2526-SM-5IFJX 50-59 years, male 12.8
GTEX-1J1R8-2326-SM-CKZPS 40-49 years, male 12.8
GTEX-13SLX-0326-SM-5Q5E4 50-59 years, female 12.7
GTEX-144GN-2426-SM-5LU4R 50-59 years, male 12.7
GTEX-17HII-0426-SM-793A3 50-59 years, male 12.7
GTEX-SNOS-1526-SM-32PLW 40-49 years, male 12.7
GTEX-1QP28-0526-SM-E8VNR 50-59 years, female 12.7
GTEX-14ASI-0526-SM-5QGQP 60-69 years, male 12.6
GTEX-XOT4-0526-SM-4B66O 60-69 years, female 12.6
GTEX-ZYW4-0526-SM-5GZZ5 60-69 years, male 12.6
GTEX-1B97J-1226-SM-7PBZR 50-59 years, female 12.6
GTEX-1CB4F-0326-SM-9MQKD 60-69 years, male 12.6
GTEX-1A8G7-0326-SM-72D5B 60-69 years, male 12.5
GTEX-Y5LM-2126-SM-4VDSY 40-49 years, female 12.5
GTEX-1I1HK-0326-SM-ACKW5 60-69 years, male 12.5
GTEX-1QPFJ-0326-SM-E8VO2 30-39 years, female 12.5
GTEX-11UD1-0326-SM-5EQKX 40-49 years, female 12.4
GTEX-13O61-2326-SM-5J1NJ 60-69 years, male 12.4
GTEX-QVUS-0226-SM-3GIJY 60-69 years, female 12.4
GTEX-SJXC-0526-SM-2XCFG 60-69 years, male 12.4
GTEX-T8EM-1326-SM-3DB7G 40-49 years, male 12.4
GTEX-ZE9C-2326-SM-5J1NT 60-69 years, male 12.4
GTEX-1PBJJ-0326-SM-E8VNT 30-39 years, male 12.4
GTEX-1RAZA-0526-SM-E76R2 20-29 years, male 12.4
GTEX-11DXW-0726-SM-5H12J 40-49 years, male 12.3
GTEX-13X6K-0326-SM-5Q5D6 60-69 years, female 12.3
GTEX-P4PP-1626-SM-2HMJF 30-39 years, female 12.3
GTEX-P78B-1626-SM-5SI85 40-49 years, female 12.3
GTEX-UJHI-1726-SM-3DB9B 50-59 years, female 12.3
GTEX-WHPG-2226-SM-3NMBO 50-59 years, male 12.3
GTEX-1I1GS-0326-SM-ARL7X 60-69 years, male 12.3
GTEX-1IDJU-2426-SM-ARZM9 60-69 years, female 12.3
GTEX-1JN1M-0526-SM-CJI3D 60-69 years, female 12.3
GTEX-1QCLZ-0326-SM-DTXG2 60-69 years, female 12.3
GTEX-1QP6S-0426-SM-DTXG4 40-49 years, male 12.3
GTEX-1192X-0426-SM-5GIEE 50-59 years, male 12.2
GTEX-QXCU-1726-SM-2TC6L 50-59 years, male 12.2
GTEX-WFG7-2226-SM-3GIKP 20-29 years, male 12.2
GTEX-15DCD-0626-SM-7KUG7 70-79 years, female 12.1
GTEX-18D9U-0626-SM-7LTA4 40-49 years, male 12.1
GTEX-P4PQ-1626-SM-2HMKK 60-69 years, male 12.1
GTEX-Q2AG-0426-SM-2S1PU 40-49 years, female 12.1
GTEX-TKQ1-1426-SM-4GICK 30-39 years, male 12.1
GTEX-1HC8U-2626-SM-CNPPH 40-49 years, female 12.1
GTEX-1IKOH-0126-SM-COH4D 60-69 years, female 12.1
GTEX-1K9T9-0326-SM-EWRNQ 50-59 years, female 12.1
GTEX-147JS-0526-SM-5TDD3 60-69 years, male 12.0
GTEX-15ER7-0226-SM-7KUEU 20-29 years, female 12.0
GTEX-17F98-1626-SM-7938R 40-49 years, female 12.0
GTEX-1EMGI-0326-SM-9MQM5 60-69 years, male 12.0
GTEX-1HCU6-0526-SM-A9SKU 60-69 years, female 12.0
GTEX-1R7EU-0626-SM-DTX9N 60-69 years, male 12.0
GTEX-1445S-0626-SM-5LU3C 60-69 years, male 11.9
GTEX-144FL-0326-SM-5O99O 50-59 years, male 11.9
GTEX-17KNJ-2426-SM-7DHLR 50-59 years, male 11.9
GTEX-X5EB-2326-SM-46MW5 40-49 years, male 11.9
GTEX-1IL2U-0726-SM-EAZ2Y 60-69 years, male 11.9
GTEX-1PIEJ-0326-SM-EVYB5 20-29 years, female 11.9
GTEX-14E6E-2026-SM-664N5 30-39 years, male 11.8
GTEX-14PJ6-2326-SM-6ETZR 60-69 years, female 11.8
GTEX-1CAMR-1726-SM-793CU 20-29 years, male 11.8
GTEX-WYJK-1726-SM-3NM9U 50-59 years, male 11.8
GTEX-Y8LW-2026-SM-4V6G8 50-59 years, female 11.8
GTEX-ZDYS-1726-SM-5HL4Y 50-59 years, male 11.8
GTEX-1GN1U-2226-SM-9MQK1 50-59 years, female 11.8
GTEX-1LVAN-0526-SM-CNNQ1 50-59 years, female 11.8
GTEX-ZGAY-0726-SM-DO91O 40-49 years, female 11.8
GTEX-11EQ9-2126-SM-5PNVW 30-39 years, male 11.7
GTEX-QLQ7-1726-SM-2S1QQ 60-69 years, male 11.7
GTEX-WHSB-1826-SM-3TW8M 50-59 years, male 11.7
GTEX-1F6I4-0326-SM-7P8T8 60-69 years, male 11.7
GTEX-1NHNU-1226-SM-DTX8I 50-59 years, male 11.7
GTEX-1RB15-2226-SM-DTXFZ 60-69 years, male 11.7
GTEX-PLZ6-1526-SM-2S1OC 30-39 years, male 11.6
GTEX-XUW1-0826-SM-4BOP6 50-59 years, female 11.6
GTEX-1EU9M-0126-SM-7P8P8 60-69 years, male 11.6
GTEX-1F75W-0326-SM-7PC2Q 60-69 years, male 11.6
GTEX-1LG7Z-2126-SM-CXKYU 30-39 years, male 11.6
GTEX-1MJIX-2126-SM-E9J3A 40-49 years, male 11.6
GTEX-1O9I2-0526-SM-EYYXI 50-59 years, male 11.6
GTEX-11P81-2526-SM-5GU6H 30-39 years, female 11.5
GTEX-13FTY-0226-SM-5IJBW 40-49 years, female 11.5
GTEX-1C64O-0326-SM-73KVW 60-69 years, male 11.5
GTEX-QDVJ-1926-SM-2S1PJ 50-59 years, male 11.5
GTEX-R55D-0626-SM-3GAD5 50-59 years, male 11.5
GTEX-WWYW-0526-SM-3NB2W 50-59 years, female 11.5
GTEX-117YW-2426-SM-5Q5AE 50-59 years, male 11.4
GTEX-139YR-2526-SM-5IJC6 50-59 years, male 11.4
GTEX-18A7B-0326-SM-7LG65 70-79 years, male 11.4
GTEX-O5YV-2026-SM-2D7VS 60-69 years, female 11.4
GTEX-P4QS-1626-SM-2S1NH 60-69 years, male 11.4
GTEX-R53T-1826-SM-3GIJX 50-59 years, female 11.4
GTEX-WRHK-1626-SM-3MJFH 20-29 years, female 11.4
GTEX-Y8E5-0326-SM-57WBM 60-69 years, male 11.4
GTEX-ZZPU-2626-SM-5E45Y 50-59 years, female 11.4
GTEX-1JK1U-2226-SM-CNNPL 60-69 years, male 11.4
GTEX-14BMU-2026-SM-5S2W6 20-29 years, female 11.3
GTEX-ZV7C-2426-SM-5NQ7Q 50-59 years, male 11.3
GTEX-1F75B-0526-SM-7P8T5 50-59 years, male 11.3
GTEX-1ICLY-0326-SM-ARL7S 50-59 years, male 11.3
GTEX-11H98-0326-SM-5HL4S 50-59 years, male 11.2
GTEX-ZAKK-0326-SM-5EGHA 70-79 years, male 11.2
GTEX-1IGQW-0526-SM-CKZO3 60-69 years, male 11.2
GTEX-1PIGE-0226-SM-E76OT 20-29 years, male 11.2
GTEX-1R7EV-2026-SM-DTX83 40-49 years, male 11.2
GTEX-ZQUD-1726-SM-7P8ON 30-39 years, male 11.2
GTEX-13NZB-2626-SM-5J2M7 30-39 years, male 11.1
GTEX-147F3-0226-SM-5NQBV 50-59 years, female 11.1
GTEX-OIZI-0626-SM-2XCEH 40-49 years, male 11.1
GTEX-Q734-2026-SM-3GADA 40-49 years, female 11.1
GTEX-Y5V5-2526-SM-4VBQ4 60-69 years, female 11.1
GTEX-ZVT2-2426-SM-57WCQ 50-59 years, female 11.1
GTEX-1F5PK-2626-SM-7RHH6 50-59 years, male 11.1
GTEX-1H1CY-2726-SM-9MQLR 60-69 years, female 11.1
GTEX-1IDJE-2426-SM-ACKWF 50-59 years, female 11.1
GTEX-1399Q-2426-SM-5J2MO 40-49 years, male 11.0
GTEX-13OW8-1426-SM-5IJDT 60-69 years, male 11.0
GTEX-183FY-0226-SM-7LG54 20-29 years, male 11.0
GTEX-18A66-0126-SM-731CQ 60-69 years, male 11.0
GTEX-1A3MW-0526-SM-731BY 60-69 years, female 11.0
GTEX-OOBJ-1626-SM-2I3F7 60-69 years, male 11.0
GTEX-U8XE-0726-SM-3DB8O 30-39 years, male 11.0
GTEX-Z9EW-1726-SM-5CVMO 40-49 years, male 11.0
GTEX-145LV-2326-SM-5LU8Z 50-59 years, male 10.9
GTEX-1477Z-1626-SM-5SIA8 60-69 years, male 10.9
GTEX-16AAH-1826-SM-7939D 50-59 years, male 10.9
GTEX-1B8L1-2726-SM-793AL 60-69 years, male 10.9
GTEX-OOBK-1626-SM-2HMKG 40-49 years, male 10.9
GTEX-UJMC-1826-SM-3GADT 50-59 years, male 10.9
GTEX-1MJK3-1426-SM-E9TK1 20-29 years, male 10.9
GTEX-11O72-0326-SM-5986D 40-49 years, male 10.8
GTEX-13D11-2526-SM-5KM28 50-59 years, female 10.8
GTEX-13U4I-1826-SM-5IJD2 40-49 years, female 10.8
GTEX-14DAQ-0326-SM-664MR 60-69 years, female 10.8
GTEX-14LLW-0526-SM-62LFB 70-79 years, female 10.8
GTEX-16NGA-1926-SM-7LTA6 40-49 years, female 10.8
GTEX-1CB4I-0326-SM-7DHMM 50-59 years, male 10.8
GTEX-TML8-1826-SM-32QOR 40-49 years, female 10.8
GTEX-1HSMO-0526-SM-ACKXB 60-69 years, male 10.8
GTEX-OIZF-1626-SM-2YUNE 60-69 years, male 10.8
GTEX-11GSO-2526-SM-5PNVX 60-69 years, male 10.7
GTEX-139TS-2626-SM-5J1MT 60-69 years, male 10.7
GTEX-13PL6-0326-SM-5IJCP 40-49 years, female 10.7
GTEX-13RTJ-2726-SM-73KVG 60-69 years, male 10.7
GTEX-14PQA-0526-SM-7KUFS 50-59 years, female 10.7
GTEX-18A7A-0626-SM-718BJ 50-59 years, female 10.7
GTEX-1C6VQ-0326-SM-7DHMS 50-59 years, male 10.7
GTEX-R3RS-0526-SM-3GADG 40-49 years, female 10.7
GTEX-V955-2426-SM-3GAEF 60-69 years, male 10.7
GTEX-ZF3C-0326-SM-4WWBF 50-59 years, female 10.7
GTEX-18QFQ-0326-SM-731C3 30-39 years, male 10.6
GTEX-Y3IK-2626-SM-4WWDK 50-59 years, female 10.6
GTEX-ZTX8-1626-SM-51MRY 20-29 years, male 10.6
GTEX-1H3O1-0626-SM-9MQM4 60-69 years, male 10.6
GTEX-13OVG-2126-SM-5KM1K 60-69 years, male 10.5
GTEX-145ME-2026-SM-5SIA5 40-49 years, female 10.5
GTEX-1GTWX-0326-SM-9WYTP 60-69 years, male 10.5
GTEX-117YX-2526-SM-5EQ4Q 50-59 years, male 10.4
GTEX-139D8-0726-SM-5P9GJ 30-39 years, female 10.4
GTEX-X4EO-0526-SM-3P5Z3 60-69 years, female 10.4
GTEX-1GF9X-2126-SM-7PBXN 40-49 years, female 10.4
GTEX-1H1DE-1726-SM-A9G3G 20-29 years, male 10.4
GTEX-1H1E6-2126-SM-9KNVM 30-39 years, male 10.4
GTEX-14PJO-0526-SM-6EU2O 60-69 years, male 10.3
GTEX-16BQI-0326-SM-6PAM4 30-39 years, female 10.3
GTEX-OXRO-1726-SM-3LK6C 60-69 years, female 10.3
GTEX-1J8Q3-1426-SM-CKZPU 60-69 years, male 10.3
GTEX-1JN6P-0526-SM-COH33 60-69 years, male 10.3
GTEX-1QAET-2026-SM-E9J3S 50-59 years, male 10.3
GTEX-13JUV-2326-SM-5IJCE 40-49 years, female 10.2
GTEX-15RIE-2426-SM-7KUDS 60-69 years, male 10.2
GTEX-17EVQ-1226-SM-7LG59 70-79 years, male 10.2
GTEX-1C2JI-2126-SM-793CG 50-59 years, male 10.2
GTEX-NFK9-0626-SM-2HMIV 40-49 years, male 10.2
GTEX-RWS6-2126-SM-2XCAV 60-69 years, female 10.2
GTEX-ZVE1-0526-SM-5NQ71 50-59 years, female 10.2
GTEX-1GMR8-0326-SM-9KNUO 50-59 years, female 10.2
GTEX-1HB9E-0326-SM-D3LA5 50-59 years, male 10.2
GTEX-1HSMP-0326-SM-A9SMC 70-79 years, male 10.2
GTEX-1I1GT-0726-SM-B2LWN 60-69 years, female 10.2
GTEX-1MUQO-0226-SM-E9TJL 60-69 years, male 10.2
GTEX-145MN-2426-SM-5NQA5 30-39 years, male 10.1
GTEX-1AX8Z-5004-SM-ARZLD 60-69 years, male 10.1
GTEX-1IDFM-1526-SM-ARL7U 60-69 years, male 10.1
GTEX-1N2EF-0526-SM-E76OK 60-69 years, male 10.1
GTEX-11EM3-2126-SM-5H11M 20-29 years, female 10.0
GTEX-13W46-0726-SM-5LU3Z 50-59 years, male 10.0
GTEX-OHPN-2726-SM-2I5H4 60-69 years, female 10.0
GTEX-RNOR-0526-SM-2TF4O 50-59 years, female 10.0
GTEX-WXYG-2526-SM-3NB3F 50-59 years, female 10.0
GTEX-X638-0326-SM-47JY1 70-79 years, female 10.0
GTEX-X88G-0326-SM-47JZ4 30-39 years, male 10.0
GTEX-1IDJC-2026-SM-ADEIK 50-59 years, male 10.0
GTEX-1IDJF-0326-SM-ADEIG 20-29 years, male 10.0
GTEX-1IKK5-0426-SM-CL53X 60-69 years, male 10.0
GTEX-P4QT-1626-SM-DHXIR 50-59 years, female 10.0
GTEX-13FTW-2326-SM-5K7YS 40-49 years, male 9.9
GTEX-13JVG-0126-SM-5L3D3 60-69 years, male 9.9
GTEX-13QBU-2426-SM-5LU4L 40-49 years, female 9.9
GTEX-15G19-0526-SM-6PAMT 60-69 years, male 9.9
GTEX-QV44-2026-SM-2S1RD 50-59 years, male 9.9
GTEX-ZVZO-0326-SM-5HL4N 40-49 years, male 9.9
GTEX-13O3P-0626-SM-5L3D5 50-59 years, male 9.8
GTEX-1A3MX-0526-SM-718A9 60-69 years, male 9.8
GTEX-1AX9J-0126-SM-73KY2 60-69 years, male 9.8
GTEX-Y114-2526-SM-4TT8M 50-59 years, female 9.8
GTEX-Y5V6-2626-SM-5IFIX 60-69 years, male 9.8
GTEX-1GZ4I-0526-SM-9YFLX 50-59 years, male 9.8
GTEX-1J8EW-0326-SM-CYPSX 60-69 years, female 9.8
GTEX-12BJ1-2526-SM-5FQUE 60-69 years, male 9.7
GTEX-1HGF4-2626-SM-CM2SJ 60-69 years, male 9.7
GTEX-1KAFJ-2326-SM-D3L8Z 50-59 years, male 9.7
GTEX-1R9JW-2426-SM-DTXFI 30-39 years, female 9.7
GTEX-1122O-2426-SM-5GIDN 60-69 years, female 9.6
GTEX-15G1A-2026-SM-7KUFG 30-39 years, male 9.6
GTEX-1AMFI-2226-SM-731C6 50-59 years, female 9.6
GTEX-POMQ-1926-SM-3NB1Y 20-29 years, female 9.6
GTEX-RTLS-0526-SM-2TF64 60-69 years, female 9.6
GTEX-ZP4G-2026-SM-57WEH 20-29 years, female 9.6
GTEX-1IE54-0326-SM-ARZMD 40-49 years, female 9.6
GTEX-16XZY-2226-SM-7938N 70-79 years, male 9.5
GTEX-16XZZ-0526-SM-7KUF1 60-69 years, male 9.5
GTEX-ZAB5-2126-SM-5K7UN 50-59 years, male 9.5
GTEX-14A5I-0326-SM-5NQ9J 50-59 years, female 9.4
GTEX-14C5O-0626-SM-664N2 60-69 years, male 9.4
GTEX-14JG6-2126-SM-6EU2F 30-39 years, female 9.4
GTEX-15RJ7-2426-SM-6M48L 40-49 years, male 9.4
GTEX-ZAJG-0526-SM-5S2MT 50-59 years, female 9.4
GTEX-12WSG-5016-SM-7SB84 50-59 years, female 9.4
GTEX-1CB4H-0426-SM-7MXTL 60-69 years, female 9.4
GTEX-1R9PM-2226-SM-E8VOC 20-29 years, male 9.4
GTEX-11ZVC-2726-SM-5FQSZ 50-59 years, female 9.3
GTEX-14BIM-0326-SM-5SI9B 60-69 years, female 9.3
GTEX-QDT8-0526-SM-3NMD8 30-39 years, female 9.3
GTEX-QESD-1626-SM-2S1RB 20-29 years, male 9.3
GTEX-QLQW-1326-SM-2S1QS 30-39 years, male 9.3
GTEX-U3ZN-2226-SM-3DB88 30-39 years, female 9.3
GTEX-Y8E4-1026-SM-4VBQ5 40-49 years, male 9.3
GTEX-YFCO-1926-SM-4W212 40-49 years, male 9.3
GTEX-ZPCL-2026-SM-57WFD 60-69 years, female 9.3
GTEX-1F88E-1826-SM-9MQLV 60-69 years, female 9.3
GTEX-1I6K6-0326-SM-CJI4A 30-39 years, male 9.3
GTEX-1PWST-0426-SM-E76QV 70-79 years, male 9.3
GTEX-TKQ2-0826-SM-33HB6 50-59 years, male 9.2
GTEX-X4XX-0626-SM-3NMC1 60-69 years, male 9.2
GTEX-ZT9X-1826-SM-57WDU 40-49 years, male 9.2
GTEX-1F5PL-0426-SM-7P8PR 40-49 years, female 9.2
GTEX-11OC5-0326-SM-5PNW5 60-69 years, male 9.1
GTEX-12WSJ-1726-SM-5LZVV 40-49 years, female 9.1
GTEX-131XG-2326-SM-5HL8F 50-59 years, female 9.1
GTEX-139T6-2026-SM-5IFFL 50-59 years, male 9.1
GTEX-13IVO-0626-SM-5LZYJ 70-79 years, male 9.1
GTEX-SSA3-0326-SM-32QPS 60-69 years, male 9.1
GTEX-SUCS-1626-SM-32PLS 70-79 years, male 9.1
GTEX-YBZK-0326-SM-59HLN 50-59 years, female 9.1
GTEX-ZC5H-0326-SM-5HL9F 40-49 years, female 9.1
GTEX-13PVR-2526-SM-5RQIT 60-69 years, female 9.0
GTEX-13X6H-2326-SM-7EWEB 50-59 years, female 9.0
GTEX-14A5H-0326-SM-5RQIB 60-69 years, male 9.0
GTEX-183WM-0426-SM-731B1 70-79 years, female 9.0
GTEX-X8HC-0526-SM-4E3JA 50-59 years, female 9.0
GTEX-1H1DG-0326-SM-9QEHK 70-79 years, male 9.0
GTEX-S33H-2226-SM-DKPOP 30-39 years, male 9.0
GTEX-13NYC-0726-SM-5J2NQ 60-69 years, male 8.9
GTEX-13O1R-0526-SM-5K7XU 60-69 years, male 8.9
GTEX-13VXT-0326-SM-5LU4U 20-29 years, female 8.9
GTEX-15UF7-2226-SM-6PAMQ 40-49 years, male 8.9
GTEX-18D9A-1826-SM-718BK 30-39 years, female 8.9
GTEX-XV7Q-2926-SM-4BRUL 40-49 years, female 8.9
GTEX-XYKS-2426-SM-4AT43 60-69 years, female 8.9
GTEX-1LBAC-0326-SM-DIPF1 20-29 years, male 8.9
GTEX-1LVAM-0326-SM-DIPFL 50-59 years, female 8.9
GTEX-13S86-2326-SM-5RQK1 40-49 years, male 8.8
GTEX-15SKB-2526-SM-6PALP 60-69 years, male 8.8
GTEX-1A32A-0526-SM-731B9 50-59 years, female 8.8
GTEX-1C475-1726-SM-73KVX 40-49 years, female 8.8
GTEX-OIZG-1326-SM-2HMIQ 50-59 years, male 8.8
GTEX-WHSE-0526-SM-5GZZD 20-29 years, male 8.8
GTEX-1GF9W-0526-SM-9MQJP 60-69 years, male 8.8
GTEX-1J1OQ-0426-SM-A9SLI 40-49 years, female 8.8
GTEX-1399R-2526-SM-5IFG2 30-39 years, male 8.7
GTEX-13OVJ-0226-SM-5L3GK 50-59 years, female 8.7
GTEX-146FR-1726-SM-5Q5DT 60-69 years, female 8.7
GTEX-O5YT-1626-SM-32PK6 20-29 years, male 8.7
GTEX-ZXG5-0326-SM-5GICH 60-69 years, male 8.7
GTEX-ZZPT-0626-SM-5GZXT 50-59 years, male 8.7
GTEX-11XUK-2226-SM-5CVLL 40-49 years, female 8.6
GTEX-12584-0526-SM-5FQTS 40-49 years, male 8.6
GTEX-13NZ9-0626-SM-5IJCO 50-59 years, male 8.6
GTEX-1CAMS-0126-SM-79396 40-49 years, female 8.6
GTEX-QEL4-0626-SM-3GIJM 50-59 years, male 8.6
GTEX-WYVS-2326-SM-3NMAI 40-49 years, female 8.6
GTEX-1I4MK-2326-SM-ADEHR 50-59 years, female 8.6
GTEX-1LC47-0626-SM-DIPFE 60-69 years, male 8.6
GTEX-1OFPY-2526-SM-DTXEK 60-69 years, male 8.6
GTEX-1S82P-0326-SM-E9TIR 60-69 years, female 8.6
GTEX-131XE-2726-SM-5P9G7 50-59 years, male 8.5
GTEX-13YAN-0526-SM-5O9BE 60-69 years, male 8.5
GTEX-144GM-2026-SM-5LU3D 20-29 years, male 8.5
GTEX-16NPV-2426-SM-6M482 50-59 years, female 8.5
GTEX-ZF28-0526-SM-4WKGW 60-69 years, male 8.5
GTEX-ZVZP-2526-SM-57WBR 50-59 years, male 8.5
GTEX-ZZ64-1526-SM-5E43K 20-29 years, male 8.5
GTEX-1MCYP-2026-SM-DTXE4 20-29 years, female 8.5
GTEX-15CHQ-0726-SM-6EU18 60-69 years, male 8.4
GTEX-15F5U-1826-SM-6LLJF 40-49 years, male 8.4
GTEX-ZLFU-2526-SM-DO91K 40-49 years, male 8.4
GTEX-15SHW-0726-SM-7KUEI 60-69 years, male 8.3
GTEX-PLZ5-1726-SM-2I5F6 50-59 years, male 8.3
GTEX-1399S-2726-SM-5KM22 30-39 years, female 8.2
GTEX-13RTK-1626-SM-5QGQS 20-29 years, male 8.2
GTEX-14AS3-2126-SM-5S2MK 40-49 years, female 8.2
GTEX-Y3I4-2326-SM-4TT81 50-59 years, male 8.2
GTEX-1I1GU-2126-SM-CGQF9 40-49 years, male 8.2
GTEX-1R46S-0326-SM-EWRNE 60-69 years, female 8.2
GTEX-QCQG-2126-SM-DTXFV 50-59 years, female 8.2
GTEX-12WSL-2726-SM-5CVNL 50-59 years, male 8.1
GTEX-14XAO-2226-SM-6LLHU 60-69 years, female 8.1
GTEX-15ETS-0326-SM-6PANH 40-49 years, female 8.1
GTEX-1AMEY-1526-SM-73KYW 30-39 years, female 8.1
GTEX-OIZH-1626-SM-2HMKI 50-59 years, male 8.1
GTEX-REY6-0826-SM-2TF4S 60-69 years, male 8.1
GTEX-1P4AB-0326-SM-EXUT3 50-59 years, male 8.1
GTEX-14PN4-0326-SM-6EU2N 50-59 years, male 8.0
GTEX-16MTA-2026-SM-7KUL3 50-59 years, male 8.0
GTEX-RUSQ-1726-SM-2TF68 50-59 years, male 8.0
GTEX-111CU-2026-SM-5GZZC 50-59 years, male 7.9
GTEX-12696-2826-SM-5FQTY 60-69 years, male 7.9
GTEX-13OVI-1726-SM-5L3DW 60-69 years, female 7.9
GTEX-14E6C-1526-SM-664ND 40-49 years, male 7.9
GTEX-15UF6-1026-SM-7KUF7 70-79 years, female 7.9
GTEX-OHPL-1626-SM-2HMIR 60-69 years, female 7.9
GTEX-Q2AI-1526-SM-3GIJ3 40-49 years, male 7.9
GTEX-1117F-0426-SM-5EGHI 60-69 years, female 7.8
GTEX-PWN1-1626-SM-2S1OL 40-49 years, female 7.8
GTEX-VJWN-0426-SM-3GIJI 50-59 years, female 7.8
GTEX-1A8FM-0526-SM-7P8SF 50-59 years, female 7.8
GTEX-1ICLZ-0626-SM-ARL83 60-69 years, male 7.8
GTEX-1399U-2526-SM-5L3DL 50-59 years, female 7.7
GTEX-17EUY-0626-SM-793BE 20-29 years, male 7.7
GTEX-1HR9M-0326-SM-CL549 60-69 years, male 7.7
GTEX-1JMPZ-0126-SM-CNPOZ 30-39 years, male 7.7
GTEX-13X6I-0526-SM-5QGP8 60-69 years, male 7.6
GTEX-SE5C-1826-SM-2XCE4 40-49 years, female 7.6
GTEX-1HSGN-0326-SM-ACKXQ 40-49 years, female 7.6
GTEX-XMD1-0626-SM-EZ6MC 60-69 years, male 7.6
GTEX-1AYD5-2226-SM-73KX3 50-59 years, male 7.5
GTEX-XAJ8-1026-SM-47JY9 40-49 years, male 7.5
GTEX-ZYY3-0526-SM-5E45G 60-69 years, female 7.5
GTEX-14PJ5-2026-SM-6LLIN 60-69 years, female 7.4
GTEX-TSE9-0526-SM-3DB7Z 60-69 years, female 7.4
GTEX-1IDJV-0426-SM-COH3Z 60-69 years, male 7.4
GTEX-144GO-1326-SM-5Q5EL 60-69 years, male 7.3
GTEX-17MFQ-1926-SM-793A6 20-29 years, male 7.3
GTEX-1B932-0526-SM-73KU7 40-49 years, female 7.3
GTEX-1314G-1726-SM-5LZUX 30-39 years, male 7.2
GTEX-13NYS-0326-SM-5MR4L 60-69 years, male 7.2
GTEX-POYW-0526-SM-2XCEY 60-69 years, male 7.2
GTEX-XMD2-0526-SM-4YCDI 60-69 years, female 7.2
GTEX-11DXX-2726-SM-5PNXO 60-69 years, female 7.1
GTEX-132AR-1026-SM-5PNVL 50-59 years, female 7.1
GTEX-15DDE-0526-SM-6ETZQ 50-59 years, female 7.1
GTEX-PLZ4-0926-SM-2S1OI 50-59 years, female 7.1
GTEX-PSDG-0426-SM-5SI86 50-59 years, male 7.1
GTEX-V1D1-2426-SM-3GAER 50-59 years, male 7.1
GTEX-1JMPY-1226-SM-CJI3A 30-39 years, male 7.1
GTEX-132Q8-0626-SM-5L3F3 60-69 years, male 7.0
GTEX-146FH-0526-SM-5QGQ3 50-59 years, female 7.0
GTEX-16MT8-0326-SM-6PAM5 60-69 years, female 7.0
GTEX-17MF6-2026-SM-7LG5I 40-49 years, male 7.0
GTEX-UTHO-0726-SM-3GAEN 60-69 years, male 7.0
GTEX-WFG8-2426-SM-3GILL 20-29 years, male 7.0
GTEX-11TTK-0326-SM-5BC5N 60-69 years, female 6.9
GTEX-17HHE-2126-SM-7DHLO 50-59 years, male 6.9
GTEX-1JMQL-0126-SM-CY8HN 50-59 years, female 6.9
GTEX-RU1J-1726-SM-2TF5S 20-29 years, female 6.7
GTEX-VUSG-2626-SM-4KKZI 50-59 years, male 6.7
GTEX-1H3NZ-0326-SM-9MQL6 60-69 years, male 6.7
GTEX-1R9PO-2426-SM-EVYBS 60-69 years, female 6.7
GTEX-11TT1-2326-SM-5GU6N 20-29 years, male 6.6
GTEX-145LS-0526-SM-5LU8Y 60-69 years, female 6.6
GTEX-QDVN-2426-SM-2S1Q4 50-59 years, male 6.6
GTEX-1CB4J-1226-SM-7P8P3 60-69 years, male 6.6
GTEX-1HBPM-0426-SM-CKZOO 60-69 years, female 6.5
GTEX-1HCUA-2326-SM-ACKVJ 50-59 years, female 6.5
GTEX-1LGRB-2626-SM-CNPPR 50-59 years, female 6.5
GTEX-11I78-2426-SM-5A5K9 50-59 years, female 6.4
GTEX-13CF3-1826-SM-5J1NK 60-69 years, female 6.4
GTEX-13PDP-0326-SM-5K7XP 60-69 years, male 6.4
GTEX-1B8KE-2226-SM-7939K 50-59 years, male 6.4
GTEX-QEG5-0426-SM-2I5GJ 20-29 years, male 6.3
GTEX-S32W-2326-SM-2XCAW 50-59 years, female 6.3
GTEX-Q2AH-1826-SM-2S1Q2 40-49 years, male 6.2
GTEX-XGQ4-2326-SM-4AT53 50-59 years, male 6.2
GTEX-ZVP2-2126-SM-5GU6E 50-59 years, male 6.2
GTEX-1GZ2Q-0426-SM-9WPOU 40-49 years, male 6.2
GTEX-11DZ1-0926-SM-5EQ5R 50-59 years, male 6.1
GTEX-139T8-0526-SM-5KLZL 60-69 years, male 6.1
GTEX-P44G-0526-SM-2XCD1 30-39 years, male 6.1
GTEX-1F48J-0526-SM-9WYSX 50-59 years, female 6.1
GTEX-1LH75-2626-SM-E9TKL 50-59 years, female 6.1
GTEX-11EMC-2626-SM-59864 60-69 years, female 6.0
GTEX-15UKP-0326-SM-7KUFP 20-29 years, male 5.9
GTEX-QVJO-0126-SM-3GIK4 60-69 years, female 5.9
GTEX-1KANC-1626-SM-E6CIA 50-59 years, female 5.9
GTEX-SN8G-0326-SM-32PLG 50-59 years, female 5.8
GTEX-X4XY-0626-SM-4E3IN 60-69 years, male 5.8
GTEX-1H2FU-0526-SM-ACKXO 60-69 years, female 5.8
GTEX-18A67-0326-SM-7LG5X 50-59 years, male 5.7
GTEX-1GZ4H-1626-SM-7PC3F 50-59 years, female 5.7
GTEX-1H23P-0526-SM-9WG6S 60-69 years, male 5.6
GTEX-ZVE2-0626-SM-5GU7I 50-59 years, male 5.5
GTEX-1L5NE-2226-SM-CXZKS 50-59 years, male 5.5
GTEX-1R9K5-0326-SM-EWRNG 50-59 years, male 5.5
GTEX-X261-0326-SM-3NMD4 50-59 years, male 5.4
GTEX-11EQ8-0526-SM-5N9BC 60-69 years, male 5.3
GTEX-14C38-0426-SM-5TDDZ 50-59 years, male 5.3
GTEX-P44H-0426-SM-2XCEZ 40-49 years, male 5.3
GTEX-1F52S-0826-SM-7P8TQ 60-69 years, female 5.3
GTEX-1339X-2426-SM-5KLYU 40-49 years, male 5.2
GTEX-ZTPG-0126-SM-5O9AL 20-29 years, female 5.2
GTEX-12WSA-0726-SM-5FQU2 60-69 years, male 5.0
GTEX-1K2DU-2526-SM-D3L8V 20-29 years, male 4.9
GTEX-TMMY-0426-SM-33HBB 40-49 years, female 4.8
GTEX-ZWKS-0326-SM-5NQ7G 30-39 years, male 4.3
GTEX-ZV6S-2126-SM-4YCEM 40-49 years, female 4.0
GTEX-1IDJD-1326-SM-CM2TQ 30-39 years, male 4.0
GTEX-VJYA-1926-SM-3GIJJ 60-69 years, male 3.4
GTEX-11WQK-0726-SM-5GU71 50-59 years, male 2.6
Show allShow less

SKELETAL MUSCLE - FANTOM5 CAGEi

RNA expression in human tissues obtained through Cap Analysis of Gene Expression (CAGE) generated by the FANTOM5 project are reported as Scaled Tags Per Million.

Max subtype Scaled Tags Per Millioni

Max subtype Scaled Tags Per Million is the value for the subtype with the largest average Scaled Tags Per Million across the subtype samples.

38.3
FANTOM5 sample id Sample description Scaled Tags Per Million
Skeletal muscle
Scaled Tags Per Million: 17.9
FF:10023-101D5 55,79,79 years, mixed 17.9
Skeletal muscle - soleus muscle
Scaled Tags Per Million: 38.3
FF:10282-104F3 male 38.3

Contact

  • NEWS ARTICLES
  • PRESS ROOM

The Project

  • INTRODUCTION
  • ORGANIZATION
  • PUBLICATIONS

The Human Protein Atlas

  • DOWNLOADABLE DATA
  • LICENCE & CITATION
  • HELP & FAQ
The Human Protein Atlas project is funded
by the Knut & Alice Wallenberg Foundation.


contact@proteinatlas.org