We use cookies to enhance the usability of our website. If you continue, we'll assume that you are happy to receive all cookies. More information. Don't show this again.
GNA15
HPA
RESOURCES
  • TISSUE
  • BRAIN
  • SINGLE CELL
  • SUBCELLULAR
  • CANCER
  • BLOOD
  • CELL LINE
  • STRUCTURE & INTERACTION
ABOUT
  • INTRODUCTION
  • HISTORY
  • ORGANIZATION
  • PUBLICATIONS
  • ANTIBODY SUBMISSION
  • ANTIBODY AVAILABILITY
  • ACKNOWLEDGMENTS
  • CONTACT
NEWS
  • NEWS ARTICLES
  • PRESS ROOM
LEARN
  • DICTIONARY
  • PROTEIN CLASSES
  • PROTEIN EVIDENCE
  • METHODS
  • EDUCATIONAL VIDEOS
DATA
  • DOWNLOADABLE DATA
  • PUBLICATION DATA
  • RELEASE HISTORY
HELP
  • ANTIBODY VALIDATION
  • ASSAYS & ANNOTATION
  • DISCLAIMER
  • HELP & FAQ
  • PRIVACY STATEMENT
  • LICENCE & CITATION
Fields »
Search result

Field
Term
Gene name
Class
Subclass
Class
Keyword
Chromosome
External id
Tissue
Cell type
Expression
Antibody panel
Tissue
Main location
Patient ID
Annotation
Tissue
Category
Tau score
Cluster
Reliability
Brain region
Category
Tau score
Brain region
Category
Tau score
Brain region
Category
Tau score
Cluster
Reliability
Tissue
Cell type
Enrichment
Cell type
Category
Tau score
Cell type
Category
Tau score
Cell type
Category
Tau score
Cell lineage
Category
Tau score
Cluster
Cluster
Location
Searches
Location
Cell line
Class
Type
Phase
Reliability
Cancer
Prognosis
Cancer
Category
Cancer
Category
Tau score
Cluster
Variants
Interacting gene (ensg_id)
Type
Number of interactions
Pathway
Category
Score
Score
Score
Validation
Validation
Validation
Validation
Antibodies
Data type
Column


  • SUMMARY

  • TISSUE

  • BRAIN

  • SINGLE CELL

  • SUBCELL

  • CANCER

  • BLOOD

  • CELL LINE

  • STRUCT & INT

  • GNA15
TISSUE PRIMARY DATA SKIN Show tissue menu
ADIPOSE TISSUE ADRENAL GLAND AMYGDALA APPENDIX BASAL GANGLIA BONE MARROW BREAST BRONCHUS CEREBELLUM CEREBRAL CORTEX CERVIX CHOROID PLEXUS COLON DUODENUM
ENDOMETRIUM EPIDIDYMIS ESOPHAGUS FALLOPIAN TUBE GALLBLADDER HEART MUSCLE HIPPOCAMPAL FORMATION HYPOTHALAMUS KIDNEY LIVER LUNG LYMPH NODE MIDBRAIN NASOPHARYNX
ORAL MUCOSA OVARY PANCREAS PARATHYROID GLAND PITUITARY GLAND PLACENTA PROSTATE RECTUM RETINA SALIVARY GLAND SEMINAL VESICLE SKELETAL MUSCLE SKIN SMALL INTESTINE
SMOOTH MUSCLE SOFT TISSUE SPINAL CORD SPLEEN STOMACH TESTIS THYMUS THYROID GLAND TONGUE TONSIL URINARY BLADDER VAGINA
ANTIBODIES
AND
VALIDATION
Dictionary
Skin
Tissue proteome
Skin
SKIN - Expression summary
Protein expression
Skini

On the top, protein expression in current human tissue, based on all annotated cell types, is reported with the units not detected (n), low (l), medium (m) and high (h). Underneath, protein expression in each annotated cell type are reported using the same units.

Protein expression data is based on knowledge-based annotation. For genes where more than one antibody has been used, a collective score is set.

If knowledge-based annotation could not be performed for a gene, no data is displayed here. View antibody staining data further down this page.

h
m
l
n
Epidermal cells: Low
Fibroblasts: Low
Keratinocytes: Not detected
Langerhans: Not detected
Melanocytes: Not detected
RNA expressioni

A summary of mRNA expression data available for current tissue based on several datasets. The mRNA expression levels in human tissues are based on RNA-seq data generated by the Human Protein Atlas (HPA), Genotype-Tissue Expression (GTEx) portal and CAGE data generated by the FANTOM5 consortium. Consensus normalized expression levels for human tissues was created by combining the data from HPA and GTEx datasets.

The mRNA expression levels in pig are based on RNA-seq data generated by the Human Protein Atlas (HPA), and for mouse, HPA data and in situ hybridization generated by the Allen brain atlas are reported.

Scroll down to view mRNA expression data in more detail.
Consensus:49.3 nTPM
HPA:19.8 nTPM
GTEx:49.3 nTPM

SKIN 1 - Antibody stainingi

Antibody staining in the annotated cell types in the current human tissue is reported as not detected, low, medium, or high, based on conventional immunohistochemistry profiling in selected tissues. This score is based on the combination of the staining intensity and fraction of stained cells.

Each image is clickable and will lead to virtual microscopy that enables deeper exploration of all samples and also displays staining intensity scores, fraction scores and subcellular localization as well as patient and tissue information for each sample.

Antibody HPA043113
Langerhans Not detected
Fibroblasts Low
Keratinocytes Not detected
Melanocytes Not detected

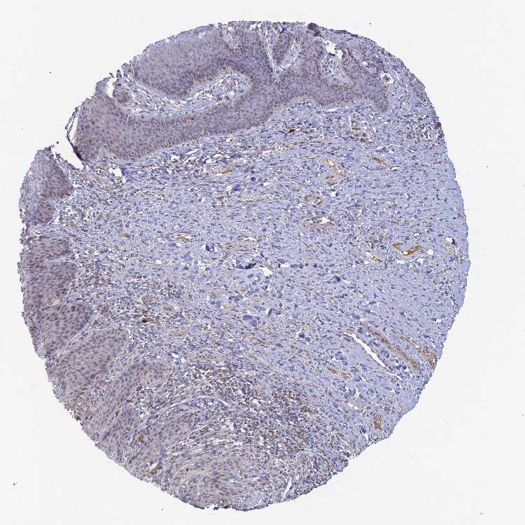
SKIN 2 - Antibody stainingi

Antibody staining in the annotated cell types in the current human tissue is reported as not detected, low, medium, or high, based on conventional immunohistochemistry profiling in selected tissues. This score is based on the combination of the staining intensity and fraction of stained cells.

Each image is clickable and will lead to virtual microscopy that enables deeper exploration of all samples and also displays staining intensity scores, fraction scores and subcellular localization as well as patient and tissue information for each sample.

Antibody HPA043113
Epidermal cells Low
 
 
 



SKIN - HPA RNA-seqi

The RNA-seq details section shows detailed information about the individual samples used for the transcript profiling and results of the RNA-seq analysis.

Information about each individual sample is listed below, including gender, age, a tissue section image and estimated fractions of cell types. nTPM (normalized transcripts per million) values give a quantification of the gene abundance which is comparable between different genes and samples.
Average nTPMi

Max subtype nTPM is the value for the subtype with the largest average nTPM across the subtype samples.

19.8
overview
Female, age 34
Skin sample 225
nTPM: 20.2
Cell types%
Keratinocytes:
60

Other cell types:
40

overview
Female, age 30
Skin sample 226
nTPM: 16.2
Cell types%
Keratinocytes:
55

Other cell types:
45

N/A
Male, age 57
Skin sample 227
nTPM: 23

SKIN - GTEx RNA-seqi

RNA-Seq data generated by the Genotype-Tissue Expression (GTEx) project from human tissues is reported as mean nTPM. More information can be found on the GTEx portal.

Distribution across the dataset is visualized with box plots, shown as median and 25th and 75th percentiles. Points are displayed as outliers if they are above or below 1.5 times the interquartile range. nTPM values of the individual samples are presented next to the box plot.
Max subtype nTPMi

Max subtype nTPM is the value for the subtype with the largest average nTPM across the subtype samples.

49.3
GTEx sample id Sample description nTPM
Skin - Not Sun Exposed (Suprapubic)
Average nTPM: 49.3
Samples: 604

Max nTPM: 238.9
Min nTPM: 8.0
Std nTPM: 25.7
Median nTPM: 43.6
GTEX-1ICLZ-0326-SM-ARL82 60-69 years, male 238.9
GTEX-ZY6K-1426-SM-5GZX2 50-59 years, male 194.0
GTEX-WI4N-2726-SM-3LK7Y 40-49 years, female 185.9
GTEX-1PPH8-0126-SM-EWRN8 20-29 years, male 182.0
GTEX-WHSE-0126-SM-3NMBT 20-29 years, male 168.8
GTEX-1399S-0126-SM-5IJCF 30-39 years, female 140.3
GTEX-1IKOE-1426-SM-CE6T7 30-39 years, female 138.8
GTEX-11DZ1-2426-SM-5GZZX 50-59 years, male 129.6
GTEX-11WQK-1026-SM-5EQLX 50-59 years, male 129.6
GTEX-15G1A-1626-SM-7KUKN 30-39 years, male 129.5
GTEX-1JMQL-2226-SM-CNPP4 50-59 years, female 126.4
GTEX-14XAO-1226-SM-6EU1C 60-69 years, female 126.3
GTEX-12WSK-2126-SM-5CVNC 40-49 years, female 125.7
GTEX-ZYFD-0626-SM-5E44E 50-59 years, male 123.2
GTEX-U8XE-0226-SM-4E3J3 30-39 years, male 119.2
GTEX-WFG7-2026-SM-5SI7P 20-29 years, male 117.7
GTEX-1F6RS-2026-SM-7RHHC 60-69 years, female 114.0
GTEX-13OVK-1426-SM-6PAN7 40-49 years, male 109.8
GTEX-1I1GU-0926-SM-ACKVS 40-49 years, male 109.2
GTEX-17F9E-2326-SM-79OKD 50-59 years, male 107.0
GTEX-ZTX8-1326-SM-4YCEL 20-29 years, male 107.0
GTEX-15G19-2426-SM-7KUMR 60-69 years, male 105.3
GTEX-1H2FU-0926-SM-9WPPT 60-69 years, female 105.2
GTEX-14C38-0726-SM-5SI6M 50-59 years, male 104.7
GTEX-1GZ4H-0526-SM-9KNU9 50-59 years, female 103.2
GTEX-13O61-1426-SM-5KM3D 60-69 years, male 103.0
GTEX-ZLFU-1826-SM-4WWBV 40-49 years, male 102.6
GTEX-1399Q-2326-SM-5KM2X 40-49 years, male 99.8
GTEX-X585-2426-SM-46MW2 50-59 years, male 96.9
GTEX-1HBPN-0126-SM-CGQEF 50-59 years, male 96.2
GTEX-1CAMS-2226-SM-7PBXQ 40-49 years, female 94.2
GTEX-1OJC3-1226-SM-DTXER 20-29 years, male 94.0
GTEX-1NSGN-0726-SM-DTXEF 50-59 years, male 92.2
GTEX-XBEW-1126-SM-4QARW 40-49 years, male 91.4
GTEX-1R9PN-0426-SM-DTXDT 40-49 years, female 89.7
GTEX-YFCO-1226-SM-5LUAT 40-49 years, male 89.6
GTEX-1MCYP-0526-SM-E9U6Q 20-29 years, female 89.5
GTEX-ZVZP-1226-SM-5GID7 50-59 years, male 89.0
GTEX-1QP2A-1726-SM-E76QC 50-59 years, male 88.4
GTEX-1N2DV-1526-SM-DTXEP 40-49 years, male 86.7
GTEX-13NYC-0126-SM-5L3F4 60-69 years, male 86.5
GTEX-1LVAN-0626-SM-CNPOQ 50-59 years, female 86.4
GTEX-1RMOY-1326-SM-E9TIH 50-59 years, male 85.2
GTEX-14PJ3-1126-SM-5ZZVX 50-59 years, male 84.8
GTEX-1AYD5-2626-SM-7PBXY 50-59 years, male 84.8
GTEX-13PDP-0726-SM-5L3HP 60-69 years, male 84.3
GTEX-Y114-2126-SM-4TT8B 50-59 years, female 84.3
GTEX-ZPCL-1126-SM-4WWFE 60-69 years, female 83.6
GTEX-1CB4J-1326-SM-7P8RX 60-69 years, male 83.6
GTEX-17F97-2626-SM-7IGM5 50-59 years, male 83.2
GTEX-1HCU7-0726-SM-A9SL1 50-59 years, male 82.9
GTEX-1J1OQ-0126-SM-D4P2N 40-49 years, female 82.6
GTEX-144FL-0626-SM-5LU43 50-59 years, male 81.0
GTEX-1R9K4-2826-SM-DTX8F 60-69 years, male 80.8
GTEX-1F5PK-2226-SM-7SB6N 50-59 years, male 80.3
GTEX-1R46S-2426-SM-E76QA 60-69 years, female 80.3
GTEX-1QPFJ-1926-SM-EVYBD 30-39 years, female 79.8
GTEX-14ICL-1626-SM-5YYAO 30-39 years, male 79.6
GTEX-ZYVF-0926-SM-5E44J 50-59 years, female 79.6
GTEX-13NYS-0626-SM-5L3F1 60-69 years, male 79.5
GTEX-1MJK3-0726-SM-E6CJC 20-29 years, male 79.0
GTEX-ZLV1-1526-SM-DO91J 60-69 years, female 78.8
GTEX-1E2YA-2126-SM-7MXUO 50-59 years, male 78.6
GTEX-1F75I-2226-SM-7SB8U 40-49 years, male 77.9
GTEX-131XG-0326-SM-5L3DX 50-59 years, female 77.8
GTEX-13IVO-0726-SM-5LZYV 70-79 years, male 77.7
GTEX-16AAH-0626-SM-793C9 50-59 years, male 77.4
GTEX-1NV5F-0626-SM-DTXEG 60-69 years, female 76.7
GTEX-15RIG-0726-SM-7KUM7 40-49 years, male 76.6
GTEX-13OVH-0526-SM-5L3E6 70-79 years, male 76.5
GTEX-13YAN-0226-SM-5TDC6 60-69 years, male 76.2
GTEX-1A3MW-0626-SM-731CB 60-69 years, female 76.2
GTEX-13W3W-0726-SM-5IJDQ 60-69 years, female 76.1
GTEX-15UF6-1926-SM-7KUDV 70-79 years, female 76.0
GTEX-18QFQ-1826-SM-72D52 30-39 years, male 75.5
GTEX-11PRG-0726-SM-5EGL1 50-59 years, male 75.4
GTEX-1KAFJ-0126-SM-DIPEK 50-59 years, male 75.2
GTEX-1HKZK-0726-SM-ACKW2 40-49 years, male 74.2
GTEX-144GL-0626-SM-5LU4D 50-59 years, male 74.1
GTEX-12WSJ-1126-SM-5LZVJ 40-49 years, female 73.9
GTEX-131YS-2826-SM-5EQ47 60-69 years, female 73.9
GTEX-1GF9X-1326-SM-7PC2Y 40-49 years, female 73.9
GTEX-14C39-1726-SM-5RQIL 40-49 years, male 73.8
GTEX-17F9Y-0126-SM-79OKX 70-79 years, female 73.7
GTEX-1R9PM-1926-SM-EVR3O 20-29 years, male 73.5
GTEX-144GM-0526-SM-79OJO 20-29 years, male 73.3
GTEX-14A5H-0826-SM-5QGPJ 60-69 years, male 73.1
GTEX-14C5O-0326-SM-5ZZUX 60-69 years, male 72.9
GTEX-1HBPM-0726-SM-9YFL7 60-69 years, female 72.7
GTEX-1JJEA-1826-SM-ARU8P 60-69 years, male 72.3
GTEX-YECK-0326-SM-4W1YS 60-69 years, male 71.6
GTEX-1HSMQ-2626-SM-A9SML 50-59 years, male 71.3
GTEX-1J8EW-2726-SM-CY8HR 60-69 years, female 71.3
GTEX-16MTA-0926-SM-6M47Z 50-59 years, male 71.2
GTEX-14E1K-2026-SM-7DUEI 50-59 years, male 70.3
GTEX-1HCUA-0826-SM-ADEHM 50-59 years, female 69.0
GTEX-ZE7O-2726-SM-51MT5 50-59 years, female 68.9
GTEX-111VG-1626-SM-5EGIO 60-69 years, male 68.8
GTEX-13PL6-1126-SM-5L3IE 40-49 years, female 67.9
GTEX-1JMPY-0226-SM-CKZOK 30-39 years, male 67.7
GTEX-11WQC-1826-SM-5GU59 60-69 years, male 67.5
GTEX-14PII-0726-SM-6EU2B 60-69 years, male 67.2
GTEX-WXYG-2026-SM-4E3IY 50-59 years, female 67.2
GTEX-1I1GT-1026-SM-ARZLV 60-69 years, female 67.2
GTEX-1LKK1-2626-SM-DKPQE 50-59 years, female 67.1
GTEX-WH7G-2026-SM-3NMBL 40-49 years, male 66.5
GTEX-1PBJJ-1026-SM-E76OS 30-39 years, male 66.3
GTEX-1313W-0626-SM-5EQ4H 50-59 years, female 66.2
GTEX-ZT9X-1526-SM-5DUXD 40-49 years, male 66.1
GTEX-14PJ4-0226-SM-5YY92 60-69 years, male 65.8
GTEX-16MT9-0126-SM-7EPI8 60-69 years, female 65.5
GTEX-1MCC2-1826-SM-DIPEX 30-39 years, female 65.5
GTEX-1JMQJ-0826-SM-CNPP7 50-59 years, male 65.0
GTEX-1GPI7-1826-SM-9KNU1 20-29 years, male 64.6
GTEX-1H11D-1826-SM-9QEHM 40-49 years, male 64.3
GTEX-15RIE-1926-SM-7KUKJ 60-69 years, male 64.0
GTEX-Y5LM-0926-SM-6LLJG 40-49 years, female 62.6
GTEX-ZYW4-0626-SM-59HJR 60-69 years, male 62.6
GTEX-Y9LG-1126-SM-4VBQ7 30-39 years, male 62.5
GTEX-13FTX-1526-SM-5K7VJ 20-29 years, female 62.2
GTEX-1EMGI-2326-SM-7PBYA 60-69 years, male 62.2
GTEX-1QAET-0326-SM-EVR3U 50-59 years, male 62.2
GTEX-15DDE-2926-SM-6LLJ3 50-59 years, female 61.7
GTEX-11DXX-2126-SM-5PNYR 60-69 years, female 61.6
GTEX-147GR-2426-SM-5ZZWQ 60-69 years, male 61.5
GTEX-1192X-2726-SM-5N9DN 50-59 years, male 61.4
GTEX-13O3O-2326-SM-5IJD6 60-69 years, female 61.3
GTEX-ZYY3-2926-SM-5GIEB 60-69 years, female 61.3
GTEX-139D8-1126-SM-5LU8W 30-39 years, female 61.2
GTEX-1CAMQ-1326-SM-7P8RV 40-49 years, male 61.1
GTEX-WHSB-1326-SM-3LK6W 50-59 years, male 60.4
GTEX-1J8Q2-2626-SM-ACKWQ 60-69 years, male 60.2
GTEX-1QP9N-1226-SM-E76QN 30-39 years, male 59.8
GTEX-1HGF4-0126-SM-CNPPX 60-69 years, male 59.7
GTEX-1QP28-1126-SM-EVYC4 50-59 years, female 59.7
GTEX-VUSG-2326-SM-4KL1U 50-59 years, male 59.5
GTEX-14LZ3-0126-SM-69LPM 60-69 years, female 59.4
GTEX-15RJE-2826-SM-7KUM9 40-49 years, male 59.3
GTEX-11DYG-1526-SM-5A5JS 60-69 years, male 58.9
GTEX-15SHW-0226-SM-7LTAT 60-69 years, male 58.8
GTEX-1C64N-2626-SM-7PC2N 50-59 years, male 58.8
GTEX-11EQ8-0926-SM-5H12V 60-69 years, male 58.5
GTEX-111CU-1126-SM-5EGIM 50-59 years, male 58.4
GTEX-1F52S-2926-SM-7MKGA 60-69 years, female 58.4
GTEX-1F48J-0726-SM-7RHGS 50-59 years, female 58.4
GTEX-W5X1-2526-SM-3GILC 40-49 years, female 58.2
GTEX-ZP4G-1426-SM-4WWCL 20-29 years, female 58.2
GTEX-11TUW-0626-SM-5LU9M 60-69 years, male 57.8
GTEX-1B8KE-1126-SM-7EPHI 50-59 years, male 57.8
GTEX-ZAB4-2126-SM-5HL8U 40-49 years, male 57.4
GTEX-1HSMP-0926-SM-A9SKX 70-79 years, male 57.4
GTEX-1IDJV-0126-SM-COH3Y 60-69 years, male 57.4
GTEX-11OF3-0126-SM-5PNYF 60-69 years, male 57.3
GTEX-ZWKS-0626-SM-5GIDV 30-39 years, male 57.2
GTEX-14PJ6-2626-SM-6EU2T 60-69 years, female 57.1
GTEX-1IE54-1126-SM-A9G2Z 40-49 years, female 57.1
GTEX-148VJ-0626-SM-5LUAW 70-79 years, male 56.9
GTEX-1HB9E-0126-SM-CM2S5 50-59 years, male 56.9
GTEX-1F88F-0126-SM-9WYSZ 60-69 years, female 56.8
GTEX-XQ8I-0926-SM-4BOOF 50-59 years, male 56.7
GTEX-1GN1V-2826-SM-9JGIA 60-69 years, male 56.5
GTEX-1GF9V-0826-SM-9KNUV 60-69 years, male 56.3
GTEX-1H3O1-1326-SM-9MQLD 60-69 years, male 56.3
GTEX-1K2DU-1226-SM-CYPT4 20-29 years, male 56.3
GTEX-1RAZQ-1326-SM-E9TK6 30-39 years, male 56.3
GTEX-14PHX-2226-SM-6EU2P 50-59 years, male 56.2
GTEX-17F98-1326-SM-7DUEP 40-49 years, female 56.2
GTEX-1S82U-1026-SM-E6CJK 30-39 years, female 56.1
GTEX-18A67-1626-SM-7LT9T 50-59 years, male 55.9
GTEX-13OW5-2326-SM-5L3HO 60-69 years, male 55.7
GTEX-13SLW-0626-SM-5Q5ER 70-79 years, male 55.0
GTEX-1HCU6-2526-SM-ADEHL 60-69 years, female 54.8
GTEX-1I1HK-2326-SM-CKZOH 60-69 years, male 54.8
GTEX-1PPGY-1626-SM-EVYBL 60-69 years, male 54.8
GTEX-131XH-0126-SM-5LZUY 50-59 years, male 54.6
GTEX-139YR-1026-SM-5LZYN 50-59 years, male 54.6
GTEX-16YQH-2226-SM-7IGM2 30-39 years, male 54.4
GTEX-1H1DF-1126-SM-9WG7G 40-49 years, female 54.4
GTEX-1GN73-0726-SM-7P8TJ 60-69 years, male 54.2
GTEX-15CHR-1126-SM-7EWF4 50-59 years, male 54.0
GTEX-14PHY-1226-SM-5ZZWK 60-69 years, female 53.8
GTEX-13G51-1826-SM-5KLZH 60-69 years, male 53.7
GTEX-1GMRU-2126-SM-7P8RA 50-59 years, male 53.4
GTEX-12WSH-1526-SM-5BC5W 50-59 years, male 53.3
GTEX-144GO-2026-SM-5O99P 60-69 years, male 53.3
GTEX-XXEK-1626-SM-4BRUZ 50-59 years, male 53.1
GTEX-X8HC-0626-SM-4E3HQ 50-59 years, female 53.0
GTEX-ZYT6-2326-SM-5GZY3 30-39 years, male 53.0
GTEX-1JN1M-2726-SM-CY8I4 60-69 years, female 53.0
GTEX-XUW1-0926-SM-4BONX 50-59 years, female 52.9
GTEX-1269C-0126-SM-5EQ5L 60-69 years, female 52.8
GTEX-18D9A-1426-SM-7LT8M 30-39 years, female 52.7
GTEX-1H23P-0626-SM-9WG6T 60-69 years, male 52.6
GTEX-17F96-0126-SM-7EWDU 70-79 years, male 52.5
GTEX-1CB4F-1026-SM-7DUH1 60-69 years, male 52.5
GTEX-14753-0726-SM-5QGQO 60-69 years, male 52.4
GTEX-XV7Q-1826-SM-4BRUV 40-49 years, female 52.3
GTEX-1LBAC-0826-SM-CY8IJ 20-29 years, male 52.3
GTEX-11DXZ-2026-SM-5987S 50-59 years, male 52.0
GTEX-13QJC-0126-SM-5ZZWJ 60-69 years, female 52.0
GTEX-1QCLY-0226-SM-EWRNH 30-39 years, male 51.8
GTEX-1BAJH-2426-SM-7IGP8 70-79 years, male 51.7
GTEX-1CAMR-1326-SM-7PC1F 20-29 years, male 51.7
GTEX-13VXT-1926-SM-5K7UO 20-29 years, female 51.5
GTEX-ZVE1-0726-SM-51MRN 50-59 years, female 51.5
GTEX-Y3I4-1726-SM-4TT89 50-59 years, male 51.4
GTEX-14PJ5-1526-SM-6LLIL 60-69 years, female 51.3
GTEX-17HII-1426-SM-7EPGG 50-59 years, male 51.3
GTEX-1S82P-2126-SM-E6CI5 60-69 years, female 51.1
GTEX-1HT8W-0626-SM-A9G2H 30-39 years, male 51.0
GTEX-1QW4Y-1126-SM-DTXE3 30-39 years, male 51.0
GTEX-13RTJ-0126-SM-5S2NN 60-69 years, male 50.9
GTEX-13FTY-2126-SM-5IFFB 40-49 years, female 50.8
GTEX-13X6I-1826-SM-5SIAO 60-69 years, male 50.8
GTEX-ZDTT-0426-SM-4WKFL 60-69 years, male 50.8
GTEX-1HR9M-2226-SM-CNPPY 60-69 years, male 50.8
GTEX-Y111-0626-SM-4SOIT 50-59 years, male 50.7
GTEX-ZTTD-2826-SM-4YCFA 50-59 years, male 50.6
GTEX-17HHE-1326-SM-7EWDZ 50-59 years, male 50.5
GTEX-1JK1U-0226-SM-ARZMX 60-69 years, male 50.4
GTEX-133LE-2326-SM-5K7W3 20-29 years, female 50.2
GTEX-11GS4-0226-SM-5HL77 60-69 years, male 50.0
GTEX-13FHO-0426-SM-5L3F5 60-69 years, male 49.9
GTEX-ZC5H-1526-SM-5HL9Y 40-49 years, female 49.9
GTEX-ZXG5-2126-SM-59HKD 60-69 years, male 49.6
GTEX-1PIIG-2326-SM-DTXFR 30-39 years, male 49.5
GTEX-139UW-0326-SM-5J1ML 60-69 years, male 49.4
GTEX-145MH-2826-SM-5RQJF 50-59 years, male 49.4
GTEX-1C2JI-1026-SM-73KY1 50-59 years, male 49.4
GTEX-139TU-0726-SM-5L3EK 60-69 years, male 49.3
GTEX-1C64O-1326-SM-7MGWR 60-69 years, male 49.3
GTEX-12ZZX-2426-SM-5GCOE 40-49 years, female 49.2
GTEX-147F4-0726-SM-5TDDD 50-59 years, male 49.2
GTEX-14PKU-0126-SM-6LLHV 40-49 years, female 49.0
GTEX-1C6WA-2626-SM-7MKGM 60-69 years, male 49.0
GTEX-XBED-1926-SM-47JYP 60-69 years, male 49.0
GTEX-12ZZY-0726-SM-5EQ66 60-69 years, male 48.7
GTEX-17HGU-2326-SM-7DUFE 50-59 years, male 48.7
GTEX-1C6VR-0126-SM-7RHGB 60-69 years, male 48.7
GTEX-11ZU8-0126-SM-5EQ58 60-69 years, male 48.5
GTEX-15RJ7-2126-SM-6PAMD 40-49 years, male 48.4
GTEX-14BIN-1126-SM-5RQJZ 50-59 years, female 48.3
GTEX-Z93S-1626-SM-5CVMB 50-59 years, male 48.3
GTEX-131XF-2626-SM-5EQ6K 60-69 years, male 48.2
GTEX-1GPI6-1926-SM-9KNV7 60-69 years, male 48.2
GTEX-1314G-1326-SM-5BC6E 30-39 years, male 48.1
GTEX-ZDTS-0826-SM-4WKHL 60-69 years, male 48.1
GTEX-ZE9C-2526-SM-5IJDR 60-69 years, male 48.0
GTEX-WHWD-1826-SM-3LK6I 50-59 years, male 47.9
GTEX-13OW6-2726-SM-5J2OE 50-59 years, male 47.8
GTEX-1F6I4-2326-SM-7RHGL 60-69 years, male 47.8
GTEX-1OJC4-2726-SM-E76PJ 50-59 years, female 47.8
GTEX-15SKB-2826-SM-6PAMH 60-69 years, male 47.6
GTEX-1JMLX-0626-SM-ARL8T 50-59 years, male 47.6
GTEX-1ICLY-0826-SM-CMKG1 50-59 years, male 47.5
GTEX-1JMQK-1226-SM-D4P2S 60-69 years, male 47.5
GTEX-1EX96-1026-SM-7MKG2 50-59 years, male 47.4
GTEX-1LSNM-0826-SM-DIPG8 50-59 years, male 47.4
GTEX-13112-0126-SM-5P9IU 50-59 years, male 47.3
GTEX-1A8G6-2726-SM-731AR 60-69 years, male 47.1
GTEX-ZVP2-0326-SM-57WBP 50-59 years, male 47.1
GTEX-1JN76-0626-SM-CKZOQ 20-29 years, female 47.0
GTEX-13SLX-2226-SM-62LEP 50-59 years, female 46.9
GTEX-X5EB-1926-SM-4E3IW 40-49 years, male 46.9
GTEX-16MT8-2926-SM-7DUFO 60-69 years, female 46.0
GTEX-18D9B-0926-SM-7LG4U 60-69 years, male 46.0
GTEX-1C6VQ-1226-SM-73KYD 50-59 years, male 45.9
GTEX-1LSVX-2526-SM-DIPEU 60-69 years, male 45.8
GTEX-13NYB-0126-SM-5J1MD 40-49 years, male 45.7
GTEX-ZVT4-2426-SM-5GIEI 50-59 years, female 45.7
GTEX-1I1GP-1326-SM-A9G28 50-59 years, male 45.7
GTEX-1GZ4I-2626-SM-9KNU3 50-59 years, male 45.6
GTEX-12584-0726-SM-5FQTK 40-49 years, male 45.5
GTEX-1R7EU-1626-SM-DTXG3 60-69 years, male 45.5
GTEX-17MFQ-1526-SM-7KFRR 20-29 years, male 45.4
GTEX-1LGRB-0926-SM-COH3K 50-59 years, female 45.4
GTEX-11DXY-0126-SM-5H11Q 60-69 years, male 45.3
GTEX-17KNJ-2126-SM-718AM 50-59 years, male 45.3
GTEX-1GL5R-1326-SM-7RHHF 50-59 years, male 45.3
GTEX-1KANB-2826-SM-CY8I6 50-59 years, male 45.2
GTEX-145ME-1726-SM-5Q5EU 40-49 years, female 45.1
GTEX-1KXAM-1626-SM-D3LAD 60-69 years, male 45.1
GTEX-1PDJ9-1226-SM-EXUSX 20-29 years, male 45.0
GTEX-14LLW-2626-SM-62LDZ 70-79 years, female 44.7
GTEX-XYKS-1426-SM-4BRUO 60-69 years, female 44.7
GTEX-XQ3S-1426-SM-4BOPR 20-29 years, male 44.6
GTEX-ZTSS-1426-SM-5985P 40-49 years, male 44.6
GTEX-1HC8U-1326-SM-9YFMJ 40-49 years, female 44.5
GTEX-12126-0826-SM-5FQTZ 20-29 years, male 44.4
GTEX-12WSD-0626-SM-5GCMW 60-69 years, female 44.4
GTEX-1AMEY-0826-SM-72D65 30-39 years, female 44.4
GTEX-1B932-2326-SM-79OL5 40-49 years, female 44.4
GTEX-XAJ8-1426-SM-47JYM 40-49 years, male 44.4
GTEX-1A8G7-1326-SM-73KVM 60-69 years, male 44.3
GTEX-11LCK-2226-SM-5HL4Q 30-39 years, male 44.2
GTEX-ZZPU-0826-SM-5GZX5 50-59 years, female 44.2
GTEX-1S831-1826-SM-EWROF 20-29 years, male 44.1
GTEX-ZAJG-1526-SM-5CVML 50-59 years, female 44.0
GTEX-12WSM-1926-SM-5BC65 60-69 years, male 43.8
GTEX-16XZZ-0726-SM-7KUF2 60-69 years, male 43.8
GTEX-1B8SF-0126-SM-7DUG3 60-69 years, male 43.8
GTEX-1H3VE-0726-SM-9YFL5 40-49 years, male 43.7
GTEX-13NZ8-1226-SM-5KM4A 60-69 years, female 43.6
GTEX-ZDYS-2426-SM-4WKGI 50-59 years, male 43.6
GTEX-11ZTT-2126-SM-5CVLO 60-69 years, female 43.5
GTEX-ZF2S-1626-SM-57WES 50-59 years, female 43.5
GTEX-1399U-1126-SM-5L3DB 50-59 years, female 43.4
GTEX-1F75B-0726-SM-7PC3R 50-59 years, male 43.3
GTEX-1IKJJ-2226-SM-CJI4C 60-69 years, male 43.3
GTEX-1CB4H-1126-SM-7MKGL 60-69 years, female 43.2
GTEX-1HR98-2226-SM-ADEI2 60-69 years, male 43.2
GTEX-1LVAO-2726-SM-E9TJ8 60-69 years, male 43.2
GTEX-1F75A-0726-SM-7RHHD 50-59 years, male 43.1
GTEX-1HCVE-2726-SM-CL54F 50-59 years, male 43.1
GTEX-11NUK-2726-SM-5A5MC 50-59 years, male 43.0
GTEX-1B97I-0626-SM-73KUZ 40-49 years, male 43.0
GTEX-XPVG-2126-SM-4B667 50-59 years, male 43.0
GTEX-ZYFC-0426-SM-5GICQ 50-59 years, male 42.9
GTEX-12ZZZ-0726-SM-5GCNZ 60-69 years, male 42.8
GTEX-1H1DG-2426-SM-9QEHJ 70-79 years, male 42.8
GTEX-1PIGE-1826-SM-E8VOU 20-29 years, male 42.8
GTEX-1POEN-2326-SM-E9J2L 30-39 years, female 42.6
GTEX-111YS-1526-SM-5GZYW 60-69 years, male 42.5
GTEX-13OVJ-0826-SM-5J1OK 50-59 years, female 42.5
GTEX-13X6H-0926-SM-5SIB2 50-59 years, female 42.5
GTEX-15ER7-0626-SM-6PANF 20-29 years, female 42.4
GTEX-13JVG-0726-SM-5KM16 60-69 years, male 42.2
GTEX-X4EO-2926-SM-4E3JH 60-69 years, female 42.2
GTEX-1GZHY-0626-SM-9KNVC 50-59 years, female 42.2
GTEX-1EKGG-0626-SM-7DUGJ 60-69 years, male 42.0
GTEX-XK95-0226-SM-4AT58 40-49 years, male 42.0
GTEX-1J8QM-2426-SM-A9SLS 60-69 years, female 42.0
GTEX-1CB4E-0926-SM-7EPHT 60-69 years, male 41.9
GTEX-1JKYN-0826-SM-ARU8S 30-39 years, male 41.9
GTEX-1LG7Y-2526-SM-EWRO7 50-59 years, male 41.9
GTEX-UPJH-0226-SM-3GADV 50-59 years, male 41.8
GTEX-1A3MX-2626-SM-7PC24 60-69 years, male 41.7
GTEX-1477Z-0326-SM-7IGLA 60-69 years, male 41.6
GTEX-WFON-1926-SM-3LK7L 40-49 years, male 41.5
GTEX-XOT4-0626-SM-4B66L 60-69 years, female 41.5
GTEX-139T8-0626-SM-5KLZX 60-69 years, male 41.2
GTEX-11O72-0626-SM-5PNYE 40-49 years, male 41.1
GTEX-17HHY-0426-SM-7DHLC 50-59 years, male 40.8
GTEX-ZA64-1026-SM-5HL8R 20-29 years, male 40.8
GTEX-XBEC-0726-SM-4QARZ 50-59 years, male 40.6
GTEX-ZF3C-0626-SM-DO92O 50-59 years, female 40.6
GTEX-139TS-2126-SM-5K7XC 60-69 years, male 40.5
GTEX-1AX9I-2226-SM-73KUO 60-69 years, male 40.2
GTEX-Y5V6-2326-SM-4VDSA 60-69 years, male 40.2
GTEX-1GN2E-0226-SM-9WG6K 60-69 years, male 40.2
GTEX-1S83E-1326-SM-E6CJM 40-49 years, male 40.2
GTEX-14A6H-2026-SM-5Q5DD 30-39 years, male 40.1
GTEX-13FLV-0126-SM-5K7WT 50-59 years, male 39.9
GTEX-1K2DA-1026-SM-CGQGF 50-59 years, male 39.9
GTEX-1RAZS-2526-SM-E6CHT 50-59 years, male 39.9
GTEX-ZAK1-0626-SM-5HL8E 50-59 years, female 39.8
GTEX-1IDJH-0126-SM-D3L92 70-79 years, male 39.8
GTEX-12BJ1-0926-SM-5EQ62 60-69 years, male 39.7
GTEX-1EN7A-2426-SM-793DB 40-49 years, male 39.6
GTEX-1GN1U-0626-SM-9MQL9 50-59 years, female 39.6
GTEX-1JMOU-1026-SM-CYPSS 60-69 years, female 39.6
GTEX-1GMR8-0626-SM-7RHI7 50-59 years, female 39.5
GTEX-11P7K-1126-SM-5HL4L 30-39 years, male 39.2
GTEX-15EO6-2426-SM-6PALZ 50-59 years, male 39.1
GTEX-18D9U-0126-SM-731BM 40-49 years, male 39.1
GTEX-1LSNL-2726-SM-E9TKJ 50-59 years, male 39.1
GTEX-1IL2V-1926-SM-B2LW8 70-79 years, male 39.0
GTEX-11P81-2226-SM-5PNYI 30-39 years, female 38.9
GTEX-1117F-2926-SM-5GZYI 60-69 years, female 38.8
GTEX-ZF29-0926-SM-4WKFZ 60-69 years, female 38.8
GTEX-13OW7-0426-SM-5K7VK 50-59 years, male 38.7
GTEX-1N2EE-0626-SM-E76PW 60-69 years, male 38.7
GTEX-13D11-0926-SM-5J2NC 50-59 years, female 38.5
GTEX-1HSKV-1226-SM-ADEI4 60-69 years, male 38.4
GTEX-183FY-1026-SM-7939A 20-29 years, male 38.3
GTEX-1122O-1026-SM-9WYSF 60-69 years, female 38.3
GTEX-14PK6-0226-SM-62LF5 70-79 years, female 38.2
GTEX-16NPX-0726-SM-7KULC 50-59 years, male 38.1
GTEX-17EVP-2626-SM-7IGMA 40-49 years, male 38.1
GTEX-132AR-0326-SM-5KM2C 50-59 years, female 37.9
GTEX-13FTW-0326-SM-5K7UW 40-49 years, male 37.8
GTEX-1IY9M-2826-SM-ARU8H 60-69 years, male 37.8
GTEX-11EQ9-1626-SM-5PNY8 30-39 years, male 37.6
GTEX-16Z82-2626-SM-7KULU 60-69 years, male 37.6
GTEX-1IDFM-0326-SM-ARL7V 60-69 years, male 37.6
GTEX-18A66-0626-SM-7LT8Z 60-69 years, male 37.5
GTEX-Y8LW-1526-SM-5IFHL 50-59 years, female 37.5
GTEX-1J1R8-2026-SM-CL53Y 40-49 years, male 37.5
GTEX-1JJ6O-2726-SM-CNPOG 60-69 years, male 37.5
GTEX-13PVQ-0626-SM-5LU47 50-59 years, male 37.4
GTEX-1EU9M-1426-SM-793AI 60-69 years, male 37.4
GTEX-145LU-1926-SM-79OJN 50-59 years, male 37.3
GTEX-14E6C-2426-SM-5S2NF 40-49 years, male 37.3
GTEX-1HSGN-0826-SM-ACKW3 40-49 years, female 37.2
GTEX-12696-0126-SM-5EQ4L 60-69 years, male 37.1
GTEX-14AS3-1526-SM-5Q5ED 40-49 years, female 37.1
GTEX-1K9T9-1526-SM-DIPFR 50-59 years, female 37.1
GTEX-1B933-2426-SM-7DHMD 50-59 years, female 36.9
GTEX-ZZ64-1026-SM-5GZXG 20-29 years, male 36.9
GTEX-1H1DE-1326-SM-9KNUG 20-29 years, male 36.9
GTEX-117YX-1926-SM-5GIEC 50-59 years, male 36.8
GTEX-14PJN-1826-SM-6AJ98 30-39 years, male 36.8
GTEX-ZDXO-3126-SM-5IJDF 60-69 years, male 36.8
GTEX-1KANA-1326-SM-DIPFA 20-29 years, male 36.8
GTEX-1RLM8-2926-SM-E8VON 50-59 years, male 36.8
GTEX-1A3MV-1826-SM-731CD 30-39 years, male 36.7
GTEX-14JFF-0626-SM-5ZZVT 60-69 years, male 36.7
GTEX-1B8L1-2226-SM-7P8PT 60-69 years, male 36.7
GTEX-11GSP-2326-SM-5HL63 60-69 years, female 36.6
GTEX-11VI4-1126-SM-5EQMD 40-49 years, female 36.5
GTEX-1H1E6-0426-SM-9WYUS 30-39 years, male 36.5
GTEX-1LVAM-0726-SM-E6CIL 50-59 years, female 36.5
GTEX-14ABY-2026-SM-62LDL 50-59 years, male 36.1
GTEX-183WM-0326-SM-72D5V 70-79 years, female 36.1
GTEX-1EWIQ-0326-SM-7DHMQ 70-79 years, female 35.8
GTEX-1GTWX-2026-SM-9YFLM 60-69 years, male 35.8
GTEX-145LS-0626-SM-7EPG7 60-69 years, female 35.7
GTEX-ZVT2-0126-SM-5GIDQ 50-59 years, female 35.7
GTEX-1HSMO-0626-SM-ACKXC 60-69 years, male 35.6
GTEX-1LB8K-0726-SM-D5OV2 50-59 years, male 35.5
GTEX-13OW8-1026-SM-5J1NQ 60-69 years, male 35.4
GTEX-1I1GS-2626-SM-B2LY3 60-69 years, male 35.4
GTEX-17HG3-2626-SM-7DUF2 30-39 years, female 35.2
GTEX-18465-2826-SM-7LT9J 50-59 years, male 35.2
GTEX-18A6Q-0626-SM-7KFRP 60-69 years, male 35.2
GTEX-1IDJU-1726-SM-CMKHU 60-69 years, female 35.2
GTEX-1GF9W-1426-SM-7PBYM 60-69 years, male 34.8
GTEX-1GN1W-2426-SM-9KNUU 50-59 years, female 34.8
GTEX-13X6J-0626-SM-5LU5F 50-59 years, male 34.6
GTEX-16BQI-1326-SM-6M486 30-39 years, female 34.5
GTEX-1HFI6-0126-SM-CNPPI 40-49 years, male 34.5
GTEX-12WSA-0426-SM-5EQ5X 60-69 years, male 34.4
GTEX-147JS-0226-SM-5S2U9 60-69 years, male 34.3
GTEX-WRHU-2826-SM-3MJG8 50-59 years, female 34.3
GTEX-1JMPZ-0726-SM-CY8HZ 30-39 years, male 34.3
GTEX-1QP29-1826-SM-DTX9S 50-59 years, male 34.3
GTEX-YEC3-1326-SM-DO92X 50-59 years, male 34.2
GTEX-WEY5-2326-SM-3GIKK 40-49 years, female 34.1
GTEX-WY7C-2126-SM-3NB2R 50-59 years, male 34.1
GTEX-1KD5A-0126-SM-E9U54 50-59 years, male 34.1
GTEX-X4EP-0626-SM-3P621 60-69 years, female 34.0
GTEX-1GMR2-0826-SM-7PC3V 50-59 years, male 34.0
GTEX-1I1CD-0626-SM-CE6SW 60-69 years, female 33.9
GTEX-1497J-0226-SM-5QGPU 60-69 years, male 33.8
GTEX-11NSD-0626-SM-5A5LU 20-29 years, male 33.7
GTEX-1212Z-0126-SM-59HK4 60-69 years, male 33.7
GTEX-13QBU-1226-SM-5LU4G 40-49 years, female 33.6
GTEX-15EU6-2226-SM-6EU2L 50-59 years, male 33.6
GTEX-1JKYR-0626-SM-ARL8R 20-29 years, male 33.4
GTEX-1JMQI-1726-SM-ARL93 50-59 years, male 33.4
GTEX-1LVA9-2626-SM-EVYD4 50-59 years, male 33.4
GTEX-1S3DN-2126-SM-E9TIN 50-59 years, male 33.4
GTEX-1I4MK-0126-SM-CY8G6 50-59 years, female 33.3
GTEX-ZVE2-2826-SM-5GU51 50-59 years, male 33.2
GTEX-11P82-1426-SM-DTXFY 20-29 years, male 33.2
GTEX-13N1W-2426-SM-5IJD1 70-79 years, male 33.1
GTEX-1ICG6-1226-SM-A9SLN 70-79 years, female 33.0
GTEX-11TT1-1826-SM-5EQLV 20-29 years, male 32.9
GTEX-15DYW-2726-SM-6EU2I 60-69 years, female 32.8
GTEX-139TT-2126-SM-5LZWC 60-69 years, male 32.6
GTEX-145MN-1526-SM-5SI9T 30-39 years, male 32.6
GTEX-WHPG-2626-SM-3NMBR 50-59 years, male 32.6
GTEX-14JG6-1426-SM-9WG7C 30-39 years, female 32.6
GTEX-1HCU9-0426-SM-9WYSD 20-29 years, male 32.6
GTEX-14B4R-1326-SM-5Q5EZ 30-39 years, male 32.5
GTEX-16NGA-0726-SM-731AO 40-49 years, female 32.4
GTEX-1RB15-1326-SM-E76Q9 60-69 years, male 32.4
GTEX-1EH9U-2826-SM-7DUGT 60-69 years, male 32.3
GTEX-13O3Q-0126-SM-5KM34 50-59 years, male 32.2
GTEX-145MG-1526-SM-5Q5EM 50-59 years, male 32.2
GTEX-ZU9S-1826-SM-5NQ9E 30-39 years, male 32.1
GTEX-1IDJF-2026-SM-CL53V 20-29 years, male 32.1
GTEX-1PPH7-1126-SM-DTX9A 40-49 years, male 32.1
GTEX-146FQ-2126-SM-5RQHU 30-39 years, male 32.0
GTEX-15CHC-1126-SM-6LLHQ 60-69 years, female 32.0
GTEX-1H4P4-2126-SM-9WYSL 50-59 years, male 32.0
GTEX-YJ8O-2526-SM-5HL85 40-49 years, female 31.8
GTEX-18A7B-2726-SM-7LG56 70-79 years, male 31.7
GTEX-Y3IK-1626-SM-4YCF5 50-59 years, female 31.7
GTEX-1F88E-1626-SM-7SB8Z 60-69 years, female 31.7
GTEX-15CHQ-0326-SM-69LQD 60-69 years, male 31.6
GTEX-WYVS-1626-SM-3NM9R 40-49 years, female 31.6
GTEX-1HBPI-2126-SM-ARL9K 50-59 years, male 31.6
GTEX-1IOXB-2726-SM-CM2RI 50-59 years, male 31.6
GTEX-18A7A-0126-SM-731AH 50-59 years, female 31.5
GTEX-ZPU1-1126-SM-4YCF3 40-49 years, male 31.3
GTEX-12KS4-2126-SM-5FQUT 30-39 years, male 31.1
GTEX-14BMU-1226-SM-5S2OR 20-29 years, female 31.1
GTEX-1E1VI-0326-SM-793D1 50-59 years, male 31.1
GTEX-147F3-1726-SM-5SIAW 50-59 years, female 31.0
GTEX-1H1ZS-2726-SM-9WG75 70-79 years, male 31.0
GTEX-13OVL-0126-SM-5L3GJ 50-59 years, male 30.9
GTEX-145MF-0926-SM-5Q5EA 50-59 years, male 30.9
GTEX-14PKV-1126-SM-6LLJ1 20-29 years, female 30.8
GTEX-17MF6-2626-SM-79OKQ 40-49 years, male 30.7
GTEX-1AMFI-1326-SM-7939R 50-59 years, female 30.6
GTEX-145MI-0626-SM-5SI8S 60-69 years, female 30.5
GTEX-XMD2-2126-SM-4YCF8 60-69 years, female 30.5
GTEX-1I1GV-0626-SM-ARL7M 60-69 years, male 30.5
GTEX-1IDJI-0126-SM-CMKHS 50-59 years, female 30.3
GTEX-1211K-1526-SM-5FQU4 60-69 years, female 30.1
GTEX-1A32A-0626-SM-731AQ 50-59 years, female 30.1
GTEX-12C56-1526-SM-5FQUQ 20-29 years, male 29.9
GTEX-12WSF-1626-SM-7KUG5 70-79 years, male 29.8
GTEX-14PJO-2526-SM-6AJBQ 60-69 years, male 29.8
GTEX-WYBS-0626-SM-3NMAS 60-69 years, female 29.8
GTEX-1GMR3-0126-SM-A9SLW 40-49 years, male 29.7
GTEX-14BMV-2826-SM-5TDED 50-59 years, male 29.6
GTEX-14E6E-0526-SM-793DN 30-39 years, male 29.5
GTEX-1O9I2-0226-SM-EYYXD 50-59 years, male 29.5
GTEX-1HCU8-2526-SM-CE6RX 60-69 years, female 29.4
GTEX-14JG1-1526-SM-5YY9X 40-49 years, male 29.1
GTEX-YEC4-1826-SM-4W1YP 40-49 years, male 28.9
GTEX-15D1Q-2826-SM-6LLH7 40-49 years, male 28.7
GTEX-1C475-1326-SM-7SB73 40-49 years, female 28.5
GTEX-13N11-2326-SM-5IJBF 50-59 years, female 28.4
GTEX-1AX8Z-0726-SM-73KTS 60-69 years, male 28.4
GTEX-1B8KZ-0326-SM-73KY4 50-59 years, male 28.3
GTEX-1QMI2-2526-SM-E8VNZ 60-69 years, male 28.3
GTEX-1J8JJ-0626-SM-ARZMQ 60-69 years, female 28.2
GTEX-ZPIC-0526-SM-DO91W 40-49 years, female 28.2
GTEX-1HFI7-2326-SM-CGQFS 50-59 years, female 28.0
GTEX-11DXW-0826-SM-5H118 40-49 years, male 27.9
GTEX-131XW-0626-SM-5PNVD 50-59 years, female 27.9
GTEX-1IDJC-1526-SM-B2LW4 50-59 years, male 27.9
GTEX-13VXU-0626-SM-5L3F9 50-59 years, male 27.8
GTEX-11EI6-2826-SM-5H11D 60-69 years, male 27.7
GTEX-178AV-1726-SM-7KUL8 40-49 years, male 27.4
GTEX-Y8E4-2026-SM-5IFJB 40-49 years, male 27.2
GTEX-WK11-2726-SM-3NMAQ 50-59 years, male 27.0
GTEX-ZYFG-1526-SM-5GZYM 60-69 years, female 27.0
GTEX-12WSC-2826-SM-5BC5Y 50-59 years, male 26.9
GTEX-15FZZ-0526-SM-7KUGD 30-39 years, female 26.9
GTEX-V1D1-2026-SM-3GAF4 50-59 years, male 26.7
GTEX-1H3NZ-2726-SM-9WYTQ 60-69 years, male 26.7
GTEX-ZGAY-1826-SM-DO91Q 40-49 years, female 26.7
GTEX-13PVR-0426-SM-5RQK2 60-69 years, female 26.3
GTEX-1JN6P-2926-SM-CL54D 60-69 years, male 26.3
GTEX-1I6K6-1726-SM-CGQFD 30-39 years, male 26.1
GTEX-13NZ9-2626-SM-5L3FK 50-59 years, male 25.9
GTEX-1F5PL-0926-SM-7PC2W 40-49 years, female 25.9
GTEX-1IDJD-2326-SM-ACKWX 30-39 years, male 25.9
GTEX-1RAZR-2126-SM-E9U6T 40-49 years, male 25.9
GTEX-WFG8-2126-SM-3GIKQ 20-29 years, male 25.8
GTEX-1H1CY-0126-SM-9YFLY 60-69 years, female 25.8
GTEX-11UD2-2526-SM-5CVNU 50-59 years, male 25.7
GTEX-1A8FM-0626-SM-7PC25 50-59 years, female 25.7
GTEX-13N2G-0226-SM-5K7VF 60-69 years, male 25.4
GTEX-13113-1626-SM-5EQ4I 60-69 years, female 25.3
GTEX-VJYA-1526-SM-3GIJV 60-69 years, male 25.3
GTEX-1QEPI-2626-SM-DTXF4 60-69 years, female 25.0
GTEX-Y5V5-0126-SM-5S2NW 60-69 years, female 24.0
GTEX-1N5O9-0926-SM-E9J3C 60-69 years, male 23.7
GTEX-13OVG-1626-SM-5J1NF 60-69 years, male 23.3
GTEX-YB5K-2026-SM-4VDT3 40-49 years, female 23.3
GTEX-ZT9W-1126-SM-57WDR 50-59 years, male 23.3
GTEX-1B996-0426-SM-7EWF8 60-69 years, male 23.2
GTEX-14DAR-1226-SM-73KYV 50-59 years, male 23.1
GTEX-13X6K-0626-SM-5LU5D 60-69 years, female 22.9
GTEX-12WSL-2026-SM-5GCML 50-59 years, male 22.8
GTEX-13JUV-2026-SM-5K7UA 40-49 years, female 22.8
GTEX-13FH7-1126-SM-5K7UG 50-59 years, female 22.7
GTEX-1I6K7-1926-SM-B2LXR 40-49 years, male 22.6
GTEX-1KANC-1226-SM-CYPT7 50-59 years, female 22.6
GTEX-1JJE9-2626-SM-ARZMT 70-79 years, male 22.3
GTEX-11EM3-1226-SM-5N9DD 20-29 years, female 22.1
GTEX-145LT-0526-SM-5LUB2 40-49 years, male 22.1
GTEX-X3Y1-2026-SM-3P5YM 40-49 years, male 22.1
GTEX-1GZ2Q-0126-SM-9WG6M 40-49 years, male 21.9
GTEX-ZLWG-0826-SM-59888 50-59 years, female 21.8
GTEX-1CB4I-0126-SM-7RHGG 50-59 years, male 21.8
GTEX-UPK5-0426-SM-3GAEK 40-49 years, male 21.5
GTEX-11ZUS-2626-SM-5FQUR 30-39 years, male 21.3
GTEX-13U4I-2226-SM-5LU5H 40-49 years, female 21.1
GTEX-1CAV2-0126-SM-7IGN7 40-49 years, female 20.9
GTEX-145MO-2826-SM-5LU96 60-69 years, male 20.8
GTEX-14DAQ-0626-SM-793DS 60-69 years, female 20.0
GTEX-17JCI-2926-SM-7DUFF 60-69 years, female 20.0
GTEX-1KWVE-1026-SM-D3L9O 30-39 years, male 19.5
GTEX-14PJ2-0626-SM-6LLII 50-59 years, male 19.2
GTEX-1S5ZU-2526-SM-E6CIF 20-29 years, female 19.0
GTEX-1J8Q3-0526-SM-ARL8U 60-69 years, male 18.9
GTEX-1QP66-1226-SM-DTX7U 50-59 years, male 18.7
GTEX-WYJK-0526-SM-3NM8Z 50-59 years, male 18.6
GTEX-1I19N-0126-SM-CYPSF 70-79 years, male 18.4
GTEX-1LG7Z-1626-SM-CXKYR 30-39 years, male 18.4
GTEX-1M4P7-0726-SM-E6CJ3 60-69 years, male 18.4
GTEX-1F6IF-0926-SM-7SB7M 60-69 years, male 18.0
GTEX-1HUB1-1426-SM-CGQF5 60-69 years, male 17.3
GTEX-1AX9J-1326-SM-731BJ 60-69 years, male 17.1
GTEX-1IDJE-1426-SM-ADEIW 50-59 years, female 16.7
GTEX-1RAZA-2226-SM-E9U4X 20-29 years, male 16.1
GTEX-1399R-1326-SM-5PNYS 30-39 years, male 15.1
GTEX-ZUA1-2626-SM-5NQ92 40-49 years, male 14.8
GTEX-1LGOU-1326-SM-D3L8M 20-29 years, female 14.3
GTEX-16GPK-0626-SM-7KFSF 60-69 years, male 14.2
GTEX-1QCLZ-2426-SM-EVYBW 60-69 years, female 14.1
GTEX-1F75W-2726-SM-7SB8H 60-69 years, male 14.0
GTEX-17EVQ-0126-SM-7IGLR 70-79 years, male 13.2
GTEX-111FC-2526-SM-5GZXU 60-69 years, male 12.8
GTEX-ZVTK-0226-SM-51MRG 20-29 years, male 12.2
GTEX-YF7O-1526-SM-5IFI6 50-59 years, male 11.2
GTEX-1GF9U-2026-SM-7SB92 40-49 years, female 8.3
GTEX-1L5NE-1126-SM-D3L9P 50-59 years, male 8.0
Show allShow less
Skin - Sun Exposed (Lower leg)
Average nTPM: 42.8
Samples: 701

Max nTPM: 149.7
Min nTPM: 1.6
Std nTPM: 20.4
Median nTPM: 39.2
GTEX-P4QT-0126-SM-2I3FL 50-59 years, female 149.7
GTEX-WI4N-1026-SM-3LK7N 40-49 years, female 149.0
GTEX-POMQ-2226-SM-2I5FK 20-29 years, female 139.3
GTEX-1JMQL-0226-SM-CNPP5 50-59 years, female 126.8
GTEX-14XAO-2326-SM-6EU1B 60-69 years, female 117.8
GTEX-ZYFD-0126-SM-5GIDL 50-59 years, male 116.9
GTEX-13OVH-0126-SM-5MR4B 70-79 years, male 116.2
GTEX-W5X1-3026-SM-EAZAX 40-49 years, female 115.8
GTEX-T2YK-0526-SM-32QPJ 50-59 years, male 108.6
GTEX-ZTX8-1426-SM-5DUVO 20-29 years, male 105.9
GTEX-ZF3C-0126-SM-DO92D 50-59 years, female 105.3
GTEX-Y3IK-2426-SM-4WWDU 50-59 years, female 101.9
GTEX-15UKP-0426-SM-7KUFQ 20-29 years, male 99.9
GTEX-14E6E-1826-SM-5S2R7 30-39 years, male 98.3
GTEX-15UF6-0826-SM-6PALJ 70-79 years, female 96.8
GTEX-X4XY-0226-SM-4E3IZ 60-69 years, male 96.6
GTEX-1R9PM-2026-SM-E76OY 20-29 years, male 94.4
GTEX-11TT1-2526-SM-5EGIB 20-29 years, male 93.9
GTEX-OIZH-0126-SM-2HMIS 50-59 years, male 93.8
GTEX-1GF9X-2026-SM-7PC3A 40-49 years, female 93.3
GTEX-183WM-0126-SM-7LTAB 70-79 years, female 90.6
GTEX-O5YT-0126-SM-48TBW 20-29 years, male 90.2
GTEX-XUZC-1726-SM-4BRWS 30-39 years, female 88.2
GTEX-ZU9S-0226-SM-5E441 30-39 years, male 87.8
GTEX-11WQK-0526-SM-5EQLD 50-59 years, male 86.5
GTEX-1F6RS-0126-SM-9MQKZ 60-69 years, female 86.0
GTEX-U8XE-0326-SM-3DB8P 30-39 years, male 85.3
GTEX-17GQL-2026-SM-718BA 60-69 years, male 84.7
GTEX-1L5NE-2526-SM-E6CIE 50-59 years, male 84.0
GTEX-ZVZO-0126-SM-5A5L9 40-49 years, male 83.3
GTEX-X88G-0126-SM-47JZ3 30-39 years, male 82.7
GTEX-UJHI-1526-SM-3DB99 50-59 years, female 82.1
GTEX-1399U-2326-SM-5K7WY 50-59 years, female 81.9
GTEX-PSDG-0226-SM-DKPOZ 50-59 years, male 80.8
GTEX-Y5LM-1926-SM-5RQJH 40-49 years, female 80.7
GTEX-18D9A-1926-SM-7LG6P 30-39 years, female 80.1
GTEX-11DXZ-2326-SM-5EGGV 50-59 years, male 79.4
GTEX-YB5E-2026-SM-5IFIS 40-49 years, male 79.2
GTEX-1JN76-0126-SM-CNPPE 20-29 years, female 79.2
GTEX-1K2DA-1826-SM-CGQGT 50-59 years, male 79.2
GTEX-1122O-2126-SM-5EGIR 60-69 years, female 78.7
GTEX-XBEW-0626-SM-4QASP 40-49 years, male 78.4
GTEX-ZWKS-0126-SM-5SIAA 30-39 years, male 77.1
GTEX-NPJ8-0126-SM-2YUNR 40-49 years, male 77.0
GTEX-1GMR3-1926-SM-9KNUZ 40-49 years, male 76.4
GTEX-15ETS-0126-SM-7KUMW 40-49 years, female 76.1
GTEX-1ICLZ-0126-SM-CKZPO 60-69 years, male 76.0
GTEX-1A3MX-0126-SM-731BR 60-69 years, male 75.8
GTEX-14PN4-0126-SM-6EU2V 50-59 years, male 75.4
GTEX-1497J-2426-SM-7IGNX 60-69 years, male 75.0
GTEX-1QPFJ-0226-SM-E76PB 30-39 years, female 73.7
GTEX-13NYS-0126-SM-5MR3W 60-69 years, male 72.9
GTEX-ZVZP-2426-SM-59HKJ 50-59 years, male 72.2
GTEX-1M5QR-1226-SM-EWROB 40-49 years, male 72.2
GTEX-1LVAN-0226-SM-COH3S 50-59 years, female 72.1
GTEX-1HCUA-2426-SM-ADEIS 50-59 years, female 71.7
GTEX-U412-0426-SM-3DB9O 60-69 years, male 71.5
GTEX-ZXES-1826-SM-5E43S 30-39 years, female 71.4
GTEX-1399R-2726-SM-5IJBA 30-39 years, male 71.1
GTEX-1R9K4-0126-SM-DTX9X 60-69 years, male 70.7
GTEX-12WSL-2526-SM-5GCNJ 50-59 years, male 70.4
GTEX-ZV6S-2326-SM-4YCEY 40-49 years, female 70.3
GTEX-1HCU7-0226-SM-CL545 50-59 years, male 70.1
GTEX-P4PP-0126-SM-3LK69 30-39 years, female 70.0
GTEX-1OJC3-0126-SM-E76QX 20-29 years, male 69.5
GTEX-U8T8-0126-SM-3DB94 60-69 years, male 69.4
GTEX-1B8KE-2126-SM-73KYX 50-59 years, male 69.3
GTEX-1LG7Z-1726-SM-D3LA4 30-39 years, male 69.1
GTEX-1KANC-1526-SM-D3LAB 50-59 years, female 68.9
GTEX-X4XX-0126-SM-3NMC2 60-69 years, male 68.6
GTEX-132NY-0326-SM-5IJBL 60-69 years, male 68.2
GTEX-1QP9N-1426-SM-DTXFL 30-39 years, male 68.1
GTEX-X8HC-0126-SM-4E3JW 50-59 years, female 67.7
GTEX-NFK9-0226-SM-2HMKQ 40-49 years, male 67.5
GTEX-1OFPY-2426-SM-DTXEJ 60-69 years, male 67.0
GTEX-1PPH8-0226-SM-E8VND 20-29 years, male 66.4
GTEX-1NV5F-0226-SM-E8VNY 60-69 years, female 66.3
GTEX-1KAFJ-2026-SM-CY8ID 50-59 years, male 66.1
GTEX-TKQ1-1026-SM-4GICL 30-39 years, male 65.7
GTEX-1CAV2-2226-SM-7P8P2 40-49 years, female 65.3
GTEX-RUSQ-1526-SM-2TF62 50-59 years, male 65.2
GTEX-13FXS-0226-SM-5IJCK 50-59 years, male 65.0
GTEX-13O3P-0126-SM-5KM4S 50-59 years, male 64.6
GTEX-14ICK-0226-SM-6EU25 40-49 years, male 64.6
GTEX-XYKS-2126-SM-4E3IB 60-69 years, female 64.6
GTEX-145MN-2226-SM-5SIAU 30-39 years, male 64.5
GTEX-SUCS-1926-SM-32PM3 70-79 years, male 64.5
GTEX-ZVTK-0426-SM-51MRS 20-29 years, male 64.1
GTEX-11TUW-2726-SM-E9J4M 60-69 years, male 63.8
GTEX-13FTW-2626-SM-5K7WL 40-49 years, male 63.7
GTEX-OHPL-0126-SM-2HMJ7 60-69 years, female 63.6
GTEX-1J1OQ-0226-SM-CYPSH 40-49 years, female 63.0
GTEX-1I1GV-0526-SM-A9G29 60-69 years, male 62.9
GTEX-1128S-2326-SM-5GZZY 60-69 years, female 62.7
GTEX-13CF3-2426-SM-5IFGX 60-69 years, female 62.2
GTEX-Y114-2426-SM-4TT8A 50-59 years, female 62.2
GTEX-14PII-0226-SM-6EU1T 60-69 years, male 62.0
GTEX-1JMPY-1326-SM-ARL8Y 30-39 years, male 61.8
GTEX-17KNJ-2326-SM-7DHLQ 50-59 years, male 61.7
GTEX-145ME-1826-SM-5SI9G 40-49 years, female 61.6
GTEX-17JCI-0126-SM-7LG5G 60-69 years, female 61.4
GTEX-QESD-1426-SM-2S1R9 20-29 years, male 60.8
GTEX-1GN2E-0426-SM-9MQKX 60-69 years, male 60.7
GTEX-131XG-2626-SM-5KM17 50-59 years, female 60.6
GTEX-14PHX-2326-SM-62LEM 50-59 years, male 60.6
GTEX-18QFQ-0126-SM-731BE 30-39 years, male 60.6
GTEX-1PWST-0226-SM-E76QJ 70-79 years, male 60.3
GTEX-1R46S-0626-SM-E9J41 60-69 years, female 60.2
GTEX-ZGAY-0526-SM-4WWBB 40-49 years, female 59.7
GTEX-ZV68-0126-SM-59HKS 50-59 years, female 59.6
GTEX-YJ89-0126-SM-4TT3X 60-69 years, male 59.2
GTEX-1N2EF-0226-SM-EYYXB 60-69 years, male 59.1
GTEX-12WSK-2326-SM-5GCOH 40-49 years, female 59.0
GTEX-T6MN-0126-SM-32PLP 50-59 years, male 59.0
GTEX-ZTSS-1926-SM-57WEW 40-49 years, male 58.8
GTEX-1I1GT-0626-SM-CGQER 60-69 years, female 58.7
GTEX-1JMLX-0226-SM-CM2RO 50-59 years, male 58.7
GTEX-ZF2S-2326-SM-4WWCE 50-59 years, female 58.6
GTEX-1LBAC-0126-SM-DIPEZ 20-29 years, male 58.6
GTEX-11DYG-0126-SM-59883 60-69 years, male 58.5
GTEX-1HSEH-0126-SM-ACKXN 60-69 years, male 58.5
GTEX-1R7EU-0226-SM-EVR4G 60-69 years, male 58.1
GTEX-139TS-2826-SM-5J1OO 60-69 years, male 58.0
GTEX-1JMQK-0226-SM-CL543 60-69 years, male 58.0
GTEX-1EMGI-0126-SM-9KNUE 60-69 years, male 57.9
GTEX-1LGRB-2526-SM-CNPPQ 50-59 years, female 57.8
GTEX-1192W-2626-SM-5Q5AF 60-69 years, male 57.7
GTEX-1JMPZ-0226-SM-CNPP1 30-39 years, male 57.7
GTEX-1MJK2-0426-SM-DTXE5 50-59 years, male 57.7
GTEX-12WSJ-1826-SM-5GCNY 40-49 years, female 57.6
GTEX-1HCU9-1526-SM-A9SL7 20-29 years, male 57.6
GTEX-OIZG-0726-SM-33HBL 50-59 years, male 57.5
GTEX-Y8DK-0126-SM-4TT3L 60-69 years, male 57.5
GTEX-YJ8A-0426-SM-5IFID 20-29 years, male 57.5
GTEX-13RTK-1426-SM-5QGQJ 20-29 years, male 57.3
GTEX-139UW-2826-SM-5L3E7 60-69 years, male 57.2
GTEX-14A5H-0426-SM-5QGQF 60-69 years, male 57.1
GTEX-1A3MW-0126-SM-73KXX 60-69 years, female 57.0
GTEX-13111-1626-SM-5EGJY 50-59 years, male 56.9
GTEX-1H1DG-0126-SM-9WYU2 70-79 years, male 56.9
GTEX-1KXAM-2226-SM-CYPTC 60-69 years, male 56.9
GTEX-13PDP-0126-SM-5L3HD 60-69 years, male 56.8
GTEX-XAJ8-0826-SM-47JY6 40-49 years, male 56.8
GTEX-111FC-0126-SM-5N9DL 60-69 years, male 56.7
GTEX-131XF-5016-SM-7MGWE 60-69 years, male 56.7
GTEX-15G19-0126-SM-6PANQ 60-69 years, male 56.5
GTEX-15RIG-0226-SM-7KFTL 40-49 years, male 56.4
GTEX-1E2YA-0126-SM-9KNUC 50-59 years, male 56.4
GTEX-1211K-2026-SM-5EQ4Z 60-69 years, female 56.3
GTEX-1CB4H-0226-SM-7PBXM 60-69 years, female 56.2
GTEX-13OVK-2026-SM-7KUEO 40-49 years, male 56.1
GTEX-144FL-0126-SM-5TDC8 50-59 years, male 55.9
GTEX-1C475-1826-SM-73KWA 40-49 years, female 55.9
GTEX-SNMC-1226-SM-2XCFP 20-29 years, male 55.9
GTEX-1JN1M-0326-SM-CYPT3 60-69 years, female 55.9
GTEX-1PIIG-0226-SM-EWRN6 30-39 years, male 55.9
GTEX-15SB6-1726-SM-6PAME 50-59 years, female 55.5
GTEX-1CB4E-2226-SM-793DC 60-69 years, male 55.5
GTEX-11DZ1-0126-SM-5985Q 50-59 years, male 55.3
GTEX-WYJK-0126-SM-3NMAB 50-59 years, male 55.2
GTEX-1I6K6-0126-SM-A9SLE 30-39 years, male 55.2
GTEX-Y5V6-2426-SM-4VDSB 60-69 years, male 55.1
GTEX-133LE-1826-SM-5J1MV 20-29 years, female 54.9
GTEX-14E6C-0126-SM-5RQIP 40-49 years, male 54.9
GTEX-OOBJ-0126-SM-E6CJW 60-69 years, male 54.9
GTEX-12696-2426-SM-5EQ6H 60-69 years, male 54.7
GTEX-X261-0126-SM-3NMD6 50-59 years, male 54.7
GTEX-1HR98-0126-SM-B2LWI 60-69 years, male 54.7
GTEX-13X6H-2126-SM-7EWD5 50-59 years, female 54.6
GTEX-14C5O-0126-SM-5SI6N 60-69 years, male 54.3
GTEX-1LH75-2426-SM-E9TJE 50-59 years, female 54.3
GTEX-1MA7W-2026-SM-E9TJ6 20-29 years, female 54.0
GTEX-17F96-1626-SM-7DUFL 70-79 years, male 53.9
GTEX-OOBK-0126-SM-2YUND 40-49 years, male 53.8
GTEX-13CF2-2526-SM-5LZYX 60-69 years, male 53.7
GTEX-SN8G-0126-SM-32PLI 50-59 years, female 53.7
GTEX-1JMQI-2226-SM-CM2SD 50-59 years, male 53.7
GTEX-13YAN-0326-SM-5O9DF 60-69 years, male 53.6
GTEX-1HSGN-0226-SM-CGQFV 40-49 years, female 53.4
GTEX-1RB15-2126-SM-E9TIM 60-69 years, male 53.4
GTEX-O5YW-0126-SM-3LK6D 50-59 years, male 53.3
GTEX-1AX9J-0226-SM-73KXM 60-69 years, male 53.1
GTEX-WVJS-0126-SM-4MVOT 50-59 years, male 53.1
GTEX-1C64N-0126-SM-793D7 50-59 years, male 53.0
GTEX-ZYFG-2326-SM-5E44B 60-69 years, female 53.0
GTEX-ZYT6-0226-SM-5NQ6T 30-39 years, male 53.0
GTEX-117XS-2726-SM-5N9BL 60-69 years, male 52.6
GTEX-1PFEY-1526-SM-E76PP 30-39 years, male 52.5
GTEX-1HBPN-0226-SM-9YFM1 50-59 years, male 52.4
GTEX-1I4MK-2226-SM-ACKWD 50-59 years, female 52.4
GTEX-1PDJ9-0326-SM-DTX95 20-29 years, male 52.4
GTEX-T5JW-1626-SM-3GADZ 20-29 years, female 52.2
GTEX-11EQ9-2426-SM-5HL5T 30-39 years, male 52.1
GTEX-1GF9V-0326-SM-7RHI5 60-69 years, male 52.1
GTEX-17F98-0626-SM-79OMX 40-49 years, female 51.9
GTEX-Z93T-0126-SM-5HL5N 50-59 years, male 51.8
GTEX-1CB4F-0426-SM-9KNV4 60-69 years, male 51.6
GTEX-1K2DU-2326-SM-E9TIV 20-29 years, male 51.6
GTEX-1QAET-0926-SM-E76QM 50-59 years, male 51.6
GTEX-13NYC-0326-SM-E9J4S 60-69 years, male 51.4
GTEX-1EX96-1626-SM-7PBXR 50-59 years, male 51.4
GTEX-1GZ4H-1726-SM-7PBZJ 50-59 years, female 51.4
GTEX-YB5K-2126-SM-4WWDJ 40-49 years, female 51.3
GTEX-1F5PL-0326-SM-7P8PQ 40-49 years, female 51.3
GTEX-1HB9E-0226-SM-E9U4R 50-59 years, male 51.3
GTEX-18A67-0126-SM-7LG5P 50-59 years, male 51.2
GTEX-1LSNM-1926-SM-E6CII 50-59 years, male 51.1
GTEX-1H11D-0226-SM-9WG6Z 40-49 years, male 51.0
GTEX-1J8QM-2126-SM-CYPSJ 60-69 years, female 51.0
GTEX-13O1R-0126-SM-5L3EH 60-69 years, male 50.6
GTEX-1S83E-0126-SM-EWRO4 40-49 years, male 50.5
GTEX-14LZ3-0226-SM-62LET 60-69 years, female 50.4
GTEX-1QCLY-0326-SM-E8VOG 30-39 years, male 50.3
GTEX-1S5ZA-0126-SM-EVYCV 20-29 years, male 50.3
GTEX-ZVT2-2526-SM-51MT1 50-59 years, female 50.1
GTEX-1JJEA-0326-SM-CNPOT 60-69 years, male 50.1
GTEX-RVPV-0126-SM-EAZAW 60-69 years, male 49.8
GTEX-T6MO-1626-SM-32QOM 40-49 years, female 49.3
GTEX-1S3DN-2226-SM-EVYCD 50-59 years, male 49.3
GTEX-S32W-2126-SM-2XCB1 50-59 years, female 49.1
GTEX-VUSG-2526-SM-4KL1V 50-59 years, male 49.0
GTEX-13OW5-0126-SM-DTXFS 60-69 years, male 48.9
GTEX-RU72-0926-SM-2TF6B 50-59 years, female 48.7
GTEX-T8EM-1026-SM-3DB7M 40-49 years, male 48.6
GTEX-1KANA-0726-SM-D3L9I 20-29 years, male 48.5
GTEX-ZTPG-0326-SM-5O9AX 20-29 years, female 48.4
GTEX-WXYG-2326-SM-4E3I6 50-59 years, female 48.2
GTEX-1H3VE-0326-SM-9YFLH 40-49 years, male 48.1
GTEX-1N2DW-0226-SM-E9TK2 50-59 years, male 48.1
GTEX-13SLW-0126-SM-5SI6C 70-79 years, male 47.9
GTEX-XXEK-2226-SM-4BRUM 50-59 years, male 47.6
GTEX-14BIN-0626-SM-793DP 50-59 years, female 47.5
GTEX-1CAMS-0426-SM-7P8T2 40-49 years, female 47.4
GTEX-1GF9W-0326-SM-9KNUN 60-69 years, male 47.4
GTEX-1JN6P-0126-SM-D3L98 60-69 years, male 47.3
GTEX-PX3G-0126-SM-2I3EN 20-29 years, female 47.2
GTEX-1GZHY-0326-SM-9QEHI 50-59 years, female 47.2
GTEX-16GPK-0126-SM-7DHLE 60-69 years, male 47.1
GTEX-ZZ64-1726-SM-5GZYB 20-29 years, male 47.1
GTEX-1EWIQ-0126-SM-7RHH2 70-79 years, female 47.1
GTEX-18D9U-0226-SM-718BP 40-49 years, male 47.0
GTEX-1B8SF-1426-SM-7DUGL 60-69 years, male 46.8
GTEX-WRHK-1426-SM-3MJF9 20-29 years, female 46.8
GTEX-1HBPM-0226-SM-ARL9F 60-69 years, female 46.5
GTEX-14753-0426-SM-5NQAM 60-69 years, male 46.4
GTEX-13NZB-2526-SM-5J1OM 30-39 years, male 46.3
GTEX-ZAK1-0126-SM-5IJD3 50-59 years, female 46.2
GTEX-14PJ6-2126-SM-6EU1V 60-69 years, female 46.1
GTEX-131XE-2326-SM-5PNZ2 50-59 years, male 45.9
GTEX-1LB8K-0226-SM-EWRNW 50-59 years, male 45.9
GTEX-1H4P4-0726-SM-9YFLR 50-59 years, male 45.8
GTEX-1B8SG-0126-SM-73KZ3 50-59 years, male 45.7
GTEX-139D8-0226-SM-5KLZO 30-39 years, female 45.6
GTEX-XQ3S-1526-SM-4BOOC 20-29 years, male 45.6
GTEX-1HFI6-0226-SM-ADEHZ 40-49 years, male 45.6
GTEX-13FHP-0126-SM-5IJBG 50-59 years, male 45.4
GTEX-1HCU8-0626-SM-A9SM9 60-69 years, female 45.4
GTEX-16XZZ-0126-SM-793DV 60-69 years, male 45.3
GTEX-X4EP-0126-SM-3P5YV 60-69 years, female 45.3
GTEX-12584-0126-SM-5EGKQ 40-49 years, male 45.2
GTEX-11DXW-0226-SM-5H122 40-49 years, male 45.1
GTEX-RTLS-0126-SM-447CA 60-69 years, female 44.9
GTEX-1IOXB-0126-SM-ARL8G 50-59 years, male 44.6
GTEX-S7PM-0126-SM-4AD6S 60-69 years, male 44.5
GTEX-1IDJF-0126-SM-CM2RS 20-29 years, male 44.5
GTEX-1HSKV-0226-SM-A9SKJ 60-69 years, male 44.4
GTEX-1KD4Q-0226-SM-E9TJ9 40-49 years, male 44.4
GTEX-145MF-0626-SM-5LUAI 50-59 years, male 44.3
GTEX-15ER7-0326-SM-7KUEV 20-29 years, female 44.3
GTEX-13NYB-2526-SM-5K7Z6 40-49 years, male 44.1
GTEX-ZDYS-2026-SM-5HL5L 50-59 years, male 44.1
GTEX-1H1CY-2826-SM-9MQM3 60-69 years, female 43.9
GTEX-11O72-0126-SM-59887 40-49 years, male 43.8
GTEX-117YX-2326-SM-5H12W 50-59 years, male 43.6
GTEX-13OVJ-0126-SM-5KM36 50-59 years, female 43.6
GTEX-131XH-2226-SM-5DUXJ 50-59 years, male 43.4
GTEX-13RTJ-2426-SM-5S2Q2 60-69 years, male 43.4
GTEX-145LS-0126-SM-5QGP1 60-69 years, female 43.4
GTEX-15SHU-0126-SM-7KUEH 40-49 years, female 43.4
GTEX-ZDTS-0126-SM-4WAY5 60-69 years, male 43.4
GTEX-1CAMR-1926-SM-7EPI2 20-29 years, male 43.2
GTEX-ZAJG-0126-SM-5HL94 50-59 years, female 43.2
GTEX-13IVO-0126-SM-5J1NG 70-79 years, male 43.1
GTEX-ZE7O-0126-SM-57WC1 50-59 years, female 43.1
GTEX-14A5I-0126-SM-5TDEA 50-59 years, female 43.0
GTEX-1IL2U-0226-SM-CE6T8 60-69 years, male 43.0
GTEX-145LV-2126-SM-5LU8N 50-59 years, male 42.9
GTEX-ZPIC-1726-SM-DHXIU 40-49 years, female 42.7
GTEX-ZAB5-1826-SM-5HL7C 50-59 years, male 42.6
GTEX-13JUV-2726-SM-5LZZ8 40-49 years, female 42.5
GTEX-1LC47-0326-SM-E9TJP 60-69 years, male 42.5
GTEX-1QMI2-0226-SM-EVYBX 60-69 years, male 42.5
GTEX-1314G-1526-SM-5EGK2 30-39 years, male 42.4
GTEX-1B97I-1626-SM-73KYO 40-49 years, male 42.4
GTEX-1JJ6O-0126-SM-E6CI8 60-69 years, male 42.4
GTEX-13D11-2426-SM-5KM1V 50-59 years, female 42.3
GTEX-17EUY-0426-SM-793BD 20-29 years, male 42.3
GTEX-13X6I-0626-SM-5QGP9 60-69 years, male 42.2
GTEX-1QP66-1726-SM-E8VO1 50-59 years, male 42.2
GTEX-145MI-0526-SM-5O9A8 60-69 years, female 42.1
GTEX-OXRN-0126-SM-48TDM 50-59 years, male 42.1
GTEX-14JG1-0426-SM-6ETZZ 40-49 years, male 42.0
GTEX-1IDJH-0326-SM-A9SLQ 70-79 years, male 42.0
GTEX-12WSE-0526-SM-793B2 20-29 years, male 41.9
GTEX-PWO3-1526-SM-48TCM 60-69 years, female 41.9
GTEX-12ZZZ-0626-SM-5DUXI 60-69 years, male 41.8
GTEX-ZDTT-2726-SM-4WKF8 60-69 years, male 41.8
GTEX-ZE9C-2726-SM-57WB5 60-69 years, male 41.7
GTEX-W5WG-1826-SM-4KL2Y 50-59 years, female 41.6
GTEX-146FH-0126-SM-5QGPP 50-59 years, female 41.5
GTEX-1C4CL-0526-SM-73KVK 30-39 years, male 41.5
GTEX-1I1GU-2226-SM-CGQFA 40-49 years, male 41.5
GTEX-1IKJJ-0126-SM-CNPQB 60-69 years, male 41.5
GTEX-11UD1-0126-SM-5PNYG 40-49 years, female 41.3
GTEX-12WSA-0226-SM-5BC5V 60-69 years, male 41.3
GTEX-ZQG8-1626-SM-DHXIT 60-69 years, female 41.3
GTEX-13N2G-2626-SM-5J1OT 60-69 years, male 41.2
GTEX-1B8L1-2526-SM-9WYTF 60-69 years, male 41.2
GTEX-S33H-1026-SM-EZ6L6 30-39 years, male 41.2
GTEX-13S7M-0126-SM-5SI6A 60-69 years, female 41.1
GTEX-139T8-0126-SM-5K7XZ 60-69 years, male 41.0
GTEX-13113-5016-SM-7EPIP 60-69 years, female 40.9
GTEX-146FQ-0126-SM-5NQA9 30-39 years, male 40.8
GTEX-14PJM-0226-SM-62LF1 50-59 years, female 40.8
GTEX-ZYFC-0226-SM-5NQ75 50-59 years, male 40.8
GTEX-14BMU-2226-SM-5TDE9 20-29 years, female 40.7
GTEX-Q2AI-1326-SM-2S1PL 40-49 years, male 40.6
GTEX-13PVR-2326-SM-5QGR1 60-69 years, female 40.5
GTEX-QV44-1926-SM-2S1RF 50-59 years, male 40.5
GTEX-1J1R8-1726-SM-ARL8M 40-49 years, male 40.2
GTEX-1JMQJ-0526-SM-CYPSU 50-59 years, male 40.2
GTEX-13X6J-0126-SM-5QGOU 50-59 years, male 40.1
GTEX-WFON-2126-SM-3LK7O 40-49 years, male 40.1
GTEX-XPVG-2626-SM-4B669 50-59 years, male 40.1
GTEX-15F5U-1526-SM-6PANO 40-49 years, male 40.0
GTEX-Y8E4-0626-SM-4WWDL 40-49 years, male 40.0
GTEX-T5JC-0426-SM-32PLO 20-29 years, male 39.9
GTEX-Z93S-0126-SM-5HL7M 50-59 years, male 39.9
GTEX-1GN1U-0126-SM-7PBZK 50-59 years, female 39.9
GTEX-1GL5R-1826-SM-9KNUY 50-59 years, male 39.8
GTEX-11DXX-2426-SM-5GZZW 60-69 years, female 39.7
GTEX-XUW1-0426-SM-4BOOT 50-59 years, female 39.7
GTEX-ZVE2-0226-SM-59HJB 50-59 years, male 39.7
GTEX-1GPI7-0126-SM-9MQL8 20-29 years, male 39.7
GTEX-12ZZY-0226-SM-5LZVE 60-69 years, male 39.6
GTEX-14E6D-0126-SM-62LDV 50-59 years, male 39.5
GTEX-1HBPI-1526-SM-C1YQ1 50-59 years, male 39.5
GTEX-1BAJH-0526-SM-793CQ 70-79 years, male 39.4
GTEX-13NZ8-0826-SM-5MR3I 60-69 years, female 39.3
GTEX-13VXU-0126-SM-5SI9F 50-59 years, male 39.3
GTEX-11OC5-0126-SM-5HL6A 60-69 years, male 39.2
GTEX-1212Z-2526-SM-5EGKP 60-69 years, male 39.2
GTEX-1F5PK-2426-SM-7RHHY 50-59 years, male 39.1
GTEX-1399T-2826-SM-5KLYZ 60-69 years, male 39.0
GTEX-YFC4-0126-SM-5CVLY 40-49 years, female 39.0
GTEX-WQUQ-0426-SM-3MJFU 60-69 years, male 38.9
GTEX-PLZ6-1426-SM-DKPOT 30-39 years, male 38.9
GTEX-1313W-0126-SM-5LZUN 50-59 years, female 38.8
GTEX-14PK6-1926-SM-6ETZU 70-79 years, female 38.8
GTEX-11ZTS-0126-SM-5EQ6M 60-69 years, female 38.7
GTEX-XV7Q-2526-SM-4BRV9 40-49 years, female 38.6
GTEX-169BO-1326-SM-9MQK2 50-59 years, male 38.6
GTEX-1269C-2526-SM-5EGJ3 60-69 years, female 38.5
GTEX-13112-2826-SM-5DUWH 50-59 years, male 38.5
GTEX-QVJO-1626-SM-2S1QW 60-69 years, female 38.5
GTEX-131YS-0126-SM-5KM1M 60-69 years, female 38.4
GTEX-15EU6-0426-SM-6PAN5 50-59 years, male 38.4
GTEX-1CB4I-0226-SM-79OLH 50-59 years, male 38.3
GTEX-Y5V5-2326-SM-4V6GA 60-69 years, female 38.3
GTEX-18A66-0226-SM-718BD 60-69 years, male 38.0
GTEX-X585-0226-SM-4QAS2 50-59 years, male 38.0
GTEX-1B996-0226-SM-7RHGO 60-69 years, male 38.0
GTEX-1R7EV-2426-SM-EVYBG 40-49 years, male 38.0
GTEX-QDVN-2026-SM-3GAEP 50-59 years, male 37.7
GTEX-XUYS-0126-SM-47JWZ 50-59 years, male 37.7
GTEX-1IKK5-0626-SM-ARL8A 60-69 years, male 37.7
GTEX-1O97I-0326-SM-EYYX7 60-69 years, male 37.7
GTEX-XQ8I-0426-SM-4BOPO 50-59 years, male 37.6
GTEX-ZY6K-1826-SM-5GZXK 50-59 years, male 37.6
GTEX-1RDX4-0126-SM-E9J4P 50-59 years, female 37.5
GTEX-11NSD-2226-SM-5986V 20-29 years, male 37.4
GTEX-X5EB-2226-SM-46MW4 40-49 years, male 37.4
GTEX-1J8EW-0126-SM-CJI4F 60-69 years, female 37.3
GTEX-1J8Q2-0526-SM-CM2RW 60-69 years, male 37.3
GTEX-11UD2-0226-SM-5EQKY 50-59 years, male 37.2
GTEX-13FH7-2026-SM-E9J4I 50-59 years, female 37.2
GTEX-1F75B-0126-SM-9KNVL 50-59 years, male 37.0
GTEX-17EVP-0326-SM-7DHLG 40-49 years, male 36.9
GTEX-XBED-2226-SM-47JYQ 60-69 years, male 36.7
GTEX-1GMR8-0126-SM-9WYTM 50-59 years, female 36.7
GTEX-17F97-0326-SM-7LG5B 50-59 years, male 36.6
GTEX-1RAZA-0126-SM-E6CI3 20-29 years, male 36.6
GTEX-117YW-2626-SM-5GZZH 50-59 years, male 36.2
GTEX-14PN3-2426-SM-6LLHS 60-69 years, female 35.9
GTEX-183FY-0126-SM-7LT9P 20-29 years, male 35.9
GTEX-WY7C-2326-SM-3NB2U 50-59 years, male 35.9
GTEX-X4EO-0326-SM-3P5YO 60-69 years, female 35.9
GTEX-18A6Q-0126-SM-731BZ 60-69 years, male 35.8
GTEX-18A7A-0226-SM-718BH 50-59 years, female 35.8
GTEX-TML8-1926-SM-32QOS 40-49 years, female 35.8
GTEX-11H98-0126-SM-5EGHG 50-59 years, male 35.7
GTEX-16NPX-0226-SM-79OMT 50-59 years, male 35.5
GTEX-TMZS-0126-SM-3DB9Q 60-69 years, male 35.4
GTEX-1F6I4-0126-SM-9MQL2 60-69 years, male 35.3
GTEX-18465-0126-SM-731BN 50-59 years, male 35.0
GTEX-1C6VR-2426-SM-79OLD 60-69 years, male 35.0
GTEX-1HCU6-0126-SM-CL54K 60-69 years, female 35.0
GTEX-11OF3-2626-SM-5GU7F 60-69 years, male 34.9
GTEX-145LT-1726-SM-5QGP3 40-49 years, male 34.9
GTEX-1F52S-0126-SM-9MQJU 60-69 years, female 34.9
GTEX-Q734-1926-SM-2I5EV 40-49 years, female 34.6
GTEX-1192X-0226-SM-5H12D 50-59 years, male 34.5
GTEX-12126-0326-SM-5PNW3 20-29 years, male 34.5
GTEX-13VXT-0126-SM-5LU4I 20-29 years, female 34.5
GTEX-16MT8-0426-SM-7KUEY 60-69 years, female 34.5
GTEX-1GZ2Q-0226-SM-7P8TL 40-49 years, male 34.5
GTEX-1JKYR-0126-SM-CNPOJ 20-29 years, male 34.5
GTEX-QDVJ-1726-SM-2I5FX 50-59 years, male 34.4
GTEX-1MUQO-0126-SM-EAZ58 60-69 years, male 34.4
GTEX-Y3I4-2126-SM-4TT7C 50-59 years, male 34.2
GTEX-PLZ5-2026-SM-2S1O4 50-59 years, male 34.1
GTEX-13SLX-0526-SM-5S2ON 50-59 years, female 34.0
GTEX-YEC4-2126-SM-5IFJH 40-49 years, male 34.0
GTEX-147GR-0526-SM-5S2MY 60-69 years, male 33.9
GTEX-1CB4J-0626-SM-7DHMP 60-69 years, male 33.8
GTEX-1PIGE-0126-SM-EVYBJ 20-29 years, male 33.8
GTEX-Y111-0126-SM-4SOIV 50-59 years, male 33.7
GTEX-1F6IF-0726-SM-7P8TW 60-69 years, male 33.7
GTEX-1H2FU-0126-SM-9WYSI 60-69 years, female 33.6
GTEX-WYVS-2126-SM-3NMA3 40-49 years, female 33.5
GTEX-1JK1U-2026-SM-CM2RZ 60-69 years, male 33.5
GTEX-S95S-1226-SM-4GICG 60-69 years, male 33.4
GTEX-ZXG5-0126-SM-5GIEU 60-69 years, male 33.3
GTEX-1HGF4-2426-SM-ACKXM 60-69 years, male 33.3
GTEX-1C6VQ-0126-SM-7P8RI 50-59 years, male 33.1
GTEX-17MFQ-1726-SM-793C7 20-29 years, male 33.0
GTEX-Q2AH-1626-SM-3GAF8 40-49 years, male 33.0
GTEX-TMMY-0226-SM-33HBA 40-49 years, female 33.0
GTEX-145MO-0326-SM-5Q5B3 60-69 years, male 32.9
GTEX-OXRP-0126-SM-3NB32 60-69 years, female 32.9
GTEX-1HFI7-1826-SM-ACKXH 50-59 years, female 32.9
GTEX-1K9T9-0126-SM-EVYCF 50-59 years, female 32.8
GTEX-1AX8Z-0126-SM-7DHM6 60-69 years, male 32.7
GTEX-1GN73-0226-SM-9WG67 60-69 years, male 32.7
GTEX-1IDJU-2626-SM-CM2RT 60-69 years, female 32.7
GTEX-13QJ3-0326-SM-5S2RA 50-59 years, male 32.6
GTEX-1J8JJ-0226-SM-CL53I 60-69 years, female 32.6
GTEX-11EI6-0126-SM-5985R 60-69 years, male 32.5
GTEX-WFG8-2226-SM-3GIL9 20-29 years, male 32.5
GTEX-P4PQ-0126-SM-2S1NM 60-69 years, male 32.4
GTEX-PWCY-1826-SM-DHXIZ 20-29 years, female 32.4
GTEX-1CAMQ-0226-SM-7IGPK 40-49 years, male 32.3
GTEX-SJXC-0126-SM-2XCFF 60-69 years, male 32.3
GTEX-1H3O1-0426-SM-9YFKY 60-69 years, male 32.3
GTEX-12ZZX-0126-SM-5EGK9 40-49 years, female 32.2
GTEX-18A7B-0126-SM-7LG64 70-79 years, male 32.1
GTEX-OHPM-0126-SM-2YUN9 50-59 years, male 32.1
GTEX-ZAB4-0226-SM-5N9F5 40-49 years, male 32.1
GTEX-14BMV-0126-SM-5S2PO 50-59 years, male 32.0
GTEX-12WSC-0126-SM-5EQ4P 50-59 years, male 31.9
GTEX-13OW6-0426-SM-5L3HM 50-59 years, male 31.9
GTEX-1I1GQ-0126-SM-COH3H 50-59 years, male 31.9
GTEX-1ICG6-2526-SM-CGQFZ 70-79 years, female 31.9
GTEX-13O21-1426-SM-5K7XI 50-59 years, male 31.8
GTEX-16AAH-1726-SM-7939C 50-59 years, male 31.8
GTEX-17HG3-2226-SM-7938L 30-39 years, female 31.8
GTEX-1MCQQ-0826-SM-DLHC2 60-69 years, male 31.8
GTEX-111VG-2426-SM-5GZXD 60-69 years, male 31.7
GTEX-VJYA-1126-SM-3GIJU 60-69 years, male 31.7
GTEX-ZEX8-2426-SM-4WKG4 50-59 years, male 31.7
GTEX-1GF9U-2126-SM-7SB7L 40-49 years, female 31.7
GTEX-12C56-1726-SM-5EQ61 20-29 years, male 31.6
GTEX-13OVL-0226-SM-5L3E9 50-59 years, male 31.6
GTEX-14JG6-2226-SM-6EU2G 30-39 years, female 31.3
GTEX-15DCD-0126-SM-7KUEK 70-79 years, female 31.2
GTEX-17MF6-0126-SM-7LG4F 40-49 years, male 31.2
GTEX-OXRK-0226-SM-3NB2G 50-59 years, female 31.2
GTEX-1C64O-0126-SM-7SB8P 60-69 years, male 31.1
GTEX-1ICLY-0126-SM-D4P36 50-59 years, male 31.1
GTEX-17HHY-0126-SM-7LG5D 50-59 years, male 31.0
GTEX-1B933-0126-SM-7PC29 50-59 years, female 31.0
GTEX-11GSO-2426-SM-5A5LY 60-69 years, male 30.9
GTEX-12KS4-0326-SM-5EQ41 30-39 years, male 30.8
GTEX-1HSMO-0126-SM-CL547 60-69 years, male 30.8
GTEX-144GL-0126-SM-5TDE2 50-59 years, male 30.7
GTEX-1H23P-0126-SM-ADEJ3 60-69 years, male 30.7
GTEX-1H3NZ-0126-SM-ACKX7 60-69 years, male 30.7
GTEX-11EM3-2426-SM-59861 20-29 years, female 30.6
GTEX-144GN-2326-SM-5LU4F 50-59 years, male 30.5
GTEX-1AMFI-2026-SM-731BH 50-59 years, female 30.5
GTEX-Z9EW-1626-SM-5CVMN 40-49 years, male 30.5
GTEX-ZYY3-0126-SM-5GZY5 60-69 years, female 30.4
GTEX-1LGOU-2026-SM-DIPFF 20-29 years, female 30.4
GTEX-139TU-0126-SM-5K7WH 60-69 years, male 30.3
GTEX-S7SE-0126-SM-2XCD5 50-59 years, male 30.3
GTEX-1S82Y-2026-SM-EVYCM 40-49 years, male 30.3
GTEX-TSE9-0126-SM-3DB83 60-69 years, female 30.2
GTEX-XMD2-0126-SM-4YCDU 60-69 years, female 30.2
GTEX-ZC5H-0226-SM-4WAY9 40-49 years, female 30.2
GTEX-13FTX-1826-SM-5J1NX 20-29 years, female 30.1
GTEX-T2IS-0126-SM-4DM6O 20-29 years, female 30.1
GTEX-1H1E6-1726-SM-ACKVK 30-39 years, male 30.1
GTEX-1JKYN-1326-SM-CGQG9 30-39 years, male 30.1
GTEX-OXRO-0126-SM-2YUN4 60-69 years, female 30.0
GTEX-1HT8W-0126-SM-CNPPP 30-39 years, male 30.0
GTEX-12WSG-2826-SM-E9J4H 50-59 years, female 29.9
GTEX-1CB4G-0226-SM-7PC3O 60-69 years, male 29.9
GTEX-11DXY-2626-SM-5GIE7 60-69 years, male 29.7
GTEX-SSA3-0126-SM-32QPU 60-69 years, male 29.6
GTEX-1HSMP-0126-SM-E6CJS 70-79 years, male 29.5
GTEX-14LLW-0126-SM-6LLIO 70-79 years, female 29.4
GTEX-1EU9M-0226-SM-7P8SP 60-69 years, male 29.3
GTEX-1GMRU-0126-SM-9YFLV 50-59 years, male 29.3
GTEX-13N11-2526-SM-5K7UE 50-59 years, female 29.2
GTEX-R45C-0126-SM-EAZ2R 60-69 years, female 29.2
GTEX-15CHC-2126-SM-6EU21 60-69 years, female 29.1
GTEX-1HCVE-0126-SM-CGQEU 50-59 years, male 29.1
GTEX-11VI4-1726-SM-5CVLH 40-49 years, female 29.0
GTEX-1H1DE-2126-SM-9WG6R 20-29 years, male 29.0
GTEX-1J8Q3-1626-SM-CMKGC 60-69 years, male 29.0
GTEX-ZVT4-0126-SM-DTXFN 50-59 years, female 29.0
GTEX-145LU-0126-SM-5TDCB 50-59 years, male 28.9
GTEX-1C2JI-1826-SM-73KXC 50-59 years, male 28.9
GTEX-R3RS-0126-SM-3GIJL 40-49 years, female 28.9
GTEX-11LCK-1026-SM-5A5KB 30-39 years, male 28.8
GTEX-11P7K-2126-SM-5GU7G 30-39 years, male 28.8
GTEX-13FHO-0226-SM-5IFGY 60-69 years, male 28.7
GTEX-SIU8-0126-SM-2XCDT 50-59 years, male 28.7
GTEX-11XUK-2026-SM-5EQLF 40-49 years, female 28.6
GTEX-148VI-1626-SM-5SI6E 60-69 years, female 28.6
GTEX-16NGA-1726-SM-731B4 40-49 years, female 28.6
GTEX-RM2N-1426-SM-2TF4H 50-59 years, male 28.6
GTEX-12WSD-0126-SM-59HKN 60-69 years, female 28.4
GTEX-1AYD5-2426-SM-73KXR 50-59 years, male 28.4
GTEX-1MGNQ-0126-SM-EVYCJ 40-49 years, male 28.4
GTEX-11GS4-2726-SM-5A5LE 60-69 years, male 28.3
GTEX-14BIM-0226-SM-7IGLD 60-69 years, female 28.3
GTEX-1KWVE-1426-SM-E9TJO 30-39 years, male 28.3
GTEX-1S82Z-0826-SM-E6CHY 30-39 years, female 28.3
GTEX-11WQC-2526-SM-5CVLE 60-69 years, male 28.1
GTEX-PVOW-0126-SM-2XCFA 40-49 years, male 28.1
GTEX-13O3O-0126-SM-E9J49 60-69 years, female 28.1
GTEX-1IDFM-0126-SM-COH2V 60-69 years, male 27.8
GTEX-1A32A-0126-SM-718B1 50-59 years, female 27.7
GTEX-1H3VY-0126-SM-ACKXD 50-59 years, male 27.7
GTEX-1I1GR-0126-SM-CL55F 60-69 years, male 27.7
GTEX-11GSP-2526-SM-5N9BP 60-69 years, female 27.6
GTEX-13G51-2526-SM-5LZYK 60-69 years, male 27.6
GTEX-13OW8-1326-SM-5J1OW 60-69 years, male 27.6
GTEX-18D9B-0526-SM-7LTAS 60-69 years, male 27.6
GTEX-1I1GS-0126-SM-B2LVW 60-69 years, male 27.5
GTEX-OIZF-0126-SM-7SB8I 60-69 years, male 27.5
GTEX-11P81-2326-SM-59875 30-39 years, female 27.4
GTEX-14PJ3-1826-SM-62LEX 50-59 years, male 27.4
GTEX-15EOM-0126-SM-7KUGG 20-29 years, female 27.3
GTEX-1IL2V-0126-SM-CM2TX 70-79 years, male 27.3
GTEX-13RTL-0126-SM-7LG5S 40-49 years, male 27.2
GTEX-1E1VI-0126-SM-7DHMZ 50-59 years, male 27.2
GTEX-ZF29-2326-SM-DO92K 60-69 years, female 27.2
GTEX-13O3Q-2426-SM-5IJBR 50-59 years, male 27.1
GTEX-RWS6-2026-SM-2XCB5 60-69 years, female 27.1
GTEX-113JC-2326-SM-5EQ4E 50-59 years, female 26.9
GTEX-13FTY-0526-SM-5L3EV 40-49 years, female 26.9
GTEX-1IKOH-0226-SM-COH4E 60-69 years, female 26.8
GTEX-17HGU-0226-SM-7DHKV 50-59 years, male 26.7
GTEX-1AX9I-0126-SM-7SB74 60-69 years, male 26.7
GTEX-1KD5A-0226-SM-D5OV3 50-59 years, male 26.7
GTEX-15DDE-0126-SM-6LPKH 50-59 years, female 26.6
GTEX-15DYW-0126-SM-7KULE 60-69 years, female 26.6
GTEX-RWSA-0126-SM-2XCBB 40-49 years, male 26.6
GTEX-Y8LW-1826-SM-5S2MV 50-59 years, female 26.6
GTEX-WH7G-2326-SM-3NMBC 40-49 years, male 26.5
GTEX-13U4I-0126-SM-5LU38 40-49 years, female 26.4
GTEX-17HHE-2026-SM-79OKF 50-59 years, male 26.4
GTEX-16YQH-0126-SM-7DUFJ 30-39 years, male 26.3
GTEX-1GTWX-0126-SM-9YFLK 60-69 years, male 26.3
GTEX-R55G-2526-SM-2TC6D 40-49 years, female 26.2
GTEX-P44H-0226-SM-2XCEU 40-49 years, male 26.1
GTEX-QLQW-1126-SM-2S1Q8 30-39 years, male 26.1
GTEX-1LG7Y-0526-SM-DKPQC 50-59 years, male 26.1
GTEX-WZTO-0126-SM-3NM95 40-49 years, male 26.0
GTEX-131XW-0426-SM-5LZWP 50-59 years, female 25.8
GTEX-ZQUD-1426-SM-57WER 30-39 years, male 25.8
GTEX-1NHNU-1026-SM-E9J2A 50-59 years, male 25.8
GTEX-13NZA-0226-SM-5K7Z7 60-69 years, male 25.7
GTEX-14DAR-2026-SM-5S2O3 50-59 years, male 25.7
GTEX-16BQI-0226-SM-7KUEX 30-39 years, female 25.7
GTEX-ZF28-0126-SM-4WKGK 60-69 years, male 25.5
GTEX-ZZPT-0226-SM-5E43X 50-59 years, male 25.5
GTEX-1GN1V-0126-SM-9WPOS 60-69 years, male 25.5
GTEX-1QP2A-0126-SM-E9J43 50-59 years, male 25.5
GTEX-PW2O-1526-SM-7RHHB 20-29 years, male 25.5
GTEX-11P82-1626-SM-59879 20-29 years, male 25.4
GTEX-148VJ-0126-SM-5TDDN 70-79 years, male 25.4
GTEX-1F88F-2726-SM-7PBZZ 60-69 years, female 25.4
GTEX-1IGQW-0126-SM-COH42 60-69 years, male 25.2
GTEX-11NUK-0126-SM-5A5L3 50-59 years, male 25.1
GTEX-13W3W-2426-SM-5LU5B 60-69 years, female 25.1
GTEX-QCQG-1726-SM-3GIJ9 50-59 years, female 25.0
GTEX-13OVG-1926-SM-5L3DK 60-69 years, male 24.8
GTEX-15SDE-2226-SM-7IGLO 50-59 years, female 24.7
GTEX-11EMC-2926-SM-5EQ4F 60-69 years, female 24.6
GTEX-14DAQ-0126-SM-5S2MQ 60-69 years, female 24.6
GTEX-1HSMQ-1226-SM-CGQFX 50-59 years, male 24.5
GTEX-13OW7-0126-SM-5MR3B 50-59 years, male 24.2
GTEX-11ZVC-2526-SM-5FQTE 50-59 years, female 24.1
GTEX-1I19N-0326-SM-ACKVX 70-79 years, male 24.0
GTEX-1RQEC-0426-SM-E6CHU 60-69 years, male 24.0
GTEX-1I1CD-0126-SM-CM2TK 60-69 years, female 23.9
GTEX-1A3MV-1926-SM-718BT 30-39 years, male 23.7
GTEX-RNOR-0126-SM-E9J4R 50-59 years, female 23.7
GTEX-1F75A-0126-SM-7RHGM 50-59 years, male 23.4
GTEX-PLZ4-0126-SM-5SI8O 50-59 years, female 23.3
GTEX-UPJH-0326-SM-3GADU 50-59 years, male 23.2
GTEX-1B8KZ-2026-SM-7DHMB 50-59 years, male 23.0
GTEX-1MCYP-1926-SM-E9J2R 20-29 years, female 22.9
GTEX-1RLM8-2326-SM-EWRN4 50-59 years, male 22.9
GTEX-14PHW-0126-SM-6LLJI 60-69 years, female 22.8
GTEX-1A8FM-0226-SM-7SB7Q 50-59 years, female 22.8
GTEX-1HKZK-0326-SM-9WYUH 40-49 years, male 22.8
GTEX-1I1GP-2226-SM-CGQFK 50-59 years, male 22.8
GTEX-11ZTT-2426-SM-5EQLS 60-69 years, female 22.7
GTEX-1EKGG-0226-SM-9WYTH 60-69 years, male 22.7
GTEX-1EN7A-0126-SM-7SB81 40-49 years, male 22.7
GTEX-1KANB-0526-SM-E6CJH 50-59 years, male 22.7
GTEX-ZVT3-0126-SM-5GU6I 60-69 years, female 22.6
GTEX-1F48J-0126-SM-7P8TT 50-59 years, female 22.6
GTEX-14ABY-0226-SM-5TDCQ 50-59 years, male 22.5
GTEX-1C6VS-0526-SM-7DUEN 60-69 years, male 22.5
GTEX-ZYW4-0126-SM-5E44A 60-69 years, male 22.5
GTEX-1JMOU-1526-SM-CL54I 60-69 years, female 22.5
GTEX-ZDXO-3026-SM-5J1N5 60-69 years, male 22.4
GTEX-13N1W-0126-SM-5K7VT 70-79 years, male 22.3
GTEX-1C6WA-0126-SM-7PC2B 60-69 years, male 22.3
GTEX-1F7RK-0126-SM-7PC2S 20-29 years, female 22.2
GTEX-1JJE9-0326-SM-CL53Z 70-79 years, male 22.2
GTEX-QEG4-0226-SM-2S1PY 30-39 years, male 22.0
GTEX-RN64-0126-SM-2TC68 50-59 years, male 21.9
GTEX-1H1ZS-0426-SM-9WG6G 70-79 years, male 21.9
GTEX-WOFL-0126-SM-3MJG2 60-69 years, male 21.8
GTEX-139TT-0126-SM-5K7Y5 60-69 years, male 21.4
GTEX-Q2AG-0126-SM-33HBV 40-49 years, female 21.4
GTEX-1QEPI-0126-SM-EWRMQ 60-69 years, female 21.4
GTEX-1N2DV-0226-SM-E6CJ6 40-49 years, male 21.3
GTEX-13OVI-1426-SM-5L3EY 60-69 years, female 21.2
GTEX-17EVQ-0226-SM-7LG4P 70-79 years, male 21.1
GTEX-1AX9K-2326-SM-73KWU 50-59 years, male 21.0
GTEX-QDT8-0126-SM-48TZ1 30-39 years, female 21.0
GTEX-1POEN-0126-SM-EYYXJ 30-39 years, female 21.0
GTEX-QLQ7-1626-SM-2S1R8 60-69 years, male 20.6
GTEX-1LNCM-1126-SM-E9U5E 50-59 years, female 20.6
GTEX-1QP29-0626-SM-EWRMX 50-59 years, male 20.5
GTEX-13W46-0226-SM-5SIAG 50-59 years, male 20.4
GTEX-1IY9M-0126-SM-D3L8S 60-69 years, male 20.4
GTEX-U3ZM-1526-SM-3DB9D 40-49 years, male 20.3
GTEX-1IE54-0126-SM-CMKHW 40-49 years, female 20.2
GTEX-X638-0126-SM-47JZ8 70-79 years, female 20.1
GTEX-U3ZN-2326-SM-3DB7W 30-39 years, female 19.8
GTEX-1M4P7-0226-SM-DIPEV 60-69 years, male 19.7
GTEX-U3ZH-2026-SM-3DB78 30-39 years, male 19.3
GTEX-1MA7X-2226-SM-E6CIY 60-69 years, male 19.2
GTEX-14A6H-0126-SM-5QGPK 30-39 years, male 18.7
GTEX-16XZY-2126-SM-79OK1 70-79 years, male 18.6
GTEX-V1D1-2226-SM-3NMAX 50-59 years, male 18.6
GTEX-1GPI6-0126-SM-9WG69 60-69 years, male 18.6
GTEX-15SHW-0326-SM-6PAML 60-69 years, male 18.5
GTEX-17HII-0226-SM-7LG4E 50-59 years, male 18.5
GTEX-14E7W-0126-SM-6LLJ9 70-79 years, male 17.8
GTEX-11ZU8-2526-SM-5EQKI 60-69 years, male 17.0
GTEX-15D1Q-0126-SM-7KUG6 40-49 years, male 16.9
GTEX-1AYCT-2426-SM-7IGQ3 50-59 years, male 16.8
GTEX-1HUB1-0426-SM-E9U4U 60-69 years, male 16.5
GTEX-1AMEY-1326-SM-73KYK 30-39 years, female 16.3
GTEX-VJWN-0126-SM-3GIK7 50-59 years, female 16.3
GTEX-147F3-0526-SM-5SI98 50-59 years, female 15.9
GTEX-12WSN-5019-SM-79OM6 40-49 years, male 15.6
GTEX-R55E-0126-SM-2TC5Y 20-29 years, male 15.4
GTEX-147F4-0226-SM-5QGPW 50-59 years, male 15.3
GTEX-1PPH7-2326-SM-EVYB8 40-49 years, male 15.2
GTEX-1GN1W-0526-SM-9MQJQ 50-59 years, female 15.1
GTEX-1I1HK-0126-SM-COH49 60-69 years, male 14.8
GTEX-11TTK-0126-SM-5987B 60-69 years, female 14.7
GTEX-X62O-0126-SM-4E3JN 50-59 years, male 14.6
GTEX-1F75I-0326-SM-9YFLU 40-49 years, male 14.3
GTEX-ZUA1-0126-SM-5GU76 40-49 years, male 11.8
GTEX-14BIL-0126-SM-5SI92 50-59 years, male 11.7
GTEX-1PBJI-0526-SM-E8VNK 20-29 years, female 11.3
GTEX-139T4-0226-SM-5HL5S 50-59 years, female 11.2
GTEX-113IC-0126-SM-5HL6T 60-69 years, male 10.9
GTEX-1OJC4-0126-SM-E9J2E 50-59 years, female 10.7
GTEX-OXRL-0126-SM-2YUMP 50-59 years, male 10.0
GTEX-SE5C-1626-SM-2XCE3 40-49 years, female 8.5
GTEX-1QW4Y-1526-SM-EAZ3Z 30-39 years, male 5.9
GTEX-1R9PO-2126-SM-E9J4O 60-69 years, female 4.9
GTEX-1QP67-1626-SM-EAZ3X 40-49 years, female 4.7
GTEX-U4B1-1826-SM-4DXSU 40-49 years, male 4.3
GTEX-14JIY-0126-SM-6LLH6 60-69 years, male 3.5
GTEX-11ZUS-0626-SM-59885 30-39 years, male 3.3
GTEX-1HBPH-0426-SM-B2LW5 40-49 years, female 2.8
GTEX-1RAZQ-0726-SM-EAZ43 30-39 years, male 2.5
GTEX-146FR-1326-SM-E9J48 60-69 years, female 1.6
Show allShow less

Contact

  • NEWS ARTICLES
  • PRESS ROOM

The Project

  • INTRODUCTION
  • ORGANIZATION
  • PUBLICATIONS

The Human Protein Atlas

  • DOWNLOADABLE DATA
  • LICENCE & CITATION
  • HELP & FAQ
The Human Protein Atlas project is funded
by the Knut & Alice Wallenberg Foundation.


contact@proteinatlas.org