We use cookies to enhance the usability of our website. If you continue, we'll assume that you are happy to receive all cookies. More information. Don't show this again.
PDIA5
HPA
RESOURCES
  • TISSUE
  • BRAIN
  • SINGLE CELL
  • SUBCELLULAR
  • CANCER
  • BLOOD
  • CELL LINE
  • STRUCTURE & INTERACTION
ABOUT
  • INTRODUCTION
  • HISTORY
  • ORGANIZATION
  • PUBLICATIONS
  • ANTIBODY SUBMISSION
  • ANTIBODY AVAILABILITY
  • ACKNOWLEDGMENTS
  • CONTACT
NEWS
  • NEWS ARTICLES
  • PRESS ROOM
LEARN
  • DICTIONARY
  • PROTEIN CLASSES
  • PROTEIN EVIDENCE
  • METHODS
  • EDUCATIONAL VIDEOS
DATA
  • DOWNLOADABLE DATA
  • PUBLICATION DATA
  • RELEASE HISTORY
HELP
  • ANTIBODY VALIDATION
  • ASSAYS & ANNOTATION
  • DISCLAIMER
  • HELP & FAQ
  • PRIVACY STATEMENT
  • LICENCE & CITATION
Fields »
Search result

Field
Term
Gene name
Class
Subclass
Class
Keyword
Chromosome
External id
Tissue
Cell type
Expression
Antibody panel
Tissue
Main location
Patient ID
Annotation
Tissue
Category
Tau score
Cluster
Reliability
Brain region
Category
Tau score
Brain region
Category
Tau score
Brain region
Category
Tau score
Cluster
Reliability
Tissue
Cell type
Enrichment
Cell type
Category
Tau score
Cell type
Category
Tau score
Cell type
Category
Tau score
Cell lineage
Category
Tau score
Cluster
Cluster
Location
Searches
Location
Cell line
Class
Type
Phase
Reliability
Cancer
Prognosis
Cancer
Category
Cancer
Category
Tau score
Cluster
Variants
Interacting gene (ensg_id)
Type
Number of interactions
Pathway
Category
Score
Score
Score
Validation
Validation
Validation
Validation
Antibodies
Data type
Column


  • SUMMARY

  • TISSUE

  • BRAIN

  • SINGLE CELL

  • SUBCELL

  • CANCER

  • BLOOD

  • CELL LINE

  • STRUCT & INT

  • PDIA5
TISSUE PRIMARY DATA SKIN Show tissue menu
ADIPOSE TISSUE ADRENAL GLAND AMYGDALA APPENDIX BASAL GANGLIA BONE MARROW BREAST BRONCHUS CEREBELLUM CEREBRAL CORTEX CERVIX CHOROID PLEXUS COLON DUODENUM
ENDOMETRIUM EPIDIDYMIS ESOPHAGUS FALLOPIAN TUBE GALLBLADDER HEART MUSCLE HIPPOCAMPAL FORMATION HYPOTHALAMUS KIDNEY LIVER LUNG LYMPH NODE MIDBRAIN NASOPHARYNX
ORAL MUCOSA OVARY PANCREAS PARATHYROID GLAND PITUITARY GLAND PLACENTA PROSTATE RECTUM RETINA SALIVARY GLAND SEMINAL VESICLE SKELETAL MUSCLE SKIN SMALL INTESTINE
SMOOTH MUSCLE SOFT TISSUE SPINAL CORD SPLEEN STOMACH TESTIS THYMUS THYROID GLAND TONGUE TONSIL URINARY BLADDER VAGINA
ANTIBODIES
AND
VALIDATION
Dictionary
Skin
Tissue proteome
Skin
SKIN - Expression summary
Protein expression
Skini

On the top, protein expression in current human tissue, based on all annotated cell types, is reported with the units not detected (n), low (l), medium (m) and high (h). Underneath, protein expression in each annotated cell type are reported using the same units.

Protein expression data is based on knowledge-based annotation. For genes where more than one antibody has been used, a collective score is set.

If knowledge-based annotation could not be performed for a gene, no data is displayed here. View antibody staining data further down this page.

h
m
l
n
Epidermal cells: Not detected
Fibroblasts: High
Keratinocytes: Low
Langerhans: Not detected
Melanocytes: Not detected
RNA expressioni

A summary of mRNA expression data available for current tissue based on several datasets. The mRNA expression levels in human tissues are based on RNA-seq data generated by the Human Protein Atlas (HPA), Genotype-Tissue Expression (GTEx) portal and CAGE data generated by the FANTOM5 consortium. Consensus normalized expression levels for human tissues was created by combining the data from HPA and GTEx datasets.

The mRNA expression levels in pig are based on RNA-seq data generated by the Human Protein Atlas (HPA), and for mouse, HPA data and in situ hybridization generated by the Allen brain atlas are reported.

Scroll down to view mRNA expression data in more detail.
Consensus:8.5 nTPM
HPA:6.4 nTPM
GTEx:8.5 nTPM

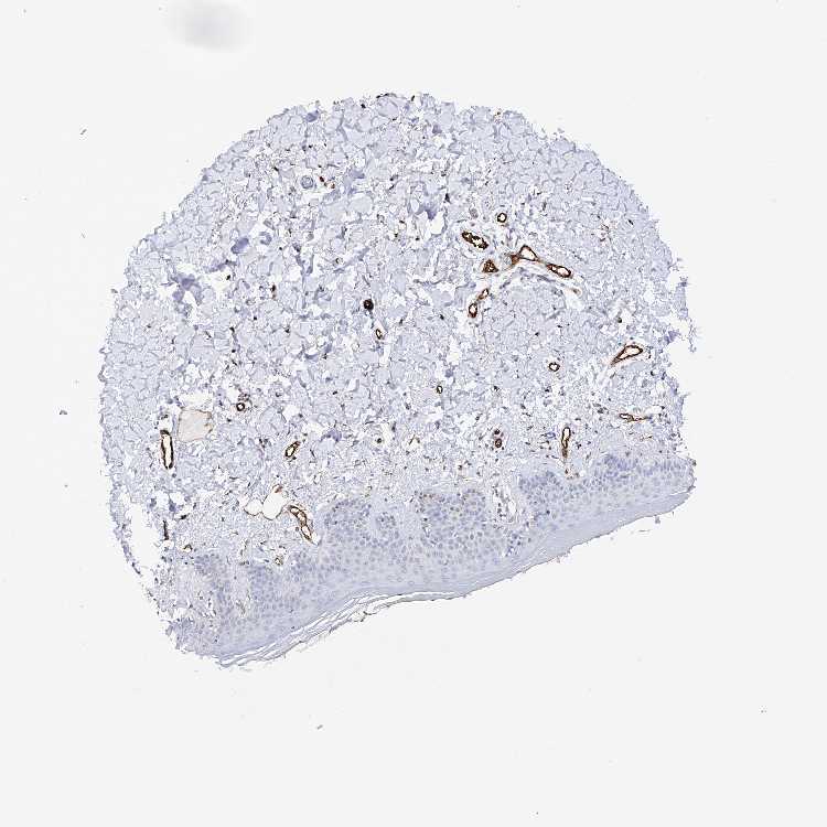
SKIN 1 - Antibody stainingi

Antibody staining in the annotated cell types in the current human tissue is reported as not detected, low, medium, or high, based on conventional immunohistochemistry profiling in selected tissues. This score is based on the combination of the staining intensity and fraction of stained cells.

Each image is clickable and will lead to virtual microscopy that enables deeper exploration of all samples and also displays staining intensity scores, fraction scores and subcellular localization as well as patient and tissue information for each sample.

Antibody HPA030353Antibody HPA030355
Langerhans Not detectedNot detected
Fibroblasts MediumHigh
Keratinocytes LowLow
Melanocytes LowNot detected




SKIN 2 - Antibody stainingi

Antibody staining in the annotated cell types in the current human tissue is reported as not detected, low, medium, or high, based on conventional immunohistochemistry profiling in selected tissues. This score is based on the combination of the staining intensity and fraction of stained cells.

Each image is clickable and will lead to virtual microscopy that enables deeper exploration of all samples and also displays staining intensity scores, fraction scores and subcellular localization as well as patient and tissue information for each sample.

Antibody HPA030353Antibody HPA030355
Epidermal cells Not detectedNot detected
  
  
  



SKIN - HPA RNA-seqi

The RNA-seq details section shows detailed information about the individual samples used for the transcript profiling and results of the RNA-seq analysis.

Information about each individual sample is listed below, including gender, age, a tissue section image and estimated fractions of cell types. nTPM (normalized transcripts per million) values give a quantification of the gene abundance which is comparable between different genes and samples.
Average nTPMi

Max subtype nTPM is the value for the subtype with the largest average nTPM across the subtype samples.

6.4
overview
Female, age 34
Skin sample 225
nTPM: 6.4
Cell types%
Keratinocytes:
60

Other cell types:
40

overview
Female, age 30
Skin sample 226
nTPM: 4.1
Cell types%
Keratinocytes:
55

Other cell types:
45

N/A
Male, age 57
Skin sample 227
nTPM: 8.6

SKIN - GTEx RNA-seqi

RNA-Seq data generated by the Genotype-Tissue Expression (GTEx) project from human tissues is reported as mean nTPM. More information can be found on the GTEx portal.

Distribution across the dataset is visualized with box plots, shown as median and 25th and 75th percentiles. Points are displayed as outliers if they are above or below 1.5 times the interquartile range. nTPM values of the individual samples are presented next to the box plot.
Max subtype nTPMi

Max subtype nTPM is the value for the subtype with the largest average nTPM across the subtype samples.

8.5
GTEx sample id Sample description nTPM
Skin - Not Sun Exposed (Suprapubic)
Average nTPM: 7.4
Samples: 604

Max nTPM: 28.3
Min nTPM: 0.9
Std nTPM: 2.8
Median nTPM: 6.9
GTEX-1QP29-1826-SM-DTX9S 50-59 years, male 28.3
GTEX-U8XE-0226-SM-4E3J3 30-39 years, male 20.4
GTEX-14PJ2-0626-SM-6LLII 50-59 years, male 17.5
GTEX-18D9B-0926-SM-7LG4U 60-69 years, male 17.3
GTEX-1JKYN-0826-SM-ARU8S 30-39 years, male 17.0
GTEX-WI4N-2726-SM-3LK7Y 40-49 years, female 16.6
GTEX-1F75W-2726-SM-7SB8H 60-69 years, male 16.4
GTEX-1AX9J-1326-SM-731BJ 60-69 years, male 15.6
GTEX-13FH7-1126-SM-5K7UG 50-59 years, female 15.2
GTEX-Y3IK-1626-SM-4YCF5 50-59 years, female 15.0
GTEX-12WSL-2026-SM-5GCML 50-59 years, male 14.7
GTEX-145MG-1526-SM-5Q5EM 50-59 years, male 14.7
GTEX-X3Y1-2026-SM-3P5YM 40-49 years, male 14.6
GTEX-11ZTT-2126-SM-5CVLO 60-69 years, female 14.5
GTEX-WHSE-0126-SM-3NMBT 20-29 years, male 14.0
GTEX-WH7G-2026-SM-3NMBL 40-49 years, male 13.7
GTEX-14E6C-2426-SM-5S2NF 40-49 years, male 13.5
GTEX-YB5K-2026-SM-4VDT3 40-49 years, female 13.5
GTEX-WYVS-1626-SM-3NM9R 40-49 years, female 13.4
GTEX-ZUA1-2626-SM-5NQ92 40-49 years, male 13.4
GTEX-1F75A-0726-SM-7RHHD 50-59 years, male 13.1
GTEX-14XAO-1226-SM-6EU1C 60-69 years, female 13.0
GTEX-18A7B-2726-SM-7LG56 70-79 years, male 13.0
GTEX-1399R-1326-SM-5PNYS 30-39 years, male 12.9
GTEX-16GPK-0626-SM-7KFSF 60-69 years, male 12.8
GTEX-1HUB1-1426-SM-CGQF5 60-69 years, male 12.8
GTEX-14DAR-1226-SM-73KYV 50-59 years, male 12.6
GTEX-1EWIQ-0326-SM-7DHMQ 70-79 years, female 12.6
GTEX-1I1CD-0626-SM-CE6SW 60-69 years, female 12.6
GTEX-1J8JJ-0626-SM-ARZMQ 60-69 years, female 12.6
GTEX-11DZ1-2426-SM-5GZZX 50-59 years, male 12.5
GTEX-13OVJ-0826-SM-5J1OK 50-59 years, female 12.5
GTEX-15CHQ-0326-SM-69LQD 60-69 years, male 12.5
GTEX-15SHW-0226-SM-7LTAT 60-69 years, male 12.5
GTEX-1A3MW-0626-SM-731CB 60-69 years, female 12.5
GTEX-YEC4-1826-SM-4W1YP 40-49 years, male 12.5
GTEX-1GZHY-0626-SM-9KNVC 50-59 years, female 12.5
GTEX-1F75B-0726-SM-7PC3R 50-59 years, male 12.4
GTEX-1RLM8-2926-SM-E8VON 50-59 years, male 12.4
GTEX-17EVQ-0126-SM-7IGLR 70-79 years, male 12.3
GTEX-ZDXO-3126-SM-5IJDF 60-69 years, male 12.3
GTEX-1F48J-0726-SM-7RHGS 50-59 years, female 12.3
GTEX-111FC-2526-SM-5GZXU 60-69 years, male 12.2
GTEX-1E2YA-2126-SM-7MXUO 50-59 years, male 12.2
GTEX-12584-0726-SM-5FQTK 40-49 years, male 12.1
GTEX-1A32A-0626-SM-731AQ 50-59 years, female 12.0
GTEX-11TT1-1826-SM-5EQLV 20-29 years, male 11.9
GTEX-1R9PN-0426-SM-DTXDT 40-49 years, female 11.9
GTEX-ZVTK-0226-SM-51MRG 20-29 years, male 11.8
GTEX-ZDYS-2426-SM-4WKGI 50-59 years, male 11.7
GTEX-1CAV2-0126-SM-7IGN7 40-49 years, female 11.6
GTEX-WFG8-2126-SM-3GIKQ 20-29 years, male 11.6
GTEX-144FL-0626-SM-5LU43 50-59 years, male 11.5
GTEX-X5EB-1926-SM-4E3IW 40-49 years, male 11.5
GTEX-XBEC-0726-SM-4QARZ 50-59 years, male 11.5
GTEX-1JMOU-1026-SM-CYPSS 60-69 years, female 11.5
GTEX-1H1CY-0126-SM-9YFLY 60-69 years, female 11.4
GTEX-WYBS-0626-SM-3NMAS 60-69 years, female 11.3
GTEX-1H1DF-1126-SM-9WG7G 40-49 years, female 11.3
GTEX-13112-0126-SM-5P9IU 50-59 years, male 11.2
GTEX-16YQH-2226-SM-7IGM2 30-39 years, male 11.2
GTEX-15G1A-1626-SM-7KUKN 30-39 years, male 11.0
GTEX-1IDJE-1426-SM-ADEIW 50-59 years, female 11.0
GTEX-17JCI-2926-SM-7DUFF 60-69 years, female 10.9
GTEX-1L5NE-1126-SM-D3L9P 50-59 years, male 10.9
GTEX-11EI6-2826-SM-5H11D 60-69 years, male 10.8
GTEX-14C38-0726-SM-5SI6M 50-59 years, male 10.8
GTEX-1I19N-0126-SM-CYPSF 70-79 years, male 10.8
GTEX-1IDJI-0126-SM-CMKHS 50-59 years, female 10.8
GTEX-13OVG-1626-SM-5J1NF 60-69 years, male 10.7
GTEX-1GTWX-2026-SM-9YFLM 60-69 years, male 10.7
GTEX-1JMLX-0626-SM-ARL8T 50-59 years, male 10.7
GTEX-11DYG-1526-SM-5A5JS 60-69 years, male 10.6
GTEX-12WSJ-1126-SM-5LZVJ 40-49 years, female 10.6
GTEX-1BAJH-2426-SM-7IGP8 70-79 years, male 10.6
GTEX-ZLFU-1826-SM-4WWBV 40-49 years, male 10.6
GTEX-1J8Q3-0526-SM-ARL8U 60-69 years, male 10.6
GTEX-1JMPZ-0726-SM-CY8HZ 30-39 years, male 10.6
GTEX-1JMQL-2226-SM-CNPP4 50-59 years, female 10.6
GTEX-1117F-2926-SM-5GZYI 60-69 years, female 10.5
GTEX-11WQC-1826-SM-5GU59 60-69 years, male 10.5
GTEX-145ME-1726-SM-5Q5EU 40-49 years, female 10.5
GTEX-XYKS-1426-SM-4BRUO 60-69 years, female 10.5
GTEX-1HBPI-2126-SM-ARL9K 50-59 years, male 10.5
GTEX-139TS-2126-SM-5K7XC 60-69 years, male 10.4
GTEX-13JUV-2026-SM-5K7UA 40-49 years, female 10.4
GTEX-X8HC-0626-SM-4E3HQ 50-59 years, female 10.4
GTEX-ZAK1-0626-SM-5HL8E 50-59 years, female 10.4
GTEX-1A8FM-0626-SM-7PC25 50-59 years, female 10.4
GTEX-1O9I2-0226-SM-EYYXD 50-59 years, male 10.4
GTEX-1B996-0426-SM-7EWF8 60-69 years, male 10.3
GTEX-1E1VI-0326-SM-793D1 50-59 years, male 10.2
GTEX-UPK5-0426-SM-3GAEK 40-49 years, male 10.2
GTEX-ZYW4-0626-SM-59HJR 60-69 years, male 10.2
GTEX-12WSD-0626-SM-5GCMW 60-69 years, female 10.1
GTEX-132AR-0326-SM-5KM2C 50-59 years, female 10.1
GTEX-13N2G-0226-SM-5K7VF 60-69 years, male 10.1
GTEX-14A5H-0826-SM-5QGPJ 60-69 years, male 10.1
GTEX-1H1ZS-2726-SM-9WG75 70-79 years, male 10.1
GTEX-131YS-2826-SM-5EQ47 60-69 years, female 10.0
GTEX-1497J-0226-SM-5QGPU 60-69 years, male 10.0
GTEX-15RJ7-2126-SM-6PAMD 40-49 years, male 10.0
GTEX-16XZZ-0726-SM-7KUF2 60-69 years, male 10.0
GTEX-Y8LW-1526-SM-5IFHL 50-59 years, female 10.0
GTEX-ZU9S-1826-SM-5NQ9E 30-39 years, male 10.0
GTEX-ZYFC-0426-SM-5GICQ 50-59 years, male 10.0
GTEX-1IL2V-1926-SM-B2LW8 70-79 years, male 10.0
GTEX-13113-1626-SM-5EQ4I 60-69 years, female 9.9
GTEX-WXYG-2026-SM-4E3IY 50-59 years, female 9.9
GTEX-1HC8U-1326-SM-9YFMJ 40-49 years, female 9.9
GTEX-14PJO-2526-SM-6AJBQ 60-69 years, male 9.8
GTEX-YJ8O-2526-SM-5HL85 40-49 years, female 9.8
GTEX-1C64N-2626-SM-7PC2N 50-59 years, male 9.8
GTEX-1EX96-1026-SM-7MKG2 50-59 years, male 9.7
GTEX-W5X1-2526-SM-3GILC 40-49 years, female 9.7
GTEX-1KWVE-1026-SM-D3L9O 30-39 years, male 9.7
GTEX-12WSH-1526-SM-5BC5W 50-59 years, male 9.6
GTEX-17MF6-2626-SM-79OKQ 40-49 years, male 9.6
GTEX-146FQ-2126-SM-5RQHU 30-39 years, male 9.5
GTEX-17HG3-2626-SM-7DUF2 30-39 years, female 9.5
GTEX-ZDTS-0826-SM-4WKHL 60-69 years, male 9.5
GTEX-ZGAY-1826-SM-DO91Q 40-49 years, female 9.5
GTEX-18D9U-0126-SM-731BM 40-49 years, male 9.4
GTEX-XK95-0226-SM-4AT58 40-49 years, male 9.4
GTEX-1HCU6-2526-SM-ADEHL 60-69 years, female 9.4
GTEX-1JMQK-1226-SM-D4P2S 60-69 years, male 9.4
GTEX-139T8-0626-SM-5KLZX 60-69 years, male 9.3
GTEX-15D1Q-2826-SM-6LLH7 40-49 years, male 9.3
GTEX-1AX9I-2226-SM-73KUO 60-69 years, male 9.3
GTEX-1F6IF-0926-SM-7SB7M 60-69 years, male 9.3
GTEX-1H3NZ-2726-SM-9WYTQ 60-69 years, male 9.3
GTEX-11NSD-0626-SM-5A5LU 20-29 years, male 9.2
GTEX-14PKU-0126-SM-6LLHV 40-49 years, female 9.2
GTEX-1CAMR-1326-SM-7PC1F 20-29 years, male 9.2
GTEX-1KAFJ-0126-SM-DIPEK 50-59 years, male 9.2
GTEX-1N5O9-0926-SM-E9J3C 60-69 years, male 9.2
GTEX-18A6Q-0626-SM-7KFRP 60-69 years, male 9.1
GTEX-1EN7A-2426-SM-793DB 40-49 years, male 9.1
GTEX-XOT4-0626-SM-4B66L 60-69 years, female 9.1
GTEX-Y114-2126-SM-4TT8B 50-59 years, female 9.1
GTEX-1ICLZ-0326-SM-ARL82 60-69 years, male 9.1
GTEX-1M4P7-0726-SM-E6CJ3 60-69 years, male 9.1
GTEX-12126-0826-SM-5FQTZ 20-29 years, male 9.0
GTEX-131XW-0626-SM-5PNVD 50-59 years, female 9.0
GTEX-13N1W-2426-SM-5IJD1 70-79 years, male 9.0
GTEX-13VXT-1926-SM-5K7UO 20-29 years, female 9.0
GTEX-16MT8-2926-SM-7DUFO 60-69 years, female 9.0
GTEX-1CB4J-1326-SM-7P8RX 60-69 years, male 9.0
GTEX-1RAZR-2126-SM-E9U6T 40-49 years, male 9.0
GTEX-11DXW-0826-SM-5H118 40-49 years, male 8.9
GTEX-11WQK-1026-SM-5EQLX 50-59 years, male 8.9
GTEX-13NYC-0126-SM-5L3F4 60-69 years, male 8.9
GTEX-13PVQ-0626-SM-5LU47 50-59 years, male 8.9
GTEX-16NPX-0726-SM-7KULC 50-59 years, male 8.9
GTEX-1LGOU-1326-SM-D3L8M 20-29 years, female 8.9
GTEX-1S831-1826-SM-EWROF 20-29 years, male 8.9
GTEX-12C56-1526-SM-5FQUQ 20-29 years, male 8.8
GTEX-1B8KZ-0326-SM-73KY4 50-59 years, male 8.8
GTEX-1RAZA-2226-SM-E9U4X 20-29 years, male 8.8
GTEX-12WSK-2126-SM-5CVNC 40-49 years, female 8.7
GTEX-14BMU-1226-SM-5S2OR 20-29 years, female 8.7
GTEX-VJYA-1526-SM-3GIJV 60-69 years, male 8.7
GTEX-Y3I4-1726-SM-4TT89 50-59 years, male 8.7
GTEX-Y5LM-0926-SM-6LLJG 40-49 years, female 8.7
GTEX-ZVP2-0326-SM-57WBP 50-59 years, male 8.7
GTEX-1F6I4-2326-SM-7RHGL 60-69 years, male 8.7
GTEX-1IY9M-2826-SM-ARU8H 60-69 years, male 8.7
GTEX-13X6K-0626-SM-5LU5D 60-69 years, female 8.6
GTEX-15UF6-1926-SM-7KUDV 70-79 years, female 8.6
GTEX-117YX-1926-SM-5GIEC 50-59 years, male 8.5
GTEX-1AX8Z-0726-SM-73KTS 60-69 years, male 8.5
GTEX-WFON-1926-SM-3LK7L 40-49 years, male 8.5
GTEX-X4EP-0626-SM-3P621 60-69 years, female 8.5
GTEX-ZAB4-2126-SM-5HL8U 40-49 years, male 8.5
GTEX-1GMRU-2126-SM-7P8RA 50-59 years, male 8.5
GTEX-1HCUA-0826-SM-ADEHM 50-59 years, female 8.5
GTEX-1I1GU-0926-SM-ACKVS 40-49 years, male 8.5
GTEX-ZF3C-0626-SM-DO92O 50-59 years, female 8.5
GTEX-12WSF-1626-SM-7KUG5 70-79 years, male 8.4
GTEX-139YR-1026-SM-5LZYN 50-59 years, male 8.4
GTEX-13N11-2326-SM-5IJBF 50-59 years, female 8.4
GTEX-13O3O-2326-SM-5IJD6 60-69 years, female 8.4
GTEX-17HGU-2326-SM-7DUFE 50-59 years, male 8.4
GTEX-17MFQ-1526-SM-7KFRR 20-29 years, male 8.4
GTEX-1IDJH-0126-SM-D3L92 70-79 years, male 8.4
GTEX-1R7EU-1626-SM-DTXG3 60-69 years, male 8.4
GTEX-13YAN-0226-SM-5TDC6 60-69 years, male 8.3
GTEX-148VJ-0626-SM-5LUAW 70-79 years, male 8.3
GTEX-14JG1-1526-SM-5YY9X 40-49 years, male 8.3
GTEX-XBED-1926-SM-47JYP 60-69 years, male 8.3
GTEX-ZPIC-0526-SM-DO91W 40-49 years, female 8.3
GTEX-13OVK-1426-SM-6PAN7 40-49 years, male 8.2
GTEX-13VXU-0626-SM-5L3F9 50-59 years, male 8.2
GTEX-ZYFD-0626-SM-5E44E 50-59 years, male 8.2
GTEX-1LG7Z-1626-SM-CXKYR 30-39 years, male 8.2
GTEX-1LSVX-2526-SM-DIPEU 60-69 years, male 8.2
GTEX-13OW6-2726-SM-5J2OE 50-59 years, male 8.1
GTEX-17F9E-2326-SM-79OKD 50-59 years, male 8.1
GTEX-WFG7-2026-SM-5SI7P 20-29 years, male 8.1
GTEX-WY7C-2126-SM-3NB2R 50-59 years, male 8.1
GTEX-1HR98-2226-SM-ADEI2 60-69 years, male 8.1
GTEX-1JMQI-1726-SM-ARL93 50-59 years, male 8.1
GTEX-18A66-0626-SM-7LT8Z 60-69 years, male 8.0
GTEX-YF7O-1526-SM-5IFI6 50-59 years, male 8.0
GTEX-1IDJF-2026-SM-CL53V 20-29 years, male 8.0
GTEX-Y5V6-2326-SM-4VDSA 60-69 years, male 7.9
GTEX-1AYD5-2626-SM-7PBXY 50-59 years, male 7.9
GTEX-1C475-1326-SM-7SB73 40-49 years, female 7.9
GTEX-1JN1M-2726-SM-CY8I4 60-69 years, female 7.9
GTEX-1MJK3-0726-SM-E6CJC 20-29 years, male 7.9
GTEX-1N2EE-0626-SM-E76PW 60-69 years, male 7.9
GTEX-1PPH8-0126-SM-EWRN8 20-29 years, male 7.9
GTEX-XXEK-1626-SM-4BRUZ 50-59 years, male 7.8
GTEX-ZT9W-1126-SM-57WDR 50-59 years, male 7.8
GTEX-ZZ64-1026-SM-5GZXG 20-29 years, male 7.8
GTEX-11EM3-1226-SM-5N9DD 20-29 years, female 7.7
GTEX-1314G-1326-SM-5BC6E 30-39 years, male 7.7
GTEX-131XF-2626-SM-5EQ6K 60-69 years, male 7.7
GTEX-13U4I-2226-SM-5LU5H 40-49 years, female 7.7
GTEX-13X6J-0626-SM-5LU5F 50-59 years, male 7.7
GTEX-15DYW-2726-SM-6EU2I 60-69 years, female 7.7
GTEX-ZF2S-1626-SM-57WES 50-59 years, female 7.7
GTEX-1GF9U-2026-SM-7SB92 40-49 years, female 7.7
GTEX-1GZ2Q-0126-SM-9WG6M 40-49 years, male 7.7
GTEX-1JN6P-2926-SM-CL54D 60-69 years, male 7.7
GTEX-1LVA9-2626-SM-EVYD4 50-59 years, male 7.7
GTEX-1LVAO-2726-SM-E9TJ8 60-69 years, male 7.7
GTEX-1QEPI-2626-SM-DTXF4 60-69 years, female 7.7
GTEX-1S5ZU-2526-SM-E6CIF 20-29 years, female 7.7
GTEX-1211K-1526-SM-5FQU4 60-69 years, female 7.6
GTEX-14ABY-2026-SM-62LDL 50-59 years, male 7.6
GTEX-17F96-0126-SM-7EWDU 70-79 years, male 7.6
GTEX-18A7A-0126-SM-731AH 50-59 years, female 7.6
GTEX-WK11-2726-SM-3NMAQ 50-59 years, male 7.6
GTEX-YFCO-1226-SM-5LUAT 40-49 years, male 7.6
GTEX-ZYVF-0926-SM-5E44J 50-59 years, female 7.6
GTEX-1KANA-1326-SM-DIPFA 20-29 years, male 7.6
GTEX-1QP66-1226-SM-DTX7U 50-59 years, male 7.6
GTEX-1R9K4-2826-SM-DTX8F 60-69 years, male 7.6
GTEX-12KS4-2126-SM-5FQUT 30-39 years, male 7.5
GTEX-131XG-0326-SM-5L3DX 50-59 years, female 7.5
GTEX-13OVL-0126-SM-5L3GJ 50-59 years, male 7.5
GTEX-145MI-0626-SM-5SI8S 60-69 years, female 7.5
GTEX-16BQI-1326-SM-6M486 30-39 years, female 7.5
GTEX-17HHY-0426-SM-7DHLC 50-59 years, male 7.5
GTEX-WEY5-2326-SM-3GIKK 40-49 years, female 7.5
GTEX-X585-2426-SM-46MW2 50-59 years, male 7.5
GTEX-1IDJC-1526-SM-B2LW4 50-59 years, male 7.5
GTEX-1OJC4-2726-SM-E76PJ 50-59 years, female 7.5
GTEX-1QMI2-2526-SM-E8VNZ 60-69 years, male 7.5
GTEX-11DXY-0126-SM-5H11Q 60-69 years, male 7.4
GTEX-12696-0126-SM-5EQ4L 60-69 years, male 7.4
GTEX-12WSC-2826-SM-5BC5Y 50-59 years, male 7.4
GTEX-13OW5-2326-SM-5L3HO 60-69 years, male 7.4
GTEX-13X6I-1826-SM-5SIAO 60-69 years, male 7.4
GTEX-1C6WA-2626-SM-7MKGM 60-69 years, male 7.4
GTEX-ZYFG-1526-SM-5GZYM 60-69 years, female 7.4
GTEX-1GL5R-1326-SM-7RHHF 50-59 years, male 7.4
GTEX-1HCU9-0426-SM-9WYSD 20-29 years, male 7.4
GTEX-11O72-0626-SM-5PNYE 40-49 years, male 7.3
GTEX-15G19-2426-SM-7KUMR 60-69 years, male 7.3
GTEX-1HKZK-0726-SM-ACKW2 40-49 years, male 7.3
GTEX-1MCC2-1826-SM-DIPEX 30-39 years, female 7.3
GTEX-1RAZQ-1326-SM-E9TK6 30-39 years, male 7.3
GTEX-1RAZS-2526-SM-E6CHT 50-59 years, male 7.3
GTEX-147F4-0726-SM-5TDDD 50-59 years, male 7.2
GTEX-15EU6-2226-SM-6EU2L 50-59 years, male 7.2
GTEX-WHPG-2626-SM-3NMBR 50-59 years, male 7.2
GTEX-Y5V5-0126-SM-5S2NW 60-69 years, female 7.2
GTEX-ZVE2-2826-SM-5GU51 50-59 years, male 7.2
GTEX-1QP9N-1226-SM-E76QN 30-39 years, male 7.2
GTEX-11GSP-2326-SM-5HL63 60-69 years, female 7.1
GTEX-11UD2-2526-SM-5CVNU 50-59 years, male 7.1
GTEX-139TU-0726-SM-5L3EK 60-69 years, male 7.1
GTEX-13OW7-0426-SM-5K7VK 50-59 years, male 7.1
GTEX-WRHU-2826-SM-3MJG8 50-59 years, female 7.1
GTEX-1F75I-2226-SM-7SB8U 40-49 years, male 7.1
GTEX-1HSKV-1226-SM-ADEI4 60-69 years, male 7.1
GTEX-1QCLZ-2426-SM-EVYBW 60-69 years, female 7.1
GTEX-11DXX-2126-SM-5PNYR 60-69 years, female 7.0
GTEX-12BJ1-0926-SM-5EQ62 60-69 years, male 7.0
GTEX-14E6E-0526-SM-793DN 30-39 years, male 7.0
GTEX-14PK6-0226-SM-62LF5 70-79 years, female 7.0
GTEX-1B8SF-0126-SM-7DUG3 60-69 years, male 7.0
GTEX-X4EO-2926-SM-4E3JH 60-69 years, female 7.0
GTEX-XV7Q-1826-SM-4BRUV 40-49 years, female 7.0
GTEX-1HCU8-2526-SM-CE6RX 60-69 years, female 7.0
GTEX-1HFI6-0126-SM-CNPPI 40-49 years, male 7.0
GTEX-1LSNL-2726-SM-E9TKJ 50-59 years, male 7.0
GTEX-133LE-2326-SM-5K7W3 20-29 years, female 6.9
GTEX-13FTW-0326-SM-5K7UW 40-49 years, male 6.9
GTEX-144GL-0626-SM-5LU4D 50-59 years, male 6.9
GTEX-14LLW-2626-SM-62LDZ 70-79 years, female 6.9
GTEX-17EVP-2626-SM-7IGMA 40-49 years, male 6.9
GTEX-17F98-1326-SM-7DUEP 40-49 years, female 6.9
GTEX-183FY-1026-SM-7939A 20-29 years, male 6.9
GTEX-1B933-2426-SM-7DHMD 50-59 years, female 6.9
GTEX-1F52S-2926-SM-7MKGA 60-69 years, female 6.9
GTEX-ZPU1-1126-SM-4YCF3 40-49 years, male 6.9
GTEX-1GMR2-0826-SM-7PC3V 50-59 years, male 6.9
GTEX-1HCVE-2726-SM-CL54F 50-59 years, male 6.9
GTEX-1I1GP-1326-SM-A9G28 50-59 years, male 6.9
GTEX-1J8QM-2426-SM-A9SLS 60-69 years, female 6.9
GTEX-11GS4-0226-SM-5HL77 60-69 years, male 6.8
GTEX-13PL6-1126-SM-5L3IE 40-49 years, female 6.8
GTEX-145MN-1526-SM-5SI9T 30-39 years, male 6.8
GTEX-15EO6-2426-SM-6PALZ 50-59 years, male 6.8
GTEX-1EKGG-0626-SM-7DUGJ 60-69 years, male 6.8
GTEX-V1D1-2026-SM-3GAF4 50-59 years, male 6.8
GTEX-Y8E4-2026-SM-5IFJB 40-49 years, male 6.8
GTEX-1I6K6-1726-SM-CGQFD 30-39 years, male 6.8
GTEX-11OF3-0126-SM-5PNYF 60-69 years, male 6.7
GTEX-13NZ9-2626-SM-5L3FK 50-59 years, male 6.7
GTEX-145LS-0626-SM-7EPG7 60-69 years, female 6.7
GTEX-16MTA-0926-SM-6M47Z 50-59 years, male 6.7
GTEX-1EH9U-2826-SM-7DUGT 60-69 years, male 6.7
GTEX-XPVG-2126-SM-4B667 50-59 years, male 6.7
GTEX-Z93S-1626-SM-5CVMB 50-59 years, male 6.7
GTEX-ZE7O-2726-SM-51MT5 50-59 years, female 6.7
GTEX-1CB4I-0126-SM-7RHGG 50-59 years, male 6.7
GTEX-1GN2E-0226-SM-9WG6K 60-69 years, male 6.7
GTEX-1H1DG-2426-SM-9QEHJ 70-79 years, male 6.7
GTEX-1KANC-1226-SM-CYPT7 50-59 years, female 6.7
GTEX-1LBAC-0826-SM-CY8IJ 20-29 years, male 6.7
GTEX-11P7K-1126-SM-5HL4L 30-39 years, male 6.6
GTEX-12WSA-0426-SM-5EQ5X 60-69 years, male 6.6
GTEX-12ZZX-2426-SM-5GCOE 40-49 years, female 6.6
GTEX-144GO-2026-SM-5O99P 60-69 years, male 6.6
GTEX-1477Z-0326-SM-7IGLA 60-69 years, male 6.6
GTEX-14DAQ-0626-SM-793DS 60-69 years, female 6.6
GTEX-17F97-2626-SM-7IGM5 50-59 years, male 6.6
GTEX-XBEW-1126-SM-4QARW 40-49 years, male 6.6
GTEX-XQ3S-1426-SM-4BOPR 20-29 years, male 6.6
GTEX-1F5PL-0926-SM-7PC2W 40-49 years, female 6.6
GTEX-1GMR8-0626-SM-7RHI7 50-59 years, female 6.6
GTEX-1HSMP-0926-SM-A9SKX 70-79 years, male 6.6
GTEX-1IDJD-2326-SM-ACKWX 30-39 years, male 6.6
GTEX-1OJC3-1226-SM-DTXER 20-29 years, male 6.6
GTEX-111YS-1526-SM-5GZYW 60-69 years, male 6.5
GTEX-1192X-2726-SM-5N9DN 50-59 years, male 6.5
GTEX-11ZUS-2626-SM-5FQUR 30-39 years, male 6.5
GTEX-139UW-0326-SM-5J1ML 60-69 years, male 6.5
GTEX-13FTY-2126-SM-5IFFB 40-49 years, female 6.5
GTEX-18465-2826-SM-7LT9J 50-59 years, male 6.5
GTEX-11EQ9-1626-SM-5PNY8 30-39 years, male 6.4
GTEX-13O61-1426-SM-5KM3D 60-69 years, male 6.4
GTEX-13QBU-1226-SM-5LU4G 40-49 years, female 6.4
GTEX-15CHC-1126-SM-6LLHQ 60-69 years, female 6.4
GTEX-16Z82-2626-SM-7KULU 60-69 years, male 6.4
GTEX-18QFQ-1826-SM-72D52 30-39 years, male 6.4
GTEX-1CAMQ-1326-SM-7P8RV 40-49 years, male 6.4
GTEX-1ICLY-0826-SM-CMKG1 50-59 years, male 6.4
GTEX-1JJ6O-2726-SM-CNPOG 60-69 years, male 6.4
GTEX-1PIIG-2326-SM-DTXFR 30-39 years, male 6.4
GTEX-1QAET-0326-SM-EVR3U 50-59 years, male 6.4
GTEX-1RB15-1326-SM-E76Q9 60-69 years, male 6.4
GTEX-12WSM-1926-SM-5BC65 60-69 years, male 6.3
GTEX-12ZZY-0726-SM-5EQ66 60-69 years, male 6.3
GTEX-1CB4F-1026-SM-7DUH1 60-69 years, male 6.3
GTEX-1EU9M-1426-SM-793AI 60-69 years, male 6.3
GTEX-ZAJG-1526-SM-5CVML 50-59 years, female 6.3
GTEX-ZLWG-0826-SM-59888 50-59 years, female 6.3
GTEX-ZP4G-1426-SM-4WWCL 20-29 years, female 6.3
GTEX-1A3MX-2626-SM-7PC24 60-69 years, male 6.3
GTEX-1EMGI-2326-SM-7PBYA 60-69 years, male 6.3
GTEX-1H4P4-2126-SM-9WYSL 50-59 years, male 6.3
GTEX-1HSMO-0626-SM-ACKXC 60-69 years, male 6.3
GTEX-1I6K7-1926-SM-B2LXR 40-49 years, male 6.3
GTEX-1PIGE-1826-SM-E8VOU 20-29 years, male 6.3
GTEX-139TT-2126-SM-5LZWC 60-69 years, male 6.2
GTEX-13SLX-2226-SM-62LEP 50-59 years, female 6.2
GTEX-145LT-0526-SM-5LUB2 40-49 years, male 6.2
GTEX-145MH-2826-SM-5RQJF 50-59 years, male 6.2
GTEX-145MO-2826-SM-5LU96 60-69 years, male 6.2
GTEX-15RJE-2826-SM-7KUM9 40-49 years, male 6.2
GTEX-XAJ8-1426-SM-47JYM 40-49 years, male 6.2
GTEX-ZXG5-2126-SM-59HKD 60-69 years, male 6.2
GTEX-ZY6K-1426-SM-5GZX2 50-59 years, male 6.2
GTEX-1I1HK-2326-SM-CKZOH 60-69 years, male 6.2
GTEX-1JJE9-2626-SM-ARZMT 70-79 years, male 6.2
GTEX-1JK1U-0226-SM-ARZMX 60-69 years, male 6.2
GTEX-1PBJJ-1026-SM-E76OS 30-39 years, male 6.2
GTEX-1PPGY-1626-SM-EVYBL 60-69 years, male 6.2
GTEX-1QW4Y-1126-SM-DTXE3 30-39 years, male 6.2
GTEX-YEC3-1326-SM-DO92X 50-59 years, male 6.2
GTEX-1399S-0126-SM-5IJCF 30-39 years, female 6.1
GTEX-13FLV-0126-SM-5K7WT 50-59 years, male 6.1
GTEX-14BMV-2826-SM-5TDED 50-59 years, male 6.1
GTEX-1B932-2326-SM-79OL5 40-49 years, female 6.1
GTEX-1K9T9-1526-SM-DIPFR 50-59 years, female 6.1
GTEX-1KXAM-1626-SM-D3LAD 60-69 years, male 6.1
GTEX-1LG7Y-2526-SM-EWRO7 50-59 years, male 6.1
GTEX-144GM-0526-SM-79OJO 20-29 years, male 6.0
GTEX-147F3-1726-SM-5SIAW 50-59 years, female 6.0
GTEX-178AV-1726-SM-7KUL8 40-49 years, male 6.0
GTEX-1B8KE-1126-SM-7EPHI 50-59 years, male 6.0
GTEX-ZTTD-2826-SM-4YCFA 50-59 years, male 6.0
GTEX-18D9A-1426-SM-7LT8M 30-39 years, female 6.0
GTEX-1IKJJ-2226-SM-CJI4C 60-69 years, male 6.0
GTEX-1S82P-2126-SM-E6CI5 60-69 years, female 6.0
GTEX-1S82U-1026-SM-E6CJK 30-39 years, female 6.0
GTEX-131XH-0126-SM-5LZUY 50-59 years, male 5.9
GTEX-XUW1-0926-SM-4BONX 50-59 years, female 5.9
GTEX-ZVT4-2426-SM-5GIEI 50-59 years, female 5.9
GTEX-1F88E-1626-SM-7SB8Z 60-69 years, female 5.9
GTEX-1H2FU-0926-SM-9WPPT 60-69 years, female 5.9
GTEX-1HFI7-2326-SM-CGQFS 50-59 years, female 5.9
GTEX-1I1GV-0626-SM-ARL7M 60-69 years, male 5.9
GTEX-1J1R8-2026-SM-CL53Y 40-49 years, male 5.9
GTEX-15ER7-0626-SM-6PANF 20-29 years, female 5.8
GTEX-16AAH-0626-SM-793C9 50-59 years, male 5.8
GTEX-16NGA-0726-SM-731AO 40-49 years, female 5.8
GTEX-1A3MV-1826-SM-731CD 30-39 years, male 5.8
GTEX-ZLV1-1526-SM-DO91J 60-69 years, female 5.8
GTEX-11NUK-2726-SM-5A5MC 50-59 years, male 5.7
GTEX-147JS-0226-SM-5S2U9 60-69 years, male 5.7
GTEX-14LZ3-0126-SM-69LPM 60-69 years, female 5.7
GTEX-1A8G7-1326-SM-73KVM 60-69 years, male 5.7
GTEX-14JFF-0626-SM-5ZZVT 60-69 years, male 5.7
GTEX-1GPI7-1826-SM-9KNU1 20-29 years, male 5.7
GTEX-1IOXB-2726-SM-CM2RI 50-59 years, male 5.7
GTEX-1J8Q2-2626-SM-ACKWQ 60-69 years, male 5.7
GTEX-1JMQJ-0826-SM-CNPP7 50-59 years, male 5.7
GTEX-11VI4-1126-SM-5EQMD 40-49 years, female 5.6
GTEX-1212Z-0126-SM-59HK4 60-69 years, male 5.6
GTEX-147GR-2426-SM-5ZZWQ 60-69 years, male 5.6
GTEX-14PJ6-2626-SM-6EU2T 60-69 years, female 5.6
GTEX-18A67-1626-SM-7LT9T 50-59 years, male 5.6
GTEX-1B97I-0626-SM-73KUZ 40-49 years, male 5.6
GTEX-1H23P-0626-SM-9WG6T 60-69 years, male 5.6
GTEX-1J8EW-2726-SM-CY8HR 60-69 years, female 5.6
GTEX-1K2DA-1026-SM-CGQGF 50-59 years, male 5.6
GTEX-1LVAM-0726-SM-E6CIL 50-59 years, female 5.6
GTEX-1POEN-2326-SM-E9J2L 30-39 years, female 5.6
GTEX-139D8-1126-SM-5LU8W 30-39 years, female 5.5
GTEX-145LU-1926-SM-79OJN 50-59 years, male 5.5
GTEX-1CB4H-1126-SM-7MKGL 60-69 years, female 5.5
GTEX-XMD2-2126-SM-4YCF8 60-69 years, female 5.5
GTEX-YECK-0326-SM-4W1YS 60-69 years, male 5.5
GTEX-ZDTT-0426-SM-4WKFL 60-69 years, male 5.5
GTEX-1H11D-1826-SM-9QEHM 40-49 years, male 5.5
GTEX-1HBPM-0726-SM-9YFL7 60-69 years, female 5.5
GTEX-1HSMQ-2626-SM-A9SML 50-59 years, male 5.5
GTEX-1I4MK-0126-SM-CY8G6 50-59 years, female 5.5
GTEX-1KD5A-0126-SM-E9U54 50-59 years, male 5.5
GTEX-1LVAN-0626-SM-CNPOQ 50-59 years, female 5.5
GTEX-12ZZZ-0726-SM-5GCNZ 60-69 years, male 5.4
GTEX-14753-0726-SM-5QGQO 60-69 years, male 5.4
GTEX-14ICL-1626-SM-5YYAO 30-39 years, male 5.4
GTEX-14PHX-2226-SM-6EU2P 50-59 years, male 5.4
GTEX-14PJ3-1126-SM-5ZZVX 50-59 years, male 5.4
GTEX-14PKV-1126-SM-6LLJ1 20-29 years, female 5.4
GTEX-17F9Y-0126-SM-79OKX 70-79 years, female 5.4
GTEX-17HII-1426-SM-7EPGG 50-59 years, male 5.4
GTEX-1GF9V-0826-SM-9KNUV 60-69 years, male 5.4
GTEX-1S3DN-2126-SM-E9TIN 50-59 years, male 5.4
GTEX-11ZU8-0126-SM-5EQ58 60-69 years, male 5.3
GTEX-1269C-0126-SM-5EQ5L 60-69 years, female 5.3
GTEX-13OW8-1026-SM-5J1NQ 60-69 years, male 5.3
GTEX-14E1K-2026-SM-7DUEI 50-59 years, male 5.3
GTEX-ZA64-1026-SM-5HL8R 20-29 years, male 5.3
GTEX-1GZ4H-0526-SM-9KNU9 50-59 years, female 5.3
GTEX-1HCU7-0726-SM-A9SL1 50-59 years, male 5.3
GTEX-1ICG6-1226-SM-A9SLN 70-79 years, female 5.3
GTEX-1LB8K-0726-SM-D5OV2 50-59 years, male 5.3
GTEX-1NSGN-0726-SM-DTXEF 50-59 years, male 5.3
GTEX-13PVR-0426-SM-5RQK2 60-69 years, female 5.2
GTEX-14PHY-1226-SM-5ZZWK 60-69 years, female 5.2
GTEX-17KNJ-2126-SM-718AM 50-59 years, male 5.2
GTEX-1C6VQ-1226-SM-73KYD 50-59 years, male 5.2
GTEX-WYJK-0526-SM-3NM8Z 50-59 years, male 5.2
GTEX-ZE9C-2526-SM-5IJDR 60-69 years, male 5.2
GTEX-1GMR3-0126-SM-A9SLW 40-49 years, male 5.2
GTEX-1GN1U-0626-SM-9MQL9 50-59 years, female 5.2
GTEX-1GZ4I-2626-SM-9KNU3 50-59 years, male 5.2
GTEX-1JMPY-0226-SM-CKZOK 30-39 years, male 5.2
GTEX-1K2DU-1226-SM-CYPT4 20-29 years, male 5.2
GTEX-13O3Q-0126-SM-5KM34 50-59 years, male 5.1
GTEX-14A6H-2026-SM-5Q5DD 30-39 years, male 5.1
GTEX-14B4R-1326-SM-5Q5EZ 30-39 years, male 5.1
GTEX-15FZZ-0526-SM-7KUGD 30-39 years, female 5.1
GTEX-15RIG-0726-SM-7KUM7 40-49 years, male 5.1
GTEX-1AMFI-1326-SM-7939R 50-59 years, female 5.1
GTEX-VUSG-2326-SM-4KL1U 50-59 years, male 5.1
GTEX-Y111-0626-SM-4SOIT 50-59 years, male 5.1
GTEX-Y9LG-1126-SM-4VBQ7 30-39 years, male 5.1
GTEX-ZF29-0926-SM-4WKFZ 60-69 years, female 5.1
GTEX-1C64O-1326-SM-7MGWR 60-69 years, male 5.1
GTEX-1GF9W-1426-SM-7PBYM 60-69 years, male 5.1
GTEX-1H3O1-1326-SM-9MQLD 60-69 years, male 5.1
GTEX-1HB9E-0126-SM-CM2S5 50-59 years, male 5.1
GTEX-1HT8W-0626-SM-A9G2H 30-39 years, male 5.1
GTEX-1I1GS-2626-SM-B2LY3 60-69 years, male 5.1
GTEX-13G51-1826-SM-5KLZH 60-69 years, male 5.0
GTEX-13NYB-0126-SM-5J1MD 40-49 years, male 5.0
GTEX-13RTJ-0126-SM-5S2NN 60-69 years, male 5.0
GTEX-14BIN-1126-SM-5RQJZ 50-59 years, female 5.0
GTEX-17HHE-1326-SM-7EWDZ 50-59 years, male 5.0
GTEX-XQ8I-0926-SM-4BOOF 50-59 years, male 5.0
GTEX-ZZPU-0826-SM-5GZX5 50-59 years, female 5.0
GTEX-1H1E6-0426-SM-9WYUS 30-39 years, male 5.0
GTEX-1JN76-0626-SM-CKZOQ 20-29 years, female 5.0
GTEX-14PJN-1826-SM-6AJ98 30-39 years, male 4.9
GTEX-15SKB-2826-SM-6PAMH 60-69 years, male 4.9
GTEX-16MT9-0126-SM-7EPI8 60-69 years, female 4.9
GTEX-ZC5H-1526-SM-5HL9Y 40-49 years, female 4.9
GTEX-ZPCL-1126-SM-4WWFE 60-69 years, female 4.9
GTEX-ZTSS-1426-SM-5985P 40-49 years, male 4.9
GTEX-ZTX8-1326-SM-4YCEL 20-29 years, male 4.9
GTEX-ZWKS-0626-SM-5GIDV 30-39 years, male 4.9
GTEX-1LKK1-2626-SM-DKPQE 50-59 years, female 4.9
GTEX-1N2DV-1526-SM-DTXEP 40-49 years, male 4.9
GTEX-1PPH7-1126-SM-DTX9A 40-49 years, male 4.9
GTEX-11DXZ-2026-SM-5987S 50-59 years, male 4.8
GTEX-13D11-0926-SM-5J2NC 50-59 years, female 4.8
GTEX-13FTX-1526-SM-5K7VJ 20-29 years, female 4.8
GTEX-13NYS-0626-SM-5L3F1 60-69 years, male 4.8
GTEX-13X6H-0926-SM-5SIB2 50-59 years, female 4.8
GTEX-1F88F-0126-SM-9WYSZ 60-69 years, female 4.8
GTEX-1LSNM-0826-SM-DIPG8 50-59 years, male 4.8
GTEX-1QP2A-1726-SM-E76QC 50-59 years, male 4.8
GTEX-1QPFJ-1926-SM-EVYBD 30-39 years, female 4.8
GTEX-1R46S-2426-SM-E76QA 60-69 years, female 4.8
GTEX-11LCK-2226-SM-5HL4Q 30-39 years, male 4.7
GTEX-14PII-0726-SM-6EU2B 60-69 years, male 4.7
GTEX-ZVZP-1226-SM-5GID7 50-59 years, male 4.7
GTEX-1PDJ9-1226-SM-EXUSX 20-29 years, male 4.7
GTEX-14AS3-1526-SM-5Q5ED 40-49 years, female 4.6
GTEX-WHWD-1826-SM-3LK6I 50-59 years, male 4.6
GTEX-ZT9X-1526-SM-5DUXD 40-49 years, male 4.6
GTEX-1IDFM-0326-SM-ARL7V 60-69 years, male 4.6
GTEX-1QCLY-0226-SM-EWRNH 30-39 years, male 4.6
GTEX-13FHO-0426-SM-5L3F5 60-69 years, male 4.5
GTEX-1A8G6-2726-SM-731AR 60-69 years, male 4.5
GTEX-WHSB-1326-SM-3LK6W 50-59 years, male 4.5
GTEX-11P82-1426-SM-DTXFY 20-29 years, male 4.5
GTEX-1KANB-2826-SM-CY8I6 50-59 years, male 4.5
GTEX-1R9PM-1926-SM-EVR3O 20-29 years, male 4.5
GTEX-1399Q-2326-SM-5KM2X 40-49 years, male 4.4
GTEX-1399U-1126-SM-5L3DB 50-59 years, female 4.4
GTEX-13OVH-0526-SM-5L3E6 70-79 years, male 4.4
GTEX-145MF-0926-SM-5Q5EA 50-59 years, male 4.4
GTEX-14C5O-0326-SM-5ZZUX 60-69 years, male 4.4
GTEX-14PJ4-0226-SM-5YY92 60-69 years, male 4.4
GTEX-ZYT6-2326-SM-5GZY3 30-39 years, male 4.4
GTEX-1122O-1026-SM-9WYSF 60-69 years, female 4.4
GTEX-1C6VR-0126-SM-7RHGB 60-69 years, male 4.4
GTEX-1I1GT-1026-SM-ARZLV 60-69 years, female 4.4
GTEX-1IDJV-0126-SM-COH3Y 60-69 years, male 4.4
GTEX-1313W-0626-SM-5EQ4H 50-59 years, female 4.3
GTEX-183WM-0326-SM-72D5V 70-79 years, female 4.3
GTEX-1AMEY-0826-SM-72D65 30-39 years, female 4.3
GTEX-UPJH-0226-SM-3GADV 50-59 years, male 4.3
GTEX-14JG6-1426-SM-9WG7C 30-39 years, female 4.3
GTEX-1H1DE-1326-SM-9KNUG 20-29 years, male 4.3
GTEX-1HSGN-0826-SM-ACKW3 40-49 years, female 4.3
GTEX-1JKYR-0626-SM-ARL8R 20-29 years, male 4.3
GTEX-111CU-1126-SM-5EGIM 50-59 years, male 4.2
GTEX-15CHR-1126-SM-7EWF4 50-59 years, male 4.2
GTEX-15RIE-1926-SM-7KUKJ 60-69 years, male 4.2
GTEX-1IE54-1126-SM-A9G2Z 40-49 years, female 4.2
GTEX-1GN1W-2426-SM-9KNUU 50-59 years, female 4.1
GTEX-1F5PK-2226-SM-7SB6N 50-59 years, male 4.0
GTEX-1GN1V-2826-SM-9JGIA 60-69 years, male 4.0
GTEX-111VG-1626-SM-5EGIO 60-69 years, male 3.9
GTEX-13SLW-0626-SM-5Q5ER 70-79 years, male 3.9
GTEX-1CB4E-0926-SM-7EPHT 60-69 years, male 3.9
GTEX-11P81-2226-SM-5PNYI 30-39 years, female 3.8
GTEX-13W3W-0726-SM-5IJDQ 60-69 years, female 3.8
GTEX-1GN73-0726-SM-7P8TJ 60-69 years, male 3.8
GTEX-1GPI6-1926-SM-9KNV7 60-69 years, male 3.8
GTEX-14C39-1726-SM-5RQIL 40-49 years, male 3.7
GTEX-ZYY3-2926-SM-5GIEB 60-69 years, female 3.7
GTEX-14PJ5-1526-SM-6LLIL 60-69 years, female 3.6
GTEX-ZVT2-0126-SM-5GIDQ 50-59 years, female 3.6
GTEX-1HBPN-0126-SM-CGQEF 50-59 years, male 3.6
GTEX-1QP28-1126-SM-EVYC4 50-59 years, female 3.6
GTEX-11TUW-0626-SM-5LU9M 60-69 years, male 3.5
GTEX-13IVO-0726-SM-5LZYV 70-79 years, male 3.5
GTEX-13PDP-0726-SM-5L3HP 60-69 years, male 3.5
GTEX-15DDE-2926-SM-6LLJ3 50-59 years, female 3.5
GTEX-1JJEA-1826-SM-ARU8P 60-69 years, male 3.5
GTEX-1LGRB-0926-SM-COH3K 50-59 years, female 3.5
GTEX-ZVE1-0726-SM-51MRN 50-59 years, female 3.4
GTEX-1IDJU-1726-SM-CMKHU 60-69 years, female 3.4
GTEX-1RMOY-1326-SM-E9TIH 50-59 years, male 3.4
GTEX-1B8L1-2226-SM-7P8PT 60-69 years, male 3.3
GTEX-1CAMS-2226-SM-7PBXQ 40-49 years, female 3.3
GTEX-1S83E-1326-SM-E6CJM 40-49 years, male 3.3
GTEX-1HR9M-2226-SM-CNPPY 60-69 years, male 3.2
GTEX-1IKOE-1426-SM-CE6T7 30-39 years, female 3.1
GTEX-1NV5F-0626-SM-DTXEG 60-69 years, female 3.1
GTEX-11PRG-0726-SM-5EGL1 50-59 years, male 3.0
GTEX-13JVG-0726-SM-5KM16 60-69 years, male 3.0
GTEX-13QJC-0126-SM-5ZZWJ 60-69 years, female 3.0
GTEX-1C2JI-1026-SM-73KY1 50-59 years, male 2.9
GTEX-1GF9X-1326-SM-7PC2Y 40-49 years, female 2.8
GTEX-1MCYP-0526-SM-E9U6Q 20-29 years, female 2.8
GTEX-11EQ8-0926-SM-5H12V 60-69 years, male 2.7
GTEX-1J1OQ-0126-SM-D4P2N 40-49 years, female 2.5
GTEX-13NZ8-1226-SM-5KM4A 60-69 years, female 2.4
GTEX-1HGF4-0126-SM-CNPPX 60-69 years, male 2.4
GTEX-1H3VE-0726-SM-9YFL5 40-49 years, male 1.9
GTEX-1F6RS-2026-SM-7RHHC 60-69 years, female 0.9
Show allShow less
Skin - Sun Exposed (Lower leg)
Average nTPM: 8.5
Samples: 701

Max nTPM: 26.4
Min nTPM: 1.9
Std nTPM: 3.3
Median nTPM: 8.0
GTEX-ZYW4-0126-SM-5E44A 60-69 years, male 26.4
GTEX-ZDXO-3026-SM-5J1N5 60-69 years, male 24.4
GTEX-12WSL-2526-SM-5GCNJ 50-59 years, male 23.3
GTEX-14JIY-0126-SM-6LLH6 60-69 years, male 22.5
GTEX-Q734-1926-SM-2I5EV 40-49 years, female 19.9
GTEX-ZAB4-0226-SM-5N9F5 40-49 years, male 19.8
GTEX-1PWST-0226-SM-E76QJ 70-79 years, male 18.9
GTEX-1RAZQ-0726-SM-EAZ43 30-39 years, male 18.7
GTEX-1QW4Y-1526-SM-EAZ3Z 30-39 years, male 18.4
GTEX-13OW7-0126-SM-5MR3B 50-59 years, male 18.3
GTEX-ZUA1-0126-SM-5GU76 40-49 years, male 18.3
GTEX-1MA7X-2226-SM-E6CIY 60-69 years, male 18.3
GTEX-1HBPH-0426-SM-B2LW5 40-49 years, female 17.9
GTEX-W5X1-3026-SM-EAZAX 40-49 years, female 17.8
GTEX-11ZUS-0626-SM-59885 30-39 years, male 17.4
GTEX-1HUB1-0426-SM-E9U4U 60-69 years, male 17.4
GTEX-13N1W-0126-SM-5K7VT 70-79 years, male 17.2
GTEX-1RLM8-2326-SM-EWRN4 50-59 years, male 17.2
GTEX-U8XE-0326-SM-3DB8P 30-39 years, male 16.8
GTEX-1N2DW-0226-SM-E9TK2 50-59 years, male 16.8
GTEX-1R9PO-2126-SM-E9J4O 60-69 years, female 16.8
GTEX-12WSN-5019-SM-79OM6 40-49 years, male 16.6
GTEX-16YQH-0126-SM-7DUFJ 30-39 years, male 16.4
GTEX-113IC-0126-SM-5HL6T 60-69 years, male 16.2
GTEX-146FH-0126-SM-5QGPP 50-59 years, female 16.1
GTEX-1AYD5-2426-SM-73KXR 50-59 years, male 16.1
GTEX-QDT8-0126-SM-48TZ1 30-39 years, female 15.9
GTEX-1C6VQ-0126-SM-7P8RI 50-59 years, male 15.9
GTEX-1F48J-0126-SM-7P8TT 50-59 years, female 15.9
GTEX-11DXW-0226-SM-5H122 40-49 years, male 15.8
GTEX-14A6H-0126-SM-5QGPK 30-39 years, male 15.8
GTEX-1OJC4-0126-SM-E9J2E 50-59 years, female 15.6
GTEX-12584-0126-SM-5EGKQ 40-49 years, male 15.5
GTEX-14XAO-2326-SM-6EU1B 60-69 years, female 15.0
GTEX-13NZA-0226-SM-5K7Z7 60-69 years, male 14.8
GTEX-15SHW-0326-SM-6PAML 60-69 years, male 14.8
GTEX-WI4N-1026-SM-3LK7N 40-49 years, female 14.8
GTEX-1IY9M-0126-SM-D3L8S 60-69 years, male 14.7
GTEX-RUSQ-1526-SM-2TF62 50-59 years, male 14.6
GTEX-QLQW-1126-SM-2S1Q8 30-39 years, male 14.5
GTEX-1R9K4-0126-SM-DTX9X 60-69 years, male 14.5
GTEX-131XW-0426-SM-5LZWP 50-59 years, female 14.3
GTEX-117YW-2626-SM-5GZZH 50-59 years, male 14.2
GTEX-14E6C-0126-SM-5RQIP 40-49 years, male 14.1
GTEX-1A32A-0126-SM-718B1 50-59 years, female 14.1
GTEX-WY7C-2326-SM-3NB2U 50-59 years, male 14.0
GTEX-1J8EW-0126-SM-CJI4F 60-69 years, female 14.0
GTEX-1C6WA-0126-SM-7PC2B 60-69 years, male 13.9
GTEX-13OVG-1926-SM-5L3DK 60-69 years, male 13.8
GTEX-13OVJ-0126-SM-5KM36 50-59 years, female 13.7
GTEX-X585-0226-SM-4QAS2 50-59 years, male 13.7
GTEX-12KS4-0326-SM-5EQ41 30-39 years, male 13.5
GTEX-S7PM-0126-SM-4AD6S 60-69 years, male 13.4
GTEX-ZYFC-0226-SM-5NQ75 50-59 years, male 13.4
GTEX-U8T8-0126-SM-3DB94 60-69 years, male 13.2
GTEX-144GN-2326-SM-5LU4F 50-59 years, male 13.1
GTEX-1C6VS-0526-SM-7DUEN 60-69 years, male 13.1
GTEX-QDVN-2026-SM-3GAEP 50-59 years, male 13.1
GTEX-11TT1-2526-SM-5EGIB 20-29 years, male 13.0
GTEX-11WQC-2526-SM-5CVLE 60-69 years, male 13.0
GTEX-11ZTT-2426-SM-5EQLS 60-69 years, female 13.0
GTEX-13VXU-0126-SM-5SI9F 50-59 years, male 13.0
GTEX-14BIL-0126-SM-5SI92 50-59 years, male 13.0
GTEX-1F6IF-0726-SM-7P8TW 60-69 years, male 13.0
GTEX-X4XY-0226-SM-4E3IZ 60-69 years, male 12.9
GTEX-ZEX8-2426-SM-4WKG4 50-59 years, male 12.9
GTEX-ZYFD-0126-SM-5GIDL 50-59 years, male 12.9
GTEX-1M4P7-0226-SM-DIPEV 60-69 years, male 12.9
GTEX-15SB6-1726-SM-6PAME 50-59 years, female 12.8
GTEX-P4PQ-0126-SM-2S1NM 60-69 years, male 12.8
GTEX-POMQ-2226-SM-2I5FK 20-29 years, female 12.7
GTEX-X4EO-0326-SM-3P5YO 60-69 years, female 12.7
GTEX-YJ8A-0426-SM-5IFID 20-29 years, male 12.5
GTEX-ZZPT-0226-SM-5E43X 50-59 years, male 12.5
GTEX-11EMC-2926-SM-5EQ4F 60-69 years, female 12.4
GTEX-139TU-0126-SM-5K7WH 60-69 years, male 12.4
GTEX-R55E-0126-SM-2TC5Y 20-29 years, male 12.4
GTEX-145MO-0326-SM-5Q5B3 60-69 years, male 12.3
GTEX-15DYW-0126-SM-7KULE 60-69 years, female 12.3
GTEX-ZTPG-0326-SM-5O9AX 20-29 years, female 12.3
GTEX-1PBJI-0526-SM-E8VNK 20-29 years, female 12.3
GTEX-11GS4-2726-SM-5A5LE 60-69 years, male 12.2
GTEX-17HHY-0126-SM-7LG5D 50-59 years, male 12.2
GTEX-17EVQ-0226-SM-7LG4P 70-79 years, male 12.1
GTEX-1A3MW-0126-SM-73KXX 60-69 years, female 12.1
GTEX-Y3I4-2126-SM-4TT7C 50-59 years, male 12.1
GTEX-1B933-0126-SM-7PC29 50-59 years, female 11.9
GTEX-1CB4G-0226-SM-7PC3O 60-69 years, male 11.9
GTEX-1GZ2Q-0226-SM-7P8TL 40-49 years, male 11.9
GTEX-111VG-2426-SM-5GZXD 60-69 years, male 11.8
GTEX-11TTK-0126-SM-5987B 60-69 years, female 11.8
GTEX-11UD1-0126-SM-5PNYG 40-49 years, female 11.8
GTEX-13112-2826-SM-5DUWH 50-59 years, male 11.8
GTEX-132NY-0326-SM-5IJBL 60-69 years, male 11.8
GTEX-15D1Q-0126-SM-7KUG6 40-49 years, male 11.8
GTEX-15UKP-0426-SM-7KUFQ 20-29 years, male 11.8
GTEX-18A6Q-0126-SM-731BZ 60-69 years, male 11.8
GTEX-1A3MX-0126-SM-731BR 60-69 years, male 11.8
GTEX-Q2AG-0126-SM-33HBV 40-49 years, female 11.7
GTEX-V1D1-2226-SM-3NMAX 50-59 years, male 11.7
GTEX-XV7Q-2526-SM-4BRV9 40-49 years, female 11.7
GTEX-1EX96-1626-SM-7PBXR 50-59 years, male 11.7
GTEX-1IDFM-0126-SM-COH2V 60-69 years, male 11.7
GTEX-S33H-1026-SM-EZ6L6 30-39 years, male 11.7
GTEX-11ZVC-2526-SM-5FQTE 50-59 years, female 11.6
GTEX-15DDE-0126-SM-6LPKH 50-59 years, female 11.6
GTEX-X5EB-2226-SM-46MW4 40-49 years, male 11.6
GTEX-1POEN-0126-SM-EYYXJ 30-39 years, female 11.6
GTEX-ZVT4-0126-SM-DTXFN 50-59 years, female 11.6
GTEX-WOFL-0126-SM-3MJG2 60-69 years, male 11.5
GTEX-11GSP-2526-SM-5N9BP 60-69 years, female 11.4
GTEX-ZDYS-2026-SM-5HL5L 50-59 years, male 11.4
GTEX-1H3O1-0426-SM-9YFKY 60-69 years, male 11.4
GTEX-183WM-0126-SM-7LTAB 70-79 years, female 11.3
GTEX-1CB4J-0626-SM-7DHMP 60-69 years, male 11.3
GTEX-XBED-2226-SM-47JYQ 60-69 years, male 11.3
GTEX-ZF28-0126-SM-4WKGK 60-69 years, male 11.3
GTEX-ZU9S-0226-SM-5E441 30-39 years, male 11.3
GTEX-131XF-5016-SM-7MGWE 60-69 years, male 11.3
GTEX-RN64-0126-SM-2TC68 50-59 years, male 11.2
GTEX-1I1HK-0126-SM-COH49 60-69 years, male 11.2
GTEX-11O72-0126-SM-59887 40-49 years, male 11.1
GTEX-13CF2-2526-SM-5LZYX 60-69 years, male 11.1
GTEX-1AYCT-2426-SM-7IGQ3 50-59 years, male 11.1
GTEX-Q2AH-1626-SM-3GAF8 40-49 years, male 11.1
GTEX-X4EP-0126-SM-3P5YV 60-69 years, female 11.1
GTEX-Y8LW-1826-SM-5S2MV 50-59 years, female 11.1
GTEX-YEC4-2126-SM-5IFJH 40-49 years, male 11.1
GTEX-RVPV-0126-SM-EAZAW 60-69 years, male 11.1
GTEX-131XG-2626-SM-5KM17 50-59 years, female 11.0
GTEX-OOBK-0126-SM-2YUND 40-49 years, male 11.0
GTEX-QEG4-0226-SM-2S1PY 30-39 years, male 11.0
GTEX-146FR-1326-SM-E9J48 60-69 years, female 11.0
GTEX-1I1CD-0126-SM-CM2TK 60-69 years, female 11.0
GTEX-11ZTS-0126-SM-5EQ6M 60-69 years, female 10.9
GTEX-147F4-0226-SM-5QGPW 50-59 years, male 10.9
GTEX-14PN4-0126-SM-6EU2V 50-59 years, male 10.9
GTEX-SN8G-0126-SM-32PLI 50-59 years, female 10.9
GTEX-147GR-0526-SM-5S2MY 60-69 years, male 10.8
GTEX-1F75A-0126-SM-7RHGM 50-59 years, male 10.8
GTEX-1I1GU-2226-SM-CGQFA 40-49 years, male 10.8
GTEX-1192X-0226-SM-5H12D 50-59 years, male 10.7
GTEX-139T4-0226-SM-5HL5S 50-59 years, female 10.7
GTEX-15UF6-0826-SM-6PALJ 70-79 years, female 10.7
GTEX-O5YT-0126-SM-48TBW 20-29 years, male 10.7
GTEX-1QEPI-0126-SM-EWRMQ 60-69 years, female 10.7
GTEX-X4XX-0126-SM-3NMC2 60-69 years, male 10.6
GTEX-1JKYN-1326-SM-CGQG9 30-39 years, male 10.6
GTEX-12WSD-0126-SM-59HKN 60-69 years, female 10.5
GTEX-139TT-0126-SM-5K7Y5 60-69 years, male 10.5
GTEX-14PJM-0226-SM-62LF1 50-59 years, female 10.5
GTEX-OXRO-0126-SM-2YUN4 60-69 years, female 10.5
GTEX-XQ3S-1526-SM-4BOOC 20-29 years, male 10.5
GTEX-Y3IK-2426-SM-4WWDU 50-59 years, female 10.5
GTEX-1A8FM-0226-SM-7SB7Q 50-59 years, female 10.5
GTEX-1J8Q2-0526-SM-CM2RW 60-69 years, male 10.5
GTEX-145ME-1826-SM-5SI9G 40-49 years, female 10.4
GTEX-14ABY-0226-SM-5TDCQ 50-59 years, male 10.4
GTEX-14LLW-0126-SM-6LLIO 70-79 years, female 10.4
GTEX-1B8KE-2126-SM-73KYX 50-59 years, male 10.4
GTEX-U412-0426-SM-3DB9O 60-69 years, male 10.4
GTEX-1F88F-2726-SM-7PBZZ 60-69 years, female 10.4
GTEX-11NUK-0126-SM-5A5L3 50-59 years, male 10.3
GTEX-13FHO-0226-SM-5IFGY 60-69 years, male 10.3
GTEX-12C56-1726-SM-5EQ61 20-29 years, male 10.2
GTEX-1313W-0126-SM-5LZUN 50-59 years, female 10.2
GTEX-148VJ-0126-SM-5TDDN 70-79 years, male 10.2
GTEX-15EOM-0126-SM-7KUGG 20-29 years, female 10.2
GTEX-17HG3-2226-SM-7938L 30-39 years, female 10.2
GTEX-1HSMP-0126-SM-E6CJS 70-79 years, male 10.1
GTEX-13CF3-2426-SM-5IFGX 60-69 years, female 10.0
GTEX-13G51-2526-SM-5LZYK 60-69 years, male 10.0
GTEX-14PK6-1926-SM-6ETZU 70-79 years, female 10.0
GTEX-QVJO-1626-SM-2S1QW 60-69 years, female 10.0
GTEX-ZVT3-0126-SM-5GU6I 60-69 years, female 10.0
GTEX-1GTWX-0126-SM-9YFLK 60-69 years, male 10.0
GTEX-1HBPM-0226-SM-ARL9F 60-69 years, female 10.0
GTEX-QDVJ-1726-SM-2I5FX 50-59 years, male 9.9
GTEX-R55G-2526-SM-2TC6D 40-49 years, female 9.9
GTEX-U4B1-1826-SM-4DXSU 40-49 years, male 9.9
GTEX-X8HC-0126-SM-4E3JW 50-59 years, female 9.9
GTEX-1GPI6-0126-SM-9WG69 60-69 years, male 9.9
GTEX-1H1CY-2826-SM-9MQM3 60-69 years, female 9.9
GTEX-1HCUA-2426-SM-ADEIS 50-59 years, female 9.9
GTEX-12WSJ-1826-SM-5GCNY 40-49 years, female 9.8
GTEX-13OVL-0226-SM-5L3E9 50-59 years, male 9.8
GTEX-17F97-0326-SM-7LG5B 50-59 years, male 9.8
GTEX-17HGU-0226-SM-7DHKV 50-59 years, male 9.8
GTEX-OXRP-0126-SM-3NB32 60-69 years, female 9.8
GTEX-RTLS-0126-SM-447CA 60-69 years, female 9.8
GTEX-1F6I4-0126-SM-9MQL2 60-69 years, male 9.8
GTEX-1H1ZS-0426-SM-9WG6G 70-79 years, male 9.8
GTEX-1ICLY-0126-SM-D4P36 50-59 years, male 9.8
GTEX-1LG7Y-0526-SM-DKPQC 50-59 years, male 9.8
GTEX-1MCQQ-0826-SM-DLHC2 60-69 years, male 9.8
GTEX-1269C-2526-SM-5EGJ3 60-69 years, female 9.7
GTEX-148VI-1626-SM-5SI6E 60-69 years, female 9.7
GTEX-18A7B-0126-SM-7LG64 70-79 years, male 9.7
GTEX-OXRL-0126-SM-2YUMP 50-59 years, male 9.7
GTEX-X638-0126-SM-47JZ8 70-79 years, female 9.7
GTEX-1QP2A-0126-SM-E9J43 50-59 years, male 9.7
GTEX-13N11-2526-SM-5K7UE 50-59 years, female 9.6
GTEX-16MT8-0426-SM-7KUEY 60-69 years, female 9.6
GTEX-1GN73-0226-SM-9WG67 60-69 years, male 9.6
GTEX-1H1DE-2126-SM-9WG6R 20-29 years, male 9.6
GTEX-1HB9E-0226-SM-E9U4R 50-59 years, male 9.6
GTEX-1I1GP-2226-SM-CGQFK 50-59 years, male 9.6
GTEX-1192W-2626-SM-5Q5AF 60-69 years, male 9.5
GTEX-Y111-0126-SM-4SOIV 50-59 years, male 9.5
GTEX-ZVZO-0126-SM-5A5L9 40-49 years, male 9.5
GTEX-13O3O-0126-SM-E9J49 60-69 years, female 9.5
GTEX-1EKGG-0226-SM-9WYTH 60-69 years, male 9.5
GTEX-1HSMO-0126-SM-CL547 60-69 years, male 9.5
GTEX-RNOR-0126-SM-E9J4R 50-59 years, female 9.5
GTEX-113JC-2326-SM-5EQ4E 50-59 years, female 9.4
GTEX-13O21-1426-SM-5K7XI 50-59 years, male 9.4
GTEX-13X6J-0126-SM-5QGOU 50-59 years, male 9.4
GTEX-17MF6-0126-SM-7LG4F 40-49 years, male 9.4
GTEX-18465-0126-SM-731BN 50-59 years, male 9.4
GTEX-1B8SG-0126-SM-73KZ3 50-59 years, male 9.4
GTEX-1C4CL-0526-SM-73KVK 30-39 years, male 9.4
GTEX-ZE7O-0126-SM-57WC1 50-59 years, female 9.4
GTEX-12WSG-2826-SM-E9J4H 50-59 years, female 9.4
GTEX-1B8L1-2526-SM-9WYTF 60-69 years, male 9.4
GTEX-1F7RK-0126-SM-7PC2S 20-29 years, female 9.4
GTEX-1ICG6-2526-SM-CGQFZ 70-79 years, female 9.4
GTEX-145LT-1726-SM-5QGP3 40-49 years, male 9.3
GTEX-14E7W-0126-SM-6LLJ9 70-79 years, male 9.3
GTEX-17HII-0226-SM-7LG4E 50-59 years, male 9.3
GTEX-1AX9I-0126-SM-7SB74 60-69 years, male 9.3
GTEX-1HFI6-0226-SM-ADEHZ 40-49 years, male 9.3
GTEX-1IDJF-0126-SM-CM2RS 20-29 years, male 9.3
GTEX-OOBJ-0126-SM-E6CJW 60-69 years, male 9.3
GTEX-146FQ-0126-SM-5NQA9 30-39 years, male 9.2
GTEX-X62O-0126-SM-4E3JN 50-59 years, male 9.2
GTEX-1EWIQ-0126-SM-7RHH2 70-79 years, female 9.2
GTEX-1GN2E-0426-SM-9MQKX 60-69 years, male 9.2
GTEX-1HCVE-0126-SM-CGQEU 50-59 years, male 9.2
GTEX-1HR98-0126-SM-B2LWI 60-69 years, male 9.2
GTEX-1KANB-0526-SM-E6CJH 50-59 years, male 9.2
GTEX-13W46-0226-SM-5SIAG 50-59 years, male 9.1
GTEX-14E6D-0126-SM-62LDV 50-59 years, male 9.1
GTEX-18D9B-0526-SM-7LTAS 60-69 years, male 9.1
GTEX-RM2N-1426-SM-2TF4H 50-59 years, male 9.1
GTEX-1KAFJ-2026-SM-CY8ID 50-59 years, male 9.1
GTEX-1KD5A-0226-SM-D5OV3 50-59 years, male 9.1
GTEX-1314G-1526-SM-5EGK2 30-39 years, male 9.0
GTEX-13RTJ-2426-SM-5S2Q2 60-69 years, male 9.0
GTEX-13X6I-0626-SM-5QGP9 60-69 years, male 9.0
GTEX-OHPL-0126-SM-2HMJ7 60-69 years, female 9.0
GTEX-QLQ7-1626-SM-2S1R8 60-69 years, male 9.0
GTEX-Y114-2426-SM-4TT8A 50-59 years, female 9.0
GTEX-13NYC-0326-SM-E9J4S 60-69 years, male 9.0
GTEX-13OW5-0126-SM-DTXFS 60-69 years, male 9.0
GTEX-1HBPI-1526-SM-C1YQ1 50-59 years, male 9.0
GTEX-1IKK5-0626-SM-ARL8A 60-69 years, male 9.0
GTEX-ZF3C-0126-SM-DO92D 50-59 years, female 9.0
GTEX-11DZ1-0126-SM-5985Q 50-59 years, male 8.9
GTEX-13S7M-0126-SM-5SI6A 60-69 years, female 8.9
GTEX-183FY-0126-SM-7LT9P 20-29 years, male 8.9
GTEX-U3ZM-1526-SM-3DB9D 40-49 years, male 8.9
GTEX-X88G-0126-SM-47JZ3 30-39 years, male 8.9
GTEX-1B996-0226-SM-7RHGO 60-69 years, male 8.9
GTEX-1JMOU-1526-SM-CL54I 60-69 years, female 8.9
GTEX-11GSO-2426-SM-5A5LY 60-69 years, male 8.8
GTEX-13FXS-0226-SM-5IJCK 50-59 years, male 8.8
GTEX-15DCD-0126-SM-7KUEK 70-79 years, female 8.8
GTEX-16GPK-0126-SM-7DHLE 60-69 years, male 8.8
GTEX-SIU8-0126-SM-2XCDT 50-59 years, male 8.8
GTEX-SSA3-0126-SM-32QPU 60-69 years, male 8.8
GTEX-T2IS-0126-SM-4DM6O 20-29 years, female 8.8
GTEX-TML8-1926-SM-32QOS 40-49 years, female 8.8
GTEX-XUYS-0126-SM-47JWZ 50-59 years, male 8.8
GTEX-ZDTS-0126-SM-4WAY5 60-69 years, male 8.8
GTEX-1I1GS-0126-SM-B2LVW 60-69 years, male 8.8
GTEX-1QP29-0626-SM-EWRMX 50-59 years, male 8.8
GTEX-11ZU8-2526-SM-5EQKI 60-69 years, male 8.7
GTEX-13NYS-0126-SM-5MR3W 60-69 years, male 8.7
GTEX-14PII-0226-SM-6EU1T 60-69 years, male 8.7
GTEX-15SDE-2226-SM-7IGLO 50-59 years, female 8.7
GTEX-16XZY-2126-SM-79OK1 70-79 years, male 8.7
GTEX-1B8KZ-2026-SM-7DHMB 50-59 years, male 8.7
GTEX-P4PP-0126-SM-3LK69 30-39 years, female 8.7
GTEX-WH7G-2326-SM-3NMBC 40-49 years, male 8.7
GTEX-1CAV2-2226-SM-7P8P2 40-49 years, female 8.7
GTEX-13O3P-0126-SM-5KM4S 50-59 years, male 8.6
GTEX-13O3Q-2426-SM-5IJBR 50-59 years, male 8.6
GTEX-13OVK-2026-SM-7KUEO 40-49 years, male 8.6
GTEX-13OW8-1326-SM-5J1OW 60-69 years, male 8.6
GTEX-14DAQ-0126-SM-5S2MQ 60-69 years, female 8.6
GTEX-QCQG-1726-SM-3GIJ9 50-59 years, female 8.6
GTEX-RU72-0926-SM-2TF6B 50-59 years, female 8.6
GTEX-SJXC-0126-SM-2XCFF 60-69 years, male 8.6
GTEX-UPJH-0326-SM-3GADU 50-59 years, male 8.6
GTEX-ZE9C-2726-SM-57WB5 60-69 years, male 8.6
GTEX-1IKOH-0226-SM-COH4E 60-69 years, female 8.6
GTEX-1JMPZ-0226-SM-CNPP1 30-39 years, male 8.6
GTEX-1JMQK-0226-SM-CL543 60-69 years, male 8.6
GTEX-11DXY-2626-SM-5GIE7 60-69 years, male 8.5
GTEX-12ZZX-0126-SM-5EGK9 40-49 years, female 8.5
GTEX-13OVI-1426-SM-5L3EY 60-69 years, female 8.5
GTEX-13U4I-0126-SM-5LU38 40-49 years, female 8.5
GTEX-145MI-0526-SM-5O9A8 60-69 years, female 8.5
GTEX-14PHW-0126-SM-6LLJI 60-69 years, female 8.5
GTEX-XXEK-2226-SM-4BRUM 50-59 years, male 8.5
GTEX-1H3NZ-0126-SM-ACKX7 60-69 years, male 8.5
GTEX-1HBPN-0226-SM-9YFM1 50-59 years, male 8.5
GTEX-1LB8K-0226-SM-EWRNW 50-59 years, male 8.5
GTEX-1LC47-0326-SM-E9TJP 60-69 years, male 8.5
GTEX-1LNCM-1126-SM-E9U5E 50-59 years, female 8.5
GTEX-1RQEC-0426-SM-E6CHU 60-69 years, male 8.5
GTEX-13O1R-0126-SM-5L3EH 60-69 years, male 8.4
GTEX-1AX8Z-0126-SM-7DHM6 60-69 years, male 8.4
GTEX-OHPM-0126-SM-2YUN9 50-59 years, male 8.4
GTEX-WQUQ-0426-SM-3MJFU 60-69 years, male 8.4
GTEX-WZTO-0126-SM-3NM95 40-49 years, male 8.4
GTEX-1HCU6-0126-SM-CL54K 60-69 years, female 8.4
GTEX-1I1GR-0126-SM-CL55F 60-69 years, male 8.4
GTEX-1JMPY-1326-SM-ARL8Y 30-39 years, male 8.4
GTEX-11H98-0126-SM-5EGHG 50-59 years, male 8.3
GTEX-13VXT-0126-SM-5LU4I 20-29 years, female 8.3
GTEX-144FL-0126-SM-5TDC8 50-59 years, male 8.3
GTEX-Z93S-0126-SM-5HL7M 50-59 years, male 8.3
GTEX-ZDTT-2726-SM-4WKF8 60-69 years, male 8.3
GTEX-1RDX4-0126-SM-E9J4P 50-59 years, female 8.3
GTEX-12WSC-0126-SM-5EQ4P 50-59 years, male 8.2
GTEX-O5YW-0126-SM-3LK6D 50-59 years, male 8.2
GTEX-PLZ4-0126-SM-5SI8O 50-59 years, female 8.2
GTEX-YFC4-0126-SM-5CVLY 40-49 years, female 8.2
GTEX-1GF9U-2126-SM-7SB7L 40-49 years, female 8.2
GTEX-1H23P-0126-SM-ADEJ3 60-69 years, male 8.2
GTEX-1JJE9-0326-SM-CL53Z 70-79 years, male 8.2
GTEX-1RB15-2126-SM-E9TIM 60-69 years, male 8.2
GTEX-11DYG-0126-SM-59883 60-69 years, male 8.1
GTEX-11OC5-0126-SM-5HL6A 60-69 years, male 8.1
GTEX-11XUK-2026-SM-5EQLF 40-49 years, female 8.1
GTEX-131XH-2226-SM-5DUXJ 50-59 years, male 8.1
GTEX-1399U-2326-SM-5K7WY 50-59 years, female 8.1
GTEX-13RTL-0126-SM-7LG5S 40-49 years, male 8.1
GTEX-18A66-0226-SM-718BD 60-69 years, male 8.1
GTEX-WYVS-2126-SM-3NMA3 40-49 years, female 8.1
GTEX-XYKS-2126-SM-4E3IB 60-69 years, female 8.1
GTEX-Y5V6-2426-SM-4VDSB 60-69 years, male 8.1
GTEX-1EU9M-0226-SM-7P8SP 60-69 years, male 8.1
GTEX-1F75I-0326-SM-9YFLU 40-49 years, male 8.1
GTEX-1GN1W-0526-SM-9MQJQ 50-59 years, female 8.1
GTEX-1QP67-1626-SM-EAZ3X 40-49 years, female 8.1
GTEX-1S82Y-2026-SM-EVYCM 40-49 years, male 8.1
GTEX-ZPIC-1726-SM-DHXIU 40-49 years, female 8.1
GTEX-111FC-0126-SM-5N9DL 60-69 years, male 8.0
GTEX-13IVO-0126-SM-5J1NG 70-79 years, male 8.0
GTEX-13YAN-0326-SM-5O9DF 60-69 years, male 8.0
GTEX-14BIN-0626-SM-793DP 50-59 years, female 8.0
GTEX-S7SE-0126-SM-2XCD5 50-59 years, male 8.0
GTEX-169BO-1326-SM-9MQK2 50-59 years, male 8.0
GTEX-1H3VE-0326-SM-9YFLH 40-49 years, male 8.0
GTEX-1I19N-0326-SM-ACKVX 70-79 years, male 8.0
GTEX-1R7EV-2426-SM-EVYBG 40-49 years, male 8.0
GTEX-1RAZA-0126-SM-E6CI3 20-29 years, male 8.0
GTEX-12ZZZ-0626-SM-5DUXI 60-69 years, male 7.9
GTEX-14JG1-0426-SM-6ETZZ 40-49 years, male 7.9
GTEX-RWSA-0126-SM-2XCBB 40-49 years, male 7.9
GTEX-WVJS-0126-SM-4MVOT 50-59 years, male 7.9
GTEX-Z9EW-1626-SM-5CVMN 40-49 years, male 7.9
GTEX-ZVE2-0226-SM-59HJB 50-59 years, male 7.9
GTEX-1OFPY-2426-SM-DTXEJ 60-69 years, male 7.9
GTEX-11EI6-0126-SM-5985R 60-69 years, male 7.8
GTEX-13PDP-0126-SM-5L3HD 60-69 years, male 7.8
GTEX-13X6H-2126-SM-7EWD5 50-59 years, female 7.8
GTEX-14E6E-1826-SM-5S2R7 30-39 years, male 7.8
GTEX-18A7A-0226-SM-718BH 50-59 years, female 7.8
GTEX-Y5LM-1926-SM-5RQJH 40-49 years, female 7.8
GTEX-1GZHY-0326-SM-9QEHI 50-59 years, female 7.8
GTEX-1IL2V-0126-SM-CM2TX 70-79 years, male 7.8
GTEX-1JMQJ-0526-SM-CYPSU 50-59 years, male 7.8
GTEX-12126-0326-SM-5PNW3 20-29 years, male 7.7
GTEX-139TS-2826-SM-5J1OO 60-69 years, male 7.7
GTEX-15RIG-0226-SM-7KFTL 40-49 years, male 7.7
GTEX-OXRK-0226-SM-3NB2G 50-59 years, female 7.7
GTEX-ZAJG-0126-SM-5HL94 50-59 years, female 7.7
GTEX-ZAK1-0126-SM-5IJD3 50-59 years, female 7.7
GTEX-ZVTK-0426-SM-51MRS 20-29 years, male 7.7
GTEX-1GF9W-0326-SM-9KNUN 60-69 years, male 7.7
GTEX-1GPI7-0126-SM-9MQL8 20-29 years, male 7.7
GTEX-139T8-0126-SM-5K7XZ 60-69 years, male 7.6
GTEX-13SLX-0526-SM-5S2ON 50-59 years, female 7.6
GTEX-14753-0426-SM-5NQAM 60-69 years, male 7.6
GTEX-1AX9K-2326-SM-73KWU 50-59 years, male 7.6
GTEX-QV44-1926-SM-2S1RF 50-59 years, male 7.6
GTEX-T5JC-0426-SM-32PLO 20-29 years, male 7.6
GTEX-YB5K-2126-SM-4WWDJ 40-49 years, female 7.6
GTEX-1I1GV-0526-SM-A9G29 60-69 years, male 7.6
GTEX-1ICLZ-0126-SM-CKZPO 60-69 years, male 7.6
GTEX-1J1R8-1726-SM-ARL8M 40-49 years, male 7.6
GTEX-1PPH7-2326-SM-EVYB8 40-49 years, male 7.6
GTEX-11LCK-1026-SM-5A5KB 30-39 years, male 7.5
GTEX-11UD2-0226-SM-5EQKY 50-59 years, male 7.5
GTEX-139UW-2826-SM-5L3E7 60-69 years, male 7.5
GTEX-16XZZ-0126-SM-793DV 60-69 years, male 7.5
GTEX-17EVP-0326-SM-7DHLG 40-49 years, male 7.5
GTEX-NPJ8-0126-SM-2YUNR 40-49 years, male 7.5
GTEX-VJYA-1126-SM-3GIJU 60-69 years, male 7.5
GTEX-XMD2-0126-SM-4YCDU 60-69 years, female 7.5
GTEX-Y8DK-0126-SM-4TT3L 60-69 years, male 7.5
GTEX-1GN1U-0126-SM-7PBZK 50-59 years, female 7.5
GTEX-1GN1V-0126-SM-9WPOS 60-69 years, male 7.5
GTEX-1H2FU-0126-SM-9WYSI 60-69 years, female 7.5
GTEX-12ZZY-0226-SM-5LZVE 60-69 years, male 7.4
GTEX-13113-5016-SM-7EPIP 60-69 years, female 7.4
GTEX-13W3W-2426-SM-5LU5B 60-69 years, female 7.4
GTEX-18QFQ-0126-SM-731BE 30-39 years, male 7.4
GTEX-1AX9J-0226-SM-73KXM 60-69 years, male 7.4
GTEX-P44H-0226-SM-2XCEU 40-49 years, male 7.4
GTEX-PVOW-0126-SM-2XCFA 40-49 years, male 7.4
GTEX-T2YK-0526-SM-32QPJ 50-59 years, male 7.4
GTEX-XAJ8-0826-SM-47JY6 40-49 years, male 7.4
GTEX-1KD4Q-0226-SM-E9TJ9 40-49 years, male 7.4
GTEX-1MCYP-1926-SM-E9J2R 20-29 years, female 7.4
GTEX-1QAET-0926-SM-E76QM 50-59 years, male 7.4
GTEX-11DXX-2426-SM-5GZZW 60-69 years, female 7.3
GTEX-18A67-0126-SM-7LG5P 50-59 years, male 7.3
GTEX-VUSG-2526-SM-4KL1V 50-59 years, male 7.3
GTEX-1EN7A-0126-SM-7SB81 40-49 years, male 7.3
GTEX-1J8JJ-0226-SM-CL53I 60-69 years, female 7.3
GTEX-PW2O-1526-SM-7RHHB 20-29 years, male 7.3
GTEX-117YX-2326-SM-5H12W 50-59 years, male 7.2
GTEX-13QJ3-0326-SM-5S2RA 50-59 years, male 7.2
GTEX-16BQI-0226-SM-7KUEX 30-39 years, female 7.2
GTEX-S95S-1226-SM-4GICG 60-69 years, male 7.2
GTEX-TMZS-0126-SM-3DB9Q 60-69 years, male 7.2
GTEX-1H1DG-0126-SM-9WYU2 70-79 years, male 7.2
GTEX-1H3VY-0126-SM-ACKXD 50-59 years, male 7.2
GTEX-1S5ZA-0126-SM-EVYCV 20-29 years, male 7.2
GTEX-11P7K-2126-SM-5GU7G 30-39 years, male 7.1
GTEX-PWO3-1526-SM-48TCM 60-69 years, female 7.1
GTEX-T6MO-1626-SM-32QOM 40-49 years, female 7.1
GTEX-WFG8-2226-SM-3GIL9 20-29 years, male 7.1
GTEX-ZVT2-2526-SM-51MT1 50-59 years, female 7.1
GTEX-13FH7-2026-SM-E9J4I 50-59 years, female 7.1
GTEX-1H4P4-0726-SM-9YFLR 50-59 years, male 7.1
GTEX-1IGQW-0126-SM-COH42 60-69 years, male 7.1
GTEX-1J8Q3-1626-SM-CMKGC 60-69 years, male 7.1
GTEX-1JN6P-0126-SM-D3L98 60-69 years, male 7.1
GTEX-1MUQO-0126-SM-EAZ58 60-69 years, male 7.1
GTEX-PLZ6-1426-SM-DKPOT 30-39 years, male 7.1
GTEX-13FHP-0126-SM-5IJBG 50-59 years, male 7.0
GTEX-14BMU-2226-SM-5TDE9 20-29 years, female 7.0
GTEX-17HHE-2026-SM-79OKF 50-59 years, male 7.0
GTEX-17MFQ-1726-SM-793C7 20-29 years, male 7.0
GTEX-NFK9-0226-SM-2HMKQ 40-49 years, male 7.0
GTEX-XUW1-0426-SM-4BOOT 50-59 years, female 7.0
GTEX-XUZC-1726-SM-4BRWS 30-39 years, female 7.0
GTEX-1CB4H-0226-SM-7PBXM 60-69 years, female 7.0
GTEX-1HCU8-0626-SM-A9SM9 60-69 years, female 7.0
GTEX-1JN76-0126-SM-CNPPE 20-29 years, female 7.0
GTEX-R45C-0126-SM-EAZ2R 60-69 years, female 7.0
GTEX-13RTK-1426-SM-5QGQJ 20-29 years, male 6.9
GTEX-1497J-2426-SM-7IGNX 60-69 years, male 6.9
GTEX-15ER7-0326-SM-7KUEV 20-29 years, female 6.9
GTEX-OIZH-0126-SM-2HMIS 50-59 years, male 6.9
GTEX-QESD-1426-SM-2S1R9 20-29 years, male 6.9
GTEX-RWS6-2026-SM-2XCB5 60-69 years, female 6.9
GTEX-U3ZH-2026-SM-3DB78 30-39 years, male 6.9
GTEX-1GF9V-0326-SM-7RHI5 60-69 years, male 6.9
GTEX-1GMRU-0126-SM-9YFLV 50-59 years, male 6.9
GTEX-11DXZ-2326-SM-5EGGV 50-59 years, male 6.8
GTEX-12WSA-0226-SM-5BC5V 60-69 years, male 6.8
GTEX-13PVR-2326-SM-5QGR1 60-69 years, female 6.8
GTEX-145MN-2226-SM-5SIAU 30-39 years, male 6.8
GTEX-14BMV-0126-SM-5S2PO 50-59 years, male 6.8
GTEX-15G19-0126-SM-6PANQ 60-69 years, male 6.8
GTEX-1B8SF-1426-SM-7DUGL 60-69 years, male 6.8
GTEX-1E1VI-0126-SM-7DHMZ 50-59 years, male 6.8
GTEX-XQ8I-0426-SM-4BOPO 50-59 years, male 6.8
GTEX-ZC5H-0226-SM-4WAY9 40-49 years, female 6.8
GTEX-1H1E6-1726-SM-ACKVK 30-39 years, male 6.8
GTEX-1IOXB-0126-SM-ARL8G 50-59 years, male 6.8
GTEX-1PPH8-0226-SM-E8VND 20-29 years, male 6.8
GTEX-1128S-2326-SM-5GZZY 60-69 years, female 6.7
GTEX-11OF3-2626-SM-5GU7F 60-69 years, male 6.7
GTEX-1211K-2026-SM-5EQ4Z 60-69 years, female 6.7
GTEX-131YS-0126-SM-5KM1M 60-69 years, female 6.7
GTEX-13FTY-0526-SM-5L3EV 40-49 years, female 6.7
GTEX-14BIM-0226-SM-7IGLD 60-69 years, female 6.7
GTEX-OIZG-0726-SM-33HBL 50-59 years, male 6.7
GTEX-T6MN-0126-SM-32PLP 50-59 years, male 6.7
GTEX-TMMY-0226-SM-33HBA 40-49 years, female 6.7
GTEX-ZYY3-0126-SM-5GZY5 60-69 years, female 6.7
GTEX-11TUW-2726-SM-E9J4M 60-69 years, male 6.7
GTEX-1JN1M-0326-SM-CYPT3 60-69 years, female 6.7
GTEX-1QP9N-1426-SM-DTXFL 30-39 years, male 6.7
GTEX-11P81-2326-SM-59875 30-39 years, female 6.6
GTEX-11WQK-0526-SM-5EQLD 50-59 years, male 6.6
GTEX-13OW6-0426-SM-5L3HM 50-59 years, male 6.6
GTEX-16NPX-0226-SM-79OMT 50-59 years, male 6.6
GTEX-1CAMR-1926-SM-7EPI2 20-29 years, male 6.6
GTEX-1IE54-0126-SM-CMKHW 40-49 years, female 6.6
GTEX-1LH75-2426-SM-E9TJE 50-59 years, female 6.6
GTEX-P4QT-0126-SM-2I3FL 50-59 years, female 6.5
GTEX-UJHI-1526-SM-3DB99 50-59 years, female 6.5
GTEX-YB5E-2026-SM-5IFIS 40-49 years, male 6.5
GTEX-1F75B-0126-SM-9KNVL 50-59 years, male 6.5
GTEX-1I6K6-0126-SM-A9SLE 30-39 years, male 6.5
GTEX-1J8QM-2126-SM-CYPSJ 60-69 years, female 6.5
GTEX-1N2EF-0226-SM-EYYXB 60-69 years, male 6.5
GTEX-1NV5F-0226-SM-E8VNY 60-69 years, female 6.5
GTEX-1O97I-0326-SM-EYYX7 60-69 years, male 6.5
GTEX-1QCLY-0326-SM-E8VOG 30-39 years, male 6.5
GTEX-12696-2426-SM-5EQ6H 60-69 years, male 6.4
GTEX-14C5O-0126-SM-5SI6N 60-69 years, male 6.4
GTEX-TSE9-0126-SM-3DB83 60-69 years, female 6.4
GTEX-OIZF-0126-SM-7SB8I 60-69 years, male 6.4
GTEX-14A5H-0426-SM-5QGQF 60-69 years, male 6.3
GTEX-17KNJ-2326-SM-7DHLQ 50-59 years, male 6.3
GTEX-ZZ64-1726-SM-5GZYB 20-29 years, male 6.3
GTEX-1GMR8-0126-SM-9WYTM 50-59 years, female 6.3
GTEX-1BAJH-0526-SM-793CQ 70-79 years, male 6.2
GTEX-SNMC-1226-SM-2XCFP 20-29 years, male 6.2
GTEX-SUCS-1926-SM-32PM3 70-79 years, male 6.2
GTEX-T5JW-1626-SM-3GADZ 20-29 years, female 6.2
GTEX-VJWN-0126-SM-3GIK7 50-59 years, female 6.2
GTEX-1OJC3-0126-SM-E76QX 20-29 years, male 6.2
GTEX-11VI4-1726-SM-5CVLH 40-49 years, female 6.1
GTEX-13D11-2426-SM-5KM1V 50-59 years, female 6.1
GTEX-13NZ8-0826-SM-5MR3I 60-69 years, female 6.1
GTEX-145LV-2126-SM-5LU8N 50-59 years, male 6.1
GTEX-14PN3-2426-SM-6LLHS 60-69 years, female 6.1
GTEX-ZQUD-1426-SM-57WER 30-39 years, male 6.1
GTEX-PWCY-1826-SM-DHXIZ 20-29 years, female 6.1
GTEX-12WSE-0526-SM-793B2 20-29 years, male 6.0
GTEX-12WSK-2326-SM-5GCOH 40-49 years, female 6.0
GTEX-147F3-0526-SM-5SI98 50-59 years, female 6.0
GTEX-1C2JI-1826-SM-73KXC 50-59 years, male 6.0
GTEX-XBEW-0626-SM-4QASP 40-49 years, male 6.0
GTEX-ZYT6-0226-SM-5NQ6T 30-39 years, male 6.0
GTEX-1CB4F-0426-SM-9KNV4 60-69 years, male 6.0
GTEX-1HFI7-1826-SM-ACKXH 50-59 years, female 6.0
GTEX-1IL2U-0226-SM-CE6T8 60-69 years, male 6.0
GTEX-1JMQL-0226-SM-CNPP5 50-59 years, female 6.0
GTEX-1KWVE-1426-SM-E9TJO 30-39 years, male 6.0
GTEX-1R46S-0626-SM-E9J41 60-69 years, female 6.0
GTEX-PSDG-0226-SM-DKPOZ 50-59 years, male 6.0
GTEX-ZF29-2326-SM-DO92K 60-69 years, female 6.0
GTEX-11P82-1626-SM-59879 20-29 years, male 5.9
GTEX-1212Z-2526-SM-5EGKP 60-69 years, male 5.9
GTEX-WXYG-2326-SM-4E3I6 50-59 years, female 5.9
GTEX-ZTSS-1926-SM-57WEW 40-49 years, male 5.9
GTEX-1CAMS-0426-SM-7P8T2 40-49 years, female 5.9
GTEX-1E2YA-0126-SM-9KNUC 50-59 years, male 5.9
GTEX-1HSMQ-1226-SM-CGQFX 50-59 years, male 5.9
GTEX-1JK1U-2026-SM-CM2RZ 60-69 years, male 5.9
GTEX-1MJK2-0426-SM-DTXE5 50-59 years, male 5.9
GTEX-13NZB-2526-SM-5J1OM 30-39 years, male 5.8
GTEX-13SLW-0126-SM-5SI6C 70-79 years, male 5.8
GTEX-Q2AI-1326-SM-2S1PL 40-49 years, male 5.8
GTEX-Y8E4-0626-SM-4WWDL 40-49 years, male 5.8
GTEX-1C64O-0126-SM-7SB8P 60-69 years, male 5.8
GTEX-1EMGI-0126-SM-9KNUE 60-69 years, male 5.8
GTEX-1F52S-0126-SM-9MQJU 60-69 years, female 5.8
GTEX-1F5PK-2426-SM-7RHHY 50-59 years, male 5.8
GTEX-1HCU9-1526-SM-A9SL7 20-29 years, male 5.8
GTEX-1HGF4-2426-SM-ACKXM 60-69 years, male 5.8
GTEX-1IDJH-0326-SM-A9SLQ 70-79 years, male 5.8
GTEX-1LSNM-1926-SM-E6CII 50-59 years, male 5.8
GTEX-1R7EU-0226-SM-EVR4G 60-69 years, male 5.8
GTEX-133LE-1826-SM-5J1MV 20-29 years, female 5.7
GTEX-14DAR-2026-SM-5S2O3 50-59 years, male 5.7
GTEX-14ICK-0226-SM-6EU25 40-49 years, male 5.7
GTEX-15CHC-2126-SM-6EU21 60-69 years, female 5.7
GTEX-1AMEY-1326-SM-73KYK 30-39 years, female 5.7
GTEX-1C6VR-2426-SM-79OLD 60-69 years, male 5.7
GTEX-1CAMQ-0226-SM-7IGPK 40-49 years, male 5.7
GTEX-X261-0126-SM-3NMD6 50-59 years, male 5.7
GTEX-ZV6S-2326-SM-4YCEY 40-49 years, female 5.7
GTEX-1KXAM-2226-SM-CYPTC 60-69 years, male 5.7
GTEX-1N2DV-0226-SM-E6CJ6 40-49 years, male 5.7
GTEX-15SHU-0126-SM-7KUEH 40-49 years, female 5.6
GTEX-17EUY-0426-SM-793BD 20-29 years, male 5.6
GTEX-WYJK-0126-SM-3NMAB 50-59 years, male 5.6
GTEX-Z93T-0126-SM-5HL5N 50-59 years, male 5.6
GTEX-ZGAY-0526-SM-4WWBB 40-49 years, female 5.6
GTEX-ZXG5-0126-SM-5GIEU 60-69 years, male 5.6
GTEX-1HKZK-0326-SM-9WYUH 40-49 years, male 5.6
GTEX-1JJ6O-0126-SM-E6CI8 60-69 years, male 5.6
GTEX-18D9U-0226-SM-718BP 40-49 years, male 5.5
GTEX-R3RS-0126-SM-3GIJL 40-49 years, female 5.5
GTEX-Y5V5-2326-SM-4V6GA 60-69 years, female 5.5
GTEX-ZVZP-2426-SM-59HKJ 50-59 years, male 5.5
GTEX-1S3DN-2226-SM-EVYCD 50-59 years, male 5.5
GTEX-14PJ3-1826-SM-62LEX 50-59 years, male 5.4
GTEX-XPVG-2626-SM-4B669 50-59 years, male 5.4
GTEX-1H11D-0226-SM-9WG6Z 40-49 years, male 5.4
GTEX-1HSKV-0226-SM-A9SKJ 60-69 years, male 5.4
GTEX-1MGNQ-0126-SM-EVYCJ 40-49 years, male 5.4
GTEX-1S82Z-0826-SM-E6CHY 30-39 years, female 5.4
GTEX-ZQG8-1626-SM-DHXIT 60-69 years, female 5.4
GTEX-13FTW-2626-SM-5K7WL 40-49 years, male 5.3
GTEX-13OVH-0126-SM-5MR4B 70-79 years, male 5.3
GTEX-14A5I-0126-SM-5TDEA 50-59 years, female 5.3
GTEX-14PHX-2326-SM-62LEM 50-59 years, male 5.3
GTEX-17JCI-0126-SM-7LG5G 60-69 years, female 5.3
GTEX-1C475-1826-SM-73KWA 40-49 years, female 5.3
GTEX-ZAB5-1826-SM-5HL7C 50-59 years, male 5.3
GTEX-1GZ4H-1726-SM-7PBZJ 50-59 years, female 5.3
GTEX-11EM3-2426-SM-59861 20-29 years, female 5.2
GTEX-145LU-0126-SM-5TDCB 50-59 years, male 5.2
GTEX-1A3MV-1926-SM-718BT 30-39 years, male 5.2
GTEX-1CB4E-2226-SM-793DC 60-69 years, male 5.2
GTEX-U3ZN-2326-SM-3DB7W 30-39 years, female 5.2
GTEX-1HSEH-0126-SM-ACKXN 60-69 years, male 5.2
GTEX-1I1GQ-0126-SM-COH3H 50-59 years, male 5.2
GTEX-117XS-2726-SM-5N9BL 60-69 years, male 5.1
GTEX-11EQ9-2426-SM-5HL5T 30-39 years, male 5.1
GTEX-15ETS-0126-SM-7KUMW 40-49 years, female 5.1
GTEX-17F98-0626-SM-79OMX 40-49 years, female 5.1
GTEX-18D9A-1926-SM-7LG6P 30-39 years, female 5.1
GTEX-1C64N-0126-SM-793D7 50-59 years, male 5.1
GTEX-OXRN-0126-SM-48TDM 50-59 years, male 5.1
GTEX-1F5PL-0326-SM-7P8PQ 40-49 years, female 5.1
GTEX-1IDJU-2626-SM-CM2RT 60-69 years, female 5.1
GTEX-1NHNU-1026-SM-E9J2A 50-59 years, male 5.1
GTEX-1QMI2-0226-SM-EVYBX 60-69 years, male 5.1
GTEX-1399R-2726-SM-5IJBA 30-39 years, male 5.0
GTEX-17F96-1626-SM-7DUFL 70-79 years, male 5.0
GTEX-PX3G-0126-SM-2I3EN 20-29 years, female 5.0
GTEX-S32W-2126-SM-2XCB1 50-59 years, female 5.0
GTEX-T8EM-1026-SM-3DB7M 40-49 years, male 5.0
GTEX-1JKYR-0126-SM-CNPOJ 20-29 years, male 5.0
GTEX-1K9T9-0126-SM-EVYCF 50-59 years, female 5.0
GTEX-1LVAN-0226-SM-COH3S 50-59 years, female 5.0
GTEX-PLZ5-2026-SM-2S1O4 50-59 years, male 4.9
GTEX-W5WG-1826-SM-4KL2Y 50-59 years, female 4.9
GTEX-1GMR3-1926-SM-9KNUZ 40-49 years, male 4.9
GTEX-1I4MK-2226-SM-ACKWD 50-59 years, female 4.9
GTEX-1K2DA-1826-SM-CGQGT 50-59 years, male 4.9
GTEX-1LBAC-0126-SM-DIPEZ 20-29 years, male 4.9
GTEX-11NSD-2226-SM-5986V 20-29 years, male 4.8
GTEX-144GL-0126-SM-5TDE2 50-59 years, male 4.8
GTEX-15F5U-1526-SM-6PANO 40-49 years, male 4.8
GTEX-1F6RS-0126-SM-9MQKZ 60-69 years, female 4.8
GTEX-1HT8W-0126-SM-CNPPP 30-39 years, male 4.8
GTEX-1JMQI-2226-SM-CM2SD 50-59 years, male 4.8
GTEX-1K2DU-2326-SM-E9TIV 20-29 years, male 4.8
GTEX-1QP66-1726-SM-E8VO1 50-59 years, male 4.8
GTEX-1QPFJ-0226-SM-E76PB 30-39 years, female 4.8
GTEX-13JUV-2726-SM-5LZZ8 40-49 years, female 4.7
GTEX-15EU6-0426-SM-6PAN5 50-59 years, male 4.7
GTEX-TKQ1-1026-SM-4GICL 30-39 years, male 4.7
GTEX-1HCU7-0226-SM-CL545 50-59 years, male 4.7
GTEX-1J1OQ-0226-SM-CYPSH 40-49 years, female 4.7
GTEX-1LG7Z-1726-SM-D3LA4 30-39 years, male 4.7
GTEX-145LS-0126-SM-5QGP1 60-69 years, female 4.6
GTEX-16NGA-1726-SM-731B4 40-49 years, female 4.6
GTEX-ZWKS-0126-SM-5SIAA 30-39 years, male 4.6
GTEX-ZXES-1826-SM-5E43S 30-39 years, female 4.6
GTEX-1KANA-0726-SM-D3L9I 20-29 years, male 4.6
GTEX-13FTX-1826-SM-5J1NX 20-29 years, female 4.5
GTEX-16AAH-1726-SM-7939C 50-59 years, male 4.5
GTEX-WRHK-1426-SM-3MJF9 20-29 years, female 4.5
GTEX-1GF9X-2026-SM-7PC3A 40-49 years, female 4.5
GTEX-1LGRB-2526-SM-CNPPQ 50-59 years, female 4.5
GTEX-1PDJ9-0326-SM-DTX95 20-29 years, male 4.5
GTEX-1IKJJ-0126-SM-CNPQB 60-69 years, male 4.4
GTEX-1399T-2826-SM-5KLYZ 60-69 years, male 4.3
GTEX-1LGOU-2026-SM-DIPFF 20-29 years, female 4.3
GTEX-1PIGE-0126-SM-EVYBJ 20-29 years, male 4.3
GTEX-14JG6-2226-SM-6EU2G 30-39 years, female 4.2
GTEX-14PJ6-2126-SM-6EU1V 60-69 years, female 4.2
GTEX-ZV68-0126-SM-59HKS 50-59 years, female 4.2
GTEX-13NYB-2526-SM-5K7Z6 40-49 years, male 4.1
GTEX-145MF-0626-SM-5LUAI 50-59 years, male 4.1
GTEX-1CB4I-0226-SM-79OLH 50-59 years, male 4.1
GTEX-1GL5R-1826-SM-9KNUY 50-59 years, male 4.1
GTEX-1HSGN-0226-SM-CGQFV 40-49 years, female 4.1
GTEX-17GQL-2026-SM-718BA 60-69 years, male 4.0
GTEX-YJ89-0126-SM-4TT3X 60-69 years, male 4.0
GTEX-1B97I-1626-SM-73KYO 40-49 years, male 3.9
GTEX-ZY6K-1826-SM-5GZXK 50-59 years, male 3.9
GTEX-1I1GT-0626-SM-CGQER 60-69 years, female 3.9
GTEX-1JJEA-0326-SM-CNPOT 60-69 years, male 3.9
GTEX-1JMLX-0226-SM-CM2RO 50-59 years, male 3.9
GTEX-1S83E-0126-SM-EWRO4 40-49 years, male 3.9
GTEX-131XE-2326-SM-5PNZ2 50-59 years, male 3.8
GTEX-1M5QR-1226-SM-EWROB 40-49 years, male 3.8
GTEX-14LZ3-0226-SM-62LET 60-69 years, female 3.7
GTEX-1AMFI-2026-SM-731BH 50-59 years, female 3.7
GTEX-ZYFG-2326-SM-5E44B 60-69 years, female 3.7
GTEX-1122O-2126-SM-5EGIR 60-69 years, female 3.6
GTEX-1KANC-1526-SM-D3LAB 50-59 years, female 3.6
GTEX-1PIIG-0226-SM-EWRN6 30-39 years, male 3.6
GTEX-1PFEY-1526-SM-E76PP 30-39 years, male 3.4
GTEX-WFON-2126-SM-3LK7O 40-49 years, male 3.3
GTEX-139D8-0226-SM-5KLZO 30-39 years, female 3.1
GTEX-1L5NE-2526-SM-E6CIE 50-59 years, male 3.1
GTEX-1MA7W-2026-SM-E9TJ6 20-29 years, female 3.1
GTEX-1R9PM-2026-SM-E76OY 20-29 years, male 3.0
GTEX-ZTX8-1426-SM-5DUVO 20-29 years, male 2.6
GTEX-ZF2S-2326-SM-4WWCE 50-59 years, female 2.5
GTEX-SE5C-1626-SM-2XCE3 40-49 years, female 2.4
GTEX-13N2G-2626-SM-5J1OT 60-69 years, male 2.2
GTEX-13111-1626-SM-5EGJY 50-59 years, male 1.9
Show allShow less

Contact

  • NEWS ARTICLES
  • PRESS ROOM

The Project

  • INTRODUCTION
  • ORGANIZATION
  • PUBLICATIONS

The Human Protein Atlas

  • DOWNLOADABLE DATA
  • LICENCE & CITATION
  • HELP & FAQ
The Human Protein Atlas project is funded
by the Knut & Alice Wallenberg Foundation.


contact@proteinatlas.org