We use cookies to enhance the usability of our website. If you continue, we'll assume that you are happy to receive all cookies. More information. Don't show this again.
MXD1
HPA
RESOURCES
  • TISSUE
  • BRAIN
  • SINGLE CELL
  • SUBCELLULAR
  • CANCER
  • BLOOD
  • CELL LINE
  • STRUCTURE & INTERACTION
ABOUT
  • INTRODUCTION
  • HISTORY
  • ORGANIZATION
  • PUBLICATIONS
  • ANTIBODY SUBMISSION
  • ANTIBODY AVAILABILITY
  • ACKNOWLEDGMENTS
  • CONTACT
NEWS
  • NEWS ARTICLES
  • PRESS ROOM
LEARN
  • DICTIONARY
  • PROTEIN CLASSES
  • PROTEIN EVIDENCE
  • METHODS
  • EDUCATIONAL VIDEOS
DATA
  • DOWNLOADABLE DATA
  • PUBLICATION DATA
  • RELEASE HISTORY
HELP
  • ANTIBODY VALIDATION
  • ASSAYS & ANNOTATION
  • DISCLAIMER
  • HELP & FAQ
  • PRIVACY STATEMENT
  • LICENCE & CITATION
Fields »
Search result

Field
Term
Gene name
Class
Subclass
Class
Keyword
Chromosome
External id
Tissue
Cell type
Expression
Antibody panel
Tissue
Main location
Patient ID
Annotation
Tissue
Category
Tau score
Cluster
Reliability
Brain region
Category
Tau score
Brain region
Category
Tau score
Brain region
Category
Tau score
Cluster
Reliability
Tissue
Cell type
Enrichment
Cell type
Category
Tau score
Cell type
Category
Tau score
Cell type
Category
Tau score
Cell lineage
Category
Tau score
Cluster
Cluster
Location
Searches
Location
Cell line
Class
Type
Phase
Reliability
Cancer
Prognosis
Cancer
Category
Cancer
Category
Tau score
Cluster
Variants
Interacting gene (ensg_id)
Type
Number of interactions
Pathway
Category
Score
Score
Score
Validation
Validation
Validation
Validation
Antibodies
Data type
Column


  • SUMMARY

  • TISSUE

  • BRAIN

  • SINGLE CELL

  • SUBCELL

  • CANCER

  • BLOOD

  • CELL LINE

  • STRUCT & INT

  • MXD1
TISSUE PRIMARY DATA SKIN Show tissue menu
ADIPOSE TISSUE ADRENAL GLAND AMYGDALA APPENDIX BASAL GANGLIA BONE MARROW BREAST BRONCHUS CEREBELLUM CEREBRAL CORTEX CERVIX CHOROID PLEXUS COLON DUODENUM
ENDOMETRIUM EPIDIDYMIS ESOPHAGUS FALLOPIAN TUBE GALLBLADDER HEART MUSCLE HIPPOCAMPAL FORMATION HYPOTHALAMUS KIDNEY LIVER LUNG LYMPH NODE MIDBRAIN NASOPHARYNX
ORAL MUCOSA OVARY PANCREAS PARATHYROID GLAND PITUITARY GLAND PLACENTA PROSTATE RECTUM RETINA SALIVARY GLAND SEMINAL VESICLE SKELETAL MUSCLE SKIN SMALL INTESTINE
SMOOTH MUSCLE SOFT TISSUE SPINAL CORD SPLEEN STOMACH TESTIS THYMUS THYROID GLAND TONGUE TONSIL URINARY BLADDER VAGINA
ANTIBODIES
AND
VALIDATION
Dictionary
Skin
Tissue proteome
Skin
SKIN - Expression summary
Protein expression
Skini

On the top, protein expression in current human tissue, based on all annotated cell types, is reported with the units not detected (n), low (l), medium (m) and high (h). Underneath, protein expression in each annotated cell type are reported using the same units.

Protein expression data is based on knowledge-based annotation. For genes where more than one antibody has been used, a collective score is set.

If knowledge-based annotation could not be performed for a gene, no data is displayed here. View antibody staining data further down this page.

h
m
l
n
Cells in basal layer: Low
Cells in corneal layer: Not detected
Cells in granular layer: Low
Cells in spinous layer: Low
Endothelial cells: Medium
Extracellular matrix: Not detected
Fibrohistiocytic cells: Medium
Langerhans cells: Low
Lymphocytes: Medium
Melanocytes: Medium
Vascular mural cells: Medium
RNA expressioni

A summary of mRNA expression data available for current tissue based on several datasets. The mRNA expression levels in human tissues are based on RNA-seq data generated by the Human Protein Atlas (HPA), Genotype-Tissue Expression (GTEx) portal and CAGE data generated by the FANTOM5 consortium. Consensus normalized expression levels for human tissues was created by combining the data from HPA and GTEx datasets.

The mRNA expression levels in pig are based on RNA-seq data generated by the Human Protein Atlas (HPA), and for mouse, HPA data and in situ hybridization generated by the Allen brain atlas are reported.

Scroll down to view mRNA expression data in more detail.
Consensus:12.4 nTPM
HPA:5.5 nTPM
GTEx:12.4 nTPM

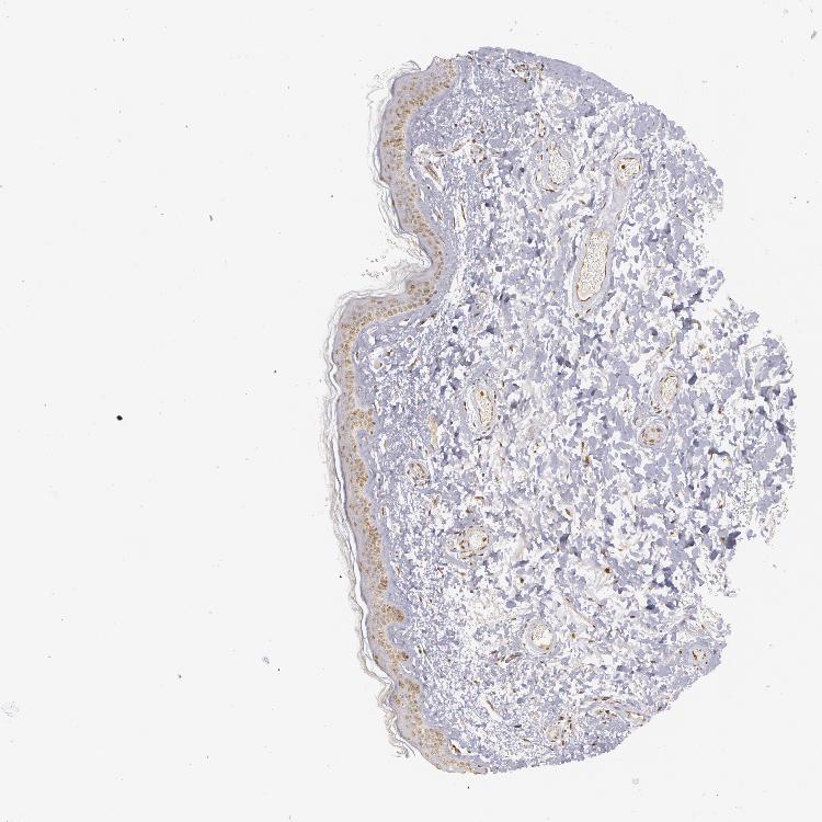
SKIN 1 - Antibody stainingi

Antibody staining in the annotated cell types in the current human tissue is reported as not detected, low, medium, or high, based on conventional immunohistochemistry profiling in selected tissues. This score is based on the combination of the staining intensity and fraction of stained cells.

Each image is clickable and will lead to virtual microscopy that enables deeper exploration of all samples and also displays staining intensity scores, fraction scores and subcellular localization as well as patient and tissue information for each sample.

Antibody HPA001599
Cells in basal layer Low
Cells in corneal layer Not detected
Cells in granular layer Low
Cells in spinous layer Low
Endothelial cells Medium
Extracellular matrix Not detected
Fibrohistiocytic cells Medium
Langerhans cells Low
Lymphocytes Medium
Melanocytes Medium
Vascular mural cells Medium


SKIN 2 - Antibody stainingi

Antibody staining in the annotated cell types in the current human tissue is reported as not detected, low, medium, or high, based on conventional immunohistochemistry profiling in selected tissues. This score is based on the combination of the staining intensity and fraction of stained cells.

Each image is clickable and will lead to virtual microscopy that enables deeper exploration of all samples and also displays staining intensity scores, fraction scores and subcellular localization as well as patient and tissue information for each sample.

Antibody HPA001599
Cells in basal layer Low
Cells in corneal layer Not detected
Cells in granular layer Low
Cells in spinous layer Low
Endothelial cells Low
Extracellular matrix Not detected
Fibrohistiocytic cells Low
Langerhans cells Low
Lymphocytes Low
Melanocytes Low
Vascular mural cells Low


SKIN - HPA RNA-seqi

The RNA-seq details section shows detailed information about the individual samples used for the transcript profiling and results of the RNA-seq analysis.

Information about each individual sample is listed below, including gender, age, a tissue section image and estimated fractions of cell types. nTPM (normalized transcripts per million) values give a quantification of the gene abundance which is comparable between different genes and samples.
Average nTPMi

Max subtype nTPM is the value for the subtype with the largest average nTPM across the subtype samples.

5.5
overview
Female, age 34
Skin sample 225
nTPM: 5.8
Cell types%
Keratinocytes:
60

Other cell types:
40

overview
Female, age 30
Skin sample 226
nTPM: 6.2
Cell types%
Keratinocytes:
55

Other cell types:
45

N/A
Male, age 57
Skin sample 227
nTPM: 4.7

SKIN - GTEx RNA-seqi

RNA-Seq data generated by the Genotype-Tissue Expression (GTEx) project from human tissues is reported as mean nTPM. More information can be found on the GTEx portal.

Distribution across the dataset is visualized with box plots, shown as median and 25th and 75th percentiles. Points are displayed as outliers if they are above or below 1.5 times the interquartile range. nTPM values of the individual samples are presented next to the box plot.
Max subtype nTPMi

Max subtype nTPM is the value for the subtype with the largest average nTPM across the subtype samples.

12.4
GTEx sample id Sample description nTPM
Skin - Not Sun Exposed (Suprapubic)
Average nTPM: 12.4
Samples: 604

Max nTPM: 56.7
Min nTPM: 3.4
Std nTPM: 6.9
Median nTPM: 10.6
GTEX-1IDFM-0326-SM-ARL7V 60-69 years, male 56.7
GTEX-1F6RS-2026-SM-7RHHC 60-69 years, female 53.2
GTEX-15UF6-1926-SM-7KUDV 70-79 years, female 48.2
GTEX-13NZ8-1226-SM-5KM4A 60-69 years, female 47.5
GTEX-13YAN-0226-SM-5TDC6 60-69 years, male 44.4
GTEX-13PDP-0726-SM-5L3HP 60-69 years, male 42.1
GTEX-11EQ8-0926-SM-5H12V 60-69 years, male 41.9
GTEX-WHSE-0126-SM-3NMBT 20-29 years, male 40.8
GTEX-ZYY3-2926-SM-5GIEB 60-69 years, female 34.8
GTEX-ZYVF-0926-SM-5E44J 50-59 years, female 33.7
GTEX-1R9K4-2826-SM-DTX8F 60-69 years, male 33.0
GTEX-1JN6P-2926-SM-CL54D 60-69 years, male 32.4
GTEX-ZYFD-0626-SM-5E44E 50-59 years, male 31.4
GTEX-ZY6K-1426-SM-5GZX2 50-59 years, male 30.9
GTEX-139UW-0326-SM-5J1ML 60-69 years, male 30.3
GTEX-ZUA1-2626-SM-5NQ92 40-49 years, male 29.6
GTEX-13N1W-2426-SM-5IJD1 70-79 years, male 29.3
GTEX-1HBPM-0726-SM-9YFL7 60-69 years, female 29.0
GTEX-XK95-0226-SM-4AT58 40-49 years, male 28.6
GTEX-1A8G7-1326-SM-73KVM 60-69 years, male 28.2
GTEX-147F4-0726-SM-5TDDD 50-59 years, male 27.8
GTEX-1PBJJ-1026-SM-E76OS 30-39 years, male 27.1
GTEX-ZVE1-0726-SM-51MRN 50-59 years, female 26.2
GTEX-17F9Y-0126-SM-79OKX 70-79 years, female 26.1
GTEX-1F88E-1626-SM-7SB8Z 60-69 years, female 25.9
GTEX-12WSF-1626-SM-7KUG5 70-79 years, male 25.8
GTEX-1J8Q2-2626-SM-ACKWQ 60-69 years, male 25.8
GTEX-11DXY-0126-SM-5H11Q 60-69 years, male 25.6
GTEX-1117F-2926-SM-5GZYI 60-69 years, female 25.4
GTEX-111FC-2526-SM-5GZXU 60-69 years, male 25.4
GTEX-1I1GS-2626-SM-B2LY3 60-69 years, male 24.8
GTEX-1PPH8-0126-SM-EWRN8 20-29 years, male 24.8
GTEX-XMD2-2126-SM-4YCF8 60-69 years, female 24.6
GTEX-ZAB4-2126-SM-5HL8U 40-49 years, male 24.6
GTEX-1ICLZ-0326-SM-ARL82 60-69 years, male 24.0
GTEX-1NV5F-0626-SM-DTXEG 60-69 years, female 23.8
GTEX-1A8G6-2726-SM-731AR 60-69 years, male 23.7
GTEX-1B933-2426-SM-7DHMD 50-59 years, female 23.6
GTEX-13IVO-0726-SM-5LZYV 70-79 years, male 23.5
GTEX-1S5ZU-2526-SM-E6CIF 20-29 years, female 23.5
GTEX-ZLV1-1526-SM-DO91J 60-69 years, female 23.3
GTEX-145MF-0926-SM-5Q5EA 50-59 years, male 23.2
GTEX-ZVE2-2826-SM-5GU51 50-59 years, male 23.2
GTEX-1CAMS-2226-SM-7PBXQ 40-49 years, female 23.2
GTEX-1H2FU-0926-SM-9WPPT 60-69 years, female 23.1
GTEX-1HT8W-0626-SM-A9G2H 30-39 years, male 23.0
GTEX-16MT9-0126-SM-7EPI8 60-69 years, female 22.9
GTEX-1HCU7-0726-SM-A9SL1 50-59 years, male 22.7
GTEX-1192X-2726-SM-5N9DN 50-59 years, male 22.3
GTEX-17EVP-2626-SM-7IGMA 40-49 years, male 22.3
GTEX-1PPH7-1126-SM-DTX9A 40-49 years, male 22.3
GTEX-11DXW-0826-SM-5H118 40-49 years, male 22.1
GTEX-14LZ3-0126-SM-69LPM 60-69 years, female 22.1
GTEX-11O72-0626-SM-5PNYE 40-49 years, male 21.7
GTEX-13JUV-2026-SM-5K7UA 40-49 years, female 21.7
GTEX-12KS4-2126-SM-5FQUT 30-39 years, male 21.6
GTEX-1H4P4-2126-SM-9WYSL 50-59 years, male 21.5
GTEX-1M4P7-0726-SM-E6CJ3 60-69 years, male 21.5
GTEX-139T8-0626-SM-5KLZX 60-69 years, male 21.4
GTEX-1GZ4H-0526-SM-9KNU9 50-59 years, female 21.4
GTEX-1GF9W-1426-SM-7PBYM 60-69 years, male 21.3
GTEX-11DZ1-2426-SM-5GZZX 50-59 years, male 21.2
GTEX-1H23P-0626-SM-9WG6T 60-69 years, male 21.2
GTEX-14PJO-2526-SM-6AJBQ 60-69 years, male 20.6
GTEX-1N2EE-0626-SM-E76PW 60-69 years, male 20.5
GTEX-1PIIG-2326-SM-DTXFR 30-39 years, male 20.4
GTEX-15ER7-0626-SM-6PANF 20-29 years, female 20.3
GTEX-ZDTS-0826-SM-4WKHL 60-69 years, male 20.3
GTEX-1GMR3-0126-SM-A9SLW 40-49 years, male 20.2
GTEX-15D1Q-2826-SM-6LLH7 40-49 years, male 20.1
GTEX-1K2DU-1226-SM-CYPT4 20-29 years, male 20.0
GTEX-11GSP-2326-SM-5HL63 60-69 years, female 19.9
GTEX-1AX9J-1326-SM-731BJ 60-69 years, male 19.9
GTEX-WYBS-0626-SM-3NMAS 60-69 years, female 19.8
GTEX-147JS-0226-SM-5S2U9 60-69 years, male 19.7
GTEX-1AYD5-2626-SM-7PBXY 50-59 years, male 19.7
GTEX-1C64N-2626-SM-7PC2N 50-59 years, male 19.6
GTEX-1CAMQ-1326-SM-7P8RV 40-49 years, male 19.6
GTEX-ZVT4-2426-SM-5GIEI 50-59 years, female 19.5
GTEX-13PL6-1126-SM-5L3IE 40-49 years, female 19.3
GTEX-1AX9I-2226-SM-73KUO 60-69 years, male 19.3
GTEX-X8HC-0626-SM-4E3HQ 50-59 years, female 19.3
GTEX-1269C-0126-SM-5EQ5L 60-69 years, female 19.0
GTEX-13O3O-2326-SM-5IJD6 60-69 years, female 18.8
GTEX-1J8JJ-0626-SM-ARZMQ 60-69 years, female 18.8
GTEX-1313W-0626-SM-5EQ4H 50-59 years, female 18.7
GTEX-1R46S-2426-SM-E76QA 60-69 years, female 18.7
GTEX-1EMGI-2326-SM-7PBYA 60-69 years, male 18.6
GTEX-ZU9S-1826-SM-5NQ9E 30-39 years, male 18.3
GTEX-1JMPZ-0726-SM-CY8HZ 30-39 years, male 18.3
GTEX-16XZZ-0726-SM-7KUF2 60-69 years, male 18.2
GTEX-13112-0126-SM-5P9IU 50-59 years, male 17.9
GTEX-139D8-1126-SM-5LU8W 30-39 years, female 17.8
GTEX-147F3-1726-SM-5SIAW 50-59 years, female 17.8
GTEX-14C39-1726-SM-5RQIL 40-49 years, male 17.8
GTEX-12WSM-1926-SM-5BC65 60-69 years, male 17.7
GTEX-145LS-0626-SM-7EPG7 60-69 years, female 17.6
GTEX-17F97-2626-SM-7IGM5 50-59 years, male 17.6
GTEX-14PII-0726-SM-6EU2B 60-69 years, male 17.5
GTEX-1JMQL-2226-SM-CNPP4 50-59 years, female 17.5
GTEX-145MO-2826-SM-5LU96 60-69 years, male 17.3
GTEX-ZXG5-2126-SM-59HKD 60-69 years, male 17.3
GTEX-148VJ-0626-SM-5LUAW 70-79 years, male 17.1
GTEX-14C5O-0326-SM-5ZZUX 60-69 years, male 17.1
GTEX-15SHW-0226-SM-7LTAT 60-69 years, male 17.1
GTEX-13OVL-0126-SM-5L3GJ 50-59 years, male 16.9
GTEX-12584-0726-SM-5FQTK 40-49 years, male 16.8
GTEX-1JJ6O-2726-SM-CNPOG 60-69 years, male 16.8
GTEX-1I1GV-0626-SM-ARL7M 60-69 years, male 16.7
GTEX-1JMQI-1726-SM-ARL93 50-59 years, male 16.5
GTEX-1LG7Y-2526-SM-EWRO7 50-59 years, male 16.5
GTEX-1N5O9-0926-SM-E9J3C 60-69 years, male 16.5
GTEX-1HGF4-0126-SM-CNPPX 60-69 years, male 16.4
GTEX-1NSGN-0726-SM-DTXEF 50-59 years, male 16.4
GTEX-ZWKS-0626-SM-5GIDV 30-39 years, male 16.3
GTEX-13QBU-1226-SM-5LU4G 40-49 years, female 16.1
GTEX-15EO6-2426-SM-6PALZ 50-59 years, male 16.1
GTEX-1C6WA-2626-SM-7MKGM 60-69 years, male 16.0
GTEX-13X6I-1826-SM-5SIAO 60-69 years, male 15.9
GTEX-16MT8-2926-SM-7DUFO 60-69 years, female 15.9
GTEX-WI4N-2726-SM-3LK7Y 40-49 years, female 15.8
GTEX-1ICLY-0826-SM-CMKG1 50-59 years, male 15.8
GTEX-13OVK-1426-SM-6PAN7 40-49 years, male 15.7
GTEX-16GPK-0626-SM-7KFSF 60-69 years, male 15.7
GTEX-1C2JI-1026-SM-73KY1 50-59 years, male 15.7
GTEX-WK11-2726-SM-3NMAQ 50-59 years, male 15.7
GTEX-18D9A-1426-SM-7LT8M 30-39 years, female 15.7
GTEX-1HSKV-1226-SM-ADEI4 60-69 years, male 15.7
GTEX-12WSA-0426-SM-5EQ5X 60-69 years, male 15.5
GTEX-15CHQ-0326-SM-69LQD 60-69 years, male 15.5
GTEX-14BIN-1126-SM-5RQJZ 50-59 years, female 15.4
GTEX-1GPI6-1926-SM-9KNV7 60-69 years, male 15.4
GTEX-1AMEY-0826-SM-72D65 30-39 years, female 15.3
GTEX-X4EO-2926-SM-4E3JH 60-69 years, female 15.3
GTEX-1RMOY-1326-SM-E9TIH 50-59 years, male 15.3
GTEX-13FHO-0426-SM-5L3F5 60-69 years, male 15.2
GTEX-13SLW-0626-SM-5Q5ER 70-79 years, male 15.2
GTEX-144GL-0626-SM-5LU4D 50-59 years, male 15.2
GTEX-17EVQ-0126-SM-7IGLR 70-79 years, male 15.2
GTEX-1GMR8-0626-SM-7RHI7 50-59 years, female 15.2
GTEX-1H3VE-0726-SM-9YFL5 40-49 years, male 15.2
GTEX-11ZU8-0126-SM-5EQ58 60-69 years, male 15.1
GTEX-111VG-1626-SM-5EGIO 60-69 years, male 15.0
GTEX-1314G-1326-SM-5BC6E 30-39 years, male 15.0
GTEX-13OW5-2326-SM-5L3HO 60-69 years, male 14.9
GTEX-14ICL-1626-SM-5YYAO 30-39 years, male 14.9
GTEX-1H1CY-0126-SM-9YFLY 60-69 years, female 14.9
GTEX-1IDJH-0126-SM-D3L92 70-79 years, male 14.9
GTEX-13O61-1426-SM-5KM3D 60-69 years, male 14.8
GTEX-13OW6-2726-SM-5J2OE 50-59 years, male 14.8
GTEX-144FL-0626-SM-5LU43 50-59 years, male 14.8
GTEX-14BMV-2826-SM-5TDED 50-59 years, male 14.8
GTEX-17HII-1426-SM-7EPGG 50-59 years, male 14.8
GTEX-ZE7O-2726-SM-51MT5 50-59 years, female 14.8
GTEX-1PDJ9-1226-SM-EXUSX 20-29 years, male 14.8
GTEX-145LU-1926-SM-79OJN 50-59 years, male 14.7
GTEX-1HFI6-0126-SM-CNPPI 40-49 years, male 14.7
GTEX-1HR9M-2226-SM-CNPPY 60-69 years, male 14.7
GTEX-1IE54-1126-SM-A9G2Z 40-49 years, female 14.5
GTEX-1RAZQ-1326-SM-E9TK6 30-39 years, male 14.4
GTEX-14E6C-2426-SM-5S2NF 40-49 years, male 14.3
GTEX-15SKB-2826-SM-6PAMH 60-69 years, male 14.3
GTEX-13QJC-0126-SM-5ZZWJ 60-69 years, female 14.1
GTEX-1GF9V-0826-SM-9KNUV 60-69 years, male 14.1
GTEX-18QFQ-1826-SM-72D52 30-39 years, male 13.9
GTEX-1HBPN-0126-SM-CGQEF 50-59 years, male 13.9
GTEX-1HKZK-0726-SM-ACKW2 40-49 years, male 13.9
GTEX-1J1OQ-0126-SM-D4P2N 40-49 years, female 13.9
GTEX-1JMOU-1026-SM-CYPSS 60-69 years, female 13.9
GTEX-1LKK1-2626-SM-DKPQE 50-59 years, female 13.9
GTEX-ZT9W-1126-SM-57WDR 50-59 years, male 13.8
GTEX-12WSK-2126-SM-5CVNC 40-49 years, female 13.6
GTEX-144GO-2026-SM-5O99P 60-69 years, male 13.6
GTEX-14753-0726-SM-5QGQO 60-69 years, male 13.6
GTEX-1A8FM-0626-SM-7PC25 50-59 years, female 13.6
GTEX-1F48J-0726-SM-7RHGS 50-59 years, female 13.6
GTEX-1GN1U-0626-SM-9MQL9 50-59 years, female 13.6
GTEX-1MCC2-1826-SM-DIPEX 30-39 years, female 13.6
GTEX-1S3DN-2126-SM-E9TIN 50-59 years, male 13.6
GTEX-11TUW-0626-SM-5LU9M 60-69 years, male 13.5
GTEX-ZTTD-2826-SM-4YCFA 50-59 years, male 13.5
GTEX-ZTX8-1326-SM-4YCEL 20-29 years, male 13.5
GTEX-1J8Q3-0526-SM-ARL8U 60-69 years, male 13.5
GTEX-13NZ9-2626-SM-5L3FK 50-59 years, male 13.4
GTEX-1I1GT-1026-SM-ARZLV 60-69 years, female 13.4
GTEX-1LVAN-0626-SM-CNPOQ 50-59 years, female 13.4
GTEX-1HCVE-2726-SM-CL54F 50-59 years, male 13.3
GTEX-11ZUS-2626-SM-5FQUR 30-39 years, male 13.2
GTEX-13NYS-0626-SM-5L3F1 60-69 years, male 13.2
GTEX-ZA64-1026-SM-5HL8R 20-29 years, male 13.2
GTEX-ZP4G-1426-SM-4WWCL 20-29 years, female 13.2
GTEX-ZYW4-0626-SM-59HJR 60-69 years, male 13.2
GTEX-1LVAO-2726-SM-E9TJ8 60-69 years, male 13.2
GTEX-ZAJG-1526-SM-5CVML 50-59 years, female 13.1
GTEX-1GMRU-2126-SM-7P8RA 50-59 years, male 13.1
GTEX-1IKJJ-2226-SM-CJI4C 60-69 years, male 13.1
GTEX-13X6K-0626-SM-5LU5D 60-69 years, female 13.0
GTEX-1B996-0426-SM-7EWF8 60-69 years, male 13.0
GTEX-1CB4H-1126-SM-7MKGL 60-69 years, female 13.0
GTEX-1O9I2-0226-SM-EYYXD 50-59 years, male 13.0
GTEX-12ZZZ-0726-SM-5GCNZ 60-69 years, male 12.9
GTEX-1EH9U-2826-SM-7DUGT 60-69 years, male 12.9
GTEX-ZZ64-1026-SM-5GZXG 20-29 years, male 12.9
GTEX-1HSMQ-2626-SM-A9SML 50-59 years, male 12.9
GTEX-1HUB1-1426-SM-CGQF5 60-69 years, male 12.9
GTEX-1I1CD-0626-SM-CE6SW 60-69 years, female 12.9
GTEX-1LSVX-2526-SM-DIPEU 60-69 years, male 12.9
GTEX-1MCYP-0526-SM-E9U6Q 20-29 years, female 12.9
GTEX-1S83E-1326-SM-E6CJM 40-49 years, male 12.9
GTEX-14JG6-1426-SM-9WG7C 30-39 years, female 12.8
GTEX-1HSMO-0626-SM-ACKXC 60-69 years, male 12.8
GTEX-1JMPY-0226-SM-CKZOK 30-39 years, male 12.7
GTEX-12ZZY-0726-SM-5EQ66 60-69 years, male 12.6
GTEX-1B97I-0626-SM-73KUZ 40-49 years, male 12.6
GTEX-V1D1-2026-SM-3GAF4 50-59 years, male 12.6
GTEX-1GF9X-1326-SM-7PC2Y 40-49 years, female 12.6
GTEX-1HCU8-2526-SM-CE6RX 60-69 years, female 12.6
GTEX-ZDXO-3126-SM-5IJDF 60-69 years, male 12.5
GTEX-1F75B-0726-SM-7PC3R 50-59 years, male 12.5
GTEX-14PJ2-0626-SM-6LLII 50-59 years, male 12.4
GTEX-15RJE-2826-SM-7KUM9 40-49 years, male 12.4
GTEX-18465-2826-SM-7LT9J 50-59 years, male 12.4
GTEX-1IKOE-1426-SM-CE6T7 30-39 years, female 12.4
GTEX-1JMQJ-0826-SM-CNPP7 50-59 years, male 12.4
GTEX-1QPFJ-1926-SM-EVYBD 30-39 years, female 12.4
GTEX-1122O-1026-SM-9WYSF 60-69 years, female 12.3
GTEX-1H3O1-1326-SM-9MQLD 60-69 years, male 12.3
GTEX-1KAFJ-0126-SM-DIPEK 50-59 years, male 12.3
GTEX-11EI6-2826-SM-5H11D 60-69 years, male 12.2
GTEX-13NYC-0126-SM-5L3F4 60-69 years, male 12.2
GTEX-1F52S-2926-SM-7MKGA 60-69 years, female 12.2
GTEX-XBEC-0726-SM-4QARZ 50-59 years, male 12.2
GTEX-11LCK-2226-SM-5HL4Q 30-39 years, male 12.1
GTEX-13W3W-0726-SM-5IJDQ 60-69 years, female 12.1
GTEX-13X6H-0926-SM-5SIB2 50-59 years, female 12.1
GTEX-16NPX-0726-SM-7KULC 50-59 years, male 12.1
GTEX-1JJEA-1826-SM-ARU8P 60-69 years, male 12.1
GTEX-12696-0126-SM-5EQ4L 60-69 years, male 12.0
GTEX-YECK-0326-SM-4W1YS 60-69 years, male 12.0
GTEX-13FTW-0326-SM-5K7UW 40-49 years, male 11.9
GTEX-1CAV2-0126-SM-7IGN7 40-49 years, female 11.9
GTEX-1C64O-1326-SM-7MGWR 60-69 years, male 11.9
GTEX-1JJE9-2626-SM-ARZMT 70-79 years, male 11.9
GTEX-17F96-0126-SM-7EWDU 70-79 years, male 11.8
GTEX-17MF6-2626-SM-79OKQ 40-49 years, male 11.8
GTEX-1GF9U-2026-SM-7SB92 40-49 years, female 11.8
GTEX-1IOXB-2726-SM-CM2RI 50-59 years, male 11.8
GTEX-14PKV-1126-SM-6LLJ1 20-29 years, female 11.7
GTEX-XPVG-2126-SM-4B667 50-59 years, male 11.7
GTEX-XQ8I-0926-SM-4BOOF 50-59 years, male 11.7
GTEX-1IL2V-1926-SM-B2LW8 70-79 years, male 11.7
GTEX-1399S-0126-SM-5IJCF 30-39 years, female 11.6
GTEX-Y9LG-1126-SM-4VBQ7 30-39 years, male 11.6
GTEX-YJ8O-2526-SM-5HL85 40-49 years, female 11.6
GTEX-1IDJV-0126-SM-COH3Y 60-69 years, male 11.6
GTEX-1R7EU-1626-SM-DTXG3 60-69 years, male 11.6
GTEX-11PRG-0726-SM-5EGL1 50-59 years, male 11.5
GTEX-139TT-2126-SM-5LZWC 60-69 years, male 11.5
GTEX-1EKGG-0626-SM-7DUGJ 60-69 years, male 11.5
GTEX-1QAET-0326-SM-EVR3U 50-59 years, male 11.5
GTEX-12WSH-1526-SM-5BC5W 50-59 years, male 11.4
GTEX-145MI-0626-SM-5SI8S 60-69 years, female 11.4
GTEX-14DAQ-0626-SM-793DS 60-69 years, female 11.4
GTEX-14PJN-1826-SM-6AJ98 30-39 years, male 11.4
GTEX-15FZZ-0526-SM-7KUGD 30-39 years, female 11.4
GTEX-12126-0826-SM-5FQTZ 20-29 years, male 11.3
GTEX-133LE-2326-SM-5K7W3 20-29 years, female 11.3
GTEX-1477Z-0326-SM-7IGLA 60-69 years, male 11.3
GTEX-14A6H-2026-SM-5Q5DD 30-39 years, male 11.3
GTEX-ZC5H-1526-SM-5HL9Y 40-49 years, female 11.3
GTEX-131YS-2826-SM-5EQ47 60-69 years, female 11.2
GTEX-13VXT-1926-SM-5K7UO 20-29 years, female 11.2
GTEX-14PJ4-0226-SM-5YY92 60-69 years, male 11.2
GTEX-1F6I4-2326-SM-7RHGL 60-69 years, male 11.2
GTEX-1HFI7-2326-SM-CGQFS 50-59 years, female 11.2
GTEX-1OJC4-2726-SM-E76PJ 50-59 years, female 11.2
GTEX-131XF-2626-SM-5EQ6K 60-69 years, male 11.1
GTEX-YFCO-1226-SM-5LUAT 40-49 years, male 11.1
GTEX-1F5PK-2226-SM-7SB6N 50-59 years, male 11.1
GTEX-1GPI7-1826-SM-9KNU1 20-29 years, male 11.1
GTEX-1399U-1126-SM-5L3DB 50-59 years, female 11.0
GTEX-13RTJ-0126-SM-5S2NN 60-69 years, male 11.0
GTEX-UPJH-0226-SM-3GADV 50-59 years, male 11.0
GTEX-1QP66-1226-SM-DTX7U 50-59 years, male 11.0
GTEX-13PVQ-0626-SM-5LU47 50-59 years, male 10.9
GTEX-14PJ5-1526-SM-6LLIL 60-69 years, female 10.9
GTEX-1KXAM-1626-SM-D3LAD 60-69 years, male 10.9
GTEX-1R9PM-1926-SM-EVR3O 20-29 years, male 10.9
GTEX-1RB15-1326-SM-E76Q9 60-69 years, male 10.9
GTEX-ZLFU-1826-SM-4WWBV 40-49 years, male 10.8
GTEX-ZVZP-1226-SM-5GID7 50-59 years, male 10.8
GTEX-ZYT6-2326-SM-5GZY3 30-39 years, male 10.8
GTEX-1GN1V-2826-SM-9JGIA 60-69 years, male 10.8
GTEX-1HSGN-0826-SM-ACKW3 40-49 years, female 10.8
GTEX-1QP2A-1726-SM-E76QC 50-59 years, male 10.8
GTEX-11WQC-1826-SM-5GU59 60-69 years, male 10.7
GTEX-1B8KE-1126-SM-7EPHI 50-59 years, male 10.7
GTEX-1CB4F-1026-SM-7DUH1 60-69 years, male 10.7
GTEX-X585-2426-SM-46MW2 50-59 years, male 10.7
GTEX-YF7O-1526-SM-5IFI6 50-59 years, male 10.7
GTEX-Z93S-1626-SM-5CVMB 50-59 years, male 10.7
GTEX-1I1GP-1326-SM-A9G28 50-59 years, male 10.7
GTEX-111CU-1126-SM-5EGIM 50-59 years, male 10.6
GTEX-VUSG-2326-SM-4KL1U 50-59 years, male 10.6
GTEX-WHSB-1326-SM-3LK6W 50-59 years, male 10.6
GTEX-14JFF-0626-SM-5ZZVT 60-69 years, male 10.6
GTEX-1GL5R-1326-SM-7RHHF 50-59 years, male 10.6
GTEX-12WSC-2826-SM-5BC5Y 50-59 years, male 10.5
GTEX-18A67-1626-SM-7LT9T 50-59 years, male 10.5
GTEX-1F75I-2226-SM-7SB8U 40-49 years, male 10.5
GTEX-1I19N-0126-SM-CYPSF 70-79 years, male 10.5
GTEX-1LGRB-0926-SM-COH3K 50-59 years, female 10.5
GTEX-1LSNM-0826-SM-DIPG8 50-59 years, male 10.5
GTEX-13FTY-2126-SM-5IFFB 40-49 years, female 10.4
GTEX-13OVJ-0826-SM-5J1OK 50-59 years, female 10.4
GTEX-13VXU-0626-SM-5L3F9 50-59 years, male 10.4
GTEX-14LLW-2626-SM-62LDZ 70-79 years, female 10.4
GTEX-16NGA-0726-SM-731AO 40-49 years, female 10.4
GTEX-17HHE-1326-SM-7EWDZ 50-59 years, male 10.4
GTEX-1QP28-1126-SM-EVYC4 50-59 years, female 10.4
GTEX-1RLM8-2926-SM-E8VON 50-59 years, male 10.4
GTEX-1KD5A-0126-SM-E9U54 50-59 years, male 10.2
GTEX-ZF29-0926-SM-4WKFZ 60-69 years, female 10.1
GTEX-11P82-1426-SM-DTXFY 20-29 years, male 10.1
GTEX-1HCU6-2526-SM-ADEHL 60-69 years, female 10.1
GTEX-1JMLX-0626-SM-ARL8T 50-59 years, male 10.1
GTEX-1POEN-2326-SM-E9J2L 30-39 years, female 10.1
GTEX-13SLX-2226-SM-62LEP 50-59 years, female 10.0
GTEX-17F9E-2326-SM-79OKD 50-59 years, male 10.0
GTEX-18A7B-2726-SM-7LG56 70-79 years, male 10.0
GTEX-WYJK-0526-SM-3NM8Z 50-59 years, male 10.0
GTEX-XOT4-0626-SM-4B66L 60-69 years, female 10.0
GTEX-1GZ4I-2626-SM-9KNU3 50-59 years, male 10.0
GTEX-1QCLY-0226-SM-EWRNH 30-39 years, male 10.0
GTEX-1QP29-1826-SM-DTX9S 50-59 years, male 10.0
GTEX-131XG-0326-SM-5L3DX 50-59 years, female 9.9
GTEX-14B4R-1326-SM-5Q5EZ 30-39 years, male 9.9
GTEX-1A3MV-1826-SM-731CD 30-39 years, male 9.9
GTEX-1C6VQ-1226-SM-73KYD 50-59 years, male 9.9
GTEX-1LBAC-0826-SM-CY8IJ 20-29 years, male 9.8
GTEX-111YS-1526-SM-5GZYW 60-69 years, male 9.7
GTEX-13FTX-1526-SM-5K7VJ 20-29 years, female 9.7
GTEX-145MG-1526-SM-5Q5EM 50-59 years, male 9.7
GTEX-14PJ3-1126-SM-5ZZVX 50-59 years, male 9.7
GTEX-1J8EW-2726-SM-CY8HR 60-69 years, female 9.7
GTEX-1211K-1526-SM-5FQU4 60-69 years, female 9.6
GTEX-ZE9C-2526-SM-5IJDR 60-69 years, male 9.6
GTEX-1HCUA-0826-SM-ADEHM 50-59 years, female 9.6
GTEX-1MJK3-0726-SM-E6CJC 20-29 years, male 9.6
GTEX-1GMR2-0826-SM-7PC3V 50-59 years, male 9.5
GTEX-1IY9M-2826-SM-ARU8H 60-69 years, male 9.5
GTEX-1497J-0226-SM-5QGPU 60-69 years, male 9.4
GTEX-183FY-1026-SM-7939A 20-29 years, male 9.4
GTEX-18A7A-0126-SM-731AH 50-59 years, female 9.4
GTEX-ZDTT-0426-SM-4WKFL 60-69 years, male 9.4
GTEX-1I4MK-0126-SM-CY8G6 50-59 years, female 9.4
GTEX-1S82U-1026-SM-E6CJK 30-39 years, female 9.4
GTEX-13JVG-0726-SM-5KM16 60-69 years, male 9.3
GTEX-1CB4J-1326-SM-7P8RX 60-69 years, male 9.3
GTEX-1HB9E-0126-SM-CM2S5 50-59 years, male 9.3
GTEX-1399Q-2326-SM-5KM2X 40-49 years, male 9.2
GTEX-1A32A-0626-SM-731AQ 50-59 years, female 9.2
GTEX-WH7G-2026-SM-3NMBL 40-49 years, male 9.2
GTEX-XUW1-0926-SM-4BONX 50-59 years, female 9.2
GTEX-Y8LW-1526-SM-5IFHL 50-59 years, female 9.2
GTEX-1JK1U-0226-SM-ARZMX 60-69 years, male 9.2
GTEX-13OVH-0526-SM-5L3E6 70-79 years, male 9.1
GTEX-145ME-1726-SM-5Q5EU 40-49 years, female 9.1
GTEX-1AMFI-1326-SM-7939R 50-59 years, female 9.1
GTEX-XBEW-1126-SM-4QARW 40-49 years, male 9.1
GTEX-1C6VR-0126-SM-7RHGB 60-69 years, male 9.1
GTEX-1CAMR-1326-SM-7PC1F 20-29 years, male 9.1
GTEX-1F88F-0126-SM-9WYSZ 60-69 years, female 9.1
GTEX-1I1GU-0926-SM-ACKVS 40-49 years, male 9.1
GTEX-1KANB-2826-SM-CY8I6 50-59 years, male 9.1
GTEX-1S831-1826-SM-EWROF 20-29 years, male 9.1
GTEX-11P7K-1126-SM-5HL4L 30-39 years, male 9.0
GTEX-17HG3-2626-SM-7DUF2 30-39 years, female 9.0
GTEX-WYVS-1626-SM-3NM9R 40-49 years, female 9.0
GTEX-1HCU9-0426-SM-9WYSD 20-29 years, male 9.0
GTEX-1IDJF-2026-SM-CL53V 20-29 years, male 9.0
GTEX-1JN1M-2726-SM-CY8I4 60-69 years, female 9.0
GTEX-1H1DE-1326-SM-9KNUG 20-29 years, male 8.9
GTEX-1N2DV-1526-SM-DTXEP 40-49 years, male 8.9
GTEX-13D11-0926-SM-5J2NC 50-59 years, female 8.8
GTEX-14PHX-2226-SM-6EU2P 50-59 years, male 8.8
GTEX-15CHR-1126-SM-7EWF4 50-59 years, male 8.8
GTEX-WFON-1926-SM-3LK7L 40-49 years, male 8.8
GTEX-ZPCL-1126-SM-4WWFE 60-69 years, female 8.8
GTEX-ZTSS-1426-SM-5985P 40-49 years, male 8.8
GTEX-1IDJU-1726-SM-CMKHU 60-69 years, female 8.8
GTEX-17F98-1326-SM-7DUEP 40-49 years, female 8.7
GTEX-18A6Q-0626-SM-7KFRP 60-69 years, male 8.7
GTEX-ZLWG-0826-SM-59888 50-59 years, female 8.7
GTEX-1OJC3-1226-SM-DTXER 20-29 years, male 8.7
GTEX-11UD2-2526-SM-5CVNU 50-59 years, male 8.6
GTEX-131XW-0626-SM-5PNVD 50-59 years, female 8.6
GTEX-13PVR-0426-SM-5RQK2 60-69 years, female 8.6
GTEX-15DDE-2926-SM-6LLJ3 50-59 years, female 8.6
GTEX-1AX8Z-0726-SM-73KTS 60-69 years, male 8.6
GTEX-X5EB-1926-SM-4E3IW 40-49 years, male 8.6
GTEX-XBED-1926-SM-47JYP 60-69 years, male 8.6
GTEX-ZVP2-0326-SM-57WBP 50-59 years, male 8.6
GTEX-ZVT2-0126-SM-5GIDQ 50-59 years, female 8.6
GTEX-1GN1W-2426-SM-9KNUU 50-59 years, female 8.6
GTEX-1GN73-0726-SM-7P8TJ 60-69 years, male 8.6
GTEX-1JKYR-0626-SM-ARL8R 20-29 years, male 8.6
GTEX-ZF3C-0626-SM-DO92O 50-59 years, female 8.6
GTEX-139TU-0726-SM-5L3EK 60-69 years, male 8.5
GTEX-13FLV-0126-SM-5K7WT 50-59 years, male 8.5
GTEX-145MN-1526-SM-5SI9T 30-39 years, male 8.5
GTEX-16Z82-2626-SM-7KULU 60-69 years, male 8.5
GTEX-18A66-0626-SM-7LT8Z 60-69 years, male 8.5
GTEX-WFG8-2126-SM-3GIKQ 20-29 years, male 8.5
GTEX-WHPG-2626-SM-3NMBR 50-59 years, male 8.5
GTEX-1H1E6-0426-SM-9WYUS 30-39 years, male 8.5
GTEX-1PPGY-1626-SM-EVYBL 60-69 years, male 8.5
GTEX-1R9PN-0426-SM-DTXDT 40-49 years, female 8.5
GTEX-11EQ9-1626-SM-5PNY8 30-39 years, male 8.4
GTEX-14C38-0726-SM-5SI6M 50-59 years, male 8.4
GTEX-16MTA-0926-SM-6M47Z 50-59 years, male 8.4
GTEX-1EN7A-2426-SM-793DB 40-49 years, male 8.4
GTEX-Y114-2126-SM-4TT8B 50-59 years, female 8.4
GTEX-1F5PL-0926-SM-7PC2W 40-49 years, female 8.4
GTEX-1KANA-1326-SM-DIPFA 20-29 years, male 8.4
GTEX-11EM3-1226-SM-5N9DD 20-29 years, female 8.3
GTEX-11GS4-0226-SM-5HL77 60-69 years, male 8.3
GTEX-12WSD-0626-SM-5GCMW 60-69 years, female 8.3
GTEX-14AS3-1526-SM-5Q5ED 40-49 years, female 8.3
GTEX-14BMU-1226-SM-5S2OR 20-29 years, female 8.3
GTEX-14E1K-2026-SM-7DUEI 50-59 years, male 8.3
GTEX-16AAH-0626-SM-793C9 50-59 years, male 8.3
GTEX-ZZPU-0826-SM-5GZX5 50-59 years, female 8.3
GTEX-1GTWX-2026-SM-9YFLM 60-69 years, male 8.3
GTEX-1S82P-2126-SM-E6CI5 60-69 years, female 8.3
GTEX-11P81-2226-SM-5PNYI 30-39 years, female 8.2
GTEX-12WSJ-1126-SM-5LZVJ 40-49 years, female 8.2
GTEX-1CB4E-0926-SM-7EPHT 60-69 years, male 8.2
GTEX-1J1R8-2026-SM-CL53Y 40-49 years, male 8.2
GTEX-1K9T9-1526-SM-DIPFR 50-59 years, female 8.2
GTEX-1LG7Z-1626-SM-CXKYR 30-39 years, male 8.2
GTEX-11ZTT-2126-SM-5CVLO 60-69 years, female 8.1
GTEX-14DAR-1226-SM-73KYV 50-59 years, male 8.1
GTEX-14JG1-1526-SM-5YY9X 40-49 years, male 8.1
GTEX-YEC4-1826-SM-4W1YP 40-49 years, male 8.1
GTEX-1A3MX-2626-SM-7PC24 60-69 years, male 8.1
GTEX-1GN2E-0226-SM-9WG6K 60-69 years, male 8.1
GTEX-11NUK-2726-SM-5A5MC 50-59 years, male 8.0
GTEX-1EU9M-1426-SM-793AI 60-69 years, male 8.0
GTEX-WFG7-2026-SM-5SI7P 20-29 years, male 8.0
GTEX-XQ3S-1426-SM-4BOPR 20-29 years, male 8.0
GTEX-1F6IF-0926-SM-7SB7M 60-69 years, male 8.0
GTEX-1HR98-2226-SM-ADEI2 60-69 years, male 8.0
GTEX-1LSNL-2726-SM-E9TKJ 50-59 years, male 8.0
GTEX-14A5H-0826-SM-5QGPJ 60-69 years, male 7.9
GTEX-17JCI-2926-SM-7DUFF 60-69 years, female 7.9
GTEX-WEY5-2326-SM-3GIKK 40-49 years, female 7.9
GTEX-1JMQK-1226-SM-D4P2S 60-69 years, male 7.9
GTEX-13OVG-1626-SM-5J1NF 60-69 years, male 7.8
GTEX-14PHY-1226-SM-5ZZWK 60-69 years, female 7.8
GTEX-1E1VI-0326-SM-793D1 50-59 years, male 7.8
GTEX-1HSMP-0926-SM-A9SKX 70-79 years, male 7.8
GTEX-ZGAY-1826-SM-DO91Q 40-49 years, female 7.8
GTEX-144GM-0526-SM-79OJO 20-29 years, male 7.7
GTEX-15RIE-1926-SM-7KUKJ 60-69 years, male 7.7
GTEX-17HHY-0426-SM-7DHLC 50-59 years, male 7.7
GTEX-183WM-0326-SM-72D5V 70-79 years, female 7.7
GTEX-1EX96-1026-SM-7MKG2 50-59 years, male 7.7
GTEX-WXYG-2026-SM-4E3IY 50-59 years, female 7.7
GTEX-XAJ8-1426-SM-47JYM 40-49 years, male 7.7
GTEX-ZYFG-1526-SM-5GZYM 60-69 years, female 7.7
GTEX-1C475-1326-SM-7SB73 40-49 years, female 7.7
GTEX-1CB4I-0126-SM-7RHGG 50-59 years, male 7.7
GTEX-1GZHY-0626-SM-9KNVC 50-59 years, female 7.7
GTEX-1QP9N-1226-SM-E76QN 30-39 years, male 7.7
GTEX-15DYW-2726-SM-6EU2I 60-69 years, female 7.6
GTEX-16BQI-1326-SM-6M486 30-39 years, female 7.6
GTEX-WY7C-2126-SM-3NB2R 50-59 years, male 7.6
GTEX-1H3NZ-2726-SM-9WYTQ 60-69 years, male 7.6
GTEX-1HC8U-1326-SM-9YFMJ 40-49 years, female 7.6
GTEX-YEC3-1326-SM-DO92X 50-59 years, male 7.6
GTEX-117YX-1926-SM-5GIEC 50-59 years, male 7.5
GTEX-11WQK-1026-SM-5EQLX 50-59 years, male 7.5
GTEX-14PKU-0126-SM-6LLHV 40-49 years, female 7.5
GTEX-U8XE-0226-SM-4E3J3 30-39 years, male 7.5
GTEX-Y5LM-0926-SM-6LLJG 40-49 years, female 7.5
GTEX-1I6K7-1926-SM-B2LXR 40-49 years, male 7.5
GTEX-178AV-1726-SM-7KUL8 40-49 years, male 7.4
GTEX-17KNJ-2126-SM-718AM 50-59 years, male 7.4
GTEX-17MFQ-1526-SM-7KFRR 20-29 years, male 7.4
GTEX-18D9U-0126-SM-731BM 40-49 years, male 7.4
GTEX-1RAZR-2126-SM-E9U6T 40-49 years, male 7.4
GTEX-13U4I-2226-SM-5LU5H 40-49 years, female 7.3
GTEX-13X6J-0626-SM-5LU5F 50-59 years, male 7.3
GTEX-17HGU-2326-SM-7DUFE 50-59 years, male 7.3
GTEX-VJYA-1526-SM-3GIJV 60-69 years, male 7.3
GTEX-1K2DA-1026-SM-CGQGF 50-59 years, male 7.3
GTEX-13N2G-0226-SM-5K7VF 60-69 years, male 7.2
GTEX-13OW7-0426-SM-5K7VK 50-59 years, male 7.2
GTEX-145LT-0526-SM-5LUB2 40-49 years, male 7.2
GTEX-1BAJH-2426-SM-7IGP8 70-79 years, male 7.2
GTEX-Y5V5-0126-SM-5S2NW 60-69 years, female 7.2
GTEX-Y8E4-2026-SM-5IFJB 40-49 years, male 7.2
GTEX-11DXZ-2026-SM-5987S 50-59 years, male 7.1
GTEX-15CHC-1126-SM-6LLHQ 60-69 years, female 7.1
GTEX-15RIG-0726-SM-7KUM7 40-49 years, male 7.1
GTEX-1B8KZ-0326-SM-73KY4 50-59 years, male 7.1
GTEX-1B8SF-0126-SM-7DUG3 60-69 years, male 7.1
GTEX-1B8L1-2226-SM-7P8PT 60-69 years, male 7.1
GTEX-1JN76-0626-SM-CKZOQ 20-29 years, female 7.1
GTEX-1LB8K-0726-SM-D5OV2 50-59 years, male 7.1
GTEX-1QCLZ-2426-SM-EVYBW 60-69 years, female 7.1
GTEX-12BJ1-0926-SM-5EQ62 60-69 years, male 7.0
GTEX-12ZZX-2426-SM-5GCOE 40-49 years, female 7.0
GTEX-WRHU-2826-SM-3MJG8 50-59 years, female 7.0
GTEX-Y3I4-1726-SM-4TT89 50-59 years, male 7.0
GTEX-1ICG6-1226-SM-A9SLN 70-79 years, female 7.0
GTEX-1IDJC-1526-SM-B2LW4 50-59 years, male 7.0
GTEX-1KANC-1226-SM-CYPT7 50-59 years, female 7.0
GTEX-14PJ6-2626-SM-6EU2T 60-69 years, female 6.9
GTEX-1I6K6-1726-SM-CGQFD 30-39 years, male 6.9
GTEX-1LVAM-0726-SM-E6CIL 50-59 years, female 6.9
GTEX-11DXX-2126-SM-5PNYR 60-69 years, female 6.8
GTEX-13G51-1826-SM-5KLZH 60-69 years, male 6.8
GTEX-ZPU1-1126-SM-4YCF3 40-49 years, male 6.8
GTEX-1F75W-2726-SM-7SB8H 60-69 years, male 6.8
GTEX-1I1HK-2326-SM-CKZOH 60-69 years, male 6.8
GTEX-13NYB-0126-SM-5J1MD 40-49 years, male 6.7
GTEX-15EU6-2226-SM-6EU2L 50-59 years, male 6.7
GTEX-15G1A-1626-SM-7KUKN 30-39 years, male 6.7
GTEX-1GZ2Q-0126-SM-9WG6M 40-49 years, male 6.7
GTEX-1PIGE-1826-SM-E8VOU 20-29 years, male 6.7
GTEX-1QW4Y-1126-SM-DTXE3 30-39 years, male 6.7
GTEX-11NSD-0626-SM-5A5LU 20-29 years, male 6.6
GTEX-139YR-1026-SM-5LZYN 50-59 years, male 6.6
GTEX-16YQH-2226-SM-7IGM2 30-39 years, male 6.6
GTEX-X4EP-0626-SM-3P621 60-69 years, female 6.6
GTEX-1E2YA-2126-SM-7MXUO 50-59 years, male 6.6
GTEX-1IDJD-2326-SM-ACKWX 30-39 years, male 6.6
GTEX-1JKYN-0826-SM-ARU8S 30-39 years, male 6.6
GTEX-12C56-1526-SM-5FQUQ 20-29 years, male 6.5
GTEX-1EWIQ-0326-SM-7DHMQ 70-79 years, female 6.5
GTEX-1L5NE-1126-SM-D3L9P 50-59 years, male 6.5
GTEX-ZPIC-0526-SM-DO91W 40-49 years, female 6.5
GTEX-146FQ-2126-SM-5RQHU 30-39 years, male 6.4
GTEX-1J8QM-2426-SM-A9SLS 60-69 years, female 6.4
GTEX-1RAZA-2226-SM-E9U4X 20-29 years, male 6.4
GTEX-13113-1626-SM-5EQ4I 60-69 years, female 6.3
GTEX-147GR-2426-SM-5ZZWQ 60-69 years, male 6.3
GTEX-ZF2S-1626-SM-57WES 50-59 years, female 6.3
GTEX-ZYFC-0426-SM-5GICQ 50-59 years, male 6.3
GTEX-1F75A-0726-SM-7RHHD 50-59 years, male 6.3
GTEX-1LGOU-1326-SM-D3L8M 20-29 years, female 6.3
GTEX-11VI4-1126-SM-5EQMD 40-49 years, female 6.2
GTEX-13OW8-1026-SM-5J1NQ 60-69 years, male 6.2
GTEX-15RJ7-2126-SM-6PAMD 40-49 years, male 6.2
GTEX-1A3MW-0626-SM-731CB 60-69 years, female 6.2
GTEX-1H11D-1826-SM-9QEHM 40-49 years, male 6.2
GTEX-1KWVE-1026-SM-D3L9O 30-39 years, male 6.2
GTEX-11TT1-1826-SM-5EQLV 20-29 years, male 6.1
GTEX-14ABY-2026-SM-62LDL 50-59 years, male 6.1
GTEX-1H1DG-2426-SM-9QEHJ 70-79 years, male 6.1
GTEX-1QEPI-2626-SM-DTXF4 60-69 years, female 6.1
GTEX-X3Y1-2026-SM-3P5YM 40-49 years, male 6.0
GTEX-ZDYS-2426-SM-4WKGI 50-59 years, male 6.0
GTEX-1HBPI-2126-SM-ARL9K 50-59 years, male 6.0
GTEX-1IDJI-0126-SM-CMKHS 50-59 years, female 6.0
GTEX-14E6E-0526-SM-793DN 30-39 years, male 5.9
GTEX-1H1ZS-2726-SM-9WG75 70-79 years, male 5.9
GTEX-1RAZS-2526-SM-E6CHT 50-59 years, male 5.9
GTEX-1212Z-0126-SM-59HK4 60-69 years, male 5.8
GTEX-12WSL-2026-SM-5GCML 50-59 years, male 5.8
GTEX-13O3Q-0126-SM-5KM34 50-59 years, male 5.8
GTEX-Y111-0626-SM-4SOIT 50-59 years, male 5.8
GTEX-ZT9X-1526-SM-5DUXD 40-49 years, male 5.8
GTEX-ZVTK-0226-SM-51MRG 20-29 years, male 5.8
GTEX-13N11-2326-SM-5IJBF 50-59 years, female 5.7
GTEX-1B932-2326-SM-79OL5 40-49 years, female 5.7
GTEX-1H1DF-1126-SM-9WG7G 40-49 years, female 5.6
GTEX-15G19-2426-SM-7KUMR 60-69 years, male 5.5
GTEX-145MH-2826-SM-5RQJF 50-59 years, male 5.4
GTEX-WHWD-1826-SM-3LK6I 50-59 years, male 5.4
GTEX-18D9B-0926-SM-7LG4U 60-69 years, male 5.3
GTEX-W5X1-2526-SM-3GILC 40-49 years, female 5.3
GTEX-XV7Q-1826-SM-4BRUV 40-49 years, female 5.3
GTEX-Y3IK-1626-SM-4YCF5 50-59 years, female 5.3
GTEX-ZAK1-0626-SM-5HL8E 50-59 years, female 5.3
GTEX-11DYG-1526-SM-5A5JS 60-69 years, male 5.2
GTEX-Y5V6-2326-SM-4VDSA 60-69 years, male 5.2
GTEX-1LVA9-2626-SM-EVYD4 50-59 years, male 5.2
GTEX-1QMI2-2526-SM-E8VNZ 60-69 years, male 5.1
GTEX-13FH7-1126-SM-5K7UG 50-59 years, female 4.9
GTEX-11OF3-0126-SM-5PNYF 60-69 years, male 4.8
GTEX-14PK6-0226-SM-62LF5 70-79 years, female 4.8
GTEX-14XAO-1226-SM-6EU1C 60-69 years, female 4.7
GTEX-UPK5-0426-SM-3GAEK 40-49 years, male 4.7
GTEX-XXEK-1626-SM-4BRUZ 50-59 years, male 4.7
GTEX-139TS-2126-SM-5K7XC 60-69 years, male 4.6
GTEX-YB5K-2026-SM-4VDT3 40-49 years, female 4.6
GTEX-1IDJE-1426-SM-ADEIW 50-59 years, female 4.6
GTEX-131XH-0126-SM-5LZUY 50-59 years, male 4.5
GTEX-132AR-0326-SM-5KM2C 50-59 years, female 4.4
GTEX-XYKS-1426-SM-4BRUO 60-69 years, female 4.1
GTEX-1399R-1326-SM-5PNYS 30-39 years, male 3.4
Show allShow less
Skin - Sun Exposed (Lower leg)
Average nTPM: 10.9
Samples: 701

Max nTPM: 84.3
Min nTPM: 3.3
Std nTPM: 5.5
Median nTPM: 9.7
GTEX-183WM-0126-SM-7LTAB 70-79 years, female 84.3
GTEX-14E6C-0126-SM-5RQIP 40-49 years, male 52.4
GTEX-1192W-2626-SM-5Q5AF 60-69 years, male 37.3
GTEX-ZXES-1826-SM-5E43S 30-39 years, female 36.9
GTEX-ZWKS-0126-SM-5SIAA 30-39 years, male 32.9
GTEX-1F6RS-0126-SM-9MQKZ 60-69 years, female 32.2
GTEX-1HSMO-0126-SM-CL547 60-69 years, male 30.8
GTEX-POMQ-2226-SM-2I5FK 20-29 years, female 28.0
GTEX-1E2YA-0126-SM-9KNUC 50-59 years, male 27.8
GTEX-13PDP-0126-SM-5L3HD 60-69 years, male 26.4
GTEX-1I1GT-0626-SM-CGQER 60-69 years, female 26.4
GTEX-YB5E-2026-SM-5IFIS 40-49 years, male 25.7
GTEX-1497J-2426-SM-7IGNX 60-69 years, male 25.5
GTEX-1HCU8-0626-SM-A9SM9 60-69 years, female 25.3
GTEX-13NZ8-0826-SM-5MR3I 60-69 years, female 25.0
GTEX-1PDJ9-0326-SM-DTX95 20-29 years, male 24.4
GTEX-SNMC-1226-SM-2XCFP 20-29 years, male 23.9
GTEX-ZV6S-2326-SM-4YCEY 40-49 years, female 23.5
GTEX-1J8QM-2126-SM-CYPSJ 60-69 years, female 23.0
GTEX-148VJ-0126-SM-5TDDN 70-79 years, male 22.9
GTEX-1JN1M-0326-SM-CYPT3 60-69 years, female 22.8
GTEX-15EOM-0126-SM-7KUGG 20-29 years, female 21.9
GTEX-PSDG-0226-SM-DKPOZ 50-59 years, male 21.6
GTEX-1ICLZ-0126-SM-CKZPO 60-69 years, male 21.5
GTEX-1N2EF-0226-SM-EYYXB 60-69 years, male 21.4
GTEX-1R9K4-0126-SM-DTX9X 60-69 years, male 21.3
GTEX-ZGAY-0526-SM-4WWBB 40-49 years, female 21.1
GTEX-1KANC-1526-SM-D3LAB 50-59 years, female 21.0
GTEX-1LVAN-0226-SM-COH3S 50-59 years, female 21.0
GTEX-XBEW-0626-SM-4QASP 40-49 years, male 20.6
GTEX-139UW-2826-SM-5L3E7 60-69 years, male 20.2
GTEX-18D9A-1926-SM-7LG6P 30-39 years, female 20.0
GTEX-R45C-0126-SM-EAZ2R 60-69 years, female 19.8
GTEX-WOFL-0126-SM-3MJG2 60-69 years, male 19.7
GTEX-1R7EV-2426-SM-EVYBG 40-49 years, male 19.6
GTEX-1L5NE-2526-SM-E6CIE 50-59 years, male 19.5
GTEX-1LBAC-0126-SM-DIPEZ 20-29 years, male 19.4
GTEX-1M5QR-1226-SM-EWROB 40-49 years, male 19.4
GTEX-UJHI-1526-SM-3DB99 50-59 years, female 19.0
GTEX-1HSGN-0226-SM-CGQFV 40-49 years, female 19.0
GTEX-15ETS-0126-SM-7KUMW 40-49 years, female 18.9
GTEX-VJWN-0126-SM-3GIK7 50-59 years, female 18.9
GTEX-1QPFJ-0226-SM-E76PB 30-39 years, female 18.2
GTEX-17GQL-2026-SM-718BA 60-69 years, male 18.1
GTEX-1JMPZ-0226-SM-CNPP1 30-39 years, male 18.1
GTEX-14LZ3-0226-SM-62LET 60-69 years, female 17.9
GTEX-12WSA-0226-SM-5BC5V 60-69 years, male 17.8
GTEX-14C5O-0126-SM-5SI6N 60-69 years, male 17.8
GTEX-T6MO-1626-SM-32QOM 40-49 years, female 17.7
GTEX-14A5I-0126-SM-5TDEA 50-59 years, female 17.6
GTEX-14LLW-0126-SM-6LLIO 70-79 years, female 17.5
GTEX-ZTX8-1426-SM-5DUVO 20-29 years, male 17.4
GTEX-1S3DN-2226-SM-EVYCD 50-59 years, male 17.2
GTEX-145ME-1826-SM-5SI9G 40-49 years, female 16.9
GTEX-15UF6-0826-SM-6PALJ 70-79 years, female 16.9
GTEX-15F5U-1526-SM-6PANO 40-49 years, male 16.8
GTEX-16XZZ-0126-SM-793DV 60-69 years, male 16.8
GTEX-1EX96-1626-SM-7PBXR 50-59 years, male 16.7
GTEX-1CAMQ-0226-SM-7IGPK 40-49 years, male 16.6
GTEX-1122O-2126-SM-5EGIR 60-69 years, female 16.5
GTEX-13OVK-2026-SM-7KUEO 40-49 years, male 16.5
GTEX-1I4MK-2226-SM-ACKWD 50-59 years, female 16.5
GTEX-13FTY-0526-SM-5L3EV 40-49 years, female 16.4
GTEX-P4QT-0126-SM-2I3FL 50-59 years, female 16.4
GTEX-1HCU7-0226-SM-CL545 50-59 years, male 16.4
GTEX-1KXAM-2226-SM-CYPTC 60-69 years, male 16.4
GTEX-1QCLY-0326-SM-E8VOG 30-39 years, male 16.4
GTEX-18A66-0226-SM-718BD 60-69 years, male 16.3
GTEX-1HBPM-0226-SM-ARL9F 60-69 years, female 16.3
GTEX-13OVH-0126-SM-5MR4B 70-79 years, male 16.2
GTEX-16NGA-1726-SM-731B4 40-49 years, female 16.2
GTEX-11NSD-2226-SM-5986V 20-29 years, male 16.1
GTEX-ZF3C-0126-SM-DO92D 50-59 years, female 16.1
GTEX-ZZPT-0226-SM-5E43X 50-59 years, male 15.9
GTEX-1HT8W-0126-SM-CNPPP 30-39 years, male 15.9
GTEX-1I1GR-0126-SM-CL55F 60-69 years, male 15.9
GTEX-14ICK-0226-SM-6EU25 40-49 years, male 15.8
GTEX-17F96-1626-SM-7DUFL 70-79 years, male 15.8
GTEX-13OVJ-0126-SM-5KM36 50-59 years, female 15.7
GTEX-1HFI7-1826-SM-ACKXH 50-59 years, female 15.7
GTEX-111VG-2426-SM-5GZXD 60-69 years, male 15.6
GTEX-1399T-2826-SM-5KLYZ 60-69 years, male 15.6
GTEX-13NZB-2526-SM-5J1OM 30-39 years, male 15.6
GTEX-13OW5-0126-SM-DTXFS 60-69 years, male 15.5
GTEX-T8EM-1026-SM-3DB7M 40-49 years, male 15.3
GTEX-ZVE2-0226-SM-59HJB 50-59 years, male 15.2
GTEX-1GN2E-0426-SM-9MQKX 60-69 years, male 14.9
GTEX-133LE-1826-SM-5J1MV 20-29 years, female 14.8
GTEX-1JN6P-0126-SM-D3L98 60-69 years, male 14.8
GTEX-1AX9J-0226-SM-73KXM 60-69 years, male 14.7
GTEX-1K2DA-1826-SM-CGQGT 50-59 years, male 14.7
GTEX-1S83E-0126-SM-EWRO4 40-49 years, male 14.7
GTEX-139D8-0226-SM-5KLZO 30-39 years, female 14.6
GTEX-13YAN-0326-SM-5O9DF 60-69 years, male 14.5
GTEX-1C475-1826-SM-73KWA 40-49 years, female 14.5
GTEX-1KANA-0726-SM-D3L9I 20-29 years, male 14.5
GTEX-1R46S-0626-SM-E9J41 60-69 years, female 14.5
GTEX-1399R-2726-SM-5IJBA 30-39 years, male 14.4
GTEX-15SHU-0126-SM-7KUEH 40-49 years, female 14.4
GTEX-1MA7W-2026-SM-E9TJ6 20-29 years, female 14.4
GTEX-TMMY-0226-SM-33HBA 40-49 years, female 14.3
GTEX-ZDTT-2726-SM-4WKF8 60-69 years, male 14.3
GTEX-1LG7Z-1726-SM-D3LA4 30-39 years, male 14.3
GTEX-1LGRB-2526-SM-CNPPQ 50-59 years, female 14.3
GTEX-14PII-0226-SM-6EU1T 60-69 years, male 14.2
GTEX-OXRO-0126-SM-2YUN4 60-69 years, female 14.2
GTEX-1HCVE-0126-SM-CGQEU 50-59 years, male 14.2
GTEX-1HGF4-2426-SM-ACKXM 60-69 years, male 14.2
GTEX-13JUV-2726-SM-5LZZ8 40-49 years, female 14.1
GTEX-15UKP-0426-SM-7KUFQ 20-29 years, male 14.1
GTEX-P44H-0226-SM-2XCEU 40-49 years, male 14.1
GTEX-1H2FU-0126-SM-9WYSI 60-69 years, female 14.1
GTEX-11EQ9-2426-SM-5HL5T 30-39 years, male 14.0
GTEX-17HII-0226-SM-7LG4E 50-59 years, male 14.0
GTEX-OIZH-0126-SM-2HMIS 50-59 years, male 14.0
GTEX-12WSG-2826-SM-E9J4H 50-59 years, female 14.0
GTEX-1GZ4H-1726-SM-7PBZJ 50-59 years, female 14.0
GTEX-1LGOU-2026-SM-DIPFF 20-29 years, female 14.0
GTEX-1PPH7-2326-SM-EVYB8 40-49 years, male 14.0
GTEX-1S82Z-0826-SM-E6CHY 30-39 years, female 14.0
GTEX-1B97I-1626-SM-73KYO 40-49 years, male 13.9
GTEX-ZQUD-1426-SM-57WER 30-39 years, male 13.9
GTEX-145LS-0126-SM-5QGP1 60-69 years, female 13.8
GTEX-1C6VS-0526-SM-7DUEN 60-69 years, male 13.8
GTEX-NFK9-0226-SM-2HMKQ 40-49 years, male 13.8
GTEX-TSE9-0126-SM-3DB83 60-69 years, female 13.8
GTEX-1GN1U-0126-SM-7PBZK 50-59 years, female 13.8
GTEX-12ZZZ-0626-SM-5DUXI 60-69 years, male 13.7
GTEX-16GPK-0126-SM-7DHLE 60-69 years, male 13.7
GTEX-1GL5R-1826-SM-9KNUY 50-59 years, male 13.6
GTEX-1R7EU-0226-SM-EVR4G 60-69 years, male 13.6
GTEX-18QFQ-0126-SM-731BE 30-39 years, male 13.5
GTEX-ZAJG-0126-SM-5HL94 50-59 years, female 13.5
GTEX-ZTSS-1926-SM-57WEW 40-49 years, male 13.5
GTEX-1MUQO-0126-SM-EAZ58 60-69 years, male 13.5
GTEX-1R9PM-2026-SM-E76OY 20-29 years, male 13.5
GTEX-OHPM-0126-SM-2YUN9 50-59 years, male 13.4
GTEX-OXRK-0226-SM-3NB2G 50-59 years, female 13.4
GTEX-ZF2S-2326-SM-4WWCE 50-59 years, female 13.4
GTEX-1IDFM-0126-SM-COH2V 60-69 years, male 13.4
GTEX-1LSNM-1926-SM-E6CII 50-59 years, male 13.4
GTEX-1M4P7-0226-SM-DIPEV 60-69 years, male 13.4
GTEX-1PFEY-1526-SM-E76PP 30-39 years, male 13.4
GTEX-11TT1-2526-SM-5EGIB 20-29 years, male 13.3
GTEX-15RIG-0226-SM-7KFTL 40-49 years, male 13.3
GTEX-XPVG-2626-SM-4B669 50-59 years, male 13.3
GTEX-ZVT2-2526-SM-51MT1 50-59 years, female 13.3
GTEX-ZVZP-2426-SM-59HKJ 50-59 years, male 13.3
GTEX-145LV-2126-SM-5LU8N 50-59 years, male 13.2
GTEX-145MN-2226-SM-5SIAU 30-39 years, male 13.2
GTEX-14DAR-2026-SM-5S2O3 50-59 years, male 13.2
GTEX-ZXG5-0126-SM-5GIEU 60-69 years, male 13.2
GTEX-1I19N-0326-SM-ACKVX 70-79 years, male 13.2
GTEX-1QMI2-0226-SM-EVYBX 60-69 years, male 13.2
GTEX-117XS-2726-SM-5N9BL 60-69 years, male 13.1
GTEX-14A5H-0426-SM-5QGQF 60-69 years, male 13.1
GTEX-17EVP-0326-SM-7DHLG 40-49 years, male 13.1
GTEX-SN8G-0126-SM-32PLI 50-59 years, female 13.1
GTEX-ZU9S-0226-SM-5E441 30-39 years, male 13.1
GTEX-13O21-1426-SM-5K7XI 50-59 years, male 13.0
GTEX-1GMR8-0126-SM-9WYTM 50-59 years, female 13.0
GTEX-13O3P-0126-SM-5KM4S 50-59 years, male 12.9
GTEX-17EUY-0426-SM-793BD 20-29 years, male 12.9
GTEX-1F52S-0126-SM-9MQJU 60-69 years, female 12.9
GTEX-1GF9X-2026-SM-7PC3A 40-49 years, female 12.9
GTEX-144FL-0126-SM-5TDC8 50-59 years, male 12.8
GTEX-WFG8-2226-SM-3GIL9 20-29 years, male 12.8
GTEX-ZYFD-0126-SM-5GIDL 50-59 years, male 12.8
GTEX-1HCUA-2426-SM-ADEIS 50-59 years, female 12.8
GTEX-1LH75-2426-SM-E9TJE 50-59 years, female 12.8
GTEX-OOBJ-0126-SM-E6CJW 60-69 years, male 12.8
GTEX-13111-1626-SM-5EGJY 50-59 years, male 12.7
GTEX-1GMR3-1926-SM-9KNUZ 40-49 years, male 12.7
GTEX-1LG7Y-0526-SM-DKPQC 50-59 years, male 12.7
GTEX-Y8LW-1826-SM-5S2MV 50-59 years, female 12.6
GTEX-1I1GV-0526-SM-A9G29 60-69 years, male 12.6
GTEX-1JMQL-0226-SM-CNPP5 50-59 years, female 12.6
GTEX-1K2DU-2326-SM-E9TIV 20-29 years, male 12.6
GTEX-13FTW-2626-SM-5K7WL 40-49 years, male 12.5
GTEX-X261-0126-SM-3NMD6 50-59 years, male 12.5
GTEX-XUZC-1726-SM-4BRWS 30-39 years, female 12.5
GTEX-ZF28-0126-SM-4WKGK 60-69 years, male 12.5
GTEX-1F6IF-0726-SM-7P8TW 60-69 years, male 12.5
GTEX-1GF9V-0326-SM-7RHI5 60-69 years, male 12.5
GTEX-1HSEH-0126-SM-ACKXN 60-69 years, male 12.5
GTEX-1IDJU-2626-SM-CM2RT 60-69 years, female 12.5
GTEX-131YS-0126-SM-5KM1M 60-69 years, female 12.4
GTEX-132NY-0326-SM-5IJBL 60-69 years, male 12.4
GTEX-13FTX-1826-SM-5J1NX 20-29 years, female 12.4
GTEX-17MFQ-1726-SM-793C7 20-29 years, male 12.4
GTEX-U412-0426-SM-3DB9O 60-69 years, male 12.4
GTEX-1PPH8-0226-SM-E8VND 20-29 years, male 12.4
GTEX-14PHX-2326-SM-62LEM 50-59 years, male 12.3
GTEX-X4EO-0326-SM-3P5YO 60-69 years, female 12.3
GTEX-XUW1-0426-SM-4BOOT 50-59 years, female 12.3
GTEX-1CB4H-0226-SM-7PBXM 60-69 years, female 12.3
GTEX-11P82-1626-SM-59879 20-29 years, male 12.2
GTEX-12KS4-0326-SM-5EQ41 30-39 years, male 12.2
GTEX-13W46-0226-SM-5SIAG 50-59 years, male 12.2
GTEX-T2YK-0526-SM-32QPJ 50-59 years, male 12.2
GTEX-1F5PL-0326-SM-7P8PQ 40-49 years, female 12.2
GTEX-QDVJ-1726-SM-2I5FX 50-59 years, male 12.1
GTEX-1GZ2Q-0226-SM-7P8TL 40-49 years, male 12.1
GTEX-1IGQW-0126-SM-COH42 60-69 years, male 12.1
GTEX-1PIGE-0126-SM-EVYBJ 20-29 years, male 12.1
GTEX-1QP66-1726-SM-E8VO1 50-59 years, male 12.1
GTEX-1S5ZA-0126-SM-EVYCV 20-29 years, male 12.1
GTEX-12WSK-2326-SM-5GCOH 40-49 years, female 12.0
GTEX-13QJ3-0326-SM-5S2RA 50-59 years, male 12.0
GTEX-17KNJ-2326-SM-7DHLQ 50-59 years, male 12.0
GTEX-1C2JI-1826-SM-73KXC 50-59 years, male 12.0
GTEX-1CB4I-0226-SM-79OLH 50-59 years, male 12.0
GTEX-T5JW-1626-SM-3GADZ 20-29 years, female 12.0
GTEX-WI4N-1026-SM-3LK7N 40-49 years, female 12.0
GTEX-1JJ6O-0126-SM-E6CI8 60-69 years, male 12.0
GTEX-13IVO-0126-SM-5J1NG 70-79 years, male 11.9
GTEX-13N1W-0126-SM-5K7VT 70-79 years, male 11.9
GTEX-13SLX-0526-SM-5S2ON 50-59 years, female 11.9
GTEX-17MF6-0126-SM-7LG4F 40-49 years, male 11.9
GTEX-1J1OQ-0226-SM-CYPSH 40-49 years, female 11.9
GTEX-1NV5F-0226-SM-E8VNY 60-69 years, female 11.9
GTEX-13FXS-0226-SM-5IJCK 50-59 years, male 11.8
GTEX-OXRN-0126-SM-48TDM 50-59 years, male 11.8
GTEX-TML8-1926-SM-32QOS 40-49 years, female 11.8
GTEX-WYJK-0126-SM-3NMAB 50-59 years, male 11.8
GTEX-1HSMQ-1226-SM-CGQFX 50-59 years, male 11.8
GTEX-11UD2-0226-SM-5EQKY 50-59 years, male 11.7
GTEX-139T8-0126-SM-5K7XZ 60-69 years, male 11.7
GTEX-147F3-0526-SM-5SI98 50-59 years, female 11.7
GTEX-PVOW-0126-SM-2XCFA 40-49 years, male 11.7
GTEX-S95S-1226-SM-4GICG 60-69 years, male 11.7
GTEX-WRHK-1426-SM-3MJF9 20-29 years, female 11.7
GTEX-131XF-5016-SM-7MGWE 60-69 years, male 11.7
GTEX-1J1R8-1726-SM-ARL8M 40-49 years, male 11.7
GTEX-1JK1U-2026-SM-CM2RZ 60-69 years, male 11.7
GTEX-U8T8-0126-SM-3DB94 60-69 years, male 11.6
GTEX-ZAB4-0226-SM-5N9F5 40-49 years, male 11.6
GTEX-1JJE9-0326-SM-CL53Z 70-79 years, male 11.6
GTEX-ZVT4-0126-SM-DTXFN 50-59 years, female 11.6
GTEX-11DYG-0126-SM-59883 60-69 years, male 11.5
GTEX-13SLW-0126-SM-5SI6C 70-79 years, male 11.5
GTEX-X4XY-0226-SM-4E3IZ 60-69 years, male 11.5
GTEX-X8HC-0126-SM-4E3JW 50-59 years, female 11.5
GTEX-1H11D-0226-SM-9WG6Z 40-49 years, male 11.5
GTEX-1LB8K-0226-SM-EWRNW 50-59 years, male 11.5
GTEX-12WSE-0526-SM-793B2 20-29 years, male 11.4
GTEX-14PJ6-2126-SM-6EU1V 60-69 years, female 11.4
GTEX-1B8KE-2126-SM-73KYX 50-59 years, male 11.4
GTEX-1B8SF-1426-SM-7DUGL 60-69 years, male 11.4
GTEX-ZYFG-2326-SM-5E44B 60-69 years, female 11.4
GTEX-ZZ64-1726-SM-5GZYB 20-29 years, male 11.4
GTEX-16AAH-1726-SM-7939C 50-59 years, male 11.3
GTEX-TKQ1-1026-SM-4GICL 30-39 years, male 11.3
GTEX-ZV68-0126-SM-59HKS 50-59 years, female 11.3
GTEX-1J8Q2-0526-SM-CM2RW 60-69 years, male 11.3
GTEX-14DAQ-0126-SM-5S2MQ 60-69 years, female 11.2
GTEX-16NPX-0226-SM-79OMT 50-59 years, male 11.2
GTEX-1A3MV-1926-SM-718BT 30-39 years, male 11.2
GTEX-WQUQ-0426-SM-3MJFU 60-69 years, male 11.2
GTEX-Y5LM-1926-SM-5RQJH 40-49 years, female 11.2
GTEX-1HCU9-1526-SM-A9SL7 20-29 years, male 11.2
GTEX-1I1GS-0126-SM-B2LVW 60-69 years, male 11.2
GTEX-1JMOU-1526-SM-CL54I 60-69 years, female 11.2
GTEX-11EM3-2426-SM-59861 20-29 years, female 11.1
GTEX-11P7K-2126-SM-5GU7G 30-39 years, male 11.1
GTEX-RTLS-0126-SM-447CA 60-69 years, female 11.1
GTEX-XQ8I-0426-SM-4BOPO 50-59 years, male 11.1
GTEX-YJ8A-0426-SM-5IFID 20-29 years, male 11.1
GTEX-1JJEA-0326-SM-CNPOT 60-69 years, male 11.1
GTEX-PLZ6-1426-SM-DKPOT 30-39 years, male 11.1
GTEX-X62O-0126-SM-4E3JN 50-59 years, male 11.0
GTEX-11TUW-2726-SM-E9J4M 60-69 years, male 11.0
GTEX-1LC47-0326-SM-E9TJP 60-69 years, male 11.0
GTEX-1EN7A-0126-SM-7SB81 40-49 years, male 10.9
GTEX-1H1E6-1726-SM-ACKVK 30-39 years, male 10.9
GTEX-1JMLX-0226-SM-CM2RO 50-59 years, male 10.9
GTEX-1QP29-0626-SM-EWRMX 50-59 years, male 10.9
GTEX-11TTK-0126-SM-5987B 60-69 years, female 10.8
GTEX-14753-0426-SM-5NQAM 60-69 years, male 10.8
GTEX-14JG6-2226-SM-6EU2G 30-39 years, female 10.8
GTEX-15ER7-0326-SM-7KUEV 20-29 years, female 10.8
GTEX-1H3O1-0426-SM-9YFKY 60-69 years, male 10.8
GTEX-1128S-2326-SM-5GZZY 60-69 years, female 10.7
GTEX-11DXZ-2326-SM-5EGGV 50-59 years, male 10.7
GTEX-11ZU8-2526-SM-5EQKI 60-69 years, male 10.7
GTEX-1CAMR-1926-SM-7EPI2 20-29 years, male 10.7
GTEX-X88G-0126-SM-47JZ3 30-39 years, male 10.7
GTEX-1B996-0226-SM-7RHGO 60-69 years, male 10.7
GTEX-1H4P4-0726-SM-9YFLR 50-59 years, male 10.7
GTEX-1JMPY-1326-SM-ARL8Y 30-39 years, male 10.7
GTEX-R3RS-0126-SM-3GIJL 40-49 years, female 10.6
GTEX-1I1GP-2226-SM-CGQFK 50-59 years, male 10.6
GTEX-1I6K6-0126-SM-A9SLE 30-39 years, male 10.6
GTEX-12696-2426-SM-5EQ6H 60-69 years, male 10.5
GTEX-13PVR-2326-SM-5QGR1 60-69 years, female 10.5
GTEX-16YQH-0126-SM-7DUFJ 30-39 years, male 10.5
GTEX-1F5PK-2426-SM-7RHHY 50-59 years, male 10.5
GTEX-1ICLY-0126-SM-D4P36 50-59 years, male 10.5
GTEX-1JMQK-0226-SM-CL543 60-69 years, male 10.5
GTEX-1OFPY-2426-SM-DTXEJ 60-69 years, male 10.5
GTEX-14PN3-2426-SM-6LLHS 60-69 years, female 10.4
GTEX-1A32A-0126-SM-718B1 50-59 years, female 10.4
GTEX-1AX9I-0126-SM-7SB74 60-69 years, male 10.4
GTEX-1EWIQ-0126-SM-7RHH2 70-79 years, female 10.4
GTEX-1H1DG-0126-SM-9WYU2 70-79 years, male 10.4
GTEX-1IL2V-0126-SM-CM2TX 70-79 years, male 10.4
GTEX-1399U-2326-SM-5K7WY 50-59 years, female 10.3
GTEX-1GF9W-0326-SM-9KNUN 60-69 years, male 10.3
GTEX-111FC-0126-SM-5N9DL 60-69 years, male 10.2
GTEX-13O3Q-2426-SM-5IJBR 50-59 years, male 10.2
GTEX-Y5V5-2326-SM-4V6GA 60-69 years, female 10.2
GTEX-13NYC-0326-SM-E9J4S 60-69 years, male 10.2
GTEX-1GZHY-0326-SM-9QEHI 50-59 years, female 10.2
GTEX-1KAFJ-2026-SM-CY8ID 50-59 years, male 10.2
GTEX-1PWST-0226-SM-E76QJ 70-79 years, male 10.2
GTEX-117YX-2326-SM-5H12W 50-59 years, male 10.1
GTEX-131XW-0426-SM-5LZWP 50-59 years, female 10.1
GTEX-139TS-2826-SM-5J1OO 60-69 years, male 10.1
GTEX-1BAJH-0526-SM-793CQ 70-79 years, male 10.1
GTEX-1JN76-0126-SM-CNPPE 20-29 years, female 10.1
GTEX-1QP9N-1426-SM-DTXFL 30-39 years, male 10.1
GTEX-11XUK-2026-SM-5EQLF 40-49 years, female 10.0
GTEX-12C56-1726-SM-5EQ61 20-29 years, male 10.0
GTEX-14BMU-2226-SM-5TDE9 20-29 years, female 10.0
GTEX-17HHE-2026-SM-79OKF 50-59 years, male 10.0
GTEX-1EMGI-0126-SM-9KNUE 60-69 years, male 10.0
GTEX-1F7RK-0126-SM-7PC2S 20-29 years, female 10.0
GTEX-1GN1V-0126-SM-9WPOS 60-69 years, male 10.0
GTEX-1HKZK-0326-SM-9WYUH 40-49 years, male 10.0
GTEX-1JMQI-2226-SM-CM2SD 50-59 years, male 10.0
GTEX-1OJC3-0126-SM-E76QX 20-29 years, male 10.0
GTEX-11DXX-2426-SM-5GZZW 60-69 years, female 9.9
GTEX-11ZTS-0126-SM-5EQ6M 60-69 years, female 9.9
GTEX-13D11-2426-SM-5KM1V 50-59 years, female 9.9
GTEX-13NYS-0126-SM-5MR3W 60-69 years, male 9.9
GTEX-13RTK-1426-SM-5QGQJ 20-29 years, male 9.9
GTEX-148VI-1626-SM-5SI6E 60-69 years, female 9.9
GTEX-S32W-2126-SM-2XCB1 50-59 years, female 9.9
GTEX-YJ89-0126-SM-4TT3X 60-69 years, male 9.9
GTEX-ZDTS-0126-SM-4WAY5 60-69 years, male 9.9
GTEX-1GF9U-2126-SM-7SB7L 40-49 years, female 9.9
GTEX-1HSKV-0226-SM-A9SKJ 60-69 years, male 9.9
GTEX-13O1R-0126-SM-5L3EH 60-69 years, male 9.8
GTEX-14E6D-0126-SM-62LDV 50-59 years, male 9.8
GTEX-18465-0126-SM-731BN 50-59 years, male 9.8
GTEX-Y8E4-0626-SM-4WWDL 40-49 years, male 9.8
GTEX-ZY6K-1826-SM-5GZXK 50-59 years, male 9.8
GTEX-1GPI7-0126-SM-9MQL8 20-29 years, male 9.8
GTEX-1IKOH-0226-SM-COH4E 60-69 years, female 9.8
GTEX-1O97I-0326-SM-EYYX7 60-69 years, male 9.8
GTEX-11WQC-2526-SM-5CVLE 60-69 years, male 9.7
GTEX-11WQK-0526-SM-5EQLD 50-59 years, male 9.7
GTEX-12WSJ-1826-SM-5GCNY 40-49 years, female 9.7
GTEX-13X6J-0126-SM-5QGOU 50-59 years, male 9.7
GTEX-17JCI-0126-SM-7LG5G 60-69 years, female 9.7
GTEX-OXRP-0126-SM-3NB32 60-69 years, female 9.7
GTEX-QVJO-1626-SM-2S1QW 60-69 years, female 9.7
GTEX-WYVS-2126-SM-3NMA3 40-49 years, female 9.7
GTEX-13O3O-0126-SM-E9J49 60-69 years, female 9.7
GTEX-1IL2U-0226-SM-CE6T8 60-69 years, male 9.7
GTEX-13CF2-2526-SM-5LZYX 60-69 years, male 9.6
GTEX-13NZA-0226-SM-5K7Z7 60-69 years, male 9.6
GTEX-145LT-1726-SM-5QGP3 40-49 years, male 9.6
GTEX-145MO-0326-SM-5Q5B3 60-69 years, male 9.6
GTEX-PX3G-0126-SM-2I3EN 20-29 years, female 9.6
GTEX-U3ZN-2326-SM-3DB7W 30-39 years, female 9.6
GTEX-ZE9C-2726-SM-57WB5 60-69 years, male 9.6
GTEX-1F75B-0126-SM-9KNVL 50-59 years, male 9.6
GTEX-1I1GQ-0126-SM-COH3H 50-59 years, male 9.6
GTEX-1RB15-2126-SM-E9TIM 60-69 years, male 9.6
GTEX-11DZ1-0126-SM-5985Q 50-59 years, male 9.5
GTEX-11EI6-0126-SM-5985R 60-69 years, male 9.5
GTEX-11VI4-1726-SM-5CVLH 40-49 years, female 9.5
GTEX-17HG3-2226-SM-7938L 30-39 years, female 9.5
GTEX-18D9U-0226-SM-718BP 40-49 years, male 9.5
GTEX-1E1VI-0126-SM-7DHMZ 50-59 years, male 9.5
GTEX-Y114-2426-SM-4TT8A 50-59 years, female 9.5
GTEX-1CAV2-2226-SM-7P8P2 40-49 years, female 9.5
GTEX-ZF29-2326-SM-DO92K 60-69 years, female 9.5
GTEX-11P81-2326-SM-59875 30-39 years, female 9.4
GTEX-15CHC-2126-SM-6EU21 60-69 years, female 9.4
GTEX-1B8SG-0126-SM-73KZ3 50-59 years, male 9.4
GTEX-1EU9M-0226-SM-7P8SP 60-69 years, male 9.4
GTEX-11H98-0126-SM-5EGHG 50-59 years, male 9.3
GTEX-131XG-2626-SM-5KM17 50-59 years, female 9.3
GTEX-YB5K-2126-SM-4WWDJ 40-49 years, female 9.3
GTEX-1J8Q3-1626-SM-CMKGC 60-69 years, male 9.3
GTEX-12WSN-5019-SM-79OM6 40-49 years, male 9.2
GTEX-13OVG-1926-SM-5L3DK 60-69 years, male 9.2
GTEX-1C6VR-2426-SM-79OLD 60-69 years, male 9.2
GTEX-PWO3-1526-SM-48TCM 60-69 years, female 9.2
GTEX-T5JC-0426-SM-32PLO 20-29 years, male 9.2
GTEX-ZAB5-1826-SM-5HL7C 50-59 years, male 9.2
GTEX-1H1CY-2826-SM-9MQM3 60-69 years, female 9.2
GTEX-1IDJH-0326-SM-A9SLQ 70-79 years, male 9.2
GTEX-11GSO-2426-SM-5A5LY 60-69 years, male 9.1
GTEX-13NYB-2526-SM-5K7Z6 40-49 years, male 9.1
GTEX-14PHW-0126-SM-6LLJI 60-69 years, female 9.1
GTEX-Q2AG-0126-SM-33HBV 40-49 years, female 9.1
GTEX-1CAMS-0426-SM-7P8T2 40-49 years, female 9.1
GTEX-1MGNQ-0126-SM-EVYCJ 40-49 years, male 9.1
GTEX-1POEN-0126-SM-EYYXJ 30-39 years, female 9.1
GTEX-1QP2A-0126-SM-E9J43 50-59 years, male 9.1
GTEX-1RDX4-0126-SM-E9J4P 50-59 years, female 9.1
GTEX-13FHO-0226-SM-5IFGY 60-69 years, male 9.0
GTEX-OIZG-0726-SM-33HBL 50-59 years, male 9.0
GTEX-SUCS-1926-SM-32PM3 70-79 years, male 9.0
GTEX-1269C-2526-SM-5EGJ3 60-69 years, female 8.9
GTEX-131XE-2326-SM-5PNZ2 50-59 years, male 8.9
GTEX-145LU-0126-SM-5TDCB 50-59 years, male 8.9
GTEX-14BIN-0626-SM-793DP 50-59 years, female 8.9
GTEX-15EU6-0426-SM-6PAN5 50-59 years, male 8.9
GTEX-1EKGG-0226-SM-9WYTH 60-69 years, male 8.9
GTEX-1IKJJ-0126-SM-CNPQB 60-69 years, male 8.9
GTEX-1KWVE-1426-SM-E9TJO 30-39 years, male 8.9
GTEX-1S82Y-2026-SM-EVYCM 40-49 years, male 8.9
GTEX-113JC-2326-SM-5EQ4E 50-59 years, female 8.8
GTEX-1314G-1526-SM-5EGK2 30-39 years, male 8.8
GTEX-1GMRU-0126-SM-9YFLV 50-59 years, male 8.8
GTEX-1HCU6-0126-SM-CL54K 60-69 years, female 8.8
GTEX-1RAZA-0126-SM-E6CI3 20-29 years, male 8.8
GTEX-11O72-0126-SM-59887 40-49 years, male 8.7
GTEX-13VXT-0126-SM-5LU4I 20-29 years, female 8.7
GTEX-13VXU-0126-SM-5SI9F 50-59 years, male 8.7
GTEX-13X6I-0626-SM-5QGP9 60-69 years, male 8.7
GTEX-17F98-0626-SM-79OMX 40-49 years, female 8.7
GTEX-PLZ4-0126-SM-5SI8O 50-59 years, female 8.7
GTEX-RU72-0926-SM-2TF6B 50-59 years, female 8.7
GTEX-WH7G-2326-SM-3NMBC 40-49 years, male 8.7
GTEX-1C64O-0126-SM-7SB8P 60-69 years, male 8.7
GTEX-PW2O-1526-SM-7RHHB 20-29 years, male 8.7
GTEX-11GSP-2526-SM-5N9BP 60-69 years, female 8.6
GTEX-12WSC-0126-SM-5EQ4P 50-59 years, male 8.6
GTEX-15G19-0126-SM-6PANQ 60-69 years, male 8.6
GTEX-PLZ5-2026-SM-2S1O4 50-59 years, male 8.6
GTEX-RN64-0126-SM-2TC68 50-59 years, male 8.6
GTEX-U3ZH-2026-SM-3DB78 30-39 years, male 8.6
GTEX-Y3IK-2426-SM-4WWDU 50-59 years, female 8.6
GTEX-ZAK1-0126-SM-5IJD3 50-59 years, female 8.6
GTEX-ZYFC-0226-SM-5NQ75 50-59 years, male 8.6
GTEX-1H1DE-2126-SM-9WG6R 20-29 years, male 8.6
GTEX-1JKYN-1326-SM-CGQG9 30-39 years, male 8.6
GTEX-1JKYR-0126-SM-CNPOJ 20-29 years, male 8.6
GTEX-1PIIG-0226-SM-EWRN6 30-39 years, male 8.6
GTEX-OIZF-0126-SM-7SB8I 60-69 years, male 8.6
GTEX-11DXW-0226-SM-5H122 40-49 years, male 8.5
GTEX-12584-0126-SM-5EGKQ 40-49 years, male 8.5
GTEX-12ZZY-0226-SM-5LZVE 60-69 years, male 8.5
GTEX-14XAO-2326-SM-6EU1B 60-69 years, female 8.5
GTEX-18A6Q-0126-SM-731BZ 60-69 years, male 8.5
GTEX-1A3MX-0126-SM-731BR 60-69 years, male 8.5
GTEX-RM2N-1426-SM-2TF4H 50-59 years, male 8.5
GTEX-WFON-2126-SM-3LK7O 40-49 years, male 8.5
GTEX-X4EP-0126-SM-3P5YV 60-69 years, female 8.5
GTEX-X4XX-0126-SM-3NMC2 60-69 years, male 8.5
GTEX-ZYY3-0126-SM-5GZY5 60-69 years, female 8.5
GTEX-169BO-1326-SM-9MQK2 50-59 years, male 8.5
GTEX-11NUK-0126-SM-5A5L3 50-59 years, male 8.4
GTEX-13113-5016-SM-7EPIP 60-69 years, female 8.4
GTEX-15DCD-0126-SM-7KUEK 70-79 years, female 8.4
GTEX-17F97-0326-SM-7LG5B 50-59 years, male 8.4
GTEX-U8XE-0326-SM-3DB8P 30-39 years, male 8.4
GTEX-WVJS-0126-SM-4MVOT 50-59 years, male 8.4
GTEX-ZEX8-2426-SM-4WKG4 50-59 years, male 8.4
GTEX-ZVTK-0426-SM-51MRS 20-29 years, male 8.4
GTEX-1HBPN-0226-SM-9YFM1 50-59 years, male 8.4
GTEX-1IDJF-0126-SM-CM2RS 20-29 years, male 8.4
GTEX-1J8JJ-0226-SM-CL53I 60-69 years, female 8.4
GTEX-14BMV-0126-SM-5S2PO 50-59 years, male 8.3
GTEX-14E6E-1826-SM-5S2R7 30-39 years, male 8.3
GTEX-15DDE-0126-SM-6LPKH 50-59 years, female 8.3
GTEX-QLQW-1126-SM-2S1Q8 30-39 years, male 8.3
GTEX-XAJ8-0826-SM-47JY6 40-49 years, male 8.3
GTEX-1F75A-0126-SM-7RHGM 50-59 years, male 8.3
GTEX-1H23P-0126-SM-ADEJ3 60-69 years, male 8.3
GTEX-RNOR-0126-SM-E9J4R 50-59 years, female 8.3
GTEX-1211K-2026-SM-5EQ4Z 60-69 years, female 8.2
GTEX-15DYW-0126-SM-7KULE 60-69 years, female 8.2
GTEX-15SHW-0326-SM-6PAML 60-69 years, male 8.2
GTEX-1AMEY-1326-SM-73KYK 30-39 years, female 8.2
GTEX-O5YW-0126-SM-3LK6D 50-59 years, male 8.2
GTEX-T2IS-0126-SM-4DM6O 20-29 years, female 8.2
GTEX-UPJH-0326-SM-3GADU 50-59 years, male 8.2
GTEX-1F88F-2726-SM-7PBZZ 60-69 years, female 8.2
GTEX-1GN73-0226-SM-9WG67 60-69 years, male 8.2
GTEX-1HR98-0126-SM-B2LWI 60-69 years, male 8.2
GTEX-PWCY-1826-SM-DHXIZ 20-29 years, female 8.2
GTEX-ZQG8-1626-SM-DHXIT 60-69 years, female 8.2
GTEX-1192X-0226-SM-5H12D 50-59 years, male 8.1
GTEX-11LCK-1026-SM-5A5KB 30-39 years, male 8.1
GTEX-131XH-2226-SM-5DUXJ 50-59 years, male 8.1
GTEX-13S7M-0126-SM-5SI6A 60-69 years, female 8.1
GTEX-18A7A-0226-SM-718BH 50-59 years, female 8.1
GTEX-1AMFI-2026-SM-731BH 50-59 years, female 8.1
GTEX-OOBK-0126-SM-2YUND 40-49 years, male 8.1
GTEX-QCQG-1726-SM-3GIJ9 50-59 years, female 8.1
GTEX-VUSG-2526-SM-4KL1V 50-59 years, male 8.1
GTEX-1CB4F-0426-SM-9KNV4 60-69 years, male 8.1
GTEX-1CB4G-0226-SM-7PC3O 60-69 years, male 8.1
GTEX-1GPI6-0126-SM-9WG69 60-69 years, male 8.1
GTEX-1MCQQ-0826-SM-DLHC2 60-69 years, male 8.1
GTEX-11EMC-2926-SM-5EQ4F 60-69 years, female 8.0
GTEX-11UD1-0126-SM-5PNYG 40-49 years, female 8.0
GTEX-147GR-0526-SM-5S2MY 60-69 years, male 8.0
GTEX-16BQI-0226-SM-7KUEX 30-39 years, female 8.0
GTEX-16MT8-0426-SM-7KUEY 60-69 years, female 8.0
GTEX-W5WG-1826-SM-4KL2Y 50-59 years, female 8.0
GTEX-WZTO-0126-SM-3NM95 40-49 years, male 8.0
GTEX-X585-0226-SM-4QAS2 50-59 years, male 8.0
GTEX-XV7Q-2526-SM-4BRV9 40-49 years, female 8.0
GTEX-Y8DK-0126-SM-4TT3L 60-69 years, male 8.0
GTEX-ZYW4-0126-SM-5E44A 60-69 years, male 8.0
GTEX-1C6WA-0126-SM-7PC2B 60-69 years, male 8.0
GTEX-1H3VE-0326-SM-9YFLH 40-49 years, male 8.0
GTEX-139TU-0126-SM-5K7WH 60-69 years, male 7.9
GTEX-13X6H-2126-SM-7EWD5 50-59 years, female 7.9
GTEX-15SDE-2226-SM-7IGLO 50-59 years, female 7.9
GTEX-T6MN-0126-SM-32PLP 50-59 years, male 7.9
GTEX-1I1CD-0126-SM-CM2TK 60-69 years, female 7.9
GTEX-1JMQJ-0526-SM-CYPSU 50-59 years, male 7.9
GTEX-1OJC4-0126-SM-E9J2E 50-59 years, female 7.9
GTEX-13FHP-0126-SM-5IJBG 50-59 years, male 7.8
GTEX-14PN4-0126-SM-6EU2V 50-59 years, male 7.8
GTEX-15SB6-1726-SM-6PAME 50-59 years, female 7.8
GTEX-Y5V6-2426-SM-4VDSB 60-69 years, male 7.8
GTEX-117YW-2626-SM-5GZZH 50-59 years, male 7.7
GTEX-1313W-0126-SM-5LZUN 50-59 years, female 7.7
GTEX-144GL-0126-SM-5TDE2 50-59 years, male 7.7
GTEX-17HGU-0226-SM-7DHKV 50-59 years, male 7.7
GTEX-QV44-1926-SM-2S1RF 50-59 years, male 7.7
GTEX-U3ZM-1526-SM-3DB9D 40-49 years, male 7.7
GTEX-1ICG6-2526-SM-CGQFZ 70-79 years, female 7.7
GTEX-ZPIC-1726-SM-DHXIU 40-49 years, female 7.7
GTEX-139TT-0126-SM-5K7Y5 60-69 years, male 7.6
GTEX-145MF-0626-SM-5LUAI 50-59 years, male 7.6
GTEX-14BIM-0226-SM-7IGLD 60-69 years, female 7.6
GTEX-18A7B-0126-SM-7LG64 70-79 years, male 7.6
GTEX-1C64N-0126-SM-793D7 50-59 years, male 7.6
GTEX-RWS6-2026-SM-2XCB5 60-69 years, female 7.6
GTEX-RWSA-0126-SM-2XCBB 40-49 years, male 7.6
GTEX-S7PM-0126-SM-4AD6S 60-69 years, male 7.6
GTEX-1HB9E-0226-SM-E9U4R 50-59 years, male 7.6
GTEX-1HBPI-1526-SM-C1YQ1 50-59 years, male 7.6
GTEX-1IKK5-0626-SM-ARL8A 60-69 years, male 7.6
GTEX-14A6H-0126-SM-5QGPK 30-39 years, male 7.5
GTEX-14BIL-0126-SM-5SI92 50-59 years, male 7.5
GTEX-14PJ3-1826-SM-62LEX 50-59 years, male 7.5
GTEX-Q734-1926-SM-2I5EV 40-49 years, female 7.5
GTEX-XMD2-0126-SM-4YCDU 60-69 years, female 7.5
GTEX-Z9EW-1626-SM-5CVMN 40-49 years, male 7.5
GTEX-1A8FM-0226-SM-7SB7Q 50-59 years, female 7.5
GTEX-1KANB-0526-SM-E6CJH 50-59 years, male 7.5
GTEX-1N2DV-0226-SM-E6CJ6 40-49 years, male 7.5
GTEX-RVPV-0126-SM-EAZAW 60-69 years, male 7.5
GTEX-11ZTT-2426-SM-5EQLS 60-69 years, female 7.4
GTEX-12WSL-2526-SM-5GCNJ 50-59 years, male 7.4
GTEX-13N2G-2626-SM-5J1OT 60-69 years, male 7.4
GTEX-13OW8-1326-SM-5J1OW 60-69 years, male 7.4
GTEX-13RTJ-2426-SM-5S2Q2 60-69 years, male 7.4
GTEX-146FH-0126-SM-5QGPP 50-59 years, female 7.4
GTEX-14JG1-0426-SM-6ETZZ 40-49 years, male 7.4
GTEX-ZE7O-0126-SM-57WC1 50-59 years, female 7.4
GTEX-1H3VY-0126-SM-ACKXD 50-59 years, male 7.4
GTEX-1MJK2-0426-SM-DTXE5 50-59 years, male 7.4
GTEX-1QAET-0926-SM-E76QM 50-59 years, male 7.4
GTEX-11GS4-2726-SM-5A5LE 60-69 years, male 7.3
GTEX-18A67-0126-SM-7LG5P 50-59 years, male 7.3
GTEX-OXRL-0126-SM-2YUMP 50-59 years, male 7.3
GTEX-QESD-1426-SM-2S1R9 20-29 years, male 7.3
GTEX-SJXC-0126-SM-2XCFF 60-69 years, male 7.3
GTEX-ZYT6-0226-SM-5NQ6T 30-39 years, male 7.3
GTEX-1GN1W-0526-SM-9MQJQ 50-59 years, female 7.3
GTEX-1H1ZS-0426-SM-9WG6G 70-79 years, male 7.3
GTEX-1PBJI-0526-SM-E8VNK 20-29 years, female 7.3
GTEX-13OVI-1426-SM-5L3EY 60-69 years, female 7.2
GTEX-13OW6-0426-SM-5L3HM 50-59 years, male 7.2
GTEX-QDT8-0126-SM-48TZ1 30-39 years, female 7.2
GTEX-XBED-2226-SM-47JYQ 60-69 years, male 7.2
GTEX-YEC4-2126-SM-5IFJH 40-49 years, male 7.2
GTEX-Z93T-0126-SM-5HL5N 50-59 years, male 7.2
GTEX-1B8L1-2526-SM-9WYTF 60-69 years, male 7.2
GTEX-1NHNU-1026-SM-E9J2A 50-59 years, male 7.2
GTEX-12ZZX-0126-SM-5EGK9 40-49 years, female 7.1
GTEX-14E7W-0126-SM-6LLJ9 70-79 years, male 7.1
GTEX-14PJM-0226-SM-62LF1 50-59 years, female 7.1
GTEX-ZTPG-0326-SM-5O9AX 20-29 years, female 7.1
GTEX-ZVZO-0126-SM-5A5L9 40-49 years, male 7.1
GTEX-13FH7-2026-SM-E9J4I 50-59 years, female 7.1
GTEX-1B933-0126-SM-7PC29 50-59 years, female 7.1
GTEX-1IE54-0126-SM-CMKHW 40-49 years, female 7.1
GTEX-1K9T9-0126-SM-EVYCF 50-59 years, female 7.1
GTEX-11DXY-2626-SM-5GIE7 60-69 years, male 7.0
GTEX-12WSD-0126-SM-59HKN 60-69 years, female 7.0
GTEX-13CF3-2426-SM-5IFGX 60-69 years, female 7.0
GTEX-13OW7-0126-SM-5MR3B 50-59 years, male 7.0
GTEX-13W3W-2426-SM-5LU5B 60-69 years, female 7.0
GTEX-X5EB-2226-SM-46MW4 40-49 years, male 7.0
GTEX-XUYS-0126-SM-47JWZ 50-59 years, male 6.9
GTEX-1F6I4-0126-SM-9MQL2 60-69 years, male 6.9
GTEX-1HSMP-0126-SM-E6CJS 70-79 years, male 6.9
GTEX-1KD5A-0226-SM-D5OV3 50-59 years, male 6.9
GTEX-146FQ-0126-SM-5NQA9 30-39 years, male 6.8
GTEX-147F4-0226-SM-5QGPW 50-59 years, male 6.8
GTEX-1CB4E-2226-SM-793DC 60-69 years, male 6.8
GTEX-S7SE-0126-SM-2XCD5 50-59 years, male 6.8
GTEX-SSA3-0126-SM-32QPU 60-69 years, male 6.8
GTEX-1GTWX-0126-SM-9YFLK 60-69 years, male 6.8
GTEX-1IOXB-0126-SM-ARL8G 50-59 years, male 6.8
GTEX-1J8EW-0126-SM-CJI4F 60-69 years, female 6.8
GTEX-17EVQ-0226-SM-7LG4P 70-79 years, male 6.7
GTEX-1B8KZ-2026-SM-7DHMB 50-59 years, male 6.7
GTEX-SIU8-0126-SM-2XCDT 50-59 years, male 6.7
GTEX-WXYG-2326-SM-4E3I6 50-59 years, female 6.7
GTEX-1HUB1-0426-SM-E9U4U 60-69 years, male 6.7
GTEX-1I1GU-2226-SM-CGQFA 40-49 years, male 6.7
GTEX-1KD4Q-0226-SM-E9TJ9 40-49 years, male 6.7
GTEX-1MCYP-1926-SM-E9J2R 20-29 years, female 6.7
GTEX-13OVL-0226-SM-5L3E9 50-59 years, male 6.6
GTEX-VJYA-1126-SM-3GIJU 60-69 years, male 6.6
GTEX-1RQEC-0426-SM-E6CHU 60-69 years, male 6.6
GTEX-145MI-0526-SM-5O9A8 60-69 years, female 6.5
GTEX-NPJ8-0126-SM-2YUNR 40-49 years, male 6.5
GTEX-YFC4-0126-SM-5CVLY 40-49 years, female 6.5
GTEX-1H3NZ-0126-SM-ACKX7 60-69 years, male 6.5
GTEX-11OF3-2626-SM-5GU7F 60-69 years, male 6.4
GTEX-13112-2826-SM-5DUWH 50-59 years, male 6.4
GTEX-144GN-2326-SM-5LU4F 50-59 years, male 6.4
GTEX-1C4CL-0526-SM-73KVK 30-39 years, male 6.4
GTEX-P4PQ-0126-SM-2S1NM 60-69 years, male 6.4
GTEX-QDVN-2026-SM-3GAEP 50-59 years, male 6.4
GTEX-QEG4-0226-SM-2S1PY 30-39 years, male 6.4
GTEX-R55G-2526-SM-2TC6D 40-49 years, female 6.4
GTEX-RUSQ-1526-SM-2TF62 50-59 years, male 6.4
GTEX-Y111-0126-SM-4SOIV 50-59 years, male 6.4
GTEX-1F75I-0326-SM-9YFLU 40-49 years, male 6.4
GTEX-13RTL-0126-SM-7LG5S 40-49 years, male 6.3
GTEX-15D1Q-0126-SM-7KUG6 40-49 years, male 6.3
GTEX-1A3MW-0126-SM-73KXX 60-69 years, female 6.3
GTEX-1QEPI-0126-SM-EWRMQ 60-69 years, female 6.3
GTEX-12126-0326-SM-5PNW3 20-29 years, male 6.2
GTEX-139T4-0226-SM-5HL5S 50-59 years, female 6.2
GTEX-Z93S-0126-SM-5HL7M 50-59 years, male 6.2
GTEX-1F48J-0126-SM-7P8TT 50-59 years, female 6.2
GTEX-183FY-0126-SM-7LT9P 20-29 years, male 6.1
GTEX-ZDXO-3026-SM-5J1N5 60-69 years, male 6.1
GTEX-11ZVC-2526-SM-5FQTE 50-59 years, female 6.0
GTEX-OHPL-0126-SM-2HMJ7 60-69 years, female 6.0
GTEX-R55E-0126-SM-2TC5Y 20-29 years, male 6.0
GTEX-X638-0126-SM-47JZ8 70-79 years, female 6.0
GTEX-ZDYS-2026-SM-5HL5L 50-59 years, male 6.0
GTEX-1CB4J-0626-SM-7DHMP 60-69 years, male 5.9
GTEX-P4PP-0126-SM-3LK69 30-39 years, female 5.9
GTEX-1C6VQ-0126-SM-7P8RI 50-59 years, male 5.9
GTEX-13G51-2526-SM-5LZYK 60-69 years, male 5.8
GTEX-1AX9K-2326-SM-73KWU 50-59 years, male 5.8
GTEX-QLQ7-1626-SM-2S1R8 60-69 years, male 5.8
GTEX-ZC5H-0226-SM-4WAY9 40-49 years, female 5.8
GTEX-1I1HK-0126-SM-COH49 60-69 years, male 5.8
GTEX-1212Z-2526-SM-5EGKP 60-69 years, male 5.7
GTEX-1AYD5-2426-SM-73KXR 50-59 years, male 5.7
GTEX-V1D1-2226-SM-3NMAX 50-59 years, male 5.7
GTEX-1HBPH-0426-SM-B2LW5 40-49 years, female 5.7
GTEX-18D9B-0526-SM-7LTAS 60-69 years, male 5.6
GTEX-XXEK-2226-SM-4BRUM 50-59 years, male 5.6
GTEX-XYKS-2126-SM-4E3IB 60-69 years, female 5.6
GTEX-1HFI6-0226-SM-ADEHZ 40-49 years, male 5.6
GTEX-1N2DW-0226-SM-E9TK2 50-59 years, male 5.6
GTEX-1R9PO-2126-SM-E9J4O 60-69 years, female 5.6
GTEX-1IY9M-0126-SM-D3L8S 60-69 years, male 5.5
GTEX-13U4I-0126-SM-5LU38 40-49 years, female 5.4
GTEX-Q2AI-1326-SM-2S1PL 40-49 years, male 5.4
GTEX-XQ3S-1526-SM-4BOOC 20-29 years, male 5.4
GTEX-S33H-1026-SM-EZ6L6 30-39 years, male 5.4
GTEX-14JIY-0126-SM-6LLH6 60-69 years, male 5.3
GTEX-14PK6-1926-SM-6ETZU 70-79 years, female 5.3
GTEX-1LNCM-1126-SM-E9U5E 50-59 years, female 5.3
GTEX-ZVT3-0126-SM-5GU6I 60-69 years, female 5.2
GTEX-1MA7X-2226-SM-E6CIY 60-69 years, male 5.2
GTEX-1RAZQ-0726-SM-EAZ43 30-39 years, male 5.2
GTEX-Q2AH-1626-SM-3GAF8 40-49 years, male 5.1
GTEX-11ZUS-0626-SM-59885 30-39 years, male 4.9
GTEX-W5X1-3026-SM-EAZAX 40-49 years, female 4.9
GTEX-13N11-2526-SM-5K7UE 50-59 years, female 4.8
GTEX-Y3I4-2126-SM-4TT7C 50-59 years, male 4.8
GTEX-17HHY-0126-SM-7LG5D 50-59 years, male 4.7
GTEX-O5YT-0126-SM-48TBW 20-29 years, male 4.7
GTEX-1AYCT-2426-SM-7IGQ3 50-59 years, male 4.5
GTEX-WY7C-2326-SM-3NB2U 50-59 years, male 4.5
GTEX-1RLM8-2326-SM-EWRN4 50-59 years, male 4.5
GTEX-113IC-0126-SM-5HL6T 60-69 years, male 4.4
GTEX-U4B1-1826-SM-4DXSU 40-49 years, male 4.4
GTEX-SE5C-1626-SM-2XCE3 40-49 years, female 4.4
GTEX-11OC5-0126-SM-5HL6A 60-69 years, male 4.3
GTEX-14ABY-0226-SM-5TDCQ 50-59 years, male 4.3
GTEX-1AX8Z-0126-SM-7DHM6 60-69 years, male 4.3
GTEX-ZUA1-0126-SM-5GU76 40-49 years, male 4.3
GTEX-16XZY-2126-SM-79OK1 70-79 years, male 4.2
GTEX-1QP67-1626-SM-EAZ3X 40-49 years, female 3.9
GTEX-TMZS-0126-SM-3DB9Q 60-69 years, male 3.7
GTEX-146FR-1326-SM-E9J48 60-69 years, female 3.6
GTEX-1QW4Y-1526-SM-EAZ3Z 30-39 years, male 3.3
Show allShow less

Contact

  • NEWS ARTICLES
  • PRESS ROOM

The Project

  • INTRODUCTION
  • ORGANIZATION
  • PUBLICATIONS

The Human Protein Atlas

  • DOWNLOADABLE DATA
  • LICENCE & CITATION
  • HELP & FAQ
The Human Protein Atlas project is funded
by the Knut & Alice Wallenberg Foundation.


contact@proteinatlas.org