We use cookies to enhance the usability of our website. If you continue, we'll assume that you are happy to receive all cookies. More information. Don't show this again.
CYBA
HPA
RESOURCES
  • TISSUE
  • BRAIN
  • SINGLE CELL
  • SUBCELLULAR
  • CANCER
  • BLOOD
  • CELL LINE
  • STRUCTURE & INTERACTION
ABOUT
  • INTRODUCTION
  • HISTORY
  • ORGANIZATION
  • PUBLICATIONS
  • ANTIBODY SUBMISSION
  • ANTIBODY AVAILABILITY
  • ACKNOWLEDGMENTS
  • CONTACT
NEWS
  • NEWS ARTICLES
  • PRESS ROOM
LEARN
  • DICTIONARY
  • PROTEIN CLASSES
  • PROTEIN EVIDENCE
  • METHODS
  • EDUCATIONAL VIDEOS
DATA
  • DOWNLOADABLE DATA
  • PUBLICATION DATA
  • RELEASE HISTORY
HELP
  • ANTIBODY VALIDATION
  • ASSAYS & ANNOTATION
  • DISCLAIMER
  • HELP & FAQ
  • PRIVACY STATEMENT
  • LICENCE & CITATION
Fields »
Search result

Field
Term
Gene name
Class
Subclass
Class
Keyword
Chromosome
External id
Tissue
Cell type
Expression
Antibody panel
Tissue
Main location
Patient ID
Annotation
Tissue
Category
Tau score
Cluster
Reliability
Brain region
Category
Tau score
Brain region
Category
Tau score
Brain region
Category
Tau score
Cluster
Reliability
Tissue
Cell type
Enrichment
Cell type
Category
Tau score
Cell type
Category
Tau score
Cell type
Category
Tau score
Cell lineage
Category
Tau score
Cluster
Cluster
Location
Searches
Location
Cell line
Class
Type
Phase
Reliability
Cancer
Prognosis
Cancer
Category
Cancer
Category
Tau score
Cluster
Variants
Interacting gene (ensg_id)
Type
Number of interactions
Pathway
Category
Score
Score
Score
Validation
Validation
Validation
Validation
Antibodies
Data type
Column


  • SUMMARY

  • TISSUE

  • BRAIN

  • SINGLE CELL

  • SUBCELL

  • CANCER

  • BLOOD

  • CELL LINE

  • STRUCT & INT

  • CYBA
TISSUE PRIMARY DATA SMALL INTESTINE Show tissue menu
ADIPOSE TISSUE ADRENAL GLAND AMYGDALA APPENDIX BASAL GANGLIA BONE MARROW BREAST BRONCHUS CEREBELLUM CEREBRAL CORTEX CERVIX CHOROID PLEXUS COLON DUODENUM
ENDOMETRIUM EPIDIDYMIS ESOPHAGUS FALLOPIAN TUBE GALLBLADDER HEART MUSCLE HIPPOCAMPAL FORMATION HYPOTHALAMUS KIDNEY LIVER LUNG LYMPH NODE MIDBRAIN NASOPHARYNX
ORAL MUCOSA OVARY PANCREAS PARATHYROID GLAND PITUITARY GLAND PLACENTA PROSTATE RECTUM RETINA SALIVARY GLAND SEMINAL VESICLE SKELETAL MUSCLE SKIN SMALL INTESTINE
SMOOTH MUSCLE SOFT TISSUE SPINAL CORD SPLEEN STOMACH TESTIS THYMUS THYROID GLAND TONGUE TONSIL URINARY BLADDER VAGINA
ANTIBODIES
AND
VALIDATION
Dictionary
Small intestine
Tissue proteome
Intestine
SMALL INTESTINE - Expression summary
Protein expression
Small intestinei

On the top, protein expression in current human tissue, based on all annotated cell types, is reported with the units not detected (n), low (l), medium (m) and high (h). Underneath, protein expression in each annotated cell type are reported using the same units.

Protein expression data is based on knowledge-based annotation. For genes where more than one antibody has been used, a collective score is set.

If knowledge-based annotation could not be performed for a gene, no data is displayed here. View antibody staining data further down this page.

h
m
l
n
Endocrine cells: Not detected
Enterocytes: Not detected
Enterocytes - Microvilli: Not detected
Goblet cells: Not detected
Paneth cells: Not detected
RNA expressioni

A summary of mRNA expression data available for current tissue based on several datasets. The mRNA expression levels in human tissues are based on RNA-seq data generated by the Human Protein Atlas (HPA), Genotype-Tissue Expression (GTEx) portal and CAGE data generated by the FANTOM5 consortium. Consensus normalized expression levels for human tissues was created by combining the data from HPA and GTEx datasets.

The mRNA expression levels in pig are based on RNA-seq data generated by the Human Protein Atlas (HPA), and for mouse, HPA data and in situ hybridization generated by the Allen brain atlas are reported.

Scroll down to view mRNA expression data in more detail.
Consensus:238.6 nTPM
HPA:207.5 nTPM
GTEx:238.6 nTPM
FANTOM5:212.2 Scaled Tags Per Million

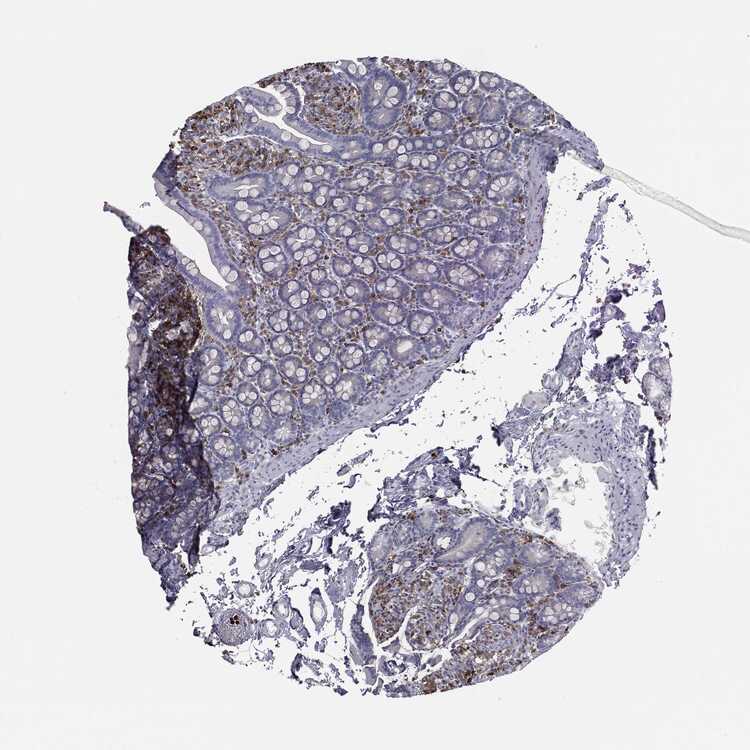
SMALL INTESTINE - Antibody stainingi

Antibody staining in the annotated cell types in the current human tissue is reported as not detected, low, medium, or high, based on conventional immunohistochemistry profiling in selected tissues. This score is based on the combination of the staining intensity and fraction of stained cells.

Each image is clickable and will lead to virtual microscopy that enables deeper exploration of all samples and also displays staining intensity scores, fraction scores and subcellular localization as well as patient and tissue information for each sample.

Antibody HPA072667Antibody CAB009492
Endocrine cells -Not detected
Enterocytes -Not detected
Enterocytes - Microvilli -Not detected
Glandular cells Not detected-
Goblet cells -Not detected
Paneth cells -Not detected





SMALL INTESTINE - HPA RNA-seqi

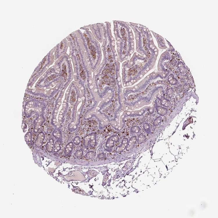
The RNA-seq details section shows detailed information about the individual samples used for the transcript profiling and results of the RNA-seq analysis.

Information about each individual sample is listed below, including gender, age, a tissue section image and estimated fractions of cell types. nTPM (normalized transcripts per million) values give a quantification of the gene abundance which is comparable between different genes and samples.
Average nTPMi

Max subtype nTPM is the value for the subtype with the largest average nTPM across the subtype samples.

207.5
overview
Male, age 65
Small intestine sample 232
nTPM: 219.4
Cell types%
Glandular cells:
55

Smooth muscle cells:
5

Other cell types:
40

overview
Male, age 39
Small intestine sample 233
nTPM: 205.1
Cell types%
Glandular cells:
40

Smooth muscle cells:
5

Other cell types:
55

overview
Male, age 68
Small intestine sample 234
nTPM: 241.2
Cell types%
Glandular cells:
30

Smooth muscle cells:
15

Other cell types:
55

N/A
Male, age 85
Small intestine sample 235
nTPM: 164.3

SMALL INTESTINE - GTEx RNA-seqi

RNA-Seq data generated by the Genotype-Tissue Expression (GTEx) project from human tissues is reported as mean nTPM. More information can be found on the GTEx portal.

Distribution across the dataset is visualized with box plots, shown as median and 25th and 75th percentiles. Points are displayed as outliers if they are above or below 1.5 times the interquartile range. nTPM values of the individual samples are presented next to the box plot.
Max subtype nTPMi

Max subtype nTPM is the value for the subtype with the largest average nTPM across the subtype samples.

238.6
GTEx sample id Sample description nTPM
Small Intestine - Terminal Ileum
Average nTPM: 238.6
Samples: 187

Max nTPM: 582.8
Min nTPM: 32.2
Std nTPM: 119.6
Median nTPM: 235.7
GTEX-1NSGN-2126-SM-DPRYN 50-59 years, male 582.8
GTEX-WRHK-1026-SM-4MVOD 20-29 years, female 575.1
GTEX-WFJO-0926-SM-4LVM2 30-39 years, male 539.9
GTEX-WH7G-1626-SM-4LVMY 40-49 years, male 493.3
GTEX-VJYA-0926-SM-4KL1N 60-69 years, male 464.9
GTEX-1IKOE-1926-SM-ARU7V 30-39 years, female 449.7
GTEX-UPK5-2026-SM-4JBIM 40-49 years, male 446.1
GTEX-16A39-1426-SM-6LLI6 30-39 years, female 444.5
GTEX-1KXAM-2026-SM-DHXKI 60-69 years, male 443.6
GTEX-X15G-1426-SM-4PQZK 50-59 years, female 435.5
GTEX-11VI4-1626-SM-5EQKO 40-49 years, female 426.6
GTEX-11NSD-1726-SM-5N9C3 20-29 years, male 419.2
GTEX-ZVP2-1726-SM-5GU5P 50-59 years, male 417.7
GTEX-1PDJ9-1826-SM-E9U66 20-29 years, male 415.2
GTEX-1OJC3-1626-SM-E9U65 20-29 years, male 414.2
GTEX-1RAZQ-2226-SM-DPRZR 30-39 years, male 412.8
GTEX-Z9EW-0926-SM-5CVMM 40-49 years, male 408.4
GTEX-1HSMQ-2226-SM-C1YRD 50-59 years, male 408.4
GTEX-13FH7-1226-SM-5IJFK 50-59 years, female 400.5
GTEX-Y5LM-1626-SM-4VDTB 40-49 years, female 400.2
GTEX-14E6E-1626-SM-5RQI7 30-39 years, male 398.6
GTEX-13O61-1326-SM-5KM31 60-69 years, male 388.1
GTEX-1GL5R-2026-SM-7MKHP 50-59 years, male 387.9
GTEX-VUSG-1726-SM-4KKZL 50-59 years, male 386.0
GTEX-15DZA-0826-SM-6AJBF 30-39 years, female 378.2
GTEX-14PK6-1626-SM-6871I 70-79 years, female 375.8
GTEX-1H11D-2526-SM-9JGGU 40-49 years, male 375.8
GTEX-18A66-2526-SM-7KFTZ 60-69 years, male 373.2
GTEX-11P82-0826-SM-5P9GU 20-29 years, male 369.3
GTEX-183FY-1626-SM-793D8 20-29 years, male 368.1
GTEX-14BMU-1426-SM-5TDE5 20-29 years, female 368.0
GTEX-1C475-1426-SM-793CH 40-49 years, female 367.7
GTEX-X5EB-1626-SM-4E3IV 40-49 years, male 361.3
GTEX-14XAO-1926-SM-6ETZO 60-69 years, female 359.8
GTEX-1QPFJ-2626-SM-DPRZU 30-39 years, female 353.6
GTEX-ZF29-1626-SM-4WKFJ 60-69 years, female 350.9
GTEX-ZEX8-1826-SM-57WBH 50-59 years, male 347.8
GTEX-1PIEJ-1526-SM-E6CP8 20-29 years, female 347.4
GTEX-1399U-2126-SM-5IFEZ 50-59 years, female 345.7
GTEX-18QFQ-1626-SM-72D7H 30-39 years, male 342.5
GTEX-ZA64-1226-SM-5HL7B 20-29 years, male 339.1
GTEX-1CB4F-1826-SM-7MGXI 60-69 years, male 336.2
GTEX-XAJ8-0526-SM-47JYK 40-49 years, male 335.8
GTEX-1EMGI-2826-SM-7IGMR 60-69 years, male 335.5
GTEX-1H1DE-1426-SM-9JGHV 20-29 years, male 332.3
GTEX-1K9T9-2726-SM-D4P3E 50-59 years, female 329.5
GTEX-1LBAC-1526-SM-CXZKU 20-29 years, male 327.3
GTEX-13CF3-1226-SM-5LZXN 60-69 years, female 322.7
GTEX-16NGA-1126-SM-7KFSY 40-49 years, female 322.6
GTEX-1F75I-2526-SM-9WPOZ 40-49 years, male 321.0
GTEX-1MGNQ-2326-SM-EV7BG 40-49 years, male 320.0
GTEX-XGQ4-1326-SM-4GIDU 50-59 years, male 310.8
GTEX-11XUK-1426-SM-5EQMG 40-49 years, female 309.7
GTEX-ZC5H-2326-SM-4WAYT 40-49 years, female 303.9
GTEX-ZLFU-1526-SM-4WWBT 40-49 years, male 303.2
GTEX-1J8QM-1026-SM-C1YQA 60-69 years, female 298.1
GTEX-1QP2A-2426-SM-EXOJA 50-59 years, male 297.3
GTEX-17MFQ-1026-SM-7KFSZ 20-29 years, male 296.7
GTEX-1RAZA-1826-SM-DTXA2 20-29 years, male 291.3
GTEX-1CAMR-0826-SM-7MKFK 20-29 years, male 285.0
GTEX-13RTK-0826-SM-5Q5C6 20-29 years, male 284.7
GTEX-1QP28-1726-SM-E6CRK 50-59 years, female 279.9
GTEX-13FTW-2026-SM-5IJE2 40-49 years, male 279.1
GTEX-ZQG8-2526-SM-57WEQ 60-69 years, female 277.2
GTEX-11DXX-1626-SM-5H11H 60-69 years, female 274.4
GTEX-11TUW-1926-SM-5BC58 60-69 years, male 273.6
GTEX-WQUQ-2426-SM-4MVNW 60-69 years, male 273.1
GTEX-1GMR3-2726-SM-7MKFB 40-49 years, male 270.3
GTEX-ZZ64-0526-SM-5GZXM 20-29 years, male 269.5
GTEX-14PKU-1626-SM-6871C 40-49 years, female 268.4
GTEX-WFG8-1626-SM-4LVMB 20-29 years, male 268.4
GTEX-1399S-2026-SM-5KM4B 30-39 years, female 265.8
GTEX-1AX8Z-2526-SM-731E3 60-69 years, male 264.9
GTEX-1LGOU-1426-SM-D3L8N 20-29 years, female 263.6
GTEX-11P7K-1626-SM-5GU63 30-39 years, male 262.3
GTEX-ZLWG-1626-SM-DNZZ1 50-59 years, female 260.1
GTEX-1JK1U-1226-SM-CNNPN 60-69 years, male 260.0
GTEX-11DXZ-1326-SM-5H11X 50-59 years, male 258.7
GTEX-ZVT2-2126-SM-5NQ93 50-59 years, female 258.4
GTEX-12BJ1-1926-SM-5HL9Z 60-69 years, male 257.6
GTEX-1R9K5-2026-SM-E6CPS 50-59 years, male 257.2
GTEX-131XG-1726-SM-5LZUR 50-59 years, female 255.0
GTEX-XUZC-1426-SM-4BRV3 30-39 years, female 252.2
GTEX-148VJ-2226-SM-5NQ9M 70-79 years, male 251.0
GTEX-17HHE-1726-SM-79OKT 50-59 years, male 250.7
GTEX-1RAZR-1826-SM-E6CRE 40-49 years, male 249.1
GTEX-XBED-1426-SM-4AT4G 60-69 years, male 248.8
GTEX-1JN76-1126-SM-C1YRL 20-29 years, female 246.3
GTEX-145ME-0926-SM-5O9AR 40-49 years, female 245.9
GTEX-1497J-1926-SM-5TDCC 60-69 years, male 243.8
GTEX-1S5ZA-1326-SM-EV7BB 20-29 years, male 238.4
GTEX-133LE-1426-SM-5IFH1 20-29 years, female 237.2
GTEX-13X6H-1826-SM-7EWCZ 50-59 years, female 236.0
GTEX-145LT-1026-SM-5LU9O 40-49 years, male 235.7
GTEX-1R7EV-1226-SM-DTX82 40-49 years, male 231.8
GTEX-14PJ6-1726-SM-6AJBN 60-69 years, female 231.7
GTEX-1L5NE-1826-SM-EV79T 50-59 years, male 229.6
GTEX-WHSB-1026-SM-4M1XN 50-59 years, male 229.4
GTEX-1R7EU-1326-SM-E6CQ6 60-69 years, male 226.8
GTEX-13QBU-1926-SM-5IJEW 40-49 years, female 224.4
GTEX-YEC4-1726-SM-4W21E 40-49 years, male 224.0
GTEX-11I78-1126-SM-5A5K5 50-59 years, female 223.8
GTEX-WEY5-1526-SM-4LMJF 40-49 years, female 222.7
GTEX-11EQ9-1326-SM-5985X 30-39 years, male 218.9
GTEX-139T6-1026-SM-5IJGC 50-59 years, male 217.0
GTEX-14PKV-2026-SM-6AJ9A 20-29 years, female 216.6
GTEX-WY7C-1826-SM-4ONCE 50-59 years, male 216.2
GTEX-139YR-2226-SM-5IFFW 50-59 years, male 215.4
GTEX-1B8KZ-1126-SM-7IGLX 50-59 years, male 214.8
GTEX-ZP4G-1626-SM-57WGD 20-29 years, female 213.7
GTEX-131XF-1326-SM-5GCMQ 60-69 years, male 209.0
GTEX-13113-1226-SM-5EGHT 60-69 years, female 207.9
GTEX-1399R-2026-SM-5K7WN 30-39 years, male 207.7
GTEX-14PJN-0826-SM-686ZL 30-39 years, male 199.7
GTEX-YFCO-1326-SM-664NV 40-49 years, male 198.0
GTEX-1CAMS-2426-SM-7DHMV 40-49 years, female 197.7
GTEX-16MTA-1526-SM-6LPJB 50-59 years, male 194.1
GTEX-ZPIC-2326-SM-57WDW 40-49 years, female 193.1
GTEX-16AAH-1426-SM-7KFTR 50-59 years, male 192.5
GTEX-ZLV1-1126-SM-4WWBW 60-69 years, female 192.0
GTEX-1GMR2-1026-SM-7MKHJ 50-59 years, male 191.5
GTEX-13111-1426-SM-5DUW3 50-59 years, male 188.9
GTEX-13D11-0726-SM-5LZZB 50-59 years, female 188.4
GTEX-YB5E-1526-SM-5IFIE 40-49 years, male 187.2
GTEX-ZTX8-0526-SM-59HLD 20-29 years, male 185.9
GTEX-14DAR-1426-SM-5RQIR 50-59 years, male 185.2
GTEX-1B8KE-1726-SM-7IGMN 50-59 years, male 181.5
GTEX-13W3W-2026-SM-5K7UL 60-69 years, female 179.9
GTEX-ZTPG-2626-SM-57WFX 20-29 years, female 177.9
GTEX-ZYFG-2026-SM-5E43Y 60-69 years, female 176.9
GTEX-144GM-1026-SM-79OKU 20-29 years, male 176.8
GTEX-Y9LG-1626-SM-5IFHM 30-39 years, male 176.2
GTEX-XXEK-1026-SM-4BRUW 50-59 years, male 176.1
GTEX-13PL7-2626-SM-5IFH4 60-69 years, female 173.2
GTEX-1JJE9-2226-SM-CXZJM 70-79 years, male 171.3
GTEX-14PJ3-1326-SM-664O7 50-59 years, male 164.6
GTEX-ZXES-1526-SM-5NQ95 30-39 years, female 159.5
GTEX-ZDTT-1726-SM-5HL69 60-69 years, male 153.3
GTEX-111YS-1426-SM-5GID8 60-69 years, male 151.5
GTEX-ZG7Y-1926-SM-DNZZ5 50-59 years, male 149.8
GTEX-ZVZP-1826-SM-5GZXB 50-59 years, male 148.4
GTEX-15G1A-1726-SM-6LPI4 30-39 years, male 142.8
GTEX-1AMFI-1926-SM-731F2 50-59 years, female 140.6
GTEX-YF7O-1826-SM-5IFIU 50-59 years, male 140.1
GTEX-1122O-1326-SM-5H11F 60-69 years, female 139.9
GTEX-WFG7-1726-SM-4LVME 20-29 years, male 137.6
GTEX-ZTSS-0926-SM-59865 40-49 years, male 136.9
GTEX-1C64O-2526-SM-79ONO 60-69 years, male 134.4
GTEX-Y114-1426-SM-4TT6W 50-59 years, female 133.4
GTEX-1MUQO-2426-SM-EAZ5A 60-69 years, male 128.7
GTEX-1QW4Y-1226-SM-EWRMY 30-39 years, male 119.6
GTEX-14PN3-2026-SM-68729 60-69 years, female 118.3
GTEX-13O21-1026-SM-5IJDU 50-59 years, male 113.4
GTEX-ZPCL-1726-SM-57WEO 60-69 years, female 110.0
GTEX-XMK1-1826-SM-4B66F 40-49 years, male 109.1
GTEX-Y5V5-1826-SM-4VDS5 60-69 years, female 106.7
GTEX-111CU-1326-SM-5NQ8L 50-59 years, male 105.0
GTEX-1QCLZ-2126-SM-EWRNC 60-69 years, female 97.6
GTEX-1R9K4-2326-SM-E6CRB 60-69 years, male 93.3
GTEX-1J8Q3-2526-SM-CNNQ4 60-69 years, male 88.8
GTEX-Y3IK-1726-SM-4YCCR 50-59 years, female 88.3
GTEX-1JMQK-2426-SM-CXZJU 60-69 years, male 87.1
GTEX-1192X-2526-SM-59868 50-59 years, male 84.4
GTEX-1R9PM-1626-SM-DPRY9 20-29 years, male 84.2
GTEX-13NYB-1826-SM-5J1N3 40-49 years, male 81.8
GTEX-12WSK-1526-SM-5CVNO 40-49 years, female 78.0
GTEX-1OKEX-1126-SM-DTXEB 60-69 years, male 77.9
GTEX-117YX-0326-SM-5GICL 50-59 years, male 76.5
GTEX-17KNJ-1626-SM-718AL 50-59 years, male 70.8
GTEX-WFON-1526-SM-4LVMP 40-49 years, male 65.7
GTEX-Y3I4-1326-SM-4TT8Z 50-59 years, male 65.2
GTEX-1I1GT-1826-SM-ARZLW 60-69 years, female 64.1
GTEX-14C39-1826-SM-5ZZW4 40-49 years, male 63.7
GTEX-15EU6-1826-SM-7PC1W 50-59 years, male 62.8
GTEX-1BAJH-2526-SM-7IGOT 70-79 years, male 59.9
GTEX-WYJK-1526-SM-4ONCW 50-59 years, male 56.9
GTEX-1S82Z-1826-SM-E9TIK 30-39 years, female 55.6
GTEX-XPVG-1726-SM-4B65W 50-59 years, male 52.6
GTEX-13OVI-1926-SM-5IJCG 60-69 years, female 50.3
GTEX-ZF2S-1726-SM-57WFT 50-59 years, female 49.5
GTEX-Y111-2226-SM-4SOJB 50-59 years, male 48.2
GTEX-11LCK-1926-SM-5A5KE 30-39 years, male 46.2
GTEX-ZQUD-0926-SM-57WE3 30-39 years, male 38.1
GTEX-1LH75-1926-SM-DIPGD 50-59 years, female 36.6
GTEX-131XE-0926-SM-5HL7J 50-59 years, male 35.3
GTEX-1R9JW-1926-SM-EVR4J 30-39 years, female 35.0
GTEX-ZAB5-1526-SM-5HL9P 50-59 years, male 32.2
Show allShow less

SMALL INTESTINE - FANTOM5 CAGEi

RNA expression in human tissues obtained through Cap Analysis of Gene Expression (CAGE) generated by the FANTOM5 project are reported as Scaled Tags Per Million.

Max subtype Scaled Tags Per Millioni

Max subtype Scaled Tags Per Million is the value for the subtype with the largest average Scaled Tags Per Million across the subtype samples.

212.2
FANTOM5 sample id Sample description Scaled Tags Per Million
Small intestine
Scaled Tags Per Million: 212.2
FF:10024-101D6 15,40,85 years, mixed 212.2

Contact

  • NEWS ARTICLES
  • PRESS ROOM

The Project

  • INTRODUCTION
  • ORGANIZATION
  • PUBLICATIONS

The Human Protein Atlas

  • DOWNLOADABLE DATA
  • LICENCE & CITATION
  • HELP & FAQ
The Human Protein Atlas project is funded
by the Knut & Alice Wallenberg Foundation.


contact@proteinatlas.org